CANTERBURY'S NO.1 LIFESTYLE MAGAZINE

FEATURE
NEW ZEALAND CUP WEEK
INTERVIEW
APPAREL WITH JANE COLEMAN
FASHION
ANIMAL ENERGY
CUISINE
RACEDAY BREAKFAST

SINCE 1998
![]()
CANTERBURY'S NO.1 LIFESTYLE MAGAZINE

FEATURE
NEW ZEALAND CUP WEEK
INTERVIEW
APPAREL WITH JANE COLEMAN
FASHION
ANIMAL ENERGY
CUISINE
RACEDAY BREAKFAST

SINCE 1998

Dr. Helen Murray, a neuroscientist specialising in the research of the risks of highimpact sport on players’ brain health, recently presented to Alpine View residents on how to improve the health of our brains as we age.
This was part of Alpine View Lifestyle Village’s TRILife Wellness Programme, where live talks are held on a variety of stimulating topics.
For a tour of houses and apartments contact Louise (027 614 4170) or Glenda (027 397 8226)

448 Prestons Road, Waitikiri | alpineview.co.nz

A subsidiary of

















EDITOR LYNDA PAPESCH
PUBLISHER:
Metros Publishing Group (NZ) Ltd
Murray Dempsey murray@metros.co.nz
GENERAL MANAGER: Tracey Prince tracey@metros.co.nz
ADVERTISING: advertising@metros.co.nz Ph: 03 343 3669
PRODUCTION & DESIGN: Ian Knott production@metros.co.nz
DISTRIBUTION QUERIES: jo@metros.co.nz
ADDRESS:
15a Leslie Hills Drive, Riccarton, CHCH 8011. Postal: P.O. Box 9362, Tower Junction, CHCH 8149
EDITOR
Every issue of Metropol is special to our team, although often for di erent reasons. This issue comes out as Christchurch is well down the track gearing up for Cup Week. Deciding content, working with clients, designing and proofing the pages, and finally sending the magazine to the printer, is followed by the excitement of having it delivered a few days later.
While the issue is dedicated to Cup Week with fashion, fun, gallops and trots filling its pages, there’s also a lot of other interesting reading. It’s full of what businesses are doing, so if you’re looking for ideas then turn the pages and read on.
All around the central city, there is much work happening behind the scenes so that in a few weeks time, Christchurch
Lynda Papesch editor@metros.co.nz Ph: 021 073 2786
DEPUTY EDITOR: Nina Tucker deputy.editor@metros.co.nz
CREATIVE DIRECTOR: Lucas Pantos lucas@metros.co.nz
CONTRIBUTORS: Alicia Carr, Barry White, Ben Selby, Cheryl Colley, Coral Henderson, Denise Robertson, Getty Images, Hannah Brown, Jessica Allen, Joseph Harper, Lorraine Quinn, Louise Mackenzie, Nancye Pitt, Nat Donald, Rhonda Mitchell, Tracy Pope.

will shine in all its glory. True it is always on display, and gaining in popularity as a destination, yet Cup Week is extra special with numerous businesses amping up for summer, and showcasing what they have to o er with renewed vigour.
Considered the highlight of the city’s social calendar, Cup Week has previously brought tens of millions of dollars into Christchurch’s economy, and millions more to the TAB.
There’s no reason to doubt that won’t happen again this year, bringing a muchneeded boost to business confidence.
That aside, it’s a time to get out and have fun, kick-start the summer early with friends and families, and celebrate all that is good about the city we live in.
Metropol is printed on PEFC-certified (No: 40-31-33) paper, from forests that are managed in line with the strictest environmental, social and economic requirements. Certification provides assurance the paper we use is from sustainably managed forests; a forest that will be around for generations to come.

Metropol is published every fortnight and is delivered to the best addresses in the Christchurch and Canterbury region. It is also available from many selected stores, malls, stands, waiting rooms and o ces. Metropol is subject to copyright in its entirety. Reproduction in whole or in part without permission will result in legal action. Every e ort is made to ensure the accuracy and correctness of the information contained within the magazine, however Metros Publishing Group (NZ) Ltd can accept no liability for the accuracy of all the information. The information and views expressed anywhere in these magazines are not necessarily the views or opinion of Metros Publishing Group (NZ) Ltd, its editorial contributors, freelancers, associates or information providers.
Audited circulation by Magazine Publishers Association (MPA) Metropol is the only free lifestyle magazine in the South Island with Audited Circulation. Verified by Magazine 360. This means we print and distribute the magazines we say we do. Assuring the reach and e ectiveness of clients advertising. To view circulation of Metropol and other magazines go to: www.magazine360.co.nz



Balancing fashion, international travel, and an active lifestyle are what makes Jane Coleman, General Manager of Apt Collections tick, as Metropol Editor Lynda Papesch discovers.
An unfamiliar name to many in Christchurch, the tides are changing with Apt Collections opening its Christchurch store in September this year.
Born from Longbeach Apparel, a New Zealand owned company that has been operating out of Christchurch for more than 45 years, its womenswear labels include Foil, Newport, Preen, Memo, Design Nation, Neris, Seeking Lola, Billie the Label, and Leila & Luca.
At its helm is the vivacious Jane Coleman, whose energy mirrors the vibrancy of the designs her brands bring to women across the globe. “We take pride in embracing bold colours and prints,” says Jane. “Our goal is to make shopping a joyful experience for every woman.”
A 100% Kiwi-owned business, it is dedicated to helping women celebrate their individuality. Jane’s key piece of fashion advice? “Don’t feel pressured to wear something just because it’s ‘on trend’. There are so many options available today. Choose a style that makes you feel confident and comfortable, so you can look great and be your best self.”
With years of experience in the fashion industry, Jane has been instrumental in expanding Apt’s in-house brand Foil to markets beyond New Zealand, including Australia, the United Kingdom, America, and Canada.

“We design, develop, source, and supply labels and clothing ranges for both retail and commercial clients,” she adds.
Selecting which styles to develop is a collaborative team e ort. The majority of Apt’s collections are designed in-house in Christchurch, where a talented design team manages everything from concept to completion.
“Our team oversees every step of the process, from design and product development to manufacturing, marketing, sales, and delivery,” Jane explains.
“We put a tremendous amount of research into fabric selection and fit to ensure quality across all our brands, resulting in a collection with broad appeal.”
With the arrival of the spring/summer collection, Jane is excited about the vibrant prints, bright colours, and sophisticated monotones. “Natural fibres like cotton, linen, and breathable viscose are key this season, which is perfect as the weather warms up.”
Jane’s personal style is a mix of classic and contemporary. “I love timeless pieces with a modern twist. One of my favourite outfits this season is from Neris, the ‘In Ore’ linen jacket, waistcoat, and pants with a metallic finish and statement buttons.
“I like to keep things versatile and comfortable, while adding unique touches that reflect my personality.”
Jane’s role often takes her overseas for fabric sourcing and development, where she visits factories and supply partners in Asia. “We work hard to maintain long-term relationships with our suppliers, many of whom we consider friends,” she says.
“I also travel to meet distributors in Australia, the UK, Europe, and North America. It’s always inspiring to travel, but there’s nothing like coming home to New Zealand.”
Balancing her demanding job with personal life isn’t always easy, and Jane admits that the line between work and home can blur. Still, she considers herself fortunate.
“I love what I do, and I work with a fantastic team. Fostering a supportive environment is crucial.
“Sharing responsibilities and communicating e ectively can make a big di erence. I try to stay organised by prioritising tasks and making daily to-do lists. I also carve out time, usually in the early mornings, for a workout.”
With manufacturing in China and India and key partnerships across the US, UK, Canada, and Europe, Jane’s role involves nurturing stakeholder relationships, as well as sourcing, costing, and negotiating—all with a focus on maintaining profitability.
“My greatest satisfaction comes from seeing our clients succeed and supporting my team through a strong, peoplefocused, and value-driven culture.”
When Jane isn’t working, she’s just as active in her downtime. “I love running around Christchurch’s Port Hills and taking our dog Millie for walks. When I can, I enjoy playing golf and spending time with friends and family—especially over a glass of wine.”




“If you’re stuck in a fashion rut, have a ‘wardrobe edit’ and try to be ruthless, donating to charity anything that doesn’t make you feel good when you wear it.
“It’s surprising how therapeutic that exercise can be. Occasionally you find gems you’ve forgotten about and charity shops are always grateful for donations.
“When you have done that, you can have a better gauge on what is missing from your wardrobe. Pop down to your friendly boutique (or Apt Collections store) and have some fun. Ask the team to recommend a few outfits and have a try on.
“Think about how you can mix items you already have with some items that might be a new shape or colour. I think it’s always worth trying new shapes, quite often they look quite di erent on the hanger than on, and you might surprise yourself with how good they look.”


Sarah Cotterall is the brains behind one of the iconic New Zealand jewellery brands you will find on the shelves of fashion stores nationwide – Silk & Steel. She tells Metropol Deputy Editor Nina Tucker about the 15-year ride.







Ideas simmer in my mind until I reach the point where I need to start sketching and forming a story and a collection,” Sarah says on bringing her jewellery to life, which can take weeks to months. She grew up in London around the same time as Kate Moss was rising to fame. Influenced by the thriving creative fashion scene there, which the series In Vogue: The 90s showcases vibrantly, and surrounded by other talents pushing boundaries, Sarah had every incentive to set her goals in motion. London museums showcasing archived fashion, Summers in Italy, and a stint in Paris following university sent her design dreams soaring.
Such big ideas felt frightening–and an o er to study fashion and marketing at Central Saint Martins, a world-renowned arts and design college, was traded for a Bachelor of Arts with Honours in international marketing management. “I was so intimated by the level of talent [at Central Saint Martins]. I doubted myself and worried whether I was good enough.”
That decision became a blessing, giving Sarah the business acumen to combine with her passion and creativity to craft a solid brand.
A dissertation on the late, great Vivienne Westwood’s influence on fashion lingers in Sarah’s mind, as do the hours she spent with her Italian mother, who taught her to sew, on college projects, including reconstructing a Vivienne Westwood corset.
she was promoting. Never a trained jeweller, Sarah could warp traditional techniques and push boundaries, then incorporate her love of juxtaposition – “mixing the pretty with the edgy, like pearls with spikes.” Sarah sees the local fashion industry as a whole, so crafts collections that align with the designs of her peers yet can also stand alone. Success is seeing people wear, and love, their jewellery, Sarah adds. “Success isn’t about monetary gain. I love coming in to work every day. That, to me, is success.”
When the brand was a baby, so too were her own. It was an opportune time to pursue her goals while she looked after her children at home. “I used any spare time I had to get creative. I’ve always been passionate and motivated to create my own brand, so the timing was perfect,” she reflects. A strong multitasker, and someone who craves a full to-do list, building Silk & Steel from the ground up “was a great outlet.”
“I work too hard to work for anyone else.”
Nowadays, inspiration draws from architectural, vintage, fashion, and gemstone sources, including customer wishes. An aspect of the brand was always exclusivity, so Sarah keeps this in mind with each collection. “I loved finding those one-o pieces that made me di erent. Even back then, I knew I wanted to create something special that, if you missed it, you might not get it again.”
Silk & Steel, which grew from a “burning desire and passion to create not only beautiful jewellery but an accessible lifestyle accessory,” celebrates its 15th birthday this year. The maturation has been a “process of natural evolution. The brand has grown as I have grown as a designer, and our collections reflect that journey.”
Three ranges developed to cater to di erent age brackets within their clientele, and consistent accessible luxury o erings, Sarah wouldn’t change a thing. “I’ve learned to trust my instincts and listen to our customers, but also to stay true to myself and my creative direction.” She loves being her own boss. “I work too hard to work for anyone else.”
Becoming an iconic New Zealand jewellery brand is a huge feat, and Sarah explains the satisfaction comes from fulfilling the dream. Emphasising the support crew around her on the journey, she shares “it’s daunting because, as a creative, you put yourself out there and expose your creativity. You have to believe in yourself because if you don’t, no one else will.”
Early on, Sarah didn’t have a choice – she handled everything from campaign and website design, to photography, copywriting, PR, and advertising. Then, there was actually creating the pieces
Her children, now 16 and 19, require less attention, yet Sarah finds herself even busier. “I’m always looking for the next exciting thing,” she explains. Each collection is more thrilling than the previous. Downtime looks like walks and time spent with loved ones. She laughs. “Funnily enough, I also relax when I’m designing. It’s hard to switch o .”
If you’re building a personal collection, Sarah encourages choosing key pieces, considering sentimental value and one anchor piece. When it comes to styling and layering, “a good way to start is by purchasing pre-layered necklaces or looking at how the jewellery brand has styled pieces together.” Whatever you do, keep trying di erent combinations. “The more you style your jewellery, the more you will wear those pieces, either alone or together,” she adds.
Tell me about how you style your outfits, does jewellery or clothing come first?
“It all depends. If I want to wear a particular pair of earrings, I’ll probably style my outfit around them. I’m not very good at planning ahead - I like to dress according to how I feel, what the weather’s like, and where I’m going.”
If you could host one celebrity for dinner, who would it be?
“Kate Moss. She grew up in London, not far from where I lived, and we had mutual friends. At the time, because I was only 16, we had no idea how far her career would go. She’s also a muse now, and I love her style. I’m sure she would have lots of interesting stories to tell from her journey in the industry.”
What is your strangest irrational fear?
“Being in a small confined space and feeling trapped. I’m not sure where my claustrophobia came from.”



Head out to one of these enjoyable events in the coming months.
MID OCTOBER ONWARDS






NOW - 9 NOV: A DOLL’S HOUSE
Henrik Ibsen’s iconic play is at The Court Theatre, helmed by critically-acclaimed director Melanie Luckman. This powerful exploration of personal freedom is a must-see, exposing the power and gender dynamics within marriage. courttheatre.org.nz
NOW - 20 OCT: UNSUNG HEROES
Described as “New Zealand’s most entertaining history lesson”, this musical show brings together the talents of five actors, performers, and musicians at the Ferrymead Lodge. A recipe for a great night out. eventfinda.co.nz
18 - 20 OCT: CATHY POPE, FLOX, SHANNON COURTENAY POP UP
Prepare for a weekend of pure magic featuring Cathy Pope’s iconic jewellery, fresh new artwork from Flox, and stunning ceramics by Shannon Courtenay at Papa Hou, 4 Rolleston Ave. cathypope.co.nz
19 OCT: SPRIG + FERN MERIVALE DOG DAY
Join Sprig + Fern Merivale for Dog Day on Saturday 19 October, from 12.30 to 3.30pm. There will be toys, treats, information and prizes to raise money for charity. Remember, the team are super dog friendly, all of the time, inside and outside. sprigandfern.co.nz/merivale
31 OCT: CANCER SOCIETY CHARITY
GOLF DAY
Enjoy a day with friends on the Clearwater Golf Club course with a team ambrose format, all for a good cause. Food, drinks, and golf prizes follow. cancer.org.nz
31 OCT – 3 NOV: HURUNUI GARDEN FESTIVAL
Join the seventh annual Hurunui Garden Festival, the hosts are looking forward to seeing you in the 18 gorgeous gardens and two historic homesteads within the extraordinary Hurunui region. www.hurunuigardenfestival.com




NOVEMBER WEDNESDAY
13
Multi-platinum selling rock band Crowded House embark on their NZ tour this month in support of their latest album Gravity Stairs, performing at the Wolfbrook Arena, 13 November. Hear their biggest hits live alongside new songs, as they captivate audiences as they have done for nearly four decades. crowdedhouse.com



22 NOV: ATOMIC! 2.0
Celebrating rock’s greatest female trailblazers, ATOMIC! 2.0 brings a dynamic roster of artists perform iconic hits from the likes of Blondie and Eurythmics at the Isaac Theatre Royal. IMAGE: artist Julia Deans by Stephen Tilley. premier.ticketek.co.nz


Ten years ago on 17 November, 2014, a resilient Chri church community gathered in anticipation. A er years of uncertainty following the deva ating earthquakes, the doors of the iconic Isaac Theatre Royal (ITR) would swing open once again to reclaim its place in the city’s cultural heart. For many, the idea of the old lady’s grand reopening had once seemed an impossible dream.
The heritage building, rich in hi ory and memories, was all but thought gone, its future hanging in the balance.
Unwavering determination followed, from passionate patrons and legendary artists like Sir Ian McKellen, who toured New Zealand to raise much-needed funds.
Richard O’Brien, Miriam Margoyles, and others donated their ticket sales to support the theatre. Thanks to them, the dream of restoring the ITR to its former glory became a reality.
These e orts ensured that the theatre could once again host performances on its hallowed wooden stage, preserving its legacy for generations to come.
A decade later, its heritage will be marked, celebrating the milestone with an unforgettable Variety Gala, presented by Newstalk ZB and the Isaac Theatre Royal. On 17 November, 2024, the establishment will come alive with a dazzling array of performances that celebrate the theatre’s remarkable past and look ahead to an exciting future.
The gala promises something for everyone. Hosted by beloved Kiwi entertainers Anika Moa and Jason Gunn, the evening will feature spellbinding performances from opera stars, the Christchurch Symphony Orchestra, and the Royal New Zealand Ballet. Audiences can also expect appearances from some familiar faces of television and stage, along with musical magic from Julia Deans performing with Come Together.
The eclectic line-up doesn’t stop there. Feel the pulse of Japanese drummers, be captivated by spoken word poets, and rock out to the sounds of some of New Zealand’s finest musicians. Richard O’Brien, famed for The Rocky Horror Show, will also grace the stage, adding his signature flair to this already star-studded event. Comedians, rock ‘n’ rollers, and a dash of musical theatre sparkle ensure the gala will be a night of pure entertainment.
Tickets are on sale now at Ticketek, so secure your seat and be part of this momentous celebration. The Isaac Theatre Royal’s 10-year anniversary gala will reflect on the incredible journey of the past decade, and also its exciting new programming strategy, ensuring that the next 10 years will be just as magical.




Debbie Templeton-Page’s sculptures seem to have a wairua that yearns to reach out from their solid foundations.
Serene faces that could be dreaming death-masks, abstract geometric forms that fluidly shift and turn; and long, elongated figures stretching to the heavens.
The Tasmanian-born artist has established herself as a master-sculptor, honing her craft in Canterbury over the past 25 years. “From the moment I first picked up a hammer and chisel, sculpting has been my passion and obsession,” the artist says.
Based out of her York Street Gallery in Timaru, Debbie’s distinctive sculptural work currently stands alongside a fabulous retrospective of paintings by the late Marilynn Webb. Her sculptures in bronze, clay, and various stones are striking.
Though she has worked across many sculptural materials over the years, bluestone is the medium she most frequently returns to. “It is a natural resource quarried in Timaru, and is a part of the local shoreline and hills,” says Debbie.
“The natural beauty that emulates from the stone just amazes me.”
Working in bluestone is no simple task. The rock is extremely hard. Because of this, the stone can hold crisp, sharp lines that seem to emerge. There’s an ancient and ethereal quality to bluestone carvings and Debbie’s sculptures are great examples of this. Figures in her work feel as though they have been drawn out of their hiding places in the rock. “Sculptures and rocks are always twisting and turning in my mind, inspired not only by the way they look, but also the way they feel.”
As well as the York Street Gallery, Debbie is currently exhibiting at Timaru’s Aigantighe Art Gallery and will feature her work at Ōtautahi’s Chambers Art Gallery later this month.
Find her work at 21 York Street, Seaview, Timaru. yorkstreetgallery.com | debbietempletonpage.com

4.
5.











Visit galleries in and around Canterbury and make a day of it.

These beautiful photographs o er an unusual approach to familiar landscapes. Through his inventive use of a hand-built camera, Stefan has blended fragmented views of Banks Peninsula, the Botanical Gardens, or Canterbury’s hinterland to create the illusion of continuous panoramas. Not so. The seamlessness is deceptive. See captured moments of a journey, not the whole of it. Memory is imperfect after all. Views leak into each other, serendipitously entangling with neighbouring perspectives. PG gallery192, 192 Bealey Ave, Chch
YORK STREET GALLERY OF FINE ART
OPEN FRI & SAT 11AM - 3PM
Contemporary and traditional artworks by renowned Llew Summers, Mike Glover, Debbie Templeton-Page, Matt Williams, and Nigel Brown. The gallery holds a selection of high quality artworks to view and to purchase.
York Street Gallery, 21 York Street, Timaru
THE PLATFORM @ ART METRO OPEN 10AM - 3PM MON-THURS, OR BY APPOINTMENT
Monica Yeazel - artist. A journey of unpredictability and “anything-ness.”
Monica explores the world of light and colour through an organic, abstract process.








As the nation’s capital city, Wellington is not just a business hub; it offers plenty to see and do, eat and drink, and have an all-round good time.
Planning your trip will be easy, guided by the businesses featured on the following page; finding time to fit in all the activities you’d like will be the di cult part.
Here are some ideas:
Eat and drink: The central city has so many cool cafés, eateries, and bars, that it is hard to pick one. Indulge and choose a di erent venue for breakfast, lunch, and dinner.

Discover the world and writing of internationally acclaimed New Zealand author Katherine Mansfield in her fashionable childhood home.
This Category 1 Historic Place in the innercity heritage suburb of Thorndon inspired some of her most famous short stories.
Paws-itively dog friendly: Numerous dog-friendly cafés and bars are located around Wellington, so if you have a furry friend with a taste for a puppuccino, take them along too.
Courtenay Place: A hotspot for fun and entertainment, Courtenay Place is one of Wellington’s buzziest streets, with plenty of hidden culinary gems to tempt your tastebuds.
Brewpubs: Big in Wellington, brewpubs o er a chance to relax in comfort, eat, drink and make merry amid the paraphernalia of brewing, adding a level of authenticity to your beverage when you can smell the hops and see bags of malt through a window.

Don’t wait, 2025 is just around the corner! Treat yourself to a weekend getaway with our Grand Occasion Package. Enjoy a luxurious stay with stunning views, a complimentary bottle of bubbles, a tasty breakfast bu et, and late checkout. Book your city escape today to experience the best of Wellington in style! Terms apply.
04 499 9500 | 147 The Terrace, Wellington www.grandchancellorhotels.com

We are Wellington’s central craft store, stocking craft supplies for sewing, knitting and crochet, beading, dyeing, and advanced specialty crafts.
We feature Wellington’s largest selection of pins and patches, and other gifts for the crafty and quirky.
04 801 5850 | www.mademarioncraft.co.nz 166 Cuba Street, Te Aro, Wellington


Located smack bang in the middle of Wellington’s cultural precinct, The Intrepid Hotel is THE place to visit for the adventurous traveller. Revel in the personalised touches, fabulously stylish décor, uber-comfy beds and complimentary delights throughout your stay.
hello@theintrepidhotel.com | 04 830 0996
www.theintrepidhotel.com
60 Ghuznee Street, Te Aro, Wellington

Indulge in pure bliss at Bodyhaven Spa. Unwind in our tranquil oasis, where expert therapists pamper you with rejuvenating massages, luxurious facials, and blissful body treatments. Experience ultimate relaxation today at www.bodyhaven.co.nz and embrace a journey of revitalisation like never before.
www.bodyhaven.co.nz

Your one-stop-shop for high quality, designer clothing, footwear and accessories, featuring the best in local and international brands - newborn to teen. Bambini - for clothes kids love! Where quality meets style & comfort meets durability - a shopping experience to WOW you! Parking is FREE.
04 473 7380 | bambini.nz
Upstairs at Capital Gateway
34-56 Thorndon Quay, Wellington

LE SAIGON
Cosy restaurant bringing authentic Vietnamese experience for your taste buds, served by our friendly staff. Located in the coolest little capital – Wellington. Come on in to try our flavoursome Banh Mi, a bowl of hot Pho noodle soup, or our signature Chargrilled Pork Sirloin.
04 974 8883 | www.lesaigon.co.nz 146-150 Featherston Street, Wellington

Explore a hidden valley home to some of New Zealand’s rarest native wildlife. Located just 10mins from the CBD, Zealandia Te Māra a Tāne o ers you the chance to see tuatara, takahē, little spotted kiwi and more living wild in a regenerating native forest. Visit by day or tour by night. 04 920 9213 | www.visitzealandia.com
Located at the end of Waiapu Road, Karori, Wellington

A four-star hotel, achieves a near-perfect blend of a ordability and great location with rooms that are clean, smart & comfortable. There’s a variety of room configurations which can be tailored to your group size; choose from queen, twin or triple rooms and for more space, you can upgrade to a Suite, which has a separate lounge and dining area.
reservations@westplaza.co.nz | 04 473 1440 www.westplaza.co.nz
110 Wakefield Street, Te Aro, Wellington


The 2024 World of WearableArt™ (WOW) supreme award went to designer Grace DuVal from the United States for her garment, Curves Ahead.
It was her sixth time entering WOW, and her sixth award win, although the first time she has received the supreme award.
The runner-up was He art, by Xuancheng Liu & Jingyi Lin, China. Curves Ahead was inspired by the strength and resilience of the rebuild e orts following the 2016 Kaikōura earthquake, conceptualised while its designer was on a road trip around New Zealand. She was inspired by the juxtaposition between the natural landscape of Aotearoa and the neon signage and garb of the road crews.
The domineering and curvaceous figure is sculpturally hand-draped out of vinyl reflective construction signs, then topped with a striking spiked crown of plastic cones and fibreglass poles.
The Wētā Workshop Emerging Designer Award was won by New Zealander Katherine Bertram with her garment Termite Cathedral. Fellow Kiwi Rebecca Bond’s Changing Perceptions entry won the Transformation Innovation Award.
With the popularity of Shakespeare flourishing, SGCNZ has a busy schedule ahead to meet both its annual events and requests for more performances and activities.

Book via Eventfinda
sgcnz.org.nz
SGCNZ Dance Nimble Soles
Thursday 24 October, 7.00pm – 8.15pm
Lower Hutt Little Theatre
SGCNZ Primarily Playing with Shakespeare A Midsummer Night’s Dream
Tuesday 5 November, 12.30pm – 1.30pm
The Johnsonville Club, Wellington
Thursday 7 November, 12.30pm – 1.30pm
Northland Memorial Community Hall, Wellington
Tuesday 12 November, 12.30pm – 1.30pm
Berhampore School, Wellington
Wellington Heritage Festival Performances by Shakespeare Globe Centre NZ
The Eternal Woman of William Shakespeare by Rhona Davis MBE & Q&A
Thursday 7 November, 6.00pm – 7.30pm
Old St Paul’s Cathedral, Wellington
Shakespeare Dreamers
SGCNZ PPWS A Midsummer Night’s Dream & Musos
Saturday 9 November, 4.00pm – 4.45pm
Erskine Chapel, Wellington
Sitely Shakespeare
Sonnets, Song & Dance in the Garden
Saturday 16 November, 1.00pm - 1.35pm
Llandaff Country Residence, Masterton

Other New Zealand winners were:
SECTION AWARDS:
Aotearoa: Kārearea, Kayla Christensen
Geometric Abstraction: Walkin’ Wardrobe, Laurel Judd
SPECIAL AWARDS
Sustainability: Sgàthach the Singed, Fifi Colston
Fisher Funds New Zealand Design: The Red Thread, Ian Bernhard
Wētā Workshop Emerging Designer: Termite Cathedral, Katherine Bertram





1.

Quaint and historic, Ōamaru is a dreamy slow-down escape. For a night, a weekend, or the whole week, put this city of heritage back on your radar and dive into all there is to experience near and far.
Ōamaru Lookout Point, at 1 Tamar Street, Southhill, is a gorgeous spot to take in the beautiful scenery the city boasts. Take a book, a picnic, or just the company of your loved ones and appreciate nature. Locals say the views are best enjoyed at sunrise or sunset.
If you have done it before, it’s worth doing again. Find a spot at Bushy Beach Reserve or the Blue Penguin Colony to see the rarest penguin in the world, the yellow-eyed penguin. Watch them waddle and grab your attention – a wonderfully relaxing way to spend a few hours.

Stitchcraft Corner is your crafting danger zone. Stocking supplies for knitting, sewing and embroidery, as well as haberdashery items.
Open Mon - Fri: 10am - 5.00pm Saturday 10am - 2pm
03 434 2144 | 119 Thames St, Ōamaru www.stitchcraftcorner.co.nz
Just under 30 minutes from Ōamaru, the Moeraki boulders are a must-see. Slowly facing erosion, the boulders are an interesting spectacle with a breathtaking beach backdrop. Perhaps make an early morning dash to catch the sunset and capture some gorgeous snaps.
On your road trip there or back, visit the Riverstone castle, an incredible creation built from local Ōamaru stone by Dot and Neil Smith. It was a dream turned reality for Dot, with a childhood wish to live in a castle.

We’re proudly a Qualmark 4-star rating property. Our homemade delicious mu ns are a treat upon your arrival. Situated just a few minutes’ drive away from town centre, o ering self-catering accommodation with SKY TV and kitchenette facilities. Each room has a private ensuite on the ground floor. Free onsite carparks too. 03 437 2146 | 296 Thames Highway, Ōamaru www.ambassadoroamaru.co.nz

Riverstone Kitchen is one of the most awarded and recognised regional restaurants in New Zealand. Riverstone’s seasonal approach to food, won it huge acclaim, legions of fans and a swag of awards in the process. The kitchen produce gardens (one of the largest in NZ) are well worth exploring, as is the kids playground.
03 431 3505 | www.riverstonekitchen.co.nz 1431 Glenavy-Hilderthorpe Rd, Ōamaru



AAA Thames Court is a quality 4 Star motel, ‘’your home away from home’’ in Ōamaru. Close to the town centre, it is the ideal place to stay for business travel or a break with the family. Let our host Willy look after all your needs, where quality and service are guaranteed.
03 434 6963 | 252 Thames Street, Ōamaru www.aaathamescourt.co.nz

Rose’s General Store is one of those quirky little stores where you never know what you will find. Independent distributor of Rawleigh’s, stocking eco-friendly, local and regional products, old-fashioned pick ‘n’ mix confectionery, and preloved treasures.
Open 7 days: 9.30am - 4.30pm 03 434 0403 | 5 Tyne St, Ōamaru www.rosesoamaru.co.nz
Walk through streetscapes of locally quarried neo-classical architecture buildings of the 19th Century with a knowledgeable guide immersing yourselves in Ōamaru’s rich heritage, culture, and geology. Bookings Essential.
Contact Helen Stead: 027 434 1173 18 Wansbeck Street, Ōamaru helenstead18@gmail.com

Explore an evolution of farming innovation against a backdrop of pristine landscape. Visit iconic stone farm buildings, stables, a granary, and experience true southern hospitality with delicious tea and scones served in our historic cookhouse. Visit Totara Estate today.
Open Thursday – Monday 10am - 4pm 03 433 1269 | 565 Alma-Maheno Rd, Ōamaru www.totaraestate.co.nz

The Historic Brydone Hotel is set in the heart of Ōamaru. Built of elaborately carved Ōamaru limestone, we have welcomed and charmed guests for well over a century. Lunch or co ee with friends, family gatherings, or full-blown conference, comfortable accommodation, great food, and friendly hospitality await. See you soon. 03 433 0480 | 115 Thames Street, Ōamaru www.brydonehotel.co.nz

Not to be missed, Clarks Mill is one of the oldest originally water powered flour mills in Aotearoa NZ. Experience the wonder as four storeys of vintage milling machinery springs into action at our operating tour, held on the last Sunday of each month. Visit Clarks Mill today.
03 433 1269 | 1017 Alma-Maheno Rd, Ōamaru www.clarksmill.co.nz
Escape the 21st century and immerse yourself in the magic of the Ōamaru Heritage Celebrations from the 14-17 November 2024.
This spectacular event brings the Victorian era back to life through fashion shows, pennyfarthing races and street performances, plus much more.


For those who want to relax and unwind from the stresses of everyday life, Waitaki is the perfect escape. Indulge in a little luxury or treat yourself to some pampering as your worries melt away.
Wine and dine, relax in a hot tub, then rest your head at a five-star hotel or luxury glamping experience.

Be captivated by the world’s smallest korarā (little penguins) at the Ōamaru Blue Penguin Colony.
See them in their natural environment from a special day viewing area or watch them waddle ashore at dusk after a day fishing at sea.
All proceeds go towards ongoing research and conservation.

In 2013, Amanda Blair’s journey into real estate began with a spark of passion ignited on the set of Mitre 10 Dream Home.


The DIY star had her design skills put to the test and was immersed into the world of power tools, frenzied hammering, sanding, and painting to create a brand new home. She’s now the proud owner of Ray White Marshland and is passionate about the ever-evolving world of real estate.
It took Amanda just six years from the completion of her studies to ascend through the ranks and seize the opportunity to take over the reins of the business from the accomplished Julie Robb.
Now, Amanda is surrounded by a dedicated team, who

she says is her “rock”. The team is a mix of seasoned professionals and enthusiastic newcomers, mirroring the diversity of skills that contribute to their collective success. Trust and transparency form the cornerstone of their collaboration, setting them apart in the competitive real estate landscape.
Amanda is looking forward to a dynamic future for Ray White Marshland, with a focus on team culture, growth, inspiration, and shared success. She recognises the power of unity, “Together we can do so much more, alone we are limited,” she summarises.
Ōtautahi Real Estate Limited Licensed (REAA 2008).
rwmarshland.co.nz
Are you ready to make the most of the vibrant spring market?
Here’s why selling with us is your best move:
1. Early Bird Advantage: Get ahead of the competition by listing your property before the spring rush. Be one of the first to capture the attention of eager buyers!
2. Expert Guidance: Our team of seasoned professionals will guide you through every step of the selling process, ensuring a smooth and stressfree experience.
3. Maximum Exposure: We use cutting-edge marketing strategies to showcase your property to a wide audience, both online and offline.
4. Top Dollar Results: Our proven track record of securing top dollar for our clients means you’ll get the best return on your investment.
5. Springtime Appeal: With blooming flowers and great weather, spring is the ideal time to showcase your property’s full potential.




JUDE MACKWELL
Navigating unplanned career change through restructuring and redundancy can be a rocky road.
We don’t have to look far to know someone a ected by the wave of restructuring throughout the country; it’s a challenging time for all involved. As specialist career practitioners and trusted partners to many organisations, Zestpeople has extensive experience in outplacement, currently supporting many clients facing this unexpected detour in their career path.
The reality of facing job loss is compounded by the need to quickly adjust, prepare a CV, refresh interview skills and seek out new opportunities; all while processing the many emotions of redundancy. This is where independent, specialised career support can ease the transition with practical assistance, customised resources, and our expert guidance.
It’s heartening to see access to outplacement support being provided by employers, and more commonplace as they demonstrate a continued commitment to their people. It provides confidential, independent support at a time of high need, and also protects the company brand, eases the challenges of the transition, and helps maintain companywide morale through change processes.
Beyond the company-directed career transition support, Zestpeople welcomes clients who proactively invest in their career progression with self-initiated programmes. The a ects of change can be widespread, and the inherent uncertainty can create a focus on what’s controllable, such as identifying the preferred career direction, developing a career action plan, tailoring the CV, maximising the potential of e-recruitment, boosting network engagement and enhancing interview preparation.
Enlisting specialised career support, from credible, experienced career practitioners can enable the shift from “I should…” to making tangible progress with clear direction and purpose. Zestpeople’s career programmes bring the benefit of practical resources and frameworks coupled with expert coaching to establish and maintain a proactive, motivated approach.
Zestpeople clients are in good hands, with the knowledge, experience and compassion to help guide people through the challenges of career transition.
zestpeople.co.nz

MYLEND MORTGAGE ADVISOR KIM LAURENSON – OWNER

It’s the beautiful time of year when the blossoms are blooming, flowers smell amazing, and everything is so green that it’s impossible not to be in a good mood.
Home lending often reflects the seasons too. People are more excited to sell their home and take the plunge when the surroundings are prettier. It just prompts a little more urgency before the summer kicks in.
We have seen a huge uptake in lending enquiries in the past four weeks. People seem to be excited about the potential for change, and the lower interest rates to go with it.
The OCR dropping to 4.75% has really added another layer of excitement to interest rates, the banks are really starting to compete with one another. Fixing for six months to one year is still a popular timeframe, so that people can continue to budget and know how to allocate their money. We are still seeing those interest rates continue to dip, so here’s hoping that we will see this trend for a long while yet.
It’s also a good time to be looking at your home lending, purely to see if it still fits your budget, Can you pay a little more? Is there room for extra lending to finally do those improvements around the house? Maybe now is the right time to consider buying an investment property?
You have so many choices with finance when you know how to access it. Treat your home lending like spring cleaning. Give it all a good clean and tidy up.
It’s never too late to have a refresh and a good look over your household bills. Are your insurances all in place? Do they still fit your needs? There is plenty to consider.
We prompt these conversations whenever we discuss home lending with you. There’s still plenty of time before the Christmas rush begins, so give us a call today, it’s a step in the right financial direction.


People and property are Shona Saunders’ passion. Combining the two, she works with rental property owners and also tenants to ensure the best for both.
REINZ accredited, Shona has been working in the rental field for more than 10 years, through her company
Rent Wise Property Management.
Repeat clients are a sure sign of her success, reflective of the high standards she and her team set. “We [Shona and husband Michael Brookland] are dedicated to achieving the correct result in each situation, We are here for the owners of properties, we’re also here for the tenants. Everyone involved plays an


important role in successful rental properties,” Shona explains.
“We have many clients who come back again and again, for us to rent out their properties, and to find somewhere to rent,” she adds.
Key to her success is a dedicated team of long-serving sta , and professional support contractors, providing service 24/7. “We have four loyal sta , who are respectful, caring, and a credit to us,” she adds.
Having experienced the Christchurch earthquakes first hand, Shona has also dealt with EQC personally, and project managed repairs and contractors for clients, while supporting tenants.
“Members of my family own rental properties, and I also have family members who are tenants so I can see both sides. My aim is to always ensure both parties are treated fairly, and we achieve the best possible outcome. I value my work and treat each property as if it was my own. I always ask myself, if this was my property would I be happy?”
rentwiseproperty.co.nz






More than 193,000 Kiwis are blind, deafblind, or living with low vision. It’s a number that is projected to soar to 225,000 by 2028 due to age-related eye conditions, such as macular degeneration, glaucoma, and diabetes.
As the impact of vision loss continues to escalate, Blind Low Vision Month (October) is raising awareness about the challenges faced by individuals across the country and the critical support needed to help them maintain their independence and dignity.
Vision loss a ects people in diverse ways. Some, like 15-year-old Marama Moar-Tomoana, are born with visual impairments, while others lose their sight suddenly or experience a gradual decline over time. Born with a condition that caused blindness from birth, Marama has spent her life adapting to a world designed for those with sight. Navigating the simplest tasks, such as crossing a street or reading a menu, has been a journey of learning, resilience, and perseverance.
“There were times when I felt my world shrinking,” says Marama. “I lost confidence in tasks that others found simple, and that isolation made me feel cut o from my community,” says Marama.
With support from Blind Low Vision NZ (BLVNZ) she has been able to find the necessary tools and support to live an independent life. “For me, it’s about acceptance. It’s my eyes that don’t work properly, not my brain,” says Marama.
According to BLVNZ Chief Executive, Andrea Midgen, it’s important that with the increasing number of Kiwis with low vision we encourage others to see the person not just the sight loss.
“One in five Kiwis will experience blindness, deafblindness, or low vision in their lifetime,” says Andrea. “For every person a ected, the emotional, physical, and social toll is di erent. We want Kiwis to get behind BLVNZ and help us ensure that everyone can live fulfilling lives. This means access to everyday services, experiences and support to meet any challenges.”
Visit blindlowvision.org.nz


Nicola Coom has a vision - a future free of cancer, and, with her team, has set priorities to support this happening.
The Southern Cancer Society CEO, Nicola says currently one-in-three people receive a cancer diagnosis, and predictions are this will rise to one-in-two in coming years.
Southern Cancer Society is a merger of the Canterbury West Coast and Otago Southland divisions, implemented in response to increasing demand for services, and an opportunity to maximise resources and combine e orts.
“People are also being diagnosed with cancer at a much younger age,” says Nicola. “We needed to adapt to this changing environment to ensure all our e ort is focused on preventing cancer, detecting it earlier, supporting families, and progressing research to achieve better outcomes for future generations.
“New diagnostic tools and targeted medicines are improving outcomes every day, and that is why we have committed to increasing our investment in research,” she explains.
She said as an example, October is breast cancer month and more than 3000 people are diagnosed with this every year. Mammography screening has increased
early diagnosis, yet it is also uncomfortable, expensive, and not accessible to everyone.
“In Pursuit 2025, our Research and Innovation Conference, to be held in Christchurch in March next year, has attracted the best international and local minds.
“One conference speaker is Dr Jessica Fitzjohn, based in Christchurch, with a background in mechanical engineering who moved into biomedical. She has designed diagnostic algorithms for non-invasive breast cancer screening technology.
“This is a game changer for women and the technology is already undergoing a second pilot,” says Nicola.
“Other presentations include how AI is supporting early detection, freeing up clinicians’ time and reducing waiting times for patients, as well as the changing face of treatment.”
Sign up or find out more about the conference on the website.











Beyond Radiology is a New Zealand owned, clinician led radiology practice.
Our team of healthcare providers are driven to provide excellence in patient care using state of the art imaging technology.
Call us on 03 964 7459 Visit beyondradiology.co.nz christchurch@beyondradiology.co.nz
225 Papanui Road, Merivale, Christchurch Appointment only at Dudley Creek Health

New Zealand has the highest rate of bowel cancer in the world. But early detection can help prevent or cure it. A referral to The Endoscopy Clinc for bowel cancer screening can give you peace of mind.



• Muscle sparing joint replacement
• Direct Anterior hip replacement
• Natural aligned subvastsus knee replacement
• Paediatric (kids) surgery
• Advantages for self paying patients

Welcome to STRIDE Orthopaedics, the practice of Dr Ramez Ailabouni and NP Amelia Howard-Hill.
Our purpose is to provide the highest quality orthopaedic care so that our patients return to optimal health and function. We are committed to ensuring our patients remain at the centre of everything we do.
STRIDE is the only South Island practice that routinely offers both hip and knee muscle sparing replacement surgery. We will see patients wanting joint replacement quickly within a few weeks of referral or contact.


Specialist Orthopaedic Surgeons in our panel -
Dr Ramez Ailabouni Director - Orthopaedic Surgeon Specialists at 9
Level 2, 9 Caledonian Road, St Albans, Christchurch admin@strideorthopaedics.co.nz 03 968 3402
• Dr Ram Chandru Specialist in Hand, Wrist and Elbow conditions www.uplimb.co.nz
• Dr Narlaka Jeyasekera Specialist in Hip and Knee conditions
Our surgeons are accredited ACC and private insurance providers.
Call us on: 03 666 7447, 03 968 3428 or 03 968 3425 www.dchealth.co.nz info@dchealth.co.nz 447 Papanui


Consider two quotes from undisputed visionaries, innovators, and influencers. One a heavy-weight of the High Renaissance, the other a tech billionaire turned philanthropist.



Simplicity is the ultimate sophistication.” — Leonardo da Vinci.
“The advance of technology is based on making it fit in so that you don’t really even notice it.” — Bill Gates
Fuse these quotes, and you have the blue-prints for cutting-edge arthritis solutions from Dudley Creek Health (DCH). Christchurch-based, and communityminded, this multidisciplinary team is patient-focused, delivering bespoke solutions for health needs.
One area of expertise is hands, providing proven, simple yet sophisticated solutions for painful finger and thumb base arthritis. Arthritis is described as a debilitating, and often disfiguring joint condition that can cause pain, swelling, increasing sti ness, deformity, and loss of hand function.
“We take for granted our normal hand function and its ability to be positioned and manipulated e ortlessly to execute all our routine activities,” say orthopaedic surgeons at DCH.
“Hands help us prepare and deliver food to our mouths, write, type, use a mouse and computer all day, grip sports equipment, and hold a pint glass at the pub.
“Arthritis of the hand can make even mundane tasks agonisingly painful, and often, impossible.” When non-operative treatment strategies are no longer e ective, consider surgery, they say, such as replacing the a ected joints or joint fusion (surgically sti ening a joint to provide a painless, yet rigid joint that allows for pain free hand function).
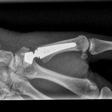
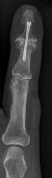
Arthritis of end joint of finger, in early to moderate arthritis: Symptom relief, improved function and appearance of the end finger knuckle mucus-cyst, with minimally invasive day-case bone-spur removal and cyst excision.
Arthritis of an end-joint of finger and knuckle-joint: Once progressed, a minimally invasive fusion technique with use of specialised equipment allow surgeons to provide a painless sti joint with significantly improved hand function and near normal appearance of the finger.
Arthritis of the knuckle-joint of the finger: Inserting a new generation silicone finger joint implant provides the best functional outcome for painful destroyed knuckle joints, including the index finger, which is critical to pinch and precision grip function of the hand.
Basal thumb joint arthritis: A modular joint replacement, featuring a metal stem, neck, and a cup, helps regain opposable thumb function when implanted into prepared bones at base of thumb. Clinical evidence shows thumb joint replacement have a predicted durability of beyond 8 years in 95% of patients. Thumb joint replacement accounts for over 75% of surgery provided for thumb base arthritis in parts of Europe.
Such procedures are a specialty at DCH, a fully accredited and licensed daystay surgery and treatment centre with allied hand therapy services that play a critical role in rehabilitating patients after surgery. Patients experience quick recovery and regain confidence in everyday activities after finger and thumb base surgery.
One happy client says, “Again, many thanks for all your expertise and care. The results of my thumb surgery have exceeded all my expectations.”
“At DCH, we can enhance your quality of life through personalised care and cutting-edge technology that restores function and appearance, and alleviates pain, allowing you to grasp, grip, and live life without limit,” say its team of orthopaedic surgeons.



References: www.gezonbelgie.be, www.belgiqueenbonnesonte.be, The proximal interphalangeal joint: arthritis and deformity EOR | volume 4 | June 2019, DOI: 10.1302/20585241.4.180042, www.efortopenreviews.org
dchealth.co.nz











1. Prene Sunday Nursery Bag, featuring fourteen storage pockets and a matching baby change mat and mini bag. Shop in-store at 5b Seven Mile Drive, Belfast or online, www.sleepytot.co.nz
2. Sundae dress by jax & julz, summer collection available now at www.jaxandjulz.co.nz.
3. Tea Party Recipes with wipeable pages, from www.tangleby.co.nz, join our online Tangleby Kids’ Club
4. Classic Train by J’Adore, from The Playcentre Shop, see online www.playcentreshop.co.nz
5. Teether with Wooden Ring, handmade, food grade teethers and garlands certified to NZ Safety Standards, www.babybeech.co.nz.
6. Tangleby 14-piece Tin Tea Set, from www.tangleby.co.nz
7. Let your child sparkle in the Olivia ballet flat, from Cotton On, cottonon.com.
8. Ed & Al, simple yet stylish quality children’s clothing perfect for all occasions. www.edandal.co.nz.
9. Sweeten up your family feast with the Jellycat food family, available at multiple retailers.

October has two spectacular birthstones, opal and pink tourmaline, both of which come in a range of colours.
Opal, as an October birthstone, dates to at least the 15th century, while tourmaline was chosen as a modern alternative in the early 1900s. Both are popular with jewellers, featuring in rings, bracelets, necklaces, ear-rings and pendents.
Opal is the traditional birthstone; a truly unique gemstone because each individual gem has its own one-of-a-kind colour combination. The varying colours, from palest pastels to fiery brights in opals result from light refracting through the silica spheres in the stones.
Ancient Greeks believed opal could make you psychic, while in Ancient Rome, the
popular gemstone was synonymous with hope and love.
Tourmaline is rare because it is one of the few gems found in almost every colour, including a wide range of pink hues. Some of the paler pink tourmalines are as transparent as diamonds. Ancient mystics believed this October birthstone could inspire artistic expression, because it has a colour palette for every mood.
Among the most popular are the pink and red rubellites, the emerald green “chrome” tourmalines, and the neon green and blue-to-violet “paraíba” tourmalines.




Delivering you the best possible dentistry experience, designing and planning to create the perfect smile for you.
Richard Greenlees is a member of the world renowned Group. This group is comprised of almost 100 highly skilled technicians worldwide, who are handpicked by Swiss founder Willi Geller. These members are practising at the highest level of aesthetic, functional dentistry. Richard works in conjunction with like-minded dental surgeons.




Richard Greenlees






BY

Details: Details Bloq gold earrings Find Me: Brie Leon

Details: Details Animal Abstract print scrunchie Find Me: moochi

Find
What you wear is a measure of your mood. There are always moments to be bold and expressive – and what element better than animal print?
Thankfully, the exotic patterns lend themselves to a neutral colour palette, making it an easily workable tone in your wardrobe. Once Christian Dior sent leopard print instead of pelts down the runway in 1947, the trend was hotly embraced. The late Roberto Cavalli was famous for giving animal prints their glory, a love of the distinctive patterns and endless sex appeal. In homage to him and the timeless flair these elements o er, escape to your wild side.


Details: Walker spotted leopard tee Find Me: Anine Bing


Details: Carmen recyled leather short Find Me: Anine Bing

Details: Mr Chopalopagus cheetah velvet bag Find Me: Deadly Ponies

Goldeneye Metallic snake leather flats Find Me: Bared Footwear


Details: Zebra print midi dress Find Me: COS

Details: Isabella Anselmi Christine mule Find Me: Merchant
Details: Belle Scarpe Ripples sandal in taupe stingray Find Me: REPRESENT Footwear
Details: Wrap belt Find Me: Remain Studios





From film comes fashion, and while the details of each Bridgerton episode sat on our tongues, the costuming sat on the minds of designers worldwide.

Regency-era elements and fabrics mingle with contemporary finishings in recent collections from designers, local and abroad. Borrow from the codes of the beloved television show with our favourites.





Since 1957, a Nelson-based optometry practice has grown from humble beginnings to become New Zealand’s largest privately owned independent optometry group.
With 24 locations nationwide, the third-generation family enterprise has always been driven by a strong commitment to both its people and patients, ensuring personal care and quality service remain at the heart of its operations.
Matthews Eyecare is dedicated to independence. In a market increasingly dominated by corporate chains, its team is focused on keeping independent optometry alive, o ering patients the freedom of choice and the personalised care that can only come from an independent practice.
Regional Manager Claire Randall explains, “It is essential
for people to have choice. This is only available through independent practices. We have the ability to have the best people working for us with time to spend with each patient.”
Matthews Eyecare stays ahead of the curve by continually updating its services and embracing the latest advancements in eye care. From thorough eye examinations to stylish eyewear, the team is committed to delivering both excellent service and helping people look and feel their best. Customers consistently praise the friendly, professional service they receive across all practices.
Visit the team at Matthews Eyecare on Riccarton Road.
matthews.co.nz






Sophisticated, celebratory, and playful all at once.
The weather is warming up and Mikko Shoes has something to suit all tastes.
Known for their ability to balance the latest sophisticated trends with quality craftsmanship and timeless design, the Mikko team’s spring summer 2024 o ering is just as exciting, founder Michaela Longsta says.
The bold hero colour story, Spring Carnival, showcases floral pinks, azure blues, and zesty citrus shades inspired by summer’s bounty. Each of them head-turning tones, they work beautifully when paired with neutral outfits, for a fun yet sophisticated pop of colour.
In contrast, Ancestral Refuge takes the quiet luxury trend up a notch, featuring low-key yet lush shades of sand, khaki and rich caramel. If you love your warmweather whites, look to their Sleek Subversion collection of limestone, chalk, ivory and true bright white to add fresh, refined polish to any outfit.
In silhouettes, the styles are also diverse. Lady Like Elegance houses well-balanced heels and feminine details for both special events and elegant, everyday wear. With a variety of toe shapes, take your pick from pointed, rounded or squared. If you’re looking for chic open-toed options, their e ortless Strappy Sandals trend features woven, crossed and asymmetrical designs – perfect for pairing with your favourite linen pieces and floaty dresses.
With more than a decade of experience providing beautiful quality footwear to New Zealand women, and men too more recently, Mikko’s highly considered curation process means that every pair has been pre-approved, with style, true comfort and long-lastingwear in mind.
Enjoy the new season o ering and visit the friendly team at 134 Victoria Street, or view the new catalogue online.
mikkoshoes.nz




Stunning, delicate, and distinctive pieces to add a touch of glam to any outfit.




a loved one’s ashes or a love note inside forever, loveinajewel.co.nz 7. Canterbury

Call Acacia now to book in for your Cup Day beauty treatments.
$129 Eye Trio & Dermaplaining
$129 Classic Eyelash Extensions
$129 Make-up & Spray Tan
$129 Gel Manicure & Pedicure
Available from Nov. 1st to Nov. 18th

Acacia Skin Health & Beauty | Ph: 03 360 2244 | www.acaciabeauty.co.nz
Summer is almost here, and Kiwi-made ZOOP sunscreen should be a must-have. Scientifically formulated for sensitive skin, it’s made with natural, plant-based ingredients, including zinc oxide for broad-spectrum UV protection and skin-soothing, native botanicals like kiwifruit and manuka honey.
zoopskin.co/shop

For a lifted, more sculpted jawline. HIFU is a non-surgical treatment that lifts and tightens sagging skin on the face, neck and body. It uses ultrasound to reach under the skin surface, to the targeted area. As it heals, collagen and elastin is stimulated, resulting in tighter, younger-looking skin.
FEEL CONFIDENT IN THE SUNSHINE. Best value in Chch!
Mojo Beauty | Nik: 021 666 320 info@mojobeauty.co.nz | www.mojobeauty.co.nz



Meet NanoLaserPeel—the lunchtime peel for a brighter, more even complexion. This erbium laser removes the topmost layer of the skin, reducing the appearance of fine lines, wrinkles, pigmentation and other skin imperfections. All while smoothing skin, and building collagen. Delivered by a highly trained registered nurse, with dermatologist support. Prices begin at $200 for a full face treatment.
Encore Skin | Shop 3, Centaurus Village, Centaurus Road Ph. 020 423 2024 | www.encoreskin.co.nz
Micropigmentation/Cosmetic tattooing for eyebrows and eyeliner - creating permanent shape and colour that can last between 2-5 years. Specialist beauty therapist. 28 years in the beauty industry.


Experience the Hifu advantage in Selwyn! Elevate your skin’s wellness without the hassle of driving into town. Visit us today and uncover its remarkable possibilities first hand!

SPECIAL: HIFU Lower Face & Neck $398! Available until end of October 2024.
Blush Beauty, Rolleston|www.blushbeauty.co.nz
Today, too many products contain potentially harmful chemicals.
These synthetic materials and ingredients go into our bodies and can be incredibly harmful. Haircare is no exception.
Teo Munro, founder of Shambhala Hair Design, (pictured right) explains that the chemicals in most haircare products such as sulphates, parabens and silicones “can strip the scalp of its natural oils and further weaken already fragile hair”. This particularly concerns those going through cancer treatments or menopause, she says.
Working in the hair industry for 17 years, Teo realised the dangers of working with harsh chemical-laden products. She stepped away and opened her own hair salon with “a new organic approach”. Twenty years on, Teo’s salon, Shambhala Hair Design, is thriving.
Alongside her team, she works only with organic products made from plant-based ingredients that nourish and strengthen hair. They aim to combat the harsh side e ects, allergic reactions and sensitivity that chemicals often trigger.
Their products “contain essential oils, vitamins and minerals that are gentle on your scalp and help promote healthy hair growth”; the importance of

which is often underestimated, Teo says. Shambhala is also collaborating alongside three other businesswoman, bringing to life The Woman’s Wellness Collective group workshops, educating participants about the importance of transitioning to organic alternatives. Avoid unnecessary exposure to harmful chemicals in your haircare. Choose organic, she advises.
shambhalahairdesign.co.nz










As the event season begins, now is the time to find your perfect outfit.
Amongst the vibrance of Merivale, sits a chic, modern clothing store supplying honest advice and beautiful garments. At Darcy Boutique, each piece is carefully curated by owner, Victoria Knutson, with her customers in mind.
Victoria and her sta ensure that their customers feel welcome, and they are happy to provide styling advice to ensure customers leave feeling happy and confident with their purchase.
“At our store, you will find something you will love to wear; we often receive comments from customers about how beautiful our store is,” says Victoria.
Proudly stocking beautiful labels such as COOP, Once Was, Kinney, Tuesday Label, Bel Vestito, and with parking right outside the door, head into Darcy Boutique, 200 Papanui Road, Merivale or shop online.







FIND ALL THESE STUNNING CUP DAY LOOKS AND MORE AT THE CROSSING, WHERE STYLE COMES TO LIFE IN THE HEART OF THE CITY.





A Canterbury social highlight, featuring high-class racing, fashion, food, and entertainment across three magnificent days.
The Grand Tour brings us Australian DJ sensation, Hot Dub Time Machine, live on Saturday 9 November, Al Basti Equiworld Dubai NZ 2000 Guineas Day. All you need is a GA ticket to enjoy the iconic blend of nostalgic hits after the last race.
Limited Promenade Hospitality tickets are still available. Riccarton Park's newest exclusive hospitality o ering, this stylish elevated marquee area has fabulous views of world class racing action,
all inclusive food and beverages, and is the perfect spot for groups (50 per villa) or individuals. Villa options remain for 9 and 13 November from just $220 per person to host your best customers or friends.
Car park parties are a feature too. Book a Grand National Lawn car park if you want this experience.
Riccarton Park’s Chris Rowe says “2024 is set to be one of our best yet.” Enjoy all of the excitement, glamour, and outstanding racing each day with your favourite people at Riccarton Park.
racing.riccartonpark.nz
Addington Cup Week is without a doubt a highlight on New Zealand’s sporting and social calendars, filled with racing, entertainment, fashion, and celebration. This year, Addington is thrilled to celebrate the 121st IRT New Zealand Trotting Cup Day on Tuesday, 12 November with a record breaking $1 million at stake, the highest since 2009.
There are an array of packages to suit everyone’s taste and budgets. Fashion enthusiasts will revel in The Crossing Cup Day Fashion Marquee, while the ZM on the Green is the perfect party with the
new ZM After Party experience. Public Village o ers a vibrant racing atmosphere with a significantly reduced ticket price starting at just $25. It’s never been easier to dress up, join the fun and make unforgettable memories.
Don’t miss out on the new Show Day Twilight Races on Friday, 15 November. With entry just a gold coin donation to the New Zealand Horse Ambulance Trust, this is the ideal way to celebrate Canterbury Anniversary Day with friends and family. Level up your experience with Hospitality Packages or Spectators tickets, now on sale with limited spots remaining. Get your tickets today and be part of this incredible week of celebration.
www.addington.co.nz


Our beautiful garden city comes alive during Cup Week. Fill the calendar and feel the excitement.


NEW ZEALAND CUP WEEK AT RICCARTON PARK 9, 13, 16 NOVEMBER 2024
The New Zealand Cup at Riccarton Park is fastpaced. A stunning venue for it, Riccarton Park invites you to enjoy its open spaces, mature trees, and park-like setting.
All three days provide spectacular racing, culminating on the 16th, with the biggest crowd of the week o ering a wonderful finale.
Experience New Zealand Cup Day at its best, get your friends together for a day full of fun with the excitement of high-class racing. Look out for the ZM Entertainment Zone on Saturday 16 November at Martin Collins New Zealand Cup & Barneswood Farm 1000 Guineas Day.
Get your party on, this space keeps you pumped with DJ's Zesty Boi and Jezza returning, food stalls, bars, and comfy bean bags to relax in.
The Ned Fashion In The Field competitions feature on both Wednesday 13 and Saturday 16 race days, a must-see for the best in racing fashion. You can book a fashion package for 16 November at just $165 per person, so join Fashion In The Field coordinator Zane Tate and his team for all the fun.
ADDINGTON CUP WEEK AT ADDINGTON RACEWAY 12 & 15 NOVEMBER 2024
Get ready for a thrilling week at Addington, kicking o with the IRT New Zealand Trotting Cup Day on Tuesday, 12 November. The excitement begins early with the pedestrian gates opening at 11am, giving you a head start to explore the vibrant raceway. Indulge in a variety of food and beverage outlets from 11.30am onwards.
The Crossing Cup Day Fashion Marquee will be home for the ultimate fashion-forward experience for the day. With a beautifully styled space, delicious canapes and lunch to enjoy, and front row seats to the best fashion on the course - The Crossing Cup Day Fashion Competition - this is one to lock in to your social calendar.
As Show Day approaches, take advantage of free parking with this thrilling twilight race meeting. Gates open at 2pm, with the first race kicking o at 3pm, promising an afternoon packed with racing action. Make sure you don’t miss out on these unforgettable days that make your Addington Cup Week truly memorable. (Times subject to change).





DETAILS:
Fabian wears Barkers cheesecutter, bow tie, vest and pants, Country
Hollie wears a RUBY Raquel butter satin gown, Fashion Society


Bouncy, lush, and perfectly coiffed, that’s how your locks will look after a trip to Twiggi Hair, conveniently nestled within The Crossing’s plethora of boutiques.
Find your dream look, before working with the Twiggi team prior to race day to create the hairstyle that brings it all together. A crew of expert stylists with years of experience and passion primed to make you photoshoot ready, shelves stocked with the best products to promote gorgeously healthy hair. Visit for all your race day hair needs, or make it your haircare local.
Twiggi co-owner and stylist Aeisha explains that the best look comes from slowing down and appreciating the feeling of creating a beautiful hairstyle. “Remember the basics, relax, and enjoy your day,” she adds.
DETAILS: (left) Hollie wears a Witchery Asymmetric neck rib knit and Linen double breasted blazer, Seed wide resin cloudcream bangle. (right) Jessie wears a Mazu Pu Sleeve top in rose print.
Win your own Cup Week style stakes with something gorgeously rare, utterly high-end, and well-fitted, as if it’s been waiting for you.
Through connections established through Classy Two Timers, her previous clothing treasure trove, and a knack in organising wardrobes and picking pieces not getting enough love, Karyn Kerr holds a reputation for sourcing luxury designer wear. “My story began as a girl who had a passion for fashion.”
With access to some of the city’s most fashionable wardrobes, the store at 94 Gasson Street is filled with unique, vintage garments, shoes and accessories, plus men’s pieces.
Refreshing and creating circular wardrobes has always been in her blood. “I like making a di erence and seeing women gain confidence while exploring and discovering their sense of style,” Karyn explains.
Her grandfather and father owned Tasman Traders, so the trait of keeping things circular became one she would take pride in.
From sourcing to steaming, each rare garment gets the ultimate tender loving care from Karyn.
Discover pieces from local fashion labels like Nom*D, Trelise Cooper Couture, Caitlin Crisp, and Karen Walker, as well as historic international visionaries such as Diane von Furstenberg, Chloé, and Alexander McQueen.
Park in the customer carpark when visiting, and check Instagram and Facebook to avoid missing out on must-have pieces, or call Karyn on 021 140 3482.





All too often, an online hair tutorial gives us false hope that we can create that curl, style that slicked back ponytail, or master that updo. What we forget, is that a lot of e ort goes into hair that looks e ortless. With these hacks from the hair gods, you will find it easier than ever to do-at-home.
1. Prepare with experts first. Head to Twiggi or your local salon and discuss your dream look with your stylist. Find the right shape and style for your hair so there is no doubt on race day.
2. Invest in professional products. Supermarket brands can be a cheap alternative, yet the result is paraben and silicone buildup, which leads to damaged hair and more money spent in the long run. At your next appointment or local salon, talk to your stylist and discover the best products for your hair type.
3. When using heat in your hair, allow it to sit following styling with tools and velcro or heated rollers. Always use heat protector, and check your tools are on the correct heat setting (turn those heat dials down), as to avoid burning or damaging your hair. Unhealthy hair won’t take heat well.

options, we’ve got your race day look sorted
your style with
and stand out at


As you age, you might have noticed that your skin isn’t as clear and bright as it was when you were young. Fortunately, there are treatments designed to target these changes and return your skin to its best.
IPL stands for “Intense pulsed light” and the IPL photofacial can target specific skin concerns or provide a full-face rejuvenation.
“With ageing, the sun is your skin’s worst enemy,” says cosmetic medicine specialist Dr Brigid Lee, of Skin Rejuvenation Clinic in Merivale.
“The IPL photofacial combats the e ects of UV damage in two ways. First, IPL penetrates and targets the discoloured cells in the dermis, and by removing them, it gets rid of dark age spots to restore an even, dewy complexion. It then stimulates regeneration of the collagen that has been destroyed by the sun, making


the skin appear stronger and more supple,” she says.
Brigid adds that IPL is also one of the best treatments available for visible blood vessel abnormalities that cause redness, such as rosacea.
“IPL is unique in its ability to change the structure of skin cells, making them behave more like young cells.
“A 10-year Stanford University study in California demonstrated that having two to three photofacials per year for a decade can positively alter the genes of dermal cells. Researchers think that IPL can prevent (and not just treat) many of the superficial signs of ageing.”
The Skin Rejuvenation Clinic now has the latest Stellar M22 IPL from Lumenis, so you can experience the very best.

Refresh your wardrobe with the latest styles arriving just in time for the warmer months.



Think relaxed tees, breezy shorts, elegant dresses for race days, and special occasion outfits. Whether it’s a pop of colour or a classic staple, this boutique has everything you need—all at great prices. Known for its popular labels like Stella + Gemma, Homelee, and Lemon Tree Design, O The RAC is full of versatile, a ordable fashion. Owner Renee Green says, “Many of our customers comment on what a great range of colours and styles we have. They love the ease of pulling up to our shop with parking at the door.”
Renee adds, “Our wee boutique is light and bright, and you will always be greeted by our friendly, helpful and knowledgeable sta when you step inside. We pride ourselves on our customer service.”
This season, Renee and her team are excited about the vibrant teals and pinks now in stock, while also keeping timeless pieces like the classic little black dress on hand for any occasion. Visit the store at 2/333 Harewood Road, Bishopdale and see why it has become a favourite for e ortless summer dressing.



For a fantastic bar and eatery where everyone’s treated like a local, it’s hard to pip this legend in Templeton.
As we trot toward Cup Week, the Golden Mile Tavern on the corner of Main South Road and Trent Road in Templeton transforms itself into a racing mecca. On top of the usual great food and warm, welcoming hospitality, expect drinks specials, spot prizes for best dressed, the stunning Golden Mile Lindauer Lawn, Cup Week décor, and a mega ra e in aid of Christchurch Riding for the Disabled which runs for the whole week, manager Kelly Downing says.
Come Cup Day, the energy reaches a level higher with live music from the last race and complimentary food for all. Watch races all day, avoid the long queues, and dance the night away. The week is concluded on Saturday 16 November with music from the band Oblivion - a local favourite.
The owner and many regular patrons are heavily involved in the racing industry. If you’re looking to immerse yourself in an authentic slice of racing excitement, there’s no better Cup Week destination.
It’s a good idea to keep your ears peeled for a tip or two while you revel in the exhilarating Cup Week excitement. thegoldenmile.co.nz

Christchurch truly comes to life as Cup Week nears and the weather warms up, and there’s no better place to be than in the city. A delightful day is never far away, with no shortage of experiences to enjoy.
a brunch and head to the shops
Gather your guest list and put on a delicious barbecue breakfast or brunch spread. Sizzling meats, wa es and pancakes for the sweet tooth, and fruit and berries galore—what a way to start the day. Take it up a notch with a spring and summer-inspired mocktail station. Follow the food with retail therapy, making complete use of the new season stock and deals in the city’s stores.
A great way to feed and fuel your group before tackling a day in town, it also gives you the opportunity to refresh your outdoor entertaining space ahead of the busy season.
Save it for a rainy day
Task your friends with picking two Christchurch activities, one for a splendidly sunny day, and one that suits if the weather isn’t as you had hoped. With a hat each for sunny and rainy day activities, draw one for both possibilities.

Schedule in a day with your friends or family to soak up the warm weather, with a backup up your sleeve. Preparation is key for entertaining and avoiding indecisiveness.
While there’s nothing wrong with a classic pub crawl surrounded by friends, there might be another interpretation that better serves your needs. Perhaps you need a pair of heels to complete your racing fashion look, so craft a route around the city that stops at four or five shoe boutiques and spend the day finding your dream pair. Don’t forget to schedule in some food and drink breaks to maintain energy.
Or, if you’re craving a specific cocktail or plate, research a list of eateries that will satisfy and work your way through them. Rate each one along the way for a bit of fun.




Prevention is key when it comes to oral hygiene –having your teeth cleaned professionally at least twice a year makes a big difference to your longterm mouth health.
Stanford University’s Professor Andrew Huberman says oral health is an “extremely important component of general bodily health.” The Smooch team are on a mission to continue emphasising that fact.
Smooch Dental Spa is a brand-new modern clinic combining advanced preventative techniques and measures, in a relaxing environment - removing the intimidating and expensive barriers. With a primary focus on dental hygiene, they also o er teeth whitening and facial aesthetics.
Co-owner, Clinical Director and Dental Hygienist
Lisa Meredith (pictured) enjoys building long-term relationships with her patients. With over 20 years of industry experience, she simply wants “To make you feel good about your visit and even better about your smile.”
The dental spa also created Club Smooch, with the goal of addressing the a ordability issue in the industry and make the process fun and easy. Just $1 a day allows members to pre-pay the future cost of having their teeth cleaned professionally.
Smooch Dental Spa’s extensive o erings are designed to keep you healthy, looking good and feeling amazing. To learn more about the services on o er or book in, head to their website or call 03 313 3223.
smooch.co.nz











This new restaurant by celebrated local restaurateur Karen Hattaway, a veteran of the Aotearoa hospitality community, is a rare new bird on Ōtautahi’s thriving cuisine scene.
Centrally located beside the Ōtākaro river, Manu serves up “fresh innovative Pasifika glam”. It’s a bold concept the team has taken great pains to achieve in a considered, respectful, and exquisitely stylish way, owner Karen Hattaway (pictured) says.
The menu is simply stunning, powered by fresh, locally sourced ingredients in dishes that leap o the page. The food is Pasifika Asian fusion, drawing on the diverse cultural palettes of the Pacific ring, and fusing them with flavour profiles and ingredients specific to Aotearoa, Karen adds. Ōtautahi Duck Thai Curry, Manono Steamed Mararī, Mānuka Smoked Lamb Fillet… it’s serious mouthwatering fare.
Eating at Manu is a kind of adventure, o ering beautiful moments of discovery in every bite. With so many exotic and vibrant choices, it’s a challenge to decide. That’s part of the fun.
If you’re looking for a place to start, the Kaimoana Laksa comes highly recommended. Market fish, prawns, tua tua, turmeric, chilli, ginger, coconut cream, and Vietnamese mint - it’s an outstanding dish, fresh, flavoursome, and delicious.
Worth a look is its range of signature cocktails. Artfully juxtaposing classic combinations with ingenious local twists. The Matcha Onsen comes to mind, promising “a visit to the beautiful springs of the Pacific,” with a combination of matcha powder, Haku vodka, kiwifruit, pineapple, and mint. It’s refreshing and delicious.
The decor is just as alluring. Elegant lighting sets the mood and striking pieces by local artists help create an invigorating atmosphere. Intricate sculptural works, grand and commanding paintings, and masterfully woven kete o er a feast for your eyes. Combined with the succulent aromas coming from the kitchen and the kind, helpful sta , Manu has conjured up a chill, sophisticated vibe. It’s the perfect space to korero with friends or whanau over a plate of delicious food and a few drinks.
Karen’s restaurants are renowned for their sense of manaakitanga, meaning hospitality and generosity, always promising a welcoming atmosphere and exceptional service. Manu is no exception. From the moment you arrive, you feel as though the restaurant and their team on the ground have taken you under their wing for an enchanting evening.
For Cantabrian foodies and those just looking for a brilliant night out, put Manu at the top of your to-visit list. It’s a remarkable recent addition to the city’s fine dining landscape.




The Botanic Gardens are on show in spring: it’s the perfect time to see the blooms.
The 50-minute tour on board an eco-friendly electric shuttle departs from behind the Peacock Fountain and travels through the key garden areas, o ering a comprehensive overview along with an easy way to navigate the 21-hectare area. Discover plenty of fascinating plants, and new stories while listening to the live commentary o ered by the driver.
The tour also includes three hop-on hop-o stops for visitors wanting to explore the Botanic Gardens in more detail before boarding the next shuttle to continue on the tour.
Tours are open to the public, and private charters are also available for groups looking an exclusive tour option; ideal for gardens clubs, friendship groups and more.
See and explore Christchurch’s stunning Botanic Gardens this spring.

Spring is an ideal season for punting on the tranquil Avon River; a unique Christchurch experience.
Sit back, relax, and be surrounded by nature on a punt ride through central Christchurch.
Depart from the Antigua Boat Sheds site to float past the fresh flora and blooms in the Botanic Gardens, or glide through the central city’s lush Avon River precinct from the newly re-opened Worcester Bridge site (operating Friday, Saturday, and Sunday during summer). Both o er equally stunning views of di ering scenery.
The 30-minute tours are guided by an expert punter, dressed in Edwardian attire, o ering considered commentary.
Perfect for couples, families, and small groups, a punt ride is also a fantastic option for a corporate group or social outing, making for a relaxing addition to a busy day’s itinerary. Gift vouchers are also available, and are a wonderful option for friends and family, or valued employees and clients, to experience a tranquil ride on the Avon.


Cup and Show Week is always keenly anticipated by the hospitality sector in Christchurch. It’s a chance for various venues to show off their facilities and food in great celebratory style.

The Hornby Club is no exception in its excitement at being part of this special Canterbury event.
The club’s celebration of Cup Week has been a staple for members and locals for more than 20 years with spring racing a longtime love of many Hornby Club members. There is something especially great about watching the results with true enthusiasts.
In the wake of the club’s redevelopment, support of the day has been growing steadily, attracting even more Christchurch residents to ‘Club Life’. Completed in December 2022, the Hornby Club’s redevelopment has created a perfect venue for large events, including Cup Week.
Tim Mathews, GM of Hornby Club, says, “The club has a big following of sport and racing, so celebrations like Canterbury’s Cup Week are a natural fit. We o er a thrilling atmosphere for those who like a bet or two and for those who just enjoy a fabulous day out.”
On Cup Day, the Hornby Club o ers manned and self-service TAB terminal service, meat pack ra es, spot prizes and the all-important breakfast bu et of bacon, eggs and all the trimmings. “It’s a great day out for members and guests. We host the breakfast bu et for those looking to get their seats
early for a day of racing. Who doesn’t like a glass of bubbles to kick o the proceedings? The great thing about watching racing from the club is that you can enjoy benefits such as an on-site TAB and a view of the races on our big screen.
“Our 4x6m screen and 16 tap o erings certainly help to build the atmosphere. So too do the passionate punters with their betting tips and trotting knowledge. Many of our members have their favourite horses and the roar from the crowd as they come across the line is unmissable to see and hear.”
The Hornby Club welcomes those heading to the races looking for quick bubbles and breakfast, so book your tickets for the bu et breakfast in advance. For those looking to stay on and enjoy the day, don’t forget to enjoy a flutter and perhaps walk away with a meat pack or more.
For more on the Hornby Club, visit the website.





Fresh, delicious catering is an essential ingredients in hosting a successful event or maybe a car boot party at the races.
From tasty club sandwich platters, and savouries, to custom-made birthday cakes, donuts, and sweet treats, the talented team at Halswell Bakery is your go-to for catering.
Everything is freshly handmade on site, and the focus is on fast, friendly and e cient service.
The bakery team want you to know that they understand how busy life can get, and they’re there to help make your catering easier.
“At Halswell Bakery we’re all about simple, delicious, fresh and wholesome food,” says owner Ruth Buckley.
Check out the catering menu on their website, and place your order online.


As the excitement of Cup and Show Week takes over Christchurch, consider a serene escape just 30 minutes away in the beautiful Selwyn district.
Set against the backdrop of rolling rural landscapes, Thirsty Acres provides the perfect mix of modern hospitality and charm, o ering a peaceful retreat from the city buzz. The scenic drive is a great way to experience Canterbury’s springtime beauty, showcasing lush farmlands and stunning views. The journey is almost as enjoyable as the destination itself.
On Saturday, 23 November, the nearby Courtenay A&P Show wraps up with a lively after-party at Thirsty Acres, providing the perfect excuse to continue celebrating.
Recently recognised as a finalist in both the New Zealand Hospitality Awards and the Canterbury Hospitality Awards, Jono and the team pride themselves on creating memorable experiences for guests.
Their commitment to excellence shines, from their carefully curated menu featuring local produce to their outstanding service. Whether you’re planning an end-ofyear function, a Christmas party, or simply seeking a day out during Show Week, the venue is ready to impress with its outstanding service and stunning setting.
For more information or to plan your next event, visit:
thirstyacres.co.nz




Cup Week is a time of celebration for Cantabrians. With glorious warm spring weather settling in, it’s a great time of year to enjoy together time with friends and whānau.
If you are putting together a Cup Day shindig to watch the big race, and have a few mouths to feed, a high quality grazing platter should be a red-hot favourite in your catering picks.
A sumptuous grazing platter creates an ideal, relaxed atmosphere at a gathering, allowing your guests to keep themselves well-fed on a curated selection of tasty snacks. The fantastic catering options o ered by dynamic mother and daughter duo Twisted Flour & Sugar Merchants serve just this purpose. They allow you to forget about feeding your masses so you can focus on more important matters, such as having a fabulous time. It will also guarantee the food at your festivities will be a surefire hit.
Twisted Flour’s Kate and Sally have become renowned throughout the Canterbury region for their amazing range of exquisite cakes. They o er an outstanding selection of decadent, creative cakes, and can also create delicious desserts to meet your exact needs and specifications. Their wide range of fabulous and flexible catering options are another string to their bow.
A sample grazing table includes a broad selection of delicious cured meats, freshly baked breads, an array of local and internationally sourced cheeses, seasonal and dried fruits, and Twisted Flour’s signature range of dips and spreads.
Another extremely popular option is the brunch platter. Whether you’re feeding eight people or 30, this expertly curated selection has something for everyone. Fresh fruit, stacks of mini pancakes, Danish pastries, and fresh wa es with all the trimmings, plus a tasty serving of Twisted’s famous banana bread.
“We also have smaller catering options, and boutique arrangements. We can plan for every occasion, from children’s parties, and weddings, to bereavement functions, and even high teas,” the duo say.
“No matter who you are feeding, whether it’s a private function or a corporate celebration, we can help.”
The team at Twisted Flour & Sugar Merchants is still taking Cup Week bookings. It’s a busy time of year, so make contact now, and discuss how they can help make sure your gathering is a showstopper. Call them on 022 350 3318, or visit the website.




A neo-Gothic-style
hotel, a moat full of goldfish and glossy aquatic plants, five acres of beautiful English-style gardens and even a suit of armour – that must be somewhere in Europe.
Instead, it is right here in Christchurch, the iconic Chateau on the Park, a DoubleTree by Hilton, where guests have enjoyed the range of facilities for decades. Designed by acclaimed New Zealand architect Peter Beaven at the time of the 1974 Christchurch Commonwealth Games, the hotel celebrated its 50th anniversary earlier this year.
If you have not visited this true Christchurch landmark for a while, what better time to be reacquainted (or to make a first acquaintance) than during another Christchurch institution –Cup and Show Week? Just as its architecture and interior features are varied and interesting, so are the facilities o ered within.
The light and airy Garden Court Brasserie is the perfect venue to catch up with friends for lunch or dinner during this celebratory week. The menu features timeless dishes, from classic favourites to innovative creations. If it’s a warm nor’west day, as it so often is at this time of the year, you can dine alfresco, perhaps beneath the sun-speckled shade of the elms or on the terrace surrounded by the fragrant rose gardens. “Sunset Sessions in the gardens return every Friday evening starting from November, with live music, wood fired pizza and drink specials all on o er,” the team says.

A drink with friends after work may be your celebration of choice. Enjoy the newly relaunched Little Red Fox, the hotel’s intimate lounge and bar. Its quaint, charming English pub ambience complemented by beautiful stained-glass windows exudes warmth and character. Of course, its menu features classics such as fish and chips, bangers and mash and the renowned Chateau club sandwich. Cocktails are a speciality, to be enjoyed from opening time at 3pm, seven days a week.
Although it causes a bit of a shudder to think about it, once Cup and Show Week is upon us, the end of the year is also fast approaching. So it may be high time to think about booking pre-Christmas functions. Chateau on the Park has a variety of versatile function spaces, from the Garden Court Brasserie to the larger dedicated event spaces such as the Great Hall, the Camelot Room, the Tower Room and the Ballantyne Room. Each caters for di ering numbers of guests and styles of events.
Maybe you are coming from out of town into Christchurch for the races or the show. With so much on o er at the chateau and 192 guest rooms and four suites, what better place to stay?

This hotel deserves its beloved status in our city.
chateauonthepark.co.nz


The resort town comes alive in summer with plenty of outdoor activities to partake in, including hiking, mountain biking, horse trekking, golf and jet boating–to name a few. With all the excitement comes the need for somewhere oppulent to relax.
Enter Village Lake Luxury Apartments, in the heart of Hanmer Springs Village. They o er everything essential to escape the city chaos and unwind, after a day spent taking in picturesque scenery and stimulating activities.
Boasting spacious two and three bedroom apartments, the location is wonderful for families wanting to enjoy a delightful time away.
Apartment feature modern amenities, such as laundry facilities, a 65-inch TV with complementary Netflix and Sky subscriptions,
and a relaxing spa bath, except for the accessible apartment, which is designed for ease-of-access.
Managers Dom and Harry and their team are excited to be o ering a summer promotion: guests staying a minimum of two nights can enter the draw where two winners will receive either a $500 gift voucher for a future stay, or a two-day family pool pass.
Enjoy those warm summer days in a beautiful location and book in for your chance to win. Head to the website to book direct.



























Mediterranean Revival architectural style typically features stuccoed walls, red-tiled roofs, and wrought iron balconies with window grilles. Lush gardens, fountains and atriums are also often incorporated as part of this style, and commonly applied to hotels overseas. Now, Christchurch has its very own example.
Directly opposite the Christchurch Town Hall is the Fino Hotel and Suites. In 1994, when it was originally developed, this Mediterranean-Spanish style hotel was an unusual concept. It still elicits comments today, being so atypical to neighbouring buildings.
The warmth of the cream exterior promises a friendly welcome inside, where the team is all about service and comfort, and spacious accommodation. The hotel has several fully furnished two-bedroom (68 sqm) apartments, plus four penthouse suites (120 sqm). All are available for both short and longer-term occupancy, ideal for all accommodation needs, be it families, couples, or business travellers.
The on-site restaurant, 87 Dealers, is open for lunch and dinner seven days a week. Secure 24/7 card access and undercover secure illuminated o -street car parking with internal access are safety features. Inside the scene is set with a red-tiled atrium, softly tinkling fountain, and huge palm trees surrounded by other luxuriant plants.
Fino is proud to support Hotel for Habitat, a local initiative aimed at financially supporting pristine and untouched

wilderness areas, recognising the scientific, ecological, and environmental significance of preserving such environments.
Special for another reason, Fino is one of the first local pet-friendly hotels, a television news segment was filmed about this initiative. Pets often mean a great deal to people and leaving them to go on holiday can be a real wrench. Here, you can bring your pet with you if you book directly through the hotel via telephone or email. Additional terms and conditions apply to guests with pets, to ensure overall comfort.
Close to many of the city’s amenities, restaurants and parks, this hotel is a hotspot for accommodation over the celebratory period that is Cup and Show Week.
Unlock the potential for some unforgettable moments during the week and contact Fino directly on 03 5500 501 or fino@selecthotels.com for exclusive specials.
www.fino.nz



While everyone has a different definition of ‘home’, there is something we all share. It’s a feeling. A sensation of comfort, where you can breathe, relax, unwind and be at ease.
By fashioning spaces you can call your own, The Good Home Pegasus has recreated this feeling. Spaces to relax; hang with a bunch of friends, or the good crew from the o ce. It’s about lunch with no plans for the afternoon; a cocktail or two after five, an easy dinner with the family, or a beer while watching sport on a big screen.
The team has some of your favourite Speight’s beers on tap, alongside classics such as Stella Artois, Guinness, Steinlager, and Macs, and Kiwi brews on tap from Panhead, Emersons, and Little Creatures.
“We don’t stop there though,” says owner Andy Laloli. “Enjoy sipping a fresh daiquiri, or relaxing by the lake in our sunny courtyard, perhaps a neat whisky in the sports den, or simply a raspberry and coke with the kids. Whatever your elixir may be, you can enjoy it in a relaxing environment.”
Andy says that food is where they really bring the place to life. The Good Home is all about the gastropub experience; a place where “menu items may be similar to pub grub, yet the ingredients and methods used lifts the dishes from predictable to tastefully unbelievable.”
Whether you are all about platters on a Sunday afternoon, taking that someone special out for a gourmet treat or just not into cooking at home tonight, let the team at The Good Home Pegasus do the hard work for you. Andy adds they will keep everyone happy, “even the kids, especially with our new enclosed outdoor playground”.
Functions are a specialty. “We make your function hasslefree and memorable. Nestled on the banks of Lake Pegasus, our size, location, environment, and views create a unique function spot, with our build and fitout complemented by multiple courtyards and private spaces,” says Andy.
From 10 to 300 guests may be catered for, at corporate events, parties, and social occasions. Sta know that a wellorganised function reflects your personality without you having to lift a finger. “The Good Home Pegasus has a flavour all of its own; you’ll notice the enticing array of drinks at the bar, the tempting treats on the menu, and the smiles of the friendly folk who’ll serve you,” adds Andy.







A strong sense of community in the West Melton township led to the establishment of their community market three years ago.
Today, the market has gained such a reputation for the variety of its stalls and casual, friendly vibe that people from outside the area often visit. There is also a waiting list of stallholders each month, emphasising its popularity.
The West Melton Community Market is held on the first Sunday of each month outside the West Melton Community Centre between 9.30am - 12.30pm - the next being on Sunday 3 November. Here you can meet friends, have a cup of co ee and a snack, and wander around over 50 stalls that present their wares. You will discover from the many artisan sellers that there is something for everyone.
Think honey, sauces and chutneys, wines, wooden objects, plants, dolls’ clothes, children’s clothes, garden art, and that’s just for starters. If you feel that seems an overwhelming choice, you will be quite blown away by the pre-Christmas market on 1 December when the number of stalls doubles and the time is extended until 2.00pm. All kinds of Christmas giftware and decorations will tempt you. Make a Sunday trip out to West Melton. You won’t go home empty-handed.
www.facebook.com/westmeltoncm
Looking for a place to enjoy a pre-race family brunch and Champagne, or keen to have a night out with friends after the races, you’ll find the best of both worlds at Protocol.
Boasting two function rooms, this beloved venue can also accommodate larger groups, giving you the opportunity to host a party, celebration, or local event.
Owner Genaea Calvert describes Protocol as so much more than just your typical pub. “Good vibes, delicious food, lovely sta , and incredible atmosphere,” she says. The modern and open set up featuring a courtyard is a standout as we head into the warmer months.
Popular with locals, the team strives to get to know their regular customers on a personal level, with a promise to provide excellent customer service.
a
With Cup Week kicking off, it is time to dress up, head to the races, and celebrate in the city.
Having just launched their spring menu, there is something for everyone. Genaea gushes over the excellent chef creations and beautiful food which can “cater to a whole variety of di erent people”.
Featuring sharing platters, small plates and heartier mains, it is great for a light lunch, a fancy dinner out, or casual dining with their extensive pizza menu.





Summer is on its way, and so is Christmas, making it ideal to start gift gathering.
There’s no better way to do this than enjoying a day out with with friends and family than at the Geraldine Summer Fête on Thursday 7 November. Attracting around 4000 visitors from across New Zealand, the fête is now in its 15th year. Attendees can expect a day of relaxing elegance among the spring blooms and towering trees of historic Stover, just 10 minutes north of Geraldine; a working farm that has been in the Mackenzie family for four generations.
The fête is the perfect opportunity to begin your Christmas shopping. There are some 200 high-quality artisan stalls, including homewares, art, garden, and lifestyle items, children’s, ladies and gents stylish fashion designs. Here you will also find the stunning Talbot Silver Jewellery collection with its elegant bespoke pieces o ering a chic timeless look.
Plenty of delicious food to sample, and great entertainment from bands such as The Drama Queens and local singers add to the enjoyment of a day out in the country.
A most enjoyable time to celebrate reconnecting with friends and the community after a gloomy winter. Indulge with a Pimms in the sunshine amid the flowers. Put on your best hat and dress and head to Geraldine for this day of exclusive shopping in a relaxed country atmosphere.
Tickets: online $20, gate sales $25, children under 15 free.

While all roads lead to Christchurch during Cup Week, there’s plenty to do further afield between races, and during the following weeks.
Christchurch’s central location makes it an ideal base for day trippping, or long weekends away, north, south, east, or west. Now that days are longer, temperatures are warmer, and people are spending more time outdoors, it’s time to plan a few jaunts outside the city.
Nearby towns accessible along State Highway One include Rangiora, Kaiapoi, and Ohoka, while further north is Kaikōura. They’re ideal for a day trip away, a quick rejuvenating overnight stay, or part of a holiday road trip. Don’t forget the beaches along the way.
Within an hour or two’s drive south of the city lie several country towns such as Geraldine, and Ashburton. Each has its own appeal, and attractions, for instance Geraldine’s annual summer fête, which should a must on your social calendar.
New Brighton, Sumner, and Lyttelton, all lie to the east of the central city, with an exciting array of eateries, bars, and activities, along with some lovely swimmable beaches.
The rugged West Coast may be a bit far away for a day trip, so how about a visit to Methven and its solar heated hot pools? The town is a treasure trove of fashionable retailers, relaxing accommodation with scenic views, and dining out establishments.



Picture yourself snuggled up with your partner, surrounded by nature, watching the sunset and listening to birdsong.
Sounds dreamy, right? Well, venture two hours from Christchurch and you can experience this. Following on from their popular couples’ Fiery Peak Eco-Retreat, the team behind Stay Geraldine this year has converted an old bus on its rural property into a romantic couple (or best friends) eco-glamping experience, opening this summer.
“The bus sits nestled at the edge of a forest, north-facing with mountain views,” owner Kay Paterson says. “There will be outdoor games to play, a spring-fed plunge pool to take a wake-up or cool-down dip in, and a wood-fired hot tub to soak and sit under the sky full of stars.”
There’s also a firepit where you can while away the time, chatting and roasting marshmallows as the sun sets over the mountains and the day turns to night. The bus has a kitchen, wood fire, free standing queen bed, hot shower, and flush toilet. So, no hardships here.
Get away from the bustle of city life and reconnect with your partner or friend at Fiery Peak Glampsite. It’s just 10 minutes from the village of Geraldine for you to explore and stock up on supplies. Check out the progress and book at the website or contact Kay on 027 358 3022 or kay@staygeraldine.nz to receive updates for your unique, summer glamping experience. www.staygeraldine.nz

Whether the outdoors or indoors is the backdrop to your special event, the desire is that your fitout will do much of the heavy lifting in setting a scene that captivates and excites guests.

To take your event from ordinary to outstanding, you can’t go past Longacre Event Hire’s unique rustic wooden furniture. It is handcrafted by owner Chris McDonald, so you won’t find it anywhere else. “We have long tables just perfect for feasting, with chairs or benches that can also be used for a rustic wedding ceremony. We have bar leaners and stools, full barrels complete with market umbrella sets, half barrels for keeping drinks on ice, loungers and couches, patio heaters, cake tables, signing tables, display lecterns, farm gates, and fridges,” says Chris. “You can create the setting that your heart desires with dining, bar, and chill-out zones.”
Chris can supply furniture for hundreds of guests, recently seating 200 at a wedding. “I do corporate events, local council events and shows, rural supply, breweries, weddings, and parties,” says Chris. “I am a one-man band, I am the creator, the business point of contact, the furniture deliverer, and I pride myself on being laid back and easy to deal with.”
www.longacre.nz
After hibernating indoors during the colder months, it’s good to get out with friends, and Christchurch Cup Week is a sure-fire signal for many to do just this.
Breakfast or brunch is an enjoyable way to start the day, especially if trots or gallops are on the agenda later. Having your event catered will guarantee success, although that rules out spur-of-the-moment gatherings. Talk to one of the city’s array of quality catering firms early, and sort what style of menu you’d like. Remember, breakfast/brunch is the start to your day, putting fuel in your tank to get you through the hours ahead.
An amazing brunch menu for a home gathering o ers options that are just as delicious as those in restaurants, options such as eggs Benedict, pancakes, wa es, French toast, omelettes, smoked salmon bagels, cereal, fresh fruit, croissants, crepes, mu ns, pastries, and similar.
Great food is complemented by the best drinks, with alcoholic and non-alcoholic beverages on o er. A brunch punch, or cocktails, such as Kir Royale, Sangria lemonade, Mimosa, strawberry Margarita, Bellini, Bloody Mary, or classic Champagne will help start the day with a buzz. Irish, liqueur, or freshly brewed co ees will add a hit of energy, and don’t forget freshly squeezed orange juice.
For those who love to graze, consider antipasto platters, heaped full of succulent meats, seasonal fruits, delicious cheeses, and even a few decadent chocolates.
English mu ns are a delicious crowd-pleaser, and enjoyable any time of the day, toasted, slathered with your favourite spread, or substituted for burger buns, pizza bases, or bread.
English Mu ns - Makes 14
• 330g all-purpose flour
• 1 Tsp salt
• 180ml milk
• 3 Tbsp butter, melted
• 2 1/4 Tsp fast acting yeast
• 2 Tbsp sugar
• 120ml water
• 1 egg large, room temperature
• Cornmeal or semolina for dusting
1. Combine milk, water, and sugar in a bowl. Mix together and warm slightly in microwave. Add yeast and stir.

2. Set aside for 5-7 minutes, until a foamy head develops.
3. Combine the flour and salt in a bowl, and whisk together.
4. Stir the egg and melted butter into the milk mix, slowly add the liquid to the flour mixture, then increase mixer speed to medium high until the dough is elastic and smooth.
5. Transfer to a large oiled bowl, cover and allow to double in size in a warm spot (about an hour).
6. Turn dough out onto to a floured counter, spread and pat down until it’s 2-3cm thick. Line two trays with baking paper and sprinkle with cornmeal or semolina.
7. Use a 70mm round cutter to cut out mu ns. Place on trays in warm spot, cover, and leave about 30 minutes to rise.
8. Cook in skillet on low heat, after sprinkling the surface with cornmeal or semolina. Cover and cook for 5-6 minutes then flip and repeat.

Now there is a new, faster, and easier way for Christchurch diners to find and book
a restaurant.
Celebrating 10 years since its inception, the restaurant discovery platform First Table has helped transform the dining scene in New Zealand, Australia, and the United Kingdom, connecting food lovers with incredible dining experiences.
Since 2014, the platform has grown from a simple idea into a dining phenomenon, now partnering with more than 2100 restaurants. Continuing its technology evolution, First Table has just released an innovative search tool that displays real-time availability for all partner restaurants, alongside its signature 50% o food, early bird o ers.
Founder Mat Weir says it’s a seamless, user-centric experience for booking any table in one easy-to-use interface. Mat saw a gap in the market while trying to find a restaurant for himself and his friends. It dawned on him that because First Table already had the partner restaurants and connectivity, that they could build and o er a search engine that enabled people to find any table all in one place.
Asked why nobody has o ered this before, Mat explains it’s hard, and technically challenging to search for table availability in real-time across multiple restaurant systems. “This update goes beyond just technological advancements; it’s about streamlining the process for diners to e ortlessly search, find, and book restaurants with complete confidence, all from one platform.”
First Table showcases venues to more than 1.7 million foodies across the globe, from cosy neighbourhood bistros to high-end gastronomic venues.
Bhubnesh Badoni, owner of The Goldfinch in Christchurch, says last year it attracted a significant number of new customers via First Table, and he predicts the new platform will have an even bigger impact.
“We are already seeing more regular bookings, and the integration has made online bookings incredibly easy for customers without any hassle. It has helped bring in customers during o -peak times, and also increased bookings on a more consistent basis every week.”
Christchurch is the second city to have the feature turned on, and Mat says it’s just the beginning of the evolution of the First Table brand from being an early bird 50% o platform to the first place to book any table.
To discover your next dining experience at one of First Table’s 180 partner restaurants in Christchurch, visit the website below.

First Table
The place to book any table
First Table was inspired by a small French restaurant in the heart of Queenstown. The restaurant o ered 50% o the food bill for the first booking of the evening, a strategy to draw in more diners by creating the appearance of a bustling venue.
Mat, a software developer by trade, saw its potential, and built an online marketplace, connecting venues with diners using an o er on the first table of the night.
“It’s hard to believe that what started in Queenstown with only 10 partner venues has grown into something that’s made a real impact on dining culture in New Zealand, Australia and the UK.
“Over the past 10 years, we’ve seated nearly five million people at o -peak times, but for me, the real achievement is how we’ve helped support local businesses and brought people together for memorable dining experiences.”


The humble potato has long been a staple food for many cultures across the world, and it’s no wonder given its versatility.
From fries to gnocchi, hash browns to oven baked, and dauphinoise to creamy mash, potatoes, or spuds, are found in most kitchens, making it a truly global food. The potato was domesticated in the South American Andes some 8000 years ago, making its way to Europe in the mid-1500s, from where it spread all over the world. Today the world’s leading potato producers are China, India, Russia and Ukraine, and it is the world’s fourth most important crop, behind rice, wheat, and maize.
New Zealand uses more land for growing potatoes than any other crop, with more than 10,000 hectares grown by 175 commercial growers annually, generating over a billion dollars in revenue.
New varieties are being continually developed, and along with them an almost endless number of recipes and ways to enjoy potatoes. Their versatility means they can easily fit into meals across various personal, cultural, and dietary preferences.
Nutritionally, they are fat-free, gluten-free, plant-based, a ordable, and a quality carbohydrate. They are cholesterol and sodium-free, and contain vitamins C and B6, potassium, protein, fibre, and iron.








Make a date to reconnect with those girlfriends you haven’t seen in forever! A
more could you ask for! $60pp, served with a glass of bubbles.


Crispy, golden brown and hearty, these German-style pancakes are great for breakfast, lunch, brunch or even a light dinner. They’re best served hot, with sweet or savoury sauces or toppings.
4 medium potatoes, peeled
2 Tbsp grated onion or chopped chives
2 eggs, beaten
1/2 cup plain flour
1/4 Tsp baking powder (optional)
Pinch of salt
2 Tbsp butter
2 Tbsp olive oil

1. Grate potatoes into a bowl.
2. Cover with water, rinse well, drain, and pat dry in a linen tea towel.
3. Add onions/chives, eggs, flour, and salt, and mix together.
4. Heat oil and butter together in a large skillet over medium heat.
5. Drop heaped tablespoons of potato mixture into skillet, and press to flatten and form into patties.
6. Cook until crispy and golden on both side (about 3 minutes).
7. Serve with bacon, bratwurst sausages, or slices of apple cooked in butter.
Add grated carrot to the mix
Serve with sour cream and chives
Sauce options include maple syrup and sweet chilli sauce
Liven up with smoked salmon, bacon or breakfast sausages.

Step into The Rabbit, where dessert meets cocktails in a charming setting. Discover our creative menu and enjoy sweet treats and drinks like nowhere else!
The Rabbit Ashburton - Where Every Meal is an Experience.

Dine at Formosa for exquisite flavours and a stellar ambience. A perfect blend of culinary excellence awaits you!


110 Victoria Street, Ashburton, Ph. 03 932 7847
Find us on:


The Dish welcomes you to experience our Asian Fusion menu.
We offer a tremendous range of entrees and mains. Providing gluten free options, vegan and vegetarian friendly.
Lamb Shank curry is back for limited time only!
Lunch - from $18
Lunch: Mon-Sat 11.30am-2pm
Dinner: Mon-Sun 5pm-9pm
Open 7 days
376 Montreal St, City Centre
Ph 03 925 9787
www.thedish.co.nz

173 West Street, Ashburton Ph 03 308 7874
info@formosainash.com www.formosainash.com
Find us on:


locations
Wherever you are in Christchurch, there is a Cocoa Black just a short drive away. Come in and see what all the fuss is about! Try our famous cheese scones and many other delicacies.
5th CAFE NOW OPEN!
236 Centaurus Road, St Martins.
4 other handy locations:
• 1473 Main North Rd, Waikuku
• Merivale Mall
• Bishopdale Mall
• 110 The Runway, Wigram Ph. 03 974 9198
www.cocoablack.co.nz
Find us on:

Built in 1983 Methven Resort is an iconic building and one we, Richard & Sarah Houston decided needed a local touch and took on the management role as of February 2024.
With our Patrons Bar & Restaurant now open specialising in chargrilled steaks and tractor drivers special.
51 Main Street, Methven Ph. 03 302 8724
Find us on:


PretzelBox specialises in freshly baked pretzels, fried pretzels, pretzel bun burgers, and the best gluten-free fried chicken with vegan options also. We can cater for any event large or intimate, and menus can be created for any occasion.
Check our FB for special offers as well as updates on pop-up events, we are looking forward to supporting the community
20a Tyne Street, Addington (at Punky Brewster) P. 027 773 8935
pretzelboxltd@gmail.com
Find us on:


Savoire Café of Merivale is located in the buzz of Merivale Mall. Heading in to spring warmer days, blooming flowers and the anticipation of summer on the horizon. With this change of season Savoire Café of Merivale welcomes you to enjoy freshly brewed coffee along with house made sweet and savouries with your family and friends.




Savour authentic Chinese cuisine, delighting in true flavours. Our chefs have all worked in 5-star hotels in China, and exhibit exquisite skills, presenting regional specialties, notably Sichuan dishes.
Join us to explore a culinary journey and taste the essence of Chinese cuisine.
Addington Mall,
189 Papanui Rd, Merivale Ph. 03 355 5645 www.savoirecafe.co.nz

Find us on:

Winner of the North Course 2022 & 2023! Come and try The NC and View Hill Pizzas. Black Beech Wine & Pizza Bar offers a big selection of over 40 wines, 30 mainstream, craft beers and ciders, tapas, and gourmet pizzas with local ingredients in a cosy setting. We also have a dog-friendly area outside. Available for functions and wedding bookings. Check FB for live music and event info.
Unit 1, 46 Main Street, Oxford Ph. 027 312 3338
info@blackbeechbar.com www.blackbeechbar.co.nz

300 Lincoln Road Call or txt: 021 289 9608 www.focusdining.co.nz


As darkness falls, at Pegasus, the glamour of our Moonlight Bar is ignited; enter a world of intricate flavours from an assortment of delectable tapas and exquisitely prepared mixology. Moonlight Bar’s tapas menu has a variety of tasty bites for sharing and pairing with their unique beverages. Make us your destination for Christmas functions and end of year get-togethers. Up to 80 people seated. BOOK NOW!
8 Tahuna St, Pegasus Ph 03 920 4036

All our delicious pies, savouries, quiches, and sausage rolls are made here onsite.
Choose from: Mince, Mince & Cheese, Steak, Steak & Cheese, Peppered Steak, Steak & Mushroom, Steak, Cheese & Bacon, Steak, Cheese & Jalapeño, Gourmet Chicken, Chicken & Apricot, Chicken & Mushroom, Chicken, Cranberry & Camembert. Sandwiches made fresh daily using top quality bread and fillings.
Open Mon - Fri 6am - 4pm, Sat 7am - 3pm
7a Normans Road, Elmwood Ph: 021 144 1059

Gold Card Lunches Mon-Fri
Mon/Tue: Wood-fired pizzas $22
Tues: Quiz night - free entry & prizes
Wed: $18 Burgers
Thurs: Pizzas $22, Cocktail & Dessert $20 7-9pm
Sun: Roast $26, Sun: Kids eat free (cond. apply)
Happy Hour 7 days 3-5pm
Function Room - fundraisers/private functions
Takeaways available.
Open 7 days: 11.30am-late
Weedons Ross Road, West Melton Village Ph 03 421 6481
www.twofatpossums.co.nz


Aroy Thai Eatery is a hip and trendy yet casual local Eatery established in Wellington in 2008.
Priced for value, our menu features delicious authentic Thai options of appetisers, noodles, and classic Thai dishes as well as house-made Thai beverages and Thai Desserts. Open 7 days.
20 Waimairi Rd, Upper Riccarton Ph. 03 341 1384
2/51 Tennyson St, Rolleston Ph. 03 347 0995 www.aroy.co.nz
Find us on:

Enjoy a wide range of delicious baking lovingly made in-house every morning. Vegan, gluten free and keto options available, and fantastic coffee as always. Eat in, takeaway and catering available. Easily accessible, with parking directly outside.

We are the donut specialists! Choose from our very special products that are freshly handmade daily. With 17 delicious products to choose from, you are bound to find an old or new favourite. Non-vegan and vegan options available, all donuts are egg-free. We also have customised celebratory donut cakes (made to order).

4/57 Mandeville Street, Riccarton Ph. 03 343 6394
Find us on:
171 St Asaph Street, CBD 7c Witham Street, Hornby Ph. 03 926 3026
Uber Eats, Door Dash, and ‘Order Meal’ available. Find


Head west to West Melton for a beautiful winery lunch experience.
Melton Estate is the home of Summer Love and eight other wines. Gather your friends and family for a short drive and treat yourself to stunning local wine and fine fare.
Cnr Weedons Ross & Johnson Rds West Melton Ph 03 347 4968 meltonestate.co.nz
Hours: Thurs to Sun, 10am to 4pm. Bookings essential. Find

46/8 Falcon Road, Rolleston Ph: 03 421 4757
Discover the greatest Indian cuisine available, prepared by chefs from all over India. From delicious vegetarian meals to desserts, we have it all here. Come meet the Bolina team and treat yourself to some delicious traditional Indian food, whether it’s a date, gathering, or just a place to dine. Find


Xbeerience is an independent craft beer shop located in Rolleston. Our mission is to provide an immersive beer experience for our customers, allowing them to explore a wide range of craft beers from around the world. With over 250 different beers to choose from, you’re sure to find something that will tickle your taste buds. Pop in and say hello!
4a 55 Faringdon Boulevard, Rolleston Ph: 027 458 7946
www.xbeerience.co.nz




Host the Ultimate Christmas Celebration at The Hoi Polloi! Looking for the ideal venue for your festive get-together? Whether it’s an office party, a family celebration, or a catch-up with friends, The Hoi Polloi Bar and Bistro has you covered! Enjoy mouth-watering dishes made from fresh, locally sourced ingredients, paired with a great selection of drinks.
Located in downtown Christchurch with free parking.

Find
Located on the corner of East and Burnett Streets, this Ashburton restaurant offers a relaxed dining experience with a focus on high-quality, locally sourced ingredients.
The Fine Lion, a collaboration between Belinda and Matt Fine, reflects both the Fine family’s passion for hospitality and the lion from the Murney family crest, which is proudly engraved on the building. The menu is designed to showcase the best of local produce, with standout items such as Lumina Lamb and 55-day aged handpicked beef as year-round favourites. Vegan and glutenfree options are also thoughtfully included, ensuring that every diner can find something to enjoy, whether they’re after a hearty meal or something lighter.
Open daily from 11 am until late, the restaurant provides a welcoming atmosphere that’s ideal for everything from casual lunches to relaxed evening dining. The venue frequently hosts private events and functions, allowing guests to customise their menus and drinks to suit the occasion, creating memorable, personalised experiences.
For those seeking a laid-back yet refined dining experience, with a focus on local flavour and warm hospitality, The Fine Lion is the destination. Book your table today and discover what makes this a favourite in the heart of Ashburton.
thefinelion.co.nz


Merivale’s #bestlittlelocal. With exceptional craft beers, wines and spirits, alongside our famous pizzas, Sprig + Fern is the ideal (dogfriendly) spot for any season.
Takeaways (food + beer) available (pickup/ DoorDash) & Quiz Night every 2nd Tues.
Mention this ad for a free bowl of fries!
Open Tues-Thu from 3.30pm, Fri from 2.30pm, Sat-Sun from midday.
7 St Albans Street, Merivale
Ph: 03 260 0015
sprigandferntaverns.co.nz
merivale@sprigandferntaverns.co.nz
Find us on:

The Fine Lion welcomes you to Ashburton with a relaxed atmosphere and a delectable menu for casual dining.
Drop in for a meal with friends, a snack or a drink at the bar - check out the full cocktail menu!
Our very popular private outdoor, heated balcony area is the place to be seen all year-round. Drop in and see what everyone is talking about.
Level 1, 152 Burnett St, Ashburton
Ph. 03 307 0629
www.thefinelion.co.nz

Find us on:

Discover in the heart of Christchurch, beside Victoria Park, The Victoria Free House Pub. Indulge tasty food, local wines, craft beers, and curated cocktails in the Historic Lady Issac House.
Family-friendly and kids’ menu available. Open 7 days from midday, serving lunch and dinner.
779 Colombo Street, Chch P. 03 925 9280 pub@thevictoriafreehouse.co.nz thevictoriafreehouse.co.nz
Find us on:


Life without our yummy food - is like a tree without blossoms.
Cherry Blossom Season is Here!
Join us at the cafe for a front-row seat to see the beautiful cherry blossoms.
Awesome food and coffee and a lovely deck with a charming rural backdrop.


Over 60 years of traditional Thai Cooking experience in the kitchen ensures some of the best Thai food you will find anywhere. Whether you are seeking simple rice and noodle dish, stir-fried classic, Kiwi-Thai fusion or traditional 300-year-old recipes, we have something for all tastes.
Come and meet the Thai Orchid family and let us cook up a feast!
Live Music every Wed & Sunday.
21 Riccarton Road, Ph. 03 343 0790 www.thaiorchid.co.nz

Find

Born as a humble food truck in 2015, our culinary journey has evolved, and we’re thrilled to announce that we have opened our first restaurant. Join us on this gastronomic adventure as we bring the spirit of global street food to a vibrant restaurant setting.
We are a new, fresh, vibrant café in Sydenham. Indulge in fresh sandwiches daily, all day breakfast, and other tasty hot/cold meals on our menu. We pride ourselves on our service and warm relaxing atmosphere. Also, we take bookings and cater for meetings and group gatherings. Free parking right outside.
Open Monday to Friday from 7.30am-3pm
Closed public holidays.
1 Pilgrim Place, Sydenham Ph 03 420 0320
Find us on:


Christchurch City
Tanoshi offers Osaka-inspired Japanese tapas and a ‘build your own ramen’ concept with extensive sake and whiskey lists, and Japanese lagers on tap.
We also have an accessibility ramp.
185a Kirk Rd, Templeton 03 344 2052
info@gatehousecafe.co.nz
Open Monday to Friday 7am - 3pm Saturday and Sunday 8am - 2pm Find
The world is our kitchen, and we can’t wait to share it with you at The Vagabond Chefs – where the journey began, and the taste never ends.
6/987 Ferry Road, Ferrymead www.thevagabondchefs.co.nz

Find us on:
Our signature tapas, donburi bowls and ramens are also available for online orders for pick up and Uber Eats delivery! Open 7 days.
93 Cashel Street, Christchurch www.tanoshi.co.nz



Whether you’re hosting a corporate luncheon, birthday party, or a casual get-together, we’ve got you covered with delicious and freshly prepared platters of salads, pastries, and Asian-inspired hors d’oeuvre. Don’t settle for boring catering options, let Daily Wonders make your event extra special. Contact us today to place your catering order and impress your guests!
31 Birmingham Drive, Middleton hello@dailywonders.co.nz @dailywonderscafe
Find us on:


If you are looking for coffee on the go or a gourmet meal, Cafe Mayfield is the stop for you. Dine in or takeaway here as you go through the beautiful Mid Canterbury scenic route. We provide a diverse menu, including barista coffee, all day breakfast, Sally’s homemade sausage rolls, fish and chips, and much, much more. Make us your next stop for the whole family; we even have a playground for the kids!
1992 Arundel Rakaia Gorge Rd, Mayfield Ph: 03 303 6210


We are now taking bookings for end of year get togethers. Whether it be a private dining experience, cooking class, team building “Masterchef Challenge”, or one of our other amazing options, we have the package available to suit your needs. Treat your team and/or clients to a memorable culinary event at Riverside Kitchen.
Upstairs - Riverside Market Cnr Lichfield St & Oxford Tce Ph 021 168 7209 www.riversidekitchen.co.nz
Find us on:


A stunning lake side restaurant and functions venue, open for lunch and dinner. Enjoy our fully covered and heated dining area on the deck for the ultimate in lakeside dining with beautiful views over the lake to the alps. The perfect venue for functions – weddings, family celebrations or a day trip for lunch. 5mins off the main highway from Ashburton.
Lake Hood Drive, Lake Hood, Ashburton Ph 03 302 6064
info@lakehouselakehood.co.nz www.lakehouselakehood.co.nz
Find us on:

Q: What makes a mad hatter mad?
A: Missing a trip to the White Rabbit Café.
You will leave smiling like a Cheshire cat and feel fitter than a March Hare after you’ve had your magical food and quenched your thirst with one of our delicious drinks. Our food is of the highest quality fit for a Mad Hatters Tea Party.
1683 Christchurch Akaroa Rd Ph: 022 156 7527
Find us on:


Brighton Beach House is a community focused, local cafe, with great coffee, cheeky service.
Open Friday nights till 9pm. With happy hour tap beers and house wine 4pm - 6pm Friday.

16 Beach Road, North New Brighton Ph. 03 382 8599 brightonbeachhouse.co.nz


Explore the unique flavours of Herrick Creek Moonshine, crafted in Christchurch from local NZ corn. Original, Maple, Apple Pie, and more! We also make amazing gins! Visit us online, drop by our store, or find us at the Christchurch Farmers Market on Saturday mornings.

Fig is your suburban oasis serving breakfast, lunch, and dinner daily in Papanui. The summer menu has been prepared by Executive Chef Matt Davies with the restaurant ready to welcome guests of Hotel Elms and locals alike this year.




www.herrickcreek.co.nz
Find us on:


The Phat Duck Brew, Bar & Kitchen is serving delicious breakfasts from 10am. Indulge in bacon, eggs and toast for just $12, and add a coffee for only $3 extra. Drop in for a remarkable dining experience at The Phat Duck.
360 West Street, Allenton, Ashburton P. 03 3077032 www.phatduck.co.nz

456 Papanui Rd, Christchurch Bookings: 03 352 4903 or ravi@hotelelms.co.nz www.hotelelms.co.nz
Find


Albans
St Albans’ most loved community café, offering its award-winning No. 1 fair trade organic coffee, specialising in homemade sweets and savouries including gluten-free/ dairy-free wares, all day brunch menu and featuring indoor/outdoor dining area.
Open 7 days: 8.00am - 3pm. Doordash & Uber Eats 8.30am-2.30pm.
670 Barbadoes Street, St Albans Ph. 03 385 8670 www.ristretto.co.nz
Find us on:

Enjoy one of our weekday specials...
1. Hand-Pulled Noodle Lunch Special (11am-4pm) only $11.90
2. Si-chuan Chicken in Red Oil Sauce, $12
3. Grilled Blue Cod, $58
4. Steamed Whole Blue Cod, $48
Open 7 days 11am-9pm. 74 Riccarton Road, Riccarton Ph. 03 322 1060 EASTEAT

Riverview Restaurant is open Tuesday through Sunday for lunch and dinner. Main meals from only $19, beautiful outdoor areas perfect for the spring and summer months, outdoor playground for the little ones. Quiz night every Wednesday, live bands every Friday. We have four different function spaces available and can cater for all events.
50 Colombo St, Cashmere Ph: 03 332 0092 www.cashmereclub.co.nz

Inspired by the owner’s roots in Chennai, this downtown favourite is beautifully decorated in a charming, South Indian style.
Lush, colourful, and richly textured, the moment you step inside Tiger Baby, you will know you’re in for a good time.
The food and drinks menus are fun and packed with character. A range of spiced Indian whiskeys anchors a comprehensive range of spirits. The absolute highlight, sta say, is the signature list of outstanding, e ervescent cocktails. Loaded with delicious, aromatic ingredients, each is infused with a healthy dose of subcontinental flair. Discover caramel of jaggery, fresh cucumber tonic, and homemade chai honey syrup. “We make some of the best cocktails in Ōtautahi, and they’re an ideal accompaniment to our intensely flavoured Kerala-style beef curry, or delicious deep-fried cauliflower served with chickpea puree,” they add.
Having opened its doors in early 2024, Tiger Baby has quickly established itself as a gem in the CBD with all the elements that come together to guarantee good vibes. The atmosphere is vibrant and welcoming, a perfect spot to enjoy date night, or a few drinks after dinner.
4/150 Lichfield Street, CBD



With spring in full swing and Cup and Show week just around the corner, event season switches into top gear.
If you have a Christmas gathering coming up, it’s time to contact Kayla Woolley, events manager at the Cashmere Club, to secure your booking at a venue that will please everyone.
“The Garden Bar, which opens up to a gorgeous outdoor area, is by far our most popular room. Bookings are filling fast for Christmas functions,” says Kayla. “It comfortably seats 100 to 120 guests, or 170 people if you are keen on a standing and mingling function with nibbles and drinks.”
The Cashmere Lounge is also a popular spot, featuring an outdoor area perfect for the warmer months. It is available for a seated meal for 60 people, or 80 standing. If an intimate dinner is on the menu, the Heathcote room is elegant and seats 40 guests to dine, or 60 standing.
The Cashmere Riverview Restaurant starts its spring menu at the beginning of October. Its outdoor seating areas and gardens are wonderful for pre-drinks, while the playground will keep youngsters entertained.
“The outdoor dining area with fireplace completes our incredible array of options. Contact me to book the ideal setting for your group,” says Kayla.
cashmereclub.org.nz


Canterbury’s top destination venue! Make a visit to Thirsty Acres part of a great day out in the beautiful Selwyn District. Whether you are looking for a delicious meal, a light snack, or a few drinks with friends, Thirsty Acres has you covered.
Bar, Restaurant and Functions. Perfect for Car Club events. Gold Card menu available Mon - Fri before 3pm.
Big city style in a beautiful rural setting.
State Highway 73, Kirwee
Ph. 03 318 1814 www.thirstyacres.co.nz
Find us on:


Experience over 155 years of New Zealand heritage in central Christchurch.
Taste mead, liqueurs and honey infusions in a boutique store featuring New Zealand art, skincare and specialty gifts.
A favourite for visitors and locals.
Colony, The Crossing (behind Coffee Culture)
166 Cashel Street Ph. 021 915 217 www.colony.co.nz


Incredible food, craft beer and exceptional customer service, in an idyllic rural setting just 7 mins out of Geraldine. Chef Dion and the team will wow you with their amazing food while Lisa and The Brew Crew show you what top service is all about. Please call or text Lisa on 029 02020 399 to book ahead of time and avoid disappointment.
3 Gualter Road, Geraldine Ph/txt. 029 0202 0399 info@houseofhop.co.nz
Find us on:

Discover Mifan Chinese Restaurant, the modern gem of Ravenswood Central. Indulge in exquisite Cantonese-inspired dishes with exceptional service. Perfect for gatherings, we offer set menus and are licensed and BYO. Enjoy dine-in, takeaway, or delivery within 5km via our website and Doordash. Open daily Midday-2pm and 4.30pm-9pm.

4 Clayton Place, Ravenswood Central Ph: 03 310 0318/021 0246 3664 www.mifanrestaurant.com

Visit Peppers Clearwater restaurant “Lume” and experience the most stunning views in Christchurch. In close proximity but tucked away from the hustle and bustle we provide somewhere to relax, unwind and forget about the big city life. Mention this ad to get a complimentary offering.
42 Clearwater Ave, Northwood Ph. 03 360 1000 peppers.co.nz/clearwater

Find us on:

BEE stands for long weekends in the sun, BBQs with mates, creativity and individualism. BEE celebrates everything you want to BEE. Our naturally brewed BEE-licious alcoholic lemonade, and now Pink Lemonade is available from grocery and liquor stores across New Zealand. What do you want to BEE?
Available from select New Worlds, PAKn’SAVES, Liquorlands and more!


Tiger Baby offers a range of exquisitely crafted cocktails, Indian whiskeys, great wines and an authentic South Indian menu.
This beautiful cosy inner city bar should be top of your list to visit for your next date night.
4/150 Lichfield Street, Chch www.tigerbaby.co.nz

Country Kitchen Bakery now offers sports supplement drinks with your food for all you hard working tradie or fitness fanatics. Prime, C4, Ghost, Optimum Nutrition, Musashi, GFUEL, etc. All the big brands! Most are priced between $3.30-$6.50
356b Main North Road, Redwood Next to Mobil Garage Ph: 03 352 8111
Yummy things for humans!

Yummy things for dogs!
Fresh baking is my family’s love language! Yummy homemade treats for humans and dogs from Una Bakery. Relax and let us do your baking. Pop into our great location and indulge in our heavenly baked goods. Delicious pies, bread, slices, biscuits and pastries all made on site.
Serving barista coffee 6 days a week. 73 Centaurus Road, Huntsbury Ph: 337 8214




Our fresh, in-store made catering is perfect for those family get-togethers, work shouts, birthday parties, BBQs, or just because!
Check out our website and order your catering directly online, or pop in and see us in our new shop. Open 7 days.
7/346 Halswell Road Ph. 03 322 4600 www.halswellbakery.co.nz

In addition to a great range of dried food ingredients, come and explore the attached cottage where an extensive range of British sweets, Dutch liquorice, Kiwi favourites, handmade chocolates, fudge and beautifully wrapped gifts await you. Open 7 days.
24 Wilson Street, Geraldine 7930
P: 0272 472 863 | cottagepantry@xtra.co.nz www.cottagepantry.co.nz

Experience the freshness and vibrant atmosphere at omi sushi. With a variety of sushi options, there’s always something new to discover. Come in and enjoy the fun of finding your favourite sushi flavours. We can’t wait to serve you!
180 Papanui Road, Merivale Directly opposite Office Road

Fresh • Traditional • Distinctive
Thinking gifts?
Spoil your friends
Spoil yourself
Think Ali’s Lemons.
alislemons@gmail.com www.alislemons.co.nz

Elevate your cheeseboard with our new range of Flora’s jellies – choose from Gin & Tonic, Pale Ale, Mulled Cider, Limoncello, Hop Elixir, Portly, or our newest jelly Vodka & Orange.
Pair with cheeses that complement its flavour, such as soft brie or creamy blue cheese. Chilling the jelly helps maintain its shape and ensure its refreshing taste. www.choicefruits.co.nz

Cater for a crowd with our fresh and vibrant platters or grazing tables. We help bring people together using exceptional local produce, easy ordering and free delivery within our travel range. For cost effective catering, head to our website!
getgrazynz@gmail.com www.getgrazy.co.nz
Everyone needs a consistently wonderful Asian-fusion restaurant in their life; a place where flavours are stunning, staff are friendly, and the ambience is relaxed yet stylish.
For five years now, Christchurch has been lucky to call The Dish restaurant one of those places. Enjoy everything from a mid-week lunch catch-up with friends to a business dinner that will impress the out-of-towners. Owned by a group of three family members and friends, each is passionate about creating the very best in Asian-fusion cuisine, and this restaurant is their dream brought to reality. Located at 376 Montreal Street, the team has successfully combined glamour with comfort by showcasing the high ceilings with sculptural light fittings, and keeping table settings simple.
“We are thrilled to have come through the Covid period in one piece,” says co-owner Mon Thirawongpaisal. “We are still busy and thriving, and everyone’s favourite dish is our signature beef cheek massaman curry.”
Open for lunch from Monday to Saturday and every night for dinner, discover plenty of choice on the menus, catering for vegetarian and gluten-free diners, and o ering monthly specials. “We have two set menus for four people or more, and we enjoy catering for functions of up to 20 guests,” says Mon. “Cup and Show Week is always really busy, as is the run-up to Christmas, so we advise booking as early as possible.”
A range of delicious cocktails and mocktails with names like Bangkok Sipper, Kungfoo Pandan, and Mr Ka r bring the party mood to every celebration. To finish the occasion, it is di cult to go past the house-made coconut ice cream with moong dal, peanuts, and caramelised pineapple.
thedish.co.nz




- Delivery through Doordash and Uber
- Scoop ice creams
- Hot Steamed Dumplings, hot samosas
- Milkshakes & Thickshakes
- Fresh cut meats from Angus Meats.
Unit 6, 26 Central Avenue Ph. 0210 826 6108 www.gardengrocers.co.nz



Discover your new favourite meal at Souvlaki Masters. Our perfectly grilled souvlaki, wrapped in soft pita with vibrant toppings, will satisfy any craving. We cater to all special dietary needs and are quickly becoming the go-to spot for many locals. Stop by and see why!
18/26 Central Ave, Prebbleton P. 03 926 3612
Order online: souvlakimasters.co.nz

Indulge your sweet tooth with a temper tantrum worth celebrating!
Mind Your Temper crafts award-winning vegan bonbons in wild & wonderful flavor combinations. From Black Forest to Citrus Earl Grey & Cookie, experience a taste explosion in every bite.
Order online: www.mindyourtemper.co.nz


Anyone who’s put serious thought into the daunting task of actually building their dream home understands how important it is to get the little things right. It can be the difference between realising your vision and being stuck with something not-quite-right for years to come.
It’s this kind of attention to detail that separates the team at D.G.I. Morgan from the pack.
For nearly a decade, the expert team has been completing some of the finest new builds in the Canterbury region. That’s what has earned them an outstanding reputation in their field and marked them out as the go-to name in construction and renovation. It’s also what gives them the confidence to guarantee an
unmatched quality of work and full customer satisfaction. Gold accredited and specialists in high-end architectural jobs, D.G.I. Morgan LTD is your best bet whether you’re making some tweaks, looking at large-scale renovations, or embarking on a complete new build. The first step is getting in touch with David Morgan and the team to chat about your project. You won’t regret it. Call David on 03 423 3533 or 021 198 1216, or visit the website.

Cute, quaint, and fabulous space-savers, nest tables are a re-emerging trend as people look to maximise their rooms.

Typically, they come in sets of two, three, or four. Each table in the set gets progressively smaller in size so they can be ‘stacked’ together. So when you need it, you have the surface area of multiple tables for the tidy-away size of just one.
Traced back to the 18th Century, furniture maker Thomas Sheraton’s initial design was soon replicated and mass-produced in China, and thus nesting tables have been a staple in homes, specifically smaller ones, for decades. In his 1803 explanation of furniture terms, ‘The Cabinet Dictionary’, Thomas describes the creation as “kind of small worktable made to draw out of each other, and may be used separately, and again enclosed within


When it comes to the finish, there are multiple to choose from. Modernist acrylic nest table sets are increasingly popular, while glass or metal styles bring a contemporary feel. For a traditional look, opt for wood in a stain that matches your existing furniture.
Given their form, nest tables add distinction to a space, o ering interest through their proportions. Making a comeback, the furniture sets are reimagined as side and co ee tables in a plethora of designs. Style them as you wish – splayed out with décor atop each, or nested within each other and decorated with one statement piece.
Nest tables became a symbol of the Bauhaus design approach, a German art school famous for blending artistic vision and functionality in architecture and modern design. This was after architect Marcel Breuer and artist Josef Albers crafted nested tables in the mid1920s, combining practicality with creativity, used at the time to host bridge card parties and afternoon teas within peoples’ homes.






Having renovations carried out in your home, especially to a kitchen or bathroom can be very disruptive to both your daily life and personal space.
Under such circumstances, it is vital for you to know you have engaged trustworthy and truly professional tradespeople. From the colourful, well-designed branding of their vehicles to the stylish range of pamphlets outlining their services, the A1 Group shows itself as the epitome of professionalism. Led by directors Clayton Ellis and Karl Battersby, this team has merged interior and exterior decorators, builders, gib stoppers, exterior plasterers and project managers combining decades of experience under one umbrella group. This means that your whole renovation project will be handled by just one company. That equals real e ciencies.
Many homeowners and businesses across the city have benefitted from the skills and expertise of the A1 Group for their renovations, reclads, extensions, fit-outs and refurbishments. They also undertake maintenance work other companies might not. “Everything we do is built on trust and we are always honest and accountable to our clients,” say Clayton and Karl. “We take pride in producing excellent work, in solving problems and in achieving the best result for all parties.”
The team is always looking for new technology development and building techniques to remain at the forefront of the industry.
a1group.co.nz

















Delight the senses with a break in Ashburton on your journey down south.
This destination is a treat for a few hours with friends or a soul-restoring solo escape. Ashburton’s Lushingtons Garden Gifts and Café is a trove of pleasure. The garden centre is award-winning, and you can see why, with its beautiful displays, and a range of plants guaranteed to inspire. You will be assisted in your selections by the knowledgeable and experienced team. Local and sustainable are watchwords, and the team pride themselves on the quality of the plants, many of which are grown in their nursery in Allenton.
Inside you will find the café and gift and homewares shop. Built around a ‘country comes to town theme’ you will find beautiful French and English inspired giftware, while in the café there are delicious wholesome and homemade cakes and slices, plus full breakfast, lunch and sides menus, that cater for gluten free and vegetarian diners.
Co-owners and sisters Miranda Sinton and Sophie Du are locals who grew up on a farm in Mayfield. “It’s a great place to revel in beautiful plants, meet for lunch in a licensed cafe then browse the gifts and homewares,” says Miranda.
lushingtons.co.nz

























True entrepreneurs are not satisfied with one innovation only. They are continually looking for new ideas or refinements to their original concepts.
This is certainly true of the team at Loburn Sawmill. Not content with designing and building functional, durable and portable timber cabins, they came up with an idea for an extension in the form of a covered deck, with an iron roof and half-timbered walls, which can be fitted with roller blinds for year-round use.
“It’s rather like a pergola attached to the cabin,” says marketing manager Jess Aldridge. “The whole idea of our cabins is to provide people with extra space without building an expensive home extension. The covered deck extends the cabin area even more by an extra 4.2 metres of covered space.”
Jess says that she has heard of all kinds of uses being made of the covered decks. “Versatility is truly the name of the game and our customers are nothing if not imaginative. The decks have become all-weather barbecue areas, bars, dining spaces, even a laundry. We can, of course, put power points in the covered deck.”
With such versatility in mind, the team at Loburn Sawmill developed its original cabin concept. They recognised people’s need for extra space for all kinds of reasons,
perhaps for accommodation, a workshop, hobby room, art studio, o ce, or playroom. The covered deck just takes the various adaptations one step further.
Like the standard cabins, the covered decks are framed with Douglas fir timber. There are two sizes of cabin, 4200 x 2650mm and 5800 x 2650mm. Each size can be matched with a comparable-sized covered deck. Each cabin has a black iron Colorsteel rib roof and double-glazed black aluminium joinery in the windows and sliding doors.
Wool insulation in the walls and ceiling assists with energy e ciency, and the floors are self-insulated 45mm tongue and groove. The interior walls are clad in solid timber tongue and groove panelling of either larch or macrocarpa while New Zealand larch weather board clads the exterior of the cabins and the covered deck.
The cabins and deck can be stained with coloured wood oil tints to suit any location or back drop.
“Come and see our range of cabins and decks at our site on Fletchers Road in Loburn,” says Jess. They are made with quality materials with a low carbon footprint, and are packed with character and stunning good looks too.”


At Dream Doors Kitchens, they believe the kitchen is a place to gather, cook, share meals, and socialise with friends and family. Whether you require minimal renovation or an entire new kitchen, they can take care of as much, or as little, of the renovation process as you need. Adrian and his team of skilled tradesman take great pride in their work and are ready to help you make your New Kitchen or Kitchen Renovation dreams come true. www.dreamdoors.co.nz | Ph: 03 338 1081 | adrian@dreamdoors.co.nz

Summer is almost here and it’s not too late to get your outdoor area primed and ready.
Talk to the team at Louvre Solutions today to ensure your guests are protected from whatever the weather may throw your way. Make your place the centre of attention all year-round with the perfect louvre solution.
Ph: 027 535 6287 www.louvresolutions.co.nz








Brunching, long lunching, and dining on delicious food and drink. It’s imperative that your tablescapes fit the occasion - and season.
On Moorhouse Ave sits a bountiful haven of kitchenwares with everything you need to host, serve, and dine in style.
The social calendar calls for all kinds of get-togethers, breakfasts and brunches, Cup Week parties, and spontaneous park picnics with your best friends. There’s no feeling like treating your guests to picture-perfect table settings, creating a gorgeous backdrop for social snaps.
Home to the best brands and better quality, Total Food Equipment has every essential to create the gathering of your dreams. Handpicked, high end collections in the colours of the season, owner Sandra McLay curates the store to suit both your aesthetic desires and practical needs.
The Thalia Pink Quartz glasses are a magical blend of subtle sparkle, while Huski’s wine coolers are the ideal alternative for a picnic in the park.
Finish with a slice of something sweet and a warm drink from the gorgeous Teas & C’s Regency collection, or utilise the Royal feel of these pieces and host a separate high tea. Decorate with florals and muted hues, and watch a beautiful tablescape come to life.
Cherish the sweet moments of events season with Total Food Equipment.


Infuse ice cubes with fruit and berries for an extra pop of colour

Plate up with fi nger food like asparagus rolls or mini quiches





As the festive season draws near, it’s an ideal opportunity for homeowners to refresh their living spaces, and create a cosy, welcoming atmosphere for holiday gatherings.
Bringing new life to cherished old furniture, Steve McDonald and Keith Hartshorne provide a seamless blend of craftsmanship and personalised service.
For the past 20 years, co-directors Steve and Keith have been at the heart of McDonald & Hartshorne, o ering high-quality furniture restoration and reupholstery. Steve, with his hands-on experience as an upholsterer, and Keith, bringing decades of expertise in sales, continue to manage the business much as they did in the early days.
Keith personally visits clients’ homes to assist with fabric selection, considering factors such as sun exposure and pet-friendliness, while Steve oversees the factory operations, ensuring both domestic and commercial projects run smoothly.
With Christmas just around the corner, they encourage clients to address those small, often-postponed repairs or touch-ups. By simply emailing photos of their furniture, customers can quickly receive quotes, which help them understand project a ordability before committing. This streamlined process allows clients to plan restorations without the stress of last-minute rushes before Christmas.
The team work on a wide range of pieces, from antique Bergère suites (pictured), to sentimental armchairs passed down through generations. They ensure each item is carefully restored, maintaining its original charm while being updated for modern use. Most projects are completed in 10-14 work days. Their attention to detail and commitment to craftsmanship ensures clients receive high-quality results that last for generations to come.
McDonald & Hartshorne also o ers original bespoke furniture, made locally in New Zealand.




Textiles play a crucial role in interior design. As functional elements and for decorative purposes, textiles are key contributors to the overall aesthetic and comfort of a home.
Carpets, upholstery, bedspreads, towels, napery, curtains, cushions, and wall-floor covering are some of the décor items considered textiles that can set a scene or transform a space, adding depth, warmth, and personality.
Custom textiles allow you to infuse your personality into your home décor. Bespoke curtains, custom-made cushions, or reupholstered furniture, choosing fabrics tailored to your taste and lifestyle can make your space truly unique.
TYPES OF TEXTILES: Common materials include cotton, linen, and synthetic blends such as microfibre and polyester. Cotton and linen are breathable and comfortable, making them ideal for upholstery and curtains. Such natural fibres are durable and easy to maintain, o ering a classic look that suits various styles. Synthetic blends, especially microfibre, are durable and usually stain resistant, making them a practical choice for high-tra c areas.
UPHOLSTERY FABRIC: This needs to strike a balance between durability and comfort. Frequently used furniture like sofas and armchairs need durable fabrics with a high rub count, such as microfibre or tightly woven cotton blends. Also how a fabric will age; some fabrics develop a charming patina over time, adding character to your furniture.
TEXTURE AND LAYERING: Add depth and dimension to a room by mixing and layering various textures, such as pairing a soft velvet throw with a linen cushion to create visual interest and a cosy, inviting feel. Texture is important in neutral colour schemes, preventing the space from feeling flat.
MIXING AND MATCHING: Successfully mixing and matching fabrics requires an understanding of colour, pattern, and scale. Start with a dominant fabric, perhaps a large-scale pattern on your curtains or a bold upholstery fabric, and then introduce complementary fabrics with smaller patterns or solids. The key is to maintain a cohesive colour palette while playing with di erent patterns and textures.












1. Unique Christmas decorations, available at Coco Gifts, 2. Rocket Science, Jane Shri er, Framed Oil on Canvas, 350 x 350mm, available at Windsor Gallery, 3. Unique gifts, perfect for the ‘hard to buy for’, available at Farmhouse Design & Decor, 4. The Lyttel Kiwi Gift Shop, 15 London St, Lyttelton, or Facebook: The Lyttel Kiwi, 5. White with navy spots jug. Navy and white Gingham platter, available at The Blue Hare, 6. Chic hand made ceramic earrings, available at French Blue.












BY BEN SELBY



The human element: the self-driving car is a concept that has fascinated the motoring world for generations. Metropol’s motoring writer Ben Selby shares his thoughts.
Back in the 1950s, the space race was heating up and the fascination with what could be one day possible led to the idea of a car which could drive itself. You even had futuristic road networks like something out of a Gerry Anderson TV show with cars looking like Thunderbird 3 ferrying their magazine-reading occupants to their destination in luxurious comfort.
Today, it is no longer science fiction, but science fact. Manufacturers have been o ering cars with semi-autonomous drive functions for a number of years now, and now we have also mainstream cars with self-drive technology.
While this is mighty clever, I just don’t know how I feel about a tonne and a bit of metal and wires doing my driving for me. While you still have the ability to turn this function o , the day could come where driverless cars will become the norm and that is a tad worrying.
Now I am not suggesting there will exist a Skynet-style technological giant which will eventually become self-aware and our cars will turn on us, but as a keen driver, I would just feel far more comfortable being able to make those decision myself.









Self-driving technology has gone from sci-fi to reality in the last few years, with vehicles coming to the market featuring more autonomous driving advancements.
Automated vehicles require a driver to be present to resume the driving under certain conditions, while the futuristic autonomous vehicle will be able to cope with uncertain situations and a driver will not be required.
Entirely driverless cars are still in development, although drivers keen to go down that path already have many options for vehicles with self-driving features. There are five levels of autonomous driving as defined by the Society of Automotive Engineers (SAE), a professional organisation that sets standards for the auto industry.
Each of the five levels of autonomous driving details how advanced the self-driving features are with 1 being the least and 5 the most advanced:
Level 1 has features that have been present in vehicles for many years, such as cruise control or collision warning.
Level 2 introduces partial self-driving features, such as lane control assist and the ability to brake and accelerate to control the distance between vehicles.
Level 3 can assess tra c conditions and navigate accordingly. This means the vehicle is able to navigate itself to a known destination, switching lanes, braking, and turning.
Although Level 3 is advanced, the driver must still be ready and able to take over at any moment.
Level 4 vehicles can drive themselves entirely with or without a driver present.
Level 5 is entirely self-directed without a human in the loop at all.
Levels 4 and 5 are mostly still experimental at this stage, and there are currently none operating on New Zealand public roads. Christchurch Airport does, however, have a fully autonomous shuttle for public use in restricted areas.
The autonomous 20-person shuttle runs along a pre-programmed route, without the need for a driver.
Various companies such as Tesla, Mercedes-Benz (which, along with Bundeswehr University, Munich) built the first driverless car in the 1980s, Chevrolet, Nissan, and Rivian which makes an electric truck that can handle o -road conditions, are in the race to deliver autonomous driving vehicles for private individuals.
Additionally, many places in the world already have given permission for driverless cars to take to the road.
In New Zealand, there is no legal requirement for a vehicle to have a driver, so one hurdle is already out of the way.




Imagine heading to your shed to retrieve the Massey Ferguson, and pressing the starter only to find instead of the sweet sound of internal combustion, you have dead silence.
The battery is flat, terminals are stu ed, and the time is nigh for a new tractor battery.
This is where VP Batteries comes to the party.
Locally owned and operated, with more than 38 years combined industry experience, VP Batteries is the place to go for private, commercial, and agricultural vehicles batteries and accessories.
Cars, trucks, motorcycles, commercial vehicles, and marine are all able to be fitted with a VP battery to suit, including mobile homes and campervans, which require a deep cycle battery system.
VP Batteries also prides itself on having a mobile battery
service for customers. For example, if your business or place of work requires a new battery for a certain bus, truck, or tractor quick smart, the team will go out of its way to deliver your new battery to you. Plus, as your old battery is now fit for recycling, they will take that away too.
Located at 4/5 Cass Street, Sydenham, the company’s range of batteries, accessories and industry know-how means it should be your only choice to keep whatever you drive charged up and on the move.
Call them on 0800 VPBATZ (0800 872289) or visit the website.






Specialist motoring services in Canterbury, to ensure your vehicles are always running at their top performance.


Specialising in Auto & Marine upholstery repairs & restoration. Leather, seat heaters, tonneau covers, boat covers & much more. Call us get your boat in top shape for the coming summer.
www.agnewbros.co.nz
03 379 2401 | agnewbros@xtra.co.nz 91 Montreal Street, Sydenham


The specialists in servicing and repairing all makes and models of Land Rover & Range Rover. We are passionate about providing expert repairs and individual service. Full range of spares available. www.canterburylandrover.co.nz
03 379 5427 | 218 Hazeldean Rd, Sydenham 03 928 3250 | 62 Kennedys Hill Rd, Nth Canterbury



Locally owned and operated, means no “middle man”. No matter what vehicle you drive, including boats, we have a cost-e ective battery solution for you.
www.vpbatteries.co.nz
0800 VPBATZ ask for Vaughan or Murray Unit 4, 5 Cass Street, Sydenham

Good old fashioned service from an owner/operated LOCAL business.
• Full mechanical repairs
• WOF repairs
• Wheel alignments
• Vehicle servicing
• All brands of tyres
• Puncture repairs
• Walk-ins welcome
MARSHALL AUTOMOTIVE & TYRES
www.marshallautoandtyres.co.nz
Greg & Lynn Marshall: 03 359 4114, A/H 0274 356 484 496 Wairakei Road, Christchurch


Reach high-value customers who are passionate about their vehicles and ready to invest in quality. Metropol’s Drive section connects your business to a premium audience actively seeking automotive services and products.
• Targeted readership with disposable income
• Trusted for quality motoring content
• Perfect for car dealerships, and any businesses offering vehicle accessories or services.
Put your business in the driver’s seat—advertise with Metropol Drive!
Call Nancye Pitt on 021 222 3005 or nancye@metros.co.nz














