ZONE I5 FRENCHMAN'S CREEK-511

Page 1

See Pages 40-41 “I personally visit with every customer after their final inspection!” -Peter Bulger, Owner Gardens Palm Beach Living MYLIVINGMEDIA.COM VOL. 551-I5 Index Page 9 Mailing Frenchman’s Creek For What It’s Worth Page 54 Puzzle Page Page 68 Bill sh Air Conditioning Pages 4-5 Unlimited Auto Wash Pages 76-77

ROYAL PALM BEACH

BEACH 8060

8060

RD SUITE 1&2 WEST PALM BEACH 33411

RD SUITE

WEST PALM BEACH 33411

Flouring Inc. WWW.PSFLOORINGUSA.COM (561) 612-4039 5Google stars Reviews ••••• FAMILY OWNED & OPER ATED 2 Rooms •999.oo Up to 260 sq. ft With thisad.Cannotbecombined with any other offers. 3 Rooms •1499.oo Up to 400 sq. ft With thisad.Cann otbecombined with any other offers. Whole House •2799.oo ent er Round llatlon ht Furniture n y apply) extra 8mm0nly VISIT OUR SHOWROOM OR CALL FOR A FREE IN HOME ESTIMATE NOW OPEN IN JUPITER 501 N ALTERNATE AlA JUPITER 33477 LAKEWORI'H 2110 N DIXIE HWY LAKEWORTH 33460 ROYAL PALM
BELVEDERE
1&2
JUPITER 501 N ALTERNATE A1A NOW OPEN IN JENSEN BEACH 1683 NE JENSEN BEACH BLVD JENSEN BEACH 34957 LAKEWORTH 2110 N DIXIE HWY LAKE WORTH 33460
BELVEDERE
Located in the YumYum Plaza 815 S. US Hwy. 1, Jupiter FL 561-781-3696 HOME FURNISHINGS INSPIRED BY The Salt, Sand, & Sea Classic & Timeless Furniture, Unique Coastal Lighting, Accessories, & Rugs summerhousefurniture.com Mon.-Sat. 10am-6pm | Sun. 12:30pm-5pm

Depending on who you listen to, the United States is either headed towards or is in the midst of an economic recession. Regardless of the speci cs, one thing is for sure — prices are getting higher. Sure, we can cut back in certain areas, but there are just some things in life that are too important to go without... like air conditioning here in South Florida! Even though costs are inching upwards, we’re always going to need properly functioning HVAC systems. You don’t have to worry, though, about the economy’s effect on your A/C when you work with Bill sh Air Conditioning... Their family is around to keep your family cool for less!

The owner of Bill sh Air Conditioning, Jason Culberson, is committed to offering his customers, who he views as “part of our family,” the best deals to save them money. As a local business owner, homeowner, husband, and father, Jason understands that life comes with all kinds of nancial responsibilities and stresses. He provides numerous opportunities, therefore, for consumers to get through this unforgiving economy without having to compromise on being comfortably cool at home and/or work.

Annual Maintenance Plan

Bill sh’s robust maintenance plan allows you to keep your HVAC system up and running perfectly without breaking the bank. For just $189/year (only $94.50 per visit!), you can ensure that you and your family will always be comfortable and cool. Plus, by performing this vital preventative maintenance 2x/year, Bill sh will help to save you money down the road by identifying quick, easyto- x issues before they fester and become expensive catastrophes. Jason explains, “Just like you do an oil change in your car because you want to maintain it… maintenance on your air conditioner is just as important.”

Additionally, as a member of the maintenance plan at Bill sh Air Conditioning, you are covered by a labor warranty and receive 10% off any repairs or service for your HVAC system.

Monthly Air Filter Subscription Service

When’s the last time you changed your air lter? Remembering to do it each month, like you should, can be dif cult! But, not regularly changing your air lter will result in higher electric bills and polluted air ow. Plus, your HVAC system has to work much harder with a dirty air lter, so the possibility of it malfunctioning increases substantially.

Thankfully, Bill sh Air Conditioning makes it convenient and affordable to ensure that your air lter is changed

each month! By joining their monthly air lter subscription service, you will receive a new lter for your HVAC unit every 30 days, so you never have to worry about your electric bill suddenly skyrocketing.

The best part is that if you enroll in Bill sh’s maintenance program AND sign up for the monthly lter subscription, then Jason will discount the cost of the maintenance program to $169/year! Why? Because he “really [thinks] you should sign up… you need this product in your home.”

Financing

For everything from service and maintenance calls to installation services, Bill sh Air Conditioning offers 4 different nancing options so that customers don’t have to pay out of pocket with cash or a check. Even if you want to add a REME HALO® air puri er to your A/C unit, you can apply for nancing so that you can quickly get cleaner air without paying an exorbitant amount in advance.

Keep Your Family Cool

Ultimately, Jason wants you to know that Bill sh Air Conditioning is here for you during these slow economic times. He says, “Whatever we have to do to repair your air conditioner or give you the best deal possible on a new replacement, we will. The Bill sh Air Conditioning family is here to keep your family cool.”

Bill sh Air Conditioning is located at 1501 SE Decker Avenue, #1-121, in Stuart. The of ce is open MondaysFridays from 8AM-5PM, and technicians are available 24/7 for emergencies.

Bill sh Air Conditioning proudly serves Martin, St. Lucie, and Palm Beach Counties. For more information, call 772-521-5495 or visit bill shac.com.

4 VOL. 548 H/K Copyrighted© My Living Media. 2022 All Rights reserved. To Advertise call 772-247-6849 Need More Coupons - MyLivingMedia.com
The Bill sh Air Conditioning Family Keeps Your Family Cool For Less!
AIR CONDITIONING LLCBillfish Billfish772.276.7537
VOL. 548 H /KCopyrighted© My Living Media. 2022 All Rights reserved. To Advertise call 772-247-6849 Need More Coupons - MyLivingMedia.com Air Conditioning A/C MONITORING 772.276.7537 Lic# CAC1819096 FREE $189 Must mention at time of order. With this MLM coupon. Cannot becombined with other offers or specials. Expires 10/31/22 With this MLM coupon. Cannot be combined with otheroffers or specials. Expires 10/31/22 With this MLM coupon. Cannot be combined with otheroffers or specials. Expires 10/31/22 SERVICE CALL ANNUAL MAINTENANCE Annual Maintenance WITH REPAIR ($85 Value) Includes 2 Visits! Bill shAC.com SAVE up to 30% on your Electric Bill & 10% on your Home Insurance! $69 Check refrigerant level Clean and chemically treat drain line, add algae tablets Lubricate moving parts where necessary Check for correct air ow Check for air leak on plenum Check fan motor Check all electrical connections for loose or burned wire, tighten all caps Check relays and connectors Completely seal unit airtight (replace screws if missing) Check evaporator coil and condenser coil Coil treatment for bad odors and bacteria, when accessible Check heating element, run heat cycle, system analysis Calibrate thermostat for maximum accuracy Check for microbial growth on coil Includes ✔ ✔ ✔ ✔ ✔ ✔ ✔ ✔ ✔ ✔ ✔ ✔ ✔ ✔ A/C PRECISION TUNE-UP Reduce Costly Repairs Extend the Life of Your System Protect Your Home from Water Damage & More! ✔ ✔ ✔ ✔ FREE EstimatesFinancing Available On New Units & Service Calls! Affordably-Priced A/C Solutions “Don’t worry, we’ve got your back!”
6 VOL. 551 I Copyrighted© My Living Media. 2022 All Rights reserved. To Advertise call 772-247-6849 Need More Coupons - MyLivingMedia.com Call for a free in home design consultation and estimate Imagine your home, totally organized! Custom Closets, Garage Cabinets, Home Offices, Pantries, Laundries, Hobby Rooms and more... 40% Off Plus Free Installation Terms and Conditions: 40% off any order of $980 or more or 30% off any order of $680-$979 on any complete Custom Closet, Garage Cabinets, Home Office, Pantry, Laundry, Wall Bed, Wall Unit, Hobby Room or Garage Flooring system. Not valid with any other offer. Free installation with any complete unit order of $600 or more. Expires in 30 days. Call for a free in home design consultation and estimate (561)203-4745 www.closetsbydesign.com MSJ Follow us 2020 © All Rights Reserved. Closets by Design, Inc. Walk-In-Closets Laundry Rooms Home Offices Garage Cabinets Follow us www.closetsbydesign.com CGC1509325 & MC1900055 (561) 203-4920 MSG
VOL. 551 I 7Copyrighted© My Living Media. 2022 All Rights reserved. To Advertise call 772-247-6849 Need More Coupons - MyLivingMedia.comFREE ESTIMATES ON NEW A/C UNITS WE SELL, INSTALL, AND SERVICE ALL MAJOR A/C BRANDS! Offer Expires 10/31/22 *Rheem 16 seer A/C unit re ects cash price. Price is based on model numbers RA1618 through RA1660 unit with air RH1T air handler. WIFI T-stat illustration purposes only, not included. Must be straight change out, hooked up to existing copper, electric, thermostat, hurricane tie-downs, vibration pads and slab. Rooftop and R410a retro ts extra. Permits additional. *Synchrony Financing with approved credit. *Basic coil cleaning will be accomplished by using brush vacuum where accessible. *Drain line ush for maintenance purposes only, excludes clogged drain lines. *Free service call with repair, $49 value. I0% off is valid for service related items only. excludes new Ac units. COMMERCIAL & RESIDENTIAL OFFICE HOURS: MONDAY-SUNDAY 7AM-9PM 561-721-0900 State Licensed HVAC Contractor Lic # CAC058142 State Licensed Mold Assessor Lic # MRSA3162 State Licensed Mold Remediator Lic #MRSR3334 · Service within 24 Hrs. · 1 A/C Tune-Up · Unlimited Drain Line unclogging · 10% OFF Parts & Labor · NO Diagnostic Fee · Air Duct Deodorizing Only 772-236-4965Scan for details ACT NOW! LIMITED TIME OFFER Exp. 10/31/22 Club Member 6-Month Maintenance Agreement $99 EcoNet® Smart WiFi Thermostat · 24-Point Inspection · FREE 1st lb of Freon* · Add Solution to A/C Drain · Add Algaecide Tablets to Drain Pan · Coil Deodorizer* · FREE Drain Line Flush* Only 772-236-4965Scan for details ACT NOW! LIMITED TIME OFFER Exp. 10/31/22 Complete A/C Tune-Up $49 WE GET PAID WHEN YOU GET PAID We Also Do WATER & MOLD RESTORATION A/C Leaks? Mod around your A/C? Plumbing Leaks? Water stained walls? Mold damaged walls? Ceiling brown spots? Buckling or stained wood oors? 0% Financing 24-60 Months* (Equal Monthly Payments - Call For Details) Scan for details ACT NOW! LIMITED TIME OFFER Exp. 10/31/22 772-236-4965 *with repair A/C Service Call A/C Not Cooling? Leaking Water? Leaking Freon? Freezing Up? FREE 25 YEARS IN BUSINESS SE HABLA ESPAÑOL Rotobrush Air Duct Cleaning Includes First 10 Vents FREE Unlimited Mains (were $50 ea.) FREE A/C System Inspection Cleaned to NADCA Speci cations Additional vents $10ea. Chemical Rinse Drain Pan Chemical Rinse Drain Line DUCT CLEANING SPECIAL! $99 · Medical staff · Police · Elderly · Military · Teachers · Expecting Moms Scan for details         ScanQR Code to ApplyFor Financing uahac.com * EXTRA 10% OFF FOR 16 Seer 1.5 ton $3,564 2 ton $3,593 2.5 ton $3,962 3 ton $4,023 3.5 ton $4,228 4 ton $4,479 5 ton $4,860
For Advertising Call 772-247-6849 Per Home *24¢Designed, printed and mailed for Per Home Designed, printed and mailed for Mailed Flyers 2 Sided Glossy Living Magazines * Per Home1¢Direct Mail Your Customers for less than… *Prices subject to change based on circulation in Living Magazines First-Time Customers Only. Some Restrictions Apply. Limited Time Offer FREE Mailing First-Time Customers Only. Some Restrictions Apply. Limited Time Offer FREE DIGITAL & SOCIAL MEDIA MARKETING PLAN INCLUDED WITH ANY AGREEMENT PLAN “We get hundreds of new customers a month! It’s the best money I have ever spent on advertising. I highly recommend My Living Media to grow your business!” –Bobby Wehrle, Brio PGA Manager of Sales and Marketing 772-247-6849 Postcards Grow Your Business! *12 ¢ *Price based on 15,000 or more circulation

MY LIVING CONTENTS - ZONE I

AUTOMOTIVE

Ace of Carts ............................... 49

Unlimited Auto Wash .................. 19

BEAUTY

Absolute Wellness Spa 62

Great Clips PBG 36

Hamilton Aesthetics 59

Pink Pinky Nail Salon ................. 54

CLEANING SERVICES

Emergency Response Team ....... 38

Florida’s Finest Carpet Cleaning 72

Honor Carpet 78

JT Pressure Cleaning 52

Oliver Twist Pressure Washing 34

Stanley Steemer ........................ 10

The Groutsmith .......................... 32

DINING & ENTERTAINMENT

Antonio’s Italian Market ............. 24

Brio Italian Grille 22

Chicago Hot Dogs 25

Jersey MIke’s Subs-PBG 23

Jupiter Water Tours .................... 44

Leisure Time Boating Club ......... 66

Lola’s Seafood ........................... 24

Mood .......................................... 16

Mystic Lobster Co. ..................... 18

Nick & Johnny’s Osteria 23

Pirate’s Well Restaurant and Bar22

Pizza Bella ................................. 20

Porto no Bistro .......................... 20

Taco Shack Jupiter .................... 21

The Grove...................................18

EDUCATION

Justee College 65

FITNESS & SPORTS

Be Fit Body Boutique ................. 60

HOME IMPROVEMENT

Advanced Re nishing ................ 60

All Shutters Solutions 31

Alliance Group Roo ng 69

Allied Aluminum and Railing 70

Apex Pavers and Pools .............. 73

Aqua Docs Water Restoration, Inc ........................................... 27

Attic Stair Pro ............................ 67

Budget Fence............................. 49

Closets By Design ........................ 6

Code Red Roofers ...................... 37

Color Restoration ....................... 64

Craig Hanlon Painting ................ 46

Culligan Water ........................... 11

Curly Tail Screens 66

Dixie Plumbing 67

Du-All Plumbing 57

East Coast Electric Screening .... 70

Energized Electric ...................... 47

Exceptional Painting .................. 72

Fencing South Florida ................ 30

First Alert Hurricane Shutters .... 51

First Impression Doors and More 13

Gutters By TK 28

IMA Landscaping ....................... 56

J. A. Edwards of America, Inc. ... 64

Jupiter Sod and Landscaping .... 30

Kamrell Windows and Doors ...... 79

King of Kitchens......................... 53

Kitchen Tune Up 28

Level Best Roo ng 61

Marzo Roo ng Inc 55

Max Guard ........................... 40-41

Mike’s Aluminum Specialties, INC .......................................... 58

Mister Roof ................................ 45

Mosquito Shield Jupiter ............. 62

North County Plumbing 44

Odums Sod 39

OX Floor Coating ........................ 29

Plantation Shutters Florida ........ 69

Plumb Rite Plumbing ................. 39

Precise Roof Coating ................. 25

Precision Door Service .............. 48

PS Flooring 2

PT. ST. Lucie Sliding Doors 55

Quality Air of America 15

Rainbow Roo ng ....................... 50

Roo ng Systems of FL ............... 32

Scollo Painting ........................... 52

Screen Builders ......................... 36

Seaglass Window ...................... 38

Superior Tile and Remodeling 39

The Closet Clinic 79

Total Image 34

Tri-State Roo ng ........................ 16

Triple M Brick Pavers ................. 52

Tropical Pools ............................ 56

Universal Air and Heat ................. 7

We Rack Designs ....................... 74

Window Replacement Group ..... 63

Windowz and More .................... 71

XL Fencing ................................. 14

Younique Custom Theater .......... 59

INSURANCE & BENEFITS

Florida Health Group-Compass Health 35

Renee Allen Insurance ............... 18

Stellar Public Adjusting .............. 46

JEWELRY

M and J Jewelers ...................... 62

Oteri’s Wholesale Jewelry 14

MEDICAL & HEALTH

Abacoa Podiatry......................... 48

Angelo G Forte

........................... 10

Appearance Implant and Family Dentistry .............. 17

Arroyo Health Labs .................... 55

Coaching to Reign 49

Dentistry By Design 50

Dr. Samuel Holcroft 33

MMJ Health ............................... 12

Rooted Zen ................................ 59

Taylor & Murray Orthodontics .... 26

Tropical Healthcare Services ..... 34

PROFESSIONAL SERVICES

Affordable Financial Services 28

Bulk Waste ................................. 58

Champion Marketing ................. 66

Daniel Valencia Tree Service ...... 62

Dryer Vent Cleaner, The .............. 31

Dryer Vent Cleaning - The Lint Man

Jupiter 67

Golden Girls Estates 30

Luxe Fine Art Photography 74

Mr. Tint of America

46

My Stack Box Storage ............... 75

Ratman Wildlife Rodent ............. 60

The NY FL Nerds

58

65

Kid to Kid 25

The

3

Village Bootery........................... 44

.....................
........................
RETAIL Hot Tub Sales
Summer House .....................
TRANSPORTATION TC Limo Services ....................... 60 Volume 551 /October 2022 For advertising rates and information Email: sales@mediaoms.com Call 772-247-6849 © 2022 by My Living Media. All rights reserved. Although some parts of this publication may be reproduced and reprinted, we require that prior permission be obtained in writing. My Living Magazine is a free publication distributed locally and is supported by our advertisers. Please call to find a location near you or if you would like copies placed at your business. We do not necessarily endorse the views expressed in the articles and advertisements, nor are we responsible for the products, and services advertised. We are not responsible for licensing or certifying businesses, nor are we responsible for verification of these requirements. We welcome your ideas, articles and feedback. *Dining pictures shown are for illustration purposes only. Actual products may vary due to product enhancement.
10 VOL. 551 I Copyrighted© My Living Media. 2022 All Rights reserved. To Advertise call 772-247-6849 Need More Coupons - MyLivingMedia.com FAMILY OWNED & OPERATED • SCHEDULE ONLINE TODAY AT: WWW.STANLEYSTEEMER.COM FIRE, WATER, & MOLD DAMAGE RESTORATION SERVICE Immediate Response 24-HOUR EMERGENCY Minimum charges apply. Cannot combined with other offers. Residential and Commercial. Must present this MLM Coupon at time of service. Valid at participating locations only. Certain restrictions may apply. Call for details. Lic. #CMC014066 Home and Of ce Disinfecting and Sanitizing Treatments 561-404-5668 WWW.STANLEYSTEEMER.COM STANLEY STEEMER SERVICES ® EPA-REGISTERED Disinfectant That Meets the EPA’s Current Criteria for use Against SARS-CoV-2, the Virus That Causes COVID-19 Eliminates Molds, Viruses, Bacteria, & Allergens $50 HOME Disinfectant Treatment Service Contracts Available Per Room Up To 300 Sq. Ft. 3 Room Min. for Residential Pricing OFFICE FREE ESTIMATES FREE ESTIMATES FOR ALL COMMERCIAL BUSINESSES WE PRETREAT YOUR FLOORS AND MOVE YOUR FURNITURE AT NO CHARGE WE PRETREAT YOUR FLOORS AND MOVE YOUR FURNITURE AT NO CHARGE $119 $149 $199 Expires 10/31/22 MLM Expires 10/31/22 MLM Expires 10/31/22 MLM TILE & GROUT OR WOOD FLOOR CLEANING HOME Which Air Are You Breathing? AIR DUCT CLEANING Only PER ROOM 3 ROOMS CARPET CLEANING Wool carpets extra. Area rugs not included in wall-towall cleaning. Up To 8 Vents *Any Room Up to 300 sq. ft. BEFORE AFTER OFFICE FREE ESTIMATES CALL TODAY RenUV Home & Of ce Air Puri er Removes Viruses, Bacteria, Mold, & Pollen …A Beautiful Smile is closer than you think. General, Cosmetic, & Implant Dentistry THE PATIENT AND ANY OTHER PERSON RESPONSIBLE FOR PAYMENT HAS THE RIGHT TO REFUSE TO PAY, CANCEL PAYMENT OR BE REIMBURSED FOR ANY SERVICES, EXAMINATION OR TREATMENT WHICH IS PERFORMED AS A RESULT OF AND WITHIN 72 HOURS OF RESPONSE TO THE ADVERTISEMENT FOR FREE OR DISCOUNTED SERVICES, EXAMINATION OR TREATMENT. 654 W. Indiantown Rd. Suite 105, Jupiter Lic#14440 Angelo Forte, DMD, PA. 561.747.2134 ! NEW PATIENT SPECIAL ZOOM2 WHITENING $89 $125 OFF Prophylaxis Cleaning, Exam, FMX, & Oral Cancer Screening Codes: D0150, D1610, D1674, D1110 Codes: D0003 RESTRICTIONS MAY APPLY. MLM COUPON EXPIRES 10/28/22 MLM COUPON EXPIRES 10/28/22 NOW OFFERING In-House Dental Discount Plan Ask for details
Need More Coupons - MyLivingMedia.com culliganwestpalm.com 561-468-7270 24/7 Live Service Fully Licensed and Insured better water. pure and simple. ® Schedule your free in-home water assessment today! IS YOUR WATER COSTING YOU MONEY? CITY & WELL WATER MAY BE HARMING YOU & YOUR HOME! • Your Hair & Skin • Energy Bill • Appliances • Pipes Will Last Longer • No More Spots or Stains • Cleaner Clothes • Save on Detergent Better water starts with ! Fully Licensed & Insured City Water System Well Water System $49 $79Starting at… Starting at… /MO. Expires 10/15/22 /MO. Expires 10/15/22 FREE SALT & PLATINUM CARE PROGRAM FOR 1 YEAR *With purchase of Whole House City System. Excludes Well System. Expires 10/15/22

Anne L. Morgan, M.D.

See

Get

12 VOL. 551 I Copyrighted© My Living Media. 2022 All Rights reserved. To Advertise call 772-247-6849 Palm Beach 561-631-7994 MMJ Health Make the Appointment Use our patient qualification system to see if you qualify for medical marijuana.
the Marijuana Doctor See one of our qualified physicians at one of our many locations in Florida.
Your Card You will be able to visit and get delivery from any dispensary in Florida. Let Dr. Morgan, The Highest Rated MMJ Doctor, at MMJ Health find your Alternative to Pharmaceuticals!
When it comes to finding medical marijuana (MMJ) doctors, you can trust the helpful and professional staff at MMJ Health. Serving patients in Palm Beach, Martin, & St. Lucie Counties. Call MMJ Health to schedule an appointment with a Florida Medical Marijuana Doctor: WINNER OF BEST DISPENSARY, BEST MEDICAL MARIJUANA CARD PROVIDER, BEST CBD STORE, AND FINALIST FOR BEST PLACE TO WORK HOW IT WORKS Treasure Coast 772-212-4032
Copyrighted© My Living Media. 2022 All Rights reserved. To Advertise call 772-247-6849 FINANCING AVAILABLE Monday-Friday • 7am-4:30pm Saturday • 9am-2pm frontdoorsFL.com 561-464-6102 Tuesday-Friday • 9am-5pm Saturday • 9am-4pm JUPITER 75 E Indiantown Road #507 Jupiter, FL 33477 Tuesday-Friday • 9am-5pm Saturday • 9am-4pmLicense #CBC037800 •Impact Resistant Fiberglass & Mahogany Entry Doors • Impact Resistant Decorative Glass Inserts •Impact Resistant French & Sliding Glass Doors We Are Palm Beach County’s Largest Specialty Door Store FINANCING AVAILABLE WEST PALM BEACH 346 Pike Road, Suite 6 West Palm Beach, FL 33411 Monday-Friday • 7am-4:30pm Saturday • 9am-2pm BOCA RATON 9858 Clint Moore Rd. Suite C-128 Boca Raton, FL 33496 Tuesday-Friday • 9am-5pm Saturday • 9am-4pm JUPITER 75 E Indiantown Road #507 Jupiter, FL 33477 Tuesday-Friday • 9am-5pm Saturday • 9am-4pmLicense #CBC037800 •Impact Resistant Fiberglass & Mahogany Entry Doors • Impact Resistant Decorative Glass Inserts •Impact Resistant French & Sliding Glass Doors We Are Palm Beach County’s Largest Specialty Door Store Come browse one of our convenient locations. We have doors to fit ANY BUDGET! FINANCING AVAILABLE WEST PALM BEACH 346 Pike Road, Suite 6 West Palm Beach, FL 33411 Monday-Friday • 7am-4:30pm Saturday • 9am-2pm Make a great FIRST IMPRESSION with new front doors! frontdoorsFL.com 561-464-6102 BOCA RATON 9858 Clint Moore Rd. Suite C-128 Boca Raton, FL 33496 Tuesday-Friday • 9am-5pm Saturday • 9am-4pm JUPITER 75 E Indiantown Road #507 Jupiter, FL 33477 Tuesday-Friday • 9am-5pm Saturday • 9am-4pm *Offer applies to Installed Exterior Doors Only. Not valid on prior sales. Offer expires 6/30/22 License #CBC037800 BUY MORE SAVE NOW FIMD_MyLiving-1121 15% With this coupon. Not valid on prior sales. Expires. 10/31/22 MLM INSTALLED ENTRY DOORSOFF FINANCING AVAILABLE WEST PALM BEACH 346 Pike Road, Suite 6 West Palm Beach, FL 33411 Monday-Friday • 7am-4:30pm Saturday • 9am-2pm BOCA RATON 9858 Clint Moore Rd. Suite C-128 Boca Raton, FL 33496 Tuesday-Friday • 9am-5pm Saturday • 9am-4pm www.frontdoorsFL.com561-464-6102 LIC#CBC037800 JUPITER 75 E. Indiantown Road #507 Jupiter, FL 33477 Tuesday-Friday • 9am-5pm Saturday • 9am-4pm • Impact Resistant Fiberglass & Mahogany Entry Doors • Impact Resistant Decorative Glass Inserts • Impact Resistant French & Sliding Glass Doors • Interior Doors
14 VOL. 551 I Need More Coupons - MyLivingMedia.com Located at: 651 W. Indiantown Rd., Jupiter • 561-746-2345 FREE Cleaning 50% Off Any Watch Battery MLM Coupon expires 10/15/22MLM Coupon expires 10/15/22MLM Coupon expires 10/15/22 projectminimumscouponmust bepresentedattimenot validwithanyothercouponcannot be apply. offers. combined. ofpurchase.
New A/C Install Brush Duct Cleaning FALL A/C Tune Up Complete Home Package A/C Coil Cleaning Hablamos Español qualityairofamerica.com A/C NOT COOLING? LEAKING? FREE SERVICE CALL 100% Financing Available $0 Down $0 Interest Lic. # CAC 1820202 561-819-2998 772-448-9835 Super Service Award Winner 3 Years in a Row WITH ANY REPAIR Authorized dealer/service for all major brands REPAIR, REPLACE, OR DUCT CLEANING 10% Discount for expecting mothers, military, & senior citizens Do not be fooled by imitations. There is only one Quality Air of America. Starting at $2199✓ Free digital thermostat ✓ Free 5-Year Service Plan ✓ Free air duct treament Payments as low as $69/month ✓ 24-point AC inspection ✓ Adjust Freon Up to 1lb (R410) ✓ Basic Drain Line Cleaning ✓ Duct Camera Inspection ✓ FREE Attic Insulation Inspection ✓ FREE Duct Inspection ✓ Air Duct Vacuum Cleaning ✓ Vacuum through Main Vent Line ✓ Duct Camera Inspection ✓ Air Quality and Flow Check ✓ Attic Installation Inspection ✓ AC inspection and adjust Freon up to 1 pound (R410) ✓ Free Air Filter- delivered after visit Value $225Expires 10/28/22 Value $195Expires 10/28/22 Value $365Expires 10/28/22 Value $365Expires 10/28/22 Only $99 Only $19 Only $65 Starting At $199 DUSTY DUCTS, BAD ODOR FREE ESTIMATES Emergency Servicee Per Unit BLOW OUT SALEBLOW OUT SALE FALL SPECIAL DUMB A/C? Let Us Make it Smart! Per Unit ✓ Up to 5 Vents Cleaned
16 VOL. 551 I Copyrighted© My Living Media. 2022 All Rights reserved. To Advertise call 772-247-6849 Need More Coupons - MyLivingMedia.com A plant-based bistro Allow us to transform your temporary state of mind and feeling through culinary bliss. The nourishment is provided by earth’s gardens and our mission is to use organic ingredients as much as possible. Reservations not needed but can be made at reservations@moodvegan.com 10% $50 or more. Dine-in only. With this MLM coupon only. Cannot be combined with other offers or specials. Does not include cocktails, beer, & wine. Expires 11/30/22 Sunday & Monday Closed Tuesday - Thursday 11:30am-9:00pm Friday & Saturday 11:30am-10:00pm Visit Us At: moodvegan.com 561-861-3644 235 South Highway 1, Tequesta, FL Off IT’S A MOOD HAPPY HOUR Every Day 4:00PM to 6:00PM Get in the MOOD MOODTequesta
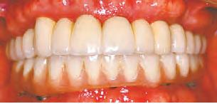
VOL. 551 I 17Copyrighted© My Living Media. 2022 All Rights reserved. To Advertise call 772-247-6849 Need More Coupons - MyLivingMedia.com NEW TREATMENT PROGRAM ONLY. THE PATIENT AND ANY OTHER PERSON RESPONSIBLE FOR PAYMENT HAS THE RIGHT TO REFUSE TO PAY, CANCEL PAYMENT OR BE REIMBURSED FOR ANY SERVICE EXAMINATION OR TREATMENT WHICH IS PERFORMED AS A RESULT OF AND WITHIN 72 HOURS OF RESPONDING TO THE ADVERTISEMENT FOR THE FREE, SERVICE, EXAMINATION OR TREATMENT. LIC #DN10761 OPEN MON.-FRI. SATURDAY & EVENING HOURS AVAILABLE JUPITER 561-250-6307 6390 W. Indiantown Rd., #32, Jupiter, FL 33458 At the West End of the Chasewood Plaza AppearanceImplants.com OPEN FOR EMERGENCIES | AFFORDABLE DENTAL EXCELLENCE IS NOW HERE! WE ARE PRIVATELY OWNED, NOT A CHAIN OR CORPORATE ENTITY. WE SPECIALIZE IN FULL MOUTH RECONSTRUCTION Additional services we offer include CLEAR TOOTH ALIGNERS, SINGLE IMPLANTS, DENTURES & MORE!!! FREE IMPLANT CONSULTATION (Exam & Digital X-Ray or 3D Cone Beam) (D0150, D9310, D0330 & D0383) SureSmile® OR CLEAR TEETH ALIGNERS OUR DENTISTS HAVE OVER 100 YEARS COMBINED EXPERIENCE & HAVE PLACED OVER 15,000 IMPLANTS You Des ve a Beautiful Smile! SALVATORE MELITA, DDS ALANA SHIELDS, BSN, RN, DMD JAY GELMAN, DMD JOSEPH GAETA JR., DDS Better On 8™ $14,500 SALESPERSON:MelissaKelleyTR-1968533.INDD ISOUR37YEARTRADITION DentistOwned,Not “Hi,I’mMarkLindsay,andthat smeontheEdSulli nSho s, including ‘Kicks rizona.’Mytrademark saponytailandateenidolsmile.Theponytail’sbeen go fo awhile,butasasinger smileisstillsuperimportant.I cently nprocedure. Thestaff elcomfortablefromthe allyimpressedwiththeir dentalofficeandthedentistdidanoutstandingjob. Tradition Dentaltransformed ep my smile —MarkLindsay “Hi, I’m Mark Lindsay, and that was me on the Ed Sullivan Show. I sang every hit song for Paul Revere & the Raiders, including ‘Kicks,’ ‘Indian Reservation,’ and my solo ‘Arizona.’ My trademark was a ponytail and a teen idol smile. The ponytail’s been gone for awhile, but as a singer my smile is still super important. I recently visited Appearance Dental for an implant and crown procedure. The staff was courteous and made me feel comfortable from the moment I walked in the door. I was really impressed with their dental office and the dentist did an outstanding job. Appearance Dental transformed my smile, and I trust them to keep my smile looking revolutionarily good.” — Mark Lindsay Read all of our testimonials at AppearanceImplants.com WE WILL MEET OR BEAT ANY WRITTEN ESTIMATE ON IMPLANTS, ROOT CANALS, & CROWNS! WALK-INS WELCOME EVENING APPOINTMENTS AVAILABLE Cleaning Porcelain Fused to Metal Crown Zirconium All Porcelain Crown $59 $699 $899 Includes Free Exams & X-Rays New Patients Only LIMITED OFFER (D1110, D0150, D4355,D0330) (D2751) (D2740) FULL ROUND HOUSE BRIDGE A Better Alternative to All-On-4 FULL MOUTH RECONSTRUCTION ROUND HOUSE BRIDGE 8/6 IMPLANTS & 12 UNITS OF CROWNS Benefits • Very little, if any speech changes • Does not cover any part of the palate • Can be cleaned just like bridges on teeth • Require no special abutments (All-on-4 protocol requires angle correct on abutments which are not bone or gum tissue friendly) • Usually do not need pink porcelain at the gumline (because aggressive bone removal is not necessary) D6010, D6056, D6240, D6060 BETTERON8.COM D6010, D6056, D5863, D5865, D5862 PER ARCH WITH LOCATORS PER ARCH D6010, D6056, D6065, D6060 50% SAVINGS WE USE MEGAGEN IMPLANT SYSTEMS Implant,Abutment and Zirconium Crown Implant,Abutment and Crown Only$1,899 Only$2,099 D7140 DENTURES ECONOMY $359 INTERMEDIATE $999 DELUXE $2,000 D5810/D5811 D5130/D5140 D5110/D5120 With Simple Extractions Starting at $99 We will beat any like priced quote $9,999 Implant and Abutments Placed Crown and Bridge Porcelain Fused to Metal Implant Abutments Placed starting at
18 VOL. 551 I Need More Coupons - MyLivingMedia.com –– JUNO BEACH ––TAKE OUT • DELIVERY • PARTY TRAYS Lobster Rolls ~ Specialty Rolls ~ Tacos & Sliders Sides ~ Desserts ~ Kids Menu 14151 US Hwy 1 561-660-8489 $5OFF $30 OR MORE Expires 10/15/22 Looking for Sam? GET AFFORDABLE HOME & AUTO INSURANCE Sam is right on Jensen Beach Blvd. and would love to help you. Samantha Leininger Renée Allen Insurance, LLC 947-A NE Jensen Beach Blvd Jensen Beach, FL 34957 NEXT TO HURRICANE GRILL 772-252-6161 Monday thru Friday sam@reneealleninsurance.com Personal & Commercial Serving the finest wines from around the world on the Treasure Coast at the best value. 10/5- Barberani Wines 5-Course Paired Wine Dinner w/ Italian Winemaker 10/8- Wine Workshop Pinot Noir & Chardonnay/ CA & OR 11/10- Baglio di Pianetto United States Debut from Sicily 5-Course Paired Wine Dinner 11/12- Wine Workshop Wines of Chile 12/10- 4th Annual Sidewalk Sale & Tasting 50+ Wines for $50! COMING in FEBRUARY Treasure Coast Charity Wine Fest & Auction WINE CLUB MEMBERS HAVE MORE FUN! Present This Ad to Receive Our Gift of $100 Gift Certificate when you purchase an Annual Wine Club Membership in Full EXCITING UPCOMING WINE EVENTS A TASTE OF HISTORY 8815 SE Bridge Road The Marketplace Corner of US1 & Bridge Road Hobe Sound, FL TheGroveHobeSound.com 772-402-5410

hand washes AND wheels, cleaned, sealer wax, tires shined, dash and jams wiped, vacuum, windows blown dry and hand nished, all Unlimited. Reg. $44.95. Credit Card Required. New customers only. Some large, raised and commercial vehicles excluded from club. Download our mobile app required to redeem offer. Cannot be combined with any other offersWith MLM coupon. Expires 10/31/22

VOL. 551 I 19Copyrighted© My Living Media. 2022 All Rights reserved. To Advertise call 772-247-6849 $1995 First Month UNLIMITED INSIDE & OUT WASHES SAVE $25 You get unlimited
561-WASH-ME-2 100% HAND WASH! Jupiter-6812 W. Indiantown Rd. (Next to McDonalds) Tequesta-1625 N Old Dixie Highway (Next to Pinder’s Seafood) Gardens-4109 Northlake Blvd. (BP at Northlake & I-95) WPB-2405 Okeechobee Blvd. (Formerly Top Hat Car Wash) Wellington-4213 S. State Road 7 (Lake Worth Rd & 441 in Chevron) Gardens-12194 Alternate A1A (1/4 Mile S. of Hood Rd., Next to Chevron) Gardens-9730 Alternate A1A (Formerly Starbrite Carwash @ Sunoco) SAVE (Reg $25/$29/$40) With MLM coupon. Cannot combine discounts. All Prices subject to size/condition of vehicle. Download our mobile app required to redeem offer. Expires 10/31/22 Download our App for great savings around town “Wash Club” www.UnlimitedAutoWashClub.com ★ Up to (96 Hour) Rain Guarantee ★ Monday is Men’s Day ★ Wednesday is Ladies’ Day ★ Thursday is Senior’s Day $3599 Express Hand Wax 30 Minute Service Price subject to change based on condition/size of vehicle. Includes Popular Wheel Deal Wash Package. Valid at all 7 locations. With MLM coupon. Cannot combine discounts. Download our mobile app required to redeem offer. Expires 10/31/22 (Reg $44.99) Our Top 3 Wash Packages $5 Complete Detail Inside & Out Price Subject to Change Based on Condition/Size of Vehicle. With MLM coupon. Valid at ALL 7 locations only. Not valid with other offers. Download our mobile app required to redeem offer. Expires 10/31/22 $11999 (Reg $149.99) LET US SANITIZE YOUR CAR!Mon-Sat 8:00AM-6:00PM Sun. 9:00AM-5:00PM

5-9pm

Wed-Thur

Tues

4:30-9:30pm

4:30-10pm

4:30-10pm

4:30-9pm

Dine-in only. Not

Must

this

with any

Expires 10/31/22

or

$50 or

Only one coupon per order. Not valid with any other coupon or specials. Expires 10/31/22

$100 or

Only one coupon per order. Not valid with any other coupon or specials. Expires 10/31/22

Only one coupon per order. Not valid with any other coupon or specials. Expires 10/31/22

one coupon per order. Not valid with any other coupon or specials. Expires 10/31/22

20 VOL. 551 I Copyrighted© My Living Media. 2022 All Rights reserved. To Advertise call 772-247-6849 Need More Coupons - MyLivingMedia.com 561-630-1400 11575 U.S. Hwy 1• North Palm Beach (In the Oak Tree Plaza just north of PGA Blvd.) Mon-Thurs 11am-9pm • Fri & Sat 11am-10pm • Sunday 4pm-9pm PGA Blvd. US1 Duffy’s PublixPIZZA BELLA NORTH $5 $10 $2999 $2199 off off
Only
Purchase of
more. Purchase of
more. With One Topping each With One Topping, 6 Garlic Rolls, plus a 2-Liter Soda Two Large Pizzas One Large Pizza Portofino Bistro Mediterraneo 561- 355 - 5936 891 Donald Ross Rd. Juno Beach portofinobistromediterraneo.com HOURS: Sun-Mon •
Friday •
Saturday •
2 Complimemtary Glasses of Wine (with the purchase of 2 full-priced dinner entrees) One offer per table.
present
MLM coupon.
valid
other offers
on holidays.
1155 Main Street • Jupiter 561-508-3789 ONE-OF-A-KIND GOURMET HANDCRAFTED TACOS! Delivered by • 24 Craft Tacos • Full Bar • Live Music BAR & GRILL 3-5PM DAILY $30 Purchase or More Buy One Get One Free Any food or drink FREE CHIPS & SALSA With this MLM Coupon. Cannot be combined with other offers. Expires 10/15/22 Buy 1 Entrée at Regular Price, Get the Second Valid for Dinner only - With this MLM Coupon. Cannot be combined with other offers. One coupon per table. Expires 10/15/22 Valid for Lunch & Dinner only - With this MLM Coupon. Cannot be combined with other offers. One coupon per table. Expires 10/15/22 Valid for Lunch & Dinner only - With this MLM Coupon. Cannot be combined with other offers. One coupon per table. Expires 10/15/22 $5 50% OFF OFF TACO TUESDAY LUNCH SPECIAL With purchase of $25 or more Hours: Sun-Thurs 11am-9pm Fri - Sat 11am-10pm LIVE MUSIC BOGOTuesday, Friday, & Saturday
22 VOL. 551 I Copyrighted© My Living Media. 2022 All Rights reserved. To Advertise call 772-247-6849 Need More Coupons - MyLivingMedia.com 561-629-7020 9477 Alt A1A • Lake Park 33403 Follow us on social pirateswell.com SCAN FOR FULL MENU RESTAURANT & BAR HAPPY HOUR MON-FRI 11AM-7PM $5 Off $25 or more purchase. EXPIRES 10/31/22 Sun -Thurs: 11am - 9 pm Fri -Sat: 11 am -10 pm www.brioitalian.com From our fresh seafood, grilled steaks and house-made pastas, our dishes are sure to satisfy. See for yourself and join us for lunch or dinner today! The Gardens Mall / 3101 / PGA Boulevard / Palm Beach Gardens 561.622.0491 THE PERFECT DINNER FROM ROMANTIC ITALY The Perfect Start to Any MealFREE APPETIZER! Enjoy One FREE Appetizer with the Purchase of Two Entrees* Must purchase two entrees at full price to receive free appetizer. Dine in only. May not be combined with any other offers or discounts. Present coupon to redeem offer. Dine In Only! Expires 10/15/22 Call Today To Make A Reservation! To Go/Curbside/Delivery Available JOIN US FOR OUR FAMOUS HAPPY HOUR MONFRI 3PM  6PM
VOL. 551 I 23Copyrighted© My Living Media. 2022 All Rights reserved. To Advertise call 772-247-6849 Need More Coupons - MyLivingMedia.com 11604 US Highway 1 Palm Beach Gardens 561-360-3136 jerseymikes.com 1 S2.oooFF ANY SIZE SUB!• 1WM\l\iiMUMiiMiHWjjj,j: Expres5/31'2l. Valid at participatirg.lefl€\' Mike's Sobs. Ore coupon per iJ€M'l per visit per day. Not to be Clll11bired with other offers. No cash vall>'. Coupon redeemable in pers Difeo with promo codes may am be redeemed in our app. 23112 1111111111111111111111111111111111111111111111111111111 BUY 2 GIANT SUBS. GET A 3rd { GIANT FOR S2-'' •of equal or lesser value VALID ONLY AT 11604 US HIGHWAY 1 LOCATION VALID ONLY AT 11604 US HIGHWAY 1 LOCATION VALID ONLY AT 11604 US HIGHWAY 1 LOCATION Expires 10/31/22. Valid at participating Jersey Mike’s Subs. One coupon per person per visit per day. Not to be combined with other offers. No cash value. Coupon redeemable in person. Offers with promo codes may also be redeemed in our app. 2306 Expires 10/31/22. Valid at participating Jersey Mike’s Subs. One coupon per person per visit per day. Not to be combined with other offers. No cash value. Coupon redeemable in person. Offers with promo codes may also be redeemed in our app. 2312 Expires 10/31/22. Valid at participating Jersey Mike’s Subs. One coupon per person per visit per day. Not to be combined with other offers. No cash value. Coupon redeemable in person. Offers with promo codes may also be redeemed in our app. 23152 14133 US Hwy. 1 • Juno Beach 561-318-5466 Join Us For Fall Dining 20% Off 1/2 OffDinner Entrées & Specials Bottle of House Wine4:30PM-7PM *Cannot be combined with any other offer. *Excludes Pizzas, Salads, & Sandwiches. *Dine-in only, No Sharing. Expires 10/31/22 SCAN HERE FOR FULL MENU *Cannot be combined with any other offer. *Excludes Champagne. Expires 10/31/22 Entertainment
24 VOL. 551 I Copyrighted© My Living Media. 2022 All Rights reserved. To Advertise call 772-247-6849 Need More Coupons - MyLivingMedia.com O dining r m is en and we havetd r seating. C e J n Us! STUART 300 SW Federal Hwy. Stuart, FL 34994 772-219-3340 PALM BEACH GARDENS 4595 Northlake Blvd. Palm Beach Gardens, FL 33410 561-622-2259 SAINT LUCIE WEST 962 St. Lucie West Blvd. Port St. Lucie, FL 34986 772-871-5533 TEQUESTA 181 N Hwy. 1 Tequesta, FL 33469 561-406-5000 Fish Tacos Ipswich Steamers www.lolasseafood.com OPEN 7 DAYS A WEEK! Lobster Roll New Ownership! 12214 US Hwy One Juno Beach, FL 33408 Monday - Saturday 9am - 5pm (561) 625-6544 NEW Take Out & Catering Menu $5OFF Minimum of $50 With this MLM coupon. Cannot be combined with any other offers or specials. Expires 10/31/22 With this MLM coupon. Cannot be combined with any other offers or specials. Expires 10/31/22 With this MLM coupon. Cannot be combined with any other offers or specials. Expires 10/31/22 10% OFF Any Catering Order over $200 $5OFF 1/2 Tray Pre-Ordered Family-Size 1/2 Tray (Lasagna, Baked Ziti, Rigatoni w/ Vodka Sauce, Sausage, Peppers & Onions, or Pasta Bolognese) Visit our website for all NEW DISHES! 48-Hour Notice for all Catering Orders
VOL. 551 I 25Copyrighted© My Living Media. 2022 All Rights reserved. To Advertise call 772-247-6849 Need More Coupons - MyLivingMedia.com 3960 Northlake Blvd. • Palm Beach Gardens (Located in the Home Depot Plaza on Northlake Blvd near I-95) HOURS: Monday CLOSED Tuesday-Sunday 11am-6pm 561-469-9505 CURBSIDE & PICKUP AVAILABLE HOT DOGSChicago HELPApplyWANTED Within 100% ALL BEEF Fax us over your order 561-619-2900 FREE BUY 1 HOT DOG WITH FRIES (MUST PURCHASE LARGE DRINK) GET 2nd HOT DOG Cannot combine with any other offer. Expires 10/31/22 *Must present at time of purchase. Prices Subject to change. No Substitutions FAMILY/GROUP SPECIAL 2 Italian beef sandwiches, 3 regular hot dogs, 3 large fries, 4 regular drinks.$3695 Reg. $40.25 Cannot combine with any other offer. Expires 10/31/22 COME EAT WITH US OR TAKE IT TO GO! *Must present at time of purchase. Prices Subject to change. No Substitutions Visit us between 4-6pm Tues-Fri & receive 10% off your bill Cannot be combined with any coupons. Mon-Sat 9am-7pm Sun 11am-6pm 3934 Northlake Blvd • PB Gardens 33403 561-739-4773kidtokid.com CASH for Kids’ Stuff! ALL USED APPAREL AND SHOES 20% OFF With this MLM Coupon. Expires 10/31/22 New & Used Commercial & ResidentialPRECISE ROOF COATING Call Now! 772-758-5808 ★Protect ★Save Money ★Restore FREE ROOF ESTIMATE & ROOF EXAM SPECIALIZING in 100% Silicone Roof Coatings. DON’T RE-ROOF! Restore Your Current Roof Today! Quali ed Applicators for Gaco Western
26 VOL. 551 I Copyrighted© My Living Media. 2022 All Rights reserved. To Advertise call 772-247-6849 Need More Coupons - MyLivingMedia.com • Metal Braces • Clear Braces • Gold Braces • Invisalign® OFF$500OFF$50 Braces or InvisalignTeeth Whitening With this MLM coupon. Expires 10/31/22 With this MLM coupon. Expires 10/31/22 561.560.EXAM (3926) Schedule Your COMPLIMENTARY EXAM Dr. Jonathan Murray Board Certi ed Orthodontist 2517 Burns Rd., Palm Beach Gardens taylorortho.com Metal BracesClear Braces We Create Beautiful Smiles! Options for Every Smile

We bill the insurance company directly

Q: What is Mold?

A: Mold is a type of fungi that is naturally occurring in the environment.

Q: How does in grow?

A: In order to grow, mold needs water, oxygen, and a food source, such as wood or drywall.

Q: Where is it found?

A: Mold grows in a place with a lot of moisture (leaks in roof, windows, pipes, etc.).

Q: How fast can it grow and become a problem?

A: Mold can easily grow within 24 to 48 hours.

Q: Are there any health risks?

A: Mold can cause nasual congestion, throat irritation, dif culty breathing, coughing, or wheezing.

Q: How can I prevent mold growth?

A: Fighting mold starts by ghting moisture.

Q: How do I get rid of mold?

A: The air in all affected areas should be treated to kill & remove spores.

chronic sinus

YOU PAID YOUR INSURANCE…
70% 93% 21% 45 24-48 HRS Of Homes are estimated to have mold behind walls Of
infections have been attributed to mold Of all asthma cases in the US are attributable to dampness and mold exposure Million buildings in the US have unhealthy levels of mold The amount of time it takes for mold to grow after a water loss LET IT COVER YOUR DAMAGES AQUA DOCS Water Restoration, Inc. 772-261-4181 WE DO IT ALL! WATER • MOLD • FIRE FREE Evaluation LIC# MRSR3440, MRSA3876
28 VOL. 551 I Copyrighted© My Living Media. 2022 All Rights reserved. To Advertise call 772-247-6849 Need More Coupons - MyLivingMedia.com WWW.TKGUTTERS.COM 772-692-9727 | 561-250-2184 Authorized Dealer For PRESERVE & PROTECT YOUR HOME, FOUNDATION, & LANDSCAPING FROM WATER DAMAGE • Seamless • Modern Box • Half Round • Commercial • Aluminum • Copper Steel • Installation • Cleaning • Manufacturing • Repair • Maintenance • 5-YEAR WARRANTY FREE ESTIMATES Licensed & Insured License #MCNS4803 Why Waste Money Renting If You Can Afford to Buy! • Bank Statement Loans • No Tax Returns to Qualify for Mortgage Louis John Scavone Jr. LScavone@afsmtgcorp.com *NMLS #6572 *May have higher rates, costs, points* ing and refacing services, your original cabinet boxes stay in place –saving you the time, cost, and mess of a complete remodel. We’ll have your kitchen looking brand new in no time! Give us a call to schedule your free, in-home estimate. Before Refacing CALL TOD AY 561. 861.3532 DIEGO HERNANDEZ Locally Owned and Operated Serving Jupiter, FL and the surrounding area. Hassle-Free Kitchen Updates Choose a new color and style for your kitchen with cabinet refacing. kitchentuneup.com1 DAY TUNE-UP • REFACING • REDOORING • CUSTOM CABINETS AND MORE!
VOL. 551 I 29Copyrighted© My Living Media. 2022 All Rights reserved. To Advertise call 772-247-6849 GET BACK ON YOUR FLOOR FAST! YOU’LL BE BACK ON YOUR FLOOR THE SAME DAY! 20X STRONGER BOND THAN EPOXY ™ WITH THIS MLM COUPON. OFFER EXPIRES 10/31/22 Garages Patios Pool Decks Laundry Rooms & Much MORE! YOUR BEAUTIFUL NEW FLOORING IS JUST A CALL AWAY! 772-277-7562 • 561-277-0375 OXFLOORS.COM WE TAKE THE BORING OUT OF YOUR FLOORING GET A Offer Valid for Same-Day Service Only ™ FREE IN-HOME ESTIMATE 30% OFF – PLUS –
30 VOL. 551 I Copyrighted© My Living Media. 2022 All Rights reserved. To Advertise call 772-247-6849 • Cr ys tal & Glasswar e • Collect i bles • O ld T oys • Artwork FOR FREE ESTIMATES OR ANY QUESTIONS ,CONTACT ANUHEALANI OR CHELSEA 561 333 1889 @GOLDENGIRLSESTATES W E B U Y C O M P L E T E & P A R T I A L E S T A T E S S E L L U S Y O U R I T E M S F O R C A S H T O D A Y ! ebay Jupiter Sod & Landscaping FREE ESTIMATES FLORATAM • BAHIA • PALMETTO • BERMUDA Sod Removal & Installation 13049 W. Indiantown Rd. • Jupiter 1st Pallet 10% OFF With this MLM coupon. Expires 10/15/22 LANDSCAPE DESIGN ROCKS & MULCH PRODUCE HARDSCAPING Over 40 Years of Experience 561.768.1337 561.747.7856 WHOLESALE FENCING INSTALLATIONS & REPAIRS HOME OF THE LOWEST PRICE GUARANTEE Honest, Trustworthy, Hassle-Free Service From A Family-Owned Business FREE GATE WITH PURCHASE OF EVERY 150 FT. OF FENCING. UP TO A $450 VALUE FENCING SOUTH FLORIDA 561-612-2018 With this MLM coupon. Not valid with any other offer or prior purchases. Offer expires 10/28/22 PVC/VINYL FENCING CHAIN LINK FENCING “We guarantee to beat any price you have from any legitimate fence company” Licensed &Insured Broward 11-F-17403-X Palm Beach U-21752 WWW.FENCINGSOUTHFLORIDA.COM OFFICE 561-612-2018 SERVING BROWARD & PALM BEACH FREE REMOVAL OF EXISTING FENCE WITH PURCHASE OF NEW FENCING NO MINIMUM REQUIRED (excludes hurricane damaged fencing) FENCING SOUTH FLORIDA 561-612-2018 With this MLM coupon. Not valid with any other offer or prior purchases. Offer expires 10/28/22 Visit our website to see our episode on Designing Spaces NOW INTRODUCING OUR NEW ART DIVISION Custom Metal Works in Any Shape and Style added to your fence, gates, entry door, and interior or exterior house walls WOOD FENCING ALUMINUM FENCING WE DO IT RIGHT THE FIRST TIME FOR LESS.
VOL. 551 I 31Copyrighted© My Living Media. 2022 All Rights reserved. To Advertise call 772-247-6849 Need More Coupons - MyLivingMedia.com NO RUST • NON-IMPACT DEFLECTS 80% OF HEAT & GLARE BLOCKS OVER 95% OF RAIN HIGHEST QUALITY PRODUCTS EXCELLENT SERVICE 20 YEARS OF EXPERIENCE REFERRALS AVAILABLE UPON REQUEST 772-252-6833 WWW.ALLSHUTTER.COM ACCORDION SHUTTERS ALUMINUM SUNSHADES IMPACT WINDOWS & DOORS FREE ESTIMATES Licensed & Insured | CC#07-G-14495-X | CC#04-11218-AE-X Prince Gives Us His Stamp of Approval! $600 Off $1000 Off ON ANY JOB $15K OR MOREON ANY JOB $20K OR MORE With this MLM coupon. Not to be combined with other offers or specials. Expires 10/15/22 With this MLM coupon. Not to be combined with other offers or specials. Expires 10/15/22
32 VOL. 551 I Copyrighted© My Living Media. 2022 All Rights reserved. To Advertise call 772-247-6849 Need More Coupons - MyLivingMedia.com Make Your Shower & Floors Look New Again! THE GROUTSMITH • Tile & Grout Cleaning • Grout Restoration • Tile & Grout Repair • Loose & Hollow Tile Rebonding • Shower Repairs & Regrouting • Non-Slip Tile Treatment Call today for a FREE Estimate • 772-224-3011 or 1-800-561-3736 • www.GroutsmithStuart.com SEE THE DIFFERENCE WE CAN MAKE IN THE LOOK OF YOUR HOME! Your Grout & Tile Cleaning Experts $30OFF ANY JOB OF $300 OR MORE $50OFF ANY JOB OF $500 OR MORE With this MLM coupon only. Cannot be combined with any other offers or specials. Expires 10/28/22 No More Dirty Grout! Guaranteed for 10 Years! Before Before After After With this MLM coupon only. Cannot be combined with any other offers or specials. Expires 10/28/22 $500 OFF $75 OFF FREE Any New Roof $8000 & Up Any Roof Repair $750 & Up Estimates On Roofs & Repairs Expires 10/31/22 Expires 10/31/22 Expires 10/31/22 561-566-5601 www.myroofsystem.com WHERE QUALITY & SERVICE MAKE THE DIFFERENCE CALL FOR A FREE ROOF EVALUATION TODAY! From… PROTECT YOUR PROPERTY WITH EXPERT ROOFING • ROOF REPAIR • ROOF REPLACEMENT • ROOF LEAK DETECTION • NEW CONSTRUCTION
2560 RCA Blvd. Suite 101 • PBG • 33410 • www.pbgdentist.com The patient and any other person responsible for payment have the right to refuse to pay, cancel payment, or be reimbursed for any other services, examination, or treatment which is performed as a result of and within 72 hours of responding to the advertisement for the free service, examination, or treatment. Samuel J. Holcroft D.M.D., P.A. SERVICES INCLUDE Samuel J. Holcroft Family & Cosmetic Dentistry Please Mention Code OMS for discounted prices when booking. WHAT SETS US APART • 0% Financing Thru Care Credit. O.A.C. • Most Dental Insurance Plans Accepted • Adults & Children • Nitrous Oxide Gas & Oral Sedation if Desired • Partials & Dentures • Root Canals • Grinding Guards • Extractions • Digital X-Rays • Routine & Deep Cleanings • Tooth-Colored Fillings & Bondings • Crowns & Veneers • Implants & ImplantSupported Bridges A $400 VALUE. FOR NEW PATIENTS ONLY. May not be used with any other coupon. For best results should be used within 3 months of last cleaning. Expires 10/31/22 EMERGENCY PATIENT SPECIAL TOOTHACHE? $50 With this MLM coupon. Please mention this ad when calling for appointment. Cannot be combined with any other offer. Expires 10/31/22 Including X-Ray (D0220) and Exam (D0140) $200 TEETH WHITENINGNEW PATIENT SPECIAL $79 With this MLM coupon. Please mention this ad when calling for appointment. Cannot be combined with any other offer. Expires 10/31/22 Including FMX (DO210), EXAM (D0150) & CLEANING (D1110) Is your dentist open on Friday and Saturday? We are! NOW OPEN FRIDAYS & SATURDAYS! 561-622-5600 MENTION CODE SMILE TO BOOK YOUR APPOINTMENT
34 VOL. 551 I Copyrighted© My Living Media. 2022 All Rights reserved. To Advertise call 772-247-6849 Need More Coupons - MyLivingMedia.com $25 Off First Time Service New Customers Only. Expires 10/31/22 Call Today 561-421-9297 www.tropicalhealthcareservices.com Quality Healthcare is Our First Priority PACKAGES STARTING AT 4 Hour Minimum · Accompany To Appointments · Laundry · Light Housekeeping · Meal Preparation · Medication Reminders · Shopping / Run Errands 4-HOUR PACKAGE 24/7 Services to assist you from as little as 4 hours a day or as often as you like. We accept Long Term Insurance and Private Pay Pressure Washing & Roof Cleaning • Screen Enclosure Frames • Driveways • Paver Sealing • Eco Friendly • Much More! www.pwpbg.com Workman’s Comp • Licensed & Insured *Our Guarantee - If your house doesn’t look 157% better than before, we will refund you 100% of your money. “We Clean Barrel Tile, Metal, Asphalt Shingle Roofs & Cedar Shake Roofs” GOT MOLD ON YOUR ROOF? CALL OLIVER TWIST TODAY! We Are Commercial Specialists! Call James for Specials! SENIOR DISCOUNTS! BEFORE AFTER OliverTwist 561-771-0310 Serving South Florida Since 1999 $50 OFF COMPLETE HOUSE WASH With this MLM coupon. May not be combined with other offers Expires 10/28/22 FREE CONSULTATION 10% OFF561.855.6595 Let Us Make Your DreamA Reality! LIC# CGC1525942 825 15th Street Lake Park • Custom Cabinets • Closets • Kitchens • Bathrooms • Doors & Windows • Custom Millwork Any Remodeling Job. Must Book Before 10/31/2022 Total Ima g e With this MLM coupon
VOL. 551 I 35Copyrighted© My Living Media. 2022 All Rights reserved. To Advertise call 772-247-6849 Need More Coupons - MyLivingMedia.com Visit us at our LOCAL Retail Locations • West Palm Beach • Palm Beach Gardens • Tequesta • Hobe Sound • Port St. Lucie • Fort Pierce • Vero Beach Call Today for more details 561-468-3735 compasshealthinsurance.com info@compasshealthinsurance.com FLORIDIANS HELPING FLORIDIANS SINCE 2007 NEED HELP WITH MEDICARE? • A $0 Medicare Plan Premium and dental too? You don’t need to choose just one • Largest Provider Network in your Area • All Medicare Plans accepted by Cleveland Clinic Facilities & Physicians • Learn about Medicare Supplement Plans • Learn about Medicare Advantage Plans • Understand Medicare A, B, C, & D • Understand your Rights, Bene ts, & Options We provide assistance with your Medicare Advantage & Medicare Supplement Plans. SCHEDULE YOUR ANNUAL MEDICARE REVIEW TODAY! Your Extra Bene ts Dental, Vision, Hearing, & Free Gym Membership
36 VOL. 551 I Copyrighted© My Living Media. 2022 All Rights reserved. To Advertise call 772-247-6849 Need More Coupons - MyLivingMedia.com GOOD is a haircut you love. GREAT is a sweet price too. $ 999 OFFER EXPIRES: 10/31/22 ANY HAIRCUT Not valid with any other offers. Limit one coupon per customer. No copies. Taxes may apply. Valid at Frenchman’s Crossing, Donald Ross Village & Plaza at Lake Park. Masks may be required. LAKE PARK Plaza at Lake Park 1244 Northlake Blvd • 561-515-5410 PALM BEACH GARDENS Donald Ross Village 4650 Donald Ross Rd (Central Blvd & Donald Ross Rd) 561-624-7372 Frenchman’s Crossing 4073 Hood Rd (Next to Publix) • 561-768-7767 greatclips.com | jobs.greatclips.com | greatclipsfranchise.com 41309-001-Norman-Donald Ross Village-Frenchman's Crossing-Plaza at Lake Park-6.25 x 4.5325.indd 1 5/31/22 12:59 PM • Screen Enclosure Makeover (rescreening & rusted screw replacement with caps for a new look) • Pool, Patio, and Porch Screen Enclosure • Sun Window Rooms and Accordion Shutters • All Types of Aluminum Fencing & Custom Railing • Electric Roll-Down Screens with Remote Control Inventor of the Hurricane Removable Screen Panel Removable Screen Panels Allow Hurricane Winds to Blow Through Screen Builders www.screenbuildersinc.comLicensed and Insured U#22179 Screen Builders & Fencing 561.693.6825 Florida’s Largest Screen Enclosure & Fence Specialists We install 1,500 ft. of fence per week Celebrating 35Years in SinceBusiness! 1987Doing business with GL Homes & Minto Homes We Are on Our 109,216 109,254 Job Installed
VOL. 551 I 37Copyrighted© My Living Media. 2022 All Rights reserved. To Advertise call 772-247-6849 WE CARE WE SHOW UP WE CALL YOU BACK WE FINISH THE JOB We specialize in: RESIDENTIAL AND COMMERCIAL ROOFING LIC#CCC1326574 • LIC#CRC1326582 Call Now! 772-247-6067 or 561-293-4909 CODEREDROOFERS.COM FREE ESTIMATES • Financing Available
38 VOL. 551 I Copyrighted© My Living Media. 2022 All Rights reserved. To Advertise call 772-247-6849 Need More Coupons - MyLivingMedia.com SAME-DAY EMERGENCY CLEANING RESPONSE TEAM EMERGENCY EMERGENCY EMERGENCY REALLY CLEAN, REALLY FAST!!! 15% OFF 1st Cleaning Service With this MLM coupon. Exp 10/28/22772-362-2797 Local Moving Service Available • Residential & Commercial • Same-Day Deep Cleaning • Move In/Out Cleaning • Tile & Grout Cleaning • Carpet Cleaning • Window Cleaning • Odor Control • Disinfecting/Sanitizing • Pressure Washing • Duct Cleaning • Change A/C Filters • Debris Removal • Water/Mold Remediation SOLAR SHADES Manual or Motorized available Seaglass Window Fashions • Stained Wood Plantation Shutters • Zebra Shades • Honeycomb Shades • Woven Wood Shades • Sheer Shades American Made 561-430-4440 Quick Turnaround! PBG, Jupiter, Palm City, Stuart, Port St. Lucie White Poly Vinyl Plantation Shutters
VOL. 551 I 39Copyrighted© My Living Media. 2022 All Rights reserved. To Advertise call 772-247-6849 Need More Coupons - MyLivingMedia.com EMERGENCY SERVICE-ANY DAY, ANY HOUR Licensed & Insured CFC1427336 • Sinks • Toilets • Water Heaters • Leak Detection • Showers • Bathtubs $30 OFF ANY SERVICE 561.533.7070 PlumbRitePlumber.com Service Interruption? 24-Hour Plumbing Repair Fast | Reliable | Trusted | Guaranteed Sewer & Drain Cleaning All Clogged Lines Corrected With this MLM coupon. ASK ABOUT OUR HOMETOWN HERO DISCOUNT 561.370.3624 16571 Rembrandt Rd., Loxahatchee OdumSod.com Come Visit Our New Location! SOD • ROCK • MULCH • SOIL • TREES • PLANTS UPERIOR TILE REMODELING, INC& www.superiortileinteriors.com Serving the Treasure Coast & Palm Beaches 4348 SE Federal Hwy., Stuart, FL 34997(Palm Square Plaza) | Bonded & Insured Lic# CTM5781 - PBC#U-21539- PSL-11013 772-678-3948 TILE • MARBLE • GRANITE • STONE • FABRICATION • INSTALLATION • REPAIRS KITCHEN BATHROOM FLOORING REMODELING FREE ESTIMATESWE ARE THE EXPERTS! COMMERCIAL & RESIDENTIAL Visit Our Showroom Monday-Fri:. 9am-5pm; Saturday: 10am-3pm; Sunday By Appointment Only
40 VOL. 551 I Copyrighted© My Living Media. 2022 All Rights reserved. To Advertise call 772-247-6849 ARE YOU READY FOR HURRICANE SEASON? • HURRICANE PROTECTION • HOME SECURITY • ENERGY EFFICIENCY • REDUCED INSURANCE COSTS • INCREASED PROPERTY VALUE • SOUND REDUCTION ZERØ! Ø Tax Ø Interest Ø Payments /24 MONTHS /24 MONTHS Don’t Get Caught Off Guard, Use Florida’s #1 Rated Hurricane Window www.MaxGuardHurricane.com 561-566-5629 • 772-932-5629561-781-9677 makes it as easy as 123 FINANCING DISCLOSURE: Contractor is neither a broker nor a lender. Financing is provided by third-party lenders unaffiliated with Contractor, under terms and conditions arranged directly between the customer and such lender. All subject to credit requirements and satisfactory completion of finance documents. Any finance terms advertised are estimates only. GET IMPACT WINDOWS
VOL. 551 I 41Copyrighted© My Living Media. 2022 All Rights reserved. To Advertise call 772-247-6849 Need More Coupons - MyLivingMedia.com PATIO ENCLOSURES BRING YOUR OUTDOORS INDOORS www.MaxGuardHurricane.com 772-932-5629561-781-9677 • 772-403-9677 Call for Your FREE Quote or Schedule Your Appointment Today!

The Top 9 Benefits of Hurricane Impact Windows

1.) Stronger Protection and Greater Insulation from Storms Impact windows (a/k/a hurricane windows) are designed to withstand Category-5 hurricane winds (200-mph+). An interlayer is situated between two thick layers of glass, ensuring that absolutely no water, debris, and/or wind will enter your home to cause damage. Even if the outer glass of the window is somehow punctured, the glass is designed to crack in a spiderweb pattern, thus eliminating the possibility of the window blowing out entirely.

2.) Energy-Efficient

Hurricane windows seal off the interior of your home so well that your air conditioning bill can decrease. You don’t have to worry about your air, or your money, going out the window—literally.

3.) Less Time, Energy, and Anxiety

With alternative storm protection methods, you need to invest your time and energy preparing your home for the impending storm. This preparedness can cause you stress if something suddenly does not work or requires more than one person to work. Hurricane windows, on the other hand, are hassle-free and require no work on your part.

4.) Increased Lighting with UV Protection

In the event of a hurricane, with impact windows, you can rely on having natural light as a resource without compromising your security. Additionally, the glass has greater UV protection, so any light that does come through will not cause fading on your carpeting or furniture.

5.) Noise Reduction

Impact windows are thicker, so you can relax in your home without having to hear the hustle and bustle of the outside world... or any neighbors’ pets.

6.) Intruder Protection

If 200-mph winds cannot destroy hurricane windows, then burglars stand no chance! Would-be intruders will be disappointed to learn that your home has impact windows because there is little chance that they will be able to break them.

7.) Lower Insurance Rates

Your insurance company will be so excited to learn that you are giving your home the best protection possible that it will likely reduce your rates.

8.) Higher Property Values

Homes with hurricane windows have higher property values. If you ever sell your house in the future, you will attract buyers who are willing to pay more for the added protection.

9.) Made in the U.S.A.

Hurricane windows from Max Guard are crafted entirely in the United States of America. When you choose Max Guard impact windows, you are supporting the American workforce and economy!

So, what are you waiting for? Give the professionals at Max Guard a call today to find out more about how their hurricane windows will protect you, your family, and your home.

The new Max Guard Hurricane Windows showroom is located at 2257 Vista Parkway, Suite 28, in West Palm Beach. It is open Monday through Friday from 9AM to 6PM and Saturday 10AM to 2PM. For more information, please call 561-566-5MAX (5629) or visit MaxGuardHurricane.com.

Licensed & Insured SCC131151738 *MaxGuard is not responsible for delays outside of it’s reasonable control including but not limited to HOA and permitting approval or manufacturing delays. Don’t Wait Until
$ 0 Tax $0 Payments /24 MONTHS /24 MONTHSZERO! 0 % Interest
FINANCING DISCLOSURE: Contractor is neither a broker nor a lender. Financing is provided by third-party lenders unaf liated with Contractor, under terms and conditions arranged directly between the customer and such lender, all subject to credit requirements and satisfactory completion of nance documents. Any nance terms advertised are estimates only. 561-566-5629 772-932-5629 CALL TODAY FREE Quote • Hurricane Protection • Home Security • Energy Efficiency • Reduced Insurance Costs • Increased Property Value • Sound Reduction Until It’s Too Late! You Are Here!
44 VOL. 551 I Copyrighted© My Living Media. 2022 All Rights reserved. To Advertise call 772-247-6849 Need More Coupons - MyLivingMedia.com VILLAGE BOOTERY SHOE STORES 245 U.S. Highway One • Tequesta 561.746.3536 2641 S.E. Ocean Blvd. • Stuart 772.283.3833 $10 OFF Your next Village Bootery purchase Expires 10/15/22. Discount not available on sales merchandise. Private Tours Available Enjoy an island cruise “Jupiter Style” with a relaxing tour down the Intracoastal Waterway! Buy One Get One JupiterWaterTours.com BOOK NOW Call or Go Online to Book Your Tour. 50% OFF Use Code: JUPLIFE (561) 264-0020 Scan for more details! Family Owned & Operated since 1983 24-HOUR SERVICE 4 Generations of Plumbing & Knowledge! TOLL FREE2647 President Barack Obama Hwy., Riviera Beach, FL 33404 561-625-9414 800-323-0263www.NorthCountyPlumbing.org • Licensed • Bonded CFC026530 Serving All of Palm Beach County for 38 Years Strong & Still Growing! PLUMBING PROBLEMS? We can handle any plumbing repair, from Big to Small! 10% $1099 $ 425 $ 99 OFF ANY SERVICE CALL Maximum ($100 Discount) With this MLM coupon. Cannot be combined with any other offer. Expires 10/28/22 INSTALLED WATER HEATER SPECIAL Electric Only. 50 - 40 - 30 - Tall or Med. No Hidden Costs Regular Price $1199 - Special Price $1099 - SAVE $100 With this MLM coupon. Cannot be combined with any other offer. Expires 10/28/22 TOILET REBUILD SPECIAL Includes Fill Valve & Flapper. Standard Toilets Only Regular Price $125 - Special Price $99 - SAVE $26 With this MLM coupon. Cannot be combined with any other offer. Expires 10/28/22 In Garage on Floor Only. +TAX NEW TOILET Supply & Install White Round or Elongated Toilet With Seat, Standard Height. Reg. Price $499, Special Price $425 SAVE $75. Additional Charges May Apply. With this MLM coupon. Cannot be combined with any other offer. Expires 10/28/22 Happy Halloween
VOL. 551 I 45Copyrighted© My Living Media. 2022 All Rights reserved. To Advertise call 772-247-6849 PREVENT LEAKS AND WATER DAMAGE CALL TODAY for your FREE Roof Inspection! 100% FINANCING Not Based on Credit Score No Money Down SERVING ALL OF SOUTH FLORIDA! • TILE • METAL • SHINGLE • FLAT • YOUR RESIDENTIAL SPECIALISTS CALL US 24 Hrs. 561-202-2040 • Florida License #CCC1333947 • Fully Insured $100 Off $500 Off Any Repairs Any Re-Roof With this MLM Coupon. Expires 10/28/22 With this MLM Coupon. Expires 10/28/22 • Residential Specialist • Roof Replacements • Re-Roo ng • Storm Damage • Roof Inspections • Hail Damage Financial
46 VOL. 551 I Copyrighted© My Living Media. 2022 All Rights reserved. To Advertise call 772-247-6849 Need More Coupons - MyLivingMedia.com • RESIDENTIAL • COMMERCIAL • MARINEWINDOW TINTING NO AUTOMOBILES off$30 Any order over $100 Exp. 10/31/22 SAVE ON Y OUR E LECTRIC B ILL !! Over 40 Years of Experience 772.244.2990 www.mrtintofamerica.com TINT YOUR WINDOWS Highest Quality Film at the Lowest Prices Reduce Heat Load Eliminate Glare Minimize Fading BEST OF ALL We come to You! BeforeBefore AfterAfter SPECIAL SENIOR DISCOUNTS! Of $1,000 or more *Call for more info $150off $99off $75off MIN. 500 SQ. FT. MIN. 1500 SQ. FT. • Residential & Commercial • Interior/Exterior • Wallpaper Removal • Drywall Textures • Waterproo ng • Brick Paver Sealing Craig 772-291-5553 www.CraigHanlonPainting.com PAINTING AND PRESSURE CLEANING 1 ROOM PAINTING ANY SERVICE FREE ESTIMATES BRICK PAVER SEALING
VOL. 551 I 47Copyrighted© My Living Media. 2022 All Rights reserved. To Advertise call 772-247-6849 Need More Coupons - MyLivingMedia.com WHEN BOOKING AN APPOINTMENT, USE COUPON CODE:$349/year Service Agreement for air cooled generator* *With this ad. Includes complete oil change & filter, check battery, amps & voltage, test generator, & two inspections per year. Expires Terms and conditions apply. Call for details. 000-000-0000 FREE ESTIMATES EnergizedGenerators.com | Electrical Lic# EC13006279 | Gas Lic# LI45030 FOR ALL YOUR GENERATOR NEEDS Serving the East Coast of Florida Since 2004 FREE ESTIMATES EnergizedGenerators.com | Electricl | LIC# EC13006279 | GAS LIC# L145030 WHEN BOOKING AN APPOINTMENT, USE COUPON CODE: MLM2 TREASURE COAST 772-617-8738 SEBASTIAN 772-617-8790 PALM BEACH 561-617-8797 WHEN BOOKING AN APPOINTMENT, USE COUPON CODE:$1,000 OFF Purchase of any Generac Home Standby Generator 000-000-0000 FREE 10 YEAR WARRANTY* FREE ESTIMATES EnergizedGenerators.com | Electrical Lic# EC13006279 | Gas Lic# LI45030 WE ARE GENERATOR EXPERTS! of Florida Since 2004 *With this ad. Cannot be combined with any other offers or prior purchases. Expires 10/31/22 Terms and conditions apply. Call for details.
48 VOL. 551 I Copyrighted© My Living Media. 2022 All Rights reserved. To Advertise call 772-247-6849 Need More Coupons - MyLivingMedia.com 561.468.8230THE PATIENT AND ANY OTHER PERSON RESPONSIBLE FOR PAYMENT HAS A RIGHT TO REFUSE TO PAY, CANCEL PAYMENT, OR BE REIMBURSED FOR PAYMENT FOR ANY OTHER SERVICE, EXAMINATION, OR TREATMENT THAT IS PERFORMED AS A RESULT OF AND WITHIN 72 HOURS OF RESPONDING TO THE ADVERTISEMENT FOR THE FREE, DISCOUNTED FEE, OR REDUCED FEE SERVICE, EXAMINATION, OR TREATMENT. SCAN FOR WEBSITE & SERVICES We accept most major insurance plans & Medicare 4601 Military Trail #202, Jupiter HOURS MONDAY-FRIDAY 8:30AM-5:00PM FOOT, ANKLE, OR VEIN ISSUES? WE CAN HELP!Rel … DR. ORLANDO CEDENO DPM Podiatrist Foot & Ankle Surgeon Located in Jupiter, FL $100 OFF SCLERO VEIN THERAPY With this MLM coupon. Expires 10/15/22BEFORE AFTER • Foot Ankle Surgery • Bunion Surgery • Cysts & Warts • Fractures & Breaks • Ankle Arthritis • Diabetic Foot Conditions • Hammer Toe • Ingrown Toe Nails • Varicose Veins Treatment • Neuropathy Solutions • Nerve Decompression in Foot Live 24/7 Answering PDSMartin.com Locally Owned & Operated 561-509-2000 Expires 10/15/22. Our proprietary springs will not rust or corrode and last up to 4 times longer!
VOL. 551 I 49Copyrighted© My Living Media. 2022 All Rights reserved. To Advertise call 772-247-6849 Need More Coupons - MyLivingMedia.com 1-833-ACE-CART(223-2278) Aceofcarts.com Ace of Carts 4880 SE Federal Hwy., Stuart • 2nd Location 552 US Hwy. 1 North, Tequesta AUTHORIZED DEALER Must be a 2022 Model Year Club Car from dealer stock. Offer Valid through October 31, 2022 or while supplies last. Financing is available with standard rates. Not eligible for 0% Financing promotion; offers do not combine. Promo code:MLM822 Model Year End Super Sale! Over 200 Brand New Club Cars in stock! $1,000 in FREE Accessories, FREE Delivery Destination, & Setup Charges. Model Year End Clearance: Over 200 Club Cars in Stock! Area’s Largest Selection of Golf Carts! REGISTER ONLINE TO GET www.AceofCarts.com/August-Promo LIC #U-22038 LIC #MCFE6928 We’ll Beat Reasonable Estimates From Comparable Licensed Companies & Product Offerings Some Restrictions Apply AUTOMATIC GATE OPENER SPECIALIST 561-899-4574 www.budgetfenceandgate.com Since 1950 RESIDENTIAL COMMERCIAL Se Habla Español ASK ABOUT OUR Promotion for Eligible Projects. or Interest, Payments for Months Options! Down, Low Monthly Payments 0 0 0 24 561-782-8184 • Boost Immune System • Improve Mental Clarity • Alleviate Covid-19 pounds and side effects • Increase Energy NEXT TRANSFORMATION PACKAGE A B IBLICAL A PPROACH U SING F OOD A S M EDICINE ! TRANSFORM YOUR BODY IN 30 DAYS! 25% OFFCOACHING TO Reign Health & Wellness Coaching https://form.jotform.com/222574816501151 Program Starts Sunday, October 23rd Your Investment is $245
50 VOL. 551 I Copyrighted© My Living Media. 2022 All Rights reserved. To Advertise call 772-247-6849 Need More Coupons - MyLivingMedia.com Emergency Care Teeth Whitening Cosmetic Dentistry Same-Day Treatment Family Dentistry Always Accepting New Patients & Walk-Ins Ask About Our In-House Plan Hours: Mon - Fri 8:30AM-5:00PM 3889 Military Trail #102 Jupiter, FL 33458 561-861-2611 www.dbd .com NEW PATIENT SPECIAL $99 D0150 Exam D0210 X-Ray D1110 Cleaning in absence of periodontal disease D0330 Panoramic X-Ray Expires 10/16/22SE HABLA ESPAÑOL Now Offering: FREE Whitening for new patients for a year! Rainbow Roo ng License #CCC1333774 Total Roo ng Systems License #CCC1332346 561-677-8228 340 Pike Road, West Palm Beach Any Roof Job Don’t Wait until it’s too late! Protect your greatest investment! The Roofing Experts You Can Trust! We Specialize in: Metal, Tile, and Shingle Roofs $500 Off FREE EstimatesExpires 10/15/22
VOL. 551 I 51Copyrighted© My Living Media. 2022 All Rights reserved. To Advertise call 772-247-6849 KEEPING YOU AND YOUR FAMILY SAFE & SECURE! WE HAVE OPTIONS FOR ANY BUDGET!! • Accordion Shutters • Bahama Shutters • Colonial Shutters • Hurricane Fabric • Impact Windows & Doors • Roll Shutters • Storm Panels • Components Call Today for your FREE ESTIMATE! 561-566-7292 With our price match guarantee, we will match or beat our competitors’ quotes! 25% 0%$500Off Off APR UP TO *Based On Volume Any Project under $10k Financing Available Must present coupon at time of estimate to be valid. Expires 10/15/22 Must present coupon at time of estimate to be valid. Expires 10/15/22 * For 18 months. See dealer for details. Expires 10/15/22
52 VOL. 551 I Copyrighted© My Living Media. 2022 All Rights reserved. To Advertise call 772-247-6849 Need More Coupons - MyLivingMedia.com Licensed & InsuredJTPressure Cleaning JTPressureclean.com FREE15% $100-$125OFF SIDEWALK CLEAN COMPLETE EXTERIOR & ROOF CLEANING DRIVEWAYS POOL DECKS With Any Pressure Clean Up to 750 Sq. Ft. All offers with this MLM Coupon. Expires 10/28/22 • Roofs • Buildings • Home • Exterior • Patios • Fences • Stain Removal • Window Cleaning • Driveways 561-493-8624 • 561-262-3711 Reliable • All Work Guaranteed • Reasonable Rates WE BEAT ANY WRITTEN ESTIMATE! Family-Owned Since 1997 the Original Paving Contractor InstallationWeSpecializeIn&Repair • A+BBB • 10 Year Warranty • Over 50 Years of Experience in Brick Paving 561-257-5775 PAVERS ARTIFICIAL GRASS 312 Center Street • Jupiter, FL 33458 www.TripleMBricks.com • MMMBRICKPAVERS@AOL.COM • Paver Repairs • Interlocking Brick Pavers • Old Chicago Bricks • Travertine • Driveways • Walkways • Patios • Pool Decks • Pool Remodeling - KID & DOG FRIENDLY - NO WATER - NO FERTILIZER - NO MUD - NO ITCHY GRASS - GREEN YEAR ROUND Refresh your Backyard with Arti cial Grass, Outdoor Kitchen, and Pavers With this MLM Coupon. May not be combined with other offers. Expires 10/15/22 ANY INSTALLATION $100 OFF FREE ESTIMATES! Licensed and Insured License#U20229 BRICK PAVERS & ARTIFICIAL GRASS 10% OFF Any Job Must Present This MLM Coupon Painting Interior/Exterior Popcorn Removal Knock Down Textures Crown Moulding Dry Wall Repairs John 561-306-1813 MC Lic # CPT 4946 • PBC Lic #U-14183 SCOLLOPAINTINGINC@GMAIL.COM Scollo Painting Inc
VOL. 551 I 53Copyrighted© My Living Media. 2022 All Rights reserved. To Advertise call 772-247-6849 Call Today for a FREE ESTIMATE 561-612-0214 • 615 Industrial St. • Lake Worth Open: Mon-Fri 9am-5:30pm; Sat 9am-2:30pm www.KingOfKitchen.com Send Us a Photo of Your Kitchen and we’ll send you a FREE Initial Estimate for Granite Countertops & Cabinets Send to: info@kingofkitchen.com OR TEXT to 561-291-9414 Over 36,000 Sq. Ft. of Showroom & Warehouse • 100% Wood Cabinets • Brazilian Natural Stone Countertops • Factory Direct to the Public • White Shakers Available 10’x10’ Kitchen Cabinets & Granite $1,999** Modern Kitchens Also Available Granite Installation Starting at $999 *measurement and sink not included

For What It’s Worth

In this upside down time in our lives, there has been an in ux, it seems to me, of individuals wanting to revisit simpler times, with less responsibility and more fun. If only that meant including a weekly movie, or making a special dinner to spice things up at home, that would be less dangerous than the trend that has crossed my ears more than a few times in the past year, namely, people connecting with old ames, needing the comfort of someone who isn’t their husband, someone who knew them when they were young and carefree, and it’s pretty easy to nd that once-special person because of social media. It is also a fantasy, which, with twenty-twenty hindsight, is treading on dangerous ground.

It begins innocently, of course, as all risky things start, with a causal “hi, how are you doing?”, and if the person on the other end is responsive, it morphs into all the “remember whens”, which no one in your current life can compete with. Your husband didn’t know you when you were a teenager, or a college student, he wasn’t in your high school classes and he didn’t take you

to the senior prom. ose are conversations that your spouse can’t begin to participate in, and before anyone knows it, the casual conversations become irtatious, if not subtle, and invitations to an emotional a air. Suddenly your world seems brighter, lighter, happier, hanging on every word, and texts become covert phone calls with dreams of what could have been. Trust me when I say this, in most cases, the person who is going to be hurt the most, is you. Sure your old ame knows all the right things to say, gives you undivided attention, and makes you laugh, but I doubt that Casanova is as tantalizing to his own wife who is probably at home doing the dishes and his laundry.

e story is as old as the hills. Everyone wants something new, something bright and shiny, romantic words and endless promises of undying love, and people who are in a marital rut risk it all, over and over again. Let’s play this fantasy out… the wife suddenly can’t stand anything about her boring, lazy husband, and les for divorce. She dreams of the day she and her old boyfriend can be

together, but guess what? Nine times out of ten, he has a million reasons that he can’t move forward with his divorce. He can’t hurt his family, he doesn’t want to split the assets, and on and on, until the fairy tale becomes a nightmare.

So, For What It’s Worth, keep your dreams locked in a box where they can’t get lost or trampled on, and reignite the spark in your marriage. A er all, you must have been enamored with your spouse when you walked down the aisle, and perhaps, the hum-drum evenings have as much to do with you trying less, as it does with him ignoring you. Marriages go through ups and downs, and women think of jumping ship when the romance gives way to everyday drudgery, but even a boring marriage can be spiced up. A fantasy boyfriend rarely materializes.

Comments or Suggestions

54 VOL. 551 I Copyrighted© My Living Media. 2022 All Rights reserved. To Advertise call 772-247-6849 Need More Coupons - MyLivingMedia.com Jello Touch Spa Pedicure With this MLM coupon. Cannot be combined with any other offers. Expires 10/31/22 With this MLM coupon. Cannot be combined with any other offers. Expires 10/31/22 With this MLM coupon. Cannot be combined with any other offers. Expires 10/31/22 Pink Pinky Nail & Spa 4595 Northlake Blvd, Suite 106 Call for Appointment • 561-855-8508 Mon - Sat 10am - 9pm • Sun 10am - 8pm www.pinkpinkynailsalon.wixsite.com/dayspa Gift Certificates Available DIP POWDER $40 GEL MANICURE $30 ACRYLIC GEL FILL $40 NOW $35 SAVE $15.00 With this MLM coupon. Cannot be combined with any other offers. Expires 10/31/22 $50 Lavender Hydrating Spa Pedicure NOW $58 SAVE $20.00 $78 One Hour Foot Reflexology NOW SAVE $21.00 $39$60 Anti-Aging Facial NOW SAVE $40.00 $59$99 Monday-Thursday • New Clients Only Monday-Thursday • New Clients Only Monday-Thursday • New Clients Only Monday-Thursday • New Clients Only NAIL TECHNICIANS WANTED
DrMelfi@mediaoms.com
VOL. 551 I 55Copyrighted© My Living Media. 2022 All Rights reserved. To Advertise call 772-247-6849 Need More Coupons - MyLivingMedia.com Is Your Sliding Door Stuck or Hard to Open? We Do Screen & Window Repairs Nights & Weekends We are fully Licensed & Insured 772-212-0203 With this MLM Coupon. Cannot be combined with any other offers. Expires 10/31/22 With this MLM Coupon. Cannot be combined with any other offers. Expires 10/31/22 With this MLM Coupon. Cannot be combined with any other offers. Expires 10/31/22 $29 OFF $49 OFF $5299 Broken Rollers Special Track Package Sliding Glass Door Maintenance info@portsaintlucieslidingdoorrepair.com FREE ESTIMATES DON’T DELAY… CALL US TODAY! RESIDENTIAL & COMMERCIAL • Shingles • Synthetic Shingles • Metal • Tile • Aluminum 1500 N Florida Mango Rd Suite 3 • WEST PALM BEACH (561) 264-6233 $500 Off $1000 Off Any Roof $10,000 or more. Any Roof $20,000 or more. Expires 10/16/22 Expires 10/16/22 Arroyo Health Lab Center HYDRATE Hydration Wellness Revive Mind, Body, & Soul IV TREATMENTS Myers’ Cocktail Get Your Antibody Infusion Today! $50 Off Any Hydration Therapy Expires 10/15/22 COVID-19 POSITIVE? or Exposure? Rapid/PCR Test Available • Monoclonal • Antibody Infusions • Paxlovid • Molnupiravir StartBetterFeelingHydrationMigraines Multiple Sclerosis TODAY! 1535 Cypress Drive Jupiter 561-972-4302 Hangover Cocktail We Offer Emergency House Calls For the latest monoclonal antibodies *call for details For your safety we have a Doctor, Nurse Practitioner, and Paramedics on staff.
56 VOL. 551 I Copyrighted© My Living Media. 2022 All Rights reserved. To Advertise call 772-247-6849 Need More Coupons - MyLivingMedia.com 772-783-9517 I.M.A.Landscaping@gmail.com IMA LANDSCAPING TREE & PALM SERVICES With this MLM Coupon FREE STUMP REMOVAL Get 1 Free Stump Removed w/Purchase of 3 Stump Removals We BeatAnyEstimateWritten Lic & Ins Serving PSL, Martin, Palm Beach FREE ESTIMATES WE SPECIALIZE IN TREE REMOVAL • Rock & Stone Install • Palm/Tree Removal • Irrigation install & Services • Stump Grinding • Mulching & Sod Installed • Tree Trimming • Pressure Washing • Brazilian Pepper Tree Cut Back & Removal • Installation/Design • Lawn Maintenance • Clean Ups/Hauling • Weeding & Much More • H.O.A. Complaint Letters • H.O.A Approved • Hazardous trees that are too close to the roof HURRICANE SEASON IS HERE CALL US FOR TREE TRIMMING OR REMOVAL *Prices subject to change based on circulation Index Page 6 Royal Palm Beach Living CONNECT TO YOUR COMMUNITY First Time Customers Only. Some Restrictions Apply. Limited Time Offer $100 OFF ANY MAILING *8 TIME AGREEMENT - 1/2 PAGE AD OR LARGER * 772-617-4960 Look No Further for the Experts in Pool Heating • Heat Pumps • Solar • Gas FAMILY OWNED AND OPERATED STATE LICENSES #CP-CO57115 • #CVC 56745 • NAT/LP 26278 HUGE DISCOUNTS FACTORY DIRECT! Heat Pumps • Solar • Gas Salt Chlorination Pool & Spa Automation Pool Pumps & Filters Pool Resurfacing Coping • Tile Renovate Your Existing Pool Today! tropicalpoolheating.com Your Pool Heating and Renovation Specialist FREE 11”x10” Mosaic With Swimming Pool Resurfacing Purchase With this MLM coupon. Expires 10/15/22 FREE 5% Off Purchase Price Of Any Salt Chlorinator, Pool/Spa Automation, Pump or Filter With this MLM coupon. Expires 10/15/22 FREE Estimate! 561-745-1163 SAME-DAY ESTIMATES HEATING & RENOVATION A COLD POOL IS NO POOL
Need More Coupons - MyLivingMedia.com Available Nights, Weekends & Holidays • Plumbing Repairs • Water Heaters • Toilet Installation • Garbage Disposals • Clearing Sewer Lines • Septic Services • Distribution Boxes • New Installations PLUMBING REPAIRS & WATER HEATER INSTALLATIONS - WE GIVE SENIOR CITIZEN & VETERANS DISCOUNTS! Lic. #CFC1429556 ANY JOB Big or Small We Do Them All! $65 OFF $50 OFF $35 OFF Not valid with other offers or prior services. Must present MLM coupon. Limit one coupon per service call. Not valid with other offers or prior services. Must present MLM coupon. Limit one coupon per service call. Not valid with other offers or prior services. Must present MLM coupon. Limit one coupon per service call. $30 OFF Not valid with other offers or prior services. Must present MLM coupon. Limit one coupon per service call. I I I I $100 OFF Not valid with other offers or prior services. Must present MLM coupon. Limit one coupon per service call. $50 OFF Not valid with other offers or prior services. Must present MLM coupon. Limit one coupon per service call. I $250 OFF Not valid with other offers or prior services. Must present MLM coupon. Limit one coupon per service call. FREE Not valid with other offers or prior services. Must present MLM coupon. Limit one coupon per service call. Not valid with other offers or prior services. Must present MLM coupon. Limit one coupon per service call. Celebrating 40 Years of Excellence Your Next Service Call Any New Hot Water Heater or Tankless Heater Any New Toilet Clearing Any Sink, Toilet, or Main Sewer Line Any New Garbage Disposal Any Septic Pumping Any Distribution Box Replaced $37 OFF BACTERIA TREATMENT with Pumping and Backwashing Any New Drain Field Installed I I I I
58 VOL. 551 I Copyrighted© My Living Media. 2022 All Rights reserved. To Advertise call 772-247-6849 Need More Coupons - MyLivingMedia.com • All Florida Nerds are Certi ed and Insured • We Service PC, Apple, and Linux • Virus/Spyware/Malware Detection and Removal • Hard Drive and Memory Upgrades • Managed Services for Businesses • Website Design, Network Cabling, and WiFi Servicing SE Florida www.NYFLNERDS.com 30% FREE off Business I.T. Security Audit Call today to Schedule! $5,500 Value All Remote Services New Nerds Customers. Exp. 10/31/22 Exp. 10/31/22 *Some exclusions may apply Call A NY/FL Nerd Today! 561-562-4449 We are Open 24/7/365 NO TRIP CHARGE COMPUTER, NETWORK, & I.T. SECURITY SERVICES We Come To You! COMPUTER CHECK 561-312-1937 DUMPSTER RENTALS DONE RIGHT Delivered in 24 hrs or Less www.bulkwastefl.com OFF OFF$50 $20 ANY DUMPSTER JUNK REMOVAL With this MLM Coupon Expires 10/31/22 With this MLM Coupon Expires 10/31/22 M IKE ’ S A LUMINUM S PECIALTIES $500 OFF ENTIRE HOME Replacement of Windows & Doors ASK ABOUT OUR FREE ESTIMATES! FINANCING OPTIONS AVAILABLE! · Palm Beach · Martin · St. Lucie · Okeechobee www.MikesAluminumSpecialties.com SERVICE AREAS Palm Beach County License # U17386, U20484 • Martin County License # MC1800053, MC1800054 St Lucie County License # 31324, 31325 • City of Port St Lucie License # 15324, 15325 Okeechobee License # 3293, 3294, 3295 WE ARE A FAMILY OWNED AND OPERATED BUSINESS! ESTABLISHED 1994 MONDAY – FRIDAY 8AM – 5PM561-848-7188 OR 863-532-5315 With MLM Coupon Exp. 10/31/22 • WINDOWS • DOORS • BLINDS • SHADES • SHUTTERS • HURRICANE PROTECTION • PATIO / SCREEN ENCLOSURES • GLASS / ACRYLIC SUNROOMS • CUSTOM ALUMINUM STRUCTURES If you want it done right, call Mike I have been using Mike’s Aluminum for almost 40 years. The scope ranges from screen repair to major additions of a screen room, hurricane shutters and impact windows. He and his team are reliable, deadline oriented and deliver the product on time. I will never think of using any other company for any of my home repair/replacement needs. Five star rate from me unless you can go to 10 star, the company quali es and I am happy to have a life-long relationship with this company. R Rhonda Roarke 2 reviews • 0 photos 5 days ago
VOL. 551 I 59Copyrighted© My Living Media. 2022 All Rights reserved. To Advertise call 772-247-6849 Need More Coupons - MyLivingMedia.com 3399 PGA BLVD, Suite 450, Palm Beach Gardens, FL 33410 Before After Now at Hamilton Aesthetics! This cutting edge technology delivers up to 30% Permanent Fat Reduction, Sculpts 25% More Muscle, and Tightens Skin in one 30 min session! CALL NOW for your FREE CONSULT! INTRODUCING EMSCULPT NEO • Wrinkle Relaxers (Dysport/Botox • Dermal Fillers • QWO Cellulite Reduction • Diamond Glow Treatments • Secret RF • IPL/Laser Hair Removal • Sclerotherapy • Viva Skin Resurfacing • Venus Legacy Skin Tightening • Laser Genesis • Platelet Rich Plasma (PRP) • Microneedling • Chemical Peels • CoolSculpting • CoolTone • truSculpt ID • EmSculpt Neo VETERAN & SENIOR DISCOUNTS All Your Handyman Needs 772-281-9730 Veteran Owned • Licensed • Insured Call or Text Finish Trim Work Interior Carpentry Crown Molding Younique Custom Theater Trim & Design LLC facebook.com/theatertrim/ MARIJUANA CARDS Rooted Zen Healthcare Joel Nagler, M.D. 772.353.5222 www.RootedZenHealthCare.com 698 SW Port St Lucie Blvd. Unit 106 210-DAY RECOMMENDATIONS! New Cards Veterans Recerti cations $100 $100 BEST PRICING on the Treasure Coast $150
60 VOL. 551 I Copyrighted© My Living Media. 2022 All Rights reserved. To Advertise call 772-247-6849 Need More Coupons - MyLivingMedia.com (ants, roaches, spiders) Rodent Trapping, Removal, & Prevention Ratman Wildlife Rodent_0070-2719_PR551 ! Charlie FREE Rodent Prevention Consultation FREE Estimates! $50 Rodent Service (Guaranteed Rodent Free) O F F 25% (1st Service with Full Year Agreement) O F F Pest Control AIRPORT TRANSPORTATION CAR SERVICE LOW RATES! / OPEN 24/7 West Palm (PBI) $80 Fort Lauderdale (FLL) $160 Orlando (MCO) $175 Miami Airport (MIA) $175 Cruise Ports Doctor Visits ($25 Per Hour) (INCLUDES TOLLS & LUGGAGE) DISCOUNT ON ROUNDTRIP FARES. FAMILY TRAVELING CALL NOW! (772) 940-9186 TCLIMOSERVICES.COM BOOK ONLINE SAVE 10% CODE: SAVE10 • One-on-One Personal Training • Customized Fitness Programs • Burn Fat/Tone Problem Areas • Weight Training & Cardio • Increase Energy • Nutrition Counseling NEW CLIENTSPECIAL Jupiter’s Premier Training Studio Let Us Show You Why We're Different! THREE PALMS PLAZA 2151 Alt. A1A South #700, Jupiter • www.be tjupiter.com 561-745-5001 *New clients only. Cannot be combined. Expires 10/15/22 CALL OR TEXT FOR APPOINTMENTS BE STRONG . BE CONFIDENT. BE FIT. SESSIONS FREE4 www.advanced-re nishingllc.com UGLY TUB & TILE? • Bathrooms • Kitchens • Jacuzzis • Showers • Epoxy Floors 772-266-5115 CABINET REFINISHING TUB REFINISHING $100 OFF $20 OFF With this MLM coupon. Cannot be combined with any other offers or specials. Expires 10/31/22 With this MLM coupon. Cannot be combined with any other offers or specials. Expires 10/31/22 BEFORE AFTER Don’t Replace It… REGLAZE IT! 772-617-4960 *Prices subject to change based on circulation Living Gardens Index Page 6 CONNECT TO YOUR COMMUNITY First Time Customers Only. Some Restrictions Apply. Limited Time Offer $100 OFF ANY MAILING *8 TIME AGREEMENT - 1/2 PAGE AD OR LARGER *
VOL. 551 I 61Copyrighted© My Living Media. 2022 All Rights reserved. To Advertise call 772-247-6849 FREE IN-HOME VISIT 772-222-6760 819 SW Federal Hwy. • Ste #201 • Stuart www.levelbestroofing.com FINANCING AVAILABLE •Not Credit Driven •No Down Payment LICENSED & INSURED • #CCC133746 Commercial & Residential Roofing $600 OFF ANY NEW ROOF $10,000 & UP Can not be combined with other offers Must present this MLM Coupon • Expires 10/31/22 We Will Beat Any Written Estimate by $500 Some Restrictions Apply • Call For Details! Can not be combined with other offers Must present this MLM Coupon • Expires 10/31/22 INSURANCE COMPANY DROPPING YOU BECAUSE OF YOUR OLD ROOF? A Simple $100 Roof Inspection Could Help You Keep Your Policy!
62 VOL. 551 I Copyrighted© My Living Media. 2022 All Rights reserved. To Advertise call 772-247-6849 Need More Coupons - MyLivingMedia.com PROVEN, EFFECTIVE, & AFFORDABLE PROTECTION MOSQUITO CONTROL 561-567-8929 $25OFFFIRST MONTH Expires 10/15/22 TREE SERVICE Second Generation Tree Company FREE ESTIMATESDaniel Valencia Family Owned & Operated 561-771-0464 www.dvtreeservice.com Licensed & Insured Residential & Commercial • Tree Service • Tree Removal • Stump Grinding • Stump Removal • Arti cial Turf • Palm Care • Palm Removal • Yard Restoration & Clean Up 5% OFF Mention MLM Ad EXPERT FULL SERVICE JEWELRY REPAIRJEWELRY 75 E. INDIANTOWN RD #504 • JUPITER WE BUY GOLD 561.406.2074 20% OFF 15% OFF 50% OFF Any Watch or Jewelry Repair Watch Battery Estate Jewelry With this MLM coupon. Expires 10/15/22 With this MLM coupon. Expires 10/15/22 With this MLM coupon. Expires 10/15/22 Relax, Recharge, Rejuvenate. Must present MLM Coupon for discount. Expires 10/31/22 Must present MLM Coupon for discount. Expires 10/31/22 Swedish Massageor Acupuncture Deluxe HydrofacialMagnapuncture® Includes Booster & Celluma LightAmplified Acupuncture Intro. Must present MLM Coupon for discount. Expires 10/31/22 www.absolutewellnessspa.com 221 Greenwich Cir #101 • Jupiter (Between Donald Ross and University Dr.) Reg. $189 Reg. $90 Call Linda or Greg 561-254-7572 Must present MLM Coupon for discount. Expires 10/31/22 Custom Deep Pore Facial $65 Add Chemical Peel or Microderm $25 (medical grade) $69 By Appointment Only $59 50 min.$149 Gift Certificates Available Facials, Massage & Acupuncture MM19098 MA46698 New Location *US Patent #11,344,738
VOL. 551 I 63Copyrighted© My Living Media. 2022 All Rights reserved. To Advertise call 772-247-6849 561-468-7281 www.windowreplacementgroup.com The Group of Professionals You Can Trust SSC# 131152429 CBC# 1264555 CALL NOW FOR A FREE, NO OBLIGATION QUOTE $2,500* SAVE UP TO Restrictions Apply. Call For Details LIMITED TIME OFFER BE PREPARED THIS SEASON! *On Full House Replacement $ 600 Expires 10/15/22 OFF • NO Hidden Fees • INCREASE Your Home’s Value • REDUCE Your Energy Bill • REDUCE Your Home Insurance FINANCING AVAILABLE Whole House of Windows & Doors Some Restrictions Apply, Call for Details. Expires 10/15/22 OR0% $147*PER MONTH *$147/mo. based on Ygrene Financing at 7.99% APR, $20,000 Financed APR UNTIL 2023 Impact Windows & Doors
Copyrighted© My Living Media. 2022 All Rights reserved. To Advertise call 772-247-6849 Need More Coupons - MyLivingMedia.com Want Your Home Painted? $1295 FREE Remote Estimate Available Single story up to 1,800 sq. ft., includes Sherwin Williams Paint. WORKING FOR YOUR PROTECTION AGAINST COVID-19 ExteriorSpecialPainting Experience and Quality at an Affordable Price Licensed #CGC1526200 & Insured 772-888-0886 www.YourHomePainter.com Color Restoration & Construction Interior & Exterior Painting FREE With this MLM Coupon Only Call Today 561-202-2112 901 Northpoint Pkwy. #303 West Palm Beach FL 33407 FAST • RELIABLE • TRUSTED STORM DAMAGE ASSESSMENT GAF Master Elite Partner
VOL. 551 I 65Copyrighted© My Living Media. 2022 All Rights reserved. To Advertise call 772-247-6849 Justee College offers professional and comprehensive allied health programs for future students. Our goal is to provide effective and affordable training that is educational, practical, and convenient. 2709 Petters Road Ft. Pierce Email: info@justeecollege.net NOW ACCEPTING ENROLLMENT FOR OCT. 2022 772.588.1100 Why Choose Justee? e mission of Justee College is to o er professional & comprehensive allied health programs that prepare students with the skills necessary to qualify for entry-level positions in the medical eld. • Hot Tubs • Swim Spas • Sales • Service • Installation Fall Sale *Restrictions apply. Must present MLM coupon at time of estimate. Cannot be combined with other offers. Expires 11/30/22 $1000OFF NEW HOT TUB OR SWIM SPA Fall Sale! 0% FINANCING SAME AS CASH 18 Months, Equal Payments. *Some Restrictions Apply VISIT OUR BRAND NEW 10,000 SQ. FT. SHOWROOM 2555 Bonita St., Stuart www.hottubsales .com772•758•2298 We Guarantee Your Happiness We Deliver, Install, & Service Your Hot Tub HOT TUB SALES SIMPLY GREAT SERVICE
66 VOL. 551 I Copyrighted© My Living Media. 2022 All Rights reserved. To Advertise call 772-247-6849 Need More Coupons - MyLivingMedia.com 561-208-8474 curlytailscreens.com FREE ESTIMATES! $30 OFF Sliding Glass Door Roller Replacement Valid On 1 Door. Not Valid With Any Other Coupons/Discounts. Must present at time of estimate. Expires 10/31/22 All Repairs Warrantied GET 1 FREE Buy 2 Window Screens BEFORE AFTER Free screen to be the lowest priced one on order, maximum of one free screen per household. Not valid on repairs to existing frames Expires 10/31/22 • Sliding Glass Door Rollers, Locks, & Handles • Window Operation Repair • New Window Screens & Sliding Screen Doors 50% off The 1 Time Membership Fee With this MLM Coupon. Expires 10/31/22 • No Boat Cleaning EVER • Unlimited Usage • No Dockage Fees • Free Training • No Maintenance or Repair • No Insurance Needed leisuretimeboatclub.com With this MLM Coupon. Expires 10/31/22 $199**Starting at Memberships Riverside Café 3341 Bridge Plaza Dr., Vero Beach, FL 32963 Of ce at: 4920 US Hwy 1, Vero Beach, FL 32967 BOATING MADE EASY 772-758-8587 We Own The Boat / You Own The Water! REBUILD AND MAXIMIZE YOUR CREDIT! LET US HELP YOU HELP YOURSELF! 772-248-4550 FREE Analysis No Contracts • Foreclosures • Bankruptcies • Collections • Tax Liens • Student Loans • Charge-Offs • Judgements • Short Sales • Late Payments • Public Records • Repossessions • Medical Bills We Remove • Child Support • Evictions UCESPROTECTIONPLAN.COM With MLM Coupon. Expires 10/31/22 Scan Here Agents Needed! Unlimited Income Our Credit Doctors Work Fast ~ See A Change in 90 to 180 Days
VOL. 551 I 67Copyrighted© My Living Media. 2022 All Rights reserved. To Advertise call 772-247-6849 Need More Coupons - MyLivingMedia.com 561.331.LINT (5468) thelintmandryerventcleaning.com ✔ Dryer Vent Cleaning ✔ Dryer and Washer Installation ✔ Residential Services ✔ Commercial Services ✔ Rodent Guard Installation DRYER VENT CLEANING WHEN WAS YOUR DRYER VENT LAST CLEANED? • Speeds Up Drying Time • Reduces Fire Risk • Lowers Utility Costs (more ef cient) • Don’t Wait Until It’s Too Late With over 15,000 dryer res happening each year, IT MAKES SENSE! $30OffAny Dryer Vent Cleaning Service Licensed & Insured Serving Jupiter & the Palm Beaches Neighbors Discount Special *Washer & Dryer Repair Service Must present this MLM Coupon at time of service. Expires 10/31/22 • Drain Clearing, Camera Inspections, Hydro Jetting • Water Heaters, Garbage Disposals • Back ow Testing/Repairs • New Construction and Remodels Dixie Plumbing_0058-1520_HI551 $100 OFF Not valid for heaters covered through manufacturer’s warranty. Not valid on Commercial Heaters or Tankless. Not valid on after hour calls. Not valid with any other offer. Valid through 12/31/22 Maximum discount of $125. Not valid on backflow testing/repairs. Slab leaks, re-piping and remodels excluded. Not valid on after hour calls. Not valid for use on hot water heater installs. Not valid with any other offer. Valid through 12/31/22 ANY SERVICE CALL 15% OFF ANY HOT WATER HEATER *Supplied & Installed by Dixie Plumbing Only. service @dixieplumbinginc.com CALL (561) 746-4504 Serving Palm Beach & Martin County Since 1972 Residential and Commercial SAFE ATTIC ACCESS SOLUTIONS ATTIC STAIRS AND LIFT SYSTEMS Charles O’Donnel • Owner, Operator 615 N. Orange Ave • Suite 5 (By appointment only) Builders & Handymen Welcome • Local Distributor • Installtion 561.385.9449 www.AtticStairPro.com Ask Us About Save on Storage User Friendly Safer Than a Ladder Saves Your Back New or Replacement Attic Stairs • Stair Replacement • New Installations • Steel Stairs • Insulated Units & More Starting at $895
68 VOL. 551 I Copyrighted© My Living Media. 2022 All Rights reserved. To Advertise call 772-247-6849 Need More Coupons - MyLivingMedia.comPUZZLE PAGE SUDOKU PUZZLE PUZZLE PAGE CROSSWORD ACROSS 1 Red Planet 5 Dandy guy 8 Espy 12 Part of Q.E.D. 13 Lennon’s lady 14 Frau’s mate 15 Mater lead-in 16 Old Oldsmobile 17 Notion 18 Head honcho 20 Desolate 22 Presidential nickname 23 Dol. fractions 24 “Toodle-oo!” 27 Shun liquor 32 Actress Thurman 33 Hostel 34 Pie -- mode 35 Gifted 38 “Roots” author Haley 39 Altar af rmative 40 Sushi sh 42 Demand 45 Zealous 49 Gestation location 50 Gun the engine 52 Black-and-white cookie 53 Spoken 54 “As I see it,” to a texter 55 Cold War initials 56 Prime-time hour 57 Owned by us 58 -- good example DOWN 1 Potatoes partner 2 Folksinger Guthrie 3 Wheelchair access 4 Sports venues 5 “Never mind!” 6 Single 7 Crawl space? 8 Japanese faith 9 Statue base 10 Baseball’s Hershiser 11 Tea carrier 19 Letters of approval? 21 Calendar abbr. 24 Boy king 25 Docs’ org. 26 Amulet 28 Away from WSW 29 Try 30 Pub order 31 Remiss 36 Safe to consume 37 Refusals 38 Novelist Huxley 41 Hectic hosp. area 42 Victor’s cry 43 Sushi wrapper 44 Half a sextet 46 Gaelic 47 Tree home 48 Afghanistan’s -Bora region 51 Outback bird Solutions See Page 72
VOL. 551 I 69Copyrighted© My Living Media. 2022 All Rights reserved. To Advertise call 772-247-6849 Need More Coupons - MyLivingMedia.com NEED SHUTTERS THIS WEEK? Family Owned & Locally Manufactured Plantation Shutters • ANGLES & RAKES • ARCHES & SUNBURSTS • OTAGON, CIRCLE, HEXAGON • SILL COVERS & CAPS HORIZONTAL ARCH PLANTATION SHUTTERS SUNBURST PLANTATION SHUTTERS www.plantationshutters a.com Treasure Coast Palm Beach 772-600-4253 or 561-420-0418 Visit our manufacturing shop at: 406 Farmers Market Rd Ft Pierce, FL 34982 IN HOME ESTIMATESFREE $1695 SQ. FT. INSTALLED Starting at Plantation Shutters Florida™ Your Plantation Shutter Specialist Plantation Shutters Florida™ We are the Real Manufacturer Licensed & Insured CALL TODAY AND GET UP TO 10% DISCOUNT Restrictions may apply.
70 VOL. 551 I Copyrighted© My Living Media. 2022 All Rights reserved. To Advertise call 772-247-6849 Need More Coupons - MyLivingMedia.com Fences • Gates • Railings • Wood • Chain Link • PVC • Aluminum ALLIED ALUMINUM & RAILING (Minimum of 100 ft) With this MLM coupon. Expires 10/31/22 $100 Off Keep What You Love Safe! Licensed & Insured License #U-17525 94-7491-FX MC1800195 CALL TODAY FOR YOUR FREE ESTIMATES! 561.232.2757 www.alliedaluminum.us Motorized Roll-Up Screens for Garages, Patios, or Lanais YOUR LOCAL SCREEN & AWNING DEALER. RATED #1 IN SERVICE 561-349-6788 FlaScreens.com Serving Port St Lucie to Boca Raton • Visit Our Showroom at: 2885 Jupiter Park Dr. • Suite 1900A • Jupiter, FL 33458 • Power Screens • Retractable Awnings • Nano Bugmesh • Solar Fabrics • FREE In-House Estimates ENTERTAIN OUTDOORS YEAR ROUND! Let The Fresh AIR IN, Keep the BUGS OUT. Lic.# U-20970
VOL. 551 I 71Copyrighted© My Living Media. 2022 All Rights reserved. To Advertise call 772-247-6849 Need More Coupons - MyLivingMedia.comHURRICANE IMPACT WINDOWS & DOORS PROTECT & BEAUTIFY YOUR HOME TODAY! • Hurricane Protection • Home Security • Save on Energy Bills • Save on Insurance Costs • Increase Property Value • Noise Reduction “Our service & products are second to none!” The People’s Choice In Hurricane Protection! SAME-DAY Appointments! These days, a house has to look good and stand out! My neighbor just got new windows! CHECK OUT OUR VIDEO HERE 561-336-6511 Your Expert in Single Family Homes & Condos! 50% Off Call us today! We Guarantee you’ll be glad you did! CALL FOR DETAILSLicense #CBC060210 & INSURED Serving Palm Beach, Martin, & St. Lucie Counties Over 40 Years of Experience AS LOW AS $120 MO.Installation & No Sales Tax FINANCING Available! 6620 S. Dixie Hwy., West Palm Beach, FL 33405 Visit Our Showroom:
72 VOL. 551 I Copyrighted© My Living Media. 2022 All Rights reserved. To Advertise call 772-247-6849 Need More Coupons - MyLivingMedia.com S U D O K U Solution CROSSWORD SOLUTION SOLUTION TIME: 25 MINS. PUZZLE SOLUTIONS PUZZLE SOLUTIONS Florida’s Finest Carpet Cleaning Carpet Cleaned Like You’ve Never Seen Our System Guarantees Your Satisfaction • We use the most advanced truck mounted carpet cleaning system • Exclusive double step process for high traf c areas (no extra charge) • Pet stain removal • Environmentally safe products (safe for children and pets) • Family owned and operated • NO HIDDEN FEES Serving Our Customers Since 1982 Lic# 92275163 Palm Beach County Martin County Only Only Only (561) 747-9793 (772) 220-2290 Carpet Cleaning Special Carpet Cleaning Special Furniture Cleaning Special FREE Demonstration FREE ESTIMATES Two Rooms & Hallway 5 Rooms and Hallway Any Size Sofa or 2 ChairsGrout Special Area Rug Cleaning Free Pick-Up & Delivery $79.95 $79.9539¢$139.95 (Maximum 200 sq. ft. per room) FREE DEODORIZER With MLM coupon expires 10/28/22 (Maximum 200 sq. ft. per room, max 5 rooms) FREE DEODORIZER With MLM coupon expires 10/28/22 With MLM coupon expires 10/28/22 With MLM coupon expires 10/28/22 (Minimum 200 sq. ft.) • We’ll make your soiled furniture look beautiful again. • We use the best cleaning methods available for each individual fabric. • Haitian Cotton, sectionals, modulars and dry-clean only fabric priced separately. • 3M Scotchguard® and DuPont Te on® protection available. Per Sq. Ft. Exceptional Quality • Exceptional Service “We Paint Every Home Like It’s Our Own” 561-475-5944 Wellington, FL Exceptional Painting_0110-4918_HI551 www.exceptionalpainting.com Insured and Bonded | Palm Beach Co. U-18412 | Free Estimates • Interior Painting • Exterior Painting • Small Drywall Repairs • Small Concrete Repairs • Wallpaper Removal • Wallpaper Installation • Wood and Fiberglass Staining • Concrete Staining • Epoxy Coatings • Pressure Cleaning • Color Consultants • Touch-Up Specialists • Lacquer Painting • Small General Repairs Prior to Painting
VOL. 551 I 73Copyrighted© My Living Media. 2022 All Rights reserved. To Advertise call 772-247-6849 Need More Coupons - MyLivingMedia.com CALL TODAY FOR A free estimate! DRIVEWAYS • WALKWAYS • PATIOS • POOL DECKS • RETAINING WALLS CUSTOM POOL REMODELS • NEW POOL CONSTRUCTION • CLEAN & SEAL PAVERS • REPAIRS MARTIN 772-419-5151 PALM BEACH 561-844-9370 apexpaversandpools.com LICENSED & INSURED: CPB #4701 • U-20589 • U-20796 • RP #4701 *WITH APPROVED CREDIT. OFFERS CANNOT BE COMBINED. Apex Pavers & Pools, Inc. 725 SE Monterey Rd., Stuart, FL 34994 COME VISIT OUR SHOWROOM! POOLS TRANSFORMING THE ORDINARY TO Extraordinary FINANCING AVAILABLE CONTACT US TODAY TO LEARN MORE* CALL TODAY FOR A free estimate! DRIVEWAYS • WALKWAYS • PATIOS • POOL DECKS • RETAINING WALLS CUSTOM POOL REMODELS • NEW POOL CONSTRUCTION • CLEAN & SEAL PAVERS • REPAIRS MARTIN 772 - 419-5151 PALM BEACH 561-844-9370 apexpaversandpools.com LICENSED & INSURED: CPB #4701 • U-20589 • U-20796 • RP-252555006 *WITH APPROVED CREDIT. OFFERS CANNOT BE COMBINED. Apex Pavers & Pools, Inc. 725 SE Monterey Road, Stuart, FL 34994 POOLS TRANSFORMING THE ORDINARY TO Extraordinary 12 MONTHS SAME AS CASH NO INTEREST, NO PAYMENTS FOR 12 MONTHS* COME VISIT OUR NEW SHOWROOM! DRIVEWAYS • WALKWAYS • PATIOS • POOL DECKS • RETAINING WALLS CUSTOM POOL REMODELS • NEW POOL CONSTRUCTION • CLEAN & SEAL PAVERS • REPAIRS LICENSED & INSURED: CPB #4701 • U-20796 • RP-252555006 • CPC 1458696
74 VOL. 551 I Copyrighted© My Living Media. 2022 All Rights reserved. To Advertise call 772-247-6849 Need More Coupons - MyLivingMedia.com Veteran Owned • Licensed & Insured • COUNTERTOPS • CABINETS • KITCHENS • BATHROOMS • PANTRIES • CLOSETS • BUILT-INS • REFACING www.werackdesigns.com Full Service Home Improvements & Design 772.256.3304 SAVE $500 With Any Remodel of $5,000 or more. With this MLM coupon only. Expires 10/28/22 FREE Design and 3D Rendering of Your Project WE RACK DESIGNS LUXE Fine Art Photography is a woman-owned and operated luxury, boutique photography experience. We strive for excellence in service, customer experience, and capturing your legacy (772) 758-2611 luxe. neartphoto.com@gmail.com • Headshots • Family Photos • Maternity • Boudoir • Generational • Graduation & more!
VOL. 551 I 75Copyrighted© My Living Media. 2022 All Rights reserved. To Advertise call 772-247-6849 Need More Coupons - MyLivingMedia.com Call or Text Today 866-887-8225 Book Your Stress Free Portable Storage Solution For Your RENOVATION and MOVING Needs FAMLIY OWNED & OPERATED PUTTING OFF THAT REMODEL BECAUSE YOU DON’T KNOW WHERE TO PUT EVERYTHING? • Speak to One Person From Start to Finish - We Are Call Center Free! • Protect - Your belongings from Dust & Debris • Fully Waterproof With Dual Ventilation Air System. • Flexibility – Weekly & Monthly rental options with delivery in 24 hours or less. www. MYSTACKBOX .com FREELocal Initial Delivery
4 VOL. 551 H/K Copyrighted© My Living Media. 2022 All Rights reserved. To Advertise call 772-247-6849 www.UnlimitedAutoWashClub.com Mon - Sat 8:00am Sun 9:00amcar wash

Unlimited Auto Wash is more than just a Club!

Unlimited Auto Wash is a full service, 100% hand wash conveniently located at select gas stations and convenience stores. We currently have seven locations: Jupiter, Palm Beach Gardens, Tequesta, Wellington, and West Palm Beach. If you become a member of our club, then you can use your membership at any of our 5 locations... by the way, we absolutely welcome occasional customers too!

VOL. 551 H /K 5Copyrighted© My Living Media. 2022 All Rights reserved. To Advertise call 772-247-6849 Need More Coupons - MyLivingMedia.com 561-WASH-ME-2 OUR SERVICES www.UnlimitedAutoWashClub.com
8:00am - 6:00pm - 5:00pm 96-Hour Rain Guarantee Monday is Men’s Day Wednesday is Ladies’ Day Thursday is Seniors’ Day WASHING & DETAILING Join The Club Today Download Our App for Great Savings Around Town WASH CLUB UP TO
78 VOL. 551 I Copyrighted© My Living Media. 2022 All Rights reserved. To Advertise call 772-247-6849 *Additional charges may apply for heavily soiled areas Serving the Treasure Coast from Vero to Palm Beach 772-919-7163 • 561-250-0088 WWW.CarpetCleanerInFlorida.com 3 ROOMS $68 2 ROOMS $42 5 ROOMS $99 TILE & GROUT CLEANING 39¢ SQ. FT. 100 SQ. FT. MINIMUM FURNITURE CLEANING $60 SOFA OR LOVE SEAT OR 2 CHAIRS AREA RUGS $40 AND UP PREVENTS FIRES DRYER VENT CLEANING FREE DEODORIZER, SANITIZER, & DISINFECTANT $85FROM & SPEEDS DRYING TIME OFFER #MS9-3 CARPET CLEANING Licensed Ask about ...dries in half the time!
VOL. 551 I 79Copyrighted© My Living Media. 2022 All Rights reserved. To Advertise call 772-247-6849 Need More Coupons - MyLivingMedia.com THE WINDOW & DOOR SPECIALIST 772-288-6205 WWW.KAMRELL.COMKAMRELL When You Want It Hung Well...TRUST FAMILY OWNED & OPERATED SINCE 1999 8200 SW LOST RIVER ROAD STUART, FLORIDA 34997 Financing Options Available On Our Website LICENSED & INSURED CGC061180 THE DOOR SYSTEM YOU CAN BELIEVE IN THE DOOR OF BEAUTY AND INOVATION BUY FACTORY DIRECT & SAVE 15821 Mercantile Court, Ste. #4 • Jupiter 561.935.9548 www.theclosetclinic.com – Established 1979 –Florida’s Oldest Custom Closet Manufacturerthe closet clinic ANY PURCHASE $300 OFF custom closet interiors OVER $3,000 Complete Service Including: • Custom Design • Manufacturing • Top-Quality Installation • Closets • Home Of ces • Wall Units • Murphy Beds • Garage Storage Systems FREE Home Estimates MURPHY BEDS GARAGE STORAGE SYSTEMS CUSTOM DESIGNS HOME OFFICES
Second Location 4880 SE Federal Hwy, • Stuart 552 US Hwy. 1 North • Tequesta (LOCATED IN THE PUBLIX PLAZA) 1-833-ACE-CART 223-2278 Second Location Aceofcarts.com Residential CustomerPRSRT STD ECRWSS US POSTAGE PAID PERMIT #145 STUART, FL 2081 SE Ocean Blvd. • Suite 4 Stuart, Florida 34996 • 772-334-2121 Ace of Carts Authorized Club Car Dealer Now Open in Tequesta! SALES• SERVICE • PARTS Model Year End Clearance! OVER 200 BRAND NEW CLUB CARS IN STOCK! Must be a 2022 Model Year Club Car from dealer stock. Offer Valid through October 31st or while supplies last. Financing is available with standard rates. Not eligible for 0% Financing promotion; offers do not combine. Ace of Carts has the Area’s Largest Selection of Golf Carts! MODEL YEAR END CLEARANCE OVER 200 CLUB CARS IN STOCK! $1,000 in FREE Accessories FREE Local Delivery Destination & Setup Charges. REGISTER ONLINE TO GET: www.AceofCarts.com/August-Promo Promo code: MLM822

Turn static files into dynamic content formats.

Create a flipbook
Issuu converts static files into: digital portfolios, online yearbooks, online catalogs, digital photo albums and more. Sign up and create your flipbook.