








![]()









As February rolls around, I always find myself in a familiar tug-of-war. On one hand, I want to resist the pull of another commercialized holiday, yet on the other, I can’t help but savor the sweet moments it brings—an excuse to celebrate love in all its forms.

Do we opt for a Valentine’s Day date out or settle in for a cozy night at home? A handwritten card or a heartfelt kind word? For me, it’s usually a mix of both. Each of us will find our own ways to mark the occasion, shaped by our unique preferences and personalities. But what unites us all is the opportunity to remind those around us just how much they mean to us.
This month’s issue is dedicated to helping you do just that—celebrating and highlighting the best of what’s to love in our local community.
As we navigate the lingering chill of winter and the promise of spring’s arrival, let’s take a moment to come together with the people who matter most. Whether they’re in your home, down the street, or across the community, February is a wonderful time to connect and share love.
“Love local” isn’t just about supporting the businesses in your area—it’s about cherishing what’s near to you in every sense. So, why not grab a cup of coffee at Sweetwaters Coffee & Tea and enjoy a game night by the fire with your family? Or pick up a bottle of wine from Sips Fine Wine & Spirits and some cheese from Local Yocal - Farm to Market for a relaxed movie in.
At the heart of everything we do is the belief that together, we're stronger. Every month, the stories shared within these pages prove that again and again.
Thank you for allowing us to be part of the life you’re building. Our greatest hope is that this issue helps you love it just a little more than before.
Here’s to a February filled with love—both local and beyond!

SHARON DUFFY THOMAS, PUBLISHER @MCKINNEYANDPROSPERLIFESTYLE
February 2026
PUBLISHER
Sharon Duffy Thomas | sharon.duffy@citylifestyle.com
PUBLICATION DIRECTOR
William Thomas | william.thomas@citylifestyle.com
EDITORIAL COORDINATOR
Alexis Jacobs | alexis.jacobs@citylifestyle.com
CONTRIBUTING WRITER
J.D. Bailey
CONTRIBUTING PHOTOGRAPHERS
Lovelyn Photography, James Bresnahan
CEO Steven Schowengerdt
President Matthew Perry
COO David Stetler
CRO Jamie Pentz
CoS Janeane Thompson
AD DESIGNER Mary Albers
LAYOUT DESIGNER Emily Lisenbee
QUALITY CONTROL SPECIALIST Anna Minnick















FEBRUARY 2026







1: Grandma Stand in Downtown McKinney offered wisdom, empathy, and listening ear from a loving grandparent. 2: The St. John's Masonic Lodge named Little Hearts of Hope a 2025 Community Builder. 3: Community Garden Kitchen, Direction 6:13 and Shiloh Place working together making life better for everyone. 4: Kung Fu Academy of North Texas, 500 N Custer Road, McKinney celebrating their ribbon cutting. 5: School of Travel & Tourism celebrating their ribbon cutting with the McKinney Chamber of Commerce. 6: Aesthetic med spa, Orange Twist, located at 8701 W University Drive celebrating their ribbon cutting. 7: Beverly Hills Rejuvenation Center celebrating their ribbon cutting with the Prosper Chamber of Commerce.
Want to be seen in the magazine?








The Kung Fu Academy of North Texas offers martial arts training for anyone at any age/skill level. They have a passion for sharing the art of Kung Fu while providing the opportunity for members to stay fit and flexible. The Kung Fu Academy invite you to take advantage of a free trial class and explore what makes them different! The King fu Academy is located at 500 N Custer Road in McKinney. 972.746.9980 KungFuTx.com
Scan to read more
McKinney officially broke ground on the Cannon Beach Surf Park. This unique project will bring new energy, tourism, and economic opportunity to our city while creating a one-of-a-kind destination for families, athletes, and visitors alike. This 35-acre project will feature a four-acre surf lagoon, a full-service resort-style hotel, and dining, entertainment, and business spaces. At the heart of the development will be a resort-style hotel with a rooftop pool.
Scan to read more
As of late 2025, the Prosper Arts District has not yet broken ground . The Prosper Arts District is a 35-acre, $300 million mixed-use development located at the northwest corner of Dallas North Tollway and Prosper Trail. The project includes three distinct hotels (one with a sports focus and another for weddings), 515 residential units, and extensive retail space. It will be designed around a central water feature, the district will prioritize outdoor, walkable experiences.









The Lash Lounge provides personalized treatments, boosting confidence and simplifying your daily beauty routine.
ARTICLE BY ALEXIS JACOBS | PHOTOGRAPHY BY THE LASH LOUNGE, SHARON THOMAS
The lash and brow industry in DFW has grown rapidly as clients look to simplify their beauty routines. At The Lash Lounge both in McKinney and Prosper, that demand is met with a focused approach prioritizing customization, professional training, and consistent standards over quick fixes or one-size-fits-all services.
“The Lash Lounge is a lash and brow salon, that’s our specialty,” says Carla Bravo, owner of The Lash Lounge McKinney and Prosper. “Everything we do centers on enhancing natural beauty in a way that fits into real life.”
The salons offer a full range of customized lash services, including Classic, Hybrid, Volume, and Mega Volume extensions, along with lash lifts and tints for guests seeking a low-maintenance option. Brow services are equally comprehensive, ranging from laminations, tints, and threading to permanent makeup options like microblading, microshading, lip blushing, and freckles. What sets these services apart, Carla explains, is a deep commitment to education and personalization. “Every service is tailored. It’s never one-size-fits-all.”
That customization starts with a complimentary consultation at every appointment. Stylists consider eye shape, lash health, lifestyle, and maintenance preferences before designing a look that feels both flattering and sustainable. “We want results that look beautiful today and still support lash health long-term,” Carla says.
While The Lash Lounge is a nationally recognized brand, both local salons are independently owned and women-led, staffed by a team of 23 women who live and work in Collin County. “Guests aren’t walking into a corporate environment,” Carla shares.



“They’re coming into a neighborhood salon where relationships and trust really matter.”
As more people move away from DIY beauty routines, professional lash services offer both consistency and simplicity. “Lashes help clients feel polished from morning to night,” Carla says. “It’s about saving time and feeling confident.”
Ultimately, the goal is simple. “We want guests to feel welcomed when they arrive and confident when they leave,” Carla says. “For us, beauty is about care, connection, and community.”
750 Richland Blvd STE 40, Prosper. 469.812.5274 4020 W University Dr STE 300, McKinney. 469-659-0101





“Revitalize Your Skin and Confidence with Expert Med Spa Treatments.”
When Starwood Med Spa opened in McKinney in 2024, the goal wasn’t to follow a trend. It was to bring a focus on medical integrity, education, and natural results to a community that values trust and long-term relationships.
For more than a decade, Starwood Med Spa has been a trusted name across North Texas, known for combining advanced aesthetic treatments with a highly individualized approach. The McKinney location represents the next chapter in that story.
“Starwood Med Spa has been serving clients across North Texas for 12 years,” says Sameer Jaffer, Director of Starwood Med Spa. “From the beginning, our focus has been on medical integrity, innovation, and personalized care. Expanding into McKinney felt like a natural progression as we continue to grow and serve communities that value quality and consistency.”
McKinney’s growth over the past several years has been both intentional and thoughtful, blending historic charm with modern development. For Sameer and his wife Taz, that balance was key.
“McKinney stood out for its strong sense of community and family-oriented atmosphere,” Sameer explains.
“People here care about who they’re doing business with. They value education, transparency, and relationships with trusted providers, which aligns closely with how we practice.”
Rather than positioning itself as a luxury-only destination or a quick-fix clinic, Starwood Med Spa fits comfortably into McKinney’s landscape as a long-term partner in skin health and aesthetic care.
Walking into the McKinney location, clients are greeted by a space that feels modern and polished without being intimidating. The environment is calm, warm, and intentionally designed to put people at ease.
“The experience here is elevated but welcoming,” says Sameer. “We want clients to feel comfortable asking questions and taking the time to understand their options. Education and transparency are just as important as the treatments themselves.”
That philosophy is reflected not only in the consultation process, but in the design of the space itself. The McKinney location was created to feel serene and refined, echoing the understated elegance of the city. Clean lines, cutting-edge technology, and a genuinely attentive team set the tone from the moment clients walk through the door. “We want people to feel like this is their space to
recharge,” says Sameer. “It’s a place to slow down, reset, and focus on yourself.”
That emphasis on education and comfort sets the tone from the very first consultation. Rather than pushing services, providers focus on listening, learning about a client’s goals, concerns, and lifestyle before recommending a plan.
The McKinney location offers the full spectrum of Starwood Med Spa’s services, ensuring clients have access to advanced, medical-grade aesthetic care close to home. Treatments include neurotoxins and dermal fillers, laser services, skin rejuvenation and resurfacing, skin tightening, and curated medical-grade skincare. While the menu is extensive, the approach is never one-size-fits-all.
“Starwood Med Spa is especially known for natural-looking injectable results,” Sameer states. “Our goal is never to change how someone looks, but to enhance and refresh in a way that still feels like them.”
Popular treatments at the McKinney location include HydraFacial MD for instant glow, Botox and Dysport for soft line smoothing, laser treatments for sun damage, and microneedling with PRP to boost collagen. Customized skin health plans are another cornerstone of the practice. Rather than focusing on a single appointment or treatment, providers often recommend a combination of services designed to support longterm skin integrity.
Clients familiar with other Starwood Med Spa locations will recognize the same standards and philosophy in McKinney. While each location reflects its community, the level of care remains consistent across the brand.
“The McKinney location offers the same advanced treatments, medical oversight, and high standards you’ll find at all of our locations,” Sameer notes. “We’re continually evaluating and adopting FDA-approved devices and protocols to ensure safety and effectiveness.”
That commitment to staying current doesn’t mean chasing every new trend. Instead, Starwood Med Spa carefully evaluates technologies and techniques, prioritizing proven results over hype.
The DFW area has no shortage of med spas, but Starwood Med Spa stands out for its substance, not flashy marketing or social media trends.
“What truly sets us apart is our combination of medical expertise, ethical practice, and innovation,” Sameer says. “Our treatments are never trend driven.
CONTINUED >

We focus on evidence-based techniques that deliver consistent, natural results.”
Medical oversight plays a central role in every service offered, ensuring that safety is never compromised for speed or popularity. Clients are encouraged to ask questions, understand their treatments, and feel confident in the care they’re receiving.
At Starwood Med Spa, personalization starts with an in-depth consultation. Providers assess facial anatomy, skin condition, lifestyle factors, and long-term goals before creating a tailored plan. This approach supports natural results and avoids overcorrection, with medical-grade skincare available to maintain results at home. The McKinney location also offers a carefully selected range of medical-grade skincare, including brands such as SkinCeuticals, Hydrinity, Pavise and EltaMD, allowing clients to maintain and enhance their results at home.
Beyond treatments, Starwood Med Spa sees itself as an active member of the McKinney community. Building lasting relationships, both with clients and local businesses, is an important part of the brand’s philosophy.
“We value being connected to the community we serve,” shares Sameer. “That means showing up, building trust, and creating relationships that go beyond a single appointment.”
“Every face and every client is different,” says Sameer Jaffer, Director of Starwood Med Spa McKinney. “We often combine multiple modalities— injectables, laser treatments, skincare— to achieve balanced, sustainable results.”
As the McKinney location grows, its focus on community stays the same. Sameer emphasizes that the McKinney med spa reflects the brand overall, patient-focused, thoughtful, and rooted in medical standards.
“Our goal is to offer a trusted, forward-thinking approach to aesthetic care,” he says. “By staying at the forefront of innovation while maintaining high medical standards, we’re able to deliver results clients feel good about—now and in the long term.”
In a space often defined by trends and quick transformations, Starwood Med Spa stands apart by focusing on education, integrity, and results that truly last.
Starwood Med Spa is located at 4275 Highlands Drive in McKinney.
StarwoodMedSpa.com 214.705.0400























A HISTORIC NORTH TEXAS LANDMARK THOUGHTFULLY RESTORED INTO A WEDDING AND EVENTS DESTINATION ROOTED IN LEGACY AND COMMUNITY.
On any given weekend, The McKinney Flour Mill feels alive in a way it didn’t generations ago. Where grain was once milled, you’ll now hear glasses clinking at cocktail hour, music filling the reception hall, and guests making their way down McKinney’s original Main Street. For James Bresnahan, part owner and manager of the property, that change is exactly what gives the space its purpose today.
“The Flour Mill has always been a place where people came together,” James says. “What’s changed is how we use it.”
Today, The Flour Mill is best known as one of the area’s most distinctive event venues, hosting weddings, corporate gatherings, and community events year-round. Yet the history of the property is never far from view.
From the red brick walls built in 1914 to the concrete silos that once stored grain, every celebration unfolds against a backdrop that dates back well before McKinney was officially founded in 1848.

ARTICLE BY ALEXIS JACOBS | PHOTOGRAPHY BY JAMES BRESNAHAN

The property has been tied to flour milling since the earliest days of Texas settlement after independence from Mexico in 1836. Collin McKinney, signer of the Texas Declaration of Independence and namesake of the county, helped shape the area, and the mill soon became central to the local economy. “The original Main Street of downtown McKinney actually runs right through our property,” James explains. “That tells you this was once the heart of commerce in town.”
That sense of place is what couples and clients connect with today. The Flour Mill has operated as an event venue for just over 15 years, evolving from a rental-only space into a full-service venue with in-house catering and bar services. James attributes its success to thoughtful preservation rather than reinvention. “We’re listed on the National Register of Historic Places,” he says. “Our goal has always been to preserve what’s here and give it new life.”
Weddings make up many events hosted at The Flour Mill, and the property is designed to support an all-day experience. Brides and their parties begin in a large, elegant bridal suite
that comfortably accommodates extended groups. From there, couples can choose between indoor and outdoor ceremonies, including an intentionally designed outdoor space known as The Secret Garden. James says The Secret Garden was created specifically for outdoor ceremonies, giving couples flexibility while still feeling private and tucked away.
Following the ceremony, guests can move into one of the venue’s most memorable spaces: the on-site speakeasy known as Prohibition. Located in a building originally constructed as a warehouse basement in the 1920s, the space feels intimate, layered with history, and unlike anything else on the property.
“That was the height of the Prohibition era, so the name made sense,” James explains. “There’s even a rumor it served as a real speakeasy back in the day.”
Inside Prohibition, history is more than aesthetic. The original safe used during The Flour Mill’s operating years remains in place, and the bar itself was repurposed from a countertop once used in the mill’s office over a century ago. During cocktail hour, guests sip drinks surrounded by these details, often unaware at first that they’re standing in a space that predates World War II.
From there, the celebration flows into Diamond Hall, the primary reception space at The Flour Mill. Its most striking feature is a large chandelier suspended from the 20-foot ceiling, built by James himself using repurposed wood from the original flour milling process. “When we hung it, it naturally settled into a diamond shape,” he says. “That wasn’t planned, but that’s how Diamond Hall got its name.”
Throughout the evening, the venue’s history quietly shows itself. Red brick walls, the original layout, and industrial details remind guests this was once a working mill serving early North Texas. Outside, that connection continues with a send-off along McKinney’s original Main Street. “There’s something special about ending the night on the same street where commerce and community once began,” James says.
CONTINUED >


Another beloved detail of wedding days is Maggie, the venue’s convertible 1972 MG in British Racing Green. Parked on Main Street for photos, Maggie has become a signature part of The Flour Mill experience. “Her license plate says MAINST,” James notes. “She fits right in with the history here.”
While weddings are central, The Flour Mill’s calendar reflects a wide range of events. Fundraisers, galas, high school proms, reunions, banquets, and corporate holiday parties regularly fill the space. The venue also hosts themed events, from Roaring Twenties celebrations to Boots and Bling evenings, where guests often lean into the property’s historical character.
Community involvement remains a priority. The Flour Mill hosts weekly McKinney Chamber of Commerce networking meetings, supports Leadership McKinney Alumni, and welcomes city meetings and panel discussions, aided by its location directly across from the newly built City Hall. “Being part of the community is just as important as hosting private events,” James says.
Prohibition is also available as a standalone venue for rehearsal dinners, birthdays, and holiday gatherings. In addition, the public can experience the space through curated wine and liquor pairing events hosted on-site. Tickets are sold through Eventbrite under Prohibition McKinney and often sell out quickly. “People love how personal and unique it feels,” James says. “It’s not something you stumble into every day.”
For those planning events, the process begins with an inquiry through The Flour Mill’s website or a direct call or text. Tours follow, which James says are one of his favorite parts of the job. “We love giving tours and sharing the story of the property,” he says. For weddings, booking a year in advance is encouraged, particularly for spring and fall dates when demand is highest.
Looking ahead, James sees The Flour Mill continuing to grow while staying rooted in its past. Plans include a boutique hotel on the unused portion of the property, offering a five-star on-site experience for wedding weekends, as well as a signature

restaurant designed for elevated dining and intimate events. “This has been a vision of mine for 15 years,” he says. “It’s about creating a destination while honoring what this place has always been.”
Recent road and infrastructure improvements have elevated the area. With new sidewalks, lighting, landscaping, ample parking, and proximity to City Hall and TUPPS Brewery, the neighborhood has taken on new life. Some have even begun referring to it as The Flour Mill District.
“The history is always here,” James says. “But what excites me most is seeing people create new memories on top of it. That’s how places like this stay alive.”


























Farmers Bank & Trust (FB&T) is excited to announce the appointment of Madison Haltom as Commercial Loan Officer. She is based in the Prosper branch and will serve the greater North DFW region.
Haltom brings five years of financial experience and has been with FB&T since 2020, where she previously served as Mortgage Loan Originator. In her new role, she will help development and enhance business relationships, manage a diverse lending portfolio, evaluate credit, and analyze financial data to help local enterprises grow and succeed.
A graduate of Texas A&M University at Texarkana, Haltom holds a Bachelor of Science in Biology and a Master of Business Administration (MBA). She has also completed the Southern Methodist University Commercial Lending School and is a 202425 graduate of Prosper Leadership.
A Texarkana, Texas, native, Haltom moved to the DFW area in 2020. She is deeply involved in the Prosper community as an active member of the Prosper Chamber of Commerce, Prosper Ladies in Leadership, Junior League of Collin County, and volunteers with Make-AWish North Texas and the Children’s Hunger Fund.
“Madison brings experience, expertise, and enthusiasm to help serve the Prosper and greater North DFW area,” said Robby Harrison, Prosper Market President at Farmers Bank & Trust. “Her background in lending and real estate will help us deliver innovative solutions for families and businesses that will help our partners and clients for years to come.”
To contact Madison or learn more about Farmers Bank & Trust commercial lending, visit the Prosper Branch at 750 N Preston Rd. in Prosper; visit MyFarmers.Bank/ Prosper ; or email Madison.Haltom @myfarmers.bank


Need top-notch plumbing services? Look no further! At Pure Plumbing, we deliver phenomenal solutions for all your plumbing needs.
• Same- Day Appointments
•24/7 Emergency Services
•Residential & Commercial
•Affordable Financing Options
•Low Monthly Memberships For Hassle-Free Maintenance Services We Offer:
• General Plumbing
•Tank & Tankless Water Heaters
•Drain Cleaning
•Hydro Jetting Services
• Gas Line Repairs
• Leak Detection
• Water Filtration Systems

















Valentine’s Day is all about showing your loved one just how much you care. Rather than opting for the predictable chocolates and flowers, why not showcase your culinary prowess and create a one-of-a-kind cheesecake? Not only will this delectable treat demonstrate your affection, but it will also add a personal and luxurious touch to the holiday celebration. Make this Valentine’s Day truly memorable by going above and beyond with a heartfelt, homemade gift. Cheesecake is the perfect dessert for two because it’s both rich and indulgent, but not too heavy. Plus, it can be easily customized to fit your own personal taste and it’s much easier than you think!



• 1 pound cream cheese, softened
• 1 cup sugar
• 3 eggs
• 1 teaspoon vanilla extract
• 1/2 cup sour cream
• 1/2 cup heavy cream
• 1 prepared graham cracker crust
Start by preheating your oven to 350 degrees. In a large bowl, mix together the cream cheese and sugar until smooth. Beat in the eggs, one at a time, then stir in the vanilla extract. Next, add in the sour cream and heavy cream and mix until everything is well combined. Pour the mixture into the prepared graham cracker crust and bake for 45 minutes to 1 hour, or until the cheesecake is set. Let cool completely before serving. For this recipe, we decided to add berries and honey to the top of our cheesecake. Take the time to make yours special to your relationship. With toppings such as chocolate, jelly, whip cream, berries, fruit, or whatever your partner’s favorite is, you’re sure to make them smile. Make things colorful by adding food coloring to the mix, it can even be made in their favorite color. You can also change things up by making your own crust with Oreos or cinnamon crackers.
To elevate this recipe to the next level, consider using high-quality ingredients such as grass-fed cream cheese and locally sourced honey. For added luxury, try using a blend of different types of berries, or even substituting the graham cracker crust with a crust made of crushed pistachios or hazelnuts.
In addition to adding a variety of toppings, you can also get creative with the presentation. For example, try using a springform pan to create a heart-shaped cheesecake, or using cookie cutters to create fun shapes out of the cheesecake slices. You can also garnish the cheesecake with edible flowers or a sprinkle of edible gold dust for a truly indulgent experience.


HUTCHINS BBQ offers the best in slow-smoked, authentic Texas BBQ and serves mouthwatering brisket, beef ribs, Texas Twinkies, and delicious sides! Catering, delivery services, and nationwide shipping are available, bringing our delicious BBQ to your events or doorstep. Visit us online at hutchinsbbq.com
McKinney Location: 1301 N. Tennessee St, McKinney, TX 75069
Frisco Location: 9225 Preston Rd, Frisco, TX 75033













- Raj Narayanan


ARTICLE BY BAILEY HALL

Not every date night needs to involve reservations or an elaborate itinerary. With a little creativity, you can create magical moments right at home. Whether you’re celebrating Valentine’s Day or just want to reconnect, here are three ideas for unforgettable at-home date nights.




Transform your backyard or balcony into a dreamy picnic spot! Spread out a cozy blanket, add a few fluffy pillows, and hang string lights or fairy lights for ambiance. A small fire pit or lanterns can also add a romantic glow.
Pack a picnic basket with finger foods and a bottle of wine or sparkling water. Don’t forget a decadent dessert like chocolate-dipped strawberries.
Lay back and stargaze, identifying constellations or making wishes on shooting stars. To make it extra romantic, bring a bluetooth speaker and play soft music.
Unleash your inner artists with one of these three fun and interactive dates. Grab some inexpensive canvases, brushes, and acrylic paints from the craft store. Don’t forget aprons or old clothes to protect against spills!
• Paint each other’s portraits for a mix of laughter and creativity.
• Work on a collaborative paintingeach person adds their own touch to a single canvas.
• Try a themed painting challenge, like recreating your favorite memory together. Pair this date with a cheese platter and wine and don’t worry about being “good’ at painting - it’s all about enjoying the process together.
Start the day with love by turning breakfast into an indulgent experience. Prepare a tray with a DIY breakfast charcuterie board. Include mini pancakes, waffles, fresh fruit, yogurt, granola, bacon, and pastries. Add small bowls of toppings like syrup, Nutella, or whipped cream.
Mix up mimosas or serve coffee with flavored syrups and whipped cream for a café vibe. Then, snuggle up in bed and watch a favorite movie or TV series.













At Ketagenics, Licensed Professional Counselor Marci Patton integrates faith EMDR therapy and ketamine- assisted sessions to help you uncover and release the hidden layers of pain that may be quietly shaping your daily life.
Through prayer, presence, and neuroscience, we will cultivate a sacred space where you can reconnect with God, your body, and your sense of peace.
If past experiences continue to steal your joy or affect your relationships, it’s time to experience what true restoration feels like — healing that reaches the deepest parts of your story.
KETAGENICS PSYCHOTHERAPY
ketagenics.com | 253.230.6643 | Marci@Ketagenics.com 6401 Eldorado Parkway, Suite 226, McKinney, TX








Backpacks packed. We’ve got your back! At Taxi Mom, we go beyond the ride. Our CPR-certified, background-checked Transportation Specialists provide door-to-door service with live mobile tracking—giving you peace of mind and dependable support for your busy schedule. Choose Taxi Mom for safe, reliable transportation to and from school or activities and experience the trusted transportation solution your child deserves.




www.taximom.com
972-210-2867 VB @taximommckinney

FEBRUARY 2026
FEBRUARY 7TH
McKinney Philharmonic Orchestra POPS
McKinney Boyd High School Auditorium | 7:00 PM
'70s & '80s Pop Hits
The McKinney Philharmonic Orchestra takes you on a musical journey back in time with iconic hits from legendary artists such as Whitney Houston, Madonna, Elton John, Styx, Queen, The Beatles, and more. You won't want to miss this spectacular performance that will have you reminiscing about the good old days and dancing in your seat all night long. Tickets: McKinneyPhilharmonic.org
FEBRUARY 14TH - 15TH
WINTER ArtFest - MillHouse Foundation
Cotton Mill | 11:00 AM
The WINTER INDOOR ArtFest will feature fine artists, jewelers, potters, woodworkers, photographers, and fiber artists showcased against the gorgeous century-old architecture of the Cotton Mill facility, built in 1910. Make sure you explore artists in the Grand Hallway, Event venue, and Atrium Hallway. Coffee, tea, pastries, sandwiches, and snacks along with wine and beer will be available for purchase.
FEBRUARY 15TH
Dr. Glenn Mitchell Memorial Park | 12:30 PM
The theme for this year's event is "Dogs Going Overboard: Barkus Sails the Seven Seas". The parade is free to watch and will occur in downtown McKinney, though specific parade route details are not yet available. Laissez Les Bon Temps Rouler! Those wishing to participate with their dogs can register for a fee. McKinneyTexas.org
FEBRUARY 15TH
Valentine's Chocolate & Wine Walk - Downtown McKinney
111 N Tennessee Street, Historic Downtown McKinney | 12:00 PM
Drink wine, eat chocolates, and shop Downtown McKinney with your GALentines or your sweetheart at the Valentine's Chocolate & Wine Walk! Sip premium Lone Star Winery wines, savor decadent Lindt chocolate truffles, and soak in the sweet atmosphere of love in the air. Tickets: EventBrite.com
FEBRUARY 16TH - 27TH
President’s Day Smithsonian Exhibit: The Mask of Lincoln
At Heard-Craig Center for the Arts | 9:00 AM
In honor of President’s Day, the Heard-Craig Center brings you a Smithsonian Exhibit entitled “The Mask of Lincoln”. This traveling exhibition is a collection that provides many faces of Lincoln for the public to ponder, charting Lincoln’s passage from fresh-faced congressman to his isolation as president. Reservations required: HeardCraig.org
FEBRUARY 21ST
Prosper Fishing Derby
Pond at Frontier Park | 9:00 AM
Young anglers love the annual Prosper Fishing Derby, an informal, friendly competition for youngsters ages 14 and under! The Prosper Fishing Derby is an annual, free, community event held for children ages 14 and under. It is a catch-and-keep event for trout only, with a five-fish limit per person, and prizes are awarded in different age categories. Learn more: ProsperTx.gov
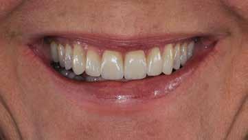
At Jensen Orthodontic Arts, we combine ART, SCIENCE, and EXPERTISE in orthodontics to customize your smile and improve or reconstruct the function and harmony of your teeth. That alone says a lot, but Dr. Doug Jensen also uses his training in the closely-related specialty of PROSTHODONTICS and dental aesthetics to create wonderful outcomes for unusual or complex dental problems– Think VENEERS, CROWNS, IMPLANT CROWNS, and DENTURES. Dr. Jensen is one of the few dual specialists in both orthodontics and prosthodontics in America, and we are lucky to have his experience in this area. He offers clear orthodontic treatment options including CLEAR BRACES, LINGUAL BRACES, and CLEAR ALIGNER THERAPY to meet your aesthetic needs. Count also on getting treatment rendered efficiently without ignoring the balance that should be present between the teeth, joints and muscles in a properly functioning bite.

Dr. Doug Jensen, DDS, MS
Board-Certified Orthodontist, Prosthodontist




Don’t wait! Come see us for an expert’s Complimentary Evaluation
Get a straightforward assessment and roadmap to the PERFECT SMILE!
Since joining Farmers Bank & Trust in 2020, M Madison Haltom has become a trusted member of our Prosper team. With a strong background in mortgage lending and a commitment to serving Prosper and the greater North DFW community, she brings both expertise and HEART to every relationship. We’re proud to welcome Madison into her new role as Commercial Loan Officer. If you’re exploring lending options or looking for guidance for your business, she's here to help.
MADISON HALTOM
Commercial Loan Officer
NMLS#: 2064263
Madison.Haltom@MyFarmers.Bank
