D1-Jupiter Living-Vol.562

Page 1

See Pages 4 & 5 Organize Your Wardrobe Space JUPITER Mailing Indiantown Rd., Ocean Blvd. & Surrounding Areas VOL. 562-D1 Living MYLIVINGMEDIA.COM Index Page 9 For What It’s Worth Pg. 54 MMJ Health Pgs. 76-77 Puzzle Page Pg. 66 Hurricane Protection Pgs. 21-23
HURRICANE IMPACT WINDOW SALE OF THE TREASURE COAST Visit Our Showroom Location - 2820 SE Monroe St., Stuart LIC#CGC009090 EcoViewWindows.com/Treasure-Coast 772-758-8640 $760 FREE INSTALLATION ANY SIZE Call Today For A FREE Estimate HIGHEST QUALITY AT THE LOWEST PRICE GUARANTEED! UNDER 101 UI LEAD TIME 4-6 Weeks ∙ NO PRODUCTS ∙ U FACTOR 0.29 ∙ MISSILE-IMPACT RATING D
We Don’t Just Sell Roofs… We Build Relationships. 772-258-4989 $500 OFF ANY NEW ROOF OF $10,000 or MORE

Closet Designs to Fit Your Style and Budget

A closet is more than a place to stow your suits and sweaters… it’s the place where you prepare for the day ahead and where you begin to undress and unwind at the end of the night! So it should be a soothing space, one that doesn’t add to your stress.

The spacious walk-in closets from Closets by Design of the Palm Beaches and Treasure Coast allow you to dress and undress in style while your clothing and accessories are neatly displayed within easy reach. There’s no clutter or chaos, just expert craftsmanship and aesthetically-pleasing design; and, it can all be achieved within your budget!

Closets by Design of the Palm Beaches and Treasure Coast is passionate about maximizing home storage without affecting the beauty of your interior. They design, build, and install custom reach-in closets, walk-in closets, and kids’ closets. Additionally, the company offers custom designs along with production and installation of garage

cabinets, home of ces, laundries, pantries, media centers, hobby rooms, wall beds, wall units, and so much more. Ask Closets by Design of the Palm Beaches and Treasure Coast about their garage wall organizers, garage ooring, work benches, custom jewelry drawers, wine racks, book shelves, cedar paneling and hampers, too… they do it all!

The process starts with the experts at Closets by Design of the Palm Beaches and Treasure Coast measuring your space and itemizing your belongings, then showing you ideas and samples to help you nd a style that’s just right for you. From there, your designer will work with you to custom design your space using dozens of material options and hundreds of features from one of their 4 collections.

Once your designs are exactly the way you want them, your units are custom built using the nest materials from the Closets by Design of the Palm Beaches and Treasure Coast factory. The company then professionally installs everything exactly to the speci cations of your designs from the collection you chose.

Copyrighted© My Living Media. 2022 All Rights reserved. To Advertise call 772-247-6849

Need More Coupons -

There are four collections to choose from at Closets by Design of the Palm Beaches and Treasure Coast: the Everyday Collection, Classic Collection, Regency Collection, and Brio Collection.

Everyday Collection™

Fresh and modern, the Everyday Collection™ offers a sleek solution for your closet clutter. This design includes 3/4-inch straight-edge panels, adjustable shelves, and half-overlay at face doors. Best of all, it’s available at a price that’s equally as pleasant as its appearance.

Classic Collection™

Combine simplicity and style with the Classic Collection™. It unites essential organization with stylish design to create the practical closet you’ve been looking for. This collection features our exclusive soft edge treatment and half overlay doors and drawers.

Regency Collection™

The Regency Collection™ incorporates 1 1/8”

thick panels with 3/4” shelving for a sophisticated look you’ll love for years. Add tilt-out hampers, islands, and countertops to create a convenient, stylish space that has everything you need.

Brio Collection™

When you’re in the mood for something modern and bold, the Brio Collection™ answers the call. Sleek corners and clean edges surround the system of at-front doors and drawers. Display your carefully curated wardrobe against a clean nish for a timeless look.

Closets by Design of the Palm Beaches and Treasure Coast has been earning a reputation for integrity since 1982. As the industry leader in customer service and innovative home design, their values are rooted in a deep passion for delivering

home transformations that transform lives. So what are you waiting for?

Schedule a FREE in-home design consultation and estimate from Closets by Design of the Palm Beaches and Treasure Coast!

Closets by Design of the Palm Beaches and Treasure Coast is open Mondays through Fridays from 8AM-5:30PM. For more information, call 772-207-3265 or visit palmbeach. closetsbydesign.com.

Copyrighted© My Living Media. 2022 All Rights reserved. To Advertise call 772-247-6849
MyLivingMedia.com
40% Off Plus Free Installation Terms and Conditions: 40% off any order of $980 or more or 30% off any order of $680-$979 on any complete custom closet, garage cabinets, home office, pantry, laundry, wall bed, wall unit, hobby room or garage flooring system. Not valid with any other offer. Free installation with any complete unit order of $600 or more. Expires in 30 days.
6 VOL. 562 D Copyrighted© My Living Media. 2023 All Rights reserved. To Advertise call 772-247-6849 Need More Coupons - MyLivingMedia.com Call for a free in home design consultation and estimate Imagine your home, totally organized! Custom Closets, Garage Cabinets, Home Offices, Pantries, Laundries, Hobby Rooms and more... 40% Off Plus Free Installation Terms and Conditions: 40% off any order of $980 or more or 30% off any order of $680-$979 on any complete Custom Closet, Garage Cabinets, Home Office, Pantry, Laundry, Wall Bed, Wall Unit, Hobby Room or Garage Flooring system. Not valid with any other offer. Free installation with any complete unit order of $600 or more. Expires in 30 days. Call for a free in home design consultation and estimate (561)203-4745 www.closetsbydesign.com MSJ Follow us 2020 © All Rights Reserved. Closets by Design, Inc. Walk-In-Closets Laundry Rooms Home Offices Garage Cabinets Follow us www.closetsbydesign.com CGC1509325 & MC1900055 (561) 203-4745 MSJ
The Salt, Sand, & Sea Classic & Timeless Furniture, Unique Coastal Lighting, Accessories, & Rugs Located in the YumYum Plaza 815 S. US Hwy. 1 Jupiter FL summerhousefurniture.com Mon.-Sat. 10am-6pm | Sun. 12:30pm-5pm HOME FURNISHINGS INSPIRED BY 561-781-3696
AUTOMOTIVE Harmoney Hope Stables 71 Health E Pets 46 Ace of Carts 48 Goodyear Indiantown Tire and Service 69 Islands Auto Spa ....................................... 42 JLD Auto ................................................... 44 Prime Golf Cars ......................................... 31 BEAUTY Aesthetics by Kallee .................................. 32 BeautyFi MedSpa ...................................... 40 Great Clips Tequesta ................................. 14 Jupiter Nails ............................................. 36 Absolute Wellness Spa .............................. 31 CLEANING SERVICES Florida’s Finest Carpet Cleaning ................ 50 Honor Carpet Cleaning .............................. 78 Oliver Twist Pressure Washing...................47 Paul Stetson Pressure Cleaning................. 32 Royal Maid Service ................................... 69 Stanley Steemer ....................................... 11 The Groutsmith Grout Cleaning ................. 60 Wonder Sisters Cleaning Service............... 14 DINING AND ENTERTAINMENT Baldino’s Restaurant 29 Burrito Social 27 Busters 71 China Jade 27 Jupiter Farms Pizza 26 Lindburgers 24 Lola’s Seafood 25 Performing Arts Academy of Jupiter 12 Pontiki Stuart 61 Thai West 28 The Connection for Subs and Sandwiches 26 The Grove 29 Vulcano’s Italian Restraunt & Pizzeria 25 FUNERAL HOMES AND CREMATION St Forts Funeral Home 79 FITNESS AND SPORTS Be Fit Body Boutique 44 HOME IMPROVEMENT A Master Closet 57 Advanced Re nishing 24 Affordable and Superior Painting 14 Alliance Group Roo ng 51 Alternate Power Solutions 53 Brilliant Roo ng 34 Browns Milling-The Closet Clinic 16 Budget Fence............................................65 Camco Custom Pools 48 Closets By Design 6 Code Red Roofers ..................................... 39 Como Oil & Propane .................................. 56 Complete Synthetic Turf ............................ 47 Craig Hanlon Painting................................36 Darrel’s Plumbing ..................................... 52 Du-All Plumbing ........................................ 49 East Coast Electric Screening.................... 74 Eco View Windows ...................................... 2 Elite Gas ................................................... 73 Exceptional Painting .................................. 45 Fencing South Florida ............................... 46 First Choice Plus ....................................... 63 First Impression Doors and More...............13 FoxHaven Roo ng ....................................... 3 Generator Supercenter of the Palm Beaches .............................. 64 Gutters By TK ............................................ 38 High Tech Sandblasting ............................. 67 Jupiter Sod and Landscaping .................... 34 Kamrell Windows and Doors ..................... 79 Kitchen Tune Up 69 Level Best Roo ng 43 Marzo Roo ng Inc 45 Mavit Stone Services 20 Max Guard Hurricane Windows DT 22 Max Guard Patio Enclosures 21 North County Plumbing 74 OX Floor Coating 19 Painting Unlimited 50 Pioneer Screen LLC 79 Plantation Shutters Florida 68 Plumb Rite Plumbing 65 Precision Door Service 68 PS Flooring Inc. 55 Quality Air of America................................15 Saul Tree Services 54 Scollo Painting 72 Screen Builders 30 Seaglass Window......................................40 Stott Brothers Electric 48 Stuart Roo ng 47 Super Custom Glass & Mirror 67 Total Image 30 Tree Works 40 Triple M Brick Pavers 72 Wagner’s Refrigeration..............................52 We Rack Designs 60 Window Replacement Group 75 Window World of West Palm Beach 44 Windowz and More 62 Yard Lites 73 Younique Custom Theater 34 INSURANCE Boss Public Adjusting 56 Florida Health Group-Compass Health 33 JEWELRY M & J Jewelers 31 Oteri’s Wholesale Jewelry 20 LAWN AND GARDEN IMA Landscaping 36 Tree Trimmers USA 34 MARINE Sovereign Yachts 73 MEDICAL AND HEALTH Abacoa Podiatry ........................................ 37 Alpaca Audiology 51 Angelo G Forte 37 Appearance Implant and Family Dentistry 41 Arroyo Health Labs 32 Dentistry By Design 18 Dr. Samuel Holcroft 17 Goals Weight Loss 16 Huszar Neurology 28 Institute of Health and Wellness 65 MMJ Health 10 Premier Dentistry 35 PROFESSIONAL SERVICES ADT Advanced Home Security 50 ASAP Dryer Vent Cleaning 11 Awesome Self Storage 28 Christabel Services LLC 24 Demented Graphics 45 Dryer Vent Cleaner, The 38 Frederick Capitelli Music 52 Honor Dryer Vent Cleaning 56 Mr. Tint of America 18 Top Side 38 RETAIL Alfredo Barraza Boutique 52 The Lamp Connection 18 The Summer House 7 The Yankee Peddler Market 70 TRANSPORTATION Rick Norwood Travel LLC 24 Travel by Solstice 34 Volume 562 March 2023 For advertising rates and information Email: sales@mediaoms.com Call 772-247-6849 © 2023 by My Living Media. All rights reserved. Although some parts of this publication may be reproduced and reprinted, we require that prior permission be obtained in writing. My Living Magazine is a free publication distributed locally and is supported by our advertisers. Please call to find a location near you or if you would like copies placed at your business. We do not necessarily endorse the views expressed in the articles and advertisements, nor are we responsible for the products, and services advertised. We are not responsible for licensing or certifying businesses, nor are we responsible for verification of these requirements. We welcome your ideas, articles and feedback. *Dining pictures shown are for illustration purposes only. Actual products may vary due to product enhancement.
MY LIVING CONTENTS - ZONE D

When it comes to nding medical

(MMJ) doctors, you can trust the helpful and professional sta at MMJ Health. Serving patients in Palm Beach, Martin, & St. Lucie Counties.

10 VOL. 562 D Copyrighted© My Living Media. 2023 All Rights reserved. To Advertise call 772-247-6849 MMJ Health Make the Appointment Use our patient qualification system to see if you qualify for medical marijuana. See the Marijuana Doctor See one of our qualified physicians at one of our many locations in Florida. Get Your Card You will be able to visit and get delivery from any dispensary in Florida. Let Dr. Morgan, The Highest Rated MMJ Doctor, at MMJ Health find your Alternative to Pharmaceuticals! Anne L. Morgan, M.D.
Call MMJ Health to schedule an appointment with a Florida Medical Marijuana Doctor: WINNER OF BEST DISPENSARY, BEST MEDICAL MARIJUANA CARD PROVIDER, BEST CBD STORE, AND FINALIST FOR BEST PLACE TO WORK HOW IT WORKS Treasure Coast 772-212-4032 Palm Beach 561-631-7994
marijuana
VOL. 562 D 11 Copyrighted© My Living Media. 2023 All Rights reserved. To Advertise call 772-247-6849 Need More Coupons - MyLivingMedia.com FAMILY OWNED & OPERATED • SCHEDULE ONLINE TODAY AT: WWW.STANLEYSTEEMER.COM FIRE, WATER, & MOLD DAMAGE RESTORATION SERVICE Immediate Response 24-HOUR EMERGENCY Minimum charges apply. Cannot combined with other offers. Residential and Commercial. Must present this MLM Coupon at time of service. Valid at participating locations only. Certain restrictions may apply. Call for details. Lic. #CMC014066 561-404-5668 WWW.STANLEYSTEEMER.COM STANLEY STEEMER SERVICES ® FREE ESTIMATES FOR ALL COMMERCIAL BUSINESSES WE PRETREAT YOUR FLOORS AND MOVE YOUR FURNITURE AT NO CHARGE WE PRETREAT YOUR FLOORS AND MOVE YOUR FURNITURE AT NO CHARGE $99 $129 Expires 4/1/23 MLM Expires 4/1/23 MLM TILE & GROUT OR WOOD FLOOR CLEANING Only PER ROOM 3 ROOMS CARPET CLEANING Wool carpets extra. Area rugs not included in wall-towall cleaning. *Any Room Up to 300 sq. ft. Home & Of ce Air Puri er Removes Viruses, Bacteria, Mold, & Pollen MARBLE & STONE CLEANING $50 OFF Expires 4/1/23 With MLM Coupon Proud to be Endorsed by Cystic Fibrosis Foundation $160 Expires 4/1/23 MLM HOME Which Air Are You Breathing? AIR DUCT CLEANING Up To 8 Vents BEFORE AFTER OFFICE FREE ESTIMATES CALL TODAY COMMERCIAL & RESIDENTAL DRYER VENT CLEANING WHEN WAS YOUR DRYER VENT LAST CLEANED? • Speeds Up Drying Time • Reduces Fire Risk • Lowers Utility Costs (more ef cient) • Don’t Wait Until It’s Too Late With over 15,000 dryer res happening each year, IT MAKES SENSE! 561.331.LINT (5468) ✔ Dryer Vent Cleaning ✔ Dryer and Washer Installation ✔ Residential Services ✔ Commercial Services www.dryerventcleaningjupiter.com Licensed & Insured Serving Jupiter & the Palm Beaches Neighbors Discount Special *Washer & Dryer Repair Service $30Off Any Dryer Vent Cleaning Service With this MLM coupon. Must present coupon at time of service. Expires 3/18/23

"A

"A high-octane comedy that explores the rabbit hole of distraction we all go down every time we go online."

"This short play weaves five of Aesop's most famous fables into a show that's fun, fast-paced, and full of surprises.."

"This short play weaves five of Aesop's most famous fables into a show that's fun, fast-paced, and full of surprises.."

March 4 at 2pm & 7pm

March 5 at 2pm

12 VOL. 562 D Copyrighted© My Living Media. 2023 All Rights reserved. To Advertise call 772-247-6849 Need More Coupons - MyLivingMedia.com Friday, March 3 at 7pm Saturday,
4 at 2pm
Sunday,
5 at
performingartsacademyofjupiter.com 6743 W. Indiantown Rd, Suite 34, Jupiter 561-575-4422 Experience the magic of live theatre! get tickets
March
& 7pm
March
2pm
ME
Saturday,
Sunday,
performingartsacademyofjupiter.com 6743 W. Indiantown Rd, Suite 34, Jupiter 561-575-4422 Experience the magic of live theatre! get tickets
SCAN
Friday, March 3 at 7pm
high-octane comedy that explores the rabbit hole of distraction we all go down every time we go online."
SCAN ME
VOL. 562 D 13 Copyrighted© My Living Media. 2023 All Rights reserved. To Advertise call 772-247-6849 Need More Coupons - MyLivingMedia.com Make a GREAT First Impression with new Front Doors! New Solid Core Doors • New Door Hardware • New Hinges We are Palm Beach County’s Largest Specialty Door Store WE HAVE DOORS TO FIT ANY BUDGET! Transform your home by installing new custom interior doors without the mess and hassle of major construction. Choose from a wide variety of contemporary, traditional and transitional door styles. License # CBC037800 FINANCING AVAILABLE Impact Resistant Fiberglass & Mahogany Entry Doors • Impact Resistant Decorative Glass Inserts Interior Doors • Impact Resistant French & Siding Glass Doors • Hurricane Impact Windows Call Today 561.678.5630 to schedule your FREE SHOWROOM appointment or schedule online www.FLORIDADOORS.COM BOCA RATON | 9858 Clint Moore Rd., Suite C-128 • Boca Raton, FL 33496 Tuesday - Friday • 9am - 5pm Saturday • 9am - 4pm WEST PALM BEACH | 346 Pike Road, Suite 6, West Palm Beach, FL 33411 Monday - Friday • 7am - 4:30pm Saturday • 9am - 4pm JUPITER | 75 E. Indiantown Road, Suite 507, FL 33477 Tuesday - Friday • 9am - 5pm Saturday • 9am - 4pm 15% OFF Installed Doors * Offer not valid on prior sale. Applies to installed exterior & interior doors only. Offer ends 4/ 30/2023
14 VOL. 562 D Copyrighted© My Living Media. 2023 All Rights reserved. To Advertise call 772-247-6849 Need More Coupons - MyLivingMedia.com Let Us Take the “CHORE” Out of Your Chores • Move-In & Move-Out Services • • Weekly • Biweekly • Monthly • • One Time & Seasonal • EXPERIENCED • THOROUGH • DEPENDABLE RELIABLE • HONEST • AFFORDABLE Owners on Every Job References Upon Request SATISFACTION GUARANTEED! 772.812.8780 • 772.418.5635 LICENSED/INSURED/BONDED • FREE Estimates • 20% OFF Second Cleaning 20% OFF 40% OFF Third Cleaning Add up the Savings! SAVE A TOTAL OF Not valid with any other offer. Expires 3/31/23 Not valid with any other offer. Expires 3/31/23 AFTER YOUR 3RD CLEANING Not valid with any other offer. Expires 3/31/23 ➡ ➡ NEW CUSTOMER SPECIAL Affordable Painting AFFORDABLE & SUPERIOR PAINTING affordableandsuperiorpainting@gmail.com 772-227-1398 20% 10% OFF OFF EXTERIOR PAINTING OVER $1595 One Per Customer. Must present this MLM coupon Cannot be combined with other offers. One Per Customer. Must present this MLM coupon Cannot be combined with other offers. INTERIOR PAINTING STARTING @ $2995 SPRING SPECIALS •INTERIOR PAINTING •EXTERIOR PAINTING •FENCE PAINTING •DECK STAINING •DRIVEWAY STAINING •CABINET PAINTING FREE DRIVEWAY POWERWASH W/EXTERIOR PAINTING FREE ESTIMATES & FINANCING AVAILABLE SCAN HERE TO VIEW OUR GALLERY myaffordableandsuperiorpainting.com GOOD is a haircut you love. GREAT is a sweet price too. HURRY IN! All Great Clips® salons are independently owned and operated by third party franchisees. Franchisees, not Great Clips, Inc., are responsible for all hiring and personnel matters at their individual salons. 41309-001-Norman-Shops of sebastian-8.5x3.5.indd 1 SEBASTIAN • Shops of Sebastian 1451 Sebastian Blvd 772-663-7878 M-F 8-7 • Sat 9-6 • Sun 9-6 Now Hiring Great Stylists GOOD is a haircut you love. GREAT is a sweet price too. HURRY IN! All Great Clips® salons are independently owned and operated by third party franchisees. Franchisees, not Great Clips, Inc., are responsible for all hiring and personnel matters at their individual salons. 41309-001-Norman-Shops of sebastian-8.5x3.5.indd 1 ANY HAIRCUT $999 3/31/23 Not valid with any other offers. Limit one coupon per customer. No Copies. Taxes may apply. Valid at Tequesta Shoppes. 899 GOOD is a haircut you love. GREAT is a sweet price too. OFFER EXPIRES: 8/1/22 ANY HAIRCUT SEBASTIAN • Shops of Sebastian 1451 Sebastian Blvd 772-663-7878 M-F 8-7 • Sat 9-6 • Sun 9-6 Now Hiring Great Stylists Not valid with any other offers. Limit one coupon per customer. No Copies. Taxes may apply. Valid at Shops of Sebastian. owned and operated by third party franchisees. responsible for all hiring and personnel matters at their individual salons. sebastian-8.5x3.5.indd 1 5/31/22 1:00 PM GOOD is a haircut you love. GREAT is a sweet price too. HURRY IN! All Great Clips® salons are independently owned and operated by third party franchisees. Franchisees, not Great Clips, Inc., are responsible for all hiring and personnel matters at their individual salons. 41309-001-Norman-Shops of sebastian-8.5x3.5.indd 1 Looking great has never been so convenient Stuart • Kanner Crossing 6534 S Kanner Highway (Next to Publix Supermarket) 772-266-9537 M-F 9-5 • Sat 9-6 • Sun 10-5 Now Hiring Great Stylists ANY HAIRCUT $899 Looking great has never been so convenient GREAT is a sweet Tequesta • Tequesta Shoppes 165 N US Hwy 1 561-972-7056 M-F 9-5 • Sat 9-6 • Sun 10-5 Now Hiring Great Stylists
CALL US FOR A FREE, NO OBLIGATION QUOTE 772-325-1603 Guaranteed Pricing for Customized Solutions Technicians are certi ed by the EPA Licensed, insured, and direct employees 100% Happiness Guarantee Mention Code “FBL23” FREE DUCT SANITAZATION with Air Duct Cleaning! 21-point HVAC inspection Complete AC report card - emailed after service Deep drain line ush Lubricate motors, clean unit housing Ductwork camera inspection A Homeowner’s Essential to Prevent Breakdowns During the Hottest Months! Avoid thousands in repair costs! ONLY $99 • • • Free Air Duct Sanitization is valid when purchased with Air Duct Cleaning and expires on 3/31/23. local@ lterbuy.com (c) 2023 Filterbuy, INC. All rights reserved Florida’s A/C & Duct Cleaning Experts 24 HOUR EMERGENCY HVAC SERVICE FREE SERVICE CALL WITH ANY REPAIR WHITE GLOVE A/C INSTALLATION Virtual or in person consultations Site visits by technicians, not salespeople No worry ownership - 5-year and 10-year Extended Labor Warranties Avoid future headaches - FREE UV lights, surge protectors and drain guards with every install FREE A/C ESTIMATES INTEREST-FREE FINANCING! Includes 2 years of our premium maintenance contract: • FREE air lters • FREE annual condenser coil cleaning • FREE annual replacement parts, surge protectors, and drain guards EXPERT HVAC TUNE-UP
16 VOL. 562 D Copyrighted© My Living Media. 2023 All Rights reserved. To Advertise call 772-247-6849 Need More Coupons - MyLivingMedia.com BEFORE AFTER GOALS WEIGHT LOSS 50% OFF FREE CONSULTATION Call for a Must present this MLM coupon for discount. Expires 3/30/23 561-283-1011 401 Maplewood Dr., #2, Jupiter (Maplewood Center behind Home Depot) www.GoalsWeightLoss.net Lose Weight QUICK! • Eat Real Food • No Exercising Required! • Private Counseling • Medically Supervised • Individual Plans • NO Hormone Supplements LOST 95 POUNDS! Without Surgery GUARANTEED RESULTS Phentermine Available BUY FACTORY DIRECT & SAVE 15821 Mercantile Court, Ste. #4 • Jupiter 561.935.9548 www.theclosetclinic.com – Established 1979 –Florida’s Oldest Custom Closet Manufacturer the closet clinic ANY PURCHASE $300 OFF custom closet interiors OVER $3,000 Complete Service Including: • Custom Design • Manufacturing • Top-Quality Installation • Closets • Home Of ces • Wall Units • Murphy Beds • Garage Storage Systems FREE Home Estimates MURPHY BEDS GARAGE STORAGE SYSTEMS CUSTOM DESIGNS HOME OFFICES
2560 RCA Blvd. Suite 101 • PBG • 33410 • www.pbgdentist.com The patient and any other person responsible for payment have the right to refuse to pay, cancel payment, or be reimbursed for any other services, examination, or treatment which is performed as a result of and within 72 hours of responding to the advertisement for the free service, examination, or treatment. Samuel J. Holcroft D.M.D., P.A. SERVICES INCLUDE Samuel J. Holcroft Family & Cosmetic Dentistry Please Mention Code OMS for discounted prices when booking. WHAT SETS US APART • 0% Financing Thru Care Credit. O.A.C. • Most Dental Insurance Plans Accepted • Adults & Children • Nitrous Oxide Gas & Oral Sedation if Desired • Partials & Dentures • Root Canals • Grinding Guards • Extractions • Digital X-Rays • Routine & Deep Cleanings • Tooth-Colored Fillings & Bondings • Crowns & Veneers • Implants & ImplantSupported Bridges A $400 VALUE. FOR NEW PATIENTS ONLY. May not be used with any other coupon. For best results should be used within 3 months of last cleaning. Expires 3/31/23 EMERGENCY PATIENT SPECIAL TOOTHACHE? $50 With this MLM coupon. Please mention this ad when calling for appointment. Cannot be combined with any other offer. Expires 3/31/23 Including X-Ray (D0220) and Exam (D0140) $200 TEETH WHITENING NEW PATIENT SPECIAL $79 With this MLM coupon. Please mention this ad when calling for appointment. Cannot be combined with any other offer. Expires 3/31/23 Including FMX (DO210), EXAM (D0150) & CLEANING (D1110) Is your dentist open on Friday and Saturday? We are! NOW OPEN FRIDAYS & SATURDAYS! 561-622-5600 MENTION CODE SMILE TO BOOK YOUR APPOINTMENT
Need More Coupons - MyLivingMedia.com • Residential • Commercial • Marine WINDOW TINTING NO AUTOMOBILES off $30 Any order over $100 Exp. 3/31/23 Over 40 Years of Experience www.mrtintofamerica.com BEFORE AFTER • Expert Lamp Repair & Restoration • Bring In Your Lamp For A Proper Fit! Best Selection of Lampshades in Florida! ANY SHADE IN THE STORE Expiration 3/30/23 $10 OFF $39.00 and Up 772.221.0222 Cedar Pointe Plaza 2461 SE Ocean Blvd. Stuart, FL 34996 Custom-Made Lamps & Shades ... Bring Your Lamp for a Proper Fit! Cosmetic & Family Dentistry NEW YEAR NEW BENEFITS • Emergency Care • Walk Ins Welcome ACCEPTING NEW PATIENTS • Family Dentistry • Cosmetic Dentistry PORT ST. LUCIE Hablamos Español JUPITER Dentistry By Design 3889 Military Trail, Ste.102 Jupiter, FL 33458 www.dbdfl.com Tel: 561-861-2611 GREENACRES Most Dental Insurance Plans Accepted
Copyrighted© My Living Media. 2023 All Rights reserved. To Advertise call 772-247-6849 Garages Patios Pool Decks Driveways & Much MORE! SCAN ME GET STARTED TODAY! Offer Valid for Same-Day Service Only FREE IN-HOME ESTIMATE 30% OFF WE TAKE THE BORING OUT OF YOUR FLOORING!TM 10X STRONGER BOND THAN EPOXY YOUR BEAUTIFUL NEW FLOORING IS JUST A CALL AWAY! 772-277-7562 • 561-277-0375 OXFLOORS.COM WITH THIS MLM COUPON. OFFER EXPIRES 4/1/23 PLUS
20 VOL. 562 D Copyrighted© My Living Media. 2023 All Rights reserved. To Advertise call 772-247-6849 Need More Coupons - MyLivingMedia.com Located at: 651 W. Indiantown Rd., Jupiter • 561-746-2345 FREE Cleaning 50% Off Any Watch Battery MLM Coupon expires 3/18/23MLM Coupon expires 3/18/23MLM Coupon expires 3/18/23 20% Off Any Repair KITCHEN & BATHROOM REMODELS facebook.com/mavitstone mavitstone $500 Off *With $5000 or more. Must be presented at time of appointment With this MLM coupon. EXPIRES 3/31/23 WE BEAT ANY WRITTEN OFFER! MAVIT STONE SERVICES LLC 772-209-3888 1622 SW Biltmore St. • PSL MAVITSTONE.COM Financing Available! Cabinets, Countertops, Flooring, & More!
VOL. 562 D 21 Copyrighted© My Living Media. 2023 All Rights reserved. To Advertise call 772-247-6849 Need More Coupons - MyLivingMedia.com *Max Guard is not responsible for delays outside of its reasonable control, including but not limited to HOA and permitting approval or manufacturing delays. MAX GUARD provides impact-rated products, engineering, and installation services by CONVERTING your “existing” screened (or open) patio to an enclosed livable room by installing hurricane-rated windows and doors. (Our converted patio enclosures require that customer’s existing patio has a roof and a oor/slab.) SCAN TO SCHEDULE YOUR APPOINTMENT ENJOY YOUR ENCLOSURE 24/7, 365 DAYS A YEAR YOU CAN’T AFFORD HURRICANE WINDOWS? THINK AGAIN! $169 AS LOW AS PER MONTH New orders only. Minimum purchase required. O er not valid with any other o er, or previous job. Contractor is neither a broker or lender. Financing is provided by third party lenders una liated with Contractor, under terms and conditions arranged directly between the customer and such lender, all subject to credit requirements and satisfactory completion of all documents. Any nance terms advertised are estimates only. Some restrictions apply. 30% Federal Tax Credit ON ENERGY EFFICIENT WINDOWS & DOORS *Up to $1,000. Call for details. www.myhurricanewindow.com with amazing PACE Financing Available Vinyl Energy E cient HURRICANE WINDOWS 561-566-7230 • 772-758-7360 CALL NOW & WE’LL MATCH YOUR TAX CREDIT INTEREST-FREE FINANCING for 24 MONTHS! **ZERØØ! Until 2025! Ø Interest Ø Payments Licensed & Insured SCC131151738
www.myhurricanewindow.com 24 MONTHS PER MONTH WHOLE HOUSE OF WINDOWS & DOORS Starting at 0% $169 Current Reviews 4.9 or
Licensed & Insured SCC131151738 561-566-5629 772-932-5629 New orders only. Minimum purchase required. O er not valid with any other o er, or previous job. Contractor is neither a broker or lender. Financing is provided by third party lenders una liated with Contractor, under terms and conditions arranged directly between the customer and such lender, all subject to credit requirements and satisfactory completion of all documents. Any nance terms advertised are estimates only. Some restrictions apply. Scan to schedule your APPOINTMENT! HURRICANE WINDOWS AND DOORS
24 VOL. 562 D Copyrighted© My Living Media. 2023 All Rights reserved. To Advertise call 772-247-6849 Need More Coupons - MyLivingMedia.com Hot off the Grill! Cooked to Order! 1695 W Indiantown Rd, Suite 2-5, Jupiter 561-768-9918 BUY 1 BURGER, GET THE 2ND FOR A… $1.00 Discount not to exceed $11.99. With the purchase of 2 beverages. Can be used on dine in or take out only. Expires 3/18/23 HOME OF THE 50 BURGERS 772.475.8299 RICKNORWOODTRAVEL.COM Take e Trip Travel be er wi us ARE YOUR TEENS READY FOR THE REAL WORLD? ISABELEXPLAINS.COM FREE PERSONAL FINANCE COURSE WORKSHOPS SPEAKING EVENTS CHECK OUT OUR FREE GAME NIGHT 561-782-2128 www.advanced-re nishingllc.com UGLY TUB & TILE? • Bathrooms • Kitchens • Jacuzzis • Showers • Epoxy Floors 772-266-5115 CABINET REFINISHING TUB REFINISHING $100 OFF $20 OFF With this MLM coupon. Cannot be combined with any other offers or specials. Expires 3/30/23 With this MLM coupon. Cannot be combined with any other offers or specials. Expires 3/30/23 BEFORE AFTER Don’t Replace It… REGLAZE IT!
VOL. 562 D 25 Copyrighted© My Living Media. 2023 All Rights reserved. To Advertise call 772-247-6849 Need More Coupons - MyLivingMedia.com $1495 Large 1-Topping Pizza Regular Topping Only. *MLM cannot be combined. Expires 3/18/23 $5 off Any Order of $35 or More. *MLM cannot be combined. Expires 3/18/23 $999 1 Large Cheese Pizza *MLM cannot be combined. Expires 3/18/23 *MLM cannot be combined. Expires 3/18/23 TUESDAY CARRY OUT SPECIAL CASH ONLY 221 South US 1 • Tequesta OPEN Tuesday-Sunday 3-10pm; Closed Monday www.vulcanositalianrestaurant.com 561-747-2880 Italian Restaurant& Pizzeria $1995 VULCANO SPECIAL SCAN HERE TO ORDER Chicken • Eggplant • Veal • Baked Ziti Shrimp • Pasta with Meatballs or Meat Sauce Dine In or Take Out From 3-6 O dining r m is en and we have td r seating. C e J n Us! STUART 300 SW Federal Hwy. Stuart, FL 34994 772-219-3340 PALM BEACH GARDENS 4595 Northlake Blvd. Palm Beach Gardens, FL 33410 561-622-2259 SAINT LUCIE WEST 962 St. Lucie West Blvd. Port St. Lucie, FL 34986 772-871-5533 TEQUESTA 181 N Hwy. 1 Tequesta, FL 33469 561-406-5000 Fish Tacos Ipswich Steamers www.lolasseafood.com OPEN 7 DAYS A WEEK! Lobster Roll
Need More Coupons - MyLivingMedia.com FAVORITEJUPITER’SFOR 48 YEARS! The Connection SANDWICHES & SUBS & SUBS WE’RE HIRING! HOURS: MON - FRI 7AM - 3PM • SAT 7AM - 4PM SUNDAY 10AM - 3PM 561•746•2344 SCAN FOR MENU 20% OFF $15 OFF In Store Only*Cannot be combined Expires 3/18/23 In Store Only*Cannot be combined Expires 3/18/23 ANY SUB, WRAP, SANDWICH, OR PLATTER *WITH PURCHASE OF $45 OR MORE. *excludes lite bites and veggies. In store Only $3.50 FREE Bag of Ice When You Buy (2) 12” Subs 561-746-2900 OUR MENU Like us on Facebook Jupiter Farms Pizza & Subs Inc *All Prices Subject to Change. Specialty Toppings Extra. Thick Crust Extra. Not valid with any other offer. All Specials & Coupons cannot be combined. Expires 3/18/23 Chicken Caesar Wrap fried or grilled on white, wheat, or sun-dried tomato with chips FRIDAY SPECIAL! All Specials & Coupons cannot be combined. Expires 3/18/23 All Specials & Coupons cannot be combined. Expires 3/18/23 *Pick up only Buffalo Chicken on Brioche & Cheddar with fries Deluxe Fried Chicken Sandwich with bacon, ranch, lettuce, tomato, onion, pickle, & banana peppers on Brioche bun with fries BBQ Grilled Chicken & cheese sandwich with lettuce and tomato on Brioche with fries 12pc Boneless Wings with fries w/ 1 Reg Topping & 10 Wings SATURDAY SPECIAL! SUNDAY SPECIAL!2 LARGE PIZZAS All Specials & Coupons cannot be combined. Expires 3/18/23 All Specials & Coupons cannot be combined. Expires 3/18/23 Philly Parm with Fries –––––––––––Chicken Philly with mushrooms, onions, green peppers, & fries
SPECIAL!TUESDAY SPECIAL! 1/2 lb. Cheeseburger on Brioche & Fries Pepperoni Pizza Sub with Fries All Specials & Coupons cannot be combined. Expires 3/18/23 6” Hot Italian Combo with Chips 6” Hot Roast Beef with roasted red pepper horseradish sauce & chips THURSDAY SPECIAL! All Specials & Coupons cannot be combined. Expires 3/18/23 Tuna BLT Wrap with Chips
6” Tuna Melt with Bacon & Chips WEDNESDAY SPECIAL! $5 $1075 OFF FOR LUNCH SPECIALS Served till 3:00pm Daily Pick Up Only! Established 1991 HOURS: Monday through Thursday 11 a.m. to 9 p.m. • Friday and Saturday 11 a.m. to 10 p.m. • Sunday 12 p.m. to 9 p.m. Please Call at Least 15 Minutes Before Closing for All Orders
MONDAY
–––––––––––
VOL. 562 D 27 Copyrighted© My Living Media. 2023 All Rights reserved. To Advertise call 772-247-6849 Need More Coupons - MyLivingMedia.com www.burritosocial.com Healthy & Delicious • We Use Only White Meat Chicken 100% Vegetable Oil • Finest & Freshest Jupiter Farms Shopping Center 10150 W. Indiantown Road • Jupiter (Phone) 561.748.0203 (Fax) 561.748.6152 Open Hours: Mon-Thurs. 10:30am-10:00pm Fri & Sat. 10:30am-10:30pm • Sun. 12noon-10:00pm China Jade With this MLM coupon. Cannot be combined with other offers. Lunch not included. With this MLM coupon. Cannot be combined with other offers. Lunch not included. With this MLM coupon. Cannot be combined with other offers. Lunch not included. $2 off $3 off $5off Minimum $20 Purchase Minimum $30 Purchase Minimum $50 Purchase CASH ONLY CASH ONLY CASH ONLY Best Chinese Food To Take Out

New Treatment for Alzheimer’s

The FDA approved Aduhelm in 2021 under accelerated approval. First approved June 7, 2021. A subsequent, poorly-explained controversy eventually resulted in MEDICARE to withdraw coverage for the drug. The company decided to support patients, and as of today, has active participation to help individual patients to obtain the treatment via a company support program.

As a result of Medicare not paying for the treatment, many providers stopped administering the drug in their office. Our office had difficulty finding a provider who would administer the drug intravenously.

After some thinking and brainstorming with my staff, I decided to start this I.V. service in our office at 100 US Hwy. 1, Suite 120, Vero Beach.

We are a cash-based practice and do not accept insurance. This is because of the prohibitive overhead billing from the insurance companies. So, we make it the patient’s responsibility to obtain the Aduhelm. We assist in this process, and Biogen has a PATH Enrollment (Patient Assistance Program) for financial assistance. The intravenous medications arrive in our office ready to go. We do charge for our expenses and for the services we render. We think our pricing is more than reasonable. My goal as a physician is to help patients who so desire to get access to the first rational therapy for Alzheimer’s disease.

28 VOL. 562 D Copyrighted© My Living Media. 2023 All Rights reserved. To Advertise call 772-247-6849 Need More Coupons - MyLivingMedia.com THAI WEST NOW SERVING BOBA AUTHENTIC THAI FOOD 6489 SE Hwy 441, Okeechobee 863-357-2403 awesomeselfstorage.com Ask about our Move-In Specials! AWESOME STORAGE • A/C and standard units • Outside RV • Boat • Trailer Parking • 24-hour access • Gated • Safe & Secure • Video Surveillance
Please read the FDA approval... Link: https://www.fda.gov/drugs/news-events-human-drugs/fdas-decision-approve-new-treatment-alzheimers-disease Call Today 772-213-8323 lesliehuszar.com (aducanumab avwa)
Need More Coupons - MyLivingMedia.com Visit our website to join The Grove Wine Club, view our catering & dine-in menus, our upcoming wine dinners & events or reserve a table. The Grove Cucina & Wine Bar The Marketplace at Hobe Sound • 8815 SE Bridge Road • Hobe Sound, FL 33455 772-402-5410 • thegrovehobesound.com “The Grove serves every meal and glass with a heart of hospitality.” Jen & Luis Jen & Luis- Sommeliers, Owner/Operators • Pizza • Pasta Specialties • Chicken • Fish • Veal Entrees • Incredible Italian Desserts, including Cheesecake & Tiramisu 791 North US Highway 1 • Tequesta 561-743-4224 WORLD’S GREATEST CHEESESTEAKS & PIZZERIA www.baldinositalianrestaurant.com WIDE VARIETY OF WINE & BEER! Carry-out only. Limit 1 per customer per day. Cannot be combined with any other offers. Expires 3/18/23 Dine in or carry-out only. Not valid on deliveries. Limit 1 per customer per day. Cannot be combined with any other offers. Expires 3/18/23 Buy Any Large 3-Topping or Specialty Pizza and receive a FREE 10” Cheese Pizza ANY PURCHASE OF $50 OR MORE 561-743-4224 561-743-4224 $8 WEEKDAY SPECIAL OFF SCAN HERE TO ORDER CARRYOUT OR DELIVERY! VALID MON-THURS ONLY • baldinositalianrestaurant.com baldinositalianrestaurant.com MONDAY-THURSDAY ONLY W E CATER EVENTS OF ALL SIZES !
30 VOL. 562 D Copyrighted© My Living Media. 2023 All Rights reserved. To Advertise call 772-247-6849 Need More Coupons - MyLivingMedia.com • Screen Enclosure Makeover (rescreening & rusted screw replacement with caps for a new look) • Pool, Patio, and Porch Screen Enclosure • Sun Window Rooms and Accordion Shutters • All Types of Aluminum Fencing & Custom Railing • Electric Roll-Down Screens with Remote Control Inventor of the Hurricane Removable Screen Panel Removable Screen Panels Allow Hurricane Winds to Blow Through Screen Builders www.screenbuildersinc.com Licensed and Insured U#22179 Screen Builders & Fencing 561.693.6825 Florida’s Largest Screen Enclosure & Fence Specialists We install 1,500 ft. of fence per week Celebrating 36 Years in SinceBusiness! 1987 Doing business with GL Homes & Minto Homes We Are on Our 109,875 109,956 Job Installed FREE CONSULTATION 10% OFF 561.855.6595 Let Us Make Your DreamA Reality! LIC# CGC1525942 825 15th Street Lake Park • Custom Cabinets • Closets • Kitchens • Bathrooms • Doors & Windows • Custom Millwork Any Remodeling Job. Must Book Before 3/31/23 Total Ima g e With this MLM coupon
VOL. 562 D 31 Copyrighted© My Living Media. 2023 All Rights reserved. To Advertise call 772-247-6849 Need More Coupons - MyLivingMedia.com PRIMEGOLFCARS.COM SALES • RENTALS • REPAIRS HUNDREDS OF ELECTRIC LITHIUM & GAS GOLF CARTS AVAILABLE • New & Used Carts • Lithium Battery • Rims, Tires, & Lift Kits • 2, 4, 6, & 8 Passenger Seat Carts • American EV Golf Carts • Bintelli Golf Carts • E-Z-GO Golf Carts • Evolution Golf Carts • Elite EV Golf Carts • Club Car Golf Carts • Kodiak Golf Carts • Yamaha Golf Carts • Roadster Golf Carts 561-601-5671 7100 N MILITARY TRL., FL• RIVIERA BEACH VISIT OUR OTHER LOCATIONS IN LANTANA, FT. LAUDERDALE & MIAMI SCAN TO SEE OUR INVENTORY FINANCING AVAILABLE Vero Beach 1669 Old Dixie Hwy 32960 EXPERT FULL SERVICE JEWELRY REPAIR REPAIR 75 E. INDIANTOWN RD #504 • JUPITER WE BUY GOLD 561.406.2074 20% OFF 50% OFF 50% OFF Any Watch or Jewelry Repair Watch Battery New Diamond & Gemstone Jewelry *Exclusions may apply With this MLM coupon. Expires 3/18/23 With this MLM coupon. Expires 3/18/23 With this MLM coupon. Expires 3/18/23 Relax, Recharge, Rejuvenate. Must present MLM Coupon for discount. Expires 3/31/23 Must present MLM Coupon for discount. Expires 3/31/23 Acupuncture Facial Rejuvenation Deluxe Hydrafacial MD Deep Tissue Massage Includes Celluma Light therapy BioElectric DDS Must present MLM Coupon for discount. Expires 3/31/23 www.absolutewellnessspa.com 221 Greenwich Cir #101 • Jupiter (Between Donald Ross and University Dr.) Call Linda or Greg 561-254-7572 Must present MLM Coupon for discount. Expires 3/31/23 Anti-Aging or Acne Facial OFF OFF $79 $60 $60 By Appointment Only $89 Reg.$180 60 min. Reg. $120 Reg. $150 Reg. $209 Gift Certificates Available Facials, Massage & Acupuncture MM19098 MA46698 New Location Includes Microderm or Chemical Peel
32 VOL. 562 D Copyrighted© My Living Media. 2023 All Rights reserved. To Advertise call 772-247-6849 Need More Coupons - MyLivingMedia.com Put a Hold on Aging BEFORE AFTER BEFORE AFTER Ca for your A ointment Today 561-529-4982 $50 OFF $400 ABOUT OUR SEMAGLUTIDE SPECIAL Any Service Cannot be combined with other offers. Expires 3/30/23 Cannot be combined with other offers. Expires 3/30/23 NEW CLIENT SPECIAL LIP FILLER www.aestheticsbykallee.com STARTING AT: This high-dosage Vitamin C IV is great for boosting your immune system. Feel better faster from a cold or the flu. 561-972-4302 1535 Cypress Drive | Jupiter Arroyo Health Lab Center *Reg $120 each. Expires 3/18/23 DRIP LIST SPECIALS NUTRIENT INFUSIONSIV Helps keep your mind & body functioning properly & supports a wide range of cellular functions. Great for people always on the go, who feel stressed, fatigued, or travel often. Give your system an extra boost to stay healthy! NATURAL DEFENSE THE EXECUTIVE B-COMPLEX CHEMOTHERAPY TREATMENT • PROFESSIONAL CARING STAFF • PRIVATE SETTING • LATEST TECHNOLOGY & TREATMENTS Medicare & All Insurances Accepted Ask About Our Special FDA Alzheimer’s Program 5 Sessions 25% OFF Licensed & Insured Commercial & Residential Accredited Business Since 1993 WE HAUL AWAY ALL DEBRIS! www.PaulStetson.com PAUL STETSON 561.373.8764 BEFORE AFTER PRESSURE CLEANING JUPITER FARMS RESIDENT & BUSINESS OWNER FOR OVER 30 YEARS! Pressure Cleaning of Roofs • Walls • Patios • Walkways • Driveways • Screen Enclosures • Gutters TREE & HEDGE TRIMMING, STUMP GRINDING, LAND & LOT CLEARING TREE REMOVAL FREE GUTTER CLEANING W/ ROOF CLEANING With this MLM coupon. Exp. 3/18/23 Cannot be combined with any other offers. Tree Service & Pressure Cleaning
VOL. 562 D 33 Copyrighted© My Living Media. 2023 All Rights reserved. To Advertise call 772-247-6849 Need More Coupons - MyLivingMedia.com Visit us at our LOCAL Retail Locations West Palm Beach Palm Beach Gardens • Tequesta Hobe Sound • Port St. Lucie Fort Pierce • Vero Beach Call Today for Coverage TOMORROW 561-468-3735 compasshealthinsurance.com info@compasshealthinsurance.com FLORIDIANS HELPING FLORIDIANS SINCE 2007 • HEALTH & MEDICARE We can and will enroll you $0 premium plans available • PREPAID CREMATION Chosen by over 70% of Floridians - $35/mo • INCOME PROTECTION Small businesses make up 99% of all businesses in FL. What would happen to your business if you got sick? • DENTAL INSURANCE Everyone needs and uses it for only $1 a day Compass Health Your Plan. Your Choice. We are Here All Year ‘round in 2023! Is Your Family Safe & Sound?
34 VOL. 562 D Copyrighted© My Living Media. 2023 All Rights reserved. To Advertise call 772-247-6849 Need More Coupons - MyLivingMedia.com Jupiter Sod & Landscaping 561.768.1337 561.747.7856 FREE ESTIMATES FLORATAM • BAHIA • PALMETTO • BERMUDA Sod Removal & Installation 13049 W. Indiantown Rd. • Jupiter LANDSCAPE DESIGN ROCKS & MULCH PRODUCE HARDSCAPING Over 40 Years of Experience 1st Pallet 10% OFF With this OMS coupon. Expires 3/18/23 METAL ROOFS just got MORE AFFORDABLE! • METAL ROOFING • TILE ROOFING • SHINGLE ROOFING Financing Available Satisfaction Guaranteed! Call Today (772) 291-1427 Lic. No. CCC1327906 FREE ESTIMATES $500 OFF Call Today! ANY ROOF REPLACEMENT Must present coupon at time of estimate for discount. Exp. 3/30/23 VETERAN & SENIOR DISCOUNTS All Your Handyman Needs 772-281-9730 Veteran Owned • Licensed • Insured Call or Text Finish Trim Work Interior Carpentry Crown Molding Younique Custom Theater Trim & Design LLC facebook.com/theatertrim/ Find us on 561-782-3078 travelbysolstice.com/kylaLicensed & Insured Specializing in Travel Experiences in Luxury Destinations Luxury Travel Agent • Luxury Trips • Group Trips • Business Trips • River Cruises • Destination Weddings AS SEENONTV SAVE 50% On the First $200 of Work MINIMUM JOB $350 Must be presented at time of estimate. With this coupon. Cannot be combined with other offers. Expires 3/31/23
VOL. 562 D 35 Copyrighted© My Living Media. 2023 All Rights reserved. To Advertise call 772-247-6849 Need More Coupons - MyLivingMedia.com 561-903-4811 1001 W. INDIANTOWN ROAD • STE. 106 JUPITER, FL 33458 www.Yourpremierdentist.com WELCOME TO PREMIER DENTISTRY We are available for your dental emergencies! Having a smile you’re proud to share shouldn’t be dif cult or break the bank. We know how important it is to have a smile that lets you feel and look good, which is why our team strives to give you the dental care you deserve. Our dentists are committed to providing high-quality family, cosmetic, and advanced dentistry to each and every patient. PAYMENT PLANS FOR EVERYONE! Premier D entistry SMILE! YOU’RE IN GOOD HANDS TRUSTED & AFFORDABLE DENTAL CARE With this MLM coupon. Expires 3/18/23 New Patients Only $49 EMERGENCY EXAM With X-Rays With this MLM coupon. Limited time offer. New Patients Only WELCOMING HEALTHY MOUTH CLEANING $79 Exam & X-Rays With this MLM coupon. Expires 3/18/23 New Patients Only Complimentary Invisalign Consultation with $500OFF Treatment (full case) Premier D entistry SMILE! YOU’RE IN GOOD HANDS DR. CASEL
36 VOL. 562 D Copyrighted© My Living Media. 2023 All Rights reserved. To Advertise call 772-247-6849 Need More Coupons - MyLivingMedia.com • Acrylic: Tips-Overlay • Gel Manicure • Waxing • Gels • Pink & White • Manicure • Pedicure • Deluxe Pedicure • Nexgen Nails SERVICES 561.693.3921 In Jupiter Farms • Farms Shopping Center (Publix Plaza) HOURS: MON - FRI 9AM - 7PM • SAT 9AM - 6PM • SUNDAY CLOSED All Equipment Sterilized Non-Yellow Acrylics Two Week Guarantee All Nail Techs Experienced Walk-Ins Welcome Expert Manicure ServicesPampering PedicuresSkilled Waxing Services SPECIAL SENIOR DISCOUNTS! Of $1,000 or more *Call for more info $150off $99off $75off MIN. 500 SQ. FT. MIN. 1500 SQ. FT. • Residential & Commercial • Interior/Exterior • Wallpaper Removal • Drywall Textures • Waterproo ng • Brick Paver Sealing Craig 772-291-5553 www.CraigHanlonPainting.com PAINTING AND PRESSURE CLEANING 1 ROOM PAINTING ANY SERVICE FREE ESTIMATES BRICK PAVER SEALING 772-783-9517 I.M.A.Landscaping@gmail.com IMA LANDSCAPING TREE & PALM SERVICES With this MLM Coupon FREE STUMP REMOVAL Get 1 Free Stump Removed w/Purchase of 3 Stump Removals We Beat AnyEstimateWritten Lic & Ins Serving PSL, Martin, Palm Beach FREE ESTIMATES WE SPECIALIZE IN TREE REMOVAL • Rock & Stone Install • Palm/Tree Removal • Irrigation install & Services • Stump Grinding • Mulching & Sod Installed • Tree Trimming TREE & PALM TRIMMING • Pressure Washing • Brazilian Pepper Tree Cut Back & Removal • Installation/Design • Lawn Maintenance • Clean Ups/Hauling • Weeding & Much More • H.O.A. Complaint Letters • H.O.A Approved • Hazardous trees that are too close to the roof
VOL. 562 D 37 Copyrighted© My Living Media. 2023 All Rights reserved. To Advertise call 772-247-6849 Need More Coupons - MyLivingMedia.com 561.468.8230 THE PATIENT AND ANY OTHER PERSON RESPONSIBLE FOR PAYMENT HAS A RIGHT TO REFUSE TO PAY, CANCEL PAYMENT, OR BE REIMBURSED FOR PAYMENT FOR ANY OTHER SERVICE, EXAMINATION, OR TREATMENT THAT IS PERFORMED AS A RESULT OF AND WITHIN 72 HOURS OF RESPONDING TO THE ADVERTISEMENT FOR THE FREE, DISCOUNTED FEE, OR REDUCED FEE SERVICE, EXAMINATION, OR TREATMENT. SCAN FOR WEBSITE & SERVICES We accept most major insurance plans & Medicare 4601 Military Trail #202, Jupiter HOURS MONDAY-FRIDAY 8:30AM-5:00PM FOOT, ANKLE, OR VEIN ISSUES? WE CAN HELP! Rel … DR. ORLANDO CEDENO DPM Podiatrist Foot & Ankle Surgeon Located in Jupiter, FL $100 OFF SCLERO VEIN THERAPY With this MLM coupon. Expires 3/18/23 • Foot Ankle Surgery • Bunion Surgery • Cysts & Warts • Fractures & Breaks • Ankle Arthritis • Diabetic Foot Conditions • Minimally Invasive Foot Surgery • Hammer Toe • Ingrown Toe Nails • Varicose Veins Treatment • Neuropathy Solutions • Wound Care • Nerve Decompression in Foot BEFORE AFTER Bunionectomy® & Hammer Digit Minimal Pain…Minimal Incisions…Impressive Results …A Beautiful Smile is closer than you think. General, Cosmetic, & Implant Dentistry THE PATIENT AND ANY OTHER PERSON RESPONSIBLE FOR PAYMENT HAS THE RIGHT TO REFUSE TO PAY, CANCEL PAYMENT OR BE REIMBURSED FOR ANY SERVICES, EXAMINATION OR TREATMENT WHICH IS PERFORMED AS A RESULT OF AND WITHIN 72 HOURS OF RESPONSE TO THE ADVERTISEMENT FOR FREE OR DISCOUNTED SERVICES, EXAMINATION OR TREATMENT. 654 W. Indiantown Rd. Suite 105, Jupiter Lic#14440 Angelo Forte, DMD, PA. 561.747.2134 ! NEW PATIENT SPECIAL ZOOM2 WHITENING $89 $125 OFF Prophylaxis Cleaning, Exam, FMX, & Oral Cancer Screening Codes: D0150, D1610, D1674, D1110 Codes: D0003 RESTRICTIONS MAY APPLY. MLM COUPON EXPIRES 3/31/23 MLM COUPON EXPIRES 3/31/23 NOW OFFERING In-House Dental Discount Plan Ask for details
38 VOL. 562 D Copyrighted© My Living Media. 2023 All Rights reserved. To Advertise call 772-247-6849 Need More Coupons - MyLivingMedia.com CUSTOM CANVAS & UPHOLSTERY 6701 S. US Hwy, PSL • 772-212-9548 • Marine Canvas • Marine Enclosures • Marine Upholstery • Dodgers • Biminis • Sunshades $100 Off $1,000 or more Must present MLM coupon. Expires 4/2/23 WWW.TKGUTTERS.COM 772-692-9727 | 561-250-2184 Authorized Dealer For PRESERVE & PROTECT YOUR HOME, FOUNDATION, & LANDSCAPING FROM WATER DAMAGE • Seamless • Modern Box • Half Round • Commercial • Aluminum • Copper Steel • Installation • Cleaning • Manufacturing • Repair • Maintenance • 5-YEAR WARRANTY FREE ESTIMATES Licensed & Insured License #MCNS4803
Call us today (772) 247-6067 or 561-293-4909
40 VOL. 562 D Copyrighted© My Living Media. 2023 All Rights reserved. To Advertise call 772-247-6849 Need More Coupons - MyLivingMedia.com Specializing in… • Hazardous Tree & Limb Removal • Palm Tree Trimming • Total Tree Care Licensed & Insured 20% Off All Services MLM coupon expires 3/31/23 772.361.6187 FREE ESTIMATES! BEAUTYFI MEDICAL SPA 1132 W. INDIANTOWN RD. #204 • JUPITER 561-245-1588 SCAN HERE TO VISIT OUR WEBSITE TUESDAY · 11AM-3PM SATURDAY · 10AM-3PM HOURS Exp. 3/05/23. Use code MGZ22 Morpheus8 Skin Tightening FREE Buy 2 Get 1 & *$799 a session. Starting at… * $999 a unit $499 $599 $399 LIP FILLER You! Spring Into a Fresher, More Luxurious… Exp. 3/18/23. Use code MGZ22 Exp. 3/18/23. Use code MGZ22 Exp. 3/18/23. Use code MGZ22 Seaglass Window Fashions American Made 561-932-3712 PBG, Jupiter, Palm City, Stuart, Port St. Lucie Plantation Shutters White Poly Vinyl SOLAR SHADES Manual or Motorized available • Zebra Shades • Woven Wood Shades • Honeycomb Shades • Sheer Shades • Wood Plantation Shutters White & Stained

“Hi, I’m Mark Lindsay, and that was me on the Ed Sullivan Show. I sang every hit song for Paul Revere & the Raiders, including ‘Kicks,’ ‘Indian Reservation,’ and my solo ‘Arizona.’ My trademark was a ponytail and a teen idol smile. The ponytail’s been gone for awhile, but as a singer my smile is still super important. I recently visited Appearance Dental for an implant and crown procedure. The sta was courteous and made me feel comfortable from the moment I walked in the door. I was really impressed with their dental o ce and the dentist did an outstanding job. Appearance Dental transformed my smile, and I trust them to keep my smile looking revolutionarily good.” — Mark Lindsay

Read all of our testimonials at AppearanceImplants.com

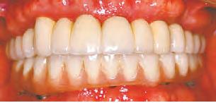
WE WILL MEET OR BEAT ANY WRITTEN ESTIMATE ON IMPLANTS, ROOT CANALS, & CROWNS!

VOL. 562 D 41 Copyrighted© My Living Media. 2023 All Rights reserved. To Advertise call 772-247-6849 Need More Coupons - MyLivingMedia.com OPEN FOR EMERGENCIES | AFFORDABLE DENTAL EXCELLENCE IS NOW HERE! WE ARE PRIVATELY OWNED, NOT A CHAIN OR CORPORATE ENTITY. WE SPECIALIZE IN FULL MOUTH RECONSTRUCTION Additional services we offer include CLEAR TOOTH ALIGNERS, SINGLE IMPLANTS, DENTURES & MORE!!! FREE IMPLANT CONSULTATION (Exam & Digital X-Ray or 3D Cone Beam) (D0150, D9310, D0330 & D0383) SureSmile® OR CLEAR TEETH ALIGNERS OUR EXPERIENCED DENTISTS HAVE PLACED THOUSANDS OF IMPLANTS You Des ve a Beautiful Smile! SALVATORE MELITA, DDS ALANA SHIELDS, BSN, RN, DMD JOSEPH GAETA JR., DDS Better On 8™ Cleaning Porcelain Fused to Metal Crown Zirconium All Porcelain Crown $79 $699 $899 Includes Free Exam & X-Rays New Patients Only LIMITED OFFER (D1110, D0150, D4355,D0330) (D2751) (D2740) FULL ROUND HOUSE BRIDGE A Better Alternative to All-On-4 Benefits • Very little, if any speech changes • Does not cover any part of the palate • Can be cleaned just like bridges on teeth • Require no special abutments (All-on-4 protocol requires angle correct on abutments which are not bone or gum tissue friendly) • Usually do not need pink porcelain at the gumline (because aggressive bone removal is not necessary) D6010, D6056, D6240, D6060 BETTERON8.COM D6010, D6056, D5863, D5865, D5862 PER ARCH WITH LOCATORS PER ARCH D6010, D6056, D6065, D6060 50% SAVINGS WE USE MEGAGEN IMPLANT SYSTEMS Implant, Abutment, and Zirconium Crown Implant, Abutment, and Crown Only$1,899 Only$2,099 D7140 DENTURES ECONOMY $359 INTERMEDIATE $999 DELUXE $2,000 D5810/D5811 D5130/D5140 D5110/D5120 With Simple Extractions Starting at $99 We will beat any like-priced quote $9,999 Implant and Abutments Placed Crown and Bridge Porcelain Fused to Metal Implant Abutments Placed $14,500 FULL MOUTH RECONSTRUCTION ROUND HOUSE BRIDGE 8/6 IMPLANTS & 12 UNITS OF CROWNS starting at starting at TR-1968533.INDD SALESPERSON:MelissaKelley ISOUR37YEARTRADITION DentistOwned,Not “Hi,I’mMarkLindsay,andthat smeontheEdSulli nSho Isang eryhitsong fo Paul Reve &the Raiders, including ‘Kicks,’ ‘Indian Reservation,’and my solo ‘Arizona.’Mytrademark saponytailandateenidolsmile.Theponytail’sbeen go fo awhile,butasasinger my smileisstillsuperimportant.I cently visited TraditionDental foranimplantandcrownprocedure. Thestaff scourteousandmademe feelcomfortablefromthe momentI lkedinthedoor.I allyimpressedwiththeir dentalofficeandthedentistdidanoutstandingjob. Tradition Dentaltransformed my smile,andItrustthemto keep my smile looking lutionarily good.” —MarkLindsay TRADITIONDENTALGROUP 772-207-1213 ILABLE,MOSTINSURANCESACCEPTED
WALK-INS WELCOME EVENING APPOINTMENTS AVAILABLE PRICES ARE SUBJECT TO CHANGE WITHOUT NOTICE WITH THE EXCEPTION OF PREVIOUSLY SCHEDULED TREATMENT PLANS. THE PATIENT AND ANY OTHER PERSON RESPONSIBLE FOR PAYMENT HAS THE RIGHT TO REFUSE TO PAY, CANCEL PAYMENT OR BE REIMBURSED FOR ANY SERVICE EXAMINATION OR TREATMENT WHICH IS PERFORMED AS A RESULT OF AND WITHIN 72 HOURS OF RESPONDING TO THE ADVERTISEMENT FOR THE FREE, SERVICE, EXAMINATION OR TREATMENT. LIC #DN10761 561-250-6307 6390 W. Indiantown Rd., #32 • Jupiter, FL 33458 At the West End of the Chasewood Plaza AppearanceImplants.com SCAN HERE OPEN MON.-FRI. EVENING HOURS AVAILABLE
42 VOL. 562 D Copyrighted© My Living Media. 2023 All Rights reserved. To Advertise call 772-247-6849 Any Detail Package On a Ceramic Coating plus 1 FREE MONTH Unlimited Car Washes Every Wednesday Exterior Wash $300 Off $599 NOT TO BE COMBINED WITH ANY OTHER OFFERS. PRESENT THIS MLM COUPON TO REDEEM THE OFFERS. PROMOTIONS EXPIRES 4/2/23 NOT TO BE COMBINED WITH ANY OTHER OFFERS. PRESENT THIS MLM COUPON TO REDEEM THE OFFERS. PROMOTIONS EXPIRES 4/2/23 NOT TO BE COMBINED WITH ANY OTHER OFFERS. PRESENT THIS MLM COUPON TO REDEEM THE OFFERS. PROMOTIONS EXPIRES 4/2/23 NOT TO BE COMBINED WITH ANY OTHER OFFERS. PRESENT THIS MLM COUPON TO REDEEM THE OFFERS. PROMOTIONS EXPIRES 4/2/23 “The Difference Is Our Attention to Detail” 12101 SE FEDERAL HWY. HOBE SOUND (Directly on US 1. Just South of Bridge Road) 772-546-330 Gi Cards Available For More Information Visit Us at: www.IslandsAutoSpa.com $10 Off OUR WACKY WEDNESDAY (Cash Only) WE WILL HONOR ANY OTHER CAR WASH COUPONS EQUAL TO OUR WASH OR DETAIL Any Car Wash $5 Off
VOL. 562 D 43 Copyrighted© My Living Media. 2023 All Rights reserved. To Advertise call 772-247-6849 YOUR TRUSTED ROOFERS $500 ANY NEW ROOF $10,000 & Up Must present this MLM coupon. Expires 3/31/23 off $150 ROOF REPAIR Must present this MLM coupon. Expires 3/31/23 off Roof Repair • Roof Replacement Insurance Restoration LICENSED & INSURED • #CCC133746 5 Stars Google FREE In-home Estimate 772-222-6760 819 SW Federal Hwy. Ste #201 • Stuart www.levelbestroofing.com
Copyrighted© My Living Media. 2023 All Rights reserved. To Advertise call 772-247-6849 Need More Coupons - MyLivingMedia.com 561-745-5001 • One-on-One Personal Training • Increase Energy • Burn Fat/Tone Problem Areas • Nutrition Counseling THREE PALMS PLAZA 2151 Alt. A1A South #700, Jupiter www.BeFitJupiter.com 2 FREE SESSIONS NEW CLIENT SPECIAL With this MLM coupon. *New clients only. Cannot be combined. Expires 3/18/23 “Formerly Be Fit Body Boutique” BE STRONG. BE CONFIDENT. BE FIT. TIME FOR RESULTS NOT RESOLUTIONS. PUT YOUR SHOES ON & SHOW UP! 3215 SE GRAN PARK WAY STUART, FL 34997 561-202-3580 772-672-3080 SALES | STORAGE | CONSIGNMENT $600 ON WINDOWS $500 ON DOORS Receive up to $1100 IN FEDERAL TAX CREDITS* WINDOWS • ENTRY DOORS • PATIO DOORS • INSULATED SIDING • SHUTTERS • TRIM “Not only do we stand behind our windows... we stand on them!”® - Dennis Burdge For J.D. Power 2022 award information, visit jdpower.com/awards Highest in Customer Satisfaction Among Window & Patio Door Retailers Lifetime Limited Warranty Guaranteed Low Pricing INTEREST 0% 15 MONTHS1 LIMITED TIME ONLY! IMPACT WINDOWS STARTING AT Hurricane Impact White Vinyl Double Hung Insulated Window $599 COMPARE AT $1,000 This Window World® franchise is independently owned and operated by West Palm Windows and Doors LLC d/b/a Window World of West Palm Beach under license from Window World Inc. Fully licensed & insured. License No. CGC1514205 Previous sales are excluded and o ers cannot be combined. 1No interest if paid in full within 15 months with regular monthly payments. Bank approval needed. Must qualify. Ask for details. *Select products only. Ask for details. For more information, consult your tax advisor and visit EnergyStar.gov. 3927 Westgate Ave., West Palm Beach, FL 561-291-7578 WindowWorldOfWestPalmBeach.com FREE IN-HOME QUOTES!
Need More Coupons - MyLivingMedia.com ·Signs ·Vehicle Wraps ·Boat Wraps ·T-Shirt/Apparel ·Printing ·Biz Cards ·Flyers ·Promotional Items ·Food Product Labeling ·Stickers 151 FERN STREET Unit #2, Jupiter SCAN HERE TO VISIT OUR WEBSITE 561-567-7422 50% OFF Standard Business Cards Restrictions Apply Call For Details. With MLM coupon. May not be combined with any other offer. Exp. 3/18/23 Did You Know We Also Do... • Business Cards / Flyers • Promotional Items • Brochures • Banners • Boat & Car Wraps Exceptional Quality • Exceptional Service “We Paint Every Home Like It’s Our Own” 561-475-5944 Wellington, FL Exceptional Painting_0110-4918_HI562 www.exceptionalpainting.com Insured and Bonded | Palm Beach Co. U-18412 | Free Estimates • Interior Painting • Exterior Painting • Small Drywall Repairs • Small Concrete Repairs • Wallpaper Removal • Wallpaper Installation • Wood and Fiberglass Staining • Concrete Staining • Epoxy Coatings • Pressure Cleaning • Color Consultants • Touch-Up Specialists • Lacquer Painting • Small General Repairs Prior to Painting RESIDENTIAL & COMMERCIAL • Shingles • Synthetic Shingles • Metal • Tile • Aluminum 1500 N Florida Mango Rd Suite 3 • WEST PALM BEACH (561) 264-6233 $500 Off $1000 Off Any Roof $10,000 or more. Any Roof $20,000 or more. Must present coupon when signing contract 3/31/23 Must present coupon when signing contract 3/31/23 not be co
46 VOL. 562 D Copyrighted© My Living Media. 2023 All Rights reserved. To Advertise call 772-247-6849 Need More Coupons - MyLivingMedia.com WHOLESALE FENCING INSTALLATIONS & REPAIRS HOME OF THE LOWEST PRICE GUARANTEE Honest, Trustworthy, Hassle-Free Service From A Family-Owned Business FREE GATE WITH PURCHASE OF EVERY 150 FT. OF FENCING. UP TO A $450 VALUE FENCING SOUTH FLORIDA 561-612-2018 With this MLM coupon. Not valid with any other offer or prior purchases. Offer expires 3/31/23 PVC/VINYL FENCING CHAIN LINK FENCING “We guarantee to beat any price you have from any legitimate fence company” Licensed &Insured Broward 11-F-17403-X Palm Beach U-21752 WWW.FENCINGSOUTHFLORIDA.COM OFFICE 561-612-2018 SERVING BROWARD & PALM BEACH FREE REMOVAL OF EXISTING FENCE WITH PURCHASE OF NEW FENCING NO MINIMUM REQUIRED (excludes hurricane damaged fencing) FENCING SOUTH FLORIDA 561-612-2018 With this MLM coupon. Not valid with any other offer or prior purchases. Offer expires 3/31/23 Visit our website to see our episode on Designing Spaces NOW INTRODUCING OUR NEW ART DIVISION Custom Metal Works in Any Shape and Style added to your fence, gates, entry door, and interior or exterior house walls WOOD FENCING ALUMINUM FENCING WE DO IT RIGHT THE FIRST TIME FOR LESS. YOUR NEXT PRODUCT PURCHASE EXCLUDING FOOD & GROOMING Natural Pet Food • Boutique • Grooming Catering to Your Pet’s Health! 155 Toney Penna Drive, Suite 6, Jupiter, FL 33458 1/2 mile South of Indiantown Road, between Alternate A1A & Military Trail Largest selection of natural, holistic & raw pet food including raw meaty bones, chicken necks & tripe. 561.748.PAWS (7297) info@healthepetsmarket.com WWW.HEALTHEPETSMARKET.COM Must present coupon at time of service. Not valid with any other o er. Expires 3/18/23 Certi ed NutritionPet Specialist Healthy options for cats and dogs include supplements and vitamins, plus all of your pet’s favorite treats. 10% o Toys • Bones • Bedding • Leashes • Collars • Grooming Supplies and more. (Mon.-Sat.) • 8:30am - 7:00pm (Sunday) • 11:00am - 4:00pm
VOL. 562 D 47 Copyrighted© My Living Media. 2023 All Rights reserved. To Advertise call 772-247-6849 Need More Coupons - MyLivingMedia.com • Lawn Grass • Batting Cages • Bocce Courts • HOA Playgrounds • Putting Greens • Pet Grass • Pool Areas • Paver Strips With a combined experience of 60+ years, Complete Synthetic Turf is the trusted choice for artificial grass installation on The Treasure Coast! Complete synthetic Turf has the look and feel of natural grass. Always picture perfect! 7715 SW Ellipse Way, Stuart 772.494-2481 We look forward to exceeding your expectations in everything we do! FREE CONSULTATION FREE DESIGN FREE ESTIMATE 100% Satisfaction Guaranteed! Like Us On Facebook Pressure Washing & Roof Cleaning • Screen Enclosure Frames • Driveways • Paver Sealing • Eco Friendly • Much More! www.pwpbg.com Workman’s Comp • Licensed & Insured *Our Guarantee - If your house doesn’t look 157% better than before, we will refund you 100% of your money. “We Clean Barrel Tile, Metal, Asphalt Shingle Roofs & Cedar Shake Roofs” GOT MOLD ON YOUR ROOF? CALL OLIVER TWIST TODAY! We Are Commercial Specialists! Call James for Specials! BEFORE AFTER OliverTwist 561-771-0310 Serving South Florida Since 1999 SENIOR DISCOUNTS CALL FOR DETAILS 132 NE Dixie Hwy., Stuart, FL 34994 Licensed & Insured State Certi ed License #CCC024411 Serving Martin & Palm Beach Counties for Over 30 Years! “You’ve tried the rest…now call the Best!” Re-Roof & Repair Specialists METAL ROOFS Starting At Starting At $17,500 TILE ROOFS (Minimum 3500 Sq Ft of Roof) $24,500 (Minimum 3500 Sq Ft of Roof) 772-692-9854 Re-roofs • Repairs • New Construction • Cement & Clay Tile Fiberglass Shingles • Wood Shakes • 5-V & Standing Seam Metal Built-up Modi ed Rubber • Residential & Commercial 25- to 50-Year Material Warranty Available 5- to 10-Year Labor Warranty Available Martin County’s Trusted Name Since 1980!
48 VOL. 562 D Copyrighted© My Living Media. 2023 All Rights reserved. To Advertise call 772-247-6849 Need More Coupons - MyLivingMedia.com • New ���������� • Ren��������i��n�� • Rem��������in�� • Rep�������� • Res��������ci���� Your Backyard Oasis Awaits… New Pool Construction 561-782-4644 Camco Pools New Construction & Renovations $1500 off With this MLM coupon. Expires 4/2/23 1-833-ACE-CART(223-2278) Aceofcarts.com Ace of Carts 4880 SE Federal Hwy., Stuart • 2nd Location 552 US Hwy. 1 North, Tequesta Must be a 2022 Model Year Club Car from dealer stock. Offer Valid through March 30, 2023 or while supplies last. Financing is available with standard rates. Not eligible for 0% Financing promotion; offers do not combine. Promo code:MLM822 Over 200 Brand New Club Cars in stock! $1,000 in FREE Accessories, FREE Delivery Destination, & Setup Charges. REGISTER ONLINE TO GET https://aceofcarts.com/red-tag/ • SALES • SERVICE • PARTS Now Open in Tequesta! AUTHORIZED DEALER CARTS IN STOCK & READY FOR DELIVERY NOW HIRING CALL TODAY! Experienced Electricians $50 OFF ANY JOB OVER $500 Cannot be combined with other discounts or offers. With this MLM coupon. Expires 3/31/23 Need An Electrician? FREE ESTIMATES Lic # EC13007910
Need More Coupons - MyLivingMedia.com • Plumbing Repairs • Water Heaters • Toilet Installation • Garbage Disposals • Clearing Sewer Lines • Septic Services • Distribution Boxes • New Installations PLUMBING REPAIRS & WATER HEATER INSTALLATIONS - WE GIVE SENIOR CITIZENS & VETERANS DISCOUNTS! Lic. #CFC1429556 Available Nights, Weekends & Holidays ANY JOB Big or Small We Do Them All! $65 OFF $50 OFF $35 OFF Not valid with other offers or prior services. Must present MLM coupon. Limit one coupon per service call. Not valid with other offers or prior services. Must present MLM coupon. Limit one coupon per service call. Not valid with other offers or prior services. Must present MLM coupon. Limit one coupon per service call. $30 OFF Not valid with other offers or prior services. Must present MLM coupon. Limit one coupon per service call. D D D D $100 OFF Not valid with other offers or prior services. Must present MLM coupon. Limit one coupon per service call. $50 OFF Not valid with other offers or prior services. Must present MLM coupon. Limit one coupon per service call. D $250 OFF Not valid with other offers or prior services. Must present MLM coupon. Limit one coupon per service call. FREE Not valid with other offers or prior services. Must present MLM coupon. Limit one coupon per service call. Not valid with other offers or prior services. Must present MLM coupon. Limit one coupon per service call. Celebrating 40 Years of Excellence Your Next Service Call Any New Hot Water Heater or Tankless Heater Any New Toilet Clearing Any Sink, Toilet, or Main Sewer Line Any New Garbage Disposal Any Septic Pumping Any Distribution Box Replaced $37 OFF BACTERIA TREATMENT with Pumping and Backwashing Any New Drain Field Installed D D D D
50 VOL. 562 D Copyrighted© My Living Media. 2023 All Rights reserved. To Advertise call 772-247-6849 Need More Coupons - MyLivingMedia.com Florida’s Finest Carpet Cleaning Carpet Cleaned Like You’ve Never Seen Our System Guarantees Your Satisfaction • We use the most advanced truck mounted carpet cleaning system • Exclusive double step process for high traf c areas (no extra charge) • Pet stain removal • Environmentally-safe products (safe for children and pets) • Family owned and operated • NO HIDDEN FEES Serving Our Customers Since 1982 Lic# 92275163 Palm Beach County Martin County Only Only Only (561) 747-9793 (772) 220-2290 Carpet Cleaning Special Carpet Cleaning Special Furniture Cleaning Special FREE Demonstration FREE ESTIMATES Two Rooms & Hallway 5 Rooms and Hallway Any Size Sofa or 2 Chairs Grout Special Area Rug Cleaning Free Pick-Up & Delivery $79.95 $79.95 39¢ $139.95 (Maximum 200 sq. ft. per room) FREE DEODORIZER With MLM coupon expires 3/31/23 (Maximum 200 sq. ft. per room, max 5 rooms) FREE DEODORIZER With MLM coupon expires 3/31/23 With MLM coupon expires 3/31/23 With MLM coupon expires 3/31/23 (Minimum 200 sq. ft.) • We’ll make your soiled furniture look beautiful again. • We use the best cleaning methods available for each individual fabric. • Haitian Cotton, sectionals, modulars and dry-clean only fabric priced separately. • 3M Scotchguard® and DuPont Te on® protection available. Per Sq. Ft. Interior & Exterior Painting home improvement services 42 YEARS SERVICING PALM BEACH COUNTY 561-302-5519 FAMILY OWNED & OPERATED REENSPAINTINGUNLIMITED@GMAIL.COM RESIDENTIAL COMMERCIAL INDUSTRIAL Licensed & Insured · Interior Painting · Exterior Painting · Pressure Cleaning · Popcorn Removal · Knock Down · Wallpaper Removal · Concrete Staining · Epoxy Flooring · Paint-Stains · Latex - Oil • Kitchen & Bathroom • Door & Moulding Installations • Water Damage Remodel • Outdoor Kitchens • Paver Sealing • Tile & Wood Installations • Handyman Services $150 OFF ANY JOB OVER $1500 Some restrictions apply. Expires 3/31/23 FREE ESTIMATES! Let Us Protect Your HOME • FREE Google Nest Cameras • FREE Google Nest Doorbell • FREE Command Touch Screen License EG0000142 $99.00 Customer Installation Charge. 36-Month Monitoring Agreement required at $45.99 per month ($1,655.64). Certain restrictions may apply. Offer valid for new ADT Authorized Dealer customers only and not on purchases from ADT Security Services, Inc. Other rate plans available. Cannot be combined with any other offer. ADVANCED HOME SECURITY 772-265-1ADT $100 GIFT CARD TO FIRST 20 CALLERS! (238) SCANHERETOSTARTPROTECTINGYOURFAMILYTODAY!
VOL. 562 D 51 Copyrighted© My Living Media. 2023 All Rights reserved. To Advertise call 772-247-6849 Need More Coupons - MyLivingMedia.com Our Jupiter location is centrally located and We welcome you to meet Gabrielle Poplarchick, Jupiter’s One-Stop Shop For Your Hearing Needs! Schedule an appointment for you or a loved one: 2161B S. US Highway 1
52 VOL. 562 D Copyrighted© My Living Media. 2023 All Rights reserved. To Advertise call 772-247-6849 Need More Coupons - MyLivingMedia.com WAGNER’S • WAGNER’S • WAGNER’S W ’ W ’ • WAGNER’S • WAGNER’S • WAGNER’S WAGNER’S • WAGNER’S • WAGNER’S • WAGNER’S • WAGNER’S • WAGNER’S • WAGNER’S • WAGNER’S W AGNER ’ S • W AGNER ’ S • W AGNER ’ S • W AGNER ’ S W AGNER ’ S W AGNER ’ S • W AGNER ’ S • W AGNER ’ S • W AGNER ’ S W AGNER ’ S ‘Cause you like it cool… WAGNER’S REFRIGERATION & AIR CONDITIONING Your Satisfaction is our Guarantee! 561-743-5759 Lic#CAC057855 Central Air Conditioning • Commercial Refrigeration Ice Machine Specialists Any A/C Install $10000off It’s Hard To Stop A Trane.® Wagner's Refrigeration_0074-1118_HI562 Certi ed Professional Plumbers If Water Runs Through it, We Do It SATISFACTION GUARANTEED Remodeling & Repairs WE DO IT ALL! 24-HOUR EMERGENCY SERVICE • Faucets • Water Heaters • Leak Detection • Sewer & Drainage Dedicated to providing quality and efficient services Commercial/Residential www.DarrelsPlumbing.com DARREL’S PLUMBING, INC. CALL 561-568-5322 Over 30 Years of Experience State Lic. #CFC1427324 “If water runs through it, we do it.” INSTALLS & REPAIRS • REMODELING •BACKFLOWS 24 HOUR EMERGENCY SERVICE • STATE LICENSED & INSURED 561-568-5322 Call For Music Lessons! MUSIC LESSONS IN STUDIO OR LIVE VIRTUAL LESSONS! www.frederickcapitelli.com 561-575-0576 658 W Indiantown Rd Ste #210 • JUPITER *with experienced music teacher: Frederick Capitelli VOICE• GUITAR • BASS • MANDOLIN • BANJO VIOLIN • VIOLA • CELLO • UPRIGHT BASS • PIANO ACCORDION • SPINET & CONSOLE ORGAN DRUMS/BELLS INSTRUMENTS & ACCESSORIES PIANO TUNING & REFINISHING• RECORDING STUDIO Get Back Into Your Grove & Find Your Rhythm! Frederick Capitelli Bringing Colombian avor & style to Jupiter! 6230 W Indiantown Rd Suite 7 Jupiter, FL 33458 561.772.5012 | alfredobarrazaboutique.com 15% off purchase of $200 or more exp 3/31/23

For What It’s Worth

Ok, so here’s the latest scoop on the medical situations regarding my last several columns, having to do with inability to get to a doctor from Cleveland Clinic in a timely manner. Yes, for those of you who insisted I name the dreaded hospital that I was writing about, it is, in fact, Cleveland Clinic. e reason I am now going to put a name to the place is because I was invited by Dr. Singh, the President of Cleveland Clinic to have a meet and greet this a ernoon. Just when you think you know how your week is going to go, wham, a personal invitation to speak with the president himself, who read my articles and wanted to talk. Okay, so I’ll admit I was nervous, anxious, worried, but also armed for bear in the event that he wanted to minimize the situation, but in fact, surprisingly, he was caring, open to suggestions, and transparent with regard to how Cleveland Clinic took over Martin Memorial North and South, and what he strived for going forward. I was impressed, and I’m not easily sold on lip service, but between him and the head of Patient Experiences, Karen Ludwig, who was also present, it was apparent that he knew and understood the frustrations the general public has been experiencing getting seen by a physician in a timely manner.

I have to give him credit. His information was forthcoming, addressing my concerns, sometimes even before I had

the chance to list them. Also to his credit, he was young-ish, a physician himself, and has only been the president of the hospital for one year. In that year, he and Karen had an earful of complaints and they had plans to address all of them by way of hiring almost 60 new physicians, twice as many nurses, and ongoing training for those people on the front lines, who take the calls and make appointments. I was shocked, in a good way. He never tried to make excuses, nor did he make false promises. He said getting things turned around was not going to happen overnight, but he does strive to make this hospital the best it can possibly be, within a reasonable amount of time. He is there to speak with, to read emails, and to even give out his cell phone number (No, sorry, I can’t pass it along, lol) but from what I understand, he has done that frequently to others as well.

He loves this community, he loves this hospital, and he loves medicine. He is not one of those people who sits in their ivory tower, having no pulse on medical practices. He wants to do better, and promises he will do better, but this is what he has been handed, well, that, and the pandemic, which has seen the resignation of good nurses and doctors who no longer wish to expose themselves and their families to infection. I get

it. Much as I loved hospital nursing, I have asked myself many times if I had stayed in nursing, would I quit? I feel like the answer is a hard “no” but it’s easy to say from the sidelines, and not in the midst of potentially deadly chaos.

My point is this. He wants things to change, and he has ideas to change them, many of which it is not my place to share. I came in with a list of suggestions, but before I could get my ideas out of my mouth, he already verbalized them. We were on the same page! So, the bottom line is this.

For What it’s Worth, he’s young, he’s enthusiastic, he wants to make things better, and he wants Cleveland Clinic, Stuart, to be exactly what we all want it to be, a place we can trust with our very lives. Let’s be fair and give him time to get it together. If I was a gambler, I think I’d put my money on him.

54 VOL. 562 D Copyrighted© My Living Media. 2023 All Rights reserved. To Advertise call 772-247-6849 Need More Coupons - MyLivingMedia.com Your Complete Source For All Your Trees 772-324-0449 TREE TRIMMING • TREE REMOVAL FREE On Site Estimate Same Day Service 10% off Any Job $100 or more. With this MLM coupon. Cannot be combined with any other offers. Limited Time Only. Other Services: • Full Service Yard Clean Up • Hedge Trimming • Mulching GUARANTEED BEST PRICES! We Will BEAT Any Written Estimate! www.saultreeservicesllc.com
Comments or Suggestions DrMelfi@mediaoms.com
56 VOL. 562 D Copyrighted© My Living Media. 2023 All Rights reserved. To Advertise call 772-247-6849 Need More Coupons - MyLivingMedia.com BossPublicAdjusting.com Nader Anthony - Lic# P002749 This is a solicitation for business. If you have had a claim for an insured property loss or damage and you are satis ed with the payment by your insurer, you may disregard advertisement. YOUR DAMAGE MAY BE COVERED BY INSURANCE FREE FREE 10-POINT INSPECTION SPECIAL NO RECOVERY • NO FEE WE WILL GET YOU MONEY FOR REPAIRS GUARANTEED OR YOU DON’T PAY US A PENNY! PLUMBING LEAKS ROOF DAMAGE BROKEN WINDOWS FIRE MOLD FREE Policy claim and review 561-861-2677 BOSS Public Adjusting Commercial & Residential DRYER TAKING TOO LONG? ANNOYING Waiting Longer For Your Clothes To Dry Is STARTING AT 772-919-7163 | 561-250-0088 DRYER VENT CLEANING $85 MAINTENANCE CLEANOUT FIRE DISASTER But experts say it’s Really an impending • PROPANE DELIVERY • STANDBY GENERATORS • TANK SETS • CARDLOCK • CYLINDER FILLS • DOCKSIDE FUELS • MAINTENANCE CONTRACTS • TANK & GENERATOR MONITORING • AND MANY MORE PROGRAMS TO CHOOSE FROM WEST PALM BEACH 1 2 VERO BEACH STUART PROUDLY SERVING THE PALM BEACH & TREASURE COAST SINCE 1967 772.617.8648 CALL TODAY FOR A FREE IN HOME ANALYSIS MAKE COMO OIL & PROPANE YOUR HURRICANE HEADQUARTERS SECURE YOUR ASSETS WITH
VOL. 562 D 57 Copyrighted© My Living Media. 2023 All Rights reserved. To Advertise call 772-247-6849 Need More Coupons - MyLivingMedia.com MCNS6082 MCGLA03190 Closets – Entertainment Centers – Pantries – Garage Systems – Mudrooms O ce Systems – Mirrors – Shower Enclosures – Glass – Windows Sliding Glass Doors and Much More! Call Today for A Free Estimate & Design! Or Visit Our Showroom Located at: 7917 SW Jack James Dr. Suite 2 Stuart, FL 34997 (772) 781-7357 www.Facebook.com/AMasterCloset/ $300 O Any Organizational System Over $2500 Coupon Must Be Presented At Time of Purchase. Cannot Be Combined With Other O ers.

CONNECT TO YOUR COMMUNITY

WITH MY LIVING MEDIA

Florida’s #1-direct mail and multimedia marketing company, My Living Media offers the best opportunities for business owners to connect with their communities!

For 46 years, My Living Media’s premier Living Magazines have been a trusted publication for hundreds of thousands of loyal readers across Southeastern Florida to find everything from local home improvement and medical services to neighborhood restaurants and real estate opportunities. As a result, My Living Media is the go-to resource for both Treasure Coast and Palm Beach County residents to shop local… and save money!

Every two weeks, My Living Media direct mails 99+ unique, glossy-print magazines to affluent homeowners in highlytargeted communities within 5 counties: Martin, St. Lucie, Indian River, Okeechobee, and Palm Beach. We also offer select magazines on racks at popular public locations in Indian River and Okeechobee counties. In total, My Living Media reaches over 300,000 homes on the Treasure Coast and

in Palm Beach County bimonthly!

Of course, every business has a story. Why not tell yours? My Living Media’s leading editorial and advertorial opportunities within the Living Magazines allow you to attract even more people to your business as you separate yourself from the competition. Let your local communities know what makes you so special! Our advertisers already have extraordinary ROI… imagine how a well-written and beautifully-designed 2-page spread boosts that response. Better yet, call us! We’ll be happy to share our success stories with you.

In addition to the beloved Living Magazines , My Living Media designs, prints, and direct mails glossy postcards and insert flyers & menus. With these highquality print products, your business can target specific zip codes on the Treasure Coast and in Palm Beach County every two weeks. Reach the right clientele at exactly the right time!

My Living Media’s digital, social, and mobile marketing opportunities

are the perfect complement to your print advertising campaign. As a locallyowned and operated multimedia marketing company, My Living Media prides itself on providing our advertisers with comprehensive, competitively-priced solutions to connect with their communities. To deliver this value, My Living Media offers free digital, mobile, and social media marketing posts and pages for each and every one of our direct mail clients to reach countless South Florida residents beyond our circulation areas. We love small, local, and familyowned businesses… your success is our passion!

GROW YOUR BUSINESS? 100+ UNIQUE COMMUNITY MAGAZINES DIRECT MAIL High-quality printed post cards & inserts allow you to target speci c zip codes every two weeks FREE digital, mobile, & social media marketing for every one of our direct mail clients 772-247-6849 Mailing Martin, St. Lucie, Indian River, Okeechobee, & Palm Beach Counties my LIVING MEDIA ON THE WEB We are Florida’s Premier Direct Mail & Multimedia Marketing Company 24¢ POSTCARDS Some Restrictions Apply. Please call for details. PER HOME * Designed, Printed, & Mailed for…
60 VOL. 562 D Copyrighted© My Living Media. 2023 All Rights reserved. To Advertise call 772-247-6849 Need More Coupons - MyLivingMedia.com Make Your Shower & Floors Look New Again! • Tile & Grout Cleaning • Grout Restoration • Tile & Grout Repair • Loose & Hollow Tile Rebonding • Shower Repairs & Regrouting • Non-Slip Tile Treatment Call today for a FREE Estimate • 772-224-3011 or 1-800-561-3736 • www.GroutsmithStuart.com SEE THE DIFFERENCE WE CAN MAKE IN THE LOOK OF YOUR HOME! Your Grout & Tile Cleaning Experts $30OFF ANY JOB OF $300 OR MORE $50OFF ANY JOB OF $500 OR MORE With this MLM coupon only. Cannot be combined with any other offers or specials. Expires 3/31/23 No More Dirty Grout! Before Before After After With this MLM coupon only. Cannot be combined with any other offers or specials. Expires 3/31/23 Guaranteed for 10 Years! THE GROUTSMITH Veteran Owned • Licensed & Insured • COUNTERTOPS • CABINETS • KITCHENS • BATHROOMS • PANTRIES • CLOSETS • BUILT-INS • REFACING www.werackdesigns.com Full Service Home Improvements & Design 772.256.3304 SAVE $500 With Any Remodel of $5,000 or more. With this MLM coupon only. Expires 3/31/23 FREE Design & 3d Rendering of your project SCAN HERE WE RACK DESIGNS
VOL. 562 D 61 Copyrighted© My Living Media. 2023 All Rights reserved. To Advertise call 772-247-6849 gopontiki.com // 833-755-8454 Come experience our beautiful tropical waterways aboard the PonTiki and save $50 on your upcoming cruise. Beer and wine are included in the price of your ticket. Call or visit our website at to see our schedule and book your cruise! 772.247.3156 Stuart, FL Enjoy complimentary beverages as we cruise the blue waterways of Stuart. Book Online at Gopontiki.com BOAT CRUISES BOOK YOUR RESERVATION FOR SPRING BREAK & EASTER Hop on a Pontiki Boat Cruise! Cruises Available Daily!
62 VOL. 562 D Copyrighted© My Living Media. 2023 All Rights reserved. To Advertise call 772-247-6849 Need More Coupons - MyLivingMedia.comHURRICANE IMPACT WINDOWS & DOORS PROTECT WHAT’S PRECIOUS TO YOU! • Hurricane Protection • Home Security • Save on Energy Bills • Save on Insurance Costs • Increase Property Value • Noise Reduction Your Expert in Single Family Homes & Condos! “Our service & products are second to none!” The People’s Choice In Hurricane Protection! 561-336-6511 SAME DAY Appointments! AS LOW AS $120 MO. FINANCING Available! We Beat ALL Competitors’ Pricing CALL FOR DETAILS INSTALLATION & NO SALES TAX. EXP 3/18/23 License #CBC1264950 & INSURED Serving Palm Beach, Martin, & St. Lucie Counties 50% Off
VOL. 562 D 63 Copyrighted© My Living Media. 2023 All Rights reserved. To Advertise call 772-247-6849 Need More Coupons - MyLivingMedia.com 1943 SW Biltmore Street, Port Saint Lucie, FL 34984 With this MLM Coupon. Expires 3/31/23 $50 OFF Any Service Any Service $50 OFF 772-758-7352
64 VOL. 562 D Copyrighted© My Living Media. 2023 All Rights reserved. To Advertise call 772-247-6849 Need More Coupons - MyLivingMedia.com 772-758-2430 2609 W New Haven Avenue West Melbourne, FL 32904 2271 Palm Beach Lakes Blvd. West Palm Beach, FL 33409 Peace of Mind: Choose The Standby Power People Turnkey Installation • Certi ed Technician • Customer For Life Mention Promo Code: MAINTENANCE 1 GeneratorSupercentorofMelbourne.com GeneratorSupercentorofThePalmBeaches.com *Receive 3 months FREE with signing of 2-year Maintenance and Monitoring contract. Expires 04/1/23
VOL. 562 D 65 Copyrighted© My Living Media. 2023 All Rights reserved. To Advertise call 772-247-6849 Need More Coupons - MyLivingMedia.com Licensed & Insured CFC1427336 561.533.7070 PlumbRitePlumber.net $30 OFF ANY SERVICE With this MLM coupon. We have got your plumbing problems covered. Services we offer: • Sewer, Drain Stoppages, and Clogged Lines • Plumbing Leaks and Repairs • Water Heater Installation, Repair, and Replace • Electric Roto-Rooter Service • High Water Pressure Sewer Jetting • Leak Detection • Camera Inspection 24/7 EMERGENCY SERVICE LIC #U-22038 LIC #MCFE6928 We’ll Beat Reasonable Estimates From Comparable Licensed Companies & Product Offerings Some Restrictions Apply AUTOMATIC GATE OPENER SPECIALIST 561-899-4574 www.budgetfenceandgate.com Since 1950 RESIDENTIAL COMMERCIAL Se Habla Español ASK ABOUT OUR Promotion for Eligible Projects. or Interest, Payments for Months Options! Down, Low Monthly Payments 0 0 0 24 772-403-WELL | 218 SW Atlanta Ave., Stuart FL www.institutehealthwellness.com $50 Off Must present add for discount. Expires 3/30/23 (9255) EMSCULPT NEO IS THE FIRST AND ONLY NON-INVASIVE BODY SHAPING PROCEDURE THAT PROVIDES SIMULTANEOUS FAT ELIMINATION AND MUSCLE BUILDING IN A COMBINED 30-MINUTE SESSION. Sculpt Your Body!
66 VOL. 562 D Copyrighted© My Living Media. 2023 All Rights reserved. To Advertise call 772-247-6849 Need More Coupons - MyLivingMedia.comPUZZLE PAGE SUDOKU
PUZZLE PAGE CROSSWORD ACROSS 1 Asian desert 5 Weep loudly 9 Swiss peak 12 Mideast gulf 13 “Night” author Wiesel 14 Life story 15 Pantheon members 16 Quest 17 Director Howard 18 Region 19 Texter’s “Wow!” 20 Full house, e.g. 21 Dolphins’ org. 23 Here (Fr.) 25 Used a hoe 28 Put a price on 32 Dole out 33 Stage 34 Show bad posture 36 Creatures 37 Your 38 Ornate vase 39 Corn castoffs 42 Tavern 44 Party pooper 48 Small battery 49 Ireland 50 Theater box 51 Norm (Abbr.) 52 Swampy terrain 53 Portent 54 That lady 55 River to the Baltic 56 Get one’s feet wet? DOWN 1 Quite enthusiastic 2 Bloodhound’s clue 3 Eliot’s “Adam --” 4 Important details 5 Observe 6 Grad 7 Improvise 8 Allow 9 Start of a spell 10 King of the jungle 11 Frogs’ hangout 20 Everywhere 22 Command to Fido 24 Prank 25 “Now, where -- I?” 26 Right angle 27 “Xanadu” band 29 Cooking fuel 30 Ballpark g. 31 -- Moines 35 Cross 36 Stovetop feature 39 Mama -- Elliot 40 Swearword 41 Commanded 43 Suf x for billion 45 “Arrivederci --” 46 On in years 47 Actor Hackman 49 Punk-rock subgenre Solutions See Page 72
PUZZLE
VOL. 562 D 67 Copyrighted© My Living Media. 2023 All Rights reserved. To Advertise call 772-247-6849 Need More Coupons - MyLivingMedia.com Frameless Showers & Custom Mirrors Best Prices Guaranteed! $100 Off Your Frameless Shower or Custom Mirror Must present coupon at time of estimate. Not valid on previous jobs. Expires 3/30/23. Call today for a FREE Estimate! 772-837-1132 Lic#2015777089 & Insured View our work on Facebook 772-207-8996 • 787-638-5766 Coating Removal EXPERT The Future of Surface Preparation DUSTLESS SANDBLASTING Licensed & Insured High Tech Blasting Services CALL US FOR A FREE QUOTE! 10% OFF WITH THIS MLM COUPON BEFORE 4/30/23 • Replace old methods like sanding, scraping or grinding. • Powerful enough to blast through steel and gentle enough to use on priceless antiques. CAPABILITIES INCLUDE, BUT NOT LIMITED TO: • Weather Build Up • Body Filler/Bondo • Anti-Fouling Paint • Powder Coating • Mineral Deposit • Rust & Corrosion • Paint & Epoxy • Concrete Sealer • Parking Lot Strip • Grease & Grime Applications • Automotive • Graf ti • Marine • Concrete • Wood • Antiques • Heavy Equipment • Fleet Vehicles • Fire Restoration • & More! WE CLEAN ANY SURFACE FAST AND EFFECTIVELY, LEAVING READY FOR COATING AND PAINTING.
68 VOL. 562 D Copyrighted© My Living Media. 2023 All Rights reserved. To Advertise call 772-247-6849 Need More Coupons - MyLivingMedia.com NEED SHUTTERS THIS WEEK? Family Owned & Locally-Manufactured Plantation Shutters • ANGLES & RAKES • ARCHES & SUNBURSTS • OTAGON, CIRCLE, HEXAGON • SILL COVERS & CAPS HORIZONTAL ARCH PLANTATION SHUTTERS SUNBURST PLANTATION SHUTTERS www.plantationshutters a.com Treasure Coast Palm Beach 772-600-4253 or 561-420-0418 Visit our manufacturing shop at: 406 Farmers Market Rd Ft Pierce, FL 34982 IN-HOME ESTIMATES FREE $1695 SQ. FT. INSTALLED Starting at Plantation Shutters Florida™ Your Plantation Shutter Specialist Plantation Shutters Florida™ We are the Real Manufacturer Licensed & Insured CALL TODAY AND GET UP TO 10% DISCOUNT Restrictions may apply. Live 24/7 Answering PDSMartin.com Locally Owned & Operated Expires 3/18/23. Our proprietary springs will not rust or corrode and last up to 4 times longer! FREE OPENER For NEW Garage Door Regular $65000 CANNOT BE COMBINED WITH OTHER OFFERS. MUST PRESENT AT TIME OF SALE. DOES NOT APPLY TO PREVIOUS SALES. EXP 3/18/23 561-453-2971
VOL. 562 D 69 Copyrighted© My Living Media. 2023 All Rights reserved. To Advertise call 772-247-6849 Need More Coupons - MyLivingMedia.com OFF $10 Call for a FREE • Residential • Commercial • Move In/Out • Seasonal Cleaning • One-Time Cleaning GIFTAVAILABLECERTIFICATES We clean your home like it’s our own! Indiantown Tire & Service Center 772-597-3741 AFTER HOURS: 772-323-5168 16087 SW War eld Blvd. • INDIANTOWN ONLY 20 MINUTES FROM JUPITER FARMS! A/C System Check Oil Change Special Tire Special Cooling System Maintenance Service Includes: • Performance system check • Leak-test all components & connections • Check heating & cooling systems • Check drive belts & hoses Reg. $69.95 $3995 Most Vehicles Must present MLM at time of service Cannot be combined with any other specials or discounts. See Store for Details. Expires 3/31/23 Must present MLM at time of service Cannot be combined with any other specials or discounts. See Store for Details. On Most Vehicles. Expires 3/31/23 $2495 Up to 5 Qts. $4999 + Tax, Disposal & Shop Supplies Includes: • Vehicle inspection ($49 value FREE) • Check and top-off all uids • FREE 4- tire rotation Semi-Synthetic Oil & New Filter Inspection of coolant system, Rotation & Balance ing and refacing services, your original cabinet boxes stay in place –saving you the time, cost, and mess of a complete remodel. We’ll have your kitchen looking brand new in no time! Give us a call to schedule your free, in-home estimate. Before Refacing CALL TOD AY 561. 861.3532 DIEGO HERNANDEZ Locally Owned and Operated Serving Jupiter, FL and the surrounding area. Hassle-Free Kitchen Updates Choose a new color and style for your kitchen with cabinet refacing. kitchentuneup.com 1 DAY TUNE-UP • REFACING • REDOORING • CUSTOM CABINETS AND MORE!
12174 US-1 · NORTH PALM BEACH 561-556-6022 MON-FRI 8AM-6PM · SAT 8AM-5PM · SUN 10AM-3PM ANY PURCHASE OF $25 OR MORE ANY PURCHASE OF $50 OR MORE With this MLM coupon. Expires 3/31/23 With this MLM coupon. Expires 3/31/23 FRESH DAILY LOCAL $5 OFF $10 OFF NOW BEFORE
VOL. 562 D 71 Copyrighted© My Living Media. 2023 All Rights reserved. To Advertise call 772-247-6849 Need More Coupons - MyLivingMedia.com BREAKFAST & LUNCH Home Baked Desserts, Muf ns, Brownies and Our True Italian Gelato www.bustershobesound.com Burgers Shakes & More Famous SMASH BURGER Always Fresh, Prepared to Order! 8855 Bridge Rd., Hobe Sound Mon-Wed 8am-2pm; Thurs-Fri 8am-7pm Sat & Sun 9am-3pm ONLINE ORDERING & DELIVERY AVAILABLE 772-546-4093 $5 Off Any Purchase of $25 or More. Coupon Expires 3/31/23 Best Prices • Homemade Food! Dine In & Take Out MUSIC AND EQUINE THERAPY FOR CHILDREN IN NEED For Further Details and to Reserve a spot: GoatsandGoodVibes.evenbrite.com www.hhstables.org GOATS, GIGGLES GOOD VIBES & Group Music Therapy PARTICIPANTS WILL ENJOY ONE HOUR OF CREATING SONGS WITH VARIOUS INSTRUMENTS AND SPENDING TIME INTERACTING WITH OUR NIGERIAN DWARF GOAT HEARD.
72 VOL. 562 D Copyrighted© My Living Media. 2023 All Rights reserved. To Advertise call 772-247-6849 Need More Coupons - MyLivingMedia.com 10% OFF Any Job Must Present This MLM Coupon Painting Interior/Exterior Popcorn Removal Knock Down Textures Crown Moulding Dry Wall Repairs John 561-306-1813 MC Lic # CPT 4946 • PBC Lic #U-14183 SCOLLOPAINTINGINC@GMAIL.COM Scollo Painting Inc S U D O K U Solution CROSSWORD SOLUTION SOLUTION TIME: 25 MINS. PUZZLE SOLUTIONS PUZZLE SOLUTIONS Family-Owned Since 1997 the Original Paving Contractor InstallationWeSpecializeIn&Repair • A+BBB • 10-Year Warranty • Over 50 Years of Experience in Brick Paving 561-257-5775 PAVERS ARTIFICIAL GRASS 312 Center Street • Jupiter, FL 33458 www.TripleMBricks.com • MMMBRICKPAVERS@AOL.COM • Paver Repairs • Interlocking Brick Pavers • Old Chicago Bricks • Travertine • Driveways • Walkways • Patios • Pool Decks • Pool Remodeling - KID & DOG FRIENDLY - NO WATER - NO FERTILIZER - NO MUD - NO ITCHY GRASS - GREEN YEAR ROUND Refresh your Backyard with Arti cial Grass, an Outdoor Kitchen, and Pavers With this MLM Coupon. May not be combined with other offers. Expires 3/18/23 ANY INSTALLATION $100 OFF FREE ESTIMATES! Licensed and Insured License#U20229 BRICK PAVERS & ARTIFICIAL GRASS
VOL. 562 D 73 Copyrighted© My Living Media. 2023 All Rights reserved. To Advertise call 772-247-6849 Need More Coupons - MyLivingMedia.com Yacht Sales Professional Monday-Saturday 9-6; Sun. 9-5 • Regulator • Contender • Monterey • Sail sh Center Consoles / Yachts Connor Dunnam BUY - SELL - LIST - TRADE Habla Español 561-944-8604 • Rio Yachts • Majesty Yachts • And Many More Leading Brands 250 SW Monterey Rd. • Stuart, FL 34994 Professional Design and Installation High-Quality, Low Voltage Landscape Lighting 772-362-5487 With this MLM coupon. Cannot be combined with other offers. Expires 3/30/23 $55 OFF Transform Your Nights The Elite Installers of Natural and Propane Gas 2130 S.W. Poma Drive, Palm City, FL 34990 Fax: 772-220-1829 • www.EliteGasCo.com•info@EliteGasCo.com 772-220-9678 Natural & Propane Piping Tank Installation Propane Delivery Tankless Water Heaters Pool Heaters Tiki Torches & Gas Lamps Fireplaces & Fire Pits FREE $25 Propane Credit For New Residential Customers Must present OMS coupon. Expires 4/1/23 Elite Gas_0014-0823_HI562 License #18361
74 VOL. 562 D Copyrighted© My Living Media. 2023 All Rights reserved. To Advertise call 772-247-6849 Need More Coupons - MyLivingMedia.com Family Owned & Operated since 1983 24-HOUR SERVICE 4 Generations of Plumbing & Knowledge! TOLL FREE 2647 President Barack Obama Hwy., Riviera Beach, FL 33404 561-625-9414 800-323-0263 www.NorthCountyPlumbing.org • Licensed • Bonded CFC026530 Serving All of Palm Beach County for 39 Years Strong & Still Growing! PLUMBING PROBLEMS? We can handle any plumbing repair, from Big to Small! 10% $1099 $ 425 $ 99 OFF ANY SERVICE CALL Maximum ($100 Discount) With this MLM coupon. Cannot be combined with any other offer. Expires 3/31/23 INSTALLED WATER HEATER SPECIAL Electric Only. 50 - 40 - 30 - Tall or Med. No Hidden Costs Regular Price $1199 - Special Price $1099 - SAVE $100 With this MLM coupon. Cannot be combined with any other offer. Expires 3/31/23 TOILET REBUILD SPECIAL Includes Fill Valve & Flapper. Standard Toilets Only Regular Price $148 - Special Price $99 - SAVE $49 With this MLM coupon. Cannot be combined with any other offer. Expires 3/31/23 In Garage on Floor Only. +TAX NEW TOILET Supply & Install White Round or Elongated Toilet With Seat, Standard Height. Reg. Price $499, Special Price $425 SAVE $75. Additional Charges Will Be Applied for Above 1st Floor Installations. With this MLM coupon. Cannot be combined with any other offer. Expires 3/31/23 Motorized Roll-Up Screens for Garages, Patios, or Lanais YOUR LOCAL SCREEN & AWNING DEALER. RATED #1 IN SERVICE 561-349-6788 FlaScreens.com Serving Port St Lucie to Boca Raton • Visit Our Showroom at: 2885 Jupiter Park Dr. • Suite 1900A • Jupiter, FL 33458 • Power Screens • Retractable Awnings • Nano Bugmesh • Solar Fabrics • FREE In-House Estimates ENTERTAIN OUTDOORS YEAR ROUND! Let The Fresh AIR IN, Keep the BUGS OUT. Lic.# U-20970
VOL. 562 D 75 Copyrighted© My Living Media. 2023 All Rights reserved. To Advertise call 772-247-6849 561-468-7281 www.windowreplacementgroup.com SCC# 131152429 CBC# 1264555 IMPACT WINDOWS & DOORS The Group of Professionals You Can Trust! Energy Saving Enhance Home’s Appearance & Value Hurricane & Burglary Protection Reduce Insurance Cost Sound Reduction TM TM *Offers cannot be combined. Exp. 3/18/23 *Offers cannot be combined. Exp. 3/18/23 FREE SPECIAL ENTRY DOOR *WITH PURCHASE OF FULL HOUSE INSTALL ASK ABOUT OUR PRICING FOR IMPACT WINDOWS, PATIO & ENTRY DOORS

medical MARIJUANA Is

just more…FAKENEWS?

Bynow, you’ve likely heard the almost miracle-like anecdotes from “patients” on the news about medical marijuana as it becomes more mainstream. When I hear these stories, I have to wonder: are they legitimate? I had to know the TRUTH, so I arranged to sit down with Dr. Anne Lynn Morgan, the Chief Medical Of cer at MMJ Health, Florida’s top-rated medical marijuana doctor’s of ce.

Many people don’t know that medical marijuana is legal in Florida, let alone readily available at over 250 in-state dispensaries (imagine a pharmacy speci cally for medical marijuana). For years, pop culture has depicted marijuana primarily as a recreational drug, but there’s more to the plant than what’s shown on the silver screen. Since its legalization, medical marijuana’s profound effects have changed the lives of countless Floridians. Dr. Morgan, as Florida’s top rated Medical Marijuana Specialist, is responsible for much of this positive impact. Indeed, she and the staff at MMJ Health were honored to be named by The Palm Beach Post as the “Best Medical Marijuana Card Provider” for their level of service and ef cacy in 2020!

Additionally, Dr. Morgan is an expert in the eld of medical marijuana, and is among one of the most respected clinicians in the industry. She sits on the board of directors for the American Academy of Cannabis Medicine, is a member of the International Cannabinoid Research Society, and is considered to be one of the industry’s highest-rated cannabis clinicians (no pun intended). Dr. Morgan has been in practice for 33 years and was the former Medical Director for United Health, Metropolitan Health, and Humana.

Dr. Morgan has been practicing marijuana medicine speci cally for the last 9 years, with licenses in Florida, Washington, and Pennsylvania. After years of education, research, and hands-on experience, Dr. Morgan attests to the relief medical marijuana brings to people, saying, “We have found that we have over a 90% success rate with medical cannabis.”

Dr. Morgan explains that medical marijuana patients at MMJ Health, rather than experiencing psychoactive effects or feeling high, nd relief from various medical conditions, including anxiety, depression, insomnia, arthritis, cancer, IBS, epilepsy, PTSD, autoimmune disorders, migraines, Parkinson’s, ADHD, Fibromyalgia, dementia, Alzheimer’s, and more. Medical marijuana is not for getting high, it’s for feeling better! How does it work? It’s simple –THC and CBD.

THC and CBD are two chemical compounds that come from the marijuana plant and affect the endocannabinoid system, the human body’s natural system for processing cannabis. “The endocannabinoid system’s reason for existing is to keep our bodies in homeostasis, i.e. healthy and balanced. Cannabis can positively affect so many systems in the body that are not being managed properly by pharmaceuticals,” says Dr. Morgan. Many of MMJ’s patients, since using medical cannabis, have been able to drastically reduce their prescription medication regimen, or have stopped taking prescriptions altogether!

4 VOL. 559 H/K Copyrighted© My Living Media. 2022 All Rights reserved. To Advertise call 772-247-6849 Need More Coupons - MyLivingMedia.com

Marijuana is still classi ed as a Schedule 1 substance federally, but Dr. Morgan explains, “It’s not what you think… Medical marijuana is not a narcotic. In fact, after using medical marijuana, many of our patients have reduced taking narcotics and/or opiates without even being asked!”

Medical marijuana is not like anything sold on the street... it’s completely safe! When you get your marijuana from a dispensary, you don’t have to worry about whether it was adulterated. Dr. Morgan clari es, “Florida has very stringent rules about how medical marijuana is grown and prepared, so you know it’s clean, pesticide-free, and has no bacteria or viruses.”

Medical marijuana has become a go-to for doctors across the nation to give their patients relief from a myriad of conditions without having to worry about the severe side effects associated with many pharmaceuticals. For the patients at MMJ Health, medical marijuana is 100% making a difference in their everyday lives. The stories are real. Dr. Morgan says that it is not uncommon for patients to cry, hug, and thank her because they are feeling better than ever since using medical cannabis. Dr. Morgan has seen the results, and she urges anyone and everyone to consider trying medical marijuana.

MMJ Health is at the forefront of technology, so nding out if you qualify for a medical marijuana card is super simple! The MMJ Patient Quali cation System, accessible at www.mmjhealth.com, allows you to nd out in minutes whether you qualify. If you do, then the MMJ Health of ce will contact you. MMJ Health has all of the resources necessary to get your health back on track!

So the real question now is: why wait? MMJ Health is the only all-inclusive medical marijuana of ce in Florida, so you can get quali ed for your medical marijuana card in one visit. The friendly and knowledgeable staff will ll out the tricky government application for you, take your ID photo in their of ce, and submit all of your paperwork to the Florida Health Department. The only thing you have to do once you leave their of ce is wait for your card!

“You shouldn’t have to suffer… medical cannabis can help you! We are real doctors who provide real results,” says Dr. Morgan. The expert staff at MMJ Health encourages you to “Please come and see the MMJ Health difference. We care, we make a difference as a team, and we know our cannabis medicine. Isn’t it time to live your life the way you want, symptom and side-effect free?”

MMJ Health is located at 600 Sandtree Drive in Suite 108 in Palm Beach Gardens. MMJ Health also has locations in West Palm Beach, Port St. Lucie, Stuart, Melbourne, Wellington, Boynton Beach, and Boca Raton. Their of ces are open Mondays-Fridays from 9AM-7PM and Saturdays-Sundays from 10AM-7PM. For more information, please call 561-631-7994 or 772-212-4032, or visit www.mmjhealth.com.

VOL. 559 H /K 5 Copyrighted© My Living Media. 2022 All Rights reserved. To Advertise call 772-247-6849 Need More Coupons - MyLivingMedia.com
78 VOL. 562 D Copyrighted© My Living Media. 2023 All Rights reserved. To Advertise call 772-247-6849 *Additional charges may apply for heavily soiled areas Serving the Treasure Coast from Vero to Palm Beach 772-919-7163 • 561-250-0088 WWW.CarpetCleanerInFlorida.com 3 ROOMS $68 2 ROOMS $42 5 ROOMS $99 TILE & GROUT CLEANING 39¢ SQ. FT. 100 SQ. FT. MINIMUM FURNITURE CLEANING $60 SOFA OR LOVE SEAT OR 2 CHAIRS AREA RUGS $40 AND UP PREVENTS FIRES DRYER VENT CLEANING FREE DEODORIZER, SANITIZER, & DISINFECTANT $85FROM & SPEEDS DRYING TIME OFFER #MS3-1 CARPET CLEANING Licensed Ask about ...dries in half the time!
VOL. 562 D 79 Copyrighted© My Living Media. 2023 All Rights reserved. To Advertise call 772-247-6849 Need More Coupons - MyLivingMedia.com POOL SCREEN ENCLOSURES THE ORIGINAL Locally Owned & Operated Since 1990 • Pool Screen Enclosures • Patio & Lanai Screens • Poly Aluminum Roofs • All Work Guaranteed • All Repairs • FREE Estimates • www.pioneerscreen.com 561-771-0287 38 Years of Experience Licensed & Insured To Protect You $100 OFF ANY RE-SCREEN OR REPAIR OVER $1000 WE WILL MEET OR BEAT ANY LICENSED CONTRACTOR’S ESTIMATE WITH THE SAME QUALITY PRODUCTS! THE WINDOW & DOOR SPECIALIST 772-288-6205 WWW.KAMRELL.COM KAMRELL When You Want It Hung Well... TRUST FAMILY OWNED & OPERATED SINCE 1999 8200 SW LOST RIVER ROAD STUART, FLORIDA 34997 Financing Options Available On Our Website LICENSED & INSURED CGC061180 THE DOOR SYSTEM YOU CAN BELIEVE IN THE DOOR OF BEAUTY AND INOVATION CREMATIONS Starting at $695 Funerals Unique as YourLife! OF FORT PIERCE Funeral Home and Cremation Local Family Owned & Operated 772-742-4693 1800 Okeechobee Rd • Ft. Pierce stfortsfuneralhomefortpierce.com
Second Location 4880 SE Federal Hwy. • Stuart 552 US Hwy. 1 North • Tequesta (LOCATED IN THE PUBLIX PLAZA) 1-833-ACE-CART 223-2278 Second Location Aceofcarts.com Ace of Carts Authorized Club Car Dealer Now Open in Tequesta! Red Tag Sales Event! OVER 200 BRAND NEW CLUB CARS IN STOCK! Must be a 2022 Model Year Club Car from dealer stock. Offer expires 3/30/23 or while supplies last. Financing is available with standard rates. Not eligible for 0% Financing promotion; offers do not combine. Ace of Carts has the Area’s Largest Selection of Golf Carts! CARTS IN STOCK AND READY FOR DELIVERY! $1,000 in FREE Accessories FREE Local Delivery Destination & Setup Charges. REGISTER ONLINE TO GET: https://aceofcarts.com/red-tag/ Promo code: MLM822 SALES• SERVICE • PARTS Residential Customer PRSRT STD ECRWSS US POSTAGE PAID PERMIT #145 STUART, FL 2081 SE Ocean Blvd. • Suite 4 Stuart, Florida 34996 • 772-334-2121

Turn static files into dynamic content formats.

Create a flipbook
Issuu converts static files into: digital portfolios, online yearbooks, online catalogs, digital photo albums and more. Sign up and create your flipbook.