River Valley Woman November 2020

Page 1

145362
Request a FREE color brochure info@nordaashomes.com 800.658.7076 10091 State Hwy 22 Minnesota Lake, MN 56068 nordaashomes.com Built for a Lifetime of Living Quality Custom Homes Coordination Assistance Custom Design by Virtual Reality Building Dreams Since 1949 Board-by-Board Construction Volume Purchasing Power 143429 License #BC225623

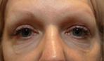
BEAUTIFUL from head to toe

Morpheus8

Morpheus8 combines the power of microneedling and RF (radio frequency) to penetrate deeper into the skin than any other microneedling device allowing it to stimulate collagen production to truly contour and transform different parts of the body. The result – a smoother and sleeker appearance.

MICRO-NEEDLING

• IMPROVES SKIN TONE AND TEXTURE*

• STIMULATES COLLAGEN PRODUCTION

• REDUCES WRINKLES, FINE LINES, ACNE SCARS AND STRETCH MARKS*

• IMPROVES ACTIVE ACNE*

• CAN BE USED ALMOST ANYWHERE –FACE, NECK AND BODY

• LITTLE TO NO THERMAL DAMAGE TO THE DERMIS

• LITTLE TO NO DOWNTIME

• MINIMALLY INVASIVE

• SAFE FOR ALL SKIN TYPES AND TONES

• UNIFORM DELIVERY OF CONTROLLED ENERGY SAFELY ACHIEVES NOTICEABLE RESULTS

Votiva

If you suffer from low blood flow or sensitivity, painful sensations or lowered sexual interest Votiva is perfect for you. Votiva can also address elasticity and wrinkled appearance of the labia and vulva.

If you have undergone menopause or are experiencing symptoms similar to post menopausal women, Votiva may be right for you. This treatment is also effective for women who have given birth or experience vaginal dryness.

• TIGHTEN THE VAGINAL CANAL

• ENHANCE VAGINAL MUSCLE TONE, STRENGTH AND CONTROL

• INCREASE SENSATION AND STIMULATION DURING INTERCOURSE

• REDUCE STRESS URINARY INCONTINENCE (INVOLUNTARY DRIPPING OF URINE)

• REDUCE VAGINAL DRYNESS

• REDUCE PAIN CAUSED BY LABIAL HYPERTROPHY

*Results are typical but not guaranteed. Results may vary.

HEIDI HERMEL CERTIFIED FAMILY NURSE PRACTITIONER 507-382-8356 1603 N RIVERFRONT DRIVE MANKATO MANKATOMED.COM
148199
NOVEMBER | 2020 Contents Publisher: New Century Press Chief Operating Officer: Jim Hensley General Manager: Lisa Miller Please direct all editorial inquiries and suggestions to: Managing Editor: Eileen Madsen, 507.354.6158, emadsen@ncppub.com Sales & Marketing Manager: Natasha Weis, 507.227.2545, weisnatasha@gmail.com Sales Team: Ruth Klossner, Erin Herding Magazine & Ad Design: Exposure Creative Cover Photographer: Alice HQ Photography River Valley Woman Magazine: New Ulm & Mankato, MN, 507.354.6158 For advertising/editorial contact info and a list of newsstand locations visit rivervalleywoman.com River Valley Woman is published monthly and distributed free in the Minnesota River Valley area. The content used in this magazine is copyright 2020 River Valley Woman and may not be reprinted in part or in whole without written consent by the publisher. All articles and editorial material represent the opinions of the respective authors. The publisher reserves the right to edit, reject, or position any advertising. In the event of any error, River Valley Woman will rerun the incorrect part of the ad or cancel charges on the incorrect portion. 6 LATHER, RINSE, REPEAT Editor’s Column 8 SHERI SANDER-SILVA A Hunger to Serve 12 HABITAT FOR HUMANITY She Nailed It! 18 KATIE ELKE Le Sueur Theater 22 SPACES An Entertaining Idea 26 EATS The Tired Chef 30 PET NUTRITION Nicole Lueck 32 ASK A DOC Corinne Jordan 34 BY DESIGN Cate Debates “DomestiCate” 36 IMPACT OF SOCIAL DISTANCING Tammy Ulmen 38 TIDY TIGHTWADS Holiday Guests 40 MAYO CLINIC Early Flu Vaccination 41 FACEBOOK POLL What Are You Thankful For? 42 FINANCIAL STRESS Darolyn Juberien 44 THE LOOK Balanced Beauty 46 GO. BE. DO. CONNECT. Event Listings 47 IT’S HER BUSINESS Layla Pappas 48 GRATTITUDE Kristen Walters 50 CONNECTIONS 52 MUST HAVES 54 MANKATO CLINIC Lower Diabetes Risk 8 12 26 18 22 47

Count your blessings, they say. It could be worse, they say. Who are they, anyway, and are they living in 2020?

With a year of pandemic, and economic and political pandemonium, I am skipping 2020 vision and taking my myopic self right to 2021. Although even with my almost-legally-blind-prescription contacts, I can’t see that far ahead so I am not taking comfort in that things could be worse.

I admit my nose has been out of joint lately. Maybe from making sure it’s covered by my whatever-the-mood-happens-to-be-at-the-timepatterned-mask. Sunflowers today? Nope, not that chipper. Tie-dye? Not feelin’ groovy. Basic black? There ya go. Matches my mood for all occasions.

Just in time to pull me out of this funk is our Thankful issue, showcasing area women who are coming to the rescue to those in need…of food, of shelter, of saving cultural history, and of just plain making the world a better place.

Gracing our cover is executive director at Feeding Our Communities Partners, Sheri Sander-Silva. With an appetite to engage community members in solving youth hunger, Silva is dedicated to making sure it isn’t a barrier to school success. We’ll have seconds of that goal!

It’s easy to take the roof over our heads for granted, but that is not an option for everyone. Enter female volunteers from all walks of life to help make the American dream come true through the very first “She Nailed It!” program at Habitat for Humanity.

Ten crews of 5 women swung hammers, and hoisted wall frames for the benefit of grateful families excited to call a house their new home. A 21-nailgun salute to this 50-woman blessing.

Despite today’s uncertain climate, for Katie Elke, the show must go on. So when the old Le Sueur Theater went up for auction four years ago, Elke’s sole bid took center stage, literally. An avid history lover and entrepreneur, Elke’s plan is to restore the hometown theater experience with movies, concerts, comedy shows, as well as make it available for business and private parties. Sounds like just the ticket. With this line up, I’m feeling a bit more optimistic. So here’s my stab at a journal of a few things I am grateful for.

1) Mr. Clean Magic Erasers. What? I don’t have to be all schmaltzy, do I? If so, these rectangular miracles can wipe away that schmaltz from any surface.

2) Cat videos. Come on you know you watch them, even if you’re not a cat lover. When kitty rides around on a Roomba, all is right with the world.

3) Gilmore Girls series. A go-to TV show I’m not sure I could live without. Except for the season when she married Christopher. I’m sure all you GG fans out there know what I mean.

4) The internet, without which I would have never been able to start my own business, among numerous other benefits.

5) Peanut butter and bacon on toast. It will never let you down. Eat whilst watching cat videos for a double dose of dopamine.

6) Coffee. Because, coffee. Cawfffffeeeeee.

7) My 99-year-old mom, in whose size 9 shoes I could never fill. Because I wear size 7 ½. Oh, ok, because she is stronger than I will ever be and tends to get an honorable mention in this column multiple times a year. So there’s yer schmaltz. Where’s my Magic Eraser?

Yes, things could be worse, they say, but this issue proves that things can also be better. Let’s count on it.

6 RIVER VALLEY WOMAN | november • 2020
ON THE HOUSE * WHEN YOU SELL YOUR HOME WITH CANDEE YOU WILL RECEIVE A 7-NIGHT VACATION ON THE HOUSE.* AskCandee.com Candee Deichman, REALTOR® CENTURION AWARD WINNER Candee. 148189 C: 507.327.5006 O: 507.387.3131 E: candee@askcandee.com *Limited time offer. While supplies last. Restrictions may apply. For more information visit C21ATWOOD.COM/VACATION

has been said that it is the unexpected that shapes and changes our lives. This saying certainly holds true for Sheri Sander-Silva.

Silva’s first lesson in the unexpected was a hard one. She describes the loss of her mother, when Silva was just 12 years old, as a defining moment in her life. In the midst of her grieving, she found that her bond with both her sister and her father flourished. Her father, who she describes as one of many inspirational people in her life, instilled in her a work ethic that has driven her to continually grow in her life as well as in her career.

Growing up in rural northern Minnesota, the southern river valley area was never on Silva’s radar. With college on her mind, Silva believed that Mankato would be a temporary stop. Once again, the unexpected entered into play when Silva found YWCA Mankato.

“How could I not be drawn to their mission statement (Our mission is dedicated to eliminating racism, empowering women and promoting peace, justice, freedom and dignity for all.); it gave me goose bumps,” Silva said. She jumped at the chance to start participating in the non-profit sector, where she began her work in developing youth programs. “This community and my work is what has kept me here,” Silva said. She went on to emphasize, “Mankato is lucky to have the non-profit sector that it does, along with amazing

and strong community support.”

Twenty years later, Silva and her husband are happy and proud to call Mankato home.

After 16 years at YWCA Mankato, four of which as the associate director, Silva once again encountered an unforeseen opportunity. As an experienced non-profit leader, Silva was offered the position of executive director at Feeding Our Communities Partners (FOCP). The organization’s goal is to engage community members in

solving youth hunger, while creating a community where hunger is not a barrier to success in school. With a decade of proven experience in building and sustaining quality programs, Silva was an obvious fit. Her role is to ensure the consistent achievement of program goals by overseeing strategy, operations, programs, and funding.

Serving over 1,200 students weekly throughout five school districts, FOCP’s programs fulfill important service gaps and ensure that all students receive the fuel they need to be present and productive at school. 

9 RIVER VALLEY WOMAN | november • 2020
PHOTOS BY ALICE HQ PHOTOGRAPHY

 “Hunger should never be a worry for students in our community,” Silva said.

The success of FOCP programs lies heavily on the efforts of volunteers. “We have a small team and large goals; it really is a collaborative effort,” Silva said.

FOCP has an active board, a dedicated paid staff of just six, and generous community donors, all critical to the success of the initiative. However, Silva emphasized that the volunteers are the backbone of the organization.

“Time is a precious resource and we are honored that our volunteers have chosen us to donate their time to,” she said.

Volunteer Chad Carlberg chose to donate his time to FOCP because of the organization’s belief that we can help children in our community reach their full potential by making sure basic needs are being met.

“The greatest reward that I have received through working with FOCP is witnessing how our community has come together to meet this critical need,” Carlberg said.

FOCP presently conducts three programs. The Back Pack Food Program serves elementary aged youth, providing them with nutritional meals and snacks for non-school days and weekends. The Power Pack Program does the same for middle-school students.

Volunteer Leslie Vermillion shared, “I have seen FOCP answer the call to make sure tummies are being fed when they otherwise would not be.”

Always looking for additional gaps to fill, FOCP piloted the Summer Pack Program just last year. This program unwittingly helped prepare them for another life event, which no one expected: a global pandemic.

The Summer Pack Program helped FOCP begin to explore how to get food to students without utilizing schools and teachers. This obviously allowed them to be ahead of the curve when COVID 19 closed school buildings.

“Through our volunteers, FOCP has been able to guarantee all students will receive their food regardless of what is going on,” Silva said.

147942 NOV 28
Shop Small Saturday: $10 OFF every $50 spent Join Us Christmas is in full swing
-

Silva sees this as an opportunity to fully evolve services, develop new partnerships, and add flexibility to what FOCP can offer students. For example, typically only nonperishable items were sent home with students. Now, because of deliveries, they can receive fresh vegetables and bakery items through community partners such as The Living Earth Center and Wooden Spoon.

In an ever-changing world, it is wise to expect the unexpected. Scott Nelsen, FOCP volunteer and board member describes Silva as always being ahead of the game.

“Sheri can see not just two, but seven or eight steps ahead,” Nelson said. Silva once again credits her father for modeling the importance of setting forward looking goals that are above and beyond what is expected.

Beyond her work ethic, Silva has proven that her heart is as big as her drive. “Sheri wears her heart on her sleeve for this organization, and it carries through to her team as well,” Vermillion said.

Nelson built on this sentiment, saying, “Sheri has the ability to connect with and foster relationships with anyone she comes in contact with.”

Silva herself admits her love of collaboration and her ability to lead collaborative efforts. “It’s easy to be excited about and dedicated to such a worthwhile cause,” she said.

With Silva at the helm, and a slew of volunteers and businesses that enable them to provide the services it does, FOCP will continue to navigate the unexpected and shape the future of the community. RVW

What was your favorite childhood snack?

Cinnamon and sugar toast

Favorite school lunch?

Italian dunkers

What food are you most thankful for?

Any kind of cheese!

What is your go to self-care activity?

Hanging out in my solarium. My husband and I have 250 plants, which we grew from seed.

What do you like best about working in the nonprofit sector?

The return on investment is visible and distinct. It is very rewarding.

Best thing about 2020?

Opportunities for greater creativity and deeper connections.

What makes you laugh?

It is very easy to make me laugh—it really doesn’t take much.

If you were not doing this, what do you think your job would be?

I am pretty sure I am a lifer in the non-profit arena, but my retirement dream would be to run a greenhouse.

What will be your first post-COVID activity? Run a public race.

FOCP staff Sarah McDonald, Lillie Herbst, Jessica Tilson, Sheri Sander-Silva, Lori Wollmuth and Amy Phares are shown in the food-packing warehouse area where much of the work begins.

Hair stylists, bankers, accountants, office workers, and more, all donned carpenter aprons and grabbed hammers, nail guns, electric saws, and chalk lines to help make dreams come true for two local families last month.

Taking part in the first annual Habitat for Humanity of South Central Minnesota’s ‘She Nailed It,’ ten crews of five women each stepped out of their comfort zones to spend a day building Habitat for Humanity homes in Nicollet and St. Peter. While some of the ladies may have envisioned things such as painting and landscaping, they found themselves doing actual construction— pretty much “from the ground up.”

To get more women interested in volunteering, Habitat for Humanity created ‘She Nailed It!’ to encourage women to further the organization’s home-building mission.

Local and area businesses were invited to become sponsors of the event by sending female employees, friends, or relatives to “man” the project. Volunteers gained hands-on experience in basic construction techniques, allowing them to make a significant impact.

There was no shortage of volunteers as ten businesses quickly stepped forward—Minnesota Elevator Inc. (MEI), LIV Aveda Salon and Spa, Minnesota Valley Federal Credit Union, Jones Law Office, MRCI, Scheels, Pioneer Bank, Community Insurance,

HomeTown Bank, and Community Bank.

When they showed up for their day on the job site, the volunteers were guided by Habitat’s professional on-site construction manager who provided instruction and guidance and taught necessary skills.

Although they may not have been experienced in construction, it didn’t take the women long to catch on, as Mike Kroenke, the construction manager, pointed out, “I didn’t know what to expect at first, but they picked it up really fast. It’s been great.”

Taylor Schmeling, Habitat’s family and community engagement person, has worked with other Habitat crews and noted, “They listen better than many other crews.”

Regular Habitat crews usually consist of two women to eight guys and the women often do things like painting and landscaping.

Kroenke, from Vernon Center, has worked in construction since 1976 and has been with Habitat since July 2019. His affable manner made it easy for the women to relax and take on their new roles. He often joked with the ladies as he explained each step— 

12 RIVER VALLEY WOMAN | november • 2020
PHOTOS BY RUTH KLOSSNER AND SUBMITTED BY TAYLOR SCHMELING Construction manager Mike Kroenke explained how he marked the location of studs as the LIV Aveda Salon and Spa volunteers watched. A minute later, he had the ladies cutting the 2x4s to the right length to frame a closet. Nail guns made the framing work easy for these LIV Aveda volunteers. The volunteer crew from Minnesota Elevator Inc. framed up the outside walls on Tuesday, September 22. Work started on the new Habitat for Humanity house in Nicollet in late September.

“We don’t give homes away, people have to meet eligibility requirements and have to pay the mortgages back,” Connie Ireland, Executive Director of Habitat for Humanity South Central Minnesota (HFHSCMN) told a group of She Nailed It volunteers at Nicollet last month. “Our overall goal is to provide affordable housing. Everything is based on affordability.”

HHSCMN is a local, independent, non-profit affiliate that operates under the umbrella of Habitat for Humanity International.

“We cover one of the biggest geographical areas in Minnesota with five counties,” Ireland said.

Those counties are Blue Earth, Nicollet, Le Sueur, Sibley, and Watonwan.

Habitat serves families through community partnerships and volunteer labor—both on-site and in its ReStore facility in Mankato.

Working with families that apply, Habitat seeks the best match for the family and community. While that could involve short moves, employment and family support are considered. The program works with single individuals, single parents, disabled persons, and even large families.

“Families vary, both in size and age, from young families to mid-50s. Our goal is for families to be successful as homeowners. We build homes that are customized to fit the family’s needs—every space is utilized,” Ireland said.

Habitat is committed to providing access to affordable mortgage options that help individuals and families buy a home. Families selected must meet eligibility requirements in their degree of need, ability to pay, and willingness to partner. Through donations of materials, labor and financial support, the cost of Habitat homes can be minimized, so monthly payments for a Habitat home are manageable for a lowincome family.

Each prospective homeowner is required to commit to 200 hours of volunteer labor—“sweat equity”—on-site, at ReStore, or through community service.

Habitat’s ReStore location in Mankato sells new and gently used home improvement items to the public for a fraction of the retail price. All proceeds go towards helping provide more affordable housing in the communities that HFH South Central Minnesota serves. The store’s inventory comes from the generosity of builders, contractors, retailers, and the community. Companies and individuals donate their high quality scrap or overstock to the store.

Community partnership includes access to affordable lots.

“The lot cost is a big thing. Land is sometimes donated— and some contractors donate their time and services. We keep track of in-kind services,” Ireland said. “Working with Habitat International, companies donate supplies—but that’s been slim with COVID and supply chain and transportation problems. We get foam for under the slab, caulk, house wrap, blinds, appliances, electrical

Whirlpool

for

13 RIVER VALLEY WOMAN | november • 2020
Working together, two LIV Aveda volunteers built a wall. components the boxes. is a big supplier of appliances.” Right: Volunteers wrote happy messages on the studs as a way to send well wishes to the family that will move into the home. Homeowners love reading the messages when they stop to see progress. They are grateful for every volunteer that helped make their dream of homeownership a reality.

Thrilled to be homeowners

Mention her soon-to-be ready Habitat for Humanity home and Erica DeLeon breaks into a big smile.

“I feel very blessed to be part of the Habitat for Humanity program. It’s giving us so much to look forward to,” Erica said as her house was going up last month. “Every week, we go by to see and take pictures of the progress.”

She added, “We’re looking forward to having our own space. We feel very blessed. We’re super excited that God has given us this opportunity. Everybody has been so supportive. It’s such a blessing to see the actual house go up. It’s been an amazing journey.”

A single mother who has also been taking college classes, Erica and her daughter, 15-year-old Virginia Smith, have lived in Nicollet for more than a decade. She’s now a customer service rep for CGI at Taylor Corporation in North Mankato, but worked at Schmidt’s Meats for seven years.

It was during that time that she got to know Dianne Froehlich and husband Fred, the mayor of Nicollet. Erica often expressed interest in being a homeowner, but didn’t think it possible until Fred shared the information that Habitat planned to build in Nicollet. He felt she’d be a perfect fit for the program.

After months of paperwork, interviews, and background checks, DeLeon was approved for the program. Habitat shared that information with the community—and support poured in.

“There was an outpouring of community support after Habitat sent out a letter about it. It’s exciting—people know that it’s being built and ask about it,” DeLeon said.

Erica, her daughter Victoria Smith, and her mother Dora Flores are looking forward to having their own home. It will be a place where they can paint the walls the colors they want and to hang things on the walls. Virginia is especially excited to have her own room and wants colored walls.

“Every rental is white on white. We’re so tired of that,” Erica said. “Virginia has also been asking for a dog—which we can’t have now.”

Erica, Virginia, and Dora have worked hard to give back to the program. Their community service has included helping at every Cruisin’ on Pine & 99 car show, donating time at Nicollet Public School when games were held, and working pork chop fries at the Conservation Club. Erica has many family members living in Nicollet—including sister and brother-inlaw Naomi and Jeff Volby—and they’ve also pitched in.

Dora—though disabled—does office work for Habitat. “They’re quick to call her to do flyers, mailings, and things like that. She loves it,” Erica said.

“Whenever I can, I give back to Nicollet. We love living in Nicollet. I’ll continue to help Habitat,” DeLeon said.

Estimated completion date for the home is around New Year’s—with the family excited to move in before Virginia’s 16th birthday on January 9. While it’s exciting for the family, one person is missing—Virginia’s father. Zach Smith was killed in a car accident, just before he and Erica were to be married in 2004, and just before Erica knew that she was pregnant.

“Zach wanted children right away and I wanted to wait. I always tell Virginia that she’s her dad’s biggest accomplishment,” Erica said. “It hasn’t been easy, but my entire family has always been there and have helped along the way.”

14 RIVER VALLEY WOMAN | november • 2020
148207

 and encouraged them to grab a nail gun or saw and give it a try. With his easy-going way, the ladies were quick to respond. The gals had fun doing something different—out of the ordinary—for the day, all the while contributing to a great project and learning something that they never expected to tackle.

Working on the home in Nicollet, the crews spent the first days framing up the walls. The goal was to have the roof on by the end of the two-week project, with the house to be completed by the end of the year.

While COVID-19 caused some problems in getting supplies for the house, being outdoors allowed the work to go on—as the crew could be spread out. It was a good release for those feeling restricted by the COVID crisis.

And, Schmelling pointed out, “We could be COVID compliant by having five women from one business on site.”

The crews didn’t go hungry. Local businesses sponsored the noon meals that kept the crews going. Lunches were provided by Schmidt’s Meat Market, Pub 500, Arby’s on Madison Avenue, Nicollet Mart, Dickey’s Barbecue Pit, Family Fresh Market, Dairy Queen Restaurant, and El Agave Restaurant.

The Nicollet home is a split foyer. That’s different than most previous Habitat homes that were slab on grade. The home has 1100 square feet on each level, with one bedroom upstairs and two finished bedrooms on the lower level. It will be home to a three-generation family—Erica DeLeon, her mother Dora Flores, and Erica’s daughter Victoria Smith. (See sidebar)

This is at least the third Habitat home in Nicollet, as the two houses just to the north of this site on Ellwood Court were built through Habitat in 2018. RVW

15 RIVER VALLEY WOMAN | november • 2020 147944 WWW.DESIGNHOMECENTER.COM HWY. 14 WEST • NEW ULM • 507-233-8440 • 24 CENTRAL N AVE • MADELIA • 507-642-8444 DESIGN HOME CENTER COLOR IMAGING | VIRTUAL WALK THROUGH | IN-HOUSE DESIGN & DRAFTING Design your dream home with us! Imagine the possibilities
There’s no doubting the excitement that Virginia Smith and her mom, Erica DeLeon, are feeling as their Habitat for Humanity house in Nicollet is nearing completion.

CREATE SAFE SPACES FOR LITTLE ONES

Sept. 28 - Dec. 5, 2020

Together with the Window Coverings Safety Council, we encourage you to install only cordless window coverings in rooms where young children play and sleep. We offer several lifting systems that are especially suited for families including many Best for Kids Options. This warning indicates potential hazards from cords.

Safety & Function

Together with the Window Coverings Safety Council, we encourage you to install only cordless window coverings in rooms where young children play and sleep. We offer several lifting systems that are especially suited for families including many Best for Kids Options. This warning indicates potential hazards from cords.

Safety & Function

Many child safe options are motorized and can be integrated into your smart home for simple tap of an app accessability.

Many child safe options are motorized and can be integrated into your smart home for simple tap of an app accessability.

FREE CORDLESS LIFTING SYSTEMS

ON SHADES & BLINDS

SHADES

FREE CORDLESS (ACCU-RISE®):

• Genesis® Roller Shades

• Parasol® Cellular Shades

• Tenera® Sheer Shadings

• Genesis® Roman Shades

Exclusions may apply. See lafvb.com/current-promotions for details.

Ensure Safety, Look for this logo:

FREE CONSULTATION, SHIPPING & INSTALLATION

FREE CORDLESS (ACCU-RISE® AND LIFT & LOCK)

Classic Collection™ Aluminum Blinds

• Fidelis® Composite Wood Blinds

• Heartland Woods® Wood Blinds

Ensure Safety, Look for this logo:

Motorization Upgrades

Transitional Shades

Roller Shades

on Window Treatments 148184
Shades Allure® Transitional Allure® Transitional Essential Beginnings™ Genesis® Genesis® Genesis® Genesis® Interior Masterpieces® Manh Truc® Parasol® Cellular Parasol® Cellular Tenera® Sheer
Collection™ Classic Collection
Faux Heartland Wonderwood Other Parke® Shutters
Shades can
for kids.
Blinds Classic
Fidelis®
Transitional
be a fun, safe choice
“Alexa, set the kids’ shades for bedtime.”
Photos designed by rawpixel.com/Freekpik
Allure® Essential Genesis® Genesis® Genesis® Genesis® Interior Manh Parasol® Parasol® Tenera® Blinds Classic Classic Fidelis® Heartland Wonderwood Other Parke® Transitional Shades can be a fun, safe choice for kids.
“Alexa, set the kids’ shades for bedtime.”
Photos designed by rawpixel.com/Freekpik

What does it mean?

Shades

Allure® Transitional Shades motorized with Auto-Wand™

Transitional Shades Accu-Rise® & Motorized

Transitional Shades motorized with Auto-Wand™

about when choosing window treatments. That’s why the window coverings industry uses warning tags, labels, and other methods to communicate the potential hazards of corded window coverings.

In the meantime...

Essential Beginnings™ Roman Shades with CareRING™ Cordless

Genesis® motorized with Auto-Wand™

Beginnings™ Roman Shades with CareRING™ Cordless

Genesis® Roller Shades motorized

motorized with Auto-Wand™

Genesis® Roller Shades with EZ Lift™

Roller Shades motorized

Genesis® Roman Shades with CareRING™ Cordless

Roller Shades with EZ Lift™

Interior Masterpieces® Roman Shades with CareRING™ Cordless

Roman Shades with CareRING™ Cordless

Manh Truc® Woven Roman Shades with CareRING™ Cordless

When it Comes to Kids, Your Window Treatments Shouldn't Be a Worry And with a Few Precautions, They Don't Have to Be.

Masterpieces® Roman Shades with CareRING™ Cordless

Parasol® Cellular Shades with Accu-Rise®

Truc® Woven Roman Shades with CareRING™ Cordless

Parasol® Cellular Shades motorized with Auto-Lift®

Cellular Shades with Accu-Rise®

Tenera® Sheer Shadings motorized with Auto-Lift®

Child safety (and pet safety) is often the last thing you think about when choosing window treatments. That’s why the window coverings industry uses warning tags, labels, and other methods to communicate the potential hazards of corded window coverings.

Cellular Shades motorized with Auto-Lift®

Blinds

Classic Collection™ Aluminum Blinds with Accu-Rise®

Sheer Shadings motorized with Auto-Lift®

Classic Collection Lift & Lock

Together with the Window Coverings Safety Council, we encourage you to install only cordless window coverings in rooms where young children play and sleep. We offer several lifting systems that are especially suited for families including many Best for Kids Options.

Collection™ Aluminum Blinds with Accu-Rise®

Fidelis® Faux Wood Blinds with Accu-Rise® and Lift & Lock

Together with the Window Coverings Safety Council, we encourage you to install only cordless window coverings in rooms where young children play and sleep. We offer several lifting systems that are especially suited for families including many Best for Kids Options. This warning indicates potential hazards from cords.

Safety & Function

Collection Lift & Lock

Safety & Function

Heartland Wood® Wood Blinds with Accu-Rise® and Lift & Lock

Wonderwood Faux Wood Blinds with Lift & Lock

Faux Wood Blinds with Accu-Rise® and Lift & Lock

Many child safe options are motorized and can be integrated into your smart home for simple tap of an app accessability.

Many child safe options are motorized and can be integrated into your smart home for simple tap of an app accessability.

Other

Wood® Wood Blinds with Accu-Rise® and Lift & Lock

Parke® Shutters

Wonderwood Faux Wood Blinds with Lift & Lock

Shutters

Manufacturers must submit their window coverings to a designated third party testing laboratory. To pass, the products have no operating cords, inner cords that are not accessible, or cords that cannot create a hazardous loop or potential wrap-around hazard.

Updating to cordless or Best for Kids Window Treatment solutions is the best prevention, but you can implement safety strategies immediately.

Updating to cordless or Best for Kids Window Treatment solutions is the best prevention, but you can implement safety strategies immediately.

In the meantime...

Updating to cordless or Best for Kids Window Treatment solutions is the

Certified Best for Kids™ Options

Best for Kids™ makes it ea products that are best suited for their home. Here is our current list of Certified Best for Kids Tr

Shades

Allure® Transitional Shades Accu-Rise® & Motorized

Allure® Transitional Shades motorized with Auto-Wand™

Essential Beginnings™ Roman Shades with CareRING™ Cordless

Genesis® motorized with Auto-Wand™

Genesis® Roller Shades motorized

Genesis® Roller Shades with EZ Lift™

Genesis® Roman Shades with CareRING™ Cordless

Interior Masterpieces® Roman Shades with CareRING™ Cordless

Manh Truc® Woven Roman Shades with CareRING™ Cordless

Parasol® Cellular Shades with Accu-Rise®

Parasol® Cellular Shades motorized with Auto-Lift®

Tenera® Sheer Shadings motorized with Auto-Lift®

Blinds

Classic Collection™ Aluminum Blinds with Accu-Rise®

Classic Collection Lift & Lock

Fidelis® Faux Wood Blinds with Accu-Rise® and Lift & Lock

Heartland Wood® Wood Blinds with Accu-Rise® and Lift & Lock

Wonderwood Faux Wood Blinds with Lift & Lock

Other Parke® Shutters

Manufacturers must submit their window coverings to a designated third party testing laboratory. To pass, the products have no operating cords, inner cords that are not accessible, or cords that cannot create a hazardous loop or potential wrap-around hazard.

Who says safety can’t be can be a kid-friendly, safe

In the meantime...

Updating to cordless or Best best prevention, but you can

Transitional
a
safe
Shades can be
fun,
choice for kids.
“Alexa, set the kids’ shades for bedtime.”
Photos designed by rawpixel.com/Freekpik
507-380-5019 BlindsandMore.org Tenera® Sheer Shadings
“Alexa, set the kids’ shades for bedtime.”
In the meantime...

pportunity is a funny thing. It can come along more than once, but its form is not necessarily the same.

Katie Elke was fortunate enough to grab opportunity by the horns when she had the chance to buy the old Le Sueur Theater four years ago. The theater was up for auction but, when Katie arrived, no other interested parties were there. She bid $15,000.00 and was suddenly the owner of an incredibly old building that needed a lot of work.

Elke then went to Le Sueur City Hall, walked into Samantha DiMaggio’s office, and said, “I bought the Le Sueur Theater.”

Di Maggio is the community development director for the city of Le Sueur, and it was her first day on the job when Elke walked in her door.

“I took a few minutes to meet with her and had her tell me about

herself, how she ended up buying the theater, what she intended to do with it, and asked her if I could see it,” said DiMaggio. “I was just trying to learn more about her and the theater prior to figuring out how I could best help her. I also started connecting her with resources that could help her clean the theater out. At that point, I was unable to tour it because it was so full of debris.”

Le Sueur Theater, a historic theater building with a screen and stage and a capacity of 200 to 250, is located on Main Street South in downtown Le Sueur. The theater was built in 1934, on the site of the Snow Opera House, which had burned to the ground the previous year.

Snow’s Opera House was owned and operated by W. C. Snow. He had converted a warehouse into the Opera House and owned/operated the facility until about 1913.

Le Sueur, a smaller town with a population of about 4,000, has been without a local movie theater since 2008 when the old theater closed down. That was when the previous owner walked away and let the property fall back to Le Sueur County, which ultimately sold it at the tax forfeiture auction.

Le Sueur and surrounding communities have needed a local entertainment facility since that closure. With the closest movie complexes located 25 to 45 miles away, movie-goers’ options are limited—either a round trip of 50 to 90 miles or in-home entertainment. For people who enjoy the big screen, neither offers a satisfying experience.

Elke, a single mom of an eight-year-old boy, has lived in Le Sueur for 17 years.

When asked why she bought the theater Elke said, “Because this is where I’m raising my son.”

She also loves history. The building itself was designed by Liebenberg and Kaplan (L&K), a Minneapolis architectural firm founded in 1923 by Jacob J. Liebenberg and Seeman I. Kaplan. Over a 50-year period, L&K became one of the Twin Cities’ most successful architectural firms, best known for designing/redesigning movie theaters. Elke could not let such a huge part of Le Sueur’s history be lost.

“I feel a connection to one of the former owners, Henrietta Starkey,” said Elke. Mrs. H. A. Starkey and her son bought and operated Snow’s Opera House from 1916 to 1923, renaming the opera house Star Theatre. They remodeled the theater and ran it successfully. Women didn’t have the right to vote before 1920 and it was definitely unusual for a single woman to own a business in the early 1900s. Considering that single women did not have the same freedoms then that are commonplace today, it was a huge accomplishment.

Elke hopes to be just as successful.

Although Katie bought the building four years ago, the real work—cleaning out all the debris from years of neglect, finding contractors, saving memorabilia—started in March of this year, just as Minnesota was shut down due to Covid-19.

Thanks to Elke’s planning, she was a bit ahead of the curve in acquiring PPE. The theater had water damage, and the mold and decay required her to suit up in protective gear to safely clean it out.

There have been many surprises over the last few months as Elke explained, “I was cleaning out the basement and discovered bones.”

18 RIVER VALLEY WOMAN | november • 2020

After calling the police, the city, the county, and other state agencies, it was determined that the bones were animal, not human, and work on the theater resumed.

Katie also found a pair of boots, belonging to a former owner, on top of the projection booth.

“They were old, moldy, and had been there for a long time, undisturbed. I took them down with me and looked inside, I saw the name CT Werner and knew these weren’t just an old pair of boots,” Elke said. “What I didn’t know was the story they would tell. Inside the boot was a Japanese memento flag. I wondered to myself if he placed them up there after the war, maybe for safe keeping. When cleaning the boots, I pulled out the flag, tipped the boots over, and two other things fell out—an insignia and a barrack/bunk receipt from 1946. The insignia is for a shopkeeper, I am guessing from the US Navy. The leather boots are both marked CT Werner and one has a pocket sewn inside. These items will be saved for future display.”

As for the theater’s future, Elke has big plans. When asked how she sees the theater when it is back up and running, her answer was “multi-venue. Movies, live theater, music, a little like the opera house was in the beginning.”

A restored theater can provide Le Sueur and surrounding communities with a long-awaited, hometown theater experience. In addition to films, the building could be used as a rental facility for businesses and private parties. The building could also be used for live entertainment, just as it was in the past—with live theater performances, live music concerts, live comedy shows, and possibly more.

Elke would like to keep some of the original features, such as the terrazzo floor in the lobby. Terrazzo floors are made with chips of marble, quartz, granite, and glass poured with a cement binder.

Elke is thankful for the support and encouragement of the community. “People have told me so many stories about their memories of the theater,” she said,

Among those sharing stories was Lee Ann McMillan who said, “My

grandmother, who lived in Le Center, always kept a diary. During the ’20s, and ’30s, and into the ’40s, on many Sundays, she took my mom and her brother to movies in the surrounding towns. The Le Sueur was mentioned many times over the years.”

Maureen McRaith said, “This theater maintains a strong place in the memories of my youth as in true small-town fashion it was literally one of the few places kids and teens could go for fun. We were within walking distance, so we were there often!”

Lisa Battcher responded, “I drove by the theater the other day on my way home. It looks so nice and clean out front—all shiny. You’re doing a great job! Its been a long time since it looked that good!”

Melissa Maxwell said, “Thank you so much for all of your hard work! It is going to be amazing!”

The Le Sueur Theater Facebook page has many more comments from community people expressing their interest, support, and gratitude to Elke. People in the area are excited about the theater project, but Elke said, “I hope people can be patient. Restoring a theater like this takes time.”

The next step is to get the roof repaired. As soon as that is completed, things should begin happening a little more quickly.

DiMaggio is thankful that the Le Sueur Theater’s past may have a future as a multi-faceted entertainment venue. As the community development director, she feels the theater project is important to the community and will encourage people from neighboring cities and towns to visit. RVW

19 RIVER VALLEY WOMAN | november • 2020
The original terrazzo floor in the entry of the theater lobby was a surprising discovery after it was exposed when tile was taken up.

UltimateExperienceWellness

Pick 2 All 3 $55 $85 or

SAUNA POD FOOT SOAK HIMALAYAN SALT ROOM

VISIT US ONLINE OR CALL TO CUSTOMIZE YOUR PERFECT WELLNESS PACKAGE

HIMALAYAN SAUNA POD FOOT SOAK

SALT ROOM

Halotherapy, or breathing in of salt vapor, takes the healing properties of salt into the respiratory system. Dry salt therapy is a NATURAL detoxification for your airways and skin. “Halo”, coming from the Greek word for salt, Halotherapy is the use of vapor utilizing micro particles of salt to promote optimal health, wellness and respiratory hygiene.

The Alpha Fuzion Sauna Spa Capsule is the world’s most versatile multi-purpose spa machine. As your own personal sanctuary of wellness and relaxation, the Alpha Fuzion Spa Capsule, includes a dry heat air sauna, adjustable massage vibrations, aromatherapy, a contour bed, soothing back heat, ionized face air, and a sound system.

A detox foot soak makes joint movement easier in the knees and elbows. Detoxification also promotes weight loss, as it rids your body of crippling chemicals and raises your metabolism to higher levels.

Body Concepts is a Wellness Facility offering various forms of detoxification, stress relief, relaxation, weight loss, body toning and tightening. Taking time to detox and de-stress is vital in maintaining a properly working body. Typically, people feel better, sleep better and have more energy. Body Concepts offers an effective, safe, painless treatment process that will boost your self improvement efforts.

148187
SOUTHERN MINNESOTA’S
1615 N. Riverfront Dr. Mankato • bodyconceptsmankato.com CALL TODAY! 507.381.5467

6 WEEK STRESS RELEASE PROGRAM

Floating is a natural prescription for stress and anxiety.

Only $299

JOIN THIS AMAZING PROGRAM FOR CALL FOR A FREE CONSULTATION

• Program includes six weekly floats. (Floats must be done once a week)

• A journal to record before and after float progress.

• Optional, Private Facebook page to share and chat about your floating experiences.

Don't forget to mark your calendars for Mankato & North Mankato Shop Small event going on November 20-29! Check out the Shop Small website for more information: visitgreatermankato.com/shop-small Save room in that shopping bag for all kinds of new items and gift certificates at Body Concepts!

information please visit our Facebook page

Floating Relieves Stress

Floating has become the best-kept secret to safely and naturally relieve stress and anxiety. A float tank (ours are more of a float room) provides a weightless environment that when combined with pitch darkness and silence, creates sensory reduction. With the sensations of the outside world removed, your body and mind are allowed to completely relax and unplug.

A 2001 study in the Journal of the Canadian Pain Society found that spending time in a floatation tank effectively decreased anxiety and depression and increased optimism. In summary, floating takes you to your happy place.

A desire for some acreage for their horses—as well as an easier drive to work—caused Mark and Sonya Prange to move to Waterville a year ago. The acreage they bought has a barn for their horses—and even a building suited for a shop for Mark’s work—but didn’t have a house.

No problem! Sonya designed the family’s new home with a view for entertaining. It was stick-built by Nordaas American Homes. The Pranges lined up their own sub-contractors and worked with them to make the home just what they wanted.

“We really just wanted a family home for entertaining,” Sonya said. “We have three boys that are grown and two grandchildren. They’re here a lot. We have my mom here part-time, too. There’s a junior suite for her. It’s designed so we can take care of her down the road.”

The Pranges’ home has 2,500 square feet on each floor, with the entire lower level finished.

“We have the ability to sleep more people when they come. My extended family is from the metro area. We wanted to be able for them to come and stay,” Sonya said. 

22 RIVER VALLEY WOMAN | november • 2020
SPACES
Story and Photos By RUTH KLOSSNER The Pranges’ new home sits back off the road, on a hill on the edge of Waterville, but is visible from the main road. The property includes a 200-foot long barn that provides plenty of space for the Pranges’ four Quarter horses, their horse trailer, and more.

While working on finishing the interior this year, yard work was delayed. The Pranges will work on the yard next year. The “wood chip lawn” will be planted and

landscaping done. Mark made the sliding barn door to the laundry room in the back entry. The space—between the main house and garage—is angled so Sonya needed a lot of help from the cabinet builders to design the cabinets. Sonya and Mark Prange The sun room—with the master bedroom to one side and an open porch to the dining area—is one of the family’s favorite places. The bunkroom bathroom has a trough sink that’s at a good height for kids. Sonya designed the railing that wraps around the basement stairway. She opted to go with a grayish stain on the wood parts after considering a number of options.

SPACES

The kitchen is made for entertaining with a huge island and lots of storage. The five-foot by 11-foot island slab is the biggest that Cambia makes—and determined the island’s size. The farmhouse sink in the slab is one of Sonya’s favorites.

While Mark likes to cook, Sonya is the baker. A built-in tensionmounted Cambria slab shelf lifts for easy access to the mixer.

The Pranges’ love of camping is reflected in the basement bunkroom. Four queen size beds have Pendleton national park blankets and park posters are on the opposite wall. Mark completed the ironwork for the top bed railings. Note the steps between the beds, making it easy for all ages to reach the top bunks.

Mark is the cook in the house and did the research before selecting a Fulgor Milano range from Italy. The hood was custom designed and the “pot filler” over the range is super helpful when making soups and pasta. An under-counter microwave is just across the way, in the island.

The dining area—right off the kitchen— is bright and airy. The Pranges like the window light and are undecided about window coverings. The dining area and kitchen island combined can seat 15.

Sonya’s home office—just across the hall from the laundry—provides a lot of storage. There’s a special wrapping paper and ribbon storage on the opposite wall, along with special drawers for scrapbooking supplies. Sonya works from home three days a week.

In addition to the bathrooms for each of the bedrooms, there’s a half-bath just outside the junior suite. The sink is mounted on a solid piece of floating white oak. When none of the contractors wanted to cut the hole for the sink, Mark did it himself.

The lower level family room has a more casual, western look. There’s a big TV on one wall and a bar opening to the next room on the right.

A wood slab, notched to fit between the columns, makes a great bar for eating or watching TV in the family room in the lower level.

Sonya designed the 3D mantel that’s a focal point in the bright and airy living room. Gadient Custom Cabinets built in, along with all the cabinets in the house.

The lower level game area includes a refurbished pool table and kitchen area. The walnut wood cabinets were completed with a gray stain. The Pranges hope to build a patio out back next year.

RIVER VALLEY WOMAN | november • 2020 24

 The home has four bedrooms—master and junior suite on the main floor and two on the lower level. One lower level bedroom is a bunk room that can sleep eight in four queen size beds—with a stairway between the bunks!

Cabinets throughout were custom made by Gadient Custom Cabinets from Red Wing. Sonya worked closely with them, trying different woods and finishes to get just the look she wanted. With angled rooms between the main structure and the garage, cabinet designs required some ingenuity.

After having lived near Good Thunder, the Pranges’ new location on the edge of Waterville cuts Sonya’s drive time to her work at Intek Plastics in Hastings almost in half—and makes for an easy drive. Mark commutes to Mankato for his business, Malterer Mechanical. RVW

BANKING THE WAY

25 RIVER VALLEY WOMAN | november • 2020
IT
Here for you today and tomorrow. Mankato | Amboy | Eagle Lake | Vernon Center | cbfg.net 148191
SHOULD BE
Mark built the shiplap fireplace in the master bedroom. The fireplace gives off various colors. The master bedroom has several special features, including a wall papered ceiling “for shine and bling,” an electric fireplace that Mark built, and a sliding barn door to the bathroom. Special features in the master bath include wall-mounted faucets over the sink, electric lights mounted through the mirror, linen-look teal tile in the shower, knotty elder wood, and a whirlpool with a Cambria surround. It took some convincing to get the electrician to mount the lights through the mirror.

Who am I? I’m so glad you asked! By day I’m a Realtor with ReMax Dynamic Agents, by all day and all night I’m a very exhausted, single mother of two – with a very large German Shepherd as my sidekick.

I think a lot of us use food as a way to indulge, show appreciation, celebrate, or as an excuse to gather with family and friends – so what happens when you’re told that your child has celiac disease and must adhere to a strict gluten free diet? Well, first you cry. But after that, you educate yourself and then you learn how to cook – like, really fast.

My 11 year old daughter, Adisyn, was diagnosed with celiac disease when she was just 18 months old after a lengthy battle with night terrors, distended tummies, severe GI upset, and constant sickness for a year. There is nothing worse than not knowing what’s wrong with your baby, but having the instinct that it’s more than just an upset stomach.

Gluten free is not a fad diet that I chose to put my 18 month old on. Her body cannot digest gluten. If she accidentally ingests it she becomes extremely sick and the proteins destroy her intestines. Left untreated or without a proper diet, celiac disease can lead to malnutrition, bone loss, additional autoimmune diseases, coronary artery disease and various cancers. Gluten can be found in obvious places like bread, pasta, or pizza – but it can also be found in Play-Doh, makeup, lotion, paint and through cross contamination of food products. The smallest amounts (20 parts per million – or a literal crumb) will give Adisyn a reaction and cause damage.

In the last 10 years the gluten free community has made great strides in furthering their knowledge of the disease and creating FDA laws for declaring a product gluten free. So many whole foods are naturally gluten free, but being prepared in a restaurant setting makes it virtually impossible to guarantee that they will remain gluten free and safe for consumption for someone with celiac disease because of cross contamination. Sharing utensils, preparation spaces, pans, oven space or even gloves will render a food item unconsumable for someone like Adisyn.

A couple of years ago my family took a trip to Orlando where we went to a 100% gluten free bakery. It was Adisyn’s first time ever being in a setting where we didn’t need to ask for a special menu, preparation styles, fryer space, or cooking techniques. She could point and order. It was, to say the very least, extremely emotional to watch her so overcome with excitement and pure giddiness eating her first fresh baked donut. I cried. She cried. The stranger in line behind us cried. It was magic.

So with that, it became my personal mission to create a space where celiac safe, gluten free recipes can live and that people like Adisyn don’t feel left out of family gatherings or like they can’t have an indulgent, delicious, restaurant quality meal from time to time. I launched my blog “The Tired Chef” about 8 months ago. My recipes are super quick, super easy, as fresh as possible, and loaded with flavor. I’m not a professional by any stretch of the imagination and as you will find in my posts, I measure a lot of ingredients with my heart and almost everything is by trial and error.

I was stuck inside one weekend with two tiny humans and was looking for a reason (lol, like we need one) to pop open a bottle of red and settle in for Snowmageddon 2020. My wine braised short ribs only use a cup of wine, so I figured this was the most ideal choice with maximum leftovers that I could justify polishing off. It’s simple math. Anyway, since these produce an amazing braising liquid that can be turned into a gravy, it’s completely necessary to make white cheddar mashed potatoes to go along with the ribs. This recipe is 100% gluten free and perfect for that dinner you’re using to desperately try to impress someone.

FOR THE RIBS

1.5 lbs of beef short ribs – choose cuts that have a lot of meat and good marbling throughout, all that fat will be rendered out and create flavor

2 – 3 T of olive oil

32 oz beef stock

1 cup of red wine (I like a good Cabernet for this)

2 T tomato paste

3 carrots, peeled and chopped

2 celery stalks, chopped

1 large yellow onion, chopped

3 garlic cloves

1 bunch of thyme sprigs

(I tie them together with kitchen string so I don’t have to fish out the stems)

Kosher salt

Fresh cracked black pepper

TO PREPARE

Heat oven to 275°

In a dutch oven add olive oil over high heat

Season short ribs liberally with kosher salt and pepper on all sides. Carefully add to the dutch oven (laying them away from you so you don’t start on fire)

Sear ribs on each side for about 2 minutes (or until deeply browned)

NOTE* This is what seals the moisture in the rib, do not skip this step or be lazy about searing. Brown food tastes good.

Remove ribs from dutch oven and set aside, lower heat to medium –add more olive oil if necessary.

Add chopped onion, carrot and celery. Season with salt and pepper. Cook until translucent and soft. Add garlic, saute for an additional 30 seconds until fragrant.

Move vegetables to the perimeter of the pan and add tomato paste. I like to let it cook for a minute or so to really brighten up that flavor. Then give it a good mix with the vegetables.

Raise heat to medium high, and add the wine to deglaze your pan. This is a fancy word for “getting all the brown bits off the bottom of the pan” and officially welcoming you to flavor nation. To do this, just use your spatula to gently scrape and loosen those brown bits.

EATS 26 RIVER VALLEY WOMAN | november • 2020

Let the wine simmer for a few minutes until it starts to thicken. Take your short ribs and nestle them (meat side down) right in the wine sauce for a little wine-soaked nap.

Add the beef stock until all the ribs are covered.

Bring the liquid to a boil. Cover. And then it goes into the oven for 3 – 4 hours. When done, the ribs will pull extremely easily with a fork, and the bones will come right out.

FOR THE MASHED POTATOES

2 – 2.5 lbs potatoes, peeled and cubed (I LOVE using the gold dust potatoes, but yukon golds, russets, will all work just fine)

4 T room temperature butter (unsalted)

2 oz Sour Cream

4 oz Cream Cheese (buy the whipped, it mixes easier)

½ tsp Garlic Powder

1 ½ cups grated white cheddar

Salt

Pepper

Splash of heavy whipping cream

In a stockpot, cover potatoes with (salted) water, bring to a boil and cook until fork tender (15-20 minutes)

Drain potatoes and move to a mixing bowl. Add butter. Beat them until smooth.

Add cream cheese and sour cream. Mix to incorporate.

Add salt, pepper, garlic powder and white cheddar. Mix to incorporate. Taste, adjust seasoning to your liking, mix again.

Add a splash of heavy whipping cream and whip to incorporate.

FOR THE GRAVY

1 tbsp cornstarch

2-3 splashes of cold water

2 cups of strained liquid from the ribs (you can use a combination of beef stock and braising liquid as well)

Salt and pepper

In a small sauce pan over medium high heat, add 2 total cups of liquid (any combination of braising liquid and beef stock will do – I go heavy on the braising liquid because it’s rich and wonderful).

Add cornstarch to a small bowl, add splashes of water until you can make a “slurry” – chef Bobby Flay taught me this. It should look like a paste.

Add your slurry to the beef liquid and whisk to incorporate. Bring to just a barely boil. Whisk like crazy. And there’s your gravy. Give it a taste, add salt and pepper if necessary.

1527 N Broadway Street, New Ulm 507-354-8778 LOCALLY OWNED SINCE 1970 OPEN SUNDAYS 11 AM – 4 PM FROM OUR FAMILY TO YOURS Cheers Spirits MAKING BRIGHT 147937 27 RIVER VALLEY WOMAN | november • 2020

DIRECTIONS

If you have walked down a food aisle in a pet store lately, you likely felt overwhelmed by all the choices. As deceiving as labels can be, not all foods are created equally and spending more does not guarantee you have a better food. Pet nutrition is the most debated topic in the pet industry.

In fact, talking to people about nutrition is like bringing up politics and religion. The five big topics that seem to be of concern are all-life stage diets, corn (the alleged devil disguised as golden kernels), grains, byproducts, and raw diets.

Bags that claim that the diet is made for “all life stages” are extremely inaccurate. A puppy requires more calories while an adult dog does not burn calories as quickly—and will be more likely to retain the weight. A senior dog—depending on the breed this could be a seven-year-old or a 10-year-old—will require less calories. But, at this age, they may also require a special diet for other health conditions. This is the same in people as we age. With each life stage your pet’s nutritional needs change.

Corn, the innocent grain. Back in the 1980s and 1990s, there were pet foods that were advertising “no soy” and later “no corn.” A single ingredient was “demonized” in a short period of time. Corn was blamed for “allergies.”

Unlike humans, allergies in dogs do not include watery eyes and a sneezy nose. Allergies in dogs include itchy pets, itchy ears, flatulence, and even vomiting and diarrhea. While large masses of people are losing sleep over feeding their dog a corn free diet, true corn sensitivities only account for 1.5 percent of dogs. That’s right, the whole pet food market changed because of 1.5 percent.

Blaming corn for allergies is easy but just not feeding corn could be doing your dog a disservice because you have not found the likely underlying problem. This could be an allergy to a protein source, another ingredient, or even a true medical condition. I don’t work for corn and owe it nothing—except to eat it every 4th of July—but we can safely say it is NOT lethal and, in 98.5 percent of dogs, is causing no problems.

Grains, is a fad no different than juice diets or the thigh master. Most of us doubt that grains are bad news but, if you look at the pet industry, you are serving up straight poison. But the reverse may be true. In fact, there is now evidence showing a link between “grain free” diets and Dilated Cardiomyopathy, a serious heart condition that can be lethal. A long-term thought has been that both dogs and cats are carnivores and therefore

were not made to eat grain. However, when a wolf or cat takes down its prey, it also consumes the prey’s intestinal tract and the plants inside.

A recent study compared genome of dogs and wolves and found evolutionary changes that have resulted in an increase in genes and enzymes in dogs for digesting starches. There is no current evidence that a grain free diet is better for dogs or even most people, but it certainly should not be indicated without a recommendation from your veterinarian.

Byproducts are the leftovers we are afraid of—but are willing to purchase separately for a treat. As American consumers, we basically want our meat on a piece of foam wrapped in cellophane. We don’t want to visualize how the meat got there. Yet, for various reasons, humans are incredibly worried about what is in their pet’s food. AFFCO states that byproducts are non-rendered, clean parts, other than meat, derived from slaughtered animals. These include organs, partially defatted low temperature fatty tissue, and stomachs/intestines freed of their contents. This does NOT include hooves, hair, teeth, and horns. If you wanted to stick to the argument that dogs are descendants of wolves, a wolf would consume all the “byproducts” of their prey.

Byproducts are usually misunderstood and feared but for no real reason, other than the fear of knowing what we—dogs and people—are actually consuming. People will often feed a byproduct free diet, but then turn around and purchase a pig ear or hoof for their puppy to chew on.

Pet owners really just want to do what they feel is best for their dogs. This may mean that they start homemaking diets or buying commercially available raw diets. When homemaking diets, they need to be sure that their pets are getting their full amount of needed minerals and vitamins. The biggest concern with raw diets is that there are so many pathogens that can cause food borne illnesses. Recent studies have shown that 20 to 35 percent of raw poultry and 80 percent of raw food diets for dogs tested positive for salmonella. Thirty percent of stool samples from dogs fed raw diets were positive for salmonella. Not only is this dangerous for your beloved pet but it is also a danger to those who are preparing it. It’s no secret that we see recalls for commercial kibble due to Salmonella, but it’s because the FDA has a zero-tolerance policy and is making increasingly more visits.

The truth is that there is no perfect food for every pet. There, you have it. Alert the world. The best we can do is to arm people with as much information as possible, so they can make an educated decision.

RIVER VALLEY WOMAN | november • 2020 30
NICOLE LUECK, CVT MN Valley Pet Hospital Mankato

Q: Our family needs a bigger home and we want to use the equity in our current home for the down payment. This seems like a difficult process and how can we do this without moving twice?

A: That’s a great question and it comes up a lot. There are a couple of different options depending on how you would like to move forward, but don’t worry, both are very easy and I make it as stress free as possible.

The first option would be to sell your current home and purchase your new home on the same day. We do this often and coordinate with your real estate agent to make sure everything goes smoothly and according to plan. Typically you will sell your current home and buy your new home in a matter of hours. We take care of scheduling, timing, and money transfers so you can focus on your new home. The second option is to purchase your new home first while still owning your current home. This can give you the time to move into the new home at your own pace, allow you to make necessary changes to your current home for the upcoming sale, or even upgrade your new home before you move in. This also allows you a stronger negotiating position for purchasing your new home. For the loan we do a minimal down payment, as low as 3%. Once your current home sells we apply the proceeds from the sale to your current loan and recalculate your payments based on the new balance. You could think of it as a delayed down payment. This process is very simple and is not a refinance of your loan.

Thinking about purchasing a home? 143495

Q: I already own a home but I want to take advantage of the historically low rates I have been hearing about. How do I refinance and what do I need to know?

A: Refinancing has been extremely popular lately due to the rate market being very favorable. The process itself is very simple. We can have a 15 minute conversation over the phone to set up your file and fill out all of the required documents. At this point I would provide you with a complete breakdown of your options, what your savings would be, and what costs are applicable to your particular loan. After that we submit the file to underwriting and complete their requirements which generally can be completed in 21 days or less! You may not even need an appraisal for a refinance depending on the last time your property was appraised. It’s a very quick and simple process.

1751 N Victory Drive Suite 500, Mankato | primesourcefunding.com | 507-389-8275
Nicole Bangasser is a Senior Loan Originator and Vice President of Marketing and Community Involvement for PrimeSource Funding. Her office is located at 1751 N Victory Drive Suite 500 in Mankato MN. Nicole enjoys helping people reach their homeownership goals through new purchase and refinance loans.
WITH NICOLE BANGASSER MN MLO 1500536 | NMLS 2174

QA close friend of mine was recently diagnosed with breast cancer. What do I say? How can I help?

ACancer sucks. There really is no way to sugarcoat it or wrap it in a fancy package to make the reception less harsh. It just sucks. Consider your friend to be the victim of a trauma, albeit an emotional one, and though her injuries may not be visible they will still take time to heal.

Breast cancer affects families, not just the patient with the diagnosis. It’s important to recognize that the family is experiencing the trauma of the diagnosis, and emotional support from friends contributes to better outcomes. But how can you be a present and supportive friend?

Here are some tips:

1. Listen

Your friend will likely not hear much after she hears, “You have breast cancer.” Everything that follows will likely be a blur. Sit with her; give her space to be afraid as well as hopeful. You can’t make her diagnosis disappear with your words, but you can certainly sit with her in the dark so she isn’t alone with her fear. Recognize that every breast cancer story is different, and experiences will not be the same. Fight the urge to compare someone else’s journey with hers.

2. Rally

She will go through surgery, possibly chemotherapy, or even radiation. Side effects from these treatments will lead to fatigue, pain, nausea, weakness, and emotional fragility to name a few. She will not feel “brave” or “strong,” or any other number of empty warrior analogies, so you will need to bring her some troops and reinforcements. Show up with food, take her kids to the park, clean her house, paint her nails, or just sit with her and watch Netflix while she gets her chemo infusions. Don’t tell her she’s “lucky” her cancer was found early. Having cancer never feels lucky.

3. Keep showing up

Sewing

Michele's

There will be days when she will look fine. She will recover from surgery, and chemotherapy will eventually end, but emotional trauma from the treatments will linger. There will be collateral damage to the family as well. Husbands often stand by silently as wives go through treatment, and emotional needs go unrecognized. Children are also affected by the process, and may struggle with processing the trauma long after treatment has ended. Recognize that the effects from the trauma can linger, and be present if possible.

4. Recognize and support change

Cancer changes everything, but the changes don’t all have to be negative. Many positive changes occur after a cancer diagnosis. Often, patients and families are able to take inventory of where they are devoting time and energy. What was once a big worry, is now only a small irritation when seen through the lens of a cancer diagnosis. Priorities become clearer, and new goals are set. Support these changes for a healthier and more intentional lifestyle.

W e d . t h r o u g h F r i . , D e c . 2 n d - 4 t h 9 A M - 5 P M S a t . , D e c . 5 t h 9 A M - 4 P M
Seeds Quilt Co.-New Ulm
Spools Quilt Shop-New Ulm
Thimble Box-New Ulm
Spinning
The
Quilting & Sewing Center-Blue
Earth
Old Alley Quilt Shop-Sherburn River City Quilts-Mankato
Quilting
Visit These 9 Fine Quilt Shops: Win 1 of 9 $50 Gift Certificates H O L I D A Y H O P
Grand Prize: Featherweight Sewing Machine Receive a Complimentary Notion at Each Shop 147975 32 RIVER VALLEY WOMAN | november • 2020
Sue's Quilt Shop-New Prague
by the Hearth-Lonsdale Quilter's Dream-Montgomery
The Third Annual
CORINNE JORDAN, MD, FACS General Surgery Physicians Group of New Ulm
33 RIVER VALLEY WOMAN | november • 2020 148176 talk to Maura Wounded Haven Counseling, LLC Est. DEALING WITH RELATIONSHIP ISSUES? STRUGGLING WITH COVID 19? HAVE YOU HAD PAST TRAUMA? MAURA FLAHERTY MS, LMFT, NCC LICENSED MARRIAGE & FAMILY THERAPIST Private Pay Only. We do not accept or bill insurance. 612-227-5035 360 PIERCE AVENUE, SUITE 114 • NORTH MANKATO TREATING ALL AGES 140776 145250 FIND HEALTH & HAPPINESS NATURALLY ACUPUNCTURE • FIRE CUPPING • GUA SHA CHINESE HERBAL THERAPY PREGNANCY, FAMILY & PEDIATRIC TREATMENTS 507-720-6773 | cupsandneedlesacupuncture.com 79 NAVAHO AVE • SUITE 14 • MANKATO

It seems odd to be talking about holiday décor when it feels like I just tore down my trees and lights… but here we are! I always look forward to busting out my bells, garlands, and wreaths this time of year. There’s something nostalgic about the way everything still smells slightly of cinnamon and evergreen when it comes out of its Rubbermaid homes for the first time.

For some, seeing Christmas trees and lights hit the store shelves midOctober might be upsetting but for others it’s a sign that the merriest season of all is upon us and we can’t wait to deck the halls. I’m definitely the latter. I start to add holiday items to my everyday décor around November 1, but that doesn’t mean you need to pack up your pumpkins and do the same. Take your time, enjoy the seasons at your own pace. However, when the holiday spirit does hit you, here are a few tips for this season to make your home extra festive.

First—because of this peculiar year we are having—stocking shelves with plentiful stocking stuffers may be difficult. Start your search for new décor early to avoid impending shipping delays. Have your eye on the perfect ornamental wreath? Try an online layaway program or nab it earlier than normal—you’ll thank me later. The other option— and one I’m partial to—is using natural elements. Get outside and clip branches to make your own garland or wreath this year. It’s cheap and there are endless tutorials online to help you with your styling. Toss any extra branches in a vase on your console table.

My next tip might not land as well with traditionalists, but here goes. Think outside the red and green box. Skip traditional hues and use a color scheme to complement your existing home décor. Keep your staples like the homemade ornaments your children brought home from daycare or that vintage hand-me-down snow globe your grandmother gifted you, but don’t be afraid to stray from the norm. Use colors that inspire you year-round and bring those into your holiday elements to keep things cohesive. Put your own twist on holiday greens and play with shades of blues and whites. Lighten up on the berry reds and opt for magenta or light pinks. Blending your seasonal décor into your everyday staples will help to elevate the look.

Speaking of color. One trend I’m definitely looking forward to is the addition of heavy textures in rich jewel-toned colors. Brands such as

Sherwin Williams and Benjamin Moore just released their 2021 paint colors of the year, and I expect we will be seeing deeper cozy tones more and more as we round out the year. Last year I grabbed extra deep green and navy velour ribbon to tie up my garland and I can’t get over how classy it looks. Don’t be afraid to swap out those dated buffalo check stockings with chunky knit ones adorned with fur this year. Paired with lots of pretty lights and metallics—think brightness with silvers, champagnes, golds or even dare I say… glitter—these darker hues can help add depth and richness to your décor. Texture is also a game changer for upping the class-factor. Tie your prickly garlands and wreaths with soft ribbon details or wrap the base of your tree in a faux fur throw. Think cozy.

I’d also encourage people to lean into things that make your décor unique to you. To keep things more “me,” I like to toss my smaller Christmas trees into antique bait buckets and patinaed pails instead of using a tree skirt. They give them a freshly cut-from-the-farm look and go with other galvanized décor in my home. Have a favorite ornament? Don’t tuck it away in the branches of your tree. Consider highlighting it under a glass cloche and displaying it on a mantle for others to see. Display things that make you happy and bring added cheer. We all need those memories more than ever.

My last trend for this year’s holiday season is more of a “go big or go home” sort of tip. We will all be needing to get out of our homes for some fresh air in the new fallen snow and nothing makes a winter drive better than—you guessed it—lights. Get together with your neighbors and pledge to toss a few extra strands up this year, or set a few old-fashioned plug-in candles in your window. When it comes to ornamental yard décor, winter is the one season I give people a pass. Show me your blow-up Santas and animatronic reindeer! I’m talking Clark Griswold levels of cheer here people.

Anyway you decorate for the season—whether it’s Christmas, Hanukkah, Kwanzaa, Diwali, Eid—use this time to celebrate with simple reminders of what makes the season bright. I wish you all a wonderful holiday season!

@domesti_cate 34 RIVER VALLEY WOMAN | november • 2020
CATE DEBATES “DomestiCate”

Her Happy Place

is going a little

HHP

Her Happy Place

Join us this month as we expand across Minnesota Avenue with Reckless by Her Happy Place. Reckless will bring an edge St. Peter has been waiting for, and we know you will love. Her Happy Place will continue to be a place where everyone can find the bit of happy they are looking for. This unique setup will allow you to experience two great locations in one stop.

Reckless Reckless By Her Happy Place
HERHAPPYPLACESHOP.COM 216, 217 & 218 S. MINNESOTA AVE. ST. PETER • 507 931 0008 ELLEN EIDE LISA EIDE 148213

Does anyone besides me wonder what our future will look like in one year, five years, 20 years?

This concept of social distancing may be helpful in delaying the spread of a virus, but how does it impact us emotionally and psychologically?

I can say that I have seen, firsthand, how it impacts my patients. While some are doing fine, others are not. I have seen an uptick in abuse reports, domestic violence, police calls, depression, and anxiety.

Why is this? It is simply not in our nature to live a life with no human touch or companionship. Our bodies crave human touch. This is the principal way that babies bond to parents— by human touch.

How will our children bond to extended families such as their grandparents, aunts and uncles, or good friends? What opportunities for love and growth are not occurring now because of social distancing?

What about the inability to attend funerals to say good-bye to our loved ones? Or to be present as they are leaving this earth? What about the person who is dying, alone and afraid?

These are thoughts/questions I have daily, and I fear their answers.

Maslow (1943) initially stated that individuals must satisfy lower level deficit needs before progressing on to meet higher level growth needs. When we are deprived of our basic needs, the need to fulfill such needs will become stronger the

Prairie River Home Care is now ADARA Home Health

ADARA OFFERS IN-HOME: Skilled Nursing • Home Health Aide • Pediatric Care Physical, Occupational & Speech Therapies

New name, same owners, same team Services covered 100% by traditional Medicare

We also accept VA, MA and most insurance plans

Call ADARA at 507-519-4016 if you:

• Are being discharged after a hospital or rehab stay

• Are looking for additional support and services in an assisted living or private home environment.

Maslow's hierarchy of needs

longer the duration they are denied. For example, the longer a person goes without food, the hungrier they will become.

Physiological needs are the biological requirements for human survival—air, food, drink, shelter, clothing, warmth, sex, sleep. If these needs are not met, our bodies cannot function at their best. Maslow considered these needs most important as our other needs are secondary to these needs.

Safety needs come after the physiological ones have been met. The needs for security and safety become necessary. People want to experience order, predictability and control in their lives. These needs can be fulfilled by family and society—by police, schools, business and medical care.

Love and belongingness needs. After physiological and safety needs have been fulfilled, the third level of human needs is social and involves feelings of belongingness. The need for interpersonal relationships motivates behavior. This includes friendships, intimacy, trust, and giving and receiving affection.

As you ponder these requisites for our humanness, you can see that these are obstacles when you consider social distancing. How are you getting your needs met?

Tips for handling social distancing:

Use the internet to Facetime or Zoom with your loved ones to stay in touch. Do this often. You could each eat a meal at the same time and discuss your day. Or you could each get the same book and read together out loud during your video time.

Visit with your loved one by meeting in an outdoor area, wearing masks.

Spend extra time with your small children, giving them extra cuddles that they might get from extended family. Reassure them that this will not last forever.

Use the Butterfly Technique. This is when we cross arms and touch our shoulder with the opposite palm, thereby giving oneself a hug.

RIVER VALLEY WOMAN | november • 2020 36
Licensed Marriage & Family Therapist Stepping Stones Mental Health Center
131673

SMCHRISTMASFEST.COM is coming soon! Join us at our new online home for everything Christmas in Southern Minnesota!

LIVE

FREE VIRTUAL EVENT

Online November 21st at 11am

ENTERTAINMENT STORIES WITH SANTA COOKING IDEAS

CRAFTS HOLIDAY ENTERTAINING AND MORE!

PLUS, OUR ONLINE SITE WILL BE LIVE FOR THE DURATION OF THE SEASON WITH LOCAL SHOPPING, GIFT GUIDES, AND MORE!

This annual event is the kick-off for Toys For Tots toy drive and we invite you to support Toys for Tots via an online donation or toy drop off.

148181

You can be the “hostess with the mostest” without wearing yourself out or turning your home into the Sheraton. Planning a memorable and stress-free time together is what’s important, and you can do it with a little effort ahead of time.

The first thing you can do right now is to cook and freeze some foods ahead of time. You don’t want to spend all your time cooking in the kitchen, while everyone else is laughing and having a great time elsewhere. Check with your guests for food allergies and special diets so you can make any necessary accommodations, and then plan some items that freeze well. Make the crock pot or slow cooker your friend over the holidays and plan to throw in marinated meats that go with a few fresh salads or sides.

Next, spend a little time decluttering your house. With added people, clutter builds up fast. Focus on high traffic areas such as entryways and kitchen counters, and then entertaining space like the family room and dining room. While you’re tidying the place up, check the guest bedrooms for electrical outlet space. Most people need to charge phones and devices, so you’ll want to locate and then free up your outlets. Be sure to point out to guests where they can find them, so they don’t have to hunt.

If you have pets make sure you remind them so they can prepare young children and leave the fine silk shirt at home. If they have a dog, don’t assume they aren’t bringing him along. Clarify so everyone is prepared, and again, you can make any necessary arrangements ahead of time. Tail wagers can knock over breakables at coffee table height!

If your guests have young children, you’ll want to do a little baby or toddler-proofing as well. Time to put the bowl of decorative marbles in the closet. You’ll want to do what you can to make your home as visitor-friendly as possible, and that may mean some simple rearranging of furniture or adjusting the meal schedule so everyone can enjoy their time, rather than fretting about mishaps or cranky children.

You may already know everyone’s beverage preferences. If you don’t, it’s good to ask. It’s nice to have a favorite flavor of sparkling water, coffee, beer, or wine on hand. If you have a locally brewed beer or wine, it’s always fun for guests to try something new when traveling. Plan and share schedules ahead of time, from arrival to departure. If you need to be gone for a short time due to an appointment or prior arrangement that couldn’t be rescheduled, let them know. You don’t want your guests to wake up to an unexpected empty house one morning, wondering where everyone went. Sharing schedules also lets you plan for an arrival if you will still be at work. You can get your guests a key ahead of time or let them know of an entry code. You’ll also be able to designate where to park or give tips on finding parking if you live in a busy, minimal parking area.

Plan to give a mini-tour upon arrival and point out where to find essentials. Even guests who’ve been to your home many times, it’s important they feel welcome and able to find what they need.

If you’re guests are coming for more than a couple days, check into local things to do. With the COVID situation, some activities are safer and more welcome than others. You may want to look into your town and area communities for nature areas, walking trails, dog parks, play parks, scenic drives, art strolls, and historic monuments to visit. There are plenty of fun inside activities to plan as well. When you plan ahead, you can borrow board games and movies to have a wide variety of new things on hand. Older children may enjoy some organized crafts or baking projects. Puzzles and card games are an option too.

The most important thing to remember is that you want to enjoy your time together and do enough cooking, cleaning, and organizing ahead of time to relax after your guests arrive. You also don’t need to put unrealistic expectations on yourself. Keep things simple and have a wonderful holiday season.

RIVER VALLEY WOMAN | november • 2020 38 TIDY TIGHTWADS
145387 Renewal by Andersen of Mankato is one of the leading names for quality window replacement in Southern Minnesota. Call us at 507.625.6412 to schedule your FREE quote! SchmidtMankato.com 39 RIVER VALLEY WOMAN | november • 2020 Thank You Hwy 15 South • New Ulm, MN (507) 233-8810 www.JensenMotors.com WE ARE PROFESSIONAL GRADE FOR LETTING US EARN YOUR LOYALTY 147940 LISA LARSON REALTOR ® GRI 1106 S Broadway Street • New Ulm llarson@krhomes.com • www.krhomes.com 147941 call Lisa at 507.404.0235

Amid the COVID-19 pandemic and on the verge of another flu season, it’s more important than ever to be vaccinated for influenza as soon as possible.

If more people are vaccinated for the flu, fewer people will become sick with the flu and fewer patients will require hospitalization. When there are fewer flu cases, hospital resources are freed up for COVID-19 patients in the event of surges.

Without a vaccine for COVID-19, as long as people are interacting with each other, the virus will continue to spread, and people will continue to become sick with COVID-19. With fall and winter approaching, it’s a real concern that the flu and COVID-19 could cause patient surges. People need to do their part and get vaccinated for the flu.

While it’s difficult to predict exactly what will happen in the upcoming flu season, the Southern Hemisphere, where the flu season is coming to an end, offers some clues. Mask-wearing and social distancing due to COVID-19 has helped to keep the number of flu cases down, as these practices protect people from numerous respiratory viruses — not just COVID-19.

The flu activity in the Southern Hemisphere shows how important it is to remain vigilant, and continue to wear masks and social distance. Also, don’t forget to keep up with the habit of thorough and frequent hand-washing.

Some people may be reluctant to be vaccinated or to vaccinate their children due to misinformation

about vaccine safety. Vaccines are held to the highest standards of safety and, aside from minor side effects for some patients, they are safe for most people.

It’s important to seek medical information only from credible sources who have scientific training. Vaccines are safe. It’s the diseases they protect against that are the cause for concern.

Here are some common myths about the flu vaccination that are scientifically proven false include:

Myth: A flu vaccination can cause you to get the flu. While some people experience muscle aches and a fever for a day or two after receiving a flu vaccination, this is likely a side effect of the body’s production of protective antibodies. It is not the flu.

Myth: Many people have serious adverse reactions to vaccines. Allergies and serious complications from vaccines are rare. Tell your provider if you have ever had any unusual or allergic reaction to a flu vaccination or any other medicines. Also, tell your health care professional if you have any other types of allergies, such as to foods, dyes, preservatives or animals.

Myth: Vaccines cause autism.

Despite much controversy on the topic, researchers haven’t found a connection between autism and childhood vaccines.

As we enter this influenza season, talk to your health care provider about any vaccination concerns you might have, as well as how and where to get your flu vaccination.

RIVER VALLEY WOMAN | november • 2020 40
JENNIFER JOHNSON, D.O. Family Medicine physician Mayo Clinic Health System

FACEBOOK POLL

Melissa: I am thankful to wake up each day with God's purpose for my life. With the unconditional love of family, the ability to laugh, support, spread kindness, and encourage those around me. And I am grateful for those who do the same for me!

Yvonne: LIFE

Theresa: Thankful that I am healthy, my kids are wonderful and I have 3 beautiful grandsons.

Ginny: I am thankful for my patient, caring, strong husband.

Jill: Thankful for my family, my health and my God who is helping me get through this crazy world.

Teresa: I am thankful for retirement, not having to work anymore. Spending time on just what I enjoy.... watching grandkids, quilting, gardening and biking!

Marie: Harvest 2020. Something is normal — be safe out there.

Sue: I'm thankful for water so I can make coffee!

Emily: Thankful to both love and like the people with whom I'm living through a pandemic.

Kristy: I am thankful for the all the heroes who volunteer their time, love and compassion for Mending Spirits Animal Rescue. Over 3000 beating hearts have been forever changed because of them. Ashley: Being a mommy to two little boys!

Connie: Family

Kara: I am thankful for my family and everyday that I can wake up to spend time with them. I'm especially grateful for my granddaughter she just turned 6 she has cystic fibrosis she has really taught us to be thankful for every moment of every day as that moment is not promised!

Elaine: Family and Health!

Bridget: I am thankful for family and friends!

Lisa: I’m thankful for my family, friends, my health, our job security and the privileges I have. I hope to make a difference during the upcoming season to be intentional in how I recognize all the gifts I have by giving back to others who are not as fortunate.

Michelle: I am thankful for… my life, my family, my friends, my health, food, dreams that come true, sunrises & sunsets, home cooked meals, hearing good news, chocolate, freedom, teamwork, cuddles, hugs & kisses, my passion, and most of all — daily conversations with my 98-year-old grandma!

Patti: I am thankful for my family, who love me unconditionally. I am thankful for my job, my friendships, my health and most of all my faith in God and humanity. That we will all get through the turmoil that our country is facing and all see the good in all people.

Amber: I’m thankful for my family, health, and plants.

Morgan: I am thankful for art, people, freedom, life, God, and family.

41 RIVER VALLEY WOMAN | november • 2020

We’ve all heard the saying that money can’t buy happiness. But, for anyone who has gone through difficult financial times, you know that money troubles can cause unhappiness and stress. Whether problems come from a loss of work, growing debt, unexpected expenses, or a combination of factors, financial worry is one of the most common stressors in modern life.

Research has shown that financial troubles can take a huge toll on your mental and physical health, your relationships, and your overall quality of life. While we all know—deep down—that there are many more important things in life than money. But, when you’re struggling financially, fear and stress can take over your day and cause your mind and body to pay a heavy price.

Financial stress can lead to:

1. Insomnia and other sleep difficulties.

2. Depression. Living under the burden of money problems can leave anyone feeling down, hopeless, and struggling to concentrate or make decisions.

3. Anxiety. Worrying about unpaid bills or loss of income can trigger anxiety symptoms such as a pounding heartbeat, sweating, shaking, or even panic attacks.

4. Relationship difficulties. Money is often cited as the most common issue couples argue about.

5. Physical ailments such as headaches, gastrointestinal problems, high blood pressure, and heart disease.

For most of us, our finances are a very personal and private matter. Consequently, reaching out to someone for help is very difficult. Some may feel uncomfortable disclosing the amount they earn or spend, feel shame about any financial mistakes they’ve made, or embarrassed about not being able to provide for their family. Just like any other problem in life, not talking about it will only make your financial stress worse.

Speaking openly about your financial problems can relieve that stress and help you put things in perspective. Keeping money worries to yourself only amplifies them until it seems as though it cannot be overcome. Opening up has the opposite effect and—once that first

step is taken—there is typically a strong feeling of relief. Many times, we know what we need to do to move ahead; we just need to say it out loud to see that path clearly.

Whatever your plan to relieve your financial problems, setting and following a monthly budget is a must. It will keep you on track and help to regain your sense of control. Consider working with a financial coach or credit counselor who can help to establish a good working budget and help you stay on track. They are trained to guide clients and assist them in setting goals and staying on course.

Begin with a good system to keep track of all expenses. Keeping receipts is a great way to become aware of where your money goes. Getting back to basics by keeping a ledger and balancing after every payment is another great tool to know where your finances stand. Start a savings account and deposit into it every time you get a paycheck. Even if you start with a small amount, you’re still building an emergency fund that can grow and be there when unexpected expenses come up. Keep looking for ways to save money. Most of us can find something in our budget that we can eliminate to help make ends meet. Regularly review your budget and look for ways to trim expenses or ways to increase your income.

Resolving financial problems happens by taking small steps that—in the end—achieve the ultimate goal of financial peace. That doesn’t mean you can’t take steps right away to ease stress and feel more peace and calm. Get moving. Physical exercise can ease stress and boost your mood and energy level. Practice some relaxation techniques and don’t skimp on sleep. Feeling tired only increases stress and negative thought patterns. Be grateful for the good things in your life. When you’re plagued by money worries, it’s easy to focus all your attention on the negatives. While you don’t have to ignore reality and pretend everything’s fine, you can take a moment to appreciate the positives in your life. Lastly, forgive yourself for past financial missteps, set your goals, work hard and move forward. The work put in to reducing your financial stress, will be worth it.

RIVER VALLEY WOMAN | november • 2020 42
148446 Stressed Out? Schedule your 30-minute complimentary consultation today! 507-461-0647 | livefullfc@gmail.com | livefullfc.com 148196 43 RIVER VALLEY WOMAN | november • 2020 Specializing in women's clothing sizes small to 3x 103 N MINNESOTA STREET, NEW ULM, MN 56073 507-354-9998 147947 Mon & Thur 10am-6pm Tues • Wed • Friday 10am-5pm Saturday 10am-4pm Sunday • Closed LOCATED in beautiful downtown new ulm PROUD TO BE named the Journal readers choice award for the best clothing store

Here are my top 5 beauty tips for the holidays to ensure you are keeping yourself on top of your endless to-do list, while not consuming a lot of extra time.

It is so important to maintain or start a consistent skincare regimen. You don't have to spend a lot of time to get great skin, but you should always use products that are right for your skin type. I look forward to these few minutes daily as a way to breathe, slow down, and take care of me.

At minimum, cleanse and moisturize twice daily. Always remove makeup before cleansing and add an exfoliator a couple times a week. A good skincare routine will make skin look and feel hydrated, and a better skincare routine equals a better makeup routine. Tip: Don't forget the rest of your body, it’s just as important to take care of more than just your facial skin.

Use moisturizing, cream-based products that don't clog your pores to protect your skin against the cold, dryer air. Cream- based foundations and tinted moisturizers will give you the coverage you want and also give you an extra layer of hydration your skin is craving this time of year. Finding a product with added skincare is a bonus to fight the appearance of stress on your skin from late nights, endless errands, and holiday drinking and eating.

I always like to add a little color with a cream-based bronzer and/or blush to add a natural glow or flush to the skin while adding more moisture.

Use dual purpose shadows to help cut down on your morning makeup routine. Cream to powder shadows give extra moisture to skin while being easier to work with for different areas of the face. Here I used one shadow for eye shadow, blush and lips. 5 minutes is all you need to look put together, even if you’re being pulled in all directions.

Choose a bold eye or a bold lip this season for the most impact.

Play up those eyes, especially while sporting a mask, and add a pop of color with a fun shadow or liner. Use a lash primer and volumizing mascara to get lush lashes without the falsies! More of a go big or go home type of gal? Have some fun and go all out with a fun smoky eye and big lashes.

If you are more of a bold lip girl, pick a berry or cocoa shade for a fun twist to the traditional red holiday lip—just make sure it is mask proof! I know for me, mask or no mask, a bold lip equals instant confidence!

Don't forget to take time for you, whether its indulging in moisturizing body washes for your alone time in the shower, or doing a fun mask while putting your feet up after a long day. Take the time to slow down and enjoy this holiday season to its fullest and look flawless while doing it!

RIVER VALLEY WOMAN | november • 2020 44 THE LOOKBEAUTY
OPEN THURSDAY - SATURDAY — ONLINE — VIVIANROSEBOUTIQUE.COM
IN THE HISTORIC MANKATO TRAIN DEPOT 147945 45 RIVER VALLEY WOMAN | november • 2020 THUR-FRI: 12PM-6PM SATURDAY: 10AM-4PM SUN-WED: CLOSED 507-779-7444 521 N. RIVERFRONT DR. MANKATO MN 56001 CELEBRATE TWO FUN EVENTS SHOPPING OPENER IN OLD TOWN BELLA NOVA’S 5-YEAR BIRTHDAY CELEBRATION!! HAPPY
NOVA OFFERING SIZES SMALL - 3X
Hours SATURDAY NOV 7TH 10AM-4PM Join Us 148182
UNIQUE FASHION & SASSY GIFTS
BELLA
New

TO HAVE YOUR EVENT LISTED

E-mail Ruth Klossner at cowladyruth@gmail.com by the 10th of the month. Listings are generally for events that are free to the public, or are fundraisers. Listings will be published as space allows and at the discretion of the editor.

Fri, Nov 6

• Lions Club Ladies Night Toy Drive for Santa’s Workshop, Event Center, Henderson, 6-9 pm. Info: hendersonevents011@gmail.com

• Duelly Noted, State Street Theater Co, 1 N State St, New Ulm, 7:30 pm. Info: 507-3599990, statestreetnewulm.org or statestreettheater@gmail.com.

Fri-Sun, Nov 6-8

• GnomeMade Market, various locations, New Ulm, 8 am-5 pm. Info: Facebook, nugnomes@gmail.com or gnomemademarket.com/ contact/.

Sat, Nov 7

• St. Peter Craft and Vendor Show, Armory, 1120 W Swift St, St Peter, 9 am-2 pm. Info: Facebook.

• Lutefisk & Homemade Meatball Drive-Thru Fall Supper, Scandian Grove Lutheran Church, 42869 Co Rd 52, St Peter (Norseland), 11 am-2 pm.

• Jypsy Sisters Widow Weekend, 113 E 2nd St, Winthrop, 9 am-1 pm. Info: Facebook.

Sat, Nov 7 & 14, Dec 19

• Mankato Farmers’ Market In the Greenhouse, Drummers Garden Center & Floral, 281 Saint Andrews Dr, Mankato, 10 am-12 pm. Info: manager@ mankatofarmersmarket.com or Facebook.

Thurs-Sat, Nov 12-14

• Hometown Holiday Quilting Shop Hop Road Trip, LitchfieldPaynesville-Kimball-NYA-New Ulm, 9 am-6 pm. Info: business.

GO. BE. DO. CON NECT.

In these uncertain times, be sure to check ahead to see if events are being held.

newulm.com/events/details/ hometown-holiday-roadtrip-39836 or (507) 354-8801.

Fri-Sun, Nov 13-15

• Godspell Jr, Mankato Playhouse, 12 Civic Center Plaza, Mankato. 7 pm Fri & Sat, 2 pm Sun. Info & tickets: 507-338-5800 or info@ davoriproductions.com.

Sat, Nov 14

• Bingo, American Legion Post #510, 715 3rd St, Nicollet, 4 pm. Info: Facebook. Info: Nicollet Legion Facebook page.

• Fashion Show, American Legion, St. James, 5 pm. Info: localendar. com/public/stjameschamber.

Sat-Sun, Nov 14-15

• Natural Healing & Psychic Expo, Courtyard by Marriott, 901 Raintree Rd, Mankato, 10 am-4 pm. Info: Facebook.

Thurs, Nov 19

• Holly Days Grand Opening, Paradise Center for the Arts, 321 Central Ave N, Faribault, 4-8 pm. Info: visitfaribault.com/calendar/.

• Merry Mail Workshop, Red Men Club, St. Peter, 6-9 pm. Info & registration: Craftaddict2018@ gmail.com or Facebook.

• Lifelong Learner Series—Winter Adaptations, Ney Nature Center, 28238 Nature Center Ln, Henderson, 12 pm. Info & registration: 507-357-8580 or info@neycenter.org.

Fri, Nov 20

• Annual Razzle Dazzle Parade of Lights, main street, Madelia, 6:30 pm. Info: visitmadelia.com/ RazzleDazzle.html.

Fri-Sat, Nov 20-21

• Razzle Dazzle Celebration, downtown Madelia. Info: 507-642-8822 or chamber@ madeliamn.com.

Fri-Sun, Nov 20-22

• Charlotte’s Web, State Street Theater Co, 1 N State St, New Ulm, 7 pm Fri, 2 pm Sun. Info: Facebook, statestreetnewulm. org or statestreettheater@gmail. com.

Sat, Nov 21

• Cornhole Tournament, American Legion Post #510, 715 3rd St, Nicollet, 12 pm. Info: 507304-0054 or Legion page on Facebook.

• Chilifest— South Central Beyond the Yellow Ribbon, Morson Ario Strand VFW Post #950, 1900 N Riverfront Dr, Mankato, 11 am-2:30 pm. Info: veteranssupportourtroopscommunityfamily.

• Razzle Dazzle Women of Today Holiday Expo, Elementary School Cafeteria, 9 am-1:30 p.m. Info: Info: visitmadelia.com/ RazzleDazzle.html.

Tues, Nov 24

• Beer & Hymns on Facebook LIVE, 6:30-8 pm. Info: facebook. com/riverofhopehutchinson/, riverofhopehutchinson.org or 320-587-4414.

Fri-Sat, Nov 27-28

• Holly Days with Santa, Event Center, 301 20th S St, New Ulm. 9 am-4 pm. 12-5 pm Fri, 10 am-4 pm Sat. Info: Facebook.

• 3BC Holiday Vendor Market, Bobbing Bobber Brewing Company, 900 Hwy 15 S, Hutchinson, 12-5 pm. Info: BobbingBobber.com/, 320-4554999 or Facebook.

Sat, Nov 28

• Holiday Craft Fair, Legion Friendship Hall, Nicollet, 9 am-3 pm. Info: 507-382-4349.

• Small Business Saturday, Event Center, Henderson, 10 am-3 pm.

• The Johnny Cash Story, State Street Theater Co, 1 N State St, New Ulm, 7 pm. Info & tickets: statestreettheater@gmail.com or statestreetnewulm.org.

Sun, Nov 29

• Omelet Breakfast, Legion Friendship Hall, Nicollet, 8 am. Info: Nicollet Legion Facebook page.

Thurs-Sat, Dec 3-5

• Winterfest, downtown Faribault. Info: visitfaribault.com/calendar/.

Thurs-Sun, Dec 3-6 & 10-13

• Joseph & The Amazing Tcchnicolor Dreamcoat, Little Theatre of Owatonna, 560 Dunnell Dr # A, Owatonna, 7-9 pm. Info: visitowatonna.org/ calendar-of-events/.

Sun, Dec 12

• Bingo, American Legion Post #510, 715 3rd St, Nicollet, 4 pm. Info: Facebook.

• Holiday Farmers’ Market, The Depot Marketplace (across from the VFW), 25 Adams St SE Hutchinson, 11 am-4 pm. Info: 320-234-5652.

• Main Street Christmas, Center for the Arts, 15 Franklin St SW & St. John’s Episcopal Church, corner of Hassan St and 2nd Ave, Hutchinson, 1-4 pm. Info: 320234-5652.

Mon, Dec 13

• Compassionate Friends Worldwide Candle Lighting, Redeemer Lutheran Church, 700 S Broadway, New Ulm, 7-8 pm. Info: 507-359-2727, 877-969-0010 or rdjohns@hickorytech.net.

Thurs, Dec 17

• Lifelong Learner Series— Backyard Birding, Ney Nature Center, 28238 Nature Center Ln, Henderson, 12 pm. Info & registration: 507-357-8580 or info@neycenter.org

Over 125 Years of Service! WE CAN HANDLE ALL YOUR MOVING NEEDS Local and long distance, climate controlled warehouse or self-storage units 141076 417 Poplar Street, Downtown Mankato katomoving.com | 507-388-9329 mayflower@katomoving.com MN DOT #125249 Move With The Name You Know! Local & Long Distance, Climate Controlled Warehouse and Self-Storage Units 46 RIVER VALLEY WOMAN | november • 2020
KATO MOVING & STORAGE

Brief background about yourself:

I am Layla Pappas. I have lived in the area almost my whole life. I have two children, Solomon 18, and Pilot 11. I attended Minnesota State University Mankato for two years and received a sales and marketing degree from South Central College.

Tell us a bit about Pappageorge Restaurant:

My husband and I opened it in 2007. Pappageorge got its name from the Pappas family. Michael Pappageorge was my husband’s great grandfather and changed his name to Pappas when he moved to America from Greece around 1900. We met working at his and his father’s restaurant, Maggie’s in 1998. We started dating in 2003 and had always worked well together. After they sold the business we each were busy with other careers. When the opportunity arose to own a restaurant, I was very excited to get back to the people. We are all about the quality of food and the customer service. We have never aimed to be overly fancy, just make good food and make the customers feel like family.

How long have you been in business? 13 years.

How is it unique? We spend a lot of time at our restaurant, and we know most of our customers by name. We know the families, the good times, and sometimes the sad times, too. Our kitchen staff will remember your special order and make sure the server has it correct if they are unfamiliar with you.

How do you decide what to put on the menu? We have a fairly basic menu. The customers ultimately decide what stays and what doesn’t. We will come up with new ideas and run them as dinner features. If they sell, they stay!

What are your most popular items? Wild Mushroom Ravioli in a Gorgonzola Cream Sauce with Medallions of Filet Mignon, and our Jumbo Shrimp.

Have you always wanted to be in the food business?

I really always have, I got my first job in the industry in high school at

Happy Chef. I have worked for some of the best. Kevin Heafner of the Wagon Wheel, Adrian Person of Adrian’s and then Jay Pappas of Maggie’s.  I learned a little from them all and I definitely owe some of my success to the lessons they taught me.

What do you enjoy most about owning a restaurant?

The people for sure!

What is the most challenging? Never having a weekend free.  I have missed many occasions (weddings, funerals, etc.) due to my job.  But us being present is part of what makes us unique.

What is your favorite food? I really don’t have one. I am pretty open to all foods. I love a good salad, but for the most part my go-to items here are our Pork Loin or Pan Fried Walleye and the Greek Pizza. Is there any food you won’t touch? Not really, I would rather not eat some things, but if he makes it and wants an honest opinion, I am here to do that!

Do you watch any cooking shows, if so, what are you favorites? Honestly the last thing I want to do when I am not at work is watch shows about work! LOL!

Do you have any hidden talents that would surprise people?

I was a yoga instructor for a number of years.

Who would you like to play you in a movie about your life?

Drew Barrymore.

What do you enjoy doing during time away from work?

Hike, camp, paddleboard, hang with my family and my girlfriends. And if there is a little wine to be had, I am totally ok with that!

D E S I G N Y O U R C U S T O M D R E A M H O M E .

47 RIVER VALLEY WOMAN | november • 2020
T O U R O U R S H O W H O M E S - C A L L 5 0 7 - 3 4 5 - 6 6 5 3 SERVING SOUTHERN MN EEO/AA MN ID #BC757938 143451

Self-care has been an important topic of conversation among CADA staff and advocates this year, especially as it has been an especially stressful year. Advocates are helping victims and survivors of abuse and trauma navigate some of the worst times of their lives. At the same time, advocates are navigating their own lives and many changes as we live through a global pandemic and a lot of uncertainty. In a recent conversation about self-care, one CADA advocate said that the thing she relies on most is to practice self-care, focus on her well-being, and be sure she is ready to show up as her best self at work every day is a daily gratitude practice.

As we approach Thanksgiving, many of us will be thinking of what we are grateful for. However, gratitude is more than thinking of what we will say as our family goes around the Thanksgiving table. Gratitude can be a practice we commit to in our daily lives.

Studies point to the numerous benefits of gratitude practices. According to Happify Daily, “people who regularly practice gratitude experience more positive emotions, feel more alive, sleep better, express more compassion and kindness, and even have stronger immune systems.” Practicing gratitude can also strengthen our relationships and improve connection with others.

How many times have you received good news or been excited about an upcoming opportunity, only to have your brain sabotage your happiness with “worst case scenario” thoughts? Often, in the midst of celebrating a win, we find ourselves thinking of all the ways this newfound joy could be squashed. One way to quiet the often unhelpful “what if?” voice in our brain is to focus on gratitude. While anxiety and fear have their role in keeping us safe, sometimes these emotions can distract from our joy. Finding and appreciating the good can help us walk away from extra anxiety and fear.

How do we practice gratitude regularly? We do this by simply taking the time each day to recognize and show appreciation for the things we are grateful for. A daily gratitude practice helps you notice the little “wins” that might normally go unnoticed. For example, your meeting started right on time, or a cashier at the store was particularly friendly and brought a smile to your face. When we take the time to reflect and

practice gratitude, these small and isolated moments can come together to create a mosaic of positivity and wellbeing.

Gratitude journal or jar

If you already journal, incorporating some gratitude into your journaling practice can be a great first step in a regular gratitude practice. Many people create a journal specific for their gratitude practice. One way to get started is simply to remember a good thing or a small win from the day, and write about the emotions that you felt. This will be more than, “I’m grateful for my friend.” Instead, take the time to reflect on how wonderful it was that your friend called you over FaceTime, rather than just texting, so you could connect for a while. Reflect on the emotions that these bright spots in your day bring up. One great thing about a gratitude journal is that you can flip back through previous entries at any time and be reminded of some of the good parts of life.

A gratitude jar is similar to a gratitude journal. Every time you have a moment of gratitude, write it down and stick it in your gratitude jar.

Reflect on hard times

Hard times are just that—hard. The point of practicing gratitude isn’t to gloss over or erase negative emotions. Rather, it is about finding small moments amidst hard times to recognize small wins. For example, when someone is experiencing medical issues, there is no doubt that this is a scary time. Practicing gratitude isn’t smiling and pretending that everything is peachy, but recognizing and acknowledging the kindness of the nurses, or the outpouring of support from loved ones. Recognizing these supportive people and bright moments can make the darkness a big easier to navigate.

Share your gratitude

It is important to acknowledge the role other people play in our lives and expressing gratitude can strengthen our relationships. When we take time to reflect on the positive ways our relationships impact our lives, we create opportunities for more genuine connection. Recognizing the people who bring goodness to our lives can also help combat feelings of loneliness and isolation. One practice is to write a gratitude letter—you can choose to give this letter to the recipient or keep it private. The idea is to write a letter to someone in your life and reflect on all the ways they make a difference in your life.

RIVER VALLEY WOMAN | november • 2020 48
KRISTEN WALTERS Development & Communications Manager CADA, Mankato

Visual Identity

WWW.ALICEHQ.COM @ALICEHQPHOTOGRAPHY
HELPING CREATE YOUR BRANDS 148180
For more information visit www.OrthoEdgeMN.com A total joint replacement program 059618 Julie Vetter SVP Chief Retail Banking Officer 507-385-4447 Mankato | Amboy | Eagle Lake | Vernon Center cbfg.net 148192 www.georgescitymeats.com Our 41st year of providing quality products & services! 249316 Nicollet, Minnesota 507-232-3502 M-F 8:00 - 5:30 | Sat. 7:30 - 4:30 BEEF JERKY SNACK STIX SUMMER SAUSAGE WIENERS BRATS & LANDJAEGGERS FRESH BEEF & PORK PRODUCTS 2501 S Broadway • New Ulm 507-354-WASH (9274) www.thetunnelcarwash.com thetunnelcarwash@gmail.com 114266 131682 CALL TODAY! FREE • Consultation • Measurements • Shipping & Installation BlindsandMore.org 507-380-5019 Candee Deichman, REALTOR® 507.327.5006 507.387.3131 candee@askcandee.com AskCandee.com 133790 Hello Freedom Darolyn Juberien financial coach 507-461-0647 | livefullfc.com 143493 Love Your 140406 SPACE DESIGN HOME CENTER www.designhomecenter.com 1427 HWY 14 WEST • NEW ULM 507-233-8440 24 CENTRAL N AVE • MADELIA 507-642-8444 1961 Premier Drive, Suite 340, Mankato 507-345-8591 | adarahomehealth.com 131674 CONNECTIONS PROVIDING A LINK BETWEEN BUSINESS OWNERS AND THOUSANDS OF READERS EACH MONTH. POST OR PICK UP VIRTUAL BUSINESS CARDS HERE!
145332 FOR ALL YOUR NEEDS Stop in today! Coats, Jackets, Bibs, Boots, Hats, Gloves & much more! WINTER GEAR FOR THE ENTIRE FAMILY CANDSSUPPLY.COM COLD WEATHER 51 RIVER VALLEY WOMAN | november • 2020 145251 507-720-6773 cupsandneedlesacupuncture.com 79 NAVAHO AVE • SUITE 14 • MANKATO ASHLEY BLAINE, L. Ac. Licensed Acupuncturist 129590 16 N GERMAN ST. DOWNTOWN NEW ULM | newulmfurniture.com 147938 125 S O F A S I N S T O C K G I A N T S E L E C T I O N • A M A Z I N G P R I C E S • P E R S O N A L S E R V I C E 100 M O R E T H A N IN STOCK & IMMEDIATE DELIVERY M O R E T H A N CALL 507-354-2716 FURNITURE RECLINERS IN STOCK F O R I M M E D I AT E D E L I V E R Y Direct 507-389-8275 Mobile 952-261-5699 1751 N Victory Dr. Suite 500, Mankato primesourcefunding.com Nicole Bangasser MN MLO 1500536 | NMLS 2174

NovemberMust

HAVES

1. Buy a Ham Get a FREE Turkey

Gobble up this great deal just in time for the holiday season. Stop into Hy-Vee in Mankato and get a FREE 10-14lb Honeysuckle

White frozen turkey with purchase of a Hormel Cure 81 Boneless whole ham. Don't delay, this offer ends November 25th.

Hy-Vee Hilltop

2010 Adams St. Mankato, MN 56001 507.625.9070

Hy-Vee Riverfront

410 S. Riverfront Dr. Mankato, MN 56001 507.625.1107

2. Hydrate in Style!

147946

Drink in the glamour of these totally feminine & flowery canteens. No boring or bland plastic cups for you. Tough stainless steel, but in a bouquet of patterns.

Vivian Rose Boutique

112 S. Riverfront Dr. Ste 132 Mankato, MN 56001 507.469.5222 vivianroseboutique.com

3. Women's Patagonia Los Gatos 1/4 Zip

The Women's Patagonia Los Gatos 1/4 Zip will keep you cozy and warm this winter with a comfortable design and soft, fuzzy, polyester fabric. This women's Patagonia jacket has a tall collar for extra coverage and princess seams for a flattering fit! Complete with a Patagonia logo on the left chest, this women's Patagonia jacket will show your love for the brand while keeping you cozy, warm, and stylish.

Scheels

River Hills Mall 1850 Adams St. Mankato, MN 56001 507.386.7767 scheels.com

4. Hello Round Reversible Sign

What's better than a cute sign? How about a reversible sign that doubles as a Letter Board? Yes Please!! Hello on one side with a darling herringbone pattern, Letter Board on the other. You'll love this versatile color combination of white and grey. With a measurement of 22" by 22" by 2", this round-shaped sign will perfectly match your everyday decoration and accessories.

Nordaas American Homes 10091 State Hwy 22 Minnesota Lake MN 56068 800-658-7076 nordaashomes.com

5. Morpheus8 RF Microneedling Treatment

Morpheus8 combines the power of micro-needling and RF (radio frequency) to penetrate deeper into the skin than any other microneedling device allowing it to stimulate collagen production to truly contour and transform different parts of the body. The result – a smoother and sleeker appearance. Schedule your appointment today. Mankato Med and Skin Clinic

1603 N Riverfront Dr. Mankato, MN 507.382.8356 mankatomed.com

6. Gourmet Candies

New to Bella Nova, Candy Club Gourmet Candies! The perfect little treat for yourself, or a great add on to any gift. So many flavors to choose from.....Chocolates, Gummies, Carmel’s & Nuts. Something Sweet or something tart! A little something for everyone. Bella Nova Boutique

521 N. Riverfront Dr. Mankato, MN 56001 507.779.7444

7. Buffalo Check MN Tee

Oh give me a home where the buffalo checks roam! No need to be a lumberjack to rock some plaid, and declare your love for Minnesota. Black and white makes this tee easy to pair with denim, bright colors…or more plaid! $25

Long Dog Apparel

Holiday Boutique

River Hills Mall

1850 Adams St. Mankato, MN 56001

507.469.5755

longdogapparel.com

148177
148201
148452 148214
7.
5. 2.
6.
3. 1.

8. Cozy up in Comfort!

Get ready for the holidays with this colorful assortment of warm and cozy sweaters from C&S Supply. Huge selection of sizes to choose from small to 3 XL. C&S Supply

9. Combat Boots

Combat boots have been the shoe of the season. They can take you from an edgy day look, to a fun and comfortable night out. Featuring a zipper for convenience and a sturdy sole with quality made to last, these boots will be the accessory you plan your outfits around.

Her Happy Place

217 S. Minnesota Avenue St. Peter, MN 507.931.0008 herhappyplaceshop.com

10. Healthy, Vibrant

Rejuvenated Skin

Skin Essentials offers DERMALINFUSION®, an advanced skin-resurfacing treatment that simultaneously exfoliates, extracts and infuses skin with conditionspecific serums for an all-inclusive treatment in one step to improve skin health, function and appearance with no downtime. Call Skin Essentials and schedule a free consultation to discover if DERMALINFUSION is right for you.

Skin Essentials, Mankato Clinic

1400 Madison Ave. Suite 400A Madison East Center Mankato, MN 56001

507.625.6599 skinessentialsmankato.com

11. The Comfiest Lounge/ Pajamas EVER!

Looking for the perfect Christmas gift? These wonderful pocketed pajama/ lounge pants come in various styles and are sure to please everyone. The innovative material used to create each product is a specialized polyester blend that mimics the temperature of your body. The lightweight and breathable material provides all-day comfort. Each pattern design features fun, vibrant, and photo-realistic images. They won’t fade, peel or crack over time. And they’re made right here in Minnesota!!

Bailey Creek Boutique

103 N Minnesota St. New Ulm, MN 56073 507.354.9998

12. Renewal by Andersen

Windows: Professionally Installed by Schmidt

Siding & Window

You can be confident in Renewal by Andersen® custom replacement windows, which are backed by one of the strongest transferable warranties in the industry. Soon you’ll be saying, “I love our new windows.” Schmidt Siding & Window expert crews install them all year round.

Renewal by Andersen® windows are custom-made to fit within the exact space of an existing window. They are an easy, hassle-free way to enhance your home’s comfort and appearance without the major disruptions that often come with remodeling projects.

Schmidt Siding & Window

901 N 5th St. Mankato, MN 56001 507.625.6412 schmidtmankato.com

13. Detox Today

A detox foot soak makes joint movement easier in the knees and elbows. It’s an alternative medicine option for people who suffer chronic lymphatic and bone pain. Detoxification also promotes weight loss, as it rids your body of crippling chemicals and raises your metabolism to higher levels.

Body Concepts LLC

1615 N. Riverfront Dr. Mankato, MN 56001 507.381.5467 bodyconceptsmankato.com

14. Our Traveling Showroom

Blinds & More travels to your home or office with custom samples. We offer window coverings and interior design services. Our team will travel within a 60-mile radius of Mankato. Schedule your free consultation today! Blinds & More Window Coverings & Decor 507.380.5019 blindsandmore.org

15. Memory Bears

Save memories with Memory Bears made from garments from past days or something saved from a loved one who has gone on ahead of us. Any fabric that is connected to your memories is well suited for a Memory bear. The wonderful part of turning that special garment into a bear is that you can have it out to display or just hold and cuddle it. Visit us online to learn more about our memory bears. Pins and Needles

Alterations

728 N. Riverfront Drive Mankato, MN 507.625.5163 katobears.com

10. 11.

14. 13.

147948

106532
145401
1951 N. Riverfront Dr. Mankato, MN 56001 507.387.1171 or 800.879.1938 53 RIVER VALLEY WOMAN | november • 2020
15. 12.

YOU CAN LOWER YOUR RISK FOR DIABETES

Many of us are at a higher risk for type 2 diabetes. Approximately 88 million American adults—more than one in three—have prediabetes, according to the Centers for Disease Control and Prevention. And the vast majority of people with prediabetes—eight in ten—don’t know they have it.

Prediabetes is a health condition where blood sugar levels are higher than normal, but not high enough yet to be diagnosed as type 2 diabetes. Prediabetes puts people at increased risk of developing type 2 diabetes, heart disease, and stroke.

32 YEARS CUSTOMERS

It might be my anniversary but I am celebrating you, my loyal customer families. I am 32 years grateful for you putting your confidence in me to help you find the best vehicle for your needs. And every day I am thankful for

lauriedanberry@heintztoyota.com

Are you at risk?

• You may be at risk for prediabetes or type 2 diabetes if you have the following risk factors:

• Being overweight

• Being 45 years or older

• Having a parent, brother or sister with type 2 diabetes

• Being physically active less than 3 times a week

• Had diabetes during pregnancy

• African American, Hispanic/Latino, Native Americans and Pacific Islanders, Asian American

• Have low HDL cholesterol and/or high triglycerides

• Have been diagnosed with polycystic ovary syndrome

Take the 60-Second Type 2 Diabetes Risk Test from the American Diabetes Association. Then talk with your primary care provider about your risk factors. Your provider may recommend an A1C test—a simple blood test that measures your blood sugar and identifies prediabetes or type 2 diabetes.

Lower your risk

We all have the power to lower our risk for diabetes. Even if you are diagnosed with prediabetes, it doesn’t mean you will develop type 2 diabetes. Developing sustainable healthy behaviors can reduce your risk and improve your overall health and well-being.

Here’s how to make small changes to lower your risk and improve your health.

Become a mindful eater. Eating when hungry and stopping when satisfied, full, or comfortable allows you to let go of external food rules and return to listening to your body’s internal cues of hunger and fullness. When you eat, be mindful of how the foods make you feel—both physically and mentally.

Make water your primary beverage. Limit regular soda, juice, and sugary drinks like sweet teas, coffee beverages, and sports drinks on a daily basis.

Move more. Shoot for at least 30 minutes of physical activity five days a week. If you have not been active, start slowly to meet your goal and talk with your healthcare provider. Walking is a great way to get started and stay active. Experiment with new activities and find ways to move your body that you truly enjoy!

Talk with your healthcare provider. Ask your healthcare provider about a diabetes prevention plan, local resources and lifestyle change programs.

My best advice is to take small steps to reach your goals.

Remember, you are not alone. Visit the American Diabetes Association at www.diabetes.org for more information.

ARE 1234 Raintree Rd., Mankato | www.heintztoyota.com
148195
Laurie
OF CELEBRATING the ride! RIVER VALLEY WOMAN | november • 2020 54
507.387.0443
Danberry Sales & Leasing
ABBY TIBODEAU, RD, LD, Certified Diabetes Care & Education Specialist Mankato Clinic Diabetes Care Center
148676
140802

Turn static files into dynamic content formats.

Create a flipbook
Issuu converts static files into: digital portfolios, online yearbooks, online catalogs, digital photo albums and more. Sign up and create your flipbook.