Bellevue, WA June 2023

Page 1

The Men's Issue

SPORTS + RECREATION

SEATTLE’S SHINING ALL-STAR

ENTERTAINMENT

MEDIA MEN

LIFE + CULTURE

BEING THE INTERNET’S DAD

JUNE 2023

Juanita View Home

$2.498MM

MLS

Max Rombakh MANAGING BROKER LUXURY MARKETING SPECIALIST
EMAIL 206.227.0737 MAXR@WINDERMERE.COM MAXROMBAKH.COM Captivating lake, mountain, and city views from every level of this custom-built Northwest Contemporary. Exquisite details + craftsmanship minutes to waterfront.
CELL
2049843
8124 NE JUANITA DRIVE, KIRKLAND
|

Men

The importance of a father is tremendous! Fathers and other involved male role models make immeasurable impacts in their home and family. Watching my husband with our four children, I know that those connections will last a lifetime.

A father’s or grandfather’s gifts of quality time, affirming words, and positive actions have a long-lasting impact on his children.

As I reflect on fatherhood this month, here are just a few of the ways dads build up their homes:

• A dad’s words can be fueling and inspirational

• Hugs from a dad can be deeply comforting

• A dad’s smiles can instill joy and confidence

• Time with a dad can be fun and productive

• A dad’s physicality can be challenging

• A dad’s guidance can be life-changing and foundational

• Adventures with a dad can be exciting and memorable

Let your father or a father figure in your life know how much he matters to you. And if you are a dad, let us be the first to say - thank you. You are invaluable to the people who know and need you as well as the community around you.

Happy Father’s Day!

June 2023

PUBLISHER

Caitlin Agnew | caitlin.agnew@citylifestyle.com

EDITOR

Bree O’Brien | bree.obrien@citylifestyle.com

EDITORIAL COORDINATOR

Taylor Robinson | taylor.robinson@citylifestyle.com

ACCOUNT MANAGER

Max Baker | max.baker@citylifestyle.com

CONTRIBUTING WRITERS

Caitlin Agnew, Bree O’Brien, Joseph Altuzarra, Julio Rodriguez

CONTRIBUTING PHOTOGRAPHER

Jackson Krule

Corporate Team

CHIEF EXECUTIVE OFFICER Steven Schowengerdt

CHIEF SALES OFFICER Matthew Perry

CHIEF FINANCIAL OFFICER DeLand Shore

DIRECTOR OF SOCIAL MEDIA Mindy Hargesheimer

ART DIRECTOR Sara Minor

OPERATIONS DIRECTOR Janeane Thompson

WEB APPLICATIONS Michael O’Connell

AD DESIGNER Hunter Richie

LAYOUT DESIGNER Andi Foster

Scan QR code to visit our Instagram LIFESTYLE LETTER
LIFESTYLE LETTER
3:5-6 Learn how to start your own publication at: citylifestyle.com/franchise CITYLIFESTYLE.COM/BELLEVUE | Bellevue Lifestyle™ is published monthly by Lifestyle Publications LLC. It is distributed via the US Postal Service to some of the Bellevue area’s most affluent neighborhoods. Articles and advertisements do not necessarily reflect Lifestyle Publications’ opinions. No portion of this magazine may be reproduced in any form without written consent. Lifestyle Publications does not assume responsibility for statements made by advertisers or editorial contributors. Information in Bellevue Lifestyle™ is gathered from sources considered to be reliable, but the accuracy of all information cannot be guaranteed. BREE O’BRIEN, EDITOR @BELLEVUELIFESTYLE 8
Proverbs

First Founding Broker Mark von der Burg and Compass Celebrate 5 Years of Succes s in the Northwest.

WHY COMPASS?

“Compass enabled me to envision new possibilities for my business and reignited my passion for real estate. Their forwardthinking and technology-driven approach keeps agents equipped with the necessary support and tools to succeed in the modern real estate market. They foster a supportive and collaborative culture, making me feel part of a community rather than just an individual agent. I’m repeatedly impressed by Compass’s dedication to benefiting not just buyers and sellers, but also their agents, which has truly set them apart in this industry.”

vdbestates.com

FROM VISION TO REALITY
inside the issue The Gentlemen’s Issue JUNE 2023 DEPARTMENTS 8 Lifestyle Letter 12 City Scene 16 Business Monthly 18 Local Experiences 22 Inspired By ENTERTAINMENT 28 Athlete Life SPORTS + RECREATION 32 Fashion Forward STYLE + BEAUTY 38 Must See EDUCATION 40 Culinary Creations FOOD + BEVERAGE 42 Education Corner EDUCATION 44 Family Care ENTERTAINMENT 46 Back Stage LIFE + CULTURE 48 Events 50 Travel Journal TRAVEL 38 22 28 46 ON THE COVER Image by artist Lori Pacchiano FEATURED 22 Media Men Five industry notables share their knowledge and experience with Bellevue Lifestyle 28 Seattle, Forever Written by Seattle Mariner Julio Rodriguez 38 Meeting Students Where They’re At Gary Locke talks about his vision for Bellevue College 46 Being the Internet’s Dad An interview with the man whose online videos feel like a hug 10
Clyde Hill Water Views Discover the pinnacle of Northwest living in this exceptional Clyde Hill Home, crafted by Lochwood-Lozier 2261 95th Avenue Northeast, Clyde Hill, WA 98004 Offered at $7,468,000 5 BED | 5 BATH | 3-CAR GARAGE Compass is a licensed real estate broker and abides by Equal Housing Opportunity laws. All material presented herein is intended for informational purposes only. Information is compiled from sources deemed reliable but is subject to errors, omissions, changes in price, condition, sale, or withdrawal without notice. No statement is made as to the accuracy of any description. All measurements and square footages are approximate. This is not intended to solicit property already listed. Nothing herein shall be construed as legal, accounting or other professional advice outside the realm of real estate brokerage. @vdbcompass @vdbcompass @vdbcompass VDB Compass vdbestates.com Mark von der Burg First Founding Broker | Compass Washington VDB Estates Founder mark@vdbestates.com 425.882.8821 Your home. Our mission.

city scene

Where neighbors can see and be seen.

1: Jordan D. Schnitzer with Kate Casprowiak Scher, BAM Board Member 2: Jordan D. Schnitzer with Laura Dillaway, BAM Board Member
1 3 6 7 4 5 2
3: Jordan D. Schnitzer with Jay Pathy (left), BAM Board President and Joel Petersen (right), BAM Board Member 4: Bam Board Member, Rebecca Lyman(left) and BAM Board Secretary, Anne Kilcup (right) 5: Guests in BAM forum 6: Welcome by E Michael Whittington, Executive Director- BAM 7: Guests in BAM forum
JUNE 2023 CITY SCENE
12
Photography by Priyanka Parmanand
Want to be seen in the magazine? Tag your Instagram photos with @BellevueLifestyle 8 10 11 12 9 13 14
8: Robotics showcase at the event, which was April 1 at the Meydenbauer Center 9: Incoming District Superintendent, Dr. Kelly Aramaki speaks to the crowd. 10: BSF Trustees and Staff. Hundreds attended the event which had over 50 event sponsors 11: Pipa performance at the Bellevue Schools Foundation’s annual Spring For Schools fundraising event. 12: Attendees speaking with educators 13: Sparkling attendees at the “Under the Stars” themed event 14: Student speaker, Alayshia Blount
13 CITYLIFESTYLE.COM/BELLEVUE JUNE 2023
Photography by E.R. Womelsduff

business monthly

A round-up of exciting news from local businesses.

2023 Bellevue City Amateur is July 29-30

The 2023 Bellevue City Amateur takes place on July 29th and 30th at Bellevue Golf Course. This is the most prestigious amateur golf event on Seattle's eastside, with past champions including Fred Couples, Jeff Gove, and last year's champion (pictured), Kris Jackson. The tournament has three divisions and is open to all golfers with an active USGA handicap of 25 or below. Visit bellevuepgc.com to sign up.

Bellevue Chamber Annual Gala: Travel, Home & Away

Ain’t no party like a Chamber party — find out for yourself at the annual glamorous get-together celebrating all things Bellevue! This year’s gala theme is “Travel, Home & Away,” so expect to savor food, drink, games, and more based on exciting destinations, near and far. The Bellevue business community works hard, but who said we can’t party harder? Join us Thursday, June 8 at Meydenbauer Center for a night of fun and fundraising. bellevuechamber.org

Discover the Hidden Gem: BelRed Arts District

First recognized in 2009, the BelRed Arts District is evolving into a vibrant neighborhood that celebrates a diverse community and connects everyone through arts, culture and innovation. With over 60+ creative businesses in the area and the highest concentration of artists in Bellevue, the district is a treasure trove of experiences — We invite you to come explore our growing public art collections, see a performance, visit a gallery, create, rehearse and more.

BUSINESS MONTHLY JUNE 2023
Photography: Sean Packer Photography: Mike Nakamura Photography: “Canada Geese” by Raili Jänese
Scan to read more. 16

Eastside FC has added Bellevue-Based Teams

Eastside FC, the successful premier youth soccer club based in Preston, has reintegrated teams in the Bellevue area. Eastside FC’s overarching mission is to develop young athletes (U8 through U19) who are inspired to be champions on the field and in life. EFC is part of the Eastside Youth Soccer Association that was formed in 1970. Check them out today at eastsidefc.org. It’s a great time to play soccer!

Want to be featured?

Get in touch by heading over to our landing page to connect: CityLifestyle.com/Bellevue

Photography: EFC Media Team
17 CITYLIFESTYLE.COM/BELLEVUE JUNE 2023

local experiences

Grab your guys and plan a relaxed or adrenaline-induced day, weekend, or guys night out with any one of these local experiences.

Sounders

SEATTLE SOUNDERS: Cheer on Seattle's professional soccer team at Lumen Field and get excited for a future FIFA Club World Cup appearance. 800 Occidental Ave S, Seattle, Washington 98134

JOHN HOWIE STEAK: Comfortable surroundings, prime custom-aged steaks, side dishes that define culinary excellence and an award-winning wine list set this steakhouse apart. 11111 Ne 8th St Ste 125 Bellevue, Washington 98004

MARYMOOR PARK CONCERTS: Visit Marymoor Park for the annual summer concert series at the top-rated 5,000-person concert venue, nestled in the Willowmoor Farm historical district near Clise Mansion. 6046 West Lake Sammamish Pkwy NE, Redmond, Washington 98052

MUSTARD SEED GRILL & PUB: Delightful sports bar featuring four pool tables, flat screens, full breakfast, lunch, and dinner service, and the finest micro brews, wines and sprits. 5608 119th Ave SE, Bellevue, Washington 98006

THE GOLF CLUB AT NEWCASTLE: Capping 350 expansive, hilltop acres, it's the premier Pacific Northwest golf course and event destination. Featuring 36 holes of championship golf. 15500 6 Penny Ln Renton, Washington 98059

JUNE 2023 Seattle
Scan for more photos and the full list. LOCAL EXPERIENCES
Our Picks for The Man Clan best places and things to do in our area.
The
code and
on
18
Want to recommend a local experience? Scan the QR
message us
Instagram.
2029 2ND AVE. SEATTLE, WA 98121 T. 206.448.3309 E. info@alchemycollections.com WWW.ALCHEMYCOLLECTIONS.COM WWW.CAMERICHSEATTLE.COM
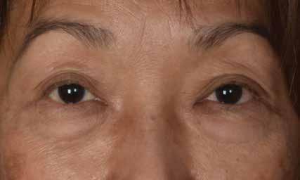
Dr. Wayne Larrabee, a double board certified surgeon specializing in facial rejuvenation for over 30 years. 600 BROADWAY SUITE 280 & SUITE 385 | SEATTLE, WA 98122 | WWW.LARRABEECENTER.COM @thelarrabeecenter | @larrabeecenter SEATTLE’S BEST IN FACIAL REJUVENATION • FACELIFTS • UPPER AND LOWER EYE LID SURGERY CALL US TODAY FOR A CONSULTATION 206.386.3550 BEFORE FACELIFT BEFORE EYE LID SURGERY AFTER FACELIFT AFTER EYE LID SURGERY
SELLING
2 2 2 8 T H A V E , K I R K L A N D S O L D F O R $ 3 , 5 9 0 , 0 0 0 C O - L I S T E D W I T H M A L I A H A S S 1 3 8 6 7 6 2 N D A V E N E , K I R K L A N D S O L D F O R $ 4 , 1 2 5 , 0 0 0 R E P R E S E N T E D B U Y E R 9 0 0 2 1 1 6 T H P L N E , K I R K L A N D S O L D F O R $ 2 , 0 6 7 , 0 0 0 R E P R E S E N T E D B U Y E R W H Y T R U S T U S 24 95% BUYER/SELLER REPRESENTATION YEARS OF COMBINED EXPERIENCE REFERRAL BASED 50/50 C a t h e r i n e & M c K e n n a F e r r e r a 2 0 6 5 7 9 1 0 7 7 & 4 2 5 8 9 1 1 9 5 5 c a t h e r i n e @ f e r r e r a t e a m . c o m m c k e n n a @ f e r r e r a t e a m . c o m
KIRKLAND

MEDIA MEN

FIVE INDUSTRY NOTABLES

SHARE THEIR KNOWLEDGE AND EXPERIENCE WITH BELLEVUE LIFESTYLE

News Anchor | Fox 13

HOW DID YOU GET STARTED WORKING IN THE MEDIA?

I met a sports anchor named Jim Rose when I was in sixth or seventh grade. He explained that he got paid to go to Chicago Bears and Bulls games and talk to Michael Jordan. I decided at that point to pursue a career as a sports anchor. Along the way I made the transition to news.

WHAT’S YOUR FAVORITE PART OF THE JOB?

Being on the news side of journalism, I have the opportunity to make a bigger impact on the communities we cover. Highlighting people and places that feel they don’t have a voice. Plus, no two days are ever the same in this business.

HOW DO YOU SEE YOUR INDUSTRY EVOLVING?

We have no control over the technological advances that will continue to change not just journalism, but all industries. TV will adjust as needed. But one thing that won’t change is authenticity. People watch who they trust and that helps with likeability.

WHAT ADVICE WOULD YOU GIVE THOSE WHO ASPIRE TO WORK IN YOUR INDUSTRY?

Get comfortable with being told no! This business is extremely subjective. It only takes ONE yes. When you get that opportunity, don’t take it for granted. Also, the importance of finding the right mentors. I wouldn’t be here if it weren’t for multiple people advising me over the years. Now I make it a point to help younger journalists carve their own career paths.

INSPIRED BY | ENTERTAINMENT
Courtesy of Fox 13
Brian Jackson
22

HOW DID YOU GET STARTED WORKING IN THE MEDIA?

I spent years working in retail, restaurants and tourism until I decided to follow my dream in my mid-twenties. I got a job in radio in my hometown of San Antonio, Texas in 2005. I worked at news/talk radio stations in San Antonio, Dallas and Phoenix before making the move to television in 2014.

WHAT’S YOUR FAVORITE PART OF THE JOB?

I love that every day brings a new challenge. No two days are ever the same. I also love that I get to collaborate with our brilliantly talented team on news stories that impact western Washington. Plus, because of what I do, I get to meet people from all over the country. I know how truly blessed I am to do what I do where I do it with the people I do it with.

HOW DO YOU SEE YOUR INDUSTRY EVOLVING?

Local television is being forced to evolve as people continue to “cut the cord” and move to streaming services. Media companies are creating new platforms where their content can be found. However, I believe as media companies continue to consolidate, resources could dwindle and become regionalized, negatively impacting smaller local communities.

WHAT ADVICE WOULD YOU GIVE THOSE WHO ASPIRE TO WORK IN YOUR INDUSTRY?

I would tell anyone thinking about getting into broadcast journalism to really think about what you’re getting into. You’ll likely have to start by moving to small-town America. You’ll have to work holidays. People will think negatively about you and what you do. Plus, the pay isn’t wonderful. That said, a free press is essential to democracy and people who are committed to seeking the truth are needed now more than ever.

Steve Soliz News Anchor | King 5
CONTINUED > 23 CITYLIFESTYLE.COM/BELLEVUE JUNE 2023

HOW DID YOU GET STARTED WORKING IN THE MEDIA?

From the time he was a kid in Philadelphia - which he calls “a great sports town” - Sims aspired to work as an announcer, and started his path as a newspaper writer. In college he interned at the Philadelphia Inquirer, and post-graduation went on to work at the New York Daily News as a sportswriter. From there Sims gained a wealth of experience in the media, working in anchoring, producing, hosting a radio talk show, announcing for Temple University, and then ESPN - which he says opened up significant opportunities.

WHAT’S YOUR FAVORITE PART OF THE JOB?

“Adding to the excitement of a game, and hearing the roar of the crowd,” says Sims. He says he loves announcing baseball, football, and basketball games equally, as favoring one “would be like choosing which one of your children you love the most.”

HOW DO YOU SEE YOUR INDUSTRY EVOLVING?

Technology has been a big help, but Sims emphasizes, “You’re always telling a story. There are better ways to deliver the product than in the past, but the essence of storytelling doesn’t change.”

WHAT ADVICE WOULD YOU GIVE THOSE WHO ASPIRE TO WORK IN YOUR INDUSTRY?

“The Golden Rule is always in effect,” Sims says. “And work hard. Show up early, stay late, ask questions and listen to others’ experiences.” He says there are hundreds of people who he’s looked up to as mentors or inspirations over the years, and names Curt Gowdy, Bill Campbell, Charlie Jones, and Tom Brookshier among them.

INSPIRED BY | ENTERTAINMENT
Television Play-By-Play Announcer | Seattle Mariners
Dave Sims
*As told to Bree O’Brien
“And work hard. Show up early, stay late, ask questions and listen to others’ experiences.”
24
Credit: Ben VanHouten/Mariners

HOW DID YOU GET STARTED WORKING IN THE MEDIA?

I wanted to be a journalist from the time I was in high school and was always interested in the news. After getting my journalism degree from Ball State University, I worked as a reporter at a small daily newspaper in Ohio. I had several reporting jobs (covering everything from crime to government to business), until landing at the Dayton Business Journal . I had just about every newsroom position and was Editor-in-Chief for 12 years, then Market President and Publisher for four years before moving into the same role at PSBJ over a year ago.

WHAT’S YOUR FAVORITE PART OF THE JOB?

Meeting many new people all the time; learning about their stories and backgrounds is fascinating. It keeps things interesting and has made my family’s transition to the Seattle area much easier. We bought a house in Kirkland, and I’ve already met so many people through work who are from the Eastside. Our industry is about relationships, whether it’s sources for reporters or clients for sales reps. We do two or three dozen events annually and doing them in-person now is so much fun.

HOW DO YOU SEE YOUR INDUSTRY EVOLVING?

It’s critical to be attuned to your audience and deliver what they want from your news organization. Each media outlet has its own unique role and to continue to thrive you must stay true to your mission. The industry is diversifying from a revenue standpoint, as ad dollars and subscriptions no longer pay all the bills. Finding new revenue streams will be vital for every media organization to continue operating in a way that serves the needs of the public.

WHAT ADVICE WOULD YOU GIVE THOSE WHO ASPIRE TO WORK IN YOUR INDUSTRY?

Never forget why you chose this profession. Always stay true to your ethics and put the reader first and you will be very successful in the end.

CONTINUED > 25 CITYLIFESTYLE.COM/BELLEVUE JUNE 2023
Credit: Alex Shiu

HOW

DID YOU GET STARTED WORKING IN THE MEDIA?

My first published content was a letter to the editor in the sports section of The Oregonian , opining about my beloved Portland Trail Blazers. It was so exciting to flip through the physical newspaper and see my byline. Then I was an editor at my high school and college newspapers. One summer in college, I interned for MLB.com, covering the Seattle Mariners. It was an absolute blast. After graduating from the UW — go Dawgs! — I joined GeekWire in 2012 as its first full-time reporter.

WHAT’S YOUR FAVORITE PART OF THE JOB?

Interacting with some of the smartest and most successful people in our region. We interview leaders across industries and share their insights with our readers. We apply those lessons to our own work at GeekWire as well. I also appreciate the responsibility we have to provide readers with information that impacts their lives, particularly as technology plays a larger role in our world.

HOW DO YOU SEE YOUR INDUSTRY EVOLVING?

Readers will continue to value news, but how they consume and pay for information will change. Media outlets should focus on growing a loyal following and staying abreast of news consumption trends. I’m optimistic about technologies like artificial intelligence that can help us do our jobs more efficiently. At the end of the day, “content is king” — readers keep coming back for relevant and valuable information, regardless of medium.

WHAT ADVICE WOULD YOU GIVE THOSE WHO ASPIRE TO WORK IN YOUR INDUSTRY?

Read and write as much as you can. Read top news outlets covering your interest areas. Find the best reporters and read their work. Start writing. It can be a blog, a newsletter, freelancing — just get more reps. If you’re looking to join a media outlet, you’ll need some “clips” to show the quality of your work. Plus, you’ll learn how to use publishing and production tools that may be valuable at a future job.

INSPIRED BY | ENTERTAINMENT
| GeekWire
26
Credit: GeekWire Photo / Kevin Lisota

ESCAPE TO PRO CLUB

The Northwest’s Premier Spa Destination

From the most luxurious experiences to breakthrough antiaging treatments with expert providers, PRO Club’s awardwinning Spa and Medical Spa offer the ultimate in looking and feeling your best. OPEN TO THE PUBLIC.

THE VERY LATEST:

TWO AWARD-WINNING SPAS. ONE UNFORGETTABLE LOCATION. 4455 148th Ave NE Bellevue 98007 | proclub.com | (425) 885-5566 BEST FACIAL BEST
PEDICURE
RELAX & REJUVENATE • Laser
MANICURE BEST
BEST MASSAGE AND MORE!
technologies • Injectables • Body contouring • Women’s wellness • And more!
AGE GORGEOUSLY

Seattle, Forever

AN EXCERPT FROM THEPLAYERSTRIBUNE.COM, WRITTEN BY SEATTLE

I know I’m not the first Dominican player to have made it to the big leagues like I did. There have been plenty before me, and there will be plenty after me. But you know what we all have in common? At some point, as young men, we just had to jump — we had to trust in those around us. Our parents, brothers and sisters, cousins, friends, friends of friends. Anyone. We had to hope that they had our best interests at heart. Because it takes a village to make a ballplayer in the Dominican. I saw kids like me, kids with real talent, get lost along the way because they didn’t have the right people around them. But I was lucky. I had my dad. He was a ballplayer back in the day, and I think that’s where my passion for the game comes from.

And my mom made sure I treated everybody well and played the right way.

They helped me see people for who they really are. And when I was considering my options for coming to America, I wanted to be around  good  people. The more time I spent talking with the Mariners, the more I started to feel something really special growing. In one of our conversations, they said something that really stuck with me: “We don’t want you to be anything other than the guy that you say you’re going to be.” They looked at me, a 16-year-old kid, and put their faith in who  I  thought I could be. That’s trust. You get me?? That’s trust

“When you find something good? Something you love? Hold on to it. Don’t let it go. And I love Seattle. It’s home. I feel embraced here, and I know how this city treats people who give their all.”

ATHLETE LIFE | SPORTS + RECREATION
28

So I just let myself be me. That’s what I tried to do the whole year. That’s what I felt like Seattle wanted me to do. And when it got tough, and there were bad stretches, I just had to trust in myself — in those around me. As a rookie, you know, you come into the show with some personal goals, right? You want to stay up in the bigs, you want to prove to everyone who helped you that you can do it, all of that. But I’d be lying if I said everyone in our clubhouse wasn’t thinking about the drought in March, in April, in May. We wanted to break it so bad.

And that became all I wanted. I felt a part of something that connected generations of Mariners fans. I’d come out to the stadium each day and I’d see that look on their faces, that desire to see a good ballclub. That became a part of me. And all the guys in our room, too.

People ask me all the time about what our fans are like, or what the stadium was like during the playoff run. I’m not going to sit here and tell you about how they’re the “loudest” or the “craziest” or whatever. It’s not about that. I’ve been in the league for a year. Mariners’ fans are all I really know. Yeah, we went to some loud parks and all that, but it’s different when you’re a visitor. All I can tell you is that there’s an emotional connection at our park that you just have to experience to really understand. Coming out onto the field for big games…. Man, I would just get this  feeling. It would start in my ankles, up my legs, through my back and then just BAM — this bolt of energy through my body. And I’d take that

and I’d run with it all night. I’d look around the park … and it just felt like, I’m supposed to be here.

I was in the back of Ruth’s Chris Steakhouse with my agent at the end of August, and that’s what I was thinking about. That energy. He was telling me about the contract, about all the details, and I just wanted that energy, forever. I’ll be honest, I never thought twice about another club or a future anywhere else other than Seattle. I don’t care if people believe it. The Mariners took a chance on me all those years ago. They let me be  me.  Other clubs had their opportunity. I was still Julio back then. Seattle just saw it before everyone else. I’ll always appreciate that. And another thing: I’m  happy here. Every time I’m at the ballpark, every time I’m walking around the city, every time I look at the Space Needle and remember  The Jetsons cartoons I used to watch on the living room floor — I’m reminded how happy I am here.

I think people sometimes get so lost trying to get more and more and more. And that’s not to say I don’t want to get better, or help the team get to late October baseball — that’s my biggest goal.

But, man…. When you find something good? Something you love? Hold on to it. Don’t let it go.

And I love Seattle.

It’s home.

I feel embraced here, and I know how this city treats people who give their all.

For full story, visit  www.theplayerstribune.com/ posts/julio-rodriguez-mlb-baseball-seattle-mariners

29 CITYLIFESTYLE.COM/BELLEVUE JUNE 2023
Drawing by artist, Lori Pacchiano

Local Content. Local Reach.

- YOUR CHOICE FOR LUXURY LIVING ON THE EASTSIDE -

YOU’RE READING THIS AD. SO IS YOUR BEST CLIENT. BELLEVUE LIFESTYLE AND KIRKLAND LIFESTYLE PROVIDE THE HIGHEST DIRECT MAIL CIRCULATION OF ANY MAGAZINE IN BELLEVUE AND KIRKLAND, OFFERING AN UNBEATABLE WAY TO REACH YOUR CORE AUDIENCE AND MAINTAIN BRAND AWARENESS. CONTACT US TO LEARN MORE ABOUT OUR MULTI-MARKETING PLATFORM, INCLUDING DIRECT MAIL, ONLINE AND SOCIAL MEDIA.

For more info:

@BellevueLifestyle
IN A WORD: KidsQuest Children’s Museum is a 501(c)(3) non-profit organization. Summer memories, here we come! Visit us for KidsQuest Summer Nights Explore the Museum afterhours on Fridays and Saturdays, with special guests and fun activities. Starting Friday, July 7. Playful. kidsquestmuseum.org · FOOD & WINE EVENTS · PRIVATE CHEF SERVICES · CATERED EVENTS · MEAL PLAN SERVICES 206.825.2030 2468culinary.com CHECK OUT OUR WORK CHEF JOHN E. THOMPSON REDEFINING THE PRIVATE CHEF 31 CITYLIFESTYLE.COM/BELLEVUE JUNE 2023

FEATURED DESIGNER: JOSEPH ALTUZARRA

In his own words, before his runway show presented by Nordstrom at the Seattle Art Museum Supporters Spring Into Art event

TELL US A BIT ABOUT YOUR YOUTH; WHEN DID YOU FEEL A SPARK THAT WOULD LEAD YOU INTO DESIGN?

I was born and raised in Paris, and lived there until I was 18. My mom is Chinese-American and my dad is French, so I grew up in a very multicultural household. From a young age, I was fascinated by the transformative power of clothing and how clothes can make you feel empowered, confident.

FASHION FORWARD | STYLE + BEAUTY
Fall Winter 2023 Collection, shot by Filippo Fior / GoRunway.com Fall Winter 2023 Collection, shot by Filippo Fior / GoRunway.com
CONTINUED > 32
Fall Winter 2023 Collection, shot by Filippo Fior / GoRunway.com
33 CITYLIFESTYLE.COM/BELLEVUE JUNE 2023
Joseph Altuzarra, photo credit: Su Mustecaplioglu

YOU STUDIED ART HISTORY AT SWARTHMORE, HOW DID THAT EDUCATION INFLUENCE YOUR CAREER?

Studying art history shaped my understanding of the role that fashion plays in the broader cultural landscape. I developed an appreciation for the way that clothing and style can be used as a form of self-expression and as a reflection of the cultural values and trends of a particular time period. I was particularly drawn to the work of artists and designers who challenged traditional notions of beauty and gender.

WHAT INFLUENCES SHOW UP IN YOUR DESIGNS AND PROCESS?

As a designer, my designs and creative process are influenced by a wide range of sources. I draw inspiration from everything from art and architecture to film and music, and I’m always seeking out new ideas and perspectives that I can incorporate into my work. It is really an extension of me and what I am interested in at the moment.

One of the key influences on my designs is my multicultural background. This unique cultural perspective has given me a deep appreciation for the beauty and diversity of different cultures, and it often shows up in my designs through the use of rich colors, intricate patterns, and unexpected details.

Another major influence on my work is my love of nature. I often incorporate natural elements into my designs, such as floral prints or earthy tones, and I’m constantly inspired by the way that nature can be both beautiful and powerful.

I work closely with my team to develop each collection, and I’m always open to feedback and new ideas. I’m also very focused on the fit and feel of each garment, and I’m constantly experimenting with new

fabrics and techniques to create clothing that is both beautiful and comfortable to wear.

YOU’RE THE FEATURED DESIGNER AT THIS YEAR’S SAMS SPRING INTO ART EVENT, WHAT DOES THAT PARTNERSHIP WITH SAMS AND NORDSTROM MEAN TO YOU?

I am so honored to be the featured designer at this special event. Nordstrom is such a valued partner for the brand, so when the team brought the opportunity to host a fashion show in partnership with SAMS at the Seattle Asian Art Museum, I was excited to be able to participate in an event that not only supports the arts but also supports Asian history and tradition. I am so happy to be able to collaborate in this way.

HOW IS YOUR WOMEN’S MAIN LINE CONTINUING TO EVOLVE? WHAT CAN WE EXPECT TO SEE IN THE LATEST DESIGNS?

Ultimately, my goal as a designer is to create clothing that empowers and inspires women, and I’m constantly striving to push the boundaries of what’s possible in terms of design, craftsmanship, and innovation. I am really excited for you all to see the exciting projects we have coming up – stay tuned!

AS YOU CONTINUE TO EVOLVE AS A DESIGNER, WHAT DO YOU ASPIRE TO ACHIEVE IN THE COMING YEARS?

I am truly so grateful to be able to do what I do and work with incredible people. I hope my curiosity about the world will continue to inspire me and my future collections. I feel Altuzarra as a brand has really hit its stride and I am excited to see the journey on which it leads us.

FASHION FORWARD | STYLE + BEAUTY
34
“I draw inspiration from everything from art and architecture to film and music, and I’m always seeking out new ideas and perspectives that I can incorporate into my work.”
IF YOU ARE READING THIS... SO IS YOUR BEST CLIENT. 2 OUT OF 3 of our readers regularly purchase from our ads. ADVERTISE WITH US. LEARN MORE AT CITYLIFESTYLE.COM/BELLEVUE lifenlight co H E A D S H O T S b y l i f e n l i g h t s t u d i o s MORE INFO: 35 CITYLIFESTYLE.COM/BELLEVUE JUNE 2023
We are fully licensed, bonded insured for your protection! 425.408.0449 | www.pinkchainsaw.com Specializing in: +Tree Removal +Tree Trimming +Tree Maintenance +Tree Thinning +Stump Grinding 206-529-7535 www.pivotmovementstudio.com New Client Introduction Special 2 PRIVATE SESSIONS $99 M O D E R N C L I N I C Custom Braces & Clear Aligners C L E A R A L I G N E R S , L I N G U A L B R A C E S T E E T H W H I T E N I N G & B O T O X www.porth.io | 425.526.2060 PORTH | Personalized Orthodontics Rooz Khosravi, DMD, PhD, MSD 36

The Matthews Group

Advice you can trust starts with a conversation

m.matthews@ubs.com

425-451-2350

UBS Financial Services Inc.

Private Wealth Management

225 108th Avenue Northeast Bellevue, WA 98004

Forbes America’s Top Wealth Management Teams

This Forbes rating is based on information from June of the prior year to June of the award year

We specialize in portfolio management, tax mitigation strategies, liquidity events, advanced planning and concentrated positions.

Matthews Director–Management

m.matthews@ubs.com

425-451-2350

advisors.ubs.com/thematthewsgroup

For more information on third-party rating methodologies, please visit ubs.com/us/en/designation-disclosures. As a firm providing wealth management services to clients, UBS Financial Services Inc. offers investment advisory services in its capacity as an SEC-registered investment adviser and brokerage services in its capacity as an SEC-registered broker-dealer. Investment advisory services and brokerage services are separate and distinct, differ in material ways and are governed by different laws and separate arrangements. It is important that you understand the ways in which we conduct business, and that you carefully read the agreements and disclosures that we provide to you about the products or services we offer. For more information, please review the client relationship summary provided at ubs.com/relationshipsummary, or ask your UBS Financial Advisor for a copy. UBS Financial Services Inc., its affiliates and its employees do not provide tax or legal advice. You should consult with your personal tax and/or legal advisors regarding your particular situation. Private Wealth Management is a division within UBS Financial Services Inc., which is a subsidiary of UBS AG. © UBS 2022. All rights reserved. The key symbol and UBS are among the registered and unregistered trademarks of UBS. UBS Financial Services Inc. is a subsidiary of UBS AG. Member FINRA/SIPC. CJ-UBS-626383130 Exp.: 12/31/2023

37 CITYLIFESTYLE.COM/BELLEVUE JUNE 2023

Meeting Students Where They’re At

Gary Locke still has a lot to do. Governor Locke stepped into the role of Interim President at Bellevue College in June of 2020 in the midst of a worsening pandemic. “I’ve always loved college campuses,” he says, “I took this job because I just find the college campus so stimulating.” What was intended to be a year-long tenure will end up being three years. The college recently announced the appointment of a new president after a nationwide search, but Locke isn’t done yet.

A nontraditional college president from outside academia, Locke recalls being brought on “during a time of controversy and upheaval,” and is proud of the calm and stability he helped bring to the institution. The COVID pandemic highlighted for him the uneven quality of online education, as schools across the country pivoted to virtual classes and he saw his own children’s frustrations. “The pandemic is forcing colleges and universities to adapt much faster than they would have otherwise,” says Locke.

MUST SEE | EDUCATION
GARY LOCKE SHARES HIS VISION FOR BELLEVUE COLLEGE
PHOTOGRAPHY
38
ARTICLE BY BREE O’BRIEN |
BY ALABASTRO PHOTOGRAPHY

He sees a future where a virtual mode of education is a larger part of the college equation, and feels it’s critical for Bellevue College to stand for high quality online classes. The college is the only one in the state to require specific training from a nationally recognized organization for eLearning faculty, so “If you take an online course at Bellevue College, you can be assured of the quality and design of that course.”

In addition, Locke has focused on making courses and student services easily available for nontraditional students. Nearly a third of Bellevue College’s students are 25-50 years old, and of those, about half work full time and about half have children. “How can courses be convenient for them? How can contact with faculty and advisors happen when it’s convenient for them?” asks Locke. While some of the college’s courses are asynchronous, Locke emphasizes that even then students should still have live connections with faculty, “There is no substitute for that kind of interaction.”

“Given the wide range of demographics that community and technical colleges serve, they must evolve to meet students where they’re at,” he says. “The goal of Bellevue College is to ensure all students achieve their educational goals. If the community college experience is cumbersome, confusing, unnecessarily inconvenient, and doesn’t offer courses when they need them, students will drop out. If the experience is too frustrating - then we lose them.”

Governor Locke is trying to speed up the transformation of Bellevue College toward these ends. He cites the outstanding faculty and programs at the school - both two and four year degrees. The Bachelor’s in Healthcare Management and Leadership is in the top ten programs of its type,

and is pursued by students as far away as the East Coast. Locke says, “We just need to be moving faster to meet the needs of our very wide student body.”

Complementing changes to improve the reality for students, Locke is trying to overhaul systems that serve employees as well. More training opportunities and improved performance metrics will maximize resources and benefit staff. Noting that tuition and reimbursements from the state don’t cover the cost of Bellevue College’s programs, Locke says “Government is different than the private sector - and we can’t run like the private sector - but we can be informed by business principles.”

While working to meet the needs of students and staff, Locke is also working to provide value for a third contingent - regional companies, many of which have huge workforce needs that lead them to recruit out of state or even out of country. Bellevue College wants to serve both local people who may be hired by these companies in the future, and loyal employees who need additional education so they can compete for higher level job opportunities at their current employer.

“We want Bellevue College to be the regional education partner of private companies and nonprofits, offering concierge and customized programs and services,” Locke says. “How do we offer a course with highly specific content that meets the needs of both employees and businesses? That might mean a four week course with twenty hours of specific instruction,” and Locke and Bellevue College staff partner with companies to determine what that looks like.

Governor Locke will be working hard at Bellevue College until his term is complete, and only then will he look to pursuing improvements to his golf game, doing the remodeling and re-landscaping he enjoys, and spending more time with family and friends.

39 CITYLIFESTYLE.COM/BELLEVUE JUNE 2023
“Given the wide range of demographics that community and technical colleges serve, they must evolve to meet students where they’re at.”

Southern BBQ Ribs

A SLOW SMOKED BACKYARD LABOR OF LOVE

This is a southern classic that I can remember watching my grandfather practice almost fifty years ago on his old Weber smoker. I never understood why a few bites of food took all day…I do now! Enjoy!

Dry Rub BBQ Ribs

Dry Rub Ingredients:

• 2 tbsp  salt

• 4 tbsp  sugar

• 2 tbsp  cumin

• 2 tbsp  black pepper -- freshly ground

• 1 tablespoon  crushed red pepper flakes

• 1 tablespoon  fennel seed -- freshly ground

• 1 tablespoon allspice -- freshly ground

Basting Sauce Ingredients:

• 1 cup white vinegar

• 1/2 cup apple cider vinegar

• 2 tablespoons chopped garlic

• 1 tablespoon fresh thyme leaves

• 1/2 cup brown sugar

• 1 tbsp  salt

• 1 tbsp  black pepper

Directions:

1. Combine all of the ingredients for the basting sauce and reserve until cooking. This can be made up to 5 days in advance.

2. Generously massage the dry rub onto the ribs and allow to marinate in the refrigerator overnight, or at least 12 hours.

3. Preheat your smoker to 225 degrees. Using a thermometer, monitor and maintain temperature to ensure that your ribs are cooked fully. Place the ribs in a standing rib rack and then into a preheated smoker for 5-6 hours while basting with the reserved sauce (every 45 minutes). The ribs should gently pull apart from the bone when done.

CULINARY CREATIONS | FOOD + BEVERAGE
2 ea  Pork ribs - St. Louis cut
ARTICLE AND PHOTOGRAPHY BY CHEF JOHN E. THOMPSON
40
Chef Bio: John E. Thompson is a Certifed Executive Chef and COO of 24X68 Culinary, a division of JET Setting Culinary Concepts LLC, a hospitality consulting, planning, and management organization.
Cafe Cesura coffee in bellevue est. 2011 Open daily for wine tastings JAINE.CO 14421 Woodinville-Redmond Rd NE Woodinville, WA 98072 41 CITYLIFESTYLE.COM/BELLEVUE JUNE 2023

The Cedar Park Christian Experience

IN HER

OWN WORDS, SENIOR

OLIVIA DECKER REFLECTS ON HER CPCS EDUCATION

WHAT ARE YOUR PLANS AFTER GRADUATION THIS YEAR?

I plan to attend college, most likely Biola University in Southern California, and study business. I’m looking forward to going to a faith-based school, creating a new community with similar values and playing intramural basketball. I am excited to start a new chapter of my life and meet new people even though I will miss my friends.

HOW DID YOUR EXPERIENCE AT CEDAR PARK CHRISTIAN PROVIDE A FOUNDATION FOR YOUR FUTURE PLANS?

The community here is really close-knit because it is a small school. The benefit is that it allows for a family-like atmosphere with students and teachers. You do life together: from mission trips to sports to daily classroom activities. I have known people here most of my life. The staff is relational and they care about your grades while also caring about each student personally. Throughout high school,

EDUCATION CORNER | EDUCATION

42
Photo credit: Jordan Shipley| Media Movement

I have learned to step out of my comfort zone, and be more social and try new things. I have been surrounded by people who encourage me to pursue what I love and stay consistent in my faith. This is a solid foundation and perspective I want to maintain for the rest of my life.

WHAT WAS THE HIGHLIGHT OF YOUR CEDAR PARK CHRISTIAN EDUCATION?

While I’m going to miss the relationships with my teachers, coaches and friends, the memories that I have made with them will last a lifetime. A highlight I have had here at CPCS was Missions Week, where we took time off of normal “school learning” and focused on serving the underprivileged with teachers and community. I was able to travel with a group to Ireland and the experience was very impactful. Through this experience, I grew in my faith and deepened friendships with my leaders and classmates. It was educational in that we practically applied what we had learned. This highlight in my time at CPCS was transformational.

WHAT ADVICE WOULD YOU GIVE A NEW STUDENT JUST STARTING OUT AT CEDAR PARK CHRISTIAN?

Take time to talk and get to know the teachers. Find a trustworthy group of friends that share your same values and build you up. People are welcoming and helpful, and most everyone fits in right away. There are always people waiting to meet you and your experience as a student will be more enjoyable once you find people to do life with.

Olivia Decker, photo credit Dan Lao Photo
43 CITYLIFESTYLE.COM/BELLEVUE JUNE 2023
Photo credit: Jordan Shipley| Media Movement

MAKE AN IMPACT FOR DAD

Memorable Ways to Celebrate The Father Figure in Your Life

What do you buy for the man who has everything? Perhaps an experience oriented around what dads value most – time together – is just what he needs. Fathers and father figures are invaluable in our lives. They help shape and mold us. They’re there for us and support us. If you haven’t already planned something special, take a look at our list of ideas and circle your favorites. If you have kids, let them join in the fun too!

Whether you decide to spend a day at home or enjoy a day on the town, these innovative celebration ideas will include fun for the whole family and make Dad feel loved. Whatever activity or surprise you land on to show your dad, husband, brother or father figure your appreciation for all they do, the most important thing is that you all get to spend some quality time together.

LEARN ABOUT HIS FAMILY TREE

Family heritage websites can offer insight into dad’s past and be an interesting way to study the history of your family. Present Dad with a report on his ancestors or dig in together!

GO ON A BIKE RIDE

Find a local trail you haven’t tried before, load up the bikes and set out for a day of riding. Finish off the day with a nice meal out after all your hard work.

GO BIRD WATCHING

Lay out a blanket in your backyard and grab your binoculars for a peaceful, nature-filled day. Make a list of how many different kinds of birds you see and guess if you can identify them.

MAKE A TIME CAPSULE

Dig a hole in your backyard and have Dad help the kids gather items around the house (like a current newspaper or flyers) and put them in a waterproof bag.

04 02 05 03
GO BOWLING
FAMILY CARE | ENTERTAINMENT 44
Bowling is a timeless classic Dad is sure to enjoy. Bonus if the bowling alley has an arcade, chicken wings and Dad’s favorite beverage of choice.
01
Inspiration for your best local life. Exclusive giveaways. Hidden gem alert! Local content by local creators. Good news happening right in your neighborhood. BELLEVUE LIFESTYLE ™ STAY CONNECTED TO YOUR COMMUNITY FOLLOW US ON INSTAGRAM SCAN TO CONNECT ALL THINGS BEAUTY FOR PEOPLE OF ALL COLORS. TREATING ALL AGES AND GENDERS. www.skinbygrace.com | V @inclusiveaestheticsbellevue 40 Lake Bellevue Drive Suite 101, Bellevue, Washington 98005 206.422.5520 NEW CLIENTS GET $50 DOLLARS OFF FIRST SERVICE of treatments above $150 We want to provide you with excellent service and care with aesthetic services and products, to help everyone feel confident and love the skin they are in. 45 CITYLIFESTYLE.COM/BELLEVUE JUNE 2023

BEING DAD ON THE INTERNET

Bellevue Lifestyle connected with the man whose online videos feel like a hug

Rob Kenney is an internet sensation. The man behind @DadhowdoI on YouTube (Over 4.5 million subscribers) and on Instagram (125K followers) grew up in Bellevue as the seventh of eight kids. His dad left the family when Kenney was 14 years old, and the kids had to fend for themselves. Reflecting on his own struggles as a youth, Kenney says “There can be a victimhood mentality - it sometimes feels good, but it doesn’t get you anywhere. You can learn from your past, but it’s not helpful to drag the past into your future.”

Channeling his own life experience, Kenney decided to make videos demonstrating skills that many fathers teach their kids, but other kids miss out on. With help from his daughter, and the blessing of his son, Kenney started posting the videos online.

Kenney’s content is a light in the darkness of the internet. Featuring lessons like how to change a tire and how to fish, he says “I thought

I was just going to be showing people how to do things in a calm way, but sometimes people are crying watching me tie a tie.” The empathy and earnestness Kenney displays in his videos touch people all over the world. He’s had viewers leaving comments from Kuwait, South Africa, Brazil, the Philippines, and more.  Some of the comments can be “a little heartbreaking,” as people confide their own struggles and fatherlessness. He is particularly touched by the stories of foster kids aging out of the system, and hopes to shine a light on the challenges they face.

As followers have enjoyed his cooking videos because they like the feeling of “hanging out” with him, Kenney plans to do a travel series that allows people to do just that as he explores New York and Turkey. He tries to help people with his videos, and despite his newfound fame, “I’m just a normal guy,” Kenney says, “and my family means more to me than anything in the world.”

BACK STAGE | LIFE +
CULTURE
46
47 CITYLIFESTYLE.COM/BELLEVUE JUNE 2023

events

A curated selection of the most intriguing upcoming events in our area.

JUNE 2ND, 9TH, 16TH, 23RD, AND 30TH Gage Teen Art Studio at BAM

BELLEVUE ARTS MUSEUM, 510 BELLEVUE WAY NE BELLEVUE

4:00 PM

Teen Art Studio (TAS) is a free youth arts program for  teens ages 13-18. TAS offers 100% free weekly Friday evening drop-in sessions, where guest professional teaching artists facilitate each session and introduce a new subject and medium. Food and snacks provided in the BAM classroom. Contact Kathryn Reyes, Teen Programs Educator at kathrynr@bellevuearts.org or call 425.519.0754 for info.

JUNE 3RD

6th Annual Bulldog Ball

MEYDENBAUER CENTER, 11100 NE 6TH ST, BELLEVUE | 6:00 PM

This is our biggest event of the year and we can't wait! As in years past this is an adult only event, cocktail attire requested. Ticket prices include appetizers, dinner, beer/wine and a hosted bar. Tickets are $90 per person *OR* you can purchase the $115 per person "Bonus for Bulldogs" ticket. bulldoghavennw.org

JUNE 4TH

We Will Rock You classic rock concert

BELLEVUE HIGH SCHOOL

PERFORMING ARTS CENTER, 10416 WOLVERINE WAY, BELLEVUE | 4:00 PM

This show will focus on fun and high energy music of classic rock! Accompanied by a tight rhythm section, this show will get our audiences dancing! Join SKCC and the choirs of Bellevue High School as we travel back to hear music of the Beatles, Queen, ELO, and more. sno-kingchorale.org

EVENTS
JUNE 2023
LUTRON®
MAKE HOME AUTOMATION EASY TO USE AND EASY TO AFFORD! The safe and easy answer for hard-to-reach windows. Use the remote or control your entire home with a smart phone. • Amazon® Alexa, Apple® HomeKit™, Google® Assistant, Nest®, Sonos® and more — control your shades, lights, temperature and more from any mobile device by using the Lutron app •Program shades to automatically open and close for security and energy savings •No new wiring required Smart shades, smart lights, and smart thermostat integrate beautifully with your choice of smart home devices The
©2018 Budget Blinds, LLC. All Rights Reserved. Budget Blinds is a trademark of Budget Blinds, LLC and a Home Franchise Concepts Brand. Each franchise independently owned and operated. Call or go online today for your FREE smart home consultation 425-333-7800 | BudgetBlinds.com/Bellevue-wa Or stop by our showroom 8429 122 ave. n.e. Kirkland, WA. 98033 (Across from Starbucks)! Mon-Fri. 10-5 and Saturdays 10-3 48
North America’s #1 provider of custom window coverings and the most established name in smart home technology team up to give you total smart home integration.
AND BUDGET BLINDS®
Lutron App controls shades, lights and temperature

JUNE 8TH

AquaFirme Scalp Rejuvenation Event

ROOT HAIR INSTITUTE, 1800 116TH AVE NE, SUITE 102, BELLEVUE | 5:00 PM

This will be a great opportunity to learn about this amazing technology and for the chance to WIN our GRAND PRIZE of $1000 towards a treatment! Call 425-947-9485 to RSVP!

JUNE 18TH

16th Annual Fenders on Front Street car show

232 FRONT STREET NORTH FRONT ST N, ISSAQUAH | 8:00 AM

This Father’s Day, hundreds of classic and vintage car owners from across the state will proudly show their vehicles along Front Street in historic downtown Issaquah. The car show is free to attend with a suggested donation of $20.00 per family.  The classic car show begins at 8:00 am and runs until 3:00 pm. Motorcycles are also welcome! fendersonfrontstreet.com

JUNE 27TH

Bellevue Repair Fair

BELLEVUE LIBRARY, 1111 110TH AVE NE, BELLEVUE | 3:00 PM

At this free community repair event at the Bellevue Library, our skilled "fixers" will try to repair and mend household items and clothing! No reservations or appointments, but an advance sign-up gives priority over walk-ins or second items. One signed-up item per person. Contact event coordinator Tom at  tom.watson@kingcounty.gov or at 206-4774481. KCecoconsumer.org

Want to be featured?

Get in touch by heading over to our landing page to connect: CityLifestyle.com/Bellevue

BELLEVUECLUBHOTEL.COM | 425.688.3382 stay well. 49 CITYLIFESTYLE.COM/BELLEVUE JUNE 2023

Road Trip: Central Oregon

My family and I recently road-tripped from Bellevue to Central Oregon, and enjoyed the drive packed full of gorgeous scenery and amazing things to do. Notable sights along the way include Olympia, Portland, Keechelus Lake, Mt. Hood National Forest, Warm Springs Reservation, Redmond Caves, Yakima River and Goldendale.  With so many fun things to explore in Central Oregon; here are a few suggestions to get your planning started.

1/ Stay

Rated one of the top hotels located in the heart of Central Oregon, FivePine Lodge & Cabins is a unique and romantic destination.  36 modern craftsman-style cabins and 8 lodge suites are situated amidst a sprawling pine forest.  Experience the feel of an intimate bed and breakfast, while also indulging in resort like amenities.  Plan a day of adventure in the great outdoors and top it off with a relaxing spa treatment at the end of the day.  www.fivepine.com

2/ See

Hayden Homes Amphitheater is an outdoor riverfront venue built in the historic Old Mill District.  Named one of “America’s coolest venues” by Travel + Leisure, the amphitheater regularly draws music’s biggest acts. The summer concert lineup usually starts over

Memorial Day Weekend and continues into the first week of October.  The Hayden Homes Amphitheater has become a destination for musicians and fans alike for its stunning natural beauty and intimate location right in the heart of Bend. www.bendconcerts.com

3/ Play

Tetherow has been repeatedly voted a Top 100 course in the USA by Golf Digest.  It boasts an 18-hole championship semi-private course with a distinctive layout by David McLay Kidd – the award-winning architect of Bandon Dunes and Castle Course in Scotland.  In addition to their golf course, the property also includes a 50-room boutique hotel, pool, three restaurants, 40 vacation rental homes, event pavilion, academy and various residential neighborhoods. https://tetherow.com

TRAVEL JOURNAL | TRAVEL
/ 1 / 2 / 3
Caitlin and her family at Hayden Homes Amphitheater
50
Central Oregon offers the perfect blend of recreation and sophistication.
The new Bentayga Hybrid. Serenity electrified. Find your extraordinary at Bentleyseattle.com 425-646-3111 13617 NE 20th St, Bellevue, WA, 98005 The name ‘Bentley’ and the ‘B’ in wings device are registered trademarks © 2022 Bentley Motors, Inc Model shown: New Bentayga Hybrid BENTLEY SEATTLE
Architect Scott Allen Architecture DESIGNER Stephne Johnson

Turn static files into dynamic content formats.

Create a flipbook