Kirkland, WA July 2023

Page 1

Sir Mix-A-Lot Is Back!

Find out which summer festival he’s headlining, and who he’s sharing the stage with.

JULY 2023
ALAIRKIRKLAND.COM

New for Summer

Compass is a licensed real estate broker and abides by Equal Housing Opportunity laws. All material presented herein is intended for informational purposes only. Information is compiled from sources deemed reliable but is subject to errors, omissions, changes in price, condition, sale, or withdrawal without notice. No statement is made as to the accuracy of any description. All measurements and square footages are approximate. This is not intended to solicit property already listed. Nothing herein shall be construed as legal, accounting or other professional advice outside the realm of real estate brokerage.
5th
W.
557
Avenue
Kirkland, Washington
2520 118th Avenue SE, #201 Bellevue,
4 Bedrooms | 2 Bathrooms | 39,882 sf lot | 92’ of Waterfront Offered at $7,500,000
WA
2 Bedrooms | 2 Bathrooms | 885 sf Offered at $475,000

“Mike is a consummate professional and moreover, he cares about his clients. He is an excellent communicator who stays in touch with his clients and is thorough and detailed in outlining what to expect throughout the selling process. His team is wonderful to work with and exhibits a high degree of professionalism & responsiveness.”

- Seller in Issaquah, WA

Proudly with: MIKE MOGHADDAS Real Estate Broker 425.830.1316 mike@moghaddasrealty.com
that
Bidding wars are back showing signs
the buyer’s market is picking up fast. We witnessed over sixteen offers on two different properties and a whopping fifty-four cash offers on one home in Juanita! If you’re looking to sell, now is a very encouraging time. We have a large number of buyers looking specifically in Bellevue and Kirkland in the $1 million to $4 million range and can possibly bring one straight to you!

Summer Fun

I hope this letter finds you laying by the pool or lake and soaking in some much-needed Vitamin D.

As the days grow longer and the weather gets warmer, I find myself eagerly anticipating the arrival of summer. There's just something about this season that brings about a sense of excitement and adventure.

Sure, fall has my favorite flavors and scents, winter has its cozy charms and I can't deny the beauty of spring. But when the summer solstice rolls around, I’m more than ready for the long, languid days sitting by the pool or floating on a boat.

The pages in our Summer Fun issue will help you make the most of this season in Kirkland. And even if summer doesn't mean three months of summer vacation anymore (because we're, you know, adults) we can still look forward to an adventure by crossing things off our ultimate summer bucket list (check the Local Experiences section for ours!) and curling up with a new favorite beach read. (P.S. Teachers, you deserve this much-needed break and I know you're so ready for it.)

My family loves to camp and have beach picnics each year, go for bike rides, and enjoy leisurely hikes. There's something about being in nature that feels so rejuvenating and refreshing.

Just like this season has a way of bringing people together, we hope the pages inside this month’s issue will enrich and enliven your experience of Kirkland this summer!

July 2023

PUBLISHER

Caitlin Agnew | caitlin.agnew@citylifestyle.com

EDITOR

Bree O’Brien | bree.obrien@citylifestyle.com

EDITORIAL COORDINATOR

Taylor Robinson | taylor.robinson@citylifestyle.com

ACCOUNT MANAGER

Max Baker | max.baker@citylifestyle.com

CONTRIBUTING WRITERS

Bree O’Brien, Kira Womble, Rachel Lloyd, Dr. Wayne Larrabee

CONTRIBUTING PHOTOGRAPHERS

Little League Baseball and Softball, Rachel Lloyd

Corporate Team

CHIEF EXECUTIVE OFFICER Steven Schowengerdt

CHIEF SALES OFFICER Matthew Perry

CHIEF FINANCIAL OFFICER DeLand Shore

DIRECTOR OF SOCIAL MEDIA Mindy Hargesheimer

ART DIRECTOR Sara Minor

OPERATIONS DIRECTOR Janeane Thompson

WEB APPLICATIONS Michael O’Connell

AD DESIGNER Josh Govero

LAYOUT DESIGNER Andi Foster

Learn

Proverbs 3:5-6

Scan QR code to visit our Instagram
LIFESTYLE LETTER
how to start your own publication at: citylifestyle.com/franchise CITYLIFESTYLE.COM/KIRKLAND | Kirkland Lifestyle™ is published monthly by Lifestyle Publications LLC. It is distributed via the US Postal Service to some of the Kirkland area’s most affluent neighborhoods. Articles and advertisements do not necessarily reflect Lifestyle Publications’ opinions. No portion of this magazine may be reproduced in any form without written consent. Lifestyle Publications does not assume responsibility for statements made by advertisers or editorial contributors. Information in Kirkland Lifestyle™ is gathered from sources considered to be reliable, but the accuracy of all information cannot be guaranteed.
LIFESTYLE LETTER 6

Our Commitment To You

.

As a Client of VDB, your satisfaction is our top priority. We work diligently and earnestly everyday to ensure your real estate goals are addressed with the utmost professionalism and care.

VDBESTATES.COM
inside the issue The Summer Fun Issue JULY 2023 ON THE COVER DEPARTMENTS 6 Lifestyle Letter 10 City Scene 16 Business Monthly 18 Local Experiences 20 Must See SPORTS + RECREATION 24 Travel Journal TRAVEL 28 Outdoor Living HEALTH + WELLNESS 32 Skin Care BEAUTY 34 Back Stage ENTERTAINMENT 36 Outdoor Adventure WELLNESS 38 Get Active ENTERTAINMENT 40 Events 20 34 24 28 FEATURED 20 Take me out to the ball game! The Junior League Softball World Series in Kirkland is a fun, free annual event 24 Rick Steves’ Top Trip What’s the locally grown, internationally known travel writer’s favorite summer port of call? 28 A Shining Gem Local hiking aficionado reveals her number one summer hike 34 Sounds & Tastes of Summer The Bite of Seattle returns to Seattle Center July 21, 22, and 23 Photography: Courtesy of Sir Mix-A-Lot 8
mark@vdbesates.com | 425.882.8821 | @vdbcompass Enter a world of unrivaled elegance in this custom design crafted by esteemed builder Steven D. Smith Construction. Situated in Windsor Greens along the 14th Green of The Plateau Club, you’ll discover exceptional quality, refreshed finishes, and breathtaking views from the comfort of your own home. Learn more at vdbestates.com 24510 SE Windsor Blvd, Sammamish WA Offered at $3,938,000 // 4 Beds 6 Baths 5,320 Sq Ft Le Chateau on the Green 2261 95th Ave NE, Clyde Hill WA IN ESCROW!

city scene

Where neighbors can see and be seen.

1: May the Fourth enthusiasts showed up in full force, showcasing costumes from across the galaxy. 2: The dark side has never looked so stellar, complete with neon backdrop and a lightsaber. 3: Dressing to the nines looks different on May the Fourth at Kirkland Urban! 4: Attendees enjoyed special offerings and demonstrations from Kirkland Urban tenants. 5: Kids got up close to their favorite star ships with on-site model-building professionals. 6: As nighttime fell, the laser light show provided the perfect backdrop for attendees. 7: Children look on as the team from Verne & Wells gives an interactive gaming demonstration.

1 3 6 7 4 5 2
JULY 2023 CITY
SCENE
10
Photography by Dakota Elizabeth Photography
8 10 11 12 9 13 14
CONTINUED >
8: Animal prints were the highlight of the night as guests had fun dressing in theme 9: Guests enjoyed wines from Fidelitas and Browne, hors d’oeuvres, and a gourmet dinner 10: Guests smile for the camera in front of HFK’s Haute Safari jeep, May 6. 11: Holy Family School’s Haute Safari Gala auction chairs, Brooke and Jen. The event raised over $525,000 12: Guests partook in a lot of spirited bidding, supporting school programs and tuition assistance grants. 13: The prize lion’s head decoration was created by all 250 kindergarten through grade 8 students 14: The Hamiltons celebrating Holy Family School’s 65th year of educating students in Kirkland
11 | CITYLIFESTYLE.COM/KIRKLAND JULY 2023
Photography by HFK Safari Guests

15: Matt Lorch and Michelle Millman brought the excitement ensuring a memorable, meaningful, and successful fundraiser. 16: The incredible generosity at the 22nd Annual 2023 Evergreen Gala raised $1.2 million for EvergeenHealth’s NICU. 17: The funds will provide resources for preemie and critically ill infants in our community. 18: Spirit of Giving Honoree: The Bob and Shirley Ferguson Family. 19: Erik Liedholm, Wildwood Spirit Company; Anthony Ambrose, EvergreenHealth Foundation Board Chairman; John Howie, John Howie Restaurants 20: To celebrate the fundraising success, the dueling piano after-show is a guest favorite and evening highlight. 21: Joel and Erin Gallion, Bellevue Healthcare

15 17 18 19 16 20 21
CITY SCENE CONTINUED
CITY SCENE 12
Photography by Keith Brofsky

Want to be seen in the magazine? Tag your Instagram photos with @KirklandLifestyle

Photography

22 24 25 26 23 27 28
22: Marshall Glaze from Love Is Blind (L) and featured artist, C. Bennett (R) 23: Jen Cameron, Managing Partner of The Agency Seattle, talking about GiveBack Homes and thanking sponsors, guests, and attendees! 24: “Art That Gives Back” at The Agency Seattle on May 4th was a night to remember! 25: The Women of The Agency Seattle in front of the step-and-repeat. 26: The event raised over $5,000, and had 150+ guests in attendance to support the charity 27: Jaimie and Eric Gouge of the Sittauer Gouge Group having a blast! 28: Jen Cameron with Jonathan Batista, Principal Dancer at Pacific Northwest Ballet (holding artwork by Jen’s daughter Jordan) by Clarity NW
13 | CITYLIFESTYLE.COM/KIRKLAND JULY 2023
2029 2ND AVE. SEATTLE, WA 98121 T. 206.448.3309 E. info@alchemycollections.com WWW.ALCHEMYCOLLECTIONS.COM WWW.CAMERICHSEATTLE.COM
MODERN FURNITURE STORE
LUXURY IS AN EXPERIENCE Realogics Sotheby's International Realty, Kirkland by Sales Volume, 2021 and 2022 #1 AGENT BRIAN HOPPER 425.300.7330 | BRIANHOPPER.COM West of Market | Sold for $3,050,000 | 402WestOfMarket.com Downtown Kirkland | Sold for $880,000 | WaShores2.com © 2023 Realogics Brokerage, LLC. All rights reserved. Each franchise is independently owned and operated.

business monthly

A round-up of exciting news from local businesses.

Celebrate Kirkland 4th of July Event

Join the City of Kirkland as we come together to celebrate Kirkland’s annual 4th of July parade, now in its 24th year. Please sit or stand along our downtown business district and enjoy a family-friendly event featuring processions from local shops, dance groups, music, government representatives, and much more. Everyone is welcome. Let’s keep the tradition going! Tuesday, July 04, 2023 | 10:30 AM - 02:00 PM at Marina Park. celebratekirkland.org

IAM Center for Integrative Aesthetic Medicine opens in Bellevue

At iAM we believe aging is a privilege. The owners of IAM Center for Integrative Aesthetic Medicine, Michelle Brown and Amaris Murphy, use their experience as nurse practitioners to help women heal from the inside out. They specialize in the treatment of perimenopause and menopause and offer a variety of medical aesthetic services. A women-owned and veteran-owned company, the two have been in the women’s health and aesthetics industry for a combined 23 years. iam-center.com

Photography: Tara Brown Photography

Rock the Village in Totem Lake

Get ready to ROCK THE VILLAGE with us! Join us every Thursday night for our summer concert series (plus a special Saturday edition on July 8th). Enjoy live music while you grab ice cream from Salt & Straw, sit on the patio at Stack 571, Serious Pie, or hanoon, or even before a movie at Cinemark. All shows are from 7pm-8:30pm unless otherwise noted. Check out the lineup at thevillageattotemlake.com

BUSINESS MONTHLY JULY 2023
16

El Encanto, Sister Restaurant to Como, Opens in Kirkland

Located at Carillon Point below Como, El Encanto serves elevated Mexican dishes, a lot of tequila, and a summer attitude. Come for signature cocktails and traditional menu items from star chef Gabriel Chavez, and stay for the gorgeous views of Lake Washington. Menus and reservations at elencantousa.com

Want to be featured?

Get in touch by heading over to our landing page to connect: CityLifestyle.com/Kirkland

North America’s #1 provider of custom window coverings and the most established name in smart home technology team up to give you total smart home integration. LUTRON® AND BUDGET BLINDS® MAKE HOME AUTOMATION EASY TO USE AND EASY TO AFFORD! The safe and easy answer for hard-to-reach windows. Use the remote or control your entire home with a smart phone. • Amazon® Alexa, Apple® HomeKit™, Google® Assistant, Nest®, Sonos® and more — control your shades, lights, temperature and more from any mobile device by using the Lutron app •Program shades to automatically open and close for security and energy savings •No new wiring required Smart shades, smart lights, and smart thermostat integrate beautifully with your choice of smart home devices The Lutron App controls shades, lights and temperature ©2018 Budget Blinds, LLC. All Rights Reserved. Budget Blinds is a trademark of Budget Blinds, LLC and a Home Franchise Concepts Brand. Each franchise independently owned and operated. Call or go online today for your FREE smart home consultation 425-333-7800 | BudgetBlinds.com/Bellevue-wa Or stop by our showroom 8429 122 ave. n.e. Kirkland, WA. 98033 (Across from Starbucks)! Mon-Fri. 10-5 and Saturdays 10-3 17 | CITYLIFESTYLE.COM/KIRKLAND JULY 2023

local experiences

Don’t let the summer season get away from you before school and cooler temperatures return. Grab your crew and tackle our bucket list recommendations to check off before one of our favorite seasons comes to an end.

Our Picks for Your Summer Bucket List

NELSON FAMILY FARM: Bring your chairs and blankets to Suncadia for an outdoor movie experience, Fridays at the Nelson Farm activity center. Concessions are available, movies start at 8PM. 2141 Swiftwater Dr, Cle Elum, Washington 98922

O. O. DENNY PARK: Pack a picnic, this park on Lake Washington is home to trails, Denny Creek, and some of the oldest and tallest trees in the area. 12032 Holmes Point Drive NE, Kirkland, Washington 98034

CENTER FOR WOODEN BOATS: A museum that promotes northwest maritime heritage through education, interpretation, and hands-on experience in building, maintaining, and using historic small craft. 1010 Valley St, Seattle, Washington 98109

CHAINLINE STATION: Craft beer, espresso, and ice cream from an old train caboose along the Cross Kirkland Corridor at Feriton Spur Park. 604 5th PL S, Kirkland, Washington 98033

SUMMER EVENING CONCERTS: This free summer evening concert series makes Thursdays extra fun. Held at Marina Park from 7-8:30 PM, these events always draw a crowd.  25 Lakeshore Plaza, Kirkland, Washington 98033

Want to recommend a local experience?

Scan the QR code and message us on Instagram.

JULY 2023 Summer Evening Concerts Scan for more photos and the full list. LOCAL EXPERIENCES
The best places and things to do in our area.
18

Fox Hollow

Pending in Rose Hill. Offered at $1,800,000.

Welcome to Fox Hollow, a tranquil Rose Hill community surrounded by nature and walkable to local parks. Minutes to downtown Redmond, Kirkland’s Totem Lake Village and Bellevue. A short drive (or cycle) to Woodinville’s Wine and Tourist Districts.

This craftsman home was ideated by local Bellevue builders Londo-Tiberio and has been artfully architected to promote natural sunlight. Enter into double height ceilings showcasing a wall of windows and showing off recently refinished hardwoods.

The main floor offers a well equipped eat-in kitchen with pantry, double ovens, gas range and plenty of storage. An open concept great room is wired for surround sound and features a gas fireplace. You’ll also find a separate dining room, living room, office and half bath.

Upstairs are three bedrooms, a full bathroom with double vanity, a bonus/rec room and of course, your own private sanctuary; the primary suite features a five piece bathroom, vaulted ceilings and walk-in closet.

Outside, enjoy tree-lined views from your hot tub and two patio areas, one covered.

MARILISA VERGOTTINI

Broker

206.599.9908

marilisa@compass.com

luxuryseattleliving.com

About Marilisa: A seasoned real estate broker within Compass WA, Marilisa helps clients relocate, purchase investment homes, sell and buy property. Her core strengths center around full service marketing, negotiation and project management, while keeping her clients’ needs front and center.

Compass is a licensed real estate broker and abides by Equal Housing Opportunity laws. All material presented herein is intended for informational purposes only. Information is compiled from sources deemed reliable but is subject to errors, omissions, changes in price, condition, sale, or withdrawal without notice. No statement is made as to the accuracy of any description. All measurements and square footages are approximate. This is not intended to solicit property already listed. Nothing herein shall be construed as legal, accounting or other professional advice outside the realm of real estate brokerage.
MUST SEE | SPORTS + RECREATION 20

TAKE ME OUT TO THE BALL GAME!

Every year since 1999 (with the exception of the two lost COVID years 2020-21), the Junior League Softball World Series Tournament takes place at Everest Park in Kirkland. This fun, free to attend, and family-friendly summer event draws teams from all over the country and the world and features 27 games that will be broadcast on ESPN+. Two games are played simultaneously, with up to four or six games in a day. Kirkland Lifestyle sat down with recently appointed Tournament Director Steve Allen to hear about how this popular event comes together. Since serving as the Assistant Tournament Director since 2003, as well as a Team Host, Allen has been deeply involved in the operations and execution of this event for the past two decades.

Allen explains that this junior league tournament is for girls ages 13 and 14, and the representative (home/host) team is District 9. In past years, teams have come from the Philippines, Canada, Curacao, the Czech Republic, Italy, and more. “The international flavor is a huge appeal, and it’s free to watch, parking

is usually easy to find, it’s televised… The tournament is a big deal!” says Allen. Each team has a local family as a “liaison” to help them get any information they need. These families often have softball playing daughters or have been engaged with softball in some other capacity.

There’s a core group of 20-25 volunteers during the tournament and another 25 who help out at various times, including high school students earning service hours. Securing hotel contracts at reasonable rates in Kirkland for 200 people for eight days; buses for teams to and from hotels, fields, and airports; permitting from the City of Kirkland; and coordination with ESPN are all logistical considerations for the Tournament Director. Allen says, “Attendance varies depending on how the local representative team is doing, but the games are always fun to watch.”

The 2023 Junior League Softball World Series Tournament will take place July 30 - August 5 at Everest Park. littleleague.org/world-series/2023/ jlsws for more info.

> 21 | CITYLIFESTYLE.COM/KIRKLAND JULY 2023
Steve Allen
CONTINUED
MUST SEE | SPORTS + RECREATION 22

Rick Steves’ Top Trip

PHOTOGRAPHY COURTESY OF RICK STEVES’ EUROPE

What’s the locally grown, internationally known travel writer’s favorite summer port of call?

We’re always curious to explore far-flung lands in the summer when school is out and the pace of life feels more relaxed. In this spirit of exploration,  Kirkland Lifestyle asked public television host, best-selling guidebook author, and travel activist (and Edmonds native) Rick Steves for his absolute favorite summer travel destination. After some consideration, Steves shared:

TRAVEL
| TRAVEL
JOURNAL
24
Basking in the Norwegian sun above the Sognefjord.

In the summer, I like to avoid the heat and crowds of the Mediterranean and head north of the Alps, where peak-season travel brings life to sleepy destinations, the days are long, and it’s sunny but not sweltering hot.

In Norway, where the mellow, no-shadow light of “magic hour” lasts until 11:00 pm, there’s something particularly poetic about summer evenings. This is a land of intense beauty, with famously deep fjords

carved out and shaped by an ancient ice age. The call of gulls and lazy gulping of small boats taking on little waves provides a relaxing soundtrack. Cobbled lanes lead past shiplap houses to sheer cliffs. And the mountains are mesmerizing. Rather than jagged, they’re bald and splotchy, with snowfields on top and characteristic cliffs plunging into inky water. I love Norway in the summer.

25 | CITYLIFESTYLE.COM/KIRKLAND JULY 2023

BEST MANICURE

BEST PEDICURE

BEST MASSAGE AND MORE!

ESCAPE TO PRO CLUB

The Northwest’s Premier Spa Destination

From the most luxurious experiences to breakthrough antiaging treatments with expert providers, PRO Club’s awardwinning Spa and Medical Spa offer the ultimate in looking and feeling your best. OPEN TO THE PUBLIC.

THE VERY LATEST:

contouring

Women’s wellness • And more!

TWO AWARD-WINNING SPAS. ONE UNFORGETTABLE LOCATION. 4455 148th Ave NE Bellevue 98007 | proclub.com | (425) 885-5566
BEST FACIAL
RELAX & REJUVENATE
• Laser technologies • Injectables • Body
AGE GORGEOUSLY

A GEM Shining

OUTDOOR LIVING | HEALTH + WELLNESS
ARTICLE BY RACHEL LLOYD
LOCAL HIKING AFICIONADO REVEALS HER FAVORITE SUMMER HIKE 28

Rachel Lloyd

Nestled in the Cascade Mountains is a natural jewel that will take your breath away! If you’re looking for an incredible summer hiking experience, look no further than my favorite spot, Gem Lake. This pristine lake is a popular hiking destination for locals as it shares a trailhead with Snow Lake and is easily accessible via I-90 from the Kirkland/Bellevue area. The hike to Gem Lake is approximately ten miles round trip and the best time to visit is in midlate summer when the weather is warm.

The first part of the trail takes you through a dense forest, providing shade from the summer sun. After winding through the evergreens and up the switchbacks, the trail opens to stunning views of the surrounding peaks and valleys. While there are some steep sections and rocky terrain, it’s not overly challenging. The picturesque Snow Lake can be seen as you crest the first ridge, an ideal photo opportunity! The path then leads you down and around Snow Lake, passing several small streams and waterfalls. You’ll trek through a large boulder field before arriving at Gem Lake. The tranquil alpine lake sits in a basin surrounded by towering peaks and is the perfect place to rest and enjoy the views. There’s something about the peacefulness and serenity of Gem Lake that truly makes for an unforgettable summer adventure.

My name is Rachel Lloyd, and I am a local licensed real estate broker and outdoor enthusiast who is on a mission to summit 52 hikes and sell 52 homes each year, one per week. And for each home I sell, I donate $52 to Washington Trails Association, in support of our aligned efforts to protect the place we call home, the Pacific Northwest. Check out pnw52.com to learn more!

29 | CITYLIFESTYLE.COM/KIRKLAND JULY 2023
Photo credit: Jennie Pegouskie
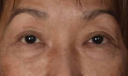
Dr. Wayne Larrabee, a double board certified surgeon specializing in facial rejuvenation for over 30 years. 600 BROADWAY SUITE 280 & SUITE 385 | SEATTLE, WA 98122 | WWW.LARRABEECENTER.COM @thelarrabeecenter | @larrabeecenter SEATTLE’S BEST IN FACIAL REJUVENATION • FACELIFTS • UPPER AND LOWER EYE LID SURGERY CALL US TODAY FOR A CONSULTATION 206.386.3550 BEFORE FACELIFT BEFORE EYE LID SURGERY AFTER FACELIFT AFTER EYE LID SURGERY
MEET THE BEST VERSION OF YOU Boost energy, optimize sleep, enhance your immune system, decrease inflammation and defy the signs of aging. Create your customized plan with a range of services, packages and membership options that best suit your needs. ONLY $25 Cryotherapy Infrared Sauna Red Light Therapy Compression KIRKLAND *Present this ad to try any one of our core services for $25 (retail price $50). Offer valid through 12/31/22. KirklandRestore.com 31 | CITYLIFESTYLE.COM/KIRKLAND JULY 2023
Cutting-Edge Wellness Services Are Here

Your HealthiestSummer Skin

Advice from a local expert

Summer skincare calls for different considerations than cold-weather skincare - we strive to achieve that summer glow without any associated sun damage. Sweat and oils, chlorine, dirt, and heat can wreak havoc on our epidermis. So how can we prevent harm to our skin? We wanted an expert opinion, so Kirkland Lifestyle turned to Dr. Wayne Larrabee of the Larrabee Center for recommendations. Dr. Larrabee is a globally recognized expert in aesthetic medicine and surgery who has published three books in multiple editions and languages, plus over 250 articles in the field.  Here’s what he told us: Use a good broad-spectrum sunscreen with an SPF of 30 or above.  We recommend that you reapply every two hours or after any time in the water.  Our

aesthetic staff can recommend an individual product for you, but we especially like Alastin HydraTint Pro Mineral Broad Spectrum Sunscreen SPF 36.

Prepare your skin for the summer with a HydraFacial! It will deeply clean, exfoliate, and give you glowing, clear skin for summer fun. You can call to schedule with one of our master estheticians.

We recommend you avoid most lasers and lightbased treatments in the summer to prevent unwanted pigment changes. SylfirmX is a radiofrequency needling treatment that can be used for all skin types during the summer for texture and pigmentary problems. This is a minimal downtime procedure done with topical anesthesia. When Exosomes are added the results can be enhanced even more.

Protective clothing, especially broad brimmed hats, and good sunglasses provide added protection against sun damage and are highly recommended.

Dr. Wayne Larrabee is a facial plastic surgeon in Seattle and Kirkland. He founded the Larrabee Center in 1990 and was the founding editor of JAMA Facial Plastic Surgery and the Clinics in Facial Plastic Surgery.

Photo credit: Corri McAllister

SKIN CARE | BEAUTY
32
33 | CITYLIFESTYLE.COM/KIRKLAND JULY 2023
BACK STAGE | ENTERTAINMENT Sounds & Tastes of Summer THE BITE OF SEATTLE RETURNS TO SEATTLE CENTER JULY 21, 22, AND 23
34
Courtesy of Sir Mix-a-Lot

Seattle’s premier foodie festival, The Bite of Seattle, celebrates its 38th year in 2023! Featuring hundreds of local vendors, 50+ musical performances, beer gardens and more, Bite of Seattle is fun for all ages. Festival goers will enjoy bites from local restaurants using the CHEQ app to place mobile orders. “As we reunite for this iconic event, we’re proud to highlight the extraordinary food and music that have become synonymous with Seattle,” said Thomas Lapham, CEO of CHEQ.

The event features a wide range of performers, from Seattle’s own Sir Mix-A-Lot to Polyrhythmics to Nite Wave and more. Sir Mix-A-Lot, one of rap’s greatest DIY stories, put the Seattle hip-hop scene on the map in the 1990s, paving the way for the next generation of home-grown rap artists. The Grammy

Award-winning “Baby Got Back” star headlines the festival on Sunday, July 23, bringing his danceable, bass-heavy tracks to the Mural stage. “Posse on Broadway” anyone?

Polyrhythmics, a progressive funk, psychedelic rock, and modern Afrobeat band takes the main stage on Saturday, July 22. Additional music entertainment includes Nite Wave, The Paperboys, The Little Lies – A Tribute to Fleetwood Mac, #All4DORAS, Cytrus, Grace Love, Grizzled Might, All-Star Opera, Massy Ferguson, and more local acts showcasing the Emerald City’s music scene.

The Bite of Seattle will welcome over 500,000 guests and is free to the public with a limited number of VIP tickets on sale now. Visit biteofseattle.com for further details.

35 | CITYLIFESTYLE.COM/KIRKLAND JULY 2023
Courtesy of Bite of Seattle

Kira’s Camping Picks

Trustworthy products to enhance your outdoor adventures, available at REI

My passion for the outdoors is far and wide. I love backpacking, camping, whitewater rafting, canyoning, highlining, and foraging. I think being in nature is the best way to decompress, as well as connect with ourselves and our community. I hope that sharing my experiences and expertise makes exploring the great outdoors more approachable for more people from all walks of life.

1. REI CO-OP WONDERLAND 6 TENT

If you’re looking for a go-to spacious tent, this one is for you. The included interior divider can break the large tent into two rooms, which we like using for living and sleeping spaces. The awnings keep gear out of summer rain and the huge doors and windows allow you to see all the views around you! rei.com/product/202982

2. REI CO-OP CAMP ROLL TABLE

Tables aren’t always the first thought when it comes to camping, but this one may change your mind. It’s so convenient when you want to spread out while cooking or enjoy a card game with friends! It rolls up small and is easy to throw in the car for all the days spent outside. rei.com/product/765280

3. REI CO-OP WONDERLAND CHAIR

For ventures that are closer to the car, this chair is an excellent addition. It stays comfortable throughout long evenings by the campfire or hangouts in the park, and feels super sturdy. rei.com/product/217995

4. NEMO DISCO 30 SLEEPING BAG

I love this sleeping bag because it is wider and roomier than a classic mummy bag but almost the same weight. It’s suitable for car camping or a long backpacking trip. rei.com/product/163035

5. PLATYPUS QUICK DRAW WATER FILTER

There are a lot of great filters available, but I’ve been impressed with Platypus’s rigorous product testing. I love that there are caps on either end to keep dirt and debris out of the filter while I’m on the trail. Cleaning it is super easy as well! rei.com/product/188475

6. PACKTOWL PERSONAL TOWEL

These are so small and endlessly useful - I literally carry mine wherever I go. I have used it as a sitting blanket at the park, to clean puppy paws after a romp in the mud, and to dry off after going for a swim in a mountain lake. rei.com/product/221819

Kira Womble has worked at the REI Co-op Bellevue store for the last year, since returning to the USA from living abroad. She loves that co-workers and customers alike revel in sharing their adventures in the outdoors.

IMAGE COURTESY OF KIRA WOMBLE

OUTDOOR ADVENTURE | WELLNESS
36
1 3 5 2 4 6 rdhomes.com | 206.697.2949 WE BUILD WITH THE FUTURE IN MIND 37 | CITYLIFESTYLE.COM/KIRKLAND JULY 2023

CITY LIFESTYLE

Summer Bucket List

Welcome, summer! As a hyper-local publication, we thrive on helping our readers make connections with the cities they live in, the businesses that make up their communities and the inspiring individuals making a positive mark.

Are you ready for your most adventurous, fun summer? Here are summer bucket list ideas for you to accomplish this year. We hope you’ll explore a new neighborhood, spend a lazy Saturday afternoon at a new winery or taste the flavors at a local ice cream shop. Let us know what you discover and enjoy! We’d love to hear.

KIDS ADULTS

Take

Visit

Go

Explore

Try

Hike

Explore

Go

Make Popsicles Have a Family Movie Night Stargaze Go on a Picnic Watch Fireworks Build a Fort Make Tie-Dye Shirts Bake Cookies Have a Water Balloon Fight Pick Your Own Fruit Camp in the Backyard Play Board Games Write a Kind Note to a Friend Ride a Rollercoaster Go to the Library
a Cooking Class
a Local Winery
on
Bike Ride
a
New Area of Your City
a
a New Restaurant
a New Trail
a National Park
a New Book
Read
Whitewater Rafting
the Local Farmers’ Market
Snorkeling Have a Bonfire Plan a Family Camping Trip See an Outdoor Concert Volunteer at a Local Shelter 01 02 03 04 05 06 07 08 09 10 11 12 13 14 15 01 02 03 04 05 06 07 08 09 10 11 12 13 14 15 GET ACTIVE | ENTERTAINMENT 38
Visit
Go
We are fully licensed, bonded insured for your protection! 425.408.0449 | www.pinkchainsaw.com Specializing in: +Tree Removal +Tree Trimming +Tree Maintenance +Tree Thinning +Stump Grinding IN A WORD: KidsQuest Children’s Museum is a 501(c)(3) non-profit organization. Water spigots, a real semi-truck cab, art studio, Science Hour, 2.5-story climber... Come explore these FUN, hands-on exhibits and programs at the Museum. It’s a joyful place. Joyful. KidsQuestMuseum.org Starting JULY 7! IF YOU ARE READING THIS... SO IS YOUR BEST CLIENT. 2 OUT OF 3 of our readers regularly purchase from our ads. ADVERTISE WITH KIRKLAND LIFESTYLE ™ CITYLIFESTYLE.COM/KIRKLAND 39 | CITYLIFESTYLE.COM/KIRKLAND JULY 2023

events

A curated selection of the most intriguing upcoming events in our area.

JULY 7TH

Friday Night Market

FLEUR STUDIO, 12409 NE

124TH ST, KIRKLAND | 6:00 PM

Come listen to some LIVE music and support local Seattle vendors! Vendors to be announced! More information at fleurstudio.co/ourevents

JULY 7TH

Live Music with Steven Padilla

NORTHWEST CELLARS

WINERY, 11909 124TH AVENUE NE, KIRKLAND | 5:30 PM

Join us for great wine and great music from 5:30 to 8:30 PM with Steven Padilla! No cover charge. Wine by the glass or bottle only. We have snack boxes ( cheese, crackers, fruit ) for $10, vegetarian and gluten free options available. Reservations recommended. northwestcellars.com/events

JULY 11TH, 18TH, & 25TH

Tuesday Kids' Concerts

JUANITA BEACH PARK, 9703

JUANITA DR NE, KIRKLAND

10:00 AM

Fun for all ages. The kids' summer concerts are a great way for families to gather in Juanita Beach Park. Bring snacks, sunscreen, and a blanket to sit on and sing-a-long, or dancealong, with great music and laughs.

EVENTS
JULY 2023 · FOOD & WINE EVENTS · PRIVATE CHEF SERVICES · CATERED EVENTS · MEAL PLAN SERVICES 206.825.2030 2468culinary.com CHECK OUT OUR WORK CHEF JOHN E. THOMPSON REDEFINING THE PRIVATE CHEF 40

JULY 14TH-16TH

Kirkland Uncorked

MARINA PARK PAVILION, 25 LAKESHORE PLAZA, KIRKLAND

The festival, a weekend long cele bration of world-class Washington wineries, is a benefit for Homeward Pet Adoption. The Tasting Garden features wine tasting, live music, and a Saturday Food Truck Feast. The Street Fair features the Uncorked Market and the CityDog Dog Model ing Contest. kirklanduncorked.com

JULY 19TH

The FABBA ShowTribute to ABBA

KIRKLAND PERFORMANCE CENTER, 350 KIRKLAND AVE

KIRKLAND | 7:30 AM

Direct from the UK, this show is the most exciting tribute to the Abba of the seventies and the eighties. The official Internation al ABBA Fan Club calls them the “best ABBA since ABBA.". But The FABBA Show is also famed for its flashy stage production, complete with costumes, choreography, and plenty of audience interac tion.  kpcenter.org for tickets.

JULY 25TH-26TH

Botox & Bubbles

SALISH LODGE & SPA, 501 RAILROAD AVE, SNOQUALMIE

Every last Tuesday and Wednesday of the month, Michelle M. Lydston, DMSc, PA-C, and the Spa at Salish Lodge offer botox and bubblestake advantage of complimentary shared access to the luxurious Soaking Pools, skincare samples, and of course, bubbles! Plus, enjoy $40 off spa treatments.

E A D S H O T S

CONTINUED lifenlight co H
b y l i f e n l i g h t s t u d i o s MORE INFO: 41 | CITYLIFESTYLE.COM/KIRKLAND JULY 2023

JULY 27TH

The Lodge Pairing Dinner Series – Partnering with Upchurch Vineyard

THE LODGE AT ST EDWARD STATE PARK, 14477 JUANITA

DRIVE NORTHEAST, KENMORE

Indulge in an unforgettable culinary experience with The Lodge’s new dinner pairing series! The new pairing series is the perfect way to celebrate a special occasion, impress a client, or simply enjoy a night out with friends. thelodgeatstedward.com

JULY 28TH

City of Kirkland Teen Night - Outdoor Yard Games

HERITAGE HALL AND GARDENS, 203 MARKET STREET, KIRKLAND | 5:00 PM

Join us for a lively night of outdoor fun including yard games, music, and more! We will provide the fun, so bring your friends and join us for an easy-going summer night in the park! Teen nights are for ages 13-19 years old and are free. Snacks and drinks will be provided. Registration encouraged, walk-ins welcome. 425-587-3360

JULY 28TH-30TH

Kirkland Summerfest

MARINA PARK, 25 LAKESHORE PLAZA, KIRKLAND

Kirkland Summerfest returns to the picturesque shores of Lake Washington. This three-day experience boasts a KidZone, lively night market, musical performances, outdoor entertainment, purveyors of fine foods, local beers and wines, and interactive activities for all ages. Kirkland Summerfest supports many other local nonprofits including Chump Change Foundation and the Kirkland Downtown Association. kirklandsummerfest.com

Want to be featured?

Get in touch by heading over to our landing page to connect: CityLifestyle.com/Kirkland

EVENTS
EVENTS CONTINUED
42
6 6 4 2 W O O D B A Y L N , P O U L S B O L I S T E D A T $ 1 , 3 2 5 , 0 0 0 R E P R E S E N T E D S E L L E R
HELP BUY & SELL THROUGHOUT THE PUDGET SOUND! W H Y T R U S T U S 24 YEARS OF COMBINED EXPERIENCE 95% REFERRAL BASED C a t h e r i n e & M c K e n n a F e r r e r a 2 0 6 5 7 9 1 0 7 7 & 4 2 5 8 9 1 1 9 5 5 c a t h e r i n e @ f e r r e r a t e a m c o m m c k e n n a @ f e r r e r a t e a m c o m BUYER/SELLER REPRESENTATION 50/50 2 7 0 1 2 N D A V E N , S E A T T L E L I S T E D A T $ 1 , 6 5 0 , 0 0 0 R E P R E S E N T E D B U Y E R 1 0 0 2 2 N E 1 2 4 T H P L , K I R K L A N D L I S T E D A T $ 4 9 9 , 9 9 9 R E P R E S E N T E D S E L L E R
WE
East of Market JUANITA $2.298MM $2.998MM Max Rombakh MANAGING BROKER LUXURY MARKETING SPECIALIST CELL EMAIL WEB 206.227.0737 MAXR@WINDERMERE.COM MAXROMBAKH.COM EAST OF MARKET $2.998MM MARKET EXPERTISE. PRESTIGE SERVICE. PERSONAL CONNECTIONS. MAXROMBAKH.COM

Turn static files into dynamic content formats.

Create a flipbook