ZONE D4 JOHNATHANS LANDING-553

Page 1

McMaster & Johnson Jewelry: Jupiter’s Most Trusted Jeweler! See Pages 4 & 5 Kyle Johnson, Co-Owner Michael McMaster, Co-Owner JONATHAN’S LANDING Living MYLIVINGMEDIA.COM Index Page 9 VOL. 553-D4 For What It’s Worth Page 54 Puzzle Page Page 68 Culligan Water Pages 76-77
Copyrighted© My Living Media. 2022 All Rights reserved. To Advertise call 772-247-6849 Need More Coupons - MyLivingMedia.com WATER & MOLD DAMAGE EXPERTSWATER & MOLD DAMAGE EXPERTS 24/7 EMERGENCY RESPONSE24/7 EMERGENCY RESPONSE (561) 878-8082(561) 878-8082 FULLY LICENSED & INSURED ALLDRYUSA.COMFULLY LICENSED & INSURED ALLDRYUSA.COM NO MONEY DOWN!! WATER DAMAGE & MOLD REMEDIATIONNO MONEY DOWN!! WATER DAMAGE & MOLD REMEDIATION GIVE US A CALL IF YOU SEE...GIVE US A CALL IF YOU SEE... WATER STAINS FLOOR BUCKLINGKITCHEN LEAKMOLD BUILDUP QUALITY PROFESSIONAL RESTORATION IS OUR PROCESSQUALITY PROFESSIONAL RESTORATION IS OUR PROCESS OUTSTANDING RESULTS IS OUR GUARANTEEOUTSTANDING RESULTS IS OUR GUARANTEE CALL CALL (561) 878-8082(561) 878-8082 TODAY FOR A FREE INSPECTIONTODAY FOR A FREE INSPECTION $100 REBATE$100 REBATE ON MOLD SERVICESON MOLD SERVICES MUST MENTION CODE LMMMUST MENTION CODE LMM NO INSURANCE? NONO INSURANCE? NO PROBLEM! PROBLEM! DIRECT PAY & FINANCINGDIRECT PAY & FINANCING OPTIONS AVAILABLEOPTIONS AVAILABLE Fully Licensed Contractors & Mold Remediators #CGC1525977 #MRSR3558
VOL. 553 D 3Copyrighted© My Living Media. 2022 All Rights reserved. To Advertise call 772-247-6849 Need More Coupons - MyLivingMedia.comFREE ESTIMATES ON NEW A/C UNITS WE SELL, INSTALL, AND SERVICE ALL MAJOR A/C BRANDS! Offer Expires 1/15/23 *Rheem 16 seer A/C unit re ects cash price. Price is based on model numbers RA1618 through RA1660 unit with air RH1T air handler. WIFI T-stat illustration purposes only, not included. Must be straight change out, hooked up to existing copper, electric, thermostat, hurricane tie-downs, vibration pads and slab. Rooftop and R410a retro ts extra. Permits additional. *Synchrony Financing with approved credit. *Basic coil cleaning will be accomplished by using brush vacuum where accessible. *Drain line ush for maintenance purposes only, excludes clogged drain lines. *Free service call with repair, $49 value. I0% off is valid for service related items only. excludes new Ac units. COMMERCIAL & RESIDENTIAL OFFICE HOURS: MONDAY-SUNDAY 7AM-9PM State Licensed HVAC Contractor Lic # CAC058142 State Licensed Mold Assessor Lic # MRSA3162 State Licensed Mold Remediator Lic #MRSR3334 EcoNet® Smart WiFi Thermostat 0% Financing 24-60 Months* (Equal Monthly Payments - Call For Details) 25 YEARS IN BUSINESS SE HABLA ESPAÑOL DUCT CLEANING SPECIAL! $129 · Medical staff · Police · Elderly · Military · Teachers · Expecting Moms Scan for details ScanQR Code to ApplyFor Financing uahac.com * EXTRA 10% OFF FOR 1.5 ton $3,564 2 ton $3,593 2.5 ton $3,962 3 ton $4,023 3.5 ton $4,228 4 ton $4,479 5 ton $4,860 Rotobrush Air Duct Cleaning Deodorizing air handler & ductwork Vacuum air handler liner Brush vacuum coils Brush vacuum outside blower housing Wash and degrease vents Whip down outside air handler cabinet Vacuum accessible areas of air handler closet Free Unlimited Mains (Normally $50 Each) Free AC System Inspection Chemical Rinse Drain Pan Chemical Rinse Drain Line Up to 6 vents Included Additional supply vents only $25 each               561-721-0900 ONLY Scan for details ACT NOW! LIMITED TIME OFFER Exp. 1/15/23 561-721-0900 *with repair A/C Service Call A/C Not Cooling? Leaking Water? Leaking Freon? Freezing Up? FREE Only 561-721-0900Scan for details ACT NOW! LIMITED TIME OFFER Exp. 1/15/23 Complete A/C Tune-Up $49 · 24-Point Inspection · FREE 1st lb of Freon* · Add Solution to A/C Drain · Add Algaecide Tablets to Drain Pan · Coil Deodorizer* · FREE Drain Line Flush* · Water Damage Inspection with Moisture Meter · In Place Chemical Flush of Evaporator Drain Plug · Add Algaecide Tablets to Drain Pan · Add DrainSolve Cleaning Solution to Drain Line Only 561-721-0900Scan for details ACT NOW! LIMITED TIME OFFER Exp. 1/15/23 $19 A/C Leaking Water?
Copyrighted© My Living Media. 2022 All Rights reserved. To Advertise call 772-247-6849 Need More Coupons - MyLivingMedia.comHIGHEST PRICES PAID! WE BUY •GOLD •SILVER •PLATINUM •ESTATE PIECES •WATCHES •DIAMONDS •GEMSTONES •COINS

McMaster & Johnson Jewelry: Jupiter’s Most Trusted Jeweler

You will also nd fair, affordable prices at McMaster & Johnson Jewelry – but their jewelry and watches are still high quality! Because Michael and Kyle are the sole owners/operators at the store, they are able to price their items competitively. You’ll nd beautiful, preeminent pieces at McMaster & Johnson, ones that are handcrafted to last and are a far cry from the everyday commercial products at big-box stores.

Fine jewelry and watches can be among some of your most treasured possessions… and your most expensive. So when it comes to their care and maintenance, you need help from someone you can trust, someone who is not only a jewelry expert, but is also a customer service professional. You need help from McMaster & Johnson Jewelry.

Michael McMaster and Kyle Johnson opened McMaster & Johnson Jewelry in January of this year after working together at another locally-owned jewelry shop for 9 years. They are excited to provide Jupiter, Palm Beach County, and beyond with their trustworthy, one-on-one jewelry services. Already, the pair has made a signi cantly positive impression on the community, having earned full 5-star ratings on both Google and Facebook! They attribute their success not only to their expert work, but also to their dedication to creating genuine connections with people. Kyle explains, “It’s about building long-term customer relationships for us.”

Michael and Kyle are a dynamic duo who combine their individual knowledge and expertise together to provide a superior experience for their clients. Besides being incredibly adept at repairing ne jewelry and watches, they specialize in crafting custom jewelry, and are able to create 3D CAD (computer-assisted design) models for clients to review before nalizing their design.

Michael has been working in the jewelry industry, designing and crafting gorgeous pieces and repairing classic favorites, for the past 23 years in Jupiter. His background is in Fine Arts, so he is able to exercise his creative prowess using jewelry as his medium. Michael is so beloved that clients have followed him wherever he goes, making him their exclusive jeweler because they trust him so much.

Kyle is certi ed with the esteemed Gemological Institute of America (GIA) as an Applied Jewelry Professional (AJP). He explains, “With the certi cation you gain a lot of knowledge on the broad spectrum from antiques and different time periods to the tiniest details of stone grading and qualities to make sure that the customer gets the best product for the best value.” As a selfdescribed “people-pleaser,” Kyle works hard to ensure that “everybody’s happy and has the best experience,” utilizing his GIA knowledge as part of the process.

At McMaster & Johnson Jewelry, you can trust that your precious items are safe in good hands. “Everything’s done here. You never have to worry about long wait times for estimates or the transportation of your item in terms of being lost in the mail or anything like that,” says Kyle. If you have a piece that requires minimal repairs, then you can even expect same-day service and wait in the store to watch as the experts go to work.

Visit McMaster & Johnson Jewelry for a complimentary jewelry cleaning and inspection! There is no appointment necessary, so feel free to stop by the store any time during business hours. Whether you’re looking to buy, sell, trade, or consign jewelry, watches, or other precious items, or whether you’re looking to have them appraised, the experts at McMaster & Johnson Jewelry are ready to help. “It doesn’t matter if it’s a little $50 item or a $20,000 item, you’re going to receive the same level of experience and satisfaction,” assure Michael and Kyle.

McMaster & Johnson Jewelry is located in the Concourse Village plaza at 75 East Indiantown Road, #504, in Jupiter. The store is open Mondays-Fridays from 10AM-6PM and Saturdays from 10AM-4PM. For more information, call 561-406-2074 or visit mcmasterjohnsonjewelry.com.

Copyrighted© My Living Media. 2022 All Rights reserved. To Advertise call 772-247-6849 Need More Coupons - MyLivingMedia.com
Michael McMaster Kyle Johnson
6 VOL. 553 D Copyrighted© My Living Media. 2022 All Rights reserved. To Advertise call 772-247-6849 Need More Coupons - MyLivingMedia.com Call for a free in home design consultation and estimate Imagine your home, totally organized! Custom Closets, Garage Cabinets, Home Offices, Pantries, Laundries, Hobby Rooms and more... 40% Off Plus Free Installation Terms and Conditions: 40% off any order of $980 or more or 30% off any order of $680-$979 on any complete Custom Closet, Garage Cabinets, Home Office, Pantry, Laundry, Wall Bed, Wall Unit, Hobby Room or Garage Flooring system. Not valid with any other offer. Free installation with any complete unit order of $600 or more. Expires in 30 days. Call for a free in home design consultation and estimate (561)203-4745 www.closetsbydesign.com MSJ Follow us 2020 © All Rights Reserved. Closets by Design, Inc. Walk-In-Closets Laundry Rooms Home Offices Garage Cabinets Follow us www.closetsbydesign.com CGC1509325 & MC1900055 (561) 203-4745 MSJ
Need More Coupons - MyLivingMedia.com WITH THIS MLM COUPON. OFFER EXPIRES 11/25/22 Offer Valid for Same-Day Service Only FREE IN-HOME ESTIMATE 30% OFF – PLUS –™ YOUR BEAUTIFUL NEW FLOORING IS JUST A CALL AWAY! 772-277-7562 561-277-0375 OXFLOORS.COM WE TAKE THE BORING OUT OF YOUR FLOORING! 10X STRONGER BOND THAN EXPOXY™ Garages Patios Pool Decks Driveways & Much MORE!
2 LOCATIONS Mall, Jensen Beach COHEN’s COHEN’ OptiCal Pinecrest Lakes Including Hollycreek & Timberwick Living VOL. 549-A7 MYLIVINGMEDIA.COM $1000 OFF JetSetter Membership Indian River Shores Living MYLIVINGMEDIA.COM Index Page 9 551-E4 Okeechobee Cowtown Rodeo See Page 9 March 8th - 10th Okeechobee WEST LivingVOL. Index Page 30 MYLIVINGMEDIA.COM Meet Sean Quinn… See Pages 4-5 Your trusted neighborhood Realtor Our Local Market is Shifting & You need to know exactly what that means! River ShoresNorth 549-A1 Living MYLIVINGMEDIA.COM Index Page 9 Meet Soraya Cedeño CEO of Organic Tagua Jewelry See Pgs. 18 & 19 Sailfish Point VOL. 549-A2 Living MYLIVINGMEDIA.COM Index Page 9 NO WATERING NO MOWING NO FERTILIZING VeroBeach VOL. 551-S1 Living West MYLIVINGMEDIA.COM Index Page 9 Jupiter VOL. 549-D1 99+ UNIQUE COMMUNITY MAGAZINES DIRECT MAIL High-quality printed post cards & inserts allow you to target specific zip codes every two weeks FREE digital, mobile, & social media marketing for every one of our direct mail clients 772-334-2121 Mailing Martin, St. Lucie, Indian River, Okeechobee, & Palm Beach Counties my LIVING MEDIA ON THE WEB We are Florida’s Premier Direct Mail & Multimedia Marketing Company 1¢MAIL Some Restrictions Apply. Please call for details. PER HOME FOR ONLY… 15,000* HOMES CONNECT TO YOUR COMMUNITY…
upiter Living Index Page 9 Shop Local - Beautiful Designer Furniture and Furnishings Furniture Store Island VOL. 551-E1 Living MYLIVINGMEDIA.COM Index Page 9 Janice MilesicSteve Milesic Sebastian 551-T7 Living MYLIVINGMEDIA.COM Index Page 9 EAT. DRINK. CHILL. Grand Harbor Living MYLIVINGMEDIA.COM Index Page 9 VOL. Including Oak Harbor and River Club Gardens Palm Beach Living MYLIVINGMEDIA.COM VOL. 549-I5 THC TOTAL HOME DISCOVER THE PREMIER POSSIBILITIES A Taste of Italy in Every Bite Torino VOL. 549-F3 Living MYLIVINGMEDIA.COM See Pgs. 52-53 Executive Chef, Taylor Wilson This Grill is American Cuisine and Full Bar Stuart Yacht & Country Club LivingVOL. 549-O4 Index Page 9 MYLIVINGMEDIA.COM MY LIVING CONTENTS - ZONE D ANIMALS & PETS Health E Pets 48 AUTOMOTIVE A Perfect Day Golf Carts .................. 56 Ace of Carts ..................................... 44 JLD Auto 36 Roney Williams -Wallace ................. 14 Tequesta Tire 64 Unlimited Auto Wash 49 BEAUTY Amanda Ghattas Jupiter Hair........... 64 Anita Belcher-Sassy Scissors .......... 32 Great Clips 48 CLEANING SERVICES Emergency Response Team 62 Honor Carpet.................................... 78 JT Pressure Cleaning 47 Oliver Twist Pressure Washing ......... 12 Paul Stetson Pressure Cleaning.......58 Royal Maid Service 58 Santa Professional Cleaning ............ 38 Stanley Steemer 11 The Groutsmith 46 Wonder Sisters Cleaning Service .... 34 DINING & ENTERTAINMENT Angelo’s Pizza .................................. 20 Antonio’s Italian Market 27 Baldino’s Restaurant........................ 24 Divine Treats 27 Doris Italian Market and Bakery 25 Jersey MIke’s Subs .......................... 23 Jupiter Water Tours 24 Lindburgers ..................................... 19 Lola’s Seafood ................................. 23 Mystic Lobster Co. 24 Nick & Johnny’s Osteria................... 20 Performing Arts Academy of Jupiter 29 Poke N Go 28 Pontiki.............................................. 51 Taco Shack 21 Taste of Italy .................................... 18 The Connection for Subs and Sandwiches 25 The Grove.........................................22 Vinny’s Pizza 26 Vulcano’s Italian Restaurant 22 FITNESS & SPORTS Be Fit Body Boutique 66 One on One Fitness .......................... 34 Orange Theory Fitness ..................... 50 HOME IMPROVEMENT A Master Closet 63 All Dry USA 2 Alliance Air Group ............................ 74 Alliance Group Roo ng 79 Aqua Docs Water Restoration, Inc ... 30 Budget Fence................................... 44 Closets By Design 6 Code Red Roofers ............................ 59 Complete Synthetic Turf...................71 Craig Hanlon Painting 52 Dix Landscape & Management Services 65 Dixie Plumbing ................................. 14 Du-All Plumbing ............................... 57 East Coast Electric Screening 70 Exceptional Painting ........................ 19 Fencing South Florida 12 First Impression Doors and More 13 FoxHaven Roo ng ............................ 72 Gutters By TK 54 IMA Landscaping ............................. 32 Jupiter Sod and Landscaping .......... 47 K-Boys Construction 70 Kamrell Windows and Doors ............ 79 King of Kitchens 47 Kitchen Tune Up 67 Max Guard Enclosures ..................... 40 Max Guard Hurricane Windows 42 Mister Roof ...................................... 69 North County Plumbing .................... 61 Odums Sod 14 OX Floor Coating ................................ 7 Palm City Sod 19 Pioneer Screen LLC 64 Plantation Shutters Florida .............. 46 Plumb Rite Plumbing 36 Precise Roof Coating ....................... 38 Precision Door Service .................... 62 PS Flooring 75 Quality Air of America ...................... 17 Screen Builders 32 Seaglass Window 28 Stott Brothers Electric ..................... 36 Stuart Roo ng 12 The Closet Clinic .............................. 67 The Shutter Factory ......................... 55 Total Image 26 Tree Works 50 Triple M Brick Pavers 74 Tropical Pools 72 Universal Air and Heat ....................... 3 Wagner’s Refrigeration .................... 38 Window Replacement Group ........... 16 Windowz and More .......................... 73 Younique Custom Theater 38 INSURANCE & BENEFITS Donna Carragher Insurance Consulting, LLC ................................ 52 Florida Health Group-Compass Health .. 37 Ocean Point Claims 4 JEWELRY M and J Jewelers 66 Oteri’s Wholesale Jewelry ............... 56 MEDICAL & HEALTH Abacoa Podiatry............................... 31 Alpaca Audiology 31 Angelo G Forte 45 Appearance Implant and Family Dentistry 33 Aqua Restore ................................... 45 Dentistry By Design ......................... 60 Dr. Samuel Holcroft .......................... 53 First Home Care 38 Goals Weight Loss............................61 MMJ Health 10 New Beginnings Medical 39 PROFESSIONAL SERVICES Action Vacuum ................................. 60 Awesome Self Storage .................... 66 Bulk Waste 44 DriveGuys 34 Dryer Vent Cleaner, The 71 Dryer Vent Cleaning - The Lint Man Jupiter .......................................... 11 Frederick Capitelli Music ................. 58 Group One Security .......................... 52 Mr. Tint of America ........................... 50 My Stack Box Storage 15 RETAIL The Lamp Connection 39 The Summer House ......................... 35 Volume 553 October 2022 For advertising rates and information Email: sales@mediaoms.com Call 772-247-6849 © 2022 by My Living Media. All rights reserved. Although some parts of this publication may be reproduced and reprinted, we require that prior permission be obtained in writing. My Living Magazine is a free publication distributed locally and is supported by our advertisers. Please call to find a location near you or if you would like copies placed at your business. We do not necessarily endorse the views expressed in the articles and advertisements, nor are we responsible for the products, and services advertised. We are not responsible for licensing or certifying businesses, nor are we responsible for verification of these requirements. We welcome your ideas, articles and feedback. *Dining pictures shown are for illustration purposes only. Actual products may vary due to product enhancement.
10 VOL. 553 D Copyrighted© My Living Media. 2022 All Rights reserved. To Advertise call 772-247-6849 Palm Beach 561-631-7994 MMJ Health Make the Appointment Use our patient qualification system to see if you qualify for medical marijuana. See the Marijuana Doctor See one of our qualified physicians at one of our many locations in Florida. Get Your Card You will be able to visit and get delivery from any dispensary in Florida. Let Dr. Morgan, The Highest Rated MMJ Doctor, at MMJ Health find your Alternative to Pharmaceuticals!
When it comes to finding medical marijuana (MMJ) doctors, you can trust the helpful and professional staff at MMJ Health. Serving patients in Palm Beach, Martin, & St. Lucie Counties. Call MMJ Health to schedule an appointment with a Florida Medical Marijuana Doctor: WINNER OF BEST DISPENSARY, BEST MEDICAL MARIJUANA CARD PROVIDER, BEST CBD STORE, AND FINALIST FOR BEST PLACE TO WORK HOW IT WORKS Treasure Coast 772-212-4032
VOL. 553 D 11Copyrighted© My Living Media. 2022 All Rights reserved. To Advertise call 772-247-6849 Need More Coupons - MyLivingMedia.com FAMILY OWNED & OPERATED • SCHEDULE ONLINE TODAY AT: WWW.STANLEYSTEEMER.COM FIRE, WATER, & MOLD DAMAGE RESTORATION SERVICE Immediate Response 24-HOUR EMERGENCY Minimum charges apply. Cannot combined with other offers. Residential and Commercial. Must present this MLM Coupon at time of service. Valid at participating locations only. Certain restrictions may apply. Call for details. Lic. #CMC014066 Home and Of ce Disinfecting and Sanitizing Treatments 561-404-5668 WWW.STANLEYSTEEMER.COM STANLEY STEEMER SERVICES ® EPA-REGISTERED Disinfectant That Meets the EPA’s Current Criteria for use Against SARS-CoV-2, the Virus That Causes COVID-19 Eliminates Molds, Viruses, Bacteria, & Allergens $50 HOME Disinfectant Treatment Service Contracts Available Per Room Up To 300 Sq. Ft. 3 Room Min. for Residential Pricing OFFICE FREE ESTIMATES FREE ESTIMATES FOR ALL COMMERCIAL BUSINESSES WE PRE-TREAT YOUR FLOORS AND MOVE YOUR FURNITURE AT NO CHARGE WE PRE-TREAT YOUR FLOORS AND MOVE YOUR FURNITURE AT NO CHARGE $119 $149 $199 Expires 11/25/22 MLM Expires 11/25/22 MLM Expires 11/25/22 MLM TILE & GROUT OR WOOD FLOOR CLEANING HOME Which Air Are You Breathing? AIR DUCT CLEANING Only PER ROOM 3 ROOMS CARPET CLEANING Wool carpets extra. Area rugs not included in wall-towall cleaning. Up To 8 Vents *Any Room Up to 300 sq. ft. BEFORE AFTER OFFICE FREE ESTIMATES CALL TODAY RenUV Home & Of ce Air Puri er Removes Viruses, Bacteria, Mold, & Pollen DRYER VENT CLEANING WHEN WAS YOUR DRYER VENT LAST CLEANED? • Speeds Up Drying Time • Reduces Fire Risk • Lowers Utility Costs (more ef cient) • Don’t Wait Until It’s Too Late With over 15,000 dryer res happening each year, IT MAKES SENSE! 561.331.LINT (5468) thelintmandryerventcleaning.com ✔ Dryer Vent Cleaning ✔ Dryer and Washer Installation ✔ Residential Services ✔ Commercial Services ✔ Rodent Guard Installation $30Off Any Dryer Vent Cleaning Service With this MLM coupon. Must present coupon at time of service. Expires 11/15/22Licensed & Insured Serving Jupiter & the Palm Beaches Neighbors Discount Special *Washer & Dryer Repair Service
12 VOL. 553 D Copyrighted© My Living Media. 2022 All Rights reserved. To Advertise call 772-247-6849 Need More Coupons - MyLivingMedia.com WHOLESALE FENCING INSTALLATIONS & REPAIRS HOME OF THE LOWEST PRICE GUARANTEE Honest, Trustworthy, Hassle-Free Service From A Family-Owned Business FREE GATE WITH PURCHASE OF EVERY 150 FT. OF FENCING. UP TO A $450 VALUE FENCING SOUTH FLORIDA 561-612-2018 With this MLM coupon. Not valid with any other offer or prior purchases. Offer expires 11/25/22 PVC/VINYL FENCING CHAIN LINK FENCING “We guarantee to beat any price you have from any legitimate fence company” Licensed &Insured Broward 11-F-17403-X Palm Beach U-21752 WWW.FENCINGSOUTHFLORIDA.COM OFFICE 561-612-2018 SERVING BROWARD & PALM BEACH FREE REMOVAL OF EXISTING FENCE WITH PURCHASE OF NEW FENCING NO MINIMUM REQUIRED (excludes hurricane damaged fencing) FENCING SOUTH FLORIDA 561-612-2018 With this MLM coupon. Not valid with any other offer or prior purchases. Offer expires 11/25/22 Visit our website to see our episode on Designing Spaces NOW INTRODUCING OUR NEW ART DIVISION Custom Metal Works in Any Shape and Style added to your fence, gates, entry door, and interior or exterior house walls WOOD FENCING ALUMINUM FENCING WE DO IT RIGHT THE FIRST TIME FOR LESS. Pressure Washing & Roof Cleaning • Screen Enclosure Frames • Driveways • Paver Sealing • Eco-Friendly • Much More! www.pwpbg.com Workman’s Comp • Licensed & Insured *Our Guarantee - If your house doesn’t look 157% better than before, we will refund you 100% of your money. “We Clean Barrel Tile, Metal, Asphalt Shingle Roofs & Cedar Shake Roofs” GOT MOLD ON YOUR ROOF? CALL OLIVER TWIST TODAY! We Are Commercial Specialists! Call James for Specials! SENIOR DISCOUNTS! BEFORE AFTER OliverTwist 561-771-0310 Serving South Florida Since 1999 $50 OFF COMPLETE HOUSE WASH With this MLM coupon. May not be combined with other offers Expires 11/25/22 132 NE Dixie Hwy., Stuart, FL 34994 Licensed & Insured State Certi ed License #CCC024411 Serving Martin & Palm Beach Counties for Over 30 Years! “You’ve tried the rest…now call the Best!” Re-Roof & Repair Specialists METAL ROOFS Starting At Starting At $17,500 TILE ROOFS (Minimum 3500 Sq Ft of Roof) $24,500 (Minimum 3500 Sq Ft of Roof) 772-692-9854 Re-roofs • Repairs • New Construction • Cement & Clay Tile Fiberglass Shingles • Wood Shakes • 5-V & Standing Seam Metal Built-up Modi ed Rubber • Residential & Commercial 25- to 50-Year Material Warranty Available 5- to 10-Year Labor Warranty Available Martin County’s Trusted Name Since 1980!
Need More Coupons - MyLivingMedia.com FINANCING AVAILABLE Impact Resistant Fiberglass & Mahogany Entry Doors • Impact Resistant Decorative Glass Inserts Interior Doors • Impact Resistant French & Sliding Glass Doors Call today 561.464.6102 to schedule your FREE SHOWROOM appointment or schedule online FrontdoorsFL.com BOCA RATON | 9858 Clint Moore Rd., Suite C-128 • Boca Raton, FL 33496 Tuesday - Friday • 9am - 5pm Saturday • 9am - 4pm WEST PALM BEACH | 346 Pike Road, Suite 6, West Palm Beach, FL 33411 Monday - Friday • 7am - 4:30pm Saturday • 9am - 2pm JUPITER | 75 E. Indiantown Road, Suite 507, Jupiter, FL 33477 Tuesday - Friday • 9am - 5pm Saturday • 9am - 4pm LICENSE # CBC037800
14 VOL. 553 D Copyrighted© My Living Media. 2022 All Rights reserved. To Advertise call 772-247-6849 Need More Coupons - MyLivingMedia.com • Drain Clearing, Camera Inspections, Hydro Jetting • Water Heaters, Garbage Disposals • Back ow Testing/Repairs • New Construction and Remodels Dixie Plumbing_0058-5120_HI553 $100 OFF Not valid for heaters covered through manufacturer’s warranty. Not valid on Commercial Heaters or Tankless. Not valid on after hour calls. Not valid with any other offer. Valid through 12/31/22 Maximum discount of $125. Not valid on backflow testing/repairs. Slab leaks, re-piping and remodels excluded. Not valid on after hour calls. Not valid for use on hot water heater installs. Not valid with any other offer. Valid through 12/31/22 ANY SERVICE CALL 15% OFF ANY HOT WATER HEATER *Supplied & Installed by Dixie Plumbing Only. service @dixieplumbinginc.com CALL (561) 746-4504 Serving Palm Beach & Martin County Since 1972 Residential and Commercial ASK ABOUT OUR HOMETOWN HERO DISCOUNT 561.370.3624 16571 Rembrandt Rd., Loxahatchee OdumSod.com Come Visit Our New Location! SOD • ROCK • MULCH • SOIL • TREES • PLANTS Roney Has Your DREAM Car! At your Dream Price! Call RONEY WILLIAMS for the best car buying experience! RWilliamsCJDR@gmail.com 772-238-0382 KIA - CADILLAC - LINCOLN - RAM - CHRYSLER - JEEP - DODGE - VOLVO - MAZDA HYUNDAI - NISSAN - VOLKSWAGEN - CHEVROLET Wallace Chrysler Jeep Dodge Ram 2755 SE Federal Hwy, Stuart, FL 34994
VOL. 553 D 15Copyrighted© My Living Media. 2022 All Rights reserved. To Advertise call 772-247-6849 Need More Coupons - MyLivingMedia.com Call or Text Today 866-887-8225 Book Your Stress Free Portable Storage Solution For Your RENOVATION and MOVING Needs FAMLIY OWNED & OPERATED PUTTING OFF THAT REMODEL BECAUSE YOU DON’T KNOW WHERE TO PUT EVERYTHING? • Speak to One Person From Start to Finish - We Are Call Center Free! • Protect - Your belongings from Dust & Debris • Fully Waterproof With Dual Ventilation Air System. • Flexibility – Weekly & Monthly rental options with delivery in 24 hours or less. www. MYSTACKBOX .com FREELocal Initial Delivery
16 VOL. 553 D Copyrighted© My Living Media. 2022 All Rights reserved. To Advertise call 772-247-6849 561-468-7281 www.windowreplacementgroup.com SCC# 131152429 CBC# 1264555 Per Window Per Door $ 35 OFF $ 110 OFF Expires 11/15/22 Expires 11/15/22 IMPACT WINDOWS & DOORS The Group of Professionals You Can Trust! Energy Saving Enhance Home’s Appearance & Value Hurricane & Burglary Protection Reduce Insurance Cost Sound Reduction 0%PLUS! SALES TAX!
New A/C Install Brush Duct Cleaning FALL A/C Tune Up Complete Home Package A/C Coil Cleaning Hablamos Español qualityairofamerica.com A/C NOT COOLING? LEAKING? FREE SERVICE CALL 100% Financing Available $0 Down $0 Interest Lic. # CAC 1820202 561-819-2998 772-448-9835 Super Service Award Winner 3 Years in a Row WITH ANY REPAIR Authorized dealer/service for all major brands REPAIR, REPLACE, OR DUCT CLEANING 10% Discount for expecting mothers, military, & senior citizens Do not be fooled by imitations. There is only one Quality Air of America. Starting at $2199✓ Free digital thermostat ✓ Free 5-Year Service Plan ✓ Free air duct treament Payments as low as $69/month ✓ 24-point AC inspection ✓ Adjust Freon Up to 1lb (R410) ✓ Basic Drain Line Cleaning ✓ Duct Camera Inspection ✓ FREE Attic Insulation Inspection ✓ FREE Duct Inspection ✓ Air Duct Vacuum Cleaning ✓ Vacuum through Main Vent Line ✓ Duct Camera Inspection ✓ Air Quality and Flow Check ✓ Attic Installation Inspection ✓ AC inspection and adjust Freon up to 1 pound (R410) ✓ Free Air Filter- delivered after visit Value $225Expires 11/25/22 Value $195Expires 11/25/22 Value $365Expires 11/25/22 Value $365Expires 11/25/22 Only $99 Only $19 Only $65 Starting At $199 DUSTY DUCTS, BAD ODOR FREE ESTIMATES Emergency Servicee Per Unit BLOWOUT SALEBLOWOUT SALE FALL SPECIAL DUMB A/C? Let Us Make it Smart! Per Unit ✓ Up to 5 Vents Cleaned
18 VOL. 553 D Copyrighted© My Living Media. 2022 All Rights reserved. To Advertise call 772-247-6849 Need More Coupons - MyLivingMedia.com FREE PARKING 1267 MAIN STREET JUPITER, FL 33458 VIRGINIA SINICKI Master of Ceremonies NOVEMBER 4-6 Friday 4pm-10pm • Saturday 11am-10pm • Sunday 11am-8pm FREE ADMISSION FRIDAY Madonna Tribute with Blond Ambition, Tre Bella Official Charity of the Feast Social Media Influencer BIGTIME TOMMIE “KING OF OLD SKOOL” 20222022 -since 1976FEAST OF LITTLE ITALY PROUDLY SPONSORED BY: SUNDAY Franco Corso, Marc Turo Performing on the Stage: Cooking Demos Aperol PiazzaPeroni Main Bar Kids’ ActivitiesVoga Prosecco Lounge SATURDAY Atlantic City Boys “The Music of Frankie Valli”, Austin Giorgio, Hot Sauce Moon
VOL. 553 D 19Copyrighted© My Living Media. 2022 All Rights reserved. To Advertise call 772-247-6849 Need More Coupons - MyLivingMedia.com Hot off the Grill! Cooked to Order! 1695 W Indiantown Rd, Suite 2-5, Jupiter 561-768-9918 BUY 1 BURGER, GET THE 2ND FOR A… $1.00 With the purchase of 2 beverages. Can be used on dine in or takeout only. Expires 11/15/22 HOME OF THE 50 BURGERS Exceptional Quality • Exceptional Service “We Paint Every Home Like It’s Our Own” 561-475-5944 Wellington, FL Exceptional Painting_0110-4918_HI553 www.exceptionalpainting.com Insured and Bonded | Palm Beach Co. U-18412 | Free Estimates • Interior Painting • Exterior Painting • Small Drywall Repairs • Small Concrete Repairs • Wallpaper Removal • Wallpaper Installation • Wood and Fiberglass Staining • Concrete Staining • Epoxy Coatings • Pressure Cleaning • Color Consultants • Touch-Up Specialists • Lacquer Painting • Small General Repairs Prior to Painting Palm City Sod_D-0040-1518_HI553 Now Offering Delivery of Various Types of Mulch by the Pallet Since 1977 Jupiter 3 pallet minimum. Palm Beach 6 pallet minimum With this MLM coupon. Cannot be combined with any other offer. Prices subject to change. FLORATAM $ 225 MUCK BASED 500 sf Rates for Delivery Only. PALLET 450 sf BAHIA $ 125 Rates for Delivery Only. Free Delivery! 772-214-3780 5350 SW Martin Hwy • Palm City FL 34990 SOD INSTALLATION, BAHIA, FLORATAM, SEEDING, & MULCHING WWW.PALMCITYSOD.US Jupiter 3 pallet minimum. Palm Beach 6 pallet minimum With this MLM coupon. Cannot be combined with any other offer. Prices subject to change.
20 VOL. 553 D Copyrighted© My Living Media. 2022 All Rights reserved. To Advertise call 772-247-6849 Need More Coupons - MyLivingMedia.com 14133 US Hwy. 1 • Juno Beach 561-318-5466 Join Us For Fall Dining 20% Off 1/2 OffDinner Entrées & Specials Bottle of House Wine4:30PM-7PM *Cannot be combined with any other offer. *Excludes Pizzas, Salads, & Sandwiches. *Dine-in only, No Sharing. Expires 11/15/22 SCAN HERE FOR FULL MENU *Cannot be combined with any other offer. *Excludes Champagne. Expires 11/15/22 Entertainment Gourmet Pizza & Delicious Italian Dishes – LUNCH OR DINNER 7 DAYS/WEEK –TONEY PENNA 561-747-2974 155 Toney Penna Drive, Jupiter JUPITER FARMS 561-747-3975 10136 W Indiantown Rd., Jupiter FULL BAR & LIVE MUSIC 7 DAYS A WEEK! ONLY AT TONEY PENNA LOCATION FREE $5OFF PEPPERONI BREAD $30 OR MORE WHEN YOU BUY ANY 2 PIZZAS Dine In • Take Out Must present coupon. Cannot be combined. Expires 11/15/22 Dine In • Take Out Must present coupon. Cannot be combined. Expires 11/15/22 Dine-In, Take-Out, & Delivery
• 24 Craft Tacos • Full Bar • Live Music BAR & GRILL 3-6 DAILY 2 for 1 Margaritas LIVE MUSIC Tuesday, Friday, & Saturday $30 Purchase or More APPETIZER CHIPS & SALSA DINNER With this MLM Coupon. Cannot be combined with other offers. Expires 11/15/22 With purchase of an entrée. With this MLM Coupon. Cannot be combined with other offers. Expires 11/15/22 With this MLM Coupon. Cannot be combined with other offers. Expires 11/15/22 $5 FREE FREE OFF Buy 1 Entrée at Regular Price, Get the Second Entrée Half Off Valid for Dinner only - With this MLM Coupon. Cannot be combined with other offers. One coupon per table. Expires 11/15/22 50%OFF With purchase of $25 or more 1155 Main Street Abacoa, Jupiter 561-508-3789 Sun-Thurs 11am-9pm • Fri - Sat 11am-10pm ALL DAY HAPPY HOUR 11:00AM-6PM TACO TUESDAY SPECIAL 2 FOR 1 MARGARITA Delivered by
22 VOL. 553 D Need More Coupons - MyLivingMedia.com Serving the finest wines from around the world on the Treasure Coast at the best value. 11/10- Baglio di Pianetto United States Debut from Sicily 5-Course Paired Wine Dinner 11/12- Wine Workshop Wines of Chile 12/10- 4th Annual Sidewalk Sale & Tasting 50+ Wines for $50! COMING in FEBRUARY Treasure Coast Charity Wine Fest & Auction WINE CLUB MEMBERS HAVE MORE FUN! Present This Ad to Receive Our Gift of $100 Gift Certificate when you purchase an Annual Wine Club Membership in Full EXCITING UPCOMING WINE EVENTS A TASTE OF HISTORY 8815 SE Bridge Road The Marketplace Corner of US1 & Bridge Road Hobe Sound, FL TheGroveHobeSound.com 772-402-5410 221 South US 1 • Tequesta OPEN Tuesday-Sunday 3-10pm; Closed Monday www.vulcanositalianrestaurant.com 561-747-2880 FALL SPECIAL $19.95 Chicken • Eggplant • Veal • Baked Ziti Shrimp • Pasta with Meatballs or Meat Sauce $1495 Large 1-Topping Pizza Regular Topping Only. *MLM cannot be combined. Expires 11/15/22 $5 off Any Order of $35 or More. *MLM cannot be combined. Expires 11/15/22 $999 1 Large Cheese Pizza *MLM cannot be combined. Expires 11/15/22 TUESDAY CARRY OUT SPECIAL CASH ONLY Italian Restaurant & Pizzeria Dint in or Take Out Book Your Next Birthday, Engagement, Wedding, or Special Occasion! Available for 10-60 People Max. 11AM-3PM
VOL. 553 D 23Copyrighted© My Living Media. 2022 All Rights reserved. To Advertise call 772-247-6849 Need More Coupons - MyLivingMedia.com A SUB ABOVE ® *of equal or lesser value BUY 2 GIANT SUBS, GET 3rd GIANT FOR $1.99 PROMO CODE JFLRDA10 PROMO CODE JFLRDA27 PROMO CODE JFLRDA51 71 East Indiantown Rd. • Jupiter , FL • 561-677-2077 jerseymikes.com BUY ANY REGULAR SUB & (2) 22 oz. FOUNTAIN DRINKS, GET A 2nd REGULAR FREE! *of equal or lesser value 20% OFF YOUR ENTIRE ORDER! CONCOURSE VILLAGE PLAZA 71 E Indiantown Rd. Suite 801 Jupiter • 561-677-2077 OVER 2,000 STORES OPEN AND IN DEVELOPMENT NATIONWIDE! • JERSEYMIKES.COM TWO LOCATIONS CHASEWOOD PLAZA 6390 W Indiantown Rd. Suite 34 Jupiter • 561-747-7272 Hurry! Offer expires 12/31/22. One per person per visit per day. Not to be combined with other offers. No cash value. Coupon redeemable in person. Offers with promo codes may also be redeemed in our app. 2310 Hurry! Offer expires 12/31/22. One per person per visit per day. Not to be combined with other offers. No cash value. Coupon redeemable in person. Offers with promo codes may also be redeemed in our app. 2327 Hurry! Offer expires 12/31/22. One per person per visit per day. Not to be combined with other offers. No cash value. Coupon redeemable in person. Offers with promo codes may also be redeemed in our app. 2351 VALID AT BOTH LOCATIONS. VALID AT BOTH LOCATIONS. VALID AT BOTH LOCATIONS. O dining r m is en and we havetd r seating. C e J n Us! STUART 300 SW Federal Hwy. Stuart, FL 34994 772-219-3340 PALM BEACH GARDENS 4595 Northlake Blvd. Palm Beach Gardens, FL 33410 561-622-2259 SAINT LUCIE WEST 962 St. Lucie West Blvd. Port St. Lucie, FL 34986 772-871-5533 TEQUESTA 181 N Hwy. 1 Tequesta, FL 33469 561-406-5000 Fish Tacos Ipswich Steamers www.lolasseafood.com OPEN 7 DAYS A WEEK! Lobster Roll
Need More Coupons - MyLivingMedia.com –– JUNO BEACH ––TAKE OUT • DELIVERY • PARTY TRAYS Lobster Rolls ~ Specialty Rolls ~ Tacos & Sliders Sides ~ Desserts ~ Kids Menu 14151 US Hwy 1 561-660-8489 $5OFF $30 OR MORE Expires 11/15/22 • Pizza • Pasta Specialties • Chicken • Fish • Veal Entrees • Incredible Italian Desserts, including Cheesecake & Tiramisu 791 North US Highway 1 • Tequesta 561-743-4224 WORLD’S GREATEST CHEESESTEAKS & PIZZERIA www.baldinositalianrestaurant.com WIDE VARIETY OF WINE & BEER! DINE IN • CARRY OUT DELIVERY • CATERING Carry-out only. Limit 1 per customer per day. Cannot be combined with any other offers. Expires 11/15/22 Dine in or carry-out only. Not valid on deliveries. Limit 1 per customer per day. Cannot be combined with any other offers. Expires 11/15/22 Buy Any Large 3-Topping or Specialty Pizza and receive a FREE 10” Cheese Pizza ANY PURCHASE OF $50 OR MORE 561-743-4224 561-743-4224 $8 WEEKDAY SPECIAL OFF SCAN HERE TO ORDER CARRYOUT OR DELIVERY! VALID MON-THURS ONLY • baldinositalianrestaurant.com baldinositalianrestaurant.com MONDAY-THURSDAY ONLY W E CATER EVENTS OF ALL SIZES ! Private Tours Available Enjoy an island cruise “Jupiter Style” with a relaxing tour down the Intracoastal Waterway! Buy One Get One JupiterWaterTours.com BOOK NOW Call or Go Online to Book Your Tour. 50% OFF Use Code: JUPLIFE (561) 264-0020 Scan for more details!
VOL. 553 D 25Copyrighted© My Living Media. 2022 All Rights reserved. To Advertise call 772-247-6849 Need More Coupons - MyLivingMedia.com THE CONNECTION FOR SUBS AND SANDWICHES 561•746•2344 1 / 2 OFF SUB CLUB CARD $5 OFF ORDER OF $25 OR MORE COME IN & GET YOUR BUY 1 SUB (ANY SIZE) GET 1 SUB 141 CENTER ST, JUPITER HOURS: MON - SAT 7AM - 4PM • SUNDAY 10AM - 3PM With 1 can of soda or small water Get your card stamped with each purchase of a sub or sandwich of $6.39 or more. When the card is filled, it is good for a retail value of $7.50.*Equal or lesser value. Cannot be combined. Excludes Veggie or Lite Bite Subs. IN STORE ONLY. Expires 11/15/22 *Cannot be combined Expires 11/15/22 Excludes Vegetarian & Lite Bites. SCAN FOR MENU JUPITER’S FAVORITE FOR 48 YEARS! WE’RE HIRING! DELIVERY AVAILABLE!
26 VOL. 553 D Copyrighted© My Living Media. 2022 All Rights reserved. To Advertise call 772-247-6849 Need More Coupons - MyLivingMedia.com FREE CONSULTATION 10% OFF561.855.6595 Let Us Make Your DreamA Reality! LIC# CGC1525942 825 15th Street Lake Park • Custom Cabinets • Closets • Kitchens • Bathrooms • Doors & Windows • Custom Millwork Any Remodeling Job. Must Book Before 11/05/2022 Total Ima g e With this MLM coupon 6671 W. Indiantown Rd. (Winn Dixie Plaza & Central Blvd.) Summer Hours: Closed Monday; Tues-Thurs 11-9; Fri & Sat 11-10 • Sun 12-9 www.myvinnyspizza.com Check Out Our Updated Menu Prices on Our Website 2 REG. SLICES & Soda $625 11am to 3pm +tax Catering Available For All Occasions $ 10.99 TUESDAY SPECIAL Large 16” Cheese Pizza Pick Up & Cash Only Limit 3 Per Family. Toppings Additional. $ 17.99 ANY 2 HUGE 12” HOT SUBS • Chicken Parmesan • Eggplant Parmesan • Meatball Parmesan • Sausage, Pepper, Onion +tax +tax PIZZA PARTY $ 42.99 2 Large Pizzas with 1 Topping Each, 20 Wings (Hot or Mild), 12 Garlic Rolls +tax Pick Up and Delivery You Save up to $14 You Save up to $5 THE FARM PARM. $27.99 2 CHICKEN PARMESAN OR 2 MEATBALL PARMESAN DINNERS Includes Pasta, Salad, and Bread +tax+tax Pick Up and Delivery • Chicken Parmesan • Meatball Parmesan • Eggplant Parmesan Includes Pasta, Salad, & Bread LARGE 16” PIZZA PICK UP ONLY $1 4.95 1 FREE MENU TOPPING $37.99 FAMILY FEAST 1 Large 16” Cheese Pizza and Choose any Two Dinners: You Save up to $10 +taxTry Our New GLUTEN-FREE 12” PIZZA With this MLM Coupon 1 Per Customer. Not to be combined with any other offers. Limited Time Offer. With this MLM Coupon 1 Per Customer. Not to be combined with any other offers. Limited Time Offer. With this MLM Coupon 1 Per Customer. Not to be combined with any other offers. Limited Time Offer. With this MLM Coupon 1 Per Customer. Not to be combined with any other offers. Limited Time Offer. With this MLM Coupon 1 Per Customer. Not to be combined with any other offers. Limited Time Offer. With this MLM Coupon 1 Per Customer. Not to be combined with any other offers. Limited Time Offer. Gluten-Free pizza dough with a touch of honey 1/2 Topping…$1.00 Whole Topping…$1.50 Pick Up Only Pick Up Only Pick Up Only
VOL. 553 D 27Copyrighted© My Living Media. 2022 All Rights reserved. To Advertise call 772-247-6849 Need More Coupons - MyLivingMedia.com New Ownership! 12214 US Hwy One Juno Beach, FL 33408 Monday - Saturday 9am - 5pm (561) 625-6544 NEW Take Out & Catering Menu $5OFF Minimum of $50 With this MLM coupon. Cannot be combined with any other offers or specials. Expires 11/30/22 With this MLM coupon. Cannot be combined with any other offers or specials. Expires 11/30/22 With this MLM coupon. Cannot be combined with any other offers or specials. Expires 11/30/22 10% OFF Any Catering Order over $200 $5OFF 1/2 Tray Pre-Ordered Family-Size 1/2 Tray (Lasagna, Baked Ziti, Rigatoni w/ Vodka Sauce, Sausage, Peppers & Onions, or Pasta Bolognese) Visit our website for all NEW DISHES! 48-Hour Notice for all Catering Orders CELEBRATION CAKES! • Over 13 Cake Flavors • Over 12 Fillings • Over 12 Frosting Flavors AND OTHER BAKED GOODS... THEY’RE DIVINE! Let us make your occasion divine • Wedding Cakes • Birthday Cakes • Cake Pops • Cupcakes Custom 561-783-5640 SCAN HERE TO VISIT OUR WEBSITE $ 50 OFF CUSTOM CAKES STARTING AT $450 With this MLM coupon. Expires 11/26/22
28 VOL. 553 D Copyrighted© My Living Media. 2022 All Rights reserved. To Advertise call 772-247-6849 Need More Coupons - MyLivingMedia.com SOLAR SHADES Manual or Motorized available Seaglass Window Fashions • Stained Wood Plantation Shutters • Zebra Shades • Honeycomb Shades • Woven Wood Shades • Sheer Shades American Made 561-430-4440 Quick Turnaround! PBG, Jupiter, Palm City, Stuart, Port St. Lucie White Poly Vinyl Plantation Shutters SIMPLE • HEALTHY • FRESH! 1155 MAIN ST #112 JUPITER 561-557-3949 SCAN FOR MENU On Any Boba Teas FREE Buy 1 Tea, Get 1 Expires 11/15/22 • Build Your Own Poke Bowl • Boba Teas • Japanese Desserts
GET TICKETS 561.575.4422 Performing Arts Academy of Jupiter proudly presents "Unnerving, exhilarating, and wildly inventive, you’ve never walked into anything quite like Trap." A THEATRICAL THRILLER
YOU PAID YOUR INSURANCE… We bill the insurance company directly Q: What is Mold? A: Mold is a type of fungi that is naturally occurring in the environment. Q: How does in grow? A: In order to grow, mold needs water, oxygen, and a food source, such as wood or drywall. Q: Where is it found? A: Mold grows in a place with a lot of moisture (leaks in roof, windows, pipes, etc.). Q: How fast can it grow and become a problem? A: Mold can easily grow within 24 to 48 hours. Q: Are there any health risks? A: Mold can cause nasual congestion, throat irritation, dif culty breathing, coughing, or wheezing. Q: How can I prevent mold growth? A: Fighting mold starts by ghting moisture. Q: How do I get rid of mold? A: The air in all affected areas should be treated to kill & remove spores. 70% 93% 21% 45 24-48 HRS Of Homes are estimated to have mold behind walls Of chronic sinus infections have been attributed to mold Of all asthma cases in the US are attributable to dampness and mold exposure Million buildings in the US have unhealthy levels of mold The amount of time it takes for mold to grow after a water loss LET IT COVER YOUR DAMAGES AQUA DOCS Water Restoration, Inc. 772-261-4181 WE DO IT ALL! WATER • MOLD • FIRE FREE Evaluation LIC# MRSR3440, MRSA3876
Copyrighted© My Living Media. 2022 All Rights reserved. To Advertise call 772-247-6849 Need More Coupons - MyLivingMedia.com 561.468.8230THE PATIENT AND ANY OTHER PERSON RESPONSIBLE FOR PAYMENT HAS A RIGHT TO REFUSE TO PAY, CANCEL PAYMENT, OR BE REIMBURSED FOR PAYMENT FOR ANY OTHER SERVICE, EXAMINATION, OR TREATMENT THAT IS PERFORMED AS A RESULT OF AND WITHIN 72 HOURS OF RESPONDING TO THE ADVERTISEMENT FOR THE FREE, DISCOUNTED FEE, OR REDUCED FEE SERVICE, EXAMINATION, OR TREATMENT. SCAN FOR WEBSITE & SERVICES We accept most major insurance plans & Medicare 4601 Military Trail #202, Jupiter HOURS MONDAY-FRIDAY 8:30AM-5:00PM FOOT, ANKLE, OR VEIN ISSUES? WE CAN HELP!Rel … DR. ORLANDO CEDENO DPM Podiatrist Foot & Ankle Surgeon Located in Jupiter, FL $100 OFF SCLERO VEIN THERAPY With this MLM coupon. Expires 11/15/22BEFORE AFTER • Foot Ankle Surgery • Bunion Surgery • Cysts & Warts • Fractures & Breaks • Ankle Arthritis • Diabetic Foot Conditions • Minimally Invasive Foot Surgery • Hammer Toe • Ingrown Toe Nails • Varicose Veins Treatment • Neuropathy Solutions • Nerve Decompression in Foot Our Jupiter location is centrally located and We welcome you to meet Gabrielle Poplarchick, Jupiter’s One-Stop Shop For Your Hearing Needs! Schedule an appointment for you or a loved one: 2161B S. US Highway 1
32 VOL. 553 D Copyrighted© My Living Media. 2022 All Rights reserved. To Advertise call 772-247-6849 Need More Coupons - MyLivingMedia.com 772-783-9517 I.M.A.Landscaping@gmail.com IMA LANDSCAPING TREE & PALM SERVICES With this MLM Coupon FREE STUMP REMOVAL Get 1 Free Stump Removed w/Purchase of 3 Stump Removals We BeatAnyEstimateWritten Lic & Ins Serving PSL, Martin, Palm Beach FREE ESTIMATES WE SPECIALIZE IN TREE REMOVAL • Rock & Stone Install • Palm/Tree Removal • Irrigation install & Services • Stump Grinding • Mulching & Sod Installed • Tree Trimming • Pressure Washing • Brazilian Pepper Tree Cut Back & Removal • Installation/Design • Lawn Maintenance • Clean Ups/Hauling • Weeding & Much More • H.O.A. Complaint Letters • H.O.A Approved • Hazardous trees that are too close to the roof HURRICANE SEASON IS HERE CALL US FOR TREE TRIMMING OR REMOVAL at Disclaimer: Phenix Salon Suites® is not responsible for this ad. This ad is produced by Sassy Scissors located inside Phenix Salon Suites®. The holder and or purchaser of this offer agree to hold Phenix Salon Suites ® harmless from any offer made by Sassy Scissors. Call: Men’s Haircut $16 With this MLM Coupon presented at time of service. May not be combined with other offers. Expires 11/15/22 SassyScissors 561-222-0835 Anita Located inside Suite 104 17380 ALT A1A • JUPITER• LOCATED IN THE SHOPPES OF JONATHAN’S LANDING New Clients. With this MLM Coupon presented at time of service. May not be combined with other offers. Expires 11/15/22 New Clients. With this MLM Coupon presented at time of service. May not be combined with other offers. Expires 11/15/22 New Clients. With this MLM Coupon presented at time of service. May not be combined with other offers. Expires 11/15/22 Cut with Color & Style Perm HighlightsFREE $77$84 starting at Conditioner & Blowdry IncludedCut and Style Included *Long hair and designer wraps extra - 1st time clients only • Screen Enclosure Makeover (rescreening & rusted screw replacement with caps for a new look) • Pool, Patio, and Porch Screen Enclosure • Sun Window Rooms and Accordion Shutters • All Types of Aluminum Fencing & Custom Railing • Electric Roll-Down Screens with Remote Control Inventor of the Hurricane Removable Screen Panel Removable Screen Panels Allow Hurricane Winds to Blow Through Screen Builders www.screenbuildersinc.comLicensed and Insured U#22179 Screen Builders & Fencing 561.693.6825 Florida’s Largest Screen Enclosure & Fence Specialists We install 1,500 ft. of fence per week Celebrating 35Years in SinceBusiness! 1987Doing business with GL Homes & Minto Homes We Are on Our 109,283 109,367 Job Installed
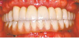
VOL. 553 D 33Copyrighted© My Living Media. 2022 All Rights reserved. To Advertise call 772-247-6849 Need More Coupons - MyLivingMedia.com PRICES ARE SUBJECT TO CHANGE WITHOUT NOTICE WITH THE EXCEPTION OF CONFIRMED BOOKING. NEW TREATMENT PROGRAM ONLY. THE PATIENT AND ANY OTHER PERSON RESPONSIBLE FOR PAYMENT HAS THE RIGHT TO REFUSE TO PAY, CANCEL PAYMENT OR BE REIMBURSED FOR ANY SERVICE EXAMINATION OR TREATMENT WHICH IS PERFORMED AS A RESULT OF AND WITHIN 72 HOURS OF RESPONDING TO THE ADVERTISEMENT FOR THE FREE, SERVICE, EXAMINATION OR TREATMENT. LIC #DN10761 OPEN MON.-FRI. SATURDAY & EVENING HOURS AVAILABLE JUPITER 561-250-6307 6390 W. Indiantown Rd., #32, Jupiter, FL 33458 At the West End of the Chasewood Plaza AppearanceImplants.com OPEN FOR EMERGENCIES | AFFORDABLE DENTAL EXCELLENCE IS NOW HERE! WE ARE PRIVATELY OWNED, NOT A CHAIN OR CORPORATE ENTITY. WE SPECIALIZE IN FULL MOUTH RECONSTRUCTION Additional services we offer include CLEAR TOOTH ALIGNERS, SINGLE IMPLANTS, DENTURES & MORE!!! FREE IMPLANT CONSULTATION (Exam & Digital X-Ray or 3D Cone Beam) (D0150, D9310, D0330 & D0383) SureSmile® OR CLEAR TEETH ALIGNERS OUR DENTISTS HAVE OVER 100 YEARS OF COMBINED EXPERIENCE & HAVE PLACED OVER 15,000 IMPLANTS You Des ve a Beautiful Smile! SALVATORE MELITA, DDS ALANA SHIELDS, BSN, RN, DMD JAY GELMAN, DMD JOSEPH GAETA JR., DDS Better On 8™ SALESPERSON:MelissaKelleyTR-1968533.INDD ISOUR37YEARTRADITION DentistOwned,Not “Hi,I’mMarkLindsay,andthat smeontheEdSulli nSho s, including ‘Kicks rizona.’Mytrademark saponytailandateenidolsmile.Theponytail’sbeen go fo awhile,butasasinger smileisstillsuperimportant.I cently nprocedure. Thestaff elcomfortablefromthe allyimpressedwiththeir dentalofficeandthedentistdidanoutstandingjob. Tradition Dentaltransformed ep my smile —MarkLindsay “Hi, I’m Mark Lindsay, and that was me on the Ed Sullivan Show. I sang every hit song for Paul Revere & the Raiders, including ‘Kicks,’ ‘Indian Reservation,’ and my solo ‘Arizona.’ My trademark was a ponytail and a teen idol smile. The ponytail’s been gone for awhile, but as a singer my smile is still super important. I recently visited Appearance Dental for an implant and crown procedure. The staff was courteous and made me feel comfortable from the moment I walked in the door. I was really impressed with their dental office and the dentist did an outstanding job. Appearance Dental transformed my smile, and I trust them to keep my smile looking revolutionarily good.” — Mark Lindsay Read all of our testimonials at AppearanceImplants.com WE WILL MEET OR BEAT ANY WRITTEN ESTIMATE ON IMPLANTS, ROOT CANALS, & CROWNS! WALK-INS WELCOME EVENING APPOINTMENTS AVAILABLE Cleaning Porcelain Fused to Metal Crown Zirconium All Porcelain Crown $59 $699 $899 Includes Free Exam & X-Rays New Patients Only LIMITED OFFER (D1110, D0150, D4355,D0330) (D2751) (D2740) FULL ROUND HOUSE BRIDGE A Better Alternative to All-On-4 Benefits • Very little, if any speech changes • Does not cover any part of the palate • Can be cleaned just like bridges on teeth • Require no special abutments (All-on-4 protocol requires angle correct on abutments which are not bone or gum tissue friendly) • Usually do not need pink porcelain at the gumline (because aggressive bone removal is not necessary) D6010, D6056, D6240, D6060 BETTERON8.COM D6010, D6056, D5863, D5865, D5862 PER ARCH WITH LOCATORS PER ARCH D6010, D6056, D6065, D6060 50% SAVINGS WE USE MEGAGEN IMPLANT SYSTEMS Implant, Abutment, and Zirconium Crown Implant, Abutment, and Crown Only$1,899 Only$2,099 D7140 DENTURES ECONOMY $359 INTERMEDIATE $999 DELUXE $2,000 D5810/D5811 D5130/D5140 D5110/D5120 With Simple Extractions Starting at $99 We will beat any like-priced quote $9,999 Implant and Abutments Placed Crown and Bridge Porcelain Fused to Metal Implant Abutments Placed $14,500 FULL MOUTH RECONSTRUCTION ROUND HOUSE BRIDGE 8/6 IMPLANTS & 12 UNITS OF CROWNS starting at starting at
34 VOL. 553 D Copyrighted© My Living Media. 2022 All Rights reserved. To Advertise call 772-247-6849 Need More Coupons - MyLivingMedia.com Let Us Take the “CHORE” Out of Your Chores • Move-In & Move-Out Services • • Weekly • Biweekly • Monthly • • One Time & Seasonal • EXPERIENCED • THOROUGH • DEPENDABLE RELIABLE • HONEST • AFFORDABLE Owners onEvery Job References Upon Request SATISFACTION GUARANTEED! 772.812.8780 • 772.418.5635 LICENSED/INSURED/BONDED • FREE Estimates • 20% OFF Second Cleaning 20% OFF 40% OFFThird Cleaning Add up the Savings! SAVE A TOTAL OF Not valid with any other offer. Expires 11/25/22 Not valid with any other offer. Expires 11/25/22 AFTER YOUR 3RD CLEANING Not valid with any other offer. Expires 11/25/22 ➡ ➡ NEW CUSTOMER SPECIAL 185 E Indiantown Rd. #216 • Jupiter Located in Seagrape Plaza Next to Duffy’s EastKAREN ROAN 561-339-1473 1on1 tness@comcast.net Family Owned for 20 Years PERSONAL TRAINING PHYSICAL THERAPY • INSURANCE ACCEPTED • MEDICARE • PT CUSTOM-TAILORED FOR YOUR NEEDS & GOALS For Only • Non-Intimidating Atmosphere • Personalized Training • Veterans Choice Provider • Senior Discounts • Pet Friendly • Over 40 Years of Experience *After 1st Physical Therapy appointment. With this MLM Coupon • Expires 11/15/22 FREE 30-MINUTE MASSAGE With this MLM Coupon • Expires 11/15/22 With this MLM Coupon • Expires 11/15/22 $ 99 3 PERSONAL TRAINING SESSIONS GYM MEMBERSHIP FIRST MONTH • FREE Consultation • FREE 30 min. Session for All New Customers 1/2 OFF oneonone tnesspro.com ATHLETES (STUDENTS & PROS)• INDIVIDUALS • COUPLES APPLE MACs Laptop Specialists (Desktops Too) • Repair • Data Recovery • 20 Years of Experience SYSTEM OPTIMIZATION SPECIAL $78.00 Our House Or Yours! Yes, we make house calls Jupiter’s only fully-stocked computer store! $25 OFF 561-567-0202 500 N OLD DIXIE HWY., #2, JUPITER ALL COMPUTER REPAIR With this MLM coupon. Cannot be combined with any other offer. Expires 11/15/22 FREE PICK-UP & DELIVERY
Located in the YumYum Plaza 815 S. US Hwy. 1, Jupiter FL 561-781-3696 HOME FURNISHINGS INSPIRED BY The Salt, Sand, & Sea Classic & Timeless Furniture, Unique Coastal Lighting, Accessories, & Rugs summerhousefurniture.com Mon.-Sat. 10am-6pm | Sun. 12:30pm-5pm
36 VOL. 553 D Copyrighted© My Living Media. 2022 All Rights reserved. To Advertise call 772-247-6849 Need More Coupons - MyLivingMedia.com Licensed & Insured CFC1427336 561.533.7070 PlumbRitePlumber.com $30 OFF ANY SERVICE With this MLM coupon. We have got your plumbing problems covered. Services we offer: • Sewer, Drain Stoppages, and Clogged Lines • Plumbing Leaks and Repairs • Water Heater Installation, Repair, and Replace • Electric Roto-Rooter Service • High Water Pressure Sewer Jetting • Leak Detection • Camera Inspection 24/7 EMERGENCY SERVICE 3215 SE GRAN PARK WAY STUART, FL 34997 SALES | STORAGE | DETAILING WHAT'S IN YOUR GARAGE? ® BUY, SELL, OR TRADE 561-202-3580 772-672-3080 NOW HIRING CALL TODAY! Experienced Electricians $50 OFF ANY JOB OVER $500 Cannot be combined with other discounts or offers. With this MLM coupon. Expires 11/25/22 Need An Electrician? FREE ESTIMATES Lic # EC13007910
VOL. 553 D 37Copyrighted© My Living Media. 2022 All Rights reserved. To Advertise call 772-247-6849 Need More Coupons - MyLivingMedia.com Visit us at our LOCAL Retail Locations • West Palm Beach • Palm Beach Gardens • Tequesta • Hobe Sound • Port St. Lucie • Fort Pierce • Vero Beach Call Today for more details 561-468-3735 compasshealthinsurance.com info@compasshealthinsurance.com FLORIDIANS HELPING FLORIDIANS SINCE 2007 NEED HELP WITH MEDICARE? • A $0 Medicare Plan Premium and dental too? You don’t need to choose just one • Largest Provider Network in your Area • All Medicare Plans accepted by Cleveland Clinic Facilities & Physicians • Learn about Medicare Supplement Plans • Learn about Medicare Advantage Plans • Understand Medicare A, B, C, & D • Understand your Rights, Bene ts, & Options We provide assistance with your Medicare Advantage & Medicare Supplement Plans. SCHEDULE YOUR ANNUAL MEDICARE REVIEW TODAY! Your Extra Bene ts Dental, Vision, Hearing, & Free Gym Membership
38 VOL. 553 D Copyrighted© My Living Media. 2022 All Rights reserved. To Advertise call 772-247-6849 Need More Coupons - MyLivingMedia.com IN-HOME CARE SERVICE • Short- & Long-Term Care • HHA/CNA • Companions/Sitters • Homemakers • Transportation • Respite Care 772-758-7560 2225 SE Ocean Blvd. • Stuart Receive your rst hour of home care services free With MLM coupon. May not be combined with any other offers. Expires 11/23/22 www.FirstHomeCareSolutionsFL.com License# 299995510 INSURANCE & LTC BENEFITS ACCEPTED ONE HOUR FREE VETERAN & SENIOR DISCOUNTS All Your Handyman Needs 772-281-9730 Veteran Owned • Licensed • Insured Call or Text Finish Trim Work Interior Carpentry Crown Molding Younique Custom Theater Trim & Design LLC facebook.com/theatertrim/ PROFESSIONAL HOME CLEANING Daily • Weekly • BiWeekly Monthly • Custom Call Santa for a FREE Estimate! 561.600.4006 Whole House Cleaning • Window Cleaning Trash Take Out • Move In/Out Cleaning Bathrooms • Mop Floors • Carpet Cleaning Stoves • Refrigerators • Blinds • Fans Kitchens & More! Santa Professional Cleaning_0073-3922_CS553 Call $ 25 NEW CUSTOMERS First-Time Cleaning With this MLM coupon. Must present coupon at time of purchase. Expires 11/30/22 OFF WAGNER’S • WAGNER’S • WAGNER’S • WAGNER’S • WAGNER’S • WAGNER’S • WAGNER’S • WAGNER’S WAGNER’S • WAGNER’S • WAGNER’S • WAGNER’S • WAGNER’S • WAGNER’S • WAGNER’S • WAGNER’S W AGNER ’ S • W AGNER ’ S • W AGNER ’ S • W AGNER ’ S W AGNER ’ S W AGNER ’ S • W AGNER ’ S • W AGNER ’ S • W AGNER ’ S W AGNER ’ S W‘Cause you like it cool… WAGNER’S REFRIGERATION & AIR CONDITIONING Your Satisfaction is our Guarantee! 561-743-5759Lic#CAC057855 Central Air Conditioning • Commercial Refrigeration Ice Machine Specialists Any A/C Install $10000off It’s Hard To Stop A Trane.® Wagner's Refrigeration_0074-1118_HI553 Commercial & ResidentialPRECISE ROOF COATING Call Now! 772-758-5808 ★Protect ★Save Money ★Restore FREE ROOF ESTIMATE & ROOF EXAM SPECIALIZING in 100% Silicone Roof Coatings. DON’T RE-ROOF! Restore Your Current Roof Today! Quali ed Applicators for Gaco Western
VOL. 553 D 39Copyrighted© My Living Media. 2022 All Rights reserved. To Advertise call 772-247-6849 Need More Coupons - MyLivingMedia.com • Expert Lamp Repair & Restoration • Bring In Your Lamp For A Proper Fit! Best Selection of Lampshades in Florida! ANY SHADE IN THE STORE Expiration 11/23/22 $10 OFF $39.00 and Up 772.221.0222 Cedar Pointe Plaza 2461 SE Ocean Blvd. Stuart, FL 34996 Custom-Made Lamps & Shades ... Bring Your Lamp for a Proper Fit! Health & Beauty Products • Anti-Aging Cream • Glutathione Injections • Anti-Fungal Solutions • Arousal Cream • Biotin Injections • Vitamin D3 Injections • NAD+ Injections • B12 Injections • Vitamin C Injections • Lipo Tropic Injections • Coenzyme Q10 Delivered To Your Residence From A USA Pharmacy Video Or Phone Dr. ConsultationGo Online to* *TeleHCG.com or *NewBeginningsMedical.com 877-424-9994 BELLA BENEFITS INTRODUCTORY PRICING CONTENTS OF EACH BELLA CAPSULE• Weight Loss • Appetite Suppression • Mood Improvement • Increase Energy • Improved Sleep • Reduced Hunger • Increase Libido • Reduce Anxiety • Increase Strength • Phentermine • Diethylpropion • Topiramate • Naltrexone • Methylcobalamin:B12 30-DAY SUPPLY 90-DAY SUPPLY Reg. Price ...................... $293 Introductory Price ........................... $238 Reg. Price ...................... $711 Introductory Price ........................... $596 $55 SAVINGS $115 SAVINGS INTRODUCING A NEW WEIGHT LOSS PRODUCT Pharmaceutical Grade HCG DIET Lose up to 1 Pound Per Day HCG NOW AVAILABLE FREE
Need More Coupons - MyLivingMedia.com ZERØ! Ø Tax Ø Interest Ø Payments /24 MONTHS /24 MONTHS FINANCING DISCLOSURE: Contractor is neither a broker nor a lender. Financing is provided by third-party lenders unaffiliated with Contractor, under terms and conditions arranged directly between the customer and such lender. All subject to credit requirements and satisfactory completion of finance documents. Any finance terms advertised are estimates only. PATIO ENCLOSURES BRING YOUR OUTDOORS Home Gym Dream Office
VOL. 553 D 41Copyrighted© My Living Media. 2022 All Rights reserved. To Advertise call 772-247-6849 Need More Coupons - MyLivingMedia.com 561-781-9677 772-403-9677 FREE Quote *MaxGuard is not responsible for delays outside of it’s reasonable control including but not limited to HOA and permitting approval or manufacturing delays. ENCLOSURES OUTDOORS INDOORS Entertainment Room Outside Patio Outdoor Enclosure -Patio Dining
42 VOL. 553 D Copyrighted© My Living Media. 2022 All Rights reserved. To Advertise call 772-247-6849 Need More Coupons - MyLivingMedia.com • Hurricane Protection • Home Security • Energy Efficiency • Reduced Insurance Costs • Increased Property Value • Sound Reduction Licensed & Insured SCC131151738 Hurricane Windows & Doors Don’t Get Caught Off Guard, Use Florida’s www.MaxGuardHurricane.com
VOL. 553 D 43Copyrighted© My Living Media. 2022 All Rights reserved. To Advertise call 772-247-6849 FREE Quote! Call Today Windows *FINANCING DISCLOSURE: Contractor is neither a broker nor a lender. Financing is provided by third-party lenders unaf liated with Contractor, under terms and conditions arranged directly between the customer and such lender, All subject to credit requirements and satisfactory completion of nance documents. Any nance terms advertised are estimates only Florida’s #1-Rated Hurricane Window ZERØ! Ø Tax Ø Interest Ø Payments /24 MONTHS /24 MONTHS 561-566-5629 772-932-5629
44 VOL. 553 D Copyrighted© My Living Media. 2022 All Rights reserved. To Advertise call 772-247-6849 Need More Coupons - MyLivingMedia.com 1-833-ACE-CART(223-2278) Aceofcarts.com Ace of Carts 4880 SE Federal Hwy., Stuart • 2nd Location 552 US Hwy. 1 North, Tequesta Must be a 2022 Model Year Club Car from dealer stock. Offer Valid through November 25th 2022 or while supplies last. Financing is available with standard rates. Not eligible for 0% Financing promotion; offers do not combine. Promo code:MLM822 Model Year End Super Sale! Over 200 Brand New Club Cars in stock! $1,000 in FREE Accessories, FREE Delivery Destination, & Setup Charges. REGISTER ONLINE TO GET www.AceofCarts.com/August-Promo SALES• SERVICE • PARTSModel Year End Clearance Carts in Stock & Ready for Halloween Delivery Now Open in Tequesta! AUTHORIZED DEALER LIC #U-22038 LIC #MCFE6928 We’ll Beat Reasonable Estimates From Comparable Licensed Companies & Product Offerings Some Restrictions Apply AUTOMATIC GATE OPENER SPECIALIST 561-899-4574 www.budgetfenceandgate.com Since 1950 RESIDENTIAL COMMERCIAL Se Habla Español ASK ABOUT OUR Promotion for Eligible Projects. or Interest, Payments for Months Options! Down, Low Monthly Payments 0 0 0 24 561-312-1937 DUMPSTER RENTALS DONE RIGHT CLEANING OUT YOUR HOUSE? NEED JUNK REMOVED? Delivered in 24 hrs or Less www.bulkwastefl.com $50 $20 OFF OFF With this MLM Coupon Expires 11/24/22 With this MLM Coupon Expires 11/24/22 ANY DUMPSTER JUNK REMOVAL
VOL. 553 D 45Copyrighted© My Living Media. 2022 All Rights reserved. To Advertise call 772-247-6849 Need More Coupons - MyLivingMedia.com …A Beautiful Smile is closer than you think. General, Cosmetic, & Implant Dentistry THE PATIENT AND ANY OTHER PERSON RESPONSIBLE FOR PAYMENT HAS THE RIGHT TO REFUSE TO PAY, CANCEL PAYMENT OR BE REIMBURSED FOR ANY SERVICES, EXAMINATION OR TREATMENT WHICH IS PERFORMED AS A RESULT OF AND WITHIN 72 HOURS OF RESPONSE TO THE ADVERTISEMENT FOR FREE OR DISCOUNTED SERVICES, EXAMINATION OR TREATMENT. 654 W. Indiantown Rd. Suite 105, Jupiter Lic#14440 Angelo Forte, DMD, PA. 561.747.2134 ! NEW PATIENT SPECIAL ZOOM2 WHITENING $89 $125 OFF Prophylaxis Cleaning, Exam, FMX, & Oral Cancer Screening Codes: D0150, D1610, D1674, D1110 Codes: D0003 RESTRICTIONS MAY APPLY. MLM COUPON EXPIRES 11/25/22 MLM COUPON EXPIRES 11/25/22 NOW OFFERING In-House Dental Discount Plan Ask for details IV INFUSION FOR ENERGY & WEIGHT LOSS! WE CAN COME TO YOU! 561-319-7388 www.AquaRestoreWellness.com • Help to boost your immune system & ght the u/COVID. • IV infusion absorption rate is 90-100% as opposed to the oral rate of 20-50% on average. • IV therapy can help to hydrate you fast. • Recover faster from the common hangover. • Can help your skin glow for big events, like a wedding. • Help your body to heal itself, starting from the cellular level. WHY IV? With this MLM Coupon. Expires 11/24/22With this MLM Coupon. Expires 11/24/22With this MLM Coupon. Expires 11/24/22 ENERGY INFUSION NAD+ INJECTIONS $20 $20OFF REG. $180 1 Shot 1 Month Supply of Injections $450 FREE B12 SHOT with the Purchase of an IV OFFERING CRYOTHERAPY COMING SOON COMING SOON To Our New Of ce in the Nexus Building on Lake Worth Rd.
46 VOL. 553 D Copyrighted© My Living Media. 2022 All Rights reserved. To Advertise call 772-247-6849 Need More Coupons - MyLivingMedia.com Make Your Shower & Floors Look New Again! THE GROUTSMITH • Tile & Grout Cleaning • Grout Restoration • Tile & Grout Repair • Loose & Hollow Tile Rebonding • Shower Repairs & Regrouting • Non-Slip Tile Treatment Call today for a FREE Estimate • 772-224-3011 or 1-800-561-3736 • www.GroutsmithStuart.com SEE THE DIFFERENCE WE CAN MAKE IN THE LOOK OF YOUR HOME! Your Grout & Tile Cleaning Experts $30OFF ANY JOB OF $300 OR MORE $50OFF ANY JOB OF $500 OR MORE With this MLM coupon only. Cannot be combined with any other offers or specials. Expires 11/25/22 No More Dirty Grout! Guaranteed for 10 Years! Before Before After After With this MLM coupon only. Cannot be combined with any other offers or specials. Expires 11/25/22 NEED SHUTTERS THIS WEEK? Family Owned & Locally Manufactured Plantation Shutters • ANGLES & RAKES • ARCHES & SUNBURSTS • OTAGON, CIRCLE, HEXAGON • SILL COVERS & CAPS HORIZONTAL ARCH PLANTATION SHUTTERS SUNBURST PLANTATION SHUTTERS www.plantationshutters a.com Treasure Coast Palm Beach 772-600-4253 or 561-420-0418 Visit our manufacturing shop at: 406 Farmers Market Rd Ft Pierce, FL 34982 IN HOME ESTIMATESFREE $1695 SQ. FT. INSTALLED Starting at Plantation Shutters Florida™ Your Plantation Shutter Specialist Plantation Shutters Florida™ We are the Real Manufacturer Licensed & Insured CALL TODAY AND GET UP TO 10% DISCOUNT Restrictions may apply.
VOL. 553 D 47Copyrighted© My Living Media. 2022 All Rights reserved. To Advertise call 772-247-6849 Need More Coupons - MyLivingMedia.com Licensed & InsuredJTPressure Cleaning JTPressureclean.com FREE15% $100-$125OFF SIDEWALK CLEAN COMPLETE EXTERIOR & ROOF CLEANING DRIVEWAYS POOL DECKS With Any Pressure Clean Up to 750 Sq. Ft. All offers with this MLM Coupon. Expires 11/25/22 • Roofs • Buildings • Home • Exterior • Patios • Fences • Stain Removal • Window Cleaning • Driveways 561-262-3711 Reliable • All Work Guaranteed • Reasonable Rates WE BEAT ANY WRITTEN ESTIMATE! Jupiter Sod & Landscaping FREE ESTIMATES FLORATAM • BAHIA • PALMETTO • BERMUDA Sod Removal & Installation 13049 W. Indiantown Rd. • Jupiter 1st Pallet 10% OFF With this MLM coupon. Expires 11/15/22 LANDSCAPE DESIGN ROCKS & MULCH PRODUCE HARDSCAPING Over 40 Years of Experience 561.768.1337 561.747.7856 10’x10’ Kitchen Cabinets & Granite $1,999** SendUsaPhotoofYourKitchenandwe’llsendyoua FREEInitial EstimateforGranite Countertops &Cabinets Sendto: info@kingofkitchen.com ORTEXTto Over 36,000 Sq. Ft. of Showroom & Warehouse NO 18 MONTHS ON PURCHASES OF IN-STOCK CABINETS & QUARTZ Certain restrictions apply. Cannot be combined with other offers. 561-291-9414 FREE 3-D Design Modern Kitchens Also Available Calacatta 3cm Installed $45 per Sq.Ft. INTEREST FOR & Granite Corp CALL TODAY FOR A FREE ESTIMATE 561-612-0214 1806 MADRID AVE. · LAKE WORTH, FL Open: Mon-Fri 9am-5:30pm; Sat 9am-2:30pm www.KingOfKitchen.com *measurement and sink not included.
48 VOL. 553 D Copyrighted© My Living Media. 2022 All Rights reserved. To Advertise call 772-247-6849 Need More Coupons - MyLivingMedia.com GOOD is a haircut you love. GREAT is a sweet price too. $ 999 OFFER EXPIRES: 10/31/22 ANY HAIRCUT Not valid with any other offers. Limit one coupon per customer. No copies. Taxes may apply. Valid at Frenchman’s Crossing, Donald Ross Village & Plaza at Lake Park. Masks may be required. LAKE PARK Plaza at Lake Park 1244 Northlake Blvd • 561-515-5410 PALM BEACH GARDENS Donald Ross Village 4650 Donald Ross Rd (Central Blvd & Donald Ross Rd) 561-624-7372 Frenchman’s Crossing 4073 Hood Rd (Next to Publix) • 561-768-7767 greatclips.com | jobs.greatclips.com | greatclipsfranchise.com 41309-001-Norman-Donald Ross Village-Frenchman's Crossing-Plaza at Lake Park-6.25 x 4.5325.indd 1 5/31/22 12:59 PM OFFER EXPIRES: 11/23/22 YOUR NEXT PRODUCT PURCHASE Natural Pet Food • Boutique • Grooming Catering to Your Pet’s Health! 155 Toney Penna Drive, Suite 6, Jupiter, FL 33458 1/2 mile South of Indiantown Road, between Alternate A1A & Military Trail Largest selection of natural, holistic, & raw pet food, including raw meaty bones, chicken necks, & tripe. 561.748. PAWS 7297 info@healthepetsmarket.com WWW.HEALTHEPETSMARKET.COM Certi ed NutritionPet Specialist Healthy options for cats and dogs, including supplements and vitamins, plus all of your pet’s favorite treats. 10%offToys • Bones • Bedding • Leashes • Collars • Grooming Supplies and more. (Mon.-Sat.) • 8:30am - 7:00pm (Sunday) • 11:00am - 4:00pm EXCLUDING FOOD & GROOMING Must present coupon at time of service. Not valid with any other offer. Expires 11/15/22
VOL. 553 D 49Copyrighted© My Living Media. 2022 All Rights reserved. To Advertise call 772-247-6849 $1995 First Month UNLIMITED INSIDE & OUT WASHES SAVE $25 You get unlimited hand washes AND wheels, cleaned, sealer wax, tires shined, dash and jams wiped, vacuum, windows blown dry and hand nished, all Unlimited. Reg. $44.95. Credit Card Required. New customers only. Some large, raised and commercial vehicles excluded from club. Download our mobile app required to redeem offer. Cannot be combined with any other offersWith MLM coupon. Expires 11/30/22 561-WASH-ME-2 100% HAND WASH! Jupiter-6812 W. Indiantown Rd. (Next to McDonalds) Tequesta-1625 N Old Dixie Highway (Next to Pinder’s Seafood) Gardens-4109 Northlake Blvd. (BP at Northlake & I-95) WPB-2405 Okeechobee Blvd. (Formerly Top Hat Car Wash) Wellington-4213 S. State Road 7 (Lake Worth Rd & 441 in Chevron) Gardens-12194 Alternate A1A (1/4 Mile S. of Hood Rd., Next to Chevron) Gardens-9730 Alternate A1A (Formerly Starbrite Carwash @ Sunoco) SAVE (Reg $25/$29/$40) With MLM coupon. Cannot combine discounts. All Prices subject to size/condition of vehicle. Download our mobile app required to redeem offer. Expires 11/30/22 Download our App for great savings around town “Wash Club” www.UnlimitedAutoWashClub.com ★ Up to (96 Hour) Rain Guarantee ★ Monday is Men’s Day ★ Wednesday is Ladies’ Day ★ Thursday is Senior’s Day $3599 Express Hand Wax 30 Minute Service Price subject to change based on condition/size of vehicle. Includes Popular Wheel Deal Wash Package. Valid at all 7 locations. With MLM coupon. Cannot combine discounts. Download our mobile app required to redeem offer. Expires 11/30/22 (Reg $44.99) Our Top 3 Wash Packages $5 Complete Detail Inside & Out Price Subject to Change Based on Condition/Size of Vehicle. With MLM coupon. Valid at ALL 7 locations only. Not valid with other offers. Download our mobile app required to redeem offer. Expires 11/30/22 $11999 (Reg $149.99) LET US SANITIZE YOUR CAR!Mon-Sat 8:00AM-6:00PM Sun. 9:00AM-5:00PM
50 VOL. 553 D Copyrighted© My Living Media. 2022 All Rights reserved. To Advertise call 772-247-6849 Need More Coupons - MyLivingMedia.com Specializing in… • Hazardous Tree & Limb Removal • Palm Tree Trimming • Total Tree Care Licensed & Insured 20% Off All Services MLM coupon expires 11/30/22 772.361.6187 FREE ESTIMATES! 561-464-5222 6390 W. Indiantown Rd., Suite 24A, Jupiter FALL SPECIAL ALL DAY CALORIE BURN. SCHEDULE YOUR FREE CLASS AT OUR JUPITER LOCATION New members, returning members, everyone! When you sign up before November 15, 2022! 50% Off SWAG BAG FREE Plus a ‘Quit-Free’ Guarantee *When you sign up by 11/15/22 If you don’t see results in your rst 30 days, then we will return your membership payment. Fitness Made Fun! • RESIDENTIAL • COMMERCIAL • MARINEWINDOW TINTING NO AUTOMOBILES off$30 Any order over $100 Exp. 11/30/22 SAVE ON Y OUR E LECTRIC B ILL !! Over 40 Years of Experience 772.244.2990 www.mrtintofamerica.com TINT YOUR WINDOWS Highest Quality Film at the Lowest Prices Reduce Heat Load Eliminate Glare Minimize Fading BEST OF ALL We come to You! BeforeBefore AfterAfter
VOL. 553 D 51Copyrighted© My Living Media. 2022 All Rights reserved. To Advertise call 772-247-6849 BOAT CRUISES gopontiki.com // 833-755-8454 Come experience our beautiful tropical waterways aboard the PonTiki and save $50 on your upcoming cruise. Beer and wine are included in the price of your ticket. Call or visit our website at to see our schedule and book your cruise! 561.621.4676 Jupiter, FL Enjoy complimentary beverages as we cruise the blue waterways of Jupiter. Hop on a Pontiki Boat Cruise! Cruises Available Daily! Book Online at Gopontiki.com OPENING 2ND LOCATION IN STUART THIS FALL! PonTiki continues to be committed to ensuring the health and well-being of our clients and team members. Please visit our website or call us for further information. We hope to see you on the water soon! BOOK YOUR CHRISTMASEVENT IN NOVEMBER & RECEIVE A PRIVATE CRUISE 10% OFF
52 VOL. 553 D Copyrighted© My Living Media. 2022 All Rights reserved. To Advertise call 772-247-6849 Need More Coupons - MyLivingMedia.com Donna Carragher Insurance Consulting, LLC Need Health Insurance? Please call me to schedule your renewal now at 561-402-6140 You can also email me at dcarragher.insurance@gmail.com • Individual/Family Health Plans • Medicare • Vision • Dental • Accident MEDICARE OPEN ENROLLMENT October 15, 2022 - December 7, 2022 OPEN ENROLLMENT FOR INDIVIDUAL & FAMILY PLANS BEGINS November 1, 2022 - January 15, 2023 ALARM SYSTEMS Protecting People & Property Since 1984 FULLY INSTALLED & MONITORED ALARM SYSTEM • Alarm.com Dealer • FREE Home Survey • Security Cameras • Fire Alarms • Security Alarm Systems LIC# EF20000681 • LIC# FPC 13-000046 7728376567 FREE 1ST MONTH OF SERVICE WITH A MINIMUM OF 12 MONTHS WITH THIS AD • EXP. 11/30/22 SPECIAL SENIOR DISCOUNTS! Of $1,000 or more *Call for more info $150off $99off $75off MIN. 500 SQ. FT. MIN. 1500 SQ. FT. • Residential & Commercial • Interior/Exterior • Wallpaper Removal • Drywall Textures • Waterproo ng • Brick Paver Sealing Craig 772-291-5553 www.CraigHanlonPainting.com PAINTING AND PRESSURE CLEANING 1 ROOM PAINTING ANY SERVICE FREE ESTIMATES BRICK PAVER SEALING
2560 RCA Blvd. Suite 101 • PBG • 33410 • www.pbgdentist.com The patient and any other person responsible for payment have the right to refuse to pay, cancel payment, or be reimbursed for any other services, examination, or treatment which is performed as a result of and within 72 hours of responding to the advertisement for the free service, examination, or treatment. Samuel J. Holcroft D.M.D., P.A. SERVICES INCLUDE Samuel J. Holcroft Family & Cosmetic Dentistry Please Mention Code OMS for discounted prices when booking. WHAT SETS US APART • 0% Financing Thru Care Credit. O.A.C. • Most Dental Insurance Plans Accepted • Adults & Children • Nitrous Oxide Gas & Oral Sedation if Desired • Partials & Dentures • Root Canals • Grinding Guards • Extractions • Digital X-Rays • Routine & Deep Cleanings • Tooth-Colored Fillings & Bondings • Crowns & Veneers • Implants & ImplantSupported Bridges A $400 VALUE. FOR NEW PATIENTS ONLY. May not be used with any other coupon. For best results should be used within 3 months of last cleaning. Expires 11/30/22 EMERGENCY PATIENT SPECIAL TOOTHACHE? $50 With this MLM coupon. Please mention this ad when calling for appointment. Cannot be combined with any other offer. Expires 11/30/22 Including X-Ray (D0220) and Exam (D0140) $200 TEETH WHITENINGNEW PATIENT SPECIAL $79 With this MLM coupon. Please mention this ad when calling for appointment. Cannot be combined with any other offer. Expires 11/30/22 Including FMX (DO210), EXAM (D0150) & CLEANING (D1110) Is your dentist open on Friday and Saturday? We are! NOW OPEN FRIDAYS & SATURDAYS! 561-622-5600 MENTION CODE SMILE TO BOOK YOUR APPOINTMENT

For What It’s Worth

Hifolks. I’ve had quite a few emails over the past few weeks, all on the topic of loneliness, from senior citizens who have either lost a loved one, or have relocated to our area. Funny how related topics crop up in my email from time to time, as if the universe has sensed the need to take a closer look at the sadness that has permeated many of our friends and neighbors. You might not know them by name, or if you do, you might not have guessed their vulnerability when you run into them at the grocery store, but there are a lot of very alone, lonely people trying to gure out how to live the rest of their lives without companionship, and sometimes, even without conversation.

eir emails provoke memories of my own mother, who lived alone until she was almost 96, staunchly independent, having lost two husbands. On my rounds coming home from work, busy, running to the market, guring out dinner, bringing her over a hot meal, then running home to my own family, I would o en look at my watch as I pulled into her parking lot, noticing my time of arrival, and estimating the respectable amount of time I would stay with her, before rushing home. A er I put away her groceries, made her dinner, tidied up her house, did some laundry, and put her dishes away, I noticed that an hour had passed, and it was time for me to go. is went on for some years prior, but as one year turned into the next, and she was less mobile, having given up her freedom by way of giving up her automobile, she sometimes made comments such as “are you sure you can’t stay a little longer?” Sometimes

I did, but reluctantly, not that I didn’t enjoy her company, but because my schedule with work, a husband, and household tasks hovered in my head, and much of the time, I would reminder that I had already been there for an hour, and I would return the next day. She’d smile, and tell me to have a good night, and I’d leave, rushing home for my next duties. My life was so lled with duties, that it didn’t occur to me how lonely she was, that she had 23 out of 24 hours by herself, with the television her only friend. Most of the people she once knew had died, and because she was no longer active in her condo community, she hadn’t made any new acquaintances. I was her only “friend” but I didn’t know it then, too self-absorbed with my own life.

My mother has been gone three years now, the last few spent in a nursing home, where I again visited her every day for one hour, and again, she’d look at me with eyes that said, “can’t you stay a little longer?” I had no idea what loneliness was, until now, until my own husband passed away, my own children have grown and moved on with their lives, until I received the emails asking me, begging me, to tell these readers how to ll their time. I look back and regret every day that I didn’t o er my mother more, whatever more might have been, and that I thought I had to rush home to take care of my own dishes and laundry, but if I could turn back time, if I had one more chance, if I could live without regret, I would have taken the evening to sit with her, not to cook and clean, but to tell her stories, to ask her what she was thinking, what memories she might have had that day, and how important she was to me. I

can’t do that. It’s too late for me, but it may not be too late for you.

If you have an older friend or relative, do not assume that they’re ne, just because they put on a brave front. Time goes slowly when you have nothing to look forward to, and no one to talk to. Take the time, o er some of yourself to someone, even if you don’t know them, even if it’s just a kind word to a stranger at the grocery store. We, in Florida, are a group of people more so than most states, who have lost spouses, who are growing older, and who are lonely, with lifelong friends who are sick or passing away.

For What It’s Worth, I can’t give my mother more of my time, but I can give it to others, every day, with a smile or kind word. I don’t know where to point these readers who have asked me how to make friends and where to nd them, but I do know that the obvious answers, joining a group of people with like interests aren’t always possible for those who are in rm or unable to drive. Take a good, hard look in your neighborhood, at your places of worship, at the grocery store, and you might just nd someone who would appreciate some time. You won’t be sorry.

54 VOL. 553 D Copyrighted© My Living Media. 2022 All Rights reserved. To Advertise call 772-247-6849 Need More Coupons - MyLivingMedia.com WWW.TKGUTTERS.COM 772-692-9727 | 561-250-2184 Authorized Dealer For PRESERVE & PROTECT YOUR HOME, FOUNDATION, & LANDSCAPING FROM WATER DAMAGE • Seamless • Modern Box • Half Round • Commercial • Aluminum • Copper Steel • Installation • Cleaning • Manufacturing • Repair • Maintenance • 5-YEAR WARRANTY FREE ESTIMATES Licensed & Insured License #MCNS4803
Comments or Suggestions DrMelfi@mediaoms.com
VOL. 553 D 55Copyrighted© My Living Media. 2022 All Rights reserved. To Advertise call 772-247-6849 Need More Coupons - MyLivingMedia.com “From our family to yours, you’ll love getting American-made window treatments in as little as 2 weeks!” Shutters Roller Shades Blinds Smart Home Compatible Motorization MEET TOM & ZETTA Licensed and Insured Martin County-Based Business 772-742-5242 FREE IN-HOME ESTIMATES With MLM coupon. Expires 11/30/22 Visit our website to read our story www.shutterfactory .com or scan the QR code with your smart phone American-Made Plantation Shutters “Third Generation in the Window Treatment Business”
56 VOL. 553 D Copyrighted© My Living Media. 2022 All Rights reserved. To Advertise call 772-247-6849 Located at: 651 W. Indiantown Rd., Jupiter • 561-746-2345 FREE Cleaning 50% Off Any Watch Battery 20% Off Any Repair MLM Coupon expires 11/15/22MLM Coupon expires 11/15/22MLM Coupon expires 11/15/22 Your Premier Golf Cart Dealer in Jupiter! We Offer the Following: VISIT US ONLINE @ Jupitergolfcartsales.com 800 Capital St., #E, Jupiter • Service/Maintenance • Custom Golf Carts • Rentals: Daily/Weekly/Monthly • Parts • Sales: Gas/Electric (2-6 Seaters) • Accessories • Registrations & More! 561-408-7058 $20 OFF OFF $150 ANY CUSTOMBUILT GOLF CART ANY SERVICE JOB Expires 11/15/22 Expires 11/15/22
Need More Coupons - MyLivingMedia.com • Plumbing Repairs • Water Heaters • Toilet Installation • Garbage Disposals • Clearing Sewer Lines • Septic Services • Distribution Boxes • New Installations PLUMBING REPAIRS & WATER HEATER INSTALLATIONS - WE GIVE SENIOR CITIZENS & VETERANS DISCOUNTS! Lic. #CFC1429556 Available Nights, Weekends & Holidays ANY JOB Big or Small We Do Them All! $65 OFF $50 OFF $35 OFF Not valid with other offers or prior services. Must present MLM coupon. Limit one coupon per service call. Not valid with other offers or prior services. Must present MLM coupon. Limit one coupon per service call. Not valid with other offers or prior services. Must present MLM coupon. Limit one coupon per service call. $30 OFF Not valid with other offers or prior services. Must present MLM coupon. Limit one coupon per service call. D D D D $100 OFF Not valid with other offers or prior services. Must present MLM coupon. Limit one coupon per service call. $50 OFF Not valid with other offers or prior services. Must present MLM coupon. Limit one coupon per service call. D $250 OFF Not valid with other offers or prior services. Must present MLM coupon. Limit one coupon per service call. FREE Not valid with other offers or prior services. Must present MLM coupon. Limit one coupon per service call. Not valid with other offers or prior services. Must present MLM coupon. Limit one coupon per service call. Celebrating 40 Years of Excellence Your Next Service Call Any New Hot Water Heater or Tankless Heater Any New Toilet Clearing Any Sink, Toilet, or Main Sewer Line Any New Garbage Disposal Any Septic Pumping Any Distribution Box Replaced $37 OFF BACTERIA TREATMENT with Pumping and Backwashing Any New Drain Field Installed D D D D
58 VOL. 553 D Copyrighted© My Living Media. 2022 All Rights reserved. To Advertise call 772-247-6849 Need More Coupons - MyLivingMedia.com 772-617-4960 *Prices subject to change based on circulation Living Jupiter Index Page 6 CONNECT TO YOUR COMMUNITY First Time Customers Only. Some Restrictions Apply. Limited Time Offer $100 OFF ANY MAILING *8 TIME AGREEMENT - 1/2 PAGE AD OR LARGER * Call Today for Back to School Lessons MUSIC LESSONS IN STUDIO OR LIVE VIRTUAL LESSONS! www.frederickcapitelli.com 561-575-0576 658 W Indiantown Rd Ste #210 • JUPITER *with experienced music teacher: Frederick Capitelli VOICE• GUITAR • BASS • MANDOLIN • BANJO VIOLIN • VIOLA • CELLO • UPRIGHT BASS • PIANO ACCORDION • SPINET & CONSOLE ORGAN DRUMS/BELLS INSTRUMENTS & ACCESSORIES PIANO TUNING & REFINISHING• RECORDING STUDIO Get Back Into Your Grove & Find Your Rhythm! Frederick Capitelli TREE & HEDGE TRIMMING Tree Service & Pressure Cleaning Jupiter Farms Resident & Business Owner for Over 30 Years! Licensed & Insured Commercial & Residential PAUL STETSON FREE ESTIMATES & Pressure Cleaning FREE GUTTER CLEANING W/ ROOF CLEANINGAccredited Business Since 1993 www.PaulStetson.com 561.373.8764 With this MLM coupon. Exp. 11/15/22 Cannot be combined with any other offers. ★★★★★★★★★★★★★ TREE REMOVAL PRESSURE CLEANING & STUMP GRINDING GUTTER CLEANING LAND & LOT CLEARING ★★★★ Professional Stump Grinding Service WE HAUL AWAY ALL DEBRIS Pressure Cleaning of • Roofs • Walls • Patios • Walkways • Driveways • Screen Enclosures • Gutters After Roof Cleaning Licensed, Bonded, & Insured 561-748-5353 With this MLM coupon, 1 coupon per household. Cannot be combined with any other offer. Minimum 1 1/2 hours cleaning. Expires 11/25/22 OFF FIRST CLEAN $10Call for a FREE Estimate • Residential • Commercial • Move In/Out • Seasonal Cleaning • One-Time Cleaning GIFTAVAILABLECERTIFICATESWe clean your home like it’s our own!
VOL. 553 D 59Copyrighted© My Living Media. 2022 All Rights reserved. To Advertise call 772-247-6849 WE CARE WE SHOW UP WE CALL YOU BACK WE FINISH THE JOB We specialize in: RESIDENTIAL AND COMMERCIAL ROOFING LIC#CCC1326574 • LIC#CRC1326582 Call Now! 772-247-6067 or 561-293-4909 CODEREDROOFERS.COM FREE ESTIMATES • Financing Available
60 VOL. 553 D Copyrighted© My Living Media. 2022 All Rights reserved. To Advertise call 772-247-6849 Need More Coupons - MyLivingMedia.com Emergency Care Teeth Whitening Cosmetic Dentistry Same-Day Treatment Family Dentistry Always Accepting New Patients & Walk-Ins Ask About Our In-House Plan Hours: Mon - Fri 8:30AM-5:00PM 3889 Military Trail #102 Jupiter, FL 33458 561-861-2611 www.dbd .com NEW PATIENT SPECIAL $99 D0150 Exam D0210 X-Ray D1110 Cleaning in absence of periodontal disease D0330 Panoramic X-Ray Expires 11/30/22SE HABLA ESPAÑOL Now Offering: FREE Whitening for new patients for a year! Come see the largest showroom in the area, featuring: Miele, Riccar, Hoover, Dyson, and Much More! 561-359-0996 201 North US Highway 1 • Suite B3, Jupiter Next the Jupiter Movie Theater www.actioncentralvacuum.com www.jupitervacuum.com $5 OFF ANY VACUUM REPAIR Excludes Electric Brooms & Hand Vacuums WITH THIS MLM AD. CANNOT BE COMBINED EXPIRES 11/25/22 $100 OFF Limited Quantity ACT NOW!!! MSRP SELECT MIELE MODELS Family Owned & Operated FACTORY AUTHORIZED DEALERS! $20 OFF (Reg. $85) CENTRAL VAC SERVICE CALL Expert Sewing Machine Repair on All Makes & Models WITH THIS MLM AD. CANNOT BE COMBINED • EXPIRES 11/25/22 WITH THIS MLM AD. CANNOT BE COMBINED EXPIRES 11/25/22 WE COME TO YOU! Is Your Central Vacuum Running Sluggish? We Restore it to New Condition. 15OFF %
VOL. 553 D 61Copyrighted© My Living Media. 2022 All Rights reserved. To Advertise call 772-247-6849 Need More Coupons - MyLivingMedia.com www.GoalsWeightLoss.net GOALS WEIGHT LOSS FREE 50% OFF CONSULTATION All Weight Loss ProgramsPlus Must present this MLM coupon for discount. Expires 11/23/22 Guaranteed Results 561-283-1011401 Maplewood Dr., #2, Jupiter (Maplewood Center behind Home Depot) BEFORE AFTER LOST 60 POUNDS! Without Surgery LOST 95 POUNDS! Without Surgery BEFORE AFTER BEFORE AFTER LOST 40 POUNDS! Without Surgery Lose Weight QUICK! • Eat Real Food • No Exercising Required! • Private Counseling • Medically Supervised • NO Hormone Supplements • Individual Plans – PHENTERMINE AVAILABLE –Family Owned & Operated since 1983 24-HOUR SERVICE 4 Generations of Plumbing & Knowledge! TOLL FREE2647 President Barack Obama Hwy., Riviera Beach, FL 33404 561-625-9414 800-323-0263www.NorthCountyPlumbing.org • Licensed • Bonded CFC026530 Serving All of Palm Beach County for 38 Years Strong & Still Growing! PLUMBING PROBLEMS? We can handle any plumbing repair, from Big to Small! 10% $1099 $ 425 $ 99 OFF ANY SERVICE CALL Maximum ($100 Discount) With this MLM coupon. Cannot be combined with any other offer. Expires 11/25/22 INSTALLED WATER HEATER SPECIAL Electric Only. 50 - 40 - 30 - Tall or Med. No Hidden Costs Regular Price $1199 - Special Price $1099 - SAVE $100 With this MLM coupon. Cannot be combined with any other offer. Expires 11/25/22 TOILET REBUILD SPECIAL Includes Fill Valve & Flapper. Standard Toilets Only Regular Price $125 - Special Price $99 - SAVE $26 With this MLM coupon. Cannot be combined with any other offer. Expires 11/25/22 In Garage on Floor Only. +TAX NEW TOILET Supply & Install White Round or Elongated Toilet With Seat, Standard Height. Reg. Price $499, Special Price $425 SAVE $75. Additional Charges May Apply. With this MLM coupon. Cannot be combined with any other offer. Expires 11/25/22 Happy Halloween
62 VOL. 553 D Copyrighted© My Living Media. 2022 All Rights reserved. To Advertise call 772-247-6849 Need More Coupons - MyLivingMedia.com Live 24/7 Answering PDSMartin.com Locally Owned & Operated 561-453-2971 Expires 11/15/22. Our proprietary springs will not rust or corrode and last up to 4 times longer! WATER DAMAGE FROM IAN? ASK US ABOUT DIRECT INSURANCE BILLING DID YOU HAVE A RECENT LEAK? YOU MAY HAVE MOLD! Initial Service With this MLM coupon. Exp 11/25/22 RESPONSE TEAM WHEN DISASTER STRIKES, WE’VE GOT YOUR BACK! EMERGENCY EMERGENCY EMERGENCY 772-362-2797 • Roof Tarping • Water Damage Clean-up • Dry Out • Disinfecting/Sanitizing • Debris Removal • Water/Mold Remediation • Remodeling 15% OFF
MCNS6082 MCGLA03190
Copyrighted© My Living Media. 2022 All Rights reserved. To Advertise call 772-247-6849 Need More Coupons - MyLivingMedia.com POOL SCREEN ENCLOSURES THE ORIGINAL Locally Owned & Operated Since 1990 • Pool Screen Enclosures • Patio & Lanai Screens • Poly Aluminum Roofs • All Work Guaranteed • All Repairs • FREE Estimates • www.pioneerscreen.com561-771-0287 38 Years of Experience Licensed & Insured To Protect You $100 OFF ANY RE-SCREEN OR REPAIR OVER $1000 WE WILL MEET OR BEAT ANY LICENSED CONTRACTOR’S ESTIMATE WITH THE SAME QUALITY PRODUCTS! COMPLETE AUTO & TRUCK REPAIR CERTIFIED FULL-SERVICE MECHANICS VEHICLE ALIGNMENTS 350 Cypress Dr. • Tequesta, FL 33469 www.TequestaTire.com (561) 746-8381 With this MLM coupon. Must present coupon at time of service. Over 5 qts. & special filter cartridge extra. Expires 11/15/22 1st-time customers only. With this MLM coupon. Must present coupon at time of service. Expires 11/15/22 Oil Change • Car Inspection Battery Check • Tire Rotation New Set of Windshield Wipers Wiper Fluid with Rain-X® & Bug Juice ANY MECHANICAL REPAIR OVER $350 Family Owned & Operated Since 1969 Honest, Fair, & Reliable OIL CHANGE PACKAGE AUTUMN MAINTENANCE SPECIAL Synthetic Oil Change • Car Inspection Battery Check • Tire Rotation New Set of Windshield Wipers Wiper Fluid with Rain-X® & Bug Juice With this MLM coupon. Must present coupon at time of service. Over 5 qts. & special filter cartridge extra. Expires 11/15/22 SYNTHETIC OIL CHANGE PACKAGE Mon-Fri 7am-5pm | Sat 8am-12pm |Sun Closed $100 Value $150 Value $6299 $50OFF $9999 561-972-0875 226 Center Street, Jupiter, FL 33458 ALL SERVICES RECEIVE COMPLIMENTARY HAIR TREATMENT First-time clients only. Offers may not be combined. Expires 11/25/22 * restrictions may apply $50 cut and blow dry ($75 Value) $80 color, cut, & blow dry ($140 Value) $75 partial highlight w/blow dry ($140 Value) $300 Proaddiction Smoothing ($350 Value) HAIR SHOP Amanda Ghattas at Jupiter
Retaining Walls, Pavers, Waterfalls, Ponds DIX Landscaping & Management ServicesWhatALife LANDSCAPE DESIGN & INSTALLATION • YARD CLEANUP TREE / PALM TRIMMING SERVICES SOD DELIVERY / INSTALLATION • RESIDENTIAL & COMMERCIAL HARDSCAPING PROFESSIONALS 561-401-7235 dixlandscaping.com Coastal Design & Construction CBC 1261172 Your Synthetic Turf Specialists! No Watering, No Mowing, Low Maintenance 45 YEARS of quality over quantity 561-768-2017 RALPH DIX MANGROVE SPECIALIST HAPPY BIRTHDAY MAVERICK FAMILY OWNED & OPERATED UNDER CONSTRUCTION AFTER November 9th
66 VOL. 553 D Copyrighted© My Living Media. 2022 All Rights reserved. To Advertise call 772-247-6849 Need More Coupons - MyLivingMedia.com EXPERT FULL SERVICE JEWELRY REPAIRJEWELRY 75 E. INDIANTOWN RD #504 • JUPITER WE BUY GOLD 561.406.2074 20% OFF 15% OFF 50% OFF Any Watch or Jewelry Repair Watch Battery Estate Jewelry With this MLM coupon. Expires 11/15/22 With this MLM coupon. Expires 11/15/22 With this MLM coupon. Expires 11/15/22 A/C and Standard Units ~ Outside RV ~ Boat ~ Trailer Parking 24-Hour Access ~ Gated ~ Safe & Secure ~ Video Surveillance Ask about our Move-In Specials! 6489 SE Hwy 441, Okeechobee 863-357-2403 awesomeselfstorage.com BE STRONG. BE CONFIDENT. BE FIT. 561-745-5001 • One-on-One Personal Training • Increase Energy • Burn Fat/Tone Problem Areas • Nutrition Counseling THREE PALMS PLAZA 2151 Alt. A1A South #700, Jupiter, FL www.BeFitJupiter.com NEW EQUIPMENT Jupiter’s Premier Training Studio Let Us Show You Why We’re Different! 4 FREE SessionsNEW CLIENT SPECIAL FREE BODY AND NUTRITION ASSESSMENT With this MLM coupon. *New clients only. Cannot be combined. Expires 11/31/22 “Formerly Be Fit Body Boutique”
VOL. 553 D 67Copyrighted© My Living Media. 2022 All Rights reserved. To Advertise call 772-247-6849 Need More Coupons - MyLivingMedia.com ing and refacing services, your original cabinet boxes stay in place –saving you the time, cost, and mess of a complete remodel. We’ll have your kitchen looking brand new in no time! Give us a call to schedule your free, in-home estimate. Before Refacing CALL TOD AY 561. 861.3532 DIEGO HERNANDEZ Locally Owned and Operated Serving Jupiter, FL and the surrounding area. Hassle-Free Kitchen Updates Choose a new color and style for your kitchen with cabinet refacing. kitchentuneup.com1 DAY TUNE-UP • REFACING • REDOORING • CUSTOM CABINETS AND MORE! BUY FACTORY DIRECT & SAVE 15821 Mercantile Court, Ste. #4 • Jupiter 561.935.9548 www.theclosetclinic.com – Established 1979 –Florida’s Oldest Custom Closet Manufacturerthe closet clinic ANY PURCHASE $300 OFF custom closet interiors OVER $3,000 Complete Service Including: • Custom Design • Manufacturing • Top-Quality Installation • Closets • Home Of ces • Wall Units • Murphy Beds • Garage Storage Systems FREE Home Estimates MURPHY BEDS GARAGE STORAGE SYSTEMS CUSTOM DESIGNS HOME OFFICES
68 VOL. 553 D Copyrighted© My Living Media. 2022 All Rights reserved. To Advertise call 772-247-6849 Need More Coupons - MyLivingMedia.comPUZZLE PAGE SUDOKU PUZZLE PUZZLE PAGE CROSSWORD ACROSS 1 Milan’s La -6 Mops the deck 11 First game of the season 12 Fortune-telling decks 14 Gift giver’s words 15 Not level 16 Italian “three” 17 Trombone part 19 Coach Parseghian 20 Coup d’-22 Summer on the Seine 23 Not kosher 24 Hose material 26 1955 Platters hit 28 -- -di-dah 30 Pinnacle 31 “Pretty please?” 35 From the area 39 Writer Kingsley 40 Highland hat 42 “Elephant Boy” actor 43 UV ray-blocking stat 44 James -- Gar eld 46 Stanley Cup org. 47 Spill the beans 49 “Psst!” 51 Dodged 52 Knight suits 53 Basilica areas 54 Inclines DOWN 1 Stylish 2 Breakfast bowlful 3 Whatever amount 4 Late July babies 5 As -- (usually) 6 Pupil 7 Diminish 8 “Right you --!” 9 Emma of ction 10 Sound system 11 Frequently 13 Major mix-up 18 “Am -- blame?” 21 Bridge fees 23 Printing errors 25 Aye undoer 27 Texter’s chuckle 29 Sites of rapid growth 31 Squander 32 Chevy model 33 Boost 34 Eg. and Syr., once 36 Big gorge 37 Loathes 38 Humdingers 41 Taj -44 Out of the storm 45 Simple 48 Pro Bowl stats 50 Singer Sumac Solutions See Page 70
VOL. 553 D 69Copyrighted© My Living Media. 2022 All Rights reserved. To Advertise call 772-247-6849 PREVENT LEAKS AND WATER DAMAGE CALL TODAY for your FREE Roof Inspection! 100% FINANCING Not Based on Credit Score No Money Down SERVING ALL OF SOUTH FLORIDA! • TILE • METAL • SHINGLE • FLAT • YOUR RESIDENTIAL SPECIALISTS CALL US 24 Hrs. 561-202-2040 • Florida License #CCC1333947 • Fully Insured $100 Off $500 Off Any Repairs Any Re-Roof With this MLM Coupon. Expires 11/25/22 With this MLM Coupon. Expires 11/25/22 • Residential Specialist • Roof Replacements • Re-Roo ng • Storm Damage • Roof Inspections • Hail Damage Financial
70 VOL. 553 D Copyrighted© My Living Media. 2022 All Rights reserved. To Advertise call 772-247-6849 Need More Coupons - MyLivingMedia.com S U D O K U Solution CROSSWORD SOLUTION SOLUTION TIME: 25 MINS. PUZZLE SOLUTIONS PUZZLE SOLUTIONS Motorized Roll-Up Screens for Garages, Patios, or Lanais YOUR LOCAL SCREEN & AWNING DEALER. RATED #1 IN SERVICE 561-349-6788 FlaScreens.com Serving Port St Lucie to Boca Raton • Visit Our Showroom at: 2885 Jupiter Park Dr. • Suite 1900A • Jupiter, FL 33458 • Power Screens • Retractable Awnings • Nano Bugmesh • Solar Fabrics • FREE In-House Estimates ENTERTAIN OUTDOORS YEAR ROUND! Let The Fresh AIR IN, Keep the BUGS OUT. Lic.# U-20970
VOL. 553 D 71Copyrighted© My Living Media. 2022 All Rights reserved. To Advertise call 772-247-6849 Need More Coupons - MyLivingMedia.com • Lawn Grass • Batting Cages • Bocce Courts • HOA Playgrounds • Putting Greens • Pet Grass • Pool Areas • Paver Strips 7715 SW Ellipse Way, Stuart 772.494-2481 We look forward to exceeding your expectations in everything we do! HOLIDAY SPECIAL! See Our Work 15% off Your Synthetic Turf Putting Green
72 VOL. 553 D Copyrighted© My Living Media. 2022 All Rights reserved. To Advertise call 772-247-6849 Need More Coupons - MyLivingMedia.com Look No Further for the Experts in Pool Heating • Heat Pumps • Solar • Gas FAMILY OWNED AND OPERATED STATE LICENSES #CP-CO57115 • #CVC 56745 • NAT/LP 26278 HUGE DISCOUNTS FACTORY DIRECT! Heat Pumps • Solar • Gas Salt Chlorination Pool & Spa Automation Pool Pumps & Filters Pool Resurfacing Coping • Tile Renovate Your Existing Pool Today! tropicalpoolheating.com Your Pool Heating and Renovation Specialist FREE 11”x10” Mosaic With Swimming Pool Resurfacing Purchase With this MLM coupon. Expires 11/25/22 FREE 5% Off Purchase Price Of Any Salt Chlorinator, Pool/Spa Automation, Pump, or Filter With this MLM coupon. Expires 11/25/22 FREE Estimate! 561-745-1163 SAME-DAY ESTIMATES HEATING & RENOVATION A COLD POOL IS NO POOL 772-258-4989 713 NE Dixie Hwy., Unit D | Jensen Beach, FL 34957 foxhavenroof.com | info@foxhavenroof.com 20 YEARS OF EXPERIENCE CALL FOR A FREE CONSULTATION ROOF REPAIR ROOF REPLACEMENT INSURANCE RESTORATION $500 ANY NEW ROOF $10,000 & Up Must present this MLM coupon. Expires 11/30/22 TESTIMONIAL “100% satis ed with this company. From the initial inspection of our 17 yr old roof , through the estimate, the contract, the permitting, the tear off, the installation, needed repairs on siding & around gutters, Andy kept his word on all promises. They delivered exceptional quality assurance, Matt came on site every day to check on crew/progress/quality & to answer any questions we had. They were very diligent in cleaning up after each step. I was also impressed as to the immediate response time for each of my inquiries. Finally a company who delivers the quality, timeliness, honesty & true diligence as promised. Also very reasonable price. We had four roof estimates and are so glad that we chose Fox Haven Roo ng. Highly recommend, you won’t be disappointed!” Netty Smith off
VOL. 553 D 73Copyrighted© My Living Media. 2022 All Rights reserved. To Advertise call 772-247-6849 Need More Coupons - MyLivingMedia.comHURRICANE IMPACT WINDOWS & DOORS PROTECT WHAT’S PRECIOUS TO YOU! • Hurricane Protection • Home Security • Save on Energy Bills • Save on Insurance Costs • Increase Property Value • Noise Reduction Your Expert in Single Family Homes & Condos! “Our service & products are second to none!” The People’s Choice In Hurricane Protection! 561-336-6511 SAME DAY Appointments! AS LOW AS $120 MO. FINANCING Available! 50% Off We Beat ALL Competitors’ Pricing CALL FOR DETAILS INSTALLATION & NO SALES TAX License #CBC1264950 & INSURED Serving Palm Beach, Martin, & St. Lucie Counties
74 VOL. 553 D Copyrighted© My Living Media. 2022 All Rights reserved. To Advertise call 772-247-6849 Need More Coupons - MyLivingMedia.com Air Conditioning & Refrigeration Experts New A/C System (4 Ton or Larger) With this MLM coupon. Coupons cannot be combined. Expires 11/30/22 With this MLM coupon. Coupons cannot be combined. Expires 11/30/22 $500 off Preventative Maintenance Contract 2X Annually $199 A YR PER UNIT Call for aFREE DIAGNOSTICwith a Mechanic • Commercial • Residential • Custom Fabrication 772-334-5776 561-684-9300 Scan Here usairandrefrigeration.com We will x your broken A/C! License CAC1816109 Family-Owned Since 1997 the Original Paving Contractor InstallationWeSpecializeIn&Repair • A+BBB • 10-Year Warranty • Over 50 Years of Experience in Brick Paving 561-257-5775 PAVERS ARTIFICIAL GRASS 312 Center Street • Jupiter, FL 33458 www.TripleMBricks.com • MMMBRICKPAVERS@AOL.COM • Paver Repairs • Interlocking Brick Pavers • Old Chicago Bricks • Travertine • Driveways • Walkways • Patios • Pool Decks • Pool Remodeling - KID & DOG FRIENDLY - NO WATER - NO FERTILIZER - NO MUD - NO ITCHY GRASS - GREEN YEAR ROUND Refresh your Backyard with Arti cial Grass, an Outdoor Kitchen, and Pavers With this MLM Coupon. May not be combined with other offers. Expires 11/15/22 ANY INSTALLATION $100 OFF FREE ESTIMATES! Licensed and Insured License#U20229 BRICK PAVERS & ARTIFICIAL GRASS
Flouring Inc. WWW.PSFLOORINGUSA.COM (561) 612-4039 5Google stars Reviews ••••• FAMILY OWNED & OPER ATED 2 Rooms •999.oo Up to 260 sq. ft With thisad.Cannotbecombined with any other offers. 3 Rooms •1499.oo Up to 400 sq. ft With thisad.Cann otbecombined with any other offers. Whole House •2799.oo ent er Round llatlon ht Furniture n y apply) extra 8mm0nly VISIT OUR SHOWROOM OR CALL FOR A FREE IN HOME ESTIMATE NOW OPEN IN JUPITER 501 N ALTERNATE AlA JUPITER 33477 LAKEWORI'H 2110 N DIXIE HWY LAKEWORTH 33460 ROYAL PALM BEACH 8060 BELVEDERE RD SUITE 1&2 WEST PALM BEACH 33411 JUPITER 501 N ALTERNATE A1A NOW OPEN IN JENSEN BEACH 1683 NE JENSEN BEACH BLVD JENSEN BEACH 34957 LAKEWORTH 2110 N DIXIE HWY LAKE WORTH 33460 ROYAL PALM BEACH 8060 BELVEDERE RD SUITE 1&2 WEST PALM BEACH 33411
Need More Coupons - MyLivingMedia.com culliganwestpalm.com 561-468-7270 24/7 Live Service Fully Licensed and Insuredbetter water. pure and simple. ® BOTH CITY & WELL WATER CONTAIN • LEAD • ARSENIC THINK YOUR WATER IS CLEAN? THE WORLD’S LEADER IN KEEPING YOUR WATER Fully Licensed & Insured Est. 1936 YOU NEED ANSWERS WE HAVE SOLUTIONS! CLEAN & SAFE! Better water starts with !
Need More Coupons - MyLivingMedia.com Schedule your free in-home water assessment today! NASTY CONTAMINATES • NITRATES • BACTERIA THINK AGAIN! HOW SAFE IS YOUR WATER? HOW CLEAN IS YOUR WATER? DO YOU HAVE ANY OF THESE ISSUES? ON ANY WHOLE HOUSE & RO COMBO SYSTEM Limited time offer. Dealer participation may vary. Build-up Caused by Calcium & Magnesium In Your Water Highly Chlorinated & Hard Water Affecting Skin and Hair CONVENIENCE OF BOTTLE QUALITY WATER RIGHT FROM THE TAP Under Counter Reverse Osmosis Systems for Drinking Water & Ice Makers No More Buying Bottled WaterUse Reusable Water Containers Protect Your Home, Family & Health Get Your Water Tested Today We Can Help SHOWER HEAD TANGLED HAIR DRY SKIN ALLERGY & RASHES DISH WASHER SHOWER DOORS City Water System Well Water System $1.63 $2.63 Starting as low as … Starting as low as … /DAY /DAY Expires 11/15/22 Expires 11/15/22 SAVE $700
78 VOL. 553 D Copyrighted© My Living Media. 2022 All Rights reserved. To Advertise call 772-247-6849 *Additional charges may apply for heavily soiled areas Serving the Treasure Coast from Vero to Palm Beach 772-919-7163 • 561-250-0088 WWW.CarpetCleanerInFlorida.com 3 ROOMS $68 2 ROOMS $42 5 ROOMS $99 TILE & GROUT CLEANING 39¢ SQ. FT. 100 SQ. FT. MINIMUM FURNITURE CLEANING $60 SOFA OR LOVE SEAT OR 2 CHAIRS AREA RUGS $40 AND UP PREVENTS FIRES DRYER VENT CLEANING FREE DEODORIZER, SANITIZER, & DISINFECTANT $85FROM & SPEEDS DRYING TIME OFFER #MS10-2 CARPET CLEANING Licensed Ask about ...dries in half the time!
VOL. 553 D 79Copyrighted© My Living Media. 2022 All Rights reserved. To Advertise call 772-247-6849 Need More Coupons - MyLivingMedia.com THE WINDOW & DOOR SPECIALIST 772-288-6205 WWW.KAMRELL.COMKAMRELL When You Want It Hung Well...TRUST FAMILY OWNED & OPERATED SINCE 1999 8200 SW LOST RIVER ROAD STUART, FLORIDA 34997 Financing Options Available On Our Website LICENSED & INSURED CGC061180 THE DOOR SYSTEM YOU CAN BELIEVE IN THE DOOR OF BEAUTY AND INOVATION
Residential CustomerPRSRT STD ECRWSS US POSTAGE PAID PERMIT #145 STUART, FL 2081 SE Ocean Blvd. • Suite 4 Stuart, Florida 34996 • 772-334-2121 VILLAGE BOOTERY SHOE STORES $10 OFF Your Next Purchase Expires 11/15/22 245 U.S. Highway One • Tequesta 561.746.3536 Discount not available on sales merchandise.

Turn static files into dynamic content formats.

Create a flipbook
Issuu converts static files into: digital portfolios, online yearbooks, online catalogs, digital photo albums and more. Sign up and create your flipbook.