Review of Medical Practice 4/2023

Page 1

V OL . XXIX N UMBER 1 2023

VOL . XXIX NUMBER 4 2023

KWARTALNIK

KWARTALNIK

UCZELNI

REVIEW OF MEDICAL P RACTICE
MEDYCZNEGO
WYDZIAŁU
ŁAZARSKIEGO ISSN 2956-4441 ISSN
REVIEW OF MEDICAL P RACTICE
on-line 2956-445X
WYDZIAŁU MEDYCZNEGO
ŁAZARSKIEGO ISSN 2956-4441
UCZELNI

Od 1994 / Formerly since 1994: INTERNATIONAL REVIEW OF ALLERGOLOGY AND CLINICAL IMMUNOLOGY

ORGAN WYDZIAŁU MEDYCZNEGO UCZELNI ŁAZARSKIEGO ORGAN OF FACULTY OF MEDICINE OF THE LAZARSKI UNIVERSITY

DOI: 10.26399/rmp.v29.4.2023

Warszawa 2023 VOL.
NO.
XXIX,
4/2023

RADA NAUKOWA / ADVISORY BOARD

prof. Walter Canonica, Genova, Italy

prof. Halina Car

prof. Marek Czarkowski

prof. Zbigniew Gaciong

prof. Stephen Holgate, Southampton, UK

prof. Stefan Kiesz, San Antonio, TX, USA

prof. Józef Knap

prof. Artur Mazur

prof. Anna Maria Nasierowska-Guttmejer

prof. Sergiej Nyankowski, Lwów, Ukraina

prof. Bartłomiej Piechowski-Jóźwiak, Abu Dhabi, UAE

prof. Henryk Skarżyński

prof. Marek Stańczyk

prof. Andrzej Śliwczyński

prof. Tomasz Targowski

prof. Anna Wilmowska-Pietruszyńska (przewodnicząca / chairman)

prof. Ewelina Zawadzka-Bartczak

REDAKCJA / EDITORIAL BOARD

redaktor naczelna / editor-in-chief: prof. dr hab. n. med. Anna Wilmowska-Pietruszyńska zastępca redaktor naczelnej / deputy editor-in-chief: Krzysztof Czechowski

redaktor statystyczny / statistical editor: dr Krzysztof Beck redaktor statystyczny / statistical editor: dr Joanna Beck sekretarz / secretary: Ewelina Kruczyńska

CZŁONKOWIE / MEMBERS

prof. dr hab. n. med. Jacek Pawlak: redaktor tematyczny (chirurgia) / thematic editor (surgery) dr n. med. Marek Stopiński: redaktor tematyczny (interna) / thematic editor (intern) dr n. med. Tomasz Szafrański: redaktor tematyczny (psychiatria) / thematic editor (psychiatry) prof. dr hab. n. med. Marta Szajnik: redaktor tematyczny (ginekologia) / thematic editor (gynecology)

Wydział Medyczny Uczelni Łazarskiego / Faculty of Medicine of Lazarski University ul. Świeradowska 43 02-662 Warszawa tel. +48 22 54 35 330 e-mail: review@lazarski.edu.pl https://medicalpractice.lazarski.pl/

Czasopismo jest indeksowane w: / The journal is indexed in:

Index Copernicus (ICV 2021 = 98,46)

Google Scholar

Centrum Otwartej Nauki (CeON)

Bibliotece Nauki

Cyfrowej Bibliotece Narodowej Polona. Kwartalnik znajduje się na liście punktowanych czasopism naukowych Ministerstwa Edukacji i Nauki – z liczbą 140 punktów.

© Copyright by Uczelnia Łazarskiego, Warszawa 2023

ISSN 2956-4441

ISSN on-line 2956-445X

Oficyna Wydawnicza Uczelni Łazarskiego 02-662 Warszawa, ul. Świeradowska 43, e-mail: wydawnictwo@lazarski.edu.pl

Organizacja Zdrowia

Joanna Bogatko, Tomasz Kędzierski, Sławomir Cisiecki, Tadeusz Pietras, Weronika Łyszcz, Janusz Szemraj

proliferacyjnej witreoretinopatii

Jarosław Kopko, Ewa Jabłońska

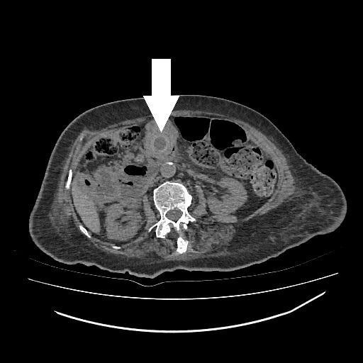
Piorunujący przebieg zespołu HELLP współistniejącego z rzucawką u ciężarnej w 32. tygodniu ciąży powikłanej wewnątrzmacicznym zahamowaniem wzrastania płodu – opis przypadku

Instant Onset of HELLP Syndrome Associated with Eclampsia at 32 Weeks of Pregnancy Complicated by Fetal

Bożena Nowaczyk, Danuta Dyk, Monika Lorenz, Jerzy T. Marcinkowski

Carriage of Multidrug-Resistant Pathogens amongst Patients in a Palliative Care

Nosicielstwo drobnoustrojów wielolekoopornych wśród pacjentów z oddziału opieki paliatywnej 34

Michał Lis, Wojciech Hajduk, Marta Obermeyer, Jan Jurgiel, Adrianna Graniak, Adriana Kwiatkowska, Tymoteusz Miłuch

Atypical Graves’ Disease: Bradycardia, Paralysis, and Heart Block. Case Report and Literature Review

Atypowa prezentacja choroby Gravesa: bradykardia, paraliż i zaburzenia przewodnictwa

śródkomorowego. Opis przypadku i przegląd literatury

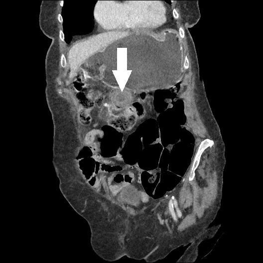
Angelika Miros, Anna Paśnikowska, Monika Romanowska

Zespół Barnarda jako rzadka przyczyna niedrożności jelita cienkiego – opis przypadku

Barnard’s Syndrome as a Rare Cause of Ileus – Case Report .............................................................

Jarosław Sołtan, Dorota Bylina, Stanisława Katarzyna Nazaruk, Barbara Sokołowska, Andrzej Śliwczyński

Determinants of Response to Risk Factors Affecting Health Status

Determinanty reakcji na czynniki ryzyka wpływające na stan zdrowia

Filip Tomczuk, Anna Sułek

Free-Circulating miRNAs as Biomarkers in Amyotrophic Lateral Sclerosis and Hereditary Spastic Paraplegias

41

48

54

Wolne krążące miRNA jako biomarkery w stwardnieniu bocznym zanikowym i dziedzicznej spastycznej paraplegii 62

Anna Mataczyńska, Michał Paporocki, Jan Jurgiel, Maciej Majdowski, Kamil Wrzosek, Michał Lis

LADA Diabetes as a Hybrid Disease – a Narrative Review

Cukrzyca

Monika Pliszka, Katarzyna Agnieszka Kowalska, Leszek Szablewski, Michał Lis

Evaluation of the Effectiveness of a 26-Week Multidisciplinary Patient Education Program for Subjects with Type 2 Diabetes in Poland

Ocena skuteczności 26-tygodniowego programu edukacyjnego prowadzonego przez zespół interdyscyplinarny u pacjentów z cukrzycą

Rafał Adasiewicz, Elżbieta Makomaska-Szaroszyk

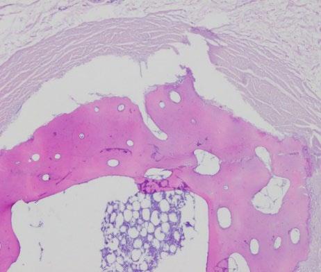
Obustronne skostnienie łańcucha rylcowo-gnykowego – rzadki przypadek anatomiczny

Bilateral Ossification

2023; Vol. XXIX, No. 4 World Health Organization World mental health report Światowy raport o zdrowiu psychicznym 8 Światowa
Światowy raport o zdrowiu psychicznym World mental health report 14
Spis treści / Contents
Patogeneza
Pathogenesis of Proliferative Vitreoretinopathy...................................................................................... 20
Restriction – Case Report ........................................................................................... 27
Growth
hybrydowa – przegląd literatury ............................................................. 72
LADA jako choroba
typu
Polsce ................................................................. 78
2 w
of the Stylohyoid Chain – a Rare Anatomical Case 88

Instructions to Authors

GENERAL POLICY

REVIEW OF MEDICAL PRACTICE (Rev. Med. Pract.) will consider for publication papers directly related to genaral practice in medicine after evaluation by two reviewers.

THE REVIEW WILL COMPRISE THE FOLLOWING SECTIONS:

Editorial and review articles. Contributions from experts and specialists in the field, requested by the Editors.

Original articles and research papers in medical science, as well new forms of therapy and diagnostic procedures will be published after evaluation by two independent reviewers.

Short communications. Description of clinical cases reporting exceptional results or symptoms. Maximum length 2–3 typewritten pages, double-spaced, 1 figure and 1 table will be accepted, and references limited to maximum 10 positions.

PREPARATION OF MANUSCRIPTS

Manuscripts should be word processed (Word Programme) or typewritten, double-spaced with ample margins on both sides, and pages should be numbered. First mention of tables and figures should be indicated in the right-hand margin of the text. Maximum length 15 pages.

It is also necessary to include a written consent for the publication from each of authors’ department and clinic heads, as well as a Declaration of Conflict of Interest (signed by all authors) and determination of participation in the work by giving the name with: A – research concept and design, B – collection and assembly of data, C – data analysis and interpretation, D – writing the article, E – critical revision of the article, F – final approval of article.

Title page. Should contain the full title, a brief running title, full name of author(s), institutional affiliation of author(s), and name and mailing address of the author to whom all correspondence should be directed.

Summary in English and in Polish. The major points of the article shouId be summarized in 150-250 words, in order of their appearance in the manuscript. Material or facts not cited in the text should not be included.

Key words. Three to five key words or brief phrases should be included after the Summary for indexing purposes.

References. AII references should be numbered consecutively throughout the text or numbered in alphabetical order and enclosed in parentheses. Journal abbreviations should follow the norms of Cur rent Contents. The name(s) of authors should be followed by the complete title of the paper, abbreviated journal`s title, year, volume and first and last page number. When citing an article from a book, author(s) name(s) should be followed by complete title of the paper, title of book, volume number, editor(s) name(s), name and address of the publisher, year and first and last page numbers, e.g.:

3. Dukes M.N., Holgate S.T., Pauwels R.A. et al.: Report of an international workshop on risk and safety of asthma. Clin Exp Allergy 1994; 24: 160-165.

4. Kay A.B., Henson P.M., Hunninghake G.W. et al.: Cellular mechanism. In: Holgate S.T., ed. The role of inflammatory processes in airway hyperresponsiveness. Oxford, London, Edingurgh, Boston, Melbourne: Blackwell Scientific Publications; 1989. 151-178.

Proofs. Page proofs wiII be sent to the author to whom all correspondence should be addressed unless otherwise specified by the authors. Proofs should be checked against the original. Authors will be charged for major alterations in the original text. Proofs not returned in time to meet publication date will either be rescheduled or published without authors' corrections, in which the Editors do not assume responsibility for any errors that might have been made in typesetting. Proofs may be returned by e-mail or fax.

Zasady publikacji

OGÓLNE ZASADY

OGÓLNE ZASADY

REVIEW OF MEDICAL PRACTICE (Rev. Med. Pract.) publikuje prace z zakresu medycyny praktycznej po ocenie dwóch niezależnych recenzentów.

REVIEW OF MEDICAL PRACTICE (Rev. Med. Pract.) publikuje prace z zakresu medycyny praktycznej po ocenie dwóch niezależnych recenzentów.

W CZASOPIŚMIE PUBLIKUJE SIĘ:

W CZASOPIŚMIE PUBLIKUJE SIĘ:

Artykuły redakcyjne i przeglądowe. Szczególnie oczekiwane są opracowania od ekspertów i specjalistów, w tym na zaproszenie Redaktora Naczelnego.

Artykuły redakcyjne i przeglądowe. Szczególnie oczekiwane opracowania od ekspertów i specjalistów, w tym na zaproszenie Redaktora Naczelnego.

Prace oryginalne kliniczne i doświadczalne z zakresu nauk medycznych z uwzględnieniem nowo stosowanych terapii oraz nowych metod diagnostycznych będą publikowane po dokonanej ocenie przez dwóch niezależnych recenzentów.

Prace oryginalne kliniczne i doświadczalne z zakresu nauk medycznych z uwzględnieniem nowo stosowanych terapii oraz nowych metod diagnostycznych będą publikowane po dokonanej ocenie przez dwóch niezależnych recenzentów.

Krótkie doniesienia dotyczące opisów przypadków klinicznych powinny uwzględniać wyjątkowe objawy lub wyniki prowadzonego leczenia. Objętość takich prac nie może przekraczać 3–5 stron, pisanych z podwójnym odstępem, wraz z jedną ryciną lub tabelą oraz piśmiennictwem maksymalnie do 10 pozycji.

Krótkie doniesienia dotyczące opisów przypadków klinicznych powinny uwzględniać wyjątkowe objawy lub wyniki prowadzonego leczenia. Objętość takich prac nie może przekraczać 3–5 stron, pisanych z podwójnym odstępem, wraz z 1 ryciną lub tabelą oraz piśmiennictwem maksymalnie do 10 pozycji.

PRZYGOTOWANIE PRACY

PRZYGOTOWANIE PRACY

Manuskrypt powinien być przygotowany w Word, z podwójnym odstępem, marginesami i numerowanymi stronami. tekście powinno znajdować zaznaczenie miejsca umieszczenia tabeli lub ryciny. Łączna objętość pracy nie może przekraczać 15 stron.

Manuskrypt powinien być przygotowany w programie Word, z podwójnym odstępem, marginesami i numerowanymi stronami. W tekście powinno znajdować się zaznaczenie miejsca umieszczenia tabeli lub ryciny. Łączna objętość pracy nie może przekraczać 15 stron.

Konieczne jest także dołączenie pisemnej zgody na publikację każdego z kierowników zakładów i klinik, z których pochodzą autorzy pracy oraz oświadczenia o braku konfliktów interesów oraz określenie udziału w pracy poprzez podanie przy nazwisku określenia: A – koncepcja i projekt badań, B – gromadzenie danych, C – analiza i interpretacja danych, D – pisanie artykułu, E – krytyczna korekta artykułu, F – ostateczne zatwierdzenie artykułu.

Konieczne jest także dołączenie pisemnej zgody na publikację każdego kierowników zakładów i klinik, z których pochodzą autorzy pracy, oraz oświadczenia o braku konfliktów interesów, a także określenie udziału w pracy poprzez podanie przy nazwisku określenia: A – koncepcja i projekt badań, B – gromadzenie danych, C – analiza i interpretacja danych, D pisanie artykułu, E – krytyczna korekta artykułu, F – ostateczne zatwierdzenie artykułu.

Strona tytułowa musi zawierać po polsku i po angielsku tytuł pracy w całości bez stosowania skrótów, skrócony tytuł, imię i nazwisko autora (autorów), nazwę miejsca pracy autora (autorów) oraz adres do korespondencji, numer telefonu i e-mail.

Strona tytułowa musi zawierać tytuł pracy po polsku i po angielsku, w całości, bez stosowania skrótów, skrócony tytuł, imię i nazwisko autora (autorów), nazwę miejsca pracy autora (autorów) oraz adres do korespondencji, numer telefonu i e-mail.

Streszczenie po polsku i po angielsku powinno uwzględniać główne elementy pracy, a w pracy oryginalnej – cel pracy, materiał i metody, wyniki i wnioski.

Streszczenie po polsku i po angielsku powinno uwzględniać główne elementy pracy, a w pracy oryginalnej – cel pracy, materiał i metody, wyniki i wnioski.

Słowa kluczowe (3–5) należy zestawić po streszczeniu w celu indeksacji opracowania.

Słowa kluczowe (3–5) należy zestawić po streszczeniu w celu indeksacji opracowania.

Piśmiennictwo powinno być zestawione w porządku cytowania lub alfabetycznie z numeracją zaznaczoną w tekście w nawiasach, np. [6]. Skróty nazw czasopism powinny być zgodne z normami Current Contens. Należy umieszczać nazwiska trzech pierwszych autorów z inicjałami imion i oznaczenie „et al.” dla pozostałych. Następnie – tytuł artykułu, nazwę czasopisma, rok, tom (numer) i strony (pierwsza i ostatnią). W przypadku cytowania materiału z monografii należy podać nazwisko i inicjały imienia autora rozdziału, nazwę rozdziału, nazwisko i mię redaktora monografii, nazwę monografii, wydawnictwo, rok, tom, strony (pierwszą i ostatnią), np.

Piśmiennictwo powinno być zestawione w porządku cytowania lub alfabetycznie z numeracją zaznaczoną w tekście w nawiasach, np. [6]. Skróty nazw czasopism powinny być zgodne z normami Current Contens. Należy umieszczać nazwiska trzech pierwszych autorów z inicjałami imion i oznaczenie „et al.” dla pozostałych. Następnie – tytuł artykułu, nazwę czasopisma, rok, tom (numer) i strony (pierwszą i ostatnią). W przypadku cytowania materiału z monografii należy podać nazwisko i inicjały imienia autora rozdziału, tytuł rozdziału, nazwisko i imię redaktora monografii, tytuł monografii, wydawnictwo, rok, tom, strony (pierwszą i ostatnią), np.:

3. Dukes M.N., Holgate S.T., Pauwels R.A. et al.: Report of an international workshop on risk and safety of asthma. Clin Exp Allergy 1994; 24: 160-165.

3. Dukes MN, Holgate ST, Pauwels RA, et al.: Report of an international workshop on risk and safety of asthma. Clin Exp Allergy, 1994;24:160-165.

4. Kay AB, Henson PM, Hunninghake GW, et al.: Cellular mechanism. - in - Holgate ST. (ed.): The role of inflammatory processes in airway hyperresponsiveness. Blackwell Scientific Publications, Oxford, London, Edingurgh, Boston, Melbourne, 1989;151-178.

4. Kay A.B., Henson P.M., Hunninghake G.W. et al.: Cellular mechanism. In: Holgate S.T., ed. The role of inflammatory processes in airway hyperresponsiveness. Oxford, London, Edingurgh, Boston, Melbourne: Blackwell Scientific Publications; 1989. 151-178.

Teksty po korekcie są kierowane na adres pierwszego autora (pocztą lub e-mailem) i powinny być odesłane w ciągu trzech dni z naniesionymi uwagami. Brak zwrotnego otrzymania korekty przyjmowany jest jako akceptacja tekstu. Redakcja zastrzega sobie prawo nanoszenia ostatecznych poprawek.

Korekty są kierowane na adres pierwszego autora (pocztą lub e-mailem) i powinny być odesłane w ciągu trzech dni z naniesionymi uwagami. Brak zwrotnego otrzymania korekty przyjmowany jest jako akceptacja tekstu. Redakcja zastrzega sobie prawo nanoszenia ostatecznych poprawek.

1

2023; Vol. XXIX, No. 4

Szanowni Państwo, drodzy Czytelnicy,

oddaję w Państwa ręce (czwarty) ostatni w tym roku numer XXIX tomu kwartalnika „Review of Medical Practice”. W aktualnym wydaniu prezentujemy Państwu wiele interesujących publikacji, a wśród nich m.in. opracowanie pod tytułem Patogeneza proliferacyjnej witreoretinopati.

Witreoretinopatia proliferacyjna (PVR – ang. Proliferative vitreoretinopathy) jest definiowana jako rozrost i obkurczanie się błon komórkowych w obrębie komory szklistej oraz na obu powierzchniach siatkówki, rozwijające się m.in. w przebiegu przedarciowego odwarstwienia siatkówki1. Ciężkie pooperacyjne PVR jest uważane za jedną z najczęstszych przyczyn późnych niepowodzeń leczenia, tj. następujących po wstępnym przyłożeniu siatkówki i jej odwarstwieniu po wypisaniu chorego do domu. Pierwsze proliferacje pojawiają się zwykle pomiędzy 4. a 6. tygodniem po operacji, objawiając się postępującym pogorszeniem ostrości wzroku. Witreoretinopatia proliferacyjna to bardzo istotny temat chirurgii okulistycznej. Zastosowanie leczenia wspomagającego w celu zapobiegania proliferacji komórek jest obiecujące w zapobieganiu PVR lub nawrotom pooperacyjnym. Istotne są również badania molekularne pozwalające na lepsze zrozumienie patofizjologii PVR. Interesująca jest również praca Effectiveness of a 26-Week Multidisciplinary Patient Education Program for Subjects with Type 2 Diabetes in Poland (Skuteczność 26-tygodniowego multidyscyplinarnego programu edukacji pacjentów. Program edukacji pacjentów z cukrzycą typu 2 w Polsce), z której wynika, że kompleksowa edukacja zdrowotna pacjentów z cukrzycą, której efekty oceniano na podstawie wyników badań biochemicznych oraz poziomu wiedzy i postawy pacjentów wobec choroby, a także regularny wysiłek fizyczny, wpływają na poprawę wskaźników biochemicznych oraz na poziom wiedzy pacjentów i świadomość postępowania w cukrzycy jako chorobie przewlekłej. Stwierdzono, że udział w programie edukacyjnym przynosi pacjentowi większe korzyści niż tylko okresowe wizyty w poradni diabetologicznej. Wskazano na konieczność ciągłej kompleksowej edukacji diabetologicznej pacjentów z cukrzycą.

Na uwagę zasługuje także praca Wolnokrążące mikroRNA jako biomarkery w stwardnieniu bocznym zanikowym i dziedzicznej spastycznej paraplegii dotycząca badań chorób neurodegeneracyjnych charakteryzujących się postępującą utratą funkcji i integralności neuronów, co w efekcie prowadzi do śmierci komórek neuronalnych oraz nieodwracalnych zmian w układzie nerwowym.

W regulacji procesów odpowiedzialnych za procesy zwyrodnieniowe na poziomie komórkowym biorą udział mikroRNA –endogenne, niekodujące i jednoniciowe cząsteczki RNA. Badanie miRNA w modelach zwierzęcych neurodegeneracji i w grupach pacjentów wykazały, że są one jednymi z kluczowych regulatorów przeżycia i funkcjonowania neuronów. Według autorów cząsteczki te mogą być swoistymi biomarkerami informującymi o toczącym się procesie zwyrodnieniowym lub o efektach zastosowanego leczenia i mogłyby one w znaczącym stopniu przyczynić się do osiągnięcia nowatorskich celów terapeutycznych.

Z poważaniem

Redaktor Naczelna dr hab. n. med. Anna Wilmowska-Pietruszyńska, prof. UŁa

The Retina Society Terminology Committee: The classification of retinal detachment with proliferative vitreoretinopathy. Ophthalmology 1983; 90: 121-125.

Dear Readers,

I am handing over to you the (fourth) last issue of this year’s XXIX volume of the quarterly Review of Medical Practice. In the current issue, we present you with many interesting publications, among them a study entitled Pathogenesis of proliferative vitreoretinopathy.

Proliferative vitreoretinopathy (PVR) is defined as proliferation and shrinkage of cell membranes within the vitreous chamber and on both retinal surfaces, developing, among other things, in the course of pre-infarct retinal detachment1. Severe post-operative PVR is considered one of the most common causes of late treatment failure, i.e. following initial retinal adhesion and detachment after the patient is discharged home. The first proliferations usually appear between four and six weeks after surgery, manifesting as a progressive deterioration of visual acuity.

Proliferative vitreoretinopathy is a very important topic in ophthalmic surgery. The use of adjunctive treatment to prevent cell proliferation shows promise in preventing PVR or postoperative recurrence. Molecular studies to better understand the pathophysiology of PVR are also important.

Also of interest is the paper Effectiveness of a 26-Week Multidisciplinary Patient Education Program for Subjects with Type 2 Diabetes in Poland. Patient Education Programme for Subjects with Type 2 Diabetes in Poland.), which concluded that comprehensive health education of patients with diabetes, the effects of which were assessed on the basis of biochemical test results and the level of knowledge and attitudes of patients towards the disease, and regular physical exercise improve biochemical indices, as well as the level of knowledge of patients and awareness of management of diabetes as a chronic disease. Participation in an educational programme was found to be of greater benefit to the patient than just periodic visits to the Diabetes Clinic. The need for ongoing comprehensive diabetes education for patients with diabetes was indicated.

Also noteworthy is a paper on free-circulating microRNAs as biomarkers in amyotrophic lateral sclerosis and hereditary spastic paraplegia, concerning the study of neurodegenerative diseases characterised by progressive loss of neuronal function and integrity resulting in neuronal cell death and irreversible changes in the nervous system.

MicroRNAs - endogenous, non-coding, single-stranded RNA molecules - are involved in regulating the processes responsible for degenerative processes at the cellular level. Studies of miRNAs in animal models of neurodegeneration and in groups of patients have shown that they are among the key regulators of neuronal survival and function. According to the authors, these molecules could be specific biomarkers informing about the ongoing degenerative process, or the effects of the applied treatment, and they could significantly contribute to novel therapeutic targets.

Yours sincerely Editor-in-Chief

dr hab. n. med. Anna Wilmowska-Pietruszyńska, prof. UŁa 1

The Retina Society Terminology Committee: The classification of retinal detachment with proliferative vitreoretinopathy. Ophthalmology 1983; 90: 121-125. Wstęp 7

Transforming mental health for

Copyright is a bundle of rights, such as the right to copy and the right to distribute, which are divisible and may be held by different parties. A licensor without all the rights should list those they have. For instance, a licensor who holds the performance rights to a recording of a song, but not the rights in the composition, should say so. Licensors should attempt to alert users of any rights held by others that may impact their ability to reuse the work.
all

3.3.3 The resources gap

The limited implementation of mental health plans, policies and legislation is, in part, due to a lack of resources – both human and plan have also estimated the financial resources allocated financial and human resources to financial – available for mental health.

The Mental health atlas 2020 shows that only half of countries with a mental health policy or they need to implement it (60% include an estimate of human resources required). And

FIG. 3.12

only around a third of countries have actually implement their mental health policy or plan. The gap between estimating resources and allocating them is particularly stark among low-income countries. For example, while 40% of these countries have estimated the funding they need, only 8% have actually allocated the requisite resources (see Fig. 3.12).

The gap between estimating and allocating resources to implement mental health plans

Source: WHO, 2021 (5)

Scant spending

Mental health spending includes activities delivered at all levels of care as well as programme costs, such as administration, training and super vision, and promotion and prevention activities. Calculating the full level of mental because of the range of ser vices, ser vice providers and funding sources involved.

In many cases, even calculating government spending can be hard. Budgets for general health care tend to allocate funds to generic categories such as hospitals or primar y health care, rather depression). All health conditions treated at that level or facility are then funded from the generic allocation. The budget may further be broken down into allocations for medicines, personnel and equipment for instance; but it will rarely health spending in many countries is di icult than to specific health conditions (such as describe funds specifically for mental health care.

% r esponding c ountries Highincome Upper-middleincome Lowermiddle-income Lowincome 0% 10% 20% 30% 40% 50% 60% 70% Highincome Upper-middleincome Lowermiddle-income Lowincome % countries that allocated the required human resources % countries that estimated needed human resources % countries that allocated the required financial resources % countries that estimated needed financial resources 68% 40% 8% 27% 43% 43% 43% 64% 53% 55% 67% 51% 33% 49% 36% 29% Chapter 3 World mental health today
9
Governments around the world allocate just 2% of their health budgets to the treatment and prevention of mental health conditions.

Even so, most (but not all) countries dedicate only a small fraction of their health care budgets to mental health; and their spending is disproportionately low to their needs. Although a few high-income countries spend up to or more than 10%, the Mental health atlas 2020 shows that the median allocation of government health budgets around the world to mental health amounts to just 2%.1 In LMICs this figure drops to just 1%.

The need for investments into mental health promotion, protection and care are not limited to the health sector. Supporting social integration for people living with mental health conditions requires action across social services, education, labour and justice. Investments by these sectors into mental health tends to be even less than those made by the health sector.

Scarce workforce for mental health

In addition to scant spending, many countries face huge scarcities of personnel trained for dealing with mental health. This includes shortages in mental health nurses, psychiatric social workers, psychiatrists, psychologists, counsellors and other paid mental health workers.

Around half the world’s population lives in countries where there is just one psychiatrist to serve 200 000 or more people. Other mental health care providers who are trained to use psychosocial interventions are even scarcer (5). In low-income countries there are fewer than one mental health worker of any kind per

100 000 population, compared with more than 60 in high-income countries (see Fig. 3.13; the median across all countries is 13 mental health workers per 100 000 population). Across all income groups, most mental health workers are nurses, who combined make up 44% of the global workforce for mental health.

Across all income groups, there is a great shortage of specialized mental health workers for children and adolescents, with just three mental health workers of any kind per 100 000 population, and a median rate as low as 0.01 per 100 000 population in low-income countries. In these countries, the mental health workforce for children and adolescents is almost non-existent.

In LMICs, the mental health workforce for children and adolescents is almost non-existent .

The scarcities in skills are compounded because few non-specialist doctors, nurses, and clinical officers have been trained to recognize and treat patients with mental health conditions in primary health care. In 2020, the number of countries reporting that primary health care workers receive training on how to manage mental health conditions is high (146 or 88% of countries) (5). This would seem to indicate an appetite for task-sharing to increase the pool of workers available for mental health care. But still most countries have nowhere near the level of trained and skilled personnel required to provide for everyone in need, with only 25% of WHO Member States reporting that they had integrated mental health into primary care (see section 3.3.4 The services gap). This means that, beyond task-sharing, other solutions can and must be rapidly scaled up, including e-health solutions, even though the digital divide remains a further barrier to health service access and socioeconomic development more broadly (see A digital divide).

1 This figure should be interpreted with caution as only 67 countries reported data on government spending to the Mental health atlas 2020 (5).

World mental health report: transforming mental health for all 10

FIG. 3.13

The specialized mental health workforce across country income groups

WORLD BANK INCOME GROUPS

Source: WHO, 2021 (5).

Lack of essential medicines

Another aspect of the resources gap is the limited availability of essential psychotropic medicines, especially in LMICs. And when they are available, far more people in LMICs also end up paying for these medicines out of pocket (5)

A recent review of 112 national essential medicines lists – commissioned for this report – found inequities in the listing, availability, pricing and affordability of essential psychotropic medicines in countries (144)

The review showed that up to 40% of low-income countries did not include essential medicines that have been on the WHO Model list for essential medicines for decades, such as long-acting (depot) fluphenazine for schizophrenia and lithium carbonate mood stabilizer for bipolar disorder. Other supply gaps may be behind some of these omissions, for example laboratory tests are needed to monitor use of some medicines, to avoid inappropriate use or serious side effects (read Eleni’s experience).

Median number per 100 000 population High-income Upper-middle-income Lower-middle-income Low-income 0 5 10 15 20 25 30 Global workforce composition 0 20 40 60 80 100 Other specialized workers Social workers Psychologists Mental health nurses Psychiatrists Chapter 3 World mental health today 11

The review also showed that some second-generation antipsychotics on the model list for schizophrenia (risperidone and clozapine) were only included in 35% and 25% of national essential medicines lists in low-income countries respectively.

The actual availability of different essential psychotropic medicines was lower in the public sector compared with the private sector, and well below 50% worldwide, often much lower in low-income countries where there is a high incidence of stock-outs. The antidepressant medicines amitriptyline and fluoxetine in the public sector in low-income countries were three times more expensive than the international unit reference price. Overall, the review found that essential psychotropic medicines were less affordable to people in low-income countries compared with people in other countries (144)

A digital divide

Whether through electronic systems or mobile applications, digital technologies are becoming a standard part of mental health care around the world (see Chapter 5, In focus: Harnessing digital technologies for mental health). They can be key to scaling up access to care for common mental health conditions such as depression or anxiety and can also provide a platform for providing remote care, as during the COVID-19 pandemic when face-to-face options were shut down as part of social restrictions.

But relying on digital technologies to deliver mental health services risks excluding some of the world’s most vulnerable people from accessing the care they need and fails to address the full spectrum of mental health conditions that people experience. For many people in LMICs, mobile phones offer the only way of connecting to the internet and accessing valuable information and resources that would otherwise be out of

reach. Access to mobile phones has grown exponentially in recent years, with mobile networks now covering more than 85% of the population in every region of the world (145). But even where networks are available, not everyone has a smart phone, and even for those who do, internet access can be prohibitively expensive.

Indeed, the figures for mobile network coverage only tell half the story: analysis from 2019 showed that around half the world’s population had no internet connection, with big disparities between and within countries (145). Just 20% of households in low-income countries were connected to the internet in 2019, compared with 87% of people in developed ones (145). In sub-Saharan Africa, 4G or newer wireless systems remained largely unavailable. Across all regions, but especially in sub-Saharan Africa, people living in rural areas were half as likely to be connected to the internet as those living in urban areas; and women were less likely to use the internet than men. In all regions, internet access was more prevalent among young people (15–24 years of age).

Surveys in high-income countries further suggest that people living with mental health conditions face a heightened risk of digital exclusion, because of material deprivation and diminished opportunities to use or be trained in information technology or the internet, including people residing in long-term care facilities (146).

All these disparities add up to a digital divide that compounds existing inequities in access to mental health services.

Even if connectivity to the internet improves, many countries still need to step up their investment in mental health information systems, service user empowerment and workforce development to make the move from analogue to digital care provision a reality for all.

World mental health report: transforming mental health for all 12

Living in a low-income country means facing disabling barriers to quality care

Eleni’s experience

I struggle with bipolar disorder in Ethiopia, a low-income country. This means facing disabling barriers to access mental health care of minimum standards.

Medication supplies are scarce, irregular and expensive. Being a poor country comes with lack of hard currency to import such medications sustainably. More than often, I had to switch from a medication that enabled me live a stable life to a sub-optimal one because of unavailability in the market. Isn’t it sad to report that many of my mood episodes were actually triggered by these involuntary changes in medication?

Even when the medicines are available, the prescribed dosage may not be. I remember I was prescribed a mood stabilizer with 25mg but only 100mg was available in the market. This left me with no other choice than having to split the tablet in 4

parts with a kitchen knife. Most of the time, half of the tablet will turn to powder as it does not have built-in breakable splits.

Not only medication but also laboratory tests are more than often unavailable to monitor therapeutic ranges. I was put on a mood stabilizer that required regular blood tests. I will never forget the toxic reactions I suffered because my blood level could not be monitored. Chemicals for those blood tests could not be imported at the time.

I have always covered my mental health treatment costs myself. I am privileged to have a middle-income family. But this imposed a heavy burden on our income. Health insurance schemes are not set. Sometimes, I would buy medications on the black market. They were very expensive but that was the price for a stable functional life.

NARRATIVE
Chapter 3 World mental health today 13
Eleni Misganaw, Ethiopia

Światowy raport o zdrowiu psychicznym

Powszechny dostęp do zdrowia psychicznego

World mental health report: transforming mental health for all.© Światowa Organizacja Zdrowia 2022. Niektóre prawazastrzeżone. Ta praca jest dostępna na licencji Creative Commons-Uznanie autorstwa-Użycie niekomercyjne- licencja IGO 3.0 (CC BY-NC-SA 3.0 IGO; https://creativecommons.org/licenses/by-nc-sa/3.0/igo ). „Tłumaczenie to nie zostało stworzone przez Światową Organizację Zdrowia (WHO). WHO nie ponosi odpowiedzialności za treść lub dokładność tego tłumaczenia. Oryginalna wersja angielska jest wersją wiążącą i autentyczną”. Zarówno tekst oryginalny, jak również tłumaczenie na język polski uległo zmianie redakcyjnej poprzez pominięcie treści niestanowiących merytorycznej części raportu. Tekst źródłowy oryginalny ISBN 978-92-4-004933-8 (electronic version) HYPERLINK “https://www.who.int/publications/i/item/9789240049338%5b”https:// www.who.int/publications/i/item/9789240049338 [dostęp na dzień 27.09.2022 r.] Światowa Organizacja Zdrowia.

14

3.3.3. Luka zasobów

Ograniczone wdrażanie planów, polityki i przepisów prawnych dotyczących zdrowia psychicznego wynika częściowo z braku zasobów ‒ zarówno ludzkich, jak i finansowych ‒ dostępnych dla zdrowia psychicznego. Atlas Zdrowia Psychicznego 2020 wskazuje, że tylko połowa krajów posiadających politykę lub plan zdrowia psychicznego oszacowała również dostępne im zasoby finansowe potrzebne do jego wdrożenia (60% zawiera oszacowanie wymaganych zasobów ludzkich).

Rys. 3.12

Tylko ok. jedna trzecia krajów faktycznie przeznaczyła zasoby finansowe i ludzkie do wdrożenia swojej polityki lub planu w tym zakresie. Luka między oszacowaniem zasobów a ich przydzieleniem jest szczególnie widoczna w krajach o niskim dochodzie. Na przykład, podczas gdy 40% tych krajów oszacowało potrzebne finansowanie, tylko 8% faktycznie przydzieliło wymagane do realizacji zasoby (zob. rys. 3.12).

Luka między oszacowaniem a przydzieleniem zasobów na wdrożenie planów zdrowia psychicznego

% krajów, które odpowiedziały niskie dochody niższe średnie dochody wyższe średnie dochody wysokie dochody niskie dochody niższe średnie dochody wyższe średnie dochody wysokie dochody

% krajów, które odpowiedziały

% krajów, które przeznaczyły wymagane zasoby ludzkie

Źródło: WHO, 2021 (5).

Niewystarczające wydatki

Wydatki na zdrowie psychiczne obejmują działania świadczone na wszystkich poziomach opieki oraz koszty programów, takie jak administracja, szkolenia, nadzór oraz działania związane z promocją i prewencją. Obliczenie pełnego poziomu wydatków na zdrowie psychiczne w wielu krajach jest trudne ze względu na różnorodność świadczeń, dostawców usług i źródeł finansowania zaangażowanych w ten proces.

krajów, które oszacowały potrzebne zasoby finansowe

% krajów, które przeznaczyły wymagane zasoby ludzkie

W wielu przypadkach obliczenie wydatków rządowych może być trudne. Budżety na ogólną opiekę zdrowotną zazwyczaj przypisują środki do ogólnych kategorii, takich jak szpitale czy opieka podstawowa, a nie do konkretnych schorzeń (takich jak depresja). Wszystkie schorzenia leczone na danym poziomie opieki są potem finansowane z ogólnego przydzielonego budżetu. Budżet może być dodatkowo podzielony na koszty leków, personelu i sprzętu, ale rzadko opisuje środki specjalnie przeznaczone na opiekę zdrowotną w dziedzinie zdrowia psychicznego.

15 Rozdział 3. Dzisiejsze zdrowie psychiczne na świecie
0% 10% 20% 30% 40% 50% 60% 70%
68% 40% 8% 27% 43% 43% 43% 64% 53% 55% 67% 51% 33% 49% 36% 29%
%

Rządy na całym świecie przeznaczają zaledwie 2% swoich

budżetów zdrowotnych na leczenie chorób psychicznych i zapobieganie im.

Mimo to większość (ale nie wszystkie) krajów przeznacza tylko niewielki ułamek swoich budżetów opieki zdrowotnej na zdrowie psychiczne, a ich wydatki są nieproporcjonalnie niskie w porównaniu do potrzeb. Chociaż kilka krajów o wysokim dochodzie wydaje na zdrowie psychiczne nawet 10% lub więcej, Atlas Zdrowia Psychicznego 2020 pokazuje, że mediana przydzielonego budżetu na potrzeby zdrowotne na całym świecie wynosi zaledwie 2%1. W krajach o niskim i średnim dochodzie ta liczba spada do zaledwie 1%.

Potrzeba inwestycji w promocję, ochronę i leczenie zaburzeń zdrowia psychicznego nie ogranicza się tylko do sektora zdrowia. Wspieranie integracji społecznej osób żyjących z zaburzeniami psychicznymi wymaga działań w sektorach społecznych, edukacji, pracy i sprawiedliwości. Inwestycje tych sektorów w zdrowie psychiczne zazwyczaj są jeszcze mniejsze niż te dokonywane przez sektor zdrowia.

Niedobory pracowników w obszarze zdrowia psychicznego

Oprócz niewielkich wydatków wiele krajów boryka się z ogromnym niedoborem personelu przygotowanego do pracy w dziedzinie zdrowia psychicznego. Dotyczy to braku pielęgniarek psychiatrycznych, socjalnych pracowników psychiatrycznych, psychiatrów, psychologów, doradców i innych fachowych pracowników zdrowia psychicznego.

Około połowa ludności świata mieszka w krajach, gdzie jeden psychiatra przypada na 200 tys. lub więcej osób. Innych świadczeniodawców opieki nad zdrowiem psychicznym, którzy są przeszkoleni do stosowania interwencji psychospołecznych, jest jeszcze mniej (5). W krajach o niskich dochodach przypada mniej niż jeden pracownik

zdrowia psychicznego na 100 tys. mieszkańców, w porównaniu do ponad 60 w krajach o wysokich dochodach (zob. rys. 3.13; średnia dla wszystkich krajów to 13 pracowników zdrowia psychicznego na 100 tys. mieszkańców). We wszystkich grupach dochodowych większość pracowników zdrowia psychicznego to pielęgniarki, które stanowią łącznie 44% globalnej liczby świadczeniodawców w dziedzinie zdrowia psychicznego.

We wszystkich grupach dochodowych istnieje ogromny brak wyspecjalizowanych pracowników w zakresie zdrowia psychicznego dla dzieci i młodzieży. To zaledwie trzech pracowników zdrowia psychicznego na 100 tys. mieszkańców, a średnia spada nawet do 0,01 na 100 tys. mieszkańców w krajach o niskich dochodach. W tych krajach pracownicy w dziedzinie zdrowia psychicznego dla dzieci i młodzieży prawie nie istnieją.

W krajach o niskim i średnim dochodzie pracownicy w dziedzinie zdrowia psychicznego dla dzieci i młodzieży są rzadkością.

Brak umiejętności w tej dziedzinie jest spotęgowany, gdyż niewielu lekarzy ogólnych, pielęgniarek i pracowników medycznych przeszkolono w zakresie rozpoznawania i leczenia pacjentów z zaburzeniami psychicznymi w opiece podstawowej. W 2020 r. liczba krajów raportujących, że pracownicy opieki podstawowej otrzymują szkolenie w zakresie zarządzania zaburzeniami psychicznymi, była wysoka (146 lub 88% krajów) (5). Wydaje się to wskazywać na chęć dzielenia obowiązków w celu zwiększenia puli pracowników w sektorze opieki zdrowia psychicznego. Niemniej jednak większość krajów daleko odbiega od poziomu przeszkolonego i wykwalifikowanego personelu, który jest niezbędny do zapewnienia opieki wszystkim potrzebującym, przy czym tylko 25% państw członkowskich WHO zgłosiło, że wdrożyły zagadnienia obszaru zdrowia psychicznego do opieki podstawowej (zob. sekcja 3.3.4. Luka w usługach). Oznacza to, że poza dzieleniem obowiązków inne rozwiązania mogą i muszą być szybko rozwijane, w tym rozwiązania z dziedziny e-zdrowia, chociaż przepaść cyfrowa nadal stanowi dodatkową przeszkodę w dostępie do usług zdrowia i rozwoju społeczno-ekonomicznego (zob. Cyfrowa przepaść).

1 Ta liczba powinna być interpretowana ostrożnie, ponieważ dane dotyczące wydatków rządowych do Atlasu Zdrowia Psychicznego 2020 (5) zostały zgłoszone tylko przez 67 krajów.

16 Światowy raport na temat zdrowia psychicznego

Rys. 3.13

Wyspecjalizowani pracownicy w dziedzinie zdrowia psychicznego w różnych grupach dochodowych krajów

WORLD BANK INCOME GROUPS

Skład pracowników w dziedzinie

Źródło: WHO, 2021 (5).

Brak niezbędnych leków

Kolejnym problemem luki zasobów jest ograniczona dostępność podstawowych leków psychotropowych, zwłaszcza w krajach o niskim i średnim dochodzie. A gdy są dostępne, znacznie więcej osób w krajach o niskim i średnim dochodzie musi płacić za nie z własnej kieszeni (5).

Najnowsza analiza 112 krajowych list leków podstawowych ‒ zlecona na potrzeby tego raportu ‒ wykazała nierówności w zakresie wpisywania na listę, dostępności, cen i dostępności finansowej podstawowych leków psychotropowych w różnych krajach (144).

Przegląd wykazał, że aż do 40% krajów o niskim dochodzie nie zawierało w swoich listach podstawowych leków, które od dziesięcioleci znajdują się na Modelowej liście leków podstawowych WHO, takich jak flufenazyna o przedłużonym działaniu (depot) w leczeniu schizofrenii i węglan litu jako stabilizator nastroju w leczeniu choroby afektywnej dwubiegunowej. Za niektórymi z tych zaniedbań mogą kryć się inne problemy, np. konieczne są badania laboratoryjne do monitorowania stosowania niektórych leków, aby uniknąć nieodpowiedniego stosowania lub poważnych działań niepożądanych (czytaj Historia Eleni).

17
Rozdział 3. Dzisiejsze zdrowie psychiczne na świecie niskie dochody niższe średnie dochody wyższe średnie dochody wysokie dochody Mediana liczby na 100 tys. mieszkańców 0 5 10 15 20 25 30
zdrowia psychicznego na świecie 0 20 40 60 80 100 Inni wyspecjalizowani pracownicy Pracownicy socjalni Psycholodzy Pielęgniarki psychiatryczne Psychiatrzy 4,1 2,9 29 10,7 8,6 0,7 1,1 1,6 5,1 1,7 0,1 0,1 0,4 0,1 0,1 0,1 0,2 0,3 1,3 0,4 6,2% 8,6% 17,3% 47% 21%

Przegląd wykazał także, że niektóre leki przeciwpsychotyczne drugiej generacji z listy dla schizofrenii (ryziperydon i klozapina) stanowiły tylko 35% i 25% krajowych list leków podstawowych w krajach o niskim dochodzie.

Rzeczywista dostępność różnych niezbędnych leków psychotropowych była niższa w sektorze publicznym w porównaniu z sektorem prywatnym i znacznie poniżej 50% na całym świecie, często znacznie niższa w krajach o niskim dochodzie, gdzie często występowały braki w zaopatrzeniu. Leki przeciwdepresyjne, takie jak amitryptylina i fluoksetyna, w krajach o niskim dochodzie były trzykrotnie droższe w sektorze publicznym, niż zakłada międzynarodowa cena jednostkowa. W sumie przegląd wykazał, że podstawowe leki psychotropowe były mniej dostępne finansowo dla ludzi w krajach o niskim dochodzie w porównaniu z osobami z innych krajów (144).

Cyfrowa przepaść

Niezależnie od tego, czy chodzi o systemy elektroniczne, czy aplikacje mobilne, technologie cyfrowe stają się standardową częścią opieki zdrowotnej w dziedzinie zdrowia psychicznego na całym świecie (zobacz rozdz. 5: W centrum uwagi. Wykorzystanie technologii cyfrowych w opiece zdrowotnej w dziedzinie zdrowia psychicznego). Mogą być one kluczem do zwiększenia dostępu do opieki w przypadku powszechnych zaburzeń psychicznych, takich jak zaburzenia depresyjne czy lękowe, a także stworzenia platformy do świadczenia opieki zdalnej, jak miało to miejsce podczas pandemii COVID-19, gdy opcje opieki bezpośredniej były niedostępne w ramach ograniczeń społecznych.

Jednak poleganie na technologiach cyfrowych zastosowanych w dostarczaniu usług zdrowia psychicznego niesie ryzyko wykluczenia niektórych najbardziej narażonych grup ludzi na świecie do dostępu do potrzebnej opieki i nie rozwiązuje pełnego spektrum zaburzeń psychicznych, których ludzie doświadczają. Dla wielu ludzi w krajach o niskim i średnim dochodzie telefony komórkowe stanowią jedyny sposób na połączenie się z internetem i uzyskanie cennych informacji i zasobów, które w przeciwnym

razie byłyby poza ich zasięgiem. Dostęp do telefonów komórkowych wzrósł gwałtownie w ostatnich latach, a sieci komórkowe obejmują teraz ponad 85% populacji w każdym regionie świata (145). Ale nawet tam, gdzie sieci są dostępne, nie każdy ma smartfon, a nawet dla tych, którzy go posiadają, dostęp do internetu może być zaporowo drogi.

Dane dotyczące dostępności sieci komórkowej to tylko część historii: analiza z 2019 r. pokazała, że ok. połowa ludności świata nie miała dostępu do internetu, z dużymi nierównościami między krajami i wewnątrz nich (145). Tylko 20% gospodarstw domowych w krajach o niskim dochodzie miało dostęp do internetu w 2019 r., w porównaniu z 87% ludności w krajach rozwiniętych (145).

W Afryce Subsaharyjskiej systemy bezprzewodowe 4G lub nowsze nadal pozostawały w dużej mierze niedostępne. We wszystkich regionach, ale szczególnie w Afryce Subsaharyjskiej, ludzie mieszkający na obszarach wiejskich mieli o połowę mniejsze szanse na dostęp do internetu niż ci mieszkający w miastach, a kobiety były mniej skłonne, by korzystać z internetu, niż mężczyźni. We wszystkich regionach dostęp do internetu był bardziej powszechny wśród młodych ludzi (w wieku 15‒24 lat).

Badania przeprowadzone w krajach o wysokich dochodach sugerują ponadto, że osoby z zaburzeniami psychicznymi stoją przed podwyższonym ryzykiem wykluczenia cyfrowego ze względu na ubóstwo materialne i ograniczone możliwości korzystania z technologii informacyjnych i internetu oraz brak szkoleń w tym zakresie, włączając w to osoby przebywające w placówkach opieki (146).

Wszystkie te długoterminowe dysproporcje sumują się w postaci „przepaści cyfrowej”, która pogłębia istniejące nierówności w dostępie do usług w zakresie zdrowia psychicznego.

Nawet jeśli dostęp do internetu ulegnie poprawie, wiele krajów nadal musi zwiększyć swoje nakłady na systemy informatyczne związane ze zdrowiem psychicznym, rozwój uprawnień świadczeniobiorców oraz personelu, aby przejście od opieki analogowej do cyfrowej stało się rzeczywistością dla wszystkich.

18 Światowy raport na temat zdrowia psychicznego
Życie w kraju o niskich dochodach oznacza stawianie czoła nieusuwalnym barierom w dostępie do wysokiej jakości opieki

Historia Eleni

Zmagam się z chorobą afektywną dwubiegunową w Etiopii, kraju o niskich dochodach. Oznacza to stawianie czoła nieusuwalnym barierom w dostępie do opieki psychiatrycznej spełniającej minimalne standardy.

Zaopatrzenie w leki jest niewystarczające, nieregularne i drogie. Życie w biednym kraju wiąże się z brakiem twardych walut do zrównoważonego importu takich leków. Bardzo często musiałam zmieniać lek, który umożliwiał mi prowadzenie stabilnego życia, na mniej skuteczny z powodu braku dostępności na rynku. Czyż to nie jest smutne, że wiele z moich zmian nastroju zostało tak naprawdę wywołanych tymi przymusowymi zmianami leków?

Nawet gdy leki są dostępne, zalecana dawka może być nieosiągalna. Pamiętam, że przepisano mi stabilizator nastroju o dawce 25 mg, ale na rynku dostępna była tylko dawka 100 mg. Nie pozostało mi nic innego, jak tylko dzielić tabletkę na cztery

części nożem kuchennym. W większości przypadków połowa tabletki zmieniła się w proszek, ponieważ nie miała wyraźnej linii podziału.

Nie tylko leki, ale również badania laboratoryjne są często niedostępne do monitorowania terapii. Zalecono mi przyjmowanie stabilizatora nastroju, który wymagał regularnych badań krwi. Nigdy nie zapomnę toksycznych reakcji, jakie przeszłam, ponieważ jego poziom we krwi nie mógł być monitorowany. Odczynniki konieczne do badań krwi nie mogły być wtedy importowane.

Zawsze pokrywałam samodzielnie koszty mojego leczenia, co stanowiło duże obciążenie dla naszych dochodów. Mam przywilej posiadania rodziny o średnich dochodach. Ale to leczenie znacznie obciążyło nasze dochody. Systemy ubezpieczeń zdrowotnych nie istnieją. Czasami kupowałam leki na czarnym rynku. Były bardzo drogie, ale to cena za stabilne, funkcjonalne życie.

Eleni Misganaw, Etiopia

19
Rozdział 3. Dzisiejsze zdrowie psychiczne na świecie

Patogeneza proliferacyjnej witreoretinopatii

Joanna Bogatko1,A,B,C,D Tomasz Kędzierski1,A,B,C,D Sławomir Cisiecki1,B,C,E

ORCID: 0009-0005-3971-9551

ORCID: 0009-0003-3869-5514

ORCID: 0000-0002-6100-4991

Tadeusz Pietras2,C,E Weronika Łyszcz3,C,E,F Janusz Szemraj3,4,C,E.F

ORCID: 0000-0003-1771-3819

ORCID: 0009-0006-5389-5970

ORCID: 000-0001-6052-3557

1 Klinika Okulistyki, Miejskie Centrum Medyczne im. dr. Karola Jonschera w Łodzi; 2 Zakład Farmakologii Klinicznej, Uniwersytet Medyczny w Łodzi; 3 Wydział Medyczny, Uczelnia Łazarskiego, Warszawa; 4 Zakład Biochemii Medycznej, Uniwersytet Medyczny w Łodzi

A – koncepcja i projekt badań, B – gromadzenie danych, C – analiza i interpretacja danych, D – pisanie artykułu, E – krytyczna korekta artykułu, F – ostateczne zatwierdzenie artykułu

DOI: 10.26399/rmp.v29.4.2023.19/j.bogatko/t.kedzierski/s.cisiecki/t.pietras/w.lyszcz/j.szemraj

STRESZCZENIE

Patogeneza proliferacyjnej witreoretinopatii

Bogatko J.1, Kędzierski T.1, Cisiecki S.1, Pietras T.2, Łyszcz W.3 , Szemraj J.3,4

1 Klinika Okulistyki, Miejskie Centrum Medyczne im. dr. Karola Jonschera w Łodzi; 2 Zakład Farmakologii Klinicznej, Uniwersytet Medyczny w Łodzi; 3 Wydział Medyczny, Uczelnia Łazarskiego, Warszawa; 4 Zakład Biochemii Medycznej, Uniwersytet Medyczny w Łodzi

Witreoretinopatia proliferacyjna (PVR) uznawana jest za najczęstszą przyczynę niepowodzenia operacyjnego leczenia przedarciowego odwarstwienia siatkówki. Obecnie PVR porównuje się z procesem nieprawidłowego gojenia ran, powstawaniem i obkurczaniem błon komórkowych po obu stronach powierzchni siatkówki i w komorze ciała szklistego, a także zwłóknieniami śródsiatkówkowymi. W rozwoju PVR wyodrębnia się kilka etapów: fazę niedokrwienia, stan zapalny, apoptozę, fazę migracji, proliferacji i transformacji, obkurczania się błon. Kluczową rolę w całym procesie odgrywają komórki nabłonka barwnikowego siatkówki, które (stymulowane m.in. przez czynniki zapalne) ulegają transformacji, tracąc cechy komórek nabłonkowych na rzecz cech komórek mezenchymatycznych, przypominających fibroblasty. Trwają badania molekularne, mające na celu lepsze zrozumienie patofizjologii PVR, oraz badania kliniczne środków zapobiegających powstawaniu PVR.

Słowa kluczowe: proliferacyjna witreoretinopatia, przedarciowe odwarstwienie siatkówki, przejście nabłonkowo-mezenchymalne

ABSTRACT

Pathogenesis of Proliferative Vitreoretinopathy

Bogatko J.1, Kędzierski T.1, Cisiecki S.1, Pietras T.2, Łyszcz W.3 , Szemraj J.3,4

1 Department of Ophtalmology, MCM Jonscher Lodz, Poland; 2 Department of Pharmacology, Medical University of Lodz, Poland; 3 Faculty of Medicine Lazarski University, Warsaw, Poland; 4 Department odf Medical Biochemistry Medical University of Lodz, Poland

Proliferative vitreoretinopathy (PVR) is considered the most common cause of failure in the surgical treatment of rhegmatogenous retinal detachment. Currently, PVR is compared to the process of abnormal wound healing characterized by the formation and shrinking of cell membranes on both sides of the retinal surface and in the vitreous body chamber, as well as intraretinal fibrosis. Several phases can be distinguished, i.e. the ischemic phase, inflammation, apoptosis, the phase of migration, proliferation and transformation, and the phase of membrane shrinking. A key role in the whole process is played by retinal pigment epithelial cells, which, stimulated, among other things, by inflammatory factors, undergo a transformation, losing the characteristics of epithelial cells in favor of those of fibroblast-like mesenchymal cells. Laboratory studies are underway for a better understanding of the pathophysiology of PVR, as well as clinical trials of various agents to prevent PVR.

Keywords: proliferative vitreoretinopathy, rhegmatogenous retinat detachment, epithelial-mesenchymal transition

Wstęp

Termin „proliferacyjna witreoretinopatia” (proliferative vitreoretinopathy, PVR) został utworzony przez Retina Society Terminology Committee w 1983 r. dla określenia procesu chorobowego występującego wtórnie do przedarciowego odwarstwienia siatkówki (rhegmatogenous retinal detachment, RRD) [1].

Proliferacyjna witreoretinopatia pozostaje jedną z głównych przyczyn niepowodzeń operacyjnego le-

czenia RRD – pojawia się w 5–10% oczu z RRD [2]. Polega na nieprawidłowym tworzeniu się błon nasiatkówkowych, śródsiatkówkowych i podsiatkówkowych w następstwie RRD. Błony te, obkurczając się, powodują trakcje ponownie odwarstwiające siatkówkę i tworzące nowe lub poszerzające już istniejące przedarcia siatkówki.

W grupie podwyższonego ryzyka progresji do PVR znajdują się pacjenci z: istniejącymi błonami PVR [3, 4],

J. Bogatko, T. Kędzierski, S. Cisiecki, T. Pietras, W. Łyszcz, J. Szemraj, Patogeneza proliferacyjnej witreoretinopatii 21

długim, zwykle kilkumiesięcznym, wywiadem nieleczonego RRD [3], − występowaniem PVR w przeszłości [3, 4], dużymi (>3 średnice tarczy nerwu wzrokowego) podkowiastymi przedarciami odsłaniającymi dużo nabłonka barwnikowego siatkówki (retinal pigment epithelium, RPE) [3], licznymi otworami w siatkówce [3], jatrogennym lub wrodzonym brakiem soczewki [4], rozległym odwarstwieniem [3, 4], towarzyszącym odłączeniem naczyniówki [3], agresywnym zapaleniem siatkówki [3], zapaleniem błony naczyniowej [3], wysoką zawartością białek w ciele szklistym [4], wylewem krwi do komory ciała szklistego [5], wieloletnim paleniem wyrobów tytoniowych w wywiadzie [6].

Do czynników okołooperacyjnych zwiększających ryzyko tworzenia błon PVR należą: krwotoki śródoperacyjne i pooperacyjne, witrektomia, retinotomia, kriopeksja, rozległy obszar laserokoagulacji, podanie powietrza do komory ciała szklistego [5].

Rozpoznanie kliniczne PVR opiera się przede wszystkim na badaniu dna oka w biomikroskopii i uwidocznieniu odwarstwienia siatkówki z utrwalonymi fałdami u pacjentów z wywiadem długotrwałego pierwotnego RRD (pacjent podaje trwające pogorszenie ostrości wzroku poprzedzone mętami, błyskami) lub niedawną operacją naprawczą tegoż (pacjent, zwykle 4–6 tygodni po operacji naprawczej RRD, zgłasza nagłe lub stopniowe pogorszenie ostrości wzroku). Fałdy te świadczą o trakcji siatkówki wywołanej obkurczaniem się błon PVR [7]. Czasem błony PVR przybierają formę kłębów z towarzyszącymi przymgleniem i pigmentem w szklistce. W PVR tylnego odcinka mogą pojawiać się fałdy promieniste, figury gwiazdy, błony nasiatkówkowe układające się linijnie; zwłóknienia mogą też przybierać formę pierścienia odwarstwiając całą siatkówkę i pociągającego

za nią już przy tarczy nerwu wzrokowego. Proliferacyjna witreoretinopatia przednia powstaje na wysokości podstawy ciała szklistego. Najczęściej lokalizuje się w dolnych kwadrantach, choć może zajmować cały obwód siatkówki.

System klasyfikacji PVR został opublikowany w 1983 r. przez Retinal Society Terminology Committee i zaktualizowany w 1991 r. [1]. Kryteria z badania The Silicone Study poszerzają system klasyfikacji dokonując stratyfikacji poprzez:

1. lokalizację błony, 2. stopień zaawansowania klinicznego, 3. geometrię błony [8]. Uaktualniony system klasyfikacji, zdefiniowany przez Machemera w 1991 r., jest przedstawiony poniżej w tabelach 1 i 2.

Tabela 1. Stopnie zaawansowania proliferacyjnej witreoretinopatii na podstawie klasyfikacji Machemera

Stopień Cechy

A

– zmętnienia w szklistce

– zgrupowania barwnika w szklistce

– skupiska barwnika na siatkówce wewnętrznej B

– pomarszczenie powierzchni siatkówki wewnętrznej

– sztywność siatkówki

– krętość naczyń

– nieregularne, zwinięte brzegi przedarcia siatkówki

– zmniejszona mobilność szklistki

– do tyłu od równika gałki ocznej

C P 1–12

– punktowe, rozproszone lub okrężne fałdy pełnej grubości siatkówkia

– podsiatkówkowe pasma zwłóknieńa

C A 1–12

– do przodu od równika gałki ocznej – punktowe, rozproszone lub okrężne fałdy pełnej grubości siatkówkia – przemieszczenie przedniea – podsiatkówkowe pasma zwłóknieńa – zgęszczenia w ciele szklistym z pasmowatymi zwłóknieniami a Wyrażone w godzinach zegarowych

Źródło: Machemer R. et al., 1991 [9], Glazer L.C. et al., 1993 [10].

Tabela 2. Stopień C zaawansowania proliferacyjnej witreoretinopatii w odniesieniu do typu obkurczania się błon

Typ Lokalizacja Cechy

Ogniskowy przed lub za równikiem gałki ocznej figura gwiazdy

Rozproszony przed lub za równikiem gałki ocznej zlewające się figury gwiazdy

Podsiatkówkowy przed lub za równikiem gałki ocznej – „obrączka na serwetkę” wokół tarczy n. II – „sznur od bielizny” – „materiał nadgryziony przez mole”

Okrężny przed równikiem gałki ocznej

Przednie przemieszczenie przed równikiem gałki ocznej

Źródło: Machemer R. et al., 1991 [9], Glazer L.C. et al., 1993 [10].

– obkurczenie się wzdłuż tylnego brzegu podstawy ciała szklistego z centralnym przemieszczeniem siatkówki

– napięcie siatkówki obwodowej – promieniste fałdy siatkówki tylnej

– podstawa ciała szklistego przemieszczana ku przodowi przez proliferujące tkanki

– peryferyjne odłączanie się siatkówki

– napięcie wyrostków rzęskowych przez proliferacje

Ze względu na dramatyczne i często nie w pełni odwracalne skutki PVR dla pacjentów, wysiłki powinny być nakierowane nie tyle na metody leczenia czy usuwania błon PVR, co na sposoby zapobiegania ich powstawaniu. W związku z tym konieczne są nowe strategie terapeutyczne, aby zapobiec lub zatrzymać progresję PVR. W tym celu należy dokładnie poznać mechanizmy jej powstawania, czynniki biochemiczne, chemotaktyczne i enzymy biorące udział w tym procesie, aby znaleźć potencjalne punkty uchwytu dla leków, antymetabolitów czy inhibitorów.

Naprężenia mechaniczne w dotkniętym odwarstwieniem obszarze aktywują glej do uwalniania czynników stymulujących jego proliferację, a także procesy angiogenezy i fibrogenezy [11].

Komórki, które odgrywają najistotniejszą rolę w rozwoju PVR: RPE, glejowe Müllera, fibroblasty i makrofagi [12].

Proces PVR rozpoczyna się na krawędzi przedarcia. Można podzielić go na kilka faz, przypomina nieprawidłowe gojenie tkanki po przedarciu i odwarstwieniu siatkówki. Zauważono, że PVR nie występuje w wysiękowym odwarstwieniu siatkówki, można więc zakładać, że to przedarcie w RRD stanowi punkt startowy dla kaskady procesów prowadzących do powstania błon PVR. Natychmiast po odłączeniu się siatkówki neurosensorycznej od odżywiającej ją naczyniówki następuje niedokrwienie, miejscowe zapalenie i postępująca apoptoza fotoreceptorów. Dochodzi do przerwania bariery krew–siatkówka, co pozwala na swobodny napływ czynników chemotaktycznych i mitogennych, inicjujących przejście nabłonkowo-mezynchemalne komórek nabłonka barwnikowego (epithelial-mesenchymal transformation, EMT). W dalszej kolejności następuje nasilenie migracji i proliferacji, a w końcu procesy zwłóknieniowe i skurcz wytworzonych błon siatkówkowych (ryc. 1) [13].

przedarcie i odwarstwienie siatkówki

obkurczanie się błon

niedokrwienie i stan zapalny

proliferacja, migracja, transformacja

apoptoza

Rycina 1. Schematyczne przedstawienie następujących po sobie kluczowych faz patogenezy PVR

Faza niedokrwienia

Wewnętrzne dwie trzecie siatkówki jest zaopatrywane przez naczynia pochodzące z tętnicy centralnej siatkówki, zewnętrzna jedna trzecia ze splotu naczyniówkowego przez dyfuzję. Po odwarstwieniu wewnętrzna część siatkówki pozostaje ukrwiona, podczas gdy zewnętrzne warstwy zaczynają być niedotlenione i przerwaniu ulega bariera krew–siatkówka [14]. Szacuje się, że ok. 20% fotoreceptorów obumiera w ciągu 3 dni (martwica kaspazozależna, apoptoza, nekroptoza), a ponad połowa komórek umiera do 28. dnia od odwarstwienia siatkówki [15]. Ważnym czynnikiem wywołującym migrację i śmierć komórek jest indukowana niedotlenieniem kwasica mleczanowa [16].

Po odwarstwieniu siatkówki na kaspazy w komórkach zaczyna oddziaływać inhibitor kaspaz Z-VAD. Wówczas kinazy białkowe oddziałujące z receptorami 1 i 2 pośredniczą w głównych szlakach sygnałowych śmierci komórek fotoreceptorów [17]. Istnieje korelacja między ciężkością odwarstwienia a zakresem przerwania bariery krew–siatkówka [18].

Faza zapalenia

Poprzez przerwaną barierę krew–siatkówka dochodzi do zwiększenia aktywności chemotaktycznej i mitogennej w jamie ciała szklistego wtórnie do napływu cytokin, czynników wzrostu oraz komórek zapalnych z krążenia ogólnoustrojowego. Wchodzą one w interakcje z RPE, hialocytami oraz komórkami glejowymi i napędzana jest dalsza lokalna produkcja cytokin i czynników wzrostu [19].

W ciągu kilku godzin od odwarstwienia siatkówki miejsce to jest naciekane przez granulocyty obojętnochłonne, które uwalniają dodatkowe czynniki, mogące przyczyniać się do śmierci fotoreceptorów. Poprzez rodzinę receptorów NOD-podobnych i białko zawierające domenę piryny-3 (NOD-like receptor family pyrin domain containing 3, NLRP3), np. interleukinę 1β (interleukin 1β, IL-1β) [20], stymulują komórki RPE do zwiększonej regulacji cytokin zapalnych, m.in. IL-6 [21], a także czynnik wzrostu fibroblastów (fibroblast growth factor, FGF), który dodatkowo stymuluje napływ monocytów i ich różnicowanie w makrofagi [22]. Powstawanie błon podsiatkówkowych i nadsiatkówkowych PVR jest związane z lokalnym gromadzeniem się komórek zapalnych, w tym makrofagów M2 z ekspresją CD163/CD206. Mikroglej proliferuje i przenika przez siatkówkę w kilka dni po odwarstwieniu, regulując naciek makrofagów [23]. Te rozkładają resztki siatkówki i białka macierzy, zmieniając strukturę i właściwości siatkówki, wydzielają FGF i transformujący czynnik wzrostu β (transforming growth factor β, TGF-β) i tym samym stymulują akumulację i prolife-

Review of Medical Practice, 2023; Vol. XXIX, No. 4 22

J. Bogatko, T. Kędzierski, S. Cisiecki, T. Pietras, W. Łyszcz, J. Szemraj, Patogeneza proliferacyjnej witreoretinopatii 23

rację komórek podobnych do fibroblastów w początkowych błonach PVR. Komórki T pomocnicze (T-helper cells, Th) uwalniają cytokiny antyfibrogenne, takie jak IL-10 i interferon gamma, które hamują syntezę kolagenu, a także profibrogenne – FGF, TGF-β, płytkopochodny czynnik wzrostu (platelet-derived growth factor, PDGF) i czynnik wzrostu śródbłonka naczyniowego (vascular endothelial growth factor, VEGF). Zauważa się duże znaczenie odpowiedzi limfocytów Th we wczesnym PVR, chociaż w eksperymencie na myszach, mimo pozbawienia ich antygenowo-specyficznych limfocytów T i B, iniekcja doszklistkowa dyspazy nadal indukuje PVR [24].

Aktywacja makrofagów, komórek glejowych Müellera, astrocytów i mikrogleju prowadzi do stresu oksydacyjnego, który może przyczyniać się do dalszego cytotoksycznego działania, szczególnie na fotoreceptory po odwarstwieniu siatkówki [25].

Liczne przeprowadzone badania donoszą o nadekspresji wielu czynników wzrostu i cytokin w ciele szklistym i płynie podsiatkówkowym pacjentów z PVR [26, 27].

Apoptoza

Apoptoza równoważy proliferację komórek i odbywa się za pośrednictwem wewnętrznych lub zewnętrznych szlaków sygnałowych inicjowanych przez wewnątrzkomórkowe wiązanie receptora śmierci, prowadząc do fragmentacji DNA i śmierci komórki. Apoptozę i PVR łączy wiele patogenetycznych szlaków sygnałowych. Na przykład TGF-β blokując apoptozę zwiększa przeżywalność komórek RPE, indukuje proliferację i obniża poziom indukującej śmierć cząsteczki sygnalizacyjnej FasL [28]. Proapoptotyczne Fas i ligandy indukujące apoptozę związane z czynnikiem martwicy nowotworów (tumor necrosis factor, TNF) są regulowane w szklistce i w ustalonej błonie PVR, a polimorfizmy pojedynczego nukleotydu w TNF-α silnie wiążą się z ryzykiem PVR [29].

Uważa się, że TNF-α jest zaangażowany w rozwój PVR, a zatem może stanowić cel terapeutyczny. Inhibitory specyficzne dla TNF-α, takie jak infliksymab, potencjalnie mogą zapobiegać lub zmniejszać PVR. Obecnie trwa randomizowane kontrolowane badanie oceniające skuteczność doszklistkowego wstrzyknięcia infliksymabu jako adjuwantu w leczeniu operacyjnym RRD (ClinicalTrials.gov, Identifier: NCT04891991) [30].

Faza migracji i proliferacji

Komórki RPE i glejowe Müllera stanowią główne typy komórek biorących udział w patomechanizmie PVR. Zwykle po przerwaniu bariery krew–siatkówka, spowodowanym przewlekłymi patologiami, rozdarciem siatkówki, odwarstwieniem siatkówki lub pe-

netrującym urazem oka, komórki RPE aktywowane przez TGF-β nabierają cech miofibroblastów, umożliwiając im migrację i tworzenie kurczliwych błon występujących w PVR [31, 32, 33, 34, 35, 36, 37].

Proces ten, czyli EMT, może zachodzić zarówno w warunkach fizjologicznych, np. embriogenezie i gojeniu się ran, jak i w patologicznych – nowotworach i włóknieniu tkanek. Przejście nabłonkowo-mezynchemalne komórek nabłonka barwnikowego charakteryzuje się utratą biegunowości wierzchołkowo-podstawnej, zamianą ekspresji cytokeratyn na wimentynę oraz zwiększoną ruchliwością komórek i ich zdolnością do inwazji [36, 37, 38, 39, 40]. Komórki Müllera również odgrywają istotną rolę w rozwoju PVR, głównie poprzez wydzielanie cytokin i czynników wzrostu, prowadząc do glejozy i proliferacji [41]. Opisuje się, że przechodzą one również transformację glejowo-mezenchymalną pod wpływem TGF-β [42, 43].

Faza obkurczania się błon

Po odwarstwieniu stransformowane w EMT komórki nabierają cech miofibroblastów. Synteza włókien pośrednich aktyny stymulowana jest przez IL-1 i odbywa się w trakcie EMT. Alfa-aktyna mięśni gładkich jest stymulowana do wytwarzania filamentów, a następnie aneksyna A2 inicjuje skurcz włókien miofibroblastów. Aktywacja komórek Müllera prowadzi do wyraźnej glejozy w obrębie siatkówki, która prowadzi do jej zesztywnienia i skrócenia [44]. Skracanie się błon PVR powiększa obszar odwarstwienia i uwalniając kolejne RPE do szklistki nasila tworzenie się nowych błon. W przeciwieństwie do skurczów miocytów, miofibroblasty mogą utrzymywać skurcz przez dłuższy czas [37].

Efekt kurczliwości błon w PVR jest silnie skorelowany ze stężeniem aktywowanego TGF-β 2 w ciele szklistym (r 0,82, P < 0,0001) [45]. W trakcie prowadzonych hodowli tkankowych zauważono, że aktywność skurczowa zmniejsza się z wiekiem oraz po dłuższym czasie upływającym od początku rozwoju PVR, co sugeruje, że kurczliwość jest cechą przejściową po odwarstwieniu siatkówki [46].

Na podstawie licznych badań nad etiologią PVR postawiono hipotezę dotyczącą czynnika wzrostu i cytokin. Według niej nieprawidłowa ekspresja mediatorów stanu zapalnego napędza PVR. Czynniki wzrostu i cytokiny, których dotyczy hipoteza, to: TGF-β, PDGF, podstawowy czynnik wzrostu fibroblastów (bFGF), VEGF, IL-1α, IL-2, IL-3, IL-6, TNF-α, cząsteczka adhezji międzykomórkowej 1 (ICAM-1), periostyna i in. Obecność i stężenie czynników wzrostu, cytokin i chemokin mogą być potencjalnie wykorzystane jako biomarkery do przewidywania rozwoju i nasilenia PVR. W tabeli 3 przedstawiono zestawienie wybranych czynników biorących udział w procesie PVR.

Tabela 3. Wybrane czynniki biochemiczne biorące udział w procesie proliferacyjnej witreoretinopatii

– kluczowy w procesie EMT

– produkowany przez limfocyty Th i makrofagi M2, aktywowany przez trombospondynę-1

– hamuje apoptozę blokując promujący śmierć FasL [47]

– stymuluje wytwarzanie czynników prozapalnych PDGF, IL-1R, IL-6R [48]

Transformujący czynnik wzrostu β

Czynnik martwicy nowotworów α

Płytkopochodny czynnik wzrostu i czynnik wzrostu śródbłonka naczyniowego

Podstawowy czynnik wzrostu fibroblastów

– hamuje przeciwzapalną IL-10 [48]

– stężenia korelują ze stopniem zwłóknienia siatkówki i obkurczania się błon [49]

– zwiększa przeżywalność komórek RPE

– przyspiesza proliferację

– reguluje syntezę i degradację macierzy zewnątrzkomórkowej – stymuluje akumulację kolagenu i nasila włóknienie

– reguluje odpowiedź zapalną, apoptozę i proliferację komórkową [50]

– poziomy TNF-α i jego rozpuszczalnych receptorów (sTNF-Rs, sTNF-RI, sTNF-RII) są podwyższone w ciele szklistym i są skorelowane z czasem trwania odwarstwienia siatkówki i stopniem nasilenia PVR [51] – reguluje adhezje i migrację komórek RPE do macierzy zewnątrzkomórkowej przez szlak kinazy aktywowanej mitogenami [52]

– indukuje ekspresję metaloproteinaz macierzy przez aktywację sygnalizacji Akt/mTORC1 [53]

– działanie mitogenne i chemoatrakcyjne dla komórek mezenchymalnych i glejowych [54]

– poziom VEGF może rosnąć w surowicy pacjentów z PVR [55]

– średnio 2x wyższe poziomy w płynie podsiatkówkowym u osób z PVR niż u tych, które ich nie wytworzą [20]

– receptor PDGFR-α jest pośrednio aktywowany przez VEGF, bFGF, EGF, insulinę i HGF [56]

– stymuluje proces EMT

– działa protekcyjnie na komórki RPE

– promuje przezsiatkówkową migrację gleju [57]

– jej poziom koreluje z nasileniem PVR

– ma właściwości profibrogenne i prozapalne

Interleukina 6

Interleukiny 1α i 1β

– jest wytwarzana w odpowiedzi na IL-1, IL-17 i TNF-α przez komórki RPE, komórki śródbłonka, fibroblasty, neutrofile, monocyty i makrofagi [5] – promuje wytwarzanie białek ostrej fazy, VEGF, MMP, TIMP, proliferację limfocytów T, różnicowanie limfocytów B, produkcję immunoglobulin G, A i M

– stymuluje proliferację komórek RPE wiążąc się z IL-6R lub jej formą rozpuszczalną [59] – niezbędna do bliznowacenia podsiatkówkowego w modelu mysim [60] – obecna w płynie podsiatkówkowym w wysokich mianach podczas RRD [19]

– działają jako silne cytokiny prozapalne, endogenne pirogeny

– indukują proliferację i różnicowanie komórek

– inicjują i nasilają odpowiedzi immunologiczne i zapalne [61]

– przyczyniają się do śmierci fotoreceptorów poprzez NLRP3 [20]

– pojawiają się w każdym typie odwarstwień siatkówki (niezależnie od późniejszego rozwoju PVR) – polimorfizm pojedynczego nukleotydu w antagoniście receptora IL-1 jest związany z ryzkiem PVR [62]

– reguluje odpowiedź zapalną i pośredniczy w angiogenezie

– poziom IL-8 jest podwyższony w RRD i PVR, ale nie koreluje ze stopniem zaawansowania PVR [63]

Interleukina 8

Cząsteczka adhezji międzykomórkowej 1 i cząsteczka adhezyjna komórek naczyniowych 1

Fas i FasL

Periostyna

Aneksyna AII

– istotnie koreluje z wielkością odwarstwionego obszaru PVR [64]

– produkowana przez monocyty, makrofagi, limfocyty T, neutrofile, fibroblasty, komórki śródbłonka i komórki RPE

– poziomy ich rozpuszczalnych form są podwyższone we wczesnych fazach tworzenia błon PVR

– cząsteczki adhezji międzykomórkowej

– up-regulowane przez sygnalizację apoptotyczną w fotoreceptorach i komórkach RPE [28]

– cząsteczki proapoptotyczne

– odgrywają rolę w usuwaniu komórek – poziom w płynie podsiatkówkowym rośnie w ustalonym PVR i w oczach predysponowanych do rozwoju PVR [28]

– białko mitogenne

– stymuluje EMT w komórkach nowotworowych, w gojących się ranach, a także tkankach objętych chorobami zwłóknieniowymi

– powoduje chemotaksję zapalną komórek Th2 i makrofagów M2 [65]

– w PVR poziomy periostyny w ciele szklistym i w błonach PVR są podwyższone [66]

– niezbędna do migracji RPE w obrębie ciała szklistego

– jest wydzielana podczas apoptozy fotoreceptorów, uczestniczy w ich fagocytozie

– rola w degeneracji macierzy zewnątrzkomórkowej [67]

– pośredniczy w skurczu miofibroblastów

Review of Medical Practice, 2023; Vol. XXIX, No. 4 24

J. Bogatko, T. Kędzierski, S. Cisiecki, T. Pietras, W. Łyszcz, J. Szemraj, Patogeneza proliferacyjnej witreoretinopatii 25

Alfa-aktyna mięśni gładkich

– marker fazy EMT – indukuje produkcję filamentów w miofibroblastach – jej ekspresja rośnie wraz ze zwiększeniem się poziomu TGF-β – wraz z aneksyną odpowiada za właściwości kurczliwe błon PVR [68]

Katepsyna S – jej poziom w płynie podsiatkówkowym rośnie w pierwszych 24 godzinach RRD – produkowana przez RPE – reguluje lizosomalne trawienie rodopsyny – jej poziom koreluje z ryzykiem PVR, jej stopniem, a także z czasem trwania RRD [69]

Istnieje też hipoteza dotycząca autoimmunologiczngo rozwoju PVR. Została ona poparta obserwacją, w której zauważono, że sekwencje przemian przypominających PVR można wywołać poprzez immunizację siatkówki autoantygenami, m.in. opsyną, antygenem S (S-Ag) i białkiem wiążącym retinoidy międzyfotoreceptorowe. Ponadto, w błonach siatkówkowych PVR można wykryć nacieki z komórek T CD4 i CD8, komórek B CD22 i makrofagów, złogi przeciwciał immunoglobulin G, A i E oraz fragmenty dopełniacza C1q, C3c i C3d. Komórki odpornościowe wykazują zwiększoną ekspresję ligandu CD95 i/ lub cząsteczek HLA-DR, co sugeruje to ich aktywację [70]. Nie udało się dotychczas ocenić czy procesy autoimmunologiczne są przyczyną czy towarzyszącym skutkiem genezy PVR.

Zakończenie

W artykule przedstawiono aktualny stan wiedzy na temat PVR. Znajomość patofizjologii tego procesu jest niezbędna w planowaniu potencjalnych metod terapeutycznych, mających zastosowanie w leczeniu omawianej choroby. Należy jednak pamiętać, że skuteczność terapii weryfikują wyłącznie wieloośrodkowe badania z podwójnie ślepą próbą. Mechanizmy patofizjologiczne choroby są tylko wskazówką zarówno dla grup badawczych projektujących potencjalne leki, jak i czynności zabiegowych stosowanych przez okulistów operatorów.

Piśmiennictwo

1. Hilton G., Machemer R., Michels R. et al.: The classification of retinal detachment with proliferative vitreoretinopathy. Ophthalmology 1983; 90(2): 121-125.

2. Charteris D.G., Sethi C.S., Lewis, G.P. et al.: Proliferative vitreoretinopathy – developments in adjunctive treatment and retinal pathology. Eye 2002; 16(4): 369-374.

3. Girard P., Mimoun G., Karpouzas I. et al.: Clinical risk factors for proliferative vitreoretinopathy after retinal detachment surgery. Retina 1994; 14(5): 417-424.

4. Kon C.H., Asaria, R.H., Occleston, N.L. et al.: Risk factors for proliferative vitreoretinopathy after primary vitrectomy: a prospective study. Br J Ophthalmol 2000; 84(5): 506-511.

5. Nagasaki H., Shinagawa K., Mochizuki M. Risk factors for proliferative vitreoretinopathy. Prog Retin Eye Res 1998; 17(1): 77-98.

6. Eliott D., Stryjewski T.P., Andreoli M.T. et al.: Smoking is a risk factor for proliferative vitreoretinopathy after traumatic retinal detachment. Retina 2017; 37(7): 1229-1235.

7. Thompson J.T.: The biomechanics of scleral bickles in the treamen of retinal detachment. In: Ryan S.J., Hinton D.R., Schachat A.P., Wilkinson C.P., ed. Retina. Elsevier; 2006. 2283-2309.

8. Lean J.S., Stern W.H., Irvine A.R. et al.: Classification of proliferative vitreoretinopathy used in the silicone study. The Silicone Study Group. Ophthalmology 1989; 96(6): 765-771.

9. Machemer R., Aaberg T.M., Freeman H.M. et al.: An updated classification of retinal detachment with proliferative vitreoretinopathy. Am J Ophthalmol 1991; 112(2): 159-165.

10. Glazer L.C., Abrams G.W.: Proliferative vitreoretinopathy. In: Freeman W.R., ed. Practical atlas of retinal disease and therapy. New York: Raven Press; 1993. 279-297.

11. Garweg J.G., Tappeiner C., Halberstadt M.: Pathophysiology of proliferative vitreoretinopathy in retinal detachment. Surv Ophthalmol 2013; 58(4): 321-329.

12. Rodrigues M.M., Newsome D.A. Machemer R.: Further characterization of epiretinal membranes in human massive periretinal proliferation. Curr Eye Res 1981; 1(6): 311-315.

13. Yu D.Y., Cringle S.J.: Oxygen distribution and consumption within the retina in vascularised and avascular retinas and in animal models of retinal disease. Prog Retin Eye Res 2001; 20(2): 175-208.

14. Kiel J.W.: The ocular circulation. San Rafael: Morgan & Claypool Life Sciences; 2011. 1-81.

15. Cook B., Lewis G.P., Fisher S.K. et al.: Apoptotic photoreceptor degeneration in experimental retinal detachment. Invest Ophthalmol Vis Sci 1995; 36(6): 990-996.

16. Kubay O.V., Charteris D.G., Newland H.S. et al.: Retinal detachment neuropathology and potential strategies for neuroprotection. Surv Ophthalmol 2005; 50(5): 463-475.

17. Trichonas G., Murakami Y., Thanos A. et al.: Receptor interacting protein kinases mediate retinal detachment-induced photoreceptor necrosis and compensate for inhibition of apoptosis. Proc Natl Acad Sci USA 2010; 107(50): 2169521700.

18. Takahashi S., Adachi K., Suzuki Y. et al.: Profiles of inflammatory cytokines in the vitreous fluid from patients with rhegmatogenous retinal detachment and their correlations with clinical features. Biomed Res Int 2016; 2016: 4256183.

19. Ricker L.J., Kijlstra A., Kessels A.G. et al.: Interleukin and growth factor levels in subretinal fluid in rhegmatogenous retinal detachment: a case-control study. PLoS ONE 2011; 6(4): e19141.

20. Kataoka K., Matsumoto H., Kaneko H. et al.: Macrophageand RIP3-dependent inflammasome activation exacerbates retinal detachment-induced photoreceptor cell death. Cell Death Dis 2015; 6(4): e1731.

21. Jaffe G.J., Roberts W.L., Wong H.L. et al.: Monocyte-induced cytokine expression in cultured human retinal pigment epithelial cells. Exp Eye Res 1995; 60(5): 533-543.

22. Wiedemann P.: Growth factors in retinal diseases: proliferative vitreoretinopathy, proliferative diabetic retinopathy, and retinal degeneration. Surv Ophthalmol 1992; 36(5): 373-384.

23. Paschalis E.I., Lei F., Zhou C. et al.: Permanent neuroglial remodeling of the retina following infiltration of CSF1R inhibition-resistant peripheral monocytes. Proc Natl Acad Sci USA 2018; 115(48): E11359-E11368.

24. Zhang W., Tan J., Liu Y. et al.: Assessment of the innate and adaptive immune system in proliferative vitreoretinopathy. Eye 2012; 26(6): 872-881.

25. Idrees S., Sridhar J., Kuriyan A.E.: Proliferative vitreoretinopathy: a review. Int Ophthalmol Clin 2019; 59(1): 221-240.

26. Symeonidis C., Papakonstantinou E., Androudi S. et al.: Comparison of interleukin-6 and matrix metalloproteinase expression in the subretinal fluid and the vitreous during proliferative vitreoretinopathy: correlations with extent, duration of RRD and PVR grade. Cytokine 2014; 67(2): 71-76.

27. Rasier R., Gormus U., Artunay O. et al.: Vitreous levels of VEGF, IL-8, and TNF-α in retinal detachment. Curr Eye Res 2010; 35(6): 505-509.

28. Ricker L.J., Altara R., Goezinne F. et al.: Soluble apoptotic factors and adhesion molecules in rhegmatogenous retinal detachment. Invest Ophthalmol Vis Sci 2011; 52(7): 4256-4262.

29. El Ghrably I., Powe D.G., Orr G. el al.: Apoptosis in proliferative vitreoretinopathy. Invest Ophthalmol Vis Sci 2004; 45(5): 1473-1439.

30. Elnahry A.: Intravitreal infliximab for proliferative vitreoretinopathy (FIXER); https://clinicaltrials.gov/ct2/show/NCT04891991 (acessed13.02.2024).

31. Ishikawa K., Kannan R., Hinton D.R.: Molecular mechanisms of subretinal fibrosis in age-related macular degeneration. Exp Eye Res 2016; 142: 19-25.

32. Shu D.Y., Butcher E., Saint-Geniez M.: EMT and EndMT: Emerging roles in age-related macular degeneration. Int J Mol Sci 2020; 21(12): 4271.

33. Shu D.Y., Lovicu F.J.: Myofibroblast transdifferentiation: the dark force in ocular wound healing and fibrosis. Prog Retin Eye Res 2017; 60: 44-65.

34. Little K., Ma J.H., Yang N. et al.: Myofibroblasts in macular fibrosis secondary to neovascular age-related macular degeneration – the potential sources and molecular cues for their recruitment and activation. EBioMedicine 2018; 38: 283-291.

35. Tenbrock L., Wolf J., Boneva S. et al.: Subretinal fibrosis in neovascular age-related macular degeneration: current concepts, therapeutic avenues, and future perspectives. Cell Tissue Res 2022; 387(3): 361-375.

36. Yang S., Li H., Li M. et al.: Mechanisms of epithelial-mesenchymal transition in proliferative vitreoretinopathy. Discov Med 2015; 20(110): 207-217.

37. Tamiya S., Kaplan H.J.: Role of epithelial-mesenchymal transition in proliferative vitreoretinopathy. Exp Eye Res 2016; 142: 26-31.

38. Yang J., Antin P., Berx G. et al.: Guidelines and definitions for research on epithelial-mesenchymal transition. Nat Rev Mol Cell Biol 2020; 21(6): 341-352.

39. Dongre A., Weinberg R.A.: New insights into the mechanisms of epithelial-mesenchymal transition and implications for cancer. Nat Rev Mol Cell Biol 2019; 20(2): 69-84.

40. Ribatti D., Tamma R., Annese T.: Epithelial-mesenchymal transition in cancer: a historical overview. Transl Oncol 2020; 13(6): 100773.

41. Eastlake K., Banerjee P.J., Angbohang A. al al.: Müller glia as an important source of cytokines and inflammatory factors present in the gliotic retina during proliferative vitreoretinopathy. Glia 2016; 64(4): 495-506.

42. Anderson D.H., Stern W.H., Fisher S.K. et al.: The onset of pigment epithelial proliferation after retinal detachment. Invest Ophthalmo Vis Sci 1981; 21(1): 10-16.

43. Kanda A., Noda K., Hirose I. et al.: TGF-β-SNAIL axis induces Muller glial-mesenchymal transition in the pathogenesis of idiopathic epiretinal membrane. Sci Rep 2019; 9: 673.

44. Hiscott P., Mudhar H. Is vasoproliferative tumour (reactive retinal glioangiosis) part of the spectrum of proliferative vitreoretinopathy? Eye 2009; 23(9): 1851-1858.

45. Kita T., Hata Y., Arita R. et al.: Role of TGF-β in proliferative vitreoretinal diseases and ROCK as a therapeutic target. Proc Natl Acad Sci USA 2008; 105(45): 17504-17509

46. Hardwick C., Morris R., Witherspoon D. et al.: Pathologic human vitreous promotes contraction by fibroblasts. Implications for proliferative vitreoretinopathy Arch Ophthalmol 1995; 113(12): 1545-1553.

47. Lee J., Choi J.-H., Joo C.-K.: TGF-β1 regulates cell fate during epithelial-mesenchymal transition by upregulating survivin. Cell Death Dis 2013; 4(7): e714.

48. Chaudhary R., Scott R.A., Wallace G. et al.: Inflammatory and fibrogenic factors in proliferative vitreoretinopathy development. Transl Vis Sci Technol 2020; 9(3): 23.

49. Connor T.B. Jr, Roberts A.B., Sporn M.B., et al.: Correlation of fibrosis and transforming growth factor-beta type 2 levels in the eye. J Clin Invest 1989; 83(5): 1661-1666.

50. Zhao X., Lv C., Chen S., el al.: A role for the non-receptor tyrosine kinase ACK1 in TNF-alpha-mediated apoptosis and proliferation in human intestinal epithelial caco-2 cells. Cell Biol Int 2018; 42(9): 1097-1105.

51. Limb G.A., Hollifield R.D., Webster L. el al.: Soluble TNF receptors in vitreoretinal proliferative disease. Invest Ophthalmol Vis Sci 2001; 42(7): 1586-1591.

52. Jin M., He S., Worpel V. el al.: Promotion of adhesion and migration of RPE cells to provisional extracellular matrices by TNF-alpha. Invest Ophthalmol Vis Sci 2000; 41(13): 43244332.

53. Wang C.-H., Cao G.-F., Jiang Q. el al.: TNF-α promotes human retinal pigment epithelial (RPE) cell migration by induc-

ing matrix metallopeptidase 9 (MMP-9) expression through activation of Akt/mTORC1 signaling. Biochem Biophys Res Commun 2012; 425(1): 33-38.

54. Holmes D.I., Zachary I.: The vascular endothelial growth factor (VEGF) family: angiogenic factors in health and disease. Genome Biol 2005; 6(2): 209.

55. Sydorova M., Lee M.S.: Vascular endothelial growth factor levels in vitreous and serum of patients with either proliferative diabetic retinopathy or proliferative vitreoretinopathy. Ophthalmic Res 2005; 37(4): 188-190.

56. Pennock S., Haddock L.J., Eliott D. el al.: Is neutralizing vitreal growth factors a viable strategy to prevent proliferative vitreoretinopathy? Prog Retin Eye Res 2014; 40: 16-34.

57. Romo P., Madigan M.C., Provis J.M. el al.: Differential effects of TGF-β and FGF-2 on in vitro proliferation and migration of primate retinal endothelial and Müller cells. Acta Ophthalmol 2011; 89(3): e263-e268.

58. Liu X., Ye F.., Xiong H. al.: IL-1β induces IL-6 production in retinal Müller cells predominantly through the activation of p38 MAPK/NF-κB signaling pathway. Exp Cell Res 2015; 331(1): 223-231.

59. Yamamoto H., Hayashi H., Uchida H. el al.: Increased soluble interleukin-6 receptor in vitreous fluid of proliferative vitreoretinopathy. Curr Eye Res2003; 26(1): 9-14.

60.Sato K., Takeda A., Hasegawa E. et al.: Interleukin-6 plays a crucial role in the development of subretinal fibrosis in a mouse model. Immunol Med 2018; 41(1): 23-29.

61. Dinarello C.A.: Introduction to the interleukin-1 family of cytokines and receptors: drivers of innate inflammation and acquired immunity. Immunol Rev 2018; 281(1): 5-7.

62. Rojas J., Fernandez I., Pastor J.C. el al.: Predicting proliferative vitreoretinopathy: temporal and external validation of models based on genetic and clinical variables Br J Ophthalmol 2015; 99(1): 41-48.

63. Canataroglu H., Varinli I., Ozcan A.A. el al.: Interleukin (IL)-6, interleukin (IL)-8 levels and cellular composition of the vitreous humor in proliferative diabetic retinopathy, proliferative vitreoretinopathy, and traumatic proliferative vitreoretinopathy. Ocul Immunol Inflamm 2005; 13(5): 375-381.

64. Abu el-Asrar A.M., van Damme J., Put W. el al.: Monocyte chemotactic protein-1 in proliferative vitreoretinal disorders. Am J Ophthalmol 1997; 123(5): 599-606.

65. Uchida M., Shiraishi H., Ohta S. et al. Periostin, a matricellular protein, plays a role in the induction of chemokines in pulmonary fibrosis. Am J Respir Cell Mol Biol 2012; 46(5): 677-686.

66. Yoshida S., Nakama T., Ishikawa K. Periostin in vitreoretinal diseases. Cell Mol Life Sci 2017; 74(23): 4329-4337.

67. Valapala M., Maji S., Borejdo J. el al.: Cell surface translocation of annexin A2 facilitates glutamate-induced extracellular proteolysis. J Biol Chem 2014; 289(23): 15915-15926.

68. Liu Y.Q., Zhang C., Li J.-W. et al.: An-luo-hua-xian alleviates carbon tetrachloride-induced hepatic fibrosis in rats through upregulation of peroxisome proliferator-activated receptor-gamma and downregulation of nuclear factor-kappa b/ iκbα signaling pathway. World J Tradit Chin Med 2019; 5: 95-103.

69. Mazzoni F., Safa H., Finnemann S.C.: Understanding photoreceptor outer segment phagocytosis: use and utility of RPE cells in culture. Exp Eye Res 2014; 126: 51-60.

70. Tang S., Scheiffarth O.F., Wildner G. el al.: Lymphocytes, macrophages and HLA-DR expression in vitreal and epiretinal membranes of proliferative vitreoretinopathy. An immunohistochemical study. Ger J Ophthalmol 1992; 1(3-4): 176179.

Autorzy nie deklarują konfliktu interesów.

Adres do korespondencji: Janusz Szemraj Zakład Biochemii Medycznej Katedra Biochemii Medycznej Wydział Nauk o Zdrowiu Uniwersytet Medyczny w Łodzi ul. Mazowiecka 6/8 92-215 Łódź e-mail: janusz.szemraj@umed.lodz.pl

Review of Medical Practice, 2023; Vol. XXIX, No. 4 26

Piorunujący przebieg zespołu HELLP współistniejącego z rzucawką u ciężarnej w 32. tygodniu ciąży powikłanej wewnątrzmacicznym zahamowaniem wzrastania płodu –opis przypadku

Jarosław Kopko1,A, B, C, D, F Ewa Jabłońska1,A, B, D, E

ORCID: 0000-0003-3081-8121

ORCID: 0009-0006-9226-6691

1 Klinika Ginekologii i Położnictwa, Uczelnia Łazarskiego, Warszawa

A – koncepcja i projekt badań, B – gromadzenie danych, C – analiza i interpretacja danych, D – pisanie artykułu, E – krytyczna korekta artykułu, F – ostateczne zatwierdzenie artykułu

DOI: 10.26399/rmp.v29.4.2023.20/j.kopko/e.jablonska

STRESZCZENIE

Piorunujący przebieg zespołu HELLP współistniejącego z rzucawką u ciężarnej w 32. tygodniu ciąży powikłanej wewnątrzmacicznym zahamowaniem wzrastania płodu – opis przypadku

Kopko J.1, Jabłońska E.1

1 Klinika Ginekologii i Położnictwa, Uczelnia Łazarskiego, Warszawa

Zespół HELLP jest ciężkim powikłaniem ciąży. Charakteryzuje się postępującym przebiegiem prowadzącym do znacznego pogorszenia stanu matki oraz płodu. Leczeniem przyczynowym zespołu HELLP oraz rzucawki w przypadku pacjentek, u których noworodek uzyskał zdolność do życia poza organizmem matki, jest zakończenie ciąży. W pracy przedstawiono przypadek 37-letniej ciężarnej pierworódki, u której w 32. tygodniu ciąży (TC) wykonano cięcie cesarskie z powodu ciężkiego zespołu HELLP oraz rzucawki. Pierwsze uchwytne objawy pojawiły się zaledwie kilka godzin wcześniej, a dotychczasowy przebieg ciąży nie sugerował tak dynamicznego rozwoju powyższych patologii. Analizując przebieg ciąży należy zwrócić szczególną uwagę, że jedynym parametrem, który mógłby świadczyć o nieprawidłowej funkcji łożyska, był podwyższony indeks pulsacji (PI) w prawej tętnicy macicznej. Indeks pulsacji w lewej tętnicy macicznej w tym samym czasie był prawidłowy.

ABSTRACT

Instant Onset of HELLP Syndrome Associated with Eclampsia at 32 Weeks of Pregnancy Complicated by Fetal Growth Restriction – Case Report

Kopko J.1, Jabłońska E.1

1 Department of Obstetrics and Gynecology, Lazarski University, Warsaw, Poland

HELLP syndrome is one of the most serious complications of pregnancy associated with high maternal and neonatal mortality. Due to a high risk of death or serious maternal and fetal complications, the causal treatment for HELLP syndrome as well as eclampsia is the termination of pregnancy. We present a case report of a 37-year-old primipara with the fulminant course of HELLP syndrome associated with eclampsia at 32 weeks of pregnancy complicated by fetal growth restriction. The patient underwent a cesarean section at 32nd weeks of gestation due to severe HELLP syndrome within a very short time from the onset of the first observable symptoms. In the operating room, the patient lost consciousness just before anesthesia and had tonic-clonic seizures. When analysing the course of the pregnancy, special attention should be paid to the absence of concomitant risk factors for the above pathologies. In the presented case detailed perinatal care and extended diagnostic examinations were carried out at every stage of pregnancy. The only parameter that could be indicative of abnormal placental function was an elevated pulsatility index (PI) in the right uterine artery. The PI in the left uterine artery at the same time was normal.

Słowa kluczowe: zespół HELLP, rzucawka, ciąża, zahamowanie wzrastania płodu

Keywords: HELLP syndrome, eclampsia, pregnancy, fetal growth restriction

Wstęp

Zespół HELLP jest ciężkim powikłaniem, rozwijającym się najczęściej pomiędzy 27. a 37. tygodniem ciąży (TC), ale opisywane są również przypadki jego występowania we wczesnym połogu [1]. Charakteryzuje się triadą objawów pod postacią hemolizy we-

wnątrznaczyniowej, podwyższonego stężenia enzymów wątrobowych oraz małopłytkowości. Częstość występowania tego powikłania w populacji wszystkich kobiet rodzących jest niska i wynosi mniej niż 1% [2]. Jednocześnie wykazano, że zespół HELLP może dotyczyć 10–20% pacjentek z rozpoznanym stanem przedrzucawkowym oraz 30% ciężarnych z rzucaw-

ką [3, 4]. Najczęściej występujące objawy to: tkliwość i bóle w nadbrzuszu, nadciśnienie tętnicze, bóle głowy, nudności, wymioty, zaburzenia widzenia, krwawienie śródczaszkowe oraz żółtaczka [5]. Zespół charakteryzuje się postępującym i niekiedy dynamicznym przebiegiem, prowadzącym do nagłego pogorszenia stanu matki oraz płodu [4]. Śmiertelność matek może sięgać nawet 15%, jednocześnie umieralność okołoporodowa płodów waha się od 34% w przypadku ciąż przed ukończonym 32. TC do 8% w przypadku ciąż po ukończonym 32. TC [3, 6]. W diagnostyce różnicowej zespołu HELLP należy uwzględnić patologie przebiegające z hemolizą wewnątrznaczyniową, uszkodzeniem wątroby oraz trombocytopenią.

Zgodnie z definicją przyjętą przez Światową Organizację Zdrowia (World Health Organization, WHO) wewnątrzmaciczne zahamowanie wzrastania płodu (fetal growth restriction, FGR) jest powikłaniem polegającym na urodzeniu dziecka o masie znajdującej się poniżej 10. centyla w odniesieniu do wieku ciążowego. Może dotyczyć 7–15% wszystkich ciąż [7]. Czynniki ryzyka wystąpienia FGR można podzielić na: matczyne, płodowe oraz związane z łożyskiem. Wyróżniamy 2 typy płodowego ograniczenia wzrastania – wczesny oraz późny. Należy zwrócić uwagę, że do grupy płodów z ograniczeniem wzrastania zalicza się zarówno zdrowe i konstytucjonalnie małe dzieci (small for gestational age, SGA), jak i te, które z przyczyn patologicznych nie wykorzystały swojego potencjału wzrastania (z FGR). Wśród ciężarnych z SGA, w przeciwieństwie do tych z FGR, nie zaobserwowano istotnego statystycznie zwiększenia ryzyka obumarcia wewnątrzmacicznego płodu oraz zaburzeń hemodynamicznych [8, 9]. W 2020 r. Międzynarodowe Towarzystwo Ultrasonografii w Położnictwie i Ginekologii opublikowało rekomendacje dotyczące postępowaniu w przypadku stwierdzenia SGA lub FGR u płodu [10]. Rzucawka jest rzadkim powikłaniem ciąży, charakteryzującym się wystąpieniem drgawek z utratą przytomności u pacjentki ze stwierdzonym uprzednio stanem przedrzucawkowym. Dotyczy ok. 1% takich ciąż [11, 12]. Ze względu na wysokie ryzyko zgonu lub poważnych powikłań u matki i płodu leczeniem przyczynowym zarówno zespołu HELLP, jak i rzucawki jest rozwiązanie ciąży [1].

W pracy przedstawiono przypadek ciężarnej z FGR, u której zespół HELLP oraz rzucawka wystąpiły kilka godzin po pojawieniu się pierwszych niepokojących objawów, a dotychczasowy przebieg ciąży nie sugerował tak dynamicznego rozwoju tych patologii.

Opis przypadku

Pacjentka w wieku 37 lat, C III P I 32. TC + 5 dni, ze stwierdzoną niedoczynnością tarczycy i FGR, została

przywieziona na Oddział Ginekologiczno-Położniczy przez Zespół Ratownictwa Medycznego (ZRM) z powodu wystąpienia epizodu drgawkowego trwającego 2 minuty, dolegliwości bólowych w nadbrzuszu, bólu głowy oraz podwyższonych wartości ciśnienia tętniczego do 175/105 mmHg.

W wywiadzie ciąża jajowodowa leczona metotrexatem oraz poronienie samoistne w 8. TC. W aktualniej ciąży spontanicznej wyrównana niedoczynność tarczycy (ciężarna stosowała Euthyrox 50 ug 1x1). Innych chorób przewlekłych nie stwierdzono. Wywiad rodzinny nieobciążony. Pacjentka nieleczona operacyjnie. Waga 62 kg, wzrost 162 cm, BMI sprzed ciąży 22,1 kg/m².

W 29. TC w trakcie rutynowego USG pacjentkę skierowano do ośrodka referencyjnego z powodu podejrzenia hipotrofii płodu (10. centyl, masa 1114 g, płeć żeńska) oraz zwiększonego indeksu pulsacji (pulsatility index, PI) w tętnicach macicznych. Dotychczasowy przebieg ciąży był niepowikłany, badania dodatkowe prawidłowe, wartości ciśnienia sprzed ciąży oraz w trakcie wizyt lekarskich prawidłowe. Przeprowadzono diagnostykę prenatalną w ciąży: test PAPPA wykazał niskie rysko trisomii, preeklampsji oraz zahamowania wzrastania płodu. Wynik oceny wolnego DNA płodowego (cffDNA) prawidłowy. Badanie ultrasonograficzne (ultrasonography, USG) między 18. a 22. TC prawidłowe.

W ośrodku referencyjnym wykonano kardiotokografię (KTG): czynność serca płodu (fetal hearth rate, FHR) 140–150/min, oscylacja falująca, zapis reaktywny, zmienność krótkoterminowa 14,9 ms. Wartości ciśnienia tętniczego prawidłowe. W badaniu USG zahamowanie wzrastania płodu I stopnia (FGR I), PI w prawej tętnicy macicznej (RtUta PI) 1,54, PI w lewej tętnicy macicznej (LtUta PI) 0,83. Zalecono kontrolne badania w poradni wad płodu w odstępach dwutygodniowych oraz kontrolę ciśnienia tętniczego 2 razy dziennie. Ostatnie badanie USG wykonane w 32. TC + 2 dni wykazało 1569 g masy płodu, co odpowiadało 5. centylowi. Przepływy naczyniowe: PI w tętnicy pępkowej (UA PI) 1,03, PI w tętnicy środkowej mózgu (MCA PI) 1,5, RtUta PI 1,71, LtUta PI 0,77, prawidłowa ilość płynu owodniowego. Kontrolne wartości ciśnienia tętniczego w dzienniczku pomiarów prawidłowe. Ustalono termin następnego badania kontrolnego za 2 tygodnie.

W 32. TC + 5 dni ciąży w godzinach nocnych (02:00) pacjentka zgłosiła się na Izbę Przyjęć rejonowego Szpitala Powiatowego z powodu bólu w śródbrzuszu oraz nadbrzuszu, który wiązała z błędem dietetycznym. Przy przyjęciu stwierdzono stan ogólny dobry, pacjentka była wydolna krążeniowo-oddechowo, brzuch miała nieco tkliwy w okolicy nadbrzusza, bez objawów otrzewnowych. W badaniach dodatkowych:

Review of Medical Practice, 2023; Vol. XXIX, No. 4 28

J. Kopko, E. Jabłońska, Piorunujący przebieg zespołu HELLP współistniejącego z rzucawką u ciężarnej... 29

krwinki białe 8,7x103/µl, liczba erytrocytów (red blood cells, RBC) 4,84 x106/µl, hemoglobina 12,8 g/dL, płytki krwi (thrombocyte, PLT) 202 x103/µl, białko C-reaktywne (C-reactive protein, CRP) 0,9 mg/l, sód 136 mmol/l, potas 3,86 mmol/l, bilirubina 0,38 mg/dl, glikemia 97 mg/dl, w badaniu ogólnym moczu brak zmian. Pacjentka otrzymała kroplówkę rozkurczową z No-Spą i lignokainą oraz Controloc. Wartości ciśnienia tętniczego były prawidłowe. Po zastosowaniu leczenia zaobserwowano nieznaczne zmniejszenie dolegliwości. Nie stwierdzono wskazań do hospitalizacji. Pacjentka została wypisana do domu z zaleceniem diety lekkostrawnej oraz kontroli u lekarza prowadzącego.

Tego samego dnia, 6 godzin po wypisie ze szpitala, ciężarna wezwała ZRM z powodu wystąpienia epizodu drgawek trwającego 2 minuty, nasilających się dolegliwości bólowych w nadbrzuszu oraz bólu głowy. W chwili badania przez ZRM była wydolna krążeniowo-oddechowo, w pełnym kontakcie słowno-logicznym, ból oceniała na 3 stopień wg numerycznej skali bólu, ciśnienie tętnicze wynosiło 175/105 mmHg, tętno 120/min.

Pacjentka została przewieziona na Izbę Przyjęć Oddziału Ginekologicznego Szpitala o II stopniu referencyjności. W momencie przekazania była w stanie ogólnym średnim, splątana. Wartości ciśnienia tętniczego przy przyjęciu na poziomie 180/110 mmHg,

tętno 110/min, temperatura 36,8°C. W badaniu przedmiotowym stwierdzono: brzuch miękki, bez objawów otrzewnowych, macica o nieznacznie wzmożonym napięciu. W badaniu wewnętrznym – brak krwawienia z dróg rodnych. W badaniu USG: łożysko bez cech odklejenia, FHR ok. 150/min, masa płodu 1646 g, ilość płynu owodniowego w normie, centralizacja krążenia u płodu (MCA PI 0,72, UA PI 0,90). Pacjentce podano siarczan magnezu, podłączono zapis KTG, czynność serca płodu ok. 160/min, oscylacja milcząca, powtarzające się deceleracje (ryc. 1). W związku z zagrażającą zamartwicą płodu podjęto decyzję o natychmiastowym wykonaniu cięcia cesarskiego. Na sali operacyjnej, bezpośrednio przed znieczuleniem, pacjentka straciła przytomność oraz wystąpił napad drgawek toniczno-klonicznych. Ciśnienie krwi wynosiło 190/130 mmHg. Z czystych wód płodowych wydobyto noworodka płci żeńskiej w stanie ogólnym średnim, o masie urodzeniowej 1600 g, ocenionego w skali Apgar na 6-9-9 pkt. Śródoperacyjna utrata krwi wyniosła 500 ml. W trakcie operacji otrzymano wyniki badań laboratoryjnych pobranych przy przyjęciu: RBC 4,56 x106/µl, PLT 34 x103/µl, aminotransferaza asparaginianowa (aspartate aminotransferase, AspAT) 1456 U/l, aminotransferaza alaninowa (laninę transferase, ALT) 739 U/l, bilirubina 2,5 mg/dl, kwas moczowy 9 mg/dl, czas protrombinowy (prothrombin time, PT) 12,7 sec, fibrynogen 169 mg/dl.

Rycina 1. Zapis KTG przy przyjęciu na oddział ginekologiczny

Źródło: opracowanie własne.

Po zakończeniu cięcia cesarskiego pacjentkę w stanie ogólnym ciężkim przekazano na Oddział Intensywnej Terapii. Założono wkłucie centralne, przetoczono 2 jednostki koncentratu krwinek płytkowych oraz 2 jednostki świeżo mrożonego osocza, zastosowano insulinoterapię, Furosemid, płynoterapię, wlew amin katecholowych, siarczan magnezu, dexametazon oraz antybiotykoterapię. Po ustabilizowaniu stanu klinicznego pacjentkę przekazano na Oddział Ginekologiczny w 3. dobie pooperacyjnej. W kontrolnych badaniach laboratoryjnych w momencie przekazania: Hb 7,9 g/dL, RBC 2,9 x106/µl, PLT 131 x103/µl, standaryzowany współczynnik czasu protrombinowego 1,02, fibrynogen 218 mg/dl, CRP 54 mg/l, AspAT 451 U/l, ALT 346 U/l, dehydrogenaza mleczanowa 807 U/l. W dalszym przebiegu hospitalizacji stosowano leczenie hipotensyjne (Dopegyt, Metocard) i heparyny drobnocząsteczkowe. Prowadzono monitoring parametrów życiowych. Wartości ciśnienia tętniczego przy ustalonym leczeniu utrzymywały się w granicach normy, stopniowo redukowano dawki leków hipotensyjnych. Pacjentka z dzieckiem została wypisana do domu w stanie ogólnym dobrym w 30. dobie hospitalizacji. Wyniki wszystkich badań laboratoryjnych przedstawiono w tabeli 1.

Tabela 1. Zestawienie badań laboratoryjnych

Szpitalny Oddział Ratunkowy (6 godzin przed cięciem cesarskim)

Dyskusja

Zespół HELLP należy do jednego z najpoważniejszych powikłań ciąży związanych z wysoką śmiertelnością matek i noworodków. Początkowo zespół ten traktowano jako ciężką postać rzucawki lub konsekwencję stanu przedrzucawkowego. Aktualnie rozpoznawany jest jako odrębna jednostka chorobowa, gdyż może występować bez nieprawidłowych wartości ciśnienia tętniczego oraz białkomoczu. U 15% ciężarnych z zespołem HELLP nie stwierdza się występowania nadciśnienia indukowanego ciążą [13, 14].

W 2015 r. Vigil-De Gracia i wsp. analizowali przebieg ponad 115 tys. porodów w celu oceny występowania rzucawki oraz zespołu HELLP. Spośród wszystkich analizowanych porodów rzucawka wystąpiła u 196 pacjentek, stanowiąc 0,17% badanych, z czego u 54 ciężarnych stwierdzono współistnienie zespołu HELLP. Autorzy wskazują, że śmiertelność wśród matek, u których wystąpiła izolowana rzucawka, wynosiła 0% vs. 14,8% w sytuacji współistnienia rzucawki oraz zespołu HELLP. Śmiertelność wśród dzieci wynosiła 4,9% vs. 20% [15].

W 2018 r. Lisonkova i wsp. dokonali analizy ponad 1 mln porodów, które odbyły się w Kanadzie

Oddział Ginekologiczny (podczas przyjęcia)

Trzeci dzień pooperacyjny

Trzydziesty dzień pooperacyjny

Źródło: opracowanie własne.

Review of Medical Practice, 2023; Vol. XXIX, No. 4 30
Normy laboratoryjne Krwinki białe (103/µl) 8,7 13,11 8,97 4,32 4,5–11,0 Erytrocyty (106/µl) 4,84 4,56 2,9 4,95 3,5–5,0 Hemoglobina (g/dL) 12,8 12,4 7,9 13,6 12,0–16.0 Płytki krwi (103/µl) 202 34 131 237 150–400 Biało C-reaktywne (mg/l) 0,9 54 <5 Sód (mmol/l) 136 136 139 136–146 Potas (mmol/l) 3,86 4,65 4,09 3,5–5,1 Bilirubina (mg/dl) 0,38 2,5 1,0 <1,0 Aminotransferaza asparaginianowa (U/l) 1456 451 24 <32 Aminotransferaza alaninowa (U/l) 739 346 20 <31 Kwas moczowy (mg/dl) 9 5,3 4,9 2,4–5,7 Czas protrombinowy (sec) 12,7 11,0 9,4–12,5 Fibrynogen (mg/dl) 169 218 200–393 Dehydrogenaza mleczanowa (U/l) 807 226 135–214

J. Kopko, E. Jabłońska, Piorunujący przebieg zespołu HELLP współistniejącego z rzucawką u ciężarnej... 31

w latach 2012–2015, aby ustalić czynniki ryzyka zespołu HELLP. Wśród wszystkich rodzących częstość występowania zespołu HELLP wynosiła 0,25%, natomiast rzucawki 0,04%. Autorzy badania podkreślali, że śmiertelność wśród matek z zespołem HELLP jest ponad dziesięciokrotnie większa niż w przypadku pacjentek zdrowych. Istotne statystycznie czynniki ryzyka wystąpienia zespołu HELLP to: wiek ≥35 lat, nierództwo lub wielorództwo (≥4 porodów), otyłość, nikotynizm, techniki wspomaganego rozrodu, cukrzyca, nadciśnienie tętnicze, przewlekłe choroby serca, nerek i wątroby, trombofilie, toczeń rumieniowaty, zespół antyfosfolipidowy, stan przedrzucawkowy/rzucawka w wywiadzie, wady płodu, nieprawidłowości związane z łożyskiem [16].

W ostatnich latach powstały prace, które porównywały czynniki ryzyka wystąpienia zespołu HELLP u pierworódek oraz wieloródek. W 2018 r. Malmstrom i Morken, analizując przebieg ok. 700 tys. porodów w Norwegii, wskazywali, że w obu grupach pacjentek czynniki mogą się różnić. Autorzy ustalili, że w grupie wieloródek BMI ≥30 kg/m² oraz cukrzyca nie zwiększają istotnie ryzyka wystąpienia zespołu HELLP [17].

W 2023 r. Malinte-Popescu i wsp. dokonali retrospektywnej analizy 81 porodów u pacjentek z zespołem HELLP oraz 80 porodów z grupy kontrolnej [18]. Celem badania było stworzenie samouczącego się modelu komputerowego, który mogłyby umożliwić przewidywanie wystąpienia zespołu oraz jego ciężkości na podstawie oceny czynników ryzyka oraz badań laboratoryjnych. Pacjentki z zespołem HELLP zostały przydzielone do 3 klas ze względu na ciężkość zespołu (klasyfikacja Mississippi); w tabeli 2 przedstawiono 2 najbardziej popularne systemy klasyfikacji zespołu HELLP [19]. Następnie autorzy dokonali analizy przy użyciu 4 komputerowych modeli, a po zakończeniu badania wskazali, że wybrane modele mogą przewidzieć wystąpienie zespołu HELLP w klasie I z czułością 86–91%. Jednocześnie czułość dla wykrycia klasy II i III wynosiła ok. 65–83%.

Tabela 2. Klasyfikacje zespołu HELLP

Klasyfikacja Mississippi Klasyfikacja Tennessee

Klasa I:

• PLT < 50 x103/µl

• AspAT i/lub ALT > 70 U/l

• LDH > 600 U/l

Klasa II:

• PLT 50–100 x103/µl

• AspAT i/lub ALT > 70 U/l

• LDH > 600 U/l

Klasa III:

• PLT 100–150 x103/µl

• AsPT i/lub ALT > 40 U/l

• LDH > 600 U/l

Całkowity zespół:

• PLT < 100 x103/µl

• AspAT > 70 U/l

• LDH > 600 U/l

Częściowy zespół: stwierdzenie 2 z 3 wymienionych wyżej parametrów

Źródło: Martin J.N. Jr i wsp., 1999 [19].

Do tej pory nie udowodniono, aby jakikolwiek marker laboratoryjny mógł zostać wykorzystany w predykcji występowania zespołu HELLP. Jednocześnie najnowsze doniesienia naukowe wskazują na rolę mikropęcherzyków (microvesicles, MVs) jako potencjalnego biomarkera zespołu w przyszłości [20, 21].

Wysoka śmiertelność w zespole HELLP jest wynikiem poważnych powikłań, m.in. pęknięcia wątroby u ciężarnej, obrzęku mózgu, udaru krwotocznego lub krwotoku podpajęczynówkowego [22, 23, 24, 25]. Rokowanie jest szczególnie niekorzystne, jeżeli uszkodzenie dotyczy pnia mózgu lub wzgórza, prowadząc do poważnych deficytów neurologicznych [26].

Ocena dynamiki rozwoju zespołu HELLP wśród ciężarnych, u których płód osiągnął zdolność do życia poza organizmem matki, była przedmiotem nielicznych analiz. Jest to związane z wyjątkowo wysokim ryzykiem śmierci oraz odległych powikłań zarówno u matki, jak i u płodu w przypadku kontynuacji ciąży. W 2007 r. Ganzevoort i wsp. dokonali próby oceny dynamiki rozwoju zespołu HELLP oraz innych powikłań u pacjentek leczonych z powodu nadciśnienia tętniczego pojawiającego się na wczesnym etapie ciąży. Łącznie w randomizowanym badaniu wzięło udział 216 ciężarnych pomiędzy 24. a 34. TC. W toku obserwacji pacjentki zostały przydzielone do 1 z 3 grup: z występującym zespołem HELLP, ciężkim stanem przedrzucawkowym lub FGR. U badanych pacjentek stosowano leczenie przeciwnadciśnieniowe, stymulowano dojrzałość płuc płodu sterydoterapią, podawano siarczan magnezu, leki przeciwbólowe oraz morfinę. Okres obserwacji kończył się porodem w przypadku: wystąpienia zaburzeń czynności serca płodu, obrzęku płuc, oporności na terapię przeciwnadciśnieniową oraz nawracającego zespołu HELLP. W momencie włączenia do badania 56 kobiet (26%) kwalifikowało się do więcej niż 1 z grup badanych. W momencie zakończenia obserwacji liczba ta wzrosła do 171 pacjentek (79%). Do grupy z zahamowaniem wzrastania płodu włączono 82 pacjentki. W przebiegu dalszej obserwacji w tej grupie zespół HELLP wystąpił u 15 pacjentek (18%), natomiast rzucawka u 2 (2,4%). W trakcie obserwacji autorzy potwierdzili śmierć 9 płodów (11%) wśród pacjentek z FGR. Średni czas obserwacji pacjentki od momentu przydzielenia do grupy badanej do rozwiązania ciąży lub wewnątrzmacicznego obumarcia płodu w grupie pacjentek z zespołem HELLP wynosił 3 dni (0,3–22), natomiast w przypadku ciężkiego stanu przedrzucawkowego 1,5 dnia (0,5–26) [27].

W 2023 r. Mossayebi i wsp. analizowali przebieg 55 ciąż, w przypadku których doszło do wystąpienia zespołu HELLP przed 23. TC. Autorzy raportowali występowanie ciężkich powikłań u ponad 45% pacjentek. Powikłania najczęściej dotyczyły wątroby,

ośrodkowego układu nerwowego oraz układu oddechowego. W związku z występującym zagrożeniem życia matek dokonano terminacji w przypadku 36 spośród 55 wszystkich ciąż. W przypadku pozostałych 21 ciąż, które kontynuowano, u 48% doszło do obumarcia płodu przed 20. TC. Jedynie w przypadku 3 ciąż autorzy raportowali przeżycie płodu, przy czym ciąże te zakończyły się porodem w 23. TC. Wystąpił 1 przypadek śmierci u matki [28].

Aktualnie leczeniem przyczynowym zespołu HELLP oraz rzucawki w przypadku pacjentek, u których noworodek uzyskał zdolność do życia poza organizmem matki, jest zakończenie ciąży. W sytuacji stabilnego stanu ciężarnej oraz potwierdzonego dobrostanu płodu należy rozważyć pojedynczy kurs sterydoterapii [29]. Autorzy wskazują jednak, że zastosowanie kursu sterydoterapii wydaje się być mniej korzystne w przypadku zespołu HELLP w porównaniu do ciężkiego stanu przedrzucawkowego [30]. Istnieją również doniesienia o możliwość zastosowania antytrombiny lub S-nitrozoglutationu celem poprawy wyników okołoporodowych wśród pacjentek z zespołem HELLP oraz rzucawką. Aktualnie brak jednak randomizowanych badań potwierdzających ich korzystne działanie [31, 32, 33].

Wewnątrzmaciczne ograniczenie wzrastania płodu to bardzo aktualny problem kliniczny. Przypadki wczesnego pojawienia się FGR przed 32. TC często związane są z nadciśnieniem tętniczym oraz chorobami tkanki łącznej u matki [34]. Według aktualnych rekomendacji pacjentki z wczesnym FGR powinny zostać skierowane na konsultację w ośrodku o wyższym stopniu referencyjności. Pomimo stosunkowo dobrze poznanego przebiegu tej patologii, zaplanowanie dalszego procesu diagnostyczno-terapeutycznego stanowi spore wyzwanie dla opieki perinatalnej. W szczególności ma to związek z możliwością dynamicznego rozwinięcia się dodatkowych patologii (ciężkiego stanu przedrzucawkowego, rzucawki, zespołu HELLP, wewnątrzmacicznego obumarcia płodu), które mogą doprowadzić do śmierci matki. Identyfikacja kobiet ze zwiększonym ryzykiem zaburzeń wzrastania oraz adekwatna diagnostyka dają szansę na obniżenie umieralności okołoporodowej [35, 36].

Wnioski

W pracy przedstawiono przypadek ciężarnej, u której pomimo poszerzonej diagnostyki oraz szczegółowo realizowanej opieki perinatalnej na każdym etapie ciąży, w bardzo krótkim czasie od wystąpienia pierwszych uchwytnych objawów zdiagnozowano ciężki zespół HELLP oraz rzucawkę. Analizując przebieg ciąży należy zwrócić szczególną uwagę, że oprócz wieku (≥35 lat) nie stwierdzono towarzyszących czynników

ryzyka wystąpienia powyższych patologii pod postacią: obciążonego wywiadu położniczego, nadciśnienia tętniczego, chorób przewlekłych, odbiegających od norm stężeń markerów biochemicznych, zakażeń wertykalnych oraz nieprawidłowości genetycznych u płodu. Jedynym parametrem, który mógłby świadczyć o niewłaściwej funkcji łożyska, był podwyższony PI w prawej tętnicy macicznej, wynosząc w czasie ostatniego badania w 32. TC + 2 dni 1,72 (>99. centyl). Indeks pulsacji w lewej tętnicy macicznej w tym samym czasie był prawidłowy – PI 0,77.

Piśmiennictwo

1. Mihu D., Costin N., Mihu C.M.: HELLP syndrome – a multisystemic disorder. J Gastrointestin Liver Dis 2007; 16(4): 419-424.

2. Dusse L.M., Alpoim P.N., Silva J.T. et al.: Revisiting HELLP syndrome. Clin Chim Acta 2015; 451(Pt B): 117-120.

3. Vigil-De Gracia P.: Maternal deaths due to eclampsia and HELLP syndrome. Int J Gynecol Obstet 2009; 104(2): 90-94.

4. Abildgaard U, Heimdal K.: Pathogenesis of the syndrome of hemolysis, elevated liver enzymes, and low platelet count (HELLP): a review. Eur J Obstet Gynecol Reprod Biol 2013; 166(2): 117-123.

5. Sibai B.M., Taslimi M.M, el-Nazer A. et al.: Maternal-erinatal outcome associated with the syndrome of hemolysis, elevated liver enzymes, and low platelets in severe preeclampsia-eclampsia. Am J Obstet Gynecol 1986; 155(3): 501-509.

6. Gul A., Cebeci A., Aslan H. et al.: Perinatal outcomes in severe preeclampsia-eclampsia with and without HELLP syndrome. Gynecol Obstet Invest 2005; 59(2): 113-118.

7. McKinney D., Boyd H., Langager A. et al.: The impact of fetal growth restriction on latency in the setting of expectant management of preeclampsia. Am J Obstet Gynecol 2016; 214(3): 395.e1-7.

8. Poon L.C., Tan M.Y., Yerlikaya G. et al.: Birth weight in live births and stillbirths. Ultrasound Obstet Gynecol 2016; 48(5): 602-606.

9. Bligh L.N., Flatley C.J., Kumar S.: Reduced growth velocity at term is associated with adverse neonatal outcomes in non-small for gestational age infants. Eur J Obstet Gynecol Reprod Biol 2019; 240: 125-129.

10. Lees C.C., Stampalija T., Baschat A. et al.: ISUOG Practice Guidelines: diagnosis and management of small-for-gestational-age fetus and fetal growth restriction. Ultrasound Obstet Gynecol 2020; 56(2): 298-312.

11. Lee N.M., Brady C.W.: Liver disease in pregnancy. World J Gastroenterol 2009; 15(8): 897-906.

12. Leszczyńska-Gorzelak B., Poniedziałek-Czajkowska E.: Rzucawka w ciąży – aktualny problem kliniczny. Perinatol Neonatol Ginekol 2009; 2: 94-101.

13. Weinstein L.: Syndrome of hemolysis, elevated liver enzymes, and low platelet count: a severe consequence of hypertension in pregnancy. Am J Obstet Gynecol 1982; 142(2): 159-167.

14. Weinstein L.: It has been a great ride: The history of HELLP syndrome. Am J Obstet Gynecol 2005; 193(3 Pt 1): 860-863.

15. Vigil-De Gracia P., Rojas-Suarez J., Ramos E. et al.: Incidence of eclampsia with HELLP syndrome and associated mortality in Latin America. Int J Gynaecol Obstet 2015; 129(3): 219-222.

16. Lisonkova S., Razaz N., Sabr Y. et al.: Maternal risk factors and adverse birth outcomes associated with HELLP syndrome: a population-based study. BJOG 2020; 127(10): 11891198.

17. Malmström O., Morken N.-H.: HELLP syndrome, risk factors in first and second pregnancy: a population-based cohort study. Acta Obstet Gynecol Scand 2018; 97(6): 709-716.

18. Melinte-Popescu M., Vasilache I.-A., Socolov D. et al.: Prediction of HELLP syndrome severity using machine learning algorithms – results from a retrospective study. Diagnostics 2023; 13(2): 287.

19. Martin J.N. Jr, Rinehart B.K., May W.L. et al.: The spectrum of severe preeclampsia: comparative analysis by HELLP

Review of Medical Practice, 2023; Vol. XXIX, No. 4 32

(hemolysis, elevated liver enzyme levels, and low platelet count) syndrome classification. Am J Obstet Gynecol 1999; 180(6 Pt 1): 1373-1384.

20. Petca A., Miron B.C., Pacu I. et al.: HELLP syndrome – holistic insight into pathophysiology. Medicina 2022; 58(2): 326.

21. Paul N., Sultana Z., Fisher J.J. et al.: Extracellular vesicles –crucial players in human pregnancy. Placenta 2023; 140: 3038.

22. Zatelli M., Comai A.: Spontaneous rupture of the liver in a patient admitted for subarachnoid haemorrhage. Int J Surg Case Rep 2015; 6: 15-18.

23. Block H.S.: Neurological complications of pregnancy. Curr Neurol Neurosci Rep 2016; 16(7): 67.

24. Koyama S., Tomimatsu T., Kanagawa T. et al.: Spinal subarachnoid hematoma following spinal anesthesia in a patient with HELLP syndrome. Int J Obstet Anesth 2010; 19(1): 8791.

25. Okada T., Kanagaki M., Yamamoto A. et al.: Magnetic resonance imaging of vascular encephalopathy related to pregnancy. Neurol Med Chir 2013; 53(8): 520-525.

26. Miller E.C., Yaghi S., Boehme A. et al.: Mechanisms and outcomes of stroke during pregnancy and the postpartum period: a cross-sectional study. Neurol Clin Pract 2016; 6(1): 29-39.

27. Ganzevoort W., Rep A., Bonsel G.J. et al.: Dynamics and incidence patterns of maternal complications in early-onset hypertension of pregnancy. BJOG 2007; 114(6): 741-750.

28. Mossayebi M.H., Iyer N.S., McLaren R.A. Jr, et al.: HELLP syndrome at <23 weeks’ gestation: a systematic literature review. Am J Obstet Gynecol 2023; 229(5): 505-515.e10.

29. Lamer P.: Current controversies surrounding the use of repeated courses of antenatal steroids. Adv Neonatal Care 2002; 2(6): 290-300.

30. Sibai B.M.: Diagnosis, controversies, and management of the syndrome of hemolysis, elevated liver enzymes, and low platelet count. Obstet Gynecol 2004; 103(5 Pt 1): 981-991.

31. Mangione S., Giarratano A.: The role of antithrombin III in critical patients in obstetrics. Minerva Anestesiol 2002; 68(5): 449-453.

32. Maki M., Kobayashi T., Terao T. et al.: Antithrombin therapy for severe preeclampsia: results of a double-blind, randomized, placebo-controlled trial. BI51.017 Study Group. Thromb Haemost 2000; 84(4): 583-590.

33. Knapen M.F., Mulder T.P., van Rooij I.A. et al.: Low whole blood glutathione levels in pregnancies complicated by preeclampsia or the hemolysis, elevated liver enzymes, low platelets syndrome. Obstet Gynecol 1998; 92(6): 1012-1015.

34. Figueras F., Gardosi J.: Intrauterine growth restriction: new concepts in antenatal surveillance, diagnosis, and management. Am J Obstet Gynecol 2011; 204(4): 288-300.

35. Ego A., Zeitlin J., Batailler P. et al.: Stillbirth classification in population-based data and role of fetal growth restriction: the example of RECODE. BMC Pregnancy Childbirth 2013; 13(1): 182.

36. Gardosi J., Giddings S., Clifford S. et al.: Association between reduced stillbirth rates in England and regional uptake of accreditation training in customised fetal growth assessment. BMJ Open 2013; 3(12): e003942.

Autorzy nie deklarują konfliktu interesów.

Adres do korespondencji:

Jarosław Kopko Klinika Ginekologii i Położnictwa Uczelni Łazarskiego ul. Gdyńska 1/3 05-200 Wołomin e-mail: yaroslavk@poczta.fm

J.
przebieg zespołu HELLP współistniejącego z rzucawką u ciężarnej... 33
Kopko, E. Jabłońska, Piorunujący

Carriage of Multidrug-Resistant Pathogens amongst Patients in a Palliative Care

Bożena Nowaczyk¹,A,B,C,D,E,F

ORCID: 0000-0002-3493-7884

Monika Lorenz2,B,E,F

ORCID: 0000-0002-0572-7167

Danuta Dyk¹,A,D,E,F

ORCID: 0000-0003-2435-9424

Jerzy T. Marcinkowski3,A,C,E,F

ORCID: 0000-0001-6495-8988

¹ Department of Anesthesiology and Intensive Care Nursing, Poznan University of Medical Sciences, Poland; 2 Hospital in Puszczykowo, Poland; 3 Faculty of Medicine, Lazarski University, Warsaw, Poland

A – research concept and design, B – data collection, C – data analysis and interpretation, D – article writing, E – critical review of the article, F – final approval of the article

DOI: 10.26399/rmp.v29.4.2023.21/b.nowaczyk/d.dyk/m.lorenz/j.t.marcinkowski

ABSTRACT

Carriage of Multidrug-Resistant Pathogens amongst Patients in a Palliative Care

Nowaczyk B.1, Dyk D.1, Lorenz M.2, Marcinkowski J.T.3

¹ Department of Anesthesiology and Intensive Care Nursing, Poznan University of Medical Sciences, Poland; 2 Hospital in Puszczykowo, Poland; 3 Faculty of Medicine, Lazarski University, Warsaw, Poland

Objectives of the study. With the aging population and an increase in cancer incidence, the demand for palliative care is rising both in Poland and worldwide. Experiences and publications on multidrug-resistant organisms (MDRO) and risk factors for healthcare-associated infections (RFHAI) in the Palliative and Hospice Care Department (PHCD), as well as infection diagnosis and treatment, are scarce despite being more common among palliative care patients than in other patient groups. The microorganisms isolated from infections increasingly exhibit resistance to the majority, and sometimes all, available medications. This study aims to estimate the carriage of MDRO and RFHAI among patients in the Palliative-Hospice Care Department.

Methods. This prospective study was conducted during the patients’ stay at the hospital ward. It involved 799 patients (382 men and 417 women, average age: 73.5 years) hospitalized in PHCD from November 1, 2014, to March 31, 2017. Upon admission, all patients were assessed for 29 predetermined RFHAI and underwent microbiological screening tests (MST) to detect MDRO. Swabs were taken from the nasal vestibule and anus following antiseptic protocols to prevent sample contamination by environmental microorganisms. A statistical analysis of RFHAI and MST results was performed.

Results. MDRO carriage was identified in 299 (37.4%) patients admitted to PHCD. The average RFHAI assessment score for patients with MDRO detected in MST was 10.14, higher than in patients without MDRO (8.7). The most common RFHAI in PHCD patients included previous hospitalization within the last six months or transfer from another hospital, eating disorders, antibiotic therapy within three months before hospitalization, and invasive procedures.

STRESZCZENIE

Nosicielstwo drobnoustrojów wielolekoopornych wśród pacjentów z oddziału opieki paliatywnej

Nowaczyk B.1, Dyk D.1, Lorenz M.2, Marcinkowski J.T.3 1 Zakład Pielęgniarstwa Anestezjologicznego i Intensywnej Opieki, Uniwersytet Medyczny w Poznaniu; 2 Szpital w Puszczykowie; 3 Wydział Medyczny, Uczelnia Łazarskiego, Warszawa

Cele badania. Ze względu na starzenie się społeczeństwa i wzrost zachorowań na nowotwory wzrasta zapotrzebowanie na opiekę paliatywną zarówno w Polsce, jak i w innych krajach świata. Doświadczenia oraz publikacje dotyczące nosicielstwa drobnoustrojów wielolekoopornych (MDRO) i czynników ryzyka zakażeń szpitalnych (CRHAI) w Oddziale Opieki Paliatywno-Hospicyjnej (OOP-H) oraz rozpoznawania i leczenia zakażeń są niewielkie pomimo tego, że u pacjentów objętych opieką paliatywną występują one częściej niż w pozostałych grupach chorych. Drobnoustroje wyizolowane z infekcji coraz częściej charakteryzują się opornością na większość, a czasem nawet na wszystkie dostępne w terapii leki. Celem badań było oszacowanie nosicielstwa MDRO i CRHAI wśród pacjentów OOP-H. Metody. Badania prowadzono metodą prospektywną w trakcie pobytu pacjenta na oddziale. Badaniami objęto 799 pacjentów (382 mężczyzn i 417 kobiet; średni wiek: 73,5 lat) hospitalizowanych na OOP-H w okresie od 01.11.2014 r. do 31.03.2017 r. U wszystkich pacjentów przy przyjęciu na OOP-H wykonano ocenę 29 przyjętych RFHAI oraz mikrobiologiczne badania przesiewowe (MBP) w celu identyfikacji MDRO; w tym celu pobrano wymaz z przedsionka nosa oraz odbytu - zgodnie z zasadami antyseptyki, w sposób zapobiegający kontaminacji próbki przez drobnoustroje z otoczenia. Dokonano analizy statystycznej wyników MBP z RFHAI. Wyniki. Nosicielstwo MDRO wykryto u 299 (37,4%) pacjentów przyjmowanych na OOP-H. Średnia punktacja w ocenie RFHAI u pacjentów z wykrytym w MBP MDRO wyniosła 10,14 i była wyższa niż u pacjentów bez MDRO (10,14 vs 8,7). Najczęstsze czynniki ryzyka zakażenia szpitalnego u pacjentów OOP-H to: wcześniejsza hospitalizacja w ostatnich 6 miesiącach lub przeniesienie z innego szpitala, zaburzenia odżywiania, antybiotykoterapia < 3 miesiące przed hospitalizacją oraz sztuczne drogi (cewnik moczowy, cewnik naczyniowy, rurka tracheotomijna).

B. Nowaczyk, D. Dyk, M. Lorenz, J.T. Marcinkowski, Carriage of Multidrug-Resistant Pathogens amongst Patients ... 35

Conclusions. ESBL-producing Proteus mirabilis, carbapenemase-producing Pseudomonas aeruginosa, Vancomycin-Resistant Enterococcus (VRE), ESBL-producing Escherichia coli, ESBL-producing Enterobacter cloacae, and ESBL-producing Klebsiella pneumoniae detected in MST among patients treated at PHCD were more frequent in patients with certain RFHAI.

Key words: palliative care, multi-drug resistant bacteria, risk factors for hospital acquired infection, microbiological screening tests.

Introduction and Objective of the Study

One of the most significant challenges for contemporary medicine and public health is the emergence, selection, and spread of antibiotic-resistant strains of major human pathogenic bacteria, leading to an inability to effectively treat healthcare-acquired infections (HAI). The past year has seen a rapid rise in HAIs caused by multidrug-resistant organisms (MDRO). Contributing factors include the misuse and inappropriate use of antibiotics, a limited pipeline of new effective drugs for treating infections, an increase in patients with infection risk factors, an aging society with more patients in nursing homes and care institutions, lack of, or non-compliance with, infection therapy recommendations in line with the principles of evidence-based medicine, and underutilization of microbiological diagnostics.[1]

The risk of HAI is influenced by the involved microorganism, the patient, and the hospital environment.[1-3]

Over 70% of bacteria responsible for nosocomial infections are resistant to at least one type of antibiotic.[4,5] Multidrug-resistant Gram-negative bacteria account for more than 50% of medical care associated infections.[6,7] Microorganisms of primary concern in the acquisition of resistance to many groups of antibiotics are: Enterococcus faecium, Staphylococcus aureus, Acinetobacter baumannii, Pseudomonas aeruginosa, and the Enterobacteriaceae family, including Klebsiella pneumoniae.

The evolving epidemiological situation and increased HAI risk have led to more microbiological screening tests (MST) aimed at detecting MDRO and assessing risk factors for healthcare-associated infections (RFHAI).[8-11] Despite the higher frequency of MDROs in palliative care patients, research and publications on antibiotic-resistant bacteria carriage and RFHAI in PHCD, including diagnosis and treatment of infections, are limited.[12-19] Notwithstanding the advanced palliative care in Poland, there is a noticeable lack of evidence regarding MDRO carriage and RFHAI research in Palliative and Hospice Care Department (PHCD). This study seeks to identify which investigated RFHAIs influence MDRO carriage in PHCD patients.

Wnioski. Proteus mirabilis ESBL, Pseudomonas aeruginosa szczep wytwarzający karbapenemazy, Enterococcus VRE, Escherichia coli ESBL, Enterobacter cloacae ESBL i Klebsiella pneumoniae ESBL wykryte w MBP u pacjentów przyjmowanych na OOP-H występowały częściej u pacjentów z niektórymi RFHAI.

Słowa kluczowe: opieka paliatywna, bakterie wielolekooporne, czynniki ryzyka zakażenia szpitalnego, mikrobiologiczne badania przesiewowe

Materials and Methods

Place of Study and Patients Involved in the Research

The research was conducted at the PHCD ward at one of the hospitals in Poland. This ward treats patients with chronic, progressive, life-threatening diseases that are deteriorating and require increased medical supervision and intensive symptomatic treatment. The study involved 799 patients (382 men and 417 women, mean age: 73.5 years) hospitalized successively at PHCD from November 1, 2014, to March 31, 2018.

Bioethics Committee Approval

The study received approval from the Bioethics Committee at Poznań University of Medical Sciences (Resolution no. 748/16).

Methods and Tools

The study utilized prospective methods during the patients’ hospital stay. Upon admission, all patients underwent nasal swabs for MRSA and rectal swabs for MDRO. Within 12 hours of hospital admission, the risk of HAI was evaluated using a form assessing 29 risk factors for infection. This information was recorded in a specially designed observation questionnaire.

Microbiological Screening Tests

Indications for microbiological screening tests (MST) included: (1) previous hospitalization at other healthcare facilities, (2) long-term stay at care facilities, and (3) experience of health treatment services that are a risk factor for colonization. The indications concerned all patients hospitalized at PHCD. MST was performed for all patients hospitalized at PHCD upon admission to the ward.

MSTs targeted the following MDROs: Methicillin-Resistant Staphylococcus Aureus (MRSA), Vancomycin-Resistant Enterococcus (VRE), Enterobacteriaceae strains producing carbapenemases (CPE), Enterobacteriaceae rods, and Pseudomonas aerugi-

nosa strains producing extended-spectrum beta-lactamases (ESBL); multidrug-resistant Acinetobacter baumannii and P. aeruginosa strains.

Microbial cultures were conducted under conditions optimal for the growth of the targeted microorganisms. The swabs were inoculated on nutrient and differentiating media for MRSA, VRE, ESBL, and selective chromogenic agars for the detection of carbapenemases - CRE. The antibiotic sensitivities were interpreted according to the European Committee on Antimicrobial Susceptibility Testing – EUCAST and the National Reference Center for Antimicrobial Susceptibility (Krajowy Ośrodek Referencyjny ds. Lekowrażliwości Drobnoustrojów - KORLD) at the National Medicines Institute in Warsaw criteria. MST aimed to identify MDRO-colonized patients and assess the actual carriage among patients in PHCD.

Statistical Analysis

The authors conducted a statistical analysis of the results from MST, with 29 assumed RFHAI. The statistical analysis included 799 PHCD patients. The following statistical tests were used: (1) the χ2 test (chi-square independence test) for comparison of qualitative variables, (2) student’s t-test (in cases of heterogeneous variance of variables, a test with independent estimation of variance was used) to compare mean value differences. The statistical analysis of the data was performed using Statistica 12 and MS Excel. In all calculations, p <0.05 was considered statistically significant.

Results

Of the 799 patients, MDRO carriage was confirmed in 299 patients (37.4%) (155 men and 144 women). In the remaining 500 patients (62.6%) (227 men and 273 women), no pathogen carriers were identified. The analysis included RFHAI from 299 patients with MDRO, whose health conditions qualify them for healthcare services in palliative care. The conditions were as follows: cancer in 187 patients (62.5%), pressure ulcers in 70 patients (23.4%), cardiomyopathy in 26 patients (8.7%), and other indications listed in the

current Ordinance of the Minister of Health on guaranteed services in the field of palliative and hospice care of 29th October 2013 (Rozporządzenie Ministra Zdrowia z dnia 29 października 2013 r., w sprawie świadczeń gwarantowanych z zakresu opieki paliatywnej i hospicyjnej) - 16 (5.4%).[20]

The mean age of patients with carriage of MDRO was 74.5 years (minimum 40 years, maximum 96 years); the mean age of women was 76 years (minimum 40 years, maximum 96 years); the mean age of men was 72 years (minimum 43 years, maximum 94 years). Regarding the state of consciousness, 78 patients were fully conscious, 206 had limited consciousness, and in 15, logical contact was impossible. There were 35 (11.7%) ambulatory patients and 264 (88.3%) bed-bound patients in the study group. Among the 299 patients, 207 were carriers of one pathogen, 87 of two pathogens, and 15 of three pathogens.

Table 1. MDRO species detected in the microbiological screening tests

MDRO N 299 patients Rectal swab

Klebsiella pneumoniae ESBL 120 109 (90.8%)

Staphylococcus aureus MRSA 33 11 (33.3%)

Escherichia coli ESBL 85 83 (97.6)

Enterococcus spp VRE 136 134 (98.5)

Citrobacter freundii ESBL 11 10 (90.9%)

Proteus mirabilis ESBL 6 6 (100.0%)

Pseudomonas aeruginosa (carbapenemase-producing strain) 7 2 (28.6%)

Enterobacter cloacae ESBL 3 3 (100.0%)

Other:

Klebsiella oxytoca ESBL – 3; Morganella morganii – 2. 5 5 (100.0%)

The most common carrier among all surveyed patients was Enterococcus VRE. S. aureus MRSA was found in 33 patients: in nasal swabs of 16 patients (48.5%) and rectal swabs of 11 patients (33.3%).

The average score from the RFHAI assessment in patients with MDRO detected in MST was 10.14, higher than in patients without MDRO (8.7).

1.

Review of Medical Practice, 2023; Vol. XXIX, No. 4 36
Risk Factor of hospital acquired infection MDRO yes RF yes MDRO no RF yes MDRO yes RF no MDRO no RF no Odds ratio for bacteria in RF group 95 % CI z statistic Significance level
Table 2. Assessed risks factors of nosocomial infections
75 years 20 128 151 480 0.4967 0.2996 to 0.8234 2.713 P = 0.0067
Age over
another hospital / nursing home
hospitalization in the last 6 months 41 222 36 459 2.3547 1.4637 to 3.7883 3.530 P = 0.0004
2. Transfer from
/

3. Surgical procedures / invasive tests performed less than 6 months before hospitalization

4. Carrying alert

5. Hygienic

6. Previous infections associated with a hospital stay <12 months

7. Invasive procedures (catheter, stoma, vascular catheter, tracheotomy tube)

8. Open injury / internal injury / multi-organ

9. Damaged skin / tattoos / large

10. Unconscious / after ingestion / after sudden cardiac arrest / immobilization

11.

29.

B.
Multidrug-Resistant Pathogens amongst Patients ... 37
of
25 142 132 475 0.6335 0.3972 to 1.0104 1.916 P
0.0553
=
pathogens 4 34 261 496 0.2236 0.0785 to 0.6369 2.805 P = 0.0050
negligence
22 154 123 478 0.5552 0.3406 to 0.9050 2.360 P = 0.0183
/ incontinence / fecal incontinence
21 107 171 479 0.5498 0.3337 to 0.9058 2.348 P = 0.0189
33 196 70 467 1.1233 0.7189 to 1.7550 0.511 P = 0.6097
2 8 289 498 0.4308 0.0909 to 2.0425 1.061 P = 0.2889
injury / victim of physical violence
piercing 8 51 240 492 0.3216 0.1502 to 0.6884 2.922 P = 0.0035
scars /
6 36 257 494 0.3204 0.1332 to 0.7703 2.543 P = 0.0110
Recurrent inflammatory processes 4 18 277 496 0.3979 0.1333 to 1.1875 1.652 P = 0.0985
Chronic infection 0 2 297 500 0.3365 0.0161 to 7.0326 0.702 P = 0.4825
Acute active infection 5 43 251 495 0.2293 0.0897 to 0.5861 3.076 P = 0.0021 14. Pressure ulcers / skin changes 28 135 136 472 0.7198 0.4592 to 1.1283 1.433 P = 0.1517
Antibiotic therapy
months
hospitalization 35 198 66 465 1.2454 0.8002 to 1.9382 0.973 P = 0.3308 16. Current radiotherapy / chemotherapy / steroid therapy 7 52 240 493 0.2765 0.1237 to 0.6179 3.134 P = 0.0017 17. Blood coagulation disorders / transfusions of blood preparations <6 months 8 72 219 492 0.2496 0.1182 to 0.5272 3.638 P = 0.0003 18. Metabolic disease 17 79 203 483 0.5120 0.2957 to 0.8866 2.390 P = 0.0169 19. Active cancer 23 155 121 477 0.5850 0.3615 to 0.9465 2.184 P = 0.0290 20. Eating disorders / malnutrition / dysphagia 46 196 57 454 1.8693 1.2245 to 2.8537 2.898 P = 0.0038
Decompensated autoimmune disease / allergy in the period of wor-
symptoms 0 1 298 500 0.5589 0.0227 to 13.7646 0.356 P = 0.7219
Alcoholism / other addictions to narcotic substances, drugs 4 25 270 496 0.2939 0.1012 to 0.8534 2.252 P = 0.0243 23. Smoking >10 cigarettes a day 1 26 272 499 0.0706 0.0095 to 0.5228 2.595 P = 0.0095 24. Ischemic heart disease / decompensated / circulatory insufficiency 24 115 160 476 0.6209 0.3861 to 0.9983 1.967 P = 0.0492 25. Ischemic limb disease / thromboembolic syndrome 3 25 271 497 0.2201 0.0658 to 0.7356 2.459 P = 0.0139
Chronic renal failure / dialysis 3 46 250 497 0.1297 0.0399 to 0.4210 3.400 P = 0.0007
Chronic hypertrophy of the prostate / impaired urine outflow / urinary incontinence 7 47 245 493 0.2997 0.1335 to 0.6728 2.920 P = 0.0035 28. COPD / asthma / respiratory failure 9 34 256 491 0.5077 0.2398 to 1.0749 1.771 P = 0.0765
12.
13.
15.
<3
before
21.
sening
22.
26.
27.
Risky behaviors / psychiatric disorders / dementia / confusion 25 150 124 475 0.6384 0.4001 to 1.0187 1.882 P = 0.0598

P. mirabilis ESBL, carbapenemase-producing strain of P. aeruginosa, Enterococcus VRE, E. coli

ESBL, E. cloacae ESBL and K. pneumoniae ESBL

detected in MST in patients admitted to PHCD were more frequently found in patients with specific RFHAI (Table 2).

Table 3. Statistical dependence between RF and the occurrence of MDRO

Dependences statistically significant for p <0.05  – statistically significant X – statistically insignificant

1. Age over 75 years

2. Transfer from another hospital / nursing home / hospitalization in the last 6 months

3. Surgical procedures / invasive tests performed less than 6 months before hospitalization

4. Carrying alert pathogens

5. Hygienic negligence / incontinence / fecal incontinence

6. Previous infections associated with a hospital stay <12 months

7. Invasive procedures (catheter, stoma, vascular catheter, tracheotomy tube)

8. Open injury / internal injury / multi-organ injury / victim of physical violence

9. Damaged skin / tattoos / large scars / piercing

10. Unconscious / after ingestion / after sudden cardiac arrest / immobilization

11. Recurrent inflammatory processes

12. Chronic infestation

13. Acute active infection

14. Pressure ulcers / skin changes

15. Antibiotic therapy <3 months before hospitalization

16. Current radiotherapy / chemotherapy / steroid therapy

17. Blood coagulation disorders / transfusions of blood preparations <6 months

18. Metabolic disease

19. Active cancer

20. Eating disorders / malnutrition / dysphagia

21. Decompensated autoimmune disease / allergy in the period of worsening symptoms

22. Alcoholism / other addictions to narcotic substances, drugs

23. Smoking >10 cigarettes a day

24. Ischemic heart disease / decompensated / circulatory insufficiency

25. Ischemic limb disease / thromboembolic syndrome

26. Chronic renal failure / dialysis

27. Chronic hypertrophy of the prostate / impaired urine outflow / urinary incontinence

28. COPD / asthma / respiratory failure

29. Risky behaviors / psychiatric disorders / dementia / confusion

Review of Medical Practice, 2023; Vol. XXIX, No. 4 38
Klebsiella pneumoniae ESBL Staphylococcus aureus MRSA Escherichia coli ESBL Enterococcus VRE Citrobacter ESBL Proteus mirabilis ESBL Pseudomonas aeruginosa Enterobacter cloacae ESBL Other
X X X X X X X X X
X X X X X X X X X
X X X X X X X X X
X X X X X  X X X
X X X X X X X X X
X X X X X X  X X
X X X X X X X X X
X X X X X X X X X
X X  X X X X X X
X X X X X X  X X
X X X X X X X X X
X X  X X X X X 
X X X X X X X X X
X X X X X X X X X
X X X X X X X X X
X X X X X X X  X
X X X X X X X X X
X X X X X X X X X
X X X X X  X X X
 X X X X X X X X
X X X X X X X X X
X X X  X X X X X
X X X X X X X X X
X X X  X X X X 
X X X X X  X X X
X X X X X X X X X
X X X X X X X X X
X X X X X X X X X
X X X X X X X X X

A statistically significant relationship was observed between the occurrence of the risk factor “carrying an alarm pathogen” and the occurrence of P. mirabilis ESBL; “previous infections associated with a hospital stay within 12 months” and P. aeruginosa strain producing carbapenems; “damaged skin, tattoos ,large scars, piercing” and occurrence of E. coli ESBL; “unconsciousness, after ingestion, after cardiac arrest, immobilization” and occurrence of Pseudomonas aeruginosa strain producing carbapenems: p = 0,00090; “recurrent inflammatory” and E.coli ESBL: p = 0.00984 and p = 0.02135; “current radiotherapy, chemotherapy and steroid therapy” and the occurrence of E. cloacae ESBL: p = 0.04336; “active cancer” and Proteus mirabilis ESBL: p = 0.03070; “alcoholism and other addictions to narcotic substances, drugs” and Enterococcus spp. VRE: p = 0.04165; “ischemic heart disease, decompensated, circulatory insufficiency” and Enterococcus spp. VRE: p = 0.01210 and p = 0.03557; “ischemic limb disease , thromboembolic syndrome” and the occurrence of P. mirabilis ESBL: p = 0.04177.

Discussion

The progress of medicine has prolonged the lives of patients with chronic diseases, but the quality of life, especially at the end of life, often remains a challenge. The basis for undertaking this research was the lack of national information on MDRO and RFHAI carriage status at PHCD, according to the available literature data. Knowledge of RFHAI has had an impact on minimizing the undesirable effects of therapeutic devices used in patients. The assessment of the risk of infection carried out during hospital admission allows for the assessment of patients’ initial condition and is an extension of the patients’ subjective and objective examination conducted to assess the risks associated with the planned range of activities during hospitalization. The literature increasingly emphasizes that the number of patients with a high number of RFHAI at the time of admission to hospitals is constantly growing. Therefore, it is important to assess the risk of HAI immediately at the point of hospital admission. An analysis of infection risk assessment cards at hospital admission by Skibińska revealed that the most important RFHAI in the Sosnowiec Municipal Hospital are bedsores, the presence of urinary and vascular catheters, and an active, acute inflammatory process.[3] According to Skibińska, an increase in the number of RFs increases the probability of HAI.

In the study by Grądalski and Burczyk-Fitowska, the most common RF were chronic steroid therapy, previously used antibiotic therapy, and catheterization of the urinary bladder.[13]

Our own research indicates the most important RFHAIs are previous hospitalization in the last 6 months or transfer from another hospital, eating disorders, antibiotic therapy within 3 months before hospitalization, and so-called artificial pathways (urinary catheter, vascular catheter, tracheotomy tube). Given that eating disorders and artificial pathways are frequent risk factors for infections in patients hospitalized at the PHCD, care procedures should be observed for venepuncture, bladder catheterization, and the care of patients with artificial pathways. Care should also be taken to ensure shorter days of exposure to modifiable risk factors (vascular catheters, urinary catheters) and better provision of nutritional treatment.

The urinary catheter should only be inserted into the urinary bladder if there is an indication or at the explicit request of the patient to improve comfort during the end of life. The assessment of the risk of infection at the moment of patients’ admission to the hospital has a practical application in directing active supervision of high-risk patients, conducted by an epidemiology specialist, from the moment of admitting the patient to the hospital.

In this paper, we present for the first time the results of MDRO carriage among palliative care patients. Our studies have shown that some RFHAI correlate with the occurrence of MDRO carriage. It was observed that the occurrence of MDRO in patients who had the RF of “previous hospitalization in the last 6 months or transfer from another hospital” was more than twice as frequent as in the case of other RF (OR = 2.3547), and for the RF “eating disorder” occurrence of MDRO was almost twice as frequent as in the case of other RFs (OR = 1.8693).

P. mirabilis ESBL is much more common in patients with the following risk factors: “carriage of an alert-pathogen”, “active cancer disease” and “ischemic limb disease / thromboembolic syndrome”. P. aeruginosa, the carbapenemase-producing strain, is more common in patients with the following risk factors: “previous experience of infection associated with hospital stay within last 12 months”, “unconscious / after aspiration /after cardiac arrest / immobilization”. Enterococcus VRE is more common in patients with the following risk factors: “alcoholism / other addictions to intoxicating substances, drugs” and “ischemic heart disease / decompensated / circulatory insufficiency”. E. coli ESBL is more common in patients with the following risk factors: “damaged skin / tattoos / large scars / piercing” and “chronic infection”. E. cloacae ESBL is more common in patients currently undergoing radiotherapy / chemotherapy / steroid therapy, and K. pneumoniae ESBL in patients with active cancer.

The results obtained in this study support the need for continued research on the correlation between

amongst Patients ... 39
of Multidrug-Resistant Pathogens

RFHAI and the occurrence of MDRO in other patient groups.

Research limitations: Despite an advanced level of palliative care in Poland, the literature reveals a lack of evidence concerning MDRO carriage and research concerning RFHAI at PHCD. Research was conducted in one PHCD. In Poland, monitoring HAI in PHCD is not a standard conduct.

Conclusions

1. Carriage of MDRO among patients admitted to PHCD is high.

2. Most common RFHAI by patients in PHCD are: earlier hospitalization during the last 6 months or transfer from another hospital, eating disorders, antibiotic therapy < 3 months before hospitalization, and artificial routes (urinary catheter, vascular catheter, tracheostomy tube).

3. MST and knowledge of RFHAI can restrain HAI among patients admitted to PHCD.

References

1. Ministerstwo Zdrowia: Narodowy Program ochrony antybiotyków na lata 2016-2020; https://www.gov.pl/web/zdrowie/narodowy-program-ochrony-antybiotykow-na-lata-2016-2020 (accessed 09.02.2024).

2. Ziółko A.: Czynniki ryzyka związane z rozpoznawaniem i zapobieganiem zakażeniom szpitalnym. Forum Zakażeń 2016; 7(2): 109-113.

3. Skibińska K.: Wykorzystanie oceny ryzyka zakażenia przy przyjęciu do szpitala. Forum Zakażeń 2015; 6(1): 13-17.

4. Krzowska-Firych J., Kozłowska A., Sukhadia T. et. al: Hospital-acquired infections caused by antibiotic resistant bacteria. Postępy Nauk Medycznych 2014; XXVII(11): 783-786.

5. Nowakiewicz-Dąbek B., Wlazło Ł., Kasela M. et. al: Epidemiologia wielolekoopornych szczepów Staphylococcs aureus Probl Hig Epidemiol 2016; 97(2): 106-112.

6. Rożkiewicz D.: Aspekty kliniczne zakażeń wywołanych przez wielooporne bakterie gram-ujemne. Forum Zakażeń 2017; 8(1): 33-41.

7. Bassetti M., Merelli M., Temperoni C. et. al: New antibiotics for bad bugs: where are we? Ann Clin Microbiol Antimicrob 2013; 12(22): 1186-1201.

8. Rożkiewicz D.: Postępowanie w przypadku pacjentów zakażonych lub podejrzanych o zakażenie wieloopornymi bakteriami Gram-ujemnymi. Forum Zakażeń 2016; 7(3): 159-166.

9. Wilson A.P., Livermore D.M., Otter J.A. et. al: Prevention and control of multi-drug-resistant Gram-negative bacteria: recommendations from a Joint Working Party. J Hosp Infect 2016; 92(Suppl 1): S1-S44.

10. Fleischer M., Ozorowski T., Pawlik M.: Zalecenia prowadzenia mikrobiologicznych badań przesiewowych u hospitalizowanych pacjentów. Warszawa 2017; http://antybiotyki.edu. pl/pdf/drZALECENIAPROWADZENIABADAN13.07.pdf. (accessed 10.05.2019).

11. Bogers S., Daalen F., Kuil S. et. al: Barriers and facilitators and the need for a Clinical guideline for microbiological diagnostic testing in the hospital: a qualitative and quantitative

study. European Journal of Clinical Microbiology & Infectious Diseases 2019; 38: 913-920; https://doi.org/10.1007/ s10096-019-03516-z (accessed 09.02.2024).

12. Dzierżanowska D., Semczuk K., Garczewska B. et. al: Zakażenia u pacjentów Warszawskiego hospicjum dla Dzieci –zasady antybiotykoterapii. In: Dangel T., ed. Opieka paliatywna nad dziećmi. Wydanie XIV. Warszawa: Warszawskie Hospicjum dla Dzieci, Instytut “Pomnik – Centrum Zdrowia Dziecka”; 2006.

13. Grądalski T., Burczyk-Fitowska B.: Management of healthcare-associated infections at the end of life – a cross-sectional study. Medycyna Paliatywna 2017; 9(3): 152-156.

14. World Health Organization. Global Atlas of palliative Care at the End of Life. London: Worldwide Hospice Palliative Care Alliance; 2014; https://www.iccp-portal.org/system/files/resources/ Global_Atlas_of_Palliative_Care.pdf (accessed 09.02.2024).

15. Scholten N., Gūnther A.L., Pfaff H. et. al: The size of the population potentially in need of palliative care in Germany – an estimation based on death registration data. BMC Palliative Care 2016; 15: 29.

16. Ciołkowska-Rysz A., Dzierżanowski T.: Stan opieki paliatywnej w Polsce w 2014 roku. Medycyna Paliatywna 2016; 8(3): 120-127.

17. Schmalz O., Strapatsas T., Alefelder C. et. al: Methicillin-resistant Staphylococcus aureus in palliative care: A prospective study of Methicillin-resistant Staphylococcus aureus prevalence in a hospital-based palliative care unit. Palliat Med 2016; 30: 703-706.

18. Rosenberg J.H., Albrecht J.S., Fromme E.K. et. al: Antimicrobial Use for Symptom Management in Patients Receiving Hospice and Palliative Care: A Systematic Review. J Palliat Med 2013; 16(12): 1568-1574.

19. Datta R., Juthani-Mehta M.: Burden and Management of Multidrug-Resistant Organisms in Palliative Care. Palliative Care: Research and Treatment 2017; 10: 1-6. https://journals.sagepub.com/doi/10.1177/1178224217749233 (accessed 09.02.2024).

20. Rozporządzenie Ministra Zdrowia z dnia 29 października 2013 r. w sprawie świadczeń gwarantowanych z zakresu opieki paliatywnej i hospicyjnej. Dz. U. z 2013 r. poz. 1347.

21. Wesołek E.: Dostępność opieki paliatywnej i hospicyjnej dla mieszkańców domów pomocy społecznej i placówek opieki długoterminowej – zasadność, możliwości i bariery. Medycyna Paliatywna w Praktyce 2016; 3: 112-118.

22. Giufre M., Ricchizzi E., Accogli M. et. al: Colonization by multidrug-resistant Organisms in long-term care Facilities in Italy: a point-prevalence study. Clinical Microbiology and Infection 2017; 23: 961-967.

23. Zasowska-Nowak A., Ciałkowska-Rysz A.: Analiza przyczyn przyjęcia oraz przebiegu hospitalizacji w jednostce stacjonarnej opieki paliatywnej na podstawie hospitalizacji na Oddziale Medycyny Paliatywnej Uniwersyteckiego Szpitala Klinicznego im. WAM w Łodzi w latach 2012-2013. Medycyna Paliatywna 2015; 7: 58-66.

24. Yajima R., Ise Y., Wako T. et. al: A Retrospective Study of Risk Factors for Infection in Cancer Patients Receiving Specialist Palliative Care. J Nippon Med Sch 2013; 80: 481-485.

No potential conflict of interest was reported by the authors.

Address for correspondence:

Bożena Nowaczyk e-mail: bnowaczyk@ump.edu.pl Zakład Pielęgniarstwa Anestezjologicznego i Intensywnej Opieki, Uniwersytet Medyczny w Poznaniu, Polska ul. Rokietnicka 2a 60-806 Poznań

Review of Medical Practice, 2023; Vol. XXIX, No. 4 40

Atypical Graves’ Disease: Bradycardia, Paralysis, and Heart Block. Case Report and Literature Review

Michał Lis1,2,A,E,F

ORCID: 0000-0001-7675-398X

Jan Jurgiel1,B

Wojciech Hajduk3,A,E Marta Obermeyer3,A,E,C

ORCID: 0009-0000-6903-6317

ORCID: 0000-0003-1011-002X

Adriana Kwiatkowska1,B,D

ORCID: 0009-0009-4381-944X

ORCID: 0009-0006-6563-7960

Adrianna Graniak1,B,D

ORCID: 0000-0001-5484-8320

Tymoteusz Miłuch1,A,D

ORCID: 0000-0002-9433-6407

1 Internal Medicine Department, Endocrinology and Diabetology Sub-department, and Nephrology Sub-department with Dialysis Station, Czerniakowski Hospital, Warsaw, Poland; 2 Lazarski University, Warsaw, Poland;

3 Ophthalmology Department, Czerniakowski Hospital, Warsaw, Poland

A – research concept and design, B – collection andassembly of data, C – data analysis and interpre-tation, D – writing the article, E – critical revision ofthe article, F – final approval of article

DOI: 10.26399/rmp.v29.4.2023.22/m.lis/w.hajduk/m.obermeyer/j.jurgiel/a.graniak/a.kwiatkowska/t.miluch

ABSTRACT

Atypical Graves’ Disease: Bradycardia, Paralysis, and Heart Block. Case Report and Literature Review

Lis M.1,2, Hajduk W.3, Obermeyer M.3, Jurgiel J.1, Graniak A.1, Kwiatkowska A.1, Miłuch T.1

1 Internal Medicine Department, Endocrinology and Diabetology Sub-department, and Nephrology Sub-department with Dialysis Station, Czerniakowski Hospital, Warsaw, Poland; 2 Lazarski University, Warsaw, Poland; 3 Ophthalmology Department, Czerniakowski Hospital, Warsaw, Poland

In this article, we present a patient with an unusual and potentially fatal presentation of Graves’ disease. Typically characterized by tachycardia, tiredness, weight loss, and temperature intolerance, Graves’ disease is the most common cause of hyperthyroidism, and in some cases, might manifest in a life-threatening episode of thyrotoxic periodic paralysis (TPP). We report the case study of a patient experiencing his first onset of Graves’ disease, who presented solely with TPP without any other symptoms of ongoing thyrotoxicosis. Additionally, he experienced episodes of bradycardia and right bundle branch block (RBBB). The paralysis subsided after potassium replacement, and the RBBB resolved following the initiation of thyreostatic medication. This article describes the patient’s clinical evaluation and treatment, outlines measures to prevent rebound hyperkaliemia, and discusses the issue of biotin interference with hormone assays, adrenal insufficiency, and heart blocks resulting from thyrotoxicosis. A review of the literature and the pathophysiology of TPP are also provided.

Keywords: Thyrotoxic periodic paralysis (TPP), Graves’ disease, thyrotoxicosis, right bundle branch block (RBBB)

STRESZCZENIE

Atypowa prezentacja choroby Gravesa: bradykardia, paraliż i zaburzenia przewodnictwa śródkomorowego. Opis przypadku i przegląd literatury

Lis M.1,2, Hajduk W.3, Obermeyer M.3, Jurgiel J.1, Graniak A.1, Kwiatkowska A.1, Miłuch T.1

1 Oddział Chorób Wewnętrznych, z pododdziałem Endokrynologiczno-Diabetologicznym, pododdziałem Nefrologicznym i Stacją Dializ, Szpital Czerniakowski, Warszawa, Polska; 2 Uczelnia Łazarskiego, Warszawa, Polska; 3 Oddział Okulistyczny, Szpital Czerniakowski, Warszawa, Warszawa

Artykuł przedstawia opis przypadku pacjenta z nietypową i potencjalnie zagrażającą życiu postacią choroby Gravesa. Choroba Gravesa, charakteryzująca się tachykardią, zmęczeniem, utratą wagi i nietolerancją ciepła, jest najczęstszą przyczyną nadczynności tarczycy. Jedynie w rzadkich przypadkach może objawiać się ona potencjalnie śmiertelnym tyreotoksycznym paraliżem (thyrotoxic periodic paralysis – TPP). Opisywany pacjent nie prezentował żadnych objawów nadczynności tarczycy poza TPP. Ponadto doświadczył epizodów bradykardii i bloku prawej odnogi pęczka Hisa (right bundle branch block – RBBB). Paraliż ustąpił po dożylnej suplementacji potasu, a RBBB ustąpił po rozpoczęciu leczenia tyreostatycznego. W artykule zwrócono uwagę na problem interferencji biotyny z laboratoryjnymi oznaczeniami hormonów tarczycy oraz omówiono niewydolność nadnerczy i bloki serca wynikające z nadczynności tarczycy. Przegląd literatury i patofizjologia TPP zostały również uwzględnione.

Słowa kluczowe: TPP, choroba Gravesa, tyreotoksykoza, blok prawej odnogi pęczka Hisa

Introduction

Thyrotoxic periodic paralysis (TPP) is a rare complication of ongoing thyrotoxicosis, most commonly caused by Graves’ disease. TPP symptoms include muscle weakness and paresis, which are more pronounced in the lower extremities.[1] Signs of hyperthyroidism are usually subtle or absent during an attack, which makes TPP a diagnostic challenge.[2] We describe a patient diagnosed with TPP secondary to Graves’ disease, exhibiting an atypical presentation that includes bradycardia and right bundle branch block (RBBB) resulting from thyrotoxicosis.

Patient’s Information

A 23-year-old male from Ecuador was discovered by his roommate lying on the bathroom floor. The patient presented with acute tetraparesis and reported a recent episode of vomiting. He was transported by an ambulance to the Hospital Emergency Department following the incident. He denied any recent accidents but reported experiencing a similar episode approximately nine months prior. He stated that he did not take any medications or dietary supplements on a regular basis and had no family history of chronic diseases.

The physical examination appeared to be negative for abnormalities in the cardiovascular, respiratory, and gastrointestinal systems. The ECG (Fig. 1) showed sinus intraventricular arrhythmia, prolonged QTc value, wide QRS complex, and a complete right bundle branch block (RBBB). An ABG test demonstrated life-threatening hypokalemia with a value of 1.9 mmol/L (normal range: 3.5-4.5). The CT scan of the head and neck ruled out pathologies of the Central Nervous System; however, a hyperdense thyroid gland in comparison to the surrounding muscles was described. The neurological examination exposed paresis of upper and lower limbs with intact deep reflexes.

The patient was placed on vital sign monitoring and treated with a total of 40mEq of potassium administered intravenously. The paresis subsided about three hours after the potassium replacement treatment had been initiated. Episodes of bradycardia (heart rate 36/min) occurred while on monitoring. Approximately seven hours after the initiation of potassium administration, mild hyperkalemia was detected with a serum potassium level of 5.1 mmol/L (normal range: 3.54.5 mmol/L). The following day, the patient’s serum potassium level was 4.6 mmol/L (normal range: 3.54.5 mmol/L). Due to the uncertain etiology of the initial hypokalemia and the abnormal image of the thyroid gland observed in the CT of the neck, the patient was transferred to the Internal Medicine Department for further investigation.

Clinical Investigation

Given the patient’s lack of regular medication usage and normal kidney function, primary aldosteronism was considered as a potential cause of the hypokalemia. However, plasma renin activity and serum aldosterone concentration were found to be within normal limits. Given the hyperdense image of the thyroid gland revealed in the CT scan of the neck, we opted to test its function: TSH was <0.008 μUI/mL (normal range: 0.35-4.94), free T3 was 16.56 pg/mL (normal range: 1.58-3.91), and free T4 was 3.29 ng/dl (normal range: 0.70-1.48). Further testing indicated an autoimmune cause of the ongoing thyrotoxicosis: TPOAb (thyroid peroxidase antibodies) were >1000 U/mL (normal range: <5.81), TGAb (thyroglobulin antibodies) were 235.92 U/mL (normal range: <4.11), and TRAb (thyroid receptor antibodies) were 12.68 IU/L (normal range: <3.1).

Despite the absence of typical hyperthyroidism symptoms, the patient was diagnosed with thyrotoxic periodic paralysis secondary to Graves’ disease. This diagnosis was supported by laboratory findings and the presence of typical autoimmune inflammation observed in thyroid ultrasound. The thyroid gland was enlarged (right lobe: 54x26x22mm; left lobe: 49x23x19mm), hyperechoic, and hypervascular, with heterogenous echotexture and no nodules detected. An ophthalmic examination revealed no signs of thyroid-associated ophthalmopathy.

Furthermore, we observed a decreased serum level of cortisol at 8 am, with values 0.91 μg/dL and 2.96 μg/dL on the following day (normal range: 5-25). ACTH secretion was remained normal, with values of 10.20 pg/mL and 17 pg/mL, respectively (normal range: 7.20-63.30). The absence of antibodies to steroid 21-hydroxylase allowed us to exclude Addison’s disease as a cause of hypocortisolemia. No abnormalities were found in the adrenal glands on the abdominal CT scan. The patient’s testosterone concentration was notably high, at 1377.70 ng/dl (normal range: 240.24-870.88). A follow-up ECG performed on the fourth day of hospitalization showed no abnormalities (Fig. 2).

Treatment with thiamazole, propranolol, and spironolactone was initiated, and the patient was discharged on the fifth day of hospitalization in good overall condition. Key laboratory results are summarized in Table 1.

Discussion

Thyrotoxic periodic paralysis is a potentially life-threatening complication of ongoing thyrotoxicosis, which can be induced by Graves’ disease, toxic nodular

Review of Medical Practice, 2023; Vol. XXIX, No. 4 42

goiter, or excessive iodine/thyroxine use. Elevated thyroid hormone levels increase Na+/K+ ATPase activity, leading to an influx of extracellular potassium into muscle cells and subsequent hypokalemia.[3] This potassium overload in muscle cells, coupled with the impaired function of neurons (caused by hypokalemia) results in paralysis-like symptoms in the extremities. However, it is crucial to acknowledge that patients with TPP may exhibit normal or even elevated plasma potassium levels during an episode.[4] Thyroid hormones enhance cell responsiveness to adrenergic stimulation, further intensifying the potassium shift.[3] Insulin, by altering cellular membrane permeability for sodium and potassium, can precipitate acute paralysis episodes a few hours after the ingestion of a carbohydrate-rich meal. Patients with hyperinsulinemia also are at a significantly greater risk of developing TPP.[5] In addition to hypokalemia, patients may also develop hypophosphatemia and hypomagnesemia.[2]

TPP shows a higher prevalence in Asian populations but has been documented in individuals of American Indian/Hispanic and Caucasian ethnicities,[2] as well as in the European, Polynesian, and Turkish populations.[1] Males are significantly more likely to develop TPP than females, with the condition typically manifesting in individuals aged 20 to 40,[5] though cases in children have also been reported.[6]

Research indicates that pathological variants in specific genes, such as those encoding the Kir2.6 ion channel specific to skeletal muscle, which facilitates potassium efflux to the extracellular space, may be associated with TPP. Dysfunctional Kir2.6 channel can lead to increased intracellular potassium storage and subsequent hypokalemia, placing individuals with that pathological variant at a higher risk for TPP.[7]

Prodromal signs of TPP may include muscle aches, cramps, and stiffness. During an attack, patients typically present with sudden episodic paresis or muscle weakness, often more pronounced in the lower extremities. Weakness usually starts in the proximal muscles of the lower limb and may progress to flaccid quadriplegia.[8] Intact deep reflexes are observed in both symmetrical and asymmetrical paralysis. Although rare, respiratory failure due to respiratory muscle weakness can be potentially life-threatening. Symptoms of thyrotoxicosis, such as heat intolerance, palpitations, anxiety, and fatigue, usually precede TPP but may be subtle or even absent during paralysis episodes.[2,8] A typical ECG displays sinus tachycardia, ST-segment depression, U-waves, and AV blocks, characteristic of hypokalemia. Rarely, prolonged QTc values and ventricular tachyarrhythmias are present.[1]

Atypical Graves’ Disease...

Atypical Presentation of Graves’ Disease

In our case, the patient exhibited no symptoms of thyrotoxicosis before or after developing TPP, with no family history of thyroid disease. Thus, the only clinical clues leading us to include thyroid disease as a part of the differential diagnosis were the abnormal thyroid gland image in the neck CT and the occurrence of paralysis in the morning after breakfast consumption. The final diagnosis of TPP was supported by laboratory and ultrasound findings typical for Graves’ disease.

It should be noted that biotin (vitamin B7), commonly found in many dietary supplements, can interfere with thyroid hormone assays. Depending on the laboratory test used, false elevations in free T3, free T4, TRHAb, TPOAb, and TGAb, as well as false decreases in TSH, may occur.[9,10] Such results can biochemically mimic hyperthyroidism and even lead to a misdiagnosis of Graves’ disease. In the treatment of a nearly asymptomatic patient with laboratory findings as the only manifestation of thyrotoxicosis, this phenomenon should always be considered.

The thyroid hormone affects the myocardium by increasing heart rate and cardiac contractility.[11] Therefore, a patient in a hyperthyroid state is expected to present with tachycardia and palpitations. Bradycardia due to thyrotoxicosis may occur if the patient suffers from coexisting heart disease, hypercalcemia, or uses beta blockers, calcium channel blockers, or digoxin.[12] RBBB may result from congenital heart disease, ischemic heart disease, and degenerative or idiopathic fibrosis.

However, these factors were absent in our patient since propranolol was added later to the therapeutic regime. Even in the presence of hyperthyroidism, our patient experienced episodes of bradycardia. Moreover, the patient’s ECG showed right bundle branch block, which subsided after the thyreostatic treatment was initiated. During our literature search, we encountered only one case report regarding temporary RBBB arising from concurrent thyrotoxicosis.[13] There is also a report of the left bundle branch block secondary to Graves’ disease.[14] That is why we believe that RBBB and bradycardia he experienced were directly related to TPP and an asymptomatic, atypical form of Graves’ disease we diagnosed him with.

As mentioned above, the excessive activation of Na+/K+ ATPase caused by hyperthyroidism plays a central role in TPP. This enzyme’s hyperactivity might be linked to cardiac abnormalities observed in our patient. Increased efflux of sodium indirectly decreases cardiac contractility as less substrate is available to the Na+/Ca2+ exchanger. It lowers intracellular calcium concentration, thus, negatively influencing cardiac contractility.[15,16] Increased activity of

43

Na+/K+ ATPase is also responsible for raising resting membrane potential of cardiac myocytes (intracellular potassium levels are elevated while the extracellular K+ concentration is decreased, which lowers the transcellular electrochemical gradient). This state leads to the action potential and refractory period elongation and enhances automaticity of the heart. Those factors induce QT prolongation and can prompt the development of cardiac arrhythmias.[17] Impairments of depolarization and contraction (resulting from raised resting membrane potential) can also lead to disturbances in cardiac conduction pathways which could explain the transient RBBB observed in our patient.[18]

The endocrine assessment demonstrated an increased plasma level of testosterone, aligning with previous research, which demonstrated a positive correlation between an increased androgen concentration and a higher risk of developing TPP.[19] Graves’ ophthalmopathy is typically absent in TPP patients, as observed in our case as well.[8]

Thyroid hormone stimulates both the metabolism and synthesis of steroids, leading to increased metabolic turnover. Consequently, serum cortisol levels are usually within normal ranges in patients with thyrotoxicosis. In some patients, however, early stage of hyperthyroidism may include temporary hypocortisolemia, as adrenal glands adapt slower to increased turnover, and transient functional adrenal insufficiency can occur.[20] Moreover, the adrenal reserve can also be lowered due to ongoing thyrotoxicosis.[21]

We hypothesize that these mechanisms contributed to the hypocortisolemia observed in our patient, as no antibodies to steroid 21-hydroxylase were detected, and the abdominal CT scan revealed no abnormalities. Notably, as described in the literature, a potentially life-threatening adrenal crisis can develop secondary to autoimmune hyperthyroidism.[22]

Treatment

Treatment of the acute TPP should include serum potassium replacement and administration of a non-selective beta-blocker. Adrenolytic medications such as propranolol are to limit the excessive Na+/K+ ATPase activity mediated both by adrenergic signaling and thyroid hormones. Intravenous administration of potassium has been demonstrated to alleviate symptoms quicker compared to oral administration. It is recommended to limit the potassium administration to a maximum of 90mEq in 24 hours, as this reduces the risk of rebound hyperkalemia. According to Lu et al., administering 50mEq or less at 10mEq per hour prevents rebound hyperkalemia in most cases. Lower dosages might be seen as equally effective but safer.[23] If paresis persists after potassium replace-

ment, intravenous propranolol of 1mg every 10 minutes up to 3 doses may be administered.[1] Spironolactone can also prevent acute paralysis attacks until euthyroid state is achieved.[5]

Our patient was given 40mEq of potassium, showing rapid improvement, though mild hyperkalemia ensued. Hence, we recommend monitoring serum potassium even when administering lower amounts of KCl.

Definitive prevention of future onsets of TPP should be focused on reducing thyrotoxicosis and achieving an euthyroid state. Thyreostatic medication such as thiamazole, radioactive iodine, or thyroidectomy can be administered based on clinical evaluation.[1]

Conclusions

Graves’ disease can manifest present atypically, such as with TPP. Excluding thyrotoxicosis as a periodic paralysis cause is crucial, as it implicates preventive and treatment actions. TPP treatment requires serial serum potassium concentration monitoring to avoid rebound hyperkalemia. The possible development of RBBB should also be taken into consideration while treating a patient with TPP. It might be an advisable clinical practice to exclude adrenal insufficiency, particularly while treating a patient with autoimmune hyperthyroidism. Although rare in TPP patients, Graves’ ophthalmopathy examination is necessary. The possibility of biotin interference with hormone assays should always be considered in cases presenting with nearly asymptomatic thyrotoxicosis.

To the best of our knowledge, this is the first case report of mostly asymptomatic Graves’ disease presenting with TPP, RBBB and bradycardia episodes.

References

1. Siddamreddy S., Dandu V.H.: Thyrotoxic Periodic Paralysis. StatPearls Publishing; 2022; https://www.ncbi.nlm.nih.gov/ books/NBK560670/ (accessed 05.02.2023).

2. Kung A.W.C.: Thyrotoxic Periodic Paralysis: A Diagnostic Challenge. J Clin Endocrinol Metab 2006; 91(7): 2490-2495.

3. Iqbal Q.Z., Niazi M., Zia Z. et al.: A Literature Review on Thyrotoxic Periodic Paralysis. Cureus 2020; 12(8): e10108.

4. Verma V., Kumar Y., Kotwal N. et al.: Thyrotoxic periodic paralysis: A retrospective, observational study from India. Indian J Med Res 2020; 151(1): 42-46.

5. Hsieh C.H., Kuo S.W., Pei D. et al.: Thyrotoxic periodic paralysis: an overview. Ann Saudi Med 2004; 24(6): 418-422.

6. He L., Lawrence V., Moore W.V. et al.: Thyrotoxic periodic paralysis in an adolescent male: A case report and literature review. Clin Case Rep 2021; 9(1): 465.

7. Lin S.H., Huang C.L.: Mechanism of Thyrotoxic Periodic Paralysis. J Am Soc Nephrol 2012; 23(6): 985-988.

8. Lin S.H.: Thyrotoxic Periodic Paralysis. Mayo Clin Proc 2005; 80(1): 99-105.

9. Ylli D., Soldin S.J., Stolze B. et al.: Biotin Interference in Assays for Thyroid Hormones, Thyrotropin and Thyroglobulin. Thyroid 2021; 31(8): 1160-1170.

10. Ostrowska M., Bartoszewicz Z., Bednarczuk T. et al.: The effect of biotin interference on the results of blood hormone assays. Endokrynol Pol 2019; 70(1): 102-121.

11. Yamakawa H., Kato T.S., Noh J.Y. et al.: Thyroid Hormone Plays an Important Role in Cardiac Function: From Bench to

Review of Medical Practice, 2023; Vol. XXIX, No. 4 44

M. Lis, W. Hajduk, M. Obermeyer, J. Jurgiel, A. Graniak, A. Kwiatkowska, T. Miłuch, Atypical Graves’ Disease... 45

Bedside. Front Physiol 2021; 12; https://www.frontiersin.org/ articles/10.3389/fphys.2021.606931 (accessed 17.02.2023).

12. Kausel A., Korniyenko A., Sandhu G.: Bradyarrhythmia as a presenting feature of subclinical hyperthyroidism. QJM 2012; 105(5): 461-462.

13. Packard J.M., Graybiel A.: Bundle branch block as a temporary phenomenon in thyrotoxicosis; report of a case. Am Heart J 1950; 39(1): 144-148.

14. Lubczyńska-Kowalska W., Zagrobelny Z., Bielicki F., et al.: [Transient left bundle-branch block in Graves-Basedow disease in a child]. Pol Tyg Lek 1971; 26(46): 1781-1783.

15. Skogestad J., Aronsen J.M.: Regulation of Cardiac Contractility by the Alpha 2 Subunit of the Na+/K+-ATPase. Front Physiol. 2022; 13; https://www.frontiersin.org/articles/10.3389/ fphys.2022.827334 (accessed 27.07.2023).

16. Therien A.G., Blostein R.: Mechanisms of sodium pump regulation. Am J Physiol Cell Physiol 2000; 279(3): C541-C566.

17. Swe T., Dogar M.H.: Type 1 Brugada pattern electrocardiogram induced by hypokalemia. J Family Med Prim Care 2016; 5(3): 709-711.

18. Kyaw M.T., Maung Z.M.: Hypokalemia-Induced Arrhythmia: A Case Series and Literature Review. Cureus 2022; 14(3); https://www.ncbi.nlm.nih.gov/pmc/articles/PMC8989702/ (accessed 27.07.2023).

19. Yao Y., Fan L., Zhang X. et al.: Episodes of paralysis in Chinese men with thyrotoxic periodic paralysis are associated with elevated serum testosterone. Thyroid 2013; 23(4): 420427.

20. Karl M., Onumah B.M., Cole J. et al.: Hypocortisolemia in Graves Hyperthyroidism. Endocr Pract 2009; 15(3): 220224.

21. Tsatsoulis A., Johnson E.O., Kalogera C.H. et al.: The effect of thyrotoxicosis on adrenocortical reserve. Eur J Endocrinol 2000; 142(3): 231-235.

22. Al Mushref M., Caldwell M., Harris E.: Adrenal Crisis Triggered by Endogenous Thyrotoxicosis: Case Series. AACE Clin Case Rep 2018; 4(4): e346-e349.

23. Lu K.C., Hsu Y.J., Chiu J.S. et al.: Effects of potassium supplementation on the recovery of thyrotoxic periodic paralysis. Am J Emerg Med 2004; 22(7): 544-547.

Figure 1. The first patient’s ECG showing sinus arrhythmia, prolonged QTc value, wide QRS comlex and a complete right bundle branch block (RBBB)

2. A) Patient’s ECG after normalization of serum kalium level, B) Patient’s ECG on 4th day of hospitalization showing no abnormalities

Review of Medical Practice, 2023; Vol. XXIX, No. 4 46
Figure

Atypical Graves’ Disease...

Table 1. Summary of laboratory testing

1 Abbreviations: TSH – thyrotropin; fT3 – free triiodothyronine; fT4 – free thyroxine; TPOAb – thyroid peroxidase antibody; TGAb – thyroglobulin antibody; ACTH – adrenocorticotropin hormone; PTH – parathyroid hormone; LH – luteinizing hormone; FSH – follicle-stimulating hormone; ↑ – above normal value; ↓ – below normal value.

Patient’s Consent Patient’s written informed consent was obtained for publication of this case report.

Authors’ Disclosure Statement

The authors declare no potential conflicts of interest associated with this article.

Funding Information

No funding was received for this article.

Address for correspondence: Michał Lis, MD, PhD Czerniakowski Hospital in Warsaw Internal Medicine Department with Endocrinology and Diabetology Subdepartment and Nephrology Subdepartment with Dialysis Station Stępińska 19/25 St 00-739 Warsaw, Poland e-mail: michal.lis@szpitalczerniakowski.waw.pl

47
Days of Hospitalization 1st Day 2nd Day 3rd Day 4th Day 3 weeks later Normal ranges TSH [μIU/mL] – <0.008↓ – <0.008↓ <0.005↓ 0.350-4.940 fT3 [pg/mL] – 16.56↑ – 10.47↑ 5.85↑ 1.58-3.91 fT4 [ng/dL] – 3.29↑ – 1.80↑ 1.68↑ 0.70-1.48 TPOAb [U/mL] – >1000↑ – – – <5.81 TGAb [U/mL] – 235.92↑ – – – <4.11 TRAb [IU/L] – 12.68↑ – – – <3.1 Cortisol at 8am [μg/dL] – 0.91↓ 2.96↓ – – 3.70-19.40 ACTH [pg/mL] – 10.20 17.00 – – 7.20-63.30 Plasma Renin Activity [ng/mL/h] – 3.18 – – – 0.06-4.69 Testosterone [ng/dL] – 1377.70↑ – – – 240.24-870.88 LH [mIU/mL] – 5.82 – – – 0.57-12.57 FSH [mIU/mL] – 6.66 – – – 0.05-11.05 PTH [pg/mL] – 35.0 – – – 18.50-88.00 Creatine [mg/dL] 0.50↓ – – 0.60↓ – 0.70-1.301

Zespół Barnarda jako rzadka przyczyna niedrożności jelita cienkiego – opis przypadku

Angelika Miros*1,B,C,D Anna Paśnikowska*1,B,C,D Monika Romanowska2,A,B,C,D,E,F

ORCID: 0009-0006-1418-2118

ORCID: 0009-0004-2110-1115

ORCID: 0009-0007-3860-2911

(*autorki te w równym stopniu przyczyniły się do powstania tej pracy)

1 Wydział Medyczny Uczelni Łazarskiego w Warszawie, Warszawa;

2 Oddział Chirurgii Ogólnej, Klinika Uczelni Łazarskiego, Samodzielny Publiczny Specjalistyczny Szpital Zachodni im. św. Jana Pawła II w Grodzisku Mazowieckim, Grodzisk Mazowiecki

A – koncepcja i projekt badań, B – gromadzenie danych, C – analiza i interpretacja danych, D – pisanie artykułu, E – krytyczna korekta artykułu, F – ostateczne zatwierdzenie artykułu

DOI: 10.26399/rmp.v29.4.2023.23/a.miros/a.pasnikowska/m.romanowska

STRESZCZENIE

Zespół Barnarda jako rzadka przyczyna niedrożności jelita cienkiego – opis przypadku

Miros A.1, Paśnikowska A.1, Romanowska M.2

1 Wydział Medyczny Uczelni Łazarskiego, Warszawa; 2 Oddział Chirurgii Ogólnej, Klinika Uczelni Łazarskiego, Samodzielny Publiczny Specjalistyczny Szpital Zachodni im. św. Jana Pawła II w Grodzisku Mazowieckim, Grodzisk Mazowiecki

Niedrożność żółciowa jelita cienkiego, znana również jako zespół Barnarda, stanowi rzadkie powikłanie kamicy żółciowej. To schorzenie najczęściej dotyka kobiety w podeszłym wieku. Podstawowym czynnikiem wywołującym zespół Barnarda jest obecność kamienia żółciowego, który powoduje blokadę jelita cienkiego. Diagnoza opiera się na badaniach radiograficznych, przy czym najbardziej przydatną metodą jest tomografia komputerowa. Preferowane jest leczenie chirurgiczne, choć w wyjątkowych przypadkach możliwe jest podejście zachowawcze, uzależnione od rozmiaru złogu i ogólnego stanu zdrowia pacjenta. W artykule omówiono przypadek 91-letniej pacjentki z niedrożnością żółciową, która przeszła skuteczną operację usunięcia czterocentymetrowego złogu zlokalizowanego za więzadłem Treitza.

Słowa kluczowe: niedrożność żółciowa, przetoka pęcherzykowo-dwunastnicza, zespół Barnarda

ABSTRACT

Barnard’s Syndrome as a Rare Cause of Ileus – Case Report

Miros A.1, Paśnikowska A.1, Romanowska M.2

1 Faculty of Medicine, Lazarski University, Warsaw, Poland; 2 Oddział Chirurgii Ogólnej, Klinika Uczelni Łazarskiego, Samodzielny Publiczny Specjalistyczny Szpital Zachodni im. św. Jana Pawła II w Grodzisku Mazowieckim, Grodzisk Mazowiecki

Ileus of the small intestine due to biliary obstruction, also known as Barnard’s syndrome, represents a rare complication of gallstone disease. This condition most commonly affects elderly women. The primary factor triggering Barnard’s syndrome is the presence of a gallstone obstructing the small intestine. The diagnosis is based on radiographic examinations, with computed tomography being the most useful method. Surgical treatment is typically the preferred approach, though in exceptional cases, conservative management may be considered based on the size of the obstruction and the overall health of the patient.

In this article we will discuss the case of a 91-year-old patient with biliary ileus who underwent successful surgery to remove a four centimeters gallstone located behind the ligament of Treitz.

Keywords: gallstone ileus, bilioenteric fistula, Barnard’s syndrome

Wstęp

Niedrożność żółciowa jelit to rzadka przyczyna mechanicznej niedrożności spowodowanej zatkaniem przewodu pokarmowego. Dane przywołane w pracy Halabi W.J. i wsp. wskazują, że w latach 2004–2009 niedrożność żółciowa odpowiedzialna była za 0,095% wszystkich niedrożności mechanicznych [1]. Mechanizm powstawania tego schorzenia polega na przedostaniu się kamienia żółciowego do przewodu pokarmowego poprzez przetokę łączącą światło pęche-

rzyka żółciowego z przylegającymi strukturami, takimi jak dwunastnica czy poprzecznica. Długotrwały ucisk kamieni żółciowych na ścianę pęcherzyka, wsparty zaburzeniami przepływu krwi w naczyniach, prowadzi do przewlekłego stanu zapalnego pęcherzyka, zwiększając ryzyko powstania przetoki pęcherzykowo-dwunastniczej [2, 3, 4]. Niedrożność żółciowa może zdarzyć się w każdym odcinku jelita, zwykle jednak ma to miejsce w jego anatomicznych zwężeniach –w pobliżu zastawki krętniczo-kątniczej oraz w okolicy zgięcia dwunastniczo-czczego [5]. Objawy niedrożno-

Miros, A. Paśnikowska, M. Romanowska, Zespół Barnarda jako rzadka przyczyna niedrożności jelita cienkiego... 49

ści mogą przebiegać burzliwie lub być skąpo wyrażone, zależnie od rozmiaru złogu i miejsca zaklinowania w przewodzie pokarmowym [3, 5, 6]. Niedrożność górnej części przewodu pokarmowego manifestuje się przede wszystkim masywnymi pokarmowo-żółciowymi wymiotami, często poprzedzającymi zatrzymanie gazów i stolca. Z kolei niska niedrożność objawia się silnym bólem brzucha, zatrzymaniem gazów i stolca, a w późniejszym stadium występują wymioty o treści kałowej [4].

Zazwyczaj wyniki laboratoryjne są niespecyficzne, często towarzyszy im żółtaczka oraz podwyższenie enzymów wątrobowych. Badania obrazowe, takie jak tomografia komputerowa (TK) i cholangiopankreatografia rezonansu magnetycznego (MRCP), odgrywają kluczową rolę w kwalifikacji do odpowiedniej metody leczenia [7]. W badaniach radiologicznych obserwuje się charakterystyczne cechy triady Riglera: 1) niedrożność jelita cienkiego, 2) pneumobilia, 3) zmineralizowany kamień na zdjęciu przeglądowym jamy brzusznej [3, 4, 8].

W przypadku zaklinowania w dwunastnicy rozważa się leczenie endoskopowe w celu uniknięcia rozległej operacji. Dotychczas nie ustalono jednolitego standardu postępowania, a dostępne metody obejmują: enterolitotomię, operację jednoetapową (łączącą enterolitotomię, cholecystektomię i zamknięcie przetoki) lub dwuetapową z odroczonym zamknięciem przetoki [2, 3, 5, 8, 9].

Opis przypadku

Pacjentka, 91 lat, została przyjęta na Szpitalny Oddział Ratunkowy z powodu trwającego od 6 dni zatrzymania gazów i stolca z towarzyszącymi wymiotami, osłabieniem oraz brakiem apetytu. Zebranie wywiadu z chorą było niemożliwe z uwagi na zaawansowaną demencję. Z dostarczonej dokumentacji wynikało, że pacjentka choruje na przewlekłą chorobę nerek, utrwalone migotanie przedsionków (leczona przewlekle rywaroksabanem), nadciśnienie tętnicze oraz chorobę uchyłkową jelit. Ponadto chora przeszła złamanie szyjki kości udowej leczone operacyjnie – alloplastyką stawu.

W badaniu przedmiotowym przy przyjęciu stwierdzono miękki brzuch, nieco tkliwy w nadbrzuszu, bez objawów otrzewnowych, bez oporów patologicznych, oraz cichą perystaltykę. W badaniu laboratoryjnym zauważono podwyższone wartości białka ostrej fazy – 19,4 mg/dl (norma do 5,0 mg/dl), czas kaolinowo-kefalinowy 49,1 sek. (norma: 26,0–40,0) oraz czas protrombinowy 2,86 (norma: 0,75–1,30). Pacjentka prezentowała objawy niedrożności porażennej jelit, dlatego w celu szybkiej diagnostyki wykonano badanie rentgenowskie (RTG), w którym uwidocz-

niono pętle jelita cienkiego z nielicznymi poziomami płynu (ryc. 1, 2). Aby ustalić przyczynę niedrożności oraz zakwalifikować chorą do operacji ze wskazań życiowych niezbędne było przeprowadzenie TK jamy brzusznej. Badanie ukazało szeroką przetokę pęcherzyka żółciowego do dwunastnicy oraz złóg wielkości ok. 37 mm w okolicy więzadła Treitza (ryc. 3, 4). Pacjentkę zakwalifikowano do leczenia zabiegowego. W ramach przygotowania przedoperacyjnego wdrożono nawodnienie dożylne, profilaktykę antybiotykową cyprofloksacyną oraz przetoczono 2 jednostki osocza świeżo mrożonego. Podczas operacji wykonano cięcie pośrodkowe w nadbrzuszu, następnie po szczegółowej rewizji całego jelita uwidoczniono złóg. Wykonano enterotomię wzdłuż jelita na długość około 5 cm, w dalszym etapie ewakuowano kamień z jelita czczego. Otwór zamknięto poprzecznie dwoma piętrami szwów, zgodnie z zasadami chirurgicznymi. Pozostawiono dren w okolicy operowanej, a przy zamykaniu rany umieszczono podpowięziowo cewnik do czasowej analgezji miejscowej (Painfusor). Okres pooperacyjny przebiegał bez powikłań. W stanie dobrym pacjentkę wypisano do domu w 10. dobie po operacji.

Rycina 1. Zdjęcie rentgenowskie przeglądowe jamy brzusznej. Poszerzone pętle jelita cienkiego

Rycina 2. Zdjęcie rentgenowskie przeglądowe jamy brzusznej. Nieliczne poziomy płynu

Rycina 3. Tomografia komputerowa jamy brzusznej, przekrój czołowy. Białą strzałką zaznaczono złóg w jelicie cienkim. Nad złogiem widoczny jest żołądek wypełniony treścią pokarmową. Poniżej złogu pętle jelita wypełnione są gazem

Rycina 4. Tomografia komputerowa jamy brzusznej, przekrój poprzeczny. Białą strzałką zaznaczono kamień żółciowy w jelicie cienkim

Statystyka

Grupa pacjentów, w której najczęściej obserwuje się niedrożność żółciową przewodu pokarmowego, to osoby w podeszłym wieku, zazwyczaj z chorobami współistniejącymi oraz posiadające dodatni wywiad chorób pęcherzyka żółciowego i dróg żółciowych. Ponad połowa pacjentów z niedrożnością żółciową potwierdza dolegliwości z dróg żółciowych w przeszłości, a 27% miało udokumentowane zapalenie pęcherzyka żółciowego we wcześniejszych latach [2, 10]. Współistniejące ostre zapalenie pęcherzyka żółciowego stwierdza się w 10–30% przypadków [3, 10]. Ponadto niedrożność tego rodzaju znacznie częściej obserwuje się u płci żeńskiej. Stosunek częstości występowania tej choroby u kobiet i mężczyzn wynosi 3,5–6:1 [3, 5, 8, 9] i jest ściśle powiązany z częstością występowania samej kamicy żółciowej. Płeć żeńska stanowi bowiem czynnik ryzyka jej wystąpienia, a wszystkie te czynniki znane są pod akronimem „5P” bądź jego odpowiednikiem w języku angielskim – „4F”. Oznaczają one następująco: 5P – płeć piękna, pulchna, płodna,

po czterdziestym roku życia oraz 4F – female, fat, fertility, forties

Patofizjologia

W niedrożności żółciowej najczęściej obserwowana jest obecność przetoki, jednak przetoka nie jest w tym przypadku obligatoryjna. Niedrożność żółciową mogą wywołać również niewielkie złogi przedostające się przez drogi żółciowe do światła przewodu pokarmowego, gdzie następuje ich wzrost in situ Ponadto opisane zostały przypadki licznych kamieni powodujących niedrożność – będących masą, dla której charakterystyczna jest przetoka z okrężnicą poprzeczną [3, 6, 7]. Obie te sytuacje obserwowane są jednak zdecydowanie rzadziej. Przetoka powstaje początkowo na drodze zrostów, później dochodzi do nadżerek i martwicy, a w konsekwencji erozji ścian sąsiadujących narządów. Procesowi temu sprzyjać może dodatkowo niewydolność krążenia, często spotykana wśród pacjentów w wieku podeszłym [5]. Poza wspomnianym powyżej mechanizmem opisane zostały również nieliczne przypadki powstania przetoki pęcherzykowo-jelitowej wtórnie do nowotworu pęcherzyka [3].

Przetoki różnią się między sobą częstością występowania: pęcherzykowo-dwunastnicza, najczęstsza ze względu na bliskie sąsiedztwo struktur, dalej: pęcherzykowo-okrężnicza, pęcherzykowo-żołądkowa, dwunastniczo-żółciowa, pęcherzykowo-jelitowa oraz pomiędzy przewodem żółciowym wspólnym i jelitem cienkim [3]. Może zdarzyć się, że złóg wydostający się przez przetokę nie wywoła niedrożności, jednak średnica takich kamieni nie przekracza zazwyczaj 20–25 mm. W wyjątkowych przypadkach niedrożność spowodować mogą też dużo mniejsze pojedyncze złogi, jest to jednak ściśle powiązane z występowaniem patologicznych zwężeń światła przewodu pokarmowego. Sytuacja taka może mieć miejsce np. w chorobie Leśniowskiego-Crohna lub po naświetlaniu miednicy w procesie leczenia nowotworu. W zależności od rodzaju przetoki zatrzymania kamienia można spodziewać się na różnych poziomach przewodu pokarmowego. Dla przetoki pęcherzykowo-dwunastniczej charakterystyczne jest utknięcie złogu w zgięciu dwunastniczo-czczym lub na poziomie zastawki Bauhina. Dla przetoki pęcherzykowo-okrężniczej typowym miejscem obturacji jest esica, a przy przetokach pęcherzyka z żołądkiem złóg najczęściej blokuje odźwiernik.

Symptomatologia

Objawy towarzyszące żółciowej niedrożności przewodu pokarmowego są niespecyficzne i odpowiadają objawom niedrożności z innych przyczyn. Ból brzu-

Review of Medical Practice, 2023; Vol. XXIX, No. 4 50

A. Miros, A. Paśnikowska, M. Romanowska, Zespół Barnarda jako rzadka przyczyna niedrożności jelita cienkiego... 51

cha zwykle jest uogólniony i ma charakter kolkowo-skurczowy. Z reguły bardziej nasilone dolegliwości bólowe zgłaszają pacjenci prezentujący niską niedrożność. W badaniu palpacyjnym brzuch jest zazwyczaj tkliwy i wzdęty (pętle jelita wypełnione są gazem zatrzymanym mechanicznie przez przeszkodę oraz przez porażenie jelita). Wyczuwalna może być także masa uniemożliwiająca pasaż. W niskiej niedrożności wymioty występują późno i są kałowe, ponieważ kałowo zmieniona treść pokarmowa przemieszcza się w kierunku dogłowowym w świetle przewodu pokarmowego. Gromadzona przez pewien czas treść osiąga poziom żołądka, skąd jest ewakuowana w mechanizmie wymiotów. (U opisanej pacjentki ze względnie wysoką niedrożnością występowały wymioty treścią niekałową oraz miernie wyrażona bolesność w nadbrzuszu). W większości przypadków choroba ma charakter ostry i podostry. Istnieją jednak przypadki nawracających epizodów bólu, wywoływanych wędrówką kamienia w świetle przewodu pokarmowego. Jest to stan przewlekły, określany mianem zespołu Karewsky’ego [3, 5, 8].

Różnicowanie

Niedrożność żółciową należy różnicować z niedrożnością z innych przyczyn, takich jak guz nowotworowy, przepuklina wewnętrzna oraz wgłobienie jelita [8]. Czymś, co może nasunąć podejrzenie niedrożności o etiologii żółciowej w początkowych etapach diagnostyki jest spełnienie przez pacjenta kryteriów z tzw. Mordor triad. Zaliczają się do niej: kamica żółciowa w przeszłości, objawy ostrego zapalenia pęcherzyka żółciowego oraz ostra niedrożność [8]. Wyniki badań laboratoryjnych mogą prezentować dodatkowo leukocytozę oraz zaburzenia równowagi jonowej, która spowodowana jest zaburzeniami wchłaniania w jelitach (w badaniach pacjentki: leukocyty – 10,36 [10,3/µl], norma 4,00–10,00, oraz potas – 3,64 [mmol/l], norma 3,70–5,40).

Diagnostyka

Nadrzędną rolę w diagnostyce niedrożności odgrywają badania obrazowe. Pozwalają nie tylko potwierdzić wstępne rozpoznanie, ale często również ustalić przyczynę wystąpienia. Spośród nich rutynowo wykonywane jest jako pierwsze badanie RTG jamy brzusznej (ryc. 1). Cechy radiologiczne niedrożności stanowią poziomy powietrzno-płynowe oraz rozdęte pętle jelita wypełnione gazem [3].

Płynem tworzącym poziomy widoczne w badaniu RTG są wydzieliny produkowane przez przewód pokarmowy w ilości sięgającej nawet kilku litrów na dobę. W warunkach prawidłowych następuje ich wchłania-

nie, jednak w przypadku niedrożności proces ten jest zaburzony i wywołuje charakterystyczny dla jednostki chorobowej obraz radiologiczny.

Drugim badaniem, będącym jednocześnie „złotym standardem” diagnostyki przyczyn niedrożności przewodu pokarmowego, jest TK jamy brzusznej. Standardowym protokołem dla TK przy podejrzeniu niedrożności jest wykorzystanie fazy żyły wrotnej z podaniem kontrastu. Czułość tego badania mieści się w przedziale 90–93%, swoistość wynosi 100%, natomiast dokładność obliczona została na 99% [3].

Uwidocznienie objawów radiologicznych niedrożności w badaniach RTG i TK ma miejsce z podobną częstością, odpowiednio w 88% i 92% przypadków. Ektopowy kamień natomiast uwidacznia się w TK z ponad dwukrotnie większą częstością niż ma to miejsce w badaniu RTG – 81% do 33%.

Tomografię komputerową można dodatkowo wykonać, podając kontrast doustnie lub doodbytniczo. Jest to jednak metoda obarczona pewnym ryzykiem, ponieważ w przypadku współistnienia perforacji przewodu pokarmowego, która nie została uwidoczniona w badaniach obrazowych, przedostający się do jamy otrzewnowej kontrast może wywołać zapalenie otrzewnej. Ponadto, doustne podanie kontrastu może spowodować wymioty grożące jego aspiracją do dróg oddechowych.

Wspomniana triada Riglera jest patognomoniczna dla niedrożności żółciowej przewodu pokarmowego. Kryteria pełne spełnia jednak mniej niż połowa pacjentów, a znacznie częściej można zidentyfikować 2 z 3 objawów. W TK uwidacznia się je w 77,78% przypadków, podczas gdy w badaniu RTG w 14,8%, w ultrasonografii (USG) zaś w 11,11% [3, 5]. Nie należy traktować pojedynczo występującej pneumobilii jako objawu patognomonicznego, ponieważ obecność powietrza w drogach żółciowych może pojawić się również po zabiegach endoskopowych. Dla pneumobilii zamiennie używana jest nazwa „objaw Gotta–Mentschler’a”.

Niekiedy w TK udaje się uwidocznić też samą przetokę. Ma to jednak miejsce w zaledwie 11% przypadków. Liczba ta wzrasta w czasie wykonania jednocześnie cholangiografii i TK, kiedy to występuje przeciek kontrastu z dróg żółciowych do przewodu pokarmowego, bądź po wykonaniu MRCP [3].

Uwidocznienie ektopowo położonego kamienia bywa trudne ze względu na zmienność składu i struktury złogów. Musi dojść do odpowiedniej jego kalcyfikacji, aby był nieprzepuszczalny dla promieni rentgenowskich. Kryteria te spełnia 10–20% kamieni. Większość to kamienie cholesterolowe, które są zarazem najczęściej nieuwidacznianymi [3, 4].

Kolejnym powszechnie dostępnym badaniem jest USG. W warunkach niedrożności przeprowadzenie go może być jednak trudne technicznie ze względu

na wzdęcie brzucha, wypełnienie przewodu pokarmowego gazem i płynami oraz dyskomfort pacjenta. Niemniej jednak badanie to wykonywane przez doświadczonego ultrasonografistę oraz w warunkach umożliwiających dostateczną wizualizację może okazać się przydatne oraz wykazać cechy triady Riglera.

Leczenie

Początkowe etapy leczenia powinny obejmować dożylne nawodnienie oraz wprowadzenie sondy nosowo-żołądkowej w celu odbarczenia żołądka, szczególnie gdy obserwuje się jego rozdęcie bądź uporczywe wymioty. Leczeniem z wyboru jest leczenie chirurgiczne. Oprócz standardowych procedur zabiegowych konieczna może okazać się również miejscowa resekcja jelita z odtworzeniem jego ciągłości. Dzieje się tak w przypadkach, gdy w wyniku zalegania złogu w świetle jelita dojdzie do jego martwicy. Wybór metody operacyjnej powinien zależeć od miejsca niedrożności, stanu pacjenta, rodzaju istniejącej przetoki oraz przewidywanych krótko- i długotrwałych korzyści dla pacjenta. W przypadku osób w podeszłym wieku, w ciężkim stanie lub mających wysokie ryzyko powikłań wykorzystuje się najmniej inwazyjną metodę operacyjną, która uwzględnia jedynie ewakuację złogu, szczególnie gdy mamy do czynienia z przetoką pęcherzykowo-dwunastniczą. Dzieje się tak, ponieważ istnieje wysokie prawdopodobieństwo naturalnego jej zamknięcia, co znacznie zmniejsza ryzyko nawrotu niedrożności żółciowej, wstecznego zapalenia pęcherzyka żółciowego oraz raka pęcherzyka żółciowego. W przypadku tej przetoki enterolitotomię uznaje się za leczenie z wyboru. Procedura obejmuje: 1) identyfikację kamienia w przewodzie pokarmowym, 2) cięcie podłużne zdrowego jelita proksymalnie od miejsca zamknięcia jego światła, 3) ewakuację złogu, 4) poprzeczne zamknięcie jelita w celu zapobiegania zwężeniu jego światła oraz 5) kontrolę drożności zespolenia, jego szczelności (w tym celu zakłada się dwie warstwy szwów pierwotnych) i ukrwienia jelita. Ubytek w jelicie zamknięto w przypadku opisywanej pacjentki szwami ręcznymi, najpierw szwem ciągłym śluzówkowym, następnie pojedynczymi szwami surowicówkowymi. Innym rodzajem szwu jest szew odroczony. Jest on stosowany w chirurgii w sytuacjach, gdy istnieje niepewność co do jałowości rany lub dostatecznego jej ukrwienia. Wówczas oczyszczoną ranę pozostawia się otwartą 24–72 godzin z luźno umieszczonym szwem odroczonym, co umożliwia jej właściwe gojenie. Procedurę enterolitotomii zastosowano u omawianej pacjentki, co wydaje się być postępowaniem najbardziej bezpiecznym i optymalnym u pacjentów, u których przewidywana długość życia jest stosunkowo krótka. Śmiertelność w przebiegu tej operacji wynosi 4,94% [10].

Operacją jednoetapową uzyskuje się znaczne lepsze efekty, jednak charakteryzuje się ona najwyższą śmiertelnością spośród 3 opisywanych, bo na poziomie 7% [9]. Procedura z reguły zarezerwowana jest dla młodych, nieobciążonych dodatkowymi chorobami pacjentów. Wiąże się z dłuższym czasem trwania zabiegu i często bywa skomplikowana ze względu na utrudnienia w postaci zrostów pozapalnych w okolicy dróg żółciowych [10]. U tej grupy przewidywana długość życia jest długa, a korzyści płynące z zamknięcia przetoki istotne, co przemawia za przeprowadzeniem tego typu procedury. Zdarza się jednak, że operacja jednoetapowa musi zostać przeprowadzona bez względu na wiek pacjenta, co ma miejsce w przypadku zgorzeli pęcherzyka lub istniejących w nim kamieni [1]. Podobna sytuacja zdarza się również w niedrożności na poziomie okrężnicy. Samoistne zamknięcie przetoki jest wówczas mało prawdopodobne, co niesie za sobą ryzyko refluksu i zarzucania treści kałowej do pęcherzyka, a w konsekwencji jego zapalenia. Operacja jednoetapowa jest również metodą z wyboru w niedrożności dwunastnicy [5].

Operację dwuetapową charakteryzuje najniższa śmiertelność, wynosząca 2,94% [9]. Drugą część zabiegu wykonuje się 4–6 tygodni od enterolitotomii. Jest ona metodą z wyboru w leczeniu niedrożności jelita cienkiego i może zostać wykonana również laparoskopowo. Przeprowadzenie operacji z wykorzystaniem laparoskopii niesie za sobą korzyści w postaci skrócenia czasu hospitalizacji i zmniejszenia ilości powikłań po laparotomii. Wymaga ona jednak odpowiedniego doświadczenia i umiejętności chirurga. Warunki mogą być niesprzyjające, gdyż obrzęk jelit może utrudnić zszycie nacięcia, a ich rozdęcie uniemożliwić bezpieczne wprowadzenie portu do jamy brzusznej pacjenta [10]. Zastosowanie tego typu leczenia opisywane jest jako mniej skuteczne niż klasyczny zabieg chirurgiczny [4]. W pewnej grupie pacjentów można również wykonać zabieg endoskopowego usunięcia niedrożności. Obie te metody wykorzystywane są stosunkowo rzadko, jednak słusznym wydaje się być wzięcie ich pod uwagę jako opcji terapeutycznych, szczególnie u pacjentów we względnie dobrym stanie. Ryzyko ponownej niedrożności żółciowej, w zależności od rodzaju przetoki i wykonywanej procedury, mieści się w przedziale 5–33% i w 85% przypadków występuje ona w ciągu pierwszych 6 miesięcy od leczenia niedrożności [3, 10].

Podsumowanie

Zespół Barnarda jest rzadką przyczyną niedrożności przewodu pokarmowego, jednak ze względu na duże rozpowszechnienie kamicy żółciowej w populacji należy pamiętać o możliwości wystąpienia niedrożno-

Review of Medical Practice, 2023; Vol. XXIX, No. 4 52

A. Miros, A. Paśnikowska, M. Romanowska, Zespół Barnarda jako rzadka przyczyna niedrożności jelita cienkiego... 53

ści o opisywanej etiologii, zwłaszcza gdy chorym jest osoba w wieku podeszłym. Postawienie szybkiego rozpoznania bywa utrudnione ze względu na często współwystępujący z wiekiem zespół otępienny, który uniemożliwia zebranie wywiadu. Istotną rolę w diagnostyce odgrywają badania RTG oraz TK. Istnieje wiele możliwości terapeutycznych, jednak zawsze należy spośród nich wybrać tę najbardziej optymalną i bezpieczną dla pacjenta, nie siląc się na jednoczasowe, duże operacje odtwórcze. W sytuacjach takich jak opisana ryzyko powikłań związanych z wykonaniem obciążającej i rozległej operacji może przeważać nad przewidywaną korzyścią z zabiegu.

Piśmiennictwo

1. Halabi W.J., Kang C.Y., Ketana N. et al.: Surgery for gallstone ileus: a nationwide comparison of trends and outcomes. Ann Surg 2014; 259(2): 329-335.

2. Tsang C.F.: A rare case of gallstone ileus – the unanswered question. J Surg Case Rep 2021; 2021(4): rjab164.

3. Lourenço S., Pereira A.M., Reis J. et al.: Gallstone ileus: an improbable cause of mechanical small bowel obstruction. Cureus 2020; 12(11): e11460.

4. Inukai K.: Gallstone ileus: a review. BMJ Open Gastroenterol 2019; 6(1): e000344.

5. Chang L., Chang M., Chang H.M. et al.: Clinical and radiological diagnosis of gallstone ileus: a mini review. Emerg Radiol 2018; 25(2): 189-196.

6. Nuño-Guzmán C.M., Marín-Contreras M.E., Figueroa-Sánchez M. et al.: Gallstone ileus, clinical presentation, diagnostic and treatment approach. World J Gastrointest Surg. 2016; 8(1): 65-76.

7. Hussain J., Alrashed A.M., Alkhadher T. et al.: Gallstone ileus: unfamiliar cause of bowel obstruction. Case report and literature review. Int J Surg Case Rep 2018; 49: 44-50.

8. Vera-Mansilla C., Sanchez-Gollarte A., Matias B. et al.: Surgical treatment of gallstone ileus: less is more. Visc Med 2022; 38(1): 72-77.

9. Salemans P.B., Vles G.F., Fransen S. et al.: Gallstone ileus of the colon: leave no stone unturned. Case Rep Surg 2013; 13: 359871.

10. Fatimah N., Ahmed A.S., Warraich M.U. et al.: Stone in the distal jejunum presenting as small bowel obstruction: a case report. Int J Surg Case Rep 2018; 52: 20-22.

Autorki nie deklarują konfliktu interesów.

Adres do korespondencji:

Angelika Miros Wydział Medyczny Uczelni Łazarskiego ul. Świeradowska 43 02-662 Warszawa e-mail: angelika22miros@gmail.com

Determinants of Response to Risk Factors Affecting Health Status

Jarosław Sołtan1,A,B,C,D Dorota Bylina2,A,E Stanisława Katarzyna Nazaruk3,C,E

ORCID: 0000-0001-8431-360X

ORCID: 0000-0003-0498-1881

ORCID: 0000-0001-5620-3980

Barbara Sokołowska3,C,E Andrzej Śliwczyński4,E,F

ORCID: 0000-0002-9711-122X

ORCID: 0000-0002-0239-1637

1 University of Humanities and Economics in Łódź, Poland; 2 Józef Piłsudski University of Physical Education in Warsaw, Department in Biała Podlaska, Poland;

3 John Paul II University in Biała Podlaska, Poland; 4 National Medical Institute of the MSWiA, Warsaw, Poland

A – research concept and design, B – data collection, C – data analysis and interpretation, D – article writing, E – critical review of the article, F – final approval of the article

DOI: 10.26399/rmp.v29.4.2023.24/j.soltan/d.bylina/s.k.nazaruk/b.sokolowska/a.sliwczynski

ABSTRACT

Determinants of Response to Risk Factors Affecting Health Status

Sołtan J.1, Bylina D.2, Nazaruk S.K.3, Sokołowska B.3, Śliwczyński A.4

1 University of Humanities and Economics in Łódź, Poland; 2 Józef Piłsudski University of Physical Education in Warsaw, Department in Biała Podlaska, Poland; 3 John Paul II University in Biała Podlaska, Poland; 4 National Medical Institute of the MSWiA, Warsaw, Poland

This article aims to identify the main determinants of the response to risk factors that affect health status. We designed a model to define these determinants. The research methodology involves using a function modeling method with graphic language. As a result, the determinants of the response to risk factors affecting health status were identified. The scientific novelty of the results obtained lies in the introduction of a new methodological approach to presenting the key determinants of the response to risk factors affecting health status. The practical value of the results can be utilized to protect, prevent, and create a safe environment for health. The study is limited by not considering all possible determinants. Further research is needed to expand our analysis of responses to risk factors.

Keywords: risk, factors, determinants, health, safety

STRESZCZENIE

Determinanty reakcji na czynniki ryzyka wpływające na stan zdrowia

Sołtan J.1, Bylina D.2, Nazaruk S.K.3, Sokołowska B.3 , Śliwczyński A.4

1 Akademia Humanistyczno-Ekonomiczna w Łodzi; 2 Akademia Wychowania Fizycznego Józefa Piłsudskiego w Warszawie Filia w Białej Podlaskiej; 3 Akademia Bialska im. Jana Pawła II; 4 Państwowy Instytut Medyczny MSWiA, Warszawa

Niniejszy artykuł ma na celu zidentyfikowanie głównych determinantów reakcji na czynniki ryzyka wpływające na stan zdrowia. Zaprojektowany przez autorów model definiuje te determinanty. Metodologia badań polega na wykorzystaniu modelowania funkcjonalnego połączonego z językiem graficznym. W rezultacie zidentyfikowano wiodące determinanty reakcji na czynniki ryzyka wpływające na stan zdrowia. Nowatorstwo naukowe uzyskanych wyników polega na wprowadzeniu nowego podejścia metodologicznego do prezentacji kluczowych determinant reakcji na czynniki ryzyka wpływające na stan zdrowia. Wartość praktyczna wyników może być wykorzystana do zapobiegania ryzykom oraz tworzenia i ochrony bezpiecznego środowiska dla zdrowia. Badanie jest ograniczone przez nieuwzględnienie wszystkich istniejących determinant. Niezbędne są dalsze badania, aby rozszerzyć analizę reakcji na czynniki ryzyka.

Słowa kluczowe: ryzyko, czynniki, determinanty, zdrowie, bezpieczeństwo

Introduction

Describing illnesses and injuries, as well as risk factors contributing to these conditions, is vital for healthcare planning and decision-making. Data on population health status and the prevalence of risks are often fragmented and sometimes contradictory. To synthesize this information and allow comparison of

the relative importance of risk factors across different populations worldwide, a conceptual framework must be used. While most scientific and medical resources focus on treatment, understanding health risks is crucial for disease and injury prevention. Often, a specific disease or injury results from the influence of two or more risk factors, meaning that several interventions can target each of these factors.

Moreover, most risk factors are associated with the development of several diseases; thus, targeting these factors can reduce the underlying causes of those 3 diseases. For example, reducing smoking will lower mortality and decrease the incidence of lung cancer, heart disease, stroke, chronic respiratory diseases, and others. Quantifying the influence of risk factors on disease occurrence allows for an informed choice of the most effective interventions aimed at improving health globally.

The impact of modern risks varies based on the level of socio-economic development. For instance, urban air pollution poses a higher health risk factor in middle-income countries than in high-income countries, due to the latter’s significant progress in controlling this risk factor through health policy development. The rise in the impact of newly emerging risks is inevitable; however, their propensity can be mitigated by public health measures. Implementing effective tobacco control policies in low- and middle-income countries can build on the success of the industry in high-income countries. By adopting such policies early, low- and middle-income countries could avoid the high incidence of tobacco-related illnesses now prevalent in high-income countries. This serves as the foundation and prologue for further research and updates to the article.

The transformation of risk factors in the time dimension is depicted in Figure 1.

Literature review

The literature indicates that contemporary work safety conditions are currently perceived negatively.[1,2] Approximately 30% of European employees work in unsanitary and unhygienic conditions. The injury incident rate per 1,000 employed persons in the first half of 2022 was 1.89, totaling 27,900 incidents, according to initial data from Statistics Poland.[3,4] One in every four employees working in unfavorable sanitary and hygienic conditions in Europe is female. Poor working conditions hazardous to women’s health can lead to health issues in future generations, posing a threat to various societal aspects, including national security.[5,6]

As highlighted in the literature,[5,7] over half of the global population still cooks over an open fire or in traditional ovens using firewood, manure, coal, or agricultural waste. In poorly ventilated conditions, the use of solid fuels means that people, especially women and children, are exposed to significant levels of indoor smoke and the associated high health risks.

As noted in the scientific and practical literature, potential health risks include lethal outcomes from exposure to extreme temperatures and natural disasters, communicable diseases, increased foodborne and waterborne infections, exposure to photochemical air pollutants, and conflict. Climate change will have the greatest impact on health in societies with limited resources, weak technological development, and fragile infrastructure.[8,9] As only a few of the many potential effects of climate change can be fully quantified, the consequences of increasingly frequent and severe natural disasters are not considered in this article.

Analyzing the literature,[10,11] with the aim of forming a model to define the main determinants of the response to risk factors affecting health status, we found several gaps that prompted our study. We have further determined that a number of issues with the analysis of reactions to risk factors affecting health status still remain relevant (Table 1).

Table 1. Main gaps resulting from the literature review in our study

Gaps Characteristics

New Approach

The article aims to identify the main determinants of the response to risk factors affecting health. The structure of the article includes a literature review, a description of the methodology, presentation of the main results and their discussion, formulation of conclusions, and further research directions.

Modeling

Contemporary Issues

Lack of methodological approach to proposed improvement measures

Lack of effective models with a clear approach

Obsolete and not taking into account modern risk factors

Risk
55
of Response to
Factors
Figure 1. Transformation of risk factors in the time dimension

Methods

As part of our research, we seek to identify and present the key determinants of response to risk factors affecting health. This can be achieved using one of the methods of the IDEF family.

The method suitable for providing an overview of the key determinants emphasizes inputs, outputs, mechanisms, and means, and details the vertical and horizontal relationships between the determinants of response to risk factors affecting health status.

The structure of the application of the IDEF0 method in the framework of our study is shown in Figure 2.

2. The structure of the application of the IDEF0 method in the framework of our study

The IDEF0 method offers significant advantages in the context of our study. Its simplicity in understanding and visual representation of the model’s key stages

through functional blocks, enhanced by vertical and horizontal relationships depicted as arrows, makes it possible to comprehend the functional and investigative links between the key elements of the model. Another advantage of the methodology is its flexibility, allowing for local adjustments to established models without altering the model’s fundamental structure or its key goal and purpose.

Results

Risk determinants and characteristics vary significantly depending on age. Certain risk factors predominantly affect children, including low body weight, inadequate nutrition (with the exception of iron deficiency), unsafe drinking water, indoor air pollution from the use of solid fuels in households, and climate change. Only a few risk factors impact the health of adolescents; however, risk-related behaviors in adolescence significantly influence their health later in life. In adults, the impact of risk factors varies with age. Young adults bear a considerable burden of disease resulting from substance abuse, unsafe sex, lack of contraception, iron deficiency, and child sexual abuse. In contrast, the elderly are more affected by risk factors leading to chronic diseases such as cardiovascular and cancer diseases.

Let us illustrate the hierarchy of determinants for group A using the graphical modeling language (Figure 3).

Determinants within risk factors affecting health status

Determinants of the reaction and addictive substances

Determinants of the reaction to insufficient physical activity

Determinants of the reaction to unsafe sex

Figure 3. Hierarchy of determinants of group A in the framework of the graphical modeling language

Next, it is necessary to add the context to the definition of the group A determinants, as presented in the diagram form in Figure 4.

Review of Medical Practice, 2023; Vol. XXIX, No. 4 56
Figure
A0 A3 A2 A1

mechanisms Financial and material, technical, personnel, legal resources

Determinants within risk factors affecting health status

Information support for the implementation of the response

Basis for implementation of actions on risk factors

A1. Determinants of the reaction to addictive substances. Smoking significantly increases the risk of death from lung cancer and other cancers, heart disease, stroke, chronic respiratory diseases, and other pathologies. The presence of tobacco smoke in the environment and smoking during pregnancy also harm the health of non-smokers. The number of smokers is increasing in many low- and middle-income countries, while it is declining steadily, albeit slowly, in most high-income countries. Alcohol contributes to more than 60 types of disease and injuries, although it may also reduce the risk of coronary heart disease, stroke, and diabetes. There is a wide variation in alcohol consumption patterns in different regions. Consumption levels in some Eastern European countries are approximately 2.5 times higher than the world average of 6.2 liters of pure alcohol per year. Except for a few countries, the lowest levels of alcohol consumption are found in Africa and the Eastern Mediterranean. Alcohol has a positive effect on the cardiovascular system in the elderly in regions where alcohol is consumed in low to moderate doses on a regular basis without binge drinking.

A2. Determinants of the reaction to insufficient physical activity. Physical activity reduces the risk of cardiovascular disease, some types of cancer, and type 2 diabetes. It also helps improve the condition of the musculoskeletal system, control weight, and

reduce symptoms of depression. Physical activity is manifested in various spheres, including at work, when using transport, when doing household chores, and during rest. In high-income countries, a large proportion of physical activity occurs during leisure time, while in low-income countries, it occurs during working hours, doing household chores, and traveling on public transport. According to various estimates, insufficient physical activity determines about 21-25% of the severity of breast cancer and colon cancer, 27% of the severity of diabetes, and about 30% of the severity of coronary heart disease.[12]

A3. Determinants of the reaction to unsafe sex. People’s sexual behavior varies greatly in different countries and regions. In 2004, unsafe sex was estimated to account for more than 99% of HIV infections in Africa, the only region where more women than men are infected with HIV or have acquired immunodeficiency syndrome. In other regions, the percentage of HIV/AIDS deaths attributable to unsafe sex ranges from 50% in low- and middle-income countries in the Western Pacific region to 90% in low- and middle-income countries in the Americas region according to WHO.[13] In virtually all regions outside of Africa, HIV transmission through unsafe sex occurs primarily among commercial sex workers and men who have sex with other men (Figure 5).

J.
Determinants of Response to Risk Factors 57
C1 M1 І1 Control
system Monitoring system
Decision
A0 C1 M2 Safety
O1 O2
-making
and security mechanisms
Figure 4. Context diagram of group A determinants

Information about the progress of the stage A1

Information about the progress of the stage A2

Information about the progress of the stage A3

Determinants of the reaction and addictive substances

Directives for stage A2

Determinants of the reaction to insufficient physical activity

Results

Directives for stage A1

Determinants of the reaction to unsafe sex

A3

Directives for stage A3

Figure 5. The model for defining determinants for group A0

Bearing this is mind, Figure 6 illustrates the hierarchy of determinants for group B using the graphical modeling language.

Determinants within risk factors affecting health status

Air pollution in cities

Indoor air pollution associated with the use of solid fuels in households

Unsafe medical injections

Figure 6. Hierarchy of determinants of group B in the framework of the graphical modeling language

Next, it is necessary to add the context to the definition of the group B determinants, as presented in the diagram form in Figure 7.

Review of Medical Practice, 2023; Vol. XXIX, No. 4 58
A1 A2
M2 M1
C1 C2
O2 O1 I1
B0
B3
B2 B1

Financial and material, technical, personnel, legal resources

Control system Monitoring system

Determinants within risk factors affecting health status

Information support for the implementation of the response

Basis for implementation of actions on risk factors Decision-making mechanisms

B1. Air pollution in cities. Industrial plants, cars, and trucks release complex mixtures of pollutants into the air, many of which are harmful to health. Of these pollutants, fine particulate matter is the most harmful to health. Tiny particulate matter results from the combustion of fuels in both mobile devices such as vehicles and stationary devices such as power plants. Fine particulate matter is associated with a wide range of acute and chronic diseases such as lung cancer and cardiopulmonary disease.

B2. Indoor air pollution is associated with the use of solid fuels in households. More than half of the world’s population still cooks over open fires or traditional ovens using wood, manure, coal, or agricultural waste. In

Determinants of the reaction and addictive substances

Information about the progress of the stage B1

Information about the progress of the stage B2

Information about the progress of the stage

conditions of limited ventilation, the use of solid fuels exposes people, especially women and children, to high levels of indoor smoke exposure and associated high health risks.

B3. Unsafe medical injections. The complex nature of the medical care provision at this stage inevitably carries both risks and benefits. Patient safety is a major global public health issue. Estimates show that in developed countries, one in 10 patients is harmed during inpatient care. The likelihood of harm to health in a hospital is higher in developing countries than in industrialized countries. The risk of nosocomial infection in some developing countries is up to 20 times higher than in developed countries (Figure 8).[14]

Directives for stage B2

Determinants of the reaction to insufficient physical activity

Directives for stage B1

Determinants of the reaction to unsafe sex

8. The model for defining determinants for group B0

Directives for stage B3

J.
Determinants of Response to Risk Factors 59
Sołtan, D. Bylina, S.K. Nazaruk, B. Sokołowska, A. Śliwczyński,
C1 M1 І1
B0 C1 M2 Safety
security mechanisms O1 O2
and
Figure 7. Context diagram of group B determinants
B3
B1 B2 B3 M2 M1
C1 C2
O2 O1 I1
Results
Figure

There are thousands of other health risks both within and outside the categories discussed in this report. These include risk factors for tuberculosis and malaria (which together account for 4.5% of the global burden of disease), family and environmental risk factors, risk factors for psychiatric disorders and injury, and a wide range of dietary risk factors. Similarly, some important risks associated with exposure to infectious agents or antibiotic resistance are not included in this report. Although genetic predisposition plays a significant role, the article did not attempt to quantify the burden of disease due to genetic causes. In general, the approach and methods used in the article can be used more broadly in order to draw the attention of health policymakers to the potential for preventing health risks.

Discussion

When discussing the results obtained, it is pertinent to compare them with similar findings to highlight their novelty and uniqueness.

For example, a certain group of scientists [15,16] reported that people at work are exposed to numerous risk factors, which can lead to injuries, cancer, hearing loss, diseases of the respiratory and musculoskeletal systems, cardiovascular and reproductive systems, neurological disorders, skin diseases, and mental disorders. In their report, risk factors are assessed selectively due to the lack of global data.

Other researchers [17,18] aim to cover as many risk factors affecting health as possible. There are thousands of other health risks both within and outside the categories covered in this article. These include risk factors for the development of tuberculosis and malaria (accounting for a total of 4.5% of the global burden of disease), family environment risk factors, environmental conditions, risk factors causing mental disorders and injuries, as well as a wide range of nutritional risk factors. Similarly, some significant risks related to exposure to infectious disease agents or antibiotic resistance are not included in this report. Although genetic predisposition plays a crucial role, the article did not attempt to quantify the disease severity due to genetic causes.

However, there are studies [19,20] that narrow down risk factors to only social determinants. Society is constantly at risk. In trying to protect himself, a person introduces new means of protection, thereby generating new types of risks and scales of distribution. The current stage of the European economy’s development is characterized by a significant number of social risks, products of high rates of social and technological modernization. Work safety occupies a special place among these risks. One of the main human rights in the social and work spheres is the right to safe

working conditions and full compensation for damages resulting from failures to ensure them. Yet, it is in the field of work safety where the manifestation of social risks is intensifying.[21-24]

As regards our research results, they exhibit both similarities and differences with other studies. The similarity lies in in our agreement with several theoretical aspects of the problem of risk factors affecting health status. Our study also underscores the thesis of how problematic health protection is and how many risks affect it.

The scientific novelty of our results lies in introduction of a new methodological approach to presenting the key determinants of the response to risk factors affecting health status.

Conclusions

Many diseases result from the interaction of multiple risk factors. By reducing the impact of specific risk factors associated with a particular disease, it is possible to influence the disease development. The cumulative impact of multiple risk factors often results in lower mortality rates and disease severity compared to the individual impact of each risk factor.

Global health risks are evolving due to changes in consumption patterns and the increasing elderly population, resulting from successful efforts against infectious diseases and declining birth rates. Developing countries face a dual health challenge with the rise of infectious diseases and maternal and child health risks, traditionally impacting the impoverished, along with the recent addition of non-communicable diseases. Severely impoverished countries still contend with significant health challenges from malnutrition, unsafe sexual practices, contaminated water, inadequate sanitation and hygiene, iron deficiency, and indoor air pollution caused by solid fuels. Risk factors such as high blood pressure, high cholesterol levels, obesity, and lack of physical activity contribute to the overall severity of diseases.

Several cost-effective interventions are established, and risk prevention strategies can be expanded to additional countries. The essential scientific and economic information, factual data, and research needed to make policy decisions that can greatly enhance global health are already accessible. The determinants influencing the response to risk factors impacting health status were identified. The results obtained have practical value that can be utilized to prevent, safeguard, and establish a secure health environment. The study is restricted by not taking into account all potential determinants. Additional research is required to broaden our previous analysis of responses to risk factors.

Review of Medical Practice, 2023; Vol. XXIX, No. 4 60

References

1. Adeniji A., Osibanjo O., Salau O.P. et al.: Competence model for measuring career development and organisational growth in the health sector. Business: Theory and Practice 2019; 20: 248-258; https://doi.org/10.3846/btp.2019.24 (accessed 01.03.2024).

2. Cheng T.C. (A.), Caponecchia C., O’Neill S.: Workplace safety and future and emerging ways of work: A systematic literature review. Safety Science 2022; 155: 1-15; https://doi. org/10.1016/j.ssci.2022.105873 (accessed 01.03.2024).

3. Ghasemi F., Doosti-Irani A., Aghaei H.: Applications, Shortcomings, and New Advances of Job Safety Analysis (JSA): Findings from a Systematic Review. Safety and Health at Work 2023; 14(2): 153-162; https://doi.org/10.1016/j. shaw.2023.03.006 (accessed 01.03.2024).

4. Statistics Poland: Accidents at work in the first half of 2022preliminary data. News Releases 2022; https://stat.gov.pl/en/ topics/labour-market/working-conditions-accidents-at-work/ accidents-at-work-in-the-first-half-of-2022-preliminary-data,4,50.html (accessed 12.09.2023).

5. Ali M.U., Yu Y., Yousaf B. et al.: Health impacts of indoor air pollution from household solid fuel on children and women. J Hazard Mater 2021; 416: 126127; https://doi.org/10.1016/j. jhazmat.2021.126127 (accessed 01.03.2024).

6. Kryshtanovych M., Topalova E., Tokhtarova I. et at.: Definition the determinants of influence on the engineering sector and the system of its legal regulation. International Journal of Safety and Security Engineering 2022; 12(6): 699-706. https://doi.org/10.18280/ijsse.120605 (accessed 01.03.2024).

7. Palutturi S., Saleh L.M., Rachmat M. et al.: Mapping healthy aisles in Makassar city, Indonesia: Implications for community empowerment. Gaceta Sanitaria 2021; 35: S42-S45. https:// doi.org/10.1016/j.gaceta.2020.12.012 (accessed 01.03.2024).

8. Jones E., Young A., Clevenger K. et al.: Healthy schools: Risk reduction strategies for reopening schools. Cambridge: Harvard T.H. Chan School of Public Health Healthy Buildings Program; 2020; https://doi.org/10.13140/RG.2.2.22333.49127 (accessed 01.03.2024).

9. Kryshtanovych M., Akimova L., Akimov O. et al.: Modeling the process of forming the safety potential of engineering enterprises. International Journal of Safety and Security Engineering 2021; 11(3), 223-230; https://doi.org/10.18280/ ijsse.110302 (accessed 01.03.2024).

10. Zulu J.M., Perry H.B.: Community health workers at the dawn of a new era. Health Research Policy and Systems 2021; 19(3): 1-5; https://doi.org/10.1186/s12961-021-007617 (accessed 01.03.2024).

11. Sommanustweechai A., Putthasri W., Nwe M.L. et al.: Community health worker in hard-to-reach rural areas of Myanmar: Filling primary health care service gaps. Human Resources for Health 2016; 14(1): 1-7; https://doi.org/10.1186/ s12960-016-0161-4 (accessed 01.03.2024).

12. Stevens C.J., Baldwin A.S., Bryan A.D. et al.: Affective Determinants of Physical Activity: A Conceptual Framework and Narrative Review. Front Psychol 2020; 11: 568331; doi: 10.3389/fpsyg.2020.568331.

13. Schmid G.P., Buvé A., Mugyenyi P. et al.: Transmission of HIV-1 infection in sub-Saharan Africa and effect of elimination of unsafe injections. Lancet 2004; 363(9407): 482-488; https://doi.org/10.1016/S0140-6736(04)15497-4 (accessed 01.03.2024).

14. Nyamogoba H., Obala A.A.: Nosocomial infections in developing countries: cost effective control and prevention. East Afr Med J 2002; 79(8); doi:10.4314/eamj.v79i8.8831.

15. Manisalidis I., Stavropoulou E., Stavropoulos A. et al.: Environmental and Health Impacts of Air Pollution: A Review. Front Public Health 2020; 8: 14. doi: 10.3389/fpubh.2020.00014.

16. Morina F., Komoni A., Kilaj D. et al.: The effect of health expenditure on life expectancy. International Journal of Sustainable Development and Planning 2022; 17(5): 1389-1401. https://doi.org/10.18280/ijsdp.170502 (accessed 01.03.2024).

17. GBD 2019 Risk Factors Collaborators: Global burden of 87 risk factors in 204 countries and territories, 1990–2019: a systematic analysis for the Global Burden of Disease Study 2019. Lancet 2020; 396(10258): 1223-1249; https://doi.org/10.1016/ S0140-6736(20)30752-2 (accessed 01.03.2024).

18. Chuke N.U., Okafor S.O., Mbagwu F.O. et al.: Rural health workers and primary health care promotion in Southeast Nigeria: Challenges and their implication to community and sustainable development. International Journal of Sustainable Development and Planning 2023; (18)1: 113-120; https:// doi.org/10.18280/ijsdp.180111 (accessed 01.03.2024).

19. Schiavoni K.H., Helscel K., Vogeli C. et al.: Prevalence of social risk factors and social needs in a Medicaid Accountable Care Organization (ACO). BMC Health Serv Res 2022; 22(1): 1375; https://doi.org/10.1186/s12913-022-08721-9 (accessed 01.03.2024).

20. Al Azzam F.: The adequacy of the international cooperation means for combating cybercrime and ways to modernize it. JANUS.NET e-journal of International Relations 2019; 10(1): 66-83; https://doi.org/10.26619/1647-7251.10.1.5 (accessed 01.03.2024).

21. Schleiff M.J., Aitken I., Alam M.A. et al.: Community health workers at the dawn of a new era: 6. Recruitment, training, and continuing education. Health Res Policy Syst 2021; 19(Suppl 3): 113; https://doi.org/10.1186/s12961-021-00757-3 (accessed 01.03.2024).

22. Birawida A.B., Selomo M., Ismita U.W. et al.: Environmental health hazards against bacterial contamination of cutlery on the small island of Makassar. IOP Conf. Ser.: Earth Environ Sci 2019; 235: 012023; https://doi.org/10.1088/17551315/235/1/012023 (accessed 01.03.2024).

23. Bunyaminu A., Mohammed I., Yakubu I.N. et al.: The effect of health expenditure on average life expectancy: does government effectiveness play a moderating role? International Journal of Health Governance 2022; 27(4): 365-377; https:// doi.org/10.1108/IJHG-03-2022-0027 (accessed 01.03.2024).

24. Anwar A., Hyder S., Nor H. et al.: Government health expenditures and health outcome nexus: a study on OECD countries. Front Public Health 2023; 11: 1123759; https://doi. org/10.3389/fpubh.2023.1123759 (accessed 01.03.2024).

The authors declare no conflict of interest.

Address for correspondence:

Jarosław Sołtan Chrobrego 5/14, 21-500 Biała Podlaska e-mail: soltanpl@gmail.com

J. Sołtan, D. Bylina,
Nazaruk,
Determinants of Response to Risk Factors 61
S.K.
B. Sokołowska, A. Śliwczyński,

Free-Circulating miRNAs as Biomarkers in Amyotrophic Lateral Sclerosis and Hereditary Spastic Paraplegias

Filip Tomczuk1,A,B,C,D

ORCID: 0000-0002-3424-6338

Anna Sułek2,A,E,F

ORCID: 0000-0003-2975-4888

1 Department of Genetics, Institute of Psychiatry and Neurology, Warsaw, Poland; 2 Faculty of Medicine, Lazarski University, Warsaw, Poland

A – research concept and design, B – data collection, C – data analysis and interpretation, D – article writing, E – critical review of the article, F – final approval of the article

DOI: 10.26399/rmp.v29.4.2023.25/f.tomczuk/a.sulek

ABSTRACT

Free-Circulating miRNAs as Biomarkers in Amyotrophic Lateral Sclerosis and Hereditary Spastic Paraplegias

Tomczuk F.1, Sułek A.2

1 Department of Genetics, Institute of Psychiatry and Neurology, Warsaw, Poland; 2 Faculty of Medicine, Lazarski University, Warsaw, Poland

The development of biomarker research is essential to enhance the diagnostic workup for neurodegenerative disorders and to facilitate the monitoring of effective disease-modifying therapies. While DNA testing remains a predominant biomarker for identifying mutations in familial forms of neurodegenerative diseases, various types of RNA have more recently been linked to both familial and sporadic forms of these diseases. miRNAs, a subset of endogenous non-coding RNA, bind to partially complementary sequences in mRNAs and inhibits mRNA translation by either blocking translational machinery or degrading mRNAs. They are involved in a variety of cellular processes, including cell cycle, development, metabolism, and synaptic plasticity. Dysregulation of miRNA expression and function has been reported in various neurological disorders (NDs) of the central nervous system, such as Alzheimer’s disease (AD), Parkinson’s disease (PD), Huntington’s disease (HD), amyotrophic lateral sclerosis (ALS), and hereditary spastic paraplegias (HSP). If a specific profile of dysregulated miRNAs is identified in patients suffering from NDs, this could serve as a biomarker for earlier diagnosis and monitoring of the disease progression. Identifying the role of miRNAs in normal cellular processes and understanding how miRNA expression is linked to their neurological effects are also critical in developing new therapeutic strategies for NDs. In this review, we will focus on free-circulating miRNA and their association between ALS and HSP, as both diseases share the same neurodegeneration process of the upper and lower motor neurons. This suggests that they may also share the same miRNA pattern, which might be considered a shared biomarker.

Key words: miRNA, biomarkers, motor neuron disorders, neurodegeneration, rare disease

STRESZCZENIE

Wolne krążące miRNA jako biomarkery w stwardnieniu bocznym zanikowym i dziedzicznej spastycznej paraplegii

Tomczuk F.1, Sułek A.2

1 Zakład Genetyki, Instytut Psychiatrii i Neurologii, Warszawa; 2 Wydział Medyczny, Uczelnia Łazarskiego, Warszawa

Rozwój badań w dziedzinie badań biomarkerów jest niezbędny do usprawnienia diagnostyki chorób neurodegeneracyjnych i skutecznego monitorowania terapii modyfikujących przebieg choroby. Chociaż badania DNA pozostają dominującym biomarkerem pozwalającym na identyfikację mutacji w chorobach neurodegeneracyjnych, ostatnio powiązano różne typy RNA zarówno z rodzinnymi, jak i sporadycznymi postaciami tych chorób. miRNA, endogenne niekodujące cząsteczki RNA, wiąże się z częściowo komplementarnymi sekwencjami w mRNA i hamuje translację mRNA albo poprzez blokowanie mechanizmu translacji, albo przez degradację mRNA. miRNA, bierze udział w różnych procesach komórkowych, w tym w cyklu komórkowym, rozwoju, metabolizmie i plastyczności synaptycznej. Potwierdzono ich udział w zaburzeniach ekspresji i funkcji miRNA w różnych schorzeniach neurologicznych (ND) ośrodkowego układu nerwowego, takich jak m.in. choroba Alzheimera (AD), choroba Parkinsona (PD), choroba Huntingtona (HD), stwardnienie boczne zanikowe (ALS) i dziedziczne spastyczne paraplegie (HSP). Jeśli u pacjentów cierpiących na choroby neurodegeneracyjne zostanie zidentyfikowany specyficzny profil ekspresji miRNA, może on posłużyć jako biomarker do wcześniejszej diagnozy i monitorowania postępu choroby. Identyfikacja roli miRNA w prawidłowych procesach komórkowych i zrozumienie, w jaki sposób ekspresja miRNA jest powiązana z ich skutkami, ma również kluczowe znaczenie w opracowywaniu nowych strategii terapeutycznych dla ND. W tym artykule skupiamy się na wolno krążących cząsteczkach miRNA i ich związku pomiędzy ALS i HSP, ponieważ w obu chorobach występuje ten sam proces neurodegeneracji górnych i dolnych neuronów ruchowych. Sugeruje to, że mogą one również mieć ten sam profil ekspresji miRNA, który można będzie uznać za wspólny biomarker.

Słowa kłuczowe: miRNA, biomarkery, choroby neuronu ruchowego, neurodegeneracja, choroba rzadka

The Nature of Biomarkers

According to the definitions provided by the US Food and Drug Administration (FDA) and the National Institutes of Health (NIH), a biomarker is an objective indicator measurable outside the patient’s body. It serves as a quantifiable measure of various biological or pathogenic processes, responses to interventions, and exposures.[1-6]

Biomarkers play a pivotal role in medical applications such as diagnosis, disease classification, and monitoring therapeutic responses.[7] Califf et al. further categorized biomarkers into groups based on their functions, including diagnostic, monitoring, pharmacodynamics/response, predictive, prognostic, safety, and susceptibility/risk.[3] This article specifically delves into three subtypes of biomarkers: diagnostic, predictive, and prognostic.[1,3] Diagnostic biomarkers are instrumental in confirming the presence of a disease or identifying specific disease subtypes, as outlined by the FDA-NIH definition.[1,4] Predictive biomarkers play a crucial role in identifying individuals likely to experience either favorable or unfavorable effects from exposure to medical products or environmental agents.[3,4] An illustrative example includes free-circulating miRNAs, which may signal impending events such as neurodegeneration.[1,3,4] Prognostic biomarkers are utilized to assess the likelihood of clinical events or disease progression in individuals with the condition (FDA-NIH definition). C-reactive protein (CRP) stands as an exemplar, serving as a prognostic biomarker for inflammation, as elucidated by different scientists.[5,6]

Several researchers[8-13] have focused their studies on neurodegenerative biomarkers, often derived from diverse sources such as peripheral blood, muscle biopsies, or cerebrospinal fluid (CSF). Whole blood, in particular, has emerged as an attractive source due to its ease of collection, relative noninvasiveness, and suitability for longitudinal studies, enabling the tracking of disease progression over time.[2,10,14] Among potential biomarkers, microRNAs (miRNAs) have garnered considerable attention, especially in neurodegenerative research. With promising characteristics, miRNAs have been employed to monitor different gene expressions associated with neurodegenerative diseases, as evidenced by numerous studies.[10,15-17]

MicroRNA Biogenesis and Role in Gene Expression

MicroRNAs (miRNAs) are endogenous, non-coding single-stranded RNA molecules that play important roles in eukaryotic gene expression through

post-transcriptional regulation. They were first identified via classical forward genetics experiments.[18,19] miRNA mainly binds to the 3’-untranslated region (3’UTR) of the messenger RNA (mRNA) from target protein-coding genes, leading to gene silencing by mRNA cleavage, translational repression and deadenylation.[18] A miRNA particle is a part of ribonucleoprotein complexes that specifically block the mRNA translation. Unlike siRNAs, miRNAs are not characterized by complete sequence identity with the target mRNA and therefore can silence different genes. The miRNA biogenesis is a complex process, which can be generated through the classical canonical and non-canonical pathway depending on cell types and their environment.[20] It begins in the nucleus when 1-3 kilobase (kb) precursor miRNAs (pre-miRNAs) are generated either by the microprocessor complex (Drosha and DGCR8) RNaseIII enzyme processing of primary miRNA (pri-miRNAs) transcripts or by spliceosome processing of precursor mRNA (pre-mRNA) transcripts followed by the Lariat Debranching Enzyme (DBR1) processing of the resulting introns.[21]

The primary transcript (pri-miRNAs) of miRNA is specifically recognized by the microprocessor complex composed of nuclear ribonuclease III, Drosha, and is the binding partner of the DGCR8 protein, which recognizes the stem-loop structure in pri-miRNA. Drosha then cleaves the pri-miRNA into a 70 nt pre-miRNA, which is translocated to the cytoplasm by exportin 5 protein.[18] In the cytosol, pre-miRNAs are further processed into 19-23 nucleotide mature miRNA duplexes by a protein complex consisting of DICER (RNase) and the double-stranded RNA-binding domain proteins TRBP, PACT and Ago2.[20] One strand of the miRNA duplex is incorporated into the RNA-induced silencing complex (RISC) as a mature miRNA, whereas the other strand is degraded. miRNA can also be generated from hairpin introns, snoRNAs, tRNAs and endogenous shRNAs as a result of splicing, debranching and other complex processing mechanisms without RISC involvement.[18-22]

The intracellular concentration of miRNA may change in different physiological and pathological processes due to modifications in their transcription, maturation and stability. Despite their intracellular activity, miRNAs have been found in extracellular human body fluids such as blood plasma/serum, urine, saliva, semen, CSF, and milk. Therefore, some free-circulating miRNAs have been successfully assigned as biomarkers for several cancers, cardiovascular diseases, and brain or liver injuries. Such changes of miRNA levels in different brain areas are also indicative of many neurodegenerative diseases and other brain pathologies.[12,22-25]

F.
A. Sułek, s as Biomarkers in Amyotrophic Lateral Sclerosis and Hereditary... 63
Tomczuk,

Figure 1. The miRNA biogenesis process

miRNAs are stable and resistant to RNase activity, which makes circulating miRNAs potentially novel sources of biomarkers for various diseases. Due to the inherent heterogeneity within a neurodegenerative disease miRNA can comprise both sporadic and familial genetic forms of alteration.[2] Serving as master regulators of gene expression, they can be used as diagnostic, predictive, and prognostic biomarkers across various disease states, as they are increasingly applied in the field of neurodegenerative disorders.[3,16]

Neurodegenerative Diseases and Progressive Changes in Cell Homeostasis

Neurodegenerative diseases are marked by the progressive loss of neural tissues, leading to irreversible degradation of neurons that cannot be regenerated after cell death or damage.[26] These disorders are characterized by a very broad and a diverse background, encompassing well-known conditions like Alzheimer’s

disease (AD) and Parkinson’s disease (PD), as well as rarer ones often defined by genetic defects, such as Huntington’s disease (HD), amyotrophic lateral sclerosis (ALS), and hereditary spastic paraplegia (HSP).[21] They also include various types of ataxias,[27] spinal and bulbar muscular atrophy (SBMA), and several other rare types.[28,29] Cellular pathologies and molecular dysfunctions in the neurodegenerative process generally lead to functional changes, including oxidative stress, protein oligomerization and aggregation, axonal transport deficiency, calcium deregulation, mitochondrial dysfunctions, neuroinflammation, neuron-glial interactions, aberrant RNA processing, and DNA (deoxynucleic acid) damage.[20] Figure 2 highlights the neurogenerative process.

The neurodegeneration process is initiated by metabolic disruptions in the neurons, such as protein overexpression or misfolding. These events activate microglial cells and the Blood Brain Barrier (BBB) by cytokines which induce neuroinflammation and lead to neuronal damage and finally neurodegeneration.

Mitochondrial dysfunction, prevalent in aging brains and neurodegenerative diseases, mainly involves molecular damage to mtDNA by intracellular events such as nucleases, reactive oxygen species (ROS), and spontaneous hydrolytic processes. Single-strand breaks in mtDNA can be generated either by ROS or from aberrations in replication processes. In an aging brain and in the neurodegenerative process the misrepair of double-strand breaks causes the mtDNA deletion seen in aged human tissues. This implies that aging affects normal replication, leading to the majority of deletions at mtDNA replication sites.[30] Figure 3 shows possible factors of neurodegeneration.

As mentioned above, neurodegenerative diseases are often characterized by the presence of inclusions of aggregated protein, for example amyloid β aggregation in AD, accumulated proteins forming Lewy bodies in PD, polyglutamine proteins in SCA, HTT in HD, or TDP-43 in ALS.[31,32]

Review of Medical Practice, 2023; Vol. XXIX, No. 4 64
Healthy neurons DNA damage Neuroinflamation Protein misfolding and accumulation Neuron-microglia interactions Neurodegeneration Neuron damage
Figure 2. The neurodegeneration process

Genetic factors

Altered protein modification, misfolding and aggregation

Age

Neurodegeneration

Neuronal death

Environmental factors

Mitochondrial dysfunction

Oxidative stress

3. Various factors involved in progression of neurodegenerative disease

Recent studies indicate that aberrant gene expression caused by elevated miRNA levels is increasingly recognized as an important predictive tool in neurodegenerative disorders. Also, it has been reported that miRNA is involved in the development of the central nervous system and neurodegeneration.[20,32-35]

Current research on the role of miRNA in neurodegeneration as biomarkers remains limited. Those that do exist, show potential changes in the process but do not yet define their significance in the general aspect of neurodegeneration. For a brief summary of miRNAs involved in neurodegenerative diseases see Table 1.

miRNAs play essential role in regulating various physiological processes, such as neuronal stem cell differentiation, neurogenesis, neuronal survival, and synapse formation is crucial. They have also been shown to be involved in neurodegeneration, which is why their importance and value as biomarkers for

Neurodegenerative diseases

Alzheimer’s disease

diagnosis and therapeutic strategies continues to grow.[12,20,22,32-34]

Several authors have demonstrated that miRNA can act as both neuroregulators and neuroprotectors, influencing the expression of specific genes. They reported that the level of miR-29 is reduced in AD and HD and in mouse models. Furthermore, miR29 plays a key role in amyloid beta formation, leading to AD pathology. Moreover, the neuroprotective miR-29-a-1 and miR-29-b-1 are downregulated, which promotes the progression of AD by regulating beta-secretase-1, increasing Ab formation.[20,32,53,54]

Huntington’s disease is a neurodegenerative disorder characterized by cognitive and motor defects, caused by CAG repeat expansion in the huntingtin (HTT) gene. Pathologically, it involves progressive neuronal death in the cortex and striatum of HD patients.

miR-9 BACE1 APP cleavage [36]

miR-29 Bim; Bmf, Hrk; Puma

let-7b TLR7(binding)

Parkinson’s disease

Neuronal survival [37]

Immune response [38]

miR-106b APP APP signaling [39]

miR-133b Pitx3

miR-107 Progranulin; CDK6

miR-34 SIRT1; Bcl-2; CDK4

miR-205 Lrrk2

Huntington’s disease

Amyotrophic Lateral Sclerosis

Hereditary Spastic Paraplegia

DA neuron differentiation and survival [39]

Neuronal survival [40]

Neuronal survival [39,41]

Neuritis outgrowth [42]

miR-9 REST/CoREST Neurogenesis [39]

miR-22 HDAC4; Rcor1; Rgs2; p38; Tp53inp1 Neurogenesis and neuronal survival [43]

miR-128 HTT; HIP1

Neuronal differentiation [39,44]

miR-132 P250GAP; MeCP2 Neurogenesis [39]

miR-206 HDAC4

miR-155 SOCS1; TGF-β

miR-140 REEP1

Nerve reinnervation

Immune response [45-47]

Nucleation [48]

Nucleation [49]

miR-96

miR-182 SPAST

miR-33

miR-224 SPG7

Neuronal survival [50]

Neurogenesis [51]

Neuronal survival [52]

F.
A. Sułek, s as Biomarkers in Amyotrophic Lateral Sclerosis and Hereditary... 65
Tomczuk,
Table 1. Brief summary of known miRNAs involved in neurodegenerative diseases
miRNAs
Functional changes Ref.
Target genes/proteins
Figure

The mutant HTT protein, which harbors an expanded polyglutamine tract, has been shown to be associated with Ago2 and P-bodies, cytoplasmic sites of RNA metabolism, and RNAi and miRNA activity. Thus, a change in miRNA activity has been proposed to be responsible for the HD defects. It has been shown that several miRNAs are indicative of the disease (miR100, miR-139-3p, miR-196a, miR-133a, miR-330). [20,21,32,55,56]

miRNAs play a significant role in cell apoptosis and may activate dramatic changes in brain tissue. For example, miR-144 found in the aging human cerebellum and cortex can bind to the 3’UTR of programmed cell death protein 4, suggesting a possible role in apoptosis in aging brains.[20,32-34,57] Furthermore, a possible link exists between miRNA expression and cell apoptosis. miR-16, miR-128, miR-15, and miR-497 regulate B cell lymphoma 2 protein (bcl2), which induces apoptosis, also within neurons.[20] Certain studies have demonstrated that changes in miRNA expression during neurodegeneration (miR-548d, miR-224, miR-373, miR-198) show specific deregulation and altered expression in PD patients.[20,58] It appears likely that miRNAs can be used as accurate diagnostic and prognostic biomarkers for neurodegenerative diseases.

Amyotrophic Lateral Sclerosis (ALS) –Involvement of miRNA

Amyotrophic lateral sclerosis (ALS) is one of the most devastating neurodegenerative diseases; it progresses very rapidly and leads to death within 2-5 years of onset, usually beginning in the fifth decade of life. It is characterized by the neuronal death of upper and lower motor neurons, skeletal muscle atrophy, and eventually death, mainly due to the loss of respiratory muscles.[18,19,21,32] 10% of all ALS cases are understood to be hereditary. These mutations may be related to several genes, one of which is SOD1, coding for copper/zinc superoxide dismutase. This gene is involved in skeletal muscle atrophy, paralysis, and neuronal death. It used to appear as the best biomarker for familial ALS (fALS). [18,19,21,32-34] Another protein involved in ALS pathology, TAR DNA-binding protein (TDP-43), interacts with the Dicer and Drosha complexes responsible for miRNA biogenesis. It has been shown that mutations in this gene result in the differential expression of mature and functional miRNAs.[18,21,34] Mutations in the gene encoding fused in sarcoma/ translocated in sarcoma (FUS/TLS) share a common mechanism with TDP-43, promoting the biogenesis of specific miRNAs via recruiting Drosha complexes to primary transcripts of miRNA. FUS/ TLS interacts mainly with the mutant TDP-43, which

dysregulates miRNA biogenesis and the overexpression of miR-132, miR-143, miR-558, and miR-9, which is identified with axonal growth.[18,21,33] In recessively inherited ALS2, a rare juvenile-onset disorder, mutations in the ALS2 gene are responsible for the production of the abundant protein alsin, involved in neurite outgrowth and endosomal trafficking. The lack of alsin production leads to increased degradation, decreased signaling, and decreased turnover of membrane components, and these factors may underlie the disease pathology.[32,59] Neurofilament heavy peptide (NEFH) is a key protein in axonal transport and maintenance. Changes in its cross-linking properties may contribute to the aberrant neurofilamentous accumulation found in the proximal axons of ALS motor neurons directly, even in sporadic ALS.[60] A different type of mutation concerns the C9orf72 locus containing hexanucleotide repeats of GGGCC (G4C2), and the expansion of the number of repeats is now considered to be the most frequent genetic cause of ALS.[18,19,21] Although the overexpression of C9orf72 is highlighted in neurodegeneration, the normal cellular function is still unknown. The protein is highly conserved and expressed in many tissues, including the cerebellum, cortex, and spinal cord.[18,19,21] Altogether, over 50 potentially causative disease-modifying genes have been identified, but for the purpose of this review, we have limited them to those with linked miRNA. For more details, see Table 2.

The lack of a common cause of ALS has resulted in difficulties with diagnosis and treatment, especially when the underlying molecular causes of pathology are unknown or unclear. A significant impact may be driven by miRNA in our understanding of their biogenesis and functions, as well as profiling their expression and their involvement in disease progression.[32-34]

In addition, studies on mouse models of ALS have shown the involvement of miRNA in the progression of neurodegeneration via the deletion of Dicer (a complex converting primary miRNA to mature miRNA). Several studies have shown that miR-206 was observed to be overexpressed in mouse model muscles of ALS, which carries mutation in Sod1. Another increase in the miR-338-3p level regulating the expression of several different miRNAs was observed in the leukocytes of ALS patients. Furthermore, recent studies have shown the expression of miR-23a, miR-29b, miR-455 in skeletal muscle tissue from ALS patients, which can cause deregulations in mitochondrial gene expression. miR-132, miR-134 and miR-9 were found to take place in synaptic plasticity and neuronal development.[18,21] For more details concerning ALS serum related miRNAs, see Table 2.

Review of Medical Practice, 2023; Vol. XXIX, No. 4 66

Table 2. Free-circulating miRNAs that regulate some ALS-related genes

Ref.

miRNA description

Related serum miRNA

[2,18,21, 32-34, 61-65]

Expression is deregulated in TDP-43 deficient cells, neuritis outgrowth

Angiogenic role in oncogenesis, overexpressed in chronic lymphoblastic leukaemias

Expression of miR-143 demonstrated significantly reduced levels of the miRNA in precancerous and neoplastic colorectal tissue

Elevated miR-558 levels detected in gastric cancer cells

Decreased level in serum of ALS patients

[32-34,63, 64,66]

Directly regulate involvement in the selective suppression of NFL mRNA

[32-34,63, 67,68]

Gene description

Gene

miR-132

miR-143

miR-558

miR-374b-5p Circulating miR-374b-5p negatively regulates osteoblast differentiation in the progression of osteoporosis

Approximately 5% of fALS, dysregulates miRNA biogenesis, splicing regulation, RNA transport

TDP-43

miR-146a modulates innate immunity through regulation of Toll-like receptor (TLR) signaling and cytokine response

miR-146a

Up-regulation in the skeletal muscle in ALS patients

Increased levels of miR-208b and miR-499 were significantly associated with coronary artery disease (CAD) severity

Elevated expression after denervation, miR-206 delays the onset and progression of ALS by promoting the regeneration of neuromuscular synapses

MiR-206 has been shown to be markedly downregulated in many cancers, such as lung cancer, breast cancer, rhabdomyosarcoma and head and neck squamous cell carcinoma

miR-524-5p

miR582-3p

Play a role in intracellular transport to axons and dendrites, disorders are characterized by distinct neuropathies

NFL

[2,18,33, 34,63,69, 70-72]

Elevation in skeletal muscle tissue from ALS, dysregulation in mitochondrial gene expression

miR-23a was identified as over-expressed in the serum of various types of human cancer, including breast, gastric, pancreatic, and esophageal squamous cell carcinoma, as well as in malignant astrocytoma

miR-29b exhibits low-level expression, with rapid degradation in several different diseases: cancer, kidney, cardiovascular diseases

Promotes cell growth, invasion and migration in cancer

Synaptic plasticity and neuronal development in ALS.

Expression is associated with cell migration and invasion in different diseases

Contributes to microglia-mediated immune response and neuroinflamation

Expression is elevated in induced stem cell derived neurons from ALS patients

[18,32-34, 73,74]

Hyper-methylation at miR-9 loci is correlated with the cancer metastasis observed in various malignancies, including breast, lung, colon, and head and neck cancers, as well as melanoma, and acute lymphoblastic leukemia

[18,32-34]

[18,32, 75-77]

[18,32-34, 78]

[32-34,77]

Regeneration of neuromuscular junction. Abnormal expression presented in cancer

Expression is elevated in ALS Downregulated in metastatic neuroblastoma, inhibits cell growth, invasion and migration

Deregulated in immune cells. Downregulation in a variety of tumors including glioma, breast carcinoma, gastrointestinal carcinoma, non-small cell lung carcinoma, hepatoma, nasopharyngeal, esophageal, bladder, osteosarcoma, epithelial ovarian, renal and thyroid carcinomas

Progressive motor neuron cell loss

miR-208b

miR-499

This gene is most highly expressed in muscle fibers, and encodes a protein found uniquely in striated muscle

MyHC

miR-206

miR-23a

miR-29b

Autosomal dominant inheritance, approximately 1520% of fALS, also detected in sporadic ALS, cytosolic antioxidant

SOD1

miR-455

miR-134

miR-155

miR-9

miR-106

miR-338-3p

miR-451

miR-218

No specific gene

F.
s as Biomarkers in Amyotrophic Lateral Sclerosis and Hereditary... 67
Tomczuk, A. Sułek,

Hereditary Spastic Paraplegias (HSPs)

Hereditary spastic paraplegias (HSPs) are a group of heterogeneous, genetically determined disorders resulting from neurodegeneration in the corticospinal tracts. The main clinical feature is progressive spasticity and weakness of the lower limbs. To date, 64 spastic paraplegia genes (SPG) have been identified within 79 different loci, and all modes of inheritance have been described among them. Due to the number of the HSP-causing genes, several cellular pathways implicated in its pathogenesis have been distinguished: membrane and axonal transport, endoplasmic reticulum membrane modeling and shaping, mitochondrial functions, DNA repair, fatty acids and phospholipid metabolisms, and myelination processes.[79] However, the epigenetic factors involved in the HSPs pathomechanism are barely known. There are only a few papers available in PubMed describing the possible microRNAs involvement in hereditary spastic paraplegia. Considering the known regulatory role of the miRNA molecules in neurodegeneration, a possible role of miRNA in SPG pathogenesis warrants thorough investigation. Even though there have been broad studies on the role of miRNA in neurogenetics, especially Alzheimer’s (AD), Parkinson’s (PD) and amyotrophic lateral sclerosis (ALS), the miRNA research on hereditary spastic paraplegia pathogenesis is limited. Some premises suggest that miRNAs are also involved in spastic paraplegia pathomechanism. The process of motoneuron degeneration shows the same pathway as observed in HSP and ALS. Thus, it is suggested that these two diseases may be linked together by shared miRNA. It is only a matter of time before both pathologies are compared at the miRNA level. One research study of this kind has shown that the regulation of SPAST gene (SPG4) expression is carried out by transcription factors (proteins NRF1 and SOX11) and miRNAs. The 3’UTR (UnTranslated Region) of the SPAST gene contains the complementary sequences for the miRNA-96 and miRNA-182 molecules, which negatively regulate the SPAST gene synthesis and influence the stability of the spastin mRNA level in the cell.[80] Recent reports have indicated that miRNA-33, located within the intron of sterol regulatory element binding protein (SREBP)-2, controls cholesterol homeostasis and can be a potential therapeutic target for the treatment of atherosclerosis. It had been shown that the SPAST gene, which encodes a microtubule-severing protein called spastin, is a novel target gene of miR-33 in humans. The miR-33 binding site in the SPAST 3’UTR is conserved, and it is possible to clarify the role of miR-33 on SPAST. It has been demonstrated that inhibition of miR-33a, a major form of miR-33 in human neurons

via locked nucleic acid (LNA)-anti-miR ameliorated the pathological phenotype in HSP-SPG4 patients’ induced pluripotent stem cell (iPSC)-derived cortical neurons. Thus, miR-33a may be a potential therapeutic target for novel treatment of HSP-SPG4.[51] A different study indicates that in the SPG7 type, miR-224 may target the 3’UTR of SPG7 mRNA. This inhibits SPG7 expression by enhancing the ability to recruit a voltage-dependent anion channel (VDAC), resulting in the failing repression of SPG7 expression. SPG7 is one of the targets of miR-224, and it is necessary for the mitochondrial permeability transition pore (MPTP) formation in multiple cell types that promote Ca2+-induced MPTP opening. The miR-224 inhibitor prevents oxygen/glucose deprivation (OGD)-induced neuronal apoptosis. Downregulation of SPG7 suppresses mitochondrial signaling, which prevents VDAC from forming the MPTP involved in mitochondria-mediated apoptosis. It also inhibits OGD-induced mitochondrial membrane potential and higher mitochondrial calcium retention.[52] Another example is related to the single-nucleotide changes identified in the REEP1 3’UTR region in hereditary spastic paraplegia patients (SPG31). This condition is characterized by spasticity (muscle stiffness) and paraplegia (paralysis of the lower limbs) caused by degeneration of the neurons that trigger muscle movement. Degeneration of the upper motoneuron leads to a progressively spastic gait. The vast majority of individuals suffering from SPG31 show clinically pure HSP, i.e., with predominant pyramidal signs, and there is no evidence of lower-motoneuron involvement. Consistent with these clinical and genetic observations, endogenous REEP1 has been detected in the brain and in cultured cortical neurons.[80-88]

The mutations of the REEP1 gene are often present as insertion or deletion and result in a short, nonfunctional protein.[81,83,85,87] It is assumed that the 3’UTR variants consist of the complementary sites of miRNAs. miRNA-140 and miRNA- 691 binding sites may affect the post-transcriptional regulation of the REEP1 gene expression.[82,84,88]. Table 3 sums up the data on serum-related miRNAs involved in HSP with related genes.

The receptor expression-enhancing protein 1 (REEP1) is found in neurons of the brain and spinal cord, accumulating in mitochondria and the endoplasmic reticulum, responsible for protein processing and transport. The REEP1 protein forms a network of tubules of the endoplasmic reticulum, regulating its size and determining protein processing. As part of its role in the endoplasmic reticulum, the REEP1 protein enhances the activity of certain other proteins called G protein-coupled receptors. These receptor proteins are eventually embedded within the outer membrane of cells, where they relay chemical signals from outside

Review of Medical Practice, 2023; Vol. XXIX, No. 4 68

the cell to its interior. The exact function of the REEP1 protein in the mitochondria is not fully known.[82,86]

It is unclear how REEP1 gene mutations lead to the signs and symptoms of spastic paraplegia type 31. Researchers have shown that mitochondria in the cells of affected individuals are less able to produce energy, which may contribute to the death of neurons and lead to the progressive movement problems of spastic par-

aplegia type 31. However, the exact mechanism that causes this condition is unknown, and we cannot be certain that miRNAs are not involved in this process. So far, there is no evidence for this because of the limited amount of research conducted to date. But this does not change the fact that miRNA could play a significant role in REEP1 gene mutations.[81,83-88]

Table 3. Free-circulating miRNAs that regulate some HSPs - related genes

Gene (protein)

SPAST (spastin)

Microtubule-severing activity, early secretory pathway, BMP signaling, plays role in the cell activity, components and protein regulation, particularly in neurons

REEP1

SPG7

ER-shaping protein, ER-microtubule interaction, mitochondrial function, mutations have been linked to neurodegenerative disorders of upper and lower motor neurons

Encodes a mitochondrial metalloprotease protein that is a member of the AAA family. Members of this protein family share an ATPase domain and have roles in diverse cellular processes including membrane trafficking, intracellular motility, organelle biogenesis, protein folding, and proteolysis

Conclusion and Future Perspectives

miR-182

miR-96

miR-33

miR-140

Overexpressed in human metastatic melanoma cell lines and its expression increased with progression from primary to metastatic melanoma

miR-96 promotes cell proliferation, migration and invasion by targeting PTPN9 in breast cancer

Decreases the neurite length of cortical neurons derived from iPSCs through SPAST 3’UTR regulation

MIR140 is almost exclusively expressed in chondrocytes and regulates gene expression mainly at the posttranscriptional level

miR-691 –

miR-224

Despite constantly evolving diagnostic methods and the significant development of research on miRNAs as biomarkers of neurodegeneration, the research into ALS and HSP is still at a very early stage. When it comes to miRNA research in ALS, the level of it is much higher than that into HSP, where, due to the high heterogeneity and rarity of the particular types of the disorder, research in terms of miRNAs is hardly carried out.

Another issue is the limitation of patients included in the studies. These disorders are rare, and as a rule, the study groups are small in number, making it difficult to compare the studies with each other, due to the number of respondents and the variety of research methods.

Furthermore, due to the limited number of ongoing scientific projects, it is difficult to characterize the individual miRNAs that bring together both diseases. Future research should include a large-scale sequencing panel of potential miRNAs that may be associated with neurodegenerative pathology.

Post-transcriptional regulation of endogenous SPAST mRNA and spastin protein level

[49-51, 80,89]

No specific description in HSPs [19,48, 82,89]

miR-224 inhibitor may suppress neuronal apoptosis by targeting SPG7 mRNA and thereby preventing MPTP formation. [52]

It has been demonstrated that miRNAs are potential biomarkers for detection and differentiation and therapeutic targets in neurodegenerative disorders. miRNAs have been suggested as having both high diagnostic effectiveness and promising value as non-invasive biomarkers, and as a consequence, potentially promising therapeutic targets. Recent evidence suggests the existence of specific expression signatures in some brain pathologies, though the findings are diverse from study to study. Therefore, future research on circulating miRNAs to better define their potential for early diagnoses, and to monitor disease progression and response to therapies are required.[10,32,51,52,77,90-93]

References

1. Silver Spring (MD): Food and Drug Administration (US); Bethesda (MD): National Institutes of Health (US): BEST (Biomarkers, EndpointS, and other Tools) Resource. Maryland; 2016.

2. Jeromin A., Bowser R.: Biomarkers in Neurodegenerative Diseases. Adv Neurobiol 2017; 15: 491-528.

3. Califf R.M.: Biomarker definitions and their applications. Exp Biol Med (Maywood) 2018; 243(3): 213-221.

F.
in Amyotrophic
69
Tomczuk, A. Sułek, s as Biomarkers
Lateral Sclerosis and Hereditary...
Gene description Related miRNA miRNA description Ref.

4. Scott D.W., Wright G.W., Williams P.M. et al.: Determining cell-of-origin subtypes of diffuse large B-cell lymphoma using gene expression in formalin-fixed paraffin-embedded tissue. Blood 2014; 123(8): 1214-1217.

5. Sproston N.R., Ashworth J.J.: Role of C-Reactive Protein at Sites of Inflammation and Infection. Front Immunol 2018; 9: 754.

6. Braig D., Nero T.L., Koch H.-G. et al.: Transitional changes in the CRP structure lead to the exposure of proinflammatory binding sites. Nat Commun 2017; 8: 14188.

7. Turner M.R., Kiernan M.C., Leigh P.N. et al.: Biomarkers in amyotrophic lateral sclerosis. Lancet Neurol 2009; 8(1): 94109.

8. Haramati S., Chapnik E., Sztainberg Y. et al.: miRNA malfunction causes spinal motor neuron disease. Proc Natl Acad Sci U S A. 2010; 107(29): 13111-13116.

9. Liguori I., Russo G., Curcio F. et al.: Oxidative stress, aging, and diseases. Clin Interv Aging 2018; 13: 757-772.

10. Ricci C., Marzocchi C., Battistini S.: MicroRNAs as Biomarkers in Amyotrophic Lateral Sclerosis. Cells 2018; 7(11): 219.

11. Saucier D., Wajnberg G., Roy J. et al.: Identification of a circulating miRNA signature in extracellular vesicles collected from amyotrophic lateral sclerosis patients. Brain Res 2019; 1708: 100-108.

12. Sheinerman K.S., Umansky S.R.: Circulating cell-free microRNA as biomarkers for screening, diagnosis and monitoring of neurodegenerative diseases and other neurologic pathologies. Front Cell Neurosci 2013; 7: 150.

13. Turner M.R., Benatar M.: Ensuring continued progress in biomarkers for amyotrophic lateral sclerosis. Muscle Nerve 2015; 51(1): 14-18.

14. Vu L.T., Bowser R.: Fluid-Based Biomarkers for Amyotrophic Lateral Sclerosis. Neurotherapeutics 2017; 14(1): 119-134.

15. Borovecki F., Habek M.: Development of novel genomic blood biomarkers for neurodegenerative diseases. CNS Neurol Disord Drug Targets 2010; 9(6): 669-678.

16. Sharp F.R., Xu H., Lit L. et al.: The Future of Genomic Profiling of Neurological Diseases Using Blood. Arch Neurol 2006; 63(11): 1529-1536.

17. Waller R., Goodall E.F., Milo M. et al.: Serum miRNAs miR-206, 143-3p and 374b-5p as potential biomarkers for amyotrophic lateral sclerosis (ALS). Neurobiol Aging 2017; 55: 123-131.

18. Kye M.J., Gonçalves Ido C.: The role of miRNA in motor neuron disease. Front Cell Neurosci 2014; 8: 15.

19. Sethupathy P., Collins F.S.: MicroRNA target site polymorphisms and human disease. Trends in Genetics 2008; 24(10): 489-497.

20. Basak I., Patil K.S., Alves G. et al.: microRNAs as neuroregulators, biomarkers and therapeutic agents in neurodegenerative diseases. Cell Mol Life Sci 2016; 73(4): 811-827.

21. Karnati H.K., Panigrahi M.K., Gutti R.K. et al.: miRNAs: Key Players in Neurodegenerative Disorders and Epilepsy. J Alzheimers Dis 2015; 48(3): 563-580.

22. Turchinovich A., Weiz L., Langheinz A. et al.: Characterization of extracellular circulating microRNA. Nucleic Acids Res 2011; 39(16): 7223-7233.

23. Bartel D.P.: MicroRNAs: target recognition and regulatory functions. Cell 2009; 136(2): 215-233.

24. Ha D., Yang N., Nadithe V.: Exosomes as therapeutic drug carriers and delivery vehicles across biological membranes: current perspectives and future challenges. Acta Pharm Sin B 2016; 6(4): 287-96.

25. Tasleem J., Malik M.A., Rahman S. et al.: Perspective Insights of Exosomes in Neurodegenerative Diseases: A Critical Appraisal. Front Aging Neurosci 2017; 9: 317.

26. Rachakonda V., Pan H.T., LE W.D.: Biomarkers of neurodegenerative disorders: How good are they? Cell Res 2004; 14(5): 347-358.

27. Krauss S., Evert B.O.: The Role of MicroRNAs in Spinocerebellar Ataxia Type 3. J Mol Biol 2019; 431(9): 1729-1742.

28. Elshafay A., Hieu T.H., Doheim M.F. et al.: Efficacy and Safety of Valproic Acid for Spinal Muscular Atrophy: A Systematic Review and Meta-Analysis. CNS Drugs 2019; 33(3): 239-250.

29. Lombardi V., Querin G., Ziff O.J. et al.: Muscle and not neuronal biomarkers correlate with severity in spinal and bulbar muscular atrophy. Neurology 2019; 92(11): e1205-e1211.

30. Keogh M.J., Chinnery P.F.: Mitochondrial DNA mutations in neurodegeneration. Biochim Biophys Acta 2015; 1847(11): 1401-1411.

31. Cheetham M.E., Zarouchlioti C., Parfitt D.A. et al.: DNAJ Proteins in neurodegeneration: essential and protective factors. Philos Trans R Soc Lond B Biol Sci 2018; 373(1738): 20160534.

32. Wang H.: Phylogenetic analysis of microRNA biomarkers for amyotrophic lateral sclerosis. BIOCELL 2021; 45(3): 547561.

33. Dardiotis E., Aloizou A.-M., Siokas V. et al.: The Role of MicroRNAs in Patients with Amyotrophic Lateral Sclerosis. J Mol Neurosci 2018; 66(4): 617-628.

34. Joilin G., Leigh P.N., Newbury S.F. et al.: An Overview of MicroRNAs as Biomarkers of ALS. Front Neurol 2019; 10: 186.

35. Maciotta S., Meregalli M., Torrente Y.: The involvement of microRNAs in neurodegenerative diseases. Front Cell Neurosci 2013; 7: 265.

36. Yan R., Vassar R.: Targeting the β secretase BACE1 for Alzheimer’s disease therapy. Lancet Neurol 2014;13(3): 319329.

37. Kole A.J., Swahari V., Hammond S.M. et al.: miR-29b is activated during neuronal maturation and targets BH3-only genes to restrict apoptosis. Genes Dev 2011; 25(2): 125-130.

38. Lehmann S.M., Krüger C., Park B. et al.: An unconventional role for miRNA: let-7 activates Toll-like receptor 7 and causes neurodegeneration. Nat Neurosci 2012; 15(6): 827-835.

39. Qiu L., Tan E.K., Zeng L.: microRNAs and Neurodegenerative Diseases. Adv Exp Med Biol 2015; 888: 85-105.

40. Wang W.-X., Wilfred B.R., Madathil S.K. et al.: miR-107 regulates granulin/progranulin with implications for traumatic brain injury and neurodegenerative disease. Am J Pathol. 2010; 177(1): 334-345.

41. Antonini D., Russo M.T., de Rosa L. et al.: Transcriptional repression of miR-34 family contributes to p63-mediated cell cycle progression in epidermal cells. J Invest Dermatol 2010; 130(5): 1249-1257.

42. Cho H.J., Liu G., Jin S.M. et al.: MicroRNA-205 regulates the expression of Parkinson’s disease-related leucine-rich repeat kinase 2 protein. Hum Mol Genet 2013; 22(3): 608-620.

43. Jovicic A., Zaldivar Jolissaint J.F., Moser R. et al.: MicroRNA-22 (miR-22) overexpression is neuroprotective via general anti-apoptotic effects and may also target specific Huntington’s disease-related mechanisms. PLoS One 2013; 8(1): e54222.

44. Lee S.-T., Chu K., Im W.-S. et al.: Altered microRNA regulation in Huntington’s disease models. Exp Neurol 2011; 227(1): 172-179.

45. Louafi F., Martinez-Nunez R.T., Sanchez-Elsner T.: MicroRNA-155 targets SMAD2 and modulates the response of macrophages to transforming growth factor-β. J Biol Chem 2010; 285(53): 41328-41336.

46. Rai D., Kim S.-W., McKeller M.R. et al.: Targeting of SMAD5 links microRNA-155 to the TGF-beta pathway and lymphomagenesis. Proc Natl Acad Sci U S A. 2010; 107(7): 31113116.

47. Wang P., Hou J., Lin L. et al.: Inducible microRNA-155 feedback promotes type I IFN signaling in antiviral innate immunity by targeting suppressor of cytokine signaling 1. J Immunol 2010; 185(10): 6226-6233.

48. Nakamura Y., Inloes J.B., Katagiri T. et al.: Chondrocyte-specific microRNA-140 regulates endochondral bone development and targets Dnpep to modulate bone morphogenetic protein signaling. Mol Cell Biol 2011; 31(14): 3019-3028.

49. Segura M.F., Hanniford D., Menendez S. et al.: Aberrant miR182 expression promotes melanoma metastasis by repressing FOXO3 and microphthalmia-associated transcription factor. Proc Natl Acad Sci U S A. 2009; 106(6): 1814-1819.

50. Hong Y., Liang H., Wang Y. et al.: miR-96 promotes cell proliferation, migration and invasion by targeting PTPN9 in breast cancer. Sci Rep 2016; 6: 37421.

51. Nakazeki F., Tsuge I., Horie T. et al.: MiR-33a is a therapeutic target in SPG4-related hereditary spastic paraplegia human neurons. Clin Sci (Lond) 2019; 133(4): 583-595.

52. Fu F., Wu D., Qian C.: The MicroRNA-224 Inhibitor Prevents Neuronal Apoptosis via Targeting Spastic Paraplegia 7 After Cerebral Ischemia. J Mol Neurosci. 2016; 59(3): 421-429.

53. Hébert S.S., Horré K., Nicolaï L. et al.: Loss of microRNA cluster miR-29a/b-1 in sporadic Alzheimer’s disease correlates with increased BACE1/beta-secretase expression. Proc Natl Acad Sci U S A. 2008; 105(17): 6415-6420.

54. Margis R., Margis R., Rieder C.R. Identification of blood microRNAs associated to Parkinsonĭs disease. J Biotechnol 2011; 152(3): 96-101.

Review of Medical Practice, 2023; Vol. XXIX, No. 4 70

55. Johnson R., Buckley N.J.: Gene dysregulation in Huntington’s disease: REST, microRNAs and beyond. Neuromolecular Med 2009; 11(3): 183-199.

56. Paulson H.: Repeat expansion diseases. Handb Clin Neurol 2018; 147: 105-123.

57. Persengiev S., Kondova I., Otting N. et al.: Genome-wide analysis of miRNA expression reveals a potential role for miR-144 in brain aging and spinocerebellar ataxia pathogenesis. Neurobiol Aging 2011; 32(12): 2316.e17-2316.e27.

58. Cardo L.F., Coto E., Ribacoba R. et al.: MiRNA profile in the substantia nigra of Parkinson’s disease and healthy subjects. J Mol Neurosci 2014; 54(4): 830-836.

59. Gireud M., Sirisaengtaksin N., Bean A.J., Molecular Mechanisms of Neurological Disease. In: Byrne J.H., Heiderlberger R., Waxham M.N., ed. From Molecules to Networks: An Introduction to Cellular and Molecular Neuroscience. 3rd ed. Elsevier Inc.; 2014. 639-661.

60. Ratti E., Berry J.D., Amyotrophic Lateral Sclerosis 1 and Many Diseases. In: Lehner T., Miller B.L, State M.W., ed. Genomics, Circuits, and Pathways in Clinical Neuropsychiatry. Elsevier Inc.; 2016. 685-712.

61. Calin G.A., Liu C.-G., Sevignani C. et al., MicroRNA profiling reveals distinct signatures in B cell chronic lymphocytic leukemias. Proc Natl Acad Sci U S A. 2004; 101(32): 1175511760.

62. Michael M.Z., O’ Connor S.M., van Holst Pellekaan N.G. et al.: Reduced accumulation of specific microRNAs in colorectal neoplasia. Mol Cancer Res 2003; 1(12): 882-891.

63. Mejzini R., Akkari P.A., Flynn, L.L. et al.: ALS Genetics, Mechanisms, and Therapeutics: Where Are We Now? Front Neurosci 2019; 13: 1310.

64. Xu Y., Zhang S., Fu D. et al.: Circulating miR-374b-5p negatively regulates osteoblast differentiation in the progression of osteoporosis via targeting Wnt3 AND Runx2. J Biol Regul Homeost Agents 2020; 34(2): 345-355.

65. Zheng L., Jiao W., Song H. et al.: miRNA-558 promotes gastric cancer progression through attenuating Smad4-mediated repression of heparanase expression. Cell Death Dis 2016; 7(9): e2382.

66. Campos-Melo D., Droppelmann C.A., He Z. et al.: Altered microRNA expression profile in Amyotrophic Lateral Sclerosis: a role in the regulation of NFL mRNA levels. Mol Brain 2013; 6: 26.

67. Di Pietro L., Baranzini M., Berardinelli M.G. et al.: Potential therapeutic targets for ALS: MIR206, MIR208b and MIR499 are modulated during disease progression in the skeletal muscle of patients. Sci Rep 2017; 7(1): 9538.

68. Wang W., Li T., Gao L. et al.: Plasma miR-208b and miR-499: Potential Biomarkers for Severity of Coronary Artery Disease. Dis Markers 2019; 2019: 9842427.

69. Kriegel A.J., Liu Y., Fang Y. et al.: The miR-29 family: genomics, cell biology, and relevance to renal and cardiovascular injury. Physiol Genomics 2012; 44(4): 237-244.

70. Aili T., Paizula X., Ayoufu A.: miR-455-5p promotes cell invasion and migration in breast cancer. Mol Med Rep 2018; 17(1): 1825-1832.

71. Wang N., Tan H.-Y., Feng Y.-G. et al.: microRNA-23a in Human Cancer: Its Roles, Mechanisms and Therapeutic Relevance. Cancers (Basel) 2018; 11(1): 7.

72. Zheng Y., Yang X., Wang C. et al.: HDAC6, modulated by miR-206, promotes endometrial cancer progression through the PTEN/AKT/mTOR pathway. Sci Rep 2020; 10(1): 3576.

73. Basavaraju M., de Lencastre A., Alzheimer’s disease: presence and role of microRNAs. Biomol Concepts 2016; 7(4): 241-252.

74. Pal D., Ghatak S., Sen C.K.: Epigenetic Modification of MicroRNAs. In: Sen C.K., ed. MicroRNA in Regenerative Medicine. Elsevier Inc; 2015. 77-109.

75. Chen X., Pan M., Han L. et al.: miR-338-3p suppresses neuroblastoma proliferation, invasion and migration through targeting PREX2a. FEBS Lett 2013; 587(22): 3729-3737.

76. De Felice B., Guida M., Guida, M. et al.: A miRNA signature in leukocytes from sporadic amyotrophic lateral sclerosis. Gene 2012; 508(1): 35-40.

77. Hoye M.L., Koval E.D., Wegener A.J. et al.: MicroRNA Profiling Reveals Marker of Motor Neuron Disease in ALS Models. J Neurosci 2017; 37(22): 5574-5586.

78. Li L., Gao R., Yu Y. et al.: Tumor suppressor activity of miR451: Identification of CARF as a new target. Sci Rep 2018; 8(1): 375.

79. Lo Giudice T., Lombardi F., Santorelli F.M. et al.: Hereditary spastic paraplegia: clinical-genetic characteristics and evolving molecular mechanisms. Exp Neurol 2014; 261: 518-539.

80. Henson B.J., Zhu W., Hardaway K. et al.: Transcriptional and post-transcriptional regulation of SPAST, the gene most frequently mutated in hereditary spastic paraplegia. PLoS One 2012; 7(5): e36505.

81. Beetz C., Pieber T.R., Hertel N. et al.: Exome sequencing identifies a REEP1 mutation involved in distal hereditary motor neuropathy type V. Am J Hum Genet 2012; 91(1): 139145.

82. Beetz C., Schüle R., Deconinck T. et al.: REEP1 mutation spectrum and genotype/phenotype correlation in hereditary spastic paraplegia type 31. Brain 2008; 131(Pt 4): 10781086.

83. Björk S., Hurt C.M., Ho V.K. et al.: REEPs are membrane shaping adapter proteins that modulate specific g protein-coupled receptor trafficking by affecting ER cargo capacity. PLoS One 2013; 8(10): e76366.

84. Elert-Dobkowska E., Stepniak I., Krysa W. et al.: Molecular spectrum of the SPAST, ATL1 and REEP1 gene mutations associated with the most common hereditary spastic paraplegias in a group of Polish patients. J Neurol Sci 2015; 359(1-2): 35-39.

85. Goizet C., Depienne C., Benard G. et al.: REEP1 mutations in SPG31: frequency, mutational spectrum, and potential association with mitochondrial morpho-functional dysfunction. Hum Mutat 2011; 32(10): 1118-1127.

86. Hurt C.M., Björk S., Ho V.K. et al.: REEP1 and REEP2 proteins are preferentially expressed in neuronal and neuronal-like exocytotic tissues. Brain Res 2014; 1545: 12-22.

87. Schlang K.J., Arning L., Epplen J.T. et al.: Autosomal dominant hereditary spastic paraplegia: novel mutations in the REEP1 gene (SPG31). BMC Med Genet 2008; 9: 71.

88. Züchner S., Wang G., Tran-Viet K.N. et al.: Mutations in the novel mitochondrial protein REEP1 cause hereditary spastic paraplegia type 31. Am J Hum Genet 2006; 79(2): 365-369.

89. Boutry M., Morais S., Stevanin G.: Update on the Genetics of Spastic Paraplegias. Curr Neurol Neurosci Rep 2019; 19(4): 18.

90. Di Pietro V., Ragusa M., Davies D. et al.: MicroRNAs as Novel Biomarkers for the Diagnosis and Prognosis of Mild and Severe Traumatic Brain Injury. J Neurotrauma 2017; 34(11): 1948-1956.

91. Rinchetti P., Rizzuti M., Faravelli I. et al.: MicroRNA Metabolism and Dysregulation in Amyotrophic Lateral Sclerosis. Mol Neurobiol 2018; 55(3): 2617-2630.

92. Sheinerman K.S., Toledo J.B., Tsivinsky V.G., Circulating brain-enriched microRNAs as novel biomarkers for detection and differentiation of neurodegenerative diseases. Alzheimers Res Ther 2017; 9(1): 89.

93. Wright E.P., Huppert J.L., Waller Z.A.E., Identification of multiple genomic DNA sequences which form i-motif structures at neutral pH. Nucleic Acids Res 2017; 45(6): 2951-2959.

94. Cloutier F., Marrero A., O’Connell C. et al.: MicroRNAs as potential circulating biomarkers for amyotrophic lateral sclerosis. J Mol Neurosci 2015; 56(1): 102-112.

95. Mayeux R., Biomarkers: potential uses and limitations. NeuroRx 2004; 1(2): 182-188.

96. Nzwalo H., de Abreu D., Swash M. et al.: Delayed diagnosis in ALS: the problem continues. J Neurol Sci 2014; 343(1-2): 173-175.

97. Strimbu K., Tavel J.A., What are biomarkers? Curr Opin HIV AIDS 2010; 5(6): 463-466.

98. U.S. Food and Drug Administration: n.d.; https://www.fda. gov/ (accessed 03.03.2022).

The work was supported by National Science Center, grant PRELUDIUM 16 no. 2018/31/N/NZ2/02426

The authors declare no conflict of interest.

Address for correspondence: Filip Tomczuk Department of Genetics, Institute of Psychiatry and Neurology Sobieskiego 9 St 02-957 Warsaw

F.
Amyotrophic
71
Tomczuk, A. Sułek, s as Biomarkers in
Lateral Sclerosis and Hereditary...

LADA Diabetes as a Hybrid Disease – a Narrative Review

Anna Mataczyńska1,A,B,C,D Michał Paprocki1,A,B,C,D Jan Jurgiel2,A,C,D,E

ORCID: 0009-0005-7643-6614

ORCID: 0000-0002-9480-5090

ORCID: 0000-0003-1011-002X

Maciej Majdowski2,C,D,E Kamil Wrzosek2,C,D,E Michał Lis1,2,A,C,D,E,F

ORCID: 0009-0001-0727-2071

ORCID: 0009-0007-1526-6783

ORCID: 0000-0001-7675-398X

1 Faculty of Medicine, LazarskiUniversity, Warsaw, Poland; 2 Department of Internal Diseases with the Endocrinology and Diabetes Subdivision, Nephrology Subdivision and Dialysis Station, Szpital Czerniakowski Sp. z o. o., Warsaw, Poland

A – research concept and design, B – collection andassembly of data, C – data analysis and interpretation, D – writing the article, E – critical revision ofthe article, F – final approval of article

DOI: 10.26399/rmp.v29.4.2023.26/a.mataczynska/m.paprocki /j.jurgiel/m.majdowski/k.wrzosek/m.lis

ABSTRACT

LADA Diabetes as a Hybrid Disease – a Narrative Review

Mataczyńska A.1, Paprocki M.1, Jurgiel J.2, Majdowski M.2 , Wrzosek K.2, Lis M.1,2

1 Faculty of Medicine, LazarskiUniversity, Warsaw, Poland; 2 Department of Internal Diseases with the Endocrinology and Diabetes Subdivision, Nephrology Subdivision and Dialysis Station, Szpital Czerniakowski Sp. z o. o., Warsaw, Poland

Latent autoimmune diabetes in adults (LADA) is a common hybrid disease because it combines features of both type 1 and type 2 diabetes [1]. It is a slow-onset autoimmune disease characterized by an initial relative insulin deficiency. Studies to date indicate a clear genetic overlap between LADA and type 1 diabetes. This is related to the variants in the human leukocyte antigen (HLA) region [2, 3], which encodes main histocompatibility antigens (MHC) [2, 3, 4]. Main histocompatibility antigens are responsible for immunoregulatory processes that are impaired in both type 1 diabetes and LADA, leading to immune system disturbances in individuals. Autoantibodies against pancreatic islets are produced, serving as key markers for distinguishing type 1 diabetes and LADA [5]. They are characterized by occurring at a lower level, as a result of which the destruction of the immune system progresses much more slowly. In the etiopathogenesis of this disease, environmental factors and lifestyle play a significant role, which are also associated with the pathogenesis of type 2 diabetes [6]. In most LADA cases, hyperglycemia does not reach levels as high as in type 1 diabetes, whith contributes to the misdiagnosis of it as type 2 diabetes. So far, an optimal treatment for LADA has not been established. Currently, the proposed treatment focuses on achieving good glycemic control and preventing or delaying the onset of complications. Some authors suggest that this effect can be achieved through the early use of insulin as the firstline pharmacotherapy. Emerging oral hypoglycemic agents used in other types of diabetes may also have a role in the treatment of this condition.

Hereby, we discuss the possible usage of Continuous Glucose Monitoring (CGM) in this entity for precise real-time control of blood glucose levels. Despite their many advantages, it is important to remember that these systems still require a certain level of user engagement.

STRESZCZENIE

Cukrzyca LADA jako choroba hybrydowa – przegląd literatury

Mataczyńska A.1, Paprocki M.1, Jurgiel J.2, Majdowski M.2 , Wrzosek K.2, Lis M.1,2

1 Wydział Medyczny, Uczelnia Łazarskiego, Warszawa; 2 Oddział Chorób Wewnętrznych z Pododdziałem Endokrynologiczno-Diabetologicznym, Pododdziałem Nefrologicznym i Stacją Dializ, Szpitał Czerniakowski Sp. z.o.o., Warszawa

Cukrzyca typu LADA (latent autoimmune diabetes in adults) to powszechna choroba o postaci hybrydowej, która łączy w sobie cechy zarówno cukrzycy typu 1, jak i 2 [1]. Jest to choroba autoimmunologiczna rozwijająca się powoli i charakteryzująca się początkowo względnym niedoborem insuliny. Dotychczasowe badania wskazują na genetyczne nakładanie się cukrzyc typu LADA i typu 1. Ma to związek z wariantami w regionie ludzkich antygenów leukocytarnych (human leukocyte antigen, HLA), które kodują główne antygeny zgodności tkankowej (main histocompatibility antigens, MHC) [2, 3, 4]. Antygeny te odpowiadają za procesy immunoregulujące, które zarówno w cukrzycy typu 1, jak i typu LADA są nieprawidłowe, w wyniku czego dochodzi do zaburzeń w obrębie układu odpornościowego. W przebiegu cukrzycy typu LADA wytwarzane są autoprzeciwciała przeciwko wyspom trzustkowym, które są kluczowymi markerami służącymi do rozpoznawania cukrzyc typu 1 oraz typu LADA [5]. Występują one w dość niskim mianie, w wyniku czego destrukcja układu odpornościowego postępuje stosunkowo wolno. Zaobserwowano również, że w etiopatogenezie cukrzycy typu LADA istotne znaczenie wykazują czynniki środowiskowe i styl życia, które również związane są z patogenezą cukrzycy typu 2 [6]. U większości osób z cukrzycą typu LADA hiperglikemia nie osiąga tak dużych wartości, jak w cukrzycy typu 1, co wpływa na błędne rozpoznanie jej jako cukrzycy typu 2. Dotychczas nie ustalono optymalnego leczenia cukrzycy typu LADA, a proponowane leczenie opiera się na próbach uzyskania dobrej kontroli glikemii oraz zapobieganiu lub opóźnianiu wystąpienia powikłań. Efekt ten według niektórych autorów może być uzyskany poprzez wczesne stosowanie insuliny jako pierwszej linii farmakoterapii. Swoje miejsce w leczeniu tej jednostki chorobowej mogą także znaleźć pojawiające się na rynku doustne preparaty hipoglikemizujące stosowane w innych typach cukrzycy.

W pracy została poruszona kwestia wykorzystania systemów ciągłego monitorowania glikemii (continuous glucose monitoring, CGM). Służą one do precyzyjnego kontrolowania poziomu glukozy we krwi w czasie rzeczywistym. Mimo ich wielu zalet należy jednak pamiętać, że systemy te nadal wymagają pewnego poziomu zaangażowania użytkownika.

Keywords: LADA, type 1 diabetes, type 2 diabetes, autoimmune diseases

Słowa kluczowe: LADA, cukrzyca typu 1, cukrzyca typu 2, choroby autoimmunologiczne

Introduction

Latent autoimmune diabetes in adults (LADA) is the predominant manifestation of autoimmune diabetes, accounting for about 2–12% of all cases within this population [7].

During its early decades, LADA typically manifests a latent phase, characterized by limited overt symptoms. Diagnosis typically takes place after patients reach the age of 35. Furthermore, LADA demonstrates clinical attributes reminiscent of type 2 diabetes; however, individuals afflicted by this variant also exhibit the presence of autoantibodies associated with type 1 diabetes. In contrast to type 1 diabetes, LADA evolves more gradually, primarily impacting adults rather than children and adolescents.

Due to the clinical resemblance to type 2 diabetes, it is often misdiagnosed and inadequately treated.

Etiology

Similar to type 1 diabetes, LADA has a genetic basis associated with human leukocyte antigen (HLA) genes, which encode major histocompatibility antigens (MHC) [8]. The major histocompatibility complex is responsible for immunoregulatory processes that are disrupted in both type 1 diabetes and LADA, leading to immune system disturbances in individuals affected by these types of diabetes. Studies indicate that carriers of HLA-DRB1*04-DQB1*03:02 and HLADRB1*03:01DQB1*02:01 have the highest risk of developing this condition [2, 3, 6, 9, 10, 11, 12]. Similar to type 1 diabetes, LADA diabetes may result from the interaction between pancreatic islet β-cells with innate and acquired immune cells; however, the impact of immunity on disease onset and progression is not yet fully understood [13].

Environmental factors are also significant, including exposure to toxic substances and stress, overweight, lack of physical activity, alcohol consumption, and smoking, which can influence the development of LADA diabetes through immune system activation and other mechanisms [6].

Latent autoimmune diabetes in adults diabetes exhibits some similarities with type 2 diabetes, notably in terms of insulin resistance. In both conditions, there’s reduced responsiveness of the body’s cells to insulin, necessitating higher insulin levels to maintain normal blood glucose levels. Nonetheless, this insulin resistance is generally less pronounced in LADA when compared to type 2 diabetes, often linked to differences in BMI [14, 15, 16].

In contrast to individuals with type 2 diabetes, those with LADA tend to experience reduced insulin secretion and progress to insulin dependency more rapidly

[14, 17]. However, the autoimmune process in LADA appears to be milder, and the decline in β-cell function is slower. This is evident in the consistently higher levels of C-peptide – an indicator of insulin secretion –seen in LADA patients. Consequently, many LADA patients do not require insulin therapy for some time after diagnosis [17].

While type 1 diabetes is typically characterized by the presence of various islet autoantibodies, LADA patients commonly test positive primarily for glutamic acid decarboxylase antibodies (GADA) [18, 19]. Thus, for research purposes, measuring GADA alone is often sufficient to differentiate LADA from type 2 diabetes. Additionally, GADA levels exhibit an inverse relationship with C-peptide levels, serving not only as an indicator of autoimmune activity but also providing insights into the extent of this activity [6, 14, 15, 16, 20].

As LADA is a relatively new area of research, investigations into its precise mechanisms and triggering factors are ongoing. Understanding the etiology of LADA diabetes is crucial for improving its diagnosis, treatment, and management.

LADA Diagnostic Criteria

The Immunology for Diabetes Society defined 3 diagnostic criteria for LADA: 1. age above 35 years, 2. presence of autoantibodies against pancreatic β-cell, 3. independence from insulin treatment for at least the first 6 months after initial diagnosis.

Criterion no. 2 involves assessing autoantibodies against: GADA, islet cell cytoplasmic antigens, insulin, protein tyrosine phosphatase.

Criterion no. 3 is contested as it is subjective and depends on the assessing doctor’s judgment [21]. Due to the presence of autoantibodies against pancreatic β-cells, LADA exhibits immunological similarity to type 1 diabetes [22]. However, autoantibodies in LADA are present in lower titers, resulting in a much slower progression of immune system imbalance. Auto-reactive T cells of the immune system attack pancreatic β-cells. This autoimmune response leads to a reduction in the mass of these cells and a decrease in insulin production.

Research findings demonstrated that measuring GAD65 autoantibodies – GADA – lacks reliability as a diagnostic method, as both true and false positive results have been obtained. This indicates a distinctive phenotype within this form of diabetes. Detecting GADA antibodies is not conclusive evidence of

a Hybrid Disease... 73
Diabetes as

disease presence, as they can also be present in individuals without diabetes. It is worth noting that the mere presence of GADA is not associated with an increased risk of type 1 diabetes [23, 24].

Differential Diagnosis from Type 2 Diabetes

Type 2 diabetes is a metabolic disorder characterized by abnormal insulin secretion from pancreatic β-cells and inadequate response of insulin-sensitive tissues. This mechanism, known as insulin resistance, disrupts metabolic equilibrium and contributes to disease development.

Environmental factors and lifestyle play a pivotal role in the pathogenesis of type 2 diabetes. These factors include aspects such as excess weight, poor dietary habits, lack of physical activity, excessive alcohol consumption, and smoking [25]. Genetic factors and a positive family history of diabetes also contribute to the onset of this diabetes type.

Latent autoimmune diabetes in adults, due to its clinical resemblance to type 2 diabetes, is frequently misdiagnosed and inappropriately managed. However, distinct characteristics in patients enable accurate diagnosis. In LADA insulin resistance is present, but individuals with this diabetes type might display mild manifestations of this phenomenon, maintain a normal body mass, and lack a positive family history of diabetes [26].

Treatment

Once the diagnosis is confirmed, recommendations encompass lifestyle adjustments: including adopting a calorically appropriate diet (particularly cautious carbohydrate consumption, emphasizing increased physical activity, and reducing alcohol consumption and discontinuing smoking, are of paramount importance. Notably, risk factor modification recommendations mirror those for type 1 and type 2 diabetes.

As of now, an optimal treatment for LADA diabetes has not been determined. The treatment strategy is based on 2 principles: achieving good glycemic control and preventing or delaying complications [27, 28]. There is not enough evidence confirming insulin’s impact on disease progression; however, it is assumed that insulin is effective and safe in treating this type of diabetes, and early initiation of therapy is recommended [29]. This approach can prevent the self-destruction of pancreatic islets. In individuals with elevated BMI, metformin assists in blood glucose management, but it lacks a protective effect on β-cells, hence its efficacy in LADA diabetes therapy is not proven. The use of sulfonylurea derivatives is not recommended, as they reduce insulin levels in β-cells, as observed through

decreased C-peptide levels and persistent antibodies [30]. Thus leading to β-cell destruction and consequently accelerating the need for insulin therapy [21].

In the context of treating LADA diabetes, there are studies suggesting the use of novel oral hypoglycemic agents including dipeptidyl peptidase-4 (DPP-4) inhibitors and glucagon-like peptide-1 (GLP-1) receptor antagonists.

Dipeptidyl peptidase-4 inhibitors can be employed either in monotherapy or combined with insulin, thiazolidinediones, and GLP-1 receptor antagonists. These agents elevate GLP-1 levels, through diminishing glucagon secretion and enhancing insulin release post glucose load mediated by DPP-4 receptors activation in the gastrointestinal tract and brain.

Moreover, DPP-4 receptors are also present on the surface of T lymphocytes, participating in immune regulatory processes, thereby influencing the slowdown of immune system cell deterioration.

Dipeptidyl peptidase-4 inhibitors play a significant role in LADA diabetes treatment by achieving glycemic control and preserving β-cell function [21, 30, 31, 32, 33, 34]. Glucagon-like peptide-1 receptor antagonists lower glycated hemoglobin levels, infrequently causing hypoglycemia, they also reduce body weight and appetite, delay gastric emptying, and improve β-cell function [21, 35, 36].

Lin Yang et al. conducted an open-label randomized controlled clinical trial on 51 patients with LADA. These patients were randomly assigned to either the sitagliptin + insulin (SITA) group or the insulin-only (CONT) group for 24 months. In comparison to using insulin intervention by itself, the combination of sitagliptin and insulin treatment seemed to preserve β-cell function and enhance insulin sensitivity to a certain degree in individuals with LADA [37].

A personalized therapy with its primary objective of achieving optimal metabolic control which leads to the preservation of β-cell function is currently a topic of clinical interest.

Additionally, the incorporation of other hypoglycemic agents such as incretin-based therapy (GLP-1RA or DPP-4i), thiazolidinediones, and glucose-sodium cotransporter 2 inhibitors may offer additional benefits, such as weight loss and cardiovascular and renal protection [35].

Continuous Glucose Monitoring Systems

Continuous Glucose Monitoring (CGM) systems are innovative tools for individuals with diabetes, including those with LADA, allowing precise real-time monitoring of blood glucose levels. Continuous Glucose Monitoring employs a small sensor placed under the patient’s skin, measuring glucose levels in interstitial

Review of Medical Practice, 2023; Vol. XXIX, No. 4 74

fluid and transmitting this information to a receiver or the user’s smartphone. The receiver or mobile app presents real-time data, enabling individuals with LADA to track glucose level changes throughout the day. Significant benefits of CGM systems in diabetes (including LADA) [38, 39, 40]:

1. accurate monitoring: CGM systems provide much more accurate and frequent glucose level measurements compared to traditional self-monitoring methods using a glucometer. This enables more effective glucose control and precise therapy adjustments [41];

2. early detection of fluctuations: people with LADA can experience glucose level changes that aren’t always easy to identify. Continuous Glucose Monitoring allows for early detection of these changes and quick response, helping to avoid hypoglycemia and hyperglycemia;

3. trends: analyzing data collected by the CGM system allows individuals with LADA to track trends (increases/decreases) in glucose levels. This helps understand how the body reacts to various factors like meals, physical activity, and stress, facilitating lifestyle and treatment adjustments;

4. hypoglycemia reduction: continuous monitoring enhances the avoidance of dangerous glucose drops, especially at night. Continuous Glucose Monitoring systems often alert the user when glucose levels are too low or too high;

5. decision support: CGM systems provide data that can be used by healthcare professionals to evaluate therapy effectiveness and adjust insulin doses or other antidiabetic medications.

Within the group of CGM, there are 2 subtypes of devices:

1. personally owned devices intended for regular or continuous usage, comprising real-time CGM (rtCGM),

2. intermittently scanned CGM (isCGM), and professional CGM devices utilized in clinical settings for specific periods. The available sensors can be either disposable (rtCGM and isCGM) or implantable (rtCGM).

For individuals with LADA diabetes utilizing CGM, the frequency of sensor use plays a pivotal role in predicting A1C reduction across all age groups. Additionally, improved outcomes are associated with the frequency of scanning using isCGM devices.

Specific devices, like FreeStyle Libre 2 (isCGM), Dexcom G6, and FreeStyle Libre 3 (rtCGM), have attained Integrated CGM (iCGM) designation, meeting a higher standard set by the FDA to facilitate integration with other digitally connected devices [42, 43].

It is important to remember that despite all the advantages, CGM systems do not replace traditional glucose monitoring methods and still require a certain

level of user involvement. Collaboration with the medical team and proper understanding and interpretation of CGM data are crucial to achieving optimal control of LADA diabetes.

Continuous Glucose Monitoring Systems Targets

The International Society for Pediatric and Adolescent Diabetes supports the established standards for the duration spent in each glycemic band [44]. These include the time spent:

>70% between 3.9 and 10 mmol/L (70–180 mg/dL),

<4% <3.9 mmol/L (70 mg/dL),

<1% <3.0 mmol/L (54 mg/dL),

<25% >10 mmol/L (180 mg/dL),

<5% >13.9 mmol/L (250 mg/dL).

Ensuring CGM accuracy is crucial, particularly in the hypoglycemic range. According to the consensus statement, the recommended maximum allowable time spent below 3.9 mmol/L (70 mg/dL) is 4%. It is noteworthy that individuals without diabetes may spend around 3.2% of their time in this range, but rarely below 3.0 mmol/L (54 mg/dL), contingent on the accuracy of the sensor utilized. Hence, the primary focus is on minimizing the duration spent in the very low range below 3.0 mmol/L (54 mg/dL). Thankfully, successive generations of CGM have demonstrated improved accuracy, leading to the approval of several CGM and intermittently scanned CGM (isCGM) systems for non-adjunctive use. It is recommended to confirm hypoglycemia using Self-Monitoring of Blood Glucose (SMBG). Additionally, SMBG confirmation is advised when there is a disparity between symptoms of hyperglycemia or hypoglycemia and a seemingly normal sensor glucose value [44].

Treatment of LADA can also involve the use of an insulin pump, and currently, the most effective approach is combining pump therapy with CGM. This integrated method allows for more precise insulin delivery, better glucose management, and enhanced overall control of the condition. Furthermore, the combination of insulin pumps and CGM not only improves glycemic control but also empowers individuals with LADA to make informed decisions about their daily activities, dietary choices, and insulin dosages. The real-time data provided by CGM allows for a proactive and individualized approach to managing blood sugar levels, minimizing the risk of both high and low blood glucose episodes.

Summary

Latent autoimmune diabetes in adults, similar to type 1 diabetes, is an autoimmune disease where

Hybrid Disease... 75
Diabetes as a

pancreatic β-cells are destroyed by autoantibodies targeting the islet cells. As of now, the impact of insulin on disease progression has not been established, but it is assumed to be effective and safe in therapy, significantly surpassing the efficacy of oral antidiabetic medications which come with various side effects. The most significant of these side effects is the lack of protective action and influence on β-cell destruction. However, DPP-4 inhibitors play a key role in the treatment of LADA diabetes. They effectively regulate blood sugar levels and help maintain β-cell function. Considering the observed impact of lifestyle on LADA, its progression can be slowed down by adopting an appropriate diet and paying special attention to carbohydrate intake and calorie consumption. In achieving optimal diabetes control, CGM systems can be also helpful. Avoiding a sedentary lifestyle and excessive alcohol consumption is also recommended. Striving to increase physical activity and reduce body weight in overweight or obese individuals is crucial. It’s also advised to avoid stressors and quit smoking [6, 45].

Conclusions

Due to its hybrid nature, LADA remains a challenging disease to diagnose. Establishing the diagnosis requires a thorough analysis and observation of clinical symptoms by the physician, as these symptoms are often nonspecific and closely resemble those seen in type 2 diabetes. An early and accurate diagnosis enables the implementation of appropriate treatment, which can mitigate potential harmful consequences.

References

1. Jones A.G., McDonald T.J., Shields B.M. el al.: Latent autoimmune diabetes of adults (LADA) is likely to represent a mixed population of autoimmune (type 1) and nonautoimmune (type 2) diabetes. Diabetes Care 2021; 44(6): 12431251.

2. Desai M., Zeggini E., Horton V.A. et al.: An association analysis of the HLA gene region in latent autoimmune diabetes in adults. Diabetologia 2007; 50(1): 68-73.

3. Undlien D.E., Friede T., Rammensee H.G. et al.: HLA-encoded genetic predisposition in IDDM: DR4 subtypes may be associated with different degrees of protection. Diabetes 1997; 46(1): 143-149.

4. Pettersen E., Skorpen F., Kvaløy K. el al.: Genetic heterogeneity in latent autoimmune diabetes is linked to various degrees of autoimmune activity: results from the Nord-Trøndelag Health Study. Diabetes 2010; 59(1): 302-310.

5. Kawasaki E.: Anti-islet autoantibodies in type 1 diabetes. Int J Mol Sci 2023; 24(12): 10012.

6. Carlsson S.: Etiology and pathogenesis of latent autoimmune diabetes in adults (LADA) Compared to type 2 diabetes. Front Physiol 2019; 10: 320.

7. Naik R.G., Brooks-Worrell B.M., Palmer J.P.: Latent autoimmune diabetes in adults. J Clin Endocrinol Metab 2009; 94(12): 4635-4644.

8. Wilkin T.J.: Diabetes: 1 and 2, or one and the same? Progress with the accelerator hypothesis. Pediatr Diabetes 2008; 9(3 Pt 2): 23-32.

9. Sanjeevi C.B., Gambelunghe G., Falorni A. el al.: Genetics of latent autoimmune diabetes in adults. Ann NY Acad Sci 2002; 958: 107-111.

10. Noble J.A., Valdes A.M., Cook M. el al.: The role of HLA class II genes in insulin-dependent diabetes mellitus: molecular analysis of 180 Caucasian, multiplex families. Am J Hum Genet 1996; 59(5): 1134-1148.

11. Thorsby E., Rønningen K.S.: Particular HLA-DQ molecules play a dominant role in determining susceptibility or resistance to type 1 (insulin-dependent) diabetes mellitus. Diabetologia 1993; 36(5): 371-377.

12. Mishra R., Chesi A., Cousminer D.L. et al.: Relative contribution of type 1 and type 2 diabetes loci to the genetic etiology of adult-onset, non-insulin-requiring autoimmune diabetes. BMC Med 2017; 15(1): 88.

13. Huang J., Pearson J.A., Wong F.S. el al.: Innate immunity in latent autoimmune diabetes in adults. Diabetes Metab Res Rev 2022; 38(1): e3480.

14. Hjort R., Ahlqvist E., Carlsson P.-O. et al.: Overweight, obesity and the risk of LADA: results from a Swedish case-control study and the Norwegian HUNT Study. Diabetologia 2018; 61(6): 1333-1343.

15. Juhl C.B., Bradley U., Holst J.J. et al.: Similar weight-adjusted insulin secretion and insulin sensitivity in short-duration late autoimmune diabetes of adulthood (LADA) and type 2 diabetes: Action LADA 9 [corrected]. Diabet Med 2014; 31(8): 941-945.

16. Chiu H.K., Tsai E.C., Juneja R. et al.: Equivalent insulin resistance in latent autoimmune diabetes in adults (LADA) and type 2 diabetic patients. Diabetes Res Clin Pract 2007; 77(2): 237-244.

17. Hernandez M., Mollo A., Marsal J.R. et al.: Insulin secretion in patients with latent autoimmune diabetes (LADA): half way between type 1 and type 2 diabetes: action LADA 9. BMC Endocr Disord 2015; 15: 1.

18. Regnell S.E., Lernmark Å.: Early prediction of autoimmune (type 1) diabetes. Diabetologia 2017; 60(8): 1370-1381.

19. Hawa M.I., Kolb H., Schloot N. et al.: Adult-onset autoimmune diabetes in Europe is prevalent with a broad clinical phenotype: Action LADA 7. Diabetes Care 2013; 36(4): 908-913.

20. Radtke M.A., Midthjell K., Nilsen T.I., et al.: Heterogeneity of patients with latent autoimmune diabetes in adults: linkage to autoimmunity is apparent only in those with perceived need for insulin treatment: results from the Nord-Trøndelag Health (HUNT) study. Diabetes Care 2009; 32(2): 245-250.

21. Rajkumar V., Levine S.N.: Latent autoimmune diabetes. Treasure Island: StatPearls Publishing LLC; 2023.

22. Andersen M.K., Lundgren V., Turunen J.A. et al.: Latent autoimmune diabetes in adults differs genetically from classical type 1 diabetes diagnosed after the age of 35 years. Diabetes Care 2010; 33(9): 2062-2064.

23. Koufakis T., Katsiki N., Zebekakis P. el al.: Therapeutic approaches for latent autoimmune diabetes in adults: One size does not fit all. J Diabetes 2020; 12(2): 110-118.

24. Koufakis T., Karras S.N., Zebekakis P. el al.: Results of the First Genome-Wide Association Study of Latent Autoimmune Diabetes in Adults further highlight the need for a novel diabetes classification system. Ann Transl Med 2018; 6(Suppl 2): S102.

25. Galicia-Garcia U., Benito-Vicente A., Jebari S. et al.: Pathophysiology of type 2 diabetes mellitus. Int J Mol Sci 2020; 21(17): 2675.

26. Appel S.J., Wadas T.M., Rosenthal R.S. el al.: Latent autoimmune diabetes of adulthood (LADA): an often misdiagnosed type of diabetes mellitus. J Am Acad Nurse Pract 2009; 21(3): 156-159.

27. Hals I.K.: Treatment of latent autoimmune diabetes in adults: what is best? Curr Diabetes Rev 2019; 15(3): 188-193.

28. Hernández M., Mauricio D.: Latent autoimmune diabetes in adults: a review of clinically relevant issues. Adv Exp Med Biol 2021; 1307: 29-41.

29. Poudel R.R.: Latent autoimmune diabetes of adults: from oral hypoglycemic agents to early insulin. Indian J Endocrinol Metab 2012; 16(Suppl 1): S41-S46.

30. Pieralice S., Pozzilli P.: Latent autoimmune diabetes in adults: a review on clinical implications and management. Diabetes Metab J 2018; 42(6): 451-464.

31. O’Neal K.S., Johnson J.L., Panak R.L.: Recognizing and appropriately treating latent autoimmune diabetes in adults. Diabetes Spectr 2016; 29(4): 249-352.

32. Awata T., Shimada A., Maruyama T. et al.: Possible long-term efficacy of sitagliptin, a dipeptidyl peptidase-4 inhibitor, for slowly progressive type 1 diabetes (SPIDDM) in the stage of non-insulin-dependency: an open-label randomized controlled pilot trial (SPAN-S). Diabetes Ther 2017; 8(5): 11231134.

Review of Medical Practice, 2023; Vol. XXIX, No. 4 76

A. Mataczyńska, M. Paprocki, J. Jurgiel, M. Majdowski, K. Wrzosek, M. Lis., LADA Diabetes

33. Zhu L.-Q., Liu Y.-H., Huang M. el al.: [Study on improvement of islet beta cell function in patients with latent autoimmune diabetes mellitus in adults by integrative Chinese and Western medicine]. Zhongguo Zhong Xi Yi Jie He Za Zhi 2004; 24(7): 581-584.

34. D’Alessio D.A., Denney A.M., Hermiller L.M. et al.: Treatment with the dipeptidyl peptidase-4 inhibitor vildagliptin improves fasting islet-cell function in subjects with type 2 diabetes. J Clin Endocrinol Metab 2009; 94(1): 81-88.

35. Buzzetti R., Tuomi T., Mauricio D. et al.: Management of latent autoimmune diabetes in adults: A Consensus Statement from an International Expert Panel. Diabetes 2020; 69(10): 2037-2047.

36. Pozzilli P., Leslie R.D., Peters A.L. et al.: Dulaglutide treatment results in effective glycaemic control in latent autoimmune diabetes in adults (LADA): a post-hoc analysis of the AWARD-2, -4 and -5 Trials. Diabetes Obes Metab 2018; 20(6): 1490-1498.

37. Yang L., Liang H., Liu X. et al.: Islet function and insulin sensitivity in latent autoimmune diabetes in adults taking sitagliptin: a randomized trial. J Clin Endocrinol Metab 2021; 106(4): e1529-e1541.

38. Karakuş K.E., Sakarya S., Yeşiltepe Mutlu G. et al.: Benefits and drawbacks of Continuous Glucose Monitoring (CGM) use in young children with type 1 diabetes: a qualitative study from a country where the CGM is not reimbursed. J Patient Exp 2021; 8: 23743735211056523.

39. Battelino T., Alexander C.M., Amiel S.A. et al.: Continuous glucose monitoring and metrics for clinical trials: an international consensus statement. Lancet Diabetes Endocrinol 2023; 11(1): 42-57.

40. Shah V.N.: Limitations of reporting time below range as a percentage. Diabetes Technol Ther 2023; 25(11): 822-825.

41. Kovatchev B., Lobo B.: Clinically similar clusters of daily continuous glucose monitoring profiles: tracking the progression of glycemic control over time. Diabetes Technol Ther 2023; 25(8): 519-528.

42. Almurashi A.M., Rodriguez E., Garg S.K.: Emerging diabetes technologies: continuous glucose monitors/artificial pancreases. J Indian Inst Sci 2023: 1-26.

43. ElSayed N.A., Aleppo G., Aroda V.R. et al.: Diabetes technology: Standards of Care in Diabetes – 2023. Diabetes Care 2023; 46(Suppl 1): S111-S127.

44. de Bock M., Codner E., Craig M.E. et al.: ISPAD Clinical Practice Consensus Guidelines 2022: glycemic targets and glucose monitoring for children, adolescents, and young people with diabetes. Pediatr Diabetes 2022; 23(8): 1270-1276.

45. Rewers M., Ludvigsson J.: Environmental risk factors for type 1 diabetes. Lancet 2016; 387(10035): 2340-2348.

No potential conflict of interest was reported by the authors.

Address for correspondence:

Anna Mataczyńska ania.mataczynska12@gmail.com

Michał Paprocki michalp98@onet.pl

77
as a Hybrid Disease...

Evaluation of the Effectiveness of a 26-Week Multidisciplinary Patient Education Program for Subjects with Type 2 Diabetes in Poland

Monika Pliszka1,2,A,C,D,E,F Katarzyna Agnieszka Kowalska3,A,B,C

ORCID: 0000-0002-3746-8497

Leszek Szablewski1,C,E,F

ORCID: 0000-0002-7868-679X

ORCID: 0000-0002-5395-0523

Michał Lis2,E,F

ORCID: 0000-0001-7675-398X

1 Chair and Department of General Biology and Parasitology, Medical University of Warsaw, Poland;

2 Internal Medicine Department, Endocrinology and Diabetology Sub-department, and Nephrology Sub-department with Dialysis Station, Czerniakowski Hospital, Warsaw, Poland;

3 Akademia Nauk Stosowanych im. Józefa Gołuchowskiego, Ostrowiec Świętokrzyski, Poland

A – research concept and design, B – collection and assembly of data, C – data analysis and interpretation, D – writing the article, E – critical revision of the article, F – final approval of article

DOI: 10.26399/rmp.v29.4.2023.27/m.pliszka/k.a.kowalska/l.szablewski/m.lis

ABSTRACT

Evaluation of the Effectiveness of a 26-Week Multidisciplinary Patient Education Program for Subjects with Type 2 Diabetes in Poland

Pliszka M.1,2 Kowalska K.A.3 Szablewski L.1 Lis M.2

1 Chair and Department of General Biology and Parasitology, Medical University of Warsaw, Poland; 2 Internal Medicine Department, Endocrinology and Diabetology Sub-department, and Nephrology Sub-department with Dialysis Station, Czerniakowski Hospital, Warsaw, Poland; 3 Akademia Nauk Stosowanych im. Józefa Gołuchowskiego, Ostrowiec Świętokrzyski, Poland

Introduction. Diabetes education is an integral element of diabetes therapy, implemented based on a properly prepared education program. All individuals with diabetes should participate in diabetes education about the importance of blood glucose management, lifestyle changes including diet control and physical exercise to acquire knowledge and skills for diabetes self-management and to avoid complications associated with diabetes.

Objective. To determine the effectiveness of a 26-week, multidisciplinary diabetes education program among patients with type 2 diabetes attending outpatient clinics in Ostrowiec Świętokrzyski. The program’s effect on biochemical and anthropometric parameters, as well as impact of education on the level of knowledge and attitude towards diabetes, were evaluated.

Methods. The study included 174 adult patients with type 2 diabetes, divided into two groups: a study group (113 patients) who participated in a 26-week diabetes education program, including physical activity classes, and a control group who only attended routine visits at the diabetes clinic. Of the 113 subjects in the control group, 52 did not report for the follow-up examination and were removed from the program, so the final analysis was based on data from 61 control individuals. All patients underwent biochemical and anthropometric tests (fasting glucose, HbA1C, total cholesterol, LDL, HDL, triglyceride levels, body weight, BMI, waist and hip circumference, WHR, systolic and diastolic blood pressure) at the beginning and end of the program (0 and 26 weeks). The study group also completed two questionnaires regarding educational needs, behaviors, and attitudes related to diabetes (at 0, 13, and 26 weeks).

STRESZCZENIE

Ocena skuteczności 26-tygodniowego programu edukacyjnego prowadzonego przez zespół interdyscyplinarny u pacjentów z cukrzycą typu 2 w Polsce

Pliszka M.1,2 Kowalska K.A.3 Szablewski L.1 Lis M.2

1 Katedra i Zakład Biologii Ogólnej i Parazytologii, Warszawski Uniwersytet Medyczny; 2 Oddział Chorób Wewnętrznych, Endokrynologii, Diabetologii, Nefrologii, Szpital Czerniakowski w Warszawie; 3 Akademia Nauk Stosowanych im. Józefa Gołuchowskiego, Ostrowiec Świętokrzyski

Wstęp. Nieodłącznym elementem terapii cukrzycy jest edukacja diabetologiczna, realizowana w oparciu o odpowiednio przygotowany program edukacji. Wszyscy pacjenci z cukrzycą powinni uczestniczyć w edukacji na temat kontroli glikemii, modyfikacji stylu życia obejmującej zasady prawidłowego żywienia i regularnej aktywności fizycznej, by zdobywać wiedzę i umiejętności w zarządzaniu cukrzycą oraz by uniknąć powikłań cukrzycowych.

Cel pracy. Celem podjętych badań było sprawdzenie skuteczności 26-tygodniowej kompleksowej edukacji zdrowotnej prowadzonej przez zespół interdyscyplinarny u pacjentów z cukrzycą typu 2, leczonych w poradniach diabetologicznych w Ostrowcu Świętokrzyskim. Skuteczność edukacji oceniana była na podstawie wyników badań biochemicznych i antropometrycznych pacjentów oraz ich poziomu wiedzy i postawy wobec choroby.

Materiał i metody. Badanie przeprowadzono wśród 174 pacjentów z cukrzycą typu 2, podzielonych na dwie grupy. Grupa badana obejmowała 113 osób, które przez 26 tygodni uczestniczyły w kompleksowym programie edukacji diabetologicznej, połączonym z zajęciami aktywności fizycznej. Do grup kontrolnej zakwalifikowano również 113 osób, które nie uczęszczały na edukację. W czasie trwania obserwacji, 52 osoby z grupy kontrolnej nie zgłosiły się na badania, więc analizowano dane jedynie 61 osób. Wszystkich pacjentów poddano badaniom biochemicznym i antropometrycznym (glukoza na czczo, cholesterol całkowity, LDL, HDL, trójglicerydy, HbA1C, masa ciała, obwód tali, obwód bioder, BMI, WHR oraz ciśnienie tętnicze krwi) w 0 i 26 tygodniu programu. Pacjenci z grupy badanej wypełniali dodatkowo dwie ankiety dotyczące potrzeb edukacyjnych oraz

To assess the educational program’s effectiveness, the study and control groups were compared through appropriate statistical methods at 26 weeks, and the study group before and after the program (at 0 and 26 weeks).

Results. Before starting the educational program, the study group did not differ statistically significantly from the control group, except for HDL and blood pressure levels. At the end of the program, patients in the study group achieved significantly better results for fasting glycemia, triglyceride levels, HbA1C, body weight, waist and hip circumference, and diastolic blood pressure than the controls. The educated group also demonstrated significantly improved behavior and attitudes towards diabetes, including awareness of diabetes management, self-control, compliance with the therapeutic team’s recommendations, and coping with the disease.

Conclusions. Comprehensive diabetes education, including regular physical exercises, delivered by a multidisciplinary care team, significantly improves biochemical and anthropometric parameters in patients from the study group compared to patients from the control group. Diabetes education also positively impacts patients’ knowledge and awareness of diabetes management. Participating in an educational program brings greater benefits to patients compared to attending traditional visits at an outpatient clinic alone.

Ongoing comprehensive education is needed to maintain the longterm effectiveness of interventions.

zachowań i postaw związanych z cukrzycą (w 0, 13 i 26 tygodniu programu). W celu oceny skuteczności przeprowadzonej edukacji, za pomocą odpowiednich metod statystycznych, porównano grupę badaną i kontrolną w 26 tygodniu programu edukacyjnego oraz grupę badaną przed i po edukacji (w 0 i 26 tygodniu programu). Wyniki. Przed rozpoczęciem programu edukacyjnego grupa badana nie różniła się istotnie statystycznie od grupy kontrolnej (poza HDL i ciśnieniem tętniczym). W 26 tygodniu programu edukacyjnego pacjenci z grupy badanej osiągnęli znacznie lepsze wyniki w zakresie: glikemii na czczo, trójglicerydów, HbA1C, masy ciała, obwodu talii i bioder oraz rozkurczowego ciśnienia tętniczego krwi. Po 26 tygodniach programu edukacyjnego u pacjentów z grupy badanej nastąpiła istotna statystycznie poprawa prawie wszystkich parametrów (poza HDL) w porównaniu ze stanem w 0 tygodniu. Ponadto, w grupie badanej nastąpiła również poprawa zachowań i postaw wobec choroby: poprawiła się świadomość postępowania, samokontrola, stosowanie się do zaleceń zespołu terapeutycznego, postawa wobec choroby. Wnioski. Kompleksowa edukacja diabetologiczna prowadzona przez zespół interdyscyplinarny, uwzględniająca regularny wysiłek fizyczny, wpływa znacząco na poprawę wskaźników biochemicznych i antropometrycznych u pacjentów z grupy badanej w porównaniu z pacjentami z grupy kontrolnej. Edukacja diabetologiczna korzystnie wpływa również na wiedzę pacjentów oraz ich świadomość postępowania w cukrzycy jako chorobie przewlekłej. Udział w programie edukacyjnym przynosi większe korzyści pacjentom w porównaniu do odbywania samych tylko tradycyjnych wizyt w poradni diabetologicznej. Ciągła kompleksowa edukacja diabetologiczna jest konieczna, aby utrzymać długoterminową skuteczność interwencji.

Keywords: type 2 diabetes, diabetes education, multidisciplinary care team, physical activity, self-control

Słowa kluczowe: cukrzyca typu 2, edukacja diabetologiczna, zespół interdyscyplinarny, aktywność fizyczna, samokontrola

Introduction

Type 2 diabetes (T2D) is a complex metabolic disorder characterized by chronic hyperglycemia, leading to both microvascular and macrovascular complications. It poses a significant health, economic, and social challenge worldwide, as the associated disabilities not only reduce the quality of life but also escalate medical expenses. According to the International Diabetes Federation, diabetes has reached epidemic proportions globally. In Poland, the adult prevalence of diabetes was reported at 7% in 2021, affecting approximately three million people, including about one million undiagnosed cases.[1] The morbidity associated with diabetes in Poland varies by province, with the highest percentages recorded in the Śląskie (5.5%) and Łódzkie (5%) Voivodeships.[2] In the Świętokrzyskie Voivodeship, where this study was conducted, the prevalence was 4.6%.[2]

Education on lifestyle modifications is crucial for all diabetes patients to help manage their blood glucose levels. Obese patients, in particular, should be encouraged to lose weight, engage in physical activity, and follow a healthy diet. Self-monitoring of blood glucose levels is a vital component of diabetes self-management, enabling patients to take responsibility for their

diabetes management. Healthcare professionals should educate patients how to manage and live with diabetes. However, in the USA, less than 50% of individuals with diabetes receive educational services,[3] and in Poland, access to qualified diabetes educators remains a challenge, with diabetes education underutilized.

Diabetes education, delivered through well-prepared educational programs, is an essential part of diabetes therapy. It is expected that by improving their knowledge of diabetes, patients will gain a better understanding of their condition, develop improved coping skills, and thus have a more significant impact on disease progression and its complications. Numerous studies have demonstrated that structured education programs on diabetes self-management can enable patients to navigate barriers associated with the disease and address real-life challenges, leading to marked improvements in various diabetes outcomes, including glycemic control.[4-7]

In Poland, the majority of implemented diabetes education programs are informal and often comprise shortterm courses conducted by diabetes nurse educators and diabetologists during routine outpatient clinic visits or hospital stays in diabetes wards. To confirm the value of longer-term formal courses, this study aims to assess

of the Effectiveness of a 26-Week Multidisciplinary Patient ... 79

the effectiveness of a comprehensive 26-week course delivered by a multidisciplinary care team among patients with T2D. The effectiveness of education was evaluated based on changes in the biochemical and anthropometric parameters of the patients, as well as their knowledge and attitude towards their disease.

Research Design and Methods

Subjects and

Basic Information about the

Study

The research was conducted and completed before the onset of the COVID-19 pandemic. It involved 174 adult patients with T2D from three outpatient diabetes clinics in the Świętokrzyskie Voivodeship, Poland. Eligible participants had been diagnosed with diabetes for at least one year. The participants were divided into two groups: those who attended the course and those who did not.

Initially, 226 individuals were enrolled and divided into a study group and a control group, each comprising 113 people. Study group members attended the diabetes education program for 26 weeks, while control group members did not participate in the program. Due to a lack of follow-up (at weeks 13 and 26), 52 participants from the control group (4 treated with insulin and 48 treated only with oral antidiabetic drugs) were excluded, leaving 61 individuals in the control group for the final analysis, which was based on data from 174 participants. The diagnosis of diabetes conformed to the guidelines of Diabetes Poland and the American Diabetes Association.[8,9]

Ethical Approval

All procedures in studies involving patients were conducted in accordance with the ethical standards of the institutional and/or national research committee, as well as with the 1964 Helsinki Declaration and its later amendments and comparable ethical standards. The research protocol received approval from the Bioethics Committee of the Faculty of Health Sciences at Jan Kochanowski University, Kielce, Poland.

Preparation of the Patient Education Program

The program was designed based on the recommendations of the Polish Diabetes Association regarding education, with particular focus on the following principles: patient education should support self-management and lifestyle modifications according to a recommended diet and physical activity; the program should aim to develop practical skills that could influence the disease progression, not just impart knowledge alone; and program should involve members of various medical professions.[8]

Based on these guidelines, an original 26-week comprehensive education program for people with T2D attending diabetes outpatient clinics was created: “Szkoła edukacji dla pacjentów z typem 2 cukrzycy” (School of Education for Patients with Type 2 Diabetes). This program was implemented by a multidisciplinary team of three diabetologists, three diabetic nurse educators, a nutritionist, a psychologist, a physical activity instructor, and a public health specialist (who also coordinated the project). The intervention focused on group education sessions, combined with face-to-face time with specialists for patients who required additional support.

The educational program consisted of theoretical and practical sessions (once a week for 120 minutes) intended to improve patients’ knowledge and skills regarding diabetes management, and physical activity sessions (twice a week, 120 minutes in total) to emphasize patients’ role and impact on the course of diabetes. Each week, a different member of the multidisciplinary team led the theoretical component. The educational program covered a wide range of diabetes-related topics, including the pathophysiology of diabetes, diabetes control through diet and exercise, patient self-care behaviors (dietary habits, physical activity levels), self-management skills (medication administration, use of equipment, glucose self-monitoring), compliance with the therapeutic team’s recommendations, diabetes complications, foot care, motivation and behavioral strategies, psychological problems, quality of life and health service utilization

The physical activity component was tailored to the individual patient needs and capabilities. Sessions included a warm-up, proper training and stretching, and relaxation exercises at the end, conducted either indoors or outdoors by a certified physical activity instructor.

Data Collection and Outcome Measures

Participants were recruited from outpatient clinics over a two-week period, with none having previously attended any diabetes education program. Written informed consent was obtained from all participants prior to their involvement in the study.

The program coordinator, Katarzyna Agnieszka Kowalska, collected patient data using case report forms. The collected data included: patient demographic, socio-economic profile (urban vs rural residence, occupation), duration of diabetes, current treatment (oral antidiabetic drugs, insulin or combination of both), glycemic control (fasting glucose and HbA1c), lipid profile (total cholesterol (TC), high density lipoprotein (HDL), low density lipoprotein (LDL), triglyceride levels (TG)) and physical measurements: height, weight, waist and hip circumferences, body mass in-

Review of Medical Practice, 2023; Vol. XXIX, No. 4 80

dex (BMI), waist-to-hip ratio (WHR), and blood pressure.

Blood for biochemical tests was collected from the participants in the morning after fasting overnight. The biochemical tests and physical measurements were performed at the program’s start (week 0), and conclusion (week 26). In addition, the patients in the study group completed two questionnaires on their educational needs, behaviors, and attitudes related to diabetes (at week 0, 13 and 26).

Questionnaire No. 1: Educational Needs

Patients from the study group rated their interest in the following 11 diabetes-related topics: (1) risk factors for type 2 diabetes, (2) pathogenesis, (3) treatment methods, (4) self-control and self-management strategies, (5) dietary principles, (6) physical activity in diabetes, (7) complications of diabetes, (8) prognosis, (9) psychological support, (10) pharmacological treatment, and (11) herbs and dietary supplements in diabetes. Interest in each topic was assessed on a 10-point scale, where 1 indicated the lowest interest and 10 the highest.

The survey results allowed the therapeutic team to tailor the class topics to meet patients’ needs and expectations.

Questionnaire No. 2: Patient Awareness, Behaviors and Attitudes Related to Diabetes

This questionnaire aimed to evaluate participant behaviors concerning diabetes management, self-control, compliance with the therapeutic team’s recommendations, and coping with the disease. It comprised 18 questions (see supplemental material), with responses rated on a five-point scale: “no” (1 point), “not really” (2 points), “it is difficult to say” (neither yes nor no) (3 points), “I think so” (4 points), and “definitely” (5 points). In most cases the answer “definitely” gave the highest score and indicated the best health choices.

Statistical Analysis

All case report forms were digitized and analyzed using SPSS Statistics 22 (IBM). Descriptive statistics (mean ± SD, minimal and maximal values) were calculated for age, diabetes duration, and biochemical and anthropometric characteristics. Treatment type, gender distribution, place of residence and occupation were summarized as percentages. Differences in biochemical and anthropometric parameters (including age, gender distribution, fasting glucose, HbA1c, TC, LDL, HDL, TG, body weight, BMI, waist and hip circumference, WHR, blood pressure) between the study and control groups, as well as within the study group before and after the education pro-

gram, were evaluated using an unpaired t-test. The Greenhouse-Geisser test with the Bonferroni correction was employed to compare various parameters in the study group at weeks 0, 13, and 26 of the program: educational needs (questionnaire no.1), attitude toward diabetes, awareness of diabetes management, self-control, compliance with the therapeutic team’s recommendations and coping with the disease (questionnaire no.2).

A probability value of <0.05 was considered statistically significant.

Results

Comparison of the Study and Control Groups at the Start of the Program

The study group comprised 113 patients, while the control group included 61, following the exclusion of 52 control participants. A significantly higher proportion of the study group was female (n = 79; 69.9%) than the control group (n = 30; 49.2%) (p = 0.007). In addition, a significantly larger percentage of the study group lived in an urban setting compared to control group (98.2% vs 73.8%; p˂0.001). The mean (±SD) age of the participants was 65.7 (±7.3) years in the study group and 65.2 (±10.4) years in the control group (p = 0.643).

The mean (±SD) duration of diabetes was 11.52 (±7.3) years for the study group and 9.7 (±6.6) years for the control group (p = 0.122). Regarding treatment, 17.7% of the study group (n = 20) were receiving insulin, 27.4% (n = 31) insulin and oral antidiabetic drug (OAD), and 54.9% (n = 62) only OAD. In contrast, 31.1% of the control group (n = 19) were treated only with insulin, 41% (n = 25) with insulin and OAD, and 27.9% (n = 17) only OAD. In total, a significantly lower proportion of the study group (n = 51; 45.1%) took insulin alone or in combination with OAD than the control group (n = 44; 72.1%) (p = 0.001). Statistical differences in the therapy method between the study and control groups resulted from the exclusion of 52 participants from the control group (4 patients receiving insulin and 48 patients treated only with OAD). No statistically significant differences were found between the study and control groups in terms of age, occupation, or diabetes duration.

Table 1 summarizes baseline metabolic and anthropometric characteristics of the study and control groups (week 0). No differences were observed between the study and control groups with regard to fasting glucose, HbA1c, TC, LDL, TG, body weight, BMI, waist and hip circumference, or WHR. However, the study group exhibited significantly higher HDL levels and both systolic and diastolic blood pressure readings.

81
M.
M. Lis, Evaluation of the Effectiveness of a 26-Week Multidisciplinary Patient ...

Results of Questionnaire No. 1

The initial educational needs of the study group are presented in Table 2. Prior to the education program, the most favored diabetes-related topic was the principles of “nutrition in diabetes” (mean = 9.99 out of 10 points), followed by “treatment methods” (mean  =  9.95), “physical activity” and “diabetes complications” (both mean  =  9.92), “self-control” (mean  =  9.89), “psychological support” (mean = 9.87), “pathogenesis” (mean = 9.85), “risk factors” (mean = 9.84) and “prognosis” (mean = 9.81). According to the questionnaire, “pharmacology”, and “herbs and dietary supplements” were of the least interest (mean = 9.74 and 9.65, respectively).

At the program conclusion, the most popular topics were “dietary principles” and “physical activity in diabetes,” underscoring the Polish Diabetes Association’s emphasis, [8] proper nutrition and physical activity are crucial in improving the overall health outcomes, and in preventing and treating chronic complications of diabetes. All diabetics should be educated on the general principles of nutrition and regular physical activity at each visit.

Results of Questionnaire no. 2

Table 3 demonstrates changes in patients’ attitudes toward diabetes management over the course of the program, with overall scores for behavior and attitude towards diabetes rising from baseline 3.633 out of five points to 3.860 points by week 26 (p = 0.004). Compared to baseline, notable improvements were observed in all aspects tested, including attitude toward diabetes: “awareness of diabetes management” increased from 3.794 to 3.993 points (p = 0.041), “self-control” from 3.883 to 4.465 points (p < 0.001), “compliance with the therapeutic team’s recommendations” from 3.336 to 3.811 points (p < 0.001) and “coping with diabetes” from 2.480 to 2.829 points (p < 0.004).

Comparison of the Study and Control Groups at the Program Conclusion

Table 1 illustrates the clinical data of the study and control groups over 26-week period. Compared to control group, the study group participants who completed the multidisciplinary education program demonstrated significantly lower fasting glucose, HbA1c, triglyceride, body weight, waist and hip circumference and diastolic blood pressure readings. No significant differences were observed with regard to TC, LDL, HDL, BMI, WHR or systolic blood pressure (p > 0.05).

Comparison within the Study Group before and after the Program

The clinical data of the study group before and after the diabetes program is presented in Table I. After the program, the members of the study group demonstrated significantly lower fasting glucose, HbA1c, TC, LDL, HDL, body weight, BMI, waist and hip circumference, WHR, and both systolic and diastolic blood pressure levels compared to baseline (p < 0.05). However, no significant change was observed with regard to triglyceride levels (p > 0.05).

Discussion

This study examines the effectiveness of a long-term (26 week), multidisciplinary diabetes education program on T2D patients attending outpatient clinics in Poland, marking a novel approach to enhancing diabetes therapy efficacy. Our findings indicate that such regular, multidisciplinary interventions, consisting of a weekly theory session and twice-weekly physical activity sessions, yield beneficial outcomes for T2D patients attending outpatient clinics. The findings suggest that patients who had attended such a course demonstrated different clinical outcomes compared to a group who only participated in routine visits at the outpatient clinic, without attending the program.

In general, at the end of the 26-week course, the study group demonstrated significantly lower fasting glucose, HbA1c, TG, body weight, waist and hip circumference and diastolic blood pressure compared to the control group. Moreover, the patients in the study group also displayed significantly improved test parameters compared to baseline (week 0), except for HDL. After completing the program, specific reductions for patients in the study group included a decrease in mean fasting glucose by about 10 mg/dl, mean total cholesterol by about 11 mg/dl, LDL by about 9 mg/dl, and triglyceride levels by about 10 mg/dl. Body weight also dropped by about 4 kg, waist circumference by about 6 cm and hip circumference by about 5 cm and BMI by about 1.5; systolic pressure fell by 4.5 mmHg, diastolic pressure by 5.5 mmHg, and WHR by 0.01. The sole parameter adversely affected was HDL, which decreased from 53.7 mg/dl to 50.3 mg/dl.

Diabetes education is a crucial component of diabetes therapy. Echoing the words of Elliot P. Joslin, a 19th-century diabetology pioneer, “the diabetic who know the most, live the longest”.[10] However, the success of a diabetes awareness-raising program hinges on its careful preparation, which should include an initial assessment of participants’ knowledge and preferences. This approach enables the therapeutic team to tailor the course content and approach to meet the patients’ needs and capabilities. Our study aimed to

Review of Medical Practice, 2023; Vol. XXIX, No. 4 82

evaluate the diabetes-related educational needs and attitudes in the study group at the course’s outset, midpoint, and conclusion.

According to the American Diabetes Association, nearly 50% of diabetes patients do not achieve the recommended HbA1c levels of ˂ 7%,[11] and only 14.3% manage to reach target levels for HbA1c, blood pressure, and LDL.[12] Much of the costs related to diabetes arise from the occurrence of serious long-term complications such as coronary heart disease, stroke, blindness, limb amputations, and kidney disease.

While T2D is more prevalent in people aged 40 years and older, it is important to highlight that its prevalence is increasing in younger populations due to a rise in obesity and physical inactivity in this group. Data from the United Kingdom Prospective Diabetes Study (UKPDS) suggests that tight glycemic control can significantly reduce the risk of developing serious complications in T2D patients.[13]

Our present findings corroborate those of previous studies performed in many countries, showing that participation in diabetes education courses is associated with improved clinical outcomes among patients, including glycemic control, HbA1C, BMI, lipid profile, and blood pressure.[14-17] These improvements are also associated with reduced treatment costs,[14,15] enhanced patient knowledge and metabolic control,[16-19] fostering of patients’ psychological well-being,[17-19] reduced risk of complications, and improved quality of life.[18,19] Furthermore, previous research indicates that patients with suboptimal or poor glycemic control derive even greater benefits from self-management programs.[20]

Diabetes management is generally acknowledged to be a complex process, requiring extensive patient involvement alongside support from a multidisciplinary care team. Patients, therefore, face considerable challenges in managing the physical, emotional and psychological aspects of living with diabetes. Despite individual differences in patients’ coping needs, there is a consensus on the necessity of educational and supportive programs for diabetes patients. While traditional programs were based on didactic models, aiming at improving knowledge of the disease, current models utilize behavioral approaches, focusing on equipping patients with the skills needed to promote and change their behavior.[21]

In Poland, however, there is no standardized diabetes education model for people with T2D. In addition, few scientific studies have evaluated the effectiveness of diabetes education in the country, and most of these dealing with the issue have analyzed short diabetes education programs, i.e. those lasting only one or several days and containing no more than two hours of contact time with the patient.[22-24]

A key strength of our study is the fact that the education program was implemented by a multidisciplinary care team over a six-month period (26 weeks). The Świętokrzyskie Voivodship was chosen for the present study as this area has demonstrated the greatest interest in diabetes education programs among diabetes patients and their families (94.6%) compared to the rest of the country (mean interest 74%).[25]

Limitations of this study include significant differences in treatment methods between the study and control groups, with more patients in the control group being treated with insulin than in the study group; this may explain the more favorable clinical data observed in patients from the study group at the end of the program.

Additionally, after the program was concluded, it was not possible to conduct a follow-up study to assess the long-term sustainability of the education program’s effects, e.g., 6 months after its completion. Assessing the durability of the observed changes in health behaviors over time would be a valuable complement to this study.

Conclusion

Our study demonstrates that participation in a 26week multidisciplinary diabetes education program may be associated with improved patient outcomes compared to traditional outpatient clinic visits alone. The observed improvements, including reductions in fasting glucose, HbA1c, triglyceride levels, and body weight, may contribute to a decreased risk of chronic complications in T2D.

Such education programs are vital in diabetes management, especially in its early stages, before the late complications of diabetes can develop. Consistent with previous research, comprehensive diabetes education is crucial for increasing and sustaining the longterm effectiveness of such interventions.[26]

Consequently, Polish health authorities are encouraged to enhance access to structured education programs for patients with T2DM to optimize treatment outcomes and prevent development of chronic complications.

The authors declare no conflicts of interest.

Authors’ Contribution Statement

MP was involved in the study design, data analysis and interpretation, and took the lead in drafting and editing the manuscript. KAK also contributed to the study design data analysis, and interpretation. LSz and ML were responsible for reviewing the manuscript. All authors have read and approved the final manuscript.

the Effectiveness
a 26-Week Multidisciplinary Patient ... 83
of
of

References

1. The International Diabetes Federation: IDF Diabetes Atlas. 10th ed. Brussels: IDF; 2021; https://diabetesatlas.org/idfawp/ resource-files/2021/07/IDF_Atlas_10th_Edition_2021.pdf (accessed 09.02.2024).

2. Walicka M., Chlebus M., Brzozowska M. et al.: Prevalence of diabetes in Poland in the years 2010–2014. Clin Diabet 2015; 4(6): 232-237.

3. Nassar, C.M., Montero, A., Magee, M.F.: Inpatient Diabetes Education in the Real World: an Overview of Guidelines and Delivery Models. Curr Diab Rep 2019; 19(10): 103; https:// doi.org/10.1007/s11892-019-1222-6 (accessed 09.02.2024).

4. Norris S.L., Lau J., Smith S.J. et al.: Self-Management education for adults with type 2 diabetes: A meta-analysis of the effect on glycemic control. Diabet Care 2002; 25(7): 11591171.

5. Norris S.L., Engelgau M.M., Narayan K.M.: Effectiveness of self-management training in type 2 diabetes: a systematic review of randomized controlled trials. Diabet Care 2001; 24(3): 561-587.

6. Glasgow R.E., Funnell M.M., Bonomi A.E. et al.: Self-management aspects of the improving chronic illness care breakthrough series: Implementation with diabetes and heart failure teams. Ann Behav Med 2002; 24(2): 80-87.

7. Gagliardino J.J., Chantelot J.M., Domenger C. et al.: Impact of diabetes education and self-management on the quality of care for people with type 1 diabetes mellitus in the Middle East (the International Diabetes Mellitus Practices Study, IDMPS). Diab Res Clin Pract 2019; 147: 29-36.

8. Polish Diabetes Association: Guidelines on the management of diabetic patients 2023, A position of Diabetes Poland. Curr Top Diabetes 2023; 3(1): 1-140.

9. American Diabetes Association: Older Adults: Standards of Medical Care in Diabetes 2019. Diabet Care 2019; 42(Suppl 1): S139-S147.

10. Araszkiewicz A., Piasecka D., Wierusz-Wysocka B.: Assessment of patients’ knowledge concerning late diabetic complications in type 2 diabetes. Now Lek 2012; 81: 158-163.

11. American Diabetes Association: 4. Foundations of care: education, nutrition, physical activity, smoking cessation, psychosocial care, and immunization. Diabet Care 2015; 38(Suppl 1): S20-S30.

12. Ali M.K., Bullard K.M., Saaddine J.B. et al.: Achievement of goals in U.S. diabetes care, 1999-2010. N Engl J Med 2013; 368: 1613-1624.

13. King P., Peacock I., Donnelly R.: The UK Prospective Diabetes Study (UKPDS): clinical and therapeutic implications for type 2 diabetes. Br J Clin Pharmacol 1999; 48(5): 643-648.

14. American Diabetes Association: Third-party reimbursement for diabetes care, self-management education, and supplies. Diabet Care 2011; 34(Suppl 1): S87-S88.

15. Urbanski P., Wolf A., Herman W.H.: Cost-effectiveness of diabetes education. J Am Diet Assoc 2008; 108(4 Suppl): S6-S11.

16. Deakin T., McShane C.E., Cade J.E. et al.: Group based training for self-management strategies in people with type 2 diabetes mellitus. Cochrane Database Syst Rev 2005; 2: CD003417.

17. Rosal M.C., Olendzki B., Reed G.W. et al.: Diabetes self-management among low-income Spanish-speaking patients: a pilot study. Ann Behav Med 2005; 29(3): 225-235.

18. Ryan J.G., Jennings T., Vittoria I. et al.: Short and long-term outcomes from a multisession diabetes education program targeting low-income minority patients: a six-month follow up. Clin Ther 2013; 35(1): A43-53.

19. Tang P.C., Overhage J.M., Chan A.S. et al.: Online disease management of diabetes: engaging and motivating patients online with enhanced resources diabetes (EMPOWER-D), a randomized controlled trial. J Am Med Inform Assoc 2013; 20(3): 526-534.

20. Pillay J., Armstrong M.J., Butalia S. et al.: Behavioral Programs for Type 2 Diabetes Mellitus: A Systematic Review and Network Meta-analysis. Ann Intern Med 2015; 163(11): 848-860.

21. Medical Advisory Secretariat: Behavioural interventions for type 2 diabetes: an evidence-based analysis. Ont Health Technol Assess Ser 2009; 9(21): 1-45.

22. Kostrzewa-Zabłocka E.: Assessment of the level of knowledge on diabetes among patients with type 2 diabetes attending the meetings of the Association of Diabetes Patients. In: Turowski K., ed. Zdrowie i dobrostan 2/2015. Lublin: NeuroCentrum; 2015. 223-230.

23. Korzon-Burakowska A., Adamska K., Skuratowicz-Kubica A. et al.: Effect of education level on diabetes control and quality of life in insulin-treated type 2 diabetic patients. Diabetol Prakt 2010; 11(2): 46-53.

24. Popławska E., Zarzycki W., Kinalska I. et al.: An effectiveness of a short educational course for patients with type 2 diabetes. Diabetol Pol 2003; 10(1): 111-118; IX Scientific Congress of Polish Diabetes Association, Łódź 22-25.05.2003.

25. Abramczyk A.: Expectations of family circles/guardians of diabetics within the scope of education in diabetes – in the light of nationwide research. Environ Med 2013; 16(1): 5866.

26. Whitehead L.C., Crowe M.T., Carter J.D. et al.: A nurse-led interdisciplinary approach to promote self-management of type 2 diabetes: a process evaluation of post-intervention experiences. J Eval Clin Pract 2017; 23(2): 264-271.

Review of Medical Practice, 2023; Vol. XXIX, No. 4 84

Table 1. Metabolic and anthropometric characteristics of study and control group before (0 week) and after the program (26 week)

Characteristic

the Effectiveness
a
Multidisciplinary Patient ... 85
Evaluation of
of
26-Week
Tables
Minimum Maximum Mean SD P-value Study group Control group Study group Control group Study group Control group Study group Control group 0 week 26 week 0 week 26 week 0 week 26 week 0 week 26 week 0 week 26 week 0 week 26 week 0 week 26 week 0 week 26 week Study v control 0 week Study v control 26 week Study 0 week v 26 week Fasting glucose [mg/dl] 91 84 66 114 256 230 323 339 134.8 124.5 149.6 177.0 29.7 23.9 60.5 23.9 NS <0.001 <0.001 HbA1C [%] 5.0 5.18 5.1 4.40 12.8 11.21 14.9 11.50 7.17 6.85 7.39 7.52 1.06 1.12 1.64 1.12 NS 0.010 0.005 TC [mg/dl] 114 105 82 130 310 264 308 303 202.4 191.1 193 197.6 39.3 35.4 44.7 35.4 NS NS 0.003 LDL [mg/dl] 20 22 40 16 210 188 199 188 121.8 112.9 118.3 109.2 34.4 32.6 38.2 32.6 NS NS 0.024 HDL [mg/dl] 29 32 24 37 95 82 72 74 53.7 50.3 46.3 52.3 12.7 10.7 10.8 10.7 0.001 NS 0.006 TG [mg/dl] 46 42 54 55 565 402 635 772 148 138.1 177.4 180.6 78.6 55.6 115.5 55.6 NS 0.008 NS Body weight [kg] 54 51 55 56 135 132 119 118 82.6 78.5 84 85.7 14.3 14.5 14.1 14.5 NS 0.002 <0.001 BMI [kg/m 2 ] 21.08 19.95 21.55 22.20 47.83 46.85 39.45 39.82 30.92 29.47 30.15 30.74 4.87 4.99 4.37 4.99 NS NS <0.001 Waist circumference [cm] 82 80 76 76 148 146 137 130 108.2 102.3 106.7 107.6 12.3 12.5 12.1 12.5 NS 0.008 <0.001 Hip circumference [cm] 95 93 90 90 158 157 140 140 115.3 110.6 114.3 115.5 10.5 10.9 10.8 10.9 NS 0.007 <0.001 WHR 0.74 0.74 0.79 0.79 1.15 1.18 1.14 1.13 0.94 0.93 0.94 0.93 0.08 0.07 0.09 0.07 NS NS <0.001 Systolic blood pressure [mm Hg] 102 95 95 85 185 182 180 180 144 139.5 129.7 144.0 19.7 15.7 18.9 15.7 0.001 NS 0.001 Diastolic blood pressure [mm Hg] 54 54 60 60 110 95 100 120 81.2 75.7 76.1 84.8 10.8 8.5 11 8.5 0.003 <0.001 <0.001
Abbreviations: TC – Total Cholesterol, LDL – Low Density Lipoprotein, HDL – High Density Lipoprotein, TG – Triglyceride, BMI – Body Mass Index, WHR – Waist-to-Hip Ratio, NS – Not Significant.

Table 2. Assessment of educational needs in the study group

Subject

Table 3. Assessment of patients’ attitude toward diabetes

Awareness of diabetes management (questions no. 1, 13, 15, 16)

Self-control (questions no. 3, 8, 11)

Compliance with the therapeutic team’s recommendations (questions no. 2, 4, 5, 6, 7, 9, 10)

Coping with diabetes (questions no. 12, 14, 17, 18)

Total mark for all questions

Review of Medical Practice, 2023; Vol. XXIX, No. 4 86
0 week 13 week 26 week P-value Min Max Mean SD Min Max Mean SD Min Max Mean SD 0 vs 26 week Risk factors for T2D 5.0 10.0 9.84 0.62 2.0 10.0 7.38 2.09 1.0 9.0 3.90 1.56 <0.001 Pathogenesis 6.0 10.0 9.85 0.59 2.0 10.0 7.19 2.23 1.0 10.0 3.77 1.58 <0.001 Treatment methods 8.0 10.0 9.95 0.26 1.0 10.0 7.20 2.36 1.0 9.0 3.97 1.55 <0.001 Self-control and self-management strategies 7.0 10.0 9.89 0.45 1.00 10.0 7.08 2.42 1.0 10.0 3.57 1.60 <0.001 Nutrition in diabetes 9.0 10.0 9.99 0.09 4.00 10.0 9.00 1.47 1.0 10.0 6.97 2.64 <0.001 Physical activity for people with T2D 6.0 10.0 9.92 0.50 1.00 10.0 8.67 2.02 1.0 10.0 7.79 2.19 <0.001 Diabetes complications 8.0 10.0 9.92 0.33 1.00 10.0 7.35 2.27 1.0 10.0 4.12 1.46 <0.001 Prognosis 5.0 10.0 9.81 0.75 2.00 10.0 7.16 2.25 1.0 9.0 4.04 1.40 <0.001 Psychological support in diabetes 5.0 10.0 9.87 0.61 1.00 10.0 6.50 2.64 1.0 10.0 3.50 1.91 <0.001 Pharmacology 1.0 10.0 9.74 1.01 1.00 10.0 6.25 2.66 1.0 9.0 2.87 1.33 <0.001 Herbs and dietary supplements 1.0 10.0 9.65 1.45 1.00 10.0 6.17 2.86 1.0 9.0 2.80 1.40 <0.001
Field 0 week 13 week 26 week P-value Comment
3.794 ± 0.753 3.895±0.668 3.993±0.573 0.018 1 < 3 (p = 0.041)
3.883±1.232 4.026±0.857 4.465±0.748 < 0.001 1 < 3 (p < 0.001) 2 < 3 (p < 0.001)
3.336±1.083 3.461±0.974 3.811±0.801 < 0.001 1 < 3 (p < 0.001) 2 < 3 (p < 0.001)
2.480±0.878 2.798±0.819 2.829±0.871 0.001 1 < 3 (p
1 < 2
= 0.004)
(p = 0.014)
3.633±0.714 3.646±0.604 3.860±0.490 < 0.001 1 < 3 (p = 0.004) 2 < 3 (p < 0.001)

Supplemental Material

Questionnaire No. 2

Please choose the answer in each sentence that the best describes your thoughts and behavior:

□ no □ not really □ it is difficult to say (neither yes nor no) □ I think so □ definitely

1. I think that my behavior has a significant influence on the course of my diabetes.

2. I think it is the diabetologist’s responsibility to consistently enforce their recommendations concerning my health and my diabetes.

3. I regularly measure my blood glucose level because I know it is an important element of my diabetes treatment.

4. I always adhere to dietary recommendations set by the dietitian.

5. After being diagnosed with type 2 diabetes, I regularly engage in physical exercises recommended by the diabetologist because I understand that systematic physical activity is important for managing my diabetes.

6. I follow a proper diet because I know it is an important part of diabetes management and contributes to the improvement of my mood.

7. I regularly attend check-ups at the diabetes outpatient clinic.

8. I follow my diabetologist’s recommendations and regularly measure blood glucose, writing down the results in a self-monitoring diary, even when I am not inclined to do so.

9. Every day I follow the diet recommended by the dietitian because I know that it allows me to maintain my health and well-being for longer.

10. The diabetologist recommended that I do systematic physical exercises; I do them, albeit sometimes reluctantly.

11. I regularly check my blood glucose levels because my doctor has instructed me to do so.

12. At times, I deviate from the recommended diet and alter results in my self-monitoring diary, fearing the diabetologist’s or nurse’s reaction.

13. I make regular visits to the diabetes outpatients clinic as my health depends both on my engagement and the diabetologist’s expertise. I find the doctor’s recommendations and advice helpful.

14. Adhering strictly to my diet presents challenges, as I have to give up my favorite dishes. So I break the nutritional guidelines now and again to cheer myself up.

15. I try to find out as much as possible about my diabetes by reading publications on the disease.

16. My knowledge about type 2 diabetes comes exclusively from my doctor, whose advice I trust completely, so I don’t have to educate myself on this subject.

17. I prefer not to seek additional information about diabetes, relying on my doctor’s expertise.

18. I avoid learning about potential diabetes complications to prevent future worries.

Address for correspondence: Katarzyna Agnieszka Kowalska e-mail: edukacjazdrowotna@interia.pl

of the Effectiveness of a 26-Week Multidisciplinary Patient ... 87
Evaluation

Obustronne skostnienie

łańcucha rylcowo-gnykowego –rzadki przypadek anatomiczny

Rafał Adasiewicz1,A,B,C,D Elżbieta Makomaska-Szaroszyk1,A,B,C,D,E,F

ORCID: 0009-0003-9197-9006

ORCID: 0000-0002-1535-9185

1 Wydział Medyczny Uczelni Łazarskiego, Warszawa

A – koncepcja i projekt badań, B – gromadzenie danych, C – analiza i interpretacja danych, D – pisanie artykułu, E – krytyczna korekta artykułu, F – ostateczne zatwierdzenie artykułu

STRESZCZENIE

DOI: 10.26399/rmp.v29.4.2023.28/r.adasiewicz/e.makomaska-szaroszyk

Obustronne skostnienie łańcucha rylcowo-gnykowego –rzadki przypadek anatomiczny

Adasiewicz R., Makomaska-Szaroszyk E. Wydział Medyczny Uczelni Łazarskiego, Warszawa

Wydłużenie wyrostka rylcowatego i skostnienie więzadła rylcowo-gnykowego występuje u 2–20% populacji. W czasie sekcji zwłok wydłużenie wyrostka rylcowatego stwierdza się w ok. 2–10% autopsji. Pierwszy przypadek tego wariantu anatomicznego opisał włoski chirurg Pietro Marchetti w 1652 r., jednakże dopiero w 1937 r. Watt Eagle przedstawił pełny opis anatomiczny i zespół głównych objawów klinicznych.

Całkowite zwapnienie wyrostka rylcowatego i więzadła rylcowo-gnykowego, określane również jako skostnienie, występuje najrzadziej. Rozpowszechnienie tej zmiany wzrasta z wiekiem i jest częstsze u kobiet niż u mężczyzn.

W pracy opisano przypadek zmarłego w przebiegu zespołu post-polio 76-letniego mężczyzny z obustronnym zwapnieniem łańcucha rylcowo-gnykowego. Przedstawiono analizę anatomiczną i histologiczną wypreparowanych struktur. Omówiono etiologię opisanych zmian i ich potencjalne znaczenie kliniczne.

Słowa kluczowe: łańcuch rylcowo-gnykowy, przypadek anatomiczny, obustronne skostnienie, zespół Eagle’a

Wstęp

Wyrostek rylcowaty jest cienką strukturą kostną, która rozciąga się z dolnej powierzchni kości skroniowej. Stanowi on punkt przyczepu mięśni: rylcowo-gnykowego, rylcowo-gardłowego, rylcowo-językowego oraz więzadeł rylcowo-gnykowego i rylcowo-żuchwowego; eponim – bukiet Riolana [1, 2]. Wyrostek rylcowaty rozwija się z chrząstki Reicherta, która jest przedłużeniem 2. łuku skrzelowego. Chrząstka Reicherta zbudowana jest z 4 segmentów: tympanohyal (bębenkowo-gnykowa, stylohyal (rylcowo-gnykowa), ceratohyal

ABSTRACT

Bilateral Ossification of the Stylohyoid Chain – a Rare Anatomical Case

Adasiewicz R., Makomaska-Szaroszyk E. Faculty of Medicine, Lazarski University, Warsaw, Poland

Elongation of the styloid process and ossification of the stylohyoid ligament occur in 2–20% of the population. During autopsy, styloid elongation is found in about 2–10% of autopsies.

The first case of this anatomical variant was described by the Italian surgeon Pietro Marchetti in 1652, but it was not until 1937 that Watt Eagle presented a full anatomical description and a set of major clinical symptoms.

Complete calcification of the styloid process and stylohyoid ligament, also sometimes referred to as ossification, is the least common. The prevalence of this lesion increases with age and is more common in women than in men.

The paper describes the case of a 76-year-old man with bilateral calcification of the stylohyoid chain who died in the course of post-polio syndrome. Anatomical and histological analysis of the dissected structures is presented. The aetiology of the described changes and their potential clinical significance are discussed.

Keywords: stylohyoid chain, anatomical case, bilateral complete ossification, Eagle’s syndrome

(rogowo-gnykowa) i hypohyal (podgnykowa). Część bębenkowo-gnykowa odpowiada za powstawanie części proksymalnej, a część rylcowo-gnykowa części dystalnej wyrostka rylcowatego. Część rogowo-gnykowa odpowiada za kształtowanie się więzadła rylcowo-gnykowego, natomiast część podgnykowa za powstanie rogu mniejszego kości gnykowej [3]. Wyrostek rylcowaty posiada kilka punktów kostnienia: część bliższa objęta pochewką kostnieje w 7 miesiącu życia, natomiast część dalsza znacznie później, łącząc się z częścią bliższą głównie u osób starszych [3, 4]. Przeciętna długość wyrostka rylcowatego wyno-

R. Adasiewicz, E. Makomaska-Szaroszyk, Obustronne skostnienie łańcucha rylcowo-gnykowego – rzadki przypadek ... 89

si 25–30 mm i może różnić się osobniczo oraz między stroną prawą a lewą [2, 5]. Wyrostki o długości powyżej 30 mm klasyfikuje się jako wydłużone i są one opisywane u 2–30% lub nawet 36,8% populacji [1, 6]. Wyrostek rylcowaty, odchodzące od niego więzadło rylcowo-gnykowe i róg mniejszy kości gnykowej wspólnie określa się jako łańcuch rylcowo-gnykowy lub zespół rylcowo-gnykowy (stylohyoid chain or complex, SHC). W ich bezpośredniej bliskości przebiega wiele istotnych naczyń i nerwów leżących przyśrodkowo do wyrostka rylcowatego, m.in. żyła szyjna wewnętrzna, nerw językowo-gardłowy, nerw błędny oraz nerw dodatkowy. Natomiast po jego stronie bocznej znajdują się tętnica potyliczna i nerw podjęzykowy. Wierzchołek wyrostka rylcowatego położony jest pomiędzy tętnicą szyjną zewnętrzną a wewnętrzną [1, 4]. U 3–20% populacji dochodzi do skostnienia więzadła rylcowo-gnykowego [7, 8, 9, 10]. Część naukowców używa terminu „zwapnienie”, inni preferują określenie „skostnienie”, ponieważ badania histologiczne ujawniały hiperplazję wyrostka rylcowatego lub metaplazję więzadła rylcowo-gnykowego [11, 12, 13]. Patogeneza tego procesu nie została w pełni wyjaśniona. Badacze sugerują różne przyczyny, takie jak reaktywna hiperplazja, reaktywna metaplazja, śródwięzadłowa metaplazja, tendinopatia więzadła rylcowo-gnykowego [11, 12].

Przeważa opinia, że powodem tych zmian jest wrodzona predyspozycja do skostnienia. Podczas embrionalnego rozwoju wyrostka rylcowatego prawdopodobnie stres mechaniczny rozciąga chrząstkę Reicherta, co powoduje kostnienie więzadła rylcowo-gnykowego [3, 4, 11, 12].

W 1986 r. Langlais zaproponował radiologiczną morfologiczną klasyfikację wyrostków rylcowatych kości skroniowej [5], która wyróżnia 3 typy:

I – wydłużony (nieprzerwany) wyrostek rylcowaty, który osiąga długość >30 mm

II – pseudostaw III – segmentacja wyrostka rylcowatego na 2 lub więcej części.

Prezentacja przypadku

Zwłoki 76-letniego mężczyzny rasy kaukaskiej zmarłego z powodu zespołu post-polio zostały przekazane Zakładowi Anatomii Prawidłowej i Klinicznej Uczelni Łazarskiego zgodnie z procedurą donacyjną. Podczas preparowania szyi zaobserwowano całkowite skostnienie łańcucha rylcowo-gnykowego po obu stronach (ryc. 1, 2). Długość skostniałego wyrostka rylcowatego i więzadła rylcowo-gnykowego po stronie prawej wynosiła 107 mm, po lewej 105 mm. Pomiarów dokonano z wykorzystaniem metalowego wskaźnika przyłożonego do podstawy wyrostka rylcowate-

go, następnie zaznaczono punkt przyczepu do kości gnykowej skostniałego więzadła rylcowo-gnykowego i wskazaną długość zmierzono linijką. Stwierdzono także obustronnie 3 stawy rzekome – jeden w odległości ok. 2 cm proksymalnie od kości gnykowej, drugi między rogiem mniejszym kości gnykowej a skostniałym więzadłem rylcowo-gnykowym i trzeci pomiędzy wyrostkiem rylcowatym a skostniałym więzadłem rylcowo-gnykowym (ryc. 1, 3, 4). Obustronnie nie opisano mięśnia rylcowo-gnykowego, który mógł ulec zanikowi i skostnieniu.

Rycina 1. Strona lewa. Czerwona strzałka – wyrostek rylcowaty, czarna strzałka – przecięte ścięgno m. dwubrzuścowego, zielone strzałki – stawy rzekome łańcucha rylcowo-gnykowego

3 1 2

4

5

Rycina 2. Strona prawa. 1 – łańcuch rylcowo-gnykowy, 2 – m. rylcowo-gardłowy, 3 – m. rylcowo-językowy, 4 – n. językowo-gardłowy, 5 – n. podjęzykowy

1 5 4 2 2 2 6 3

Rycina 3. Strona prawa. 1 – przecięte ścięgno m. dwubrzuścowego, 2 – stawy rzekome łańcucha rylcowo-gnykowego, 3 – t. szyjna zewn., 4. – t. szyjna wewn., 5 – n. podjęzykowy, 6 – n. językowo-gardłowy

1

2 3

Rycina 4. Strona prawa. 1 – ślinianka podżuchwowa, 2 – stawy rzekome łańcucha rylcowo-gnykowego, 3 – nerw błędny

Pobrano także wycinek więzadła rylcowo-gnykowego po obu stronach w celu wykonania badania histologicznego (ryc. 5).

Rycina 5. Preparat histologiczny. Widoczna kość zbita z jamkami wypełnionymi szpikiem; na powierzchni widoczna okostna

Zmieniony wyrostek rylcowaty opisany w tej pracy kwalifikujemy jako morfologiczny typ III wg Langlaisa. W udostępnionej Uczelni dokumentacji medycznej w rozpoznaniu pośmiertnym stwierdzono nieokreślony nowotwór skóry, nadciśnienie tętnicze, kamicę nerkową, niewydolność nerek oraz przebyty udar mózgu. Bezpośrednią przyczyną zgonu był zespół post-polio.

Dyskusja

Przeciętna długość wyrostka rylcowatego wynosi 25–30 mm i może różnić się osobniczo oraz między stroną prawą a lewą [5, 13, 14, 15]. Wyrostki o długości powyżej 30 mm klasyfikuje się jako wydłużone i są one opisywane u 2–37% populacji [1 15, 16].

Wydłużenie części kostnej może być jednostronne lub obustronne, symetryczne lub asymetryczne [6, 17, 18].

U 3–20% populacji dochodzi do skostnienia SHC [8, 13, 19, 20, 21].

Wydłużony skostniały łańcuch rylcowo-gnykowy (lub oba) może prowadzić do dolegliwości typowych dla zespołu Eagle’a (stylalgia) [5, 13, 14, 22, 23].

Został on opisany po raz pierwszy, jak wspomniano wcześniej, przez otolaryngologa Eagle’a w 1937 r. [19]. Stwierdził on wydłużenie wyrostka rylcowatego u chorego z nawracającym bólem gardła i szyi promieniującym do ucha oraz dysfagią. Tsuruta w 1985 r. zasugerował prawdopodobne mechanizmy występowania objawów klinicznych: 1) stymulacja nerwów współczulnych powoduje ból w obszarze dystrybucji naczyniowej, 2) stymulacja nerwu językowo-gardłowego powoduje szumy uszne i ból ucha oraz 3) wydłużony SP może ograniczać ruch kości gnykowej, co z kolei wpływa na połykanie i mówienie.

Review of Medical Practice, 2023; Vol. XXIX, No. 4 90

R. Adasiewicz, E. Makomaska-Szaroszyk, Obustronne skostnienie łańcucha rylcowo-gnykowego – rzadki przypadek ... 91

Do najczęstszych objawów stylalgii należą: ból głowy, ból twarzy promieniujący do ucha lub wzdłuż żuchwy, ból przy rotacji szyi i przy wysunięciu języka, ból gardła, uczucie ciała obcego w gardle, dysfagia, otalgia, zmiana głosu, zawroty głowy i uczucie nadmiernego ślinienia się [2, 7, 10, 13, 18, 20, 24, 25].

Inną istotną manifestacją kliniczną stylalgii jest zespół tętnicy szyjnej, związany z uciskiem skostniałego, wydłużonego wyrostka rylcowatego na baroreceptory i mechanoreceptory w okolicy tętnicy szyjnej [6, 22, 23, 25, 26].

Objawy w postaci omdleń pojawiają się po obróceniu głowy w bok. Zespół tętnicy szyjnej stanowi przyczynę ok. 1% wszystkich omdleń i może występować nawet u 25% osób w starszym wieku z zaawansowaną miażdżycą. Objawami schorzenia mogą być także zawroty głowy, którym często towarzyszy bradykardia i/lub spadek ciśnienia tętniczego [7, 22, 23].

Obecnie szacuje się, że wydłużenie wyrostka rylcowatego ponad 30 mm powoduje objawy u jedynie 4–10% przypadków [10].

Wczesne rozpoznanie zespołu Eagle’a jest trudne, ponieważ jego objawy są niecharakterystyczne i czasami rozpoznanie zostaje postawione dopiero po wykonaniu zdjęcia pantomograficznego, tomografii komputerowej (computed tomography, CT) czaszki, niekiedy zupełnie przypadkowo [7, 10, 15, 20].

W ostatnich kilkudziesięciu latach opublikowano wiele prac oceniających morfologię wyrostka rylcowatego na podstawie zdjęć RTG typu pantomogram i/lub CT oraz rezonansu magnetycznego w różnych populacjach: Asutay i wsp. tureckiej, Gracco i wsp. włoskiej, Hettiarachchi et al. Sri Lanki, Vieira i wsp. brazylijskiej, Sakhdari i wsp. irańskiej, Alsweed Arabii Saudyjskiej [16, 27, 28, 29, 31].

Mniej liczne są doniesienia oceniające zmiany wyrostka rylcowatego w badaniach zwłok i preparatów czaszek [17, 18, 32]. Badania te dają dodatkowo możliwość histopatologicznej weryfikacji obserwowanych zmian.

Guimarães i wsp. przeanalizowali 275 przypadków zmian w łańcuchu rylcowo-gnykowym na zdjęciach RTG, z czego większość była obustronna i w 67,6% przypadków dotyczyła kobiet [13]. Jednakże w preparatach zwłok populacji japońskiej uzyskano odwrotne wyniki; w większości zmiany były jednostronne oraz częstsze w populacji męskiej. Tego typu różnice pojawiają się także w innych pracach, co utrudnia wyciągnięcie ostatecznych wniosków. Najprawdopodobniej wynika to z powodu różnic w doborze pacjentów, liczebności badanych grup oraz z przyjętych niejednolitych kryteriów oceny radiologicznej i anatomicznej.

Dlatego też wydaje się właściwe opracowanie ogólnie przyjętego protokołu do opisywania różnic anatomicznych w duchu anatomii opartej na dowodach. Taka

lista kontrolna mogłaby pomóc w standaryzacji sposobu, w jaki opisujemy odmienności anatomiczne [33]. Obustronne skostnienie łańcucha rylcowo-gnykowego występuje rzadko [3, 8, 13, 14, 18, 25]. W badaniu Vougiouklakisa podczas 1215 autopsji stwierdzono je jedynie w 11 przypadkach, a w 9 obustronnie [34, 35]. W opublikowanej w 2022 r. pracy Tanaka i wsp. opisali częstość występowania wydłużenia wyrostka rylcowatego w preparatach zwłok. W żadnym z badanych 78 przypadków nie stwierdzili całkowitego skostnienia łańcucha rylcowo-gnykowego [32].

Ciekawy przypadek czaszki z wybitnie wydłużonymi i obustronnie całkowicie skostniałymi więzadłami rylcowo-gnykowymi przedstawili Skrzat i wsp. w 2007 r. Całkowita długość SHC wynosiła po stronie lewej 62 mm, a po prawej 65 mm [18]. W opisywanym przez nas przypadku łańcuch po obu stronach był znacznie dłuższy (107 mm – strona prawa, 105 mm –strona lewa). Podobnie jak w cytowanej pracy, granica między więzadłem rylcowo-gnykowym a wyrostkiem rylcowatym była trudna do ustalenia, stąd nie podano osobno długości wyrostka rylcowatego. Najprawdopodobniej jego początek znajduje się w miejscu zgrubienia, gdzie występuje połączenie więzadłowe (staw rzekomy) [18].

W pracy Jie Lei i wsp. opisali z kolei jednostronne całkowite skostnienie oraz pogrubienie łańcucha rylcowo-gnykowego o długości 90 mm, powodujące dysfagię i ból. Analogicznie do naszego przypadku w badaniu histologicznym potwierdzono obecność tkanki kostnej z istotą zbitą oraz gąbczastą zawierającą szpik kostny [21].

Moussaoui i wsp. przedstawili przypadek obustronnego całkowitego skostnienia łańcucha rylcowo gnykowego oraz więzadeł tarczowo-gnykowych u pacjenta niezgłaszającego objawów. Na podstawie rekonstrukcji 3D TC opisano obecność 3 stawów rzekomych [36]. Prawdopodobnie obecność stawów rzekomych zmniejsza sztywność i ucisk SHC na struktury sąsiednie i stąd brak objawów klinicznych. Być może ten sam mechanizm powodował nieobecność dolegliwości sugerujących stylalgię w naszym przypadku. Uważamy, że wizualizacja dokładnych relacji obustronnie zwapniałego łańcucha rylcowatego do okolicznych struktur naczyniowych i nerwów jest istotną wartością tej pracy (ryc. 1, 2, 3, 4). Przedstawiany przypadek wyróżnia ponadstandardowa długość skostniałego SP (ok. 10 cm) oraz dość rzadko opisywana w piśmiennictwie obecność pseudostawów.

Piśmiennictwo

1. Abuhaimed A.K., Alvarez R., Menezes R.G.: Anatomy, head and neck, styloid process. StatPearls; 2023.

2. Warrier S.A., Kc N., Subadra K. et al.: Eeagle’s syndrome. A case report of a unilateral elongated styloid process. Cureus 2019; 11(4): e4430.

3. Moore K.L., Persaud T.V.N.: The developmental human. Clinically oriented embryology. Philadelphia, London, Toronto, Montreal, Sydney, Tokyo: Saunders Company; 1998.

4. Reicher M., Łasiński W.: Budowa szczegółowa czaszki. W: Bochenek A., Reicher M., red. Anatomia Człowieka. Tom I. Warszawa: Wydawnictwo Lekarskie PZWL; 2016. 348–349.

5. Langlais R.P., VanDis M.L., Miles D.A.: Elongated and mineralized stylohyoid ligament complex: a proposed classification and report of a case of Eagle’s syndrome. Oral Surg Oral Med Oral Pathol 1986; 61: 527–532.

6. Balcioglu H.A., Kilic C., Akyol M. et al.: Length of the styloid proces and anatomical implications for Eagle’s syndrome. Filia Morfol 2009; 68(4): 265–270.

7. Hardy H., Guichard B., Eliezer M. et al.: Unilateral complete articulated ossification of the stylohyoid apparatus: case report and review of the literature. Surg Radiol Anat 2014; 36: 941–945.

8. Kay D.J., Har-El G., Lucente F.E.: A complete stylohyoid bone with a stylohyoid joint. Am J Otolaryngol 2001; 22: 358–361.

9. Jaroń A., Trybek G.: Radiologiczne klasyfikacje wyrostków rylcowatych kości skroniowej. Med Trib 2023; 1: 1–8.

10. Piagkou M. et al.: Eagle’s syndrome: a review of literature. Clin Anat 2009; 22: 545–558.

11. Camarda A.J., Deschamps C., Forest D. et al.: I. Stylohyoid chain ossification: a discussion of etiology. Oral Surg Oral Med Oral Pathol 1989; 67(5): 508–514.

12. Camarda A.J., Deschamps C., Forest D. et al.: II. Stylohyoid chain ossification: a discussion of etiology. Oral Surg Oral Med Oral Pathol 1989; 67(5): 515–520.

13. Guimarães A.C., Pozza D.H., Guimarães A.S. et al.: Prevalence of morphological and structural changes in the stylohyoid chain. J Clin Exp Dent 2020; 12(11): e1027-e1032.

14. Kosar M.I., Atalar M.H., Sabanciugullari V. et al.: Evaluation of the length and angulation of the styloid proces in patient with pre-diagnosis of Eagle syndrome. Folia Morphol 2011; 70(4) :295–299.

15. Sokler K., Sandev S.: New classification of the styloid process length – clinical application on the biological base. Coll Antropol 2001; 25(2): 627–632.

16. Alsweed A., Almutairi B.M.: Elongation pattern of styloid process in Saudi population: a factor to remember in the prevention of eagle syndrome. Folia Morphol 2022; 81(3):701–706.

17. Dąbrowski P., Gronkiewicz S., Soliński D. i in.: A case of elongated styloid proces in a modern-age skull from Puerto Cabello, Venezuela. Folia Morph 2015; 74(4) :475–478.

18. Skrzat J., Mróz I., Walocha J. et al.: Bilateral ossification of the stylohyoid ligament. Folia Morphol 2007; 66(3): 203–206.

19. Eagle W.W.: Elongated styloid proces. Arch Otolaryngol 1937; 25(5): 584–587.

20. Feldman V. Eagle’s syndrome: a case of symptomatic calcification of the stylohyoid ligaments. J Can Chiropr Assoc 2003; 47(1): 21–27.

21. Lei J., Yap A.U., Zhang Y. et al.: Unilateral complete articulated ossification and aberrant thickening of the stylohyoid chain. J Oral Sci 2017; 59(1): 157–160.

22. Ata-Ali J,. Ata-Ali F., Melo M. et al.: Eagle syndrome compared with stylohyoid syndrome: complete ossification of the stylohyoid ligament and joint. Br J Oral Maxillofac Surg 2017; 55(2): 218–219.

23. Cybulak-Naczke J., Wytrykowska A., Mikietyńska M. i in. Zespół wydłużonego wyrostka rylcowatego – zespół Eagle’a. Mag Stom 2020; 4: 42–46.

24. Kirchhoff G., Kirchhoff C., Buhmann S. et al.: A rare differential diagnosis to occupational neck pain bilateral stylohyoid syndrome. J Occup Med Toxicol 2006; 1: 14–19.

25. Krennmair G, Piehslinger E.: The incidence and influence of abnormal styloid conditions on the etiologyof craniomandibular functional disorders. Cranio 2003; 21: 31–37.

26. Vadgaonkar R., Murlimanju. Prabhu L. et al.: Morphological study of styloid proces of the temporal bone and its clinical implications. Anat Cell Biol 2015; 48(3): 155–158.

27. Gracco A., De Stefani A., Bruno G. et al.: Elongated styloid process evaluation on digital panoramic radiograph in a North Italian population. J Clin Exp Dent 2017; 9(3): e400-e404.

28. Hettiarachchi P.V., Jayasinghe R.M., Fonseka M.C. et al.: Evaluation of the styloid process in a Sri Lankan population using digital panoramic radiographs. J Oral Biol Craniofac Res 2019; 9(1): 73–76.

29. Sakhdari S., Saberi S., Shamshiri A.R.: Prevalence and pattern of styloid process elongation and calcification on digital panoramic radiographs in an iranian population. J Islam Dent Assoc Iran 2018; 30(2): 44–51.

30. Vieira E.M., Guedes O.A., Morais S.D. et al.: Prevalence of elongated styloid process in a Central Brazilian Population. J Clin Diagn Res 2015; 9(9): ZC90-ZC92.

31. Asutay F., Erdem N., Atalay Y. et al.: Prevalence of elongated styloid process and eagle syndrome in east eagean population. Bezmialem Sci 2019; 7(1): 28–32.

32. Tanaka S., Terayama H., Miyaki Y. et al.: A gross anatomical study of the styloid process of the temporal bone in Japanese cadavers. Folia Morphol 2022; 81(2): 493–502.

33. Wysiadecki G., Varga I., Klejbor I. et al.: Reporting anatomical variations: should unified standards and protocol (checklist) for anatomical studies and case reports be established? Translational Res Anat 2024, 35: 1–5.

34. Vougiouklakis T.: Overview of the ossified stylohyoid ligament based in more than 1200 forensic autopsies. J Clin Forensic Med 2006; 13(5): 268–270.

35. Guimarães A.S., Pozza D.H., de Castro I.C. et al.: Complete ossification of the stylohyoid chain as cause of Eagle’s syndrome: a very rare case report. J Contemp Dent Pract 2014; 15(4): 500–505.

36. Moussaoui E., Kadri S., Oualha L. et al.: Incidental finding of a bilateral complete ossification of stylo-hyoid chain and thyro-hyoid ligaments. Clin Case Rep 2022; 10(4): e05789.

Autorzy deklarują brak konfliktu interesów.

Podziękowania/Acknowledgements

Autorzy wyrażają podziękowanie dawcy zwłok dla celów dydaktyczno-naukowych, dzięki któremu możliwe było przeprowadzenie badań przyczyniających się do rozwoju wiedzy w dziedzinie anatomii człowieka. Podziękowania dla Pani prof. dr hab. Anny Nasierowskiej-Guttmejer za pomoc w wykonaniu i ocenie preparatu histopatologicznego zamieszczonego w pracy.

Adresy do korespondencji:

Rafał Adasiewicz

Wydział Medyczny Uczelni Łazarskiego Zakład Anatomii Prawidłowej i Klinicznej ul. Świeradowska 43, 02-662 Warszawa tel. 501674085 e-mail: rafal7654321@gmail.com

Elżbieta Makomaska-Szaroszyk Wydział Medyczny Uczelni Łazarskiego Świeradowska 43, 02-662 Warszawa tel. +48 513037836 e-mail: eszaroszyk@lazarski.edu.pl

Review of Medical Practice, 2023; Vol. XXIX, No. 4 92

Turn static files into dynamic content formats.

Create a flipbook
Issuu converts static files into: digital portfolios, online yearbooks, online catalogs, digital photo albums and more. Sign up and create your flipbook.
Review of Medical Practice 4/2023 by Publishing House of the Lazarski University - Issuu