ZONE D2 JUPITER FARMS-551

Page 1

Farms Jupiter Living MYLIVINGMEDIA.COM Index Page 9 Do You Qualify For a FDOH Medicinal Card? See Page 12 For What It’s Worth Pg. 19 Sweet Industries Pgs. 4-5
2 VOL. 551 D Copyrighted© My Living Media. 2022 All Rights reserved. To Advertise call 772-247-6849 GET BACK ON YOUR FLOOR FAST! YOU’LL BE BACK ON YOUR FLOOR THE SAME DAY! 20X STRONGER BOND THAN EPOXY ™ WITH THIS MLM COUPON. OFFER EXPIRES 10/31/22 Garages Patios Pool Decks Laundry Rooms & Much MORE! YOUR BEAUTIFUL NEW FLOORING IS JUST A CALL AWAY! 772-277-7562 • 561-277-0375 OXFLOORS.COM WE TAKE THE BORING OUT OF YOUR FLOORING GET A Offer Valid for Same-Day Service Only ™ FREE IN-HOME ESTIMATE 30% OFF – PLUS –
VOL. 551 D 3Copyrighted© My Living Media. 2022 All Rights reserved. To Advertise call 772-247-6849 Need More Coupons - MyLivingMedia.comFREE ESTIMATES ON NEW A/C UNITS WE SELL, INSTALL, AND SERVICE ALL MAJOR A/C BRANDS! Offer Expires 10/31/22 *Rheem 16 seer A/C unit re ects cash price. Price is based on model numbers RA1618 through RA1660 unit with air RH1T air handler. WIFI T-stat illustration purposes only, not included. Must be straight change out, hooked up to existing copper, electric, thermostat, hurricane tie-downs, vibration pads and slab. Rooftop and R410a retro ts extra. Permits additional. *Synchrony Financing with approved credit. *Basic coil cleaning will be accomplished by using brush vacuum where accessible. *Drain line ush for maintenance purposes only, excludes clogged drain lines. *Free service call with repair, $49 value. I0% off is valid for service related items only. excludes new Ac units. COMMERCIAL & RESIDENTIAL OFFICE HOURS: MONDAY-SUNDAY 7AM-9PM 561-721-0900 State Licensed HVAC Contractor Lic # CAC058142 State Licensed Mold Assessor Lic # MRSA3162 State Licensed Mold Remediator Lic #MRSR3334 · Service within 24 Hrs. · 1 A/C Tune-Up · Unlimited Drain Line unclogging · 10% OFF Parts & Labor · NO Diagnostic Fee · Air Duct Deodorizing Only 772-236-4965Scan for details ACT NOW! LIMITED TIME OFFER Exp. 10/31/22 Club Member 6-Month Maintenance Agreement $99 EcoNet® Smart WiFi Thermostat · 24-Point Inspection · FREE 1st lb of Freon* · Add Solution to A/C Drain · Add Algaecide Tablets to Drain Pan · Coil Deodorizer* · FREE Drain Line Flush* Only 772-236-4965Scan for details ACT NOW! LIMITED TIME OFFER Exp. 10/31/22 Complete A/C Tune-Up $49 WE GET PAID WHEN YOU GET PAID We Also Do WATER & MOLD RESTORATION A/C Leaks? Mod around your A/C? Plumbing Leaks? Water stained walls? Mold damaged walls? Ceiling brown spots? Buckling or stained wood oors? 0% Financing 24-60 Months* (Equal Monthly Payments - Call For Details) Scan for details ACT NOW! LIMITED TIME OFFER Exp. 10/31/22 772-236-4965 *with repair A/C Service Call A/C Not Cooling? Leaking Water? Leaking Freon? Freezing Up? FREE 25 YEARS IN BUSINESS SE HABLA ESPAÑOL Rotobrush Air Duct Cleaning Includes First 10 Vents FREE Unlimited Mains (were $50 ea.) FREE A/C System Inspection Cleaned to NADCA Speci cations Additional vents $10ea. Chemical Rinse Drain Pan Chemical Rinse Drain Line DUCT CLEANING SPECIAL! $99 · Medical staff · Police · Elderly · Military · Teachers · Expecting Moms Scan for details         ScanQR Code to ApplyFor Financing uahac.com * EXTRA 10% OFF FOR 16 Seer 1.5 ton $3,564 2 ton $3,593 2.5 ton $3,962 3 ton $4,023 3.5 ton $4,228 4 ton $4,479 5 ton $4,860

KITCHEN & BATH

According to a survey by Trulia, “Around 90% of people remodel their homes at some point.” There are various reasons for home or commercial renovation. Most of them have to do with the general improvement of the current living/ working conditions and aesthetics. Renovation projects, however, can be overwhelming and time-consuming, not to mention costly. There are so many choices and decisions to make... how do you know where to start? Let Sweet Industries, LLC, an honest, local company, manage your residential or commercial improvements so that you can have the finished product of your dreams!

Sweet Industries, LLC was founded by Eric Sweet in 2016. Eric grew up in the North River Shores neighborhood in Stuart, and later attended the University of Florida, where he graduated with a Bachelor of Science degree in

Construction Management. Eric began his career in the project management sector of the industry in 2006 when he worked for a commercial builder out of Washington D.C. Eric is a fully-licensed general contractor in Florida operating under his license, #CGC1524682.

TRIED-AND-TRUE PHILOSOPHY

Today, Eric is delighted to own and operate his general contracting business, Sweet Industries, LLC, and reside with his family in his hometown of Stuart, where he maintains an honest, down-toearth business approach. The company’s philosophy is simple: “To provide clients with honest and valuable service at a fair and reasonable price.”

Sweet Industries, LLC manages residential and commercial building projects, from bathroom renovations to new construction of residential and commercial buildings and everything

in between! Regardless of the size or complexity of a project, Eric listens to his client’s needs and works diligently to ensure that those needs are met and that expectations are exceeded. Eric states, “I learned early on that a good project manager simply treats a client’s money as your own.”

Sweet Industries, LLC operates on the premise that general contracting is all about managing expectations, remaining realistic, and making sense from a financial aspect. “I want to be honest about what people already have and look for ways to achieve [the end result] without breaking the bank,” explains Eric. For instance, just refinishing good-quality grade cabinetry instead of replacing it can potentially save a customer thousands of dollars! Additionally, Eric advises his clients to visit multiple showrooms for things like cabinetry, countertops, plumbing supplies, etc., which helps them to stay within budget.

RENOVATE

4 VOL. 551 H/K Copyrighted© My Living Media. 2022 All Rights reserved. To Advertise call 772-247-6849 Need More Coupons - MyLivingMedia.com

REMODELING

CUSTOMER SATISFACTION

Eric and his loyal crew believe that the true measure of a successful project lies in customer satisfaction. Sweet Industries, LLC is a full-service general contracting operation with residential and commercial clients ranging from St Lucie County to Palm Beach County. The company coordinates everything for you, including scheduling, financial management, timeliness, and quality assurance.

Sweet Industries, LLC has worked with the same group of honest subcontractors that value fine workmanship since the company first started. Eric states, “I wouldn’t hire people to do work in homes if I didn’t trust them to go into my own home.”

When you hire Sweet Industries, LLC as your general contractor for your commercial or residential construction needs, your experience begins with a home/office visit consultation, where Eric takes measurements and photographs of the space to plan for an overall estimate and scope of work. Eric prides himself on the fact that he has multiple repeat customers. He attributes this repeat business to always doing the right thing and being accountable.

Keeping on schedule in the project management world is a priority, but lately, timing has been quite a challenge with our supply chain crisis. Eric is mindful of this (hopefully) temporary problem, and has been proactive about ordering supplies, such as windows and roofing materials. He has also adjusted design plans accordingly to both keep his customers satisfied and

COMMERCIAL CONSTRUCTION

keep projects moving according to schedule.

Sweet Industries, LLC provides honest service at reasonable prices. Become one of the many satisfied

customers of this reputable and reliable local business by contacting Eric Sweet and his expert team for all of your renovation and construction projects!

Sweet Industries, LLC. 750 NE Jensen Beach Boulevard in Jensen Beach.

open Mondays-Fridays from 8AM-5PM Appointment Only. For more information or to schedule a complimentary consultation, email sweetindustriesllc@gmail.com, or visit sweetgc.com, or call

VOL. 551 H /K 5Copyrighted© My Living Media. 2022 All Rights reserved. To Advertise call 772-247-6849 Need More Coupons - MyLivingMedia.com
RENOVATE
It is
$500 FREE OFF ANY JOB WITH THIS AD • EXPIRES 10/16/22 IN-HOME CONSULTATION
772-277-2706
6 VOL. 551 D Copyrighted© My Living Media. 2022 All Rights reserved. To Advertise call 772-247-6849 Need More Coupons - MyLivingMedia.com Call for a free in home design consultation and estimate Imagine your home, totally organized! Custom Closets, Garage Cabinets, Home Offices, Pantries, Laundries, Hobby Rooms and more... 40% Off Plus Free Installation Terms and Conditions: 40% off any order of $980 or more or 30% off any order of $680-$979 on any complete Custom Closet, Garage Cabinets, Home Office, Pantry, Laundry, Wall Bed, Wall Unit, Hobby Room or Garage Flooring system. Not valid with any other offer. Free installation with any complete unit order of $600 or more. Expires in 30 days. Call for a free in home design consultation and estimate (561)203-4745 www.closetsbydesign.com MSJ Follow us 2020 © All Rights Reserved. Closets by Design, Inc. Walk-In-Closets Laundry Rooms Home Offices Garage Cabinets Follow us www.closetsbydesign.com CGC1509325 & MC1900055 (561) 203-4745 MSJ
VOL. 551 D 7Copyrighted© My Living Media. 2022 All Rights reserved. To Advertise call 772-247-6849 Call Today for a FREE ESTIMATE 561-612-0214 • 615 Industrial St. • Lake Worth Open: Mon-Fri 9am-5:30pm; Sat 9am-2:30pm www.KingOfKitchen.com Send Us a Photo of Your Kitchen and we’ll send you a FREE Initial Estimate for Granite Countertops & Cabinets Send to: info@kingofkitchen.com OR TEXT to 561-291-9414 Over 36,000 Sq. Ft. of Showroom & Warehouse • 100% Wood Cabinets • Brazilian Natural Stone Countertops • Factory Direct to the Public • White Shakers Available 10’x10’ Kitchen Cabinets & Granite $1,999** Modern Kitchens Also Available Granite Installation Starting at $999 *measurement and sink not included
For Advertising Call 772-247-6849 Per Home *24¢Designed, printed and mailed for Per Home Designed, printed and mailed for Mailed Flyers 2 Sided Glossy Living Magazines * Per Home1¢Direct Mail Your Customers for less than… *Prices subject to change based on circulation in Living Magazines First-Time Customers Only. Some Restrictions Apply. Limited Time Offer FREE Mailing First-Time Customers Only. Some Restrictions Apply. Limited Time Offer FREE DIGITAL & SOCIAL MEDIA MARKETING PLAN INCLUDED WITH ANY AGREEMENT PLAN “We get hundreds of new customers a month! It’s the best money I have ever spent on advertising. I highly recommend My Living Media to grow your business!” –Bobby Wehrle, Brio PGA Manager of Sales and Marketing 772-247-6849 Postcards Grow Your Business! *12 ¢ *Price based on 15,000 or more circulation

MY LIVING CONTENTS - ZONE D

ANIMALS & PETS

Health E Pets 30

AUTOMOTIVE

A Perfect Day Golf Carts 44

Ace of Carts ..................................... 58

Roney Williams -Wallace 58

Tequesta Tire 42

Unlimited Auto Wash ........................ 43

BEAUTY

Amanda Ghattas Jupiter Hair........... 62

Great Clips PBG 36

Great Clips Tequesta ........................ 34

CLEANING SERVICES

Emergency Response Team ............. 66

Honor Carpet 78

Oliver Twist Pressure Washing ......... 28

Paul Stetson Pressure Cleaning.......28

Royal Maid Service 66

Santa Professional Cleaning ............ 52

Stanley Steemer 11

The Groutsmith 79

Wonder Sisters Cleaning Service .... 46

DINING & ENTERTAINMENT

Angelo’s Pizza .................................. 21

Antonio’s Italian Market 25

Baldino’s Restaurant........................ 24

Beneditti’s Pizza .............................. 23

Great American Productions 64

Indiantown Chamber of Commerce .... 20

Jersey MIke’s Subs 24

Jupiter Water Tours 72 Lindburgers ..................................... 28

Lola’s Seafood 23

Mood ................................................ 27

Nick & Johnny’s Osteria................... 21

Performing Arts Academy of Jupiter 16

Pontiki.............................................. 45

Taco Shack Jupiter 22

The Connection for Subs and Sandwiches ..................................... 27

The Grove.........................................26

Vinny’s Pizza .................................... 26

Vulcano’s Italian Restaurant ............ 25

FITNESS & SPORTS

Be Fit Body Boutique 52

One on One Fitness 18

Orange Theory Fitness ..................... 39

HOME IMPROVEMENT

A Master Closet ............................... 75

All Shutters Solutions 56

Alliance Air Group ............................ 62

Alliance Group Roo ng 17

Aqua Docs Water Restoration, Inc 47

Budget Fence................................... 48

Closets By Design 6

Code Red Roofers ............................ 59

Complete Synthetic Turf...................69

Craig Hanlon Painting 69

Culligan Water ................................. 10

Dix Landscape & Management Services 55

Dixie Plumbing ................................. 32

Du-All Plumbing 63

East Coast Electric Screening .......... 60

Energized Electric ............................ 61

Exceptional Painting 39

Fencing South Florida ...................... 50

First Alert Hurricane Shutters 33

First Impression Doors and More 13

FoxHaven Roo ng ............................ 64

Gutters By TK 54

IMA Landscaping 62

J. A. Edwards of America, Inc. ......... 79

Jupiter Sod and Landscaping 64

Kamrell Windows and Doors ............ 72

King of Kitchens................................. 7

Kitchen Tune Up 18

Level Best Roo ng ..................... 67, 71

Max Guard 40-41

Mister Roof 49

North County Plumbing .................... 70

Odums Sod 48

OX Floor Coating ................................ 2

Palm City Sod .................................. 72

Pioneer Screen LLC 66

Plantation Shutters Florida .............. 38

Plumb Rite Plumbing 58

Precise Roof Coating 32

Precision Door Service .................... 73

PS Flooring 57

Quality Air of America ...................... 15

Screen Builders ............................... 73

Seaglass Window 60

Stott Brothers Electric ..................... 32

Stuart Roo ng 39

The Closet Clinic 46

The Shutter Factory ......................... 35

Total Image 56

Tree Works ....................................... 46

Triple M Brick Pavers ....................... 70

Tropical Pools 74

Universal Air and Heat ....................... 3

Wagner’s Refrigeration 67

Window Replacement Group 14

Windowz and More .......................... 65

Younique Custom Theater 52

INSURANCE & BENEFITS

Donna Carragher Insurance Consulting, LLC ................................ 69

Florida Health Group-Compass Health 51

JEWELRY

M and J Jewelers ............................ 48

Oteri’s Wholesale Jewelry ............... 37

MEDICAL & HEALTH

Abacoa Podiatry 36

Angelo G Forte 37

Appearance Implant and Family Dentistry 19

Arroyo Health Labs 34

Dentistry By Design ......................... 44

Dr. Samuel Holcroft 29

First Home Care ............................... 67

Goals Weight Loss............................17

MMJ Health 12

New Beginnings Medical ................. 31

Tropical Healthcare Services 42

PROFESSIONAL SERVICES

Action Vacuum 50

Bulk Waste ....................................... 30

Dryer Vent Cleaner, The .................... 38

Dryer Vent Cleaning - The Lint Man

Jupiter ............................................. 11

Frederick Capitelli Music 52

Group One Security 74

Jupiter Wills and Trusts PLLC...........31

Mr. Tint of America 42

My Stack Box Storage ..................... 68

RETAIL

The Lamp Connection

30

The Summer House 53

......................
Volume 551 /October 2022 For advertising rates and information Email: sales@mediaoms.com Call 772-247-6849 © 2022 by My Living Media. All rights reserved. Although some parts of this publication may be reproduced and reprinted, we require that prior permission be obtained in writing. My Living Magazine is a free publication distributed locally and is supported by our advertisers. Please call to find a location near you or if you would like copies placed at your business. We do not necessarily endorse the views expressed in the articles and advertisements, nor are we responsible for the products, and services advertised. We are not responsible for licensing or certifying businesses, nor are we responsible for verification of these requirements. We welcome your ideas, articles and feedback. *Dining pictures shown are for illustration purposes only. Actual products may vary due to product enhancement.
Need More Coupons - MyLivingMedia.com culliganwestpalm.com 561-468-7270 24/7 Live Service Fully Licensed and Insured better water. pure and simple. ® Schedule your free in-home water assessment today! IS YOUR WATER COSTING YOU MONEY? CITY & WELL WATER MAY BE HARMING YOU & YOUR HOME! • Your Hair & Skin • Energy Bill • Appliances • Pipes Will Last Longer • No More Spots or Stains • Cleaner Clothes • Save on Detergent Better water starts with ! Fully Licensed & Insured City Water System Well Water System $49 $79Starting at… Starting at… /MO. Expires 10/15/22 /MO. Expires 10/15/22 FREE SALT & PLATINUM CARE PROGRAM FOR 1 YEAR *With purchase of Whole House City System. Excludes Well System. Expires 10/15/22
VOL. 551 D 11Copyrighted© My Living Media. 2022 All Rights reserved. To Advertise call 772-247-6849 Need More Coupons - MyLivingMedia.com FAMILY OWNED & OPERATED • SCHEDULE ONLINE TODAY AT: WWW.STANLEYSTEEMER.COM FIRE, WATER, & MOLD DAMAGE RESTORATION SERVICE Immediate Response 24-HOUR EMERGENCY Minimum charges apply. Cannot combined with other offers. Residential and Commercial. Must present this MLM Coupon at time of service. Valid at participating locations only. Certain restrictions may apply. Call for details. Lic. #CMC014066 Home and Of ce Disinfecting and Sanitizing Treatments 561-404-5668 WWW.STANLEYSTEEMER.COM STANLEY STEEMER SERVICES ® EPA-REGISTERED Disinfectant That Meets the EPA’s Current Criteria for use Against SARS-CoV-2, the Virus That Causes COVID-19 Eliminates Molds, Viruses, Bacteria, & Allergens $50 HOME Disinfectant Treatment Service Contracts Available Per Room Up To 300 Sq. Ft. 3 Room Min. for Residential Pricing OFFICE FREE ESTIMATES FREE ESTIMATES FOR ALL COMMERCIAL BUSINESSES WE PRETREAT YOUR FLOORS AND MOVE YOUR FURNITURE AT NO CHARGE WE PRETREAT YOUR FLOORS AND MOVE YOUR FURNITURE AT NO CHARGE $119 $149 $199 Expires 10/31/22 MLM Expires 10/31/22 MLM Expires 10/31/22 MLM TILE & GROUT OR WOOD FLOOR CLEANING HOME Which Air Are You Breathing? AIR DUCT CLEANING Only PER ROOM 3 ROOMS CARPET CLEANING Wool carpets extra. Area rugs not included in wall-towall cleaning. Up To 8 Vents *Any Room Up to 300 sq. ft. BEFORE AFTER OFFICE FREE ESTIMATES CALL TODAY RenUV Home & Of ce Air Puri er Removes Viruses, Bacteria, Mold, & Pollen DRYER VENT CLEANING WHEN WAS YOUR DRYER VENT LAST CLEANED? • Speeds Up Drying Time • Reduces Fire Risk • Lowers Utility Costs (more ef cient) • Don’t Wait Until It’s Too Late With over 15,000 dryer res happening each year, IT MAKES SENSE! 561.331.LINT (5468) thelintmandryerventcleaning.com ✔ Dryer Vent Cleaning ✔ Dryer and Washer Installation ✔ Residential Services ✔ Commercial Services ✔ Rodent Guard Installation $30Off Any Dryer Vent Cleaning Service With this MLM coupon. Must present coupon at time of service. Expires 10/15/22Licensed & Insured Serving Jupiter & the Palm Beaches Neighbors Discount Special *Washer & Dryer Repair Service

Anne L. Morgan, M.D.

See

Get

12 VOL. 551 D Copyrighted© My Living Media. 2022 All Rights reserved. To Advertise call 772-247-6849 Palm Beach 561-631-7994 MMJ Health Make the Appointment Use our patient qualification system to see if you qualify for medical marijuana.
the Marijuana Doctor See one of our qualified physicians at one of our many locations in Florida.
Your Card You will be able to visit and get delivery from any dispensary in Florida. Let Dr. Morgan, The Highest Rated MMJ Doctor, at MMJ Health find your Alternative to Pharmaceuticals!
When it comes to finding medical marijuana (MMJ) doctors, you can trust the helpful and professional staff at MMJ Health. Serving patients in Palm Beach, Martin, & St. Lucie Counties. Call MMJ Health to schedule an appointment with a Florida Medical Marijuana Doctor: WINNER OF BEST DISPENSARY, BEST MEDICAL MARIJUANA CARD PROVIDER, BEST CBD STORE, AND FINALIST FOR BEST PLACE TO WORK HOW IT WORKS Treasure Coast 772-212-4032
Copyrighted© My Living Media. 2022 All Rights reserved. To Advertise call 772-247-6849 FINANCING AVAILABLE Monday-Friday • 7am-4:30pm Saturday • 9am-2pm frontdoorsFL.com 561-464-6102 Tuesday-Friday • 9am-5pm Saturday • 9am-4pm JUPITER 75 E Indiantown Road #507 Jupiter, FL 33477 Tuesday-Friday • 9am-5pm Saturday • 9am-4pmLicense #CBC037800 •Impact Resistant Fiberglass & Mahogany Entry Doors • Impact Resistant Decorative Glass Inserts •Impact Resistant French & Sliding Glass Doors We Are Palm Beach County’s Largest Specialty Door Store FINANCING AVAILABLE WEST PALM BEACH 346 Pike Road, Suite 6 West Palm Beach, FL 33411 Monday-Friday • 7am-4:30pm Saturday • 9am-2pm BOCA RATON 9858 Clint Moore Rd. Suite C-128 Boca Raton, FL 33496 Tuesday-Friday • 9am-5pm Saturday • 9am-4pm JUPITER 75 E Indiantown Road #507 Jupiter, FL 33477 Tuesday-Friday • 9am-5pm Saturday • 9am-4pmLicense #CBC037800 •Impact Resistant Fiberglass & Mahogany Entry Doors • Impact Resistant Decorative Glass Inserts •Impact Resistant French & Sliding Glass Doors We Are Palm Beach County’s Largest Specialty Door Store Come browse one of our convenient locations. We have doors to fit ANY BUDGET! FINANCING AVAILABLE WEST PALM BEACH 346 Pike Road, Suite 6 West Palm Beach, FL 33411 Monday-Friday • 7am-4:30pm Saturday • 9am-2pm Make a great FIRST IMPRESSION with new front doors! frontdoorsFL.com 561-464-6102 BOCA RATON 9858 Clint Moore Rd. Suite C-128 Boca Raton, FL 33496 Tuesday-Friday • 9am-5pm Saturday • 9am-4pm JUPITER 75 E Indiantown Road #507 Jupiter, FL 33477 Tuesday-Friday • 9am-5pm Saturday • 9am-4pm *Offer applies to Installed Exterior Doors Only. Not valid on prior sales. Offer expires 6/30/22 License #CBC037800 BUY MORE SAVE NOW FIMD_MyLiving-1121 15% With this coupon. Not valid on prior sales. Expires. 10/31/22 MLM INSTALLED ENTRY DOORSOFF FINANCING AVAILABLE WEST PALM BEACH 346 Pike Road, Suite 6 West Palm Beach, FL 33411 Monday-Friday • 7am-4:30pm Saturday • 9am-2pm BOCA RATON 9858 Clint Moore Rd. Suite C-128 Boca Raton, FL 33496 Tuesday-Friday • 9am-5pm Saturday • 9am-4pm www.frontdoorsFL.com561-464-6102 LIC#CBC037800 JUPITER 75 E. Indiantown Road #507 Jupiter, FL 33477 Tuesday-Friday • 9am-5pm Saturday • 9am-4pm • Impact Resistant Fiberglass & Mahogany Entry Doors • Impact Resistant Decorative Glass Inserts • Impact Resistant French & Sliding Glass Doors • Interior Doors
14 VOL. 551 D Copyrighted© My Living Media. 2022 All Rights reserved. To Advertise call 772-247-6849 561-468-7281 www.windowreplacementgroup.com The Group of Professionals You Can Trust SSC# 131152429 CBC# 1264555 CALL NOW FOR A FREE, NO OBLIGATION QUOTE $2,500* SAVE UP TO Restrictions Apply. Call For Details LIMITED TIME OFFER BE PREPARED THIS SEASON! *On Full House Replacement $ 600 Expires 10/15/22 OFF • NO Hidden Fees • INCREASE Your Home’s Value • REDUCE Your Energy Bill • REDUCE Your Home Insurance FINANCING AVAILABLE Whole House of Windows & Doors Some Restrictions Apply, Call for Details. Expires 10/15/22 OR0% $147*PER MONTH *$147/mo. based on Ygrene Financing at 7.99% APR, $20,000 Financed APR UNTIL 2023 Impact Windows & Doors
New A/C Install Brush Duct Cleaning FALL A/C Tune Up Complete Home Package A/C Coil Cleaning Hablamos Español qualityairofamerica.com A/C NOT COOLING? LEAKING? FREE SERVICE CALL 100% Financing Available $0 Down $0 Interest Lic. # CAC 1820202 561-819-2998 772-448-9835 Super Service Award Winner 3 Years in a Row WITH ANY REPAIR Authorized dealer/service for all major brands REPAIR, REPLACE, OR DUCT CLEANING 10% Discount for expecting mothers, military, & senior citizens Do not be fooled by imitations. There is only one Quality Air of America. Starting at $2199✓ Free digital thermostat ✓ Free 5-Year Service Plan ✓ Free air duct treament Payments as low as $69/month ✓ 24-point AC inspection ✓ Adjust Freon Up to 1lb (R410) ✓ Basic Drain Line Cleaning ✓ Duct Camera Inspection ✓ FREE Attic Insulation Inspection ✓ FREE Duct Inspection ✓ Air Duct Vacuum Cleaning ✓ Vacuum through Main Vent Line ✓ Duct Camera Inspection ✓ Air Quality and Flow Check ✓ Attic Installation Inspection ✓ AC inspection and adjust Freon up to 1 pound (R410) ✓ Free Air Filter- delivered after visit Value $225Expires 10/28/22 Value $195Expires 10/28/22 Value $365Expires 10/28/22 Value $365Expires 10/28/22 Only $99 Only $19 Only $65 Starting At $199 DUSTY DUCTS, BAD ODOR FREE ESTIMATES Emergency Servicee Per Unit BLOW OUT SALEBLOW OUT SALE FALL SPECIAL DUMB A/C? Let Us Make it Smart! Per Unit ✓ Up to 5 Vents Cleaned
REGISTER CALL 561-575-4422 OR VISIT PERFORMINGARTSACADEMYOFJUPITER.COM FOR FALL CLASSES PERFORMING ARTS ACADEMY OF JUPITER DANCE ACTING MUSICAL THEATRE MUSIC LESSONS
VOL. 551 D 17Copyrighted© My Living Media. 2022 All Rights reserved. To Advertise call 772-247-6849 Need More Coupons - MyLivingMedia.com www.GoalsWeightLoss.net GOALS WEIGHT LOSS FREE 50% OFF CONSULTATION All Weight Loss ProgramsPlus Must present this MLM coupon for discount. Expires 10/31/22 Guaranteed Results 561-283-1011401 Maplewood Dr., #2, Jupiter (Maplewood Center behind Home Depot) BEFORE AFTER LOST 60 POUNDS! Without Surgery LOST 95 POUNDS! Without Surgery BEFORE AFTER BEFORE AFTER LOST 40 POUNDS! Without Surgery Lose Weight QUICK! • Eat Real Food • No Exercising Required! • Private Counseling • Medically Supervised • NO Hormone Supplements • Individual Plans – PHENTERMINE AVAILABLE –
18 VOL. 551 D Copyrighted© My Living Media. 2022 All Rights reserved. To Advertise call 772-247-6849 185 E Indiantown Rd. #216 • Jupiter 561-339-1473 PERSONAL TRAINING PHYSICAL THERAPY • INSURANCE ACCEPTED • MEDICARE • PT CUSTOM-TAILORED FOR YOUR NEEDS & GOALS For Only • Non-Intimidating Atmosphere • Personalized Training • Veterans Choice Provider • Senior Discounts • Pet Friendly • Over 40 Years of Experience FREE With this MLM Coupon • Expires 10/15/22 With this MLM Coupon • Expires 10/15/22 $ 99 3 PERSONAL TRAINING SESSIONS GYM MEMBERSHIP FIRST MONTH • FREE Consultation • FREE 30 min. Session for All New Customers 1/2 OFF ATHLETES (STUDENTS & PROS)• INDIVIDUALS • COUPLES ing and refacing services, your original cabinet boxes stay in place –saving you the time, cost, and mess of a complete remodel. We’ll have your kitchen looking brand new in no time! Give us a call to schedule your free, in-home estimate. Before Refacing CALL TOD AY 561. 861.3532 DIEGO HERNANDEZ Locally Owned and Operated Serving Jupiter, FL and the surrounding area. Hassle-Free Kitchen Updates Choose a new color and style for your kitchen with cabinet refacing. kitchentuneup.com1 DAY TUNE-UP • REFACING • REDOORING • CUSTOM CABINETS AND MORE!
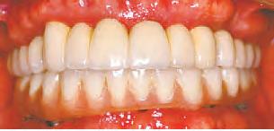
VOL. 551 D 19Copyrighted© My Living Media. 2022 All Rights reserved. To Advertise call 772-247-6849 Need More Coupons - MyLivingMedia.com NEW TREATMENT PROGRAM ONLY. THE PATIENT AND ANY OTHER PERSON RESPONSIBLE FOR PAYMENT HAS THE RIGHT TO REFUSE TO PAY, CANCEL PAYMENT OR BE REIMBURSED FOR ANY SERVICE EXAMINATION OR TREATMENT WHICH IS PERFORMED AS A RESULT OF AND WITHIN 72 HOURS OF RESPONDING TO THE ADVERTISEMENT FOR THE FREE, SERVICE, EXAMINATION OR TREATMENT. LIC #DN10761 OPEN MON.-FRI. SATURDAY & EVENING HOURS AVAILABLE JUPITER 561-250-6307 6390 W. Indiantown Rd., #32, Jupiter, FL 33458 At the West End of the Chasewood Plaza AppearanceImplants.com OPEN FOR EMERGENCIES | AFFORDABLE DENTAL EXCELLENCE IS NOW HERE! WE ARE PRIVATELY OWNED, NOT A CHAIN OR CORPORATE ENTITY. WE SPECIALIZE IN FULL MOUTH RECONSTRUCTION Additional services we offer include CLEAR TOOTH ALIGNERS, SINGLE IMPLANTS, DENTURES & MORE!!! FREE IMPLANT CONSULTATION (Exam & Digital X-Ray or 3D Cone Beam) (D0150, D9310, D0330 & D0383) SureSmile® OR CLEAR TEETH ALIGNERS OUR DENTISTS HAVE OVER 100 YEARS OF COMBINED EXPERIENCE & HAVE PLACED OVER 15,000 IMPLANTS You Des ve a Beautiful Smile! SALVATORE MELITA, DDS ALANA SHIELDS, BSN, RN, DMD JAY GELMAN, DMD JOSEPH GAETA JR., DDS Better On 8™ SALESPERSON:MelissaKelleyTR-1968533.INDD ISOUR37YEARTRADITION DentistOwned,Not “Hi,I’mMarkLindsay,andthat smeontheEdSulli nSho s, including ‘Kicks rizona.’Mytrademark saponytailandateenidolsmile.Theponytail’sbeen go fo awhile,butasasinger smileisstillsuperimportant.I cently nprocedure. Thestaff elcomfortablefromthe allyimpressedwiththeir dentalofficeandthedentistdidanoutstandingjob. Tradition Dentaltransformed ep my smile —MarkLindsay “Hi, I’m Mark Lindsay, and that was me on the Ed Sullivan Show. I sang every hit song for Paul Revere & the Raiders, including ‘Kicks,’ ‘Indian Reservation,’ and my solo ‘Arizona.’ My trademark was a ponytail and a teen idol smile. The ponytail’s been gone for awhile, but as a singer my smile is still super important. I recently visited Appearance Dental for an implant and crown procedure. The staff was courteous and made me feel comfortable from the moment I walked in the door. I was really impressed with their dental office and the dentist did an outstanding job. Appearance Dental transformed my smile, and I trust them to keep my smile looking revolutionarily good.” — Mark Lindsay Read all of our testimonials at AppearanceImplants.com WE WILL MEET OR BEAT ANY WRITTEN ESTIMATE ON IMPLANTS, ROOT CANALS, & CROWNS! WALK-INS WELCOME EVENING APPOINTMENTS AVAILABLE Cleaning Porcelain Fused to Metal Crown Zirconium All Porcelain Crown $59 $699 $899 Includes Free Exam & X-Rays New Patients Only LIMITED OFFER (D1110, D0150, D4355,D0330) (D2751) (D2740) FULL ROUND HOUSE BRIDGE A Better Alternative to All-On-4 Benefits • Very little, if any speech changes • Does not cover any part of the palate • Can be cleaned just like bridges on teeth • Require no special abutments (All-on-4 protocol requires angle correct on abutments which are not bone or gum tissue friendly) • Usually do not need pink porcelain at the gumline (because aggressive bone removal is not necessary) D6010, D6056, D6240, D6060 BETTERON8.COM D6010, D6056, D5863, D5865, D5862 PER ARCH WITH LOCATORS PER ARCH D6010, D6056, D6065, D6060 50% SAVINGS WE USE MEGAGEN IMPLANT SYSTEMS Implant, Abutment, and Zirconium Crown Implant, Abutment, and Crown Only$1,899 Only$2,099 D7140 DENTURES ECONOMY $359 INTERMEDIATE $999 DELUXE $2,000 D5810/D5811 D5130/D5140 D5110/D5120 With Simple Extractions Starting at $99 We will beat any like-priced quote $9,999 Implant and Abutments Placed Crown and Bridge Porcelain Fused to Metal Implant Abutments Placed $14,500 FULL MOUTH RECONSTRUCTION ROUND HOUSE BRIDGE 8/6 IMPLANTS & 12 UNITS OF CROWNS starting at
20 VOL. 551 D Copyrighted© My Living Media. 2022 All Rights reserved. To Advertise call 772-247-6849 Need More Coupons - MyLivingMedia.com
VOL. 551 D 21Copyrighted© My Living Media. 2022 All Rights reserved. To Advertise call 772-247-6849 Need More Coupons - MyLivingMedia.com 14133 US Hwy. 1 • Juno Beach 561-318-5466 Join Us For Fall Dining 20% Off 1/2 OffDinner Entrées & Specials Bottle of House Wine4:30PM-7PM *Cannot be combined with any other offer. *Excludes Pizzas, Salads, & Sandwiches. *Dine-in only, No Sharing. Expires 10/31/22 SCAN HERE FOR FULL MENU *Cannot be combined with any other offer. *Excludes Champagne. Expires 10/31/22 Entertainment Gourmet Pizza & Delicious Italian Dishes – LUNCH OR DINNER 7 DAYS/WEEK –TONEY PENNA 561-747-2974 155 Toney Penna Drive, Jupiter JUPITER FARMS 561-747-3975 10136 W Indiantown Rd., Jupiter FULL BAR & LIVE MUSIC 7 DAYS A WEEK! ONLY AT TONEY PENNA LOCATION FREE $5OFF PEPPERONI BREAD $30 OR MORE WHEN YOU BUY ANY 2 PIZZAS Dine In • Take Out Must present coupon. Cannot be combined. Expires 10/15/22 Dine In • Take Out Must present coupon. Cannot be combined. Expires 10/15/22 Dine-In, Take-Out, & Delivery
1155 Main Street • Jupiter 561-508-3789 ONE-OF-A-KIND GOURMET HANDCRAFTED TACOS! Delivered by • 24 Craft Tacos • Full Bar • Live Music BAR & GRILL 3-5PM DAILY $30 Purchase or More Buy One Get One Free Any food or drink FREE CHIPS & SALSA With this MLM Coupon. Cannot be combined with other offers. Expires 10/15/22 Buy 1 Entrée at Regular Price, Get the Second Valid for Dinner only - With this MLM Coupon. Cannot be combined with other offers. One coupon per table. Expires 10/15/22 Valid for Lunch & Dinner only - With this MLM Coupon. Cannot be combined with other offers. One coupon per table. Expires 10/15/22 Valid for Lunch & Dinner only - With this MLM Coupon. Cannot be combined with other offers. One coupon per table. Expires 10/15/22 $5 50% OFF OFF TACO TUESDAY LUNCH SPECIAL With purchase of $25 or more Hours: Sun-Thurs 11am-9pm Fri - Sat 11am-10pm LIVE MUSIC BOGOTuesday, Friday, & Saturday
VOL. 551 D 23Copyrighted© My Living Media. 2022 All Rights reserved. To Advertise call 772-247-6849 Need More Coupons - MyLivingMedia.com 3755 Military Trail Suite B8 Jupiter • www.benedittispizza.com 561-250-6523 Mon.- Thur: 11am - 9pm Fri. & Sat: 11am-10pm • CLOSED SUNDAY BEST PIZZA IN TOWN DINE-IN TAKE-OUT DELIVERY 2 LARGE CHEESE PIZZAS WITH ONE TOPPING MON-THURS CASH SPECIAL LARGE CHEESE PIZZA 1 LARGE CHEESE PIZZA AND 10 WINGS $2849 $2499 Must present MLM coupon. Cannot be combined with other offers. Dine in, Take out, or Delivery Expires 10/15/22 Must present MLM coupon. Cannot be combined with other offers. Dine in, Take out, or Delivery Expires 10/15/22 Must present MLM coupon. Cannot be combined with other offers. Dine in, Take out, or Delivery Expires 10/15/22 $1149Pickup Only O dining r m is en and we havetd r seating. C e J n Us! STUART 300 SW Federal Hwy. Stuart, FL 34994 772-219-3340 PALM BEACH GARDENS 4595 Northlake Blvd. Palm Beach Gardens, FL 33410 561-622-2259 SAINT LUCIE WEST 962 St. Lucie West Blvd. Port St. Lucie, FL 34986 772-871-5533 TEQUESTA 181 N Hwy. 1 Tequesta, FL 33469 561-406-5000 Fish Tacos Ipswich Steamers www.lolasseafood.com OPEN 7 DAYS A WEEK! Lobster Roll
Need More Coupons - MyLivingMedia.com • Pizza • Pasta Specialties • Chicken • Fish • Veal Entrees • Incredible Italian Desserts, including Cheesecake & Tiramisu 791 North US Highway 1 • Tequesta 561-743-4224 WORLD’S GREATEST CHEESESTEAKS & PIZZERIA www.baldinositalianrestaurant.com WIDE VARIETY OF WINE & BEER! DINE IN • CARRY OUT DELIVERY • CATERING Carry-out only. Limit 1 per customer per day. Cannot be combined with any other offers. Expires 10/15/22 Dine in or carry-out only. Not valid on deliveries. Limit 1 per customer per day. Cannot be combined with any other offers. Expires 10/15/22 Buy Any Large 3-Topping or Specialty Pizza and receive a FREE 10” Cheese Pizza ANY PURCHASE OF $50 OR MORE 561-743-4224 561-743-4224 $8 WEEKDAY SPECIAL OFF SCAN HERE TO ORDER CARRYOUT OR DELIVERY! VALID MON-THURS ONLY • baldinositalianrestaurant.com baldinositalianrestaurant.com MONDAY-THURSDAY ONLY W E CATER EVENTS OF ALL SIZES ! A SUB ABOVE ® VALID ONLY AT 71 EAST INDIANTOWN RD. LOCATION Hurry! Offer expires 10/31/22. One coupon per person per visit per day. Not to be combined with other offers. No cash value. Coupon redeemable in person. Offers with promo codes may also be redeemed in our app. 2327 VALID ONLY AT 71 EAST INDIANTOWN RD. LOCATION Hurry! Offer expires 10/31/22. One coupon per person per visit per day. Not to be combined with other offers. No cash value. Coupon redeemable in person. Offers with promo codes may also be redeemed in our app. 2310 VALID ONLY AT 71 EAST INDIANTOWN RD. LOCATION *of equal or lesser value BUY 2 GIANT SUBS, GET 3rd GIANT FOR $1.99 Hurry! Offer expires 10/31/22. One coupon per person per visit per day. Not to be combined with other offers. No cash value. Coupon redeemable in person. Offers with promo codes may also be redeemed in our app. 2351 PROMO CODE JFLRDA10 PROMO CODE JFLRDA27 PROMO CODE JFLRDA51 71 East Indiantown Rd. • Jupiter , FL • 561-677-2077 jerseymikes.com BUY ANY REGULAR SUB & (2) 22 oz. FOUNTAIN DRINKS, GET A 2nd REGULAR FREE! *of equal or lesser value 20% OFF YOUR ENTIRE ORDER! CONCOURSE VILLAGE PLAZA 71 E Indiantown Rd. Suite 801 Jupiter • 561-677-2077 OVER 2,000 STORES OPEN AND IN DEVELOPMENT NATIONWIDE! • JERSEYMIKES.COM TWO LOCATIONS CHASEWOOD PLAZA 6390 W Indiantown Rd. Suite 801 Jupiter • 561-747-7272
VOL. 551 D 25Copyrighted© My Living Media. 2022 All Rights reserved. To Advertise call 772-247-6849 Need More Coupons - MyLivingMedia.com 221 South US 1 • Tequesta OPEN Tuesday-Sunday 3-10pm; Closed Monday 561-747-2880 FALL SPECIAL $19.95 Chicken • Eggplant • Veal • Baked Ziti Shrimp • Pasta with Meatballs or Meat Sauce $1495 Large 1-Topping Pizza Regular Topping Only. *MLM cannot be combined. Expires 10/15/22 $5 off Any Order of $35 or More. *MLM cannot be combined. Expires 10/15/22 $999 1 Large Cheese Pizza *MLM cannot be combined. Expires 10/15/22 TUESDAY CARRY OUT SPECIAL CASH ONLY Italian Restaurant & Pizzeria From 3-6pm Dine in only Book Your Next Birthday, Engagement, Wedding, or Special Occasion! Available for 10-60 People Max. 11AM-3PM New Ownership! 12214 US Hwy One Juno Beach, FL 33408 Monday - Saturday 9am - 5pm (561) 625-6544 NEW Take Out & Catering Menu $5OFF Minimum of $50 With this MLM coupon. Cannot be combined with any other offers or specials. Expires 10/31/22 With this MLM coupon. Cannot be combined with any other offers or specials. Expires 10/31/22 With this MLM coupon. Cannot be combined with any other offers or specials. Expires 10/31/22 10% OFF Any Catering Order over $200 $5OFF 1/2 Tray Pre-Ordered Family-Size 1/2 Tray (Lasagna, Baked Ziti, Rigatoni w/ Vodka Sauce, Sausage, Peppers & Onions, or Pasta Bolognese) Visit our website for all NEW DISHES! 48-Hour Notice for all Catering Orders
26 VOL. 551 D Copyrighted© My Living Media. 2022 All Rights reserved. To Advertise call 772-247-6849 Need More Coupons - MyLivingMedia.com 6671 W. Indiantown Rd. (Winn Dixie Plaza & Central Blvd.) Summer Hours: Closed Monday; Tues-Thurs 11-9; Fri & Sat 11-10 • Sun 12-9 www.myvinnyspizza.com Check Out Our Updated Menu Prices on Our Website 2 REG. SLICES & Soda $625 11am to 3pm +tax Catering Available For All Occasions $ 10.99 TUESDAY SPECIAL Large 16” Cheese Pizza Pick Up & Cash Only Limit 3 Per Family. Toppings Additional. $ 17.99 ANY 2 HUGE 12” HOT SUBS • Chicken Parmesan • Eggplant Parmesan • Meatball Parmesan • Sausage, Pepper, Onion +tax +tax PIZZA PARTY $ 42.99 2 Large Pizzas with 1 Topping Each, 20 Wings (Hot or Mild), 12 Garlic Rolls +tax Pick Up and Delivery You Save up to $14 You Save up to $5 THE FARM PARM. $27.99 2 CHICKEN PARMESAN OR 2 MEATBALL PARMESAN DINNERS Includes Pasta, Salad, and Bread +tax+tax Pick Up and Delivery • Chicken Parmesan • Meatball Parmesan • Eggplant Parmesan Includes Pasta, Salad, & Bread LARGE 16” PIZZA PICK UP ONLY $1 4.95 1 FREE MENU TOPPING $37.99 FAMILY FEAST 1 Large 16” Cheese Pizza and Choose any Two Dinners: You Save up to $10 +taxTry Our New GLUTEN-FREE 12” PIZZA With this MLM Coupon 1 Per Customer. Not to be combined with any other offers. Limited Time Offer. With this MLM Coupon 1 Per Customer. Not to be combined with any other offers. Limited Time Offer. With this MLM Coupon 1 Per Customer. Not to be combined with any other offers. Limited Time Offer. With this MLM Coupon 1 Per Customer. Not to be combined with any other offers. Limited Time Offer. With this MLM Coupon 1 Per Customer. Not to be combined with any other offers. Limited Time Offer. With this MLM Coupon 1 Per Customer. Not to be combined with any other offers. Limited Time Offer. Gluten-Free pizza dough with a touch of honey 1/2 Topping…$1.00 Whole Topping…$1.50 Pick Up Only Pick Up Only Pick Up Only Serving the finest wines from around the world on the Treasure Coast at the best value. 10/5- Barberani Wines 5-Course Paired Wine Dinner w/ Italian Winemaker 10/8- Wine Workshop Pinot Noir & Chardonnay/ CA & OR 11/10- Baglio di Pianetto United States Debut from Sicily 5-Course Paired Wine Dinner 11/12- Wine Workshop Wines of Chile 12/10- 4th Annual Sidewalk Sale & Tasting 50+ Wines for $50! COMING in FEBRUARY Treasure Coast Charity Wine Fest & Auction WINE CLUB MEMBERS HAVE MORE FUN! Present This Ad to Receive Our Gift of $100 Gift Certificate when you purchase an Annual Wine Club Membership in Full EXCITING UPCOMING WINE EVENTS A TASTE OF HISTORY 8815 SE Bridge Road The Marketplace Corner of US1 & Bridge Road Hobe Sound, FL TheGroveHobeSound.com 772-402-5410
VOL. 551 D 27Copyrighted© My Living Media. 2022 All Rights reserved. To Advertise call 772-247-6849 Need More Coupons - MyLivingMedia.com A plant-based bistro Allow us to transform your temporary state of mind and feeling through culinary bliss. The nourishment is provided by earth’s gardens and our mission is to use organic ingredients as much as possible. Reservations not needed but can be made at reservations@moodvegan.com 10% $50 or more. Dine-in only. With this MLM coupon only. Cannot be combined with other offers or specials. Does not include cocktails, beer, & wine. Expires 11/30/22 Sunday & Monday Closed Tuesday - Thursday 11:30am-9:00pm Friday & Saturday 11:30am-10:00pm Visit Us At: moodvegan.com 561-861-3644 235 South Highway 1, Tequesta, FL Off IT’S A MOOD HAPPY HOUR Every Day 4:00PM to 6:00PM Get in the MOOD MOODTequesta THE CONNECTION FOR SUBS AND SANDWICHES 561•746•2344 FREE FREE SUB CLUB CARD $5 OFF BUY 1 12” SUB GET 1 12” SUB ORDER OF $25 OR MORE COME IN & GET YOUR 141 CENTER ST, JUPITER HOURS: MON - SAT 7AM - 4PM • SUNDAY 10AM - 3PM With 1 can of soda or small water Get your card stamped with each purchase of a sub or sandwich of $6.39 or more. When the card is filled, it is good for a retail value of $7.50.*Equal or lesser value. Cannot be combined. Excludes Veggie or Lite Bite Subs. IN STORE ONLY. Expires 10/15/22 *Cannot be combined Expires 10/15/22 Excludes Vegetarian & Lite Bites. SCAN FOR MENU JUPITER’S FAVORITE FOR 48 YEARS! WE’RE HIRING! SUB DELIVERY AVAILABLE!
28 VOL. 551 D Copyrighted© My Living Media. 2022 All Rights reserved. To Advertise call 772-247-6849 Need More Coupons - MyLivingMedia.com TREE & HEDGE TRIMMING Tree Service & Pressure Cleaning Jupiter Farms Resident & Business Owner for Over 30 Years! Licensed & Insured Commercial & Residential PAUL STETSON FREE ESTIMATES & Pressure Cleaning FREE GUTTER CLEANING W/ ROOF CLEANINGAccredited Business Since 1993 www.PaulStetson.com 561.373.8764 With this MLM coupon. Exp. 10/15/22 Cannot be combined with any other offers. ★★★★★★★★★★★★★ TREE REMOVAL PRESSURE CLEANING & STUMP GRINDING GUTTER CLEANING LAND & LOT CLEARING ★★★★ Professional Stump Grinding Service WE HAUL AWAY ALL DEBRIS Pressure Cleaning of • Roofs • Walls • Patios • Walkways • Driveways • Screen Enclosures • Gutters After Roof Cleaning Pressure Washing & Roof Cleaning • Screen Enclosure Frames • Driveways • Paver Sealing • Eco Friendly • Much More! www.pwpbg.com Workman’s Comp • Licensed & Insured *Our Guarantee - If your house doesn’t look 157% better than before, we will refund you 100% of your money. “We Clean Barrel Tile, Metal, Asphalt Shingle Roofs & Cedar Shake Roofs” GOT MOLD ON YOUR ROOF? CALL OLIVER TWIST TODAY! We Are Commercial Specialists! Call James for Specials! SENIOR DISCOUNTS! BEFORE AFTER OliverTwist 561-771-0310 Serving South Florida Since 1999 $50 OFF COMPLETE HOUSE WASH With this MLM coupon. May not be combined with other offers Expires 10/28/22 Hot off the Grill! Cooked to Order! 1695 W Indiantown Rd, Suite 2-5, Jupiter 561-768-9918 BUY 1 BURGER, GET THE 2ND FOR A… $1.00 With the purchase of 2 beverages. Can be used on dine in or takeout only. Expires 10/15/22 HOME OF THE 50 BURGERS
2560 RCA Blvd. Suite 101 • PBG • 33410 • www.pbgdentist.com The patient and any other person responsible for payment have the right to refuse to pay, cancel payment, or be reimbursed for any other services, examination, or treatment which is performed as a result of and within 72 hours of responding to the advertisement for the free service, examination, or treatment. Samuel J. Holcroft D.M.D., P.A. SERVICES INCLUDE Samuel J. Holcroft Family & Cosmetic Dentistry Please Mention Code OMS for discounted prices when booking. WHAT SETS US APART • 0% Financing Thru Care Credit. O.A.C. • Most Dental Insurance Plans Accepted • Adults & Children • Nitrous Oxide Gas & Oral Sedation if Desired • Partials & Dentures • Root Canals • Grinding Guards • Extractions • Digital X-Rays • Routine & Deep Cleanings • Tooth-Colored Fillings & Bondings • Crowns & Veneers • Implants & ImplantSupported Bridges A $400 VALUE. FOR NEW PATIENTS ONLY. May not be used with any other coupon. For best results should be used within 3 months of last cleaning. Expires 10/31/22 EMERGENCY PATIENT SPECIAL TOOTHACHE? $50 With this MLM coupon. Please mention this ad when calling for appointment. Cannot be combined with any other offer. Expires 10/31/22 Including X-Ray (D0220) and Exam (D0140) $200 TEETH WHITENINGNEW PATIENT SPECIAL $79 With this MLM coupon. Please mention this ad when calling for appointment. Cannot be combined with any other offer. Expires 10/31/22 Including FMX (DO210), EXAM (D0150) & CLEANING (D1110) Is your dentist open on Friday and Saturday? We are! NOW OPEN FRIDAYS & SATURDAYS! 561-622-5600 MENTION CODE SMILE TO BOOK YOUR APPOINTMENT
30 VOL. 551 D Copyrighted© My Living Media. 2022 All Rights reserved. To Advertise call 772-247-6849 Need More Coupons - MyLivingMedia.com 561-312-1937 DUMPSTER RENTALS DONE RIGHT Delivered in 24 hrs or Less www.bulkwastefl.com OFF OFF$50 $20 ANY DUMPSTER JUNK REMOVAL With this MLM Coupon Expires 10/31/22 With this MLM Coupon Expires 10/31/22 • Expert Lamp Repair & Restoration • Bring In Your Lamp For A Proper Fit! Best Selection of Lampshades in Florida! ANY SHADE IN THE STORE Expiration 10/31/22 $10 OFF $39.00 and Up 772.221.0222 Cedar Pointe Plaza 2461 SE Ocean Blvd. Stuart, FL 34996 Custom-Made Lamps & Shades ... Bring Your Lamp for a Proper Fit! YOUR NEXT PRODUCT PURCHASE Natural Pet Food • Boutique • Grooming Catering to Your Pet’s Health! 155 Toney Penna Drive, Suite 6, Jupiter, FL 33458 1/2 mile South of Indiantown Road, between Alternate A1A & Military Trail Largest selection of natural, holistic, & raw pet food, including raw meaty bones, chicken necks, & tripe. 561.748. PAWS 7297 info@healthepetsmarket.com WWW.HEALTHEPETSMARKET.COM Certi ed NutritionPet Specialist Healthy options for cats and dogs, including supplements and vitamins, plus all of your pet’s favorite treats. 10%offToys • Bones • Bedding • Leashes • Collars • Grooming Supplies and more. (Mon.-Sat.) • 8:30am - 7:00pm (Sunday) • 11:00am - 4:00pm EXCLUDING FOOD & GROOMING Must present coupon at time of service. Not valid with any other offer. Expires 10/15/22
VOL. 551 D 31Copyrighted© My Living Media. 2022 All Rights reserved. To Advertise call 772-247-6849 Need More Coupons - MyLivingMedia.com It’s More Than Just a Will... PLANNING WITH COMPASSION • Wills • Trusts • Power of Attorney Jupiter Wills and Trusts, PLLC 4600 Military Trail, Suite 212 • Jupiter www.jupiterwillsandtrusts.com 561-784-6945 KELLY L. WRIGHT ATTORNEY LLM ESTATE PLANNING Attorney Advertisement • Advance Directives • Probate/Trust Administration • Estate/Gift Tax Planning Health & Beauty Products • Anti-Aging Cream • Glutathione Injections • Anti-Fungal Solutions • Arousal Cream • Biotin Injections • Vitamin D3 Injections • NAD+ Injections • B12 Injections • Vitamin C Injections • Lipo Tropic Injections • Coenzyme Q10 Delivered To Your Residence From A USA Pharmacy Video Or Phone Dr. ConsultationGo Online to* *TeleHCG.com or *NewBeginningsMedical.com 877-424-9994 BELLA BENEFITS INTRODUCTORY PRICING CONTENTS OF EACH BELLA CAPSULE• Weight Loss • Appetite Suppression • Mood Improvement • Increase Energy • Improved Sleep • Reduced Hunger • Increase Libido • Reduce Anxiety • Increase Strength • Phentermine • Diethylpropion • Topiramate • Naltrexone • Methylcobalamin:B12 30-DAY SUPPLY 90-DAY SUPPLY Reg. Price ...................... $293 Introductory Price ........................... $238 Reg. Price ...................... $711 Introductory Price ........................... $596 $55 SAVINGS $115 SAVINGS INTRODUCING A NEW WEIGHT LOSS PRODUCT Pharmaceutical Grade HCG DIET Lose up to 1 Pound Per Day HCG NOW AVAILABLE FREE
32 VOL. 551 D Copyrighted© My Living Media. 2022 All Rights reserved. To Advertise call 772-247-6849 Need More Coupons - MyLivingMedia.com • Drain Clearing, Camera Inspections, Hydro Jetting • Water Heaters, Garbage Disposals • Back ow Testing/Repairs • New Construction and Remodels Dixie Plumbing_0058-1520_HI551 $100 OFF Not valid for heaters covered through manufacturer’s warranty. Not valid on Commercial Heaters or Tankless. Not valid on after hour calls. Not valid with any other offer. Valid through 12/31/22 Maximum discount of $125. Not valid on backflow testing/repairs. Slab leaks, re-piping and remodels excluded. Not valid on after hour calls. Not valid for use on hot water heater installs. Not valid with any other offer. Valid through 12/31/22 ANY SERVICE CALL 15% OFF ANY HOT WATER HEATER *Supplied & Installed by Dixie Plumbing Only. service @dixieplumbinginc.com CALL (561) 746-4504 Serving Palm Beach & Martin County Since 1972 Residential and Commercial Commercial & ResidentialPRECISE ROOF COATING Call Now! 772-758-5808 ★Protect ★Save Money ★Restore FREE ROOF ESTIMATE & ROOF EXAM SPECIALIZING in 100% Silicone Roof Coatings. DON’T RE-ROOF! Restore Your Current Roof Today! Quali ed Applicators for Gaco Western NOW HIRING CALL TODAY! Experienced Electricians $50 OFF ANY JOB OVER $500 Cannot be combined with other discounts or offers. With this MLM coupon. Expires 10/28/22 Need An Electrician? FREE ESTIMATES Lic # EC13007910
VOL. 551 D 33Copyrighted© My Living Media. 2022 All Rights reserved. To Advertise call 772-247-6849 KEEPING YOU AND YOUR FAMILY SAFE & SECURE! WE HAVE OPTIONS FOR ANY BUDGET!! • Accordion Shutters • Bahama Shutters • Colonial Shutters • Hurricane Fabric • Impact Windows & Doors • Roll Shutters • Storm Panels • Components Call Today for your FREE ESTIMATE! 561-566-7292 With our price match guarantee, we will match or beat our competitors’ quotes! 25% 0%$500Off Off APR UP TO *Based On Volume Any Project under $10k Financing Available Must present coupon at time of estimate to be valid. Expires 10/15/22 Must present coupon at time of estimate to be valid. Expires 10/15/22 * For 18 months. See dealer for details. Expires 10/15/22
34 VOL. 551 D Copyrighted© My Living Media. 2022 All Rights reserved. To Advertise call 772-247-6849 Need More Coupons - MyLivingMedia.com Arroyo Health Lab Center HYDRATE Hydration Wellness Revive Mind, Body, & Soul IV TREATMENTS Myers’ Cocktail Get Your Antibody Infusion Today! $50 Off Any Hydration Therapy Expires 10/15/22 COVID-19 POSITIVE? or Exposure? Rapid/PCR Test Available • Monoclonal • Antibody Infusions • Paxlovid • Molnupiravir StartBetterFeelingHydrationMigraines Multiple Sclerosis TODAY! 1535 Cypress Drive Jupiter 561-972-4302 Hangover Cocktail We Offer Emergency House Calls For the latest monoclonal antibodies *call for details For your safety we have a Doctor, Nurse Practitioner, and Paramedics on staff. GOOD is a haircut you love. GREAT is a sweet price too. HURRY IN! All Great Clips® salons are independently owned and operated by third party franchisees. Franchisees, not Great Clips, Inc., are responsible for all hiring and personnel matters at their individual salons. 41309-001-Norman-Shops of sebastian-8.5x3.5.indd 1 SEBASTIAN • Shops of Sebastian 1451 Sebastian Blvd 772-663-7878 M-F 8-7 • Sat 9-6 • Sun 9-6 Now Hiring Great Stylists GOOD is a haircut you love. GREAT is a sweet price too. HURRY IN! All Great Clips® salons are independently owned and operated by third party franchisees. Franchisees, not Great Clips, Inc., are responsible for all hiring and personnel matters at their individual salons. 41309-001-Norman-Shops of sebastian-8.5x3.5.indd 1 ANY HAIRCUT $899 10/31/22 Not valid with any other offers. Limit one coupon per customer. No Copies. Taxes may apply. Valid at Tequesta Shoppes. $ 899 GOOD is a haircut you love. GREAT is a sweet price too. OFFER EXPIRES: 8/1/22 ANY HAIRCUT SEBASTIAN • Shops of Sebastian 1451 Sebastian Blvd 772-663-7878 M-F 8-7 • Sat 9-6 • Sun 9-6 Now Hiring Great Stylists Not valid with any other offers. Limit one coupon per customer. No Copies. Taxes may apply. Valid at Shops of Sebastian. owned and operated by third party franchisees. responsible for all hiring and personnel matters at their individual salons. sebastian-8.5x3.5.indd 1 5/31/22 1:00 PM GOOD is a haircut you love. GREAT is a sweet price too. HURRY IN! All Great Clips® salons are independently owned and operated by third party franchisees. Franchisees, not Great Clips, Inc., are responsible for all hiring and personnel matters at their individual salons. 41309-001-Norman-Shops of sebastian-8.5x3.5.indd 1 Looking great has never been so convenient Stuart • Kanner Crossing 6534 S Kanner Highway (Next to Publix Supermarket) 772-266-9537 M-F 9-5 • Sat 9-6 • Sun 10-5 Now Hiring Great Stylists ANY HAIRCUT $899 Looking great has never been so convenient GREAT is a sweet Tequesta • Tequesta Shoppes 165 N US Hwy 1 561-972-7056 M-F 9-5 • Sat 9-6 • Sun 10-5 Now Hiring Great Stylists Not valid with any other offers. Limit one coupon per customer. No copies. Taxes may apply. Valid at Tequesta Shoppes. ANY HAIRCUT $ 8 99 OFFER EXPIRES: 09/30/2022 F22233CJTequesta • Tequesta Shoppes 165 N US Hwy 1 561-972-7056 M-F 9-5 • Sat 9-6 • Sun 10-5 Now Hiring Great Stylists
VOL. 551 D 35Copyrighted© My Living Media. 2022 All Rights reserved. To Advertise call 772-247-6849 Need More Coupons - MyLivingMedia.com “From our family to yours, you’ll love getting American-made window treatments in as little as 2 weeks!” Shutters Roller Shades Blinds Smart Home Compatible Motorization MEET TOM & ZETTA Licensed and Insured Martin County-Based Business 772-742-5242 FREE IN-HOME ESTIMATES With MLM coupon. Expires 10/31/22 Visit our website to read our story www.shutterfactory .com or scan the QR code with your smart phone American-Made Plantation Shutters “Third Generation in the Window Treatment Business”

Lake Park 1244 Northlake Blvd

Ross Village 4650 Donald Ross Rd

Blvd

561-624-7372

561-515-5410

Donald Ross

Crossing 4073 Hood Rd

561-768-7767

10/31/22

with any other offers. Limit one coupon per customer. No copies.

may apply. Valid at Frenchman’s Crossing, Donald Ross Village & Plaza at Lake Park. Masks may be required.

36 VOL. 551 D Copyrighted© My Living Media. 2022 All Rights reserved. To Advertise call 772-247-6849 Need More Coupons - MyLivingMedia.com GOOD is a haircut you love. GREAT is a sweet price too. $ 999 OFFER EXPIRES:
ANY HAIRCUT Not valid
Taxes
LAKE PARK Plaza at
PALM BEACH GARDENS Donald
(Central
&
Rd)
Frenchman’s
(Next to Publix) •
greatclips.com | jobs.greatclips.com | greatclipsfranchise.com 5/31/22 12:59 PM 561.468.8230THE PATIENT AND ANY OTHER PERSON RESPONSIBLE FOR PAYMENT HAS A RIGHT TO REFUSE TO PAY, CANCEL PAYMENT, OR BE REIMBURSED FOR PAYMENT FOR ANY OTHER SERVICE, EXAMINATION, OR TREATMENT THAT IS PERFORMED AS A RESULT OF AND WITHIN 72 HOURS OF RESPONDING TO THE ADVERTISEMENT FOR THE FREE, DISCOUNTED FEE, OR REDUCED FEE SERVICE, EXAMINATION, OR TREATMENT. SCAN FOR WEBSITE & SERVICES We accept most major insurance plans & Medicare 4601 Military Trail #202, Jupiter HOURS MONDAY-FRIDAY 8:30AM-5:00PM FOOT, ANKLE, OR VEIN ISSUES? WE CAN HELP!Rel … DR. ORLANDO CEDENO DPM Podiatrist Foot & Ankle Surgeon Located in Jupiter, FL $100 OFF SCLERO VEIN THERAPY With this MLM coupon. Expires 10/15/22BEFORE AFTER • Foot Ankle Surgery • Bunion Surgery • Cysts & Warts • Fractures & Breaks • Ankle Arthritis • Diabetic Foot Conditions • Hammer Toe • Ingrown Toe Nails • Varicose Veins Treatment • Neuropathy Solutions • Nerve Decompression in Foot
VOL. 551 D 37Copyrighted© My Living Media. 2022 All Rights reserved. To Advertise call 772-247-6849 Need More Coupons - MyLivingMedia.com …A Beautiful Smile is closer than you think. General, Cosmetic, & Implant Dentistry THE PATIENT AND ANY OTHER PERSON RESPONSIBLE FOR PAYMENT HAS THE RIGHT TO REFUSE TO PAY, CANCEL PAYMENT OR BE REIMBURSED FOR ANY SERVICES, EXAMINATION OR TREATMENT WHICH IS PERFORMED AS A RESULT OF AND WITHIN 72 HOURS OF RESPONSE TO THE ADVERTISEMENT FOR FREE OR DISCOUNTED SERVICES, EXAMINATION OR TREATMENT. 654 W. Indiantown Rd. Suite 105, Jupiter Lic#14440 Angelo Forte, DMD, PA. 561.747.2134 ! NEW PATIENT SPECIAL ZOOM2 WHITENING $89 $125 OFF Prophylaxis Cleaning, Exam, FMX, & Oral Cancer Screening Codes: D0150, D1610, D1674, D1110 Codes: D0003 RESTRICTIONS MAY APPLY. MLM COUPON EXPIRES 10/28/22 MLM COUPON EXPIRES 10/28/22 NOW OFFERING In-House Dental Discount Plan Ask for details Located at: 651 W. Indiantown Rd., Jupiter • 561-746-2345 FREE Cleaning 50% Off Any Watch Battery 20% Off Any Repair MLM Coupon expires 10/15/22MLM Coupon expires 10/15/22MLM Coupon expires 10/15/22
38 VOL. 551 D Copyrighted© My Living Media. 2022 All Rights reserved. To Advertise call 772-247-6849 Need More Coupons - MyLivingMedia.com NEED SHUTTERS THIS WEEK? Family Owned & Locally Manufactured Plantation Shutters • ANGLES & RAKES • ARCHES & SUNBURSTS • OTAGON, CIRCLE, HEXAGON • SILL COVERS & CAPS HORIZONTAL ARCH PLANTATION SHUTTERS SUNBURST PLANTATION SHUTTERS www.plantationshutters a.com Treasure Coast Palm Beach 772-600-4253 or 561-420-0418 Visit our manufacturing shop at: 406 Farmers Market Rd Ft Pierce, FL 34982 IN HOME ESTIMATESFREE $1695 SQ. FT. INSTALLED Starting at Plantation Shutters Florida™ Your Plantation Shutter Specialist Plantation Shutters Florida™ We are the Real Manufacturer Licensed & Insured CALL TODAY AND GET UP TO 10% DISCOUNT Restrictions may apply.
VOL. 551 D 39Copyrighted© My Living Media. 2022 All Rights reserved. To Advertise call 772-247-6849 Need More Coupons - MyLivingMedia.com 132 NE Dixie Hwy., Stuart, FL 34994 Licensed & Insured State Certi ed License #CCC024411 Serving Martin & Palm Beach Counties for Over 30 Years! “You’ve tried the rest…now call the Best!” Re-Roof & Repair Specialists METAL ROOFS Starting At Starting At $17,500 TILE ROOFS (Minimum 3500 Sq Ft of Roof) $24,500 (Minimum 3500 Sq Ft of Roof) 772-692-9854 Re-roofs • Repairs • New Construction • Cement & Clay Tile Fiberglass Shingles • Wood Shakes • 5-V & Standing Seam Metal Built-up Modi ed Rubber • Residential & Commercial 25- to 50-Year Material Warranty Available 5- to 10-Year Labor Warranty Available Martin County’s Trusted Name Since 1980! Exceptional Quality • Exceptional Service “We Paint Every Home Like It’s Our Own” 561-475-5944 Wellington, FL Exceptional Painting_0110-4918_HI551 www.exceptionalpainting.com Insured and Bonded | Palm Beach Co. U-18412 | Free Estimates • Interior Painting • Exterior Painting • Small Drywall Repairs • Small Concrete Repairs • Wallpaper Removal • Wallpaper Installation • Wood and Fiberglass Staining • Concrete Staining • Epoxy Coatings • Pressure Cleaning • Color Consultants • Touch-Up Specialists • Lacquer Painting • Small General Repairs Prior to Painting 561-464-5222 6390 W. Indiantown Rd., Suite 24A, Jupiter Back to School Special ALL DAY CALORIE BURN. SCHEDULE YOUR FREE CLASS AT OUR JUPITER LOCATION New members, returning members, everyone! When you sign up in September! 50% Off SWAG BAG FREE Plus a ‘Quit-Free’ Guarantee *When you sign up by 10/15/22 If you don’t see results in your rst 30 days, then we will return your membership payment. Fitness Made Fun!
40 VOL. 551 D Copyrighted© My Living Media. 2022 All Rights reserved. To Advertise call 772-247-6849 ARE YOU READY FOR HURRICANE SEASON? • HURRICANE PROTECTION • HOME SECURITY • ENERGY EFFICIENCY • REDUCED INSURANCE COSTS • INCREASED PROPERTY VALUE • SOUND REDUCTION ZERØ! Ø Tax Ø Interest Ø Payments /24 MONTHS /24 MONTHS Don’t Get Caught Off Guard, Use Florida’s #1 Rated Hurricane Window www.MaxGuardHurricane.com 561-566-5629 • 772-932-5629561-781-9677 makes it as easy as 123 FINANCING DISCLOSURE: Contractor is neither a broker nor a lender. Financing is provided by third-party lenders unaffiliated with Contractor, under terms and conditions arranged directly between the customer and such lender. All subject to credit requirements and satisfactory completion of finance documents. Any finance terms advertised are estimates only. GET IMPACT WINDOWS
VOL. 551 D 41Copyrighted© My Living Media. 2022 All Rights reserved. To Advertise call 772-247-6849 Need More Coupons - MyLivingMedia.com PATIO ENCLOSURES BRING YOUR OUTDOORS INDOORS www.MaxGuardHurricane.com 772-932-5629561-781-9677 • 772-403-9677 Call for Your FREE Quote or Schedule Your Appointment Today!
Copyrighted© My Living Media. 2022 All Rights reserved. To Advertise call 772-247-6849 Need More Coupons - MyLivingMedia.com $25 Off First Time Service New Customers Only. Expires 10/31/22 Call Today 561-421-9297 www.tropicalhealthcareservices.com Quality Healthcare is Our First Priority PACKAGES STARTING AT 4 Hour Minimum · Accompany To Appointments · Laundry · Light Housekeeping · Meal Preparation · Medication Reminders · Shopping / Run Errands 4-HOUR PACKAGE 24/7 Services to assist you from as little as 4 hours a day or as often as you like. We accept Long Term Insurance and Private Pay • RESIDENTIAL • COMMERCIAL • MARINEWINDOW TINTING NO AUTOMOBILES off$30 Any order over $100 Exp. 10/31/22 SAVE ON Y OUR E LECTRIC B ILL !! Over 40 Years of Experience 772.244.2990 www.mrtintofamerica.com TINT YOUR WINDOWS Highest Quality Film at the Lowest Prices Reduce Heat Load Eliminate Glare Minimize Fading BEST OF ALL We come to You! BeforeBefore AfterAfter COMPLETE AUTO & TRUCK REPAIR CERTIFIED FULL-SERVICE MECHANICS VEHICLE ALIGNMENTS 350 Cypress Dr. • Tequesta, FL 33469 www.TequestaTire.com (561) 746-8381 With this MLM coupon. Must present coupon at time of service. Over 5 qts. & special filter cartridge extra. Expires 10/15/22 1st-time customers only. With this MLM coupon. Must present coupon at time of service. Expires 10/15/22 Oil Change • Car Inspection Battery Check • Tire Rotation New Set of Windshield Wipers Wiper Fluid with Rain-X® & Bug Juice ANY MECHANICAL REPAIR OVER $350 Family Owned & Operated Since 1969 Honest, Fair, & Reliable OIL CHANGE PACKAGE SUMMER MAINTENANCE SPECIAL Synthetic Oil Change • Car Inspection Battery Check • Tire Rotation New Set of Windshield Wipers Wiper Fluid with Rain-X® & Bug Juice With this MLM coupon. Must present coupon at time of service. Over 5 qts. & special filter cartridge extra. Expires 10/15/22 SYNTHETIC OIL CHANGE PACKAGE Mon-Fri 7am-5pm | Sat 8am-12pm |Sun Closed $100 Value $150 Value $6299 $50OFF $9999

hand washes AND wheels, cleaned, sealer wax, tires shined, dash and jams wiped, vacuum, windows blown dry and hand nished, all Unlimited. Reg. $44.95. Credit Card Required. New customers only. Some large, raised and commercial vehicles excluded from club. Download our mobile app required to redeem offer. Cannot be combined with any other offersWith MLM coupon. Expires 10/31/22

VOL. 551 D 43Copyrighted© My Living Media. 2022 All Rights reserved. To Advertise call 772-247-6849 $1995 First Month UNLIMITED INSIDE & OUT WASHES SAVE $25 You get unlimited
561-WASH-ME-2 100% HAND WASH! Jupiter-6812 W. Indiantown Rd. (Next to McDonalds) Tequesta-1625 N Old Dixie Highway (Next to Pinder’s Seafood) Gardens-4109 Northlake Blvd. (BP at Northlake & I-95) WPB-2405 Okeechobee Blvd. (Formerly Top Hat Car Wash) Wellington-4213 S. State Road 7 (Lake Worth Rd & 441 in Chevron) Gardens-12194 Alternate A1A (1/4 Mile S. of Hood Rd., Next to Chevron) Gardens-9730 Alternate A1A (Formerly Starbrite Carwash @ Sunoco) SAVE (Reg $25/$29/$40) With MLM coupon. Cannot combine discounts. All Prices subject to size/condition of vehicle. Download our mobile app required to redeem offer. Expires 10/31/22 Download our App for great savings around town “Wash Club” www.UnlimitedAutoWashClub.com ★ Up to (96 Hour) Rain Guarantee ★ Monday is Men’s Day ★ Wednesday is Ladies’ Day ★ Thursday is Senior’s Day $3599 Express Hand Wax 30 Minute Service Price subject to change based on condition/size of vehicle. Includes Popular Wheel Deal Wash Package. Valid at all 7 locations. With MLM coupon. Cannot combine discounts. Download our mobile app required to redeem offer. Expires 10/31/22 (Reg $44.99) Our Top 3 Wash Packages $5 Complete Detail Inside & Out Price Subject to Change Based on Condition/Size of Vehicle. With MLM coupon. Valid at ALL 7 locations only. Not valid with other offers. Download our mobile app required to redeem offer. Expires 10/31/22 $11999 (Reg $149.99) LET US SANITIZE YOUR CAR!Mon-Sat 8:00AM-6:00PM Sun. 9:00AM-5:00PM
44 VOL. 551 D Copyrighted© My Living Media. 2022 All Rights reserved. To Advertise call 772-247-6849 Need More Coupons - MyLivingMedia.com Emergency Care Teeth Whitening Cosmetic Dentistry Same-Day Treatment Family Dentistry Always Accepting New Patients & Walk-Ins Ask About Our In-House Plan Hours: Mon - Fri 8:30AM-5:00PM 3889 Military Trail #102 Jupiter, FL 33458 561-861-2611 www.dbd .com NEW PATIENT SPECIAL $99 D0150 Exam D0210 X-Ray D1110 Cleaning in absence of periodontal disease D0330 Panoramic X-Ray SE HABLA ESPAÑOL Now Offering: FREE Whitening for new patients for a year! Your Premier Golf Cart Dealer in Jupiter! We Offer the Following: VISIT US ONLINE @ Jupitergolfcartsales.com 800 Capital St., #E, Jupiter • Service/Maintenance • Custom Golf Carts • Rentals: Daily/Weekly/Monthly • Parts • Sales: Gas/Electric (2-6 Seaters) • Accessories • Registrations & More! 561-408-7058 $20 OFF OFF $150 ANY CUSTOMBUILT GOLF CART ANY SERVICE JOB Expires 10/15/22 Expires 10/15/22
VOL. 551 D 45Copyrighted© My Living Media. 2022 All Rights reserved. To Advertise call 772-247-6849 BOAT CRUISES gopontiki.com // 833-755-8454 Come experience our beautiful tropical waterways aboard the PonTiki and save $50 on your upcoming cruise. Beer and wine are included in the price of your ticket. Call or visit our website at to see our schedule and book your cruise! 561.621.4676 Jupiter, FL Enjoy complimentary beverages as we cruise the blue waterways of Jupiter. Hop on a Pontiki Boat Cruise! Cruises Available Daily! Book Online at Gopontiki.com OPENING 2ND LOCATION IN STUART THIS FALL! PonTiki continues to be committed to ensuring the health and well-being of our clients and team members. Please visit our website or call us for further information. We hope to see you on the water soon! BOOK YOUR CHRISTMASEVENT IN OCTOBER & RECEIVE A PRIVATE CRUISE 10% OFF
46 VOL. 551 D Copyrighted© My Living Media. 2022 All Rights reserved. To Advertise call 772-247-6849 Need More Coupons - MyLivingMedia.com Specializing in… • Hazardous Tree & Limb Removal • Palm Tree Trimming • Total Tree Care Licensed & Insured 20% Off All Services MLM coupon expires 10/31/22 772.361.6187 FREE ESTIMATES! Let Us Take the “CHORE” Out of Your Chores • Move-In & Move-Out Services • • Weekly • Biweekly • Monthly • • One Time & Seasonal • EXPERIENCED • THOROUGH • DEPENDABLE RELIABLE • HONEST • AFFORDABLE Owners onEvery Job References Upon Request SATISFACTION GUARANTEED! 772.418.5635 LICENSED/INSURED/BONDED • FREE Estimates • 20% OFF Second Cleaning 20% OFF 40% OFFThird Cleaning Add up the Savings! SAVE A TOTAL OF Not valid with any other offer. Expires 10/28/22 Not valid with any other offer. Expires 10/28/22 AFTER YOUR 3RD CLEANING Not valid with any other offer. Expires 10/28/22 ➡ ➡ NEW CUSTOMER SPECIAL BUY FACTORY DIRECT & SAVE 15821 Mercantile Court, Ste. #4 • Jupiter 561.935.9548 www.theclosetclinic.com – Established 1979 –Florida’s Oldest Custom Closet Manufacturerthe closet clinic ANY PURCHASE $300 OFF custom closet interiors OVER $3,000 Complete Service Including: • Custom Design • Manufacturing • Top-Quality Installation • Closets • Home Of ces • Wall Units • Murphy Beds • Garage Storage Systems FREE Home Estimates MURPHY BEDS GARAGE STORAGE SYSTEMS CUSTOM DESIGNS HOME OFFICES

We bill the insurance company directly

Q: What is Mold?

A: Mold is a type of fungi that is naturally occurring in the environment.

Q: How does in grow?

A: In order to grow, mold needs water, oxygen, and a food source, such as wood or drywall.

Q: Where is it found?

A: Mold grows in a place with a lot of moisture (leaks in roof, windows, pipes, etc.).

Q: How fast can it grow and become a problem?

A: Mold can easily grow within 24 to 48 hours.

Q: Are there any health risks?

A: Mold can cause nasual congestion, throat irritation, dif culty breathing, coughing, or wheezing.

Q: How can I prevent mold growth?

A: Fighting mold starts by ghting moisture.

Q: How do I get rid of mold?

A: The air in all affected areas should be treated to kill & remove spores.

chronic sinus

YOU PAID YOUR INSURANCE…
70% 93% 21% 45 24-48 HRS Of Homes are estimated to have mold behind walls Of
infections have been attributed to mold Of all asthma cases in the US are attributable to dampness and mold exposure Million buildings in the US have unhealthy levels of mold The amount of time it takes for mold to grow after a water loss LET IT COVER YOUR DAMAGES AQUA DOCS Water Restoration, Inc. 772-261-4181 WE DO IT ALL! WATER • MOLD • FIRE FREE Evaluation LIC# MRSR3440, MRSA3876
48 VOL. 551 D Copyrighted© My Living Media. 2022 All Rights reserved. To Advertise call 772-247-6849 Need More Coupons - MyLivingMedia.com EXPERT FULL SERVICE JEWELRY REPAIRJEWELRY 75 E. INDIANTOWN RD #504 • JUPITER WE BUY GOLD 561.406.2074 20% OFF 15% OFF 50% OFF Any Watch or Jewelry Repair Watch Battery Estate Jewelry With this MLM coupon. Expires 10/15/22 With this MLM coupon. Expires 10/15/22 With this MLM coupon. Expires 10/15/22 LIC #U-22038 LIC #MCFE6928 We’ll Beat Reasonable Estimates From Comparable Licensed Companies & Product Offerings Some Restrictions Apply AUTOMATIC GATE OPENER SPECIALIST 561-899-4574 www.budgetfenceandgate.com Since 1950 RESIDENTIAL COMMERCIAL Se Habla Español ASK ABOUT OUR Promotion for Eligible Projects. or Interest, Payments for Months Options! Down, Low Monthly Payments 0 0 0 24 ASK ABOUT OUR HOMETOWN HERO DISCOUNT 561.370.3624 16571 Rembrandt Rd., Loxahatchee OdumSod.com Come Visit Our New Location! SOD • ROCK • MULCH • SOIL • TREES • PLANTS
VOL. 551 D 49Copyrighted© My Living Media. 2022 All Rights reserved. To Advertise call 772-247-6849 PREVENT LEAKS AND WATER DAMAGE CALL TODAY for your FREE Roof Inspection! 100% FINANCING Not Based on Credit Score No Money Down SERVING ALL OF SOUTH FLORIDA! • TILE • METAL • SHINGLE • FLAT • YOUR RESIDENTIAL SPECIALISTS CALL US 24 Hrs. 561-202-2040 • Florida License #CCC1333947 • Fully Insured $100 Off $500 Off Any Repairs Any Re-Roof With this MLM Coupon. Expires 10/28/22 With this MLM Coupon. Expires 10/28/22 • Residential Specialist • Roof Replacements • Re-Roo ng • Storm Damage • Roof Inspections • Hail Damage Financial
50 VOL. 551 D Copyrighted© My Living Media. 2022 All Rights reserved. To Advertise call 772-247-6849 Need More Coupons - MyLivingMedia.com WHOLESALE FENCING INSTALLATIONS & REPAIRS HOME OF THE LOWEST PRICE GUARANTEE Honest, Trustworthy, Hassle-Free Service From A Family-Owned Business FREE GATE WITH PURCHASE OF EVERY 150 FT. OF FENCING. UP TO A $450 VALUE FENCING SOUTH FLORIDA 561-612-2018 With this MLM coupon. Not valid with any other offer or prior purchases. Offer expires 10/28/22 PVC/VINYL FENCING CHAIN LINK FENCING “We guarantee to beat any price you have from any legitimate fence company” Licensed &Insured Broward 11-F-17403-X Palm Beach U-21752 WWW.FENCINGSOUTHFLORIDA.COM OFFICE 561-612-2018 SERVING BROWARD & PALM BEACH FREE REMOVAL OF EXISTING FENCE WITH PURCHASE OF NEW FENCING NO MINIMUM REQUIRED (excludes hurricane damaged fencing) FENCING SOUTH FLORIDA 561-612-2018 With this MLM coupon. Not valid with any other offer or prior purchases. Offer expires 10/28/22 Visit our website to see our episode on Designing Spaces NOW INTRODUCING OUR NEW ART DIVISION Custom Metal Works in Any Shape and Style added to your fence, gates, entry door, and interior or exterior house walls WOOD FENCING ALUMINUM FENCING WE DO IT RIGHT THE FIRST TIME FOR LESS. Come see the largest showroom in the area, featuring: Miele, Riccar, Hoover, Dyson, and Much More! 561-359-0996 201 North US Highway 1 • Suite B3, Jupiter Next the Jupiter Movie Theater www.actioncentralvacuum.com www.jupitervacuum.com $5 OFF ANY VACUUM REPAIR Excludes Electric Brooms & Hand Vacuums WITH THIS MLM AD. CANNOT BE COMBINED EXPIRES 10/31/22 $100 OFF Limited Quantity ACT NOW!!! MSRP SELECT MIELE MODELS Family Owned & Operated FACTORY AUTHORIZED DEALERS! $20 OFF (Reg. $85) CENTRAL VAC SERVICE CALL Expert Sewing Machine Repair on All Makes & Models WITH THIS MLM AD. CANNOT BE COMBINED • EXPIRES 10/31/22 WITH THIS MLM AD. CANNOT BE COMBINED EXPIRES 10/31/22 WE COME TO YOU! Is Your Central Vacuum Running Sluggish? We Restore it to New Condition. 15OFF %
VOL. 551 D 51Copyrighted© My Living Media. 2022 All Rights reserved. To Advertise call 772-247-6849 Need More Coupons - MyLivingMedia.com Visit us at our LOCAL Retail Locations • West Palm Beach • Palm Beach Gardens • Tequesta • Hobe Sound • Port St. Lucie • Fort Pierce • Vero Beach Call Today for more details 561-468-3735 compasshealthinsurance.com info@compasshealthinsurance.com FLORIDIANS HELPING FLORIDIANS SINCE 2007 NEED HELP WITH MEDICARE? • A $0 Medicare Plan Premium and dental too? You don’t need to choose just one • Largest Provider Network in your Area • All Medicare Plans accepted by Cleveland Clinic Facilities & Physicians • Learn about Medicare Supplement Plans • Learn about Medicare Advantage Plans • Understand Medicare A, B, C, & D • Understand your Rights, Bene ts, & Options We provide assistance with your Medicare Advantage & Medicare Supplement Plans. SCHEDULE YOUR ANNUAL MEDICARE REVIEW TODAY! Your Extra Bene ts Dental, Vision, Hearing, & Free Gym Membership
52 VOL. 551 D Copyrighted© My Living Media. 2022 All Rights reserved. To Advertise call 772-247-6849 Need More Coupons - MyLivingMedia.com VETERAN & SENIOR DISCOUNTS All Your Handyman Needs 772-281-9730 Veteran Owned • Licensed • Insured Call or Text Finish Trim Work Interior Carpentry Crown Molding Younique Custom Theater Trim & Design LLC facebook.com/theatertrim/ PROFESSIONAL HOME CLEANING Daily • Weekly • BiWeekly Monthly • Custom Call Santa for a FREE Estimate! 561.600.4006 Whole House Cleaning • Window Cleaning Trash Take Out • Move In/Out Cleaning Bathrooms • Mop Floors • Carpet Cleaning Stoves • Refrigerators • Blinds • Fans Kitchens & More! Santa Professional Cleaning_0073-3922_CS551 Call $ 25 NEW CUSTOMERS First-Time Cleaning With this MLM coupon. Must present coupon at time of purchase. Expires 10/31/22 OFF Call Today for Back to School Lessons MUSIC LESSONS IN STUDIO OR LIVE VIRTUAL LESSONS! www.frederickcapitelli.com 561-575-0576 658 W Indiantown Rd Ste #210 • JUPITER *with experienced music teacher: Frederick Capitelli VOICE• GUITAR • BASS • MANDOLIN • BANJO VIOLIN • VIOLA • CELLO • UPRIGHT BASS • PIANO ACCORDION • SPINET & CONSOLE ORGAN DRUMS/BELLS INSTRUMENTS & ACCESSORIES PIANO TUNING & REFINISHING• RECORDING STUDIO Get Back Into Your Grove & Find Your Rhythm! Frederick Capitelli • One-on-One Personal Training • Customized Fitness Programs • Burn Fat/Tone Problem Areas • Weight Training & Cardio • Increase Energy • Nutrition Counseling NEW CLIENTSPECIAL Jupiter’s Premier Training Studio Let Us Show You Why We're Different! THREE PALMS PLAZA 2151 Alt. A1A South #700, Jupiter • www.be tjupiter.com 561-745-5001 *New clients only. Cannot be combined. Expires 10/15/22 CALL OR TEXT FOR APPOINTMENTS BE STRONG . BE CONFIDENT. BE FIT. SESSIONS FREE4
Located in the YumYum Plaza 815 S. US Hwy. 1, Jupiter FL 561-781-3696 HOME FURNISHINGS INSPIRED BY The Salt, Sand, & Sea Classic & Timeless Furniture, Unique Coastal Lighting, Accessories, & Rugs summerhousefurniture.com Mon.-Sat. 10am-6pm | Sun. 12:30pm-5pm

For What It’s Worth

In this upside down time in our lives, there has been an in ux, it seems to me, of individuals wanting to revisit simpler times, with less responsibility and more fun. If only that meant including a weekly movie, or making a special dinner to spice things up at home, that would be less dangerous than the trend that has crossed my ears more than a few times in the past year, namely, people connecting with old ames, needing the comfort of someone who isn’t their husband, someone who knew them when they were young and carefree, and it’s pretty easy to nd that once-special person because of social media. It is also a fantasy, which, with twenty-twenty hindsight, is treading on dangerous ground.

It begins innocently, of course, as all risky things start, with a causal “hi, how are you doing?”, and if the person on the other end is responsive, it morphs into all the “remember whens”, which no one in your current life can compete with. Your husband didn’t know you when you were a teenager, or a college student, he wasn’t in your high school classes and he didn’t take you

to the senior prom. ose are conversations that your spouse can’t begin to participate in, and before anyone knows it, the casual conversations become irtatious, if not subtle, and invitations to an emotional a air. Suddenly your world seems brighter, lighter, happier, hanging on every word, and texts become covert phone calls with dreams of what could have been. Trust me when I say this, in most cases, the person who is going to be hurt the most, is you. Sure your old ame knows all the right things to say, gives you undivided attention, and makes you laugh, but I doubt that Casanova is as tantalizing to his own wife who is probably at home doing the dishes and his laundry.

e story is as old as the hills. Everyone wants something new, something bright and shiny, romantic words and endless promises of undying love, and people who are in a marital rut risk it all, over and over again. Let’s play this fantasy out… the wife suddenly can’t stand anything about her boring, lazy husband, and les for divorce. She dreams of the day she and her old boyfriend can be

together, but guess what? Nine times out of ten, he has a million reasons that he can’t move forward with his divorce. He can’t hurt his family, he doesn’t want to split the assets, and on and on, until the fairy tale becomes a nightmare.

So, For What It’s Worth, keep your dreams locked in a box where they can’t get lost or trampled on, and reignite the spark in your marriage. A er all, you must have been enamored with your spouse when you walked down the aisle, and perhaps, the hum-drum evenings have as much to do with you trying less, as it does with him ignoring you. Marriages go through ups and downs, and women think of jumping ship when the romance gives way to everyday drudgery, but even a boring marriage can be spiced up. A fantasy boyfriend rarely materializes.

Comments or Suggestions

54 VOL. 551 D Copyrighted© My Living Media. 2022 All Rights reserved. To Advertise call 772-247-6849 Need More Coupons - MyLivingMedia.com WWW.TKGUTTERS.COM 772-692-9727 | 561-250-2184 Authorized Dealer For PRESERVE & PROTECT YOUR HOME, FOUNDATION, & LANDSCAPING FROM WATER DAMAGE • Seamless • Modern Box • Half Round • Commercial • Aluminum • Copper Steel • Installation • Cleaning • Manufacturing • Repair • Maintenance • 5-YEAR WARRANTY FREE ESTIMATES Licensed & Insured License #MCNS4803
DrMelfi@mediaoms.com
Retaining Walls, Pavers, Waterfalls, Ponds DIX Landscaping & Management ServicesWhatALife LANDSCAPE DESIGN & INSTALLATION • YARD CLEANUP TREE / PALM TRIMMING SERVICES SOD DELIVERY / INSTALLATION • RESIDENTIAL & COMMERCIAL HARDSCAPING PROFESSIONALS 561-401-7235 dixlandscaping.com Coastal Design & Construction CBC 1261172 Your Synthetic Turf Specialists! No Watering, No Mowing, Low Maintenance 45 YEARS of quality over quantity 561-768-2017 RALPH DIX MANGROVE SPECIALIST Happy Birthday FAMILY OWNED & OPERATED UNDER CONSTRUCTION AFTER President Jimmy Carter 10/1 Papa DeVito 10/2 St. Francis of Assisi 10/4 Gabriella 10/26 Palmer 10/28 Gram Gladys 10/29
56 VOL. 551 D Copyrighted© My Living Media. 2022 All Rights reserved. To Advertise call 772-247-6849 Need More Coupons - MyLivingMedia.com FREE CONSULTATION 10% OFF561.855.6595 Let Us Make Your DreamA Reality! LIC# CGC1525942 825 15th Street Lake Park • Custom Cabinets • Closets • Kitchens • Bathrooms • Doors & Windows • Custom Millwork Any Remodeling Job. Must Book Before 10/31/2022 Total Ima g e With this MLM coupon NO RUST • NON-IMPACT DEFLECTS 80% OF HEAT & GLARE BLOCKS OVER 95% OF RAIN HIGHEST QUALITY PRODUCTS EXCELLENT SERVICE 20 YEARS OF EXPERIENCE REFERRALS AVAILABLE UPON REQUEST 772-252-6833 WWW.ALLSHUTTER.COM ACCORDION SHUTTERS ALUMINUM SUNSHADES IMPACT WINDOWS & DOORS FREE ESTIMATES Licensed & Insured | CC#07-G-14495-X | CC#04-11218-AE-X Prince Gives Us His Stamp of Approval! $600 Off $1000 Off ON ANY JOB $15K OR MOREON ANY JOB $20K OR MORE With this MLM coupon. Not to be combined with other offers or specials. Expires 10/15/22 With this MLM coupon. Not to be combined with other offers or specials. Expires 10/15/22

2110

LAKE WORTH 33460

ROYAL PALM BEACH 8060 BELVEDERE RD SUITE

PALM BEACH 8060

RD

WEST PALM BEACH 33411

WEST PALM BEACH 33411

Flouring Inc. WWW.PSFLOORINGUSA.COM (561) 612-4039 5Google stars Reviews ••••• FAMILY OWNED & OPER ATED 2 Rooms •999.oo Up to 260 sq. ft With thisad.Cannotbecombined with any other offers. 3 Rooms •1499.oo Up to 400 sq. ft With thisad.Cann otbecombined with any other offers. Whole House •2799.oo ent er Round llatlon ht Furniture n y apply) extra 8mm0nly VISIT OUR SHOWROOM OR CALL FOR A FREE IN HOME ESTIMATE NOW OPEN IN JUPITER 501 N ALTERNATE AlA JUPITER 33477 LAKEWORI'H 2110 N DIXIE HWY LAKEWORTH 33460 ROYAL
BELVEDERE
SUITE 1&2
JUPITER 501 N ALTERNATE A1A NOW OPEN IN JENSEN BEACH 1683 NE JENSEN BEACH BLVD JENSEN BEACH 34957 LAKEWORTH
N DIXIE HWY
1&2
58 VOL. 551 D Copyrighted© My Living Media. 2022 All Rights reserved. To Advertise call 772-247-6849 Need More Coupons - MyLivingMedia.com EMERGENCY SERVICE-ANY DAY, ANY HOUR Licensed & Insured CFC1427336 • Sinks • Toilets • Water Heaters • Leak Detection • Showers • Bathtubs $30 OFF ANY SERVICE 561.533.7070 PlumbRitePlumber.com Service Interruption? 24-Hour Plumbing Repair Fast | Reliable | Trusted | Guaranteed Sewer & Drain Cleaning All Clogged Lines Corrected With this MLM coupon. 1-833-ACE-CART(223-2278) Aceofcarts.com Ace of Carts 4880 SE Federal Hwy., Stuart • 2nd Location 552 US Hwy. 1 North, Tequesta AUTHORIZED DEALER Must be a 2022 Model Year Club Car from dealer stock. Offer Valid through October 31, 2022 or while supplies last. Financing is available with standard rates. Not eligible for 0% Financing promotion; offers do not combine. Promo code:MLM822 Model Year End Super Sale! Over 200 Brand New Club Cars in stock! $1,000 in FREE Accessories, FREE Delivery Destination, & Setup Charges. Model Year End Clearance: Over 200 Club Cars in Stock! Area’s Largest Selection of Golf Carts! REGISTER ONLINE TO GET www.AceofCarts.com/August-Promo Roney Has Your DREAM Car! At your Dream Price! Call RONEY WILLIAMS for the best car buying experience! RWilliamsCJDR@gmail.com 772-238-0382 KIA - CADILLAC - LINCOLN - RAM - CHRYSLER - JEEP - DODGE - VOLVO - MAZDA HYUNDAI - NISSAN - VOLKSWAGEN - CHEVROLET Wallace Chrysler Jeep Dodge Ram 2755 SE Federal Hwy, Stuart, FL 34994
VOL. 551 D 59Copyrighted© My Living Media. 2022 All Rights reserved. To Advertise call 772-247-6849 WE CARE WE SHOW UP WE CALL YOU BACK WE FINISH THE JOB We specialize in: RESIDENTIAL AND COMMERCIAL ROOFING LIC#CCC1326574 • LIC#CRC1326582 Call Now! 772-247-6067 or 561-293-4909 CODEREDROOFERS.COM FREE ESTIMATES • Financing Available
60 VOL. 551 D Copyrighted© My Living Media. 2022 All Rights reserved. To Advertise call 772-247-6849 Need More Coupons - MyLivingMedia.com Motorized Roll-Up Screens for Garages, Patios, or Lanais YOUR LOCAL SCREEN & AWNING DEALER. RATED #1 IN SERVICE 561-349-6788 FlaScreens.com Serving Port St Lucie to Boca Raton • Visit Our Showroom at: 2885 Jupiter Park Dr. • Suite 1900A • Jupiter, FL 33458 • Power Screens • Retractable Awnings • Nano Bugmesh • Solar Fabrics • FREE In-House Estimates ENTERTAIN OUTDOORS YEAR ROUND! Let The Fresh AIR IN, Keep the BUGS OUT. Lic.# U-20970 SOLAR SHADES Manual or Motorized available Seaglass Window Fashions • Stained Wood Plantation Shutters • Zebra Shades • Honeycomb Shades • Woven Wood Shades • Sheer Shades American Made 561-430-4440 Quick Turnaround! PBG, Jupiter, Palm City, Stuart, Port St. Lucie White Poly Vinyl Plantation Shutters
VOL. 551 D 61Copyrighted© My Living Media. 2022 All Rights reserved. To Advertise call 772-247-6849 Need More Coupons - MyLivingMedia.com WHEN BOOKING AN APPOINTMENT, USE COUPON CODE:$349/year Service Agreement for air cooled generator* *With this ad. Includes complete oil change & filter, check battery, amps & voltage, test generator, & two inspections per year. Expires Terms and conditions apply. Call for details. 000-000-0000 FREE ESTIMATES EnergizedGenerators.com | Electrical Lic# EC13006279 | Gas Lic# LI45030 FOR ALL YOUR GENERATOR NEEDS Serving the East Coast of Florida Since 2004 FREE ESTIMATES EnergizedGenerators.com | Electricl | LIC# EC13006279 | GAS LIC# L145030 WHEN BOOKING AN APPOINTMENT, USE COUPON CODE: MLM2 TREASURE COAST 772-617-8738 SEBASTIAN 772-617-8790 PALM BEACH 561-617-8797 WHEN BOOKING AN APPOINTMENT, USE COUPON CODE:$1,000 OFF Purchase of any Generac Home Standby Generator 000-000-0000 FREE 10 YEAR WARRANTY* FREE ESTIMATES EnergizedGenerators.com | Electrical Lic# EC13006279 | Gas Lic# LI45030 WE ARE GENERATOR EXPERTS! of Florida Since 2004 *With this ad. Cannot be combined with any other offers or prior purchases. Expires 10/31/22 Terms and conditions apply. Call for details.
62 VOL. 551 D Copyrighted© My Living Media. 2022 All Rights reserved. To Advertise call 772-247-6849 Need More Coupons - MyLivingMedia.com 772-783-9517 I.M.A.Landscaping@gmail.com IMA LANDSCAPING TREE & PALM SERVICES With this MLM Coupon FREE STUMP REMOVAL Get 1 Free Stump Removed w/Purchase of 3 Stump Removals We BeatAnyEstimateWritten Lic & Ins Serving PSL, Martin, Palm Beach FREE ESTIMATES WE SPECIALIZE IN TREE REMOVAL • Rock & Stone Install • Palm/Tree Removal • Irrigation install & Services • Stump Grinding • Mulching & Sod Installed • Tree Trimming • Pressure Washing • Brazilian Pepper Tree Cut Back & Removal • Installation/Design • Lawn Maintenance • Clean Ups/Hauling • Weeding & Much More • H.O.A. Complaint Letters • H.O.A Approved • Hazardous trees that are too close to the roof HURRICANE SEASON IS HERE CALL US FOR TREE TRIMMING OR REMOVAL 561-972-0875 226 Center Street, Jupiter, FL 33458 ALL SERVICES RECEIVE COMPLIMENTARY HAIR TREATMENT First-time clients only. Offers may not be combined. Expires 10/31/22 * restrictions may apply $50 cut and blow dry ($75 Value) $80 color, cut, & blow dry ($140 Value) $75 partial highlight w/blow dry ($140 Value) $300 Proaddiction Smoothing ($350 Value) HAIR SHOP Amanda Ghattas at Jupiter Air Conditioning & Refrigeration Experts New AC System (4 Ton or Larger) With this MLM coupon. Coupons cannot be combined. Expires 10/31/22 With this MLM coupon. Coupons cannot be combined. Expires 10/31/22 $500 off Preventative Maintenance Contract 2X Annually $199 A YR PER UNIT Call for aFREE DIAGNOSTICwith a Mechanic • Commercial • Residential • Custom Fabrication 772-334-5776 561-684-9300 Scan Here usairandrefrigeration.com We will x your broken AC! License CAC1816109
Need More Coupons - MyLivingMedia.com • Plumbing Repairs • Water Heaters • Toilet Installation • Garbage Disposals • Clearing Sewer Lines • Septic Services • Distribution Boxes • New Installations PLUMBING REPAIRS & WATER HEATER INSTALLATIONS - WE GIVE SENIOR CITIZENS & VETERANS DISCOUNTS! Lic. #CFC1429556 Available Nights, Weekends & Holidays ANY JOB Big or Small We Do Them All! $65 OFF $50 OFF $35 OFF Not valid with other offers or prior services. Must present MLM coupon. Limit one coupon per service call. Not valid with other offers or prior services. Must present MLM coupon. Limit one coupon per service call. Not valid with other offers or prior services. Must present MLM coupon. Limit one coupon per service call. $30 OFF Not valid with other offers or prior services. Must present MLM coupon. Limit one coupon per service call. D D D D $100 OFF Not valid with other offers or prior services. Must present MLM coupon. Limit one coupon per service call. $50 OFF Not valid with other offers or prior services. Must present MLM coupon. Limit one coupon per service call. D $250 OFF Not valid with other offers or prior services. Must present MLM coupon. Limit one coupon per service call. FREE Not valid with other offers or prior services. Must present MLM coupon. Limit one coupon per service call. Not valid with other offers or prior services. Must present MLM coupon. Limit one coupon per service call. Celebrating 40 Years of Excellence Your Next Service Call Any New Hot Water Heater or Tankless Heater Any New Toilet Clearing Any Sink, Toilet, or Main Sewer Line Any New Garbage Disposal Any Septic Pumping Any Distribution Box Replaced $37 OFF BACTERIA TREATMENT with Pumping and Backwashing Any New Drain Field Installed D D D D
64 VOL. 551 D Copyrighted© My Living Media. 2022 All Rights reserved. To Advertise call 772-247-6849 Need More Coupons - MyLivingMedia.com BIG WEEKEND EVENTS! BUY • TRADE • SELL Saturday 9am - 5pm • Sunday 10am - 4pm 12 and Under FREE with Adult Admission Must present MLM ad for discount Law Enforcement, Active Military, and First Responders IN UNIFORM & Children 12 and under 2 GUN SHOWS $1.00 OFF Admission FREE Admission for CCW CLASSES HELD SAT-SUN 10am & 12pm For more info call 561-214-5115 STUART Martin County Fairgrounds 2616 SE Dixie Hwy. Stuart FL 34996 PSL NOVEMBER 5 TH-6 TH,2022 OCTOBER 15 TH-16 TH, 2022 Polish American Social Club 343 Prima Vista Blvd. Port St. Lucie, FL 34983 Jupiter Sod & Landscaping FREE ESTIMATES FLORATAM • BAHIA • PALMETTO • BERMUDA Sod Removal & Installation 13049 W. Indiantown Rd. • Jupiter 1st Pallet 10% OFF With this MLM coupon. Expires 10/15/22 LANDSCAPE DESIGN ROCKS & MULCH PRODUCE HARDSCAPING Over 40 Years of Experience 561.768.1337 561.747.7856 772-258-4989 713 NE Dixie Hwy., Unit D | Jensen Beach, FL 34957 foxhavenroof.com | info@foxhavenroof.com 20 YEARS OF EXPERIENCE CALL FOR A FREE CONSULTATION ROOF REPAIR ROOF REPLACEMENT INSURANCE RESTORATION $500 ANY NEW ROOF $10,000 & Up Must present this MLM coupon. Expires 10/16/22 TESTIMONIAL “100% satis ed with this company. From the initial inspection of our 17 yr old roof , through the estimate, the contract, the permitting, the tear off, the installation, needed repairs on siding & around gutters, Andy kept his word on all promises. They delivered exceptional quality assurance, Matt came on site every day to check on crew/progress/quality & to answer any questions we had. They were very diligent in cleaning up after each step. I was also impressed as to the immediate response time for each of my inquiries. Finally a company who delivers the quality, timeliness, honesty & true diligence as promised. Also very reasonable price. We had four roof estimates and are so glad that we chose Fox Haven Roo ng. Highly recommend, you won’t be disappointed!” Netty Smith off
VOL. 551 D 65Copyrighted© My Living Media. 2022 All Rights reserved. To Advertise call 772-247-6849 Need More Coupons - MyLivingMedia.comHURRICANE IMPACT WINDOWS & DOORS PROTECT & BEAUTIFY YOUR HOME TODAY! • Hurricane Protection • Home Security • Save on Energy Bills • Save on Insurance Costs • Increase Property Value • Noise Reduction “Our service & products are second to none!” The People’s Choice In Hurricane Protection! SAME-DAY Appointments! These days, a house has to look good and stand out! My neighbor just got new windows! CHECK OUT OUR VIDEO HERE 561-336-6511 Your Expert in Single Family Homes & Condos! 50% Off Call us today! We Guarantee you’ll be glad you did! CALL FOR DETAILSLicense #CBC060210 & INSURED Serving Palm Beach, Martin, & St. Lucie Counties Over 40 Years of Experience AS LOW AS $120 MO.Installation & No Sales Tax FINANCING Available! 6620 S. Dixie Hwy., West Palm Beach, FL 33405 Visit Our Showroom:
66 VOL. 551 D Copyrighted© My Living Media. 2022 All Rights reserved. To Advertise call 772-247-6849 Need More Coupons - MyLivingMedia.com Licensed, Bonded, & Insured 561-748-5353 With this MLM coupon, 1 coupon per household. Cannot be combined with any other offer. Minimum 1 1/2 hours cleaning. Expires 10/28/22 OFF FIRST CLEAN $10Call for a FREE Estimate • Residential • Commercial • Move In/Out • Seasonal Cleaning • One-Time Cleaning GIFTAVAILABLECERTIFICATESWe clean your home like it’s our own! POOL SCREEN ENCLOSURES THE ORIGINAL Locally Owned & Operated Since 1990 • Pool Screen Enclosures • Patio & Lanai Screens • Poly Aluminum Roofs • All Work Guaranteed • All Repairs • FREE Estimates • www.pioneerscreen.com561-771-0287 38 Years of Experience Licensed & Insured To Protect You $100 OFF ANY RE-SCREEN OR REPAIR OVER $1000 WE WILL MEET OR BEAT ANY LICENSED CONTRACTOR’S ESTIMATE WITH THE SAME QUALITY PRODUCTS! SAME-DAY EMERGENCY CLEANING RESPONSE TEAM EMERGENCY EMERGENCY EMERGENCY REALLY CLEAN, REALLY FAST!!! 15% OFF 1st Cleaning Service With this MLM coupon. Exp 10/28/22772-362-2797 Local Moving Service Available • Residential & Commercial • Same-Day Deep Cleaning • Move In/Out Cleaning • Tile & Grout Cleaning • Carpet Cleaning • Window Cleaning • Odor Control • Disinfecting/Sanitizing • Pressure Washing • Duct Cleaning • Change A/C Filters • Debris Removal • Water/Mold Remediation
VOL. 551 D 67Copyrighted© My Living Media. 2022 All Rights reserved. To Advertise call 772-247-6849 Need More Coupons - MyLivingMedia.com Commercial & Residential Roofing FREE IN-HOME VISIT 772-222-6760 www.levelbestroofing.com ROOFING REPAIR AND REPLACEMENT LICENSED & INSURED • #CCC133746 $600 OFF ANY NEW ROOF $10,000 & UP Can not be combined with other offers Must present this MLM Coupon • Expires 10/31/22 We Will Beat Any Written Estimate by $500 Some Restrictions Apply • Call For Details! Can not be combined with other offers. Must present this MLM Coupon • Expires 10/31/22 Looking for Sam? GET AFFORDABLE HOME & AUTO INSURANCE Sam is right on Jensen Beach Blvd. and would love to help you. Samantha Leininger Renée Allen Insurance, LLC 947-A NE Jensen Beach Blvd Jensen Beach, FL 34957 NEXT TO HURRICANE GRILL 772-252-6161 Monday thru Friday sam@reneealleninsurance.com Personal & Commercial IN-HOME CARE SERVICE • Short- & Long-Term Care • HHA/CNA • Companions/Sitters • Homemakers • Transportation • Respite Care 772-758-7560 2225 SE Ocean Blvd. • Stuart Receive your rst hour of home care services free With MLM coupon. May not be combined with any other offers. Expires 10/31/22 www.FirstHomeCareSolutionsFL.com License# 299995510 INSURANCE & LTC BENEFITS ACCEPTED ONE HOUR FREE WAGNER’S • WAGNER’S • WAGNER’S • WAGNER’S • WAGNER’S • WAGNER’S • WAGNER’S • WAGNER’S WAGNER’S • WAGNER’S • WAGNER’S • WAGNER’S • WAGNER’S • WAGNER’S • WAGNER’S • WAGNER’S W AGNER ’ S • W AGNER ’ S • W AGNER ’ S • W AGNER ’ S W AGNER ’ S W AGNER ’ S • W AGNER ’ S • W AGNER ’ S • W AGNER ’ S W AGNER ’ S W‘Cause you like it cool… WAGNER’S REFRIGERATION & AIR CONDITIONING Your Satisfaction is our Guarantee! 561-743-5759Lic#CAC057855 Central Air Conditioning • Commercial Refrigeration Ice Machine Specialists Any A/C Install $10000off It’s Hard To Stop A Trane.® Wagner's Refrigeration_0074-1118_HI551 772-617-4960 *Prices subject to change based on circulation Living Jupiter Index Page 6 CONNECT TO YOUR COMMUNITY First Time Customers Only. Some Restrictions Apply. Limited Time Offer $100 OFF ANY MAILING *8 TIME AGREEMENT - 1/2 PAGE AD OR LARGER *
68 VOL. 551 D Copyrighted© My Living Media. 2022 All Rights reserved. To Advertise call 772-247-6849 Need More Coupons - MyLivingMedia.com Call or Text Today 866-887-8225 Book Your Stress Free Portable Storage Solution For Your RENOVATION and MOVING Needs FAMLIY OWNED & OPERATED PUTTING OFF THAT REMODEL BECAUSE YOU DON’T KNOW WHERE TO PUT EVERYTHING? • Speak to One Person From Start to Finish - We Are Call Center Free! • Protect - Your belongings from Dust & Debris • Fully Waterproof With Dual Ventilation Air System. • Flexibility – Weekly & Monthly rental options with delivery in 24 hours or less. www. MYSTACKBOX .com FREELocal Initial Delivery
VOL. 551 D 69Copyrighted© My Living Media. 2022 All Rights reserved. To Advertise call 772-247-6849 Need More Coupons - MyLivingMedia.com 561-402-6140 dcarragher.insurance@gmail.com Donna Carragher Insurance Consulting, LLC • Individual/Family Health Plans • Medicare • Vision • Dental • Accident MEDICARE Open Enrollment is here! Need Health Insurance? Call me now to schedule an appointment! October 15, 2022 - December 7, 2022 SPECIAL SENIOR DISCOUNTS! Of $1,000 or more *Call for more info $150off $99off $75off MIN. 500 SQ. FT. MIN. 1500 SQ. FT. • Residential & Commercial • Interior/Exterior • Wallpaper Removal • Drywall Textures • Waterproo ng • Brick Paver Sealing Craig 772-291-5553 www.CraigHanlonPainting.com PAINTING AND PRESSURE CLEANING 1 ROOM PAINTING ANY SERVICE FREE ESTIMATES BRICK PAVER SEALING • Lawn Grass • Batting Cages • Bocce Courts • HOA Playgrounds • Putting Greens • Pet Grass • Pool Areas • Paver Strips With a combined experience of 60+ years, Complete Synthetic Turf is the trusted choice for artificial grass installation on The Treasure Coast! Complete synthetic Turf has the look and feel of natural grass. Always picture perfect! 7715 SW Ellipse Way, Stuart 772.494-2481 We look forward to exceeding your expectations in everything we do! FREE CONSULTATION FREE DESIGN FREE ESTIMATE With this MLM coupon. Expires 10/31/22 100% Satisfaction Guaranteed! Like Us On Facebook
70 VOL. 551 D Copyrighted© My Living Media. 2022 All Rights reserved. To Advertise call 772-247-6849 Need More Coupons - MyLivingMedia.com Family-Owned Since 1997 the Original Paving Contractor InstallationWeSpecializeIn&Repair • A+BBB • 10 Year Warranty • Over 50 Years of Experience in Brick Paving 561-257-5775 PAVERS ARTIFICIAL GRASS 312 Center Street • Jupiter, FL 33458 www.TripleMBricks.com • MMMBRICKPAVERS@AOL.COM • Paver Repairs • Interlocking Brick Pavers • Old Chicago Bricks • Travertine • Driveways • Walkways • Patios • Pool Decks • Pool Remodeling - KID & DOG FRIENDLY - NO WATER - NO FERTILIZER - NO MUD - NO ITCHY GRASS - GREEN YEAR ROUND Refresh your Backyard with Arti cial Grass, Outdoor Kitchen, and Pavers With this MLM Coupon. May not be combined with other offers. Expires 10/15/22 ANY INSTALLATION $100 OFF FREE ESTIMATES! Licensed and Insured License#U20229 BRICK PAVERS & ARTIFICIAL GRASS Family Owned & Operated since 1983 24-HOUR SERVICE 4 Generations of Plumbing & Knowledge! TOLL FREE2647 President Barack Obama Hwy., Riviera Beach, FL 33404 561-625-9414 800-323-0263www.NorthCountyPlumbing.org • Licensed • Bonded CFC026530 Serving All of Palm Beach County for 38 Years Strong & Still Growing! PLUMBING PROBLEMS? We can handle any plumbing repair, from Big to Small! 10% $1099 $ 425 $ 99 OFF ANY SERVICE CALL Maximum ($100 Discount) With this MLM coupon. Cannot be combined with any other offer. Expires 10/28/22 INSTALLED WATER HEATER SPECIAL Electric Only. 50 - 40 - 30 - Tall or Med. No Hidden Costs Regular Price $1199 - Special Price $1099 - SAVE $100 With this MLM coupon. Cannot be combined with any other offer. Expires 10/28/22 TOILET REBUILD SPECIAL Includes Fill Valve & Flapper. Standard Toilets Only Regular Price $125 - Special Price $99 - SAVE $26 With this MLM coupon. Cannot be combined with any other offer. Expires 10/28/22 In Garage on Floor Only. +TAX NEW TOILET Supply & Install White Round or Elongated Toilet With Seat, Standard Height. Reg. Price $499, Special Price $425 SAVE $75. Additional Charges May Apply. With this MLM coupon. Cannot be combined with any other offer. Expires 10/28/22 Happy Halloween
VOL. 551 D 71Copyrighted© My Living Media. 2022 All Rights reserved. To Advertise call 772-247-6849 FREE IN-HOME VISIT 772-222-6760 819 SW Federal Hwy. • Ste #201 • Stuart www.levelbestroofing.com FINANCING AVAILABLE •Not Credit Driven •No Down Payment LICENSED & INSURED • #CCC133746 Commercial & Residential Roofing $600 OFF ANY NEW ROOF $10,000 & UP Can not be combined with other offers Must present this MLM Coupon • Expires 10/31/22 We Will Beat Any Written Estimate by $500 Some Restrictions Apply • Call For Details! Can not be combined with other offers Must present this MLM Coupon • Expires 10/31/22 INSURANCE COMPANY DROPPING YOU BECAUSE OF YOUR OLD ROOF? A Simple $100 Roof Inspection Could Help You Keep Your Policy!
72 VOL. 551 D Copyrighted© My Living Media. 2022 All Rights reserved. To Advertise call 772-247-6849 Need More Coupons - MyLivingMedia.com Palm City Sod_D-0040-1518_HI551 Now Offering Delivery of Various Types of Mulch by the Pallet Since 1977 Jupiter 3 pallet minimum. Palm Beach 6 pallet minimum With this MLM coupon. Cannot be combined with any other offer. Prices subject to change. FLORATAM $ 225 MUCK BASED 500 sf Rates for Delivery Only. PALLET 450 sf BAHIA $ 125 Rates for Delivery Only. Free Delivery! 772-214-3780 5350 SW Martin Hwy • Palm City FL 34990 SOD INSTALLATION, BAHIA, FLORATAM, SEEDING, & MULCHING WWW.PALMCITYSOD.US Jupiter 3 pallet minimum. Palm Beach 6 pallet minimum With this MLM coupon. Cannot be combined with any other offer. Prices subject to change. THE WINDOW & DOOR SPECIALIST 772-288-6205 WWW.KAMRELL.COMKAMRELL When You Want It Hung Well...TRUST FAMILY OWNED & OPERATED SINCE 1999 8200 SW LOST RIVER ROAD STUART, FLORIDA 34997 Financing Options Available On Our Website LICENSED & INSURED CGC061180 THE DOOR SYSTEM YOU CAN BELIEVE IN THE DOOR OF BEAUTY AND INOVATION Private Tours Available Enjoy an island cruise “Jupiter Style” with a relaxing tour down the Intracoastal Waterway! Buy One Get One JupiterWaterTours.com BOOK NOW Call or Go Online to Book Your Tour. 50% OFF Use Code: JUPLIFE (561) 264-0020 Scan for more details!
VOL. 551 D 73Copyrighted© My Living Media. 2022 All Rights reserved. To Advertise call 772-247-6849 Need More Coupons - MyLivingMedia.com Live 24/7 Answering PDSMartin.com Locally Owned & Operated 561-453-2971 Expires 10/15/22. Our proprietary springs will not rust or corrode and last up to 4 times longer! • Screen Enclosure Makeover (rescreening & rusted screw replacement with caps for a new look) • Pool, Patio, and Porch Screen Enclosure • Sun Window Rooms and Accordion Shutters • All Types of Aluminum Fencing & Custom Railing • Electric Roll-Down Screens with Remote Control Inventor of the Hurricane Removable Screen Panel Removable Screen Panels Allow Hurricane Winds to Blow Through Screen Builders www.screenbuildersinc.comLicensed and Insured U#22179 Screen Builders & Fencing 561.693.6825 Florida’s Largest Screen Enclosure & Fence Specialists We install 1,500 ft. of fence per week Celebrating 35Years in SinceBusiness! 1987Doing business with GL Homes & Minto Homes We Are on Our 109,216 109,254 Job Installed
74 VOL. 551 D Copyrighted© My Living Media. 2022 All Rights reserved. To Advertise call 772-247-6849 Need More Coupons - MyLivingMedia.com Look No Further for the Experts in Pool Heating • Heat Pumps • Solar • Gas FAMILY OWNED AND OPERATED STATE LICENSES #CP-CO57115 • #CVC 56745 • NAT/LP 26278 HUGE DISCOUNTS FACTORY DIRECT! Heat Pumps • Solar • Gas Salt Chlorination Pool & Spa Automation Pool Pumps & Filters Pool Resurfacing Coping • Tile Renovate Your Existing Pool Today! tropicalpoolheating.com Your Pool Heating and Renovation Specialist FREE 11”x10” Mosaic With Swimming Pool Resurfacing Purchase With this MLM coupon. Expires 10/15/22 FREE 5% Off Purchase Price Of Any Salt Chlorinator, Pool/Spa Automation, Pump or Filter With this MLM coupon. Expires 10/15/22 FREE Estimate! 561-745-1163 SAME-DAY ESTIMATES HEATING & RENOVATION A COLD POOL IS NO POOL ALARM SYSTEMS Protecting People & Property Since 1984 FULLY INSTALLED & MONITORED ALARM SYSTEM • Alarm.com Dealer • FREE Home Survey • Security Cameras • Fire Alarms • Security Alarm Systems LIC# EF20000681 • LIC# FPC 13-000046 7728376567 FREE 1ST MONTH OF SERVICE WITH A MINIMUM OF 12 MONTHS WITH THIS AD • EXP. 10/30/22
MCNS6082 MCGLA03190
• Acrylic: Tips-Overlay • Gel Manicure • Waxing • Gels • Pink & White • Manicure • Pedicure • Deluxe Pedicure • Nexgen Nails SERVICES 561.693.3921In Jupiter Farms • Farms Shopping Center (Publix Plaza) HOURS: MON - FRI 9AM - 7PM • SAT 9AM - 6PM • SUNDAY CLOSED All Equipment Sterilized Non-Yellow Acrylics Two Week Guarantee All Nail Techs Experienced Walk-Ins Welcome Expert Manicure ServicesPampering PedicuresSkilled Waxing Services Healthy & Delicious • We Use Only White Meat Chicken 100% Vegetable Oil • Finest & Freshest Jupiter Farms Shopping Center 10150 W. Indiantown Road • Jupiter (Phone) 561.748.0203 (Fax) 561.748.6152 Open Hours: Mon-Thurs. 10:30am-10:00pm Fri & Sat. 10:30am-10:30pm • Sun. 12noon-10:00pm China Jade With this MLM coupon. Cannot be combined with other offers. Lunch not included. With this MLM coupon. Cannot be combined with other offers. Lunch not included. With this MLM coupon. Cannot be combined with other offers. Lunch not included. $2 off $3 off $5off Minimum $20 Purchase Minimum $30 Purchase Minimum $50 Purchase CASH ONLY CASH ONLY CASH ONLY Best Chinese Food To Take Out
& SUPPLY CORP Serving Jupiter Farms since 1987 Ph: 561-747-6166 Fax: 561-747-6156 9250 West Indiantown Road (In Sierra Square) “KNOWLEDGEABLE, PROMPT, COURTEOUS SERVICE” NEW EXPANDED FASTENER ASSORTMENT Mon.-Fri. 7am-6pm Sat. 8am-5pm Sun. 9am-4pm COMPETITIVE PRICES! With this coupon. Not valid with other offers or prior purchases. Offer Exp. 10/15/22 HOUSE KEY Just For Stopping By (Limit one per customer) FREE $1OFF Jupiter Hardware Sierra Square • 747-6166 THURSDAY PROPANE (Limit one per customer) 20# Tank Only With this coupon. Valid on Thursday’s ONLY. Cannot be combined with any other offers or prior purchases. Offer Exp. 10/15/22 SPECIAL Jupiter Hardware Sierra Square • 747-6166 Jupiter Hardware Sierra Square • 747-6166 Cannot be combined with any other offers. Cannot be used for delivered items. Valid only on regularly marked items. Offer Exp. 10/15/22 PURCHASE OF $25 OR MORE $200 OFF KNIFE SHARPENING Just For Stopping By (Limit one per customer) FREE With this coupon. Not valid with other offers or prior purchases. Offer Exp. 10/15/22 Jupiter Hardware Sierra Square • 747-6166 JUG OF CHLORINE 10¢ Off MUST PRESENT COUPON MUST PRESENT COUPON MUST PRESENT COUPON MUST PRESENT COUPON PER JUG MUST PRESENT COUPON Jupiter Hardware Sierra Square • 747-6166 With this coupon. Not valid with other offers or prior purchases. Offer Exp. 10/15/22 When you purchase the Lunch Special get a small fountain FOR $1 561-746-2900 Like us on Facebook Jupiter Farms Pizza & Subs Inc*All Prices Subject to Change. Specialty Toppings Extra. Thick Crust Extra. Not valid with any other offer. All Specials & Coupons cannot be combined. Expires 10/15/22 Chicken Caesar Wrap fried or grilled on white, wheat, or sun-dried tomato with chips FRIDAY SPECIAL! All Specials & Coupons cannot be combined. Expires 10/15/22 All Specials & Coupons cannot be combined. Expires 10/15/22 *Pick up only Buffalo Chicken on Brioche & Cheddar with fries –––––––––––Deluxe Fried Chicken Sandwich with bacon, ranch, lettuce, tomato, onion, pickle, & banana peppers on Brioche bun with fries BBQ Grilled Chicken & cheese sandwich with lettuce and tomato on Brioche with fries –––––––––––12pc Boneless Wingswith fries w/ 1 Reg Topping & 10 Wings SATURDAY SPECIAL! SUNDAY SPECIAL!2 LARGE PIZZAS All Specials & Coupons cannot be combined. Expires 10/15/22 All Specials & Coupons cannot be combined. Expires 10/15/22 Philly Parm with Fries –––––––––––Chicken Philly with mushrooms, onions, green peppers, & fries MONDAY SPECIAL!TUESDAY SPECIAL! 1/2 lb. Cheeseburger on Brioche & Fries –––––––––––Pepperoni Pizza Sub with Fries All Specials & Coupons cannot be combined. Expires 10/15/22 6” Hot Italian Combo with Chips –––––––––––6” Hot Roast Beef with roasted red pepper horseradish sauce & chips THURSDAY SPECIAL! All Specials & Coupons cannot be combined. Expires 10/15/22 Tuna BLT Wrap with Chips –––––––––––6” Tuna Melt with Bacon & Chips WEDNESDAY SPECIAL! HOURS: Monday through Thursday 11 a.m. to 9 p.m. • Friday and Saturday 11 a.m. to 10 p.m. • Sunday 12 p.m. to 9 p.m. Please Call at Least 15 Minutes Before Closing for All Orders $5 $1075OFF FOR LUNCH SPECIALS Served till 3:00pm Daily Pick Up Only! Established 1991
78 VOL. 551 D Copyrighted© My Living Media. 2022 All Rights reserved. To Advertise call 772-247-6849 *Additional charges may apply for heavily soiled areas Serving the Treasure Coast from Vero to Palm Beach 772-919-7163 • 561-250-0088 WWW.CarpetCleanerInFlorida.com 3 ROOMS $68 2 ROOMS $42 5 ROOMS $99 TILE & GROUT CLEANING 39¢ SQ. FT. 100 SQ. FT. MINIMUM FURNITURE CLEANING $60 SOFA OR LOVE SEAT OR 2 CHAIRS AREA RUGS $40 AND UP PREVENTS FIRES DRYER VENT CLEANING FREE DEODORIZER, SANITIZER, & DISINFECTANT $85FROM & SPEEDS DRYING TIME OFFER #MS9-3 CARPET CLEANING Licensed Ask about ...dries in half the time!
VOL. 551 D 79Copyrighted© My Living Media. 2022 All Rights reserved. To Advertise call 772-247-6849 Need More Coupons - MyLivingMedia.com Make Your Shower & Floors Look New Again! THE GROUTSMITH • Tile & Grout Cleaning • Grout Restoration • Tile & Grout Repair • Loose & Hollow Tile Rebonding • Shower Repairs & Regrouting • Non-Slip Tile Treatment Call today for a FREE Estimate • 772-224-3011 or 1-800-561-3736 • www.GroutsmithStuart.com SEE THE DIFFERENCE WE CAN MAKE IN THE LOOK OF YOUR HOME! Your Grout & Tile Cleaning Experts $30OFF ANY JOB OF $300 OR MORE $50OFF ANY JOB OF $500 OR MORE With this MLM coupon only. Cannot be combined with any other offers or specials. Expires 10/28/22 No More Dirty Grout! Guaranteed for 10 Years! Before Before After After With this MLM coupon only. Cannot be combined with any other offers or specials. Expires 10/28/22 FREE With this MLM Coupon Only Call Today 561-202-2112 901 Northpoint Pkwy. #303 West Palm Beach FL 33407 FAST • RELIABLE • TRUSTED STORM DAMAGE ASSESSMENT GAF Master Elite Partner
Jupiter Nails Create a Look that’s right for you! See Page 76 561.693.3921 In Jupiter Farms • Farms Shopping Center (Publix Plaza) • Acrylic: Tips-Overlay • Gel Manicure • Waxing • Gels • Pink & White • Manicure • Pedicure • Deluxe Pedicure • Nexgen NailsResidential CustomerPRSRT STD ECRWSS US POSTAGE PAID PERMIT #145 STUART, FL 2081 SE Ocean Blvd. • Suite 4 Stuart, Florida 34996 • 772-334-2121

Turn static files into dynamic content formats.

Create a flipbook
Issuu converts static files into: digital portfolios, online yearbooks, online catalogs, digital photo albums and more. Sign up and create your flipbook.