Skip to main content

BACK OF THE PACK

Page 1

BACK OF THE PACK

1

INSIDE

P.6 BACK OF THE PACK INTRO

P.8 STRESS FRACTURES

P.11 5K2C TO 10K2C

P.13 RUNNERS HIGH

P.16 WHAT HAPPENS TO YOUR BOD

P.16 LONG TERM MENTAL BENEFITS

P.19 DREAMING OF IT

P.20-21 BIG SUR INTERNATIONAL MARATHON- 21 MILER

P.22 JEFF GALLOWAY AND THE RUN/WALK METHOD

P.24 2020- THE WORLD COMES TO AN END? BUT DOES IT?

P.25 FINAL THOUGHTS

2 3
Imaynotlooklikearunner,but thisbodycarriesmemileaftermile. Andmymindknowsthat I CAN DO IT.
I run because I CAN

Race or no race, Fast or slow,

We all come from the same place

THE VERY FIRST STEP

4 5

Slower runners do not have the same race conditions as their speedier peers. Back-of-the-packers often receive less crowd support, hydration and aid stations often run out of supplies or close down before they reach them. Sometimes, back-of-the-pack runners do not even receive a finisher’s medal, nor an official time, if they do not make the race’s cutoff time.

ometimes, the course can become a slippery hazard with piled up cups and trash left by other runners.

Then there is the “sweeper” vehicles that usually follow the slowest runners and pressure them into getting a ride to the finish line if their pace slows.

I started running in 2017 thanks to a picture I saw on Facebook of a gal posing on a background I recognized, Sutter Health Park formerly known as the River Cats Park. I reached out to her, we messaged, and she told me her running story.

That is how my journey started on an overcast morning on April 8, 2017. I joined her and about 30 other people, mostly women, at a park close to my house. They were demoing shoes, signing up people to train for a 5k and 10k and I decided, why not? I can do a 10k, right?

I had done a few 5k before with a friend, pushing a stroller and kept signing up after my kids were old enough to walk/jog with me. Although doing 5k’s was super fun, doing a 10k was different. It made me feel like a runner and set my mind in a different category.

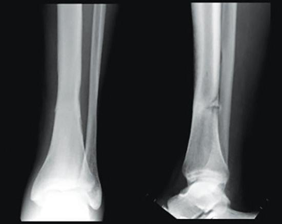
I started training hard and fast. I was determined to achieve something I had not done before and as the weeks went by, I noticed a sharp pain in my left leg. It was hard to walk, and I finally decided to see the Doctor.

To my surprise, I not only had one, but three stress fractures on my tibia and ankle.

Stress fractures are tiny cracks in a bone. They’re caused by repetitive force, often from overuse — such as repeatedly jumping up and down or running long distances. Stress fractures can also develop from normal use of a bone that’s weakened by a condition such as osteoporosis.

6 7

Stress fractures are most common in the weight-bearing bones of the lower leg and foot. Track and field athletes and military recruits who carry heavy packs over long distances are at highest risk, but anyone can sustain a stress fracture. If you start a new exercise program, for example, you might develop stress fractures if you do too much too soon.

Causes

Stress fractures often result from increasing the amount or intensity of an activity too quickly.

Bone adapts gradually to increased loads through remodeling, a normal process that speeds up when the load on the bone increases. During remodeling, bone tissue is destroyed (resorption), then rebuilt.

Bones subjected to unaccustomed force without enough time for recovery resorb cells faster than your body can replace them, which makes you more susceptible to stress fractures.

Symptoms

At first, you might barely notice the pain associated with a stress fracture, but it tends to worsen with time. The tenderness usually starts at a specific spot and decreases during rest. You might have swelling around the painful area.

Risk factors

Factors that can increase your risk of stress fractures include:

Certain sports Stress fractures are more common in people who engage in high-impact sports, such as track and field, basketball, tennis, dance or gymnastics.

Increased activity Stress fractures often occur in people who suddenly shift from a sedentary lifestyle to an active training regimen or who rapidly increase the intensity, duration or frequency of training sessions.

Sex Women, especially those who have abnormal or absent menstrual periods, are at higher risk of developing stress fractures.

Foot problems People who have flat feet or high, rigid arches are more likely to develop stress fractures. Worn footwear contributes to the problem.

Weakened bones Conditions such as osteoporosis can weaken your bones and make it easier for stress fractures to occur.

Previous stress fractures. Having had one or more stress fractures puts you at higher risk of having more.

Lack of nutrients. Eating disorders and lack of vitamin D and calcium can make bones more likely to develop stress fractures.

8 9

I was devastated as I saw my dream of completing my first 10k vanish. I completed my physical therapy and after 6 weeks of rest, and 1 week to go before the 10k event, I decided to still pursue my dream. I ran next to a friend, who kept encouraging me to keep going and that is how I completed my first 10k. So, what is next after that? I decided I was not stopping there. I wanted to do more. So I signed up for a training to complete a half marathon.

I joined the same group I did for my 10k, a group that had coaches full of knowledge on how to prepare you to complete a race injury free, which is exactly what I needed. I also met people like me, who had never run a half before, or

who were new to running, or who had done several halves before but wanted to be faster.

Each one of us was running the same event, but all of us had different goals. I did not know what to expect and once again, I gave it my all.

The baseline was 5 miles. After that, each week we had to increase our mileage by one to two miles. The fun part was when I got to hit my first double digits. The sense of accomplishment in running 10 miles made me feel unstoppable, although I was so tired, sore, hungry and all I wanted to do was go home and sleep.

The day came, I completed my first half marathon, and I understood what runners high meant.

DOING A 10K WAS DIFFERENT. IT MADE ME FEEL LIKE A RUNNER AND SET MY MIND IN A DIFFERENT CATEGORY.
10 11

RUNNERS HIGH

AThe sense of accomplishment in running 10 miles made me feel unstoppable

RUNNER’S HIGH REFERS TO A STATE OF EUPHORIA OR ELATION THAT SOME RUNNERS EXPERIENCE DURING OR AFTER VIGOROUS EXERCISE, PARTICULARLY AEROBIC ACTIVITIES LIKE RUNNING.

Anandamide (C22H37NO2) is activated when stress and pleasure are present in the body.

Runner’s high refers to a state of euphoria or elation that some runners experience during or after vigorous exercise, particularly aerobic activities like running.

It is often described as a feeling of well-being, reduced stress, and even a sense of euphoria or mild exhilaration.

This phenomenon is thought to be caused by a release of endorphins, which are natural chemicals produced by the body that act as painkillers and mood elevators. Endorphins are released in response to stress and physical discomfort, such as the prolonged physical exertion experienced during exercise.

Apart from endorphins, other factors such as the release of neurotransmitters like dopamine and serotonin, as well as the sense of accomplishment from completing a challenging workout, may also contribute to the overall feeling of well-being associated with runner’s high.

While runner’s high is a well-documented and commonly reported phenomenon, not all individuals experience it, and its exact mechanisms are still not fully understood. However, many people find the potential for experiencing runner is high to be a motivating factor in their exercise routines. (Proyecto académico sin fines de lucro).

12 13

I never would’ve thought that one sport could change my entire outlook in lifeuntil I became a runner

When your legs are tired, run with your heart!

14 15

What Happens to Your Body — and Brain — During a Run

When you start out on your run, your body goes through a transition: Your breathing may become heavy, and you might notice your pulse quicken as the heart pumps harder to move oxygenated blood to your muscles and brain.

As you hit your stride, your body releases hormones called endorphins. Popular culture identifies these as the chemicals behind “runner’s high,” a short-lasting, deeply euphoric state following intense exercise.

And though endorphins help prevent muscles from feeling pain, it is unlikely that endorphins in the blood contribute to a euphoric feeling, or any mood change at all. Research shows that endorphins do not pass the bloodbrain barrier.

That relaxed post-run feeling may instead be due to endocannabinoids — biochemical substances similar to cannabis but naturally produced by the body.

Exercise increases the levels of endocannabinoids in the bloodstream. Unlike endorphins, endocannabinoids can move easily through the cellular barrier separating the bloodstream from the brain, where these mood-improving neuromodulators promote short-term psychoactive effects such as reduced anxiety and feelings of calm.

Long-term Mental Benefits of Exercise

The mental benefits don’t stop when you finish your run — regular cardiovascular exercise can spark growth of new blood vessels to nourish the brain. Exercise may also produce new brain cells in certain locations through a process called neurogenesis, which may lead to an overall improvement in brain performance and prevent cognitive decline.

“Exercise has a dramatic antidepressive effect,” says Linden. “It blunts the brain’s response to physical and emotional stress.”

What’s more, the hippocampus — the part of the brain associated with memory and learning — has been found to increase in volume in the brains of regular exercisers. Other mental benefits include:

*Improved working memory and focus

*Better task-switching ability

*Elevated mood

By making running or jogging (or any aerobic exercise) a regular part of your routine, you stand to earn more than just physical gains over time. “Voluntary exercise is the single best thing one can do to slow the cognitive decline that accompanies normal aging,” says Linden.

Consulta más información en https://www.hopkinsmedicine. org/health/wellness-and-prevention/the-truth-behind-runners-high-and-other-mental-benefits-of-running

How do you get a runner’s high?

Most people who experience runner's high exercise at high intensities for long periods. There is also some anecdotal evidence that switching up your workout routine can increase your chances of getting a runner's high. But there is little research to support that.

Plus, everyone's body is different, so there is no standard formula to achieve a runner's high. One person may feel a runner's high after a 45-minute run. But it might take 60 minutes for another person to feel that exercise-induced bliss. And some people won't experience it no matter how hard or long they exercise.

That's OK, too, because running has plenty of other benefits. For example, it may reduce your risk of chronic diseases like Type 2 diabetes and help you live longer.

Increasing your workout intensity or length is a safe way to challenge yourself. But starting a new high-intensity exercise or abruptly changing your fitness routine is not a good idea. It can lead to overexertion and injury. And you don't always need a long workout to reap the benefits of exercise. One study found that just 15 minutes a day –– or around 90 minutes a week –– of moderate exercise could increase your life expectancy.

The bottom line is that runner’s high is a real phenomenon that causes fleeting joy or calm after long or vigorous exercise. But contrary to popular belief, endocannabinoids –– not endorphins –– may be the cause.

Some research suggests that this post-workout euphoria could lead to addictive behaviors. Therapists and other health professionals can help treat a running addiction. If you think you need help, ask your healthcare provider about treatment options.

16 17

I kept signing up for trainings and signing up for races. I was not the fastest and, although not the last one, I do consider myself part of the back- of-the-pack. The crowd where the fun happens and where the most encouragement is needed. There is also where I discovered interval running.

2017 marked the beginning of a new journey that I did not know I was going to enjoy so much. I met a community that embraces you, encourages you and supports you.

Fast forward to 2019 when I decided that a half marathon was not enough, so I signed up to do 21 miles at Big Sur, in one of the most coveted places to run along the West Coast of the United States where it is only you, the pavement and the sound of the waves. Did I train? Sure. Was I consistent with it? Not really. I did end up running up to 16 miles during my training and looking back, I know it was not enough.

However, race day came, and I truly gave it my all. I had driven Highway 1 with my family many times but never anticipated feeling the emotions I felt seeing it a unique way and the biggest one of them was panic. No cars along the way, no cheering on the side of the road, just me and the ocean to my left and thousands of others to my right. I am so glad I trained doing intervals because that saved my sanity and especially my legs.

18 19

21.2-miles of the Big Sur International Marathon course which is regarded as one of the most beautiful and challenging marathon courses in the world. The course is point-to-point running north on historic California Highway 1 from Andrew Molera State Park to Carmel. 21-Miler participants share the course with full marathoners and other shorter distance events using one lane of the scenic two lane-winding road.

The course features several significant hills including a two-mile steady climb to Hurricane Point between miles five and seven and numerous rolling hills between miles 17 and 20. Be prepared for an incredible journey! https://www.bigsurmarathon.org/ races/21-miler/ (Proyecto académico sin fines de lucro)

This is a spectacular coastal course with stunning views of the Pacific Ocean, and some unique features,

such as crossing Bixby Bridge at the Halfway point, where you come across a tuxedo-clad pianist playing a Yamaha baby grand piano!

At the bottom of this hill is the world-renowned Bixby Bridge, the halfway point of the Marathon. As you descend Hurricane Point you will hear the hauntingly beautiful music of Michael Martinez playing a Yamaha Piano.

20 21

JEFF GALLOWAY

There is a common misconception that being at the back of the pack is negative, but it is a testament to runners’ determination and effort. Regardless of pace, we are still out there pushing ourselves and achieving our personal goals, whether it is finishing a race, improving our fitness, or simply enjoying the experience of running.

The “run/walk/run” method, also known as the Galloway method, is a training strategy developed by Olympian Jeff Galloway. It involves alternating between running and walking intervals during a workout or race. This approach has become popular among runners of all levels and can be used for various distances, including 5Ks, half-marathons, and marathons.

The run/walk/run method allows runners to manage fatigue more effectively, reduce the risk of injury, and extend their overall endurance by incorporating walking intervals. It also provides opportunities for men tal breaks and helps maintain a consistent pace throughout the workout or race.

The Jeff Galloway Run-Walk Method: A Beginner’s Guide to Running Success

Developed by former Olympian Jeff Galloway in 1979, this marathon training strategy has helped countless athletes achieve their running goals, whether they are absolute beginners or Boston marathon runners. In this post, we will review what the Jeff Galloway Method is, why it works, and whether it's beginner-friendly. Additionally, we will discuss what’s more beneficial: running continuously vs. using intervals.

What is the “Run Walk” Method?

The Jeff Galloway Method is a marathon training approach that integrates running with deliberate walk breaks to help runners build endurance, reduce injury, and enjoy the sport of running. Unlike other marathon training programs that utilize continuous running, the Jeff Galloway Method incorporates short walking intervals throughout the run to help runners conserve energy and prevent fatigue.

How does the Jeff Galloway Run Walk Method work?

The core concept behind the Jeff Galloway Method is that incorporating walk breaks during a run allows runners to conserve energy and reduce the risk of injury. This also helps promote a more enjoyable running experience and pushes runners to meet their goals. By taking regular walk breaks, runners give their muscles a chance to recover, which helps to prevent overuse injuries and fatigue. Walking breaks also allow runners to maintain a more consistent pace throughout their run, making it easier to complete longer distances.

What is a good run-walk ratio for beginners?

One of the greatest advantages of the Jeff Galloway Method is its beginner-friendly nature. By incorporating walk breaks, beginners can ease into a running routine without placing excessive stress on their bodies. This marathon training method allows beginners to build their endurance and adapt to a running routine, greatly reducing the risk of burnout.

Furthermore, the Jeff Galloway Method is highly flexible and can be customized to meet each individual runner’s needs. Whether you are a complete beginner or someone returning after a long break, the run-walk intervals can be tailored to suit your fitness level.

To implement the Jeff Galloway Method, runners need to determine their desired running pace. Then, runners can schedule regular walk breaks at strategic intervals.

For example, a beginner might start with a run-to-walk ratio of 1:1. This means they will run for 1 minute and after walk for 1 minute, repeat-

ing the pattern throughout their workout. The more experienced a runner becomes, their runwalk ratio can be adjusted to their needs.

Continuous Running or Intervals: Which is better?

The debate regarding whether continuous running or using intervals is more beneficial is common among runners. While both approaches have their merits, the Jeff Galloway Method utilizes using intervals for several reasons.

Firstly, interval training can make running more enjoyable for beginners. By breaking up a run into manageable sections, runners avoid feeling overwhelmed and retain a positive mindset towards running.

Secondly, intervals allow runners to achieve a higher overall workout volume. Runners who take strategic walk breaks can extend the duration of their run, without experiencing excessive fatigue. This is particularly beneficial when training for longer distances, making it optimal for marathon and half-marathon runners.

Lastly, intervals provide consistent recovery periods for the muscles. By doing so, runners can maintain proper form and reduce the risk of overuse injuries. While giving their body a chance to recover during walk breaks, runners can push themselves during the running portions without sacrificing their overall health.

The Jeff Galloway Method is a highly effective and beginner-friendly training strategy that incorporates walk breaks into training routines. By using run-walk intervals, runners can improve their endurance, prevent injury, and enjoy running to its fullest. Whether you are an experienced runner or an absolute beginner, consider giving the Jeff Galloway Method a try and discover the benefits for yourself.

22 23 JG

We all know what happened in 2020, when the world came to a halt, when we had to stay home to survive. However, for me, being outdoors is what I think kept me alive. I found a group of people who I connected with. People like me, back of the pack, who were ok with doing intervals. We met 4 times a week and kept our distance but also connected and grew closer, sharing one common goal, running. In 2021 I decided to achieve another goal, to run my first marathon. I trained mostly on my own and despite the pain I had the last few miles while running it, I was able to complete it. 2023 marked another goal for me and I completed my second marathon. I followed a plan, trained, was consistent and had the best attitude.

On December 3, 2023, I was ready to conquer that course, I was ready to get a PR, I had fuel, water, and my friends next to me. We had all trained for the same race, we all had different goals, but the main one was to finish. To finish with the back of the pack, with the 6:00 hour pacer and then, several factors happened.

Weather was one of them, it got hot too fast, and my brain started playing mental tricks. Thanks to my family that showed up and gave me the boost I needed to keep going. Mile 16 one of my friends started having

health issues. We stopped for medical aid and right there, I realized I was not going to achieve my goals and get my desired PR.

I made the choice to wait for her, to make sure she was well enough to keep going and after her reassurance, we did. I ended up running ahead of her as she was waiting for our other group of friends. I was lucky enough to still find fuel on the course. At the end, I was eight minutes slower than my first marathon. No PR for me, but I was glad I made the right choice.

Sometimes having the best attitude is not enough as there are so many unknowns. My other friends, on the other hand, were not as lucky. They had no fuel on course, no cheer squad, and by the time they crossed that finish line, the event organizers were already packing up. The heartbreaking thing was that even though I still finished within a reasonable time, they ran out of medals. I crossed that finish line that I had worked so hard to accomplish and there was no bling at the end of it.

Again, the running community is an outstanding one because when other runners realized that had happened, they were more than willing to share their so I could capture a moment on a picture holding a medal I deserved. Finally, last week, my friends and I got

our medals, and so did close to 300 runners that finished but did not get one on race day.

2024 is a year with different goals for me. I want to improve my speed, but also, I want to do some destination runs. I am set to do another 21 miler in Big Sur and now, I am fortunate enough that my husband has decided to embark on this journey with me. Will I ever do another marathon? Only time will tell.

Running is a personal journey, and where you place in a race does not define your worth as a runner. What matters most is the joy, satisfaction, and sense of achievement you derive from the experience, regardless of your position in the pack.

24 25
26 27
28

Turn static files into dynamic content formats.

Create a flipbook