Skip to main content

Orthodontic Practice US Winter 2025 Vol 16 No 4

Page 1


A life-saving exam

Dr. Brett Gilbert and Jonathan Gegerson

Why every dentist and orthodontist should have an orofacial myofunctional therapist on their team Nicole Goldfarb, MA, CCC-SLP, COM

A Comprehensive Solution for Early Orthodontic Treatment

Spark Junior supports continuous, tailored orthodontic care from childhood through adulthood, delivering the Spark smile your patients love.

KEY

FEATURES

Discover how Spark Junior can elevate your early treatment plans - Scan to request a demo today.

Winter 2025 n Volume 16 Number 4

Editorial Advisors

Lisa Alvetro, DDS, MSD

Daniel Bills, DMD, MS

Robert E. Binder, DMD

S. Jay Bowman, DMD, MSD

Stanley Braun, DDS, MME, FACD

Gary P. Brigham, DDS, MSD

George J. Cisneros, DMD, MMSc

Jason B. Cope, DDS, PhD

Bradford N. Edgren, DDS, MS, FACD

Eric R. Gheewalla, DMD, BS

Dan Grauer, DDS, Morth, MS

Mark G. Hans, DDS, MSD

William (Bill) Harrell, Jr, DMD

John L. Hayes, DMD, MBA

Laurence Jerrold, DDS, JD, ABO

Marc S. Lemchen, DDS

Edward Y. Lin, DDS, MS

Thomas J. Marcel, DDS

Mark W. McDonough, DMD

Randall C. Moles, DDS, MS

Elliott M. Moskowitz, DDS, MSd, CDE

Rohit C.L. Sachdeva, BDS, M.dentSc

Gerald S. Samson, DDS

Margherita Santoro, DDS

Shalin R. Shah, DMD

Lou Shuman, DMD, CAGS

Scott A. Soderquist, DDS, MS

John Voudouris (Hon) DDS, DOrth, MScD

Neil M. Warshawsky, DDS, MS, PC

John White, DDS, MSD

Larry W. White, DDS, MSD, FACD

CE Quality Assurance Board

Bradford N. Edgren, DDS, MS, FACD

Fred Stewart Feld, DMD

Gregori M. Kurtzman, DDS, MAGD, FPFA, FACD, FADI, DICOI, DADIA

Justin D. Moody, DDS, DABOI, DICOI

Mali Schantz-Feld, MA, CDE (Managing Editor)

Lou Shuman, DMD, CAGS © MedMark, LLC 2026. All rights reserved. The publisher’s written consent must be obtained before any part of this publication may be reproduced in any form whatsoever, including photocopies and information retrieval systems. While every care has been taken in the preparation of this magazine, the publisher cannot be held responsible for the accuracy of the information printed herein, or in any consequence arising from it. The views expressed herein are those of the author(s) and not necessarily the opinion of either Endodontic Practice US or the publisher.

Circulation Disclosure: Total Circulation May Vary. Publisher retains the right to adjust circulation based on a number of factors including but not limited to: print and digital distribution by mail, email, and website for industry tradeshows, educational events, including nonpaid bulk copies and/or digital access provided to events, clients and educational institutions. ISSN number 2372-8396

Being present

I’ll never forget the moment my wife Jamie looked at me and said, “Josh, you’re complicating things. And just so you know — nobody really wants to go see you.”

That stung. She was right, but it wasn’t about me.

I’d built a thriving practice, but in the process, I’d missed teaching my son, Luke, how to tie his shoes. I’d been running so hard — chasing production numbers, stacking schedules, playing whack-a-mole with daily decisions — that I’d lost sight of what mattered most. I was caring for patients in the noun sense, delivering the standard of care. But was I truly caring for them in the verb sense? Was I giving them a human experience where they felt seen and heard?

The answer was no. And I wasn’t showing up for my family either.

This winter issue arrives at a time when many of us are reflecting on what we want for the year ahead. More time. Less stress. Better relationships. These are necessities, not wishes. The gift of time is the most precious gift we can give ourselves, our teams, and our patients.

You don’t have to choose between a thriving practice and a thriving life. But you do have to change your mindset. You have to shift from a 2x mindset — doing everything yourself — to a 10x mindset, empowering your team with high trust, high autonomy, and high accountability. It means building systems that eliminate decision fatigue so you can be present for the vital few things that matter, rather than drowning in the trivial many.

My father taught me how to truly care for people by taking action. His lessons transformed how I think about patient care. When we leverage technology and systems to handle the routine aspects of care, we create space to connect with patients on a human level. We give them real-time communication, personalized attention, and we give them their time back too.

Think about the working parent who takes PTO, rushes to pick up their child from school, speeds through yellow lights to make it to your office, sits in the waiting room, and then gets a 10-minute color change before rushing back. What should have been a 30-minute appointment just consumed 2 hours of their day.

I encourage you to ask yourself: What do you want more of? What do you want to be better? Your answers will guide you toward the changes that matter.

The orthodontic profession is at an inflection point. We have access to incredible technology, streamlined systems, and educational opportunities that our predecessors could only dream of. But, will we use these tools to do more and run faster, or will we use them to create space for what matters most — being present with our patients, our teams, and our families?

This winter, I challenge you to look in the mirror and ask: Am I building the practice I want, or am I building the life I want? Because you can have both, but you have to commit to making necessary, and sometimes uncomfortable, changes.

Your patients want to feel valued. Your team doesn’t just want a paycheck — they want ownership and purpose. And you want to know you’ve made a difference, without feeling like you left everything you had on the clinic floor.

It’s about everyone you serve — and making sure you have enough left to serve yourself too. That’s how we do more with less, but better.

Here’s to being present this winter, in every sense of the word.

Joshua Adcox, DDS, has a Doctorate of Dental Surgery from the University of Southern California and a Certificate in Orthodontics from Vanderbilt University. As the Clinical Director of Remote Care at Smile Doctors, the largest Orthodontic Support Organization (OSO), Dr. Adcox integrates remote care solutions that inspire orthodontists to do “More with Less but Better” — leveraging technology to enhance patient and team experiences while maintaining the highest standards of care. Dr. Adcox is board-certified by the American Board of Orthodontics and actively involved in the orthodontic community. His accolades include recognition as a semi-finalist at the 2018 Invisalign Summit. Dr. Adcox also cherishes time with his wife, Jamie, and their five children. He is leading the charge in a new era of orthodontics where remarkable smiles are achieved through personalized care and state-of-the-art technology.

One platform, total control: how Spark™ Approver transformed our digital orthodontic workflow

In Dr. Javen Durham’s practice, legacy meets innovation

Cover image of Dr. Javen Durham courtesy of Ormco.

GLOBAL RESEARCH

Identifying a novel approach to improving the fit of 3D-printed dental restorations

University of Perugia Research Fellow Dr. Giulia Pascoletti and Professor Elisabetta Zanetti explore the future of dental 3D-printing materials

CONTINUING EDUCATION A life-saving exam

Dr. Brett Gilbert and Jonathan Gegerson provide a call to action for head and neck screening in dental practice ............................ 14

CONTINUING EDUCATION Why every dentist and orthodontist should have an orofacial myofunctional therapist on their team

Nicole Goldfarb, M.A., CCC-SLP, COM, discusses the benefits of orofacial myofunctional therapy 20

The art of the referral

JoAn Majors offers

Dr. Josh Adcox,

Published by

Editor in Chief

Mali Schantz-Feld, MA, CDE mali@medmarkmedia.com Tel: (727) 515-5118

Director of Publishing Amanda Culver amanda@medmarkmedia.com

Director of Sales & Business Development

Ty Maggard ty@medmarkmedia.com Tel: (910) 476-2784

eMedia Coordinator Michelle Britzius emedia@medmarkmedia.com

Social Media Manager Felicia Vaughn socialmedia@medmarkmedia.com

Website Support Eileen Kane webmaster@medmarkmedia.com

MedMark, LLC 400 Crossing Blvd. Bridgewater, NJ 08807 Tel: 480-629-4002 www.medmarkmedia.com

www.orthopracticeus.com

Subscription Rate

1 year (4 issues) $149 https://orthopracticeus.com/subscribe/

Dr.

DM is for Your Family

"There's

— Dr. Jacquee Schieck

DM is for Your Patients

“As a mom of 4 myself, I really empathize with what moms have to do to get their child to the orthodontist.”

— Dr. Tara Gostovich

One platform, total control: how Spark™ Approver transformed our digital orthodontic workflow

In Dr. Javen Durham’s practice, legacy meets innovation

Imagine a world where your digital orthodontic workflow is no longer a tangled web of logins, uploads, platforms, and protocols — but a single, seamless system that just works. That’s the world I live in now, and it all started the day I integrated Spark™ Approver Software, Ormco™ Digital Bonding (ODB), and Spark™ Clear Aligners into one cohesive platform.

From pouring dental models in the basement of my family’s orthodontic office at just 10 years old to making history as the world’s first African American third-generation orthodontist, I

Javen Durham, DDS, carefully poured dental models in the basement of family’s orthodontic practice as a summer job at age 10 to fund his candy and toy habits, unaware he was shaping more than just plaster. He was building a legacy. Years later, Dr. Durham would progress and graduate from the University of Florida with a bachelor’s degree, then earn a dental degree from Meharry Medical College. His path continued to Howard University, where he specialized in Orthodontics. Upon graduation, he didn’t just receive a certificate, he made history as the world’s first African American third-generation orthodontist. His story is one of legacy, perseverance, and purpose, inspiring generations to follow.

have followed a path paved with passion, perseverance, and legacy. A proud graduate of Meharry Medical College, I continued my journey at the prestigious Howard University Orthodontic Program, where I honed my skills and embraced the art of transforming smiles. Today, I stand not only as a skilled clinician but as a living testament to the power of heritage and hard work, carrying forward a family tradition while inspiring the next generation of excellence in healthcare.

As an orthodontist at Eagan Orthodontics, a 70-year-old family practice started by my grandfather, the first African American orthodontist in Michigan, I have witnessed the evolution of this industry firsthand. Eagan Orthodontics is a place where legacy meets innovation, and in all my years, I’ve never seen anything quite as transformative as Spark Approver Software.

Since making the switch from a major competitor, I have started over 500 indirect bonding cases using ODB. The difference isn’t just noticeable — it’s revolutionary.

In the past, managing patient records, uploading scans and photos, ordering aligners, and submitting indirect bonding cases required us to navigate multiple platforms. Each site presented its own unique rules, quirks, and upload requirements, making the process mentally exhausting for both me and my team.

Now, with Spark Approver, everything lives in one place.

Our new system offers a single, intuitive interface for managing patient cases. With this system, I can track patient cases, submit ODB workflows, upload scans and clinical photos, and review aligner designs seamlessly. This streamlined approach eliminates the need to guess where information is located, chase down support tickets, or panic over forgotten logins during a busy afternoon.

The simplicity of one method, one system, and one platform reduces the mental burden on my team and me — and, more importantly, eliminates unnecessary friction that used to hinder what truly matters: delivering excellent patient care.

Let’s talk about precision. Combining Spark’s ODB and clear aligners within a single digital ecosystem has improved the accuracy of our treatments significantly. When the entire digital workflow is connected, every detail, from bracket placement to aligner staging, becomes intentional, efficient, and consistent.

With ODB, the indirect bonding process becomes even more powerful. Brackets are positioned with precision, guided by a digital setup that reflects the ideal outcome, all reviewed and approved by me directly in the Spark platform. In my experience, there’s a high level of customization and control, and because I’ve started over 500 ODB cases, I’ve seen how predictable and efficient the results have become.

It’s like having a digital assistant that never sleeps, is always optimizing, always ready, and consistently reliable.

Here’s what genuinely surprised me: with Spark Approver streamlining much of my workflow, I gained something I didn’t even know I was missing — time.

That extra time has translated into:

• More face-to-face engagement with patients. I’m not buried in my screen or stuck uploading files. I’m connecting, listening, explaining, and building trust.

• More collaboration with referring doctors. With time to spare, I’m able to review interdisciplinary cases more thoughtfully and offer real-time communication and insights, which makes me a better partner and a better provider.

• More freedom to study complex cases. Rather than rushing through a setup or skimming through a CBCT, I now have the space to explore, plan, and approach each case with a deeper level of care. This builds not just better outcomes, but better confidence for patients, especially those who’ve been told they’re “too complicated.”

And yes, even more freedom at home.

If you’re still juggling multiple platforms, struggling with inconsistent upload requirements, or trying to piece together a workflow from mismatched tools, I urge you to look at what Spark Approver can offer.

It’s more than just software. It’s a digital command center that enables you to provide better care with less stress. The future of orthodontics is here — and it’s integrated, intuitive, and highly effective.

Before Spark Approver, I often worked from home, reviewing submissions, fixing errors, chasing case approvals, and switching between platforms late into the night or on weekends. Family dinners were interrupted, vacations had “just one quick case to

upload,” and even game nights with family and friends often included a laptop on the coffee table.

Not anymore.

With everything streamlined through Spark Approver and efficiently completed in-office, I get to leave my work at the office. That means evenings spent with my family, not fixing uploads. Weekends filled with relaxation, not last-minute aligner checks. And yes, it means I can finally enjoy Detroit Lions and Pistons games without feeling behind.

That shift in work-life balance? It’s not just good for my mental health, but it’s good for my whole team, my family, and ultimately, my patients.

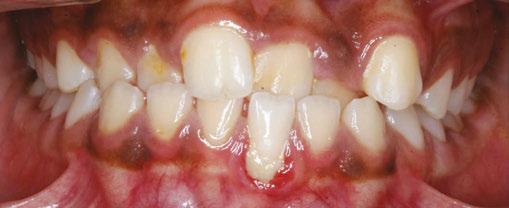
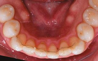
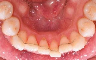
Figure 2: Initial lower occlusal
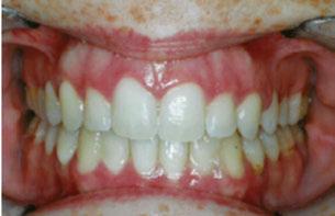
Figure 1: Initial center photo
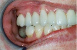
Figure 3: Initial right buccal

Running a third-generation family practice that’s 70 years old comes with a sense of responsibility. Our patients trust us not only because of our name and history, but because we continue to invest in the future. When we made the switch from our previous platform to Spark, it was more than a software upgrade, it was a commitment to better, faster, smarter care.

Case example

This case involves a 13-year-old female patient with a complex malocclusion that includes multiple dental and skeletal issues. During the initial consultation, clinical evaluation showed severe maxillary crowding along with generalized spacing in the mandibular arch. The patient’s occlusal relationships were asymmetric, with a Class I molar relationship on the right side and a Class II molar relationship on the left. Notably, an anterior crossbite was observed, further complicated by a narrow, V-shaped maxillary arch — a common presentation that often exacerbates anterior-posterior discrepancies and limits functional occlusion. The patient also demonstrated poor oral hygiene, which is a key indicator of an indirect bonding system that does not reduce excess flash. ODB is superior in flash reduction, by being able to remove excess adhesive from three sides of the bracket instead of competitors who only remove adhesive from one side of the bracket. The presence of adhesive around brackets contributes to surface roughness which leads to plaque accumulation.1 Flash reduction will be very important for every patient’s orthodontic success (Figures 1-3).

The initial bonding appointment was completed efficiently within 35 minutes, including a comprehensive session on oral hygiene instructions and home care practices. Efficient time management at this visit allowed for strong patient education and engagement, factors that contributed positively to overall treatment adherence and outcomes.

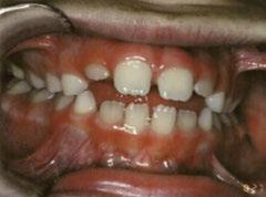
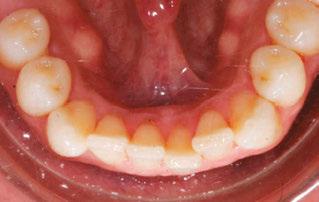
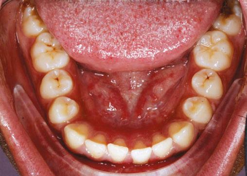
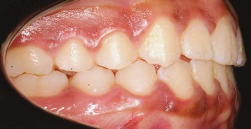
The treatment spanned a total of 12 appointments, which included all routine, emergency, and one reposition appointment. Notably, the reposition was necessitated by a clinician error in the delivery of a bonding jig, resulting in bracket misplacement. This underscores the technique sensitivity involved in indirect bonding systems and highlights the importance of clinician training and procedural verification. Emphasis on consistent technique evaluation and training among providers has proven instrumental in reducing such avoidable errors (Figures 4-6).

The results speak for themselves. Treatment planning is tighter. Turnaround is faster. Patient experience is smoother. And the time we used to spend managing systems is now spent building relationships and delivering results.

REFERENCES

Disclaimer: Ormco, a medical device manufacturer, does not dispense medical advice. Clinicians should use their own professional judgment in treating their patients. OP

Res. 2024 Feb;27(1):95-101. doi: 10.1111/ ocr.12692. Epub 2023 Jul 20.

1. Blochberger BL, Symmank J, Nitzsche Á, Nietzsche S, Steiniger F, Guellmar A, Reise M, Sigusch B, Jacobs C, Hennig CL. Influence of the orthodontic bonding procedure on biofilm formation. Orthod Craniofac
Figure 5: Final lower occlusal
Figure 6: Final left buccal
Figure 7: Final Center
Figure 4: Final right buccal

NOW Available with DAMON™Q2 AND SYMETRI™ CLEAR Brackets

DIGITALLY POWERED CLINICAL EXCELLENCE

Streamline your practice e ciency with Ormco Digital Bonding, powered by Spark Technology. Ormco Digital Bonding allows doctors to achieve customized bracket positioning by combining the best-in-class Ormco brackets and the powerful Spark Approver Software.

One Case Submission Portal

One Easy-To-Use Software Platform Damon Ultima™, Damon™ Q2, and Symetri™ Clear Brackets

Explore Ormco Digital Bonding go-orm.co/ot_odb

Identifying a novel approach to improving the fit of 3D-printed dental restorations

University of Perugia Research Fellow Dr.

Pascoletti and

explore the future of dental 3D-printing materials

3D printing continues to grow in popularity among dentists around the world. The technology allows for the faster in-lab production of custom manufacturing of crowns, bridges, and aligners. But desktop 3D printing is far less established than traditional molding in the dental field. While there are many reasons for this, it’s largely due to a lack of available materials.

For those unfamiliar with 3D printing, it’s not unusual for materials to be “qualified” for manufacturing. This means identifying a set of parameters that consistently delivers desired results. Challenges to qualifying new dental resins include speed, biocompatibility, and of course, sample size. It’s also essential to get geometric accuracy spot-on: poorly fitted implants can come loose, necessitating another trip to the dentist or even leading to infections. Coming up with a solution requires a balance between precision and efficiency in R&D. This is no mean feat, but our team at the University of Perugia (https://www.unipg.it/) is now making progress. As part of a nationwide initiative, we’re working on ways to automate metrology at our Smart Manufacturing Laboratory. This has led to the development of an enhanced workflow, currently built on intraoral scanning, but we see a lot of potential for 3D scanning to accelerate qualification even further.

Methodology

Early testing has revolved around Zirconia 5Y and 8Y, two promising ceramic candidates, and our goal was simple: using

Giulia Pascoletti received a BSc and MSc in Mechanical Engineering and a PhD in Industrial and Information Engineering, from the University of Perugia in Italy. Her research interests cover the application of numerical models (multibody and finite element) to biomechanics, with particular reference to orthopaedic prosthetic devices and human body numerical models. Part of her work has also been dedicated to the study of statistical methods for shape analysis, focused on, but not limited to, bone shape; she has advanced competences in statistical shape models, morphing techniques, and principal component analysis, and reverse engineering.

Professor Elisabetta M. Zanetti is currently an Associate Professor at the University of Perugia’s Department of Engineering. Zanetti does research in biomechanics with a special interest in biomaterials, orthopedic biomechanics, and dental biomechanics. She applies both numerical and experimental stress analysis techniques (differential thermography, DIC, etc.) in her work. She is a member of the Editorial Board of the Annals of Biomedical Engineering, and she authored over 80 publications dealing with biomedical engineering. Her wider research interests include sports engineering, prosthetic design, and soft tissue augmentation.

the tools in our new metrology lab to identify deviations between nominal and realized shapes. As readers will appreciate, checking for defects is important as they can lead to cracks, which develop into breakage — so fit and mechanical integrity were prioritized.

We started by digitizing reference samples with a 3Shape Trios 5 (https://www.3shape.com/en/scanners/trios-5) intraoral scanner. These were later compared to samples 3D printed with a commercial SprintRay Pro digital light processing (DLP) system (https://sprintray.com/pro2-dental-3d-printer/). We had to tune many parameters to get the best possible results, including print speed, temperature, and humidity, but after some trial and error, we found a good balance.

Captured scans were eventually sent to CloudCompare, an open-source cloud processing software, for alignment, registration, and deviation analysis (https://cloudcompare.org/). Statistical analysis was carried out in MATLAB, a program with more advanced tools that’s better at crunching complex datasets (https:// www.mathworks.com/products/matlab/data-analysis.html).

Results

Initial results showed clear performance differentiation between tested materials. Standard deviation was much higher in one set of samples than the other. Spatial distribution analysis (visualized in the form of color maps) also showed that weak points were distributed differently across occlusal and bottom surfaces. One day, this data could be valuable for identifying design weak points, improving the crown-tooth interface, and avoiding implant failure.

Both materials also met minimum stability requirements, making them potential candidates for future end-use appli-

Figure 1: Tooth model captured with an Artec Micro II 3D scanner. (Image courtesy of the University of Perugia)

Expand Your Expertise. Enhance Your Practice.

Collaborate with peers and apply proven techniques that deliver excellent patient outcomes.

North America

Orthodontic Symposium

April 10-11, 2026 Charlotte, NC

Advanced Clinical Education

Eight hours of comprehensive training in wire and aligner treatments, complex case management, and digital planning workflows.

Interactive Hands-On Learning

Master hybrid workflows, surgical and lingual cases with robotically bent wires, digital indirect bonding, and case planning simulations.

Training For Your Team

Dedicated sessions for treatment coordinators and staff covering patient communications, treatment acceptance, and digital workflow optimization.

Featured Speakers

Scan to learn more &

Cory Costanzo DDS, MSD
Ed Lin DDS, MS
Ron Jacobson DDS, MS
Tyler Rathburn DMD
Bruce Goldstein DDS, MS
Tom Marcel DDS
Jeff Johnson DDS, MS
Alex Yusupov BDSC, MDSc

cations. The project is still ongoing — two further zirconia materials are now being analyzed in our lab, with results looking similarly promising. This testing is being carried out using an Artec Micro II 3D scanner in place of our intraoral scanner (https:// www.artec3d.com/portable-3d-scanners/artec-micro). Provided by 3DZ, a known player in the Italian dental 3D printing space, the device offers improved precision (https://3dzgroup.com/).

Micro II automatically digitizes objects, projecting white light patterns onto surfaces mounted on a platform, which twists and turns to ensure complete data capture. Already, this desktop unit is accelerating our workflow, picking up enough data in one sweep, without us needing to use technologies like X-rays and optical tomography for deeper inspection. Its enhanced precision also allows for a broader range of deviations to be found – and unlocks further fine tuning.

Conclusions

We see significant potential for our approach in the biomechanical evaluation of dental manufacturing discrepancies. With additional research, we believe it’ll also be possible to test other factors such as wear and tribology. This will lend greater clarity to R&D and help bring new materials to users, including those using 3D printers at their clinics for in-house production.

Moving forward, we plan to continue experimenting. We’re currently working on auto-viewpoint generation, for example, which calculates the minimum number of scans needed from each position for high-quality models. Ultimately, we aim to accelerate material qualification. In order to achieve this, we need to fully understand how each parameter, whether it be print speed, temperature, or shrinkage, affects the implant manufacturing process.

At the beginning of our research, it seemed that it would be impossible to find resins that are both malleable enough for 3D printing, and sufficiently resilient for making robust implants. Our promising early results show that this is possible with certain parameters and ceramic formulations. Continuing to work with public and private partners, we’re confident of developing our approach further, and shedding new light on the potential of 3D printing in dental.

The research project “3D printing and digital twinning ceramic restorations for dentistry” (3DCer4Dent) is being carried out with funding from the Italian Ministry of University & Research (as a PRIN initiative) with Next Generation EU backing (J53D23012190).

Project contributors include several schools in Italy: Dental School at the University of Turin, Turin Polytechnic, the University of Catania, and the University of Perugia. Those seeking more information can reach out directly to Prof. Elisabetta Zanetti at elisabetta.zanetti@unipg.it.

What does this mean for dentists?

To get a better understanding of their research and its potential impact in dental, we also spoke with Prof. Nicola Scotti at the Dental School at the University of Turin, who participated in the study.

What can be 3D printed from ceramic?

The 3D printing of dental ceramics is still experimental. No material has been certified for clinical use, but promising results have been obtained using 3D-printed zirconia with different amounts of yttria (yttrium oxide Y2O3). Lithium-disilicate is also 3D printable, but still far from minimal standards. Nowadays, polymers with ceramic fillers are easier to process with 3D printing.

How do these compare to traditional materials?

Dental zirconia and lithium disilicate restorations are traditionally obtained through milling processes, which presents some limitations, including tensions during milling, limited geometries, difficulties in reproducing anatomical details, and material waste.

How do you plan to use 3D scanning in the future?

Scanning is now recognized as the best way to register teeth and manufactured product analysis — and it’s better integrated with technologies that allow for intraoral and extraoral impression. In the future, the use of 3D scanning will be useful for diagnosis, measuring dental wear, and patient monitoring over time. OP

Figure 2: Graphs comparing the levels of geometric deviation shown in tested 3D-printed samples. (Image courtesy of the University of Perugia)
Figure 3: A signed distance comparison between the two tested materials: Zirconia 5Y & 8Y. (Image courtesy of the University of Perugia)

A life-saving exam

Dr. Brett Gilbert and Jonathan Gegerson provide a call to action for head and neck screening in dental practice

Abstract

This article underscores the critical role of the dental professional in the early detection of head and neck cancers through a systematic Conventional Visual and Tactile Examination (CVTE). Inspired by the personal story of my close friend, Jonathan, whose cancer diagnosis may have been expedited by routine dental screening, this article explores the components of the head and neck exam, its clinical rationale, and the current evidence supporting its implementation as a standard of care in dental settings.

Jonathan’s story in his own words: a missed opportunity at the dental chair

Educational aims and objectives

This self-instructional course for dentists looks at the critical role of the dental professional in the early detection of head and neck cancers.

Expected outcomes

Orthodontic Practice US subscribers can answer the CE questions by taking the quiz online at orthopracticeus.com to earn 2 hours of CE from reading this article. Correctly answering the questions will demonstrate the reader can:

• Recognize the importance of the Conventional Visual and Tactile Examination (CVTE) in routine dental visits for early detection of head and neck cancers.

• Identify and describe each component of a systematic extraoral and intraoral head and neck exam.

Understand the current evidence-based guidelines that support the implementation of CVTE in dental practice.

• Apply practical strategies for incorporating the CVTE into clinical workflows to enhance patient outcomes.

There I sat waiting for the doctor to examine my concern of a lump on the right side of my neck. I assumed it was nothing to be concerned about. The doctor entered the room, and I showed her the area. She felt around my neck on both sides, felt under my arms, and then asked a couple questions. “Have you had any dental work recently?” I responded, “No.” She then asked, “Have you had any infections in the mouth, or a root canal or anything?” Once again, my response was, “No.” She then looked at me and said, “It may be cancer.” I was stunned, and my body and mind froze in that moment, as that was the last thing I thought I was going to hear. Other than the lump on my neck, I was in perfect health. I worked out constantly, ate a Keto diet, never smoked, and limited all fatty foods and alcohol. There was no reason I should have cancer — at least that is what I thought.

Brett E. Gilbert, DDS, FICD, graduated from the University of Maryland Dental School (DDS, 2001, Endo, 2003). He is a professor in the Department of Endodontics at the University of Illinois at Chicago and a Diplomate of the American Board of Endodontics. He is the founder of the Access Endo Impact Academy, a global direct mentorship continuing education platform. He is a fellow in the International College of Dentists and a contributing consultant for Oral Health Journal. Dr. Gilbert lectures nationally and internationally on clinical endodontics and personal wellness and is the host of the On The Cusp podcast. Dr. Gilbert is a global key opinion leader in the area of endodontics and new technology. He is a partner in Specialized Dental Partners and has a private practice, King Endodontics PLLC, limited to Endodontics in Niles, Illinois.

Jonathan Gegerson, cancer survivor, has many dentists in his family tree — his great uncle, father and brother were all dentists. He worked for Envista with Kerr as the Global Trainer and then with Orascoptic as a Regional Manager. His 14-year career in the dental industry ended in 2021 when he could no longer perform his duties because of cancer. Since then, he has written a book Perspective C, (available on Amazon), to inspire and help people going through an illness. Gegerson has personally endured seven surgeries, 67 sessions of radiation, and over 200 sessions of chemotherapy. He believes that the biggest lesson is to approach everything with a desired outcome predetermined and to keep smiling. jonathangegerson@gmail.com

2 CE CREDITS

Since my initial diagnosis in May 2019, I have received over 200 rounds of chemotherapy, 67 sessions of radiation, and six surgeries. The side effects from all these treatments have been overwhelming at times. I lost my ability to chew and must be on a soft, liquid diet. My mouth opens just wide enough for a spoon. I was on a feeding tube for 6 months. I have constant lymphedema of my face, tongue, and throat which creates speaking problems, swallowing concerns, and at times, vision issues. I have radiation scars on my face, and one of my vocal cords was paralyzed during my recent 17-hour surgery, which was to help correct lymphedema as my airway was being constricted. I ended up in the ICU twice due to airway constriction. My body was literally suffocating itself.

I am the second patient to receive the type of surgery I had for head and neck lymphedema. My recovery took 7 months, and for two of those months, I was in the hospital. I share this because there were opportunities to catch the cancer sooner. Those opportunities were in my own power as well as the power of my dentist and hygienist. I mention my hygienist and dentist as I would see them regularly — at least every 6 months. If the cancer was caught sooner, it may have prevented such an

extensive treatment plan, limited all my side effects, and resulted in a better lifestyle after treatment.

I would rather have been told there was a concern 3 or 6 months before by my dentist or hygienist and addressed the concern with my primary doctor immediately. Early detection results in better patient outcomes. I was informed by my oncologist that out of 4 million people, 10 to 15 people get the type of cancer I was diagnosed with: Salivary Duct Carcinoma HER2 Positive. I was also told that I have been beating the odds, and I am one of a kind. I would rather be many of a kind when it comes to living through and after cancer. This is one of my motivations to encourage all hygienists and dentists to perform a cancer screening exam that includes the neck. Most people with my diagnosis are not here to tell their story. I intend to purposefully speak for them and myself as I encourage all dental professionals to perform a head and neck exam on every adult patient, every time they see them!

The clinical imperative

The dental setting provides a unique, often untapped opportunity to detect early signs of head and neck malignancies. The Conventional Visual and Tactile Examination (CVTE) is a simple, low-cost, evidence-based procedure that can uncover abnormalities before they become life-threatening.

The American Dental Association (ADA) recommends that clinicians perform a systematic CVTE for all adult dental patients, including inspection and palpation of the face, neck, and regional lymph nodes to detect tissue changes, masses, or asymmetry.1 This recommendation is echoed by the American Academy of Otolaryngology–Head and Neck Surgery, which emphasizes evaluation of the skin, salivary glands, thyroid, and lymph nodes using bimanual palpation techniques.2

Despite this guidance, implementation in general practice remains inconsistent.3

Step-by-step: performing the Conventional Visual and Tactile Examination (CVTE)

General observation

Observe facial symmetry, skin color/lesions, swelling, and visible masses. Note signs of asymmetry, facial droop, or skin changes.

Lymph node palpation

Preauricular and postauricular, submental and submandibular, cervical chain (anterior and posterior), supraclavicular nodes. Use gentle, circular pressure with the pads of your fingers, bilaterally when appropriate.

Salivary glands

Palpate parotid, submandibular, and sublingual glands for enlargement, tenderness, or firmness (Figure 1).

Thyroid gland

Visually inspect for enlargement while the patient swallows. Palpate the thyroid gently from behind the patient using both hands (Figure 2).

Figure 2: Thyroid exam
Figure 1: Salivary gland extraoral exam
Figure 3: Intraoral vestibule exam
Figure 4: Lateral tongue exam

Floor of mouth (Bimanual palpation)

Place one gloved hand inside the mouth and one under the chin. Gently compress to assess for firm masses or nodularity.

Intraoral exam

Thorough inspection of the lips, buccal mucosa, gingiva, hard/soft palate, tongue (dorsal, lateral, and ventral), and oropharynx. Use gauze to pull and manipulate the tongue for complete visualization (Figures 3-4).

A case from my chair: CVTE in action

While Jonathan’s story reflects the devastating consequences of a missed opportunity for early detection, I also carry with me the opposite experience — one in which a thorough Conventional Visual and Tactile Examination (CVTE) led to the early diagnosis of a life-threatening malignancy.

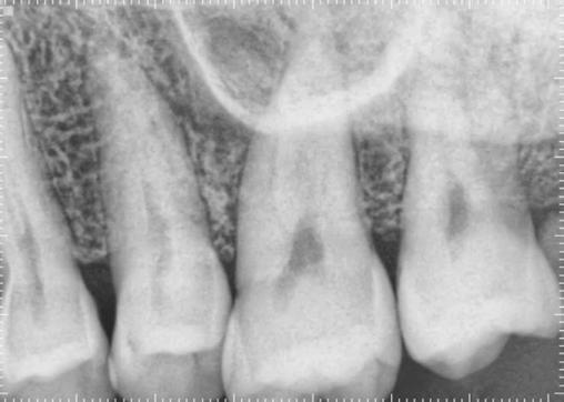
In 2016, a patient presented to my endodontic clinic for evaluation of a sore area on the palatal tissue adjacent to tooth No. 14 (Figure 5). As with every patient encounter, I performed a standard diagnostic endodontic evaluation alongside a systematic CVTE.

Clinical Findings

• Percussion: Negative

• Palpation: Positive on the palatal surface of tooth No. 14

• Periodontal Probing: Within normal limits

• Mobility: Within normal limits

• Pulpal Sensitivity (Cold): Normal response

These results pointed toward an endodontic diagnosis for tooth No. 14 of normal pulp with symptomatic apical periodontitis (due to a positive finding of palpation on the palate). But what caught my attention was not the tooth — it was the tissue.

During the CVTE, I noted a small raised swelling on the palatal surface (Figure 6) and a separate white nodular lesion on the buccal gingiva adjacent to tooth No. 14 (Figure 7). Importantly, these findings did not align with any odontogenic pathology typically associated with tooth No. 14. That clinical inconsistency provided the moment to pause and widen the diagnostic lens.

Referral and diagnosis

Given the suspicious nature of these findings, I referred the patient to an oral and maxillofacial surgeon for biopsy. Oral and Maxillofacial (OMS) surgeons are often the first line of defense for dentists who may be unsure about a diagnosis that does not appear to be odontogenic in origin. The term “non-leo” refers to a lesion of non-endodontic origin. As a dental specialist, determination that findings are not adding up to a diagnosis of dental origin must be referred immediately.

OMS is the first line of referral for dentists as these specialists often have had extensive medical and hospital training. A dentist must understand that when they detect an irregular finding, no matter how small, it is critical to make this referral. Immediate referral will shorten the time between detection and diagnosis.

In many cases, the referral may seem like it was excessive if the OMS does not diagnose a problem. As clinicians, we should never allow doubt to creep into our minds by thinking that the finding is likely not significant. In fact, a non-significant diagnosis is the hope of the referral! The conversation we have with a patient in this moment should be calm in tone and decisive. I often will have my clinical team call the OMS office to set up a consultation appointment while the patient is still in our office. We must consider that a patient may listen to your concern but not act by making an appointment which could decrease the chances of a good outcome if a serious medical diagnosis is confirmed.

This patient was compliant and presented to the OMS the next day. The OMS performed their own examination and determined that a biopsy was necessary. The biopsy results revealed:

“Diffuse large B-cell lymphoma of the left maxillary sinus, germinal center phenotype” (Figure 8).

The patient was subsequently referred to oncology and underwent successful treatment for which they were extremely grateful that the detection of such a devastating systemic illness was detected early in the dental chair.

Clinical takeaway

This case illustrates the critical importance of integrating CVTE with routine diagnostic protocols. If I had focused solely

Figure 5: Radiograph
Figure 6 (left): Palatal swelling. Figure 7 (right): Buccal nodular lesion

on the dental findings, the underlying malignancy may have been missed. It was the intentional soft tissue assessment through CVTE that revealed the warning signs.

When something doesn’t “add up” between tooth-level findings and soft tissue presentation, it’s time to:

• Pause and reassess

• Expand the differential beyond odontogenic causes

• Refer promptly to an oral and maxillofacial surgeon

Head and neck cancers often masquerade as benign or dental conditions — or remain entirely silent. A few extra moments of systematic examination can create a critical bridge to life-saving intervention.

Evidence basis: why it matters

CVTE remains the gold standard in dental practice for early detection of head and neck malignancy,1,2,3 according to multiple high-level guidelines and reviews. Some literature shows that adjunctive screening tools (e.g., fluorescence imaging, salivary biomarkers) have not demonstrated sufficient evidence to replace or supplement CVTE in routine practice.4,5 However, any device or screening tool that reminds a clinician how important it is to conduct these exams are worthy. CVTE should be considered a critical part of the dental examination and can be used in conjunction with any other screening tool that a clinician feels is valuable.

Recent systematic reviews confirm that visual inspection and palpation of the head, neck, and lymph nodes are the most frequently implemented and most reliable methods for early cancer detection in dental settings.6,7

Emerging test for high detection of oropharyngeal cancers is under investigation

Recent studies, including Das, et al., (2024, 2025),8,9 demonstrate that the HPV-DeepSeek assay — using whole-genome sequencing of circulating tumor HPV DNA (ctHPV-DNA) — achieves high sensitivity (up to 96–99%) and specificity (up to 99%) for detecting HPV-positive oropharyngeal squamous cell carcinoma, with detection possible up to 7.8–10 years before clinical diagnosis in some cases.8,9,10,11 This supports the claim that HPV-DeepSeek is a highly accurate, non-invasive liquid biopsy with potential for early cancer detection.

However, the clinical utility of HPV-DeepSeek as a routine screening tool in the dental setting remains investigational11,12,13 While the test shows promise for early detection and could theoretically complement head and neck examinations in dentistry, there is currently no guideline or regulatory approval for its use in routine screening or as a standard adjunct in dental practice. The National Comprehensive Cancer Network (NCCN) guidelines emphasize that blood-based ctHPV-DNA assays are not yet part of standard screening or diagnostic protocols and that their performance and actionable implications outside of clinical trials are still being evaluated.11

Closing thoughts: a moral and clinical duty

For Jonathan, the absence of a head and neck exam may have cost him an earlier diagnosis, a simpler treatment, and a better quality of life. He has beaten the odds and desperately

wants to share his story as a motivation and wake up call for dental professionals. His story is a call to action — for dentists and hygienists to go beyond the minimum, to reclaim our critical role in early cancer detection, and to never underestimate the power of a few minutes of intentional, hands-on examination.

Working in conjunction with other dental specialists to get a second opinion or to perform more advanced testing procedures, such as a biopsy or other imaging, represents best practice in dentistry. As dental professionals, we often have more opportunities to see and examine our patients than a primary physician. We cannot become complacent and avoid performing the CVTE just because the patient appeared healthy at prior visits. Thorough review of patient health history, medications, and any acknowledgement of oral habits such as smoking, oral placement of tobacco, and even consumption of alcohol should further motivate clinicians to remember to perform this life-saving examination.

As dentists, we do not have to take on the burden of making a definitive diagnosis on cases that present with abnormal findings. Our duty and responsibility are only to make a timely and appropriate referral for further examination and testing. By making the CVTE a routine, non-negotiable part of every adult dental visit, we honor our patients, our profession, and the principle that dentistry is, at its core, a healing art.

Figure 8: Biopsy report

REFERENCES

1. Lingen MW, Abt E, Agrawal N, Chaturvedi AK, Cohen E, D’Souza G, Gurenlian J, Kalmar JR, Kerr AR, Lambert PM, Patton LL, Sollecito TP, Truelove E, Tampi MP, Urquhart O, Banfield L, Carrasco-Labra A. Evidence-based clinical practice guideline for the evaluation of potentially malignant disorders in the oral cavity: A report of the American Dental Association. J Am Dent Assoc. 2017 Oct;148(10):712-727.e10. doi: 10.1016/j.adaj.2017.07.032.

2. Pynnonen MA, Gillespie MB, Roman B, Rosenfeld RM, Tunkel DE, Bontempo L, Brook I, Chick DA, Colandrea M, Finestone SA, Fowler JC, Griffith CC, Henson Z, Levine C, Mehta V, Salama A, Scharpf J, Shatzkes DR, Stern WB, Youngerman JS, Corrigan MD. Clinical Practice Guideline: Evaluation of the Neck Mass in Adults Executive Summary. Otolaryngol Head Neck Surg. 2017 Sep;157(3):355-371. doi: 10.1177/0194599817723609.

3. Pynnonen MA, Gillespie MB, Roman B, Rosenfeld RM, Tunkel DE, Bontempo L, Brook I, Chick DA, Colandrea M, Finestone SA, Fowler JC, Griffith CC, Henson Z, Levine C, Mehta V, Salama A, Scharpf J, Shatzkes DR, Stern WB, Youngerman JS, Corrigan MD. Clinical Practice Guideline: Evaluation of the Neck Mass in Adults. Otolaryngol Head Neck Surg. 2017 Sep;157(2_suppl):S1-S30. doi: 10.1177/0194599817722550.

4. Moyer VA; U.S. Preventive Services Task Force. Screening for oral cancer: U.S. Preventive Services Task Force recommendation statement. Ann Intern Med. 2014 Jan 7;160(1):55-60. doi: 10.7326/M13-2568.

5. Huber MA. Adjunctive Diagnostic Techniques for Oral and Oropharyngeal Cancer Discovery. Dent Clin North Am. 2018 Jan;62(1):59-75. doi: 10.1016/j.cden.2017.08.004. Epub 2017 Oct 16.

6. Louredo BVR, de Lima-Souza RA, Pérez-de-Oliveira ME, Warnakulasuriya S, Kerr AR, Kowalski LP, Hunter KD, Prado-Ribeiro AC, Vargas PA, Santos-Silva ARD. Reported physical examination methods for screening of oral cancer and oral potentially malignant disorders: a systematic review. Oral Surg Oral Med Oral Pathol Oral Radiol. 2024 Feb;137(2):136-152. doi: 10.1016/j.oooo.2023.10.005. Epub 2023 Oct 16.

7. Sykes EA, Weisbrod N, Rival E, Haque A, Fu R, Eskander A. Methods, Detection Rates, and Survival Outcomes of Screening for Head and Neck Cancers: A Systematic

Review. JAMA Otolaryngol Head Neck Surg. 2023 Nov 1;149(11):1047-1056. doi: 10.1001/jamaoto.2023.3010.

8. Das D, Hirayama S, Aye L, Bryan ME, Naegele S, Zhao B, Efthymiou V, Mendel J, Fisch AS, Kröller L, Michels BE, Waterboer T, Richmon JD, Adalsteinsson V, Lawrence MS, Crowson MG, Iafrate AJ, Faden DL. Blood-based screening for HPV-associated cancers. medRxiv [Preprint]. 2024 Feb 2:2024.01.04.24300841. doi: 10.1101/2024.01.04.24300841.

9. Bryan ME, Aye L, Das D, Hirayama S, Al-Inaya Y, Mendel J, Naegele S, Efthymiou V, Alzumaili B, Faquin WC, Sadow PM, Lin D, Varvares MA, Feng AL, Deschler DG, Chan AW, Paly J, Park JC, Roberts T, Merkin R, Mishra SK, Kröller L, Michels B, Iafrate AJ, Wirth LJ, Adalsteinsson VA, Crowson M, Waterboer T, Mirabello L, Lawrence MS, Guan Z, Fisch AS, Richmon JD, Faden DL. Direct Comparison of Alternative Blood-Based Approaches for Early Detection and Diagnosis of HPV-Associated Head and Neck Cancers. Clin Cancer Res. 2025 Aug 14;31(16):3483-3493. doi: 10.1158/1078-0432. CCR-24-2525.

10. National Comprehensive Cancer Network. Head and Neck Cancers. Practice Guideline. Updated August 12, 2025. https://www.nccn.org/guidelines/guidelines-detail? category=1&id=1437.

11. Poljak M, Cuschieri K, Alemany L, Vorsters A. Testing for Human Papillomaviruses in Urine, Blood, and Oral Specimens: an Update for the Laboratory. J Clin Microbiol. 2023 Aug 23;61(8):e0140322. doi: 10.1128/jcm.01403-22. Epub 2023 Jul 13.

12. Araujo M, Bouassaly J, Farshadi F, Hier M, Mascarella M, Mlynarek A, Alaoui-Jamali M, da Silva SD. Current status of circulating tumor DNA and circulating cell alterations in HPV-associated head and neck cancer. Oral Oncol. 2025 Aug;167:107417. doi: 10.1016/j.oraloncology.2025.107417. Epub 2025 Jun 13.

Continuing Education Quiz

A life-saving exam GILBERT/GEGERSON

1. The _______ is a simple, low-cost, evidence-based procedure that can uncover abnormalities before they become life-threatening.

a. Conventional Visual and Tactile Examination (CVTE)

b. Eccles Index (EI)

c. Four-Finger Test (FFT)

d. Miller Index (MI)

2. ________ recommends that clinicians perform a systematic CVTE for all adult dental patients, including inspection and palpation of the face, neck, and regional lymph nodes to detect tissue changes, masses, or asymmetry.

a. American Heart Association

b. The American Dental Association (ADA)

c. U.S. Preventive Services Task Force

d. World Health Organization

3. Upon general observation, during a CVTE, clinicians should observe ________ and visible masses, and note signs of asymmetry, facial droop, or skin changes.

a. facial symmetry

b. skin color/lesions

c. swelling

d. all of the above

4. ________ glands should be palpated for enlargement, tenderness, or firmness.

a. Parotid

b. Submandibular

c. Sublingual

d. All of the above

5. Clinicians can examine the floor of the mouth by placing one gloved hand inside the mouth and one under the chin and gently compressing to assess for firm masses or nodularity.

a. True

b. False

6. _______ are often the first line of defense for dentists who may be unsure about a diagnosis that does not appear to be odontogenic in origin.

a. Oncologists

b. Radiologists

c. Oral and Maxillofacial (OMS) surgeons

d. Dermatologists

Each article is equivalent to two CE credits. Available only to paid subscribers. Free subscriptions do not qualify for the CE credits. Subscribe and receive up to 16 CE credits for only $149; call 866-579-9496, or visit https://orthopracticeus.com/ subscribe/ to subscribe today.

n To receive credit: Go online to https://orthopracticeus.com/continuingeducation/, click on the article, then click on the take quiz button, and enter your test answers.

AGD Code: 730

Date Published: January 31, 2026

Expiration Date: January 31, 2029

7. When something doesn’t “add up” between tooth-level findings and soft tissue presentation, it’s time to: _________

a. pause and reassess

b. expand the differential beyond odontogenic causes

c. refer promptly to an oral and maxillofacial surgeon

d. all of the above

8. Head and neck cancers ________.

a. are often of endodontic origin

b. often masquerade as benign or dental conditions — or remain entirely silent

c. are always painful and obvious

d. can not be felt with the gloved hand

9. ___________ guidelines emphasize that blood-based ctHPV-DNA assays are not yet part of standard screening or diagnostic protocols and that their performance and actionable implications outside of clinical trials are still being evaluated.

a. American Cancer Society

b. American Association of Oral Surgeons

c. The National Comprehensive Cancer Network (NCCN)

d. American Dental Education Association

10. Working in conjunction with other dental specialists to get a second opinion or to perform more advanced testing procedures, such as a biopsy or other imaging, represents best practice in dentistry.

a. True

b. False

To provide feedback on CE, please email us at education@medmarkmedia.com

Legal disclaimer: Course expires 3 years from date of publication. The CE provider uses reasonable care in selecting and providing accurate content. The CE provider, however, does not independently verify the content or materials. Any opinions expressed in the materials are those of the author and not the CE provider. The instructional materials are intended to supplement, but are not a substitute for, the knowledge, skills, expertise and judgement of a trained healthcare professional.

Why every dentist and orthodontist should have an orofacial myofunctional therapist on their team

As knowledge about the etiology of sleep-disordered breathing (SDB) has expanded over the recent years, it is imperative to recognize that a team approach to intervention is paramount to the success of any treatment plan. In accordance with this multidisciplinary approach, an orofacial myofunctional therapist may be a key player on your dental team. Working directly with an orofacial myofunctional therapist may be one of the most effective ways to comprehensively treat your orthodontic patients. This article will explore the relationship between orofacial myology and dentistry and how these specialties can work together to better benefit patients of nearly any age. The team of the dental specialist and the orofacial myofunctional therapist can play a joint role in not only resolving malocclusion, but more importantly identifying red flags for soft tissue dysfunction, airway issues, and SDB.

It is now recognized that dental specialists have a responsibility to screen their patients of any age for sleep-related breathing disorders and to assist in treating or referring out for treatment for this condition. In addition, it is important to emphasize that over the past century, empirical and clinical data have shown that

Nicole Goldfarb, M.A., CCC-SLP, COM, founded the San Diego Center For Speech & Myofunctional Therapy 20 years ago, and shas been practicing Speech-Language Pathology since 2003 and Orofacial Myofunctional Therapy since 2008. Goldfarb holds the distinction of being one of only a few Certified Orofacial Myologists® in all of San Diego County that also has a master’s degree in Speech-Language Pathology, an unparalleled combination of degrees which allows her to provide the most advanced and comprehensive treatment, as most patients with speech issues also have myofunctional issues. She worked as a Speech-Language Pathologist in a school district for 7 years, servicing thousands of children with speech and orofacial disorders. She has a special passion and interest in sleepdisordered breathing (SDB) and diagnosing restricted frenums as they relate to myofunctional disorders. Goldfarb has presented internationally on myofunctional therapy as it relates to SDB in both children and adults. She is currently on the Child Airway Initiative Task Force (CAST), a national team of doctors, dentists, and orthodontists developing a universal screening tool for all dentists to use to screen patients for SDB as per the 10/2017 American Dental Association proposal that all dentists should screen all patients for SDB. Nicole is the host and developer of the audio and video podcast for Airway Circle Radio titled “Airway Answers: Expanding Your Breath of Knowledge.” She is also a Breathe Institute Ambassador, a Talk Tools® Education Partner, author of the myofunctional therapy chapter in a medical textbook, and she is currently on the faculty for ASAP (Airway, Sleep, and Pediatrics Pathway) and the Sleep Education Consortium.

Educational aims and objectives

This self-instructional course for dentists aims to help the reader understand more about the connection and the value of having an orofacial myofunctional therapist on the treatment team for patients of nearly all ages. Oral-systemic connections are becoming common knowledge in dentistry. The links are rapidly expanding beyond nutrition, medications, and microbiome to include movement and body work, including physical therapy and orofacial myology.

Expected outcomes

Orthodontic Practice US subscribers can answer the CE questions by taking the quiz online at orthopracticeus.com to earn 2 hours of CE from reading this article. Correctly answering the questions will demonstrate the reader can:

• Define the role orofacial myofunctional therapy (OMT) can play in their practice and lead their team to present this to patients.

• Discuss how OMT can be helpful at many age levels of patients for specific indications.

• Back up clinical observations with research supporting potential therapies.

orofacial myofunctional therapy (OMT) goes beyond the benefits to the dental structures and into other disciplines like sleep medicine as well. Therefore, this crucial collaboration between the dental specialist and the orofacial myofunctional therapist cannot be overstated. Let’s look at what OMT is and how an orofacial myofunctional therapist can help your patients.

What is orofacial myofunctional therapy?

OMT is a treatment program to resolve oral muscular dysfunction in order to establish correct oral rest posture and functioning of the oral facial system. OMT identifies and treats dysfunction of the oral facial muscles across the five domains of:

1. Oral rest posture

2. Chewing and swallowing of food

3. Swallowing of liquids

4. Sucking and swallowing of saliva

5. Speech (if the therapist is a Speech-Language Pathologist) OMT can further be defined as “therapeutic exercise-based

techniques, based on the principles of motor learning and neuroplasticity, to stabilize, tone, strengthen, or improve the range of motion of the skeletal muscles of the face and neck used to treat a range of orofacial myofunctional disorders.”1 Research and clinical evidence proves that OMT plays a crucial role in the identification and treatment of a variety of oral dysfunctions, and remediation of such soft tissue dysfunction can help prevent or assist in the treatment of the related sequelae of issues including dental malocclusion, oral health problems, feeding issues, speech disorders, postural issues, upper airway problems, sleep-disordered breathing, and the health and quality of life impacts of such problems.

History of orofacial myofunctional therapy

Orofacial myofunctional therapy is not a new profession, to say the least. It emerged in the early 1900s as a response from the orthodontic field to restore normal muscle function to remove unintentional pressure on the dental structures. OMT was initially developed by orthodontists as a means of improving orthodontic outcomes and preventing orthodontic relapse. As early as the late 1800s, Edward Angle, DDS, first recognized that mouth breathing and poor resting posture of the tongue can play a primary role in hindering orthodontic outcomes. In the early 1900s, Alfred Rogers, DDS, further advanced the field by acknowledging the role of soft tissue dysfunction on the oral skeletal system, and he developed exercises for the orofacial musculature.2 Rogers was an orthodontist born in 1873, and he was the President of the American Association of Orthodontists (AAO), the American Academy of Dental Sciences, and was also instrumental in forming the American Board of Orthodontics. Rogers was one of the first to develop a treatment program targeting orofacial muscular exercises which was indicated to stimulate desirable growth in the maxillofacial region, and he called this therapy “Myofunctional Therapy in Orthodontics.”3 As early as 1918, Rogers wrote articles and presented papers on this concept, including presenting at the annual meeting of the AAO in which he relayed the effects of the orofacial musculature and highlighted the foundation of OMT as a means of improving orthodontic outcomes, orthodontic stability, achieving facial balance and better growth and development of the oral structures. Rogers stressed that orthodontists must not focus solely on straightening teeth, but rather must attend to

the role of the function of the oral facial muscles as having an impact on the skeletal system. Rogers asserted that alterations in functional activity of the oral cavity can cause malocclusion. The work of Alfred Rogers, DDS, over 100 years ago laid the foundation for OMT and the concept that muscular functioning has an impact on oral facial growth, development, and overall wholebody health. As the field of OMT advanced, over 50 years ago in 1972 the International Association of Orofacial Myology (IAOM) was developed, which is the first international organization to train and certify SLPs and dental hygienists in OMT.4

Orofacial myofunctional therapy is a specialty area on top of an individual’s already established licensure as an SLP, dental hygienist, physical therapist, or occupational therapist. Although some individuals choose to focus their clinic work solely within OMT, this practice cannot be separated or isolated from their primary licensure which regulates their practice of OMT. You can therefore view OMT as a “modality” of treatment.

The importance of OMT cannot be overstated in the comprehensive treatment of orthodontic patients as well as playing a key role in the in the prevention of serious developmental problems within the orofacial respiratory complex. We begin with what defines correct oral rest posture before truly grasping the significance of OMT for the dental specialist.

What is correct oral rest posture?

Correct oral rest posture entails the following components: the lips closed/sealed at rest, the entire tongue gently suctioned to the palate (front, middle, and back of the tongue, with the sides of the tongue resting within the dental arch), and the teeth slightly apart with appropriate dental freeway space. This correct vertical alignment of the arches combined with a lips-closed posture will help maintain correct tongue posture. When the lips open or even slightly part, the tongue will likely lose suction from the palate and will drop within the oral cavity. Moreover, the tongue has enough weight to drop the mandible and cause the lips to open. This bidirectional relationship of lip and tongue posture cannot be overemphasized. This correct posture produces better relaxation of the facial and perioral muscles and promotes nose breathing, which is proven to be the healthiest way for humans to breathe. In addition, correct oral rest posture will assist in better dental and facial development, as the tongue and lips are natural growth supports for proper arch development.

Figures 1A and 1B: Adolescent with anterior open bite: Orthognathic surgery unnecessary post-myofunctional therapy. 1A. Pre-myofunctional therapy: The bite only touched on the back molars, yet the patient had already gone through full braces. The original orthodontist recommended orthognathic surgery to close the bite. The patient was referred for a second opinion. The second orthodontist recognized the tongue thrust and referred the patient for myofunctional therapy but made no guarantees that the patient would not need jaw surgery. 1B. Post-myofunctional therapy: After 2.5 years of braces and myofunctional therapy, the orthodontist gave the patient the good news that jaw surgery would not be necessary. The myofunctional therapy allowed the orthodontist to close the bite once the tongue pressure was removed from between the teeth

What is an Orofacial Myofunctional Disorder (OMD)?

Given that we know what correct rest posture of the oral facial structural complex entails, we must seek to understand why a deviation in such patterning may exist. An OMD encompasses any of the following, often in combination:

1. Any deviation in correct oral rest posture of the lips, tongue, and/or jaw

2. A thrusting of the tongue during chewing and swallowing or speech

3. Noxious or parafunctional oral habits such as digit sucking, tongue sucking, cheek biting, nail biting, lip licking, prolonged pacifier use, or bruxism, to name a few

B.
A.

An orofacial myofunctional therapist identifies and evaluates the causes of OMDs to determine the best treatment plan of such habits and soft tissue dysfunction. A key understanding in the myofunctional therapy evaluation process is not complete unless it identifies all the factors that are capable of causing or contributing to the OMD, which may include problems in the medical system, dental system, or the myofunctional system. Orofacial myofunctional therapists refer patients to ENT doctors, allergy doctors, and airway-focused dentists or orthodontists to assist in the comprehensive treatment plan to resolve such dysfunction and the sequelae of effects that such soft tissue problems can trigger. There are many cases where the medical cause of the dysfunction must be resolved before the muscles are rehabilitated in OMT, and this may include certain cases of adenoid or tonsillar hypertrophy or other pathology impacting nasal patency. The OMT acts as a team player in initiating such referrals

Figures 2A and 2B: Open bite corrected with myofunctional therapy. 2A. Pre-myofunctional therapy: This patient was in braces for 3 years with no success at closing the open bite. 2B. Post-myofunctional therapy: After 5 months of myofunctional therapy to address the mouth breathing and tongue thrust, the open bite closed

Figures 3A and 3B: 3A. Pre-myofunctional therapy: Anterior open bite caused of soft tissue dysfunction including incorrect lingual rest posture and tongue thrust. 3B. Post-myofunctional therapy: 4 years after the start of myofunctional therapy with no orthodontic treatment, and the open bite closed. By taking the tongue pressure off of the teeth in OMT, the occlusion was able to normalize. The orthodontist feels the patient does not need braces

Figures 4A and 4B: Unilateral open bite developed later in life. 4A. This patient’s unilateral open bite was due to a change in muscle function, as after a left root canal, the patient began to only chew on the right side. This chewing pattern changed the muscle balance as the patient continually spread the right side of the tongue to push food onto the teeth. There was no orthodontic progress, and the patient was referred for orofacial myofunctional therapy. 4B. OMT restored muscle development, resting tongue posture, correct chewing function, and correct swallowing. In 5 months, the patient was debanded

and in gauging when myofunctional therapy can be initiated. Timing of myofunctional therapy is also influenced by whether a malocclusion is too significant and needs to be addressed prior to the OMT. In some cases, OMT should be initiated before or during orthodontic treatment, whereas in other cases, therapy is best to wait until after appliances are removed. Communication between the orofacial myofunctional therapist, ENT doctor, dentist, and orthodontist is crucial to outcome success.

What are the impacts of OMDs?

This foundational understanding of OMDs and what defines normal resting posture of the orofacial structural complex leads to a discussion of the negative health and developmental impacts when an OMD is present. Not only does soft tissue dysfunction contribute to dental malocclusion, but it is also important to understand the multitude of changes in the orofacial respiratory complex and entire body system that can occur when malocclusion is present. If there are alterations in the airway which interfere with normal nasal breathing, then facial growth and function may proceed along a different path, with the potential to change the skeletal growth not only of the entire face, but also head/ neck posture, whole-body posture, breathing patterns, and sleep quality. Physical therapists have referred to the tongue as “the rudder to the spine” and understand that correct tongue posture helps with whole-body posture via connections of the tongue to the oral pharyngeal airway, down the hyoid bone, through the deep frontal fascial plane. When jaw growth is not ideal, the nasal and pharyngeal airway can become negatively impacted. When the airway is impacted, the head and neck can compensate in a “forward head posture” to help open the airway to facilitate better breathing. Moreover, any reduction in the airway size from the tip of the nose down the throat including factors such as nasal obstruction, narrow palate, retruded jaws, open mouth posture, low tongue posture, or any hypotonia of the orofacial complex can affect the quality of sleep in individuals of any age, from infancy through adults, leading to SDB and the end-stage disease of obstructive sleep apnea (OSA). OMDs should be recognized early and must not be ignored once red flags are identified, which can often easily be recognized in the dental or orthodontic office.

Research on OMT

Research shows that OMT is effective in helping to prevent orthodontic relapse, facilitating correct growth of the orofacial complex, assisting with correction of orthodontic problems during orthodontic treatment, and has a significant role in not only helping to treat but also helping to prevent SDB and OSA. Studies show that OMT:

• Significantly improves the outcome SDB post adenotonsillectomy

• Combined with rapid palatal expansion (RPE) leads to better treatment outcomes among patients with SDB than with RPE alone

• Can be the necessary factor in preventing the relapse of SDB in patients who have undergone RPE and lingual frenectomy

• May actually prevent much SDB in the young population

• Can decrease the severity of OSA, promotes improved oxygen saturation during sleep, and can improve sleep quality and life quality

A. B.
A.
B.
A. B.

• Improves CPAP compliance

• Can be an adjunct to hypoglossal nerve stimulation treatment for OSA

• Can assist in preventing orthodontic relapse in most orthodontic cases

• Can improve oral health in patients, including decreasing the risk of periodontal disease

Early intervention

It is not surprising that the earlier an OMD is identified, the chances of a further sequelae of related issues is mitigated. Myofunctional disorders are progressive and if left untreated they will typically worsen over time. Therefore, early identification of such soft tissue dysfunction is paramount in the treatment process. Typically, it is an SLP with specialized training in feeding therapy and oral sensory motor therapy that has the skills and expertise to treat children younger than the age of 4. Often there are foundational feeding and oral motor skills that need to be addressed in the early intervention (infancy through 3-year-old age group) before a standard OMT program would ever be considered. After age 4, most children then have the cognitive ability to imitate, self-monitor, understand the goals, and therefore participate in an OMT program. In many cases, even 4+ year old children need regular feeding and oral sensory motor therapy by an SLP in addition to OMT. It is never too early to seek an OMT assessment by a trained professional, whether it be a specially trained SLP for the birth through 3-year-old age range or an SLP or dental hygienist specially trained OMT for patients aged 4-years-old and above. Often multiple therapists including IBCLC, PT, OT are on the team for such patients who have multiple whole-body issues. Signs of dysfunction are often there before symptoms are present, and it is best to refer out for an assessment as early as issues are noticed.

It is never too early, and it is never too late

Just as “it is never too early to learn normal oral function,”5 it is never too late to remediate problems in the oral muscular system. Currently, the youngest patient in our office with oral sensory/ feeding dysfunction is 12 months old, and our oldest patient with oral muscular dysfunction contributing to his OSA is 84 years old. It is also important to understand that many cases of untreated OMDs may have begun in childhood and developed into endstage sleep apnea in adulthood as the oral muscular system, facial structure, and airway never properly developed due to these initial muscular problems. Although early treatment and prevention is of utmost importance, there is always an opportunity to help a person suffering from an OMD, as this can truly impact the quality of that person’s life.

How an Orofacial Myofunctional Therapist can help you

Given this detailed description of OMT, it is obvious that dentists and orthodontists should team up with orofacial myofunctional therapists in the assessment and treatment of their patients. According to the ADA Policy Statement in October 2107, all dentists should screen patients for sleep-related breathing disorders, and an OMD is a clinical marker to look for.6,7 It is important for dental specialists to be able to identify markers for OMDs which include red flags such as narrow palates, crowded teeth, malocclusion, dental wear or tori from bruxism, scalloped

Figures 5A and 5B: Adolescent with anterior open bite: Orthognathic surgery unnecessary post-myofunctional therapy. 5A. Pre-myofunctional therapy: If mouth breathing is left untreated until the patient is skeletally mature, the only remaining way to correct the jaw discrepancy may be with orthognathic surgery. This patient was healthy and breathing through his nose until age 3 when he went to preschool. His colds and breathing issues did not clear until he was 7 years old. By then, he had a mouth breathing habit. Now at 17, he is in braces for the third time and being prepared for surgery to align his jaws. There are a number of myofunctional problems including lip incompetence, low forward tongue posture, and tongue thrust contributing to his severe open bite. 5B. Post-myofunctional therapy: His therapy included correcting his mouth breathing by strengthening the lips, exercising and training the tongue to rest sucked up on the palate, and retraining his swallowing patterns for saliva, food, and drinks. He was an excellent compliant patient which is necessary for successful therapy. After 7 months of myofunctional therapy, his bite corrected without surgery because of the myofuctional therapy. The oral surgeon cancelled the surgery, and he had a successful orthodontic result because: 1) the mouth breathing was corrected; 2) the tongue thrust was corrected

tongue, open-mouth breathing, low tongue posture, tongue thrust, tongue tie, mentalis strain/lip incompetence, large tonsils, noxious oral habits, and even speech issues such as a lisp can be easily identified by the dental specialist and can trigger a referral to the orofacial myofunctional therapist in the team approach. Once we know something, we must not ignore it, and I am hopeful that this knowledge of our intermixed disciplines will help to bridge the connection between dental specialists and orofacial myofunctional therapists to better help our patients achieve the best care and quality of life possible.

REFERENCES

1. D’Onofrio L. Publication trends and levels of evidence in orofacial myofunctional therapy literature. [Presentation]. ASHA, November 22, 2019; Orlando.: Orlando, FL, United States.

2. Rogers AP. Evolution, development, and application of myofunctional therapy in orthodontics. Am J Orthod Oral Surg. 1939;25(1):1-19. https://doi.org/10.1016/S0096-6347 (39)90343-1

3. Rogers AP. Exercises for the Development of the Muscles of the Face, with a View to Increasing Their Functional Activity. The Dental Cosmos. 1918;LX(10):857-876.

4. Mills CS. International Association of Orofacial Myology History: origin - backgroundcontributors. Int J Orofacial Myology. 2011 Nov;37:5-25. PMID: 22774699.

5. Direct quote from D’Onofrio L, “It is never too early to learn normal oral function.”

6. D’Onofrio L. Oral dysfunction as a cause of malocclusion. Orthod Craniofac Res. 2019 May;22 Suppl 1(Suppl 1):43-48. doi: 10.1111/ocr.12277. PMID: 31074141

7. American Dental Association. Policy Statement on the Role of Dentistry in the Treatment of Sleep Related Breathing Disorders. 2017. https://www.ada.org/-/media/project/ ada-organization/ada/ada-org/files/resources/library/oral-health-topics/ada_2019_policy_ role_of_dentistry_sleep_related_breathing_disorders.pdf. Accessed December 19, 2025. Disorders. Adopted 2017

B.
A.

Continuing Education Quiz

Why every dentist and orthodontist should have an orofacial myofunctional therapist on their team GOLDFARB

1. The age limit for reasonable expectations of OMT success is ________.

a. 3 - younger than that it’s best to just wait

b. 12 - after puberty, muscle pattern memory is difficult to change

c. 60 - a lifetime of bad habits means learning new tricks is a waste of time

d. 110 - before that, OMT may be helpful at any age, appropriate to the individual’s needs

2. An orofacial myofunctional disorder (OMD) ___________.

a. represents a deviation from rest posture and/or function of the orofacial structural complex

b. is an observable phenomenon such as an involuntary tic

c. typically resolves on its own as a patient ages

d. must be treated by a trained orofacial myofunctional therapist before any surgery

3. Correct oral rest posture means ____________.

a. the head must be centered over the shoulders and pelvic floor

b. the tongue must be in contact with the lingual of the maxillary incisors

c. lips closed, entire tongue suctioned to the palate, and teeth slightly apart

d. with teeth in maximum intercuspation, the condyles are centered in the glenoid fossae

4. An Orofacial Myofunctional Therapist is ____________.

a. a recognized subspecialty of dental hygiene

b. a licensed provider in many, but not all, states

c. capable of additional training to become a fully recognized Physical Therapist

d. a person with specialized training in orofacial myofunctional therapy and is only a modality of treatment, not a separate stand-alone profession

5. In the late 1800s ____________.

a. orthodontists established the proper tongue position for successful tooth alignment

b. Edward Angle, the “Father of Orthodontics,” recognized mouth breathing as a hindrance to orthodontic success

c. protocols of orthodontic therapy included specific tongue exercises

d. tooth alignment was thought to be genetically defined and unchangeable

6. OMT is a therapy best initiated ____________.

a. before orthodontic treatment

b. during orthodontic treatment

c. after orthodontic treatment

d. this is determined on a case-by-case basis with the OMT and the

Each article is equivalent to two CE credits. Available only to paid subscribers. Free subscriptions do not qualify for the CE credits. Subscribe and receive up to 16 CE credits for only $149; call 866-579-9496, or visit https://orthopracticeus.com/ subscribe/ to subscribe today.

n To receive credit: Go online to https://orthopracticeus.com/continuingeducation/, click on the article, then click on the take quiz button, and enter your test answers.

AGD Code: 180

Date Published: January 31, 2026

Expiration Date: January 31, 2029

orthodontic provider, depending on the patient’s appliances and individual treatment plan

7. Domains of OMT include ____________.

a. chewing and swallowing, oral rest posture, and spine alignment

b. speech therapy, Singer training, and vocalization improvement

c. breathing coaching, swallowing of liquids, and saliva control

d. chewing and swallowing of food, saliva control, and oral rest posture

8. According to Dr. Alfred Rogers, ____________.

a. alterations in functional activity can cause malocclusion

b. dental hygienists should never provide OMT

c. organizations such as the AAO were out of touch and unimportant

d. Dr. Angle’s classification system led to unhelpful treatment protocols

9. Research on OMT has established ____________.

a. that OSA in adults can be eliminated with OMT

b. OMT as a helpful adjunct in nearly every treatment for sleep-related breathing disorders

c. dental hygienists as the leading providers of OMT

d. the potential for preventing tooth crowding and the need for orthodontics

10. Orofacial myofunctional disorders ____________.

a. are rare and usually associated with neurological diseases

b. are not covered by the ADA’s 2017 Policy Statement for Dentist’s Role in Sleep Related Breathing Disorders

c. may be recognized by noticing one of many red flags during dental exams

d. are always associated with poor speech issues such as a lisp

Allure Ortho

Rescuing patients from emergency visits and focusing on patients’ daily health

Orthodontic Rescue Kit

This game-changing Orthodontic Rescue Kit reduces emergency visits. The kit contains tools and products that patients need for emergency situations and features a safety-hold distal end cutter to cut and hold all wires. The cutter is an easy way for patients to safely fix a poking wire and relieve pain. This convenient kit also contains patient relief wax, Brace Relief™ Gel, a push stick to push back a poking wire, a stainless steel mouth mirror, an alcohol wipe, and a business card slot that also lists the contents of the kit.

These kits are user-friendly for patients, school nurses, day camps, college students, patients on vacation, and more. Patients will be able to feel more at ease at school, on vacation, or simply at home.

This customizable and attractive kit can fit in a pocket or purse. Creating distinctive name recognition, the kit is branded with your practice’s logo on the front, making a lasting impression on school nurse offices, day camps, patients’ friends and family, and anyone else who sees it. This is sure to make your office stand out from the competition.

The price is as low as $12.95 per kit, and the money saved from reducing emergency visits makes this a must-have product for every orthodontic office. No more telling your patient to use a toe nail clipper to cut a poking wire. Order your Orthodontic Rescue Kits today!

Aligner/Retainer Ultrasonic Cleaner + UV Light Pods

Branding your practice is easy with these new Aligner/Retainer Ultrasonic Cleaner + UV Light Pods. The advanced Ultrasonic Cleaning + UV LIGHT technology kills germs and bacteria, keeping your patients’ aligners crystal clear. This is a simple and quick way to keep aligners and retainers clean, fresh, and bacteria free. Patients will love these mini, portable, and quiet pods. Your office logo on the front of each pod is a constant reminder that your practice supports patients’ health — and their fresh breath!

About Allure Ortho

With a combined 45+ years of orthodontic experience, the team at Allure Ortho has the knowledge and ability to offer the innovative products needed to adapt in an evolving industry. The complete product line includes brackets, curing lights, pliers, wire, handpieces, and accessories offered at substantial savings and with the highest level of personalized customer service. In June 2026, Allure Ortho will be celebrating its 10th anniversary.

For more information, please see back cover or visit https://www.allureortho.com/.

This information is provided by Allure Ortho. OP

Transform your practice: The Remote Orthodontist approach

Dr. Josh Adcox, founder of The Remote Orthodontist, discusses how clinicians can reclaim their lives inside and outside of the practice

In my introduction to this issue, I shared the painful truth Jamie told me: “Nobody really wants to go see you.” And I talked about missing the chance to teach Luke how to tie his shoes because I was too busy running on a hamster wheel of 173 appointment patient days and endless decision fatigue.

That moment of looking in the mirror — really looking — awakened something in me. I realized I wasn’t just failing my family; I was failing my patients too. I was caring for them in the noun sense, delivering the standard of care. But I wasn’t truly caring for them in the verb sense — giving them a human experience where they felt seen, heard, and valued.

Fast forward to today, and I’m living proof that you can do more with less, but better. I’ve cut my chair time significantly, improved my patient outcomes, and actually show up for the moments that matter most. The secret? It started with that mirror moment, followed by a complete mindset shift from 2x thinking to 10x thinking — and then layering in the right technology and systems to make it sustainable.

This transformation is what The Remote Orthodontist is all about — and we’re dedicated to helping you achieve the same results.

The Remote Practice Revolution Framework

Our Remote Practice Revolution (RPR) Framework has helped hundreds of orthodontists transform their practices. It’s a comprehensive training covering everything from mindset shifts to clinical protocols to team implementation. We’ve heard incredible success stories from doctors who’ve implemented these systems — reduced chair time, improved patient satisfaction, and reclaimed their lives outside the clinic.

This isn’t theory. It’s battle-tested across thousands of cases in real-world practice environments.

Who this training is really for

Remember the working parent I mentioned in my introduction? The one who takes PTO, rushes through yellow lights, sits in your waiting room, gets a 10-minute color change or aligner check, and just burned 2 hours of their day?

Our approach is about changing the experience — for them and for you. It’s for orthodontists who want to be present in every sense of the word. Present for patients when they need you. Present for your team as a leader, not a bottleneck. And present for your family when the clinic doors close.

If you’re ready to look in the mirror and ask yourself, if you are building the practice you want and building the life you

want, and you’re ready to commit to the uncomfortable changes necessary to have both — The Remote Orthodontist approach is for you.

The core principles: what we teach

Our training starts where all lasting change starts — with mindset and leadership. We explore the shift from doing everything yourself (2x mindset) to building high trust, high autonomy, and high accountability teams (10x mindset). You’ll learn the “Who Not How” framework that changed everything for me.

Then we dive into clinical efficiencies and remote care fundamentals — which platforms work best, how to implement remote appointments that give patients their time back, and how to build the Remote Care Coordinator role that runs it all. I’ll share real stories like a fully remote Invisalign® case I treated for a patient stationed in Japan.

The clinical modules cover both aligners and braces with remote monitoring. These aren’t theoretical discussions — these are the exact workflows, staging principles, and monitoring protocols I use every day. You’ll see cases like an active military member who achieved excellent results despite deployment constraints.

We also tackle the business side: ROI, efficiency metrics, and how to make remote care financially sustainable. And critically, we show you how to get team buy-in, onboard patients effectively, and navigate the transition without disrupting current operations.

Real stories, real results

Throughout the training, you’ll see real patient cases that illustrate what’s possible, like working parents no longer burning

PTO for routine check-ins and general dentists experiencing elite orthodontic care through minimal in-office visits. These aren’t unicorns — these are the results that become possible when you align mindset, systems, and technology.

It’s not just about technology

My father taught me how to truly care for people by taking action. That lesson transformed how I think about patient care. When we leverage technology and systems to handle the routine aspects of care, we create space to connect with patients on a human level. We give them real-time communication, personalized attention, and critically, we give them their time back too.

This isn’t about replacing the doctor-patient relationship. It’s about enhancing it by being present for what matters most. It’s about recording a quick video message to a patient from the airport, knowing they’ll get personalized attention without you sacrificing your evening with your family.

Remote monitoring doesn’t mean distant care. It means being available on patients’ time, in their lives, when they need you — not just during your office hours.

Your next step

This winter is the perfect time to reflect on what you want more of and what you want to be better. The gift of time is the most precious gift we can give ourselves, our teams, and our patients.

The Remote Orthodontist provides the roadmap to reclaim that time. Our current RPR Framework includes CE credits, life-

time access to all materials, updates, and comprehensive training that’s been battle-tested across thousands of cases. And we’re constantly evolving based on what we’re learning and what you need.

The orthodontic profession is at an inflection point. We have access to incredible technology, streamlined systems, and educational opportunities our predecessors could only dream of. The question is: Will we use these tools to do more and run faster, or will we use them to create space for what matters most — being present with our patients, our teams, and our families?

You don’t have to choose between a thriving practice and a thriving life. But you do have to commit to making necessary, sometimes uncomfortable, changes.

Your patients want to feel valued. Your team wants ownership and purpose, not just a paycheck. And you want to know you’ve made a difference without feeling like you left everything you had on the clinic floor.

It’s about everyone you serve, and making sure you have enough left to serve yourself too. That’s how we do more with less, but better.

Because you’re part of the Orthodontic Practice US community, and you’ve taken time to read this winter issue, we’re offering an exclusive opportunity: Use code WINTER2025 for $400 off our Remote Practice Revolution Framework.

Visit theremoteorthodontist.com to learn more and enroll.

Here’s to being present this winter, in every sense of the word.

C5 Hidden Orthodontics

Dr. Luke Shapiro describes an alternative to traditional braces or clear aligner therapies

Have you come across patients who refuse braces due to esthetics and also aligners because they refuse to wear them? And then you offer them lingual braces, but they say that type of appliance is too bulky and hard to clean. So what do you do? Offer them a nighttime Hawley appliance with springs and hope for the best? Now, there is an option to help these patients with C5 Hidden Orthodontics, a key technology from Alta Smiles.

C5 Hidden Orthodontics is a thin .010 or .012 inch diameter NiTi wire designed to straighten the upper or lower incisors with zero visibility. The wire is bonded indirectly with a customized tray to the lingual portion of the teeth, similar to a bonded lingual retainer. What sets C5 Hidden Orthodontics apart is its specialized coating that dissolves after bonding the composite and allows for sliding mechanics so the NiTi wire can exert a gentle but effective force on the teeth. The wire is then adjusted about every 8 to 10 weeks by removing the composite from certain teeth and rebonding it either with floss or a scaler to bend the NiTi wire to exert additional force. The appointments can be pushed out further since most patients don’t mind the thin wire, and it allows for continual activation of the wire. The C5 Hidden Orthodontics system also uses auxiliaries such as segmental wires and GC closing springs to help achieve certain movements.

Lucas Shapiro, DDS, is a graduate of Washington University in St. Louis where he received his bachelor’s degree in Spanish. He then went on to receive his DDS at Stony Brook University School of Dental Medicine. He completed his postdoctoral orthodontic training at Tufts University School of Dental Medicine.

At Stony Brook, he received a grant from the New York Academy of Dentistry to study the accuracy of precision of 3D surface scanning systems. Upon graduation, he won the Quintessence award for research, Dr. Kilimitzoglou Pioneer in Dentistry award, and Stony Brook Alumni Award. At Tufts, he received a grant from the New England Society of Orthodontics (NESO) to study 3D Mechanical Stimulation of Bioengineered Periodontal Tissue on GelMA Hydrogel.

Dr. Shapiro worked for Lemchen Salzer Orthodontics after residency and then became the owner of Wall Street Orthodontics in February 2025. He is also very involved with social media and dental content creation. He started the Instagram page @futuredentists, works with the educational organization @ignitedds, and has an orthodontic tiktok page @drshap.

In addition to standalone use, C5 Hidden Orthodontics can be a highly effective adjunct to clear aligner therapy. Clear aligners, while highly popular for their esthetics and comfort, may not always provide the necessary force to address certain movements, such as precise rotations or minor tooth tip adjustments. In such cases, C5 Hidden Orthodontics can be introduced to help correct these specific movements without requiring visible attachments on the anterior teeth. It can also be used for patients who experience “aligner burnout.” Furthermore, C5 Hidden Orthodontics is a beneficial tool for patients who prefer not to have anterior attachments. By utilizing this treatment, providers can bypass the need for these visible attachments and still achieve difficult movements like extrusion.

Another nice part about C5 Hidden Orthodontics is the ability to use V5x, which is a dental monitoring system. The patients send photos prior to their appointment so that the clinician can discuss the case with the clinical team at Alta Smiles and plan the next step before the patient appointment.

At the end of the day, C5 Hidden Orthodontics is utilizing the power of NiTi wires to exert pressure on teeth to move. Even though the wire is so light, the teeth move very efficiently. It also uses digital planning to place the wire and composite glue pads on the most optimal place on the tooth. It is important to under-

Figure 1 (left): Patient initial photo. Figure 2 (right): Bonding day, April 4, 2024, for a C5 Hidden Orthodontics case to treat the lower 3-3. 0.2 mm IPR between L3-3 was completed that day as well
Figure 3 (left): Progress photo from May 2024 for a C5 Hidden Orthodontics case to treat the lower 3-3. Figure 4 (right): Progress photo from October 2024

stand the biomechanics of tooth movement, as we are dealing with round wires exerting force on different positions on the tooth. We use a neodiamond bur to cut the ends of the wire. As treatment progresses and the teeth align, it is possible for excess wire to slide out the distal of the canines similar to brackets and wires.

Some difficulty with C5 Hidden Orthodontics can be during the bonding process because the area has to be very dry, and the tongue is right there. Also when adjusting the wire, the clinician has to be careful not to be aggressive with the wire, especially when doing IPR, so the wire doesn’t break. But even if it breaks, it is fixable because segmental wire mechanics can be used, or a new wire can be ordered and placed.

The best thing about C5 Hidden Orthodontics is the patient’s reaction. Most patients have been looking for an alternative to braces or clear aligner therapy for a long time. Then when they see this working within a month, they are so excited! This information was provided by AltaSmiles.

Orthodontic Practice US Webinars

LEARN about the lastest techniques and technology from industry leaders with our free live and archived educational webinars. Our online seminars are a convenient way to access great information and upskill. Check out our most recent webinars:

• Smart Aligner vs. Traditional Plastic: Moving Teeth with Fewer Attachments with host Dr. Bill Layman

• Leveraging Cutting-Edge Technologies to Deliver HighPerformance Clear Aligner Therapy with host Dr. Neil Warshawsky

• Optimizing Orthodontic Treatment Workflow with Remote Monitoring and Dynamic Scheduling with host Dr. Mike Ragan

WATCH NOW at https://orthopracticeus.com/webinars/ Connect. Be Seen. Grow. Succeed. | www.medmarkmedia.com

Figure 5 (left): Initial scan for a C5 Hidden Orthodontics case to treat the lower 3-3. Figure 6 (right): Progress scan
Figure 7 (left): C5 Hidden Orthodontics indirect bonding tray on a model. Figure 8 (right): C5 Hidden Orthodontics bonding tray in the mouth

The art of the referral

JoAn Majors offers four simple steps for delivering referrals for less than a dollar

No, it’s not a typo! Some of you think art doesn’t apply to the referral process. However, I’d like you to consider a different attitude about this bedrock part of any healthy practice. Art, is defined as, “a visual object or experience consciously created through an expression of skill or imagination.” Think about this granularly, and focus on an experience created through an expression of skill. Best practices for the referral process are precisely that. The problem is often that there is no actual process in place.

I often ask offices about their referral process and get many answers. If it is a specialty office, they immediately launch into how they maintain the referrals from their professional circle. If it is a GP, it is often about a single question randomly asked at or during check-out. I want to share the simple process that will produce patients like those you especially like. The old “like likes like” proverb applies here, as does “Birds of a Feather.” The English term means people of the same sort or the same tastes and interests will be found together. If we ask patients who we like, who like and trust us, their referrals become a more predictable fit for our practice culture and care.

JoAn Majors works with organizations in the dental industry who want to improve predictability, profitability, and passion. She knows the dental industry because she comes from it and has spent 3 decades focused on the soft skills that create substantial outcomes. Fondly referred to as the “verbal word surgeon,” she creates ways to turn tough or technical conversations into scalable systems that produce value and stronger connections. She’s passionately dedicated to an exceptional patient experience. She’s a Registered Dental Assistant, Certified Speaking Professional, and Certified Virtual Presenter. She co-founded The Soft Skills Institute, a nationally recognized AGD PACE provider, with her husband, Dr. Chuck Majors. Published in 25 magazines, newsletters, and blogs, she’s also written five books. Her latest, Permission to Be Honest, is available on Amazon. Her happy place is at the front of the room, inspiring the entire team to action with her signature “open arms” communication and savvy lingo. JoAn’s speaking and writing voice are the same as her storytelling style. She is candid but not crude, funny but serious about results. Her seminars and workshops can be followed with high-value online training content for greater implementation and scalability.

JoAn earned the distinguished CSP Award from the National Speakers Association, the highest award among professional speakers. Less than 12% of professional speakers worldwide have earned the designation. She is a 2022 DENOBI award winner and serves on the board for Dental Entrepreneurial Women (DeW) as Co-Director of Education. Serving as Team Training Faculty member for the Misch Implant Institute for 20 years, she was the first non-dentist appointed by the late Dr. Misch. Lastly, JoAn is the VP of Training and Development for ICON Dental Partners, a truly doctor-owned, doctor-led, completely doctor-centric group. For more information, or to see her in action, visit www.joanmajors.com.

The process is the 4 P’s: plan, pick, postcard, and process. It sounds pretty simple and can be if you complete the process. Think of it as baking a cake or, more to your mindset, a procedure you follow. You wouldn’t bake a cake and leave out the flour, or you’d have a terrible cake. You, the doctor, wouldn’t start a process and not complete each step. This is no different. Systems and processes followed correctly more often produce the results we expect.

Plan

The planning portion of the process is pretty simple. I’m going to start by assuming that you have a morning huddle. If you do not have a morning huddle, planning likely isn’t your thing.

During the morning huddle each day, I’d like you and your team to review the schedule to choose just one patient daily. There will be days when you may have more and days when you have none who fit the standard you are looking to grow in your practice. Consider that your goal is to find four per week.

Pick

You’re looking for happy paying patients who like you and your team, and when you see their name on the schedule, you actually smile. As a team, we agree that this person is someone you’d like to duplicate in your patient base. Although not always, often it is a fee-for-service patient. It’s your patient to duplicate. Sometimes, discussing as a team to outline this person is helpful. It could be a patient with a particular procedure you’d love to have talking about their outcome or someone you’ve found to

be courteous to your team and complimentary of your office. This referral is by your design.

Decide among the team who has the best relationship with the person or will have more time to have the “referral convo” while they are in that day. Once the team members are assigned to them in the huddle, they will be the ones to have the conversation, send the notes, and document the process.

Sample Convo

Scenario 1

You’re looking for happy paying patients who like you and your team, and when you see their name on the schedule, you actually smile.”

“Hi, Happy Holly; this morning, when we were planning our day and saw your name on our schedule, I have to share that we all smiled. I want you to know how much we appreciate patients like you who fill in this blank. What we do isn’t easy, and it really makes our day. Could you help me with something?

Wait for the answer. People appreciate the ask.

“You may not know this, but we are expanding our practice and would love more patients like you. I’d love it if you’d consider sharing your experience with us with a work colleague or family member like yourself. Would you keep us in mind when chatting with people like yourself?”

Scenario 2

“Hi Happy Holly; this morning, when we were planning our day and saw your name on our schedule, I have to share that we all smiled. I wanted to ask you about your (experience/treatment) with us. How do you feel we’ve done?”

Wait for the answer. If you plan well, the patient will respond favorably.

“I was hoping you would feel that way. Could you help me with something?

Wait for the answer.

“You may not know this, but we are expanding our practice and would love more patients like you. I’d love it if you’d consider sharing your experience with us with a work colleague or family member like yourself. Would you keep us in mind when chatting with people like yourself?”

Postcard

This is the part of the process most leave out. Imagine, doctor, that you’ve given a finely crafted delivery of a beneficial and easily deliverable treatment to a patient. Yet, when they are transferred to the front desk, no one offers the appointment or completes the process. The art of the referral process is no different. It shouldn’t be started if we aren’t willing to complete it.

Now, to the postcard. No matter how small, a handwritten note is still considered an act of endearment. It’s not a text follow-up; it has a purpose. I can’t tell you how many female patients (most naturally appreciate being recognized for their influence and being asked for help) have dropped this little card into a purse and handed it off to a friend, colleague, or family member within a few days. A recent article in Forbes, “Who

Runs The World? Women Control 85% of Purchases,” showed proof of female referrals’ power.

The U.S. Post Office sells a pre-stamped postcard. A postcard is great because it is lightweight; others can’t help from being nosey and reading it when it is being transferred or lying around. The cost ranges from .53 cents to .73 cents, depending on size. You keep these stocked up and in the area where you have your huddle. My mantra is to make it easy for people to do what you want them to and hard for them to do what you don’t want them to. This will apply here. Make it easy for the team member you are asking to write a quick address in the huddle.

Sample Note:

“Happy Holly. It was great visiting with you today in the office. I loved hearing about fill in the blank personal to the individual. I want to thank you in advance for referring others to our office. We really enjoy patients like you and look forward to our next visit.

Personal close, name.”

Hint: Choose a great return address label in color! Write your card with colored ink that matches the label. As I have written about in the past, this now becomes a handout from your “walking-talking marketing tool.” This will be the most affordable marketing you’ll do; I promise!

Process

Remember to complete the process. In our office, the card was handed off to the admin team for mailing and for putting a patient note in the record. Use a code you create or in the note section. Ours simply said, “Referral Convo.” It was noted in the record the day the card went out. Mail it quickly so that it is still fresh in their minds.

In my 20 years of teaching this system to our team members, I’ve never had someone say no when we asked for help. They may not all produce a referral, but most are so surprised that you asked them for help that they are moved to a yes simply because you complimented them and asked. The word “help” is most important.

If you have issues with this process, it will be because you chose the wrong person. Remember, “like likes like.” Picking the right person to ask is significant to the outcome.

I’ve taught the system for years to many offices, and it amazes me how many team members and doctors I hear from. They are often amazed that something so simple and so affordable can make such a difference in the patient’s mind. If you have an interest, I’d love to share more about our other Soft Skill Systems. Choosing the right communication is really affordable; it’s the intention behind it that makes it significant and profitable.

See you on the road.

You know A-dec ® for our legendary dental chairs.

Now meet the rest of our innovative solutions.

You probably know A-dec as a premier chair company, but did you know we also have everything you need to complete your practice from treatment room to mechanical room?

It starts with a chair and builds from there.

Dental operatory

From dental chairs and stools to delivery systems and dental lights, A-dec designs and manufactures each piece of equipment to help your team enjoy better workflow, efficiency, and comfort.

Dental furniture

Made exclusively for dental from scientifically tested materials, A-dec Inspire® cabinets are thoughtfully planned to improve workflow and efficiency. Made for dental. Designed to perform.

Mechanical room

Leading-edge technology and design create a mechanical room that’s quiet, efficient, and reliable. Out of sight, out of mind.

Infection control

A-dec® ICX® products offer an easy, effective way to maintain your dental unit waterlines. Deliver high-quality water to your patients — and protect your investment. Build your dream practice at a-dec.com.

This information is provided by A-dec. OP

Ideal for orthodontics.

If you have a vision to set your orthodontic practice apart, precision matters. Aesthetics matter. Craftsmanship matters. Not just in the treatment you provide, but the equipment you use.

A-dec orthodontic solutions are mindfully designed, down to the smallest detail. Efficient functionality and proven performance come together with thoughtful enhancements and refined touches. All in a complete, customizable solution that enhances the treatment experience for you, and your patients.

This is orthodontic equipment made like no other. Because it’s made only by A-dec.

Turn static files into dynamic content formats.

Create a flipbook