D5-Jupiter Island Living-Vol.561

Page 1

See Pages 4 & 5 Organize Your Wardrobe Space Including U.S. 1 Waterfront and Jupiter Hills Club Island Jupiter VOL. 561-D5 Living Index Page 9 MYLIVINGMEDIA.COM For What It’s Worth Page 36 The Summer House Pages 76-77 Puzzle Page Page 62 Hurricane Protection Pages 21 & 22-23
Retaining Walls, Pavers, Waterfalls, Ponds DIX Landscaping & Management Services WhatALife LANDSCAPE DESIGN & INSTALLATION • YARD CLEANUP TREE / PALM TRIMMING SERVICES SOD DELIVERY / INSTALLATION • RESIDENTIAL & COMMERCIAL HARDSCAPING PROFESSIONALS 561-401-7235 dixlandscaping.com Coastal Design & Construction CBC 1261172 Your Synthetic Turf Specialists! No Watering, No Mowing, Low Maintenance 45 YEARS of quality over quantity HAPPY BIRTHDAY FAMILY OWNED & OPERATED UNDER CONSTRUCTION AFTER Feb 11th Mr. Burton Leon Feb 22nd Jamie Lee March 4th Elijah March 4th Yolanda President’s Day Feb 20th Abraham Lincoln Ronald Reagan Donald Trump
HURRICANE IMPACT WINDOW SALE OF THE TREASURE COAST Visit Our Showroom Location - 2820 SE Monroe St., Stuart LIC#CGC009090 EcoViewWindows.com/Treasure-Coast 772-758-8640 $760 FREE INSTALLATION ANY SIZE Call Today For A FREE Estimate HIGHEST QUALITY AT THE LOWEST PRICE GUARANTEED! UNDER 101 UI LEAD TIME 4-6 Weeks ∙ NO PRODUCTS ∙ U FACTOR 0.29 ∙ MISSILE-IMPACT RATING D

Closet Designs to Fit Your Style and Budget

A closet is more than a place to stow your suits and sweaters… it’s the place where you prepare for the day ahead and where you begin to undress and unwind at the end of the night! So it should be a soothing space, one that doesn’t add to your stress.

The spacious walk-in closets from Closets by Design of the Palm Beaches and Treasure Coast allow you to dress and undress in style while your clothing and accessories are neatly displayed within easy reach. There’s no clutter or chaos, just expert craftsmanship and aesthetically-pleasing design; and, it can all be achieved within your budget!

Closets by Design of the Palm Beaches and Treasure Coast is passionate about maximizing home storage without affecting the beauty of your interior. They design, build, and install custom reach-in closets, walk-in closets, and kids’ closets. Additionally, the company offers custom designs along with production and installation of garage

cabinets, home of ces, laundries, pantries, media centers, hobby rooms, wall beds, wall units, and so much more. Ask Closets by Design of the Palm Beaches and Treasure Coast about their garage wall organizers, garage ooring, work benches, custom jewelry drawers, wine racks, book shelves, cedar paneling and hampers, too… they do it all!

The process starts with the experts at Closets by Design of the Palm Beaches and Treasure Coast measuring your space and itemizing your belongings, then showing you ideas and samples to help you nd a style that’s just right for you. From there, your designer will work with you to custom design your space using dozens of material options and hundreds of features from one of their 4 collections.

Once your designs are exactly the way you want them, your units are custom built using the nest materials from the Closets by Design of the Palm Beaches and Treasure Coast factory. The company then professionally installs everything exactly to the speci cations of your designs from the collection you chose.

Copyrighted© My Living Media. 2022 All Rights reserved. To Advertise call 772-247-6849

Need More Coupons -

There are four collections to choose from at Closets by Design of the Palm Beaches and Treasure Coast: the Everyday Collection, Classic Collection, Regency Collection, and Brio Collection.

Everyday Collection™

Fresh and modern, the Everyday Collection™ offers a sleek solution for your closet clutter. This design includes 3/4-inch straight-edge panels, adjustable shelves, and half-overlay at face doors. Best of all, it’s available at a price that’s equally as pleasant as its appearance.

Classic Collection™

Combine simplicity and style with the Classic Collection™. It unites essential organization with stylish design to create the practical closet you’ve been looking for. This collection features our exclusive soft edge treatment and half overlay doors and drawers.

Regency Collection™

The Regency Collection™ incorporates 1 1/8”

thick panels with 3/4” shelving for a sophisticated look you’ll love for years. Add tilt-out hampers, islands, and countertops to create a convenient, stylish space that has everything you need.

Brio Collection™

When you’re in the mood for something modern and bold, the Brio Collection™ answers the call. Sleek corners and clean edges surround the system of at-front doors and drawers. Display your carefully curated wardrobe against a clean nish for a timeless look.

Closets by Design of the Palm Beaches and Treasure Coast has been earning a reputation for integrity since 1982. As the industry leader in customer service and innovative home design, their values are rooted in a deep passion for delivering

home transformations that transform lives. So what are you waiting for?

Schedule a FREE in-home design consultation and estimate from Closets by Design of the Palm Beaches and Treasure Coast!

Closets by Design of the Palm Beaches and Treasure Coast is open Mondays through Fridays from 8AM-5:30PM. For more information, call 772-207-3265 or visit palmbeach. closetsbydesign.com.

Copyrighted© My Living Media. 2022 All Rights reserved. To Advertise call 772-247-6849
MyLivingMedia.com
40% Off Plus Free Installation Terms and Conditions: 40% off any order of $980 or more or 30% off any order of $680-$979 on any complete custom closet, garage cabinets, home office, pantry, laundry, wall bed, wall unit, hobby room or garage flooring system. Not valid with any other offer. Free installation with any complete unit order of $600 or more. Expires in 30 days.
6 VOL. 561 D Copyrighted© My Living Media. 2023 All Rights reserved. To Advertise call 772-247-6849 Need More Coupons - MyLivingMedia.com Call for a free in home design consultation and estimate Imagine your home, totally organized! Custom Closets, Garage Cabinets, Home Offices, Pantries, Laundries, Hobby Rooms and more... 40% Off Plus Free Installation Terms and Conditions: 40% off any order of $980 or more or 30% off any order of $680-$979 on any complete Custom Closet, Garage Cabinets, Home Office, Pantry, Laundry, Wall Bed, Wall Unit, Hobby Room or Garage Flooring system. Not valid with any other offer. Free installation with any complete unit order of $600 or more. Expires in 30 days. Call for a free in home design consultation and estimate (561)203-4745 www.closetsbydesign.com MSJ Follow us 2020 © All Rights Reserved. Closets by Design, Inc. Walk-In-Closets Laundry Rooms Home Offices Garage Cabinets Follow us www.closetsbydesign.com CGC1509325 & MC1900055 (561) 203-4745 MSJ

"A high-octane comedy that explores the rabbit hole of distraction we all go down every time we go online."

"A high-octane comedy that explores the rabbit hole of distraction we all go down every time we go online."

"This short play weaves five of Aesop's most famous fables into a show that's fun, fast-paced, and full of surprises.."

"This short play weaves five of Aesop's most famous fables into a show that's fun, fast-paced, and full of surprises.."

March 3 at 7pm

March 4 at 2pm & 7pm Sunday, March 5 at 2pm

VOL. 561 D 7 Copyrighted© My Living Media. 2023 All Rights reserved. To Advertise call 772-247-6849 Need More Coupons - MyLivingMedia.com Friday,
3
7pm Saturday,
4 at
Sunday,
5
performingartsacademyofjupiter.com 6743 W. Indiantown Rd, Suite 34, Jupiter 561-575-4422 Experience the magic of live theatre! get tickets
March
at
March
2pm & 7pm
March
at 2pm
SCAN ME
performingartsacademyofjupiter.com 6743 W. Indiantown Rd, Suite 34, Jupiter 561-575-4422 Experience the magic of live theatre! get tickets
Friday,
Saturday,
SCAN ME
ZONE
ANIMAL AND PETS Health E Pets 72 AUTOMOTIVE Ace of Carts 61 All Approved Autoworks 79 Goodyear Indiantown Tire and Service 16 JLD Auto 69 Mini Max EV .............................................. 14 Prime Golf Cars 12 BEAUTY BeautyFi MedSpa ...................................... 32 Great Clips PBG 40 Hamilton Aesthetics 55 Jupiter Nails 16 Me Time Salon .......................................... 39 Absolute Wellness Spa 29 CLEANING AND SERVICES Fish Window Cleaning-Palm City ............... 70 Honor Carpet Cleaning 78 Jeae Cleaning Services LLC 64 Oliver Twist Pressure Washing...................56 Paul Stetson Pressure Cleaning................. 50 Royal Maid Service 43 Santa Professional Cleaning 58 Stanley Steemer 11 The Groutsmith Grout Cleaning 47 Titan Pressure Washing.............................72 Wonder Sisters Cleaning Service 35 DINING AND ENTERTAINMENT Baldino’s Restaurant 24 China Jade 28 Jupiter Farms Pizza 28 Lindburgers 26 Lola’s Seafood 27 Mrs. Peter’s Smokehouse..........................24 Performing Arts Academy of Jupiter 7 Pierogi Bros 29 Seminole Inn 24 Taco Shack 30 Thai West 29 The Connection for Subs and Sandwiches 25 The Grove 26 Vinny’s Pizza 25 Vulcano’s Italian Restraunt & Pizzeria 27 West Palm Beach Antiques Festival 47 FUNERAL HOMES AND CREMATION St Forts Funeral Home 43 Be Fit Body Boutique 61 HOME IMPROVEMENT A Master Closet 71 Advanced Re nishing 69 Alliance Group Roo ng 50 Alternate Power Solutions 75 Brilliant Roo ng 56 Brother’s Gutters Treasure Coast 74 Budget Fence............................................37 Camco Custom Pools 37 Closets By Design 6 Code Red Roofers 65 Como Oil & Propane 42 Complete Synthetic Turf ............................ 43 Craig Hanlon Painting................................35 Darrel’s Plumbing 74 Dix Landscape & Management Services 2 Du-All Plumbing ........................................ 45 East Coast Electric Screening 51 Eco View Windows 3 Exceptional Painting 16 Fencing South Florida ............................... 48 First Impression Doors and More...............13 First Impression Doors and More...............76 FoxHaven Roo ng 66 Gutters By TK ............................................ 63 High Tech Sandblasting 70 IMA Landscaping 79 JL Closets, Inc. 15 Jupiter Sod and Landscaping .................... 68 Kamrell Windows and Doors 66 Kitchen Tune Up 63 Marzo Roo ng Inc 41 Mavit Stone Services 14 Max Guard Hurricane Windows 22 Max Guard Patio Enclosures 21 North County Plumbing 35 OX Floor Coating 19 Painting Unlimited 52 Palm City Sod 72 Panda Contractors 54 Pioneer Screen LLC 79 Plantation Shutters Florida 59 Plumb Rite Plumbing 55 Precision Door Service 60 PS Flooring Inc. 67 Quality Air of America................................17 Ramos Tree Service 47 RJG Professional Contracting Services, Inc 64 Screen Builders 42 Seaglass Window......................................41 Stott Brothers Electric 37 Stuart Roo ng 70 Superior Tile and Remodeling 58 The Closet Clinic 52 Tile & Decor USA 61 Total Image 56 Tree Works 41 Triple M Brick Pavers 40 Tropical Pools 10 Wagner’s Refrigeration..............................41 We Rack Designs 68 Windowz and More 73 Yard Lites 57 Younique Custom Theater 41 Renee Allen Insurance 52 Boss Public Adjusting 49 Florida Health Group-Compass Health 18 JEWELRY M & J Jewelers 12 Oteri’s Wholesale Jewelry 10 MARINE D and J Boat Sales 54 Sovereign Yachts 36 MEDICAL AND HEALTH Abacoa Podiatry 60 Alpaca Audiology ...................................... 34 Angelo G Forte 20 Appearance Implant and Family Dentistry 38 Arroyo Health Labs 32 Absolute Wellness Spa 29 Dentistry By Design 51 Dr. Samuel Holcroft 33 Goals Weight Loss 34 Huszar Neurology 74 MMJ Health 44 New Beginnings Medical 57 Premier Dentistry 46 PROFESSIONAL SERVICES ADT Advanced Home Security 54 ASAP Dryer Vent Cleaning 11 Awesome Self Storage 12 Business Technology Solutions 64 Demented Graphics 48 Dr yer Vent Cleaner, The 59 Frederick Capitelli Music 39 House Sitters of Florida 74 JDog Junk Removal & Hauling 69 Mr. Tint of America 49 REAL ESTATE Realty One Group Engage 20 RETAIL Alfredo Barraza Boutique 39 Jupiter Hardware 49 Kid to Kid 58 The Lamp Connection 63 The Summer House 53 Village Bootery 50 TRANSPORTATION Rick Norwood Travel LLC 58 TC Limo Services 69 Volume 561 February 2023 For advertising rates and information Email: sales@mediaoms.com Call 772-247-6849 © 2023 by My Living Media. All rights reserved. Although some parts of this publication may be reproduced and reprinted, we require that prior permission be obtained in writing. My Living Magazine is a free publication distributed locally and is supported by our advertisers. Please call to find a location near you or if you would like copies placed at your business. We do not necessarily endorse the views expressed in the articles and advertisements, nor are we responsible for the products, and services advertised. We are not responsible for licensing or certifying businesses, nor are we responsible for verification of these requirements. We welcome your ideas, articles and feedback. *Dining pictures shown are for illustration purposes only. Actual products may vary due to product enhancement.
MY LIVING CONTENTS -
D
10 VOL. 561 D Copyrighted© My Living Media. 2023 All Rights reserved. To Advertise call 772-247-6849 Need More Coupons - MyLivingMedia.com Renovate Your Existing Pool Today! Your Pool Heating and Renovation Specialist FREE Estimate! 561-745-1163 HEATING & RENOVATION A COLD POOL IS NO POOL Heat Pumps • Solar • Gas Salt Chlorination Pool & Spa Automation Pool Pumps & Filters Pool Resurfacing Coping • Tile Look No Further for the Experts in Pool Heating • Heat Pumps • Solar • Gas FAMILY OWNED AND OPERATED STATE LICENSES #CP-CO57115 • #CVC 56745 • NAT/LP 26278 FREE SAME-DAY ESTIMATES 5% Off Purchase Price Of Any Salt Chlorinator, Pool/Spa Automation, Pump, or Filter With this MLM Coupon. Expires 3/12/23 HUGE DISCOUNTS! On Factory Direct Heat Pumps tropicalpoolheating.com *See dealer for details Located at: 651 W. Indiantown Rd., Jupiter • 561-746-2345 FREE Cleaning 50% Off Any Watch Battery MLM Coupon expires 3/5/23 MLM Coupon expires 3/5/23 MLM Coupon expires 3/5/23 20% Off Any Repair
VOL. 561 D 11 Copyrighted© My Living Media. 2023 All Rights reserved. To Advertise call 772-247-6849 Need More Coupons - MyLivingMedia.com FAMILY OWNED & OPERATED • SCHEDULE ONLINE TODAY AT: WWW.STANLEYSTEEMER.COM FIRE, WATER, & MOLD DAMAGE RESTORATION SERVICE Immediate Response 24-HOUR EMERGENCY Minimum charges apply. Cannot combined with other offers. Residential and Commercial. Must present this MLM Coupon at time of service. Valid at participating locations only. Certain restrictions may apply. Call for details. Lic. #CMC014066 561-404-5668 WWW.STANLEYSTEEMER.COM STANLEY STEEMER SERVICES ® FREE ESTIMATES FOR ALL COMMERCIAL BUSINESSES WE PRETREAT YOUR FLOORS AND MOVE YOUR FURNITURE AT NO CHARGE WE PRETREAT YOUR FLOORS AND MOVE YOUR FURNITURE AT NO CHARGE $99 $129 Expires 3/15/23 MLM Expires 3/15/23 MLM TILE & GROUT OR WOOD FLOOR CLEANING Only PER ROOM 3 ROOMS CARPET CLEANING Wool carpets extra. Area rugs not included in wall-towall cleaning. *Any Room Up to 300 sq. ft. Home & Of ce Air Puri er Removes Viruses, Bacteria, Mold, & Pollen MARBLE & STONE CLEANING $50 OFF Expires 3/15/23 With MLM Coupon Proud to be Endorsed by Cystic Fibrosis Foundation $160 Expires 3/15/23 MLM HOME Which Air Are You Breathing? AIR DUCT CLEANING Up To 8 Vents BEFORE AFTER OFFICE FREE ESTIMATES CALL TODAY COMMERCIAL & RESIDENTAL DRYER VENT CLEANING WHEN WAS YOUR DRYER VENT LAST CLEANED? • Speeds Up Drying Time • Reduces Fire Risk • Lowers Utility Costs (more ef cient) • Don’t Wait Until It’s Too Late With over 15,000 dryer res happening each year, IT MAKES SENSE! 561.331.LINT (5468) ✔ Dryer Vent Cleaning ✔ Dryer and Washer Installation ✔ Residential Services ✔ Commercial Services www.dryerventcleaningjupiter.com Licensed & Insured Serving Jupiter & the Palm Beaches Neighbors Discount Special *Washer & Dryer Repair Service $30Off Any Dryer Vent Cleaning Service With this MLM coupon. Must present coupon at time of service. Expires 3/5/23
12 VOL. 561 D Copyrighted© My Living Media. 2023 All Rights reserved. To Advertise call 772-247-6849 Need More Coupons - MyLivingMedia.com EXPERT FULL SERVICE JEWELRY REPAIR JEWELRY 20% OFF 50% OFF Any Watch or Jewelry Repair With this MLM coupon. Expires 3/5/23 6489 SE Hwy 441, Okeechobee 863-357-2403 awesomeselfstorage.com Ask about our Move-In Specials! AWESOME STORAGE • A/C and standard units • Outside RV • Boat • Trailer Parking • 24-hour access • Gated • Safe & Secure • Video Surveillance PRIMEGOLFCARS.COM SALES • RENTALS • REPAIRS HUNDREDS OF ELECTRIC LITHIUM & GAS GOLF CARTS AVAILABLE • New & Used Carts • Lithium Battery • Rims, Tires, & Lift Kits • 2, 4, 6, & 8 Passenger Seat Carts • American EV Golf Carts • Bintelli Golf Carts • E-Z-GO Golf Carts • Evolution Golf Carts • Elite EV Golf Carts • Club Car Golf Carts • Kodiak Golf Carts • Yamaha Golf Carts • Roadster Golf Carts 561-601-5671 7100 N MILITARY TRL., FL• RIVIERA BEACH VISIT OUR OTHER LOCATIONS IN LANTANA, FT. LAUDERDALE & MIAMI SCAN TO SEE OUR INVENTORY FINANCING AVAILABLE Vero Beach 1669 Old Dixie Hwy 32960
Need More Coupons - MyLivingMedia.com FINANCING AVAILABLE Impact Resistant Fiberglass & Mahogany Entry Doors • Impact Resistant Decorative Glass Inserts Interior Doors • Impact Resistant French & Sliding Glass Doors Call today 561.464.6102 to schedule your FREE SHOWROOM appointment or schedule online Floridadoors.com BOCA RATON | 9858 Clint Moore Rd., Suite C-128 • Boca Raton, FL 33496 Tuesday - Friday • 9am - 5pm Saturday • 9am - 4pm WEST PALM BEACH | 346 Pike Road, Suite 6, West Palm Beach, FL 33411 Monday - Friday • 7am - 4:30pm Saturday • 9am - 2pm JUPITER | 75 E. Indiantown Road, Suite 507, Jupiter, FL 33477 Tuesday - Friday • 9am - 5pm Saturday • 9am - 4pm LICENSE # CBC037800 * Offer not valid on prior sale. Applies to installed exterior & interior doors only. Offer ends Feb. 28, 2023
14 VOL. 561 D Copyrighted© My Living Media. 2023 All Rights reserved. To Advertise call 772-247-6849 Need More Coupons - MyLivingMedia.com KITCHEN & BATHROOM REMODELS facebook.com/mavitstone mavitstone $500 Off *With $5000 or more. Must be presented at time of appointment With this MLM coupon. EXPIRES 3/17/23 WE BEAT ANY WRITTEN OFFER! MAVIT STONE SERVICES LLC 772-209-3888 1622 SW Biltmore St. • PSL MAVITSTONE.COM Financing Available! Cabinets, Countertops, Flooring, & More! 561.567.4097 $ 1000 OFF With this Coupon Golf Car Features 1. No Doors 2. No heating or air conditioning 3. Electric versions are expensive 4. Can’t secure contents 5. No lift bed ATV Features 1. Very Expensive 2. Noisy 3. Motors need constant attention 4. No heating or air conditioning 5. No lift bed Starting at $10,999 MLM Coupon. Expires 2/28/23 MiniMAX Features 1. Costs only $10,999 2. Multiple colors 3. Lift Bed 4. Air Conditioning & Heat 5. Back-up Camera with Sensor 6. Safety; (locked doors) with Alarm System 7. Turn Signals 8. Car Play 9. Sunroof 10. Powered Windows & Doors 11. Fully Electric with/45 Mile Range 12. 22-25 MPH Ask Us About Becoming a Dealer If You Like Golf Carts... YOU Will Love Our SCAN HERE www.minimaxev.com
VOL. 561 D 15 Copyrighted© My Living Media. 2023 All Rights reserved. To Advertise call 772-247-6849 Trust our customers 4.7 Stars on Google Starting At JustInstalled$995 Save Up To$600 Beautifully Custom Designed • Closets, Garage & Pantry • Home & Commercial Offices LIMITED TIME OFFER Minimum Order of $6,000. Coupon must be presented at time of estimate. Cannot be combined with any other offers or discounts. Must be placed before 3/31/2023. OFF Lic. #CGC1525776 We Help Organize Your Space 561-485-1998 3 Easy Steps to the Storage Solution of your Dreams! • CLOSETS • HOME OFFICES • GARAGES • ENTERTAINMENT CENTERS • COMMERCIAL SPACES ALL CUSTOM: FREE Consultation • 3D Design • Installation MYJLCLOSET.COM 160 NW 16th St., Boca Raton BocaMadeInRaton SCHEDULE YOUR FREE CONSULTATION
16 VOL. 561 D Copyrighted© My Living Media. 2023 All Rights reserved. To Advertise call 772-247-6849 Need More Coupons - MyLivingMedia.com Exceptional Quality • Exceptional Service “We Paint Every Home Like It’s Our Own” 561-475-5944 Wellington, FL Exceptional Painting_0110-4918_HI561 www.exceptionalpainting.com Insured and Bonded | Palm Beach Co. U-18412 | Free Estimates • Interior Painting • Exterior Painting • Small Drywall Repairs • Small Concrete Repairs • Wallpaper Removal • Wallpaper Installation • Wood and Fiberglass Staining • Concrete Staining • Epoxy Coatings • Pressure Cleaning • Color Consultants • Touch-Up Specialists • Lacquer Painting • Small General Repairs Prior to Painting Indiantown Tire & Service Center 772-597-3741 AFTER HOURS: 772-323-5168 16087 SW War eld Blvd. • INDIANTOWN ONLY 20 MINUTES FROM JUPITER FARMS! A/C System Check Oil Change Special Tire Special Cooling System Maintenance Service Includes: • Performance system check • Leak-test all components & connections • Check heating & cooling systems • Check drive belts & hoses Reg. $69.95 $3995 Most Vehicles ($5000 Savings) Must present MLM at time of service Cannot be combined with any other specials or discounts. See Store for Details. Expires 3/17/23 Must present MLM at time of service Cannot be combined with any other specials or discounts. See Store for Details. On Most Vehicles. Expires 3/17/23 Must present MLM at time of service. Cannot be combined with any other specials or discounts. See Store for Details. Expires 3/17/23 Must present MLM at time of service Cannot be combined with any other specials or discounts. See Store for Details. Expires 3/17/23 (Most Vehicles) $2495 Up to 5 Qts. $4999 $2495 Up to 2 Gal. + Tax, Disposal & Shop Supplies Includes: • Vehicle inspection ($49 value FREE) • Check and top-off all uids • FREE 4- tire rotation Semi-Synthetic Oil & New Filter Inspection of coolant system, coolant condition, & coolant replacement We Also Repair Agricultural & Commercial Tires Rotation & Balance • Acrylic: Tips-Overlay • Gel Manicure • Waxing • Gels • Pink & White • Manicure • Pedicure • Deluxe Pedicure • Nexgen Nails SERVICES 561.693.3921 In Jupiter Farms • Farms Shopping Center (Publix Plaza) HOURS: MON - FRI 9AM - 7PM • SAT 9AM - 6PM • SUNDAY CLOSED All Equipment Sterilized Non-Yellow Acrylics Two Week Guarantee All Nail Techs Experienced Walk-Ins Welcome Expert Manicure Services Pampering PedicuresSkilled Waxing Services
CALL US FOR A FREE, NO OBLIGATION QUOTE 772-325-1603 Guaranteed Pricing for Customized Solutions Technicians are certified by the EPA Licensed, insured, and direct employees 100% Happiness Guarantee Mention Code “FBL23” FREE DUCT SANITAZATION with Air Duct Cleaning! 21-point HVAC inspection Complete AC report card - emailed after service Deep drain line flush Lubricate motors, clean unit housing Ductwork camera inspection A Homeowner’s Essential to Prevent Breakdowns During the Hottest Months! Avoid thousands in repair costs! ONLY $99 • • • Free Air Duct Sanitization is valid when purchased with Air Duct Cleaning and expires on 3/17/23. local@ lterbuy.com (c) 2023 Filterbuy, INC. All rights reserved Florida’s A/C & Duct Cleaning Experts 24 HOUR EMERGENCY HVAC SERVICE FREE SERVICE CALL WITH ANY REPAIR WHITE GLOVE A/C INSTALLATION Virtual or in person consultations Site visits by technicians, not salespeople No worry ownership - 5-year and 10-year Extended Labor Warranties Avoid future headaches - FREE UV lights, surge protectors and drain guards with every install FREE A/C ESTIMATES INTEREST-FREE FINANCING! Includes 2 years of our premium maintenance contract: • FREE air filters • FREE annual condenser coil cleaning • FREE annual replacement parts, surge protectors, and drain guards EXPERT HVAC TUNE-UP
Copyrighted© My Living Media. 2023 All Rights reserved. To Advertise call 772-247-6849 Need More Coupons - MyLivingMedia.com Visit us at our LOCAL Retail Locations West Palm Beach Palm Beach Gardens • Tequesta Hobe Sound • Port St. Lucie Fort Pierce • Vero Beach Call Today for Coverage TOMORROW 561-468-3735 compasshealthinsurance.com info@compasshealthinsurance.com FLORIDIANS HELPING FLORIDIANS SINCE 2007 • HEALTH & MEDICARE We can and will enroll you $0 premium plans available • PREPAID CREMATION Chosen by over 70% of Floridians - $35/mo • INCOME PROTECTION Small businesses make up 99% of all businesses in FL. What would happen to your business if you got sick? • DENTAL INSURANCE Everyone needs and uses it for only $1 a day Compass Health Your Plan. Your Choice. We are Here All Year ‘round in 2023! Is Your Family Safe & Sound?
Copyrighted© My Living Media. 2023 All Rights reserved. To Advertise call 772-247-6849 Garages Patios Pool Decks Driveways & Much MORE! SCAN ME GET STARTED TODAY! Offer Valid for Same-Day Service Only FREE IN-HOME ESTIMATE 30% OFF WE TAKE THE BORING OUT OF YOUR FLOORING!TM 10X STRONGER BOND THAN EPOXY YOUR BEAUTIFUL NEW FLOORING IS JUST A CALL AWAY! 772-277-7562 • 561-277-0375 OXFLOORS.COM WITH THIS MLM COUPON. OFFER EXPIRES 3/15/23 PLUS
20 VOL. 561 D Copyrighted© My Living Media. 2023 All Rights reserved. To Advertise call 772-247-6849 Need More Coupons - MyLivingMedia.com …A Beautiful Smile is closer than you think. General, Cosmetic, & Implant Dentistry THE PATIENT AND ANY OTHER PERSON RESPONSIBLE FOR PAYMENT HAS THE RIGHT TO REFUSE TO PAY, CANCEL PAYMENT OR BE REIMBURSED FOR ANY SERVICES, EXAMINATION OR TREATMENT WHICH IS PERFORMED AS A RESULT OF AND WITHIN 72 HOURS OF RESPONSE TO THE ADVERTISEMENT FOR FREE OR DISCOUNTED SERVICES, EXAMINATION OR TREATMENT. 654 W. Indiantown Rd. Suite 105, Jupiter Lic#14440 Angelo Forte, DMD, PA. 561.747.2134 ! NEW PATIENT SPECIAL ZOOM2 WHITENING $89 $125 OFF Prophylaxis Cleaning, Exam, FMX, & Oral Cancer Screening Codes: D0150, D1610, D1674, D1110 Codes: D0003 RESTRICTIONS MAY APPLY. MLM COUPON EXPIRES 3/17/23 MLM COUPON EXPIRES 3/17/23 NOW OFFERING In-House Dental Discount Plan Ask for details alicia@rogengage.com debra@rogengage.com www.debraparker.myrealtyonegroup.com BEAUTIFUL COASTAL LIVING IN BEAU RIVAGE! Debra Parker Broker/Owner 772-260-3090 Alicia Chapman Broker/Owner 772-486-0078 CALL TODAY “YOUR NORTH RIVER SHORES EXPERTS” WIDE CANAL WITH DEEP WATER PROTECTED DOCKAGE & RIVER VIEWS - NEWER SEAWALL, WATER AND ELECTRIC AT DOCK CAN ACCOMMODATE LARGE BOAT. From the minute you walk thru the front door the waterfront views will delight you! Extensively remodeled from floor to ceiling over the last 5 years. You’ll love the features of the high quality kitchen and baths - this home was built for entertaining family and friends. New roof with 35yr warranty - newer A/C’s water softener well pump and water heater. 2808 St. Lucie Lane, Stuart FL “Beau Rivage”. SUNSETS ARE MAGNIFICENT COME SEE FOR OURSELF.
VOL. 561 D 21 Copyrighted© My Living Media. 2023 All Rights reserved. To Advertise call 772-247-6849 Need More Coupons - MyLivingMedia.com *Max Guard is not responsible for delays outside of its reasonable control, including but not limited to HOA and permitting approval or manufacturing delays. MAX GUARD provides impact-rated products, engineering, and installation services by CONVERTING your “existing” screened (or open) patio to an enclosed livable room by installing hurricane-rated windows and doors. (Our converted patio enclosures require that customer’s existing patio has a roof and a oor/slab.) SCAN TO SCHEDULE YOUR APPOINTMENT ENJOY YOUR ENCLOSURE 24/7, 365 DAYS A YEAR YOU CAN’T AFFORD HURRICANE WINDOWS? THINK AGAIN! $169 AS LOW AS PER MONTH New orders only. Minimum purchase required. Offer not valid with any other offer, or previous job. Contractor is neither a broker or lender. Financing is provided by third party lenders unaffiliated with Contractor, under terms and conditions arranged directly between the customer and such lender, all subject to credit requirements and satisfactory completion of all documents. Any finance terms advertised are estimates only. Some restrictions apply. 30% Federal Tax Credit ON ENERGY EFFICIENT WINDOWS & DOORS *Up to $1,000. Call for details. www.myhurricanewindow.com with amazing PACE Financing Available Vinyl Energy Efficient HURRICANE WINDOWS 561-566-7230 • 772-758-7360 CALL NOW & WE’LL MATCH YOUR TAX CREDIT INTEREST-FREE FINANCING for 24 MONTHS! **ZERØØ! Until 2025! Ø Interest Ø Payments Licensed & Insured SCC131151738
www.myhurricanewindow.com 24 MONTHS PER MONTH WHOLE HOUSE OF WINDOWS & DOORS Starting at 0% $169 Current Reviews 4.9 or
Licensed & Insured SCC131151738 561-566-5629 772-932-5629 New orders only. Minimum purchase required. Offer not valid with any other offer, or previous job. Contractor is neither a broker or lender. Financing is provided by third party lenders unaffiliated with Contractor, under terms and conditions arranged directly between the customer and such lender, all subject to credit requirements and satisfactory completion of all documents. Any finance terms advertised are estimates only. Some restrictions apply. Scan to schedule your APPOINTMENT! HURRICANE WINDOWS AND DOORS
Need More Coupons - MyLivingMedia.com • Pizza • Pasta Specialties • Chicken • Fish • Veal Entrees • Incredible Italian Desserts, including Cheesecake & Tiramisu 791 North US Highway 1 • Tequesta 561-743-4224 WORLD’S GREATEST CHEESESTEAKS & PIZZERIA www.baldinositalianrestaurant.com WIDE VARIETY OF WINE & BEER! Carry-out only. Limit 1 per customer per day. Cannot be combined with any other offers. Expires 3/5/23 Dine in or carry-out only. Not valid on deliveries. Limit 1 per customer per day. Cannot be combined with any other offers. Expires 3/5/23 Buy Any Large 3-Topping or Specialty Pizza and receive a FREE 10” Cheese Pizza ANY PURCHASE OF $50 OR MORE 561-743-4224 561-743-4224 $8 WEEKDAY SPECIAL OFF SCAN HERE TO ORDER CARRYOUT OR DELIVERY! VALID MON-THURS ONLY • baldinositalianrestaurant.com baldinositalianrestaurant.com MONDAY-THURSDAY ONLY W E CATER EVENTS OF ALL SIZES ! 772-334-2184 Monday-Saturday 10am-5pm; Closed Sundays $5off Your choice of Dip 14 Different Flavors to choose from! (Jensen Beach Location Only) With MLM coupon. Expires 3/15/23 1500 NE Dixie Hwy, Jensen Beach “WeSmokeEverythingbut theMermaids!” Wednesday - Saturday 11:00-2:00 9:00-2:00 (Reservations Required) 15885 SW War eld Blvd., Indiantown 772-362-3800 FREE LUNCH SPECIALS DAILY FAMOUS SOUTHERN SUNDAY BRUNCH The historic dining experience for all of your events. Windsor Room Foxgrape Cafe Served with Homemade Whip Cream with Purchase of a Lunch Buffet One MLM Coupon Per Table. Expires 3/17/23 Value $4.25. 1 Coupon Per Table PEACH COBBLER
VOL. 561 D 25 Copyrighted© My Living Media. 2023 All Rights reserved. To Advertise call 772-247-6849 Need More Coupons - MyLivingMedia.com FAVORITEJUPITER’SFOR 48 YEARS! The Connection SANDWICHES & SUBS SUBS WE’RE HIRING! HOURS: MON - FRI 7AM - 3PM • SAT 7AM - 4PM SUNDAY 10AM - 3PM 561•746•2344 WE DELIVER! 141 CENTER ST., JUPITER SCAN FOR MENU 20% OFF $15 OFF In Store Only*Cannot be combined Expires 3/5/23 In Store Only*Cannot be combined Expires 3/5/23 ANY SUB, WRAP, SANDWICH, OR PLATTER *WITH PURCHASE OF $45 OR MORE. *excludes lite bites and veggies. In store Only $3.50 In Store Only*Cannot be combined Expires 3/5/23 6” LITE BITES SUB (REG. $3.89-$4.39) In store Only 6671 W. Indiantown Rd. (Winn Dixie Plaza & Central Blvd.) Summer Hours: Closed Monday; Tues-Thurs 11-9; Fri & Sat 11-10 • Sun 12-9 www.myvinnyspizza.com Check Out Our Updated Menu Prices on Our Website 2 REG. SLICES & Soda $625 11am to 3pm +tax Catering Available For All Occasions $ 10.99 TUESDAY SPECIAL Large 16” Cheese Pizza Pick Up & Cash Only Limit 3 Per Family. Toppings Additional. $ 17.99 ANY 2 HUGE 12” HOT SUBS • Chicken Parmesan • Eggplant Parmesan • Meatball Parmesan • Sausage, Pepper, Onion +tax +tax PIZZA PARTY $ 42.99 2 Large Pizzas with 1 Topping Each, 20 Wings (Hot or Mild), 12 Garlic Rolls +tax Pick Up and Delivery You Save up to $14 You Save up to $5 THE FARM PARM. $27.99 2 CHICKEN PARMESAN OR 2 MEATBALL PARMESAN DINNERS Includes Pasta, Salad, and Bread +tax +tax Pick Up and Delivery • Chicken Parmesan • Meatball Parmesan • Eggplant Parmesan Includes Pasta, Salad, & Bread LARGE 16” PIZZA PICK UP ONLY $1 4.95 1 FREE MENU TOPPING $37.99 FAMILY FEAST 1 Large 16” Cheese Pizza and Choose any Two Dinners: You Save up to $10 +tax Try Our New GLUTEN-FREE 12” PIZZA With this MLM Coupon 1 Per Customer. Not to be combined with any other offers. Limited Time Offer. With this MLM Coupon 1 Per Customer. Not to be combined with any other offers. Limited Time Offer. With this MLM Coupon 1 Per Customer. Not to be combined with any other offers. Limited Time Offer. With this MLM Coupon 1 Per Customer. Not to be combined with any other offers. Limited Time Offer. With this MLM Coupon 1 Per Customer. Not to be combined with any other offers. Limited Time Offer. With this MLM Coupon 1 Per Customer. Not to be combined with any other offers. Limited Time Offer. Gluten-Free pizza dough with a touch of honey 1/2 Topping…$1.00 Whole Topping…$1.50 Pick Up Only Pick Up Only Pick Up Only
26 VOL. 561 D Copyrighted© My Living Media. 2023 All Rights reserved. To Advertise call 772-247-6849 Need More Coupons - MyLivingMedia.com Wine & Bubbles Tasting Stations Appetizers & Charcuterie Chair Massage Facial Demos Art Station Live Music More! A Waterfront Sunset Social Experience to benefits the Treasure Coast Charity Wine Fest February 28 • 6-8pm 206 SW Atlanta Ave, Stuart Advance Tickets Required Group Discounts Available TheGroveHobeSound.com Join Rachel & Jen, Owners of Rose & Rebecca's Day Spa & the Grove, Cucina & Wine Women & Wine on the Water limited space available to showcase your woman-owned business
VOL. 561 D 27 Copyrighted© My Living Media. 2023 All Rights reserved. To Advertise call 772-247-6849 Need More Coupons - MyLivingMedia.com $1495 Large 1-Topping Pizza Regular Topping Only. *MLM cannot be combined. Expires 3/5/23 $5 off Any Order of $35 or More. *MLM cannot be combined. Expires 3/5/23 $999 1 Large Cheese Pizza *MLM cannot be combined. Expires 3/5/23 *MLM cannot be combined. Expires 3/5/23 TUESDAY CARRY OUT SPECIAL CASH ONLY 221 South US 1 • Tequesta OPEN Tuesday-Sunday 3-10pm; Closed Monday www.vulcanositalianrestaurant.com 561-747-2880 Italian Restaurant& Pizzeria $1995 VULCANO SPECIAL SCAN HERE TO ORDER Chicken • Eggplant • Veal • Baked Ziti Shrimp • Pasta with Meatballs or Meat Sauce Dine In or Take Out From 3-6 O dining r m is en and we have td r seating. C e J n Us! STUART 300 SW Federal Hwy. Stuart, FL 34994 772-219-3340 PALM BEACH GARDENS 4595 Northlake Blvd. Palm Beach Gardens, FL 33410 561-622-2259 SAINT LUCIE WEST 962 St. Lucie West Blvd. Port St. Lucie, FL 34986 772-871-5533 TEQUESTA 181 N Hwy. 1 Tequesta, FL 33469 561-406-5000 Fish Tacos Ipswich Steamers www.lolasseafood.com OPEN 7 DAYS A WEEK! Lobster Roll
28 VOL. 561 D Copyrighted© My Living Media. 2023 All Rights reserved. To Advertise call 772-247-6849 When you purchase the Lunch Special get a small fountain FOR $1 561-746-2900 OUR MENU Like us on Facebook Jupiter Farms Pizza & Subs Inc *All Prices Subject to Change. Specialty Toppings Extra. Thick Crust Extra. Not valid with any other offer. All Specials & Coupons cannot be combined. Expires 3/5/23 Chicken Caesar Wrap fried or grilled on white, wheat, or sun-dried tomato with chips FRIDAY SPECIAL! All Specials & Coupons cannot be combined. Expires 3/5/23 All Specials & Coupons cannot be combined. Expires 3/5/23 *Pick up only Buffalo Chicken on Brioche & Cheddar with fries –––––––––––Deluxe Fried Chicken Sandwich with bacon, ranch, lettuce, tomato, onion, pickle, & banana peppers on Brioche bun with fries BBQ Grilled Chicken & cheese sandwich with lettuce and tomato on Brioche with fries –––––––––––12pc Boneless Wings with fries w/ 1 Reg Topping & 10 Wings SATURDAY SPECIAL! SUNDAY SPECIAL!2 LARGE PIZZAS All Specials & Coupons cannot be combined. Expires 3/5/23 All Specials & Coupons cannot be combined. Expires 3/5/23 Philly Parm with Fries –––––––––––Chicken Philly with mushrooms, onions, green peppers, & fries MONDAY SPECIAL!TUESDAY SPECIAL! 1/2 lb. Cheeseburger on Brioche & Fries –––––––––––Pepperoni Pizza Sub with Fries All Specials & Coupons cannot be combined. Expires 3/5/23 6” Hot Italian Combo with Chips –––––––––––6” Hot Roast Beef with roasted red pepper horseradish sauce & chips THURSDAY SPECIAL! All Specials & Coupons cannot be combined. Expires 3/5/23 Tuna BLT Wrap with Chips –––––––––––6” Tuna Melt with Bacon & Chips WEDNESDAY SPECIAL! $5 $1075 OFF FOR LUNCH SPECIALS Served till 3:00pm Daily Pick Up Only! Established 1991 HOURS: Monday through Thursday 11 a.m. to 9 p.m. • Friday and Saturday 11 a.m. to 10 p.m. • Sunday 12 p.m. to 9 p.m. Please Call at Least 15 Minutes Before Closing for All Orders Healthy & Delicious • We Use Only White Meat Chicken 100% Vegetable Oil • Finest & Freshest Jupiter Farms Shopping Center 10150 W. Indiantown Road • Jupiter (Phone) 561.748.0203 (Fax) 561.748.6152 Open Hours: Mon-Thurs. 10:30am-10:00pm Fri & Sat. 10:30am-10:30pm • Sun. 12noon-10:00pm China Jade With this MLM coupon. Cannot be combined with other offers. Lunch not included. With this MLM coupon. Cannot be combined with other offers. Lunch not included. With this MLM coupon. Cannot be combined with other offers. Lunch not included. $2 off $3 off $5off Minimum $20 Purchase Minimum $30 Purchase Minimum $50 Purchase CASH ONLY CASH ONLY CASH ONLY Best Chinese Food To Take Out
VOL. 561 D 29 Copyrighted© My Living Media. 2023 All Rights reserved. To Advertise call 772-247-6849 Need More Coupons - MyLivingMedia.com THAI WEST LUNCH · DINNER · SMOOTHIES · ICE CREAM · COFFEE · BAKERY Now Open in Jupiter Farms! SCAN FOR MENU 9260 W. INDIANTOWN RD. #B4 • JUPITER (SIERRA SQUARE PLAZA) 561-842-9378 NOW SERVING BOBA TEA AUTHENTIC THAI FOOD $5 OFF *$40 or more CASH ONLY Expires 3/5/23 Authentic Scratch-Made Pierogies from Our Family to Yours! Nationwide shipping, local dine in, takeout & delivery. (561) 720-2498 • 813 Donald Ross Rd, Juno Beach $5 Off Order Here Scan for Menu When you spend $20 or more! With this MLM coupon. Expires 3/5/23 Relax, Recharge, Rejuvenate. Must present MLM Coupon for discount. Expires 3/15/23 Must present MLM Coupon for discount. Expires 3/15/23 Swedish Massage or Acupuncture Deluxe Hydrafacial MD Deep Tissue Massage Includes Celluma Light therapy BioElectric DDS Must present MLM Coupon for discount. Expires 3/15/23 www.absolutewellnessspa.com 221 Greenwich Cir #101 • Jupiter (Between Donald Ross and University Dr.) Call Linda or Greg 561-254-7572 Must present MLM Coupon for discount. Expires 3/15/23 Anti-Aging or Acne Facial OFF OFF $79 $60 $60 By Appointment Only $59 50 min. 60 min. Reg. $120 Reg. $150 Reg. $209 Gift Certificates Available Facials, Massage & Acupuncture MM19098 MA46698 New Location Includes Microderm or Chemical Peel

Wetypically associate tacos with Mexican cuisine, but we don’t have to… at least, not with Taco Shack now in town!

Taco Shack has been a popular spot in Downtown Stuart for 10+ years, with many locals citing it as their all-time favorite place to go for one-of-a-kind, handcrafted tacos and cuisine. Abby and I, in fact, have been to the Stuart thow the new Jupiter location stands up to its predecessor!

For a comprehensive sampling of Taco Shack’s dips, you have to order the three amigos appetizer (sm. $12; lg. $17). A pile of homemade, endless “famous shack chips” comes with generous bowls of salsa, guacamole, and queso. The chips themselves are quite tasty, with a delightfully audible crunch, and once you start experimenting with the dips, not to mention the many hot and pepper sauces available on your table, the chips become absolutely addicting!

The queso was my absolute favorite of the three dips, as it was thick, rich, creamy, and, of course, cheesy. It had a very subtle heat, so it’s a crowdpleasing option, especially amongst kids. For spice lovers, the salsa offered much more of a kick, and one that lingered, at that. This satisfying spark

FULL BAR & GRILL LIVE MUSIC!

rst “wows” your palate, then slowly fades into an ever-so-slight sweetness that leaves you wanting to go back for more. Those looking for lighter, brighter avors will appreciate the freshness of the guacamole. The plentiful chunks of avocado were perfectly ripe, and tasted even better once we squeezed more of the limes on the side over them. This dip is great for a hot day, especially if you’re eating on Taco Shack’s large outdoor patio, as one bite will cool you down instantly.

For the main event, Abby took advantage of the restaurant’s awesome taco deal, which allowed her to choose 2 gourmet tacos and a side ($14). Her gringo beef taco came loaded with tender ground beef, shredded cheddar cheese, fresh pico de gallo, cabbage, and cilantro. It was nished with a “delightful” lime crema, which Abby said “elevates it from being just a standard, boring beef taco. It adds a nice little zing!” In fact, she even squeezed more lime over the taco because she liked the taste so much.

“The Sticky” taco offered a totally different avor pro le, one “reminiscent of American comfort food culture,” commented Abby. Crafted using homemade, lightly-fried chicken tenders, the taco is also stuffed with rich gouda cheese, mild green onions, and candied jalapenos, then nished with a honey jalapeno drizzle and a wedge of lime. “It’s almost like a

1155 Main Street Jupiter 561-508-3789

chicken and waf es dish,” Abby said, “but in taco form!”

For vegetarians, I recommend the chipotle cauli owerstuffed avocado ($8.95), which is fresh and lling. Two halves of a vibrantly green avocado are served over shredded lettuce, then topped with buttermilk-fried cauli ower orets, sweet raisins, tangy queso fresco, a sultry chipotle crema, fresh cilantro, and “smoked special seasonings.” I was especially impressed by the non-greasy, crunchy cauli ower, which brought every ingredient together on the plate. Once you get a full bite with a little bit of everything, you experience a bright, sunny burst of sweet, slightly spicy, and herbaceous avors.

I also ordered some items à la carte for Abby and me to share: two gourmet tacos —the Thai basil shrimp ($7) and Da Philly ($5.75) — and a Mexican street taco with birria ($3.50).

I cannot recommend the Thai basil shrimp taco enough… it’s a tasty fusion of Asian and Mexican avors that is, ultimately, super fun to eat! The perfectly rm shrimp is smothered in Thai peanut and sweet chili sauces, then topped with fresh basil, chopped peanuts, cabbage, cilantro, and lime. This taco offers a really lovely, crunchy texture, as well as a delectable combination of sweet, salty, and nutty avors. If you enjoy shrimp, then this one is de nitely for you!

More of a meat eater? Try Da Philly, which is the favorite taco of Lou Lentine, the owner of Taco Shack. This juicy

with Gabby & Abby

marinated steak taco is lled with bell peppers, onions, American cheese, lettuce, and hot chili peppers for a twist on the Philadelphia classic. Or, if you want something with more straightforward avors, then select the birria Mexican street taco. The double tortillas are satisfyingly crispy, and the über tender shredded beef within brilliantly shines on its own, with a luscious umami avor. This taco looks simple, but it’s anything but… it’s a must order item.

Taco Shack’s new Jupiter location, Abby and I concluded, does the original Stuart restaurant justice. Their lighthearted, fun atmosphere remains intact (and is further enhanced with a full bar!), and their one-of-a-kind tacos and meals offer exciting combinations of cultures and avors. So, the next time you’re craving tacos, think outside the box and go beyond the status quo… visit Taco Shack in Jupiter!

Taco Shack is located in the downtown Abacoa area at 1155 Main Street in Jupiter.

The restaurant is open Sun. - Thurs. 11AM-9PM; Fri. - Sat. 11AM-10PM For more information or to place an order, call 561-508-3789 or visit taco-shack.com

GRILL $20 Purchase or More $5 Off LUNCH Join our Loyalty Program for current and future discount offers. Earn discounts on every dollar spent! With this MLM Coupon. Cannot be combined with other offers. Expires 3/31/23 LUNCH 11am - 3pm $50 Purchase or More $10 Off DINNER Join our Loyalty Program for current and future discount offers. Earn discounts on every dollar spent! With this MLM Coupon. Cannot be combined with other offers. Expires 3/31/23 DINNER 4pm - 10pm
32 VOL. 561 D Copyrighted© My Living Media. 2023 All Rights reserved. To Advertise call 772-247-6849 Need More Coupons - MyLivingMedia.com This high-dosage Vitamin C IV is great for boosting your immune system. Feel better faster from a cold or the flu. 561-972-4302 1535 Cypress Drive | Jupiter Arroyo Health Lab Center *Reg $120 each. Expires 3/5/23 DRIP LIST SPECIALS NUTRIENT INFUSIONSIV Helps keep your mind & body functioning properly & supports a wide range of cellular functions. Great for people always on the go, who feel stressed, fatigued, or travel often. Give your system an extra boost to stay healthy! NATURAL DEFENSE THE EXECUTIVE B-COMPLEX CHEMOTHERAPY TREATMENT • PROFESSIONAL CARING STAFF • PRIVATE SETTING • LATEST TECHNOLOGY & TREATMENTS Medicare & All Insurances Accepted Ask About Our Special FDA Alzheimer’s Program 5 Sessions 25% OFF BEAUTYFI MEDICAL SPA 1132 W. INDIANTOWN RD. #204 • JUPITER 561-245-1588 SCAN HERE TO VISIT OUR WEBSITE TUESDAY · 11AM-3PM SATURDAY · 10AM-3PM HOURS Exp. 3/05/23. Use code MGZ22 Morpheus8 Skin Tightening FREE Buy 2 Get 1 & *$799 a session. Starting at… * $999 a unit $499 $599 $399 LIP FILLER You! Spring Into a Fresher, More Luxurious… Exp. 3/5/23. Use code MGZ22 Exp. 3/5/23. Use code MGZ22 Exp. 3/5/23. Use code MGZ22
2560 RCA Blvd. Suite 101 • PBG • 33410 • www.pbgdentist.com The patient and any other person responsible for payment have the right to refuse to pay, cancel payment, or be reimbursed for any other services, examination, or treatment which is performed as a result of and within 72 hours of responding to the advertisement for the free service, examination, or treatment. Samuel J. Holcroft D.M.D., P.A. SERVICES INCLUDE Samuel J. Holcroft Family & Cosmetic Dentistry Please Mention Code OMS for discounted prices when booking. WHAT SETS US APART • 0% Financing Thru Care Credit. O.A.C. • Most Dental Insurance Plans Accepted • Adults & Children • Nitrous Oxide Gas & Oral Sedation if Desired • Partials & Dentures • Root Canals • Grinding Guards • Extractions • Digital X-Rays • Routine & Deep Cleanings • Tooth-Colored Fillings & Bondings • Crowns & Veneers • Implants & ImplantSupported Bridges A $400 VALUE. FOR NEW PATIENTS ONLY. May not be used with any other coupon. For best results should be used within 3 months of last cleaning. Expires 2/28/23 EMERGENCY PATIENT SPECIAL TOOTHACHE? $50 With this MLM coupon. Please mention this ad when calling for appointment. Cannot be combined with any other offer. Expires 2/28/23 Including X-Ray (D0220) and Exam (D0140) $200 TEETH WHITENING NEW PATIENT SPECIAL $79 With this MLM coupon. Please mention this ad when calling for appointment. Cannot be combined with any other offer. Expires 2/28/23 Including FMX (DO210), EXAM (D0150) & CLEANING (D1110) Is your dentist open on Friday and Saturday? We are! NOW OPEN FRIDAYS & SATURDAYS! 561-622-5600 MENTION CODE SMILE TO BOOK YOUR APPOINTMENT
34 VOL. 561 D Copyrighted© My Living Media. 2023 All Rights reserved. To Advertise call 772-247-6849 Need More Coupons - MyLivingMedia.com Our Jupiter location is centrally located and We welcome you to meet Gabrielle Poplarchick, Jupiter’s One-Stop Shop For Your Hearing Needs! Schedule an appointment for you or a loved one: 2161B S. US Highway 1 BEFORE AFTER LOST 60 POUNDS! Without Surgery LOST 95 POUNDS! Without Surgery BEFORE AFTER GOALS WEIGHT LOSS Lose Weight QUICK! FREE $100 OFF CONSULTATION All Weight Loss Programs Plus Must present this MLM coupon for discount. Expires 3/15/23 BEFORE AFTER LOST 40 POUNDS! Without Surgery 561-283-1011 401 Maplewood Dr., #2, Jupiter (Maplewood Center behind Home Depot) www.GoalsWeightLoss.net • Eat Real Food • No Exercising Required! • Private Counseling • Medically Supervised • NO Hormone Supplements • Individual Plans GUARANTEED RESULTS – PHENTERMINE AVAILABLE –
VOL. 561 D 35 Copyrighted© My Living Media. 2023 All Rights reserved. To Advertise call 772-247-6849 Need More Coupons - MyLivingMedia.com Let Us Take the “CHORE” Out of Your Chores • Move-In & Move-Out Services • • Weekly • Biweekly • Monthly • • One Time & Seasonal • EXPERIENCED • THOROUGH • DEPENDABLE RELIABLE • HONEST • AFFORDABLE Owners on Every Job References Upon Request SATISFACTION GUARANTEED! 772.812.8780 • 772.418.5635 LICENSED/INSURED/BONDED • FREE Estimates • 20% OFF Second Cleaning 20% OFF 40% OFF Third Cleaning Add up the Savings! SAVE A TOTAL OF Not valid with any other offer. Expires 3/17/23 Not valid with any other offer. Expires 3/17/23 AFTER YOUR 3RD CLEANING Not valid with any other offer. Expires 3/17/23 ➡ ➡ NEW CUSTOMER SPECIAL SPECIAL SENIOR DISCOUNTS! Of $1,000 or more *Call for more info $150off $99off $75off MIN. 500 SQ. FT. MIN. 1500 SQ. FT. • Residential & Commercial • Interior/Exterior • Wallpaper Removal • Drywall Textures • Waterproo ng • Brick Paver Sealing Craig 772-291-5553 www.CraigHanlonPainting.com PAINTING AND PRESSURE CLEANING 1 ROOM PAINTING ANY SERVICE FREE ESTIMATES BRICK PAVER SEALING Family Owned & Operated since 1983 24-HOUR SERVICE 4 Generations of Plumbing & Knowledge! TOLL FREE 2647 President Barack Obama Hwy., Riviera Beach, FL 33404 561-625-9414 800-323-0263 www.NorthCountyPlumbing.org • Licensed • Bonded CFC026530 Serving All of Palm Beach County for 39 Years Strong & Still Growing! PLUMBING PROBLEMS? We can handle any plumbing repair, from Big to Small! 10% $1099 $ 425 $ 99 OFF ANY SERVICE CALL Maximum ($100 Discount) With this MLM coupon. Cannot be combined with any other offer. Expires 3/17/23 INSTALLED WATER HEATER SPECIAL Electric Only. 50 - 40 - 30 - Tall or Med. No Hidden Costs Regular Price $1199 - Special Price $1099 - SAVE $100 With this MLM coupon. Cannot be combined with any other offer. Expires 3/17/23 TOILET REBUILD SPECIAL Includes Fill Valve & Flapper. Standard Toilets Only Regular Price $148 - Special Price $99 - SAVE $49 With this MLM coupon. Cannot be combined with any other offer. Expires 3/17/23 In Garage on Floor Only. +TAX NEW TOILET Supply & Install White Round or Elongated Toilet With Seat, Standard Height. Reg. Price $499, Special Price $425 SAVE $75. Additional Charges Will Be Applied for Above 1st Floor Installations. With this MLM coupon. Cannot be combined with any other offer. Expires 3/17/23

For What It’s Worth by

It appears that my last two columns regarding the di culty which many patients are facing when attempting to make an appointment with their physician, or attempting to get someone to call them back regarding their medical issues, from doctors who are employed by the large hospital(s) in our communities have struck a nerve. I am used to receiving responses (thank you very much) from some of my articles, but never have I received so many at one time, and they keep coming. I thought this was a big problem for me personally, but apparently, it is an even larger problem than I thought. e emails that I have received are upsetting and at times heartbreaking. Elderly people without a doctor, when their physician of many years suddenly takes a leave of absence or retires, with no one to replace them. People who have to wait months, some nearly a year, to get on their physician’s schedule for treatment, some without the resources to know where to turn, and without guidance from the very institution with which they placed their trust.

In my opinion, and the opinion of others, the system is broken. We all deserve better than this. When people are sick, when people are hurting, when people expect to be treated, and are turned down, they feel abandoned, lost, bewildered, and angry. What’s worse, many of you have asked me to help. I wish I could, but like you, I don’t know where to turn. Still, since I have some public

voice, and a conscience that realizes we all have to do our part to help, I reached out to the hospital to see if they employed a patient advocate who could eld all the calls/complaints and frustrations, and guess what? I found a department that allegedly can help. It is known as the Patient Experience O ce, and the phone number is 772-223-4995. A er two phone calls and several hours later, my call was returned by a very nice woman who was willing to give me the opportunity to voice my concerns. She said she understood the frustration of having to wait for appointments for months, or having a doctor who no longer works there, nor replaced, leaving patients without a physician. She told me her o ce is open to any and all concerns, and she does what she can to allay those concerns, and will contact individual physician o ces to attempt to get earlier appointments.

When I asked her why there is such a long wait to get appointments, even for long-standing patients with doctors of record, she said that with the growth of the community and the large in ux in the population coming to Florida, there are simply not enough doctors to see patients. I nd that answer truthful, but frankly, unacceptable. She also stated that many doctors have le this facility, and have not been replaced, but that they are “working on it.” I don’t doubt what she says is true, but why are doctors’ leaving, and by leaving, I mean leaving our community unattended? Something has to change. is should not be accepted

Melfi, Ph.D.

as the new normal. Sick people need to get well, it’s as simple as that. e question is, how can we do that without appointments or physicians? I am all for nurse practitioners. I am a nurse, rst and foremost, but nurses are not doctors, regardless of how intelligent they are (and they are!).

As well, I reminded the woman I spoke with that at the least, the front line of sta workers elding calls should be held to a higher standard of professionalism, by being kind, considerate and courteous, not rude and dismissive, like some of you have encountered. She agreed. So how much can she help? I don’t know, but personally, I still have to wait until the end of August to see my physician, even though I have been a patient of his for the past ten years.

For What It’s Worth, l appreciated her empathy on behalf of all of us, but it didn’t get me into my doctor any sooner. Maybe a few letters to the administration would be the incentive for change. en again, maybe not.

Comments or Suggestions

DrMelfi@mediaoms.com

36 VOL. 561 D Copyrighted© My Living Media. 2023 All Rights reserved. To Advertise call 772-247-6849 Need More Coupons - MyLivingMedia.com Yacht Sales Professional Monday-Saturday 9-6; Sun. 9-5 • Regulator • Contender • Monterey • Sail sh Center Consoles / Yachts Connor Dunnam BUY - SELL - LIST - TRADE Habla Español 561-944-8604 • Rio Yachts • Majesty Yachts • And Many More Leading Brands 250 SW Monterey Rd. • Stuart, FL 34994
VOL. 561 D 37 Copyrighted© My Living Media. 2023 All Rights reserved. To Advertise call 772-247-6849 Need More Coupons - MyLivingMedia.com 50 OFF ANY JOB OVER $500 Cannot be combined with other discounts or offers. With this MLM coupon. Expires 3/17/23 Need An Electrician? FREE ESTIMATES • New ���������� • Ren��������i��n�� • Rem��������in�� • Rep�������� • Res��������ci���� Your Backyard Oasis Awaits… New Pool Construction 561-782-4644 Camco Pools New Construction & Renovations $1500 off With this MLM coupon. Expires 3/3/23 LIC #U-22038 LIC #MCFE6928 We’ll Beat Reasonable Estimates From Comparable Licensed Companies & Product Offerings Some Restrictions Apply AUTOMATIC GATE OPENER SPECIALIST 561-899-4574 www.budgetfenceandgate.com Since 1950 RESIDENTIAL COMMERCIAL Se Habla Español ASK ABOUT OUR Promotion for Eligible Projects. or Interest, Payments for Months Options! Down, Low Monthly Payments 0 0 0 24

“Hi, I’m Mark Lindsay, and that was me on the Ed Sullivan Show. I sang every hit song for Paul Revere & the Raiders, including ‘Kicks,’ ‘Indian Reservation,’ and my solo ‘Arizona.’ My trademark was a ponytail and a teen idol smile. The ponytail’s been gone for awhile, but as a singer my smile is still super important. I recently visited Appearance Dental for an implant and crown procedure. The staff was courteous and made me feel comfortable from the moment I walked in the door. I was really impressed with their dental office and the dentist did an outstanding job. Appearance Dental transformed my smile, and I trust them to keep my smile looking revolutionarily good.” — Mark Lindsay

Read all of our testimonials at AppearanceImplants.com

WE WILL MEET OR BEAT ANY WRITTEN ESTIMATE ON IMPLANTS, ROOT CANALS, & CROWNS!

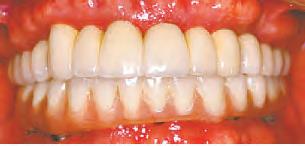
38 VOL. 561 D Copyrighted© My Living Media. 2023 All Rights reserved. To Advertise call 772-247-6849 Need More Coupons - MyLivingMedia.com OPEN FOR EMERGENCIES | AFFORDABLE DENTAL EXCELLENCE IS NOW HERE! WE ARE PRIVATELY OWNED, NOT A CHAIN OR CORPORATE ENTITY. WE SPECIALIZE IN FULL MOUTH RECONSTRUCTION Additional services we offer include CLEAR TOOTH ALIGNERS, SINGLE IMPLANTS, DENTURES & MORE!!! FREE IMPLANT CONSULTATION (Exam & Digital X-Ray or 3D Cone Beam) (D0150, D9310, D0330 & D0383) SureSmile® OR CLEAR TEETH ALIGNERS OUR EXPERIENCED DENTISTS HAVE PLACED THOUSANDS OF IMPLANTS You Des ve a Beautiful Smile! SALVATORE MELITA, DDS ALANA SHIELDS, BSN, RN, DMD JOSEPH GAETA JR., DDS Better On 8™ Cleaning Porcelain Fused to Metal Crown Zirconium All Porcelain Crown $79 $699 $899 Includes Free Exam & X-Rays New Patients Only LIMITED OFFER (D1110, D0150, D4355,D0330) (D2751) (D2740) FULL ROUND HOUSE BRIDGE A Better Alternative to All-On-4 Benefits • Very little, if any speech changes • Does not cover any part of the palate • Can be cleaned just like bridges on teeth • Require no special abutments (All-on-4 protocol requires angle correct on abutments which are not bone or gum tissue friendly) • Usually do not need pink porcelain at the gumline (because aggressive bone removal is not necessary) D6010, D6056, D6240, D6060 BETTERON8.COM D6010, D6056, D5863, D5865, D5862 PER ARCH WITH LOCATORS PER ARCH D6010, D6056, D6065, D6060 50% SAVINGS WE USE MEGAGEN IMPLANT SYSTEMS Implant, Abutment, and Zirconium Crown Implant, Abutment, and Crown Only$1,899 Only$2,099 D7140 DENTURES ECONOMY $359 INTERMEDIATE $999 DELUXE $2,000 D5810/D5811 D5130/D5140 D5110/D5120 With Simple Extractions Starting at $99 We will beat any like-priced quote $9,999 Implant and Abutments Placed Crown and Bridge Porcelain Fused to Metal Implant Abutments Placed $14,500 FULL MOUTH RECONSTRUCTION ROUND HOUSE BRIDGE 8/6 IMPLANTS & 12 UNITS OF CROWNS starting at starting at TR-1968533.INDD SALESPERSON:MelissaKelley ISOUR37YEARTRADITION DentistOwned,Not “Hi,I’mMarkLindsay,andthat smeontheEdSulli nSho Isang eryhitsong fo Paul Reve &the Raiders, including ‘Kicks,’ ‘Indian Reservation,’and my solo ‘Arizona.’Mytrademark saponytailandateenidolsmile.Theponytail’sbeen go fo awhile,butasasinger my smileisstillsuperimportant.I cently visited TraditionDental foranimplantandcrownprocedure. Thestaff scourteousandmademe feelcomfortablefromthe momentI lkedinthedoor.I allyimpressedwiththeir dentalofficeandthedentistdidanoutstandingjob. Tradition Dentaltransformed my smile,andItrustthemto keep my smile looking lutionarily good.” —MarkLindsay TRADITIONDENTALGROUP 772-207-1213 ILABLE,MOSTINSURANCESACCEPTED
WALK-INS WELCOME EVENING APPOINTMENTS AVAILABLE PRICES ARE SUBJECT TO CHANGE WITHOUT NOTICE WITH THE EXCEPTION OF PREVIOUSLY SCHEDULED TREATMENT PLANS. THE PATIENT AND ANY OTHER PERSON RESPONSIBLE FOR PAYMENT HAS THE RIGHT TO REFUSE TO PAY, CANCEL PAYMENT OR BE REIMBURSED FOR ANY SERVICE EXAMINATION OR TREATMENT WHICH IS PERFORMED AS A RESULT OF AND WITHIN 72 HOURS OF RESPONDING TO THE ADVERTISEMENT FOR THE FREE, SERVICE, EXAMINATION OR TREATMENT. LIC #DN10761 561-250-6307 6390 W. Indiantown Rd., #32 • Jupiter, FL 33458 At the West End of the Chasewood Plaza AppearanceImplants.com SCAN HERE OPEN MON.-FRI. EVENING HOURS AVAILABLE
VOL. 561 D 39 Copyrighted© My Living Media. 2023 All Rights reserved. To Advertise call 772-247-6849 Need More Coupons - MyLivingMedia.com NOW OPEN • NEW LOCATION with any service NEW CUSTOMERS CHILDCARE FREE (1 Root Touch-up Per Month) SIGNATURE FACIAL & BLOWOUT $99 • Cut/Color • Waxing • Microblading • Balayage • Hair Extensions • Nails • Massage • Facials • Botox Fillers 1620 North US Hwy 1 Suite 3 • Jupiter Open 10AM-6PM Daily WALK-INS WELCOME FREE GIFT with any gift card purchase BOOK ONLINE: www.metimesalons.com 561-473-9200 CALL OR TEXT $50 MONTHLY ROOT MEMBERSHIP Bringing Colombian avor & style to Jupiter! 6230 W Indiantown Rd Suite 7 • Jupiter, FL 33458 561.772.5012 | alfredobarrazaboutique.com Prom Ready? Call For Music Lessons! MUSIC LESSONS IN STUDIO OR LIVE VIRTUAL LESSONS! www.frederickcapitelli.com 561-575-0576 658 W Indiantown Rd Ste #210 • JUPITER *with experienced music teacher: Frederick Capitelli VOICE• GUITAR • BASS • MANDOLIN • BANJO VIOLIN • VIOLA • CELLO • UPRIGHT BASS • PIANO ACCORDION • SPINET & CONSOLE ORGAN DRUMS/BELLS INSTRUMENTS & ACCESSORIES PIANO TUNING & REFINISHING• RECORDING STUDIO Get Back Into Your Grove & Find Your Rhythm! Frederick Capitelli
40 VOL. 561 D Copyrighted© My Living Media. 2023 All Rights reserved. To Advertise call 772-247-6849 Need More Coupons - MyLivingMedia.com Family-Owned Since 1997 the Original Paving Contractor InstallationWeSpecializeIn&Repair • A+BBB • 10-Year Warranty • Over 50 Years of Experience in Brick Paving 561-257-5775 PAVERS ARTIFICIAL GRASS 312 Center Street • Jupiter, FL 33458 www.TripleMBricks.com • MMMBRICKPAVERS@AOL.COM • Paver Repairs • Interlocking Brick Pavers • Old Chicago Bricks • Travertine • Driveways • Walkways • Patios • Pool Decks • Pool Remodeling - KID & DOG FRIENDLY - NO WATER - NO FERTILIZER - NO MUD - NO ITCHY GRASS - GREEN YEAR ROUND Refresh your Backyard with Arti cial Grass, an Outdoor Kitchen, and Pavers With this MLM Coupon. May not be combined with other offers. Expires 3/5/23 ANY INSTALLATION $100 OFF FREE ESTIMATES! Licensed and Insured License#U20229 BRICK PAVERS & ARTIFICIAL GRASS GOOD is a haircut you love. GREAT is a sweet price too. $ 999 OFFER EXPIRES: 10/31/22 ANY HAIRCUT Not valid with any other offers. Limit one coupon per customer. No copies. Taxes may apply. Valid at Frenchman’s Crossing, Donald Ross Village & Plaza at Lake Park. Masks may be required. LAKE PARK Plaza at Lake Park 1244 Northlake Blvd • 561-515-5410 PALM BEACH GARDENS Donald Ross Village 4650 Donald Ross Rd (Central Blvd & Donald Ross Rd) 561-624-7372 Frenchman’s Crossing 4073 Hood Rd (Next to Publix) • 561-768-7767 greatclips.com | jobs.greatclips.com | greatclipsfranchise.com 41309-001-Norman-Donald Ross Village-Frenchman's Crossing-Plaza at Lake Park-6.25 x 4.5325.indd 1 5/31/22 12:59 PM OFFER EXPIRES: 3/15/23
VOL. 561 D 41 Copyrighted© My Living Media. 2023 All Rights reserved. To Advertise call 772-247-6849 Need More Coupons - MyLivingMedia.com WAGNER’S • WAGNER’S • WAGNER’S W ’ W ’ • WAGNER’S • WAGNER’S • WAGNER’S WAGNER’S • WAGNER’S • WAGNER’S • WAGNER’S • WAGNER’S • WAGNER’S • WAGNER’S • WAGNER’S W AGNER ’ S • W AGNER ’ S • W AGNER ’ S • W AGNER ’ S W AGNER ’ S W AGNER ’ S • W AGNER ’ S • W AGNER ’ S • W AGNER ’ S W AGNER ’ S ‘Cause you like it cool… WAGNER’S REFRIGERATION & AIR CONDITIONING Your Satisfaction is our Guarantee! 561-743-5759 Lic#CAC057855 Central Air Conditioning • Commercial Refrigeration Ice Machine Specialists Any A/C Install $10000off It’s Hard To Stop A Trane. Wagner's Refrigeration_0074-1118_HI561 Specializing in… • Hazardous Tree & Limb Removal • Palm Tree Trimming • Total Tree Care Licensed & Insured 20% Off All Services MLM coupon expires 3/17/23 772.361.6187 FREE ESTIMATES! RESIDENTIAL & COMMERCIAL • Shingles • Synthetic Shingles • Metal • Tile • Aluminum 1500 N Florida Mango Rd Suite 3 • WEST PALM BEACH (561) 264-6233 $500 Off $1000 Off Any Roof $10,000 or more. Any Roof $20,000 or more. Must present coupon when signing contract 3/31/23 Must present coupon when signing contract 3/31/23 Seaglass Window Fashions • Zebra Shades • Woven Wood Shades • Honeycomb Shades • Sheer Shades • Wood Plantation Shutters American Made 561-932-3712 PBG, Jupiter, Palm City, Stuart, Port St. Lucie Plantation Shutters White Poly Vinyl SOLAR SHADES Manual or Motorized available White & Stained VETERAN & SENIOR DISCOUNTS All Your Handyman Needs 772-281-9730 Veteran Owned • Licensed • Insured Call or Text Finish Trim Work Interior Carpentry Crown Molding Younique Custom Theater Trim & Design LLC facebook.com/theatertrim/ Find us on
42 VOL. 561 D Copyrighted© My Living Media. 2023 All Rights reserved. To Advertise call 772-247-6849 Need More Coupons - MyLivingMedia.com • Screen Enclosure Makeover (rescreening & rusted screw replacement with caps for a new look) • Pool, Patio, and Porch Screen Enclosure • Sun Window Rooms and Accordion Shutters • All Types of Aluminum Fencing & Custom Railing • Electric Roll-Down Screens with Remote Control Inventor of the Hurricane Removable Screen Panel Removable Screen Panels Allow Hurricane Winds to Blow Through Screen Builders www.screenbuildersinc.com Licensed and Insured U#22179 Screen Builders & Fencing 561.693.6825 Florida’s Largest Screen Enclosure & Fence Specialists We install 1,500 ft. of fence per week Celebrating 36 Years in SinceBusiness! 1987 Doing business with GL Homes & Minto Homes We Are on Our 109,796 109,875 Job Installed • PROPANE DELIVERY • STANDBY GENERATORS • TANK SETS • CARDLOCK • CYLINDER FILLS • DOCKSIDE FUELS • MAINTENANCE CONTRACTS • TANK & GENERATOR MONITORING • AND MANY MORE PROGRAMS TO CHOOSE FROM WEST PALM BEACH 1 2 VERO BEACH STUART PROUDLY SERVING THE PALM BEACH & TREASURE COAST SINCE 1967 772.617.8648 CALL TODAY FOR A FREE IN HOME ANALYSIS MAKE COMO OIL & PROPANE YOUR HURRICANE HEADQUARTERS SECURE YOUR ASSETS WITH
VOL. 561 D 43 Copyrighted© My Living Media. 2023 All Rights reserved. To Advertise call 772-247-6849 Need More Coupons - MyLivingMedia.com Licensed, Bonded, & Insured 561-748-5353 With this MLM coupon, 1 coupon per household. Cannot be combined with any other offer. Minimum 1 1/2 hours cleaning. Expires 3/17/23 OFF FIRST CLEAN $10 Call for a FREE Estimate • Residential • Commercial • Move In/Out • Seasonal Cleaning • One-Time Cleaning GIFTAVAILABLECERTIFICATES We clean your home like it’s our own! • Lawn Grass • Batting Cages • Bocce Courts • HOA Playgrounds • Putting Greens • Pet Grass • Pool Areas • Paver Strips With a combined experience of 60+ years, Complete Synthetic Turf is the trusted choice for artificial grass installation on The Treasure Coast! Complete synthetic Turf has the look and feel of natural grass. Always picture perfect! 7715 SW Ellipse Way, Stuart 772.494-2481 We look forward to exceeding your expectations in everything we do! FREE CONSULTATION FREE DESIGN FREE ESTIMATE With this MLM coupon. Expires 3/17/23 100% Satisfaction Guaranteed! Like Us On Facebook CREMATIONS Starting at $695 Funerals Unique as YourLife! OF FORT PIERCE Funeral Home and Cremation Local Family Owned & Operated 772-742-4693 1800 Okeechobee Rd • Ft. Pierce stfortsfuneralhomefortpierce.com
44 VOL. 561 D Copyrighted© My Living Media. 2023 All Rights reserved. To Advertise call 772-247-6849 MMJ Health Make the Appointment Use our patient qualification system to see if you qualify for medical marijuana. See the Marijuana Doctor See one of our qualified physicians at one of our many locations in Florida. Get Your Card You will be able to visit and get delivery from any dispensary in Florida. Let Dr. Morgan, The Highest Rated MMJ Doctor, at MMJ Health find your Alternative to Pharmaceuticals! Anne L. Morgan, M.D. When it comes to finding medical marijuana (MMJ) doctors, you can trust the helpful and professional staff at MMJ Health. Serving patients in Palm Beach, Martin, & St. Lucie Counties. Call MMJ Health to schedule an appointment with a Florida Medical Marijuana Doctor: WINNER OF BEST DISPENSARY, BEST MEDICAL MARIJUANA CARD PROVIDER, BEST CBD STORE, AND FINALIST FOR BEST PLACE TO WORK HOW IT WORKS Treasure Coast 772-212-4032 Palm Beach 561-631-7994
Need More Coupons - MyLivingMedia.com • Plumbing Repairs • Water Heaters • Toilet Installation • Garbage Disposals • Clearing Sewer Lines • Septic Services • Distribution Boxes • New Installations PLUMBING REPAIRS & WATER HEATER INSTALLATIONS - WE GIVE SENIOR CITIZENS & VETERANS DISCOUNTS! Lic. #CFC1429556 Available Nights, Weekends & Holidays ANY JOB Big or Small We Do Them All! $65 OFF $50 OFF $35 OFF Not valid with other offers or prior services. Must present MLM coupon. Limit one coupon per service call. Not valid with other offers or prior services. Must present MLM coupon. Limit one coupon per service call. Not valid with other offers or prior services. Must present MLM coupon. Limit one coupon per service call. $30 OFF Not valid with other offers or prior services. Must present MLM coupon. Limit one coupon per service call. D D D D $100 OFF Not valid with other offers or prior services. Must present MLM coupon. Limit one coupon per service call. $50 OFF Not valid with other offers or prior services. Must present MLM coupon. Limit one coupon per service call. D $250 OFF Not valid with other offers or prior services. Must present MLM coupon. Limit one coupon per service call. FREE Not valid with other offers or prior services. Must present MLM coupon. Limit one coupon per service call. Not valid with other offers or prior services. Must present MLM coupon. Limit one coupon per service call. Celebrating 40 Years of Excellence Your Next Service Call Any New Hot Water Heater or Tankless Heater Any New Toilet Clearing Any Sink, Toilet, or Main Sewer Line Any New Garbage Disposal Any Septic Pumping Any Distribution Box Replaced $37 OFF BACTERIA TREATMENT with Pumping and Backwashing Any New Drain Field Installed D D D D
46 VOL. 561 D Copyrighted© My Living Media. 2023 All Rights reserved. To Advertise call 772-247-6849 Need More Coupons - MyLivingMedia.com 561-903-4811 1001 W. INDIANTOWN ROAD • STE. 106 JUPITER, FL 33458 www.Yourpremierdentist.com WELCOME TO PREMIER DENTISTRY We are available for your dental emergencies! Having a smile you’re proud to share shouldn’t be dif cult or break the bank. We know how important it is to have a smile that lets you feel and look good, which is why our team strives to give you the dental care you deserve. Our dentists are committed to providing high-quality family, cosmetic, and advanced dentistry to each and every patient. PAYMENT PLANS FOR EVERYONE! Premier D entistry SMILE! YOU’RE IN GOOD HANDS TRUSTED & AFFORDABLE DENTAL CARE With this MLM coupon. Expires 3/5/23 New Patients Only $49 EMERGENCY EXAM With X-Rays With this MLM coupon. Limited time offer. New Patients Only WELCOMING HEALTHY MOUTH CLEANING $79 Exam & X-Rays With this MLM coupon. Expires 3/5/23 New Patients Only Complimentary Invisalign Consultation with $500OFF Treatment (full case) Premier D entistry SMILE! YOU’RE IN GOOD HANDS DR. CASEL
VOL. 561 D 47 Copyrighted© My Living Media. 2023 All Rights reserved. To Advertise call 772-247-6849 Need More Coupons - MyLivingMedia.com Florida’s Largest Antiques Show SOUTH FLORIDA FAIRGROUNDS 9067 SOUTHERN BLVD. WEST PALM BEACH Free Parking - Great Food & Drinks - Inside & Outside Spaces Air Conditioned - Jewelry Repair - GIA Certi ed Appraisals Puchs2@yahoo.com • www.wpbaf.com Early Buyers Fri. 9 am to 12 pm $30 Ticket good for all 3 days. General Fri. 12 pm to 5 pm • Sat. 9 am to 5 pm Sun. 10 am to 4:00 pm • $12 Daily $ 1 00 OFF With this MLM coupon (One Per Person) 941-697-7475 Mar. 3rd - 4th - 5th Friday Sat Sunday OVER 600 DEALERS Make Your Shower & Floors Look New Again! • Tile & Grout Cleaning • Grout Restoration • Tile & Grout Repair • Loose & Hollow Tile Rebonding • Shower Repairs & Regrouting • Non-Slip Tile Treatment Call today for a FREE Estimate • 772-224-3011 or 1-800-561-3736 • www.GroutsmithStuart.com SEE THE DIFFERENCE WE CAN MAKE IN THE LOOK OF YOUR HOME! Your Grout & Tile Cleaning Experts $30OFF ANY JOB OF $300 OR MORE $50OFF ANY JOB OF $500 OR MORE With this MLM coupon only. Cannot be combined with any other offers or specials. Expires 3/17/23 No More Dirty Grout! Before Before After After With this MLM coupon only. Cannot be combined with any other offers or specials. Expires 3/17/23 Guaranteed for 10 Years! THE GROUTSMITH 772-224-7347 FREE ESTIMATES 10% OFF With this MLM Coupon at time of estimate. Expires 3/15/23 NOW ACCEPTING ALL CREDIT CARDS Ramos TREE SERVICE ✔ Tree Removal ✔ Tree Trimming ✔ Tree Topping ✔ Hedge Trimming and More! YOUR LOCAL TREE TRIMMING EXPERTS! INSURED LICENSED Best Rates In Town! QUALITY SERVICE YOU CAN TRUST
Need More Coupons - MyLivingMedia.com WHOLESALE FENCING INSTALLATIONS & REPAIRS HOME OF THE LOWEST PRICE GUARANTEE Honest, Trustworthy, Hassle-Free Service From A Family-Owned Business FREE GATE WITH PURCHASE OF EVERY 150 FT. OF FENCING. UP TO A $450 VALUE FENCING SOUTH FLORIDA 561-612-2018 With this MLM coupon. Not valid with any other offer or prior purchases. Offer expires 3/17/23 PVC/VINYL FENCING CHAIN LINK FENCING “We guarantee to beat any price you have from any legitimate fence company” Licensed &Insured Broward 11-F-17403-X Palm Beach U-21752 WWW.FENCINGSOUTHFLORIDA.COM OFFICE 561-612-2018 SERVING BROWARD & PALM BEACH FREE REMOVAL OF EXISTING FENCE WITH PURCHASE OF NEW FENCING NO MINIMUM REQUIRED (excludes hurricane damaged fencing) FENCING SOUTH FLORIDA 561-612-2018 With this MLM coupon. Not valid with any other offer or prior purchases. Offer expires 3/17/23 Visit our website to see our episode on Designing Spaces NOW INTRODUCING OUR NEW ART DIVISION Custom Metal Works in Any Shape and Style added to your fence, gates, entry door, and interior or exterior house walls WOOD FENCING ALUMINUM FENCING WE DO IT RIGHT THE FIRST TIME FOR LESS. ·Signs ·Vehicle Wraps ·Boat Wraps ·T-Shirt/Apparel ·Printing ·Biz Cards ·Flyers ·Promotional Items ·Food Product Labeling ·Stickers 151 FERN STREET Unit #2, Jupiter SCAN HERE TO VISIT OUR WEBSITE 561-567-7422 50% OFF Standard Business Cards Restrictions Apply Call For Details. With MLM coupon. May not be combined with any other offer. Exp. 3/5/23 Did You Know We Also Do... • Business Cards / Flyers • Promotional Items • Brochures • Banners • Boat & Car Wraps
VOL. 561 D 49 Copyrighted© My Living Media. 2023 All Rights reserved. To Advertise call 772-247-6849 Need More Coupons - MyLivingMedia.com BossPublicAdjusting.com This is a solicitation for business. If you have had a claim for an insured property loss or damage and you are satis ed with the payment by your insurer, you may disregard advertisement. YOUR DAMAGE MAY BE COVERED BY INSURANCE FREE FREE 10-POINT INSPECTION SPECIAL NO RECOVERY • NO FEE WE WILL GET YOU MONEY FOR REPAIRS GUARANTEED OR YOU DON’T PAY US A PENNY! PLUMBING LEAKS ROOF DAMAGE BROKEN WINDOWS FIRE MOLD FREE Policy claim and review 561-861-2677 BOSS Public Adjusting Commercial & Residential • Residential • Commercial • Marine WINDOW TINTING NO AUTOMOBILES off $30 Any order over $100 Exp. 3/17/23 Over 40 Years of Experience www.mrtintofamerica.com BEFORE AFTER & SUPPLY CORP Serving Jupiter Farms since 1987 Ph: 561-747-6166 Fax: 561-747-6156 9250 West Indiantown Road (In Sierra Square) “KNOWLEDGEABLE, PROMPT, COURTEOUS SERVICE” NEW EXPANDED FASTENER ASSORTMENT Mon.-Fri. 7am-6pm Sat. 8am-5pm Sun. 9am-4pm COMPETITIVE PRICES! With this coupon. Not valid with other offers or prior purchases. Offer Exp. 3/15/23 HOUSE KEY Just For Stopping By (Limit one per customer) FREE $1OFF Jupiter Hardware Sierra Square • 747-6166 THURSDAY PROPANE (Limit one per customer) 20# Tank Only With this coupon. Valid on Thursday’s ONLY. Cannot be combined with any other offers or prior purchases. Offer Exp. 3/15/23 SPECIAL Jupiter Hardware Sierra Square • 747-6166 Jupiter Hardware Sierra Square • 747-6166 Cannot be combined with any other offers. Cannot be used for delivered items. Valid only on regularly marked items. Offer Exp. 3/15/23 PURCHASE OF $25 OR MORE $200 OFF KNIFE SHARPENING Just For Stopping By (Limit one per customer) FREE With this coupon. Not valid with other offers or prior purchases. Offer Exp. 315/23 Jupiter Hardware Sierra Square • 747-6166 JUG OF CHLORINE 10¢ Off MUST PRESENT COUPON MUST PRESENT COUPON MUST PRESENT COUPON MUST PRESENT COUPON PER JUG MUST PRESENT COUPON Jupiter Hardware Sierra Square • 747-6166 With this coupon. Not valid with other offers or prior purchases. Offer Exp. 3/15/23
50 VOL. 561 D Copyrighted© My Living Media. 2023 All Rights reserved. To Advertise call 772-247-6849 Need More Coupons - MyLivingMedia.com VILLAGE BOOTERY SHOE STORES 245 U.S. Highway One • Tequesta 561.746.3536 2641 S.E. Ocean Blvd. • Stuart 772.283.3833 $10 OFF Your next Village Bootery purchase Expires 3/5/23. Discount not available on sales merchandise. Licensed & Insured Commercial & Residential Accredited Business Since 1993 WE HAUL AWAY ALL DEBRIS! www.PaulStetson.com PAUL STETSON 561.373.8764 BEFORE AFTER PRESSURE CLEANING JUPITER FARMS RESIDENT & BUSINESS OWNER FOR OVER 30 YEARS! Pressure Cleaning of Roofs • Walls • Patios • Walkways • Driveways • Screen Enclosures • Gutters TREE & HEDGE TRIMMING, STUMP GRINDING, LAND & LOT CLEARING TREE REMOVAL FREE GUTTER CLEANING W/ ROOF CLEANING With this MLM coupon. Exp. 3/5/23 Cannot be combined with any other offers. Tree Service & Pressure Cleaning
Need More Coupons - MyLivingMedia.com Motorized Roll-Up Screens for Garages, Patios, or Lanais YOUR LOCAL SCREEN & AWNING DEALER. RATED #1 IN SERVICE 561-349-6788 FlaScreens.com Serving Port St Lucie to Boca Raton • Visit Our Showroom at: 2885 Jupiter Park Dr. • Suite 1900A • Jupiter, FL 33458 • Power Screens • Retractable Awnings • Nano Bugmesh • Solar Fabrics • FREE In-House Estimates ENTERTAIN OUTDOORS YEAR ROUND! Let The Fresh AIR IN, Keep the BUGS OUT. Lic.# U-20970 Cosmetic & Family Dentistry NEW YEAR NEW BENEFITS • Emergency Care • Walk Ins Welcome ACCEPTING NEW PATIENTS • Family Dentistry • Cosmetic Dentistry PORT ST. LUCIE Hablamos Español JUPITER Dentistry By Design 3889 Military Trail, Ste.102 Jupiter, FL 33458 www.dbdfl.com Tel: 561-861-2611 GREENACRES Most Dental Insurance Plans Accepted
52 VOL. 561 D Copyrighted© My Living Media. 2023 All Rights reserved. To Advertise call 772-247-6849 Need More Coupons - MyLivingMedia.com BUY FACTORY DIRECT & SAVE 15821 Mercantile Court, Ste. #4 • Jupiter 561.935.9548 www.theclosetclinic.com – Established 1979 –Florida’s Oldest Custom Closet Manufacturer the closet clinic ANY PURCHASE $300 OFF custom closet interiors OVER $3,000 Complete Service Including: • Custom Design • Manufacturing • Top-Quality Installation • Closets • Home Of ces • Wall Units • Murphy Beds • Garage Storage Systems FREE Home Estimates MURPHY BEDS GARAGE STORAGE SYSTEMS CUSTOM DESIGNS HOME OFFICES Interior & Exterior Painting home improvement services · Interior Painting · Exterior Painting · Pressure Cleaning · Popcorn Removal · Knock Down · Wallpaper Removal · Concrete Staining · Epoxy Flooring · Paint-Stains · Latex - Oil $150 OFF ANY JOB OVER $1500 Some restrictions apply. Expires 3/17/23 FREE ESTIMATES! • Kitchen & Bathroom • Door & Moulding Installations • Water Damage Remodel • Outdoor Kitchens • Paver Sealing • Tile & Wood Installations • Handyman Services 42 YEARS SERVICING PALM BEACH COUNTY 5613025519 FAMILY OWNED & OPERATED REENSPAINTINGUNLIMITEDGMAIL.COM Licensed & Insured U-14973 RESIDENTIAL COMMERCIAL INDUSTRIAL GET AFFORDABLE HOME & AUTO INSURANCE Sam is right on Jensen Beach Blvd. and would love to help you. Samantha Leininger Renée Allen Insurance, LLC 947-A NE Jensen Beach Blvd Jensen Beach, FL 34957 NEXT TO HURRICANE GRILL Monday thru Friday • 8:30-5:00pm 772-252-6161 sam@reneealleninsurance.com Personal & Commercial New Year New Insurance!
The Salt, Sand, & Sea Classic & Timeless Furniture, Unique Coastal Lighting, Accessories, & Rugs Located in the YumYum Plaza 815 S. US Hwy. 1 Jupiter FL summerhousefurniture.com Mon.-Sat. 10am-6pm | Sun. 12:30pm-5pm HOME FURNISHINGS INSPIRED BY 561-781-3696
54 VOL. 561 D Copyrighted© My Living Media. 2023 All Rights reserved. To Advertise call 772-247-6849 Need More Coupons - MyLivingMedia.com Local, Licensed & Insured Lic. #CGC006984 pandacontractors.com 772-617-0752 Call Today… RAISE THE ROOF! Roof Replacement/Repair Fascia & So t Repair Roof Inspection Lifetime Warranty EZ FINANCING AVAILABLE 12 Months, Low Monthly Payments 0% OFF $1000 Presidents’ Day Savings! A NEW ROOF CANNOT BE COMBINED WITH ANY OTHER DISCOUNT. LIMITED TIME OFFER FREE Estimates Call Now For NO MONEY DOWN, INTEREST, PAYMENTS TILL 2024 *VALID WITH APPROVED FINANCING 863-301-1658 22ft 2200 CC Seating Package 250 H Suzuki 20ft 2000 CC 150 H Suzuki DandJboatsales.com 21ft 2100 CC 200 H Suzuki Lots of Options ASK ABOUT OUR CONSIGNMENTS FINANCING AVAILABLE! WE HAVE FISHING BOATS FROM 15FT TO 28 FT! OUR PRICES SELL BOATS! We have the BEST prices in South Florida! Let Us Protect Your HOME • FREE Google Nest Cameras • FREE Google Nest Doorbell • FREE Command Touch Screen License EG0000142 $99.00 Customer Installation Charge. 36-Month Monitoring Agreement required at $45.99 per month ($1,655.64). Certain restrictions may apply. Offer valid for new ADT Authorized Dealer customers only and not on purchases from ADT Security Services, Inc. Other rate plans available. Cannot be combined with any other offer. ADVANCED HOME SECURITY 772-265-1ADT $100 GIFT CARD TO FIRST 20 CALLERS! (238)
VOL. 561 D 55 Copyrighted© My Living Media. 2023 All Rights reserved. To Advertise call 772-247-6849 Need More Coupons - MyLivingMedia.com EMERGENCY SERVICE-ANY DAY, ANY HOUR Licensed & Insured CFC1427336 • Sinks • Toilets • Water Heaters • Leak Detection • Showers • Bathtubs $30 OFF ANY SERVICE 561.533.7070 PlumbRitePlumber.net Service Interruption? 24-Hour Plumbing Repair Fast | Reliable | Trusted | Guaranteed Sewer & Drain Cleaning All Clogged Lines Corrected With this MLM coupon. Medical Director Dr. Allyson Deziel, MD FACS Board Certi ed Facial Plastic Surgeon. The patient and any other person responsible for payment has a right to refuse to pay, cancel payment or be reimbursed for payment for any other service, examination or treatment that is performed as a result of and within 72 hours of responding to the advertisement for the free, discounted fee or reduced fee service, examination or treatment. New customer Discount Offer cannot be combined with any other offers, services or discounts. EMPOWER YOURSELF EMFACE® NON-INVASIVE FACELIFT Call NOW for your FREE consultation 30% FAT REDUCTION 25% MORE MUSCLE EMSCULPTNEO® Glenda Grady ARNP-C Dysport or Botox!
56 VOL. 561 D Copyrighted© My Living Media. 2023 All Rights reserved. To Advertise call 772-247-6849 Pressure Washing & Roof Cleaning • Screen Enclosure Frames • Driveways • Paver Sealing • Eco Friendly • Much More! www.pwpbg.com Workman’s Comp • Licensed & Insured Our Guarantee - If your house doesn’t look 157% better than before, we will refund you 100% of your money. “We Clean Barrel Tile, Metal, Asphalt Shingle Roofs & Cedar Shake Roofs” GOT MOLD ON YOUR ROOF? CALL OLIVER TWIST TODAY! We Are Commercial Specialists! Call James for Specials! BEFORE Oliver 561-771-0310 Serving South Florida Since 1999 METAL ROOFS just got MORE AFFORDABLE! • METAL ROOFING • TILE ROOFING • SHINGLE ROOFING Financing Available Satisfaction Guaranteed! Call Today (772) 291-1427 Lic. No. CCC1327906 FREE ESTIMATES $500 OFF Call Today! ANY ROOF REPLACEMENT Must present coupon at time of estimate for discount. Exp. 3/15/23 FREE CONSULTATION 10% OFF 561.855.6595 Let Us Make Your DreamA Reality! LIC# CGC1525942 825 15th Street Lake Park • Custom Cabinets • Closets • Kitchens • Bathrooms • Doors & Windows • Custom Millwork Any Remodeling Job. Must Book Before 2/28/23 Total Ima g e With this MLM coupon
VOL. 561 D 57 Copyrighted© My Living Media. 2023 All Rights reserved. To Advertise call 772-247-6849 Need More Coupons - MyLivingMedia.com Professional Design and Installation High-Quality, Low Voltage Landscape Lighting 772-362-5487 With this MLM coupon. Cannot be combined with other offers. Expires 3/15/23 $55 OFF Transform Your Nights *TeleHCG.com or *NewBeginningsMedical.com Simple 3 Step Process Video Or Phone Dr. Consultation Go Online to* Delivered To Your Residence From A USA Pharmacy FREE Our 3 Most Popular Weight Loss Products HCG Human Chorionic Gonadotropin BELLA FDA Approved Phentermine SEMAGLUTIDE FDA Approved for Weight Loss Quick Weight Loss 30-60 Day Program Loss Up to 1Lb. Day 25-40Lbs. Yes Light Required Daily Injection Included Gradual Weight Loss 30 Day Program Appetite Suppressant Variable Weight Loss No Moderate Required Daily Pill Fee Initial Order Only Long-Term Weight Loss Monthly Program Avg Weight Loss 53Lbs. Over 68 Weeks No Moderate Required Weekly Injection Included Diet Exercise Prescription Dosage Dr. Consultation Need Help Deciding Which Is Best For You? Call now and experience a truly personal approach to Weight Loss CALL US (877) 424-9994
58 VOL. 561 D Copyrighted© My Living Media. 2023 All Rights reserved. To Advertise call 772-247-6849 Need More Coupons - MyLivingMedia.com Mon-Sat 9am-7pm Sun 11am-6pm 3934 Northlake Blvd • PB Gardens 33403 561-739-4773 kidtokid.com CASH for Kids’ Stuff! ALL USED APPAREL TOYS AND SHOES With this MLM Coupon. Expires 2/28/23 New & Used 20% OFF PROFESSIONAL HOME CLEANING Daily • Weekly • BiWeekly Monthly • Custom Call Santa for a FREE Estimate! 561.600.4006 Whole House Cleaning • Window Cleaning Trash Take Out • Move In/Out Cleaning Bathrooms • Mop Floors • Carpet Cleaning Stoves • Refrigerators • Blinds • Fans Kitchens & More! Santa Professional Cleaning_0165-0623_CS561 Call $ 25 NEW CUSTOMERS First-Time Cleaning With this MLM coupon. Must present coupon at time of purchase. Expires 2/28/23 OFF UPERIOR TILE REMODELING, INC & www.superiortileinteriors.com Serving the Treasure Coast & Palm Beaches 4348 SE Federal Hwy., Stuart, FL 34997(Palm Square Plaza) | Bonded & Insured Lic# CTM5781 - PBC#U-21539- PSL-11013 772-678-3948 TILE • MARBLE • GRANITE • STONE • FABRICATION • INSTALLATION • REPAIRS KITCHEN BATHROOM FLOORING REMODELING FREE ESTIMATES WE ARE THE EXPERTS! COMMERCIAL & RESIDENTIAL Visit Our Showroom Monday-Fri:. 9am-5pm; Saturday: 10am-3pm; Sunday By Appointment Only OUR BIGGEST OFFER OF THE YEAR SEMI-ANNUAL SALE TAKESAVEGET 75% $800 $800 O F F PER STATEROOM 2ND GUEST CREDIT PER STATEROOM 772.475.8299 RICKNORWOODTRAVEL.COM Travel #ST37113 Offer Expires 3/1/23 | *Restrictions App. Call for Full Details.
VOL. 561 D 59 Copyrighted© My Living Media. 2023 All Rights reserved. To Advertise call 772-247-6849 Need More Coupons - MyLivingMedia.com NEED SHUTTERS THIS WEEK? Family Owned & Locally-Manufactured Plantation Shutters • ANGLES & RAKES • ARCHES & SUNBURSTS • OTAGON, CIRCLE, HEXAGON • SILL COVERS & CAPS HORIZONTAL ARCH PLANTATION SHUTTERS SUNBURST PLANTATION SHUTTERS www.plantationshutters a.com Treasure Coast Palm Beach 772-600-4253 or 561-420-0418 Visit our manufacturing shop at: 406 Farmers Market Rd Ft Pierce, FL 34982 IN-HOME ESTIMATES FREE $1695 SQ. FT. INSTALLED Starting at Plantation Shutters Florida™ Your Plantation Shutter Specialist Plantation Shutters Florida™ We are the Real Manufacturer Licensed & Insured CALL TODAY AND GET UP TO 10% DISCOUNT Restrictions may apply.
60 VOL. 561 D Copyrighted© My Living Media. 2023 All Rights reserved. To Advertise call 772-247-6849 Need More Coupons - MyLivingMedia.com Live 24/7 Answering PDSMartin.com Locally Owned & Operated Expires 3/5/23. Our proprietary springs will not rust or corrode and last up to 4 times longer! FREE OPENER For NEW Garage Door Regular $65000 CANNOT BE COMBINED WITH OTHER OFFERS. MUST PRESENT AT TIME OF SALE. DOES NOT APPLY TO PREVIOUS SALES. EXP 3/5/23 561-453-2971 561.468.8230 THE PATIENT AND ANY OTHER PERSON RESPONSIBLE FOR PAYMENT HAS A RIGHT TO REFUSE TO PAY, CANCEL PAYMENT, OR BE REIMBURSED FOR PAYMENT FOR ANY OTHER SERVICE, EXAMINATION, OR TREATMENT THAT IS PERFORMED AS A RESULT OF AND WITHIN 72 HOURS OF RESPONDING TO THE ADVERTISEMENT FOR THE FREE, DISCOUNTED FEE, OR REDUCED FEE SERVICE, EXAMINATION, OR TREATMENT. SCAN FOR WEBSITE & SERVICES We accept most major insurance plans & Medicare 4601 Military Trail #202, Jupiter HOURS MONDAY-FRIDAY 8:30AM-5:00PM FOOT, ANKLE, OR VEIN ISSUES? WE CAN HELP! Rel … DR. ORLANDO CEDENO DPM Podiatrist Foot & Ankle Surgeon Located in Jupiter, FL $100 OFF SCLERO VEIN THERAPY With this MLM coupon. Expires 3/5/23 • Foot Ankle Surgery • Bunion Surgery • Cysts & Warts • Fractures & Breaks • Ankle Arthritis • Diabetic Foot Conditions • Minimally Invasive Foot Surgery • Hammer Toe • Ingrown Toe Nails • Varicose Veins Treatment • Neuropathy Solutions • Wound Care • Nerve Decompression in Foot BEFORE AFTER Bunionectomy® & Hammer Digit Minimal Pain…Minimal Incisions…Impressive Results
VOL. 561 D 61 Copyrighted© My Living Media. 2023 All Rights reserved. To Advertise call 772-247-6849 Need More Coupons - MyLivingMedia.com Visit Us Online Natural Stone 218 SW Federal Hwy • Stuart (Just South of the Roosevelt Bridge) 772-678-6500 www.TileandDecorUSA.com Tile Professional Installation Synthetic Turf & Pavers GRAND OPENING! SCAN HERE 1-833-ACE-CART(223-2278) Aceofcarts.com Ace of Carts 4880 SE Federal Hwy., Stuart • 2nd Location 552 US Hwy. 1 North, Tequesta Must be a 2022 Model Year Club Car from dealer stock. Offer Valid through February 28, 2023 or while supplies last. Financing is available with standard rates. Not eligible for 0% Financing promotion; offers do not combine. Promo code:MLM822 Over 200 Brand New Club Cars in stock! $1,000 in FREE Accessories, FREE Delivery Destination, & Setup Charges. REGISTER ONLINE TO GET https://aceofcarts.com/red-tag/ • SALES • SERVICE • PARTS Now Open in Tequesta! AUTHORIZED DEALER CARTS IN STOCK & READY FOR DELIVERY 561-745-5001 • One-on-One Personal Training • Increase Energy • Burn Fat/Tone Problem Areas • Nutrition Counseling THREE PALMS PLAZA 2151 Alt. A1A South #700, Jupiter www.BeFitJupiter.com 4 FREE SESSIONS NEW CLIENT SPECIAL With this MLM coupon. *New clients only. Cannot be combined. Expires 3/5/23 “Formerly Be Fit Body Boutique” BE STRONG. BE CONFIDENT. BE FIT. TIME FOR RESULTS NOT RESOLUTIONS. PUT YOUR SHOES ON & SHOW UP!

4 Dugout seating

5 Plumbing woe

6 Einstein’s birthplace

7 CBS logo

8 Semitic language

9 Region

10 Sediment

11 Seeger or Sampras

16 Winslet of “Titanic”

19 Pen uids

20 “Huh?’

21 Sitarist Shankar

22 Odometer reading

23 On the rocks

25 Cracker spread

26 Natives of Rome

27 Poet Sandburg

28 Young foxes

30 Borscht veggie

33 Gushes with pride

34 Street edge

36 Bakery array

37 Canyon sound 38 Incite

51 Boston team, for short DOWN

1 Day light?

2 “-- Had a Hammer”

3 Relating to Plato’s teacher

62 VOL. 561 D Copyrighted© My Living Media. 2023 All Rights reserved. To Advertise call 772-247-6849 Need More Coupons - MyLivingMedia.comPUZZLE PAGE
PUZZLE PAGE CROSSWORD ACROSS 1 Venus, to Serena 4 Sad 8 Padlocked fastener 12 E.T.’s craft 13 Slithery 14 New York canal 15 Sobriquet 17 Karate level 18 Poolroom prop 19 Livid 20 Fury 22 Coal source 24 Loathe 25 “The -- Papers” (Dickens novel) 29 Bird (Pref.) 30 Hay bundles 31 -- chi 32 Fined for speeding, e.g. 34 Shopper’s aid 35 Geese formations 36 Selects from a group 37 Everglades wader 40 Delhi dress 41 Hip 42 Popular playground game 46 Corridor 47 Adhesive 48 Born abroad? 49 Rhyming tributes 50 Hotel furniture
SUDOKU PUZZLE
39 Actor’s quest 40 Gulf War missile
Solutions See Page 68
42 Old CIA foe 43 -- -de-France 44 Zodiac cat 45 Superman foe Luthor
VOL. 561 D 63 Copyrighted© My Living Media. 2023 All Rights reserved. To Advertise call 772-247-6849 Need More Coupons - MyLivingMedia.com • Expert Lamp Repair & Restoration • Bring In Your Lamp For A Proper Fit! Best Selection of Lampshades in Florida! ANY SHADE IN THE STORE Expiration 3/15/23 $10 OFF $39.00 and Up 772.221.0222 Cedar Pointe Plaza 2461 SE Ocean Blvd. Stuart, FL 34996 Custom-Made Lamps & Shades ... Bring Your Lamp for a Proper Fit! Authorized Dealer For PRESERVE & PROTECT YOUR HOME, FOUNDATION, & LANDSCAPING FROM WATER DAMAGE • Seamless • Modern Box • Half Round • Commercial • Aluminum • Copper Steel • Installation • Repair ing and refacing services, your original cabinet boxes stay in place –saving you the time, cost, and mess of a complete remodel. We’ll have your kitchen looking brand new in no time! Give us a call to schedule your free, in-home estimate. Before Refacing CALL TOD AY 561. 861.3532 DIEGO HERNANDEZ Locally Owned and Operated Serving Jupiter, FL and the surrounding area. Hassle-Free Kitchen Updates Choose a new color and style for your kitchen with cabinet refacing. kitchentuneup.com 1 DAY TUNE-UP • REFACING • REDOORING • CUSTOM CABINETS AND MORE!
64 VOL. 561 D Copyrighted© My Living Media. 2023 All Rights reserved. To Advertise call 772-247-6849 Need More Coupons - MyLivingMedia.com RJG PROFESSIONAL SERVICES RJG PROFESSIONAL CONTRACTING SERVICES, INC. RJG ARCHITECT, PA "We Build Relationships" General Contracting Construction Management Roofing Insurance Repairs Architecture Design Interiors Planning Consulting Services FL License No. AR0009183 CGC150601 CCC1326801 H15736 MRSA4439 MRSR4546 MULTI-FAMILY RESIDENTIAL COMPLIMENTARY CONSULTATION COMMERCIAL, INDUSTRIAL, INSTITUTIONAL 4301 SW HIGH MEADOW AVE. RJGPROFESSIONALSERVICES.COM PALM CITY, FL 34990 772-285-2154 772-210-7048 HELPING YOUR BUSINESS BECOME MORE EFFICIENT WHILE SAVING MONEY! 561-419-9530 CARRIER ASSESSMENT Complimentary (Valued at $350) With this MLM Coupon • CARRIER SERVICES • VoIP SERVICES • VIDEO CONFERENCING • NETWORKING & WIFI Treasure Coast 772-210-3530 Palm Beach PROFESSIONAL CLEANING SERVICE •Residential •Commercial •Post Construction OFF 15% With MLM coupon. Expires 2/28/23 NEW CLIENT SPECIAL AVAILABILITY 561-878-0412 JeaeCleaningService.com FOLLOW US ON JEAE CLEANING SERVICES LLC.
Call us today (772) 247-6067 or 561-293-4909

“100% satis ed with this company. From the initial inspection of our 17 yr old roof , through the estimate, the contract, the permitting, the tear off, the installation, needed repairs on siding & around gutters, Andy kept his word on all promises. They delivered exceptional quality assurance, Matt came on site every day to check on crew/progress/quality & to answer any questions we had. They were very diligent in cleaning up after each step. I was also impressed as to the immediate response time for each of my inquiries. Finally a company who delivers the quality, timeliness, honesty & true diligence as promised. Also very reasonable price. We had four roof estimates and are so glad that we chose Fox Haven Roo ng. Highly recommend, you won’t be disappointed!” Netty Smith

66 VOL. 561 D Copyrighted© My Living Media. 2023 All Rights reserved. To Advertise call 772-247-6849 Need More Coupons - MyLivingMedia.com 772-258-4989 713 NE Dixie Hwy., Unit D | Jensen Beach, FL 34957 foxhavenroof.com | info@foxhavenroof.com 20 YEARS OF EXPERIENCE CALL FOR A FREE CONSULTATION ROOF REPAIR ROOF REPLACEMENT INSURANCE RESTORATION $500 ANY NEW ROOF $10,000 & Up Must present this MLM coupon. Expires 3/31/23 TESTIMONIAL
off THE WINDOW & DOOR SPECIALIST 772-288-6205 WWW.KAMRELL.COM KAMRELL When You Want It Hung Well... TRUST FAMILY OWNED & OPERATED SINCE 1999 8200 SW LOST RIVER ROAD STUART, FLORIDA 34997 Financing Options Available On Our Website LICENSED & INSURED CGC061180 THE DOOR SYSTEM YOU CAN BELIEVE IN THE DOOR OF BEAUTY AND INOVATION
68 VOL. 561 D Copyrighted© My Living Media. 2023 All Rights reserved. To Advertise call 772-247-6849 Need More Coupons - MyLivingMedia.com S U D O K U Solution CROSSWORD SOLUTION SOLUTION TIME: 25 MINS. PUZZLE SOLUTIONS PUZZLE SOLUTIONS Jupiter Sod & Landscaping 561.768.1337 561.747.7856 FREE ESTIMATES FLORATAM • BAHIA • PALMETTO • BERMUDA Sod Removal & Installation 13049 W. Indiantown Rd. • Jupiter LANDSCAPE DESIGN ROCKS & MULCH PRODUCE HARDSCAPING Over 40 Years of Experience 1st Pallet 10% OFF With this OMS coupon. Expires 3/5/23 Veteran Owned • Licensed & Insured • COUNTERTOPS • CABINETS • KITCHENS • BATHROOMS • PANTRIES • CLOSETS • BUILT-INS • REFACING www.werackdesigns.com Full Service Home Improvements & Design 772.256.3304 SAVE $500 With Any Remodel of $5,000 or more. With this MLM coupon only. Expires 3/17/23 FREE Design and 3D Rendering of Your Project WE RACK DESIGNS
VOL. 561 D 69 Copyrighted© My Living Media. 2023 All Rights reserved. To Advertise call 772-247-6849 Need More Coupons - MyLivingMedia.com Veteran and Military Family Owned and Operated Residential Commercial Estate Cleanouts Appliances Labor Services Recycling 844-GET-JDog 561-292-0647 PROFESSIONAL FULL SERVICE JUNK REMOVAL 10% OFF 1 st Time Customers Must present MLM coupon for discount. Exp 3/16/23 SAVE UP TO $ 6 7 ! www.advanced-re nishingllc.com UGLY TUB & TILE? • Bathrooms • Kitchens • Jacuzzis • Showers • Epoxy Floors 772-266-5115 CABINET REFINISHING TUB REFINISHING $100 OFF $20 OFF With this MLM coupon. Cannot be combined with any other offers or specials. Expires 3/15/23 With this MLM coupon. Cannot be combined with any other offers or specials. Expires 3/15/23 BEFORE AFTER Don’t Replace It… REGLAZE IT! AIRPORT TRANSPORTATION CAR SERVICE LOW RATES! / OPEN 24/7 West Palm (PBI) $80 Fort Lauderdale (FLL) $160 Orlando (MCO) $175 Miami Airport (MIA) $175 Cruise Ports Doctor Visits ($25 Per Hour) (INCLUDES TOLLS & LUGGAGE) DISCOUNT ON ROUNDTRIP FARES. FAMILY TRAVELING CALL NOW! (772) 940-9186 TCLIMOSERVICES.COM BOOK ONLINE SAVE 10% CODE: SAVE10 3215 SE GRAN PARK WAY STUART, FL 34997 WHAT'S IN YOUR GARAGE? ® BUY, SELL, OR TRADE 561-202-3580 772-672-3080 BUY, SELL, OR TRADE ® SALES | STORAGE | CONSIGNMENT
70 VOL. 561 D Copyrighted© My Living Media. 2023 All Rights reserved. To Advertise call 772-247-6849 Need More Coupons - MyLivingMedia.com 772-207-8996 • 787-638-5766 Coating Removal EXPERT The Future of Surface Preparation DUSTLESS SANDBLASTING Licensed & Insured High Tech Blasting Services CALL US FOR A FREE QUOTE! 10% OFF WITH THIS MLM COUPON BEFORE 4/30/23 • Replace old methods like sanding, scraping or grinding. • Powerful enough to blast through steel and gentle enough to use on priceless antiques. CAPABILITIES INCLUDE, BUT NOT LIMITED TO: • Weather Build Up • Body Filler/Bondo • Anti-Fouling Paint • Powder Coating • Mineral Deposit • Rust & Corrosion • Paint & Epoxy • Concrete Sealer • Parking Lot Strip • Grease & Grime Applications • Automotive • Graf ti • Marine • Concrete • Wood • Antiques • Heavy Equipment • Fleet Vehicles • Fire Restoration • & More! WE CLEAN ANY SURFACE FAST AND EFFECTIVELY, LEAVING READY FOR COATING AND PAINTING. Brighten Your World! • Window Cleaning • Screen Cleaning • Sill Cleaning • Skylight Cleaning • Awning Cleaning • Chandelier Cleaning • Light Fixture Cleaning • Ceiling Fan Cleaning RESIDENTIAL • COMMERCIAL 772-732-4632 1025 SW Martin Downs Blvd, Suite 106, Palm City $25 Any Job $150 or more With this MLM coupon only. Expires 3/17/23 FREE Estimates OFF 132 NE Dixie Hwy., Stuart, FL 34994 Licensed & Insured State Certi ed License #CCC024411 Serving Martin & Palm Beach Counties for Over 30 Years! “You’ve tried the rest…now call the Best!” Re-Roof & Repair Specialists METAL ROOFS Starting At Starting At $17,500 TILE ROOFS (Minimum 3500 Sq Ft of Roof) $24,500 (Minimum 3500 Sq Ft of Roof) 772-692-9854 Re-roofs • Repairs • New Construction • Cement & Clay Tile Fiberglass Shingles • Wood Shakes • 5-V & Standing Seam Metal Built-up Modi ed Rubber • Residential & Commercial 25- to 50-Year Material Warranty Available 5- to 10-Year Labor Warranty Available Martin County’s Trusted Name Since 1980!
VOL. 561 D 71 Copyrighted© My Living Media. 2023 All Rights reserved. To Advertise call 772-247-6849 Need More Coupons - MyLivingMedia.com MCNS6082 MCGLA03190 Closets – Entertainment Centers – Pantries – Garage Systems – Mudrooms O ce Systems – Mirrors – Shower Enclosures – Glass – Windows Sliding Glass Doors and Much More! Call Today for A Free Estimate & Design! Or Visit Our Showroom Located at: 7917 SW Jack James Dr. Suite 2 Stuart, FL 34997 (772) 781-7357 www.Facebook.com/AMasterCloset/ $300 O Any Organizational System Over $2500 Coupon Must Be Presented At Time of Purchase. Cannot Be Combined With Other O ers.
72 VOL. 561 D Copyrighted© My Living Media. 2023 All Rights reserved. To Advertise call 772-247-6849 Need More Coupons - MyLivingMedia.com Palm City Sod_D-0040-1518_HI561 Now Offering Delivery of Various Types of Mulch by the Pallet Since 1977 Jupiter 3 pallet minimum. Palm Beach 6 pallet minimum With this MLM coupon. Cannot be combined with any other offer. Prices subject to change. FLORATAM $ 225 MUCK BASED 500 sf Rates for Delivery Only. PALLET 450 sf BAHIA $ 125 Rates for Delivery Only. Free Delivery! 772-214-3780 5350 SW Martin Hwy • Palm City FL 34990 SOD INSTALLATION, BAHIA, FLORATAM, SEEDING, & MULCHING WWW.PALMCITYSOD.US Jupiter 3 pallet minimum. Palm Beach 6 pallet minimum With this MLM coupon. Cannot be combined with any other offer. Prices subject to change. YOUR NEXT PRODUCT PURCHASE EXCLUDING FOOD & GROOMING Natural Pet Food • Boutique • Grooming Catering to Your Pet’s Health! 155 Toney Penna Drive, Suite 6, Jupiter, FL 33458 1/2 mile South of Indiantown Road, between Alternate A1A & Military Trail Largest selection of natural, holistic & raw pet food including raw meaty bones, chicken necks & tripe. 561.748. PAWS 7297 info@healthepetsmarket.com WWW.HEALTHEPETSMARKET.COM Must present coupon at time of service. Not valid with any other offer. Expires 3/5/23 Certi ed NutritionPet Specialist Healthy options for cats and dogs include supplements and vitamins, plus all of your pet’s favorite treats. 10%off Toys • Bones • Bedding • Leashes • Collars • Grooming Supplies and more. (Mon.-Sat.) • 8:30am - 7:00pm (Sunday) • 11:00am - 4:00pm Veteran Owned 13+ years Experience Fully Insured PRESSURE WASHING ROOF CLEAN & SEAL! $50 OFF Coupons cannot be combined. 1 o er per visit. Exp 3/15/23 Roof Cleaning $250 OFF Coupons cannot be combined. 1 o er per visit. Exp 3/15/23 Roof Seal UP TO
VOL. 561 D 73 Copyrighted© My Living Media. 2023 All Rights reserved. To Advertise call 772-247-6849 Need More Coupons - MyLivingMedia.comHURRICANE IMPACT WINDOWS & DOORS PROTECT WHAT’S PRECIOUS TO YOU! • Hurricane Protection • Home Security • Save on Energy Bills • Save on Insurance Costs • Increase Property Value • Noise Reduction Your Expert in Single Family Homes & Condos! “Our service & products are second to none!” The People’s Choice In Hurricane Protection! 561-336-6511 SAME DAY Appointments! AS LOW AS $120 MO. FINANCING Available! We Beat ALL Competitors’ Pricing CALL FOR DETAILS INSTALLATION & NO SALES TAX. EXP 3/5/23 License #CBC1264950 & INSURED Serving Palm Beach, Martin, & St. Lucie Counties 50% Off

New Treatment for Alzheimer’s

The FDA approved Aduhelm in 2021 under accelerated approval. First approved June 7, 2021. A subsequent, poorly-explained controversy eventually resulted in MEDICARE to withdraw coverage for the drug. The company decided to support patients, and as of today, has active participation to help individual patients to obtain the treatment via a company support program.

As a result of Medicare not paying for the treatment, many providers stopped administering the drug in their office. Our office had difficulty finding a provider who would administer the drug intravenously.

After some thinking and brainstorming with my staff, I decided to start this I.V. service in our office at 100 US Hwy. 1, Suite 120, Vero Beach.

We are a cash-based practice and do not accept insurance. This is because of the prohibitive overhead billing from the insurance companies. So, we make it the patient’s responsibility to obtain the Aduhelm. We assist in this process, and Biogen has a PATH Enrollment (Patient Assistance Program) for financial assistance. The intravenous medications arrive in our office ready to go. We do charge for our expenses and for the services we render. We think our pricing is more than reasonable. My goal as a physician is to help patients who so desire to get access to the first rational therapy for Alzheimer’s disease.

74 VOL. 561 D Copyrighted© My Living Media. 2023 All Rights reserved. To Advertise call 772-247-6849 Need More Coupons - MyLivingMedia.com Certi ed Professional Plumbers If Water Runs Through it, We Do It SATISFACTION GUARANTEED Remodeling & Repairs WE DO IT ALL! 24-HOUR EMERGENCY SERVICE • Faucets • Water Heaters • Leak Detection • Sewer & Drainage Dedicated to providing quality and efficient services Commercial/Residential www.DarrelsPlumbing.com DARREL’S PLUMBING, INC. CALL 561-568-5322 Over 30 Years of Experience State Lic. #CFC1427324 “If water runs through it, we do it.” INSTALLS & REPAIRS • REMODELING •BACKFLOWS 24 HOUR EMERGENCY SERVICE • STATE LICENSED & INSURED 561-568-5322 brothersgutters.com 772-238-3840 seamless | guards | install | clean HouseSittersofFlorida@gmail.com • Weekly / Bi-weekly Inspection • And Much More! 7722226160 #1 HOME MANAGEMENT With This MLM Coupon. Expires 3/17/23 6 M onth Contract • Concierge Services • Liaison Services • Auto Transport Services • Airport Pickup & Drop off • Cleaning Services HOUSE SITTERS Of Florida “We’re Home When You’re Not” 10% OFF
Please read the FDA approval... Link: https://www.fda.gov/drugs/news-events-human-drugs/fdas-decision-approve-new-treatment-alzheimers-disease Call Today 772-213-8323 lesliehuszar.com (aducanumab avwa)

Experience the freshness of The Summer House, a new and beautifully decorated furniture showroom located in Jupiter, Florida. We hope you will visit our newly renovated store featuring living, dining, and bedroom furniture to meet your home needs. The Summer House is complete with unique and carefully selected pieces featuring stylish coastal indoor living styles. To further complement your home, we offer accessories to enhance the natural beauty and surroundings to the fullest. Guests are able to custom order or select items tastefully displayed on the oor.

Family owned and operated, The Summer House counts it as a privilege to be able to serve Jupiter, Palm Beach Gardens, Tequesta, Stuart, and other surrounding areas. We hope that you will visit us and experience the warmth and comfort of our showroom and make The Summer House a part of your house!

Monday - Saturday from 10:00AM-6:00PM and Sunday from 12:30PM-5:00PM

The Summer House has everything from interior dining sets, barstools, occasional tables, sofas, accent chairs, sectionals, home theater seating, bedroom sets, rugs, pictures, lamps, some outdoor furniture (you know we couldn’t help ourselves), and so much more!

We would love to help you with any of your home furnishing needs, or we’d love it if you even just stopped by to say hello and check out our new store!

The Summer House address is 815 S US Hwy 1, Jupiter, FL, 33477. The hours are Monday - Saturday from 10:00AM-6:00PM and Sunday from 12:30PM-5:00PM. If you have any questions or would like to reach The Summer House by phone, then the number is 561-781-3696.

Thank you for supporting Patio & Poolside. We have the best customers, and we look forward to building the same high-quality customer relationships and providing you with exceptional furniture in every area over at THE SUMMER HOUSE!

815 S US Hwy 1, Jupiter, FL, 33477 · 561-781-3696
78 VOL. 561 D Copyrighted© My Living Media. 2023 All Rights reserved. To Advertise call 772-247-6849 *Additional charges may apply for heavily soiled areas Serving the Treasure Coast from Vero to Palm Beach 772-919-7163 • 561-250-0088 WWW.CarpetCleanerInFlorida.com 3 ROOMS $68 2 ROOMS $42 5 ROOMS $99 TILE & GROUT CLEANING 39¢ SQ. FT. 100 SQ. FT. MINIMUM FURNITURE CLEANING $60 SOFA OR LOVE SEAT OR 2 CHAIRS AREA RUGS $40 AND UP PREVENTS FIRES DRYER VENT CLEANING FREE DEODORIZER, SANITIZER, & DISINFECTANT $85FROM & SPEEDS DRYING TIME OFFER #MS2-2 CARPET CLEANING Licensed Ask about ...dries in half the time!
VOL. 561 D 79 Copyrighted© My Living Media. 2023 All Rights reserved. To Advertise call 772-247-6849 Need More Coupons - MyLivingMedia.com 772-783-9517 I.M.A.Landscaping@gmail.com IMA LANDSCAPING TREE & PALM SERVICES With this MLM Coupon FREE STUMP REMOVAL Get 1 Free Stump Removed w/Purchase of 3 Stump Removals We Beat AnyEstimateWritten Lic & Ins Serving PSL, Martin, Palm Beach FREE ESTIMATES WE SPECIALIZE IN TREE REMOVAL • Rock & Stone Install • Palm/Tree Removal • Irrigation install & Services • Stump Grinding • Mulching & Sod Installed • Tree Trimming TREE & PALM TRIMMING • Pressure Washing • Brazilian Pepper Tree Cut Back & Removal • Installation/Design • Lawn Maintenance • Clean Ups/Hauling • Weeding & Much More • H.O.A. Complaint Letters • H.O.A Approved • Hazardous trees that are too close to the roof POOL SCREEN ENCLOSURES THE ORIGINAL Locally Owned & Operated Since 1990 • Pool Screen Enclosures • Patio & Lanai Screens • Poly Aluminum Roofs • All Work Guaranteed • All Repairs • FREE Estimates • www.pioneerscreen.com 561-771-0287 38 Years of Experience Licensed & Insured To Protect You $100 OFF ANY RE-SCREEN OR REPAIR OVER $1000 WE WILL MEET OR BEAT ANY LICENSED CONTRACTOR’S ESTIMATE WITH THE SAME QUALITY PRODUCTS! • Over 300 Vehicles in Stock • Se Habla Español • Low Payments • 4 Locations 2777 S. US Hwy 1, Ft. Pierce • 772-672-3190 www.allapprovedautoworks.com $600 Down Delivery or Trade-In All Approved Autoworks 2011 Chevy HHR 4 Door SUV, Automatic $3975 2010 ACURA RDX 4 Door SUV, Automatic $5975 2014 FIAT 500L 4 Door Hatchback, Automatic $3675 4 Door Sedan, Automatic $1475
Residential Customer PRSRT STD ECRWSS US POSTAGE PAID PERMIT #145 STUART, FL 2081 SE Ocean Blvd. • Suite 4 Stuart, Florida 34996 • 772-334-2121 Licensed & Insured SCC131151738 www.myhurricanewindow.com New orders only. Minimum purchase required. Offer not valid with any other offer, or previous job. Contractor is neither a broker or lender. Financing is provided by third party lenders unaf liated with Contractor, under terms and conditions arranged directly between the customer and such lender, all subject to credit requirements and satisfactory completion of all documents. Any nance terms advertised are estimates only. Some restrictions apply. Scan to schedule your 561-566-5629 772-932-5629 APPOINTMENT! 24 MONTHS PER MONTH WHOLE HOUSE OF WINDOWS & DOORS Starting at 0% $169 or Current Reviews 4.9 HURRICANE WINDOWS AND DOORS

Turn static files into dynamic content formats.

Create a flipbook
Issuu converts static files into: digital portfolios, online yearbooks, online catalogs, digital photo albums and more. Sign up and create your flipbook.