Skip to main content

'football medicine & performance' - Issue 50

Page 1


Enigma Legal provides legal services and advice to managers, coaches and professionals working within the sports industry, its unique structure utilising a panel of expert barristers all with extensive experience of the sports industry, most notably their work with the League Managers Association.

Enigma Legal lawyers are tried and trusted to work in a flexible, agile and responsive way, demonstrating their understanding of the unique demands of the sports industry. A creative and pragmatic approach will ensure that Enigma Legal offers real value to the FMPA Membership.

www.enigmalegal.com

admin@fmpa.co.uk

CEO MESSAGE

It is with great pleasure that I welcome you to the 50th edition of our flagship magazine. This landmark publication represents a significant milestone for the association, reflecting not only our continued drive and standing within the game, but also the quality, growth, and progress of our organisation.

The success of the magazine is undoubtedly a testament to the outstanding work of the editorial team, alongside the invaluable support of the education panel, whose commitment ensures the consistently high calibre of articles our readers have come to expect. As a peer-reviewed publication, the magazine continues to develop in both quality and influence and has become a highly sought-after resource, accessed by members and international members in more than 20 countries worldwide.

Now published bi-annually as an extended edition this hard-copy publication is being distributed to departments across the top five leagues, as well as to key organisations and administrators throughout the game.

Plans are also currently underway for a third ‘Retro edition’ featuring a curated selection of articles from previous issues. In an industry characterised by high staff turnover, this will serve as an invaluable resource for practitioners new to the game, preserving knowledge, sharing best practice, and reinforcing the standards and values that underpin our work.

Finally, I would like to extend our sincere thanks to our Podcast team, who have built a significant and highly engaged following within the medicine and performance sector.

Now approaching 40,000 plays, the podcast represents a significant achievement given our extremely niche audience in professional football. This milestone reflects not only strong interest but also a dedicated and loyal listener base that continues to return episode after episode.

With heartfelt thanks to all our contributors, sponsors, and members who continue to support the FMPA and make this publication possible…

— here’s to the next 50!

MSc Football Science and Rehabilitation

Online delivery, part-time or full-time

Develop your skills in performance, conditioning and rehabilitation. You’ll advance expertise in your own area of practice, whilst developing understanding of the other interconnected areas reflective of modern football environments.

→Designed for performance or clinically-focused practitioners.

→Carry out independent research in your area of specialisation.

→Join a community of practitioners from different areas of the game.

→No exams, just coursework - gain constructive feedback throughout.

Block learning

Our new simplified timetable means you study one module at a time, to fully immerse yourself in that topic before moving onto the next.

“This flexible course gave me the football-specific rehab skills and confidence I needed to progress in the professional game. It absolutely opened up more doors, furthering my career."

Birnie, MSc graduate. Head Physiotherapist, Carlisle United FC.

Find out more lancashire.ac.uk/postgraduate or scan the QR code

FROM THE EDITORS

As the game continues to evolve at extraordinary speed, so too must the medical, performance, and support systems that underpin elite football. This edition reflects that evolution—bringing together clinical insight, interdisciplinary thinking, and critical reflection on the realities of modern professional football.

We open with a compelling clinical case report, “The Use of Bisphosphonates in the Management of Pubic Overload in an English Premier League Footballer” by physiotherapist Mr Adam Johnson, which provides valuable discussion around complex load-related pathology and pharmacological decision-making at the highest level of the game.

Calf muscle strain injuries are a significant cause of time loss in professional football. Lower limb rehabilitation specialist Dr Colin Griffin examines the factors that make soleus strains particularly disruptive to performance and availability. The article outlines the key anatomical, mechanical, and biological considerations underpinning these injuries and introduces a practical rehabilitation framework grounded in tissue healing principles and the specific performance demands of football.

This edition also addresses the unintended consequences of medical interventions in elite sport. Dr Christopher Mogekwu presents a cautionary and educational case in “A Bitter Pill to Swallow: Doxycycline-Induced Oesophagitis in an Elite Athlete”, reminding practitioners of the importance of vigilance, communication, and player education when prescribing commonly used medications.

Beyond traditional medical models, we are pleased to include Dr Antonio Pereira, Consultant of Performance, Recovery, Concentration and Imagery in Football article on Integrating Yoga into Contemporary Football Training”, which examines how holistic practices can be meaningfully embedded into high-performance environments to support physical resilience and mental well-being. In elite football, where performance demands are relentlessly high, athletes

Dr. Fadi Hassan Editor, FMP Magazine

are continually looking for ways to enhance their physical, mental, and emotional readiness.

Football medicine does not exist in isolation from its working culture. In “‘My 10-Month Interview’: Unpaid Labour for Performance and Medical Staff in Men’s Professional Football,” Dr Jacob Griffiths, a lecturer of Sports Coaching and Performance, offers a critical and timely examination of employment practices within the professional game, encouraging reflection and dialogue around sustainability, ethics, and workforce wellbeing.

At the international level, Dr Shane Worthington, a sports and exercise medicine registrar, provides a wide-ranging perspective in “Medical Care in International Football: Insights, Challenges, and the Road Ahead”, addressing the unique logistical, clinical, and governance challenges faced when delivering care across borders, tournaments, and cultures.

A key highlight of this edition is our dedicated focus on dentistry in professional football, an area often overlooked yet fundamentally linked to performance, development, and long-term health. “Disadvantage Starts Early: Oral Health Challenges in English Academy Footballers” by sports dentist Dr Saul Konviser, as well as Dr Martine Nurek, Professor Ian Needleman and Professor Peter Fine presents important data and raises critical questions about access, prevention, and inequality within youth pathways. This is complemented by a practical and engaging piece, “Shooting wide? Or straining muscles? Then open wide!” by dental surgeon Dr Sunny Sharman, which reinforces the relevance of oral health to injury risk, recovery, and overall performance.

Together, the articles in this first 2026 edition reflect the breadth and depth of modern football medicine—spanning clinical science, performance innovation, ethical practice and interdisciplinary collaboration. We hope this collection informs your practice, challenges assumptions, and stimulates continued conversation across the football medicine and performance community.

Andrew Shafik

Dr. Andrew Shafik Editor, FMP Magazine

Daniela Mifsud

Dr. Daniela Mifsud Editor, FMP Magazine

ASSOCIATE EDITORS

Ian Horsley Lead Physiotherapist

Dr. Jon Power Director of Sport & Exercise Medicine

REVIEWERS

Matthew Brown Academy Sports Scientist

Jake Heath Elite Sports Specialist Podiatrist

Dr. Danyaal Khan Academy Doctor

Mike Brown Head of Physical Performance

Frankie Hunter Lead Sports Scientist

Dr. Dáire Rooney Doctor

Dr. Thom Phillips Chief Medical Officer

Dr. Avinash Chandran Director

Callum Innes Medical Doctor

Dr. Jose Padilla MD Sports Medicine Specialist

Dr. Manroy Sahni Medical Doctor

Lisa Edwards Sports Therapist

Dr. Alessio Kenda Doctor

Kevin Paxton Strength & Conditioning Coach

Medicine And Performance Association t/a Football Medicine & Performance Association Office 5, Bank House, King St, Clitheroe, Lancs, BB7 2EL T: 0333 4567 897 E: info@fmpa.co.uk W: www.fmpa.co.uk

FMPA_Official Officialfmpa fmpa_official LinkedIn: Football Medicine & Performance Association

FMPA_Register FMPARegister fmpa_register

Chief Executive Officer Eamonn Salmon eamonn.salmon@fmpa.co.uk

Commercial Manager Angela Walton angela.walton@fmpa.co.uk

Design Oporto Sports www.oportosports.com

Photography Alamy, FMPA, Unsplash

Cover Image

A design incorporating the 49 previous FMP magazine cover images. By Gary Webster, Oporto Sports.

© Football Medicine & Performance Association. All rights reserved.

The views and opinions of contributors expressed in Football Medicine & Performance are their own and not necessarily of the FMPA Members, FMPA employees or of the association. No part of this publication may be reproduced or transmitted in any form or by any means, or stored in a retrieval system without prior permission except as permitted under the Copyright Designs Patents Act 1988. Application for permission for use of copyright material shall be made to FMPA. For permissions contact admin@fmpa.co.uk

40 Medical Care in International Football: Insights, Challenges, & the Road Ahead

44 Under the Surface: Why Soleus Strains Are Sidelining So Many Footballers

53 A Bitter Pill to Swallow: Doxycycline-Induced Oesophagitis in an Elite Athlete

Dr Chris Mogekwu

BIOVENTUS – PROVIDING INNOVATIONS FOR ACTIVE HEALING

“We are proud to welcome Bioventus as an Official Partner of the FMPA. Their strong focus on evidence-based, active healing solutions aligns closely with our commitment to supporting medical and performance practitioners working across professional football. This partnership will bring innovative, clinically proven technologies to our members, helping to enhance player recovery, long-term health, and performance at every level of the game.”

Eamonn Salmon, CEO, FMPA

Bioventus is proud to partner with FMPA to support the health and performance of footballers across the UK. Our mission is to advance active healing through innovative, evidence-based solutions that empower medical professionals and accelerate recovery.

With more than 30 years of ongoing innovation and a direct presence in over 90 countries, BTL is a global leader in non-invasive rehabilitation technologies, trusted by sports medicine teams, physiotherapists, and high-performance centres worldwide. Our clinically proven device portfolio helps practitioners accelerate recovery, enhance functional performance, and grow their medical services, providing measurable value for both patients and practices.

SwimEx Sports Performance Pools and Accelerated recovery hot and cold deep water plunge pools.

SwimEx Sports Fitness, Hydrotherapy Pools and Plunge Pools have delivered Sports Wellbeing since 1986. SwimEx’s unique paddlewheel delivers fantastic laminar flow water resistance for sports peak performance training and rehabilitation. Athletes can also

Bioventus is a global leader of innovations for active healing. The products of Bioventus are known for their safety, innovation, and effectiveness. This includes DUROLANE, a nonsurgical injection for joint pain associated with osteoarthritis and EXOGEN, an ultrasound bone healing system that stimulates the body’s natural healing process, helping fractured bones mend.

In the fast-paced world of football, timely and effective treatment is essential. Bioventus products are designed to assist you with supporting the needs of your patients. We’re excited to collaborate with the FMPA and contribute to the ongoing development of bestin-class medical care in football. www.bioventus.com

As the fields of rehabilitation and sports performance continue to evolve, BTL remains committed to pushing boundaries, equipping practitioners with intelligent, non-invasive solutions that enhance patient outcomes and strengthen the growth and reputation of modern sports medicine practices.

Book your demo today. www.btlnet.com/contact-us

Elevate your club’s performance with Sporting Edge altitude chambers. For top-tier football clubs seeking the marginal gains that translate into league points and silverware, installing an altitude chamber is the next essential step in physical preparation.

commence recovery exercises much earlier due to the buoyancy of the SwimEx variable depth deep water wells alleviating their bodyweight, accelerating their return to action and helping prevent future injuries.

If you would like to discuss a health check on your existing facilities or considering a future hydrotherapy project contact www.aquathermae.co.uk

Sporting Edge is the UK-based global leader in the design and provision of state-of-the-art Altitude & Environmental Facilities, trusted by the world’s most prestigious sports organisations.

Visit www.sportingedgeuk.com to see how an altitude chamber can revolutionise your conditioning and return-to-play protocols.

THE USE OF BISPHOSPHONATES IN THE MANAGEMENT OF PUBIC OVERLOAD IN AN ENGLISH PREMIER LEAGUE FOOTBALLER - A CASE REPORT

Introduction

Hip and groin pain is a major cause of time loss within elite football environments,1 with the location being reported as representing 14% of all time loss injuries in the sport2. Since the publication of the Doha Consensus3 there has been a better understanding and classification of injuries sustained within this area. There is however still a complexity to achieving a correct diagnosis, with multiple different pathologies commonly existing alongside each other.4

This case report looks specifically at a complex case of hip and groin pain, before discussing the successful management outcomes achieved through the use of bisphosphonates.

Case Presentation

This case report relates to a twentyone-year-old professional footballer who was playing in the top division of English football. The player had suffered from an eighteen-month history of intermittent lower abdominal and pubic pain before undergoing surgical repair of bilateral inguinal wall.

Following this surgical procedure the player underwent a six-week period of rehabilitation, but intermittent symptoms still presented with progression to high level football actions. These symptoms presented as being related to bone pathology, with no immediate provocative within the outdoor session, but a twentyfour-hour pattern whereby the player suffered night pains approximately twelve hours after the session finished. Acute exacerbations would last for approximately twelve hours and could be significantly improved through the administration of anti-inflammatory medication.

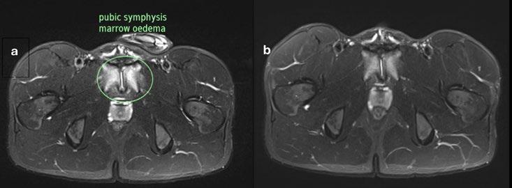
In order to assist in clinical decision making, MRI imaging was completed (Figure 1) which demonstrated severe diffuse pubic overload extending bilaterally into the superior and inferior pubic rami

FEATURE / ADAM JOHNSON,1 ADAM NEWALL,2 DR WILLIAM FOTHERBY3
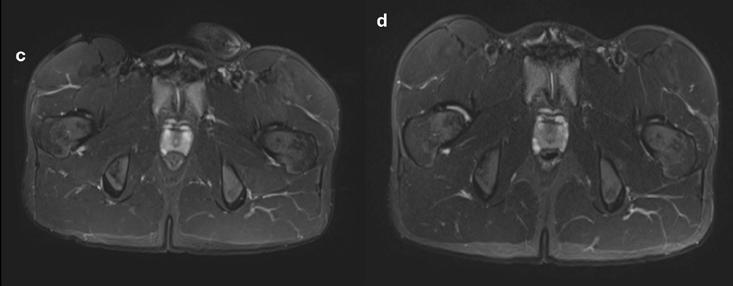
Figure 1: Repeat MRI Imaging demonstrating pubic symphysis oedema at a) Baseline b) 31 days post-infusion c) 47 days post-infusion d) 59 days post-infusion
Left Femur Custom Results
Figure 2: DEXA Small Field of View Imaging to determine bone mineral density of the Pubis

with adjacent soft tissue inflammation. Adjacent soft tissue inflammation has previously been highlighted as a poor prognostic factor in professional footballers’ rehabilitation outcomes.7

Further diagnostic tools utilised within this case were small field of view DEXA imaging which revealed that the bone mineral density around the pubis was 0.96g/cm3 which was below the target value of 1.3g/cm3 (Figure 2). Blood tests were also taken to review Ferritin and Iron levels, but these results showed levels within desired ranges.

Bisphosphonate Intervention

The player underwent an intravenous (IV) infusion of 4mg Zolendronic acid given within a 90mls saline solution over a period of 90 minutes. This IV infusion volume was given based upon World AntiDoping Association (WADA)8 rules which restrict the administration of greater than 100ml of fluid within a 12-hour period.

Calcium supplementation was commenced for a period of twelve days from four days prior to the administration of the Bisphosphonate. This took the form of

Calcichew 500mg chewable tablets which were consumed once per day for this twelve-day period.

Results

Adductor Squeeze Monitoring

Due to this particular patient’s pattern of symptoms the mid-range adductor squeeze with the hips positioned in 60 degrees of hip flexion was utilised as a daily monitoring tool. This test appeared to be sensitive to player symptoms and allowed for longitudinal tracking of both pain provocation and subsequently maximal strength scores.

Each day the player was present for rehabilitation they completed an adductor squeeze test where they were instructed to perform hip adduction against a fixed frame force dynamometer. The instructions provided to the player informed them to complete the squeeze test until they felt their symptoms within the groin, and if there were no symptoms then they were to perform the test maximally.

This data was plotted in graph form (Figure 3) each day to provide easy tracking of how aggravated the area was, or how strength

was developing through rehabilitation input. As can be seen from the graph, there was inconsistency in strength scores alongside a consistent awareness of pain upon performance of the test prior to utilisation of Bisphosphonates. Two days post-Bisphosphonate infusion there was a brief episode of awareness on the test which resulted in a lower strength score. However, from this point pain was no longer felt and strength scores continued to improve up until day seven post-infusion. These scores were then maintained without symptoms up to the point of review follow up on day forty-nine post injection.

Repeat Imaging

Due to the benefit of being able to perform repeat MRI imaging within an elite footballing setting this player underwent three post-intervention scans in order to provide longitudinal tracking of the bone and associated soft tissue oedema within the pubis which was proposed as the main driver of symptoms within this case (Figure One). Imaging was completed utilising the same 1.5T MRI scanner to ensure consistency in imaging to allow for genuine comparison.

Figure 3: A graph demonstrating Adductor Strength Scores and Visual Analogue Pain Scores over the course of the rehabilitation

Figure 1 demonstrates that there was improvement within the intensity of the bone marrow oedema within the first month following infusion. There was still some very small amount of residual associated soft tissue inflammation. This soft tissue inflammation resolved by seven weeks after the infusion and remained absent on imaging at nine weeks.

What can be seen from these repeat imaging points is that residual bone oedema and soft tissue inflammation did not correlate specifically with symptoms experiences by the player in this case. They remained pain free from two days postinfusion, but some levels of soft tissue inflammation were still present at onemonth post-infusion.

Discussion

Bone remodelling is a process which commences following the damage of bone tissue, initially through the release of osteoclasts which begin to break down the affected tissue.9 Following this initial resorption phase the process of new bone formation should commence through initiation of osteoblasts. The fact that bone formation is a longer process than resorption means that an increase in remodelling activity can result in a net loss of bone tissue in the affected area. It is proposed that within this case pain inhibition from concurrent pathology in the area meant that the player was unable to distribute and tolerate load through the

There have been long-term benefits, with the player remaining asymptomatic up to this point, which is over twelve months

region as they previously would have been able to. This will then have led to overload and trauma to the pubic bone, which would initiate the process of bone resorption. With the issue being chronic in nature, over time the process of bone resorption to formation became imbalanced, with the formation process unable to keep up with the process of resorption. This ultimately led to the decrease in bone mineral density identified on DEXA imaging.

In an attempt to restore balance to the bone reformation process, Bisphosphonates were prescribed. Bisphosphonates have a high affinity for bone mineral and are preferentially incorporated into sites where active bone remodelling is taking place. They act to inhibit osteoclasts through blocking the dissolution of calcium

phosphate, and therefore suppress the resorption of bone tissue. This allows the bone formation process to surpass the resorption process and subsequently increase the bone mineral density in the affected region,6 which in this case was the pubis.

A previous piece of research5 within high performance athletes suggested that Bisphosphonates were successful in quick reduction of symptoms as well as significant reduction in time lost to bone stress pathologies. This previous research utilised imaging at only two time points, whereas this case report looks to add to the previous research with more regular reimaging points over a greater period of time demonstrating a more comprehensive imaging timeline which demonstrates when improvements in bone oedema and associated soft tissue inflammation are achieved.

In a literature review on the topic of the use of bisphosphonates in the management of stress fractures in athletes10 it was highlighted that IV administration should be the delivery method of choice, as was utilised within this case. There is a much-improved bioavailability for uptake as well as less potential gastrointestinal side effects. Further side effects can be fever and flu-like symptoms, which were present in the patient in this case study. This led to 48-hours loss of rehabilitation whilst the athlete recovered from these symptoms, and this should be factored into the planning of optimal timing of Bisphosphonate administration in future rehabilitation cases. More severe side effects such as osteonecrosis of the jaw must also be considered when administering Bisphosphonates, and therefore the administration is contraindicated in any patient who have recently undergone invasive oral procedures or comorbidities such as diabetes.11

This case report has limitations in the fact that it is only performed in one patient and therefore cannot necessarily be transferred into the wider population. This is a limitation that has been highlighted within previous research, however this report looks to build on previous case reports with longitudinal imaging to understand the different physiological responses at different time points through the rehabilitation process. Another limitation of the study is that a follow up DEXA scan was not completed and therefore there is not an objective value on the increased bone mineral density seen within the affected area. This would be an area of improvement if the case report were to be completed again, as would the addition of a long term follow up MRI scan to understand the longer-term adaptations that had taken place following bisphosphonate infusion. This was however not required due to the patient in this case remaining symptom-free.

Conclusion

In this case report there was quick resolution of clinical symptoms, with a delayed reduction of pubic oedema seen on imaging following the administration of the bisphosphonates. More importantly though there have been long-term benefits, with the player remaining asymptomatic up to this point, which is over twelve months. It is therefore suggested that Zolendronic acid is an appropriate addition to a well-rounded rehabilitation strategy for patients who present with bone stress oedema within their pubis on MRI imaging and decreased bone mineral density on DEXA scans.

References

1. Mosler, A.B., Weir, A., Eirale, C., Farooq, A., Thorborg, K., Whiteley, R.J., Holmich, P. & Crossley, K.M. (2018). Epidemiology of time loss groin injuries in a men’s professional football league: A 2-year prospective study of 17 clubs and 606 players. British Journal of Sports Medicine, 52(5), 292-297.

2. Werner, J., Hagglund, M., Ekstrand, J. & Walden, M. (2019). Hip and groin time-loss injuries decreased slightly but injury burden remained constant in men’s professional football: the 15-year prospective UEFA Elite Club Injury Study. British Journal of Sports Medicine, 53(9), 539-546.

3. Weir, A., Brukner, P., Delahunt, E., et al. (2015). Doha agreement meeting on terminology and definitions in groin pain in athletes. British Journal of Sports Medicine, 49, 768-774.

4. Gilmore, J. (1998). Groin pain in the soccer athlete: fact, fiction, and treatment. Clinical Sports Medicine, 17(4), 787-793.

5. Simon, M.J.K., Barvencik, F., Luttke, M., Amling, M., Mueller-Wolfhart, H.W. & Ueblacker, P. (2014). Intravenous bisphosphonates and vitamin D in the treatment of bone marrow oedema in professional athletes. Injury, 45(6), 981-987.

6. Stewart, G.W., Brunet, M.E., Manning, M.R. & Davis, F.A. (2005). Treatment of Stress Fractures in Athletes With Intravenous Pamidronate. Clinical Journal of Sports Medicine, 15(2), 92-94.

7. Gaudino, F., Spira, D., Bangert, Y., Ott, H., Zobel, B.B., Kauczor, H. & Weber, M. (2017). Osteitis pubis in professional football players: MRI findings and correlation with clinical outcome. European Journal of Radiology, 94, 46-52.

8. The World Anti-Doping Agency. World Anti-Doping Code 2024 https://www.wada-ama.org/sites/default/files/2024-09/2025list_en_ final_clean_12_september_2024.pdf. Accessed 8th May 2025.

9. Feng, X. & McDonald, J.M. (2011). Disorders of bone remodeling. Annual Review of Pathology, 6, 121-145.

10. Shima, Y., Engebretsen, L., Iwasa, J., Kitaoka, K. & Tomita, K. () Use of bisphosphonates for the treatment of stress fractures in athletes. Knee Surgery, Sports Traumatology, Arthroscopy, 17(5), 542-550.

11. Hess, L.M., Jeter, L.M., Benham-Hutchins, M. & Alberts, D.S. (2008). Factors associated with osteonecrosis of the jaw among bisphosphonate users. American Journal of Sports Medicine, 121(6), 475-483.

PLAYER CARE

DUROLANE is a unique, single-injection, high molecular weight hyaluronic acid (HA) therapy that provides long-lasting pain relief from osteoarthritis and acts as a supplemental lubricant and shockabsorber. Visit DUROLANE.com

SwimEx sports performance pools and accelerated recovery hot and cold deep water plunge pools. For comprehensive information on SwimEx pools and plunge pools, please visit: www.swimex.com You can contact Richard Bishop direct if you would like to discuss a health check on your existing facilities or considering a future hydrotherapy project. richard@aquathermae.co.uk

Sporting Edge altitude and environmental chambers offer the unique benefits of hypoxic training, with optional climate control, all in the convenience of your facility. Training in a low oxygen environment forces the body to adapt and can improve fitness, maintain fitness through injury and increase repeat sprint ability. Convert an existing space or add a self-contained pod to accommodate up to twenty athletes. We can build your chamber in just a few weeks in any location. www.sportingedgeuk.com | info@sportingedgeuk.com | +44 (0)1256 844484

The Super Inductive System uses the deep-acting healing effects of highintensity electromagnetic fields in the treatment of various musculoskeletal system pathologies. High-intensity electromagnetic fields depolarise nerves and cause muscle contractions to relieve pain, release joint blockage, support the fracture healing process, and relax or strengthen muscles. The Super Inductive System is an operatorfree procedure that saves you time, is applicable over clothing, and has zero consumables and disposables. www.btlnet.com/super_inductive_system

Spend less time on admin and more time with athletes.

ScribePro’s digital medical management platform provides the tools and insights you need right at your fingertips. www.scribepro.co

The HRIG is a world leading hamstring assessment device. Two specific tests have been developed and include a bilateral and unilateral testing protocol - specifically designed to assess hamstring function. www.HRIG.ie

Move better, recover faster, perform stronger. FORZA

Kinesiology tape supports muscles and joints while staying locked in place through sweat, water, and tough workouts. Stretches 180% for skin-like flexibility able to assist you through recovery and rehabilitation. www.networldsports.co.uk

ORB delivers compliant, digital prescribing, efficient medicines management and evidence to support CQC compliance. The only platform to integrate with signatureRx, Global DRO and dm+d formulary, combined with custom dashboards for audit and reporting at player, club and league level. www.orbforhealth.com

BUSINESS

“MY 10-MONTH INTERVIEW”: UNPAID LABOUR FOR PERFORMANCE AND MEDICAL STAFF IN MEN’S PROFESSIONAL FOOTBALL

Introduction

Working in professional sport is often perceived as a glamorous and highly paid lifestyle; however, for many working as performance and medical staff, their careers begin with unpaid labour, such as an internship, placement, or volunteering. These can be opportunities for people to build a professional network and develop soft skills.1 However, unpaid labour is often criticised. This is because there are numerous examples of unpaid labour not providing enough benefit to those undertaking the work, such as providing inadequate workplace training. These positions have, in many sectors, become an expectation for a career in the industry.2,3 Unpaid labour has also been criticised for disadvantaging those from lower socio-economic positions and those with dependents, who are often unable to afford to work for free.4

From the outset, we want to emphasise how we appreciate that some professional men’s football clubs, particularly those at a lower level, may be reliant upon unpaid labour to support their performance and medical departments. Therefore, this article is not an attempt to criticise every club that uses unpaid labour but to highlight the importance of these positions being more than just free labour and how they should offer a learning experience for the individual.

Unpaid Work in Football

Football clubs have previously been accused of exploiting interns, particularly in terms of working hours and role expectations for unpaid individuals.5,6,7 This is often justified by those within clubs as providing an opportunity in an incredibly competitive and saturated market. Successful placements or internships

typically involve mentoring by senior industry professionals and considerable time invested in the individual’s professional development.8 However, within football, there is limited evidence of these opportunities existing.

Unpaid work has been found amongst scouts as crucial for developing contacts, which is highly valued in the closed world of professional football.9 Unpaid work was not guaranteed to lead to paid positions, but it was the trusted network of relationships that was important for hearing about unadvertised roles or becoming an internal hire. Scouts would work without any remuneration (such as pay or expenses) but were motivated by their ‘love of the game’ and their dream to establish a career in football. Many felt that a paid position would ‘be around the corner’, but this was only the case if they

FEATURE / DR JACOB GRIFFITHS,1 PROF DANIEL BLOYCE,2 DR GRAEME LAW3
1. University Campus of Football Business
University of Chester
York St John University

developed contacts and trusted networks, which was viewed as the main benefit of continuing to work unpaid.9

The Chartered Association of Sport and Exercise Sciences (CASES) (formerly known as BASES) position statements on work placements and internships10,11 provide a list of good practice recommendations for organisations. These include:

• Ensuring mutual benefit and understanding the benefits.

• Identify the position of the individual and the resources required, including an appropriately qualified supervisor.

• Establish the employment rights of the individual, including pay (if required).

• Decide the format of the internship/ work experience.

• Follow good practice in recruitment, selection, and administration of roles.

Although these recommendations provide examples of what CASES deem ‘good practice’, there is limited exploration of the degree to which these recommendations are followed. This article aims to discuss the experiences of medical and performance staff in internships, placements and volunteering.

Methods

Interviews were conducted with 19 performance and medical staff working in the first team at men’s professional football clubs in the United Kingdom.

15 of the 19 performance and medical staff undertook a placement, internship, or voluntary work at professional football clubs before their first full-time, paid role. The four participants (Sports Scientist 1 and 2, and S&C Coach 1 and 3) who did not undertake unpaid work in football had a placement or internship in another sport before their role in football. Participants were recruited over the course of a year using LinkedIn, personal contacts of the research team and a snowball sampling method.

A Rite of Passage?

There was an expectation that individuals would have to endure a period of working unpaid – this was viewed as a rite of passage to a career in football. People are likely to be more willing to engage in hope labour – underpaid work with the hope that future employment opportunities will follow12 – in industries they dream of working in, such as football. Similar issues have been found in the creative industries,13, 14, 15 where many also become

involved because it is their dream to work in that sector. In football, like the creative industries, the normalisation of unpaid labour practices means individuals see little alternative other than to accept this as the route into work.

Although there were frustrations about working unpaid, most considered it a positive opportunity. S&C Coach 4 stated: “You’ve got to do the hard work. No one ever wants to work for free”. Sports Scientist 4 said that unpaid work provided “good opportunities to gain experience and exposure in different environments”, as well as to “build relationships with coaches and practitioners”, which became important for future employment opportunities. Similarly, Physiotherapist 2 said he felt “the easiest way to show somebody how good you are at what you can do is by going and doing it”.

Clearly, working for free is not something anyone would like to do; however, this was perceived as an opportunity to demonstrate ability and show worth to prospective employers. The lack of pay did not negatively impact their motivations.

Tables 1-4: Participant Information

The Reality of Working for Free

Those beginning unpaid work often expect this period to provide a structured learning experience, which involves mentorship and developing necessary industry-relevant skills for future employment.16 However, many participants’ experiences lacked structure, and some were treated as “an extra pair of hands” (Sports Scientist 3). There was limited discussion of formalised feedback opportunities or performance reviews – individuals were reliant upon informal support by a mentor, which was not always available.

There were seemingly blurred lines between the role of an intern, volunteer, or placement student and that of a paid worker. This casts doubt about whether some of these individuals meet the threshold set by the UK Government to be classified as a worker.17 The unpaid role needs to be more clearly defined, to ensure that if individuals are brought in for work experience, placement or an internship, their role reflects the expectations of the position. This has led to a lack of standardisation about what is deemed an ‘intern’ or ‘volunteer’, as these roles can vary significantly between clubs.

Although individuals were thankful for the opportunity at a professional club, they were aware that these roles could easily be exploited if the benefits were not mutual: “They [unpaid roles] shouldn’t be abused” (Physiotherapist 2). S&C Coach 4 described what he did as “free labour” and felt that the benefits leaned more towards the club. Sports Scientist 5 described working for “years unpaid”, only receiving expenses which amounted to “20, 30 quid a week”.

He said that now he is working full-time, he can look back and “appreciate” that time because it was worth it. Though this raises the question of what are the attitudes of those who did not make it to a full-time role in football and do they still see the ‘value’ in working unpaid?

Unpaid labour has previously been criticised for being exploitative, particularly concerning working hours and role expectations. S&C Coach 5 said that he had a sports science internship with an EFL Championship club, which was “20 hours a week, voluntary”. This demonstrates the extent of some of these unpaid positions, which can be challenging for individuals to access if they are working full-time to fund their internship or trying to balance this labour alongside education. Many also worked without any expenses, meaning engaging in these opportunities actually cost them financially.

This brings into focus the moral questions of such roles being offered, even potential legal issues if the duties performed would qualify the individual to be classed as a ‘worker’ under the UK Government’s definition. To our knowledge, there is no guidance provided by stakeholders within the football industry, such as the FA, Premier League or EFL, regarding unpaid labour, which highlights uncertainties about how these roles are regulated and managed within the men’s professional game.

Getting a Foot in the Door: Does Unpaid Labour Lead to Future Employment?

Unpaid labour was viewed as essential to get a “foot in the door” of the football

industry (S&C Coach 5). Accessing the industry without insider contacts was challenging and, as discussed above, individuals felt they had to work for free to start their career. Many felt that unpaid labour was valuable for future employment opportunities, rather than any concern about the quality of the learning experience for professional development.

Despite the criticism levelled at unpaid work, there was often fierce competition for these opportunities. This meant many had to interview for these roles. Ironically, once individuals were within a club, they did not often interview for internal roles – once they were in, they were in. Of the 15 participants who worked unpaid in football, 10 were subsequently offered a paid position at the same club. No participants reported being promised roles in exchange for their unpaid work. However, the fact that 10 of 15 participants who did unpaid work gained a paid role at the club demonstrates the tendency for clubs to employ internally. To this end, individuals viewed this unpaid labour as a ‘working interview’ – an opportunity for them to demonstrate they had the skills, personality and, most importantly, the ability to develop trusted relationships, thereby securing a paid post. Throughout relevant literature,18, 19 trust has been viewed as vital in football employment procedures and the experiences of these performance and medical staff reflect this.

Conclusion: A Move Towards Better Practice

The key benefits of unpaid labour for performance and medical staff included gaining access to a guarded industry,

seeing the reality of work within football, and increasing opportunities for internal appointments. In this article, we have reflected on the participants’ views that unpaid labour has become a normal step in the process of establishing a career within men’s professional football. While we do not agree with the extent to which this has become normalised, we also do not necessarily suggest that such unpaid work should be stopped. We argue that unpaid labour can be beneficial to individuals looking to break into the football industry, as long as these experiences are mutually beneficial and follow fair workplace practices.

We suggest that any unpaid roles should be clearly structured, with specific responsibilities aligned with guidance of an intern, placement student or volunteer, rather than a worker. These roles should have realistic working hours, which are abided by, which is incredibly important given that many unpaid staff are studying or working elsewhere to fund working for free. Individuals should

References

also be paid expenses to cover any travel or accommodation costs that are incurred during work for the club. Unpaid labour can often exclude those without financial means to work for free; therefore, organisations need to more carefully consider the inequality that such roles can create. Finally, those using unpaid staff should offer access to opportunities that support their professional development, such as training with specific equipment, invitations to networking events and written feedback on performance.

We are aware that some of the issues raised will not occur in all clubs, and these examples of positive actions may already be embedded within unpaid labour at certain clubs. We advise those at clubs with mutually beneficial internship or placement programmes to highlight their good practice and demonstrate the benefits that unpaid work can offer more publicly. This could improve attitudes towards unpaid work and set more visible standards across the industry of what successful and beneficial unpaid labour should look like.

Summary & Recommendations

To promote ethical and developmental unpaid labour opportunities within the men’s professional football industry, we recommend the following actions:

• Visit the CASES position statements on internships and work placements to follow good practice guidelines.

• Avoid using internships or placements as ‘cheap’ or free labour by ensuring they offer industry insight and learning opportunities (i.e. mutual benefit).

• Clear role expectations should be defined from the outset of any workplace opportunity.

• Place limits on the length of unpaid employment that occurs without offering individuals the chance to receive payment for their work.

• Implement formal mentoring with regular verbal and written feedback to support individuals and improve the quality of their work.

• Highlight areas of good practice to show the benefits of unpaid labour, while still identifying where poor practice occurs.

1. Malone, J. J. (2017). Sports science internships for learning: A critical view. Advances in Physiology Education, 41(4), 569-571.

2. Doward, J. (2017, July 29). Interns beware: Working for free could put a dent in your career. The Guardian. https://www.theguardian.com/ education/2017/jul/29/internships-can-damage-career-prospects

3. Read, P., Hughes, J. D., Blagrove, R., Jeffreys, I., Edwards, M., & Turner, A. N. (2017). Characteristics and experiences of interns in strength and conditioning. Journal of Sports Sciences, 35(3), 269-276.

4. BBC News. (2017, October 23). Internships: ‘Experience doesn’t pay the rent’. https://www.bbc.co.uk/news/uk-41721041

5. BBC Sport. (2013, April 12). Reading intern job called ‘unfair’ and ‘out of reach’. https://www.bbc.co.uk/sport/football/22125015

6. Eighteen, S. (2024, February 12). Dundee fans criticise club over unpaid internship job ad. The Courier. https://www.thecourier.co.uk/fp/ sport/football/dundee-fc/4893618/dundee-fc-unpaid-social-media-job-fans-critical/

7. Gibson, O., & Walker, P. (2013, April 12). Football clubs accused of exploiting unpaid interns. The Guardian. https://www.theguardian.com/ football/2013/apr/12/football-clubs-accused-exploiting-unpaid-interns

8. Springham, M., Walker, G., Strudwick, T., & Turner, A. (2018). Developing strength and conditioning coaches for professional football. Coaching Professional Football, 50, 9-16.

9. Griffiths, J., & Bloyce, D. (2023). ‘If you haven’t got the contacts… you have no choice’: A figurational examination of unpaid work in football scouting in men’s professional football in England. International Review for the Sociology of Sport, 58(1), 87-107.

10. Board, L., Caldow, E., Doggart, L., Knowles, Z., Pye, M., & Twist, C. (2014). The BASES position stand on curriculum-based work placements in sport and exercise sciences. The Sport and Exercise Scientist, 40. https://www.bases.org.uk/imgs/tsandes_position_stand183.pdf

11. Pye, M., Hitchings, C., Doggart, L., Close, G., & Board, L. (2013). The BASES position stand on graduate internships. The Sport and Exercise Scientist, 36. https://www.bases.org.uk/imgs/bases_position_stand_graduate_internships172.pdf

12. Mackenzie, E., & McKinlay, A. (2021). Hope labour and the psychic life of cultural work. Human Relations, 74(11), 1841-1863

13. Siebert, S., & Wilson, F. (2013). All work and no pay: Consequences of unpaid work experience in the creative industries. Work, Employment and Society, 27(4), 711-721.

14. Alacovska, A. (2019). ‘Keep hoping, keep going’: Towards a hopeful sociology of creative work. The Sociological Review, 67(5), 1118-1136.

15. Brook, O., O’Brien, D., & Taylor, M. (2020). “There’s no way that you get paid to do the arts”: Unpaid labour across the cultural and creative life course. Sociological Research Online, 25(4), 571-588.

16. Grant-Smith, D. & McDonald, P. (2018). Ubiquitous yet ambiguous: An integrative review of unpaid work. International Journal of Management Reviews, 20(2), 559-578.

17. GOV.UK. (n.d.). Employment rights and pay for interns. https://www.gov.uk/employment-rights-for-interns

18. Parnell, D., Bond, A. J., Widdop, P., Groom, R., & Cockayne, D. (2023). Recruitment in elite football: A network approach. European Sport Management Quarterly, 23(5), 1370-1386.

19. Kelly, S. (2017). The role of the professional football manager. Routledge.

Rethinking Recovery: How Advanced Physiotherapy Technologies Are Transforming Football Medicine

Modern football has never been faster, more intense, or more physically demanding. With fixture congestion, travel fatigue, and high-impact play now standard across the season, the stakes for maintaining athlete availability have never been higher. The ability to recover quickly, return safely, and prevent recurring injury is no longer a luxury; it is a competitive necessity.

At BTL Industries, we are proud to partner with leading clubs, physiotherapists, and sports physicians to deliver advanced technologies that are redefining how recovery and rehabilitation are approached in elite football.

About the technologies

R-FORCE

• Full Body Weight Support for Football Rehab

R-Force is the only system that enables gait training with 100% body weight support, making it ideal for early-stage rehab after lowerlimb injuries. Air pressure evenly lifts the athlete, allowing natural movement without loading injured structures.

This controlled environment supports safe, progressive loading, preserves neuromuscular coordination, and helps accelerate the returnto-play process, all while minimising reinjury risk.

HIGH INTENSITY LASER

• Fast, Operator-Free Pain Relief for Football Injuries

BTL’s High Intensity Laser delivers immediate, drug-free pain relief by targeting inflammation and accelerating tissue healing, even in acute injury cases.

Its robotic scanning system ensures consistent, hands-free treatment, making it ideal for busy football rehab settings. With this Class 4 laser, players recover faster and return to play with lasting comfort and minimal downtime.

The Medical Challenge in the Modern Game

Footballers are subjected to extreme physical demands: high-speed decelerations, rapid directional changes, and frequent collisions. According to UEFA’s Elite Club Injury Study (2022), muscle injuries account for over 40% of time-loss injuries, with hamstring strains leading the statistics. The challenge for modern sports medicine? To not only treat injuries quickly, but to limit impact and reduce risk, while tailoring interventions. The same report revealed that clubs lose an average of €500,000 per long-term injury, highlighting the urgent need for preventative strategies and accelerated recovery methods.

Traditional physiotherapy tools are now being complemented, and in many cases enhanced, by data-driven, precision-based medical technology that improves outcomes across the board.

SUPER INDUCTIVE SYSTEM

• Powerful Electromagnetic Therapy for Football Injuries

The BTL Super Inductive System delivers deep, high-intensity electromagnetic stimulation, ideal for treating acute and chronic musculoskeletal issues in football players. It promotes muscle activation, joint mobilisation, and pain relief by inducing targeted contractions and depolarising nerve tissue, supporting faster recovery and effective non-invasive treatment across all rehab phases.P

LYMPHASTIM

• Reduce swelling, restore circulation, and accelerate recovery

A fully operator-free system for lymphatic drainage therapy, based on the clinically validated principle of pneumatic pressotherapy. Lymphastim delivers rhythmic, pressure-guided massage to stimulate lymphatic flow, reduce post-exercise or post-traumatic swelling, and accelerate fluid clearance—ideal for managing lymphedema, post-surgical oedema, and heavyleg fatigue in high-performance athletes.

Trusted by Clubs Across Europe

Our clients include medical teams in the Premier League, Serie A, and national federations across Europe, and we are proud to supporting with Tottenham Hotspur, Chelsea, and West Ham United Football Clubs. Clubs report:

• Reduced injury recurrence

• Shorter recovery periods

• Improved athlete confidence and return-to-performance metrics

Whether applied pitch-side, in recovery rooms, or on the road, our devices are designed for portability, data tracking, and ease of use across the full medical workflow.

Scientific Support for a Technological Shift

What sets our technology apart is not only functionality but evidence-based effectiveness. All systems we deliver have been validated in peer-reviewed journals, used in clinical trials, and supported by elite-level physiotherapists and sports scientists.

Recovery will no longer be reactive; it will be proactive, predictive, and personalised

FOCUSED SHOCKWAVE

• High-Performance Therapy for Chronic Football Injuries

BTL Focused Shockwave sets a new standard in non-invasive treatment for tendinopathies, calcifications, and bone nonunion, common issues in elite football.

With a 3x higher frequency range, the highest energy density, and a precisely optimised focal point, it delivers deep, targeted therapy where it’s needed most. This enables faster recovery, better outcomes, and a surgery-free path to managing chronic pain with minimal downtime.

CRYOTHERAPY

• Designed for faster recovery and inflammation control

An advanced cryotherapy system combining hands-free application with dynamic manual techniques. It delivers targeted cold therapy and controlled compression to reduce inflammation, relieve pain, relax muscles, and minimise swelling—ideal for acute injuries and post-match recovery.

References and supporting clinical evidence: please contact us directly at btlnet.com

About BTL

BTL has become one of the world’s major manufacturers of medical and aesthetic equipment with direct offices in more than 80 countries around the world. We have become a market leader in non-invasive treatments, the fastest-growing segment of medicine. To learn more or to request a product demonstration, visit BTL website or contact us directly (Lauren Clements, clementsl@btlnet.com).

Get in touch with us

Redefining recovery for the modern game

Improved athlete confidence Reduced injury recurrence

Shorter recovery periods

R-FORCE TR-THERAPY

SUPER INDUCTIVE SYSTEM

HIGH INTENSITY LASER

FOCUSED SHOCKWAVE

RADIAL SHOCKWAVE

CRYOTHERAPY

LYMPHASTIM

DISADVANTAGE STARTS EARLY: ORAL HEALTH CHALLENGES IN ENGLISH ACADEMY FOOTBALLERS

FEATURE / DR SAUL KONVISER, DR MARTINE NUREK, PROF IAN NEEDLEMAN, PROF PETER FINE

Introduction

This article summarises key findings from recent research published in BMJ Open Sport & Exercise Medicine by Konviser et al. (2025).1 The study examined the oral health of 160 academy football players from 10 English clubs, highlighting an early onset of oral disease and its potential impact on player wellbeing and performance. The findings raise critical questions for the wider football medicine community.

Background: A Hidden Health Burden in Footballers

Poor oral health contributes to pain, systemic inflammation and diminished

sporting performance capacity,2-8 with previous research into professional footballers in the UK showing high levels of untreated dental caries, gum disease and a perceived negative performance impact.9 The study by Konviser et al. (2025)1 reported that these issues were already present in football academies.

Key Findings from the Study

1. Prevalence of Oral Disease

Among participants, 76.8% presented with gingivitis (gum inflammation), 22.5% with periodontitis (irreversible gum disease), and 31.2% with dental caries requiring treatment. Screening for dental trauma revealed that 35.6% had

sustained trauma to their incisor teeth, while 15.5% showed evidence of severe tooth wear. Notably, one in ten players reported missing training sessions due to oral health problems.

2. Suboptimal Oral Health Behaviours

The study found that only 76.2% of participants brushed their teeth twice daily, while just 5.0% reported daily use of interdental cleaning techniques (e.g., dental floss). Additionally, 21.0% had not visited a dentist in over two years, and 23.1% reported consuming sports drinks on a daily basis. Figure 1:

Prevalence of Oral Health Conditions in Academy Footballers

Oral Health Behaviours of Academy Footballers

Oral Health Behaviours

3. Impact on Performance

Overall, 56.2% of players reported a perceived impact of their oral health on sporting performance. Higher Decayed, Missing and Filled Teeth (DMFT) scores were significantly associated with missed training (p = 0.013), while longer intervals between dental visits were predictive of poorer periodontal (gum) health (p = 0.015).

Discussion: Strengthening Player Welfare Through Oral Health Integration

The findings reveal a concerning prevalence of oral health issues at a critical stage in a player’s development. With more than three-quarters showing signs of gingivitis and over one-third with untreated dental caries, the burden of oral disease is high and largely preventable. These patterns mirror those seen in senior footballers in the UK,9 but manifest far earlier than previously appreciated. With more evidence emerging to suggest the potential associations between gum (periodontal) inflammation and sporting performance,11 it is critical that this message is adopted by both players and sports medicine teams to support player education and wellbeing.

Despite good self-reported brushing behaviour, few players used interdental cleaning techniques regularly, and one in five had not seen a dentist in over two

Figure 2: Oral health behaviours of academy footballers

years. These behaviours, alongside frequent consumption of sports and energy drinks, suggest a lack of integrated oral health education within current academy systems.

There is also growing evidence that poor oral health may impact performance through pain, inflammation, or disrupted training availability. Over 10% of players reported missing training sessions due to oral health issues, and the correlation between dental caries severity and missed sessions reinforces the need for a performance medicine perspective.1

Football clubs invest significantly in physical preparation, nutrition, and mental wellbeing, yet there appears to be a lack of integration of oral health services and support. It is time for football governing bodies to set standards for minimum dental care access within football academies, aligning oral health with existing welfare guidelines in sport.12

The findings of our recent academy footballers’ study1 and previous studies support the recommendation for integrating dental professionals into football’s wider sports science and medical teams. Their expertise in this context extends

References

beyond merely managing dental trauma, but encompasses dietary counselling, management of the impact of stress on the dentition and surrounding anatomy, as well as early oral disease detection. Inclusion of oral health professionals would enhance the holistic care model that elite athletes at academy level require.13

Proposed Benefits of Oral Health Integration

Integrating oral health into sports medicine offers several key benefits. It can reduce the incidence of preventable pain and absence from training or competition, improve player availability and readiness for both training and matches, and strengthen compliance with national and club health standards. Integration also promotes enhanced collaboration across sports medicine disciplines and supports an overall improvement in each athlete’s systemic health.

Call to Action: What Needs to Change?

• Footballing authorities should mandate routine oral screening in academies.

• Sports medicine departments should include dental professionals as part of interdisciplinary care teams.

• Oral health education and behavioural support can be embedded alongside existing wellbeing initiatives

Practical Recommendations

• Annual pre-season dental screening at clubs

• Full dental examination at least 1 x year for all players. A 3 – 6 month recall for players exhibiting high-risk of oral diseases.

• Oral health education club-wide

• Dentist inclusion in sports science teams

• Oral health standards for academies

Conclusion

Oral disease is common in academy players and may affect wellbeing and sporting performance. Therefore, oral health should be treated with the same urgency as other modifiable health risks to align with the importance placed on other performance inhibitors such as physical injury/ illness. Football medicine teams must integrate dental expertise into player wellbeing programmes to highlight its importance in maintaining player health and performance.

Acknowledgements

Thank you to all participating clubs and players, and to the support of colleagues at UCL Eastman Dental Institute.

1. Konviser SN, Nurek M, Needleman I, Fine P. Disadvantage starts early: academy football has high levels of oral disease. BMJ Open Sport Exerc Med [Internet]. 2025 Apr 8;11(2):e002245. Available from: https://bmjopensemsite-bmj.vercel.app/content/11/2/e002245

2. Dietrich T, Webb I, Stenhouse L, Pattni A, Ready D, Wanyonyi KL, et al. Evidence summary: the relationship between oral and cardiovascular disease. Br Dent J. 2017 Mar 10;222(5):381–5.

3. D’Aiuto F, Gable D, Syed Z, Allen Y, Wanyonyi KL, White S, et al. Evidence summary: The relationship between oral diseases and diabetes. Br Dent J. 2017 Jun 23;222(12):944–8.

4. Manger D, Walshaw M, Fitzgerald R, Doughty J, Wanyonyi KL, White S, et al. Evidence summary: the relationship between oral health and pulmonary disease. Br Dent J. 2017 Apr 7;222(7):527–33.

5. Ashley P, Di Iorio A, Cole E, Tanday A, Needleman I. Oral health of elite athletes and association with performance: a systematic review. Br J Sports Med. 2015 Jan;49(1):14–9.

6. Gallagher J, Ashley P, Petrie A, Needleman I. Oral health and performance impacts in elite and professional athletes. Community Dent Oral Epidemiol. 2018 Dec;46(6):563–8.

7. Needleman I, Ashley P, Petrie A, Fortune F, Turner W, Jones J, et al. Oral health and impact on performance of athletes participating in the London 2012 Olympic Games: a cross-sectional study: Table 1. Br J Sports Med. 2013 Nov;47(16):1054–8.

8. Gay-Escoda C, Vieira-Duarte-Pereira DM, Ardevol J, Pruna R, Fernandez J, Valmaseda-Castellon E. Study of the effect of oral health on physical condition of professional soccer players of the Football Club Barcelona. Med Oral Patol Oral Cir Bucal. 2011;e436–9.

9. Needleman I, Ashley P, Meehan L, Petrie A, Weiler R, McNally S, et al. Poor oral health including active caries in 187 UK professional male football players: Clinical dental examination performed by dentists. Br J Sports Med. 2016 Jan 1;50(1):41–4.

10. World Health Organisation. Oral Health Surveys Basic Methods 5th Edition [Internet]. 2013. Available from: https://iris.who.int/ bitstream/handle/10665/97035/9789241548649_eng.pdf?sequence=1

11. Merle CL, Richter L, Challakh N, Haak R, Schmalz G, Needleman I, et al. Associations of Blood and Performance Parameters with Signs of Periodontal Inflammation in Young Elite Athletes—An Explorative Study. J Clin Med [Internet]. 2022;11(17). Available from: https://www. mdpi.com/2077-0383/11/17/5161

12. Tanni Grey-Thompson DBE B. Duty of Care in Sport Independent Report to Government Duty of Care in Sport [Internet]. 2017. Available from: https://assets.publishing.service.gov.uk/government/uploads/system/uploads/attachment_data/file/610130/Duty_of_Care_ Review_-_April_2017__2.pdf

13. Gallagher J, Ashley P, Needleman I. Implementation of a behavioural change intervention to enhance oral health behaviours in elite athletes: a feasibility study. BMJ Open Sport Exerc Med [Internet]. 2020;6(1). Available from: https://bmjopensem.bmj.com/content/6/1/e000759

Maxiplast Hand Tearable EAB

66fit Latex Free Exercise Band - 25m

Available in 6 colour coded progressive levels of resistance to improve muscle strength, range of motion and flexibility. Each band is 14.5cm wide 25m in length.

strengthening of joints in the musculature system.

exhibits its efficacy through the activation of neurological and circulatory systems.

SHOOTING WIDE? OR STRAINING MUSCLES? THEN OPEN WIDE!

FEATURE / DR SUNNY SHARMAN

Introduction

The oral health of athletes, specifically footballers, has been gaining international attention over the last few years due to excellent research confirming its link with the musculoskeletal system and the performance of elite athletes.

A quick Google search of teeth and footballers’ injuries will give you lots of quotes from Jamal Musiala, Arjen Robben, Clarence Seedorf, Steven Gerrard, and Cesc Fàbregas, to the great Arsene Wenger, who requested his players have wisdom teeth removed. They all accredited a link between soft tissue injuries and rotten teeth. Hansi Flick hired a dentist with the Germany national team and again at Barcelona.

Footballers have an increased risk of poor oral health due to1

• Decreased saliva production during training and matches

• Increased carbohydrate intake through nutritional supplements

• Dehydration

• Increased airflow through the mouth

• Impaired immune system function with high training load

Is this an overlooked part of the body with regard to performance? We will delve into the connections.

Teeth

The largest representative sample of footballers by UCL2 found that 37% of players had active dental caries (decay) and 53% had dental erosion (loss of enamel or dentine).

A very recent study of academy players identified high levels of oral disease: 31.2% had dental caries requiring treatment; 76.8% had gingivitis; and 22.5% had periodontitis. Tooth wear affecting up to at least 50% of tooth structure was present in 15.5% of participants.15

Dental decay will cause pain and often players learn to chew differently, avoiding certain triggers and this can affect nutrition intake. Dental erosion can cause sensitivity which can be disruptive. Both can contribute to poor sleep.3

Impacted wisdom teeth can limit jaw opening and lead to silent chronic infections, leading to lower energy levels. The most common reason I have seen players as emergencies are for infected wisdom teeth.

Gums

Gum diseases are among the most common of chronic human diseases, affecting between 20 to 50% of people worldwide.4 Footballers have been shown to have 5% moderate-severe irreversible periodontal disease.2 7 out of 10 athletes with multiple injuries suffer from periodontitis.10 It has been linked to Cardiovascular disease,5 Alzheimer’s,6 Type 2 Diabetes7 and Cancers.8

Oral pathogens can enter the systemic circulation with chronically higher levels of IL-6 and other cytokines. Chronically higher levels of IL-6 are associated with fatigue, and fatigue is a significant risk factor for (re)injuries.9-10

The margins are so small with athletes, yet many have normalised bleeding gums.

TMJ and Dental Occlusion

The infamous Milan lab was one of the pioneers in establishing a link between how dental occlusion affects:

• hamstring/quadriceps isokinetic performance

• gait biomechanics

• postural control among elite football athletes16

The studies and evidence since the 90’s have only strengthened this hypothesis.

Players who have malocclusions and an asymmetrical biting force tend to have asymmetrical gait.

Clinical studies show that once asymmetry is corrected with a mouth-wearing appliance or adjustment of the teeth, athletes have a more symmetrical posture and lower risk of injury11 due to more balance in their gait.

Performance-enhancing mouthguards are increasingly being used across all sports. David Beckham once wore a small appliance to cover a missing tooth to help his gait.13 Wataru Endo also wears one to help his balance.

We can now demonstrate a significant link between jaw repositioning, airway volumetric change, and performance enhancement in both aerobic and anaerobic performances.12

Treatments to correct can vary from simple adjustment of fillings and crowns to wearing a splint or to orthodontics.

NUTRITION AND ORAL HEALTH IN SPORT

What is the Problem?

Athletes are at increased risk of poor oral health due to:

Saliva production during exercise

Dehydration

Air flow through the mouth

Seven Key Recommendations for Action

Avoid Supplements Not Benefiting Training, Competition or Recovery

Oral Health of Elite Olympic & Professional Athletes*

Reduced

x2/ Day - Last thing at night and one other occasion

Fluoridated toothpaste: at least 1350ppm (>2800ppm if available) Spit out after brushing: DO NOT rinse Use

Carbohydrate intake via nutritional supplements Impaired immune system function with high training load and other stressors Dentists can play a key role in identifying

Visit dentist for personalised technique coaching

Inter-dental

Consider

Dental Check-ups x2/ Year Apply Simple Risk Mitigation Strategies Optimise Implementation Research

EASTMAN

Food for thought Sports dentistry is gaining traction. In the USA, NFL, NBA, NHL, MLS, and MLB teams are required to have a certified sports dentist.

Our advice would be to introduce pre-season dental screening and to consider a players bite.

Pre-season screening with a sports dentist would normally take place on the same day as cardiovascular and musculoskeletal medical day. The dentist would need 4-5 minutes for a rapid screen on a massage table to be able to triage them into a red, amber or green zone. A report will be then sent to the club doctor for further investigations.

An assessment of a player’s bite in relation to gait, posture and hamstring/quadriceps isokinetic performance should be explored with players who have recurrent soft tissue injuries in the season.

References

1. https://www.ucl.ac.uk/eastman/file/2195 Infographic

2. Poor oral health including active caries in 187 UK professional male football players: Clinical dental examination performed by dentists. Ian Needleman1 , Paul Ashley2 , Lyndon Meehan3, Aviva Petrie4, Richard Weiler5,6,7, Steve McNally8, Chris Ayer9, Rob Hanna10, Ian Hunt11, Steven Kell12, Paul Ridgewell13, Russell Taylor14

3. Association between sleep duration and dental caries in a nationally representative U.S. population

4. Prevalence of periodontal disease, its association with systemic diseases, and prevention - Muhammad Ashraf Nazir 1 ,

5. Periodontitis Increases the Risk of a First Myocardial Infarction: A Report From the PAROKRANK Study - Lars Rydén 1, Kåre Buhlin 2 , Eva Ekstrand 2, Ulf de Faire 2, Anders Gustafsson 2, Jacob Holmer 2, Barbro Kjellström 2, Bertil Lindahl 2, Anna Norhammar 2, Åke Nygren 2, Per Näsman 2, Nilminie Rathnayake 2, Elisabet Svenungsson 2, Björn Klinge 2

6. Association between chronic periodontitis and the risk of Alzheimer’s disease: a retrospective, population-based, matched-cohort study - Chang-Kai Chen, Yung-Tsan Wu & Yu-Chao Chang

7. A systematic review and meta-analysis of epidemiologic observational evidence on the effect of periodontitis on diabetes An update of the EFP-AAP review - Filippo Graziani, Stefano Gennai, Anna Solini, Morena Petrini

8. Periodontal Disease, Tooth Loss, and Cancer Risk - Dominique S Michaud *, Zhuxuan Fu, Jian Shi, Mei Chung

9. Miller KC, Stone MS, Huxel KC, Edwards JE. Exercise-associated muscle cramps causes, treatment, and prevention. Sports Health. 2010;2:279–83.

10. Mair SD, Seaber AV, Glisson RR, Garrett Jr WE. The role of fatigue in susceptibility to acute muscle strain injury. Am J Sports Med. 1996;24:137–43.

11. Associations of Masticatory Muscles Asymmetry and Oral Health with Postural Control and Leg Injuries of Elite Junior Soccer PlayersHenny Solleveld¹, Bram Slaets¹, Arnold Goedhart¹, Luc Vanden Bossche².

12. Physiological Responses of a Jaw-Repositioning Custom-Made Mouthguard on Airway and Their Effects on Athletic PerformanceRicardo Schultz Martins 1, Patrick Girouard, Evan Elliott, Said Mekary

13. https://www.independent.ie/sport/soccer/beckhams-career-blooming-with-a-little-help-from-milan-fitness-lab/26542573.html 14. https://www.ncbi.nlm.nih.gov/pmc/articles/PMC4520673/

15. Konviser SN, Nurek M, Needleman I, Fine P. Disadvantage starts early: academy football has high levels of oral disease. BMJ Open Sport & Exercise Medicine. 2025;11:e002245. https://doi.org/10.1136/bmjsem-2024-002245

16. Solleveld H, Slaets B, Goedhart A, VandenBossche L. Associations of Masticatory Muscles Asymmetry and Oral Health with Postural Control and Leg Injuries of Elite Junior Soccer Players. J Hum Kinet. 2022 Nov 8;84:21-31. doi: 10.2478/hukin-2022-0086. PMID: 36457464; PMCID: PMC9679175.

ADVANCING HAMSTRING ASSESSMENT & REHABILITATION WITH SPECIFICITY & PRECISION ‘WHERE BIOMECHANICS MEET PERFORMANCE”

DR MARTIN MC INTYRE PHD, M.MED.SCI, BSC, H.DIP

In February 2026 it is reported that there are about 18 Premier League players currently unavailable due to hamstring injury across 10 clubs (premierleague.com). In a squad of 25 players, 5 players will sustain at least 1 hamstring injury (Eskrand etal., 2022). Official RTP (Return to play) timelines are difficult to predict but the estimated time loss for some of these players are between 49-64 days which equates to an average of £490,000 and a total of £5.8 million in wages during this period. Recurrences are common. Maybe a Biomechanics centred approach is worth considering, particularly when 48%-81% of all hamstring injuries occur during sprinting (Roe et al., 2018; Wilson et al., 2007; Askling et al., 2013). These running related injuries occur in early stance or late swing phase in which the loads are the main contributing factor (3-10 times BW or 5.9-46 N.Kg-1).

Biomechanics Meets Performance – “Specificity”

The HRIG is a novel device for the testing of isometric hamstring strength specific to the mechanism of injury in sprinting (Figure 1). It centres around an assessment and loading pattern specific to late swing and early stance. Critically it shows high inter-

rater and intra-rater reliability of 0.93 ICC (CI 95%) of with the typical error of 21N (16-34N) is low.

Its key features are:

• Single leg, sprint relevant positioning increasing sensitivity to hamstring monitoring

• Objective BAMIC Classification, Injury risk screening and fatigue monitoring and readiness to train

• Controlled loading in a MTU/IMT/ fascicle lengthened position with live biofeedback to optimise tissue healing and RTP timelines, while preventing re-occurrences with objective force data.

Figure 1: THE HRIG – “Where Biomechanics Meets performance with live biofeedback”. Fig A - The HRIG provides indices of force, torque, rate of force development in which transmission is biased towards the Biceps Femoris (60%). Asymmetries are aligned with BAMIC Classification when assessing acute injuries with a 50% asymmetry in this case indicating a BAMIC 3C. Fig B – Ballistic muscle function with 1s contraction time and 1s recovery time 3 x 10 reps providing live biofeedback in preparation and clearance to Vmax.

Figure 2: THE HRIG – “Where Biomechanics Meets performance in Neural Drive” – This details two BAMIC 1A injuries with 13% and 9% asymmetries. In the case of the athlete with 13% asymmetry neural drive is medial biased (71% medial hamstring V 29% BF). In the case of the athlete with 9% asymmetry this is also the case however less so (55% Medial hamstring and 45% BF). Optimum levels for un-injured athletes indicate a BF bias of 60% in force production on the HRIG in this sprint position.

Biomechanics Meets Performance – “Tendon Compliance”

“C” type muscle injures are extremely problematic and the degree of tendon stiffness and compliance to external and particularly internal muscle load is influenced by aponeurosis geometry and cross sectional area (CSA). Eccentric strength training promotes muscle hypertrophy, and fascicle lengthening however the geometry of the tendon and aponeurosis is relatively un-affected (Lazarczuk et al., 2024). The HRIG a) loads in a position specific to the mechanism of injury and provides a high strain stimulates (optimising tissue healing) for collagen synthesis to increase tendon CSA as tendons respond more to strain magnitude and duration than to movement velocity b) it provides time under tension favouring structural remodelling, low load for neural benefits and high load for structural tendon change and c) allows precision loading

References

strategies with respect to regional hypertrophy. This tendon focused approach leads to reduced tendon stress, altered stiffness and compliance and improved force transmission and efficiency.

Biomechanics Meets Performance –“Neural Drive”

Supercompensation and inhibition, within muscle variations for neural drive are well documented with 1) reduced EMG amplitudes in the injured hamstring 2) delayed onset of activation 3) altered intra hamstring compartmentalisation, co-contraction with antagonists which reflect an inhibition because of alpha motor inhibition or a supercompensation effect which can lead to recurrent issues. Given the specificity of the mode of contraction (testing) the HRIG is used with KINEMOTION (EMG) to detail the bicep femoris as to whether it is a) the culprit or the victim and as to when this neural drive

Askling, C.M., Tengvar, M. and Thorstensson, A. (2013) ‘Acute hamstring injuries in Swedish elite football: a prospective randomised controlled clinical trial comparing two rehabilitation protocols’, British Journal of Sports Medicine, 47(15), pp. 953–959.

Ekstrand, J., Waldén, M. and Hägglund, M. (2022) ‘Hamstring injuries have increased by 4% annually in men’s professional football since 2001: a 21-year longitudinal analysis of the UEFA Elite Club Injury Study’, British Journal of Sports Medicine, 56(11), pp. 620–625.

Lazarczuk, S.L., et al. (2024) ‘Effects of eccentric training on muscle–tendon adaptations: implications for injury risk and rehabilitation’, Sports Medicine, 54(2), pp. 245–259.

Premier League (2026) Injury updates and player availability statistics. Available at: www.premierleague.com (Accessed: 22 February 2026).

Roe, M., Murphy, J.C., Gissane, C. and Blake, C. (2018) ‘Time to get our wires crossed? Sprint mechanics and hamstring injury risk’, British Journal of Sports Medicine, 52(7), pp. 420–425. Wilson, F., Gissane, C., Gormley, J. and Simms, C. (2007) ‘A 12-month prospective cohort study of injury in international rowers’, British Journal of Sports Medicine, 44(3), pp. 207–214.

returns to optimum levels and b) provides targeted prescription for either the lateral or medial hamstring to optimise neural drive in RTP (Figure 2).

Conclusions

Be specific – The HRIG mimics the mechanism of injury when undertaking hamstring assessment and loading strategies to maximise sensitivity and optimise tissue healing.

Consider tendon compliance and loading strategies with objective data to optimise dosing and therefore tissue adaptations.

Neural drive is a considerable factor in clearance to return to sport and mitigating against recurrent injury.

Contact martin@hrig.ie for more information.

SwimEx Fitness Hydrotherapy and Plunge Pools

Aqua Thermae are the UK and Ireland installers for www.SwimEx.com professional sports fitness and recovery pools as used across the world by leading sports teams and athletes for peak performance training and accelerated resilient recovery. We provide swimming pool bespoke tailored water treatment and filtration systems using the latest innovative specified equipment.

SwimEx Fitness Hydrotherapy and Plunge Pools

SwimEx pools provide sports medicine professionals with the ideal hydrotherapy tool for advanced recovery, training and conditioning. The variable flow water current, power driven underwater treadmills, high performance interiors with therapy protocol work stations and SwimEx EDGE touchscreen fitness monitor create the ultimate aquatic environment for progressive treatment plans and winning training programmes. As used by 2026 Super Bowl Champions Seattle Seahawks, New England Patriots, Denver Broncos, Jacksonville Jaguars, Baltimore Ravens, Green Bay Packers, Wolverhampton Wanderers and the British MOD.

Cold Plunge Pools

The SwimEx chiller system on this Cold Plunge Pool keeps water temperatures at a therapeutic 50oF (10oC).

Hot Plunge Pools

The SwimEx Hot Plunge Pool heating system brings water temperatures up to 104oF (40oC).

1000 T Series

• Accommodates 6-7 people

• Extra Large Treatment Area

• Non-weight Bearing Deep Area

800 T Series

• Multiple Depths

• Non-weight Bearing Deep Area

• Multiple Users

Custom Plunge Pools

For teams and athletes who require specific treatments, SwimEx can help you create custom plunge pools.

600 T Series

• Rear Running Pad

• Deep Well up to 2.13m (7ft)

• Multiple Fitness Stations

• Multiple Users/Multiple Depths

• Flat Floor & Fitness Stations

• Variable Speed Treadmill

INTEGRATING YOGA INTO CONTEMPORARY FOOTBALL TRAINING

FEATURE / DR ANTÓNIO ALVES PEREIRA

Implications for Load Management, Performance, and Player Availability

Introduction: Increasing demands in modern football

Modern football has evolved into a highly demanding performance environment, largely due to congested match calendars, increased training density, and limited recovery windows between competitive fixtures. These systemic pressures are consistently associated with elevated physiological and psychological load, increased fatigue accumulation, higher injury incidence, impaired attentional control, and a greater likelihood of performance error. Collectively, these factors negatively affect player availability and team performance.

Within this context, innovation in training methodologies is no longer optional. Contemporary football medicine and performance models must integrate evidenceinformed approaches capable of enhancing physical readiness, optimising recovery, and supporting cognitive and emotional regulation under fatigue. Interventions that address both load tolerance and mental resilience are particularly relevant in a sport characterised by repeated high-intensity efforts and complex decision-making.

One such approach is the application of Yoga-

based techniques within football training environments. Yoga represents a structured and technically diverse practice that targets key neuromuscular and psychophysiological qualities relevant to football performance. Its potential contribution to load management, recovery, and injury risk reduction warrants serious consideration within modern football performance frameworks.

Yoga: a technical practice rather than a philosophical construct Yoga originated in India more than five millennia ago as a practical system of techniques designed to train the body and mind with the objective of developing human potential and expanded awareness (samadhi). Historically, Yoga was conceived as an applied discipline rather than a belief-based doctrine.

For performance application in football, it is essential to distinguish between this original, technical, and practice-centred tradition—and the later philosophical or doctrinal schools that developed around it. Many contemporary interpretations are shaped by specific lineages, belief systems, or Western fitness paradigms, which may dilute or distort the original functional intent of the practice.

From a medical and performance perspective in football, only original, technically robust, and outcome-oriented methods are of

relevance, provided they are implemented by professionals with decades of technical experience in Yoga and a sound scientific background. These methods prioritise neuromuscular control, tissue capacity, breathing regulation, and psychophysiological balance—qualities directly associated with performance optimisation, recovery efficiency, and injury risk mitigation. This distinction underpins the methodological approach used in our applied work with football teams.

Effects of Yoga in football training contexts When systematically integrated into professional football environments—both within training microcycles and in extratraining contexts—Yoga can be delivered through structured Technical Yoga sessions. These sessions ar e developed using predefined, bespoke protocols aligned with performance objectives and established in collaboration with the coaching and performance and medical staff.

From a neuromuscular perspective, Yoga acts on the body in an integrated manner by alternately emphasising muscle lengthening and shortening. This approach contributes to improvements in flexibility, balance, strength, muscular endurance, and movement coordination. Such adaptations are particularly relevant for footballers exposed to repetitive high-speed running, accelerations,

decelerations, and rapid changes of direction.

Current evidence also indicates positive effects on agility, power, speed expression, joint mobility, and stress regulation. These adaptations directly support performance expression under match conditions, particularly during periods of accumulated fatigue. Importantly, Yoga-based interventions impose relatively low external mechanical load, making them suitable for inclusion during congested schedules or recovery-focused training days.

Breathing training represents another key mechanism. The systematic use of slow, conscious, and controlled breathing enhances ventilatory efficiency and autonomic regulation, supporting better physiological control during high-pressure situations. Improved breathing awareness may also contribute to faster recovery between high-intensity efforts and improved emotional self-regulation during competition.

Injury risk, recovery, and player availability

Injury prevention and player availability remain central priorities in elite football. Yoga contributes to injury risk reduction primarily by addressing accumulated muscular tension, movement asymmetries, and deficits in neuromuscular control— well-established predisposing factors for musculoskeletal injury.

By reducing excessive tone and improving tissue compliance, Yoga may enhance load tolerance and support more efficient recovery processes. Its application in both preventive and rehabilitative contexts allows for continuity of movement exposure without excessive mechanical stress. This characteristic is particularly valuable during return-to-play phases or periods of increased fixture congestion.

Psychophysiological effects are equally relevant. Yoga has been shown to reduce anxiety and excessive arousal, partly through modulation of respiratory and autonomic function. Improvements in concentration and attentional stability are especially important in football, where decision-making under fatigue often determines match outcomes.

Furthermore, by alleviating both physical and mental fatigue, Yoga supports posttraining and pre-match recovery, promoting emotional regulation and psychological balance across the competitive season. These effects align closely with contemporary models of performance readiness and mental availability.

Breathe exercises (pránáyáma)
Strech and flexibility (ásana)
Conscious relaxation (yoganidrá)

Implications for coaches and performance staff

The literature consistently supports the role of Yoga in enhancing both physical and mental preparation in football players, reducing pre-competitive stress, and positively influencing performance-related outcomes. From a practical standpoint, its integration should not be viewed as a replacement for football-specific training, but rather as a strategic tool within an integrated performance model.

Coaches and performance staff are therefore encouraged to incorporate Technical Yoga sessions in a systematic and consistent manner. These sessions can be strategically placed within the weekly microcycle to support recovery, neuromuscular recalibration, and mental reset, particularly during high-load periods.

Given its distinct methodological characteristics and its ability to challenge both body and mind differently from traditional conditioning approaches, Yoga represents an innovative and evidenceinformed strategy. In selected contexts, it may complement—and partially substitute—more mechanically demanding modalities, contributing to improved load distribution and sustained player availability.

Conclusion

Modern football demands integrated solutions that address physical load, recovery capacity, and psychological resilience simultaneously. Evidence indicates that Yoga-based interventions support improved physical and mental preparation, reduce pre-match stress, and enhance performance. When applied using technically grounded and performance-oriented protocols, Yoga aligns closely with contemporary football medicine and performance objectives.

Its systematic integration within football training environments should therefore be strongly considered as part of an evidence-informed approach to optimising performance, managing injury risk, and maintaining player availability throughout the competitive season.

Practical applications

Yoga engages the entire body through fluid movement sequences that combine muscle stretching and contraction, while simultaneously training slow, conscious, and controlled breathing. These characteristics enhance respiratory awareness, concentration, and psychophysiological control under competitive stress.

When implemented consistently, Yoga provides meaningful benefits for performance optimisation, recovery efficiency, and injury risk reduction. Coaches and players should therefore consider its regular inclusion within evidence-based football training programmes.

Acknowledgements

Our thanks to the coaches, technical teams and athletes who contributed to the development of our research and a Consulting in Performance, Recovery, Concentration and Imagery in Football Through Yoga.

António Alves Pereira

• Consultant specializing in Performance, Recovery, Concentration, and Imagery in Football through Yoga

• PhD in Physical Education and Sport - Physical Activity and Health, Yoga in Football, Lusófona University, Lisbon – Portugal

• Master’s degree in HighPerformance Sports Training, Faculty of Physical Education and Sport, Lusófona University, Lisbon – Portugal

• Director/Coordinator of the Introduction to Yoga Short Course, FEFD - Lusófona University, Lisbon – Portugal

• Yoga Teacher since 1981

References

Alves Pereira, A., Barreto, R., Casanova, F., García García, J. M., & Monteiro, L. F. (2025). The impact of a Yoga training program on muscle contractile properties in elite football players. Retos, 73, 346- 359. https://doi.org/10.47197/retos.v73.114991

Arbo, G. D., Brems, C., Tasker, T. E. (2020). Mitigating the Antecedents of Sports-related Injury through Yoga. International Journal of Yoga, 13 (2): 120-129. Doi: 10.4103/ijoy.IJOY_93_19.

Calazans, J. C. (2020). Yoga-Sutra de Pátañjali. CLUC – Centro Lusitano de Unificação Cultural.DeRose, L. S. A. (2024). Tratado de Yôga. Egrégora Books.

Feuerstein, G. (2006). A Tradição do Yoga. Editora Pensamento – Brasil.

Doctoral Thesis translated to english: Pereira, A. C. A. (2024). Doctoral Thesis in Physical Education and Sport: “The Impact of 12 weeks of Yoga on Flexibility, Balance, Strength, Speed, Agility, Deficit of Change of Direction and on the Contractile Properties of Professional Footballers”. Faculty of Physical Education and Sports, Universidade Lusófona de Lisboa - Portugal, 19 July 2024.

Kartal, A., Ergin, E. (2020). Investigation of the Effect of 6-week Yoga Exercises on Balance, Flexibility, and Strength in Soccer Players. International Journal of Human Movement and Sports Sciences, 8 (3): 91-96, 2020. Doi: 10.13189/saj.2020.080303.

Mallinson, J. & Singleton, M. (2022). Raízes do Yoga. Editora Svarupa, São Paulo, SP, Brasil.

Pereira, A. C. A. (2024). Tese de Doutoramento em Educação Física e Desporto: “O Impacto de 12 semanas de Yoga na Flexibilidade, Equilíbrio, Força, Velocidade, Agilidade, Défice de Mudança de Direção e nas Propriedades Contrácteis de Futebolistas Profissionais”. Faculdade de Educação Física e Desporto, Universidade Lusófona de Lisboa - Portugal, 19 de Julho de 2024.

Polsgrove, M. J., Eggleston, B. M., Lockyer, R. J. (2016). Impact of 10-weeks of Yoga practice on flexibility and balance of college athletes. International Journal of Yoga, 2016 Jan-Jun; 9 (1): 27–34. doi: 10.4103/0973-6131.171710.

Polsgrove, M. J., Haus, D. & Lockyer, R. (2019). Athlete Perspectives on 8-Weeks of Yoga Practice. Spotlight on Research. July 2019. Doi: 10.35831/07122019jp.

Ravi, S. (2016). The Application and Effectiveness of Yoga in Prevention and Rehabilitation of Sport Injuries in Athletes Participating in Competitive (RSL). Lase Journal of Sport Science, 2016, 7 (1): 42-57. Doi: 10.1515/ljss-2016-0012.

Ryba, T. (2006). The Benefits of Yoga for Athletes: The Body. Athletic Therapy Today, 2006, 11 (2): 32-34. Doi: 10.1123/att.11.2.32.

Adjustable Cold Therapy

Intermittent Compression

One Easy Application

Monthly Rental*

£250 ex VAT / £300 inc VAT

Accelerate Recovery from Injury or Surgery

Used by surgeons, healthcare professionals, athletes and rehabilitation units around the world, Game Ready now offers monthly Rental Systems to allow everyone the opportunity to recover like an elite athlete.

Rental Systems include:

࢚ Control unit, AC adapter, connector hose, carry bag & one fully assembled anatomical wrap from range available.

࢚ UK delivery within 24-48 hours & Return Shipping*

࢚ Information pack with easy-to-follow instructions & treatment guidelines.

࢚ Equipment cleaned to hospital infection control standards.

࢚ New fabric sleeve applied to every wrap.

For further information: Email ukrental@gameready.co.uk or call 01344 379797

MEDICAL CARE IN INTERNATIONAL FOOTBALL: INSIGHTS, CHALLENGES, & THE ROAD AHEAD

FEATURE / DR SHANE WORTHINGTON

Introduction — The Complex Reality of International Football Medicine

The international football ecosystem is convoluted (Figure 1), and delivering medical care within this environment is a task marked by considerable complexity. Transitions between club and country can disrupt continuity and pose challenges for effective communication between medical teams (Weiler et al.). International windows are typically short and congested, requiring clinicians to rapidly assess and manage players who arrive from diverse club environments with varying training loads and medical histories (McCall et al.). Once abroad, clinicians must also adapt to unfamiliar medical infrastructures, with variable access to equipment, imaging, and specialist support, all of which demand rapid logistical planning and flexibility (Schumacher et al.). These clinical and organisational pressures are further intensified by extensive travel,

with movement across multiple time zones adding to recovery demands and elevating injury risk (Janse Van Rensburg et al., Van Rensburg et al.). Travel can also pose issues relating to acclimatisation and heat-related illness (Nassis et al.). Furthermore, resource disparities, particularly within the women’s game, continue to influence the quality and consistency of medical support (Bolling et al., Geertsema et al.)

Despite these issues, there has been minimal systematic exploration of what clinicians themselves perceive as best practice, or the challenges they routinely face. Against this background, our recent qualitative study provides timely insight (Worthington et al.). Through interviews with twelve clinicians from FIFA top-50 ranked men’s and women’s national teams, we identified key factors that support effective medical

care, alongside persistent structural and contextual barriers. This editorial reflects on these findings, situating them within the broader landscape of international football medicine, and offers practical considerations for clinicians navigating this demanding environment.

Insights From Our Study: What National Team Clinicians Report

Our study explored the perceptions of clinicians working within this unique domain. Five themes emerged that help illuminate the realities of international football medicine: (1) communication and relationships, (2) governance, (3) navigating risk-taking, (4) delivering medical care abroad, and (5) resource impact.

Communication and Relationships: The Cornerstone of Effective Practice

Across interviews, clinicians consistently described communication as the foundation

Sports & Exercise Medicine Registrar, London
Figure 1: The International Football Medical Ecosystem

upon which safe and effective care is built. This includes internal communication within the national team’s medical department, interactions with coaching staff, and the relationship with club medical teams.

Trust with coaches was cited as essential for navigating conflicts that may stem from the differing agendas at play (such as players being called up or playing whilst injured). When rapport is strong, clinicians feel empowered to exercise medical judgement without undue pressure.

Communication with club medical staff presents its own challenges. While some clubs provide detailed, timely, and transparent information, others offer minimal or incomplete data in handovers. Furthermore, differences in opinion commonly arose regarding injury management. Clinicians discussed the importance of building relationships to mitigate these conflicts, with shared decision-making seen as an ideal scenario. Some clinicians suggested that advice was best offered to clubs in a diplomatic and supportive manner.

Effective medical care in this setting is therefore relational as much as technical. The ability to communicate diplomatically, establish mutual respect, and maintain

consistent contact (with both players and external stakeholders) emerged as a central pillar of best practice.

Governance: Confidentiality, Consent, and Professional Responsibility

Clinical governance in international football is complex, shaped by the dual identities of players as both patients and elite performers. Clinicians repeatedly emphasised the need for rigid adherence to confidentiality and informed consent, particularly when discussing player health with coaching staff or other non-medical parties.

Many clinicians described formalised consent processes that specify what information can be shared, with whom, and under what circumstances. These processes are essential for protecting player autonomy.

Another aspect of governance relates to the effects of public scrutiny. High profile medical decisions can become media narratives, and clinicians described feeling moral and professional pressure when their actions are publicly questioned. This scrutiny also affects staff well-being; clinicians noted that psychological support is often offered to players but rarely to medical teams, despite the demanding

emotional landscape, particularly during major tournaments.

Navigating Risk-Taking: Tournament Pressure and Performance Demands

Risk-taking was felt to be inherent within elite sport, but clinicians noted that risk thresholds shift significantly in international football. In tournament settings, where opportunities for success are compressed into days or weeks, there is heightened pressure to return players quickly, even when uncertainty remains. Individual clinician attitudes towards risk tolerance were found to vary significantly. Furthermore, the concept of ‘club ownership’ of players was noted to have influence upon clinician risk tolerance. This concept relates to the idea that players are “on loan” to national teams, reinforcing a sense of responsibility to avoid decisions that could jeopardise longer-term recovery.

The interplay between risk, match importance, injury type, and player preference creates a landscape where medical decisions rely heavily on experience, communication, and ethical framing.

Delivering Medical Care Abroad: Logistics, Adaptability, and System Variability

Delivering medical care abroad introduces

numerous practical barriers. Clinicians cited challenges such as:

• Location-specific concerns i.e. climate, food, infection risks

• Reliability of local medical facilities

• Availability of imaging and specialist care

• Licensing and regulatory differences

• Travel fatigue and jet lag

Planning becomes a central task; identifying appropriate hospitals, arranging emergency pathways, anticipating environmental demands, and preparing for potential complications. The logistical complexity involved underscores the importance of advance reconnaissance, meticulous contingency planning, and flexible decision-making frameworks.

Resource Impact: The Case for Equity, Especially in the Women’s Game

Resource disparities were a frequently discussed challenge for women’s international teams. Clinicians working in women’s national teams described environments with fewer medical staff, limited equipment, and less structured operational support. For some players, these financial limitations are mirrored at club level.

These disparities directly affect player safety and rehabilitation, and they place additional burden on national-team clinicians asked to compensate for chronic under-provision. Addressing these inequities is essential for advancing global standards in football medicine.

The Future of International Football Medicine

Drawing on these insights, several practiceinformed recommendations emerge (Figure 2). These considerations do not substitute for local expertise and experience but provide a useful scaffold for clinicians working in high-pressure international contexts.

Looking forward, several areas warrant attention:

• There is a clear need for consensus-based best practice guidance, ideally derived through Delphi processes involving diverse clinicians, performance staff, and researchers. Nationalteam practices remain highly variable; a shared framework could support more coherent, safer, and more efficient approaches worldwide.

• Future research should incorporate perspectives beyond doctors and physiotherapists by also including coaches, sport scientists, analysts, and players. Understanding cross-disciplinary viewpoints will improve the integration of medical care within broader performance systems.

• Governance structures, particularly around confidentiality, workload management, and club–country collaboration, require ongoing refinement. Building transparent, fair, and player-centred systems will reduce conflict and support consistent medical decision-making. Figure 2: Towards Best

Practice Practical Considerations for International Football Clinicians

• Greater attention to staff well-being is warranted. International football clinicians operate under intense pressure with high public visibility and limited downtime. Support mechanisms for psychological resilience, workload management, and mentorship are increasingly necessary.

Conclusion: Advancing Safe, Ethical, and Equitable Care in International Football

Medical care in international football takes place in a fast-paced, highpressure environment shaped by diverse stakeholders, significant logistical demands, and structural inequalities. Clinicians hold a pivotal role in safeguarding player welfare while enabling performance, yet they often navigate conflicting expectations, incomplete information, and variable resources.

Insights from clinicians in our recent study highlight both clear examples of best practice (particularly around communication and clinical governance) and persistent systemic challenges that require organisational solutions. As the international game continues to grow, the need for coherent, evidence-informed, and ethically grounded medical practice becomes increasingly urgent.

By strengthening communication pathways, refining governance structures, addressing resource inequities, and fostering deeper collaboration between club and national-team medical staff, the football community can continue to advance the safety, fairness, and quality of care for players at the highest levels of the sport.

References

There is a clear need for consensus-based best practice guidance, ideally derived through Delphi processes involving diverse clinicians, performance staff, and researchers.

Bolling C, Tomás R, Verhagen E. 2024 May 1. “Considering the reality, I am very lucky”: how professional players and staff perceive injury prevention and performance protection in women’s football. Br J Sports Med. 58(9):477–485. https:// doi.org/10.1136/bjsports-2023-106891

Geertsema C et al. 2021 Jul 1. Injury prevention knowledge, beliefs and strategies in elite female footballers at the FIFA Women’s World Cup France 2019. Br J Sports Med. 55 (14):801–806. https://doi.org/10.1136/bjsports-2020-103131

Janse Van Rensburg DCC, Jansen Van Rensburg A, Fowler P, Fullagar H, Stevens D, Halson S, et al. How to manage travel fatigue and jet lag in athletes? A systematic review of interventions. Vol. 54, British Journal of Sports Medicine. BMJ Publishing Group; 2020. p. 960–8. McCall A et al. 2015b May 1. Injury prevention strategies at the FIFA 2014 World Cup: perceptions and practices of the physicians from the 32 participating national teams. Br J Sports Med. 49(9):603–608. https://doi.org/10.1136/ bjsports-2015-094747

Nassis GP, Brito J, Dvorak J, Chalabi H, Racinais S. The association of environmental heat stress with performance: Analysis of the 2014 FIFA World Cup Brazil. Br J Sports Med. 2015 May 1;49(9):609–13.

Schumacher YO et al. 2024 Jan 1. Medical services at the FIFA World Cup Qatar 2022. Br J Sports Med [Internet]. 58 (1):42–49. [accessed 2025 Nov 29]. https://bjsm.bmj.com/con tent/58/1/42

Van Rensburg DCCJ, Fowler P, Racinais S. Practical tips to manage travel fatigue and jet lag in athletes. Vol. 55, British Journal of Sports Medicine. BMJ Publishing Group; 2021. p. 821–2.

Weiler R, Collinge R, Ewens J, Gouttebarge V, Massey A, Bennett P, Smith K, Ahmed OH. Club, country and clinicians united: ensuring collaborative care in elite sport medical handovers. Br J Sports Med. 2021 Dec;55(24):1383-1385. doi: 10.1136/bjsports-2021-104146. Epub 2021 Jun 25. PMID: 34172457; PMCID: PMC8639924.

Worthington, S., Carmody, S., Yogarajah, G., Byrne, A., Gouttebarge, V., & Okholm Kryger, K. (2025). Medical care delivery in international football: perceived best practice and challenges. An interview-based study of national team clinicians. Science and Medicine in Football, 1–16. https://doi.org/10.1080/24733938.2025.2580320

UNDER THE SURFACE: WHY SOLEUS STRAINS ARE SIDELINING

SO MANY FOOTBALLERS

Introduction

Calf muscle strain injuries (CMSIs) are a significant cause of time-loss in professional football, consistently representing 6–12% of all muscle injuries in UEFA and FIFA surveillance studies.1,2 However, these datasets rarely differentiate between gastrocnemius and soleus involvement, masking the true contribution of soleus pathology in elite football.

Clinical experience and smaller imagingbased studies suggest that soleus injuries are both common and under-recognised, in part due to their deep location and the subtle, often delayed onset of symptoms. When the intramuscular aponeurosis (IMA) is involved, recovery can be prolonged and reinjury risk elevated.3-6

This article explores why soleus strains are so disruptive in football, highlighting key anatomical, mechanical, and biological factors, and presents a practical rehabilitation model informed by tissue healing and performance demands.

Complex Anatomy of the Triceps Surae

The triceps surae—comprising the gastrocnemii and soleus—shares a

Vol 1432

mechanically sophisticated architecture. While functionally distinct, these muscles connect via the free gastrocnemius aponeurosis (FGA) at a V-shaped junction. This configuration enables efficient force sharing, but because the muscle heads can generate force independently, the interface is subject to significant internal shear.1-2 Consequently, opposing vectors

often converge across the distal medial gastrocnemius and FGA, creating focal stress zones that may help explain the high prevalence of injuries at this location. This mirrors the “T-junction” phenomenon described in hamstring injury patterns, where the interface between adjacent muscle-tendon units becomes a primary site of mechanical failure (Figure 1).

Figure 1: Schematic of the triceps surae and FGA anatomy. Image designed by Massimiliano Crespi. Reproduced with permission from: Pedret C, Palermi S, Mechó S, Ahmad G, Lee J. Calf muscle injuries in the athlete. Aspetar Journal. 2025

Soleus

Architecture and Aponeurotic Complexity

The soleus has a particularly complex aponeurotic system and a multipennate fascicle arrangement. Five main aponeurotic structures are relevant clinically:

1. Posterior aponeurosis – covering the mid- and distal belly.

2. Anterior aponeurosis – covering the proximal region.

3. Central tendon – arising distally from the Achilles tendon via the posterior aponeurosis, joining the anterior aponeurosis proximally.

4. Proximal tendinous arch.

5. Medial and lateral intramuscular aponeuroses (IMAs) – descending from the proximal tendinous arch into the muscle.

Intramuscular aponeuroses act as anchorage sites for muscle fascicles and distribute force between compartments within the muscle, while peripheral aponeuroses transmit force to neighbouring structures and accommodate radial expansion. The central tendon, continuous with the Achilles, likely contributes to elastic energy storage and return (Figure 2).

The multi-pennate architecture, regional variation in pennation angle and the pattern of intramuscular nerve branches create non-uniform strain within the muscle–aponeurosis complex.3 There are also varying regional mechanical properties among aponeuroses within the soleus.4 Combined with its large physiological cross sectional area and major force producing role during running, acceleration, cutting, and jumping,9-13 the soleus aponeuroses and myotendinous structures are exposed to substantial internal stresses.

Physiological Profile and Vascular Adaptations

The soleus is predominantly oxidative, with around 80% type I fibres,5 and acts as an important peripheral “venous pump”.6 It tends to derive more energy from blood glucose and less from intramuscular glycogen than nearby, more glycolytic muscles.7 This may also facilitate the sparing of muscle glycogen stores adding to its potential high work capacity.7

In older athletes, MRI often demonstrates adaptive deep veins in the soleus, frequently adjacent to or perforating the aponeuroses. Although not fully understood, these vascular changes may reflect chronic metabolic and haemodynamic adaptations and could

Figure 2: Schematic of the soleus intramuscular aponeuroses. Image designed by Massimiliano Crespi. Reproduced with permission from: Pedret C, Palermi S, Mechó S, Ahmad G, Lee J. Calf muscle injuries in the athlete. Aspetar Journal. 2025 Vol 1432

theoretically reduce local structural resilience in regions already subject to high mechanical load.

Anatomical Variants

MRI and cadaveric studies have described several anatomical variants, including:

• Accessory central tendons8

• Absence of either the medial or lateral IMA8,9

• Asymmetry in medial vs lateral IMA coverage10

Pedret et al.10 further classified variants such as a medialised or lateralised central tendon, altering compartment size. When injury occurs in a structurally dominant compartment, rehabilitation becomes more challenging due to higher force transmission, increasing reinjury risk if progression is too rapid.

Role of the Soleus in Football

During steady state running, the soleus can generate forces up to 10-times bodyweight, with even higher demands

PTA

during accelerations and jumping.11-13 Its main roles include:

• Providing vertical support during stance

• Accelerating the centre of mass vertically and horizontally

• Controlling anterior tibial translation14

As a mono-articular, type I-rich, multi-pennate muscle, the soleus functions as a workhorse, producing peak force in mid-stance when the centre of mass is lowest and the knee most flexed. In this phase it couples with the quadriceps with similar peak force timing and operates largely independently of the gastrocnemii.

The bi-articular gastrocnemii, being more fast-twitch and unipennate, contribute more to late-stance explosive propulsion and energy transfer between joints.21 This division of labour highlights why soleus injuries often occur without a classic “push-off” mechanism and why they can be easily overlooked.

Injury Patterns

Soleus Injuries

Soleus injuries are difficult to assess via ultrasound due to depth and architectural complexity. MRI is preferred for accurate localisation and grading. Although the British Athletics Muscle Injury Classification (BAMIC) is widely applied, oedema size alone is less

predictive for soleus strains; the extent and location of aponeurotic disruption is more informative. The Prakash classification prioritises this and may offer better prognostic value (Figure 3).

Clinically, soleus injuries often occur during running with gradual or subtle onset. Players may feel fine during the session but describe tightness or stiffness the following day, which can be misinterpreted as benign post exercise soreness.

Healing Time Course and Re Injury Risk

One of the key challenges in practice is the mismatch between recovery of muscle capacity and the slower remodelling of aponeurotic

tissue. Muscle fibre re-innervation, plyometric capacity and running performance can normalise relatively early, while aponeurosis remodelling and scar maturation continue over many weeks and months.15 This creates a vulnerable period where players appear ready yet remain at elevated risk of reinjury.

Figure 4 illustrates:

• Early recovery of muscle capacity and running ability

• A slower curve for aponeurosis remodelling and scar progression (often extending beyond 12–24 weeks)

• A window of highest re injury risk, where functional performance appears adequate but the aponeurosis is not yet mature

Return to sport and re-injury risk after a soleus aponeurosis injury

Figure 3: Prakash grading system for soleus muscle strain injuries22
© Colin Griffin
Figure 4: Calf tissue healing framework

Assess

Diagnosis

~ MRI scan

Mechanism of injury

Injury history

Individual anatomy

Synergist muscle function

Foot-ankle, knee & hip

Muscle fiber innervation

Inner-range calf pulses

Long mid-range Calf ISOs ~ Biofeedback with EMG & in vivo

ultrasound ~ NMES

Kinetic chain strength

Box squats (minimise dorsiflexion) /Deadlifts

Synergist muscle strength

Ankle invertors, evertors, dorsiflexors & foot Hip extensors, flexors, external rotators & abductors

Knee extensors Hamstrings

Aerobic fitness maintenance

Upper-body intervals Hand cycling/boxing bag

Introduce calf loading into dorsiflexion

Symmetrical/target EMG scores

Pain-free isometric calf raise

Pain-free stretch

This underscores the need to go beyond strength thresholds or distance-based running progressions. Monitoring aponeurotic loading tolerance and maintaining structured progression beyond RTP are essential.

Risk Factors in Football Context

Age

Players >30 years have a higher CMSI risk.16-17 Potential mechanisms include altered metabolism, low-grade inflammation, impaired collagen turnover and age-related changes in neuromuscular control. In older players with soleus injury, MRI and indeed ultrasound, frequently reveal deep adaptive veins around the aponeuroses, which may reduce local structural robustness. These factors argue for more individualised loading in older athletes—especially around congested fixture periods—and a conservative approach to high-load calf work.

Previous Injury

Previous calf strain is associated with a higher risk of recurrence. Architectural changes, aponeurotic thickening and partial denervation can persist following medial gastrocnemius injury.18 Anecdotally similar architectural and activation alterations are observed in the soleus following injury. Other conditions also

Muscle strength & tissue

capacity

SL calf raises 4 x 8-15 reps e/s

~ Straight & bent knee/seated

~ Work into dorsiflexion

~ varied foot position to target specific regions of tissue

Coordination

Running drills

~ Marching, skipping, ankling

~ Low amplitude plyometrics

~ Pool/band-assisted -> fully weightbearing

Aerobic fitness maintenance

12-16 minutes duration of intervals at MAS intensity on a wattbike

Low -> medium resistance with high cadence

Introduce plyometrics

> 1.5 x BW on seated calf ISO test

> 25 reps on SL heel raise test

Pain-free double leg hops

Scar maturation status on a repeat MRI scan

Plyometric capacity

Fast reactive plyometrics

SL pogo hops

in-place ->

Explosive strength Box jumps Squat jumps Broad jumps Prowler march -> bounds Calf force & tendon/aponeurosis

adaptations

SL calf ISOs into dorsiflexion

4 x 5 e/s

SL calf supramaximal eccentrics

4 x 5 -> 8 reps e/s

Running prep

Wicket runs

Fly-sprints

Acceleration prep Tempo runs on Alter-G treadmill

Return to volume running 3-4 exposures to SL plyometric exercises (>100 contacts per session) before return to volume running

> 2 x bodyweight on seated calf ISO test >30 reps on SL heel raise test <10% asymmetry on SL hop tests

Rehab targets

influence triceps surae function:

• Achilles tendinopathy: reduced lateral gastrocnemius drive with compensatory soleus over-activity.19-20

• Ankle sprain: often associated with soleus inhibition.21

• ACL reconstruction: calf strength and unilateral reactive strength deficits often persist.22

These adaptations can shift load towards specific parts of the soleus–gastrocnemius–Achilles complex, increasing loading demands on already vulnerable regions.

Training Patterns and Match Demands

Over a decade ago many field sport programmes moved toward low-volume, high-intensity interval formats as a time- and mechanically-efficient way of developing aerobic fitness.23 Meanwhile, match data (e.g. BJSM report) indicate increased total running distance and higher game congestion compared with previous seasons.24

If training no longer matches the sustained running demands of competition, some players may lack calf endurance capacity relative to match loads. Historically, calf-specific conditioning has also been under-emphasised, and even where it has

Running capacity

2500-3000m volume of tempo intervals

300-400m of max velocity sprints & accelerations

Sufficient exposures to decelerations, landings, tackling and kicking

Game readiness

2-3 full contact on-field team training sessions

Reactive strength Drop jumps SL contrast hops SL uphill/stadium hopping/bounding 1-2 sessions per week

Calf force & tendon/aponeurosis

maintenance SL calf ISOs in dorsiflexion 4 x 5 e/s Aiming for 1.2-§.5 x BW on smith machine 2 x sessions per week

Return to sport

2500-3000m volume of tempo intensity runs over 3-4 consecutive sessions

Consecutive sessions of sprints, accelerations, decelerations, landings, tackling, & kicking >2 full contact training team sessions

Mature scar on repeat MRI scan

Maintenance

Periodic monitoring of isometric peak force & SL hop tests

Periodic EMG monitoring

improved, the focus is often on peak force rather than time-under-tension and long muscle–tendon unit (MTU) lengths.

Neural recovery from fatiguing calf work can be relatively rapid, whereas collagen remodelling is slow.25 This can leave partially remodelled aponeuroses exposed to high load—particularly in players returning from injury or facing congested schedules.

A Practical Rehabilitation Framework for Soleus Muscle Strain Injuries

A structured framework that aligns clinical decision-making with tissue biology and performance demands is particularly useful in the professional football environment.

Figure 5 summarises a phase-based approach with example timelines and criteria. In brief:

Assess

• Confirm diagnosis and location (MRI for soleus).

• Consider mechanism, age, previous injury, individual anatomy and anatomical variants.

• Assess synergist muscle strength (foot/ ankle, knee, hip) and, where available, use historical strength and running data to set return-to-play (RTP) targets.

Restore

• Early protection of the aponeurosis while restoring activation: inner-range calf

Figure 5: Calf tissue healing framework

pulses, mid-range isometrics, NMES and EMG/ultrasound-guided biofeedback where available.

• Begin kinetic-chain strength (e.g. box squats, deadlifts with limited dorsiflexion) and maintain aerobic fitness via upper-body intervals.

Build

• Progress to SL calf raises (straight and bent knee/seated), working into dorsiflexion with varied foot positions to target specific regions.

• Introduce low-amplitude plyometrics and running drills (marching, skipping, ankling), progressing from pool/band -assisted to full weightbearing.

• Maintain aerobic fitness with MASbased intervals on a bike or equivalent. Prepare

• Develop plyometric capacity: fast SSC (e.g. SL pogo hops) and slower, deep -flexed rebounds at higher volumes.

• Use high-intensity SL isometrics in dorsiflexion and supramaximal eccentrics to target tendon/aponeurosis adaptation.

• Progress running from wicket runs and accelerations to tempo runs and higher-speed exposures, initially on

bodyweight-support treadmills if needed.

• Aim for >3 exposures to SL plyometrics (>100 contacts/session) before returning to volume running.

Return & Maintain

• Progress to 2,500–3,000m tempo intensity runs over 3–4 sessions and 300–400m of high speed running and accelerations, with adequate exposure to decelerations, landings, tackling and kicking.

• Ensure completion of 2–3 full contact team sessions without adverse response.

• Use objective criteria (e.g. seated calf isometric >1.5–2.0 x bodyweight, >25–30 SL heel raises, <10% SL hop asymmetry) plus imaging evidence of advanced scar maturation where available.

• Maintain calf and aponeurosis capacity with 1–2 weekly high-intensity loading sessions working in dorsiflexed positions, and periodic monitoring of isometric strength and hop performance.

When combined with the healing-time framework (Figure 4), this rehabilitation model (Figure 5) provides a practical roadmap for aligning loading decisions with both tissue healing and football-specific performance demands.

Conclusion

The soleus is no longer the “forgotten” muscle of the lower limb. Its intricate aponeurotic architecture and unique physiological profile allow for extraordinary force production, yet these same features create a “hidden” vulnerability. The central challenge for the sports medicine team lies in the biological mismatch between the rapid restoration of muscle function and the protracted timeline required for aponeurotic remodelling. To mitigate the high risk of recurrence, practitioners must look beneath the surface of clinical symptoms and early running milestones. By adopting a framework that respects tissue healing timelines and prioritises long-term aponeurotic robustness, we can move beyond reactive management toward a more resilient model of calf health in the elite game.

Key Messages for Football Practitioners

• Soleus-dominant CMSIs are increasingly common in professional football and carry significant time-loss and recurrence risk.

• The complexity of soleus aponeurotic anatomy and variable anatomy between players have important implications for injury location, risk and rehabilitation planning.

• A central challenge is the delay between early recovery of muscle/running capacity and the slower maturation of aponeurotic scar tissue.

• The two frameworks presented—healing and re-injury risk over time (Figure 4) and a phase-based rehabilitation model (Figure 5)—offer practical tools to align loading, monitoring and RTP decisions with underlying tissue biology in the elite football environment.

Abbreviations:

ACL: Anterior cruciate ligament

CMSI: Calf muscle strain injury

EMG: Electromyography

FGA: Free gastrocnemius aponeurosis

IMA: Intramuscular aponeurosis

MAS: Maximal aerobic speed

MRI: Magnetic resonance imaging

MTU: Muscle-tendon unit

NMES: Neuromuscular electrostimulation

RTP: Return to play

SSC: Stretch-shortening cycle

SL: Single-leg

References

1. Bojsen-møller J, Hansen P, Aagaard P, Svantesson U, Kjaer M, Magnusson SP, et al. Differential displacement of the human soleus and medial gastrocnemius aponeuroses during isometric plantar flexor contractions in vivo. 2018;1908–14.

2 Bojsen-Møller J, Schwartz S, Kalliokoski KK, Finni T, Magnusson PS. Intermuscular force transmission between human plantarflexor muscles in vivo. 2010 Sep 28 [cited 2022 Oct 18]; Available from: https://journals.physiology.org/doi/epdf/10.1152/ japplphysiol.01381.2009

3. Finni T, Hodgson JA, Lai AM, Edgerton VR, Sinha S. Nonuniform strain of human soleus aponeurosis-tendon complex during submaximal voluntary contractions in vivo. Journal of Applied Physiology. 2003 Aug;95(2):829–37.

4. Nakano T, Shan X, Yakura T, Naito M, Kawakami Y, Otsuka S. Morphological and mechanical properties of the human triceps surae aponeuroses taken from elderly cadavers: Implications for muscle-tendon interactions. Plos One. 2019;14(2):e0211485.

5. Gollnick PD, Sjödin B, Karlsson J, Jansson E, Saltin B. Human soleus muscle: A comparison of fiber composition and enzyme activities with other leg muscles. Pflügers Archiv European Journal of Physiology. 1974 Sep;348(3):247–55.

6. Keijsers JMT, Leguy C a. D, Huberts W, Narracott AJ, Rittweger J, van de Vosse FN. A 1D pulse wave propagation model of the hemodynamics of calf muscle pump function. International Journal for Numerical Methods in Biomedical Engineering. 2015;31(7):e02714.

7. Hamilton MT, Hamilton DG, Zderic TW. A potent physiological method to magnify and sustain soleus oxidative metabolism improves glucose and lipid regulation. iScience. 2022 Aug 5;25(9):104869.

8. Olewnik Ł, Zielinska N, Paulsen F, Podgórski M, Haładaj R, Karauda P, et al. A proposal for a new classification of soleus muscle morphology. Annals of Anatomy. 2020;232:151584.

9. Hodgson JA, Finni T, Lai AKM, Edgerton VR, Sinha S. Influence of Structure on the Tissue Dynamics of the Human Soleus Muscle Observed in MRI Studies During Isometric Contractions. Journal of Morphology. 2007;268(February):254–74.

10. Pedret C, Rupérez F, Mechó S, Balius R, Rodas G. Anatomical Variability of the Soleus Muscle: A Key Factor for the Prognosis of Injuries? Sports Med. 2022 Jul 2;s40279-022-01731–x.

11. Dorn TW, Schache AG, Pandy MG. Muscular strategy shift in human running: dependence of running speed on hip and ankle muscle performance. Journal of Experimental Biology. 2012 Jun 1;215(11):1944–56.

12. Pandy MG, Lai AKM, Schache AG, Lin YC. How muscles maximize performance in accelerated sprinting. Scandinavian Journal of Medicine and Science in Sports. 2021 Oct 1;31(10):1882–96.

13. Kipp K, Kim H. Relative contributions and capacities of lower extremity muscles to accelerate the body’s center of mass during countermovement jumps. Computer Methods in Biomechanics and Biomedical Engineering. 2020 Sep 9;23(12):914–21.

14. Maniar N, Schache AG, Pizzolato C, Opar DA. Muscle contributions to tibiofemoral shear forces and valgus and rotational joint moments during single leg drop landing. Scandinavian Journal of Medicine and Science in Sports. 2020;30(9):1664–74.

15. Bayer ML, Bang L, Hoegberget-Kalisz M, Svensson RB, Olesen JL, Karlsson MM, et al. Muscle-strain injury exudate favors acute tissue healing and prolonged connective tissue formation in humans. J. 2019;33:10369–82.

16. Pedret C, Rodas G, Balius R, Capdevila L, Bossy M, Vernooij RWM, et al. Return to Play After Soleus Muscle Injuries. Orthopaedic Journal of Sports Medicine. 2015;3(7).

17. Green B, Lin M, McClelland JA, Semciw AI, Schache AG, Rotstein AH, et al. Return to Play and Recurrence After Calf Muscle Strain Injuries in Elite Australian Football Players. The American Journal of Sports Medicine. 2020 Oct 8;036354652095932.

18. B. Nielsen L, B. Svensson R, U. Fredskild N, H. Mertz K, Magnusson SP, Kjaer M, et al. Chronic changes in muscle architecture and aponeurosis structure following calf muscle strain injuries. Scandinavian Journal of Medicine & Science in Sports [Internet]. [cited 2023 Aug 27];n/a(n/a). Available from: https://onlinelibrary.wiley.com/doi/abs/10.1111/sms.14472

19. CROUZIER M, TUCKER K, LACOURPAILLE L, DOGUET V, FAYET G, DAUTY M, et al. Force-sharing within the Triceps Surae. Medicine & Science in Sports & Exercise. 2019;(10):1.

20. Fernandes GL, Orssatto LBR, Sakugawa RL, Trajano GS. Lower motor unit discharge rates in gastrocnemius lateralis, but not in gastrocnemius medialis or soleus, in runners with Achilles tendinopathy: a pilot study. Eur J Appl Physiol [Internet]. 2022 Nov 23 [cited 2023 Jan 28]; Available from: https://link.springer.com/10.1007/s00421-022-05089-w

21. Kim KM, Kim JS, Needle AR. Soleus arthrogenic muscle inhibition following acute lateral ankle sprain correlates with symptoms and ankle disability but not with postural control. Journal of Sport and Health Science. 2024 Jul 1;13(4):559–68.

22. King E, Richter C, Franklyn-Miller A, Wadey R, Moran R, Strike S. Back to Normal Symmetry? Biomechanical Variables Remain More Asymmetrical Than Normal During Jump and Change-of-Direction Testing 9 Months After Anterior Cruciate Ligament Reconstruction. The American Journal of Sports Medicine. 2019 Apr 3;47(5):1175–85.

23. Buchheit M. Should We be Recommending Repeated Sprints to Improve Repeated-Sprint Performance? Sports Med. 2012 Feb 1;42(2):169–72.

24. Allen T, Taberner M, Zhilkin M, Green M. Evolving running load demands and fixture congestion in the English Premier League: a decade of insights from 2015/2016 to 2024/2025. 2025 Dec 1 [cited 2026 Jan 18]; Available from: https://bjsm.bmj.com/ content/59/23/1643

25. Lambrianides Y, Epro G, Arampatzis A, Karamanidis K. Evidence of different sensitivity of muscle and tendon to mechano-metabolic stimuli. Scandinavian Journal of Medicine & Science in Sports. 2024;34(5):e14638.

BEYOND CORTICOSTEROIDS: THE GROWING ROLE OF HYALURONIC ACID IN PLAYER JOINT HEALTH

Hyaluronic acid (HA) has been trusted for decades to support joint comfort and mobility, with clinicians using it to help ease osteoarthritis (OA) symptoms and keep people moving (Huerta-Angeles and Mixcoha 2024). Within Football – both at Elite and Grassroots levels – it has been increasingly used to help reduce the pain and stiffness within a joint (mainly knees associated with OA) both whilst playing or after retirement from the game. In my experience, it has been used safely to support players who are experiencing the early stages of OA that comes from a career of playing and repeated degenerative changes or minor meniscal damage. This may be within a season but also managing the ongoing problems that players encounter when they stop playing and throughout their later life.

What happens when a joint becomes inflamed?

Symptomatic knee OA occurs in 15% of adults >55 years old, with a radiographic incidence of >80% in those over 75 years old. The figures are higher for sports people (Tran et al., 2016). Previously, it was believed that OA occurred as part of a general ‘wear and tear’ process of repeated microtrauma to the structures within a joint. Current research has shown that the

pathogenesis of OA involves a degradation of cartilage and remodelling of bone due to an active response of chondrocytes in the articular cartilage and the inflammatory cells in the surrounding tissues (Sengprasert et al., 2023). The release of enzymes from these cells breaks down collagen and proteoglycans, destroying the articular cartilage. The exposure of the underlying subchondral bone results in sclerosis, followed by reactive remodelling changes that lead to the formation of osteophytes and subchondral bone cysts. The joint space is progressively lost over time. The inflamed joint can swell and become painful which reduces the function and performance.

What is HA?

HA is a naturally occurring substance that exists within every synovial joint in the body. In a healthy knee joint the molecular weight of HA is 5000-7000kDa (Nicholls et al. 2018). In the presence of OA, HA is broken down faster and the clearances rate from the joints is higher than normal. This not only reduces the concentration and molecular weight of HA but also reduces the elastic viscosity of synovial fluid (Zhang et al., 2022). The properties of HA can help to reduce swelling within a joint (Altman et al., 2015).

How does HA work?

Injecting a joint with HA, increases the number of HA molecules within the joint and these are slowly released over time with movement. The properties of HA support good joint health and are important contributory factors in reducing pain and inflammation.

Differences between steroid and HA Historically, corticosteroid injections (CSI) have been used to manage joint inflammation, these are relatively cheap and available to access via an appropriate medical professional. CSI are a prescription only medication (POM) and this means that they can only be prescribed by a Medic or Independent Prescriber. There are several significant side effects of CSI that need to be considered for any player at any level of the game and can increase the potential of requiring a total knee replacement (Wijn et al., 2020). Whilst they can offer a quick and effective means of reducing the inflammation and pain in an inflamed joint, they can reduce the collagen and osteoblast activity for a few weeks which can make the degenerative changes worse over time (Zeng et al., 2019). There is also

an increased infection risk due to its immunosuppressant effect. This becomes significant if the player ends up requiring a surgical procedure for their joint condition. The CSI tends to work well in the short term but can be shorter acting.

HA is classified as a Medical Device and so doesn’t require a prescription. Clinical studies show that intra articular hyaluronic acid for osteoarthritis is generally safe, with side effects being mild, transient, and primarily limited to temporary local reactions (Miller et al. 2021). The beneficial effects of HA last for a longer period of time compared to CSI (Leighton et al., 2014). CSI require a Therapeutic Use Exemption (TUE) form to be completed prior to use due to the potential of doping concerns, whereas HA does not require a TUE and can be used

throughout the season. Also, following a CSI the recommendation is a week of relative rest to allow the effects to occur and reduce the potential of negative side effects. HA can be administered without the need for a TUE, so the player can modify their training and potentially be available to play within a few days. It can easily integrate into a rehabilitation plan.

What’s different about DUROLANE®?

There are several brands of HA available, so what makes DUROLANE different?

DUROLANE has a structure that means that the molecules are larger than most HAs available.

DUROLANE uses non-animal, stabilised hyaluronic acid which has naturally entangled HA chains, this gives

Summary of Indications for Use

DUROLANE (3 mL): Symptomatic treatment of mild to moderate knee or hip osteoarthritis. In addition, DUROLANE has been approved for the symptomatic treatment associated with mild to moderate osteoarthritis pain in the ankle, shoulder, elbow, wrist, fingers, and toes. DUROLANE is also indicated for pain following joint arthroscopy in the presence of osteoarthritis within 3 months of the procedure.

Summary of Risks: DUROLANE should not be used in patients who have infections or skin disease at the injection site. DUROLANE has not been tested in children or pregnant or lactating women. Risks can include transient pain, swelling and/ or stiffness at the injection site. Full prescribing information can be found in product labeling, or at DUROLANE.com

DUROLANE a three-dimensional gel like structure with a very high molecular weight. 14* DUROLANE is CE marked and EU MDR certified, which means it meets rigorous requirements for evidence, quality assurance, clinical safety, and risk management. Furthermore, DUROLANE has a robust body of evidence for its safety and effectiveness having been used in over 20 clinical studies. 11 DUROLANE has a low adverse event rate (0.02-0.04% over 5 years) 12 and over 2 million syringes have been used globally 13 which demonstrates that DUROLANE is trusted by patients and physicians around the world.

To conclude, high molecular weight hyaluronic acids like DUROLANE are a safe alternative to CSI for joint OA and offers the potential for greater clinical effect over a longer period of time.

Scan QR code or visit DUROLANE.com for more information on how DUROLANE can potentially help footballers with OA joint pain.

References

1. Huerta-Ángeles, G.; Mixcoha, E. Recent Advances, Research Trends, and Clinical Relevance of Hyaluronic Acid Applied to Wound Healing and Regeneration. Appl. Sci. 2025, 15, 536.Tran et al. 2016.

2. Tran G, Smith et al. (2016). Does sports participation (including levelof performance and previous injury) increase risk of osteoarthritis? A systematic review and meta-analysis. Br J Sports Med. 50:1459–1466.

3. Sengprasert P et al., (2023). The Immunological Facets of Chondrocytes in Osteoarthritis: A Narrative Review. The Journal of Rheumatology 2024;51:13–24.

4. Nicholls M, et al., (2018). A Comparison Between Rheological Properties of Intra-articular Hyaluronic Acid Preparations and Reported Human Synovial Fluid. J. Adv Ther. 35(4):523-30.

5. Zhang J, Lin M, Huang Y et al. (2022). Harnessing acid for the treatment of osteoarthritis: A bibliometric analysis. Front. Bioeng. Biotechnol. 10:961459.

6. Altman R.D, et al. (2015). The mechanism of action for hyaluronic acid treatment in the osteoarthritic knee: a systematic review. BMC Musculoskelet Disord 2015;16:321.

7. Wijn, S.R.W., et al. (2020). Intra-articular corticosteroid injections increase the risk of requiring knee arthroplasty. The Bone & Joint Journal, 102 B(5), 586–592.

8. Zeng, C., et al. (2019). Intra articular corticosteroids and the risk of knee osteoarthritis progression: results from the Osteoarthritis Initiative, Osteoarthritis Cartilage Jun;27(6):855-862.

9. Miller L, et al. (2021). Safety of Intra-Articular Hyaluronic Acid for Knee Osteoarthritis: Systematic Review and Meta-Analysis of Randomized Trials Involving More than 8,000 Patients. Cartilage Vol. 13(Suppl 1) 351S–363S.

10. Leighton R, et al. (2014). NASHA hyaluronic acid vs methylprednisolone for knee osteoarthritis: a prospective, multi-center, randomized, non-inferiority trial. Osteoarthritis Cartilage 2014;22:17-25.

11. Bioventus LLC. Claim for amount of studies investigating DUROLANE. Data on file, RPT-001367.

12. Bioventus LLC. Data on file, RPT-100042, 2024 CER

13. Bioventus LLC. Supporting quantity of global patients treated with a single DUROLANE injection. Data on file, RPT-001056

14. Lu et al. Matrix Biology, Volume 117, March 2023, Pages 46-71

A BITTER PILL TO SWALLOW:

DOXYCYCLINE-INDUCED OESOPHAGITIS IN AN ELITE ATHLETE

FEATURE / DR CHRIS MOGEKWU

Introduction

Doxycycline is a widely prescribed tetracycline antibiotic with known gastrointestinal adverse effects, including pill-induced oesophagitis and oesophageal ulceration.1 Pill-induced oesophagitis is an inflammatory injury of the oesophageal mucosa caused by prolonged contact of an orally administered medication with the oesophagus, often due to inadequate water intake or lying down soon after swallowing, leading to local irritation or ulceration.2 Frequently implicated drug groups include Antibiotic, Bisphosphonates, Non-Steroidal AntiInflammatory Drugs (NSAIDs), Iron Tablets and Potassium Chloride.10 Such reactions have been reported even after a single dose.3 A recent review suggested that athletes consume oral antibiotics, such as Doxycycline, nearly twice as often (2.7% vs 1.3%) as non-athlete populations reflecting higher healthcare consultation rates for respiratory symptoms and a tendency towards precautionary prescribing to minimise training disruption, even when bacterial infection

is unconfirmed.4 Although adverse reactions such as upper gastrointestinal injury are well documented in the general population, no published case reports have described doxycycline-induced oesophageal ulceration in elite athletes. This case report therefore highlights a rare but clinically important complication in a professional sporting context.

Case Study

A previously well elite-level athlete (“Athlete A”) presented to the team physician on the morning of a competitive match with retrosternal pain that worsened after eating. The pain was colicky in nature and was also associated with an increased gag reflex with no signs of vomiting or nausea. Athlete A reported that a private doctor had recently prescribed them doxycycline 100 mg twice daily for a separate medical issue, which they had taken for two doses; the last immediately before going to bed the previous night. Athlete A’s presumption at this point was that a pill “may be stuck in their throat”. Initial management by the team physician included a presumptive diagnosis of gastrooesophageal reflux disease (GORD) and treatment with esomeprazole 40 mg stat (and to reduce to 20mg OD for a duration of 4 weeks from the following day), along with Gaviscon® and Pepto-Bismol® if required. They were withdrawn on medical grounds from being selected for the upcoming fixture and Athlete A was advised to adopt a soft diet, avoid spicy foods, and discontinue doxycycline.

Despite this, the pain persisted, and later that day they attended an urgent care centre with the team physician. Blood tests, including troponin and D-dimer, were normal, and electrocardiography demonstrated sinus rhythm with no evidence of ischaemia. Athlete A declined chest radiography and was discharged with safety-net advice with gastritis being the likely cause of his symptoms.

Over the subsequent 72 hours, Athlete A’s symptoms remained unresolved, and they were referred to a consultant gastroenterologist. Upper gastrointestinal

endoscopy (OGD) revealed two opposing (“kissing”) superficial ulcers in the midoesophagus, consistent with pill-induced oesophagitis due to doxycycline (see Figure 1). Their proton pump inhibitor dose was increased to 40mg twice daily, and sucralfate suspension 2g twice daily was commenced. Both treatments were continued until repeat OGD at six weeks. The athlete’s symptoms improved, allowing return to training after a total of 10 days from the initial presentation. Follow-up endoscopy demonstrated a complete resolution of the oesophageal ulcer (see Figure 2) and Athlete A was advised to avoid future doxycycline use and use NSAIDs (Non-Steroidal AntiInflammatory Drugs) with caution.

Discussion

This case highlights a rare but clinically significant complication of doxycycline use in an elite athlete: pill-induced oesophageal ulceration. While oesophageal injury from doxycycline is well described in the general population,1,2 to our knowledge this is the first report in a professional sporting context. Recognition of this condition is particularly important in athletes, whose medication use patterns, and physiological stressors may heighten their vulnerability.

Athletes, despite being younger and generally healthier than the general population, use physician prescribed

follow-up endoscopy demonstrating complete resolution of the oesophageal ulcers after proton pump inhibitor and sucralfate therapy.

Figure 1a and 1b: Showing endoscopic two opposing (“kissing”) ulcers in the midoesophagus consistent with doxycycline induced oesophagitis.
Figure 2: Showing

medications, including antibiotics, at equal or higher rates than non-athletes, with elite athletes showing a particularly high usage. Furthermore, NSAIDs are widely used in both elite and recreational sport, often at high frequency or even prophylactically.5,6 In some cohorts of competitive athletes, regular NSAID use exceeds 50%.7 NSAIDs are independently associated with gastrointestinal mucosal injury through prostaglandin inhibition and impaired mucosal defence. Concomitant use with antibiotics such as doxycycline may therefore synergistically increase the likelihood of oesophagitis and ulceration. In this case, the recent initiation of doxycycline may have compounded mucosal vulnerability and contributed to symptom severity in an athlete who had been known to take NSAIDs in the past.

The clinical presentation of pill-induced oesophagitis is often acute retrosternal pain, sometimes accompanied by odynophagia or dysphagia. Endoscopic findings typically demonstrate welldemarcated, superficial “kissing” ulcers in the mid-oesophagus, as observed in this athlete. Management involves discontinuation of the offending drug, initiation or escalation of proton pump inhibitor therapy, and mucosal protectants such as sucralfate. Prognosis is generally favourable, with symptom resolution expected within days to weeks if treatment is prompt. To further avoid adverse effects, doxycycline is best taken with plenty of water, and one should remain upright for 30 minutes post ingestion.8

An additional learning point from this case is the importance of athletes fully disclosing all medications and

References

supplements they are taking. Failure to disclose increases the risk of drug–drug interactions, duplicated prescribing, and preventable adverse effects, as illustrated here. Moreover, non-disclosure carries regulatory consequences. Under World Anti-Doping Agency (WADA) regulations, certain prescribed medications and over-the-counter preparations may be prohibited or require a therapeutic use exemption (TUE).9 Inadequate reporting of medication use therefore not only jeopardises player safety but can also expose athletes and teams to anti-doping violations, with significant sporting and reputational consequences. Routine communication and structured medication reviews within elite sport are essential to mitigate both medical and regulatory risks. This is something that we do at certain points during the season but would now consider doing more regularly

to ensure we identify any athletes at risk of adverse drug effects or being at risk of inadvertently committing an anti-doping violation.

For clinicians in sports medicine, this case underscores the importance of careful prescribing in athletes who are already prone to high antibiotic and NSAID exposure. Preventative education — such as ensuring doxycycline is taken with sufficient water and avoiding recumbency immediately afterwards — is crucial to reduce risk. Awareness of this complication may also prevent unnecessary cardiopulmonary investigations when athletes present with acute chest or abdominal pain.

Key Take-home Messages

1. Doxycycline can cause pill-induced oesophagitis and ulceration, even after a short course, and clinicians should be alert to this when athletes present with acute retrosternal pain.

2. Athletes are at higher risk of antibiotic use due to infection susceptibility and pressure for rapid recovery, and they frequently combine antibiotics with NSAIDs, further increasing the risk of gastrointestinal injury.

3. Full disclosure of all medications and supplements by athletes is essential to prevent adverse drug interactions and to ensure compliance with WADA regulations regarding prohibited substances and TUEs. This process should be supported by structures medication and supplements reviews conducted with a qualified clinician at key points throughout the competitive season (e.g. pre-season, mid-season, and prior to major competitions), allowing for proactive risk assessment, regulatory compliance, and athlete safety.

1. Holland A, Harrison A, Whitford M, Watson M, Shrestha S, Shah R, et al. Doxycycline-induced pill oesophagitis: a case report and review of literature. Clin Med Insights Case Rep. 2024;17:11795476241239643. doi:10.1177/11795476241239643.

2. Abraham SC, Cruz-Correa M, Lee LA, Yardley JH, Wu TT. Pill-induced esophagitis: a clinicopathologic study of 78 cases. American Journal of Surgical Pathology. 2001;25(6):867–872.

3. Almayoof A, Alhabboubi F, Alhabboubi A, Alhabboubi S. Doxycycline-induced oesophageal ulcer after a single dose: a case report. Cureus. 2024;16(7):e65321. doi:10.7759/cureus.65321.

4. Fayock K, Voltz M, Sandella B, Close J, Lunser M, Okon J. Antibiotic Precautions in Athletes. Sports Health. 2014 Jul;6(4):321–325. doi: 10.1177/1941738113506553

5. Alaranta A, Alarenta H, Helenius I. Use of Prescription drugs in Athletes. Sports Med. 2008;38:449-463

6. Alaranta A, Alarenta H, Heliövaara M, Airaksinen M, Helenius I. Ample use of Physician-Prescribed Medications in Finnish Elite Athletes. Int J Sports Med. 2006;27:919-925

7. Wolfarth B, Roecker K, Berger J, Dickhuth HH, Kindermann W, Pfeiffer M, et al. Analgesic use in sports: results of a systematic literature review. Sports Med Open. 2023;9(1):14. doi:10.1186/s40798-023-00585-2.

8. Carlborg B, Densert O, Lindqvist C. Oesophageal lesions caused by doxycycline capsules. BMJ. 1983;286(6373):1172–1173.

9. World Anti-Doping Agency. The 2025 Prohibited List: International Standard. Montreal: WADA; 2024. Available from: https://www.wada-ama.org/ sites/default/files/2024-09/2025list_en_final_clean_12_september_2024.pdf

THE FIRST COMPLETE MEDICINES MANAGEMENT SYSTEM FOR ELITE SPORTS, WITH SECURE COMPLIANT PRESCRIBING, IS LAUNCHED BY UK-BASED SPORTS DOCTORS

While working in professional football, Dr Danny Glover and Dr Steven Whatmough used to feel frustrated that health information is locked in silos across the NHS, private healthcare and sports medicine.

“I used to spend most of my time on admin, chasing up patient records,” says Danny, who with Steven, has founded ORB, a health technology company which aims to safeguard and centralise data from multiple sources and make it accessible to players, team medics, health care professionals outside of clubs, and medical systems.

ORB Rx is their latest launch. It is designed to support more informed, compliant, safer prescribing in elite sports. It meets industry digital prescribing standards and improves

clinical governance through a clear audit trail and reporting.

ORB Rx securely delivers:

• remote, digital prescribing with signatureRx, e-scripts send directly to the player or pharmacy in player location.

• safer, quicker prescriptions including a dm+d formulary: with accurate product, strength and pack selection, and one-click re-prescribe.

• integration with Global DRO for automatic anti-doping status checks at point of care, with a captured reference for auditing.

• a medication record that is live, and automatically updated, across clubs, squads and geographic borders.

• custom reporting via multi-level dashboards at athlete, clubs, leagues and national level, evidencing CQC compliance.

• Therapeutic Use Exemption and speedy, efficient, medical file collation.

ORB Rx works as a stand-alone system or can be integrated into existing AHR or AMS platforms.

Dr Glover explains that he and Steven have designed ORB Rx to meet the challenges faced by football club medical teams.

“Clinical governance is under review across elite sports. Prescribing is an integral part of this, and ORB Rx provides clear evidential support for CQC requirements. Fragmented systems, paper workflows, separate compliance checks, manual stock tracking and fragmented reporting is just too clunky, slow and risky in our high-pressure, time poor job.

“Players also benefit from ORB Rx, particularly when they travel. They can view prescriptions, instructions, and access a digital record of their medicines history.

ORB Rx is a complete solution enabling medical teams to send fast, safe, compliant prescriptions; maintain a clean audit trial and stop wasting many hours on medicines reporting.”

Danny (above) and Steven launched ORB Connect in 2025, a groundbreaking app that enables access to NHS (England) GP records. With the player’s consent, clinicians operating outside of the NHS (such as club doctors, physios, dietitians and other members of the medical team) can securely access a player’s NHS GP records via ORB Connect. Players can choose the length of their record sharing, from a single consultation to permanent access. ORB Connect can run alongside or integrate with existing Athlete

Management Systems, and the record will always be live and automatically up to date.

This is particularly valuable for academy and youth players. Many are homegrown and registered with an NHS GP, so fast, accurate visibility of medication history, allergies, long-term conditions, vaccinations and recent consultations can support safer care and better clinical decision-making.

KICK START YOUR CAREER IN PROFESSIONAL FOOTBALL WITH THE MPA DIPLOMA

The FMPA is committed to delivering the highest standards in player care and performance through our ongoing educational content.

We are proud to announce that the MPA Diploma is now available completely FREE as part of your FMPA membership thanks to SwimEx (www.swimex.com) who have kindly sponsored this course.

Designed for those starting out in professional football or looking to step into a club-based role, this industry-focused qualification gives you the knowledge, insight and confidence needed to succeed behind the scenes. It is equally valuable for Heads of Department and experienced practitioners who wish to support staff development or enhance their own CPD.

Unlike traditional academic courses, the MPA Diploma focuses on the real-world workings of football clubs, covering essential topics not taught at undergraduate level. It prepares you to navigate the unique demands, structures and expectations of a professional club environment — giving you a genuine competitive edge.

Each module consists of five credits with five multiple choice questions for each credit, marked automatically. In total the course amounts to approximately 50 hours of learning and can be taken over a period of six

months. A certificate is issued on completion of the programme.

The course is open to Sports Scientists, Physiotherapists, Doctors, Analysts, Sports Therapists, Strength and Conditioning Coaches, Fitness Coaches, Soft Tissue Therapists, and Sports Rehabilitators, as well as service providers to clubs such as Sports Psychologists, Nutritionists and Podiatrists.

Whether you’re beginning your journey or strengthening your professional credentials, the MPA Diploma helps you take the next step with confidence.

You can read more about the course here www.fmpa.co.uk/courses/mpa-diploma/

The “COURSES” tab is now available on your “Member Account” page when logged in to the FMPA website.

Should you have any questions or feedback please do not hesitate to contact our team via email at admin@fmpa.co.uk

Scan for more info:

PREPARATION FOR WORK IN PROFESSIONAL FOOTBALL

✓ Multi-disciplinary Team (MDT)

✓ Health and safety

✓ Safeguarding

✓ Equality/Diversity/Inclusion

✓ Mental Health/wellbeing

✓ Confidentiality

✓ Record keeping

✓ Media TV

✓ Social Media

✓ Expectations of behaviour and general professionalism

✓ Integration within the MDT environment

✓ Insight into the working week and awareness of un-clinical skills

✓ From ‘Theory to Practice’

✓ How the science sits in the working environment

✓ What an employer is looking for

– Employability, CPD, Reflective Practice, CV

✓ Portfolio design

FMPA MEMBERSHIP

Expert legal support and representation across employment medico-legal and regulatory law

Priority member only access to job listings and email alerts

24/7 support from the FMPA and much more…

“I believe FMPA membership is now essential and should be a pre-requisite for any member of staff within our sector.”

Head of Sport Science & Medicine, Premier League

Turn static files into dynamic content formats.

Create a flipbook