Bellevue, WA October 2023

Page 1

LIFE + CULTURE MEET ELAINA MORRIS OF ASCEND HOSPITALITY GROUP FOOD TRUCKS FOR EVERY TASTE

FOOD + BEVERAGE

ENTERTAINMENT COMING SOON TO BELLEVUE: NEW FOODIE ADDITIONS!

OCTOBER 2023

Kirkland

Max Rombakh MANAGING BROKER LUXURY MARKETING SPECIALIST CELL EMAIL 206.227.0737 MAXR@WINDERMERE.COM MAXROMBAKH.COM Enfort Homes presents, ‘Samsonite’ - This stunning, newly completed home, envisioned by McCullough Architects features exquisite detail + custom, high-end finishes.
2140201 $4.145MM | 11212 NE 103RD PLACE, KIRKLAND
MLS

Food & Drink

Welcome fall! With the changing seasons comes a change in what we are craving, and with fall that often means comfort food. October is our most delectable issue of the year, filled with some of our favorite dishes and beverages around town. We had the pleasure of sitting down with the chef at Ascend Prime Steak & Sushi, and learned about how he develops the menu - whenever you visit Ascend you know your taste buds are in for a treat! We also included a few fun spooky cocktail recipes for you to try at home, whether you're sipping alone or entertaining guests. The smells of fall bring memories to my mind of pumpkin patch visits, tailgating, and Halloween parties; and the aroma of cinnamon, apple, pumpkin, chili and soups of any kind brings me right back to those moments. There is definitely an art to creating a flavorful dish that not only satisfies our taste buds but evokes memories. The aroma of certain spices and foods can bring us right back to another time, which can be incredibly powerful and comforting. Food brings us all together, and whether we are sharing a meal with loved ones or enjoying a night out on the town, the time spent while enjoying food is invaluable. As always, thanks for reading, and we’ll see you around town!

October 2023

PUBLISHER

Caitlin Agnew | caitlin.agnew@citylifestyle.com

EDITOR

Bree O’Brien | bree.obrien@citylifestyle.com

EDITORIAL COORDINATOR

Taylor Robinson | taylor.robinson@citylifestyle.com

ACCOUNT MANAGER

Max Baker | max.baker@citylifestyle.com

CONTRIBUTING PHOTOGRAPHERS

Life N Light, Jesse Breiman, Kyle Johnson, Nicolette Martin

CONTRIBUTING WRITERS

Bree O’Brien, Sam Lage

Corporate Team

CHIEF EXECUTIVE OFFICER Steven Schowengerdt

CHIEF OPERATING OFFICER Matthew Perry

VICE PRESIDENT OF SALES Tiffany Slowinski

EXECUTIVE DIRECTOR OF HR Janeane Thompson

DIRECTOR OF FIRST IMPRESSIONS Jennifer Robinson

TECHNICAL DIRECTOR Josh Klein

CONTROLLER Gary Johnson

AD DESIGNER Hunter Richie

LAYOUT DESIGNER Andi Foster

Scan QR code to visit our Instagram LIFESTYLE LETTER
LIFESTYLE LETTER
3:5-6 Learn how to start your own publication at: citylifestyle.com/franchise CITYLIFESTYLE.COM/BELLEVUE | Bellevue Lifestyle™ is published monthly by Lifestyle Publications LLC. It is distributed via the US Postal Service to some of the Bellevue area’s most affluent neighborhoods. Articles and advertisements do not necessarily reflect Lifestyle Publications’ opinions. No portion of this magazine may be reproduced in any form without written consent. Lifestyle Publications does not assume responsibility for statements made by advertisers or editorial contributors. Information in Bellevue Lifestyle™ is gathered from sources considered to be reliable, but the accuracy of all information cannot be guaranteed. 8
Proverbs
Serving the Eastside
. Mark’s unparalleled dedication and years of real estate experience equip him with the expertise to represent your home in a class of its own. Partner with a trusted agent, reach out today. Mark von der Burg 425.882.8821 | vdbcompass.com
for Over 30 Years
inside the issue The Food & Drink Issue OCTOBER 2023 ON THE COVER DEPARTMENTS 8 Lifestyle Letter 12 City Scene 14 Business Monthly 16 Local Experiences 18 Hot Spot LIFE + CULTURE 24 Happy Hour WELLNESS 28 Culinary Creations LIFE + CULTURE 30 Local Limelight ENTERTAINMENT 34 Party Planning FOOD + BEVERAGE 38 Events 42 Eat Right FOOD + BEVERAGE 18 24 30 28 FEATURED 18 The Business of Making Memories The Ascend dining experience is something special - three leaders who shape that experience share why. 24 Meet The Waves: A new wine subscription service featuring the world’s best natural wines. 28 Team Lakehouse Chef Owner Jason Wilson and new Executive Chef Kevin Benner talk partnership. 30 Coming Soon to Bellevue Get excited for some fun new foodie additions! Photography: Life N Light Elaina Morris, Founding Partner & President/ CEO at Ascend Hospitality Group. 10

Select The Best For Selling Your Luxury Home

For a comprehensive look at our portfolio of homes, we invite you to explore our website at vdbcompass.com

MLS #2151887 MLS 2136097 MLS 2066534 MLS 2147161 MLS 2147237 West Of Market The Pinnacle Windsor Greens Bridle Trails
| 425.882.8821 | @vdbcompass
Lakemont
mark@vdbcompass.com

city scene

Where neighbors can see and be seen.

Want to be seen in the magazine?

Tag your Instagram photos with @BellevueLifestyle

1 3 6 7 4 5 2
1: Australian footwear brand FRANKIE4 hosted a party at W Bellevue to celebrate its recent Nordstrom launch. 2: Local content creators pose with event producer Sydney Mintle of Gossip & Glamour. 3: Fashion fans gather at W Bellevue to celebrate the launch. 4: In late July, local media, influencers, and fashion fans celebrated the summer launch of FRANKIE4 at Nordstrom. 5: Guests received swag bags with essentials including eye masks, body oil, FRANKIE4 floral shoelaces, and lip whip. 6: Stylist Sandy Koszarek and local content creator Amy Nguyen. 7: Trophy Cupcakes provided assorted sweet treats for the FRANKIE4 x Nordstrom event.
OCTOBER 2023 CITY SCENE
12
Photography by Vivian Hsu Photography

business monthly

A round-up of exciting news from local businesses.

Award-winning Senior Housing Operator Introduces New Experiences and Programs

Watermark Retirement Communities is now managing The Watermark at Bellevue, known previously as The Holden at Bellevue. Watermark will introduce its signature programming to the assisted living and memory care community, as well as a lifestyle built on choice, fine amenities and integrative wellbeing.  Construction is also underway on a new independent living building adjacent to the Watermark at Bellevue, which will bring 155 Independent Living apartments to the campus in 2024.

Lady M Opens Permanent Location in the Bellevue Collection

New York City-based luxury confections brand Lady M officially planted roots on the Eastside in August, opening the doors of its new permanent boutique in Bellevue Square. Visitors can stop by to pick up an assortment of Lady M’s iconic Mille Crêpes cakes and slices, including Tiramisu Mille Crêpes, Strawberry Swirl Mille Crêpes and Passion Fruit Mille Crêpes, plus the limited edition Moonglow Mid-Autumn Gift Set –available for preorder at LadyM.com

Submit Your Vote for "Best of Bellevue" by October 4

Who do you think represents the best of Bellevue? Bellevue Lifestyle Magazine wants to hear from you before voting closes on October 4, 2023. Do you have a favorite dentist, jeweler, or interior designer? Every vote counts, and anyone can win. Winners will be announced in our December 2023 issue. Visit  surveymonkey.com/r/ BestofBellevue2023 to let your voice be heard.

BUSINESS MONTHLY OCTOBER 2023
Photography: Watermark Retirement Communities Photography: Lady M
14

Bellden Cafe Launches Coffee Subscription Box and Book Club

The new boxes will fundraise for Bellden's Charity Partners: Subscribers will receive a bag of Coava’s Cascara Girls Coffee Beans, as well as a Charity Candle and seasonally flavored granola that are both made in-house by refugees. A book addressing a social cause will top the box so readers can come together to enjoy the Bellden Book Club. Buy a box or subscribe monthly to get these great gifts while supporting Bellevue’s neighbors in need!

Newly Renovated BGCB Lake Hills Clubhouse to Open in October

Boys & Girls Clubs of Bellevue will be opening the Lake Hills Clubhouse - located within a 1-mile radius of seven schools - in late October. Serving youth ages 6-18 years old, the updated space features a STEM and technology center, music room, and community room. It will continue providing essential services like academic support, workforce readiness, and internships. Boys & Girls Clubs of Bellevue will host a community opening event on October 31st.

2023 Eastside Leadership Conference - This Year's Theme: All things AI

The Eastside's premiere leadership event is back, this year with hyperlocal topics and top-tier panelists diving deeply into AI-related issues like: How will AI impact small businesses? Creatives? The hiring process? How can we use AI to benefit our cities? And what challenges should we anticipate in harnessing its capabilities? Hear from public officials, urban designers, engineers, chief executives, and more - on Thursday, October 5 at the Microsoft Conference Center. bellevuechamber. org/events for more info.

Photography:

Want

to be featured?

Get in touch by heading over to our landing page to connect: CityLifestyle.com/Bellevue

Photography: Tetiana Photography Photography: Courtesy of Boys & Girls Clubs of Bellevue Sam Jones/Bellevue Chamber
15 CITYLIFESTYLE.COM/BELLEVUE OCTOBER 2023

16

local experiences

The best places and things to do in our area.

The Seattle area is brimming with incredible food and drinks to indulge in and we’ve selected some top spots across the water that you must experience for yourself. Bon appétit and cheers!

Meliora

MONSOON SEATTLE: Since they first opened in 1999, Monsoon has been about marrying Vietnamese tradition to modern innovation using fresh, local ingredients from the Pacific Northwest. 615 19th Ave E, Seattle, WA 98112

TOMO: Serving eclectic fare and serious wine, Chef/owner Brady Ishiwata Williams’ menus are inspired by the heritages of the culinary team and feature ethically-sourced, seasonal ingredients.  9811 16th Ave SW, Seattle, WA 98106

MELIORA: Pair a New American-inspired menu centered on sustainability with a highly curated, complementary wine program focused on Pacific Northwest wines and you get this eatery. 534 15th Ave E, Seattle, WA 98112

FRELARD TAMALES: A Mexican restaurant specializing in handmade tamales including pork, chicken, vegan, and vegetarian options. 6412 Latona Ave NE, Seattle, WA 98115

MEESHA 127: Preeti Agarwal has has been bringing modern Indian cuisine to the Seattle dining scene by using local and fresh seasonal ingredients here since 2020. 127 N 36th St, Seattle, WA 98103

Want to recommend a local experience?

Our Picks for Foods to Feast On OCTOBER 2023
for more photos and the full list. LOCAL EXPERIENCES
Scan
Scan the QR code and message us on Instagram.

The Business of Making Memories

The Ascend dining experience is something specialthree leaders who shape that experience share why.

BY LIFE N LIGHT, EXCEPT AS NOTED

HOT SPOT | LIFE + CULTURE
PHOTOGRAPHY
18
Morris, Executive Chef Brandon Muehl, and GM Aaron Long.

When Ascend Prime Steak & Sushi burst onto the Eastside culinary scene in 2018, it was roundly applauded for the experience it provided - delectable food, incredible views from the 31st floor of Lincoln Square South, and the kind of service that keeps guests coming back for happy hours, brunches, and celebratory dinners alike. With several private dining rooms, beautiful cocktails perfectly mixed, and distinctive decor (like the five styles of tree roots adorning the main dining room), Ascend offers something special to each guest.

As Ascend approaches five years as a fine dining favorite, Bellevue Lifestyle visited the restaurant to hear from Elaina Morris, Founding Partner, President and CEO of Ascend Hospitality Group - of which Ascend Prime is the flagship. We also interviewed Executive Chef Brandon Muehl onsite, and later followed up with co-owner and hospitality expert Jeffrey Frederick.

ELAINA MORRIS

Morris is a dynamo; she grew up poor, “Soccer saved my life,” she says (and it’s why she serves on the board of local nonprofit Rainier Athletes) and career-wise she didn’t come up in the hospitality industry, instead cutting her teeth in technology services. Often tapped to lead new initiatives for big IT and telecom companies, she honed problem-solving skills and decided to become an entrepreneur. Morris founded WiggleWorks -  a soft-play, indoor playground for infants through preschool-age kids that became a true community asset. Staff there spoke a total of 14 languages, allowing diverse groups of parents to find connection there. As Morris says, “I’m a community connector. In my businesses, we serve the community that supports us.”

After selling WiggleWorks, Morris became involved with Famous Dave’s, which

she recounts had great product and people, but also a traffic problem. She helped them turn it around and bought a Famous Dave’s franchise in the Pacific Northwest. Shortly thereafter she met Jeffrey Frederick, Ascend Prime’s co-founder. Community is an important concept for Morris; both the internal AHG community, and the broader communities in which each of the AHG restaurants is located.

Now Morris “runs the business of the business,” managing the high-level operations elements necessary to the success of the nine AHG restaurants. She has a passion for developing people professionally, and strives to create space in the hospitality industry for lifelong chosen careers. “People often end up in the restaurant industry by accident,” says Morris, “and I want them to have the skills and opportunities to then choose their paths. I want to help people recognize

One of Chef Brandon’s creations. A Washingtonian cocktail - it's all about the presentation. Image courtesy of Ascend Prime Steak & Sushi
CONTINUED > 19 CITYLIFESTYLE.COM/BELLEVUE OCTOBER 2023
The Hive dessert. Image courtesy of Ascend Prime Steak & Sushi
HOT SPOT | LIFE + CULTURE
Elaina Morris.
20
Executive Chef Brandon Muehl.

“I’M A COMMUNITY CONNECTOR. IN MY BUSINESSES, WE SERVE THE COMMUNITY THAT SUPPORTS US.”

their own value.” When asked about the type of people she chooses to work with, Morris responds, “Are they entrepreneurial in spirit? In service is humility, are you more inclined to listen and learn than to speak?” In addition, employees can’t be afraid of change - restaurants are unpredictable and one must be prepared to pivot at any time.

Morris mentions U Ascend, a platform designed to provide training to move employees along the path to their professional goals with management support. Employees can bridge knowledge or experience gaps to move on to the next step in their careers. Morris says enthusiastically, “I get to watch my team develop, grow, and connect. And I’m developing such kick-butt leaders!”

Other development opportunities come through 31 Lives, which the Ascend Prime website describes as “a program designed to fund scholarships and internships for aspiring culinarians, as well as, contribute professional expertise and tools (pro-bono) to elevate culinary education in the Puget Sound.”

“This is a fun industry with great people. We need more people in this industry - we’re in the business of making memories.”

BRANDON MUEHL

Ascend Prime’s menu is developed by Executive Chef Brandon Muehl, and he always starts with seasonality. He creates different offerings using fruits, vegetables, and grains, then adds a protein that complements the produce. “Anything can be an Ascend dish,” says Muehl, “but it depends how it’s plated, garnished, and presented.” As an example, he mentions chicken and waffles. The concept seems simple, but it’s brought to an Ascend

standard with details that take the next step in fully developing the flavor profile. While a lot of hard work goes into being creative, “consistent execution is the real work,” says Muehl.

Favorite dishes to cook include the perfect steak - cooking, seasoning, and resting all flawlessly - and “a nice, crispy-skinned duck.” Muehl enjoys dining out himself, and can be inspired by a wonderful meal. In addition to Muehl, you’ll find an executive sous chef, sushi chef, pastry and banquet chefs, and more sous chefs in the Ascend kitchen. When Muehl is working on creating a new menu, he samples and critiques different dishes with the chef team. Jeffrey Frederick will visit for a major overhaul, and dishes are redeveloped and tweaked until they’re perfect. “I’ve been working with the current team for a while, and they really understand the complexities of flavor well,” says Muehl, “Everybody has a different understanding of the ingredients and flavors we’re working with.” The menu is overhauled four times a year, and collaboration is key. Each new menu takes a lot of devotion, time, and teamwork.

JEFFREY FREDERICK

Bellevue Lifestyle spoke to Las Vegas-based Jeffrey Frederick by phone, and he recounted that he and Morris became acquainted while working with a national restaurant group, and Morris clued Frederick in to the growing Eastside market. “Having been a restaurant guy all of my career, I did an evaluation and saw national and regional chains, and a few independent restaurants. I felt like Bellevue seemed to be leaning forward while also preserving the past. Steak and sushi seemed like a great opportunity to do something in a contemporary fashion, in an immersive environment.”

CONTINUED > 21 CITYLIFESTYLE.COM/BELLEVUE OCTOBER 2023

“Relaxed fine dining” was the objective for the Ascend Prime experience and there was significant demand for large group and private dining space in Bellevue as the restaurant was getting established. What started out as a very corporate-driven clientele with business lunches and big company events, evolved into more social groups post-pandemic. The fact that Ascend was such a large space allowed for the required six feet of space between tables as restaurants began to open back up, but “The pandemic forced some innovation differently for us because we had such a large footprint and were on the 31st floor,” Frederick recalls.

When asked how he knows when and how to keep evolving Ascend Prime, Frederick says, “I never take for granted that the voices of our customers are the loudest.” Staff has the autonomy to make decisions about how to serve guests, and nightly reports to go over that day’s happenings and guest and staff feedback are indicators that either validate what Ascend Prime is doing right, or provide insight into needed changes.

With the type of leadership that Ascend Prime has in place, and its commitment to guests and employees, Ascend will surely continue to be a special place for milestone celebrations or brunches with a spectacular view.

HOT SPOT | LIFE + CULTURE
The view from the 31st floor. Image courtesy of Ascend Prime Steak & Sushi Jeffrey Frederick. Image courtesy of Ascend Prime Steak & Sushi
22
A long bone engraved steak. Image courtesy of Ascend Prime Steak & Sushi

MEET THE WAVES:

Seattle-based The Waves co-founders, and President and CEO respectively, Andy Comer and Gaurav Tiwari met as fellow wine lovers. Comer, formerly GQ’s first-ever digital editor and a marketing executive for brands such as Nordstrom, entered the hospitality industry recently—earning Seattle restaurant Tomo a 2022 James Beard Award

nomination for Outstanding Wine Program as the founding Wine Director. Tiwari is an accomplished leader in tech and innovation who spent nearly a decade at Amazon, leading teams responsible for product development, technology, data science, and category management.

Three-time James Beard award winning winemaker and sommelier, Rajat Parr is a partner and advisor in The Waves, and Billy Smith serves as Chief Wine Officer: An innovative sommelier and advocate of natural wines, Smith’s work at The Four Horsemen in Brooklyn led the restaurant to win the 2022 James Beard Award for Outstanding Wine Program. Rounding out the team is Kat Odell as Editor-in-Chief: A celebrated journalist and author with over a decade of experience in lifestyle, food, and beverage media, and an industry-leading advocate for transparency to empower consumer choice.

HAPPY HOUR | WELLNESS
“Wines have been made naturally for 6100 years. It was only in the 20th century that these additives came into play for a variety of reasons,”
A new wine subscription service featuring the world’s best natural wines.
ARTICLE BY BREE O’BRIEN | PHOTOGRAPHY BY KYLE JOHNSON 24
Andy Comer and Gaurav Tiwari

All wines are hand-selected by this dream team, organically farmed, and free of 70+ additives that are currently allowed—without consumer disclosure—in the United States. “We’re like Spotify, for natural wines,” states Tiwari. “We are here to make shopping for wine more transparent, approachable, and fun.”

“We were shocked to learn that only 5% of the world’s vineyards are organic,” says Comer. “Consumers have a right to know about all these added ingredients, and they deserve a company that eliminates the noise and assures organic farming and quality product. Wines have been made naturally for 6100 years. It was only in the 20th century that these additives came into play for a variety of reasons,” he emphasizes. The additives are used to stabilize the wine, kill bacteria, sweeten the flavor, and enhance its appearance.

“Great wines are made in the vineyard, not the winery,” says Tiwari. The Waves offerings are curated to have a little something for everyone. “We created a brand where we have all the options for adventurous palates and traditionalists as well.” The Waves is fully digital and makes it fun and easy to find the perfect wine. A groundbreaking, personalized AI offers customized wine recommendations—à la Netflix. One can modify, skip a month, or cancel a subscription anytime.

“If you care about the choices you’re making, this is for you. Enlightened people who are ecologically, socially, and health-conscious, and want to make better choices” are who The Waves is for, say Comer and Tiwari. Find The Waves at thewaves.wine to check it out for yourself.

25 CITYLIFESTYLE.COM/BELLEVUE OCTOBER 2023

RE-DEFINE THE WAY YOU AGE

You can’t stop aging, but you can control it. As a 5-Star Center of Excellence, PRO Medical at PRO Club offers the most advanced regenerative treatments to help improve your energy, sleep and strength, increase mental clarity, regain intimacy and more. OPEN TO THE PUBLIC.

•Personalized Hormone Optimization

• Testosterone & Pellet Therapy

•Acoustic Wave Therapy for Erectile Dysfunction

•Advanced Nutritional Supplementation

•Genetic Testing

•IV Infusion Therapy, including NAD+ for cognitive function

•O-Shot® for Sexual Wellness

•diVa® Laser Vaginal Rejuvenation

•And more

PRO MEDICAL: THE NORTHWEST’S PREMIER AGE MANAGEMENT CENTER DR. JOE UPTON, BOARD-CERTIFIED ANTI-AGING PHYSICIAN SCHEDULE A CONSULTATION (425) 861-6290 4455 148th Ave NE Bellevue | promedical.com CENTER OF EXCELLENCE

A F A M I L Y B U S I N E S S T H A T ' S B E E N H E L P I N G

C L I E N T S B U Y A N D S E L L F O R O V E R

2 5 Y E A R S Y O U R L O C A L R E A L

E S T A T E E X P E R T S , T H E

F E R R E R A T E A M

K E N M O R E

$ 1 . 5 M

C a t h e r i n e F e r r e r a , M a n a g i n g B r o k e r

2 0 6 . 5 7 9 . 1 0 7 7 & c a t h e r i n e @ f e r r e r a t e a m . c o m

M c K e n n a F e r r e r a , R e a l E s t a t e B r o k e r

4 2 5 8 9 1 1 9 5 5 & m c k e n n a @ f e r r e r a t e a m c o m

E A S T O F M A R K E T $ 3 . 5 9 M
O U G
$
H
H T O N
2 . 1 8 8 M

TEAM LAKEHOUSE

CHEF OWNER JASON WILSON AND NEW EXECUTIVE CHEF KEVIN BENNER TALK PARTNERSHIP

Jason Wilson and Kevin Benner have known each other and worked together on and off for eight years, and are now paired again as of March 2023 at The Lakehouse Bellevue. Says Wilson, “Debbie (Friend Wilson, Jason’s wife and Lakehouse co-owner) and I had the opportunity to step away from the restaurant for a little bit, and I’d wanted to work with Kevin again for a while.”

Benner is from Bellingham originally, and spent some time in New York cooking at the Gramercy Park Hotel before returning to the Northwest. Known for an avantgarde approach to food, Benner says, “ I’ve spent my career learning and growing, and from that, creation happens. I cook with respect and gratitude, and try to honor ingredients by letting them be the best that they can be.” He raves about the produce grown locally, and feels fortunate to work with several new farms each year.

Wilson enthuses that, “What Kevin creates at the Lakehouse is in line with the ‘Bellevue ethos’. He has been able to take this food to another level, it’s very interesting and compelling.” To give an example, Benner explains the current in-house dry aging program at the restaurant. Having tweaked the settings in the temperature and humidity controlled environment to allow for steelhead to be dry aged, they were able to pull out a new flavor, and that steelhead dish was served through the summer.

“From my standpoint in my career, the team here is amazing, bringing their talent and creative ideas. It’s very much ‘Team Lakehouse’.” says Benner. Wilson responds that “Kevin has built a team that’s about telling a story, and this local chef-driven restaurant is from Bellevue. The Lakehouse is telling a story that’s unique to the Bellevue area.”

thelakehousebellevue.com

CULINARY CREATIONS | LIFE + CULTURE
The Lakehouse photo on page 10 by Jacob Steelquist. Jason Wilson, Chef Owner/Proprietor
28
Kevin Benner, Executive Chef.

The Matthews Group

m.matthews@ubs.com 425-451-2350

UBS Financial Services Inc. Private Wealth Management 225 108th Avenue Northeast Bellevue, WA 98004

Forbes America’s Top Wealth Management Teams

This Forbes rating is based on information from June of the prior year to June of the award year

We specialize in portfolio management, tax mitigation strategies, liquidity events, advanced planning and concentrated positions.

Matthews Director–Management

m.matthews@ubs.com 425-451-2350

advisors.ubs.com/thematthewsgroup

For more information on third-party rating methodologies, please visit ubs.com/us/en/designation-disclosures. As a firm providing wealth management services to clients, UBS Financial Services Inc. offers investment advisory services in its capacity as an SEC-registered investment adviser and brokerage services in its capacity as an SEC-registered broker-dealer. Investment advisory services and brokerage services are separate and distinct, differ in material ways and are governed by different laws and separate arrangements. It is important that you understand the ways in which we conduct business, and that you carefully read the agreements and disclosures that we provide to you about the products or services we offer. For more information, please review the client relationship summary provided at ubs.com/relationshipsummary, or ask your UBS Financial Advisor for a copy. UBS Financial Services Inc., its affiliates and its employees do not provide tax or legal advice. You should consult with your personal tax and/or legal advisors regarding your particular situation. Private Wealth Management is a division within UBS Financial Services Inc., which is a subsidiary of UBS AG. © UBS 2022. All rights reserved. The key symbol and UBS are among the registered and unregistered trademarks of UBS. UBS Financial Services Inc. is a subsidiary of UBS AG. Member FINRA/SIPC. CJ-UBS-626383130 Exp.: 12/31/2023

can
IN A WORD: Freedom to play and explore. KidsQuest Children’s Museum provides families with opportunities to experience the power of play and connect their experiences to the world around them. Playful. KidsQuest Children’s Museum is a 501(c)(3) non-profit organization. KidsQuestMuseum.org 206-529-7535 www.pivotmovementstudio.com New Client Introduction Special 2 PRIVATE SESSIONS $99 29 CITYLIFESTYLE.COM/BELLEVUE OCTOBER 2023
Advice you
trust starts with a conversation

COMING SOON TO BELLEVUE

GET EXCITED FOR SOME FUN NEW FOODIE ADDITIONS!

LEGION SPORTS BAR

Bellevue Lifestyle caught up with Leilani Wong, who owns the soon to open high-end sports bar with former Seahawks Richard Sherman and Kam Chancellor. Located in Bellevue at Lincoln Square, 700 Bellevue Way, Legion will feature an upscale bar setting that is welcoming and inclusive. “Elevated soul food” is on the menu, with Chef Reginald Jacob Howell at the helm. While the establishment takes its name from the Seahawks’ Legion of Boom, Wong is quick to point out that Legion is for fans of all the Seattle sports. “We are very excited about being a part of this community,” she says. Look forward to visiting Legion this fall!

LOCAL LIMELIGHT | ENTERTAINMENT
30
Kam Chancellor, Leilani Wong, and Richard Sherman sign a lease for Legion Sports Bar. Image courtesy of Leilani Wong.

MM BY MORIMOTO

MM by Morimoto, the eagerly anticipated restaurant opening in Bellevue, marks the beginning of an exclusive collaboration between Montclair Hospitality Group and world-renowned Iron Chef Masaharu Morimoto.

Slated to open later this year, MM by Morimoto is the first of many planned restaurants and concepts to emerge from the partnership between MHG and Chef Morimoto. The acclaimed Chef will continue to offer his signature classic concept Morimoto at the current locations and more, however, MM will represent a bold, new path that will showcase a modern interpretation of contemporary Japanese with an edgier ambiance and vibe.

31 CITYLIFESTYLE.COM/BELLEVUE OCTOBER 2023
Chef Morimoto. Image courtesy of Morimoto Management
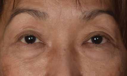
Dr. Wayne Larrabee, a double board certified surgeon specializing in facial rejuvenation for over 30 years. 600 BROADWAY SUITE 280 & SUITE 385 | SEATTLE, WA 98122 | WWW.LARRABEECENTER.COM @thelarrabeecenter | @larrabeecenter SEATTLE’S BEST IN FACIAL REJUVENATION • FACELIFTS • UPPER AND LOWER EYE LID SURGERY CALL US TODAY FOR A CONSULTATION 206.386.3550 BEFORE FACELIFT BEFORE EYE LID SURGERY AFTER FACELIFT AFTER EYE LID SURGERY
We are fully licensed, bonded insured for your protection! 425.408.0449 | www.pinkchainsaw.com Specializing in: +Tree Removal +Tree Trimming +Tree Maintenance +Tree Thinning +Stump Grinding 425.454.7076 | THELAKEHOUSEBELLEVUE.COM 10455 NE 5TH PL, BELLEVUE, WASHINGTON 98005 Breakfast | Brunch | Lunch | Dinner CHEF OWNED. CHEF DRIVEN. We offer an easy path to a confident smile www porth io | 425 526 2060 PORTH | Persona cs Rooz Khosravi, DMD, PhD, MSD Bellevue & Sammamish pick what matches your life syle! 33 CITYLIFESTYLE.COM/BELLEVUE OCTOBER 2023

Do The Monster Mash With These Fall-Focused Cocktails Perfect For Halloween Festivities

spook - tails

ARTICLE BY SAM LAGE | PHOTOGRAPHY BY NICOLETTE MARTIN

PARTY PLANNING | FOOD + BEVERAGE 34

• 2 ounces cachaça (Brazilian sugar cane rum, silver rum can be substituted)

• 1 ounce Galliano liqueur

• 1/2 ounce lemon juice

• 1/2 ounce brown sugar & cinnamon syrup

• 2 tablespoons pumpkin puree

• fresh nutmeg

Combine all ingredients except for the nutmeg in a shaker tin. Add ice and shake vigorously until sufficiently chilled and blended. Strain through a mesh fine strainer into a martini glass or other decorative glassware without ice. Shave fresh nutmeg over the top as a garnish and enjoy!

TOASTED MALLOW

• 1 1/2 ounces vodka

• 1 1/2 ounces chocolate liqueur

• 1/2 ounce Frangelico liqueur

• graham crackers

• marshmallows

Combine all ingredients except for the graham crackers and marshmallows in a shaker tin. Add ice and shake vigorously until sufficiently chilled and blended. Crush graham crackers in a plastic bag to make a fine powder. Coat half of a martini glass with your crushed graham crackers and strain your cocktail into the coated martini glass. Layer the top of the drink with marshmallows and toast with a crème brûlée torch. Enjoy!

PUMPKIN BRAIN PURÉE

CONTINUED > 35 CITYLIFESTYLE.COM/BELLEVUE OCTOBER 2023

• Milk

• Mint cocolate chip ice cream

• Halloween Oreos

• Gummy worms

Crush 5-8 Oreos inside a plastic bag. Layer the bottom of a glass with half of the crushed Oreos to make a nice base. Add 2-3 scoops of mint chocolate chip ice cream and fill the rest of the glass with cold milk. Add another layer of crushed Oreos to float on top. Finish with 2-3 gummy worms around the top and enjoy!

CANDY CORN BOURBON

• 2 ounces bourbon

• 1/2 ounce brown sugar & cinnamon syrup

• 2 dashes of orange bitters

• 5 candy corns

Combine all ingredients in a shaker tin. Muddle the candy corns inside the shaker tin, add ice and shake vigorously until sufficiently chilled and blended. Strain through a fine mesh strainer in an old fashioned glass over a large ice cube. Garnish with a piece of candy corn on top of the ice cube and enjoy!

DIRT + SQUIRMS (KID-FRIENDLY!)
PARTY PLANNING | FOOD + BEVERAGE 36
Inspiration for your best local life. Exclusive giveaways. Hidden gem alert! Local content by local creators. Good news happening right in your neighborhood. BELLEVUE LIFESTYLE ™ STAY CONNECTED TO YOUR COMMUNITY FOLLOW US ON INSTAGRAM SCAN TO CONNECT ALL THINGS BEAUTY FOR PEOPLE OF ALL COLORS. TREATING ALL AGES AND GENDERS. www.skinbygrace.com | V @inclusiveaestheticsbellevue 40 Lake Bellevue Drive Suite 101, Bellevue, Washington 98005 206.422.5520 NEW CLIENTS GET $50 DOLLARS OFF FIRST SERVICE of treatments above $150 We want to provide you with excellent service and care with aesthetic services and products, to help everyone feel confident and love the skin they are in. 37 CITYLIFESTYLE.COM/BELLEVUE OCTOBER 2023

H E A D S H O T S

events

A curated selection of the most intriguing upcoming events in our area.

OCTOBER 4TH-8TH

Jazz & Blues Music Series

MULTIPLE VENUES IN

DOWNTOWN BELLEVUE

The Bellevue Downtown Association is bringing together top talent for this event. Established in 2008, the previously named Bellevue Jazz & Blues Festival is a cultural and community event that attracts national artists, showcases regional talent and draws diverse audiences. Past featured artists include Branford Marsalis, Booker T. Jones, and Shemekia Copeland.

OCTOBER 7TH

Potlatch Fund 20th

Anniversary Gala

TULALIP GATHERING HALL, 7512 TOTEM BEACH RD, MARYSVILLE

Celebrate Potlatch Fund, the Community, Arts, and Culture. Join us on the lands of the Tulalip Tribes to uplift the past 20 years of Potlatch Fund, working to support our relatives in art, capacity, nonprofits, and building community. We look forward to seeing you there in celebration of the next 20 years!  pot latchfund.org/annual-gala-2023 for tickets and more info.

OCTOBER 7TH

Kelsey Creek Farm’s annual Farm Fair

KELSEY CREEK FARM, 410 130TH PL SE, BELLEVUE | 11:00 AM

For over 40 years, this event has provided unique farm experiences for families and community members. Activities include tractor-pulled wagon rides by the Northwest Vintage Iron Tractor Club, heritage demonstrations in the Fraser Cabin

EVENTS lifenlight co
b y l i f e n l i g h t s t u d i o s MORE INFO:
OCTOBER 2023 38

by the Eastside Heritage Center, an off-the-vine pumpkin patch, farm animal interactions, pony rides, and children’s crafts and activities in the Country Lane Play Area.

OCTOBER 7TH

Uncork the Night, Presented by Avenue Bellevue

W HOTEL, 10455 NE 5TH PL, BELLEVUE | 6:00 PM

Your generosity will provide critical support to the more than  4,125 Bellevue students facing food and housing insecurity and the  478 Bellevue students experiencing homelessness. Visit bellevuelifespring. org for tickets. Together we will: Mix and mingle, enjoy curated wine tastings from five of Washington’s finest wineries, bid onrare wines and unforgettable experiences and enjoy gourmet cuisine and much more.

OCTOBER 8TH

Bellevue Symphony Fall Concert

MEYDENBAUER THEATER, 11100 NE 6TH ST, BELLEVUE 3:00 PM

Bellevue Symphony is a professional orchestra comprised of 40+ professional musicians, led by internationally renowned conductor & artistic director, Maestro Brian Davenport. Check bellevuesymphony.org for program schedule and tickets.

OCTOBER 13TH

Lake Washington vs. Bellevue: High-School Football

BELLEVUE HIGH SCHOOL, 10416 SE WOLVERINE WAY, BELLEVUE | 7:00 PM

Come enjoy the Friday night lights as the Bellevue Wolverines varsity football team takes on the Lake Washington Kangaroos in a home conference game.

CONTINUED > 39 CITYLIFESTYLE.COM/BELLEVUE OCTOBER 2023

OCTOBER 16TH

Hopelink's Annual Reaching Out Luncheon

MEYDENBAUER CENTER, 11100 NE 6TH ST, BELLEVUE | 12:00 PM

Hopelink’s signature fundraising event, with a goal of raising $1 million to provide services to families and individuals in north and east King County. The event offers an in-depth look at some of Hopelink’s nine programs that support our neighbors experiencing poverty, as well as offering the opportunity to partner with Hopelink in this work. Find further details at  hopelink. org/reaching-out-luncheon-2023

OCTOBER 21ST

Brazz at the Market Stage

THE MARKET STATE AT CROSSROADS, 15600 NE 8TH STREET, BELLEVUE | 7:00 PM

Brazz combines American jazz standards with Brazilian sambas and bossa novas, along with originals and eclectic influences. Rob Lindfors is on guitar, along with bassist John Roth and drummer Doug Kleiber.  crossroadsbellevue.com for additional information.

OCTOBER 31ST

Halloween in Factoria

THE MARKETPLACE AT FACTORIA, FACTORIA BLVD SE & I-90, BELLEVUE | 4:30 PM

Children 12 and under dressed in Halloween costumes can trick-ortreat at participating retailers.

• A DJ spinning the top spooky tunes

• Strolling costumed Halloween characters including Paw Patrol, superheroes, princesses and Halloween characters

• Halloween-themed backdrops provide sensational photo opportunities.

• Fun-filled games give families a chance to win prizes.

• Free and open to the public,  marketplaceatfactoria.com for more info

Want to be featured? Get in touch by heading over to our landing page to connect: CityLifestyle.com/Bellevue BELLEVUECLUBHOTEL.COM | 425.688.3382 stay well. EVENTS 40
EVENTS CONTINUED
IF YOU ARE READING THIS...SO IS YOUR BEST CLIENT. 2 OUT OF 3 of our readers regularly purchase from our ads. CITYLIFESTYLE.COM/ BELLEVUE ADVERTISE WITH BELLEVUE LIFESTYLE ™ · FOOD & WINE EVENTS · PRIVATE CHEF SERVICES · CATERED EVENTS · MEAL PLAN SERVICES 206.825.2030 2468culinary.com CHECK OUT OUR WORK CHEF JOHN E. THOMPSON REDEFINING THE PRIVATE CHEF 41 CITYLIFESTYLE.COM/BELLEVUE OCTOBER 2023

Food Trucks for

every taste

Many food trucks serve the Bellevue area with delectable offerings to suit anyone’s palate. Here are some of our favorites:

01 DELFINO’S CHICAGO STYLE PIZZA. Serving a variety of authentic 6” Chicago Style personal pizzas (including vegetarian), a wonderful Caesar salad, and fresh baked cookies.  delfinospizza.com/food-truck // 02 GREY COAST DOGS. Seattle-style flame-broiled hot dogs and home of the Harissa Dog. greycoastdogs. com // 03 TABASSUM. Bringing authentic Uzbek food, including savory samsa hand pies, to neighborhoods and events around the area.  tabassum.info // 04 ISIDRO’S. A fusion of authentic, generational recipes from Zacapu Michoacan Mexico that tantalize taste buds with both flavor and nourishment, lovingly shared with the Northwest community! isidros.com // 05 THE PEOPLE’S BURGER. Serving mouthwatering burgers made fresh in house, fresh cut fries, and other hot eats created with local ingredients.  thepeoplesburger.com // 06 PAPAREPAS. Authentic Venezuelan cuisine, offering arepas, empanadas, tequeños, pabellon and much more. paparepas.com

EAT RIGHT | FOOD + BEVERAGE
01 02 03 06 05 04
Image courtesy Delfino's Image: Barrie @barriegudfood Image courtesy The Peoples Burger/ Varamini Restaurants Corp. Image courtesy Grey Coast Dogs Image courtesy Isidro's
42
Image: Kristin Zwiers Photography
The new Bentayga Hybrid. Serenity electrified. Find your extraordinary at Bentleyseattle.com 425-646-3111 13617 NE 20th St, Bellevue, WA, 98005 The name ‘Bentley’ and the ‘B’ in wings device are registered trademarks © 2022 Bentley Motors, Inc Model shown: New Bentayga Hybrid BENTLEY SEATTLE
Architect Bob Hoshide with Hoshide Wanzer Architects designer D’neka Patten with Hoshide Wanzer Architects

Turn static files into dynamic content formats.

Create a flipbook