D7-Island Way Living-Vol.552

Page 1

Island WayVOL. 552-D7 Living MYLIVINGMEDIA.COM Index Page 9 More than just Dance! See Pages 7 of Jupiter DANCE|THEATRE|MUSIC For What It’s Worth Page 54 Dentistry by Design Pages 76-77 Puzzle Page Page 68 Sweet Industries Pages 4-5
2 VOL. 552 D Copyrighted© My Living Media. 2022 All Rights reserved. To Advertise call 772-247-6849 BOAT CRUISES gopontiki.com // 833-755-8454 Come experience our beautiful tropical waterways aboard the PonTiki and save $50 on your upcoming cruise. Beer and wine are included in the price of your ticket. Call or visit our website at to see our schedule and book your cruise! 561.621.4676 Jupiter, FL Enjoy complimentary beverages as we cruise the blue waterways of Jupiter. Hop on a Pontiki Boat Cruise! Cruises Available Daily! Book Online at Gopontiki.com OPENING 2ND LOCATION IN STUART THIS FALL! PonTiki continues to be committed to ensuring the health and well-being of our clients and team members. Please visit our website or call us for further information. We hope to see you on the water soon! BOOK YOUR CHRISTMASEVENT IN OCTOBER & RECEIVE A PRIVATE CRUISE 10% OFF
VOL. 552 D 3Copyrighted© My Living Media. 2022 All Rights reserved. To Advertise call 772-247-6849 Need More Coupons - MyLivingMedia.comFREE ESTIMATES ON NEW A/C UNITS WE SELL, INSTALL, AND SERVICE ALL MAJOR A/C BRANDS! Offer Expires 11/15/22 *Rheem 16 seer A/C unit re ects cash price. Price is based on model numbers RA1618 through RA1660 unit with air RH1T air handler. WIFI T-stat illustration purposes only, not included. Must be straight change out, hooked up to existing copper, electric, thermostat, hurricane tie-downs, vibration pads and slab. Rooftop and R410a retro ts extra. Permits additional. *Synchrony Financing with approved credit. *Basic coil cleaning will be accomplished by using brush vacuum where accessible. *Drain line ush for maintenance purposes only, excludes clogged drain lines. *Free service call with repair, $49 value. I0% off is valid for service related items only. excludes new Ac units. COMMERCIAL & RESIDENTIAL OFFICE HOURS: MONDAY-SUNDAY 7AM-9PM 561-721-0900 State Licensed HVAC Contractor Lic # CAC058142 State Licensed Mold Assessor Lic # MRSA3162 State Licensed Mold Remediator Lic #MRSR3334 · Service within 24 Hrs. · 1 A/C Tune-Up · Unlimited Drain Line unclogging · 10% OFF Parts & Labor · NO Diagnostic Fee · Air Duct Deodorizing Only 772-236-4965Scan for details ACT NOW! LIMITED TIME OFFER Exp. 11/15/22 Club Member 6-Month Maintenance Agreement $99 EcoNet® Smart WiFi Thermostat · 24-Point Inspection · FREE 1st lb of Freon* · Add Solution to A/C Drain · Add Algaecide Tablets to Drain Pan · Coil Deodorizer* · FREE Drain Line Flush* Only 772-236-4965Scan for details ACT NOW! LIMITED TIME OFFER Exp. 11/15/22 Complete A/C Tune-Up $49 WE GET PAID WHEN YOU GET PAID We Also Do WATER & MOLD RESTORATION A/C Leaks? Mod around your A/C? Plumbing Leaks? Water stained walls? Mold damaged walls? Ceiling brown spots? Buckling or stained wood oors? 0% Financing 24-60 Months* (Equal Monthly Payments - Call For Details) Scan for details ACT NOW! LIMITED TIME OFFER Exp. 11/15/22 772-236-4965 *with repair A/C Service Call A/C Not Cooling? Leaking Water? Leaking Freon? Freezing Up? FREE 25 YEARS IN BUSINESS SE HABLA ESPAÑOL Rotobrush Air Duct Cleaning Includes First 10 Vents FREE Unlimited Mains (were $50 ea.) FREE A/C System Inspection Cleaned to NADCA Speci cations Additional vents $10ea. Chemical Rinse Drain Pan Chemical Rinse Drain Line DUCT CLEANING SPECIAL! $99 · Medical staff · Police · Elderly · Military · Teachers · Expecting Moms Scan for details         ScanQR Code to ApplyFor Financing uahac.com * EXTRA 10% OFF FOR 16 Seer 1.5 ton $3,564 2 ton $3,593 2.5 ton $3,962 3 ton $4,023 3.5 ton $4,228 4 ton $4,479 5 ton $4,860

KITCHEN & BATH

According to a survey by Trulia, “Around 90% of people remodel their homes at some point.” There are various reasons for home or commercial renovation. Most of them have to do with the general improvement of the current living/ working conditions and aesthetics. Renovation projects, however, can be overwhelming and time-consuming, not to mention costly. There are so many choices and decisions to make... how do you know where to start? Let Sweet Industries, LLC, an honest, local company, manage your residential or commercial improvements so that you can have the finished product of your dreams!

Sweet Industries, LLC was founded by Eric Sweet in 2016. Eric grew up in the North River Shores neighborhood in Stuart, and later attended the University of Florida, where he graduated with a Bachelor of Science degree in

Construction Management. Eric began his career in the project management sector of the industry in 2006 when he worked for a commercial builder out of Washington D.C. Eric is a fully-licensed general contractor in Florida operating under his license, #CGC1524682.

TRIED-AND-TRUE PHILOSOPHY

Today, Eric is delighted to own and operate his general contracting business, Sweet Industries, LLC, and reside with his family in his hometown of Stuart, where he maintains an honest, down-toearth business approach. The company’s philosophy is simple: “To provide clients with honest and valuable service at a fair and reasonable price.”

Sweet Industries, LLC manages residential and commercial building projects, from bathroom renovations to new construction of residential and commercial buildings and everything

in between! Regardless of the size or complexity of a project, Eric listens to his client’s needs and works diligently to ensure that those needs are met and that expectations are exceeded. Eric states, “I learned early on that a good project manager simply treats a client’s money as your own.”

Sweet Industries, LLC operates on the premise that general contracting is all about managing expectations, remaining realistic, and making sense from a financial aspect. “I want to be honest about what people already have and look for ways to achieve [the end result] without breaking the bank,” explains Eric. For instance, just refinishing good-quality grade cabinetry instead of replacing it can potentially save a customer thousands of dollars! Additionally, Eric advises his clients to visit multiple showrooms for things like cabinetry, countertops, plumbing supplies, etc., which helps them to stay within budget.

RENOVATE

2 VOL. 552 H/K Copyrighted© My Living Media. 2022 All Rights reserved. To Advertise call 772-247-6849 Need More Coupons - MyLivingMedia.com

CUSTOMER SATISFACTION

Eric and his loyal crew believe that the true measure of a successful project lies in customer satisfaction. Sweet Industries, LLC is a full-service general contracting operation with residential and commercial clients ranging from St Lucie County to Palm Beach County. The company coordinates everything for you, including scheduling, financial management, timeliness, and quality assurance.

Sweet Industries, LLC has worked with the same group of honest subcontractors that value fine workmanship since the company first started. Eric states, “I wouldn’t hire people to do work in homes if I didn’t trust them to go into my own home.”

When you hire Sweet Industries, LLC as your general contractor for your commercial or residential construction needs, your experience begins with a home/office visit consultation, where Eric takes measurements and photographs of the space to plan for an overall estimate and scope of work. Eric prides himself on the fact that he has multiple repeat customers. He attributes this repeat business to always doing the right thing and being accountable.

Keeping on schedule in the project management world is a priority, but lately, timing has been quite a challenge with our supply chain crisis. Eric is mindful of this (hopefully) temporary problem, and has been proactive about ordering supplies, such as windows and roofing materials. He has also adjusted design plans accordingly to both keep his customers satisfied and

COMMERCIAL CONSTRUCTION

keep projects moving according to schedule.

Sweet Industries, LLC provides honest service at reasonable prices. Become one of the many satisfied

customers of this reputable and reliable local business by contacting Eric Sweet and his expert team for all of your renovation and construction projects!

Sweet Industries, LLC.

750 NE Jensen Beach Boulevard in Jensen Beach. It is open Mondays-Fridays from 8AM-5PM Appointment Only.

to schedule a

consultation,

VOL. 552 H /K 3Copyrighted© My Living Media. 2022 All Rights reserved. To Advertise call 772-247-6849 Need More Coupons - MyLivingMedia.com
RENOVATE
For more information or
complimentary
email sweetindustriesllc@gmail.com, or visit sweetgc.com, or call $500 FREE OFF ANY JOB WITH THIS AD • EXPIRES 11/11/22 IN-HOME CONSULTATION
REMODELING 772-277-2706

40%

6 VOL. 552 D Copyrighted© My Living Media. 2022 All Rights reserved. To Advertise call 772-247-6849 Need More Coupons - MyLivingMedia.com Call for a free in home design consultation and estimate Imagine your home, totally organized! Custom Closets, Garage Cabinets, Home Offices, Pantries, Laundries, Hobby Rooms and more...
Off Plus Free Installation Terms and Conditions: 40% off any order of $980 or more or 30% off any order of $680-$979 on any complete Custom Closet, Garage Cabinets, Home Office, Pantry, Laundry, Wall Bed, Wall Unit, Hobby Room or Garage Flooring system. Not valid with any other offer. Free installation with any complete unit order of $600 or more. Expires in 30 days. Call for a free in home design consultation and estimate (561)203-4745 www.closetsbydesign.com MSJ Follow us 2020 © All Rights Reserved. Closets by Design, Inc. Walk-In-Closets Laundry Rooms Home Offices Garage Cabinets Follow us www.closetsbydesign.com CGC1509325 & MC1900055 (561) 203-4745 MSJ
GET TICKETS 561.575.4422 Performing Arts Academy of Jupiter proudly presents "Unnerving, exhilarating, and wildly inventive, you’ve never walked into anything quite like Trap." A THEATRICAL THRILLER
2 LOCATIONS Mall, Jensen Beach COHEN’s COHEN’ OptiCal Pinecrest Lakes Including Hollycreek & Timberwick Living VOL. 549-A7 MYLIVINGMEDIA.COM $1000 OFF JetSetter Membership Indian River Shores Living MYLIVINGMEDIA.COM Index Page 9 551-E4 Okeechobee Cowtown Rodeo See Page 9 March 8th - 10th Okeechobee WEST LivingVOL. Index Page 30 MYLIVINGMEDIA.COM Meet Sean Quinn… See Pages 4-5 Your trusted neighborhood Realtor Our Local Market is Shifting & You need to know exactly what that means! River ShoresNorth 549-A1 Living MYLIVINGMEDIA.COM Index Page 9 Meet Soraya Cedeño CEO of Organic Tagua Jewelry See Pgs. 18 & 19 Sailfish Point VOL. 549-A2 Living MYLIVINGMEDIA.COM Index Page 9 NO WATERING NO MOWING NO FERTILIZING VeroBeach VOL. 551-S1 Living West MYLIVINGMEDIA.COM Index Page 9 Jupiter VOL. 549-D1 WANT TO GROW YOUR BUSINESS? 99+ UNIQUE COMMUNITY MAGAZINES DIRECT MAIL High-quality printed post cards & inserts allow you to target specific zip codes every two weeks FREE digital marketing, mobile, & social media marketing for every one of our direct mail clients 772-247-6849 We are Florida’s Premier Direct Mail and Multimedia Marketing Company my LIVING MEDIA ON THE WEB FREE24¢ 12¢ MAILING POSTCARDS MAILED FLYERS Some Restrictions Apply. Please call for details.Some Restrictions Apply. Please call for details.Some Restrictions Apply. Please call for details. PER HOME PER HOME * ** Designed, Printed, & Mailed for… 2 Sided Glossy Designed, Printed, & Mailed for… Including Martin, St. Lucie, Palm Beach, Indian River, & Okeechobee Counties

ANIMALS

BEAUTY

CLEANING SERVICES

HOME IMPROVEMENT

A Master

Group

Closets

Code Red

Synthetic

Hanlon

Darrel’s

Plumbing

East Coast Electric

Painting

Face of Wood

Fencing South Florida

First Impression

DINING & ENTERTAINMENT

Farms Pizza

Lola’s Seafood

Nick & Johnny’s

Arts

Porto

The

Vulcano’s

Palm

FITNESS & SPORTS

Be

One

Body

Theory

INSURANCE & BENEFITS

JEWELRY

MEDICAL & HEALTH

PROFESSIONAL SERVICES

Floor

Rite

REAL ESTATE

RETAIL

upiter Living Index Page 9 Shop Local - Beautiful Designer Furniture and Furnishings Furniture Store Island VOL. 551-E1 Living MYLIVINGMEDIA.COM Index Page 9 Janice MilesicSteve Milesic Sebastian 551-T7 Living MYLIVINGMEDIA.COM Index Page 9 EAT. DRINK. CHILL. Grand Harbor Living MYLIVINGMEDIA.COM Index Page 9 VOL. Including Oak Harbor and River Club Gardens Palm Beach Living MYLIVINGMEDIA.COM VOL. 549-I5 THC TOTAL HOME DISCOVER THE PREMIER POSSIBILITIES A Taste of Italy in Every Bite Torino VOL. 549-F3 Living MYLIVINGMEDIA.COM See Pgs. 52-53 Executive Chef, Taylor Wilson This Grill is American Cuisine and Full Bar Stuart Yacht & Country Club LivingVOL. 549-O4 Index Page 9 MYLIVINGMEDIA.COM MY LIVING CONTENTS - ZONE D Volume 552 October 2022 For advertising rates and information Email: sales@mediaoms.com Call 772-247-6849 © 2022 by My Living Media. All rights reserved. Although some parts of this publication may be reproduced and reprinted, we require that prior permission be obtained in writing. My Living Magazine is a free publication distributed locally and is supported by our advertisers. Please call to find a location near you or if you would like copies placed at your business. We do not necessarily endorse the views expressed in the articles and advertisements, nor are we responsible for the products, and services advertised. We are not responsible for licensing or certifying businesses, nor are we responsible for verification of these requirements. We welcome your ideas, articles and feedback. *Dining pictures shown are for illustration purposes only. Actual products may vary due to product enhancement.
& PETS Health E Pets 14 AUTOMOTIVE A Perfect Day Golf Carts .............. 38 Ace of Carts 18 Tequesta Tire 59 Unlimited Auto Wash .................... 76
Anita Belcher-Sassy Scissors 48 Hamilton Aesthetics ..................... 60 Jerry’s Barbershop 52
Emergency Response Team ......... 51 Florida’s Finest Carpet Cleaning 16 Honor Carpet 78 Oliver Twist Pressure Washing ..... 65 Paul Stetson Pressure Cleaning...12 Royal Maid Service 44 Santa Professional Cleaning 39 Stanley Steemer .......................... 11 The Groutsmith ............................ 69 Wonder Sisters Cleaning Service 58
Angelo’s Pizza .............................. 25 Antonio’s Italian Market 26 Baldino’s Restaurant 27 China Jade ................................... 26 Great American Productions ........ 24 Jersey MIke’s Subs 29 Jupiter
28 Lindburgers ................................. 24
25
Osteria 30 Performing
Academy of Jupiter ................................... 7 Pontiki 2
no Bistro 30 Taco Shack ................................. 23
Connection for Subs and Sandwiches 27 The Grove.....................................28
Italian Restaurant ........ 29 West
Beach Antiques Festival ..... 65
Fit
Boutique ................... 49
on One Fitness ...................... 17 Orange
Fitness 47
Closet ........................... 79 All Shutters Solutions .................. 72 Alliance Air Group ........................ 61 Alliance
Roo ng ................ 48 Aqua Docs Water Restoration, Inc ..... 57 Budget Fence............................... 18
By Design .......................... 6
Roofers ........................ 70 Complete
Turf...............61 Craig
Painting .................. 72
Plumbing ........................ 49 Dixie Plumbing ............................. 60 Du-All
........................... 73
Screening ...... 38 Exceptional
.................... 58
................................. 4
.................. 36
Doors and More ... 13 FoxHaven Roo ng ........................ 52 Gutters By TK ............................... 16 IMA Landscaping ......................... 14 J. A. Edwards of America, Inc. ..... 74 Jupiter Sod and Landscaping ...... 20 Kamrell Windows and Doors ........ 69 King of Kitchens........................... 19 Kitchen Tune Up ........................... 74 Max Guard ............................. 40-41 Mister Roof .................................. 45 North County Plumbing ................ 55 Odums Sod .................................. 32 OX
Coating .......................... 56 Pioneer Screen LLC ..................... 64 Plantation Shutters Florida .......... 59 Plumb
Plumbing ................... 18 Precise Roof Coating ................... 32 Precision Door Service ................ 53 PS Flooring .................................. 71 Quality Air of America .................. 15 Scollo Painting ............................. 48 Screen Builders ........................... 53 Seaglass Window ........................ 64 Stott Brothers Electric ................. 32 Stuart Roo ng .............................. 50 The Closet Clinic .......................... 50 The Shutter Factory ..................... 67 Total Image .................................. 20 Tree Trimmers USA ...................... 39 Tree Works ................................... 24 Triple M Brick Pavers ................... 51 Universal Air and Heat ................... 3 Wagner’s Refrigeration ................ 49 Window Replacement Group ....... 75 Window World of West Palm Beach...22 Windowz and More ...................... 62 Younique Custom Theater ............ 39
Donna Carragher Insurance Consulting, LLC ............................ 44 Florida Health Group-Compass Health ......................................... 6 Renee Allen Insurance ................. 64
M and J Jewelers ........................ 22 Oteri’s Wholesale Jewelry ........... 31
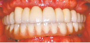
Abacoa Podiatry........................... 58 Alpaca Audiology ......................... 55 Angelo G Forte ............................. 31 Appearance Implant and Family Dentistry .................................. 37 Arroyo Health Labs ...................... 36 Dentistry By Design ..................... 46 Dr. Samuel Holcroft ...................... 63 First Home Care ........................... 39 Goals Weight Loss........................44 Institute of Health and Wellness ..... 22 MMJ Health ................................. 10 Taylor & Murray Orthodontics ...... 12
Barnett Rukin and Associates 20 Bulk Waste 47 DriveGuys 14 Dryer Vent Cleaner, The 17 Dryer Vent Cleaning - The Lint Man Jupiter 11 Frederick Capitelli Music 49 Group One Security 46 Honor Dryer Vent Cleaning 47 Jupiter Wills and Trusts PLLC.......54 Mr. Tint of America 12 My Stack Box Storage 33
Thomas Fetzner 65
The Lamp Connection 16 The Summer House 21 TRANSPORTATION TC Limo Services 39
10 VOL. 552 D Copyrighted© My Living Media. 2022 All Rights reserved. To Advertise call 772-247-6849 Palm Beach 561-631-7994 MMJ Health Make the Appointment Use our patient qualification system to see if you qualify for medical marijuana. See the Marijuana Doctor See one of our qualified physicians at one of our many locations in Florida. Get Your Card You will be able to visit and get delivery from any dispensary in Florida. Let Dr. Morgan, The Highest Rated MMJ Doctor, at MMJ Health find your Alternative to Pharmaceuticals! Anne L. Morgan, M.D. When it comes to finding medical marijuana (MMJ) doctors, you can trust the helpful and professional staff at MMJ Health. Serving patients in Palm Beach, Martin, & St. Lucie Counties. Call MMJ Health to schedule an appointment with a Florida Medical Marijuana Doctor: WINNER OF BEST DISPENSARY, BEST MEDICAL MARIJUANA CARD PROVIDER, BEST CBD STORE, AND FINALIST FOR BEST PLACE TO WORK HOW IT WORKS Treasure Coast 772-212-4032
VOL. 552 D 11Copyrighted© My Living Media. 2022 All Rights reserved. To Advertise call 772-247-6849 Need More Coupons - MyLivingMedia.com FAMILY OWNED & OPERATED • SCHEDULE ONLINE TODAY AT: WWW.STANLEYSTEEMER.COM FIRE, WATER, & MOLD DAMAGE RESTORATION SERVICE Immediate Response 24-HOUR EMERGENCY Minimum charges apply. Cannot combined with other offers. Residential and Commercial. Must present this MLM Coupon at time of service. Valid at participating locations only. Certain restrictions may apply. Call for details. Lic. #CMC014066 Home and Of ce Disinfecting and Sanitizing Treatments 561-404-5668 WWW.STANLEYSTEEMER.COM STANLEY STEEMER SERVICES ® EPA-REGISTERED Disinfectant That Meets the EPA’s Current Criteria for use Against SARS-CoV-2, the Virus That Causes COVID-19 Eliminates Molds, Viruses, Bacteria, & Allergens $50 HOME Disinfectant Treatment Service Contracts Available Per Room Up To 300 Sq. Ft. 3 Room Min. for Residential Pricing OFFICE FREE ESTIMATES FREE ESTIMATES FOR ALL COMMERCIAL BUSINESSES WE PRETREAT YOUR FLOORS AND MOVE YOUR FURNITURE AT NO CHARGE WE PRETREAT YOUR FLOORS AND MOVE YOUR FURNITURE AT NO CHARGE $119 $149 $199 Expires 11/11/22 MLM Expires 11/11/22 MLM Expires 11/11/22 MLM TILE & GROUT OR WOOD FLOOR CLEANING HOME Which Air Are You Breathing? AIR DUCT CLEANING Only PER ROOM 3 ROOMS CARPET CLEANING Wool carpets extra. Area rugs not included in wall-towall cleaning. Up To 8 Vents *Any Room Up to 300 sq. ft. BEFORE AFTER OFFICE FREE ESTIMATES CALL TODAY RenUV Home & Of ce Air Puri er Removes Viruses, Bacteria, Mold, & Pollen DRYER VENT CLEANING WHEN WAS YOUR DRYER VENT LAST CLEANED? • Speeds Up Drying Time • Reduces Fire Risk • Lowers Utility Costs (more ef cient) • Don’t Wait Until It’s Too Late With over 15,000 dryer res happening each year, IT MAKES SENSE! 561.331.LINT (5468) thelintmandryerventcleaning.com ✔ Dryer Vent Cleaning ✔ Dryer and Washer Installation ✔ Residential Services ✔ Commercial Services ✔ Rodent Guard Installation $30Off Any Dryer Vent Cleaning Service With this MLM coupon. Must present coupon at time of service. Expires 10/31/22Licensed & Insured Serving Jupiter & the Palm Beaches Neighbors Discount Special *Washer & Dryer Repair Service
12 VOL. 552 D Copyrighted© My Living Media. 2022 All Rights reserved. To Advertise call 772-247-6849 Need More Coupons - MyLivingMedia.com • RESIDENTIAL • COMMERCIAL • MARINEWINDOW TINTING NO AUTOMOBILES off$30 Any order over $100 Exp. 10/31/22 SAVE ON Y OUR E LECTRIC B ILL !! Over 40 Years of Experience 772.244.2990 www.mrtintofamerica.com TINT YOUR WINDOWS Highest Quality Film at the Lowest Prices Reduce Heat Load Eliminate Glare Minimize Fading BEST OF ALL We come to You! BeforeBefore AfterAfter TREE & HEDGE TRIMMING Tree Service & Pressure Cleaning Jupiter Farms Resident & Business Owner for Over 30 Years! Licensed & Insured Commercial & Residential PAUL STETSON FREE ESTIMATES & Pressure Cleaning FREE GUTTER CLEANING W/ ROOF CLEANINGAccredited Business Since 1993 www.PaulStetson.com 561.373.8764 With this MLM coupon. Exp. 10/31/22 Cannot be combined with any other offers. ★★★★★★★★★★★★★ TREE REMOVAL PRESSURE CLEANING & STUMP GRINDING GUTTER CLEANING LAND & LOT CLEARING ★★★★ Professional Stump Grinding Service WE HAUL AWAY ALL DEBRIS Pressure Cleaning of • Roofs • Walls • Patios • Walkways • Driveways • Screen Enclosures • Gutters After Roof Cleaning We Create Beautiful Smiles! 2517 Burns Rd., Palm Beach Gardens taylorortho.com 561.560.EXAM OFF OFF • Metal Braces • Clear Braces • Gold Braces • Invisalign® $500 $50 Braces or Invisalign Teeth Whitening With this MLM coupon. Expires 11/15/22 With this MLM coupon. Expires 11/15/22 Schedule Your COMPLIMENTARY EXAM (3926) Dr. Jonathan Murray Board Certi ed Orthodontist

Are Palm Beach County’s

Palm Beach

Specialty Door Store

WEST PALM BEACH

WEST PALM BEACH

WEST PALM BEACH

BOCA RATON

BOCA

Copyrighted© My Living Media. 2022 All Rights reserved. To Advertise call 772-247-6849 FINANCING AVAILABLE Monday-Friday • 7am-4:30pm Saturday • 9am-2pm frontdoorsFL.com 561-464-6102 Tuesday-Friday • 9am-5pm Saturday • 9am-4pm JUPITER 75 E Indiantown Road #507 Jupiter, FL 33477 Tuesday-Friday • 9am-5pm Saturday • 9am-4pmLicense #CBC037800 •Impact Resistant Fiberglass & Mahogany Entry Doors • Impact Resistant Decorative Glass Inserts •Impact Resistant French & Sliding Glass Doors We
Largest
FINANCING AVAILABLE
346 Pike Road, Suite 6 West Palm Beach, FL 33411 Monday-Friday • 7am-4:30pm Saturday • 9am-2pm BOCA RATON 9858 Clint Moore Rd. Suite C-128 Boca Raton, FL 33496 Tuesday-Friday • 9am-5pm Saturday • 9am-4pm JUPITER 75 E Indiantown Road #507 Jupiter, FL 33477 Tuesday-Friday • 9am-5pm Saturday • 9am-4pmLicense #CBC037800 •Impact Resistant Fiberglass & Mahogany Entry Doors • Impact Resistant Decorative Glass Inserts •Impact Resistant French & Sliding Glass Doors We Are
County’s Largest Specialty Door Store Come browse one of our convenient locations. We have doors to fit ANY BUDGET! FINANCING AVAILABLE
346 Pike Road, Suite 6 West Palm Beach, FL 33411 Monday-Friday • 7am-4:30pm Saturday • 9am-2pm Make a great FIRST IMPRESSION with new front doors! frontdoorsFL.com 561-464-6102
9858 Clint Moore Rd. Suite C-128 Boca Raton, FL 33496 Tuesday-Friday • 9am-5pm Saturday • 9am-4pm JUPITER 75 E Indiantown Road #507 Jupiter, FL 33477 Tuesday-Friday • 9am-5pm Saturday • 9am-4pm *Offer applies to Installed Exterior Doors Only. Not valid on prior sales. Offer expires 6/30/22 License #CBC037800 BUY MORE SAVE NOW FIMD_MyLiving-1121 15% With this coupon. Not valid on prior sales. Expires. 10/31/22 MLM INSTALLED ENTRY DOORSOFF FINANCING AVAILABLE
346 Pike Road, Suite 6 West Palm Beach, FL 33411 Monday-Friday • 7am-4:30pm Saturday • 9am-2pm
RATON 9858 Clint Moore Rd. Suite C-128 Boca Raton, FL 33496 Tuesday-Friday • 9am-5pm Saturday • 9am-4pm www.frontdoorsFL.com561-464-6102 LIC#CBC037800 JUPITER 75 E. Indiantown Road #507 Jupiter, FL 33477 Tuesday-Friday • 9am-5pm Saturday • 9am-4pm • Impact Resistant Fiberglass & Mahogany Entry Doors • Impact Resistant Decorative Glass Inserts • Impact Resistant French & Sliding Glass Doors • Interior Doors
14 VOL. 552 D Copyrighted© My Living Media. 2022 All Rights reserved. To Advertise call 772-247-6849 Need More Coupons - MyLivingMedia.com APPLE MACs Laptop Specialists (Desktops Too) • Repair • Data Recovery • 20 Years of Experience SYSTEM OPTIMIZATION SPECIAL $78.00 Our House Or Yours! Yes, we make house calls Jupiter’s only fully-stocked computer store! $25 OFF 561-567-0202 500 N OLD DIXIE HWY., #2, JUPITER ALL COMPUTER REPAIR With this MLM coupon. Cannot be combined with any other offer. Expires 10/31/22 FREE PICK-UP & DELIVERY 772-783-9517 I.M.A.Landscaping@gmail.com IMA LANDSCAPING TREE & PALM SERVICES With this MLM Coupon FREE STUMP REMOVAL Get 1 Free Stump Removed w/Purchase of 3 Stump Removals We BeatAnyEstimateWritten Lic & Ins Serving PSL, Martin, Palm Beach FREE ESTIMATES WE SPECIALIZE IN TREE REMOVAL • Rock & Stone Install • Palm/Tree Removal • Irrigation install & Services • Stump Grinding • Mulching & Sod Installed • Tree Trimming • Pressure Washing • Brazilian Pepper Tree Cut Back & Removal • Installation/Design • Lawn Maintenance • Clean Ups/Hauling • Weeding & Much More • H.O.A. Complaint Letters • H.O.A Approved • Hazardous trees that are too close to the roof HURRICANE SEASON IS HERE CALL US FOR TREE TRIMMING OR REMOVAL YOUR NEXT PRODUCT PURCHASE Natural Pet Food • Boutique • Grooming Catering to Your Pet’s Health! 155 Toney Penna Drive, Suite 6, Jupiter, FL 33458 1/2 mile South of Indiantown Road, between Alternate A1A & Military Trail Largest selection of natural, holistic, & raw pet food, including raw meaty bones, chicken necks, & tripe. 561.748. PAWS 7297 info@healthepetsmarket.com WWW.HEALTHEPETSMARKET.COM Certi ed NutritionPet Specialist Healthy options for cats and dogs, including supplements and vitamins, plus all of your pet’s favorite treats. 10%offToys • Bones • Bedding • Leashes • Collars • Grooming Supplies and more. (Mon.-Sat.) • 8:30am - 7:00pm (Sunday) • 11:00am - 4:00pm EXCLUDING FOOD & GROOMING Must present coupon at time of service. Not valid with any other offer. Expires 10/31/22
New A/C Install Brush Duct Cleaning FALL A/C Tune Up Complete Home Package A/C Coil Cleaning Hablamos Español qualityairofamerica.com A/C NOT COOLING? LEAKING? FREE SERVICE CALL 100% Financing Available $0 Down $0 Interest Lic. # CAC 1820202 561-819-2998 772-448-9835 Super Service Award Winner 3 Years in a Row WITH ANY REPAIR Authorized dealer/service for all major brands REPAIR, REPLACE, OR DUCT CLEANING 10% Discount for expecting mothers, military, & senior citizens Do not be fooled by imitations. There is only one Quality Air of America. Starting at $2199✓ Free digital thermostat ✓ Free 5-Year Service Plan ✓ Free air duct treament Payments as low as $69/month ✓ 24-point AC inspection ✓ Adjust Freon Up to 1lb (R410) ✓ Basic Drain Line Cleaning ✓ Duct Camera Inspection ✓ FREE Attic Insulation Inspection ✓ FREE Duct Inspection ✓ Air Duct Vacuum Cleaning ✓ Vacuum through Main Vent Line ✓ Duct Camera Inspection ✓ Air Quality and Flow Check ✓ Attic Installation Inspection ✓ AC inspection and adjust Freon up to 1 pound (R410) ✓ Free Air Filter- delivered after visit Value $225Expires 11/11/22 Value $195Expires 11/11/22 Value $365Expires 11/11/22 Value $365Expires 11/11/22 Only $99 Only $19 Only $65 Starting At $199 DUSTY DUCTS, BAD ODOR FREE ESTIMATES Emergency Servicee Per Unit BLOW OUT SALEBLOW OUT SALE FALL SPECIAL DUMB A/C? Let Us Make it Smart! Per Unit ✓ Up to 5 Vents Cleaned
16 VOL. 552 D Copyrighted© My Living Media. 2022 All Rights reserved. To Advertise call 772-247-6849 Need More Coupons - MyLivingMedia.com WWW.TKGUTTERS.COM 772-692-9727 | 561-250-2184 Authorized Dealer For PRESERVE & PROTECT YOUR HOME, FOUNDATION, & LANDSCAPING FROM WATER DAMAGE • Seamless • Modern Box • Half Round • Commercial • Aluminum • Copper Steel • Installation • Cleaning • Manufacturing • Repair • Maintenance • 5-YEAR WARRANTY FREE ESTIMATES Licensed & Insured License #MCNS4803 • Expert Lamp Repair & Restoration • Bring In Your Lamp For A Proper Fit! Best Selection of Lampshades in Florida! ANY SHADE IN THE STORE Expiration 11/11/22 $10 OFF $39.00 and Up 772.221.0222 Cedar Pointe Plaza 2461 SE Ocean Blvd. Stuart, FL 34996 Custom-Made Lamps & Shades ... Bring Your Lamp for a Proper Fit! Florida’s Finest Carpet Cleaning Carpet Cleaned Like You’ve Never Seen Our System Guarantees Your Satisfaction • We use the most advanced truck mounted carpet cleaning system • Exclusive double step process for high traf c areas (no extra charge) • Pet stain removal • Environmentally safe products (safe for children and pets) • Family owned and operated • NO HIDDEN FEES Serving Our Customers Since 1982 Lic# 92275163 Palm Beach County Martin County Only Only Only (561) 747-9793 (772) 220-2290 Carpet Cleaning Special Carpet Cleaning Special Furniture Cleaning Special FREE Demonstration FREE ESTIMATES Two Rooms & Hallway 5 Rooms and Hallway Any Size Sofa or 2 ChairsGrout Special Area Rug Cleaning Free Pick-Up & Delivery $79.95 $79.9539¢$139.95 (Maximum 200 sq. ft. per room) FREE DEODORIZER With MLM coupon expires 11/11/22 (Maximum 200 sq. ft. per room, max 5 rooms) FREE DEODORIZER With MLM coupon expires 11/11/22 With MLM coupon expires 11/11/22 With MLM coupon expires 11/11/22 (Minimum 200 sq. ft.) • We’ll make your soiled furniture look beautiful again. • We use the best cleaning methods available for each individual fabric. • Haitian Cotton, sectionals, modulars and dry-clean only fabric priced separately. • 3M Scotchguard® and DuPont Te on® protection available. Per Sq. Ft.
VOL. 552 D 17Copyrighted© My Living Media. 2022 All Rights reserved. To Advertise call 772-247-6849 185 E Indiantown Rd. #216 • Jupiter Located in Seagrape Plaza Next to Duffy’s EastKAREN ROAN 561-339-1473 1on1 tness@comcast.net Family Owned for 20 Years PERSONAL TRAINING PHYSICAL THERAPY • INSURANCE ACCEPTED • MEDICARE • PT CUSTOM-TAILORED FOR YOUR NEEDS & GOALS For Only • Non-Intimidating Atmosphere • Personalized Training • Veterans Choice Provider • Senior Discounts • Pet Friendly • Over 40 Years of Experience *After 1st Physical Therapy appointment. With this MLM Coupon • Expires 10/31/22 FREE 30-MINUTE MASSAGE With this MLM Coupon • Expires 10/31/22 With this MLM Coupon • Expires 10/31/22 $ 99 3 PERSONAL TRAINING SESSIONS GYM MEMBERSHIP FIRST MONTH • FREE Consultation • FREE 30 min. Session for All New Customers 1/2 OFF oneonone tnesspro.com ATHLETES (STUDENTS & PROS)• INDIVIDUALS • COUPLES
18 VOL. 552 D Copyrighted© My Living Media. 2022 All Rights reserved. To Advertise call 772-247-6849 Need More Coupons - MyLivingMedia.com LIC #U-22038 LIC #MCFE6928 We’ll Beat Reasonable Estimates From Comparable Licensed Companies & Product Offerings Some Restrictions Apply AUTOMATIC GATE OPENER SPECIALIST 561-899-4574 www.budgetfenceandgate.com Since 1950 RESIDENTIAL COMMERCIAL Se Habla Español ASK ABOUT OUR Promotion for Eligible Projects. or Interest, Payments for Months Options! Down, Low Monthly Payments 0 0 0 24 EMERGENCY SERVICE-ANY DAY, ANY HOUR Licensed & Insured CFC1427336 • Sinks • Toilets • Water Heaters • Leak Detection • Showers • Bathtubs $30 OFF ANY SERVICE 561.533.7070 PlumbRitePlumber.com Service Interruption? 24-Hour Plumbing Repair Fast | Reliable | Trusted | Guaranteed Sewer & Drain Cleaning All Clogged Lines Corrected With this MLM coupon. 1-833-ACE-CART(223-2278) Aceofcarts.com Ace of Carts 4880 SE Federal Hwy., Stuart • 2nd Location 552 US Hwy. 1 North, Tequesta AUTHORIZED DEALER Must be a 2022 Model Year Club Car from dealer stock. Offer Valid through October 31, 2022 or while supplies last. Financing is available with standard rates. Not eligible for 0% Financing promotion; offers do not combine. Promo code:MLM822 Model Year End Super Sale! Over 200 Brand New Club Cars in stock! $1,000 in FREE Accessories, FREE Delivery Destination, & Setup Charges. Model Year End Clearance: Over 200 Club Cars in Stock! Area’s Largest Selection of Golf Carts! REGISTER ONLINE TO GET www.AceofCarts.com/August-Promo
VOL. 552 D 19Copyrighted© My Living Media. 2022 All Rights reserved. To Advertise call 772-247-6849 Call Today for a FREE ESTIMATE 561-612-0214 • 615 Industrial St. • Lake Worth Open: Mon-Fri 9am-5:30pm; Sat 9am-2:30pm www.KingOfKitchen.com Send Us a Photo of Your Kitchen and we’ll send you a FREE Initial Estimate for Granite Countertops & Cabinets Send to: info@kingofkitchen.com OR TEXT to 561-291-9414 Over 36,000 Sq. Ft. of Showroom & Warehouse • 100% Wood Cabinets • Brazilian Natural Stone Countertops • Factory Direct to the Public • White Shakers Available 10’x10’ Kitchen Cabinets & Granite $1,999** Modern Kitchens Also Available Granite Installation Starting at $999 *measurement and sink not included
20 VOL. 552 D Copyrighted© My Living Media. 2022 All Rights reserved. To Advertise call 772-247-6849 Need More Coupons - MyLivingMedia.com Jupiter Sod & Landscaping FREE ESTIMATES FLORATAM • BAHIA • PALMETTO • BERMUDA Sod Removal & Installation 13049 W. Indiantown Rd. • Jupiter 1st Pallet 10% OFF With this MLM coupon. Expires 10/31/22 LANDSCAPE DESIGN ROCKS & MULCH PRODUCE HARDSCAPING Over 40 Years of Experience 561.768.1337 561.747.7856 FREE CONSULTATION 10% OFF561.855.6595 Let Us Make Your DreamA Reality! LIC# CGC1525942 825 15th Street Lake Park • Custom Cabinets • Closets • Kitchens • Bathrooms • Doors & Windows • Custom Millwork Any Remodeling Job. Must Book Before 11/05/2022 Total Ima g e With this MLM coupon LET US HELP YOU FIND YOUR STEER INTO THE FUTURE WITH TAX-CENTRIC INSIGHT 2081 SE Ocean Blvd. Suite 4 - Stuart, FL www.bra-tax.com Schedule your consultation TODAY 772-617-0293 email: info@bra-tax.com You can turn to your trusted team at Barnett Rukin & Associate, CPA firm for all phases of business and life. Business & Personal Income Tax Preparation Financial Planning • Retirement Planning • Succession Planning IRS Audit Representation • Business & Personal Tax Planning Business Formation Service • QuickBooks Support & Training • Consulting Celebrating over 30 years of excellent business decisions. FINANCIAL DIRECTION BARNETT RUKIN and ASSOCIATES CERTIFIED PUBLIC ACCOUNTANT
Located in the YumYum Plaza 815 S. US Hwy. 1, Jupiter FL 561-781-3696 HOME FURNISHINGS INSPIRED BY The Salt, Sand, & Sea Classic & Timeless Furniture, Unique Coastal Lighting, Accessories, & Rugs summerhousefurniture.com Mon.-Sat. 10am-6pm | Sun. 12:30pm-5pm
22 Copyrighted© My Living Media. 2022 All Rights reserved. To Advertise call 772-247-6849 Need More Coupons - MyLivingMedia.com BREAK FREE WITH DR. DEMARTA ∙ Treat incontinence ∙ Improve sexual wellness ∙ Non-invasive ∙ Stay fully clothed Enjoy the Ride 772-403-WELL | 218 SW Atlanta Ave., Stuart FL www.institutehealthwellness.com Comparable to 11,000 kegels in one treatment BLADDER LEAKS? INCONTINENCE? $50OFF Must present add for discount Expires 11/11/22 20% OFF 15% OFF 50% OFF Any Watch or Jewelry Repair Watch Battery Estate Jewelry With this MLM coupon. Expires 10/31/22 With this MLM coupon. Expires 10/31/22 With this MLM coupon. Expires 10/31/22
1155 Main Street • Jupiter 561-508-3789 ONE-OF-A-KIND GOURMET HANDCRAFTED TACOS! Delivered by • 24 Craft Tacos • Full Bar • Live Music BAR & GRILL 3-5PM DAILY $30 Purchase or More Buy One Get One Free Any food or drink FREE CHIPS & SALSA With this MLM Coupon. Cannot be combined with other offers. Expires 10/31/22 Buy 1 Entrée at Regular Price, Get the Second Valid for Dinner only - With this MLM Coupon. Cannot be combined with other offers. One coupon per table. Expires 10/31/22 Valid for Lunch & Dinner only - With this MLM Coupon. Cannot be combined with other offers. One coupon per table. Expires 10/31/22 Valid for Lunch & Dinner only - With this MLM Coupon. Cannot be combined with other offers. One coupon per table. Expires 10/31/22 $5 50% OFF OFF TACO TUESDAY LUNCH SPECIAL With purchase of $25 or more Hours: Sun-Thurs 11am-9pm Fri - Sat 11am-10pm LIVE MUSIC BOGOTuesday, Friday, & Saturday
24 VOL. 552 D Copyrighted© My Living Media. 2022 All Rights reserved. To Advertise call 772-247-6849 Need More Coupons - MyLivingMedia.com Hot off the Grill! Cooked to Order! 1695 W Indiantown Rd, Suite 2-5, Jupiter 561-768-9918 BUY 1 BURGER, GET THE 2ND FOR A… $1.00 With the purchase of 2 beverages. Can be used on dine in or takeout only. Expires 10/31/22 HOME OF THE 50 BURGERS BIG WEEKEND EVENTS! BUY • TRADE • SELL Saturday 9am - 5pm • Sunday 10am - 4pm 12 and Under FREE with Adult Admission Must present MLM ad for discount Law Enforcement, Active Military, and First Responders IN UNIFORM & Children 12 and under 2 GUN SHOWS $1.00 OFF Admission FREE Admission for CCW CLASSES HELD SAT-SUN 10am & 12pm For more info call 561-214-5115 STUART Martin County Fairgrounds 2616 SE Dixie Hwy. Stuart FL 34996 OCTOBER 15 TH-16 TH, 2022 Specializing in… • Hazardous Tree & Limb Removal • Palm Tree Trimming • Total Tree Care Licensed & Insured 20% Off All Services MLM coupon expires 11/10/22 772.361.6187 FREE ESTIMATES!
VOL. 552 D 25Copyrighted© My Living Media. 2022 All Rights reserved. To Advertise call 772-247-6849 Need More Coupons - MyLivingMedia.com Gourmet Pizza & Delicious Italian Dishes – LUNCH OR DINNER 7 DAYS/WEEK –TONEY PENNA 561-747-2974 155 Toney Penna Drive, Jupiter JUPITER FARMS 561-747-3975 10136 W Indiantown Rd., Jupiter FULL BAR & LIVE MUSIC 7 DAYS A WEEK! ONLY AT TONEY PENNA LOCATION FREE $5OFF PEPPERONI BREAD $30 OR MORE WHEN YOU BUY ANY 2 PIZZAS Dine In • Take Out Must present coupon. Cannot be combined. Expires 10/31/22 Dine In • Take Out Must present coupon. Cannot be combined. Expires 10/31/22 Dine-In, Take-Out, & Delivery O dining r m is en and we havetd r seating. C e J n Us! STUART 300 SW Federal Hwy. Stuart, FL 34994 772-219-3340 PALM BEACH GARDENS 4595 Northlake Blvd. Palm Beach Gardens, FL 33410 561-622-2259 SAINT LUCIE WEST 962 St. Lucie West Blvd. Port St. Lucie, FL 34986 772-871-5533 TEQUESTA 181 N Hwy. 1 Tequesta, FL 33469 561-406-5000 Fish Tacos Ipswich Steamers www.lolasseafood.com OPEN 7 DAYS A WEEK! Lobster Roll
26 VOL. 552 D Copyrighted© My Living Media. 2022 All Rights reserved. To Advertise call 772-247-6849 Need More Coupons - MyLivingMedia.com New Ownership! 12214 US Hwy One Juno Beach, FL 33408 Monday - Saturday 9am - 5pm (561) 625-6544 NEW Take Out & Catering Menu $5OFF Minimum of $50 With this MLM coupon. Cannot be combined with any other offers or specials. Expires 11/05/22 With this MLM coupon. Cannot be combined with any other offers or specials. Expires 11/05/22 With this MLM coupon. Cannot be combined with any other offers or specials. Expires 11/05/22 10% OFF Any Catering Order over $200 $5OFF 1/2 Tray Pre-Ordered Family-Size 1/2 Tray (Lasagna, Baked Ziti, Rigatoni w/ Vodka Sauce, Sausage, Peppers & Onions, or Pasta Bolognese) Visit our website for all NEW DISHES! 48-Hour Notice for all Catering Orders Healthy & Delicious • We Use Only White Meat Chicken 100% Vegetable Oil • Finest & Freshest Jupiter Farms Shopping Center 10150 W. Indiantown Road • Jupiter (Phone) 561.748.0203 (Fax) 561.748.6152 Open Hours: Mon-Thurs. 10:30am-10:00pm Fri & Sat. 10:30am-10:30pm • Sun. 12noon-10:00pm China Jade With this MLM coupon. Cannot be combined with other offers. Lunch not included. With this MLM coupon. Cannot be combined with other offers. Lunch not included. With this MLM coupon. Cannot be combined with other offers. Lunch not included. $2 off $3 off $5off Minimum $20 Purchase Minimum $30 Purchase Minimum $50 Purchase CASH ONLY CASH ONLY CASH ONLY Best Chinese Food To Take Out
VOL. 552 D 27Copyrighted© My Living Media. 2022 All Rights reserved. To Advertise call 772-247-6849 • Pizza • Pasta Specialties • Chicken • Fish • Veal Entrees • Incredible Italian Desserts, including Cheesecake & Tiramisu 791 North US Highway 1 • Tequesta 561-743-4224 WORLD’S GREATEST CHEESESTEAKS & PIZZERIA www.baldinositalianrestaurant.com WIDE VARIETY OF WINE & BEER! DINE IN • CARRY OUT DELIVERY • CATERING Carry-out only. Limit 1 per customer per day. Cannot be combined with any other offers. Expires 10/31/22 Dine in or carry-out only. Not valid on deliveries. Limit 1 per customer per day. Cannot be combined with any other offers. Expires 10/31/22 Buy Any Large 3-Topping or Specialty Pizza and receive a FREE 10” Cheese Pizza ANY PURCHASE OF $50 OR MORE 561-743-4224 561-743-4224 $8 WEEKDAY SPECIAL OFF SCAN HERE TO ORDER CARRYOUT OR DELIVERY! VALID MON-THURS ONLY • baldinositalianrestaurant.com baldinositalianrestaurant.com MONDAY-THURSDAY ONLY W E CATER EVENTS OF ALL SIZES ! THE CONNECTION FOR SUBS AND SANDWICHES 561•746•2344 1 / 2 OFF SUB CLUB CARD $5 OFF ORDER OF $25 OR MORE COME IN & GET YOUR BUY 1 SUB (ANY SIZE) GET 1 SUB 141 CENTER ST, JUPITER HOURS: MON - SAT 7AM - 4PM • SUNDAY 10AM - 3PM With 1 can of soda or small water Get your card stamped with each purchase of a sub or sandwich of $6.39 or more. When the card is filled, it is good for a retail value of $7.50.*Equal or lesser value. Cannot be combined. Excludes Veggie or Lite Bite Subs. IN STORE ONLY. Expires 10/31/22 *Cannot be combined Expires 10/31/22 Excludes Vegetarian & Lite Bites. SCAN FOR MENU JUPITER’S FAVORITE FOR 48 YEARS! WE’RE HIRING! DELIVERY AVAILABLE!
28 VOL. 552 D When you purchase the Lunch Special get a small fountain FOR $1 561-746-2900 OUR MENU Like us on Facebook Jupiter Farms Pizza & Subs Inc*All Prices Subject to Change. Specialty Toppings Extra. Thick Crust Extra. Not valid with any other offer. All Specials & Coupons cannot be combined. Expires 10/31/22 Chicken Caesar Wrap fried or grilled on white, wheat, or sun-dried tomato with chips FRIDAY SPECIAL! All Specials & Coupons cannot be combined. Expires 10/31/22 All Specials & Coupons cannot be combined. Expires 10/31/22 *Pick up only Buffalo Chicken on Brioche & Cheddar with fries –––––––––––Deluxe Fried Chicken Sandwich with bacon, ranch, lettuce, tomato, onion, pickle, & banana peppers on Brioche bun with fries BBQ Grilled Chicken & cheese sandwich with lettuce and tomato on Brioche with fries –––––––––––12pc Boneless Wingswith fries w/ 1 Reg Topping & 10 Wings SATURDAY SPECIAL! SUNDAY SPECIAL!2 LARGE PIZZAS All Specials & Coupons cannot be combined. Expires 10/31/22 All Specials & Coupons cannot be combined. Expires 10/31/22 Philly Parm with Fries –––––––––––Chicken Philly with mushrooms, onions, green peppers, & fries MONDAY SPECIAL!TUESDAY SPECIAL! 1/2 lb. Cheeseburger on Brioche & Fries –––––––––––Pepperoni Pizza Sub with Fries All Specials & Coupons cannot be combined. Expires 10/31/22 6” Hot Italian Combo with Chips –––––––––––6” Hot Roast Beef with roasted red pepper horseradish sauce & chips THURSDAY SPECIAL! All Specials & Coupons cannot be combined. Expires 10/31/22 Tuna BLT Wrap with Chips –––––––––––6” Tuna Melt with Bacon & Chips WEDNESDAY SPECIAL! $5 $1075OFF FOR LUNCH SPECIALS Served till 3:00pm Daily Pick Up Only! Established 1991 HOURS: Monday through Thursday 11 a.m. to 9 p.m. • Friday and Saturday 11 a.m. to 10 p.m. • Sunday 12 p.m. to 9 p.m. Please Call at Least 15 Minutes Before Closing for All Orders Serving the finest wines from around the world on the Treasure Coast at the best value. 11/10- Baglio di Pianetto United States Debut from Sicily 5-Course Paired Wine Dinner 11/12- Wine Workshop Wines of Chile 12/10- 4th Annual Sidewalk Sale & Tasting 50+ Wines for $50! COMING in FEBRUARY Treasure Coast Charity Wine Fest & Auction WINE CLUB MEMBERS HAVE MORE FUN! Present This Ad to Receive Our Gift of $100 Gift Certificate when you purchase an Annual Wine Club Membership in Full EXCITING UPCOMING WINE EVENTS A TASTE OF HISTORY 8815 SE Bridge Road The Marketplace Corner of US1 & Bridge Road Hobe Sound, FL TheGroveHobeSound.com 772-402-5410
VOL. 552 D 29Copyrighted© My Living Media. 2022 All Rights reserved. To Advertise call 772-247-6849 Need More Coupons - MyLivingMedia.com A SUB ABOVE ® *of equal or lesser value BUY 2 GIANT SUBS, GET 3rd GIANT FOR $1.99 PROMO CODE JFLRDA10 PROMO CODE JFLRDA27 PROMO CODE JFLRDA51 71 East Indiantown Rd. • Jupiter , FL • 561-677-2077 jerseymikes.com BUY ANY REGULAR SUB & (2) 22 oz. FOUNTAIN DRINKS, GET A 2nd REGULAR FREE! *of equal or lesser value 20% OFF YOUR ENTIRE ORDER! CONCOURSE VILLAGE PLAZA 71 E Indiantown Rd. Suite 801 Jupiter • 561-677-2077 OVER 2,000 STORES OPEN AND IN DEVELOPMENT NATIONWIDE! • JERSEYMIKES COM TWO LOCATIONS CHASEWOOD PLAZA 6390 W Indiantown Rd. Suite 34 Jupiter • 561-747-7272 Hurry! Offer expires 12/31/22. One per person per visit per day. Not to be combined with other offers. No cash value. Coupon redeemable in person. Offers with promo codes may also be redeemed in our app. 2310 Hurry! Offer expires 12/31/22. One per person per visit per day. Not to be combined with other offers. No cash value. Coupon redeemable in person. Offers with promo codes may also be redeemed in our app. 2327 Hurry! Offer expires 12/31/22. One per person per visit per day. Not to be combined with other offers. No cash value. Coupon redeemable in person. Offers with promo codes may also be redeemed in our app. 2351 VALID AT BOTH LOCATIONS. VALID AT BOTH LOCATIONS. VALID AT BOTH LOCATIONS. 221 South US 1 • Tequesta OPEN Tuesday-Sunday 3-10pm; Closed Monday 561-747-2880 FALL SPECIAL $19.95 Chicken • Eggplant • Veal • Baked Ziti Shrimp • Pasta with Meatballs or Meat Sauce $1495 Large 1-Topping Pizza Regular Topping Only. *MLM cannot be combined. Expires 10/31/22 $5 off Any Order of $35 or More. *MLM cannot be combined. Expires 10/31/22 $999 1 Large Cheese Pizza *MLM cannot be combined. Expires 10/31/22 TUESDAY CARRY OUT SPECIAL CASH ONLY Italian Restaurant & Pizzeria From 3-6pm Dine in only Book Your Next Birthday, Engagement, Wedding, or Special Occasion! Available for 10-60 People Max. 11AM-3PM
30 VOL. 552 D Copyrighted© My Living Media. 2022 All Rights reserved. To Advertise call 772-247-6849 Need More Coupons - MyLivingMedia.com Portofino Bistro Mediterraneo 561- 355 - 5936 891 Donald Ross Rd. Juno Beach portofinobistromediterraneo.com HOURS: Sun-Mon • 5-9pm • Tues • 4:30-9pm Wed-Thur • 4:30-9:30pm Friday • 4:30-10pm Saturday • 4:30-10pm 2 Complimemtary Glasses of Wine (with the purchase of 2 full-priced dinner entrees) One offer per table. Must present this MLM coupon. Dine-in only. Not valid with any other offers or on holidays. Expires 11/05/22 14133 US Hwy. 1 • Juno Beach 561-318-5466 Join Us For Fall Dining 20% Off 1/2 OffDinner Entrées & Specials Bottle of House Wine4:30PM-7PM *Cannot be combined with any other offer. *Excludes Pizzas, Salads, & Sandwiches. *Dine-in only, No Sharing. Expires 10/31/22 SCAN HERE FOR FULL MENU *Cannot be combined with any other offer. *Excludes Champagne. Expires 10/31/22 Entertainment
VOL. 552 D 31Copyrighted© My Living Media. 2022 All Rights reserved. To Advertise call 772-247-6849 Need More Coupons - MyLivingMedia.com Located at: 651 W. Indiantown Rd., Jupiter • 561-746-2345 FREE Cleaning 50% Off Any Watch Battery 20% Off Any Repair MLM Coupon expires 10/31/22MLM Coupon expires 10/31/22MLM Coupon expires 10/31/22 …A Beautiful Smile is closer than you think. General, Cosmetic, & Implant Dentistry THE PATIENT AND ANY OTHER PERSON RESPONSIBLE FOR PAYMENT HAS THE RIGHT TO REFUSE TO PAY, CANCEL PAYMENT OR BE REIMBURSED FOR ANY SERVICES, EXAMINATION OR TREATMENT WHICH IS PERFORMED AS A RESULT OF AND WITHIN 72 HOURS OF RESPONSE TO THE ADVERTISEMENT FOR FREE OR DISCOUNTED SERVICES, EXAMINATION OR TREATMENT. 654 W. Indiantown Rd. Suite 105, Jupiter Lic#14440 Angelo Forte, DMD, PA. 561.747.2134 ! NEW PATIENT SPECIAL ZOOM2 WHITENING $89 $125 OFF Prophylaxis Cleaning, Exam, FMX, & Oral Cancer Screening Codes: D0150, D1610, D1674, D1110 Codes: D0003 RESTRICTIONS MAY APPLY. MLM COUPON EXPIRES 11/11/22 MLM COUPON EXPIRES 11/11/22 NOW OFFERING In-House Dental Discount Plan Ask for details
32 VOL. 552 D Copyrighted© My Living Media. 2022 All Rights reserved. To Advertise call 772-247-6849 Need More Coupons - MyLivingMedia.com NOW HIRING CALL TODAY! Experienced Electricians $50 OFF ANY JOB OVER $500 Cannot be combined with other discounts or offers. With this MLM coupon. Expires 11/11/22 Need An Electrician? FREE ESTIMATES Lic # EC13007910 ASK ABOUT OUR HOMETOWN HERO DISCOUNT 561.370.3624 16571 Rembrandt Rd., Loxahatchee OdumSod.com Come Visit Our New Location! SOD • ROCK • MULCH • SOIL • TREES • PLANTS Commercial & ResidentialPRECISE ROOF COATING Call Now! 772-758-5808 ★Protect ★Save Money ★Restore FREE ROOF ESTIMATE & ROOF EXAM SPECIALIZING in 100% Silicone Roof Coatings. DON’T RE-ROOF! Restore Your Current Roof Today! Quali ed Applicators for Gaco Western
VOL. 552 D 33Copyrighted© My Living Media. 2022 All Rights reserved. To Advertise call 772-247-6849 Need More Coupons - MyLivingMedia.com Call or Text Today 866-887-8225 Book Your Stress Free Portable Storage Solution For Your RENOVATION and MOVING Needs FAMLIY OWNED & OPERATED PUTTING OFF THAT REMODEL BECAUSE YOU DON’T KNOW WHERE TO PUT EVERYTHING? • Speak to One Person From Start to Finish - We Are Call Center Free! • Protect - Your belongings from Dust & Debris • Fully Waterproof With Dual Ventilation Air System. • Flexibility – Weekly & Monthly rental options with delivery in 24 hours or less. www. MYSTACKBOX .com FREELocal Initial Delivery

VeroBeach

CONNECT TO YOUR COMMUNITY

WITH MY LIVING MEDIA

Orchid

The Treasure Coast’s including Palm Beach, Indian River, Okeechobee, St Lucie, and Martin Counties’ #1 direct mail and multimedia marketing company, My Living Media o ers the best opportunities for business owners to connect with their communities! For 46 years, My Living Media’s premier Living Magazines have been a trusted publication for hundreds of thousands of loyal readers across Southeastern Florida to nd everything from local home improvement and medical services to neighborhood restaurants and real estate opportunities. As a result,

My Living Media is the go-to resource for both Treasure Coast and Palm Beach County residents to shop local… and save money!

Every two weeks, My Living Media direct mails 90+ unique, glossy-print magazines to a uent homeowners in highlytargeted communities within 5 counties: Martin, St. Lucie, Indian River, Okeechobee, and Palm Beach. We also o er select magazines on racks at popular public locations in Vero Beach and Okeechobee counties.

In total, My Living Media reaches over 300,000 homes on the Treasure Coast and in Palm Beach County BiWeekly!

Of course, every business has a story. Why not tell yours? My Living Media’s leading editorial and advertorial opportunities within the Living Magazines allow you to attract even more people to your business as you separate yourself from the competition. Let your local communities know what makes you so special! Our advertisers already have extraordinary ROI… imagine how a well-written and beautifully-designed 2-page spread boosts that response. Better yet, call us! We’ll be happy to share our success stories with you.

In addition to the beloved Living Magazines, My Living Media designs, prints, and direct mails glossy postcards and insert yers & menus. With these high-quality print products, your business can target speci c zip codes on the Treasure Coast and in Palm Beach County every two weeks. Reach the right clientele at exactly the right time!

My Living Media’s digital, social, and mobile marketing opportunities are the perfect complement to your print advertising campaign.

As a locally-owned and operated multimedia marketing company, My Living Media prides itself on providing our advertisers with comprehensive, competitively-priced solutions to connect with their communities. To deliver this value, My Living Media o ers free digital, mobile, and social media marketing posts and pages for each and every one of our direct mail clients to reach countless South Florida residents beyond our circulation areas. We love small, local, and family-owned businesses… your success is our passion!

Copyrighted© My Living Media. 2022 All Rights reserved. To Advertise call 772-247-6849
Meet Sean Quinn… Your trusted neighborhood Realtor® River ShoresNorth VOL. 549-A1 Living MYLIVINGMEDIA.COM Index Page 9 Best BBQ in Town! Okeechobee NORTH LivingVOL. 549-J1 Index Page 30 MYLIVINGMEDIA.COM Jupiter’s Finest Canine Resort Farms Jupiter VOL. 549-D2 Living MYLIVINGMEDIA.COM Index Page 9
VOL. 551-T1 Living MYLIVINGMEDIA.COM Index Page 9
IslandVOL. 551-E2 Living MYLIVINGMEDIA.COM Index Page 9 Including Orchid Isle Estates & Windsor Country Club Jensen Beach VOL. 549-A3 Living MYLIVINGMEDIA.COM Index Page 9 Mailing Walton Rd., Tiffany & Mariposa Areas St. Lucie VOL. 549-B1 Living MYLIVINGMEDIA.COM Index Page 9East Island WayVOL. 549-D7 Living MYLIVINGMEDIA.COM Index Page 9 2 LOCATIONS Treasure Coast Mall, Jensen Beach & NOW OPEN in St. Lucie West COHEN’s COHEN’ OptiCal SEE PAGE 3 & 4-5 FOR COUPONS & DISCOUNTS Pinecrest Lakes Including Hollycreek & Timberwick Living VOL. 549-A7 MYLIVINGMEDIA.COM See Page 11 for Details $1000 OFF JetSetter Membership Indian River Shores Living MYLIVINGMEDIA.COM Index Page 9 VOL. 551-E4 Okeechobee Cowtown Rodeo See Page 9 March 8th - 10th Okeechobee WEST LivingVOL. 549-J2 MYLIVINGMEDIA.COM Gardens Palm Beach Living MYLIVINGMEDIA.COM VOL. 549-I5 THC TOTAL HOME CINEMA DISCOVER THE PREMIER POSSIBILITIES See Pages 4 & 5 Meet Soraya Cedeño CEO of Organic Tagua Jewelry See Pgs. 18 & 19 Sailfish Point VOL. 549-A2 Living MYLIVINGMEDIA.COM Index Page 9 NO WATERING NO MOWING NO FERTILIZING SYNTHETIC GRASS VeroBeach VOL. 551-S1 Living West MYLIVINGMEDIA.COM Index Page
Copyrighted© My Living Media. 2022 All Rights reserved. To Advertise call 772-247-6849 WANT TO GROW YOUR BUSINESS? Beach Living MYLIVINGMEDIA.COM Page 9 99+ UNIQUE COMMUNITY MAGAZINES DIRECT MAIL High-quality printed post cards & inserts allow you to target specific zip codes every two weeks FREE digital marketing, mobile, & social media marketing for every one of our direct mail clients Jupiter VOL. 549-D1 Living Index Page 9 Shop Local - Beautiful Designer Furniture and Furnishings Furniture Store Island VOL. 551-E1 Living MYLIVINGMEDIA.COM Index Page 9 Janice MilesicSteve Milesic See Page 18 Sebastian VOL. 551-T7 Living MYLIVINGMEDIA.COM Index Page 9 The Stracuzzi Team Legacy Continues See Pages 4 & 5 Sewall’s Point MagazineVOL. 549-A4 MYLIVINGMEDIA.COM Index Page 9 Get Your Pool Sparkling for Summer FREE POOL SERVICE See Page 57 for Details! 551-E3 Living MYLIVINGMEDIA.COM Index Page 9 Including Barker Island & Surrounding Areas John’s Island A Taste in Torino VOL. 549-F3 Living 772-334-2121 Including Martin, St. Lucie, Indian River, Okeechobee, & Palm Beach Counties We are Florida’s Premier Direct Mail and Multimedia Marketing Company my LIVING MEDIA ON THE WEB FREE24¢ 12¢ MAILING POSTCARDS MAILED FLYERS Some Restrictions Apply. Please call for details.Some Restrictions Apply. Please call for details.Some Restrictions Apply. Please call for details. PER HOME PER HOME * ** Designed, Printed, & Mailed for… 2 Sided Glossy Designed, Printed, & Mailed for…
36 VOL. 552 D Copyrighted© My Living Media. 2022 All Rights reserved. To Advertise call 772-247-6849 Need More Coupons - MyLivingMedia.com Arroyo Health Lab Center HYDRATE Hydration Wellness Revive Mind, Body, & Soul IV TREATMENTS Myers’ Cocktail Get Your Antibody Infusion Today! $50 Off Any Hydration Therapy Expires 10/31/22 COVID-19 POSITIVE? or Exposure? Rapid/PCR Test Available • Monoclonal • Antibody Infusions • Paxlovid • Molnupiravir StartBetterFeelingHydrationMigraines Multiple Sclerosis TODAY! 1535 Cypress Drive Jupiter 561-972-4302 Hangover Cocktail We Offer Emergency House Calls For the latest monoclonal antibodies *call for details For your safety we have a Doctor, Nurse Practitioner, and Paramedics on staff. WHOLESALE FENCING INSTALLATIONS & REPAIRS HOME OF THE LOWEST PRICE GUARANTEE Honest, Trustworthy, Hassle-Free Service From A Family-Owned Business FREE GATE WITH PURCHASE OF EVERY 150 FT. OF FENCING. UP TO A $450 VALUE FENCING SOUTH FLORIDA 561-612-2018 With this MLM coupon. Not valid with any other offer or prior purchases. Offer expires 11/11/22 PVC/VINYL FENCING CHAIN LINK FENCING “We guarantee to beat any price you have from any legitimate fence company” Licensed &Insured Broward 11-F-17403-X Palm Beach U-21752 WWW.FENCINGSOUTHFLORIDA.COM OFFICE 561-612-2018 SERVING BROWARD & PALM BEACH FREE REMOVAL OF EXISTING FENCE WITH PURCHASE OF NEW FENCING NO MINIMUM REQUIRED (excludes hurricane damaged fencing) FENCING SOUTH FLORIDA 561-612-2018 With this MLM coupon. Not valid with any other offer or prior purchases. Offer expires 11/11/22 Visit our website to see our episode on Designing Spaces NOW INTRODUCING OUR NEW ART DIVISION Custom Metal Works in Any Shape and Style added to your fence, gates, entry door, and interior or exterior house walls WOOD FENCING ALUMINUM FENCING WE DO IT RIGHT THE FIRST TIME FOR LESS.
VOL. 552 D 37Copyrighted© My Living Media. 2022 All Rights reserved. To Advertise call 772-247-6849 Need More Coupons - MyLivingMedia.com PRICES ARE SUBJECT TO CHANGE WITHOUT NOTICE WITH THE EXCEPTION OF CONFIRMED BOOKING. NEW TREATMENT PROGRAM ONLY. THE PATIENT AND ANY OTHER PERSON RESPONSIBLE FOR PAYMENT HAS THE RIGHT TO REFUSE TO PAY, CANCEL PAYMENT OR BE REIMBURSED FOR ANY SERVICE EXAMINATION OR TREATMENT WHICH IS PERFORMED AS A RESULT OF AND WITHIN 72 HOURS OF RESPONDING TO THE ADVERTISEMENT FOR THE FREE, SERVICE, EXAMINATION OR TREATMENT. LIC #DN10761 OPEN MON.-FRI. SATURDAY & EVENING HOURS AVAILABLE JUPITER 561-250-6307 6390 W. Indiantown Rd., #32, Jupiter, FL 33458 At the West End of the Chasewood Plaza AppearanceImplants.com OPEN FOR EMERGENCIES | AFFORDABLE DENTAL EXCELLENCE IS NOW HERE! WE ARE PRIVATELY OWNED, NOT A CHAIN OR CORPORATE ENTITY. WE SPECIALIZE IN FULL MOUTH RECONSTRUCTION Additional services we offer include CLEAR TOOTH ALIGNERS, SINGLE IMPLANTS, DENTURES & MORE!!! FREE IMPLANT CONSULTATION (Exam & Digital X-Ray or 3D Cone Beam) (D0150, D9310, D0330 & D0383) SureSmile® OR CLEAR TEETH ALIGNERS OUR DENTISTS HAVE OVER 100 YEARS OF COMBINED EXPERIENCE & HAVE PLACED OVER 15,000 IMPLANTS You Des ve a Beautiful Smile! SALVATORE MELITA, DDS ALANA SHIELDS, BSN, RN, DMD JAY GELMAN, DMD JOSEPH GAETA JR., DDS Better On 8™ SALESPERSON:MelissaKelleyTR-1968533.INDD ISOUR37YEARTRADITION DentistOwned,Not “Hi,I’mMarkLindsay,andthat smeontheEdSulli nSho s, including ‘Kicks rizona.’Mytrademark saponytailandateenidolsmile.Theponytail’sbeen go fo awhile,butasasinger smileisstillsuperimportant.I cently nprocedure. Thestaff elcomfortablefromthe allyimpressedwiththeir dentalofficeandthedentistdidanoutstandingjob. Tradition Dentaltransformed ep my smile —MarkLindsay “Hi, I’m Mark Lindsay, and that was me on the Ed Sullivan Show. I sang every hit song for Paul Revere & the Raiders, including ‘Kicks,’ ‘Indian Reservation,’ and my solo ‘Arizona.’ My trademark was a ponytail and a teen idol smile. The ponytail’s been gone for awhile, but as a singer my smile is still super important. I recently visited Appearance Dental for an implant and crown procedure. The staff was courteous and made me feel comfortable from the moment I walked in the door. I was really impressed with their dental office and the dentist did an outstanding job. Appearance Dental transformed my smile, and I trust them to keep my smile looking revolutionarily good.” — Mark Lindsay Read all of our testimonials at AppearanceImplants.com WE WILL MEET OR BEAT ANY WRITTEN ESTIMATE ON IMPLANTS, ROOT CANALS, & CROWNS! WALK-INS WELCOME EVENING APPOINTMENTS AVAILABLE Cleaning Porcelain Fused to Metal Crown Zirconium All Porcelain Crown $59 $699 $899 Includes Free Exam & X-Rays New Patients Only LIMITED OFFER (D1110, D0150, D4355,D0330) (D2751) (D2740) FULL ROUND HOUSE BRIDGE A Better Alternative to All-On-4 Benefits • Very little, if any speech changes • Does not cover any part of the palate • Can be cleaned just like bridges on teeth • Require no special abutments (All-on-4 protocol requires angle correct on abutments which are not bone or gum tissue friendly) • Usually do not need pink porcelain at the gumline (because aggressive bone removal is not necessary) D6010, D6056, D6240, D6060 BETTERON8.COM D6010, D6056, D5863, D5865, D5862 PER ARCH WITH LOCATORS PER ARCH D6010, D6056, D6065, D6060 50% SAVINGS WE USE MEGAGEN IMPLANT SYSTEMS Implant, Abutment, and Zirconium Crown Implant, Abutment, and Crown Only$1,899 Only$2,099 D7140 DENTURES ECONOMY $359 INTERMEDIATE $999 DELUXE $2,000 D5810/D5811 D5130/D5140 D5110/D5120 With Simple Extractions Starting at $99 We will beat any like-priced quote $9,999 Implant and Abutments Placed Crown and Bridge Porcelain Fused to Metal Implant Abutments Placed $14,500 FULL MOUTH RECONSTRUCTION ROUND HOUSE BRIDGE 8/6 IMPLANTS & 12 UNITS OF CROWNS starting at starting at
38 VOL. 552 D Copyrighted© My Living Media. 2022 All Rights reserved. To Advertise call 772-247-6849 Your Premier Golf Cart Dealer in Jupiter! We Offer the Following: VISIT US ONLINE @ Jupitergolfcartsales.com 800 Capital St., #E, Jupiter • Service/Maintenance • Custom Golf Carts • Rentals: Daily/Weekly/Monthly • Parts • Sales: Gas/Electric (2-6 Seaters) • Accessories • Registrations & More! 561-408-7058 $20 OFF OFF $150 ANY CUSTOMBUILT GOLF CART ANY SERVICE JOB Expires 10/31/22 Expires 10/31/22 Motorized Roll-Up Screens for Garages, Patios, or Lanais YOUR LOCAL SCREEN & AWNING DEALER. RATED #1 IN SERVICE 561-349-6788 FlaScreens.com Serving Port St Lucie to Boca Raton • Visit Our Showroom at: 2885 Jupiter Park Dr. • Suite 1900A • Jupiter, FL 33458 • Power Screens • Retractable Awnings • Nano Bugmesh • Solar Fabrics • FREE In-House Estimates ENTERTAIN OUTDOORS YEAR ROUND! Let The Fresh AIR IN, Keep the BUGS OUT. Lic.# U-20970
VOL. 552 D 39Copyrighted© My Living Media. 2022 All Rights reserved. To Advertise call 772-247-6849 Need More Coupons - MyLivingMedia.com IN-HOME CARE SERVICE • Short- & Long-Term Care • HHA/CNA • Companions/Sitters • Homemakers • Transportation • Respite Care 772-758-7560 2225 SE Ocean Blvd. • Stuart Receive your rst hour of home care services free With MLM coupon. May not be combined with any other offers. Expires 11/11/22 www.FirstHomeCareSolutionsFL.com License# 299995510 INSURANCE & LTC BENEFITS ACCEPTED ONE HOUR FREE VETERAN & SENIOR DISCOUNTS All Your Handyman Needs 772-281-9730 Veteran Owned • Licensed • Insured Call or Text Finish Trim Work Interior Carpentry Crown Molding Younique Custom Theater Trim & Design LLC facebook.com/theatertrim/ PROFESSIONAL HOME CLEANING Daily • Weekly • BiWeekly Monthly • Custom Call Santa for a FREE Estimate! 561.600.4006 Whole House Cleaning • Window Cleaning Trash Take Out • Move In/Out Cleaning Bathrooms • Mop Floors • Carpet Cleaning Stoves • Refrigerators • Blinds • Fans Kitchens & More! Santa Professional Cleaning_0073-3922_CS552 Call $ 25 NEW CUSTOMERS First-Time Cleaning With this MLM coupon. Must present coupon at time of purchase. Expires 11/05/22 OFF 772-617-4960 *Prices subject to change based on circulation Living Jupiter Index Page 6 CONNECT TO YOUR COMMUNITY First Time Customers Only. Some Restrictions Apply. Limited Time Offer $100 OFF ANY MAILING *8 TIME AGREEMENT - 1/2 PAGE AD OR LARGER * AIRPORT TRANSPORTATION CAR SERVICE LOW RATES! / OPEN 24/7 West Palm (PBI) $80 Fort Lauderdale (FLL) $160 Orlando (MCO) $175 Miami Airport (MIA) $175 Cruise Ports Doctor Visits ($25 Per Hour) (INCLUDES TOLLS & LUGGAGE) DISCOUNT ON ROUNDTRIP FARES. FAMILY TRAVELING CALL NOW! (772) 940-9186 TCLIMOSERVICES.COM BOOK ONLINE SAVE 10% CODE: SAVE10
40 VOL. 552 D Copyrighted© My Living Media. 2022 All Rights reserved. To Advertise call 772-247-6849 WERE YOU READY FOR HURRICANE IAN? • HURRICANE PROTECTION • HOME SECURITY • ENERGY EFFICIENCY • REDUCED INSURANCE COSTS • SOUND REDUCTION Don’t Get Caught Off Guard, Use Florida’s #1 Rated Hurricane Window www.MaxGuardHurricane.com 561-566-5629 • 772-932-5629561-781-9677 makes it as easy as 123 FINANCING DISCLOSURE: Contractor is neither a broker nor a lender. Financing is provided by third-party lenders unaffiliated with Contractor, under terms and conditions arranged directly between the customer and such lender. All subject to credit requirements and satisfactory completion of finance documents. Any finance terms advertised are estimates only. HURRICANE WINDOWS ZERØ! Ø Tax Ø Interest Ø Payments /24 MONTHS /24 MONTHS
VOL. 552 D 41Copyrighted© My Living Media. 2022 All Rights reserved. To Advertise call 772-247-6849 Need More Coupons - MyLivingMedia.com PATIO ENCLOSURES BRING YOUR OUTDOORS INDOORS www.MaxGuardHurricane.com 772-932-5629561-781-9677 • 772-403-9677 Call for Your FREE Quote or Schedule Your Appointment Today! 4-SEASON ENJOYMENT

The Top 9 Benefits of Hurricane Impact Windows

1.) Stronger Protection and Greater Insulation from Storms Impact windows (a/k/a hurricane windows) are designed to withstand Category-5 hurricane winds (200-mph+). An interlayer is situated between two thick layers of glass, ensuring that absolutely no water, debris, and/or wind will enter your home to cause damage. Even if the outer glass of the window is somehow punctured, the glass is designed to crack in a spiderweb pattern, thus eliminating the possibility of the window blowing out entirely.

2.) Energy-Efficient

Hurricane windows seal off the interior of your home so well that your air conditioning bill can decrease. You don’t have to worry about your air, or your money, going out the window—literally.

3.) Less Time, Energy, and Anxiety

With alternative storm protection methods, you need to invest your time and energy preparing your home for the impending storm. This preparedness can cause you stress if something suddenly does not work or requires more than one person to work. Hurricane windows, on the other hand, are hassle-free and require no work on your part.

4.) Increased Lighting with UV Protection

In the event of a hurricane, with impact windows, you can rely on having natural light as a resource without compromising your security. Additionally, the glass has greater UV protection, so any light that does come through will not cause fading on your carpeting or furniture.

5.) Noise Reduction

Impact windows are thicker, so you can relax in your home without having to hear the hustle and bustle of the outside world... or any neighbors’ pets.

6.) Intruder Protection

If 200-mph winds cannot destroy hurricane windows, then burglars stand no chance! Would-be intruders will be disappointed to learn that your home has impact windows because there is little chance that they will be able to break them.

7.) Lower Insurance Rates

Your insurance company will be so excited to learn that you are giving your home the best protection possible that it will likely reduce your rates.

8.) Higher Property Values

Homes with hurricane windows have higher property values. If you ever sell your house in the future, you will attract buyers who are willing to pay more for the added protection.

9.) Made in the U.S.A.

Hurricane windows from Max Guard are crafted entirely in the United States of America. When you choose Max Guard impact windows, you are supporting the American workforce and economy!

So, what are you waiting for? Give the professionals at Max Guard a call today to find out more about how their hurricane windows will protect you, your family, and your home.

The new Max Guard Hurricane Windows showroom is located at 2257 Vista Parkway, Suite 28, in West Palm Beach. It is open Monday through Friday from 9AM to 6PM and Saturday 10AM to 2PM. For more information, please call 561-566-5MAX (5629) or visit MaxGuardHurricane.com.

42 VOL. 552 D Copyrighted© My Living Media. 2022 All Rights reserved. To Advertise call 772-247-6849
Licensed & Insured SCC131151738
Were You Ready for *MaxGuard is not responsible for delays outside of it’s reasonable control including but not limited to HOA and permitting approval or manufacturing delays. $ 0 Tax $0 Payments /24 MONTHS /24 MONTHSZERO! 0 % Interest
VOL. 552 D 43Copyrighted© My Living Media. 2022 All Rights reserved. To Advertise call 772-247-6849FINANCING DISCLOSURE: Contractor is neither a broker nor a lender. Financing is provided by third-party lenders unaf liated with Contractor, under terms and conditions arranged directly between the customer and such lender, all subject to credit requirements and satisfactory completion of nance documents. Any nance terms advertised are estimates only. 561-566-5629 772-932-5629 CALL TODAY FREE Quote • Hurricane Protection • Home Security • Energy Efficiency • Reduced Insurance Costs • Increased Property Value • Sound Reduction You Are Here! for Hurricane Ian?
44 VOL. 552 D Copyrighted© My Living Media. 2022 All Rights reserved. To Advertise call 772-247-6849 Need More Coupons - MyLivingMedia.com 561-402-6140 dcarragher.insurance@gmail.com Donna Carragher Insurance Consulting, LLC • Individual/Family Health Plans • Medicare • Vision • Dental • Accident MEDICARE Open Enrollment is here! Need Health Insurance? Call me now to schedule an appointment! October 15, 2022 - December 7, 2022 Licensed, Bonded, & Insured 561-748-5353 With this MLM coupon, 1 coupon per household. Cannot be combined with any other offer. Minimum 1 1/2 hours cleaning. Expires 11/11/22 OFF FIRST CLEAN $10Call for a FREE Estimate • Residential • Commercial • Move In/Out • Seasonal Cleaning • One-Time Cleaning GIFTAVAILABLECERTIFICATESWe clean your home like it’s our own! www.GoalsWeightLoss.net GOALS WEIGHT LOSS FREE 50% OFF CONSULTATION All Weight Loss ProgramsPlus Must present this MLM coupon for discount. Expires 11/11/22 Guaranteed Results 561-283-1011401 Maplewood Dr., #2, Jupiter (Maplewood Center behind Home Depot) BEFORE AFTER LOST 60 POUNDS! Without Surgery LOST 95 POUNDS! Without Surgery BEFORE AFTER BEFORE AFTER LOST 40 POUNDS! Without Surgery Lose Weight QUICK! • Eat Real Food • No Exercising Required! • Private Counseling • Medically Supervised • NO Hormone Supplements • Individual Plans – PHENTERMINE AVAILABLE –
VOL. 552 D 45Copyrighted© My Living Media. 2022 All Rights reserved. To Advertise call 772-247-6849 PREVENT LEAKS AND WATER DAMAGE CALL TODAY for your FREE Roof Inspection! 100% FINANCING Not Based on Credit Score No Money Down SERVING ALL OF SOUTH FLORIDA! • TILE • METAL • SHINGLE • FLAT • YOUR RESIDENTIAL SPECIALISTS CALL US 24 Hrs. 561-202-2040 • Florida License #CCC1333947 • Fully Insured $100 Off $500 Off Any Repairs Any Re-Roof With this MLM Coupon. Expires 11/11/22 With this MLM Coupon. Expires 11/11/22 • Residential Specialist • Roof Replacements • Re-Roo ng • Storm Damage • Roof Inspections • Hail Damage Financial
46 VOL. 552 D Copyrighted© My Living Media. 2022 All Rights reserved. To Advertise call 772-247-6849 Need More Coupons - MyLivingMedia.com Emergency Care Teeth Whitening Cosmetic Dentistry Same-Day Treatment Family Dentistry Always Accepting New Patients & Walk-Ins Ask About Our In-House Plan Hours: Mon - Fri 8:30AM-5:00PM 3889 Military Trail #102 Jupiter, FL 33458 561-861-2611 www.dbd .com NEW PATIENT SPECIAL $99 D0150 Exam D0210 X-Ray D1110 Cleaning in absence of periodontal disease D0330 Panoramic X-Ray Expires 11/11/22SE HABLA ESPAÑOL Now Offering: FREE Whitening for new patients for a year! ALARM SYSTEMS Protecting People & Property Since 1984 FULLY INSTALLED & MONITORED ALARM SYSTEM • Alarm.com Dealer • FREE Home Survey • Security Cameras • Fire Alarms • Security Alarm Systems LIC# EF20000681 • LIC# FPC 13-000046 7728376567 FREE 1ST MONTH OF SERVICE WITH A MINIMUM OF 12 MONTHS WITH THIS AD • EXP. 10/30/22
VOL. 552 D 47Copyrighted© My Living Media. 2022 All Rights reserved. To Advertise call 772-247-6849 Need More Coupons - MyLivingMedia.com DRYER TAKING TOO LONG? ANNOYING Waiting Longer For Your Clothes To Dry Is STARTING AT772-919-7163 | 561-250-0088 DRYER VENT CLEANING $85 MAINTENANCE CLEANOUT FIRE DISASTER But experts say it’s Really an impending 561-312-1937 DUMPSTER RENTALS DONE RIGHT Delivered in 24 hrs or Less www.bulkwastefl.com OFF OFF$50 $20 ANY DUMPSTER JUNK REMOVAL With this MLM Coupon Expires 11/10/22 With this MLM Coupon Expires 11/10/22 561-464-5222 6390 W. Indiantown Rd., Suite 24A, Jupiter FALL SPECIAL ALL DAY CALORIE BURN. SCHEDULE YOUR FREE CLASS AT OUR JUPITER LOCATION New members, returning members, everyone! When you sign up in October! 50% Off SWAG BAG FREE Plus a ‘Quit-Free’ Guarantee *When you sign up by 10/31/22 If you don’t see results in your rst 30 days, then we will return your membership payment. Fitness Made Fun!

Scollo Painting Inc

48 VOL. 552 D Copyrighted© My Living Media. 2022 All Rights reserved. To Advertise call 772-247-6849 Need More Coupons - MyLivingMedia.com at Disclaimer: Phenix Salon Suites® is not responsible for this ad. This ad is produced by Sassy Scissors located inside Phenix Salon Suites®. The holder and or purchaser of this offer agree to hold Phenix Salon Suites ® harmless from any offer made by Sassy Scissors. Call: Men’s Haircut $16 With this MLM Coupon presented at time of service. May not be combined with other offers. Expires 10/31/22 SassyScissors 561-222-0835 Anita Located inside Suite 104 17380 ALT A1A • JUPITER• LOCATED IN THE SHOPPES OF JONATHAN’S LANDING New Clients. With this MLM Coupon presented at time of service. May not be combined with other offers. Expires 10/31/22 New Clients. With this MLM Coupon presented at time of service. May not be combined with other offers. Expires 10/31/22 New Clients. With this MLM Coupon presented at time of service. Long Hair Extra. May not be combined with other offers. Expires 10/31/22 Cut with Color & Style Keratin Treatment HighlightsFREE $77$149 starting at Conditioner & Blowdry Included 10% OFF Any Job Must Present This MLM Coupon Painting Interior/Exterior Popcorn Removal Knock Down Textures Crown Moulding Dry Wall Repairs John 561-306-1813 MC Lic # CPT 4946 • PBC Lic #U-14183 SCOLLOPAINTINGINC@GMAIL.COM
VOL. 552 D 49Copyrighted© My Living Media. 2022 All Rights reserved. To Advertise call 772-247-6849 Need More Coupons - MyLivingMedia.com WAGNER’S • WAGNER’S • WAGNER’S • WAGNER’S • WAGNER’S • WAGNER’S • WAGNER’S • WAGNER’S WAGNER’S • WAGNER’S • WAGNER’S • WAGNER’S • WAGNER’S • WAGNER’S • WAGNER’S • WAGNER’S W AGNER ’ S • W AGNER ’ S • W AGNER ’ S • W AGNER ’ S W AGNER ’ S W AGNER ’ S • W AGNER ’ S • W AGNER ’ S • W AGNER ’ S W AGNER ’ S W‘Cause you like it cool… WAGNER’S REFRIGERATION & AIR CONDITIONING Your Satisfaction is our Guarantee! 561-743-5759Lic#CAC057855 Central Air Conditioning • Commercial Refrigeration Ice Machine Specialists Any A/C Install $10000off It’s Hard To Stop A Trane.® Wagner's Refrigeration_0074-1118_HI552 Certi ed Professional Plumbers If Water Runs Through it, We Do It SATISFACTION GUARANTEED Remodeling & Repairs WE DO IT ALL! 24-HOUR EMERGENCY SERVICE • Faucets • Water Heaters • Leak Detection • Sewer & Drainage Dedicated to providing quality and efficient services Commercial/Residential www.DarrelsPlumbing.com DARREL’S PLUMBING, INC. CALL 561-568-5322Over 30 Years of Experience State Lic. #CFC1427324 “If water runs through it, we do it.”INSTALLS & REPAIRS • REMODELING •BACKFLOWS 24 HOUR EMERGENCY SERVICE STATE LICENSED & INSURED 561-568-5322 • One-on-One Personal Training • Customized Fitness Programs • Burn Fat/Tone Problem Areas • Weight Training & Cardio • Increase Energy • Nutrition Counseling NEW CLIENTSPECIAL Jupiter’s Premier Training Studio Let Us Show You Why We're Different! THREE PALMS PLAZA 2151 Alt. A1A South #700, Jupiter • www.be tjupiter.com 561-745-5001 *New clients only. Cannot be combined. Expires 10/31/22 CALL OR TEXT FOR APPOINTMENTS BE STRONG . BE CONFIDENT. BE FIT. SESSIONS FREE4 Call Today for Back to School Lessons MUSIC LESSONS IN STUDIO OR LIVE VIRTUAL LESSONS! www.frederickcapitelli.com 561-575-0576 658 W Indiantown Rd Ste #210 • JUPITER *with experienced music teacher: Frederick Capitelli VOICE• GUITAR • BASS • MANDOLIN • BANJO VIOLIN • VIOLA • CELLO • UPRIGHT BASS • PIANO ACCORDION • SPINET & CONSOLE ORGAN DRUMS/BELLS INSTRUMENTS & ACCESSORIES PIANO TUNING & REFINISHING• RECORDING STUDIO Get Back Into Your Grove & Find Your Rhythm! Frederick Capitelli
50 VOL. 552 D Copyrighted© My Living Media. 2022 All Rights reserved. To Advertise call 772-247-6849 Need More Coupons - MyLivingMedia.com 132 NE Dixie Hwy., Stuart, FL 34994 Licensed & Insured State Certi ed License #CCC024411 Serving Martin & Palm Beach Counties for Over 30 Years! “You’ve tried the rest…now call the Best!” Re-Roof & Repair Specialists METAL ROOFS Starting At Starting At $17,500 TILE ROOFS (Minimum 3500 Sq Ft of Roof) $24,500 (Minimum 3500 Sq Ft of Roof) 772-692-9854 Re-roofs • Repairs • New Construction • Cement & Clay Tile Fiberglass Shingles • Wood Shakes • 5-V & Standing Seam Metal Built-up Modi ed Rubber • Residential & Commercial 25- to 50-Year Material Warranty Available 5- to 10-Year Labor Warranty Available Martin County’s Trusted Name Since 1980! BUY FACTORY DIRECT & SAVE 15821 Mercantile Court, Ste. #4 • Jupiter 561.935.9548 www.theclosetclinic.com – Established 1979 –Florida’s Oldest Custom Closet Manufacturerthe closet clinic ANY PURCHASE $300 OFF custom closet interiors OVER $3,000 Complete Service Including: • Custom Design • Manufacturing • Top-Quality Installation • Closets • Home Of ces • Wall Units • Murphy Beds • Garage Storage Systems FREE Home Estimates MURPHY BEDS GARAGE STORAGE SYSTEMS CUSTOM DESIGNS HOME OFFICES *Prices subject to change based on circulation Living Jupiter Index Page 6 CONNECT TO YOUR COMMUNITY First Time Customers Only. Some Restrictions Apply. Limited Time Offer $100 OFF ANY MAILING *8 TIME AGREEMENT - 1/2 PAGE AD OR LARGER * 772-617-4960
VOL. 552 D 51Copyrighted© My Living Media. 2022 All Rights reserved. To Advertise call 772-247-6849 Need More Coupons - MyLivingMedia.com Family-Owned Since 1997 the Original Paving Contractor InstallationWeSpecializeIn&Repair • A+BBB • 10 Year Warranty • Over 50 Years of Experience in Brick Paving 561-257-5775 PAVERS ARTIFICIAL GRASS 312 Center Street • Jupiter, FL 33458 www.TripleMBricks.com • MMMBRICKPAVERS@AOL.COM • Paver Repairs • Interlocking Brick Pavers • Old Chicago Bricks • Travertine • Driveways • Walkways • Patios • Pool Decks • Pool Remodeling - KID & DOG FRIENDLY - NO WATER - NO FERTILIZER - NO MUD - NO ITCHY GRASS - GREEN YEAR ROUND Refresh your Backyard with Arti cial Grass, Outdoor Kitchen, and Pavers With this MLM Coupon. May not be combined with other offers. Expires 10/31/22 ANY INSTALLATION $100 OFF FREE ESTIMATES! Licensed and Insured License#U20229 BRICK PAVERS & ARTIFICIAL GRASS WATER DAMAGE FROM IAN? ASK US ABOUT DIRECT INSURANCE BILLING DID YOU HAVE A RECENT LEAK? YOU MAY HAVE MOLD! Initial Service With this MLM coupon. Exp 11/11/22 RESPONSE TEAM WHEN DISASTER STRIKES, WE’VE GOT YOUR BACK! EMERGENCY EMERGENCY EMERGENCY 772-362-2797 • Roof Tarping • Water Damage Clean-up • Dry Out • Disinfecting/Sanitizing • Debris Removal • Water/Mold Remediation • Remodeling 15% OFF
52 VOL. 552 D Copyrighted© My Living Media. 2022 All Rights reserved. To Advertise call 772-247-6849 Need More Coupons - MyLivingMedia.com 772-258-4989 713 NE Dixie Hwy., Unit D | Jensen Beach, FL 34957 foxhavenroof.com | info@foxhavenroof.com 20 YEARS OF EXPERIENCE CALL FOR A FREE CONSULTATION ROOF REPAIR ROOF REPLACEMENT INSURANCE RESTORATION $500 ANY NEW ROOF $10,000 & Up Must present this MLM coupon. Expires 11/11/22 TESTIMONIAL “100% satis ed with this company. From the initial inspection of our 17 yr old roof , through the estimate, the contract, the permitting, the tear off, the installation, needed repairs on siding & around gutters, Andy kept his word on all promises. They delivered exceptional quality assurance, Matt came on site every day to check on crew/progress/quality & to answer any questions we had. They were very diligent in cleaning up after each step. I was also impressed as to the immediate response time for each of my inquiries. Finally a company who delivers the quality, timeliness, honesty & true diligence as promised. Also very reasonable price. We had four roof estimates and are so glad that we chose Fox Haven Roo ng. Highly recommend, you won’t be disappointed!” Netty Smith off JERRY’S BARBER SHOP We Fix Bad Haircuts BUZZ CUT $10$5OFF $15 KID CUT Walkins Welcome EAST 561-203-2264 806 N. Old Dixie Hwy. (Across Tracks From Dune Dogs) WEST 561-529-3141 9270 Indiantown Rd. Jupiter Farms at Sierra Square Plaza With this MLM Coupon. May not be combined with other offers. Expires 11/15/22 With this MLM Coupon. May not be combined with other offers. Expires 11/15/22 With this MLM Coupon. May not be combined with other offers. Expires 11/15/22 HOT TOWEL SHAVE WITH HAIRCUT ONE BLADE12 AND UNDER
VOL. 552 D 53Copyrighted© My Living Media. 2022 All Rights reserved. To Advertise call 772-247-6849 Need More Coupons - MyLivingMedia.com Live 24/7 Answering PDSMartin.com Locally Owned & Operated 561-453-2971 Expires 10/31/22. Our proprietary springs will not rust or corrode and last up to 4 times longer! • Screen Enclosure Makeover (rescreening & rusted screw replacement with caps for a new look) • Pool, Patio, and Porch Screen Enclosure • Sun Window Rooms and Accordion Shutters • All Types of Aluminum Fencing & Custom Railing • Electric Roll-Down Screens with Remote Control Inventor of the Hurricane Removable Screen Panel Removable Screen Panels Allow Hurricane Winds to Blow Through Screen Builders www.screenbuildersinc.comLicensed and Insured U#22179 Screen Builders & Fencing 561.693.6825 Florida’s Largest Screen Enclosure & Fence Specialists We install 1,500 ft. of fence per week Celebrating 35Years in SinceBusiness! 1987Doing business with GL Homes & Minto Homes We Are on Our 109,254 109,283 Job Installed

For What It’s Worth

Life is becoming more and more di cult to navigate, it seems to me. Too many choices! Even the small stu ba es me at the grocery store, the drug store, home depot, Lowe’s and on and on. For example, I don’t know the last time any of you have gone into a home supply store to purchase a light bulb, which a few years ago was a no-brainer. Your bulb blew, you know the wattage you needed, you go to the store, pick the package up, the wattage was on the front, and check out was a cinch. Now, the row of light bulbs goes on forever, and I cannot ever understand what it is they are trying to sell me. Daylight, warm light, bug light, intense light, so light…etc. Indoor, outdoor, indoor/outdoor, clear glass, frosted glass…I know you know what I’m talking about!

When was the last time you went to the grocery store for a simple package of cookies? I spent een minutes wondering what kind of cookie I should chose, because the entire row is stu ed with every possible color, avor, thickness, and size. Gluten free, sugar free, crunchy, so …some which have also become cereals…that seems to be the latest trend…if you love your cookie, you can probably nd it in the cereal aisle, posing as breakfast, so you can have it with a bowl of milk for breakfast..

For me, the worst is purchasing a mattress…Just when you’ve found a mattress you love, it’s time to change it for a new, less lumpy one, but the problem is, although the manufacturer may be the same, Sealy, Serta, Beauty Rest, etc. the name and style number of the mattress you love has been changed to a completely di erent name. When I asked about this, one salesperson said it is not uncommon for mattress names to be changed or eliminated, sometimes every six months, thereby causing immense confusion. As well, I don’t see how lying on a mattress in a showroom can possibly give you all the information needed in ve minutes, and it usually doesn’t. If I worked in a mattress store I would be completely bald from pulling my hair out, knowing full well that the mattress someone choses is going to be coming back in a month, and another one purchased. Imagine how ludicrous it is to spend ve minutes lying on a model, and eight hours sleeping in bed, tossing and turning, knowing you made the wrong decision and lying awake the rest of the night hoping for just one more chance…and that’s usually all you get…one more chance. If your second choice (usually a er having a miserable 30 days on the mattress before it can be exchanged) doesn’t work out…well, too bad. You’re stuck with it!

It’s the same with purchasing a car. Turn the clock back several decades to Ford, Chevrolet, Pontiac, Plymouth and a few others with perhaps a choice or two in each category. Now, there are a zillion cars, and sub-zillion models, to test drive, and you are expected to spend anywhere between twenty-thousand dollars to over one hundred thousand dollars for a car you might not even like a er a week or two. Not to mention, that if you’re purchasing a new car, the minute you drive it o the lot, it has depreciated! Yet, we all seem to accept this. ink of it. One of the major purchases aside from a house, is essentially made blind, and guaranteed to go down in value.

For What it’s Worth, this should not be the norm, and yet it is, for every household in America. It’s no wonder we’re all exhausted at the end of the day, hoping for rest. Unfortunately, many of us will not get a good night’s sleep on the mattress we bought!

54 VOL. 552 D Copyrighted© My Living Media. 2022 All Rights reserved. To Advertise call 772-247-6849 Need More Coupons - MyLivingMedia.com It’s More Than Just a Will... PLANNING WITH COMPASSION • Wills • Trusts • Power of Attorney Jupiter Wills and Trusts, PLLC 4600 Military Trail, Suite 212 • Jupiter www.jupiterwillsandtrusts.com 561-784-6945 KELLY L. WRIGHT ATTORNEY LLM ESTATE PLANNING Attorney Advertisement • Advance Directives • Probate/Trust Administration • Estate/Gift Tax Planning
Comments or Suggestions DrMelfi@mediaoms.com
VOL. 552 D 55Copyrighted© My Living Media. 2022 All Rights reserved. To Advertise call 772-247-6849 Need More Coupons - MyLivingMedia.com Our Jupiter location is centrally located and We welcome you to meet Gabrielle Poplarchick, Jupiter’s One-Stop Shop For Your Hearing Needs! Schedule an appointment for you or a loved one: 2161B S. US Highway 1 Family Owned & Operated since 1983 24-HOUR SERVICE 4 Generations of Plumbing & Knowledge! TOLL FREE2647 President Barack Obama Hwy., Riviera Beach, FL 33404 561-625-9414 800-323-0263www.NorthCountyPlumbing.org • Licensed • Bonded CFC026530 Serving All of Palm Beach County for 38 Years Strong & Still Growing! PLUMBING PROBLEMS? We can handle any plumbing repair, from Big to Small! 10% $1099 $ 425 $ 99 OFF ANY SERVICE CALL Maximum ($100 Discount) With this MLM coupon. Cannot be combined with any other offer. Expires 11/11/22 INSTALLED WATER HEATER SPECIAL Electric Only. 50 - 40 - 30 - Tall or Med. No Hidden Costs Regular Price $1199 - Special Price $1099 - SAVE $100 With this MLM coupon. Cannot be combined with any other offer. Expires 11/11/22 TOILET REBUILD SPECIAL Includes Fill Valve & Flapper. Standard Toilets Only Regular Price $125 - Special Price $99 - SAVE $26 With this MLM coupon. Cannot be combined with any other offer. Expires 11/11/22 In Garage on Floor Only. +TAX NEW TOILET Supply & Install White Round or Elongated Toilet With Seat, Standard Height. Reg. Price $499, Special Price $425 SAVE $75. Additional Charges May Apply. With this MLM coupon. Cannot be combined with any other offer. Expires 11/11/22 Happy Halloween
Need More Coupons - MyLivingMedia.com WITH THIS MLM COUPON. OFFER EXPIRES 11/11/22 Offer Valid for Same-Day Service Only FREE IN-HOME ESTIMATE 30% OFF – PLUS –™ YOUR BEAUTIFUL NEW FLOORING IS JUST A CALL AWAY! 772-277-7562 561-277-0375 OXFLOORS.COM WE TAKE THE BORING OUT OF YOUR FLOORING! 10X STRONGER BOND THAN EXPOXY™ Garages Patios Pool Decks Driveways & Much MORE!

We bill the insurance company directly

Q: What is Mold?

A: Mold is a type of fungi that is naturally occurring in the environment.

Q: How does in grow?

A: In order to grow, mold needs water, oxygen, and a food source, such as wood or drywall.

Q: Where is it found?

A: Mold grows in a place with a lot of moisture (leaks in roof, windows, pipes, etc.).

Q: How fast can it grow and become a problem?

A: Mold can easily grow within 24 to 48 hours.

Q: Are there any health risks?

A: Mold can cause nasual congestion, throat irritation, dif culty breathing, coughing, or wheezing.

Q: How can I prevent mold growth?

A: Fighting mold starts by ghting moisture.

Q: How do I get rid of mold?

A: The air in all affected areas should be treated to kill & remove spores.

70%

Of Homes are estimated to have mold behind walls

Of chronic sinus infections have been attributed to mold

Of all asthma cases in the US are attributable to dampness

mold exposure

Million buildings in the US have

YOU PAID YOUR INSURANCE…
93% 21% 45 24-48 HRS
and
unhealthy levels of mold The amount of time it takes for mold to grow after a water loss LET IT COVER YOUR DAMAGES AQUA DOCS Water Restoration, Inc. 772-261-4181 WE DO IT ALL! WATER • MOLD • FIRE FREE Evaluation LIC# MRSR3440, MRSA3876
58 VOL. 552 D Copyrighted© My Living Media. 2022 All Rights reserved. To Advertise call 772-247-6849 Need More Coupons - MyLivingMedia.com Exceptional Quality • Exceptional Service “We Paint Every Home Like It’s Our Own” 561-475-5944 Wellington, FL Exceptional Painting_0110-4918_HI552 www.exceptionalpainting.com Insured and Bonded | Palm Beach Co. U-18412 | Free Estimates • Interior Painting • Exterior Painting • Small Drywall Repairs • Small Concrete Repairs • Wallpaper Removal • Wallpaper Installation • Wood and Fiberglass Staining • Concrete Staining • Epoxy Coatings • Pressure Cleaning • Color Consultants • Touch-Up Specialists • Lacquer Painting • Small General Repairs Prior to Painting Let Us Take the “CHORE” Out of Your Chores • Move-In & Move-Out Services • • Weekly • Biweekly • Monthly • • One Time & Seasonal • EXPERIENCED • THOROUGH • DEPENDABLE RELIABLE • HONEST • AFFORDABLE Owners onEvery Job References Upon Request SATISFACTION GUARANTEED! 772.418.5635 LICENSED/INSURED/BONDED • FREE Estimates • 20% OFF Second Cleaning 20% OFF 40% OFFThird Cleaning Add up the Savings! SAVE A TOTAL OF Not valid with any other offer. Expires 11/11/22 Not valid with any other offer. Expires 11/11/22 AFTER YOUR 3RD CLEANING Not valid with any other offer. Expires 11/11/22 ➡ ➡ NEW CUSTOMER SPECIAL 561.468.8230THE PATIENT AND ANY OTHER PERSON RESPONSIBLE FOR PAYMENT HAS A RIGHT TO REFUSE TO PAY, CANCEL PAYMENT, OR BE REIMBURSED FOR PAYMENT FOR ANY OTHER SERVICE, EXAMINATION, OR TREATMENT THAT IS PERFORMED AS A RESULT OF AND WITHIN 72 HOURS OF RESPONDING TO THE ADVERTISEMENT FOR THE FREE, DISCOUNTED FEE, OR REDUCED FEE SERVICE, EXAMINATION, OR TREATMENT. SCAN FOR WEBSITE & SERVICES We accept most major insurance plans & Medicare 4601 Military Trail #202, Jupiter HOURS MONDAY-FRIDAY 8:30AM-5:00PM FOOT, ANKLE, OR VEIN ISSUES? WE CAN HELP!Rel … DR. ORLANDO CEDENO DPM Podiatrist Foot & Ankle Surgeon Located in Jupiter, FL $100 OFF SCLERO VEIN THERAPY With this MLM coupon. Expires 10/31/22BEFORE AFTER • Foot Ankle Surgery • Bunion Surgery • Cysts & Warts • Fractures & Breaks • Ankle Arthritis • Diabetic Foot Conditions • Minimally Invasive Foot Surgery • Hammer Toe • Ingrown Toe Nails • Varicose Veins Treatment • Neuropathy Solutions • Nerve Decompression in Foot
VOL. 552 D 59Copyrighted© My Living Media. 2022 All Rights reserved. To Advertise call 772-247-6849 Need More Coupons - MyLivingMedia.com COMPLETE AUTO & TRUCK REPAIR CERTIFIED FULL-SERVICE MECHANICS VEHICLE ALIGNMENTS 350 Cypress Dr. • Tequesta, FL 33469 www.TequestaTire.com (561) 746-8381 With this MLM coupon. Must present coupon at time of service. Over 5 qts. & special filter cartridge extra. Expires 10/31/22 1st-time customers only. With this MLM coupon. Must present coupon at time of service. Expires 10/31/22 Oil Change • Car Inspection Battery Check • Tire Rotation New Set of Windshield Wipers Wiper Fluid with Rain-X® & Bug Juice ANY MECHANICAL REPAIR OVER $350 Family Owned & Operated Since 1969 Honest, Fair, & Reliable OIL CHANGE PACKAGE SUMMER MAINTENANCE SPECIAL Synthetic Oil Change • Car Inspection Battery Check • Tire Rotation New Set of Windshield Wipers Wiper Fluid with Rain-X® & Bug Juice With this MLM coupon. Must present coupon at time of service. Over 5 qts. & special filter cartridge extra. Expires 10/31/22 SYNTHETIC OIL CHANGE PACKAGE Mon-Fri 7am-5pm | Sat 8am-12pm |Sun Closed $100 Value $150 Value $6299 $50OFF $9999 NEED SHUTTERS THIS WEEK? Family Owned & Locally Manufactured Plantation Shutters • ANGLES & RAKES • ARCHES & SUNBURSTS • OTAGON, CIRCLE, HEXAGON • SILL COVERS & CAPS HORIZONTAL ARCH PLANTATION SHUTTERS SUNBURST PLANTATION SHUTTERS www.plantationshutters a.com Treasure Coast Palm Beach 772-600-4253 or 561-420-0418 Visit our manufacturing shop at: 406 Farmers Market Rd Ft Pierce, FL 34982 IN HOME ESTIMATESFREE $1695 SQ. FT. INSTALLED Starting at Plantation Shutters Florida™ Your Plantation Shutter Specialist Plantation Shutters Florida™ We are the Real Manufacturer Licensed & Insured CALL TODAY AND GET UP TO 10% DISCOUNT Restrictions may apply.
60 VOL. 552 D Copyrighted© My Living Media. 2022 All Rights reserved. To Advertise call 772-247-6849 Need More Coupons - MyLivingMedia.com • Drain Clearing, Camera Inspections, Hydro Jetting • Water Heaters, Garbage Disposals • Back ow Testing/Repairs • New Construction and Remodels Dixie Plumbing_0058-1520_HI552 $100 OFF Not valid for heaters covered through manufacturer’s warranty. Not valid on Commercial Heaters or Tankless. Not valid on after hour calls. Not valid with any other offer. Valid through 12/31/22 Maximum discount of $125. Not valid on backflow testing/repairs. Slab leaks, re-piping and remodels excluded. Not valid on after hour calls. Not valid for use on hot water heater installs. Not valid with any other offer. Valid through 12/31/22 ANY SERVICE CALL 15% OFF ANY HOT WATER HEATER *Supplied & Installed by Dixie Plumbing Only. service @dixieplumbinginc.com CALL (561) 746-4504 Serving Palm Beach & Martin County Since 1972 Residential and Commercial 3399 PGA BLVD, Suite 450, Palm Beach Gardens, FL 33410 Before After Now at Hamilton Aesthetics! This cutting edge technology delivers up to 30% Permanent Fat Reduction, Sculpts 25% More Muscle, and Tightens Skin in one 30 min session! CALL NOW for your FREE CONSULT! INTRODUCING EMSCULPT NEO • Wrinkle Relaxers (Dysport/Botox • Dermal Fillers • QWO Cellulite Reduction • Diamond Glow Treatments • Secret RF • IPL/Laser Hair Removal • Sclerotherapy • Viva Skin Resurfacing • Venus Legacy Skin Tightening • Laser Genesis • Platelet Rich Plasma (PRP) • Microneedling • Chemical Peels • CoolSculpting • CoolTone • truSculpt ID • EmSculpt Neo
VOL. 552 D 61Copyrighted© My Living Media. 2022 All Rights reserved. To Advertise call 772-247-6849 Need More Coupons - MyLivingMedia.com Air Conditioning & Refrigeration Experts New AC System (4 Ton or Larger) With this MLM coupon. Coupons cannot be combined. Expires 10/31/22 With this MLM coupon. Coupons cannot be combined. Expires 10/31/22 $500 off Preventative Maintenance Contract 2X Annually $199 A YR PER UNIT Call for aFREE DIAGNOSTICwith a Mechanic • Commercial • Residential • Custom Fabrication 772-334-5776 561-684-9300 Scan Here usairandrefrigeration.com We will x your broken AC! License CAC1816109 • Lawn Grass • Batting Cages • Bocce Courts • HOA Playgrounds • Putting Greens • Pet Grass • Pool Areas • Paver Strips 7715 SW Ellipse Way, Stuart 772.494-2481 We look forward to exceeding your expectations in everything we do! HOLIDAY SPECIAL! See Our Work 15% off Your Synthetic Turf Putting Green
62 VOL. 552 D Copyrighted© My Living Media. 2022 All Rights reserved. To Advertise call 772-247-6849 Need More Coupons - MyLivingMedia.comHURRICANE IMPACT WINDOWS & DOORS PROTECT WHAT’S PRECIOUS TO YOU! • Hurricane Protection • Home Security • Save on Energy Bills • Save on Insurance Costs • Increase Property Value • Noise Reduction Your Expert in Single Family Homes & Condos! “Our service & products are second to none!” The People’s Choice In Hurricane Protection! 561-336-6511 SAME DAY Appointments! AS LOW AS $120 MO. FINANCING Available! 50% Off We Beat ALL Competitors’ Pricing CALL FOR DETAILS INSTALLATION & NO SALES TAX License #CBC060210 & INSURED Serving Palm Beach, Martin, & St. Lucie Counties
2560 RCA Blvd. Suite 101 • PBG • 33410 • www.pbgdentist.com The patient and any other person responsible for payment have the right to refuse to pay, cancel payment, or be reimbursed for any other services, examination, or treatment which is performed as a result of and within 72 hours of responding to the advertisement for the free service, examination, or treatment. Samuel J. Holcroft D.M.D., P.A. SERVICES INCLUDE Samuel J. Holcroft Family & Cosmetic Dentistry Please Mention Code OMS for discounted prices when booking. WHAT SETS US APART • 0% Financing Thru Care Credit. O.A.C. • Most Dental Insurance Plans Accepted • Adults & Children • Nitrous Oxide Gas & Oral Sedation if Desired • Partials & Dentures • Root Canals • Grinding Guards • Extractions • Digital X-Rays • Routine & Deep Cleanings • Tooth-Colored Fillings & Bondings • Crowns & Veneers • Implants & ImplantSupported Bridges A $400 VALUE. FOR NEW PATIENTS ONLY. May not be used with any other coupon. For best results should be used within 3 months of last cleaning. Expires 11/05/22 EMERGENCY PATIENT SPECIAL TOOTHACHE? $50 With this MLM coupon. Please mention this ad when calling for appointment. Cannot be combined with any other offer. Expires 11/05/22 Including X-Ray (D0220) and Exam (D0140) $200 TEETH WHITENINGNEW PATIENT SPECIAL $79 With this MLM coupon. Please mention this ad when calling for appointment. Cannot be combined with any other offer. Expires 11/05/22 Including FMX (DO210), EXAM (D0150) & CLEANING (D1110) Is your dentist open on Friday and Saturday? We are! NOW OPEN FRIDAYS & SATURDAYS! 561-622-5600 MENTION CODE SMILE TO BOOK YOUR APPOINTMENT
64 VOL. 552 D Copyrighted© My Living Media. 2022 All Rights reserved. To Advertise call 772-247-6849 Need More Coupons - MyLivingMedia.com POOL SCREEN ENCLOSURES THE ORIGINAL Locally Owned & Operated Since 1990 • Pool Screen Enclosures • Patio & Lanai Screens • Poly Aluminum Roofs • All Work Guaranteed • All Repairs • FREE Estimates • www.pioneerscreen.com561-771-0287 38 Years of Experience Licensed & Insured To Protect You $100 OFF ANY RE-SCREEN OR REPAIR OVER $1000 WE WILL MEET OR BEAT ANY LICENSED CONTRACTOR’S ESTIMATE WITH THE SAME QUALITY PRODUCTS! GET AFFORDABLE HOME & AUTO INSURANCE Insurance Shouldn’t be Scary Sam is right on Jensen Beach Blvd. and would love to help you. Samantha Leininger Renée Allen Insurance, LLC 947-A NE Jensen Beach Blvd Jensen Beach, FL 34957 NEXT TO HURRICANE GRILL 772-252-6161 sam@reneealleninsurance.com Monday thru Friday • 8:30-5:00PM PERSONAL & COMMERCIAL SOLAR SHADES Manual or Motorized available Seaglass Window Fashions • Stained Wood Plantation Shutters • Zebra Shades • Honeycomb Shades • Woven Wood Shades • Sheer Shades American Made 561-430-4440 Quick Turnaround! PBG, Jupiter, Palm City, Stuart, Port St. Lucie White Poly Vinyl Plantation Shutters

WATERFRONT RENTAL

BOAT SLIP

OVERLOOKING A

BIRD SANCTUARY.

VOL. 552 D 65Copyrighted© My Living Media. 2022 All Rights reserved. To Advertise call 772-247-6849 Need More Coupons - MyLivingMedia.com
w/ 28’
2 Bdrm, 2.5 bth, 2 story
PROTECTED
With your favorite drink, enjoy the exotic birds as they roost for the night. Your very own boat slip directly out your back door and just “boating minutes” to ne dining, the party life or the Atlantic Ocean. Genuine cut coral and conch ooring. Ceiling fans throughout, stainless steel appliances, etc.. EXTRA AMENITIES:Kayak Rack, SeparateStorage Building, FishCleaning Station, CableReady, Guest Parking Serenity Found on the Peaceful Manatee Creek CALL or TEXT: Thomas (772) 208-7914 Pressure Washing & Roof Cleaning • Screen Enclosure Frames • Driveways • Paver Sealing • Eco Friendly • Much More! www.pwpbg.com Workman’s Comp • Licensed & Insured *Our Guarantee - If your house doesn’t look 157% better than before, we will refund you 100% of your money. “We Clean Barrel Tile, Metal, Asphalt Shingle Roofs & Cedar Shake Roofs” GOT MOLD ON YOUR ROOF? CALL OLIVER TWIST TODAY! We Are Commercial Specialists! Call James for Specials! SENIOR DISCOUNTS! BEFORE AFTER OliverTwist 561-771-0310 Serving South Florida Since 1999 $50 OFF COMPLETE HOUSE WASH With this MLM coupon. May not be combined with other offers Expires 11/11/22 Florida’s Largest Monthly Antiques Show SOUTH FLORIDA FAIRGROUNDS 9067 SOUTHERN BLVD. WEST PALM BEACH November 4th, 5th & 6th Free Parking - Great Food & Drinks - Inside & Outside Spaces Air Conditioned - Jewelry Repair - GIA Certi ed Appraisals Puchs2@yahoo.com • www.wpbaf.com Early Buyers Fri. 9 am to 12 pm $25 Ticket good for all 3 days. General Fri. 12 pm to 5 pm • Sat. 9 am to 5 pm Sun. 10 am to 4:30 pm • $8 Daily $ 1 00 OFF With this MLM coupon (One Per Person) 941-697-7475
Copyrighted© My Living Media. 2022 All Rights reserved. To Advertise call 772-247-6849 Need More Coupons - MyLivingMedia.com Visit us at our LOCAL Retail Locations • West Palm Beach • Palm Beach Gardens • Tequesta • Hobe Sound • Port St. Lucie • Fort Pierce • Vero Beach Call Today for more details 561-468-3735 compasshealthinsurance.com info@compasshealthinsurance.com FLORIDIANS HELPING FLORIDIANS SINCE 2007 NEED HELP WITH MEDICARE? • A $0 Medicare Plan Premium and dental too? You don’t need to choose just one • Largest Provider Network in your Area • All Medicare Plans accepted by Cleveland Clinic Facilities & Physicians • Learn about Medicare Supplement Plans • Learn about Medicare Advantage Plans • Understand Medicare A, B, C, & D • Understand your Rights, Bene ts, & Options We provide assistance with your Medicare Advantage & Medicare Supplement Plans. SCHEDULE YOUR ANNUAL MEDICARE REVIEW TODAY! Your Extra Bene ts Dental, Vision, Hearing, & Free Gym Membership
VOL. 552 D 67Copyrighted© My Living Media. 2022 All Rights reserved. To Advertise call 772-247-6849 Need More Coupons - MyLivingMedia.com “From our family to yours, you’ll love getting American-made window treatments in as little as 2 weeks!” Shutters Roller Shades Blinds Smart Home Compatible Motorization MEET TOM & ZETTA Licensed and Insured Martin County-Based Business 772-742-5242 FREE IN-HOME ESTIMATES With MLM coupon. Expires 11/10/22 Visit our website to read our story www.shutterfactory .com or scan the QR code with your smart phone American-Made Plantation Shutters “Third Generation in the Window Treatment Business”
68 VOL. 552 D Copyrighted© My Living Media. 2022 All Rights reserved. To Advertise call 772-247-6849 Need More Coupons - MyLivingMedia.comPUZZLE PAGE SUDOKU PUZZLE PUZZLE PAGE CROSSWORD ACROSS 1 Beach accessory 6 Altar promise 9 Wd. modi er 12 Blazing 13 At once 14 Singer Rawls 15 Lightweight wood 16 Old Pontiac 18 More tightly packed 20 “Star Wars” royal 21 Photo, for short 23 “Fresh Air” airer 24 Party beverage 25 Unforeseen problem 27 Say 29 Elk’s horn 31 Wheel cover 35 Playful sea critter 37 Only 38 Barber’s tools 41 Aug. and Sept. 43 Knock 44 Region 45 Halloween sprite 47 Young shopping center regular 49 Milk dispenser 52 Paris summer 53 Flamenco cheer 54 Cat calls? 55 Shelter 56 Slugger Williams 57 Actress Debra DOWN 1 Bar bill 2 One -- kind 3 Villanova athlete 4 Gaelic 5 “Blue” singer Rimes 6 Loose news-paper ad 7 Gloomy 8 Have 9 Sci- visitor 10 Column style 11 A son of Jacob 17 Book jacket promos 19 Sudden gush 21 Unpaid TV ad 22 Hostel 24 Little, in Lille 26 Worldwide 28 Pulsate 30 UFO crew 32 Deep-fried frank 33 Pie -- mode 34 Zing 36 Acted badly? 38 Caravan beast 39 Emulate Lincoln 40 Donnybrook 42 Batter’s dry spell 45 Big wind 46 Notion 48 Decay 50 Ram’s ma’am 51 Trio after Q Solutions See Page 72
VOL. 552 D 69Copyrighted© My Living Media. 2022 All Rights reserved. To Advertise call 772-247-6849 Need More Coupons - MyLivingMedia.com THE WINDOW & DOOR SPECIALIST 772-288-6205 WWW.KAMRELL.COMKAMRELL When You Want It Hung Well...TRUST FAMILY OWNED & OPERATED SINCE 1999 8200 SW LOST RIVER ROAD STUART, FLORIDA 34997 Financing Options Available On Our Website LICENSED & INSURED CGC061180 THE DOOR SYSTEM YOU CAN BELIEVE IN THE DOOR OF BEAUTY AND INOVATION Make Your Shower & Floors Look New Again! THE GROUTSMITH • Tile & Grout Cleaning • Grout Restoration • Tile & Grout Repair • Loose & Hollow Tile Rebonding • Shower Repairs & Regrouting • Non-Slip Tile Treatment Call today for a FREE Estimate • 772-224-3011 or 1-800-561-3736 • www.GroutsmithStuart.com SEE THE DIFFERENCE WE CAN MAKE IN THE LOOK OF YOUR HOME! Your Grout & Tile Cleaning Experts $30OFF ANY JOB OF $300 OR MORE $50OFF ANY JOB OF $500 OR MORE With this MLM coupon only. Cannot be combined with any other offers or specials. Expires 11/11/22 No More Dirty Grout! Guaranteed for 10 Years! Before Before After After With this MLM coupon only. Cannot be combined with any other offers or specials. Expires 11/11/22
70 VOL. 552 D Copyrighted© My Living Media. 2022 All Rights reserved. To Advertise call 772-247-6849 WE CARE WE SHOW UP WE CALL YOU BACK WE FINISH THE JOB We specialize in: RESIDENTIAL AND COMMERCIAL ROOFING LIC#CCC1326574 • LIC#CRC1326582 Call Now! 772-247-6067 or 561-293-4909 CODEREDROOFERS.COM FREE ESTIMATES • Financing Available
Flouring Inc. WWW.PSFLOORINGUSA.COM (561) 612-4039 5Google stars Reviews ••••• FAMILY OWNED & OPER ATED 2 Rooms •999.oo Up to 260 sq. ft With thisad.Cannotbecombined with any other offers. 3 Rooms •1499.oo Up to 400 sq. ft With thisad.Cann otbecombined with any other offers. Whole House •2799.oo ent er Round llatlon ht Furniture n y apply) extra 8mm0nly VISIT OUR SHOWROOM OR CALL FOR A FREE IN HOME ESTIMATE NOW OPEN IN JUPITER 501 N ALTERNATE AlA JUPITER 33477 LAKEWORI'H 2110 N DIXIE HWY LAKEWORTH 33460 ROYAL PALM BEACH 8060 BELVEDERE RD SUITE 1&2 WEST PALM BEACH 33411 JUPITER 501 N ALTERNATE A1A NOW OPEN IN JENSEN BEACH 1683 NE JENSEN BEACH BLVD JENSEN BEACH 34957 LAKEWORTH 2110 N DIXIE HWY LAKE WORTH 33460 ROYAL PALM BEACH 8060 BELVEDERE RD SUITE 1&2 WEST PALM BEACH 33411
72 VOL. 552 D Copyrighted© My Living Media. 2022 All Rights reserved. To Advertise call 772-247-6849 Need More Coupons - MyLivingMedia.com SPECIAL SENIOR DISCOUNTS! Of $1,000 or more *Call for more info $150off $99off $75off MIN. 500 SQ. FT. MIN. 1500 SQ. FT. • Residential & Commercial • Interior/Exterior • Wallpaper Removal • Drywall Textures • Waterproo ng • Brick Paver Sealing Craig 772-291-5553 www.CraigHanlonPainting.com PAINTING AND PRESSURE CLEANING 1 ROOM PAINTING ANY SERVICE FREE ESTIMATES BRICK PAVER SEALING NO RUST • NON-IMPACT DEFLECTS 80% OF HEAT & GLARE BLOCKS OVER 95% OF RAIN HIGHEST QUALITY PRODUCTS EXCELLENT SERVICE 20 YEARS OF EXPERIENCE REFERRALS AVAILABLE UPON REQUEST 772-252-6833 WWW.ALLSHUTTER.COM ACCORDION SHUTTERS ALUMINUM SUNSHADES IMPACT WINDOWS & DOORS FREE ESTIMATES Licensed & Insured | CC#07-G-14495-X | CC#04-11218-AE-X Prince Gives Us His Stamp of Approval! $600 Off $1000 Off ON ANY JOB $15K OR MOREON ANY JOB $20K OR MORE With this MLM coupon. Not to be combined with other offers or specials. Expires 10/31/22 With this MLM coupon. Not to be combined with other offers or specials. Expires 10/31/22 S U D O K U Solution CROSSWORD SOLUTION SOLUTION TIME: 25 MINS. PUZZLE SOLUTIONS PUZZLE SOLUTIONS
Need More Coupons - MyLivingMedia.com • Plumbing Repairs • Water Heaters • Toilet Installation • Garbage Disposals • Clearing Sewer Lines • Septic Services • Distribution Boxes • New Installations PLUMBING REPAIRS & WATER HEATER INSTALLATIONS - WE GIVE SENIOR CITIZENS & VETERANS DISCOUNTS! Lic. #CFC1429556 Available Nights, Weekends & Holidays ANY JOB Big or Small We Do Them All! $65 OFF $50 OFF $35 OFF Not valid with other offers or prior services. Must present MLM coupon. Limit one coupon per service call. Not valid with other offers or prior services. Must present MLM coupon. Limit one coupon per service call. Not valid with other offers or prior services. Must present MLM coupon. Limit one coupon per service call. $30 OFF Not valid with other offers or prior services. Must present MLM coupon. Limit one coupon per service call. D D D D $100 OFF Not valid with other offers or prior services. Must present MLM coupon. Limit one coupon per service call. $50 OFF Not valid with other offers or prior services. Must present MLM coupon. Limit one coupon per service call. D $250 OFF Not valid with other offers or prior services. Must present MLM coupon. Limit one coupon per service call. FREE Not valid with other offers or prior services. Must present MLM coupon. Limit one coupon per service call. Not valid with other offers or prior services. Must present MLM coupon. Limit one coupon per service call. Celebrating 40 Years of Excellence Your Next Service Call Any New Hot Water Heater or Tankless Heater Any New Toilet Clearing Any Sink, Toilet, or Main Sewer Line Any New Garbage Disposal Any Septic Pumping Any Distribution Box Replaced $37 OFF BACTERIA TREATMENT with Pumping and Backwashing Any New Drain Field Installed D D D D
74 VOL. 552 D Copyrighted© My Living Media. 2022 All Rights reserved. To Advertise call 772-247-6849 Need More Coupons - MyLivingMedia.com ing and refacing services, your original cabinet boxes stay in place –saving you the time, cost, and mess of a complete remodel. We’ll have your kitchen looking brand new in no time! Give us a call to schedule your free, in-home estimate. Before Refacing CALL TOD AY 561. 861.3532 DIEGO HERNANDEZ Locally Owned and Operated Serving Jupiter, FL and the surrounding area. Hassle-Free Kitchen Updates Choose a new color and style for your kitchen with cabinet refacing. kitchentuneup.com1 DAY TUNE-UP • REFACING • REDOORING • CUSTOM CABINETS AND MORE! FREE With this MLM Coupon Only Call Today 561-202-2112 901 Northpoint Pkwy. #303 West Palm Beach FL 33407 FAST • RELIABLE • TRUSTED STORM DAMAGE ASSESSMENT GAF Master Elite Partner
VOL. 552 D 75Copyrighted© My Living Media. 2022 All Rights reserved. To Advertise call 772-247-6849 561-468-7281 www.windowreplacementgroup.com The Group of Professionals You Can Trust SSC# 131152429 CBC# 1264555 CALL NOW FOR A FREE, NO OBLIGATION QUOTE $2,500* SAVE UP TO Restrictions Apply. Call For Details LIMITED TIME OFFER BE PREPARED THIS SEASON! *On Full House Replacement $ 600 Expires 10/31/22 OFF • NO Hidden Fees • INCREASE Your Home’s Value • REDUCE Your Energy Bill • REDUCE Your Home Insurance FINANCING AVAILABLE Whole House of Windows & Doors Some Restrictions Apply, Call for Details. Expires 10/31/22 OR0% $147*PER MONTH *$147/mo. based on Ygrene Financing at 7.99% APR, $20,000 Financed APR UNTIL 2023 Impact Windows & Doors
2 VOL. 552 H/K Copyrighted© My Living Media. 2022 All Rights reserved. To Advertise call 772-247-6849 Need More Coupons - MyLivingMedia.com Ask about our in-house plan! 3889 Military trail, Suite 102, Jupiter FL 33458 www.dbd .com TEETH WHITENING! Whiten in ONE visit! Philips Zoom blue LED light is the most accelerated technology that is clinically proven to whiten up shades in 45 minutes! Always Accepting New 672 SW Prima Vista Blvd, 2nd Floor, Port St. Lucie, FL 34983 (772)946-1430 3387 S. Jog Rd., Ste. 105 Greenacres FL, 33467 561-473-1073

Patients

Care

Walk-Ins

Same-Day Treatment

ALIGNER

traditional braces.

show

will look like after

VOL. 552 H /K 3Copyrighted© My Living Media. 2022 All Rights reserved. To Advertise call 772-247-6849 Need More Coupons - MyLivingMedia.com Emergency
Teeth Whitening Cosmetic Dentistry
Ask about our whitening & power toothbrush bundles CLEAR
THERAPY Clear aligner therapy is a great alternative to
We can
you a simulation of what your smile looks like now and what it
treatment. Schedule your complimentary consultation with us and meet Yogi, our 5D Itero Scanner! FLUORIDE TREATMENT $99 D1208 Floride Treatment D0150 COE D0210 FMX D0330 Panoramic XRAY D1110 Prophy Expires 11/11/22
&
78 VOL. 552 D Copyrighted© My Living Media. 2022 All Rights reserved. To Advertise call 772-247-6849 *Additional charges may apply for heavily soiled areas Serving the Treasure Coast from Vero to Palm Beach 772-919-7163 • 561-250-0088 WWW.CarpetCleanerInFlorida.com 3 ROOMS $68 2 ROOMS $42 5 ROOMS $99 TILE & GROUT CLEANING 39¢ SQ. FT. 100 SQ. FT. MINIMUM FURNITURE CLEANING $60 SOFA OR LOVE SEAT OR 2 CHAIRS AREA RUGS $40 AND UP PREVENTS FIRES DRYER VENT CLEANING FREE DEODORIZER, SANITIZER, & DISINFECTANT $85FROM & SPEEDS DRYING TIME OFFER #MS11-1 CARPET CLEANING Licensed Ask about ...dries in half the time!
MCNS6082 MCGLA03190
Ask about our world-exlclusive patented Magnapuncture® Must present MLM Coupon for discount. Expires 10/31/22 Must present MLM Coupon for discount. Expires 10/31/22 Must present MLM Coupon for discount. Expires 10/31/22 Must present MLM Coupon for discount. Expires 10/31/22 Swedish Massage or Acupuncture Bioelectric DDS Massage Custom Deep Pore Facial Radiofrequency Facelift 221 Greenwich Cir #101 • Jupiter (Between Donald Ross and University Dr.) BEAUTIFUL NEW LOCATION 561-254-7572 561-676-8263 $149 REG.$209 REG.$120 REG.$90 Residential CustomerPRSRT STD ECRWSS US POSTAGE PAID PERMIT #145 STUART, FL 2081 SE Ocean Blvd. • Suite 4 Stuart, Florida 34996 • 772-334-2121 REG.$150 Celluma Light Therapy & Anti-Aging Booster $59 50 min. 60 min. Hydrafacial Deluxe “ LINDA WAS FANTASTIC! I LOOK 10 YEARS YOUNGER!”--STEPHANIE SCAN HERE & VIEW OUR YOUTUBE CHANNEL “ I FELT LIKE I DIDN’T WANT THE (ACUPUNCTURE) SESSION TO END!--CAROLE Add Chem Peel or Microderm $25 $69 $65 $69 SESSION END

Turn static files into dynamic content formats.

Create a flipbook
Issuu converts static files into: digital portfolios, online yearbooks, online catalogs, digital photo albums and more. Sign up and create your flipbook.