G6-Stuart Living-Vol.561

Page 1

See Pages 4 & 5 Organize Your Wardrobe Space Living Stuart Mailing South Stuart VOL. 561-G6 Index Page 9 MYLIVINGMEDIA.COM For What It’s Worth Page 62 Seaside Wellness Group Pages 76-77 Hurricane Protection Pages 21 & 22-23
2 VOL. 561 G Copyrighted© My Living Media. 2023 All Rights reserved. To Advertise call 772-247-6849 Need More Coupons - MyLivingMedia.com Cabinets, Countertops, Backsplash, Flooring, Windows & Doors... 10% OFF CABINETRY & FLOORING NEW YEAR SALE Expires Feb 28, 2023 Present This Coupon
Reliable, Affordable, Local, & Trusted! 772-577-1228 www.PrideKeepsYouCool.com SHOP LOCAL! FREE NEW A/C SYSTEM ESTIMATES In Person/Over the Phone by Knowledgeable Technician WE OFFER 2023 NEW SEER 2 ENERGY EFFICIENT SYSTEMS Included with every Install: • New Honeywell Thermostat • Safety Float Switch to Prevent Water Leaks • Drain Guard Drainage System • Hurricane Tie-Down Strapping System • RGF Blue Tube UV Light System • One-Year Maintenance Agreement • 6-Month Follow-Up System Check • Compressor Saver System A/C NOT COOLING? WE CAN FIX THAT! • FREE Service Call with repair • Honest and Professional • Diagnostic System • Fully-Stocked Service Van • Same Day/Next Day Service • Follow-Up Call by Service Manager “Keeping You Cool Since 1974”
Esteban Mendez Service Manager

Closet Designs to Fit Your Style and Budget

A closet is more than a place to stow your suits and sweaters… it’s the place where you prepare for the day ahead and where you begin to undress and unwind at the end of the night! So it should be a soothing space, one that doesn’t add to your stress.

The spacious walk-in closets from Closets by Design of the Palm Beaches and Treasure Coast allow you to dress and undress in style while your clothing and accessories are neatly displayed within easy reach. There’s no clutter or chaos, just expert craftsmanship and aesthetically-pleasing design; and, it can all be achieved within your budget!

Closets by Design of the Palm Beaches and Treasure Coast is passionate about maximizing home storage without affecting the beauty of your interior. They design, build, and install custom reach-in closets, walk-in closets, and kids’ closets. Additionally, the company offers custom designs along with production and installation of garage

cabinets, home of ces, laundries, pantries, media centers, hobby rooms, wall beds, wall units, and so much more. Ask Closets by Design of the Palm Beaches and Treasure Coast about their garage wall organizers, garage ooring, work benches, custom jewelry drawers, wine racks, book shelves, cedar paneling and hampers, too… they do it all!

The process starts with the experts at Closets by Design of the Palm Beaches and Treasure Coast measuring your space and itemizing your belongings, then showing you ideas and samples to help you nd a style that’s just right for you. From there, your designer will work with you to custom design your space using dozens of material options and hundreds of features from one of their 4 collections.

Once your designs are exactly the way you want them, your units are custom built using the nest materials from the Closets by Design of the Palm Beaches and Treasure Coast factory. The company then professionally installs everything exactly to the speci cations of your designs from the collection you chose.

Copyrighted© My Living Media. 2022 All Rights reserved. To Advertise call 772-247-6849

Need More Coupons -

There are four collections to choose from at Closets by Design of the Palm Beaches and Treasure Coast: the Everyday Collection, Classic Collection, Regency Collection, and Brio Collection.

Everyday Collection™

Fresh and modern, the Everyday Collection™ offers a sleek solution for your closet clutter. This design includes 3/4-inch straight-edge panels, adjustable shelves, and half-overlay at face doors. Best of all, it’s available at a price that’s equally as pleasant as its appearance.

Classic Collection™

Combine simplicity and style with the Classic Collection™. It unites essential organization with stylish design to create the practical closet you’ve been looking for. This collection features our exclusive soft edge treatment and half overlay doors and drawers.

Regency Collection™

The Regency Collection™ incorporates 1 1/8”

thick panels with 3/4” shelving for a sophisticated look you’ll love for years. Add tilt-out hampers, islands, and countertops to create a convenient, stylish space that has everything you need.

Brio Collection™

When you’re in the mood for something modern and bold, the Brio Collection™ answers the call. Sleek corners and clean edges surround the system of at-front doors and drawers. Display your carefully curated wardrobe against a clean nish for a timeless look.

Closets by Design of the Palm Beaches and Treasure Coast has been earning a reputation for integrity since 1982. As the industry leader in customer service and innovative home design, their values are rooted in a deep passion for delivering

home transformations that transform lives. So what are you waiting for?

Schedule a FREE in-home design consultation and estimate from Closets by Design of the Palm Beaches and Treasure Coast!

Closets by Design of the Palm Beaches and Treasure Coast is open Mondays through Fridays from 8AM-5:30PM. For more information, call 772-207-3265 or visit palmbeach. closetsbydesign.com.

Copyrighted© My Living Media. 2022 All Rights reserved. To Advertise call 772-247-6849
MyLivingMedia.com
40% Off Plus Free Installation Terms and Conditions: 40% off any order of $980 or more or 30% off any order of $680-$979 on any complete custom closet, garage cabinets, home office, pantry, laundry, wall bed, wall unit, hobby room or garage flooring system. Not valid with any other offer. Free installation with any complete unit order of $600 or more. Expires in 30 days.
6 VOL. 561 G Copyrighted© My Living Media. 2023 All Rights reserved. To Advertise call 772-247-6849 The Most Trusted Name in Optical and Hearing Guaranteed Best Prices Ask a Friend! We Are Proud Of Our Service (772)286-4327 Hearing Mon.-Fri. 9AM-6PM ; Sat. by Appt. 2341 SE Federal Hwy. Stuart, FL 34994 In Front of TJ Maxx and Home Goods Kevin M. McCurdy H.A.S., BC-HIS Licensed Hearing Aid Specialist Tinnitus Specialist Insurance Accepted Financing Available The Original Schmidt’s Hearing Is Located Inside Schmidt’s Optical Largest Selection of Hearing Aids To Better Serve Our Patients’ Needs We Will Beat Any Competitor’s Pricing By At Least 10% • Tinnitus Treatment • Repairs On All Hearing Aids • Free Diagnostics Of Your Current Hearing Aids FREE Quality Hearing Exam with Consultation Digital Hearing Aids Starting at $279 For Mild Hearing Loss

Monday Feb 27th Fun & Sun

Akoni, Balmain, Tom Ford, Porsche, Persol, Costa, Oakley, Rayban

w/ Food Trucks and MC Fire Dept

Tuesday Feb 28th Fur Friends & Frames

Fendi, Silhouette, CocoSong, Cazal, Caviar, Missoni, Etnia Barcelona

w/ The Humane Society

Wednesday March 1st Luxury & Bubbles

Cartier, Gucci, Boucheron, Bottega Veneta, Lindberg, Montblanc, Pomellato, Chloe

w/ DJ Rozzi and Signature Cocktails

Largest Frame Selection In FL - Full Collections

Akoni, Armani Exchange, Balmain, Bolle, Bottega Venetta, Boucheron, Caroline Abram, Carrera, Cartier, Caviar, Cazal, Chrome Hearts, Clicks, Coach, CocoSong, Costa, Dior, DITA, Dolce & Gabana, Etnia Barcelona, Fendi, Gucci, Guess, Lafont, Lindberg, Maui Jim, Michael Kors, Missoni, Nine West, Oakley, Oliver Peoples, OnGuard, Safety, Persol, Pomellato, Porsche, Prada, Ralph Lauren, Rayban, Revo, Roberto Cavalli, Serengetti, Silhouette, Tiffany, Tom Ford, Tory Burch, Trina Turk, Vera Bradley, Vera Wang, Versace, 7Eye & More!!!

Free Eye Exam $60-$170 OFF

by receiving $49 OFF Your Designer Eyewear Purchase*

Designer Eyewear Plus FREE 2ND PAIR (Including Progressives)

Single Vision $28 That’s 2 for $56

Progressive $74 That’s 2 for $148

VOL. 561 G 7 Copyrighted© My Living Media. 2023 All Rights reserved. To Advertise call 772-247-6849 *The Free Exam® works as a credit in the amount up to $49 that is credited off the Buy One Get One Free Sale. $49 Off excludes $19 & $74 Sale. Must present coupon prior to purchase. Not valid with any other offers, sales or vision plans. Restrictions Apply. (772) 283-2622 Optical Insurance Accepted 2341 SE Federal Hwy Stuart, FL 34994 (In Front of TJMAXX & Home Goods) Eye Exams by: Dr. Suivski & Associates Independent Dr. of Optometry (772) 283-4240 The Most Trusted Name in Optical and Hearing Our Sales Are Better Family Owned and Operated Since 1978 SchmidtsOandH.com The Most Trusted Name In Optical and Hearing 45 Years In Martin County Family Owned and Operated Cele ate Wi Us!
One Of A Kind Eyewear and Sunwear Event Save The Dates Feb 27 - March 1 Bring The Kids Largest Designer Selection In FL Unmatched Service and Quality Best Prices Guaranteed Ask A Friend! 772.283.2622 2341 SE Federal Why Stuart, FL 34994 Event Updates 25 Designer Frame Raffles Leading Up To Event
Why Pay More with Less Options? 1 Hour Service Even Specialty Lenses
2 LOCATIONS Treasure Coast Mall, Jensen Beach COHEN’s COHEN’ OptiCal Pinecrest Lakes Including Hollycreek & Timberwick Living 549-A7 MYLIVINGMEDIA.COM $1000 OFF JetSetter Membership Indian River Shores Living MYLIVINGMEDIA.COM Index Page 9 551-E4 Okeechobee Cowtown Rodeo See Page 9 March 8th - 10th Okeechobee WEST Living VOL. Index Page 30 MYLIVINGMEDIA.COM Meet Sean Quinn… See Pages 4-5 Your trusted neighborhood Realtor Our Local Market is Shifting & You need to know exactly what that means! River Shores North VOL. 549-A1 Living MYLIVINGMEDIA.COM Index Page 9 Meet Soraya Cedeño CEO of Organic Tagua Jewelry See Pgs. 18 & 19 Sailfish Point VOL. 549-A2 Living MYLIVINGMEDIA.COM Index Page 9 NO WATERING NO MOWING NO FERTILIZING VeroBeach VOL. Living West MYLIVINGMEDIA.COM Index Page 9 Jupiter VOL. 549-D1 DIRECT MAIL High-quality printed post cards & inserts allow you to target specific zip codes every two weeks FREE digital, mobile, & social media marketing for every one of our direct mail clients Mailing Martin, St. Lucie, Indian River, Okeechobee, & Palm Beach Counties my LIVING MEDIA ON THE WEB We are Florida’s Premier Direct Mail & Multimedia Marketing Company 1¢MAIL Some Restrictions Apply. Please call for details. PER HOME FOR ONLY… 15,000* HOMES CONNECT TO YOUR COMMUNITY… 772-247-6849 100+ UNIQUE COMMUNITY MAGAZINES
upiter Living Index Page 9 Shop Local - Beautiful Designer Furniture and Furnishings Furniture Store Island VOL. Living MYLIVINGMEDIA.COM Index Page 9 Janice Milesic Steve Milesic Sebastian 551-U1 Living MYLIVINGMEDIA.COM Index Page 9 EAT. DRINK. CHILL. Grand Harbor Living MYLIVINGMEDIA.COM Index Page 9 VOL. Including Oak Harbor and River Club Gardens Palm Beach Living MYLIVINGMEDIA.COM VOL. 549-I5 THC TOTAL HOME DISCOVER THE PREMIER POSSIBILITIES A Taste of Italy in Every Bite Torino VOL. 549-F3 Living MYLIVINGMEDIA.COM See Pgs. 52-53 Executive Chef, Taylor Wilson This Grill is American Cuisine and Full Bar Stuart Yacht & Country Club Living VOL. 549-O4 Index Page 9 MYLIVINGMEDIA.COM MY LIVING CONTENTS - ZONE G ANIMALS & PETS Treasure Coast Wildlife Center 36 AUTOMOTIVE Broward Motor Sports 39 Hobe Sound Full Service Hand Car Wash 66 JLD Auto .................................................. 56 Paradise Car Wash ................................... 20 Stuart Brake and Auto Repair 46 BEAUTY Elysian By Mod 52 Lemon Tree Hair Salon 49 CLEANING SERVICES AA18 Pressure Cleaning .......................... 71 Blue Genie Soft Wash .............................. 74 East Coast Window Cleaning 44 Grout Plus 66 Honor Carpet Cleaning 78 Magic Bubbles Pressure Cleaning 46 Platinum Pressure Washing 72 Stanley Steemer ...................................... 11 The Groutsmith Grout Cleaning................ 63 Well Maid Cleaning Service ..................... 48 Wonder Sisters Cleaning Service 72 DINING & ENTERTAINMENT Bagel Bistro 26 Busters 29 Carrabba’s Italian Grill ............................. 30 Casa Tequila............................................. 32 Fiorentino’s .............................................. 31 Fresh Catch..............................................27 Hudsons on the River...............................31 Hurricane Grill Palm City 28 Mero Mero Cantina 29 Moneysaver Magazine 34 Mr. Jalapeno ............................................ 27 Pete’s Supreme Pizza .............................. 27 Pirate’s Cove Resort and Marina ............. 26 Rancho Chico III 30 Salerno Pizza 28 Splatter and Sip 48 The Grove.................................................33 FUNERAL HOMES & CREMATION Affordable Choice Cremation ................... 45 HOME IMPROVEMENT Kitchen Bath and Home Design 2 A Great Fence LLC 15 Accent Garage Doors 67 Affordable and Superior Painting.............33 All Coast Septic Services 70 Alliance Group Roo ng 13 Apex Builder Contractor Co 43 Apex Pavers and Pools 73 Aqua Irrigation LLC 24 Bill sh Air Conditioning 59 Bob’s Mirror Removal 70 Brilliant Roo ng ....................................... 50 Brite Concepts Window and Sliding Door Repair 18 Budget Blinds of Hobe Sound 58 Budget Fence 64 Camco Custom Pools 70 Closets By Design 12 Coastal Closets and Showers .................. 42 Code Red Roofers .................................... 75 Color Restoration ..................................... 68 Como Oil & Propane 20 Complete Sliding Doors 53 db Home Improvements 49 db Home Improvements 44 Designer Driveways 68 Dettloff Construction Services ................. 60 Doing Roo ng Co. .................................... 63 Du-All Plumbing ....................................... 72 Du-All Plumbing 36 Estes Painting 66 Evolution Forestry 48 Face of Wood 38 First Impression Doors and More 10 G & S Painting & Fine Finishes ................ 24 Holt’s Reliable Garage Doors ................... 63 IMA Bobcat Services................................ 61 IMA Landscaping 44 JL Closets, Inc. 65 Kamrell Windows and Doors 71 Krauss and Crane 24 Liberty Impact Windows and Doors 67 Max Guard Hurricane Windows ............... 22 Max Guard Patio Enclosures .................... 21 May ower Landscaping .......................... 58 Monterey Glass Specialists......................74 NVP Gutters and More 42 Oasis Brick Pavers 56 Over the Top Roof Repair 79 OX Floor Coating 19 Peter’s Water Treatment .......................... 79 Pioneer Screen LLC ................................. 71 Plantation Shutters Florida ...................... 53 Plumb Rite Plumbing 64 Precision Door Service 60 Pride Air Conditioning 3 PS Flooring Inc. 57 Quality Air of America 17 Quality Plumbing & Drains ....................... 40 Ramos Tree Service ................................. 50 Sanders Screening 11 Shoreline Roo ng and Repair 40 Steve Frontera Roo ng, Inc 55 Stott Brothers Electric ............................. 52 Stuart Roo ng .......................................... 33 Super Custom Glass & Mirror 55 Superior Tile and Remodeling 70 The Shutter Factory 40 Total Image 38 TradeWinds Kitchen and Bath 41 Treasure Coast TrimLight 31 Tree Works ............................................... 54 Tropical Pools .......................................... 54 Wholesale Mulch LLC .............................. 67 Window and Door Storm Protection 45 Windowz and More 51 Yard Lites 62 INSURANCE Boss Public Adjusting .............................. 68 Florida Health Group-Compass Health .... 69 South Shore Insurance ............................ 50 State Farm-Trey Yelton 46 JEWELRY Blue Water Coins 25 John Charles Jewelers 18 Joseph’s Jewelry ..................................... 13 MEDICAL HEALTH Appearance Implant and Family Dentistry 37 Grab Bar 25 Institute of Health and Wellness .............. 52 MMJ Health ............................................. 16 New Beginnings Medical 39 Premier Dentistry 47 Schmidt’s Optical 6 Seaside Wellness Group LLC 64 Stretch Zone 35 Symphony of Stuart 42 PROFESSIONAL SERVICES All Dr y USA 14 Dryer Vent Cleaner, The 61 Mr. Vacuum 54 Tomcat Treework 74 Wet Out Restoration 60 Leslie Gould Leibowitz Realty 25 Ted Guarnero - Dreamworks....................56 Cozy Corner ............................................. 58 TRANSPORTATION Airports Etc 61 Volume 561 February 2023 For advertising rates and information Email: sales@mediaoms.com Call 772-247-6849 © 2023 by My Living Media. All rights reserved. Although some parts of this publication may be reproduced and reprinted, we require that prior permission be obtained in writing. My Living Magazine is a free publication distributed locally and is supported by our advertisers. Please call to find a location near you or if you would like copies placed at your business. We do not necessarily endorse the views expressed in the articles and advertisements, nor are we responsible for the products, and services advertised. We are not responsible for licensing or certifying businesses, nor are we responsible for verification of these requirements. We welcome your ideas, articles and feedback. *Dining pictures shown are for illustration purposes only. Actual products may vary due to product enhancement.
10 Need More Coupons - MyLivingMedia.com FINANCING AVAILABLE Impact Resistant Fiberglass & Mahogany Entry Doors • Impact Resistant Decorative Glass Inserts Interior Doors • Impact Resistant French & Sliding Glass Doors Call today 561.464.6102 to schedule your FREE SHOWROOM appointment or schedule online Floridadoors.com BOCA RATON | 9858 Clint Moore Rd., Suite C-128 • Boca Raton, FL 33496 Tuesday - Friday • 9am - 5pm Saturday • 9am - 4pm WEST PALM BEACH | 346 Pike Road, Suite 6, West Palm Beach, FL 33411 Monday - Friday • 7am - 4:30pm Saturday • 9am - 2pm JUPITER | 75 E. Indiantown Road, Suite 507, Jupiter, FL 33477 Tuesday - Friday • 9am - 5pm Saturday • 9am - 4pm LICENSE # CBC037800 * Offer not valid on prior sale. Applies to installed exterior & interior doors only. Offer ends Feb. 28, 2023
VOL. 561 G 11 Copyrighted© My Living Media. 2023 All Rights reserved. To Advertise call 772-247-6849 Need More Coupons - MyLivingMedia.com FAMILY OWNED & OPERATED • SCHEDULE ONLINE TODAY AT: WWW.STANLEYSTEEMER.COM FIRE, WATER, & MOLD DAMAGE RESTORATION SERVICE Immediate Response 24-HOUR EMERGENCY Minimum charges apply. Cannot combined with other offers. Residential and Commercial. Must present this MLM Coupon at time of service. Valid at participating locations only. Certain restrictions may apply. Call for details. Lic. #CMC014066 772-758-2505 WWW.STANLEYSTEEMER.COM STANLEY STEEMER SERVICES ® FREE ESTIMATES FOR ALL COMMERCIAL BUSINESSES WE PRETREAT YOUR FLOORS AND MOVE YOUR FURNITURE AT NO CHARGE WE PRETREAT YOUR FLOORS AND MOVE YOUR FURNITURE AT NO CHARGE $99 $129 Expires 3/15/23 MLM Expires 3/15/23 MLM TILE & GROUT OR WOOD FLOOR CLEANING Only PER ROOM 3 ROOMS CARPET CLEANING Wool carpets extra. Area rugs not included in wall-towall cleaning. *Any Room Up to 300 sq. ft. Home & Of ce Air Puri er Removes Viruses, Bacteria, Mold, & Pollen MARBLE & STONE CLEANING $50 OFF Expires 3/15/23 With MLM Coupon Proud to be Endorsed by Cystic Fibrosis Foundation $160 Expires 3/15/23 MLM HOME Which Air Are You Breathing? AIR DUCT CLEANING Up To 8 Vents BEFORE AFTER OFFICE FREE ESTIMATES CALL TODAY COMMERCIAL & RESIDENTAL Sanders Screening and Repair Family Owned & Operated Serving your Community for 23 Years 3730 SE Dixie Hwy., Stuart, FL 34997 We Build & Repair Window Screens 772-362-2762 Licensed & Insured MC2000068 www.SandersScreeningFL.com Info@sandersscreeningfl.com NOW HIRING!
12 VOL. 561 G Copyrighted© My Living Media. 2023 All Rights reserved. To Advertise call 772-247-6849 Need More Coupons - MyLivingMedia.com Call for a free in home design consultation and estimate Imagine your home, totally organized! Custom Closets, Garage Cabinets, Home Offices, Pantries, Laundries, Hobby Rooms and more... 40% Off Plus Free Installation Terms and Conditions: 40% off any order of $980 or more or 30% off any order of $680-$979 on any complete Custom Closet, Garage Cabinets, Home Office, Pantry, Laundry, Wall Bed, Wall Unit, Hobby Room or Garage Flooring system. Not valid with any other offer. Free installation with any complete unit order of $600 or more. Expires in 30 days. Call for a free in home design consultation and estimate (561)203-4745 www.closetsbydesign.com MSJ Follow us 2020 © All Rights Reserved. Closets by Design, Inc. Walk-In-Closets Laundry Rooms Home Offices Garage Cabinets Follow us www.closetsbydesign.com CGC1509325 & MC1900055 (772) 207-3265 MS
VOL. 561 G 13 Copyrighted© My Living Media. 2023 All Rights reserved. To Advertise call 772-247-6849 Need More Coupons - MyLivingMedia.com www.jewelryofstuart.com 50 F F Jewelry & Watch Repair *Up to $10 value. Limit one per customer. Parts, Watch sizing, & Pearl restringing not included. With this MLM-G coupon only. Expires 3/15/23 % *Most Watches. Limit Two, up to $5 VALUE. With this MLM-G coupon only. Expires 3/15/23 50 O F F Watch Batteries % With this MLM-G coupon only. Expires 3/15/23 FREE Jewelry Cleaning & Inspection 5250 SE Federal Hwy., Stuart MONDAY-FRIDAY: 9:30AM-5:30PM • SATURDAY: 9:30AM-4:00PM (772) 221-1779
Copyrighted© My Living Media. 2023 All Rights reserved. To Advertise call 772-247-6849 Need More Coupons - MyLivingMedia.com WATER & MOLD DAMAGE EXPERTS WATER & MOLD DAMAGE EXPERTS 24/7 EMERGENCY RESPONSE 24/7 EMERGENCY RESPONSE (772) 310-4101 (772) 310-4101 FULLY LICENSED & INSURED ALLDRYUSA.COM FULLY LICENSED & INSURED ALLDRYUSA.COM NO MONEY DOWN!! WATER DAMAGE & MOLD REMEDIATION NO MONEY DOWN!! WATER DAMAGE & MOLD REMEDIATION GIVE US A CALL IF YOU SEE... GIVE US A CALL IF YOU SEE... WATER STAINS FLOOR BUCKLINGKITCHEN LEAKMOLD BUILDUP QUALITY PROFESSIONAL RESTORATION IS OUR PROCESS QUALITY PROFESSIONAL RESTORATION IS OUR PROCESS OUTSTANDING RESULTS IS OUR GUARANTEE OUTSTANDING RESULTS IS OUR GUARANTEE CALL CALL (772) 310-4101 (772) 310-4101 TODAY FOR A FREE INSPECTION TODAY FOR A FREE INSPECTION $100 REBATE $100 REBATE ON MOLD SERVICES ON MOLD SERVICES MUST MENTION CODE LMM MUST MENTION CODE LMM NO INSURANCE? NO NO INSURANCE? NO PROBLEM! PROBLEM! DIRECT PAY & FINANCING DIRECT PAY & FINANCING OPTIONS AVAILABLE OPTIONS AVAILABLE Fully Licensed Contractors & Mold Remediators #CGC1525977 #MRSR3558
VOL. 561 G 15 Copyrighted© My Living Media. 2023 All Rights reserved. To Advertise call 772-247-6849 Need More Coupons - MyLivingMedia.com • Aluminum Railing • Estate Gates • Temp Fence • Chain Link • Wood • PVC/Vinyl • Aluminum • All Kinds of Welding • Automatic Operators for Gates Licensed & Insured 772-232-7303 AGreatFence.com Call A Great Fence Today! A Great Fence SLC-23954 PSL-9089 MCFE-5176 FTP-16141 Free Estimates... No Waiting! Gate Access Control & Cameras 772-758-5160 Call A Great Access Control! • Gate Operators • Access Control • Telephone Entry • Hardware • Accessories • Repairs • New Installs • Maintenance • Cameras • Key Pads • Intercoms
16 VOL. 561 G Copyrighted© My Living Media. 2023 All Rights reserved. To Advertise call 772-247-6849 MMJ Health Make the Appointment Use our patient qualification system to see if you qualify for medical marijuana. See the Marijuana Doctor See one of our qualified physicians at one of our many locations in Florida. Get Your Card You will be able to visit and get delivery from any dispensary in Florida. Let Dr. Morgan, The Highest Rated MMJ Doctor, at MMJ Health find your Alternative to Pharmaceuticals! Anne L. Morgan, M.D. When it comes to finding medical marijuana (MMJ) doctors, you can trust the helpful and professional staff at MMJ Health. Serving patients in Palm Beach, Martin, & St. Lucie Counties. Call MMJ Health to schedule an appointment with a Florida Medical Marijuana Doctor: WINNER OF BEST DISPENSARY, BEST MEDICAL MARIJUANA CARD PROVIDER, BEST CBD STORE, AND FINALIST FOR BEST PLACE TO WORK HOW IT WORKS Treasure Coast 772-212-4032 Palm Beach 561-631-7994
CALL US FOR A FREE, NO OBLIGATION QUOTE 772-325-1603 Guaranteed Pricing for Customized Solutions Technicians are certified by the EPA Licensed, insured, and direct employees 100% Happiness Guarantee Mention Code “FBL23” FREE DUCT SANITAZATION with Air Duct Cleaning! 21-point HVAC inspection Complete AC report card - emailed after service Deep drain line flush Lubricate motors, clean unit housing Ductwork camera inspection A Homeowner’s Essential to Prevent Breakdowns During the Hottest Months! Avoid thousands in repair costs! ONLY $99 • • • Free Air Duct Sanitization is valid when purchased with Air Duct Cleaning and expires on 3/17/23. local@ lterbuy.com (c) 2023 Filterbuy, INC. All rights reserved Florida’s A/C & Duct Cleaning Experts 24 HOUR EMERGENCY HVAC SERVICE FREE SERVICE CALL WITH ANY REPAIR WHITE GLOVE A/C INSTALLATION Virtual or in person consultations Site visits by technicians, not salespeople No worry ownership - 5-year and 10-year Extended Labor Warranties Avoid future headaches - FREE UV lights, surge protectors and drain guards with every install FREE A/C ESTIMATES INTEREST-FREE FINANCING! Includes 2 years of our premium maintenance contract: • FREE air filters • FREE annual condenser coil cleaning • FREE annual replacement parts, surge protectors, and drain guards EXPERT HVAC TUNE-UP
18 VOL. 561 G Copyrighted© My Living Media. 2023 All Rights reserved. To Advertise call 772-247-6849 Need More Coupons - MyLivingMedia.com • Track Repair • Roller Replacement • Window Repair • New Locks & Latches Insured & Registered Since 1993 “CALL THE LOCAL COMPANY” Martin & St. Lucie Counties Before push! After easy slide! 10% OFF REPAIRS Must present this coupon prior to any service. Cannot be combined with other offers or discounts. Expires 3/17/23 Sliding Door & Window Repair FREE ESTIMATES 772-219-0724 NEW WATCH BATTERY RHODIUM FINISH With this MLM Coupon. Expires 3/17/23 With this MLM Coupon. Expires 3/17/23 With this MLM Coupon. Expires 3/17/23 5041 SE Federal Hwy • Stuart 772.934.4151 #1 Custom Jeweler on the Treasure Coast JohnJewelersCharles $500 $50 30%OFF APPRAISALS CALL OR STOP IN FOR AN APPOINTMENT
Copyrighted© My Living Media. 2023 All Rights reserved. To Advertise call 772-247-6849 Garages Patios Pool Decks Driveways & Much MORE! SCAN ME GET STARTED TODAY! Offer Valid for Same-Day Service Only FREE IN-HOME ESTIMATE 30% OFF WE TAKE THE BORING OUT OF YOUR FLOORING!TM 10X STRONGER BOND THAN EPOXY YOUR BEAUTIFUL NEW FLOORING IS JUST A CALL AWAY! 772-277-7562 • 561-277-0375 OXFLOORS.COM WITH THIS MLM COUPON. OFFER EXPIRES 3/15/23 PLUS
20 VOL. 561 G Copyrighted© My Living Media. 2023 All Rights reserved. To Advertise call 772-247-6849 Need More Coupons - MyLivingMedia.com Visit Our Beautiful Gift Shop - Gifts for All Occasions & Something for Everyone! 2670 SE FEDERAL HWY. (BARON SHOPPES) 772.380.WASH(9274) VISIT www.PARADISECW.com FOR MORE DETAILS Sign Up for Our VIP Program! OPEN 7 DAYS A WEEK! • Mon-Sat 8:30am-5pm • Sun 8:30am-3pm $2399 Off Ocean Breeze Car Wash 20% CAR WASH • Full Service Wash • Triple Foam • Clear Coat • Underbody Wash • Wheel Brightener • Tire Shine NOW ONLY… Reg $2999 SUVs, Trucks, Mini Vans Additional $1.50 Good at All Locations. With this MLM coupon. Expires 3/15/23 3999 Carnauba Hand Wax with Ultimate Car Wash • Full Service Car Wash • Interior Conditioner • Clear Coat • Underbody Wash • Wheel Brightener • Triple Foam • Tire Shine • RainX • Hot Wax • Paradise Ceramic Coating Reg $7999 DETAIL Cannot be combined with any other offer. SUVs, Trucks, Mini Vans Additional $1.50 Good at All Locations. With this MLM coupon. Expires 3/15/23 CAR WASH JOIN OUR UNLIMITED CAR WASH CLUB $2499 Limited Time Only Starting at +TAX Complimentary Disinfectant on All Full Service Packages! • PROPANE DELIVERY • STANDBY GENERATORS • TANK SETS • CARDLOCK • CYLINDER FILLS • DOCKSIDE FUELS • MAINTENANCE CONTRACTS • TANK & GENERATOR MONITORING • AND MANY MORE PROGRAMS TO CHOOSE FROM WEST PALM BEACH 1 2 VERO BEACH STUART PROUDLY SERVING THE PALM BEACH & TREASURE COAST SINCE 1967 772.617.8648 CALL TODAY FOR A FREE IN HOME ANALYSIS MAKE COMO OIL & PROPANE YOUR HURRICANE HEADQUARTERS SECURE YOUR ASSETS WITH
VOL. 561 G 21 Copyrighted© My Living Media. 2023 All Rights reserved. To Advertise call 772-247-6849 Need More Coupons - MyLivingMedia.com *Max Guard is not responsible for delays outside of its reasonable control, including but not limited to HOA and permitting approval or manufacturing delays. MAX GUARD provides impact-rated products, engineering, and installation services by CONVERTING your “existing” screened (or open) patio to an enclosed livable room by installing hurricane-rated windows and doors. (Our converted patio enclosures require that customer’s existing patio has a roof and a oor/slab.) SCAN TO SCHEDULE YOUR APPOINTMENT ENJOY YOUR ENCLOSURE 24/7, 365 DAYS A YEAR YOU CAN’T AFFORD HURRICANE WINDOWS? THINK AGAIN! $169 AS LOW AS PER MONTH New orders only. Minimum purchase required. Offer not valid with any other offer, or previous job. Contractor is neither a broker or lender. Financing is provided by third party lenders unaffiliated with Contractor, under terms and conditions arranged directly between the customer and such lender, all subject to credit requirements and satisfactory completion of all documents. Any finance terms advertised are estimates only. Some restrictions apply. 30% Federal Tax Credit ON ENERGY EFFICIENT WINDOWS & DOORS *Up to $1,000. Call for details. www.myhurricanewindow.com with amazing PACE Financing Available Vinyl Energy Efficient HURRICANE WINDOWS 561-566-7230 • 772-758-7360 CALL NOW & WE’LL MATCH YOUR TAX CREDIT INTEREST-FREE FINANCING for 24 MONTHS! **ZERØØ! Until 2025! Ø Interest Ø Payments Licensed & Insured SCC131151738
www.myhurricanewindow.com 24 MONTHS PER MONTH WHOLE HOUSE OF WINDOWS & DOORS Starting at 0% $169 Current Reviews 4.9 or
Licensed & Insured SCC131151738 561-566-5629 772-932-5629 New orders only. Minimum purchase required. Offer not valid with any other offer, or previous job. Contractor is neither a broker or lender. Financing is provided by third party lenders unaffiliated with Contractor, under terms and conditions arranged directly between the customer and such lender, all subject to credit requirements and satisfactory completion of all documents. Any finance terms advertised are estimates only. Some restrictions apply. Scan to schedule your APPOINTMENT! HURRICANE WINDOWS AND DOORS
24 VOL. 561 G Copyrighted© My Living Media. 2023 All Rights reserved. To Advertise call 772-247-6849 Need More Coupons - MyLivingMedia.com G&S PAINTING & FINE FINISHES 877-202-4000 GSFine nishes.com Locally Owned and Operated • Residential & Commercial • Interiors • Exteriors • Laquer • Faux Finish • Epoxy • French Polish • Paints • Stains • Latex • Oil EXPERTS IN HIGH QUALITY FINISHES LEADER IN RELIABILITY SINCE 1957 YEARS OF BUSINESS 66 STAY COOL K&C KNOWS A/C WITH THESE HOT DEALS 772.261.9AIR (9247) License: CAC1818726 KCIAC.COM /KRAUSSANDCRANE 20% off ONE COUPON PER HOUSEHOLD PER YEAR WITH MLM COUPON ONLY. NOT TO BE COMBINED WITH OTHER OFFERS MUST MENTION BEFORE SCHEDULING. CASH OR CHECK ONLY EXPIRES 3/15/23 ONE COUPON PER HOUSEHOLD PER YEAR WITH MLM COUPON ONLY. NOT TO BE COMBINED WITH OTHER OFFERS MUST MENTION BEFORE SCHEDULING. EXPIRES 3/15/23 ONE COUPON PER HOUSEHOLD PER YEAR FOR ACTIVE DUTY SERVICE, VETERANS, AND 1ST RESPONDERS DIAGNOSTIC CHARGE FOR SERVICE AND/OR REPAIRS ONLY (8AM-5PM WEEKDAYS) $ 66 $ 66 ONE TIME TUNE-UP Need New Sprinklers $25 SPRING SPECIAL LICENSED & INSURED SPRINKLER GUYS AQUA IRRIGATION 772-501-1111 Installation, Maintenance, & Repair www.aquairrigationfla.com With This MLM Coupon. Expires 3/17/23 OFF A Service Call or Repairs?
VOL. 561 G 25 Copyrighted© My Living Media. 2023 All Rights reserved. To Advertise call 772-247-6849 Need More Coupons - MyLivingMedia.com • JEWELRY • DIAMONDS • ROLEX WATCHES PLUS… • BULLION • PAPER MONEY • COINS • STAMPS Greg Harding, A Full-Time, PROFESSIONAL COIN DEALER with over 35 years of experience. • FOREIGN COINS • ANCIENT COINS • SHIPWRECK COINS • SET OF COINS • BAGS OF COINS • ALBUMS OF COINS • GRADED COINS • COIN COLLECTIONS Email your coin list to BlueWaterCoins@gmail.com U.S. MINT COMPETITIVE BUYER CALL ME Blue Water Coins SCAN HERE for Website COMPETITIVE BULLION BUYER Professional Coin & Stamp Buyer 772-529-1008 GET CASH INSTANTLY FOR: 772-475-6446 WWW.TREASURECOASTGRABBARS.COM Always Reachable at… MCN6340 Your Independence is PRICELESS, Call Today! MCNS6340 Drilling charges may apply for marble, granite, or porcelain. 2 Bar Designer Packages Starting From $340 to $400 $290 COMPLETE INSTALLATION PACKAGE Includes 2 Moen Stainless Steel Anti-Slip Concealed Screw Grab Bars (16” & 24”). Bathroom Safety Bars Call, Before You Fall! Many Designer Bars Available Bobby Gauthier • Your Bathroom Safety Specialist GOOD FOR 2023 THE LESLIE GOULD TEAM LOST LAKE RESIDENT • BROKER ASSOCIATE 561.676.7996 LESLIEGOULD@GMAIL.COM 20 YRS EXPERIENCE Integrity • Responsiveness • Accessibility set us apart! We’d Love to help you in your Home Selling or Buying Journey
26 VOL. 561 G Copyrighted© My Living Media. 2023 All Rights reserved. To Advertise call 772-247-6849 Need More Coupons - MyLivingMedia.com Breathtaking Wat t Dining SERVING LUNCH & DINNER • MON-SUN: 11am-10pm CLUB SAFARI FRIDAY & SATURDAY NIGHTS IN THE LOFT LOUNGE 8PM-1AM DRINK SPECIALS | DANCE MUSIC DANCE FLOOR | NO COVER WELCOMING ISLAND PRINCESS CRUISE! BOAT TOURS WWW.ISLANDPRINCESSCRUISES.COM FAMILY OWNED & OPERATED 4307 SE Bayview Street., Stuart | www.piratescoveresort.com | 772.287.2500 Breakfast & Lunch All day Over 20 Different Bagels • Breakfast Sandwiches Quiche • Omelets • Wraps • Smoothies Crepes • Panini • Frozen Coffee • Lox • Lunch Sandwiches Pancakes • Salads • Lattes • In-house Baked Goods and more... Tequesta Shoppes 173 N. US Highway 1 Tequesta FL 33469 561-575-1755 2 GREAT LOCATIONS Skiptheline Order online COFFEE With purchase of a Dozen Bagels OPEN7 DAYS AWEEK Mon-Fri • 6:30 am - 3:00 pm Sat & Sun • 6:30 am - 2:00 pm Holidays • 6:30 am - 12:00 pm Ask About Catering! Seabranch Square 5663 SE Crooked Oak Ave. Hobe Sound, FL 33455 772-210-2137 BagelBistro.Square.Site With this MLM coupon. Expires 3/17/23
VOL. 561 G 27 Copyrighted© My Living Media. 2023 All Rights reserved. To Advertise call 772-247-6849 Need More Coupons - MyLivingMedia.com Under New Management & Newly Remodeled HAPPY HOUR ALL DAY On Monday & Tuesday HAPPY HOUR Everyday 3pm-6pm $5 House Margaritas $3 Drafts TACO TUESDAYS $1.49 Tacos with purchase of beverage FRIDAY NIGHT Latino Night 772-287-8161 In Plantation Plaza (Next to Stuart Bowl) 1602 SE Federal Hwy., STUART OPEN DAILY 11AM TO 10PM $8 off Any Purchase of $30 or more With this MLM Coupon. Not valid on Tuesdays, Holidays, special occasions, or with any other offers or specials. Expires 3/17/23 Minimum Purchase of $25 Not to be combined with other discounts. Dine in only. One coupon per table. Exp. Every Day 4-6pm $795 Appetizers $5 Wine $6 Martinis $5 Well Drinks $4 Beers 1411 SE Indian Street (First traf c light West of US#1) • www.FreshCatchStuart.com • 772-286-6711 OFF LUNCH OFF TAKE OUT Minimum Purchase of $25Minimum Purchase of $20 $5 $2 With this MLM coupon. Not to be combined with other discounts. Dine In Only. One coupon per table. Expires 3/17/23 With this MLM coupon. Not to be combined with other discounts. One coupon per table. Expires 3/17/23 G G OPEN FOR DINE-IN • TAKEOUT • CURBSIDE • DELIVERY OUTDOOR PATIO & SAFE DISTANCED TABLES 14” MED CHEESE + 5 WINGS 16” LG CHEESE + 6 KNOTS (2) 16” LARGE CHEESE 18” XL CHEESE W/3 TOPPINGS $19 $19 $28 $21 With MLM coupon. Expires 3/17/23 With MLM coupon. Expires 3/17/23 With MLM coupon. Expires 3/17/23 With MLM coupon. Expires 3/17/23 Dine In - Take Out - Delivery 6512 SE FEDERAL HWY. 772-287-8855 Pick up only
28 VOL. 561 G Copyrighted© My Living Media. 2023 All Rights reserved. To Advertise call 772-247-6849 Need More Coupons - MyLivingMedia.com 781-4295 Hours: Sun-Thurs 11am-10pm Fri-Sat 11am-11pm 2355 SW Martin Hwy., PALM CITY, FL 34990 HAPPY HOUR SPECIALS DAILY 1PM-6PM • Let Us Plan Your Next Fundraiser • Tuesday Night Trivia 6:00pm • Wednesday Kids’ Night Kids Eat FREE after 5pm Half-Price Arcade Games Face Painter and Balloon Artist • LIVE MUSIC Friday 6:00pm - 9:00pm $5 off Any Purchase of $25 or more. FREE Appetizer Any Purchase of $30 or more. $10 off Any Purchase of $50 or more. Dine-In only. Not valid with other offers. Only at Palm City location. Expires 3/17/23 Catch All The Games Here! (Value up to $11.00) Dine-In only. Not valid with other offers. Only at Palm City location. Expires 3/17/23 Dine-In only. Not valid with other offers. Only at Palm City location. Expires 3/17/23 772-286-5505 5557 SE Federal Hwy., Stuart (Winn Dixie Plaza, Corner of Salerno & US 1) mysalernopizza.com OPEN SUNDAY 2pm - 9pm FREE 6 Garlic Knots w/side of marinara When you pay cash for any order over $10 Monday/Tuesday pizza special included +TAX We Cater! THE STATEN ISLAND Cannot be combined with any other offer. Must Present this MLM coupon. Expires 3/3/23 X-Large18” Pizza with 1 Topping $15 00 +TAX +TAX MON/TUES PIZZA SPECIAL Not Valid For Delivery. Cannot be combined with any other offer. 16” Large Cheese Pizza $9 99 Topping Regular Price Pick-Up & Dine in Only $18 99 WEDNESDAY DINNER SPECIAL 2 Select Dinners, 2 Side Salads, & Garlic Knots* Some restrictions may apply. Cannot be combined with any other offer. • Manicotti • Baked Ziti Choose from: • Linguine & Meatballs • Linguine & Sausage • Cheese Ravioli • Stuffed Shells +TAX We Deliver! Including West of 95 by the Florida Club SUNDAY SPECIAL $23 00 +TAX Cannot be combined with any other offer. 1 Large with 1-Topping & Order of Wings (Your Way)
VOL. 561 G 29 Copyrighted© My Living Media. 2023 All Rights reserved. To Advertise call 772-247-6849 Need More Coupons - MyLivingMedia.com 950 SE Indian St, Stuart (772) 888-1854 • MeroMeroCantina.com Kids Eat FREE on Sundays Everyday 3-6 (All Day Tuesdays & Sundays) HAPPY HOUR Offers are good for dine in only With the Purchase of Adult Entree LUNCH SPECIAL DINNER SPECIAL BIRRIA TACO Buy One, Get OneBuy One, Get One FREE FREE FREE (Of equal or lesser value) One coupon per visit. Cannot be combined with other coupons. Expires 3/15/23 (Of equal or lesser value) One coupon per visit. Cannot be combined with other coupons. Expires 3/15/23 With the purchase of any food item (With exception of sides) One coupon per visit. Cannot be combined with other coupons. Expires 3/15/23 SCAN HERE BREAKFAST & LUNCH Home Baked Desserts, Muf ns, Brownies and Our True Italian Gelato www.bustershobesound.com Burgers Shakes & More Famous SMASH BURGER Always Fresh, Prepared to Order! 8855 Bridge Rd., Hobe Sound Mon-Wed 8am-2pm; Thurs-Fri 8am-7pm Sat & Sun 9am-3pm ONLINE ORDERING & DELIVERY AVAILABLE 772-546-4093 $5 Off Any Purchase of $25 or More. Coupon Expires 3/17/23 Best Prices • Homemade Food! Dine In & Take Out
30 VOL. 561 G Copyrighted© My Living Media. 2023 All Rights reserved. To Advertise call 772-247-6849 Need More Coupons - MyLivingMedia.com 91 SW Monterey Road, Stuart • www.ranchochicoflorida.com (772) 288-6741 mexican restaurant off$7 Bill of $35 or more With this MLM Coupon. Expiration 3/17/23 One MLM Coupon Per Table OFF $6 With Purchase of 2 Entrées VALID STUART LOCATION ONLY. One Coupon per visitper table. Must present this MLM coupon for discount. Coupons cannot be combined. Expires 3/15/23 FREE With Purchase of Entrée APPETIZER VALID STUART LOCATION ONLY. One Coupon per visitper table. Must present this MLM coupon for discount. Coupons cannot be combined. Expires 3/15/23 772-320-5398 2700 SE Federal Hwy., Stuart COME MEET THE NEW PARTNER! Mon. - Thurs.11am - 10pm • Fri. - Sat.11am - 11pm • Sunday 11am - 9pm SCAN ME JUST RELAX & ENJOY THE FOOD! Catering Without Compromise Delivered & Setup to Your Home, Office, Church or Any Location Don’t miss our monthly Wine Dinners! Join Us for a Customized Multi-Course Dinner with Perfectly Paired Wines Every Month!
VOL. 561 G 31 Copyrighted© My Living Media. 2023 All Rights reserved. To Advertise call 772-247-6849 Need More Coupons - MyLivingMedia.com $2999 Seafood • Veal Chicken • Pastas • Variety of Vegetarian Dishes JOIN US FOR OUR 2-FOR-1 DINNER SPECIALS f All dinners served with garlic bread & soup or salad. 2571 SE Ocean Blvd., Cedar Pointe Plaza, Stuart Next to Dollar General Can’t be combined with other coupons or specials. MLM coupon expires 3/15/23 Take-Out Available! Authentic Italian Food 772.781.2400 Fi entino’s Cuisine Scan here to schedule your FREE estimate 772.773.6629 WWW.MYTCTRIMLIGHT.COM Pre-Set Patterns for: Homes • Businesses • Pool Enclosures • Special Events & Holidays • 16 Million Colors • On/Off Schedule • Dimmable Lights • Lifetime Product Warranty PERMANENT LED COLOR-CHANGING LIGHTS RAINBOW LIGHTS SELECTED ON APP WHITE LIGHTS SELECTED ON APP MOBILE APP ACCESSIBLE Purchase over 150LF Expires 3/17/23 $375OFF 351 South West Flagler Ave, Stuart • 772-247-6062 A Unique Dining Exp ience the Riv SCAN HERE Sunday - Thursday 11am-9pm Friday - Saturday 11am-10pm Signature Calamari Buy One Entrée Get 2nd Entrée 1/2 off Dessert with purchase of any Entrée with purchase of any Entrée One coupon per visit can’t be combined with any other coupons. Expires 3/15/23 One coupon per visit can’t be combined with any other coupons. Expires 3/15/23 Of Equal or Lesser Value One coupon per visit can’t be combined with any other coupons. Expires 3/15/23 FREE 1/2 FREE OFF Live Music Friday, Sat day & Sunday
32 VOL. 561 G Copyrighted© My Living Media. 2023 All Rights reserved. To Advertise call 772-247-6849 (Across the street from Stuart Auto Spa) 1725 SE Federal Hwy. | Stuart, FL | 772-600-5482 CASA TEQUILA Mexican Fine Dining Enjoy Live Mariachi Every Thursday Night 6 - 9 pm Order Online for Take-Out and Get $500 Off *Order Must be $25 or more. $7.99 Every Monday Enchilada Combo Includes Rice & Beans $7.99 Every Tuesday Combo Includes 3 Crunch or Soft Tacos with Rice & Beans Your Lunch or Dinner Bill of $50 or more With this MLM coupon. 1 coupon per table. Dine in only. Some restrictions apply. May not be combined with any other offer. Expires 3/15/23 (*Excludes Taco Tuesday Specials) & Monday Enchilada Combo $10 Off Your Lunch or Dinner Bill of $50 or more With this MLM coupon. 1 coupon per table. Dine in only. Some restrictions apply. May not be combined with any other offer. Expires 3/15/23 (*Excludes Taco Tuesday Specials) & Monday Enchilada Combo $10 Off
VOL. 561 G 33 Copyrighted© My Living Media. 2023 All Rights reserved. To Advertise call 772-247-6849 Need More Coupons - MyLivingMedia.com Wine & Bubbles Tasting Stations Appetizers & Charcuterie Chair Massage Facial Demos Art Station Live Music More! A Waterfront Sunset Social Experience to benefits the Treasure Coast Charity Wine Fest February 28 • 6-8pm 206 SW Atlanta Ave, Stuart Advance Tickets Required Group Discounts Available TheGroveHobeSound.com Join Rachel & Jen, Owners of Rose & Rebecca's Day Spa & the Grove, Cucina & Wine Women & Wine on the Water limited space available to showcase your woman-owned business Affordable Painting AFFORDABLE & SUPERIOR PAINTING affordableandsuperiorpainting@gmail.com 772-227-1398 20% 10% OFF OFF EXTERIOR PAINTING OVER $1595 One Per Customer. Must present this MLM coupon Cannot be combined with other offers. Expires 3/17/23 One Per Customer. Must present this MLM coupon Cannot be combined with other offers. Expires 3/17/23 INTERIOR PAINTING STARTING @ $2995 NEW YEAR’S SPECIALS •INTERIOR PAINTING •EXTERIOR PAINTING •FENCE PAINTING •DECK STAINING •DRIVEWAY STAINING •CABINET PAINTING FREE DRIVEWAY POWERWASH W/EXTERIOR PAINTING FREE ESTIMATES & FINANCING AVAILABLE SCAN HERE TO VIEW OUR GALLERY www.affordableandsuperiorpainting.com 132 NE Dixie Hwy., Stuart, FL 34994 Licensed & Insured State Certi ed License #CCC024411 Serving Martin & Palm Beach Counties for Over 30 Years! “You’ve tried the rest…now call the Best!” Re-Roof & Repair Specialists METAL ROOFS Starting At Starting At $17,500 TILE ROOFS (Minimum 3500 Sq Ft of Roof) $24,500 (Minimum 3500 Sq Ft of Roof) 772-692-9854 Re-roofs • Repairs • New Construction • Cement & Clay Tile Fiberglass Shingles • Wood Shakes • 5-V & Standing Seam Metal Built-up Modi ed Rubber • Residential & Commercial 25- to 50-Year Material Warranty Available 5- to 10-Year Labor Warranty Available Martin County’s Trusted Name Since 1980!
34 VOL. 561 G Copyrighted© My Living Media. 2023 All Rights reserved. To Advertise call 772-247-6849 Flannery Team 1st Annual 12-3PM 320 SW OCEAN BLVD., STUART The competition will be judged by Congressman Brian Mast and the 4 Habanero Title Sponsors. Beer, hot dogs & Kona ice available. SATURDAY, FEBRUARY 25TH Music Provided By Nouveaux Honkies $10 PER TICKET DONATIONS WELCOME & ALL PROCEEDS GO TO MS. RINA'S HOUSE OF BLESSINGS Go online to vote for your favorite restaurant https://pages.donately.com/elev8hope/fundraisers

Every 5,000 miles, like clockwork, you take your car to get its oil changed and tires rotated. It’s basic, routine maintenance, but that consistent attention and upkeep is vital for your vehicle to run e ciently, especially over a number of years. Your body, much like your vehicle, requires regular care and treatment to keep it healthy. And, again like your automobile, your body needs support from someone other than yourself, a professional who can guide it to achieving its utmost abilities and to retaining its peak performance.

Getting older, playing sports, or having a condition like sciatica or arthritis shouldn’t hold you back from living your life! You can feel like your younger self again, the one who didn’t feel any aches or pains when walking, running, jumping, or even sitting… all you have to do is visit Stretch Zone.

Drew Brees, former quarterback of the New Orleans Saints, is the newest partner at Stretch Zone who advocates for people to regularly get stretched. A er personally going to Stretch Zone for an assisted stretching session, Drew was impressed with the uniquely e ective and nationally accredited Stretch Zone Method®, which is administered by a highly-trained and Stretch Zone-certi ed stretch practitioner.

Here’s How It Works:

1.) Your rst session begins with lling out an intake form and having a consultation with your experienced and knowledgeable stretch practitioner. Based on your medical background and your personal goals, the stretch practitioner will personalize the ensuing 30-minute assisted stretching session to meet your individual needs. On subsequent visits, you’ll simply do a check-in with the practitioner to update your medical pro le with any recent changes and/or any new pain or discomfort that you might be experiencing.

2.) e

stretch practitioner initiates the rst steps of the approved Stretch Zone Method®, utilizing Stretch Zone’s special patented

straps to encourage your body to relax and ease into the stretches. You won’t nd these straps anywhere else! Comparable to a thunder jacket for your pets, they are meant to calm your mind so that your entire body is perfectly loose, thus allowing the stretch practitioner to stretch your body to its full potential and, as a result, provide you with both preventative maintenance and pain relief.

3.) Assisted stretching (a/k/a passive stretching) is di erent from physical therapy in that your body is being stretched by someone else, you’re not actually doing any work. roughout your 30-minute session, the stretch practitioner will be steadily interacting one-on-one with you, ensuring that you are completely comfortable and not experiencing any pain. Ultimately, you are in control of the stretch, even as your practitioner guides your body through each and every step, because you tell the practitioner when you feel your best stretching position. e more you communicate, the better results you’re going to get!

Take advantage of Stretch Zone’s incredible New Year Special: get one FREE 30-minute stretching session! Anybody and everybody can and should be stretched. In fact, one Stretch Practitioner I spoke with at Stretch Zone says, “98% of the people I see in front of me really need to be stretched. is is something you should not live without.” Remember, it’s just like getting your oil changed! Plus, celebrities and professional athletes have been getting stretched for years, so it’s time for the general population to be clued into the secret!

Get Stretch Zone’s New Year Special for yourself or get them for a friend or loved one… what better way to say you care than to give the gi of making life easier, of feeling healthier, lighter, and younger, and of feeling like yourself again?

Do you want to:

✓ 3 HAVE MORE ENERGY TO DO ALL OF THE THINGS YOU LOVE?

✓ IMPROVE YOUR GOLF GAME, TENNIS SKILLS OR OTHER SPORTS PERFORMANCE?

✓ MANAGE TENSION AND STRESS MORE EFFECTIVELY?

✓ EASE FRUSTRATING MUSCLE ACHES AND PAINS?

✓ INCREASE YOUR OVERALL HEALTH AND WELLNESS?

VOL. 561 G 35 Copyrighted© My Living Media. 2023 All Rights reserved. To Advertise call 772-247-6849 Need More Coupons - MyLivingMedia.com
A NEW YEAR IS HERE. IMPROVE
GET YOUR FREE STRETCH
FITNESS AND YOUR OVERALL WELL-BEING.
START THE NEW YEAR OFF RIGHT! DISCOVER WHAT STRETCH ZONE CAN DO FOR YOU! STUART • 772-325-1610 VISIT OUR NEW STUART LOCATION 2885 SE Ocean Blvd. • Stuart, FL 34996 IT’S TIME TO FOCUS ON YOU. BOOK YOUR TODAY! FREE STRETCH
36 VOL. 561 G Copyrighted© My Living Media. 2023 All Rights reserved. To Advertise call 772-247-6849 Need More Coupons - MyLivingMedia.com Treasure Coast 772-408-9009 Serving all of Martin & St. Lucie Counties Any New Hot Water Heater or Tankless Heater Any New Toilet Any New Garbage Disposal Clearing Any Sink, Toilet, or Main Sewer Line Your Next Service Call $65 OFF $35 OFF $30 OFF $37 OFF Not valid with other offers or prior services. Must present MLM coupon. Limit one coupon per service call. Not valid with other offers or prior services. Must present MLM coupon. Limit one coupon per service call. Not valid with other offers or prior services. Must present MLM coupon. Limit one coupon per service call. Not valid with other offers or prior services. Must present MLM coupon. Limit one coupon per service call. Not valid with other offers or prior services. Must present MLM coupon. Limit one coupon per service call. G G G G G Celebrating 40 Years of Excellence www.duallplumbers.com Lic. #CFC1429556 Any Job Big or Small We Do Them All! Available Nights, Weekends, & Holidays Plumbing Repairs & Water Heater Installations Senior Citizen & Veteran Discounts Available! $50 OFF • 293-Acre Facility • After Hours Wildlife Drop Off • We Accept ALL Donations • Live Education • Be a Member or Volunteer HOURS: Thursday - Sunday 11am - 3pm — Open to the Public 8626 SW Citrus Blvd, Palm City (772) 325-1094

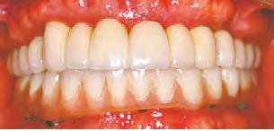
“Hi, I’m Mark Lindsay, and that was me on the Ed Sullivan Show. I sang every hit song for Paul Revere & the Raiders, including ‘Kicks,’ ‘Indian Reservation,’ and my solo ‘Arizona.’ My trademark was a ponytail and a teen idol smile. The ponytail’s been gone for awhile, but as a singer my smile is still super important. I recently visited Appearance Dental for an implant and crown procedure. The staff was courteous and made me feel comfortable from the moment I walked in the door. I was really impressed with their dental office and the dentist did an outstanding job.

Appearance Dental transformed my smile, and I trust them to keep my smile looking revolutionarily good.” — Mark Lindsay

Read all of our testimonials at AppearanceImplants.com

WE WILL MEET OR BEAT ANY WRITTEN ESTIMATE ON IMPLANTS, ROOT CANALS, & CROWNS!

VOL. 561 G 37 Copyrighted© My Living Media. 2023 All Rights reserved. To Advertise call 772-247-6849 Need More Coupons - MyLivingMedia.com OPEN FOR EMERGENCIES | AFFORDABLE DENTAL EXCELLENCE IS NOW HERE! WE ARE PRIVATELY OWNED, NOT A CHAIN OR CORPORATE ENTITY. WE SPECIALIZE IN FULL MOUTH RECONSTRUCTION Additional services we offer include CLEAR TOOTH ALIGNERS, SINGLE IMPLANTS, DENTURES & MORE!!! FREE IMPLANT CONSULTATION (Exam & Digital X-Ray or 3D Cone Beam) (D0150, D9310, D0330 & D0383) SureSmile® OR CLEAR TEETH ALIGNERS OUR EXPERIENCED DENTISTS HAVE PLACED THOUSANDS OF IMPLANTS You Des ve a Beautiful Smile! SALVATORE MELITA, DDS ALANA SHIELDS, BSN, RN, DMD JOSEPH GAETA JR., DDS Better On 8™ Cleaning Porcelain Fused to Metal Crown Zirconium All Porcelain Crown $79 $699 $899 Includes Free Exam & X-Rays New Patients Only LIMITED OFFER (D1110, D0150, D4355,D0330) (D2751) (D2740) FULL ROUND HOUSE BRIDGE A Better Alternative to All-On-4 Benefits • Very little, if any speech changes • Does not cover any part of the palate • Can be cleaned just like bridges on teeth • Require no special abutments (All-on-4 protocol requires angle correct on abutments which are not bone or gum tissue friendly) • Usually do not need pink porcelain at the gumline (because aggressive bone removal is not necessary) D6010, D6056, D6240, D6060 BETTERON8.COM D6010, D6056, D5863, D5865, D5862 PER ARCH WITH LOCATORS PER ARCH D6010, D6056, D6065, D6060 50% SAVINGS WE USE MEGAGEN IMPLANT SYSTEMS Implant, Abutment, and Zirconium Crown Implant, Abutment, and Crown Only$1,899 Only$2,099 D7140 DENTURES ECONOMY $359 INTERMEDIATE $999 DELUXE $2,000 D5810/D5811 D5130/D5140 D5110/D5120 With Simple Extractions Starting at $99 We will beat any like-priced quote $9,999 Implant and Abutments Placed Crown and Bridge Porcelain Fused to Metal Implant Abutments Placed $14,500 FULL MOUTH RECONSTRUCTION ROUND HOUSE BRIDGE 8/6 IMPLANTS & 12 UNITS OF CROWNS starting at starting at TR-1968533.INDD SALESPERSON:MelissaKelley ISOUR37YEARTRADITION DentistOwned,Not “Hi,I’mMarkLindsay,andthat smeontheEdSulli nSho Isang eryhitsong fo Paul Reve &the Raiders, including ‘Kicks,’ ‘Indian Reservation,’and my solo ‘Arizona.’Mytrademark saponytailandateenidolsmile.Theponytail’sbeen go fo awhile,butasasinger my smileisstillsuperimportant.I cently visited TraditionDental foranimplantandcrownprocedure. Thestaff scourteousandmademe feelcomfortablefromthe momentI lkedinthedoor.I allyimpressedwiththeir dentalofficeandthedentistdidanoutstandingjob. Tradition Dentaltransformed my smile,andItrustthemto keep my smile looking lutionarily good.” —MarkLindsay TRADITIONDENTALGROUP 772-207-1213 ILABLE,MOSTINSURANCESACCEPTED
WALK-INS WELCOME EVENING APPOINTMENTS AVAILABLE PRICES ARE SUBJECT TO CHANGE WITHOUT NOTICE WITH THE EXCEPTION OF PREVIOUSLY SCHEDULED TREATMENT PLANS. THE PATIENT AND ANY OTHER PERSON RESPONSIBLE FOR PAYMENT HAS THE RIGHT TO REFUSE TO PAY, CANCEL PAYMENT OR BE REIMBURSED FOR ANY SERVICE EXAMINATION OR TREATMENT WHICH IS PERFORMED AS A RESULT OF AND WITHIN 72 HOURS OF RESPONDING TO THE ADVERTISEMENT FOR THE FREE, SERVICE, EXAMINATION OR TREATMENT. LIC #DN10761 561-250-6307 6390 W. Indiantown Rd., #32 • Jupiter, FL 33458 At the West End of the Chasewood Plaza AppearanceImplants.com SCAN HERE OPEN MON.-FRI. EVENING HOURS AVAILABLE
38 Need More Coupons - MyLivingMedia.com FREE 10% OFF Let Us Make Your DreamA Reality! • Custom Cabinets • Closets • Kitchens • Bathrooms • Doors & Windows • Custom Millwork Total Ima g e · HARDWOOD · VINYL · LAMINATE · ENGINEERED WOOD · REFINISHING CALL NOW FOR FREE ESTIMATE STUART 772.600.4814 www.faceofwood.com SHOWROOM: 6408 SE Fed. Hwy., Stuart | Mon-Fri: 8am-5pm |Sat: By Appointment Only FLOORING INSTALLATION & REFINISHING 14 Years Serving South Florida! 10% OFF With this MLM coupon Expires 3/17/23 (Estimates that include both materials & installation) Licensed & Insured Come In To See Our New Collections Now In Stock
VOL. 561 G 39 Copyrighted© My Living Media. 2023 All Rights reserved. To Advertise call 772-247-6849 Need More Coupons - MyLivingMedia.com 772-879-5660 8401 SE Federal Hyw., Hobe Sound, FL 33455 $1000 OFF ANY NEW SLINGSHOT Valid Only at Treasure Coast Location. Expires 3/17/23 Come and Get Your Slingshot! *TeleHCG.com or *NewBeginningsMedical.com Simple 3 Step Process Video Or Phone Dr. Consultation Go Online to* Delivered To Your Residence From A USA Pharmacy FREE Our 3 Most Popular Weight Loss Products HCG Human Chorionic Gonadotropin BELLA FDA Approved Phentermine SEMAGLUTIDE FDA Approved for Weight Loss Quick Weight Loss 30-60 Day Program Loss Up to 1Lb. Day 25-40Lbs. Yes Light Required Daily Injection Included Gradual Weight Loss 30 Day Program Appetite Suppressant Variable Weight Loss No Moderate Required Daily Pill Fee Initial Order Only Long-Term Weight Loss Monthly Program Avg Weight Loss 53Lbs. Over 68 Weeks No Moderate Required Weekly Injection Included Diet Exercise Prescription Dosage Dr. Consultation Need Help Deciding Which Is Best For You? Call now and experience a truly personal approach to Weight Loss CALL US (877) 424-9994
40 VOL. 561 G Copyrighted© My Living Media. 2023 All Rights reserved. To Advertise call 772-247-6849 Need More Coupons - MyLivingMedia.com Licensed & Insured Martin County-Based Business Visit our website to read our story www.shutterfactory .com or scan the QR code with your smart phone FREE IN-HOME ESTIMATES With MLM coupon. Expires 3/17/23 772-742-5242 “Third Generation in the Window Treatment Business” American-Made Plantation Shutters Shutters Roller Shades Blinds Smart Home Compatible Motorization “From our family to yours, you’ll love getting American-made window treatments in as little as 2 weeks!” MEET TOM & ZETTA PLUMBING DONE RIGHT RESIDENTIAL & COMMERCIAL NO JOB TOO BIG OR TOO SMALL! LICENSED & INSURED LICENSE # CFC1430284 (772) 337-7757 The Sewer and Drain Cleaning Specialist WHOLE HOUSE RE-PIPE PERMITS ($150 Value*) ANY PLUMBING REPAIR No Service Charge With Repair $7995 *With this MLM coupon. Can’t be combined with any other offer. *Some restrictions apply. Expires 3/17/23 *With this MLM coupon. Can’t be combined with any other offer. *Some restrictions apply. Expires 3/17/23 $30 FREE With purchase & installation of a new water heater *Free Permit is included in Water Heater total FROM OFF • Water Heater Installation & Repairs • Clogged Drains • Leak Detection • Kitchen Faucet Installation & Repairs • Garbage Disposal Installation qualityplumbingdrains.com Serving The Treasure Coast Since 2009 Responsible Roofers Who Show Up! $500 $100 O F F O F F Any New Roof Any Roof Repair With this MLM coupon only. Expires 3/17/23 With this MLM coupon only. Expires 3/17/23 (Over $1,000) • Residential • Commercial • Repairs Licensed & Insured Lic #CCC1331170 ShorelineRoo ng@yahoo.com FREE Estimates 772.260.9565
VOL. 561 G 41 Copyrighted© My Living Media. 2023 All Rights reserved. To Advertise call 772-247-6849 Need More Coupons - MyLivingMedia.com 772-232-8799 TW SPECIAL FREE BLANCO VALEA SINK With the purchase of 8 cabinets or more. *Restrictions apply with this MLM coupon. Must mention at time of ordering. Expires 3/15/23 Kitchen & Bath Remodeling Innovative Designs, Exceptional Craftsmanship - Unmatched Integrity Get the TRADEWINDS stamp of class & craftsmanship today! Call Today for a Free Personal Consultation with one of our designers including 3-D models and renderings! WWW.TRADEWINDSCABINETS.COM 2365 SE Federal Hwy. Stuart, FL (Located between TJ Maxx & Home Goods) Mon-Fri 9am-5pm, Sat & Sun By Appointment Lic# MC1900120 Family Owned & Operated
42 VOL. 561 G Copyrighted© My Living Media. 2023 All Rights reserved. To Advertise call 772-247-6849 Need More Coupons - MyLivingMedia.com 4900SEWilloughbyBlvd|Stuart,FL34997|SymphonyatStuart.com|772-618-1565 4900SEWilloughbyBlvd|Stuart,FL34997|SymphonyatStuart.com|772-618-1565 4900 SE Willoughby Blvd | Stuart, FL 34997 SymphonyatStuart.com Please call to schedule a time to come visit Stuart’s Premier Assisted Living Community 772-277-7114 Symphony at Stuart Choose Us for All of Your Gutter Needs! Call Now! Off 772-238-5589 $50 Cleaning or Repair MLM Coupon Expires 3/17/23 15% OFF MLM Coupon Expires 3/17/23 Whole House Gutter Installation New Construction or Renovation CUSTOM CLOSETS AND SHOWERS DOORS Licenced Contractor #MCN56662 #SCC131152195 772-213-1117 | www.coastalclosetsandshowers.com Visit our factory showroom at 4483 SE Commerce Ave, Stuart, FL 34997 She will be speechless! Up to $300 off your new Custom Closet* Lifetime Warranty & FREE Glass Protection on your Custom Glass Shower *purchase of $2500 or more necessary. closet | office garage | wall bed wall units shower doors glass wine rooms store front glass Offers valid until March 17th, 2023. Coupon must be presented at time of consultation.
VOL. 561 G 43 Copyrighted© My Living Media. 2023 All Rights reserved. To Advertise call 772-247-6849 Need More Coupons - MyLivingMedia.com ONE-STOP SOURCE for All Your Construction Needs • Windows & Doors Replacement • Exterior & Interior Painting • Home Additions • Flooring: Tile, Marble, & Wood • Wall Pictures, Windows Case, Base, Etc. Over 15 Years of Experience Licensed & Insured CBC#1261628 Upgrade Your Floor AND RECEIVE A FREE 5 1/4 WOOD BASE BOARD ANY JOB $25K OR MORE! Offer cannot be combined. • Expires 3/15/23Offer cannot be combined. • Expires 3/15/23 Call For FREE ESTIMATE contact@apexbuildercontractor.com www.apexbuildercontractor.com 772-232-7128 772-232-7114 $2,500 OFF WE SPECIALIZE IN HOME ADDITIONS New Homes & Commercial Kitchen Remodeling Windows & Doors Bathroom Remodeling
44 VOL. 561 G Copyrighted© My Living Media. 2023 All Rights reserved. To Advertise call 772-247-6849 Need More Coupons - MyLivingMedia.com 772-783-9517 I.M.A.Landscaping@gmail.com IMA LANDSCAPING TREE & PALM SERVICES Lic & Ins Serving PSL, Martin, Palm Beach FREE ESTIMATES WE SPECIALIZE IN TREE REMOVAL • Rock & Stone Install • Palm/Tree Removal • Irrigation install & Services • Stump Grinding • Mulching & Sod Installed • Tree Trimming TREE & PALM TRIMMING Dirty Windows? Let us clean all your home windows • Window Washing • Pressure Cleaning • Gutter Cleaning www.eastcoastcleaningservices.com Licensed & Insured Residential Window Cleaners *UP TO 15 WINDOWS, TWO STORY HOMES SLIGHTLY EXTRA. CALL FOR DETAILS 772-621-9800 FREE Estimates New customers only. Not valid with other offers or prior services. $ 69 99 * EXTERIOR For Our Complete Services, Extensive Photo Galleries, & Customer Reviews Visit Us at www.dbhiproducts.com 772-353-0140 Since 2006 LICENSED & INSURED, STATE CERTIFIED CRC1330776 Wood Rot Repair NEW SIDING - ANY COLOR 10% Off YOUR PROJECTS Up to $500 • With this MLM coupon. Limited time offer. Because Rot Never Sleeps SPECIAL FINANCING AVAILABLE – CALL FOR DETAILS –We Specialize in... • Sof ts & Fascia • Hardie Siding • Fiber Cement Siding • PVC Moulding FREE ESTIMATES 5-STAR REVIEWS
VOL. 561 G 45 Copyrighted© My Living Media. 2023 All Rights reserved. To Advertise call 772-247-6849 Need More Coupons - MyLivingMedia.com PRESSURE-FREE ESTIMATES License #SCC131152686 8721 US-1 South • Port St. Lucie 34952 772-617-4026 StormProtectionPros.com YOUR HOMETOWN WINDOW & DOOR COMPANY FAMILY OWNED & OPERATED Instant Rebate on Whole House SOME RESTRICTIONS APPLY UP TO$5000 OFF HURRICANE & IMPACT RESISTANT • WINDOWS • ENTRY DOORS • SLIDING GLASS DOORS • BI-FOLD WINDOWS & DOORS affordable choice cremation LOCAL • CONVENIENT • TRUSTED 772.595-2811 1241 SE Indian St. • Unit 110 • Stuart www.affordablechoicecremation.com FLORIDA COMMUNITIES WE SERVE: Port St Lucie, Fort Pierce, Vero Beach, Jensen Beach, Stuart, Hobe Sound THE LOW COST CREMATION OPTION $695* From *A Medical Examiner’s Fee of $50 May Apply Family Owned and Locally Operated for 5 Generations 7410 S. US Hwy. 1 • Unit 400 • Port St. Lucie
46 VOL. 561 G Copyrighted© My Living Media. 2023 All Rights reserved. To Advertise call 772-247-6849 Need More Coupons - MyLivingMedia.com HAS YOUR AUTO or HOME INSURANCE INCREASED? 3610 SE Federal Hwy, Ste 5, Stuart 772-214-1774 One Call BIG SAVINGS! Call us for your personal price plan! We can help you create an affordable plan just for you! HOME• AUTO • LIFE • BUSINESS It’s time to expect more! STUART BRAKE & Auto Repair 409 SE Monterey Rd. , Stuart 772-618-4177 MV5423 Full Service Garage • Walk-Ins Welcome! www.StuartBrakeandRepair.com R1234YF Cos t Per Axle. Install Brake Pads, Replace Rotors & Service Caliper Slides. 24 month, 24,000 mile warranty. Plus sales tax & shop supplies. With this MLM Coupon. Expires 3/3/23 PREMIUM CERAMIC OR SEMI METALLIC PADS & 2 ROTORS $ 379 95 $ 239 95 $ 149 95 PREMIUM CERAMIC OR SEMI METALLIC BRAKE PADS Plus sales tax & shop supplies Expires 3/3/23 RESURFACE ROTORS COMPACT CARS ONLY COMPACT CARS ONLY Cos t Per Axle. Install Brake Pads, Replace Rotors & Service Caliper Slides. 24 month, 24,000 mile warranty. Plus sales tax & shop supplies. With this MLM Coupon. Expires 3/3/23 PREMIUM CERAMIC OR SEMI METALLIC PADS & 2 ROTORS $ 399 95 $ 249 95 PREMIUM CERAMIC OR SEMI METALLIC BRAKE PADS Plus sales tax & shop supplies Expires 3/3/23 RESURFACE ROTORS Sedans, SUV & Light Trucks Sedans, SUV & Light Trucks A/C failure requires diagnostic charge. Expires 3/3/23 Includes 1lb of 134a Refrigerant Plus sales tax & shop supplies. Most cars, SUVs, & light trucks A/C INSPECTION AND RECHARGE NEW FREON Most Cars & Light Trucks. With this MLM Coupon. May not be combined with other offers. Must present coupon at time of service. Expires 3/3/23 $ 299 95 plus FREON Magic Bubbles Pressure Cleaning_(BFGM)-0152-0623_CS561 PRESSURE CLEANING SAVE NOW. CLEAN NOW. HIGH & LOW PRESSURE CLEANING PATIO ROOF CLEANING DRIVEWAY Licensed & Insured Unbelievably Clean TWO SERVICES Cannot be combined with any other offers. DRIVEWAY CLEANING SPECIAL Special Expires 2/28/23. Must present this ad. $49 $25Off $75Off COMPLETE HOUSE PACKAGE Cannot be combined with any other offers. Expires 2/5/23 Expires 2/5/23 We handle everything year round, with REGULARLY SCHEDULED SERVICE to ALL OF YOUR EXTERIOR SURFACES. One low monthly payment is all it takes, and we do the rest. $49 ASK US ABOUT OUR MAGIC MEMBERSHIP Starting at per month 772-291-1888 Ron@MagicBubblesWash.com MagicBubblesWash.com *With purchase of roof cleaning. *For standard 2 car driveway only.
VOL. 561 G 47 Copyrighted© My Living Media. 2023 All Rights reserved. To Advertise call 772-247-6849 Need More Coupons - MyLivingMedia.com 772-348-2181 5761 SE FEDERAL HWY • STUART Located in the Seacoast Bank Building at the intersection of Cove Road and US 1 772-238-2709 FAMILY & IMPLANT DENTISTRY OF STUART 2385 FEDERAL HWY • STUART WWW.FAMILYDENTISTRYSTUART.COM WELCOME TO FAMILY DENTISTRY OF STUART! NOW IN TWO LOCATIONS Having a smile you’re proud to share shouldn’t be dif cult or break the bank. We know how important it is to have a smile that lets you feel and look good, which is why our team strives to give you the dental care you deserve. Our Family Dentistry of Stuart is committed to providing high-quality family, cosmetic, and advanced dentistry to each and every patient. WE ARE AVAILABLE FOR YOUR DENTAL EMERGENCIES PAYMENT PLANS FOR EVERYONE! NOW OPEN SATURDAYS EMERGENCY EXAM FAMILY DENTISTRY OF STUART WELCOMING HEALTHY MOUTH CLEANING Exam & X-Rays $49 With this MLM coupon. Limited time offer. New Patients Only With this MLM coupon. Expires 3/5/23 New Patients Only For a Full Case of Invisalign $500 With this MLM coupon. Expires 3/5/23 New Patients Only OFF $79 With X-Rays
48 VOL. 561 G Copyrighted© My Living Media. 2023 All Rights reserved. To Advertise call 772-247-6849 Need More Coupons - MyLivingMedia.com BEAUTIFY YOUR YARD! FREE ESTIMATE QUALITY GUARANTEED 772.626.3704 CALL US TODAY! About Us: • Locally Owned & Operated • Licensed & Insured • Over 10 Years Serving the Treasure Coast • Create Relaxation Space • Landscape & Hardscape Design • Tree Removal/Trimming • Stump Grinding • Bob Cat • Lot/Land Clearing • Site Work & More We Honor Those Who Serve Evolution Forestry & Landscaping evolutionforestry.com New or Revitalized Landscaping Project $1,000 or more. (*Max Discount of $100). With this AD. Expires 3/17/23 $100OFF Well Maid Cleaning Service, LLC email: wellmaidcleaningservice@gmail.com Call Tara Today! FREE Estimates 772.828.2741 • Weekly, Bi-Weekly, Monthly • Seasonal or One Time • Move In/Move Out • Affordable Rates • Trustworthy & Reliable • Residential & Commercial • References Available $ 20 OFF $150 Or More With this Ad. License & Insured Tara L. Walsh, Owner Well Maid Cleaning Service, LLC Accepted LIKE US ON FACEBOOK! We Have Gone GREEN! We now only use green, plant-based products. Services of $5 OFF ANY SESSION Sessions are $35 per person regularly. DATE NIGHT • LADIES NIGHT OUT • BIRTHDAY PARTIES • TEAM BUILDING HOURS SUN 12PM - 6PM WEDS 4PM - 8PM THURS 10AM - 8PM FRI 4PM - 8PM SAT 10AM - 9PM (Closed MON &TUES) CREATIVE ART STUDIO BOOK YOUR SESSION TODAY 772-732-4041 8903 SE Bridge Rd, Hobe Sound, FL, United States Located in the Winn Dixie Plaza next to Scooters. SPLATTERANDSIP@GMAIL.COM
VOL. 561 G 49 Copyrighted© My Living Media. 2023 All Rights reserved. To Advertise call 772-247-6849 Need More Coupons - MyLivingMedia.com WWW.DBHIPRODUCTS.COM WHEN AVERAGE JUST WON’T DO! Experience the, “ Difference” 10% SPECIAL FINANCING FREE ESTIMATES SINCE 2006 FL-CRC1330776 772-353-0140 REVIEWS SEE OUR DESIGN GALLERIES AND CUSTOMER REVIEWS @ OFF Up to $500 With this MLM coupon. Limited time offer. DUST CONTROL WE DO IT ALL • Haircut • Styling • Standard and Designer Perms • Hair Treatments • Color and Highlighting Services • Waxing Walk-Ins Welcome or by Appointment 3322 SE Federal Hwy., Stuart • 772.758.5111 Book online at: lemontree.com/Stuart *Additional for Length & texture. Must Present MLM Coupon. Expires 3/3/23 Now Open SUNDAYS 10AM-4PM!!! Must Present MLM Coupon. Expires 3/3/23 First appointment only. We Are Open Until 7pm Mon. & Thurs. Brighten up your look with some highlights Receive a partial highlight with a toner & haircut plus a blow out. AND RECEIVE Our New Stylist! ALL FOR Schedule an appointment with our new talented stylist Laurie or Rodd 15% COME MEET OFF $125*
50 VOL. 561 G Copyrighted© My Living Media. 2023 All Rights reserved. To Advertise call 772-247-6849 772-224-7347 FREE ESTIMATES 10 OFF With this MLM Coupon at time of estimate. Expires 3/15/23 NOW ACCEPTING ALL CREDIT CARDS YOUR LOCAL TREE TRIMMING EXPERTS! LICENSED Best Rates In Town! METAL ROOFS just got MORE AFFORDABLE! • METAL ROOFING • TILE ROOFING • SHINGLE ROOFING Financing Available Satisfaction Guaranteed! Call Today (772) 291-1427 Lic. No. CCC1327906 FREE ESTIMATES $500 OFF Call Today! ANY ROOF REPLACEMENT Must present coupon at time of estimate for discount. Exp. 3/15/23 STOP OVERPAYING FOR HOMEOWNERS INSURANCE! PROTECT YOURSELF, YOUR FAMILY, AND YOUR WALLET. HOME • AUTO • PROPERTY • LIABILITY • PERSONAL • COMMERCIAL • BUSINESS FREE QUOTES WITHIN 24 HOURS. LET US REDUCE YOUR RATE Call South Shore, your local insurance agency, to reduce your homeowners insurance rates today. 772-426-9973 • 955 SE Central Parkway Stuart • @SouthShoreInsurance_ • jennie@southshore-insurance.com Homeowners Rate Increase? Call Today to Reduce Your Premium! Happy Valentine's Day!
VOL. 561 G 51 Copyrighted© My Living Media. 2023 All Rights reserved. To Advertise call 772-247-6849 Need More Coupons - MyLivingMedia.comHURRICANE IMPACT WINDOWS & DOORS PROTECT WHAT’S PRECIOUS TO YOU! • Hurricane Protection • Home Security • Save on Energy Bills • Save on Insurance Costs • Increase Property Value • Noise Reduction Your Expert in Single Family Homes & Condos! “Our service & products are second to none!” The People’s Choice In Hurricane Protection! 772-251-2474 SAME DAY Appointments! AS LOW AS $120 MO. FINANCING Available! 50% Off We Beat ALL Competitors’ Pricing CALL FOR DETAILS License #CBC1264950 & INSURED Serving Palm Beach, Martin, & St. Lucie Counties INSTALLATION & NO SALES TAX. EXP 3/5/23
52 VOL. 561 G Copyrighted© My Living Media. 2023 All Rights reserved. To Advertise call 772-247-6849 Need More Coupons - MyLivingMedia.com HAIR SALON $50 FREE OFF 772-402-5572 Hand-Tied Extensions Cut with any Full Color 1st time clients only. With this MLM coupon. Exp 3/17/23. 1st time clients only. With this MLM coupon. Exp 3/17/23. 11185 SE FEDERAL HWY., HOBE SOUND elysianbymod.com HOURS SUN | MON: CLOSED TUES | WED | THURS: 10AM-7PM FRI | SAT: 10AM-5PM · Color Retouch · Full Color · Creative Color · Face Frame Highlight · Partial Highlight · Full Highlight · Partial Highlight · Partial Baby Highlight · Full Baby Highlight · Keratin Smoothing · Haircut · Blowout · Event Styling · Tape-In Extensions · Hand-Tied Extensions · Keraflex Extensions NOW HIRING CALL TODAY! Experienced Electricians $50 OFF ANY JOB OVER $500 Cannot be combined with other discounts or offers. With this MLM coupon. Expires 3/17/23 Need An Electrician? FREE ESTIMATES Lic # EC13007910 772-403-WELL | 218 SW Atlanta Ave., Stuart FL www.institutehealthwellness.com $50 Off Must present add for discount. Expires 3/15/23 (9255) EMSCULPT NEO IS THE FIRST AND ONLY NON-INVASIVE BODY SHAPING PROCEDURE THAT PROVIDES SIMULTANEOUS FAT ELIMINATION AND MUSCLE BUILDING IN A COMBINED 30-MINUTE SESSION. Sculpt Your Body!
VOL. 561 G 53 Copyrighted© My Living Media. 2023 All Rights reserved. To Advertise call 772-247-6849 Need More Coupons - MyLivingMedia.com Complete Sliding Doors and Windows Family Owned & Operated Since 2005 State Certified General Contractor CGC 1514380 •Custom Screen Windows/Doors •Hardware Replacement •Impact/Non-Impact Glass SLIDING DOOR REPAIR ROLLER REPLACEMENT, SCREEN AND WINDOW REPAIR www.completeslidingdoors.com FREE ESTIMATES Screen Doors and Window Screens 772-675-5555 COMPLETE SLIDING DOORS • 772-675-5555 Must be presented at time of estimate - NO EXCEPTIONS. Cannot be combined with other coupons or discounts. Not valid on previous orders or estimates. Exp. 3/17/23 COMPLETE SLIDING DOORS • 772-675-5555 Must be presented at time of estimate - NO EXCEPTIONS. Cannot be combined with other coupons or discounts. Not valid on previous orders or estimates. Exp. 3/17/23 COMPLETE SLIDING DOORS • 772-675-5555 Must be presented at time of estimate - NO EXCEPTIONS. Cannot be combined with other coupons or discounts. Not valid on previous orders or estimates. Exp. 3/17/23 $25 OFF Broken Roller Replacement FREE Track Repair With the Purchase of Roller Replacement $50OFF Bear Screen Doors When You Purchase Two Ask Us About Frameless Shower Doors NEED SHUTTERS THIS WEEK? Family Owned & Locally-Manufactured Plantation Shutters • ANGLES & RAKES • ARCHES & SUNBURSTS • OTAGON, CIRCLE, HEXAGON • SILL COVERS & CAPS HORIZONTAL ARCH PLANTATION SHUTTERS SUNBURST PLANTATION SHUTTERS www.plantationshutters a.com Treasure Coast Palm Beach 772-600-4253 or 561-420-0418 Visit our manufacturing shop at: 406 Farmers Market Rd Ft Pierce, FL 34982 IN-HOME ESTIMATES FREE $1695 SQ. FT. INSTALLED Starting at Plantation Shutters Florida™ Your Plantation Shutter Specialist Plantation Shutters Florida™ We are the Real Manufacturer Licensed & Insured CALL TODAY AND GET UP TO 10% DISCOUNT Restrictions may apply.
54 VOL. 561 G Copyrighted© My Living Media. 2023 All Rights reserved. To Advertise call 772-247-6849 Need More Coupons - MyLivingMedia.com • Knife Sharpening • Sewing Machines • Cleaning Solutions • New & Used Sales • Central Vacuums 561-771-5110 275 Toney Penna Drive • Jupiter Tues - Fri 10am-4pm; Sat 10am-3pm Central Vac Repair Any In-Store Purchase $40 Off $50 Off Expires 3/5/23 Expires 3/5/23 *Over 350 or more. 10 Yr. Warranty Locally owned and operated since 1974 Specializing in… • Hazardous Tree & Limb Removal • Palm Tree Trimming • Total Tree Care Licensed & Insured 20% Off All Services MLM coupon expires 3/17/23 772.361.6187 FREE ESTIMATES! Renovate Your Existing Pool Today! Your Pool Heating and Renovation Specialist FREE Estimate! 561-745-1163 HEATING & RENOVATION A COLD POOL IS NO POOL Heat Pumps • Solar • Gas Salt Chlorination Pool & Spa Automation Pool Pumps & Filters Pool Resurfacing Coping • Tile Look No Further for the Experts in Pool Heating • Heat Pumps • Solar • Gas FAMILY OWNED AND OPERATED STATE LICENSES #CP-CO57115 • #CVC 56745 • NAT/LP 26278 FREE SAME-DAY ESTIMATES 5% Off Purchase Price Of Any Salt Chlorinator, Pool/Spa Automation, Pump, or Filter With this MLM Coupon. Expires 3/12/23 HUGE DISCOUNTS! On Factory Direct Heat Pumps tropicalpoolheating.com *See dealer for details
VOL. 561 G 55 Copyrighted© My Living Media. 2023 All Rights reserved. To Advertise call 772-247-6849 Need More Coupons - MyLivingMedia.com ROOF REPAIRSpecialists! “Specializing in the most dif cult leaks!” 3520 SW Armelini Ave. • Palm City 772.742.4040 • Residential • Guaranteed Repairs • Quick Response within 24 Hours • Locally Owned & Operated • Military & Senior Discounts Licensed & Insured CCC1326920 Re-Roof Must present MLM coupon at time of price quote. Expires 3/17/23 $500 off $100 off Any Repairs up to $1,000 FREE on All Repairs & Re-Roofs ESTIMATES Must present MLM coupon at time of price quote. Expires 3/17/23 Cannot be combined with any other offers or coupons. Frameless Showers & Custom Mirrors Best Prices Guaranteed! $100 Off Your Frameless Shower or Custom Mirror Must present coupon at time of estimate. Not valid on previous jobs. Expires 3/15/23. Call today for a FREE Estimate! 772-837-1132 Lic#2015777089 & Insured View our work on Facebook
56 VOL. 561 G Copyrighted© My Living Media. 2023 All Rights reserved. To Advertise call 772-247-6849 Need More Coupons - MyLivingMedia.com 772-291-0705 License # PSL 15672 MC 1900082 • Pool Resurfacing • Brick Pavers • Travertine Pavers • Marble Pavers BRICK PAVERS & CUSTOM OUTDOOR KITCHENS, FIREPLACES, & FIRE PITS Financing Available FREE FIRE PIT with any job over 1200 sq. ft. With this MLM coupon. Expires 3/15/23 www.oasisbrickpavers.com PalmMartinHomeValues.com SO ARE WE! Serious About Selling Your Home At Lost Lake? At Lost Lake? 561-701-7927 Meet Ted Guarnero Your Lost Lake Neighbor & Realtor FREE MARKET ANALYSIS It’s on the house 3215 SE GRAN PARK WAY STUART, FL 34997 WHAT'S IN YOUR GARAGE? ® BUY, SELL, OR TRADE 561-202-3580 772-672-3080 BUY, SELL, OR TRADE ® SALES | STORAGE | CONSIGNMENT
Need More Coupons - MyLivingMedia.com
58 VOL. 561 G Copyrighted© My Living Media. 2023 All Rights reserved. To Advertise call 772-247-6849 Need More Coupons - MyLivingMedia.com Blinds | Shades | Shutters | Drapes | Smart Shade Automation 772-677-8482 BudgetBlinds.com Exclusive Lutron Dealer 25 % OFF With MLM coupon. May not be combined with any other offer. Expires 3/17/23 Financing Now Available Custom Drapery & Hardware Residential & Commercial 30 Years Experience 772.232.8929 Licensed & Bonded May ower Landscaping, LLC & More! TREE TRIMMING LAWN SPECIALIST Call for details. Expires 3/17/23 Expires 3/17/23 DECORATIVE ROCK Mulch & Drains PALM TREE & TREE REMOVAL 25 Cannot be combined with any other offers. Off Off$50 Off$50 Call for details. Expires 3/17/23 • Full Service Lawn Care & Maintenance • French Drain Installation • Clean Up & Haul Away • Junk Removal • Rock Stone Installation • Stump Grinding & Removal • Pressure Treated Retaining Walls • Landscape / Hardscape • & Much More 20% OFF All Merchandise Present FREE Must present MLM coupon. Exp. 3/17/23 • CBD KRATOM • VAPORIZERS • WATERPIPES • HOOKAHS • DETOX & SO MUCH MORE FB@COZYCORNER2.0 COZYCORNER2.0 8-9-10 & Special Blends No Marijuana Card Needed 218-A SW FEDERAL HWY, STUART 772.600.7559 Home of the Delta-8 Must present MLM coupon. Exp. 3/17/23 With purchase of $50 or more FREE GIFT
VOL. 561 G 59 Copyrighted© My Living Media. 2023 All Rights reserved. To Advertise call 772-247-6849 Need More Coupons - MyLivingMedia.com Lic# CAC1819096 Bill shAC.com SCAN HERE Neutralize odors, particulate, air pollutants, smoke, mold bacteria and viruses. FREE SERVICE CALL WITH REPAIR ($85 Value) Must be during regular hours. Must mention at time of order. With this MLM coupon. Cannot be combined with other offers or specials. Expires 3/15/23 With this MLM coupon. Cannot be combined with other offers or specials. Expires 3/15/23 FREE DUCT EVALUATION! USING THERMAL IMAGING REME HALO AIR PURIFIER With this MLM coupon. Cannot be combined with other offers or specials. Expires 3/15/23 With this MLM coupon. Cannot be combined with other offers or specials. Expires 3/15/23 ANY NEW SYSTEM! OFF OFF $250 $150 Air Conditioning Air Conditioning MAINTENANCE PROGRAM Includes 2 Visits Precision Tune-Up Clean and chemically treat drain line Check refrigerant level Check for air ow Check for air leak on plenum duct system Check fan motors Check all electrical connections for loose or burned wire, tighten all caps Check relays and contactors Completely seal unit airtight (replace screws if missing) Check evaporator coil & wash condenser coil Coil sanitation for bad odors and bacteria, when accessible Check heating element, run heat cycle, system analysis Calibrate thermostat for maximum accuracy Check for microbial growth on coil ✔ ✔ ✔ ✔ ✔ ✔ ✔ ✔ ✔ ✔ ✔ ✔ ✔ ✔ ✔ ✔ ✔ Program Perks Priority Scheduling 10% off Repairs No Overtime Charges ✔ ✔ ✔ ✔ ✔ ✔ ✔ ✔ ✔ ✔ ✔ ✔ FINANCING AVAILABLE! Purchase Air Filters Online! Delivered Right to Your Door! REG. $189 Expires 3/15/23 $189 $19 OR ANNUALLY PER MONTH Call for pricing on multiple systems 772.276.7537
60 VOL. 561 G Copyrighted© My Living Media. 2023 All Rights reserved. To Advertise call 772-247-6849 Need More Coupons - MyLivingMedia.com 10550 SE Federal Hwy, Hobe Sound • 772-218-5104 Where Quality Come First! Any Job Over $20K MLM coupon expires 3/17/23 $2,500 Off • Kitchen & Bath Remodels • Home Renovations • Porches & Decks Specializing In: We Get The Wet Out / Mold Out SERVICES • Water Restoration • Mold Remediation • Disaster Clean Up • Fire Clean up • Water Extraction 1562 SE Village Green Dr., Suite 1, Port St. Lucie 772-266-5302 FREE HOME INSPECTION MOLD DAMAGE WATER EXTRACTION WATER DAMAGE Live 24/7 Answering PDSMartin.com Locally Owned & Operated Expires 3/5/23. Our proprietary springs will not rust or corrode and last up to 4 times longer! FREE OPENER For NEW Garage Door Regular $65000 CANNOT BE COMBINED WITH OTHER OFFERS. MUST PRESENT AT TIME OF SALE. DOES NOT APPLY TO PREVIOUS SALES. EXP 3/5/23 772-202-6587
VOL. 561 G 61 Copyrighted© My Living Media. 2023 All Rights reserved. To Advertise call 772-247-6849 Need More Coupons - MyLivingMedia.com BOBCAT SERVICES 772-758-2868 15% OFF ANY JOB $500 OR MORE With This MLM Coupon • Expires 3/17/23 • Land & Lot Clearing • Tree Removal/Trimming • Fill Dirt - Sand • Mulch - Sod - Gravel • Haul Away • Big Palms & Trees Installed Luxury Experience To All Airports, Appointments, Nights Out, Events, Etc. • Luxury SUV • Hourly Rates • COVID-19 Compliant • Commercially Licensed, Insured, & MIA-Certi ed American Express Shop Small Partner “Trust Nothing Less” Your Health & Safety Is Our Priority. 772-905-7375 CDL-Licensed Chauffeur

For What It’s Worth by Dr. Melfi, Ph.D.

It appears that my last two columns regarding the di culty which many patients are facing when attempting to make an appointment with their physician, or attempting to get someone to call them back regarding their medical issues, from doctors who are employed by the large hospital(s) in our communities have struck a nerve. I am used to receiving responses (thank you very much) from some of my articles, but never have I received so many at one time, and they keep coming. I thought this was a big problem for me personally, but apparently, it is an even larger problem than I thought. e emails that I have received are upsetting and at times heartbreaking. Elderly people without a doctor, when their physician of many years suddenly takes a leave of absence or retires, with no one to replace them. People who have to wait months, some nearly a year, to get on their physician’s schedule for treatment, some without the resources to know where to turn, and without guidance from the very institution with which they placed their trust.

In my opinion, and the opinion of others, the system is broken. We all deserve better than this. When people are sick, when people are hurting, when people expect to be treated, and are turned down, they feel abandoned, lost, bewildered, and angry. What’s worse, many of you have asked me to help. I wish I could, but like you, I don’t know where to turn. Still, since I have some public

voice, and a conscience that realizes we all have to do our part to help, I reached out to the hospital to see if they employed a patient advocate who could eld all the calls/complaints and frustrations, and guess what? I found a department that allegedly can help. It is known as the Patient Experience O ce, and the phone number is 772-223-4995. A er two phone calls and several hours later, my call was returned by a very nice woman who was willing to give me the opportunity to voice my concerns. She said she understood the frustration of having to wait for appointments for months, or having a doctor who no longer works there, nor replaced, leaving patients without a physician. She told me her o ce is open to any and all concerns, and she does what she can to allay those concerns, and will contact individual physician o ces to attempt to get earlier appointments.

When I asked her why there is such a long wait to get appointments, even for long-standing patients with doctors of record, she said that with the growth of the community and the large in ux in the population coming to Florida, there are simply not enough doctors to see patients. I nd that answer truthful, but frankly, unacceptable. She also stated that many doctors have le this facility, and have not been replaced, but that they are “working on it.” I don’t doubt what she says is true, but why are doctors’ leaving, and by leaving, I mean leaving our community unattended? Something has to change. is should not be accepted

as the new normal. Sick people need to get well, it’s as simple as that. e question is, how can we do that without appointments or physicians? I am all for nurse practitioners. I am a nurse, rst and foremost, but nurses are not doctors, regardless of how intelligent they are (and they are!).

As well, I reminded the woman I spoke with that at the least, the front line of sta workers elding calls should be held to a higher standard of professionalism, by being kind, considerate and courteous, not rude and dismissive, like some of you have encountered. She agreed. So how much can she help? I don’t know, but personally, I still have to wait until the end of August to see my physician, even though I have been a patient of his for the past ten years.

For What It’s Worth, l appreciated her empathy on behalf of all of us, but it didn’t get me into my doctor any sooner. Maybe a few letters to the administration would be the incentive for change. en again, maybe not.

62 VOL. 561 G Copyrighted© My Living Media. 2023 All Rights reserved. To Advertise call 772-247-6849 Need More Coupons - MyLivingMedia.com
Comments or Suggestions DrMelfi@mediaoms.com Professional Design and Installation High-Quality, Low Voltage Landscape Lighting 772-362-5487 With this MLM coupon. Cannot be combined with other offers. Expires 3/15/23 $55 OFF Transform Your Nights
VOL. 561 G 63 Copyrighted© My Living Media. 2023 All Rights reserved. To Advertise call 772-247-6849 Need More Coupons - MyLivingMedia.com Make Your Shower & Floors Look New Again! • Tile & Grout Cleaning • Grout Restoration • Tile & Grout Repair • Loose & Hollow Tile Rebonding • Shower Repairs & Regrouting • Non-Slip Tile Treatment Call today for a FREE Estimate • 772-224-3011 or 1-800-561-3736 • www.GroutsmithStuart.com SEE THE DIFFERENCE WE CAN MAKE IN THE LOOK OF YOUR HOME! Your Grout & Tile Cleaning Experts $30OFF ANY JOB OF $300 OR MORE $50OFF ANY JOB OF $500 OR MORE With this MLM coupon only. Cannot be combined with any other offers or specials. Expires 3/17/23 No More Dirty Grout! Before Before After After With this MLM coupon only. Cannot be combined with any other offers or specials. Expires 3/17/23 Guaranteed for 10 Years! THE GROUTSMITH HoltsReliableGDR.com 772-774-3424 Hurricane & Impact-Rated Garage Doors Save On Homeowners Insurance 10%OFF REPAIRS $200 Off GARAGE DOOR REPLACEMENT With MLM Coupon. Expires 3/17/23 833-367-6630 $150 off Any Roof Repair Over $600 WE BEAT ANY WRITTEN ESTIMATE* With this OMS coupon. Expires 3/31/23 *Some Restrictions Apply doingroo ng.com ROOF REPAIR & REPLACEMENT Lic# CCC1332511 • Tile • Metal • Shingle • Wood Shake • Roof Accessories • Pipes • Goosenecks • Skylights • Fascia
64 VOL. 561 G Copyrighted© My Living Media. 2023 All Rights reserved. To Advertise call 772-247-6849 Need More Coupons - MyLivingMedia.com Licensed & Insured CFC1427336 772.871.2500 PlumbRitePlumber.com $30 OFF ANY SERVICE With this MLM coupon. We have got your plumbing problems covered. Services we offer: • Sewer, Drain Stoppages, and Clogged Lines • Plumbing Leaks and Repairs • Water Heater Installation, Repair, and Replace • Electric Roto-Rooter Service • High Water Pressure Sewer Jetting • Leak Detection • Camera Inspection 24/7 EMERGENCY SERVICE LIC #U-22038 LIC #MCFE6928 We’ll Beat Reasonable Estimates From Comparable Licensed Companies & Product Offerings Some Restrictions Apply AUTOMATIC GATE OPENER SPECIALIST 561-899-4574 www.budgetfenceandgate.com Since 1950 RESIDENTIAL COMMERCIAL Se Habla Español ASK ABOUT OUR Promotion for Eligible Projects. or Interest, Payments for Months Options! Down, Low Monthly Payments 0 0 0 24 5691 SE Crooked Oak Ave., Hobe Sound, FL 33455 Dr. Alice Oakley D.C. Audra Miele R.Y.T. 772-600-8159 • Full-Body Chiropractic Care • Spinal Decompression • Therapeutic Massage • Halotherapy (Salt Spa) • Float Therapy • Yoga FLOAT PACKAGES NOW AVAILABLE! Call or book online! We are located in the Seabranch Square Plaza Visit Our Website! $10 Off your First Float! With this MLM coupon. Expires 3/17/23 SEASIDE WELLNESS GROUP
VOL. 561 G 65 Copyrighted© My Living Media. 2023 All Rights reserved. To Advertise call 772-247-6849 Trust our customers 4.7 Stars on Google Starting At JustInstalled$995 Save Up To$600 Beautifully Custom Designed • Closets, Garage & Pantry • Home & Commercial Offices LIMITED TIME OFFER Minimum Order of $6,000. Coupon must be presented at time of estimate. Cannot be combined with any other offers or discounts. Must be placed before 3/31/2023. OFF Lic. #CGC1525776 We Help Organize Your Space 561-485-1998 3 Easy Steps to the Storage Solution of your Dreams! • CLOSETS • HOME OFFICES • GARAGES • ENTERTAINMENT CENTERS • COMMERCIAL SPACES ALL CUSTOM: FREE Consultation • 3D Design • Installation MYJLCLOSET.COM 160 NW 16th St., Boca Raton BocaMadeInRaton SCHEDULE YOUR FREE CONSULTATION
66 VOL. 561 G Copyrighted© My Living Media. 2023 All Rights reserved. To Advertise call 772-247-6849 Need More Coupons - MyLivingMedia.com Full Service • Complete Wash Plus • 48-Hour Raincheck • Cupholders & Center Console Cleaned • RainX • Express Wash Plus • Dash Wiped • Windows • Tire Shine • Vacuum The Works Complete Express • Exterior Car Wash • Towel Dry • Rims Cleaned REGULAR PRICE$2195 REGULAR PRICE$1495 + Tax + Tax Mon-Sat 8:00-5:30 • Sun 9:00-4:00 561-631-7552 LEATHER DETAIL • HEADLIGHT RESTORATION BUG REMOVAL • EXPRESS WAX • CARPET SHAMPOO 11790 SE FEDERAL HWY HOBE SOUND In the Publix Plaza at the Sunoco Station HOBE SOUND REGULAR PRICE$895 + Tax $ 29 99 Dash & Door ARMOR ALL Full Detail $9995 Starting at Depending on Vehicle Size & Condition Starting At Starting At Starting At Hand Car Wash DISCOUNT SAVINGS $1195 THE COMPLETE Plus Tax Extra charge for larger vehicles. With this MLM coupon. Not to be combined with other offers. Expires 3/15/23 Save $300 $2999 The EXPRESS WAX +THE WORKS WASH Plus Tax (Includes Works Wash) Extra charge for larger vehicles. With this MLM coupon. Not to be combined with other offers. Expires 3/15/23 $1695 THE WORKS Plus Tax Save $500 Extra charge for larger vehicles. With this MLM coupon. Not to be combined with other offers. Expires 3/15/23 ESTES PAINTING FREE Driveway Cleaning with Exterior Paint Job With this MLM Coupon. Expires 3/17/23 FREE Estimates | Local Company Since 1989 Interior Painting • Exterior House Driveway & Sidewalk Staining Pool Deck Staining Licensed & Insured Lic# MCPTG1566 772.692.9508 Estes Painting_0097-3919_HI561 Before Thisiswhatyouhave. After This is what you could have. Which do you prefer? ABOUTASKOUR 10 YEAR GUARANTEE! Any New Seal Job • Grout Re-Color, 100’s of Colors to Choose From • Shower Cleaning / Acid Wash / Steam Clean & Caulk • Mexican Tile clean & re-glaze • HollowTiles • Travertine Cleaning • Granite Cleaning • Marble Cleaning • FREE Consultation • Guaranteed Results ASK ABOUT OUR SOLUTION FOR FIXING HOLLOW TILES SE HABLA ESPAÑOL 5-Star Rating Lic#200917111 ASK ABOUT OUR GIFT FOR ALL CUSTOMERS ($500 min. job) BEFOREAFTER BEFOREAFTER local: 772-380-0101 • toll free: 1-877-GROUT11 • www.GroutPlus.com 20% OFF 12-inch tile or greater (450 sq. ft. minimum) Grout Plus, Inc. • 561-753-7090 • 877-GROUT11 With this ad. Cannot be combined with any other offer. Expires 2/28/23 MEXICAN TILEMEXICAN TILE SHOWERSHOWER BUCKLE Proudly Serving South Florida for Over 2 Decades
VOL. 561 G 67 Copyrighted© My Living Media. 2023 All Rights reserved. To Advertise call 772-247-6849 Need More Coupons - MyLivingMedia.com Bonded • Licensed & Insured • Lic. #CDG 5581 Martin • Lic # CDG 9994 St. Lucie Emergency Service Available SAME DAY On Garage Door Replacement FREE ESTIMATES We Repair & Replace WAYNE DALTON • AMAAR CLOPAY OVERHEAD DOORS www.garagedoorrepair .com www.accentgarage .com (772) 232-8780 AAA Accent Garage Doors 15% OFF Garage Door Repair or Spring Replacement FREE OUTSIDE KEYPAD with Opener Lifetime Warranty $75 OFF $150 OFF Single Garage Door Replacement Double Garage Door Replacement With this MLM Coupon. Expires 3/17/23 With this MLM Coupon. Expires 3/17/23 With this MLM Coupon. Expires 3/17/23 Wholesale Mulch, LLC. PICK-UP OR DELIVERY! PICK-UP OR DELIVERY! 1295 SE Cutoff Road, Stuart (772) 419-0300 Pavers Sod Sand Shells Fabrics Edging Tools Wholesale MULCH - ROCK - SOIL & MORE! Are You Ready to… MULCH? Plus tax & delivery fee. Must present MLM coupon. Cannot be combined with other offers/discounts. Expires 3/17/23 $270 2 cu bag Earthwise MULCH 2 cu bag Plus tax & delivery fee. Must present MLM coupon. Cannot be combined with other offers/discounts. Expires 3/17/23 $280 Cypress Blend MULCH 2 cu bag Plus tax & delivery fee. Must present MLM coupon. Cannot be combined with other offers/discounts. Expires 3/17/23 $285 Red MULCH G G G ✭ ✭ ✭✭ ✭ ✭ CGC#1528257 772-732-3600 IMPACT WINDOWS & DOORS www.libertyimpactwindows.com SAVE 6.5% INSTANTLY $250 OFF GENERAL CONTRACTORS WITH OVER 30 YEARS OF EXPERIENCE HIGHEST QUALITY WINDOWS, ENTRY DOORS, SLIDING DOORS, FRENCH DOORS, & IMPACT WINDOWS No sales tax on all materials 5 or more windows! Must present coupon at time of purchase. Expires 3/17/23 Plus
Copyrighted© My Living Media. 2023 All Rights reserved. To Advertise call 772-247-6849 Need More Coupons - MyLivingMedia.com Want Your Home Painted? $1295 FREE Remote Estimate Available Single story up to 1,800 sq. ft., includes Sherwin Williams Paint. WORKING FOR YOUR PROTECTION AGAINST COVID-19 ExteriorSpecialPainting Experience and Quality at an Affordable Price Licensed #CGC1526200 & Insured 772-888-0886 www.YourHomePainter.com Color Restoration & Construction Interior & Exterior Painting BossPublicAdjusting.com Nader Anthony - Lic# P002749 This is a solicitation for business. If you have had a claim for an insured property loss or damage and you are satis ed with the payment by your insurer, you may disregard advertisement. YOUR DAMAGE MAY BE COVERED BY INSURANCE FREE FREE 10-POINT INSPECTION SPECIAL NO RECOVERY • NO FEE WE WILL GET YOU MONEY FOR REPAIRS GUARANTEED OR YOU DON’T PAY US A PENNY! PLUMBING LEAKS ROOF DAMAGE BROKEN WINDOWS FIRE MOLD FREE Policy claim and review BOSS Public Adjusting Commercial & Residential 772-444-8336 • Deck Coatings • Driveways • Carports • Pool Decks • Garage Floors • Patios Free Estimates No Job Too Big OR Too Small! Lic # MCA S3878 • LIc # St. Lucie Co. 11-11111 DESIGNER DRIVEWAYS • Seal Pavers • Exterior Floors • Walkways & Entryways 36 Years In Business! yourdesignerdriveway.com 772-878-8758 • 772-337-1088 $75 $150 OFF OFF SEALING PAVERS With this MLM Coupon. May not be combined with other offers. Exp. 3/17/23 With this MLM Coupon. May not be combined with other offers. Exp. 3/17/23 Min. 500 Sq.Ft. Any Concrete Cleaned ✓ ✓ Sealed Refinished ✓ ✓

We

Small businesses make up 99% of all businesses in FL. What would happen to your business if you got sick? •

VOL. 561 G 69 Copyrighted© My Living Media. 2023 All Rights reserved. To Advertise call 772-247-6849 Need More Coupons - MyLivingMedia.com Visit us at our LOCAL Retail Locations West Palm Beach Palm Beach Gardens • Tequesta Hobe Sound • Port St. Lucie Fort Pierce • Vero Beach Call Today for Coverage TOMORROW 772-251-4868 compasshealthinsurance.com info@compasshealthinsurance.com FLORIDIANS HELPING FLORIDIANS SINCE 2007 • HEALTH & MEDICARE
can and will enroll you $0 premium plans available • PREPAID CREMATION
INCOME PROTECTION
Chosen by over 70% of Floridians - $35/mo •
DENTAL INSURANCE
Health
Plan. Your Choice.
are Here All Year ‘round in 2023!
Your Family Safe & Sound?
Everyone needs and uses it for only $1 a day Compass
Your
We
Is
70 VOL. 561 G Copyrighted© My Living Media. 2023 All Rights reserved. To Advertise call 772-247-6849 Need More Coupons - MyLivingMedia.com 772•882•4437 772•353•6884 • Services Calls • Pump Outs • Pump Replacements • Outlet and Inlet Repairs • Filter Installations and Cleaning • Commercial Grease Traps • Drain Field Installations SERVICE CALL $ $15 OFF Must present this MLM coupon.Must present this MLM coupon. BOB’S MIRROR REMOVAL Serving: Palm Beach, Martin, St. Lucie, & Indian River Counties 772-486-4589 • Prompt, Courteous Service • Over 30 Years of Experience • Remove Mirror Walls & Vanity Mirrors • Secure Loose Mirrors • Hang Your Framed Mirrors MIRROR REMOVAL Licensed & Insured • New ���������� • Ren��������i��n�� • Rem��������in�� • Rep�������� • Res��������ci���� Your Backyard Oasis Awaits… New Pool Construction 561-782-4644 Camco Pools New Construction & Renovations $1500 off With this MLM coupon. Expires 3/3/23 UPERIOR TILE REMODELING, INC & www.superiortileinteriors.com Serving the Treasure Coast & Palm Beaches 4348 SE Federal Hwy., Stuart, FL 34997(Palm Square Plaza) | Bonded & Insured Lic# CTM5781 - PBC#U-21539- PSL-11013 772-678-3948 TILE • MARBLE • GRANITE • STONE • FABRICATION • INSTALLATION • REPAIRS KITCHEN BATHROOM FLOORING REMODELING FREE ESTIMATES WE ARE THE EXPERTS! COMMERCIAL & RESIDENTIAL Visit Our Showroom Monday-Fri:. 9am-5pm; Saturday: 10am-3pm; Sunday By Appointment Only
VOL. 561 G 71 Copyrighted© My Living Media. 2023 All Rights reserved. To Advertise call 772-247-6849 Need More Coupons - MyLivingMedia.com POOL SCREEN ENCLOSURES THE ORIGINAL Locally Owned & Operated Since 1990 • Pool Screen Enclosures • Patio & Lanai Screens • Poly Aluminum Roofs • All Work Guaranteed • All Repairs • FREE Estimates • www.pioneerscreen.com 772-232-8607 38 Years of Experience Licensed & Insured To Protect You $100 OFF ANY RE-SCREEN OR REPAIR OVER $1000 WE WILL MEET OR BEAT ANY LICENSED CONTRACTOR’S ESTIMATE WITH THE SAME QUALITY PRODUCTS! THE WINDOW & DOOR SPECIALIST 772-288-6205 WWW.KAMRELL.COM KAMRELL When You Want It Hung Well... TRUST FAMILY OWNED & OPERATED SINCE 1999 8200 SW LOST RIVER ROAD STUART, FLORIDA 34997 Financing Options Available On Our Website LICENSED & INSURED CGC061180 THE DOOR SYSTEM YOU CAN BELIEVE IN THE DOOR OF BEAUTY AND INOVATION email: AA18pressurewashing@gmail.com 561-668-5092 Licensed & Insured FREE ESTIMATES AA18 HANDYMAN SERVICES CARPENTRY PAINTING WINDOW SCREEN REPLACEMENT PLUMBING WINDOW CLEANING
72 VOL. 561 G Copyrighted© My Living Media. 2023 All Rights reserved. To Advertise call 772-247-6849 Need More Coupons - MyLivingMedia.com 772.238.3181 DRIVEWAYS • PATIOS HOUSES • ROOFS & MORE! NEED YOUR PAVERS REPAIRED? Pressure Washing, Pavers, & Surface Restoration and Repair 30 Years of Experience Driveway Special $39 MLM Coupon Expires 3/17/23 (UP TO 450 SQ. FT.) WITH A HOUSE & ROOF CLEANING MLM Coupon Expires 3/17/23 15 % OFF Any Service Over $500 Driveway Special $59 MLM Coupon Expires 3/17/23 (UP TO 450 SQ. FT.) WITH A HOUSE OR ROOF CLEANING Let Us Take the “CHORE” Out of Your Chores • Move-In & Move-Out Services • • Weekly • Biweekly • Monthly • • One Time & Seasonal • EXPERIENCED • THOROUGH • DEPENDABLE RELIABLE • HONEST • AFFORDABLE Owners on Every Job References Upon Request SATISFACTION GUARANTEED! 772.812.8780 • 772.418.5635 LICENSED/INSURED/BONDED • FREE Estimates • 20% OFF Second Cleaning 20% OFF 40% OFF Third Cleaning Add up the Savings! SAVE A TOTAL OF Not valid with any other offer. Expires 3/17/23 Not valid with any other offer. Expires 3/17/23 AFTER YOUR 3RD CLEANING Not valid with any other offer. Expires 3/17/23 ➡ ➡ NEW CUSTOMER SPECIAL Don’t Spend $8k - $12k on a NEW DRAIN FIELD! Available Nights, Weekends, & Holidays! Serving All of Martin & St. Lucie Counties DUALLPLUMBERS.COM • Lic. #CFC1429556 $100 $250 off off off ANY SEPTIC PUMPING ANY DISTRIBUTION BOX REPLACED ANY NEW DRAIN FIELD INSTALLATION Not valid with other offers or prior services. Must present MLM coupon. Limit 1 coupon per service call. Not valid with other offers or prior services. Must present MLM coupon. Limit 1 coupon per service call. Not valid with other offers or prior services. Must present MLM coupon. Limit 1 coupon per service call. G G G LET DU-ALL PLUMBING SAVE YOU THOUSANDS! CALL TODAY! 772-408-9009 FULL SEPTIC CLEANING PACKAGE INCLUDES: • No damage to lawns or property • 1-year warranty on septic system • 1 Septic tank maintenance pump out within rst 1 year • 30% credit towards a new drain eld if installed by DU-All Plumbing • New lter installed • Filter cleaned at no charge for rst 1 year • FREE bacteria treatment & 1 year of bacteria packets $50
VOL. 561 G 73 Copyrighted© My Living Media. 2023 All Rights reserved. To Advertise call 772-247-6849 Need More Coupons - MyLivingMedia.com CALL TODAY FOR A free estimate! DRIVEWAYS • WALKWAYS • PATIOS • POOL DECKS • RETAINING WALLS CUSTOM POOL REMODELS • NEW POOL CONSTRUCTION • CLEAN & SEAL PAVERS • REPAIRS MARTIN 772-419-5151 PALM BEACH 561-844-9370 apexpaversandpools.com LICENSED & INSURED: CPB #4701 • U-20589 • U-20796 • RP #4701 *WITH APPROVED CREDIT. OFFERS CANNOT BE COMBINED. Apex Pavers & Pools, Inc. 725 SE Monterey Rd., Stuart, FL 34994 COME VISIT OUR SHOWROOM! POOLS TRANSFORMING THE ORDINARY TO Extraordinary FINANCING AVAILABLE CONTACT US TODAY TO LEARN MORE* CALL TODAY FOR A free estimate! DRIVEWAYS • WALKWAYS • PATIOS • POOL DECKS • RETAINING WALLS CUSTOM POOL REMODELS • NEW POOL CONSTRUCTION • CLEAN & SEAL PAVERS • REPAIRS MARTIN 772 - 419-5151 PALM BEACH 561-844-9370 apexpaversandpools.com LICENSED & INSURED: CPB #4701 • U-20589 • U-20796 • RP-252555006 *WITH APPROVED CREDIT. OFFERS CANNOT BE COMBINED. Apex Pavers & Pools, Inc. 725 SE Monterey Road, Stuart, FL 34994 POOLS TRANSFORMING THE ORDINARY TO Extraordinary 12 MONTHS SAME AS CASH NO INTEREST, NO PAYMENTS FOR 12 MONTHS* COME VISIT OUR NEW SHOWROOM! DRIVEWAYS • WALKWAYS • PATIOS • POOL DECKS • RETAINING WALLS CUSTOM POOL REMODELS • NEW POOL CONSTRUCTION • CLEAN & SEAL PAVERS • REPAIRS LICENSED & INSURED: CPB #4701 • U-20796 • RP-252555006 • CPC 1458696 Visit Our Showroom
74 VOL. 561 G Copyrighted© My Living Media. 2023 All Rights reserved. To Advertise call 772-247-6849 Need More Coupons - MyLivingMedia.com Licensed & Insured Call Thomas, Martha & the Tomcat Team! 772-634-6104 • Trees Trimmed • Hazardous Tree and Limb Removal • Stump Grinding • Bush & Lot Clearing • Tractor and Excavator Work • Hauling & Disposal • 14ft. Roll-off Cans Available for Trash Serving the Treasure Coast 20% FREE ESTIMATES TOMCAT TREEWORK 851 SE Monterey Rd., Stuart 772-214-3844 Monday thru Friday 8:00 a.m. - 4:30 p.m. Monterey Glass Specialists_0044-0623_HI561 Free Estimates FULL SERVICE GLASS COMPANY $100 OFF FRAMELESS SHOWER over $1,000 With this MLM Coupon. Expires 3/15/23 www.montereyglassspecialists.com Frameless Shower Doors • Shower Enclosures • Custom Mirrors • Table Tops • Safety Glass Impact • Broken Glass & Window Replacement • Impact Windows & Doors Licensed & Insured #SP02965 Monterey Glass Specialists Inc. SAFE ROOF & EXTERIOR CLEANING ROOFS • WHOLE HOUSE • DRIVEWAYS • POOL CAGES CALL TODAY A FREE QUOTE 772-277-2795 BEFORE AFTER FREE House Bath or Driveway Cleaning with Roof Cleaning Only with this MLM coupon. Exp. 3/17/23 • No-Walk Roof Cleaning • 100% Biodegradable Products • 10% Off Military and 1st Responder Discount Lasts 4-6X Longer than Pressure Washing Licensed, background checks, all 3rd party veri ed
Call us today (772) 247-6067 or 561-293-4909

Seaside Wellness Group: Your New Happy Place

Sisters Audra Miele, RYT (Registered Yoga Teacher) and Dr. Alice Oakley, D.C. (Doctor of Chiropractic) have come together to create what promises to be your new happy place: Seaside Wellness Group.

A wellness center offering halotherapy, yoga, chiropractic care, massage therapy, and oat therapy, Seaside Wellness Group is a veritable haven for anyone and everyone. Indeed, the patients at Seaside Wellness Group range from “0 to 100+ in age” because there is something good for everyone to nd there! Whether you’re in pain, feeling stressed out, searching for allergy relief… the list of reasons to visit Seaside Wellness Group goes on and on because, ultimately, the practice is all about holistic wellness that’s tailored to you, and isn’t there always a need for such an important service?

HALOTHERAPY

No, it’s not just a room made of salt. In fact, halotherapy is much, much more.

A safe, natural treatment with no known side effects, halotherapy utilizes a Halogenerator that circulates pharmaceutical-grade Sodium Chloride (the same kind of salt used in hospital IVs) in the air. Sit back and relax in a comfortable, calming environment (which is also customizable… ask Seaside for details!) and take deep, relaxing breaths as you listen to music, read a book, or even just rest your eyes.

Halotherapy is bene cial for adults and children alike. The bene ts of this seemingly simple session are tremendous. “It reduces the symptoms of skin conditions such as eczema and psoriasis. It also helps alleviate allergy symptoms and respiratory illness. It can also decrease stress, anxiety, and fatigue, and increase sports performance,” highlights Dr. Oakley.

Seaside Wellness Group requires that children (under age 18) be accompanied by an adult. There is no cost for children under the age of 6 to use the salt room with a paying adult, and children ages 7-17 have a reduced session rate.

YOGA

If you’ve ever wondered how to get a yoga body, then you’ll nd the answer at Seaside Wellness Group. Audra explains that it’s actually very simple, clarifying, “Step One: Have a body. Step Two: Do yoga.”

It may seem complicated or demanding, but, in all reality, yoga is all about, as Audra outlines, “unifying the mind, body, breath, and spirit.” At the center of it all is your breath. After all, Audra points out, “You can go a while without food, and even without water. But without your breath, you don’t last too long.”

By practicing yoga, you keep yourself feeling well by

breathing and stretching, increasing your bone and joint motion to prevent injury and “keep [yourself] in proper alignment,” says Audra, a practice which perfectly complements her sister’s chiropractic care (a topic we’ll discuss more later). In fact, much of Audra’s yoga background is in “Anusara yoga, which is an alignmentbased practice.” She initially trained under Deepak Chopra (yes, that Deepak Chopra!), and has been teaching yoga and meditation for around 18+ years.

Audra was led to yoga and meditation after she was in a car accident at age 17. She never expected to be thankful for such a horri c incident, but now refers to that experience as a “blessing” because it changed the trajectory of her life. She comments, “It’s one of those things that enables me to really be able to connect and relate with other people that are dealing with pain issues.”

As such, Seaside’s diverse range of yoga classes promise fun- lled, yet relaxing and de-stressing, experiences that invite you to “be in the now,” whether you’re a beginner who’s curious to see what yoga is like, you’re an experienced yogi who’s just looking to nd a warm, welcoming community of wellness enthusiasts, or you’re someone who’s somewhere in between the two! Regardless of your physical abilities or your experience level, Seaside Wellness Group’s friendly, knowledgeable, and experienced yoga instructors — Audra, Gina, Jamie, and Stevi — are with you every step of the way, and know how to tailor each class to suit every person’s needs. Plus, each instructor offers a unique class approach and style, so every class is different.

You can nd the yoga class schedule, and class descriptions, on Seaside’s website (seasidewellnessgroup.com).

CHIROPRACTIC CARE

If you’re unsure about chiropractic care, then you’re not alone… Dr. Oakley was once a skeptic herself. But then, her father was hospitalized for a week, and given prescriptions for heavy medications that completely depleted him. It wasn’t until he began following a comprehensive chiropractic treatment plan that he nally returned to his former, healthy self.

From that moment on, Dr. Oakley was convinced of the merits of chiropractic care, which led to her becoming a Chiropractor.

Dr. Oakley has been practicing high-quality chiropractic care for the past 9 years after earning her degree at the Palmer College of Chiropractic. She incorporates the utilization of soft tissue techniques, such as myofascial release, active release, and Graston technique, in addition to her chiropractic adjusting. Adjusting techniques include Diversi ed, Gonstead, Thompson, and Toggle/Recoil, as well

Dr. Alice Oakley, D.C. & Audra Miele, RYT

as Flexion/Distraction and Activator methods. Lumbar and cervical decompression therapy are available for those who are suffering from neck and low back disc herniations.

Dr. Oakley and her seasonally-based chiropractor, Dr. Christine Bellomo, D.C., focus on providing patients with excellent care, as well as a personalized treatment plan and education to guide their clients toward optimum health.

MASSAGE THERAPY

Working in perfect harmony with chiropractic care is therapeutic massage from a fully-licensed, professionallytrained massage therapist. Whereas chiropractic appointments focus on the spine and joints, massage therapy prioritizes trigger point work, as well as “lengthening and stretching the muscles properly, and helping with range of motion in the neck, shoulders, and hips,” explains Dr. Oakley.

Range of motion is important for someone who was recently in an automobile accident, but it’s also vital for the current, everyday person. In today’s digitally-obsessed world, particularly mid- and post-COVID with work-from-home situations, humans are developing poor posture as we pore over small print on our never-ending sea of screens. With this constant curvature of our spines comes a steep price: pain. “We are seeing a huge in ux of neck issues,” says Dr. Oakley, continuing, “Proper posture is a key element to good health.”

FLOAT THERAPY

If you enjoy a nice, warm Epsom salt bath, then you’ll really love oat therapy.

Float therapy, also known as REST (Restorative Environmental Simulation Therapy) is a unique and transforming method of physical and mental relaxation. It provides positive physical results, like reduced muscle tension and decreased blood pressure. Floating is the best way to improve athletic performance and recovery, and also provides relief from pain and in ammation. Additionally, it promotes natural traction for a wide range or spine-related injuries. Regular oating can help boost the body’s natural “feel-good” endorphins and provide a greater sense of overall well-being. The bene ts of oating compound over time.

During a oat session, Audra explains, “You are suspended in a 95 degree solution of water and 1000 lbs. of Epsom Salt (Magnesium Sulfate). In this weightless environment, the body relaxes, thus providing an ideal environment for relaxation as well as pain relief.”

UNLIMITED

YOGA MEMBERSHIP

“It’s like a handless massage,” simpli es Audra.

Indeed, the treatment has proven to be very effective not only for pain relief, but also patients with PTSD and stressrelated disorders. Whether you want lights, music, and the lid open/closed, or you want to completely unplug from the world in a sensory deprivation environment, the helpful staff at Seaside can customize your oat experience.

Did you know Seaside Wellness Group is the ONLY wellness center to offer oat therapy in Martin County? You don’t have to drive forever to nd relief! The best part is that you can receive $10 OFF your rst oat at Seaside Wellness Group!

Be Well, Be Happy

All of the services at the 5-star rated Seaside Wellness Group work in tandem with one another, so why not take advantage of a package (one of which allows you to try all of the services at a discounted rate!)? Their website (seasidewellnessgroup.com) makes it easy for clients to schedule appointments, complete paperwork, and view their account information.

Treat yourself by taking care of yourself! Find your new happy place at Seaside Wellness Group, Chiropractic Care, and so much more!

Seaside Wellness Group is located in the Seabranch Square Plaza at 5691 SE Crooked Oak Avenue in Hobe Sound. The of ce is open Monday/Wednesday from 9AM-7PM, Tuesday/Thursday/Friday from 9AM-5PM, and Saturday from 9AM1PM. Chiropractic services are available on Monday-Friday from 9AM-5PM and Saturday by appointment. The entire staff at Seaside is exible, and will work special hours by appointment. To schedule your appointment, call 772-600-8159 or visit seasidewellnessgroup.com.

With this MLM Coupon.Expires 3/3/23
MONTHLY
FOR New Beginners’ Classessee our schedule online!
$149
78 VOL. 561 G Copyrighted© My Living Media. 2023 All Rights reserved. To Advertise call 772-247-6849 *Additional charges may apply for heavily soiled areas Serving the Treasure Coast from Vero to Palm Beach 772-919-7163 • 561-250-0088 WWW.CarpetCleanerInFlorida.com 3 ROOMS $68 2 ROOMS $42 5 ROOMS $99 TILE & GROUT CLEANING 39¢ SQ. FT. 100 SQ. FT. MINIMUM FURNITURE CLEANING $60 SOFA OR LOVE SEAT OR 2 CHAIRS AREA RUGS $40 AND UP PREVENTS FIRES DRYER VENT CLEANING FREE DEODORIZER, SANITIZER, & DISINFECTANT $85FROM & SPEEDS DRYING TIME OFFER #MS2-2 CARPET CLEANING Licensed Ask about ...dries in half the time!
VOL. 561 G 79 Copyrighted© My Living Media. 2023 All Rights reserved. To Advertise call 772-247-6849 Need More Coupons - MyLivingMedia.com ABOVE ALL ELSE... A 772-828-2805 www.overthetoproofrepair.com FREE ESTIMATES 2ND GENERATION ROOFING CONTRACTOR SERVING ALL OF THE TREASURE COAST • Tile Repair • Shingle Repair • Metal Repair • Flat Roof Repair & Coatings • 50 Year Material Warranty Standard on All Coatings With this MLM Coupon. Limitations apply. With this MLM Coupon. Expires 3/17/23 • Residential & Commercial “We will Beat Any Written Estimate for e Same Repair!” 772-291-0071 SERVICING MARTIN • ST. LUCIE INDIAN RIVER • PALM BEACH LAWN IRRIGATION & WATER WELL REPAIR SERVICE With Over 40 Years In Business, We Are The Treasure Coast’s #1-Trusted Irrigation and Well Water Service and Repair Company. • We service and repair all sprinklers, pumps, tanks, & wells • 24-hour out-of-water emergency calls • Ask about our sprinkler maintenance contracts FINANCING AVAILABLE WAC Licensed, Bonded, and Insured Member www.ecowater .com $1,995 COMPLETE LAWN IRRIGATION SYSTEM Complete 3-Zone System Based on a 75 ft. x 100 ft. lot. Installed standard landscaped lot. Does not include well or pump. Applies to City Water hookup only. Must present coupon. at time of service. Not valid with other offers or prior services. Offer Expires 3/30/23
Second Location 4880 SE Federal Hwy. • Stuart 552 US Hwy. 1 North • Tequesta (LOCATED IN THE PUBLIX PLAZA) 1-833-ACE-CART 223-2278 Second Location Aceofcarts.com Residential Customer PRSRT STD ECRWSS US POSTAGE PAID PERMIT #145 STUART, FL 2081 SE Ocean Blvd. • Suite 4 Stuart, Florida 34996 • 772-334-2121 Ace of Carts Authorized Club Car Dealer Now Open in Tequesta! SALES• SERVICE • PARTS 0% On All Street Legal Golf Carts! Must be from Dealer Stock. Offer cannot be combined with any other discount. Valid through March 16, 2023 or while supplies last. Financing Ace of Carts has the Area’s Largest Selection of Golf Carts. You Must Have a “Street Legal” Golf Cart to Drive on Public Roads! STREET LEGAL GOLF CARTS IN STOCK!

Turn static files into dynamic content formats.

Create a flipbook
Issuu converts static files into: digital portfolios, online yearbooks, online catalogs, digital photo albums and more. Sign up and create your flipbook.