Middle East Health Magazine - January/February 2023

Page 1

Cardiology

Researchers discover new immune target to treat CVD

Digital marker first to map CVD characteristics on a spectrum

Radiology

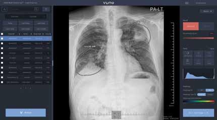
Scientists integrate dark-field X-ray with CT

Innovation

New cellular ‘glue’ developed to regenerate tissues, heal wounds, regrow nerves

In the News

• Scientists uncover novel biomarker to detect Alzheimer’s in blood

• New surprisingly potent receptor ‘decoy’ drug deactivates Covid-19 virus and variants

• MBRU research team awarded grant to investigate subtypes of type 2 diabetes

• WHO and partners launch One Health Joint Plan of Action

www.MiddleEastHealth.com Bahrain US$8, Egypt US$8, Iran US$8, Iraq US$8, Jordan US$8, Kuwait US$8, Lebanon US$8, Oman US$8, Qatar US$8, Saudi Arabia US$8, Syria US$8, UAE US$8, Yemen US$8 Serving the region for over 40 years January - February 2023
ARABHEALTH2023 Preview

Prognosis

Advancing healthcare

Middle East Health is an official media partner to the Arab Health trade show taking place at the Dubai World Trade Centre from 30 January to 2 February 2023. This year’s show looks set to be a big one as Covid restrictions are no longer in place. The organisers say they are expecting more than 3000 exhibitors from more than 70 countries. MedLab, which is now a separate event to be held from 6-9 February, sold out all their available exhibition space two months ahead of the show – this, even though the organisers expanded the available space. We trust they will be productive events for everybody.

In this issue we look at two recent studies in cardiology. The first looks at a protein called soluble urokinase plasminogen activator receptor, or suPAR, which is shown to be a cause of atherosclerosis and could be a potential target for future treatment for cardiovascular disease. In the second study, researchers show how they have used machine learning to develop a digital marker for coronary artery disease that is the first such marker to map the characteristics of CAD on a spectrum.

We also look at several recent groundbreaking studies in our Laboratory News section. One, in particular, has important implications for Alzheimer’s disease and looks at the development of a novel biomarker that can detect the disease in blood. Currently, diagnosing Alzheimer’s disease requires neuroimaging.

In local news, researchers at Mohammed Bin Rashid University of Medicine and Health Sciences in Dubai have recently been awarded significant funding to investigate the subtypes of type 2 diabetes, which has an exceptionally high prevalence in the UAE. The aim is that this will help enable scientists to develop precision medicine for the disease.

Remember to keep an eye on our website – www.MiddleEastHealth.com – where we regularly post interesting new developments in research as well as healthcare news from the region.

We wish all our readers and advertisers a healthy, happy and prosperous 2023.

Callan Emery Editor editor@MiddleEastHealth.com

Publisher Michael Hurst Michael@MiddleEastHealth.com

Editor Callan Emery editor@MiddleEastHealth.com

Editorial Consultants

Dr Gamal Hammad, Dr Peter Moore, Harry Brewer

Middle East Editorial Office PO Box 72280, Dubai, UAE

Telephone: (+9714) 391 4775 editor@MiddleEastHealth.com

Marketing Manager

Foehn Sarkar

Telephone: (+9714) 391 4775 n Fax: (+9714) 391 4888 marketing@MiddleEastHealth.com

Subscription & Admin Manager

Savita Kapoor

Telephone: (+9714) 391 4775 n Fax: (+9714) 391 4888 Savita@MiddleEastHealth.com

Advertising Sales PO Box 72280, Dubai, UAE marketing@MiddleEastHealth.com

Americas, France Joy Sarkar P O Box 72280, Building No.2

2nd Floor, Dubai Media City

Dubai, United Arab Emirates

Tel: +971 4 391 4775 Fax: +971 4 391 4888 Joy@MiddleEastHealth.com

Japan

Mr Katsuhiro Ishii

Ace Media Service Inc

12-6, 4-chome, Adachi-ku, Tokyo 121-0824, Japan

Tel: +81-3-5691-3335 n Fax:+81-3-5691-3336

Email: amskatsu@dream.com

China

Miss Li Ying

Medic Time Development Ltd, Flat 1907, Tower A, Haisong Building, Tairan 9th Road, Futian District, Shenzhen, China 518048

Tel: +86-755-239 812 21 n Fax: +86-755-239 812 33 Email: medic8@medictime.com

Taiwan

Larry Wang

Olympia Global Co Ltd

7F, No.35, Sec 3, Shenyang Rd, Taichung

Taiwan 40651 n P O Box: 46-283 Taichung Taiwan 40799

Tel: +886- (4)-22429845 n Fax:+886- (4)-23587689

Email: media.news@msa.hinet.net

Middle East Health is published by Hurst Advertising FZ LLC ,

Dubai Media City, License Number: 30309

UAE National Media Council - Approval Number: 2294781

Middle East Health online www.MiddleEastHealth.com

Middle East Health is printed by Atlas Printing Press. www.atlasgroupme.com

MIDDLE EAST HEALTHI 3 January - February 2023 Serving the region for 40 years
4 IMIDDLE EAST HEALTH contents NEWS 6 Middle East Monitor 12 Worldwide Monitor 16 The Laboratory FOCUS EXPERT VIEW EXPOS & CONFERENCES FINAL PAGES 22 Cardiology: Physician-scientists discover new immune target to treat cardiovascular disease 24 Cardiology: New digital marker for coronary artery disease is first to map characteristics of CAD on a spectrum 28 Cardiology: Gene therapy corrects mutation responsible for dilated cardiomyopathy 44 Radiology: Researchers integrate dark field X-ray with conventional CT technology 46 Radiology: PET technology more effective than angiogram at determining need for coronary stents, bypass surgery 48 Radiology: More frequent CT scans not associated with improved outcomes after lung cancer surgery 52 Demand for mental health services grow across the Middle East 56 MedTech trends for 2023 82 Working to a healthier future 58 Arab Health preview 86 On the Pulse 94 Innovation in Healthcare 96 The Back Page 08 88 17 28

middle east monitor

Update from around the region

Department of Health –Abu Dhabi boosts sector’s preparedness for cyber attack

During the recent Healthcare Protective Shield Wargaming Conference, the Department of Health – Abu Dhabi (DoH), used simulated cyber incident response scenarios to help prepare healthcare facilities in Abu Dhabi for cyber threats by evaluating the effectiveness of their incident response and communication plans.

Hosted in Abu Dhabi as the first-ofits-kind in the region, the conference was organised in collaboration with the Cyber Security Council with the participation of ten of the biggest healthcare groups of Abu Dhabi, representing more than 370 entities. The Cyber wargaming conference focused on assessing the sector’s preparedness to handle cyber challenges and pinpoint recommendations and best practices, with the aim of ensuring the readiness of the sector and continuity of care.

The event saw DoH showcasing its efforts in the digitisation of healthcare services and emphasised the importance of strong data security to protect patient data and sensitive information. Additionally, it covered a simulation of the Department’s Medical Operations Command’s (MOC) “Information Shar-

ing” and “Patient Transfer Module” in the Estijabah Platform. The module is used to facilitate patient evacuation from one healthcare facility to another in order to ensure an uninterrupted continuity of care delivery to patients.

Dr Jamal Mohammed Al Kaabi, UnderSecretary of the Department of Health – Abu Dhabi (DoH), said: “Under the directives of our wise leadership, we are continuously working on developing the healthcare ecosystem in the emirate for it to become one of the most innovative systems in the world through digital services. Accordingly, we understand that advances in technology entail that we provide the highest levels of protection to patients’ privacy. This event creates an opportunity to explore and discuss all possible solutions to combat cyber incidents in accordance with international standards and best practices.”

Mohammed Hamad Al-Kuwaiti, Head of Cyber Security for the Government of the UAE, noted that the Cyber Security Council is building a safe and resilient infrastructure for cybersecurity in the UAE. In addition, it is promoting a culture of cybersecurity among institutions and individuals. He explained that the Cyber Security Council embodies the forward-looking vision of the UAE leadership and the country’s proactive approach in dealing with the various challenges posed by the fast-paced development of digital technologies.

Globally, the healthcare sector is a frequent target for cyber-attacks due to the sensitivity and value of patient information, which is sold and used in identity theft.

EIAC receives international recognition for its healthcare accreditation standard

Dubai-based Emirates International Accreditation Centre (EIAC) has received endorsement from the International Society for Quality in Health Care External Evaluation Association (ISQua EEA) for its Accreditation Standard for Healthcare Providers.

The recognition was given after the External Evaluation Award Committee (EEAC) of ISQua EEA conducted a comprehensive independent assessment of the EIAC Accreditation Standard for Healthcare Providers.

EIAC is the world’s first organisation to be accredited by the ISQua for a healthcare accreditation standard covering hospitals, clinics, day surgery centres, fertility centres, home health services, medical tourism, and tele-health services.

The achievement further reinforces Dubai’s status as a regional and global hub for healthcare and medical tourism and paves the way for the development of a unified set of healthcare service standards in the UAE.

EIAC fulfilled 98.4 percent of criteria in the evaluation conducted by the ISQua

EEA. The evaluators noted EIAC’s extensive coverage of healthcare sectors and institutions and the diversity of EIAC`s quality parameters that cover not only patient rights but also health escorts, visitors, and healthcare personnel.

Amina Ahmed Mohammed, Executive Director of EIAC, said: “EIAC seeks to contribute to the leadership’s vision to ensure the UAE and Dubai’s healthcare sector maintains the world’s highest standards. By monitoring compliance with legislation, decisions and regulations, conducting

6 IMIDDLE EAST HEALTH

Jameel Clinic at MIT and Wellcome launch Jameel Clinic AI Hospital Network

The Jameel Clinic, the centre of artificial intelligence (AI) in healthcare at the Massachusetts Institute of Technology (MIT), co-founded by MIT and Community Jameel in 2018, in partnership with Wellcome, has launched the Jameel Clinic AI Hospital Network, a new initiative which aims to roll out clinical AI tools at 35 hospitals across eight countries, including Mexico, India and Taiwan. The network is supported by the Jameel Clinic and Wellcome.

In countries with low-resourced health systems, hospitals and public health agencies are increasingly strained by emerging health challenges, including climate change, sedentary lifestyles, as well as a number of issues due to increased life expectancy, resulting in a rise in non-communicable, neurodegenerative, and infectious diseases. The past decade has seen significant breakthroughs in clinical AI technologies in all areas of clinical care, including risk assessment and diagnostics, treatment personalisation, and the prediction of outcomes. If adopted into everyday clinical practice, these technologies have great potential to save lives, improve quality of care, and control costs for clinical care institutions.

Central to the missions of both the Jameel Clinic and Wellcome is a commitment to ensuring new healthcare technologies are developed and deployed

equitably, including in low- and middleincome countries. The broad deployment and testing of AI technologies through the Jameel Clinic AI Hospital Network will offer hospitals free-of-charge access to a repository of cutting-edge AI tools as they mature sufficiently to become integrated into the clinical pipeline.

The tools deployed will cover a range of clinical applications, allowing hospitals to select the ones relevant to their needs. The network seeks to develop procedures for the safe and effective deployment of AI tools in specific clinical contexts, test AI tools to ensure equitable health outcomes, and refine tool development to optimise their clinical utility.

In addition to the AI tools, which will span multiple therapeutic areas, the network will also offer backline support to the hospitals’ IT networks and access to support, resources, and partners through the Jameel Clinic. The Jameel Clinic will further facilitate all stages of deployment, from IT support to educating physicians about clinical AI. This process will allow the Jameel Clinic to collect critical feedback on adoption, ease of use, and usefulness of these algorithms in real-world contexts. The hospitals’ clinicians will utilise the AI tools in compliance with patientrelated regulations and provide feedback on the application of the AI tools and

their utilisation in real-life clinical settings, including statistics on usability, error rate, and user comments.

Commenting on the newly launched network, Professor Regina Barzilay, AI faculty lead at the MIT Jameel Clinic, said: “With machine learning, we have the capacity to bring about truly transformative change in healthcare and that can only happen if we effectively deploy machine learning models in real-world settings, into hospitals and medical centres with clinicians and patients. Building a robust coalition of researchers, clinicians, hospitals, and public health actors is critical to realizing the benefits of major advances in machine learning in the detection and treatment of diseases.”

Tariq Khokhar, head of data for science and health at Wellcome, said: “In recent years, there’s been a proliferation of AI tools in health – a trend that only increased during the pandemic. But many of them have not been rigorously tested in diverse clinical settings with patients from different backgrounds. This will be crucial to making sure tools are effective and contribute to better health outcomes. We’re delighted to support the Jameel Clinic AI Hospital Network, to develop methods to roll out clinical AI tools in safe and effective ways, ultimately improving people’s health and saving lives.”

site visits to audit and evaluate services, as well as setting the right specifications, we work to ensure healthcare services meet the highest international standards. EIAC also seeks to lead the development of these standards to further enhance the UAE and Dubai’s global pre-eminence in the field of quality management and enable the public to obtain the best possible services in a wide range of healthcare fields.”

The ISQua EEA recognition enables EIAC to further raise the global profile of its healthcare accreditation services. Currently, over 1,000 conformity assessment

bodies in more than 40 countries use EIAC’s accreditation services.

This international recognition is the culmination of the extensive efforts of EIAC’s officials in cooperation with a group of diverse Emirati medical professionals and experts from various local and international healthcare organisations.

In addition to the latest endorsement from ISQuaEEA, EIAC is recognised internationally by the International Laboratory Accreditation Cooperation (ILAC) to provide accreditation for different types of laboratories and inspection bodies.

MIDDLE EAST HEALTHI 7
Amina Ahmed Mohammed, Executive Director of EIAC

MBRU research team awarded grant to investigate subtypes of type 2 diabetes

A team of researchers at Mohammed Bin Rashid University of Medicine and Health Sciences (MBRU) and clinicians from Dubai Diabetes Center, Dubai Hos pital, and Kings College Hospital Dubai have received almost AED 1 million (US$272,000) from Sandooq Al Watan, as a research grant to pursue precision medicine research for type 2 diabetes.

Over the next three years, Dr Riad Bayoumi, Professor of Basic Sciences at MBRU, and his team of five researchers at MBRU will work alongside the clinicians to investigate and classify subtypes of type 2 diabetes. They hypothesize that if distinct subtypes of type 2 diabetes are identified, then clinicians can identify characteristics of the disease leading to treatment strategies that are specific to an individual patient.

Funding by Sandooq Al Watan, a private UAE philanthropic organization with a significant endowment to invest and support innovative researchers and organizations, will allow the team to research, develop, and deploy precision medicine for type 2 diabetes patients in the UAE. The aim of precision medicine is to customize the diagnosis, treatment, and aftercare of an individual rather than deploying a one‐drug‐fits‐all model. In similar studies, precision medicine has resulted in significant improvements to the diagnosis and man-

“In the Middle East, 11% of adults suffer from type 2 diabetes. in the UAE, almost one in every five adults is affected,” commented Prof. Bayoumi. Over the past few years, the SALAMA Hospital Information System of the Dubai Academic Health Corporation has registered data from 30,000 type 2 diabetic patients, Emiratis and expatriates, in the UAE. Using this database, researchers have applied an artificial intelligence system to identify patterns in certain pathophysiological traits to create subtypes of the disease. The study will attempt to identify these subtypes of Type 2 diabetes using data-driven methods and machine-learning algorithms in a cohort of patients with extensive clinical and genomic variables.

“This will bring us closer to precision medicine in diabetes, where a patient will receive the right treatment that fits his condition,” added Prof Bayoumi.

Yasser Al Garagawi, Director General of Sandooq Al Watan, noted that “the decision of the Board of Directors of Sandooq Al Watan chaired by His Excellency Sheikh Nahyan bin Mubarak Al Nahyan

to provide this grant to MBRU stems from Sandooq Al Watan’s appreciation for the great efforts undertaken by the University in the field of applied scientific research, which strengthens the UAE’s position in this field.”

“Sandooq Al Watan is keen to support the UAE’s researchers in all fields to enhance creativity and innovation. We wish the researchers the best in taking this potentially life-changing research forward,” he said.

Mubadala Health and Abu Dhabi Early Childhood Authority establish pilot programme to support parents and children

Mubadala Health has launched a pilot programme that supports parents across the emirate of Abu Dhabi, in collaboration with Abu Dhabi Early Childhood Authority (ECA), furthering its commitment to safeguard and support the physical and mental well-being of parents and children. This pilot programme focuses on ‘Commu-

nity Awareness and Child Development Knowledge’ and is a key component of the Abu Dhabi Integrated Early Childhood Intervention System Framework.

The pilot programme aims to address the needs and rights of all children in the emirate of Abu Dhabi, regardless of income level, geographical location, or gender; along

with boosting positive outcomes for children by educating parents on important developmental milestones and how they can support their children in achieving the best developmental outcomes during these milestones. The programme will leverage the national vaccination schedule to increase awareness and understanding about any

8 IMIDDLE EAST HEALTH
MBRU research team Dr Riad Bayoumi, Professor of Basic Sciences at MBRU
t

UAE ministry signs MoU with International SOS to facilitate medical evacuations of nationals

The UAE Ministry of Foreign Affairs and International Cooperation (MoFAIC) has signed a Memorandum of Understanding (MoU) with International SOS to foster cooperation and partnership in the field of providing healthcare services to UAE nationals abroad, in order to achieve MoFAIC’s strategic objectives to deliver proactive services for nationals abroad.

The MoU was signed on 28 December by Faisal Issa Lutfi, Assistant Undersecretary for Consular Affairs, representing MoFAIC, and Katherine Brett, General Manager representing

developmental delays and the importance of early intervention, along with tracking developmental progress for the appropriate age range and encouraging parents with concerns about their child’s development to seek guidance as early as possible.

The second phase of the programme will see the launch of a ‘Child Healthline’ that will be operated by Abu Dhabi Telemedicine Centre, a Mubadala Health Partner. This helpline will provide immediate support to parents or caregivers who have concerns about their child’s development, by providing them with the required healthcare services. Parents will also be provided with the resources essential to foster their child’s development and enhance awareness of their child’s changing developmental needs. These services range from tips on how to play with children to guidance on when and how to introduce solid foods to infants. The dedicated children’s support helpline will be resourced by trained and qualified nurses who will provide support and guidance to parents and assist in scheduling appointments if there are any concerns or problems that need to be resolved quickly with medical interventions.

H.E. Sana Mohamed Suhail, Director-General of Abu Dhabi Early Childhood Authority (ECA), said: “Together with our partners at Mubadala Health, we aim to raise parents’ awareness about the child’s key developmen-

International SOS, in presence of several officials from both parties.

The MoU includes the provision of medical advice, the implementation of medical evacuations, and support in the treatment of critical medical cases of nationals. This will contribute to expediting the procedures for the transfer of patients to the UAE to be completed within only 6 hours from the hospitalisation of national patients abroad.

To ensure cooperation and strengthen the partnerships with institutions in the framework serving the nationals’ interest,

tal milestones and the importance of early intervention, as well as enabling them to detect any developmental disorders or delays, and encouraging them to talk about their concerns with healthcare professionals early on; in order to ensure that the child receives accurate and early diagnosis and access to appropriate intervention services.”

Suhail stressed that the lack of awareness and understanding among parents regarding their children’s development journey and how to identify potential difficulties can be a barrier to children’s timely access to early intervention services. This programme will contribute to improving the parents’ confidence and knowledge of the signs of proper development of their children, and enable them to access experts and formal sources of information related to child growth and development, in order to support the proper and healthy development of all children during early childhood.

Commenting on the partnership, Hasan Jasem Al Nowais, Chief Executive Officer of Mubadala Health, said: “Mubadala Health is taking another significant step in support of families across Abu Dhabi, by launching pilot programmes that explore ways to safeguard and support the emotional, psychological and physical wellbeing of parents and children. This is just one of the many initiatives we are working on in collaboration with Abu Dhabi Early

MoFAIC collaborated with health facilities in the UAE to provide healthcare services for nationals who have been medically evacuated.

MoFAIC worked with the Ministry of Health and Prevention to activate a unified mechanism to handle emergency medical cases of UAE nationals abroad through coordination with the UAE representative missions abroad.

• MoFAIC has launched an emergency line to respond to emergency reports of UAE nationals abroad, by contacting the following number: 0097180024.

Childhood Authority to secure a bright future for parents and children in the emirate, by leveraging the expertise and capabilities of our world-class network of healthcare assets.”

The outcomes of the pilot programme will bolster research and provide contemporary evidence on how to best support parents as they navigate parenthood.

10 IMIDDLE EAST HEALTH
Agung Pandit Wiguna/Pexels

Zimmer Biomet, a global medical technology company, has opened a new innovation hub at Dubai Science Park to showcase its advanced technologies, surgical robotics and implants to healthcare customers.

“Our customers can now get close to our solutions and better understand how Zimmer Biomet’s technology and data can improve healthcare efficiency and patient outcomes,” said Wilfred van Zuilen, President, Zimmer Biomet EMEA.

In January 2022, Zimmer Biomet opened a new office in Dubai to serve increasing demand from hospitals and clinics in the Middle East, North Africa and Turkey (MENAT).

“Zimmer Biomet’s Dubai Innovation Hub is the next step in our investment in the region, and it demonstrates our com-

Sharjah Ruler directs establishment of mental health facility

Sheikh Dr Sultan bin Mohammed Al Qasimi, Ruler of Sharjah and Member of the UAE Supreme Council, on 21 December directed the establishment of a facility dedicated to the treatment of mental illnesses. His Highness said that the facility should perform semi-custodial work for mental patients. He said it should provide psychological and physical monitoring of patients as one of the centre’s primary responsibilities.

mitment to helping customers maintain momentum during a transformative period in healthcare,” said Erik Antos, Vice President, Zimmer Biomet Emerging Markets.

“At the Dubai Innovation Hub, customers will learn more about the increasing expectations of patients for personal and connected digital experiences, and how we deliver data-driven insights that help increase efficiency, alleviate pain for patients, and improve the quality of life for people around the world,” said Antos.

A central part of the company’s offering, ZBEdge, combines multiple Zimmer Biomet technologies, implants and services to offer a unique medtech platform in orthopaedics.

Farah Hamdan, General Manager, Zim-

mer Biomet MENAT, said: “ZBEdge, Zimmer Biomet’s suite of integrated digital technologies, robotics, implants and consultancy services now have the power to work together, gathering and sharing data across the whole patient pathway.”

In the pursuit for optimized care, surgeons and care teams can make decisions for individual patients with data-derived clinical insights and precise technologies, in the operating room and at every other phase of care.

ZBEdge can help to improve efficiency by connecting technologies, streamlining communication and automating workflows. Care teams benefit from real-time understanding of their hospital’s performance and are in a better position to realize opportunities to unlock efficiencies and optimize outcomes.

MIDDLE EAST HEALTHI 11
Zimmer Biomet opens innovation hub at Dubai Science Park

worldwide monitor

Update from around the globe

One Health Joint Plan of Action launched

2022 was a busy and productive year for WHO’s One Health Initiative. Key to its efforts was the launch of the One Health Joint Plan of Action with the other Quadripartite members, the Food and Agriculture Organization of the United Nations (FAO), the United Nations Environment Programme (UNEP), and the World Organisation for Animal Health (WOAH).

The plan integrates systems and capacity to collectively better prevent, predict, detect, and respond to health threats. Ultimately, this coordination should improve the health of humans, animals, plants, and the environment, while contributing to sustainable development.

The plan was launched on 18 October 2022, during a joint event at the World

Health Summit in Berlin, hosted by the Federal Ministry for Economic Cooperation and Development (BMZ), the Deutsche Gesellschaft für Internationale Zusammenarbeit (GIZ), the Museum für Naturkunde and the Foundation Healthy Planet-Healthy People.

It was then presented at the biennial World One Health Congress, held in Singapore in November. The focus of that conference was on how One Health could support the Covid-19 recovery by integrating science, policy, and clinical practice. The pandemic has spurred many governments to look for guidance, and the One Health Joint Plan of Action is providing them with a framework in which to move forward.

Breaking the silos that exist between

sectors and disciplines will require innovative approaches and strengthening of social, administrative, scientific, economic and political will. Greater investment in applied and multidisciplinary implementation research, including in social behaviour change across the spectrum from building new knowledge to piloting and scaling is needed to enable sustainable, locally relevant scientific and evidencebased interventions that channel scientific inquiry toward positive change.

The Quadripartite is currently developing an implementation framework to operationalize the One Health Joint Plan of Action at all levels and to support countries to establish or further strengthen their One Health systems and capacities. t

12 IMIDDLE EAST HEALTH

WHO Member States agree to develop zero draft of legally binding pandemic accord

Member States of the World Health Organization on 8 December 2022 agreed to develop the first draft of a legally binding agreement designed to protect the world

One Health overview

One Health is an integrated, unifying approach to balance and optimize the health of people, animals and ecosystems. It uses the close, interdependent links among these fields to create new surveillance and disease control methods.

For example, the way land is used can impact the number of malaria cases. Weather patterns and humanbuilt water controls can affect diseases like dengue. Trade in live, wild animals can increase the likelihood of infectious diseases jumping over to people – called disease spillover.

The COVID-19 pandemic put a spotlight on the need for a global framework for improved surveillance and a more holistic, integrated system. Gaps in One Health knowledge, prevention and integrated approaches were seen as key drivers of the pandemic. By addressing the linkages between human, animal and environmental health, One Health is seen as a transformative approach to improved global health.

Key facts

• The health of humans, animals, and ecosystems are closely interlinked. Changes in these relationships can increase the risk of new human and animal diseases developing and spreading.

• The close links between human, animal and environmental health demand close collaboration, communication and coordination between the relevant sectors.

• One Health is an approach to optimize the health of humans, animals and ecosystems by integrating these fields, rather than keeping them separate.

• Some 60% of emerging infectious

from future pandemics. This “zero draft” of the pandemic accord, rooted in the WHO Constitution, will be discussed by Member States in February 2023.

diseases that are reported globally come from animals, both wild and domestic. Over 30 new human pathogens have been detected in the last 3 decades, 75% of which have originated in animals.

• Human activities and stressed ecosystems have created new opportunities for diseases to emerge and spread.

• These stressors include animal trade, agriculture, livestock farming, urbanization, extractive industries, climate change, habitat fragmentation and encroachment into wild areas.

To implement One Health, major structural changes are required to integrate the human, animal and environmental health fields and support multi-sectoral communication, collaboration, coordination, and capacity strengthening.

We now have an unprecedented opportunity to strengthen collaboration and policies across these many areas and reduce the risk of future pandemics and epidemics while also addressing the ongoing burden of endemic and non-communicable diseases

Surveillance that monitors risks and helps identify patterns across these many areas is needed. In addition, new research should integrate the impact of these different fields, particularly on the drivers that lead to crises.

WHO is integrating One Health across its units and offices, providing strategic advice relating to policy, and conducting training at the local, national and regional levels. The goal is stronger programmes that are led and owned by countries.

One Health Joint Plan of Action https://bit.ly/3Z38fhw

The agreement by the Intergovernmental Negotiating Body (INB), comprised of WHO’s 194 Member States, was a milestone in the global process to learn from the COVID-19 pandemic and prevent a repeat of the devastating impacts it has had on individuals and communities worldwide. The INB gathered at WHO headquarters in Geneva from 5-7 December for its third meeting since its establishment in December 2021, following a special session of the World Health Assembly.

The Body agreed that the INB’s Bureau will develop the zero draft of the pandemic accord in order to start negotiations at the fourth INB meeting, scheduled to start on 27 February 2023. This draft will be based on the conceptual zero draft and the discussions during this week’s INB meeting. The INB Bureau is comprised of six delegates, one from each of the six WHO regions, including the co-chairs Roland Driece of the Netherlands and Precious Matsoso of South Africa.

“Countries have delivered a clear message that the world must be better prepared, coordinated and supported to protect all people, everywhere, from a repeat of Covid-19,” said Driece. “The decision to task us with the duty to develop a zero draft of a pandemic accord represents a major milestone on the path towards making the world safer.”

Matsoso said government representatives stressed that any future pandemic accord would need to take into account equity, strengthen preparedness, ensure solidarity, promote a whole-of-society and whole-of-government approach, and respect the sovereignty of countries.

“The impact of the COVID-19 pandemic on human lives, economies and societies at large must never be forgotten,” said Matsoso. “The best chance we have, today, as a global community, to prevent a repeat of the past is to come together, in the spirit of solidarity, in a commitment to equity, and in the pursuit of health for all, and develop a global accord that safeguards societies from future pandemic threats.”

MIDDLE EAST HEALTHI 13

UN Chief says innovation key to fairer world for people with disabilities

Marking this year’s International Day of Persons with Disabilities (or People of Determination) on 3 December, António Guterres, the UN Secretary-General, called for transformative, innovative solutions, in a world confronted by crises which disproportionally affects people with disabilities.

In his message, Guterres noted that greater public-private sector collaboration is needed in order to develop strategies that benefit people of determination, noting that they should also be involved in their development.

The UN chief pointed to the UN’s internal efforts to make the Organisation more accessible to people of determination, describing the United Nations Disability Inclusion Strategy <https://www.un.org/en/content/ disabilitystrategy> as a road map to achieving this aim.

“From headquarters to the field,” he said, “we are working to assess, address and promote digital accessibility and lead by example on disability inclusion.”

Powerful tools for inclusion

Innovation and technology, he continued, can be powerful tools for inclusion, enhancing

access to information, education, and lifelong learning, opening new avenues for people of determination to participate in the workforce and society at large on an equal basis.

The United Nations estimates that 15 percent of all people – one in seven – has a disability. Understanding is key to ensur ing that the more than one billion people with disabilities lead fulfilling lives where they are fully integrated into a society that respects their rights and benefits from their contributions.

A newly released UN documentary illustrates this vision of integration, through the eyes of two South Korean artists with disabilities, and reveals a new perspective on the true meaning of inclusion, in today’s diverse world.

Breaking Barriers

“Breaking Barriers One Brushstroke at a Time” <https://youtu.be/C3QfDr1VH6A> takes viewers inside the homes and lives of the artists, who communicate through their paintings and, in the process, teach audiences to listen with their eyes.

Far more than an exercise in social development, the works of these artists with

venue of its kind in the country.

Through interviews with the families and intimate glimpses of the lives and loves of two artists, Hansol Kim and Hyeshin Park, the documentary tells a specific story of struggle that also has universal themes: finding our voice in a world that doesn’t listen, expressing truths that rise above the noise, and coming of age by accepting who we are and what we have to contribute to society.

“Breaking Barriers” shows that inspiration is everywhere, disability is a matter of perspective, and that all of us share a common humanity that can be captured and comprehended through art.

Despite continued impact of Covid-19, malaria cases and deaths remained stable in 2021

New data released 8 December 2022 by the World Health Organization (WHO) show that countries around the world largely held the line against further setbacks to malaria prevention, testing and treatment services in 2021.

According to the 2022 World malaria report <https://bit.ly/3GEpjmW>,, there were an estimated 619,000 malaria deaths globally in 2021 compared to 625,000 in the first year of the pandemic. In 2019, before the pandemic struck, the number of deaths stood at 568,000.

Malaria cases continued to rise between 2020 and 2021, but at a slower rate than in the period 2019 to 2020. The global tally of malaria cases reached 247 million in 2021, compared to 245 million in 2020 and 232 million in 2019.

“Following a marked increase in malaria cases and deaths in the first year of

the Covid -19 pandemic, malaria-affected countries redoubled their efforts and were able to mitigate the worst impacts of Covid-related disruptions to malaria services,” said Dr Tedros Adhanom Ghebreyesus, WHO Director-General. “We face many challenges, but there are many reasons for hope. By strengthening the response, understanding and mitigating the risks, building resilience and accelerating research, there is every reason to dream of a malaria-free future.”

Despite successes, there remain many challenges, particularly in the African region, which shouldered about 95% of cases and 96% of deaths globally in 2021.

Disruptions during the pandemic and converging humanitarian crises, health system challenges, restricted funding, rising biological threats and a decline in the effectiveness of core disease-cutting tools

threaten the global response to malaria.

“Despite progress, the African region continues to be hardest hit by this deadly disease,” said Dr Matshidiso Moeti, WHO Regional Director for Africa. “New tools – and the funding to deploy these – are urgently needed to help us defeat malaria.”

At the same time, a decline in the effectiveness of core malaria control tools, most crucially Insecticide Treated Bednets, is impeding further progress against malaria. Other risks are also rising, including parasite mutations affecting the performance of rapid diagnostic tests; growing parasite resistance to the drugs used to treat malaria; and the invasion in Africa of an urbanadapted mosquito that is resistant to many of the insecticides used today.

WHO recently launched a new global framework < https://bit.ly/3Ijgpwd > to respond to malaria in urban areas.

14 IMIDDLE EAST HEALTH
António Guterres, UN Secretary-General.

Medical research news from around the world the laboratory

A group of neuroscientists led by a University of Pittsburgh School of Medicine researcher developed a test to detect a novel marker of Alzheimer’s disease neurodegeneration in a blood sample. A study on their results was published 27 December 2022 in Brain [1]

The biomarker, called “brain-derived tau,” or BD-tau, outperforms current blood diagnostic tests used to detect Alzheimer’s-related neurodegeneration clinically. It is specific to Alzheimer’s disease and correlates well with Alzheimer’s neurodegeneration biomarkers in the cerebrospinal fluid (CSF).

“At present, diagnosing Alzheimer’s disease requires neuroimaging,” said senior author Thomas Karikari, Ph.D., assistant professor of psychiatry at Pitt. “Those tests are expensive and take a long time to schedule, and a lot of patients, even in the U.S., don’t have access to MRI and PET scanners. Accessibility is a major issue.”

Currently, to diagnose Alzheimer’s disease, clinicians use guidelines set in 2011 by the U.S. National Institute on Aging and the Alzheimer’s Association. The guidelines, called the AT(N) Framework, require detection of three distinct components of Alzheimer’s pathology – the presence of amyloid plaques, tau tangles and neurodegeneration in the brain – either by imaging or by analyzing CSF samples.

Unfortunately, both approaches suffer from economical and practical limitations, dictating the need for development of convenient and reliable AT(N) biomarkers in blood samples, collection of which is minimally invasive and requires fewer resources. The development of simple tools detecting signs of Alzheimer’s in the blood without compromising on quality is an important step toward improved accessibility, said Karikari.

“The most important utility of blood biomarkers is to make people’s lives better and to improve clinical confidence and risk prediction in Alzheimer’s disease diagnosis,” Karikari said.

Current blood diagnostic methods can

accurately detect abnormalities in plasma amyloid beta and the phosphorylated form of tau, hitting two of the three necessary checkmarks to confidently diagnose Al zheimer’s. But the biggest hurdle in apply ing the AT(N) Framework to blood samples lies in the difficulty of detecting markers of neurodegeneration that are specific to the brain and aren’t influenced by potentially misleading contaminants produced else where in the body.

For example, blood levels of neurofila ment light, a protein marker of nerve cell damage, become elevated in Alzheimer’s disease, Parkinson’s and other dementias, rendering it less useful when trying to differentiate Alzheimer’s disease from other neurodegenerative conditions. On the other hand, detecting total tau in the blood proved to be less informative than monitoring its levels in CSF.

By applying their knowledge of molecular biology and biochemistry of tau proteins in different tissues, such as the brain, Karikari and his team, including scientists at the University of Gothenburg, Sweden, developed a technique to selectively detect BDtau while avoiding free-floating “big tau” proteins produced by cells outside the brain.

To do that, they designed a special antibody that selectively binds to BD-tau, making it easily detectible in the blood. They validated their assay across over 600 patient samples from five independent cohorts, including those from patients whose Alzheimer’s disease diagnosis was confirmed after their deaths, as well as from patients with memory deficiencies indicative of early-stage Alzheimer’s.

The tests showed that levels of BD-tau detected in blood samples of Alzheimer’s disease patients using the new assay matched with levels of tau in the CSF and reliably distinguished Alzheimer’s from other neurodegenerative diseases. Levels of BD-tau also correlated with the severity of amyloid plaques and tau tangles in the

brain tissue confirmed via brain autopsy analyses.

Scientists hope that monitoring blood levels of BD-tau could improve clinical trial design and facilitate screening and enrolment of patients from populations that historically haven’t been included in research cohorts.

“There is a huge need for diversity in clinical research, not just by skin colour but also by socioeconomic background,” said Karikari. “To develop better drugs, trials need to enrol people from varied backgrounds and not just those who live close to academic medical centres. A blood test is cheaper, safer and easier to administer, and it can improve clinical confidence in diagnosing Alzheimer’s and selecting participants for clinical trial and disease monitoring.”

Karikari and his team are planning to conduct large-scale clinical validation of blood BD-tau in a wide range of research groups, including those that recruit participants from diverse racial and ethnic backgrounds, from memory clinics, and from the community. Additionally, these studies will include older adults with no biological evidence of Alzheimer’s disease as well as those at different stages of the disease. These projects are crucial to ensure that the biomarker results are generalizable to people from all backgrounds, and will pave the way to making BD-tau commercially available for widespread clinical and prognostic use.

Reference: 1. doi: https://doi.org/10.1093/brain/awac407

16 IMIDDLE EAST HEALTH
Breakthrough: scientists uncover novel biomarker to detect Alzheimer’s in blood
Thomas Karikari, Ph.D. Thomas Karikari

Our

Researchers develop cellular ‘glue’ to regenerate tissues, heal wounds, regrow nerves

Researchers at UC San Francisco have engineered molecules that act like “cellular glue”, allowing them to direct in precise fashion how cells bond with each other. The discovery represents a major step toward building tissues and organs, a longsought goal of regenerative medicine.

Adhesive molecules are found naturally throughout the body, holding its tens of trillions of cells together in highly organized patterns. They form structures, create neuronal circuits and guide immune cells to their targets. Adhesion also facilitates communication between cells to keep the body functioning as a self-regulating whole.

In a new study [1], published in the 12 December 2022, issue of Nature, researchers engineered cells containing customized adhesion molecules that bound with specific partner cells in predictable ways to form complex multicellular ensembles.

“We were able to engineer cells in a manner that allows us to control which cells they interact with, and also to control the nature of that interaction,” said senior author Wendell Lim, PhD, the Byers Distinguished Professor of Cellular and Molecular Pharmacology and director of UCSF’s Cell Design Institute. “This opens the door to building novel structures like tissues and organs.”

Regenerating connections between cells

Bodily tissues and organs begin to form in

utero and continue developing through childhood. By adulthood, many of the molecular instructions that guide these generative processes have disappeared, and some tissues, like nerves, cannot heal from injury or disease.

Lim hopes to overcome this by engineering adult cells to make new connections. But doing this requires an ability to precisely engineer how cells interact with one another.

“The properties of a tissue, like your skin for example, are determined in large part by how the different cells are organized within it,” said Adam Stevens, PhD, the Hartz Fellow in the Cell Design Institute and the first author of the paper. “We’re devising ways to control this organization of cells, which is central to being able to synthesize tissues with the properties we want them to have.”

Much of what makes a given tissue distinct is how tightly its cells are bonded together. In a solid organ, like a lung or a liver, many of the cells will be bonded quite tightly. But in the immune system, weaker bonds enable the cells to flow through blood vessels or crawl between the tightly bound cells of skin or organ tissues to reach a pathogen or a wound.

To direct that quality of cell bonding, researchers designed their adhesion mol-

ecules in two parts. One part of the molecule acts as a receptor on the outside of the cell and determines which other cells it will interact with. A second part, inside the cell, tunes the strength of the bond that forms. The two parts can be mixed and matched in a modular fashion, creating an array of customized cells that bond in different ways across the spectrum of cell types.

The code underlying cellular assembly Stevens said these discoveries also have other applications. For example, researchers could design tissues to model disease states, to make it easier to study them in human tissue.

Cell adhesion was a key development in the evolution of animals and other multicellular organisms, and custom adhesion molecules may offer a deeper understanding of how the path from single to multicellular organisms began.

“It’s very exciting that we now understand much more about how evolution may have started building bodies,” he said. “Our work reveals a flexible molecular adhesion code that determines which cells will interact, and in what way. Now that we are starting to understand it, we can harness this code to direct how cells assemble into tissues and organs. These tools could be really transformative.”

Reference: 1. doi: https://doi.org/10.1038/s41586-022-05622-z

MIDDLE EAST HEALTHI 17
work reveals a flexible molecular adhesion code that determines which cells will interact, and in what way. Now that we are starting to understand it, we can harness this code to direct how cells assemble into tissues and organs. These tools could be really transformative.
Wendell Lim, PhD, director of UCSF’s Cell Design Institute, holds a cellular model in his office at UCSF’s Mission Bay Campus. Photo by Elena Zhukova

surprisingly potent receptor ‘decoy’ drug deactivates Covid-19 virus and variants

Scientists at Dana-Farber Cancer Institute have developed a drug that potently neutralizes SARS-CoV-2, the Covid-19 coronavirus, and is equally effective against the Omicron variant and every other tested variant. The drug is designed in such a way that natural selection to maintain infectiousness of the virus should also maintain the drug’s activity against future variants.

The investigational drug, described in a report published 7 December 2022 in Science Advances [1], is not an antibody, but a related molecule known as an ACE2 receptor decoy. Unlike antibodies, the ACE2 decoy is far more difficult for the SARS-CoV-2 virus to evade because mutations in the virus that would enable it to avoid the drug would also reduce the virus’s ability to infect cells. The scientists found a way to make this type of drug neutralize coronaviruses more potently in animals infected with Covid-19 and to make it safe to give to patients.

This report comes at a time when antibody drugs used to treat Covid-19 have lost their effectiveness because the viral spike protein has mutated to escape being targeted by the antibodies.

The researchers, led by first author James Torchia, MD, PhD, and senior author Gordon Freeman, PhD, identified

features that make ACE2 decoys especially potent and long-lasting. For example, they found that when they included a piece of the ACE2 protein called the collectrin-like domain, it made the drug stick more tightly to the virus and have a longer life in the body. Their experiments showed that ACE2 decoys have potent activity against the Covid-19 virus because they trigger an irreversible change in the structure of the virus – they “pop” the top off the viral spike protein so it can’t bind to the cell-surface ACE2 receptor and infect cells.

The SARS-CoV-2 virus is covered with projections called spike proteins that enable the virus to infect cells. The spike protein binds to the ACE2 receptor on the cell surface and then refolds, driving the spike into the cell, enabling the virus to enter. ACE2 decoys lure the virus to bind to the decoy instead of the cell, “popping” the spike and inactivating the virus before it can enter cells. This explains the drug’s surprising potency: not only does it function as a competitive inhibitor, but it permanently inactivates the virus. Since binding to ACE2 is required for infection, variants can change but they must continue to bind to ACE2, making the drug persistently active against all variants.

The researchers say that, in addition to treating antibody-resistant variants of SARS-CoV-2, the drug described in this study could be useful to treat new coronaviruses that might emerge in the future to infect humans. This is because many coronaviruses in nature poised to enter the human population also utilize ACE2 to infect cells.

While the drug, called DF-COV-01, has not yet been tested in humans, manufacturing development is nearly complete and preclinical studies needed for regulatory approval are underway, with the goal of advancing the drug to clinical trials.

Reference: 1. doi: https://doi.org/10.1126/sciadv.abq6527

Researchers discover cationic charged P-G3 reduces fat at targeted locations

Researchers have long been working on how to treat obesity, a serious condition that can lead to hypertension, diabetes, chronic inflammation, and cardiovascular diseases. Studies have also revealed a strong correlation of obesity and cancer – recent data show that smoking, drinking alcohol, and obesity are the biggest contributors to cancer worldwide.

The development of fat cells, which are produced from a tiny fibroblast-like progen-

itor, not only activates the fat cells’ specific genes but also grows them by storing more lipids (adipocytes and adipose tissue). In fact, lipid storage is the defining function of a fat cell. But the storage of too much lipid can make fat cells unhealthy and lead to obesity.

Challenges in targeting fat cells

The ability to target fat cells and safely uncouple unhealthy fat formation from

healthy fat metabolism would be the answer to many peoples’ prayers. A major challenge in obesity treatment is that fat tissue, which is not continuous in the body but is found piece by piece in “depots”, has been difficult to target in a depot-specific manner, pinpointed at the exact location.

There are two main kinds of fat: visceral fat, internal tissues that surround the stomach, liver, and intestines, and subcutaneous fat, found under the skin anywhere in the

18 IMIDDLE EAST HEALTH
New

body. Visceral fat produces potbellies; sub cutaneous fat can create chin jowls, arm fat, etc. To date, there has been no way to spe cifically treat visceral adipose tissue. And current treatments for subcutaneous fat like liposuction are invasive and destructive.

Two studies show new way to treat obesity

Two new studies from researchers at Co lumbia Engineering and Columbia Uni versity Irving Medical Center (CUIMC) may have the answer to targeting fat cells depot-specifically and healthily. The papers demonstrate a new method to treat obesity by using cationic nanomaterials that can target specific areas of fat and inhibit the unhealthy storage of enlarged fat cells. The materials remodel fat rather than destroying it, as, for example, liposuction does. The first paper [1], published 1 December 2022 by Nature Nanotechnology, focuses on visceral adiposity, or belly fat. The second paper[2], published online 28 November 2022 by Biomaterials, focuses on fat underneath the skin as well as chronic inflammation associated with obesity.

The team of researchers, led by Li Qiang, associate professor of pathology and cell biology at CUIMC, and Kam Leong, Samuel Y. Sheng Professor of Biomedical Engineering and of systems biology at CUIMC, recognized that adipose tissue contains large amounts of negatively charged extracellular matrix (ECM) to hold fat cells. They thought that this negatively charged ECM network might provide a highway system of sorts for positively charged molecules. So they took a positively charged nanomaterial, PAMAM generation 3 (P-G3), and injected it into obese mice. The P-G3 quickly spread throughout the tissue and the team was excited that their method to specifically target visceral fat worked.

Unexpected results

And then something intriguing happened: P-G3 shut off the lipid storage programme in fat cells and the mice lost weight. This was totally unexpected, given the well-established function of P-G3 in neutralizing negatively charged pathogens, such as DNA/RNA cell debris, to alleviate inflammation.

“Our approach is unique – it departs from

the pharmacological or surgical approaches,” said Qiang, who specializes in obesity and adipocyte biology. “We used cationic charge to rejuvenate healthy fat cells, a technique no one has ever used to treat obesity. I think this novel strategy will open the door to healthier and safer reduction of fat.”

PAMAM generation 3

In these two studies, the researchers discovered that the cationic material, P-G3, could do an intriguing thing to fat cells – while it helped new fat cell formation, it also uncoupled lipid storage from the housekeeping functions of fat cells. And because it inhibits the unhealthy lipid storage of enlarged fat cells, the mice had more metabolically healthy, young, small fat cells like those found in newborns and athletes. The researchers found that this uncoupling function of P-G3 also holds true in human fat biopsies, signifying the potential of translation in humans.

“With P-G3, fat cells can still be fat cells, but they can’t grow up,” said Leong, a pioneer in using polycation to scavenge pathogens. “Our studies highlight an unexpected strategy to treat visceral adiposity and suggest a new direction of exploring cationic nanomaterials for treating metabolic diseases.”

References:

New applications

Now that they can selectively target visceral fat, Leong and Qiang envision several applications. The Biomaterials study demonstrates a simple approach that could be used for aesthetic purposes; like Botox, P-G3 can be locally injected into a specific, subcutaneous fat depot. The investigators, who have patents pending, are now engineering P-G3 into various derivatives to improve the efficacy, safety, and depot specificity. What the researchers are particularly excited about is developing P-G3 into a platform that can deliver drugs and gene therapies specifically to a given fat depot. This may repurpose many drugs from systemic safety concerns, such as Thiazolidinediones (TZDs), a potent but unsafe drug that is a strong modulator of fat and used to treat type 2 diabetes – but it has been linked to heart failure and banned in several countries.

“We’re very excited to discover that cationic charge is the secret to targeting adipose tissue,” Qiang said. “Now we can shrink fat in a depot-specific manner – anywhere we want – and in a safe way without destroying fat cells. This is a major advance in treating obesity.”

1. doi: https://doi.org/10.1038/s41565-022-01249-3

2. doi: https://doi.org/10.1016/j.biomaterials.2022.121850

20 IMIDDLE EAST HEALTH
Illustration of depot-specific targeting of fat by cationic nanomaterials.

Physician-scientists discover new immune target to treat cardiovascular disease

In a study led by Michigan Medicine, scientists have uncovered a protein produced by the immune system that causes atherosclerosis, which offers the promise of new treatments for cardiovascular disease.

Traditionally clinicians have treated cardiovascular disease by focusing on blood pressure control, and reducing cholesterol by using medications like statins. Despite these measures, heart disease remains the number one cause of death in many parts of the world, with many patients having heart attacks even after their risk factors are controlled, said Salim Hayek, M.D., physician-scientist and medical director of the University of Michigan Health Frankel Cardiovascular Clinics.

“Targeting the immune component central to the development of atherosclerosis is the Holy Grail for the treatment of heart disease,” Hayek, senior author of the study, explained. “This is the first time that a component of the immune system is identified that meets all the requirements for being a promising treatment target for atherosclerosis.”

This protein, called soluble urokinase plasminogen activator receptor, or suPAR, is produced by the bone marrow. It acts as a regulator, essentially a thermostat for the activity of the immune system, or “immunostat”.

Past studies have shown suPAR to be a marker of cardiovascular disease. But

this study, published 4 October 2022 in the Journal of Clinical Investigation, the first evidence showing that the pro tein actually causes atherosclerosis when at high levels.

Three-pronged findings

First, the research team analysed the Multi-Ethnic Study of Atherosclerosis, which consists of over 5,000 people with out known cardiovascular disease and found that those who had higher suPAR levels were much more prone to develop atherosclerosis and experience cardiovas cular events, regardless of their underlying risk factors.

Then, the investigators did a genetic study of 24,000 people to find whether certain genetic variations affected levels of suPAR in blood. They discovered a specific variant in the gene PLAUR that codes for suPAR, and people with that genetic vari ant tended to have higher suPAR levels. Most importantly, that genetic variant was linked to atherosclerosis in a Mendelian randomization analysis of 500,000 partici pants in the UK Biobank, which was replicated in two other large data sets.

“We also found that participants lacking a copy of the PLAUR gene have lower risk of heart disease,” said first author and geneticist George Hindy, M.D., Ph.D., of Regeneron Genetics Center. “Altogether, the genetic data is truly compelling for high

“Even prior to developing atherosclerosis, the mouse aortas with high suPAR levels contained more inflammatory white blood cells, and the immune cells circulating in blood were in an activated state, or ‘attack-mode,’” said Daniel Tyrrell, Ph.D., co-first author and research fellow at the U-M Health Frankel Cardiovascular Cen-

22 IMIDDLE EAST HEALTH
Cardiology
Salim Hayek, M.D., physician-scientist and medical director of the University of Michigan Health Frankel Cardiovascular Clinics

ter. “High suPAR levels appear to activate the immune cells and prime them to overreact to the high cholesterol environment, causing these cells to enter the blood vessel wall and accelerate the development of atherosclerosis.”

What is unique about this study, Hayek says, is that it brings to light high-quality clinical, genetic and experimental data –all pointing to suPAR as a cause of atherosclerotic disease.

“Now, we’re looking into developing treatments to reduce suPAR levels safely as a strategy to prevent and treat heart disease, especially since traditional therapies for atherosclerosis have no impact on suPAR,” he said.

suPAR links kidney and cardiovascular disease

The study dovetails findings that suPAR is known to be a pathogenic factor that causes kidney disease. People often experience the two conditions together: twothirds of people with kidney disease are affected by cardiovascular disease, and over 40% of patients with cardiovascular disease have signs of kidney disease.

“This paper places suPAR as the link between kidney and cardiovascular disease;

Coronary Artery Disease

a common factor causing both through this inappropriate, persistent activation of the immune system,” said co-author Jochen Reiser, M.D., Ph.D., chair of the Department of Medicine at Rush University and an expert in the study of suPAR. “This is pointed out in the Mendelian randomization genetic analysis done by the investigators, showing that high suPAR is also linked to kidney disease.”

For both conditions, suPAR has long been known as a biomarker for poor outcomes and disease progression. In a 2020 study, Hayek’s team found that suPAR can worsen acute kidney injury [2] and that blocking suPAR prevents it. A recent study led by Hayek found that levels of protein are high [3] in patients with heart failure and predict death for patients.

Research into suPAR’s role in health and disease has advanced rapidly in the past 10 years. Hayek says suPAR has great potential to be a successful treatment target for cardiovascular and kidney disease. His lab has already begun work

References:

1. doi: https://doi.org/10.1172/JCI158788

designing anti-suPAR therapies and planning clinical trials.

“My hope is that we are able to provide these treatments to our patients within the next three to five years,” he said. “This will be a game changer for the treatment of atherosclerotic and kidney disease.”

2. doi: https://doi.org/10.1056/NEJMoa1911481

3. doi: https://doi.org/10.1016/j.cardfail.2022.08.010

MIDDLE EAST HEALTHI 23
Now, we’re looking into developing treatments to reduce suPAR levels safely as a strategy to prevent and treat heart disease, especially since traditional therapies for atherosclerosis have no impact on suPAR.

Individuals with coronary artery disease exist on a spectrum of disease, such as the amount of plaque build-up in the arteries of the heart; however, the disease is conventionally classified as broad categories of case (yes disease) or control (no disease), which may result in misdiagnosis. A digital marker for coronary artery disease derived from machine learning and electronic health records can better quantify where an individual falls on the disease spectrum.

New digital marker for coronary artery disease is first to map characteristics of CAD on a spectrum

Using machine learning and clinical data from electronic health records, researchers at the Icahn School of Medicine at Mount Sinai in New York constructed an in silico, or computer-derived, marker for coronary artery disease (CAD) to better measure clinically important characterizations of the disease.

The findings, published online on 20 December 2022 in The Lancet [1], may lead to more targeted diagnosis and better disease management of CAD, the most common type of heart disease and a leading cause of death worldwide. The study is the first known research to map characteristics of CAD on a

spectrum. Previous studies have focused only on whether or not a patient has CAD.

CAD and other common conditions exist on a spectrum of disease; each individual’s mix of risk factors and disease processes determines where they fall on the spectrum. However, most such stud-

24 IMIDDLE EAST HEALTH
Icahn School of Medicine at Mount Sinai Cardiology

Royal Brompton & Harefield Hospitals

RB&HH at the forefront of revolutionary 3D heart valve endoscopic surgery

At Royal Brompton & Harefield Hospitals (RB&HH), London, Mr Toufan Bahrami is at the forefront of pioneering new totally endoscopic surgery for valve repair and replacement. The procedure offers an alternative to sternotomy, and allows for a quicker patient recovery time with better aesthetic results.

Performed exclusively at RB&HH, the endoscopic procedure is designed to treat patients with mitral valve disease but is also suitable for tricuspid and aortic valve repair. Taking around four hours and performed under general anaesthetic, a 3cm incision, without rib spreading, allows enough room for endoscopic instruments to rotate 360 degrees providing multi-

Cutting-edge 3D technology

A high-definition 3D camera is used to direct the procedure inside the heart and the surgeon can then repair or replace the damaged valve. During the procedure, surgeons wear 3D glasses and are guided by images projected onto a 4k screen, which allows other surgeons in the room to see the same images. The projected images can also be accessed remotely, allowing our specialists to collaborate from anywhere in the world.

Mr Bahrami, consultant cardiac surgeon at Royal Brompton Hospital, explains: “This pioneering technology has revolutionised the way we work, as we’ve never had such a view of the operating field. We can now access views from deep inside the

one big advantage of this, is that we can use the 3D projections to teach our trainees.”

Gold-standard approach and results

Totally endoscopic surgery has similar results to a sternotomy procedure but allows for a much smaller incision with less bleeding, greater precision, less pain, and less chance of infection, resulting in a quicker recovery.

Due to its minimally invasive nature, patients are usually discharged after three days. Within four weeks patients have reported being active again with minimal scarring and fewer complications when compared to a standard procedure. “Without minimally invasive and totally endoscopic options, we would not be able to provide these gold-stan-

MIDDLE EAST HEALTHI 25

Cardiology

ies break this disease spectrum into rigid classes of case (patient has disease) or control (patient does not have disease). This may result in missed diagnoses, inappropriate management, and poorer clinical outcomes, say the investigators.

“The information gained from this noninvasive staging of disease could empower clinicians by more accurately assessing patient status and, therefore, inform the development of more targeted treatment plans,”said Ron Do, PhD, senior study author and the Charles Bronfman Professor in Personalized Medicine at the Icahn School of Medicine at Mount Sinai.

“Our model delineates coronary artery disease patient populations on a disease spectrum; this could provide more insights into disease progression and how those affected will respond to treatment. Having the ability to reveal distinct gradations of disease risk, atherosclerosis, and survival, for example, which may otherwise be missed with a conventional binary framework, is critical.”

Machine learning model

In the retrospective study, the researchers trained the machine learning model, named in silico score for coronary artery disease or ISCAD, to accurately measure CAD on a spectrum using more than 80,000 electronic health records from two large health system-based biobanks, the BioMe Biobank at the Mount Sinai Health System and the UK Biobank.

The model, which the researchers termed a “digital marker”, incorporated hundreds of different clinical features from the electronic health record, including vital signs, laboratory test results, medications, symptoms, and diagnoses, and compared it to both an existing clinical score for CAD, which uses only a small number of predetermined features, and a genetic score for CAD.

The 95,935 participants included participants of African, Hispanic/Latino, Asian, and European ethnicities, as well as a large share of women. Most clinical and machine learning studies on CAD have focused on white European ethnicity.

The investigators found that the probabilities from the model accurately tracked

Detection of left atrial mechanical dysfunction by measurement of left atrial reservoir strain improves stroke prediction in persons without a history of atrial fibrillation or stroke

A cohort study of more than 4,500 persons without a history of atrial fibrillation (AF) or stroke has found that measuring left atrial mechanical function can improve stroke prediction. The findings were published on 20 December 2022 in Annals of Internal Medicine

AF is a serious public health problem because of its increasing prevalence in the aging population and its association with risks of cardiac thromboembolism and stroke. An intrinsically pro-thrombotic atrial myopathy, characterized by changes in left atrial mechanical function and size, may precede and promote development of AF. Evaluating left atrial mechanics and size may have utility in enhancing prediction of cardiac embolism and stroke earlier in a patient’s disease course before development of AF.

Researchers from multiple institutions including the Pennsylvania State University, University of California Los Angeles, and the University of Minnesota evaluated data from 4,917 persons participating in the ARIC (Atherosclerosis Risk in Communities) study. The authors found that left atrial mechanical dysfunction, detected by analysis of left atrial strain, was associated with ischemic stroke independently of left atrial size and risk factors from the CHA2DS2VASc score. They also found that the addition of left atrial reservoir strain to the CHA2DS2-VASc variables improved stroke prediction and yielded a greater predicted net benefit, as shown by decision curve analysis. According to the authors, the results of this study support the hypothesis that atrial myopathy, characterized by left atrial mechanical dysfunction, is intrinsically prothrombotic, resulting in higher risk for cardiac embolism and ischemic stroke.

Reference: doi: https://doi.org/10.7326/M22-1638

the degree of narrowing of coronary arteries (coronary stenosis), mortality, and complications such as heart attack.

“Machine learning models like this could also benefit the healthcare industry at large by designing clinical trials based on appropriate patient stratification. It may also lead to more efficient data-driven individualized therapeutic strategies,” said lead author Iain S. Forrest, PhD, a postdoctoral fellow in the lab of Dr Do and an MD/PhD student in the Medical Scientist Training Program at Icahn Mount Sinai. “Despite this progress, it

is important to remember that physician and procedure-based diagnosis and management of coronary artery disease are not replaced by artificial intelligence, but rather potentially supported by ISCAD as another powerful tool in the clinician’s toolbox.”

Next, the investigators envision conducting a prospective large-scale study to further validate the clinical utility and actionability of ISCAD, including in other populations. They also plan to assess a more portable version of the model that can be used universally across health systems.

Reference: 1. doi: https://doi.org/10.1016/S0140-6736(22)02079-7

26 IMIDDLE EAST HEALTH

Gene therapy corrects mutation responsible for dilated cardiomyopathy

Using the CRISPR-Cas9 gene editing system, UT Southwestern researchers corrected mutations responsible for a common inherited heart condition called dilated cardiomyopathy (DCM) in human cells and a mouse model of the disease. Their findings, published 23 November 2022 in Science Translational Medicine, [1] may one day provide hope to an estimated 1 in 250 people worldwide who suffer from this condition.

“All of the disease characteristics we see because of these mutations were reversed with CRISPR-Cas9 therapy. It’s fair to say the success of this approach completely exceeded our expecta-

tions,” said Eric Olson, Ph.D., Chair and Professor of Molecular Biology at UTSW, who co-led the study with colleagues Rhonda Bassel-Duby, Ph.D., Professor of Molecular Biology, and Takahiko Nishiyama, M.D., Ph.D., a postdoctoral fellow in the Olson lab.

DCM is caused by mutations in a gene known as RNA binding motif protein 20 (RBM20), which affects the production of hundreds of proteins in cardiac muscle cells responsible for the heart’s pumping action. This disease wreaks widespread havoc throughout the heart, gradually

destroying its ability to contract and causing it to become extremely enlarged and fail over time. Treatment is limited to drugs, which can improve contractile function but don’t provide a permanent fix, or a heart transplant, which frequently isn’t an option due to a shortage of donor organs.

Seeking to attack the root cause of this disease, Drs. Olson, Bassel-Duby, Nishiyama, and their colleagues looked to CRISPR-Cas9, a popular tool for genetic research recognized with the Nobel Prize in Chemistry in 2020. Using this system, researchers can potentially correct diseasecausing mutations in important genes.

Thus far, the Food and Drug Administration has approved a single clinical trial that uses this technology to try to treat sickle cell disease. However, Dr. Olson said CRISPR-Cas9 has huge potential to treat an untold number of other genetic diseases. Dr. Olson and colleagues have used CRISPR gene editing to develop a technique to halt progression of Duchenne muscular dystrophy in animal models.

To determine the feasibility of this approach for DCM, the research team used a virus to deliver CRISPR-Cas9 components to cardiac muscle cells derived from human cells carrying two different types of DCM-causing mutations. Scien-

28 IMIDDLE
HEALTH Cardiology
EAST
Drs Rhonda Bassel-Duby, Takahiko Nishiyama and Eric Olson (l-r) published a study on their use of the CRISPR-Cas9 gene editing system to correct mutations responsible for dilated cardiomyopathy. These representative hearts from 12-week-old mice show a normal heart (left) and an enlarged heart that’s characteristic of dilated cardiomyopathy.

tists used this gene-editing technology to swap a single nucleotide, the basic unit of DNA, to correct one type of mutation. In another set of cells, researchers replaced a piece of DNA from mutated RBM20 with a healthy segment of this gene.

After CRISPR-Cas9 treatment, the mutant cells gradually lost characteristics inherent to DCM: The protein produced by RBM20 moved to its normal place in the nucleus, and the cells began making healthy proteins.

When the researchers delivered the CRISPR-Cas9 treatment to 1-week-old mice carrying one of these mutations, the animals never developed enlarged hearts and had normal life spans. Untreated mice had symptoms mirroring those of human DCM patients.

The scientists said that several challenges remain before this therapy can be used in DCM patients. Work is needed to ensure that the effects of CRISPR-Cas9 are permanent and precise, and that the smallest dose possible is delivered. Also to be determined is whether the treatment could be used in patients whose disease is more advanced. However, Dr. Olson said he’s optimistic that this system could be used to treat a variety of other familial diseases.

“The pace of this field is really breathtaking,” he said. “I expect that if this moves forward into patients, we’re not talking within decades – we’re talking within years.”

Dr. Olson holds the Pogue Distinguished Chair in Research on Cardiac Birth Defects; The Robert A. Welch Distinguished Chair in Science; and the Annie and Willie Nelson Professorship in Stem Cell Research. He is also Director of the Hamon Center for Regenerative Science and Medicine.

Reference:

1. doi: https://doi.org/10.1126/scitranslmed.ade1633

Researchers use seaweed molecules to improve outcomes for bypass surgery

Researchers are using a natural material derived from seaweed to promote vascular cell growth, prevent blood clots and improve the performance of synthetic vascular grafts used in heart bypass surgery.

The new approach, developed and tested at the University of Waterloo, is especially important in cases involving small artificial blood vessels - those less than six millimetres in diameter - which are prone to clots that can develop into full blockages.

“There is a crucial need to develop synthetic vascular graft materials that will increase the rate of long-term functions,” said Dr Evelyn Yim, a chemical engineering professor and University Research Chair who leads the project.

Researchers added a material called fucoidan, which is made from seaweed, to modify synthetic blood vessels. Fucoidan has a structure similar to heparin, a drug used as an anticoagulant.

When applied with a nanotechnology technique known as micropatterning, fucoidan promotes the growth of vascular cells around the inner surface of the graft, significantly reducing the chances of clots forming.

For patients, the potential benefits include fewer complications, better quality of life and less risk of the recurrence of blockages requiring additional drug treatment or surgery.

“A functional, off-the-shelf, small-diameter vascular graft will help save lives,” said Yim, director of the Regenerative Nanomedicine Lab at Waterloo. “What’s important is that they will be much longer-lasting and allow blood to flow freely.”

Gold standard for grafts

Bypass surgery is performed to restore blood flow to areas of the heart when vessels become blocked. Vessels harvested from the patient are the gold standard for grafts, but limited availability often requires the use of artificial vessels.

In addition to heart bypass surgery, grafts are used in medical procedures to treat vascular diseases and restore blood flow to vital organs and tissues, including the brain and legs.

When synthetic graft material doesn’t allow vascular cells to grow on the inside of an artery or vessel, there is a high chance of clots, which can develop into full blockages or cause inflammation that restricts blood flow.

Yim has successfully tested the new technique using fucoidan and micropatterning on small animals and plans to expand to large animal testing before advancing to clinical trials.

Several researchers from the Department of Chemical Engineering at Waterloo and the Department of Biomedical Engineering at the Oregon Health and Science University have collaborated on this project.

A paper on the work, Fucoidan and topography modification improved in situ endothelialization on acellular synthetic vascular grafts, appears in the journal Bioactive Materials [1]

Reference:

1. doi: https://doi.org/10.1016/j.bioactmat.2022.10.011

MIDDLE EAST HEALTHI 29
Photo of the synthetic grafts made by the researchers
The pace of this field is really breathtaking. I expect that if this moves forward into patients, we’re not talking within decades – we’re talking within years.

NewYork-Presbyterian: Providing a direct connection to first-class medical care

When most people hear the term “GPS” – they might think of a ‘global positioning system’ that directs them to their desired destination. It is fitting, then, that GPS also stands for the Global Patient Services programme at NewYork-Presbyterian (NYP), which assists patients and their families throughout the Middle East and around the world to make it their destination – for state-of-the-art medical care and the best in patient experience.

NewYork-Presbyterian is the only academic medical centre in the United States affiliated with two world-class medical schools, Weill Cornell Medicine and Columbia University Vagelos College of Physicians and Surgeons.

Its longstanding reputation for clinical excellence has put the hospital at the forefront in terms of medical education, groundbreaking research, and patient-centric treatment.

Global Services Program: 24/7 ‘concierge” service’ – for when it matters most

Each year, more than 5,000 international patients travel to NewYork-Presbyterian with assistance from its Global Services Program, which gives them access to the hospital’s world-renowned Columbia University and Weill Cornell Medicine physicians.

NYP has a long history of caring for patients in the Middle East and North Africa, and our regional ‘ambassadors’ collaborate closely with local governments and private institutions in those regions to provide access to our services and making the entire process a smooth one for patients. Our GPS team of multilingual professionals is dedicated to assisting families, 24 hours a day, 7 days a week, to help manage the complex logistics involved in planning for care far from home, including:

• scheduling physician visits and clinical appointments

• escorting patients to appointments

• explaining and interpreting medical information, instructions, and procedures

• facilitating communication between physicians, administrators and patients

• organizing global air ambulance, ground ambulance, or other emergency transport services for critically ill patients

• helping to arrange for hotels or furnished apartments, including NYP’s onsite facilities

• assisting families in understanding the cost of care

Innovative treatments in these specialties and others:

• Cancer Care: NYP is home to two major cancer centres – the National Cancer Institute-designated Herbert Irving Comprehensive Cancer Center at Columbia, and the Weill Cornell Medicine Meyer Cancer Center at NewYork-Presbyterian. Patients benefit from the latest anti-cancer drugs, targeted therapies, advanced radiation therapies, and emerging minimally-invasive surgical procedures.

• Cardiology: NYP is renowned for its latest interventional therapies and pioneering cardiac surgery techniques, including heart transplants. NewYork-Presbyterian is one of the leading centres in the United States for innovative treatment of

adult heart conditions and for paediatric cardiology.

• Neurosciences: NYP continues to make clinical advances for conditions such as glioblastoma and complex epilepsy, as well as offering new applications for highintensity-focused ultrasound for neurologi cal conditions.

• Orthopaedics: NYP treats patients of all ages, from newborns to older adults, for virtually every type of orthopaedic injury, disease, or disorder to relieve symptoms and restore comfort, function, and mobility.

• Paediatrics: For more than a decade, NewYork-Presbyterian has been at the fore front of more paediatric treatments than any other New York City metropolitan area.

NYP Global Patient Services Program

NewYork-Presbyterian’s Global Patient Services Program starts you on your journey to the very best medical care that you or your loved one deserve.

For more information, contact:

• Issam Ramadan

Mob: +971 56 624 2588

Email: isr9012@nyp.org

• NYP Main Office: +1 212 746 9100

Email: globalservices@nyp.org

30 IMIDDLE EAST HEALTH
Our GPS team helps manage the complex logistics involved in planning for care far from home
NewYork-Presbyterian
NewYork-Presbyterian/Weill Cornell Medical Center NewYork-Presbyterian/Columbia University Irving Medical Center

Medicine of the highest standard – world-class medical care

Hospital overview

Heidelberg University Hospital with its more than 50 specialized clinical departments is one of the leading medical centres in Europe. Innovative and effective diagnosis and therapy for all complex diseases is guaranteed by world-renowned professors and highly experienced doctors.

World renowned physicians, modern buildings with state-of-the-art equipment, as well as the proximity and interlinking of the specialist departments directly benefit our patients. Thousands of patients from all over Germany and over 100 countries worldwide travel to Heidelberg for treatment. Outstanding physicians and researchers, among them Nobel Prize winners have been working in research facilities in Heidelberg.

Focus on cancer treatment

The National Center for Tumor Diseases (NCT) in Heidelberg is a national pioneer in the diagnosis and therapy of cancer. Patients with cancer are treated jointly by qualified experts from different disciplines. As a joint institution of Heidelberg University Hospital and the German Cancer Research Center, it is ensured that new therapeutic approaches are developed and quickly put into practice. Surgical oncology as well as radio-oncology are integral parts in cancer treatment as well. Heidelberg physicians work with state-of-

the-art equipment (including robot-assisted surgery) and are highly experienced. For example, the European Pancreas Center at Heidelberg University Hospital is one of the world’s leading centres for pancreatic cancer.

The Heidelberg Ion Beam Therapy Center (HIT) is the first radiation facility in Europe that works with both protons and carbon ions. Children and patients with certain tumours can be treated effectively here. This form of radiation can for the first time benefit a larger number of patients with previously incurable tumours.

Outstanding areas of expertise

• Oncology (all disciplines): surgical oncology (including robot-assisted surgery [DaVinci system]), chemotherapy, stem cell transplantation, innovative radiation therapy including latest technologies, such as proton-/heavy ion, comprehensive care in the National Center for Tumor Diseases, pain centre

Heidelberg University Hospital

• Heart and vascular medicine

• Neurology and Neurosurgery

• Metabolism and hormonal disorders

• Gynaecology and perinatal medicine

• Orthopaedics

• Paediatrics

Services for international patients and Arab patients includes:

• Multilingual team of the International Office at Heidelberg University Hospital

• Certified interpreters

• Support to foreign patients in obtaining a medical visa to travel to Germany.

• Service is provided by friendly, English-speaking nursing personal

• All doctors speak fluent English, and medical reports are written in English, if desired

• Special requests regarding meals are taken into consideration

• There is a prayer room available in the hospital for our Muslim patients

The International Office Team will gladly support you with your treatment inquiry and further questions and highly experienced specialists will review your case.

• Visit us on: www.heidelberg-university-hospital.com

• email: International.Office@med.uni-heidelberg.de

• Phone: +49 (0)6221 56 6243

32 IMIDDLE EAST HEALTH

Korean pavilion H7.G50

Visit the Korean MedTech Experience pavilion at Arab Health 2023

Meet and collaborate with a range of excellent and pioneering medical device companies

Health Industry Development Institute (KHIDI), a government organization associated with Ministry of Health and Welfare in Korea, will hold the “KOREA MEDTECH EXPERIENCE PAVILION” at Arab Health from January 30 to February 2, 2023.

Visit the KOREA MED-TECH EXPERIENCE PAVILION to view and experience the excellent quality of Korean medical devices. You are invited to collaborate with the Korean medical device compa-

nies who are seeking partners to grow their businesses through one-to-one business meetings during Arab Health 2023.

Nine companies will be showcasing their medical products in the fields of surgery, diagnostics and medical imaging. Five of the companies were selected by the Korean Government because of their pioneering medical technology that will advance healthcare.

KHIDI is actively promoting and supporting the marketing of these innovative

medical device companies in an effort to firmly establish the sector in Korea.

KHIDI looks forward to seeing you at pavilion H7.G50 during Arab Health 2023.

Contact

Secretariat of KOREA MED-TECH

EXPERIENCE PAVILION of the KHIDI

Email: yoon123@khidi.or.kr

Website: www.khidi.or.kr/device

34 IMIDDLE EAST HEALTH
Korean Healthcare

DEEP BIO to showcase expertise in deep learning and cancer pathology

Deep Bio Inc. is an AI healthcare company with in-house expertise in deep learning and cancer pathology.

The company was founded in 2015 with the transformative mission: To advance patient outcomes by driving innovation in technology, while empowering clinicians by providing the tools to make critical decisions.

Deep Bio envisions a world where clinicians are empowered with technology designed to unlock personalized insights and enhance healthcare delivery, so they can focus more on what they do best: Caring for their patients.

As a first step towards this goal, Deep

Bio strives to radically improve efficiency and accuracy of pathologic cancer diagnosis and prognosis by equipping pathologists with deep learning-based IVD SaMDs (In Vitro Diagnostics Software

as a Medical Device), for optimal cancer treatment decisions.

DeepDx Prostate

DeepDx Prostate detects and highlights areas of interest on prostate needle biopsy whole slide images (WSIs). It provides various automated metrics for more accurate and consistent results and facilitates faster pathology workflow. In a clinical validation, its performance was demonstrated to provide specialist-level support to pathologists.

Key Features

• Coloured overlays for each Gleason pattern at the gland-level: Pattern 3, Pattern 4, Pattern 5

• Tumour & Pattern Quantification: The proportion of each Gleason pattern out of the total tumour area and tumourto-tissue ratio quantified automatically

• Auto Length Measurement: Automatic measurements of total tissue and total tumour lengths

• Use cases First Read Concurrent read

• Quality control and R&D

• Real world tested

• Deployed in US CLIA labs, successful analysis of 700K+ core biopsy images between 2019 and 2021.

n To learn more, visit www.deepbio.co.kr. email: sales@deepbio.co.kr

MIDDLE EAST HEALTHI 35
DeepDx Prostate: Clinically-validated & CE marked AI software for prostate cancer

Neurosona specialises in development of focused ultrasound devices for treatment of brain diseases

Neurosona, established in 2017, has a research support agreement with the Brigham and Women’s Hospital (BWH) of Harvard Medical School and is leading the world in research and development of low-intensity focused ultrasound devices for treatment of brain diseases.

Based on the differentiated brain stimulation technology, Neurosona is conducting clinical trials on brain diseases including major depressive disorder, Alzheimer’s disease, neuropathic pain, disorders of consciousness, sleep disorders, and stroke recovery in specific areas of the entire brain, including the deep brain.

Image-guided low-intensity focused ultrasound technology

Neurosona’s low-Intensity focused ultrasound technology accurately transmits low-intensity acoustic energy with low heat generation from the brain cortex to the deep brain for neuromodulation or blood-brain barrier opening in specific brain areas. Since it hardly generates any heat, the technology is relatively safe and it can accurately stimulate specific areas, including the deep brain.

Ultrasound stimulator system

Neurosona has developed the low-Intensity focused ultrasound stimulator system (NS-US series) for application of noninvasive interventions of brain diseases, such as major depressive disorder and Alzheimer’s disease, by precisely stimulating specific areas of the whole brain, including the brain cortex and deep brain with the low-intensity focused ultrasound of less than 250 kHz that has been proven to be safe.

Neurosona’s focused ultrasound stimulation system enables good access to the deep brain for treatment. In addition, since this system offers ultrasound according to parameters optimized for target diseases, it

can provide patient-customized precise stimulation for local areas of the whole brain. Based on these advantages, Neurosona continued to improve the ease of use of this system for patients and doctors.

Neurosona’s low-intensity focused ul-

trasound stimulation system NS-US200 was designated as an innovative medical device in August 2021 in recognition of its innovative technology and clinical improvement potential by the Korean Ministry of Food and Drug Safety.

n For more information, visit: www.neurosona.com Email: sales@neurosona.com

36 IMIDDLE EAST HEALTH
Korean Healthcare

VUNO specialises in medical AI deep learning solutions

VUNO is a global leader in medical AI with a proven track record developing and commercializing medical AI deep learning solutions. VUNO strives to realize the possibilities of AI technology in medicine to improve quality of life for mankind.

Their goal is to develop and commercialize AI solutions that leverage a wide range of medical data including bio-signals, imaging, and digital pathology to detect and prevent disease early on.

Founded in 2014, VUNO was the first company to successfully obtain Korea FDA(MFDS) approval for medical AI software. Since then, VUNO has rapidly expanded its commercial presence and product portfolio to encompass a diverse and comprehensive line up of impactful and clinically relevant solutions.

With a proven R&D and commercial track record, including a history of success winning international technical challenges coupled with global deployments in over 500 hospitals, VUNO is an undisputed leader in the global medical AI arena.

n For more information, visit: youngsoo.park@vuno.co

MIDDLE EAST HEALTHI 37

Surginus develops new type of suture method

Since its establishment in 2020, Surginus Co., Ltd. has been developing and manufacturing products with the value of improving quality and patient-centred technology.

For the first time in Korea, they have developed a product (Foldable Skin Closure) that uses a new type of suture method without using needles, threads and staples.

In addition, in order to make products that can give satisfaction to patients and medical staff, they are manufactured in a clean room (ISO 8, Class 10,000), and ‘ISO 13485:2016, FDA (Listing)’ has been acquired.

Surginus will continue to strive to increase its value in the future.

n For more information, visit: dhkim@surginus.com

38 IMIDDLE EAST HEALTH

to detect of obstructive sleep apnoea

LAON MEDI Inc. provides medical solutions based on AI (Artificial Intelligence) technology with a mission to create a happy world with technology.

Launched in 2018 by its parent company LAON PEOPLE Inc. (KOSDAQ-listed), it is a young company that was spun-off last year and established as a separate corporation.

Based on their achievements in Machine Vision, they have developed their own AI algorithms, and based on this, they have expanded their scope to transportation, agriculture, military, and medical and dental fields. AI is now a reality, not a field

of study, and application in the medical industry is essential.

For more accurate diagnosis, LAON MEDI is researching and developing medical software that is convenient and useful in real life.

Obstructive sleep apnoea

LAON MEDI’s software is an AI technology that analyzes airflow in the airway based on the patient’s CT/CBCT imaging and determines whether there is obstructive sleep apnoea. This technology consists of a medical image derivation model that extracts upper airway features from CT im-

ages, a flow factor derivation model that predicts flow characteristics according to airway features, and a sleep apnoea severity diagnosis model that determines the severity of obstructive sleep apnoea from the patient’s ergonomic information.

Using this technology, it is possible to identify the morphological factors of the patient’s airway and quantitatively present the flow factors, air pressure in the airway and the degree of airway closure (strain rate). In addition, the derived factors help doctors make a final diagnosis by analyzing the possibility of obstructive sleep apnoea.

n For more information, visit: www.laon-medi.com Email: jhcho@laon-medi.com

MIDDLE EAST HEALTHI 39

FCU Ultrasound focuses on handheld ultrasound devices and probes

Founded in 2014, FCU Ultrasound specializes in developing and manufacturing handheld ultrasound devices and probes.

As a professional medical device manufacturer, FCU Ultrasound have ISO13485, KGMP, MFDS, CE, and FDA certification products.

They have maintained a high growth rate every year. And, in 2021, they recorded more than 70% growth year-on-year, and nearly 90% of their sales were exports.

FCU Ultrasound manufacture OEM transducers (single crystal, composite, bulk PZT, low-cost PZT) for a variety of applications with technology that meets the price and performance based on customers’ needs.

They are gradually expanding from OEM supply to their own branded products. In particular, the handheld ultrasound is equipped with a needle navigation solution for the first time in the world. Based on this, they hope to target the world market in earnest to create new business models with global companies in the digital healthcare field.

PC based needling training tool for ultrasound guided procedures, eZSimulator

Various training

• For training of the probe-needle coordination in real application scenarios

• The most intuitive tool to learn two hands eye coordination

Independent training

• Without the need of an ultrasound systems or special phantoms.

World’s first handheld navigation ultrasound, SC1

KEY POINTS

1. Best-in-class image quality

2. Needle guidance system

3. Easy to learn, easy to use

Needle Guidance System

By using magnetic sensors, SC1 recognizes and tracks a magnetized needle. In-plane approach. Align confidently

• It is easy to perform the procedure while checking the alignment of the probe icon and needle on the screen.

• Through the guideline, you can check where the needle is currently located in the body.

Out-of-Plane approach. Just set the target, and inject

• While it is usually difficult to know the distance and depth from the needle to the target, SC1 allows you to know these prior to insert and to adjust the angle of the needle accordingly.

Procedure oriented ultrasound for safe procedures, for everyone.

n For more information, email: marketing@fcultrasound.com

Procedure oriented ultrasound for safe procedures, for everyone.

40 IMIDDLE EAST HEALTH
Healthcare
Korean

Sunmedix’s portable & detachable pneumatic device helps prevent post-operative DVT

Established in 2004, Sunmedix Co., Ltd., specialises in manufacturing various kinds of medical devices, especially products related to surgical procedures.

Their mission is: “For the wholesome daily lives of our neighbours.”

Through constant brainstorming, Sunmedix realizes and customizes products based on their buyer’s needs. They export their products to more than 30 countries with ISO13485 and CE certifications.

Dcos DVT Prevention Pump System

Dcos is a portable and detachable pneumatic device with 3-chambers intended to prevent post-operative DVT (Deep Vein Thrombosis). It delivers a sequential pneumatic pulse through an air cuff and stimulates blood circulation, and reduces pain and swelling.

Dcos is a lightweight device weighing approximately 326 grams, which greatly enhances it convenience for the user.

The great advantage of Dcos is that it is not limited to use in the operation room or recovery room. It is free of obstructions compared to the bed-mounted type.

Sunmedix is supplying the world’s first E.O. sterile cuffs, which have has a great ripple effect in the market.

Gcos Bipolar Vessel Sealer

Gcos is a sterile single-use electrosurgical device used in coagulation (haemostasis) and incision of the blood vessels and tissues, to be connected to a medical electrosurgical generator unit. It reduces blood loss, procedure time and patient length of stay compared to sutures and clips.

Features:

• Ergonomic handle

• Freely rotatable shaft

• Safety system for blade operation & auto-lock function

• Soft cutting & less tissue damage

• Compatible with different electrosurgical generators

• Minimally invasive procedure: minimizing tissue damage and thermal injury

• Unique ergonomic design: eliminates deviation of the wrist, reduces carpal tunnel pressure and eradicates fatigue

• Efficient & precise surgery

Meerecompany develops surgical robots with advanced technology

meerecompany is a global company that focuses on innovation and aims to maximize the happiness of its customers, employees and shareholders. Since 1984, meerecompany has been responding to the rapidly changing technological environment and conducting research to usher in the innovations of the future.

Revo-i surgical robot

The Revo-i system is a safe and affordable surgical robot which utilizes the latest technologies with the aim of providing better care to more patients anywhere around the world.

Features of the Revo-i system include: informative imaging, intuitive control, advanced devices and virtual training.

Since 2007, meerecompany has con-

tinuously strived to reflect the voices and opinions of medical professionals, while also taking into consideration the difficulties of managing a hospital with dynamic surgical environments.

meerecompany’s focus is to reduce this burden by making an affordable surgical robotic device and delivering a reliable product with high-level service from their professional care team.

meerecompany strives to offer an excellent programme that synergizes with hospitals, surgeons, patients and corporations.

Introducing Revo-i Master Console

The Master Console is the Revo-i surgical robotic system’s control centre. A surgeon

can issue commands to the master console located outside of the sterilized area by controlling the instrument with 3DHD vision during the surgery.

Operation Cart

The Operation Cart assists surgeons in performing surgeries with the use of Revo-i free-wrist instruments and a 3D endoscope camera while minimizing tremors and micro-movements.

Vision Cart

The Vision Cart enables surgeons to clearly visualize the overall process of the surgery. The Revo-i image processing system delivers surgical images for surgeons and OR staff to help them communicate better.

n For more information, email: info@revosurgical.com

42 IMIDDLE EAST HEALTH
Korean Healthcare

ArtiSential: The innovative nextgeneration surgical instrument

ArtiSential is a disposable laparoscopic medical instrument usable in all minimally invasive surgeries including gastrointestinal, thoracic, hepato-pancreatic, colorectal surgeries and others.

ArtiSential is characterized by its total 360 degrees of freedom and intuitiveness, which distinguishes it from existing straight-line instruments and their limited movement. ArtiSential’s multi-jointed end-effector provides surgeons with precise control which is essential for accessing narrow surgical sites and performing with dexterity in laparoscopy. In addition, ArtiSential’s end-tool moves in synchronization with the user’s hand motions. Its intuitive control provides much higher ease of use.

ArtiSential’s end-tool functions similarly to that of a surgical robot, since the instrument moves in all directions smoothly with the help of its multi-jointed technology.

ArtiSential is a hand-held device which can be used in existing surgical environments without any additional devices.

This is advantageous in aspects of costeffectiveness and efficiency.

The company has a variety of end-tool types (e.g. forceps/grasper, needle holder, dissector, hook, spatula, clip applier, etc.), selectable by surgical need or users’ comfort.

ArtiSential’s products come in various lengths (25cm, 38cm, 45cm) and sizes (5mm, 8mm). Some types have bipolar/ monopolar energy options.

n For more information, visit: www.livsmed.com Email: info@livsmed.com

MIDDLE EAST HEALTHI 43

Researchers integrate dark field X-ray with conventional CT technology

For the first time, a team of researchers at the Technical University of Munich (TUM) has integrated the dark-field Xray method into a CT scanner suitable for clinical use. Dark-field imaging provides additional information to conventional Xray imaging. With the new prototype, it is now possible to produce three-dimensional dark-field X-ray images.

Computed tomography (CT) is one of the most important clinical methods for precise and fast diagnostics. By combining

multiple X-ray images three-dimensional images of the patient are generated.

With dark-field imaging, additional information on fine tissue structures, in particular in the lung, is now accessible. Until now, technical challenges have prevented the integration of this new technology into clinical CT scanners to examine patients.

A team of researchers working with Franz Pfeiffer, Professor for Biomedical Physics and Director of the Munich Institute of Biomedical Engineering at TUM,

has now developed a CT scanner that combines both X-ray technologies [1]

“For the first time, we showed that dark-field X-ray technology can also be integrated into a clinical CT scanner. Although this technology is in its early stages, pre-clinical studies with mice have demonstrated clear benefits from darkfield CT scans, especially for capturing images of lung tissue,” says Franz Pfeiffer, who headed the study.

The new CT prototype has already been

44 IMIDDLE EAST HEALTH
Prof. Dr. Franz Pfeiffer with the dark-field CT scanner.

used successfully with a thorax phantom, a model of a human upper body, and is large enough for the intended applications with real patients.

Conventional X-ray imaging

With conventional X-ray equipment, the X-rays are attenuated by the intervening tissue as they travel from the source to the detector. This effect is used to produce images based on the varying degrees of attenuation associated with different tissue types and structures. That is why bones and similar structures, which have a stronger attenuating effect, appear white in Xrays, while more transparent tissue types such as the lung produce darker images.

Dark-field X-ray imaging

Dark-field imaging, by contrast, makes use of the small-angle scattering of the X-rays. When the X-rays interact with materials of different densities such as the interface between lung tissue and air, they are scattered. The analysis of this scattering effect yields additional information

on very fine tissue structures, which is otherwise not accessible with conventional X-ray images

.

Grating technology for dark-field imaging

To detect the scattering of the X-ray radiation, a set of three optical gratings is required. They are placed between the Xray source and detector. When X-rays pass through these gratings, a characteristic pattern is produced at the detector. When a sample or person is then positioned in the beam path, this characteristic pattern is changed. These deviations are then used to analyze the structure of the sample or the person’s tissue.

New hardware and software for dark-field CT

The implementation of the dark-field method in a human-size CT scanner poses various technical challenges. Until now, this has limited dark-field CT devices to a scale much smaller than would be needed for human patients. Apart from the size, the

fast rotation of the scan unit also creates special difficulties for the technical design.

The scanning unit of CT scanners, known as the gantry, rotates at very high speeds. This causes vibrations that affect the finely-tuned components in the interior of the device. Based on a detailed analysis of these vibrations, the team was able to use them to implement the required shift between the gratings needed for dark-field imaging. To analyze the scans, they developed new algorithms to filter out the vibration effects based on reference scans.

“With the dark-field CT prototype, we can capture conventional and dark-field X-ray images in a single scan. This yields additional information that could be used in the future not only to diagnose lung diseases, but also to differentiate between various types of kidney stones and tissue deposits,” says Manuel Viermetz, one of the two first authors of the study. As the next step, the researchers plan to further optimize the dark-field CT prototype and prepare for the first scans of human patients.

Radiology
Reference: 1. doi: https://doi.org/10.1073/pnas.2118799119
Prof. Dr. Franz Pfeiffer (back, left), Professor for Biomedical Physics, and his team have developed a prototype of a clinical CT scanner which combines dark-field and conventional X-ray technology (back right: Dr. Thomas Koehler, front left: Clemens Schmid, front right: Manuel Viermetz).
MIDDLE EAST HEALTHI 45

PET technology more effective than angiogram at determining need for coronary stents, bypass surgery

A new method for determining whether patients with heart disease need coronary stents or bypass surgery is more effective than the angiogram, which is currently used, according to research from UTHealth Houston Heart & Vascular.

A team led by K. Lance Gould, MD, professor and the Martin Bucksbaum Distinguished University Chair in Heart Disease with McGovern Medical School at UTHealth Houston, used positron emission tomography (PET) imaging technology to map coronary blood flow and its outcomes – namely, subendocardial ischemia – among patients with heart disease. The study was published in JACC: Cardiovascular Imaging [1] .

Most forms of heart disease cause myocardial damage. Myocardial ischemia occurs when blood flow to the heart is reduced, preventing the heart muscle from receiving enough oxygen. When myocardial ischemia affects the deep, or subendocardial, layer of the left ventricular muscle, it is known as subendocardial ischemia.

Subendocardial ischemia is commonly diagnosed in patients with cardiovascular disease, but it is not quantified by current imaging tools. Gould’s team developed the PET technology, software, and clinical validation for defining the size and severity of this early stage of coronary artery disease.

“The cumulative data reveals that all randomized trials of coronary stents and bypass surgery have failed to improve survival after revascularization due to profoundly flawed patient selection based on the angiogram,” said Gould, who was first author on the study. “Thus, the coronary angiogram is not the gold standard for determining stents or bypass surgery, but

rather, quantitative myocardial perfusion by PET is the gold standard.”

Significantly, the paper confirmed the team’s previous research by proving the PET threshold of severity at which stents and bypass surgery improve survival compared to medical treatment alone. The angiogram – an X-ray test that helps doctors evaluate blockages in the arterial system –shows how to do stents or bypass surgery, Gould said, but not whether those procedures should be done at all.

Gould, who began working at UTHealth Houston in 1979 as a professor and director of the division of cardiology, stepped

aside from administrative duties in 1987 to focus clinically and scientifically on PET imaging and quantitative coronary arteriography for identifying segmental and diffuse coronary artery disease, measuring its severity and reversing it by vigorous risk factor modification.

“Several equally paradigm-changing papers are underway for the coming year,” Gould said. “For example, our preliminary data show that virtual revascularization on cardiac PET images predicts survival outcomes before actually doing stents or bypass surgery, as a guide to making decisions for or against those procedures.”

Reference: 1. doi: https://doi.org/10.1016/j.jcmg.2022.05.016

46 IMIDDLE EAST HEALTH
Radiology

Radiology

More frequent CT scans not associated with improved outcomes after lung cancer surgery

Regular postsurgical screening is critical for patients with lung cancer. In cases involving early-stage non-small cell lung cancer, up to half of patients will experience recurrence within the first two years after surgery.

For these reasons, guidelines by the U.S. National Comprehensive Cancer Network and other cancer groups recommend computed tomography (CT) scans every three to six months for patients who have had malignant lung tumours surgically removed. However, a new study by researchers at Washington University School of Medicine in St. Louis found no improvements in survival or recurrence rates among patients who followed the protocol, compared with those who were scanned every six months to one year.

“Our findings suggest that lung cancer treatment guidelines should consider less frequent surveillance imaging than current recommendations,” said the study’s senior author, Varun Puri, MD, a thoracic surgeon and professor of surgery. “Annual surveillance would simplify guidelines and may result in better, easier postoperative care for early-stage patients.”

The study is published 28 November 2022 in the Journal of the National Cancer Institute.

Non-small cell lung cancer accounts for 84% of all lung cancer cases, according to the American Cancer Society, and the overall five-year survival rate is 25%.

The researchers focused on the first two years after surgery since that is when the risk of lung cancer recurrence is highest.

After two to three years, cancer organizations typically recommend annual scans until the end of life.

“Scanning too frequently can be associated with unnecessary anxiety for patients and increased healthcare costs,” said Dr Puri, also a research member of Siteman Cancer Center at Washington University School of Medicine and Barnes-Jewish Hospital. “Patients who receive scans to check for recurrent cancer are understandably anxious, especially since it can take several days for results to be received. This phenomenon is sometimes called ‘scanxiety.’ It is obviously important to minimize scanxiety when it can be done safely.”

For the study, the researchers analyzed de-identified medical records in a database maintained by the U.S. Veterans Health Administration, the United States’ largest integrated healthcare delivery system. The researchers examined information involving 6,171 patients with stage 1 non-small cell lung cancer who underwent surgery from Oct. 1, 2006, through Sept. 31, 2016. One patient group received scans every three to six months, and the other group every six to 12 months.

In all cases, more scans did not offer improved health, including among different tumour sizes, tumour stages and types of surgical procedures. Recurrence was observed in 22% of patients and did not differ based on the frequency of scanning. Similarly, overall survival remained the same between the two groups, with about 65%

of patients surviving at least five years.

The average age of the patients was 67.5. The patients were predominantly male and white; however, statistical modelling controlled for different ages, genders and races.

“We found that certain patients had received more frequent CT scans, including patients who smoked and patients who had certain types of operations,” said the study’s first author, Brendan Heiden, MD, a surgical resident and research fellow at Washington University.

Heiden continued: “The VA treats a unique patient population that consists mostly of males with significant smoking histories. Therefore, we believe that our findings are most applicable to veterans with lung cancer. However, prior studies examining non-VA patient populations have found similar results to ours, suggesting that the results may apply more broadly to the general population. More research is needed.”

Reference: doi: http://doi.org/10.1093/jnci/djac208

48 IMIDDLE EAST HEALTH
Our findings suggest that lung cancer treatment guidelines should consider less frequent surveillance imaging than current recommendations.

30 years of UpToDate

The evolution of clinical decision support and the future of evidence-based medicine

Clinical decision support (CDS) is an essential tool [1] for empowering clinicians with immediate, evidence-based knowledge, no matter how quickly the evidence changes. Ubiquitous as CDS systems are today, it wasn’t all that long ago that providers had to go out of their way to track down answers to vital patient care questions.

A lot has changed in the world of patient care over the past 30 years. It’s hard to imagine that 30 years ago when clinicians had a question, they had no choice but to stop what they were doing and run out to the library to research the latest best practices. There was no guarantee the information was relevant to their specific needs, and even if it was, the content was likely at least a year old due to publishing timelines.

Building a better point-of-care solution for clinicians

That was the inspiration behind the very first clinical decision support tools like UpToDate® [2]. Over the years, having electronic access to clinical research has been a game changer for healthcare professionals, helping them keep up with the

crushing number of new studies, best practices, and therapies. Thirty years later, UpToDate is the most widely used and universally respected resource for efficiently accessing clinical evidence at the point of care. The advantages of having UpToDate right by their side whenever and wherever clinicians and healthcare professionals have questions has helped it grow to:

• 44,000+ institutional sites

• 190+ countries

• 2 million+ users

• 650 million+ topic views per year

About 1.6 million times every day, a clinician turns to UpToDate for support with their decision-making – and about a third of the time [3], it changes their practice. It could be in a hospital ward; a doctor’s office; a lecture hall; an emergency room; a laboratory; or wherever else the point of care happens to be.

Today, clinicians around the world rely on UpToDate to support their confidence in clinical decision-making:

• “Having UpToDate in my pocket always gives me strength and confidence.”

– Dr. Turgut Kacan, Associate Professor, Oncologist, Bursa Yuksek Ihtisas MOH, Turkey

• “It’s like an attending physician. When I have some clinical question, I always consult UpToDate.”

– Dr. Hiroshi Sudo, MD, FACP, Department of Medicine, Ofuna Chuo Hospital, Kamakura, Kanagawa, Japan

• “The clinical teams trust UpToDate. It gives them the confidence to make care decisions because they trust the information, because it’s evidence-based.”

– Dr. Jonathan James, Chief Strategy Officer, Axis Medical Center, Minneapolis, Minnesota, United States

• “UpToDate has the value of a stethoscope and fever thermometer for us physicians. The tool has replaced quite a lot of textbooks and journals.”

– Dr. Michael Zeller, Senior Physician, Pediatrics, Klinikum Dritter Orden, Munich, Germany

Clinical decision support during COVID-19 But what happens when there is no clear, actionable, evidence-based knowledge to share?

In the months leading up to the pandem-

50 IMIDDLE EAST HEALTH

ic, CDS tools contained just a few topics on the coronavirus. And in the early months, there was little published literature to help clinicians understand the signs, symptoms, and consequences of being infected. Based on input and guidance from global experts in the field of infectious disease, the content in UpToDate has expanded [4] to 90 topics on the disease – and was refreshed more than 2,000 times to synthesize new learnings as quickly as it was being published.

Focused on a future of evidence-based medicine

While the delivery method and technology has evolved, the core principle of thoughtfully answering questions with actionable information at the point of care has never wavered.

At the heart of UpToDate is an unparalleled community of over 7,400 authors and editors from around the world who share a singular passion – writing and editing

References

trusted evidence-based content and guidance to produce harmonized content.

One of the challenges the healthcare industry continues to grapple with is the potential patient harms and organizational inefficiencies caused by variability in care [5]. According to a New England Journal of Medicine study [6], only about 55% of recommended care is actually given to patients. Data [7] published in 2018 found that only 8% of U.S. adults over the age of 35 received all of appropriate, high-priority, preventive clinical services they required, while 5% received no such services at all.

With each year, UpToDate seeks to further reduce harmful variations in care by connecting healthcare professionals to the most recent standards of practice, latest literature and recommendations on treatment options and diagnostic tests, and clinical pathways.

As we look to the next 30 years, we know

the speed at which new medical advances become available will only continue to accelerate. Distilling all that down into a discrete recommendation for a specific patient – while making the entire experience easy and transparent for clinicians –will be one of the most important things we can do to help ensure every decision at the point of care results in the best possible outcome for that patient.

Watch video: 30 years of UpToDate

Watch this video to hear from Wolters Kluwer leadership as they look back on 30 years of how UpToDate has become the standard for evidence-based clinical decisions.

>> https://bit.ly/3vojMdL

1. https://www.wolterskluwer.com/en/expert-insights/in-an-increasingly-complex-healthcare-system-information-is-the-best-medicine

2. https://www.wolterskluwer.com/en/solutions/uptodate

3. https://assets.contenthub.wolterskluwer.com/api/public/content/fcaf3046dec8457fa898900b4380bfd4?v=72635d88

4. https://www.wolterskluwer.com/en/solutions/uptodate/resources/covid-19

5. https://www.wolterskluwer.com/en/know/healthcare-challenges/reducing-clinical-variation

6. https://www.nejm.org/doi/full/10.1056/nejmsa022615

7. https://www.healthaffairs.org/doi/10.1377/hlthaff.2017.1248

MIDDLE EAST HEALTHI 51 Wolters Kluwer

Mental Health

Demand for mental health services grow across the Middle East

Priory Healthcare continues its expansion across the Middle East as attitudes to mental healthcare witness an encouraging transformation, according to Will Goodwin, the Chief Operating Officer at Priory.

Since Priory opened its inaugural Wellbeing Centre in Dubai in 2017, the worldrenowned mental healthcare provider has gone from strength to strength across the region. This has coincided with a period in which the mental health landscape in many Gulf countries has witnessed a transformation, according to the company’s Chief Operating Officer, Will Goodwin.

During the last five years, Priory has opened two more Wellbeing Centres – one in Abu Dhabi and, more recently, one in Riyadh, Saudi Arabia. This is in addition to operating a school and training institute for young people with autism. Such is the increase in demand for mental health services that in the New Year, Priory will be relocating its current Wellbeing Centre in Dubai from Healthcare City to larger premises in City Walk. This new location will enable an expansion of provision to include adult and children’s services, alongside psycho-educational assessments for conditions such as autism, with associated treatments including speech and occupational therapy.

Goodwin is in no doubt that some of this demand is an after-effect of the pandemic, which has led to an increase in anxiety levels, particularly among women and younger people. Priory, for example, experienced an increase in volume of patients as a direct consequence of this and it led to the launch of its telehealth services, which supported patients remotely during this time. This has now become a useful, mainstay addition to support its services for patients who may want to use a digital medium and much of the private mental health sector was quick to incorporate telemedicine into practice. This was not only to meet the increase in demand, but also to facilitate the availabil-

ity and accessibility to the services.

However, Goodwin feels strongly that the pandemic also exacerbated existing mental health challenges, such as the growing influence and dependence on electronic devices and social media. Nevertheless, such issues have also encouraged more people to become more aware of their mental

health needs generally. In a recent study, more than 40% of those surveyed said they are paying more attention to their mental health following the pandemic.

Breaking the silence of mental stigma

“Mental wellbeing was already one of the key components in the UAE Govern-

52 IMIDDLE EAST HEALTH
Will Goodwin, Priory COO, Trevor Torrington, Priory CEO, and Patrick Moody, His Majesty’s Ambassador to the UAE

ment’s national agenda of the UAE Vision 2021 and the UAE National Happiness Agenda,” says Goodwin.

“It was also already fostering and encouraging local and international enterprises to establish innovative services in the mental health sector. But during the pandemic the Government really came into its own and further raised the profile of mental health.

“Many forward-thinking and targeted mental health support initiatives were introduced, such as a national campaign for mental health support launched by the National Programme for Happiness and Wellbeing, the Employee Assistance programme (Hayat) to assist federal government employees dealing with mental health challenges and ReacHer a WhatsApp mental health support and consultation service for Emirati women, to name a few.

“Such activities really helped seize the opportunity to break through the silence of mental health stigma and encourage people to talk openly about their mental wellbeing and ill health. Importantly, this improved landscape for people to be able to seek help earlier is incredibly beneficial in treating conditions and gaining the best possible, long-term outcomes,” says Goodwin.

He reports that many mental health clinicians are seeing increases in the number and severity of cases in their clinics. This may be an actual increase or that many previously undiagnosed individuals are now coming forward and seeking support. For example, depression and anxiety are more common as a result of the recent pandemic. People became socially isolated, they were ‘cut off’ from recreational and health promoting activities, there were also more financial and social stressors, to name few.

Either way, Goodwin is pleased that Priory will be able to help support the increased volume of patients that are now reaching out for help. He is keen to point out how this increase in demand is now being complemented by the expansion of mental health services in the private sector generally.

Access to support

Additionally, access to its support has been made more readily accessible as a result of the improved inclusion of mental health by a number of health insurance providers.

This is aptly reflected by a new empanelment between the Priory Wellbeing Centre in Abu Dhabi and one of the UAE’s leading insurance providers, Daman. As a result of this improved health insurance coverage for mental health, Goodwin expects more people – both Emiratis and expatriates – to feel encouraged to seek help.”

Goodwin believes the constantly evolving and progressive mental healthcare landscape in the UAE, in addition to its supportive visionary nature have been pivotal in its current success and plans for future expansion.

“Our plans are to expand our services in the UAE and KSA to support our integrated model for education and healthcare. We have been able to transfer the quality of our UK services into the Middle East market successfully and our plans include further developing our healthcare offer to include inpatient services and, in education, the development of further provision across the UAE and KSA geographies. We feel extremely privileged to be a part of the country’s efforts to provide a world class mental health and educational service.”

MIDDLE EAST HEALTHI 53
Photo by Matthew Ball/Unsplash

HUMAN Diagnostics

HUMAN Diagnostics celebrates its 50th anniversary

• From reagent specialist to global player with a broad network of long-standing distribution partners in more than 160 countries

• Covering a comprehensive product portfolio with more than 400 in-vitro diagnostic products in 12 segments

Since its foundation in 1972, HUMAN has been developing and marketing comprehensive solutions for in vitro diagnostics (IVD). The portfolio ranges from classical clinical chemistry to innovative molecular diagnostic methods as well as special applications such as assays for autoimmunity testing.

The German medium-sized company has its headquarters in Wiesbaden (near Frankfurt). In addition, HUMAN maintains regional sales offices in the United Arab Emirates (Sharjah), Singapore, China, India, Panama and has local HUMAN representatives in many other countries. With its approximately 300 employees from over 40 nations, its worldwide service and delivery capacities, and a broad network of long-standing sales partners, HUMAN supports medical laboratories in more than 160 countries.

From a reagent specialist to a global player

“HUMAN has grown from a small reagent manufacturer to a global player in in vitro diagnostics,” says Dr Björn Breth, CEO of HUMAN since 2019. “For 50 years now, we have been helping to improve healthcare in many places around the world. With our comprehensive portfolio, we cover a wide range of regional needs, from semi-automated devices to fully automated solutions. Through our logistics and services, we are a recognized partner to numerous governmental and non-governmental organizations (NGOs) in support of medical care, particularly in crisis areas.”

At the development and production site in Magdeburg, scientists work with modern technologies on further developments and innovations with a focus on

clinical chemistry, haematology, haemostasis, and immunoassays. These products are “Made in Germany” and are in compliance with the highest European quality standards.

Focus product lines

Clinical chemistry

HUMAN offers a broad range of routine and special tests in a variety of package concepts to serve the needs of modern state-of-the-art laboratories. In the same way, all HUMAN analyzers and systems emphasize functionality and modern workflow requirements to meet customer and market demand.

Haematology

HUMAN’s automated haematology products are designed for small to large laboratories and range from 30 to 80 samples throughput per hour. HUMAN offers both 3-part and 5-part differential systems with specially developed and dedicated reagents suitable for human and veterinary applications.

Haemostasis

HUMAN offers laboratories integrated haemostasis test solutions with HEMOSTAT reagents and HumaClot analyzers. Semi-automated, as well as fully automated HumaClot analyzers support an accurate and economical assessment of the coagulation status. The applications of the HEMOSTAT reagents are pre-programmed and fully validated. The HUMAN coagulation portfolio includes a broad range of commonly performed screening parameters, indicating medical disorders related to coagulation and fibrinolysis.

CLIA | FIA Immunoassay systems

Chemiluminescence- and fluorescence-based immunoassay systems are platforms that complement each other perfectly. HumaCLIA 150 is the ideal immunoassay system for testing in central and more remote laboratories. HumaFIA on the other hand fits into small to medium throughput laboratories and is intended to run low throughput parameters also as a backup system for HumaCLIA 150.

Discover the comprehensive product portfolio at https://www.human.de/products/

Interesting facts about the 50-year history of HUMAN, its milestones and product highlights as well as voices and insights of our cooperation partners can be found on our anniversary page at https://www.human.de/abouthuman/50-years-human/

For inquiries contact our regional sales representatives:

HUMAN Diagnostics Middle East FZE Office: Q3 - 198

P. O. Box 122348 Sharjah, U. A. E. Phone: +971 6 5578650

E-mail: middleeast@human.de

54 IMIDDLE EAST HEALTH

MedTech trends for 2023

ances convenience with the patient need for face-to-face meetings.

Hospital-to-home care

Remote monitoring devices and MedTech that can be self-applied and managed at home are likely to increase.

MedTech that allows patients to manage their conditions remotely reduces the need for frequent check-ups. The deployment of clinical grade monitoring equipment has the power to make care more efficient, providing treatment to patients only when they need it.

gether. The pandemic encouraged more frictionless adoption of MedTech, which will hopefully continue.

Driving sustainability

Healthcare will not be immune to the growing global climate crisis, and 2023 will see an emphasis on sustainable solutions that drive a more circular healthcare system.

Covid-19 forced the faster adoption of innovation by healthcare systems, which needed quick solutions to address increased hospital admissions and limited staff and resources. Innovations which would have otherwise taken a decade to adopt were rolled out in months.

New medical technology (MedTech) will play a vital role in years to come, helping healthcare systems tackle issues caused by Covid, such as the backlog of patients awaiting surgery. There are some clear trends likely to emerge in healthcare during 2023 and these pose important considerations for the MedTech industry.

Balancing telemedicine solutions

The pandemic triggered an increase in telemedicine solutions, with consultations largely moved to virtual platforms. This helped healthcare professionals remain safe but impacted healthcare delivery as many conditions simply cannot be identified via video or phone calls. Healthcare systems have realised that some patients struggle to get appointments or become frustrated with remote diagnostics.

2023 could mark the year that this trend begins to reverse. Telemedicine and remote diagnostics will continue, but the future will focus on a hybrid model that bal-

Remote treatment will also increase, enabling hospital-to-home care to support overwhelmed front-line staff. Patients can address issues in the home that previously would have required a hospital visit. For patients experiencing delays in surgery, this can keep patients comfortable while they await treatment.

New treatments

Healthcare services have traditionally been slow to adopt new treatments. Medical innovation needs to demonstrate it delivers better clinical outcomes to achieve adoption, but this requires time and funding.

With the development of the MedTech industry, treatments can demonstrate real patient benefits far quicker. MedTech solutions can speed up healing by double or more and, in some cases, identify and prevent conditions from developing alto-

The author

MedTech companies are increasingly challenged to demonstrate compliance with high levels of sustainability as part of them becoming a preferred supplier. Clinicians will look to MedTech innovation which provide solutions that are good for the planet – not just those that do less harm.

Less supply chain vulnerability

The recent supply chain issues in China, combined with the impact of the RussiaUkraine crisis, has demonstrated that an uncertain world has global implications –and the healthcare industry is no exception. Healthcare systems need to deliver continuity of care in an unpredictable world, particularly ensuring drugs and MedTech solutions that help people heal are always available.

Another key trend we can expect to see in 2023 is that MedTech companies will be required to prove that they can ensure continuity of supply in all circumstances.

Bernard Ross is CEO and founder of Sky Medical Technology (Sky).

Sky’s multi-award-winning device – the geko™ device – is a wristwatch-sized wearable applied to the knee delivering painless electrical impulses to stimulate blood flow, without the patient having to move.

It has been globally adopted into healthcare systems to treat a range of medical conditions such as the prevention of blood clots.

Ross is a serial entrepreneur with more than 20 years’ senior experience at private and public board level across multiple industries.

56 IMIDDLE EAST HEALTH
MedTech

The Metaverse set to feature prominently at Arab Health

Arab Health has underscored its commitment to showcasing the latest advances in healthcare technology and innovation with the launch of the Intelligent Health Pavilion and the return of the Future Health Summit, which will explore healthcare in the Metaverse.

Taking place at the Dubai World Trade Centre from 30 January to 2 February 2023, Arab Health will host the Intelligent Health Pavilion in partnership with the Intelligent Health Association and provide visitors with the opportunity to experience the most innovative and sustainable healthcare technologies.

Located in Arab Health’s Healthcare Transformation sector, the Intelligent Health Pavilion will feature three demonstration rooms showcasing several new technologies through live demonstrations, including a groundbreaking digital Intensive Care Unit, an intelligent Operating Room, and a revolutionary Emergency Room.

The new feature will also have a seminar theatre and provide a platform for exhibitors to reveal the latest cutting-edge healthcare technology.

Ross Williams, Exhibition Director for Informa Markets, said: “The healthcare industry has witnessed incredible changes in recent years, with technology and innovation

the driving force behind how the industry is elevating patient care. These latest advancements are expected to increase further by utilising the Metaverse and looking at how we interact with technology to utilise artificial intelligence (AI), augmented reality (AR) and virtual reality (VR) to improve patient outcomes.”

Future Health Summit

Doubling down on innovation and technology, Arab Health will also host the second edition of the Future Health Summit at the Museum of the Future. The exclusive, fully immersive event will look into the future of health and healthcare possibilities in the Metaverse. World-renowned industry leaders, visionaries, metaverse experts, authors, and futurists on the topic will offer their insights.

According to a report titled Healthcare in the Metaverse from Market Research Future, the healthcare metaverse market is predicted to grow at a CAGR of 48.3% until 2030, with the industry’s value expected to top US$5.37 billion.

“The Future Health Summit is dedicated to trailblazers. From AI and robotics to the role of the Metaverse, the healthcare industry is continuously evolving. A result of cutting-edge technology combined with innovative leaders committed to improv-

ing patient outcomes,” said Williams.

“The Metaverse is expected to disrupt healthcare and open new channels of treatment while lowering costs. The predicted growth within this market is huge, and we’ve only explored the tip of the iceberg. The Future Health Summit will provide an invaluable look at how everyone in the healthcare industry can maximise what it offers,” he added.

Innov8 Talks

Arab Health 2023 will also see the return of popular start-up competition, Innov8 Talks, which will feature 24 companies showcasing unique and innovative solutions. At the same time, the Transformation Talks and Start-Up Zone will also explore the latest tech advancements from global innovators and disruptors.

The event will be supported by a host of government entities, including the UAE Ministry of Health and Prevention, the Government of Dubai, the Dubai Health Authority, the Department of Health, and the Dubai Healthcare City Authority.

Internal Medicine Conference

The growing prevalence of diabetes in the UAE and the broader Middle East and North Africa (MENA) region will be addressed by world-renowned industry experts at the Internal Medicine Conference, which takes place

58 IMIDDLE EAST HEALTH

United States and Canada pavilions

Middle East Health is a media partner with the US and Canada pavilions at Arab Health 2023. Find out more about who is exhibiting at these pavilions and what products they are showcasing. Download the US and Canada pavilions exhibitor news PDF by scanning the QR code or visiting this link: https://bit.ly/3Ito5wb

MEDLAB sells out early

Due to exceptional demand, coupled with the relaxing of Covid-19 travel restrictions, exhibitor space at Medlab Middle East sold out two months ahead of the show, which returns to the Dubai World Trade Centre from 6-9 February. Medlab Middle East is the MENA region’s largest medical laboratory exhibition and congress.

from 30- 31 January as part of the 2023 Arab Health Congress. The conference will have dedicated sessions designed to bring together stakeholders who are at the forefront of diabetes care and research. Sessions will include the evolution of diabetes management moderated by Dr Hamed Farooqi, Director and Consultant Endocrinologist, Dubai Diabetes Center, Dubai Health Authority. Panellists include Dr Saf Naqvi, Imperial College London Diabetes Centre, Abu Dhabi; Dr Saria Gouher, American Hospital Dubai; and Dr Hammad Hussain, Cleveland Clinic Abu Dhabi. Topics to be addressed include the management of diabetes, endocrinologists’ views on steroid therapy and the severe complication of diabetes and diabetic ketoacidosis.

Exhibitors

The exhibition will feature over 3,000 exhibitor companies from 70 countries and include nine product sectors, showcasing the latest technology and innovations in disposables, orthopaedics, healthcare and general services, imaging, medical devices, IT, wellness and prevention, and infrastructure and assets.

Medlab Middle East organiser, Informa Markets, noted that the number of exhibition halls has increased from four to six, compared to the 2022 event. More than 350 new exhibitors have been confirmed, taking the total number to over 700, with 180 countries represented. International pavilions have also seen a rise from 11 to 14.

In line with the show’s theme: ‘Paving the way for technological advancements and sustainability in laboratory medicine,’ a wide range of exhibitors will be showcasing their latest products in areas including disposables, imaging, IT systems, medical equipment, amongst others.

Tom Coleman, Group Exhibition Director, Informa Markets Healthcare, said: “It has been an incredible year of growth for the medical laboratory industry and Medlab Middle East. This year we will welcome exhibitors from 180 countries, many of whom are making their debut at the event.

“We are also welcoming back several of our Asian counterparts who have

been unable to travel due to restrictions in their home countries as well as stalwarts of the event Abbott, Biomerieux, Beckman Coulter, Randox, illumina, bioMérieux, Randox and Mindray, amongst others.”

Hosted Buyer programme

In addition to a full line-up of exhibitors on the show floor, Medlab Middle East has announced the launch of its Hosted Buyer programme, which will match exhibitors with senior decision-makers from the healthcare industry. The show floor will also include a series of seminars and workshops designed to allow visitors to learn first-hand about the latest medical laboratory innovations from exhibitors.

This year’s conference programme includes eight core lab conference tracks, with a further four new additions addressing Point of Care Testing (POCT), Tech Advances and Clinical Impact, New trends in laboratory medicine, Quality Management in the Lab, and Sustainability in the Lab.

The Village

In another first for the event, Medlab Middle East will also showcase a new Entertainment zone – The Village, which will provide a more relaxed environment for networking, situated outside Za’abeel Hall 6.

Arab Health 2023
MIDDLE EAST HEALTHI 59

Pioneering breakthroughs in healthcare to overcome the world’s most threatening diseases

computed tomography, offering high-resolution images at minimal dose with spectral information in every scan and improved contrast at lower noise. The MAGNETOM Free.Max, with its 80 cm bore, sets a new paradigm in patient comfort, breaking barriers in expanding access to care in MRI.

across our comprehensive portfolio – from in-vitro and in-vivo diagnostics to imageguided therapy and innovative cancer care, presenting our solutions with special focus on the most threatening NCDs (noncommunicable diseases), stroke, coronary artery disease, and cancer. Visitors will be able to discover how advanced diagnostics and therapy workflows can combine to create comprehensive and personalized care and we will show our perspective on how to leverage digitalization and automation at scale to create a smart imaging value chain.

Attendees will be provided with a hybrid event approach on our almost 300 sqm large booth S1.D10 located in Sheikh Saeed Hall 1 for face-to-face exchange and live experiences, as well as through online events and insights in our virtual environment Shape23.

Medical Imaging innovations

Siemens Healthineers will be showcasing a vast range of the latest innovations and state-of-the-art technologies to valued customers and conference attendees. One of the highlights will be the world’s first photon-counting CT, the NAEOTOM Alpha with Quantum Technology, representing nothing less than the total reinvention of

Visitors will receive a first-hand experience of the MOBILETT Impact, providing a high-quality, mobile, and digital X-ray solution to the patient’s bedside at an economical price, enabling a fast and undisrupted workflow. At the same time, the intuitive and supportive user interface allows even inexperienced staff to achieve high-quality results. The Symbia Pro. specta with myExam Companion sets new standards in SPECT/CT, bringing your nuclear medicine department into the future. The system includes intelligent SPECT/ CT imaging and a fully integrated user interface to give you the power of more.

Also, among our highlights will be the ACUSON Sequoia Ultrasound System powered by BioAcoustic technology, which helps to deliver effective clinical insights by reducing the effects of ultrasound variability between users, patients, and technology. The medical imaging solutions are being complemented by a tailored and interdisciplinary IT infrastructure for imaging and reporting solutions. Syngo Carbon, for example, is designed to improve patient care by leveraging data management and Artificial Intelligence, integrated into a user-friendly workspace.

Laboratory diagnostics & point-of-care testing

On the show floor, visitors will also be able to gather detailed insights from our

experts on the booth on Siemens Healthineers’ latest advancements and broad spectrum of immunoassay, chemistry, hematology, molecular, and urinalysis testing solutions, in conjunction with automation, informatics, and services to serve the needs of laboratories of any size – today and tomorrow. In our point-of-care section, attendees will be informed about solutions providing immediate, convenient, and easy-to-use diagnostic testing, including the latest innovations in blood gas testing and cardiac care.

Value Partnerships and Innovation Think Tank

We will discuss Value Partnerships and the benefits that such long-term, performanceoriented, collaborative engagements provide to healthcare institutions, their staff, and patients. Exemplary global and local case studies will be featured on our Exhibit Globe, where visitors will be informed on how Siemens Healthineers is bringing a combination of clinical insights, medical innovation, strategic vision, and implementation expertise to the advancement of healthcare.

In an exclusive VIP lounge, customers and interested attendees will have a closer look at one of our 3D Innovation Think Tank models, showcasing how Siemens Healthineers enables the creation of knowledge economies through self-sustainable local innovation infrastructures promoting expertise development, capacity building, and entrepreneurship at hospitals, universities, and governmental institutions.

ARAB HEALTH stand: S1.D10

Sheikh Saeed Hall 1

60 IMIDDLE EAST HEALTH

Stanford Medicine experts offer second opinions online

The Stanford Medicine Online Second Opinion Program provides access to expertise that can inform patients’ most important care decisions. The programme allows them to connect with world-class doctors without leaving home. Patients create an account, and Stanford Medicine doctors review their medical records, imaging, and test results before sending personalized treatment recommendations.

Stanford Medicine’s clinical networks, Precision Health approach, and unique position as an academic medical centre in the heart of Silicon Valley enable personal patient care by bridging medicine and technology. Wherever patients are in the world, the Stanford Medicine Online Second Opinion Program puts world-class care within reach. Patients with a diag nosis gain access not only to expert second opinions from renowned Stanford Medicine doctors but also to peace of mind when they need to make crucial deci sions about care.

For second opinions on adult cases, Stanford Medicine special ties include ear, nose, and throat; cancer; cardiovascular health; neurology; neurosurgery; orthopaedics; ophthalmology; transplant, and more. For second opinions on paediatric cases, specialties include ear, nose, and throat; cardiothoracic surgery; orthopaedics; heart failure/heart transplantation; epilepsy, and more.

Stanford Medicine’s reputation for excellence

In adult care, Stanford Health Care is among the top 10 hospitals in the U.S., according to the U.S. News & World Report’s 2022-2023 Best Hospitals rankings. Stanford Health Care’s strong showing

reflects its expertise in numerous specialties and complex procedures. It was recognized as No. 1 in the U.S. for ear, nose, and throat, and it earned top-10 rankings for cardiology and heart surgery as well as obstetrics and gynaecology. The hospital also ranked among the nation’s best for the following specialties: cancer, diabetes and endocrinology; gastroenterology and gastrointestinal surgery; geriatrics; neurology and neurosurgery; orthopaedics; pulmonology and lung surgery; and urology.

the world’s leading cancer research organization. Stanford Cancer Institute quickly translates discoveries into improved diagnostics and safer, more effective therapeutics.

Serving international patients and medical professionals

After receiving an online second opinion, patients who desire further follow-up may receive high-touch navigation support from specialists in the International Medical Services (IMS) department. It welcomes patients from around the world by providing individualized, and culturally competent services 24/7 year-round. The seasoned team assists with identifying and scheduling appointments with the right physicians for each patient; interpretation and translation services for patients, family members, and caregivers; handling billing and insurance; and helping plan their visits among other services.

named among the top 10 children’s hospitals in the U.S., according to the U.S. News & World Report 2022–23 Best Children’s Hospitals survey. For the seventh consecutive year, the hospital has achieved rankings in all 10 paediatric specialties. The 2022 survey ranked four of the hospital’s specialties in the top 10, including two in the top five nationwide. These include nephrology, pulmonology and lung surgery, neonatology, and neurology and neurosurgery.

Supporting both paediatric and adult care, Stanford Cancer Institute is designated a Comprehensive Cancer Center by the National Cancer Institute, a part of the National Institutes of Health and

Stanford Medicine is committed to advancing human health globally by leading innovation in research, education, and clinical care. Educational opportunities for international physicians, including clinical observerships and hospital campus visits and tours, can be arranged by the IMS department as well.

• For more information about our online second opinion programme for adults (age 18 and older),

visit: stanfordhealthcare.org/2ndopinion

• For paediatric online second opinions (under age 17),

visit: secondopinion.stanfordchildrens.org

• To learn more about the International Medical Services department, contact: ims@stanfordhealthcare.org

62 IMIDDLE EAST HEALTH
Stanford Medicine

RoboPharma revolutionizes pharmacies’ high-volume central filling and mail order solutions

Pharmacies that are in high-expansion mode today may be considering two likely paths for optimum business growth and customer satisfaction and compliance:

• Modernize and fully automate 100% of the existing central filling process, or

• Expand into mail order/digital pharmacy

In either case, RoboPharma is your bestchoice partner. RoboPharma is the fastest growing pharmacy automation provider in the Middle East and Europe. Our unique designs deliver Speed, Efficiency, and Reliability – whether your pharmacy needs to dispense 1,000 to 100,000+ prescriptions per shift.

Customized automation

Our designs are 100% customized so they are adapted to your available space, workflow, budget and business growth plans. This is an essential part of the RoboPharma process and it ensures your long-term success. With a deep understanding of your challenges, medication formulary, patient population, and local regulations, we set you up for success from your golive date and for years to follow. Even when expansion is needed, RoboPharma technology is modular and grows with your volume – without the need for knocking down walls or building new!

High volume application specialist

Our “hub and spoke” approach is proven to be the most efficient method to handle a heavy flow of data and medication without missing a single step. Whether patient

orders are originated in their local pharmacy or online, the next steps are all orchestrated flawlessly by RoboPharma.

• Central Filling model: RoboPharma designs your end-to-end system where patient orders are received from retail pharmacy branches, are completely processed in your facility, then are shipped back to the patient’s local pharmacy.

• Mail Order/Digital Pharmacy model: RoboPharma designs your end-to-end system where orders are received from your pharmacy’s website or app, are completely processed in your facility, then are shipped back to the patient’s home.

Sounds simple? Yes, we make it that simple for you! Your project managers and your pharmacy staff will find that RoboPharma’s ability to streamline an ultracomplex and interconnected environment is our greatest skill.

• For more information, visit: https://robopharma.com/solutions/central-fill/

Superior technology for bulk processing RoboPharma’s design philosophy of “lessis-more” has been proven to reduce downtime, mechanical failures, and bottlenecks; utilize less energy; lower operational costs; and ultimately quicken your return on investment. In every installation to date, RoboPharma central filling and mail order is proven to be superior in every way to stand-alone classical pharmacy filling and one-dimensional robotic picking. Whether you are improving your existing flow or you are building new, RoboPharma is ready to partner with you to revolutionize your pharmacy’s business.

RoboPharma 64 IMIDDLE EAST HEALTH
Capsa’s Gulf Region Contact: Tamer Bakkar +971 555 570 664 tbakkar@capsahealthcare.com ARAB HEALTH stand: SA.E60

Abdul Latif Jameel Health

Abdul Latif Jameel Health brings health tech innovators from around the world to Arab Health 2023

Improving affordable access to modern medical care is one of the world’s most pressing challenges and must be one of our biggest col lective priorities. Some 8.4% of the global population lives in ex treme poverty living on less than of US$ 2.15 a day according to 2022 World Bank estimates.

Abdul Latif Jameel Health is our response, with a focus on the disparity in access between developed and developing nations, notably in the fast-growing economies of the ‘Global South’. Backed by Abdul Latif Jameel, one of the region’s most respected diversified family businesses and global investors, with over three quarters of a century of commercial heritage and established networks across 30 countries, Abdul Latif Jameel Health is uniquely positioned as a strong and trusted partner to address real-world healthcare needs today, for a better tomorrow.

With a strong partnership ethos, Abdul Latif Jameel Health has confirmed its participation in Arab Health 2023, returning to the Dubai World Trade Centre under the theme ‘Innovation and Sustainability in Healthcare’. Easing of COVID-19 restrictions and a return to normality will see the 48th Congress much larger – and busier – than the last two years, with the UAE reaffirming its position as a global healthcare hub with AED 2.8bn (US$ 763m) deals secured in 2022.

Abdul Latif Jameel Health will showcase a range of innovative, disruptive products from partners from as far afield as the USA and Japan, including Butterfly, Melody, Holoeyes, and Cyberdyne, as it brings these cutting edge technologies to the Middle East and Africa.

The Butterfly iQ+, the world’s first handheld, single probe, wholebody ultrasound solution, brings the power of ultrasound into assessment, diagnosis, and treatment processes.

Melody’s iCTG is a convenient, wearable, smart, and highly portable remote mobile foetal monitoring device to assist in problematic or high-risk pregnancies, enabling safer and more secure births for both mother and infant.

Holoeyes’ extended reality surgical platform fuses technology, artificial intelligence and medicine enabling physicians to share complex information intuitively and with greater understanding and transparency than conventional 2D imaging techniques to plan intricate surgery and raise educational understanding in training new medical professionals.

Cyberdyne will showcase its Hybrid Assistive Limb (HAL) exoskeleton technology pioneering rehabilitative therapy.

Access to affordable health

These partnerships underscore Abdul Latif Jameel Health’s commit-

ment to adding real, tangible, value; not only to all our business partner relationships, but also to the communities across the Global South. In a year that saw the 8 billionth human being born, addressing the issue of access affordable health care makes Abdul Latif Jameel Health’s vision is more relevant than ever. Akram Bouchenaki, CEO, Abdul Latif Jameel Health, said: “To achieve success as a solutions partner, we work together with world class and leading partners pioneering new technologies, techniques, and medicines; focusing on driving inclusivity – we continue in our vision to accelerate access to affordable modern medical care for more people, in more places, and to meet the unmet need across the Global South.”

• For more information, visit: aljhealth.com.

Connect with the Abdul Latif Jameel Health team and their partners at Arab Health, January 30 to February 2, 2023, at the Dubai World Trade Centre.
*Disclaimer: Within the Middle East and depending on the specific country, Butterfly iQ+TM is a Class IIa/ Class B/ClassII/Class II/IIa portable ultrasound system designed for diagnostic imaging by trained healthcare professionals. Carefully read and understand all cautions, warnings and operational instructions prior to use.
ARAB HEALTH stand: S1.J10
MIDDLE EAST HEALTHI 65
The Cyberdyne Hybrid Assistive Limb or HAL

Enabling precision medicine with advanced technology

People all over the world passionately pursue their dreams only if their health is assured. In this era of personalised and precision medicine, Neusoft Medical Systems provides intelligent technology that can be applied to medical devices to enable medical professionals to make medical examinations easier and more efficient. This technology helps to satisfy customers’ diversified needs and bring care to more patients.

Here we will introduce two AI technologies that can be applied to our CT scanners. Both are currently works in progress.

ClearInfinity reduces noise and artifacts for better image clarity

ClearInfinity is a Deep Learning Reconstruction (DLR) technique that uses a network of multi-layer neurons preformed and trained to become more accurate and more efficient. It removes artifacts and provide natural images with sharper edges and reduced noise. This provides gains in resolution and improvement in clinical performance foreshowing its utility for routine clinical practice.

Using ClearInfinity for low dose coronary CT angiography

The number of streaks is very important in MPR planes for cardiac images, in particular in the axial plane. For FBP images, con-

tours of hollow and solid organs all have streaks of contours and too much noise, therefore, spatial resolution in the axial MPR plane is seriously reduced. However, the ClearInfinity technology significantly decreases streak artifacts and reduces noise to deliver a natural and sharper low-dose coronary CTA.

Virtual Reality and vessel analysis are promising tools for diagnosis in cardiology and, combined with ClearInfinity, this promises to provide significant improvements in accuracy and efficiency, thereby decreasing variability in image interpretation.

A-Eye – a smart system for patient positioning

Neusoft Medical Systems has developed the A-Eye smart patient positioning system in order to improve the current scanning operation process and reduce the workload of doctors. Intelligent and accurate positioning can be realized by oneclick operation with new smart cameras. Its main features are:

1. Automatic positioning

Doctors can select the scanning protocol with one click in the operating room with no need to position the patient in the scanning room. The A-Eye intelligent positioning system, with innovative AI

technology, can accurately identify the feature points of the body, automatically move the scanning table to the initial position of scanning and press the exposure button to realize image positioning and scanning, thus helping achieve the realization of automatic positioning and oneclick efficient workflow.

2. Standardized workflow

Compared to traditional positioning, Neusoft’s automatic positioning is faster and more efficient, which, to a large extent, reduces errors by manual operation. Meanwhile, the camera, with automatic calibration function, can calibrate the camera parameters without manual adjustment, which ensures the accuracy of each scan.

3. Non-contact workflow

The intelligent positioning system avoids direct doctor-patient contact which is particularly useful during epidemics. In other words, doctors can do remote patient positioning, real-time monitoring and scanning of the patient.

66 IMIDDLE EAST HEALTH
Neusoft Medical Systems
Visit: www.neusoftmedical.com/en ARAB HEALTH stand: S1.D30

Cedars-Sinai

Cedars-Sinai proud to be No. 2 hospital in the USA

Cedars-Sinai is truly honored to be named the No. 2 hospital in the USA on U.S. News & World Report’s Best Hospitals Honor Roll. We’re also proud to be ranked among the best in the USA in the following 11 specialties: Gastroenterology and GI Surgery; Cardiology & Heart Surgery; Ear, Nose & Throat; Orthopedics; Pulmonology and Lung Surgery; Urology; Neurology and Neurosurgery; Geriatrics; Cancer; Diabetes & Endocrinology; and Obstetrics and Gynecology.

In addition, we’ve been named the No. 1 hospital in California and No.1 in five specialties in California–Cardiology and Heart Surgery, Gastroenterology and GI Surgery, Orthopedics, Pulmonology and Lung Surgery, and Urology. Our Neurology & Neurosurgery specialty has also been ranked No. 1 in the Los Angeles region.

The U.S News rankings are based on patient outcomes, patient experience, technology, reputation (according to surveyed physicians) and a variety of other health-related measures. They reflect the tireless commitment of all those who work and practice at Cedars-Sinai to deliver the highest-quality patient care, especially during the challenging times of the COVID-19 pandemic.

Located in West Los Angeles, California, in the beautiful neighborhood of Bev-

erly Hills, Cedars-Sinai is part of a diverse and lively city, known for its art, culture, music, sporting events, cultural landmarks and warm weather.

Every year, thousands of patients from around the globe receive treatment at Cedars-Sinai. We offer new treatments, surgeries and clinical trials that are only available at a few hospitals in the U.S. We treat each patient with an individualized treatment plan. Patients at Cedars-Sinai can expect the best available care, a personal approach, and the newest diagnostics and treatment options.

“Thanks to the dedication of our physicians, nurses, academic leaders and thousands of others on our staff, Cedars-Sinai continues to provide innovative healthcare, enhanced by our commitment to pioneering research, teaching and education,” said Thomas M. Priselac, president and CEO of Cedars-Sinai Health System. “We are proud of Cedars-Sinai’s contributions to our diverse Los Angeles community as well as nationally and globally.”

International patients

As part of this commitment to our global community, Cedars-Sinai International has a dedicated patient-services team that speaks multiple languages and focuses specifically on helping our international patients. We

provide a range of concierge services to meet the unique needs of patients traveling from outside the U.S. to receive world-class care and treatment at Cedars-Sinai.

Our global-services team leverages the clinical and nonclinical excellence at Cedars-Sinai to provide a full spectrum of advisory and consulting services that help our partners around the world achieve their strategic goals and thrive in today’s everchanging healthcare environment.

“Today, we care for patients from over 100 countries. Our top areas are heart and cancer, as well as neurological diseases, orthopaedics, gastrointestinal diseases, transplant surgery and women’s health,” said Heitham Hassoun, MD, vice president and medical director of Cedars-Sinai International. “Whether through receiving care at our state-of-the-art facilities in Los Angeles or through remote second opinions and teleconsultations, we want international patients to benefit from our services wherever they live.”

Cedars-Sinai would like to thank our staff for earning this global recognition. They are true leaders within their fields, and their innovation and compassion are unparalleled. We’re so grateful to each and every one of them for sharing their expertise and always keeping our patients’ wellbeing as their top priority.

• Follow us on at: Cedars-Sinai International

• Learn more about Cedars-Sinai at: cedars-sinai.org/international

MIDDLE EAST HEALTHI 67

Technogym Biostrength The revolution in strength training

The first strength training solution that adapts to you and guarantees 30% superior results in the same amount of time

The effectiveness of strength training de pends on many small, key elements: the correct load, the adequate number of repeti tions, the recovery time, the speed of execu tion of the exercise, the posture, the range of motion. Optimising every single detail and preventing the most common errors is fun damental to making your training effective and achieving better results in less time.

Biostrength, the new Technogym line for strength training, adapts to you, thanks to a patented technology that uses artifi cial intelligence and scientific research, and ensures you get 30% better results in the same amount of time compared to classic training with equipment or free weights. Biostrength allows you to train with the right load, range of motion, correct posture, speed of execution and even indicates the number of sets, repetitions and optimal recovery times.

The patented Biodrive system, which uses aerospace technology, offers you 6 types of resistance, which can improve the effectiveness of your exercise depending on the goal you want to achieve. You are guided through every aspect of the workout to achieve maximum results in a safe and effective way: Biodrive recognises when you are too tired and the spotter function automatically reduces the load to allow you to complete the set, while, to keep you motivated and encourage you to improve, Biostrength gives you reward badges as you achieve new goals.

A connected experience

Biostrength is a digital and connected experience with an unprecedented variety of training programs and content. With a simple login to the Technogym Ecosystem, Biostrength equipment allows you to select the workout experience that best suits the results you want to achieve from goal-oriented programs, to custom programs or free training.

The 4 target programs include:

• HYPERTROPY: to develop muscle mass. This program increases the load in the eccentric phase of the movement, while the muscle fibres lengthen, in a way that is functional for developing mass.

• POWER: to train like an athlete. The use of a resistance without inertia allows you to train explosive strength and to express maximum force in complete safety.

• STRONG: to increase your strength. The viscous resistance that makes the exercise more intense as the speed of execution increases.

• TONE: get more muscle tone with less effort. Elastic resistance and a gradual increase in the workload allow you to improve muscle tone constantly throughout the entire range of movement.

If you are a more advanced user and would like to optimise every single exercise in your training program, the CUS-

TOM function will offer you various training techniques, such as drop sets, pyramids and single set tone express.

If you already know what to do and want to set up your own program, with the FREE TRAINING mode you can train quickly and easily, without logging in, simply by adjusting your session and selecting the workload and number of repetitions you want.

Biostrength represents a great opportunity for fitness clubs and personal trainers to increase the value of their membership by offering their clients innovative programs that guarantee the desired results. Thanks to Mywellness, Technogym’s professional software platform, they can assign each user a tailor-made program optimised to individual goals; with a simple log-in the user will be fully guided by Biostrength in the optimal execution of the exercise.

n Technogym is available at the Technogym Experience Centre in Dubai.

68 IMIDDLE EAST HEALTH
Technogym

Swiss HEMS save lives with SCHILLER rescue devices

For almost five decades, SCHILLER has been committed to fighting sudden cardiac death. In the rescue product range, SCHILLER has specialized in lightweight and small devices for professionals and lay rescuers.

With the emergency monitor and defibrillator DEFIGARD Touch 7 and the mechanical CPR device EASY PULSE, rescue teams are ideally equipped for any situation.

The Helicopter Emergency Medical Services (HEMS) crew member Samuel Ernst from the Swiss helicopter rescue service AAA Alpine Air Ambulance confirms: “For us as HEMS, after dropping off or getting out of the helicopter, it is crucial to reach the patient as quickly as possible and to carry as little weight as possible. Both devices are extremely lightweight and user friendly, and with its harness system, the EASY PULSE is attached to the patient easily and efficiently.”

Important advantages

EASY PULSE, the mechanical CPR device, is ideal for confined spaces, for example in helicopters, aircraft, ambulances and on rescue sites such as in crashed cars or after earthquakes. It is possible to operate the device on patients in a head-up position.

DEFIGARD Touch 7 is a compact and lightweight monitor/defibrillator, which is extremely intuitive to use and equipped with high-end data transmission technology.

FRED easyport plus is a small and lightweight defibrillator, available as fully automated, semi-automatic or manual version. A 1-2-3 workflow, the large colour screen and the spoken instructions make it very easy to use.

DEFIGARD HD-7 is SCHILLER’s latest hospital defibrillator which minimizes the time to shock thanks to fast analysis and parallel charging. A shock can be delivered with paddles, defibrillation pads or spoons. The device works with SCHILLERs unique data management solution SEMA. Touchscreen, CPR feedback options or cybersecurity are only some of the device’s convincing advantages.

Around the world with 1200 employees

SCHILLER was founded in 1974 by Alfred E. Schiller. Starting in a four-room flat as a one-man business, the company has become a

successful group with more than 1200 employees, 30 subsidiaries and a global sales network. Today, SCHILLER is a world-leading manufacturer and supplier of devices for cardio-pulmonary diagnostics, rescue and patient monitoring as well as software solutions for the medical industry. n For more information, visit: www.schiller.ch

ARAB HEALTH stand: S3.D10

Email: sales@schiller.ch

SCHILLER
SCHILLER rescue devices are powerful, intuitive, lightweight, and The SCHILLER rescue devices EASY PULSE and DEFIGARD Touch 7 support rescue services in any situation.
70 IMIDDLE EAST HEALTH
Extremely small and powerful: The defibrillator FRED easyport plus, available in fully automated, semi-automatic or manual version.

NewTom 7G – the world’s first multi-scan body Cone Beam CT

For the first time, Cone Beam technology is applied to all areas of the body, including the spine, shoulder, and hip thanks to one of NewTom’s latest high-tech devices.

NewTom 7G brings cutting-edge Cone Beam Computed Tomography (CBCT) into all-new application fields. Equipped with an extremely high-performance Xray generator (up to 120 kV and 120 mA) and independent selection of the focal spot (0.3 or 0.6 millimetres), this device lets users perform accurate bone tissue examinations at a resolution of up to 90 μm, ensuring ultra-precise analysis of even very small complex structures such as those of the inner ear.

The ability to perform exams quickly in “low dose” mode – with the acquisition of the desired anatomical area in just seven seconds – is particularly convenient.

NewTom 7G can be used to investigate innumerable anatomical areas in a wide range of clinical applications, both in 3D with numerous fields-of-view (FOVs) and in 2D (also sequentially). Users can acquire ultra-high definition images to diagnose the micro-structures of the ear or hairline frac-

tures in complex joints, for example.

NewTom 7G features automations that streamline workflow and limit the distortion inherent in manual procedures, thus ensuring the best results in the shortest time.

One of the most recent additions is for hip examinations. Developed to acquire bilateral hip images, the NewTom 7G can capture a 40 x 17cm FOV. The horizontally extended FOV allows comparative assessment of hip bones via reconstruction into a single volume.

Pioneering Cone Beam technologies in the dental sector

A global benchmark in the field of diagnostic imaging technologies, NewTom was the first company to introduce Cone Beam technology into the dental sector and now offers a vast array of clinical solutions for medical, dental, and veterinary diagnostics. This trusted brand delivers state-of-the-

art equipment and provides professional support and service around the globe.

Since the brand was created 25 years ago, NewTom has extended the boundaries of medical imaging, introducing the most advanced diagnostic devices capable of micrometric, ultra-high-resolution detail of bone structure, covering all anatomical areas, from head and neck examinations to ENT, MSK for orthopaedics, as well as dental maxillofacial radiology.

In each area, NewTom has led the field, innovating through technology and driving scientific trends. Patented algorithms, advanced functions for both 2D and 3D imaging, as well as a host of features devoted to reducing the effective dose, thereby safeguarding the health of operators and patients alike, are just a part of the innovations achieved through NewTom’s constant commitment to technological excellence.

• NewTom devices are supported by powerful DICOM 3.0 compatible NNT software, which can interface with third-party systems and software to store and exchange medical data.

• To learn more for yourself, visit www.newtom.it/en

NewTom
MIDDLE EAST HEALTHI 71

Willach Pharmacy Solutions

Change your workflow with smart dispensary solutions from Willach Pharmacy Solutions

CONSIS robotic dispensers offer a tailormade and highly efficient automation concept for your dispensary. With CONSIS you will be able to automate more than 90% of your daily dispensed products on a footprint starting from only 0.8 sqm. The CONSIS software interfaces with all major dispensary software. The design is available in a range of colours to suit your pharmacy.

FAMA drawer system is a customized solution, so that all products in your dispensary are organized in a compact, efficient and professional manner. FAMA neatly stores all medication in your dispensary, script ready, scripts on file and excess stock.

FAMA round shelves combine high density storage with optimum product visibility and easy access. Due to a patented magnetic mechanism, filling is done quickly. Trays do not have to be pulled out to replenish stock ensuring a safe and convenient replenishing process.

FAMA shelves are a modular system that can be configured to your individual needs and requirements. Pull out trays easily store up to 1500 packages using the FIFO (First in – First out) principle. Support rails hold plastic bins for particular patient medication.

The answer to pharmacy automation: CONSIS solutions for hospital outpatient pharmacies

Increasing healthcare expenditure is driving the demand for pharmacy automation in the region in order to provide improved service to a large patient base. Pharmacy staff require modern technology tools to perform their jobs efficiently without losing on patient safety or care quality.

Hospital Outpatient Pharmacies busy with dispensing prescriptions find it challenging to focus on additional revenue

streams and so Pharmacy Automation is attractive in order to improve the speed, space and accuracy of dispensing.

Medication dispensing and patient consultation take time and where efficiency is critical to maximize the potential of this revenue-generating department, rush mode can mean finding yourself with costly, even dangerous, errors on your hands.

Pharmacy automation allows the pharmacy staff to improve customer service, reduce dispensing errors and workloads, and add a higher level of security, tracking and accountability.

The key benefits of Pharmacy automation:

• Speeding up the dispensing process

• Cutting down on dispensing errors

• Saving space on product storage, creating more room for retail space or consultation facilities.

Pharmacy automation advice

Willach Pharmacy Solutions can offer

• For more information, visit: www.willach-pharmacy-solutions.com/ME/

pharmacy automation advice and support within your own business.

All key benefits are covered by the CONSIS robots – the fast and reliable principle capable of providing automation over a long period of time with its parallel ejection from several storage channels.

Reference projects

Reference projects in MENA include:

• John Hopkins ARAMCO Hospitals (Al Khobar and Al Hasa, in Saudi Arabia)

• Jaber Al Ahmad MoH Hospital in Kuwait

The solutions that use CONSIS robots and FAMA storage and dispensing systems have a reliable dispensing volume of at least 10,000 packages / day for many years.

Willach Pharmacy Solutions has a network of reliable partners in the Middle East to provide a wide range of solutions for the dispensing and storage area in hospital and community pharmacies.

stand: Z3.B19

72 IMIDDLE EAST HEALTH
ARAB HEALTH

Huntleigh introduces the complete diabetic foot assessment kit

Diabetes.co.uk estimates that 415 million people in the world live with diabetes, with this figure expected to rise to 642 million by 2040.

Not only can diabetes be a debilitating condition, but it is also a significant indicator and risk factor in the development of Pe ripheral Arterial Disease. However, due to calcification of arter ies that occurs as part of the disease process in diabetic patients, particularly around the ankle, normal ABI measurements can be misleading, making it difficult to diagnose Peripheral Arterial Disease or assess lower limb wound aetiology.

Huntleigh have developed a comprehensive diabetic foot as sessment kit that gives diabetic specialists everything they need to make an assessment of arterial disease and peripheral diabetic neuropathy. International guidelines such as the International Working Group for the Diabetic Foot (IWGDF) indicate the use of pulse waveform analysis and/or toe pressure assessment instead of using potentially inaccurate ankle pressure readings. The kit also allows clinicians to take pressure from the toe to determine both the TBI (toe brachial index) and individual toe pressures.

It features a DMX digital Doppler with probe to provide an aural and visual confirmation of blood flow. PPG (photoplethys mography) and waveforms can be read along with the compat ible Dopplex Vascular Reporter package for waveform visualisa tion as well as for reviewing, archiving and printing.

Toe pressure is taken using the specially designed PPG probe and adaptor, which links the toe cuff, the PPG sensor and sphyg. This allows the Doppler to not only display a PPG waveform on screen, but also a visual aid to guide clinicians on the optimal deflation rate to ensure a more accurate reading. The Doppler can also automatically identify systolic pressure,

Additionally to facilitate the assessment of peripheral diabetic neuropathy, the kit also comes with a box of monofilaments, as well as a Neuropen to deliver a more controlled level of pressure.

Huntleigh MIDDLE EAST HEALTHI 73 ARAB HEALTH stand: H2.H30

Capsa Healthcare

Trio Computing Workstation optimizes caregiver workflow and enhances patient care

Mobile workstations play an important supporting role in the delivery of patient care. Clinicians spend a large percentage of time on patient documentation, medication administration and care coordination, all requiring the use of their workstation. The right mobile workstation helps caregivers simplify workflow and save critical steps by carrying what they need most often to deliver patient care. They enable clinicians to easily access electronic medical records while remaining close to and interacting directly with their patients.

The TrioTM Computing Workstation is Capsa Healthcare’s latest advancement in mobile workstations and a clinician’s most reliable partner in patient care. Trio combines innovative advancements with flexibility to meet the needs of clinical users today, and into the future.

Ease-of-use

Trio is personally adjustable for optimal user comfort including height adjustments and ‘memory’ presets that are stored in a user’s profile and transfer to any cart the user logs into.

Trio features tools that streamline workflow, save time, and support an efficient clinical process. An intuitive control cen-

ter with touchscreen shortcuts helps users to easily control their cart.

Adaptable

Trio can be configured with storage and accessories to fit a wide range of care applications. It’s easily adaptable to support simple documentation, medication administration, phlebotomy, telehealth, or registration workflows. Trio supports a variety of storage options including standard bins or the new MaxBin™ system. Both are fully configurable and provide ample, secure storage capacity.

Reliable

A clinician’s focus is providing patient care, not worrying whether a workstation will run out of power during a shift. The flexible, scalable GoLiFeTM Power System incorporates both internal and external battery options to meet varying runtime requirements. Trio provides a reliable battery system with extended runtimes to power clinicians through their day.

Remote fleet management

Trio features N-Sight Fleet Management software, which makes it easy for IT to proactively manage, maintain, and update workstations remotely. N-Sight helps fa-

• For more information, visit: https://www.capsahealthcare.com/product/trio-computing-workstations/

cilities improve asset utilization, maximize fleet performance, and prevent issues before they impact clinical workflow.

Whether your facility is expanding its existing fleet or planning to replace older workstations, Capsa Healthcare is ready to help you select a solution that enables your facility to deliver the highest level of care.

74 IMIDDLE EAST HEALTH
Capsa’s MEA region contact: Fadi Saleh Tel: +96 279 000 1133 fsaleh@capsahealthcare.com ARAB HEALTH stand: SA.E60

Great Ormond Street Hospital: Managing children with complex congenital tracheal defects

Recently recognised by Newsweek as one of top three paediatric hospitals in the world, Great Ormond Street Hospital (GOSH) is a globally renowned children’s hospital, championing innovation across more than 60 clinical specialties and 19 highly specialised national services.

The GOSH tracheal service comprises a group of leading health professionals who have been brought together to provide a range of expertise. The tracheal team specialises in managing children with complex congenital and/or acquired tracheal defects including stenosis, malacia and other rare congenital disorders of tracheobronchial tree. The team consist of specialists including cardiothoracic surgeons, ENT surgeons, interventional radiologists, pulmonologists, intensive care specialists, speech and language therapists and physiotherapists.

Since it was formed in 2000, the tracheal service has become one of the largest and most successful services in Europe and a world leader in the field.

The surgical technique the team use to treat tracheal stenosis is slide tracheoplasty. The GOSH team has the world’s most extensive experience of this type of surgery, managing close to 75% of all cases of complex airway repairs worldwide each year and this is reflected in the published outcomes, with the lowest death rates for this serious condition.

Between 1995 and the end of 2021, a total of 210 slide tracheoplasty procedures were been performed at GOSH, with an overall survival of 92% and the most recent weighted survival (recent experience in the last 5 years) of 96%. There has been an increasing number of slide tracheoplasties and a significant improvement in survival over time despite increasing patient complexity.

Other complex airway reconstructions of increasing nature include reconstruction of trachea following injury (specifically related to button battery related injuries) and on those with failed repair of trachea-oesophageal fistula. In both these conditions, the technique used is one of vascularised pericardial patch for tracheal reconstruction. The GOSH surgical team has revolutionised the use of this vascularised patch for trachea in many of the complex airway defects – with experience on this being close to 75 children. The overall success rate in this is 98% with stent needed in one-third of these children.

For those children with tracheomalacia – both open and thoracoscopic aortopexy and posterior tracheopexy is offered. External splints are often used as support to the

trachea in resistant situations and work is in progress to get the most bio-effective external splints for this.

Want to know more about Great Ormond Street Hospital (GOSH) in London and our office in UAE?

We have been helping children overcome rare and complex conditions ever since we opened our doors in 1852. Stronger than ever, our team is made up of 300 exceptional and dedicated consultants across more than 60 specialties. We are a driving force in medical technology and research so we can provide much needed treatment for children across the world.

Our International and Private Care service supports more than 5,000 children from over 80 countries every year. We have a compassionate and multi-lingual team to help our international patients and their families feel at home.

GOSH has a longstanding relationship with the Middle East providing high quality and safe care for patients in a family-centred environment. A dedicated Gulf office ensures that children and families being referred to the hospital receive the very best experience possible as well as providing a local point of contact. The unit is tailored to the referral and treatment of international patients with a dedicated, multi-lingual team ensuring a smooth and efficient patient experience.

• You can email us on: GulfOffice@gosh.nhs.uk Call us: +971 4 362 4722 Or visit: www.gosh.ae

76 IMIDDLE EAST HEALTH
The GOSH team has the world’s most extensive experience of slide tracheoplasty, managing close to 75% of all cases of complex airway repairs worldwide.
Great Ormond Street Hospital

Malaysian Companies to make a Strong Presence in Arab Health

Malaysia’s medical devices industry comprise more than 250 manufacturers of which 30 are multinationals that have made Malaysia their manufacturing base. In addition to producing rubber gloves, the industry also produces higher value-added and technologically advanced products such as cardiac pacemakers, stents, orthopaedic implantable devices, ophthalmic lenses including contact lenses, dental instruments and appliances, and electromedical, therapeutic and monitoring devices. Malaysia’s exports of medical devices were valued at US$10 billion in 2021.

Medical Devices from Malaysia

Malaysia has the largest medical devices industry within the ASEAN region with an estimated market size of US$1.8 billion and is the preferred offshore manufacturing site for global medtech companies.

“Malaysia is the preferred outsourcing destination and medical device manufacturing hub within the ASEAN thanks to strong support from the government to develop this industry. Malaysia’s position

is further reinforced with the existence of world class supporting infrastructure such as sterilisation services, precision engi neering, contract moulding and assem bly, machinery fabrication, universities, research and training institutes as well as testing and accreditation bodies” said Mr. Megat Iskandar – Trade Commissioner of Malaysia to the UAE.

Malaysia at the Arab Health

Malaysia considers the gulf region as a ma jor market for pharmaceutical and medical equipment due each government’s commit ment to provide quality healthcare to its growing population. Companies participat ing under the Malaysia pavilion this year are mainly manufacturers of syringes, haemodi alysis concentrates, irrigation solutions and other hospital consumables, rubber products, stem cells for hospital and research, labora tory equipment, facility and asset management services for hospital among others. This is Malaysia’s 19th year participating in the event, which shows our strong commitment to this market, added Megat.

period registered at US$8.06 billion. We foresee bilateral trade between Malaysia and the UAE will further improve with the easing of travel restrictions in both countries” said Megat.

Atrium Health’s Carolinas Rehabilitation fortifies partnership with Qatar Rehabilitation Institute

Atrium Health’s Carolinas Rehabilitation (CR), of Charlotte, North Carolina, ratified a new partnership with the Qatar Rehabilitation Institute (QRI) in Doha earlier this year. QRI is the region’s largest tertiary rehabilitation hospital and is part of the Hamad Medical Corp. (HMC), the principal public healthcare provider in Qatar.

According to QRI’s chief medical director and Chairman of the Geriatric and Long-Term Care Department at HMC, Hanadi Al-Hamad, MD, the institute had several compelling reasons for seeking a new arrangement with a leading rehabilitation hospital in the U.S.

“First and foremost, we wanted to enhance the quality of clinical care for our patients,” Dr Al-Hamad says. “We take pride in providing services based on the most up-to-date rehabilitation research and practice in an environment that encourages healing – both mentally and physically. One of the ways to ensure best practice is to work more closely with clinicians who are highly regarded in all major areas of rehabilitative care. Specifically, we are collaborating with the CR team to develop bespoke staff training and work with us to develop new services that meet the needs of our population groups.”

Accreditation

Dr Al-Hamad says there is also interest in gaining accreditation through the Commission on Accreditation of Rehabilitation Facilities (CARF).

“We’ve started consulting with our counterparts at CR to learn more about CARF procedures and expectations to establish the right basis for us to apply for this renowned accreditation,” Dr Al-Hamad says.

CARF is an international organization that assists service providers to improve

the quality of their services; demonstrate and value operational efficiency to payors; and meet internationally recognized programme standards.

In 2010, CR started a unique informationsharing platform, EQUADRsm (Exchanged Quality Data for Rehabilitation), which enables participants to share information, ideas and best practices. EQUADRsm was the first rehab specific quality AHRQ-listed (Agency for Healthcare Quality & Research) patient safety organization in the world.

Carolinas Rehabilitation is an integral part of Atrium Health, a large healthcare system with more than 70,000 clinical and administrative employees servicing patients at 40 hospitals and more than 1,400 care locations, with several nationally recognized facilities including Carolinas Medical Center, Levine Children’s Hospital, Levine Cancer Institute

and Sanger Heart & Vascular Institute, among others.

New $100M hospital to open

In January, CR will cut the ribbon on a new US$100 million hospital occupying 160,000 square feet. The new facility will have 72 private rooms, offer extensive outpatient services and feature many new amenities.

Vishwa Raj MD, CR’s vice chair for Clinical Operations, says CR has always benefited greatly by being part of a fully integrated healthcare system. “We share a common goal – for patients to receive the right care at the right time. By working together, we are effectively helping each other improve in all aspects of care delivery.”

The future of rehabilitative care

Diane Lynn, head of Global Healthcare Services at Atrium Health, agrees that the future of rehabilitative care lies in integrated services. “Being part of a larger system is a transformative way to do business,” she says. “This was a big reason QRI sought out a partnership with us, to stay ahead of future trends.” CR is doing everything possible to support QRI’s ambition to be a destination hospital for patients throughout the Middle East. “For our part, we’re thrilled to be in a position to help.”

CR has been ranked as a Top 20 Rehabilitation Hospital by U.S. News & World Report for the last two years. Many of Atrium Health’s other component hospitals and programmes routinely achieve top national rankings from U.S. News & World Report and other rating agencies.

“Our people enjoy being involved internationally,” Lynn says, “and the benefits of these arrangements flow in both directions. We’ve learned a great deal by working with QRI, and we look forward to initiating other successful partnerships in the future.”

Atrium Health 78 IMIDDLE EAST HEALTH

Huntleigh

Huntleigh recently introduced a single-use intraoperative probe for the Dopplex Doppler range.

Intraoperative Doppler ultrasound assessment provides im mediate evidence of success in vascular reconstructive proce dures. By providing quality assurance of blood flow intraopera tively, time can be saved and costs of a potential re-operation avoided.

As a leader in diagnostic devices Huntleigh prioritises safety and accuracy above all else, and single-use probes offer the best combination.

Quality control is vitally important in performing surgery, if secondary intervention and re-operation are to be avoided. The Dopplex single-use intraoperative probe can assist in the performance of safe surgery.

Accuracy of pulse detection

As a leader in diagnostic devices, Huntleigh prioritises accu racy and reliability above all else.

While some practitioners opt for manual palpation to detect a pulse, it is easy to demonstrate that a pulse does not necessar ily indicate good blood flow, and in fact the pulse gained from a blocked vessel can be stronger than the pulse of an open one.

Infection risk

Another alternative to single-use probes is a non-surgical probe in a makeshift sterile field such as a glove. This costs theatre time, and greatly increases the risk of infection. The Dopplex probe is supplied with a 2.5-metre sterilised cable to minimise the opportunity for non-sterile objects entering the sterile field.

As part of the Dopplex range, the flow detected by the probe is immediately visualised on the DMX Doppler unit.

Huntleigh launches single-use intraoperative probe MIDDLE EAST HEALTHI 79

Think before you (don’t) print

Consider the importance of specimen identification solutions in pathology digitization

Digital pathology helps pathologists view, manage, share, and analyze tissue samples by converting glass slides into digital slides. Therefore, you need a high-speed, high-resolution slide scanner and an accurate barcode, which provides patient information – or, at least, the patient ID – throughout the entire process (from receiving the original specimen to digitizing the tissue section for diagnosis under a virtual microscope).

Prevent misidentification

Indeed, one of the main goals of digitizing the entire process is to prevent misidentification, and to make connecting, reviewing, and managing patient data faster and more reliable. In the past, most labeling was accomplished by handwriting information with a pencil or marking pen. However, handwriting tends to be difficult to read, may be inaccurate, and can rub off during processing. Even if the sample is not to be scanned and digitized, a barcode – which can only be produced digitally – is a necessity for matching it to other samples and data in the laboratory information system (LIS). Fortunately, today’s printing inks are chemical- and UV-resistant enough to withstand common laboratory processes. With the right solution, labs can print not only 2D barcodes, but also text, graphics, and logos to scan and apply directly to tissue cassettes and slides. Such an approach completely eliminates both handwriting and expensive, difficult-to-apply xylene-

resistant labels – two things that decrease workflow efficiency and place patient safety at risk.

There are two types of printing systems most laboratories use nowadays: cassette printers and slide printers. Cassette printers are available as standalone manual printers or as complete automated systems. The standalone options, such as the Signature Cassette Printer, are compact, robust, and small enough to fit next to a grossing station. They usually load one tissue cassette at a time through an operator. These modern manual printers can produce several cassettes per minute. Fully automated systems function at nearly the same speed, but use separate hoppers instead of requiring manual input. Some models even come with a robotic arm that picks each cassette from the top of the desired stack and places it into the printer. Exactly like that is the SCP-R version of the Signature Cassette Printer. It’s a completely automated system consisting of the Signature Cassette Printer and a new upgraded robotic picking system called Autoloader EVO.

Slide printers

Slide printers, like the Signature Slide Printer EVO, are designed for efficient, hands-free operation. Because slides are stored in easy-to-load cartridges that protect them from dust and other potential contaminants, they increase workflow safety and slide longevity. The devices can also print in a variety of hues and shades,

reducing the need to purchase consumables in different colors. State-of-the-art systems are advanced enough to offer ondemand or batch mode printing and are also designed for very low noise emission. Placing a cassette printer at a grossing station or a slide printer at a microtome station is an important step toward significantly increasing the lab’s efficiency while reducing the risk of specimen misidentification. Even after several years, cassettes and slides with properly printed labels can be reliably identified. By printing on tissue cassettes and slides, we digitize the entire process chain, which not only facilitates LIS integration but also (when using the right printer) prepares the laboratory for a future in which the entire pathology workflow is digital.

DTM

Medical at Medlab 2023

DTM Medical will showcase the Signature Series at Medlab 2023 at stand Z6.F33 in Za’abeel Hall 6 and is well represented in the Middle East through its network of experienced local distribution partners in the United Arab Emirates, Saudi Arabia, Qatar, Oman, Kuwait and Bahrain.

DTM Medical Mainzer Str. 131

65187 Wiesbaden, Germany

Phone: +49 611 92777-0

Email: info@dtm-medical.eu

Website: dtm-medical.eu

80 IMIDDLE EAST HEALTH
DTM Medical

Working to a healthier future

Diabetes is a growing problem in the UAE – but the groundwork is being laid for improved outcomes. Amr Saeed, Corporate Affairs Director for Eli Lilly Gulf, Levant, and Pakistan, looks at some of the latest developments.

Diabetes is a global pandemic that is not going away, with 16.3% of adults in UAE aged between 20 and 79 years afflicted by the disease – a number that is expected to double by 2040.

Type 2 is the most common form of diabetes in the UAE, with weight, smoking, sedentary lifestyle, and poor diets linked to the illness.

If diabetes is not detected and well managed, it can lead to severe complications and, ultimately, premature death. And yet an estimated the 50 percent of people living with diabetes are undiagnosed. This may be due to lack of awareness about symptoms, or absence of regular health screening, for example.

Being part of the pharmaceutical industry, at Lilly, our number one priority is to work with different stakeholders to improve diabetes healthcare outcomes, with patients at the centre of this process.

Building a healthcare ecosystem

The first task is to prevent diabetes. While Type 1 diabetes and some of the risk factors for Type 2 diabetes, such as family history, can’t be avoided, there are many other risk factors that we can control.

For example, in the UAE, we are fortunate to have a government that is redefining healthcare by moving from sick care towards prevention.

Specifically for diabetes, this includes several education programmes in schools and workplaces, together with fitness and awareness programmes, such as the ongoing Dubai Fitness Challenge, which encourage lasting healthy habits.

The UAE has also done some vital work in advancing innovations and fostering an environment that incentivizes advancements in treatments and care. This summer, Dubai Health Authority launched an analytics-based, digital-led programme, Ejadah, that will form the foundation for valuebased healthcare adoption. The platform is

expected to lead to faster claim approvals, minimise waste of healthcare expenditure, and focus on preventive care, while allow ing access to next-generation technology.

Technology is also playing a key role in patient outcomes monitoring. However, a pre-requisite to using technology is to complete important work around data pri vacy. Such data plays a key role in under standing disease management, progression to improve patient care.

Another form of providing local data is Real-World Evidence (RWE). RWE are studies that aim to provide insights on dis eases, medicines, patient populations and healthcare practices. This landscape continues to evolve rapidly in the UAE, and Lilly has embarked on this journey to support providing local data across different therapy areas, including diabetes.

Partners for success

Another advantage of this developing health ecosystem is that it allows for rapid introduction of innovative medicines and treatments. Thanks to legislative reforms, the UAE has been repeatedly one of the first countries to launch innovative therapies, while always advancing the healthcare system to expand access to medicines for patients who need them.

Most recently, the UAE was the first country to approve and launch our innovative diabetes treatment, a new class of medication in nearly a decade, just one month after it received FDA approval in the US. This is a true testament to the country’s commitment to advance access to innovative therapies, protect innovation, and reward it. This was also an exceptional milestone for Lilly, as we were the first company that made insulin commercially available 100 years ago. Discovering and launching a new class of medicines in the occasion of our insulin centennial speaks to our long-lasting commitment to help people living with diabetes.

I believe the role of pharmaceutical

the UAE has been repeatedly one of the first countries to launch innovative therapies, while always advancing the healthcare system to expand access to medicines for patients who need them.

companies does not stop there. Making sure that patients can access innovative treatments is at the centre of our work. Lilly’s Sawiyan programme in the UAE was introduced to support patients who have affordability challenges to help them access the medicines they need. This programme is supported by the UAE Ministry of Health and Prevention.

Lilly is also working with the Emirates Diabetes Society in the UAE and other industry stakeholders to support efforts on patient education, access to treatment, and healthcare providers’ engagement and awareness about innovations.

Finding a cure for diabetes is the ultimate dream. But the reality today is that tangible steps can help prevent diabetes through education and lifestyle changes, and improvements to the management of diabetes is possible through early detection, innovative treatments, and regular health screening.

82 IMIDDLE EAST HEALTH
Diabetes

Women’s Health

Mediclinic City Hospital uses advanced da Vinci robot for uterine rupture repair

Uterine rupture remains one of the most frightening complications in obstetric care. The risk of its occurrence is likely to increase for many women who undergo caesarean sections.

It is important to consider because it continues to be associated with maternal and foetal mortality, especially in developing countries, and with major maternal morbidity, particularly peripartum hysterectomies.

Maternal outcomes following uterine rupture include hysterectomy, bladder injuries, transfusion, ICU admission, shock, assisted ventilation, and an increase in hospital length of stay.

Diagnosis of uterine rupture

The diagnosis of uterine rupture is principally based on clinical manifestations, foetal heart abnormalities, or imaging examinations before or after delivery.

There should be a higher index of suspicion by the healthcare provider, in order to identify the rupture as early as possible, and provide immediate surgical treatment.

The main reason that a patient is predisposed to uterine rupture is weakness of the muscle layer of the inferior segment of the uterus after caesarean section, or after scarring of any sort, in this area.

It is also associated with obstructed labour, prolonged labour, the use of induction agents, malpresentation, and grand multiparity.

Deliver the baby as soon as possible

The key message is that the delivery of the baby should be done as soon and as safely possible if a uterine rupture is suspected.

If the rupture is suspected after delivery, an immediate response for management and treatment should start. Stabilising the patient clinically with transfusions, medications and proper intravenous access

should be done concomitantly with preparation of the operating room theatre and a welltrained team.

A major decision facing the surgeon will be whether to preserve the uterus with a repair, or perform a hysterectomy.

Obviously, the patient’s desire for future pregnancies is important, but this may be superseded by the emergent need to perform life-saving measures such as hysterectomy.

The traditional approach is to perform a laparotomy, and either repair the uterine defect or remove the uterus. It is very important once inside to control the haemorrhage and identify damage to adjacent organs, most likely the bladder.

Minimally invasive techniques using laparoscopy or keyhole surgery have been described in the literature. These will allow a faster recovery with less pain, and a decrease in postoperative wound complications.

da Vinci Xi HD 4 arm robotic system

Recently at Mediclinic City Hospital, Dubai, Dr Labib Riachi, an expert in advanced robotic gynaecological surgery, and his team performed a repair of a uterine rupture using the da Vinci Xi HD 4

Dr Labib Riachi is a Consultant Obstetrician & Gynaecologist. He specialises in Minimally Invasive Gynaecological Surgery, Obstetrics and Gynaecology and Urogynaecology

• View Dr Labib Riachi’s Mediclinic profile here:

https://www.mediclinic.ae/en/city-hospital/ specialized-units/da-vinci-robotic-surgerysystem.doctor.html/8/labib-riachi.html

arm robotic system which enabled them to use the most advanced surgical techniques available worldwide. This allowed an unparalleled level of high precision in manipulating torn tissues, as well as a three-dimensional view of the field, with the freedom to rotate the instruments independently without any assistance. The repair was done successfully in 30 minutes. Following surgery, the patient was taken to a regular ward and recovered with no complications.

84 IMIDDLE EAST HEALTH
The da Vinci Xi HD 4 arm robotic surgical system Dr Labib Riachi, Consultant Obstetrician & Gynaecologist, Mediclinic City Hospital, Dubai.

AIRS Medical showcases SWIFTMR Artificial Intelligence solution for MR imaging

At the RSNA radiology event in Chicago in November last year, South Korea-based AIRS Medical, a leading medical AI solution provider, showcased SWIFTMR, an FDA 510(k)-cleared AI Imaging solution that enhances MR images acquired under various conditions, contributing to better image quality and patient experience. SwiftMR utilizes

conventional MR imaging techniques such as parallel imaging and compressed sensing, combined with its award-winning deep learning technology. SwiftMR thus enhances SNR and sharpness of the images, allowing radiologists to read with confidence and ease.

Since its official commercial launch in Korea in the fourth quarter of 2021, SwiftMR

has been installed in more than 100 hospitals, for an average of 30,000 monthly MRI exams. After its successful launch and with proven performance in Korea, the company is rapidly expanding globally.

n For more information, visit: airsmed.com

Annalise AI collaborates with Nuance Communications

Annalise.ai has joined the Nuance Precision Imaging Network (PIN), connecting Annalise.ai workflow orchestration and diagnostic support solutions to over 12,000 healthcare facilities worldwide. Annalise.ai is one of the largest medical imaging AI companies in the world, developing robust AI solutions intended to assist with the interpretation of radiological imaging studies. In 2022, Annalise. ai’s chest X-ray products received U.S. FDA clearance for use in triage and notification for a subset of chest X-ray findings.

The collaboration between Annalise.ai and Nuance Communications (a Microsoft company) also harnesses the power of AI from Annalise.ai to enhance the Nuance Clinical Analytics platform. This will complement Natural Language Processing (NLP) within Nuance’s Clinical Analytics platform to create an advanced AI analytics engine, allowing radiologists to better evaluate the results from AI, as well as mine their historical reports using the power of AI through mPower. The

combination of pixel-level insights and textbased insights helps providers extract deeper meaning from their medical imaging data.

“We want to transform healthcare for patients around the world every single day and have already impacted more than one million

lives globally through our Annalise.ai solutions,” said Lakshmi Gudapakkam, Annalise. ai CEO. “We are extremely excited about the enormous potential of this collaboration to empower radiologists and other clinicians through end-to-end workflow support.”

n For more information, visit: https://bit.ly/3YzsanT

86 IMIDDLE EAST HEALTH

GE Healthcare releases SIGNA Experience technologies for MRI

GE Healthcare has launched its SIGNA Experience, a platform of four synergistic technologies that help users through the diagnostic journey. This integrated collection works together to ensure a smooth MRI scanning experience for the physician, technologists of all skill levels, and the patient.

• SIGNA One is the cornerstone of these solutions: A next generation, imaging software platform supporting an elegant, intuitive user interface, designed to offer high quality magnetic resonance (MR) imaging.

• AI/Deep-learning solutions: Pioneering, deep-learning AI applications, such as AIR Recon DL for improved signal-to-noise ratio (SNR), image sharpness and shorter scan time.

• Workflow solutions: Automated, intelligent workflow tech nologies, that include AIR x and AIRTouch, which guide tech nologists to help make an MRI scan set up better, faster, and easier.

• AIR Coils: Industry leading, transformative technology in coils, which are flexible, lightweight, and comfortable, enabling total free dom in coil positioning and handling during an MRI scan.

With operational efficiency the fastest growing challenge for radiol ogy departments, SIGNA One enables greater workflow productivity

Siemens Healthineers introduces new mobile MRI Magnetom Viato.Mobile

Siemens Healthineers has unveiled the Magnetom Viato.Mo bile, its latest MRI scanner optimized for mobile use and featur ing a patient bore of 70 cm. The Magnetom Viato.Mobile is cur rently under development and is not yet commercially available.

“With Magnetom Viato.Mobile, we plan to offer the most powerful innovations at 1.5 Tesla for mobile use. Installed in a trailer setup to provide greater flexibility in deploying MR imaging, the scanner can easily be taken from one place to the next or stay at the customer’s site for longer use. For example, the solution can help with screening programmes in under served regions – it’s not the patient coming to the scanner, but the other way around,” explained Arthur Kaindl, head of Magnetic Resonance Imaging at Siemens Healthineers.

Operation and service of Magnetom Viato.Mobile can be done remotely via a fixed internet or, if needed, via a 4G con nection. This means that the system can be used almost any where, while experts – when required – can provide support from another location during two crucial steps: performing the scan and maintaining the system. This means that fewer staff are

by requiring only a fraction of the clicks needed to perform an exam from setup to completed scan. The benefits of this user interface are that it enables:

• Intuitive workflow for all experience levels and virtually no learning curve. Technologists can keep track of progress at a glance with useful visual reminders, showing them where they are at any point within the scanning process.

• Efficiency with visually assisted highlighted fields to guide technologists step-by-step, making the process flow easily; and flexibility in design to accommodate for future expansion in AI and workflows.

• Simplification with an easy-to-use express mode which only

needed on site, specialists can work from home and service technicians can take exactly the right spare part with them when they deploy for maintenance.

• For more information, visit: www.siemens-healthineers.com

88 IMIDDLE EAST HEALTH

OpenRad unveils enterprise remote reporting platform for radiology

At the RSNA radiology event in Chicago in November last year, radiology reporting specialist OpenRad launched its enterprise remote reporting platform, Enterprise Edition, which enables cloud-based reporting, collaborative workflows across companies and advanced mobile fleet management in one offering.

At a time when increased workload and radiologist shortages are putting a strain on the healthcare system, OpenRad Enterprise Edition allows imaging centres to fully leverage remote radiologists to speed up the diagnostic process, increase efficiency, improve patient experience, and reduce costs.

The OpenRad SaaS based platform provides a fully digital end-to-end teleradiology workflow – combining a domestic cloud platform, OpenRad Cloud (by Biotronics3D), with a DICOM 3.0 routing, translation, compression, and encryption device, OpenRad Cube (by Visbion), which includes the industry leading mobile fleet management solution.

OpenRad’s solutions have been implemented in more than 350 clinics and other static imaging sites as well as in 350 mobile trailers across 18 countries.

OpenRad Enterprise Edition also offers radiologists the option to view images through their existing picture archiving communications system (PACS) via a single cloud. The solution can be easily applied to fleets of mobile scanning trailers where imaging data is seamlessly and securely fed into the PACS.

The solution is designed to help imaging centres optimise the use of equipment and reduce the impact of radiology staff shortages.

Radiologists, referrers, imaging providers and patients are all able to access the webbased platform remotely via any device connected to the internet. This collective intelligence with AI integrations makes it easier to address complex decisions and drive innovation in disease prevention, diagnosis, and monitoring. It also features

intelligent worklists, contract management, referrer and patient portals as well as peer review capability.

The OpenRad Cloud offering has minimal on-premise and end user information technology costs, since the zero-footprint solution is fully web-based and utilises existing workstations and monitors.

Brian Plackis Cheng, CEO, OpenRad said: “At RSNA, we are delighted to launch OpenRad Cloud and Cube for the European market and OpenRad Cube for the US market. Our comprehensive SaaS-based platform, Enterprise Edition, will increase collaboration, improve patient outcomes, and reduce costs. OpenRad Enterprise Edition will better connect healthcare professionals, imaging centres, referrers, and their patients, unlocking the full potential of medical imaging. Together with our customers and partners, we will fully deliver the cloud promise and benefits in teleradiology.”

• For more information, visit: www.openrad.com

90 IMIDDLE EAST HEALTH

Philips launches new compact ultrasound system

Philips has launched globally their next-generation compact portable ultrasound solution, the Compact 5000 Series. This new ultrasound is designed for portability and versatility without compromising image quality or performance and aims to bring the diagnostic quality associ ated with premium cart-based ultrasound systems to more patients.

Replicating the intuitive user interface and workflow of Philips’ cart-based systems EPIQ Elite and Affiniti, and offering full compatibility with these systems’ transducers, the Compact 5000 Series supports an easy learning curve for users. Designed for shared service capabilities across specialties including cardiovascular, obstetrics and gynaecology, point of care, and general imaging, the Compact 5000 Series system helps meet the needs of multiple clinical segments. The Compact system can be configured with an optional battery allowing for 2.5 hours of scanning time and faster power-up capability to quickly ready the system at the patient’s side. Additionally, the new system features fewer hard keys on the console and a fully sealed control panel for easy disinfection and cleaning protocols.

“Improving patient outcomes and the patient experience means providing clinicians with our best diagnostic tools available and making advanced technology available wherever the patient is located,” said Jeff Cohen, general manager of Ultrasound at Philips.

“With the patient at the centre of everything we do, we built the Ultrasound Compact System 5000 Series to perform as a highly versatile portable ultrasound system to be used in multiple care settings for many different types of exams without compromising image quality, diagnostic ability, or clinical workflow.”

This newest system also features ‘Philips Collaboration Live’ secure real-time telemedicine software, with the ability to call on additional clinical expertise via secure voice, text, screen sharing, and video streaming from anywhere with a mobile or internet connection. Collaboration Live even allows a remote user to control the unit’s settings to acquire diagnostic quality images, reducing the need for follow-up scans and patients having to travel to a central hospital facility.

The Compact 5000 Series recently received U.S. FDA 510(k) clearance and is pending CE mark.

92 IMIDDLE EAST HEALTH

Busch Vacuum Solutions

Busch provides reliable vacuum supply in clean rooms

Busch developed a new concept: a central vacuum supply for all particle counters using two vacuum pumps, which operate according to the MINK claw vacuum principle. These are also equipped with an intelligent drive with a frequency converter, which enables the vacuum pumps to be regulated such that they permanently operate at the required performance, even if the process conditions change. In May 2014, two MINK MV 0040 D claw vacuum pumps were installed in the technical centre of the JCC and operated redundantly. This means that only one of the two vacuum pumps is in operation, while the other acts as a stand-by.

The two new vacuum pumps are programmed to maintain a precise standard flow of 28.3 litres per minute at the particle counters. Both vacuum pumps are connected to the building control system and constantly monitored, with any malfunctions immedi

around the clock, with the control system designed by the technical centre of the university hospital in such a way that the vacuum pumps operate alternately and therefore both spend the same amount of time in operation. In the event that one of the vacuum pumps malfunctioned, the control system would immediately ensure that the other pump springs into operation and the vacuum supply does not fail. A continuous and reliable measurement of the particles in the air in clean rooms at the Josè-Carreas-centre for somatic cell therapy is imperative.

MINK vacuum system solution and its benefits for the customer MINK claw vacuum pumps operate dry, meaning that they are free from operating fluids in the compression chamber and operate contact-free. Unlike dry-running rotary vane pumps, there is no wear, thanks

is another reason why this type of vacuum pump permanently generates the required pumping speed. The operation without operating fluids and without wearing parts makes the MINK claw vacuum pump virtually maintenance-free. This new vacuum technology has been in operation at the José-Carreras Centre since May 2014, and so far, there have been no “flow alarms” in the clean room or any other malfunctions or disruptions to the vacuum supply. Furthermore, in the last 3 years since implementation of the MINK claw vacuum pumps no maintenance work has been required on the vacuum pumps.

Contact:

Website: www.buschvacuum.com

Phone: +971 (0) 50 6312898

Beams of electrons will synthesise the AMPs from egg proteins obtained preferably from an abundant waste stream of the egg industry, such as the eggshell membrane.

A potential gamechanger in beating antimicrobial resistance

The Covid pandemic has revealed just how delicate our public health is in terms of overcoming infectious diseases and antimicrobial resistance. Over the last decade small proteins known as anti-microbial peptides (AMPs) have delivered promising results in helping anti-infectives overcome increasing antibiotic resistance problems but have proven difficult to commercially produce.

Now, a radical research project involving experts from the University of Huddersfield aims to develop a new method for the commercial production of AMPs which if successful will open up a whole new range of opportunities for the use of bio-active peptides.

The RADOV Project

Titled RADOV or ‘RADiation harvesting of bioactive peptides from egg prOteins and their integration in adVanced functional products’, the four-year project features an international consortium of partners and has been awarded €2 million from the European Union’s Euratom Research and Training Programme (EURATOM) Horizon Europe to carry out the necessary research.

Heading the team from the University is Professor Robert Edgecock from the University’s School of Computing and Engineering. He revealed why AMPs have aroused great interest as potential next-generation antibiotics and how because long-term chemotherapy in cancer patients can lead to resistance to conventional cancer treatments and a susceptibility to pathogenic infection, due to AMPs’ antibacterial and anticancer properties, they could also become a new treatment option for cancer patients.

What are anti-microbial peptides?

“Antimicrobial peptides (AMPs) are small proteins present in different lifeforms in nature, or that result from enzymatic digestion of proteins, which provides these lifeforms with a natural defence against microbial infections,” he said.

“In addition to the more specific antibacterial and anti-viral actions, they have shown immune-modulatory activities, antifungal actions, anti-inflammatory properties and even possess the ability to disintegrate cancerous cell membranes,” he added.

What makes AMPs viable and important alternative antimicrobial agents, explained Prof. Edgecock, is the fact that the development of resistance by the microbes against the AMPs is relatively slow or delayed compared to that against conventional antibiotics.

“However, despite their promise,” he said, “very few of the AMPs have been commercialised so far, mainly due to technical difficulties in their manufacture.”

Synthesising AMPs

To begin with, the researchers will use beams of electrons to synthesise the AMPs from egg proteins, and the results acquired regarding the peptide structure, irradiation conditions, and related bioactivity properties will become a vital output of the project.

The researchers will then use electron beam irradiation to further integrate the AMPs into two new products, peptideladen antimicrobial/antioxidant hydrogel wound dressings and peptide-grafted active plastic foils for food packaging. This will effectively demonstrate the potential of the technique and the benefit of the antimicrobial properties of egg-derived

A radical project involving a team of researchers from the University of Huddersfield aims to develop a new method for the commercial production of anti-microbial peptide’s (AMPs) and if successful could open up a whole new range of opportunities for the use of bio-active peptides.

bioactive peptides manufactured by radiation-induced fragmentation.

Co-ordinating the project is Poland’s Institute of Nuclear Chemistry and Technology, who will be assisted by the University of Huddersfield, Sweden’s KTH Royal Institute of Technology, Italy’s University of Palermo, the Italian National Research Council and Portugal’s Association of Instituto Superior Técnico for Research and Development.

Also playing a crucial role in the successful implementation of the project will be three industrial partners: Kikgel Sp. z o.o. and Dekofilm Polska Sp. z o.o. from Poland and Italy’s E.P.S. S.p.A. Egg Powder Specialists.

94 IMIDDLE EAST HEALTH

Model explains how autism arises

The development of autism may now become easier to understand, thanks to an explanatory model presented in a thesis from University of Gothenburg, Sweden. This model provides new insights into how various risk factors give rise to autism and why there is such great vari ability between individuals.

Autism, a neurodevelopmental condition, affects how people perceive the world around them and how they interact and communi cate with others. Among individuals with autism, there are major differences in terms of personal traits and manifestations alike. The disorder is therefore usually described as a spectrum, with numerous subtle variations.

The new explanatory model is theoretical but simultaneously practical in application, since its various components are measur able through, for example, questionnaires, genetic mapping, and psychological tests. The model describes various contributing factors and how they combine to prompt an autism diagnosis and cause other neurode velopmental conditions.

Three contributing factors

The model links three contributing factors. Together, these result in a pattern of behaviour that meets the criteria for an autism diagnosis:

1. Autistic personality – hereditary common genetic variants that give rise to an autistic personality.

2. Cognitive compensation – intelligence and executive functions, such as the capacity to learn, understand others, and adapt to social interactions.

3. Exposure to risk factors – for example, harmful genetic variants, infections, and other random events during gestation and early childhood that adversely affect cognitive ability.

“The autistic personality is associated with both strengths and difficulties in cognition but does not, as such, mean that diagnostic criteria are fulfilled. Still, exposure to risk factors that inhibit people’s cognitive ability may affect their capacity to tackle difficulties, which contributes to individuals being diagnosed with autism,” says Darko Sarovic, physician and postdoctoral researcher at Sahl-

individuals on the spectrum. The various components of the model are supported by results from previous research.

Adaptive ability

High executive functioning skills may enable people to compensate for their impairment in such a way as to mitigate the symptoms, which reduces their risk of meeting the diagnostic criteria for autism. This may explain why, at group level, researchers observe a lower degree of intelligence among people diagnosed with autism, as well as other neurodevelopmental conditions. It also affords an understanding of why intellectual disability is more common among these groups. Thus, the model indicates that low cognitive ability is not part of the autistic personality but, rather, a risk factor that leads to diagnostic criteria being met.

“The autistic personality is associated with various strengths. For example, parents of children with autism are overrepresented among engineers and mathematicians. The parents themselves have probably been able to compensate for their own autistic personality traits and thus not

met the criteria for an autism diagnosis. The impact of the disorder has then become more noticeable in their children owing, for instance, to an exposure to risk factors and relatively low cognitive ability,” Sarovic says.

Difference between girls and boys

The diagnosis of autism is more common among boys than girls, and girls often get their diagnosis later in life. Some girls reach adulthood before being diagnosed, after many years of diffuse personal difficulties.

“Girls’ symptoms are often less evident to other people. It’s well known that girls generally have more advanced social skills, which probably means that they’re better at compensating for their own difficulties. Girls also tend to have fewer autistic traits and be less susceptible to the effects of risk factors. Accordingly, the model can help to answer questions about the gender gap,” Sarovic says.

Research and diagnostics

The model also proposes ways of estimating and measuring the three factors (autistic personality, cognitive compensation and exposure to risk factors). This makes it possible to use the model in the planning of research studies and interpretation of their results.

Diagnostics is another conceivable area of use. In a pilot study in which 24 participants had been diagnosed with autism and 22 controls had not, measuring the three factors of the model enabled more than 93 percent to be correctly assigned to the right category. The model can also be used to explain the inception of other neurodevelopmental disorders, such as schizophrenia.

Darko Sarovic is now a postdoctoral research fellow at Harvard Medical School in Boston, Massachusetts, while remaining affiliated to the Gillberg Neuropsychiatry Centre at the University of Gothenburg, Sweden

A Multimodal Approach toward the Biological Categorization of Autism — Development of Theoretical Models, Classification Methods, and Biomarkers. https://hdl.handle.net/2077/73553

The three factors have different weights, and jointly build up to the diagnosis of autism. photo: Max Thorsson
MIDDLE EAST HEALTHI 95
Darko Sarovic, physician and postdoctoral researcher at Sahlgrenska Academy, University of Gothenburg.

The genes of the sixth sense

To perform coordinated movements, we rely on special sensory neurons in our muscles and joints. Without them, the brain wouldn’t know what the rest of our body was doing. A team led by Dr Niccolò Zampieri, head of the Development and Function of Neural Circuits Lab at the Max Delbrück Center in Berlin, has studied their molecular markers to better understand how they work and describes the results in Nature Communications [1]

Sight, hearing, smell, taste, touch: We’re all familiar with the five senses that allow us to experience our surroundings. Equally important but much less well known is the sixth sense: “Its job is to collect information from the muscles and joints about our movements, our posture and our position in space, and then pass that on to our central nervous system,” says Dr Zampieri. “This sense, known as proprioception, is what allows the central nervous system to send the right signals through motor neurons to muscles so that we can perform a specific movement.”

This sixth sense – which, unlike the other five, is entirely unconscious – is what stops us from falling over in the dark, and what allows us to raise a cup of coffee to our mouth with our eyes shut in the morning. But that’s not all: “People without proprioception can’t actually perform coordinated movements,” says Dr Zampieri.

In the study, he and his team describe the molecular markers of the cells involved in this sixth sense. The findings should help researchers to better understand how proprioceptive sensory neurons (pSN) work.

Precise connections are crucial

The pSN cell bodies are located in the dorsal root ganglia of the spinal cord. They are connected via long nerve fibres to the muscle spindles and Golgi tendon organs that constantly register stretch and tension in every muscle of the body. The pSN send this information to the central nervous system, where it is used to control motor neuron activity so that we can perform movements.

“One prerequisite for this is that pSN precisely connect to different muscles in our bodies,” says Dr Stephan Dietrich, a member of Zampieri’s lab. However, almost nothing was known about the molecular programs that enable these precise connections and lend the muscle-specific pSN their unique identity. “That’s why we used our study to look for molecular markers that differentiate the pSN for the abdominal, back and limb muscles in mice,” says Dr Dietrich, lead author of the study.

Guidance for nascent nerve fibres

Using single-cell sequencing, the team investigated which genes in the pSN of the abdominal, back and leg muscles are read and translated into RNA. “We did find characteristic genes for the pSN connected to each muscle group,” says Dr Dietrich. “We also showed that these genes are already active at the embryonic stage and remain active for at least a while after birth.”

Dr Dietrich explains that this means there are fixed genetic programs that decide whether a proprioceptor will innervate the abdominal, back or limb muscles.

Among their findings, the Berlin re-

searchers identified several genes for ephrins and their receptors. “We know that these proteins are involved in guiding nascent nerve fibres to their target during development of the nervous system,” says Dr Dietrich. The team found that the connections between the proprioceptors and the rear leg muscles were impaired in mice that can’t produce ephrin-A5.

Better neuroprostheses

“The markers we identified should now help us further investigate the development and function of individual muscle-specific sensory networks,” says Dr Dietrich. “With optogenetics, for instance, we can use light to turn proprioceptors on and off, either individually or in groups. This will allow us to reveal their specific role in our sixth sense.” This knowledge should eventually benefit patients, such as those with spinal cord injuries. “Once we better understand the details of proprioception, we’ll be able to optimize the design of neuroprostheses, which take over motor or sensory abilities that have been impaired by an injury,” says Dr Zampieri.

Scoliosis

He adds that researchers in Israel have recently discovered that properly functioning proprioception is also important for a healthy skeleton. Scoliosis, for instance, is a condition that sometimes develops during growth in childhood and causes the spine to become crooked and twisted.

“We suspect this is caused by dysfunctional proprioception, which alters the muscle tension in the back and distorts the spine,” says Dr Zampieri.

Reference: 1. doi: https://doi.org/10.1038/s41467-022-34589-8

96 IMIDDLE EAST HEALTH
The Back Page
Different populations of sensory neurons cell bodies in a dorsal root ganglion (right) and their axons in the spinal cord (left): The cells in green detect proprioceptive information while the cells in red thermal and tactile information. Stephan Dietrich, Zampieri Lab, Max Delbrück Center

Turn static files into dynamic content formats.

Create a flipbook
Issuu converts static files into: digital portfolios, online yearbooks, online catalogs, digital photo albums and more. Sign up and create your flipbook.
Middle East Health Magazine - January/February 2023 by Middle East Health Magazine - Issuu