



Když
asthma bronchiale
Martin Hutyra
1. interní klinika - kardiologická, Lékařská fakulta a Fakultní nemocnice Olomouc
FN Olomouc, kardiologie odd. – video, 21.11.2023
CZ-ADE-00227





04/2018
NYHA: několik let IV + synkopy
6MWT: 140 m, B8
NT-proBNP: 2340 ng/L
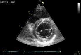
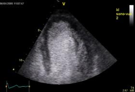
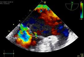
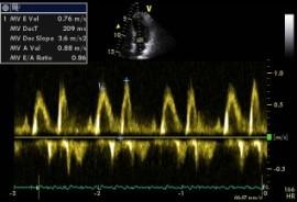
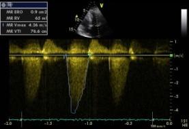
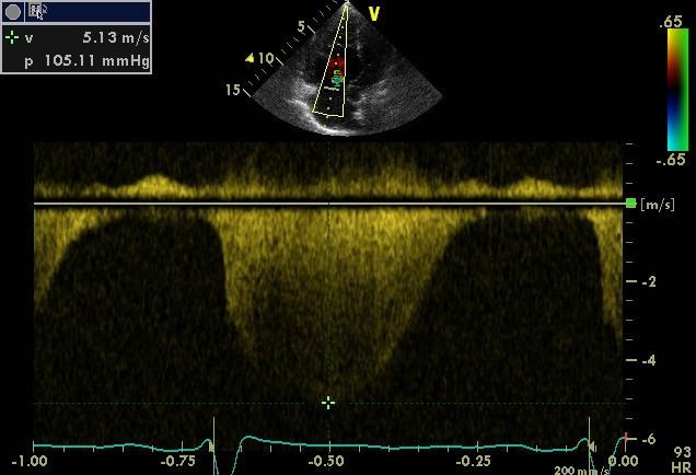
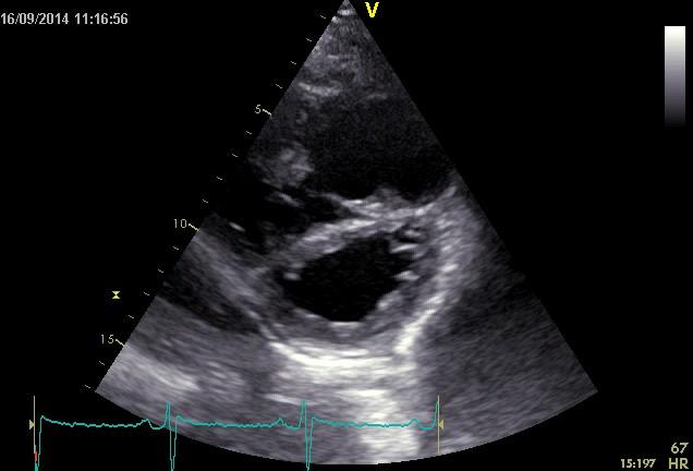
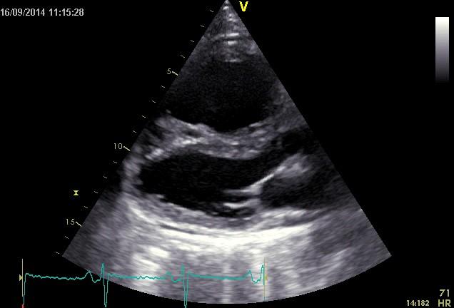
Echokardiografie: LEVÁ KOMORA bez dilatace a hypertrofie, s normální systolickou funkcí a regionální kinetikou kromě D shape, EF LK 55-60%. Diastolická funkce: porucha relaxace LK. PRAVÁ KOMORA FAC PK 18%, TAPSE 13 mm, Vt 9 cm/s, dilatace a hypertrofie PK, těžká prekapilární PH, odhadovaný PASP 90 mmHg, MPAP 55 mmHg, malý perikardiální výpotek

Hemodynamika: PS: 18 mmHg, spO2 53,6%, PK: 93/8 mmHg, AP: 99/43/60 mmHg, PAWP: 13 mmHg (střední), PVR: 13,8 WU, CO: 3,04 l/min., CI: 1,6 l/min./m2
Scintigrafie plic V/Q: negativní
Spirometrie a DLCO - bez ventil. poruchy, DLCO 58% NH při medikaci PREDNISON 20 MG 1X1, FLUTIFORM 250/10 2X1, SPIRIVA 2X1, BERODUAL DP
Terapie: epoprostenol 2,5 mg/ml i.v. 20 ng/kg/min., sildenafil 20 mg tbl. 3x1, ambrisentan 5 mg tbl. 1x1














04/2018
epoprostenol i.v. 0-20 ng/kg/min.
sildenafil 20 mg tbl. 3x1
ambrisentan 5 mg tbl. 1x1


02/2012
selexipax 800 ug tbl. 2x1
sildenafil 20 mg tbl. 3x1
ambrisentan 5 mg 1x1

11/2018
epoprostenol i.v. ex (intolerance PICC)
selexipax 800 ug tbl. 2x1
sildenafil 20 mg tbl. 3x1
ambrisentan 5 mg tbl. 1x1


09/2021… WLx (?)…


05/2023
NYHA: IV + synkopy (tusigenní)
6MWT: nelze
NT-proBNP: 4547 ng/L
Echokardiografie: LEVÁ KOMORA bez dilatace a hypertrofie, s normální systolickou funkcí a regionální kinetikou kromě D shape, EF LK 55-60%. Diastolická funkce: porucha relaxace LK. PRAVÁ KOMORA FAC PK 19%, TAPSE 17 mm, Vt 9 cm/s, dilatace a hypertrofie PK, těžká prekapilární PH, odhadovaný PASP 130
mmHg, perikardiální výpotek

Spirometrie a DLCO – lehká periferní ventil. porucha (FEV1/VC 92%, PEF 84%, DLCO 68% NH) při
medikaci PREDNISON 20 /VC MG 1X1, FLUTIFORM 250/10 2X1, SPIRIVA 2X1, BERODUAL DP
Terapie: selexipag 2x400 ug, sildenafil 20 mg tbl. 3x1, ambrisentan 5 mg tbl. 1x1


Dušnost – častý symptom
• přítomnost dušnosti (námahové) u 25 % ambulantních pacientů
• v praxi specialistů
• 15-50 % u kardiologů
• 60 % u pneumologů
• dušnost jako hlavní důvod vyšetření
• v 8 % pro vyšetření na urgentním příjmu
• ve 12 % při volání ZZS

















































