Gesund in Münster | Nr. 15

Page 1


Karussell im Kopf

Volkskrankheit Schwindel

Silver Athletes

Effizient trainieren in jedem Alter

Der feine Unterschied

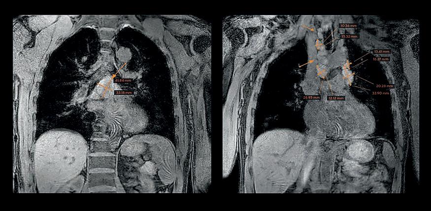
Ganzkörper-MRT in der radiologischen Privatpraxis Dr. med. Michael J. Ho

Dr. med. Michael J. Ho setzt die Ganzkörper-MRT bereits erfolgreich als Früherkennungsuntersuchung ein. Er ist Facharzt für Radiologie und Experte für die Bildgebung der peripheren Nerven.

In seiner Privatpraxis im Herzen der Altstadt von Münster bietet er Ihnen das gesamte Spektrum moderner MRTDiagnostik sowie MRT-geführte Interventionen an. Zusätzlich profitieren Sie als Patientin bzw. als Patient von dem national und international tätigen ARISTRANetzwerk, das aus kompetenten und erfahrenen Ärztinnen und Ärzten besteht.

Harsewinkelgasse 19 48143 Münster . Rufen sie uns gerne an 025192871533

„Ich habe es mir zur Aufgabe gemacht, meine Patientinnen und Patienten mit Hilfe modernster medizinischerDiagnostikkompetentzubetreuen und zu beraten.

Unser Ansatz in der Diagnostik spart viel Zeit und das ist vor allem wichtig, wenn es um schwere und schmerzhafte Krankheitsbilder geht. Nur so kann die individuell angemessene Therapie schnell begonnen werden.“

Dr. med. Michael J. Ho

Sie möchten einen Termin für eine MRT-Untersuchung buchen?

aristra.de/untersuchungen/mrt-ganzkörper

Der feine Unterschied

Männer und Frauen sind unterschiedlich – das gilt auch für ihre Gesundheit. Diese Unterschiede zeigen sich z. B. bei kardiovaskulären Erkrankungen, die bei Frauen andere Symptome verursachen als bei Männern, bei Depressionen und Osteoporose, die bei Männern häufig unerkannt bleiben, oder bei der unterschiedlichen Wirkung von Arzneimitteln. Die Medizin kann da ganz schön ungerecht sein, denn der Fokus lag lange Zeit auf dem männlichen Patienten. Der stereotypische „Erwachsene“ war in der Regel ein männlich konnotiertes Neutrum. Dabei belegen Forschungsergebnisse, dass die Vernachlässigung von Geschlechtsaspekten zu einer schlechteren Versorgung der Patient:innen führt. Eine geschlechtersensible Medizin will Stereotype überwinden, damit Erkrankungen rechtzeitig diagnostiziert werden. Warum es dabei um mehr als „nur“ Männer und Frauen geht, erläutern wir in unserem Special zur Geschlechtersensiblen Medizin. Gamechanger in der Vorsorgemedizin! Wer kennt sie nicht, die ikonischen Szenen aus Star Trek, in denen der Schiffsarzt verletzte Besatzungsmitglieder mit einem piependen Scanner von Kopf bis Fuß durchleuchtet, der dabei auch noch präzise medizinische Analysen erstellt. Von wegen Science-Fiction-Szenario! Moderne GanzkörperMRTs machen es (fast) möglich. Mehr dazu in der Rubrik „Radiologie“. Silver Athletes! Allgemeine Trainingsempfehlungen beziehen sich oft auf Menschen, die jünger als 30 Jahre alt sind. Wie aber sollten Menschen trainieren, die älter als 50 oder sogar 60 Jahre sind, vor allem wenn sie konkrete Ziele erreichen wollen? Langsam und gemächlich? Nicht unbedingt! Wie auch „Best Ager“ auf gesundem Weg ihr Leistungsoptimum erreichen können, erläutert Dr. med. Gerrit Borgmann. Außerdem in dieser Ausgabe: Moderne Ausbildungsberufe und Studiengänge in der Pflege, neue Bewegungsräume an der VHS Münster, Kieferfehlstellungen gezielt behandeln, wieder fit werden in der ambulanten Reha, guten von schlechtem Stress unterscheiden, u.v.m.

Achtet auf euch, bleibt aktiv und gesund!

Amelie Gruhn & Frank Schmidt

GESUND IN MÜNSTER

fürs Wohlbefinden Warum kriegen wir Gänsehaut? Wie viele Mahlzeiten am Tag benötigen wir eigentlich? Warum Sport die beste Medizin ist!

Gesundes Training für Best Ager

Mehr als gelegentliches Aufstoßen

Wissensvermittlung

RADIOLOGIE

46 Ganzkörper-MRT

Gamechanger in der modernen Vorsorgemedizin

KARDIOLOGIE

50 Hand auf's Herz

Der Rhythmus muss stimmen

52 Für ein gesundes Herz

Kardiologische Rehabilitation im ZaR Münster

KIEFERORTHOPÄDIE

56 Dysgnathie

Kieferfehlstellungen gezielt behandeln

58 Unsichtbare Zahnspange – sichtbares

Ergebnis

Schöne, gerade Zähne in jedem Alter

SPRECHSTUNDE

34 Guter Stress, schlechter Stress

Wann wird es gefährlich?

36 Schwindelattacken

Karussell im Kopf

GESUNDHEIT & ENTSPANNUNG Kursprogramm

54 Bioadaptive Impulstherapie

Hilfe bei akuten und chronischen Schmerzen

60 Medizin in Münster

Münsters Praxen im Porträt

66 PVS Westfalen

Im Zeichen der Nächstenliebe: Wunschbaumaktion & Spenden für Menschen in Not

ADRESSEN

68 Über 800 ausführliche Gesundheitsadressen aus Münster: Kliniken, Ärzte, Apotheken, Physiotherapie, Wellness, etc.

Gänsehaut

WARUM EIGENTLICH?

Ganz klar, wenn es kalt ist, bekommen wir eine Gänsehaut. Eine Schutzfunktion des Körpers. Sie bewahrt uns vor Kälte, indem sie die kleinen Muskeln an den Haaransätzen aktiviert und gleichzeitig dafür sorgt, dass sich die Haare aufstellen und ein isolierendes Luftpolster bilden. Aber warum wir bei Musik, Filmen oder emotionalen Momenten eine „Entenpelle“ bekommen, konnte von der Forschung noch nicht abschließend geklärt werden. Ein Ansatz ist, dass der Körper diesen Schutzmechanismus auch aktiviert, wenn er sich emotional bedroht fühlt. Gänsehautmomente entstehen vor allem dann, wenn eine besondere Spannung entsteht. Das ist selten der Fall, wenn alles einfach gut ist – oft gibt es nämlich einen negativen Beigeschmack. Die Emotion, die wir bei einem bewegenden Song empfinden, ist demnach nicht ausschließlich positiv, auch wenn wir das Lied schön finden. So die Theorie. Übrigens können auch Tiere eine Gänsehaut bekommen. Aufgestellte Nackenhaaren oder ein buschiger Schwanz bei Hunden und Katzen lassen sie zudem größer erscheinen, um potenzielle Feinde abzuschrecken.

Sport ist die beste Medizin

IN BEWEGUNG BLEIBEN

Eine Studie zu Risiken für das Herz-Kreislauf-System ergab, dass 5 Stunden körperliche Bewegung pro Woche erforderlich sind, um ein tägliches Sitzen von 8 und mehr Stunden zu kompensieren. Stehen statt sitzen verbesserte das kardiovaskuläre Risiko nicht. Sport dagegen stärkt das Immunsystem und eignet sich wunderbar zur Prävention von Herz-Kreislauf-Erkrankungen, Bluthochdruck, Typ-2-Diabetes, Krebserkrankungen, Osteoporose, Übergewicht, Stress und Burnout. Außerdem darf man nach absolvierter Einheit auch gern ein bisschen stolz auf sich sein. Das ist gut für die Psyche.

Ingwer GESUNDER

ALLESKÖNNER

Zugegeben, nicht jeder mag Ingwer, dabei wird der Pflanze viel Gutes nachgesagt. Sie wird bei Kopf-, Magen- und Menstruationsschmerzen eingesetzt. Die Wurzel wirkt bei Husten schleimlösend und schaltet Übelkeit ab. Einige positive Effekte wurden bereits durch umfangreiche Studien belegt, wie z. B. die vorbeugende Wirkung bei Erkältungen. Es wurde nachgewiesen, dass Gingerole und Shogaole stark antioxidativ und entzündungshemmend wirken. Die Ingwer-Scharfstoffe stimulieren das Immunsystem: In Laborversuchen konnte ein Team vom Leibniz-Institut für Lebensmittel-Systembiologie zeigen, dass schon geringe Mengen Gingerol weiße Blutkörperchen in erhöhte Alarmbereitschaft versetzen, sodass die Immunzellen verstärkt auf eine bakterielle Infektion reagieren können. Kleine, frische Ingwerscheibchen kann man einfach selbst zu einem Heißgetränk – mindestens 6 Minuten ziehen lassen – verarbeiten oder einer Mahlzeit den gewissen Schärfekick verleihen. Oder als Shot – gern in Kombination mit Zitrusfrüchten, damit erhöht sich zudem die Vitamin-C-Zufuhr. Wem der Geschmack nicht behagt, kann auf die Pillenform zurückgreifen. Hier auf jeden Fall die Dosierung beachten. Unser Tipp: Auch Kurkuma stärkt das Immunsystem.

Heilwolle

PFLEGENDES

FÜR DIE HAUT

Manche schwören darauf: Bei Erkältungen können Brustwickel aus Heilwolle wohltuend wirken. Auch bei Muskelverspannungen kann das Naturprodukt helfen. Es wärmt die Haut, fördert die Durchblutung und löst die unangenehmen Verspannungen. Und wenn ein Baby einen wunden Po hat, kann Heilwolle – einfach in die Windel gelegt – Entzündungen mildern. Heilwolle ist naturbelassene Schafwolle mit Restfettgehalt. Sie enthält Wollwachs, das hautpflegende Eigenschaften hat. Heilwolle soll den Heilprozess bei leichten Beschwerden unterstützen, ersetzt jedoch keine medizinische Behandlung. Es ist ratsam, vor der Anwendung von Rohwolle mit einem Arzt oder einer Ärztin zu sprechen.

Mundwasser

GUT DURCHGESPÜLT?

Manche schwören auf Mundspüllösungen, aber mit einem Mythos können wir vorab schon aufräumen. Das Gurgeln ersetzt definitiv nicht das Zähne putzen. Nur das Putzen mit Bürste und die Verwendung von Zahnseide entfernt zuverlässig Essensreste und Beläge. Ergänzend dazu können Fertiglösungen sinnvoll sein. Zum Beispiel bei empfindlichen Zahnhälsen oder der Neigung zu Zahnfleischentzündungen. Empfehlenswert sind Präparate mit Fluorid, die den Zahnschmelz widerstandsfähiger gegen Säuren in Nahrungsmitteln machen und einen gewissen Schutz gegen Karies bieten. Vor Mundgeruch schützt die Lösung jedoch nicht. Ein Mundwasser sorgt nur kurzfristig für frischen Atem.

Vor lauter Bäumen den Stress vergessen WALDBADEN

Viele Menschen sind dauerhaft gestresst. Das ist gefährlich für Körper und die mentale Gesundheit. Bewegung ist w ichtig. Wer täglich eine Stunde zügig spazieren geht, senkt sein Depressionsrisiko. Am besten im Wald, das bringt den Blutdruck runter und die Lungenkapazität nimmt deutlich zu. Umgeben von Bäumen ist zudem der Stresspegel niedriger. Aber neben Aktivität brauchen wir in unserer Freizeit auch Ruhe und Erholung. Unterstützende Tools zur Regeneration können nach eigenen Vorlieben gewählt werden: Eine entspannende Massage, ein pflegendes Schaumbad oder einfach ein ganz besonderes Essen mit unseren Liebsten – es braucht Selbstfürsorge, damit der innere Akku nicht leerläuft.

MVZ Gynäkologie & Hormonlabor

Münster

Im MVZ Gynäkologie und Hormonlabor Münster bieten wir Frauen eine RundumBeratung in allen Lebensphasen. Ob Routinevorsorge, Begleitung bei Schwangerschaften, gynäkologische Erkrankungen, akute Beschwerden, individuelle Verhütungsmethoden oder einfach nur zur Beratung – wir sind immer eine gute Adresse. Bei Hormon- und Stoffwechselerkrankungen wie zum Beispiel Zyklusstörungen, Hormonstörungen oder zur Hormonabklärung bei unerfülltem Kinderwunsch etc. finden wir mit Ihnen eine passende Lösung.

MVZ Gynäkologie und Hormonlabor GmbH

Salzstraße 2 | 48143 Münster

Tel.: 0251 89906-0 | Fax: 0251 89906-77

www.hormonzentrum-muenster.de info@hormonzentrum-muenster.de

Dr. med. Sandra Leiter
Dr. med. Linda Thiemann
Dr. med. Dorothea Nolting
Dr. med. Kristina Zdebel

Zähne zusammenbeißen

KEINE GUTE IDEE

Wir kennen die Redewendung: Wenn man etwas Unangenehmes durchstehen muss, sollte man die Zähne zusammenbeißen. Für die Zähne ist das allerdings alles andere als gesund. Menschen, die an Schlafbruxismus leiden, knirschen oder pressen nachts ihre Zähne bzw. ihren Kiefer unbewusst mit einer Kraft zusammen, die den normalen Kaudruck um das Zehnfache übertrifft. Von bis zu 800 gemessenen Newton wird in Studien gesprochen, das entspricht einem Druck von rund 81 Kilogramm, der auf Zähne, Kieferknochen und -muskeln wirkt. Das Resultat sind abgeflachte, stark abgenutzte oder beschädigte Zähne. Eine eigens angepasste Schiene – meist reicht eine für den Unterkiefer – schützt die Zähne, aber behebt lediglich das Symptom. Wenn keine zahnmedizinischen und kieferorthopädischen Ursachen zu finden sind, heißt das Zauberwort: Stressreduktion!

Gut gekaut, ist halb verdaut ESSEN MIT VERSTAND

Richtiges Kauen ist nicht nur gut für die Verdauung, sondern hilft auch beim Abnehmen. Denn das Kauen hat einen enormen Einfluss darauf, wie viel wir essen, weil man das Hunger- und das Sättigungsgefühl, das etwa nach 15 bis 20 Minuten einsetzt, besser spürt. Wenn man lange genug auf ungesunden Lebensmitteln wie Chips herumkaut, schmecken sie auch nicht mehr gut. Die Lust auf Gesundes steigt. Wer Zähne und Speichel ihre Arbeit tun lässt, kann dem Verdauungstrakt viel Arbeit abnehmen. Der Speichel enthält bereits Verdauungsenzyme, die die Nahrung schon im Mund in ihre Einzelteile zerlegen. Wer sorgfältig kaut, bekommt in der Regel seltener Sodbrennen, Blähungen oder Verstopfung. Zudem schluckt man meist weniger Luft, was das Völlegefühl verringert. Je nach Konsistenz der Mahlzeit sollte jeder Bissen 20 bis 30 Mal gekaut werden.

Mahlzeit!

WIE VIELE PRO TAG?

Über kaum etwas wird so kontrovers diskutiert wie über unsere Ernährung. Da geht es nicht „nur“ darum, was wir essen, sondern auch wie wie oft. Fünf kleine oder drei große Mahlzeiten am Tag? Da scheiden sich die Geister. Häufig heißt es, dass mehrere kleine Mahlzeiten über den Tag verteilt den Stoffwechsel anregen. Letztlich ist es aber nicht entscheidend, wie oft man isst, sondern was und wie hoch die Gesamtmenge an Kalorien ist – vor allem, wenn man abnehmen möchte. Drei gesunde, ausgewogene Mahlzeiten am Tag sind daher beispielsweise besser als fünf ungesunde, fettund zuckerreiche Snacks. Was aber stimmt: Tatsächlich sind Sportler leistungsfähiger, wenn sie häufiger kleinere Mengen essen. Manchen Menschen fällt es zudem leichter, Heißhungerattacken zu begegnen, wenn sie mehrere kleine Mahlzeiten zu sich nehmen. Ob drei, vier oder fünf – entscheidend ist, dass man sich dabei wohlfühlt.

Trinken nicht vergessen! ESSENZIELL

FÜRS

WOHLBEFINDEN

Im Sommer eine Selbstverständlichkeit, aber in der kälteren Jahreszeit muss man sich selbst immer mal wieder daran erinnern, ausreichend Flüssigkeit zu sich zu nehmen. Sonst leidet u. a. die Konzentration. Die Deutsche Gesellschaft für Ernährung (DGE) gibt 1,5 l pro Tag als ungefähren Richtwert an. Oder anders gesagt: Alle 2 Stunden ein Glas Wasser je 200 oder 250 ml. Die genaue Menge kann sich je nach Körpergewicht und täglicher Bewegung stark unterscheiden. Pro 60 Minuten Sport sollten mindestens 500 ml getrunken werden. Am besten schon vor dem Sport ein Extraglas trinken, um die Leistungsfähigkeit hochzuhalten.

Cannabis

Eine Droge als Medizin

Die Legalisierung von Cannabis im April 2024 hat in Deutschland hohe Wellen geschlagen. Zu medizinischen Zwecken ist die Droge jedoch schon seit 2017 zugelassen. In vielen Teilen der Welt zählt Cannabis übrigens zu den ältesten Nutz- und Heilpflanzen. Droge oder Medizin?

Vielleicht liegen dazwischen gar keine Welten. Es ist wie so oft: Die Dosis macht das Gift. Sie entscheidet, ob Cannabis als Medikament wirkt oder einen Rausch erzeugt.

Bereits seit sieben Jahren können Ärzte Patienten mit schwerwiegenden Erkrankungen und bei fehlenden Therapiealternativen Cannabis (Cannabinoide) verordnen – die gesetzlichen Krankenkassen tragen die Kosten. Cannabis kann bei chronischen Schmerzzuständen, zum Beispiel bei neuropathischen oder durch Krebs verursachte Schmerzen, eingesetzt werden. Auch bei Spastik und Krämpfen, die durch Multiple Sklerose oder andere neurologische Krankheiten ausgelöst werden, kann medizinisches Cannabis Linderung verschaffen. Einer durch Chemotherapie her vorgerufene Appetitlosigkeit lässt sich ebenfalls möglicherweise mit Cannabinoide bekämpfen.

Die gesetzlichen Krankenkassen übernehmen jedoch nur unter bestimmten Voraussetzungen die Kosten. Dazu gehört in der Regel, dass alle Optionen ausgeschöpft wurden, die als Standard für die Behandlung einer bestimmten Erkrankung gelten. Nur wenn diese Standardtherapien nicht (mehr) ausreichend wirksam sind oder nicht vertragen wurden, kommt eine Cannabistherapie auf Kosten der Krankenkasse in Betracht. Wenn eine Standardtherapie zwar zur Verfügung stehen würde, die Ärztin oder der Arzt aber nachvollziehbar begründen kann, dass diese – zum Beispiel wegen Kontraindikationen – nicht angewendet werden kann, ist die Kostenübernahme ebenfalls möglich.

Rauchfreie Alternative

Medizinisches Cannabis wird selbstverständlich nicht mit Tabak versetzt geraucht. Und auch nicht in Keksform verzehrt, weil durch die langsamere Aufnahme und die damit verzögerte Reaktion die Gefahr einer Überdosierung besteht. Zu Therapiezwecken gibt es Cannabis als Spray zur Anwendung in der Mundhöhle, zur oralen Anwendung, wie z. B. flüssige Cannabisextrakte, Dronabinol-Tropfen, -Kapseln oder Cannabis-Tee oder man kann die gemahlenen Blüten durch Vaporisieren inhalieren.

Die Menge macht’s

Anders als bei vielen anderen Medikamenten muss die Dosierung für alle Betroffenen individuell gefunden werden. Um Rauschzustände durch enthaltenes THC zu vermeiden, wird in der Regel mit einer sehr geringen Dosis begonnen.

Was ist was?

Insbesondere die Blüten der Cannabispflanze enthalten viele Wirkstoffe. Dazu zählen als Hauptinhaltsstoffe die rund 100 bisher identifizierten Cannabinoide. Am bekanntesten sind das THC (Tetrahydrocannabinol), das psychoaktiv wirkt, und CBD (Cannabidiol), dessen Wirkung noch nicht hinreichend erforscht ist. Als mögliche therapeutische Wirkungen werden jedoch antioxidative, entzündungshemmende, antiepileptische, brechreizhemmende, angstlösende, antidepressive oder antipsychotische Effekte genannt. CBD soll so gut wie keine Nebenwirkungen haben.

Ist diese gut verträglich, wird sie langsam erhöht, bis die gewünschte Wirkung ausreichend ist. Jeder Mensch reagiert anders auf Cannabis, deshalb sollte nicht nur die Dosis, sondern auch die Art der Anwendung ausführlich mit dem behandelnden Arzt besprochen werden. Denn die Gefahr einer Abhängigkeit besteht bei regelmäßigem und zu hoch dosiertem, unkontrolliertem Konsum – dann wird die Medizin tatsächlich zur Droge mit allen negativen Konsequenzen.

Cannabis: Die Rechtslage in Deutschland

In Deutschland dürfen Volljährige seit April 2024 ohne Strafe bis zu 25 Gramm Cannabis für den eigenen Bedarf mit sich führen. In der Wohnung werden bis zu 50 Gramm (oder drei Cannabispflanzen) toleriert. Der Erwerb ist in Cannabis Social Clubs möglich. Der Grenzwert im Straßenverkehr liegt bei 3,5 ng/ml THC im Blutserum; Mischkonsum mit Alkohol ist dabei streng verboten.

Eymann Sauna

Gut für das Immunsystem!

Einfach mal abschalten – und an nichts denken! An keine To do-Listen, keine Termine, keine Probleme. Einfach mal eintauchen in eine andere Welt, in der alles von uns abfällt. Ein Tag oder wenigstens ein paar Stunden, in denen wir nur uns gehören – herrlich! Den Schalter umlegen – genau das schafft die Eymann Sauna. Das Amelsbürener Saunaparadies ist aber zugleich auch Trainingsparcours: Denn auch unser Immunsystem profitiert von regelmäßigen Saunabesuchen.

Entspannung für Körper und Seele

Die „Zutaten“ in der Eymann-Sauna machen es einem leicht, abzuschalten und mit einem wohligen Seufzen in entspanntes Nichtstun zu versinken – mit nichts als träumerischen Alphawellen im Kopf. Sechs komplette Sauna-Anlagen mit

insgesamt 16 Kabinen, Whirlpool, Schwimm- und Wassertretbecken bieten reichlich Auswahl für jeden Geschmack und jede Gemütslage. Und dann ist da noch diese fantastische Parklandschaft, in die sich die Saunen harmonisch einfügen und die mit ihrer abwechslungsreich gestalteten Natur eigentlich schon für sich genommen einen Besuch wert ist. Und während Körper und Geist angenehm entspannen, macht unser Immunsystem „Hanteltraining“. Denn ein Saunabesuch ist ganz nebenbei auch ein gesundes Fitnessprogramm für den Körper und das Abwehrsystem. Die Schleimhäute beispielsweise werden durch die heiße Luft besser durchblutet und sondern mehr Sekrete ab, in denen sich Abwehrstoffe gegen Krankheitserreger befinden. Wichtig aber beim Saunabesuch ist vor allem das Wechselspiel von Heiß und Kalt, von Schwitzen und kräftigen Abkühlungen: Das trainiert die Blutgefäße, die sich schnell weiten

und zusammenziehen müssen und durch regelmäßiges Training schön elastisch bleiben. Saunagänge härten aber nicht nur ab und machen den Körper widerstandsfähiger, sie erhöhen auch die Zahl der weißen Blutkörperchen, die wichtig im Kampf gegen Krankheitserreger sind. Zusätzlich profitiert unser Immunsystem noch von der entspannenden Wirkung der Sauna, die Stress reduziert: Der nämlich ist Gift für die natürliche Immunreaktion des Körpers. Kurz: Saunagänger leiden erwiesenermaßen deutlich seltener unter Herz-Kreislauf-Erkrankungen – und unter grippalen Infekten. Wie herrlich angenehm, die eigene Gesundheit durch entspanntes „Nichtstun“ in luxuriöser Wohlfühlatmosphäre stärken zu können!

Kelo-Sauna über dem Schwimmteich

Ein echtes Highlight ist die Blockhaus-Sauna am Hang über dem Schwimmteich, die in 2022 eingeweiht wurde. Erbaut ist sie durch und durch aus massivem Kelo-Holz – dem hochwertigen und ganz besonderen Holz der Polarkiefer. Die wächst – wie der Name vermuten lässt – am Polarkreis. Wenn das Wachstum der Bäume nach 300 bis 400 Jahren stoppt, sterben sie auf natürliche Weise ab und trocknen an Ort und Stelle stehend über Jahrzehnte. Selbst im waldreichen Finnland wird dieses Holz wegen seiner außerordentlichen Formbeständigkeit und seiner Haltbarkeit über Generationen hinweg geschätzt. Die Besucher der Eymann Sauna hingegen schätzen eher die rustikale Optik, die silbergraue Patina des Holzes – und den wunderbaren Duft, den es verströmt. 90 Gäste können hier durch eine riesige Panoramascheibe einen umwerfenden Blick auf die schöne Landschaft am Teich genießen – oder in der nach oben offenen, bepflanzten Dusche in den Himmel schauen.

Salz & Sole

In der Kelo-Sauna zeigt sich die Liebe zum Detail ebenso wie in allen anderen Dingen: von den schön gestalteten

Kabinen über die vielen verwinkelten und teilweise mit Lehmputz klimatisierten Ruheräume bis hin zum herrlichen Parkgelände, das mit seinem wohltuenden Grün, den wechselnden Landschaften, dem Plätschern von Wasser und dem sanften Rauschen der Bäume, mit Wasserfall, Weinberg und Toskana-Bereich genau die richtige Kulisse für eine Auszeit vom Alltag bietet. Im Naturschwimmteich mit seinem reinen Wasser kann man zu jeder Jahreszeit eine Runde schwimmen gehen. Einfach mal treiben lassen und spüren, wie alles von uns abfällt: Das geht besonders gut im ganzjährig angenehm temperierten Sole-Außenbecken. Nicht zuletzt auch wegen seiner positiven Wirkung bei Stoffwechselstörungen, Nieren- und Blasenerkrankungen sowie verschiedenen Hauterkrankungen hat es sich zusehends zu einem echten Publikumsmagneten entwickelt.

Eymann-Sauna

Gropiusstr. 4, 48163 Münster-Amelsbüren, Tel. 02501-5777 www.eymann-sauna.de

10

Fragen zum Wohlbehagen

Oberarzt am UKM, Opernsänger, Sprecher der Landesarbeitsgemeinschaft Gesundheit Grüne NRW

1. Wie werden Sie überschüssige Energie los?

„Meine drei Tätigkeitsfelder in der Musik, der Medizin und der Politik beflügeln sich gegenseitig. Überschüssige Energie gelangt jeweils in das andere Feld. Ob im OP-Saal oder bei einer Ar ie – Energie wird von mir kreativ und produktiv genutzt.“

2. Worauf können Sie ganz und gar nicht verzichten?

„Ich könnte nie auf meine verschiedenen Arbeitsfelder verzichten, da sie sich gegenseitig bereichern und mein Denken anregen. Gleichzeitig schätze ich das Konstante im Privaten. Diese Balance gibt mir Halt und Inspiration.“

3. Was geht Ihnen an die Nieren?

„Verschwendung von Ressourcen – ob Geld, Materialien oder Energie – geht mir an die Nieren. Manche Menschen verhalten sich, als hätten wir unendlich viel von alledem. Fehlende Nachhaltigkeit und ineffektive Systeme sind schwer zu ertragen. Wir müssen achtsamer und effizienter handeln.“

4. Was nehmen Sie sich zu Herzen?

„Offene Worte, ob positiv oder negativ, nehme ich mir zu Herzen. Sie bereichern und leiten mich. Ohne ehrliches Feedback gerät man leicht in einen einsamen Tunnel. Aufrichtige Rückmeldungen sind essenziell für Wachstum und Verbindung.“

5. Was treibt Ihren Blutdruck in die Höhe?

„Unsoziales Verhalten und Umweltzerstörung! Ich setze mich für Gerechtigkeit, Nachhaltigkeit, Klimaschutz, Toleranz und Fortschritt ein. Es frustriert mich, wenn Menschen aus Egoismus handeln.“

6. Was ist Ihr Lieblingssport?

„Mein Lieblingssport? Singen kann durchaus sportlich werden! Außerdem schwimme ich gerne und mache, wenn die Zeit es zulässt, Radtouren mit meinem Mann und unserem kleinen Sohn.“

7. Wie gesund ernähren Sie sich?

„Ich bin klassischer Flexitarier und versuche ausgewogen zu essen, was in der Klinik aber leider selten gelingt. Mein Mann und ich kaufen fast kein Fleisch und keine Milch, um CO2-Emissionen zu vermeiden. Und: Ich liebe Süßigkeiten – besonders Schokolade am Abend. Eigentlich mag bzw. esse ich aber fast alles!“

8. Wie schalten Sie nach Anstrengungen und Stress ab?

„Hier kommt meinem Mann eine klare Schlüsselrolle zu: Er ist mein Ruhepol. Beide kochen wir gerne. Nach Anstrengungen und Stress tut das gut, vor allem auch, wenn wir gemeinsam für Freunde kochen. Auch zusammen spazieren, ins Kino oder Konzert gehen, hilft mir sehr, anstrengende Phasen schnell zu verarbeiten und zu entspannen.“

9. Wie halten Sie sich fit?

„Ich laufe und fahre Rad. Auch halte ich mich fit durch die Vielfalt meiner Aufgaben als Politiker, Musiker und Arzt: Themen- und Ortswechsel geben mir neue Energie und Freude. Spaß an seiner Arbeit zu haben und einen Sinn dar in zu sehen, hält gesund und motiviert.“

10. Was ist Ihr persönliches Gesundheitsziel?

„Mein persönliches Gesundheitsziel ist es, mehr Sport im klassischen Sinne zu treiben. Die Zeit ist leider oft knapp; daher baue ich täglich kleine sportliche Momente in meinen Alltag ein, wie Treppe statt Lift.“

13. Jahrgang

15. Ausgabe  VORSCHAU

Herausgeber

TIPS VERLAG MÜNSTER GMBH & CO. KG

Geschäftsleitung: Frank Schmidt

Königsstraße 46, 48143 Münster

Tel.: 02 51 - 89 93 40

Email: kontakt@tips-ms.de

Redaktion

Autoren

Medienberatung

Frank Schmidt (V.i.S.d.P.), Amelie Gruhn (C.v.D.)

Dr. Eike Birck, Susanne Rupprecht

Frank Schmidt: 02 51 - 8 99 34 10, Mobil: 01 77 - 8 99 34 10

Christiane Hennig: 02 51 - 8 99 34 13, Mobil: 01 77 - 8 99 34 13

Kerstin Isert: 02 51 - 8 99 34 12, Mobil: 01 77 - 6 74 41 48

Susanne Rupprecht: 01 73 - 5 13 78 58

Produktion

Administration

Ulrike Hanich

Stephanie Tammen: 02 51 - 8 99 34 18

Aleyna Kamali: 02 51 - 8 99 34 19

Vertrieb

Eigenvertrieb in der Münster Information, der Stadtbibliothek, in Apotheken, Arztpraxen und Fitness-Studios im Einzelhandel, in ausgewählten Restaurants und Cafés sowie an den Rezeptionen verschiedener großer Münsteraner Unternehmen und Bildungseinrichtungen. Außerdem ist GESUND IN MÜNSTER im Lesezirkel erhältlich.

»Zeit, die wir uns nehmen, ist Zeit, die uns etwas gibt.«
Ernst Ferstl

Kelosauna mit Blick über den weitläufigen Garten

15 weitere Saunakabinen

Schwimmteich (850 m2)

Garten-Parkanlage (10.000 m2) mit Strandsauna

Salzgrotte auf 120 qm

Freiluft-Solebad beheizt (110 m2)

Toskanabereich mit Erdsauna, Feuerschalen und Außengastronomie

Separate Damensauna

Schwimmhalle mit 10 x 5 m Becken

Restaurant

Bankverbindung

Hinweis

Sparkasse Münsterland Ost IBAN: DE81 4005 0150 0034 4573 66

Namentlich gekennzeichnete Beiträge geben die Meinung der Autoren wieder - nicht aber unbedingt die des Verlages. Serviceeintragungen sind ohne Gewähr. Nachdruck von Beiträgen, auch auszugsweise, nur mit schriftlicher Genehmigung des Verlages. Die vom Tips-Verlag gestalteten und konzipierten Anzeigen unterliegen dem Urheberrecht und dürfen nur mit schriftlicher Genehmigung reproduziert werden.

Im Januar 2025 erscheint

Münster Geht Aus

Im Februar 2025 erscheint

Heiraten in Münster

Im April 2025 erscheint

Münster Kauft Ein

Gute Parkmöglichkeiten

Online-Shop und Massage Termine: shop.eymann-sauna.de

Gropiusstraße 4 48163 MS-Amelsbüren

Telefon: 0 25 01/57 77

info@eymann-sauna.de www.eymann-sauna.de Mo.-Fr- 9-23 Uhr · Sa., So. u. Feiertage 9-20 Uhr

Überregionale, interdisziplinäre Kompetenz unter einem Dach Zentrum

für ambulante

Rehabilitation Münster

Nach einem längeren Krankenhausaufenthalt sind die meisten Menschen froh, wenn sie wieder zu Hause sind. Im Zentrum für ambulante Rehabilitation Münster (ZaR) können Patientinnen und Patienten ihre medizinische Reha ambulant durchführen. „Wir bieten differenzierte Lösungen für komplexe Probleme aus einer Hand unter einem Dach“, erklärt der Ärztliche Direktor Dr. med. Ingo Liebert.

Dass das ZaR mehr ist als „nur“ eine Reha-Klinik, liegt nicht zuletzt in dem großen Leistungsspektrum begründet. Neben der Rehabilitation in der Orthopädie, Neurologie, Kardiologie, Onkologie und Psychosomatik sind hier Heilmitteltherapien, Präventionskurse, Nachsorge und vieles mehr unter einem Dach vereint. Das interdisziplinäre Team aus erfahrenen ExpertInnen betrachtet jede gesundheitliche Problemstellung ganzheitlich und erarbeitet individuell Lösungen. In Fallbesprechungen tauschen sich die ÄrztInnen der verschiedenen Fachrichtungen, die zum Teil weitere Qualifikationen in den Bereichen Schmerztherapie,

Palliativmedizin, Psychotherapie, Osteopathie, Naturheilkunde, Manuelle Medizin, Sportmedizin, Sozialmedizin, Akupunktur und vieles mehr haben, intensiv aus. Bei Bedarf kommen PhysiotherapeutInnen, PsychologInnen, ErgotherapeutInnen, LogopädInnen, ErnährungsberaterInnen und andere ExpertInnen hinzu, die mit ihren unterschiedlichen Kompetenzen zu einer Verbesserung des Gesundheitszustandes beitragen können. Dabei werden dank des regionalen Netzwerkes auch andere Partner im Gesundheitswesen einbezogen, ebenso wie das häusliche und soziale Umfeld der Rehabilitanden.

Dr. med. Ingo Liebert

Die ambulante Reha und ihre Vorteile „Wir konnten beobachten, dass es für viele PatientInnen förderlich ist, ihre Reha ambulant zu machen und in ihrem gewohnten häuslichen und familiären Umfeld zu bleiben“, berichtet Dr. med. Ingo Liebert. „Ein weiterer großer Vorteil ist, dass wir dem Patienten nahestehende Personen in den Heilverlauf einbinden können. Familie und Freunde können bei Gesprächen dabei sein oder wir suchen gegebenenfalls das Gespräch mit dem Arbeitgeber, falls eine Veränderung an der Situation am Arbeitsplatz helfen könnte. Außerdem bleiben die Patienten weiterhin bei den Ärzten ihres Vertrauens in Behandlung. Es kann ja immer mal ein anderes gesundheitliches Problem auftreten, wie zum Beispiel Zahnschmerzen.“ Darüber hinaus steht das ZaR den PatientInnen für eine optimale medizinische Nach- und Vorsorge auch nach der Reha zur Verfügung.

Gut, zu wissen

Rehabilitationsleistungen müssen in jeden Fall beantragt werden. Dabei können PatientInnen von ihrem Wahlrecht Gebrauch machen. Das heißt, sie entscheiden, ob sie eine ambulante oder eine stationäre Reha machen möchten. Antragsformulare und die nötigen Informationen gibt es

Karriere im ZAR?

Wer in einem attraktiven und abwechslungsreichen Arbeitsumfeld ohne Wochenend- und Schichtdienst arbeiten möchte, f indet hier weitere Infos:

bei der Rentenversicherung, bei den gesetzlichen Krankenkassen und Versicherungsämtern. Alle genannten Stellen, der Hausarzt, der Krankenhaussozialdienst und das ZaR sind bei der Antragstellung behilflich. Unter bestimmten Voraussetzungen bietet das ZaR Patienten mit medizinischem Bedarf einen Fahrdienst an. Die Kosten für die Anreise werden unter bestimmten Voraussetzungen von den gesetzlichen Krankenkassen oder der Rentenversicherung übernommen.

Zentrum für ambulante Rehabilitation

Grevener Str. 182 · 48159 Münster, Tel. 0251-98767-0 www.zar-ms.de

Heilmittel

Physiotherapie

Ergotherapie

Logopädie

Ambulante

Reha

Orthopädie

Neurologie

Kardiologie

Psychosomatik

Onkologie

Nachsorge

T-Rena

IRENA

PSYRENA

Teletherapie

Differenzierte Lösungen für komplexe Probleme

Prävention

MVZ

Praxis für Physikalische & Rehabilitative Medizin

Praxis für Neuropsychologie

Kursangebote

BGM

RV-Fit

Ü45 Check

med. Trainingstherapie

Weitere Angebote

ambulante Neuropsychologie

Ernährungsberatung

Rehasport

Post-Covid-Therapie

Berufsgenossenschaftliche Heilverfahren

Heilmittel

EAP

Schmerzassessment

Möller Orthopädie-Schuh-Technik Technik trifft Mensch und Handwerk

Jeder Mensch, jeder Körper ist anders. Wer mobil, stark und gesund bleiben möchte, der muss an vielen Schrauben drehen. Möller Orthopädie-Schuh-Technik weiß, wo diese Schrauben sitzen. Seit 1899 dreht sich in dem Familienunternehmen alles um Orthopädieschuhtechnik. Mit genauer Bewegungs- und Haltungsanalyse untersuchen die Spezialisten den Körper ihrer Kund*innen ganzheitlich unter allen statischen und dynamischen Aspekten und versorgen sie mit Einlagen für Alltags-, Trainings- oder Wettkampfschuhe – stets angepasst an die individuellen Bedürfnisse und die sportspezifische Bewegung.

„In einer Welt, die immer digitaler wird, bleibt eines konstant: der Mensch und seine individuellen Bedürfnisse. Genau hier set zt unser Familienunternehmen an. Mit handwerklicher Präzision, moderner Technologie und einem tiefen Verständnis für die Biomechanik des Körpers fertigen wir maßgeschneiderte Schuhe und Einlagen, die nicht nur höchsten Komfort, sondern auch medizinische Unterstützung bieten“, erläutert Claudia Möller.

Individuelle Lösungen: gefertigt von Hand

Die Orthopädieschuhtechnik ist ein Beruf, der Technik, digitales Arbeiten und persönliche Betreuung vereint.

Mit innovativen Verfahren wie digitalem Scanning, CAD - gestützter Konstruktion und traditionellem Handwerk schafft das versierte Team von Möller Orthopädie SchuhTechnik orthopädieschuhtechnische Lösungen, die perfekt auf die Bedürfnisse der Kunden abgestimmt sind. Ob es um die Entlastung der Fußprobleme, die Unterstützung bei sportlichen Aktivitäten oder die Verbesserung der Lebensqualität im Alltag geht: Alle Lösungen sind individuell und nachhaltig. Das macht die Orthopädieschuhtechnik zu einem Beruf mit Zukunft – für Menschen, die Technik und Handwerk lieben und Freude daran haben, anderen zu helfen.

Maßgeschneiderte M-ped-Einlagen gegen Fehlhaltungen

Eine einzigartige Entwicklung der Möller-Werkstatt ist das sogenannte M-ped-Konzept. Diese speziellen MaßEinlagen erfüllen sämtliche Anforderungen an eine Schuheinlage zugleich – Betten, Stützen, Stimulieren. Nach einer ausführlichen Bewegungs- und Haltungsanalyse wird, wenn nötig, ein Einlagenpaar gefertigt, das falsche Bewegungs- und Haltungsmuster ausgleicht und parallel die richtigen Muskelketten stimuliert. Vielen Leistungsund Breitensportlern haben die maßgefertigten M-PedEinlagen von Möller bereits geholfen, sich schmerzfrei(er) zu bewegen und ihre Leistung zu steigern.

Möller Orthopädie-Schuh-Technik

Johann-Krane-Weg 40, 48149 Münster, Tel. 0251-289192-0 Dorfstr. 41, 48308 Ottmarsbocholt, Tel. 02598-206 www.orthomoeller.de

Werkstatt

Effizient trainieren mit Raumfahrttechnik

Antischwerkraft-Laufband

Schonend wieder in Bewegung kommen: Das geht hervorragend mit dem Antischwerkraft-Laufband „Alter G“. Ursprünglich für die Raumfahrt entwickelt, kommt das innovative Gerät heute Sportlern und Reha-Patienten zu Gute – auch in Münster: im Zentrum für Sportmedizin (ZfS).

Die Praxis an der Windthorststraße war vor fünf Jahren d ie erste in Münster, die das speziell an Rehabilitationsbedürfnisse angepasste Ger ät einsetzte – und es ihren Patienten so ermöglichte, trotz Verletzungen oder Überlastungsschäden schonend wieder „in Gang“ zu kommen, reizwirksam zu trainieren oder einem Abfall ihres Leistungsniveaus entgegenzuwirken. Möglich ma cht das eine ausgeklügelte Technik, die für ein natürliches Bewegungsmuster bei reduzierter Schwerkraft sorgt. Trainierende werden durch einen Überdruck „getragen“, der das Körpergewicht um bis zu 80 Prozent reduziert. Dabei weicht das Gang- oder Laufbild auch bei höheren Geschwindigkeiten kaum vom natürlichen Bewegungsmuster ab – ein großer Vorteil gegenüber anderen Formen des gewichtsentlasteten Laufens. „Gerade nach Hüft- oder Knieoperationen erschließt das Laufband den Betroffenen neue Wege, nahezu belastungsfrei wieder auf die Beine zu kommen“, erläutert Dr. Ralph Schomaker vom ZfS. Dank der Gewichtsentlastung können auch Menschen mit starkem Übergewicht oder fortgeschrittenem Gelenkverschleiß auf dem AlterG ein regelmäßiges, schmerzfreies und gelenkschonendes Lauftraining absolvieren. Patienten mit neurologischen Erkrankungen – z.B. nach einem Schlaganfall – profitieren ebenfalls vom „AlterG“ und können sich mit dem Gerät Stück für Stück wieder ihrem natürlichen Gangbild annähern. Im ZfS wird das komplette Training auf dem AlterG physiotherapeutisch in einer Eins-zu-Eins-Betreuung begleitet.

l Moderne & unsichtbare Zahnspangen

l Für Kinder, Jugendliche und Erwachsene

l Alle Kassen

Dr. med. dent. Dorothea Endler Fachzahnärztin für Kieferorthopädie

Hohenzollernring 59 48145 Münster

Tel. 02 51-14 98 48 90

Praxis für Orthopädie + Unfallchirurgie im ZfS-Zentrum für Sportmedizin

Windthorststr. 35, 48143 Münster, Tel. 0251-1313620 www.zfs-muenster.de

info@praxis-endler.de www.praxis-endler.de

Optimales, gesundes Training für „Best Ager”

Silver Athlete

Trainingsempfehlungen in Büchern und Videos beziehen sich oft auf Menschen, die jünger als 30 Jahre alt sind. Wie aber sollten Menschen trainieren, die älter als 40, 50 oder sogar 60 Jahre sind, vor allem wenn sie nicht irgendwie trainieren, sondern konkrete Ziele erreichen wollen? Worauf sollten sie achten, wenn sie ihr eigenes Leistungsoptimum entwickeln wollen? Für viele dieser „Silver Athletes“ ist Gesundheit ein Kernziel. Wie müssen Silver Athletes trainieren, wenn sie ihre Gesundheit durch Training verbessern wollen? Und ist Training in dem Alter überhaupt noch gesund?

STELLENWERT & NUTZEN VON BEWEGUNG

Die Studienlage ist hier eindeutig. Regelmäßige körperliche Aktivität – bestehend aus Ausdauertraining wie Laufen, Radfahren oder Schwimmen sowie gezieltem Krafttraining – ist nicht bloß einer, sondern der zentrale Baustein für die Erhaltung und Verbesserung der Gesamtgesundheit gerade für ältere Menschen. Wäre Sport ein Medikament, wäre es, was den Effekt auf ein langes Leben in Gesundheit angeht, allem überlegen, was die Medizinforschung bisher entwickeln konnte.

STUDIEN BELEGEN: WER SICH BEWEGT, BLEIBT GESUND

Belegt sind zahlreiche positive Effekte auf chronische Erkrankungen, darunter Herz-/Kreislauferkrankungen, Typ2-Diabetes, psychische Erkrankungen wie Depressionen, Demenz, Osteoporose und bestimmte Krebserkrankungen. Insbesondere die Kombination aus moderat-intensivem Ausdauertraining und regelmäßigem Krafttraining zeigt deutliche gesundheitliche Vorteile. Ausdauertraining verbessert nachweislich die kardiovaskuläre Fitness, senkt den Blutdruck, verbessert die Lipidprofile und reduziert das Risiko einer vorzeitigen Mortalität. Krafttraining hingegen trägt nicht nur zu einer Erhöhung der Muskelmasse und Knochendichte bei, sondern verbessert auch die Insulinsensitivität und wirkt sich günst ig auf den Glukosestoffwechsel aus. Zudem zeigt eine wachsende Zahl von Studien, dass Krafttraining mit einer verbesserten mentalen Gesundheit einhergeht. Eine hohe Muskelkraft im Alter ist zudem assoziiert mit einer

geringeren Sturzgefahr, einer verbesserten Mobilität und einer höheren Lebensqualität.

Dabei ist es nie zu spät anzufangen und selbst in hohem Alter bleibt unser Körper trainierbar. So zeigten selbst über 80-Jährige in Studien noch deutliche Kraftzuwächse. Um das optimale Ergebnis zu erzielen, sollte der Trainingsplan an das Alter angepasst werden. Die Meinung dazu wie trainiert werden sollte, hat sich in den letzten Jahren von Grund auf geändert. Ältere Trainingsempfehlungen z.B. zum Krafttraining, dass nur „langsam und sanft mit leichten Gewichten“ trainiert werden sollte, führen zu suboptimalen Ergebnissen.

UNTERSCHIEDE IN DER TRAININGSLEHRE

FÜR DEN SILVER ATHLETE

Mit zunehmendem Alter unterliegen Sportlerinnen und Sportler physiologischen Veränderungen, die Einfluss auf die Trainingsplanung und -durchführung haben. Diese Anpassungen betreffen alle motorischen Hauptbeanspruchungsformen, also Kraft, Ausdauer, Schnelligkeit, Beweglichkeit und Koordination. Während das Grundprinzip des progressiven Trainings auch für den Silver Athlete gilt, muss das Training stärker individualisiert, angepasst an längere Regenerationszeiten und geänderte Belastbarkeit, erfolgen.

 KRAFT TRAINING

Veränderungen: Der altersbedingte Muskelschwund (Sarkopenie) und ein Rückgang der Maximalkraft sind gut dokumentiert. Auch die anabolen Hormonspiegel (z. B. Testosteron, Wachstumshormon) sinken mit zunehmendem Alter.

Anpassungen: Das Krafttraining sollte, anders als noch vor einigen Jahren propagiert, nicht nur mit geringen Lasten erfolgen. Für eine entsprechende Effektivität ist auch ein Training mit hohen Lasten sinnvoll. Um Verletzungen zu vermeiden ist eine gute Technik, ein gutes Aufwärmen und eine Trainingsplanung mit ausreichenden Pausen essenziell. Verschiedene Trainingsformen wie z.B. exzentrisches Training und eine Berücksichtigung von Trainingsinhalten, die eine Verbesserung wichtiger Funktionen im Alltag adressiert, sollten integriert werden. Dazu gehören z.B. die Kniebeuge mit Last oder auch das Tragen von schweren Gegenständen.

 AUSDAUERTRAINING

Veränderungen: Die maximale Sauerstoffaufnahme und die kardiorespiratorische Leistungsfähigkeit nehmen mit dem Alter ab. Zudem verlängert sich die Erholungszeit nach intensiven Ausdauereinheiten.

Anpassungen: Ein moderates, aber regelmäßiges Ausdauertraining hilft, den Rückgang der Sauerstoffaufnahme

abzufedern. Kurze Intervalleinheiten können weiterhin eingesetzt werden, jedoch in geringerer Häufigkeit und mit angepasster Intensität. Längere, moderate Einheiten verbessern die Grundlagenausdauer, ohne das Risiko von Überlastungen wesentlich zu erhöhen. Zudem ist es sinnvoll, zwischen verschiedenen Belastungsformen zu wechseln (z.B. Laufen, Schwimmen, Radfahren, Walking, Skilanglauf, Rudern).

 SCHNELLIGKEIT

Veränderungen: Schnelle Kraft- und Schnellkraftfähigkeiten lassen nach, da Nerv-Muskel-Interaktionen, Muskelfaserzusammensetzung und neuronale Ansteuerung beeinträchtigt werden.

Anpassungen: Kurze, technisch saubere Sprintübungen oder reaktive Sprungformen können erhalten bleiben, sind aber mit längeren Pausen und geringeren Umfängen durchzuführen. Wichtig ist eine gründliche Erwärmung, um Verletzungen vorzubeugen. Sprintstrecken müssen ggf. verkürzt werden (z.B. 60 Meter statt 100 Meter). Ggf. kann das schnelle Rennen auch zunächst unter Gewichtsentlastung (z.B. im Anti-Schwerkraft-Laufband „AlterG“) trainiert werden. Gelingt es alternden Athleten Schnelligkeitstraining wie z.B. Sprinttraining in den Trainingsplan zu integrieren, führt dieses häufig zu beeindruckenden (!) Trainingseffekten.

 BEWEGLICHKEIT

Veränderungen: Die Gewebestrukturen werden weniger elastisch, die Gelenke unterliegen degenerativen Prozessen, und die allgemeine Range of Motion verringert sich.

Anpassungen: Ein deutlich höherer Stellenwert kommt regelmäßigem, aber sanftem Beweglichkeits- und Mobilitätstraining zu. Dynamische Mobilisierungsübungen vor dem Training und statisches Dehnen nach dem Training tragen dazu bei, die Bewegungsumfänge zu erhalten und Verletzungsrisiken zu reduzieren.

 KOORDINATION

Veränderungen: Mit zunehmendem Alter kann die neuromuskuläre Koordination nachlassen. Reaktionszeit, Gl eichgewichtsfähigkeit und Feinmotorik unterliegen altersbedingten Veränderungen.

Anpassungen: Übungen zur Verbesserung von Gleichgewicht, Stabilität und Propriozeption werden ins Training integriert. Beispiele für sensomotorisches Training sind z.B. Einbeinstand auf instabilen Unterlagen, koordinative Parcours, rhythmische Übungen mit Hilfsmitteln wie z.B. Koordinationsleitern, Erlernen neuer Sportarten wie z.B. Tennis oder Karate oder Lernen neuer Bewegungsfolgen beim Tanzen. Dadurch lässt sich übrigens auch das Sturzrisiko im Alltag reduzieren.

WAS DER SILVER ATHLETE AUSSERDEM BEACHTEN SOLLTE

Erholungsmanagement: Regenerationsphasen gewinnen an Bedeutung. Schlaf, Ernährung und aktive Erholungsmethoden (leichtes Auslaufen, Schwimmen, Radfahren in Niedr igintensität, Entspannungstechniken) sollten fester Bestandteil der Trainingsplanung sein.

Regelmäßige Check-ups: Sportmedizinischer Check-ups helfen, individuelle gesundheitliche Risiken zu erkennen und gezielt zu adressieren.

KONKRETE ZIELE DEFINIEREN

Formulieren von langfristigen und vor allem konkreten Zielen („Ich möchte im Alter von 70 Jahren noch Joggen können/meine Enkelkinder tragen können“).

Langfristiges Denken: Während in jüngeren Jahren häufig der kurzfristige Peak im Vordergrund steht, rückt für den Silver Athlete ein nachhaltiger Erhalt der Leistungsfähigkeit, Gesundheit und Lebensqualität in den Fokus.

FAZIT

Die Prinzipien der Trainingslehre gelten auch beim Silver Athlete, müssen aber stärker auf die physiologischen und biomechanischen Veränderungen des älter werdenden Sportlers angepasst werden. Ideale Intensitäten, vermehrte Erholung, funktionelles Kraft- und Koordinationstraining sowie eine bewusste Belastungssteuerung sind Schlüssel,

Unsere Autoren

Dr. med. Gerrit Borgmann, Dr. med. Ralph Schomaker, Dr. med. Tim Vogler vom Zentrum für Sportmedizin (ZfS) verstehen sich als Dienstleister, die sich dem Sport, der Gesundheit und der Bewegung in all ihren Facetten verschrieben haben.

um auch jenseits der 50 athletisch, gesund und leistungsfähig zu bleiben. Auch der ältere Mensch ist dabei hochgradig empfänglich für Trainingsreize. Die Kernbotschaft fast aller Studien zum gesundheitlichen Nutzen von Training ist Alter ist dabei immer wieder die Gleiche: Es lohnt sich!

ZfS-Zentrum für Sportmedizin

Dr. med. Gerrit Borgmann, Dr. med. Ralph Schomaker, Dr. med. Tim Vogler Windthorststr. 35, 48143 Münster, Tel. 0251-1313620 www.zfs-muenster.de

Die Kunst, lange gesund zu leben Longevity

Unsere Lebenserwartung ist so hoch wie noch nie: Sie hat sich seit Ende den 19. Jahrhunderts mehr als verdoppelt! So werden Frauen heutzutage durchschnittlich 83,4 und Männer durchschnittlich 78,5 Jahre alt. Das ist ein enormer Fortschritt und ermöglicht uns, mehr Zeit auf dieser Welt mit Dingen zu verbringen, die uns Freude bereiten. Doch was ist, wenn uns Krankheiten und körperliche Beschwerden einen Strich durch die Rechnung machen? Wie kann es uns gelingen, möglichst lang gesund und beschwerdefrei zu leben?

Entscheidend für die gefühlte Lebensqualität ist meist nicht die Zahl der Jahre an sich, sondern die eigene Fitness und Vitalität. Mediziner und Altersforscher beschäftigen sich vermehrt mit dem Begriff der Longevity (dt. Langlebigkeit), die eine im Vergleich zur durchschnittlichen Lebenserwartung verlängerte Lebensspanne beschreibt. Diese verlängerte Lebensspanne sollte möglichst lang gesund und beschwerdefrei bleiben. Wie kann dies gelingen?

„Blaue Zonen“

Einige Regionen der Erde werden als sogenannte „Blaue Zonen“ beschrieben: Hier leben die Menschen tendenziell länger und altern gesünder. Derzeit werden fünf Regionen als „Blue Zones“ betrachtet: Okinawa (Japan), Sardinien (Italien), Nicoya Halbinsel (Costa Rica), Ikaria (Griechenland), Loma Linda (Kalifornien, USA). Auch wenn die Daten aus den Blue-Zone-Beobachtungen in der Regel nicht ausreichen, um wissenschaftlich gesicherte Aussagen zu treffen, lassen sich jedoch einige der dort beschriebenen Faktoren in der Grundlagenforschung am

Modellorganismus hinsichtlich ihres positiven Einflusses auf die Lebenserwartung relativ gut nachweisen. Alle fünf Regionen weisen bestimmte kulturelle Gemeinsamkeiten auf, die als Erklärung für ein langes und gesundes Leben herangezogen werden. Dazu gehören pflanzenbasierte Ernährung, moderate Kalorienzufuhr, geringer Tabak- und Alkoholkonsum, regelmäßige körperliche Bewegung und starke soziale Bindungen. Diese Faktoren scheinen in Verbindung mit dem gesunden Altern zu stehen.

Ausgewogene Ernährung als Schlüsselelement

Bunt essen! Unsere tägliche Ernährung hat einen großen Einfluss auf unsere Langlebigkeit. Ein bunter Teller voller frischem Gemüse, Obst, Vollkornprodukten, Hülsenfrüchten, Nüssen und guten Fettquellen wie Fisch oder Algenöl kann dazu beitragen, die körperliche Gesundheit bis ins hohe Alter zu erhalten. Auch eine moderate Kalorienreduktion bei gleichzeitig ausreichender Versorgung mit Vitalstoffen wird mit einem verlängerten Leben in Verbindung gebracht. Eine strenge Diät gehalten muss jedoch nicht gehalten werden – grundlegend ist vor allem, den Konsum von Fleisch, verarbeiteten Lebensmitteln, ungesunden Fetten und Zucker einzuschränken und gleichzeitig die Menge an vitalstoffreichen Lebensmitteln mit ausreichenden Prä- und Probiotika, die einen positiven Effekt auf das bakterielle Mikrobiom des Darms haben, zu erhöhen.

Fit bleiben durch regelmäßige Bewegung

Auch eine regelmäßige körperliche Betätigung hat positive Effekte auf unser physisches und psychisches Wohlbefinden. Bei mindestens zweieinhalb bis fünf Stunden moderater Bewegung pro Woche zeigt sich laut Weltgesundheitsorganisation (WHO) ein Effekt auf die eigene Gesundheit. Dies können Aktivitäten wie Fahrradfahren, Spaziergänge oder Schwimmen sein. Um Rückenschmerzen vorzubeugen, ist ein gezieltes Krafttraining empfehlenswert. Jede Bewegung im Alltag zählt, so etwa das Treppensteigen, Wege zu Fuß oder mit dem Rad statt mit dem Auto, etc.

In der von Dr. h.c. Peter Jentschura gegründeten Jentschura Akademie vermitteln die Experten, wie durch eine bewusste Lebensweise die Gesundheit wirkungsvoll gefördert werden kann. Unter dem Motto „Gesund leben lernen“ gibt es ein großes Portfolio an Seminaren und Workshops rund um ein gesundes Leben in der Säure-Basen-Balance.

Verzicht auf Alkohol und Nikotin

Weitere Einflussfaktoren auf ein langes gesundes Leben sind der Verzicht auf Nikotin sowie die Einschränkung des Alkoholkonsums. Rauchen ist der größte Risikofaktor für Herz-Kreislauf-Erkrankungen. Wer lange gesund bleiben möchte, benötigt ein starkes Herz. Auch eine gesunde Leber ist für ein langes, gesundes Leben von höchstem Stellenwert. Die Weltgesundheitsorganisation (WHO) und die Deutsche Hauptstelle für Suchtfragen (DHS) empfehlen daher nach neuester Studienlage, wenn möglich ganz auf den Konsum von Alkohol zu verzichten.

Pflege sozialer Kontakte

Was häufig unterschätzt wird, ist die Pflege sozialer Kontakte für das gesunde Altern. Besonders ältere Menschen, deren soziales Umfeld sich nach und nach verkleinert, leiden häufig unter Depressionen, was eine erhebliche Steigerung des Sterberisikos zur Folge hat. Eine soziale Gemeinschaft hält uns geistig und emotional fit – aber auch körperlich! Wer sich regelmäßig mit Freunden trifft, die Enkel betreut, in der Gruppe Sport treibt oder Ausflüge und Reisen mit Gleichgesinnten unternimmt, bleibt auch mental länger gesund.

Jentschura Akademie

Otto-Hahn-Str. 22-26, Münster-Roxel www.jentschura-akademie.com

Seminar-Empfehlungen der Jentschura-Akademie:

n Gesund leben lernen

n Detox- und Regenerierungswoche

n Basisch kochen

Mehr als gelegentliches Aufstoßen

Refluxerkrankung

Nach einer üppigen Mahlzeit verspüren viele Menschen schon einmal ein Sodbrennen, ein unangenehmes Brennen hinter dem Brustbein. In Deutschland haben etwa 25 von 100 Menschen immer wieder Beschwerden wie Sodbrennen und Aufstoßen. Beides kann zwar unangenehm sein, hat aber gewöhnlich keine weiteren Folgen. „Wer sehr häufiges oder starkes Sodbrennen hat, kann allerdings eine Refluxerkrankung mit möglichen Komplikationen entwickeln. Diese Erkrankung wird auch gastroösophageale Refluxerkrankung genannt, kurz GERD“, erläutert Dr. Michael Linnepe, Facharzt für Innere Medizin, Gastroenterologie, Hepatologie und Palliativmedizin in der Gastroenterologischen Gemeinschaftspraxis am Germania Campus.

Normalerweise ist der Übergang zwischen Speiseröhre und Magen geschlossen. Wenn der Magen stark gedehnt wird, beispielsweise nach üppigem Essen, kann es vorkommen, dass sich der Verschluss am Mageneingang vorübergehend lockert. Dadurch kann aus dem Magen Luft und etwas Mageninhalt nach oben entweichen. Der aufsteigende, saure Magensaft reizt die Schleimhaut der Speiseröhre und führt zu den bekannten Beschwerden. Nur in seltenen

Fällen kann sich die Schleimhaut der Speiseröhre dadurch entzünden.

Was ist die Refluxerkrankung?

Von einer Refluxerkrankung spricht man, wenn dieser Rückfluss zu häufigen und starken Sodbrennen oder Aufstoßen führ t, der die Lebensqualität deutlich beeinträchtigt. Risikofaktoren für die Entstehung der Refluxerkrankung

sind erhöhtes Körpergewicht, Nikotinkonsum und die genetische Veranlagung, sowie ein Zwerchfellbruch (Hiatushernie). Interessant: Eine Infektion der Magenschleimhaut mit dem Bakterium Helicobacter pylori scheint das Reflux-Risiko zu reduzieren.

Symptome und gesundheitliche Folgen

Bei vielen Menschen, die unter Refluxbeschwerden leiden, bestehen zusätzliche Symptome im Bereich anderer Organe wie der Mundhöhle, des Kehlkopfes oder der Lunge. Dabei handelt es sich erstmal nur um eine Assoziation, ohne dass damit eine kausale Beziehung belegt sein muss. Husten beim Essen kann zum Beispiel durch einen harmlosen Reflex des Nerven Vagus ausgelöst werden. Eine Refluxkrankheit bleibt meist dauerhaft bestehen und tritt in der Regel in Schüben auf. Das heißt, beschwerdefreie Phasen und Zeiten mit stärkerem Sodbrennen und anderen Beschwerden wechseln sich ab. Nur selten entzündet sich die Speiseröhre: Bei bis zu 80% der Personen mit RefluxSymptomen ist die Schleimhaut der Speiseröhre nicht entzündlich angegriffen (nicht-erosive Refluxerkrankung).

Wie wird die Refluxerkrankung behandelt?

Durch die Tatsache, dass bei einem Großteil der Patienten keine sichtbaren, entzündlichen Läsionen bestehen, gibt es kein einzelnes (singuläres) Verfahren zum sicheren

Nachweis einer Refluxerkrankung. Dies erklärt, warum die Magenspiegelung bei Refluxpatienten in der Regel unauffällig ist. Nur bei einer kleinen Minderheit kann sich manchmal die Schleimhaut der Speiseröhre am unteren Ende verändern. Diese Veränderung wird als BarrettÖsophagus beschrieben. Nach Schätzungen entsteht nur bei 5 % der Personen mit Reflux im Laufe der Jahre eine Barrett-Metaplasie.

Stiller Reflux

Ein stiller Reflux hat nicht die typischen Symptome eines Refluxes. Da Sodbrennen oder saures Aufstoßen meist ausbleiben, bleibt die Erkrankung lange ohne Diagnose. Sehr häufig werden Räusperzwang, Verschleimung im Rachen, unerklärter Hustenreiz, wiederkehrende Heiserkeit sowie das Kloß- oder Engegefühl im Rachen genannt. Auch wiederkehrende Kehlkopfentzündungen oder Nasennebenhöhlenentzündungen können zu den in diesem Zusammenhang auftretenden Beschwerden zählen. Die aktuelle Leitlinie der deutschen Fachgesellschaft empfiehlt ein Therapieversuch mit einem Protonenpumpenhemmer.

Dr. med. Michael Linnepe

Gastroenterologische Gemeinschaftspraxis am Germania Campus

Symptome kontrollieren

Bei den meisten Menschen ist eine Symptomkontrolle das einzige Therapieziel, ohne dass eine invasive Diagnostik erforderlich ist. Bei Risikofaktoren oder Therapie-refraktären Beschwerden nach Protonenpumpenhemmer-Therapie kann eine weiterführende Diagnostik erfolgen. Die Methode der Wahl ist die sogenannte Impedanz-pH-Metrie über 24 Stunden. Dabei wird eine Sonde in die Speiseröhre gelegt, die über die Impedanzmessung jegliche Bewegung von Inhalt und auch Luft in der Speiseröhre einschließlich der Richtung und des pH-Wertes erfasst. Diese spezielle Untersuchung erfolgt nur in speziellen Ambulanzen oder im Krankenhaus.

Was können Betroffene selbst tun?

Die erste Stufe der Therapie sind wichtige Allgemeinmaßnahmen wie Gewichtsreduktion bei Übergewicht oder Oberkörper-Hochlagerung in Nacht. Sinnvoll ist zudem das Meiden von großen und späten Mahlzeiten. Bei starkem Sodbrennen hilft es, einige Gewohnheiten zu verändern, zum Beispiel auf bestimmte Lebensmittel zu verzichten (Stichwort: säurearme Ernährung) oder wenig Alkohol zu trinken. Darüber hinaus gibt es Medikamente wie sogenannte Antazida (in der Apotheke erhältlich) oder Protonenpumpenhemmer, die die Beschwerden lindern können.

Gastroenterologische Gemeinschaftspraxis am Germania Campus An der Germania Brauerei 6, 48159 Münster, Tel. 0251-2846680 www.gastro-muenster.de

Das Polyzystische Ovarialsyndrom (PCOS)

Eine lebenslange Herausforderung

Das Polyzystische Ovarialsyndrom (PCOS) ist die häufigste Hormonstörung bei jungen Frauen: Deutschlandweit sind etwa 1 Millionen Frauen betroffen. Das Syndrom besteht lebenslang, wird meist jedoch im Alter zwischen 20 und 30 Jahren diagnostiziert. Bei bis zu 75% der Betroffenen bleibt die Erkrankung sogar unentdeckt. Die Symptomatik variiert stark und verändert sich über die Lebensspanne hinweg. Der nachfolgende Beitrag gibt einen Überblick zu den Symptomen, der Diagnostik und der Behandlung von PCOS.

„PCOS ist zwar nicht heilbar, aber gut zu behandeln. Verschiedene medikamentöse Behandlungen und Änderungen des Lebensstils können die Beschwerden reduzieren. Welche Therapie sinnvoll ist, ist hochindividuell [...]."

PCO-Syndrom: Was ist das?

Beim PCO-Syndrom (PCOS) produziert der Körper zu viele männliche Hormone. Der Eisprung findet unregelmäßig oder gar nicht statt, die Regelblutung bleibt aus. Eine gestörte Regelblutung kann der erste Hinweis auf ein PCOSyndrom sein. Die Krankheit tritt typischerweise zwischen dem 18. und 25. Lebensjahr auf. Wodurch das PCO-Syndrom ausgelöst wird, ist nicht endgültig geklärt. Gene, Übergewicht und Umwelteinflüsse können eine Rolle spielen.

PCO-Syndrom: die Symptome

Das klinische Bild des PCOS ist heterogen und variiert nicht nur zwischen den Patientinnen, sondern verändert sich auch über die Lebensspanne hinweg. Zu den häufigsten Symptomen der PCO gehören Polyzystische Ovarien (multiple Zysten in den Eierstöcken), Hyperandrogenämie (erhöhte Konzentration von Androgenen), Zyklusstörungen, z.B. im Sinne einer Anovulation (Ausbleiben des Eisprungs), die sich entweder als Oligomenorrhoe (Ausbleiben der Regelblutung über einen langen Zeitraum) oder als

Amenorrhoe (komplettes Ausbleiben der Regelblutung) äußert, Übergewicht und Adipositas, Akne und Alopezie (Haarausfall).

Die Folgen des PCO-Syndroms

Das PCO-Syndrom ist eine der häufigsten bekannten Ursachen für einen unerfüllten Kinderwunsch. Oft leiden Betroffene nicht nur körperlich, sondern auch psychisch unter den Folgen. Ein unbehandeltes PCO-Syndrom erhöht außerdem das Risiko für Folgeerkrankungen; zum Beispiel ein drei- bis siebenfach erhöhtes Risiko für Herz-Kreislauferkrankungen oder ein vier- bis fünffach höheres Risiko für die Entwicklung eines Diabetes. Rund 90 % der Patientinnen haben außerdem einen gestörten Zuckerstoffwechsel. Hoffnung macht, dass viele Frauen heute erfolgreich behandelt werden können. Eine frühzeitige Diagnose ist entscheidend: Je eher die Therapie begonnen wird, desto zuverlässiger können Langzeitfolgen vermieden werden.

PCO-Syndrom: die Diagnose Wesentlich für die Diagnose ist das ausführliche Gespräch mit dem Frauenarzt oder der Frauenärztin, in dem u.a. die Regelmäßigkeit bzw. das Ausbleiben der Regelblutung, etwaige Hautprobleme und weitere Symptome der Patientin besprochen werden. Es folgt eine körperliche Untersuchung, u.a. eine Ultraschalluntersuchung. Für eine sichere Diagnose werden die Hormonwerte im Blut bestimmt. Zur Diagnose des PCO-Syndroms werden die „Rotterdam-Kriterien“ verwendet. Nach Ausschluss anderer Erkrankungen müssen zwei der drei folgenden Kriterien erfüllt sein: 1. Anovulation (Oligomenorrhoe oder Amenorrhoe), 2. Hyperandrogenämie, 3. Polyzystische Ovarialmorphologie (Vaginalsonographie) oder Anti-Müller-Hormon (AMH)-Messung (außer in der Adoleszenz).

Welche Behandlungen gibt es?

PCOS ist zwar nicht heilbar, aber gut zu behandeln. Verschiedene medikamentöse Behandlungen und Änderungen des Lebensstils können die Beschwerden reduzieren. Welche Therapie sinnvoll ist, ist hochindividuell und auch davon abhängig, ob ein Kinderwunsch besteht. Die Behandlung verfolgt mehrere Ziele, darunter die Linderung der Symptome, die Induktion des Eisprungs und die Regulierung der Menstruation. Da PCOS als kardiovaskulärer Risikofaktor betrachtet wird, sind präventive Ansätze zur Gewichtskontrolle ein wesentlicher Bestandteil des Therapieplans.

MVZ Gynäkologie und Hormonlabor Salzstr. 2, 48143 Münster, Tel. 0251-89906-0

MVZ Labor Münster Hafenweg GmbH Hafenweg 9-11, 48155 Münster, Tel. 0251-60916-0

Ein Leiden mit vielen Facetten

Endometriose

Regelschmerzen haben das Potenzial, einem dem Tag so gründlich zu verderben. Manchmal steckt hinter den extremen Unterleibsbeschwerden aber mehr als „nur“ die Monatsblutung. Eine Endometriose kann zu starken Krämpfen und Schmerzen führen, die in schweren Fällen bis in die Beine oder Schultern ausstrahlen. Die Symptome sind verschieden und reichen von Unterbauchschmerzen bis hin zu unge wollter Kinderlosigkeit. Trotz intensiver Forschung ist noch immer unklar, wie es zu einer Endometriose kommt, obgleich sie mit zu den häufigsten gynäkologischen Erkrankungen zählt.

„Chamäleon der Gynäkologie“ Endometriose ist eine chronisch-entzündliche gynäkologische Erkrankung, bei der sich gebärmutterschleimhautähnliche Zellen außerhalb der Gebärmutter ansiedeln, etwa im Bauchraum. Oft sind solche sogenannten Endometrioseherde in der gesamten Bauchhöhle verteilt, so dass sowohl das Bauchfell, die Scheidenwand, der Darm als auch die Eierstöcke betroffen sein können. Dies kann dort das Gewebe schädigen und zu chronischen Entzündungen, Vernarbungen und Verwachsungen führen. Da die Erkrankung schwer zu diagnostizieren ist und mit unterschiedlichen Symptomen und Schweregraden in Erscheinung tritt, wird sie häufig auch als „Chamäleon der Gynäkologie“ bezeichnet. Betroffene Frauen haben oft einen langen Leidensweg hinter sich, ehe sie eine Diagnose erhalten. Die Ursache der

Erkrankung ist weitgehend unbekannt, sodass sich Therapien bisher auf die Linderung der Symptome beschränken.

Wenn Schmerzen die Regel sind

Die Crux ist, dass die versprengten Endometrioseherde auf den Hormonzyklus reagieren und daher ebenso wie die Gebärmutterschleimhaut wachsen. In der Folge können während des Menstruationszyklus verstärkte und krampfartige Schmerzen auftreten – verbunden mit chronischen Bauch- und Rückenschmerzen. Endometrioseherde bluten bei jeder Menstruation mit. Da das Blut nicht abfließen kann, können sich Blutansammlungen und Zysten bilden. Zwar wird das Blut langsam vom umliegenden Gewebe aufgenommen und abgebaut, jedoch verursachen die monatlich wiederkehrenden Blutansammlungen au -

ßerhalb der Gebärmutter kontinuierlich Reizungen und Entzündungen. Langfristig führt dies zu Verwachsungen und nicht umkehrbaren Veränderungen in den betroffenen Bereichen. Eine ausgeprägte Endometriose kann Eileiter und Eierstöcke derart „verkleben“ oder schädigen, dass dies zur Unfruchtbarkeit führt: Die Eizelle kann nicht befruchtet werden bzw. danach in die Gebärmutter gelangen.

Behandlungsmöglichkeiten

Je früher eine Endometriose behandelt wird, desto besser sind die Aussichten, langfristig Beschwerdefreiheit zu erreichen. Lebensalter und ein eventuell bestehender Kinderwunsch werden bei den Therapieoptionen berücksichtigt. Zur Auswahl stehen konservative (medikamentös, hormonell) und operative Behandlungsmöglichkeiten, die

einzeln oder miteinander kombiniert angewendet werden können.

Forschung noch am Anfang

Von Endometriose betroffene Patientinnen müssen oft jahrelang auf eine Diagnose warten. Bis zu zehn Jahre dauert es im Schnitt, bis eine Betroffene die Diagnose erhält. Als erstes Land in Europa hat Frankreich eine nationale Endometriose-Strategie ins Leben gerufen. Der Plan soll helfen, mehr Aufmerksamkeit auf eine Krankheit zu lenken. Nach Australien ist Frankreich das zweite Land weltweit, dass die optimierungsbedürftige Versorgungssituation der Endometriose-Betroffenen erkannt und umfassende Maßnahmen verabschiedet hat, damit die Krankheit zukünftig schneller erkannt und besser behandelt werden kann. 

Wann wird’s gefährlich?

Guter

Stress – schlechter Stress

„Ich bin gerade im Stress!“ Diesen Satz hören wir oft. Aber was passiert eigentlich in unserem Körper, wenn wir gestresst sind? Und welche Funktion erfüllt Stress? Gibt es auch guten Stress? Und wo verläuft die Grenze, an der er zu einer Belastung wird?

Vor Urzeiten mussten unsere Vorfahren außergewöhnliche körperliche oder psychische Belastungen meistern, um zu überleben. Wilde Tiere wurden gejagt und es galt, Wind und Wetter ohne warme Wohnung zu trotzen. Die Auseinandersetzung mit dem berühmten Säbelzahntiger wird

hier oft angeführt. Unsere Ahnen hatten hierbei nur zwei Möglichkeiten: Angriff oder Flucht. In beiden Fällen wurde der Körper in höchste Alarmbereitschaft versetzt. Und auch heute ist in Stressituationen der Ablauf im Körper gleich, auch wenn wir keinem Raubtier gegenüberstehen. Das Foto: iStockphoto.com/BeritK

Viele Wissenschaftler gehen davon aus, dass punktuelle

Stressreaktionen den Körper zwar kurzfristig bis an seine Grenzen belasten, die Gesundheit aber langfristig fördern können. [...] Voraussetzung von positivem Stress ist allerdings, dass es sich um vorübergehende Belastungen handelt.

Gehirn setzt innerhalb von Millisekunden Neurotransmitter (Botenstoffe der Nervenzellen) wie Acetylcholin frei. Der Blutfluss wird verstärkt in die Muskeln umgelenkt und die Hormone Adrenalin und Kortisol ausgeschüttet, um ein Maximum an Energie schnell verfügbar zu machen. Dadurch steigt der Blutdruck, das Herz schlägt schneller, die Pupillen weiten sich, die Atmung wird flacher und die Verdauung gedrosselt. Diese Stressantwort ist eine natürliche und notwendige Reaktion des Körpers auf Situationen, in denen unser Leben in Gefahr ist.

„Positiver“ Stress?

Viele Wissenschaftler gehen davon aus, dass punktuelle Stressreaktionen den Körper zwar kurzfristig bis an seine Grenzen belasten, die Gesundheit aber langfristig

fördern können. Wer sich ihnen aussetzt, schläft besser, ist ausgeglichener und bleibt auch im Alter vitaler. Man spricht deshalb auch von positivem Stress oder Eustress. Voraussetzung von positivem Stress ist allerdings, dass es sich um vorübergehende Belastungen handelt, nach denen das Hormonsystem wieder heruntergefahren wird und zur Ruhe kommen kann. Auf den Energieaufbau muss aber zwingend eine Entladung folgen. Der Körper braucht das Signal, dass die Gefahr vorüber ist. Eine akute Stressantwort dauert nur etwa 15 Minuten an, denn die Reserven, die durch die Ausschüttung von Adrenalin angezapft werden und uns den enormen Energieschub geben, würden nicht länger reichen.

Psycho-sozialer Stress

Im Gegensatz zu unseren Vorfahren haben es heute viel Menschen nicht mit kurzfristigen Belastungen zu tun, sondern mit anhaltenden Stresssituationen – meist psychischer oder sozialer Natur. Bei diesem Dauerstress erhält der Körper eben nicht die ersehnte Entwarnung und kann nicht in den Entspannungsmodus gehen. Die Hormone, die unter Dauerstress ausgeschüttet werden, halten unser Immunsystem in permanenter Alarmbereitschaft, sodass es ziellos und fehlerhaft arbeitet. Dadurch sind wir anfälliger für Infektionen und auch Wunden heilen schlechter. Außerdem ist negativer Stress schlecht fürs Herz. Da wie oben beschr ieben der Blutdruck steigt, werden die Blutgefäße labiler gegenüber schleichenden Entzündungen. Das kann zu einer Verkalkung der Arterien führen. Dauerstress gilt neben Rauchen und erhöhten Blutfettwerten als eine der Hauptursachen des Herzinfarkts. Aber auch andere Organe werden durch den Dauerstress stärker belastet – vor allem der Magen-Darm-Trakt. Vom Reizdarm bis zum Magengeschwür kommen Erkrankungen dieser Organe bei unter Dauerstress stehenden Menschen häufiger vor. Und auch unser Gehirn wird durch negativen Stress belastet. Unsere Kreativität und Produktivität bei der Arbeit nehmen ab.

Mehr

Achtsamkeit für weniger Stress

Problematisch ist, dass diese Veränderungen schleichend vonstatten gehen. Dabei hat jeder Mensch ein anderes Stressempfinden. Ist der eine am Limit, dreht der andere erst richtig auf. Was wir brauchen, um gefordert, aber nicht überfordert zu sein, ist eine sehr individuelle Angelegenheit. Gut auf sich selbst Acht zu geben, sich ausreichend Pausen zu gönnen und im hektischen Alltag mal innezuhalten und in sich hineinzuhorchen, könnte ein Schritt in die richtige Richtung sein. 

Karussell im Kopf

Schwindelattacken

Es ist ein sehr unangenehmes Gefühl: Der Körper fährt Karussell und wir haben das Gefühl, nicht mehr mit beiden Beinen fest auf dem Boden zu stehen. Der Kontrollverlust macht uns zu schaffen. Bei älteren Menschen steigt die Gefahr schwerer Stürze mit schlimmen Folgen.

Statistisch betrachtet erlebt jeder dritte Mensch in seinem Leben mindestens einmal eine schwere Schwindelattacke. Die Ursachen können vielfältig sein: ausgelöst durch Erkrankungen, Medikamente oder äußere Faktoren.

Welche Ursachen hat Schwindel?

Schwindel entsteht durch eine Störung des Gleichgewichtssinns, der normalerweise dafür sorgt, dass wir buchstäblich wissen, wo oben und unten ist. Augen, Tastsinn und die Tiefensensibilität sowie die Gleichgewichtsorgane im Innenohr liefern unserem zentralen Nervensystem (ZNS) die nötigen Infos, damit wir orientiert sind. Bekommt das ZNS widersprüchliche Informationen, reagiert es mit Schwindel, der mit Herzrasen und Übelkeit einhergehen kann. Ein Beispiel: Vielen Menschen wird schlecht, wenn sie während einer Autofahrt lesen. Das hat einen einfachen Grund: Der Körper nimmt wahr, dass er sich fortbewegt, aber die Augen, die den Blick auf die Buchstaben fokussieren, senden Stillstand. Das sorgt für Verwirrung und kann die geschilderten Folgen haben.

Besser abklären lassen

Sehr häufig verbirgt sich hinter einer Schwindelsymptomatik eine harmlose Erkrankung, die hausärztlich abgeklärt auch recht einfach therapiert werden kann, wie gutartiger Lagerungsschwindel beispielsweise. Hierbei wird der Gleichgewichtssinn durch kleine Steinchen gestört, die sich in der Flüssigkeit des Gleichgewichtsorgans im Innenohr bilden. Das passiert relativ oft bei älteren Menschen und kann mit körperlichen Veränderungen oder Medikamenten zusammenhängen. Besonders nach schnellen Kopfbewegungen tritt ein unangenehmer Drehschwindel auf. Bestimmte Lagerungsmanöver können helfen, die Ablagerungen zu lösen.

Schwindel vorbeugen

Es gibt eine Reihe von Übungen, um das sprichwörtliche Gleichgewicht wiederzufinden und dem Schwindel vorzubeugen. Dabei sollte sich jeder langsam an seine persönlichen Grenzen herantasten. Eine Kombination aus Konzentrations-, Gleichgewichts- und Kräftigungstraining hilft dabei, das Vertrauen in den eigenen Körper zu stärken. Auch die Augen sollten miteinbezogen werden, weil s ie, wie bereits erwähnt, mit dem Gleichgewichtssinn verbunden sind.

Wenn der Kopf schwirrt

Achtsames Gehen fördert die Konzentration und beruhigt. Denn auch übermäßiger Stress – wie auch Angst oder ein Schock – kann uns schwindelig werden lassen. Zunächst steht man barfuß entspannt in einer ruhigen Umgebung und lässt die Gedanken an den Beinen hinab zu den Füßen wandern. Man spürt die Füße, die Fersen und die Vorderballen und geht langsam und bewusst durch den Raum. Das Gewicht verlagert sich dabei von dem einen Bein auf das andere. Schon nach wenigen Minuten kann eine erwünschte Wirkung eintreten. Zusätzlich hilft eine Kräftigung der Bauchmuskulatur oder der Waden – zum Beispiel durch das Anheben und Absetzen der Fersen – und gibt das Gefühl, solider mit beiden Beinen auf der Erde zu stehen.

Ab wann ist Schwindel gefährlich?

Wenn sich alles dreht, ein Mensch die Orientierung und die Kontrolle über den eigenen Körper verliert, können selbst kurze Schwindelanfälle gefährlich werden. Durch einen unsicheren Tritt können Betroffene fallen und sich dabei verletzen. Bei Schwindel neigen insbesondere ältere Menschen zu Stürzen, die häufig zu Verletzungen wie Prellungen und Knochenbrüchen führen. Eine gestörte Wahrnehmung und Körperkontrolle durch Schwindel können zudem im Straßenverkehr lebensgefährliche Situationen auslösen. Grundsätzlich muss eine kurze Schwindelattacke aber nicht bedeuten, dass es auch ein medizinisches Problem gibt. Das gilt vor allem, wenn der Schwindel eine eindeutige Ursache hat, zum Beispiel eine lange Schiffsreise oder eine Fahrt im Karussell. Ansonsten sollte Schwindel aber hausärztlich abgeklärt werden.

Im Notfall

Wenn eine Schwindelattacke mit Seh-, Sprech- oder sonstigen Störungen einhergeht, sollte auf jeden Fall schnell ärztliche Hilfe aufgesucht werden, um lebensbedrohliche Erkrankungen, wie beispielsweise einen Schlaganfall auszuschließen.

Volkshochschule Münster

Neue Entspannungs- und Bewegungsräume mit Blick ins Grüne

„Im Gesundheitsbereich wächst die Nachfrage nach Bewegungsangeboten beständig, denn die Menschen brauchen einen Ausgleich zum bewegungsarmen und stressigen Alltag“, so Gabriele Liedmeyer, Fachbereichsleiterin für Gesundheit an der Volkshochschule Münster. „In guter Atmosphäre besser lernen“, das gilt für die Gesundheitskurse der Volkshochschule zur Ernährung, Bewegung und Entspannung.

Frisch renoviert: die neuen Bewegungsräume

Die vier neuen Gesundheitsräume sind nach der mehrjährigen Sanierungsphase im Aegidiimarkt jüngst fertiggestellt worden Von außen erreichbar sind die Räume E01 und E02 über die Aegidiistraße. Sie sind ebenerdig zugänglich – ebenso wie die Gymnastikräume 3N und 4N für Bewegungsangebote von psychischer Gesundheit, Entspannung bis zur Rückengesundheit oder Thai Bo. Die raumhohen Fensterflächen zur Aa zum grünen Aaseitenweg fluten die Räume mit viel Licht. Weiße Wände und hohe Decken lassen sie luftig wirken. Umkleiden und Duschräume sind modern eingerichtet und dezent in Hellgrau gefliest.

Modern & gesellig: die neue Küche

Auch die moderne Küche im Gesundheitshaus ist mit Kochinsel, Backöfen und Arbeitsflächen und einem weiteren Raum zum gemeinsamen Essen und für Theorie und Praxis in der Gasselstiege mit ihrer Lage in der vierten Etage ein wahrer Hingucker: der Blick über die Dächer von Münsters Norden inklusive. Ob bei Themen wie „wertvoll Leben ohne Plastik“ oder „Zero-Waste Küche“ mit null Abfall, nachhaltig kochen, Naturkosmetik herstellen oder die Welt kostbarer Öle kennenlernen, Backen mit Sauerteig oder Kochen wie bei Oma, aber vegan, eine kulinarische Weltreise machen, Küchenschätze weltweit und vor der Haustür zu entdecken, es gibt viele Anregungen, welche die kochpassionierten Teilnehmenden ausprobieren können.

Von Yoga bis Bogenschießen: vielfältiges Kursprogramm

Im Frühjahr eigene Ressourcen stärken, Bogenschießen in der Halle mit Ann-Kathrin Reisener, mehrfache DM Teilnehmerin und amtierende Landesmeisterin 2024 Halle (ab 13.1.) oder Selbstbehauptung und Selbstver-

Neues Kursprogramm 2025

Weiterbildungsangebote in vielen Sprachen, Gesundheit, Kunst und Kultur, Beruf und Wirtschaft, Digitale Medien, Familienbildung und Pädagogik starten im Frühjahrsprogramm 2025 der VHS Münster ab Januar. Infos und Anmeldung auf der Homepage via stadt-muenster.de/vhs

Gute Aussichten: Erst nachhaltig und nach dem „Zero Waste“-Prinzip kochen, dann gemeinsam im neuen Esszimmer speisen.

teidigung trainieren. Daoistisches Yoga oder innere Ruhe und Gelassenheit lernen und einfach die richtige Pause zur rechten Zeit machen, dafür bietet die vhs Münster ganz verschiedene Kurse und Trainings. Mit Kreativität und Improvisation beim Rollenspiel und Entspannungsübungen neue Ausdrucksformen finden, sich wohlfühlen in den Wechseljahren und entspannt durch diese besondere Zeit kommen: Die vhs Münster mit ihren gut ausgebildeten Kursleitenden möchte die Gesundheit aller Teilnehmenden stärken und neue Energien freisetzen. Bei Interesse bietet die neue Panorama-Homepage der vhs Münster das Lieblingsangebot.

Auch die Kabinen wurden neu und hell gestaltet.

Persönliche Anmeldung & Beratung

Der vhs-Infotreff befindet sich im Erdgeschoss der vhs im Aegidiimarkt. Öffnungszeiten: Mo. & Mi. 10 bis 16 Uhr, Di. & Fr. 10 bis 13 Uhr, Do. 10 bis 18 Uhr (in den Schulferien bis 16 Uhr). Telefon 0251-4924321 (ab 9 Uhr) www.stadt-muenster.de/vhs

LWL-Pflegeschule Münster

Pflege hat Zukunft

Neuer Name, neue Leitung, aber Bewährtes bleibt.

In der LWL-Pflegeschule Münster – vormals LWLAkademie für Gesundheits- und Pflegeberufe – werden aktuell rund 180 Auszubildende kompetent und sehr nahbar auf ein breites Tätigkeitsfeld in der stationären, klinischen und ambulanten Akut- und Langzeitpflege vorbereitet.

„Pflege ist so viel mehr als Körperhygiene und Essen reichen“, stellt Natalie Große Maestrup fest, die seit Mai 2024 die Schulleitung übernommen hat. „In unseren LWLKliniken werden Menschen unterschiedlichen Alters mit psychischen Erkrankungen behandelt. Deshalb ist es so wichtig, dass auch die sozialen und persönlichen Kompetenzen neben den fachlichen und wissenschaftlichen Fähigkeiten innerhalb der Ausbildung ausgebaut werden. Denn anders als in einer Akutklinik bleiben psychisch erkrankte Menschen, mit beispielsweise Depressionen oder Essstörungen, häufig mehrere Wochen in der Klinik. So werden Pflegekräfte zu wichtigen Bezugspersonen.“

Strukturen neu denken & Image verbessern

Die neue Schulleiterin und studierte Berufspädagogin hat selbst einige Jahre als Lehrkraft in der Pflegeschule gearbeitet, 2023 anteilig die Stellvertretung übernommen

und möchte nun die gute Lernkultur am Standort Münster weiter stärken. „Meine Tür steht immer offen“, sagt Natalie Große Maestrup. Zusammen mit ihrem Team möchte sie Ideen entwickeln und Strukturen neu denken. Dinge, d ie der Ausbildung guttun. Und gegen das schlechte Image, das Pflegeberufen anhaftet, etwas Konstruktives entgegensetzen. „Es hat sich glücklicherweise schon einiges getan“, erzählt die 39-Jährige mit Blick auf die Bezahlung. Im ersten Jahr erhalten die Auszubildenden eine Vergütung von 1.340,69 Euro, im dritten sind es schon knapp über 1.500 Euro. „Schicht- und Wochenenddienste bleiben zwar nach wie vor bestehen, aber flexiblere Arbeitszeitmodelle sind momentan ein großes Thema, um den Beruf noch attraktiver zu machen“, so Natalie Große Maestrup.

Beruf mit Perspektive

LWL-Akademie für Gesundheits- & Pflegeberufe der LWL-Kliniken Münster und Lengerich

Die Ausbildung zur Pflegefachfrau/zum Pflegefachmann an der Pflegeschule Münster dauert drei Jahre. Sie besteht etwa je zur Hälfte aus Theorie und Praxis. In Kooperation mit der FH Münster gibt es die Möglichkeit, parallel zur Ausbildung „Pflege Dual“ zu studieren. Am Ende stehen der Berufsabschluss und ein Bachelor-Titel. Egal, ob mit

oder ohne Studium, für Pflegefachkräfte bietet sich eine Vielzahl an attraktiven Job-Perspektiven – im In- und Ausland. „Mit allen Auszubildenden sprechen wir über ihre Wünsche und entwickeln gemeinsam einen Ausbildungsplan“, berichtet die Schulleiterin. „Uns liegt auch die Gesunderhaltung unserer Azubis sehr am Herzen, die wir mit speziellen Angeboten fördern.“ Das Besondere an der Ausbildung in Münster ist der wertschätzende Umgang miteinander – im multiprofessionellen Team und mit den Azubis. „Wir lassen keinen fallen“, erläutert Natalie Große Maestrup das Selbstverständnis der weltoffenen LWLPflegeschule Münster. „Wenn jemand mehr Begleitung und Lernunterstützung braucht, dann setzen wir alles dran, jeden mitzunehmen.“

Jetzt

starten!

Die nächsten Ausbildungsjahrgänge beginnen zum 1.3. und zum 1.10.2025. Und 2026 gibt es gleich drei Starttermine: zum 1.2., 1.6. und 1.10.2026.

LWL-Klinik Münster

Friedrich-Wilhelm-Weber-Str. 30, 48147 Münster, Tel. 0251-91555-0 www.lwl-klinik-muenster.org

Natalie Große Meastrup

Jentschura Akademie

Gesund leben lernen

Peter Jentschura hat mit seinen basischen Lebensmitteln und Körperpflegeprodukten einen Nerv getroffen und ein international agierendes Unternehmen aufgebaut. Mit seinen basischen Gesundheitsprodukten hat das Unternehmen im Handel Erfolgsgeschichte geschrieben.

Passend zum 30. Jubiläumsjahr hat das Familienunternehmen in 2023 eine eigene Akademie eröffnet, in der nun seit eineinhalb Jahren gesundes Leben gelehrt wird.

„Wir freuen uns sehr, im 30. Jubiläumsjahr unserer Firma, unserem Wissen einen Ort zu geben, einen Ort des Lebens, Lernens und Erlebens“, erklärte Gründer Dr. h. c. Peter Jentschura. In der Akademie vermitteln die Experten, wie durch eine bewusste Lebensweise die Gesundheit wirkungsvoll gefördert werden kann. Unter dem Motto „Gesund leben lernen“ gibt es ein großes Portfolio an Seminaren und Workshops rund um ein gesundes Leben in der Säure-Basen-Balance.

Austausch und Gemeinschaft für nachhaltige Gesundheit

Die Jentschura Akademie versteht sich als ein Ort der Wissensvermittlung, der Begegnung, des Erlebens. Menschen aus aller Welt sollen hier zusammenkommen – getragen von der gemeinsamen Vision eines gesunden Lebens auf einem gesunden Planeten. Was zunächst theoretisch klingt, wird ganz praktisch vermittelt – von Oecotrophologen, Physiotherapeuten oder Heilpraktikern.

Geschäftsführerin Barbara Jentschura erläutert: „Gesunde Nachhaltigkeit und eine bewusste Lebensführung stehen im Fokus. Unsere Seminare sind nicht nur für regionales und nationales, sondern auch für internationales Publikum interessant.“ Neben Vorträgen gibt es Workshops, Kochkurse oder basische Anwendungen in der Gruppe. „Kochen, baden, Körper und Seele pflegen, Sport treiben, Wissen sammeln – und genießen. Unser Wissen setzen wir hautnah und praktisch um“, so Peter Jentschura.

Für alle, die gesund lernen möchten

Das Angebot der Akademie richtet sich sowohl an private als auch an gewerbliche Kunden. Einige Kurse werden sogar von der Krankenkasse bezuschusst. Im Erdgeschoss des modernen Akademiegebäudes findet die Wissensvermittlung statt – in multifunktional eingerichteten Seminar- und Schulungsräumen. Auch die große Lehrküche ist dor t untergebracht. Im Obergeschoss befinden sich Schulungsräume für Behandlungen, in denen das gelernte Wissen direkt in die Praxis umgesetzt werden kann. Hier erwartet die Teilnehmer die Badelandschaft Balneum mit neun Badewannen, einer Fußbaderunde und einer milden Terracotta-Sauna. Zudem stehen anspruchsvoll ausgestattete Zimmer zur Verfügung, sodass bei mehrtägigen Kursen auch eine Übernachtung vor Ort möglich ist.

Jentschura Akademie

Otto-Hahn-Str. 22-26, Münster-Roxel www.jentschura-akademie.com

Peter Jentschura

Krankenhaus des

Für psychische Gesundheit und Inklusion

In der LWL-Klinik Münster werden alle psychischen Erkrankungen behandelt:

Alle Behandlungen - stationär, teilstationär und ambulant - erfolgen in spezialisierten Abteilungen:

Allgemeine Psychiatrie und Psychotherapie, Gerontopsychiatrie, Spezielle Psychotherapie, Suchtmedizin, Psychosomatische Medizin und Psychotherapie.

Spezifische Therapieangebote bestehen u.a. für:

•Depressionen

•Psychosen

•Demenzen

•Suchterkrankungen

•Angst- und Zwangserkrankungen

•Anpassungsstörungen

•ADHS

•somatoforme Störungen

•Essstörungen

•Persönlichkeitsstörungen

Im Mittelpunkt unserer therapeutischen Arbeit steht der Mensch in all seinen Lebensbezügen.

Wir achten das Recht auf Selbstbestimmung und unterstützen die Fähigkeit eines jeden Menschen zu Entwicklung und Eigenverantwortlichkeit.

Kontakt:

LWL-Klinik Münster

Friedrich-Wilhelm-Weber-Str. 30 48147 Münster

Tel.: 0251 91555-0

www.lwl-klinik-muenster.de

E-Mail: LWL-Klinik-Muenster@lwl.org

Foto: Henrike Hochschulz

Der feine Unterschied

Geschlechtersensible Medizin

Krankheitsverläufe sind bei Frauen und Männern unterschiedlich – so auch die Symptomatik. Während ein Herzinfarkt bei Männern meist mit einem typischen Engegefühl in der Brust einhergeht, kündigt er sich bei Frauen oft mit Rücken- und Bauchschmerzen, Schweißausbrüchen sowie Übelkeit an. Andersherum können sich Depressionen bei Männern zwar auch mit Antriebslosigkeit und/oder gedrückter Stimmung äußern, aber zum Teil kommen zusätzlich Reizbarkeit und aggressives Verhalten hinzu. Eine geschlechtersensible Medizin will Stereotype überwinden, damit Erkrankungen rechtzeitig diagnostiziert werden. Dabei geht es aber um mehr als „nur “ um Männer und Frauen.

Um schneller zur richtigen Diagnose zu kommen, müssen umfangreiche Daten gesammelt werden. In der Forschung liegt – und vor allem: lag – der Fokus jedoch oft auf dem männlichen Patienten. Bei Frauen wird häufiger als bei Männern von einer psychosomatischen Ursache ausgegangen und sie erhalten so seltener eine adäquate Schmerzbehandlung. Die Dosierung von Medikamenten ist in der Regel ebenfalls auf den männlichen Körper abgestimmt. Jedoch werden Medikamente von Männern und Frauen unterschiedlich aufgenommen, verstoffwechselt und ausgeschieden. Die Ausscheidung erfolgt oft über die Niere. Weil Männer mehr Nierenkörperchen haben und dadurch tendenziell mehr Primärharn, eine Vorstufe

Die Dosierung von Medikamenten ist in der Regel ebenfalls auf den männlichen Körper abgestimmt. Jedoch werden

Medikamente von Männern und Frauen unterschiedlich aufgenommen, verstoffwechselt und ausgeschieden.

des Urins, flacht die Wirkung von Medikamenten bei ihnen schneller ab. Eine Dosierempfehlung für „Erwachsene“ ist entsprechend ungenau, da hier viel feiner differenziert werden müsste. Das bedeutet, dass die Dosierung meist nicht nur unpassend für Frauen ist, sondern auch für trans-, intergeschlechtliche oder nicht-binäre Menschen sowie für Männer, die vom Idealtypus des Standard-Patienten abweichen. Für eine individuelle Diagnose und Behandlung ist es daher von zentraler Bedeutung auch Genderaspekte zu berücksichtigen.

Medizinische Leitlinien überarbeiten

Zu den meisten Erkrankungen gibt es Medizinische Leitlinien. Sie werden systematisch entwickelt, um Ärzte bei der Entscheidungsf indung zu unterstützen. Eine Berücksichtigung der Dimension Geschlecht ist hier besonders wichtig. Dabei spielen nicht nur biologische Faktoren eine Rolle, sondern auch geschlechtsspezifische Unterschiede im Gesundheitsverhalten. So werden bei Männern häufig

GenderMed-Wiki

An der Uni Münster wird geschlechtersensible Medizin bereits seit vielen Jahren durch Prof. Bettina Pfleiderer als Pflichtwahlfach im klinischen Abschnitt des Medizinstudiums unterrichtet. Die Medizinerin ist deutschlandweit und international eine gefragte Expertin auf diesem Gebiet. Sie macht sich dafür stark, dass das Thema in der Medizin in die Pflichtlehre verankert wird. Um das zu befördern, hat sie mit ihrem Team „GenderMed-Wiki“ entwickelt, eine Austausch- und Wissensplattform zu Themen rund um Geschlecht und Medizin mit vielen Fallstudien und Lehrmaterialien, die für Lehrende f rei verfügbar sind.

Erkrankungen wie Osteoporose, Brustkrebs und Depressionen nicht erkannt. Denn Anzeichen wie Reizbarkeit, aggressives Verhalten und Suchterkrankung werden nicht sofort mit der Diagnose Depression in Verbindung gebracht. Männer sind häufig zurückhaltender, wenn es darum geht, vermeintliche Schwächen zuzugeben oder Hilfeangebote anzunehmen. Die Suizidrate bei Männern mit Depressionen liegt drei bis vier Mal höher als bei Frauen.

Es gibt viel zu tun ... ... um eine geschlechtersensible Medizin voranzutreiben. In 2022 kamen auf Einladung der Universität Bielefeld erstmalig Vertreter*innen von acht nordrhein-westfälischen Medizinischen Fakultäten – darunter auch die der Universität Münster – zusammen. Nach regem Austausch zu Strategien zur Berücksichtigung von Geschlechteraspekten in der Medizin an ihren Universitäten und zur Verankerung in Studienordnungen der Fakultäten und in der humanmedizinischen Forschung, beschlossen sie, das Netzwerk Geschlechtersensible Medizin NRW zu gründen. 

Gamechanger in der modernen Vorsorgemedizin

Ganzkörper-MRT

Wer kennt sie nicht, die ikonischen Szenen aus Star Trek, in denen der Schiffsarzt verletzte Besatzungsmitglieder mit einem piependen Scanner von Kopf bis Fuß durchleuchtet, der dabei auch noch präzise medizinische Analysen erstellt. Was lange Zeit ein reines Science-Fiction-Szenario war, ist heute auf dem besten Weg, Realität zu werden. Möglich macht es die Ganzkörper-MRT. In unter 60 Minuten werden mit Magnetfeldern und Radiowellen hochauflösende Bilder des gesamten Körpers angefertigt, von Künstlicher Intelligenz analysiert und abschließend von versierten Radiolog*innen ausgewertet.

Auch wenn wir heute noch nicht ganz das technische Niveau des Star Trek Universums erreicht haben, kommen wir mit der Ganzkörper-MRT der Vision eines umfassenden GesundheitsScanners, der uns auf Knopfdruck Auskunft über unseren Gesundheitsstatus gibt, schon sehr nahe. Denn MRT-Scans werden nicht mehr ausschließlich zur Diagnostik bei bestehenden Beschwerden eingesetzt, sondern zunehmend auch präventiv. So können Krankheitsprozesse erkannt werden, bevor sie zu Problemen führen, und die Gesundheit bleibt erhalten.

Ganzkörper-MRT in der radiologischen Privatpraxis Dr. med. Michael J. Ho Dr. med. Michael J. Ho setzt die GanzkörperMRT bereits erfolgreich als Früherkennungsuntersuchung ein. Er ist Facharzt für Radiologie und Experte für die Bildgebung der peripheren Nerven. In seiner Privatpraxis im Herzen der Altstadt von Münster bietet er seinen Patient*innen das gesamte Spektrum moderner MRT-Diagnostik sowie MRT-geführte Interventionen an. Einen besonderen Schwerpunkt bilden Spezialuntersuchungen wie die MR-Neurographie zur Darstellung der per ipheren Nerven (Nerven-MRT) oder die Funktionscine-MRT, mit der erstmals Verwachsungen (Adhäsionen) im Bauchraum nachgewiesen werden können. Aber auch der steigenden Nachfrage nach Vorsorgeuntersuchungen wird die Praxis mit individuell abgestimmten Früherken-

nungskonzepten gerecht. „Bei unserer Arbeit orientieren w ir uns an den drei I“, erklärt Praxisinhaber Dr. Ho: „innovativ – individuell – interdisziplinär.“ Er ist auch Gründer des interdisziplinären Radiologie-Netzwerks ARISTRA. Hochleistungs-MRT in Münster

Das Herzstück der Praxis ist ein 3-Tesla-Magnetresonanztomograph auf dem neusten Stand der Technik. Grundsätzlich gilt: Je mehr Tesla das Gerät hat, desto stärker ist das Magnetfeld und desto detaillierter sind die Aufnahmen. Standard sind heute 1,5 Tesla; mit

einem 3-Tesla-MRT können im Unterschied zu diesem selbst kleinste krankhafte Veränderungen sichtbar gemacht werden. So lassen sich zum Beispiel Krebsherde oder Verschleißerscheinungen erkennen, lange bevor sie ernsthafte Beschwerden verursachen. Entsprechend früh kann mit der Behandlung begonnen werden. Auch der Komfort ist im 3-Tesla-MRT deutlich höher: Die besonders große Öffnung von 70 Zentimetern sorgt für ein angenehmes Raumgefühl und die Geräuschkulisse ist deutlich niedriger als bei älteren Geräten. Ein ausgewähltes Unterhaltungsprogramm (Filme, Musik, Lichtanimationen etc.) sorgt zusätzlich dafür, dass die Zeit während der Untersuchung wie im Flug vergeht.

Früherkennung mit der Ganzkörper-MRT

Bei der Ganzkörper-MRT werden sämtliche Organsysteme, Blutgefäße, Knochen, Muskeln und Gelenke in einer einzigen Sitzung untersucht – schmerzfrei, nicht-invasiv und völlig ohne Strahlenbelastung. Dadurch kann die Ganzkörper-MRT im Gegensatz zu anderen bildgebenden Verfahren wie CT oder Röntgen beliebig oft wiederholt werden, was sie zu einem idealen Vorsorgeinstrument macht. Krankhafte Veränderungen, etwa bedingt durch Krebs, Entzündungen oder degenerative Prozesse, werden durch regelmäßige Kontrolluntersuchungen zuverlässig in einem frühen Stadium erkannt. Bei der Auswertung der

Aufnahmen gehen die Radiolog*innen die großen Körperbereiche Schritt für Schritt durch. Dazu zählen:

n Gehirn und Rückenmark: Zu den häufigsten neurologischen Erkrankungen, die mit einer MRT-Untersuchung des Gehirns und des Rückenmarks festgestellt werden können, gehören Hirntumore, Multiple Sklerose, Aneurysmen und Gefäßfehlbildungen, akute Durchblutungsstörungen sowie unterschiedliche Demenzformen.

n Herz und Lunge: Angeborene Herzanomalien, verengte Herzgefäße oder entzündliche Erkrankungen des Herzens wie Myokarditis oder Perikarditis lassen sich in der Ganzkörper-MRT ebenso sicher nachweisen wie Lungenfibrose (Vernarbung des Lungengewebes), Lungenkrebs und Lungenmetastasen oder Hinweise auf eine chronisch obstruktive Lungenerkrankung (COPD).

n Bauch- und Beckenorgane: Im Bauchraum (Abdomen) befinden sich zahlreiche Organe, darunter Magen, Leber, Gallenblase, Bauchspeicheldrüse, Milz, Nieren sowie Dünn- und Dickdarm; im Beckenbereich kommen die weiblichen oder männlichen Geschlechtsorgane hinzu. Tumoren, Entzündungen, Gallen- oder Nierensteine können starke Beschwerden verursachen, zuvor aber auch lange Zeit symptomlos bleiben. Mit der Ganzkörper-MRT können Erkrankungen des Bauchraums frühzeitig erkannt werden, damit es gar nicht erst zu folgenschweren Komplikationen kommt.

Bei dem Patienten fanden sich mehrere stark vergrößerte Lymphknoten in der Brusthöhle bis zu einer Größe von 4,1 x 3,3 cm. Gesunde Lymphknoten sind normalerweise <1 cm. Wegen des auffälligen MRT-Befunds wurde eine Biopsie durchgeführt, die die Verdachtsdiagnose eines primären Lungenlymphoms bestätigte.

n Gelenke, Muskeln und Bänder: Orthopädischen Erkrankungen wie Bandscheibenvorfällen, Meniskusrissen, Gel enkarthrosen, rheumatischen Erkrankungen (z. B. Arthritis), Nervenreizungen oder Nervenkompressionssyndromen usw. gehen oft Jahre voraus, in denen noch keine einschränkenden Symptome bestehen, aber bereits deutliche Verschleißerscheinungen erkennbar sind. Auch hier kann die Ganzkörper-MRT dazu beitragen, Gewebeveränderungen frühzeitig sichtbar zu machen, um vorbeugende Maßnahmen zu ergreifen oder eine gezielte Behandlung einzuleiten.

Regelmäßige Check-ups

Grundsätzlich kann jeder Mensch, unabhängig von Alter oder Gesundheitszustand, eine Vorsorgeuntersuchung mittels Ganzkörper-MRT in Anspruch nehmen. Es gibt jedoch bestimmte Personen- bzw. Risikogruppen, die von einem regelmäßigen Check-up besonders profitieren. Dies sind zum einen Menschen, in deren Familien bestimmte Krebsarten gehäuft auftreten (Brustkrebs, Darmkrebs, Prostatakrebs etc.) und die dementsprechend eine genetische Veranlagung haben. Zum anderen sind dies Menschen, die bereits an Krebs erkrankt waren und ein Rezidiv frühzeitig erkennen möchten. Aber auch bei Sportler*innen, insbesondere Leistungssportler*innen, kann eine regelmäßige Ganzkörper-MRT sinnvoll sein. Überlastungsschäden und degenerative Veränderungen durch die erhöhte Belastung von Gelenken, Sehnen und Bändern können so rechtzeitig erkannt werden, bevor es zu Folgeschäden. Dasselbe gilt für Menschen mit Autoimmun- oder systemischen Erkrankungen wie Lupus erythematodes, rheumatoide Arthritis usw.

Lungenlymphom: Mit der Ganzkörper-MRT zur rettenden Diagnose „Wir sind selbst immer wieder erstaunt über das Potenzial der Ganzkörper-MRT“, sagt Dr. Ho. Ein Fall aus der jüngsten Vergangenheit ist ihm besonders in Erinnerung geblieben. Ein Patient Mitte sechzig vereinbarte einen Termin zur Ganzkörper-MRT. Im Vorgespräch gab er leichte Atembeschwerden und gelegentlichen Husten an – unspezifische Symptome, die bei vielen harmlosen Atemwegserkrankungen auftreten. Auf den Aufnahmen zeigten sich allerdings verdächtige Gewebeveränderungen, die, wie sich später herausstellte, vereinbar mit einem pr imären pulmonalen Lymphom (PPL) waren, einer sehr seltenen Krebserkrankung der Lungen. Dank der frühzeitigen Diagnose konnte die Behandlung umgehend

Unser Experte

Dr. med. Michael J. Ho ist Facharzt für Radiologie und Experte für per iphere Nerven. In seiner radiologischen Privatpraxis in Münster betreut er Patient*innen individuell angepasst auf die jeweiligen Bedürfnisse. Er ist Geschäftsführer und Mitbegründer von ARISTRA. Das ARISTRA-Netzwerk ermöglicht den fachlichen Austausch von Fachärzten rund um die Welt. So profitieren auch die Patient*innen von Dr. med. Michael J. Ho ohne Mehrkosten von der Expertise einer Vielzahl spezialisierter Radiolog*innen.

eingeleitet werden. „Dieser Fall zeigt eindrucksvoll, wie die Ganzkörper-MRT als präventive Untersuchung dazu beitragen kann, selbst seltene und unerwartete Erkrankungen frühzeitig zu erkennen – oft bevor sie ernsthafte Beschwerden und Folgeschäden verursachen“, betont Dr. Ho.

Der Rhythmus muss stimmen

Der eine nimmt das Herz in die Hand und dem anderen rutscht es in die Hose. Die deutsche Sprache kennt viele Redensarten, in denen das Herz eine Rolle spielt. Da können andere Organe fast neidisch werden. Während beispielsweise in der Leber viele chemische Prozesse ablaufen und das Gehirn permanent mit unzähligen elektrischen Impulsen beschäftigt ist, verrichtet das Herz eine vergleichsweise einfache Tätigkeit: Es pumpt Blut durch die Arterien und Venen.

Das Herz eines gesunden Menschen macht einen ausgesprochen zuverlässigen Job. Es schlägt rund 70 mal pro Minute und passt seinen Rhythmus situativ an. Wenn wir Sport machen, erhöht es die Taktzahl und transportiert mehr Nährstoffe und Sauerstoff. Das Herz ist ein Wunderwerk der Natur.

Herzerkrankungen sind die Todesursache No. 1 in Deutschland

Trotzdem sind laut RKI Herz-Kreislauf-Erkrankungen die führende Todesursache in Deutschland und verursachen insgesamt etwa 40 Prozent aller Sterbefälle. Die wichtigsten beeinflussbaren Risikofaktoren für Herz-KreislaufErkrankungen sind kardiometabolische Erkrankungen wie Hypertonie (Bluthochdruck), Diabetes mellitus, Fettstoffwechselstörungen und Adipositas sowie gesundheitsbeeinträchtigende Verhaltensweisen wie Rauchen, körperliche Inaktivität und ungesunde Ernährung.

Viele Herzerkrankungen bleiben lange unbemerkt

Auch wenn man auf sein Herz hört: Viele Herzerkrankungen bleiben lange Zeit unbemerkt. Die meisten betroffenen Menschen sind symptomfrei, bis sie einen Herzinfarkt erleiden oder werden erst diagnostiziert, wenn sie starke Symptome aufweisen. Bislang gehört das EKG zu den gängigen Untersuchungen in puncto Herzvorsorge. Ein Standardverfahren, das nach Meinung von Experten nur eine geringe diagnostische Aussagekraft in Bezug auf Durchblutungsstörungen im Herzmuskel besitzt. Andere, kostenintensive Möglichkeiten, Problematiken abzuklären sind das Herz-CT, ein MRT oder eine Katheteruntersuchung. Wobei Letztere für die Patient*innen belastend sein kann, denn um einen Katheter vom Handgelenk oder der Leiste zum Herzen zu führen, muss eine Arterie punktiert werden. Das kann zu Nachblutungen, Gefäß- und Ner venirritationen, Blutergüssen und in extrem seltenen Fällen zu tödlichen Komplikationen, wie Herzinfarkt oder Schlaganfall, führen.

Cardisiographie: neue Herzvorsorge –schnell, einfach, zuverlässig!

In Frankfurt hat 2016 das Medizin-Start-up Cardisio ein neues Verfahren zur frühzeitigen Erkennung von Herzkrankheiten entwickelt: die „Cardisiographie“ (CSG). Sie ist ähnlich einfach anzuwenden wie ein EKG und ebenfalls nicht-invasiv. Für die Untersuchung werden Elektroden an den Körper angeklebt und keine Nadeln oder Spritzen in den Körper eingeführt. Dadurch ist die Cardisiographie laut Cardisio ohne Risiko und für jeden Erwachsenen geeignet, unabhängig von Alter oder Gesundheitszustand. Der große Unterschied besteht darin, dass die CSG den Herzmuskel im dreidimensionalen Raum vermisst. Die gemessenen Werte werden mittels eines speziellen Computer-Algorithmus, der auf Künstlicher Intelligenz basiert, ausgewertet. So werden gemäß einer Studie von Cardisio z. B. von einem herkömmlichen EKG nur 25 Prozent der an einer koronaren Herzkrankheit erkrankten Patienten erkannt, durch die Cardisiographie würden 95 Prozent erfasst. Die Auswertung sorgt schnell für Klarheit, ob das Herz erkrankt ist oder ob ein Herzinfarkt drohen könnte. Neben der leichten Interpretierbarkeit hat die Cardisiographie noch einen weiteren, entscheidenden Vorteil: Sie ist schnell. Dank der Methode kann innerhalb weniger Minuten geklärt werden, wie es um die Herzgesundheit der Patient*innen bestellt ist und eine entsprechende Therapie – falls erforderlich – entsprechend rasch eingeleitet werden.

Eine Liste der Praxen, die eine Cardisiographie anbieten, findet man unter www.cardiocheckup.health

Kardiologische Rehabilitation im ZaR Münster

Für ein gesundes Herz

Ob nach einer Bypass-Operation, einem Herzinfarkt, einer Herzmuskelentzündung, oder bei chronischen Erkrankungen wie einer Herzschwäche, einer Herzrhythmusstörungen oder Bluthochdruck - eine kardiologische Rehabilitation kann den Heilungsverlauf begünstigen und schwere Folgen verhindern. Das Zentrum für ambulante Rehabilitation (ZaR) in Münster bietet Patientinnen und Patienten eine ganztägig ambulante, komplexe Rehabilitationsbehandlung an.

Wann kommt eine kardiologische Reha in Frage?

Eine kardiologische Reha richtet sich an herzkranke Patientinnen und Patienten. Nach einer akuten Erkrankung oder Operation des Herz- und Gefäßsystems oder bei einer chronischen Erkrankung des Kreislaufsystems bietet das ZaR den Rehabilitanden eine ganztägig ambulante, komplexe Rehabilitationsbehandlung zur Wiederherstellung und Stabilisierung der körperlichen Leistungsfähigkeit und Steigerung des Selbstvertrauens. Die ambulante kar-

diologische Rehabilitation trägt auch dazu bei, die Komplikationen oder das Fortschreiten einer zugrundeliegenden Herz- oder Gefäßerkrankung zu vermeiden, Inhalte eines gesunden, bewussten Lebensstils zu erkennen und dem individuellen Bedarf anzupassen.

Was ist das Ziel einer kardiologischen Reha?

Das Hauptanliegen der kardiologischen Reha ist das Erlernen eines gesunden Lebensstils und eine optimierte

medikamentöse Behandlung, um die baldige Rückkehr in Alltag und Beruf zu ermöglichen. Um optimale Rehabilitationsergebnisse zu erzielen und die Rehabilitanden auf alle Facetten ihres Alltags vorzubereiten, entwickelt das interdisziplinäre Team, bestehend aus u.a. medizinischem Fachpersonal, Bewegungstherapeutinnen und -therapeuten, Ernährungsberaterinnen und Sozialarbeiterinnen, nach der ausführlichen, problemorientierten Aufnahme durch den behandelnden Arzt, einen für die Rehabilitanden und ihre Zielsetzungen ausgerichteten Rehabilitationsplan. Die Reha-Maßnahmen helfen den Rehabilitanden dabei, ihre Leistungsfähigkeit und Lebensqualität zu verbessern und sich wieder in Alltag und Beruf einzugliedern.

Indikationsbeispiele für eine kardiologische Reha

Das ZaR behandelt Patienten nach einem Herzinfarkt, einer Bypass-Operation, einer Herzklappenoperation, einer Herztransplantation, sonstigen Herzoperationen, einer Operation an den großen Gefäßen, einer Versorgung mit einem Schrittmacher oder Defibrillator, einer akuten Herzmuskelschwäche, entzündlichen Herzmuskelerkran-

Das ZaR Münster

Das Zentrum für ambulante Rehabilitation (ZaR) ist eine Gemeinschaftseinrichtung aller Münsteraner Krankenhäuser, die mit maßgeblicher Unterstützung der Deutschen Rentenversicherung Westfalen (DRV) gegründet wurde. Das ZaR ist seit 1999 fest in Münster etabliert und bietet auf 11.000 m² differenzierte und individuelle Lösungen für komplexe gesundheitliche Problemlagen in unterschiedlichen therapeutischen Bereichen an. Zum Angebotsspektrum gehören u.a. die ganztägige, ambulante Rehabilitation, Berufsgenossenschaftliche Heilverfahren, Prävention und Betriebliches Gesundheitsmanagement, Heilmittel sowie Nachsorgeleistungen.

kungen, Herzrhythmusstörungen, einer Lungenembolie. Außerdem ist eine kardiologische Rehabilitation möglich bei: Herzkranzgefäßerkrankungen ohne akuten Herzinfarkt, Erweiterung eines Gefäßes mit und ohne Einsetzen einer Gefäßstütze (eines Stents), chronischer Herzinsuffizienz, peripheren arteriellen Durchblutungsstörungen, Venenthrombosen, Hochdruckkrankheit, ausgeprägtem metabolischem Syndrom (Übergewicht mit Fettstoffwechselstörung, Zuckerkrankheit und hohem Blutdruck).

ZaR in Münster

Ansprechpartnerin: Elena Ioppa

Tel.: 0251-98767-0, info@zar-ms.de www.zar-ms.de

Spezielles Therapieangebot

im ZaR Münster

Kardiologisch / angiologische, nichtinvasive Diagnostik; indikationsspezifische Blutuntersuchung; medikamentöse Einstellung; PC-EKG-überwachtesErgometertraining; spezifisches Herzinsuffizienztraining und Gefäßtraining; Training der Kraftausdauer und Koordination an medizinischen Trainingsgeräten; Bewegungsbehandlung im Gymnastikraum; Krankengymnastik; physikalische Therapie; Vorträge zu Themen wie Stressbewältigung, Ernährung, Sport und Gesundheit; Entspannungsübungen; psychologische Betreuung; Nichtrauchertraining; Ernährungsberatung mit gemeinsamen Kochen in der Lehrküche; Ergotherapie; Sozialberatung; ärztliche Vorträge im Rahmen des Krankheitsbildes; INR-Selbstbestimmungsschulung.

Bei akuten und chronischen Beschwerden

Bioadaptive Impulstherapie

Dauerhafte Schmerzen hindern Menschen nicht nur daran, unbeschwert am alltäglichen Leben teilzunehmen, sondern können auch auf die Psyche schlagen. Schnelle Behandlungserfolge sind also essenziell. Dass es nicht immer Schmerzmittel oder Kortison sein müssen, zeigt das Verfahren der bioadaptiven Impulstherapie, mit der sich schnelle Linderung gerade bei akuten, aber auch chronischen Schmerzen sowie muskulären

Dysfunktionen erzielen lässt. Iris Kreuzheck-Koch bietet diese innovative Schmerzbehandlung in ihrer Praxis an der Friedrich-Ebert-Straße an.

Die bioadaptive Impulstherapie ist eine speziell regulierte Elektrotherapie mit mobilen Geräten des Herstellers KeyTec. Aktuelle Forschungen und Entwicklungen auf dem Gebiet der Elektrotherapie ermöglichen heute eine Technologie, bei der die elektronischen Impulse nahezu in Echtzeit unter die ersten Hautschichten in den Körper geleitet werden. Das mobile Gerät erfasst daraufhin die körpereigenen Reaktionen und passt sich in Sekundenbruchteilen an den Patienten an. Daher spricht man auch von bioadaptiver Elektrotherapie.

Funktionsweise

Die bioadaptive Impulstherapie wird letztendlich vom Körper des Patienten selbst gesteuert. Ein erster Impuls wird hierbei nur unter die ersten Hautschichten in den Körper geleitet. Das unterliegende Gewebe wird somit nicht beeinflusst. Dieses Verfahren ermöglicht allerdings eine Messung der Gewebedämpfungseigenschaften und damit der körpereigenen Reaktion auf den Impuls, die durch einen integrierten Prozessor ausgewertet werden kann. Bildhaft gesprochen erzeugen Körper und Gerät eine Art Dialog und gehen eine Wechselwirkung ein.

Schonend, schmerzarm und effizient

Auf Basis der Messdaten passen sich die Geräte der KeySerie an und erzeugen in Sekundenbruchteilen ein entsprechendes, individuelles Antwortsignal. Die Bioadaption er folgt somit nicht nur einmalig, sondern vielfach pro Sekunde. Durch die ständige Varianz der Impulse und aufgrund der individuell gewählten Wechselfolgen der Behandlungsalgorithmen kommt es während der Behandlungszeit zu regulativen und zeitnahen funktionellen Veränderungen. Diese Form der Elektrotherapie ist besonders schonend, schmerzarm und effizient.

Anwendungsgebiete

Unsere Expertin

Iris Kreuzheck-Koch

Heilpraktikerin, Naturheilpraktikerin und Podologin DDG. In ihrer Praxis an der Friedrich-Ebert-Straße behandelt sie ihre Patienten mit einem breiten therapeutischen Spektrum, u. a. als Darmtherapeutin, Immuntrainerin und Expertin für Darmgesundheit.

Die Bioimpulse haben positiven Einfluss auf das vegetative Nervensystem und damit auf die körpereigenen Anpassungsund Regulationsvorgänge. Deshalb wird die Therapie von Keytec insbesondere bei der Linderung von akuten und chronischen Beschwerden sowie bei der Behandlung muskulärer Dysfunktionen eingesetzt. Sie führt zu schnellen funktionalen Verbesserungen, meist einhergehend mit sofortiger Schmerzreduktion. Nach einer Therapie mit den Geräten der Key-Serie nehmen laut Studienergebnissen über 80% der Patienten eine deutliche Veränderung ihrer Beschwerden wahr. Die Anwender berichten über eine Verbesserung des Spannungszustandes der Muskeln. In der Folge finden die Keytec-Geräte seit vielen Jahren Anwendung im Profisport, u. a. nutzt der Deutsche Leichtathletik Verband die bioadaptive Impulstherapie zur Behandlung und Schmerzlinderung bei Verletzungen.

Heilpraktiker-Praxis für Naturheilkunde und Podologische Praxis Iris Kreuzheck-Koch Friedrich-Ebert-Str. 151, 48153 Münster, Tel. 0251-4840080, mobil 0173-9535822 www.heilpraktikerin-ms.de, www.podologie-ms.de

Kieferfehlstellungen gezielt behandeln

Schöne Zähne dienen der Gesundheit

Die wenigsten Menschen haben von Natur aus ein ideales Gebiss. Fast jeder hat eine Zahnfehlstellung oder eine nicht korrekte Stellung des Kiefers. In einigen Fällen sind die Fehlstellungen auf den ersten Blick zu erkennen. Neben der ästhetischen Komponente kann es zu gesundheitlich Problemen kommen, weiß Kieferorthopädin Dr. Stephanie Turchetto.

Schiefe und eng stehende Zähne erschweren nicht nur das Reinigen der Zahnzwischenräume, sondern können zu Muskelverspannungen im Kiefergelenk oder Schulterbereich und auch zu Spannungskopfschmerzen führen. Beschwerden in Gesicht und Ohren können ebenfalls zu den Symptomatiken gehören. Und wenn das Kauen schwerfällt oder das Öffnen des Mundes Probleme bereitet, wird die Nahrung nicht gut genug für den Verdauungsprozess vorbereitet – das führt unter Umständen zu Verstopfungen, Blähungen und Durchfall. Zudem werden Nährstoffe schlechter verwertet. Schon ein Zahn, der aus der Reihe tanzt, kann Schwierigkeiten bereiten. Die Zahnmedizin unterscheidet unterschiedliche Formen der Zahn- und Kieferfehlstellungen. Beim Kreuzbiss beißen die Zähne

des Unterkiefers vor die des Oberkiefers. Dies kann durch einen zu schmalen Oberkiefer oder zu breiten Unterkiefer entstehen. Beim Vorbiss hingegen ragt der Unterkiefer über den Oberkiefer hinaus. Meist tritt dies auf, wenn der Unterkiefer schneller wächst als der Oberkiefer, oder wenn der Oberkiefer in der Größenentwicklung nicht mithält. Das genaue Gegenteil ist beim Rückbiss der Fall: Der schneller wachsende Oberkiefer oder zu langsam wachsende Unterkiefer führt zu einem Vorstehen der oberen Frontzähne. Dadurch wirkt das Gesicht unproportional und ähnelt einem „Vogelgesicht“. Eine andere Form der Dysgnathie ist der offene Biss. Hier geht es um eine Lücke zwischen den oberen und unteren Zahnreihen beim Zusammenbeißen –entweder frontal oder an den Seiten. Foto: iStockphoto.com/dikushin

CMD erkennen und behandeln

„Unser Kausystem besteht aus Zähnen, Ober- und Unterkiefer, Kiefergelenken, Bändern sowie Muskeln. Von einer Craniomandibuläre Dysfunktion (CMD) sprechen Experten, wenn diese Elemente des Kausystems nicht mehr harmonisch zusammenarbeiten“, erklärt Dr. Stephanie Turchetto. Die Kiefergelenkdiagnostik gehört zum Leistungsspektrum ihrer Praxis im Kreuzviertel. Auslöser für Fehlstellungen können schlecht passender Zahnersatz, zu hohe oder niedrige Füllungen, fehlende bzw. schiefe Zähne, nächtliches Zähneknirschen oder die oben beschriebenen Malokklusionen (mal = schlecht; nicht aufeinander passender Unterkiefer zu Oberkiefer oder umgekehrt). „Auslöser für CMD ist meist eine verspannte Muskulatur, deshalb arbeiten wir häufig primär mit Physiotherapeuten zusammen, um die Verspannungen zu lösen“, berichtet die erfahrene Fachzahnärztin. Nach eingehender Anamnese und Befundung, klinischer Funktionsanalyse sowie physiotherapeutischer Therapie kann eine sogenannte „Knirscherschiene“ zusätzlich für Entlastung sorgen.

Dr. Stephanie Turchetto widmet sich in ihrer Praxis im Kreuzviertel der Vorbeugung, Erkennung und Behandlung von Fehlstellungen der Kiefer bzw. Zähne.

Je nach Ausprägung der Fehlstellungen können unterschiedlichste Zahnspangen zum Einsatz kommen.

Eine kieferorthopädische Therapie oder die Umsetzung eines geeigneten Zahnersatzes sind weitere Schritte. Dazu wird im Rahmen der Kiefergelenkdiagnostik – die sogenannte klinische und instrumentelle Funktionsanalyse – die Gelenkbewegungen des Kiefers und Lage des Unterkiefers zum Schädel genau erfasst. Eine solche Diagnose liefert präzise Ergebnisse und unterstützt die Dokumentation vor, während und nach der Behandlung.

Zahnspange ist nicht gleich Zahnspange Je nach Ausprägung der Fehlstellungen können unterschiedlichste Zahnspangen zum Einsatz kommen. Die klassischen kieferorthopädischen Bracket-Systeme gibt es heutzutage in vielen Ausführungen. „Für Patienten, für die eine Behandlung mit Standard-Metallbrackets aus ästhetischen Gründen nicht in Frage kommt, bieten sich Keramikbrackets an, die ästhetisch von Vorteil sind. Im Hinblick auf die Funktionalität und Qualität der Brackets ist kein Unterschied feststellbar“, berichtet Dr. Stephanie Turchet-

to. Seit einigen Jahren gibt es auch Lingual-Brackets, die an der Innenseite der Zahnfläche, also zungenseits, befestigt werden. Ihr Vorteil besteht darin, dass sie von außen betrachtet nicht zu sehen sind. Mit diesem Bracketsystem lassen sich alle Zahnstellungen korrigieren. Leichtere Fehlstellungen, wie kleinere Engstände oder Lücken können mit Alignern (Eigenproduktion) fast unsichtbar behandelt werden. Das für Patienten unangenehme Erstellen von Abdrücken fällt in der KFO Kieferorthopädie Kreuzviertel übrigens weg, weil dort mit einem Scan gearbeitet wird. „Mit den Daten können wir mit unserem hauseigenen 3D-Drucker die Aligner ganz individuell und immer unter zahnärztlicher Begleitung anfertigen“, so die Fachzahnärztin für Kieferorthopädie, die in ihrer Praxis viele Kinder und Erwachsene kieferorthopädisch betreut. „Die Ursachen von Zahn- und Kieferfehlstellungen können genetisch bedingt und damit vererblich sein. Wenn Eltern selbst von einer solchen Fehlstellung betroffen waren oder sind, ist es gut, wenn auch die Kinder frühzeitig kieferorthopädisch untersucht werden“, rät Dr. Stephanie Turchetto. „Denn am einfachsten ist es, Fehlstellungen früh zu behandeln.“

Je nach Diagnose wird die Korrektur der Zahnfehlstellungen kostenmäßig von den gesetzlichen Krankenkassen übernommen. Bei ästhet ischen Korrekturen zahlen die Kassen nichts dazu. Selbst bei erwachsenen Patienten besteht bei schweren Kieferfehlstellungen (Dysgnathien) die Möglichkeit einer Kostenübernahme. Erwachsene wie auch Kinder haben in der Praxis die Möglichkeit einer kostenfreien Beratung.

KFO Kieferorthopädie Kreuzviertel

Dr. Stephanie Turchetto Raesfeldstr. 15, 48149 Münster www.kfo-kreuzviertel.de

Schöne, gerade Zähne in jedem Alter

Unsichtbare Zahnspange –sichtbares Ergebnis

Viele Menschen wünschen sich gerade Zähne, möchten aber keine sichtbare Zahnspange tragen oder denken, sie seien zu alt für eine Korrektur. „Dabei lassen sich Fehlstellungen in jedem Alter korrigieren – bei Kindern ab sechs Jahren genauso wie bei Jugendlichen, Erwachsenen und Senioren“, erklärt

Dr. med. dent. Dorothea Endler.

„Die Korrektur von Zahn- oder Kieferfehlstellungen sorgt nicht nur für ein strahlendes Lächeln, sondern wirkt sich auch positiv auf die Gesundheit aus: Gerade Zähne lassen sich leichter reinigen, sind weniger anfällig für Karies und Zahnfleischerkrankungen, nutzen sich weniger schnell ab und helfen, Kieferverspannungen zu vermeiden“, so die Fachzahnärztin. Neben den gesundheitlichen Aspekten kann die Korrektur von Fehlstellungen auch weitreichende positive Auswirkungen auf Entwicklung und Selbstbewusstsein haben. Heutzutage gibt es eine große Vielzahl an modernen Zahnspangen, so dass individuell für alle Patientinnen und Patienten eine auf den Befund und die Lebenssituation abgestimmte Variante ausgewählt werden kann.

Bracket, Aligner & Co: Für jeden die passende Variante Gerade von Jugendlichen und Erwachsenen werden häufig unsichtbare Korrekturen gewünscht. Zahnspangen aus Keramik-Brackets, die zahnfarben sind und von den Mitmenschen kaum wahrgenommen werden, sind hier z.B. eine gute Lösung. Für alle, die eine noch weniger sichtbare Variante wünschen, kann eine Zahnkorrektur aber auch mit durchsichtigen Zahnschienen, sogenannten Alignern, oder mittels der innenliegenden Zahnspange (Lingualtechnik) erfolgen. Manchmal sind sogar nur wenige Monate nötig, um zum gewünschten Ziel zu gelangen. Am Ende werden die Zähne langfristig in der neuen Position stabilisiert. Ein herkömmlicher Zahnabdruck ist vorab in der Fachpraxis Dr. Endler nicht mehr notwendig. Die Zahnmodelle entstehen voll digitalisiert mittels eines dreidimensionalen Scans und eines 3D-Druckers.

Innenliegende Zahnspange

„Die Zahnspange auf der Innenseite wird sowohl höchsten medizinischen als auch ästhetischen Ansprüchen gerecht“, erläutert Dr. Endler. Mithilfe dieser sogenannten Lingualtechnik können Patientinnen und Patienten ihrem Alltag trotz der kieferorthopädischen Behandlung ganz ohne ästhetische Beeinträchtigung nachgehen. Die Zahnspange auf der Innenseite besteht dabei aus für jeden Zahn individuell gefertigten Brackets. Somit sind eine ideale Passform und höchster Tragekomfort sichergestellt. Zudem gilt die Lingualtechnik als besonders zahnschonend. Studien konnten zeigen, dass Entkalkungen des Zahnschmelzes während der Tragezeit der Spange bei innenliegenden Brackets deutlich seltener vorkommt als bei außenliegenden Brackets. Dr. Endlers Praxis ist für die beiden wichtigsten Systeme zertifiziert (WINLingual Systems und Incognito).

Unsere Expertin

Dr. med. dent. Dorothea Endler behandelt in ihrer Praxis in Münster Zahn- und Kieferfehlstellungen.

Durchsichtige Zahnschienen

Die Korrektur von Zahnfehlstellungen mit durchsichtigen Schienen, sogenannten Alignern, erfreut sich ebenfalls großer Beliebtheit. Die Zahnspange ist für die Mitmenschen quasi unsichtbar und – ein entscheidender Unterschied zur innenliegenden, festen Zahnspange – selbst herausnehmbar. „Dass die Zahnspange zum Essen oder Zähneputzen herausgenommen werden kann, empfinden unsere Patientinnen und Patienten als sehr angenehm“, berichtet die Fachzahnärztin. Gerade für Jugendliche und anspruchsvolle Erwachsene, die fest im Berufsleben stehen, sind Aligner eine ideale Behandlungsoption. Die gesamte Behandlung wird in Bezug auf jede der anzufertigenden durchsichtigen Schienen individuell von der Fachzahnärztin geplant und engmaschig kontrolliert. So erfolgt Schritt für Schritt die Zahnregulierung bis zum gewünschten Ergebnis.

Was davon zahlt die Krankenkasse?

Eine Erstberatung wird von allen Kassen übernommen. Bei diesem Termin wird der Schweregrad der Zahnfehlstellung festgestellt und über eine mögliche Kostenübernahme der Behandlung je nach vorliegendem Befund aufgeklärt. Es gibt genaue Richtlinien, anhand derer die gesetzlichen Krankenkassen die Regulierung von Zahn- und Kieferfehlstellungen bei Vorliegen gewisser Kriterien übernehmen. Bei den pr ivaten Versicherungen kommt es auf den abgeschlossenen Tarif an.

Dr. med. dent. Dorothea Endler Fachzahnärztin für Kieferorthopädie Hohenzollernring 59, 48145 Münster, Tel. 0251-14984890 www.praxis-endler.de

Neues aus Münsters

Praxen, Kliniken & Institutionen

SPRECH STUNDE

Neue Gesundheitskurse im Sobi Münster

Innere Ruhe & körperliche Stärke

In unserer hektischen Welt ist es oft eine Herausforderung, sich um die eigene Gesundheit zu kümmern.

Stress, ungesunde Essgewohnheiten und Bewegungsmangel sind häufige Begleiter des Alltags und können zu gesundheitlichen Problemen führen. Doch es gibt zahlreiche Wege, das eigene Wohlbefinden zu steigern. Das neue Programm 2024/25 des Sozialpädagogischen Bildungswerk Münsters (Sobi) bietet eine Fülle an Gesundheitskursen und -veranstaltungen, die Körper und Geist in Einklang bringen sollen.

Das vielseitige Angebot des Sobi umfasst verschiedene Formate und Ansätze zur Gesundheitsfürsorge. Ganz nach dem Motto „Das Leben ist Bewegung!“ arbeitet das Fitnesskonzept Nia®, das mehrere Sportarten mit musikalischen Rh ythmen zu einem Bewegungsworkout kombiniert. Auch der neue Kurs TaKeTiNa® bedient sich an Rhythmen und verbindet diese mit Meditation für eine neue Art der Selbsterfahrung. In spannenden Vorträgen, die sowohl online als auch vor Ort stattfinden, werden Themen wie Stressbewältigung und Fasten behandelt. Langfristige Kurse regen die körperliche Aktivität an und verbessern Haltung und Beweglichkeit oder fördern Ruhe und Acht-

samkeit. Zu den beliebten Kursen zählen unter anderem Pilates, Qigong oder Meditationen. Das Programm des Sobi Münster bietet für jeden etwas, um auf angenehme Weise die eigene Gesundheit zu fördern und das innere Gleichgewicht zu finden.

Bildungsurlaub wahrnehmen

Auch die mentale Gesundheit ist dem Sobi ein wichtiges Anliegen. In den neuen Bildungsurlauben ‚Lebensfreude 2.0‘ und ‚Resilienz - Training der psychosozialen Widerstandskraft‘ stehen eine gesunde Psyche und nachhaltiges Glück im Mittelpunkt. Darüber hinaus laden die Bildungsurlaube ‚Yoga des Vertrauens‘, ‚Shiatsu‘ und ‚Feldenkrais®‘ dazu ein, durch Bewegung neue Kraft zu tanken. Jeder Bildungsurlaub ist dabei auch berufsunabhängig buchbar. Das Anmeldebüro beantwortet gerne Fragen zu allen Angeboten unter der Telefonnummer 0251 – 511177 zu folgenden Zeiten: Montag und Mittwoch von 10:00-16:00 Uhr, Dienstag und Donnerstag von 10:00-13:00 Uhr und Freitag von 10:00-12:00 Uhr. Alle genannten Angebote und viele weitere Seminare finden Sie auf der Homepage: www.sobi-muenster.de.

Sobi – Sozialpädagogisches Bildungswerk Achtermannstr. 10-12, 48143 Münster, Tel. 0251-511177 info@sobi-muenster.de

Kieferorthopädie Dr. Dorothea Endler

Fehlstellungen schonend korrigieren

Ein Lachen, das von Herzen kommt und dabei unbefangen Zähne zeigen – das wünschen sich die meisten Menschen. Doch manche trauen sich wegen ihrer schief stehenden Zähne nicht. Die gute Nachricht: Fehlstellungen können in jedem Alter korrigiert werden. Das fällt in das Spezialgebiet von Dr. Dorothea Endler, die im Frühjahr 2023 am Hohenzollernring ihre neue und moderne kieferorthopädische Fachpraxis eröffnet hat. Hier sind Patientinnen und Patienten aller Kassen willkommen.

Die Kieferorthopädin ist selbst Ur-Münsteranerin und hat sich bereits vor elf Jahren mit ihrer Weiterbildung zur Fachzahnärztin ausschließlich auf die Kieferorthopädie spezialisiert. Zum Wohle ihrer Patientinnen und Patienten bleibt sie in ihrer Herzensdisziplin immer am Puls der Zeit. Schon während ihrer Fachzahnarztausbildung hat Dr. Dorothea Endler zusätzlich ein europäisches kieferorthopädisches Fortbildungsprogramm absolviert, sich stetig intensiv weitergebildet und sich in diversen kieferorthopädischen Bereichen zertifizieren lassen. Sie arbeitet mit den modernsten Methoden und ermöglicht eine ganzheitliche Behandlung auf dem neusten Stand der Technik. Dabei setzt sie gezielt auf die Möglichkeiten der Digitalisierung. Bei der Planung einer Klammer muss herkömmlicherweise ein Abdruck mit einem Abformlöffel genommen werden. Dies wird häufig als negativ empfunden, auch weil damit ein Würgereiz einhergehen kann.

Dr. Dorothea Endler arbeitet hingegen mit einem hoch präzisen digitalen Scan der Zähne, den ihre Patientinnen und Patienten als angenehm wahrnehmen. Mittels virtueller Planung kann die Ärztin eine individuelle Simulation der angestrebten Zahnbewegung erstellen.

Individuelle Behandlungsmöglichkeiten – von klein an Eltern sollten nicht allzu lange mit dem ersten kieferorthopädischen Vorstellungstermin ihrer Kinder warten. „Eine Erstberatung beim Kieferorthopäden ist bei Kindern ab dem Alter von sechs Jahren sinnvoll, um sanft das Wachstum in die richtige Richtung lenken zu können“, rät Dr. Dorothea Endler. „Ab dem Alter von etwa neun Jahren werden dann Gesamt-Behandlungen durchgeführt“. Auch bei Erwachsenen können in jedem Alter Fehlstellungen korrigiert werden. Neben den klassischen Zahnspangen ist die versierte Kieferorthopädin auf unsichtbare Zahnspangen spezialisiert. Auch mit innenliegenden Brackets oder durchsichtigen, herausnehmbaren Zahnschienen können Fehlstellungen korrigiert werden.

Darüber hinaus bietet die Fachzahnärztin auch die Anfertigung eines individuellen Sportmundschutzes an. Weitere Behandlungsbereiche sind Schnarchtherapie sowie Kiefergelenksdiagnostik und -therapie.

Kieferorthopädie Dr. med. dent. Dorothea Endler Hohenzollernring 59, 48145 Münster, Tel. 0251-14984890 www.praxis-endler.de

ARISTRA | Dr. med. Michael J. Ho Radiologie auf höchstem Niveau

MRT-Untersuchungen sind zunehmend wichtiger

Bestandteil der Diagnostik von Erkrankungen. In der Praxis von Dr. med Michael J. Ho in Münster erhalten Patient*innen eine MRT-Untersuchung sowie einen präzisen Befund, der auf jahrelanger Erfahrung beruht. Wer sich bei Dr. med. Michael J. Ho in Behandlung begibt, profitiert zusätzlich von der Expertise des internationalen ARISTRA-Expertenpools.

Dr. med. Michael J. Ho ist Mitbegründer des ARISTRANetzwerks. Spezialisierte Radiologen und Radiologinnen haben sich in diesem Netzwerk zusammengeschlossen, um sich über Befunde und Diagnosen auszutauschen. Von diesem internationalen Expertenwissen profitieren auch die Patienten*innen. Über die Plattform haben diese bequem und transparent Zugang zu ihren Bildern und Befunden.

Besonderes Know-how in der MRT

Die Magnetresonanztherapie wird zur Diagnose von Erkrankungen oder Veränderungen nahezu des gesamten Körpers eingesetzt. Dr. med. Michael J. Ho ist Facharzt für Radiologie und Experte für periphere Nerven. Mit dem Diagnoseverfahren der sogenannten MR-Neurographie (Nerven-MRT) hilft er unter anderem Schmerzpatienten, die exakte Ursache ihrer Schmerzen zu finden. Zu dem Expertenpool von ARISTRA gehören u.a. auch die Privatdozentin Dr. med. Alexandra Ljimani, die sich auf die gynäkologische Bildgebung spezialisiert hat, Marcel Sokolowski als Experte

für kardiovaskuläre Bildgebung und PD Dr. med. Andreas Lubienski mit Spezialisierung in Abdominal-Radiologie, Muskuloskelettal-Radiologie und interventioneller Radiologie. Darüber hinaus sind noch viele weitere Fachärzt*innen Teil des ARISTRA-Netzwerks.

‚‚Ich habe es mir zur Aufgabe gemacht, meine Patient*innen mit Hilfe modernster medizinischer Diagnostik kompetent zu betreuen und zu beraten“, erläutert Dr. med. Michael J. Ho. „Unser Ansatz in der Diagnostik spart viel Zeit und das ist vor allem wichtig, wenn es um schwere und schmerzhafte Krankheitsbilder geht. Nur so kann die individuell angemessene Therapie schnell begonnen werden.“

Modernste medizinische Ausstattung

In der Radiologischen Privatpraxis in der Harsewinkelgasse erwartet die Patient*innen eine freundliche Atmosphäre, moderne Praxisräume, kurze Wartezeiten und eine schnelle Terminvergabe. Zur hochmodernen Untersuchungstechnik des ARISTRA-Teams gehört auch ein in Deutschland spezielles „3-Tesla-Hochfeld-MRT-Gerät“, das besonders hochauflösende Bilder liefert und präzise Diagnosen ermöglicht. Gegenüber MRT-Geräten mit einer Feldstärke von 1,5 Tesla, kann das Hochleistungs-MRT bestimmte Details im Inneren des Körpers genauer darstellen – und ermöglicht dazu eine teils kürzere Untersuchungsdauer.

MRT Behandlungsspektrum

n Kopf-MRT (Gehirn, Hals, Kiefer, Nasennebenhöhlen, Ohr)

n Thorax-MRT (Brust, Herz, Lunge)

n Bauch- & Becken-MRT (Bauchspeicheldrüse, Darm, Leber, Niere, Blase, Prostata, weiblicher Unterleib)

n Körper-MRT (Ellenbogen, Hand, Finger, Fuß, Knie, Hüfte, Schulter, Wirbelsäule)

n Nerven-MRT

ARISTRA MRT Münster | Radiologische Privatpraxis

Dr. med. Michael J. Ho

Harsewinkelgasse 19, 48143 Münster, Tel. 0251-92871533 www.aristra.de

Rückensprechstunde im ZfS

Netzwerk der kurzen Wege

„Für eine optimale Therapie von Rückenschmerzen ist es wichtig, dass die ausgewählten Therapien aufeinander abgestimmt sind und jede für sich in höchster Behandlungsqualität durchgeführt wird“, so Dr. Gerrit Borgmann vom ZfS-Zentrum für Sportmedizin.

Ausgangspunkt jeder Therapieplanung ist das ärztliche Gespräch. Dafür und für die anschließende Diagnostik nehmen sich die Experten ausreichend Zeit, bevor sie die Therapie gemeinsam mit den Patienten planen. Da sich der Wert einer Behandlung nicht daran bemisst, wie komplex, sondern wie effektiv diese ist, wird insbesondere bei akuten einfachen Problemen auch ein einfacher und wenig zeitaufwendiger Therapieansatz gewählt. Akute Beschwerden wie Blockierungen lassen sich z.B. mit Hilfe manueller Techniken sehr schnell und effektiv beseitigen. Bei chronischen und wiederkehrenden Beschwerden oder bei schweren strukturellen Schäden im Bereich der Wirbelsäule ist häufig auch der optimale Therapieansatz komplexer. Das Therapiespektrum reicht hier von der Akupunktur über die Osteopathie bis zur Mikrotherapie unter MRT-Kontrolle. Hier ist es oft sinnvoll, verschiedene Disziplinen einzubinden. Ziel der Rückensprechstunde ist es, sowohl einfachen als auch komplexen Fällen optimal gerecht zu werden.

KFO Kieferorthopädie Kreuzviertel Schöne Zähne – von Anfang an

Seit Juni 2016 widmet sich Dr. Stephanie Turchetto in ihrer Praxis im Kreuzviertel der Vorbeugung, Erkennung und Behandlung von Fehlstellungen der Kiefer bzw. Zähne.

Egal ob kieferorthopädische Frühbehandlung für Kinder ab dem 6. Lebensjahr oder die Behandlung von Kindern ab dem 9. Lebensjahr, Jugendlichen oder Erwachsenen bis ins hohe Alter: Das oberste Ziel der Fachzahnärztin für Kieferorthopädie sind gesunde Zähne, eine optimale Funktion und eine daraus resultierende dentale Ästhetik. „Denn was gut aussieht, funktioniert in der Regel auch gut. Deshalb kann die Korrektur von Zahnfehlstellungen die Pflege unterstützen. Wenn beispielsweise die Zwischenräume besser zu erreichen sind, wird das Risiko von Karies und Parodontitis reduziert“, unterstreicht Dr. Stephanie Turchetto. Neben Kindern und Jugendlichen hat die Mutter von vier Kindern auch die Erwachsenen im Blick. Zahnfehlstellungen können beispielsweise unauffällig mit LingualBrackets, die an der Innenseite der Zahnfläche befestigt werden, korrigiert werden. Leichtere Korrekturen werden mit herausnehmbaren, unsichtbaren Alignern behandelt. Neben dem vielfältigen Behandlungsspektrum bietet die erfahrene Fachzahnärztin für Kieferorthopädie in ihrer modernen Praxis auch Kiefergelenksdiagnostik, Schienentherapie und Schnarchtherapie an. Und für sportlich aktive Patienten wird ein individueller Sportmundschutz angefertigt, der das Abbrechen oder Ausschlagen von Zähnen bei Sportarten wie beispielsweise Hockey, Basketball und Kampfsportarten verhindert.

Praxis für Orthopädie + Unfallchirurgie im ZfS-Zentrum für Sportmedizin

Dr. med. Gerrit Borgmann, Dr. med. Ralph Schomaker, Dr. med. Tim Vogler, Dr. med. Nina Boos Windthorststr. 35, 48143 Münster, Tel. 0251-1313620 www.zfs-muenster.de

KFO Kieferorthopädie Kreuzviertel

Dr. Stephanie Turchetto Raesfeldstr. 15, 48149 Münster, Tel. 0251-294959 www.kfo-kreuzviertel.de

Dr. Stephanie Turchetto

KURSANGEBOT

Parkourhalle Lani Bewegung pur!

Möglichst schnell und fließend von Punkt A zu Punkt B, ganz egal, welche Hindernisse im Weg sind – das ist, vereinfacht gesagt, Parkour.

Die Trendsportart bedeutet Bewegung pur – für den gesamten Körper, aber auch für den Kopf. Das wollt ihr auch einmal ausprobieren? Nichts einfacher als das, denn die Parkourhalle Lani ist die größte Indoor-Parkouranlage in Münster und der Umgebung. Auf 400m² Fläche bietet die Halle ein riesiges Trainingsgelände mit zahlreichen Hindernissen, Stangengerüsten, einem Sprungboden sowie dem einmaligen Foam Pit (Schnitzelgrube) zum sicheren Erlernen von Salti und Akrobatik. Ob Jung oder Alt, Profi oder Anfänger: die Parkourhalle bietet ein abwechslungsreiches Setting, das jeder Erfahrungsstufe gerecht wird.

Schnupperworkshops, jeden zweiten Samstag

Parkourkurse für Jung und Alt | Feriencamps in den NRW-Ferien

Private Hallenmietung für Feiern | Functional Fitness

Team-Building-Events für Firmen, Sportvereine & Schulen

Eltern-Kind-Angebot von 1 bis 6 Jahre, jeden Sonntag, 10-13 Uhr

Freies Training | Jams, Special-Events u.v.m.

Parkourhalle Lani

Rudolf-Diesel-Str. 18, Coerde www.parkourhalle-lani.de

Fit für das Leben von morgen

ZERTIFIZIERTER KURS

Präventives

Ernährungstraining

Gesunde & ausgewogene Ernährung

• Nährstoffe, Planung, Zubereitung

• Motivation & Achtsamkeit

• Einkaufstraining

• Gemeinsames Kochen

2 Tage (samstags) von 9 -13 Uhr

ZERTIFIZIERTER KURS

JobFood

Gesunde Ernährung im Berufsalltag

• Fokus: Essen im Berufsalltag

• Heißhunger & Stressessen

• Brainfoods & schnelle Küche

• Gemeinsames Kochen

2 Tage (donnerstags) von 16 -20 Uhr

Wo? In der Jentschura Akademie in Münster (Roxel).

Je Kurs 250 €* für beide Seminartage

Bezuschusst von Ihrer Krankenkasse! Auch als BGF-Angebot

ZPP-zertifizierte Kurse

Anmeldung unter: jentschura-akademie.com

PVS Westfalen-Nord

Im Zeichen der Nächstenliebe: Wunschbaumaktion & Spenden für Menschen in Not

Inmitten der festlichen Jahreszeit, wenn der Zauber von Weihnachten überall spürbar ist, hat die PVS WestfalenNord im Dezember 2024 eine ganz besondere Tradition fortgeführt: die Wunschbaumaktion. Erneut engagierte sich das Unternehmen für das Friedensdorf International in Oberhausen, eine Einrichtung, die seit 1967 Kindern aus Kriegs- und Krisengebieten medizinische Unterstützung ermöglicht.

Das Friedensdorf: ein Ort der Hoffnung und Heilung

Das Friedensdorf bietet jährlich rund 200 Kindern aus verschiedenen Ländern die Möglichkeit, dringend benötigte medizinische Behandlungen zu erhalten. Für viele dieser Kinder ist der Aufenthalt in Deutschland eine einmalige Chance auf Heilung. Doch der Weg in ein fremdes Land, fernab von Familie und Heimat, stellt eine große Herausforderung dar. Besonders zur Weihnachtszeit, die für viele Kinder mit Heimweh und Unsicherheit verbunden ist, möchten die Verantwortlichen des Friedensdorfs eine Atmosphäre von Geborgenheit und Hoffnung schaffen.

Die PVS-Wunschbaumaktion: ein Zeichen der Solidarität

Die Wunschbaumaktion ist ein zentrales Element dieser Bemühungen. Jedes Jahr stellt die PVS Westfalen-Nord zwei festlich geschmückte Bäume auf, unter deren Zweigen bunte Sterne mit den Wünschen der Kinder aus dem Friedensdorf hängen. Diese Wünsche reichen von Spielzeugen über Bücher bis hin zu Kuscheltieren. Die Mitarbeitenden der PVS Westfalen-Nord haben die Möglichkeit, einen oder mehrere Wünsche zu erfüllen, indem sie die entsprechenden Geschenke unter den Baum legen. Die Aktion hat für die Kinder eine tiefere Bedeutung als das bloße Erhalten von Geschenken – sie ist ein symbolisches Zeichen der Fürsorge und des Mitgefühls. Es ist ein Moment, der den Kindern zeigt, dass jemand an sie denkt, und ihnen ein Stück Geborgenheit und Freude inmitten ihrer Herausforderungen schenkt. „Es ist immer wieder berührend, die Freude in den Augen der Kinder zu sehen, wenn sie erfahren, dass ihr Wunsch erfüllt wurde. Es geht nicht nur um das Geschenk an sich, sondern um das Gefühl, dass sie nicht vergessen werden“, so Andrea Brune, Mitarbeiterin und Mitorganisatorin der Aktion.

Die Überreichung der Geschenke und das Friedensfest

Am 19. Dezember 2024 machten sich zwei Mitarbeiterinnen der PVS Westfalen-Nord auf den Weg nach Oberhausen, um die Geschenke persönlich zu überbringen. Der Höhepunkt der Aktion war das Friedensfest, das am 30. Dezember 2024 im Friedensdorf gefeiert wurde. Die Geschenke aus der Wunschbaumaktion trugen maßgeblich dazu bei, diesen Tag für die Kinder zu einem ganz besonderen zu machen.

Spenden statt Weihnachtsgeschenke

Neben der Wunschbaumaktion hat sich die PVS WestfalenNord auch in 2024 dazu entschieden, auf Weihnachtsgeschenke für Kunden zu verzichten und stattdessen einen Beitrag für Menschen in besonders schwierigen Lebenssituationen zu leisten. Die Weihnachtsspende in Höhe von 5.000 € ging an das Hospiz Lebenshaus in Münster. Das Hospiz bietet schwerkranken Menschen eine liebevolle und würdevolle Betreuung in den letzten Lebensphasen. Es unterstützt nicht nur die Patient*innen, sondern auch deren Angehörige. Ein engagiertes Team aus Pflegekräften, Ärztinnen und Ehrenamtlichen sorgt dafür, dass sich die Patient*innen in einer sicheren und einfühlsamen Umgebung geborgen fühlen und dass ihre Wünsche und Bedürfnisse respektiert werden.

Die PVS Westfalen-Nord:

Ein verlässlicher Partner für das gesamte Praxisteam Die PVS Westfalen-Nord mit Sitz in Münster ist mehr als eine Verrechnungsstelle – sie ist ein zuverlässiger Partner für Ärztinnen und Ärzte sowie das gesamte Praxisteam. Als erfahrene Spezialisten für die Abrechnung nach der Gebührenordnung für Ärzte (GOÄ) übernehmen die Mitarbeitenden der PVS wesentliche Aufgaben, die den Praxisalltag spürbar erleichtern und zu mehr Effizienz beitragen. Das Team sorgt nicht nur für eine korrekte und transparente Abrechnung, sondern steht auch bei individuellen Fragen zur Seite – von der Prozessoptimierung bis zur Unterstützung bei schwierigen Fällen. Die Mitarbeitenden der PVS sind dabei auch Ansprechpartner für Patient*innen. Ob es um Fragen zu Rechnungen oder um Klärung von Anliegen geht – das Team steht mit Herz und Expertise zur Verfügung. Der direkte Kontakt schafft Vertrauen und entlastet die Praxis.

Ein Zeichen für mehr Solidarität im Alltag

Die Wunschbaumaktion und die Weihnachtsspende zeigen, wie Solidarität und Nächstenliebe im Alltag lebendig werden können. Besonders in der Weihnachtszeit, der Zeit des Gebens und des Miteinanders, wird deutlich, wie viel Kraft in kleinen Gesten steckt. Die PVS Westfalen-Nord ist stolz darauf, auch im Jahr 2024 wieder ein Stück Freude und Hoffnung in den Alltag der Kinder im Friedensdorf gebracht zu haben.

PVS Westfalen Nord Gmbh Feldstiege 72, 48161 Münster www.pvs-westfalen.de

APOTHEKEN TAFEL

CENTRUM

Adler-Apotheke

Salzstr. 58-59, Tel. 41 47 10

Bahnhofs-Apotheke

Bahnhofstr. 24, Tel. 4 55 48

Bonifatius-Apotheke

Nordstr. 31, Tel. 20 10 10

Burg-Apotheke

Burgstr. 31, Tel. 52 42 76

Christophorus-Apotheke

Windthorststr. 12, Tel. 5 78 40

easy-Apotheke

Friedrich-Ebert-Str. 143, Tel. 9 71 32 60

Engel-Apotheke

Warendorfer Str. 3, Tel. 98 76 20

Felix-Apotheke

Berliner Platz 21 - 23, Tel. 49091820

Flora-Apotheke

Hittorfstr. 1, Tel. 84 59 79

germania - Die Apotheke

An der Germania Brauerei 3, Tel. 1 33 22 80

Hafen-Neustadt-Apotheke

Hansaring 23, Tel. 6 45 25

Hansa-Apotheke

Wolbecker Str. 65, Tel. 6 44 98

Herz Apotheke

Friedrich-Ebert-Str. 134, Tel. 7 13 28 94

Jahreszeiten-Apotheke

Catharina-Müller-Str. 2, Tel. 2 70 50 27

Kiepenkerl-Apotheke

Bergstr. 10, Tel. 4 69 63

Königs-Apotheke

Königsstr. 22, Tel. 4 26 70

Kreuz-Apotheke

Kanalstr. 2, Tel. 2 30 35 13

Löwen-Apotheke

Rothenburg 50, Tel. 4 48 24

Ludgeri-Apotheke

Windthorststr. 65, Tel. 4 44 56

Ludgeri-Apotheke am Erbdrostenhof Salzstr. 37, Tel. 9 81 16 22

Marien-Apotheke

Piusallee 122, Tel. 2 30 12 39

Markus-Apotheke

Windthorststr. 16+18, Tel. 4 33 62

Neutor-Apotheke

Lazarettstr. 9, Tel. 29 32 23

Nord-Apotheke

Hoyastr. 1, Tel. 29 33 11

Pluggendorf-Apotheke

Scharnhorststr. 46, Tel. 52 77 66

Regenbogen-Apotheke

Wolbecker Str. 21, Tel. 66 63 09

St.Georg-Apotheke

Hammer Str. 13, Tel. 53 14 80

Stern-Apotheke

Ludgeristr. 66, Tel. 4 49 10

Turm-Apotheke

Am Kreuztor 6, Tel. 29 82 00

Von-Galen-Apotheke

Gasselstiege 25 a, Tel. 1 34 77 96

AASEESTADT

Phoenix-Apotheke

Von-Witzleben-Str. 20, Tel. 77 51 21

ALBACHTEN

Bären-Apotheke in Albachten

Dülmener Str. 31, Tel. 0 25 36-10 06

Brunnen-Apotheke

Dülmener Str. 9, Tel. 0 25 36-3 44 59 20

AMELSBÜREN

Davert-Apotheke

Auf der Woort 1, Tel. 0 25 01-54 07

ANGELMODDE

Kosmas-Apotheke

Clemens-August-Platz 12, Tel. 61 52 70

COERDE

Coerde-Apotheke

Hamannplatz 11, Tel. 24 71 71

Partus Markt-Apotheke

Hamannplatz 22, Tel. 24 75 38

GEIST

Apotheke am Clemenshospital

Düesbergweg 128, Tel. 3 90 01 80

Apotheke auf der Geist

Elsässer Str. 10, Tel. 77 60 32

Kappenberg-Apotheke

Kappenberger Damm 8, Tel. 7 39 25

Kronen-Apotheke

Hammer Str. 72, Tel. 77 58 58

Pictorius-Apotheke

Hogenbergstr. 9a, Tel. 78 74 43

Süd-Apotheke

Hammer Str. 101, Tel. 7 77 48 80

GELMER-DYCKBURG

Heide Apotheke

Gittruper Str. 29, Tel. 9 32 58 80

GIEVENBECK

Apotheke im AuenViertel

Dieckmannstr. 118, Tel. 8 71 25 81

Gievenbecker Markt-Apotheke OHG

Arnheimweg 9, Tel. 8 71 52 88

Rüschhaus-Apotheke

Heekweg 15, Tel. 87 10 00

Vital-Apotheke

Dieckmannstr. 200, Tel. 8 72 50 06

GREMMENDORF

Äskulap-Apotheke

Albersloher Weg 455, Tel. 6 12 86

Hohenzollern Apotheke im Marktkauf Loddenheide 5, Tel. 60 93 32 40

Ida-Apotheke

Gremmendorfer Weg 57, Tel. 62 40 32

Linden-Apotheke

Albersloher Weg 465, Tel. 61 50 82

HANDORF

Hubertus-Apotheke

Wolbecker Str. 139, Tel. 6

Werse-Apotheke

Handorfer Str. 19, Tel. 32 93 67

HILTRUP

allesgut Apotheke am Kulturbahnhof

Bergiusstr. 1a, Tel. 9232876

Apotheke des Herz-Jesu-Krankenhauses

Westfalenstr. 109, Tel. 0 25 01-1 70

Clemens-Apotheke

Marktallee 8-10, Tel. 0 25 01-40 32

Carré-Apotheke

Marktallee 19, Tel. 9234123

Kiepenkerl Apotheke Meesenstiege

Meesenstiege 54 a, Tel. 0 25 01-92 15 77

Kirch-Apotheke

Westfalenstr. 132, Tel. 0 25 01-76 86

Mariannen-Apotheke

Bodelschwinghstr. 12, Tel. 0 25 01-23 20

Osttor-Apotheke

Osttor 74, Tel. 0 25 01-32 59

Rosen-Apotheke

Marktallee 37, Tel. 0 25 01-43 88

KINDERHAUS

Apotheke Am Burloh

Am Burloh 93, Tel. 92 13 31

Einhorn-Apotheke

Grevener Str. 311, Tel. 21 13 78

Kristiansand Apotheke im Zentrum Kinderhaus

Kristiansandstr. 143 a, Tel. 92 77 88 44

Paulus-Apotheke

Idenbrockplatz 22, Tel. 21 24 36

MAURITZ

Erpho-Apotheke

Warendorfer Str. 149, Tel. 39 21 12

Fortuna-Apotheke

Warendorfer Str. 97-101, Tel. 3 66 47

Franziskus-Apotheke

Warendorfer Str. 185, Tel. 37 57 67

Hohenzollern-Apotheke OHG

Hohenzollernring 59, Tel. 2 00 78 00

Hubertus-Apotheke

Wolbecker Str. 139, Tel. 6 43 40

Klara-Apotheke im FranziskusCarré

Hohenzollernring 70, Tel. 1 33 05 33

Margareten-Apotheke

Wolbecker Str. 226, Tel. 39 77 96 99

Park-Apotheke

Mondstr. 81, Tel. 38 12 37

Viktoria-Apotheke

Warendorfer Str. 154, Tel. 3 44 49

MECKLENBECK

Annen-Apotheke

Dingbänger Weg 69, Tel. 71 73 80

Apotheke am Paulushof

Dingbängerweg 31, Tel. 32 26 58 77

NIENBERGE

Forum-Apotheke

Nienberger Kirchplatz 4, Tel. 0 25 33-93 51 40

Sebastian-Apotheke

Sebastianstr. 1, Tel. 0 25 33-47 89

SENTRUP

West-Apotheke

Sentruper Höhe 29, Tel. 98 13 60

SPRAKEL

Dreilinden-Apotheke

Sprakeler Str. 35, Tel. 21 66 78

ROXEL

Annette-von-Droste-Apotheke

Roxeler Str. 559, Tel. 0 25 34-4 42

Rose-Apotheke

Pantaleonstr. 3, Tel. 0 25 34-6 46 54 55

WIENBURG

Apotheke am Ring

Cheruskerring 73, Tel. 29 89 07

Behring-Apotheke

Grevener Str. 169, Tel. 27 82 40

Thomas-Apotheke

Hoher Heckenweg 92a, Tel. 23 36 14

WOLBECK

Engel-Apotheke

Münsterstr. 9, Tel. 0 25 06-93 17 11

Nikolaus-Apotheke

Hiltruper Str. 2 A, Tel. 0 25 06-27 30

PRIVATÄRZTE IN MÜNSTER

ALLGEMEINMEDIZIN

Chariat Michael u. Michaela, Dres. med., Hohenzollernring 57, Tel. 55166

Feldmeier Marianne, Dr. med., Alte Dorfstr. 3, Tel. 02534-8722

Hannig-Schriek Stephanie, Dr. med, „Einfach schön“ - Privatpraxis für Allgemeinmedizin und Hormonberatung Gertrudenstr. 29, 48149 Münster, www.einfachschoen-xvrtl.de

Kafka Thomas, Dr. med., Wienburgstr. 171A, Tel. 294969

Khalil Raduan, Dr. med., Eugen-Müller-Str. 14, Tel. 3929400

Marczynski Doris, Dr. med., Rudolfstr. 4, Tel. 868542

Nüßler Nadia, Dr. med., Manfredstr. 30, Tel. 132427

Schomaker Ralph, Dr. med., Stauber Inga, Dr. med., Mo., Mi., Fr. 8 bis 18 h, Di., Do. 10 bis 22 h, Windthorststr. 35, Tel. 1313620, www.zfs-muenster.de

Schurek Annette, Dr. med., Hammer Str. 89, Tel. 795559

AUGENHEILKUNDE

Anhalt Bernd, Dr. med., Wesselmann Stefanie, Dr., Königsstr. 43 a, Tel. 42270

CHIROTHERAPIE

Albersmeier Konrad, Dr. med., Marx Monika, Dr. med., Piusallee 20-22, Tel. 1625800

Chariat Michael u. Michaela, Dres. med., Hohenzollernring 57, Tel. 55166

Lohrasbi Giew, Dr. med., Mundthal T., Dr. med., Malmedyweg 11, Tel. 1353700

Privat- und Selbstzahler Sprechstunde für Manuelle Medizin / Chirotherapie, Dieckmannstr. 200, Tel. 60933769, Diensthandy: 0176-20140899, www.adrianbusen.de

CHIRURGIE

Mikowsky Peter, Dr. med., Termine n. Vereinbarung, Tibusstr. 1 a, Tel. 70363370, www.mikowsky.de

Schomaker Ralph, Dr. med., Mo., Mi. Fr. 8 bis 18 h, Di., Do. 10 bis 22 h, Windthorststr. 35, Tel. 1313620, www.zfs-muenster.de

FRAUENHEILKUNDE &

GEBURTSHILFE

Burkhart Wolfgang, Priv. Doz. Dr. med. Dr. rer. nat., Windthorststr. 31, Tel. 20398591

Bischoff-Everding Cecilie, Dr. med., Opitz Sandra, Dr. med., Quakernack Vera, Dr. med., Rockenfeller Corinna, Dr. med., Pottkamp 19, Tel. 80055

Römelt Annegret, Dr. med., Ludgeristr. 22, Tel. 5105577

Schnieder Ursula, Dr. med., Rothenburg 50, Tel. 4841686

GYNÄKOLOGISCHE

ENDOKRINOLOGIE & REPRODUKTIONSMEDIZIN

Mempel Andrea, Dr. med., Stratmann Susanne, Dr. E. Von-Vincke-Str. 14, Tel. 4143120, www.kinderwunsch-promenade.de

HALS-, NASEN-,

OHRENHEILKUNDE

Möckel Ulrich, Dr. med., Heerdestr. 20, Tel. 2007070

HAUTÄRZTE

Rütter Anita, Dr. med., Grevener Str. 105, Tel. 9179990, www.dr-ruetter.de

Schlippe Gerrit, Dr. med., Termine n. Vereinbarung, Engelstr. 37, Tel. 48163768, www.privatpraxis-muenster.de

Seemann Nicole, Dr. med., Arnheimweg 55, Tel. 8712340

Wölker Julia, Dr. med., Ludgeriplatz 10, Tel. 523241

HOMÖOPATHIE

Gerdemann Beate, Dr. med., Münzstr. 1-3, Tel. 5105656

Grieseler Barbara, Dr. med., Krummer Str.20. Tel. 22134

Hardensett Ursula, Dr. med., Fliednerstr. 44, Tel. 4843736

Holling Andreas, Elisabeth-Selbert-Weg 40, Tel. 0157-72454721

Hopf-Hilden Christa, Dr. med., In der Weede 4, Tel. 02536-6781

Kelker Birgit, Prinzipalmarkt 22, Tel. 871480

Lenfers Gabriela, Diekbree 31, Tel. 294969

INNERE MEDIZIN

Egervari Gabor, Dr. med., Kleine-Katthöfer Peter, Dr. med., Bült 13, Tel. 48822370, www.privatpraxis-am-buelt.de

Gärtner Barbara, Dr. med., Wüllnerstr. 1, Tel. 20784

Kellinghaus Heinz, Dr. med., Pantaleonplatz 15, Tel. 02534-9381

KARDIOLOGIE

Egervari Gabor, Dr. med., Kleine-Katthöfer Peter, Dr. med., Bült 13, Tel. 48822370, www.privatpraxis-am-buelt.de

Stuckenborg Heiner, Dr. med., Bergstr. 10, Tel. 025140955

KINDER- U. JUGENDMEDIZIN

Albers-Bremer Simone, Dr. med. Melchersstr. 54, Tel. 28450655

Gehrmann Josef, Priv.-Doz. Dr. med. Piusallee 18, Tel. 1449660

NEUROLOGEN

Frese Achim, Priv.-Doz. Dr. med. Von-Esmarch-Str. 50 (in der Akademie für Manuelle Therapie), Tel. 9813015

Ritter Martin Dr. med. PD Dr. med., Mi. ab 13 h Windthorststr. 35, Tel. 1313620, www.zfs-muenster.de

ORTHOPÄDIE

Boos Nina, Dr. med., Borgmann Gerrit, Dr. med., Vogler Tim, Dr. med. Mo., Mi. Fr. 8 bis 18 h, Di., Do. 10 bis 22 h Windthorststr. 35, Tel. 1313620, www.zfs-muenster.de

Essing Damaris, Dr. med., Windthorststr. 8, Tel. 98119777

Frohberger Ulrich, Dr. med., Roggenmarkt 15, Tel. 60323

Hein Martin, Dr. med., Von-Vincke-Str. 14, Tel. 5346060

Klein Nikolai, Dr. med., Von-Vincke-Str. 14, Tel. 9811830

Lieder Stefan, Dr. med., Tibusstr. 1a, Tel. 38359944

Mazzotti Bettina-Isabel, Dr. med., Von-Vincke-Str. 14, Tel. 5346060

Moraldo Michael, Dr. med., Loerstr. 23, Tel. 4840430

Müller-Ehrenberg Hannes, Dr. med., Tibusplatz 6, Tel. 6203756

Rose Steffen, Dr. med., Prinzipalmarkt 11, Tel. 54710

Ruprecht Martin, Dr. med., Niemann Birgit, Dr. med., Gasselstiege 21, Tel. 1624022

Schilgen Markus, Prof. Dr. med. Von-Esmarch-Str. 50 (in der Akademie für Manuelle Therapie), Tel. 981300

Schleusener Robert, Tibusstr. 1a, Tel. 98163426

Schubert Ralf, Dr. med., Ludgeristr. 24, Tel. 2655390

Steinbeck Jörn, Prof. Dr med., Witt Kai-Axel, Dr. med., Von-Vincke-Str. 14, Tel. 5395960

PLASTISCHE & ÄSTHETISCHE CHIRURGIE

Aasee-Park-Clinic

Lüerßen Wolf, Dr. med., Annette-Allee 4, Tel. 2655285

Behrendt Philipp, Dr. med., Scheffer-Boichorst-Str. 40b, Tel. 26551882 www.praxissentruperhoehe.de

Mikowsky Peter, Dr. med., Termine n. Vereinbarung, Tibusstr. 1 a, Tel. 70363370, www.mikowsky.de

PROKTOLOGIE

Breitkopf Claudia, Dr. med., Weining Christoph, Dr. med., Hohenzollernring 70, Tel. 3795350 www.enddarmpraxis-muenster.de

PSYCHOSOMATISCHE

MEDIZIN&

PSYCHOTHERAPIE

Friedrich Gerhard, Dr. med. Von-Vincke-Str. 6, Tel. 49093174

RADIOLOGIE/ NEURADIOLOGIE

Failing Annette, Dr. med. Von-Vincke-Str. 14, Tel. 20870920

ARISTRA Radiologie Zentrum, Ho Michael, Dr. med., Mo. 8 bis 18 h, Di. 7.30 bis 16 h, Mi. 8 bis 20 h, Do. 10 bis 21 h, Fr. 8 bis 16 h, Harsewinkelgasse 19, Tel. 92871533, www.aristra.de

Gigantisch viel Papier.

Jedes Jahr werden mehr als 60 Millionen Arztrechnungen per Post verschickt. Schluss damit.

Jetzt ganz einfach Arztrechnungen digital empfangen, verwalten, einreichen und bezahlen.

Jetzt anmelden unter www.einfach-einreichen.de

RHEUMATOLOGIE

Gaubitz Markus, Prof. Dr. med., Von-Esmarch-Str. 50 (in der Akademie für Manuelle Therapie), Tel. 9813040

SCHLAFMEDIZIN

Alubaissi Omar, Waltert Matthias, Dr. med., Esselmann Albert, Dr. med., Hövelmann Claudia, Schaumburgstr. 3, Tel 414416-55, www.praxisnetz-westfalen.de

TAUCH- U.

HYPERBARMEDIZIN

Rossbach Gordon, Dr. med. Warendorfer Str. 27, Tel. 132930

UROLOGIE

Weining Christoph, Dr. med., Hohenzollernring 70, Tel. 3795350

HAUS- & FACHÄRZTE IN MÜNSTER

HAUSÄRZTE

Aufderhaar-Wölke Birigit, Hansaring 67, Tel. 0251-64273

Backhaus Thomas, Windthorststr. 16, Tel. 0251-46881 

Bade Monika, Hamannplatz 40, Tel. 0251-24147 

Bangen Dennis, Dr. med., Bodelschwinghstr. 15, Tel. 02501-4387, www.bangen.de 

Bangen Philip, Dr. med., Bodelschwinghstr. 15, Tel. 02501-4387, www.bangen.de 

Barth Burkhard, Dr. med., Bohlweg 59, Tel. 0251-2303811

Baumgärtel Martin, Dr. med., Hohenzollernring 70, Tel. 0251-9355150

Becker-Milzner Ruth, Dr. med. Hammer Str. 99, Tel. 0251-9720840

Becker Ralf, Dr. med., Bogenstr. 15/16, Tel. 0251-9816384-0

Beiske Christiane, Bogenstr. 15/16, Tel. 0251-98163840

Bisping Marcus, Wolbecker Str. 67, Tel. 0251-64748

Bittner Benno, Südstr. 11, Tel. 0251-5209886

Blüggel Stefan, Theodor-Storm-Str. 2, Tel. 02501-262626 

Böggemeyer Heide, Dr. med., Am Pastorenbusch 2, Tel. 02533-93210 

 barrierefrei

Borchard Carsten, Dr. med., Grevener Str. 440, Tel. 0251-213032, www.praxisklinik-borchard.de

Borgmann Martin, Hammer Str. 99, Tel. 0251-9720840, www.docmuenster.de

Bortolussi Sonia, Dr. med., Hammer Str. 1, Tel. 0251-524080

Brauer Alexandra, Dr. med., Dieckmannstr. 200, Tel. 0251-87259995

Brkovic Anke, Dr. med., Dieckmannstr. 118, Tel. 0251-8715757 

Burger Martin, Dr. med., Hammer Str. 99, Tel. 0251-9720840, www.docmuenster.de

Christensen Stefan Martin, Dr. med., Salzstr. 58, Tel. 0251-9870011

Croonenbroeck Anne, Dr. med., Kirmstr. 23, Tel. 02533-9350340, www.praxis-croonenbroeck.de

Dalmis Fikri, Dr. med., Nordstr. 22, Tel. 0251-93254970

Diehle Jürgen, Dr. med., Altumstr. 15, Tel. 0251-293329

Domes Marc, Dr. med., Dülmener Str. 27, Tel. 02536-6061

Dorn Britta, Windthorststr. 65, Tel. 0251-4902860

Duda Thomas, Dr. med., Bohlweg 59, Tel. 0251-2303811

Egbring Hubertus, Dr. med., Rothenburg 2, Tel. 0251-47517 

Egen Viktor, Dr. med., Warendorfer Str. 77, Tel. 0251-36663, www.hausarzt-muenster-mauritz.de 

Eichmann-Stephan Cordula, Dr. med., Loerstr.27 , Tel. 0251-5105353

Eisenkopf Heribert, Dr. med., Albersloher Weg 467, Tel. 0251-61328, www.eisenkopf-schick.de

Eiweleit Klaus, Dr. med., Hammer Str. 72, Tel. 0251-9709400

Engelbertz-von-Eiff Veronika, Dr. med., Idenbrockplatz 24, Tel. 0251-213340

Evelt Maria-Theresia, Hammer Str. 2, Tel. 0251-523121

Fallenberg Bernd, Dr. med., Warendorfer Str. 77, Tel. 0251-36663, www.hausarzt-muenster-mauritz.de 

Fatum Horst, Dr. med., Altumstr. 15, Tel. 0251-293329

Feeken Tobias, Dr. med., Osttor 74, Tel. 02501-70294

Feeken Ursula, Dr. med., Osttor 74, Tel. 02501-70294

Felden Ansgar, Dr. med., Görlitzer Str. 18, Tel. 0251-24490

Fethke Gerhard, Dr. med., Am Kreuztor 6, 0251-45102

Fiedler Veronika, Dr. med., Warendorfer Str. 3, Tel. 0251-42244

Friesland Hedda, Bahnhofstr. 24, Tel. 0251-46587

Frommeyer Heinrich, Dr. med., Wiener Str. 8, Tel. 0251-34454

Frye Bernhard, Dr. med., Warendorfer Str. 27, 0251-3671900

Fuchs Gabriele, Dr. med., Marktallee 19, Tel. 02501-6055 

Fühner Johannes, Dr. med., Pommernstr. 4, Tel. 0251-61141, www.praxis-pommernstrasse.de 

Funcke Matthias, Dr. med., Piusallee 30, Tel. 0251-45013, www.praxis-piusallee.de

Gerbaulet Eugen, Dr. med., Nordstr. 20, Tel. 0251-293081

Gesund im Kreuzviertel, internistisch, allgemeinmedizinische Hausarztpraxis

Dr. med. Carsten Schriek, Dr. med. Stephanie Hannig-Schriek

Dr. med. Fabian Schmidt

Gertrudenstr. 29, Tel. 0251-53096910 www.dr-schriek.de

Gippert Rüdiger, Dr. med., Steinfurter Str. 56, Tel. 0251-295888, www.praxisplus.net 

Gonschorrek Sigrid, Ludgeriplatz 2, Tel. 0251-533591

Grewe Eva, Dr. med., Dechaneischanze 3, Tel. 0251-35535

Grönefeld Andreas, Dr. med., Gartenstiege 10, Tel. 02533-3001 

Groß Barbara, Dr. med. , Schaumburgstr.1, Tel. 0251-43018, www.integrative-medizin.de

Grossekettler Ulrich, Dr. med., Lazarettstr. 3, Tel. 0251-22733

Grünendahl Jürgen, Toppheideweg 9, Tel. 0251-864636 

Grütters Marcus, Görlitzer Str. 18, Tel. 0251-24490

Günther Jörn, Dr. med., Hohenzollernring 49-51, Tel. 0251-13326366, www.praxis-hohenzollernhaus.de

Hamann Peter, Dr. med., Handorfer Str. 10, Tel. 0251-324481

Hamm Irina, Alfred-Krupp-Weg 3, Tel. 0251-1625941 

Hannig-Schriek Stephanie, Dr. med., Gertrudenstr. 29, Tel. 0251-53096910

Hartmann Peter, Dr. med., Steinfurter Str. 56, Tel. 0251-295888, www.praxisplus.net 

Hartwig Tim, Dr. med., Piusallee 30, Tel. 0251-45013, www.praxis-piusallee.de

Hausärtzliche Gemeinschaftspraxis

Dr. med. Matthias Krösmann

Dr. med. Karsten Schilder Monika Bade-Ihme Breslauer Str. 156a, 48157 Coerde

Heimann Ludwig, Dr. med., Gartenstiege 10, Tel. 02533-3001 

Heinemann-Vechtel Olaf, Dr. med., Windthorststr. 65, Tel. 0251-56354

Heinich Michael, Bohlweg 59, Tel. 0251-2303811

Hellwig Christine, Dr. med., Hoher Heckenweg 92 b, Tel. 0251-233661

Hengesbach Sven, Dr. med., Hammer Str. 99, Tel. 0251-9720840, www.docmuenster.de

Hennig Harald, Grevener Str. 105, Tel. 0251-293852

Hermes Stefan, Dr. med., Dechaneischanze 3, Tel. 0251-35535

Heuermann Tanja, Dr. med., Warendorfer Str. 185, Tel. 0251-1367100

Hilker Ekkehard, Dr. med., Warendorfer Str. 97, Tel. 0251-34398, www.praxis-schuermann-hilker.de

Hövelmann Claudia Schaumburgstr. 3, 0251-4144160

Hofmann Elisabeth, Dr. med., Salzstr. 39, Tel. 0251-58000

Hofmeister Ulrike, Dr. med., Bahnhofstr. 6, Tel. 0251-46600

Holschbach Marion, Dr. med., Dingbängerweg 37, Tel. 0251-719276, www.hausaerzte-mecklenbeck.de

Holtmeier Martin, Dr. med., Hamannplatz 23, Tel. 0251-249999

Hoppe Martina, Reinerskamp 1, Tel. 0251-23938018

Illerhaus Anne, Dr. med., Auf dem Dorn 21, Tel. 02534-2222 

Kaiser Klaus-Dieter, Dr. med., Elisabeth-Ney-Str. 8, Tel. 0251-54641

Karsch Andrea, Dr. med., Bogenstr. 15/16, Tel. 0251-9816384-0

Kautz Holger, Dr. med., Schaumburgstr. 1, Tel. 0251-43018, www.integrative-medizin.de

Kemmerling Katja, Dr. med., Adolf Sabine, Dr. med., Niepagenkemper Silke, Dr. med. Marktallee 11-13, Tel. 02501-2196

Kenkel Sebastian, Salzstr. 58, Tel. 0251-44686 

Keuthage Winfried, Dr. med., Düesbergweg 128, Tel. 0251-7775888, www.diabetes-praxis-muenster.de 

Kleemann-Soeparwata Barbara, Dr. med., Auf dem Draun 4a, Tel. 0251-82338

Kleinhans Marcus, Metzer Str. 59, Tel. 0251-9862200 

Knemeyer Franz, Dr. med., Idenbrockplatz 28, Tel. 0251-211010

Knoblauch Nicola, Dr. med., Dieckmannstr. 200, 0251-87259995

Kozaczek Malgorzata, Bogenstr. 3, Tel. 0251-9873370, www.arztpraxis-kozaczek.de

Krösmann Matthias, Dr. med., Hamannplatz 40, Tel. 0251-24147 

Kuiper Harald, Breslauer Str. 156 a, Tel. 02501-6055 

Labenz-Moser Jutta, Dr. med., Heroldstr. 46, Tel. 0251-7180905 

Lammers Dirk, Dr. med., Hohenzollernring 70, Tel. 0251-9352300, www.diabetes-muenster.de 

Lammers Marcel, Wolbecker Str. 67, Tel. 0251-64748

Lange Hans-Peter, Dr. med., Lazarettstr. 3, Tel. 0251-22733, www.drhpl.de

Langer Dirk, Dr. med., von-Witzleben-Str. 20, Tel. 0251-3909090 

Langer Ulrike, Dr. med., von-Witzleben-Str. 20, Tel. 0251-3909090 

Lemkau Julia, Loerstr. 27, Tel. 0251-5105353

Leppelmann Birgit, Dr. med., Salzstr. 43, Tel. 0251-55530

Leppelmann Michael, Dr. med., Salzstr. 43, Tel. 0251-55530

Levertov Arkadij, Dr. med., Von-Kluck-Str. 15, Tel. 0251-9829998

Liebig-Kleine Wortmann Ursula, Hiltruper Str. 6, Tel. 02506-440

Liebl Elisabeth, Schaumburgstr. 1, Tel. 0251-43018, www.integrative-medizin.de

Lingenfelser Birgit, Dr. med., Am Kreuztor 5/6, Tel. 0251-270040

Ludt Sabine, Priv. Doz. Dr. med., Kanalstr. 15, Tel. 0251-2301990

Lüpke Nicola, Dr. med., Reinerskamp 1, Tel. 0251-23938018

Lütteken Wolfgang, Dr. med., Hammer Str. 99, Tel. 0251-9720840, www.docmuenster.de

Mader Wolf-Ulrich, Theodor-Storm-Str. 2, Tel. 02501-262626

Marketon Alexander, Dr. med., Hamannplatz 23, Tel. 0251-249999

Marschalleck Stefan, Davertstr. 55, Tel. 02501-58160

Maßmann Eckhard, Hammer Str. 216-226, Tel. 0251-77444

Mecklenburg Gerd, Tibusplatz 5, Tel. 0251-42316

Mertens Georg, Dr. med., Gremmendorfer Weg 52, Tel. 0251-614870

Meyer-Taßler Cathrin, Dr. med., Salzstr. 29, Tel. 0251-43570

Middeke-Siemes Maria, Dr. med., Königsstr. 22-23, Tel. 0251-42188 

Millmann Holger, Westfalenstr. 167, Tel. 02501-2071

Münster Peter, Dr. med., Kappenberger Damm 16, Tel. 0251-73926

Nau Patricia, Dr. med., Münsterstr. 25, Tel. 02506-2080

Neuhaus-Mertens Josefa, Dr. med., Marktallee 42, Tel. 02501-16045 

Neumann Eva-Maria, Dr. med., Nordstr. 20, 0251-293081

Niebuhr Christina, Dr. med., Bogenstr. 15/16, Tel. 0251-9816384-0 Niepagenkemper Silke, Dr. med., Marktallee 11-13, Tel. 02501-2196, www.hausarzt-hiltrup.de 

Oen Hendrik, Dr. med., Handorfer Str. 20, Tel. 0251-2849700

Oen Mathias, Dr. med., Handorfer Str. 20, Tel. 0251-2849700

Orgaß-Krüger Margitta, Warendorfer Str. 3, Tel. 0251-42244

Oslowski Annette, Dr. med., Westfalenstr. 167, Tel. 02501-2071

Peuker Elmar, Dr. med., Schaumburgstr. 1, Tel. 0251-43018, www.integrative-medizin.de

Pfitzner Jörg, Dr. med., Rüschhausweg 7, Tel. 0251-862608

Pohl Thomas, Osttor 74, Tel. 02501-70294

Pokladnik David, Dr. med., Mondstr. 179, Tel. 0251-1332290

Post Thomas, Hogenbergstr. 15, Tel. 0251-787330

Praxis im Turm

Busen Adrian, Dr. med., Cohausz-Terfloth Kerstin, Dr. med., Mo, Di. 8 bis 18 h, Mi. 7 bis 16 h, Do. 8 bis 16 h, Fr. 8 bis 12.30 h

Dieckmannstr. 200, Tel. 0251-87 25 99 95 www.praxisimturm-muenster.de

Preuth Rainer, Dr. med., Cheruskerring 92, Tel. 0251-294086

Prieß Fatemeh, Dr. med., Mondstr. 132, Tel. 0251-314734

Quaing Hildegard, Dr. med., Steinfurter Str. 56, Tel. 0251-295888, www.praxisplus.net 

Quante Markus, Dr. med., Burgstr. 31/Ecke Geiststr., Tel. 0251-526324, www.drquante.de

Quante Tobias, Burgstr. 31/Ecke Geiststr., Tel. 0251-526324, www.drquante.de

Rasch Dörte, Dr. med., Scharnhorststr. 46, Tel. 0251-533262

Rath-Beckmann Eva-Maria, Dr. med., Sentruper Höhe 23, Tel. 0251-81518, www.rath-beckmann.de

Reitenbach Galina, Annenstr. 6, Tel. 0251-776130

Richter Claus-Dietmar, Dr. med., Windthorststr. 65, Tel. 0251-43377 

Risse Thomas, Dr. med., Hammer Str. 99, 0251-9720840

Robert Martina, Dr. med., Steinfurter Str. 56, Tel. 0251-295888

Roth Michael, Schaumburgstr. 1, Tel. 0251-43018, www.integrative-medizin.de

Runte Felicitas, Dr. med., Wolbecker Str. 21, Tel. 0251.60476

Rybayczek Dagmar, Dr. med., Schulte-Bernd-Str. 7, Tel. 02534-2121 

Schäper Maria, Raesfeldstr. 15, Tel. 0251-9225150

Schauerte Michael, Hammer Str. 1, Tel. 0251-524080

Schick Achim, Dr. med., Albersloher Weg 467, Tel. 0251-61328, www.eisenkopf-schick.de

Schilder Karsten, Dr. med., Breslauer Str. 156 a, Tel. 0251-24147

Schirmer-Tolic Dalana, Dr. med., Salzstr. 58, Tel. 0251-44686 

Schirpenbach Nicoletta, Dr. med., Görlitzer Str. 18, Tel. 0251-24490

Schmidt Boris-Oliver, Dr. med., Elsässer Str. 7, Tel. 0251-72288 

Schmitz-Nahrath Ulrike, Dr. med., Kötterstr. 1, Tel. 0251-9277055 

Schrader Domingos, Münsterstr. 9, Tel. 02506-1264

Schreiber Karin, Grevener Str. 311, Tel. 0251-754934

Schriek Carsten, Dr. med., Gertrudenstr. 29, Tel. 0251-53096910

Schulze-König Ulrich, Dr. med., Wiener Str. 8, Tel. 0251-34454

Schürmann Alfons, Dr. med., Warendorfer Str. 97, Tel. 0251-34398, www.praxis-schuermann-hilker.de

Schuster Armin-Werner, Dr. med., Metzer Str. 59, Tel. 0251-986220-0, www.praxis-auf-der-geist.de 

Schweifel Horst, Dr. med., Goebenstr. 51, Tel. 0251-526002 

Schwinde Friedbert, Dr. med., Dieckmannstr. 118, Tel. 0251-8715757 

Siemes Martin, Königsstr. 22-23, Tel. 0251-42188 

Soueilleh Chawki, Docteur en médecine, Friedrich-Ebert-Str. 134, Tel. 0251-775332

Speidel Michael, Ringstr. 151, Tel. 02501-2043

Spittler Hubert, Auf dem Dorn 21, Tel. 02534-2222 

Stahl Martin, Dr. med., Am Burloh 95, Tel. 0251-211447

Steinhaus Karen, Dr. med., Mondstr. 179 - 181, Tel. 0251-1332290

Stöckmann Axel, Dr. med., Nordstr. 22, Tel. 0251-93254970

Stöckmann Barbara, Dr. med., Salzstr. 29, Tel. 0251-43570

Stranghöner Maika, Altumstr.15, Tel. 0251-293329

Surmann Rolf, Dr. med., Windthorststr. 8, Tel. 0251-58800

Susewind Sonja, Dr. med., Nordstr. 20, Tel. 0251-293081

Terstiege Martina, Dr. med., Westerheide 22, Tel. 0251-1442874 

Tjan-Schäpsmeier Sylvia, Dr. med., Nordstr. 20, Tel. 0251-293081

Unbehaun Bernd, Münsterstr. 3-5, Tel. 02506-3739 

Verpoort Paul, Dr. med., Warendorferstr. 185, Tel. 0251-1367100

Vinh Peter, Sprakeler Str. 28, Tel. 0251-216823 

Volland Marcel, Dr. med., Hammer Str. 99, Tel. 0251-9720840

Voss Hans-Georg, Dr. med., Pommernstr. 4, Tel. 0251-61141, www.praxis-pommernstrasse.de 

Wegmann Christoph, Michaelweg 55, Tel. 0251-863312

Wehmeyer Claudia, Dr. med., Cheruskerring 73, Tel. 0251-278623

Werbick Cornelia, Dr. med., Metzer Str. 59, Tel. 0251-9862200

Weßling Wolfgang, Dr. med., Möllmannsweg 25, Tel. 0251-8719633 

Westrick Dorothée, Cheruskerring 73, Tel. 0251-278623

Wieners Karin, Dr. med., Hammer Str. 99, Tel. 0251-9720840 

Willeke Peter, Priv.-Doz. Dr. med., Himmelreichallee 37, 0251-981660

Willenborg Bassam, Raesfeldstr. 15, Tel. 0251-9225150

Wilm Barbara, Dr. med., Hohenzollernring 70, Tel. 0251-9352460

Wittkowski Thorsten, Dr. med., Am Kreuztor 5, Tel. 0251-270040

Wölke Daniel, Dr. med., Hansaring 67, Tel. 0251-64273, www.hausarztpraxis-am-hansaring.de

Wolf Susanne, Dr. med., Schaumburgstr. 1, Tel. 0251-43018, www.integrative-medizin.de

Zeeden Wolfgang, Dr. med., Albersloher Weg 419, Tel. 0251-614883

FACHÄRZTE ANÄSTHESIOLOGIE

Amelung Ingo, Dorpatweg 7, Tel. 0251-201003, www.op-zentrum-ms.de 

Auf der Landwehr Ulrich, Dr. med., Steinfurter Str. 56, Tel. 0251-3997014

Becker Friederike, Dr. med., Hohenzollernring 59, Tel. 0251-9102200

Bekaan Peter, Loerstr. 27-30, Tel. 0251-4843444 

Beßeling Alexandra, Dr. med., Hohenzollernring 70, Tel. 0251-9352473

Bruxmeyer Anja, Dr. med., Düesbergweg 128, Tel. 0251-9199510

Daniels Ansgar, Hohenzollerning 70, 0251-9352460

Eiker Kolija, Dr. med., Hohenzollernring 70, 0251-9352460

Erker Christian, Dr. med., Hohenzollernring 70, Tel. 0251-9352473

Eßer Stephan, Dr. med., Düesbergweg 128, Tel. 0251-9199510

Eusterbrock Roswitha, Dr. med., Loerstr. 27 - 30, Tel. 0251-4843444 

Forsberg Anne, Hohenzollernring 70, Tel. 0251-9352473

Heidlindemann Ralf, Hohenzollernring 70, Tel. 0251-9352460

Ikram Mohammad, Hohenzollernring 59, Tel. 0251-133110, www.as-ms.de

Kaulingfrecks Thomas, Dr. med., Hohenzollernring 70, Tel. 0251-9352460

Klute Christoph, Hohenzollernring 59, Tel. 0251-133110, www.as-ms.de

Köbbing Christina, Dr. med., Vorländerweg 44, Tel. 0173-7067262

Auf der Landwehr Ulrich, Dr. med., Steinfurter Str. 56, Tel. 0251-399-7014

Martini Alexander, Dr. med., Hohenzollernring 70, Tel. 0251-9352473

Moraldo Sabine, Franz-von-Waldeck-Str. 17, Tel. 02506-302552

Müller Georg, Dr. med., Loerstr. 27-30, Tel. 0251-4843444

Post Sabine, Franz-von-Waldeck-Str. 17, Tel. 02506-302552

Pottebaum Alena, Hohenzollernring 59, Tel. 0251-133110

Pottebaum Jan, Dr. med., Hohenzollernring 59, Tel. 0251-133110

Reitenbach Paul, Dr. (RUS), Düesbergweg 128, Tel. 0251-9191932

Roer Hendrik, Duesbergweg 128, Tel. 0251-9191932

Schmidt Moritz, Hohenzollernring 70, Tel. 0251-9352473

Schmidt Susanne, Dr. med., Düesbergweg 128, Tel. 0251-9199510

Schmidt Tobias, Dr. med., Hohenzollernring 70, Tel. 0251-9352460

Simon Anke, Hohenzollernring 59, Tel. 0251-133110

Staudach Jörg, Dorpatweg 7, Tel. 0251-201003

Stock Miriam, Dr. med., Hohenzollernring 70, Tel. 0251-9352460

Wentrup Anne-Katrin, Vorländerweg 44, Tel. 0173-7067262 o. 01726003875

Wolfgart Martin, Dr. med., Hohenzollernring 59, Tel. 0251-133110, www.as-ms.de

Wrenger Klaus, Dr. med., Loerstr. 27 - 30, Tel. 0251-4843444 

ÄRZTLICHE PSYCHOTHERAPIE

Bröking Michaele, Dr. med. Dipl.-Psych., Zumsandestr. 40, Tel. 0251-36170

Gerwing Christiane, Dr. med., Alter Fischmarkt 16, Tel. 0251-3963432

Grünewald Eva, Dr. med., Fridtjof-Nansen-Weg 2, Tel. 0251-3990950

Hölker Michaela, Dr. med., Josef-Pieper-Str. 93, Tel. 0251-4143167

Kaulingfrecks Thomas, Dr. med., Hohenzollernring 70, Tel. 0251-9352460

Kellner Jutta, Dr. med., Salzstr. 30, Tel. 0251-2033967

Koch Dorothee, Dr. med., Schmeddingstr. 101 a, Tel. 0251-276943

Körte-Streitz Maria-Elisabeth, Alter Fischmarkt 25/26, Tel. 0251-663909

Lüdorff Katharina, Dr. med., Schnorrenburg 1a, Tel. 0251-2101540

Maiwald Claudia, Prins-Claus-Str. 79, Tel. 0251-6189583

Müschenich Stefan, Dr. med. Dipl.-Psych., Syndikatgasse 4-5, Tel. 0251-6203700

Nedjat Schide, Dr. med., Bogenstr. 15/16, Tel. 0251-380926

Overesch Ina, Dr. med., Münzstr. 30, Tel. 0251-511005

Rommel Fatima, Dr. med., Uppenbergstr. 16, Tel. 0251-32255582

Scherer Stephan-Sebastian, Dr. med., Pottkamp 23, Tel. 0251-97446348

Schulte Caspar, Dr. med., Lütke Gasse 19, Tel. 0251-93397064

Striepens Nadine, Priv. Doz. Dr. med., Bahnhofstr. 6, Tel. 0251-46660, www.cpm-muenster.de

Wedig Eva-Maria, Dr. med., Marktallee 63, Tel. 02501-923131

Wesselmann Ute, Dr. med., Alter Fischmarkt 16, Tel. 0251-3963430

AUGENHEILKUNDE

Augenheilkunde Wolbeck MVZ, Praxis, Dr. med. Antje Oestmann

Dr. med. Rüdiger Rohwerder Franz-von-Waldeck-Str. 2, Tel. 02506-486 www.augenarzt-muenster-wolbeck.de

Augenzentrum am St. Franziskus, Koch und Kollegen, Praxis Dres. med., Dr. med. Karoline Baquet-Walscheid

Nadine Bograd

Dr. med. Dr. med. univ. Henrik Faatz

Dr. med. Mira Grigat

Dr. med. Matthias Gutfleisch

Prof. Dr. med. Arnd Heiligenhaus

Britta Heimes

Prof. Dr. med. Carsten Heinz

Dr. med. Jörg Koch

Dr. med. Clemens Lange

Dr. med. Albrecht Lommatzsch

Priv.-Doz. Dr. med. Claudia Lommatzsch

Dr. med. Angela Robering

Dr. med. Georg Spital

Dr. med. Suphi Taneri

Dr. med. univ. Martin Ziegler, Hohenzollernring 74, Tel. 0251-9352711 www.augen-franziskus.de

Augen-Zentrum Nordwest, Praxis, Dr. med. Anja Fechtrup

Stylianos Kelepouris

Ludgeristr. 9, Tel. 0251-57711 www.augen-zentrum-nordwest.de

Augenzentrum Marktallee

Dr. (RUS) Wladimir Kapralow

Dr. med. Olga Richter

Marktallee 34, Tel. 0251-1442240

Baumgart und Heinrich, Praxis Dres. med., Arnheimweg 53, Tel. 0251-868600 www.augenarztpraxis-muenster.de

Beev Valentin, Praxis, Am Burloh 95, Tel. 0251-213075

Böhm Michael, Praxis Priv.-Doz. Dr. med., Handorfer Str. 23

Diener und Kollegen, Praxis Dres. med., Dr. med. Rudolf Diener

Dr. med. Jasmin Mesh-Hadi

Dr. med. Ulrich Thelen

Dr. med. Judith Wiesehöfer, Klosterstr. 53, Tel. 0251-414810 www.augenaerzte-muenster.de

Eggert Gudrun, Praxis Dr. med.,48161 Könemannstr. 18, Tel. 02534-8998

Grintzalis Alexander u. Tanja, Praxis Dres. med., Prinzipalmarkt 11, Tel. 0251-44719 www.AERZTEZENTRUM-PRINZIPALMARKT.DE

Rothenburg Praxis

Dr. med. Tanja Kauffmann-Mühlmeyer, Jan Wening, Rothenburg 43 - 44, Tel. 0251-1446999

Kurz Bettina, Praxis Dr. med., Gremmendorfer Weg 57, Tel. 0251-8995675 www.augenheilkunde-kurz-boehm.de Lücking-Lenkitsch Simone, Praxis Dr. med., Dr. med. Wolfgang Lücking Dr. med. Sabine Mönnig-Assmann Dr. med. Meike Zeimer, Nordstr. 18, Tel. 0251-25505 www.augenarzt-luecking.de

Motz und Kollegen, Praxis Dres. med., Dr. med. univ. Nina Jasmin Hewing Dr. med. Heike Mittmann

Dr. med. Bertram Motz

Ursula Revander, Helene-Weigel-Weg 5, Tel. 02501-9644510 www.augenaerztehiltrup.de

Obens-Maka Dagmar, Praxis Dr. med., Windthorststr. 8, Tel. 0251-45502

Rademacher Peter, Praxis Dr. med., Dr. med. Veronika Bernhardt Dr. med. Peter Rademacher, Tibusplatz 5, Tel. 0251-55665 www.augenarzt-muensterland.de

CHIRURGIE

Al Nahlaoui Abdul Hadi, M.D.Syr., Friedrich-Ebert-Str. 157-159, Tel. 0251-7477940

Bittmann Volker, Dr. med., Maurer Stephan, Dr. med., Schmidt Ulrich. Dr. med., An der Germania Brauerei 6, Tel. 0251-924343 

Herrera Tica, Dr. med., Pottkamp 17, Tel. 0251-849490

Grüber Lars, Dr. med., Hohenzollernring 70, Tel. 0251-9352412

Hellwig Mathias, Dr. med., Marktallee 11-13, Tel. 02501-8953

Kemmerling Matthias, Dr. med., Pisek Mirko, Dr. med., Tübergen Dirk, Dr. med., Mo.-Fr. 8 bis 12 h u. Mo., Di., Do. 15 bis 17h, Warendorfer Str. 185, Tel. 0251-37026, www.edp-muenster.de

Kleinen Thomas Dr.med., Schaumburgstr. 1, Tel. 0251-43456

Leisen Heinz, Dr. med., Bohlweg 16, Tel. 0251-46465, www.dr-leisen.de

Mennigen Rudolf, Prof. Dr. med., Albersloher Weg 10, Tel. 0251-919190, www.mvz-portal10.de 

Middendorf Felix, Dr. med., Pleye Jürgen, Dr. med., Schumacher Tanja Dr.med., Pottkamp 17, Tel. 0251-849490

Terwey Stephanie, Dr. med., Von-Steuben-Str. 5, Tel. 0251-40808 www.praxis-terwey.de

Tsokas Jean, Dr. med., Hohenzollernring 70, Tel. 0251-9352412

Wagenheim Vadim, Marktallee 11, Tel. 02501-9243360

CHIRURGIE

MIT SCHWERPUNKT

GEFÄSSCHIRURGIE

Ambulantes Gefäßzentrum (AGZM) Medizinisches Versorgungszentrum

Dr. med. Jan Esters

Dr. med. Tica Herrera

Dr. med. Jürgen Pleye, Pottkamp 17, Tel. 0251-849490

Wagenheim Vadim, Praxis, Marktallee 11, Tel. 02501-9243360

UNFALLCHIRURGIE

Hellwig Mathias, Dr. med., Marktallee 11-13, Tel. 0251-8953

Jung Harald, Dr. med., Hohenzollernring 59, Tel. 0251-30369 

Kleinen Thomas, Dr. med., Schaumburgstr. 1, Tel. 0251-43456 

Maurer Stephan, Dr. med., An der Germania Brauerei 6, Tel. 0251-924343 

Ostendorf Dirk, Dr. med., Marktallee 11-13, Tel. 02501-8953 

Schmidt Ulrich, Dr. med., An der Germania Brauerei 6, Tel. 0251-924343 

Sprakel Burkhard, Dr. med.habil, An der Germania Brauerei 6, Tel. 0251-924343 

PLASTISCHE CHIRURGIE

Hirsch Tobias, Prof. Dr. med. Dorbaumstr. 300, Tel. 0251-3287441 www.fachklinik-hornheide.de

Leisen Heinz, Dr. med., Mo.-Fr. 9 bis 12 h u. 14 bis 17 h Bohlweg 16, Tel. 0251-46465, www.dr-leisen.de

PLASTISCHE CHIRURGIE MIT SCHWERPUNKT HANDCHIRURGIE

Hirsch Tobias, Prof. Dr. med. Dorbaumstr. 300, Tel. 0251-3287441 www.fachklinik-hornheide.de

Marx Gerhard, Dr. med., Steinfurter Str. 100 , Tel. 0251-92450900

FRAUENHEILKUNDE & GEBURTSHILFE

Ahrens-Weber Sabine, Dr. med., von-Witzleben-Str. 20, Tel. 0251-8713680

Arning Heike, Dr. med., Wolbecker Str. 21, Tel. 0251-66557

Barenbrock Katja, Dr. med., Alter Steinweg 5, Tel. 0251-42266

Baytar-Dagli Bade, Prinzipalmarkt 20, Tel. 0251-43233

Berg-Selter Sabine, Dr. med., Michaelweg 64, Tel. 0251-868890

Bienert Johannes, Warendorfer Str. 147-149, Tel. 0251-399540 

Bischoff-Everding Cecilie, Pottkamp 19, Tel. 0251-80055

Böhnel Ruth, Dr. med., Hohenzollernring 57, Tel. 0251-393024

Brinkmann Petra, Dr. med., Rothenburg 49, Tel. 0251-98113903

Buller Sarah, Dr. med., Prinzipalmarkt 20, Tel. 0251-43233

Burger Monika, Dr. med., Petronillaplatz 10, Tel. 0251-326266, www.dr-monika-burger.de 

Dömer Stephanie, Dr. med., Westfalenstr. 132, Tel. 02501-1291

Dransfeld Marita, Dr. med., Friesenring 80, Tel. 0251-298877 

Dutar Nilgün, Dr. med., Bült 13, Tel. 0251-96280300

Engelke Gregor, Dr. med., Hohenzollernring 57, Tel. 0251-393024, www.gynmuenster.de

Falkenberg Maria, Dr. med., Hinterding Barbara, Dr. med., Schmedt Anna. Dr. med., Temme Eva, Steinfurter Str. 60A, Tel. 0251-44111 www.gyn-ms.de 

Gantert Julia, Dr. med., Petronillaplatz 10, Tel. 0251-326266, www.dr-monika-burger.de 

Görtz-Langer Petra, Dr. med., Ludgeriplatz 2, Tel. 0251-533589

Gottwald Sandra, Dr. med., Düesbergweg 128, Tel. 0251-9199510, www.praenatal-muenster.de

Gräber Jeannette, Dr. med., Windthorststr. 16, Tel. 0251-46576 

Gurlit Lüder, Dr. med., Enschedeweg 1-5, Tel. 0251-863786, www.dr-gurlit.de

Hasan Atia, Rockbusch 12, Tel. 0251-71612

Krümpelbeck Gabriele, Dr. med., Witte Nora, Dr. med. Hortmann Ludger, Dr. med., Idenbrockplatz 21, Tel. 0251-213475

Haßkamp Thomas, Dr. med., Hohenzollernring 57, Tel. 0251-393024

Hofmann Susanne, Dr. med., Bogenstr. 1, Tel. 0251-40195

Hortmann Ludger, Dr. med. Dr. rer. nat., Roggenmarkt 15-16, Tel. 0251-42211

Hübscher-Krause Brigitte, Dr. med., Wolbecker Str. 21, Tel. 0251-665557

Kampmann Ursula, Dr. med., Ludgeriplatz 2, Tel. 0251-531155

Karahasan Meram, Windthorststr. 16, Tel. 0251-46576 

Knopp Michael, Windthorststr. 16, Tel. 0251-46576 

Koller Ulrike, Dr. med., Prinzipalmarkt 20, Tel. 0251-43233

Krass Susanne, Geiststr. 23-25, Tel. 0251-532066, www.frauenheilkunde-krass.de

Kuhlmann-Weßeling Mechthild, Dr. med., Hohenzollernring 70, Tel. 0251-13387799

Kuiper Ruth, Dr. med., Fresnostr. 6, Tel. 0251-924590

Lanvers-Gogia Elisabeth, von-Witzleben-Str. 20, Tel. 0251-8713680

Lefert-Grenzheuser Sigrid, Dr. med., Clemens-August-Platz 14, Tel. 0251-61133

Leiter Sandra, Dr. med., Salzstr. 2, Tel. 0251-899060

Leyh-Bannurah Sami, Dr. med., Bogenstr. 1, Tel. 0251-40195

Lilie-Weiß Miriam, Dr. med., Münsterstr. 25, Tel. 02506-2025

Manß Julia, Dr. med., Clemens-August-Platz 14, Tel. 0251-61133

Marguc Holger, Dr. med., Roxeler Str. 559, Tel. 02534-1645 

Marschall Ulrike, Dr. med., Hötteweg 5-7, Tel. 0251-482670

Mewe Cornelia, Dr. med., Prinzipalmarkt 13-14, Tel. 0251-58180

Meyer Anne, Dr. med., Ludgeristr. 66, Tel. 0251-43833

MVZ Gynäkologie & Hormonlabor Nolting Dorothea-Maria, Dr. med., Leiter Sandra, Dr. med., Thiemann Linda, Dr. med., Zdebel Kristina, Dr. med. Salzstr. 2, Tel. 0251-899060 www.hormonzentrum-muenster.de

Otten gen. Hermes Anke, Prinzipalmarkt 11, Tel. 0251-42133

Overbeck Annegret, Dr. med., Hohenzollernring 57, Tel. 0251-393024

Pacios Prado Carlos, Dr. med., Wolbecker Str. 56, Tel. 0251-64680

Quakernack Jens, Dr. med., Hohenzollernring 57, Tel. 0251-393024

Quakernack Vera, Dr. med., Pottkamp 19, Tel. 0251-80055 

Reck Florence, Dr. med., Picassoplatz 3, Tel. 0251-4816870, www.praxis-dr-reck.de

Rehmsmeier Ulrike, Friesenring 80, Tel. 0251-298877

Reker Gabriele, Dr. med., Pottkamp 19, Tel. 0251-80055

Rhein Wilhelm, Dr. med., Warendorfer Str. 147-149, Tel. 0251-399540 

Risch Ruth, Dr. med., Westfalenstr. 132, Tel. 02501-1291, www.Dr-risch.de 

Rockenfeller Corinna, Dr. med., Pottkamp 19, Tel. 0251-80055

Rosenberg Renate, Dr. med., Bült 13 , Tel. 0251-96280300

Rudolph Petra, Dr. med., Gremmendorfer Weg 56, Tel. 0251-617781

Sandmann Kerstin, Gremmendorfer Weg 56, Tel. 0251-617781

Schepers Uta, Dr. med., Prinzipalmarkt 11, Tel. 0251-42133

Schmitter Matthias, Dr. med., Düesbergweg 128, Tel. 0251-9199510

Schönfeld Birgit, Dr. med., Hötteweg 5-7, 0251-482670

Schröder-Stahlberg Annette, Dr. med., Hoher Heckenweg 92B, Tel. 0251-232284

Specht Barbara, Dr. med., Fresnostr. 6, Tel. 0251-92459-0

Steinhard Johannes, Dr. med., Hohenzollernring 70, Tel. 0251-13387799, www.praenatal.net

Suthues Kristina, Dr. med., Wolbecker Str.75, Tel. 0251-664866

Terkatz Susanne, Dr. med., Friesenring 80, Tel. 0251-298877 

Thiel Claudia, Dr. med., Alter Steinweg 5, Tel. 0251-42266

Uhlhorn Gertrud, Dr. med., Alter Steinweg 5, Tel. 0251-42266

Vogt Lilian, Dr. med., Wolbecker Str. 75, Tel. 0251-664866

Vongehr Sigrid, Dr. med., Fresnostr. 6, Tel. 0251-92459-0

Wagenheim Irena, St.-Josefs-Kirchplatz 1, Tel. 0251-527118

Weishaupt Henrike, Prinzipalmarkt 20 , Tel. 0251-43233

Wienströer Britta, Dr. med., Warendorfer Str. 3, Tel. 0251-42727

Witt Heike Susanne, Prinzipalmarkt 13-14, Tel. 0251-58180

FRAUENHEILKUNDE & GEBURTSHILFE

MIT SCHWERPUNKT

GYNÄKOLOGISCHE

ENDOKRINOLOGIE & REPRODUKTIONSMEDIZIN

Cordes und Wüllner, Praxis Dres. med., Ludgeriplatz 2, Tel. 0251-531155, 01632878999, www.frauenaerzte-am-kreisel.de

MVZ Kinderwunsch- und Hormonzentrum GmbH

– Prof. Dr. med. Axel Kamischke

Dr. rer. nat. Franz Lüke

Dr. med. Caroline Niehoff

Dr. med. Birgit Schönfeld

Dr. med. Wiebke Thomas, Hötteweg 5-7, Tel. 0251-482670 www.muenster-kinderwunschzentrum.de

Temme und Kollegen, Praxis Dres. med., Dr. med. Anna Schmedt

Eva-Maria Temme, Steinfurter Str. 60A, Tel. 0251-44111 www.gyn-ms.de

HALS-, NASEN-, OHRENHEILKUNDE

Bernhardt Alexander, Praxis Dr. med., Bergstr. 10, Tel. 0251-57327, 017662678647

Camuz Enver, Praxis, Heekweg 15, hno-ms.de

Doleschal und Kollegen, Praxis Dres. med., Gasselstiege 21, Tel. 0251-9815710 www.phoniatrie-paedaudiologie.com

HNO Münsterland

Dr. med. Gaby Eikenbusch

Dr. med. Dipl.-Psych. Wolfgang Hermann

Dr. med. Frances Meuth

Bült 13, Tel. 0251-56399 www.hno-muensterland.de

HNO Münsterland, Praxis Dres. med., Dr. med. Karoline Graf

Dr. med. Frances Meuth

Dr. med. Sigrid Schwering, Westfalenstr. 132, Tel. 02501-3009 www.hno-muensterland.de

Feldmann Thomas, Praxis Dr. med., Osttor 66, Tel. 02501-27222

Heimann und Kollegen, Praxis Dres. med., Dr. med. Ulrich Heimann

Dr. med. Roland Mai

Prof. Dr. med. Frank Schmäl

Dr. med. Kirsten Schubert

Dr. med. Matthias Schwarzburg-Nieschalk, Dr. med. Stephan Waltermann, Tel. 0251-9811860

Picassoplatz 3

Hustert und Heermann, Praxis Dres. med., Hans Jürgen Brand

Dr. med. Barbara Everding

Prof. Dr. med. Ralf Heermann

Dr. med. Bernhard Hustert, Warendorfer Str. 97, Tel. 0251-3900450 www.hno-zentrum-muensterland.de

HNO im Hansaviertel

Dr. med. Kerstin Landmann-Heinz

Dr. med. Kristina Suthues

Wolbecker Str. 75, 0251-664866 www.hnoimhansaviertel.de

Möllers Arndt, Praxis Dr. med., Salzstr. 54, Tel. 0251-44629 www.hno-moellers.de

Wünstel Georg, Praxis, Neuer Heidkamp 12, Tel. 0251-211615 www.hnodoc.info

HAUT- & GESCHLECHTSKRANKHEITEN

Brinkmann und Fleischhauer, Praxis Dres. med., Dr. med. Anja Brinkmann

Dr. med. Susanne Fleischhauer, Hohenzollernring 10-12, Tel. 0251-87158080 www.dermatologie.ms

Fegeler und Kollegen, Praxis Dres. med., Prof. Dr. med. Klaus-Joachim Fegeler

Mihaela Fülle

Dr. med. Marc Hoefeld-Fegeler

Dr. med. Corinna Maiweg

Dr. med. Stephan Müller

Dr. med. Helga Müller-Pannes, Windthorststr. 31, Tel. 0251-482340 www.hautarzt.muenster.de

Habenicht Eva-Maria, Praxis Dr. med., Dr. med. Eva-Maria Habenicht

Dr. med. Dorothee Siepmann, Salzstr. 58, Tel. 0251-4904911, www.hautarztpraxis-salzstrasse.de

Haufs Michael, Praxis Prof. Dr. med. Dr. rer. nat., Wolbecker Str. 21, Tel. 0251-53953010 www.hautarzt-haufs.de

Hautarztpraxis am Hohenzollernring, Dr. med. Claudia Heinze-Werlitz Univ.-Prof. Dr. med. Sabine Steinke, Hohenzollernring 59, Tel. 0251-30254, www.hautarztpraxis-muenster.de

Hustert und Delker, Praxis Dres. med., Dr. med. Sarah Delker, Dr. med. Julia Hustert, Arnheimweg 9, Tel. 0251-869090, www.hautaerzte-gievenbeck.de

Jansen-Baumann Angelika, Praxis Dr. med., Dr. med. Angelika Jansen-Baumann, Dr. med. Ana Maria Perusquia Ortiz, Dieckmannstr. 118, Tel. 0251-92266567 www.dr-jansen-baumann.de

Kotthoff Carmen, Praxis Dr. med., Dr. med. Livia Beyer, Dr. med. Carmen Kotthoff, Teresa Schöne, Dr. med. Alina Volland, Warendorfer Str. 3, Tel. 0251-58209 www.muenster-derma.de

Kurz Harald, Praxis Dr. med., Dr. med. Harald Kurz, Dr. med. Andrea Pickenäcker, Ewelina Katarzyna Stratmann, Marktallee 26, Tel. 02501-27076 www.hautzentrum-hiltrup.de

MVZ Dermatologie und Dermatochirurgie

Prof. Dr. Wehrmann/Dr. Rödder-Wehrmann

Dr. med. Britta Kreuels, Dr. med. Ottilie Rödder-Wehrmann, Prof. Dr. med. Dipl. Bio. Wolfgang Wehrmann, Dr. med. Kathrin Weßling-Assmann, Warendorfer Str. 183

Oji Vinzenz, Praxis Priv. Doz. Dr. med., Dr. med. Benjamin-Alexis Ewald, Priv. Doz. Dr. med. Vinzenz Oji, Rudolf-von-Langen-Str. 55, Tel. 0251-925263 www.hautarzt-am-buddenturm.de

Rezai Kai, Praxis Dr. med., Windthorststr. 16, Tel. 0251-42051

Riepe Wolfgang, Praxis, Hammer Str. 61, Tel. 0251-46556 www.HautZentrumHammerstrasse.de

Rühlemann David, Praxis Dr. med., Bergstr. 68, Tel. 0251-57985

Stengel Gabriele, Praxis Dr. med., Barbara Böckenholt, Dr. med. Karen Kuschela, Dr. med. Gabriele Stengel, Rothenburg 50, Tel. 0251-44971, www.drstengelundkollegen.de,

Tillmanns Sarah, Praxis Dr. med., Burgstr. 31

HUMANGENETIK

Bohring Axel, Dipl.-Med. Dr. med., Albert-Schweitzer-Campus 1, Tel. 0251-830, www.klinikum.uni-muenster.de

Busche Andreas, Dr. med., Albert-Schweitzer-Campus Ge 1, Tel. 0251-830, www.klinikum.uni-muenster.de

Horvarth Judit, Dr. med., Albert-Schweitzer-Campus Ge 1, Tel. 0251-830, www.klinikum.uni-muenster.de

Müller-Hofstede Cornelie, Dr. med., Albert-Schweitzer-Campus Ge 1, Tel. 0251-830, www.klinikum.uni-muenster.de

Stock Friedrich, Dr. med., Albert-Schweitzer-Campus Ge 1, Tel. 0251-830, www.klinikum.uni-muenster.de

Siebers-Renelt Ulrike, Dr. med., Albert-Schweitzer-Campus 1, Tel. 0251-830, www.klinikum.uni-muenster.de

Tüttelmann Frank, Dr. med., Albert-Schweitzer-Campus 1, Tel. 0251-830, www.klinikum.uni-muenster.de

Wasch Daniel, Dr. med., Albert-Schweitzer-Campus, Gebäude A1 1, Tel. 0251-830, www.klinikum.uni-muenster.de

INNERE MEDIZIN

Busch Heiner, Praxis Dr. med., Salzstr. 58, Tel. 0251-9870033

Döring Matthias, Praxis Dr. med., Mondstr. 179 - 181, Tel. 0251-1332290, www.aerztehaus-mondstrasse.de

Egbring Hubertus, Praxis Dr. med., Rothenburg 2, Tel. 0251-47517

Eichmann-Stephan Cordula, Praxis Dr. med., Loerstr. 27, Tel. 0251-5105353

Fechtrup und Kollegen, Praxis Dres. med.Prof. Dr. med. Dominik Bettenworth

Dr. med. Christian Fechtrup

Dr. med. Harald Paulus

Priv.-Doz. Dr. med. Peter Willeke, Himmelreichallee 37, Tel. 0251-981660 www.innere-medizin.de

Fethke Gerhard, Praxis Dr. med., Am Kreuztor 6, Tel. 0251-45102

Frye Bernhard, Praxis Dr. med., Roggenmarkt 15/16, Tel. 0251-13671900, www.de-frye.ms

Günther Jörn, Praxis Dr. med., Hohenzollernring 49 - 51, Tel. 0251-13326366, www.praxis-hohenzollernhaus.de

Hilker und Schürmann, Praxis Dres. med., Dr. med. Ekkehard Hilker

Dr. med. Anke Liedtke-Dyong

Dr. med. Anne-Kathrin Poeplau

Dr. med. Alfons Schürmann, Warendorfer Str. 97, Tel. 0251-34398, www.praxis-schuermann-hilker.de

Praxis Kiepenkerl

Dr. med. Ralf Becker

Christiane Beiske

Dr. med. Andrea Karsch

Dr. med. Christina Niebuhr, Bogenstr. 15/16, Tel. 0251-98163840

Kim Ha, Praxis, Hamannplatz 23, Tel. 0251-249999

Langer Ulrike und Dirk, Praxis Dres. med., von-Witzleben-Str. 20, Tel. 0251-3909090

Lodde Anne, Dr. med., Lodde, Maximilian, Dr. med., Davertstr. 48, Tel. 02501-3514, www.lodde-lodde.de

Meyer-Taßler Cathrin, Praxis Dr. med., Rothenburg 2, Tel. 0251-144988

Pfitzner Jörg, Praxis Dr. med., Rüschhausweg 7, Tel. 0251-862608

Quante Markus und Tobias, Praxis Dres. med., Burgstr. 31, Tel. 0251-526324, www.drquante.de

Rasch Dörte, Praxis Dr. med., Scharnhorststr. 46, Tel. 0251-533262

Reitenbach Galina, Praxis, Annenstr. 6, Tel. 0251-776130

Gesund im Kreuzviertel, internistisch, allgemeinmedizinische Hausarztpraxis

Dr. med. Carsten Schriek, Dr. med. Stephanie Hannig-Schriek

Dr. med. Fabian Schmidt

Gertrudenstr. 29, Tel. 0251-53096910 www.dr-schriek.de

Schwerpunktpraxis Diabetologie

Dr. med. Peter Nitsche

Prof. Dr. med. Wolfgang Wiegelmann Loerstr. 27, Tel. 0251-5105353 www.diabetes-schwerpunktk-muenster.de

Steinhaus Karen, Praxis Dr. med. Mondstr. 179 - 181, Tel. 0251-1332290 www.aerztehaus-mondstrasse.de

Stöckmann Barbara, Praxis Dr. med., Salzstr. 29, Tel. 0251-43570

Wehmeyer Claudia, Praxis Dr. med., Dr. med. Sara Uepping

Dr. med. Claudia Wehmeyer, Cheruskerring 73, Tel. 0251-278623 www.hausarztpraxis-am-ring.de

INNERE MEDIZIN MIT SCHWERPUNKT ANGIOLOGIE

Pohlmeier Harald, Hohenzollernring 70, Tel. 0251-9352300, www.diabetes-muenster.de

GASTROENTEROLOGIE

MVZ Portal 10,

Dr. med. Gernot Bramkamp

Dr. med. Peter Erren

Marcel Foppe

Dr. med. Martin Grewe

Dr. med. Patrick König

Dr. med. Sebastian Küpper

Prof. Dr. med. Andreas Lügering

Prof. Dr. med. Rudolf Mennigen

Dr. med. Johannes Müller

Dr. med. Marc-André Putzke

Dr. med. Gerhard Schierke

Dr. med. Matthias Seidel, Albersloher Weg 10, Tel. 0251-919190

www.mvz-portal10.de 

Schweitzer und Kollegen, Praxis Dres. med., Schweitzer, Axel, Dr. med., Holtkamp-Endemann, Frank, Dr. med., Linnepe, Michael, Dr. med., Schmedt, Andre, Dr. med., Niehues, Julia, Mo, Di, Do. 9 bis 12.30 h + 14.30 bis 17.30 h, Mi. 9 bis 12.30 h, Fr. 9 bis 13 h, An der Germania Brauerei 6, Tel. 02512846680, www.gastro-muenster.de 

HÄMATOLOGIE & INTERNISTISCHE ONKOLOGIE

Gemeinschaftspraxis für für Hämatologie und Onkologie - Münster

Dr. med. Ralf Bieker

Dr. med. Sarah Haversath

Dr. med. Karsten Kratz-Albers

Dr. med. Christian Lerchenmüller

Dr. med. Rüdiger Liersch

Dr. med. Daniela Schüler

Dr. med. Holger Timmer

Darmkrebsvorsorge

rettet Leben!

Unsere Schwerpunkte sind

• Darmkrebsvorsorge

• Diagnostik und Therapie chronisch entzündlicher Darmerkrankungen (CED)

• Diagnostik und Therapie

Hepatitis B+C

• Reizdarmsprechstunde

• Refluxsprechstunde

Facharztpraxis für Magen-Darm-Leber-Erkrankungen

gastro-muenster.de

Gastroenterologische Gemeinschaftspraxis am Germania-Campus

Endoskopie Hepatologie Proktologie

Tel. 0251 - 28 46 68-0 praxis@gastro-muenster.de

Dr. med. Axel Schweitzer

Dr. med. Frank Holtkamp-Endemann

Dr. med. Michael Linnepe

Dr. med. Andre Schmedt

Frau Julia Niehues

Dr. med. Birgit Wittmann, Steinfurter Str. 60B, Tel. 0251-620080 www.onkologie-muenster.de 

Medizinisches Versorgungszentrum am St. Franziskus Hospital

Dr. med. Oliver Albrecht

Dr. med. Anja Lukas

Dr. med. Cord Rehmsmeier

Dr. med. Stefanie Wiebe, Hohenzollernring 70, Tel. Tel. 0251-9355150, www.sfh-muenster.de

KARDIOLOGIE

Castrucci und Kollegen, Praxis Dres. med., Dr. med. Marco Castrucci

Dr. med. Bernd Hewing

Dr. med. Nina Hoppen

Dr. med. Max Weber, Loerstr. 19, Tel. 0251-686900, www.kardiologie-muenster.de

Felsch Manfred, Praxis Dr. med., Hohenzollernring 70, Tel. 0251-4840222, www.kardio-ms.de

Keuper Karl-Heinz, Praxis Dr. med. - Priv.-Doz. Dr.med. Hannes Findeisen

Dr. med. Karl-Heinz Keuper

Dr. med. (UA) Andrey Rozhnev, Prinzipalmarkt 11, Tel. 0251-40146, www.kardiologie.principalmarkt.de

Lieder Frank, Praxis Dr. med., Bahnhofstr. 18, Tel. 0251-28430985

MVZ Hiltrup, Dr. med. Andreas Voßwinkel, Westfalenstr. 167, Tel. 02501-2071, www.arztpraxis-hiltrup.de

Zeydabadinejad Majid, Praxis Dr. med., Düesbergweg 128-130, Tel. 0251-7479991

NEPHROLOGIE

MVZ Zentrum für Nieren- und Hochdruckerkrankungen

Dr. med. MPH Katharina Findeisen

Prof. Dr. med. Dr. rer. nat. Helge Hohage

Dr. med. Timo Kretzschmar

Dr. med. Christoph Reckert, Düesbergweg 128, Tel. 0251-972600 www.nierenzentrum-muenster.de

Nephrocare

Dr. med. Thomas Pöppelmann

Dr. med. Daniela Rammrath

Dr. med. Christoph Scheurle

Kirsten Bonke Hohenzollernring 70, Tel. 0251-981270 Loerstr. 19, Tel. 0251 - Tel. 0251-8469260 www.nephrocare-muenster.de

Zangerl und Reiermann, Praxis Dres. med., Dr. med. Viola Malyar

Dr. med. Stefanie Reiermann

Dr. med. Bernd Zangerl, Fliednerstr. 44, Tel. 0251-8571880 www.nephropraxis-muenster.de

PNEUMOLOGIE

Lingenfelser Andreas, Praxis Dr. med., Königsstr. 60, Tel. 0251-4140416 www.Dr-Lingenfelser.de

Vieregge und Kollegen, Praxis Dres. med., Dr. med. Uwe Hemmers

Dr. med. Hans-Jörg Vieregge

Dr. med. Arne Wichmann, Hohenzollernring 70, Tel. 0251-1313610 www.lungenaerzte-muenster.de

Waltert und Esselmann, Praxis Dres. med.Alessandra Castrogiovanni

Dr. med. Albert Esselmann

Dr. med. Johannes Härle-Wack

Dr. med. Matthias Waltert, Schaumburgstr. 1, Tel. 0251-4144160 www.praxisnetz-westfalen.de

RHEUMATOLOGIE

Raub Wolf, Dr. med., Salzstr. 22, Tel. 0251-43394

Surmann Mechthild, Dr. med., Windthorststr. 8, Tel. 0251-58800

KINDER- & JUGENDMEDIZIN

Abshagen Katrin, Praxis Dr. med., Zum Erlenbusch 47, Tel. 0251-6203040

Becker und Heuckmann, Praxis Dres. med., Dr. med. Stefan Becker

Dr. med. Ludger Heuckmann

Dr. med. Lina Röhl, Piusallee 20-22, Tel. 0251-55939 www.becker-heuckmann.de

Bonenkamp und Scheppokat, Praxis Dres. med., Arnheimweg 9, Tel. 0251-8712010 www.dr-bonenkamp.de

Domes Andra, Praxis Dr. med., Dorffeldstr. 36, Tel. 02534-312

Ernst und Adolf-Lücke, Praxis Dres. med., Westfalenstr. 132, Tel. 02501-3088

Faust Johannes, Praxis Dr. med., Warendorfer Str. 185, Tel. 0251-30343 www.kinderarztpraxis--mauritz.de

Fellner von Feldegg Philip, Praxis Dr. med., Dingbängerweg 69, Tel. 0251-7475580

Frase und Schulze-Höping, Praxis Dres. med., Marktallee 53, Tel. 02501-44840 www.kinderarzt-hiltrup.de

Garcia Pedro Andreo, Praxis, Wolbecker Str. 56, Tel. 0251-64680 www.andreo-garcia.de

Gehrmann Josef, Praxis Priv. Doz. Dr. med., Piusallee 18, Tel. 0251-1449660

Kosch Andrea, Praxis Dr. med., Dorbaumstr. 10, Tel. 0251-53098888 www.kinderarzt-handorf.de

Neuhann Janbernd, Praxis Dr. med., Weseler Str. 75, Tel. 0251-775148 www.kinderaerzte-im.netz.de

Petz und Franzke, Praxis, Veronika Franzke

Oliver Petz

Dr. med. Kathrin Ueing, Ottmarsbocholter Str. 36, Tel. 02501-59341

Rehfuss Marie-Danielle, Praxis Dr. med., Dahlweg 51

Schilgen Luise, Praxis Dr. med., Geiststr. 38, Tel. 0251-521046 www.praxis-schilgen.de

Stange und Stegat, Praxis Dres. med., Am Berler Kamp 5, Tel. 02506-7237 www.2-kinderaerzte.de

Strobelt Nike, Praxis Dr. med., Hamannplatz 40, Tel. 0251-97599933 www.kinderarzt-coerde.de

Volbracht Andreas, Praxis Dr. med., Albersloher Weg 455, Tel. 0251-61168

www.kinderarzt-volbracht.de

Warda Johannes, Praxis Dr.(B)., Fresnostr. 6, Tel. 0251-20664

Woltermann und Kollegen, Praxis, Karl Holtmannspötter

Dr. med. Gaby Rabe-Hömann

Juliane Woltermann, Alte Reitbahn 17, Tel. 0251-788412

Ziegler Ralph, Praxis Dr. med., Mondstr. 148, Tel. 0251-31061 www.kinderzentrum-ziegler.de

NEUROPÄDIATRIE

Groth und Kollegen, Praxis Dres. med., Dr. med. Karolin Groth

Dr. med. Rasmus Jürgens

Dr. med. Judith Wendt, Dieckmannstr. 200, Tel. 0251-861046 www.muenster-kinderarzt.de

Krins Stefan, Praxis Dr. med., Bodelschwinghstr. 11-13, Tel. 02501-1278

Navratil und Pardon, Praxis Dres. med., Idenbrockplatz 22, Tel. 0251-211009

Vosschulte Paul, Praxis Dr. med., Hohenzollernring 57, Tel. 0251-20557

KINDER- & JUGENDPSYCHIATRIE / -PSYCHOTHERAPIE

Bickhoff Thomas, Praxis Dr. med., Bült 13, Tel. 0251-9829681

Dirksen und Franke, Praxis Dres. med., Dr. med. Thomas Dirksen

Dipl.-Psych. Hans Franke

Katrin Franke-Sagebiel, Gasselstiege 21, Tel. 0251-9179980

Findeisen Martina, Praxis Dr. med. MPH, Marktallee 78, Tel. 02501-9283888

Finke und Wilken, Praxis Dres. med., Hafenweg 26B, Tel. 0251-80544

Haarmann Franz York, Praxis, Marktallee 73B, Tel. 02501-441496

Heßmann Birgit, Praxis Dr. med., Hohenzollernring 68, Tel. 0251-38483170 www.dr-hessmann.de

Jägersberg Ina, Praxis, Zumsandestr. 40, Tel. 0251-36170

Jürgens Burkhard, Praxis, Hammer Str. 99, Tel. 0251-5308877

MVZ Centrum für Psychiatrie, Neurologie und Psychotherapie (CPM) der Alexianer Mechthild Hohenhövel

Dr. med. Michael Kros

Dr. med. Martin Pfannenstiel

Dr. med. Thomas Poehlke

Dr. med. Claudia Schüngel Bahnhofstr. 6, Tel. 0251-9731027300, www.cpm-muenster.de

Sieber-Ludewig Angelika, Praxis Dr. med., Dieckmannstr. 118, Tel. 0251-1447500

Steinberg Kathrin, Praxis, Zumsandestr. 40, Tel. 0251-36170 www.praxis-hohenhoevel-steinberg.de

LABORATORIUMSMEDIZIN

Adam Susanne, Dr. med., Cullen Paul, Dr. med., Riepe Sabine., Dr. med., Saveliev Anton, Schubert Aurélien, Westerhoff-Spaniel Ursula, Dr. med., Hafenweg 9-11, Tel. 0251-609160, www.labor-muenster.de

Erren Michael, Dr. med., Albersloher Weg 10, Tel. 0251-91919-0

Kelsch Reinhard, Dr. med., Albert-Schweitzer-Campus, Gebäude A1 1, Tel. 0251-830, www.klinikum.uni-muenster.de

Neef Lothar, Dr. med., Hötteweg 5-7, Tel. 0251-482670, www.kinderwunschtherapie.de

Nofer Jerzy Roch, Prof. Dr. med., Albert-Schweitzer-Campus 1, Tel. 0251-830, www.klinikum.uni-muenster.de

Schlüter Bernhard, Dr. med., Albert-Schweitzer-Campus 1, Tel. 0251-830, www.klinikum.uni-muenster.de

Wentker Dennis, Dr. med., Hohenzollernring 70, Tel. 0251-9355561

MIKROBIOLOGIE, VIROLOGIE & INFEKTIONSEPIDEMIOLOGIE

Hagedorn Tim, Dr. med., Hafenweg 9-11, Tel. 0251-609160

Zentrum für INNERE MEDIZIN | NEPHROLOGIE | DIALYSE

Nephrocare Münster GmbH Medizinisches Versorgungszentrum Münster - Innenstadt

n Nephrologische Ambulanz: Diagnostik und Behandlung von Nierenerkrankungen

n Hämodialyse

n Peritonealdialyse

n Diagnostik und Behandlung von Fettstoffwechselstörungen einschließlich Lipidapherese

n Nachsorge Nierentransplantierter

n Abklärung der arteriellen Hypertonie

Kahl Barbara, Prof. Dr. med., Albert-Schweitzer-Campus 1, Tel. 0251-830

Kühn Joachim, Univ.-Prof. Dr. med., Albert-Schweitzer-Campus 1, Tel. 0251-830, www.klinikum.uni-muenster.de

Lang Uwe, Dr. med., Hafenweg 9-11, Tel. 0251-609160

Peters Georg, Prof. Dr. med., Froböse Neele Judith, Dr. med., Domagkstr. 10, 0251-83-55340, Schaumburg Frieder, Prof. Dr.med., Albert-Schweitzer-Campus, Tel. 0251-830, www.klinikum.uni-muenster.de

Treder Wolfgang, Dr. med. Dr. rer. nat., Hohenzollernring 72, Tel. 0251-28510

Uekötter Andreas, Hafenweg 9-11, Tel. 0251-609160

Dr. med. Thomas Pöppelmann

Dr. med. Daniela Rammrath

Kirsten Bonke

Dr. med. Christoph Scheurle

ZENTRUM FÜR NIEREN- & HOCHDRUCKERKRANKUNGEN MÜNSTER | INNENSTADT

Dr. med. T. Pöppelmann

Internist, Nephrologe, Lipidologe DGFF

Dr. med. D. Rammrath

Internistin, Nephrologin, Hypertensiologin DHL

Kirsten Bonke

Internistin, Nephrologin, Hypertensiologin DHL

Dr. med. Christoph Scheurle

Internist, Nephrologe, Hypertensiologe DHL

Hohenzollernring 70 48145 Münster

Fon (0251) 98 12 70

Fax (0251) 98 12 777

Loerstrasse 19 48143 Münster

Fon (0251) 8 46 92 60 Fax (0251) 8 46 92 69

Email: anmeldung.muenster@nephrocare.com

Sprechzeiten

Montag 9:00 - 18:00 Uhr | Dienstag - Freitag 9:00 - 13:00 Uhr

MUND-, KIEFER-, GESICHTSCHIRURGIE

Ayad Walid, Praxis Dr. med. Dr. med. dent., Windthorststr. 65, Tel. 0251-4841812

Kalaitzidis Pantelis, Praxis Dr. med. Dr. med. dent., Dieckmannstr. 200, Tel. 0251-97998009

Kromminga Rolf, Praxis Dr. med. dent., Westfalenstr. 224, Tel. 02501-927071

Kruse-Lösler, Praxis Priv. Doz. Dr. Dr., Hafenplatz 10, Tel. 0251-71326667, 01737247857 www.mkg-kreativkai.de

Meyer U., Praxis Univ. Prof. Dr. med. Dr. med. dent., Schorlemerstr. 26, Tel. 0251-3964704 www.kieferklinik-muenster.de

Ponelis Robert, Praxis Dr. med., Gasselstiege 24, Tel. 0251-93264059 www.mkgplus.ms

NERVENHEILKUNDE

Böckenholt Sven, Prinzipalmarkt 11, Tel. 0251-51255, praxis-boeckenholt.de

Enck Gideon, Dr. med., Marktallee 2, Tel. 02501-4822 

Sartor Cristina, Dr. med., Syndikatgasse 4-5, Tel. 0251-2017500

Bischofs Stefan, Dr. med., Niebuhr Andreas, Dr. med., Steinsiek Jennifer., Dr. med., Ludgeristr. 66, Tel. 0251-557750, www.neurologie-am-ludgeriplatz.de

NEUROCHIRURGIE

Al Nahlaoui Abdul Hadi, Praxis M.D.Syr., Friedrich-Ebert-Str. 157-159, Tel. 02517477940

Terwey Stephanie, Praxis Dr. med., Von-Steuben-Str. 5, Tel. 0251-40808 www.praxis-terwey.de

NEUROLOGIE

Annen und Kollegen, Praxis Dres. med., Dr. med. Christine Annen

Dr. med. Klaus Bade

Dr. med. Andreas Holling, Oststr. 24, Tel. 0251-30366

Bischofs und Kollegen, Praxis Dres. med., Dr. med. Stefan Bischofs

Dr. med. Andreas Niebuhr

Dr. med. Jennifer Steinsiek, Ludgeristr. 66, Tel. 0251-57750 www.neurologie-am-ludgeriplatz.de

Böckenholt und Ritter, Praxis Dres. med.Sven Böckenholt

Dr. med. Alexandra Rahmann

Priv. Doz. Dr. med. Martin Ritter, Prinzipalmarkt 11, Tel. 0251-51255 www.boeckenholt-ritter.de

Diedrich und Kollegen, Praxis Dres. med., Dr. med. Anja Diedrich

Dr. med. Markus Diedrich

Ralf Kuphal, Wichernstr. 22, Tel. 0251-524004

Jafarpour Arsalan, Praxis Dr. med., Friedrichstr. 3, Tel. 0251-518043

Jung Alexander, Praxis Dr. med., Osttor 66, Tel. 02501-28293 www.jung-neurologie-muenster.de

Rickert und Kollegen, Praxis Dres. med., Dr. med. Gideon Enck

Dr. med. Christian Jansen

Dr. med. Hans-Bernd Rickert, Marktallee 2, Tel. 02501-4822 0250116536

Szukaj Michael und Heike, Praxis Dres. med., Am Rohrbusch 56, Tel. 02534-8660

NUKLEARMEDIZIN

Bremer Janbernd, Dr. med., Von-Steuben-Str. 10A, Tel. 0251-482400, www.radiologie-muenster.de

Fuchs Martin, Hohenzollernring 70, Tel. 0251-9355150, www.nuklearmedizin-franziskus.de

Hermann Klaudia, Dr. med., Hohenzollernring 70, Tel. 0251-9355150, www.nuklearmedizin-franziskus.de

Kies Peter, Dr. med., Albert-Schweitzer-Campus, Geb. 1, Tel. 0251-83-47362

Kirchner Bernd, Dr. med., Von-Steuben-Str. 10A, Tel. 0251-482400, www.radiologie-muenster.de

Matheja Peter, Priv. Doz. Dr. med., Hohenzollernring 70, Tel. 0251-9355150, www.nuklearmedizin-franziskus.de

Pixberg Michaela, Dr. med. univ., Albert-Schweitzer-Campus, Gebäude A1 1, Tel. 0251-830

Rustemeyer Peter, Dr. med., Loerstr. 23, Tel. 0251-50072401

Schmies Ute, Dr. med., Von-Steuben-Str. 10A, Tel. 0251-482400, www.radiologie-muenster.de

ORTHOPÄDIE

Baumgart Christian. Dr. med., Windthorststr. 32, Tel. 0251-58835

Böckelmann Rüdiger, Dr. med., Hohenzollernring 59, Tel. 0251-33044

Buller Tim, Dr. med., Kleber Rolf, Dr. med., Maschke Ulrich, Dr. med., Naumann Judith, Dr. med., Schmitz-Nahrath Martin, Dr. med., Thiel Birger, Dr. med., Bült 13, Tel. 0251-43030, www.orthopaeden-ms.d von der Burg Dieter, Dr. med., von der Burg Ulrike, Dr. med., Friedrich-Ebert-Str. 181, Tel. 0251-776977

Grewe Bernd, Dr. med. (H), Zeggel Knut, Dr. med., Henning Martin, Dr. med., Ludgeriplatz 11, Tel. 0251-524016-17

Groning-Nolte Christa, Dr. med., Hohenzollernring 59, Tel. 0251-33044

Happe Thomas, Dr. med., Sydow Olaf, Yamini Johann, Dr. med., Westfalenstr. 132, Tel. 02501-809829-0, www.praxis-dr-happe.de 

Knickenberg Christian, Dr. med., Dieckmannstr. 200, Tel. 0251-521099, www.praxis-dr-knickenberg.de

Koch Rainer, Dr. med., Salzstr. 22, Tel. 0251-531005, www.praxis-riepe.de

Kruse Birger, Dr. med., Nordstr. 22, Tel. 0251-278520

Marquardt Björn, Priv. Doz. Dr. med., Hohenzollernring 59, Tel. 0251-33044

Mittmann Christof, Dr. med., Schorlemer Str. 16, Tel. 0251-9816750 

Moraldo Michael, Dr. med., Loerstr. 23, Tel. 0251-4840430

Müller-Rensmann Cornelius, Dr. med., Schorlemer Str. 16, Tel. 0251-9816755 

Riepe Roman, Salzstr. 22, Tel. 0251-531005

Thiel Birger, Dr. med., Bült 13, Tel. 0251-43030, www.orthopaeden-ms.de

Wendt Guido, Dr. med., Idenbrockplatz 22, Tel. 0251-212821 

Wetz Hans Henning, Prof. Dr. med., Piusallee 34, Tel. 0251-45366

Wolff Isabel, Dr. med., Dieckmannstr. 200, Tel. 0251-521099, www.praxis-dr-knickenberg.de

ORTHOPÄDIE MIT SCHWERPUNKT RHEUMATOLOGIE

von der Burg Dieter, Dr. med., Friedrich-Ebert-Str. 181 , Tel. 0251-776977

ORTHOPÄDIE & UNFALLCHIRURGIE

Baumgart Christian, Dr. med., Windhorststr. 32, Tel. 0251-58835

Böckelmann Rüdiger, Dr. med., Hohenzollernring 59, Tel. 0251-33044

Buller Tim., Dr. med., Bült 13, Tel. 0251-43030

Enste Thorolf, Idenbrockplatz 22, Tel. 0251-212821

Essing Damaris. Dr. med., Windthorststr. 8, Tel. 0251-98119777 www.ortho-salzstrasse.de

Henning Martin, Dr. med., Ludgeriplatz 12, Tel. 0251-52401617, www.henning-grewe-zeggel.de

Herrmann Anne, Dr. med., Piusallee 34, Tel. 0251-45366

Kleber Rolf, Dr. med., Bült 13, Tel. 0251-43030, www.orthopaeden-ms.de

Lauber Sebastian, Dr. med., Westfalenstr. 111, Tel. 02501-922600

Naumann Judith, Dr. med., Bült 13, Tel. 0251-43039

Schulz Dino, Dr. med., Piusallee 34, Tel. 0251-45366

Weimann André, Priv. Doz. Dr. med., Schaumburgstr. 1, Tel. 0251-43456

Weining Gunnar, Dr. med., Sprafke Thorsten, Dr. med., Marktallee 8, Tel. 02501-1230, www.orthopädie-ws.de 

Happe Thomas, Dr. med., Sydow Olaf, Yamini Johann, Dr. med., Westfalenstr. 132, Tel. 02501-809829-0, www.praxis-dr-happe.de 

PATHOLOGIE

Barth Peter, Prof. Dr. med., Albert-Schweitzer-Campus Gebäude A1 1, Tel. 0251-830, www.klinikum.uni-muenster.de

Eitelbach Florian, Dr. med., Hohenzollernring 64, Tel. 0251-30237

Griefingholt Harald, Dr. med., Hohenzollernring 64, Tel. 0251-30237

Grünewald Inga, Dr. med., Albert-Schweitzer-Campus Gebäude A1 1, Tel. 0251-830, www.klinikum.uni-muenster.de

Hartmann Wolfgang, Priv. Doz. Dr. med., Albert-Schweitzer-Campus, Gebäude A1 1, Tel. 0251-830

Heitplatz Barbara, Dr. med., Albert-Schweitzer-Campus Gebäude A1 1, Tel. 0251-830, www.klinikum.uni-muenster.de

Hungermann Daniela, Dr. med., St. Franziskus Hospital, Hohenzollernring 64, Tel.0251-30237

Huss Sebastian, Prof. Dr. med., Düesbergweg 128, Tel. 0251-764030, www.patho-muenster.de

Kahl Philip, Priv. Doz. Dr. med., Düesbergweg 128, Tel. 0251-764030

Kasper Hans-Udo, Prof. Dr. med., Düesbergweg 128, Tel. 0251-764030, www.patho-muenster.de

Kuhnen Cornelius, Prof. Dr. med., Düesbergweg 128, Tel. 0251-764030, www.patho-muenster.de

Neumann Jörg, Dr. med., Hohenzollernring 64, Tel. 0251-30237

Schlake Werner, Prof. Dr. med., Heisenbergstr. 11, Tel. 0251-8363427

Spieker Tilmann, Priv. Doz. Dr. med., Hohenzollernring 64, Tel. 0251-30237

Wardelmann Eva, Dr. med., Albert-Schweitzer-Campus, Gebäude A1 1, Tel. 0251-830

Warneke Viktoria, Dr. mde., Hohenzollernring 64, Tel. 0251-30237

Weimann André, Priv. Doz. Dr. med., Schaumburgstr. 1, Tel. 0251-43456

Wötzel Fabian, Dr. med., Hohenzollernring 64, Tel. 0251-30237

PHONIATRIE & PÄDAUDIOLOGIE

Doleschal Jörg, Hübner Jan, Dr. med., Bremken Jörg, Schmidt Michael, Priv. Doz. Dr. med., Weidemann Jessika, Dr. med. Gasselstiege 21, Tel. 0251-98157-10, www.hoeren-sprache-stimme-hno.de

PHYSIKALISCHE

& REHABILITATIVE MEDIZIN

Gotthardt Hermann, Praxis, Schaumburgstr. 3, Tel. 0251-4840777

Götze Bettina, Praxis, Hofstr. 2, Tel. 02506-3046808

ZaR Zentrum für ambulante Rehabilitation

GmbH, Julia Schöler

Dipl.-Psych. Jutta Teigel, Kinderhauser Str. 145, Tel. 0251-98767200, www.zar-ms.de

PSYCHIATRIE

Gogia Prashant, Praxis Dr. med., Hammerstr. 99, Tel. 0251-524189

Sartor Christina, Praxis Dr. med. Dipl.-Psych., Syndikatgasse 4-5, Tel. 0251-2017500

PSYCHIATRIE & PSYCHOTHERAPIE

Annen und Kollegen, Praxis Dres. med., Dr. med. Christine Annen

Dr. med. Klaus Bade

Dr. med. Andreas Holling, Oststr. 24, Tel. 0251-30366

Barwe Annette, Praxis Dr. med., Piusallee 33, Tel. 0251-48449551

Berndt Andreas, Praxis Dr. med., Hammer Str. 99, Tel. 0251-524189, www.dr-andreas-berndt.de

Diedrich und Kollegen, Praxis Dres. med., Dr. med. Anja Diedrich

Dr. med. Markus Diedrich

Ralf Kuphal, Wichernstr. 22, Tel. 0251-524004

Graf von Königsmarck Joachim, Praxis, Burgstr. 31, Tel. 0251-790482 www.koenigsmarck.de

Mostert Christian, Praxis Dr. med., Windthorststr. 65, Tel. 0251-20577, www.dr-mostert.de

MVZ Centrum für Psychiatrie, Neurologie und Psychotherapie (CPM) der Alexianer Bahnhofstr. 6, Tel. 0251-9731027300, www.cpm-muenster.de

Rickert und Kollegen, Praxis Dres. med., Marktallee 2, Tel. 02501-4822

Rottmann Peter, Praxis Dr. med., Dr. med. Gideon Enck

Dr. med. Christian Jansen

Dr. med. Hans-Bernd Rickert, Drubbel 17-18, Tel. 0251-527873

Sofroniou Ioannis, Praxis, Hansaring 11a, Tel. 0251-6209898

Vogel-Helleberg und Schwaag, Praxis Dres. med., Steinfurter Str. 56, Tel. 0251-297814

Waskönig Michael, Praxis Dr. med., Piusallee 33, Tel. 0251-4904706 www.piusallee.de

PSYCHOSOMATISCHE MEDIZIN & PSYCHOTHERAPIE

Disselkamp Edith, Praxis, Friedrich-Ebert-Str. 135-137, Tel. 0251-5303510

Döring-Schulte Stephanie, Praxis Dr. med., Steinfurter Str. 60 a, Tel. 0251-5389582

Fresem Katrin, Praxis Dr. med., Ludgeristr. 28, Tel. 0251-91979198

Hunstiger Maria, Praxis Dr. med., Alter Fischmarkt 26, Tel. 0251-39577297

Imai Tanya, Praxis Dr. med., Lechtenbergweg 29, Tel. 0151-23575738, www.praxis-klosterstrasse.de

Levers Andrea, Praxis Dr. med., Wolbecker Str. 66

Reckert Anna Maria, Praxis Dr. med., Dingbängerweg 41, Tel. 0251-97306574

Wedekind Susanne, Praxis Dr. med., Salzstr. 35, Tel. 0251-37966316, www.praxis-wedekind.com

PSYCHOTHERAPEUTISCHE MEDIZIN

Driesch Georg, Praxis Dr. med., Piusallee 33, Tel. 0251-1341930

Gander-Arolt Renate, Praxis Dr. med., Besselweg 21, Tel. 0251-8724251

Luce Stefanie, Praxis Dr. med., Münzstr. 33, Tel. 0251-527755, www.seelische-gesundheit-muenster.de

Mendler Till, Praxis Dr. med., Windthorststr. 13, Tel. 0251-518585, www.dr-mendler.de

Mosch Victor, Praxis Dr. med., Ludgeriplatz 11, Tel. 0251-93267755 www.praxisdrmosch.de

Schmidt Simone, Praxis, Hammer Str. 39, Tel. 0251-532071

Szukaj Michael und Heike, Praxis Dres. med., Am Rohrbusch 56, Tel. 02534-8660

Ulitzka-Debus Bärbel, Praxis Dr. med., Dieckmannstr. 200, Tel. 0176-62946395

Wilke Gerhard, Praxis Dr. med., Steinfurter Str. 56, Tel. 0251-2704243

RADIOLOGIE

Peuker und Reckels, Praxis Dres. med., Dr. med. Andreas Mohr

Dr. med. Christoph Peuker

Dr. med. Christoph Reckels, Roddestr. 12, Tel. 0251-91989700

Radiologie MVZ GbR, Praxis, Dr. med. Janbernd Bremer

Dr. med. Torsten Hemmer

Dr. med. Bernd Kirchner

Dr.med. Philipp Mennemeyer

Priv. Doz. Dr. med. Heribert Müller-Miny

Eckhard Scheven, von Dr. med. Ute Schmies

Dr. med. Andrej Willeke

Astrid Wöstmann, Von-Steuben-Str. 10a, Tel. 0251-482400 www.radiologie-muenster.de

radprax MVZ Westfalen, Praxis, Anton Ciobotaru

Dr. med. Annette Failing

Dr. med. Jörg Gauger

Dr. med. Till Hoja

Dr. med. Ewald Keller

Mohamed Ramadan

Muamer Sultan

Gökhan Ucar

Dr. med. Jörg-Peter Wakat, Weseler Str. 253

Stehling, Dr. med. Berning u. Dr. med. Kagel, Praxis Dr. med.,

Dr. med. Wilfried Berning

apl. Prof. Dr. med. Georg Bier

Dr. med. Thomas Kagel

Dr. med. Kathrin Nina Keßel

Dr. med. Natalia Kling

Dr. med. Rebecca Schmidt

Dr. med. Christoph Schülke

Dr. med. Christoph Stehling, Salzstr. 9, Tel. 0251-14476548

www.radiologie-salzstrasse.de

NEURORADIOLOGIE

Ho Huu-Ven, Praxis Dr. med., Dr. med. Huu-Ven Ho

Dr. med. Gerhard Hötte, Hammer Str. 95, Tel. 0251-972180 www.radiologie-neuroradiologie-muenster.de radprax MVZ Westfalen, Praxis, Von-Vincke-Str. 14 www.radprax.de

Spital und Weßling, Praxis Dres. med., Dr. med. Reinhard Hovestadt

Simona-Carmen Spital

Prof. Dr. med. Johannes Weßling,

Düesbergweg 126, Tel. 0251-9762636 www.radiologie-am-clemenshospital.de

SPRACH-, STIMM- & KINDLICHE HÖRSTÖRUNGEN

Doleschal und Kollegen, Praxis Dres. med.Jörg Bremken

Jörg Doleschal

Dr. med. Jan Hübner

Dr. med. Jan Rumstadt

Priv. Doz. Dr. med. Claus-Michael Schmidt Dr. med. Jessika Weidemann, Gasselstiege 21, Tel. 0251-9815710 www.phoniatrie-paedaudiologie.com

STRAHLENTHERAPIE

Benkel Petra, Dr. med., Düesbergweg 126, Tel. 0251-3762651 

Eich Hans, Prof. Dr. med., Elsayad Khaled, Kröger Kai Dr. med., Maring Stephan, Reinarzt Gabriele, Dr. med., Scobioala Sergiu, Dr. med., Yppärilä-Wolters Heidi, Dr. phil., Albert-Schweitzer-Campus Gebäude A1 1, Tel. 0251-830, www.klinikum.uni-muenster.de

Hillmann Thomas, Dr. med., Düesbergweg 126, Tel. 0251-9762651 

Prümer Benedikt, Dr. med., Westfalenstr. 109, Tel. 02501-172536

Rensing Christiane, Düesbergweg 126, Tel. 0251-9762651

Scherwat-Kriz Julia, Dr. med., Düesbergweg 126, Tel. 0251-9762651

De Simoni Daniela, Dr. med. (I), Düesbergweg 126, Tel. 0251-3762651 

Voigt Anna, Dr. med., Düesbergweg 126, Tel. 0251-9762651

UROLOGIE

Bauer Ulrich, Praxis Dr. med., Windthorststr. 31, Tel. 0251-40606 www.dr-u-bauer.de

Eppelmann und Kollegen, Praxis Dres. med., Dr. med. Christian Baucks

Dr. med. Ursula Eppelmann

Dr. med. Evangelos Saliveros Nils Sandmann, Hohenzollernring 59, Tel. 0251-47091 www.urologie-am-prinzipalmarkt.de

Otto und Kollegen, Praxis Dres. med., Dr. med. Maximilian Cohausz

Dr. med. Eckart Gronau

Dr. med. Walter Otto, Fürstenbergstr. 5, Tel. 0251-44146 www.urologen-muenster.de

Peters Tim, Praxis Dr. med., Marktallee 18, Tel. 02501-16262

www.praxisdrpeters.de

Sacha und Ostendorf, Praxis Dres. med., Dr. med. Robert Ostendorf

Eva-Maria Röhrig

Bernward-Rupert Sacha, Rothenburg 2, Tel. 0251-284680

www.urologie-muenster.de

Schomacher und Kollegen, Praxis Dres. med., Jörg Ahlmann

Dr. med. Ali Haghgu

apl. Prof. Edwin Herrmann

Dr. med. Josef Lütke Kleimann

Dr. med. Ludger Schomacher, Steinfurter Str. 100, Tel. 0251-2007100

www.die-urologen-am-ring.de

Tschuschke und Rutte, Praxis Dres. med., Windthorststr. 19, Tel. 0251-44110

VISCERALCHIRURGIE

End- und Dickdarmzentrum, Praxis, Dr. med. Matthias Kemmerling

Dr. med. Sabine Lilienbecker

Dr. med. Mirko Pisek

Dr. med. Dirk Tübergen, Warendorfer Str. 185, Tel. 0251-37026

www.edp-muenster.de

Hinweis für Ärzte:

Haben sich Ihre Praxisdaten geändert?

Unter kontakt@tips-verlag.de oder Tel. 0251-899 340 können Sie uns Ihre Änderungen direkt mitteilen.

KIEFERORTHOPÄDIE

KIEFERORTHOPÄDIE

Arndt Stefani, Dr. med dent, Drubbel 17+18, Tel. 0251 518791

Bräutigam Martina, Dr., KFO Concepts, Diekmannstr. 200, Tel. 0251 97998000

Busemann Matthias, Dr., Dr., Rothenburg 2, Tel. 0251 58585

Dörr-Neudeck Klaus, Dr., Windthorststr. 17,Tel. 0251 55145

Endler Dorothea, Dr. med. dent., Mo-Fr. 8 – 12 h + 13 – 18 h, Hohenzollernring 59, Tel. 14 98 48 90, www.praxis-endler.de

Engelke, Eva Maria, Dr. med.dent., Erphostr. 55, Tel. 02521 33131

KFO Kieferorthopädie Kreuzviertel, Turchetto Stephanie, Dr. med. dent., Mo/Mi/Do. 8.30 bis 12 h + 13.30 bis 17.30 h, Di. 8.30 bis 12 h & 13.30 bis 18.30 h, Fr. 8.30 bis 12 h, sowie nach Vereinbarung, Raesfeldstr. 15, Tel. 294959, www.kfo-kreuzviertel.de

Lohkamp Frank, Dr., Prinzipalmarkt 11, Tel. 0251 45026

Möller Wolfgang, Dr. & Möller Christopher, Ludgeriplatz 2, Tel. 0251 531386

Schwedler & Schwedler, Grevener Str. 105, Tel. 0251 27076970

Weltermann Dennis, Dr., Aegidiimarkt 6, Tel. 0251 55609

KIEFERORTHOPÄDIE KREUZVIERTEL

DR. MED. DENT. STEPHANIE TURCHETTO KIEFERORTHOPÄDIN

Raesfeldstr. 15 | 48149 Münster direkt über der Bonifatius Apotheke

T 0251 / 29 49 59

info@kfo-kreuzviertel.de www.kfo-kreuzviertel.de

Mo Mi und Do

8.30-12 Uhr und 13.30-17.30 Uhr

Di

8.30-12 Uhr und 13.30-18.30 Uhr

Fr

8.30-12 Uhr sowie nach Vereinbarung Gesetzliche und private Kassen Jederzeit Online-Terminvereinbarung möglich!

KLINIKEN & MEDIZINISCHE ZENTREN

AKUT-KRANKENHAUS

Clemenshospital GmbH

Düesbergweg 124, Düesbergviertel ( 97 60 : www.clemenshospital.de  Akutkrankenhaus mit 405 Betten. Leistungsspektrum: Innere Medizin, Lungen- u. Bronchialheilkunde, Allgemein-, Viszeral- u. Gefäßchirurgie, Thoraxchirurgie, Unfallchirurgie, Orthopädie, Handchirurgie u. Sportmedizin, Neurochirurgie, Kinder- u. Jugendmedizin mit Kinderintensivstation, Gynäkologie u. Geburtshilfe, Radiologie, Strahlentherapie, Anästhesie u. operative Intensivmedizin, Früh-Reha für Erwachsene u. Kinder, Hämatologie u. Onkologie, zertifiziertes Darmzentrum, Lungenkrebs-, Brust- und Neuroonkologisches Zentrum, Ambulante Pflege u. Kurzzeitpflege. Eine Einrichtung der Alexianer Misericordia GmbH, Mitglied in der Münsteraner Allianz gegen Krebs – MAgKs.

Evangelisches Krankenhaus

Wichernstr. 8, Kreuzviertel ( 27 06 -0 : www.evk-muenster.de

 Akutkrankenhaus mit 161 Betten in den Fachabteilungen: Medizinische Klinik (Innere Medizin, Akutgeriatrie u. Frührehabilitation), Chirurgische Klinik, Anästhesie, Tagesklinik für Geriatrie, Demenzstation, Zentrum für Alterschirurgie u. -traumatologie, stationäre Schmerztherapie.

Herz-Jesu-Krankenhaus Hiltrup

Westfalenstr. 109, Hiltrup ( 0 25 01-17-0 : www.hjk-muenster.de

 Unfallchirurgie, allg. Viszeralchirurgie, Proktologie, Anästhesie, Gynäkologie/ Geburtshilfe, Innere Medizin, Neurologie, Nephrologie, Radiologie u. Neuroradiologie, Urologie, Augenheilkunde, Hals-, Nasen-, Ohren-Abteilung, Orthopädie, Zentralschule für Gesundheitsberufe.

Raphaelsklinik Münster

Loerstr. 23, City ( 5 00 70

: www.raphaelsklinik.de

 Akutkrankenhaus mit 306 Betten. Leistungsspektrum: Anästhesie, Schmerztherapie u. operative Intensivmedizin, Allgemein- u. Viszeralchirurgie, Unfall- u. Or-

thopädische Chirurgie, Chest-Pain-Unit, Proktologie, Innere Medizin, Gastroenterologie, Radiologie u. Nuklearmedizin, Urologie, HNO, Neurologie, Hämatologie, Palliativ Station, Onkologie,zertifiziertes Darmzentrum, Bauchspeicheldrüsen-, Schilddrüsen- und Prostatazentrum, zentrale interdisziplinäre Aufnahme, Ambulante Pflege, Kurzzeitpflege. Eine Einrichtung der Alexianer Misericordia GmbH, Mitglied in der Münsteraner Allianz gegen Krebs – MAgKs.

St. Franziskus-Hospital Münster GmbH

Hohenzollernring 70, 48145 Münster

( 93 50, Fax 9 35 40 62

: www.sfh-muenster.de

 Akutkrankenhaus mit 598 Betten, in dem jährlich ca. 30.000 Patienten stationär u. über 60.000 ambulant behandelt werden.

Universitätsklinikum Münster (UKM)

Albert-Schweitzer-Campus 1 ( 83-0

: www.ukm.de, info@ukmuenster.de

 Das UKM (Universitätsklinikum Münster) steht für Spitzenmedizin in der deutschen Krankenhauslandschaft und gehört bundesweit zu den erfolgreichsten Maximalversorgern.

FACHKLINIKEN / MEDIZINISCHE ZENTREN

Alexianer Münster GmbH

Alexianerweg 9, Amelsbüren ( 0 25 01- 96 62 00 00

: www.alexianer-muenster.de

 Wohnen u. Arbeiten für Menschen mit Behinderung. Kliniken für Psychiatrie u. Psychotherapie, Seniorenhilfen, Kinder- und Jugendhilfen

CPM Centrum für Psychiatrie, Neurologie und Psychotherapie

Bahnhofstr. 6, Bahnhof ( 4 66 00 (Empfang), 4 14 08 44 (Sekretariat-Psychotherapie)

Christoph-Dornier-Klinik für Psychotherapie

Tibusstr. 7-11, City (Kuhviertel) ( 4 81 01 40

: www.christoph-dornier-klinik.de/de/ startseite

 Intensive individ. Psychotherapie bei Angst-, Zwangs- u. Essstörungen (Anorexie, Bulimie), Depressionen,PDBS.

EOS-Klinik für Psychotherapie

Hammer Str. 18, Südviertel ( 6 86 02 20 00 : www.eos-klinik.de

 Vollstationäre u. tagesklinische IntensivBehandlung bei (chronischen) Depressionen, Essstörungen (Anorexie und Bulimie), emotionaler Instabilität, Angst- u. Zwangsstörungen sowie Traumafolgen. Diagnostikambulanzen für ADHS u.a. (Hammerstr. 13, Tel. 52 09 38 40)

Gynmünster Klinik für operative Gynäkologie

Hohenzollernring 57 (Hohenzollernklinik) ( 39 30 24 : www.gynmuenster.de

 Dr.Med. Jens Quackernack,Dr. Med Gregor Engelke, Dr. Med. Thomas Haßkamp, Dr. Med. Ruth Böhnel, Dr. Med. Anne Overbeck, Herr Sebastian Bauer Hohenzollern-Klinik GmbH & Co KG

Hohenzollernring 57 ( 3 78 90 : www.hohenzollern-klinik.de  Orthopädie, Gynäkologie, Minimal-Invasive Chirurgie, Plastische u. Ästhetische Chirurgie, Hals-, Nasen-, Ohrenheilkunde.

Fachklinik HornheideHauttumorzentrum Münster

Dorbaumstr. 300, Handorf ( 32 87-0 : www.fachklinik-hornheide.de

 Diagnostik u. Behandlung von bösartigen Tumoren der Haut u. Schleimhaut, Tumorentfernung u. insbesondere Wiederherstellung der Weichteil- u. knöchernen Defekte, Internistisch-onkologische Tumortherapie, Schmerztherapie, Versorgung von Gesichtsdefekten mit Epithesen, Fehlbildungschirurgie, Rekonstruktive Chirurgie, Brustchirurgie, Handchirurgie, ambulante u. stationäre Hautchirurgie, Varizenchirurgie, Wundmanagement, Photo- u. Lichttherapie, Strahlentherapie, Lasertherapie, Ästhet ische Chirurgie, Psychoonkologische Betreuung, Mitglied in der Münsteraner Allianz gegen Krebs - MAgKs.

UKM Brustzentrum Bereich Senologie

Albert-Schweitzer-Campus 1, Gebäude A1, Sentrup ( 8 34 41 11

Zertifiziertes Brustzentrum; ltd. Ärztin Bereich Senologie Frau Dr. Tio: Operationen inkl. plastischer u. primärer Operationen, rekonstruktive Eingriffe Fachdisziplin: Strahlentherapie, Nuklearmedizin, Onkologie, Pathologie, Radiologie

LWL-Klinik Münster - Psychiatrie - Psychotherapie - Psychosomatik - Innere Medizin

Friedrich-Wilhelm-Weber-Str. 30 ( 91 55 50 : www.lwl-klinik-muenster.de

 Zentrum für psychiatrische Behandlung, Betreuung u. Pflege. Psychiatrie, Psychotherapie, Psychosomatik, Innere Medizin, Rehabilitation.

Medneo Diagnostikzentrum

Harsewinkelgasse 19 ( 98 20 90 82 : www.medneo.com

 Diagnostikzentrum für MRT-Untersuchungen. Das Ingenia-3-Tesla-Gerät erlaubt den kooperierenden Ärzten in Münster, ein breites Spektrum an Untersuchungen anzubieten.

MVZ Gynäkologie + Hormonlabor

Salzstr. 2, City ( 8 99 06 0 : www.hormonzentrum-muenster.de

· Mo, Di, Do: 8 – 17 Uhr, Mi: 8 – 13 Uhr, Fr: 8 - 14 Uhr, Offene Sprechstunde: tägl. 11 - 12 Uhr

 Kompetente Beratung von Mädchen und Frauen in allen Bereichen der Gynäkologie. Ansprechpartner zur Routinevorsorge, bei Beschwerden, Fragen und Wünsche in angenehmer Atmosphäre.

NephroCare

Hohenzollernring 70 (St. Franziskus Hospital), Loerstr. 19 (Raphaelsklinik) ( 98 12 70, 8469260 : www.nephrocare.de  Diagnose und Behandlung von Erkrankungen aus dem Gebiet der Nierenheilkunde (Nephrologie), Bluthochdruckerkrankungen (Hypertensiologie) und Fettstoffwechselstörungen (Lipidologie), sowie Dialysebehandlungen.

ZaR Zentrum für ambulante

Rehabilitation

Grevener Str. 182 ( 98 76 70 : www.zar-ms.de

Zentrum für ambulante

Operationen

Dorpatweg 7 ( 20 10 03

 Gemeinschaftspraxis Ingo Amelung u. Jörg Staudach: Fachärzte für Anästhesiologie, Zentrum für ambulante Operationen, Praxisklinik

Zentrum für Refraktive Chirurgie Münster

Hohenzollernring 70, Klein Muffi ( 9 87 78 90 : www.freiheit-ohne-brille.de

 Smile, Lasik u. andere Methoden zur Behandlung von Kurz- u. Weitsichtigkeit u. Astigmatismus. Kostenlose Kurzchecks nach Terminvereinbarung.

AYURVEDA

Keine, Silke - Ayurveda, Naturheilpraxis, Physiotherapie

Franz-Meis-Str. 7, Bült 16, Mecklenbeck ( 7 60 25 45

: www.ayurveda-silkekeine.de

 Ayurvedische Ölmassagen u. Ernährungsberatung, therapeutisches Ayurveda bei Rückenbeschwerden u. Burn-OutSymptomatik, Massage für Schwangere, Dampfbad, Medical Wellness: Hot-StoneMassage, Personal Training mit Yoga u. Tai Chi. Ganzheitliche Frauengesundheit, Beratung bei Kinderwunsch, hormonellen Dysbalancen u. Wechseljahren.

BIODANZA

Biodanza-Schule-MünsterBiodanza-Raum-Münster

Bremer Str. 56, Hansaviertel ( 7 47 47 52, 0 25 06-67 08 : www.biodanza-muenster.de

· Termine s. Homepage

 Regelmäßige Schnupperabende, Biodanza-Kurse, Workshops, Ausbildung, Raumvermietung.

FELDENKRAIS

Bewegungsschule Averbeck

Klosterbusch 7, Gremmendorf-Ost ( 6 71 71 24

: www.bewegungsschule-averbeck.de

· Einzeltermine n. Absprache, regelmäßiges Kursangebot

 Feldenkrais-Bewegungslektionen in der Gruppe, Feldenkrais-Einzelstunden od. Beckenbodengymnastik als Einzelstunden. Workshops, Balance Gymnastik in der Gruppe u. als Einzelstunden.

Feldenkrais Praxis

Susanne Neumann

Elisabeth-Selbert-Weg 19, Rumhorst ( 025 1-1 34 20 10

: www.feldenkrais-neumann.de

· Mo.-Fr. regelm. Kursangebote, Einzeltermine n. Absprache

 Bewegungslektionen nach der Feldenkraismethode, Einzelunterricht, Workshops, Kurse auch im SOBI Sozialpädagogisches Bildungswerk Münster u. Online-Kurse

Feldenkrais Praxis

Vera Lämmerzahl

Wiener Str. 32 ( 79 67 07

· Termine n. Vereinbarung

 Methode zum Abbau von Stress-Symptomen, Ausgleich bei psychosomatischen Beschwerden, Bewußtheit durch Bewegung (Gruppenarbeit) u. funktionale Integration (Einzelunterricht).

Feldenkrais Praxis Heike Schenke

Langestr. 70, Hiltrup ( 0 25 01-44 11 30 : www.schenke-feldenkrais.de

· Termine n. Vereinbarung

 Mo. bis Do. wöchentlich stattfindende Gruppenkurse u. Ganztagesseminare. Einzelstunden „funktionale Integration“.

QI GONG

Hartwig Lahrmann Qigonglehrer

Marientalstr. 58, Mitte ( 3 46 55 : www.taimed.de

 Qi Gong in Ruhe und Bewegung, Abendkurse, WE-Seminare, Aus- u. Fortbildung.

Qi-Gong Institut Münster

Jägerstr. 20, Südviertel ( 51 81 81, 01 71-8 14 42 13 : www.Qi-Gong-Institut.de, www.staudinger.de

 Wirkungsvolle Übungen zur Verbesserung u. Stärkung der Gesundheit u. Lebenskraft.

ROLFING

Rolfing Praxis

Simone Angermann HP

Maximilianstr. 15a, Kreuzviertel

( 2 006 0 40 : www.angermann-rolfing.de

· n. Vereinbarung

 Körperarbeit im Fasziengewebe zur Haltungsverbesserung. Verfeinerung der eigenen Wahrnehmung und Erweiterung der Bewegungsfreiheit.

Praxis für Körperarbeit - Rolfing & Fluid Movement - Patricia von Weichs HP

Gasselstiege 115 (Biohof Lütke-Jüdefeld), Neutorviertel

( 2 84 14 10 : www.vonweichs-rolfing.de

· Termine n. Vereinbarung

SHIATSU

Shiatsu Jacqueline Bale

Friedrich-Ebert-Str. 118

( 7 63 47 08, 01 77-9 54 18 84

: www.bale-shiatsu.de

· Termine n. Vereinbarung

 Shiatsu und Klang Behandlungen, Unterricht, Geschenkgutscheine.

Europäisches Shiatsu Institut (ESI)

Achtermannstr. 10-12

( 28 41 44 6

: www.esi-muenster.de, esi-muenster@ shiatsu.de

 Shiatsu-Ausbildung im Modulsystem.

WELLNESS & SAUNA

Eymann Sauna

Gropiusstr. 4, Amelsbüren

( 0 25 01-57 77

: www.eymann-sauna.de

 Einzigartige Sauna- und Wellness-

Anlage vor den Toren Münsters, die sich auf über 10.000 Quadratmeter erstreckt und zu den Top-Adressen in Deutschland zählt. Verteilt auf sechs Themen-Zonen gibt es diverse Wohlfühl-Areale vom Toskana-Bereich mit Wasserfall und Weinberg bis zum Palmenstrand und großen Naturschwimmteich., è kostenlos im eigenen Parkhaus

Kaiserhof Beauty & Spa

Bahnhofstr. 14, Bahnhofsviertel ( 4 17 88 00 : www.kaiserhof-muenster.dewellness · Wellness-Oase & Sauna (Termine nach Voranmeldung), Fitnessstudio (Termine nach Voranmeldung)

YOGA

Yogaschule - Claudia Gehricke

Konradstr. 2 a, Handorf ( 3 90 66 31 : www.yogatutgut.de

 Yogakurse für Frauen u. Männer (Anfänger u. Fortgeschrittene), WochenendWorkshops.

Maitri Yoga Studio

Andreas Jakubik

Sternstr. 32, Mauritzviertel ( 1 49 14 57

: www.maitri-yoga.de

 Yoga-Kurse für Anfänger u. Fortgeschrittene, Massagen, Workshops. Krankenkassenbezuschussung.

Yoga mit Ute Keitemeier

Staufenstr. 8, Mauritzviertel ( 1 32 18 89 : www.yoga-muenster.de

· Kurse, Workshops, Einzelstunden auf Anfrage

 Hatha-Yoga, Hormon-Yoga, Yoga für den Rücken, begleitende Kinesiologie, Trance, Psychotherapie, Fußreflexzonenentspannung.

MIKO Musik und Bewegung

Raesfeldstr. 31, Kreuzviertel ( 39 99 83 78 : www.miko-muenster.de

 Yoga für Erwachsene, Kinder u. ältere Menschen. Kurse u. Einzelstd. für Männer u. Frauen. Musik für Eltern u. Kinder; Klavierunterricht.

Patanjali Yoga Schule

Achtermannstr. 10-12 (im Sobi), Bahnhofviertel

( 2 60 77 02

 Yoga, Autogenes Training, Yoga-Nidra (bewusster Schlaf), Pranayama, KriyaYoga.

Praxis Vivian Redl (Heilpraktikerin)

Enschedeweg 63, Gievenbeck, Institut Bönninghausen, Maximilianstr. 15a

( 53 49 755 : www.spiritedbody.com · Termine n. Vereinbarung  Traditionelle Thai Yoga Massage, PhysioThai, Dynamische Thai Yoga Massage, Aroma Ölmassage, Dynamische Faszien Therapie, Indische Kopfmassage & Cranio Sacrale Therapie. Yoga für Schwangere, Rückbildungsyoga (Mutter-BabyYoga), Familienyoga, Paar-Workshops, Kinder-Yoga Fortbildungen

Taichi Schule Naissan Schneider

Peter Rosegger Weg 15, Mauritz ( 3 91 01 97 : www.sternendojo.de · ganzjährige Anfängerkurse  Seit 20 Jahren Unterricht für Tai Chi Chuan, Qi Gong im Yang Stil u. Yoga. Bei Migliedschaft können alle Kurse besucht werden. KV Zuschüsse!

Lach-Yoga-Trainerin

Veronika Spogis

Kerkerinckstr. 16, Geistviertel ( 0251 - 4 19 15 87 : www.lachtrainerin.de

· nach Vereinbarung

 Ausbildung, Seminare, Vorträge u. Workshops zum Lach-Yoga. Leitung des Lachtreffs Münster.

XTRAS

Samariter-Werk

Kath. Fastenzentren

Gravenhorster Str. 12, Hörstel ( 0 54 59-93 46 78 : www.fasten-zentrum.de

 Heilfasten, Basenfasten, Früchtefasten u. Breussfasten.

Praxis für Sprachtherapie

Alexandra Fröhlich

Weseler Str. 111-113, Geistviertel ( 91 96 81 84 : www.sprachtherapie-froehlich.de

 Klangmassagen zur Entspannung.

 Wahrnehmungsförderung bei Kindern. Hilfe bei Verhaltensauffälligkeit. Pedeatrie, Neurologie, Psychiatrie, Handrehabilitation, Spiegeltherapie, Muskel u. Gelenkmobilisation.

( = Telefon · = Öffnungszeiten : = Internet/Email  = Preisbeispiel

= Leistungsspektrum

ENTWICKLUNGS& SPRACHTHERAPIE

ERGOTHERAPIE

Blattner, Gloria -

Praxis für Ergotherapie

Hansaplatz 1, Hansaviertel ( 8 99 31 44, (01 52) 37 14 20 60

: www.blattner-ergotherapie.de

· Termine n. Vereinbarung

 Wahrnehmungsförderung bei Kindern. Hilfe bei Verhaltensauffälligkeit. Pedeatrie, Neurologie, Psychiatrie, Handrehabilitation, Spiegeltherapie, Muskel u. Gelenkmobilisation.

Praxis für Ergo- u. Kunsttherapie Martina Deux

Hiltruperstr. 7, Wolbeck ( 0 25 06-30 29 60

: www.ergotherapie-in-muenster.de

 alle Kassen

 Diagnostik, Prävention, Therapie, Rehabilitation Erwachsene u. Kinder, Hausbesuche. Sensomotorisch-perzeptive, motorisch-funktionelle und psychischfunktionelle Therapie. Hirnleistungstraining, Verhaltenstherapie (ADHS), Handtherapie

Haarhaus, Silke - Ergotherapie

Hoffschultestr. 14, Mauritz ( 1 34 49 44 : www.ergotherapie-haarhaus.de

· Termine n. Vereinbarung u. Hausbesuche

 Entwicklungsförderung bei Kindern u. Jugendlichen, Therapie,Konzentrationsu. Regulationstraing bei AD(H)S, Motoriktraining, LRS-Förderung, Reha/ Neurologie, Psychiatrie, Orthopädie, Linkshänderberatung, Diagnostik, Prävention, Reha, Therapie (alle med. Bereiche), Erwachsene & Kinder, Konzentrations u. Verhaltenstraining bei A.D.(H).S.,Hirnleistungstraining bei Demenz, Handtherapien etc.

Liedel - Ergotherapeutische Praxis

Hegerskamp 6, St. Mauritz ( 13 25 72

· Termine n. Vereinbarung

 SI-Thearpie, Bobath/Perfetti, NeuroOrtho u. Psychiatrie, Hausbesuche.

Praxis für Ergotherapie u. Physiotherapie, Oliver Nücklaus u. Team

Düesbergweg 15, Düesbergviertel ( 7 77 90 90

· Termine n. Vereinbarung u. Hausbesuche

 alle Kassen

 Handtherapie, Physiotherapie u.v.m.

ZaR Zentrum für ambulante Rehabilitation

Grevener Str. 182 ( 98 76 70 : www.zar-ms.de

KUNSTTHERAPIE

Arbeit am Tonfeld - Entwicklungs- und Lernförderung

Hammerstr. 25, City ( 20 80 61 26

: www.tonfeld-arbeit.com

· Termine nach Vereinbarung

 Entwicklungsförderung bei Verhaltensauffälligkeit, psychosomat. Beschwerden, Lern- u. Sprachförderung. Die Malküche

Mühlenstr. 12-13, City (Aegidiiviertel)

( 3 79 50 91 : www.malkueche.de

· Termine nach Vereinbarung

 Maltherapie für Kinder u. Jugendliche. Gruppen- u. Einzeltermine.

Malzeit - Atelier für begleitetes Malen

Herrenstr. 24

( 3 43 41

: www.humanistische-kunsttherapie.de

· Di. 16 bis 17 h (tel. Sprechstd.) u. Termine n. Vereinbarung

 Mal- u. Kunsttherapie, begleitetes u. lösungsorientiertes Malen, Einzel- u. Gruppentermine, Grundausbildung in begleitetem u. lösungsorientiertem Malen, Ausbildung in lösungsorientierter Maltherapie u. Fortbildung für Fachleute, Ferienkurse auf Kreta.

Werkstatt für Kunst und Therapie

Friedrich-Ebert-Str. 151, Südviertel ( 79 27 05

: www.werkstattfuerkunstundtherapie. de

 Berufsbegleitende Fortbildung zur/m Kunsttherapeutin/en.

LERNTHERAPIE

Arbeit am Tonfeld - Entwicklungs- und Lernförderung

Hammerstr. 25, City ( 20 80 61 26

: www.tonfeld-arbeit.com

· Termine nach Vereinbarung

 Entwicklungsförderung bei Verhaltensauffälligkeit, psychosomat. Beschwerden, Lern- u. Sprachförderung.

Liedel, Evelyn - Kinder- u. Jugendlichen Psychotherapeutin

Dortmunder Str. 1, Hansaviertel ( 6 77 78

: www.liedel.de

 Integrative Lerntherapie, Supervision.

Osnabrücker Zentrum für mathematisches Lernen in Münster

Bergstr. 30, City ( 4 84 34 42 : www.os-rechenschwaeche.de

· Telefonische Beratung

 Hilfe für Kinder bei Rechenschwäche/ Dyskalkulie: Förderdiagnose, Lerntherapie, Beratung u. Fortbildung.

Schmücker, BirgittaPraxis für Ergo- u. Lerntherapie

Dieckmannstr. 118 ( 4 84 05 51

: https://ergotherapiemuenster.de

· Termine n. Vereinbarung

 Ergo- u. Handtherapie u. Linkshänderberatung, Förderung bei Lese-, Rechtschreib- u. Rechenschwäche, Hausbesuche.

Praxis Wahrnehmung und Lernen, Agnes Schulze Heuling

Freckenhorsterstr. 1

( 0 25 81-94 97 01 : www.wahrnehmungstherapie.de

· Termine n. Vereinbarung

 Bewältigung von Lese-, Rechtschreibschwäche u. Dyskalkulie, AD(H)S Verhaltensauffälligkeiten bei Kindern u. Jugendlichen, Begabungsförderung

LOGOPÄDIE

Praxis für LogopädieS. Büning & A. Bremer

Spiekerhof 6-8, City ( 4 78 09

: https://bueningbremer.de

 Stimm-, Sprech- u. Sprachtherapie, Stimmbildung.

Flohr, BarbaraPraxis für Logopädie

Einkornweg 19, Amelsbüren ( 0 25 01-5 85 49, 0 25 01-5 80 31 : www.barbara-flohr.de  Alle Störungsbilder, Schwerpunktpraxis Kindersprache, Castillo Morales, Behandlung von Lese- u. Rechtschreibschwächen, Neurologische Behandlung.

Praxis für Sprachtherapie

Alexandra Fröhlich

Weseler Str. 111-113, Geistviertel ( 91 96 81 84

: www.sprachtherapie-froehlich.de  Sprachtherapie für Säuglinge, Kinder, Jugendliche und Erwachsene mit allen Formen von Sprach-, Sprech-, Stimmund Hörstörungen, Redefluss- und Schluckstörungen. Klangmassagen zur Entspannung.

Gilsbach, AnettePraxis für Logopädie

Lotharingerstr. 21, City (Martiniviertel) ( 5 83 87 : https://logopaedie-gilsbach.de  Therapie von Sprech-, Sprach-, Schlucku. Stimmstörungen.

Guntenhöner, ClaudiaPraxis für Logopädie

Raiffeisenstr. 5, Roxel ( 0 25 34-97 75 157

· Termine n. Vereinbarung

 Therapie von Sprech-, Sprach- und Stimmstörungen, Hausbesuche.

Anja Sicking - Praxis für Logopädie im Therapiezentrum Gievenbeck

Dieckmannstr. 118, Gievenbeck ( 8 71 24 39 : www.logopaedie-sicking.de  Behandlung v. Sprach-, Sprech-, Stimmund Schluckstörungen, Hausbesuche.

Praxis für Logopädie

B. Albersmeier, K. Bochnik

Klosterstr. 24, City ( 79 20 40 : www.logopaedie-klosterstrasse.de  Therapie von Sprach-, Sprech- u. Stimmstörungen. B. Albersmeier, K. Bochnik, A. Neumann, B. Reinke.

Ursula Spenthof - Logopädin

Neuer Heidkamp 21 a, Kinderhaus ( 1 62 44 55 : www.spenthof-logopaedie.de · Termine n. tel. Vereinbarung  Behandlung von Stimmstörungen, Kindersprache und Schluckfehlfunktionen.

ZaR Zentrum für ambulante

Rehabilitation

Grevener Str. 182 ( 98 76 70 : www.zar-ms.de

XTRAS

Collis, Kim

Praxis für Kreative Therapie

Staufenstr. 11, Mauritz-West/Erphoviertel ( 3 83 38 50 · Termine n. Vereinbarung  Kreative Therapie: Bewegung, Tanz, Malen u. Musik. Einzel- u. Kleingruppenarbeit.

Verein für Mototherapie u. psychomot. Entwicklungsförderung e. V. Gasselstiege 13 (im Gesundheitshaus), Neutorviertel ( 29 56 40 : www.mototherapie-muenster.de  Mototherapeutische Behandlung von Kindern u. Jugendlichen mit Auffälligkeiten, Störungen od. Entwicklungsverzögerungen der Wahrnehmungen, der Motorik u.a., Beratung, Info- u. Fortbildungsveranstaltungen, kostenlose Klärungsgespräche. ( = Telefon · = Öffnungszeiten

Internet/Email

= Preisbeispiel

= Leistungsspektrum

ERNÄHRUNG & GESUNDHEIT

ERNÄHRUNGSBERATUNG

Bauchbewusst Centrum für allergologische Ernährungsberatung Münster Dr. Regina Börjesson-Stoll Rothenburg 43-44, City ( 98 11 36 84 : www.ernaehrungsberatung-rothenburg.de

 Ernährungsberatung, Allergien, Lebensmittelunverträglichkeiten.

bauchgefühlt. Ganzheitliche Ernährungsberatung (TCM)

Zum Erlenbusch 8, City ( 1 49 35 37 : www.bauchgefuehlt.de

· Termine n. Vereinbarung

 Individuelle Ernährungsberatung, Kochkurse, Vorträge.

blumenschein

Diät- und Ernährungstherapie

Grevener Str. 105 : www.blumenschein-ebt.de

· Termine n. Vereinbarung

 Ernährungstherapie bei Magen-Darm Erkrankungen, Nahrungsmittelunverträglichkeiten, Übergewicht und Adipositas bei Kindern u. Jugendlichen, Systemerkrankungen (Rheuma u. Osteoporose), Ernährung bei Krebserkrankungen.

Praxis für Ernährungsberatung und -therapie, Dr. Gudrun Pötting Marktallee 2, Hiltrup

( 0 25 01-9 73 79 79 : www.ernährungsberatung-in-muenster. de  Ernährungsberatung, Ernährungstherapie bei Übergwichtigen, Lebensmittelunverträglichkeiten, Diabetes, Untergewicht. Kostenerstattung durch die Krankenkassen.

Ernährungsberatung u. -therapie Rothenburg Dr. Regina Börjesson-Stoll

Rothenburg 43-44, City ( 98 11 36 84 : www.ernaehrungsberatung-rothenburg.de

· Termine n. Vereinbarung

 Ernährungsberatung u. -therapie bei Nahrungsmittelallergien u. -unverträglichkeiten. Individ. Ernährungsberatung bei allen Krankheiten u. Übergewicht. Anerkannt u. Kostenerstattung durch die GKV.

Fuchs u. Fuchs - Bewegungsu. Ernährungskonzepte, Sandra Fuchs

Uppenbergstr. 5, Kreuzviertel ( 2 00 66 21 : www.fuchsundfuchs.com

· Termine n. Vereinbarung

 Mentales Gesundheitstraining u. -coaching mit Schwerpunkt Ernährung und Bewegung, Ernährungsberatung u. -therapie, Kochevents, Nordic Walking, individuelle Beratung, Vorträge, Kassenbezuschussung mögl., Personal-Coaching.

Lebe bewusst, Heußler, Katharina Diesterwegstr. 72, Kinderhaus

( 97 44 37 45 : www.lebe-bewusst.com · na. Vereinbarung  Ganzheitliche Ernährungsberatung.

MITTENDRIN Praxis für Ernährung u. Lernberatung

Wiener Str. 50, Mauritz ( 3 90 78 10 : www.ernaehrungsberatung-muenster. de

· Termine n. Vereinbarung  Krankheitsspezifische Ernährungsberatung, Beratung für Essstörungen. Kostenerstattung durch die GKV.

Vitalpraxis Münster - Nicola Lederer-Kehrmann

Kettelerstr. 27, Kreuzviertel ( 9 79 90 00 : www.vitalpraxismuenster.de

· Mo, Do: 9 –13 h / 14 – 18 h, DI 9 – 14 h, Mi: 9 – 13 h, Fr: geschlossen

ERNÄHRUNG & GESUNDHEIT

Jentschura International GmbH

Otto-Hahn-Str. 22-26 ( 049 2534-9744-378 : www.p-jentschura.com

Iris Kreuzheck-Koch – Naturheilpraxis MS & Podologie MS

Friedrich-Ebert-Str. 151 ( 4 84 00 80 : www.heilpraktikerin-ms.de

· Termine nach Vereinbarung  Ernährungsberatung (SanguinumStoffwechselkur), Wundexpertin ICW, Diabetesfachkraft, Wundmanagement DDG, , PodologieDDG

PODOLOGIE

Fuß Profil - Julia Vogel (Podologin DDG)

Maximillianstr. 11, Kreuzviertel ( 92 77 76 31 : www.fuß-profil.de

· Mo.-Fr. 8:30 - 18 h  Podologische Fachpraxis: kompetente Beratung, Podolog. Fußpflege, Orthosen, Orthonyxiespangen.

Klaras Podologie

Hohenzollernring 70 ( 13 38 99 66 : www.klaraapotheke.de · nach Vereinbarung.

Praxis für Podologie Iris Kreuzheck

Friedrich-Ebert-Str. 151 ( 4 84 00 80 : www.podologie-ms.de

· Mo. 7:30 - 12:30 h + 14 - 16 h, Di / Do. 7 - 12:30 h + 14 - 18 h, Mi, Fr. 7:30 - 12:30 h, Termine nach tel. Vereinbarung  Med. Fußpflege u. diabetische Fußbehandlung: Beraten, Erkennen, Behandeln, Versorgen u. Pflegen der Füße in Kooperation mit Ärzten, Diabetologen, Fußambulanzen, Orthopäden, Orthopädieschuhmacher u. Krankengymnasten.

Mit der original Sanguinum Stoffwechselkur –medizinisch begleitet zum Wunschgewicht! Gemeinsam schaffen wir das!

GESUNDHEIT & FAMILIENBILDUNG

BERUFSAUSBILDUNG

Münsterlandschule Alma Mater

Winkelstr. 9, Ascheberg

( 01 70-4 35 69 30

: www.muensterlandschulen.de

 Natur-& Gesundheitspädagogik, Kreativpädagogik, Ritualpädagogik, Spielpädagogik, Aktivierende Seniorenpädagogik

Europäisches Shiatsu Institut (ESI)

Martin-Luther-Str. 13,Leitung: Lilo Lork ( 28 41 44 6

: www.esi-muenster.de

 Shiatsu-Ausbildung im Modulsystem.

Fitness Akademie

Meesenstiege 54 b ( 0 25 01-9 58 34 85

: www.fitness-akademie.de

 Praxis-Ausbildung: Fitness- u. Gesundheitstrainer, Group-Fitness-Instructor (B-Lizenz), Indoor-Cycling- Instructor, Personal-Trainer, Yoga-Trainer, Ernährungstrainer, Master Trainer Fitness u. Gesundheit, Trainer A-Lizenz, Workshops.

Hufeland-Schule

Wilhelm-Haverkamp-Str. 21, Senden ( 0 25 97-69 06 30

: www.hufelandschule.de

 Naturheilzentrum Senden, Verbands-

schule des Bundes Deutscher Heilpraktiker.

Kolping Akademie Münster

Gerlever Weg 1

( 0 25 41-8 03-01

: www.kolping-ms.de

 Berufsbegleitende Qualifizierungsmaßnahmen im Bereich: Sozial und Gesundheitswesen, Wirtschaft und Verwaltung, Kita und Schule.

KURSE FÜR KIDS & FAMILY

Anna-Krückmann-Haus e.V.

Friedensstr. 5, Mauritz-West/ Erphoviertel ( 39 29 08 0

: www.anna-krueckmann-haus.de

 Familienbildungsstätte: Fortbildungen, Koch-, Kunst- u. Sprachseminare, Stadtteilangebote, Kurse zur Gesundheit, Entspannung u. Fitness, Eltern-KindKurse, Geburtsvorbereitung.

asb - arbeitskreis soziale bildung u. beratung e. V.

An der Germania Brauerei 1, Germania Campus ( 277 230

: www.asbb.ms

 Kurse, Seminare u. Fortbildungen für Erwachsene u. Familien, Gewaltprävention, Supervision und Beratung

Bildungsinstitut Münster e.V. Anton-Bruchausen-Str. 6, Rumphorstviertel ( 8 99 50 : www.bildungsinstitut.de

 Lehrgangsangebote: Sprachen, berufl. Integration, Pflege/Gesundheit.

Bürgerhaus Kinderhaus

Idenbrockplatz 8, Kinderhaus-West ( 49 24 15 0 : www.buergerhaus-kinderhaus.de

 Kurse: Sprachen, Kreativ, Sport, Musik u.a.

Ev. Familienbildungsstätte

Friedrichstr. 10, Bahnhofviertel ( 4 81 67 80 : www.ev-fabi-ms.de

 Angebote u. Kurse für Eltern u. Kinder zum Thema Gesundheit, Bewegung, Computer. Großes Angebot auch für Menschen mit Behinderungen.

Haus der Familie MSKath. Bildungsforum im Stadtdekanat MS

Krummer Timpen 42, City (Überwasserviertel)

( 41 86 60 : www.haus-der-familie-ms.de

 Info, Kurse, Vorträge, Seminare rund um Gesundheitsthemen: z.B. Fitnesskurse, Ernährung, Kinder, Geburtsvorbereitung.

Kreativ-Haus e.V.

Diepenbrockstr. 28, Erphoviertel ( 8 99 00 90 : www.kreativ-haus.de

 Kurse u. Workshops für kulturelle Bildung, Beruf, Sprachen, Gesundheit u. Entspannung.

Haus Mariengrund Katholische Bildungsstätte

Nünningweg 133, Gievenbeck ( 8 71 12-0 : www.haus-mariengrund.de  Heimvolkshochschule u. Jugendbildungsstätte, Weiterbildungsangebote für Ehe u. Familie, Frauen, Senioren u. Suchtbetroffene.

Sobi - Sozialpädagogisches Bildungswerk Münster

Achtermannstr. 10-12, Bahnhofviertel ( 51 11 77 : www.sobi-muenster.de · Büro- und Beratungszeiten: Mo+ Mi:10 – 16 h, Di+ Do: 10 – 13 h, Fr: 10 – 12 h, In den Ferien: Di+ Do: 10 – 12 h

 Erwachsenenbildung, Aus- u. Fortbildung, Gesundheitskurse, Tanz, Musik u. St imme, Selbstentfaltung u. Spiritualität u.a.

Volkshochschule Münster

Aegidiimarkt 3, City (Aegidiiviertel) ( 4 92 43 21

: www.vhs.muenster.de

· Mo+Mi: 10 - 16 h, Di+Fr: 10 - 13 h, Do: 14 - 18 h  Gesellschaft/Kultur, Erziehung/Familie/Älter werden, Gesundheit, Sprachen u. Länder, Beruf u. Wirtschaft, Digitale Medien.

XTRAS

Deutsche Akademie für Waldbaden und Gesundheit ( 0 63 23-8 08 98 30 : www.waldbaden-akademie.com

FiT 4 HANDLiNG

Physio-Coach Meike Göhler

Von-Galen-Str. 10, Ascheberg ( 93-95 26 35 : www.fit4handling.de

· Termine nach Absprache  Hausbesuche zur individuellen Trageund Handlingsberatung für eine gesunde Motorikentwicklung, Elterncoaching Jentschura International GmbH

Otto-Hahn-Str. 22-26 ( 049 2534-9744-378 : www.p-jentschura.com

Villa Kaiserbusch Seminarhaus e.V.

Albersloher Weg 696, Angelmodde ( 6 09 64 96

 Seminare, Vorträge, Meditationen, Tanz, Raumvermittlung für Gruppen u. Übernachtungsmöglichkeiten bis 20 Pers. Agnes Lütke Föller - Unternehmensberatung & Training

Gasselstiege 23, Neutorviertel ( 6 09 05 11 : www.luetkefoeller.com

 Spezialisiert auf Beratung von Selbstständigen im Gesundheits- u. Sozialwesen.

Sozialdienst katholischer Frauen e.V. Münster

Wolbecker Str. 16A ( 1 33 22 30 : www.skf-muenster.de

· Mo-Do: 9 - 17 h, Fr: 9 - 15 h

 Beratungs- und Unterstützungsangebote: Wohnungslosenhilfe, Hilfe bei häuslicher Gewalt, Familienzentrum

( = Telefon

= Öffnungszeiten

= Internet/Email

= Preisbeispiel

= Leistungsspektrum

GESUNDHEITSTECHNIK

DENTALLABORE

Dentallabor Adorf + Schwitte

Idenbrockplatz 27, Kinderhaus ( 21 20 62

: www.a-s-dental.de

· nach telefonischer Vereinbarung)

 Implantologie, ästhetische vollkeramische Versorgungen, Zirkinoxid, biol ogische Prothetik, Sportschutz, Schnarchschienen.

City-Dental Laborgesellschaft

Ossenkampstiege 45a, Mecklenbeck ( 41 41 70 : www.citydental-muenster.de

 Das offene Labor, Besuche erwünscht.

Dental Technik

Robert-Bosch-Str. 2-4 ( 97 23 90 : www.dental-technik-ms.de

 Zahntechnische Implantologie, Modellguss, Kronen u. Brücken, Inlays u.v.m.

DENTEC-Dentallabor

Scharnhorststr. 40, Pluggendorf ( 52 12 04 : www.dentec-dentallabor.de

 Implantat-Technik, Vollkeramik, Perfektionelle Ästhetik, Edelmetalltechnik, Frästechnik.

Johannemann Zahntechnik

Hüffer Str. 14, Neutorviertel ( 2 89 28 19

: www.johannemann-zahntechnik.de

 Implantologie, ästhetische Frontzahnrestauration, Patientenberatung, Veneers.

Klapdor Dentaltechnik

Kerstingskamp 15, Kinderhaus-Ost ( 39 90 20

 Implantologie, CAD/CAM Vollkeramiksysteme, individuelle ästhetische Keramik.

Zahn-Ästhetik Patricius Schmidt

Kanalstr. 35 ( 4 82 87 33 : www.zahnaesthetik-patricius-schmidt. de

 Herstellung von ästhetischen Zahnersatzversorgungen, festsitzend, herausnehmbar u. implantatgetragen in Vollkeramik u. metallunterstützt.

SANITÄTSHAUS/ ORTHOPÄDIETECHNIK

Sportorthopädie Dahlmann

Aegidiistr. 42, City (Aegidiiviertel) ( 4 75 03

: www.sportorthopaedie-dahlmann.de x EC-Karte

S Asics, Brooks, Socony

 Orthopädieschuhmachermeister, Laufsportartikel, Maßanfertigungen,

Fußanalyse, Laufband- u. Videoanalyse, Einlagen, Schuhzurichtung.

Grundhoff Orthopädie-Technik

Düesbergweg 126, Hammer Str. 6 ( 1 62 36 16, 52 10 27 : www.ot-grundhoff.de

 Sanitätshaus, Kompressionsstrümpfe, Schuheinlagen, diabetische Schuhversorgung, Prothetik, Orthetik u.a.

HelFerlein

Marktallee 66, Hiltrup

( 0 25 01-9 23 99 90

: www.info@helferlein-muenster.de

 Viel mehr als eine Sanitätshaus: Hilfsmittel für Gehandicapte u. Senioren, praktische Geschenke für Jedermann. Großes Sortiment von Rollatoren u. Elektromobilen, Alltagshilfen u. Sanitätsbedarf.

Sanitätshaus Lammers

Spiekerhof 40-42

( 4 82 17 10

: www.lammers-muenster.de

 Sanitätshaus

Micke & Co. Orthopädie-Technik u. Sanitätshaus

Grevener Str. 105, Germania Campus ( 2 84 54 57

: www.mickeundco.de

 Einlagen, Ganganalyse, Sportversorgung, Bandagen, Orthesen, Kompressionsstrümpfe, Korsette, Miederversorgungen, Prothetik u.a., individuelle Zehenstegsandalen

Möller OrthopädieSchuh-Technik

Johann-Krane-Weg 40, Sentrup ( 28 91 92 0 : www.orthomoeller.de · Mo-Fr. 9:30 - 18 h x EC-Karte  Bewegungsanalyse u. Videodokumentation, Maßschuhe, Bequemschuhe von FinnComfort, Einlagen u. DiabetesSchutzschuhe.

Ortho - Run

Warendorfer Str. 141 ( 39 58 23 46 : www.ortho-run.de

 Laufschuhberatung,individuell angepasste Laufschuhe,individuelle Fachberatung, Schuhzurichtungen aller Art, orthopädische Einlagen für Alltagsschuhe & jegliche Sportschuhe, Spezialanfertigungen aller Art, Dämpfung der Sohlen, Schuhreparaturen aller Art, è im Hof

Sanitätshaus Sumser Moltkestr. 13 (nähe Ludgeri-Kreisel)

( 53 36 66 : www.sumser-orthopaedie.de  Medizinisches Warenhaus, OrthopädieTechnik, Orthopädie-Schuhtechnik, Brustpothetik(nur an der Moltkestr.). Weitere Filialen: Westfalenstr. 111 (Hiltrup), Tel.: 0 25 01-5 94 20 26, ÖZ: Mo., Di. 8 bis 17 h, Mi. 8 bis 15 h, Do. 8 bis 19 h, Fr. 8 bis 14 h; Gartenbreie 1 (Gievenbeck), Tel.: 1 35 68 87, ÖZ: Mo.Fr. 9 bis 13 h, Mo., Di., Do., Fr. auch 14 bis 18 h.

XTRAS

Geers World of Hearing

Salzstr. 52 ( 20 84 97 92 : www.geers.de

Laufmaus

( 0 25 72-9 46 76 79 : www.laufmaus.run

 Die LAUFMAUS® simplifiziert die Verbesserung der Lauftechnik und führt zur Ökonomisierung des Laufes. Belastungen beim Laufen werden reduziert.

PHYSIOTHERAPIE & OSTEOPATHIE

PHYSIOTHERAPIE & MASSAGE

Mobile Massage

Michaela Andersch

Kristiansandstr. 125 ( 2 03 81 57, 01 76-40 57 07 41 : michaela.andersch@gmx.net

· Termine n. Vereinbarung

 Nur für Firmen und Behörden(Masseurin u. med. Bademeisterin, Lymphdrainagetherapeutin).

Praxis für Physiotherapie

Sabine Beermann

Tibusstr. 7-11, City (Kuhviertel) ( 39 63 00 16

: www.physio-muenster.de

· n. Vereinbarung

 Schwerpunkte: CMD, Cranio-Sacrale Therapie, Lymphdrainage, Hausbesuche, Massage, Rückenschule.

Praxis Bouchette

Paul-Engelhardt-Weg 16, Gremmendorf ( 61 91 91

: www.bouchette.de

 Krankengymnastik, manuelle Lymphdrainage u. Massage.

Praxis Eva Bußmann - Physiotherapie & med. Training

Feldstiege 102, Nienberge ( 0 25 33-29 87 20

: www.bussmann-physiotherapie.de

 Krankengymnastik, Manuelle Therapie, KG-Neurologie (PNF, Bobath), Massage, Triggerpunkttherapie, Fango, Lymphdrainage, Lehnart Schroth, Rehasport, Präventionskurse, KG am Gerät, med. Trainingstherapie

Zentrum f. Trad. Chinesische Medizin & Naturheilverfahren

Dr. Chariat

Hohenzollernring 57 ( 5 51 66

: www.chariat.de

· Termine n. Vereinbarung

 Private Kassen und Selbstzahler

 Akupunktur, Entgiftungskuren, Störfeldsuche u. -therapie, chinesische Kräuterheilkunde, Schmerztherapie, Physiotherapie, Manuelle Therapie, Anthroposophische Medizin und Naturheilverfahren

Dagmar Delong

Aegidiistr. 37, City (Aegidiiviertel)

( 4 25 85

: www.praxis-delong.de

 Physiotherapie, Krankengymnastik u. Massage. Manuelle Therapie, Naturmoorpackungen, Cranio-Sacral-Therapie, Kinesio-Taping, Lymphdrainage, Bobath, Dorn-Breuss Behandlung, Fußreflexzonenmassage, Faszientherapie, CMD-Behandlung,

Praxis Erdbrügge

Hiltruper Str. 20 d, Wolbeck ( 0 25 06-8 50 17; Fußpflege: -8 50 72, Fax -8 50 71

 Krankengymnastik u. Physiotherapie, Schlingentisch, Lymphdrainage, Hausbesuche, Fußpflege, Fußreflexzonenmassage.

Praxis für Orthopädie u. Unfallchirurgie Dr. Med. Gunnar Weining u. Dr. Med. Thorsten Sprafke

Marktallee 8, Hiltrup

( 0 25 01-12 30

: www.orthopaedie-ws.de  Akupunktur, Chirotherapie, Sportmedi-

zin, physikalische Therapie, Schul - und Arbeitsunfälle, Osteopathie

Physiotherapie Gollmer - Kresing

Warendorfer Str. 97, Mauritz ( 3 54 99 : www.fit-in-muenster.de

 Krankengymnastik, Manuelle Therapie, Cranio-Sacral-Therapie, Osteopathie, Bobath (auch Kinder), PNF, Lymphdrainage, Massage,Kindertherapie,Sport physiotherapie, Leistungsdiagnostik, Personaltraining, Hausbesuche.

Gemeinschaftspraxis

Hafke + Schröder

Warendorfer Str. 81, Erphoviertel ( 39 38 29 : www.physio-hafke-schroeder.de

 KG, Manuelle Therapie, Heißluft Massage, Manuelle Lymphdrainage, PNF, Cyr iax, Schlingentisch, Hausbesuch.

Praxis für Physiotherapie

Krankengymnastik und Massage -Joachim Ilgner

Weseler Str. 77, Südviertel ( 5 14 44 : www.physiotherapie-ilgner.de

 Physiotherapie, Krankengymnastik u. Massage, Lymphdrainage, Hausbesuche

Jentschura International GmbH

Otto-Hahn-Str. 22-26 ( 049 2534-9744-378

: www.p-jentschura.com

Institut für Manuelle Therapie

Holger Krimphove

Grevener Str. 102 (Dreifaltigkeitskirche) ( 39 93 99 : www.manuelletherapie.com

· Termine n. Vereinb.

 Krankengymnastik, Trainingstherapie, Massage, Personaltraining, Leistungsdiagnostik, Manuelle Therapie, La StoneTherapie, Manuelle Lymphdrainage, KG neuro., CMD.

Praxis für Physiotherapie

Kinzel & Simon

Warendorfer Str. 147 u. 149, Mauritz-Mitte ( 6 06 85 82

: www.physiotherapie-in-muenster.de

 Physiotherapie, Krankengymnastik, manuelle Therapie, Lymphdrainage, Osteopathie, Applied Kinesiology, Rückenschulkurse, Massage, Yoga, psychosomatische Energetik, Behandlungen nach Liebscher & Bracht. Alle Kassen, auch Privat.

Praxis für Physiotherapie u. Osteopathie Corinna Koch u. Roland Meyer

Kampstr. 6, Kreuzviertel ( 2 06 66

: www.kreuzviertel-osteopathie.de

· nach Vereinbarung

 Osteopathie, KG, Manuelle Therapie, PNF, Lymphdrainage, Massage, Rückenschule.

Praxis für Manuelle Therapie u. Physiotherapie Bodo van Lier

Kärntner Str. 45 ( 53 34 48 : www.van-lier.de

· Termine n. Vereinbarung

 Alle Kassen / Privatkassen, Physiotherapie, KG, PNF, Lymphdrainage, KG-Neuro, Schlingentisch, med. Trainingstherapie, Mc Kenzie u.a.

Privatpraxis Dr. G. Lohrasbi u. Dr. T. Mundthal

Malmedyweg 11, Sentrup ( 1 35 37 00 : www.lohrasbi-mundthal.de · n. Vereinbarung

 Facharzt für Orthopädie, Fachärztin für Allgemeinmedizin, Sportmedizin, Chirotherapie, Osteopathie, Ernährungsberatung, Akupunktur, TCM.

Praxis für Physiotherapie U. Löttker

Wilhelmstr. 49, Neutorviertel ( 1 61 13 33 : www.physioloettker.de

· Termine nach individueller Absprache.

 Praxis für Physiotherapie und Naturheilkunde Krankengymnastik, Manuelle Therapie, Lymphdrainage, KG am Gerät, Osteopathie, PNF, Triggerpunkttherapie, CMD, Massagen, Kinesio Tape, Naturmoor, Hausbesuche.

Team Riegert - Physio & Training

Meesenstiege 54 a, Hiltrup ( 0 25 01-9 77 99 11

: www.physiovital-greven.de

 Physiotherapie, Krankengymnastik am Gerät, Osteopathie, Lymphdrainage, Massage, Fango, Akupunktur

Praxis für Physiotherapie Artur Mally

Handorfer Str. 34, Handorf ( 32 85 88

: www.praxis-mally.de

· n. Vereinbarung (auch am Sa.)

 Krankengymnastik, Manuelle Therapie, Manuelle Lymphdrainage, Massagen, Fußreflexzonentherapie, Rückenschule, Hausbesuche, Kinesio-Taping.

Gaby Montag - Praxis für Physiotherapie u. Osteopathie Gasselstiege 21-23 (Vital-Center), Neutorviertel ( 27 73 33 : www.gaby-montag.de · n. Vereinbarung

 Physiotherapie/ Krankengymnastik, Osteopathie, Manuelle Therapie, Sportphysiotherapie, Bobath und PNF, Cranio-Sacral-Therapie, Lymphdrainage, Massage, Kinesio-Taping u.v.m.

Osteopathie-MYOREFLEXTHERAPIE (Prasha Raiss HP)

Weselerstr. 1 ( 9 30 42 78

: www.prasha.de

· siehe Homepage

 Physiotherapie, manuelle Therapie, Myoreflextherapie, Osteopathie, spirituelle Begleitung.

Dörthe Pferdekamp Praxis für Physiotherapie u. Osteopathie

Maximilianstr. 56, Kreuzviertel ( 2 84 14 88

: www.physiotherapie-pferdekamp.de

· natürlich individuell nach Vereinbarung

 Physiotherapie, Krankengymnastik, Massage, PNF, Osteopathie (auch für Kinder), manuelle Therapie, Lymphdrainage.

Physiotherapie

Ulrike Hammelbeck

Kanalstr. 62, Schlossviertel ( 025 1-3 84 37 04

: www.physio-hammelbeck.de · n. Vereinbarung.

 Skoliosetherapie, KG, Manuelle Therapie, Lymphdrainage, Kinesiotaping, Spezielle Atemtharapie, Fango, Massagen, Akupunktur-Massage n. penzel, Cranio-Sacrale Therapie

Physio.werk Hiltrup - im Gesundheitszentrum Marktallee

Marktallee 11-13

( 02 50 1-92 28 20 2 : www.physio-plus-hiltrup.de

 Moderne Physiotherapie, Kurs-, Geräte- u. Personaltraining. Komplexe Behandlungsmethoden u. Golf-Physio-Coaching (DGV).

PhysioAktiv

Kaiser-Wilhelm-Ring 4-6, Erphoviertel ( 3 44 42 : www.physio-plus.de

 Physiotherapie, Osteopathie, Narbentherapie, Boegertherapie, Med. Trainingstherapie u. Naturheilkunde

PhysioComplex

Windthorststr. 35, City ( 1 31 36 20

: www.zfs-muenster.de

· nach Vereinbarung

 Krankengymnastik, Manuelle Therapie, Massage, KG-Gerät, Wellness-Angebote, Sportphysiotherapie.

PHYSIOFIT Zentrum für Fitness u. Bewegungstherapie

Bernd-Feldhaus-Platz 1, Kinderhaus Ost ( 21 80 42 : www.physiofit-muenster.de

 Physiofit-Studio: Fit 50+ für Menschen von 50 bis 80 Jahren, qualitätsgeprüfte Trainingskonzepte, betreutes, bedarfsgenaues physiotherapeutisch orientiertes Fitnesstraining für Patienten, Leistungssportler, Aktive u. Einsteiger.

Aqua Vitalis - Praxis Dr. rer. med.

Erhard Schacht

Andreas-Hofer-Str. 72-76

( 1 32 31 00, 1 32 31 10

: www.aqua-vitalis.de

 Institut für Physiotherapie, Prävention, Rehabilitation, Personal Fitness, Wellness. KG am Gerät, med. Trainingstherapie, Magnetfeldtherapie, Rehakurse, Laser, Ultraschall u. Massagen, FaszienFitness, Yoga, Pilates

Praxis für Ergotherapie u.

Physiotherapie, Oliver Nücklaus u. Team

Düesbergweg 15, Düesbergviertel

( 7 77 90 90

· Termine n. Vereinbarung u. Hausbesuche

 alle Kassen

 Handtherapie, Physiotherapie u.v.m.

Praxis für Physiotherapie

Peter Stracke

Nottulner Landweg 56, Roxel ( 0 25 34-10 93 : www.praxis-stracke.de

 Krankengymnastik, KG (Bobath, Vojta, PNF), Manuelle Therapie, Lymphdrainage, Säuglings- u. Kindertherapie, Schroth, Cranio-Sacrale/Osteopathie, Zukunft-Huber, Castillo Morales, Dorn Breuss, Taping, Shiatsu, Pilates.

salvea Westfalen

Hohenzollernring 68/70 Hauskare B, Klein

Muffi

( 9 35 39 85

· n. Vereinbarung

 Physiotherapie u. Krankengymnastik, Ergotherapie, physikalische Therapie, RehaSport u. Massage am St. Franziskus Hospital.

Therapiezentrum am Bült

Bült 13, City ( 98 11 32 89

: www.therapiezentrum-am-buelt.de

· n. Vereinbarung

 Zentrum f. Physiotherapie u. Rehabilitationssport, Prävention u. Personal Training. Leistungsspektrum: Krankengymnastik, Krankengymnastik am Gerät, Lymphdrainage, Bobath, manuelle Therapie, Atemtherapie, Skoliosetherapie, Craniomandibuläre Dysfunktion (CMD), klass. Massagetherapie, Taping, osteopatische Techniken, Sportphysiotherapie, Fango, Rehasportkurse, Gerätetraining, Faszientraining, Fußreflexzonenmassage, Yoga, u. Pilates

Therapiezentrum Hafenkante

Albersloher Weg 54

( Physiotherapie: 96 19 28 29, Osteophatie: 96 19 28 29 : www.tz-hafenkante.destartseite.html  Physiotherapie: Gerd Pahls, Dirk Hentschel, Dominik Bröcker, Susanne Schaper und Anna Jansen,Timo Wasserfuhr, Micha el Ochmann Osteopathie: Ira Beliczey,

Gemeinschaftspraxis

Witte und Haase

Bogenstr. 15/16, City ( 5 55 51 : www.witte-haase.de

 Krankengymnastik, manuelle Therapie, Kieferbehandlung, Bobath, PNF, Lymphdrainage, Massagen, CranioSacral-Therapie, Hot Stone Massage, Trigger Punkt Behandlung, Gerätetraining, versch. Kurse nach Anfrage.

OSTEOPATHIE

Gemeinschaftspraxis

Witte und Haase

Bogenstr. 15/16, City ( 5 55 51 : www.witte-haase.de

· Mo-Do: 8 - 20 h, Fr: 8 - 18:30 h

 Krankengymnastik, manuelle Therapie, Kieferbehandlung, Bobath, PNF, Lymphdrainage, Massagen, CranioSacral-Therapie, Hot Stone Massage, Trigger Punkt Behandlung, Gerätetraining, versch. Kurse nach Anfrage.

conzept-naturmedizin

Von-Vincke-Str. 12

( 74 82 25 68

: www.conzept-naturmedizin.de

Osteopathie-Praxis Fluidum

Königsstr. 22/23, Mauritzviertel ( 98 11 96 95

: www.praxis-fluidum.de

· Termine n. Vereinbarung

 Osteopathie, manuelle Therapie, KG-Neurologie.

Praxis für Osteopathie Sylvia Joachim

Boverste Meer 13a, Gievenbeck ( 01 79-1 33 20 00, 2 03 35 15 : www.osteopathie-in-muenster.net

· Termine n. Vereinbarung

 Osteopathie/Kinderosteopathie u. Physiotherapie, HP.

Praxis für Physiotherapie Christiane Kaup

Wolbecker Str. 21 ( 67 40 40 : www.physiotherapie-muenster.de

· Termine n. Vereinbarung

 Osteopathie, KinderOsteophatie, Upledger Cranio Sacrale Therapie, Bobath und Vojta.

Praxis für Osteopathie & Physiotherapie Bettina Mertens

Schmeddingstr. 102, Sentrup ( 89 81 82

: www.bettinamertens.de

· Mo.-Fr. nach Vereinbarung

 Osteopathie für Kinder u. Erwachsene, Physiotherapie, Bobaththerapie, Kurse: Yoga, Jin Shin Jyutsu, Faszien Rotation.

Osteopathie am Kiepenkerl Anke Dieckhoff

Wegesende 3, City ( 4 46 88 : www.osteopathie-am-kiepenkerl.de

· Termine n. Vereinbarung

 Osteopathie, Naturheilverfahren

Kompetente Beratung

Podologische Fußpflege | Orthosen

Orthonyxiespangen

Ihr Team im Kreuzviertel

Maximilianstr. 11 | 48147 Münster

Tel. 02 51-92 777 631 www.fuß-profil.de

Osteopathie-Zentrum Alter Fischmarkt

Alter Fischmarkt 1, City ( 4 82 90 00 : www.osteopathie-zentrum-muenster.de

 Shari Thelen, Guido Thering: Osteopathen mit abgeschl. 6-jähr. Ausbildung, Academy Deutschland für Osteopathie, Osteopathen in D. (V.O.D.).

PhysioAktiv Jörg Jacubeck

Kaiser-Wilhelm-Ring 4-6, Erphoviertel ( 3 44 42 : www.physio-plus.de

 Physiotherapie, Osteopathie, Narbentherapie, Boegertherapie, Med. Trainingstherapie u. Naturheilkunde

PHYSOS Barbara von Brandenstein

Albersloher Weg 455, Gremmendorf-Ost ( 6 74 44 55 : www.physos.eu

· Termine n. Vereinbarung

 Osteopathie, Krankengymnastik, manuelle Therapie, KG-Neurologie (PNF), MassageNaturmoor, manuelle Lymphdrainage.

Praxis für Osteopathie Katharina Mertsch

Kettelerstr. 30 ( 13 11 997 7

: www.osteopathie-mertsch.de

· Termine n. Vereinbarung

 Heilpraktikerin, Osteopathie für Erwachsene und Kinder

Praxis für Osteopathie Bernhard Straßer

Salzstr. 21, City ( 98 62 01 30

: www.osteopathie-strasser.de

· Termine nach Vereinbarung

 Osteopathie, Kinderosteopathie, Biophotonen, Radionik, viszerale und craniosacrale Osteopathie.

Praxis für Osteopathie und Naturheilkunde - Maria Rupprecht

Goebenstr. 54, Südviertel

( 5 38 92 68, Fax 5 38 92 69

: www.naturheilpraxis-rupprecht.de

· Termine n. Vereinbarung

 Osteopathie, Cranio-Sacrale-Osteopathie, Podotherapie, Darmsanierung, Colon-HydroTherapie, Manuelle Lymphdrainage, Klass. Naturheilverfahren.

R. Schleusener

Tibusstr. 1 a, City ( 98 16 34 26

: www.praxis-schleusener.de

· Termine n. Vereinbarung

 Orthopädie, Naturheilverfahren, Osteopathie, Privatpraxis.

ZaR Zentrum für ambulante Rehabilitation

Grevener Str. 182 ( 98 76 70

: www.zar-ms.de

· Mo-Do: 7.15 - 20.30 h, Fr: 7.15 - 18 h

 Physikalische und Rehabilitative Medizin

PODOLOGIE

Fuß Profil - Julia Vogel (Podologin DDG)

Maximillianstr. 11, Kreuzviertel ( 92 77 76 31

: www.fuß-profil.de

· Mo.-Fr. 8:30 - 18 h

 Podologische Fachpraxis: kompetente Beratung, Podolog. Fußpflege, Orthosen, Orthonyxiespangen.

Klaras Podologie

Hohenzollernring 70 ( 13 38 99 66

: www.klaraapotheke.de

· nach Vereinbarung.

Praxis für Podologie Iris Kreuzheck

Friedrich-Ebert-Str. 151 ( 4 84 00 80

: www.podologie-ms.de

· Mo. 7:30 - 12:30 h + 14 - 16 h, Di / Do. 7 - 12:30 h + 14 - 18 h, Mi, Fr. 7:30 - 12:30 h, Termine nach tel. Vereinbarung

 Med. Fußpflege u. diabetische Fußbehandlung: Beraten, Erkennen, Behandeln, Versorgen u. Pflegen der Füße in Kooperation mit Ärzten, Diabetologen, Fußambulanzen, Or thopäden, Orthopädieschuhmacher u. Krankengymnasten.

PSYCHOLOGIE & LEBENSBERATUNG

BERATUNGSSTELLEN

Akademie des Sehens e.V. - Beratungsstelle für Sehbehinderte

Hohenzollernring 70, Franziskus Carré ( 9 87 64 64 : www.muenster.org/ads

 Informationen zum Thema Sehbehinderung v. a. für ältere Menschen mit dem Ziel, den Alltag selbstständig zu bewältigen.

Beratungsstelle für Frauen- Notruf Münster e.V.

Heisstr. 9

( 3 44 43 : www.frauennotruf-muenster.de

· Telefonische BeratungszeitenMo-Do: 10-16 Uhr, FR: 10-12 Uhr, offene Sprechstunde Di: 14-16 Uhr

 Beratung für Frauen und Mädchen ab 14 Jahren, die Vergewaltigungen oder andere Formen der sexualisierten Gewalt erlebt haben, unmittelbar erfahren oder befürchten.

Diakonie Münster - Beratungsund BildungsCentrum

Alter Steinweg 34 ( 49 01 50 : www.diakonie-muenster.de

· nach Vereinbarung

 Beratungs- und Bildungsangebote zu folgenden Themenfeldern: Älter werden, Ehe u. Partnerschaft, Erziehung, Finanzen und Schulden, Gesundheit, Migration, Qualifizierung u. Beschäftigung, Rechtliche Betreuung, Schwangerschaft, Sucht u. Abhängigkeit, Wohnungsnot.

Ehe-, Familien- und Lebensberatung im Bistum Münster

Antoniuskirchplatz 21, City ( 13 53 30 : www.ehefamilieleben.de

 Einzel-, Paar-, Familien-, Lebens- u. Gruppenberatung.

Fachstelle für Sekten- u. Weltanschauungsfragen

Antoniuskirchplatz 21 ( 1 35 33 23

: www.gewaltpraevention-muenster.de/ fachstelle-sekten.html

· Termine nach Vereinbarung

 Beratung und Information über Sekten und Weltanschauungsfragen.

Familienbüro

Junkerstr. 1, Hafen ( 4 92 51 08 : www.stadt-muenster.dejugendamt

· n. Vereinbarung

 Amt für Kinder, Jugendliche u. Familien. Information u. Beratung zu allen Fragen rund um Familie, Elternschaft u. Erziehung.

Beratung und Therapie für Frauen

Neubrückenstr. 73, City ( 5 86 26

: www.frauenberatung-muenster.de

· Folgetermine n. Vereinbarung

 Psychologische Beratung, Einzel- u. Gruppenpsychotherapie, Krisengespräche, Beratung bei Gewalterfahrungen.

Kath. Frauengemeinschaft Deutschlands, Diözesanverband MS

Schillerstr. 44 B, City (Kuhviertel)

( 49 54 71 : www.kfd-muenster.de

 Frauenbildung mit religiösen, gesellschaftspolitischen und lebensbegleitenden Themen.

Amt für Gesundheit, Veterinärund Lebensmittelangeleghenheiten Münster

Stühmerweg 8 ( 4 92-53 77 : www.muenster.de/stadt/gesundheitsamt

 Umfangreiches Beratungsangebot.

Gesundheitshaus

Stadt Münster

Gasselstiege 13, Neutorviertel

( 4 92 59 77

: www.gesundheitshaus-muenster.de

 Information u. Beratung zur Gesundheit, Selbsthilfe u. Ehrenamt

Haus der Familie e.V. Kath. Bildungsforum

Krummer Timpen 42 ( 41 86 60

: www.haus-der-familie-muenster.de

 Still- u. Ernährungsberatung, Gesprächsgruppen in Krisen: Trauer, Krankheit, Trennung, Kinderlosigkeit, Bildung zur Vermittlung von Partnerschafts- u. Familienkompetenz.

Jugendinformations- und -bildungszentrum (Jib)

Hafenstr. 34, Südviertel

( 4 92 58 58 : www.stadt-muenster.dejib

 Schuldnerberatung, anonym u. kostenlos, Au-Pair-, Konfliktberatung, Rechtshilfe, Jugendreiseinformationen, Medienkonsum, Kreativ-Kurse, Koordination freiw. soz. Jahr/Bundesfreiwilligendienst Kinderbüro

Junkerstr. 1, Südviertel

( 4 92 51 08 : www.stadt-muenster.dekinderbuero · n. Vereinbarung

 Amt für Kinder, Jugendliche u. Familien, Information u. Beratung, Freizeitgestaltung, Ferienprogramme, Kinderbriefkasten, Spielmobile, Kinderpolitik.

Krebsberatungsstelle des TumorNetzwerk im Münsterland e.V.

Gasselstiege 13, Neutorviertel

( 62 56 20 10 : www.krebsberatung-muenster.de

 Information, Beratung u. Begleitung für Menschen, die durch eine Krebserkrankung belastet sind.

Krisenhilfe Münster

Klosterstr. 34, City ( 51 90 05

: www.krisenhilfe-muenster.de

· Termine n. Vereinb.

 Hilfe für Menschen in Lebenskrisen u. Selbsttötungsgefahr. „Persönliches Gespräch innerhalb von 24 h nach Anruf.“

MuM Mehrgenerationenhaus u. Mütterzentrum e.V./ MuM Café Gescherweg 87, Gievenbeck ( 13 34 87 99

: www.mum-muenster.de

 Offenes Stadtteilcafé mit Kinderbetreuung.

Pro Familia

Ludgeriplatz 12

( 4 58 58, 5 13 61 (Mo. 15 bis 17 h Jugendtel.)

: www.profamilia.demuenster

 Allg. Schwangerenberatung, Beratung nach Paragraph 219, Familienplanung u. Kinderwunsch, Partnerschaft, Sexualität, Sexualpädagogik, vorgeburtliche Diagnostik.

Selbsthilfe-Kontaktstelle Münster

Dahlweg 112 , im Paritätischen Zentrum, Hafenviertel ( 60 93 32 30

: www.selbsthilfe-muenster.de

· n. Vereinbarung

 Informiert u. berät in allen Fragen der Selbsthilfe, vermittelt Interessierte in bestehende Gruppen, unterstützt die Münsteraner Selbsthilfegruppen u. ist behilflich bei Gruppenneugründungen.

Susanne Boucsein

Raesfeldstr. 47, Kreuzviertel ( 01 63-77 23 27 5 : www.susanneboucsein.de

 Psychologische Beraterin & Coach. Spezialisiert auf Burnout-Beratung und Stressprävention, Lebensberatung, Frauenberatung und Unterstützung in der Lebensphase „50 plus‚Äú.

Mediation Gabi Tewes

Linckensstr. 164, Hiltrup ( 0 25 01-96 33 16

: www.mediation-muenster.net

· Termine n. Vereinbarung

 Familienmediation u. Konfliktregelung! Freiwilliges, außergerichtliches Vermittlungsangebot (Trennung, Scheidung, Umgang) nach europ. Verhaltenscodex, zertifizierte Mediatorin.

Trialog e.V.

Von-Vincke-Str. 6, Bahnhofsviertel ( 51 14 14 : www.trialog-muenster.de

· tel. Sprechstunde: und Termine n. Vereinbarung

 Beratungsstelle für Familien (mit Kindern bis 21 Jahren), Eltern, Alleinerziehende, Kinder und Jugendliche, die von den Themen ,,Familienkrise, Trennung und Scheidung“ betroffenn sind, kostenlose Beratung, um Spenden wird gebeten.

VAMV Verband alleinerziehender

Mütter u. Väter e.V. Münster

Achtermannstr. 19, Bahnhofsviertel ( 27 71 33 : www.vamv-muenster.de  Beratungs- u. Kontaktstelle. Allg. Beratung, Kinderbetreuung in Notsituationen, Freizeitangebote.

Zartbitter Münster e.V.

Hammer Str. 220, 1. Etage ( 4 14 05 55 : www.zartbitter-muenster.de

 Beratungsstelle gegen sexualisierte Gewalt für Jugendliche ab 14 Jahren, Frauen u. Männer.

PSYCHOTHERAPIE

CPM Centrum für Psychiatrie, Neurologie und Psychotherapie

Bahnhofstr. 6, Bahnhof ( 4 66 00 (Empfang), 4 14 08 44 (Sekretariat-Psychotherapie) · n. Vereinbarung

Christoph-Dornier-Klinik für Psychotherapie

Tibusstr. 7-11, City (Kuhviertel) ( 4 81 01 40 : www.christoph-dornier-klinik.de  Intensive individ. Psychotherapie bei Angst-, Zwangs- u. Essstörungen (Anorexie, Bulimie), Depressionen,PDBS.

EOS-Klinik für Psychotherapie

Hammer Str. 18, Südviertel ( 6 86 02 20 00 : www.eos-klinik.de  Vollstationäre und tagesklinische Intensiv-Behandlung bei (chronischen) Depressionen, Essstörungen (Anorexie und Bulimie), emotionaler Instabilität, Angst- und Zwangsstörungen sowie Traumafolgen. Diagnostikambulanzen für ADHS u.a. (Hammerstr. 13, Tel. 52 09 38 40)

LWL-Klinik Münster - Psychiatrie - Psychotherapie - Psychosomatik - Innere Medizin

Friedrich-Wilhelm-Weber-Str. 30 ( 91 55 50 : www.lwl-klinik-muenster.de  Zentrum für psychiatrische Behandlung, Betreuung u. Pflege. Psychiatrie, Psychotherapie, Psychosomatik, Innere Medizin, Rehabilitation.

SPORT & FITNESS

EMS (ELEKTRISCHE MUSKELSTIMULATION)

Body und mehr

Kanalstr. 17

( 49 04 98 88, 0170- 5400040

: www.bodyundmehr.de

· na. Vereinbarung

 EMS-Training: Rundum fit in 20 Minuten. Muskelaufbau, Gewichtabnahme, Steigerung des allg. Wohlbefindens, Rückentraining, Ausdauertraining, Stoffwechselverbesserung, Eissauna, Jungesell-/innen -Abschiede.

FITNESS-CENTER

Clever Fit

Nevinghoff 16, Rumphorst ( 2 89 22 83

: www.clever-fit.com/muenster

 Großzügiger Gerätepark, Solarium, großes Kursangebot, Pro Wave Vibrationstraining, Kraft-Ausdauer-Zirkel, Trainingsberatung, Massageliege für max. Entspannung, Functional-Bereich, Freihantelbereich, Getränke inkl.

Fit for Life - Sportpark

Albersloher Weg 16 (im Cineplex), Hafenviertel ( 6 09 83 86

: www.fitforlife-sportpark.de, info@ fitforlife-sportpark.de

 Fitness-Center, Sauna, Aerobic-Kurse,

Spinning, Pilates, Tae Bo, Zumba, Crosstraining

Hall of Sports

Nienkamp 54, Uppenbergviertel ( 27 29 95

: www.hall-of-sports.de

 Zertifizierter professioneller Gesundheitssport. Großer Cardio Bereich, 3 Gymnastikräume, Gesundheitsführerschein, Sauna, Solarium, Reha-Sport, Kraftsport, funktionelles Training, Betreuung von Leistungssportlern.

HEINZ training

Steinfurter Str. 60 b, Neutorviertel ( 1 62 06 60 : www.heinztraining.de

 Gesundheitsorientiertes Kraft- und Ausdauertraining, spezielle Rücken- u. Sportprogramme, intensive Betreuung durch kompetente Trainer, Gratis Sauna, Gratis duschen, Rehakurse von Krankenkassen gefördert, Rehabilitationssport, kostenl. Parkplätze.

INJOY Münster

An der Kleimannbrücke 50, GelmerDyckburg ( 14 28 48

: www.injoy-muenster.de

· nach Aushang

 Aerobic-Kurse inklusive, computergesteuertes Training, Figurcenter, Power Plate, Reha u. Prävention.

Mc Fit

Wolbecker Str. 16a ( 6 18 92 88 : www.mcfit.de

· Tägl. 24 Std.

Power Sports

Hafenweg 10, Hafenviertel ( 66 49 09, Fax 66 56 14 : www.power-sports-studio.de

 Fitness, Aerobic, Spinning, Solarium, Sauna.

Pro Vital Gesundheitszentrum Hiltrup

Meesenstiege 54 b, Hiltrup ( 0 25 01-59 41-0

: www.provital-fitness.de

 Mehr als 30 Kursstunden pro Woche, Ausdauerbereich, Zirkeltraining, Go Fit Trainings-System, Indoor Cycling, Ernährungsberatung, Physiotherapie u. Sauna.

sinnvoll fit

Wolbecker Str. 1, City ( 14 90 65 55

: www.sinnvoll-fit.com

 Funktionelles Training, Personal Training u. Kleingruppen, Kurse, Rücken- Gelenkstabilisierung, Gewichtsregulierung, Leistungsfähigkeit verbessern.

SV Blau-Weiß Aasee

Bonhoefferstr. 54, Aaseestadt ( 79 92 19

: www.blau-weiss-aasee.de

 Modernes Fitnessstudio für gesundheitsorientiertes Training bei individueller Betreuung durch Sporttherapeuten/Dipl.-Sportlehrerinnen; abwechslungsreiches Kursprogramm, Rehabilitationssport, Präventionskurse; all das in familiärer Vereinsatmosphäre.

TuS Hiltrup 1930 e.V.

Moränenstr. 14, Hiltrup ( 0 25 01-88 88 : www.tus-hiltrup.de

 Breitensportprogramm für Jung bis Alt, Wettkampfsport, Gesundheitssport und Mannschaftssport.

INLINE-SKATEN

Inline Skating Club Münster

Manfred-von-Richthofen-Str. 46 : www.isc-muenster.de

 Inline-Skating Angebot für Münster. Breitensport sowie Spitzensport.

Münster rollt e.V.

Veghestr. 12G ( 9 22 60 44 : www.muenster-rollt.de

 Abend- & Wochendspazierfahrten, Tourenskaten in Nah und Fern, Teilnahme an Rennveranstaltungen. Sowie Training, Gymnastik und Ausgleichssport.

Skateline

(

: www.skateline.de

 Anfänger u. Fortgeschrittene, auch Vor-Ort-Schulung für Schulklassen u. Gemeinden, Sicherheitstraining, Gruppen- u. Einzelkurse, Personal Training, Firmenf itness, Rückenkurse, Mountainbike Technikkurse, Naturpädagogik/ Eiblicke in die Falknerei

KAMPFKUNST

Aikido-Dojo Münster Kappenberger Damm 46a, Geistviertel ( 7 24 23 : www.aikidojo.de · siehe Homepage

 Budokunst aus Japan, unverbindliche Probestunde: keine Vorkenntnisse nötig.

KARATE

Shotokan-Karate-Dojo Münster e.V.

Mauritz-Lindenweg 91 ( 6 86 85 80 : www.karate-muenster.de

 Karate für Kinder, Jugendliche und Erwachsene, regelmäßige Anfängerkurse; Selbst verteidigung; Kursprogramm: Kick‘n Shape und Yoga

KUNGFU

Kung Fu - Münster e.V. Kaiser-Wilhelm-Ring 1 (Adolph-KolpingBerufskolleg), Mauritz-West ( 27 14 46, 0177- 27 14 460 : www.kung-fu-muenster.de

 Seit 1986 in Münster! Chinesische Kampfkunst, Selbstverteidung, Waffentechniken, Kung Fu Kurse für Kinder ab 10 J., Qi Gong u. Tai Chi Chuan, Seven Star Mantis Kung Fo

Ving Tsun Kung Fu - Eric Sandner Krögerweg 16, Gremmendorf-West ( 01 79-6 60 74 18 : www.kungfu-ms.de

 Ving Tsun Kung Fu Training für Kinder ab 6 Jahre u. alle Altersklassen.

NORDIC WALKING

Fuchs & Fuchs, Bewegungs& Ernährungskonzepte, Christian Fuchs

Uppenbergstr. 5, Kreuzviertel ( 2 00 66 21 : www.fuchsundfuchs.com

 Ganzheitliches Gesundheits-Coaching - individuell oder in Ernährungs- & Bewegungskursen (Nordic Walking, Schlingentraining); Kassenbezuschussung möglich.

Gesundheitstraining

Elisabeth Bergmann

Jeilerstr. 10, Rumphorst ( 01 72-2 08 57 70

: www.muenster-nordic.walking.de

 Präventives Rückentraining, Nordic Walking, progressive Muskelentspannung, betr iebliche Gesundheitsförderung, „Gesunde Wege aus dem Stress“, Resilienztraining

PERSONAL TRAINER

eins zu eins - Personal Fitness Training Luise Wylegalla

Fraunhoferstr. 8, Roxel ( 01 60-94 71 00 47

: www.fitness-einszueins.de

· Termine nach Vereinbarung

 Personal Fitness Training – individuell und ganzheitlich, Einzel-, Paar- und Kleingruppentraining im Mikrostudio, Firmenfitness – Betriebliche Gesundheitsförderung, Bewegungsangebote, Seminare und Workshops

pbe-home

Hafenstr. 64, Hafenviertel ( 01 72-5 70 79 79

: www.pbe-home.com

· Termine n. Vereinbarung

 Personal-Trainer, Golf-Physio-Training, Gewichtsmanagment, Ernährungsanalye u. -beratung, Mental-Training, Laufbegleitung.

Perfect Fitness

Borkstr. 12 u. 18, Düesbergviertel ( 3 94 52 67 : www.perfect-fitness.de

· Termine n. Vereinbarung

 Personal-Physio-Studio. Einzeltraining, Physiotherapie, Aqua-Fitness, G ewichtsreduzierung, Krafttraining, Ernährungsberatung, Präventiv Gesundheitsstudio.

Therapiezentrum am Bült

Bült 13, City ( 98 11 32 89 : www.therapiezentrum-am-buelt.de · n. Vereinbarung

 Zentrum für Physiotherapie und Rehabilitationssport, Prävention und Personal Training. Leistungsspektrum: Krankengymnastik, Krankengymnastik am Gerät, Lymphdrainage, Bobath, manuelle Therapie, Atemtherapie,

Skoliosetherapie, Craniomandibuläre Dysfunktion (CMD), klassische Massagetherapie, Taping, osteopatische Techniken, Sportphysiotherapie, Fango, Rehasportkurse, Gerätetraining, Faszientraining, Fußreflexzonenmassage, Yoga, u. Pilates

PILATES

Pilates Zentrum Münster

Servatiiplatz 3 (4. OG), City ( 39 65 58 38, 01 57-75 95 45 00

: www.pilateszentrum-muenster.de

· nach Vereinbarung

 Mattentraining, Allegro Reformer Training, Personal-Training an den PilatesSt udio-Geräten, Wellnessmassagen, Präventionskurse (§ 20)

Pilates du Pin

Jüdefelder Str. 43, City ( 98 11 87 72

: www.pilates-du-pin.de

· Termine nach Vereinbarung

 Pilates-Ganzkörpertraining, maßgeschneidert auf die individuelle Kondition und Persönlichkeit des Kunden, Dehn-, Kräftigungs,- und Atemübungen, Faszientraining

TAICHICHUAN

Taichi Schule Claudia Bartels

Schillerstr. 31 (Hinterhof), Hansaviertel ( 51 43 8

: www.taichi-muenster.de

 Kurse in TaiChiChuan u. Qi Gong, Gesundheitsübung, Kampfkunst, fortlaufender Unterricht.

Taichi Schule Naissan Schneider

Peter Rosegger Weg 15, Mauritz ( 3 91 01 97 : www.sternendojo.de

· ganzjährige Anfängerkurse

 Seit 20 Jahren Unterricht für Tai Chi Chuan, Qi Gong im Yang Stil u. Yoga. Bei Migliedschaft können alle Kurse besucht werden. KV Zuschüsse!

Europäische Taijidao Akademie e.V. - TaijiDao Münster

Goerdelerstr. 28

( 0 25 01 - 92 86 58 5 : www.TaijiDao-Akademie.de

 Taiji (auch als Kampfkunst), Qi Gong, Bagua, Xingyi, Daoistische Meditation und Selbstkultivierung, Daoistisches Yoga, alte chinesische Gesundheitsübungen. Gruppen, Kurse, Seminare u. Ausbildung. Förderung durch GKV möglich. Kursorte im gesamten Innenstadtbereich.

TANZSCHULE (BALLETT & MODERN DANCE)

con corazón - Werkstatt für Tango

Admiral-Scheerstr. 6 ( 5 34 62 34 : www.concorazon.de · Einzelstunden n. Vereinbarung  Regelmäßige Kurse, Workshops für Anfänger und Fortgeschrittene.

Interdance Münster

Hafenweg 18-20, Hafenviertel ( 37 96 77 01

: www.interdance-ms.de

 Ballett, Tango, Pilates, Workout, Latin Cardio, Modern Dance für Kinder, Jugendliche u. Erwachsene.

Rebeltanz

An der Germania Brauerei 3 (Germania Campus) ( 4 78 49 : www.rebeltanz.de

 kostenlose Probestunden!

 Privatschule für künstlerischen Tanz. Kurse und Workshops für alle Altersgruppen (Anfänger bis Fortgeschrittene), Ballett, Jazz-Dance, Modern-Dance, HipHop, Step, Flamenco und Breakdance. Sonderkonditionen f. Studenten!

Salsomania

Mauritzstr. 30 ( 98 16 47 0

: www.salsomania.de

 Tanzschule für Salsa, Bachata, Kizomba und Zumba

Ballettschule Heidi Sievert

Tibusstr. 7-11, City (Kuhviertel) ( 4 82 92 00

: www.ballettschule-heidi-sievert.de

 Für Anfänger und Fortgeschrittene.

TENNIS, SQUASH, BADMINTON

Tennishalle Central Osttor 4, Nähe Bahnhof Hiltrup, Hiltrup ( 0 25 01-22 12  Tennishalle mit Teppichboden.

WASSERSPORT

aqua maris - Schwimmschule/ Fitness/Wellness

Gasselstiege 21 a, Neutorviertel ( 53 23 53 : www.aqua-maris.de

 Schwimmschule für Babys, Kinder u. Erwachsene, Aqua Fit-Kurse, AquaCycling, Aqua Fit für 2, Aqua Relax, Day Spa, Pilates, Babymassage, Babyfit, Verwöhn-Massagen.

aqua vitalis -

Therapie/Schwimmen/Fitness

Andreas-Hofer-Str. 72-76, Mauritz ( 1 32 31 00 : www.aqua-vitalis.de

 Schwimmschule für Baby- und Kinderschwimmen, Erwachsenenschwimmkurse, AquaFitness, AquaPower, AquaFit für Schwangere, Rückbildungs-AquaFitness, Senioren-Wassergymnastik

Kanu-Verein Münster 1922 e.V.

Am Hof zur Linde 33 (Bootshaus auf dem Campingplatz), Handorf ( 23 49 13 : www.mykvm.de

 Einführungskurse u. Schulungen, Kanuaktionen für Jugendliche, Kinder u. Frauen, Wochenendkurse für Jedermann, abendliches After-Work-Paddeln, Kanutraining im Hallenbad im Winter.

Overschmidt Yachtschulen

Annette-Allee 1, Schlossviertel ( 8 49 30 00 : www.overschmidt.de

 Yachtschule, Segelkurse für Jung u. Alt (Studenten-Spezial Kurse), Bootsverleih.

XTRAS

BSM - Behinderten-SportMünster e.V. Brockmannstr. 146 ( 66 35 42 : www.muenster.org/bsm  Rückenschule, Wassergymnastik, Schwimmen, Faustball, Fußballtennis, Schießen, Volleyball, Tischtennis, Kegeln, Segeln, Sportabzeichen, Badminton, Hallenbosseln.

Jentschura International GmbH Otto-Hahn-Str. 22-26 ( 049 2534-9744-378 : www.p-jentschura.com

Stadtsportbund Münster e.V. Mauritz-Lindenweg 95, Klein Muffi ( 39 39 33 : www.sportbildungswerk-ms.de

 Information u. Beratung über Sportangebote in Münster, Förderung des Breitensports, Organisation von Sportveranstaltungen, Interessenvertretung der Sportvereine.

NOTFALLDIENST

Wenn Sie einen Arzt brauchen und nicht bis zur nächsten Sprechstunde warten können, werden Sie in einer Notfalldienstpraxis in Ihrer Nähe versorgt. Die Notfalldienstpraxen sind in den meisten Fällen direkt an ein Krankenhaus angebunden. Können Sie aus medizinischen Gründen nicht selbst in die Notfalldienstpraxis kommen, kommt ein Arzt zu Ihnen nach Hause.

Notfalldienst

Münster - Raphaelsklinik Loerstr. 23, 48143 Münster Öffnungszeiten montags | dienstags | donnerstags: 18 bis 22 Uhr mittwochs | freitags: 13 bis 22 Uhr samstags | sonntags | feiertags: 8 bis 22 Uhr

Münster - St. Franziskus-Hospital Hohenzollernring 70, 48145 Münster Öffnungszeiten montags | dienstags | donnerstags: 18 bis 21 Uhr mittwochs | freitags: 14 bis 21 Uhr samstags | sonntags | feiertags: 9 bis 21 Uhr

Warendorf - Josephs-Hospital Am Krankenhaus 2, 48231 Warendorf Öffnungszeiten montags | dienstags | donnerstags: 18 bis 22 Uhr mittwochs | freitags: 13 bis 22 Uhr samstags | sonntags | feiertags: 8 bis 22 Uhr

Augenärztlicher & HNOärztlicher Notfalldienst

Auf Grund der speziellen medizinischen Geräte führen die Augen- und HNO-Ärzte ihre Notdienste nicht in einer Notfalldienstpraxis durch, sondern jeweils in der eigenen Praxis.

Über die Rufnummer 116 117 erhalten Sie Auskunft über die örtliche Erreichbarkeit sowie über die Sprechzeiten des Augen-

und HNO-ärztlichen Notfalldienstes in Ihrer Nähe.

Kinder- & jugendmedizinischer Notfalldienst

Wenn Sie einen Facharzt für Kinder- und Jugendmedizin außerhalb der Sprechzeiten Ihres Hausarztes benötigen, melden Sie sich bitte unter der Rufnummer 116 117 (kostenfrei) oder stellen Ihr Kind direkt in der Kinderund Jugendmedizinischen Notfallpraxis im Clemenshospital vor.

Clemenshospital Münster

Düesbergweg 124, 48153 Münster Tel. 02 51-97 6-0 www.clemenshospital.de Öffnungszeiten der Notfallpraxis (Behandlung durch niedergelassene Fachärzte): montags | dienstags | donnerstags: 18 bis 21 Uhr mittwochs | freitags: 13 bis 21 Uhr samstags | sonntags | feiertags: 8 bis 21 Uhr Von 21 bis 8 Uhr erfolgt die Notfallbehandlung durch Ärzte der Klinik für Kinder- und Jugendmedizin des Clemenshospitals.

Bitte beachten Sie:

Befinden Sie sich in einer lebensbedrohlichen Notfallsituation, wenden Sie sich bitte sofort an die Rettungsleitstelle unter der Tel. 112

Sollte Ihnen der Standort der nächstgelegensten Notfallpraxis bekannt sein, können Sie diese ohne vorherige Anmeldung aufsuchen.

Benötigen Sie Informationen über die nächstgelegenen Notfalldienstpraxen oder die Möglichkeiten eines Hausbesuches hilft Ihnen die Arztrufzentrale des ärztlichen Bereitschaftsdienstes / Notfalldienstes unter der Tel. 116 117

Die 116 117 ist kostenfrei und zu folgenden Zeiten erreichbar:

Mo | Di | Do 18 bis 8 Uhr am Folgetag

Mi | Fr

13 bis 8 Uhr am Folgetag

Sa | So | Ft 8 bis 8 Uhr am Folgetag

eine Frage der Haltung

ped lady

Unsere orthopädischen Premiumeinlagen wirken sensomotorisch auf die Muskelgruppen und verbessern zusammen mit der Stützfunktion das körperliche Wohlbefinden und die Leistungsfähigkeit. Für Ihren perfekten Auftritt im sportlichen und gesellschaftlichen Leben.

Tatjana Pinto Deutsche Meisterin im 100 ­Meter­Lauf und Olympionikin

Du hast die Kontrolle mit «Air-Control» von Anita!

Diesen Klassiker der Work-Out-BHs gibt es in sooo vielen Farben: Style und Halt ganz so wie du es willst – bei uns im Laden!

Eine große Auswahl an Sportwäsche für sie & ihn gibts auch bei simply4you.de

Parken: Sebastianstr. 10 • 48161 MS-Nienberge Mo bis Fr 9–18.30 Uhr • Sa 9–14 Uhr

Turn static files into dynamic content formats.

Create a flipbook
Issuu converts static files into: digital portfolios, online yearbooks, online catalogs, digital photo albums and more. Sign up and create your flipbook.