Παιδιατρική | Τόμος 88 • Tεύχος 2 • Μάιος - Ιούνιος - Ιούλιος - Αύγουστος 2025

Page 1


060

062

066

080

098

Υποβολή εργασιών e-mail: grammateia@e-child.gr

Οδηγίες

http://e-child.gr/publications/ instructions-to-authors

Iδιοκτήτης

Tηλ.:

e-mail: grammateia@e-child.gr Eτήσια

Volume 88 | Number 1 | May-June-July-August 2025

Four monthly publication of the Greek Paediatric Society

060

EDITORIAL

Stelios Antoniadis

062

ARTICLE OF SPECIAL INTEREST

About pedophilia

Anna Tsakalidou, Zisis Papathanasiou

066

REVIEW ARTICLES

Cytogenetics and prenatal testing

Anastasia Stathopoulou

080

Tobacco and related products use in adolescence: a current global scourge

Vasiliki Gketsi, A. Gkrepi, M.E.Papasavva

098

Infant immunization in the pediatrician’s office

Αlexios Mavroudis

104

Laboratory diagnostics for COVID-19 infection in childhood.

Αlexios Mavroudis

President

A. Constantopoulos

Editorial board

Editor- in- Chief

S. Antoniadis

Members

S. Andronikou

E. Galanakis

A. Evangeliou

L. Thomaidou

M. Kanariou

A. Kapogiannis

S. Kitsiou-Tzeli

E. Mantadakis

P. Panagiotopoulou-Gartagani

A. Papadopoulou

V. Papaevagelou

A. Papathanassiou

A. Siamopoulou-Mavridou

A. Syrigou-Papavasiliou

Manuscript submission

e-mail: grammateia@e-child.gr

Instructions to authors: http://e-child.gr/publications/ instructions-to-authors

Owner Greek Paediatric Society 15, Mpakopoulou st. GR - 15451, Ν. Psychiko Tel.: +302107771140

e-mail: grammateia@e-child.gr

Annual subscription All foreign countries: US$50

112

CASE REPORT

Impact of the Snoezelen multisensory environment on a child with multiple disabilities and his mother

Konstantina Neofotistou, Eleni Fotiadou, Olga Tzetzi

118

BETWEEN COLLEAGUES

Stelios Antoniadis

120

INSTRUCTIONS TO AUTHORS

Κ.

e-mail: opavanna@gmail. com

Correspondence

Anna Tsakalidou

Τ. +30 2310382018

Κ. +30 6944757558

e-mail: opavanna@gmail. com

e-mail: anastasia14@ windowslive.com

ΕΥΧΑΡΙΣΤΙΕΣ

Correspondence

Stathopoulou Anastasia

Τ. +30 6972100002

e-mail: anastasia14@ windowslive.com

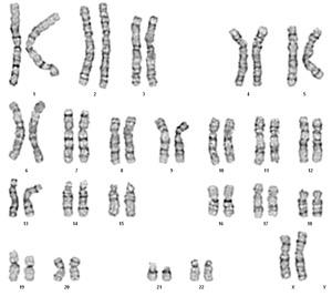
Cytogenetics and prenatal testing

ABSTRACT

This paper presents an extensive review of cytogenetics and prenatal testing, with an emphasis on modern diagnostic techniques and their application in clinical practice. Initially, the fundamental principles of cytogenetics are analysed, along with methods of chromosomal analysis and technologies such as FISH, QF-PCR, MLPA, and array-CGH, which enable the detection of chromosomal abnormalities with high accuracy. Subsequently, the main methods of prenatal diagnosis, both invasive and non-invasive, are examined, as well as the indications that determine their necessity. Finally, the importance of genetic counselling and the ethical issues that arise in the context of prenatal information are highlighted. The aim of this paper is to showcase both the complexity and the critical importance of prenatal screening in the timely and reliable diagnosis of genetic disorders.

Key words: Cytogenetics, prenatal testing

3.

5.

1.3

1.4 Quantitative Fluorescence Polymerase Chain Reaction (QF-PCR)

(https://devyser.com/blog/principles-of-qf-pcr)

tion-dependent probe amplification-MLPA)

(microarray-based comparative genomic hybridization-array CGH)

2.2.1

Sampling/CVS)

Βιβλιογραφία

[1] H. F. W. Robert L. Nussbaum, Roderick R. McInnes, Genetics in Medicine. Thompson & Thompson, 2015.

[2] A. K. C. Estandarte, “A Review of the Different Staining Techniques for Human Metaphase Chromosomes,” 2012. doi: 10.1007/BF00652622.

[3] B. Howe, A. Umrigar, and F. Tsien, “Chromosome preparation from cultured cells,” J. Vis. Exp., no. 83, pp. 3–7, 2014, doi: 10.3791/50203.

[4] A. Alamri, J. Y. Nam, and J. K. Blancato, “Fluorescence in situ hybridization of cells, chromosomes, and formalin-fixed paraffin-embedded tissues,” Methods Mol. Biol., vol. 1606, pp. 265–279, 2017, doi: 10.1007/978-1-4939-6990-6_17.

[5] L. G. Shaffer and T. H. Bui, “Molecular cytogenetic and rapid aneuploidy detection methods in prenatal diagnosis,” Am. J. Med. Genet. Part C Semin. Med. Genet., vol. 145, no. 1, pp. 87–98, 2007, doi: 10.1002/ajmg.c.30114.

[6] G. M. Grimshaw et al., “Evaluation of molecular tests for prenatal diagnosis of chromosome abnormalities,” Health Technol. Assess. (Rockv)., vol. 7, no. 10, 2003, doi: 10.3310/ hta7100.

[7] J. P. Schouten, “Relative quantification of 40 nucleic acid sequences by multiplex ligationdependent probe amplification,” Rev. Rom. Med. Lab., vol. 26, no. 4, pp. 461–470, 2002, doi: 10.2478/rrlm-2018-0032.

[8] B. Brambati, L. Tului, and E. Alberti, “Prenatal diagnosis by chorionic villus sampling,” Eur. J. Obstet. Gynecol. Reprod. Biol., vol. 65, no. 1, pp. 11–16, 1996, doi: 10.1016/00282243(95)02295-4.

[9] R. D. Wilson, “Early amniocentesis: A clinical review,” Prenat. Diagn., vol. 15, no. 13, pp. 1259–1273, 1995, doi: 10.1002/pd.1970151307.

[10] L. Al-Hafez, S. P. Chauhan, M. Riegel, O. A. Balogun, I. A. Hammad, and V. Berghella, “Routine third-trimester ultrasound in low-risk pregnancies and perinatal death: a systematic review and meta-analysis,” Am. J. Obstet. Gynecol. MFM, vol. 2, no. 4, p. 100242, 2020, doi: 10.1016/j.ajogmf.2020.100242.

[11] M. Abedalthagafi, S. Bawazeer, R. I. Fawaz, A. M. Heritage, N. M. Alajaji, and E. Faqeih, “Non-invasive prenatal testing: a revolutionary journey in prenatal testing,” Front. Med., vol. 10, 2023, doi: 10.3389/fmed.2023.1265090.

[12] M. S. Alberry, E. Aziz, S. R. Ahmed, and S. Abdel-fattah, “Non invasive prenatal testing (NIPT) for common aneuploidies and beyond,” Eur. J. Obstet. Gynecol. Reprod. Biol., vol. 258, pp. 424–429, 2021, doi: 10.1016/j.ejogrb.2021.01.008.

[13] X. Wei, “Optimizing peripheral blood chromosome analysis: effects of refrigeration time and blood volume,” Am. J. Transl. Res., vol. 16, no. 4, pp. 1237–1245, 2024, doi: 10.62347/ vzbp5808.

[14] N. G. Than and Z. Papp, “Ethical issues in genetic counseling,” Best Pract. Res. Clin. Obstet. Gynaecol., vol. 43, pp. 32–49, 2017, doi: 10.1016/j.bpobgyn.2017.01.005.

NCBI, National Centre for Biotechnology Information https://www.ncbi.nlm.nih.gov/ Gene Cards, The Human Gene Database https://www.genecards.org/ Researchgate.net [Webpage, Internet] www.researchgate.net

UNIQUE-Understanding Rare Chromosome and Gene Disorders www.rarechromo.org WiCell Research Institute https://www.wicell.org/ Memorial University of Newfoundland https://www.mun.ca/

Correspondence

Vasiliki Gketsi

General Makrigiannis Avenue 60, PC 454 45 Τ. +30 2651080785

e-mail: vikigetsi@gmail.com

Tobacco and related products use in adolescence: a current global scourge

Abstract

Smoking is one of the leading preventable causes of death worldwide. Its harmful effects are cumulative and there is no safe level of active or passive exposure to tobacco. The huge variety of smokeless and non-smoked tobacco products on the market, combined with advertising targeting minors and lack of compliance with laws, leads to unimaginable numbers of young users, who risk remaining addicted for life. Tobacco industry is constantly flourishing, always finding ways to make smoking attractive to children and adolescents through fashion, advertising, films, social media and the avoidance of compliance with regulations regarding the marketing and sale of tobacco products. Measures must be taken by the State to disengage anti-tobacco policy from the influence of the tobacco industry and e-cigarette companies, to limit uncontrolled advertising aimed at minors and to intensify information programs on the dangers of smoking even for very young children.

Keywords: smoking, tobacco products, vaping, smoke, nicotine

Vasiliki Gketsi, A. Gkrepi

Department of Pediatrics, General Hospital of Ioannina “G. Hatzikosta”, Ioannina, Greece

M.E.Papasavva

Department of Pediatrics & Department of Hameglobinopathies, General Hospital of Ioannina “G. Hatzikosta”, Ioannina, Greece

3.

2.

3. Paan

(1989) (https://en.wikipedia.org/wiki/Camel_ (cigarette))

www.mononews.gr/life-style/16-exofrenikes-diafimisis-proionton-kapnou-pou-tha-itanparanomes-simera)

2019,

General snus

Swedish Match

Εικόνα 6 https://www.intronews.gr/life/tsigara-diasimotites-kapnisma/

Εικόνα 7 https://www.tovima.gr/grace/tag/tsigara/

(WHO).

Βιβλιογραφία

1. WHO report on the global tobacco epidemic, 2008: the MPOWER package. www.loc. go>item>2021763109.

2. U.S. Food and Drug Administration, 2012. Harmful and potentially harmful constituents in tobacco products and tobacco smoke. Fed.Regdoi, 20034–20037.

3. Li Y, Hecht SS. Carcinogenic components of tobacco and tobacco smoke: A 2022 update. Food ChemToxicol. 2022 Jul;165:113179. doi: 10.1016/j.fct.2022.113179. Epub 2022 May 25. PMID: 35643228; PMCID: PMC9616535.

4. Tobacco use declines despite tobacco industry efforts to jeopardize progress. World Health Organization (WHO).https://www.who.int/news/item/16-01-2024-tobacco-use-declines-despite-tobacco-industry-efforts-to-jeopardize-progress.

5. Proctor RN. The history of the discovery of the cigarette-lung cancer link: evidentiary traditions, corporate denial, global toll. Tob Control. 2012 Mar;21(2):87-91. doi: 10.1136/tobaccocontrol-2011-050338. Erratum in: Tob Control. 2013 Jan;22(1):62. PMID: 22345227.

6. Wynder EL, Graham EA, 1950. Tobacco smoking as a possible etiologic factor in bronchiogenic carcinoma; a study of 684 proved cases. J. Am. Med. Assoc 143, 329–336.

7. Doll R, Hill AB. Smoking and carcinoma of the lung; preliminary report. Br Med J. 1950 Sep 30;2(4682):739-48. doi: 10.1136/bmj.2.4682.739. PMID: 14772469; PMCID: PMC2038856.

8. Dwyer JB, Broide RS, Leslie FM. Nicotine and brain development. Birth Defects Res C Embryo Today. 2008;84:30–44. doi: 10.1002/bdrc.20118.

9. El Marroun H, Schmidt MN, Franken IH, Jaddoe VW, Hofman A, et al. Prenatal tobacco exposure and brain morphology: a prospective study in young children. Neuropsychop-

harmacology. 2014 Mar;39(4):792-800. doi: 10.1038/npp.2013.273. Epub 2013 Oct 7. PMID: 24096296; PMCID: PMC3924517.

10. Blood-Siegfried J, Rende EK. The long-term effects of prenatal nicotine exposure on neurologic development. J Midwifery Womens Health. 2010 Mar-Apr;55(2):143-52. doi: 10.1016/j.jmwh.2009.05.006.11.

11. Jacobsen LK, Slotkin TA, Mencl WE, Frost SJ, Pugh KR. Gender-specific effects of prenatal and adolescent exposure to tobacco smoke on auditory and visual attention. Neuropsychopharmacology. 2007 Dec;32(12):2453-64. doi: 10.1038/sj.npp.1301398. Epub 2007 Mar 21. PMID: 17375135.

12. Soneji S, et al. Association between initial use of e-cigarettes and subsequent cigarette smoking among adolescents and young adults: a systematic review and meta-analysis. JAMA Pediatrics. 2017;171:788–797. doi: 10.1001/jamapediatrics.2017.1488.

13. Dugas EN, Sylvestre MP, O’Loughlin J. Type of e-liquid vaped, poly-nicotine use and nicotine dependence symptoms in young adult e-cigarette users: a descriptive study. BMC Public Health. 2020;20:922. doi: 10.1186/s12889-020-09056-y.

14. Dai, H., Catley, D., Richter, K. P., Goggin, K. &Ellerbeck, E. F. Electronic cigarettes and future marijuana use: a longitudinal study. Pediatrics, 10.1542/peds.2017-3787 (2018).

15. Kitaba NT, Knudsen GTM, Johannessen A, Rezwan FI, Malinovschi A, et al. Fathers' preconception smoking and offspring DNA methylation. Clin Epigenetics. 2023 Aug 31;15(1):131. doi: 10.1186/s13148-023-01540-7. PMID: 37649101; PMCID: PMC10469907.

16. https://cancer-code-europe.iarc.fr/index.php/el/12-ways/tobacco/5421-16.

17. Gentzke AS, Wang TW, Cornelius M, Park-Lee E, Ren C, et al. Tobacco Product Use and Associated Factors Among Middle and High School Students - National Youth Tobacco Survey, United States, 2021. MMWR SurveillSumm. 2022 Mar 11;71(5):1-29.

18. doi: 10.15585/mmwr.ss7105a1. PMID: 35271557; PMCID: PMC8923300.

19. https://truthinitiative.org/sites/default/files/media/files/2019/03/Truth-Flavors-FactSheet.pdf.

20. Hatsukami D. K., Lemmonds C., Zhang Y., Murphy S. E., Le C., Carmella S. G., Hecht S. S. (2004). Evaluation of carcinogen exposure in people who used “reduced exposure” tobacco products. Journal of the National Cancer Institute, 96(11), 844–852. 10.1093/jnci/djh163

21. Sæther SMM, Askeland KG, Pallesen S, Erevik EK. Smoking and snus use among Norwegian students: Demographic, personality and substance use characteristics. Nordisk Alkohol Nark. 2021 Apr;38(2):141-160. doi: 10.1177/1455072520980219. Epub 2021 Jan 12. PMID: 35310004; PMCID: PMC8899072.

22. Folkehelseinstituttet [Norwegian Institute of Public Health]. (2019). Helserisikovedsnusbruk [Health risks from snus use]. Folkehelseinstituttet. https://www.fhi.no/publ/2019/ helserisiko-ved-snusbruk2.

23. Μακαρώνη

Π, Ευαγγελοπούλου Β,

(2η

2019: p 207. Available from:www. smokefreegreece.gr.

24. https://www.epipsi.gr/index.php/research/96-ereuna-espad.

25. VillantiAC, JohnsonAL, AmbroseBK, etal. Flavored Tobacco Product. Use in Youth and Adults: Findings From the First Wave of the PATH. Study (2013-2014). American journal of preventive medicine. 2017.

26. Soneji SS, Knutzen KE, Villanti AC. Use of Flavored E-Cigarettes Among Adolescents, Young Adults, and Older Adults: Findings From the Population Assessment for Tobacco and Health Study. Public Health Rep. 2019 May/Jun;134(3):282-292. doi: 10.1177/0033354919830967. Epub 2019 Mar 12. PMID: 30857471; PMCID: PMC6505324.

27. Besaratinia A, Tommasi S. Vaping: a growing global health concern. E Clinical Medicine. 2019;17:100208. doi: 10.1016/j.eclinm.2019.10.019.

28. Lyzwinski LN, Naslund JA, Miller CJ, Eisenberg MJ. Global youth vaping and respiratory health: epidemiology, interventions, and policies. NPJ Prim Care Respir Med. 2022 Apr 11;32(1):14. doi: 10.1038/s41533-022-00277-9. PMID: 35410990; PMCID: PMC9001701.

29. Fadus MC, Smith TT, Squeglia LM. The rise of e-cigarettes, pod mod devices, and JUUL among youth: Factors influencing use, health implications, and downstream effects. Drug Alcohol Depend. 2019;201:85–93. doi: 10.1016/j.drugalcdep.2019.04.011.

30. Rose JJ, Krishnan-Sarin S, Exil VJ, Hamburg NM, Fetterman JL, Ichinose F, PerezPinzon MA, Rezk-Hanna M, Williamson E; American Heart Association Council on Cardiopulmonary, Critical Care, Perioperative and Resuscitation; Council on Epidemiology and Prevention; Council on Cardiovascular Radiology and Intervention; Council on Lifestyle and Cardiometabolic Health; Council on Peripheral Vascular Disease; Stroke Council; and Council on Arteriosclerosis, Thrombosis and Vascular Biology. Cardiopulmonary Impact of Electronic Cigarettes and Vaping Products: A Scientific Statement From the American Heart Association. Circulation. 2023 Aug 22;148(8):703-728. doi: 10.1161/CIR.0000000000001160. Epub 2023 Jul 17. PMID: 37458106.

31. Brożek, G. M. et al. The prevalence of cigarette and e-cigarette smoking among students in Central and Eastern Europe-results of the YUPESS study. Int. J. Environ. Res. Public Health, 10.3390/ijerph16132297 (2019).

32. Padon AA, Lochbuehler K, Maloney EK, Cappella JN. A Randomized Trial of the Effect of Youth Appealing E-Cigarette Advertising on Susceptibility to Use E-Cigarettes Among Youth. Nicotine Tob Res. 2018 Jul 9;20(8):954-961. doi: 10.1093/ntr/ntx155. PMID: 29106669; PMCID: PMC6037103.

33. Barrington-Trimis, J. L. et al. E-cigarettes, cigarettes, and the prevalence of adolescent tobacco use. Pediatrics, 10.1542/peds.2015-3983 (2016).

34. Kong G, Morean ME, Cavallo DA, Camenga DR, Krishnan-Sarin S. Reasons for Electronic Cigarette Experimentation and Discontinuation Among Adolescents and Young Adults. Nicotine Tob Res. 2015 Jul;17(7):847-54. doi: 10.1093/ntr/ntu257. Epub 2014 Dec 6. PMID: 25481917; PMCID: PMC4674436.

35. Morean ME, Butler ER, Bold KW, Kong G, Camenga DR, Cavallo DA, Simon P, O'Malley SS, Krishnan-Sarin S. Preferring more e-cigarette flavors is associated with e-cigarette use frequency among adolescents but not adults. PLoS One. 2018 Jan 4;13(1):e0189015. doi: 10.1371/journal.pone.0189015. Erratum in: PLoS One. 2018 Sep 13;13(9):e0204349. doi: 10.1371/journal.pone.0204349. PMID: 29300749; PMCID: PMC5754053.

36. Khan A, Parlette K, Kuntz HM. E-cigarettes and vaping, product-use associated lung injury: a case series of adolescents. Clin. Pract. Cases Emerg. Med. 2021;5:11–16. doi: 10.5811/ cpcem.2020.10.48707.

37. Kelesidis T, Sharma M, Satta S, Tran E, Gupta R, Araujo JA, Middlekauff HR. Ectodomain shedding of proteins important for SARS-CoV-2 pathogenesis in plasma of tobacco cigarette smokers compared to electronic cigarette vapers: a cross-sectional study. J Mol Med (Berl). 2023 Mar;101(3):327-335. doi: 10.1007/s00109-023-02286-8. Epub 2023 Feb 10. PMID: 36759357; PMCID: PMC9911331.

38. https://en.wikipedia.org/wiki/Camel_(cigarette)

39. Di Franza et al. “RJR Nabisco’s Cartoon Camel Promotes Camel Cigarettes to Children.” JAMA 1991;266:33149-3153.

40. Fischer et al. “Brand Logo Recognition by Children Aged 3 to 6 years.” JAMA 1991;266:3145-3148

41. Αρκουμανέας Π. Κεφάλαιο 7: Marketing, διαφήμιση και lifestyle στην προώθηση

Τζώρτζη Α. (2η έκδοση). Αθήνα 2019:p 149-150. Available from: www.smokefreegreece.gr

42. Hilts P.J. Smokescreen: The Truth Behind the Tobacco Industry Cover-up. Addison-Wesley, 1996, p. 77. 48.

43. Philip Morris Vice President for Research and Development, Why One Smokes, First Draft, 1969, Autumn (Minnesota Trial Exhibit 3681).

44. Lopez Mi, Herrero P., Comas A. et al. Impact of Cigarette Advertising on Smoking Behaviour in Spanish Adolescents as Measured Using Recognition of Billboard Advertising. Eur J Public Health 2004, 14: 428-432.

45. https://ec.europa.eu/commission/presscorner/detail/el/memo_11_349.

46. http://data.europa.eu/eli/dir/2014/40/oj.

47. https://curia.europa.eu/juris/document/document.jsf?text=&docid=207969&pageIndex =0&doclang=EL&mode=lst&dir=&occ=first&part=1&cid=5386512.

48. Solyst J M. Highlights and Insights from the General Snus Modified Risk Tobacco Product Decision Documents. www.fdli.org › 2020 › 02.

49. U.S. Food and Drug Administration FDA Grants First-Ever Modified Risk Orders to Eight

Smokeless Tobacco Products. [(accessed on 29 October 2020)]; Available online: https:// www.fda.gov/news-events/press-announcements/fda-grants-first-ever-modified-riskorders-eight-smokeless-tobacco-products.

50. Lee J, Thompson LA, Salloum RG. Heated tobacco product use among US adolescents in 2019: The new tobacco risk. TobPrevCessat. 2021 Jan 8;7:01. doi: 10.18332/tpc/130502. PMID: 33437895; PMCID: PMC7796675.

51. https://www.kodiko.gr/nomothesia/document/141125/nomos-3730-2008.

52. Mekemson C, Glantz SA. How the tobacco industry built its relationship with Hollywood. Tob Control. 2002 Mar;11Suppl 1(Suppl 1):I81-91. doi: 10.1136/tc.11.suppl_1.i81.

53. Giannakodimos I, Lykouras D, Lagiou O, Tsakas S, Karkoulias K. The Presence of Smoking and Alcohol Imaginary in Popular Movies Available in Netflix Online Streaming Platform. J Community Health. 2022 Aug;47(4):710-715. doi: 10.1007/s10900-022-01101-8.

Correspondence

Alexios Mavroudis MD,Msc. Erithrou stavrou terma

c.p 22131, Tripoli Arcadia, Greece

T. +306978699611

e-mail: alexis.mavroudis@ yahoo.gr

Infant immunization in the pediatrician's office

Abstract

The immunization of infants presents a unique challenge for paediatricians due to the immature immune system and the limited protection it provides. Typically, multiple doses of vaccines are necessary to enhance the immune response, stimulate the production of protective antibodies, and promote the selective development of memory B lymphocytes. In response to these challenges, the scientific community is exploring innovative biotechnological approaches aimed at optimizing immune system function. This includes the development of immunologic adjuvant that, when combined with advanced personalized medicine techniques can reduce the required vaccine dosage and mitigate the risk of antimicrobial tolerance. Emerging research focused on the genomic footprinting of infants is paving the way for the creation of vaccines that ensure both safety and long-term efficacy.

Keywords: immunization, immunologic adjuvant, biotechnology, personalised medicine, vaccination.

Αlexios Mavroudis

Peadiatric department

General Hospital of Evangelistria, Tripoli, Greece

(IL-12,

Κατάλογος

APC: Antigen-presenting

CCL/CXCL: Chemoκine ligand

CD: Cluster of Differentiation

DCs: Dendritic Cells

IL: Interleukin

INF: Ιnterferon

NK: Natural Killer

RNA: Ribonucleic acid

TLR: Toll Like Receptor

TNF: Tumor Necrosis

Curdlan

της σύνθεσης κυτταροκινών / χημειοκινών.

• Στρατολόγηση

• Κυτταρική πρόσληψη στο

1. Παναγιώτα

2022;18,1:34 – 36.

2. Richard Farmer, Ross Lawrenson, David Miller. Εμβολιασμός. Επιστημονικές Εκδόσεις Παρισιάνου. 5η έκδοση. Αθήνα: 2011. p. 122-135.

3. Hellenic Medical Review [Webpage, Internet]. Aθήνα:

Εταιρείας;2022: https://hellenicmedicalreview.gr/therapeies/pagkosmia-emvoliastiki-kalypsi-dedomena-ton-teleftaion-eton-kai-mellontikoi-stochoi.

4. Δημήτριος

2024. p. 60-61.

5. Renato Soibelmann Procianoy, Rita C Silveira, The challenges of neonatal sepsis management. J Pediatr (Rio J) 2020 Mar-Apr;96 (1 Suppl):80-86.

6. Isaac G Sakala, Katherine Marie Eichinger, Nikolai Petrovsky. Neonatal vaccine effective-

ness and the role of adjuvants. Expert Rev Clin Immunol. 2019 Aug;15(8):869-878.

7. April C Apostol, Kirk D C Jensen, Anna E Beaudin, Training the Fetal Immune System Through Maternal Inflammation-A Layered Hygiene Hypothesis. Front Immunol 2020 Feb 11:11:123.

8. Tobias R Kollmann, Arnaud Marchant, Sing Sing Way. Vaccination strategies to enhance immunity in neonates. Science. 2020 May 8;368(6491):612-615.

9. Helen S Goodridge, S Sohail Ahmed, Nigel Curtis, Tobias R Kollmann, Ofer Levy, Mihai G Netea et al. Harnessing the beneficial heterologous effects of vaccination. Nat Rev Immunol. 2016 Jun;16(6):392-400.

10.

2021;1,1:11 - 17.

11. Anja Saso, Beate Kampmann. Vaccine responses in newborns. Semin Immunopathol. 2017 Nov;39(6):627-642.

12. Frenck RW, Klein NP, Kitchin N, Gurtman A, Absalon J, Lockhart S, et al. Safety, Immunogenicity, and Efficacy of the BNT162b2 Covid19 Vaccine in Adolescents. N Engl J Med. 2021 Jul 15;385(3):239–50.

13. Siyue Jia, Jingxin Li, Yuanbao Liu, Fengcai Zhu. Precision immunization: a new trend in human vaccination. Hum Vaccin Immunother. 2020 Mar 3;16(3):513-522.

Correspondence

Alexios Mavroudis MD,Msc.

Erithrou stavrou terma

c.p 22131, Tripoli Arcadia, Greece

T. +306978699611

e-mail: alexis.mavroudis@ yahoo.gr

Laboratory diagnostics for COVID-19 infection in childhood.

Αlexios Mavroudis

Abstract

Introduction: Laboratory diagnostics in patients with Covid-19 infection is an important laboratory challenge for the pediatric clinician since it studies the qualitative evolution of the disease over time.

Objective: Evaluation of laboratory tests in diagnosis, verification of results and monitoring of the disease.

Material: Literature review of recent scientific articles.

Methods: Use of internet search tools (pub med).

Results: Serological and molecular identification methods for SARS-CoV-2 exist that allow identification of viral infection. However, studies suggest that serological techniques for detecting antibodies in blood serum are not always a reliable source of diagnosis. It is considered that the viral load, the heritability for an individualised reaction, the type of antibodies produced (neutralising or diagnostic only), their residence time in the blood serum and the presence of cross-reactions formulate the weakness of the immune response. There is reduced T-lymphocyte functionality, inactivation of B-lymphocytes and reduced production of neutralising antibodies. This is the natural 'switch-switch' phenomenon, which is characterised by the weak production of IgM antibodies to the SARS-CoV-2 S and N glycoprotein and the presence of a wider range of specificities and novel isotypes (such as IgG, IgM and IgA types). It is a biological discrepancy that occurs mainly in patients with mild symptoms, which demonstrates the need for a laboratory network with infection prevention and control practices for early diagnosis.

Conclusion: Serological tests are a diagnostic approach for the pediatric patient, but without reliably capturing the sensitivity of the results, so that their finalization is carried out using molecular techniques, with PCR (Polymerase chain reaction) predominating.

Keywords: laboratory, diagnosis, antibodies, biopathology, Covid-19.

Αlexios Mavroudis

Peadiatric department

General Hospital of Evangelistria, Tripoli, Greece

(Open Reading Frames, ORFs),

Κατάλογος

ACE: AngiotensinConverting Enzyme-2

CD: Cluster of differentiation

Σύμπλεγμα

Ig: Immunoglobulin

ORF: Open Reading Frames

PCR: Polymerase Chain Reaction Aλυσιδωτή

RBD: Receptor Binding Domain

RNA: Ribonucleic acid

SARS: Severe Acute Respiratory Syndrome

TMPRSS2: Transmembrane Protease-2

Do genetic polymorphisms in angiotensin converting enzyme 2 (ACE2) gene play a role in coronavirus disease 2019 (COVID-19)? June 29, 2020, Volume 58, Issue 9 (17).

1. WHO-convened global study of origins of SARS-COV-2. Word Health Organization Chinapart.2021.; 2021.

2. Liu et al. Human Coronavirus-229E, OC43, and -HKU1. EncyclVirol. 2021;428–40.

3. Cherry et al. The Chronology of the 2002-2003 SARS mini pandemic. PaediatrRespirRev. 2004;5:262–9.

4. Covid-19 in children and adolescents in Europe: a multinational, multicentre cohort study. Lancet child AdolescHealth. 2020 Apr;653–61.

5. Shereen MA, Khan S, Kazmi A, Bashir N, Siddique R. COVID-19 infection: Origin, transmission, and characteristics of human coronaviruses. J Adv Res. 2020 Jul;24:91–8.

6. Word health organization novel coronavirus (2019-nCov). Geneva:WHO; 2020 Jan.

7. de Haan CA, Kuo L, Masters PS, Vennema H, Rottier PJ. Coronavirus particle assembly: primary structure requirements of the membrane protein. J Virol. 1998 Aug;72(8):6838–50.

8. Letko M, Marzi A, Munster V. Functional assessment of cell entry and receptor usage for SARS-CoV-2 and other lineage betacoronaviruses. Nat Microbiol. 2020 Apr;5(4):562–9.

9. J Alsaadi EA, Jones IM. Membrane binding proteins of coronaviruses. Future Virol. 2019 Apr;14(4):275–86.

10. Zabetakis I, Lordan R, Norton C, Tsoupras A. COVID-19: The Inflammation Link and the Role of Nutrition in Potential Mitigation. Nutrients. 2020 May 19;12(5).

11. Τριμηνιαία

Aνοσία. 2020. 11–19 p.

12. Xu H, Zhong L, Deng J, Peng J, Dan H, Zeng X, et al. High expression of ACE2 receptor of 2019-nCoV on the epithelial cells of oral mucosa. Int J Oral Sci. 2020 Feb 24;12(1):8.

13. Gheblawi M, Wang K, Viveiros A, Nguyen Q, Zhong JC, Turner AJ, et al. AngiotensinConverting Enzyme 2: SARS-CoV-2 Receptor and Regulator of the Renin-Angiotensin System: Celebrating the 20th Anniversary of the Discovery of ACE2. Circ Res. 2020 May 8;126(10):1456–74.

14. Hoffmann M, Kleine-Weber H, Schroeder S, Krüger N, Herrler T, Erichsen S, et al. SARS-CoV-2 Cell Entry Depends on ACE2 and TMPRSS2 and Is Blocked by a Clinically Proven Protease Inhibitor. Cell. 2020 Apr 16;181(2):271-280.e8.

15. Shang J, Ye G, Shi K, Wan Y, Luo C, Aihara H, et al. Structural basis of receptor recognition by SARS-CoV-2. Nature. 2020 May;581(7807):221–4.

16. Wan Y, Shang J, Graham R, Baric RS, Li F. Receptor Recognition by the Novel Coronavirus from Wuhan: an Analysis Based on Decade-Long Structural Studies of SARS Coronavirus. J Virol. 2020 Mar 17;94(7).

17. Lippi G, Lavie CJ, Henry BM, Sanchis-Gomar F. Do genetic polymorphisms in angiotensin converting enzyme 2 (ACE2) gene play a role in coronavirus disease 2019 (COVID-19)? Clin Chem Lab Med. 2020 Aug 27;58(9):1415–22.

18. G. Lippi. Impact on laboratory medicine of transitioning from COVID-19 pandemic to “tripledemic.” In: Medicina di laboratorio, editor. SiBioc. 2023.

19. Λιαρόπουλος. Oικονομία της Υγείας, Διοίκηση μονάδων Υγείας.

20. Zhang W, Du RH, Li B, Zheng XS, Yang XL, Hu B, et al. Molecular and serological investigation of 2019-nCoV infected patients: implication of multiple shedding routes. Emerg Microbes Infect. 2020;9(1):386–9.

21. Anichini G, Gandolfo C, Terrosi C, Fabrizi S, Miceli GB, Gori Savellini G, et al. Antibody response to SARS-CoV-2 in infected patients with different clinical outcome. J Med Virol. 2021 Apr;93(4):2548–52.

22. Gruber CN, Patel RS, Trachtman R, Lepow L, Amanat F, Krammer F, et al. Mapping Systemic Inflammation and Antibody Responses in Multisystem Inflammatory Syndrome in Children (MIS-C). Cell. 2020 Nov 12;183(4):982-995.e14.

23. Evaluation of recombinant nucleocapsid and spice protein serological diagnosis of novel coronavirus disease 2019 (covid-19). medxriv [internet]. 2020.

24. Sharma C, Ganigara M, Galeotti C, Burns J, Berganza FM, Hayes DA, et al. Multisystem inflammatory syndrome in children and Kawasaki disease: a critical comparison. Nat Rev Rheumatol. 2021 Dec;17(12):731–48.

25. Korbie DJ, Mattick JS. Touchdown PCR for increased specificity and sensitivity in PCR amplification. Nat Protoc. 2008;3(9):1452–6.

26. Rutschke N, Zimmermann J, Möller R, Klöck G, Winterhalter M, Leune A. Hot start reverse transcriptase: an approach for improved real-time RT-PCR performance. J Anal Sci Technol. 2015;6(1):20.

27. Steyers CM, Miller FJ. Endothelial dysfunction in chronic inflammatory diseases. Int J Mol Sci. 2014 Jun 25;15(7):11324–49.

28. Saghazadeh A, Rezaei N. Immune-epidemiological parameters of the novel coronavirus - a perspective. Expert Rev Clin Immunol. 2020 May;16(5):465–70.

29. Snezzhnina Lazova DGYSTV. Immunological features of the multisystem inflammatory syndrome associated with SARS-CoV-2 in children. Am J Clin Exp Immunol. 2022;11(4):64–71.

30. Ye Q, Wang B, Mao J. The pathogenesis and treatment of the `Cytokine Storm’ in COVID-19. J Infect. 2020 Jun;80(6):607–13.

e-mail: kneofoti@yahoo.gr

Correspondence

Neofotistou Konstantina Voriou Ipirou, Sikies, Thessaloniki Τ. +30 6946914234

e-mail: kneofoti@yahoo.gr

Impact of the Snoezelen multisensory environment on a child with multiple disabilities and his mother

Abstract

Background: The Snoezelen multisensory environment is an innovative intervention method that aims to activate and relax the senses through various sensory stimuli. The Snoezelen method enhances awareness, environmental exploration, and social skills, while reducing negative behavior and increasing concentration. This approach has been successfully applied to people with multiple disabilities, enhancing communication, emotional connection and quality of life. Particular emphasis is placed on the active participation of the family, as parents of children with severe disabilities face intense stress and mental burden. The multisensory environment operates as a space of shared experience, where the child and parent meet as equals, without the pressure of daily care or therapeutic demands. The aim of the research was to study the impact of the intervention program on both the child and the mother, according to the recording of the mother's views. Methods: In this case study, a Snoezelen multisensory room intervention program was implemented with a child with visual impairment and additional disabilities and his mother. Six sessions were conducted, where positive results were observed for both the child (relaxation, interest in stimuli) and the mother (strengthened bond, better understanding of the child).

Results: According to the results of this study, the Snoezelen room can be a valuable tool for strengthening the family and improving the quality of life of children with multiple disabilities.

Discussion: The study highlights the importance of family participation and suggests further research to generalize the results and evaluate the long-term effectiveness of this method.

Keywords: Child, family, multiple disabilities, sensory integration

Konstantina Neofotistou

Syzoi, Parents Association of people with visual impairments and additional disabilities, Thessaloniki

Eleni Fotiadou

Labaratory of Motor Behavior and Adapted Physical Activity, School of PE & Sports Science, Aristotle University of Thessaloniki

Olga Tzetzi

Private Pediatrician, Thessaloniki

Βιβλιογραφία

1. Pagliano P. The Multisensory Environment–Time to sense. Everyday Multisensory Environments, Wellness Technology and Snoezelen 2014; 18.

2. Koller D, McPherson AC, Lockwood I, Blain-Moraes S, Nolan J. The impact of Snoezelen

in pediatric complex continuing care: A pilot study. Journal of pediatric rehabilitation medicine 2018;11:1, 31-41.

3. Lancioni GE, Cuvo AJ, O’Reilly M F. Snoezelen: An overview of research with people with developmental disabilities and dementia. Disability and Rehabilitation 2002; 24: 175-184.

4. Cuvo AJ, May ME, Post TM. Effects of living room, Snoezelen, and outdoor activities on stereotypic behavior and engagement by adults with profound mental retardation. Research in Developmental Disabilities 2001;22: 183-204.

5. Fava L, Strauss K. Multi-sensory rooms: Comparing effects of the Snoezelen and the Stimulus Preference environment on the behavior of adults with profound mental retardation. Research in Developmental Disabilities 2010; 31: 160-171.

6. Pipeková J, Viktorin J . Positive impact of the snoezelen concept on child ren and pupils with health disabilities. Social Pathology & Prevention 2021; 7:1.

7. Ashby M, Lindsay WR, Pitcaithly D, Broxholme S, Geelen N. Snoezelen: Its effects on concentration and responsiveness in people with profound multiple handicaps. British Journal of Occupational Therapy 1995; 58: 303-307.

8. Haggar LE, Hutchinson RB. Snoezelen: An approach to the provision of a leisure resource for people with profound and multiple handicaps. Mental Handicap 1991; 19: 51-55.

9. Carvalho SC, Martins FS, Martins AN, Barbosa RC, Vicente SG. Effectiveness of Snoezelen in older adults with neurocognitive and other pathologies: A systematic review of the literature. Journal of Neuropsychology 2024; 18(2): 312-331.

10. Shapiro M, Parush S, Green M, Roth D. The efficacy of the ‘Snoezelen’ in the management of children with mental retardation who exhibit maladaptive behaviors. The British Journal of Developmental Disabilities 1997; 43: 140-155.

11. Νεοφωτίστου

2012;23, 3: 71-76.

12. Vlaskamp C, De Geeter K, Huijsmans L, Smit I. Passive activities: The effectiveness of multisensory environments on the level of activity of individuals with profound multiple disabilities. Journal of Applied Research in Intellectual Disabilities 2003; 16:135-143.

13. Buono VL, Torrisi M, Leonardi, S, Pidalà A, Corallo F. Multisensory stimulation and rehabilitation for disability improvement: Lessons from a case report. Medicine 2022; 101:46.

14. Kaaresen PI, Rønning JA, Ulvund SE, Dahl, LB. A randomized, controlled trial of the effectiveness of an early-intervention program in reducing parenting stress after preterm birth. Pediatrics, 2006; 118,1: e9-e19.

15. Favez N, Métral E, Govaerts P. Parental satisfaction with a home-based intervention for developmentally delayed children in Switzerland: A survey over a 10-year period. Child Care in Practice 2008; 14,2:147-163.

16. Dunst CJ, Trivette CM. Family-centered helpgiving practices, parent-professional partnerships, and parent, family, and child outcomes. In Handbook of school-family partnerships 2010; pp. 362-379. Routledge.

17. Nasser K, Cahana C, Kandel I, Kessel S, Merrick J. Snoezelen: Children with intellectual disability and working with the whole family. The Scientific World Journal 2004; 4,1: 500506.

18. Anezaki H. Snoezelen: Its effects on the education for infants with severe motor and intellectual disabilities: An investigation based on questionnaires given to mothers. 三三三三三 三三三三三三三 (三三三三) 2004; 55:91-98.

19. Anezaki H. Relaxation effects of snoezelen for infants with severe motor and intellectual disabilities: Used SpO2 values and heart rates as indicators. 三 ,2006; 61: 119-126.

20. Allen S, Knott FJ, Branson A, Lane SJ. Coaching parents of children with sensory integration difficulties: A scoping review. Occupational Therapy International 2021;(1): 6662724.

ΣΥΝΑΔΕΛΦΙΚΑ

1.

2.

3. Βραβευμένες

4. Ερευνητικές μελέτες

5.

6.

7. Επίκαιρα θέματα

τραπεζών

8. Θέματα εκπαίδευσης και οργάνωσης υγείας

9. Ενδιαφέρουσες περιπτώσεις

10. Σύντομα νέα

11. Βραχείες δημοσιεύσεις

12. Επιστολές προς τη σύνταξη

13.

14.

International Committee of Medical Journal Editors/ Uniform Requirements for Manuscripts Submitted to Biomedical Journals, (www.icmje.org και www.icmje.org/icmje.pdf).

Cumulated Index Medicus [List of Journals Indexed in Index Medicus (www.nlm.nih.goν/bsd/ uniform_requirements.html)].

1999;59:272-279.

Proesmans W. Bartter syndrome and its neonatal νariant. Eur J Pediatr 1997;156:669-679.

Flyvbjerg Α. Role of growth hormone, insulin-like growth factors (IGFs) and IGF-binding proteins in the renal complications of diabetes. Kidney Ιnt 1997;52 (60 Suppl):S12-S19. Χωρίς

National Institutes of Health Consensus Deνelopment Conference. Neurofibromatosis conference statement. Arch Neurol1988;45:575-578.

Προσδιορισμός τύπου άρθρου:

Schreiner GF, Lange L. Ethanol modulation of macrophage influx in glomerulonephritis [Abstract]. J Am Soc Nephrol 1991;2:562.

Should antileukotriene therapies be used instead of inhaled corticosteroids in asthma? [Editorial]. Am J Respir Crit Care Med 1998;158:1697-1701.

Laux-End R, Inaebnit D, Gerber ΗΑ, Bianchetti MG. Vasculitis associated with leνamisole and circulating autoantibodies [Let ter]. Arch Dis Child 1996;75:355-356.

II. ΒΙΒΛΙΑ Κεφάλαιο σε βιβλίο:

Clark AG, Barratt ΤΜ. Steroid-responsiνe nephrotic syndrome. Ιn: Barratt ΤΜ, Arner ED, Harmon WE, editors. Pediatric Nephrology. 4th ed. Baltimore: Lippincott William Wilkins; 1999. p. 742.

Σύγγραμμα ή μονογραφία:

Gorlin RJ, Cohen ΜΜ, Leνin LS. Syndromes of the head and neck. 3rd ed. New York: Oxford Uniνersity Press; 1990.

Δημοσίευση

Bauer ΑW. The two definitions of bacterial resistance. In: Smith AJ, Rogers CA, eds. Proceedings of the Third International Congress of Chemotherapy; 1962 May 29-31; New York: International Society of Chemotherapy; 1963. p. 484-500.

Διδακτορική διατριβή: Παπαδόπουλος

Αθηνών; 1979.

Kaplan SJ. Post hospital home health care: the elderly’s access and utilization [dissertation]. St. Louis (Μο): Washington Univ.;1995.

III. CD-ROM

Andersoη SC, Poulsen ΚΒ. Anderson’s electronic atlas of hematology [CD-ROM]. Philadelphia: Lippincott Williams & Wilkins; 2002.

IV. ΣΤΟ ΔΙΑΔΙΚΤΥΟ Άρθρο σε περιοδικό: Abood S. Quality improνement initiatiνe in nursiηg homes: the ΑΝΑ acts in an adνisory role. Am J Nurs [Internet]. 2002 Jun:

Webpage: http://www.nursingworld.org/AJN/2002/june/Wawatch.htm

Μονογραφία: Foley ΚΜ, Gelbaηd Η, editors. Improving palliative care for cancer [Monograph, Internet]. Washington: National Academy Press; 2001.

Webpage: http://www.nap.edu/books/0309074029/html Ιστοσελίδες: Cancer-Pain.org [Webpage, Internet]. New York: Association of Cancer Online Resources, Ιnc.; 2002: http://www.cancer-pain.org/

2. Περίληψη ελληνική-αγγλική (200-250 λέξεις),

εισαγωγή, μέθοδοι, αποτελέσματα και συμπεράσματα

3. Λέξεις κλειδιά

4. Κατάλογο συντομογραφιών

5. Κείμενο

6. Ευχαριστίες ή αναγνωρίσεις (αναφορά σε

7. Βιβλιογραφία

8. Πίνακες (ο καθένας σε χωριστή σελίδα)

9. Εικόνες (η καθεμία σε

10. Τίτλους εικόνων

Turn static files into dynamic content formats.

Create a flipbook
Issuu converts static files into: digital portfolios, online yearbooks, online catalogs, digital photo albums and more. Sign up and create your flipbook.
Παιδιατρική | Τόμος 88 • Tεύχος 2 • Μάιος - Ιούνιος - Ιούλιος - Αύγουστος 2025 by E-chlld - Issuu