











E X P E R E N C E M A T T E R S






6 9 5 2 M e d i t e r r a n e a n D r , M c K i n n e y , T X 7 5 0 7 2
P r i n c i p a l L o c a t i o n
w w w . M y T e x a s F i r m . c o m
28 TIME RECIPIENT 2 1 4 . 7 2 6 . 0 0 1 6
![]()












E X P E R E N C E M A T T E R S






6 9 5 2 M e d i t e r r a n e a n D r , M c K i n n e y , T X 7 5 0 7 2
P r i n c i p a l L o c a t i o n
w w w . M y T e x a s F i r m . c o m
28 TIME RECIPIENT 2 1 4 . 7 2 6 . 0 0 1 6
Home. Just four letters, yet it holds so much meaning. It’s our sanctuary, our foundation, and the place where life unfolds. Home is where we begin and end each day, where our lives take shape, and where our hearts find rest. While the specifics of what “home” looks like vary for each of us, its significance is universal.

Author Wendy Wunder captured it perfectly: “The magic thing about home is that it feels good to leave, and it feels even better to come back.” With that in mind, this month’s issue focuses on what makes home special—from the warmth of shared meals and thoughtfully designed spaces to the people who bring it all to life.
This month, we had the privilege of connecting with local businesses and individuals who shape this community. Their stories highlight the creativity, resilience, and heart that make this area feel like home. We hope that as you turn these pages, you’ll be inspired to strengthen your connections—whether within your neighborhood, your city, or your own walls.
Many of our readers tell us they hold onto this magazine long after the month on its cover, treasuring it as a piece of home—whether as coffee table art or a source of inspiration. That’s a tradition we’re proud to uphold, and we remain committed to delivering the value you expect each month.
Thank you for welcoming us into your homes. Here’s to making this March a celebration of the spaces and people that matter most.
Happy March!

SHARON DUFFY THOMAS, PUBLISHER @MCKINNEYANDPROSPERLIFESTYLE
March 2026
PUBLISHER
Sharon Duffy Thomas | sharon.duffy@citylifestyle.com
PUBLICATION DIRECTOR
William Thomas | william.thomas@citylifestyle.com
EDITORIAL COORDINATOR
Alexis Jacobs | alexis.jacobs@citylifestyle.com
CONTRIBUTING WRITERS
Alexis Jacobs, Sarah Wyatt
CONTRIBUTING PHOTOGRAPHERS
Mallory Gilbert, Mallory Kee, Jessica Mills
CEO Steven Schowengerdt
President Matthew Perry
COO David Stetler
CRO Jamie Pentz
CoS Janeane Thompson
AD DESIGNER Andrew Sapad
LAYOUT DESIGNER Emily Lisenbee
QUALITY CONTROL SPECIALIST Anna Minnick








MARCH 2026







1: Lone Star Winery hosted the North Texas Wine Country Wine Stars, volunteers supporting wine events. 2: The McKinney Police Association proudly supports the McKinney YMCA, an incredible asset to our community. 3: McKinney Chamber of Commerce award winning realtor, Vesta Schneider, celebrating her ribbon cutting. 4: Vitality Precision Chiropractic, located at 590 W. Frontier Parkway in Prosper, celebrating their ribbon cutting. 5: McKinney Education Foundation presented a check for $172,487.87 in support of 72 Classroom Impact Grants. 6: Executive Dean of Collin College and PISD Superintendent have a close partnership benefitting our students.
7: The community wrote Scripture and encouraging words on the framed new building of Shiloh Place.
Want to be seen in the magazine?












Texas charter system Harmony Public Schools launched a new virtual learning platform this year that allows students across the state to take high school courses online. The Harmony Online Learning program includes courses aligned with Texas Essential Knowledge and Skills, all of which are self-paced, according to a news release. The offerings help students complete credit recovery, get ahead with their requirements and access courses not available at their home campus. For more information: HVA.HarmonyTx.org
Scan to read more
After months of construction and budget planning, Raymond Community Park is beginning to open in stages—starting with its new tennis and pickleball courts. Although the park’s full grand opening has yet to be scheduled, the courts are now open to the public. The courts are available on a first-come, firstserved basis and may be used during daylight hours only. The playground and all athletic fields will remain closed for the time being. ProsperTx.gov
Scan to read more
Cynthia Elliot Boutique is a Fashion House specializing in the latest designer brands. Their style ranges from Southwest Boho Chic to European High Street fashion and everything in between. Cynthia features designer labels that are special, unique and one-of-kind. In addition, they offer Designer Handbags, Jewelry, Fashion Accessories, Small Leather, Shoes, Beauty and Men's Fragrances and Wallets. Cynthia Elliot Boutique is located at 107 E Virgina Street in downtown McKinney on the square. CynthiaElliot.com
Scan to read more
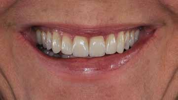
At Jensen Orthodontic Arts, we combine ART, SCIENCE, and EXPERTISE in orthodontics to customize your smile and improve or reconstruct the function and harmony of your teeth. That alone says a lot, but Dr. Doug Jensen also uses his training in the closely-related specialty of PROSTHODONTICS and dental aesthetics to create wonderful outcomes for unusual or complex dental problems– Think VENEERS, CROWNS, IMPLANT CROWNS, and DENTURES. Dr. Jensen is one of the few dual specialists in both orthodontics and prosthodontics in America, and we are lucky to have his experience in this area. He offers clear orthodontic treatment options including CLEAR BRACES, LINGUAL BRACES, and CLEAR ALIGNER THERAPY to meet your aesthetic needs. Count also on getting treatment rendered efficiently without ignoring the balance that should be present between the teeth, joints and muscles in a properly functioning bite.

Dr. Doug Jensen, DDS, MS
Board-Certified Orthodontist, Prosthodontist




Don’t wait! Come see us for an expert’s Complimentary Evaluation
Get a straightforward assessment and roadmap to the PERFECT SMILE!
ARTICLE BY ALEXIS JACOBS
In North Texas, where extreme heat, stubborn soil, and unpredictable rain make lawn care a constant challenge, maintaining natural grass can feel like a full-time job. DFW Turf Pros was created to offer homeowners and businesses a smarter, more reliable alternative. Based in McKinney and serving the greater Dallas–Fort Worth area, the company has quickly become a trusted name in premium artificial turf installation by putting quality, transparency, and service first.

Founder and owner Marc Freidberg brings five years of hands-on industry experience to the business, which he officially launched two years ago. Before starting DFW Turf Pros, Marc went through a frustrating experience interviewing five different turf companies for his own project. “The pricing was all over the place, the turf quality was poor, warranties were weak, and aftercare was almost nonexistent,” Marc says. “Something needed to be done.”
That experience shaped the company’s mission. Eliminate price gouging, stop the sale of low-quality turf, and raise the standard for warranties and longterm service. To deliver on that promise, Marc assembled a highly experienced installation crew with nearly 20 years of combined residential and commercial turf expertise. The result is a team that understands not just how turf should look on day one, but how it should perform years down the road.
DFW Turf Pros offers a full range of turf solutions designed around how clients actually use their spaces. Residential projects include backyard lawns, pet-friendly turf systems, playground areas, and custom putting greens. Commercial installations range from office and retail landscapes to shared community spaces. The company also provides turf replacement, repair, cleaning, and infill services to extend the life and appearance of every installation.
What truly sets DFW Turf Pros apart is its commitment to aftercare and protection. Every project includes a five-year labor warranty, far exceeding the one- or two-year coverage commonly offered in the industry. Clients also receive a five-year fluff and bristle service plan at no cost, ensuring turf fibers stay upright and natural-looking. In addition, all turf products are backed by a 15-year manufacturer warranty, providing long-term peace of mind.


Quality and credibility matter as well. DFW Turf Pros is both Google Guaranteed and Google Verified, distinctions that are not easy to earn and reflect consistent customer satisfaction and business integrity. The company is also a proud member of the McKinney Chamber of Commerce, reinforcing its commitment to the local community.
Every project begins with a free consultation and site evaluation, allowing the team to account for drainage, soil conditions, and the demands of the North Texas climate. Sustainability is another key benefit. Artificial turf reduces water usage and eliminates the need for fertilizers, mowing, and routine lawn treatments. As Marc puts it, “Welcome to no maintenance.”
Perhaps the most rewarding feedback comes after installation. Marc says the phrase he never gets tired of hearing is, “This was the best decision ever.” With turf that looks and feels remarkably natural, DFW Turf Pros turns outdoor spaces into vibrant, easycare lawns, crafting each project with care.
DFWTurfPros.net 214.232.0226









Kung Fu Academy of North Texas Blends Traditional Kung Fu with Strength, Mindset, and Movement
ARTICLE BY ALEXIS JACOBS
PHOTOGRAPHY BY MALLORY GILBERT
In a crowded market, Kung Fu Academy of North Texas stands out through authentic, traditional Chinese Kung Fu taught in a modern, structured system. Founded two years ago, the academy is one of the few in the area dedicated solely to traditional Chinese Kung Fu, focusing on long-term student growth.
The academy serves students ages four through adult, offering a comprehensive curriculum that goes beyond basic self-defense. Students train in a complete martial arts system including striking and kicking, traditional forms, takedowns, controlled sparring, ground awareness, conditioning, and an extensive weapons program, alongside specialty classes, workshops, camps, and events.
“We opened because we saw a gap in North Texas,” says Mallory Gilbert, Co-Owner of Kung Fu Academy of North Texas. “So many schools focus on just parts of martial arts, not the full system. We wanted training that’s complete, long-term, and varied without being rigid or intimidating. Everything from our class schedule to memberships and belt structure was designed to make Kung Fu accessible to everyone.”
At the academy’s core is Co-Owner and Head Instructor Sifu Cory Gilbert, whose 25-year Kung Fu journey began in college and grew into a lifelong pursuit. After earning multiple black belts and teaching extensively under respected mentors, Cory brought disciplined, high-quality instruction to North Texas, shaped by endurance and wellness principles.
What sets the academy apart is its emphasis on progress earned through consistency, not shortcuts. “Kung Fu literally means skill developed through effort,” Cory explains. “That philosophy



guides everything we do here, from how we teach kids to how adults continue advancing year after year.”
Families are central to the community, training side by side and creating a supportive environment that keeps students engaged and challenged.
“Our goal isn’t just to teach people how to punch and kick,” Cory says. “It’s to help them see what they’re capable of when they stay consistent. The confidence and discipline you build here follow you everywhere in school, work, and life.”
KungFuTx.com
972.746.9980





















Custom-built wine cellars sit at a rare intersection of construction, engineering, and precise environmental control. They are not decorative afterthoughts or upgraded closets; they are carefully calibrated environments where even a small error can compromise an entire collection. According to William Thomas, owner of Timber Creek Carpentry, that reality explains why true wine cellar specialists are increasingly rare and essential.

The industry is highly specialized, William notes, with few experienced tradesmen and a diminishing supply of skilled craftsmen. An aging workforce, declining skilled immigration, and the reluctance of typical home builders to assume the unique liabilities wine cellars entail have only intensified the scarcity.
Timber Creek Carpentry brings more than four decades of wine cellar expertise to the DFW luxury market, strengthened by William’s unique professional journey. A graduate of the U.S. Air Force Academy who served in West Berlin while the Berlin Wall still divided the city, William spent 25 years in telecommunications and IT before returning to his roots as a second-generation home builder and remodeling general contractor. That combination allows him to bridge highly technical construction with the expectations of discerning clients.
He understands the mindset of white-collar clients because he was one himself, yet he has also built homes, remodeled them, and managed sprawling properties. That rare combination, he says, is what matters when the margin for error is zero.

Every Timber Creek wine cellar begins with a custom fit to the space and the client’s vision. The team first meets with clients to ensure expectations, budget, and scope align. On-site consultations follow, with measurements and a detailed review of every component — from insulation and vapor barriers to refrigeration strategy. Collaborative design sessions with cabinet designers, material selection, pricing, scheduling, and construction complete the process. Final punch-list items are addressed only after all systems are tested and operating reliably.

“EVERY GREAT WINE CELLAR REQUIRES A BUILDER WITH YEARS OF EXPERIENCE,
For homeowners exploring pre-built or DIY cellars, the risks can be surprisingly high. William points out that Timber Creek handles most refrigeration repairs and warranty work in DFW —and many calls come from clients who followed instructions perfectly yet still faced moisture problems or system failures. Wine cellar cooling operates differently from standard HVAC, with critical nuances even experienced contractors often miss. Once mold appears, remediation can require full replacement and specialized insurance coverage, highlighting the value of professional expertise from the start.
Timber Creek designs cellars in nearly any space — beneath staircases, inside closets, along feature walls, within enclosed rooms, or as freestanding glass installations. Materials range from traditional woods to glass, chrome, acrylic, stainless steel, brass, copper, and colored iron. Many designs feature natural
stone countertops, metal ceiling tiles, custom lighting, and architectural glass walls. Climate systems are engineered for precise temperature and humidity control, whether standalone or part of integrated multi-cellar networks.
Timelines vary. Fully enclosed room cellars typically take four to six months, while cabinet-based or bar installations may be completed in six to eight weeks. Throughout, Thomas emphasizes communication, meticulous documentation, and attention to detail.
“We provide full consultation, seamless automation integration, comprehensive warranties, and long-term service — even for systems we didn’t install,” he says. “This is what true experience looks like. Our work doesn’t end when the cellar is complete; it continues for as long as the collection requires care.”
TimberCreekCarpentry.com | 469.406.6064
























In Texas, barbecue is more than food—it’s a gathering place. It’s where families mark big moments, neighbors catch up, and life slows down over a shared plate of perfectly smoked meat. Hutchins BBQ has embraced that tradition for decades, proudly serving as a home for Texas barbecue—a place built as much on relationships as on craftsmanship.
At Hutchins BBQ, that welcoming sense of home begins with a mission that influences every brisket cooked, every shift worked, and every guest served: “built on faith, served with purpose.” Co-owners Tracy and Tim Hutchins carry out that mission through a shared dedication to faith, community, and the unmistakable taste of authentic Texas barbecue.
The Hutchins barbecue legacy traces back to 1978 in Princeton, where the brothers’ father opened Roy’s Smokehouse. The restaurant was literally connected to their family home—a fitting origin for a brand now recognized as a true home for Texas BBQ. Growing up surrounded by the smell of woodsmoke and the heat of the pits, Tracy and Tim learned the foundational values that still guide the business: hard work, hospitality, and unwavering consistency.
At just 22 years old, Tim stepped fully into the family business with determination and a desire to grow. His education came from the highways of Texas, visiting renowned
ARTICLE BY SARAH WYATT
PHOTOGRAPHY BY HUTCHINS BBQ
barbecue joints across the state and absorbing the discipline, traditions, and techniques behind their craft. Those experiences sharpened his skills and helped establish the high standards that define Hutchins BBQ today.
A pivotal moment arrived in 2012, when the restaurant made the commitment to serve only Prime-grade brisket. Choosing premium ingredients reinforced the Hutchins belief that remarkable barbecue starts long before the fire is lit—and that a home for Texas BBQ begins with quality you can truly taste.
To the Hutchins team, authentic Texas barbecue doesn’t require flash. It requires patience, precision, and pitmasters who respect the craft. Seasonings remain simple, fires are carefully tended, and the meat stays at the center of the experience. The Texas Trinity— brisket, sausage, and ribs—continues to anchor the menu, prepared with understated seasoning and slow, steady smoking.

Consistency is rare in the world of craft barbecue, but Hutchins BBQ achieves it day after day with reliable lunch and dinner service. Behind the scenes, the team maintains high standards through daily quality checks, full-menu tastings, and staff briefings before guests arrive.
But being a home for Texas BBQ is about more than what’s on the plate— it’s about how people are welcomed. Long-standing employees, a family-first mindset, and genuine care for both guests and coworkers create an environment that turns first-time visitors into lifelong regulars.
Faith, family, and community aren’t just values at Hutchins BBQ—they’re the heart of why the restaurant feels like home. They shape leadership,


influence service, and define the way the team shows up every single day to serve the community.
Hutchins BBQ has been honored multiple times as one of Texas Monthly’s Top 50 BBQ Joints and was voted Best BBQ in DFW for 2025. Tim says, “But our greatest recognition comes from living out the values that built this place — faith, family, and serving others well. Since 1978, we’ve believed great barbecue is more than a meal — it’s an opportunity to bless people, share a table, and serve with purpose.”



























ARTICLE BY ANGELA BROOCKERD

There’s a certain moment when a house stops feeling new and starts feeling like home. It isn’t marked by square footage or finishes alone. It is something quieter, more emotional. In this home, designer Kate Manz set out to do exactly that: give a newly built home a heartbeat and a soul.
Rather than treating the house as one sweeping statement, she approached each room as its own story, layered with meaning, memory, and texture. The result is a home that feels collected, personal, and deeply lived-in.
“Tackling each space and room as its own story and concept is how to make a new space feel personal,” Manz explains. “But bringing it all together cohesively is always the challenge.”
Her solution? Warmth, intention, and a strong belief in the power of people. In new builds it can take years for a home to shed its newness. For this project, the goal was to fast-track that sense of belonging by layering in pieces with history and heart. Vintage market finds, local artists, and meaningful objects play a starring role throughout the home.
“My love for design goes hand in hand with the people and stories that bring it to life,” she says. “I absolutely love seeing the evolution from concept to completion and all the elements and people that help bring those ideas to reality.”
That philosophy becomes especially important in the home’s expansive open-concept living area, where scale could easily overpower intimacy.



The entryway sets the tone with a simple but powerful goal: Welcome to my home.
Natural stone underfoot grounds the space, while a soft vintage rug and living greenery immediately soften the experience. Art with personal meaning invites guests to linger rather than rush through.
The main living space is defined by bringing the outside in with sweeping outdoor views and generous proportions. Rather than fighting that openness, embrace it.
“The big open concept room really highlights the expansive outdoor views,” she says, “but making intimate spaces within that open room was really important.”
A layered niche wall, created in collaboration with the interior architect Nick Flower, brings both structure and softness to the room. It introduces texture, depth, and a place for unique objects and family heirlooms to live, turning negative space into a personal gallery.
If there’s one place Manz encourages clients to take risks, it’s the powder room. Here, she leaned into terracotta earth tones, layering textures and tile sizes for visual interest and warmth. Patterned and solid tiles work together, while textured wall coverings and a sculptural stone sink elevate the space from functional to delightful.


Designed as a counterpoint to the openness of the main living area, the lounge is a cocoon, both peaceful, layered, and deeply versatile. It’s a place for reading, movie nights and slow mornings.
Rich tones and varied textures do the heavy lifting here, creating depth without heaviness. Soft lighting and custom upholstery make the room feel both intentional and effortless.
At its core, this home is a reminder that design isn’t about perfection, but rather it’s about feeling. By treating each room as its own narrative while weaving in warmth, history, and human connection, a space was created that already feels loved.
“My love for design goes hand in hand with the people and stories that bring it to life.”
PROJECT CREDITS
Builder - Buildwell
Designer

Backpacks packed. We’ve got your back! At Taxi Mom, we go beyond the ride. Our CPR-certified, background-checked Transportation Specialists provide door-to-door service with live mobile tracking—giving you peace of mind and dependable support for your busy schedule. Choose Taxi Mom for safe, reliable transportation to and from school or activities and experience the trusted transportation solution your child deserves.


At Ketagenics, Licensed Professional Counselor Marci Patton integrates faith EMDR therapy and ketamine- assisted sessions to help you uncover and release the hidden layers of pain that may be quietly shaping your daily life.
Through prayer, presence, and neuroscience, we will cultivate a sacred space where you can reconnect with God, your body, and your sense of peace.
If past experiences continue to steal your joy or affect your relationships, it’s time to experience what true restoration feels like — healing that reaches the deepest parts of your story.
KETAGENICS PSYCHOTHERAPY
ketagenics.com | 253.230.6643 | Marci@Ketagenics.com 6401 Eldorado Parkway, Suite 226, McKinney, TX

www.taximom.com
972-210-2867
VB @taximommckinney






MARCH 7TH
Holi Mela Dallas Festival of Colors 2026
Myers Park & Event Center | 11:00 AM
This event promotes the culture of India with one of the most ancient festivals dating back over 4,000 years! Holi (The festival of colors) is a popular Hindu festival celebrated as the Festival of Colours, Love, and Spring. This festival draws thousands to celebrate the Indian festival of colors and culture of India! All are welcome to join! Tickets: DallasFestivalofColors.com
MARCH 14TH
Towne Lake Park | 9:00 AM
Put on your GREEN and race to the finish line where you’ll receive your lucky finisher medal and Tupps green beer! Festivities include local vendors, delicious food, costume contests, a Shamrock Photo booth, Irish Music, and Irish dancing! Festivities begin at 8:00 AM, and the race kicks off at 9:00 AM! This is a fun family friendly event! Tickets: McKinneyStPatricksDay.com
MARCH 14TH
Historic Downtown McKinney | 11:00 AM
Put on your GREEN, grab your friends, and enjoy tasting craft beers, cider, and seltzer, and more along the lucky St Pat’s beer walk in Downtown McKinney! You’ll sip and stroll through the streets of downtown McKinney, visiting 20 delicious stops! Upon arrival, you’ll receive your signature McKinney St. Patrick’s Day Beer taster and a map. Tickets: McKinneyStPatricksDay.com
MARCH 28TH
Inaugural McKinney
401 E Virginia St. | 7:00 AM
Half Marathon Presented by BMW
The McKinney Historic Half marathon is a celebration of community, history, and health. The inaugural event will have a local feel, showcasing the city’s historic downtown, scenic neighborhoods, and parks. With a Half Marathon, 5K, and Kid’s 100M Dash, the event welcomes runners of all levels and ages, with proceeds benefiting Scottish Rite for Children of Frisco. To register: McKinneyHalf.com
MARCH 28TH
Fifth Annual P-Town Throwdown Pickleball Tournament
Raymond Community Park | 8:00 AM
Tournament format is Mixed Doubles Team for players 18 and older, with Recreational and Competitive divisions, based on player ratings. Medals are awarded to the first and second place finishers in each division. If you have questions about the P-Town Throwdown, please send an email to recreation@prospertx.gov or call Parks & Recreation at 972-569-1600. Learn more: ProsperTx.gov
MARCH 28TH AND MARCH 29TH
McKinney Music & Arts Festival
Myers Park & Event Center | 11:00 AM
Experience 7 Major Concerts, Arts & Crafts, Food Garden with Craft Beer & Wine, and Two-Day Tickets are just $5, with Free Parking! The 2026 McKinney Music & Arts Festival is a full 16 hours of CMA, Grammy Award, and Billboard Top 10 artists performing live, plus an Arts & Crafts Marketplace, and a Craft Food & Beverage Garden. DallasCountryFestival.com

