EyeSee 3/2024

Page 1


E DI INFORMAZIONE OFTALMOLOGICA

IN EQUILIBRIO COME UN GIOCOLIERE

La situazione ancora complessa delle donne in oftalmologia, tra difficoltà, sfide e la speranza di un futuro più equo e inclusivo

RIFLETTORI

SULL’ESPERTO

Barbara Parolini

TECNICHE CHIRURGICHE

Quando manca il sacco capsulare, che fare?

LARGO AI GIOVANI

Donne e Social Media

Redazione

Timothy Norris

Laura Gaspari, MA redazione@eyeseenews.it www.eyeseenews.it

Pubblicità info@fgeditore.it tel 01411706694

Direttore responsabile

Ferdinando Fabiano f.fabiano@fgeditore.it

Grafica e impaginazione Cristiano Guenzi

Copertina Silvia Schiavon

Coordinamento scientifico Vittorio Picardo, MD

Hanno partecipato a questo numero

Teresio Avitabile, MD

Alessandra Balestrazzi, MD

Guido De Martin

Matteo Forlini, MD

Frances Meier-Gibbons, MD

Aylin Kiliç, MD

Paolo Martelli

Giulio Mulè, MD

Marco Nardi, MD

Giorgio Francesco Pacelli, MD

Jack Parker, MD, PhD

Barbara Parolini, MD

Tunde Peto, MD, PhD

Ingeborg Stalmans, MD, PhD

Dagny Zhu, MD

2 4 8 12 16 18 34 36 38 24

EditorialE

CovEr topiC

IN EQUILIBRIO COME IL GIOCOLIERE largo ai giovani

DONNE E SOCIAL MEDIA

riflEttori Sull’ESpErto NON SMETTERE MAI DI IMPARARE

CaSi da inCubo IL MARTELLO nEwS

approfondimEnti

PERCHÈ ASSUMERE IL DHA?

TEST INTERFEROMETRICO LACRIMALE

POST INSTILLAZIONE TRIMIX

GOCCE OCULARI MONODOSE

tECniChE ChirurgiChE

QUANDO MANCA IL SACCO CAPSULARE, CHE FARE?

nECrologio

IN RICORDO DEL PROFESSOR STEFANO GANDOLFI

nEwS dallE aziEndE

Editore

FGE srl – Fabiano Gruppo Editoriale

Redazione: Strada 4 Milano Fiori, Palazzo Q7 – 20089 Rozzano (MI)

Sede legale: Regione Rivelle, 7 - 14050 Moasca(AT)

Tel 0141/1706694 - Fax 0141/856013

Registrazione presso il Tribunale di Asti - n. 1/2020 del 05/02/2020

Copia omaggio

A PICCOLI PASSI VERSO GRANDI RISULTATI

A cura di Frances Meier-Gibbons, Eye Center Rapperswil, Svizzera

CLa condizione delle donne in oftalmologia è migliorata negli ultimi anni, sicuramente, ma ci sono ancora molti aspetti su cui si deve ancora lavorare. Principalmente, il problema delle donne sta nel conciliare le esigenze di lavoro e della famiglia. La formazione in oftalmologia richiede molti anni, e spesso una donna vuole poter mettere su famiglia una volta finita la specialità e la difficoltà sta nel combinare le due cose. Questo aspetto scatena una reazione a catena di situazioni sfavorevoli per le donne, sicuramente. Tuttavia, per me, gli aspetti principali della disparità di genere ancora esistente sono tre. In primo luogo, dipende per di più dalla specialità in oftalmologia di cui stiamo parlando, se più o meno chirurgica. In tutte le branche della medicina con alta presenza di chirurgia è stato osservato che c’è meno presenza femminile rispetto alle altre. In secondo luogo, c’è una differenza tra i numeri delle scuole di specializzazione e “il dopo”: tra gli specializzandi, oggigiorno il 50% sono donne, però dopo, nella pratica clinica, ce ne sono molto meno. Un altro dato questo che riscontriamo in tutte le specializzazioni mediche, non solo in oftalmologia. Anche per quanto riguarda le posizioni di leadership, la presenza femminile è ancora troppo scarsa. Se andiamo a vedere chi c’è a capo dei dipartimenti, le donne sono molto poche; lo stesso vale per i vertici delle società scientifiche, anche internazionali. Spesso mi capita di essere l’unica donna in un intero consiglio direttivo o nelle faculty. Quindi c’è una bella disparità tra il numero di quelle che iniziano come specializzande e chi continua dopo e, ancora, chi arriva in alto. Un terzo aspetto molto importante Tutte le interviste contenute in questo numero sono consultabili collegandosi al sito: www.eyeseenews.it

è quello del carattere. Bisogna insegnare fin da subito alle bambine e alle ragazze che ce la possono fare, che possono arrivare agli stessi traguardi professionali. Questo non significa comportarsi come uomini o cercare di imitarli, ma riconoscere che abbiamo le stesse capacità personali e professionali. Questo lavoro è in mano alle famiglie e, soprattutto, alle madri. Mia madre era un medico e mi ha insegnato che le abilità professionali di donne e uomini sono uguali. Io ho insegnato la stessa cosa a mia figlia, che ha ottenuto un dottorato. Troppo spesso quando invito colleghi più giovani a parlare in pubblico mi sento dire che non credono di farcela e lo sento dire più spesso dalle donne che dagli uomini. Su questo dobbiamo lavorare e cambiare. Se vogliamo arrivare a occupare posizioni alte nella gerarchia o nella leadership dobbiamo lavorarci e dobbiamo fare in modo che le donne dicano: “Ci proverò e sono in grado di farcela”. La sicurezza di sé è, nella mia opinione, l’aspetto più importante. La speranza e gli strumenti per migliorare la situazione non mancano: rispetto ai miei tempi, soprattutto grazie alla possibilità di lavorare part-time al 60-80%, ci sono più donne in oftalmologia. Quando ho finito io la specialità si lavorava solo full time e questo portava molte donne a fermarsi e non occupare posizioni più di rilievo per questo motivo. Oggi abbiamo il 60% degli iscritti a medicina di sesso femminile e questo rende necessario fare ulteriori passi avanti, specialmente nel lavoro part-time e nel creare una rete sociale tutta intorno che permetta alle specialiste di lavorare e avere una famiglia. Per quanto riguarda la formazione chirurgica, bisogna dare alle

I cambiamenti sono lenti, non è ancora perfetto, ma andrà meglio. Se continuiamo a impegnarci andrà sempre meglio.
Frances Meier-Gibbons

donne uguale possibilità di formarsi anche se non lavorano full-time: ci metteranno un po’ di più, ma non importa, avranno la stessa formazione e le stesse possibilità. Questo in molti Paesi tra cui la Svizzera non è ancora contemplato. Dovrebbe essere accettato anche che gli uomini lavorino a tempo parziale per consentire alle donne di non prendersi tutto il peso della cura della famiglia sulle loro spalle, aiutandole. Riprendendo invece l’aspetto della sicurezza di sé, le donne vanno in-

coraggiate e convinte che possono fare ricerca, prendere posizioni di leadership, lavorare ad alti livelli. In questo la mentorship è un ottimo strumento. Per ora è molto diffuso negli Stati Uniti, ma sta arrivando anche qui in Europa e dovrebbe essere potenziato. Dà davvero la possibilità alle persone di avere mentori con esperienza che ti prendano sotto la loro ala e ti dicano come fare al meglio le cose. E non sto parlando solo di mentoraggio femminile, ma anche di coinvolgere i nostri colleghi uomi-

ni, e moltissimi di loro hanno creduto e credono in noi, indipendentemente dal genere.

In futuro, queste difficoltà saranno superate, ne sono sicura, ma ci vuole tempo e pazienza. Penso che, rispetto alla generazione di mia madre, le cose siano già andate molto avanti, ed è successo anche dalla mia generazione a quella di mia figlia. I cambiamenti sono lenti, non è ancora perfetto, ma andrà meglio. Se continuiamo a impegnarci andrà sempre meglio.

IN EQUILIBRIO COME IL GIOCOLIERE

La situazione ancora complessa delle donne in oftalmologia, tra difficoltà, sfide e la speranza di un futuro più equo e inclusivo

Intervista alla Professoressa

EAylin Kiliç, Swiss Vision Group Istanbul, Turchia e alla Professoressa Tunde Peto, Queen’s University, Belfast, Regno Unito

Professoressa Aylin Kiliç, Swiss Vision Group Istanbul, Turchia

Elizabeth Blackwell, la prima donna negli Stati Uniti a ricevere una laurea in medicina, ebbe il primo contatto con la professione studiando l’anatomia di un occhio. Era la prima metà dell’Ottocento e nessuna donna poteva iscriversi a una facoltà medica. Lei ci riuscì, trovando sul suo cammino ostacoli, ostruzionismo e discriminazione da parte di docenti e compagni di corso. Blackwell, dopo la laurea, decise proprio di dedicare la carriera e la pratica medica alle donne, nonché a garantire loro accesso all’istruzione, fondando il suo Medical College. Scriveva infatti nel 1848 in una lettera a Emily Parmely Collins, pioniera del movimento delle suffragette in America, “se gli attuali assetti della società non consentono il libero sviluppo della donna, allora la società dovrà essere rimodellata e adattata ai grandi bisogni di tutta l’umanità. La nostra razza è una, gli interessi di tutti sono inseparabilmente uniti e la libertà armonica per la perfetta crescita di ogni anima umana è il grande bisogno del nostro tempo”. Quello delle donne nella medicina moderna è un viaggio difficile: tra ostacoli, barriere e stereotipi, i nomi delle pioniere della professione, rispetto alla loro controparte maschile, sono molto pochi. Eppure, se andiamo a scavare per bene, grandi donne sono state sempre presenti nei grandi momenti di scoperta e ricerca. Ciò vale soprattutto per l’oftalmologia. Era un’oculista donna, Salomée Halpir, che nel corso del 1700 venne accreditata come medico del Granducato di Lituania e che ha raccontato la sua storia in un libro di memorie; e ancora, Isabel Hayes Chapin Barrows, la prima a studiare oftalmo-

logia negli Stati Uniti proprio nella facoltà fondata dalla Blackwell e aprire una pratica privata a fine 1800; altri grandi nomi come Elizabeth Sargent, ricordata come tra le prime oftalmologhe pediatriche; fino a Patricia Bath, prima dottoressa in oftalmologia di discendenza afroamericana e nativo americana, che ha inventato il LaserPhaco Probe. Anche la storia europea è piena zeppa di grandi nomi femminili in oftalmologia e siamo arrivati al 2024 con al vertice delle due società scientifiche più grosse del continente, Euretina e ESCRS, due donne alla presidenza, rispettivamente Anat Loewenstein e Filomena Ribeiro. Eppure il viaggio non è finito qui. Il soffitto di cristallo, seppur con qualche crepa, rimane ancora intatto e resiliente sopra le teste di molte specialiste che oggi si trovano a dover comunque affrontare un duro percorso e fare scelte difficili per andare avanti con la propria carriera. Delle difficoltà, della situazione attuale e delle speranze future abbiamo parlato con due grandi nomi dell’oftalmologia: la Professoressa Tunde Peto, specialista di retina della Queen’s University di Belfast in Regno Unito e riconosciuta globalmente come esperta di retinopatia diabetica; e la Professoressa Aylin Kiliç, rinomata chirurga del segmento anteriore, esperta di cheratocono, dello Swiss Vision Group di Istanbul, Turchia.

C’È ANCORA

UNO SQUILIBRIO DI GENERE IN OFTALMOLOGIA?

I numeri parlano chiaro: sempre più donne scelgono di studiare medicina e, nello specifico, oftalmologia, con una presenza di circa il 25-30% a li-

Il nostro percorso è stato molto difficile e spesso abbiamo dovuto fare il doppio della fatica dei nostri colleghi uomini. La speranza è che le più giovani non debbano passare la stessa cosa.

Tunde Peto

vello globale. Un passo avanti non da poco, compiuto grazie anche gli sforzi e il moto ispirante di modelli virtuosi di grandi specialiste che ormai sono protagoniste stabili sulla scena. Eppure, non è ancora una situazione ottimale. “Un divario di genere in oftalmologia esiste ancora, anche se sono stati fatti dei grandi progressi con un aumento significativo di donne che entrano ed eccellono nel settore. Storicamente l’oftalmologia è a predominanza maschile”, spiega Aylin Kiliç. “La presenza sempre crescente di queste specialiste sta alimentando un ambiente più inclusivo ed equo anche con iniziative di vario genere come la mentorship, networking o aiutando lo sviluppo professionale delle donne. Il sostegno continuo per l’equità di genere in oftalmologia è essenziale”. Ovvia-

mente non è una situazione omogenea, ma è influenzata da vari fattori. “Dipende dal Paese in cui ci si trova, che sottospecialità si sceglie, quali opportunità di lavoro ci sono per le donne, chi incontrano sulla loro strada. La situazione è migliorata, ma il divario è ancora presente”, afferma Tunde Peto. Entrambe concordano che alcune difficoltà e ostacoli sono ancora molto evidenti. Uno di quelli più in vista è decisamente la scarsa presenza femminile nelle posizioni di leadership nel settore oftalmico. Nonostante alcuni grandi passi avanti, le donne nei board delle società scientifiche in posizioni apicali o a capo di dipartimenti universitari sono in minoranza rispetto ai colleghi uomini. Questo ha diverse origini secondo sia Aylin Kiliç che Tunde Peto. Prima di tutto, esistono degli stereotipi impliciti che spesso

svantaggiano le donne nella loro carriera e che non si possono ignorare. “Spesso, nei processi decisionali, gli uomini vengono avvantaggiati rispetto alle donne. Nessuno ne è immune, anche le donne nei panel possono avvantaggiare un candidato uomo, ad esempio. Non sono scelte fatte per attivamente deragliare qualcuno, ma vengono prese sulla base di strutture sociali intrinseche nel nostro modo di pensare”, considera la Professoressa Peto. L’imprinting culturale e sociale gioca un ruolo fondamentale anche per la Professoressa Kiliç. “La storica dominanza maschile ha lasciato il segno nelle dinamiche, creando delle barriere per le donne che aspirano a posizioni di leadership, lasciandole spesso escluse. L’esclusione creata da stereotipi impliciti impedisce alle donne di non essere notate o considerate

di Laura Gaspari
Professoressa Tunde Peto, Queen’s University, Belfast, Regno Unito

Cover TopiC

L’assenza di modelli femminili a cui aspirare rende difficile immaginarsi rompere il soffitto di cristallo. A volte sembra che stiamo facendo una battaglia tutta in salita in un sistema che non sembra fatto per farci avere successo

adatte alle posizioni di leadership per via delle loro abilità o delle responsabilità verso la famiglia”, afferma. Vedere così poche donne in ruoli di influenza nel settore può scoraggiare le altre, soprattutto quelle più giovani. “L’assenza di modelli femminili a cui aspirare rende difficile immaginarsi rompere il soffitto di cristallo. A volte sembra che stiamo facendo una battaglia tutta in salita in un sistema che non sembra fatto per farci avere successo”, continua Kiliç. Secondo Tunde Peto, seppur vero che non tutti sono nati per essere leader, è giusto dare eque opportunità in modo che chi aspira a ruoli più importanti possa accedervi senza problemi a prescindere dal genere. “Spesso le donne nelle società scientifiche ricoprono il ruolo di Segretario, che è molto importante perché sai tutto ciò che riguarda la società. Questo perché sono spesso brave ad amministrare e avere a che fare con dei compiti spesso tediosi, ma si fermano lì. Non deve essere un binario morto invece, deve esserci una possibilità di salire più in alto e diventare Presidente, Vicepresidente o Te-

soriere”, spiega. Non solo manca un’equa rappresentanza nelle posizioni di leadership: le donne ancora oggi, a parità di competenze, vengono pagate meno della loro controparte maschile, come dimostrato da numerosi studi, e sono spesso vittime di bullismo, aggressioni in corsia, discriminazione e abuso, anche psicologico. “Sapere che siamo pagate meno dei nostri colleghi uomini per lo stesso lavoro è frustrante e demoralizzante, ed è un promemoria continuo della disuguaglianza che persiste”, afferma Kiliç. “La discriminazione e le molestie sono una triste realtà che molte di noi hanno vissuto e che lascia molte cicatrici. Mina la fiducia in noi stesse e la sicurezza a svolgere il nostro lavoro. Spezza il cuore dover combattere non solo per le nostre carriere, ma anche per il diritto fondamentale a essere trattate con rispetto e dignità”.

DESTREGGIARSI

TRA CARRIERA

E VITA PERSONALE

Una delle barriere più grandi per una donna che decide di studiare medici-

na e specializzarsi in oftalmologia è il tentativo di bilanciare la propria vita professionale con quella personale. “Bilanciare le aspirazioni di carriera con le responsabilità familiari è come essere dei giocolieri. La società si aspetta che le donne siano principalmente dedite alla cura della famiglia e questo aggiunge ancora più complessità: cercare di soddisfare tutte queste aspettative può essere soverchiante ed estenuante, facendoci pensare di essere costrette a scegliere tra le due”, illustra Kiliç. La scelta di mettere su una famiglia può seriamente condizionare le scelte di una donna, rendendo la strada in salita o ponendo un ostacolo non indifferente. “Quando sei una donna in questo campo, tutti si aspettano che faccia un periodo di assenza a causa della maternità. Questo si riflette anche sulla società intera, che sta invecchiando e non fa molti figli anche per questi motivi, oltre che per la mancanza di sostegno alla maternità”, spiega Peto. La vita formativa di un medico è molto lunga e che richiede molto tempo ed è spesso estremamente competitiva. La maternità spesso comporta uno stop non indifferente ed è difficile rimettersi al passo. “Abbiamo dei programmi in Regno Unito che fanno in modo che la collega in maternità sia presente per dieci giorni lavorativi, dandole l’opportunità di presentare dei poster o parlare a qualche conferenza, in modo che continui a esserci legalmente. Questo perché la maternità non deve essere vista come una battuta d’arresto, ma come una parte naturale della vita”, afferma Tunde Peto. Spesso la prima cosa che viene sacrificata nella vita professionale di una donna è la formazione chirurgica, che in oftalmologia è una grossa fetta. “La natura molto esigente della formazione chirurgica pone delle sfide importanti per le donne, sia per gli stereotipi di genere che purtroppo esistono, e che erroneamente vogliono le donne meno performanti

La Professoressa Kiliç in sala operatoria
Fate in modo di lavorare in un ambiente sicuro, sia fisicamente che psicologicamente. Soprattutto preservare la vostra serenità psicologica aiuta a lavorare meglio

Tunde Peto

degli uomini in chirurgia, che per la difficoltà di avere una famiglia e stare dietro al lavoro intenso che comporta essere chirurghi. Questo porta molte di loro a migrare verso specialità che hanno più flessibilità”, spiega Kiliç.

ROMPERE LE BARRIERE Il tentativo che si sta facendo, generazione dopo generazione, è quello di provare a rompere le barriere una dopo l’altra. Le strategie vincenti esistono e sono sempre più messe in atto, per il bene delle future generazioni e dell’oftalmologia in generale. “Il nostro percorso è stato molto difficile e spesso abbiamo dovuto fare il doppio della fatica dei nostri colleghi uomini. La speranza è che le più giovani non debbano passare la stessa cosa. Comunque già ora ci sono molte più opportunità, anche istituzionalizzate”, afferma Tunde Peto. Una delle strategie messe in atto è quella di pensare e analizzare la situazione, cercando di cambiare la propria mentalità. “Condividere questi pensieri sulla situazione femminile in oftalmologia è più di un semplice esercizio; è una riflessione sulle esperienze vissute di tantissime donne e, rendendosi consapevoli e rispondendo a queste sfide, possiamo lavorare assieme per un mondo dove le nostre figlie non devono affrontare le stesse barriere”, spiega Kiliç. Anche solo cambiare il modo in cui comunichiamo a parole ha un grosso impatto sui modi di pensare e il sistema in cui viviamo. “Molte delle parole che usiamo, non ci accorgiamo, sono estremamente legate alla società in cui siamo: per esempio, non mi piace quando sento dire che i nostri mariti ci aiutano con i figli e la casa e siamo fortunate. No, come coppia si condivide una responsabilità, non è questione di fortuna. Dovrebbe essere la normalità”, puntualizza Peto.

Uno strumento molto in voga ora e che sembra funzionare parecchio è quello della mentorship. “La men-

torship ha un ruolo essenziale nella carriera e nella crescita personale. Un buon mentore crede nel potenziale e nelle capacità della persona, ed è estremamente stimolante. Questo incoraggiamento aiuta anche a prendersi dei rischi che di norma saremmo portati a evitare”, spiega Aylin Kiliç. Al di là di offrire modelli di riferimento e aprire porte che prima rischiavano di rimanere chiuse, è fondamentale anche per passare il testimone alle future generazioni e capirle meglio, quindi diventando un’esperienza arricchente per il mentore stesso. “Dobbiamo conoscere meglio i nostri giovani, capire le loro aspirazioni, quali sono le loro abilità. Dobbiamo dare a tutti le stesse opportunità, fidarci di loro, creare opportunità per le ragazze di emergere: è vero che non tutti sono nati per essere leader, ma se non mettiamo le basi, chi ha delle ambizioni non potrà mai soddisfarle”, illustra Tunde Peto. Importante è che non si creino situazioni di conflitto tra i generi, ma piuttosto un ambiente armonico di collaborazione. “In questo tantissimi nostri colleghi uomini sono estremamente di supporto ed è importante che si comprenda che nessuno vuole puntare il dito contro gli uomini o fare bullismo contro di loro, ma si chiede di cambiare la situazione tutti insieme e capire quali sono le situazioni critiche”, continua Peto.

ESSERE RESILIENTI

E CONTINUARE A SPINGERE

Il consiglio migliore che può arrivare alle colleghe è quello di non arrendersi, di non piegarsi, di continuare ad abbattere le barriere e mettere sotto pressione il soffitto di cristallo. Credere in sé stessi è la migliore difesa, senza mai farsi atterrare dai cali di autostima o dai dubbi. “Questo è un consiglio non solo da chirurga, ma da una persona che ha avuto alti e bassi nel suo percorso: credete in voi stesse. Ci saranno momenti in cui avrete dei dubbi su voi stesse, ma ricordate

di aver fiducia nelle vostre capacità e nei vostri talenti. Lasciate che la fiducia in voi stesse brilli”, raccomanda Kiliç alle sue colleghe. Il senso di sicurezza è tra le cose più importanti per continuare il proprio percorso, secondo Tunde Peto. “Fate in modo di lavorare in un ambiente sicuro, sia fisicamente che psicologicamente. Soprattutto preservare la vostra serenità psicologica aiuta a lavorare meglio”, spiega. “Non sentitevi in colpa a mettere dei paletti e prendetevi del tempo per ciò che conta, sul lavoro e fuori”, le fa eco Aylin Kiliç. La strada per essere le leader di domani è lunga, tortuosa e difficile, ma l’assunto fondamentale è che non si deve mai essere da sole. “Rimanete sempre fedeli a ciò a cui aspirate. Non rimanete da sole, circondatevi di persone, trovate alleati, e puntate sempre in alto. Imparate tutto ciò che potete imparare, perché non potete diventare delle leader senza prima essere esperte”, conclude Tunde Peto. E le sfide vanno raccolte, abbracciate, senza avere mai paura di dire la propria per il presente e il futuro. “Le sfide sono opportunità nascoste. Non abbiate paura di alzare la voce per guidare il cambiamento che conta. Utilizzatela per promuovere equità, diversità e inclusione sul posto di lavoro. Non vergognatevi dei vostri traguardi. Non siete sole, siamo una comunità che si supporta e si conforta. E infine, questo è stato ed è un percorso personale ed emotivo per molte donne nel campo: ogni piccola vittoria è un passo verso un futuro più equo”, conclude Kiliç.

BIBLIOGRAFIA

1 Gill HK,Niederer RL, Shriver EM, et al. An eye on gender equality: a review of the evolving role and representation of women in ophthalmology. Am J Ophthalmol. 2022;236:232-240; DOI: 10.1016/j.ajo.2021.07.006

Largo ai giovani

DONNE E SOCIAL MEDIA

Il potere di connettersi online può essere uno strumento per risolvere le disparità di genere in oftalmologia?

Intervista alla Dottoressa

Dagny Zhu, NVISION Eye Centers, Los Angeles, California

II social media sono diventati parte integrante della nostra vita ed è sempre più difficile farne a meno. Che sia Facebook, Instagram, X, Linkedin o il più recente TikTok, il loro potenziale di connetterci da una parte all’altra del mondo è ormai pienamente espresso. Secondo una recente ricerca dell’agenzia We Are Social, gli utenti con un profilo social media al mondo hanno superato quest’anno i 5 miliardi: il segnale che ora la nostra vita è largamente online.

Questo successo dei social media ha decisamente cambiato la nostra vita, sia personale che professionale e, nonostante i lati negativi su cui si spendono numerosi dibattiti e perplessità, può essere sfruttato a vantaggio di una disciplina medica come l’oftalmologia molto più di quello che si pensi. L’ha capito benissimo la Dottoressa Dagny Zhu, oftalmologa californiana specialista di segmento anteriore, che ha saputo costruire un’efficiente comunicazione tramite social media, in particolare per quanto riguarda il tema delle donne in oftalmologia. Con lei abbiamo parlato di qual è lo stato di salute della condizione femminile in oftalmologia oggi, e come i social media sono in realtà cruciali nell’aiutare un percorso di empowerment e parità in questa disciplina medica.

IL POTERE DEI SOCIAL MEDIA NELL’EMPORWEMENT FEMMINILE

Uno dei poteri positivi dei social media è quello di metterci in connessione velocemente senza confini. Secondo Dagny Zhu, i social media sono dunque importanti perché possono portare su scala globale dei temi che prima non riuscivano a raggiungere un pubblico più ampio, come le questioni di genere in oftalmologia. “I social media sono utili perché si possono lanciare messaggi, condividere risultati dei numerosi studi sul tema della

disparità di genere, fare mentorship e video informativi”, spiega Zhu. La stessa Dottoressa Zhu ha trovato il modo di utilizzare i social in maniera efficiente: attraverso diverse piattaforme, come Instagram e TikTok, conta più di 100.000 follower. La sua comunicazione ruota principalmente intorno a informazioni di carattere generale sulla salute degli occhi per i pazienti, ma anche sulla sua vita personale. “La gente può vedere chi sono con e senza il camice: sono un’oftalmologa, una mamma e ho un’attività privata”. Grazie alla sua attività online, Dagny Zhu è riconosciuta a livello di società scientifiche come modello da cui imparare. Viene invitata spesso a parlare di social media e oftalmologia dall’American Academy o dall’ASCRS ai congressi e ai meeting, dimostrando che anche gli oftalmologi devono sfruttare la vita online, sia per la loro pratica clinica, che per lanciare messaggi positivi ai pari e ai pazienti. L’impegno più grosso della Dottoressa Zhu però è dedicato alle donne. “Tengo insieme ad altre specialiste un podcast di Healio che si chiama Mend The Gap, dove parliamo di esperienze di donne nel mondo dell’oftalmologia, non solo nella pratica medica, ma anche nelle aziende, con interviste e testimonianze”, racconta. Le donne, ci spiega Zhu, hanno un modo di utilizzare i social media diverso rispetto agli uomini1. Al di là di usarli per più tempo, tendono a ricercare le comunità o cercare contenuti che si riferiscano al bilanciamento tra vita personale e professionale. “Tendono a usare i social media per una sorta di sviluppo personale. Le donne medico usano i social media come strumento di empowerment, per dare e cercare supporto”, afferma.

La vita di comunità online gioca un ruolo fondamentale per una vera rivoluzione della condizione delle donne in medicina e, nello specifico, in oftal-

La Dottoressa Dagny Zhu

Le donne medico usano i social media come strumento di empowerment, per dare e cercare supporto
Dagny Zhu

mologia. “Si possono condividere sfide comuni, consigli, si può trovare una mentore o uno sponsor, si può imparare dalle esperienze di donne più anziane e che sono nell’ambiente da più tempo specialmente per le neolaureate che si trovano ad affrontare la situazione per la prima volta”, dice Zhu. La condivisione online dell’esperienza di donna, eventualmente madre e medico può essere ispirante per altre giovani. “C’è un gruppo su Facebook che si chiama Ophthalmology Moms, con una community di migliaia di persone,

in cui si possono trovare discussioni e commenti ogni giorno sull’essere una donna in oftalmologia. Sono cose che dieci anni fa non avremmo immaginato e provato”, sostiene Zhu. “I social media ci hanno riunito anche in campagne importanti che danno messaggi positivi, come l’uso di hashtag tipo #SheCanDoBoth o #ILookLikeASurgeon”. Le donne in oftalmologia sono dunque un po’ meno sole e la condivisione potrebbe essere il moto di cambiamento in una situazione che sicuramente è già di per sé migliorata

nel corso degli anni rispetto al passato.

A BUON PUNTO, MA ANCORA STRADA DA FARE

La sensibilità sulle tematiche di genere in oftalmologia è migliorata negli ultimi anni, complice una maggiore consapevolezza e una presenza più massiccia di donne tra le file dell’oculistica mondiale. “Penso che si sia fatta tantissima strada, tanto che se guardiamo le scuole di specialità in generale la disparità numerica di genere è quasi sparita: i numeri di uomini e donne

Largo ai giovani

È facile cadere nella trappola di non credere in sé stesse quando arrivano commenti da parte di pazienti e colleghi che ci sminuiscono come professioniste

Dagny Zhu

che si iscrivono alla specialità ormai si equivalgono”, spiega Dagny Zhu. Questo è un trend che si registra più o meno globalmente. I dati mostrati da numerosi studi sul tema ci mostrano un quadro incoraggiante, ma ancora non eccellente: ad esempio, una review del 20222 ha registrato che le donne costituiscono il 25-30% degli oftalmologi a livello globale e circa il 35-45% degli specializzandi. La stessa Dottoressa Zhu lo ha osservato durante i suoi anni di specialità. “Non credevo che questo gap esistesse quando frequentavo la specialità. All’università la nostra classe era a maggioranza femminile. Durante la mia fellowship al Bascom Palmer eravamo tre donne e un uomo”, racconta. Cosa quindi non va ancora bene? “Ci sono aree che hanno ancora delle discrepanze e la più evidente di tutte è la leadership”, afferma Zhu. “Se osservate, la maggior parte dei Direttori dei programmi di specialità o fellowship sono uomini. Lì il famoso gap si allarga moltissimo”. Il problema della scarsità di leadership femminile in oftalmologia è ormai tristemente noto ed è uno dei ferri caldi su cui si batte di più, specialmente in determinate sottospecialità come la refrattiva, la retina medica e chirurgica e l’oculoplastica. Non solo: sfortunatamente, le donne principal investigators o prime firmatarie negli studi clinici sono ancora troppo poche, secondo Dagny Zhu, così come quelle che ricevono premi alla carriera o importanti fondi per la ricerca. Un altro dei punti più spinosi che purtroppo impattano sulla popolazione femminile in specialità in oftalmologia è la differenza tra uomini e donne nel training chirurgico: oftalmologia è una specialità ad alta performance chirurgica e una preparazione adeguata è fondamentale. “Anche nel training chirurgico la situazione è migliorata, ma la maggioranza è ancora maschi-

le, specialmente nelle posizioni di leadership o seniority”, spiega Dagny Zhu. Spesso durante la specialità una donna decide di formare una famiglia, ha bisogno di stare in maternità e, alla nascita, di allattare; questo aspetto può dare un enorme stop alla carriera chirurgica di una specializzanda, mettendola in una posizione di svantaggio o, addirittura, di stigma rispetto ai colleghi uomini. Però, anche senza la maternità, le donne specializzande continuano ad avere grossi problemi. “Ci sono studi che dimostrano che nella specialità le donne completano meno casi degli uomini perché spendono meno tempo in sala operatoria e non si capisce bene perché”, afferma Zhu. “Una risposta sta forse nella scarsa organizzazione del tempo in sala, che è poco, oppure che le donne vengono viste come poco combattive su questo tema”. Secondo Zhu, un co-responsabile di questa problematica è il pregiudizio inconscio che spesso si ha nei confronti delle donne, che si pensa siano meno capaci e preparate degli uomini con i ferri chirurgici in mano, o che siano meno produttive. Infine, un altro problema molto grave registrato in numerosi studi e analisi è gli alti tassi di bullismo e molestie - a volte anche molestia sessuale - che alcune specializzande subiscono rispetto ai loro colleghi uomini. “Le donne spesso si trovano in una dinamica dove c’è uno sbilanciamento di potere e il bullismo è parte di questa differenza nel potere. Una donna a un livello più basso di potere è più suscettibile a bullismo e molestie e qui c’è un altro gap consistente”, spiega Dagny Zhu. Il cammino è ancora lungo e la strada da fare è ancora tanta; le donne però non si stanno tirando indietro.

NON PERDERE FIDUCIA IN SÉ STESSE È L’ARMA MIGLIORE

Il miglior consiglio che Dagny Zhu si

sente di dare alle colleghe più giovani è quello di non perdere fiducia in sé stesse, specialmente quando andranno ad affrontare le difficoltà fuori dalla scuola di specializzazione. “È facile cadere nella trappola di non credere in sé stesse quando arrivano commenti da parte di pazienti e colleghi che ci sminuiscono come professioniste. Però bisogna continuare a costruirla questa fiducia in noi stesse perché i nostri pazienti la percepiscono: se abbiamo fiducia nelle nostre capacità, i pazienti l’avranno in noi”, raccomanda Zhu. L’altro consiglio è di cercare attivamente dei mentori, specialmente donne, anche online, sebbene all’inizio l’approccio può essere intimorente. “L’ideale è ai congressi piccoli, o meeting dedicati come il Women in Ophthalmology Summer Symposium. Si tratta di un ambiente più intimo, dove è più facile incontrarsi e parlare. Non abbiate paura perché imparare dagli altri è il miglior modo per dare una spinta alla propria carriera. E più avanti magari sarete quelle che passeranno i benefici che avete ottenuto alla prossima generazione. Questo è l’unico modo per migliorare sempre di più l’oftalmologia per noi donne”, conclude.

BIBLIOGRAFIA

1 He B, Tanya SM, Costello F, Kherani F, Shamie N, Zhu D. Navigating Personal and Professional Development Through Social Media in Ophthalmology. Clin Ophthalmol. 2022 Jul 13;16:2263-2274. doi: 10.2147/ OPTH.S368674. Erratum in: Clin Ophthalmol. 2023 May 22;17:1453-1455. doi: 10.2147/ OPTH.S421542. PMID: 35859671; PMCID: PMC9289453.

2 Gill HK,Niederer RL, Shriver EM, et al. An eye on gender equality: a review of the evolving role and representation of women in ophthalmology. Am J Ophthalmol. 2022;236:232240; DOI: 10.1016/j.ajo.2021.07.006

Le lenti Essilor®

Stellest® rallentano

Le Lenti Stellest® sono la soluzione visiva di Essilor® progettata per contrastare la miopia dei tuoi bambini. Rallentano in media del 67%(1) la progressione della miopia rispetto alle lenti monofocali, se indossate 12 ore al giorno

1) Rispetto alle lenti monofocali, se indossate dai bambini almeno
giorno, tutti i giorni. Bao, J., Huang, Y., Li, X., Yang, A., Zhou, F, Wu, J., Wang, C., Li, Y., Lim, E.W., Spiegel, D.P. Drobe, B., Chen, H., 2022. Spectacle
sono
di Essilor International. Montatura Ray-Ban®

RiflettoRi sull’espeRto

NON SMETTERE MAI DI IMPARARE

La carriera, i traguardi e le speranze per il futuro di Barbara Parolini

Intervista alla Dottoressa

Barbara Parolini, EYECARE Clinic, Brescia

CCon all’attivo più di settantacinque pubblicazioni, la Dottoressa Barbara Parolini, chirurgo libero professionista presso l’EYECARE Clinic di Brescia, è una dei maggiori esperti nazionali e internazionali di maculopatia miopica trattiva (MTM). Una lunga e proficua carriera dedicata inizialmente alla chirurgia refrattiva, con l’apertura di uno dei primi centri di chirurgia laser del nord-est nel 1998, per poi dedicarsi alla chirurgia della retina, della MTM in particolare, sempre mostrando un grande amore per tutti gli altri aspetti dell’oftalmologia.

Quale ritiene che siano i traguardi professionali che ha raggiunto e quanto ciò ha contribuito alla sua pratica quotidiana?

Le pubblicazioni di cui sono più orgogliosa, per le quali sono nota a livello internazionale, sono in ordine cronologico, ma non in ordine di importanza:

1. la tecnica chirurgica del trapianto di coroide per le maculopatie essudative;

naturale di questa patologia e adesso è nota e usata in tutto il mondo. Vedere la stadiazione citata da altri colleghi nelle pubblicazioni o durante i congressi è una soddisfazione immensa. Il secondo aspetto è quello del trattamento. Sono sempre più convinta del valore, dell’efficacia e sicurezza del piombaggio maculare. È divertente, e anche molto gratificante per me essere invitata a parlarne letteralmente in tutto il mondo, mentre nel quotidiano ricevo moltissimi pazienti non solo da tutta Italia, ma anche da molti Paesi all’estero; persino per pazienti inviati dalla Cina, dagli Stati Uniti, oltre che da vari Paesi in Europa e dal Medio Oriente. Ne ho operata una proprio ieri proveniente da Kuala Lumpur in Malesia.

La Dottoressa Parolini è una dei maggiori esperti mondiali di maculopatia miopica trattiva

2. la scoperta delle caratteristiche anatomiche e la risposta al trattamento nei fori lamellari;

3. la descrizione della storia naturale della MTM e la riscoperta di questa tecnica chirurgica che è il piombaggio maculare. In relazione a questo, la creazione di un nuovo device medico dedicato e la descrizione della nuova tecnica chirurgica per impiantarlo.

Quali sono i più recenti sviluppi nella ricerca in questo settore e in quali è coinvolta?

Il primo aspetto è quello della conoscenza della MTM. Ho pubblicato moltissimo dal 2011 in poi riguardo la MTM, che è una delle complicanze della miopia patologica. La tabella pubblicata nel 2020 descrive la stadiazione e storia

Io spero veramente con tutto il cuore di poter affinare sempre più il disegno del piombaggio e che per la sua efficacia sempre più colleghi inizino a usarlo per i loro pazienti; cosa che sta già accadendo e lo considero un altro importante traguardo. Ricevo spesso messaggi da colleghi nel mondo con i risultati degli OCT pre e post-operatori dopo i primi interventi di piombaggio eseguiti da loro con il medical device disegnato da me.

Questo è un periodo storico interessante per la leadership femminile nelle società scientifiche. Tuttavia, la disparità di rappresentazione permane. Quali sono, secondo lei, gli ostacoli e cosa si può fare per incentivare una maggiore equità nell’ambiente?

Personalmente non mi sono mai sentita osteggiata, né bloccata, né trattata con disparità. Ho sempre sentito attorno a me un grande rispetto e forse sono stata fortunata a incontrare le persone giuste negli ambienti giusti. Certo non ero figlia d’arte né avevo appoggi o raccomandazioni.

Pur essendo del tutto self-made, ho sempre lavorato come se fossi stata in ambiente universitario, raccogliendo i dati del mio operato dai miei pazienti, analizzandoli e pubblicandoli. Non conosco un altro modo di lavorare

Non so se ha contribuito la mia scelta, del tutto anomala, di lasciare completamente l’ambiente universitario subito dopo la specializzazione, diventando una libera professionista. Pur essendo del tutto self-made, ho sempre lavorato come se fossi stata in ambiente universitario, raccogliendo i dati del mio operato dai miei pazienti, analizzandoli e pubblicandoli. Non conosco un altro modo di lavorare. Devo dirvi la verità: i colleghi mi conoscono per le scoperte mie, non per quelle di altri. La stragrande maggioranza delle mie pubblicazioni sono puramente frutto della raccolta dati dei miei lavori, dall’ideazione all’analisi alla scrittura dei manoscritti. Esiste qualche rara pubblicazione a cui non ho contribuito moltissimo, ma si tratta più di gesti di gratitudine da parte dei colleghi. Ho lavorato in tanti Paesi oltre l’Italia, anche in Medio Oriente per tanto tempo. Sono stata in India, in Africa. Nonostante molti pensino per esempio che nei Paesi arabi la figura della donna sia sminuita, io mi sono sempre sentita trattare con grande rispetto anche lì. Ciò nonostante, vorrei comunque dare proprio una motivazione di spinta, di carica e di energia a tutte le mie Colleghe. Vorrei spingerle a credere fino in fondo in loro stesse, a farsi strada tutta forza nel mondo dove vogliono vivere. Perché, se hanno il desiderio, la voglia di essere in prima linea nella chirurgia della oftalmologia e anche nella chirurgia della retina lo possono fare, usando le armi della scienza, dell’onestà professionale, della trasparenza e del merito. Vorrei incoraggiare a fare emergere situazioni di conflitto e di discriminazione quando si manifestano, e cercare aiuto per bloccarle sul nascere; vorrei anche incentivarle a portare avanti la vita professionale a fianco del ruolo di mamma o di vita di coppia, se lo desiderano, perché

credo che sia possibile farlo.

Quindi Donne avanti tutta con gentilezza e grinta!

Quali sono state le figure più influenti per la sua carriera?

Ho avuto la fortuna di incontrarne molte. Ne ho molte in ambito professionale e personale.

Devo ringraziare i colleghi dai quali ho imparato la chirurgia. La lista è lunga e sono sia in Italia che all’estero. Sono tutti miei punti di riferimento e mi hanno fatto crescere dal punto di vista professionale e personale. Ho passato molto tempo a girare proprio le sale operatorie. C’è stata una fase della mia vita intorno al 2003/2004 dove ho fatto proprio un tour delle sale operatorie in Europa e in altri Paesi, perché volevo imparare, volevo riconoscere altri modelli di lavoro e spingo anche altri a farlo perché è senz’altro utile confrontarsi. C’è sempre da imparare, imparare cosa fare, imparare anche cosa non fare e scegliere quelli che possono essere i propri modelli ideali. Sento di dover imparare cose nuove,

provo lo stesso stupore di sempre davanti a nuove tecniche o nuovi modi di fare le procedure che già conosco. Al di fuori dell’ambito professionale, la figura più influente nella mia carriera è stato mio marito. Ha creduto in me fin dall’inizio e non solo non mi ha imposto limiti ma mi ha sempre aiutata in tutti i modi. È tuttora così.

Quanto considera importante un buon rapporto con il paziente e la comunicazione nella sua pratica clinica? È un argomento importantissimo. Anzi, considero sinceramente che la comunicazione col paziente sia proprio il cuore e l’essenza del mio lavoro. È il momento in cui Paziente e Medico si conoscono e in cui deve scattare il rapporto di fiducia. Il paziente a volte aspetta anche molto tempo l’incontro con noi medici nell’ansia di sapere cos’ha, se ci sono soluzioni e che cosa proponiamo. A me piace molto entrare in contatto con la persona e non solo con l’occhio. So che non è facile: non tutti amano questo aspetto del lavoro, però mi rendo conto in modo

Barbara Parolini in Sala Operatoria

RiflettoRi sull’espeRto

palpabile dell’effetto taumaturgico che provano i pazienti solo nel vedere, nel sentir parlare il proprio medico. Io parlo col paziente. Dedico molto tempo a spiegare la malattia e le alternative di trattamento. Il mondo ci propone costantemente nuovi modi di comunicare.

In questo momento della mia vita professionale, in particolare, sto cercando di migliorare l’aspetto dell’informazione, creando proprio dei testi semplici, dei video informativi che spiegano la malattia o il trattamento e col permesso dei pazienti a registrare in forma audio o in forma video le nostre conversazioni, perché poi il paziente le può riascoltare o rivedere a casa prima e dopo un trattamento.

La comunicazione è essenziale, ed è il cuore del rapporto di fiducia tra medico e paziente.

Quanto è importante la professione nella sua vita in una scala da 1 a 10?

Nove. Lascio il dieci alla mia famiglia! Ho potuto realizzare la mia carriera professionale vivendo anche una vita come moglie e come mamma di due splendide ragazze. Questo grazie a un grande supporto da parte di mio marito. Per la carriera ho sicuramente dovuto delegare tutto quello che non riuscivo a seguire, tranne l’educazione delle mie figlie.

Alla fine dei conti non c’è realizzazione più grande nella vita, oltre alla soddi-

sfazione professionale, di sapere che le mie figlie vedono me e mio marito come modelli di vita.

Carriera professionale a parte, quali sono le sue passioni i suoi hobby? Coltivo troppo poco i miei hobby e spesso mi riprometto di riprenderli in mano. Mi piace tantissimo cantare e disegnare a matita. Mi piace in particolare disegnare ritratti realistici dei volti delle persone a me care, e quindi ogni tanto lo faccio. Di solito mi ci dedico nei periodi delle vacanze, quando non ho congressi o manoscritti da preparare. Prometto sempre a me stessa di fare meno congressi e di disegnare di più e forse arriverà il momento giusto per farlo. Mi piace tantissimo camminare e arrampicarmi in montagna, così come andare in cerca di funghi, frutti, erbe. Nella preistoria sarei stata una raccoglitrice, una “gatherer”!

Mi piace fare marmellate e lozioni: le mie pozioni. Mi sento un po’ alchimista.

La lampada di Aladino. Un desiderio, un’innovazione che vorrebbe ci fosse già oggi per i suoi pazienti. Ne avrei tante! Però, rispondendo di getto, mi piacerebbe avere una soluzione per l’ipotonia, e per l’ipertono gravi. L’ipotono grave, soprattutto, è il punto di arrivo del chirurgo vitreoretinico, di qualsiasi chirurgo: non c’è soluzione.

Mi piacerebbe anche che ci fosse una soluzione per l’atrofia dei tessuti, in generale. Sarebbe bello poter dire ai pazienti che possiamo trapiantare tutti i tessuti e l’occhio riuscendo anche a ristabilire le connessioni nervose. In futuro voglio lavorare di più in ambito di medicina rigenerativa. E poi chissà che belle sorprese ci riserva il futuro, come Medici e come Pazienti!

La montagna è un’altra grande passione della Dottoressa
La ritrattistica è uno degli hobby preferiti della Dottoressa Parolini

IL MARTELLO

Il curioso caso di un uomo e di un pezzo di metallo rimosso dall’occhio dopo quindici anni

Intervista al Dottor

Jack Parker, Parker Cornea, Vestavia Hills, Alabama (USA)

A

Anche in oftalmologia esistono i cold cases. Casi che per anni, o talvolta decenni rimangono senza soluzione, lasciando anche i maggiori specialisti senza una spiegazione e il paziente senza una corretta diagnosi, nella più completa frustrazione e nella costante ricerca di una verità che pare non arrivare mai, senza la possibilità di individuare il colpevole.

Jack Parker, MD, PhD, è chirurgo del Parker Cornea di Birmingham in Alabama

È questo il caso di un cittadino degli Stati Uniti d’America, presentatosi alla clinica Parker Cornea di Vestavia Hills in Alabama e sottoposta alle cure di Jack Parker, MD, PhD, uno dei maggiori esperti al mondo di cornea, cheratocono e distrofia di Fuchs. La sua storia è un’odissea durata un decennio e mezzo, un incubo fortunatamente a lieto fine. È il 2009, il tintinnio di un martello si propaga nell’aria. Un uomo è intento in una normalissima attività lavorativa, o di semplice bricolage. Un piccolo oggetto volante appare improvvisamente nel suo campo visivo muovendosi ad alta velocità, per poi svanire nel nulla, seguito da un’improvvisa sensazione acuta di fastidio all’occhio.

Sicuro di essere stato colpito da un frammento metallico, lo sventurato paziente decide di rivolgersi immediatamente alle cure di un medico, finendo tuttavia per scontrarsi per la prima volta con il mistero. “Lei non ha niente”, si sente dire. Si rivolge dunque a un secondo medico, poi a un altro e un altro ancora, sentendosi rispondere sempre allo stesso modo. “Il paziente sapeva che c’era qualcosa che non andava”, spiega Parker. “Per quindici anni il paziente ha sofferto di attacchi improvvisi ed episodici, che portavano ad arrossamento, infiammazione e sensibilità alla luce; sintomo che qualcosa era davvero andato storto”.

In un video caricato sul suo canale YouTube in cui racconta in dettaglio il caso, Parker ricorda il suo primo impatto con il problema. “Tra le cose che abbiamo notato durante la visita c’era una visibile opacizzazione della cornea inferiore, di recente formazione, dove probabilmente era avvenuto l’impatto”, spiega Parker. “Tuttavia, a essere sincero, non riuscivo a vedere nulla di strano”. Parker, tuttavia, decide di non fermarsi lì, di non diventare l’ennesimo specialista a riferire al paziente la stessa identica frase vaga, la stessa identica diagnosi inconcludente. “Ho deciso di ispezionare più da vicino, ed è stato lì che ho notato alcuni segnali interessanti nella zona dove si era formata l’opacizzazione”, racconta Parker. “Oltre alla ben visibile macchia bianca all’altezza del limbus, nella stessa area erano visibili un difetto di transilluminazione dell’iride, e una piccola cataratta settorializzata: indizi che potevano ricondurre alla presenza di un trauma penetrante”. Parker, dunque, decide di andare a fondo alla questione. “Ho fatto la scelta determinante di usare una lente da gonioscopia, scorgendo così un frammento metallico arrugginito. Fortunatamente non c’era alcuna tossicità retinica, tanto che il paziente aveva un 20/20 di visione, motivo che potrebbe aver portato tutti gli specialisti precedenti a non prendere in considerazione un corpo estraneo”, spiega. “Se hai subito un trauma ben quindici anni fa e la tua visione è perfetta, allora dov’è il problema?”, ironizza. Parker e la sua squadra medica decidono dunque di rimuovere il frammento, determinati a risolvere una volta per tutte il problema che ha attanagliato il paziente per tutto

Per collegarsi al video, scansionare il codice QR

Credo sia molto importante per questo visitare ogni paziente senza pregiudizi o presumendo sulla base delle diagnosi di chi ci ha preceduto

Jack Parker

Parker Cornea

questo tempo. “Abbiamo iniziato con un’anestesia sub-tenoniana, somministrata dalla mia assistente medico Emma Scott, una specialista essenziale per queste operazioni complesse”, racconta Parker. Dopo aver inoculato 1cc di Exparel con un angiocath da 20 gauge, e aver dilatato così la pupilla, Parker effettua quindi una paracentesi e provvede a riempire la camera anteriore con il viscoelastico. “Il mio piano era quello di usare un gonio prisma per visualizzare l’angolo inferiore, individuare il frammento, ed estrarlo usando una pinza coassiale”. Dopo diversi tentativi, tuttavia, Parker realizza quanto la situazione sia più complicata del previsto. “Sono qui, pronto a rimettere nuovamente il prisma nell’occhio, quando mi rendo conto con orrore che non sono davvero capace di vedere l’angolo, proprio a causa di quella cicatrice bianca che a quanto pare riusciva a bloccare completamente la visione del frammento” Parker tuttavia non si rassegna, e decide di ingegnarsi, optando per qualcosa di diverso. “Decido quin-

di di usare una sonda da ciclofotocoagulazione transclerale micropulsata, non tanto per il laser a diodi, ma quanto più per l’endoscopio con LED integrato”. L’azzardo riesce. “Finalmente posso vedere cosa succede nell’angolo inferiore”, racconta Parker, “ma mi rendo conto che è più difficile gestire l’operazione mentre sto manovrando l’endoscopio, tutto ciò mentre sto guardando attraverso l’endoscopio invece che attraverso il microscopio oftalmico”. Grazie a questo sistema, Parker riesce comunque a ottenere i primi importanti progressi. “Passo a una spatola per ciclodialisi, poi a una Barraquer. Altri progressi e poi un secondo giro di viscoelastico, ripulisco il sangue e riprovo con il prisma. La visione è bloccata e quindi torno all’endoscopio”, racconta. L’obiettivo resta quello di raggiungere l’oggetto estraneo facendo un po’ di progressi alla volta, ripulendo e controllando metodicamente il processo con l’endoscopio. “Mi serviva giusto quel minimo spazio per afferrare con le pinze il fram-

mento, lavorandomi la strada nel modo più scrupoloso possibile”, racconta Parker. Dopo aver ripulito un’altra volta dal sangue la camera anteriore, Parker riesce finalmente a sentire l’oggetto estraneo nella presa della propria pinza, estraendo un pezzo di metallo “duro, marroncino, arrugginito, rimasto lì per ben 15 anni, opacizzando lentamente la cornea del paziente”, racconta. Una meticolosa verifica attraverso l’endoscopio non rivela altri pezzi di metallo incastrati nell’area. “Una volta capito che non era rimasto nulla, ho rimosso il viscoelastico e somministrato un altro po’ di anestesia sub-tenoniana, concludendo l’operazione”. La buona riuscita dell’operazione non ha comunque esentato Parker dal porsi qualche domanda riguardo alle vicissitudini del paziente. “Di pazienti che visitano un medico dopo l’altro convinti di avere qualcosa che non va ce ne sono molti”, osserva. “Li visiti, e scopri che non hanno nulla, solo il bisogno di essere rassicurati. C’è però gente che ha davvero un problema di cui nessun medico ne ha davvero compreso l’entità”.

Secondo Jack Parker, è essenziale in questi casi in particolare mantenere una mente aperta a ogni eventualità. “Credo sia molto importante per questo visitare ogni paziente senza pregiudizi o presumendo sulla base delle diagnosi di chi ci ha preceduto”, osserva. “Un certo livello di sospetto è necessario, specialmente di fronte ad un uomo che per 15 anni non si è mai arreso e ha voluto andare in fondo alla questione a tutti i costi”, conclude.

Potete trovare il canale YouTube di Parker Cornea al seguente indirizzo: www.youtube.com/@ParkerCornea

Il canale Youtube
è una cornucopia di video chirurgici e casi clinici di grande interesse

DA EMA PER LA CHERATITE DA ACANTHAMOEBA

S AKANTIOR APPROVATO

SIFI ha annunciato che la Commissione Europea ha approvato AKANTIOR® (Polyhexanide 0,08%) per il trattamento della cheratite da Acanthamoeba negli adulti e nei bambini dai 12 anni d’età, confermando lo status di farmaco orfano. Il farmaco è il primo e unico approvato in Europa per chi soffre di cheratite da Acanthamoeba, un’infezione corneale rara, severa e progressiva che mette a rischio la vista, caratterizzata da dolore intenso e fotofobia.

“Per la prima volta in Europa, questi pazienti hanno una terapia approvata, segnando una nuova era nel trattamento della malattia, che può portare alla cecità”, afferma Fabrizio Chines, Presidente e CEO di SIFI. “Il nostro team è impegnato a fare più ricerca sul Polyhexani-

de per altre infezioni corneali, come la cheratite fungina, in cui abbiamo ottenuto la designazione di farmaco orfano dall’EMA e FDA”. Il polyhexanide è un polimero antiamebico che agisce sia sui trofozoiti che sulle cisti del protozoo acanthamoeba. È formulato a una concentrazione di 0,8 mg/ml (0,08%) che consente la somministrazione in monoterapia di colliri in contenitori monodose. Il Professor John Dart del Moorfields Eye Hospital e del UCL Institute of Ophthalmology, sperimentatore principale della fase III dello studio ODAK su AKANTIOR ha affermato nel comunicato stampa di SIFI che il farmaco somministrato secondo il protocollo individuato dal trial raggiunge percentuali di efficacia dell’86%, diventando lo standard di cura. In Europa, SIFI ha iniziato il suo primo lancio commerciale in Germania dal 1° ottobre, seguito da altri mercati in base alle normative locali, alla valutazione della tecnologia sanitaria e alle tempistiche del processo di rimborso, tra cui Francia, Italia, Romania, Spagna, Regno Unito e Turchia. rivolgendosi ad una popolazione totale di 430 milioni di abitanti, e da Avanzanite, il suo partner commerciale, in altri Paesi europei rivolgendosi a una popolazione aggiuntiva di 180 milioni di abitanti. Sulla base delle pubblicazioni scientifiche, l’incidenza della cheratite da Acanthamoeba è stimata tra 1 e 4 pazienti per milione di abitanti.

Fonte: https://it.sifigroup.com/s/ news/sifi-receives-european-commission-approval-for-akantior-MCNNIRZC5WYRFUHBBAC4AUZA34Y4?language=en_US

STUDIO OSSERVA L’ASSOCIAZIONE

TRA MIOPIA E ANSIA NEGLI ADOLESCENTI MIOPI

G

Gli adolescenti con miopia corrono doppiamente il rischio di soffrire di disturbi d’ansia e dell’umore, con un aumento delle probabilità di entrambe le condizioni con la gravità della miopia, secondo uno studio pubblicato su Eye . Lo studio è stato condotto su 891.505 adolescenti israeliani valutati prima del servizio militare, in una fascia di età compresa tra 16 e 20 anni, di cui il 57,7% era di sesso maschile. 279.419 soggetti presentavano miopia, lieve (da –0,75 D a –3 D) nel 19,3% dei casi, moderata (da –3 D a –6 D) nel 9,6% e grave (da –6 D o più) nel 2,5%.

L’ansia è stata diagnosticata in 8.683 soggetti (1%) e i disturbi dell’umore in 4.163 soggetti (0,5%). La prevalenza di ansia e disturbi dell’umore era maggiore negli adolescenti con miopia rispetto a quelli senza (1,2% contro 0,9% per l’ansia e 0,6% contro 0,4% per i disturbi dell’umore) e aumentava con la gravità della miopia. Non sono state riportate differenze in relazione al sesso, all’acuità visiva meglio corretta e allo stato di salute. Gli autori dello studio hanno osservato che, nonostante la correzione della vista, la miopia, soprattutto quella elevata, influisce in modo significativo sulla qualità della vita in termini di “disagio fisico, limitazioni nelle attività quotidiane ed effetti psicosociali, soprattutto durante il periodo vulnerabile dell’adolescenza”. Scrivono, “I nostri risultati sottolineano l’importanza dell’identificazione precoce e della prevenzione della progressione della miopia nei bambini per affrontare sia i suoi esiti diretti legati alla vista che le implicazioni psicosociali più ampie durante l’adolescenza”. Inoltre, suggeriscono che una buona consulenza psicologica possa dare benefici come parte della gestione della miopia e auspicano un approfondimento della ricerca in questo campo per sviluppare nuove strategie per mitigare il peso della miopia nell’età adolescenziale.

Fonte: Nitzan, I., Shmueli, O. & Safir, M. Association of myopia with anxiety and mood disorders in adolescents. Eye (2024). https://doi.org/10.1038/s41433024-03170-6

R VABYSMO APPROVATO IN UNIONE EUROPEA PER LA RVO

Roche ha annunciato che la Commissione Europea ha approvato Vabysmo (faricimab) per il trattamento del deficit visivo causato da edema maculare secondario all’occlusione venosa retinica (RVO, di branca o centrale). L’occlusione venosa retinica è la terza indicazione per Vabysmo nell’Unione Europea, oltre all’AMD umida e all’edema maculare diabetico. Vabysmo è un anticorpo monoclonale bispecifico progettato per colpire e inibire due percorsi di segnalazione collegati a una serie di condizioni retiniche pericolose per la vista, neutralizzando l’angiopoietina-2 (Ang-2) e il fattore di crescita endoteliale vascolare A (VEGF-A) per ripristinare la stabilità vascolare. “Le persone con occlusione venosa retinica hanno opzioni terapeutiche limitate che richiedono visite cliniche regolari”, ha affermato il Professor Frank Holz, in un co-

municato stampa di Roche. “Questa approvazione potrebbe avere un impatto significativo per le persone che soffrono di occlusione delle vene retiniche e per coloro che li assistono, che insieme devono affrontare l’impatto devastante di questa malattia sulla loro capacità di guidare, leggere, socializzare, viaggiare e dedicarsi a degli hobby”. L’approvazione si basa sui risultati positivi degli studi di fase III BALATON e COMINO e che hanno valutato Vabysmo in oltre 1.200 pazienti con edema maculare causato da RVO di branca e centrale. Lo studio BALATON è stato condotto su 553 pazienti con RVO di branca. Lo studio COMINO è stato condotto su 729 pazienti con occlusione della vena RVO centrale o emiretinica. I risultati hanno dimostrato che il trattamento mensile con Vabysmo ha migliorato in modo precoce e duraturo la vista nei pazienti con RVO di branca e RVO centrale, raggiungendo l’endpoint primario di guadagni di acuità visiva non inferiore a 24 settimane rispetto ad aflibercept. Ciò è stato ulteriormente supportato da dati che mostrano che Vabysmo ha ottenuto un’asciugatura rapida e efficace del fluido retinico.

Ulteriori dati a lungo termine fino a 72 settimane hanno mostrato che circa il 60% dei pazienti trattati con Vabysmo nello studio BALATON e circa il 48% dei pazienti nello studio COMINO erano in grado di estendere gli intervalli di trattamento a 3 o 4 mesi di distanza.

Fonte: https://www.roche.com/media/releases/med-cor-2024-07-30

IL CHMP BOCCIA DI NUOVO

SYFOVRE DI APELLIS

L

Lo scorso settembre il Comitato per i medicinali per uso umano (CHMP) dell’EMA ha confermato il suo parere negativo sulla domanda di autorizzazione all’immissione in commercio del pegcetacoplan intravitreale di Apellis per il trattamento dell’atrofia geografica (GA), dopo che la casa farmaceutica aveva chiesto una riesamina lo scorso giugno. “Sebbene gli studi abbiano dimostrato che Syfovre ha rallentato la crescita delle lesioni atrofiche geografiche, ciò non ha portato benefici clinicamente significativi per i pazienti”, scriveva il Comitato su un comunicato stampa all’indomani dell’opinione negativa di giugno. “È stato notato che i benefici di un trattamento dovrebbero avere un impatto sul funzionamento quotidiano dei pazienti, e questo non è stato dimostrato negli studi. In termini di sicurezza, le iniezioni regolari nell’occhio comportano un rischio significativo di eventi avversi, compreso lo sviluppo di altre forme di AMD o infiammazioni, che potrebbero peggiorare ulteriormente la vista”. In un

comunicato stampa, Apellis ha sottolineato la sua delusione per la reiterata decisione negativa dell’agenzia europea. “L’opinione del CHMP è stata presa nonostante il vasto supporto a pegcetacoplan da parte della comunità europea della retina e molti voti contrari dei membri del Comitato che hanno supportato il percorso di approvazione”, ha affermato Cedric Francois, MD, PhD, CEO e co-fondatore di Apellis. “È deludente sapere che non saremo in grado di fornire l’accesso a questo trattamento ai pazienti affetti da GA nell’Unione Europea”, ha affermato Frank G. Holz, ricercatore dello studio OAKS e DERBY e Professore e Presidente del Dipartimento di oftalmologia dell’Università di Bonn, Germania. “Come oftalmologo e specialista della retina, ho visto come i pazienti con GA perdono la capacità di leggere, guidare e persino vedere i volti. I dati di Fase 3 per pegcetacoplan sono clinicamente significativi e hanno mostrato il potenziale per fare la differenza per i pazienti europei”. Syfovre è disponibile invece ai pazienti statunitensi dopo l’approvazione da parte di FDA nel febbraio 2023. “Abbiamo visto il profondo impatto che questo medicinale ha avuto per i pazienti affetti da GA negli Stati Uniti e restiamo impegnati a espandere l’accesso a questo trattamento cruciale, concentrandoci sul soddisfare le esigenze insoddisfatte dei pazienti negli Stati Uniti e in altre regioni a livello globale”, ha concluso il Dottor Francois.

Fonte: https://investors.apellis.com/ news-releases/news-release-details/ apellis-receives-negative-chmp-opinion-pegcetacoplan-geographic e https://www.ema.europa.eu/en/medicines/human/EPAR/syfovre

LA PRIMA IOL CREATA

CON L’INTELLIGENZA ARTIFICIALE

R RAYNER PRESENTA

Rayner ha annunciato i suoi piani per il lancio di RayOne Galaxy e Galaxy Toric, che l’azienda definisce le prime lenti intraoculari al mondo progettate con l’aiuto dell’intelligenza artificiale. Le IOL sono state presentate al congresso annuale della Società Europea dei Chirurghi della Cataratta e della Refrattiva (ESCRS) a Barcellona. Sviluppata in collaborazione con l’oftalmologo brasiliano João Lyra, MD, PhD, RayOne Galaxy presenta un design a spirale unico creato da un un’intelligenza artificiale brevettata, addestrata sui risultati dei pazienti. Secondo Rayner, questo design a spirale fornisce una gamma visiva completa e continua ri -

ducendo al minimo la disfotopsia, ottenuta attraverso un’ottica non diffrattiva con una perdita di luce dello 0%. La IOL sarà immediatamente disponibile nei poteri torici e sarà completamente precaricata su tutta la gamma di poteri nel sistema di iniettori monouso di Rayner. “Tutti leggiamo del potenziale dell’intelligenza artificiale in grado di cambiare la vita, ma questo è un esempio reale di come la tecnologia influenzi i risultati dei pazienti”, ha affermato in un comunicato stampa Tim Clover, CEO di Rayner. “RayOne Galaxy rappresenta la prossima generazione tecnologia delle lenti intraoculari, che consente ai pazienti di vedere senza occhiali. Il lancio della prima lente ottica a spirale al mondo nel 75° anniversario della prima IOL al mondo sembra poetico e sono orgoglioso che Rayner sia ancora all’avanguardia nella tecnologia, collaborando con chirurghi innovativi provenienti da tutto il mondo e facendo la differenza nella vita di milioni di pazienti ogni anno”. Gli studi clinici con RayOne Galaxy sono iniziate all’inizio di quest’anno, con la collaborazione di otto chirurghi da tutto il mondo e di laboratori di ricerca in Europa e Brasile. I risultati iniziali sono stati presentati all’ESCRS durante il simposio di domenica 8 settembre di Rayner.

Fonte: https://rayner.com/rayner-announces-launch-of-worlds-first-spiral-iol-designed-with-ai/

UNA REVIEW SOTTOLINEA

L’IMPATTO

AMBIENTALE

DELLE INIEZIONI INTRAVITREALI

L

Le iniezioni intravitreali hanno un grande impatto ambientale, stimato in circa 210 milioni di kg di CO2 equivalente all’anno solo negli Stati Uniti, secondo Jacob D. Grodsky della Ochsner Health di New Orleans, che ha presentato al meeting annuale dell’American Society of Retina Specialists (ASRS). Questa stima si basa su un’esaustiva revisione della letteratura incentrata su parole chiave riguardanti la sostenibilità. Sulla base degli studi presi in considerazione, e provenienti prevalentemente dal Regno Unito e dall’Irlanda, è stato stimato che ciascuna iniezione intravitreale produce un’impronta di carbonio di 14 kg di anidride carbonica equivalente (CO2e). Questo, moltiplicato per i circa 15 milioni di iniezioni intravitreali eseguite ogni anno negli Stati Uniti, contribuisce a un totale di circa 210 milioni di kg di CO2e all’anno negli Stati Uniti. Inoltre, il trasporto, l’approvvigionamento e la

spedizione sono stati identificati come i principali fattori. I ricercatori hanno inoltre stimato che ogni singola iniezione produce 190 g di rifiuti sanitari, che equivalgono a circa 2,85 milioni di kg di rifiuti in discarica solo negli Stati Uniti. “Questa revisione sottolinea l’importanza di questo argomento nonché le ampie opportunità che abbiamo come specialisti della retina per un cambiamento di grande impatto, dato l’enorme numero di iniezioni che eseguiamo, destinato probabilmente a continuare ad aumentare con l’invecchiamento della popolazione e i progressi per nuove terapie”, ha affermato Grodsky durante la sua presentazione, riportata da Healio OSN. Le nuove terapie a più lunga durata, i dispositivi a rilascio prolungato e i progressi nella terapia genica probabilmente aiuteranno a ridurre l’impatto ambientale del trattamento delle malattie della retina. Tuttavia, ogni specialista può adottare misure pratiche e quotidiane per ridurre l’impronta di carbonio nella propria pratica, riducendo i rifiuti. “Questa è un’eccellente opportunità per noi di collaborare con il nostro settore e i nostri partner legislativi. Quindi la prossima volta che farete un’iniezione, vi esorto tutti a prendere una decisione consapevole che non avrà alcun impatto sulla sicurezza del paziente, ma ridurrà gli scarti prodotti e sarà moltiplicato per il numero di iniezioni effettuate”, ha affermato Grodsky

Fonte: https://www.healio.com/news/ ophthalmology/20240806/literature-review-highlights-environmental-impact-of-intravitreal-injections

Approfondimenti

PERCHÈ ASSUMERE IL DHA?

Il ruolo degli acidi grassi Omega-3 nel cervello e nella retina è indubbiamente di tipo strutturale e conseguentemente influisce anche sulla funzione neuronale, in particolare visiva: essi contribuiscono a mantenere un ambiente di membrana altamente fluido, garantendo altresì una migliore funzionalità metabolica delle cellule foto-recettoriali retiniche.

A cura di Giorgio Francesco Pacelli, Ambulatorio di Retina medica

Distretto territoriale Arona Ospedale di Borgomanero, Novara

IDottor Giorgio Francesco Pacelli

Il DHA costituisce infatti più del 30% dei lipidi strutturali dei neuroni e fino al 60% di quelle della neuro-retina esterna. In particolare, la biodisponibilità dell’olio algale OMEGAL DHA è di gran lunga maggiore, rispetto al DHA da pesce, se si prende in considerazione una integrazione spesso necessaria. Il miglioramento della fluidità di membrana a livello degli strati neuro-retinici esterni permette un miglior scambio metabolico a livello dell’interfaccia epitelio pigmentato retinico (EPR)-corio-capillare e una migliore funzionalità delle cellule foto-recettoriali foveali, anche per un miglioramento del microcircolo corio-capillare-retinico maculare, migliorando la funzionalità delle membrane endoteliali. In particolare, il DHA interviene nell’adattamento della funzione visiva, durante i periodi di transizione luce-buio nella visione notturna. La mia personale esperienza con la terapia a base di DHA algale (OMEGAL DHA), associato o meno a un integratore a formula Areds2 e/o curcumina, nella cura delle degenerazioni maculari correlata all’età senile (DMS), inizia con alcuni casi clinici osservati negli anni 2009-2010, poi riportati come “Case Reports” al convegno internazionale Retina in progress nel 2011 a Milano che mostrava, come nel caso riportato sotto, un miglioramento, rapido e progressivo, ovviamente insolito, date le caratteristiche degenerative della DMS, degli accumuli lipofuscinici drusenoidi maculari, senza sviluppo di significative aree atrofiche a carico dell’EPR maculare. L’utilizzo integrativo concomitante di altre molecole antiossidanti quali curcumina, astaxan-

tina, acido lipoico e resveratrolo può aiutare a prevenire i danni foto-ossidativi e infiammatori a cui la retina è facilmente esposta, oltre che a stabilizzare il DHA algale nella sua integrazione a tutto spessore nella membrana cellulare e proteggerlo, sia in ambiente lipofilo che idrofilo, impedendo tra l’atro una eccessiva fluidità di membrana che oltre un determinato livello diventa controproducente. (Fig. 1)

Nel corso del follow-up di tali pazienti si verificava spesso, come ben evidenziato dall’imaging in auto-fluorescenza (AF) nel tempo, un rapido e significativo incremento delle aree atrofiche, solo pochi mesi dopo la sostituzione del DHA algale dall’integratore Areds2 con olio di Krill, cosa mai avvenuta nel precedente lungo follow-up dei medesimi pazienti durante integrazione con DHA algale. (Fig. 2)

Il prolungato follow-up di molti pazienti in cura integrativa, prima e dopo la sostituzione della fonte di DHA, oltre a confermare l’importanza di tale olio omega-3 algale nel determinismo del miglioramento, sperimentato dai pazienti sottoposti a tale specifica supplementazione, a mio parere conferma le capacità di tale sostanza di rallentare la progressione atrofica delle lesioni degenerative tipiche della DMS che, associate alle sue proprietà fluidificanti le membrane cellulari pare anche capace di favorire il riassorbimento di materiale di scarto, proveniente dal catabolismo dei segmenti esterni dei recettori maculari. Particolarmente impressionante, conoscendo le caratteristiche evolutive della DMS, il constatare che

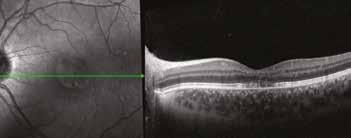
12 MESI DHA ALGALE (OMEGAL DHA) Visus 9-10/10;0.04 logm.+0.75 sf

Fig. 1. Imaging infrarosso ed OCT mostra un Rapido ed insolito appianamento di ampio distacco dell’EPR maculare in DMS in donna di 75 aa, con significativo miglioramento visivo da 0.6 logmar a 0.1 logmar e nell’integrità delle linee recettoriale nella zona ellissoide, in particolare in assenza di aree atrofiche successive al riassorbimento.

Baseline: notare chiazze biancastre segno di sofferenza EPR

18 mos dopo formula areds2 & DHA Algale: chiazze tondeggianti scomparse

9 mos dopo rimozione DHA algale dalla formula Areds2

Fig. 2. Notare che nei 18 mesi di integrazione l’auto-fluorescenza della macula della paziente di 78 aa con AMD rimane libera da significative aree atrofiche, fintanto che il paziente continua ad assumere la formula antiox AREDS2 arricchita di olio algale, mentre solo 9 mesi dopo la sostituzione del DHA algale con DHA da pesce Krill, si osserva la rapida comparsa di significative ed invalidanti aree atrofiche a coinvolgere diffusamente l‘area maculare,altamente impattanti sull’acuità visiva della paziente fino a rendere estremamente difficoltosa la capacità di lettura, con un calo visivo fino a 2/10 da 8-9/10.

Approfondimenti

al rapido e insolito miglioramento degli accumuli lipofuscinici drusenoidi, durante l’uso di tale integratore, all’esame OCT e in auto-fluorescenza della retina maculare, non si verificassero significativi fenomeni atrofici a carico dell’EPR e degli strati neuro-retinici esterni. Tale esperienza relativa al rapido peggioramento alla sospensione del DHA algale, in diversi casi in cui si era osservato precedentemente un significativo e duraturo miglioramento anatomico e funzionale delle DMS, è stato riportato con una seconda presentazione sempre al congresso internazionale RIP a

Milano nel 2017. Nel maggio del 2023 inoltre, sempre al medesimo congresso, il Dottor Alfredo Pece mi ha nuovamente invitato a mostrare un caso analogo, ma ancora più esemplificativo, in quanto ottenuto in un giovanissimo paziente affetto da Maculopatia vitelliforme giovanile di Best, in cui i primi 5 aa di assenza di terapia mostravano un significativo peggioramento visivo da 10/10 bilaterale a 6-7/10 in OD e 7/10 in OS con iniziale comparsa di metamorfopsie e segni di iniziale sofferenza neuro-recettoriale. Nel follow-up successivo all’introduzione di DHA al-

gale (OMEGAL DHA capsule softgel) con aggiunta di un complesso antiossidante contenente curcuma MERIVA ®, luteina, zeaxantina, vitamine c, e, d3, rame e zinco si osservava un’eclatante risposta progressiva nei successivi 18 mesi in OS e 24 mesi in OD in termini di completo riassorbimento dell’accumulo lipofuscinico maculare, notoriamente tossico per l’EPR, senza significativa evoluzione atrofica e miglioramento significativo delle linee IS-OS recettoriali in entrambi gli occhi e della qualità visiva e QoL del paziente con BCVA finale di 9/10 in OD e 9-10/10 in OS.

A fianco, peggioramento sia anatomico e funzionale in 5 aa.

BIBLIOGRAFIA

1. Sapieha P, Stahl A, Chen J, Seaward MR, Willett KL, Krah NM, Dennison RJ, Connor KM, Aderman CM, Liclican E, Carughi A, Perelman D, Kanaoka Y, Sangiovanni JP, Gronert K, Smith LE, “5-Lipoxygenase metabolite 4-H-DHA is a mediator of the antiangiogenic effect of ω-3 polyunsaturated fatty acids”, SciTransl Med. 2011 Feb 9;3(69).

2. Il ruolo degli acidi grassi polinsaturi a catena lunga omega-3 nella salute e nelle malattie della retina.

San Giovanni JP, et al. ProgRetinEye Res. 2005.

3. Integratore alimentare arricchito in antiossidanti e omega-3 protegge dalla progressiva degenerazione retinica indotta dalla luce. Ramchani-Ben Othman K, et al. PLoS Uno. 2015. PMID: Articolo gratuito sul PMC.

4. Ruoli dell’acido docosaesaenoico, acido grasso insaturo, nel sistema nervoso centrale: approfondimenti molecolari e cellulari. Ana B Petermann et al.Int J MolSci2022.

5. Ruiz-Pastor M.J., Kutsyr O., Lax P., Cuenca N. Decrease in DHA and other fatty acids correlates with photoreceptor degeneration in retinitis pigmentosa. Exp. Eye Res. 2021;209:108667.

6. German O.L., Monaco S., Agnolazza D.L., Rotstein N.P., Politi L.E. Retinoid X receptor activation is essential for docosahexaenoic acid protection of retina photoreceptors. J. Lipid Res. 2013;54:2236–2246. doi: 10.1194/jlr.M039040.

7. Rotstein N.P., Politi L.E., German O.L., Girotti R. Protective Effect of Docosahexaenoic Acid on Oxidative Stress-Induced Apoptosis of Retina Photoreceptors. Investig. Opthalmology Vis. Sci. 2003;44:2252–2259. doi: 10.1167/iovs.02-0901.

8. Bazan N.G., Calandria J.M., Gordon W.C. Docosahexaenoic acid and its derivative neuroprotectin D1 display neuroprotective properties in the retina, brain and central nervous system. Nestlé Nutr. Inst. Workshop Ser. 2013;77:121–131.

9. Vidal E., Jun B., Gordon W.C., Maire M.-A., Martine L., Grégoire S., Khoury S., Cabaret S., Berdeaux O., Acar N., et al. Bioavailability and spatial distribution of fatty acids in the rat retina after dietary omega-3 supplementation. J. Lipid Res. 2020;61:1733–1746. doi: 10.1194/jlr. RA120001057.

10. Deng Q., Wang Y., Wang C., Ji B., Cong R., Zhao L., Chen P., Zang X., Lu F., Han F., et al. Dietary supplementation with omega-3 polyunsaturated fatty acid-rich oils protects against visible-light-induced retinal damage in vivo. Food Funct. 2018;9:2469–2479. doi: 10.1039/ C7FO01168G. [PubMed] [CrossRef] [Google Scholar])

11. Ren J., Ren A., Deng X., Huang Z., Jiang Z., Li Z., Gong Y. LongChain Polyunsaturated Fatty Acids and Their Metabolites Regulate Inflammation in Age-Related Macular Degeneration. J. Inflamm. Res. 2022;15:865–880. doi: 10.2147/JIR.S347231. [PMC free article] [PubMed] [CrossRef] [Google Scholar]

12. Wu J., Cho E., Giovannucci E.L., Rosner B.A., Sastry S.M., Willett W.C., Schaumberg D.A. Dietary Intakes of Eicosapentaenoic Acid and Docosahexaenoic Acid and Risk of Age-Related Macular Degeneration. Ophthalmology. 2017;124:634–643. doi: 10.1016/j. ophtha.2016.12.033.

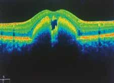
Dec. 2021 7- 8/10 0.18 logmar

Nov. 2022 8/10 0.16 logmar

Dec. 2021 10/10 0.06 logmar

Il lungo follow up del paziente durato 5 anni in assenza di cura integrativa continuativa se non saltuario uso di formula ared2 per brevi cicli mostra un significativo peggioramento anatomico strumentale OCT e funzionale del paziente con evoluzione dallo stadio 1 allo stadio II/III e solo dopo uso concomitante di DHA algale OMEGAL DHA ed un Complesso antiox si osservava una eclatante ed imprevedibile risposta, nei successivi 18 mesi in occhio sinistro e 24 mesi in OD, con completo riassorbimento del voluminoso accumulo lipofuscinico senza significativa evoluzione atrofica. Dopo inizio della cura invece si osserva un miglioramento significativo e duraturo dell’aspetto delle linee recettoriali e conseguentemente della qualità visiva in entrambi gli occhi, con un significativo miglioramento della qualità di vita del giovane paziente.

Sopra, miglioramento progressivo dopo cura.

Approfondimenti

TEST INTERFEROMETRICO LACRIMALE POST INSTILLAZIONE TRIMIX GOCCE OCULARI MONODOSE

A cura di Giulio Mulè, Medico Oculista Trento e Guido De Martin, Ottico Optometrista

IINTRODUZIONE

L’utilizzo di sostituti lacrimali in contattologia si rende spesso necessario per migliorare compliance e tollerabilità. Non tutte le lacrime artificiali hanno tuttavia le stesse capacità di biocompatibilità con i materiali delle lenti a contatto e nel mantenimento dell’equilibrio interfaccia film lacrimale/lente a contatto. L’utilizzo di liposomi, contenuti in una formulazione aggiunta a altri componenti dei sostituti lacrimali, sembra avere un migliore effetto sulle funzioni di supporto del film lacrimale in portatori di LAC. Abbiamo voluto valutare tramite l’analisi delle frange di interferenza l’effetto dell’istillazione di una goccia di Trimix gocce oculari monodose e la sua integrazione della parte lipidica su superficie lacrimale pre-catalogata con Grading Scale specifico a 4 livelli di Korb.

MATERIALE USATO

Strumento Easytears per l’analisi interferometrica e dinamica della lacrima associato a Lampada a fessura Topcon DC4 con acquisizione immagine digitale. Tavole per Grading Scale di Korb a 4 step. Collirio Trimix monodose. TrimIX gocce oculari è un integratore con combinazione ad azione multipla, nella sua formulazione viene racchiusa la possibilità di supportare il film lacrimale in entrambe le sue tre porzioni principali. Esso comprende varie azioni dirette:

• Azione Idratante con Acido Ialuronico cross-linkato

• Azione Osmoprotettiva e Citoprotettiva con Trealosio

• Azione Mucoadesiva con Stearilamina

• Azione Lipomimetica con Liposomi (OffHealth data on file)

• Proprio l’apporto Liposomico è oggetto del nostro test specifico. La possibilità di prescrizione del prodotto anche in presenza di lenti a contatto porta Trimix a essere per gli applicatori un supporto importante in caso di alterazioni evidenti della architettura lacrimale e ottimo contrasto alla destabilizzazione da parte della LAC del film stesso. La sua formulazione si è rilevata anche su LAC in situ, ben equilibrata e non influente sulla bagnabilità di superficie dei polimeri testati, anche se con componente siliconica.

METODO

Viene fatta una analisi interferometrica pre-test con lo strumento Easytear posizionato in lampada a fessura, dopo di che viene instillata una goccia di Trimix Monodose e ricontrollato il risultato a distanza di 2 e 15 minuti. La valutazione viene fatta sulla variazione di gradazione Korb dalla fase iniziale pre-test. Tutte le tre fasi venivano documentate con relative acquisizioni di filmati ad alta definizione. L’arruolamento al test è stato puramente casuale in quanto lo scopo era una analisi oggettiva dei risultati ottenuti, senza quindi una valutazione soggettiva in base alla sintomatologia pre e/o post applicazione. La procedura di analisi veniva effettuata sia in soggetti a cornea libera, sia su soggetti portatori di lenti a contatto e quindi direttamente su film lacrimale pre-lente.

L’interferometria delle lacrime viene sempre più utilizzata sia nell’ambito della ricerca che dell’osservazione del film lacrimale in fase di prescrizione dei drops e applica -

Guido de Martin
Dott. Giulio Mulè

zione mirata di lenti a contatto. In condizioni naturali, le lamine sottili illuminate da luce bianca appaiono iridescenti perché presentano vari colori che spesso cambiano durante l’osservazione. Ciò è dovuto al fatto che le condizioni di interferenza dipendono dallo spessore della lamina. (Fig.1) Le zone più spesse di una pellicola sottile appaiono blu, poiché le lunghezze d’onda più lunghe della luce rossa

subiscono un’interferenza distruttiva. Le regioni più sottili appaiono rosse perché le lunghezze d’onda più corte della luce blu interferiscono distruttivamente. (Fig. 2) Su questo principio si basa il fenomeno dell’interferenza del film lipidico lacrimale, condizione dove abbiamo una lamina sottilissima con indice di rifrazione più denso dei mezzi che si trovano prima e dopo di esso e condizione di estrema variabilità di spessore. (J.D.Cutnell, K.W.Johnson)

Nel nostro test pratico, l’analisi interferometrica è stata ottenuta con il dacrioscopio Easytears (fig.3). La peculiarità distintiva di questo strumento è quella di essere dotato di tre specifici LED, (bianco, blu, infrarosso) con 5 livelli di luminosità dimerabile. Questo per non abbagliare l’occhio del paziente e minimizzare qualsiasi alterazione del film lacrimale durante l’esame con pos-

sibilità d’uso associato di Easytear anche al biomicroscopio. (Easytear data on file)

Tale strumento, tramite l’osservazione del fenomeno delle frange di interferenza, è in grado di valutare la quantità e la qualità della componente lipidica nel film lacrimale. Il pattern così definito può essere, dopo l’acquisizione digitale di immagine o filmato, comparato con la rispettiva scala di gradazione di Korb, avendo così indicazione sullo spessore dello strato più esterno della lacrima.

La valutazione va effettuata osservando la morfologia e quadro cromatico delle frange di interferenza dell’immagine prodotta dall’ampio cono di luce ad illuminazione led specifica. Tale cono è stato progettato e testato per creare una zona ampiamente illuminata di superficie oculare da analizzare e se usato con il biomicroscopio della lampada a fessura, mantenere una visione binoculare stereoscopica.

fig.1
fig.2
fig. 3 Dacrioscopio Easytear
Tavola 1: per Grading Scale di Korb a 4 step

Approfondimenti

1

2

RISULTATI

Sono stati analizzati 40 occhi, di cui 18 con lenti a contatto applicate. I dati di gradazione di riferimento di partenza sono raggruppati nella tabella 1 per gli occhi senza LAC e tabella 2 per gli occhi con LAC applicate:

Dai dati sopra delle tabelle pre-test, si evince che con LAC si ha già alla baseline un grado minore e quindi minor spessore di lipidico perché la lente inserendosi nel film lacrimale destabilizza la architettura del film stesso. Il valore medio di partenza del film lipidico senza LAC invece si attesta tra 30 e gli 80 nm, che corrisponde al grado 2-3 Korb. La valutazione iniziale

nei portatori di LAC veniva fatta con lenti applicate non più di due ore per evitare di inserire complicate variabili legate a fattori ambientali, lavorativi e di stile di vita.

Come detto in precedenza una prima valutazione post instillazione di una goccia di Trimix monodose iniziava al secondo minuto, questo con lo scopo di avere da subito un quadro del comportamento dell’integratore lipidico sulla superficie oculare o della LAC e la sua immediata influenza sul grado di presenza delle frange di interferenza. La scelta di portare la seconda valutazione definitiva ai 15 minuti è motivata in quanto in condizioni di normale produzione lacrimale tale

tempo dovrebbe essere quello di un naturale turn over. (Eyedoctor 2016)

Le tabelle 3-4 mostrano le medie di incremento apportato da Trimix collirio monodose al film lipidico, sia senza che con lenti a contatto, allo scadere dei 15 minuti.

Nel caso di occhi senza LAC la maggioranza ha beneficiato di un incremento di almeno un livello di gradazione Korb con integrazione lipidica di almeno 30nm. Nei casi ove vi fosse la presenza di LAC, la metà circa dei monitorati ha incrementato la integrazione lipidica di almeno 30nm mentre l’altra parte di essi ha mantenuto la condizione iniziale.

Tabella 3

Tabella
Tabella

INCREMENTO

Al di là dei valori numerici sopra esposti è estremamente interessante l’osservazione della modalità di riorganizzazione lipidica fornita da Trimix fin dai primi minuti post instillazione. Nella sequenza fotografica sottostante, estrapolata da filmati acquisiti durante il test, si riesce

a vedere molto bene come avviene la composizione di nuove frange di interferenza che palesano la aspettativa del test prefissata con Trimix. Le foto riguardano tutte quante uno stesso “occhio campione” ripreso a basso (16x) e alto ingrandimento (40x) con due immagini

per fase:

a) prima fase pre-instillazione di una goccia di Trimix monodose (foto 1a e 1b)

b) la seconda fase post instillazione a 2 minuti (foto 2a e2b)

c) la terza immagine post-15 minuti (foto 3a e 3b)

Le foto 1a e 1b espongono la stessa condizione di esame pre-instillazione rispettivamente a 16 e 40x, in cui possiamo stimare un lipidico con una stadiazione Korb di grado 2, corrispondente tra i 30-50nm di spessore. In tal caso lo strumento Easytear è montato su lampada a fessura e va a sfruttare l’ottica del biomicroscopio.

Le foto 2a e 2b (scattate dopo 2 minuti dall’istillazione), documentano l’integrazione a livello di superficie oculare della fase lipidica con un incremento delle frange di interferenza portato a 3° grado Korb. Difatti, si nota una maggiore presenza sia quantitativa che cromatica delle frange stesse, mentre la loro morfologia lineare invece segue la direzione del taglio di chiusura delle palpebre, in questa fase vi è maggiore volume di acquoso e quindi maggior compressione in ammiccamento. Da notare l’ovvia differenza importante tra le foto 1a e 1b in riferimento dell’altezza del menisco lacrimale inferiore data dall’apporto immediato della parte acquosa di Trimix.

Nelle foto 3a e 3b acquisite ai 15 minuti, possiamo vedere nella fase lipidica un sicuro incremento quantitativo rispetto la analisi pre-instillazione. Allo stesso tempo, rispetto alle precedenti immagini acquisite al minuto 2, vi è un’organizzazione più regolare nella distribuzione di superficie. Possiamo quindi dire che il supporto di Trimix ai 15 minuti mantiene sul lipidico, un incremento di 1 grado (ora 3 di stadiazione Korb), con uno spessore stimato dai 50-80nm di film lipidico. Questo sia a beneficio di un aumento di efficacia della funzionalità lipidica anti-evaporativa e di un mantenimento di altro grado di specularità corneale a vantaggio della qualità visiva. Da notare lo scarico dell’eccesso di acquoso e normalizzazione del menisco lacrimale inferiore.

Tabella 4
foto

Approfondimenti

VALUTAZIONE DELLA VISCOSITÀ

Allo stesso tempo veniva fatta, sempre con Easytear, anche una valutazione sulla variazione di viscosità lacrimale tramite analisi del tempo di risalita e dinamica lacrimale post ammiccamento. Tale condizione è particolarmente importante in presenza di lente a contatto in quanto, se avessimo un eccessivo aumento della viscosità, si avrebbe ripercussione sulla superficie e dinamica della LAC stessa con problematiche

visive. Maggior attenzione è stata posta quando Trimix veniva instillato in presenza di materiali con composizione polimerica contenente silicone, proprio per la particolare polarità della superficie di tali lenti che tende a legarsi in maniera predominante con le componenti lipidiche sia lacrimali sia degli integratori. La valutazione veniva fatta non solo dalla presenza e movimento delle particelle in sospensione (Fink,2001 Fig. 4), ma aiutati da Easytear, anche

dal riposizionamento delle frange di interferenza e il grado di compressione del menisco lacrimale durante la chiusura a forbice delle palpebre. Importante risultato è stato quello di non aver avuto un incremento di viscosità tale da interferire sia con la superficie della lente a contatto che con la sua dinamica mantenendo quindi inalterate le caratteristiche di bagnabilità e di visione preesistenti alla instillazione della goccia di Trimix.

CONCLUSIONI

I risultati del test interferometrico portano a confermare l’integrazione a supporto della superficie lacrimale da parte della componente liposomica di TrimIx. Tale componente ha permesso un incremento medio di almeno un grado nella scala per gradazione delle frange di interferenza di Korb, pari a uno spessore stimato maggiorato di almeno 30nm rispetto la condizione di partenza. Al trascorrere dei 15 minuti vi è una ottima riorganizzazione dello strato lipidico che ha confermato una formulazione bilanciata anche tra gli altri com-

ponenti aggiuntivi del collirio testato. Allo stesso tempo Trimix ha palesato non avere interazioni di superficie con materiali di LAC in Silicone

BIBLIOGRAFIA

Hydrogel, né di produrre un incremento di viscosità tale da influire su visione, dinamica e idratazione delle stesse.

J.D.Cutnell, K.W.Johnson, Elementi di fisica Zanichelli 2010 Trimix data on file OffHealth

Data on file to www.easytear.it/scientific-research/ Eyedoctor, Le Raccomandazioni per la gestione del Paziente con Disfunzione Lacrimale, Gruppo P.I.C.A.S.S.O.Aprile 2016 Korb DR. Poster presentation at the 4th International Conference on the Lacrimal Gland, Tear Film, Ocular Surface and Dry Eye Syndromes. November 17-21, 2004, Fajardo, Puerto Rico.

fig. 4

Le evidenze creano fiducia.

Questa è MiYOSMART.

Le lenti da vista MiYOSMART correggono la miopia e ne rallentano la progressione. La loro efficacia è provata a livello globale da solide evidenze scientifiche. Nel mondo, oltre 4 milioni di giovani miopi, di cui circa 80.000 in Italia, ne beneficiano, perché semplici da usare ed efficaci.

Per informazioni, è possibile contattare la propria Medical Relations Specialist di riferimento o scrivere a oculisti@hoya.it

Hoya Italia

Tecniche chirurgiche

QUANDO MANCA IL SACCO CAPSULARE, CHE FARE?

L’impianto di IOL di Carlevale passo per passo, spiegato da Matteo Forlini

Intervista al Dottor Matteo Forlini, Ospedale di Stato di San Marino

G

Grazie al suo alto grado di standardizzazione, il normale intervento di cataratta è ormai per il chirurgo poco più di una routine, una procedura generalmente priva di imprevisti e complicazioni che può impegnare poco più di una decina di minuti a paziente nella comodità della prassi. Le insidie, tuttavia, non sono rare. Una rottura della capsula posteriore durante l’intervento, o semplicemente l’aver a che fare con un paziente afachico possono trasformare una procedura standard in un ventaglio di differenti possibilità. “Cosa fare in mancanza di un sacco capsulare?” chiede Matteo Forlini, “Come si può mettere una lente in un occhio che non possiede più un contenitore naturale in grado di sorreggerla? In queste circostanze gli approcci sono molteplici”, osserva. Tra le due possibilità che si pongono davanti, oltre alla fissazione iridea, vi è la fissazione sclerale, una procedura che ha visto negli ultimi vent’anni una rapida evoluzione dal punto di vista dell’invasività. “Per tanti anni l’unica tecnica presente era quella a fissazione sclerale con sutura in prolene, con le variazioni ab-interno e ab-esterno. Si trattava di una tecnica invasiva, dal lungo decorso e pure piuttosto complicata per il chirurgo”, spiega Forlini. “C’è voluto Gabor Scharioth per fare un passo avanti, con l’invenzione della tecnica intrasclerale sutureless, successivamente migliorata prima da Amar Agarwal con le glued IOL, e infine perfezionata da Shin Yamane con la celebre tecnica che porta il suo nome”, aggiunge.

Un percorso differente viene invece compiuto in quegli anni da Carlo Carlevale. L’idea è quella di creare una lente appositamente pensata per la fissazione intrasclerale sutureless, facilitando la procedura di fissazione a vantaggio del chirurgo e del paziente. “Per citare lo stesso Carlo Carlevale, questa non è solo una nuova tecnica, ma un nuovo device”, sottolinea Forlini. “Mentre la Yamane, o la glued IOL di Agarwal sono delle tecniche che utilizzano una normale IOL a tre pezzi, la Carlevale parte da un nuovo approccio”, osserva. “Si tratta infatti di una lente monopezzo elastica la cui caratteristica principale sono questi due arpioni laterali a forma di T, dalla forma non dissimile a quelle usate per attaccare le etichette ai vestiti, per intenderci”, Forlini descrive. “Essendo pieghevole, viene iniettata e dispiegata come una normale IOL; e, una volta inserita, si fissa senza bisogno di usare suture”. Per quanto successo della Carlevale sia stato tale da inserire a pieno diritto il suo creatore tra i più noti inventori nel mondo dell’oftalmologia internazionale, il suo impianto resta comunque un intervento più complesso rispetto a un intervento di cataratta standard.

“Per iniziare, la procedura richiede un’anestesia peribulbare, perché una topica non è sufficiente”, descrive Forlini. “A questo punto bisogna aprire la congiuntiva, e già questa è una cosa che diverge rispetto alla classica cataratta. Si procede quindi a effettuare due sclerotomie diametralmente opposte a due millimetri

Il Dottor Matteo Forlini

Mentre la Yamane, o la glued IOL di Agarwal sono delle tecniche che utilizzano una normale IOL a tre pezzi, la Carlevale parte da un nuovo approccio

dal limbus con uno sclerotomo 23 gauge, e non di altre dimensioni”, sottolinea.

A quel punto, la scelta di creare un flap, una tasca di Hoffman o altri metodi per preparare alla fissazione dipendono dalle preferenze e dallo stile del chirurgo. “La tecnica originale di Carlevale prevede la creazione di uno sportello. Fatto ciò, si procede a creare la classica incisione da cataratta da 2.4 o 2.75mm: la Carlevale è una foldable IOL, e questo riduce il rischio di causare astigmatismo iatrogeno come, ad esempio, una lente a fissazione iridea, che richiede un’incisione da 5.5 millimetri”, osserva Forlini. “Prima di iniettare la lente è importante avere nell’altra mano una pinza a coccodrillo inserita in una delle sclerotomie, pronta ad afferrare uno dei tasselli a forma di T nel momento in cui la lente inizia a dispiegarsi. È fondamentale prendere il tassello al centro, perché se lo prendi male rischia di rompersi, con

conseguenze a dir poco spiacevoli”, consiglia Forlini. Si estrae quindi la T, tenendola sempre saldamente al centro con la pinza, fino a quando non esce dalla sclerotomia. Così si fissa al bulbo oculare. “È ora il turno del secondo tassello, ancora libero in camera anteriore. A questo punto bisogna fermarsi un secondo. C’è un’apertura di servizio in camera anteriore e ti servono due pinze e la conoscenza della handshake technique”, Forlini osserva. “Una delle due pinze prende la T in camera anteriore, mentre l’altra entra attraverso la seconda sclerotomia e raggiunge anch’esso lo stesso tassello, con un passaggio di mano, sempre tenendolo saldo al centro”, aggiunge. “Dopodiché si accompagna il tassello alla sclerotomia e si fa passare anch’esso nel tunnel sclerale fino a fissarlo. A quel punto hai finito l’impianto. Se non hai fatto errori allora sarà perfettamente centrato, stabile e ben

orientato. Dovrai solo chiudere gli sportelli con una piccola idrosutura e il gioco è fatto”, afferma. Secondo Matteo Forlini, ci sono alcuni passi estremamente importanti da tenere conto per chi si approccia per la prima volta a questo tipo di impianto. Prima di tutto, sottolinea, la calma. “Bisogna prepararsi bene”, consiglia. “La troppa frettolosità è un errore comune. Quando si inizia a tirare la lente con la pinza prima di srotolare a sufficienza la IOL di Carlevale, magari mentre la lente è ancora in parte nell’iniettore, c’è il rischio di rompere il tassello, specialmente se non è afferrato al centro. Se il tassello si rompe, la lente sfugge e rischia di cadere nella camera vitrea, con tutti i rischi del caso”, ammonisce. “La stessa cosa può succedere se inietti la lente troppo velocemente in camera anteriore. Non bisogna avere troppa fretta, ma neppure essere troppo lenti o si rischia di non afferrare correttamente il tassello”, aggiunge. Secondo Forlini ci sono un paio di trucchi del mestiere che possono essere utilizzati, specialmente per i chirurghi che si approcciano per la prima volta a una Carlevale. “Una cosa che potrebbe essere utile è il marcare le aptiche con il pennarello dermografico prima dell’inserimento della lente nel cartdrige. Questo può essere un buon modo per individuare subito il tassello e afferrarlo con meno rischi”, consiglia. “Un altro trucchetto utile è quello di limitare la midriasi quel giusto da permettere di appoggiare la lente sull’iride, prendere fiato, analizzare la situazione e ripartire con sicurezza”, afferma. “L’intera operazione va fatta con calma e sangue freddo, con il giusto grado di concentrazione”, aggiunge. “Non è un’operazione difficile, ma può avere le sue inaspettate ed evitabili complicanze”, conclude.

Una lente a fissazione sclerale sutureless Carlevale

Necrologio

IN RICORDO DEL PROFESSOR STEFANO GANDOLFI

A cura di Redazione EyeSee

ISi è spento lo scorso 2 settembre il Professor Stefano Gandolfi, ordinario di Malattie dell’apparato visivo e Direttore della Scuola di specializzazione in Oftalmologia del Dipartimento di Medicina e Chirurgia di Parma. Luminare del glaucoma, Gandolfi ha vinto per due volte il premio della European Glaucoma Society e la Lowe Medal dell’Australian and New Zealand Glaucoma Group. Era noto il suo impegno nella stessa EGS ed è stato socio fondatore della S.I.GLA, oltre che Presidente fino allo scorso anno. Il Professor Gandolfi è stato inoltre consigliere della SOI dal 2014 al 2020 ed era tutt’oggi membro in carica del consiglio direttivo di S.I.S.O, di cui era fondatore. “Siamo profondamente addolorati. Scompare una figura di altissimo livello in ambito accademico, scientifico e assistenziale”, ha afferma il Rettore dell’Università di Parma Paolo Martelli in un comunicato apparso sul sito dell’ateneo parmense. “Il Professor Gandolfi ha saputo portare un contributo determinante alle ricerche in oftalmologia”. Numerosi i messaggi di cordoglio da parte delle società scientifiche oftalmologiche nazionali e internazionali. “Stefano non era solo un brillante collega; era un caro amico di molti di noi, conosciuto per la sua calorosa personalità, il suo umorismo contagioso e lo spirito che portava a ogni meeting”, scrive la Presidente di EGS Ingeborg Stalmans. “Era capace di implementare le sue brillanti idee scientifiche in un modo mirato per lanciare studi scientifici. La sua ricerca clinica ha fornito preziose informazioni che hanno influenzato direttamente il modo in cui gestiamo il glaucoma nella nostra pratica quotidiana. La competenza di Stefano è ampiamente riconosciuta e le sue lezioni non sono state solo altamente istruttive, ma anche coinvolgenti e divertenti. Aveva una capacità unica di trasformare argomenti complessi in storie accattivanti, rendendo le sue presentazioni il momento clou di ogni incontro”. Alessandra Balestrazzi, Presidente

AIMO, ha voluto sottolineare come il Professor Gandolfi fosse una personalità che univa. “Il Professor Gandolfi ha avuto il merito di saper tenere unite tante e diverse realtà del mondo dell’oftalmologia, dagli specializzandi, agli specialisti ambulatoriali, appassionando tutti con le sue avvincenti spiegazioni e con la sua vasta cultura”, afferma.

“Non è facile presentare il Professor Gandolfi a chi non ha avuto la fortuna di conoscerlo o di lavorare con Lui”, lo ricorda il Professor Marco Nardi, socio fondatore di S.I.GLA e ordinario di Malattie dell’Apparato Visivo all’Università di Pisa. “È stato un vero Professore Universitario e un grande Maestro. La Sua autorevolezza era temperata da una modestia e da una disponibilità assolute, sia verso i colleghi che verso i pazienti. I Suoi successi scientifici e professionali davano un alone di rispetto che poteva intimorire l’interlocutore, ma che spariva al primo contatto rivelando un parmigiano DOC profondamente ironico, sempre positivo, costruttivo e pieno di interessi extraprofessionali che riusciva a coltivare nonostante gli impegni accademici.”

“Di carattere aperto, con sorriso a volte bonariamente ironico, del tutto accattivante, il tuo eloquio era sempre forbito, elegante, acuto, rendeva oltremodo piacevole trascorrere insieme del tempo, parlare di argomenti non solo di lavoro”, si legge sul sito della SISO in una nota del Presidente Teresio Avitabile e dei Consiglieri della SISO. I funerali del Professor Gandolfi si sono svolti il 5 settembre, con la partecipazione di molti esponenti dell’oftalmologia italiana, riuniti a rendergli omaggio.

Il Professor Gandolfi aveva spesso e volentieri collaborato con la nostra testata, concedendo spesso interviste in cui condivideva tutto il suo sapere sul glaucoma. La redazione di EyeSee si unisce al ricordo per questo grande maestro dell’oftalmologia e si stringe attorno alla famiglia in questo momento di immenso dolore.

Il nuovo catalogo lenti KIDS 2024 di Ital-lenti si amplia di nuovi prodotti dedicati ai portatori più piccoli, con un particolare focus sulle lenti

MYOPICA per la gestione dell’evoluzione

miopica ampliate nella gamma di materiali disponibili e range di correzione www.itallenti.com

CONFERME SULL’EFFICACIA

DELLE LENTI ZEISS MYOCARE: RISULTATI DA STUDI CLINICI MULTICENTRICI IN ASIA E IN EUROPA

La ricerca sul trattamento della progressione miopica segna un passo in avanti.

L“La visione romantica che noi oculisti avevamo della miopia - per cui essere un po’ miope non costituisce un problema poi così grave - è ormai superata dalle stime che ci stiamo raccontando già da diverso tempo, per cui nel 2050 quasi il 50% della popolazione sarà miope. Se parliamo poi di miopia elevata, dove per miopia elevata si intende una miopia superiore o uguale alle sei diottrie, prevediamo che circa il 10% della popolazione avrà una miopia elevata, con tutti gli impatti correlati a questo fenomeno: si stima che la miopia sia la seconda causa più grande di cecità e la causa principale di difficoltà visive di tipo moderato o grave. Capiamo subito come questo trend possa generare costi elevati in termini

di perdita di produttività e in termini di gestione del paziente.”

Il Professor Paolo Nucci, Professore Ordinario di Oftalmologia dell’Università di Milano, introduce così il tema della miopia e della progressione miopica, sottolineando come l’insorgere precoce della miopia sia direttamente proporzionale al rischio che si sviluppi una miopia elevata, di conseguenza più foriera di complicazioni.

EVIDENZE CHIAVE DEGLI

STUDI MULTICENTRICI SU ZEISS MYOCARE

Il

Compliance ed efficacia sono oggi confermate dai primi risultati degli studi clinici prospettici, randomizzati, multicentrici che ZEISS sta conducendo in Asia e in Europa. Al congresso ARVO 2024 sono stati presentati i risultati a 12 mesi di uno studio in Cina e i risultati a 6 mesi di uno studio in Spagna e Portogallo.

“Parlando di lenti a defocus simultaneo competitivo la maggior parte dei numerosi studi riguardanti la miopia nei bambini sono stati condotti principalmente sulla popolazione asiatica mentre i dati di letteratura scientifica riferiti ad altri gruppi etnici sono estremamente limitati o addirittura assenti. Bene, quindi, che ZEISS si sia posta l’obiettivo di dare una parziale risposta a questa mancanza di dati”.

Professor Paolo Nucci

POPOLAZIONE TARGET E CRITERI DI INCLUSIONE

STUDIO 1: 240 bambini cinesi di tre località della Cina (Tianjin, Shenyang e Pechino), di età compresa tra i 6 e i 13 anni, con un errore di refrazione sferico equivalente (SE) compreso tra -0,75 D e -5,00 D, assegnati in modo casuale a lenti ZEISS monofocali, ZEISS MyoCare o ZEISS MyoCare S (80 bambini per gruppo).

STUDIO 2: 304 bambini caucasici, di età compresa tra i 6 e i 13 anni, con un SE tra -0,75 D e -5,00 D e una precedente progressione annuale di almeno -0,50 D. I bambini coinvolti nello studio sono stati assegnati in modo casuale a lenti ZEISS monofocali (N = 152) o a lenti ZEISS MyoCare (N = 152).

Nei bambini asiatici, dopo 12 mesi di utilizzo, le lenti ZEISS MyoCare hanno rallentato la progressione miopica, come si può evincere dai seguenti dati, rispetto alle lenti ZEISS monofocali1:

Riduzione media dell’errore refrattivo

Riduzione media dell’allungamento assiale

Inoltre, entrambe le lenti hanno ridotto il rischio di progressione rapida (≤ -0,75 D o più all’anno) 2 .

La visione alle diverse distanze e nelle varie attività quotidiane, come camminare o fare le scale, è stata valutata buona o molto buona, paragonabile a quella delle lenti

BIBILIOGRAFIA

monofocali2,3.

Riduzione media dell’errore refrattivo

Riduzione media dell’allungamento assiale

Dati simili si osservano nei bambini caucasici, dopo 6 mesi di utilizzo:

Riduzione media dell’errore refrattivo

“Considerando la solidità e numerosità dei campioni che ZEISS sta perseguendo e la qualità dei risultati emersi dagli studi, le lenti ZEISS

1 Chen, X., et al. (2024, May 5-9). Slowing myopia progression with cylindrical annular refractive elements (CARE) – 12-month interim results from a 2-year prospective multicenter trial [Conference presentation abstract]. The Association for Research in Vision and Ophthalmology (ARVO) Annual Meeting, Seattle, WA, United States.

2 Alvarez-Peregrina C., et al. (2024, April 12-14). Vision, confort y tiempo de adaptacion a

Riduzione media dell’allungamento assiale

MyoCare entrano a pieno titolo tra le soluzioni da proporre ai nostri pazienti per il rallentamento della progressione miopica.”- conclude. Paolo Nucci.

un nuevo diseno de lente oftalmica para el control de miopia [Conference presentation abstract]. OPTOM 2024, Madrid, Spain.

3 Rifai, K., et al. (2024, May 5-9). Subjective acceptance of spectacle lenses with cylindrical annular refractive elements (CARE) in Chinese children with myopia [Conference presentation abstract]. The Association for Research in Vision and Opthalmology (ARVO) Annual Meeting, Seattle, WA, United States.

LENTI ESSILOR® STELLEST®: NUOVE EVIDENZE CLINICHE

Efficacia a lungo termine in monoterapia dimostrata da risultati clinici a cinque anni ed efficacia anche in combinazione con atropina da uno studio su popolazione caucasica

EEssilor ® ha presentato prima dell’estate i risultati di uno studio clinico quinquennale condotto sulle lenti Essilor ® Stellest ®. Lo studio ha dimostrato l’efficacia a lungo termine delle lenti con tecnologia H.A.L.T. nel controllo della progressione miopica e nel controllo dell’allungamento assiale su cinque anni.

Lo studio clinico controllato, prospettico,randomizzato e in doppio cieco, avviato nel 2018, è stato condotto presso l’Eye Hospital della Wenzhou Medical University di Wenzhou, in Cina. Al momento dell’arruolamento i soggetti avevano un’età compresa tra 8 e 13 anni. Al fine di valutare l’efficacia nel lungo periodo, lo studio è stato esteso dapprima da 2 a 3 anni e in seguito al quarto e quinto

anno di sperimentazione clinica. Dai dati è emerso che le lenti Essilor® Stellest® hanno rallentato in media la progressione della miopia di 1,75 D*1 e l’allungamento assiale di 0,72 mm**1 nell’arco dei cinque anni per tutti i soggetti rispetto al gruppo di controllo che utilizzava lenti monofocali. Lo studio ha quindi fornito evidenze definitive sull’efficacia delle lenti nel rallentare ogni anno fino al quinto anno la progressione miopica nei bambini. I dati hanno inoltre dimostrato che l’efficacia sia nel rallentare la progressione della miopia che nell’allungamento assiale si è mantenuta anche nei bambini più grandi (fino a 18 anni). I soggetti che hanno completato il quinto anno di studio avevano infatti un’età compresa tra 13 e 18 anni.

Si prevede ora di portare avanti lo studio per altri due anni al fine di valutare l’efficacia di controllo della miopia a 7 anni.

Alla stessa conferenza ARVO di Seattle il Professor Aldo Vagge, Università di Genova, ha presentato uno studio retrospettivo con -

Aldo Vagge, Professore Associato, Clinica Oculistica, Università di Genova, IRCCS Policlinico San Martino

dotto in vari centri italiani; tra gli autori il Professor Paolo Nucci, Università di Milano e il Dottor Antonio Frattolillo, Ospedale dell’Angelo di Mestre..

Lo studio ha coinvolto tre gruppi di bambini italiani tra i 7 e i 13 anni, suddivisi in base al trattamento; in monoterapia con lenti oftalmiche con tecnologia H.A.L.T., trattamento farmacologico con atropina 0,01% e trattamento combinato di lenti con tecnologia H.A.L.T ed atropina 0,01%; lo studio vedeva infine un gruppo di controllo di bambini che ha utilizzato lenti monofocali2.

“I risultati a 12 mesi indicano un’efficacia di ciascun trattamento in monoterapia sia nel rallentamento della progressione miopica SER (D) che nel rallentamento dell’allungamento assiale AL (mm), rispetto al gruppo di controllo con lenti monofocali. Il trattamento combinato ha mostrato nel rallentamento del SER (D) un’efficacia maggiore rispetto a ciascuno dei singoli trattamenti; in termini di rallentamento dell’AL (mm), il trattamento con tecnologia H.A.L.T in monoterapia evidenzia un rallentamento statisticamente simile a quello ottenuto con il trattamento combinato.”

BIBLIOGRAFIA

*Rispetto alla progressione a 60 mesi del gruppo di controllo estrapolato (diminuzione media annua prevista della rifrazione equivalente sferica (SER) del 9,7% sulla base del gruppo di controllo iniziale a 2 anni, Smotherman C, et al. IOVS 2023;64:ARVO E-Abstract 811).

**Rispetto alla progressione a 60 mesi del gruppo di controllo estrapolato (diminuzione media annua prevista dell’allungamento assiale (AL) del 15% in base al gruppo di controllo iniziale a 2 anni, Shamp W, et al. IOVS 2022;63:ARVO E-Abstract A0111)

1. Li X, Huang Y, Liu C, Yin Z, Cui Z, Lim EW, Drobe B, Chen H, Bao J. Myopia control efficacy of Spectacle Lenses with Highly Aspherical Lenslets: results of a 5-year follow-up study. Riunione annuale ARVO, Seattle. 2024. Disponibile all’indirizzo: https://eppro02.ativ.me/web/page.php?nav=false&page=IntHtml&project=ARVO24&id=4045389&external=true Ultimo accesso 12 Settembre

2. Vagge A., Fratttolillo A., Nucci P., Samassa F., Barosco G., Rapizzi E., Iester M., Traverso C.E., Highly Aspherical Lenslet Target (HALT) technology in combination with low-dose atropine to control myopia progression. Riunione annuale ARVO, Seattle. 2024. Disponibile all’indirizzo: https://eppro02.ativ.me/ web/page.php?page=IntHtml&project=ARVO24&id=4049211. Ultimo accesso 12 Settembre 2023

OFTASECUR: SICUREZZA IN OFTALMOLOGIA

OOftasecur gocce oculari e Oftasecur spray oculare sono prodotti a base di liposomi di Biosecur® e di ipromellosa.

Il Biosecur®, utilizzato per la prima volta in ambito oftalmico, è un complesso naturale e brevettato di bioflavonoidi e polifenoli, con attività antimicrobica ad ampio spettro. L’azione antibatterica può essere attribuita a diversi meccanismi:

• alterazione e il danno diretto della struttura della membrana citoplasmatica dei batteri e susseguente inibizione delle principali funzioni

• inibizione della sintesi degli acidi nucleici

• inibizione del metabolismo energetico.

I bioflavonoidi e i polifenoli naturali hanno dimostrato effetti sinergici con antibiotici aumentando la sensibilità di batteri multi-resistenti. Il Biosecur® è un prodotto totalmente biologico estratto da agrumi con origine e processi di lavorazione certificati Bio. È approvato dalla Food and Drug Administration (FDA) come sicuro quale additivo antimicrobico e conservante in campo alimentare e nel care.

Oftasecur gocce oculari e Oftasecur spray oculare contengono:

• Liposomi (Fosfolipidi S80 Niolip) che veicolano le sostanze attive (Biosecur®) garantendo al prodotto persistenza, tollerabilità e maneggevolezza

• Ipromellosa che, con le sue proprietà viscoelastiche e igroscopiche, dona idratazione alla zona palpebrale e perioculare.

Oftasecur gocce oculari e Oftasecur spray

oculare, grazie alla loro formulazione brevettata, possono contribuire a controllare la carica batterica e ridurre il rischio d’insorgenza di possibili processi infettivi anche in campo chirurgico oculare. (1,2)

Inoltre è ottimamente tollerato anche per trattamenti protratti e risulta essere protettivo e lenitivo in caso di irritazioni oculari o palpebrali. (1,2)

Va sottolineato che la formulazione di OFTASECUR si è rivelata efficace nel prevenire la formazione di biofilm di stafilococchi e nel ridurne la biomassa in quello preformato, fatto di fondamentale importanza considerando la rilevanza di questi batteri nelle infezioni oculari. (3)

Altro aspetto importante è che l’utilizzo dell’estratto di agrumi si presenta come valida opzione per gestire le infezioni da stafilococco e per contrastare il meccanismo alla base della resistenza di questi microrganismi alla meticillina. (4)

BIBLIOGRAFIA

1 Vagge A, Ferro Desideri L, Carnevali A, Del Noce C, Camposampiero D,Agrusta M, Ponzin D, Pellegrini M,Vaccaro S, Nicolò M, Scorcia V, Traverso CE, Giannaccare G. Efficacy of a New Commercial Ocular SprayContaining Oftasecur Citrus Extractfor Reducing Microbial Load in theConjunctiva of Patients ReceivingIntravitreal Injections. Ophthalmol Ther. 2021 Sep

2 Mencucci R, Ghelardi E, Celandroni F, Mazzantini C, Vecchione A, Pellegrini-Giampietro D E, Favuzza E, Landucci E. Antiseptics and the Ocular Surface: In Vitro Antimicrobial Activity and Effects on Conjunctival and Corneal Epithelial Cells of a New Liposomal Ocular Spray Containing Biosecur ® Citrus Extract. Ophthalmol Ther . 2022 Jun

3 Diletta Mazzantini, Mariacristina Massimino, Marco Calvigioni, Virginia Rossi, Francesco Celandroni, Antonella Lupetti, Giovanna Batoni and Emilia Ghelardi. Antibiotics: Anti-Staphylococcal Biofilm Effects of a Liposome-Based Formulation Containing Citrus Polyphenols. Antibiotics 2024

4 Diletta Mazzantini, Mariacristina Massimino, Marco Calvigioni, Virginia Rossi, Francesco Celandroni, Antonella Lupetti, Giovanna Batoni and Emilia Ghelardi. Anti-staphylococcal activity of a polyphenol-rich citrus extract: synergy with β-lactams and low proficiency to induce resistance. Front Microbiol. 2024 Jul

Scopri perche` e` importante controllare gli occhi sin dai primi anni di vita!

lui è Pigrocchio

Puoi chiedere 50 copie gratuite da mettere a disposizione dei tuoi pazienti nella sala d'attesa

Richiedi gli opuscoli a info@fgeditore.it

NEL “QUADRO” DELL’EDEMA

MACULARE INFIAMMATORIO

Compresse con matrice lipidica gastroresistente

Sostanze ad e etto nutritivo o siologico Scutellaria e.s.

e.s.

e.s.

La tecnologia T-Matrix Lipid™ è caratterizzata da una matrice lipidica a base di sostanze alimentari in grado di conferire gastroresistenza alle molecole in essa contenute.

Inoltre, permette il graduale e prolungato assorbimento degli attivi, ottimizzandolo così durante l'intera giornata.

Brevetto Truffini & Reggè (EP 1225876)

Turn static files into dynamic content formats.

Create a flipbook
Issuu converts static files into: digital portfolios, online yearbooks, online catalogs, digital photo albums and more. Sign up and create your flipbook.