ZONE G1 MARINER SANDS-553

Page 1

You Are Here! Were You Ready for Hurricane Ian? Don’t get caught off guard... See Pages 4-5 “I personally visit with you after the final inspection.” -Peter Bulger, Owner Stuart Mailing Mariner Sands LivingVOL. 553-G1 Index Page 9 MYLIVINGMEDIA.COM Ace of Carts Pages 76-77
2 VOL. 553 G Copyrighted© My Living Media. 2022 All Rights reserved. To Advertise call 772-247-6849 * Subject to credit approval. | ** See warranty guide for complete details. See store for details. At participating stores only; not all products at all locations. Photos for illustrative purposes only. Not responsible for typographical errors. Offers cannot be combined with other discounts or promotional offers and are not valid on previous purchases. © 2012 Carpet One Floor & Home®. All Rights Reserved. 40% RAMEY PROMISE FREE!!YOU’LL LOVE THE WAY YOUR NEW FLOOR LOOKS, OR WE’LL REPLACE IT 30-DAY BEAUTIFUL GUARANTEE: RAMEY WILL REPLACE THE FLOORING - ASK YOUR SALES ASSOCIATE FOR DETAILS SAVE UP TO Serving the Treasure Coast for over 38 years Stuart 1975 SE Fischer St. (Next to Lowes) 772-232-8854 CABINETS • LIGHTING • PLUMBING FIXTURES • FLOORING FURNITURE • CEILING FANS • AREA RUGS • WINDOW TREATMENTS FREE Financing Available RameyFloorandHome.com KITCHEN DESIGNS CARPET VINYL WOOD
VOL. 553 G 3Copyrighted© My Living Media. 2022 All Rights reserved. To Advertise call 772-247-6849 Need More Coupons - MyLivingMedia.comFREE ESTIMATES ON NEW A/C UNITS WE SELL, INSTALL, AND SERVICE ALL MAJOR A/C BRANDS! Offer Expires 1/15/23 *Rheem 16 seer A/C unit re ects cash price. Price is based on model numbers RA1618 through RA1660 unit with air RH1T air handler. WIFI T-stat illustration purposes only, not included. Must be straight change out, hooked up to existing copper, electric, thermostat, hurricane tie-downs, vibration pads and slab. Rooftop and R410a retro ts extra. Permits additional. *Synchrony Financing with approved credit. *Basic coil cleaning will be accomplished by using brush vacuum where accessible. *Drain line ush for maintenance purposes only, excludes clogged drain lines. *Free service call with repair, $49 value. I0% off is valid for service related items only. excludes new Ac units. COMMERCIAL & RESIDENTIAL OFFICE HOURS: MONDAY-SUNDAY 7AM-9PM State Licensed HVAC Contractor Lic # CAC058142 State Licensed Mold Assessor Lic # MRSA3162 State Licensed Mold Remediator Lic #MRSR3334 EcoNet® Smart WiFi Thermostat 0% Financing 24-60 Months* (Equal Monthly Payments - Call For Details) 25 YEARS IN BUSINESS SE HABLA ESPAÑOL DUCT CLEANING SPECIAL! $129 · Medical staff · Police · Elderly · Military · Teachers · Expecting Moms Scan for details ScanQR Code to ApplyFor Financing uahac.com * EXTRA 10% OFF FOR 1.5 ton $3,564 2 ton $3,593 2.5 ton $3,962 3 ton $4,023 3.5 ton $4,228 4 ton $4,479 5 ton $4,860 Rotobrush Air Duct Cleaning Deodorizing air handler & ductwork Vacuum air handler liner Brush vacuum coils Brush vacuum outside blower housing Wash and degrease vents Whip down outside air handler cabinet Vacuum accessible areas of air handler closet Free Unlimited Mains (Normally $50 Each) Free AC System Inspection Chemical Rinse Drain Pan Chemical Rinse Drain Line Up to 6 vents Included Additional supply vents only $25 each               772-236-4965 ONLY Scan for details ACT NOW! LIMITED TIME OFFER Exp. 1/15/23 772-236-4965 *with repair A/C Service Call A/C Not Cooling? Leaking Water? Leaking Freon? Freezing Up? FREE Only 772-236-4965Scan for details ACT NOW! LIMITED TIME OFFER Exp. 1/15/23 Complete A/C Tune-Up $49 · 24-Point Inspection · FREE 1st lb of Freon* · Add Solution to A/C Drain · Add Algaecide Tablets to Drain Pan · Coil Deodorizer* · FREE Drain Line Flush* · Water Damage Inspection with Moisture Meter · In Place Chemical Flush of Evaporator Drain Plug · Add Algaecide Tablets to Drain Pan · Add DrainSolve Cleaning Solution to Drain Line Only 772-236-4965Scan for details ACT NOW! LIMITED TIME OFFER Exp. 1/15/23 $19 A/C Leaking Water?

IMPACT WINDOW Difference

The Top 9 Bene ts of Hurricane Impact Windows

1.) Stronger Protection and Greater Insulation from Storms

Impact windows (a/k/a hurricane windows) are designed to withstand even Category 5 hurricane winds (200mph). An interlayer is situated between two thick layers of glass, ensuring that absolutely no water, debris, and/ or wind will enter your home to cause damage. Even if the outer glass of the window is somehow punctured, the glass is designed to crack in a spider web pattern, thus eliminating the possibility of the window blowing out entirely.

2.) Energy-Ef cient

Hurricane windows seal off the interior of your home so well that your air conditioning bill can decrease. You do not have to worry about your air, or your money, going out the window—literally.

3.) Less Time, Energy, and Anxiety

With alternative storm protection methods, you need to invest your time and energy preparing your home for the impending storm. This preparedness can cause you stress if something suddenly does not work or requires more than one person to work. Hurricane windows, on the other hand, are hassle-free and require no work on your part.

4.) Increased Lighting with UV Protection

In the event of a hurricane, with impact windows, you can rely on having natural light as a resource without compromising your security. Additionally, the glass has greater UV protection, so any light that does come through will not cause fading on your carpeting or furniture.

5.) Noise Reduction

Impact windows are thicker, so you can relax in your home without having to hear the hustle and bustle of the outside world, or any neighbors’ pets.

6.) Intruder Protection

If 200-mph winds cannot destroy hurricane windows, then burglars stand no chance! Would-be intruders will be disappointed to learn that your home has impact windows because there is little chance that they will be able to break them.

7.) Lower Insurance Rates

Your insurance company will be so excited to learn that you are giving your home the best protection possible that it will likely reduce your rates.

Need More Coupons - MyLivingMedia.com
The

Higher Property Values

Homes with hurricane windows have higher property values. If you ever sell your house in the future, you will attract buyers who are willing to pay more for the added protection.

9.) Made in the U.S.A.

Hurricane windows from Max Guard are crafted entirely in the United States of America. When you choose Max Guard impact windows, you are supporting the American workforce and economy.

So, what are you waiting for? Give the professionals at Max Guard a call today to nd out more about how their hurricane windows will bene t you and your home!

The new Max Guard Hurricane Windows showroom is located at 2257 Vista Parkway, Suite 28, in West Palm Beach. It is open Monday through Saturday from 8AM to 5PM. For more information, please call 561-566-5MAX (5629) or visit www.MaxGuardHurricane.com.

VOL. 548 H /K 5Copyrighted© My Living Media. 2022 All Rights reserved. To Advertise call 772-247-6849FINANCING DISCLOSURE: Contractor is neither a broker nor a lender. Financing is provided by third-party lenders unaf liated with Contractor, under terms and conditions arranged directly between the customer and such lender, All subject to credit requirements and satisfactory completion of nance documents. Any nance terms advertised are estimates only LICENSED & INSURED SCC131151738 8.)
sponsored by 561-566-5629 772-932-5629 FREE Quote ZERØ! Ø Tax Ø Interest Ø Payments /24 MONTHS /24 MONTHS
6 VOL. 553 G Copyrighted© My Living Media. 2022 All Rights reserved. To Advertise call 772-247-6849 The Most Trusted Name in Optical and Hearing Guaranteed Best Prices Ask a Friend! We Are Proud Of Our Service (772)286-4327 Hearing Mon.-Fri. 9AM-6PM ; Sat. by Appt. 2341 SE Federal Hwy. Stuart, FL 34994 In Front of TJ Maxx and Home Goods Kevin M. McCurdy H.A.S., BC-HIS Licensed Hearing Aid Specialist Tinnitus Specialist Insurance Accepted Financing Available The Original Schmidt’s Hearing Is Located Inside Schmidt’s Optical Largest Selection of Hearing Aids To Better Serve Our Patients’ Needs We Will Beat Any Competitor’s Pricing By At Least 10% • Tinnitus Treatment • Repairs On All Hearing Aids • Free Diagnostics Of Your Current Hearing Aids FREE Quality Hearing Exam with Consultation Digital Hearing Aids Starting at $279 For Mild Hearing Loss
VOL. 553 G 7Copyrighted© My Living Media. 2022 All Rights reserved. To Advertise call 772-247-6849 *The Free Exam® works as a credit in the amount up to $49 that is credited off the Buy One Get One Free Sale. $49 Off excludes $19 & $74 Sale. Must present coupon prior to purchase. Not valid with any other offers, sales or vision plans. Restrictions Apply. (772) 283-2622 Optical Insurance Accepted 2341 SE Federal Hwy Stuart, FL 34994 (In Front of TJMAXX & Home Goods) Eye Exams by: Dr. Suivski & Associates Independent Dr. of Optometry (772) 283-4240 Free Eye Exam by receiving $49 OFF Your Designer Eyewear Purchase* $60 - $170 Off Designer Eyewear* FREE 2nd Pair Including Progressives The Most Trusted Name in Optical and Hearing 1-Hour Service Family Owned and Operated Akoni Alain Mikli Badgley Mischka Balmain Bebe Bolle Bottega Veneta Boucheron Brooks Brothers Caroline Abram Carrera Cartier Caviar Cazal Chloe Christian Roth Chrome Hearts Coach Coco Song Colors In Optics Costa Denon Dior Dita Dolce Gabana Entia Barcelona Fendi Gucci Guess Johann Von Goisen Kate Spade Lafont La Matta Lindberg Maui Jim Mattisse Michael Kors Missoni Mont Blanc Nine West Oakley OGA Oliver Peoples Persol Pomellato Porsche Design Prada Private Label Ralph Lauren Rayban Revo Rip Curl Rodenstock Serengeti Silhouette Silhouette Elegance Smith Steve Madden Talla Tiffany Tom Ford Tory Burch Vera Bradley Vera Wang Versace Vince Camuto Trina Turk Zeal 7 Eye Why Pay More with Less Options! Our Sales Are Better! To Better Serve You, 3 Licensed Opticians & All Lens Brands Available Including Digital, Specialty, Sport, & More Plus Single Vision $19 That’s 2 for $38 Progressive $74 That’s 2 for $148 LARGEST SELECTION & SHOWROOM IN FL FASHION
2 LOCATIONS Mall, Jensen Beach COHEN’s COHEN’ OptiCal Pinecrest Lakes Including Hollycreek & Timberwick Living VOL. 549-A7 MYLIVINGMEDIA.COM $1000 OFF JetSetter Membership Indian River Shores Living MYLIVINGMEDIA.COM Index Page 9 551-E4 Okeechobee Cowtown Rodeo See Page 9 March 8th - 10th Okeechobee WEST LivingVOL. Index Page 30 MYLIVINGMEDIA.COM Meet Sean Quinn… See Pages 4-5 Your trusted neighborhood Realtor Our Local Market is Shifting & You need to know exactly what that means! River ShoresNorth 549-A1 Living MYLIVINGMEDIA.COM Index Page 9 Meet Soraya Cedeño CEO of Organic Tagua Jewelry See Pgs. 18 & 19 Sailfish Point VOL. 549-A2 Living MYLIVINGMEDIA.COM Index Page 9 NO WATERING NO MOWING NO FERTILIZING VeroBeach VOL. 551-S1 Living West MYLIVINGMEDIA.COM Index Page 9 Jupiter VOL. 549-D1 99+ UNIQUE COMMUNITY MAGAZINES DIRECT MAIL High-quality printed post cards & inserts allow you to target specific zip codes every two weeks FREE digital, mobile, & social media marketing for every one of our direct mail clients Mailing Martin, St. Lucie, Indian River, Okeechobee, & Palm Beach Counties my LIVING MEDIA ON THE WEB We are Florida’s Premier Direct Mail & Multimedia Marketing Company 1¢MAIL Some Restrictions Apply. Please call for details. PER HOME FOR ONLY… 15,000* HOMES CONNECT TO YOUR COMMUNITY… 772-247-6849

Steve Frontera

INSURANCE & BENEFITS

JEWELRY

&

upiter Living Index Page 9 Shop Local - Beautiful Designer Furniture and Furnishings Furniture Store Island VOL. 551-E1 Living MYLIVINGMEDIA.COM Index Page 9 Janice MilesicSteve Milesic Sebastian 551-T7 Living MYLIVINGMEDIA.COM Index Page 9 EAT. DRINK. CHILL. Grand Harbor Living MYLIVINGMEDIA.COM Index Page 9 VOL. Including Oak Harbor and River Club Gardens Palm Beach Living MYLIVINGMEDIA.COM VOL. 549-I5 THC TOTAL HOME DISCOVER THE PREMIER POSSIBILITIES A Taste of Italy in Every Bite Torino VOL. 549-F3 Living MYLIVINGMEDIA.COM See Pgs. 52-53 Executive Chef, Taylor Wilson This Grill is American Cuisine and Full Bar Stuart Yacht & Country Club LivingVOL. 549-O4 Index Page 9 MYLIVINGMEDIA.COM MY LIVING CONTENTS - ZONE G ANIMALS & PETS Treasure Coast Wildlife Center ......... 79 AUTOMOTIVE Broward Motorsports 57 Hobe Sound Full Service Hand Car Wash ............................................. 37 JLD Auto 62 Paradise Car Wash 56 Roney Williams -Wallace ................. 53 Stuart Brake and Auto Repair .......... 53 BEAUTY Lemon Tree Hair Salon ..................... 72 CLEANING SERVICES Airam’s Cleaning Service, LLC 57 Blue Genie Soft Wash ...................... 71 East Coast Window Cleaning ........... 61 Emergency Response Team 49 Grout Plus 51 Honor Carpet.................................... 78 Magic Bubbles Pressure Cleaning ... 48 Platinum Pressure Washing 55 Stanley Steemer 11 The Groutsmith ................................ 74 Well Maid Cleaning Service 49 Wonder Sisters Cleaning Service 67 DINING & ENTERTAINMENT Busters 25 Carrabba’s Italian Grill 24 Casa Tequila..................................... 21 Divine Treats .................................... 23 Fiorentino’s 25 Fresh Catch......................................27 Great American Productions ............ 66 Hurricane Grill .................................. 26 Island Scooter Rentals 46 Mr. Jalapeno 23 Mrs. Peter’s Smokehouse ................ 25 Pirate’s Cove Resort and Marina ..... 22 Plant Baked Hemp Bakery 20 Rancho Chico III 24 Salerno Pizza ................................... 20 Stuart Air Show ................................ 28 The Grove.........................................22 The Whistle Stop 23 Vesuvio’s Pizzeria ............................ 27 FUNERAL HOMES & CREMATION Affordable Choice Cremation 61 Millennium Cremation Service ........ 13 HOME IMPROVEMENT A Great Fence LLC 15 Accent Garage Doors 39 All Coast Septic Services 48 All Dry USA ...................................... 17 All Glass 4U ...................................... 53 Alliance Group Roo ng .................... 52 Apex Pavers and Pools .................... 73 Aqua Docs Water Restoration, Inc 36 Atlantic Doors and More 50 Bill sh Air Conditioning 44 Brilliant Roo ng 67 Brite Concepts Window and Sliding Door Repair ................................... 33 Budget Blinds of Hobe Sound .......... 43 Budget Fence................................... 42 Closets By Design ............................ 12 Coastal Closets and Showers 14 Code Red Roofers 58 Color Restoration 52 Complete Sliding Doors 55 Complete Synthetic Turf...................51 CoolMoon AC Mechanical Contractor ..................................... 35 db Home Improvements .................. 34 Designer Driveways 39 Dettloff Construction 48 DTR Tile Restorations.......................71 Du-All Plumbing 39, 74 Face of Wood 43 First Impression Doors and More .... 10 Holt’s Reliable Garage Doors ........... 59 IMA Landscaping ............................. 35 Kamrell Windows and Doors ............ 18 Krauss and Crane 70 Liberty Impact Windows and Doors 26 Liberty Shutters 27 Max Guard Enclosures 40 Mister Roof ...................................... 32 Monterey Glass ................................ 75 NVP Gutters and More ..................... 49 Over the Top Roof Repair ................. 70 OX Floor Coating 19 Peter’s Water Treatment 79 Pioneer Screen LLC 72 Plantation Shutters Florida 57 Plumb Rite Plumbing 42 Precision Door Service .................... 14 Pride Air Conditioning ...................... 54 Quality Air of America ...................... 29 Quality Plumbing & Drains ............... 62 Ramey Floor & Home 2 Ramos Tree Service 55 Sanders Screening 11 Shoreline Roo ng and Repair 62
Roo ng, Inc ............. 18 Stott Brothers Electric ..................... 42 Stuart Roo ng 43 Superior Tile and Remodeling 48 The Shutter Factory 63 Tiles of Stuart 34 TradeWinds Kitchen and Bath .......... 68 Tree Works ....................................... 59 Universal Air and Heat ....................... 3 Wholesale Mulch LLC ...................... 71 Window and Door Storm Protection 59 Window Replacement Group 64 Windowz and More 69
American Senior Health Services of the T.C. Inc ....................................... 33 Florida Health Group-Compass Health 65 Renee Allen Insurance 72 Senior Solutions Insurance Agency ... 45 South Shore Insurance .................... 56
John Charles Jewelers 32 Joseph’s Jewelry 13 MEDICAL
HEALTH Appearance Implant and Family Dentistry .......................................... 47 First Home Care ............................... 66 Grab Bar ........................................... 45 Institute of Health and Wellness 45 MMJ Health 16 New Beginnings Medical 37 Premier Dentistry 60 Schmidt’s Optical ............................ 6-7 Stretch Zone .................................... 30 Symphony of Stuart ......................... 61 PROFESSIONAL SERVICES Barnett Rukin and Associates 35 Bob’s Mirror Removal 66 Dryer Vent Cleaner, The 67 My Stack Box Storage ..................... 38 Tomcat Treework ............................. 66 RETAIL Hobe Sound Ship Center 46 Hot Tub Sales 75 Mattress Market 31 TRANSPORTATION Airports Etc ...................................... 75 Volume 553 October 2022 For advertising rates and information Email: sales@mediaoms.com Call 772-247-6849 © 2022 by My Living Media. All rights reserved. Although some parts of this publication may be reproduced and reprinted, we require that prior permission be obtained in writing. My Living Magazine is a free publication distributed locally and is supported by our advertisers. Please call to find a location near you or if you would like copies placed at your business. We do not necessarily endorse the views expressed in the articles and advertisements, nor are we responsible for the products, and services advertised. We are not responsible for licensing or certifying businesses, nor are we responsible for verification of these requirements. We welcome your ideas, articles and feedback. *Dining pictures shown are for illustration purposes only. Actual products may vary due to product enhancement.
10 Need More Coupons - MyLivingMedia.com FINANCING AVAILABLE Impact Resistant Fiberglass & Mahogany Entry Doors • Impact Resistant Decorative Glass Inserts Interior Doors • Impact Resistant French & Sliding Glass Doors Call today 561.464.6102 to schedule your FREE SHOWROOM appointment or schedule online FrontdoorsFL.com BOCA RATON | 9858 Clint Moore Rd., Suite C-128 • Boca Raton, FL 33496 Tuesday - Friday • 9am - 5pm Saturday • 9am - 4pm WEST PALM BEACH | 346 Pike Road, Suite 6, West Palm Beach, FL 33411 Monday - Friday • 7am - 4:30pm Saturday • 9am - 2pm JUPITER | 75 E. Indiantown Road, Suite 507, Jupiter, FL 33477 Tuesday - Friday • 9am - 5pm Saturday • 9am - 4pm LICENSE # CBC037800
VOL. 553 G 11Copyrighted© My Living Media. 2022 All Rights reserved. To Advertise call 772-247-6849 Need More Coupons - MyLivingMedia.com FAMILY OWNED & OPERATED • SCHEDULE ONLINE TODAY AT: WWW.STANLEYSTEEMER.COM FIRE, WATER, & MOLD DAMAGE RESTORATION SERVICE Immediate Response 24-HOUR EMERGENCY Minimum charges apply. Cannot combined with other offers. Residential and Commercial. Must present this MLM Coupon at time of service. Valid at participating locations only. Certain restrictions may apply. Call for details. Lic. #CMC014066 Home and Of ce Disinfecting and Sanitizing Treatments 772-758-2505 WWW.STANLEYSTEEMER.COM STANLEY STEEMER SERVICES ® EPA-REGISTERED Disinfectant That Meets the EPA’s Current Criteria for Use Against SARS-CoV-2, the Virus That Causes COVID-19 Eliminates Molds, Viruses, Bacteria, & Allergens $50 HOME Disinfectant Treatment Service Contracts Available Per Room Up To 300 Sq. Ft. 3 Room Min. for Residential Pricing OFFICE FREE ESTIMATES FREE ESTIMATES FOR ALL COMMERCIAL BUSINESSES WE PRETREAT YOUR FLOORS AND MOVE YOUR FURNITURE AT NO CHARGE WE PRETREAT YOUR FLOORS AND MOVE YOUR FURNITURE AT NO CHARGE $119 $129 $199 Expires 11/25/22 MLM Expires 11/25/22 MLM Expires 11/25/22 MLM TILE & GROUT OR WOOD FLOOR CLEANING HOME Which Air Are You Breathing? AIR DUCT CLEANING Only PER ROOM 3 ROOMS CARPET CLEANING Wool carpets extra. Area rugs not included in wall-towall cleaning. Up To 8 Vents *Any Room Up to 300 sq. ft. BEFORE AFTER OFFICE FREE ESTIMATES CALL TODAY RenUV Home & Of ce Air Puri er Removes Viruses, Bacteria, Mold, & Pollen Sanders Screening_0108-4322_HI553 Sanders Screening and Repair Retro Fit Your Enclosure to MegaView Family Owned & Operated Serving your Community for 23 Years 3730 SE Dixie Hwy., Stuart, FL 34997 We Build & Repair Window Screens 772-362-2762 Licensed & Insured MC2000068 www.SandersScreeningFL.com Info@sandersscreeningfl.com
12 VOL. 553 G Copyrighted© My Living Media. 2022 All Rights reserved. To Advertise call 772-247-6849 Need More Coupons - MyLivingMedia.com Call for a free in home design consultation and estimate Imagine your home, totally organized! Custom Closets, Garage Cabinets, Home Offices, Pantries, Laundries, Hobby Rooms and more... 40% Off Plus Free Installation Terms and Conditions: 40% off any order of $980 or more or 30% off any order of $680-$979 on any complete Custom Closet, Garage Cabinets, Home Office, Pantry, Laundry, Wall Bed, Wall Unit, Hobby Room or Garage Flooring system. Not valid with any other offer. Free installation with any complete unit order of $600 or more. Expires in 30 days. Call for a free in home design consultation and estimate (561)203-4745 www.closetsbydesign.com MSJ Follow us 2020 © All Rights Reserved. Closets by Design, Inc. Walk-In-Closets Laundry Rooms Home Offices Garage Cabinets Follow us www.closetsbydesign.com CGC1509325 & MC1900055 (772) 207-3265 MS
VOL. 553 G 13Copyrighted© My Living Media. 2022 All Rights reserved. To Advertise call 772-247-6849 Need More Coupons - MyLivingMedia.com CRE M ATIO N S ER V IC E PORT ST. LUCIE | 772-237-4035 1186 SW Gatlin Boulevard, Port St. Lucie VERO BEACH | 772-999-5547 800 8th Street. Vero Beach, FL 32962 Also Available in: SEBASTIAN & PALM BAY PLAN FOR TOMORROW’S UNKNOWNS Preplan your end-of-life arrangements to relieve unnecessary worry and expenses for you and your loved ones. Call Today 772-237-4035 WORLDWIDE TRAVEL PROTECTION TRAVEL WITH PEACEOF MIND While many funeral homes outsource their cremation, our cremation professionals handle each step of the process so you can rest assured that your loved one never leaves our care. Our cremation professionals have extensive knowledge and experience to guide you and provide all of the information you need to make informed decisions. Lower Costs Two on-Site Crematoriums BASIC CREMATION $795* BASIC CREMATION $795* *Additional fees may apply./MillenniumCremationServiceMillenniumCremationService.com www.jewelryofstuart.com 50 O F F Jewelry & Watch Repair *Up to $10 value. Limit one per customer. Parts, Watch sizing & Pearl restringing not included. With this MLM-G coupon only. Expires 11/25/22 % *Most Watches. Limit Two, up to $5 VALUE. With this MLM-G coupon only. Expires 11/25/22 50 O F F Watch Batteries % With this MLM-G coupon only. Expires 11/25/22 FREE Jewelry Cleaning & Inspection 5250 SE Federal Hwy., Stuart MONDAY-FRIDAY: 9:30AM-5:30PM • SATURDAY: 9:30AM-4:00PM (772) 221-1779 is in the Air...Fall Celebrating 32 Years!
14 VOL. 553 G Copyrighted© My Living Media. 2022 All Rights reserved. To Advertise call 772-247-6849 Need More Coupons - MyLivingMedia.com CUSTOM CLOSETS AND SHOWERS DOORS Licenced Contractor #MCN56662 #SCC131152195 772-213-1117 | www.coastalclosetsandshowers.com Visit our factory showroom at 4483 SE Commerce Ave, Stuart, FL 34997 Up to $300 off your new Custom Closet* Lifetime Warranty & FREE Glass Protection on your Custom Glass Shower Offers valid until Nov 30th, 2021 Coupon must be presented at time of consultation. *purchase of $2500 or more necessary. Are you afraid to look in your closet? Coastal can help! closet | office | garage | wall bed | wall units shower doors | glass wine rooms | store front glass Offers valid until November 30, 2022. Coupon must be presented at time of consultation. Live 24/7 Answering PDSMartin.com Locally Owned & Operated 772-202-6587 Expires 11/15/22. Our proprietary springs will not rust or corrode and last up to 4 times longer!
VOL. 553 G 15Copyrighted© My Living Media. 2022 All Rights reserved. To Advertise call 772-247-6849 Need More Coupons - MyLivingMedia.com • Aluminum Railing • Estate Gates • Temp Fence • Chain Link • Wood • PVC/Vinyl • Aluminum • All Kinds of Welding • Automatic Operators for Gates Licensed & Insured 772-232-7303 AGreatFence.com Call A Great Fence Today! A Great Fence SLC-23954 PSL-9089 MCFE-5176 FTP-16141 Free Estimates... No Waiting! Gate Access Control & Cameras 772-758-5160Call A Great Access Control! • Gate Operators • Access Control • Telephone Entry • Hardware • Accessories • Repairs • New Installs • Maintenance • Cameras • Key Pads • Intercoms
16 VOL. 553 G Copyrighted© My Living Media. 2022 All Rights reserved. To Advertise call 772-247-6849 MMJ Health Make the Appointment Use our patient qualification system to see if you qualify for medical marijuana. See the Marijuana Doctor See one of our qualified physicians at one of our many locations in Florida. Get Your Card You will be able to visit and get delivery from any dispensary in Florida. Let Dr. Morgan, The Highest Rated MMJ Doctor, at MMJ Health find your Alternative to Pharmaceuticals!
When it comes to finding medical marijuana (MMJ) doctors, you can trust the helpful and professional staff at MMJ Health. Serving patients in Palm Beach, Martin, & St. Lucie Counties. Call MMJ Health to schedule an appointment with a Florida Medical Marijuana Doctor: WINNER OF BEST DISPENSARY, BEST MEDICAL MARIJUANA CARD PROVIDER, BEST CBD STORE, AND FINALIST FOR BEST PLACE TO WORK HOW IT WORKS Treasure Coast 772-212-4032 Palm Beach 561-631-7994
VOL. 553 G 17Copyrighted© My Living Media. 2022 All Rights reserved. To Advertise call 772-247-6849 Need More Coupons - MyLivingMedia.com WATER & MOLD DAMAGE EXPERTSWATER & MOLD DAMAGE EXPERTS 24/7 EMERGENCY RESPONSE24/7 EMERGENCY RESPONSE (772) 310-4101(772) 310-4101 FULLY LICENSED & INSURED ALLDRYUSA.COMFULLY LICENSED & INSURED ALLDRYUSA.COM NO MONEY DOWN!! WATER DAMAGE & MOLD REMEDIATIONNO MONEY DOWN!! WATER DAMAGE & MOLD REMEDIATION GIVE US A CALL IF YOU SEE...GIVE US A CALL IF YOU SEE... WATER STAINS FLOOR BUCKLINGKITCHEN LEAKMOLD BUILDUP QUALITY PROFESSIONAL RESTORATION IS OUR PROCESSQUALITY PROFESSIONAL RESTORATION IS OUR PROCESS OUTSTANDING RESULTS IS OUR GUARANTEEOUTSTANDING RESULTS IS OUR GUARANTEE CALL CALL (772) 310-4101(772) 310-4101 TODAY FOR A FREE INSPECTIONTODAY FOR A FREE INSPECTION $100 REBATE$100 REBATE ON MOLD SERVICESON MOLD SERVICES MUST MENTION CODE LMMMUST MENTION CODE LMM NO INSURANCE? NONO INSURANCE? NO PROBLEM! PROBLEM! DIRECT PAY & FINANCINGDIRECT PAY & FINANCING OPTIONS AVAILABLEOPTIONS AVAILABLE Fully Licensed Contractors & Mold Remediators #CGC1525977 #MRSR3558
18 VOL. 553 G Copyrighted© My Living Media. 2022 All Rights reserved. To Advertise call 772-247-6849 Need More Coupons - MyLivingMedia.com THE WINDOW & DOOR SPECIALIST 772-288-6205 WWW.KAMRELL.COMKAMRELL When You Want It Hung Well...TRUST FAMILY OWNED & OPERATED SINCE 1999 8200 SW LOST RIVER ROAD STUART, FLORIDA 34997 Financing Options Available On Our Website LICENSED & INSURED CGC061180 THE DOOR SYSTEM YOU CAN BELIEVE IN THE DOOR OF BEAUTY AND INOVATION ROOF REPAIRSpecialists! “Specializing in the most dif cult leaks!” 3520 SW Armelini Ave. • Palm City 772.742.4040 • Residential • Guaranteed Repairs • Quick Response within 24 Hours • Locally Owned & Operated • Military & Senior Discounts Licensed & Insured CCC1326920 Re-Roof Must present MLM coupon at time of price quote. Expires 11/30/22 $500 off$100 off Any Repairs up to $1,000 FREE on All Repairs & Re-Roofs ESTIMATES Must present MLM coupon at time of price quote. Expires 11/30/22 Cannot be combined with any other offers or coupons.
Need More Coupons - MyLivingMedia.com WITH THIS MLM COUPON. OFFER EXPIRES 11/25/22 Offer Valid for Same-Day Service Only FREE IN-HOME ESTIMATE 30% OFF – PLUS –™ YOUR BEAUTIFUL NEW FLOORING IS JUST A CALL AWAY! 772-277-7562 561-277-0375 OXFLOORS.COM WE TAKE THE BORING OUT OF YOUR FLOORING! 10X STRONGER BOND THAN EXPOXY™ Garages Patios Pool Decks Driveways & Much MORE!
20 VOL. 553 G Copyrighted© My Living Media. 2022 All Rights reserved. To Advertise call 772-247-6849 Need More Coupons - MyLivingMedia.com 772-286-5505 5557 SE Federal Hwy., Stuart (Winn Dixie Plaza, Corner of Salerno & US 1) mysalernopizza.com OPEN SUNDAY 2pm - 9pm FREE 6 Garlic Knots w/side of marinara When you pay cash for any order over $10 Monday/Tuesday pizza special included +TAX We Cater! THE STATEN ISLAND Cannot be combined with any other offer. Must Present this MLM coupon. Expires 11/30/22 X-Large18” Pizza with 1 Topping $14 50 +TAX +TAX MON/TUES PIZZA SPECIAL Not Valid For Delivery. Cannot be combined with any other offer. 16” Large Cheese Pizza $9 49 Topping Regular Price Pick-Up & Dine in Only$16 99 WEDNESDAY DINNER SPECIAL 2 Select Dinners, 2 Side Salads, & Garlic Knots* Some restrictions may apply. Cannot be combined with any other offer. • Manicotti • Baked Ziti Choose from: • Linguine & Meatballs • Linguine & Sausage • Cheese Ravioli • Stuffed Shells +TAX We Deliver! Including West of 95 by the Florida Club SUNDAY FOOTBALL SPECIAL $22 00 +TAX Cannot be combined with any other offer. 1 Large with 1-Topping & Order of Wings (Your Way) • Blueberry & Raspberry Muffins • White Chocolate Macadamia Nut Cookies • Chocolate Chip Cookies We bake everything in-house from scratch! Come try our family’s 50-year-old recipes with a twist! 2765 Northwest Federal Hwy., Stuart (Directly across from Panera & Men’s Warehouse in Jensen Beach) www.plantbakedhempbakery.com PLANT BAKED CANNABISINFUSED BAKERY Made with a lot of Love and a little bit of Hemp 772-232-6958 We are the Treasure Coast’s 1st Infused Bakery! We carry CBD Tea & Coffee! All Baked Goods Are 3rd-Party Lab Tested CBD and Delta-8 have been shown to help with nausea, pain, inflammation, better sleep, and mood enhancement. No Card/Prescription Required • Red Velvet Cream Cheese Brownies • Mini Brownies • Coffee Cake *Must be at least 18 years of age ™ • Vegan, Gluten-Free & Keto Options Available!
VOL. 553 G 21Copyrighted© My Living Media. 2022 All Rights reserved. To Advertise call 772-247-6849 (Across the street from Stuart Auto Spa) 1725 SE Federal Hwy. | Stuart, FL | 772-600-5482 CASA TEQUILA Mexican Fine Dining Enjoy Live Mariachi Every Thursday Night 6 - 9 pm Order Online for Take-Out and Get $500 Off *Order Must be $25 or more. $7.99 Every Monday Enchilada Combo Includes Rice & Beans $7.99 Every Tuesday Combo Includes 3 Crunch or Soft Tacos with Rice & Beans Your Lunch or Dinner Bill of $50 or more With this MLM coupon. 1 coupon per table. Dine in only.Some restrictions apply. May not be combined with any other offer. Expires 11/11/22 (*Excludes Taco Tuesday Specials)& Monday Enchilada Combo$10 Off Your Lunch or Dinner Bill of $50 or more With this MLM coupon. 1 coupon per table. Dine in only.Some restrictions apply. May not be combined with any other offer. Expires 11/11/22 (*Excludes Taco Tuesday Specials)& Monday Enchilada Combo$10 Off
22 VOL. 553 G Need More Coupons - MyLivingMedia.com Breathtaking Wat t Dining SERVING LUNCH & DINNER • MON-SUN: 11am-10pm CLUB SAFARI FRIDAY & SATURDAY NIGHTS IN THE LOFT LOUNGE 8PM-1AM DRINK SPECIALS | DANCE MUSIC DANCE FLOOR | NO COVER WELCOMING ISLAND PRINCESS CRUISE! BOAT TOURS WWW.ISLANDPRINCESSCRUISES.COM FAMILY OWNED & OPERATED 4307 SE Bayview Street., Stuart | www.piratescoveresort.com | 772.287.2500 Serving the finest wines from around the world on the Treasure Coast at the best value. 11/10- Baglio di Pianetto United States Debut from Sicily 5-Course Paired Wine Dinner 11/12- Wine Workshop Wines of Chile 12/10- 4th Annual Sidewalk Sale & Tasting 50+ Wines for $50! COMING in FEBRUARY Treasure Coast Charity Wine Fest & Auction WINE CLUB MEMBERS HAVE MORE FUN! Present This Ad to Receive Our Gift of $100 Gift Certificate when you purchase an Annual Wine Club Membership in Full EXCITING UPCOMING WINE EVENTS A TASTE OF HISTORY 8815 SE Bridge Road The Marketplace Corner of US1 & Bridge Road Hobe Sound, FL TheGroveHobeSound.com 772-402-5410
VOL. 553 G 23Copyrighted© My Living Media. 2022 All Rights reserved. To Advertise call 772-247-6849 Need More Coupons - MyLivingMedia.com Monday through Saturday 6am to 4pm Closed on Sunday. 4920 SE Dixie Hwy., Port Salerno Call in your order at Order Online: TheWhistleStopEatery.com The Whistle Stop Hoagie Shop& Eatery CELEBRATING 17 YEARS BEST PHILLY CHEESE STEAKS With this MLM coupon. Expires 11/23/22 $5 OFF $25 Purchase 772-220-1020 772-287-8161 In Plantation Plaza (Next to Stuart Bowl) $6 off OPEN DAILY 11AM TO 10PM 1602 SE Federal Hwy., STUART Your Dinner Order of $25 or more With this MLM Coupon. Not valid on Tuesdays, Holidays, special occasions, or with any other offers or specials. Expires 11/25/22 $149 with Purchase of Beverage TACO TUESDAY Happy Hour Every Day 3pm-6pm $5 House Margaritas $3 Drafts Margarita Mondays Top Shelf Margaritas 50% off All Day Friday Night Latino Night CELEBRATION CAKES! • Over 13 Cake Flavors • Over 12 Fillings • Over 12 Frosting Flavors AND OTHER BAKED GOODS... THEY’RE DIVINE! Let us make your occasion divine • Wedding Cakes • Birthday Cakes • Cake Pops • Cupcakes Custom 561-783-5640 SCAN HERE TO VISIT OUR WEBSITE $ 50 OFF CUSTOM CAKES STARTING AT $450 With this MLM coupon. Expires 11/26/22
24 VOL. 553 G Copyrighted© My Living Media. 2022 All Rights reserved. To Advertise call 772-247-6849 Need More Coupons - MyLivingMedia.com 91 SW Monterey Road, Stuart • www.ranchochicoflorida.com (772) 288-6741 mexican restaurant off$7 Bill of $35 or more With this MLM Coupon. Expiration 11/30/22 One MLM Coupon Per Table FREE With Purchase of Entrée DESSERT OFF$6 With Purchase of 2 Entrées VALID STUART LOCATION ONLY. One Coupon per visitper table. Must present this MLM coupon for discount. Coupons cannot be combined. Expires 11/23/22. FREE With Purchase of Entrée APPETIZERFREE 1 Complimentary kid’s meal with the purchase of each adult entrée KIDS EAT VALID STUART LOCATION ONLY. One Coupon per visitper table. Must present this MLM coupon for discount. Coupons cannot be combined. Expires 11/23/22. VALID STUART LOCATION ONLY. One Coupon per visitper table. Must present this MLM coupon for discount. Coupons cannot be combined. Expires 11/23/22. VALID STUART LOCATION ONLY. One Coupon per visitper table. Must present this MLM coupon for discount. Coupons cannot be combined. Expires 11/23/22. Catering Delivery Available to Your Home, Office, Church, or Offsite Location Of cial Donation Site 772-320-5398 Book Your Holiday Parties in Our Banquet Dining Room Receive a Free Appetizer Card with Every Unwrapped Toy Donation 2700 SE Federal Hwy., Stuart SCAN ME UNDER NEW OWNERSHIP! Mon. - Thurs.11am - 10pm • Fri. - Sat.11am - 11pm • Sunday 11am - 9pm
VOL. 553 G 25Copyrighted© My Living Media. 2022 All Rights reserved. To Advertise call 772-247-6849 Need More Coupons - MyLivingMedia.com BREAKFAST & LUNCH Home Baked Desserts, Muf ns, Brownies and Our True Italian Gelato www.bustershobesound.com Burgers Shakes & More Famous SMASH BURGER Always Fresh, Prepared to Order! 8855 Bridge Rd., Hobe Sound Mon-Fri 7am-4pm Sat & Sunday 9am-2pm 772-546-4093 $5 Off Any Purchase of $25 or More. Coupon Expires 11/24/22 Best Prices • Homemade Food! Dine In & Take Out 772-334-2184 Monday-Saturday 10am-5pm; Closed Sundays $5off Your choice of Dip 14 Different Flavors to choose from! (Jensen Beach Location Only) With MLM coupon. Expires 11/25/22 1500 NE Dixie Hwy, Jensen Beach “WeSmokeEverythingbut theMermaids!” $2999Seafood • Veal Chicken • Pastas • Variety of Vegetarian Dishes JOIN US FOR OUR 2-FOR-1 DINNER SPECIALS f All dinners served with garlic bread & soup or salad. 2571 SE Ocean Blvd., Cedar Pointe Plaza, Stuart Next to Dollar General Can’t be combined with other coupons or specials. MLM coupon expires 11/25/22 Take-Out Available! Authentic Italian Food 772.781.2400 Fi entino’s Cuisine
26 VOL. 553 G Copyrighted© My Living Media. 2022 All Rights reserved. To Advertise call 772-247-6849 Need More Coupons - MyLivingMedia.com 781-4295 Hours: Sun-Thurs 11am-10pm Fri-Sat 11am-11pm 2355 SW Martin Hwy., PALM CITY, FL 34990 HAPPY HOUR SPECIALS DAILY 1PM-6PM • Let Us Plan Your Next Fundraiser • Tuesday Night Trivia 6:00pm • Wednesday Kids’ Night Kids Eat FREE after 5pm Half-Price Arcade Games Face Painter and Balloon Artist • LIVE MUSIC Friday 6:00pm - 9:00pm $5 off Any Purchase of $25 or more. FREE Appetizer Any Purchase of $30 or more. $10 off Any Purchase of $50 or more. Dine-In only. Not valid with other offers. Only at Palm City location. Expires 11/30/22 Catch All The Games Here! (Value up to $11.00) Dine-In only. Not valid with other offers. Only at Palm City location. Expires 11/30/22 Dine-In only. Not valid with other offers. Only at Palm City location. Expires 11/30/22 CGC#1528257 772-732-3600 IMPACT WINDOWS & DOORS www.libertyimpactwindows.com SAVE 6.5% INSTANTLY $250 OFFGENERAL CONTRACTORS WITH OVER 30 YEARS OF EXPERIENCE HIGHEST QUALITY WINDOWS, ENTRY DOORS, SLIDING DOORS, FRENCH DOORS, & IMPACT WINDOWS No sales tax on all materials 5 or more windows! Must present coupon at time of purchase. Expires 11/30/22 Plus
VOL. 553 G 27Copyrighted© My Living Media. 2022 All Rights reserved. To Advertise call 772-247-6849 Need More Coupons - MyLivingMedia.com Pizzeria & Pastries VESUVIO’S V Mon.-Thur. 11am-8:30pm Fri.-Sat. 11am-9pm Sun. CLOSED 772-288-3373 4225 SE Federal Hwy. (Next to Walmart & Gamestop - Behind RaceTrac) DINE IN TAKE OUT DELIVERY Cannot be combined with any other offers. MLM coupon expires 11/30/22 Cannot be combined with any other offers. MLM coupon expires 11/30/22 DELIVERY LUNCH SPECIAL 11AM-3PM With 1 Topping, 10 Wings, 6 Garlic Knots, & 2-Liter Soda $ 2995 DINE IN OR CARRY OUT LARGE PIZZA Cannot be combined with any other offers. MLM coupon expires 11/30/22 2 Slices of Cheese Pizza & Soda $ 650 DOUBLE DEAL $ 46952 - 18” Cheese Pizzas, 10 Wings, & 2-Liter Soda DINE IN OR CARRY OUT Minimum Purchase of $25 Not to be combined with other discounts. Dine in only. One coupon per table. Exp. Every Day 4-6pm $795 Appetizers $4 Wine $5 Martinis $4 Well Drinks $3 Beers 1411 SE Indian Street (First traf c light West of US#1) • www.FreshCatchStuart.com • 772-286-6711 OFF LUNCH OFF TAKE OUT Minimum Purchase of $25Minimum Purchase of $20 $5 $2 With this MLM coupon. Not to be combined with other discounts. Dine In Only. One coupon per table. Expires 11/30/22 With this MLM coupon. Not to be combined with other discounts. One coupon per table. Expires 11/30/22 G G OPEN FOR DINE-IN • TAKEOUT • CURBSIDE • DELIVERY OUTDOOR PATIO & SAFE DISTANCED TABLES Manufactured in Port St. Lucie, FL Buy Direct From The Manufacturer & SAVE! PLANTATION SHUTTERS 772-758-8346 Visit Our Manufacturing Center (460 NW Concourse Place Unit 12, St. Lucie West) www.libertyshutters.com $200 OFF With any purchase of $2,000 or more With this MLM Coupon. Expires 11/25/22 4.9 Review FREE Estimates!
New A/C Install Brush Duct Cleaning FALL A/C Tune Up Complete Home Package A/C Coil Cleaning Hablamos Español qualityairofamerica.com A/C NOT COOLING? LEAKING? FREE SERVICE CALL 100% Financing Available $0 Down $0 Interest Lic. # CAC 1820202 561-819-2998 772-448-9835 Super Service Award Winner 3 Years in a Row WITH ANY REPAIR Authorized dealer/service for all major brands REPAIR, REPLACE, OR DUCT CLEANING 10% Discount for expecting mothers, military, & senior citizens Do not be fooled by imitations. There is only one Quality Air of America. Starting at $2199✓ Free digital thermostat ✓ Free 5-Year Service Plan ✓ Free air duct treament Payments as low as $69/month ✓ 24-point AC inspection ✓ Adjust Freon Up to 1lb (R410) ✓ Basic Drain Line Cleaning ✓ Duct Camera Inspection ✓ FREE Attic Insulation Inspection ✓ FREE Duct Inspection ✓ Air Duct Vacuum Cleaning ✓ Vacuum through Main Vent Line ✓ Duct Camera Inspection ✓ Air Quality and Flow Check ✓ Attic Installation Inspection ✓ AC inspection and adjust Freon up to 1 pound (R410) ✓ Free Air Filter- delivered after visit Value $225Expires 11/25/22 Value $195Expires 11/25/22 Value $365Expires 11/25/22 Value $365Expires 11/25/22 Only $99 Only $19 Only $65 Starting At $199 DUSTY DUCTS, BAD ODOR FREE ESTIMATES Emergency Servicee Per Unit BLOWOUT SALEBLOWOUT SALE FALL SPECIAL DUMB A/C? Let Us Make it Smart! Per Unit ✓ Up to 5 Vents Cleaned

Every 5,000 miles, like clockwork, you take your car to get its oil changed and tires rotated. It’s basic, routine maintenance, but that consistent attention and upkeep is vital for your vehicle to run e ciently, especially over a number of years. Your body, much like your vehicle, requires regular care and treatment to keep it healthy. And, again like your automobile, your body needs support from someone other than yourself, a professional who can guide it to achieving its utmost abilities and to retaining its peak performance.

Getting older, playing sports, or having a condition like sciatica or arthritis shouldn’t hold you back from living your life! You can feel like your younger self again, the one who didn’t feel any aches or pains when walking, running, jumping, or even sitting… all you have to do is visit Stretch Zone.

Drew Brees, former quarterback of the New Orleans Saints, is the newest partner at Stretch Zone who advocates for people to regularly get stretched. A er personally going to Stretch Zone for an assisted stretching session, Drew was impressed with the uniquely e ective and nationally accredited Stretch Zone Method®, which is administered by a highly-trained and Stretch Zone-certi ed stretch practitioner.

Here’s How It Works:

1.) Your rst session begins with lling out an intake form and having a consultation with your experienced and knowledgeable stretch practitioner. Based on your medical background and your personal goals, the stretch practitioner will personalize the ensuing 30-minute assisted stretching session to meet your individual needs.

On subsequent visits, you’ll simply do a check-in with the practitioner to update your medical pro le with any recent changes and/ or any new pain or discomfort that you might be experiencing.

2.) e stretch practitioner initiates the rst steps of the approved Stretch Zone Method®, utilizing Stretch Zone’s special patented straps to encourage your body to relax and ease into the stretches. You won’t nd these straps anywhere else! Comparable to a thunder jacket for your pets, they are meant to calm your mind so that your entire body is perfectly loose, thus allowing the stretch practitioner to stretch your body to its full potential and, as a result, provide you with both preventative maintenance and pain relief.

3.) Assisted stretching (a/k/a passive stretching) is di erent from physical therapy in that your body is being stretched by someone else; thus, you’re not actually doing any work. roughout your 30-minute session, the stretch practitioner will be steadily interacting one-on-one with you, ensuring that you are completely comfortable and not experiencing any pain. Ultimately, you are in control of the stretch, even as your practitioner guides your body through each

and every step, because you tell the practitioner when you feel your best stretching position. e more you communicate, the better results you’re going to get!

Take advantage of Stretch Zone’s incredible FREE 30 Minute Stretch Session! Anybody and everybody can and should be stretched.

In fact, one Stretch Practitioner I spoke with at Stretch Zone says, “98% of the people I see in front of me really need to be stretched. is is something you should not live without.”

Remember, it’s just like getting your oil changed! Plus, celebrities and professional athletes have been getting stretched for years, so it’s time for the general population to be clued into the secret!

Get your FREE 30 minute stretch for yourself or do it for a friend or loved one… what better way to say you care than to give the gi of making life easier, of feeling healthier, lighter, and younger, and of feeling like yourself again?

30 Copyrighted© My Living Media. 2022 All Rights reserved. To Advertise call 772-247-6849 Need More Coupons - MyLivingMedia.com STUART • 772-325-1610 2885 SE Ocean Blvd. • Stuart, FL 34996
With MLM coupon. Expires 11/25/22 FALL SAVINGS! GET YOUR FREE 30 MINUTE STRETCH STRETCH YOUR ACHES & PAINS! Unlock Your Body’s Flexibility With Stretch Zone with a FREE 30 minute stretch
VOL. 553 G 31Copyrighted© My Living Media. 2022 All Rights reserved. To Advertise call 772-247-6849 Need More Coupons - MyLivingMedia.com WWW.MATTRESSMARKET.US FAMILY OWNED & OPERATED JENSEN BEACH 772-238-2111 3548 NW Fed Hwy, Jensen Beach VERO BEACH WEST 772-244-6322 6310 20th St, Vero Beach VERO BEACH EAST 772-244-6308 1602 US Hwy 1, Vero Beach Save KING MATTRESS NOW $778 WAS 1299 WAS $799 NOW $388 QUEEN MATTRESS *SEE STORE FOR DETAILS AMARAEUROTOP YOUR CHOICE: FIRM OR PLUSH WAS $1199 WAS $1599 $688 $978 *SEE STORE FOR DETAILS QUEEN MATTRESS KING MATTRESS Now Now UP$1000 TO COOLING POWER 15X BETTER thanks to the exclusive Reactex® System. ** on select Serta® Arctic® adjustable sets *SEE STORE FOR DETAILS Save ARCTIC SUPER MATTRESS SALE! Steve & Janice Milesic Serving Treasure Coast, FL Since 1997 * *SEE STORE FOR DETAILS EXCLUSIVE: TWO SIDED MATTRESS FIRM OR PLUSH KING MATTRESS NOW $898 WAS 1499 WAS $1799 NOW $1088 QUEEN MATTRESS *SEE STORE FOR DETAILS $500 UP TO FREE: DELIVERY* FREE: BED PACK* FREE: FINANCING*
32 VOL. 553 G Copyrighted© My Living Media. 2022 All Rights reserved. To Advertise call 772-247-6849 Need More Coupons - MyLivingMedia.com PREVENT LEAKS AND WATER DAMAGE CALL TODAY for your FREE Roof Inspection! • Residential Specialist • Roof Replacements • Re-Roo ng • Storm Damage • Roof Inspections • Hail Damage CALL US 24 Hrs. 772-277-2340 • Florida License #CCC1333947 • Fully Insured • $100 Off $500 Off Any Repairs Any Re-Roof With this MLM Coupon. Expires 11/25/22 With this MLM Coupon. Expires 11/25/22 YOUR RESIDENTIAL SPECIALISTS SERVING ALL OF SOUTH FLORIDA! • TILE • METAL • SHINGLE • FLAT •T 100% FINANCING Not Based on Credit Score No Money DownFinancial With this MLM Coupon. Expires 11/30/22 With this MLM Coupon. Expires 11/30/22 With this MLM Coupon. Expires 11/30/22 5041 SE Federal Hwy • Stuart 772.934.4151 #1 Custom Jeweler on the Treasure Coast $500 $50 30%off NEW WATCH BATTERY APPRAISALS RHODIUM FINISH CALL OR STOP IN FOR AN APPOINTMENT DESIGNER EVENT! Once In A Lifetime… John Charles Jewelers One Day Only Wednesday • Nov. 30th • 9:30am-5:30pm
VOL. 553 G 33Copyrighted© My Living Media. 2022 All Rights reserved. To Advertise call 772-247-6849 Need More Coupons - MyLivingMedia.com • Track Repair • Roller Replacement • Window Repair • New Locks & Latches Insured & Registered Since 1993 “CALL THE LOCAL COMPANY” Martin & St. Lucie Counties Before push! After easy slide! 10% OFF REPAIRS Must present this coupon prior to any service. Cannot be combined with other offers or discounts. Expires 11/25/22 Sliding Door & Window Repair FREE ESTIMATES 772-219-0724 Premiums as low as $0 With some plans offering Part B Give Backs up to $170 *Not all bene ts listed may be available on all plans or in a single plan bene t package. Plans without prescription drug coverage are also available. American Senior Health Services of the Treasure Coast, Inc. is certi ed and contracted with Medicare Advantage HMO, PPO, and PPFS organizations and stand-alone prescription drug plans with a Medicare contract. Enrollment in any Medicare plan depends on contract renewal. For accommodations of persons with special needs at meetings call 772-212-4580, Monday – Friday, 8 a.m. – 5 p.m. Magazine advertising supplement to Ocean Media Solutions. Applicable to H1036229. • Prescription drug coverage • Low hospitalization copays • Affordable doctor’s of ce visits • Wellness programs • Premiums as low as $0 per month in some areas 772-212-4580 Monday – Friday, 8 a.m. – 5 p.m. ¿En español? Llame gratis al ROBYN AND GEORGE MENDEZ Servicing the Treasure Coast for 35 years. Call licensed sales agents… Don’t be fooled by those National TV ads that make promises they can’t keep. Trust the local professionals with 35 years of experience. Affordable Medicare Plans American Senior Health Services of the Treasure Coast, Inc. You may enjoy additional savings with:* Medicare Open Enrollment 10/15-12/7
34 VOL. 553 G Copyrighted© My Living Media. 2022 All Rights reserved. To Advertise call 772-247-6849 Need More Coupons - MyLivingMedia.com Tiles Of Stuart License #: MC2000065 FLOORING • BATHROOMS • BACKSPLASHESEstimates FREE $250 off Installation With this MLM Coupon. Expires 11/23/22 1000 sq. ft. Min. 15% off Selected Tile *See store for details With this MLM Coupon. Expires 11/23/22 2525 SE Federal Hwy • Stuart (772) 277-7074 www.tilesofstuart.com Visit Our Showroom or Call for a Free estimate: • Porcelain Tile • Wood-look Tile • Marble/Travertine Tile • Glass Tile • Natural Stone Tile • Impressive Tile For Our Complete Services, Extensive Photo Galleries, & Customer Reviews Visit Us at www.dbhiproducts.com 772-353-0140 Since 2006 LICENSED & INSURED, STATE CERTIFIED CRC1330776 Wood Rot Repair 30-YEAR JAMES HARDIE WARRANTY FIBER CEMENT SIDING - THE ABSOLUTE BEST FOR WOOD FRAME HOMES 10% Off YOUR PROJECTS Up to $500 • With this MLM coupon. Limited time offer. Because Rot Never Sleeps SPECIAL FINANCING AVAILABLE – CALL FOR DETAILS –We Specialize in... • Sof ts & Fascia • Hardie Siding • Fiber Cement Siding • PVC Moulding FREE ESTIMATES 5-STAR REVIEWS
Need More Coupons - MyLivingMedia.com We BeatAnyEstimateWritten • Rock & Stone Install • Palm/Tree Removal • Clean Ups/Hauling • Weeding & Much More HURRICANE SEASON IS HERE CALL US FOR TREE TRIMMING OR REMOVAL LET US HELP YOU FIND YOUR STEER INTO THE FUTURE WITH TAX-CENTRIC INSIGHT FINANCIAL DIRECTION Stay CoolBy the Moon • Installation • Repairs • Duct Cleaning & Sanitation • UV Lights - $299 • Commercial Refrigeration(Ice machine & Walk-in Freezer Expert) • Rheem Water Heaters - $399 • Pool Heaters - $2,500 • New Home Construction • O% FINANCING UP TO 72 MONTHS Service Call Service Call Duct Cleaning & Sanitizing Coil Cleaning $19 FREE $99 772.258.5677 $200with Repair Cannot be combined with any other offers. With MLM coupon only. EXPIRES 11/25/22 Cannot be combined with any other offers. With MLM coupon only. EXPIRES 11/25/22 Cannot be combined with any other offers. With MLM coupon only. EXPIRES 11/25/22 Cannot be combined with any other offers. With MLM coupon only. EXPIRES 11/25/22 Starting at $1,999 Starting at $2,099 CoolMoon A/C www.coolmoonhvac.com Goodman 3 ton-16 Seer Rheem 3 ton-16 Seer 24-HOUREMERGENCY SERVICE Se Habla Español - RM14017004 We Will Beat Any Written Estimate For New A/C Installation By $200!Take Advantage of Autumn Specials
YOU PAID YOUR INSURANCE… We bill the insurance company directly Q: What is Mold? A: Mold is a type of fungi that is naturally occurring in the environment. Q: How does in grow? A: In order to grow, mold needs water, oxygen, and a food source, such as wood or drywall. Q: Where is it found? A: Mold grows in a place with a lot of moisture (leaks in roof, windows, pipes, etc.). Q: How fast can it grow and become a problem? A: Mold can easily grow within 24 to 48 hours. Q: Are there any health risks? A: Mold can cause nasual congestion, throat irritation, dif culty breathing, coughing, or wheezing. Q: How can I prevent mold growth? A: Fighting mold starts by ghting moisture. Q: How do I get rid of mold? A: The air in all affected areas should be treated to kill & remove spores. 70% 93% 21% 45 24-48 HRS Of Homes are estimated to have mold behind walls Of chronic sinus infections have been attributed to mold Of all asthma cases in the US are attributable to dampness and mold exposure Million buildings in the US have unhealthy levels of mold The amount of time it takes for mold to grow after a water loss LET IT COVER YOUR DAMAGES AQUA DOCS Water Restoration, Inc. 772-261-4181 WE DO IT ALL! WATER • MOLD • FIRE FREE Evaluation LIC# MRSR3440, MRSA3876
VOL. 553 G 37Copyrighted© My Living Media. 2022 All Rights reserved. To Advertise call 772-247-6849 Need More Coupons - MyLivingMedia.com Hand Car Wash Full Service • Complete Wash Plus • 48-Hour Raincheck • Cupholders & Center Console Cleaned • RainX • Express Wash Plus • Dash Wiped • Windows • Tire Shine • Vacuum The Works Complete Express • Exterior Car Wash • Towel Dry • Rims Cleaned REGULAR PRICE$2195 REGULAR PRICE$1495+ Tax + Tax Mon-Sat 8:00-5:30 • Sun 9:00-4:00 561-631-7552 LEATHER DETAIL • HEADLIGHT RESTORATION BUG REMOVAL • EXPRESS WAX • CARPET SHAMPOO 11790 SE FEDERAL HWY HOBE SOUND In the Publix Plaza at the Sunoco Station FALL SPECIALS $1195THE COMPLETE Plus Tax Extra charge for larger vehicles. With this MLM coupon. Not to be combined with other offers. Expires 11/23/22 Save $300 $2999The EXPRESS WAX +THE WORKS WASH Plus Tax (Includes Works Wash) Extra charge for larger vehicles. With this MLM coupon. Not to be combined with other offers. Expires 11/23/22 $1695THE WORKS Plus Tax Save $500 Extra charge for larger vehicles. With this MLM coupon. Not to be combined with other offers. Expires 11/23/22 HOBE SOUND REGULAR PRICE$895 + Tax $ 29 99 Dash & Door ARMOR ALL Full Detail $9995 Starting at Depending on Vehicle Size & Condition Starting At Starting At Starting At Health & Beauty Products • Anti-Aging Cream • Glutathione Injections • Anti-Fungal Solutions • Arousal Cream • Biotin Injections • Vitamin D3 Injections • NAD+ Injections • B12 Injections • Vitamin C Injections • Lipo Tropic Injections • Coenzyme Q10 Delivered To Your Residence From A USA Pharmacy Video Or Phone Dr. ConsultationGo Online to* *TeleHCG.com or *NewBeginningsMedical.com 877-424-9994 BELLA BENEFITS INTRODUCTORY PRICING CONTENTS OF EACH BELLA CAPSULE• Weight Loss • Appetite Suppression • Mood Improvement • Increase Energy • Improved Sleep • Reduced Hunger • Increase Libido • Reduce Anxiety • Increase Strength • Phentermine • Diethylpropion • Topiramate • Naltrexone • Methylcobalamin:B12 30-DAY SUPPLY 90-DAY SUPPLY Reg. Price ...................... $293 Introductory Price ........................... $238 Reg. Price ...................... $711 Introductory Price ........................... $596 $55 SAVINGS $115 SAVINGS INTRODUCING A NEW WEIGHT LOSS PRODUCT Pharmaceutical Grade HCG DIET Lose up to 1 Pound Per Day HCG NOW AVAILABLE FREE
38 VOL. 553 G Copyrighted© My Living Media. 2022 All Rights reserved. To Advertise call 772-247-6849 Need More Coupons - MyLivingMedia.com Call or Text Today 866-887-8225 Book Your Stress Free Portable Storage Solution For Your RENOVATION and MOVING Needs FAMLIY OWNED & OPERATED PUTTING OFF THAT REMODEL BECAUSE YOU DON’T KNOW WHERE TO PUT EVERYTHING? • Speak to One Person From Start to Finish - We Are Call Center Free! • Protect - Your belongings from Dust & Debris • Fully Waterproof With Dual Ventilation Air System. • Flexibility – Weekly & Monthly rental options with delivery in 24 hours or less. www. MYSTACKBOX .com FREELocal Initial Delivery
VOL. 553 G 39Copyrighted© My Living Media. 2022 All Rights reserved. To Advertise call 772-247-6849 Need More Coupons - MyLivingMedia.com Bonded • Licensed & Insured • Lic. #CDG 5581 Martin • Lic # CDG 9994 St. Lucie Emergency Service Available SAME DAY On Garage Door Replacement FREE ESTIMATES We Repair & Replace WAYNE DALTON • AMAAR CLOPAY OVERHEAD DOORS www.garagedoorrepair .com www.accentgarage .com (772) 232-8780 AAA Accent Garage Doors 15% OFF Garage Door Repair or Spring Replacement FREE OUTSIDE KEYPAD with OpenerLifetime Warranty $75 OFF $150 OFF Single Garage Door Replacement Double Garage Door Replacement With this MLM Coupon. Expires 11/25/22 With this MLM Coupon. Expires 11/25/22 With this MLM Coupon. Expires 11/25/22 • Deck Coatings • Driveways • Carports • Pool Decks • Garage Floors • Patios Free EstimatesNo Job Too Big OR Too Small! Lic # MCA S3878 • LIc # St. Lucie Co. 11-11111 DESIGNER DRIVEWAYS • Seal Pavers • Exterior Floors • Walkways & Entryways 36 Years In Business! yourdesignerdriveway.com 772-878-8758 • 772-337-1088 $75 $150 OFF OFF SEALING PAVERS With this MLM Coupon. May not be combined with other offers. Exp. 11/25/22 With this MLM Coupon. May not be combined with other offers. Exp. 11/25/22 Min. 500 Sq.Ft. Any Concrete Cleaned ✓ ✓ Sealed Refinished ✓ ✓ Treasure Coast 772-408-9009 Serving all of Martin & St. Lucie Counties Any New Hot Water Heater or Tankless Heater Any New Toilet Any New Garbage Disposal Clearing Any Sink, Toilet, or Main Sewer Line Your Next Service Call $65 OFF $35 OFF $30 OFF $37 OFF Not valid with other offers or prior services. Must present MLM coupon. Limit one coupon per service call. Not valid with other offers or prior services. Must present MLM coupon. Limit one coupon per service call. Not valid with other offers or prior services. Must present MLM coupon. Limit one coupon per service call. Not valid with other offers or prior services. Must present MLM coupon. Limit one coupon per service call. Not valid with other offers or prior services. Must present MLM coupon. Limit one coupon per service call. G G G G G Celebrating 40 Years of Excellence www.duallplumbers.com Lic. #CFC1429556 Any Job Big or Small We Do Them All! Available Nights, Weekends, & Holidays Plumbing Repairs & Water Heater Installations Senior Citizen & Veteran Discounts Available! $50 OFF
Need More Coupons - MyLivingMedia.com ZERØ! Ø Tax Ø Interest Ø Payments /24 MONTHS /24 MONTHS FINANCING DISCLOSURE: Contractor is neither a broker nor a lender. Financing is provided by third-party lenders unaffiliated with Contractor, under terms and conditions arranged directly between the customer and such lender. All subject to credit requirements and satisfactory completion of finance documents. Any finance terms advertised are estimates only. PATIO ENCLOSURES BRING YOUR OUTDOORS Home Gym Dream Office
VOL. 553 G 41Copyrighted© My Living Media. 2022 All Rights reserved. To Advertise call 772-247-6849 Need More Coupons - MyLivingMedia.com 561-781-9677 772-403-9677 FREE Quote *MaxGuard is not responsible for delays outside of it’s reasonable control including but not limited to HOA and permitting approval or manufacturing delays. ENCLOSURES OUTDOORS INDOORS Entertainment Room Outside Patio Outdoor Enclosure -Patio Dining
42 VOL. 553 G Copyrighted© My Living Media. 2022 All Rights reserved. To Advertise call 772-247-6849 Need More Coupons - MyLivingMedia.com EMERGENCY SERVICE-ANY DAY, ANY HOUR Licensed & Insured CFC1427336 • Sinks • Toilets • Water Heaters • Leak Detection • Showers • Bathtubs $30 OFF ANY SERVICE 561.533.7070 PlumbRitePlumber.com Service Interruption? 24-Hour Plumbing Repair Fast | Reliable | Trusted | Guaranteed Sewer & Drain Cleaning All Clogged Lines Corrected With this MLM coupon. LIC #U-22038 LIC #MCFE6928 We’ll Beat Reasonable Estimates From Comparable Licensed Companies & Product Offerings Some Restrictions Apply AUTOMATIC GATE OPENER SPECIALIST 561-899-4574 www.budgetfenceandgate.com Since 1950 RESIDENTIAL COMMERCIAL Se Habla Español ASK ABOUT OUR Promotion for Eligible Projects. or Interest, Payments for Months Options! Down, Low Monthly Payments 0 0 0 24 NOW HIRING CALL TODAY! Experienced Electricians $50 OFF ANY JOB OVER $500 Cannot be combined with other discounts or offers. With this MLM coupon. Expires 11/25/22 Need An Electrician? FREE ESTIMATES Lic # EC13007910
VOL. 553 G 43Copyrighted© My Living Media. 2022 All Rights reserved. To Advertise call 772-247-6849 Need More Coupons - MyLivingMedia.com 132 NE Dixie Hwy., Stuart, FL 34994 Licensed & Insured State Certi ed License #CCC024411 Serving Martin & Palm Beach Counties for Over 30 Years! “You’ve tried the rest…now call the Best!” Re-Roof & Repair Specialists METAL ROOFS Starting At Starting At $ TILE ROOFS $24,500 772-692-9854 Re-roofs • Repairs • New Construction • Cement & Clay Tile Fiberglass Shingles • Wood Shakes • 5-V & Standing Seam Metal Built-up Modi ed Rubber • Residential & Commercial 25- to 50-Year Material Warranty Available 5- to 10-Year Labor Warranty Available Martin County’s Trusted Name Since 1980! Blinds | Shades | Shutters | Drapes | Smart Shade Automation 772-677-8482 8882 SE Bridge Rd., Hobe SoundBudgetBlinds.com Exclusive Lutron Dealer 25 % With MLM coupon. May not be combined with any other offer. Expires 11/24/22 1 FREE REMOTE With Motorization Order Norman Honeycomb Financing Now Available · HARDWOOD · VINYL · LAMINATE · ENGINEERED WOOD CALL NOW FOR FREE ESTIMATE STUART 772.600.4814 www.faceofwood.com SHOWROOM: 6408 SE Fed. Hwy., Stuart | Mon-Fri: 8am-5pm |Sat: By Appointment Only FLOORING INSTALLATION & REFINISHING * WE OFFER 1-YEAR WARRANTY ON INSTALLATION * INTEREST-FREE FINANCING 14 Years Serving South Florida! 10% OFF With this MLM coupon Expires 11/30/22 (Estimates that include both materials & installation) With this MLM coupon Expires 11/30/22 $150 per sqft per sqft LAMINATE Starting at With this MLM coupon Expires 11/30/22 $220 LUXURY VINYL PLANK Starting atLicensed & Insured
44 VOL. 553 G Copyrighted© My Living Media. 2022 All Rights reserved. To Advertise call 772-247-6849 Need More Coupons - MyLivingMedia.com Air Conditioning 772.276.7537 Lic# CAC1819096 FREE Must mention at time of order. With this MLM coupon. Cannot becombined with other offers or specials. Expires 11/23/22 With this MLM coupon. Cannot be combined with otheroffers or specials. Expires 11/23/22 SERVICE CALL FREE DUCT EVALUATION! WITH REPAIR ($85 Value) USING THERMAL IMAGAING Bill shAC.com Purchase Air Filters Online! Delivered Right to Your Door! $189 MAINTENANCE PROGRAM A+ Precision Tune-Up Clean and chemically treat drain line, add algae tablets Check refrigerant level Check for air ow Check for air leak on plenum duct system Check fan motors Check all electrical connections for loose or burned wire, tighten all caps Check relays and connectors Completely seal unit airtight (replace screws if missing) Check evaporator coil & wash condenser coil Coil sanitation for bad odors and bacteria, when accessible Check heating element, run heat cycle, system analysis Calibrate thermostat for maximum accuracy Check for microbial growth on coil Includes 2 Visits ✔ ✔ ✔ ✔ ✔ ✔ ✔ ✔ ✔ ✔ ✔ ✔ ✔ ✔ ✔ ✔ ✔ Program Perks Priority Scheduling 10% off Repairs No Overtime Charges FINANCING AVAILABLE! SCAN HERE will Donate a Percentage of all Installs through October to Breast Cancer Awareness. Schedule Your Install Today!
VOL. 553 G 45Copyrighted© My Living Media. 2022 All Rights reserved. To Advertise call 772-247-6849 Need More Coupons - MyLivingMedia.com BREAK FREE WITH DR. DEMARTA ∙ Treat incontinence ∙ Improve sexual wellness ∙ Non-invasive ∙ Stay fully clothed Enjoy the Ride 772-403-WELL | 218 SW Atlanta Ave., Stuart FL www.institutehealthwellness.com Comparable to 11,000 kegels in one treatment BLADDER LEAKS? INCONTINENCE? $50OFF Must present add for discount Expires 11/23/22(9255) SENIOR SOLUTIONS INSURANCE AGENCY CALL NOW! 1151 SW 30th Street, Suite F, Palm City, FL www.seniorsolutionsinsurance.com Serving All of the Treasure Coast & Palm Beach Matt & John Clark 772-222-6535 • Certi ed Medicare Insurance Planner • 16 years of Medicare experience • 3rd-generation insurance business • Family-owned & operated • We offer Medicare Medi-Gap/Supplement Plans • Medicare Advantage Plans • Prescription Drugs, Dental, & Vision Plans SCAN HERE! Not connected with or endorsed by the US. Government or the Federal Medicare Program. “We do not offer every plan available in your area. Any information we provide is limited to those plans we do offer in your area. Please contact Medicare.gov or 1-800-MEDICARE to get information on all your options. 772-475-6446 WWW.TREASURECOASTGRABBARS.COM Always Reachable at… MCN6340 Your Independence is PRICELESS, Call Today! MCNS6340 Drilling charges may apply for marble, granite, or porcelain. 2 Bar Designer Packages Starting From $300 to $350 $270 COMPLETE INSTALLATION PACKAGE Includes 2 Moen Stainless Steel Anti-Slip Concealed Screw Grab Bars (16” & 24”). Bathroom Safety Bars Call, Before You Fall! Many Designer Bars Available Bobby Gauthier • Your Bathroom Safety Specialist GOOD FOR 2022
46 VOL. 553 G Copyrighted© My Living Media. 2022 All Rights reserved. To Advertise call 772-247-6849 Need More Coupons - MyLivingMedia.comYour Neighborhood Pack & Ship 772-758-2096 772-758-0242 8771 S.E. Bridge Road Corner of US1 & Bridge Rd. Hobe Sound, FL 33455 5667 S.E. Crooked Oak Ave. Corner of US1 & Seabranch Blvd. Hobe Sound, FL 33455 $5 OFF • Copying Services • Design & Printing • Fax Services • Shredding • Scan To Email • Mailbox Rental $5 OFF $10 OFF There is Just No Substitute for Experience 772.382.9921 8771 SE Bridge Road • Hobe Sound www.islandscooterrental.com ASK ME ABOUT DELIVERY! 50%OFF AnyRental!Daily With this MLM Exp.coupon.11/24/22
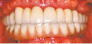
VOL. 553 G 47Copyrighted© My Living Media. 2022 All Rights reserved. To Advertise call 772-247-6849 Need More Coupons - MyLivingMedia.com OPEN MON.-FRI. SATURDAY & EVENING HOURS AVAILABLE JUPITER 561-250-6307 6390 W. Indiantown Rd., #32, Jupiter, FL 33458 At the West End of the Chasewood Plaza AppearanceImplants.com OPEN FOR EMERGENCIES | AFFORDABLE DENTAL EXCELLENCE IS NOW HERE! WE ARE PRIVATELY OWNED, NOT A CHAIN OR CORPORATE ENTITY. WE SPECIALIZE IN FULL MOUTH RECONSTRUCTION Additional services we offer include CLEAR TOOTH ALIGNERS, SINGLE IMPLANTS, DENTURES & MORE!!! FREE IMPLANT CONSULTATION (Exam & Digital X-Ray or 3D Cone Beam) (D0150, D9310, D0330 & D0383) SureSmile® OR CLEAR TEETH ALIGNERS OUR DENTISTS HAVE OVER 100 YEARS COMBINED EXPERIENCE & HAVE PLACED OVER 15,000 IMPLANTS You Des ve a Beautiful Smile! SALVATORE MELITA, DDS ALANA SHIELDS, BSN, RN, DMD JAY GELMAN, DMD JOSEPH GAETA JR., DDS Better On 8™ $14,500 SALESPERSON:MelissaKelleyTR-1968533.INDD ISOUR37YEARTRADITION DentistOwned,Not “Hi,I’mMarkLindsay,andthat smeontheEdSulli nSho s, including ‘Kicks rizona.’Mytrademark saponytailandateenidolsmile.Theponytail’sbeen go fo awhile,butasasinger smileisstillsuperimportant.I cently nprocedure. Thestaff elcomfortablefromthe allyimpressedwiththeir dentalofficeandthedentistdidanoutstandingjob. Tradition Dentaltransformed ep my smile —MarkLindsay “Hi, I’m Mark Lindsay, and that was me on the Ed Sullivan Show. I sang every hit song for Paul Revere & the Raiders, including ‘Kicks,’ ‘Indian Reservation,’ and my solo ‘Arizona.’ My trademark was a ponytail and a teen idol smile. The ponytail’s been gone for awhile, but as a singer my smile is still super important. I recently visited Appearance Dental for an implant and crown procedure. The staff was courteous and made me feel comfortable from the moment I walked in the door. I was really impressed with their dental office and the dentist did an outstanding job. Appearance Dental transformed my smile, and I trust them to keep my smile looking revolutionarily good.” — Mark Lindsay Read all of our testimonials at AppearanceImplants.com WE WILL MEET OR BEAT ANY WRITTEN ESTIMATE ON IMPLANTS, ROOT CANALS, & CROWNS! WALK-INS WELCOME EVENING APPOINTMENTS AVAILABLE Cleaning Porcelain Fused to Metal Crown Zirconium All Porcelain Crown $59 $699 $899 Includes Free Exams & X-Rays New Patients Only LIMITED OFFER (D1110, D0150, D4355,D0330) (D2751) (D2740) FULL ROUND HOUSE BRIDGE A Better Alternative to All-On-4 FULL MOUTH RECONSTRUCTION ROUND HOUSE BRIDGE 8/6 IMPLANTS & 12 UNITS OF CROWNS Benefits • Very little, if any speech changes • Does not cover any part of the palate • Can be cleaned just like bridges on teeth • Require no special abutments (All-on-4 protocol requires angle correct on abutments which are not bone or gum tissue friendly) • Usually do not need pink porcelain at the gumline (because aggressive bone removal is not necessary) D6010, D6056, D6240, D6060 BETTERON8.COM D6010, D6056, D5863, D5865, D5862 PER ARCH WITH LOCATORS PER ARCH D6010, D6056, D6065, D6060 50% SAVINGS WE USE MEGAGEN IMPLANT SYSTEMS Implant,Abutment and Zirconium Crown Implant,Abutment and Crown Only$1,899 Only$2,099 D7140 DENTURES ECONOMY $359 INTERMEDIATE $999 DELUXE $2,000 D5810/D5811 D5130/D5140 D5110/D5120 With Simple Extractions Starting at $99 We will beat any like priced quote Implant and Abutments Placed Crown and Bridge Porcelain Fused to Metal Implant Abutments Placed starting at PRICES ARE SUBJECT TO CHANGE WITHOUT NOTICE WITH THE EXCEPTION OF CONFIRMED BOOKING. NEW TREATMENT PROGRAM ONLY. THE PATIENT AND ANY OTHER PERSON RESPONSIBLE FOR PAYMENT HAS THE RIGHT TO REFUSE TO PAY, CANCEL PAYMENT OR BE REIMBURSED FOR ANY SERVICE EXAMINATION OR TREATMENT WHICH IS PERFORMED AS A RESULT OF AND WITHIN 72 HOURS OF RESPONDING TO THE ADVERTISEMENT FOR THE FREE, SERVICE, EXAMINATION OR TREATMENT. LIC #DN10761 $9,999starting at
48 VOL. 553 G Copyrighted© My Living Media. 2022 All Rights reserved. To Advertise call 772-247-6849 Need More Coupons - MyLivingMedia.com HELP WANTED! Come join our team of professionals! Looking for: GENERAL CARPENTERS LABORERS Start Immediately Competitive Salary 772-732-0141 772•882•4437 772•353•6884 • Services Calls • Pump Outs • Pump Replacements • Outlet and Inlet Repairs • Filter Installations and Cleaning • Commercial Grease Traps • Drain Field Installations PUMP OUT SERVICE CALL $25 OFF $15 OFF Must present this MLM coupon.Must present this MLM coupon. UPERIOR TILE REMODELING, INC& www.superiortileinteriors.com Serving the Treasure Coast & Palm Beaches 4348 SE Federal Hwy., Stuart, FL 34997(Palm Square Plaza) | Bonded & Insured Lic# CTM5781 - PBC#U-21539- PSL-11013 772-678-3948 TILE • MARBLE • GRANITE • STONE • FABRICATION • INSTALLATION • REPAIRS KITCHEN BATHROOM FLOORING REMODELING FREE ESTIMATESWE ARE THE EXPERTS! COMMERCIAL & RESIDENTIAL Visit Our Showroom Monday-Fri:. 9am-5pm; Saturday: 10am-3pm; Sunday By Appointment Only Magic Bubbles Pressure Cleaning_(FGLM)0114-4322_CS553 PRESSURE CLEANING SAVE NOW.CLEAN NOW. HIGH & LOW PRESSURE CLEANING PATIO ROOF CLEANING DRIVEWAY Licensed & Insured Unbelievably Clean TWO SERVICES Expires 11/30/22Cannot be combined with any other offers. DRIVEWAY CLEANING SPECIAL *With purchase of roof cleaning. Special Expires 11/30/22. Must present this ad. $39 $25Off $75OffCOMPLETE HOUSE PACKAGE Cannot be combined with any other offers. Expires 11/30/22 We handle everything year round, with REGULARLY SCHEDULED SERVICE to ALL OF YOUR EXTERIOR SURFACES. One low monthly payment is all it takes, and we do the rest. $39 ASK US ABOUT OUR MAGIC MEMBERSHIP Starting at per month 772-291-1888 Ron@MagicBubblesWash.comMagicBubblesWash.com
VOL. 553 G 49Copyrighted© My Living Media. 2022 All Rights reserved. To Advertise call 772-247-6849 Need More Coupons - MyLivingMedia.com Well Maid Cleaning Service, LLC email: wellmaidcleaningservice@gmail.com Call Tara Today! FREE Estimates 772.828.2741 • Weekly, Bi-Weekly, Monthly • Seasonal or One Time • Move In/Move Out • Affordable Rates • Trustworthy & Reliable • Residential & Commercial • References Available $20OFF YOUR FIRST CLEANING $120 or More • With this Ad. License & Insured Tara L. Walsh, Owner Well Maid Cleaning Service, LLC Accepted LIKE US ON FACEBOOK! We Have Gone GREEN! We now only use green, plant-based products. Choose Us for All of Your Gutter Needs! Call Now! Off 772-238-5589 $20 Cleaning or Repair MLM Coupon Expires 11/30/22 $150 Off MLM Coupon Expires 11/30/22 Whole House Installation WATER DAMAGE FROM IAN? ASK US ABOUT DIRECT INSURANCE BILLING DID YOU HAVE A RECENT LEAK? YOU MAY HAVE MOLD! Initial Service With this MLM coupon. Exp 11/25/22 RESPONSE TEAM WHEN DISASTER STRIKES, WE’VE GOT YOUR BACK! EMERGENCY EMERGENCY EMERGENCY 772-362-2797 • Roof Tarping • Water Damage Clean-up • Dry Out • Disinfecting/Sanitizing • Debris Removal • Water/Mold Remediation • Remodeling 15% OFF
Copyrighted© My Living Media. 2022 All Rights reserved. To Advertise call 772-247-6849 Need More Coupons - MyLivingMedia.com WWW.ATLANTICMPSOLUTIONS.COM 50 NE DIXIE HWY. | STUART, FL 34994 772.732.310030+ YEARS OF EXPERIENCE LICENSED & INSURED CALL TO SCHEDULE YOUR APPOINTMENT TO VISIT OUR SHOWROOM INSPECTIONS RESIDENTIAL CONTRACTOR FREE ESTIMATES DECREASE YOUR HOMEOWNERS INSURANCE WITH NEW DOORS! INTERIOR / EXTERIOR • IMPACT-RATED DOORS & GLASS INSERTS WOOD DOORS • BARN DOORS & MORE! Thank you for choosing us as your local door company! 2022 TOP SELLER CLOSEOUT SALE - STARTS NOW!
VOL. 553 G 51Copyrighted© My Living Media. 2022 All Rights reserved. To Advertise call 772-247-6849 Need More Coupons - MyLivingMedia.com Before Thisiswhatyouhave. After This is what you could have. Which do you prefer? ABOUTASKOUR 10 YEAR GUARANTEE! Any New Seal Job • Grout Re-Color, 100’s of Colors to Choose From • Shower Cleaning / Acid Wash / Steam Clean & Caulk • Mexican Tile clean & re-glaze • HollowTiles • Travertine Cleaning • Granite Cleaning • Marble Cleaning • FREE Consultation • Guaranteed Results ASK ABOUT OUR SOLUTION FOR FIXING HOLLOW TILES SE HABLA ESPAÑOL 5-Star Rating Lic#200917111 ASK ABOUT OUR GIFT FOR ALL CUSTOMERS ($500 min. job) BEFOREAFTER BEFOREAFTER local: 772-380-0101 • toll free: 1-877-GROUT11 • www.GroutPlus.com 20% OFF 12-inch tile or greater(450 sq. ft. minimum) Grout Plus, Inc. • 561-753-7090 • 877-GROUT11 With this ad. Cannot be combined with any other offer. Expires 11/30/22 MEXICAN TILEMEXICAN TILE SHOWERSHOWER BUCKLE • Lawn Grass • Batting Cages • Bocce Courts • HOA Playgrounds • Putting Greens • Pet Grass • Pool Areas • Paver Strips 7715 SW Ellipse Way, Stuart 772.494-2481 We look forward to exceeding your expectations in everything we do! HOLIDAY SPECIAL! See Our Work 15% off Your Synthetic Turf Putting Green
Copyrighted© My Living Media. 2022 All Rights reserved. To Advertise call 772-247-6849 Need More Coupons - MyLivingMedia.com Want Your Home Painted? $1295 FREE Remote Estimate Available Single story up to 1,800 sq. ft., includes Sherwin Williams Paint. WORKING FOR YOUR PROTECTION AGAINST COVID-19 ExteriorSpecialPainting Experience and Quality at an Affordable Price Licensed #CGC1526200 & Insured 772-888-0886 www.YourHomePainter.com Color Restoration & Construction Interior & Exterior Painting
VOL. 553 G 53Copyrighted© My Living Media. 2022 All Rights reserved. To Advertise call 772-247-6849 Need More Coupons - MyLivingMedia.com We Cover All Your Glass Needs! •Frameless Shower Doors •Stained Leaded Glass •Beveled Glass •Shower Enclosures •Mirrors •Cabinet Glass •Mirror Removal 10% OFF Any Job With this OMS ad. Expires 01/23/20 Most Major Credit Cards AcceptedVisit Our Showroom: 1311 SE Dixie Hwy, Stuart 772-692-4778 THIS MONTH ONLY FREE 10 Year Spot Free Guarantee With The Purchase Of A Shower Enclosure. With this MLM ad. Expires 11/25/22 Roney Has Your DREAM Car! At your Dream Price! Call RONEY WILLIAMS for the best car buying experience! RWilliamsCJDR@gmail.com 772-238-0382 KIA - CADILLAC - LINCOLN - RAM - CHRYSLER - JEEP - DODGE - VOLVO - MAZDA HYUNDAI - NISSAN - VOLKSWAGEN - CHEVROLET Wallace Chrysler Jeep Dodge Ram 2755 SE Federal Hwy, Stuart, FL 34994 R1234YF Cos t Per Axle. Install Brake Pads, Replace Rotors & Service Caliper Slides. 24 month, 24,000 mile warranty. Plus sales tax & shop supplies. With this MLM Coupon. Expires 11/30/22 PREMIUM CERAMIC OR SEMI METALLIC PADS & 2 ROTORS $ 349 95 $ 219 95 $ 139 95 PREMIUM CERAMIC OR SEMI METALLIC BRAKE PADS Plus sales tax & shop supplies Expires 11/30/22 RESURFACE ROTORS COMPACT CARS ONLY COMPACT CARS ONLY Cos t Per Axle. Install Brake Pads, Replace Rotors & Service Caliper Slides. 24 month, 24,000 mile warranty. Plus sales tax & shop supplies. With this MLM Coupon. Expires 11/30/22 PREMIUM CERAMIC OR SEMI METALLIC PADS & 2 ROTORS $ 369 95 $ 249 95 PREMIUM CERAMIC OR SEMI METALLIC BRAKE PADS Plus sales tax & shop supplies Expires 11/30/22 RESURFACE ROTORS Sedans, SUV & Light Trucks Sedans, SUV & Light Trucks A/C failure requires diagnostic charge. Expires 11/30/22 Includes 1lb of 134a Refrigerant Plus sales tax & shop supplies. Most cars, SUVs, & light trucks A/C INSPECTION AND RECHARGE 409 SE Monterey Rd. , Stuart 772-618-4177 MV5423 FULL SERVICE GARAGE • WALK-INS WELCOME! NEW FREON Most Cars & Light Trucks. With this MLM Coupon. May not be combined with other offers. Must present coupon at time of service. Expires 11/30/22 www.StuartBrakeandRepair.com STUART BRAKE & Auto Repair $ 299 95 plus FREON
54 VOL. 553 G Copyrighted© My Living Media. 2022 All Rights reserved. To Advertise call 772-247-6849 WWW.PRIDEKEEPSYOUCOOL.COM *Excludes previous installations. No cash value. Must have copy of ad to get free offers. Not valid with any other discounts. Limit one discount per transaction. Additional restrictions may apply. License Numbers: AC CAC057227 Plumb.CFC057068 Elec. EC13005810 Warranty 80031 5 STAR RATING GET IT DONE RIGHT WITH PRIDE. with purchase of a complete NEW Rheem A/C System* LIMITED TIME OFFER! *Excludes previous installations. No cash value. Must have copy of ad to get free offers. Not valid with any other discounts. Limit one discount per transaction. Additional restrictions may apply. INSTALLED RIGHT by our Certified Experts! 772.577.1228 FREE SERVICE CALL ONLY PAY FOR THE REPAIR REPLACE AND RECEIVE $500 OFF Limited Time Offer Expires 11/25/22 LOW PRICE GUARANTEED WE SERVICE ALL MAJOR BRANDSLimited Time Offer Expires 11/25/22 First-time customer. INSTALL CONFIDENCE With this MLM coupon. Plus a Bonus of a $150 Shell or WaWa Gas Card Your Choice with purchase of a complete New TRANE , RHEEM, or YORK A/C System* If we can’t beat their prices, we’ll give you a *Excludes previous installations. No cash value. Must have copy of ad to get free offers. Not valid with any other discounts. Limit one discount per transaction. Additional restrictions may apply. APPLES to APPLES, Our Prices Are the Best!!! FREE $25 Gift Card* *Call for details of promotion.
VOL. 553 G 55Copyrighted© My Living Media. 2022 All Rights reserved. To Advertise call 772-247-6849 Need More Coupons - MyLivingMedia.com 772-224-7347 FREE ESTIMATES 10% OFF With this MLM Coupon at time of estimate. Expires 11/25/22 NOW ACCEPTING ALL CREDIT CARDS Ramos TREE SERVICE ✔ Tree Removal ✔ Tree Trimming ✔ Tree Topping ✔ Hedge Trimming and More! YOUR LOCAL TREE TRIMMING EXPERTS! INSUREDLICENSED Best Rates In Town! QUALITY SERVICE YOU CAN TRUST GET THOSE TREES CUT FOR HURRICANE SEASON! Complete Sliding Doors and Windows Family Owned & Operated Since 2005 State Certified General Contractor CGC 1514380 •Custom Screen Windows/Doors •Hardware Replacement •Impact/Non-Impact Glass SLIDING DOOR REPAIR ROLLER REPLACEMENT, SCREEN AND WINDOW REPAIR www.completeslidingdoors.com FREE ESTIMATES Screen Doors and Window Screens 772-675-5555 COMPLETE SLIDING DOORS • 772-675-5555 Must be presented at time of estimate - NO EXCEPTIONS. Cannot be combined with other coupons or discounts. Not valid on previous orders or estimates. Exp. 11/25/22 COMPLETE SLIDING DOORS • 772-675-5555 Must be presented at time of estimate - NO EXCEPTIONS. Cannot be combined with other coupons or discounts. Not valid on previous orders or estimates. Exp. 11/25/22 COMPLETE SLIDING DOORS • 772-675-5555 Must be presented at time of estimate - NO EXCEPTIONS. Cannot be combined with other coupons or discounts. Not valid on previous orders or estimates. Exp. 11/25/22 $25 OFF Broken Roller Replacement FREE Track Repair With the Purchase of Roller Replacement $50OFF Bear Screen Doors When You Purchase Two Ask Us About Frameless Shower Doors 772.238.3181 DRIVEWAYS • PATIOS HOUSES • ROOFS & MORE! TIRED OF MOLDY PAVERS? Pressure Washing, Pavers, & Surface Restoration and Repair 30 Years of Experience Driveway Special$39 MLM Coupon Expires 11/30/22 (UP TO 450 SQ. FT.) WITH A HOUSE & ROOF CLEANING MLM Coupon Expires 11/30/22 15 % OFF Any Service Over $500 Driveway Special$59 MLM Coupon Expires 11/30/22 (UP TO 450 SQ. FT.) WITH A HOUSE OR ROOF CLEANING
56 VOL. 553 G Copyrighted© My Living Media. 2022 All Rights reserved. To Advertise call 772-247-6849 Need More Coupons - MyLivingMedia.com STOP OVERPAYING FOR HOMEOWNERS INSURANCE! PROTECT YOURSELF, YOUR FAMILY, AND YOUR WALLET. HOME • AUTO • PROPERTY • LIABILITY • PERSONAL • COMMERCIAL • BUSINESS FREE QUOTES WITHIN 24 HOURS. LET US REDUCE YOUR RATE Call South Shore, your local insurance agency, to reduce your homeowners insurance rates today. 772-426-9973 • 955 SE Central Parkway Stuart • @SouthShoreInsurance_ • jennie@southshore-insurance.com Visit Our Beautiful Gift Shop - Gifts for All Occasions & Something for Everyone! 2670 SE FEDERAL HWY. (BARON SHOPPES) 772.380.WASH(9274) VISIT www.PARADISECW.com FOR MORE DETAILS Sign Up for Our VIP Program!OPEN 7 DAYS A WEEK! • Mon-Sat 8:30am-5pm • Sun 8:30am-3pm $2399 Off Ocean Breeze Car Wash20% CAR WASH • Full Service Wash • Triple Foam • Clear Coat • Underbody Wash • Wheel Brightener • Tire Shine NOW ONLY… Reg $2999 SUVs, Trucks, Mini Vans Additional $1.50 Good at All Locations. With this MLM coupon. Expires 11/25/22 3999 Carnauba Hand Wax with Ultimate Car Wash • Full Service Car Wash • Interior Conditioner • Clear Coat • Underbody Wash • Wheel Brightener • Triple Foam • Tire Shine • RainX • Hot Wax • Paradise Ceramic Coating Reg $7999 DETAIL Cannot be combined with any other offer. SUVs, Trucks, Mini Vans Additional $1.50 Good at All Locations. With this MLM coupon. Expires 11/25/22 CAR WASH JOIN OUR UNLIMITED CAR WASH CLUB $2499 Limited Time Only Complimentary Disinfectant on All Full Service Packages! Starting at +TAX
VOL. 553 G 57Copyrighted© My Living Media. 2022 All Rights reserved. To Advertise call 772-247-6849 Need More Coupons - MyLivingMedia.com • Banks • Offices • Auto Dealers • Medical Health Care Facilities • Property Management • Religious Facilities • Government Buildings • Carpets/Floors • Move In/Move Out 772-261-9550 Commercial Cleaning Services 20% OFF With this MLM Coupon. Expires 11/25/22 First Cleaning Airam’s CLEANING SERVICE LLC FREE ESTIMATES Hobe Sound Now Has Golf Carts 772-879-56608401 SE Federal Hyw., Hobe Sound, FL 33455 $500 OFF Your Next Major Unit Purchase Valid Only at Treasure Coast Location. Expires 11/24/22 NEED SHUTTERS THIS WEEK? Family Owned & Locally Manufactured Plantation Shutters • ANGLES & RAKES • ARCHES & SUNBURSTS • OTAGON, CIRCLE, HEXAGON • SILL COVERS & CAPS HORIZONTAL ARCH PLANTATION SHUTTERS SUNBURST PLANTATION SHUTTERS www.plantationshutters a.com Treasure Coast Palm Beach 772-600-4253 or 561-420-0418 Visit our manufacturing shop at: 406 Farmers Market Rd Ft Pierce, FL 34982 IN HOME ESTIMATESFREE $1695 SQ. FT. INSTALLED Starting at Plantation Shutters Florida™ Your Plantation Shutter Specialist Plantation Shutters Florida™ We are the Real Manufacturer Licensed & Insured CALL TODAY AND GET UP TO 10% DISCOUNT Restrictions may apply.
58 VOL. 553 G Copyrighted© My Living Media. 2022 All Rights reserved. To Advertise call 772-247-6849 WE CARE WE SHOW UP WE CALL YOU BACK WE FINISH THE JOB We specialize in: RESIDENTIAL AND COMMERCIAL ROOFING LIC#CCC1326574 • LIC#CRC1326582 Call Now! 772-247-6067 or 561-293-4909 CODEREDROOFERS.COM FREE ESTIMATES • Financing Available
VOL. 553 G 59Copyrighted© My Living Media. 2022 All Rights reserved. To Advertise call 772-247-6849 Need More Coupons - MyLivingMedia.com PRESSURE-FREE ESTIMATES HURRICANE & IMPACT RESISTANT • WINDOWS • ENTRY DOORS • SLIDING GLASS DOORS • BI-FOLD WINDOWS AND DOORS • RETRACTABLE HURRICANE SCREENS License #CGC1530506 8721 US-1 South • Port St. Lucie 34952 772-617-4026 StormProtectionPros.com YOUR HOMETOWN WINDOW & DOOR COMPANY FAMILY OWNED & OPERATED FREE MOTORIZED UPGRADE Instant Rebate on Whole House SOME RESTRICTIONS APPLY UP TO $5,000 OFF Specializing in… • Hazardous Tree & Limb Removal • Palm Tree Trimming • Total Tree Care Licensed & Insured 20% Off All Services MLM coupon expires 11/30/22 772.361.6187 FREE ESTIMATES! HoltsReliableGDR.com 772-774-3424 Hurricane Season is Here! Hurricane & Impact-Rated Garage Doors Save On Homeowners Insurance FREE Estimates & Safety Inspections $150 Off DOUBLE DOOR With MLM Coupon. Expires 11/30/22
60 VOL. 553 G Copyrighted© My Living Media. 2022 All Rights reserved. To Advertise call 772-247-6849 Need More Coupons - MyLivingMedia.com 772-348-2181 5761 SE FEDERAL HWY • STUART Located in the Seacoast Bank Building at the intersection of Cove Road and US 1 772-238-2709 FAMILY & IMPLANT DENTISTRY OF STUART 2385 FEDERAL HWY • STUART WWW.FAMILYDENTISTRYSTUART.COM WELCOME TO FAMILY DENTISTRY OF STUART! NOW IN TWO LOCATIONS Having a smile you’re proud to share shouldn’t be dif cult or break the bank. We know how important it is to have a smile that lets you feel and look good, which is why our team strives to give you the dental care you deserve. Our Family Dentistry of Stuart is committed to providing high-quality family, cosmetic, and advanced dentistry to each and every patient. WE ARE AVAILABLE FOR YOUR DENTAL EMERGENCIES PAYMENT PLANS FOR EVERYONE! NOW OPEN SATURDAYS $29 EMERGENCY EXAM WELCOMING HEALTHY MOUTH CLEANING With X-Rays $39Exam & X-Rays With this MLM coupon. Expires 11/15/22 With this MLM coupon. Limited time offer FAMILY DENTISTRY OF STUART
VOL. 553 G 61Copyrighted© My Living Media. 2022 All Rights reserved. To Advertise call 772-247-6849 Need More Coupons - MyLivingMedia.com 4900SEWilloughbyBlvd|Stuart,FL34997|SymphonyatStuart.com|772-618-1565 4900SEWilloughbyBlvd|Stuart,FL34997|SymphonyatStuart.com|772-618-1565 4900 SE Willoughby Blvd | Stuart, FL 34997 SymphonyatStuart.com | 772-618-1565 Please call to schedule a time to come visit Stuart’s Premier Assisted Living Community 772-618-1565 Symphony Dirty Windows? Let us clean all your home windows • Window Washing • Pressure Cleaning • Gutter Cleaning www.eastcoastcleaningservices.com Licensed & Insured Residential Window Cleaners *UP TO 15 WINDOWS, TWO STORY HOMES SLIGHTLY EXTRA. CALL FOR DETAILS 772-621-9800 FREE Estimates New customers only. Not valid with other offers or prior services. $ 59 99 * EXTERIOR affordable choice cremation LOCAL • CONVENIENT • TRUSTED 772.595-2811 1241 SE Indian St. • Unit 110 • Stuart www.affordablechoicecremation.com FLORIDA COMMUNITIES WE SERVE: Port St Lucie, Fort Pierce, Vero Beach, Jensen Beach, Stuart, Hobe Sound THE LOW COST CREMATION OPTION $695*From *A Medical Examiner’s Fee of $50 May Apply Family Owned and Locally Operated for 5 Generations 7410 S. US Hwy. 1 • Unit 400 • Port St. Lucie
62 VOL. 553 G Copyrighted© My Living Media. 2022 All Rights reserved. To Advertise call 772-247-6849 Need More Coupons - MyLivingMedia.com Responsible Roofers Who Show Up! $500 $100 O F F O F F Any New Roof Any Roof Repair With this MLM coupon only. Expires 11/25/22 With this MLM coupon only. Expires 11/25/22 (Over $1,000) • Residential • Commercial • Repairs Licensed & Insured Lic #CCC1331170ShorelineRoo ng@yahoo.com FREE Estimates 772.260.9565 PLUMBING DONE RIGHT RESIDENTIAL & COMMERCIAL NO JOB TOO BIG OR TOO SMALL! LICENSED & INSURED LICENSE # CFC1430284 (772) 646-0227 The Sewer and Drain Cleaning Specialist WHOLE HOUSE RE-PIPE PERMITS ($150 Value*) ANY PLUMBING REPAIR No Service Charge With Repair $7995 *With this MLM coupon. Can’t be combined with any other offer. *Some restrictions apply. Expires 11/25/22 *With this MLM coupon. Can’t be combined with any other offer. *Some restrictions apply. Expires 11/25/22 $30 FREE With purchase & installation of a new water heater *Free Permit is included in Water Heater total FROM OFF • Water Heater Installation & Repairs • Clogged Drains • Leak Detection • Kitchen Faucet Installation & Repairs • Garbage Disposal Installation qualityplumbingdrains.com Serving The Treasure Coast Since 2009 3215 SE GRAN PARK WAY STUART, FL 34997 SALES | STORAGE | DETAILING WHAT'S IN YOUR GARAGE? ® BUY, SELL, OR TRADE 561-202-3580 772-672-3080
VOL. 553 G 63Copyrighted© My Living Media. 2022 All Rights reserved. To Advertise call 772-247-6849 Need More Coupons - MyLivingMedia.com “From our family to yours, you’ll love getting American-made window treatments in as little as 2 weeks!” Shutters Roller Shades Blinds Smart Home Compatible Motorization MEET TOM & ZETTA Licensed and Insured Martin County-Based Business 772-742-5242 FREE IN-HOME ESTIMATES With MLM coupon. Expires 11/30/22 Visit our website to read our story www.shutterfactory .com or scan the QR code with your smart phone American-Made Plantation Shutters “Third Generation in the Window Treatment Business”
64 VOL. 553 G Copyrighted© My Living Media. 2022 All Rights reserved. To Advertise call 772-247-6849 561-468-7281 www.windowreplacementgroup.com SCC# 131152429 CBC# 1264555 Per Window Per Door $ 35 OFF $ 110 OFF Expires 11/15/22 Expires 11/15/22 IMPACT WINDOWS & DOORS The Group of Professionals You Can Trust! Energy Saving Enhance Home’s Appearance & Value Hurricane & Burglary Protection Reduce Insurance Cost Sound Reduction 0%PLUS! SALES TAX!
VOL. 553 G 65Copyrighted© My Living Media. 2022 All Rights reserved. To Advertise call 772-247-6849 Need More Coupons - MyLivingMedia.com Call Today for Coverage TOMORROW 772-251-4868 compasshealthinsurance.com info@compasshealthinsurance.com FLORIDIANS HELPING FLORIDIANS SINCE 2007 NEED HELP WITH MEDICARE? • A $0 Medicare Plan Premium and dental too? You don’t need to choose just one. • Largest Provider Network in your Area • All Medicare Plans accepted by Cleveland Clinic Facilities & Physicians • Learn about Medicare Supplement Plans • Learn about Medicare Advantage Plans • Understand Medicare A, B, C, & D • Understand your Rights, Bene ts & Options We provide assistance with your Medicare Advantage & Medicare Supplement Plans. SCHEDULE YOUR ANNUAL MEDICARE REVIEW TODAY! Visit us at our LOCAL Retail Locations • West Palm Beach • Palm Beach Gardens • Tequesta • Hobe Sound • Port St. Lucie • Fort Pierce • Vero Beach
66 VOL. 553 G Copyrighted© My Living Media. 2022 All Rights reserved. To Advertise call 772-247-6849 Need More Coupons - MyLivingMedia.com BOB’S MIRROR REMOVAL Serving: Palm Beach, Martin, St. Lucie, & Indian River Counties 772-486-4589 FREE Estimates Bob's Mirror Removal_0112-2721_PR553 • Prompt, Courteous Service • Over 30 Years of Experience • Remove Mirror Walls & Vanity Mirrors • Secure Loose Mirrors • Hang Your Framed Mirrors MIRROR REMOVAL Licensed & Insured IN-HOME CARE SERVICE • Short- & Long-Term Care • HHA/CNA • Companions/Sitters • Homemakers • Transportation • Respite Care 772-758-7560 2225 SE Ocean Blvd. • Stuart Receive your rst hour of home care services free With MLM coupon. May not be combined with any other offers. Expires 11/23/22 www.FirstHomeCareSolutionsFL.com License# 299995510 INSURANCE & LTC BENEFITS ACCEPTED ONE HOUR FREE 772-617-4960 *Prices subject to change based on circulation CONNECT TO YOUR COMMUNITY First Time Customers Only. Some Restrictions Apply. Limited Time Offer $100 OFF ANY MAILING *8 TIME AGREEMENT - 1/2 PAGE AD OR LARGER * BIG WEEKEND EVENT! BUY • TRADE • SELL Saturday 9am - 5pm • Sunday 10am - 4pm 12 and Under FREE with Adult Admission Must present MLM ad for discount Law Enforcement, Active Military, and First Responders IN UNIFORM & Children 12 and under GUN SHOW $1.00 OFF Admission FREE Admission for CCW CLASSES HELD SAT-SUN 10am & 12pm For more info call 561-214-5115 PORT ST. LUCIE Polish American Social Club 343 Prima Vista Bvld., PSL, 34983 NOVEMBER 5 TH -6 TH , 2022 Licensed & Insured Call Thomas, Martha & the Tomcat Team! 772-634-6104 • Trees Trimmed • Hazardous Tree and Limb Removal • Stump Grinding • Bush & Lot Clearing • Tractor and Excavator Work • Hauling & Disposal • 14ft. Roll-off Cans Available for Trash TOMCAT TREEWORK Serving the Treasure Coast 20% Off All Services up to $500 Expires 11/30/22 FREE ESTIMATES
VOL. 553 G 67Copyrighted© My Living Media. 2022 All Rights reserved. To Advertise call 772-247-6849 Let Us Take the Out of Your Chores • Move-In & Move-Out Services • • Weekly • Biweekly • Monthly • • One Time & Seasonal • EXPERIENCED • THOROUGH • DEPENDABLE RELIABLE • HONEST • AFFORDABLE SATISFACTION GUARANTEED! 772.812.8780 • 772.418.5635 LICENSED/INSURED/BONDED • FREE Estimates • 20% OFF Second Cleaning 20% Not valid with any other offer. Expires 11/25/22 Not valid with any other ➡ METAL ROOFS just got MORE AFFORDABLE! • METAL ROOFING • TILE ROOFING • SHINGLE ROOFING Financing Available Satisfaction Guaranteed! Call Today (772) 291-1427 Lic. No. CCC1327906 FREE ESTIMATES $500 OFF Call Today! ANY ROOF REPLACEMENT Must present coupon at time of estimate for discount. Exp. 11/23/22
772-232-8799 TW SPECIAL FREE BLANCO VALEA SINK With the purchase of 8 cabinets or more. *Restrictions apply with this MLM coupon. Must mention at time of ordering. Expires 11/23/22
VOL. 553 G 69Copyrighted© My Living Media. 2022 All Rights reserved. To Advertise call 772-247-6849 Need More Coupons - MyLivingMedia.comHURRICANE IMPACT WINDOWS & DOORS PROTECT WHAT’S PRECIOUS TO YOU! • Hurricane Protection • Home Security • Save on Energy Bills • Save on Insurance Costs • Increase Property Value • Noise Reduction Your Expert in Single Family Homes & Condos! “Our service & products are second to none!” The People’s Choice In Hurricane Protection! 772-251-2474 SAME DAY Appointments! AS LOW AS $120 MO. FINANCING Available! 50% Off We Beat ALL Competitors’ Pricing CALL FOR DETAILS INSTALLATION & NO SALES TAX License #CBC1264950 & INSURED Serving Palm Beach, Martin, & St. Lucie Counties
70 VOL. 553 G Copyrighted© My Living Media. 2022 All Rights reserved. To Advertise call 772-247-6849 Need More Coupons - MyLivingMedia.com ABOVE ALL AELSE... 772-828-2805 www.overthetoproofrepair.com FREE ESTIMATES 2ND GENERATION ROOFING CONTRACTOR SERVING ALL OF THE TREASURE COAST • Tile Repair • Shingle Repair • Metal Repair • Flat Roof Repair & Coatings • 50 Year Material Warranty Standard on All Coatings With this MLM Coupon. Limitations apply. With this MLM Coupon. Expires 11/30/22 • Residential & Commercial “We will Beat Any Written Estimate for The Same Repair!” LEADER IN RELIABILITY SINCE 1957 YEARS OF BUSINESS65 STAY COOL K&C KNOWS A/C WITH THESE HOT DEALS 772.261.9AIR (9247) License: CAC1818726 KCIAC.COM /KRAUSSANDCRANE 20% off ONE PER HOUSEHOLD PER YEAR WITH MLM COUPON ONLY. NOT TO BE COMBINED WITH OTHER OFFERS MUST MENTION BEFORE SCHEDULING. CASH OR CHECK ONLY EXPIRES 11/23/22 ONE PER HOUSEHOLD PER YEAR WITH MLM COUPON ONLY. NOT TO BE COMBINED WITH OTHER OFFERS MUST MENTION BEFORE SCHEDULING. EXPIRES 11/23/22 FOR ACTIVE DUTY SERVICE, VETERANS, AND 1ST RESPONDERS DIAGNOSTIC CHARGE FOR SERVICE AND/OR REPAIRS ONLY (8AM-5PM WEEKDAYS) $ 65 $ 65 ONE TIME TUNE-UP
VOL. 553 G 71Copyrighted© My Living Media. 2022 All Rights reserved. To Advertise call 772-247-6849 Need More Coupons - MyLivingMedia.com Wholesale Mulch, LLC. PICK-UP OR DELIVERY! PICK-UP OR DELIVERY! 1295 SE Cutoff Road, Stuart (772) 419-0300 Earthwise MULCH Plus tax & delivery fee. Must present MLM coupon. Cannot be combined with other offers/discounts. Expires 11/30/22 G Plus tax & delivery fee. Must present MLM coupon. Cannot be combined with other offers/discounts. Expires 11/30/22 Plus tax & delivery fee. Sod Sand Shells Fabrics $270 $280 $285 LLC. MULCH - ROCK - SOIL & MORE! Are You Ready to… MULCH? FALL SPECIALS! 2 cu bag Cypress Blend MULCH Red MULCH 3 c.f. Earthwise/Environmental Mulch $3.00/bag/50 Bags/Pallet 2 c.f. Dark Red Mulch $2.50/ bag 2 cu bag2 cu bag ROOF & EXTERIOR CLEANING ROOFS • WHOLE HOUSE • DRIVEWAYS • POOL CAGES CALL TODAY A FREE QUOTE 772-932-5326 BEFORE AFTER FREE House Bath or Driveway Cleaning with Roof Cleaning Only with this MLM coupon. Exp. 11/30/22 • No-Walk Roof Cleaning • 100% Biodegradable Products • 10% Off Military and 1st Responder Discount Lasts 4-6X Longer than Pressure Washing DTR Tile Restorations_0032-1521_HI553 772-871-6183TILE RESTORATIONS Licensed & Insured www.DTRtreasurecoast.com Tile Bucking, Hollow, or Loose? FREE Estimates INTERIOR • EXTERIOR • RESIDENTIAL • COMMERCIAL Don’t Replace It, Let Us Repair It! CLEAN & SEAL GROUT TILE REPAIR SHOWER RE-GROUT AFTERBEFORE
Need More Coupons - MyLivingMedia.com POOL SCREEN ENCLOSURES THE ORIGINAL Locally Owned & Operated Since 1990 • Pool Screen Enclosures • Patio & Lanai Screens • Poly Aluminum Roofs • All Work Guaranteed • All Repairs • FREE Estimates • www.pioneerscreen.com772-232-8607 38 Years of Experience Licensed & Insured To Protect You $100 OFF ANY RE-SCREEN OR REPAIR OVER $1000 WE WILL MEET OR BEAT ANY LICENSED CONTRACTOR’S ESTIMATE WITH THE SAME QUALITY PRODUCTS! GET AFFORDABLE HOME & AUTO INSURANCE Insurance Shouldn’t be Scary Sam is right on Jensen Beach Blvd. and would love to help you. Samantha Leininger Renée Allen Insurance, LLC 947-A NE Jensen Beach Blvd. Jensen Beach, FL 34957 NEXT TO HURRICANE GRILL 772-252-6161 sam@reneealleninsurance.com Monday-Friday • 8:30AM-5:00PM PERSONAL & COMMERCIAL • Haircut • Styling • Standard and Designer Perms • Hair Treatments • Color and Highlighting Services • Waxing Walk-Ins Welcome or by Appointment 3322 SE Federal Hwy., Stuart • 772.758.5111 Book online at: lemontree.com/Stuart 10% OFF any Color Service Must Present MLM Coupon. Expires 11/30/22 Excluding Kim & CaseyNow Open SUNDAYS 10AM-4PM!!! NEW CLIENT SPECIAL Book Now to Ring inthe Holiday in Style! Must Present MLM Coupon. Expires 11/30/22 We Are Open Until 7pm Mon. & Thurs. Single Process with Partial Highlights, Haircut, Blowout, and Facial Waxing All for… $170
VOL. 553 G 73Copyrighted© My Living Media. 2022 All Rights reserved. To Advertise call 772-247-6849 Need More Coupons - MyLivingMedia.com CALL TODAY FOR A free estimate! DRIVEWAYS • WALKWAYS • PATIOS • POOL DECKS • RETAINING WALLS CUSTOM POOL REMODELS • NEW POOL CONSTRUCTION • CLEAN & SEAL PAVERS • REPAIRS MARTIN 772-419-5151 PALM BEACH 561-844-9370 apexpaversandpools.com LICENSED & INSURED: CPB #4701 • U-20589 • U-20796 • RP #4701 *WITH APPROVED CREDIT. OFFERS CANNOT BE COMBINED. Apex Pavers & Pools, Inc. 725 SE Monterey Rd., Stuart, FL 34994 COME VISIT OUR SHOWROOM! POOLS TRANSFORMING THE ORDINARY TO Extraordinary FINANCING AVAILABLE CONTACT US TODAY TO LEARN MORE* CALL TODAY FOR A free estimate! DRIVEWAYS • WALKWAYS • PATIOS • POOL DECKS • RETAINING WALLS CUSTOM POOL REMODELS • NEW POOL CONSTRUCTION • CLEAN & SEAL PAVERS • REPAIRS MARTIN 772 - 419-5151 PALM BEACH 561-844-9370 apexpaversandpools.com LICENSED & INSURED: CPB #4701 • U-20589 • U-20796 • RP-252555006 *WITH APPROVED CREDIT. OFFERS CANNOT BE COMBINED. Apex Pavers & Pools, Inc. 725 SE Monterey Road, Stuart, FL 34994 POOLS TRANSFORMING THE ORDINARY TO Extraordinary 12 MONTHS SAME AS CASH NO INTEREST, NO PAYMENTS FOR 12 MONTHS* COME VISIT OUR NEW SHOWROOM! DRIVEWAYS • WALKWAYS • PATIOS • POOL DECKS • RETAINING WALLS CUSTOM POOL REMODELS • NEW POOL CONSTRUCTION • CLEAN & SEAL PAVERS • REPAIRS LICENSED & INSURED: CPB #4701 • U-20796 • RP-252555006 • CPC 1458696
74 VOL. 553 G Copyrighted© My Living Media. 2022 All Rights reserved. To Advertise call 772-247-6849 Need More Coupons - MyLivingMedia.com Make Your Shower & Floors Look New Again! THE GROUTSMITH • Tile & Grout Cleaning • Grout Restoration • Tile & Grout Repair • Loose & Hollow Tile Rebonding • Shower Repairs & Regrouting • Non-Slip Tile Treatment Call today for a FREE Estimate • 772-224-3011 or 1-800-561-3736 • www.GroutsmithStuart.com SEE THE DIFFERENCE WE CAN MAKE IN THE LOOK OF YOUR HOME! Your Grout & Tile Cleaning Experts $30OFF ANY JOB OF $300 OR MORE $50OFF ANY JOB OF $500 OR MORE With this MLM coupon only. Cannot be combined with any other offers or specials. Expires 11/25/22 No More Dirty Grout! Guaranteed for 10 Years! Before Before After After With this MLM coupon only. Cannot be combined with any other offers or specials. Expires 11/25/22 Don’t Spend $8k - $12k on a NEW DRAIN FIELD! Available Nights, Weekends, & Holidays! Serving All of Martin & St. Lucie Counties DUALLPLUMBERS.COM • Lic. #CFC1429556 $100 $250 off off off ANY SEPTIC PUMPING ANY DISTRIBUTION BOX REPLACED ANY NEW DRAIN FIELD INSTALLATION Not valid with other offers or prior services. Must present MLM coupon. Limit 1 coupon per service call. Not valid with other offers or prior services. Must present MLM coupon. Limit 1 coupon per service call. Not valid with other offers or prior services. Must present MLM coupon. Limit 1 coupon per service call. G G G LET DU-ALL PLUMBING SAVE YOU THOUSANDS! CALL TODAY! 772-408-9009 FULL SEPTIC CLEANING PACKAGE INCLUDES: • No damage to lawns or property • 1-year warranty on septic system • 1 Septic tank maintenance pump out within rst 1 year • 30% credit towards a new drain eld if installed by DU-All Plumbing • New lter installed • Filter cleaned at no charge for rst 1 year • FREE bacteria treatment & 1 year of bacteria packets $50
VOL. 553 G 75Copyrighted© My Living Media. 2022 All Rights reserved. To Advertise call 772-247-6849 Need More Coupons - MyLivingMedia.com Luxury Experience To All Airports, Appointments, Nights Out, Events, Etc. • Luxury SUV • Hourly Rates • COVID-19 Compliant • Commercially Licensed, Insured, & MIA-Certi ed “Trust Nothing Less” Your Health & Safety Is Our Priority. 772-905-7375 Free Estimates FULL SERVICE GLASS COMPANY $100 OFF FRAMELESS SHOWER over $1,000With this MLM Coupon. Expires 11/25/22 Frameless Shower Doors • Shower Enclosures • Custom Mirrors • Table Tops • Safety Glass Impact • Broken Glass & Window Replacement • Impact Windows & Doors Monterey Glass Specialists Inc. • Hot Tubs • Swim Spas • Sales • Service • Installation Fall Sale *Restrictions apply. Must present MLM coupon at time of estimate. Cannot be combined with other offers. Expires 11/24/22 $1000OFF NEW HOT TUB OR SWIM SPA Fall Sale! 0% FINANCING SAME AS CASH 18 Months, Equal Payments. *Some Restrictions Apply VISIT OUR BRAND NEW 10,000 SQ. FT. SHOWROOM 2555 Bonita St., Stuart www.hottubsales .com772•758•2298 We Guarantee Your Happiness We Deliver, Install, & Service Your Hot Tub HOT TUB SALES SIMPLY GREAT SERVICE

ACE OF CARTS

TheFlorida lifestyle provides us with a host of options for getting from point A to point B... from scooters to speed boats, we’ve got them all! e golf cart in particular has, with all of the gated communities in the Sunshine State, become an easy and convenient way to get around the area. Golf carts aren’t just for private neighborhoods or the links though; in fact, they have even become a quick way to tote the kids to and from the bus stop every day! Do the prices at the pumps tempt you to put the car in the garage for a while? Head to Ace of Carts, the area’s largest golf cart superstore with the best selection of golf carts, golf cart accessories, and top-notch service!

Ace of Carts is a family-owned and operated business led by Nick Rotundo and his dad, Rock Rotundo. Nick and Rock were in the automotive business together before making the move from upstate New York to south Florida seven years ago. Nick explains that a er moving, his family had a di cult time purchasing a golf cart for his grandmother, who had moved into a gated community. So, Nick and Rock ventured into the golf cart sales business together, becoming an authorized retailer for ClubCar, Yamaha, Icon, and Polaris Commercial golf carts.

In 2018, the Rotundo family moved the business to its current Stuart location (formally Tri County Golf Carts). Ace of Carts now employs over 30 sales, service, and customer care personnel, and is the highest volume sales dealer of golf carts in the area! In addition to golf carts, Ace of Carts has an inventory of electronically-assisted bikes (ebikes) for the bike rider who wants a more comfortable option when it comes to pedaling uphill.

Aside from their vast inventory, Ace of Carts is the go-to source for many Palm Beach, St Lucie, and Martin County residents due to Nick and Rock’s industry experience and dedication to exceptional service. In these challenging times of supply and

Your Local Golf

demand, the service team at Ace of Carts does everything possible to guarantee that customers have their service and sales needs met. Ace of Carts’ factory-trained technicians have the knowledge to provide quality diagnostics, service, and repair for any golf cart. ey realize that golf carts are important to lifestyle routines, so they make timely service a priority.

One of many happy Google reviewers says of Ace of Carts, “I purchased my Club Car cart from Ace of Carts about four years ago and have been supported by them the entire time. If I have questions, I receive answers by a call or text immediately. ey truly want the entire experience to be as close to perfect as possible. Nick and the entire family are fantastic… and I like supporting a family business…”

In addition to their Stuart location, Ace of Carts has expanded to two more locations, one in Daytona Beach and the other, newest one in Tequesta, the Grand Opening of which is later this month. Tequesta’s premier 3,000 square foot showroom will still have the same o erings as the other locations, but will be more focused on the customer experience. Nick explains, “ e Tequesta location will be geared more toward the golf customer.” ere will be a digital golf simulator on the premises, along with other interactive displays and attractions that customers can explore while shopping for carts and accessories! Nick adds, “ e customers will leave the store more informed than when they walked in.”

Like Ace of Carts’ other locations, the Tequesta location will provide FREE cart pick up and delivery with almost every sale. Ace of Carts also o ers 0% nancing for 48 months on select products, making it easy

that will absolutely be the envy of

a

neighborhood.

Find the perfect golf cart at Ace of Carts, and stay tuned

of

Grand Opening!

2 VOL. 553 H/K Copyrighted© My Living Media. 2022 All Rights reserved. To Advertise call 772-247-6849 Need More Coupons - MyLivingMedia.com
to purchase
golf cart
the
for the Tequesta Ace
Carts
Ace of Carts can also be found at the Daytona Flea & Farmers Market, located at 1425 Tomoka Farms Road in Daytona Beach. Visit Ace of Cart’s website to view their gallery of inventory at aceofcarts.com. For more information, call 1-833-ACE-CART (223-2278) or call 772-678-7636.
:
e NEW Ace of Carts in Tequesta is located at 552 US Highway N. NOW OPEN Mondays-Fridays from 10AM to 5PM and Saturdays from 9AM to 3PM. Ace of Carts in Stuart is located at 4880 SE Federal Highway. Ace of Carts in Daytona Beach is located at 2674 LPGA Boulevard.
Copyrighted© My Living Media. 2022 All Rights reserved. To Advertise call 772-247-6849 Cart Superstore! MODEL YEAR END CLEARANCE CARTS IN STOCK AND READY FOR HALLOWEEN DELIVERY SALES• SERVICE • PARTS Must be a 2022 Model Year Club Car from dealer stock. Offer Valid through November 25th, 2022 or while supplies last. Financing is available with standard rates. Not eligible for 0% Financing promotion; offers do not combine. Promo code:MLM822 Model Year End Super Sale! Over 200 Brand New Club Cars in stock! $1,000 in FREE Accessories, FREE Delivery Destination, & Setup Charges. REGISTER ONLINE TO GET www.AceofCarts.com/August-Promo Promo code: MLM822 Ace of Carts Now Open in Tequesta! Authorized Dealer
78 VOL. 553 G Copyrighted© My Living Media. 2022 All Rights reserved. To Advertise call 772-247-6849 *Additional charges may apply for heavily soiled areas Serving the Treasure Coast from Vero to Palm Beach 772-919-7163 • 561-250-0088 WWW.CarpetCleanerInFlorida.com 3 ROOMS $68 2 ROOMS $42 5 ROOMS $99 TILE & GROUT CLEANING 39¢ SQ. FT. 100 SQ. FT. MINIMUM FURNITURE CLEANING $60 SOFA OR LOVE SEAT OR 2 CHAIRS AREA RUGS $40 AND UP PREVENTS FIRES DRYER VENT CLEANING FREE DEODORIZER, SANITIZER, & DISINFECTANT $85FROM & SPEEDS DRYING TIME OFFER #MS10-2 CARPET CLEANING Licensed Ask about ...dries in half the time!
VOL. 553 G 79Copyrighted© My Living Media. 2022 All Rights reserved. To Advertise call 772-247-6849 Need More Coupons - MyLivingMedia.com 772-291-0071 SERVICING MARTIN • ST. LUCIE INDIAN RIVER • PALM BEACH LAWN IRRIGATION & WATER WELL REPAIR SERVICE With Over 40 Years In Business, We Are The Treasure Coast’s #1-Trusted Irrigation and Well Water Service and Repair Company. • We service and repair all sprinklers, pumps, tanks, & wells • 24-hour out-of-water emergency calls • Ask about our sprinkler maintenance contracts FINANCING AVAILABLE WAC Licensed, Bonded, and Insured Member www.ecowater .com $1,995 COMPLETE LAWN IRRIGATION SYSTEM Complete 3-Zone System Based on a 75 ft. x 100 ft. lot. Installed standard landscaped lot. Does not include well or pump. Applies to City Water hookup only. Must present coupon. at time of service. Not valid with other offers or prior services. Offer Expires 11/25/22 • 293-Acre Facility • After Hours Wildlife Drop Off • We Accept ALL Donations • Live Education • Be a Member or Volunteer HOURS: Thursday - Sunday 11am - 3pm — Open to the Public 8626 SW Citrus Blvd, Palm City (772) 325-1094
772.677.8482 Residential CustomerPRSRT STD ECRWSS US POSTAGE PAID PERMIT #145 STUART, FL 2081 SE Ocean Blvd. • Suite 4 Stuart, Florida 34996 • 772-334-2121 Blinds | Shades | Shutters Drapes Smart Shade Automation 8882 SE Bridge Rd., Hobe SoundBudgetBlinds.com With MLM coupon. May not be combined with any other offer. Expires 11/24/22 25 %Norman Honeycomb Shades Exclusive Lutron Dealer With MLM coupon. May not be combined with any other offer. Expires 11/24/22 OFF 1 FREE REMOTE With Motorization Order Financing Now Available

Turn static files into dynamic content formats.

Create a flipbook
Issuu converts static files into: digital portfolios, online yearbooks, online catalogs, digital photo albums and more. Sign up and create your flipbook.