G2-Heritage Ridge Living-Vol.562

Page 1

HOT TUB SALES SIMPLY GREAT SERVICE See Pages 76 & 77 TOP 5 REASONS TO BUY A HOT TUB OR SWIM SPA FROM… Heritage Ridge Living VOL. 562-G2 Index Page 9 MYLIVINGMEDIA.COM For What It’s Worth Pg. 40 MMJ Health Pgs. 4-5 Puzzle Page Pg. 56 Hurricane Protection Pgs. 21-23
2 VOL. 562 G Copyrighted© My Living Media. 2023 All Rights reserved. To Advertise call 772-247-6849 Need More Coupons - MyLivingMedia.com Your One-Stop Shop FOR EVERYTHING HOME * Subject to credit approval. | ** See warranty guide for complete details. See store for details. At participating stores only; not all products at all locations. Photos for illustrative purposes only. Not responsible for typographical errors. Offers cannot be combined with other discounts or promotional offers and are not valid on previous purchases. © 2012 Carpet One Floor & Home®. All Rights Reserved. Serving the Treasure Coast for over 38 years Stuart 1975 SE Fischer St (Next to Lowes) 772-232-8854 CABINETS • LIGHTING • PLUMBING FIXTURES • FLOORING FURNITURE • CEILING FANS • AREA RUGS • WINDOW TREATMENTS RameyFloorandHome.com 12-MONTHS FINANCING ASK US ABOUT HEALTHIER LIVING INSTALLATION OMEGA & KITCHEN KRAFT CABINETS 30% OFF 25% OFF LUXURY VINYL FLOORS IN-STOCK AREA RUGS 50% OFF IN-STOCK VANITIES 40% OFF KARASTAN CARPET SALES 30% OFF $79 REMNANT SALES – ANY SIZE
VOL. 562 G 3 Copyrighted© My Living Media. 2023 All Rights reserved. To Advertise call 772-247-6849 Need More Coupons - MyLivingMedia.com License# CAC057227 “Taking Pride in Our Work Since 1974” Complete AC System Purchase One… and Get Get More… Save More! LOW PRICE GUARANTEED WE SERVICE ALL MAJOR BRANDS 772.577.1228 www.pridekeepsyoucool.com FREE U.V. Light & Sanitation System All Access Drainline Kit Honeywell T2 Pro Series Thermostat Lifetime Warranty $129 Value $250 Value $150 OR OR GAS CARD $29.95 AIR CONDITIONING DIAGNOSTIC SPECIAL Includes Trip Fee • License Number CAC057227 During normal business hoursExcludes holidays. Limited time offer. May be withdrawn at anytime without notice. Cannot be combined with any other offers. Does not include repairs Don’t be HOT... Be Cool! FREE FREE FREE

medical MARIJUANA Is

just more…FAKENEWS?

Bynow, you’ve likely heard the almost miracle-like anecdotes from “patients” on the news about medical marijuana as it becomes more mainstream. When I hear these stories, I have to wonder: are they legitimate? I had to know the TRUTH, so I arranged to sit down with Dr. Anne Lynn Morgan, the Chief Medical Of cer at MMJ Health, Florida’s top-rated medical marijuana doctor’s of ce.

Many people don’t know that medical marijuana is legal in Florida, let alone readily available at over 250 in-state dispensaries (imagine a pharmacy speci cally for medical marijuana). For years, pop culture has depicted marijuana primarily as a recreational drug, but there’s more to the plant than what’s shown on the silver screen. Since its legalization, medical marijuana’s profound effects have changed the lives of countless Floridians. Dr. Morgan, as Florida’s top rated Medical Marijuana Specialist, is responsible for much of this positive impact. Indeed, she and the staff at MMJ Health were honored to be named by The Palm Beach Post as the “Best Medical Marijuana Card Provider” for their level of service and ef cacy in 2020!

Additionally, Dr. Morgan is an expert in the eld of medical marijuana, and is among one of the most respected clinicians in the industry. She sits on the board of directors for the American Academy of Cannabis Medicine, is a member of the International Cannabinoid Research Society, and is considered to be one of the industry’s highest-rated cannabis clinicians (no pun intended). Dr. Morgan has been in practice for 33 years and was the former Medical Director for United Health, Metropolitan Health, and Humana.

Dr. Morgan has been practicing marijuana medicine speci cally for the last 9 years, with licenses in Florida, Washington, and Pennsylvania. After years of education, research, and hands-on experience, Dr. Morgan attests to the relief medical marijuana brings to people, saying, “We have found that we have over a 90% success rate with medical cannabis.”

Dr. Morgan explains that medical marijuana patients at MMJ Health, rather than experiencing psychoactive effects or feeling high, nd relief from various medical conditions, including anxiety, depression, insomnia, arthritis, cancer, IBS, epilepsy, PTSD, autoimmune disorders, migraines, Parkinson’s, ADHD, Fibromyalgia, dementia, Alzheimer’s, and more. Medical marijuana is not for getting high, it’s for feeling better! How does it work? It’s simple –THC and CBD.

THC and CBD are two chemical compounds that come from the marijuana plant and affect the endocannabinoid system, the human body’s natural system for processing cannabis. “The endocannabinoid system’s reason for existing is to keep our bodies in homeostasis, i.e. healthy and balanced. Cannabis can positively affect so many systems in the body that are not being managed properly by pharmaceuticals,” says Dr. Morgan. Many of MMJ’s patients, since using medical cannabis, have been able to drastically reduce their prescription medication regimen, or have stopped taking prescriptions altogether!

4 VOL. 559 H/K Copyrighted© My Living Media. 2022 All Rights reserved. To Advertise call 772-247-6849 Need More Coupons - MyLivingMedia.com

Marijuana is still classi ed as a Schedule 1 substance federally, but Dr. Morgan explains, “It’s not what you think… Medical marijuana is not a narcotic. In fact, after using medical marijuana, many of our patients have reduced taking narcotics and/or opiates without even being asked!”

Medical marijuana is not like anything sold on the street... it’s completely safe! When you get your marijuana from a dispensary, you don’t have to worry about whether it was adulterated. Dr. Morgan clari es, “Florida has very stringent rules about how medical marijuana is grown and prepared, so you know it’s clean, pesticide-free, and has no bacteria or viruses.”

Medical marijuana has become a go-to for doctors across the nation to give their patients relief from a myriad of conditions without having to worry about the severe side effects associated with many pharmaceuticals. For the patients at MMJ Health, medical marijuana is 100% making a difference in their everyday lives. The stories are real. Dr. Morgan says that it is not uncommon for patients to cry, hug, and thank her because they are feeling better than ever since using medical cannabis. Dr. Morgan has seen the results, and she urges anyone and everyone to consider trying medical marijuana.

MMJ Health is at the forefront of technology, so nding out if you qualify for a medical marijuana card is super simple! The MMJ Patient Quali cation System, accessible at www.mmjhealth.com, allows you to nd out in minutes whether you qualify. If you do, then the MMJ Health of ce will contact you. MMJ Health has all of the resources necessary to get your health back on track!

So the real question now is: why wait? MMJ Health is the only all-inclusive medical marijuana of ce in Florida, so you can get quali ed for your medical marijuana card in one visit. The friendly and knowledgeable staff will ll out the tricky government application for you, take your ID photo in their of ce, and submit all of your paperwork to the Florida Health Department. The only thing you have to do once you leave their of ce is wait for your card!

“You shouldn’t have to suffer… medical cannabis can help you! We are real doctors who provide real results,” says Dr. Morgan. The expert staff at MMJ Health encourages you to “Please come and see the MMJ Health difference. We care, we make a difference as a team, and we know our cannabis medicine. Isn’t it time to live your life the way you want, symptom and side-effect free?”

MMJ Health is located at 600 Sandtree Drive in Suite 108 in Palm Beach Gardens. MMJ Health also has locations in West Palm Beach, Port St. Lucie, Stuart, Melbourne, Wellington, Boynton Beach, and Boca Raton. Their of ces are open Mondays-Fridays from 9AM-7PM and Saturdays-Sundays from 10AM-7PM. For more information, please call 561-631-7994 or 772-212-4032, or visit www.mmjhealth.com.

VOL. 559 H /K 5 Copyrighted© My Living Media. 2022 All Rights reserved. To Advertise call 772-247-6849 Need More Coupons - MyLivingMedia.com
6 VOL. 562 G Copyrighted© My Living Media. 2023 All Rights reserved. To Advertise call 772-247-6849 The Most Trusted Name in Optical and Hearing Guaranteed Best Prices Ask a Friend! We Are Proud Of Our Service (772)286-4327 Hearing Mon.-Fri. 9AM-6PM ; Sat. by Appt. 2341 SE Federal Hwy. Stuart, FL 34994 In Front of TJ Maxx and Home Goods Kevin M. McCurdy H.A.S., BC-HIS Licensed Hearing Aid Specialist Tinnitus Specialist Insurance Accepted Financing Available The Original Schmidt’s Hearing Is Located Inside Schmidt’s Optical Largest Selection of Hearing Aids To Better Serve Our Patients’ Needs We Will Beat Any Competitor’s Pricing By At Least 10% • Tinnitus Treatment • Repairs On All Hearing Aids • Free Diagnostics Of Your Current Hearing Aids FREE Quality Hearing Exam with Consultation Digital Hearing Aids Starting at $279 For Mild Hearing Loss
VOL. 562 G 7 Copyrighted© My Living Media. 2023 All Rights reserved. To Advertise call 772-247-6849 *The Free Exam® works as a credit in the amount up to $49 that is credited off the Buy One Get One Free Sale. $49 Off excludes $19 & $74 Sale. Must present coupon prior to purchase. Not valid with any other offers, sales or vision plans. Restrictions Apply. (772) 283-2622 Optical Insurance Accepted 2341 SE Federal Hwy Stuart, FL 34994 (In Front of TJMAXX & Home Goods) Eye Exams by: Dr. Suivski & Associates Independent Dr. of Optometry (772) 283-4240 Free Eye Exam by receiving $49 OFF Your Designer Eyewear Purchase* $60 - $170 Off Designer Eyewear* FREE 2nd Pair Including Progressives The Most Trusted Name in Optical and Hearing 1-Hour Service Family Owned and Operated Since 1978 Akoni Alain Mikli Badgley Mischka Balmain Bebe Bolle Bottega Veneta Boucheron Brooks Brothers Caroline Abram Carrera Cartier Caviar Cazal Chloe Christian Roth Chrome Hearts Coach Coco Song Colors In Optics Costa Denon Dior Dita Dolce Gabana Entia Barcelona Fendi Gucci Guess Johann Von Goisen Kate Spade Lafont La Matta Lindberg Maui Jim Mattisse Michael Kors Missoni Mont Blanc Nine West Oakley OGA Oliver Peoples Persol Pomellato Porsche Design Prada Private Label Ralph Lauren Rayban Revo Rip Curl Rodenstock Serengeti Silhouette Silhouette Elegance Smith Steve Madden Talla Tiffany Tom Ford Tory Burch Vera Bradley Vera Wang Versace Vince Camuto Trina Turk Zeal 7 Eye Why Pay More with Less Options?! Our Sales Are Better! Plus Single Vision $19 That’s 2 for $38 Progressive $74 That’s 2 for $148 LARGEST SELECTION & SHOWROOM IN FL 10% OFF GIFT CERTIFICATES THE GIFT THAT IS ENJOYED ALL YEAR FOR RX AND NON RX To Better Serve You, 3 Licensed Opticians & All Lens Brands Available Including Digital, Specialty, Sport, & More Our Sales Are Better!
2 LOCATIONS Treasure Coast Mall, Jensen Beach COHEN’s COHEN’ OptiCal Pinecrest Lakes Including Hollycreek & Timberwick Living 549-A7 MYLIVINGMEDIA.COM $1000 OFF JetSetter Membership Indian River Shores Living MYLIVINGMEDIA.COM Index Page 9 551-E4 Okeechobee Cowtown Rodeo See Page 9 March 8th - 10th Okeechobee WEST Living VOL. Index Page 30 MYLIVINGMEDIA.COM Meet Sean Quinn… See Pages 4-5 Your trusted neighborhood Realtor Our Local Market is Shifting & You need to know exactly what that means! River Shores North VOL. 549-A1 Living MYLIVINGMEDIA.COM Index Page 9 Meet Soraya Cedeño CEO of Organic Tagua Jewelry See Pgs. 18 & 19 Sailfish Point VOL. 549-A2 Living MYLIVINGMEDIA.COM Index Page 9 NO WATERING NO MOWING NO FERTILIZING VeroBeach VOL. Living West MYLIVINGMEDIA.COM Index Page 9 Jupiter VOL. 549-D1 DIRECT MAIL High-quality printed post cards & inserts allow you to target specific zip codes every two weeks FREE digital, mobile, & social media marketing for every one of our direct mail clients Mailing Martin, St. Lucie, Indian River, Okeechobee, & Palm Beach Counties my LIVING MEDIA ON THE WEB We are Florida’s Premier Direct Mail & Multimedia Marketing Company 1¢MAIL Some Restrictions Apply. Please call for details. PER HOME FOR ONLY… 15,000* HOMES CONNECT TO YOUR COMMUNITY… 772-247-6849 100+ UNIQUE COMMUNITY MAGAZINES
upiter Living Index Page 9 Shop Local - Beautiful Designer Furniture and Furnishings Furniture Store Island VOL. Living MYLIVINGMEDIA.COM Index Page 9 Janice Milesic Steve Milesic Sebastian 551-U1 Living MYLIVINGMEDIA.COM Index Page 9 EAT. DRINK. CHILL. Grand Harbor Living MYLIVINGMEDIA.COM Index Page 9 VOL. Including Oak Harbor and River Club Gardens Palm Beach Living MYLIVINGMEDIA.COM VOL. 549-I5 THC TOTAL HOME DISCOVER THE PREMIER POSSIBILITIES A Taste of Italy in Every Bite Torino VOL. 549-F3 Living MYLIVINGMEDIA.COM See Pgs. 52-53 Executive Chef, Taylor Wilson This Grill is American Cuisine and Full Bar Stuart Yacht & Country Club Living VOL. 549-O4 Index Page 9 MYLIVINGMEDIA.COM MY LIVING CONTENTS - ZONE G ANIMAL AND PETS Treasure Coast Wildlife Center 71 AUTOMOTIVE Ace of Carts 47 Broward Motor Sports 32 Capt MO-Wallace Kia 60 Hobe Sound Full Service Hand Car Wash 32 Islands Auto Spa 17 JLD Auto 20 Paradise Car Wash 68 Stuart Brake and Auto Repair 20 BEAUTY Elysian By Mod 37 Great Clips Hobe Sound 42 Lemon Tree Hair Salon .............................. 48 CLEANING AND SERVICES AA18 Pressure Cleaning............................70 Blue Genie Soft Wash 69 East Coast Window Cleaning 64 Florida’s Finest Carpet Cleaning 41 Honor Carpet Cleaning 78 Magic Bubbles Pressure Cleaning ............. 37 Platinum Pressure Washing 72 Stanley Steemer 11 The Groutsmith Grout Cleaning 71 Well Maid Cleaning Service 52 Wonder Sisters Cleaning Service 13 DINING AND ENTERTAINMENT Bagel Bistro .............................................. 25 Busters 27 Carrabba’s Italian Grill 29 Casa G’s Italian Restaurant 29 Casa Tequila 30 Fiorentino’s 31 Fresh Catch 24 Hudsons on the River 26 Hurricane Grill Palm City ........................... 28 Mero Mero Cantina 27 Mr. Jalapeno 24 Okeechobee Mainstreet 62 Pete’s Supreme Pizza................................24 Pirate’s Cove Resort and Marina 25 Salerno Pizza 26 Splatter and Sip 31 Stuart Ceramics Painting Studio ................ 60 The Grove 31 Two Brothers Pizza 28 FUNERAL HOMES AND CREMATION Affordable Choice Cremation.....................66 HOME IMPROVEMENT A Great Fence LLC 15 Accent Garage Doors 69 Advanced Re nishing 60 Affordable and Superior Painting 58 All Coast Septic Services 37 Alliance Group Roo ng 18 Apex Pavers and Pools 73 Bill sh Air Conditioning 54 Bob’s Mirror Removal................................55 Brilliant Roo ng 75 Brite Concepts Windo and Sliding Door Repair 46 Budget Blinds of Hobe Sound 61 Budget Fence............................................74 Camco Custom Pools 20 Closets By Design 12 Coastal Closets and Showers 65 Code Red Roofers 51 Color Restoration 46 Como Oil & Propane 38 Complete Sliding Doors 66 db Home Improvements 49 Designer Driveways 45 Doing Roo ng Co. 42 DTR Tile Restorations 36 Du-All Plumbing 68 Du-All Plumbing 41 Estes Painting 40 Face of Wood 44 First Impression Doors and More...............10 G & S Painting & Fine Finishes 75 Holt’s Reliable Garage Doors 61 Kamrell Windows and Doors 70 Kitchen Bath and Home Design 57 Krauss and Crane 64 Level Best Roo ng 67 Liberty Impact Windows and Doors 38 Max Guard Patio Enclosures 21 NVP Gutters and More 13 Oasis Brick Pavers 55 Over the Top Roof Repair...........................72 OX Floor Coating 19 Pioneer Screen LLC 18 Plantation Shutters Florida 48 Plumb Rite Plumbing 74 Precision Door Service 75 Pride Air Conditioning..................................3 PS Flooring Inc. 43 Quality Air of America................................33 Quality Plumbing & Drains 47 Ramos Tree Service 44 Sanders Screening....................................11 Scollo Painting 42 Shoreline Roo ng and Repair 47 Steve Frontera Roo ng, Inc 52 Stott Brothers Electric 74 Stuart Roo ng 18 Superior Tile and Remodeling 50 The Shutter Factory 50 Total Image 36 Treasure Coast TrimLight .......................... 44 Tree Works 72 Window and Door Storm Protection...........61 Window World of West Palm Beach 34 Windowz and More 79 Yard Lites 45 INSURANCE AND BENEFITS Becker Insurance Agency .......................... 64 Boss Public Adjusting 49 Florida Health Group-Compass Health 59 South Shore Insurance 32 JEWELRY Joseph’s Jewelry 13 LAWN AND GARDEN IMA Landscaping 58 Palm City Sod 65 Tree Trimmers USA 37 Wholesale Mulch LLC................................69 MEDICAL AND HEALTH Appearance Implant and Family Dentistry 39 Grab Bar 55 MMJ Health 16 Premier Dentistry 53 Schmidt’s Optical 6 Seaside Wellness Group LLC 50 Stretch Zone 35 Symphony of Stuart 52 PROFESSIONAL SERVICES All Dry USA 14 ASAP Dryer Vent Cleaning 60 ASAP Dryer Vent Cleaning 34 Dryer Vent Cleaner, The 45 Honor Dryer Vent Cleaning 49 Judith Ann Just 55 Tomcat Treework 70 Wet Out Restoration 36 REAL ESTATE Leslie Gould Leibowitz Realty 34 RETAIL Cozy Corner 58 Ramey Floor and Home Store 2 Volume 562 March 2023 For advertising rates and information Email: sales@mediaoms.com Call 772-247-6849 © 2023 by My Living Media. All rights reserved. Although some parts of this publication may be reproduced and reprinted, we require that prior permission be obtained in writing. My Living Magazine is a free publication distributed locally and is supported by our advertisers. Please call to find a location near you or if you would like copies placed at your business. We do not necessarily endorse the views expressed in the articles and advertisements, nor are we responsible for the products, and services advertised. We are not responsible for licensing or certifying businesses, nor are we responsible for verification of these requirements. We welcome your ideas, articles and feedback. *Dining pictures shown are for illustration purposes only. Actual products may vary due to product enhancement.
10 VOL. 562 G Copyrighted© My Living Media. 2023 All Rights reserved. To Advertise call 772-247-6849 Need More Coupons - MyLivingMedia.com Make a GREAT First Impression with new Front Doors! New Solid Core Doors • New Door Hardware • New Hinges We are Palm Beach County’s Largest Specialty Door Store WE HAVE DOORS TO FIT ANY BUDGET! Transform your home by installing new custom interior doors without the mess and hassle of major construction. Choose from a wide variety of contemporary, traditional and transitional door styles. License # CBC037800 FINANCING AVAILABLE Impact Resistant Fiberglass & Mahogany Entry Doors • Impact Resistant Decorative Glass Inserts Interior Doors • Impact Resistant French & Siding Glass Doors • Hurricane Impact Windows Call Today 561.678.5630 to schedule your FREE SHOWROOM appointment or schedule online www.FLORIDADOORS.COM BOCA RATON | 9858 Clint Moore Rd., Suite C-128 • Boca Raton, FL 33496 Tuesday - Friday • 9am - 5pm Saturday • 9am - 4pm WEST PALM BEACH | 346 Pike Road, Suite 6, West Palm Beach, FL 33411 Monday - Friday • 7am - 4:30pm Saturday • 9am - 4pm JUPITER | 75 E. Indiantown Road, Suite 507, FL 33477 Tuesday - Friday • 9am - 5pm Saturday • 9am - 4pm 15% OFF Installed Doors * Offer not valid on prior sale. Applies to installed exterior & interior doors only. Offer ends 4/ 30/2023
VOL. 562 G 11 Copyrighted© My Living Media. 2023 All Rights reserved. To Advertise call 772-247-6849 Need More Coupons - MyLivingMedia.com FAMILY OWNED & OPERATED • SCHEDULE ONLINE TODAY AT: WWW.STANLEYSTEEMER.COM FIRE, WATER, & MOLD DAMAGE RESTORATION SERVICE Immediate Response 24-HOUR EMERGENCY Minimum charges apply. Cannot combined with other offers. Residential and Commercial. Must present this MLM Coupon at time of service. Valid at participating locations only. Certain restrictions may apply. Call for details. Lic. #CMC014066 772-758-2505 WWW.STANLEYSTEEMER.COM STANLEY STEEMER SERVICES ® FREE ESTIMATES FOR ALL COMMERCIAL BUSINESSES WE PRETREAT YOUR FLOORS AND MOVE YOUR FURNITURE AT NO CHARGE WE PRETREAT YOUR FLOORS AND MOVE YOUR FURNITURE AT NO CHARGE $99 $129 Expires 4/1/23 MLM Expires 4/1/23 MLM TILE & GROUT OR WOOD FLOOR CLEANING Only PER ROOM 3 ROOMS CARPET CLEANING Wool carpets extra. Area rugs not included in wall-towall cleaning. *Any Room Up to 300 sq. ft. Home & Of ce Air Puri er Removes Viruses, Bacteria, Mold, & Pollen MARBLE & STONE CLEANING $50 OFF Expires 4/1/23 With MLM Coupon Proud to be Endorsed by Cystic Fibrosis Foundation $160 Expires 4/1/23 MLM HOME Which Air Are You Breathing? AIR DUCT CLEANING Up To 8 Vents BEFORE AFTER OFFICE FREE ESTIMATES CALL TODAY COMMERCIAL & RESIDENTAL Sanders Screening and Repair Family Owned & Operated Serving your Community for 23 Years 3730 SE Dixie Hwy., Stuart, FL 34997 We Build & Repair Window Screens 772-362-2762 Licensed & Insured MC2000068 www.SandersScreeningFL.com Info@sandersscreeningfl.com NOW HIRING!
12 VOL. 562 G Copyrighted© My Living Media. 2023 All Rights reserved. To Advertise call 772-247-6849 Need More Coupons - MyLivingMedia.com Call for a free in home design consultation and estimate Imagine your home, totally organized! Custom Closets, Garage Cabinets, Home Offices, Pantries, Laundries, Hobby Rooms and more... 40% Off Plus Free Installation Terms and Conditions: 40% off any order of $980 or more or 30% off any order of $680-$979 on any complete Custom Closet, Garage Cabinets, Home Office, Pantry, Laundry, Wall Bed, Wall Unit, Hobby Room or Garage Flooring system. Not valid with any other offer. Free installation with any complete unit order of $600 or more. Expires in 30 days. Call for a free in home design consultation and estimate (561)203-4745 www.closetsbydesign.com MSJ Follow us 2020 © All Rights Reserved. Closets by Design, Inc. Walk-In-Closets Laundry Rooms Home Offices Garage Cabinets Follow us www.closetsbydesign.com CGC1509325 & MC1900055 (772) 207-3265 MS
VOL. 562 G 13 Copyrighted© My Living Media. 2023 All Rights reserved. To Advertise call 772-247-6849 Need More Coupons - MyLivingMedia.com Choose Us for All of Your Gutter Needs! Call Now! Off 772-238-5589 $50 Cleaning or Repair MLM Coupon Expires 3/31/23 15% OFF MLM Coupon Expires 3/31/23 Whole House Gutter Installation New Construction or Renovation Let Us Take the “CHORE” Out of Your Chores • Move-In & Move-Out Services • • Weekly • Biweekly • Monthly • • One Time & Seasonal • EXPERIENCED • THOROUGH • DEPENDABLE RELIABLE • HONEST • AFFORDABLE Owners on Every Job References Upon Request SATISFACTION GUARANTEED! 772.812.8780 • 772.418.5635 LICENSED/INSURED/BONDED • FREE Estimates • 20% OFF Second Cleaning 20% OFF 40% OFF Third Cleaning Add up the Savings! SAVE A TOTAL OF Not valid with any other offer. Expires 3/31/23 Not valid with any other offer. Expires 3/31/23 AFTER YOUR 3RD CLEANING Not valid with any other offer. Expires 3/31/23 ➡ ➡ NEW CUSTOMER SPECIAL www.jewelryofstuart.com 50 F F Jewelry & Watch Repair *Up to $10 value. Limit one per customer. Parts, Watch sizing, & Pearl restringing not included. With this MLM-G coupon only. Expires 4/1/23 % *Most Watches. Limit Two, up to $5 VALUE. With this MLM-G coupon only. Expires 4/1/23 50 O F F Watch Batteries % With this MLM-G coupon only. Expires 4/1/23 FREE Jewelry Cleaning & Inspection 5250 SE Federal Hwy., Stuart MONDAY-FRIDAY: 9:30AM-5:30PM • SATURDAY: 9:30AM-4:00PM (772) 221-1779
Copyrighted© My Living Media. 2023 All Rights reserved. To Advertise call 772-247-6849 Need More Coupons - MyLivingMedia.com WATER & MOLD DAMAGE EXPERTS WATER & MOLD DAMAGE EXPERTS 24/7 EMERGENCY RESPONSE 24/7 EMERGENCY RESPONSE (772) 310-4101 (772) 310-4101 FULLY LICENSED & INSURED ALLDRYUSA.COM FULLY LICENSED & INSURED ALLDRYUSA.COM NO MONEY DOWN!! WATER DAMAGE & MOLD REMEDIATION NO MONEY DOWN!! WATER DAMAGE & MOLD REMEDIATION GIVE US A CALL IF YOU SEE... GIVE US A CALL IF YOU SEE... WATER STAINS FLOOR BUCKLINGKITCHEN LEAKMOLD BUILDUP QUALITY PROFESSIONAL RESTORATION IS OUR PROCESS QUALITY PROFESSIONAL RESTORATION IS OUR PROCESS OUTSTANDING RESULTS IS OUR GUARANTEE OUTSTANDING RESULTS IS OUR GUARANTEE CALL CALL (772) 310-4101 (772) 310-4101 TODAY FOR A FREE INSPECTION TODAY FOR A FREE INSPECTION $100 REBATE $100 REBATE ON MOLD SERVICES ON MOLD SERVICES MUST MENTION CODE LMM MUST MENTION CODE LMM NO INSURANCE? NO NO INSURANCE? NO PROBLEM! PROBLEM! DIRECT PAY & FINANCING DIRECT PAY & FINANCING OPTIONS AVAILABLE OPTIONS AVAILABLE Fully Licensed Contractors & Mold Remediators #CGC1525977 #MRSR3558
VOL. 562 G 15 Copyrighted© My Living Media. 2023 All Rights reserved. To Advertise call 772-247-6849 Need More Coupons - MyLivingMedia.com • Aluminum Railing • Estate Gates • Temp Fence • Chain Link • Wood • PVC/Vinyl • Aluminum • All Kinds of Welding • Automatic Operators for Gates Licensed & Insured 772-232-7303 AGreatFence.com Call A Great Fence Today! A Great Fence SLC-23954 PSL-9089 MCFE-5176 FTP-16141 Free Estimates... No Waiting! Gate Access Control & Cameras 772-758-5160 Call A Great Access Control! • Gate Operators • Access Control • Telephone Entry • Hardware • Accessories • Repairs • New Installs • Maintenance • Cameras • Key Pads • Intercoms

When it comes to nding medical

(MMJ) doctors, you can trust the helpful and professional sta at MMJ Health. Serving patients in Palm Beach, Martin, & St. Lucie Counties.

16 VOL. 562 G Copyrighted© My Living Media. 2023 All Rights reserved. To Advertise call 772-247-6849 MMJ Health Make the Appointment Use our patient qualification system to see if you qualify for medical marijuana. See the Marijuana Doctor See one of our qualified physicians at one of our many locations in Florida. Get Your Card You will be able to visit and get delivery from any dispensary in Florida. Let Dr. Morgan, The Highest Rated MMJ Doctor, at MMJ Health find your Alternative to Pharmaceuticals! Anne L. Morgan, M.D.
Call MMJ Health to schedule an appointment with a Florida Medical Marijuana Doctor: WINNER OF BEST DISPENSARY, BEST MEDICAL MARIJUANA CARD PROVIDER, BEST CBD STORE, AND FINALIST FOR BEST PLACE TO WORK HOW IT WORKS Treasure Coast 772-212-4032 Palm Beach 561-631-7994
marijuana
VOL. 562 G 17 Copyrighted© My Living Media. 2023 All Rights reserved. To Advertise call 772-247-6849 Any Detail Package On a Ceramic Coating plus 1 FREE MONTH Unlimited Car Washes Every Wednesday Exterior Wash $300 Off $599 NOT TO BE COMBINED WITH ANY OTHER OFFERS. PRESENT THIS MLM COUPON TO REDEEM THE OFFERS. PROMOTIONS EXPIRES 4/2/23 NOT TO BE COMBINED WITH ANY OTHER OFFERS. PRESENT THIS MLM COUPON TO REDEEM THE OFFERS. PROMOTIONS EXPIRES 4/2/23 NOT TO BE COMBINED WITH ANY OTHER OFFERS. PRESENT THIS MLM COUPON TO REDEEM THE OFFERS. PROMOTIONS EXPIRES 4/2/23 NOT TO BE COMBINED WITH ANY OTHER OFFERS. PRESENT THIS MLM COUPON TO REDEEM THE OFFERS. PROMOTIONS EXPIRES 4/2/23 “The Difference Is Our Attention to Detail” 12101 SE FEDERAL HWY. HOBE SOUND (Directly on US 1. Just South of Bridge Road) 772-546-330 Gi Cards Available For More Information Visit Us at: www.IslandsAutoSpa.com $10 Off OUR WACKY WEDNESDAY (Cash Only) WE WILL HONOR ANY OTHER CAR WASH COUPONS EQUAL TO OUR WASH OR DETAIL Any Car Wash $5 Off
18 VOL. 562 G Copyrighted© My Living Media. 2023 All Rights reserved. To Advertise call 772-247-6849 Need More Coupons - MyLivingMedia.com 132 NE Dixie Hwy., Stuart, FL 34994 Licensed & Insured State Certi ed License #CCC024411 Serving Martin & Palm Beach Counties for Over 30 Years! “You’ve tried the rest…now call the Best!” Re-Roof & Repair Specialists METAL ROOFS Starting At Starting At $17,500 TILE ROOFS (Minimum 3500 Sq Ft of Roof) $24,500 (Minimum 3500 Sq Ft of Roof) 772-692-9854 Re-roofs • Repairs • New Construction • Cement & Clay Tile Fiberglass Shingles • Wood Shakes • 5-V & Standing Seam Metal Built-up Modi ed Rubber • Residential & Commercial 25- to 50-Year Material Warranty Available 5- to 10-Year Labor Warranty Available Martin County’s Trusted Name Since 1980! POOL SCREEN ENCLOSURES THE ORIGINAL Locally Owned & Operated Since 1990 • Pool Screen Enclosures • Patio & Lanai Screens • Poly Aluminum Roofs • All Work Guaranteed • All Repairs • FREE Estimates • www.pioneerscreen.com 772-232-8607 38 Years of Experience Licensed & Insured To Protect You $100 OFF ANY RE-SCREEN OR REPAIR OVER $1000 WE WILL MEET OR BEAT ANY LICENSED CONTRACTOR’S ESTIMATE WITH THE SAME QUALITY PRODUCTS!
Copyrighted© My Living Media. 2023 All Rights reserved. To Advertise call 772-247-6849 Garages Patios Pool Decks Driveways & Much MORE! SCAN ME GET STARTED TODAY! Offer Valid for Same-Day Service Only FREE IN-HOME ESTIMATE 30% OFF WE TAKE THE BORING OUT OF YOUR FLOORING!TM 10X STRONGER BOND THAN EPOXY YOUR BEAUTIFUL NEW FLOORING IS JUST A CALL AWAY! 772-277-7562 • 561-277-0375 OXFLOORS.COM WITH THIS MLM COUPON. OFFER EXPIRES 4/1/23 PLUS
Copyrighted© My Living Media. 2023 All Rights reserved. To Advertise call 772-247-6849 Need More Coupons - MyLivingMedia.com 3215 SE GRAN PARK WAY STUART, FL 34997 WHAT'S IN YOUR GARAGE? ® BUY, SELL, OR TRADE 561-202-3580 772-672-3080 BUY, SELL, OR TRADE ® SALES | STORAGE | CONSIGNMENT STUART BRAKE & Auto Repair 409 SE Monterey Rd. , Stuart 772-618-4177 MV5423 Full Service Garage • Walk-Ins Welcome! www.StuartBrakeandRepair.com R1234YF Cos t Per Axle. Install Brake Pads, Replace Rotors & Service Caliper Slides. 24 month, 24,000 mile warranty. Plus sales tax & shop supplies. With this MLM Coupon. PREMIUM CERAMIC OR SEMI METALLIC PADS & 2 ROTORS $ 379 95 $ 239 95 $ 149 95 PREMIUM CERAMIC OR SEMI METALLIC BRAKE PADS Plus sales tax & shop supplies Expires 3/31/23 RESURFACE ROTORS COMPACT CARS ONLY COMPACT CARS ONLY PREMIUM CERAMIC OR SEMI METALLIC PADS & 2 ROTORS $ 249 95 PREMIUM CERAMIC OR SEMI METALLIC BRAKE PADS Plus sales tax & shop supplies Expires 3/31/23 RESURFACE ROTORS Sedans, SUV & Light Trucks A/C failure requires diagnostic charge. Expires 3/31/23 Includes 1lb of 134a Refrigerant Plus sales tax & shop supplies. Most cars, SUVs, & light trucks A/C INSPECTION AND RECHARGE NEW FREON Most Cars & Light Trucks. With this MLM Coupon. May not be combined with other offers. Must present coupon at time of service. Expires 3/31/23 $ 299 95 plus FREON • New ���������� • Ren��������i��n�� • Rem��������in�� • Rep�������� • Res��������ci���� Your Backyard Oasis Awaits… New Pool Construction 561-782-4644 Camco Pools New Construction & Renovations $1500 off With this MLM coupon. Expires 4/2/23
VOL. 562 G 21 Copyrighted© My Living Media. 2023 All Rights reserved. To Advertise call 772-247-6849 Need More Coupons - MyLivingMedia.com *Max Guard is not responsible for delays outside of its reasonable control, including but not limited to HOA and permitting approval or manufacturing delays. MAX GUARD provides impact-rated products, engineering, and installation services by CONVERTING your “existing” screened (or open) patio to an enclosed livable room by installing hurricane-rated windows and doors. (Our converted patio enclosures require that customer’s existing patio has a roof and a oor/slab.) SCAN TO SCHEDULE YOUR APPOINTMENT ENJOY YOUR ENCLOSURE 24/7, 365 DAYS A YEAR YOU CAN’T AFFORD HURRICANE WINDOWS? THINK AGAIN! $169 AS LOW AS PER MONTH New orders only. Minimum purchase required. O er not valid with any other o er, or previous job. Contractor is neither a broker or lender. Financing is provided by third party lenders una liated with Contractor, under terms and conditions arranged directly between the customer and such lender, all subject to credit requirements and satisfactory completion of all documents. Any nance terms advertised are estimates only. Some restrictions apply. 30% Federal Tax Credit ON ENERGY EFFICIENT WINDOWS & DOORS *Up to $1,000. Call for details. www.myhurricanewindow.com with amazing PACE Financing Available Vinyl Energy E cient HURRICANE WINDOWS 561-566-7230 • 772-758-7360 CALL NOW & WE’LL MATCH YOUR TAX CREDIT INTEREST-FREE FINANCING for 24 MONTHS! **ZERØØ! Until 2025! Ø Interest Ø Payments Licensed & Insured SCC131151738
www.myhurricanewindow.com 24 MONTHS PER MONTH WHOLE HOUSE OF WINDOWS & DOORS Starting at 0% $169 Current Reviews 4.9 or
Licensed & Insured SCC131151738 561-566-5629 772-932-5629 New orders only. Minimum purchase required. O er not valid with any other o er, or previous job. Contractor is neither a broker or lender. Financing is provided by third party lenders una liated with Contractor, under terms and conditions arranged directly between the customer and such lender, all subject to credit requirements and satisfactory completion of all documents. Any nance terms advertised are estimates only. Some restrictions apply. Scan to schedule your APPOINTMENT! HURRICANE WINDOWS AND DOORS
24 VOL. 562 G Copyrighted© My Living Media. 2023 All Rights reserved. To Advertise call 772-247-6849 Need More Coupons - MyLivingMedia.com Under New Management & Newly Remodeled HAPPY HOUR ALL DAY On Monday & Tuesday HAPPY HOUR Everyday 3pm-6pm $5 House Margaritas $3 Drafts TACO TUESDAYS $1.49 Tacos with purchase of beverage FRIDAY NIGHT Latino Night 772-287-8161 In Plantation Plaza (Next to Stuart Bowl) 1602 SE Federal Hwy., STUART OPEN DAILY 11AM TO 10PM $8 off Any Purchase of $30 or more With this MLM Coupon. Not valid on Tuesdays, Holidays, special occasions, or with any other offers or specials. Expires 3/31/23 14” MED CHEESE + 5 WINGS 16” LG CHEESE + 6 KNOTS (2) 16” LARGE CHEESE 18” XL CHEESE W/3 TOPPINGS $19 $19 $28 $21 With MLM coupon. Expires 3/31/23 With MLM coupon. Expires 3/31/23 With MLM coupon. Expires 3/31/23 With MLM coupon. Expires 3/31/23 Dine In - Take Out - Delivery 6512 SE FEDERAL HWY. 772-287-8855 Pick up only Minimum Purchase of $25 Not to be combined with other discounts. Dine in only. One coupon per table. Exp. Every Day 4-6pm $795 Appetizers $5 Wine $6 Martinis $5 Well Drinks $4 Beers 1411 SE Indian Street (First traf c light West of US#1) • www.FreshCatchStuart.com • 772-286-6711 OFF LUNCH OFF TAKE OUT Minimum Purchase of $25Minimum Purchase of $20 $5 $2 With this MLM coupon. Not to be combined with other discounts. Dine In Only. One coupon per table. Expires 3/31/23 With this MLM coupon. Not to be combined with other discounts. One coupon per table. Expires 3/31/23 G G OPEN FOR DINE-IN • TAKEOUT • CURBSIDE • DELIVERY OUTDOOR PATIO & SAFE DISTANCED TABLES
VOL. 562 G 25 Copyrighted© My Living Media. 2023 All Rights reserved. To Advertise call 772-247-6849 Need More Coupons - MyLivingMedia.com Breathtaking Wat t Dining SERVING LUNCH & DINNER • MON-SUN: 11am-10pm CLUB SAFARI FRIDAY & SATURDAY NIGHTS IN THE LOFT LOUNGE 8PM-1AM DRINK SPECIALS | DANCE MUSIC DANCE FLOOR | NO COVER WELCOMING ISLAND PRINCESS CRUISE! BOAT TOURS WWW.ISLANDPRINCESSCRUISES.COM FAMILY OWNED & OPERATED 4307 SE Bayview Street., Stuart | www.piratescoveresort.com | 772.287.2500 Breakfast & Lunch All day Over 20 Different Bagels • Breakfast Sandwiches Quiche • Omelets • Wraps • Smoothies Crepes • Panini • Frozen Coffee • Lox • Lunch Sandwiches Pancakes • Salads • Lattes • In-house Baked Goods and more... Tequesta Shoppes 173 N. US Highway 1 Tequesta FL 33469 561-575-1755 2 GREAT LOCATIONS Skiptheline Order online COFFEE With purchase of a Dozen Bagels OPEN7 DAYS AWEEK Mon-Fri • 6:30 am - 3:00 pm Sat & Sun • 6:30 am - 2:00 pm Holidays • 6:30 am - 12:00 pm Ask About Catering! Seabranch Square 5663 SE Crooked Oak Ave. Hobe Sound, FL 33455 772-210-2137 BagelBistro.Square.Site With this MLM coupon. Expires 3/31/23
26 VOL. 562 G Copyrighted© My Living Media. 2023 All Rights reserved. To Advertise call 772-247-6849 Need More Coupons - MyLivingMedia.com 351 South West Flagler Ave, Stuart • 772-247-6062 A Unique Dining Exp ience the Riv SCAN HERE Sunday - Thursday 11am-9pm Friday - Saturday 11am-10pm Signature Calamari Buy One Entrée Get 2nd Entrée 1/2 off Dessert with purchase of any Entrée with purchase of any Entrée One coupon per visit can’t be combined with any other coupons. Expires 3/30/23 One coupon per visit can’t be combined with any other coupons. Expires 3/30/23 Of Equal or Lesser Value One coupon per visit can’t be combined with any other coupons. Expires 3/30/23 FREE 1/2 FREE OFF Live Music Friday, Sat day & Sunday 772-286-5505 5557 SE Federal Hwy., Stuart (Winn Dixie Plaza, Corner of Salerno & US 1) mysalernopizza.com OPEN SUNDAY 2pm - 9pm FREE 6 Garlic Knots w/side of marinara When you pay cash for any order over $10 Monday/Tuesday pizza special included +TAX We Cater! THE STATEN ISLAND Cannot be combined with any other offer. Must Present this MLM coupon. Expires 3/31/23 X-Large18” Pizza with 1 Topping $15 00 +TAX +TAX MON/TUES PIZZA SPECIAL Not Valid For Delivery. Cannot be combined with any other offer. 16” Large Cheese Pizza $9 99 Topping Regular Price Pick-Up & Dine in Only $18 99 WEDNESDAY DINNER SPECIAL 2 Select Dinners, 2 Side Salads, & Garlic Knots* Some restrictions may apply. Cannot be combined with any other offer. • Manicotti • Baked Ziti Choose from: • Linguine & Meatballs • Linguine & Sausage • Cheese Ravioli • Stuffed Shells +TAX We Deliver! Including West of 95 by the Florida Club SUNDAY SPECIAL $23 00 +TAX Cannot be combined with any other offer. 1 Large with 1-Topping & Order of Wings (Your Way)
VOL. 562 G 27 Copyrighted© My Living Media. 2023 All Rights reserved. To Advertise call 772-247-6849 Need More Coupons - MyLivingMedia.com 950 SE Indian St, Stuart (772) 888-1854 • MeroMeroCantina.com Kids Eat FREE on Sundays Everyday 3-6 (All Day Tuesdays & Sundays) HAPPY HOUR Offers are good for dine in only With the Purchase of Adult Entree LUNCH SPECIAL DINNER SPECIAL BIRRIA TACO Buy One, Get OneBuy One, Get One FREE FREE FREE (Of equal or lesser value) One coupon per visit. Cannot be combined with other coupons. Expires 3/30/23 (Of equal or lesser value) One coupon per visit. Cannot be combined with other coupons. Expires 3/30/23 With the purchase of any food item (With exception of sides) One coupon per visit. Cannot be combined with other coupons. Expires 3/30/23 SCAN HERE BREAKFAST & LUNCH Home Baked Desserts, Muf ns, Brownies and Our True Italian Gelato www.bustershobesound.com Burgers Shakes & More Famous SMASH BURGER Always Fresh, Prepared to Order! 8855 Bridge Rd., Hobe Sound Mon-Wed 8am-2pm; Thurs-Fri 8am-7pm Sat & Sun 9am-3pm ONLINE ORDERING & DELIVERY AVAILABLE 772-546-4093 $5 Off Any Purchase of $25 or More. Coupon Expires 3/31/23 Best Prices • Homemade Food! Dine In & Take Out
28 VOL. 562 G Copyrighted© My Living Media. 2023 All Rights reserved. To Advertise call 772-247-6849 Need More Coupons - MyLivingMedia.com 781-4295 Hours: Sun-Thurs 11am-10pm Fri-Sat 11am-11pm 2355 SW Martin Hwy., PALM CITY, FL 34990 HAPPY HOUR SPECIALS DAILY 1PM-6PM • Let Us Plan Your Next Fundraiser • Tuesday Night Trivia 6:00pm • Wednesday Kids’ Night Kids Eat FREE after 5pm Half-Price Arcade Games Face Painter and Balloon Artist • LIVE MUSIC Friday 6:00pm - 9:00pm $5 off Any Purchase of $25 or more. FREE Appetizer Any Purchase of $30 or more. $10 off Any Purchase of $50 or more. Dine-In only. Not valid with other offers. Only at Palm City location. Expires 3/31/23 Catch All The Games Here! (Value up to $11.00) Dine-In only. Not valid with other offers. Only at Palm City location. Expires 3/31/23 Dine-In only. Not valid with other offers. Only at Palm City location. Expires 3/31/23 The Best New York Style 772-402-5056 8423 SE Church St., HOBE SOUND FREE DELIVERY 5-MILE RADIUS Pizza, Pasta, Strombolis, Calzones, Wraps, Salads, Entrées, Hot & Cold Subs, Wings, Gyros CALL US!! For Your Next Sports Event, Of ce Party, or Special Occasion www.twobrospizza .com Not valid with any other offer. With MLM coupon only. Expires 3/30/23 Not valid with any other offer. With MLM coupon only. Expires 3/30/23 Not valid with any other offer. With MLM coupon only. Expires 3/30/23 Not valid with any other offer. With MLM coupon only. Expires 3/30/23 $500 OFF Any Total Order of $25 or More PIZZA, ZITI, & SALAD 2 LARGE PIZZAS TWO BROTHERS LARGE (Pick-Up & Delivery)772-402-5056 (Pick-Up & Delivery)772-402-5056 $2695 (Pick-Up & Delivery)772-402-5056 (1) Large Cheese Pizza (1) Baked Ziti & (1) Large Salad $2695 1 Topping & 2-Liter Soda $1295 1-Topping Pizza Special TWO BROTHERS PIZZA (Pick-Up & Delivery)772-402-5056 PICK UP ONLY MONDAY CARRY-OUT SPECIAL Large Cheese Pizza $ 8 99
VOL. 562 G 29 Copyrighted© My Living Media. 2023 All Rights reserved. To Advertise call 772-247-6849 Need More Coupons - MyLivingMedia.com 205 SW Monterey Road, Stuart 772-732-4253 www.casagsitalianrestaurant.com DAILY 4PM TO 7PM EarlySpecialsBird OPEN 7 DAYS: Mon-Thurs 11am-9pm • Fri-Sat 11am-10pm; Sun 12pm-9pm Constantine Derosa relocated his 30 years of expertise from Jupiter to Stuart WIDE SELECTION OF GOURMET PIZZA, CONTEMPORARY ITALIAN CUISINE, FRESH SEAFOOD, HEALTHY SALADS, & WINGS. ENJOY OUR 900 sq. ft. OUTDOOR PATIO 18 BIG SCREEN TVS WITH MLM COUPON. EXP. 3/20/23 LUNCH SPECIAL $595 2 SLICES PIZZA AND FOUNTAIN DRINK LIVE MUSIC EVERY TUESDAY & WEDNESDAY (Reservations Recommended) BOTTOMS UPBARHAPPY HOUR 7 DAYS 3PM - 6PM Join Us at OFF $6 With Purchase of 2 Entrées VALID STUART LOCATION ONLY. One Coupon per visitper table. Must present this MLM coupon for discount. Coupons cannot be combined. Expires 3/30/23 FREE With Purchase of Entrée APPETIZER VALID STUART LOCATION ONLY. One Coupon per visitper table. Must present this MLM coupon for discount. Coupons cannot be combined. Expires 3/30/23 772-320-5398 2700 SE Federal Hwy., Stuart COME MEET THE NEW PARTNER! Mon. - Thurs.11am - 10pm • Fri. - Sat.11am - 11pm • Sunday 11am - 9pm SCAN ME JUST RELAX & ENJOY THE FOOD! Catering Without Compromise Delivered & Setup to Your Home, Office, Church or Any Location Don’t miss our monthly Wine Dinners! Join Us for a Customized Multi-Course Dinner with Perfectly Paired Wines Every Month!
30 VOL. 562 G Copyrighted© My Living Media. 2023 All Rights reserved. To Advertise call 772-247-6849 (Across the street from Stuart Auto Spa) 1725 SE Federal Hwy. | Stuart, FL | 772-600-5482 CASA TEQUILA Mexican Fine Dining Enjoy Live Mariachi Every Thursday Night 6 - 9 pm Order Online for Take-Out and Get $500 Off *Order Must be $25 or more. $7.99 Every Monday Enchilada Combo Includes Rice & Beans $7.99 Every Tuesday Combo Includes 3 Crunch or Soft Tacos with Rice & Beans Your Lunch or Dinner Bill of $50 or more With this MLM coupon. 1 coupon per table. Dine in only. Some restrictions apply. May not be combined with any other offer. Expires 4/1/23 (*Excludes Taco Tuesday Specials) & Monday Enchilada Combo $10 Off Your Lunch or Dinner Bill of $50 or more With this MLM coupon. 1 coupon per table. Dine in only. Some restrictions apply. May not be combined with any other offer. Expires 4/1/23 (*Excludes Taco Tuesday Specials) & Monday Enchilada Combo $10 Off
VOL. 562 G 31 Copyrighted© My Living Media. 2023 All Rights reserved. To Advertise call 772-247-6849 Need More Coupons - MyLivingMedia.com $2999 Seafood • Veal Chicken • Pastas • Variety of Vegetarian Dishes JOIN US FOR OUR 2-FOR-1 DINNER SPECIALS f All dinners served with garlic bread & soup or salad. 2571 SE Ocean Blvd., Cedar Pointe Plaza, Stuart Next to Dollar General Can’t be combined with other coupons or specials. MLM coupon expires 4/1/23 Take-Out Available! Authentic Italian Food 772.781.2400 Fi entino’s Cuisine $5OFF ANY SESSION Sessions are $35 per person regularly. DATE NIGHT • LADIES NIGHT OUT • BIRTHDAY PARTIES • TEAM BUILDING HOURS SUN 12PM - 6PM WEDS 4PM - 8PM THURS 10AM - 8PM FRI 4PM - 8PM SAT 10AM - 9PM (Closed MON &TUES) BOOK YOUR SESSION TODAY 772-732-4041 8903 SE Bridge Rd, Hobe Sound, FL, United States Located in the Winn Dixie Plaza next to Scooters. SPLATTERANDSIP@GMAIL.COM Visit our website to join The Grove Wine Club, view our catering & dine-in menus, our upcoming wine dinners & events or reserve a table. The Grove Cucina & Wine Bar The Marketplace at Hobe Sound • 8815 SE Bridge Road • Hobe Sound, FL 33455 772-402-5410 • thegrovehobesound.com “The Grove serves every meal and glass with a heart of hospitality.” Jen & Luis Jen & Luis- Sommeliers, Owner/Operators
32 VOL. 562 G Copyrighted© My Living Media. 2023 All Rights reserved. To Advertise call 772-247-6849 Need More Coupons - MyLivingMedia.com Full Service • Complete Wash Plus • 48-Hour Raincheck • Cupholders & Center Console Cleaned • RainX • Express Wash Plus • Dash Wiped • Windows • Tire Shine • Vacuum The Works Complete Express • Exterior Car Wash • Towel Dry • Rims Cleaned REGULAR PRICE$2195 REGULAR PRICE$1495 + Tax + Tax Mon-Sat 8:00-5:30 • Sun 9:00-4:00 561-631-7552 LEATHER DETAIL • HEADLIGHT RESTORATION BUG REMOVAL • EXPRESS WAX • CARPET SHAMPOO 11790 SE FEDERAL HWY HOBE SOUND In the Publix Plaza at the Sunoco Station HOBE SOUND REGULAR PRICE$895 + Tax $ 29 99 Dash & Door ARMOR ALL Full Detail $9995 Starting at Depending on Vehicle Size & Condition Starting At Starting At Starting At Hand Car Wash DISCOUNT SAVINGS $1195 THE COMPLETE Plus Tax Extra charge for larger vehicles. With this MLM coupon. Not to be combined with other offers. Expires 3/30/23 Save $300 $2999 The EXPRESS WAX +THE WORKS WASH Plus Tax (Includes Works Wash) Extra charge for larger vehicles. With this MLM coupon. Not to be combined with other offers. Expires 3/30/23 $1695 THE WORKS Plus Tax Save $500 Extra charge for larger vehicles. With this MLM coupon. Not to be combined with other offers. Expires 3/30/23 772-879-5660 8401 SE Federal Hyw., Hobe Sound, FL 33455 $1000 OFF ANY NEW SLINGSHOT Valid Only at Treasure Coast Location. Expires 3/31/23 Come and Get Your Slingshot! STOP OVERPAYING FOR HOMEOWNERS INSURANCE! PROTECT YOURSELF, YOUR FAMILY, AND YOUR WALLET. HOME • AUTO • PROPERTY • LIABILITY • PERSONAL • COMMERCIAL • BUSINESS FREE QUOTES WITHIN 24 HOURS. LET US REDUCE YOUR RATE Call South Shore, your local insurance agency, to reduce your homeowners insurance rates today. 772-426-9973 • 955 SE Central Parkway Stuart • @SouthShoreInsurance_ • jennie@southshore-insurance.com Homeowners Rate Increase? Call Today to Reduce Your Premium!
CALL US FOR A FREE, NO OBLIGATION QUOTE 772-325-1603 Guaranteed Pricing for Customized Solutions Technicians are certi ed by the EPA Licensed, insured, and direct employees 100% Happiness Guarantee Mention Code “FBL23” FREE DUCT SANITAZATION with Air Duct Cleaning! 21-point HVAC inspection Complete AC report card - emailed after service Deep drain line ush Lubricate motors, clean unit housing Ductwork camera inspection A Homeowner’s Essential to Prevent Breakdowns During the Hottest Months! Avoid thousands in repair costs! ONLY $99 • • • Free Air Duct Sanitization is valid when purchased with Air Duct Cleaning and expires on 3/31/23. local@ lterbuy.com (c) 2023 Filterbuy, INC. All rights reserved Florida’s A/C & Duct Cleaning Experts 24 HOUR EMERGENCY HVAC SERVICE FREE SERVICE CALL WITH ANY REPAIR WHITE GLOVE A/C INSTALLATION Virtual or in person consultations Site visits by technicians, not salespeople No worry ownership - 5-year and 10-year Extended Labor Warranties Avoid future headaches - FREE UV lights, surge protectors and drain guards with every install FREE A/C ESTIMATES INTEREST-FREE FINANCING! Includes 2 years of our premium maintenance contract: • FREE air lters • FREE annual condenser coil cleaning • FREE annual replacement parts, surge protectors, and drain guards EXPERT HVAC TUNE-UP
34 VOL. 562 G Copyrighted© My Living Media. 2023 All Rights reserved. To Advertise call 772-247-6849 Need More Coupons - MyLivingMedia.com $600 ON WINDOWS $500 ON DOORS Receive up to $1100 IN FEDERAL TAX CREDITS* WINDOWS • ENTRY DOORS • PATIO DOORS • INSULATED SIDING • SHUTTERS • TRIM “Not only do we stand behind our windows... we stand on them!”® - Dennis Burdge For J.D. Power 2022 award information, visit jdpower.com/awards Highest in Customer Satisfaction Among Window & Patio Door Retailers Lifetime Limited Warranty Guaranteed Low Pricing INTEREST 0% 15 MONTHS1 LIMITED TIME ONLY! IMPACT WINDOWS STARTING AT Hurricane Impact White Vinyl Double Hung Insulated Window $599 COMPARE AT $1,000 This Window World® franchise is independently owned and operated by West Palm Windows and Doors LLC d/b/a Window World of West Palm Beach under license from Window World Inc. Fully licensed & insured. License No. CGC1514205 Previous sales are excluded and o ers cannot be combined. 1No interest if paid in full within 15 months with regular monthly payments. Bank approval needed. Must qualify. Ask for details. *Select products only. Ask for details. For more information, consult your tax advisor and visit EnergyStar.gov. 3927 Westgate Ave., West Palm Beach, FL 561-291-7578 WindowWorldOfWestPalmBeach.com FREE IN-HOME QUOTES! THE LESLIE GOULD TEAM LOST LAKE RESIDENT • BROKER ASSOCIATE 20 YRS EXPERIENCE Integrity • Responsiveness • Accessibility set us apart! We’d Love to help you in your Home Selling or Buying Journey 561.676.7996 LESLIEGOULD@GMAIL.COM 561.331.LINT (5468) thelintmandryerventcleaning.com ✔ Dryer Vent Cleaning ✔ Dryer and Washer Installation ✔ Residential Services ✔ Commercial Services ✔ Rodent Guard Installation DRYER VENT CLEANING WHEN WAS YOUR DRYER VENT LAST CLEANED? • Speeds Up Drying Time • Reduces Fire Risk • Lowers Utility Costs (more ef cient) • Don’t Wait Until It’s Too Late With over 15,000 dryer res happening each year, IT MAKES SENSE! Any Dryer Vent Cleaning Service Licensed & Insured Neighbors Discount Special *Washer & Dryer Repair Service *Some restrictions may apply. With this MLM coupon. Must present coupon at time of service. Expires 3/18/23 $30Off

Every 5,000 miles, like clockwork, you take your car to get its oil changed and tires rotated. It’s basic, routine maintenance, but that consistent attention and upkeep is vital for your vehicle to run e ciently, especially over a number of years. Your body, much like your vehicle, requires regular care and treatment to keep it healthy. And, again like your automobile, your body needs support from someone other than yourself, a professional who can guide it to achieving its utmost abilities and to retaining its peak performance.

Getting older, playing sports, or having a condition like sciatica or arthritis shouldn’t hold you back from living your life! You can feel like your younger self again, the one who didn’t feel any aches or pains when walking, running, jumping, or even sitting… all you have to do is visit Stretch Zone.

Drew Brees, former quarterback of the New Orleans Saints, is the newest partner at Stretch Zone who advocates for people to regularly get stretched. A er personally going to Stretch Zone for an assisted stretching session, Drew was impressed with the uniquely e ective and nationally accredited Stretch Zone Method®, which is administered by a highly-trained and Stretch Zone-certi ed stretch practitioner.

Here’s How It Works:

1.) Your rst session begins with lling out an intake form and having a consultation with your experienced and knowledgeable stretch practitioner. Based on your medical background and your personal goals, the stretch practitioner will personalize the ensuing 30-minute assisted stretching session to meet your individual needs. On subsequent visits, you’ll simply do a check-in with the practitioner to update your medical pro le with any recent changes and/or any new pain or discomfort that you might be experiencing.

2.) e stretch practitioner initiates the rst steps of the approved Stretch Zone Method®, utilizing Stretch Zone’s special patented straps to encourage your body to relax and ease into the stretches. You won’t nd these straps anywhere else!

Comparable to a thunder jacket for your pets, they are meant to calm your mind so that your entire body is perfectly loose, thus allowing the stretch practitioner to stretch your body to its full potential and, as a result, provide you with both preventative maintenance and pain relief.

3.) Assisted stretching (a/k/a passive stretching) is di erent from physical therapy in that your body is being stretched by someone else, you’re not actually doing any work. roughout your 30-minute session, the stretch practitioner will be steadily interacting one-on-one with you, ensuring that you are completely comfortable and not experiencing any pain. Ultimately, you are in control of the stretch, even as your practitioner guides your body through each and every step, because you tell the practitioner when you feel your best stretching position. e more you communicate, the better results you’re going to get!

Take advantage of Stretch Zone’s incredible New Year Special: get one FREE

30-minute stretching session! Anybody and everybody can and should be stretched. In fact, one Stretch Practitioner I spoke with at Stretch Zone says, “98% of the people I see in front of me really need to be stretched. is is something you should not live without.” Remember, it’s just like getting your oil changed! Plus, celebrities and professional athletes have been getting stretched for years, so it’s time for the general population to be clued into the secret!

Get Stretch Zone’s New Year Special for yourself or get them for a friend or loved one… what better way to say you care than to give the gi of making life easier, of feeling healthier, lighter, and younger, and of feeling like yourself again?

Do you want to:

✓ 3 HAVE MORE ENERGY TO DO ALL OF THE THINGS YOU LOVE?

✓ IMPROVE YOUR GOLF GAME, TENNIS SKILLS OR OTHER SPORTS PERFORMANCE?

✓ MANAGE TENSION AND STRESS MORE EFFECTIVELY?

✓ EASE FRUSTRATING MUSCLE ACHES AND PAINS?

✓ INCREASE YOUR OVERALL HEALTH AND WELLNESS?

VOL. 562 G 35 Copyrighted© My Living Media. 2023 All Rights reserved. To Advertise call 772-247-6849 Need More Coupons - MyLivingMedia.com
A NEW YEAR IS HERE.
GET YOUR FREE STRETCH
IMPROVE FITNESS AND YOUR OVERALL WELL-BEING.
START THE NEW YEAR OFF RIGHT! DISCOVER WHAT STRETCH ZONE CAN DO FOR YOU! STUART • 772-325-1610 VISIT OUR NEW STUART LOCATION 2885 SE Ocean Blvd. • Stuart, FL 34996 IT’S TIME TO FOCUS ON YOU. BOOK YOUR TODAY! FREE STRETCH
36 VOL. 562 G Copyrighted© My Living Media. 2023 All Rights reserved. To Advertise call 772-247-6849 Need More Coupons - MyLivingMedia.com DTR Tile Restorations_0071-0823_HI562 772-871-6183 TILE RESTORATIONS Licensed & Insured www.DTRtreasurecoast.com Tile Bucking, Hollow, or Loose? FREE Estimates INTERIOR • EXTERIOR • RESIDENTIAL • COMMERCIAL Don’t Replace It, Let Us Repair It! CLEAN & SEAL GROUT TILE REPAIR SHOWER RE-GROUT AFTER BEFORE We Get The Wet Out / Mold Out SERVICES • Water Restoration • Mold Remediation • Disaster Clean Up • Fire Clean up • Water Extraction 1562 SE Village Green Dr., Suite 1, Port St. Lucie 772-266-5302 FREE HOME INSPECTION MOLD DAMAGE WATER EXTRACTION WATER DAMAGE FREE CONSULTATION 10% OFF 561.855.6595 Let Us Make Your DreamA Reality! LIC# CGC1525942 825 15th Street Lake Park • Custom Cabinets • Closets • Kitchens • Bathrooms • Doors & Windows • Custom Millwork Any Remodeling Job. Must Book Before 3/31/23 Total Ima g e With this MLM coupon
VOL. 562 G 37 Copyrighted© My Living Media. 2023 All Rights reserved. To Advertise call 772-247-6849 Need More Coupons - MyLivingMedia.com 772•882•4437 772•353•6884 • Services Calls • Pump Outs • Pump Replacements • Outlet and Inlet Repairs • Filter Installations and Cleaning • Commercial Grease Traps • Drain Field Installations PUMP OUT SERVICE CALL $25 OFF $15 OFF Must present this MLM coupon.Must present this MLM coupon. HAIR SALON $50 FREE OFF 772-402-5572 Hand-Tied Extensions Cut with any Full Color 1st time clients only. With this MLM coupon. Exp 3/31/23. 1st time clients only. With this MLM coupon. Exp 3/31/23. 11185 SE FEDERAL HWY., HOBE SOUND elysianbymod.com HOURS SUN | MON: CLOSED TUES | WED | THURS: 10AM-7PM FRI | SAT: 10AM-5PM · Color Retouch · Full Color · Creative Color · Face Frame Highlight · Partial Highlight · Full Highlight · Partial Highlight · Partial Baby Highlight · Full Baby Highlight · Keratin Smoothing · Haircut · Blowout · Event Styling · Tape-In Extensions · Hand-Tied Extensions · Keraflex Extensions Magic Bubbles Pressure Cleaning_(AFGL)-0133-0823_CS562 PRESSURE CLEANING SAVE NOW. CLEAN NOW. HIGH & LOW PRESSURE CLEANING PATIO ROOF CLEANING DRIVEWAY Licensed & Insured Unbelievably Clean TWO SERVICES Cannot be combined with any other offers. DRIVEWAY CLEANING SPECIAL Special Expires 3/31/23. Must present this ad. $49 $25Off $75Off COMPLETE HOUSE PACKAGE Cannot be combined with any other offers. Expires 3/31/23 Expires 3/31/23 We handle everything year round, with REGULARLY SCHEDULED SERVICE to ALL OF YOUR EXTERIOR SURFACES. One low monthly payment is all it takes, and we do the rest. $49 ASK US ABOUT OUR MAGIC MEMBERSHIP Starting at per month 772-291-1888 Ron@MagicBubblesWash.com MagicBubblesWash.com *With purchase of roof cleaning. *For standard 2 car driveway only. AS SEENONTV SAVE 50% On the First $200 of Work MINIMUM JOB $350 Must be presented at time of estimate. With this coupon. Cannot be combined with other offers. Expires 3/31/23
38 VOL. 562 G Copyrighted© My Living Media. 2023 All Rights reserved. To Advertise call 772-247-6849 Need More Coupons - MyLivingMedia.com • PROPANE DELIVERY • STANDBY GENERATORS • TANK SETS • CARDLOCK • CYLINDER FILLS • DOCKSIDE FUELS • MAINTENANCE CONTRACTS • TANK & GENERATOR MONITORING • AND MANY MORE PROGRAMS TO CHOOSE FROM WEST PALM BEACH 1 2 VERO BEACH STUART PROUDLY SERVING THE PALM BEACH & TREASURE COAST SINCE 1967 772.617.8648 CALL TODAY FOR A FREE IN HOME ANALYSIS MAKE COMO OIL & PROPANE YOUR HURRICANE HEADQUARTERS SECURE YOUR ASSETS WITH CGC#1528257 772-732-3600 IMPACT WINDOWS & DOORS www.libertyimpactwindows.com GENERAL CONTRACTORS WITH OVER 30 YEARS OF EXPERIENCE HIGHEST QUALITY WINDOWS, ENTRY DOORS, SLIDING DOORS, FRENCH DOORS, IMPACT WINDOWS & NO SALES TAX ON ALL MATERIALS

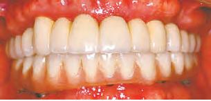
“Hi, I’m Mark Lindsay, and that was me on the Ed Sullivan Show. I sang every hit song for Paul Revere & the Raiders, including ‘Kicks,’ ‘Indian Reservation,’ and my solo ‘Arizona.’ My trademark was a ponytail and a teen idol smile. The ponytail’s been gone for awhile, but as a singer my smile is still super important. I recently visited Appearance Dental for an implant and crown procedure. The sta was courteous and made me feel comfortable from the moment I walked in the door. I was really impressed with their dental o ce and the dentist did an outstanding job. Appearance Dental transformed my smile, and I trust them to keep my smile looking revolutionarily good.” — Mark Lindsay

Read all of our testimonials at AppearanceImplants.com

WE WILL MEET OR BEAT ANY WRITTEN ESTIMATE ON IMPLANTS, ROOT CANALS, & CROWNS!

VOL. 562 G 39 Copyrighted© My Living Media. 2023 All Rights reserved. To Advertise call 772-247-6849 Need More Coupons - MyLivingMedia.com OPEN FOR EMERGENCIES | AFFORDABLE DENTAL EXCELLENCE IS NOW HERE! WE ARE PRIVATELY OWNED, NOT A CHAIN OR CORPORATE ENTITY. WE SPECIALIZE IN FULL MOUTH RECONSTRUCTION Additional services we offer include CLEAR TOOTH ALIGNERS, SINGLE IMPLANTS, DENTURES & MORE!!! FREE IMPLANT CONSULTATION (Exam & Digital X-Ray or 3D Cone Beam) (D0150, D9310, D0330 & D0383) SureSmile® OR CLEAR TEETH ALIGNERS OUR EXPERIENCED DENTISTS HAVE PLACED THOUSANDS OF IMPLANTS You Des ve a Beautiful Smile! SALVATORE MELITA, DDS ALANA SHIELDS, BSN, RN, DMD JOSEPH GAETA JR., DDS Better On 8™ Cleaning Porcelain Fused to Metal Crown Zirconium All Porcelain Crown $79 $699 $899 Includes Free Exam & X-Rays New Patients Only LIMITED OFFER (D1110, D0150, D4355,D0330) (D2751) (D2740) FULL ROUND HOUSE BRIDGE A Better Alternative to All-On-4 Benefits • Very little, if any speech changes • Does not cover any part of the palate • Can be cleaned just like bridges on teeth • Require no special abutments (All-on-4 protocol requires angle correct on abutments which are not bone or gum tissue friendly) • Usually do not need pink porcelain at the gumline (because aggressive bone removal is not necessary) D6010, D6056, D6240, D6060 BETTERON8.COM D6010, D6056, D5863, D5865, D5862 PER ARCH WITH LOCATORS PER ARCH D6010, D6056, D6065, D6060 50% SAVINGS WE USE MEGAGEN IMPLANT SYSTEMS Implant, Abutment, and Zirconium Crown Implant, Abutment, and Crown Only$1,899 Only$2,099 D7140 DENTURES ECONOMY $359 INTERMEDIATE $999 DELUXE $2,000 D5810/D5811 D5130/D5140 D5110/D5120 With Simple Extractions Starting at $99 We will beat any like-priced quote $9,999 Implant and Abutments Placed Crown and Bridge Porcelain Fused to Metal Implant Abutments Placed $14,500 FULL MOUTH RECONSTRUCTION ROUND HOUSE BRIDGE 8/6 IMPLANTS & 12 UNITS OF CROWNS starting at starting at TR-1968533.INDD SALESPERSON:MelissaKelley ISOUR37YEARTRADITION DentistOwned,Not “Hi,I’mMarkLindsay,andthat smeontheEdSulli nSho Isang eryhitsong fo Paul Reve &the Raiders, including ‘Kicks,’ ‘Indian Reservation,’and my solo ‘Arizona.’Mytrademark saponytailandateenidolsmile.Theponytail’sbeen go fo awhile,butasasinger my smileisstillsuperimportant.I cently visited TraditionDental foranimplantandcrownprocedure. Thestaff scourteousandmademe feelcomfortablefromthe momentI lkedinthedoor.I allyimpressedwiththeir dentalofficeandthedentistdidanoutstandingjob. Tradition Dentaltransformed my smile,andItrustthemto keep my smile looking lutionarily good.” —MarkLindsay TRADITIONDENTALGROUP 772-207-1213 ILABLE,MOSTINSURANCESACCEPTED
WALK-INS WELCOME EVENING APPOINTMENTS AVAILABLE PRICES ARE SUBJECT TO CHANGE WITHOUT NOTICE WITH THE EXCEPTION OF PREVIOUSLY SCHEDULED TREATMENT PLANS. THE PATIENT AND ANY OTHER PERSON RESPONSIBLE FOR PAYMENT HAS THE RIGHT TO REFUSE TO PAY, CANCEL PAYMENT OR BE REIMBURSED FOR ANY SERVICE EXAMINATION OR TREATMENT WHICH IS PERFORMED AS A RESULT OF AND WITHIN 72 HOURS OF RESPONDING TO THE ADVERTISEMENT FOR THE FREE, SERVICE, EXAMINATION OR TREATMENT. LIC #DN10761 561-250-6307 6390 W. Indiantown Rd., #32 • Jupiter, FL 33458 At the West End of the Chasewood Plaza AppearanceImplants.com SCAN HERE OPEN MON.-FRI. EVENING HOURS AVAILABLE

For What It’s Worth

Ok, so here’s the latest scoop on the medical situations regarding my last several columns, having to do with inability to get to a doctor from Cleveland Clinic in a timely manner. Yes, for those of you who insisted I name the dreaded hospital that I was writing about, it is, in fact, Cleveland Clinic. e reason I am now going to put a name to the place is because I was invited by Dr. Singh, the President of Cleveland Clinic to have a meet and greet this a ernoon. Just when you think you know how your week is going to go, wham, a personal invitation to speak with the president himself, who read my articles and wanted to talk. Okay, so I’ll admit I was nervous, anxious, worried, but also armed for bear in the event that he wanted to minimize the situation, but in fact, surprisingly, he was caring, open to suggestions, and transparent with regard to how Cleveland Clinic took over Martin Memorial North and South, and what he strived for going forward. I was impressed, and I’m not easily sold on lip service, but between him and the head of Patient Experiences, Karen Ludwig, who was also present, it was apparent that he knew and understood the frustrations the general public has been experiencing getting seen by a physician in a timely manner.

I have to give him credit. His information was forthcoming, addressing my concerns, sometimes even before I had

the chance to list them. Also to his credit, he was young-ish, a physician himself, and has only been the president of the hospital for one year. In that year, he and Karen had an earful of complaints and they had plans to address all of them by way of hiring almost 60 new physicians, twice as many nurses, and ongoing training for those people on the front lines, who take the calls and make appointments. I was shocked, in a good way. He never tried to make excuses, nor did he make false promises. He said getting things turned around was not going to happen overnight, but he does strive to make this hospital the best it can possibly be, within a reasonable amount of time. He is there to speak with, to read emails, and to even give out his cell phone number (No, sorry, I can’t pass it along, lol) but from what I understand, he has done that frequently to others as well.

He loves this community, he loves this hospital, and he loves medicine. He is not one of those people who sits in their ivory tower, having no pulse on medical practices. He wants to do better, and promises he will do better, but this is what he has been handed, well, that, and the pandemic, which has seen the resignation of good nurses and doctors who no longer wish to expose themselves and their families to infection. I get

it. Much as I loved hospital nursing, I have asked myself many times if I had stayed in nursing, would I quit? I feel like the answer is a hard “no” but it’s easy to say from the sidelines, and not in the midst of potentially deadly chaos.

My point is this. He wants things to change, and he has ideas to change them, many of which it is not my place to share. I came in with a list of suggestions, but before I could get my ideas out of my mouth, he already verbalized them. We were on the same page! So, the bottom line is this.

For What it’s Worth, he’s young, he’s enthusiastic, he wants to make things better, and he wants Cleveland Clinic, Stuart, to be exactly what we all want it to be, a place we can trust with our very lives. Let’s be fair and give him time to get it together. If I was a gambler, I think I’d put my money on him.

40 VOL. 562 G Copyrighted© My Living Media. 2023 All Rights reserved. To Advertise call 772-247-6849 Need More Coupons - MyLivingMedia.com ESTES PAINTING FREE Driveway Cleaning with Exterior Paint Job With this MLM Coupon. Expires 3/31/23 FREE Estimates | Local Company Since 1989 Interior Painting • Exterior House Driveway & Sidewalk Staining Pool Deck Staining Licensed & Insured Lic# MCPTG1566 772.692.9508 Estes Painting_0097-3919_HI562
Comments or Suggestions DrMelfi@mediaoms.com
VOL. 562 G 41 Copyrighted© My Living Media. 2023 All Rights reserved. To Advertise call 772-247-6849 Need More Coupons - MyLivingMedia.com Don’t Spend $8k - $12k on a NEW DRAIN FIELD! Available Nights, Weekends, & Holidays! Serving All of Martin & St. Lucie Counties DUALLPLUMBERS.COM • Lic. #CFC1429556 $100 $250 off off off ANY SEPTIC PUMPING ANY DISTRIBUTION BOX REPLACED ANY NEW DRAIN FIELD INSTALLATION Not valid with other offers or prior services. Must present MLM coupon. Limit 1 coupon per service call. Not valid with other offers or prior services. Must present MLM coupon. Limit 1 coupon per service call. Not valid with other offers or prior services. Must present MLM coupon. Limit 1 coupon per service call. G G G LET DU-ALL PLUMBING SAVE YOU THOUSANDS! CALL TODAY! 772-408-9009 FULL SEPTIC CLEANING PACKAGE INCLUDES: • No damage to lawns or property • 1-year warranty on septic system • 1 Septic tank maintenance pump out within rst 1 year • 30% credit towards a new drain eld if installed by DU-All Plumbing • New lter installed • Filter cleaned at no charge for rst 1 year • FREE bacteria treatment & 1 year of bacteria packets $50 Florida’s Finest Carpet Cleaning Carpet Cleaned Like You’ve Never Seen Our System Guarantees Your Satisfaction • We use the most advanced truck-mounted carpet cleaning system • Exclusive double-step process for high traf c areas (no extra charge) • Pet stain removal • Environmentally-safe products (safe for children and pets) • Family owned and operated • NO HIDDEN FEES Serving Our Customers Since 1982 Lic# 92275163 Palm Beach County Martin County Only Only Only (561) 747-9793 (772) 220-2290 Carpet Cleaning Special Carpet Cleaning Special Furniture Cleaning Special FREE Demonstration FREE ESTIMATES Two Rooms & Hallway 5 Rooms and Hallway Any Size Sofa or 2 Chairs Grout Special Area Rug Cleaning Free Pick-Up & Delivery $79.95 $79.95 39¢ $139.95 (Maximum 200 sq. ft. per room) FREE DEODORIZER With MLM coupon expires 3/31/23 (Maximum 200 sq. ft. per room, max 5 rooms) FREE DEODORIZER With MLM coupon expires 3/31/23 With MLM coupon expires 3/31/23 With MLM coupon expires 3/31/23 (Minimum 200 sq. ft.) • We’ll make your soiled furniture look beautiful again. • We use the best cleaning methods available for each individual fabric. • Haitian Cotton, sectionals, modulars, and dry cleanonly fabric priced separately. • 3M Scotchguard® and DuPont Te on® protection available. Per Sq. Ft.
Copyrighted© My Living Media. 2023 All Rights reserved. To Advertise call 772-247-6849 Need More Coupons - MyLivingMedia.com 833-367-6630 $150 off Any Roof Repair Over $600 WE BEAT ANY WRITTEN ESTIMATE* With this OMS coupon. Expires 3/30/23 *Some Restrictions Apply doingroo ng.com ROOF REPAIR & REPLACEMENT Lic# CCC1332511 • Tile • Metal • Shingle • Wood Shake • Roof Accessories • Pipes • Goosenecks • Skylights • Fascia 10% OFF Any Job Must Present This MLM Coupon Painting Interior/Exterior Popcorn Removal Knock Down Textures Crown Moulding Dry Wall Repairs John 561-306-1813 MC Lic # CPT 4946 • PBC Lic #U-14183 SCOLLOPAINTINGINC@GMAIL.COM Scollo Painting Inc GOOD is a haircut you love. GREAT is a sweet price too. salons are independently owned and operated by third party franchisees. Franchisees, not Great Clips, Inc., are responsible for all hiring and personnel matters at their individual salons. 41309-001-Norman-Shops of sebastian-8.5x3.5.indd 1 Shops of Sebastian 1451 Sebastian Blvd M-F 8-7 • Sat 9-6 • Sun 9-6 GOOD is a haircut you love. GREAT is a sweet price too. salons are independently owned and operated by third party franchisees. Franchisees, not Great Clips, Inc., are responsible for all hiring and personnel matters at their individual salons. 41309-001-Norman-Shops of sebastian-8.5x3.5.indd 1 ANY HAIRCUT $899 3/15/23 Not valid with any other offers. Limit one coupon per customer. No Copies. Taxes may apply. Valid at Island Crossing Center. $ 899 GOOD is a haircut you love. GREAT is a sweet price too. OFFER EXPIRES: 8/1/22 ANY HAIRCUT SEBASTIAN • Shops of Sebastian 1451 Sebastian Blvd 772-663-7878 M-F 8-7 • Sat 9-6 • Sun 9-6 Now Hiring Great Stylists Not valid with any other offers. Limit one coupon per customer. No Copies. Taxes may apply. Valid at Shops of Sebastian. responsible for all hiring and personnel matters at their individual salons. sebastian-8.5x3.5.indd 1 5/31/22 1:00 PM GOOD is a haircut you love. GREAT is a sweet price too. salons are independently owned and operated by third party franchisees. Franchisees, not Great Clips, Inc., are responsible for all hiring and personnel matters at their individual salons. 41309-001-Norman-Shops of sebastian-8.5x3.5.indd 1 Looking great has never been so convenient Stuart • Kanner Crossing 6534 S Kanner Highway (Next to Publix Supermarket) 772-266-9537 M-F 9-5 • Sat 9-6 • Sun 10-5 Now Hiring Great Stylists ANY HAIRCUT $899 Looking great has never been so convenient GREAT is a sweet Hobe Sound • Island Crossings Center 11762 SE FEDERAL HWY (Publix Plaza) 772-245-8673 M-F 9-5 • Sat 9-6 • Sun 10-5 Now Hiring Great Stylists Not valid with any other offers. Limit one coupon per customer. No copies. Taxes may apply. Valid at Island Crossings Center. ANY HAIRCUT $ 8 99 OFFER EXPIRES: 09/30/2022 F22233CJ Hobe Sound • Island Crossings Center 11762 SE FEDERAL HWY (Publix Plaza) 772-245-8673 M-F 9-5 • Sat 9-6 • Sun 10-5 Now Hiring Great Stylists
Need More Coupons - MyLivingMedia.com
44 Need More Coupons - MyLivingMedia.com 10% OFF Ramos TREE SERVICE ✔ Tree Removal ✔ Tree Trimming ✔ Tree Topping ✔ Hedge YOUR LOCAL TREE TRIMMING EXPERTS! Best Rates In Town! QUALITY SERVICE YOU CAN TRUST Scan here to schedule your FREE estimate Pre-Set Patterns for: Homes • Businesses • Pool Enclosures • Special Events & Holidays • 16 Million Colors • On/Off Schedule • Dimmable Lights • Lifetime Product Warranty PERMANENT LED COLOR-CHANGING LIGHTS RAINBOW LIGHTS SELECTED ON APP WHITE LIGHTS SELECTED ON APP MOBILE APP ACCESSIBLE $ · HARDWOOD · VINYL · LAMINATE · ENGINEERED WOOD · REFINISHING CALL NOW FOR FREE ESTIMATE STUART 772.600.4814 www.faceofwood.com SHOWROOM: 6408 SE Fed. Hwy., Stuart | Mon-Fri: 8am-5pm |Sat: By Appointment Only FLOORING INSTALLATION & REFINISHING 14 Years Serving South Florida! 10% OFF With this MLM coupon Expires 3/31/23 (Estimates that include both materials & installation) Licensed & Insured Come In To See Our New Collections Now In Stock
VOL. 562 G 45 Copyrighted© My Living Media. 2023 All Rights reserved. To Advertise call 772-247-6849 Need More Coupons - MyLivingMedia.com • Deck Coatings • Driveways • Carports • Pool Decks • Garage Floors • Patios Free Estimates No Job Too Big OR Too Small! Lic # MCA S3878 • LIc # St. Lucie Co. 11-11111 DESIGNER DRIVEWAYS • Seal Pavers • Exterior Floors • Walkways & Entryways 36 Years In Business! yourdesignerdriveway.com 772-878-8758 • 772-337-1088 $75 $150 OFF OFF SEALING PAVERS With this MLM Coupon. May not be combined with other offers. Exp. 3/31/23 With this MLM Coupon. May not be combined with other offers. Exp. 3/31/23 Min. 500 Sq.Ft. Any Concrete Cleaned ✓ ✓ Sealed Re nished ✓ ✓ Professional Design and Installation High-Quality, Low Voltage Landscape Lighting 772-362-5487 With this MLM coupon. Cannot be combined with other offers. Expires 3/30/23 $55 OFF Transform Your Nights
Copyrighted© My Living Media. 2023 All Rights reserved. To Advertise call 772-247-6849 Need More Coupons - MyLivingMedia.com • Track Repair • Roller Replacement • Window Repair • New Locks & Latches Insured & Registered Since 1993 “CALL THE LOCAL COMPANY” Martin & St. Lucie Counties Before push! After easy slide! 10% OFF REPAIRS Must present this coupon prior to any service. Cannot be combined with other offers or discounts. Expires 3/31/23 Sliding Door & Window Repair FREE ESTIMATES 772-219-0724 Want Your Home Painted? $1295 FREE Remote Estimate Available Single story up to 1,800 sq. ft., includes Sherwin Williams Paint. WORKING FOR YOUR PROTECTION AGAINST COVID-19 ExteriorSpecialPainting Experience and Quality at an Affordable Price Licensed #CGC1526200 & Insured 772-888-0886 www.YourHomePainter.com Color Restoration & Construction Interior & Exterior Painting
VOL. 562 G 47 Copyrighted© My Living Media. 2023 All Rights reserved. To Advertise call 772-247-6849 Need More Coupons - MyLivingMedia.com 1-833-ACE-CART(223-2278) Aceofcarts.com Ace of Carts 4880 SE Federal Hwy., Stuart • 2nd Location 552 US Hwy. 1 North, Tequesta Must be a 2022 Model Year Club Car from dealer stock. Offer Valid through March 30, 2023 or while supplies last. Financing is available with standard rates. Not eligible for 0% Financing promotion; offers do not combine. Promo code:MLM822 Over 200 Brand New Club Cars in stock! $1,000 in FREE Accessories, FREE Delivery Destination, & Setup Charges. REGISTER ONLINE TO GET https://aceofcarts.com/red-tag/ • SALES • SERVICE • PARTS Now Open in Tequesta! AUTHORIZED DEALER CARTS IN STOCK & READY FOR DELIVERY PLUMBING DONE RIGHT RESIDENTIAL & COMMERCIAL NO JOB TOO BIG OR TOO SMALL! LICENSED & INSURED LICENSE # CFC1430284 (772) 337-7757 The Sewer and Drain Cleaning Specialist WHOLE HOUSE RE-PIPE PERMITS ($150 Value*) ANY PLUMBING REPAIR No Service Charge With Repair $7995 *With this MLM coupon. Can’t be combined with any other offer. *Some restrictions apply. Expires 3/31/23 *With this MLM coupon. Can’t be combined with any other offer. *Some restrictions apply. Expires 3/31/23 $30 FREE With purchase & installation of a new water heater *Free Permit is included in Water Heater total FROM OFF • Water Heater Installation & Repairs • Clogged Drains • Leak Detection • Kitchen Faucet Installation & Repairs • Garbage Disposal Installation qualityplumbingdrains.com Serving The Treasure Coast Since 2009 Responsible Roofers Who Show Up! $500 $100 O F F O F F Any New Roof Any Roof Repair With this MLM coupon only. Expires 3/31/23 With this MLM coupon only. Expires 3/31/23 (Over $1,000) • Residential • Commercial • Repairs Licensed & Insured Lic #CCC1331170 ShorelineRoo ng@yahoo.com FREE Estimates 772.260.9565
48 VOL. 562 G Copyrighted© My Living Media. 2023 All Rights reserved. To Advertise call 772-247-6849 Need More Coupons - MyLivingMedia.com • Haircut • Styling • Standard and Designer Perms • Hair Treatments • Color and Highlighting Services • Waxing Walk-Ins Welcome or by Appointment 3322 SE Federal Hwy., Stuart • 772.758.5111 Book online at: lemontree.com/Stuart *Additional for Length & texture. Must Present MLM Coupon. Expires 3/31/23 Now Open SUNDAYS 10AM-4PM!!! Must Present MLM Coupon. Expires 3/31/23 First appointment only. We Are Open Until 7pm Mon. & Thurs. Brighten up your look with some highlights Receive a partial highlight with a toner & haircut plus a blow out. AND RECEIVE Our New Stylist! ALL FOR Schedule an appointment with our new talented stylist Laurie or Rodd 15% COME MEET OFF $125* NEED SHUTTERS THIS WEEK? Family Owned & Locally-Manufactured Plantation Shutters • ANGLES & RAKES • ARCHES & SUNBURSTS • OTAGON, CIRCLE, HEXAGON • SILL COVERS & CAPS HORIZONTAL ARCH PLANTATION SHUTTERS SUNBURST PLANTATION SHUTTERS www.plantationshutters a.com Treasure Coast Palm Beach 772-600-4253 or 561-420-0418 Visit our manufacturing shop at: 406 Farmers Market Rd Ft Pierce, FL 34982 IN-HOME ESTIMATES FREE $1695 SQ. FT. INSTALLED Starting at Plantation Shutters Florida™ Your Plantation Shutter Specialist Plantation Shutters Florida™ We are the Real Manufacturer Licensed & Insured CALL TODAY AND GET UP TO 10% DISCOUNT Restrictions may apply.
VOL. 562 G 49 Copyrighted© My Living Media. 2023 All Rights reserved. To Advertise call 772-247-6849 Need More Coupons - MyLivingMedia.com DRYER TAKING TOO LONG? ANNOYING Waiting Longer For Your Clothes To Dry Is STARTING AT 772-919-7163 | 561-250-0088 DRYER VENT CLEANING $85 MAINTENANCE CLEANOUT FIRE DISASTER But experts say it’s Really an impending BossPublicAdjusting.com Nader Anthony - Lic# P002749 This is a solicitation for business. If you have had a claim for an insured property loss or damage and you are satis ed with the payment by your insurer, you may disregard advertisement. YOUR DAMAGE MAY BE COVERED BY INSURANCE FREE FREE 10-POINT INSPECTION SPECIAL NO RECOVERY • NO FEE WE WILL GET YOU MONEY FOR REPAIRS GUARANTEED OR YOU DON’T PAY US A PENNY! PLUMBING LEAKS ROOF DAMAGE BROKEN WINDOWS FIRE MOLD FREE Policy claim and review BOSS Public Adjusting Commercial & Residential 772-444-8336 State Certified FL-CRC1330776 Limited time offer Up to $500 With this MLM coupon SEE OUR DESIGN GALLERIES AND CUSTOMER REVIEWS @WWW.DBHIPRODUCTS.COM
50 VOL. 562 G Copyrighted© My Living Media. 2023 All Rights reserved. To Advertise call 772-247-6849 Need More Coupons - MyLivingMedia.com UPERIOR TILE REMODELING, INC & www.superiortileinteriors.com Serving the Treasure Coast & Palm Beaches 4348 SE Federal Hwy., Stuart, FL 34997(Palm Square Plaza) | Bonded & Insured Lic# CTM5781 - PBC#U-21539- PSL-11013 772-678-3948 TILE • MARBLE • GRANITE • STONE • FABRICATION • INSTALLATION • REPAIRS KITCHEN BATHROOM FLOORING REMODELING FREE ESTIMATES WE ARE THE EXPERTS! COMMERCIAL & RESIDENTIAL Visit Our Showroom Monday-Fri:. 9am-5pm; Saturday: 10am-3pm; Sunday By Appointment Only 5691 SE Crooked Oak Ave., Hobe Sound, FL 33455 Dr. Alice Oakley D.C. Audra Miele R.Y.T. 772-600-8159 • Full-Body Chiropractic Care • Spinal Decompression • Therapeutic Massage • Halotherapy (Salt Spa) • Float Therapy • Yoga We are located in the Seabranch Square Plaza Visit Our Website! SEASIDE WELLNESS GROUP With this MLM Coupon. Expires 3/31/23 With this MLM Coupon. Expires 3/31/23 VISIT US FOR SALT T DAYS Receive 50% off Salt Therapy (reg $30) on Tues/Thurs UNLIMITED OFF $10 MONTHLY YOGA MEMBERSHIP $149 FIRST FLOAT New Beginners Classes see our schedule online! With this MLM Coupon. Expires 3/31/23 Licensed & Insured Martin County-Based Business Visit our website to read our story www.shutterfactory .com or scan the QR code with your smart phone FREE IN-HOME ESTIMATES With MLM coupon. Expires 3/31/23 772-742-5242 “Third Generation in the Window Treatment Business” American-Made Plantation Shutters Shutters Roller Shades Blinds Smart Home Compatible Motorization “From our family to yours, you’ll love getting American-made window treatments in as little as 2 weeks!” MEET TOM & ZETTA
Call us today (772) 247-6067 or 561-293-4909
52 VOL. 562 G Copyrighted© My Living Media. 2023 All Rights reserved. To Advertise call 772-247-6849 Need More Coupons - MyLivingMedia.com Well Maid Cleaning Service, email: wellmaidcleaningservice@gmail.com Call Tara Today! FREE Estimates 772.828.2741 • Residential & Commercial • References Available 20 $150 Or More With this Ad. License & Insured Tara L. Walsh, Owner Well Maid Cleaning Service, LLC Accepted LIKE US ON FACEBOOK! Services of 4900SEWilloughbyBlvd|Stuart,FL34997|SymphonyatStuart.com|772-618-1565 4900SEWilloughbyBlvd|Stuart,FL34997|SymphonyatStuart.com|772-618-1565 4900 SE Willoughby Blvd | Stuart, FL 34997 SymphonyatStuart.com Please call to schedule a time to come visit Stuart’s Premier Assisted Living Community 772-277-7114 Symphony at Stuart ROOF REPAIRSpecialists! “Specializing in the most dif cult leaks!” 3520 SW Armelini Ave. • Palm City 772.742.4040 • Residential • Guaranteed Repairs • Quick Response within 24 Hours • Locally Owned & Operated • Military & Senior Discounts Licensed & Insured CCC1326920 Re-Roof Must present MLM coupon at time of price quote. Expires 3/31/23 $500 off $100 off Any Repairs up to $1,000 FREE on All Repairs & Re-Roofs ESTIMATES Must present MLM coupon at time of price quote. Expires 3/31/23 Cannot be combined with any other offers or coupons.
VOL. 562 G 53 Copyrighted© My Living Media. 2023 All Rights reserved. To Advertise call 772-247-6849 Need More Coupons - MyLivingMedia.com 772-348-2181 5761 SE FEDERAL HWY • STUART Located in the Seacoast Bank Building at the intersection of Cove Road and US 1 772-238-2709 FAMILY & IMPLANT DENTISTRY OF STUART 2385 FEDERAL HWY • STUART WWW.FAMILYDENTISTRYSTUART.COM WELCOME TO FAMILY DENTISTRY OF STUART! NOW IN TWO LOCATIONS Having a smile you’re proud to share shouldn’t be dif cult or break the bank. We know how important it is to have a smile that lets you feel and look good, which is why our team strives to give you the dental care you deserve. Our Family Dentistry of Stuart is committed to providing high-quality family, cosmetic, and advanced dentistry to each and every patient. WE ARE AVAILABLE FOR YOUR DENTAL EMERGENCIES PAYMENT PLANS FOR EVERYONE! NOW OPEN SATURDAYS EMERGENCY EXAM FAMILY DENTISTRY OF STUART WELCOMING HEALTHY MOUTH CLEANING Exam & X-Rays $49 With this MLM coupon. Limited time offer. New Patients Only With this MLM coupon. Expires 3/18/23 New Patients Only For a Full Case of Invisalign $500 With this MLM coupon. Expires 3/18/23 New Patients Only OFF $79 With X-Rays
Lic# CAC1819096 Bill shAC.com SCAN HERE Neutralize odors, particulate, air pollutants, smoke, mold bacteria and viruses. FREE Customizable Auto delivery FREE SERVICE CALL WITH REPAIR ($85 Value) Must be during regular hours. Must mention at time of order. With this MLM coupon. Cannot be combined with other offers or specials. Expires 3/30/23 With this MLM coupon. Cannot be combined with other offers or specials. Expires 3/30/23 FREE DUCT EVALUATION! AIR FILTER SUBSCRIPTION USING THERMAL IMAGING REME HALO AIR PURIFIER With this MLM coupon. Cannot be combined with other offers or specials. Expires 3/30/23 With this MLM coupon. Cannot be combined with other offers or specials. Expires 3/30/23 OFF $150 10% OFF Air Conditioning Air Conditioning MAINTENANCE PROGRAM Includes 2 Visits Precision Tune-Up Clean and chemically treat drain line Check refrigerant level Check for air ow Check for air leak on plenum duct system Check fan motors Check all electrical connections for loose or burned wire, tighten all caps Check relays and contactors Replace screws if missing Check evaporator coil & wash condenser coil Coil sanitation for bad odors and bacteria, when accessible Check heating element, run heat cycle, system analysis Calibrate thermostat for maximum accuracy Check for microbial growth on coil ✔ ✔ ✔ ✔ ✔ ✔ ✔ ✔ ✔ ✔ ✔ ✔ FINANCING AVAILABLE! REG. $189 Expires 3/30/23 $19 $189 OR PER MONTH ANNUALLY Call for pricing on multiple systems 772.276.7537 Sign up online! Bill shAC.com ✔ ✔ WITH ✔ Program Perks Priority Scheduling 10% off Repairs No Overtime Charges ✔ ✔
VOL. 562 G 55 Copyrighted© My Living Media. 2023 All Rights reserved. To Advertise call 772-247-6849 Need More Coupons - MyLivingMedia.com Wills, Trusts, & Probate Elder Law • Real Estate Estate Planning & Administration Will Travel to Client 561-547-0549 Fax: 561-420-6300 Judith Ann Just Attorney, P.A. Jensen Beach, FL The hiring of a lawyer is an important decision that should not be based solely on advertisement. Before you decide, ask me to send you some written information about my quali cations and experience. www.judithjust.com Email: judithjust01@hotmail.com BOB’S MIRROR REMOVAL Serving: Palm Beach, Martin, St. Lucie, & Indian River Counties 772-486-4589 FREE Estimates Bob's Mirror Removal_0113-0223_HI562 • Prompt, Courteous Service • Over 30 Years of Experience • Remove Mirror Walls & Vanity Mirrors • Secure Loose Mirrors • Hang Your Framed Mirrors MIRROR REMOVAL Licensed & Insured 772-475-6446 WWW.TREASURECOASTGRABBARS.COM Always Reachable at… MCN6340 Your Independence is PRICELESS, Call Today! MCNS6340 Drilling charges may apply for marble, granite, or porcelain. 2 Bar Designer Packages Starting From $340 to $400 $290 COMPLETE INSTALLATION PACKAGE Includes 2 Moen Stainless Steel Anti-Slip Concealed Screw Grab Bars (16” & 24”). Bathroom Safety Bars Call, Before You Fall! Many Designer Bars Available Bobby Gauthier • Your Bathroom Safety Specialist GOOD FOR 2023 772-291-0705 License # PSL 15672 MC 1900082 • Pool Resurfacing • Brick Pavers • Travertine Pavers • Marble Pavers BRICK PAVERS & CUSTOM OUTDOOR KITCHENS, FIREPLACES, & FIRE PITS Financing Available FREE FIRE PIT with any job over 1200 sq. ft. With this MLM coupon. Expires 3/30/23 www.oasisbrickpavers.com
56 VOL. 562 G Copyrighted© My Living Media. 2023 All Rights reserved. To Advertise call 772-247-6849 Need More Coupons - MyLivingMedia.comPUZZLE PAGE SUDOKU
PUZZLE PAGE CROSSWORD ACROSS 1 Asian desert 5 Weep loudly 9 Swiss peak 12 Mideast gulf 13 “Night” author Wiesel 14 Life story 15 Pantheon members 16 Quest 17 Director Howard 18 Region 19 Texter’s “Wow!” 20 Full house, e.g. 21 Dolphins’ org. 23 Here (Fr.) 25 Used a hoe 28 Put a price on 32 Dole out 33 Stage 34 Show bad posture 36 Creatures 37 Your 38 Ornate vase 39 Corn castoffs 42 Tavern 44 Party pooper 48 Small battery 49 Ireland 50 Theater box 51 Norm (Abbr.) 52 Swampy terrain 53 Portent 54 That lady 55 River to the Baltic 56 Get one’s feet wet? DOWN 1 Quite enthusiastic 2 Bloodhound’s clue 3 Eliot’s “Adam --” 4 Important details 5 Observe 6 Grad 7 Improvise 8 Allow 9 Start of a spell 10 King of the jungle 11 Frogs’ hangout 20 Everywhere 22 Command to Fido 24 Prank 25 “Now, where -- I?” 26 Right angle 27 “Xanadu” band 29 Cooking fuel 30 Ballpark g. 31 -- Moines 35 Cross 36 Stovetop feature 39 Mama -- Elliot 40 Swearword 41 Commanded 43 Suf x for billion 45 “Arrivederci --” 46 On in years 47 Actor Hackman 49 Punk-rock subgenre Solutions See Page 65
PUZZLE
VOL. 562 G 57 Copyrighted© My Living Media. 2023 All Rights reserved. To Advertise call 772-247-6849 Need More Coupons - MyLivingMedia.com Cabinets, Countertops, Backsplash, Flooring, Windows & Doors... UP TO 20% OFF CABINETRY SPRING SALE Expires March 31, 2023 Present This Coupon
58 VOL. 562 G Copyrighted© My Living Media. 2023 All Rights reserved. To Advertise call 772-247-6849 Need More Coupons - MyLivingMedia.com IMA LANDSCAPING TREE & PALM SERVICES We Beat AnyEstimateWritten Lic & Ins • Rock & Stone Install • Palm/Tree Removal • Irrigation install & Services • Stump Grinding • Mulching & Sod TREE & PALM TRIMMING • Pressure Washing • Brazilian Pepper Tree Cut Back & Removal • Installation/Design • Lawn Maintenance • Clean Ups/Hauling Affordable Painting AFFORDABLE & SUPERIOR PAINTING affordableandsuperiorpainting@gmail.com 772-227-1398 20% 10% OFF OFF EXTERIOR PAINTING OVER $1595 One Per Customer. Must present this MLM coupon Cannot be combined with other offers. Expires 3/31/23 One Per Customer. Must present this MLM coupon Cannot be combined with other offers. Expires 3/31/23 INTERIOR PAINTING STARTING @ $2995 SPRING SPECIALS •INTERIOR PAINTING •EXTERIOR PAINTING •FENCE PAINTING •DECK STAINING •DRIVEWAY STAINING •CABINET PAINTING FREE DRIVEWAY POWERWASH W/EXTERIOR PAINTING FREE ESTIMATES & FINANCING AVAILABLE SCAN HERE TO VIEW OUR GALLERY myaffordableandsuperiorpainting.com 20% OFF All Merchandise Present FREE Must present MLM coupon. Exp. 3/31/23 • CBD KRATOM • VAPORIZERS • WATERPIPES • HOOKAHS • DETOX & SO MUCH MORE FB@COZYCORNER2.0 COZYCORNER2.0 8-9-10 & Special Blends No Marijuana Card Needed 218-A SW FEDERAL HWY, STUART 772.600.7559 Home of the Delta-8 Must present MLM coupon. Exp. 3/31/23 With purchase of $50 or more FREE GIFT

We

Small businesses make up 99% of all businesses in FL. What would happen to your business if you got sick?

VOL. 562 G 59 Copyrighted© My Living Media. 2023 All Rights reserved. To Advertise call 772-247-6849 Need More Coupons - MyLivingMedia.com Visit us at our LOCAL Retail Locations West Palm Beach Palm Beach Gardens • Tequesta Hobe Sound • Port St. Lucie Fort Pierce • Vero Beach Call Today for Coverage TOMORROW 772-251-4868 compasshealthinsurance.com info@compasshealthinsurance.com FLORIDIANS HELPING FLORIDIANS SINCE 2007 • HEALTH & MEDICARE
can and will enroll you $0 premium plans available • PREPAID CREMATION
-
INCOME PROTECTION
Chosen by over 70% of Floridians
$35/mo •
DENTAL INSURANCE
Health
Plan. Your Choice.
are Here All Year ‘round in 2023!
Your Family Safe & Sound?
Everyone needs and uses it for only $1 a day Compass
Your
We
Is
60 VOL. 562 G Copyrighted© My Living Media. 2023 All Rights reserved. To Advertise call 772-247-6849 Need More Coupons - MyLivingMedia.com 561.331.LINT (5468) thelintmandryerventcleaning.com ✔ Dryer Vent Cleaning ✔ Dryer and Washer Installation ✔ Residential Services ✔ Commercial Services ✔ Rodent Guard Installation DRYER VENT CLEANING WHEN WAS YOUR DRYER VENT LAST CLEANED? • Speeds Up Drying Time • Reduces Fire Risk • Lowers Utility Costs (more ef cient) • Don’t Wait Until It’s Too Late With over 15,000 dryer res happening each year, IT MAKES SENSE! Any Dryer Vent Cleaning Service Licensed & Insured Neighbors Discount Special *Washer & Dryer Repair Service *Some restrictions may apply. With this MLM coupon. Must present coupon at time of service. Expires 3/18/23 $30Off When you call or come in, make sure to ask for your sales person, Capt. Mo, for the best car buying experience! Appointments are appreciated. KIA • CADILLAC • LINCOLN • RAM • CHRYSLER • JEEP • DODGE • VOLKSWAGEN • CHEVROLET KIA • CADILLAC • LINCOLN • RAM • CHRYSLER • JEEP • DODGE • VOLKSWAGEN • CHEVROLET KIA • CADILLAC • LINCOLN • RAM • CHRYSLER • JEEP • DODGE • VOLKSWAGEN • CHEVROLET KIA • CADILLAC • LINCOLN • RAM • CHRYSLER • JEEP • DODGE • VOLKSWAGEN • CHEVROLET KIA • CADILLAC • LINCOLN • RAM • CHRYSLER • JEEP • DODGE • VOLKSWAGEN • CHEVROLET Meet Me at For Any Brands: 3131 SE Federal Highway, Stuart of Stuart 772.233.7663 (on the corner of Indian St. & US1) CALL OR TEXT Proud Supporter Capt. Mo Has Your DREAM Car! At your Dream Price! captainmo@wallaceautogroup.net 2023 KIA Soul LX 2023 Kia Telluride 2023 KIA K5 LXS 2023 KIA Sportage LX www.advanced-re nishingllc.com UGLY TUB & TILE? • Bathrooms • Kitchens • Jacuzzis • Showers • Epoxy Floors 772-266-5115 CABINET REFINISHING TUB REFINISHING $100 OFF $20 OFF With this MLM coupon. Cannot be combined with any other offers or specials. Expires 3/30/23 With this MLM coupon. Cannot be combined with any other offers or specials. Expires 3/30/23 BEFORE AFTER Don’t Replace It… REGLAZE IT! CERAMICS & POTTERY PAINTING! 15 SE Martin Luther King Blvd. Downtown Stuart (Just East of Colorado Ave.) 772-287-7000 www.StuartCeramics.com Open Studio Parties Mosaic Garden Stones By Appointment Only Bring this coupon for discount. Expires 3/30/23 Pottery Wheel Lessons Resin Frames $36 NOW $29!
VOL. 562 G 61 Copyrighted© My Living Media. 2023 All Rights reserved. To Advertise call 772-247-6849 Need More Coupons - MyLivingMedia.com Blinds | Shades | Shutters | Drapes | Smart Shade Automation 772-677-8482 8882 SE Bridge Rd., Hobe Sound BudgetBlinds.com Exclusive Lutron Dealer With MLM coupon. May not be combined with any other offer. Expires 3/31/23 1 FREE REMOTE With Motorization Order 25 % OFF With MLM coupon. May not be combined with any other offer. Expires 3/31/23 Financing Now Available Custom Drapery & Hardware HoltsReliableGDR.com 772-774-3424 Hurricane & Impact-Rated Garage Doors Save On Homeowners Insurance 10%OFF REPAIRS $200 Off GARAGE DOOR REPLACEMENT With MLM Coupon. Expires 3/31/23 PRESSURE-FREE ESTIMATES License #SCC131152686 8721 US-1 South • Port St. Lucie 34952 772-617-4026 StormProtectionPros.com YOUR HOMETOWN WINDOW & DOOR COMPANY FAMILY OWNED & OPERATED Instant Rebate on Whole House SOME RESTRICTIONS APPLY UP TO$5000 OFF HURRICANE & IMPACT RESISTANT • WINDOWS • ENTRY DOORS • SLIDING GLASS DOORS • BI-FOLD WINDOWS & DOORS
Copyrighted© My Living Media. 2023 All Rights reserved. To Advertise call 772-247-6849 Need More Coupons - MyLivingMedia.com Bark in the Park Vendor Event Lots of vendors Saturday March 18th 9:00 am to 2:00 pm Photos with the Easter Bunny Many food trucks to Support Okeechobee County Animal Services at Kiwanis Park
Copyrighted© My Living Media. 2023 All Rights reserved. To Advertise call 772-247-6849
64 VOL. 562 G Copyrighted© My Living Media. 2023 All Rights reserved. To Advertise call 772-247-6849 Need More Coupons - MyLivingMedia.com LEADER IN RELIABILITY SINCE 1957 YEARS OF BUSINESS 66 STAY COOL K&C KNOWS A/C WITH THESE HOT DEALS 772.261.9AIR (9247) License: CAC1818726 KCIAC.COM /KRAUSSANDCRANE 20% off ONE COUPON PER HOUSEHOLD PER YEAR WITH MLM COUPON ONLY. NOT TO BE COMBINED WITH OTHER OFFERS MUST MENTION BEFORE SCHEDULING. CASH OR CHECK ONLY EXPIRES 3/30/23 ONE COUPON PER HOUSEHOLD PER YEAR WITH MLM COUPON ONLY. NOT TO BE COMBINED WITH OTHER OFFERS MUST MENTION BEFORE SCHEDULING. EXPIRES 3/30/23 ONE COUPON PER HOUSEHOLD PER YEAR FOR ACTIVE DUTY SERVICE, VETERANS, AND 1ST RESPONDERS DIAGNOSTIC CHARGE FOR SERVICE AND/OR REPAIRS ONLY (8AM-5PM WEEKDAYS) $ 66 $ 66 ONE TIME TUNE-UP Dirty Windows? Let us clean all your home windows • Window Washing • Pressure Cleaning • Gutter Cleaning www.eastcoastcleaningservices.com Licensed & Insured Residential Window Cleaners *UP TO 15 WINDOWS, TWO STORY HOMES SLIGHTLY EXTRA. CALL FOR DETAILS 772-621-9800 FREE Estimates New customers only. Not valid with other offers or prior services. $ 69 99 * EXTERIOR Charlotte Becker owner/agent 772.252.6822 742 NE Jensen Beach Blvd., • Jensen Beach, FL 34957 www.beckerinsurance.org Becker Insurance Agency, Inc. *Insurance Rates are an estimate and may vary BUSINESS HOME AUTO BOAT Locally Owned & Operated We will help you SAVE! HAS YOUR RATE INCREASED? Growing Agency, Looking for Licensed Sales Agents! WE HAVE OVER 30 CARRIERS TO FIND THE PERFECT FIT FOR YOU!
VOL. 562 G 65 Copyrighted© My Living Media. 2023 All Rights reserved. To Advertise call 772-247-6849 Need More Coupons - MyLivingMedia.com S U D O K U Solution CROSSWORD SOLUTION SOLUTION TIME: 25 MINS. PUZZLE SOLUTIONS PUZZLE SOLUTIONS Palm City Sod_0317-0823_LG562 772-214-3780 5350 SW Martin Hwy • Palm City FL 34990 SOD INSTALLATION, BAHIA, FLORATAM, SEEDING, & MULCHING Since 1977 With this MLM coupon. Cannot be combined with any other offer. Prices subject to change. FLORATAM $ 225 MUCK BASED 500 sf Rates for Delivery Only. PALLET 450 sf BAHIA $ 125 Rates for Delivery Only. WWW.PALMCITYSOD.US With this MLM coupon. Cannot be combined with any other offer. Prices subject to change. Now Offering Delivery of Various Types of Mulch by the Pallet CUSTOM CLOSETS AND SHOWERS DOORS Licenced Contractor #MCN56662 #SCC131152195 772-213-1117 | www.coastalclosetsandshowers.com Visit our factory showroom at 4483 SE Commerce Ave, Stuart, FL 34997 You deserve more than good luck. Up to $300 off your new Custom Closet* Lifetime Warranty & FREE Glass Protection on your Custom Glass Shower Offers valid until March 31, 2023. Coupon must be presented at time of consultation. *purchase of $2500 or more necessary. closet | office garage | wall bed wall units shower doors glass wine rooms store front glass
66 VOL. 562 G Copyrighted© My Living Media. 2023 All Rights reserved. To Advertise call 772-247-6849 Need More Coupons - MyLivingMedia.com affordable choice cremation LOCAL • CONVENIENT • TRUSTED 772.595-2811 1241 SE Indian St. • Unit 110 • Stuart www.affordablechoicecremation.com FLORIDA COMMUNITIES WE SERVE: Port St Lucie, Fort Pierce, Vero Beach, Jensen Beach, Stuart, Hobe Sound THE LOW COST CREMATION OPTION $695* From *A Medical Examiner’s Fee of $50 May Apply Family Owned and Locally Operated for 5 Generations 7410 S. US Hwy. 1 • Unit 400 • Port St. Lucie Complete Sliding Doors and Windows Family Owned & Operated Since 2005 State Certified General Contractor CGC 1514380 •Custom Screen Windows/Doors •Hardware Replacement •Impact/Non-Impact Glass SLIDING DOOR REPAIR ROLLER REPLACEMENT, SCREEN AND WINDOW REPAIR www.completeslidingdoors.com FREE ESTIMATES Screen Doors and Window Screens 772-675-5555 COMPLETE SLIDING DOORS • 772-675-5555 Must be presented at time of estimate - NO EXCEPTIONS. Cannot be combined with other coupons or discounts. Not valid on previous orders or estimates. Exp. 3/31/23 COMPLETE SLIDING DOORS • 772-675-5555 Must be presented at time of estimate - NO EXCEPTIONS. Cannot be combined with other coupons or discounts. Not valid on previous orders or estimates. Exp. 3/31/23 COMPLETE SLIDING DOORS • 772-675-5555 Must be presented at time of estimate - NO EXCEPTIONS. Cannot be combined with other coupons or discounts. Not valid on previous orders or estimates. Exp. 3/31/23 $25 OFF Broken Roller Replacement FREE Track Repair With the Purchase of Roller Replacement $50OFF Bear Screen Doors When You Purchase Two Ask Us About Frameless Shower Doors
VOL. 562 G 67 Copyrighted© My Living Media. 2023 All Rights reserved. To Advertise call 772-247-6849 YOUR TRUSTED ROOFERS $500 ANY NEW ROOF $10,000 & Up Must present this MLM coupon. Expires 3/31/23 off $150 ROOF REPAIR Must present this MLM coupon. Expires 3/31/23 off Roof Repair • Roof Replacement Insurance Restoration LICENSED & INSURED • #CCC133746 5 Stars Google FREE In-home Estimate 772-222-6760 819 SW Federal Hwy. Ste #201 • Stuart www.levelbestroofing.com
68 VOL. 562 G Copyrighted© My Living Media. 2023 All Rights reserved. To Advertise call 772-247-6849 Need More Coupons - MyLivingMedia.com Visit Our Beautiful Gift Shop - Gifts for All Occasions & Something for Everyone! 2670 SE FEDERAL HWY. (BARON SHOPPES) 772.380.WASH(9274) VISIT www.PARADISECW.com FOR MORE DETAILS Sign Up for Our VIP Program! OPEN 7 DAYS A WEEK! • Mon-Sat 8:30am-5pm • Sun 8:30am-3pm $2399 Off Ocean Breeze Car Wash 20% CAR WASH • Full Service Wash • Triple Foam • Clear Coat • Underbody Wash • Wheel Brightener • Tire Shine NOW ONLY… Reg $2999 SUVs, Trucks, Mini Vans Additional $1.50 Good at All Locations. With this MLM coupon. Expires 4/1/23 3999 Carnauba Hand Wax with Ultimate Car Wash Reg $7999 DETAIL CAR WASH JOIN OUR UNLIMITED CAR WASH CLUB $2499 Limited Time Only Starting at +TAX Complimentary Disinfectant on All Full Service Packages! STUART LOCATION ONLY • Full Service Car Wash • Interior Conditioner • Clear Coat • Underbody Wash • Wheel Brightener • Triple Foam • Tire Shine • RainX • Hot Wax • Paradise Ceramic Coating Cannot be combined with any other offer. SUVs, Trucks, Mini Vans Additional $1.50 With this MLM coupon. Expires 4/1/23 Treasure Coast 772-408-9009 Serving all of Martin & St. Lucie Counties Any New Hot Water Heater or Tankless Heater Any New Toilet Any New Garbage Disposal Clearing Any Sink, Toilet, or Main Sewer Line Your Next Service Call $65 OFF $35 OFF $30 OFF $37 OFF Not valid with other offers or prior services. Must present MLM coupon. Limit one coupon per service call. Not valid with other offers or prior services. Must present MLM coupon. Limit one coupon per service call. Not valid with other offers or prior services. Must present MLM coupon. Limit one coupon per service call. Not valid with other offers or prior services. Must present MLM coupon. Limit one coupon per service call. Not valid with other offers or prior services. Must present MLM coupon. Limit one coupon per service call. G G G G G Celebrating 40 Years of Excellence www.duallplumbers.com Lic. #CFC1429556 Any Job Big or Small We Do Them All! Available Nights, Weekends, & Holidays Plumbing Repairs & Water Heater Installations Senior Citizen & Veteran Discounts Available! $50 OFF
VOL. 562 G 69 Copyrighted© My Living Media. 2023 All Rights reserved. To Advertise call 772-247-6849 Need More Coupons - MyLivingMedia.com Bonded • Licensed & Insured • Lic. #CDG 5581 Martin • Lic # CDG 9994 St. Lucie Emergency Service Available SAME DAY On Garage Door Replacement FREE ESTIMATES We Repair & Replace WAYNE DALTON • AMAAR CLOPAY OVERHEAD DOORS www.garagedoorrepair .com www.accentgarage .com (772) 232-8780 AAA Accent Garage Doors 15% OFF Garage Door Repair or Spring Replacement FREE OUTSIDE KEYPAD with Opener Lifetime Warranty $75 OFF $150 OFF Single Garage Door Replacement Double Garage Door Replacement With this MLM Coupon. Expires 3/31/23 With this MLM Coupon. Expires 3/31/23 With this MLM Coupon. Expires 3/31/23 Wholesale Mulch, LLC. PICK-UP OR DELIVERY! 1295 SE Cutoff Road, Stuart (772) 419-0300 Wholesale MULCH - ROCK - SOIL & MORE! Are You Ready to… MULCH? Plus tax & delivery fee. Must present OMS coupon. Cannot be combined with other o ers/discounts. Expires 3/31/22 $270 2 cu ft bag Earthwise MULCH 2 cu ft bag Plus tax & delivery fee. Must present OMS coupon. Cannot be combined with other o ers/discounts. Expires 3/31/22 $280 Cypress Blend MULCH 2 cu ft bag Plus tax & delivery fee. $285 Red MULCH G Pavers Sand Shells Fabrics March specials SAFE ROOF & EXTERIOR CLEANING ROOFS • WHOLE HOUSE • DRIVEWAYS • POOL CAGES CALL TODAY A FREE QUOTE 772-277-2795 BEFORE AFTER FREE House Bath or Driveway Cleaning with Roof Cleaning Only with this MLM coupon. Exp. 3/31/23 • No-Walk Roof Cleaning • 100% Biodegradable Products • 10% Off Military and 1st Responder Discount Lasts 4-6X Longer than Pressure Washing Licensed, background checks, all 3rd party veri ed
70 VOL. 562 G Copyrighted© My Living Media. 2023 All Rights reserved. To Advertise call 772-247-6849 Need More Coupons - MyLivingMedia.com Licensed & Insured Call Thomas, Martha & the Tomcat Team! 772-634-6104 • Trees Trimmed • Hazardous Tree and Limb Removal • Stump Grinding • Bush & Lot Clearing • Tractor and Excavator Work • Hauling & Disposal • 14ft. Roll-off Cans Available for Trash Serving the Treasure Coast 20% Off All Services up to $500 Expires 3/31/23 FREE ESTIMATES TOMCAT TREEWORK email: AA18pressurewashing@gmail.com 772-610-8577 Licensed & Insured FREE ESTIMATES AA18 HANDYMAN SERVICES CARPENTRY PAINTING WINDOW SCREEN REPLACEMENT PLUMBING WINDOW CLEANING PRESSURE WASHING THE WINDOW & DOOR SPECIALIST 772-288-6205 WWW.KAMRELL.COM KAMRELL When You Want It Hung Well... TRUST FAMILY OWNED & OPERATED SINCE 1999 8200 SW LOST RIVER ROAD STUART, FLORIDA 34997 Financing Options Available On Our Website LICENSED & INSURED CGC061180 THE DOOR SYSTEM YOU CAN BELIEVE IN THE DOOR OF BEAUTY AND INOVATION
VOL. 562 G 71 Copyrighted© My Living Media. 2023 All Rights reserved. To Advertise call 772-247-6849 Need More Coupons - MyLivingMedia.com Make Your Shower & Floors Look New Again! • Tile & Grout Cleaning • Grout Restoration • Tile & Grout Repair • Loose & Hollow Tile Rebonding • Shower Repairs & Regrouting • Non-Slip Tile Treatment Call today for a FREE Estimate • 772-224-3011 or 1-800-561-3736 • www.GroutsmithStuart.com SEE THE DIFFERENCE WE CAN MAKE IN THE LOOK OF YOUR HOME! Your Grout & Tile Cleaning Experts $30OFF ANY JOB OF $300 OR MORE $50OFF ANY JOB OF $500 OR MORE With this MLM coupon only. Cannot be combined with any other offers or specials. Expires 3/31/23 No More Dirty Grout! Before Before After After With this MLM coupon only. Cannot be combined with any other offers or specials. Expires 3/31/23 Guaranteed for 10 Years! THE GROUTSMITH • 293-Acre Facility • After Hours Wildlife Drop Off • We Accept ALL Donations • Live Education • Be a Member or Volunteer HOURS: Thursday - Sunday 11am - 3pm — Open to the Public 8626 SW Citrus Blvd, Palm City (772) 325-1094
72 VOL. 562 G Copyrighted© My Living Media. 2023 All Rights reserved. To Advertise call 772-247-6849 Need More Coupons - MyLivingMedia.com 772.238.3181 DRIVEWAYS • PATIOS HOUSES • ROOFS & MORE! NEED YOUR PAVERS REPAIRED? Pressure Washing, Pavers, & Surface Restoration and Repair 30 Years of Experience Driveway Special $39 MLM Coupon Expires 3/31/23 (UP TO 450 SQ. FT.) WITH A HOUSE & ROOF CLEANING MLM Coupon Expires 3/31/23 15 % OFF Any Service Over $500 Driveway Special $59 MLM Coupon Expires 3/31/23 (UP TO 450 SQ. FT.) WITH A HOUSE OR ROOF CLEANING Specializing in… • Hazardous Tree & Limb Removal • Palm Tree Trimming • Total Tree Care Licensed & Insured 20% Off All Services MLM coupon expires 3/31/23 772.361.6187 FREE ESTIMATES! ABOVE ALL ELSE... A 772-828-2805 www.overthetoproofrepair.com FREE ESTIMATES 2ND GENERATION ROOFING CONTRACTOR SERVING ALL OF THE TREASURE COAST • Tile Repair • Shingle Repair • Metal Repair • Flat Roof Repair & Coatings • 50 Year Material Warranty Standard on All Coatings With this MLM Coupon. Limitations apply. With this MLM Coupon. Expires 3/31/23 • Residential & Commercial “We will Beat Any Written Estimate for e Same Repair!”
VOL. 562 G 73 Copyrighted© My Living Media. 2023 All Rights reserved. To Advertise call 772-247-6849 Need More Coupons - MyLivingMedia.com CALL TODAY FOR A free estimate! DRIVEWAYS • WALKWAYS • PATIOS • POOL DECKS • RETAINING WALLS CUSTOM POOL REMODELS • NEW POOL CONSTRUCTION • CLEAN & SEAL PAVERS • REPAIRS MARTIN 772-419-5151 PALM BEACH 561-844-9370 apexpaversandpools.com LICENSED & INSURED: CPB #4701 • U-20589 • U-20796 • RP #4701 *WITH APPROVED CREDIT. OFFERS CANNOT BE COMBINED. Apex Pavers & Pools, Inc. 725 SE Monterey Rd., Stuart, FL 34994 COME VISIT OUR SHOWROOM! POOLS TRANSFORMING THE ORDINARY TO Extraordinary FINANCING AVAILABLE CONTACT US TODAY TO LEARN MORE* CALL TODAY FOR A free estimate! DRIVEWAYS • WALKWAYS • PATIOS • POOL DECKS • RETAINING WALLS CUSTOM POOL REMODELS • NEW POOL CONSTRUCTION • CLEAN & SEAL PAVERS • REPAIRS MARTIN 772 - 419-5151 PALM BEACH 561-844-9370 apexpaversandpools.com LICENSED & INSURED: CPB #4701 • U-20589 • U-20796 • RP-252555006 *WITH APPROVED CREDIT. OFFERS CANNOT BE COMBINED. Apex Pavers & Pools, Inc. 725 SE Monterey Road, Stuart, FL 34994 POOLS TRANSFORMING THE ORDINARY TO Extraordinary 12 MONTHS SAME AS CASH NO INTEREST, NO PAYMENTS FOR 12 MONTHS* COME VISIT OUR NEW SHOWROOM! DRIVEWAYS • WALKWAYS • PATIOS • POOL DECKS • RETAINING WALLS CUSTOM POOL REMODELS • NEW POOL CONSTRUCTION • CLEAN & SEAL PAVERS • REPAIRS LICENSED & INSURED: CPB #4701 • U-20796 • RP-252555006 • CPC 1458696 Visit Our Showroom
74 VOL. 562 G Copyrighted© My Living Media. 2023 All Rights reserved. To Advertise call 772-247-6849 Need More Coupons - MyLivingMedia.com EMERGENCY SERVICE-ANY DAY, ANY HOUR Licensed & Insured CFC1427336 • Sinks • Toilets • Water Heaters • Leak Detection • Showers • Bathtubs $30 OFF ANY SERVICE 772.871.2500 PlumbRitePlumber.net Service Interruption? 24-Hour Plumbing Repair Fast | Reliable | Trusted | Guaranteed Sewer & Drain Cleaning All Clogged Lines Corrected With this MLM coupon. NOW HIRING CALL TODAY! Experienced Electricians $50 OFF ANY JOB OVER $500 Cannot be combined with other discounts or offers. With this MLM coupon. Expires 3/31/23 Need An Electrician? FREE ESTIMATES Lic # EC13007910 LIC #U-22038 LIC #MCFE6928 We’ll Beat Reasonable Estimates From Comparable Licensed Companies & Product Offerings Some Restrictions Apply AUTOMATIC GATE OPENER SPECIALIST 561-899-4574 www.budgetfenceandgate.com Since 1950 RESIDENTIAL COMMERCIAL Se Habla Español ASK ABOUT OUR Promotion for Eligible Projects. or Interest, Payments for Months Options! Down, Low Monthly Payments 0 0 0 24
VOL. 562 G 75 Copyrighted© My Living Media. 2023 All Rights reserved. To Advertise call 772-247-6849 Need More Coupons - MyLivingMedia.com METAL ROOFS just got MORE AFFORDABLE! • METAL ROOFING • TILE ROOFING • SHINGLE ROOFING Financing Available Satisfaction Guaranteed! Call Today (772) 291-1427 Lic. No. CCC1327906 FREE ESTIMATES $500 OFF Call Today! ANY ROOF REPLACEMENT Must present coupon at time of estimate for discount. Exp. 3/30/23 G&S PAINTING & FINE FINISHES 877-202-4000 GSFine nishes.com Locally Owned and Operated • Residential & Commercial • Interiors • Exteriors • Laquer • Faux Finish • Epoxy • French Polish • Paints • Stains • Latex • Oil EXPERTS IN HIGH QUALITY FINISHES Live 24/7 Answering PDSMartin.com Locally Owned & Operated Expires 3/18/23. Our proprietary springs will not rust or corrode and last up to 4 times longer! FREE OPENER For NEW Garage Door Regular $65000 CANNOT BE COMBINED WITH OTHER OFFERS. MUST PRESENT AT TIME OF SALE. DOES NOT APPLY TO PREVIOUS SALES. EXP 3/18/23 772-202-6587

TOP 5 REASONS TO BUY A HOT TUB OR SWIM SPA FROM HOT TUB SALES

Both you and I can probably come up with countless reasons to purchase a therapeutic hot tub or swim spa. I mean, what’s not to love about feeling relaxed and rejuvenated? But, here’s the thing, buying either a hot tub or swim spa shouldn’t necessarily be as simple as swiping your credit card. You need (and deserve!) to work with experts who actually care about you, your wants, and your needs. How else can you expect to get the best overall customer experience? So. without further ado, let’s talk about the top 5 reasons to buy a hot tub or swim spa from Hot Tub Sales:

Family Owned & Operated

In 2016, local married couple Lori & Mario Hicks founded their business, Hot Tub Sales, with a mission to “always strive for perfection.” But how do they deliver on that mission? Simple — Lori and Mario are deeply committed to being the quintessential definition of an honest-to-goodness family-owned and locally-operated business. Indeed, as active members of our community, Lori & Mario appreciate how important it is to be compassionate advocates for their clients, not transaction-focused salespeople. “You’re joining a family when you come to us,” affirms Mario.

With the Hicks family, you not only receive friendly and honest service, but also the assurance of longevity. Lori and Mario don’t plan on retiring any time soon, especially since they are genuinely passionate about supporting their valued clients. Additionally, with 3 children — Caroline, Monte, and Matthew — the couple will eventually pass Hot Tub Sales onto their next generation. In that way, the Treasure Coast and surrounding areas will always have knowledgeable, comprehensive, and trustworthy hot tub and swim spa sales, service,

Strong Customer Relationships & Personalized Attention

You’re not just a number at Hot Tub Sales, so you never have to worry about falling for sales gimmicks with shoddy products. In fact, Lori & Mario are so intent on creating strong relationships with their clients that they personally test each and every product before they allow it to be sold on their showroom floor. Mario says, “We know anything we’re selling to you is the highest quality. It works or it does not get sold in our place, no matter what.”

Furthermore, the personalized attention you receive at Hot Tub Sales is second to none. The goal is for Lori & Mario to find the best therapeutic hot tub or swim spa for your unique wants and needs. “We’re not trying to sell you the tub,” Mario clarifies, continuing, “I’ll look at you, I’ll look at your height, and I’ll say, ‘Well, although you like that tub, we need to get your shoulders under the water. That tub’s not going to fit you correctly.’”

As such, Lori & Mario encourage their clients to “wet test” a hot tub or swim spa before purchasing it. That’s right, bring your swimsuit to the showroom! “We want you to ‘test drive’ your hot tub,” Mario conveys, “because a hot tub is not going to be in your backyard for 3 or 4 or 5 years. It could be the last tub you ever own if you pick the right one! It’ll be there for 20 years.”

4 VOL. 559 H/K Copyrighted© My Living Media. 2022 All Rights reserved. To Advertise call 772-247-6849 Need More Coupons - MyLivingMedia.com
Hot Tubs Sales

The Largest Selection of In-Stock Products with Comprehensive Warranties… and the Lowest Prices Since 2019!

There has never been a better time to buy a hot tub or swim spa than right now... seriously! Lori and Mario share, “You’re going to see prices you have not seen since 2019/2020 right now on our in-stock stuff!” So, if you’re looking to save money on your hot tub or swim spa purchase, then Hot Tub Sales likely has a deal for you!

Additionally, you don’t have to wait months for your hot tub or swim spa to be delivered, installed, and properly functioning. In fact, if you purchase an in-stock hot tub or swim spa from Hot Tub Sales, then you can have it in your backyard as early as next week!

Simply Great Service

Your experience at Hot Tub Sales doesn’t start or end with a sale! Lori & Mario’s motto is, and has always been, “Simply Great Service.” For that reason, Mario explains, “We sell the tubs, we’re fully stocked with parts, we service them, we deliver them, we install them.” He continues, “Most importantly, we hold [your] hand. Once the tub’s in [your] backyard, we coach [you] consistently on water chemistry and maintenance of the tub. There’s no 800 number to call. [You] don’t register [your] warranty, we do that for [you].”

Hot Tub Sales is a one-stop shop for all of your hot tub and swim spa needs! Lori and Mario will happily assist you, at no cost, with any questions you have about maintaining your hot tub or swim spa. If you happen to be a seasonal resident, then you can count on Hot Tub Sales to work with your schedule to “open” and “close” your hot tub or swim spa.

It doesn’t cost you anything to have a conversation with the experts! Learn more about how a hot tub or swim spa will improve your quality of life by visiting Hot Tub Sales. Their countless 5-star reviews on Google and A+ rating from the Better Business Bureau speak for themselves.

Tailored Emotional, Mental, & Physical Health Benefits

There are countless ways in which therapeutic hot tubs and swim spas positively impact your health and wellbeing, not only in the traditional physical sense, but also in the oft-forgotten emotional and mental arenas. At Hot Tub Sales, you will be working with a highly experienced and educated team of professionals.

With a combined experience of over 30+ years in the industry, Mario and Lori appreciate how important it is to understand your individual situation in order to direct you to the ideal hot tub or swim spa. They, along with their caring and attentive team members, take the time to ask you questions about how you’re feeling. Whether you’re experiencing lower back pain, struggling with severe bouts of depression, or just looking for a way to de-stress after work, you will find that the professionals at Hot Tub Sales will help find the best hot tub or swim spa to suit your hydrotherapy needs.

2555

Mondays-Fridays 9:30AM-5PM

Saturdays 9:30AM-4PM

Sundays 10AM-3PM

772-410-7191

VOL. 559 H /K 5 Copyrighted© My Living Media. 2022 All Rights reserved. To Advertise call 772-247-6849
More Coupons - MyLivingMedia.com
Need
SE Bonita Street, Stuart
hottubsales .com
78 VOL. 562 G Copyrighted© My Living Media. 2023 All Rights reserved. To Advertise call 772-247-6849 *Additional charges may apply for heavily soiled areas Serving the Treasure Coast from Vero to Palm Beach 772-919-7163 • 561-250-0088 WWW.CarpetCleanerInFlorida.com 3 ROOMS $68 2 ROOMS $42 5 ROOMS $99 TILE & GROUT CLEANING 39¢ SQ. FT. 100 SQ. FT. MINIMUM FURNITURE CLEANING $60 SOFA OR LOVE SEAT OR 2 CHAIRS AREA RUGS $40 AND UP PREVENTS FIRES DRYER VENT CLEANING FREE DEODORIZER, SANITIZER, & DISINFECTANT $85FROM & SPEEDS DRYING TIME OFFER #MS3-1 CARPET CLEANING Licensed Ask about ...dries in half the time!
VOL. 562 G 79 Copyrighted© My Living Media. 2023 All Rights reserved. To Advertise call 772-247-6849 Need More Coupons - MyLivingMedia.comHURRICANE IMPACT WINDOWS & DOORS PROTECT WHAT’S PRECIOUS TO YOU! • Hurricane Protection • Home Security • Save on Energy Bills • Save on Insurance Costs • Increase Property Value • Noise Reduction Your Expert in Single Family Homes & Condos! “Our service & products are second to none!” The People’s Choice In Hurricane Protection! 772-251-2474 SAME DAY Appointments! AS LOW AS $120 MO. FINANCING Available! 50% Off We Beat ALL Competitors’ Pricing CALL FOR DETAILS License #CBC1264950 & INSURED Serving Palm Beach, Martin, & St. Lucie Counties INSTALLATION & NO SALES TAX. EXP 3/18/23
Residential Customer PRSRT STD ECRWSS US POSTAGE PAID PERMIT #145 STUART, FL 2081 SE Ocean Blvd. • Suite 4 Stuart, Florida 34996 • 772-334-2121 Licensed & Insured SCC131151738 www.myhurricanewindow.com New orders only. Minimum purchase required. Offer not valid with any other offer, or previous job. Contractor is neither a broker or lender. Financing is provided by third party lenders unaf liated with Contractor, under terms and conditions arranged directly between the customer and such lender, all subject to credit requirements and satisfactory completion of all documents. Any nance terms advertised are estimates only. Some restrictions apply. Scan to schedule your 561-566-5629 772-932-5629 APPOINTMENT! 24 MONTHS PER MONTH WHOLE HOUSE OF WINDOWS & DOORS Starting at 0% $169 or Current Reviews 4.9 HURRICANE WINDOWS AND DOORS

Turn static files into dynamic content formats.

Create a flipbook
Issuu converts static files into: digital portfolios, online yearbooks, online catalogs, digital photo albums and more. Sign up and create your flipbook.
G2-Heritage Ridge Living-Vol.562 by My Living Magazines - Issuu