Review of Medical Practice 3/2023

Page 1

V OL . XXIX N UMBER 1 2023

VOL . XXIX NUMBER 3 2023

KWARTALNIK

KWARTALNIK

REVIEW OF MEDICAL P RACTICE
WYDZIAŁU MEDYCZNEGO
ISSN
ISSN
REVIEW OF MEDICAL P
UCZELNI ŁAZARSKIEGO
2956-4441
on-line 2956-445X
RACTICE
MEDYCZNEGO
ŁAZARSKIEGO ISSN 2956-4441
WYDZIAŁU
UCZELNI

Od 1994 / Formerly since 1994: INTERNATIONAL REVIEW OF ALLERGOLOGY AND CLINICAL IMMUNOLOGY

ORGAN WYDZIAŁU MEDYCZNEGO UCZELNI ŁAZARSKIEGO ORGAN OF FACULTY OF MEDICINE OF THE LAZARSKI UNIVERSITY

DOI: 10.26399/rmp.v29.3.2023

Warszawa 2023
VOL. XXIX, NO. 3/2023

RADA NAUKOWA / ADVISORY BOARD

prof. Walter Canonica, Genova, Italy

prof. Halina Car

prof. Marek Czarkowski

prof. Zbigniew Gaciong

prof. Stephen Holgate, Southampton, UK

prof. Stefan Kiesz, San Antonio, TX, USA

prof. Józef Knap

prof. Artur Mazur

prof. Anna Maria Nasierowska-Guttmejer

prof. Sergiej Nyankowski, Lwów, Ukraina

prof. Bartłomiej Piechowski-Jóźwiak, Abu Dhabi, UAE

prof. Henryk Skarżyński

prof. Marek Stańczyk

prof. Andrzej Śliwczyński

prof. Tomasz Targowski

prof. Anna Wilmowska-Pietruszyńska (przewodnicząca / chairman)

prof. Ewelina Zawadzka-Bartczak

REDAKCJA / EDITORIAL

BOARD

redaktor naczelna / editor-in-chief: prof. dr hab. n. med. Anna Wilmowska-Pietruszyńska zastępca redaktor naczelnej / deputy editor-in-chief: Krzysztof Czechowski redaktor językowy (j. ang.) / language editor (Eng.): dr Urszula Swoboda-Rydz redaktor statystyczny / statistical editor: dr Krzysztof Beck redaktor statystyczny / statistical editor: dr Joanna Beck sekretarz / secretary: Ewelina Kruczyńska

CZŁONKOWIE / MEMBERS

prof. dr hab. n. med. Jacek Pawlak: redaktor tematyczny (chirurgia) / thematic editor (surgery) dr n. med. Marek Stopiński: redaktor tematyczny (interna) / thematic editor (intern)

dr n. med. Tomasz Szafrański: redaktor tematyczny (psychiatria) / thematic editor (psychiatry) prof. dr hab. n. med. Marta Szajnik: redaktor tematyczny (ginekologia) / thematic editor (gynecology)

Wydział Medyczny Uczelni Łazarskiego / Faculty of Medicine of Lazarski University ul. Świeradowska 43 02-662 Warszawa tel. +48 22 54 35 330 e-mail: review@lazarski.edu.pl https://www.lazarski.pl/pl/nauka-i-badania/wm/dzialalnosc-naukowa/review-of-medical-practice/

Czasopismo jest indeksowane w: / The journal is indexed in:

Index Copernicus (ICV 2021 = 98,46)

Google Scholar

Centrum Otwartej Nauki (CeON)

Bibliotece Nauki

Cyfrowej Bibliotece Narodowej Polona.

Kwartalnik znajduje się na liście punktowanych czasopism naukowych Ministerstwa Edukacji i Nauki – z liczbą 140 punktów.

© Copyright by Uczelnia Łazarskiego, Warszawa 2023

ISSN 2956-4441

ISSN on-line 2956-445X

Oficyna Wydawnicza Uczelni Łazarskiego 02-662 Warszawa, ul. Świeradowska 43, e-mail: wydawnictwo@lazarski.edu.pl

Światowa Organizacja Zdrowia

Maria J. Turos

Czynnik ludzki a bezpieczeństwo znieczulenia

Joanna Bielak, Wiesław

Lidia Perenc, Joanna Bielak, Wiesław Guz

Studium przypadku zespołu mozaikowej trisomii chromosomu

Magdalena Stefaniak, Monika Derda Bąblowica jednojamowa (echinokokoza) – epidemiologia, zwalczanie i profilaktyka zarażenia

Jarosław Kopko, Natalia Mazanowska, Mirosław Wielgoś

The Positive Effect of Water Immersion on Labor Progress Assessed by Intrapartum Ultrasound Examination

Pozytywny wpływ zastosowania immersji wodnej na postęp porodu oceniany metodą ultrasonografii śródporodowej

Tomasz Sarosiek, Joanna Filipow, Monika Żeleźnicka, Filip Grydź

Nasieniak z przerzutem zaotrzewnowym o innej komponencie guza – opis przypadku

Seminoma with Retroperitoneal Metastasis of a Different Tissue Component – Case Report .............

Marek Stańczyk, Jacek Dudzik

Przepuklina Amyanda – przypadek kliniczny i przegląd literatury

Amyand’s Hernia – a Case Report and Review of the Literature

Jan Jurgiel, Patryk Karabin, Adrianna Graniak, Konrad Jóźwik, Piotr Opyd, Michał Lis

Sarcopenic Obesity as a Complication of Overweight and Obesity – a Summary of Knowledge

Otyłość sarkopeniczna jako powikłanie nadwagi i choroby otyłościowej – podsumowanie wiedzy ......

Marcin Bobruk, Zbigniew Wiśniewski, Andrzej Kot

Knowledge Management in Hospitals. Review of Literature

Zarządzanie wiedzą w szpitalach. Przegląd literatury

Wojciech Drygas, Agnieszka Szychowska, Joanna Ruszkowska, Magdalena Kwaśniewska

Program CINDI w Polsce: wizja i rzeczywistość. Historia 25 lat działalności

The CINDI Programme in Poland: Vision and Reality. A 25-year Story .................................................

51

57

63

67

72

2023; Vol. XXIX, No. 3 World Health Organization World mental health report Światowy raport o zdrowiu psychicznym ............................................................................................... 8
Światowy raport o zdrowiu psychicznym World mental health report 16
Spis treści / Contents
The Human Factor and the Safety of Anesthesia .................................................................................. 24 Lidia Perenc,
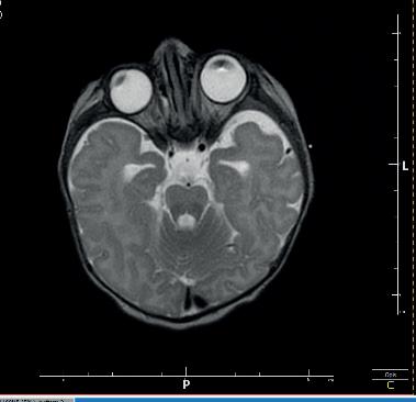
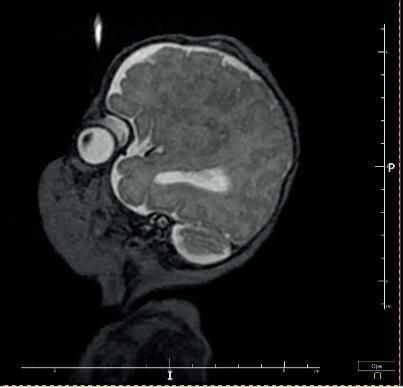
A Case Study of Mosaic Trisomy Chromosome 9 Syndrome Studium przypadku zespołu mozaikowej trisomii chromosomu 9 40
Guz
A Case Study of Mosaic Trisomy Chromosome 9 Syndrome ................................................................ 43
9
– Epidemiology, Control and Prevention 46
Echinococcus Granulosus
81

Instructions to Authors

GENERAL POLICY

REVIEW OF MEDICAL PRACTICE (Rev. Med. Pract.) will consider for publication papers directly related to genaral practice in medicine after evaluation by two reviewers.

THE REVIEW WILL COMPRISE THE FOLLOWING SECTIONS:

Editorial and review articles. Contributions from experts and specialists in the field, requested by the Editors.

Original articles and research papers in medical science, as well new forms of therapy and diagnostic procedures will be published after evaluation by two independent reviewers.

Short communications. Description of clinical cases reporting exceptional results or symptoms. Maximum length 2–3 typewritten pages, double-spaced, 1 figure and 1 table will be accepted, and references limited to maximum 10 positions.

PREPARATION OF MANUSCRIPTS

Manuscripts should be word processed (Word Programme) or typewritten, double-spaced with ample margins on both sides, and pages should be numbered. First mention of tables and figures should be indicated in the right-hand margin of the text. Maximum length 15 pages.

It is also necessary to include a written consent for the publication from each of authors’ department and clinic heads, as well as a Declaration of Conflict of Interest (signed by all authors) and determination of participation in the work by giving the name with: A – research concept and design, B – collection and assembly of data, C – data analysis and interpretation, D – writing the article, E – critical revision of the article, F – final approval of article.

Title page. Should contain the full title, a brief running title, full name of author(s), institutional affiliation of author(s), and name and mailing address of the author to whom all correspondence should be directed.

Summary in English and in Polish. The major points of the article shouId be summarized in 150-250 words, in order of their appearance in the manuscript. Material or facts not cited in the text should not be included.

Key words. Three to five key words or brief phrases should be included after the Summary for indexing purposes.

References. AII references should be numbered consecutively throughout the text or numbered in alphabetical order and enclosed in parentheses. Journal abbreviations should follow the norms of Cur rent Contents. The name(s) of authors should be followed by the complete title of the paper, abbreviated journal`s title, year, volume and first and last page number. When citing an article from a book, author(s) name(s) should be followed by complete title of the paper, title of book, volume number, editor(s) name(s), name and address of the publisher, year and first and last page numbers, e.g.:

3. Dukes M.N., Holgate S.T., Pauwels R.A. et al.: Report of an international workshop on risk and safety of asthma. Clin Exp Allergy 1994; 24: 160-165.

4. Kay A.B., Henson P.M., Hunninghake G.W. et al.: Cellular mechanism. In: Holgate S.T., ed. The role of inflammatory processes in airway hyperresponsiveness. Oxford, London, Edingurgh, Boston, Melbourne: Blackwell Scientific Publications; 1989. 151-178.

Proofs. Page proofs wiII be sent to the author to whom all correspondence should be addressed unless otherwise specified by the authors. Proofs should be checked against the original. Authors will be charged for major alterations in the original text. Proofs not returned in time to meet publication date will either be rescheduled or published without authors' corrections, in which the Editors do not assume responsibility for any errors that might have been made in typesetting. Proofs may be returned by e-mail or fax.

Zasady publikacji

OGÓLNE ZASADY

OGÓLNE ZASADY

REVIEW OF MEDICAL PRACTICE (Rev. Med. Pract.) publikuje prace z zakresu medycyny praktycznej po ocenie dwóch niezależnych recenzentów.

REVIEW OF MEDICAL PRACTICE (Rev. Med. Pract.) publikuje prace z zakresu medycyny praktycznej po ocenie dwóch niezależnych recenzentów.

W CZASOPIŚMIE PUBLIKUJE SIĘ:

W CZASOPIŚMIE PUBLIKUJE SIĘ:

Artykuły redakcyjne i przeglądowe. Szczególnie oczekiwane są opracowania od ekspertów i specjalistów, w tym na zaproszenie Redaktora Naczelnego.

Artykuły redakcyjne i przeglądowe. Szczególnie oczekiwane opracowania od ekspertów i specjalistów, w tym na zaproszenie Redaktora Naczelnego.

Prace oryginalne kliniczne i doświadczalne z zakresu nauk medycznych z uwzględnieniem nowo stosowanych terapii oraz nowych metod diagnostycznych będą publikowane po dokonanej ocenie przez dwóch niezależnych recenzentów.

Prace oryginalne kliniczne i doświadczalne z zakresu nauk medycznych z uwzględnieniem nowo stosowanych terapii oraz nowych metod diagnostycznych będą publikowane po dokonanej ocenie przez dwóch niezależnych recenzentów.

Krótkie doniesienia dotyczące opisów przypadków klinicznych powinny uwzględniać wyjątkowe objawy lub wyniki prowadzonego leczenia. Objętość takich prac nie może przekraczać 3–5 stron, pisanych z podwójnym odstępem, wraz z jedną ryciną lub tabelą oraz piśmiennictwem maksymalnie do 10 pozycji.

Krótkie doniesienia dotyczące opisów przypadków klinicznych powinny uwzględniać wyjątkowe objawy lub wyniki prowadzonego leczenia. Objętość takich prac nie może przekraczać 3–5 stron, pisanych z podwójnym odstępem, wraz z 1 ryciną lub tabelą oraz piśmiennictwem maksymalnie do 10 pozycji.

PRZYGOTOWANIE PRACY

PRZYGOTOWANIE PRACY

Manuskrypt powinien być przygotowany w Word, z podwójnym odstępem, marginesami i numerowanymi stronami. tekście powinno znajdować zaznaczenie miejsca umieszczenia tabeli lub ryciny. Łączna objętość pracy nie może przekraczać 15 stron.

Manuskrypt powinien być przygotowany w programie Word, z podwójnym odstępem, marginesami i numerowanymi stronami. W tekście powinno znajdować się zaznaczenie miejsca umieszczenia tabeli lub ryciny. Łączna objętość pracy nie może przekraczać 15 stron.

Konieczne jest także dołączenie pisemnej zgody na publikację każdego z kierowników zakładów i klinik, z których pochodzą autorzy pracy oraz oświadczenia o braku konfliktów interesów oraz określenie udziału w pracy poprzez podanie przy nazwisku określenia: A – koncepcja i projekt badań, B – gromadzenie danych, C – analiza i interpretacja danych, D – pisanie artykułu, E – krytyczna korekta artykułu, F – ostateczne zatwierdzenie artykułu.

Konieczne jest także dołączenie pisemnej zgody na publikację każdego kierowników zakładów i klinik, z których pochodzą autorzy pracy, oraz oświadczenia o braku konfliktów interesów, a także określenie udziału w pracy poprzez podanie przy nazwisku określenia: A – koncepcja i projekt badań, B – gromadzenie danych, C – analiza i interpretacja danych, D pisanie artykułu, E – krytyczna korekta artykułu, F – ostateczne zatwierdzenie artykułu.

Strona tytułowa musi zawierać po polsku i po angielsku tytuł pracy w całości bez stosowania skrótów, skrócony tytuł, imię i nazwisko autora (autorów), nazwę miejsca pracy autora (autorów) oraz adres do korespondencji, numer telefonu i e-mail.

Strona tytułowa musi zawierać tytuł pracy po polsku i po angielsku, w całości, bez stosowania skrótów, skrócony tytuł, imię i nazwisko autora (autorów), nazwę miejsca pracy autora (autorów) oraz adres do korespondencji, numer telefonu i e-mail.

Streszczenie po polsku i po angielsku powinno uwzględniać główne elementy pracy, a w pracy oryginalnej – cel pracy, materiał i metody, wyniki i wnioski.

Streszczenie po polsku i po angielsku powinno uwzględniać główne elementy pracy, a w pracy oryginalnej – cel pracy, materiał i metody, wyniki i wnioski.

Słowa kluczowe (3–5) należy zestawić po streszczeniu w celu indeksacji opracowania.

Słowa kluczowe (3–5) należy zestawić po streszczeniu w celu indeksacji opracowania.

Piśmiennictwo powinno być zestawione w porządku cytowania lub alfabetycznie z numeracją zaznaczoną w tekście w nawiasach, np. [6]. Skróty nazw czasopism powinny być zgodne z normami Current Contens. Należy umieszczać nazwiska trzech pierwszych autorów z inicjałami imion i oznaczenie „et al.” dla pozostałych. Następnie – tytuł artykułu, nazwę czasopisma, rok, tom (numer) i strony (pierwsza i ostatnią). W przypadku cytowania materiału z monografii należy podać nazwisko i inicjały imienia autora rozdziału, nazwę rozdziału, nazwisko i mię redaktora monografii, nazwę monografii, wydawnictwo, rok, tom, strony (pierwszą i ostatnią), np.

Piśmiennictwo powinno być zestawione w porządku cytowania lub alfabetycznie z numeracją zaznaczoną w tekście w nawiasach, np. [6]. Skróty nazw czasopism powinny być zgodne z normami Current Contens. Należy umieszczać nazwiska trzech pierwszych autorów z inicjałami imion i oznaczenie „et al.” dla pozostałych. Następnie – tytuł artykułu, nazwę czasopisma, rok, tom (numer) i strony (pierwszą i ostatnią). W przypadku cytowania materiału z monografii należy podać nazwisko i inicjały imienia autora rozdziału, tytuł rozdziału, nazwisko i imię redaktora monografii, tytuł monografii, wydawnictwo, rok, tom, strony (pierwszą i ostatnią), np.:

3. Dukes M.N., Holgate S.T., Pauwels R.A. et al.: Report of an international workshop on risk and safety of asthma. Clin Exp Allergy 1994; 24: 160-165.

3. Dukes MN, Holgate ST, Pauwels RA, et al.: Report of an international workshop on risk and safety of asthma. Clin Exp Allergy, 1994;24:160-165.

4. Kay AB, Henson PM, Hunninghake GW, et al.: Cellular mechanism. - in - Holgate ST. (ed.): The role of inflammatory processes in airway hyperresponsiveness. Blackwell Scientific Publications, Oxford, London, Edingurgh, Boston, Melbourne, 1989;151-178.

4. Kay A.B., Henson P.M., Hunninghake G.W. et al.: Cellular mechanism. In: Holgate S.T., ed. The role of inflammatory processes in airway hyperresponsiveness. Oxford, London, Edingurgh, Boston, Melbourne: Blackwell Scientific Publications; 1989. 151-178.

Teksty po korekcie są kierowane na adres pierwszego autora (pocztą lub e-mailem) i powinny być odesłane w ciągu trzech dni z naniesionymi uwagami. Brak zwrotnego otrzymania korekty przyjmowany jest jako akceptacja tekstu. Redakcja zastrzega sobie prawo nanoszenia ostatecznych poprawek.

Korekty są kierowane na adres pierwszego autora (pocztą lub e-mailem) i powinny być odesłane w ciągu trzech dni z naniesionymi uwagami. Brak zwrotnego otrzymania korekty przyjmowany jest jako akceptacja tekstu. Redakcja zastrzega sobie prawo nanoszenia ostatecznych poprawek.

2023; Vol. XXIX, No. 3

Szanowni Państwo, drodzy Czytelnicy, oddaję w Państwa ręce trzeci numer XXIX tomu kwartalnika „Review of Medical Practice”.

W aktualnym wydaniu prezentujemy Państwu wiele interesujących publikacji. Na uwagę zasługuje opracowanie dr n. med. Marii J. Turos ze Studium Etyki Lekarskiej i Medycyny Paliatywnej Warszawskiego Uniwersytetu Medycznego pod tytułem Czynnik ludzki a bezpieczeństwo znieczulenia. Autorka stwierdza, że czynnik ludzki, choć na ogół uważany za subiektywny, stanowi istotny aspekt bezpieczeństwa działań, szczególnie w obszarach, w których dochodzi do interakcji z drugim człowiekiem. Dodatkowo nakładają się procedury wykorzystujące aparaturę kontrolno-pomiarową. Również komunikacja wewnątrzzespołowa jest zaliczana do istotnych czynników wchodzących w zakres prezentowanej tematyki. Świadomość, jak wielką rolę odgrywają te interakcje w zapewnieniu bezpieczeństwa pacjenta, jest istotnym czynnikiem unikania błędów.

Poruszany przez autorkę problem jest istotny, ponieważ z intuicyjnego i empirycznego punktu widzenia zarządzanie i praca zespołowa są niezbędne dla bezpieczeństwa pacjenta oraz rezultatów postępowania anestezjologicznego i opieki okołooperacyjnej. Obecne badania potwierdzają koncepcję, że podczas standaryzowanej rutynowej pracy zwykle nie jest wymagane przywództwo, ale aktywne, a nawet dyrektywne przywództwo jest ważne w nieoczekiwanych, nowych lub stresujących sytuacjach. Równie istotny w pracy zespołu jest sposób komunikacji oraz przepływ informacji pomiędzy jego członkami, którzy narażeni są na wiele czynników stresogennych, szczególnie w zdarzeniach krytycznych.

Kolejną interesującą publikacją jest artykuł Studium przypadku zespołu mozaikowej trisomii chromosomu 9 prof. Lidii Perenc z Instytutu Nauk o Zdrowiu Uniwersytetu Rzeszowskiego i współautorów. Zespół mozaiki trisomii 9 został opisany w 1973 roku przez amerykańskiego genetyka R. Haslama; w aktualnych danych uzyskanych z portalu orpha.net zaliczany jest do chorób rzadkich. W artykule omówiono przypadek kliniczny mozaikowej trisomii chromosomu 9 u niemowlęcia płci męskiej. Autorzy wskazują, że dla ustalenia prawidłowego rozpoznania należy uporządkować dane uzyskane na podstawie wywiadu, badania przedmiotowego i badań dodatkowych. W przypadku podejrzenia nieprawidłowego genotypu jako czynnika etiologicznego należy wykonać odpowiednie badania genetyczne. Warto również porównać obraz kliniczny i historię choroby pacjenta z danymi przedstawionymi w literaturze.

Z poważaniem

Redaktor Naczelna dr hab. n. med. Anna Wilmowska-Pietruszyńska, prof. UŁa

Dear Readers,

I am handing over to you the third issue of the XXIX volume of the quarterly Review of Medical Practice.

In the current issue, we present you with many interesting publications. Of particular note is the study by Dr Maria J. Turos from the Study of Medical Ethics and Palliative Medicine at the Medical University of Warsaw entitled ‚The human factor and the safety of anaesthesia’. The author states that the human factor, although generally considered subjective, is an important aspect of safe operations, especially in areas where there is interaction with another human being. In addition, procedures using control and measurement apparatus are overlaid. Intra-team communication, too, is counted among the important factors that fall within the scope of the topic presented. Awareness of how important these interactions are in ensuring patient safety is an important factor in avoiding errors.

The issue raised by the author is important because, from an intuitive and empirical point of view, management and teamwork are essential for patient safety and the outcome of anaesthetic management and perioperative care. The current research supports the concept that leadership is usually not required during standardised routine work, but active and even directive leadership is important in unexpected, new or stressful situations. Equally important in the work of a team is the way communication and information flows between team members, who are exposed to many stressors, especially in critical events.

Another interesting publication is the article Case study of mosaic trisomy 9 syndrome by Professor Lidia Perenc from the Institute of Health Sciences at the University of Rzeszów and co-authors. Mosaic trisomy 9 syndrome was described in 1973 by American geneticist R. Haslam, and is classified as a rare disease in current data obtained from the orpha. net portal. This article discusses a clinical case of mosaic trisomy 9 in a male infant. The authors point out that in order to establish a correct diagnosis, the data obtained from the history, physical examination and additional investigations should be sorted out. If an abnormal genotype is suspected as an aetiological factor, appropriate genetic tests should be performed. It is also worth comparing the patient’s clinical picture and medical history with data presented in the literature.

Yours sincerely Editor-in-Chief

dr hab. n. med. Anna Wilmowska-Pietruszyńska, prof. UŁa

Wstęp 7

Transforming mental health for

Copyright is a bundle of rights, such as the right to copy and the right to distribute, which are divisible and may be held by different parties. A licensor without all the rights should list those they have. For instance, a licensor who holds the performance rights to a recording of a song, but not the rights in the composition, should say so. Licensors should attempt to alert users of any rights held by others that may impact their ability to reuse the work.
all

Depressive disorders alone are the second leading cause of global YLDs, accounting for 5.6% of all YLDs in 2019 (see Fig. 3.7). Two important risk factors for these common mental disorders have been quantified as part of GBD 2019: childhood sexual abuse (exposure before 15 years to any unwanted sexual contact); and bullying victimization (intentional and repeated

3.7

harm of children and adolescents attending school by peers). In 2019, global age-standardized levels of lifetime exposure to childhood sexual abuse and bullying victimization in the preceding year amounted to 9.4% and 7.3%, respectively (130). Together, these modifiable risk factors accounted for 7.1% of all anxiety disorder DALYs and 9.9% of all major depressive disorder DALYs globally.

Top ten leading causes of global years lived with disability (YLDs), 2019

010,00020,00030,00040,00050,000

Source: WHO, 2019 (129)

3.2 Economic consequences

In addition to the direct costs of treatment, mental health conditions come with a variety of indirect costs associated with reduced economic productivity, higher rates of unemployment and other economic impacts.

These costs to society can be significant, often far outstripping health care costs. Researchers from the World Economic

that a broadly

conditions cost the world economy approximately US$ 2.5 trillion in 2010, combining lost economic productivity (US$ 1.7 trillion) and direct costs of care (US$ 0.8 trillion) (131). This total cost was projected to rise to US$ 6 trillion by 2030 alongside increased social costs. That’s more than the researchers projected for the costs of cancer, diabetes and chronic respiratory disease combined. LMICs were predicted to bear 35% of the cost of these mental health conditions.

FIG.
health
Forum calculated
defined set of mental
Years lived with disability (000s) % YLDS CAUSE RANK 2.8 10 Oral conditions 3.3 9 Migraine 3.4 8 Iron-deficiency anaemia 3.4 7 Gynecological diseases 3.4 6 Anxiety disorders 3.9 5 Uncorrected refractive errors 4.4 4 Diabetes melitus 4.8 3 Other hearing loss 5.6 2 Depressive disorders 5.6
1 Back and neck pain
9 World mental health report: transforming mental health for all

The indirect costs related to mental health conditions can also be significant to countries. For example, in the Philippines, an analysis calculated that in 2019 six conditions (psychosis, bipolar disorder, depressive disorders, anxiety disorders, alcohol dependence and epilepsy) cost the national economy around US$ 1.3 billion in lost productive capacity due to premature death, disability and reduced productivity while at work (132). Combined with the direct costs of care (around US$ 53 million), this amounts to 0.4% of the country’s gross domestic product.

Most recently, in 2020, a systematic review of cost-of-illness studies from around the world showed that the average annual societal cost of mental health conditions – adjusted for purchasing power parity to the US price level –ranges between US$ 1180 and US$ 18313 per treated person, depending on the condition (133). This cost includes both direct costs of treatment and other services as well as other costs such as foregone production and income.

3.3

The most costly mental health condition per person globally was found to be schizophrenia. Depressive and anxiety disorders were much less costly per treated case; but they are much more prevalent, and so majorly contribute to the overall national cost of mental health conditions. Across all conditions, nearly half the total societal cost was found to be driven by indirect costs such as reduced productivity (133)

Of course, even cost-of-illness studies do not provide a complete picture of the societal costs of mental health conditions. Typically they do not attach monetized value to people outside the paid workforce, including carers and home-makers. They only focus on productivity losses, rather than on other social factors that individuals may value more, such as interpersonal relationships. And, importantly, they do not include intangible costs such as any psychological pain experienced (133)

Gaps in public mental health

In addition to affecting every country in the world and being costly, mental health conditions are also severely underserved. Results from the latest assessment in WHO Member States – the Mental health atlas 2020 – show that mental health systems all over the world continue to be marked by major gaps in governance, resources, services, information and technologies for mental health (see Fig. 3.8). These gaps are important because they can severely hamper a country’s mental health response. The sections that follow highlight the defining features of some of the key gaps.

3.3.1 The information gap

Limited mental health data

In part, the information gap is about countries’ capacities for gathering, reporting and monitoring reliable, up-to-date mental health data, including on policies and laws, workforces and services.

There has been much progress in the past decade. Since 2014, the vast majority of countries (88–91%) consistently report data on mental health to WHO (5). And 76% of WHO Member States confirmed their ability to report against five core mental health indicators, compared with 60% in 2014 and 62% in 2017.

10 Chapter 3 World mental health today

FIG. 3.8

A snapshot of key gaps in public mental health

INCOMPLETE DATA

INFORMATION GAP

Most countries report data to WHO but these are often incomplete.

GOVERNANCE GAP

RESOURCES GAP

SERVICES GAP

INADEQUATE POLICIES, PLANS AND LAWS

Only 21% of countries report implementing policies and plans that fully comply with human rights instruments.

SCANT SPENDING

Countries spend on average just 2% of their health budget on mental health.

LACK OF ESSENTIAL MEDICINES

In LMICs, essential psychotropics are often unavailable or unaffordable.

POOR TREATMENT COVERAGE

71% of people with psychosis do not receive mental health services.

But often the data that are reported are incomplete, particularly on service availability and use, which can be difficult to track. Nearly half of countries said they regularly compile data on

INSUFFICIENT RESEARCH

Less than 5% of mental health research funding goes to LMICs.

Most research is basic rather than clinical or applied.

MISPLACED PRIORITIES

Two out of every three dollars spent on mental health goes to running psychiatric hospitals.

SCARCE WORKFORCE

In low-income countries, there are fewer than one mental health worker per 100 000 population.

DIGITAL DIVIDE

Most households in least developed countries do not have internet access

LIMITED RANGE AND QUALITY OF SERVICES

Few countries provide psychosocial interventions in primary care.

Few LMICs provide income, housing, employment or education support.

mental health service activity in the public sector for policy, planning or management. In most cases, especially among low-income countries, these data are only compiled as part of general

11 World mental health report: transforming mental health for all

health statistics and are not available for reporting to WHO. A quarter of LMICs had not compiled any mental health data in the past two years.

In many cases, data reported from LMICs come exclusively from public psychiatric hospitals, and do not include mental health services and interventions provided in general hospitals, community settings, primary health care, schools or the private sector (134). This is a major limitation, given the importance of moving mental health care away from psychiatric hospitals to community-based settings (see Chapter 7 Restructuring and scaling up care for change) and the need to keep watch over these changes.

The lack of comprehensive, independent and comparable data poses a major barrier to monitoring and accountability in mental health. To address this challenge, the Countdown Global Mental Health 2030 initiative uses a broad and integrated set of indicators to track progress in mental health (135). These indicators, which to date have focused on child and caregiver mental health, extend beyond those captured by existing mental health service surveys such as WHO’s Mental health atlas to also include data on the determinants of mental health and on factors that shape the demand or need for mental health care. They are available through an interactive, publicly-accessible dashboard, which the initiative intends for use to inform action towards improved mental health (136).

Insufficient and imbalanced research

The second part of the information gap is a gap in research that could help countries develop and implement relevant and tailored intervention strategies. Analyses by the Mental health atlas 2020 show that while the absolute level of mental health research output (as measured by published studies reflected in research databases) has risen by 12% since 2013, other health research output has risen even faster, so the proportion of health research that focuses on mental health is slightly falling (from 5.0% in 2013 to 4.6% in 2019).

The Mental health atlas 2020 also reveals major differences in mental health research across regions and income groups. In particular, the proportion of a country’s health research output that focuses on mental health is nearly three times greater in high-income countries compared with low-income countries (see Fig. 3.9).

Proportion of national health research focused on mental health across income groups

4.6%

of health research globally focuses on mental health

Source: WHO, 2021 (5).

A recent analysis of inequities in mental health research funding shows that 99% of research is funded by high-income countries, and most research in mental health is done in high-income countries, with less than 5% of research funding going to LMICs (137). Where high-profile research is done in LMICs, it is often led by researchers from, or based in, high-income countries, so reinforcing power asymmetries (138)

About US$ 3.7 billion a year is spent globally on mental health research worldwide – an estimated 7% of global health research funding (137). Overall, more than half (56%) of all global funding for mental health research is spent on

FIG. 3.9
Highincome Upper-middleincome Lowermidldle-income Lowincome Proportion of national research output 2.7% 3.9% 5.2% 8.0% 12 Chapter 3 World mental health today

basic research rather than clinical or applied research (see Fig. 3.10). Moreover, some fields of mental health are underfunded compared with others. Most notably, suicide and self-harm,

3.10

which is the subject of the only explicit SDG indicator on mental health, receives less than 1% of the overall mental health research funding.

Most mental health research is focused on the basic end of the spectrum

Source: Woelbert et al, 2020 (137)

3.3.2 The governance gap

Inadequate policies, plans and laws

Well-defined policies, plans and laws provide the basis for action on mental health. Assuming they are appropriately and fully implemented, they are the mainstay of good governance.

In total, 146 countries (86% of WHO Member States) reported having a mental health policy or plan in place – either stand-alone or integrated into general health policies or plans. Slightly more than half (56%) of responding countries reported updating their mental health plans within the past two years. Around 90 countries

FIG.
PROPORTION OF MENTAL HEALTH RESEARCH BASIC RESEARCH APPLIED RESEARCH Underpinning Aetiology Prevention Detection, screening and diagnosis Treatment development 21.2% 34.8% 7.1% 5.4% 4.6% 0% 10% 20% 30% 40% 50% 60% 70% 80% 90% 100% Treatment evaluation 12.1% Disease management 7.2% Health services 7.6% US$ 2075m US$ 998m US$ 633m 13 World mental health report: transforming mental health for all

(fewer than half of WHO Member States) had a plan specifically for children and adolescents. A third of these had not been updated since 2017.

But simply having a plan in place is not enough to meet mental health care needs: plans need to comply with human rights instruments, be fully resourced and implemented, and regularly monitored and evaluated.

Only half (51%) of WHO Member States reported that their mental health policies or plans fully complied with human rights instruments. About a third (31%) reported plans that were being implemented. And only 21% of WHO Member States reported policies

3.11

or plans that were being implemented and fully compliant with human rights instruments. This proportion varied significantly across income groups, from 32% for upper-middle-income countries to just 3% for low-income countries (see Fig. 3.11).

Few countries monitored the implementation of their mental health policies or plans effectively. Only 23% of responding countries reported using indicators or targets to monitor most or all the components of their mental health plan. A third of responding countries reported using indicators to monitor some components of their plan. Nearly a quarter reported having no indicators at all.

The state of national mental health policies and plans grouped according to countries’ income

Countries with a policy or plan

Countries that report a fully compliant policy or plan

Countries that report implementing a fully compliant policy or plan

Source: WHO, 2021 (5).

A similar pattern is seen in mental health legislation: 80% of WHO Member States reported having a stand-alone or integrated law for mental health; but only 38% reported that their laws were fully compliant with human rights instruments; and only 28% reported having fully compliant laws that were in the process of implementation.

Again, there was a wide gap between income groups, with 40% of high-income WHO Member States having a fully compliant law in the process of implementation, compared with just 3% of low-income WHO Member States. For both policies and legislation, people with mental health conditions remain

FIG.
GLOBAL HIGH-INCOME UPPERMIDDLE-INCOME LOWERMIDDLE-INCOME LOW-INCOME 83% 78% 89% 87% 86% 45% 45% 50% 60% 51% 3% 14% 32% 25% 21% 14 Chapter 3 World mental health today

poorly represented in decision-making and development processes of most countries, as well as in the accountability mechanisms that monitor, evaluate and report compliance with human rights instruments (139).

Disparities and misplaced priorities

Within broader health policies and plans, most LMICs give low priority to mental health compared with other burdensome health conditions such as communicable and noncommunicable diseases. Mental health resources are also unfairly distributed across countries, regions and communities. So populations with high rates of socioeconomic deprivation end up having the lowest access to care (140). Urban areas tend to be better resourced than rural ones.

Adult mental health services are typically prioritized over services for children or older adults, leading to less available or appropriate care for these groups. Targeted services are also deficient for many marginalized groups such as indigenous peoples, ethnic and sexual minorities, homeless people, refugees, and migrants. Importantly, it is not only people in low-income countries that receive less accessible and poorer quality care, but also less privileged groups within all countries (141)

Across all population groups, providing beds and treatment in institutions is consistently prioritized over making services available in the community. Across both staff and budgets, most resources available for mental health end up concentrated in psychiatric hospitals, especially in LMICs. More than 70% of mental health expenditure in middle-income countries (compared with 35% in high-income countries) goes towards psychiatric hospitals, which largely cater for people with severe mental health conditions (5) In low-income countries psychiatric hospitals use up similarly large, if not larger, proportions of the mental health budget. Overall, stand-alone inpatient psychiatric hospitals account for two out of every three

Most countries spent less than 20% of their mental health budget on community mental health services.

dollars (66%) spent globally by governments on mental health (5). This is an inefficient way of using resources for mental health.

In 2019, most of the reporting countries (67%) spent less than 20% of their mental health budget on community mental health services. Around 80% of countries spent less than 20% on mental health in general hospitals and similarly 80% of countries spent less than 20% on mental health in primary care. Expenditures on prevention and promotion programmes were even less common (5).

International funders similarly side-line mental health, giving it only a fraction of the funding that other health conditions receive and often focusing on short-term projects rather than supporting design and delivery of long-term mental health systems. While health budget allocation should never be based on burden alone, burden is a factor to be considered when setting priorities for health interventions. From 2006 to 2016, just 0.3% of global development assistance for health went to mental health (142). In comparison, the control of sexually-transmitted infections (STIs), including HIV/AIDS, received almost 50% of global development assistance for health in the same timeframe – even though the burden in DALYs attributed to mental disorders was more than three times as great as that of STIs (143).

15 World mental health report: transforming mental health for all

Transforming mental health for all

World mental health report: transforming mental health for all.© Światowa Organizacja Zdrowia 2022. Niektóre prawazastrzeżone. Ta praca jest dostępna na licencji Creative Commons-Uznanie autorstwa-Użycie niekomercyjne- licencja IGO 3.0 (CC BY-NC-SA 3.0 IGO; https://creativecommons.org/licenses/by-nc-sa/3.0/igo ). „Tłumaczenie to nie zostało stworzone przez Światową Organizację Zdrowia (WHO). WHO nie ponosi odpowiedzialności za treść lub dokładność tego tłumaczenia. Oryginalna wersja angielska jest wersją wiążącą i autentyczną”. Zarówno tekst oryginalny, jak również tłumaczenie na język polski uległo zmianie redakcyjnej poprzez pominięcie treści niestanowiących merytorycznej części raportu. Tekst źródłowy oryginalny ISBN 978-92-4-004933-8 (electronic version) HYPERLINK “https://www.who.int/publications/i/item/9789240049338%5b”https:// www.who.int/publications/i/item/9789240049338 [dostęp na dzień 27.09.2022 r.] Światowa Organizacja Zdrowia.

16

Same zaburzenia depresyjne są drugą wiodącą przyczyną YLDs na świecie, stanowiąc 5,6% wszystkich YLDs w 2019 r. (zob. rys. 3.7). Dwa ważne czynniki ryzyka tych powszechnych zaburzeń psychicznych zostały określone ilościowo w ramach GBD 2019. Są to: wykorzystywanie seksualne w dzieciństwie (narażenie przed 15. r.ż. na niechciany kontakt seksualny) oraz prześladowanie przez

Rys. 3.7

rówieśników (celowe i powtarzające się u dzieci i młodzieży uczęszczających do szkoły). W 2018 i 2019 r. poziom narażenia na świecie na wykorzystywanie seksualne w dzieciństwie i znęcanie się wyniosły 9,4% i 7,4% (130). Łącznie te modyfikowalne czynniki ryzyka stanowiły 7,1% wszystkich DALYs związanych z zaburzeniami lękowymi i 9,9% wszystkich DALYs na całym świecie.

Dziesięć głównych przyczyn lat przeżytych z niepełnosprawnością na świecie (YLDs), 2019

Ból pleców i szyi

Zaburzenia depresyjne

Inne ubytki słuchu

Cukrzyca

Nieskorygowane wady refrakcji

Zaburzenia lękowe

Choroby ginekologiczne

Niedokrwistość z niedoboru żelaza

Migrena

Choroby jamy ustnej

Źródło: WHO, 2019 (129).

Lata przeżyte z niepełnosprawnością (w tys.)

3.2 Konsekwencje ekonomiczne

Oprócz bezpośrednich kosztów leczenia choroby psychiczne wiążą się z różnymi kosztami pośrednimi związanymi ze zmniejszoną produktywnością ekonomiczną, wyższymi wskaźnikami bezrobocia i innymi skutkami ekonomicznymi.

Te koszty dla społeczeństwa mogą być znaczące, często znacznie przewyższają koszty opieki zdrowotnej. Naukowcy ze Światowego Forum Ekonomicznego obliczyli, że szeroko zdefiniowane zaburzenia zdrowia psychicznego kosztowały

światową gospodarkę ok. 2,5 USD w 2010 r., obejmując utraconą produktywność (1,7 bln USD) i bezpośrednie koszty opieki (0,8 bln USD) (131). Przewidywano, że ten całkowity koszt wzrośnie do 6 bln USD do 2030 r. wraz ze wzrostem kosztów społecznych. To więcej niż naukowcy przewidywali na koszty nowotworów, cukrzycy i przewlekłych chorób układu oddechowego łącznie. Przewiduje się, że kraje o niskich i średnich dochodach poniosą 35% kosztów tych chorób psychicznych.

17 % YLDS PRZYCZYNA POZYCJA 2.8 10 3.3 9 3.4 8 3.4 7 3.4 6 3.9 5 4.4 4 4.8 3 5.6 2 5.6 1 0 10,000 20,000 30,00040,00050,000 Rozdział 3. Dzisiejsze zdrowie psychiczne na świecie

Koszty pośrednie związane ze zdrowiem psychicznym mogą być również istotne dla poszczególnych krajów. Na przykład na Filipinach przeprowadzono analizę, w której obliczono, że w 2019 r. sześć schorzeń (psychoza, choroba afektywna dwubiegunowa, zaburzenia depresyjne, zaburzenia lękowe, uzależnienie od alkoholu i padaczka) kosztowały gospodarkę krajową około 1,3 mld USD w utraconej zdolności do pracy z powodu przedwczesnego zgonu, niepełnosprawności i zmniejszonej produktywności podczas pracy (132). W połączeniu z bezpośrednimi kosztami opieki zdrowotnej (około 53 mln USD) stanowi to 0,4% produktu krajowego brutto.

Najnowsze, przeprowadzone w 2020 r., systematyczne badania kosztów chorób na całym świecie wykazały, że średni roczny koszt społeczny chorób psychicznych ‒ skorygowany o parytet siły nabywczej do poziomu cen w USA ‒ waha się między 1180 USD a 18313 USD na leczenie jednej osoby, w zależności od schorzenia (133). Koszt ten obejmuje zarówno bezpośrednie koszty leczenia i innych świadczeń, jak i inne koszty, takie jak utracona produkcja i dochody.

Schizofrenia okazała się najbardziej kosztowną chorobą psychiczną na świecie w przeliczeniu na osobę. Zaburzenia depresyjne i lękowe były znacznie mniej kosztowne w przeliczeniu na leczoną osobę, ale z powodu ich dużego rozpowszechnienia w znacznym stopniu przyczyniają się do wzrostu całkowitych kosztów chorób psychicznych w kraju. Stwierdzono, że we wszystkich zaburzeniach prawie połowa całkowitych kosztów społecznych wynika z kosztów pośrednich, takich jak zmniejszona produktywność (133).

Niestety, nawet analizy kosztów chorób nie oddają pełnego obrazu społecznych kosztów chorób psychicznych. Zazwyczaj nie przypisują one wartości pieniężnej osobom niebędącym płatnymi pracownikami, w tym opiekunom i osobom zajmującym się domem. Koncentrują się jedynie na utracie produktywności, a nie na innych czynnikach społecznych, które mogą być bardziej cenione, takich jak relacje międzyludzkie. Ponadto nie są uwzględniane koszty niematerialne, takie jak ból psychiczny (133).

3.3 Luki w publicznym zdrowiu psychicznym

Oprócz wpływu na każdy kraj na świecie i koszty choroby psychiczne są również wysoce zaniedbane. Wyniki najnowszych badań w państwach członkowskich WHO – Atlas zdrowia psychicznego 2020 ‒ pokazują, że systemy zdrowia psychicznego na całym świecie nadal charakteryzują poważne braki w zarządzaniu, zasobach i usługach, informacji i technologii dla zdrowia psychicznego (zob. rys. 3.8). Braki te są istotne, ponieważ mogą poważnie utrudnić działania w zakresie zdrowia psychicznego w kraju. W kolejnych wdrożonych sekcjach podkreślono cechy definiujące niektóre z najważniejszych braków.

3.3.1 Luka informacyjna

Ograniczone dane dotyczące zdrowia psychicznego

W części przypadków luka informacyjna dotyczy zdolności państw do zbierania, raportowania i monitorowania rzetelnych i aktualnych danych dotyczących zdrowia psychicznego, w tym danych dotyczących polityki i przepisów, personelu medycznego oraz świadczeń zdrowotnych.

W ostatniej dekadzie zaobserwowano duży postęp. Od 2014 r. zdecydowana większość krajów (88–91%) regularnie przekazuje dane dotyczące zdrowia psychicznego do WHO (5). Ponadto 76% państw członkowskich WHO potwierdziło swoją zdolność do raportowania na podstawie pięciu kluczowych wskaźników zdrowia psychicznego, w porównaniu do 60% w 2014 i 62% w 2017 r.

18 Światowy raport na temat zdrowia psychicznego

Rys. 3.8

Główne luki w dziedzinie publicznego zdrowia psychicznego

NIEKOMPLETNE DANE

LUKA INFORMACYJNA

• Większość krajów przekazuje dane do WHO, ale często są one niekompletne.

LUKI ZARZĄDZANIA

LUKA W ZASOBACH

LUKA W USŁUGACH

NIEOPOWIEDNIA POLITYKA, PLANY I PRZEPISY

• Tylko 21% krajów informuje o wdrożeniu polityki i planów, które w pełni są zgodne z instrumentami praw człowieka.

SKROMNE WYDATKI

• Kraje wydają średnio zaledwie 2% swego budżetu zdrowotnego na zdrowie psychiczne.

BRAK NIEZBĘDNYCH LEKÓW

• W krajach o niskich i średnich dochodach niezbędne leki psychotropowe są często niedostępne lub nieosiągalne finansowo.

NISKA DOSTĘPNOŚĆ

LECZENIA

• 71% osób z psychozą nie otrzymuje świadczeń z zakresu zdrowia psychicznego.

Często dane, które są zgłaszane, są niekompletne, zwłaszcza jeśli chodzi o dostępność i wykorzystanie świadczeń, co może być trudne do wykrycia. Prawie połowa krajów stwierdziła, że regularnie zbiera dane dotyczące świadczeń w zakresie zdrowia psychicznego w sektorze publicznym do polityki, planowania lub zarządzania. W większości przypadków,

NIEDOSTATECZNA LICZBA BADAŃ

• Mniej niż 5% środków na badania nad zdrowiem psychicznym trafia do krajów o niskich i średnich dochodach.

• Większość z nich to badania podstawowe, a nie kliniczne czy stosowane.

BŁĘDNE PRIORYTETY

• Dwa z trzech wydawanych dolarów na zdrowie psychiczne trafia na utrzymanie szpitali psychiatrycznych.

NIEDOBÓR PERSONELU MEDYCZNEGO

• W krajach o niskich dochodach przypada mniej niż jeden pracownik zajmujący się zdrowiem psychicznym na 100 tys. mieszkańców.

CYFROWA PRZEPAŚĆ

• Większość gospodarstw domowych w krajach o najniższym poziomie rozwoju nie ma dostępu do internetu.

OGRANICZONY ZAKRES

I JAKOŚĆ USŁUG

• Niewiele krajów podejmuje interwencje psychospołeczne w zakresie opieki podstawowej.

• Mała liczba krajów o niskich i średnich dochodach zapewnia wsparcie związane z dochodami, mieszkaniem, zatrudnieniem lub edukacją.

zwłaszcza w krajach o niskich dochodach, te dane są zbierane tylko jako część ogólnych statystyk zdrowia i nie są dostępne do raportowania w WHO. Jedna czwarta krajów o niskich i średnich dochodach nie zbierała żadnych danych dotyczących zdrowia psychicznego w ciągu ostatnich dwóch lat.

19 Rozdział
Dzisiejsze zdrowie psychiczne na świecie
3.

Światowy raport na temat zdrowia psychicznego

W wielu przypadkach dane zgłaszane z krajów o niskich i średnich dochodach pochodzą wyłącznie z publicznych szpitali psychiatrycznych i nie obejmują świadczeń i interwencji z zakresu zdrowia psychicznego świadczonych w szpitalach ogólnych, placówkach społecznych, opiece podstawowej, szkołach lub sektorze prywatnym (134). Jest to istotne ograniczenie, biorąc pod uwagę znaczenie przenoszenia opieki zdrowotnej w zakresie zdrowia psychicznego ze szpitali psychiatrycznych do placówek przychodni środowiskowej opieki społecznościowej (zob. rozdz. 7: Przebudowa i skalowanie opieki w celu wprowadzenia zmian) oraz konieczność monitorowania tych zmian.

Brak kompleksowych, niezależnych i porównywalnych danych stanowi istotną przeszkodę w monitorowaniu i odpowiedzialności w zakresie zdrowia psychicznego. Aby stawić czoło temu wyzwaniu, inicjatywa Countdown Global Mental Health 2030 używa szerokiego i zintegrowanego zestawu wskaźników do śledzenia postępów w dziedzinie zdrowia psychicznego (135). Te wskaźniki, które dotychczas skupiały się na zdrowiu psychicznym dzieci i opiekunów, wykraczają poza te, które są rejestrowane w dotychczasowych badaniach dotyczących świadczeń zdrowia psychicznego, takich jak Atlas Zdrowia Psychicznego WHO, i obejmują także dane dotyczące czynników determinujących zdrowie psychiczne i kształtujących zapotrzebowanie na świadczenia zdrowia psychicznego. Są one dostępne poprzez interaktywną, publicznie dostępną tablicę informacyjną, którą zamierza się wykorzystać do informowania o działaniach mających na celu poprawę zdrowia psychicznego (136).

Niewystarczające i niesymetryczne badania

Drugą część luki informacyjnej stanowi luka w badaniach, które mogłyby pomóc krajom w opracowaniu i wdrożeniu odpowiednich i dostosowanych strategii interwencyjnych. Analizy dokonane w ramach Atlasu Zdrowia Psychicznego 2020 pokazują, że choć ogólny poziom wyników badań nad zdrowiem psychicznym (mierzony liczbą opublikowanych badań uwzględnionych w bazach danych badawczych) wzrósł o 12% od 2013 r., to wyniki badań nad innymi dziedzinami zdrowia wzrosły jeszcze szybciej, więc proporcja badań nad zdrowiem psychicznym nieco spadła (z 5,0% w 2013 do 4,6% w 2019 r.).

Atlas Zdrowia Psychicznego 2020 ujawnia również istotne różnice w badaniach nad zdrowiem psychicznym w różnych regionach i grupach dochodowych. Proporcja wyników badań nad zdrowiem psychicznym w ramach badań zdrowia w danym kraju jest niemal trzykrotnie większa w krajach o wysokich dochodach w porównaniu z krajami o niskich dochodach (zob. rys. 3.9).

Rys. 3.9

Proporcja badań zdrowia skoncentrowanych na zdrowiu psychicznym według grup dochodowych

globalnych nakładów finansowych na badania zdrowia psychicznego

badań

Proporcja wyników

kraje o niskich dochodach kraje o niższych średnich dochodach

kraje o wyższych średnich dochodach

kraje o wysokich dochodach

Źródło: WHO, 2021 (5).

Niedawno przeprowadzona analiza nierówności w finansowaniu badań nad zdrowiem psychicznym pokazuje, że 99% badań jest finansowanych przez kraje o wysokich dochodach. Większość badań nad zdrowiem psychicznym prowadzona jest w krajach o wysokich dochodach, przy czym mniej niż 5% funduszy na badania trafia do krajów o niskich i średnich dochodach (137). Tam, gdzie prowadzi się badania o dużym znaczeniu w krajach o niskich i średnich dochodach, są one często prowadzone przez badaczy z krajów o wysokich dochodach, co wzmacnia nierównowagę sił (138).

Na świecie wydaje się około 3,7 mld dolarów rocznie na badania nad zdrowiem psychicznym, co stanowi szacunkowo 7% globalnych środków przeznaczanych na badania zdrowia (137). Ogólnie ponad połowa (56%) wszystkich globalnych środków na bada-

20 4,6% 2,7% 3,9% 5,2% 8,0%

Rozdział 3. Dzisiejsze zdrowie psychiczne na świecie

nia nad zdrowiem psychicznym jest przeznaczana na badania podstawowe, a nie na badania kliniczne czy wdrożone (zob. rys. 3.10). Ponadto niektóre dziedziny zdrowia psychicznego są niedofinansowane w porównaniu do innych. Najbardziej wymownym przykładem są samobójstwa i samookaleczenia,

Rys. 3.10

które stanowią temat jedynego wyraźnego wskaźnika dotyczącego zdrowia psychicznego, jakim są Wskaźniki Celów Zrównoważonego Rozwoju (ang. Sustainable Development Goals – SDGs), które dotyczą mniej niż 1% ogólnego finansowania na badania nad zdrowiem psychicznym.

Większość prowadzonych badań nad zdrowiem psychicznym koncentruje się na podstawowych badaniach teoretycznych.

WSPÓŁCZYNNIK BADAŃ ZDROWIA PSYCHICZNEGO

Świadczenia zdrowotne

Zarządzanie chorobą

Ocena leczenia

Rozwój leczenia

Wykrywanie, badania przesiewowe i diagnoza

Profilaktyka

Etiologia

Podstawy

Źródło: Woelbert et al, 2020 (137).

3.3.2 Luki w zarządzaniu

Niewystarczająca polityka, plany i przepisy prawne

Jasno określona polityka, plany i przepisy prawne stanowią podstawę działań związanych ze zdrowiem psychicznym. Zakładając, że są odpowiednio i w pełni wdrożone, stanowią fundament dobrze funkcjonującego zarządzania.

Łącznie 146 krajów (86% członków WHO) zgłosiło przygotowanie polityki lub planów zdrowia psychicznego ‒ zarówno niezależnych, jak i zintegrowanych z ogólnymi politykami lub planami zdrowia. Nieco ponad połowa krajów (56%), które zgłosiły swoje dane, podała, że zaktualizowała plany zdrowia psychicznego w ciągu ostatnich dwóch lat. Około 90 krajów (mniej niż połowa państw członkowskich WHO) opracowała plany specjalnie przeznaczone

21 21,2% 34,8% 7,1% 5,4% 4,6% 0% 10% 20% 30% 40% 50% 60% 70% 80% 90% 100% 12,1% 7,2% 7,6%
BADANIA PODSTAWOWE BADANIA STOSOWANE 998 mln USD 2075 mln USD 633 mln USD

dla dzieci i młodzieży. Jedna trzecia z nich nie była aktualizowana od 2017 r.

Posiadanie planu nie wystarcza jednak do zaspokojenia potrzeb opieki zdrowotnej w dziedzinie zdrowia psychicznego: plany te muszą być zgodne z prawami człowieka, muszą być w pełni finansowane i wdrażane, a także regularnie monitorowane i oceniane.

Tylko połowa (51%) państw członkowskich WHO zgłosiła, że ich polityka lub plany zdrowia psychicznego są w pełni zgodne z prawami człowieka. Około jedna trzecia (31%) zgłosiła, że plany są w trakcie wdrażania. Tylko 21% państw członkowskich WHO zgłosiło, że ich polityka lub plany są wdrażane

Rys. 3.11

i w pełni zgodne z prawami człowieka. Ten odsetek różnił się istotnie w zależności od grup dochodowych, wynosząc 32% dla krajów o wyższych średnich i zaledwie 3% dla krajów o niskich dochodach (zob. rys. 3.11).

Niewiele krajów efektywnie monitorowało wdrażanie swojej polityki i planów dotyczących zdrowia psychicznego. Tylko 23% krajów, które wzięły udział w badaniu, zgłosiło, że stosuje wskaźniki do monitorowania większości lub wszystkich składników swojego planu zdrowia psychicznego. Jedna trzecia krajów zgłosiła, że stosuje wskaźniki do monitorowania niektórych składników swojego planu. Niemal jedna czwarta zgłosiła, że nie stosuje żadnych wskaźników.

Stan polityki i planów zdrowia psychicznego pogrupowanych według dochodów krajów

Kraje posiadające politykę lub plan niskie dochody niższe średnie dochody wyższe średnie dochody wysokie dochody ogółem

Kraje, które zgłaszają w pełni zgodną politykę lub plan

Kraje, które zgłaszają wdrożenie w pełni zgodnej polityki lub planu

Źródło: WHO, 2021 (5).

Podobny wzorzec można zauważyć w ustawodawstwie związanym ze zdrowiem psychicznym: 80% państw członkowskich WHO zgłosiło posiadanie niezależnej lub zintegrowanej ustawy dotyczącej zdrowia psychicznego, jednak tylko 38% zgłosiło, że ich ustawy są w pełni zgodne z prawami człowieka, a jedynie 28% podało, że ich ustawy są w pełni zgodne i znajdują się w procesie wdrażania.

Ponownie istniała znaczna różnica między grupami dochodowymi, gdzie 40% państw członkowskich WHO o wysokim dochodzie posiadało w pełni zgodne prawo w procesie wdrażania, w porównaniu z zaledwie 3% państw członkowskich WHO o niskim dochodzie. Zarówno w przypadku polityki, jak i ustawodawstwa osoby z zaburzeniami psychicznymi są słabo reprezentowane w procesach decyzyjnych i rozwoju większości krajów, a także w mechani-

22 83% 78% 89% 87% 86% 45% 45% 50% 60% 51% 3% 14% 32% 25% 21%
Światowy raport na temat zdrowia psychicznego

zmach odpowiedzialności, które monitorują, oceniają i raportują zgodność z prawami człowieka (139).

Nierówności i niewłaściwe priorytety

W ramach ogólnej polityki i planów zdrowotnych w większości krajów o niskim i średnim dochodzie zdrowie psychiczne nie stanowi priorytetu w porównaniu z innymi schorzeniami, takimi jak choroby zakaźne i niezakaźne. Zasoby związane ze zdrowiem psychicznym są również nierówno rozprowadzone między kraje, regiony i społeczności, dlatego populacje z wysokimi wskaźnikami ubóstwa mają najmniejszy dostęp do opieki (140). Obszary miejskie są zazwyczaj lepiej finansowane niż obszary wiejskie.

Świadczenia z zakresu zdrowia psychicznego dla dorosłych zwykle mają wyższy priorytet niż świadczenia dla dzieci lub osób starszych, co prowadzi do mniejszej dostępności lub odpowiedniej opieki dla tych grup. Brakuje również ukierunkowanych usług dla wielu grup, takich jak rdzenni mieszkańcy, mniejszości etniczne i seksualne, osoby bezdomne, uchodźcy i migranci. Co istotne, nie tylko osoby w krajach o niskich dochodach otrzymują mniej dostępnej i gorszej jakości opieki, ale także mniej uprzywilejowane grupy we wszystkich krajach (141).

Dla wszystkich grup ludności priorytetem jest ciągłe zapewnianie łóżek i leczenia w szpitalach zamiast udostępniania usług w społeczności. W przypadku zarówno personelu, jak i budżetów większość zasobów dostępnych dla zdrowia psychicznego skupia się w szpitalach psychiatrycznych, zwłaszcza w krajach o niskim i średnim dochodzie. Ponad 70% wydatków na zdrowie psychiczne w krajach o średnich dochodach (w porównaniu z 35% w krajach o wysokich dochodach) kierowane jest na szpitale psychiatryczne, które głównie zajmują się osobami z ciężkimi zaburzeniami psychicznymi (5). Podobnie w krajach o niskich dochodach na szpitale psychiatryczne przeznaczona jest duża, jeśli nie większa, część budżetu na zdrowie psychiczne. Ogólnie rzecz biorąc, niezależne szpitale psychiatryczne odpowiadają za dwie trzecie (66%) wydatków ponoszonych na świecie przez rządy na zdrowie psychiczne (5).

Większość krajów na świadczenia środowiskowe w zakresie zdrowia psychicznego wydała poniżej 20%

swojego budżetu przeznaczonego na zdrowie psychiczne.

Jest to nieefektywny sposób wykorzystywania zasobów na rzecz zdrowia psychicznego.

W 2019 r. większość badanych krajów (67%) przeznaczyła mniej niż 20% swojego budżetu na świadczenia zdrowia psychicznego w społeczności. Około 80% krajów wydawało mniej niż 20% na ogólnospołeczne świadczenia zdrowia psychicznego i podobnie 80% krajów przeznaczyło mniej niż 20% na zdrowie psychiczne w opiece podstawowej. Wydatki na programy zapobiegania i promocji były jeszcze mniejsze (5).

Międzynarodowi darczyńcy podobnie nie uznają znaczenia zdrowia psychicznego, przyznając mu tylko ułamek środków, przeznaczonych na inne schorzenia, często skupiając się na projektach krótkoterminowych, zamiast wspierać wdrażanie długoterminowych systemów opieki nad zdrowiem psychicznym. Choć alokacja budżetu zdrowotnego nigdy nie powinna opierać się wyłącznie na obciążeniu, obciążenie jest czynnikiem, który należy uwzględnić przy ustalaniu priorytetów dla interwencji zdrowotnych. W latach 2006‒2016 zaledwie 0,3% międzynarodowej pomocy rozwojowej na rzecz zdrowia trafiło na potrzeby zdrowia psychicznego (142), a na kontrolowanie chorób przenoszonych drogą płciową (STI), w tym HIV/AIDS, wydatkowano niemal 50% międzynarodowej pomocy rozwojowej na rzecz zdrowia w tym samym okresie, mimo że obciążenie chorobami psychicznymi w latach życia (DALYs – lata życia skorygowane niepełnosprawnością) było ponad trzykrotnie większe niż w przypadku chorób przenoszonych drogą płciową (143).

23 Rozdział 3. Dzisiejsze zdrowie psychiczne na świecie

STRESZCZENIE

Czynnik ludzki a bezpieczeństwo znieczulenia

Maria J. Turos

ORCID: 0000-0003-1342-9218

Centrum Nauk Humanistycznych i Społecznych Medycyny, Studium Etyki Lekarskiej i Medycyny Paliatywnej Warszawski Uniwersytet Medyczny, Warszawa

DOI: 10.26399/rmp.v29.3.2023.9/m.j.turos

Czynnik ludzki a bezpieczeństwo znieczulenia

Turos M.J.

Centrum Nauk Humanistycznych i Społecznych Medycyny, Studium Etyki Lekarskiej i Medycyny Paliatywnej Warszawski Uniwersytet Medyczny, Warszawa

Czynnik ludzki, choć na ogół uważany za rzecz subiektywną, stanowi istotny aspekt bezpieczeństwa działań, szczególnie w obszarach, gdzie dochodzi do interakcji z drugim człowiekiem. Nie inaczej jest w anestezjologii, w której dodatkowo nakładają się jeszcze procedury wykorzystujące aparaturę kontrolno-pomiarową. Nie bez znaczenia jest tu również komunikacja wewnątrzzespołowa, zaliczana do istotnych czynników wchodzących w zakres prezentowanego pojęcia. Świadomość, jak wielką rolę odgrywają te interakcje w zapewnieniu bezpieczeństwa pacjenta, jest jednym z istotnych czynników unikania błędów, niejednokrotnie trudnych do jednoznacznego określenia.

Słowa kluczowe: czynnik ludzki, anestezjologia, bezpieczeństwo pacjenta, komunikacja w zespole

Pojęcie „czynnik ludzki” bądź też używane zamiennie „czynniki ludzkie”, stanowiące określenie dyscypliny wiedzy zajmującej się gromadzeniem informacji teoretycznych oraz danych praktycznych dotyczących parametrów bezpieczeństwa zależnych od człowieka w kontekście jego poczynań zawodowych w swoistym trójkącie interakcji człowiek podmiot działający – maszyna – człowiek, ku któremu (lub zamiennie dla którego) skierowane jest podjęte działanie, bądź w kooperacji, z którym wykonywana jest określona procedura [1], od połowy lat 50. XX w. zaczyna zdobywać coraz znaczniejszą pozycję w obrębie psychologii pracy. Dotyczy to szczególnie grup zawodowych zaliczanych do kategorii wysokiego ryzyka i zaowocowało powstaniem samodzielnych, interdyscyplinarnych placówek badawczych uwzględniających tę problematykę jako główny obszar zainteresowań i skupiających w swoim składzie m.in. socjologów, psychologów (szczególnie

ABSTRACT

The Human Factor and the Safety of Anesthesia

Turos M.J.

Center for the Humanities and Social Sciences of Medicine, Study of Medical Ethics and Palliative Medicine Medical University of Warsaw, Warsaw

The human factor, although generally considered subjective, is an important aspect of operational safety, especially in areas where there is interaction with other people. It is no different in anesthesiology, where additional procedures involving the use of control and measurement equipment also overlap. Not without significance is also intra-team communication, which should also be included among the important factors included in the scope of the presented concept. Awareness of how important a role these interactions play in ensuring patient safety is one of the important factors in avoiding errors that are often difficult to clearly define.

Keywords: human factor, anesthesiology, patient safety, team communication

zajmujących się procesami poznawczymi, problemami podejmowania decyzji, w tym: zagadnieniami związanymi z funkcjonowaniem procesów przeddecyzyjnych [2] w różnorodnych zdarzeniach krytycznych, a także szeroko rozumianym badaniem osobowości człowieka uczestniczącego okresowo bądź permanentnie w takich sytuacjach w związku z pełnioną przez niego funkcją zawodową), następnie specjalistów z dziedziny ergonomii oraz inżynierów ochrony środowiska [3]. Na pierwszym miejscu wypada tutaj wymienić funkcjonujący od ponad 20 lat program badawczy R. Helmreicha „Human Factors Research Project” [4] ukierunkowany szeroko na problemy dotyczące czynnika ludzkiego w badaniach przestrzeni kosmicznej, w lotnictwie komunikacyjnym, meteorologii oraz medycynie. Jedno z istotniejszych zbiorczych zestawień, opublikowane w 2004 r., prezentowało problem, omawiając aspekty bezpieczeństwa pacjen-

ta w czasie procedur chirurgicznych [5]. Tematykę tę w odniesieniu do inwazyjnych badań kardiologicznych podjął następnie E. Kaiser, odwołując się wielokrotnie do prac ośrodka amerykańskiego [6].

W odniesieniu do szeroko rozumianej i wieloaspektowej opieki medycznej tylko na przestrzeni lat 2009–2022 opublikowanych zostało 172 artykułów bądź innych form prezentujących wyniki prac badawczych poruszających analizowaną problematykę [7], zaś w 2023 r. za wiodący uznać można tekst Human factors in healthcare IT: Management considerations and trends autorstwa A.W. Kushniruk i E.M. Borycki [8].

Zagadnieniu temu poświęcony jest również cały szereg ogólnych bądź odnoszących się do jednej grupy zawodowej publikacji książkowych [9], jak również wydawnictw periodycznych, gdzie za wiodące należy uznać ukazujące się od 1965 r. pod auspicjami Human Factors Society of America, początkowo jako dwumiesięcznik, następnie jako kwartalnik, czasopismo „Human Factors”, a także regularnie przygotowywany do druku zbiór prac prezentowanych w różnych formach medialnych podczas dorocznych zjazdów tego Towarzystwa. Godny podkreślenia jest fakt, że na przestrzeni lat 1965–2023 w wymienionym tytule ukazały się 72 publikacje o różnej objętości, dotyczące bezpośrednio obecności, roli i miejsca, jakie zagadnienie czynnika ludzkiego zajmuje w zawodach medycznych, w tym cztery bezpośrednio dotyczące anestezjologii [10].

Sam temat obecności czynnika ludzkiego w sytuacjach zagrożenia bądź wiodących do zaistnienia zdarzenia krytycznego pierwotnie powiązany był głównie z lotnictwem wojskowym i cywilnym. Następnie rozszerzono go na zagadnienia związane z obsługą wysoce niebezpiecznych dla środowiska kompleksów przemysłowych, do czego przyczyniły się katastrofy o zasięgu kontynentalnym, jak awaria elektrowni atomowej w Czarnobylu [11], i lokalnym, jak pożar na stacji metra Kings Cross czy platformie wydobywczej Piper Alfa, bądź temu podobne zdarzenia, o jakich donoszą media praktycznie każdego dnia [12]. W swoich działaniach badawczych i następnie prewencyjnych może dotyczyć on dużych zespołów pracowniczych –co najczęściej staje się przedmiotem analizy [13] – jak również osób wykonujących swoje zadania zawodowe indywidualnie. Obejmuje problemy związane ze skutecznym komunikowaniem się, z podejmowaniem decyzji, a także ze świadomym wyborem priorytetów w przypadku nadmiernego obciążenia pracą. Tu obszarem zainteresowań jest celowy podział obowiązków i zadań oraz umiejętność radzenia sobie w obecności bezpośrednich lub pośrednich bodźców stresogennych. Wprowadzenie określenia „czynnik ludzki” doprowadziło do wyodrębnienia szczególnych obszarów działalności czy grup zawodowych, w któ-

rych występuje wyraźnie podwyższone ryzyko środowiskowe zaistnienia sytuacji [14], gdzie jego wpływ na funkcjonowanie zespołu stanowi ważną część tzw. integralności działania [15]. W kategorii tej, poczynając od 1987 r., kiedy w działaniach zmierzających do eliminowania zdarzeń krytycznych w medycynie wykorzystano prace Ch. Perow [16] i szczególnie J. Reasona [17], sytuuje się zakres obowiązków zawodowych anestezjologa [18], zaś w 1990 r. działająca na terenie Stanów Zjednoczonych The Anaesthesia Patient Safety Foundation [19] została sponsorem badań nad występowaniem, a następnie prewencją ewentualnego zaistnienia błędu indukowanego przez czynnik ludzki w anestezjologii. Zagadnienie to stało się również wiodącym tematem w badaniach prowadzonych w Bazylei, doprowadzając do stworzenia przez S. Staendera internetowego sytemu gromadzenia informacji o zdarzeniach krytycznych związanych ze znieczuleniem, tzw. Critical Incident Reporting System [20], który, choć traktowany krytycznie przez samo środowisko anestezjologów [21], z pewnością może zostać uznany za bardzo interesującą formę przeprowadzenia prospektywnej metody gromadzenia danych z wykorzystaniem nowych środków komunikacji globalnej, w której wiodące miejsce zajmuje internet.

Na terenie naszego kraju jest to zagadnienie nowe i prawie nieznane. Taki wniosek nasuwa nieobecność hasła „czynnik ludzki” w najnowszej edycji Wielkiej Encyklopedii Powszechnej PWN [22], a także w Encyklopedii Psychologii [23]. Najlepszą definicję znaleźć można w Słowniku psychologii A.S. Rebera [24], będącym tłumaczeniem z języka angielskiego. Marginalne potraktowanie tej tematyki nie oznacza, że nie powinna ona budzić zainteresowania przede wszystkim w perspektywie poszukiwania przyczyn różnorodnych zdarzeń krytycznych bezpośrednio połączonych z obowiązkami zawodowymi, wywierających ponadto bieżący lub odległy wpływ na inne osoby. Szczególnym miejscem powinien stać się tutaj obszar poczynań lekarzy, w tym na pierwszym planie zespołów anestezjologicznych. Pomocą w tym temacie może stać się stworzenie sprawnego, narodowego systemu gromadzenia, przetwarzania oraz analizy danych dotyczących występowania i następstw zjawisk określanych mianem zdarzeń krytycznych [25], gdzie prócz innych czynników bardzo wiele wynika z ludzkiego zachowania się oraz postrzegania rzeczywistości. Niepomyślne rezultaty działań diagnostycznych oraz terapeutycznych przez lata przypisywane były na gruncie europejskim zgodnie z wywodzącą się z 1532 r. i związaną z powstaniem Constitutio Criminalis Carolina [26] tradycją pojęcia tzw. błędu w sztuce. Po usamodzielnieniu się anestezjologii jako specjalności lekarskiej, szczególnie na terenie Wielkiej Brytanii, obejmowano nim również zgony związane

M.J. Turos,
ludzki a bezpieczeństwo
25
Czynnik
znieczulenia

bezpośrednio z działalnością anestezjologiczną. Sytuacja taka istniała aż do 1948 r., kiedy R. Macintosh [27] wyraził pogląd, że – po pierwsze – wszystkie zgony podczas znieczulenia są możliwe do uniknięcia, a po drugie – za popełnione błędy odpowiadać powinien wyłącznie anestezjolog, który twierdząc, że jest inaczej, po prostu mija się z prawdą, oraz – po trzecie – badania teoretyczne nie są w stanie wnieść nic istotnego do wyjaśnienia przyczyn powikłań. Ta prowokacyjna wypowiedź zainicjowała długie serie analiz porównawczych dotyczących występowania błędów podczas prowadzenia znieczulenia oraz połączenia ich przyczyn z odpowiednimi czynnikami sprawczymi. Prac prezentujących dane, jakie zostały zgromadzone w ich wyniku, powstał cały szereg, poczynając od studium problemu autorstwa K. Beechera z 1954 r. [28]. Zestawienie z lat 1956–1980 przedstawił L. Fleisher [29], zaś F. Arnstein [30] w swojej publikacji wymienia dziewięć prac wydanych drukiem w latach 1981–1993. Wśród innych prac wypada wspomnieć tu te L. Wanga i M. Hägerdala [31], W. Runcimana [32] oraz pochodzącą z 2001 r. analizę zdarzeń krytycznych autorstwa A. Rolin [33].

Jest bez wątpienia rzeczą interesującą, że sam tekst K. Beechera oraz towarzysząca mu dyskusja [34] są do dziś uważane za reprezentatywne i są najczęściej cytowane jako miarodajne dla całokształtu zagadnienia.

Problem stanowi w tym kontekście samo ustalenie definicji pojęcia „błąd”, gdyż pomimo jego szerokości znaczeniowej [35] w odniesieniu do błędów medycznych daje się zauważyć, szczególnie na gruncie nauk prawnych, pewnego rodzaju zawężenie przez wprowadzenie dość sztywnych kategorii. Na ogół jest to podział na błąd diagnostyczny i terapeutyczny [36], sporadycznie jeszcze techniczny jako odmiana błędu terapeutycznego [37], przy czym coraz częściej samo określenie „błąd w sztuce” jest przedstawiane jako mało adekwatne [38] w aktualnym odwzorowaniu rzeczywistości zawodowej lekarza. Jak widać, zupełnie pominięta zostaje tu – bądź traktowana jest w sposób marginalny – sfera psychofizyczna oraz istotne dla końcowego efektu poczynań stany emocjonalne człowieka wykonującego daną czynność. Podejmując próbę rozszerzenia kategorii błędu w nawiązaniu do przedstawionego tu obszaru aktywności zawodowej, jaką są procedury wchodzące w zakres kompetencji anestezjologa, można więc zdefiniować błąd jako sposobność, w której zamierzona sekwencja aktywności umysłowej lub fizycznej zawodzi w przełożeniu jej na zamiary przyczynowe. Wyróżnić tu wypada dwie możliwości prowadzące do ewentualnego niepowodzenia: ‒ plan został sporządzony odpowiednio, ale związane z nim działania nie postępują zgodnie ze wstępnym zamierzeniem;

‒ działania są realizowane tak, jak zostało to zaprogramowane, lecz plan działań skonstruowany dla danej czynności jest nieodpowiedni, by osiągnąć przy jego udziale zamierzony cel oraz uzyskać oczekiwane rezultaty.

Samo potencjalne wystąpienie błędu zależy również od całego szeregu czynników, gdzie kolejno można usytuować:

‒ sposób pozyskiwania wstępnych danych (otrzymania prawidłowej informacji o obiekcie lub temacie działania). Gromadzenie, a następnie przepływ informacji powinny być uznane za czynniki szczególnie istotne. Pozwalają one bowiem na uwzględnienie zmian w procedurach wewnątrz zespołów oraz uzgodnienie wspólnej strategii przez wprowadzenie niezbędnych środków ostrożności oraz twórcze wdrażanie innowacji wpływających na podniesienie poziomu jakości, a co za tym idzie, również bezpieczeństwa świadczonych usług;

‒ kontrolę (konstrukcja listy kontrolnej dla danej czynności i spełnianie w odpowiedniej kolejności procedur w niej zawartych);

‒ dobór (podejmowane działania są przeprowadzane na właściwym dla nich obiekcie lub czynność dotyczy odpowiedniego dla niej obiektu);

‒ selekcję (wybór właściwego z dostępnych dla danego scenariusza działań rozwiązania i ewentualnie opracowanie scenariusza alternatywnego);

‒ akcję (wykonywanie procedur we właściwej kolejności, odpowiednim czasie oraz przestrzeganie dostosowanej do nich prędkości);

‒ komunikację (poprawną werbalizację podejmowanych czynności na poziomie indywidualnym oraz grupowym, jak też właściwe ukierunkowanie przepływu strumienia informacji pomiędzy obiektami działania).

Tak skonstruowane pojęcie błędu daje się w przekonujący sposób zastosować do zakresu czynności indywidualnych oraz poczynań wykonywanych zespołowo, przy czym należy tu wprowadzić rozróżnienie na komunikację i kooperację między zespołem chirurgicznym oraz anestezjologicznym, następnie wewnątrz samego zespołu anestezjologicznego. Na każdym z tych trzech poziomów, w kontekście odniesień do obowiązków zawodowych lekarza, udział czynnika ludzkiego w ewentualnych zdarzeniach krytycznych wydaje się bezdyskusyjny.

Oddzielnym zagadnieniem pozostaje obszar działań systemowych czy szeroko rozumianych poczynań organizacyjnych podejmowanych na różnych szczeblach, od ogólnokrajowego poczynając, a na samodzielnej placówki kończąc. Wpływają one na czynności podejmowane przez jednostkę, czyniąc z niej niejako jedynego i bezpośredniego sprawcę, czyli osobę ponoszącą pełną odpowiedzialność za efekty swo-

Review of Medical Practice, 2023; Vol. XXIX, No. 3 26

jego postępowania, które mogą często doprowadzić do zaistnienia zdarzenia krytycznego. W odniesieniu do tego rodzaju sytuacji używane bywają zamiennie dwa terminy: „błędy ukryte” [39] oraz „błąd systemu” (czy synonimicznie w wersji rozbudowanej „błędy”) [40], zaś do najbardziej charakterystycznych sytuacji prowadzących do ich zaistnienia można zaliczyć: ‒ nadmierne wydłużanie czasu pracy bądź świadomą i celową dyferencjację w tym zakresie praw pewnych grup pracowniczych;

‒ szybkie oraz niepoddawane konsultacji z zespołami zmiany organizacyjne w funkcjonowaniu placówek;

‒ niekompatybilność celów działania instytucji i jednostki – łamanie standardów zatrudnienia w kwestii posiadanej przez pracowników i udokumentowanej wiedzy specjalistycznej, a także wywoływanie konfliktów sumienia, do których zaliczyć można kontrowersje pomiędzy płynnością finansową a celami klinicznymi, jak np. ograniczona dostępność leków bezpośrednio ratujących życie czy aparatury;

‒ celowy brak lub też utrudnianie rozwoju właściwych mechanizmów komunikacji interpersonalnej poziomej (wewnątrz zespołu) i pionowej (pomiędzy kierownictwem placówki, oddziału czy zespołu).

W takich warunkach przypisanie komuś odpowiedzialności za spowodowanie zdarzenia krytycznego, chociaż zazwyczaj emocjonalnie satysfakcjonujące, zaledwie sporadycznie przekłada się na skuteczne procesy naprawcze pozwalające w przyszłości unikać podobnych wypadków. Jest to w szczególny sposób niewłaściwe, gdyż poddane surowej ocenie oraz przewidywanej sankcji karnej osoby nie wybrały błędnego postępowania świadomie, ponieważ poza celowym działaniem zbrodniczym nikt nie powoduje powikłań umyślnie. Koncentrowanie zainteresowania jedynie na błędach powstałych niejako „na pierwszej linii” skupia powszechną uwagę na szeregowych pracownikach, a odwraca ją od problemów rozleglejszych i o większym ciężarze gatunkowym, a istniejących w obrębie systemu. Dodatkową wadą eksponowania roli pomyłki człowieka i szukania kozła ofiarnego jest fakt, że każdy pracujący w niewydolnym systemie, szczególnie zaś świadomy zagrożenia wymiernymi sankcjami prawnymi, staje się defensywny i niechętny do podejmowania współpracy. Przyjęcie takiej postawy pozwala temuż systemowi nadal sabotować wysiłki zmierzające do zapewnienia bezpieczeństwa pacjenta oraz doprowadzenia do właściwej jakości świadczonych usług. Na tę destrukcyjną rolę ukrytych błędów generowanych przez niewydolny system zwrócił po raz pierwszy uwagę J. Scheen w swoim raporcie sporządzonym po zatonięciu promu Herald of Free Enterprise [41], zaś w kontekście poruszanych tu zagadnień szczególnie godna uwagi jest wypowiedź

J.P. Bagiana, przedstawiciela zespołu badającego przyczyny eksplozji promu kosmicznego Challenger: „samo bezustanne powtarzanie pielęgniarkom oraz lekarzom, aby byli bardziej ostrożni, na niewiele się zda, trzeba zmienić cały system, który umożliwia powstawanie takich błędów” [42].

Nie inaczej podszedł do tego zagadnienia

J.H. Eichhorn [43], omawiając historyczny rozwój działań podejmowanych w celu stworzenia schematów zapewniających maksymalne bezpieczeństwo w trakcie znieczulenia i już na wstępie odwołując się do definicji przyjętej przez Światową Organizację

Zdrowia: „bezpieczeństwo pacjentów to zapobieganie błędom i skutkom niepożądanym” [44].

Pierwotne i wtórne przyczyny organizacyjne – wynikające z poszerzającej się stale kooperacji służb medycznych z obszarami zainteresowania organów ustawodawczych, służb cywilnych, przemysłu, organizacji konsumenckich oraz instytucji związkowych, choć w całokształcie działań człowieka istotne, nie stanowią tu zasadniczego tematu dotyczącego poczynań jednostki, jak również technik jej współdziałania wewnątrz małego zespołu [45] oraz kooperacji z innym małym zespołem, które można uznać za poziom podstawowy dla obowiązków zawodowych anestezjologa.

A – poziom działań indywidualnych

Na każdym etapie podejmowania działań świadome czynności wykonywane przez człowieka można uznać za proces przebiegający w pewnym środowisku, z którym osoba działająca wchodzi w rozliczne interakcje, poszerzając bądź – świadomie lub nie – zawężając ramy [46] oddziaływań interakcyjnych. J. Rasmussen [47] w opisie tej rzeczywistości w odniesieniu do jednostki wyróżnia w niej trzy następujące obszary tworzące jak gdyby pola semantyczne, wzajemnie się przenikające oraz komunikujące. Przedstawia je tabela 1.

Jak wszystkie rozważania teoretyczne to zestawienie wypada uznać za zobrazowanie stanu idealnego, natomiast w praktyce na dokonywanie prawidłowego – bądź nie – oglądu rzeczywistości, a tym samym podejmowanie działań mogących generować zdarzenia krytyczne, istotny wpływ może mieć cały szereg sytuacji. W celu urealnienia J. Reason [51] skonstruował nowy schemat, ujmując w nim jeszcze potencjalne przyczyny, orientację oraz ukierunkowanie osoby wykonującej daną czynność, a także najczęstsze typy błędów, jakie mogą powstawać we wzajemnej konfiguracji tych dwóch czynników. Podstawowe przykłady zdarzeń zgromadzone zostały w tabeli 2.

Wśród innych momentów indukujących wystąpienie zdarzenia krytycznego, w którym można wyróżnić bezpośrednią obecność czynnika ludzkiego, wymie-

M.J. Turos, Czynnik ludzki a bezpieczeństwo znieczulenia 27

Tabela 1. Trzy obszary działań człowieka w środowisku [48]

Praktyczne opanowanie czynności

Planowanie Wiedza Wkład

Sygnały wskazujące na ciągłą, jakościową oraz ilościową wymianę informacji zachodzącą w obrębie dynamicznego środowiska podlegającego ponadto przestrzennej szerokiej konfiguracji

Sygnały wskazujące stany lub sytuacje w środowisku z odniesieniem do pewnych konwencji w działaniu. Służą one do przypominania lub wzbudzania przyswojonych w toku wcześniejszej nauki wzorców zachowań

Wydatek energii

Aktywność sensoryczno-motoryczna bez udziału świadomej samokontroli, np. osoby nie mogą komunikować swojego planowania

Przykład [49]

Kaniulacja dużych naczyń Intubacja

Działanie Szybkie, spokojne, płynne, automatyczne

Czynnik ludzki (przykład) [49, 50]

„Pomyłka” – zamiana strzykawek. „Chwila nieuwagi”, np. zapomnienie podania kolejnej, istotnej terapeutycznie dawki leku u pacjenta, który miał ją otrzymać, bądź niewykonanie pomiarów w oznaczonym czasie

Uprzednio wypracowana procedura sprawdzona z sukcesem podczas poprzedniej znanej sytuacji pracy. Cel akcji jest bardzo często nieopracowany, ale pośrednio znany. Kontrola dokonywana jest przez dopasowywanie bieżących planów. Schematy podstawowe są wyraźne, dlatego wiedza osoby może podlegać świadomemu zagospodarowaniu w nowym obszarze

Postępowanie śródoperacyjne, np. hipotensja, sprowadzające się głównie do zredukowania stężenia anestetyku wziewnego

Złe sprawdzenie procedur bądź wyposażenia anestezjologicznego

Tabela 2. Rodzaje działań potencjalnie niebezpiecznych a czynnik ludzki [51, 52]

Intencja Typ błędu

Niezamierzone Zmniejszenie uwagi

Luka w pamięci

Pomyłka

Celowe Pomyłka

Naruszenie zasad

Symbole są abstrakcyjnymi konstrukcjami umysłu i generują pojęcia związane z ich własnością funkcjonalną. Tworzą część ludzkiego świata znaczeń

Przyczynowe, jak również funkcjonalne rozumowanie we wcześniej nieznanych sytuacjach, dla których plany działania nie są dostępne

Etiologia

Niepokój

Przeoczenie

Działanie nieuporządkowane

Chwilowe zmęczenie, dekoncentracja z przyczyn psychofizycznych

Zapomnienie punktów programu

Brak lub naruszenie reguł podstawowych

Brak podstawowej wiedzy

Brak lub naruszenie reguł podstawowych

Brak podstawowej wiedzy

Przedoperacyjna ocena stanu pacjenta

Ustabilizowane, ale powolne

Wprowadzenie do znieczulenia pacjenta ze stenozą aortalną przez podanie dużej dawki propofolu, „błędna wiara”, że preparat ten nie wykazuje działania depresyjnego na ciśnienie krwi

Sytuacje potencjalnie sprzyjające wystąpieniu zdarzenia krytycznego

Zaburzone interakcje w środowisku pracy

Czas pracy

Brak protokołów i wytycznych

Niewłaściwe urządzenia techniczne lub ich połączenie (ang. interface) z osobą

Monotonia i nuda

Brak doświadczenia i wprawy personelu

Słabe postrzeganie ryzyka

Możliwość złamania reguł bądź przyzwolenie na takie procedury

Konflikt lub osłabione morale w zespole

Samorzutne przerwanie działań Wieloznaczne lub pozornie bez znaczenia reguły działania

Niebezpieczny optymizm Wiara, że sytuacje krytyczne nigdy się nie przytrafią, wynikająca z cech osobowościowych

Sytuacja naruszania reguł Kultura zachowania sprzyjająca podejmowaniu ryzyka i negująca możliwość prośby o pomoc

Sabotowanie Niewydolny nadzór oraz kontrola wewnątrzzakładowa

Review of Medical Practice, 2023; Vol. XXIX, No. 3 28

nić należy: stres, zmęczenie (szczególnie zaburzenia chronobiologiczne związane z niedoborami snu oraz powtarzającymi się okresami pracy w porze nocnej) [53], wadliwą komunikację interpersonalną lub jej brak, a także błędy fiksacji.

Na ich występowanie zwracają uwagę przede wszystkim V. De Keyser [53, 54] oraz J. Reason [55], który pisze: „roztargnienie, chwilowa nieuwaga, zapomnienie, zaabsorbowanie umysłu innymi sprawami i fiksacja są całkowicie normalnymi ludzkimi reakcjami na charakter stanowiska pracy” [55, 56], oraz A. De Anda i D. Gaba [57]. W przeprowadzonej przez nich analizie 132 nieplanowanych incydentów zaistniałych w czasie 19 symulacji znieczulenia ogólnego aż w 20,5% przypadków stwierdzone zostało zaistnienie błędów tej kategorii [57, 58], przy czym, na co wskazały badania przeprowadzone z mniejszą grupą ćwiczących (osiem osób), gdy podczas symulacji jednej procedury doszło do wystąpienia aż 10 błędów fiksacji [59], możliwość ich zaistnienia jest permanentnie obecna w każdej sytuacji krytycznej [59, 60].

Według encyklopedycznej definicji fiksacja jest zjawiskiem, w którym następuje „powtarzanie pewnych sposobów zachowania się lub form ustosunkowania się, mimo iż nie są one adekwatne do rzeczywistości i nie zapewniają jednostce osiągnięcia zamierzonych celów; zwykle pojawia się w następstwie długotrwałego napięcia emocjonalnego” [61]. W odniesieniu do anestezjologii sytuacja taka wiąże się najczęściej z działaniami podejmowanymi przez mało wykwalifikowanego lekarza, próbującego – lub niejednokrotnie zmuszonego – stosować te same techniki, którymi swobodnie i bez powikłań posługuje się osoba z wieloletnim doświadczeniem zawodowym. Istota ryzyka tej czy innej metody znieczulenia, a nawet tych czy innych podawanych środków, spoczywa często nie tyle w nich samych, ile w rękach, które po nie sięgają. Sformułowanie „wiem, że...” lub „nie wiem, że...” (bądź „umiem” lub „nie umiem”) rozważane jako stwierdzenie konkretnej osoby orzeka tylko o istnieniu u niej predyspozycji, by działać, mówić lub wierzyć w sposób wynikający z poznania danego zagadnienia. Nie określa natomiast pełnego zasobu wiadomości, jakie posiada ona o konkretnym temacie, gdyż każda „wiedza obiektywna” jest percypowana w sposób subiektywny. Wypada zgodzić się tu z poglądem A. Schultza [62], który używając w odniesieniu do takich sytuacji określenia „podręczne zasoby wiedzy” [63], zwrócił uwagę na aspekt utrwalenia przez trening poznanych sposobów działania, by móc je następnie wykorzystywać w tworzeniu skutecznych schematów postępowania, a następnie uruchamianiu mechanizmów komunikacji międzyosobowej, jakim jest m.in. wydawanie poleceń. Dlatego trudno zaakceptować w pełni poglądy Lutza, który przeprowadziwszy w 1981 r.

analizę ponad 150 tys. znieczuleń, wskazał na mniejsze znaczenie wyszkolenia anestezjologa oraz sposobu prowadzenia przezeń znieczulenia jako przyczyny ewentualnych powikłań i zaistniałych błędów [64], tym bardziej, że według danych pochodzących z Australijskich Badań nad Wypadkowością [64, 65] –obejmujących co prawda dużo mniejszą grupę, gdyż tylko 2000 incydentów – aż 11% wypadków spowodowanych było brakiem doświadczenia anestezjologa. Na stworzonej do celów badawczych 12-stopniowej skali czynników sprzyjających krytycznym sytuacjom i zdarzeniom w anestezjologii powyższy czynnik ryzyka zawodowego zajmuje ósmą pozycję, przy czym wymieniono jeszcze usytuowane na pozycji czwartej „inne problemy związane z czynnikiem ludzkim” [66]. Potwierdza to również najnowsza analiza danych pochodzących z terenu Wielkiej Brytanii [66, 67], gdzie wśród najczęstszych przyczyn zaistnienia zdarzenia krytycznego wymieniono właśnie brak niezbędnego doświadczenia (pozycja 14. na 25 rozpatrywanych czynników) oraz nieadekwatną wiedzę co do danego rodzaju znieczulenia (pozycja 19.). Uwidacznia się to także w treningu symulacyjnym zdarzeń krytycznych mogących ewentualnie wystąpić podczas znieczulenia ogólnego, gdzie liczba błędów w podejmowaniu decyzji, a następnie wdrożeniu właściwego trybu postępowania, była największa u ćwiczących techniki symulacyjne w czasie pierwszych dwóch lat szkolenia w anestezjologii [68].

Do tego rodzaju zdarzeń wypada więc użyć za J. Reasonem [69] określenia „błąd z niewiedzy”, wyróżniając je jako specjalną kategorię, którą można wyodrębnić i usytuować w obszarze znaczeniowym terminu „błąd kontroli” (bądź błąd techniczny). Cudzysłów wskazuje na to, że zastosowane sformułowanie nie dotyczy ogólnego braku informacji o obszarze działania, lecz właśnie niedoborów percepcji bądź zahamowań przetwarzania oraz przepływu posiadanych danych w obrębie podręcznych zasobów wiedzy. Wynikać one mogą, oprócz już wymienionych, także z przyczyn psychofizycznych, takich jak wpływ bodźców stresogennych lub zmęczenie, szczególnie pracą w godzinach nocnych, oraz odległych skutków zaburzeń rytmu sen – czuwanie. W codziennej praktyce anestezjologa można wyróżnić cały szereg momentów sprzyjających wystąpieniu tego zjawiska. Do zaistnienia „błędu z niewiedzy” dochodzi najczęściej wówczas, gdy anestezjolog w toku swoich rutynowych działań napotyka nagle osobliwą lub całkowicie nową dla siebie (szczególnie z punktu widzenia posiadanego doświadczenia praktycznego) sytuację. Nosi ona wszystkie znamiona sytuacji trudnej [70], o zaburzonych proporcjach zależności pomiędzy zadaniami, warunkami a czynnościami. Zdarzenie owo ponadto wykracza w znaczący sposób poza zasięg wykorzy-

M.J. Turos, Czynnik ludzki a bezpieczeństwo znieczulenia 29

stania możliwości typowych rozwiązań stosowanych w standardowych schematach postępowania. Wobec zaistniałego dramatycznego i szybko rozwijającego się wydarzenia lekarz zostaje niejako zmuszony uciekać się do diametralnie innego, powolnego, a przy tym bardzo wytężonego toku rozumowania związanego z danym przypadkiem.

Najlepszym przykładem może tu być hipertermia złośliwa [71]. Jest to powikłanie niezwykle rzadkie, zdarzające się od 1:250000 do 1:62000 znieczuleń (w społeczeństwie polskim średnie prawdopodobieństwo wystąpienia tego zespołu wynosi 1:100000 znieczuleń, zaś liczba zgłoszonych przypadków sięga kilkunastu rocznie [72]), które nie musi być związane z pierwszą ekspozycją na anestetyki [73] i w przebiegu którego, pomimo wprowadzenia do terapii skutecznego leku (dantrolen) oraz coraz lepszej diagnostyki zaistnienia tego powikłania, śmiertelność nadal jest znacząca: 3–5%, a nawet 10% [74], choć można spotkać dane, że jest ona znacznie większa [75]. Dostępność tego preparatu wszędzie tam, gdzie podejmowane są procedury anestezjologiczne, w sposób wyraźny sankcjonują zalecenia European Malignant Hyperthermia Group z 2020 r. [76]. Właśnie ta rzadkość ewentualnego wystąpienia wzmiankowanego powikłania, inicjowanego dodatkowo w całości przez czynniki pozostające poza świadomą percepcją lekarza, może być jedną z przyczyn, że zaburzone mechanizmy informacyjno-poznawcze wpływają w sposób hamujący na zdolność szybkiego rozpoznania. Nie da się również wykluczyć obecności podświadomego pytania, jakie stawia sobie lekarz: „co ja zrobię, jeśli to właśnie będzie TO?”. Na taki sposób artykulacji – moim zdaniem zbliżający się już do doskonale znanego z psychologii zjawiska wyparcia – może dodatkowo rzutować ograniczona dostępność dantrolenu, gdyż – jak wynika z sondy przeprowadzonej w 2006 r. za pośrednictwem internetu [77] – zaledwie 19% jej uczestników udzieliło odpowiedzi twierdzącej, że preparat ten jest stale dostępny w ich macierzystej placówce. Ogólne wyniki przedstawia tabela:

Tabela 3. Dostępność dantrolenu [77, 78]

Dantrolen to lek ratujący życie. Czy masz możliwość zdobycia go w ciągu ok. 20 min, gdy zaistnieje potrzeba użycia?

tak 19% 14 osób

nie 81% 61 osób

ogółem 100% 75 osób

Pomimo upływu ponad 15 lat sytuacja niewiele się zmieniła, co najlepiej obrazuje mapa dostępności dantrolenu w Polsce, jaką prezentuje portal Laryngoskop – uwidaczniamy to, co ważne [79], z której

wyraźnie wynika, że nadal są to duże ośrodki, jak Warszawa, Kraków czy Wrocław, a jednocześnie występują obszary, które można nazwać „dantrolenową pustynią”.

Proces percepcji danych jest w takich krańcowych – jak podana przykładowo – sytuacjach podatny na zaistnienie pomyłek z trzech istotnych przyczyn: ‒ pojemność świadomego myślenia jest poważnie ograniczona, można bowiem poruszać się tylko w jednym lub dwóch odrębnych zagadnieniach jednocześnie; ‒ model myślowy, na jakim opiera swoje orzekanie dana osoba, jest w takiej sytuacji prawie zawsze niekompletny, a po części również nieprawidłowy; ‒ w przywołanych okolicznościach występuje skłonność do opierania się na szczególnych przeczuciach lub hipotezach, a następnie do wybierania tych cech rzeczywistości, które je popierają, przy równoległym odrzucaniu faktów niepasujących do skonstruowanego naprędce sposobu działania. Wszystkie wymienione czynniki doprowadzają do zaburzeń w obrębie postrzegania istotnego dla selekcji oraz interpretacji informacji, a następnie podjęcia czynności związanej z rozpoznaniem charakteru oraz właściwej oceny docierającego bodźca, doprowadzając do wystąpienia trzech typowych dla błędów fiksacji form ekspresji słownej:

‒ „to i tylko to” – jest to uporczywa niechęć do skorygowania raz postawionej diagnozy pomimo występowania licznych przeciwstawnych dowodów; ‒ „wszystko, tylko nie to” – zaprzeczenie, a nawet wyparcie możliwości zaistnienia powikłania, wiodące do niepowodzenia w postępowaniu definitywnym, rozwiązującym zasadniczy problem; ‒ „wszystko jest w porządku” – manifestacja przekonania, że nie ma problemu, która występuje niezależnie od istnienia szeregu faktów przeczących zajętemu stanowisku rodzącemu takie sformułowanie

W takim momencie może dochodzić również do znacznego deficytu informacyjnego, szczególnie gdy całe zdarzenie cechuje się dodatkowo wysokim poziomem skomplikowania w odniesieniu do podejmowanych czynności bądź poszukiwanie rozwiązań alternatywnych nie przynosi oczekiwanego rezultatu. Zjawisko zamknięcia poznawczego, które pierwotnie opisane zostało przez D. Woodsa w odniesieniu do operatorów chemicznych instalacji przesyłowych i pracowników nadzoru w elektrowniach atomowych [80], a obserwowane było podczas prób wydostania się ze skrajnego zagrożenia, stanowi ostatnie stadium tego złożonego procesu. Możliwość zaistnienia takiej sytuacji [81], która dotyczy praktycznie każdego znieczulenia, jak również to, że nie sposób ją przewidzieć, przez samych anestezjologów odbierana bywa jako

Review of Medical Practice, 2023; Vol. XXIX, No. 3 30

zasadniczy czynnik indukujący sytuacje stresogenne związane z pracą w samotności, szczególnie często występującą podczas dyżurów. Ze zjawiskiem zamknięcia poznawczego wiąże się bardzo trudne do przedstawienia w kategoriach naukowych pojęcie tzw. świeżego spojrzenia. Na ogół zagadnienie to omawiane jest w kontekście późniejszej analizy zdarzenia krytycznego w celu uchwycenia momentu podjęcia przez daną osobę nietrafnej decyzji [82] lub wadliwego działania, a więc odnosząc się do czegoś, co nie jest możliwe do bezpośredniej oceny przed samym wystąpieniem faktu. Ponadto, co stanowi cechę charakterystyczną momentu zaistnienia, osoba doświadczająca zamknięcia poznawczego nie percypuje sygnałów płynących z otaczającej ją rzeczywistości. W swobodnych wypowiedziach anestezjologów zjawisko to jest dość powszechnie akcentowane. Niejednokrotnie pomoc koleżanki bądź kolegi z zespołu – przy czym długość stażu pracy i posiadanego doświadczenia zajmują tu często rolę drugorzędną – sprowadza się do nowej oceny zaistniałej sytuacji, właśnie „rzucenia świeżym okiem”. Powoduje to u osoby proszącej o pomoc przełamanie swoistej bariery „niemocy” intelektualnej czy wyjścia spod szklanego klosza, a w następstwie powrót racjonalnych parametrów postrzegania rzeczywistości. Ten mechanizm pozwala, moim zdaniem, na zakwalifikowanie zjawiska zamknięcia poznawczego do istotnej kategorii błędów logicznych powstających w obrębie metody dedukcyjno-formalnej [83].

Przeciwdziałanie błędom fiksacji i zjawisku zamknięcia poznawczego jest dość trudne i należy przypuszczać, że powszechnie wprowadzany trening symulacyjny [84] nie niweluje do końca związanych z tym problemów. Sama metoda jest dość kosztowna, głównie ze względu na wymagania sprzętowe [85], a poza tym proces szkolenia przeprowadzany zostaje w warunkach sztucznych o idealnych wręcz standardach wyposażenia i aparatury. Należy ponadto zwrócić uwagę na istotny, moim zdaniem, psychologiczny aspekt treningu – co akcentuje w swojej publikacji L. Larbuisson [86] – że niezależnie od postępowania szkolącego się ćwiczenie nigdy nie kończy się zgonem „pacjenta”, zaś uczestniczący w symulacji anestezjolog przed rozpoczęciem „zabiegu” jest pewien, że w trakcie jego trwania wydarzy się, niekiedy ukierunkowane specjalnym testem wprowadzającym, zdarzenie krytyczne. Przypomina to swoistą grę komputerową, w której główny bohater zawsze przeżywa, co, owszem, uczy perfekcyjnego działania w obrębie pewnych schematów, lecz jednocześnie może osłabiać czujność. Zwrócił na to uwagę J.G. Brock-Utne: „kiedy rządzi technologia, szybciej dochodzi do katastrofy” [87].

B – komunikacja między zespołami

Pomimo stereotypowego postrzegania pracy anestezjologa w kategoriach działania w samotności [88] wiele jego poczynań zawodowych (szczególnie w obrębie sali operacyjnej) przebiega na poziomie kooperacji w zespole. Tutaj zaś możliwość zaistnienia zdarzenia krytycznego lub błędu uzależnionego od czynnika ludzkiego bardzo ściśle wiąże się ze sposobami i jakością komunikacji werbalnej oraz pozawerbalnej. Sztukę porozumiewania się, której istotność w innych obszarach działalności zawodowej człowieka już dawno uważa się za znaczącą [89], można także w odniesieniu do tego specyficznego środowiska uznać za równie istotny aspekt procesu terapeutycznego jak inne techniki postępowania. Wypada przy tym nadmienić, że udział czynnika ludzkiego – tu przejawiającego się w indukowaniu właściwych form przekazu werbalnego – w zespołowej działalności na sali operacyjnej jest słabo udokumentowany [90] oraz prawie nigdy niedoceniany w sposób właściwy. Jest to natomiast trudna umiejętność prezentowania własnych racji, a w przypadku anestezjologa dochodzą jeszcze racje pacjenta, za którego w momencie odebrania mu świadomości lekarz ponosi podwójną odpowiedzialność. Rzeczą zasadniczą pozostaje tu nienaruszanie autonomii oraz praw do swobody wypowiedzi każdego z uczestników zespołu. Zaburzenia bądź też niewłaściwe ramy interakcji, np. pomijanie pewnych osób w toku przekazu istotnych treści czy źle pojęta hierarchizacja, wiodą do wieloznaczności indywidualnie adresowanych poleceń, braku ich realizacji bądź do ich niezrozumienia już w chwili, gdy są wypowiadane.

Na szerokość sposobów komunikacji i innych współzależności interakcyjnych zachodzących w pracy anestezjologa zwrócił szczególniejszą uwagę D. Gaba [91], wymieniając je wśród cech różnicujących poczynania lekarza tej specjalności od innych dyscyplin medycznych, a zbliżających się ku tak specyficznym z punktu widzenia zakresu obowiązków profesjom, jak kontrola ruchu lotniczego czy logistyka wojskowa. Za najistotniejsze należy w niej uznać: niepewne i dynamiczne środowisko, działania o natychmiastowych oraz różnorodnych skutkach, potrzebę niezwykle szybkiego, a zarazem ciągłego aktualizowania strumienia myślowego, w którym zderzają się różne źródła często konkurencyjnych informacji, percepcję wielu równoległych potoków danych w jednostce czasu, jak również momenty nasilonej dynamiki działań wplecione w okresy czynności rutynowych. Trudno przy tym ustalić jednoznaczną hierarchię ważności celów, ku którym w danym momencie anestezjolog kieruje swoją uwagę, bowiem otoczenie, w którym pracuje, cechuje się wielorakimi torami przepływu informacji między pacjentem

M.J. Turos, Czynnik ludzki a bezpieczeństwo znieczulenia 31

i otaczającym go zespołem (chirurdzy, pielęgniarki, technicy). Zdaniem V. Chopry [92] dwustronnych połączeń komunikacyjnych (werbalnych i pozawerbalnych) można wyróżnić siedem, natomiast według G. Bouqueta [93] jest ich 26, w tym 13 wzrokowych, przy czym każde z nich rozkłada się jeszcze zgodnie ze wspomnianą już socjologiczną koncepcją ramy ograniczającej pewien wątek w całości interakcji [94], za jaką można uznać zabieg operacyjny, na cały szereg podinterakcji, a nawet pojedynczych zwrotów adekwatnych do – bądź w – aktualnie panującej sytuacji. Dodatkowo w międzyzespołowe połączenia komunikacyjne zostaje włączonych szereg urządzeń monitorujących określone parametry fizjologiczne, gdzie występowanie sygnałów alarmowych indukowanych przez czynniki zewnętrzne, niepochodzących od pacjenta, wyzwala kolejne problemy w odbiorze oraz następczej kwalifikacji strumienia danych. Należy także dodać, że w trakcie zabiegu operacyjnego anestezjolog w kolejnych ramach czasowych dokonuje rozsądnego i mieszczącego się w ramach dopuszczalnego ryzyka koniecznego kompromisu pomiędzy nieodzowną wygodą operatora, warunkującą realizacje miejscowego celu leczniczego, a więc dobrem lokalnym chorego a dobrem ogólnym chorego, jakim jest utrzymanie w bezpiecznych granicach funkcji życiowych. Dlatego też sytuacja anestezjologa jest trudna i z medycznego punktu widzenia, i niezręczna w stosunku do chirurga. Stawia go ona bowiem w naturalnej opozycji do tego ostatniego, zaś zajmowane przez niego stanowisko, choć w całości skoncentrowane na zapewnieniu niejako podwójnego bezpieczeństwa, nie zawsze jest przez chirurgów doceniane, a niejednokrotnie nawet niewłaściwie rozumiane. Wiedzie to do opacznego interpretowania postawy anestezjologów jako generalnie niechętnej do nawiązywania współpracy.

Wśród swoistych „punktów zapalnych” sprawiających trudności w stworzeniu właściwych mechanizmów interakcyjnych i komunikacyjnych pomiędzy chirurgiem i anestezjologiem [95] wymienić należy: ‒ koncentrację uwagi zespołu chirurgicznego wyłącznie na chorobie „operacyjnej” [96], bez uwzględnienia innych patologii ustrojowych oraz istotnych w całokształcie postępowania terapeutycznego (w tym bezpieczeństwa działań anestezjologa) chorób współistniejących; ‒ różnice w ocenie ryzyka i wynikające stąd rozbieżności w podejmowaniu decyzji odnośnie do terminu wykonania i rozległości zabiegu operacyjnego;

‒ brak efektywnej współpracy w czasie zabiegu; ‒ odmienny pogląd na postępowanie u danego pacjenta w okresie pooperacyjnym; ‒ rozbieżności w ocenie ewentualnych niepowodzeń terapeutycznych.

Wypada przy tym nadmienić, że zdarzające się próby autorytarnego wymuszania na zespole anestezjologicznym przeprowadzenia znieczulenia w trybie planowym u pacjenta niedostatecznie zdiagnozowanego pod kątem bezpieczeństwa znieczulenia, na co zwraca uwagę J. Lack [97], bądź podejmowanie jednostronnej zmiany kwalifikacji i trybu postępowania [98] należy usytuować poza ramami komunikacji interpersonalnej. Wyklucza to możliwość nawiązania porozumienia, a jest natomiast podstawą do wdrożenia działań celem szybkiej zmiany postaw autorytarnych [99] u osób prezentujących tego rodzaju sposoby zachowania.

Do mniej istotnych, ale również konfliktogennych sytuacji zaliczyć można konstrukcję dziennych czy tygodniowych harmonogramów operacyjnych, szczególnie że w wielu szpitalach anestezjolodzy nie mają żadnego wpływu prócz zwrócenia uwagi, że przedstawiony plan jest za obszerny jak na jeden dzień. Na zagadnienie to w kontekście całościowego pozytywnego oglądu specjalizacji zwrócił uwagę L. Booij [100], zaś jego ważność dla bezpieczeństwa pacjentów, przede wszystkim przez prewencję ewentualnych zdarzeń krytycznych, podkreśla D. Gaba [101]. Równie istotna jest kwestia interpretacji zleceń przedoperacyjnych, w szczególności laboratoryjnych badań diagnostycznych, które z reguły nie wpływają w znaczący sposób na decyzje chirurgiczne, zaś anestezjologowi dają możliwość lepszego wyboru środków i technik niż standardowe, przyczyniając się znamiennie do zmniejszenia ryzyka związanego ze znieczuleniem. Pomysł szczegółowych odpraw przedoperacyjnych zbliżonych do procedur przedstartowych w lotnictwie, gdzie wypracowanie skutecznych werbalnych sposobów porozumiewania się miało kluczowy wpływ na redukcję zdarzeń krytycznych, spotkał się z dużo mniejszą aprobatą ze strony chirurgów oraz pielęgniarek chirurgicznych niż anestezjologów [102]. Pomimo że ponad 80% [103] personelu szpitalnego uważało tego rodzaju formę wymiany informacji za rzecz pożyteczną, akceptowało ją tylko 55% chirurgów [103, 104]. Jak widać, bezpośrednie komunikowanie się pomiędzy zespołami anestezjologicznymi i chirurgicznymi w całym szeregu istotnych tematów jest niewydolne oraz zdarza się nieczęsto. O problemie tym pisał po raz pierwszy już w połowie lat 50. L. Manteuffel [105]. Według McVeya [106] wymiana zdań pomiędzy zespołem chirurgów a anestezjologiem przypomina stosunki panujące pomiędzy klientem a ekspedientem w dużym supermarkecie, zaś zdaniem J. McDonalda [107] w czasie operacji praktycznie nie ma miejsca dla wzajemnej wymiany danych o pacjencie. Świadczą o tym wyniki badań i analizy tej formy aktywności anestezjologów w czasie zabiegu operacyjnego. Na komunikację werbalną pomiędzy chirur-

Review of Medical Practice, 2023; Vol. XXIX, No. 3 32

gami a anestezjologiem przypada bowiem od 4,8% [108] czasu do wartości mieszczących się w ułamku procenta [109], przy czym często sprowadza się to do realizacji poleceń czysto technicznych, jak korekta ustawienia lamp lub stołu operacyjnego. W kategorii „wydawanie poleceń międzyzespołowych” stanowi to i tak poniżej 2% aktywności komunikacyjnej [110].

Można odnieść wrażenie, że pomimo współobecności przestrzennej oraz równoczesności czasowej działania tych dwóch grup specjalistów, pracujących ponadto w bezpośredniej bliskości, a już na pewno w granicach najkrótszego z dystansów interakcyjnych E. Halla [111], zjawiska te po prostu nie zachodzą. Podobny pogląd wyrażają też R. Helmreich i H. Schaefer [112], pisząc, że sterylna serweta odcina od siebie dwa światy: chirurgiczny i anestezjologiczny. Zdaniem J. Sexton [113] obserwacja zachowań międzyzespołowych (anestezjolog – chirurdzy) wykazuje, że w ponad 50% odnotowanych zdarzeń były one złe bądź zaledwie zaistniały.

Co leży u podstaw takiego zachowania? Przyczyny mogą być różnorodne. Jako najważniejszą z nich należy wymienić koncentrację członków zespołu na własnych specyficznych zadaniach, dalej niechęć do pokonywania istniejących w zespołach zahamowań oraz barier i psychologiczną charakterystykę poszczególnych członków, ich cech intro- czy ekstrawertywnych, na co zwraca uwagę R. Helmreich [114]. W konsekwencji doprowadza to nie tylko do różnic w zwykłej percepcji sytuacji operacyjnej, ale do prezentowania odmiennych poglądów odnośnie do tego, co oznacza dla współpracujących ze sobą grup zawodowych pojęcie dobrego porozumiewania się. Tym samym ulega zanegowaniu zasadniczy cel komunikacji międzyosobowej, jakim jest wzajemne zapewnienie, że informacja jest jasno przekazywana, a ponadto zrozumiała, bowiem aby doszło do nawiązania skutecznej interakcji, pytanie i słuchanie jednego uczestnika musi zostać zrównoważone chęcią odbioru, odpowiedzią i wyjaśnianiem drugiego. Wypowiadając się spontanicznie w tym temacie, chirurg najczęściej określa formę doskonałej komunikacji w następujący sposób: „powinienem uzyskać informację, której potrzebuję, nie zaś bezsensowne opowieści o takich [w jego oczywiście przekonaniu] bzdurach, jak obniżanie się ciśnienia, brak skrzyżowanej krwi do przetoczenia czy jakichś tam badań; nie mogę bez przerwy wysłuchiwać równie bezużytecznych pytań dotyczących postępu operacji”. Obraźliwe formy słowne, jakie potrafią wówczas padać na sali operacyjnej, są przez samych chirurgów, jak również personel pielęgniarski, bardzo często „rozgrzeszane”, a niejednokrotnie nawet popierane jako gwałtowne, ale skuteczne rozładowanie uczucia gniewu. Stanowią one ponadto swego rodzaju demonstrację siły oraz należą do wizerunku chirurga występują-

cego w roli „mocnego faceta” [115], który zawsze daje sobie radę i którego sukces zawsze jest niekwestionowany, widoczny oraz dokonuje się wobec audytorium śledzącego jego każdy – zawsze trafny – ruch. Trudno podzielać opinię Ch. Maslach [116], że takie zachowanie werbalne może być traktowane jako jedna z technik służących, podobnie jak mało cenzuralne dowcipy czy „czarny humor” chirurgów, redukowaniu negatywnych emocji. Pomijając kulturę słowa, jednostronne porozumiewanie się z pewnością chroni operatora od nieprzyjemnych i rozpraszających go komunikatów werbalnych, lecz zarazem pozostawia anestezjologa na uboczu przepływu strumienia informacji. On zaś wyraża dla odmiany głębokie zaniepokojenie katastroficznymi „odzywkami”, szczególnie w czasie krytycznego momentu, wynikłego po drugiej stronie „zielonej kurtyny”, gdy nie jest w stanie uzyskać od zespołu chirurgicznego właściwego obrazu sytuacji, czego w danej chwili potrzebuje w celu zapewnienia pacjentowi optymalnego bezpieczeństwa i przeciwdziałania skutkom zdarzenia [117]. I choć za rzecz zasadniczą wypadałoby uznać ścisłą współpracę anestezjologa oraz lekarza przeprowadzającego zabieg operacyjny czy diagnostyczny wymagający znieczulenia ogólnego, w praktyce jednak ten drugi minimalizuje i nie docenia jego roli, o czym może świadczyć użyty w wypowiedzi na forum oficjalnym zwrot „narkoza wykonywana przez pielęgniarki” [118]. Niejednokrotnie nawet anestezjolog zostaje obarczony winą za wszystkie zaistniałe powikłania, szczególnie pooperacyjne. Padają przy tym sformułowania szkodliwe dla jego reputacji i zdolności fachowych, przyczyniając się do wytwarzania negatywnych stereotypów postrzegania tej specjalizacji. Każde działanie anestezjologa kryje w tym kontekście niewyobrażalne wręcz ryzyko oraz całą serię możliwych do wystąpienia powikłań wyzwolonych wskutek jednego popełnionego przezeń błędu czy pomyłki. Powikłania chirurgiczne, choć podobnie tragiczne w skutkach, a występujące porównywalnie częściej, w zestawieniu z nim jawią się jako zjawisko niemalże normalne, uważane za następstwo choroby zasadniczej, bądź też złe zrządzenie losu, zamknięte w trywialnym powiedzeniu „robiliśmy wszystko, co w naszej mocy, ale...”.

Niedostateczna świadomość sytuacji krytycznej, wymiana informacji oraz ustaleń między operatorem i anestezjologiem dotyczących różnych aspektów operacji, podobnie jak optymalnego czasu jej przeprowadzenia, bądź lekceważenie tych zagadnień uważane są za istotny czynnik wzrostu liczby powikłań i zgonów [119]. Zdaniem H. Schaefera [120] jest to znacząca liczba, sięgająca nawet do 70–80% wszystkich nieszczęśliwych przypadków spowodowanych przez czynniki zależne od człowieka, w tym zaburzone mechanizmy komunikacji i kooperacji wewnątrzgrupo-

M.J.
a bezpieczeństwo
33
Turos, Czynnik ludzki
znieczulenia

wej. Jak wynika z badań brytyjskich [121], wśród najczęstszych przyczyn zaistnienia zdarzeń krytycznych, które można przypisać do kategorii „czynniki ludzkie”, trzy czołowe pozycje zajęły kolejno: brak wzajemnego porozumienia, wynikające stąd błędy w orzekaniu o stanie pacjenta oraz ogólnie zły przepływ informacji w zespole. Temat ten jest zresztą podejmowany przez praktycznie wszystkie publikacje dotyczące problematyki przyczyn występowania zdarzeń krytycznych w medycynie [122], zaś wśród sugerowanych przez uczestników ankiety CIRS [123] kierunków poprawy bezpieczeństwa na drugiej pozycji z 24% głosów na „tak” znalazła się poprawa sposobów artykułowania istotnych komunikatów werbalnych dotyczących stanu pacjenta. Widać więc jasno, że podstawowe problemy niedoborów komunikacyjnych w sytuacjach krytycznych łączą się z trudnościami ustalenia hierarchii zadań, rozwiązywaniem konfliktów i wzajemnym kontrolowaniem swoich działań.

Zaburzenia w komunikacji mogą także powstawać jako wynik wadliwie zdefiniowanych już na wstępie ról uczestników interakcji [124], jaką jest zabieg operacyjny. Z pewnością nie bez znaczenia pozostaje tu czas uzyskania pełnej samodzielności zawodowej, a ponadto jeszcze większość anestezjologów stanowią kobiety. Dla chirurga, szczególnie ordynatora oddziału, który porównywalną samodzielność zawodową uzyskuje w wieku starszym oraz posiadając dużo większe doświadczenie kliniczne, po prostu nie jest to osoba, z którą można prowadzić dyskusje. Jak wynika z badań J. Sexton [125], ocena poziomu wszystkich aspektów pracy zespołowej z chirurgami (szczególnie konsultantami) jest przez anestezjologów określana w 42% analizowanych sytuacji jako niska. Badania porównawcze zdają się również wskazywać zauważalne braki komunikacyjne w odniesieniu do płci współpracowników, gdyż w odniesieniu do tych samych sytuacji zostały one ocenione przez pielęgniarki chirurgiczne w 40% zdarzeń, zaś przez pielęgniarki anestezjologiczne analogicznie w 47% [126]. Ciekawy jest przy tym fakt, że chirurdzy generalnie uważają swoje zachowania w odniesieniu do zespołów anestezjologicznych za najzupełniej poprawne, zwracając niejednokrotnie uwagę, że to anestezjolodzy właśnie stwarzają problemy w nawiązywaniu właściwej komunikacji werbalnej. Czy przywołane zjawiska można uznać za właściwe? Z całą pewnością nie, zaś dokonanie korekty polegającej na nowym zdefiniowaniu i zmianie dominacji ról poszczególnych uczestników w ramach interakcji przyczyni się do właściwego określenia sytuacji krytycznej oraz pól działania, jakie w zapobieganiu bądź minimalizacji skutków jej wystąpienia mogą zajmować poszczególni członkowie zespołu.

Brak porozumienia zaburzający właściwy przepływ informacji może wynikać również z faktu, że specjali-

zacja lekarzy zabiegowych w sposób bardzo dokładny rozgranicza pole działania oraz kompetencje zawodowe tak, że poza sytuacjami ekstremalnymi porusza się on tylko w obrębie jednego interesującego go narządu bądź też ich grupy. Anestezjolog natomiast – pomimo uformowania się podspecjalności jak kardio- czy neuroanestezja, a także anestezja pediatryczna – zwłaszcza, jeżeli pracuje w dużym, wieloprofilowym szpitalu, musi być teoretycznie i praktycznie przygotowany do skutecznej interwencji u pacjentów we wszystkich grupach wiekowych. Taka sytuacja nie powinna jednak wykluczać konstruowania nowych ram interakcji środowiskowych [126, 127], które, podobnie jak właściwe określenie hierarchii w zespole, pozwalają na jasną komunikację, szczególnie w momentach krytycznych. W literaturze niejednokrotnie używa się w odniesieniu do anestezjologów sformułowania „cichy człowiek medycyny” [126, 128]. Nie oznacza to jednak, że jest on pozbawiony głosu w sprawach istotnych dla bezpieczeństwa pacjenta jako równoprawny partner w dyskusji. Śmiało więc można wyrazić pogląd, że techniki zachowań asertywnych [129] wiodące do zmniejszenia bezproduktywnej i podnoszącej poziom agresji werbalnej wymiany zdań, szczególnie z rozwojem medycyny okołooperacyjnej [130] przydzielającej anestezjologowi nowe prerogatywy działania, powinny być w tym środowisku przyswajane i adaptowane na równi z coraz szerszym zakresem obowiązków zawodowych. Anestezjolodzy zyskają tylko na autorytecie, wykorzystując swoje zdolności do wytwarzania właściwej atmosfery w zespołowej komunikacji interpersonalnej, a zarazem przyczynią się do „osuszenia bagna, w którym lęgną się moskity błędów ludzkich” [131], do jakich przyczynia się brak porozumienia w zespole.

C – zespół anestezjologiczny

Aby jeszcze bardziej ograniczyć udział czynnika ludzkiego jako potencjalnej przyczyny wzrostu występowania zdarzeń krytycznych, uwaga anestezjologa musi zostać skierowana również na najbliższe otoczenie, z którym współpracuje. Wewnątrz samego zespołu anestezjologicznego mogą rodzić się wielorakie zachowania konfliktowe i występować zaburzenia w komunikacji interpersonalnej. Na istotność tego zagadnienia wskazuje cały szereg publikacji [132] poświęconych tej tematyce, a ponadto, jak wynika z badań P. Jałowieckiego, czynniki zaburzonych mechanizmów interakcyjnych należy uznać za istotne, ponieważ 40,9% ankietowanych anestezjologów oceniło warunki bezpośredniej współpracy w zespole jako „takie sobie”, 5,6% jako „raczej złe”, zaś 1,5% zdecydowało się określić je jako „złe” [133]. Zdaniem R.W. Bucklanda [134] w przypadku zauważalnych niedoborów interakcyjnych najważniejszymi tema-

Review of Medical Practice, 2023; Vol. XXIX, No. 3 34

tami do przedyskutowania w zespole, a następnie wdrożenia mechanizmów prowadzących do zmiany zachowań, są:

‒ przejawy indywidualnego działania pozbawionego cech niezbędnego profesjonalizmu, ‒ zdarzające się, a zarazem ukrywane przed przełożonymi fakty niekompetencji członków zespołu, ‒ częste „niewyjaśnione” zdarzenia krytyczne, ‒ niewłaściwy styl sprawowania obowiązków przez kierownika oddziału.

W tym ostatnim przypadku sytuacje zaburzonego przepływu istotnych dla bezpieczeństwa znieczulenia informacji, a także brak właściwych form wypowiedzi, mogą mieć miejsce szczególnie łatwo. Gdy kierownik zespołu jest apodyktyczny, sprawuje swoje obowiązki wyłącznie w obrębie schematu autorytarno-despotycznego [135], nie konsultując swoich poczynań z podległym personelem, narzuca im z góry „jedynie słuszne” własne rozwiązanie. Jeśli dochodzi do rzeczywistej różnicy zdań, trudno, by nie pojawiło się odmienne postrzeganie podejmowanych zadań lub, co gorsza, ich następczej interpretacji. Modelowym przykładem może tu stać się określanie skali ryzyka operacyjnego. Jak wynika z badań W. Owensa [136], rozbieżności opinii mogą sięgać tu nawet 40%, pomimo istnienia jednolitych standardów, zaś interpretacja, co wykazała analiza wypowiedzi 255 anestezjologów, którym zaprezentowano 10 hipotetycznych przypadków, uzyskując pełną zgodność podjętych decyzji w sześciu spośród nich [137], w dużym stopniu może być związana z subiektywną oceną lekarza. Zwróciła na to uwagę już pod koniec lat 60. I. Lazari-Pawłowska [138], podając sugestię socjologicznej oceny skal ryzyka, zaznaczając, że wobec ich mnogości i coraz bardziej postępującego uszczegółowienia przeprowadza się wybór takiego modelu myślowego, który niekoniecznie najpełniej odzwierciedlałby obiektywny, a zarazem zmieniający się w sposób dynamiczny stan pacjenta, lecz odpowiadał z góry przyjętym założeniom. Możliwość zakwestionowania nietrafnej decyzji prognostycznej, diagnostycznej lub dotyczącej wdrożenia danej procedury wydanej przez kierownika lub starszego kolegę z zespołu w badaniach przeprowadzonych przez J. Sexton [139] uznało za rzecz bardzo istotną aż 72% indagowanych anestezjologów [140]. Zdaniem R. Helmreicha [151] umiejętności kierownika zespołu służące zachęcaniu do artykułowania wątpliwości oraz stawiania pytań i wyrażania własnych problemów decyzyjnych zajmują szczególne miejsce w redukowaniu w pracy zespołu anestezjologicznego zdarzeń krytycznych indukowanych przez czynnik ludzki. Pogląd taki wyraziło 70% pytanych w tym temacie lekarzy anestezjologów i ponad 70% kierowników oddziałów [142]. Na istotną rolę wymiany zdań, a nawet przewartościowania w tym kontekście

sposobów prowadzenia konsultacji anestezjologicznej, zwrócił uwagę także T. Szreter [143], pisząc: „forma konsylium zbyt rzadko stosowana we współczesnej medycynie, szczególnie w intensywnej terapii, ma swoje głębokie uzasadnienie [...], pozwala ona rozłożyć ciężar decyzji na zespół ekspertów, lepiej je uzasadniać i reprezentować powagę i kompetencje wobec rodziny chorego” [144].

Rodzącym liczne kontrowersje zagadnieniem może być również przydział sal operacyjnych konkretnym anestezjologom, szczególnie kiedy kierownik zamiast obiektywnych kryteriów związanych ze stanem pacjentów, jacy mają być w nich znieczulani, działa według swojego widzimisię bądź, co gorsza, wywiera presję na współpracowników. Warto przypomnieć, że na wiele lat przed pojawieniem się w Polsce publikacji dotyczących modeli kierowania i technik pracy w zespole o ważnej roli kierownika w zapobieganiu sytuacjom krytycznym związanym ze znieczulaniem pacjentów w ciężkim stanie ogólnym pisał obszernie M. Sych [145], poświęcając uwagę temu właśnie aspektowi jego codziennych obowiązków zawodowych. W potocznym oglądzie szpitalnej rzeczywistości brak właściwego porozumienia komunikacji wewnątrz zespołu wyraża się najczęściej w kategoryzacji sal operacyjnych na „lepsze” oraz „gorsze”. Te drugie traktowane bywają przez anestezjologów jako miejsce „zsyłki”, w którym po prostu „źle” się pracuje i gdzie zaistnienie zdarzenia krytycznego jest tylko kwestią czasu – potocznie: „na pewno coś się tam kiedyś zdarzy”. Wówczas drobne niedopatrzenie w procedurach, wynikające często z chęci odreagowania oraz zmniejszenia negatywnych emocji, może stanowić przyczynę zaistnienia sytuacji krytycznej, tłumaczonej później irracjonalnie, że „mnie się to właśnie tam przydarzyło”. Zła komunikacja, o ile cechuje ją jeszcze wieloznaczność indywidualnie adresowanych poleceń, doprowadza do trudnych sytuacji, gdy jedna ze stron musi pójść na kompromis, zrezygnować z zajmowanego w sporze stanowiska lub też podporządkować się decyzji. A dla wielu osób kompromis jest już z samej definicji tym, na co nie mogą w żaden sposób przystać, szczególnie gdy obiektywne racje przemawiają na ich korzyść. Łatwo wówczas o liczne przypadkowe czy nawet rozmyślne odstępstwa od bezpiecznych praktyk, standardów czy przyjętych reguł, co może leżeć u podstaw wielu błędów. Atmosfera wzajemnego zaufania i szacunku, jak również powaga obiektywnego przełożonego, zapobiega zazwyczaj poczuciu zagrożenia integralności zawodowej, zaś tzw. wsiąkniecie w układy lub chęć „utrzymania się” za wszelką cenę może oznaczać w konsekwencji całkowite wyrzeczenie się jej. Zgodzić się więc trzeba ze zdaniem C. Coopera, cytowanym kilkakrotnie przez B. Kożusznika [146], że jednym z głównych czynników

M.J. Turos, Czynnik ludzki a bezpieczeństwo znieczulenia 35

indukujących bodźce stresogenne w miejscu pracy może stać się przełożony oraz sposób, w jaki kieruje on pracownikiem.

Zależność w hierarchii zawodowej czy naukowej –przykładowo lekarz starszy, pełniący obowiązki „szefa” dyżuru i stojący dużo niżej od niego w hierarchii lekarz rozpoczynający specjalizację z anestezjologii –sprawia również, że niejednokrotnie, pomimo obowiązywania ogólnych wytycznych w tym zakresie [147], wiele obowiązków zostaje scedowanych na tego ostatniego. Tu zaś kwestią uczciwości osobowej jest (czy może raczej powinno być), że w przypadku zaistnienia jakichkolwiek powikłań osoba o wieloletnim stażu pracy i wynikającym stąd doświadczeniu zawodowym przejmie przynajmniej część odpowiedzialności za to, co się stało, nie obarczając winą za wszystko wyłącznie stażysty. Jest to tym bardziej istotne, jeśli uwzględni się równocześnie fakt, że rozmowa o stanie zdrowia pacjenta, sposobie prowadzenia znieczulenia czy wydawanie zleceń odbywa się zazwyczaj „w cztery oczy”.

Na zagadnienie to zwrócił uwagę m.in. A. Bacon [148], akcentując istotną rolę kierownika oddziału bądź opiekuna lekarzy szkolących się w anestezjologii. Pełnią oni bowiem niezwykle ważną funkcję swoistej „pierwszej instancji” spieszącej z pomocą w odzyskiwaniu równowagi psychicznej przez młodych lekarzy, którzy byli świadkami zdarzenia krytycznego lub brali w nim udział.

Kierownik oddziału ma, jak widać, znaczący wpływ na cały szereg czynników wytwarzających właściwe mechanizmy interakcyjne. Są to: skład zespołu, jego konsolidacja, codzienna atmosfera sprzyjająca podejmowaniu nowych zadań oraz motywacje do przedstawiania swoich problemów zawodowych w celu poszukiwania kroków, jakie byłyby możliwe dla ich skutecznego rozwiązania. Zespołowe podejmowanie decyzji powinno być przez niego popierane, gdyż odgrywa to niebagatelną rolę w zachowaniu równowagi pomiędzy zdarzającymi się decyzjami autokratycznymi a preferowanym demokratycznym stylem sprawowania obowiązków kierowniczych [149]. Również system relacjonowania oraz analizowania na bieżąco ewentualnych błędów, niekoncentrujący się w swoich zasadach wyłącznie na działaniach represyjnych, może pomóc w wyzwoleniu atmosfery sprzyjającej poprawie psychicznego komfortu pracy.

Niekorzystne skutki zdarzenia krytycznego dotykają bowiem nie tylko bezpośrednio pacjenta, lecz również anestezjologa. Uzewnętrznienie odczuć w gronie najbliższych kolegów i współpracowników, przeprowadzenie dyskusji o tym, co zaszło, sprzyja rozładowaniu wewnętrznych napięć. Wspólne omawianie zaistniałych wydarzeń sprzyja łatwemu otwarciu się oraz artykulacji indywidualnych przeżyć, pozwala określić

granice przeżywanego stresu, co dużo szybciej prowadzi do uspokojenia emocji i zmniejszenia globalnie wyzwalanych przez niego negatywnych reakcji ogólnoustrojowych [150]. Trajektoria jednostkowych odpowiedzi na bodziec stresogenny przebiegać może od głębokiego poczucia winy, subiektywnego żalu o brak adekwatnej pomocy i chęci izolowania się od kolegów u osoby, której udziałem stało się tragiczne wydarzenie, po – rozumianą w moim przekonaniu już w kategoriach patologii zachowania – satysfakcję werbalizowaną niejednokrotnie, „że to nie mnie się zdarzyło”, połączoną z manifestowaniem przesadnego krytycyzmu czy wrogości. Jest to tym bardziej godne nagany, że zdarzenia krytycznego w anestezjologii nie można skwitować potocznym „a nie mówiłem”.

Werbalne i pozawerbalne techniki psychologiczne pozwalające na szybkie odreagowanie w sytuacji kryzysowej są powszechnie znane, lecz niestety nie znajdują właściwego zastosowania w narażonej na tak liczne bodźce stresorodne działalności zawodowej jak codzienna praca anestezjologa. W literaturze anglosaskiej w odniesieniu do tego typu spotkań używa się terminu debriefing [151], zaproponowanego przez J. Mitchela [152] i zaczerpniętego z psychiatrii, gdzie oznacza on program odreagowywania polegający na wspólnym analizowaniu zaistniałych wydarzeń, by zmniejszyć niepożądane i rodzące przy tym stres emocje [153]. Niestety, jak pisze A. Bacon, „dyskusja nad emocjonalną odpowiedzią [w domyśle – lekarza, przyp. aut.) na nieprzewidziane zdarzenia wydaje się omijać literaturę anestezjologiczną” [154]. Sytuacja ta dotyczy również Polski, gdyż prace poruszające to zagadnienie wspominają tylko o personelu karetek reanimacyjnych pogotowia ratunkowego, sytuując je na wspólnej płaszczyźnie z pozostałymi zespołami ratowniczymi [155]. Po zapoznaniu się ze wzmiankowanymi dotychczas tekstami powstałymi na kanwie badań reakcji na stres zespołów ratowniczych można odnieść wrażenie, że kontakt z ofiarą wypadku, często znajdującą się w stanie bezpośredniego zagrożenia życia, wyzwala silne bodźce o działaniu negatywnym tylko u członków zespołu ratowniczego na miejscu zdarzenia, a w żaden sposób nie wpływa na personel lekarsko-pielęgniarski, podejmujący dalsze czynności ratownicze w szpitalu i stykający się z identyczną sytuacją niejednokrotnie kilkanaście razy podczas dyżuru. Należy zgodzić się z opinią, że „przewentylowanie” nastrojów bywa równie, o ile nie bardziej istotne w pracy szpitalnej, szczególnie gdy doszło do wystąpienia jakiegoś niezwykle tragicznego wydarzenia w zespole. Przykładowo: może to być kilka wyjątkowo makabrycznych wypadków podczas ostrych dyżurów następujących po sobie w bardzo krótkim odstępie czasu, śmierć zdrowego dziecka czy wystąpienie zdarzenia krytycznego, w przebiegu którego zaangażowanych

Review of Medical Practice, 2023; Vol. XXIX, No. 3 36

było wielu członków zespołu. „Obserwowane przez nas dramatyczne powikłanie [dotyczące hipertermii złośliwej – przyp. aut.] pozostawiło nie tylko trwały ślad w pamięci, co w codziennej praktyce rzutuje na postępowanie anestezjologów” [156].

Zdaniem H. Pery [157] ukierunkowanego wsparcia psychicznego, tak zespołowego, jak i indywidualnego, najlepiej w formie zbliżonej do duszpasterskiego poradnictwa towarzyszącego, oczekują szczególnie osoby pracujące długo w placówkach o wyraźnym profilu chirurgii urazowej oraz tam, gdzie nie istnieje oddzielny zespół zatrudniony wyłącznie na oddziale intensywnej terapii, gdyż rotacja, a szczególnie system mieszanych dyżurów, zaburza naturalne mechanizmy przystosowawcze, prowadząc w konsekwencji do szybszego wystąpienia cech zespołu wypalenia zawodowego [158]. Chcą one bardzo często przelać przynajmniej cząstkę codziennych dylematów zawodowych i łączącej się z nimi odpowiedzialności na umiejącą cierpliwie słuchać drugą osobę. Z żalem należy stwierdzić, że na terenie naszego kraju możliwość prowadzenia psychoterapii w szpitalu ogólnym, ukierunkowanej nie na pacjentów, lecz celowo na personel leczący, jest nadal, pomijając kwestie finansowe, „kwitowane zmową wstydliwego milczenia” [159]. Zajęcie takiego stanowiska wydaje się być nieporozumieniem, gdyż umieszczając osobę ludzką i system, w którym działa, wraz z jego wzorcami procesów grupowych w centrum uwagi, nauki medyczne powinny również kroczyć śladem innych zawodów, w których poprawa bezpieczeństwa i skuteczność proceduralna nastąpiły w wyniku koncentracji zainteresowania badawczego na czynnikach zależnych w znacznym stopniu od człowieka.

Piśmiennictwo

1. Vicent Ch., Taylor-Adams S., Stanhope N.: Framework for analysing risk and safety in clinical medicine. BMJ 1998; 316 [11.IV]: 1154–1157.

2. Kozielecki J.: Psychologia procesów przeddecyzyjnych. Warszawa: PWN; 1969.

3. Helmreich R.I., Davies J.M.: Human factors in the operating room: interpersonal determinants of safety, efficiency and morale. Bailliere’s Clinical Anaesthesia 1996; X(2) [July]: 277.

4. www.psy.utexasedu/homepage/group/Helmreich LAB (dostęp 6.05.2023).

5. Helmreich R.I., D.M. Musson D.M., Sexton J.B.: Human factors and safety in surgery. In: Nora P.F., red. Surgical patient safety: essential information for surgeons in today’s environment. Chicago: Ed. American College of Surgeons; 2004.

6. Kaiser E.: Complication Management in the Cardiac Catheter Laboratory. Berlin: Springer; 2022. 143.

7. https://pubmed-1ncbi-1nlm-1nih-1gov-100001a6s00f1. han3.wum.edu.pl/?term=human+factors+in+healthcare (dostęp 6.05.2023).

8. Kushniruk A.W., Borycki E.M.: Human factors in healthcare IT: Management considerations and trends. Healthc Manage Forum 2023; 36(2): 72–78.

9. Salvendy G.: Handbook of Human Factors Wiley – Interscience. New York: 1987; Reason J., Human error. New York: Cambridge University Press; 1990; Bogner M.S.:

Human error in medicine Hillsdale NY. Lawrence Erlbaum, Hilsdale: NY; 1994; Vicent C.A.: Clinical risk management. London: BMJ Publ; 1995; Peters G.A., Peters B.J.: Medical Error and Patient Safety. Human factors in Medicine. London: New York CRC Press, Boca Raton; 2007 [wznow. 2019)]; Dochin Y., Gopher D.: Around the Patient. Human Factors and Safety in Health Care. London, New York: CRC Press, Boca Raton; 2013; Dekker S.: Patient Safety a Human Factors Approach. London, New York: CRC Press, Boca Raton; 2016.

10. Gaba D.M., Howard S.K., Small S.D., Situation awareness in anesthesiology. Hum Fact 1995; 37(1): 20–31; Cook R.I., Woods D.D.: Adapting to new technology in the operating room. Hum Fact 1996; 38(4): 593–613; Xiao Y., Hunter W.A., Mackenzie C.F., Jefferies N.J., Horst R.L.: Task compexity in emergency medical care and its implications for team coordination. LOTAS [Level One Trauma Anesthesia Simulation]. Hum Fact 1996; 38(4): 636–645; Seagull J.F., Sanderson P.M.: Anesthesia alarms in context: an observational study. Hum Fact 2001; 43(1): 66–71.

11. Medvedev G.: The truth about Chernobyl. New York: Basic Books; 1991.

12. Vicent Ch., Taylor-Adams S., Stanhope N.: Framework for analysing risk and safety in clinical medicine. BMJ 1998; 316 [11.IV]: 1155.

13. DeMarco T., Lister T.: Czynnik ludzki. Skuteczne przedsięwzięcia i wydajne zespoły. Warszawa: WN-T; 2002.

14. Klampfer B., Flin R.: Enhancing performance in high risk environments: Reccomendations for the use of behavioural markers. W: GIHRE – Kolleg Swissair Training Center Zurich July 5–6 2001.

15. Schaefer H.G., Helmrich R., Scheidegger D.: Safety in the operating theatre. Part 1: Interpersonal relationship and team performance. Anaesth. Critic Care 1995; 6: 48–53.

16. Gaba D.M., Maxwell M., De Anda A.: Anesthetic mishaps: breaking the chain of accident evolution. Anesthesiology 1987; 66: 670–676.

17. Gaba D.M.: Anesthesiology as a model for patient safety in health care. BMJ 2000; 320[18.III]: 786.

18. Cooper J.B., Newbower R.S., Long C.D., McPeek B.: Preventable anesthesia mishaps: a study of human factors. Anesthesiology 1979; 49: 389–406.

19. Gaba D.M.: Anesthesiology as a model for patient safety in health care. BMJ 2000; 320[18.III]: 786.

20. www.psy.utexas. edu/homepage/group/Helmreich LAB/ Medicine/Basel (dostęp: 6.05.2023).

21. Szreter T.: Wpływ nowoczesnej anestezji na śmiertelność okołooperacyjną. Nowa Medycyna 1997; 21: 9.

22. Wielka encyklopedia PWN, t. VI. PWN: Warszawa: 2002.

23. Szewczuk W., red.: Encyklopedia psychologii, Warszawa: WSSE Fundacja Innowacja 1998.

24. Reber A.S., Słownik psychologii. Warszawa: Wyd. Naukowe Scholar; 2000. 126 (kol. II).

25. Jałowiecki P.: Aktualny stan bezpieczeństwa znieczulenia w Polsce. Katowice: ŚAM; 2000.

26. Zoll A.: Odpowiedzialność karna lekarza za niepowodzenie w leczeniu. Warszawa: Wydawnictwo Prawnicze; 1988. 52.

27. Macintosh R.R.: Deaths under anaesthesia. Br J Anaesth 1948; 21: 107–136.

28. Beecher H.K., Todd D.P.: A study of deaths associated with anesthesia and surgery, Ann Surg 1954; 140: 2–35.

29. Fleisher L.A.: Risk of Anesthesia. W: Miller R.D., Anesthesia Churchill. Livingstone; 2000. 799.

30. Arnstein F.: Catalogue of human errors. Brit J Anaesth 1997; 79: 654.

31. Wang L.P., Hägerdal M.: Reported anaesthetic complication during an 11-year period. A retrospective study. Acta Anaesthsiol Scand 1992; 36: 234–240.

32. Runciman W.B., Sellen A., Webb R.K., Williamson J.A., Currie M., Morgan C.: The Australian incident monitoring study. Errors, incidents and accidents in anaesthetic practice. Anaesth Intens Care 1993; 21: 506–519.

33. Rollin A.M.: Critical incident reporting 2001. Bulletin 9. The Royal College of Anaesthetists; September 2001: 413–414.

34. Abajian J., Arrowood J.G., Barrett R.H. et al.: Critique of „A Study of the Deaths Associated with Anesthesia and Surgery”. Ann Surg 1955; 142(1) [July]: 138–141.

35. Hołówka T.: Błędy logiczne. W: Wielka encyklopedia PWN, t. IV. Warszawa: PWN; 2001. 182 (kol. I).

36. Nesterowicz M.: Prawo medyczne. Toruń: TNOiK „Dom Organizatora”; 1994.

M.J.
37
Turos, Czynnik ludzki a bezpieczeństwo znieczulenia

37. Liszewska A.: Odpowiedzialność karna lekarza za błąd w sztuce lekarskiej. Kraków: Zakamycze 1998.

38. Liszewska A., Wątpliwości wokół pojęcia błędu w sztuce. Fol Iurid 1994; 60: 129–138.

39. Vicent Ch., Taylor-Adams S., Stanhope N.: Framework for analysing risk and safety in clinical medicine. BMJ 1998; 316 [11.IV.]: 1154–1157.

40. Vincent Ch.: Principles of risk and safety; https://www.esaic.org/patient-safety/helsinki-declaration-overview/10-years-of-the-helsinki-declaration/chapter-6/ (dostęp 6.05.2023).

41. Reason J.: Bezpieczeństwo w sali operacyjnej, cz. 2. Błąd ludzki a zła organizacja pracy. Aktualności w Anestezjologii i Intensywnej Terapii 1996; V(2): 137.

42. „Świat Nauki” 2000, 7 [107], 11.

43. Eichhorn J.H.: History of Anesthesia Patient Safety. Intern Anesth Clin 2018; 56(2): 65–93.

44. World Health Organization. Patient safety, 2017; http:// www.who.int/patientsafety/en/ (dostęp: 6.05.2023).

45. Sztompka P., Socjologia. Analiza społeczeństwa. Kraków: Znak; 2002. 66–86.

46. Turner J.H.: Socjologia. Koncepcje i ich zastosowanie. Poznań: Zysk i S-ka; 1998.

47. Terelak J.F., Psychologia pracy i bezrobocia. Warszawa: ATK: 1993.

48. Rassmusen J.: Models of human information processing. Information processing and human – machine interaction ECRI. Elsevier; 1986.

49. Zbinden A.M., The human factor and anaesthesia outcome; www.euroanesthesia.org/education/ (dostęp 6.05.2023).

50. [49]

51. Tasker R.C.: Training and dealing with errors or mistakes in medical procedure. Arch Dis Child 2000; 83: 95–98.

52. [51]

53. Green R.: The psychology of human error. Europ J Anaesth 1995; 16: 151.

54. [53].

55. Reason J.: Bezpieczeństwo w sali operacyjnej. – cz. 2. Błąd ludzki a zła organizacja pracy, Aktualności w Anestezjologii i Intensywnej Terapii 1996; V(2): 140.

56. [55]

57. DeAnda A., Gaba D.M.: Unplanned Incidents During Comprehensive Anesthesia Simulation. Anesth Analg 1990; 71(1): 77.

58. [57].

59. De Anda A., Gaba D.M.: Role of Experience in the Response to Simulated Critical Incidents. Anesth Analg 1999; 72: 312.

60. [59], .309.

61. Wielka encyklopedia PWN, T. IX, Warszawa: PWN: 2002. 57 [kol. I/II].

62. Turner J.H.: Socjologia. Koncepcje i ich zastosowanie. Poznań: Zysk i S-ka; 1998. 47.

63. Zając K.: Próba krytycznego spojrzenia na modele ocen ryzyka operacyjnego związanego z anestezją. Anest Klin Intens Ter 1988; 28.

64. Williamson J.A., Webb R.K., Sellen A.: Human failure: an analysis of 2000 incident reports. Anaesth Intens Care 1993; 21: 684–695.

65. [64].

66. Lack J.A.: Critical incident reporting. Bulletin 13. The Royal College of Anaesthetists; May 2002. 617.

67. [66].

68. DeAnda A., Gaba D.M.: Unplanned Incidents During Comprehensive Anesthesia Simulation. Anesth Analg 1990; 71(1): 77.

69. Reason J.: Bezpieczeństwo w sali operacyjnej. – cz. 2. Błąd ludzki a zła organizacja pracy, Aktualności w Anestezjologii i Intensywnej Terapii 1996; V(2): 137.

70. Tomaszewski T.: Aktywność człowieka. W: Maruszewski M., Reykowski J., red. Psychologia jako nauka o człowieku. Warszawa: KiW; 1966.

71. Wingard D.W.: A sressful situation. Anesth Analg 1980; 56: 321.

72. Mayzner-Zawadzka E., Sowiński P.: Postępowanie anestezjologiczne w zagrażającym zespole hipertermii złośliwej. Anest Intens Ter 1991; 23: 314–317.

73. Michalewski W., Szczepański J., Sachajdak-Michalewska Z.: Gorączka złośliwa (malignant hyperthermia) podstępne zjawisko okołooperacyjne: ocena sądowo-lekarska zgonu po cięciu cesarskim. Arch Med Sąd i Krym 1998; XLVIII: 227–232.

74. Mayzner-Zawadzka E.: Śródoperacyjna hipertermia złośliwa – etiopatogeneza i wybrane zagadnienia kliniczne. Anest Intens Ter 1993; 25: 39–43.

75. Marino P.L., Intensywna terapia. Wrocław: Urban & Partner; 2001. 494.

76. „[…] 9. Każda instytucja, w której używane są leki potencjalnie wyzwalające MH, powinna mieć plan zapewnienia dostępności wstępnego bolusa dantrolenu (2–2,5 mg/kg) w ciągu 5 minut od rozpoznania reakcji MH oraz mobilizacji odpowiedniej ilości leku, by możliwe było podanie 2–2,5 mg/kg co 10 minut. 10. Dla lokacji, w których podawane są leki potencjalnie wywołujące MH, typowy (natychmiastowo dostępny) zapas magazynowy dantrolenu powinien wynosić 36 fiolek. 11. Dla lokacji, w których podawane są leki potencjalnie wywołujące MH, typowy (natychmiastowo dostępny) zapas magazynowy dantrolenu powinien wynosić 48 fiolek, jeśli kolejne fiolki nie mogą być pozyskane w ciągu 30 minut. 12. Dla lokacji, w których podawane są leki potencjalnie wywołujące MH, typowy (natychmiastowo dostępny) zapas magazynowy dantrolenu powinien wynosić 60 fiolek, jeśli kolejne fiolki nie mogą być pozyskane w ciągu 1 godziny […]”. Za: Glahn K.P.E., Bendixen D., Girard Th., Hopkins Ph.M., Johannsen St., Ruffert H., Snoeck M.M., Urwyler A., Availability of dantrolene for the management of malignant hyperthermia crises: European Malignant Hyperthermia Group guidelines. BJA 2020; 125(2): 133–140; https://www.bjanaesthesia.org/article/S0007-0912(20)30349-4/fulltext (dostęp: 10.05.2023).

77. www.polanest.prv.pl (dostęp: 10.05.2023).

78. [77].

79. https://laryngoskop.eu/dantrolen/ (dostęp: 10.05.2023).

80. Reason J.: Bezpieczeństwo w sali operacyjnej. – cz. 2. Błąd ludzki a zła organizacja pracy, Aktualności w Anestezjologii i Intensywnej Terapii 1996; V(2): 137, 140.

81. Cook R.I., McDonald J.S.: Cognitive tunnel vision in the operating room, analysis of cases using a frame model. Anesthesiology 1988; 69: A497.

82. Reason J.: Bezpieczeństwo w sali operacyjnej. – cz. 2. Błąd ludzki a zła organizacja pracy, Aktualności w Anestezjologii i Intensywnej Terapii 1996; V(2): 138.

83. Kamiński S., Systematyzacja typowych błędów logicznych. Roczn Fil 1962; X(1): 37.

84. Szreter T.: Symulacja w anestezjologii i intensywnej terapii. W: Zastosowanie technik symulacyjnych i wirtualnych w obronności, bezpieczeństwie, transporcie, medycynie i edukacji. Łódź: listopad 2000; Szreter T.: Symulacja jako metoda szkolenia w anestezjologii i intensywnej terapii. Blok Operacyjny 2000; IV(1): 7–10.

85. Kurrek M.M., Devitt J.H.: The cost for construction and operation of a simulation centre, Can J Anaesth 1997; 44, I: 1191–1195.

86. Larbuisson R., Lamy M., Janssens M., Nyssen A.S.: Anaesthesia simulator: play tool or educational asset?; www. euroanesthesia.org./education/

87. Brock-Utne J.G.: Anestezjologia ciekawe przypadki kliniczne. Warszawa: Wydawnictwo PZWL; 2014. 106.

88. Green R.: The psychology of human error. Europ J Anaesth 1995; 16: 149.

89. Schultz D.P., Schultz S.E.: Psychologia a wyzwania dzisiejszej pracy. Warszawa: PWN; 2002.

90. Schaefer H.G., Helmrich R., Scheidegger D.: Safety in the operating theatre. Part 1: Interpersonal relationship and team performance. Anaesth. Critic Care 1995; 6: 52–53.

91. Reason J.: Bezpieczeństwo w sali operacyjnej. – cz. 2. Błąd ludzki a zła organizacja pracy, Aktualności w Anestezjologii i Intensywnej Terapii 1996; V(2): 135.

92. Chopra V., Bovill J.G.: Improving anaesthesia safety. W: Taylor T.M., Major E.: Hazards and complication of anaesthesia. London: Churhill Livingstone; 1993. 13–25.

93. Boquet J., Bushman J.A., Davenport H.T.: The anaesthetic machine – a study of function and design, Br J Anaesth 1980; 52: 59.

94. Turner J.H.: Socjologia. Koncepcje i ich zastosowanie. Poznań: Zysk i S-ka; 1998. Rys. w tekście [b.p.]. paginacji.

95. Sych M.: Uwagi o współpracy chirurgów i anestezjologów. Anest Inten Ter 1993; 25: 95–98.

96. Kopliński A., Dyaczyńska-Herman A.: Some remarks on cooperation between neurosurgeon and anaesthesiologist. W: VIII-th European Congress of Anaesthesiologists Warsaw September 1990. Book of Proceedings.

97. Lack J.A.: Critical incident reporting. Bulletin 13. The Royal College of Anaesthetists; May 2002. 617.

Review of Medical Practice, 2023; Vol. XXIX, No. 3 38

98. Sych M.: Czynnik ludzki i organizacyjny w ryzyku operacyjnym związanym z anestezją. Anest Intens Ter 1984; 16: 125–128.

99. Sperling A.P.: Psychologia. Poznań: Zysk i S- ka; 1995. 362–367.

100. Booij L.H.D.J.: Jak najlepiej bronić naszej specjalności –intra muros i poza nimi, Anest Inten Ter 1999; 31: 277.

101. Gaba D.M., Howard S.K., Jump B.: Production Pressure in the Work Environment. Anesthesiology 1994; 81: 488–500.

102. Weinger M.B., Englund C.E.: Affecting Anesthetic Vigilance Ergonomic and Human Factors and Monitoring Performance in the Operating Room Environment. Anesthesiology 1990; 73: 995–1021.

103. Sexton J.B., Thomas E.J., Helmreich R.L.: Error, stress, and teamwork in medicine and aviation. BMJ 2000; 320: 747.

104. [103].

105. Manteuffel L.: Chirurgia polska, Służba Zdrowia 1955; 41(321): 2.

106. Helmrich R.L., Musson D.M.: Surgery as team endeavour. Can J Anaesth 2000; 47(5): 391–392.

107. McDonald J.S., Dzwonczyk R.R.: A time and motion study of the anaesthetist’s intraoperative time. Br J Anaesth 1988; 61(6): 738–742.

108. Gaba D.M., Lee T.: Measuring the Workload of the Anesthesiologists, Anesth Analg 1990; 71: 358.

109. Weigner M.B., Herndon O.W., Zornov M.H., Paulis M.S., Gaba D.M., Dallen L.T.: An Objective Methodology for Task Analysis and Workload Assessment in Anesthesia Providers. Anesthesiology 1994; 1: 82.

110. McDonald J.S., Dzwonczyk R.R.: A time and motion study of the anaesthetist’s intraoperative time. Br J Anaesth 1988; 61(6): 739.

111. Sztompka P., Socjologia. Analiza społeczeństwa. Kraków: Znak; 2002. 70.

112. Gaba D.M., Howard S.K., Small S.D., Situation awareness in anesthesiology. Hum Fact 1995; 37(11): 30.

113. Sexton J.B., Thomas E.J., Helmreich R.L.: Error, stress, and teamwork in medicine and aviation. BMJ 2000; 320: 747.

114. Helmreich R.I., Davies J.M.: Human factors in the operating room: interpersonal determinants of safety, efficiency and morale. Bailliere’s Clinical Anaesthesia 1996; X(2) [July]: 281.

115. Goffman E.: Człowiek w teatrze życia codziennego. Warszawa: PIW; 1981. 52.

116. Maslach Ch.: Wypalenie się: utrata troski o człowieka. W: Zimbardo P.G., Ruch F.L.: Psychologia i życie. Warszawa: PWN; 1988. 625.

117. Kamiński B., Rowiński W.: Współczesna chirurgia i anestezjologia, W: Śliwiński M., Rudowski W., red. Chirurgia kliniczna. PZWL: Warszawa; 1981. 362–368.

118. Kübler A.: Komentarz do „Zasad współdziałania chirurgów z anestezjologami”. Anest Intens Ter 1994; 26: 448.

119. Jałowiecki P., Michalewski W., Sachajdak-Michalewska Z., Dyaczyńska-Herman A., Nasiłowski W.: Przyczyny i okoliczności nagłego okołooperacyjnego zatrzymania krążenia. Arch Med Sąd i Krym 1994; XLIV(3): 311–318.

120. Schaefer H.G., Helmrich R., Scheidegger D.: Safety in the operating theatre. Part 1: Interpersonal relationship and team performance. Anaesth Critic Care 1995; 6: 53.

121. Schaefer H.G., Helmrich R., Scheidegger D.: Safety in the operating theatre. Part 1: Interpersonal relationship and team performance. Anaesth Critic Care 1995; 6: 53.

122. Lack J.A.: Critical incident reporting. Bulletin 13. The Royal College of Anaesthetists; May 2002. 617.

123. Aitkenhead A.R.: The influence of the anaesthetist on outcome. Bailliere’s Clinical Anaesthesiology 1999; XIII(2): 279–294.

124. www.psy.utexas.edu/homepage/group/HelmreichLAB/Medicine/Basel/

125. Szacka B.: Wprowadzenie do socjologii. Warszawa: Oficyna Naukowa; 2003. 131.

126. Sexton J.B., Thomas E.J., Helmreich R.L.: Error, stress, and teamwork in medicine and aviation. BMJ 2000; 320: 747.

127. [126].

128. [126].

129. Turner J.H.: Socjologia. Koncepcje i ich zastosowanie. Poznań: Zysk i S-ka; 1998. 134.

130. Loder R.E.: The anaesthetist in the operating theatre. Anaesthesia 1982; 37: 591.

131. Stress in Anaesthetists. The Association of Anaesthetists of Great Britain and Ireland; 2004. 1.

132. Beattie C.: Perioperative Medicine on the Ward: Are Anesthesiologists Ready for the Challenge. W: 12-th World Congress of Anaesthesiologists. Montreal; June 4–9 2000. 23.

133. Reason J.: Human error: model and management. BMJ 2000; 320[18.III]: 768–770.

134. Good Practice – A Guide for Departments of Anaesthesia – The Association of Anaesthetists of Great Britain and Ireland 1998; Good Practice – A Guide for Departments of Anaesthesia The Royal College of Anaesthetists August 2001; Good Medical Practice – General Medical Council.

135. Jałowiecki P.: Aktualny stan bezpieczeństwa znieczulenia w Polsce. Katowice: ŚAM; 2000. 44.

136. Buckland R.W.: Poorly Performing Colleagues. The GAT Handbook; 200: 39–41.

137. Kożusznik B.: Zachowanie się człowieka w organizacji. Warszawa: PWE: 2002. 124.

138. Owens W.D., Felts J.A., Spitznagel E.L. jr.: ASA physical status classification. Anesthesiology 1978; 49: 239.

139. [138].

140. Lazari-Pawłowska I.: Etyki zawodowe. Etyka 1969; 4: 73.

141. Sexton J.B., Thomas E.J., Helmreich R.L.: Error, stress, and teamwork in medicine and aviation. BMJ 2000; 320: 746.

142. [141].

143. Helmreich R.I., Davies J.M.: Human factors in the operating room: interpersonal determinants of safety, efficiency and morale. Bailliere’s Clinical Anaesthesia 1996; X(2) [July]: 282.

144. [143]

145. Szreter T.: Problemy etyczne i ekonomiczne w intensywnej terapii. Prawo i Medycyna 1999; 1: 100.

146. [145], s. 103.

147. Sych M.: Czynnik ludzki i organizacyjny w ryzyku operacyjnym związanym z anestezją. Anest Intens Ter 1984; 16: 127.

148. Kożusznik B.: Zachowanie się człowieka w organizacji. Warszawa: PWE: 2002. 127.

149. § 14 Rozporządzenia Ministra Zdrowia i Opieki Społecznej z dn. 27 II 1998, Dz.U. Nr 37/1998, poz. 215 1638.

150. Bacon A.K.: Poważne nieszczęśliwe wypadki anestezjologiczne – postępowanie z ich następstwami. Przegląd Nowości w Anestezji i Intensywnej Opiece: 286.

151. Kożusznik B.: Zachowanie się człowieka w organizacji. Warszawa: PWE: 2002. 130 i nast.

152. Bishop D.G.: Psychologia zdrowia. Wrocław: Astrum; 2002.

153. Reber A.S.: Dictionary of Psychology. London: Penguin Books; 1995. 184.

154. Mitchell J., Bray G.: Emergency service stress: Guidelines for preserving the health and careers of emergency service personnel Engewood Cliffs. NJ: Prentice Hall; 1990.

155. Bacon A.K.: Death on the table. Anaesthesia 1989; 44: 245.

156. Mayzner-Zawadzka E.: Hipertermia złośliwa u świń [praca habilitacyjna]. Warszawa: WAM; 1981. 3.

157. Pera H.: Dalej nie podołam. W: Sens choroby – sens śmierci – sens życia. Bortnowska H., opr. Kraków: Znak: 1984. 178.

158. Jackson S.H.: The role of stress in anaesthetist’s health and well – being. Acta Anaesth Scand 1999; 43: 583–602.

159. Kopliński A., Wilk J., Dziurdziuk P., Wróblewski P.: Obciążenia i szkodliwości zawodowe w neuroanestezjologii a bezpieczeństwo znieczulenia. W: XII Zjazd PTA i IT Katowice 12–15.IX.1996. Streszczenia. 24.

Adres do korespondencji: Maria J. Turos ul. Litewska14a 00-581 Warszawa tel.: 22 116 92 34 www.zelimp.wum.edu.pl

M.J. Turos, Czynnik ludzki a bezpieczeństwo znieczulenia 39

A Case Study of Mosaic Trisomy Chromosome 9 Syndrome

Lidia Perenc1,3,A,B,C,D,F Joanna Bielak3,B,C,D,E Wiesław Guz2,4,B,C,E

ORCID: 0000-0001-8378-2340

ORCID: 0009-0007-6595-5464

ORCID: 0000-0002-1309-5374

1 Institute of Health Sciences, University of Rzeszów, 2 Institute of Medical Sciences, University of Rzeszów, 3 Department of Pediatric Neurology and Pediatrics, Clinical Provincial Hospital No. 2. Saint Jadwiga Queen in Rzeszów, 4 Clinical Department of Radiology and Imaging Diagnostics, Clinical Provincial Hospital No. 2 Saint Jadwiga Queen in Rzeszów

A – research concept and design, B – collection andassembly of data, C – data analysis and interpretation, D – writing the article, E – critical revision ofthe article, F – final approval of article

DOI: 10.26399/rmp.v29.3.2023.10/l.perenc/j.bielak/w.guz

ABSTRACT

A Case Study of Mosaic Trisomy Chromosome 9 Syndrome

Perenc L.1, Bielak J.3, Guz W.2,4

1 Institute of Health Sciences, University of Rzeszów, 2 Institute of Medical Sciences, University of Rzeszów, 3 Department of Pediatric Neurology and Pediatrics, Clinical Provincial Hospital No. 2. Saint Jadwiga Queen in Rzeszów, 4 Clinical Department of Radiology and Imaging Diagnostics, Clinical Provincial Hospital No. 2 Saint Jadwiga Queen in Rzeszów

The article discusses a clinical case of mosaic trisomy of chromosome 9 in a male infant. The discussed syndrome is characterized by the presence of low birth weight, dysmorphic features in the structure of face, hands and feet, defects of organs and various medical problems appearing in the postnatal period. The above-mentioned symptoms occurred in the clinical case discussed. In some cases, skin lesions occur - pigment mosaic skin lesions along the Blaschko lines, which rather indicates the phenomenon of genetic mosaicism. To make a diagnosis, the data obtained on the basis of the interview, physical examination and additional tests should be properly organized and an appropriate genetic test should be performed. It is worth comparing the clinical picture and patient’s medical history with data presented in the literature to confirm the existence of a cause-andeffect relationship.

STRESZCZENIE

Studium przypadku zespołu mozaikowej trisomii chromosomu 9

Perenc L.1, Bielak J.3, Guz W.2,4

1 Instytut Nauk o Zdrowiu, Uniwersytet Rzeszowski, 2 Instytut Nauk Medycznych, Uniwersytet Rzeszowski, 3 Klinika Neurologii Dziecięcej i Pediatrii, Kliniczny Szpital Wojewódzki Nr 2 im. Św. Jadwigi Królowej w Rzeszowie, 4 Kliniczny Zakład Radiologii i Diagnostyki Obrazowej, Kliniczny Szpital Wojewódzki nr 2 im. Św. Jadwigi Królowej w Rzeszowie

W artykule omówiono przypadek kliniczny mozaikowej trisomii chromosomu 9 u niemowlęcia płci męskiej. Omawiany zespół charakteryzuje się występowaniem: niskiej urodzeniowej masy ciała, cech dysmorficznych w budowie twarzy, dłoni, stóp, wad narządowych: mózgowia, serca, narządów moczowo-płciowych, szkieletu, wad narządów zmysłu: oka i ucha oraz różnych problemów medycznych ujawniających się w okresie pourodzeniowym. Wyżej wymienione objawy występowały w omawianym przypadku klinicznym. W niektórych przypadkach dodatkowo występują zmiany skórne – mozaika barwnikowa wzdłuż linii Blaschki, co wskazuje na zjawisko mozaikowatości genetycznej. Aby dokonać rozpoznania należy uporządkować w odpowiedni sposób dane uzyskane na podstawie zebranego wywiadu, badania fizykalnego, wykonanych badań dodatkowych oraz wykonać odpowiednie badanie genetyczne. Warto porównać obraz kliniczny i historię choroby pacjenta z danymi przedstawionymi w piśmiennictwie, aby utwierdzić się o występowaniu związku przyczynowo-skutkowego.

Keywords: congenital defect syndrome, mosaic trisomy of chromosome 9

Słowa kluczowe: zespół wad wrodzonych, mozaikowa trisomia chromosomu 9

Introduction

Mosaic trisomy of chromosome 9 is an example of genetic mosaicism [1]. Mosaicism is the presence of at least two cell lines with different genotypes in one organism. In this case, an additional chromosome 9 is present in the karyotype, but not in all cells of the

body. The remaining cells of the body have a normal karyotype. Mosaic trisomy is caused by abnormal mitosis of embryonic cells at the blastula or gastrula stage. Excess genetic material changes the course of ontogenetic development. Mosaic trisomy of chromosome 9 has a better prognosis in terms of survival and life expectancy compared to simple trisomy of chro-

mosome 9 [2]. It is possible that there is a correlation between phenotypic variability and the percentage of cells with trisomy 9 [1].

Mosaic trisomy of chromosome 9 has a variable phenotype [9]. It is characterized by the occurrence of:

1. low birth weight [1,3],

2. dysmorphic features in the structure of the face [1-5], hands, and feet [1,4-7],

3. organ defects: brain [1-3], heart [1-3,5-7], urogenital organs [1-2,4,6-7], skeleton [1-4], sense organs: eye [1,2] and ear [1,4],

4. medical problems: intellectual [1,2] and motor disabilities [2], convulsions [4,6], respiratory and circulatory problems [4,8], complications during intubation and general anesthesia [8], gastroesophageal reflux [4-5], feeding difficulties [3], obesity [8], progressive skeletal deformations [8] and others [1,2],

5. in some cases of skin changes - pigmentary mosaic skin lesions along the Blaschko lines [9] - the presence of such skin lesions indicates the phenomenon of genetic mosaicism [10] rather than the syndrome of mosaic trisomy of chromosome 9 [9].

The diagnostic method for determining the genetic mosaicism and the type of aneuploidy, including mosaic trisomy of 9 chromosome, is chromosome microarray analysis [3]. It has a higher diagnostic rate compared to conventional karyotype analysis [3]. In order to determine the degree of mosaicism of trisomy 9, metaphase or interphase fluorescent in situ hybridization [7] or cytogenetic analysis with G banding [2] can be used.

Clinical case presentation

The first stage in the diagnostic procedure was to organize numerous data collected on the basis of an interview, repeated physical examination conducted by various specialists and numerous additional tests collected during the patient’s long-term hospitalization at the Clinical Provincial Hospital No. 2. Saint Jadwiga Queen in Rzeszów.

The patient we presented came from the third pregnancy, third delivery, was born by cesarean section (condition after cesarean section, gestational diabetes), in the 38th week of pregnancy. The postnatal Apgar score was 9. The mother’s age at conception was 39 years. Prenatal ultrasound revealed only intrauterine hypotrophy. The patient was diagnosed with:

1. low birth weight - the birth weight was 2485 g,

2. dysmorphic face: hypoplasia of the right half of the face, on the right side, the following were found: type II microtia, small palpebral fissure, the lower jaw is set back, the palate is a gothic form and dysmorphic (calcaneovalgus) feet,

3. organ defects: hypotrophy of both frontal lobes of the brain (Table 1A), enlarged lateral ventricles of the brain with rounded frontal horns, Evans index - 0.33, persistent foramen ovale, bilateral inguinal cryptorchidism, obliteration of the right coronary suture, residual ribs at the first lumbar vertebra - the thirteenth pair of ribs divergent strabismus (Table 1B), microphthalmia (Table 1C,D,E), bilateral hypoplasia of the external and middle ear with a predominance on the right side (Table 1F),

4. medical problems: delayed psychomotor development, hypoacusia, apnea, complications during intubation, gastroesophageal reflux, feeding difficulties, disharmonious somatic development, asymmetrical body positioning which may predispose to progressive skeletal deformations and others.

After analyzing and compiling the collected data, it was established that there were grounds for genetic diagnosis. The blood sample was sent to the Cytogenetics Laboratory, Department of Medical Genetics, Institute of Mother and Child in Warsaw. Based on the result of the diagnostic test performed by comparative genomic hybridization using a whole-genome oligonucleotide microarray - a male karyotype was found, and genome imbalance in mosaic form of trisomy 9. In order to determine the degree of mosaicism of trisomy of the 9 pair, it was recommended to perform karyotype testing or fluorescent in situ hybridization. This study has not been carried out yet. Similarly, no genetic testing of the parents was performed, which constitutes a diagnostic limitation.

In the discussed case, compared to cases presented in the literature, low birth weight and phenotypic changes, such as dysmorphic features in the structure of the face and feet, organ defects and medical problems, were similar, but there were no dysmorphic features in the structure of the hands and pigmentary mosaic skin lesions along the Blaschko lines. So far, premature closure of the cranial suture has not been described in mosaic trisomy of chromosome 9.

The patient has been under intensive multidisciplinary care since birth, which will be maintained in the future. Surgical treatment of premature closure of the cranial suture and hearing aids are planned in the near future. It requires improvement measures (early development support). Also, it should mentioned that a child with mosaic trisomy of chromosome 9 will need the help of an experienced medical team: a surgeon, a neurosurgeon, an orthopedist, a cardiologist, a neurologist, an ophthalmologist, an audiologist, an otolaryngologist, a dietician, a neurologist, a physiotherapist and a nurse.

L. Perenc, J. Bielak, W. Guz, A Case Study of Mosaic Trisomy Chromosome 9 Syndrome 41

Conclusions

In order to make a diagnosis, the data obtained on the basis of the interview, physical examination and additional tests should be properly organized. If an ab-

normal genotype is suspected as the etiological factor, appropriate genetic testing should be performed. It is worth comparing the clinical picture and patient’s medical history with data presented in the literature to confirm the cause-and-effect relationship.

Table 1. Non-contrast enhanced magnetic resonance imaging performed at 8 weeks of age

References

A. Asymmetry of the braincase with flattening of the right part of the scales of the frontal bone and the right parietal bone, hypotrophy of both frontal lobes, more severe on the right side, widened paracerebral fluid spaces

C. Changed structure of the roof of the right orbit, a depression in the place where the right coronary suture is obliterating

E. The right eyeball is smaller compared to the left one

B. Divergent positioning of the eyeballs

D. For comparison, the left side

F. There is no properly developed auricle on the right side

1. Tarani L., Colloridi F., Raguso G. et al.: Trisomy 9 mosaicism syndrome. A case report and review of the literature. Ann Genet 1994; 37(1): 14–20.

2. Miryounesi M., Dianatpour M., Shadmani Z. et al.: Report of a Case with Trisomy 9 Mosaicism. Iran J Med Sci 2016; 41(3): 249–252.

3. Li M., Glass J., Du X. et al.: Trisomy 9 mosaic syndrome: Sixteen additional patients with new and/or less commonly reported features, literature review, and suggested clinical guidelines. Am J Med Genet A 2021; 185(8): 2374–2383.

4. Wooldridge J., Zunich J.: Trisomy 9 syndrome: report of a case with Crohn disease and review of the literature. Am J Med Genet 1995; 56(3): 258–264.

5. Stoll C., Chognot D., Halb A. et al.: Trisomy 9 mosaicism in two girls with multiple congenital malformations and mental retardation. J Med Genet 1993; 30(5): 433–435.

6. Pejcic L., Stankovic T., Ratkovic-Jankovic M. et al.: Clinical manifestations in trisomy 9 mosaicism. Turk J Pediatr 2018; 60(6): 729–734.

7. Solomon B.D., Turner C.E., Klugman D. et al.: Trisomy 9 mosaicism and XX sex reversal. Am J Med Genet A 2007; 143A(22): 2688–2691.

8. Riley C.J., Moore T., Eagelston L. et al.: Cardiac Failure in a Trisomy 9 Patient Undergoing Anesthesia: A Case Report. Anesth Prog 2017; 64(1): 29–32.

9. Wang C., Chen Y., Zhao J. et al.: Prenatal diagnosis and genetic counseling of low-level trisomy 9 mosaicism with a favorable outcome. Taiwan J Obstet Gynecol 2020; 59(5): 786–787.

10. Cohen J. 3rd, Shahrokh K., Cohen B.: Analysis of 36 cases of Blaschkoid dyspigmentation: reading between the lines of Blaschko. Pediatr Dermatol 2014; 31(4): 471–476.

No potential conflict of interest was reported by the authors.

Address for correspondence:

Lidia Perenc Institute of Health Sciences University of Rzeszów 35–310 Rzeszów, St. Warzywna 1a, Bldg. G5, FL.1. RM. 105 tel. +48697510252 e-mail: lperenc@ur.edu.pl

Review of Medical Practice, 2023; Vol. XXIX, No. 3 42

Studium przypadku zespołu mozaikowej trisomii chromosomu 9

Lidia Perenc1,3,A,B,C,D,F Joanna Bielak3,B,C,D,E Wiesław Guz2,4,B,C,E

ORCID: 0000-0001-8378-2340

ORCID: 0009-0007-6595-5464

ORCID: 0000-0002-1309-5374

1 Instytut Nauk o Zdrowiu, Uniwersytet Rzeszowski

2 Instytut Nauk Medycznych, Uniwersytet Rzeszowski

3 Klinika Neurologii Dziecięcej i Pediatrii, Kliniczny Szpital Wojewódzki Nr 2 im. Św. Jadwigi Królowej w Rzeszowie

4 Kliniczny Zakład Radiologii i Diagnostyki Obrazowej, Kliniczny Szpital Wojewódzki Nr 2 im. Św. Jadwigi Królowej w Rzeszowie

A – koncepcja i projekt badań, B – gromadzenie danych, C – analiza i interpretacja danych, D – pisanie artykułu, E – krytyczna korekta artykułu, F – ostateczne zatwierdzenie artykułu

DOI: 10.26399/rmp.v29.3.2023.11/l.perenc/j.bielak/w.guz

STRESZCZENIE

Studium przypadku zespołu mozaikowej trisomii chromosomu 9

Perenc L.1,3, Bielak J.3, Guz W.2,4

1 Instytut Nauk o Zdrowiu, Uniwersytet Rzeszowski; 2 Instytut Nauk Medycznych, Uniwersytet Rzeszowski; 3 Klinika Neurologii Dziecięcej i Pediatrii, Kliniczny Szpital Wojewódzki Nr 2 im. Św. Jadwigi Królowej w Rzeszowie; 4 Kliniczny Zakład Radiologii i Diagnostyki Obrazowej, Kliniczny Szpital Wojewódzki Nr 2 im. Św. Jadwigi Królowej w Rzeszowie

W artykule omówiono przypadek kliniczny mozaikowej trisomii chromosomu 9 u niemowlęcia płci męskiej. Zespół ten charakteryzuje się występowaniem: niskiej urodzeniowej masy ciała, cech dysmorficznych w budowie twarzy, dłoni, stóp, wad narządowych: mózgowia, serca, narządów moczowo-płciowych, szkieletu, wad narządów zmysłu (oka i ucha) oraz różnych problemów medycznych ujawniających się w okresie pourodzeniowym. Wymienione objawy występowały w omawianym przypadku klinicznym. W niektórych przypadkach dodatkowo występują zmiany skórne ‒ mozaika barwnikowa wzdłuż linii Blaschki, co wskazuje na zjawisko mozaikowatości genetycznej. Aby dokonać rozpoznania, należy uporządkować w odpowiedni sposób dane uzyskane na podstawie zebranego wywiadu, badania fizykalnego, wykonanych badań dodatkowych, a także wykonać odpowiednie badanie genetyczne. Warto porównać obraz kliniczny i historię choroby pacjenta z danymi przedstawionymi w piśmiennictwie, aby utwierdzić się o występowaniu związku przyczynowo-skutkowego.

Słowa kluczowe: zespół wad wrodzonych, mozaikowa trisomia chromosomu 9

Wprowadzenie

ABSTRACT

A Case Study of Mosaic Trisomy Chromosome 9 Syndrome Perenc L.1,3, Bielak J.3, Guz W.2,4

1 Institute of Health Sciences, University of Rzeszów, 2 Institute of Medical Sciences, University of Rzeszów, 3 Department of Pediatric Neurology and Pediatrics, Clinical Provincial Hospital No. 2 Saint Jadwiga Queen in Rzeszów, 4 Clinical Department of Radiology and Imaging Diagnostics, Clinical Provincial Hospital No. 2 Saint Jadwiga Queen in Rzeszów

The article discusses a clinical case of mosaic trisomy of chromosome 9 in a male infant. The discussed syndrome is characterized by the presence of low birth weight, dysmorphic features in the structure of face, hands and feet, defects of internal organs and various medical problems appearing in the postnatal period. The above-mentioned symptoms occurred in the clinical case discussed. In some cases, skin lesions occur - pigment mosaic skin lesions along the Blaschko lines, which rather indicates the phenomenon of genetic mosaicism. To make a diagnosis, the data obtained on the basis of the interview, physical examination and additional tests should be properly organized and an appropriate genetic test should be performed. It is worth comparing the clinical picture and patient’s medical history with data presented in the literature to confirm the existence of a cause-and-effect relationship.

Keywords: congenital defect syndrome, mosaic trisomy of chromosome 9

Przykładem mozaikowatości genetycznej jest mozaikowa trisomia chromosomu 9 [1]. Mozaicyzm to obecność w jednym organizmie co najmniej dwóch linii komórkowych o różnych genotypach. W tym przypadku dodatkowy chromosom 9 występuje w kariotypie, ale nie we wszystkich komórkach organizmu. Pozostałe komórki organizmu mają prawidłowy kariotyp. Trisomia mozaikowa jest spowodo-

wana nieprawidłową mitozą komórek embrionalnych w stadium blastuli lub gastruli. Nadmiar materiału genetycznego zmienia przebieg rozwoju ontogenetycznego. Mozaikowa trisomia chromosomu 9 ma lepsze rokowanie w zakresie przeżycia i oczekiwanej długości życia w porównaniu z prostą trisomią chromosomu 9 [2]. Możliwe, że istnieje korelacja między zmiennością fenotypową a odsetkiem komórek z trisomią 9 [1]. Mozaikowa trisomia chromosomu 9 ma zmienny fenotyp [9]. Charakteryzuje się występowaniem: 1) niskiej masy urodzeniowej [1, 3], 2) cech dysmorficznych w budowie twarzy [1-5], dłoni i stóp [1, 4-7], 3) wad narządów: mózgu [1-3], serca [1-3, 5-7], narządów moczowo-płciowych [1-2, 4, 6-7], szkieletu [1-4], narządów zmysłów: oka [1, 2] i ucha [1, 4], 4) problemów zdrowotnych: niepełnosprawności intelektualnej [1, 2] i ruchowej [2], drgawek [4, 6], problemów oddechowo-krążeniowych [4, 8], powikłań podczas intubacji i znieczulenia ogólnego [8], refluksu żołądkowo-przełykowego [4-5], trudności w karmieniu [3], otyłości [8], postępujących deformacji układu kostnego [8] i innych [1, 2], 5) w niektórych przypadkach zmian skórnych, jak zmiany barwnikowe mozaikowe skóry wzdłuż linii Blaschki [9] – obecność takich zmian skórnych wskazuje na zjawisko mozaikowatości genetycznej [10], a nie na zespół mozaikowej trisomii chromosomu 9 [9].

Metodą diagnostyczną pozwalającą na określenie mozaikowatości genetycznej i rodzaju aneuploidii, w tym mozaikowej trisomii 9 chromosomu, jest analiza mikromacierzy chromosomów [3]. Posiada ona wyższą skuteczność diagnostyczną w porównaniu z konwencjonalną analizą kariotypu [3]. W celu określenia stopnia mozaikowatości trisomii 9 można zastosować metafazową lub międzyfazową fluorescencyjną hybrydyzację in situ [7] lub analizę cytogenetyczną z prążkami G [2].

Prezentacja przypadku klinicznego

Pierwszym etapem postępowania diagnostycznego było uporządkowanie licznych danych zebranych na podstawie wywiadu, powtarzanego badania fizykalnego przeprowadzanego przez różnych specjalistów oraz licznych badań dodatkowych zebranych w trakcie długotrwałej hospitalizacji pacjenta w Wojewódzkim Szpitalu Klinicznym Nr 2 im. Św. Jadwigi Królowej w Rzeszowie.

Prezentowany pacjent pochodził z trzeciej ciąży, trzeciego porodu, urodził się przez cesarskie cięcie (stan po cesarskim cięciu) w 38. tygodniu ciąży. Poporodowa ocena w skali Apgar wyniosła 9. Wiek

matki w chwili poczęcia wynosił 39 lat. USG prenatalne ujawniło jedynie hipotrofię wewnątrzmaciczną. U dziecka stwierdzono:

1) niską masę urodzeniową, która wynosiła 2485 g;

2) dysmorficzną budowę twarzy: hipoplazja prawej połowy twarzy, po stronie prawej: mikrocję typu II, małą szparę powiekową, cofniętą żuchwę, gotyckie podniebienie oraz dysmorficzną budowę stóp (stopy piętowo-koślawe);

3) wady narządowe: hipotrofia obu płatów czołowych mózgu (tab. 1A), poszerzone komory boczne mózgu z zaokrąglonymi rogami czołowymi, wskaźnik Evansa – 0,33, przetrwały otwór owalny, obustronne wnętrostwo pachwinowe, przedwczesne zarośnięcie prawego szwu wieńcowego, resztkowe żebra przy pierwszym kręgu lędźwiowym – 13 para żeber, zez rozbieżny (tab. 1B), małoocze po stronie prawej (tab. 1C, D, E), obustronna hipoplazja ucha zewnętrznego i środkowego z przewagą strony prawej (tab. 1F); 4) problemy zdrowotne: opóźniony rozwój psychomotoryczny, niedosłuch, bezdech, powikłania podczas intubacji, refluks żołądkowo-przełykowy, trudności w karmieniu, dysharmonijny rozwój somatyczny, asymetryczne ułożenie ciała mogące predysponować do postępujących deformacji układu szkieletowego i inne.

Po analizie i zestawieniu zebranych danych stwierdzono, że istnieją podstawy do przeprowadzenia diagnostyki genetycznej. Próbkę krwi przesłano do Pracowni Cytogenetyki Zakładu Genetyki Medycznej Instytutu Matki i Dziecka w Warszawie. Na podstawie wyniku testu diagnostycznego przeprowadzonego metodą porównawczej hybrydyzacji genomu z wykorzystaniem mikromacierzy oligonukleotydów całego genomu stwierdzono kariotyp męski oraz brak równowagi genomu w postaci mozaikowej trisomii 9. W celu określenia stopnia mozaikowatości trisomii 9 pary zalecono wykonanie badania kariotypu lub fluorescencyjnej hybrydyzacji in situ Badanie to nie zostało jeszcze przeprowadzone. Podobnie nie wykonano badań genetycznych rodziców, co stanowi pewne ograniczenie diagnostyczne.

W omawianym przypadku, w porównaniu do przypadków opisywanych w literaturze, niska masa urodzeniowa oraz zmiany fenotypowe, takie jak cechy dysmorficzne w budowie twarzy i stóp, wady narządowe i problemy zdrowotne, były podobne, natomiast nie stwierdzono dysmorficznej budowy dłoni i zmian pigmentowych mozaikowych skóry wzdłuż linii Blaschki. Jak dotąd w literaturze nie opisano przedwczesnego zarośnięcia szwu czaszkowego w mozaikowej trisomii chromosomu 9.

Pacjent od urodzenia znajduje się pod intensywną opieką wielodyscyplinarną, która będzie konty-

Review of Medical Practice, 2023; Vol. XXIX, No. 3 44

nuowana w przyszłości. W najbliższym czasie planowane jest leczenie chirurgiczne przedwczesnego zarośnięcia szwu czaszkowego, aparatowanie słuchu oraz uczestnictwo w zajęciach wczesnego wspomagania rozwoju. Należy także wspomnieć, że dziecko z mozaikową trisomią chromosomu 9 będzie potrzebowało pomocy doświadczonego zespołu medycznego: chirurga, neurochirurga, ortopedy, kardiologa, neurologa, okulisty, audiologa, otolaryngologa, dietetyka, neurologa, fizjoterapeuty i pielęgniarki.

Tabela 1.

Wnioski

Aby postawić diagnozę, należy odpowiednio uporządkować dane uzyskane na podstawie wywiadu, badania przedmiotowego i badań dodatkowych. W przypadku podejrzenia nieprawidłowego genotypu jako czynnika etiologicznego należy wykonać odpowiednie badania genetyczne. Aby potwierdzić związek przyczynowo-skutkowy, warto porównać obraz kliniczny i historię choroby pacjenta z danymi przedstawionymi w literaturze.

magnetyczny wykonany w ósmym tygodniu życia

Piśmiennictwo

A. Asymetria mózgoczaszki z przypłaszczeniem prawej części łuski kości czołowej i prawej kości ciemieniowej, cechy hipotrofii obu płatów czołowych, bardziej nasilone po stronie prawej, poszerzone przestrzenie płynowe przymózgowe.

C. Zmieniona budowa stropu oczodołu prawego, zagłębienie w miejscu, gdzie występuje zarastanie szwu wieńcowego prawego.

E. Prawa gałka oczna nieznacznie mniejsza w porównaniu do lewej.

1. Tarani L., Colloridi F., Raguso G. et al.: Trisomy 9 mosaicism syndrome. A case report and review of the literature. Ann Genet 1994; 37(1): 14–20.

2. Miryounesi M., Dianatpour M., Shadmani Z. et al.: Report of a Case with Trisomy 9 Mosaicism. Iran J Med Sci 2016; 41(3): 249–252.

3. Li M., Glass J., Du X. et al.: Trisomy 9 mosaic syndrome: Sixteen additional patients with new and/or less commonly reported features, literature review, and suggested clinical guidelines. Am J Med Genet A 2021; 185(8): 2374–2383.

4. Wooldridge J., Zunich J.: Trisomy 9 syndrome: report of a case with Crohn disease and review of the literature. Am J Med Genet 1995; 56(3): 258–264.

5. Stoll C., Chognot D., Halb A. et al.: Trisomy 9 mosaicism in two girls with multiple congenital malformations and mental retardation. J Med Genet 1993; 30(5): 433–435.

6. Pejcic L., Stankovic T., Ratkovic-Jankovic M. et al.: Clinical manifestations in trisomy 9 mosaicism. Turk J Pediatr 2018; 60(6): 729–734.

7. Solomon B.D., Turner C.E., Klugman D. et al.: Trisomy 9 mosaicism and XX sex reversal. Am J Med Genet A 2007; 143A(22): 2688–2691.

B. Rozbieżne ustawienie gałek ocznych.

D. Dla porównania strona lewa.

F. Po stronie prawej brak prawidłowo wykształconej małżowiny usznej.

8. Riley C.J., Moore T., Eagelston L. et al.: Cardiac Failure in a Trisomy 9 Patient Undergoing Anesthesia: A Case Report. Anesth Prog 2017; 64(1): 29–32.

9. Wang C., Chen Y., Zhao J. et al.: Prenatal diagnosis and genetic counseling of low-level trisomy 9 mosaicism with a favorable outcome. Taiwan J Obstet Gynecol 2020; 59(5): 786–787.

10. Cohen J. 3rd, Shahrokh K., Cohen B.: Analysis of 36 cases of Blaschkoid dyspigmentation: reading between the lines of Blaschko. Pediatr Dermatol 2014; 31(4): 471–476.

Autorzy nie deklarują konfliktu interesów.

Adres korespondencyjny:

Lidia Perenc Instytut Nauk o Zdrowiu, Uniwersytet Rzeszowski ul. Warzywna 1a, budynek G5, pokój 105 35-310 Rzeszów  tel.: +48697510252 e-mail: lperenc@ur.edu.pl

L. Perenc, J. Bielak, W. Guz, Studium przypadku zespołu mozaikowej trisomii chromosomu 9 45
Rezonans

Bąblowica jednojamowa (echinokokoza) – epidemiologia, zwalczanie i profilaktyka zarażenia

Magdalena Stefaniak1,A,B,C,D

ORCID: 0009-0001-1883-8624

Monika Derda1,E,F

ORCID: 0000-0003-3710-608X

1 Katedra i Zakład Biologii i Parazytologii Lekarskiej, Uniwersytet Medyczny im. Karola Marcinkowskiego w Poznaniu

A – koncepcja i projekt badań, B – gromadzenie danych, C – analiza i interpretacja danych, D – pisanie artykułu, E – krytyczna korekta artykułu, F – ostateczne zatwierdzenie artykułu

DOI: 10.26399/rmp.v29.3.2023.12/m.stefaniak/m.derda

STRESZCZENIE

Bąblowica jednojamowa (echinokokoza) – epidemiologia, zwalczanie i profilaktyka zarażenia

Stefaniak M.1, Derda M.1

1 Katedra i Zakład Biologii i Parazytologii Lekarskiej, Uniwersytet Medyczny im. Karola Marcinkowskiego w Poznaniu

Rozpoznanie różnicowe bąblowcowych torbieli wywołanych przez Echinococcus granulosus u pacjentów ze zmianami ogniskowymi wątroby jest trudne i wymaga dużego doświadczenia klinicznego. Postawienie ostatecznego rozpoznania wymaga użycia różnych technik badawczych. Do identyfikacji E. granulosus wykorzystuje się badania obrazowe (RTG, USG, TK), testy serologiczne (test ELISA, metoda Western Blot), przezskórny drenaż torbieli PAIR, biopsję aspiracyjną cienkoigłową celowaną (BACC) oraz badania śródoperacyjne.

Słowa kluczowe: echinokokoza, bąblowica jednojamowa, Echinococcosus granulosus, epidemiologia, szczepy

ABSTRACT

Echinococcus Granulosus – Epidemiology, Control and Prevention

Stefaniak M.1, Derda M.1

1 Department of Biology and Medical Parasitology, Institute of Biostructural Basics of Medical Sciences, Poznan University of Medical Sciences, 60–781 Poznań, Poland

Differential diagnosis of hydatid cysts caused by Echinococcus granulosus in patients with focal liver lesions is difficult and requires extensive clinical experience. Making a final diagnosis requires the use of various research techniques. E. granulosus is identified using imaging tests (X-ray, USG, CT), serological tests (ELISA, Western Blot), percutaneous drainage of the PAIR cyst, fine-needle aspiration biopsy (FNACC) and intraoperative tests.

Keywords: Echinococcosis, Echinococcus granulosus, epidemiology, strain, control

Skróty

ABZ ‒ albendazol

MBZ ‒ mebendazol

USG ‒ ultrasonografia

PAIR (ang. puncture aspiration injection reaspiration) – przezskórna biopsja aspiracyjna terapeutyczna

TK  – tomografia komputerowa

BCC  – biopsja aspiracyjna cienkoigłowa celowana

ELISA (ang. ensyme-linked immunosorbent assay) –test immunoenzymatyczny

ECPW  – endoskopowa cholangiopankreatografia wsteczna

Wstęp

Bąblowica jednojamowa (łac. Echinococcus cystica) jest chorobą odzwierzęcą (zoonozą) wywołaną przez tasiemca Echinococcus granulosus. Znane są cztery gatunki Echinococcus: Echinococcus granulosus, E. multilocularis, E. oligarthus i E. vogeli, spośród których dwa ostatnie występują wyłącznie w Ameryce Środkowej i Południowej. Tasiemiec E. granulosus jest pasożytem kosmopolitycznym, występującym w różnych strefach klimatycznych, a przede wszystkim na obszarach prowadzenia wielkostadnych hodowli owiec (południowa część Ameryki Południowej, Australia, Nowa Zelandia, Tasmania, Południowa Afryka, Chiny, Wietnam i Euro-

M. Stefaniak, M. Derda, Bąblowica jednojamowa (echinokokoza) – epidemiologia, zwalczanie i profilaktyka zarażenia 47 pa Wschodnia). Tereny hyperendemicznego występowania E. granulosus to rejon Turkana w Afryce, kraje basenu Morza Śródziemnego (Grecja, Liban, Cypr) oraz niektóre kraje Ameryki Południowej (Argentyna, Chile, Brazylia) [1, 2].

Żywicielami ostatecznymi E. granulosus są psowate (pies, wilk, lis, jenot, szakal, kojot). Żywiciele ostateczni zarażają się formą larwalną pasożyta, która znajduje się w tkankach żywiciela pośredniego. Żywicielami pośrednimi tasiemca są ludzie oraz zwierzęta roślinożerne i wszystkożerne (owca, koza, bydło, koń, osioł, świnia domowa, żyrafa, lemur). Żywiciele pośredni zarażają się postacią jaja drogą pokarmową. Jajo może dostać się do organizmu żywiciela pośredniego w zanieczyszczonym pokarmie, na skutek wypicia zanieczyszczonej wody lub na brudnych rękach. Jajo przeobraża się w postać larwalną pasożyta, która rozwija się w wątrobie, płucach lub innych tkankach żywicieli pośrednich, w tym również człowieka.

Postać dojrzała E. granulosus występuje w jelicie cienkim żywicieli ostatecznych. Ma ona długość od 2 do 6 mm i składa się ze skoleksu (główki) zaopatrzonego w cztery przyssawki i od 28 do 50 haków ułożonych dwurzędowo, z szyjki oraz trzech proglotydów. Proglotydy zróżnicowane są na trzy typy: niedojrzały, dojrzały oraz maciczny. Postać dojrzała osiąga dojrzałość płciową po 4–6 tygodniach. Trzeci proglotyd tasiemca (tzw. maciczny) zawiera od 400 do 800 inwazyjnych jaj. Odrywa się on od reszty organizmu i samodzielnie pełzając, wydostaje się przez odbyt żywiciela ostatecznego na powierzchnię (np. sierść psa lub najbliższe otoczenie). Jaja tasiemca stanowią źródło inwazji dla żywicieli pośrednich, głównie zwierząt roślinożernych, ssaków wszystkożernych oraz dla gryzoni [3, 4].

Badania epidemiologiczne, parazytologiczne i genetyczne pozwoliły na wyodrębnienie co najmniej 10 szczepów E. granulosus oznaczonych od G1 do G10. Szczepy te różnią się budową morfologiczną, składem biochemicznym, strukturą genotypową, ale przede wszystkim inwazyjnością dla zwierząt i ludzi. Nazwy szczepów ustala się wg nazw żywicieli pośrednich, np. G1 – G3 to szczep owczy, G4 – szczep koński, G5 – szczep bydlęcy, G6 – szczep wielbłądzi, G7 – szczep świński, G8 i G10 – szczepy pochodzące od zwierząt jeleniowatych [5].

Człowiek zaraża się prawie wyłącznie szczepem owczym G1, który jest najbardziej pospolity na świecie. W Polsce występuje on tylko na ograniczonych obszarach związanych z wypasem tych zwierząt. W Polsce dominujący jest szczep świński, mało inwazyjny i patogenny dla człowieka. Poza tym na terenie Polski występuje również szczep koński, ale nieinwazyjny dla człowieka [6].

Tasiemiec bąblowcowy krąży w środowiskach naturalnych wśród określonych grup żywicieli, np. zwierząt gospodarskich, np. pies domowy ‒ świnia, owca, koza (cykl domowy ‒ synantropijny). Ten cykl ma największe znaczenie ze względu na zagrożenie dla człowieka. Cykl dziki (sylwatyczny) pasożyta dotyczy zwierząt dzikich (np. wilk‒ łoś).

Obraz kliniczny, rozpoznawanie i różnicowanie

Człowiek zaraża się przypadkowo drogą doustną jajami E. granulosus. Z inwazyjnych jaj uwalnia się onkosfera, która przez śluzówkę jelita cienkiego i układu wrotnego przedostaje się do innych narządów wewnętrznych, tworząc tam pęcherzykowatą postać larwalną – torbiel bąblowca. Bąblowiec u ludzi umiejscawia się najczęściej w wątrobie (60%), zwykle w prawym jej płacie, w płucach (20%), rzadziej w mózgu, mięśniu sercowym, śledzionie, nerkach i układzie kostnym [7].

Wewnątrz lub na zewnątrz torbieli macierzystej mogą tworzyć się torbiele potomne zawierające pęcherzyki rozrodcze z protoskoleksami. Torbiele tzw. jałowe pozbawione są protoskoleksów. Po ok. sześciu miesiącach torbiel bąblowcowa osiąga ok. 10 mm średnicy, stale zwiększając swoje rozmiary i wytwarzając płyn wypełniający torbiel pod ciśnieniem 35 mm słupa wody, który nadaje torbieli kształt okrągły lub owalny. Torbiele rosną wolno, zwiększając średnicę od 6 do 15 mm na rok. Ściana torbieli bąblowca E. granulosus składa się z dwóch warstw: endocysty (ściana wewnętrzna, rozrodcza, aktywna biologicznie) oraz pericysty (otoczka łącznotkankowa wokół torbieli, wytwarzana przez żywiciela pośredniego, np. człowieka). Bąblowica wątroby może prowadzić do uszkodzenia miąższu wątroby i zastoju żółci, powodując nadciśnienie wrotne, zakrzepicę żył wątrobowych lub żółtaczkę zastoinową. Często w wyniku komunikacji światła torbieli z drogami żółciowymi może dojść do wtórnego zakażenia bakteryjnego oraz do zapalenia dróg żółciowych (łac. cholangitis scleroticans) [8].

Bąblowiec płuc uciska miąższ płuca i powoduje zmiany niedodmowe (duszność, kaszel, krwioplucie, zasinienie) lub opłucnowe, np. bóle w klatce piersiowej utrudniające oddychanie [9].

W mózgowiu (3% przypadków) bąblowiec lokalizuje się w substancji białej i może powodować zmiany uciskowe, prowadząc do wzrostu ciśnienia śródczaszkowego (objawy guza mózgu).

Bąblowica wywołana przez E. granulosus często jest skąpoobjawowa lub bezobjawowa.

Brak objawów patognomonicznych powoduje, że rozpoznawanie torbieli bąblowcowych napotyka na duże trudności i opiera się na wywiadzie (pobyt na

terenach endemicznych, kontakt z psem), badaniach klinicznych, technikach obrazowych, badaniach immunodiagnostycznych oraz badaniach materiału uzyskanego podczas zabiegu chirurgicznego.

Przebieg kliniczny niepowikłanej bąblowicy wątroby i płuc jest przewlekły, natomiast echinokokoza mózgu, gałki ocznej, mięśnia sercowego objawia się w sposób gwałtowny [10].

Do powikłań bąblowicy dochodzi najczęściej na skutek pęknięcia torbieli (np. pod wpływem urazu).

Treść pękniętej torbieli E. granulosus może spowodować wstrząs anafilaktyczny lub wtórną bąblowicę z powodu uwolnienia z torbieli protoskoleksów do jam ciała (otrzewnej, opłucnej) [11].

Bąblowica w układzie kostnym może prowadzić do spontanicznych złamań kości lub ich deformacji, może lokalizować się w kręgach, doprowadzając do ucisku na rdzeń kręgowy oraz okoliczne nerwy [12].

Lokalizacja w mięśniu sercowym torbieli E. granulosus stymuluje powstanie zaburzeń rytmu i przewodnictwa oraz hemodynamiczne uszkodzenie struktury mięśnia sercowego.

Badania obrazowe, takie jak ultrasonografia, RTG klatki piersiowej, tomografia komputerowa jamy brzusznej, ujawniają wiele szczegółów morfologicznych zmian ogniskowych w wątrobie, ale nie zawsze pozwalają na ostateczne rozpoznanie bąblowicy. W badaniach ultrasonograficznych zmian ogniskowych należy oceniać średnicę torbieli, grubość ściany, obecność przegród, gęstość treści, obecność zwapnień i ewentualne odwarstwienie endocysty. Patognomoniczne zmiany dla torbieli bąblowca są widoczne w obrazie USG przegrody międzykomorowej, tzw. obraz plastra miodu, a w przypadku odwarstwienia endocysty obraz tzw. lilii wodnej.

W badaniu RTG klatki piersiowej zwracają uwagę: uniesienie kopuły przepony, zmiany kostne lub zmiany w płucach pod postacią zwapniałych pericyst.

Tomografia komputerowa umożliwia dokładniejszą ocenę dotyczącą lokalizacji torbieli (płat wątroby, segment), grubości ścian, przegród, przyrost zwapnień oraz gęstości treści (płyn, masy serowate, treść ropna, guz lity) [15].

Tabela 1. Klasyfikacja torbieli bąblowcowych w badaniu USG wg WHO-IGWE (Informal Working Group)

CL – typ trudny do odróżnienia od torbieli prostej wątroby. Torbiel kulista, do 5 cm, bez wyraźnej torebki.

CE 1 – prosta torbiel bezechowa, owalna lub okrągła, z widoczną torebką, z pasmem wzmocnienia odbić fali ultradźwiękowej występującej poza nią, odpowiada aktywnej, młodej torbieli bąblowca. Torbiel zawiera piasek bąblowcowy, widoczny w USG jako „płatki śniegu”. W różnicowaniu pod uwagę należy wziąć torbiel prostą surowiczą pozapalną lub pourazową, torbiel wrodzoną, niezorganizowany krwiak lub ropień pourazowy, wielotorbielowatość lub mnogie gruczolaki [13].

CE 2 – torbiel aktywna z cienkimi przegrodami, odpowiadająca obecności torbieli siostrzanych. Patognomoniczne obrazy w USG przypominające koło ze szprychami, rozetę lub plaster miodu. Torbiele siostrzane mogą w części lub w całości wypełniać torbiel pierwotną.

CE 3 – torbiel ze zdwojoną ścianą. Odpowiada torbieli pasożyta, w której dochodzi do odczepienia się błony endotorbieli od egzotorbieli. Torbiel może nie być okrągła z powodu spadku ciśnienia płynu we wnętrzu endocysty. Patognomoniczny obraz USG „lilii wodnej”. Torbiel o pośredniej aktywności: może ulegać dalszej degeneracji albo mogą pojawiać się jeszcze torbiele siostrzane.

CE 4 – torbiel heterogenna, hypoechogeniczna, hyperechogeniczna lub mieszana, odpowiadająca najczęściej torbieli zarażonej, wypełnionej masami martwiczymi, komunikującej się z drogami żółciowymi. Torbiel nieaktywna, bez torbieli siostrzanych. Obraz przypominający kłębek wełny, nie jest patognomoniczny.

Różnicowanie: naczyniak jamisty, struniak, gruczolak, rak pierwotny wątroby, zmiany przerzutowe [13].

CE 5 – torbiel nieaktywna, z grubą, częściowo lub całkowicie zwapniałą ścianą, z cieniem akustycznym, jest dość charakterystyczna dla postaci zejściowej bąblowca.

Różnicowanie: zejście procesu zapalnego, zmiany nowotworowe [13, 14].

Review of Medical Practice, 2023; Vol. XXIX, No. 3 48
CE 1 CE 2 CE 3a CE 3b CE 4 CE 5

M. Stefaniak, M. Derda, Bąblowica jednojamowa (echinokokoza) – epidemiologia, zwalczanie i profilaktyka zarażenia 49

Z uwagi na to, że 25% torbieli bąblowcowych komunikuje się z drogami żółciowymi, istotne znaczenie ma także endoskopowa choloangiopankreatografia wsteczna, pozwalająca na ocenę wewnątrzwątrobowych dróg żółciowych, ich drożności oraz ewentualnej komunikacji torbieli z drogami żółciowymi.

Badania serologiczne przy użyciu techniki immunoenzymatycznej ELISA są jednym z najczęstszych badań stosowanych w rozpoznawaniu inwazji E. granulosus, jednak z uwagi na niedostateczną swoistość i czułość diagnostyczną nie są badaniami decydującymi o rozpoznaniu. Dlatego u pacjentów z marskością wątroby, wirusowymi zapaleniami wątroby, w chorobach nowotworowych, w zespołach autoimmunologicznych, a także przy współistnieniu innych pasożytów (cysticerkoza, tasiemczyca) mogą często występować wyniki fałszywie dodatnie. Natomiast wyniki fałszywie ujemne testu ELISA uzyskuje się w przypadkach zwapniałych, zdegenerowanych torbieli E. granulosus, przy zarażeniach innymi szczepami bąblowca, u kobiet ciężarnych lub u osób z niedoborami immunologicznymi.

Wysoką czułość i swoistość diagnostyczną pozwalającą na potwierdzenie inwazji E. granulosus, a także różnicowanie z zarażeniem bąblowcem wielojamowym (E. multilocularis) dają techniki immunoblotingu (Western blot). W przypadkach podejrzanych o bąblowice, w których ani techniki obrazowe, ani badania serologiczne (ELISA, WB) nie pozwalają na jednoznaczne ustalenie rozpoznania, ostateczną diagnozę można postawić w oparciu o śródoperacyjne badania histopatologiczne (ściana torbieli, haki, protoskoleksy) lub badanie pośmiertne.

Za pomocą technik PCR (ang. polimerace chain reaction) – łańcuchowej reakcji polimerazy i polimorfizmu długości fragmentów restrykcyjnych – możliwe jest różnicowanie E. granulosus i E. multilocularis Biopsja aspiracyjna cienkoigłowa celowana (BACC) torbieli wątroby stosowana do celów diagnostycznych umożliwia w sposób względnie bezpieczny i mało inwazyjny uzyskanie materiału (tzw. piasek bąblowcowy, zawierający haki bąblowcowe) do badań parazytologicznych, cytologicznych, bakteriologicznych i mikologicznych. Jednak z uwagi na ewentualne powikłania (wstrząs anafilaktyczny) technika ta powinna być stosowana tylko w wyspecjalizowanych ośrodkach [18].

Leczenie

Wybór postępowania terapeutycznego jest zależny od stanu klinicznego pacjenta, jego wieku, średnicy torbieli oraz ich lokalizacji, zwapnienia torbieli bąblowcowych oraz stanu aktywności torbieli (torbiele aktywne, degenerujące, nieaktywne).

Torbiele tasiemca w fazie aktywnej są immunogenne, grożą pęknięciem i zakażeniem bakteryjnym [19]. Torbiele nieaktywne są najczęściej skąpoobjawowe lub bezobjawowe. Torbiele w fazie degenerującej na ogół rokują dobrze i wymagają tylko okresowej (co sześć miesięcy) obserwacji klinicznej, obrazowej i immunologicznej [19]. W przypadku dużych torbieli w wątrobie (7–10 cm średnicy) metodą z wyboru jest zabieg chirurgiczny [14, 20]. Należy co najmniej trzy dni przed zabiegiem podać pacjentowi ALB w celu zmniejszenia napięcia (turgoru) ściany torbieli. Zabieg usunięcia torbieli należy przeprowadzić z dwucentymetrowym marginesem (w granicach zdrowych tkanek), unikając w ten sposób przypadkowego uszkodzenia torbieli i ewentualnych powikłań.

Metodą alternatywną jest PAIR (Puncture – Aspiration – Injection – Reaspiration), przezskórny drenaż torbieli bąblowcowej, aspiracji jej treści, a następnie podanie do wnętrza środka pasożytobójczego, jak np. stężony 20-proc. NaCl albo 95-proc. alkohol. Po upływie 15 minut należy reaspirować całą treść torbieli. Ta metoda, mimo że jest mniej inwazyjna od zabiegu chirurgicznego, wymaga stosowania dodatkowych badań obrazowych (cholangiopankreatografii wstecznej) w celu wykluczenia komunikacji dróg żółciowych z torbielą bąblowca i późnych następstw (łac. choloangitis scleroticans) [11, 21, 22].

U chorych nieoperacyjnych w zarażeniu E. granulosus stosowany jest albendazol w dawce doustnej dziennie 10 mg/kg mc lub 400 mg dwa razy dziennie przez cztery tygodnie (z dwutygodniową przerwą). Cała kuracja powinna trwać co najmniej trzy miesiące i należy ją prowadzić pod kontrolą badań klinicznych, technik obrazowych USG, TK i badań serologicznych [10, 23].

Zatwierdzonymi przez FDA lekami przeciw bąblowicy są mebendazol (MBZ), albendazol (ABZ) i jego główny metabolit ABZ – sulfotlenek (ABZSO). Skuteczność terapeutyczna wynosi nieco powyżej 50%, co wskazuje na potrzebę stworzenia nowych systemów dostarczania tych leków do komórek. Aktualnie istnieją próby leczenia za pomocą nanokapsułek lipidowych ABZ (ABZ-LNCs) oraz ocena ich skuteczności u myszy zarażonych E. granulosus Wstępne wyniki są bardzo obiecujące. Nanokapsułki ABZ-LNCs wykazywały większą skuteczność chemoprofilaktyczną niż zawiesina tylko ABZ podawana drogą doustną [18, 24]. Lekiem alternatywnym jest nitazoksanid (Alinia), którego stosowanie zwiększa skuteczność mebendazolu czy albendazolu, a leczenie nim stanowi alternatywę dla osób z nietolerancją czy uczuleniem na wymienione leki przeciwpasożytnicze. Lek stosuje się w dawce 500 mg raz na dobę, od trzech do 24 miesięcy, w skojarzeniu z albendazolem lub samodzielnie. Jednakże lek ten aktualnie nie ma w Polsce rejestracji, sprowadzany jest tylko na import docelowy [25].

Zapobieganie

Większość jaj E. granulosus swobodnie wydostaje się z przejrzałego proglotydu tasiemca i wraz z kałem trafia do środowiska zewnętrznego. Jaja tasiemca z kału żywicieli ostatecznych zanieczyszczają trawę, mogą być roznoszone przez wodę lub owady. Eliminacja inwazyjnych jaj ze środowiska jest pierwszym krokiem do przerwania cyklu życiowego pasożyta. Na obszarach endemicznych konieczne jest rozwiązanie problemu dużej liczby psów bezdomnych. Psy posiadające właściciela muszą być ewidencjonowane, a poruszanie się bez smyczy ograniczone. Psy, które mogą mieć kontakt z pozostałościami poubojowymi (płuca, wątroba) zawierającymi stadia larwalne tasiemca, powinny być odrobaczane co 6‒8 tygodni w trzykrotnych powtórzeniach. Gotowanie odpadów poubojowych przez ok. 30 minut likwiduje potencjalne źródło zakażenia. Lekiem z wyboru w odrobaczaniu psów jest praziquantel w dawce 5 mg/kg masy ciała psa. Psy pasterskie należy poddać odrobaczeniu bezpośrednio po zejściu z pastwisk.

Do zarażeń ludzi tasiemcem E. granulosus dochodzi przez przypadkowe spożycie per os inwazyjnych jaj znajdujących się w glebie (pole, ogrody, warzywniki). Konieczne jest używanie rękawiczek oraz mycie rąk po zakończonej pracy, jak również warzyw i owoców spożywanych w stanie surowym.

Najważniejszymi zasadami w profilaktyce bąblowicy E. granulosus są: zapobieganie żerowaniu psów na tuszach zarażonych owiec, bydła, świń; kontrola populacji bezpańskich psów; ograniczenie uboju domowego (w Polsce obowiązuje od 2004 r.); unikanie spożywania jedzenia i wody zanieczyszczonej odchodami psów; mycie rąk mydłem i ciepłą wodą po kontakcie z psem i przed jedzeniem; obróbka termiczna jedzenia, nadzór nad mięsem w rzeźniach i utylizacja zarażonego mięsa; współpraca z organami weterynaryjnymi i organami ds. bezpieczeństwa żywności [10].

Piśmiennictwo

1. Moro P., Schantz P.M.: Echinococcosis: a review. International Journal of Infectious Diseases 2009; 13: 125–133.

2. Tamarozzi F., Legnardi M., Fittipaldo A. i in.: Epidemiological distribution of Echinococcus granulosus s l infection in human and domestic animal hosts in European Mediterranean and Balkan countries: A systematic review. PLoS Negl Trop Dis 2020; 14(8): e0008519.

3. World Health Organization Office International des Epizooties, 2001: WHO/OIE manual on Echinococcosis in humans and animals. A public health of global concern. Paris: World Organization for Animal Health; 2021.

4. Magdzik W., Naruszewicz-Lesiuk D., Zieliński A.: Choroby zakaźne i pasożytnicze ‒ epidemiologia i profilaktyka. Bielsko-Biała: Alfa-Medica Press; 2007. 30–33.

5. Maldonado L.L., Assis J., Gomes Araújo F.M. i in.: Echinococcus canadensis (G7) genome: a key knowledge of parasitic platyhelminth human diseases. BMC Genomics 2017; 18(1): 204.

6. Bowles J., Blair D., McManus D.P.: A molecular phylogeny of the genus Echinococcus Parasitol 1995; 110: 317‒328.

7. Tamarozzi F., Deplazes P., Casulli A.: Reinventing the wheel of Echinococcus granulosus sensu lato. Transmission to Humans. Parasitology 2020; 36(5): 427–434.

8. Stojkovic M., Gottstein B., Junghanss T.: Echinococcosis W: Manson’s Tropical Diseases. Elsevier; 2014; https://doi. org/10.1016/C2010-0-66223-7.

9. Thapa B., Sapkota R., Kim M. i in.: Surgery for parasitic lung infestations: roles in diagnosis and treatment. J Thorac Dis 2018; 10: 3446–3457.

10. Pawłowski Z. i in.: Echinococcosis in humans: clinical aspects of the hepatic cystic echinococcosis Differential diagnosis and treatment. W: Eckert J., Gemmel H.A., Meslin F.X., Pawłowski Z., red. WHO/OIE manual on echinococcosis in humans and animals: a zoonosis of global concern. Paris: World Organisation for Animal Health; 2001. 20–71.

11. Richter J., Profis E., Holtfreter M.C. i in.: Anaphylactic shock ensuing therapeutic puncture of an echinococcal cyst. Parasitol Res 2015; 114: 763–766.

12. Cattaneo L., Manciulli T., Cretu C.-M. i in.: Cystic Echinococcosis of the bone: a European multicenter study. Am J Trop Med Hyg 2019; 100: 617–621.

13. Ci-Peng J.: Differential diagnosis between liver Echinococcus cyst and non-echinococcus cyst. Arch Hydatidol 1991; 30: 475–509.

14. Richter J., Lindner A.K., Geisel D. i in.: Treatment of a giant hepatic echinococcal cyst with percutaneous drainage and in vivo assessment of the protoscolicidal effect of praziquantel. Clinical Journal of Gastroenterology 2021;14: 888–892.

15. Cherkaoui M.M., Ajana A., Benharbit K. i in.: Characterization of hepatic hydatid cysts of pseudotumor form. Scanner versus echography. J Radiol 1993; 74(10): 473–481.

16. Sinner von W.N., Nyman R., Linjawi T. i in.: Fine needle aspiration biopsy of hydatid cysts. Acta Radiologica 1995; 36:168–172.

17. Woźniak-Stolarska B., Sajewicz Z., Jeleń M.: Ultrasound guided fine need aspiration biopsy in differencial diagnosis of local lessions to the liver. X International Congress of Liver Diseases. Acute and Chronic Liver Diseases: Molecular Biology and Clinics. Basel; 1995. 19–21.

18. Velasco-Tirado V., Romero-Alegria A., Pardo-Lledías J. i in.: Management of cystic echinococcosis in the last two decades: whathave we learned? Trans R Soc Trop Med Hyg 2018; 112: 207–215.

19. Quintieri F., Rigano R., Pugliese O. i in.: Further evaluation of autoreactive T cells hydatid patients. Immunol Lett 1994; 40(1): 59–63.

20. Safioleas M., Misiakos E., Manti C. i in.: Diagnostic evaluation and surgical management of hydatid disease of the liver. World J Surg 1994; 18(6): 859‒865.

21. WHO Informal Working Group on Echinococcosis (IWGE). PAIR: Puncture, Aspiration, Injection, Re-Aspiration. WHO/ CDS/CSR/APH/2001 2001; 30: 1–10.

22. Akhan O., Salik A.E., Ciftci T. i in.: Comparison of long-term results of percutaneous treatment techniques for hepatic cystic Echinococcosis Types 2 and 3b. AJR Am J Roentgenol 2017; 208: 878–884.

23. Lissandrin R., Tamarozzi F., Mariconti M. i in.: Watch and wait approach for inactive Echinococcal cyst of the liver: an update. Am J Trop Med Hyg 2018; 99: 375–379.

24. Ullio-Gamboa G.V., Pensel P.E., Elissondo M.C. i in.: Albendazole-lipid nanocapsules: Optimization, characterization and chemoprophylactic efficacy in mice infected with Echinococcus granulosus. Experimental Parasitology 2019; 198: 79–86.

25. Perez-Molina J.A., Diaz-Menendez M., Gallego J.I. i in.: Evaluation of Nitazoxanide for the Treatment of Disseminated Cystic Echinococcosis: Report of Five Cases and Literature Review. Am J Trop Med Hyg 2011; 84(2): 351–356.

Autorki nie deklarują konfliktu interesów.

Adres do korespondencji:

Magdalena Stefaniak, Monika Derda Katedra i Zakład Biologii i Parazytologii Lekarskiej, Uniwersytet Medyczny im. Karola Marcinkowskiego w Poznaniu Collegium Maius ul. Fredry 10; 61–701 Poznań e-mail: magis8888@gmail.com

Review of Medical Practice, 2023; Vol. XXIX, No. 3 50

The Positive Effect of Water Immersion on Labor Progress Assessed by Intrapartum Ultrasound Examination

Jarosław Kopko1,A,B,C,D Natalia Mazanowska2,A,D,E,F Mirosław Wielgoś1,A,C,E,F

ORCID: 0000-0003-3081-8121

ORCID: 0000-0002-6970-5303

ORCID: 0000-0003-2581-3668

1 Department of Obstetrics and Gynecology, Faculty of Medicine, Lazarski University of Warsaw, Warsaw, Poland; 2 Department of Obstetrics and Gynecology, Institute of Mother and Child in Warsaw, Warsaw, Poland

A – research concept and design, B – data collection, C – data analysis and interpretation, D – article writing, E – critical review of the article, F – final approval of the article

DOI: 10.26399/rmp.v29.3.2023.13/j.kopko/n.mazanowska/m.wielgos

ABSTRACT

The Positive Effect of Water Immersion on Labor Progress Assessed by Intrapartum Ultrasound Examination

Kopko J.1, Mazanowska N.2, Wielgoś M.1

1 Department of Obstetrics and Gynecology, Faculty of Medicine, Lazarski University of Warsaw, Warsaw, Poland; 2 Department of Obstetrics and Gynecology, Institute of Mother and Child in Warsaw, Warsaw, Poland

Objective: The study aimed to assess the effect of water immersion on labor progress using the parameters measured by the intrapartum ultrasound method.

Methods: A total of 200 women with uncomplicated singleton term delivery in the active first stage of labor were enrolled in the study and randomized to two equally sized groups. The study group was offered 30 minutes of water immersion, and the control group included women who did not use water immersion during labor. We performed the ultrasound assessment of the angle of progression (AoP) and progression distance (PD) twice in each patient: when criteria for water immersion were met and after 30 minutes.

Results: Both study and control groups did not differ in terms of initial cervical dilation, angle of progression, and progression distance at the first ultrasound examination. After the procedure, we found significant differences between the study and control groups in angle of progression (p<0.001) and progression distance (p < 0.001). The duration of the active first stage of labor was shorter in the parturients who used the water immersion procedure (86.93 min ± 51.61 min vs. 184.13 min ± 72.73 min, p < 0.001).

Conclusion: The use of water immersion during labor is associated with a faster descent of the fetal head in the pelvis confirmed by ultrasound examination.

STRESZCZENIE

Pozytywny wpływ zastosowania immersji wodnej na postęp porodu oceniany metodą ultrasonografii śródporodowej

Kopko J.1, Mazanowska N.2, Wielgoś M.1

1 Klinika Położnictwa i Ginekologii, Wydział Medyczny Uczelni Łazarskiego w Warszawie, 2 Klinika Położnictwa i Ginekologii, Instytut Matki i Dziecka, Warszawa

Cele pracy: Ocena wpływu zastosowania immersji wodnej na postęp porodu przy użyciu wybranych parametrów ultrasonograficznych Metody: Do badania zakwalifikowano łącznie 200 ciężarnych, z niepowikłaną ciążą pojedynczą będących w aktywnej fazie pierwszego okresu porodu. Pacjentki rozdzielono losowo do dwóch równolicznych, stuosobowych grup. Grupę badaną stanowiły kobiety rodzące z wykorzystaniem immersji wodnej, zaś grupę kontrolną rodzące, u których nie zastosowano podczas porodu immersji wodnej. W grupie badanej pomiary kąta progresji główki płodu (AoP) oraz odległości punktu prowadzącego od linii podłonowej (PD) zostały wykonane bezpośrednio przed zastosowaniem 30 minutowej immersji wodnej oraz bezpośrednio po jej zakończeniu. W grupie kontrolnej pomiary zostały wykonane w momencie spełnienia warunków do rozpoczęcia immersji wodnej oraz po 30 minutach bez zastosowania dodatkowych interwencji medycznych.

Wyniki: Nie wykazano istotnych statystycznie różnic pomiędzy grupą badaną a kontrolną dotyczących rozwarcia szyjki macicy, kąta progresji główki płodu oraz odległości punktu prowadzącego od linii podłonowej w momencie włączenia pacjentek do badania. Analizując wpływ zastosowania immersji wodnej w I okresie porodu stwierdzono istotne statystyczne różnice pomiędzy grupą badaną i kontrolną w zakresie: kąta progresji główki płodu (p < 0.001) oraz odległości punktu prowadzącego do linii podłonowej (p < 0.001). Długość aktywnej fazy I okresu porodu była krótsza w grupie badanej (86.93 min ± 51.61 min vs. 184.13 min ± 72.73 min, p < 0.001).

Wnioski: Zastosowanie immersji wodnej podczas porodu jest związane z szybszym zstępowaniem główki płodu w kanele rodnym które potwierdzono badaniem ultrasonograficznym.

Keywords: intrapartum ultrasound, labor progress, water immersion, angle of progression, progression distance

Słowa kluczowe: ultrasonografia śródporodowa, postęp porodu, immersja wodna, kąt progresji główki płodu, odległość punktu prowadzącego od linii podłonowej

Introduction

The management of laboring women is based on clinical assessment with the leading role of digital vaginal examination. Labor is a dynamic process with progress assessed through cervical dilatation/effacement, station and position of the presenting part, and strength of contractions. Friedmann first introduced the graphical analysis of labor in the year 1954 [1,2]. His observations led to defining two phases of labor: latent with slow progression of cervical dilation and active characterized by an acceleration of cervical dilation and resulted in the development of Friedman’s curve used as the gold standard for assessment of cervical dilation and fetal head descent during active labor for the past 60 years.

Water immersion

Water immersion during labor or delivery has been used for decades. In 2022 Burns et al. published a meta-analysis of data from 157 546 deliveries, showing that use of water immersion during labor has clear benefits for healthy women and their newborns [3]. Authors reported significantly reduced use of epidural (odds ratio (OR) 0.17 95% (Confidence interval) CI 0.05 to 0.56), episiotomy (OR 0.16; 95% CI 0.10 to 0.27), maternal pain (OR 0.24 95% CI 0.12 to 0.51) and postpartum haemorrhage (OR 0.69 95% CI 0.51 to 0.95). Authors also reported no differences in any identified neonatal outcomes. In 2010, Benefield et al. observed lower levels of anxiety, and lower concentrations of vasopressin, and oxytocin, with a decrease in the level of cortisol in the subgroup with a high baseline level of pain, in parturients using water immersion [4]. Henderson et al. analyzed 2505 deliveries with water immersion and observed a lower incidence of medical interventions required by women using it [5]. It is also reported that parturients require less pharmacological analgesia during labor and have higher satisfaction levels with the birth experience afterwards [6]. The effect of water immersion during the 1st stage of labor on the labor duration was the subject of a few studies. In 2018 Cluett et al. published a meta-analysis of data from 1561 deliveries, showing that water immersion shortened the duration of the first stage of labor by 42.21 min (95% CI, −80.93 to −3.49) [7].

Labor progression assessment

A vaginal examination is a cornerstone of labor progression assessment. Unfortunately, it is a subjective method with poor intra-observer and inter-observer reproducibility. A study by Dupuis et al. in the year 2005 showed that the failure to correctly assess the head station on a birth simulator happens in 30–34% of

residents and experienced doctors [8]. Similar results showing the unreliability of digital vaginal examination were reproduced in other studies [9,10].

Taking that into account, we planned a study to assess the effect of water immersion on descent of the fetal head in the pelvis, using the objective method of intrapartum ultrasound. Currently, based on a review of the available literature there are no data on the ultrasound assessment of fetal head descent during water immersion.

In 2018, the International Society of Ultrasound in Obstetrics and Gynecology (ISUOG) issued a statement summarizing the evidence regarding the use of ultrasound during labor [11]. The parameters that are considered most beneficial for the direct determining of the head station, such as the angle of progression and progression distance, may be obtained in transperineal ultrasound in the midsaggital plane, and they are both easily measured and reproducible [12,13].

Materials and methods

The study enrolled 200 laboring women with uncomplicated singleton term pregnancy with spontaneous onset of delivery between 37 and 41 weeks of gestation in the first stage of labor with occiput anterior fetal presentation, hospitalized at the Labour Ward in years 2018–2019, meeting the criteria for starting water immersion according to local protocol. The inclusion and exclusion criteria for water immersion are presented in Table 1. The parturients were randomized to two equally sized groups using a computer program. The study group consisted of women in labor who were offered water immersion, and the control group included women who did not use water immersion during labor. In the study group, measurements and internal examinations were performed immediately before the beginning of the 30-minute water immersion procedure and immediately after that. In the control group, measurements and internal examination were performed once the conditions for starting water immersion were met and 30 minutes later, without any additional medical interventions in between. Intrapartum ultrasound examination was performed using mobile ultrasound Philips Lumify (Philips, 2017 ) with the Convex probe (2–5 MHz) in a single-use sterile cover. The transperineal imaging in the midsagittal plane was performed in between contractions with the following digital vaginal examination. Frozen images were used to measure parameters such as the angle of progression and progression distance. We also used table developed by Tutschek et al. in 2010 [12], to assess individual head station in the birth canal in corelation with the AoP (Table 2). Patients and caregivers were not informed about the examination results, so it would not influence decision-making regarding further labor management. The labor man-

Review of Medical Practice, 2023; Vol. XXIX, No. 3 52

agement was performed according to local protocols per the current Guidelines of the Polish Society of Obstetricians and Gynecologists [14]. Both study and control groups did not differ in terms of initial cervical dilation, angle of progression, and progression distance at the time of the first ultrasound examination. The initial cervical dilation was between 3 and 4 cm (3.32 ± 0.47 cm vs 3.22 ± 0.42 cm, p=0.22). The AoP was between 115° and 120° (117.95± 5.9° vs. 119.14° ± 3.98°, p=0.172). The PD was between 24 and 34 mm (27.96 ± 6.8 vs 29.39 ± 5.2, p=0,163). The median time interval between the first and second ultrasound examinations was 30 minutes in both groups.

Ethical considerations

This study was approved by the research ethics committee of the Faculty of Medicine, Medical University of Warsaw (Approval number: KB/186/2016). All procedures performed in presented study were in accordance to the ethical standards of the institutional and/ or national research committee and with the 1964 Helsinki declaration and its later amendments or comparable ethical standards. All the patients were thoroughly informed about the aim of the study and signed an informed consent form.

Statistical methods

Statistical analysis was performed using StatSoft Statistica 10.0. Both parametric and non-parametric tests were used to analyze the variables. The mean, standard deviation, minimum, and maximum were calculated for interval variables meeting the conditions of normal distribution. The median and the first and third quartiles were calculated for ordinal variables and those interval variables that did not meet the conditions of normal distribution. The differences in the average level of a numerical feature in two populations were assessed through the Student’s t-test for independent variables or MannWhitney non-parametric U test. The correlation of two variables of normal distribution was determined using Pearson’s linear correlation coefficient, and Spearman’s rank correlation coefficient was calculated for variables that did not meet the criterion of normal distribution. The study also used the method of multifactorial and simple regression analysis. Symmetrical measures based on the chi-square test were used to evaluate the strength of relationships between selected variables in cross tables. The statistical significance level was set at p<0.05.

Results

The study involved 200 women in labor. There were no statistically significant differences between the

study and control groups concerning maternal characteristics, obstetrics history, and neonatal birth weight (p>0.05; Table 3). In the presented cohort, most women (184 patients) had spontaneous vaginal delivery; there were no statistically significant differences between the study and control group (96.0% vs. 88%, p=1.000). Cesarean section was performed in 15 women (4% vs. 11%, p=0.159), and one subject underwent vaginal delivery using a vacuum extractor. In the presented study, no statistically significant differences were found between the study group and the control group in terms of overall perineal trauma (perineal incision and tear) (p>0.05). The amount of lost blood was comparable between the study and control groups, with a trend towards more extensive blood loss in the controls (due to the higher rate of Caesarean sections). No statistically significant differences were demonstrated in the condition of the newborns, assessed per Apgar score, between the study and control groups (p=0.808). None of the patients in the study group received epidural anesthesia. In the control group after the end of the follow-up ultrasound examination, 20 patients received epidural anesthesia to provide pain relief (p<0.001).

When analyzing the effect of water immersion during the first stage of labor, significant differences were found between both groups in cervical dilation, angle of progression of the fetal head, and progression distance. After 30 minutes of the procedure, there was an increase in the angle of progression (133.44° ± 9.86° vs. 121.84° ± 5.03°, p<0.001) and progression distance (42.93 mm ± 9.17 mm vs. 31.91 mm ± 5.78 mm, p<0.001). We also compared the duration of the active first stage of labor, which was shorter in the study group (86.93 min ± 51.61 min vs. 184.13 min ± 72.73 min, p<0.001). Figure 1 showed sample AoP and PD measurement before and after water immersion.

Discussion

Water immersion is known in obstetrics mainly as a method of alleviating labor pain. Currently, many women choose to labor in water and this practice is becoming increasingly popular [15]. The presented study showed that water immersion during the 1st stage of labor leads to a statistically significant shorter duration of the first stage of labor. The results were the most similar to those of Chaichian et al. [16] and Torkamani et al. [17]. It should be emphasized that in the presented study, the women in labor stayed in water immersion for 30 minutes. After the procedure patients were nor using it again until the end of the labor. Due to the lack of a clear consensus on the clinical use of intrapartum ultrasound [11], two parameters were evaluated in the presented study: the angle of progression

J.
The Positive Effect of Water Immersion on Labor Progress Assessed... 53
Kopko, N. Mazanowska, M. Wielgoś,

and the progression distance. These parameters directly describe the position of the fetal head in the birth canal. They are characterized by high repeatability and ease of performing reliable measurements [18]. At the same time, the angle of progression of the fetal head is currently the most frequently evaluated ultrasound parameter by the authors in publications on the course of labor. In 2010, Tutschek et al. [12] in a group of 50 laboring women performed an ultrasound assessment of the AoP and PD at different stages of labor progression. Authors showed a strong correlations between the obtained AoP and PD values and the head station (p<0.001). Based on conducted of the analysis, authors determined AoP values for individual of head station in the birth canal. In 2018, ISUOG reviewed the published studies on the techniques of intrapartum ultrasound examination and its practical application [11]. The authors suggest that intrapartum ultrasound can be used as a complementary tool to conventional vaginal examination. It was shown by Torkildsen et al. in 2011 [19] and Eggebo et al. in 2014 [20] that the assessment of AoP is more sensitive compared to vaginal examination in predicting vaginal delivery in the prolonged 1st stage of labor. In the most extensive multicentre study, Eggebo et al. evaluated AoP in a group of 150 women in labor with a prolonged 1st stage of labor to predict abnormal labor progress. If AoP was above 110°, the risk of Caesarean section was 12%, whereas, in the case of AoP below 100°, the risk of Caesarean section increased to 62% [21].

In the presented study, no statistically significant differences in AoP and PD values between the two groups of women in labor were observed at the start of the active phase of labor. AoP and PD values evaluated at 30 minutes significantly differed between the two groups (p<0.001). It is also worth noting that among 11 patients who underwent Caesarean section due to lack of progress in labor in the 1st stage, in 9 patients, the AoP change at 30 minutes was 0 to 2°, and

in 8 patients, the PD change at 30 minutes was 0 to 2 mm. The mean change in PD at 30 minutes among all patients in the study group was 14.95 ± 8.5 mm. The mean change in all patients in the control group was much lower, 2.57 mm ± 2.03 mm (p<0.001). The mean AoP change at 30 minutes among all patients in the study group was 15.58° ± 10.21°. The mean change in all patients in the control group was much lower, 2.59° ± 3.01° (p<0.001).

The main limitation of the study is the fact that it was conducted in a selected group of women with uncomplicated pregnancies in the active phase of labor. It will be difficult (promising) results transfer to the entire population. This applies in particular to induced deliveries, which have different dynamics. The advantage of the study is the fact that the results of the measurements were not known patients and other caregivers. Therefore, they couldn’t have an impact on decisions regarding further proceedings.

Conclusions

Water immersion is an attractive alternative to alleviate labor pain and optimize labor progress, consequently allowing for successful vaginal delivery. Its use during labor is associated with a statistically significant reduction in the duration of labor, especially in the active part of the 1st phase. The objective ultrasound parameters confirmed a faster descent of the fetal head in the pelvis. Despite the increased labor speed, it remains safe for both the mother and the newborn.

Patient consent

All patients provided signed informed consent before enrolment.

Funding statement

The author(s) reported there is no funding associated with the work featured in this article.

Tables

Table 1. Criteria for water immersion during the study according to local protocol

Inclusion criteria

Uncomplicated singleton, term pregnancy with fetus in cephalic presentation

Regular uterine contractions (spontaneous or stimulated)

Cervical dilation at least 3 cm

No wish for epidural analgesia

Good general condition of the parturient

Uterine scar

Exclusion criteria

Non-reassuring CTG tracing

Vaginal bleeding

Skin lesions, skin infections, genital herpes

Temperature >37.5C

Good cooperation with a caregiver with urgent removal from the tub in case of emergency Viral infections such as HIV, HBV, HCV

Review of Medical Practice, 2023; Vol. XXIX, No. 3 54

Table 2. Comparision of head station and angle of progression (Tutschek et al. 2010)

Table 3. Comparison of the groups

aData are presented as mean±SD, bResults of t-test.

Figures

J.
The Positive Effect of Water Immersion on Labor Progress Assessed... 55
Kopko, N. Mazanowska, M. Wielgoś,
Head station (cm) Angle of progression (°) -3 84 -2 95 -1 106 0 116 1 127 2 138 3 148 4 159 5 170
Variables Groupsa pb Study (n=100) Control (n=100) Age, years 30,09 ± 5,08 29,44 ± 4,91 0,397 Height, cm 166,65 ± 5,33 165,8 ± 5,07 0,138 Weight, kg 77,89 ± 12,13 78,12 ± 13,17 0,814 Gestational age, weeks 39,28 ± 0,87 39,06 ± 1,14 0,299 Parity, nulliparous / parous (≥1) 43 / 57 49 / 51 0,395 Neonate’s birth weight, g 3511,5 ± 366,52 3423 ± 458,56 0,133 Cesarean section, % 4 11 0,159 Amount of lost blood, ml 371,35 ± 42,76 381,82 ± 62,71 0,135 Active first stage of labor, min 86,93 ± 51,61 184,13 ± 72,73 <0.001 AoP after 30 min,° 133,44 ± 9,86 121.84 ± 5.03 <0.001 PD after 30 min, mm 42,93 ± 9,17 31,91 ± 5,78 <0.001
Figure 1. AoP and PD before and after water immersion

References

1. Friedman E.: Primigravid labor; a graphicostatistical analysis. Obstet Gynecol 1955; 6(6): 567–89.

2. Friedman E.: Labor in multiparas; a graphicostatistical analysis. Obstet Gynecol 1956; 8(6): 691–703.

3. Burns E., Feeley C., Hall PJ. et al.: Systematic review and meta-analysis to examine intrapartum interventions, and maternal and neonatal outcomes following immersion in water during labour and waterbirth. BMJ Open 2022; 12(7): e056517.

4. Benfield R.D., Hortobágyi T., Tanner C.J. et al.: The effects of hydrotherapy on anxiety, pain, neuroendocrine responses, and contraction dynamics during labor. Biol Res Nurs 2010; 12(1): 28–36.

5. Henderson J., Burns E.E., Regalia A.L. et al.: Labouring women who used a birthing pool in obstetric units in Italy: prospective observational study. BMC Pregnancy Childbirth 2014; 14: 17.

6. Ulfsdottir H., Saltvedt S., Georgsson S.: Women’s experiences of waterbirth compared with conventional uncomplicated births. Midwifery 2019; 79: 102547.

7. Cluett E., Burns E., Cuthbert A.: Immersion in water during labour and birth. Cochrane Database Syst Rev 2018; 5(5): CD000111.

8. Dupuis O., Silveira R., Zentner A. et al.: Birth simulator: reliability of transvaginal assessment of fetal head station as defined by the American College of Obstetricians and Gynecologists classification. Am J Obstet Gynecol 2005; 192(3): 868–874.

9. Sherer D.M., Miodovnik M., Bradley K.S. et al.: Intrapartum fetal head position II: comparison between transvaginal digital examination and transabdominal ultrasound assessment during the second stage of labor. Ultrasound Obstet Gynecol 2002; 19(3): 264–268.

10. Sherer D.M., Miodovnik M., Bradley K.S. et al.: Intrapartum fetal head position I: comparison between transvaginal digital examination and transabdominal ultrasound assessment during the active stage of labor. Ultrasound Obstet Gynecol 2002; 19(3): 258–263.

11. International Society of Ultrasound in Obstetrics and Gynecology. ISUOG Practice Guidelines: intrapartum ultrasound. Ultrasound Obstet Gynecol 2018; 52(1): 128–139.

12. Tutschek B., Braun T., Chantraine F. et al.: A study of progress of labour using intrapartum translabial ultrasound, assessing head station, direction, and angle of descent. BJOG Int J Obstet Gynaecol 2010; 118(1): 62–69.

13. Eggebø T.M., Gjessing L.K., Heien C. et al.: Prediction of labor and delivery by transperineal ultrasound in pregnancies with prelabor rupture of membranes at term. Ultrasound Obstet Gynecol 2006; 27(4): 387–391.

14. Rekomendacje zespołu ekspertów PTG dotyczące opieki okołoporodowej i prowadzenia porodu. Ginekol Pol 2009; 80: 548–557.

15. Vanderlaan J., Hall P., Lewitt M.: Neonatal outcomes with water birth: a systematic review and meta-analysis. Midwifery 2018; 59: 27–38.

16. Chaichian S., Akhlaghi A., Rousta F. et al.: Experience of water birth delivery in Iran. Archives of Iranian Medicine 2009; 12(5): 468–471.

17. Torkamani S., Kangani F., Janani F.: The effects of delivery in water on duration of delivery and pain compared with normal delivery. Pak J Med Sci 2010; 26(3): 551–555.

18. Duckelmann A., Bamberg C., Michaelis S. et al.: Measurement of fetal head descent using the ‘angle of progression’ on transperineal ultrasound imaging is reliable regardless of fetal head station or ultrasound expertise. Ultrasound Obstet Gynecol 2010; 35: 216–222.

19. Torkildsen E., Salvesen K., Eggebø T.: Prediction of delivery mode with transperineal ultrasound in women with prolonged first stage of labor. Ultrasound Obstet Gynecol 2011; 37: 702–708.

20. Eggebø T., Wilhelm-Benartzi C., Hassan W. et al.: A model to predict vaginal delivery in nulliparous women based on maternal characteristics and intrapartum ultrasound. Am J Obstet Gynecol 2015; 213: 362.

21. Eggebø T., Hassan W., Salvesen K. et al.: Prediction of delivery mode by ultrasound-assessed fetal position in nulliparous women with prolonged first stage of labor. Ultrasound Obstet Gynecol 2015; 46: 606–610.

No potential conflict of interest was reported by the authors.

Address for correspondence:

Natalia Mazanowska Department of Obstetrics and Gynecology, Institute of Mother and Child in Warsaw Kasprzaka 17a, Warsaw, 01-211, Poland e-mail: natalia.mazanowska@gmail.com

Review of Medical Practice, 2023; Vol. XXIX, No. 3 56

Nasieniak z przerzutem zaotrzewnowym o innej komponencie guza – opis przypadku

Tomasz Sarosiek1,A,B,C,D,F

ORCID: 0000-0002-1741-1733

Monika Żeleźnicka2,A,B,C,D,E

ORCID: 0009-0001-4476-8201

Joanna Filipow2,A,B,C,D,E

ORCID: 0009-0002-3491-9667

Filip Grydź2,A,B,C,D,E

ORCID: 0009-0001-6341-7810

1 Oddział Onkologii Klinicznej i Chemioterapii, Szpital LUX MED Onkologia, Warszawa, 2 Wydział Medyczny Uczelni Łazarskiego w Warszawie

A – koncepcja i projekt badań, B – gromadzenie danych, C – analiza i interpretacja danych, D – pisanie artykułu, E – krytyczna korekta artykułu, F – ostateczne zatwierdzenie artykułu

DOI: 10.26399/rmp.v29.3.2023.14/t.sarosiek/j.filipow/m.zeleznicka/f.grydz

STRESZCZENIE

Nasieniak z przerzutem zaotrzewnowym o innej komponencie guza – opis przypadku

Sarosiek T.1, Filipow J.2 , Żeleźnicka M.2 , Grydź F.2

1 Oddział Onkologii Klinicznej i Chemioterapii, Szpital LUX MED Onkologia, Warszawa, 2 Wydział Medyczny Uczelni Łazarskiego w Warszawie

Nowotwory jąder są dominującym rozpoznaniem u mężczyzn w grupie wiekowej 15–40 lat, a zachorowalność na nie stale wzrasta. 95% to guzy germinalne, z czego 60% stanowią nienasieniaki, a 40% nasieniaki. Guzy mają mieszaną komponentę w aż 40% przypadków. Leczeniem z wyboru w każdym przypadku nowotworu jądra jest wycięcie całego jądra zajętego przez nowotwór – orchidektomia. Pięcioletnie przeżycie przy odpowiednim leczeniu wynosi ok. 97% U 61-letniego pacjenta z epizodami kolki żółciowej w wywiadzie zaplanowano cholecystektomię laparoskopową. Śródoperacyjnie uwidoczniono masę zaotrzewnową. Odstąpiono od cholecystektomii i pobrania wycinków ze względu na podejrzenie tętniaka aorty brzusznej. W wyniku dalszej diagnostyki rozpoznano nasieniaka (seminoma) jądra prawego w stadium IIIB, z wynikiem β- hCG 21 866 mIU/ml. Zmianę zaotrzewnową powiązano z procesem podstawowym jako ognisko przerzutowe. Pacjent otrzymał leczenie zgodne z rekomendacjami PTOK, ESMO i NCCN dla guzów non-seminoma ze względu na wysoką wartość markerów nowotworowych. Zastosowano chemioterapię w schemacie BEP (bleomycyna, etopozyd, cisplatyna) w czterech cyklach. Zakwalifikowano pacjenta do operacji wycięcia zmiany resztkowej (RPLND ‒ ang. retroperitoneal lymph node dissection). Ze względu na długi czas oczekiwania na operację zakwalifikowano pacjenta do radioterapii na obszar zajętych węzłów chłonnych celem zatrzymania progresji choroby. W związku z wynikiem badania histopatologicznego zmiany zaotrzewnowej (95% choriocarcinoma, 5% teratoma) pacjent został zakwalifikowany do chemioterapii II rzutu w schemacie TIP (paklitaksel, ifosfamid, cisplatyna). Leczenie modyfikowano ze względu na powikłania hematologiczne. Uzyskano stabilizację choroby w skali RECIST. Chorego przekazano do obserwacji. W związku ze stosunkowo wysokim odsetkiem nowotworów o mieszanej komponencie wymagana jest szczególnie dokładna ocena histopatologiczna. Równie ważnym elementem holistycznej diagnostyki jest prawidłowa interpretacja poziomu markerów nowotworowych

Słowa kluczowe: nasieniak, kosmówczak, guzy germinalne, guzy mieszane, rediagnoza

ABSTRACT

Seminoma with Retroperitoneal Metastasis of a Different Tissue Component – Case Report

Sarosiek T.1, Filipow J.2 , Żeleźnicka M.2 , Grydź F.2

1 Department of Clinical Oncology and Chemotherapy LUXMED Hospital of Oncology, Warsaw, Poland, 2 Department of Faculty of Medicine, Lazarski University, Warsaw, Poland

Testicular cancer is the most common diagnosis in men aged 15–40, and its incidence is constantly increasing. 95% of these are germ cell tumors, of which 60% are non-seminomas and 40% are seminomas. Up to 40% of tumors have a mixed component. The treatment of choice in each case of testicular cancer is excision of the entire testicle occupied by the cancer – orchidectomy. With effective treatment, the overall five-year survival rate is 97%

A 61-year-old patient with a history of biliary colic was qualified for laparoscopic cholecystectomy. A retroperitoneal mass was visualized intraoperatively. Cholecystectomy and biopsy were abandoned due to the suspicion of abdominal aortic aneurysm. As a result of further diagnostics, right testicular seminoma was diagnosed in stage IIIB with a result of β-hCG of 21 866 mIU/ml. The retroperitoneal lesion was associated with the underlying process as a metastatic lesion. The patient was treated according to the recommendations of PTOK, ESMO and NCCN for non-seminomatous tumors due to elevated tumor markers. Chemotherapy in the BEP regimen (bleomycin, etoposide, cisplatin) was applied in four cycles. The patient was qualified for surgery to remove the residual lesion (RPLND - retroperitoneal lymph node dissection). Due to the long waiting time for surgery, the patient was qualified for radiotherapy in the area of the affected lymph nodes in order to stop the progression of the disease. Due to the result of histopathological examination of the retroperitoneal lesion (95% choriocarcinoma, 5% teratoma), the patient was qualified for second-line chemotherapy in the TIP regimen (paclitaxel, ifosfamide, cisplatin). Treatment was modified due to haematological complications. The disease was stabilized on the RECIST scale. The patient was transferred for observation.

Due to the relatively high percentage of multicomponent tumors, a particularly thorough histopathological evaluation is required. An equally important element of holistic diagnostics is the correct interpretation of serum tumor markers.

Keywords: seminoma, choriocarcinoma, germ cell tumor, mixed germ cell tumor, rediagnosis

Wstęp

Nowotwory jąder należą do najczęstszych nowotworów u młodych mężczyzn w grupie wiekowej 15–40 lat. Zachorowalność stale wzrasta i wynosi od 3 do 12 na 100 tys. mężczyzn w zależności od regionu na świecie [10]. Czynnikami ryzyka są m.in. rasa biała, wnętrostwo (wzrost ryzyka ok. 3,7–7,5 razy w jądrze niezstąpionym, ale także większe ryzyko w jądrze przeciwległym, zstąpionym), dysgenezja gonad, nowotwór jądra u brata (zwiększa ryzyko ok. 10 razy) i innych krewnych I stopnia oraz określone mutacje na chromosomie Y [9]. Rokowanie w przypadku raka jądra jest pomyślne. Przy odpowiednim leczeniu pięcioletnie przeżycie wynosi ok. 97% [1].

Według klasyfikacji histopatologicznej wyróżniamy dwie główne grupy – guzy germinalne/zarodkowe, które stanowią 95% guzów jąder i zazwyczaj są złośliwe, oraz guzy gonadalne/wywodzące się ze sznurów płciowych. Guzy germinalne dzielimy na nienasieniaki (non-seminomas), które stanowią ok. 60% guzów jądra, i nasieniaki (seminoma), stanowiące ok. 40% [10]. Mogą występować także guzy mieszane – zbudowane z kilku histologicznych typów tkanki – co stanowi ok. 40% przypadków guzów germinalnych jądra. W 15% przypadków w obrazie mikroskopowym stwierdza się komórki syncytiotrofoblastu, które są przyczyną podwyższonego β-hCG w surowicy, co dostrzec można u ok. 10% pacjentów z tzw. czystym nasieniakiem, jednak nie ma to wpływu na ich rokowanie. Przy ocenie stopnia zaawansowania, oprócz cech TNM, wyróżnia się także cechę S (serum) – poziom markerów nowotworowych w surowicy [3].

Opis przypadku

61-letni pacjent został zakwalifikowany do laparoskopowej cholecystektomii z powodu dolegliwości bólowych jamy brzusznej i dwóch napadów kolki żółciowej w wywiadzie. Pacjent w stanie ogólnym dobrym, bez chorób współistniejących, bez wywiadu nowotworowego. Zabieg przeprowadzono 26.05.2023 r. – podczas operacji przypadkowo uwidoczniono patologiczną masę w przestrzeni zaotrzewnowej. Odstąpiono od cholecystektomii, ale także od pobrania wycinków (nie można było wykluczyć tętniaka aorty brzusznej). Wykonano badanie TK jamy brzusznej i miednicy (31.05.2022 r.), w którym zaobserwowano: guz o wymiarach 55x55x65 mm, strukturze lito-torbielowatej, zlokalizowany w przestrzeni zaotrzewnowej, na poziomie L2-L5 w linii pośrodkowo-przyśrodkowej po stronie prawej, wnikający między aortę brzuszną i żyłę główną dolną, w zarysie zmiany obecne pojedyncze patologiczne węzły chłonne o rozmiarze ok. 15x18 mm. TK klatki piersiowej (3.06.2022 r.) wy-

kazało jedynie pojedyncze zmiany włókniste w płucach.

Pacjenta skierowano do urologa (17.06.2022 r.). W badaniu USG wykryto guz jądra prawego o średnicy ok. 1 cm. Wartości markerów nowotworowych w surowicy wynosiły odpowiednio: β-hCG 21 866 mIU/ml (norma <2 mIU/ml), AFP 9,2 ng/ml (norma <7 ng/ml), LDH 339 U/I (norma <220U/l). Pacjent został poddany radykalnej orchidektomii pachwinowej prawostronnej (20.06.2022 r.). W badaniu histopatologicznym makroskopowo wykazano: jądro prawe 5x3 cm, na przekroju widoczny lity szaro-beżowy guz o średnicy 8 mm, ograniczony do jądra, nie naciekał osłonki białawej i pochwowej ani najądrza. W badaniu mikroskopowym wykazano guz o średnicy 8 mm o morfologii seminoma Na obwodzie guza obecne ogniska śródkanalikowego nowotworzenia. Zmiana została usunięta w całości. Stopień zaawansowania (ang. staging) określono na pT1 cN3 M0 S2 (stadium IIIB).

Pacjent został zakwalifikowany do czterech cyklów chemioterapii (28.06–12.09.2022 r.) w schemacie BEP (bleomycyna, etopozyd, cisplatyna) w dawkach standardowych według NCCN (2023), która przeznaczona jest dla pacjentów z nienasieniakiem o pośredniej grupie rokowniczej [4]. Taką decyzję podjęto ze względu na wysoki wyjściowy poziom markera β-hCG (w przypadku „czystego” nasieniaka poziom markera rzadko przekracza 2 mIU/ml). Pacjent oceniony w skali ECOG na stopień 0, o wadze 85 kg, wzroście 177 cm i BSA (ang. body surface area) 2,04 m2 otrzymał odpowiednio: etopozyd (204 mg) w dniach 1.-5., cisplatynę (40,8 mg) w dniach 1.-5., bleomycynę (61,2 jednostek) w dniach 1., 8., 15., w cyklach trwających 21 dni. Zaplanowane leczenie było zgodne z rekomendacjami PTOK, ESMO, NCCN [5, 8, 4]. Pacjent nie wymagał odroczenia i redukcji dawek. Każdy cykl chemioterapii był powikłany pancytopenią w morfologii krwi obwodowej. Pacjent otrzymywał filgrastym w dawce 48 mln j. przez pięć dni po każdym cyklu z pozytywnym efektem terapeutycznym. Po dwóch cyklach chemioterapii wykonano choremu kontrolne TK (28.07.2022 r.), gdzie odnotowano niewielką regresję guza zaotrzewnowego i lokalnych węzłów chłonnych. Po zakończeniu chemioterapii BEP (12.09.2022 r.) poziom β-hCG unormował się (norma <2mIU/ml). Zdecydowano o wykonaniu badania PET przy użyciu radiofarmaceutyku 18F-FDG (20.10.2022 r.) celem kwalifikacji do operacji RPLND (ang. retroperitoneal lymph node dissection). Zmianę zaotrzewnową oceniono jako aktywny metabolicznie węzeł chłonny o wymiarach 42x39x53 mm z centralną martwicą o średnicy 22 mm. Zgodnie z aktualnymi zaleceniami obowiązującymi w leczeniu nasieniaków w przypadku zmiany rezydualnej o średnicy powyżej 3 cm, aktywnej w badaniu PET-CT, z towarzyszącą

Review of Medical Practice, 2023; Vol. XXIX, No. 3 58

T. Sarosiek, J. Filipow, M. Żeleźnicka, F. Grydź, Nasieniak z przerzutem zaotrzewnowym o innej komponencie guza... 59

normalizacją markerów nowotworowych, pacjent został zakwalifikowany do zabiegu RPLND. Jednak ze względu na niedobór specjalistów czas oczekiwania na zabieg się wydłużył. Po 10 tygodniach od zakończenia chemioterapii (28.11.2022 r.) zaobserwowano stopniowy wzrost β-hCG do 8,01 mIU/ml (przy normie <2 mIU/ml). Po uzyskaniu z oddziału chirurgicznego informacji o braku możliwości przyspieszenia terminu operacji zdecydowano o radioterapii zmiany zaotrzewnowej. Pacjent został poddany radioterapii od 1 do 23 grudnia 2023 r. Zastosowano leczenie na obszar węzłów chłonnych odwróconego „Y” dawką frakcyjną 2 Gy do dawki całkowitej 36 Gy w 15 frakcjach (trzy cykle po pięć naświetleń). Jednoczasowo zastosowano podwyższenie dawki na obszar przetrwałego węzła chłonnego na wysokości L2-L4 dawką frakcyjną 2,4 Gy do dawki całkowitej 36 Gy w 15 frakcjach. Wykonano techniką RapidArc, fotony X6MV. Pacjent otrzymał leczenie w założonej dawce bez przerw i powikłań. Odczyn popromienny wg skali CTCAE ze strony układu pokarmowego wynosił 1°, a układu moczowego 0°. Tolerancja leczenia była dobra, pacjent został wypisany do domu w stanie ogólnym dobrym. Uzyskano przejściową normalizację β-hCG. Po miesiącu (23.01.2022 r.) odnotowano ponowne narastanie poziomu markera we krwi do 13,20 mIU/ml (przy normie <2 mIU/ml). Wykonano kontrolne badania TK jamy brzusznej, miednicy mniejszej oraz klatki piersiowej (3.02.2022 r.). Uwidoczniono progresję zmiany w porównaniu do poprzedniego badania (wymiary zmiany 48x38x50 mm). 6.02.2023 r. wykonano zabieg zaotrzewnowej limfadenektomii sposobem otwartym (RPLND). W badaniu histopatologicznym makroskopowo wykazano guzowaty fragment tkankowy o średnicy do 7 cm, na przekrojach barwy biało-żółto-czerwonej. W wyniku badania mikroskopowego uzyskano obraz zmiany o utkaniu choriocarcinoma 95% i teratoma 5% bez komponenty seminoma Nie konsultowano preparatu z orchidektomii u patomorfologa wykonującego ocenę węzłów chłonnych z powodu niedoboru i dużego obciążenia specjalistów.

W związku z wynikiem badania histopatologicznego pacjent został zakwalifikowany do chemioterapii ratunkowej II rzutu wg schematu TIP (paklitaksel, ifosfamid, cisplatyna) od 7.03.2023 r. (przy poziomie β-hCG 2,4 mIU/ml; norma <2 mIU/ml). Pacjent oceniony w skali ECOG na stopień 1, o masie ciała 84 kg, wzroście 177 cm i powierzchni ciała 2,014 m2 otrzymał w pierwszym cyklu odpowiednio: paklitaksel w dawce 503,5 mg w dniu pierwszym, ifosfamid w dawce 3021mg w dniach 2.-5., cisplatynę w dawce 50,35 mg w dniach 2.-5. Zaplanowane leczenie było zgodne z rekomendacjami PTOK, ESMO, NCCN [5, 8, 4]. Leczenie kontynuowano do 26.05.2023 r. ze względu na dużą toksyczność hematologiczną, przejawiającą się

głęboką niedokrwistością, epizodami neutropenii IV stopnia i utrzymującą się przewlekle małopłytkowością. Udało się podać trzy z czterech zaplanowanych cykli leczenia (w drugim i trzecim cyklu zastosowano 50% redukcję dawek cytostatyków), a po każdym z nich zastosowano pegfilgrastym w dawce 6 mg przez 5 dni. 5.05.2023 r. w kontrolnym badaniu TK stwierdzono całkowitą remisję choroby, 22.05.2023 r. poziom β-hCG = 0,1 mIU/ml. Ze względu na nietypowy przebieg choroby zlecono ponowną konsultację patomorfologiczną materiału z orchidektomii celem potwierdzenia poprzedniego wyniku. Przy użyciu technik immunohistochemii wykluczono złożone utkanie guza. W wyniku badania histopatologicznego nie znaleziono nowotworów innych niż nasieniak, a ocenę mikroskopową opisano jako zgodną z oceną pierwotną. Wykonano kontrolne badanie PET – CT, w którym nie uwidoczniono ognisk patologicznego gromadzenia znacznika (18-FDG) typowych dla procesu rozrostowego. Uzyskano całkowitą remisję choroby. Pacjent zostanie poddany ścisłej obserwacji z oznaczeniem markerów nowotworowych co dwa miesiące i wykonaniem TK jamy brzusznej i miednicy mniejszej co trzy miesiące w okresie pierwszych 12 miesięcy.

Omówienie

Liczba zachorowań i zgonów na nowotwory jądra stale się zwiększa. W 2020 r. u młodych mężczyzn (20.-44. r.ż.) najczęściej występowały nowotwory złośliwe jądra. Stanowiły 26% zachorowań na nowotwory w tej grupie wiekowej oraz 7% przyczyn zgonów [12]. Zmiany dają wczesne ogniska przerzutowe drogą krwi i chłonki, które nie muszą odpowiadać utkaniu pierwotnemu guza. Określenie prawdopodobnego utkania guza jest możliwe po oznaczeniu markerów nowotworowych z krwi obwodowej. Podwyższone stężenie alfa-fetoproteiny (AFP) sugeruje komponentę yolc sac tumor. Z kolei wartość β-hCG znacznie przekraczająca normę wskazuje na komponentę choriocarcinoma [3]. Do ostatecznego potwierdzenia oraz rozpoczęcia leczenia uzupełniającego niezbędny jest wynik badania histopatologicznego. W opisanym przypadku odstąpiono od pobrania wycinków podczas planowej cholecystektomi z powodu podejrzenia tętniaka aorty brzusznej. Na podstawie badania histopatologicznego materiału pobranego podczas orchidektomii pacjent otrzymał wstępną diagnozę nasieniaka jądra prawego w stadium IIIB. Ostatecznie rozpoznano nowotwór jądra o utkaniu nienasieniaka w oparciu o wynik badania histopatologicznego węzłów chłonnych zaotrzewnowych, wysoki poziom markerów nowotworowych oraz typową lokalizację przerzutów (węzły chłonne okolicy zaotrzewnowej). Zastosowane leczenie było zgodne z rekomendacjami NCCN, PTOK, ESMO [5,

Tabela 1. Przebieg procesu diagnostyczno-terapeutycznego. *norma β-hCG <2 mIU/ml **norma AFP <7 ng/ml ***norma LDH <220 U/l

Table 1. The course of the diagnostic and therapeutic process. *normal laboratory range β-hCG <2 mIU/ml **normal laboratory range AFP <7 ng/ml ***normal laboratory range LDH <220 U/l

Data Przebieg procesu diagnostyczno-terapeutycznego

26.05.22 r. Laparoskopia diagnostyczna (odstąpiono od cholecystektomii)

Dodatkowe informacje

Patologiczna masa w przestrzeni zaotrzewnowej

31.05.22 r. TK jamy brzusznej i miednicy Guz o wymiarach 55x55x65 mm, struktura lito-torbielowata, zlokalizowany w przestrzeni zaotrzewnowej na poziomie L2-L5

3.06.22 r. TK klatki piersiowej Pojedyncze zmiany włókniste

17.06.22 r. USG jąder

20.06.22 r. Radykalna orchidektomia pachwinowa prawostronna

28.06.22 r. I cykl chemioterapii w schemacie BEP

28.07.22 r. TK kontrolne jamy brzusznej, miednicy mniejszej i klatki piersiowej

12.09.22 r. Zakończenie chemioterapii w schemacie BEP

Guz jądra prawego o średnicy ok. 1 cm

Markery nowotworowe

β-hCG 21866 mIU/ml*

AFP 9,2 ng/ml** LDH 339 U/I***

Niewielka regresja guza zaotrzewnowego i lokalnych węzłów chłonnych

20.10.22 r. PET Węzeł chłonny aktywny metabolicznie (42x39 mm); centralna martwica o średnicy 22 mm w przestrzeni zaotrzewnowej; zmiana oceniona jako ognisko przerzutowe

1.12–23.12.22 r. Radioterapia zmiany zaotrzewnowej

3.02.23 r. TK kontrolne jamy brzusznej, miednicy mniejszej i klatki piersiowej

6.02.23 r. Zaotrzewnowa limfadenektomia sposobem otwartym (RPLND)

Progresja zmiany

β-hCG 20089 mIU/ml*

AFP 16,88 ng/ml**

β-hCG 1118 mIU/ml* AFP 6,03 ng/ml**

β-hCG 6,4mIU/ml*

β-hCG <2 mlU/ml*

8,01 mIU/ml*

13,2 mIU/ml*

6.03.23 r. I cykl chemioterapii w schemacie TIP β-hCG 2,4 mIU/ml* AFP 3,6 ng/ml **

5.05.23 r. TK kontrolne klatki piersiowej, jamy brzusznej i miednicy mniejszej

Nie uwidoczniono wznowy β-hCG 0,4 mIU/ml* AFP 3,54 ng/ml**

30.05.23 r. Zakończenie chemioterapii w schemacie TIP β-hCG 0,1 mIU/ml*

17.08.2023 r. PET-CT

3.09.202 r. Ponowna konsultacja patomorfologiczna usuniętego jądra

Regresja całkowita. Nie uwidoczniono ognisk gromadzenia znacznika typowych dla procesu rozrostowego

Ocena mikroskopowa zgodna z pierwotną. Nie znaleziono nowotworów innych niż nasieniak

Review of Medical Practice, 2023; Vol. XXIX, No. 3 60
β-hCG
β-hCG

Aktualne zalecenia dotyczące terapii nowotworów złośliwych jąder obejmują rekomendacje PTOK, ESMO, NCCN [5, 8, 4]. Leczeniem z wyboru w każdym przypadku nowotworu jądra jest wycięcie całego jądra zajętego przez nowotwór wraz z powrózkiem nasiennym – radykalna orchidektomia pachwinowa. Kolejny etap zależy od typu histologicznego guza (nasieniak vs nienasieniak) oraz zaawansowania choroby i obejmuje: ścisłą obserwację, radioterapię węzłów chłonnych zaotrzewnowych lub chemioterapię. Najczęściej stosowane schematy chemioterapii to karboplatyna i BEP (bleomycyna, etopozyd, cisplatyna) w przypadku leczenia adjuwantowego w stadium IB oraz BEP, EP (etopozyd, cisplatyna) lub VIP (winblastyna, ifosfamid, cisplatyna) w chorobie o wyższych stadiach zaawansowania (od IS). Standardowa chemioterapia II rzutu w przypadku nawrotu/oporności na leczenie to TIP (paklitaksel, ifosfamid, cisplatyna). Pacjenci z nienasieniakiem z przerzutami do węzłów chłonnych zaotrzewnowych wymagają także ich usunięcia metodą klasyczną (RPLND) lub laparoskopową, w przypadku braku całkowitej remisji po chemioterapii [1, 11]. W literaturze są opisywane ogniska przerzutowe raka jądra o nieidentycznej komponencie [7]. Opisano także sytuację podobną z zastosowaniem czterech cykli schematu BEP przy obrazie histopatologicznym seminoma z markerem β-hCG wynoszącym 25 265 mIU/ml i uzyskaniem pełnej remisji choroby

[6]. Inną sytuacją jest opisany pacjent z diagnozą seminoma (T2NXMXS0, stadium IB) i poziomem β-hCG 4497 IU/L, u którego uzyskano całkowitą remisję po orchidektomii i leczeniu adjuwantowym karboplatyną [2]. Zwracano uwagę na duże trudności diagnostyczne oraz charakterystyczny wzrost poszczególnych markerów nowotworowych [2, 6, 7].

Ze względu na wysokie stężenie β-hCG pacjenta w badaniu wykonanym przed orchidektomią można wysunąć podejrzenie mieszanego utkania guza pierwotnego. Ze względu na znacząco przeważającą komponentę seminoma mogły wystąpić istotne trudności w pobraniu materiału obszarów składowych choriocarcinoma i teratoma guza pierwotnego.

Wnioski

T. Sarosiek, J. Filipow, M. Żeleźnicka, F. Grydź, Nasieniak z przerzutem zaotrzewnowym o innej komponencie guza... 61 8, 4]. Leczenie zmodyfikowano i zastosowano schemat rekomendowany dla rozpoznania nienasieniaka, podając cztery cykle chemioterapii BEP zamiast trzech. Utkanie nasieniaka w badaniu histopatologicznym, z towarzyszącym wysokim stężeniem β-hCG we krwi obwodowej (21 866 mIU/ml), nie jest sytuacją oczywistą. Następnie, po badaniu PET-CT, zaplanowano wykonanie zabiegu RPLND, jednak ze względu na długi czas oczekiwania na zabieg zastosowano nietypowe rozwiązanie w postaci radioterapii przedoperacyjnej. Wynik badania histopatologicznego masy zaotrzewnowej pozwolił na rediagnozę pacjenta i ponowną ocenę rokowania, które jest znacząco gorsze w nienasieniaku w stadium IIIB. Mediana pięcioletniego przeżycia pacjenta z nasieniakiem w stadium good-risk wynosi 92–96%, która po rediagnozie uległa pogorszeniu do 80–89% (pięcioletnie przeżycie pacjenta z nienasieniakiem w stopniu intermediate-risk) [4]. Z tego względu zdecydowano się na włączenie chemioterapii adjuwantowej w schemacie TIP. Zaplanowane leczenie było zgodne z rekomendacjami PTOK, ESMO, NCCN [5, 8, 4]. Zmodyfikowano leczenie z powodu powikłań hematologicznych (pancytopenia w morfologii krwi obwodowej). Zredukowano dawki o 50% w drugim i trzecim cyklu oraz odstąpiono od podawania czwartego cyklu. Uzyskano stabilizację choroby w oparciu o skalę RECIST.

W świetle tendencji wzrostowej liczby zachorowań na nowotwory jąder koniecznie jest uwzględnienie holistycznego podejścia w ich diagnostyce i leczeniu. Warto pamiętać o tym, że guzy germinalne aż w 40% mogą mieć mieszaną komponentę. Należy szczególnie zwracać uwagę na poziom markerów nowotworowych charakterystycznych dla guzów germinalnych –w tym przypadku β-hCG, które może sugerować komponentę kosmówczaka. Jednocześnie należy mieć świadomość trudności badania histopatologicznego, wynikających z możliwości występowania wielu składowych guza w niewielkiej lub nawet śladowej części. Opisana sytuacja podkreśla istotność spójności badań obrazowych, histopatologicznych i laboratoryjnych pacjenta.

Piśmiennictwo

1. Baird D.C., Meyers G.J., Hu J.S.: Testicular Cancer: Diagnosis and Treatment. Am Fam Physician. 2018; 97(4): 261–268.

2. Bjurlin M.A., August C.Z., Weldon-Linne M., Totonchi E.: Histologically pure stage I seminoma with an elevated beta-hCG of 4497 IU/l. Urology. 2007; 70(5): e13-e15.

3. Epstein J.I., Lotan T.L.: Narządy płciowe męskie i drogi wyprowadzające mocz. W: Olszewski W. Robbins Patologia. 10 wyd. Wrocław: Edra Urban & Partner; 2019. 812–816.

4. Gilligan T., Lin D.W., Aggarwal R. et al.: NCCN Clinical Practice Guidelines in Oncology: Testicular Cancer. J Natl Compr Canc Netw 2020; 17. 1529–1554.

5. Jaszczyński J., Fijuth J. i in.: Nowotwory złośliwe jądra. W: Krzakowski M., Warzocha K., red. Zalecenia postępowania diagnostyczno-terapeutycznego w nowotworach złośliwych. Tom I. Gdańsk: Via Medica; 2013. 322–331.

6. Katayama H., Aoki H., Taguchi K. i in.: Pure Stage I Seminoma with an Elevated hCG of 25,265 mIU/ml: A Case Report. Urology Case Reports 2016; 9: 48–50.

7. Nakagawa R., Aoyama S., Satoko U. i in.: Testicular rhabdomyosarcoma after chemotherapy for metastatic germ cell tumors. Int Cancer Conf J 2019; 8(4): 175–180.

8. Oldenburg J., Berney D.M., Bokemeyer C. i in.: Testicular seminoma and non-seminoma: ESMO- EURACAN Clinical Practice Guideline for diagnosis, treatment and follow-up. Ann Oncol 2022; 33(4): 362–375.

9. Rapley E.A., Nathanson K.L.: Predisposition alleles for testicular germ cell tumour. Curr Opin Genet Dev. Elsevier Current Trends 2010; 20: 225–230.

10. Simone Giona M.: The Epidemiology of Testicular Cancer. Brisbane: Exon Publications; 2022. 107–116.

11. Stephenson A., Eggener S.E., Bass E.B. i in.: Diagnosis and Treatment of Early Stage Testicular Cancer: AUA Guideline. J Urol 2019; 202(2): 272–281.

12. Wojciechowska U., Barańska K. i in.: Nowotwory złośliwe ogółem w Polsce: Nowotwory złośliwe w Polsce w 2020 roku. Warszawa: Ministerstwo Zdrowia; 2022. 7–13.

Autorzy nie deklarują konfliktu interesów.

Adres do korespondencji: Tomasz Sarosiek Oddział Onkologii Klinicznej i Chemioterapii, Szpital LUX MED Onkologia, ul. Szamocka 6 01-748 Warszawa e-mail: tomasz.sarosiek@tomaszsarosiek.pl

Review of Medical Practice, 2023; Vol. XXIX, No. 3 62

Przepuklina Amyanda – przypadek kliniczny i przegląd literatury

Marek Stańczyk1,A,B,C,D,E,F Jacek Dudzik2,A,B,C,D,E,F

ORCID: 0009-0003-9285-2162

ORCID: 0009-0000-1385-2032

1 Wydział Lekarski, Warszawski Uniwersytet Medyczny, Warszawa

2 Kliniczny Oddział Chirurgii Ogólnej i Onkologicznej z częścią urazową, Szpital Wolski, Warszawa

A – koncepcja i projekt badań, B – gromadzenie danych, C – analiza i interpretacja danych, D – pisanie artykułu, E – krytyczna korekta artykułu, F – ostateczne zatwierdzenie artykułu

DOI: 10.26399/rmp.v29.3.2023.15/m.stanczyk/j.dudzik

STRESZCZENIE

Przepuklina Amyanda – przypadek kliniczny i przegląd literatury

Stańczyk M.1 , Dudzik J.2

1 Wydział Lekarski, Warszawski Uniwersytet Medyczny, Warszawa; 2 Kliniczny Oddział Chirurgii Ogólnej i Onkologicznej z częścią urazową, Szpital Wolski, Warszawa

Termin przepuklina Amyanda określa rzadką sytuację, kiedy w worku przepukliny pachwinowej znajduje się wyrostek robaczkowy. Stanowi ona zaledwie 1% przepuklin pachwinowych. Zapalenie wyrostka robaczkowego w przepuklinie Amyanda zdarza się natomiast niezwykle rzadko, tj. w około 0,1% przepuklin. Rozpoznanie zapalenia wyrostka robaczkowego w przepuklinie Amyanda jest klinicznie trudne z powodu rzadkiego występowania i niecharakterystycznych objawów. W tej pracy opisaliśmy ostre zapalenie wyrostka w przepuklinie pachwinowej, omówiliśmy pułapki diagnostyczne i sposób leczenia wraz z analizą literatury.

Słowa kluczowe: przepuklina Amyanda, zapalenie wyrostka, przepuklina pachwinowa

Wstęp

Termin przepuklina Amyanda określa rzadką sytuację, kiedy w worku przepukliny pachwinowej znajduje się wyrostek robaczkowy. Stanowi ona zaledwie 1% przepuklin pachwinowych. Rozpoznawana jest zazwyczaj w czasie planowej operacji przepukliny. Zapalenie wyrostka robaczkowego w przepuklinie Amyanda zdarza się natomiast niezwykle rzadko, tj. w około 0,1% przepuklin. Rozpoznanie zapalenia wyrostka robaczkowego w przepuklinie Amyanda jest klinicznie trudne. Najczęściej jest mylone z zapaleniem najądrza i jądra, z uwięźnięciem pętli jelitowych lub/i sieci w worku przepuklinowym (częściej u dorosłych) czy skrętem jądra u dzieci. Zapalenie najądrza wymaga leczenia

ABSTRACT

Amyand’s Hernia – a Case Report and Review of the Literature

Stańczyk M.1 , Dudzik J.2

1 Faculty of Medicine, Medical University of Warsaw; 2 Clinical Department of General, Oncologic and Trauma Surgery of Wolski Hospital and Lazarski University in Warsaw

Amyand’s hernia is a rare situation defined as inguinal hernia that contains appendix within the hernia sac. The incidence of Amyand’s hernia is about 1% of all inguinal hernias. The incidence of appendicitis in Amyand’s hernia is extremely rare and amounts to about 0,1%. The diagnosis of appendicitis within the hernia sac is a diagnostic challenge due to its low incidence and indistinct clinical presentation. Herein we present a case of appendicitis in Amyand’s hernia, with respect to diagnostics and therapeutic pitfalls and reference relevant literature.

Keywords: Amyand’s hernia, appendicitis, inguinal hernia

zachowawczego, a pozostałe – doraźnego leczenia operacyjnego. Błąd rozpoznawczy stanowi więc bezpośrednie zagrożenie zdrowia, a nawet życia.

Opis przypadku

76-letni chory z nieodprowadzalną przepukliną pachwinową mosznową prawostronną zgłosił się do Oddziału Ratunkowego Szpitala Wolskiego z powodu bólów w nadbrzuszu i podbrzuszu po prawej stronie oraz w prawej pachwinie.

Chory przed rokiem przebył zawał serca z implantacją stentów do tętnic wieńcowych, dodatkowo jest obciążony cukrzycą typu 2 i nadciśnieniem. W badaniu USG jamy brzusznej stwierdzono dużą, nie-

odprowadzalną przepuklinę pachwinową (mosznową). W worku przepuklinowym pętle jelita cienkiego o prawidłowej perystaltyce. Ponieważ równocześnie osłuchowo nad przepukliną stwierdzono prawidłowe odgłosy perystaltyki jelitowej, wykluczono uwięźnięcie w worku przepuklinowym pętli jelitowych. Worek przepuklinowy był niebolesny, a skóra niezmieniona. W badaniach pracownianych stwierdzono podwyższony poziom: bilirubiny 2,34 mg/dl przy prawidłowych wartościach GGTP, AST, ALT i ALP, leukocytozę 11 x 10^9/L, CRP 3,4 mg/dL. Chorego wypisano z SOR Szpitala Wolskiego z rozpoznaniem: „Inny i nieokreślony ból brzucha”, zalecono leki rozkurczowe (NoSpa) i przeciwbólowe (Dexak), do operacji przepukliny w trybie planowym. Po trzech dobach chory powrócił do Oddziału Ratunkowego Szpitala Wolskiego z powodu stanów podgorączkowych w godzinach wieczornych, bólu nadbrzusza, braku apetytu oraz narastających dolegliwości bólowych w podbrzuszu, pachwinie i mosznie po prawej stronie. W badaniach pracownianych stwierdzono nadal podwyższony poziom bilirubiny 2,08 mg/dL, narastającą leukocytozę 13.8 x 10^9/L, CRP 23,68 mg/dL i prokalcytoninę 0,6 ng/mL. W badaniu przedmiotowym moszna tkliwa i obrzęknięta po stronie prawej, lecz bez wyraźnego zaczerwienienia (rycina 1A). Wobec wątpliwości diagnostycznych w badaniach podmiotowym, przedmiotowym i pracownianych u chorego wykonano badanie tomograficzne brzucha i miednicy mniejszej m.in. w celu ostatecznego wykluczenia ostrej choroby brzucha wymagającej pilnej operacji. W TK stwierdzono w worku przepuklinowym zmieniony zapalnie, pogrubiały wyrostek robaczkowy o średnicy 15 mm i długości 100 mm z pogrubieniem ściany do 4 mm (rycina 1B). Po tym badaniu chorego operowano w trybie pilnym. Obraz śródoperacyjny potwierdził rozpoznanie, stwierdzono ropowicze zapalenie wyrostka robaczkowego. W badaniu histopatologicznym rozpoznano Appendicitis acuta et periappendicitis purulenta (rycina 1C). Wykonano appendektomię z obszyciem kikuta wyrostka robaczkowego szwem kapciuchowym. Wobec całkowitego zrośnięcia powrózka nasiennego z workiem przepuklinowym na długim odcinku, dużych trudności technicznych w jego idealnym wypreparowaniu, mając na względzie upośledzenie prawidłowego ukrwienia jądra, wykonano orchideoktomię. Plastykę przepukliny (po odprowadzeniu niezmienionych pętli jelitowych do jamy brzusznej) wykonano przez zamknięcie 6-centymetrowego ubytku tylnej ściany kanału pachwinowego korkiem propylenowym, sposobem Rutkowa, a następnie wzmocniono tylną ścianę kanału pachwinowego przez wszycie drugiej siatki propylenowej sposobem Lichtensteina. Przebieg pooperacyjny był prawidłowy, parametry stanu zapalnego powróciły do normy. W trzeciej dobie cho-

ry w stanie ogólnym dobrym, z prawidłowo gojącą się raną, został wypisany z Klinicznego Oddziału Chirurgii Ogólnej i Onkologicznej z częścią urazową Szpitala Wolskiego, w osłonie antybiotykowej cefalosporyną III generacji (Zinnat). Podczas kontroli w poradni chirurgicznej po 10 dniach zdjęto szwy skórne, rana operacyjna zagoiła się prawidłowo.

Dyskusja

Przepuklina pachwinowa u dorosłych jest jedną z najczęstszych przyczyn zgłaszania się pacjentów do planowych operacji. Stanowi 60% wszystkich przepuklin brzusznych, występuje pięć razy częściej u mężczyzn. Naprawa przepukliny pachwinowej jest najczęściej wykonywaną planową operacją chirurgiczną w Polsce.

Zawartość worka przepuklinowego najczęściej stanowią sieć i pętle jelita cienkiego, rzadziej część jego obwodu (przepuklina Richtera), jelito grube, uchyłek Meckela (przepuklina Littrego), pęcherz moczowy, przydatki u kobiet. Termin przepuklina Amyanda pochodzi od nazwiska francuskiego chirurga Klaudiusza Amanda, który w 1735 roku wykonał i opisał operację appendektomii u 11-letniego chłopca z perforowanym wyrostkiem robaczkowym uwięźniętym w przepuklinie pachwinowej. „Operacja trwała prawie pół godziny, pacjent zniósł ją z wielką odwagą, była dla niego równie bolesna, co dla mnie pracochłonna”, napisał [1]. Zapalenie wyrostka robaczkowego w worku przepukliny pachwinowej wymaga różnicowania z zapaleniem jądra i najądrza, które są leczone zachowawczo. Błąd rozpoznawczy stanowi więc bezpośrednie zagrożenie zdrowia, a nawet życia. U opisanego chorego na szczególną uwagą zasługuje podwyższony poziom bilirubiny w surowicy już podczas pierwszej wizyty w Szpitalnym Oddziale Ratunkowym. Chorzy z hiperbilirubinemią częściej mają zaawansowaną postać zapalenia wyrostka z perforacją i zgorzelą. Dlatego poziom bilirubiny w surowicy krwi może być niekiedy wartościowym markerem w diagnostyce zapalenia wyrostka robaczkowego [2]. Przedmiotem dyskusji jest sposób operacji wyrostka i naprawy przepukliny. Operacja może być wykonana metodą otwartą lub laparoskopowo [3]. Większość chirurgów zgadza się, aby przepuklina niezależnie od metody operacji była naprawiona jednoczasowo z appendektomią. W szczególnych sytuacjach z ropniem przedniej ściany brzucha naprawę można lub należy odroczyć [4]. Przedmiotem kontrowersji pozostaje użycie materiału sztucznego. Z jednej strony panuje opinia, że operacje z użyciem siatki w skontaminowanym polu operacyjnym zwiększa ryzyko jej infekcji. Zalecana jest zatem naprawa z wykorzystaniem tkanek chorego, np. metodą Bassiniego. Z drugiej strony udowodniono, że wszy-

Review of Medical Practice, 2023; Vol. XXIX, No. 3 64

M. Stańczyk, J. Dudzik, Przepuklina Amyanda – przypadek kliniczny i przegląd literatury

cie siatki nie zwiększa istotnie ryzyka infekcji [5–7], a zmniejsza ryzyko nawrotu przepukliny [8, 9]. Klasyfikacja przepuklin Amyonda zaproponowana przez Losanoffa i Bassona [10] z zalecanym postępowaniem może być wstępnym narzędziem pomocniczym przy podejmowaniu decyzji (tabela 1). Jednak ostateczny wybór powinien być oparty na indywidualnej ocenie stanu chorego oraz doświadczeniu i umiejętności chirurga. U opisanego chorego operacja wykonana została metodą klasyczną z użyciem siatki propylenowej.

Podsumowanie

1. Przy bólu i bolesności w prawym podbrzuszu należy także pomyśleć o zapaleniu wyrostka robaczkowe-

go, który może znajdować się w worku przepukliny pachwinowej.

2. W pierwszej kolejności należy poszukiwać niecharakterystycznych objawów często spotykanych chorób, a w drugiej kolejności charakterystycznych objawów chorób rzadkich.

3. Tomografia komputerowa powinna być wykorzystywana (zawsze o ile jest dostępna) przy wątpliwościach diagnostycznych bólów brzucha, które nie dają się rozstrzygnąć badaniem klinicznym: podmiotowym, przedmiotowym, obrazowym (USG, RTG klasyczne) i hematologiczno-biochemicznym. Nie powinna natomiast ich zastępować.

Rycina 1. A) Chory z nieodprowadzalną przepukliną pachwinową prawostronną z obrzękiem moszny, bez zaczerwienienia skóry. Po stronie lewej prawidłowy obraz moszny z widocznym uwypukleniem jądra. B) Obraz TK, przekrój przez worek przepuklinowy w płaszczyźnie czołowej z widocznym wyrostkiem robaczkowym oznaczonym strzałkami. C) Obraz śródoperacyjny ropowiczo zmienionego wyrostka robaczkowego

65

Tabela 1. Klasyfikacja Losanoffa i Bassona przepukliny Amyanda

Typ Opis

Typ 1 niezmieniony wyrostek w przepuklinie

Typ 2

Typ 3

Typ 4

Postępowanie

odprowadzenie lub wycięcie (w zależności od wieku), plastyka z użyciem siatki

ostry zapalony wyrostek w przepuklinie bez objawów sepsy appendektomia, pierwotna naprawa bez użycia siatki

ostre zapalenie wyrostka w przepuklinie z objawami sepsy

ostre zapalenie wyrostka w przepuklinie z towarzyszącymi cechami patologii w obrębie jamy brzusznej

Piśmiennictwo

1. Amyand C.: VIII. Of an inguinal rupture, with a pin in the appendix coeci, incrusted with stone; and some observations on wounds in the guts. Phil Trans R Soc 1736; 39: 329–342.

2. Emmanuel A., Murchan P., Wilson I. i in.: The value of hyperbilirubinaemia in the diagnosis of acute appendicitis. Ann R Coll Surg Engl 2011; 93(3): 213–217.

3. Al-Ramli W., Khodear Y., Aremu M. i in.: A complicated case of amyand’s hernia involving a perforated appendix and its management using minimally invasive laparoscopic surgery: A case report. Int J Surg Case Rep 2016; 29: 215–218.

4. Torres Perez-Iglesias C.A., Kim T.B., Marinov M.: Amyand’s Hernia and Complicated Appendicitis Presenting as an Abdominal Wall Abscess. ACS Case Reviews in Surgery 2022; 3(8): 74–78.

5. Bessa S.S., Abdel-fattah M.R., Al-Sayes I.A. i in.: Results of prosthetic mesh repair in the emergency management of the acutely incarcerated and/or strangulated groin hernias: a 10year study. Hernia 2015; 19(6): 909–914.

6. Birolini C., de Miranda J.S., Tanaka E.Y. i in.: The use of synthetic mesh in contaminated and infected abdominal wall repairs: challenging the dogma-A long-term prospective clinical trial. Hernia 2020; 24(2): 307–323.

7. Papaziogas B., Lazaridis Ch., Makris J. i in.: Tension-free repair versus modified Bassini technique (Andrews technique) for strangulated inguinal hernia: a comparative study. Hernia 2005; 9(2): 156–159.

laparotomia, appendektomia i pierwotna naprawa bez użycia siatki

laparotomia, appendektomia, pierwotna naprawa bez użycia siatki i leczenie towarzyszących chorób

8. Dai W., Chen Z., Zuo J. i in.: Risk factors of postoperative complications after emergency repair of incarcerated groin hernia for adult patients: a retrospective cohort study. Hernia 2019; 23(2): 267–276.

9. Chatzimavroudis G., Papaziogas B., Koutelidakis I. i in.: The role of prosthetic repair in the treatment of an incarcerated recurrent inguinal hernia with acute appendicitis (inflamed Amyand’s hernia). Hernia 2009; 13(3): 335–337.

10. Losanoff J.E., Basson M.D.: Amyand hernia: a classification to improve management. Hernia 2008; 12(3): 325–326.

Autorzy nie deklarują konfliktu interesów.

Adres do korespondencji:

Jacek Dudzik

Kliniczny Oddział Chirurgii Ogólnej i Onkologicznej z częścią urazową, Szpital Wolski ul. Kasprzaka 17 01-211 Warszawa

Marek Stańczyk tel. 721-064-597 e-mail: marekstanczyk2610@gmail.com

Review of Medical Practice, 2023; Vol. XXIX, No. 3 66

Sarcopenic Obesity as a Complication of Overweight and Obesity – a Summary of Knowledge

Jan Jurgiel1,A, B,C,D,E

ORCID: 0000-0003-1011-002X

Konrad Jóźwik3,A,B,C,D

ORCID: 0000-0001-6326-5098

ORCID: 0009-0008-0606-5063

Piotr Opyd1,A,B,C,D

ORCID: 0000-0002-2409-2785

Graniak1,A,B,C,D

ORCID: 0000-0001-5484-8320

Michał Lis1,4,A,D,E,F

ORCID: 0000-0001-7675-398X

1 Department of Internal Diseases with the Endocrinology and Diabetology Subunit, Nephrology and Dialysis Center, Czerniakowski Hospital, Warsaw;

2 Jędrzej Śniadecki Specialist Hospital, Nowy Sącz;

3 Multi-Specialist Regional Hospital, Gorzów Wielkopolski; 4 Lazarski University, Warsaw

A – research concept and design, B – collection andassembly of data, C – data analysis and interpretation, D – writing the article, E – critical revision ofthe article, F – final approval of article

DOI: 10.26399/rmp.v29.3.2023.16/j.jurgiel/p.karabin/a.graniak/k.jozwik/p.opyd/m.lis

ABSTRACT

Sarcopenic Obesity as a Complication of Overweight and Obesity – a Summary of Knowledge

Jurgiel J.1, Karabin P.2, Graniak A.1, Jóźwik K.3, Opyd P.1, Lis M.1

1 Department of Internal Diseases with the Endocrinology and Diabetology Subunit, Nephrology and Dialysis Center, Czerniakowski Hospital, Warsaw; 2 Jędrzej Śniadecki Specialist Hospital, Nowy Sącz; 3 Multi-Specialist Regional Hospital, Gorzów Wielkopolski; 4 Lazarski University, Warsaw

The contemporary trend towards elevated consumption of processed food and a sedentary lifestyle has induced noticeable alterations in body composition observed in the population. These unprecedented changes have given rise to the emergence of novel pathological conditions, including sarcopenic obesity. This condition is characterized by an excessive accumulation of body fat in conjunction with skeletal muscle depletion and functional impairments. Diagnosis hinges upon a comprehensive evaluation of medical history and the performance of functional and imaging studies. The therapeutic strategy relies on the appropriate dietary regimen and increased physical activity. Current scientific research in the domain of sarcopenic obesity is advancing significantly, with potential pharmacotherapy involving novel weight-loss medications and other strategies addressing this health issue.

Keywords: sarcopenic obesity, obesity, sarcopenia, overweight

STRESZCZENIE

Otyłość sarkopeniczna jako powikłanie nadwagi i choroby otyłościowej – podsumowanie wiedzy

Jurgiel J.1, Karabin P.2, Graniak A.1, Jóźwik K.3, Opyd P.1, Lis M.1

1 Oddział Chorób Wewnętrznych z Pododdziałem Endokrynologiczno-Diabetologicznym, Pododdziałem Nefrologicznym i Stacją Dializ, Szpital Czerniakowski Sp. z.o.o., Warszawa; 2 Szpital Specjalistyczny im. Jędrzeja Śniadeckiego, Nowy Sącz; 3 Wielospecjalistyczny Szpital Wojewódzki, Gorzów Wielkopolski; 4 Uczelnia Łazarskiego, Warszawa

Współczesny trend związany ze wzmożonym spożyciem wysokoprzetworzonej żywności oraz prowadzeniem siedzącego trybu życia spowodował zauważalne zmiany w składzie ciała obserwowane w populacji. Te bezprecedensowe zmiany skutkują pojawieniem się nowych jednostek chorobowych, takich jak otyłość sarkopeniczna. Stan ten charakteryzuje się nadmiernym gromadzeniem tkanki tłuszczowej w połączeniu z utratą masy mięśniowej oraz ograniczeniami funkcjonalnymi. Postępowanie diagnostyczne opiera się na dokładnym wywiadzie lekarskim oraz przeprowadzeniu badań czynnościowych i obrazowych pozwalających na rozpoznanie tej patologii oraz wdrożenie odpowiedniego postępowania terapeutycznego opartego na zbilansowanej diecie i zwiększeniu aktywności fizycznej. Problematyka otyłości sarkopenicznej jest tematem wielu badań naukowych dotyczących możliwości farmakoterapii przy użyciu nowych leków redukujących masę ciała oraz innych strategii terapeutycznych.

Słowa kluczowe: otyłość sarkopeniczna, choroba otyłościowa, sarkopenia, nadwaga

Introduction

The ageing of the population, in conjunction with the escalating obesity epidemic, has contributed to a notable increase in the prevalence of sarcopenic obesity (SO). This pathological state is characterized by excessive fat deposition accompanied by skeletal muscle atrophy and functional impairment [1]. While estimates indicate that nearly ten per cent of the global adult population is affected by this condition, epi-

demiological data display considerable heterogeneity based on the adopted diagnostic criteria [2, 3]. Recognizing the significance of sarcopenic obesity as a distinct disease entity, the European Society for Clinical Nutrition and Metabolism (ESPEN) and the European Association for the Study of Obesity (EASO) issued a consensus statement in 2022, offering a comprehensive definition and diagnostic framework [4]. Given its widespread occurrence and detrimental effects on patients’ quality of life, healthcare professionals from diverse specialities should display an interest in understanding sarcopenic obesity.

Methods: Literature Search and Study Selection

A narrative literature review was performed by searching MEDLINE via PubMed. To be included in the article, all studies had to be peer-reviewed and written in English. In vitro studies and animal model research were excluded from our analysis. The search was performed using the following keywords: obesity AND muscle loss, obesity AND sarcopenia, overweight AND muscle loss, overweight AND sarcopenia. Additionally, publications and articles for which the full text could not be accessed were also excluded.

After the initial screening, the articles were critically assessed for eligibility by authors (J.J., P.K.). Our search included all literature related to the topic of aetiology, clinical criteria in diagnosis, and management of sarcopenic obesity in the articles from the year 2000.

Pathomechanism

Sarcopenic obesity commonly occurs with ageing, characterized by an increased relative ratio of fat to muscle [5]. This change is linked to reduced physical activity in this population, contributing significantly to a caloric surplus and subsequent fat deposition [6]. Prolonged inactivity and limited exercise negatively affect muscle protein turnover, leading to muscle atrophy [7]. General weakness, decreased muscular strength and endurance in this group of patients contribute to a sedentary lifestyle, perpetuating a vicious circle. Inappropriate dietary patterns among these individuals, coupled with an excessive caloric intake and inadequate protein supply, further intensify muscle breakdown, exacerbating the catabolic process. Additionally, inadequate vitamin D3 levels have been associated with the development of this entity [8]. These alterations coincide with metabolic disruptions associated with adipose tissue accumulation. Metabolically active adipose tissue produces tissue hormones that exacerbate oxidative stress, inflammation, and insulin resistance [9, 10], thereby promoting muscle protein

breakdown [11, 12]. These changes involve cellular-level processes, including mitochondrial dysfunction in muscle tissue cells, resulting in resistance to anabolic hormones and increased protein catabolism [13]. Ectopic fat deposition in muscle tissue, stemming from excessive adipose tissue expansion, is a common consequence of obesity. This state can induce metabolic lipotoxicity characterized by heightened oxidative and inflammatory processes, along with the accumulation of detrimental diacylglycerols and ceramides in myocytes [14, 15].

Diagnosis

The recommendations from ESPEN and EASO concerning the diagnosis of sarcopenic obesity primarily emphasize screening, accurate diagnosis, and the evaluation of disease severity [4]. Screening for sarcopenic obesity entails assessing the simultaneous presence of an elevated body mass index (BMI) using WHO standards (or another validated method of measuring excessive body weight), as well as identifying indicators of sarcopenia using validated questionnaires like SARC-F and considering the presence of risk factors and clinical symptoms (table 1).

Table 1. Clinical symptoms of suspicion factors for the screening of sarcopenic obesity

1. Age >70 years

2. Chronic disease diagnosis included but not limited to:

a. Chronic heart failure

b. Chronic kidney disease

c. Chronic bowel failure or dysfunction

d. Chronic liver disease (particularly NASH and liver cirrhosis)

e. Chronic respiratory disease

f. Chronic neurologic and neurodegenerative diseases

g. Chronic cognitive impairment

h. Depression

i. Organ transplantation

j. Endocrine disease

k. Osteoarthritis

l. Cancer

3. Recent acute disease/nutritional events

a. Recent hospitalization

b. Recent major surgery or trauma

c. Recent sustained immobilization or reduced mobility

d. Recent history of reduced food intake

e. Recent weight loss

f. The recent rapid increase in weight

g. Long-standing restrictive diets and bariatric surgery

4. History of

a. Repeated falls

b. Weakness, exhaustion

c. Fatigability

d. Perceived progressive movement limitations

Adapted from: Donini et al.: Definition and Diagnostic Criteria for Sarcopenic Obesity: ESPEN and EASO Consensus Statement, Obes Facts 2022;15: 321–335.

Review of Medical Practice, 2023; Vol. XXIX, No. 3 68

To confirm or refute a positive screening outcome, a more precise evaluation of muscle strength and body composition analysis is required. Muscle strength can be assessed using a handgrip strength test employing a dynamometer, where the patient performs three squeezes, and the average value is calculated from the three measurements. A diagnosis of muscle weakness is made if the average result falls below 26 kg for men and 16 kg for women [16]. Alternatively, the chairstand test (5-time sit-to-stand test, 30-s chair-stand test) can be used regarding appropriate reference values for sex, ethnicity, and age [17]. For body composition analysis, DXA (dual-energy X-ray absorptiometry) or BIA (bioelectrical impedance) testing should be conducted [18, 19].

Once the diagnosis of sarcopenic obesity is confirmed, patients should be categorized into one of two stages:

Stage 1: Sarcopenic obesity without complications Stage 2: Sarcopenic obesity with the presence of at least one complication related to excessive body weight and/or muscle weakness and atrophy, such as cardiovascular disease, mobility disability, or osteoporosis [4].

Clinical implications and management

The loss of muscle tissue with coexisting obesity leads to significant health consequences, including an increased risk of developing frailty syndrome, which adversely affects the quality of life, particularly in older individuals [20]. Frailty syndrome is characterized by a state of vulnerability and diminished physiological reserve, leading to an elevated susceptibility to adverse health outcomes. In individuals with sarcopenic obesity, the presence of frailty syndrome compounds the negative impact on their overall well-being. Furthermore, obesity-related muscle atrophy in patients with chronic diseases is associated with higher mortality rates and a poorer prognosis [21,22]. The metabolic consequences of sarcopenic obesity encompass an elevated risk of metabolic syndrome, increased tissue resistance to insulin, and the presence of dyslipidemias or hypertension. Individuals with sarcopenic obesity also commonly experience reduced physical performance and imbalance, resulting in a higher frequency of falls. This, coupled with the heightened risk of osteoporosis observed in these patients, increases the susceptibility to fractures and immobilization [23].

Prevention of the development of sarcopenic obesity necessitates the implementation of a comprehensive approach encompassing both physical activity and dietary management. Existing research findings indicate that solely implementing dietary

changes without incorporating regular exercise may exacerbate the progression of sarcopenia [24]. To maximize the desired outcomes, resistance exercises, which have been proven to be effective in increasing muscle mass and strength, should be prioritized. In addition, incorporating aerobic exercises, such as walking, into the exercise regimen can expedite fat loss and further enhance the overall impact of the intervention.

In the randomized controlled clinical trials FranSO and FORMOsA-SOS, Kemmler et al. observed a positive impact of the combination of whole-body electromyostimulation with a protein-rich diet on muscle mass accrual and fat reduction among elderly individuals afflicted with sarcopenic obesity [25, 26]. While the outcomes demonstrate a less pronounced effect compared to resistance and aerobic exercise regimens, it can be useful within the population unable to perform physical activities. However, the study encountered a notable limitation as the intervention failed to exert a statistically significant impact on obesity within the same demographic. This outcome prompts critical consideration, especially given the increasing prevalence of sarcopenic obesity in aging populations. Moreover, the challenges encountered in recruiting the intended sample size of 75 individuals, despite a rigorous screening process, introduce a potential source of bias. Espinoza et al. described the other possible intervention with the use of intranasal oxytocin, which in their study led to an increase in lean body mass and a reduction in the low-density lipoprotein fraction among elderly individuals afflicted by sarcopenic obesity [27]. Additionally, it’s noteworthy that oxytocin administration, despite increasing lean mass, did not translate into improved physical function, possibly due to the chosen assessment’s limitations and the short treatment duration. These nuanced findings underscore the need for further research to optimize oxytocin interventions and broaden our understanding of their comprehensive effects. However, both of those interventions – described by Kemmler and Espinoza – seem to be less potent than the implementation of resistance and aerobic training.

The implementation of a well-designed dietary plan is of paramount importance in the effective management of sarcopenic obesity. Special consideration should be given to ensuring an appropriate consumption of complete protein, usually advised within the range of 1.2–1.6 grams per kilogram of body weight [28]. Additionally, in cases of vitamin D3 deficiency, it is advisable to consider supplementation at a dosage of 2000–4000 IU per day [29]. Seeking guidance from a certified nutritionist for personalized nutritional consultation is highly recommended to customize dietary recommendations based on the individual’s unique re-

J. Jurgiel,
Obesity as a Complication of Overweight... 69
P. Karabin, A. Graniak, K. Jóźwik, P. Opyd, M. Lis, Sarcopenic

quirements and preferences. It is essential to remain mindful of protein restriction in patients diagnosed with chronic kidney disease and an estimated glomerular filtration rate lower than 30 ml/min/1.73 m2. Similarly, elderly patients should avoid excessively restrictive diets due to the higher susceptibility to hypoglycemia and the subsequent risk of dangerous falls and fractures [30]. On the other hand, pharmaceutical agents commonly employed for weight reduction purposes, including orlistat, phentermine, naltrexone/bupropion, or liraglutide, are yet to demonstrate their efficacy in effectively treating sarcopenic obesity. Consequently, it is not advised to recommend their administration in sarcopenic obesity until sufficient evidence supporting their usefulness emerges. Nevertheless, bariatric surgery may be considered a potential treatment modality, warranting careful evaluation and consultation with healthcare professionals [23, 31].

Further research is needed in two crucial populations. Firstly, within the pediatric population, there is a pressing need for a comprehensive investigation. In 2022, Zembura and Matusik conducted a systematic literature review examining the prevalence and complications of sarcopenic obesity in children and adolescents [32]. Unfortunately, the inconclusive nature of the results and conclusions can be attributed to the disparate methodologies and definitions of sarcopenic obesity applied across the various studies. The reported prevalence of sarcopenic obesity among this group exhibited significant variation, ranging from 7% to well over 80%, primarily because of differences in the diagnostic criteria used. Therefore, it is imperative to establish a consensus on diagnostic criteria for sarcopenic obesity within the pediatric population.

Similarly, there is a dearth of data concerning individuals with malignancies. The issue of comorbidity involving sarcopenic obesity in cancer patients has garnered growing attention. In a meta-analysis conducted in 2022, Gao et al. demonstrated that sarcopenic obesity significantly reduces recurrence-free periods, elevates the occurrence of postoperative complications, and extends hospitalization durations among cancer patients [33]. Furthermore, the authors highlighted the prevalence of sarcopenic obesity within this patient group, emphasizing the necessity for systematic screening and diagnosis of sarcopenic obesity in cancer patients. However, there are limitations within the analysis which are related to relatively small samples, different diagnostic criteria across the studies, and limited data related to non-digestive cancers. Notwithstanding, appropriate screening and management would facilitate the implementation of appropriate therapeutic interventions, subsequently improving patient prognosis.

Conclusions and Future Directions

1. The comprehensive understanding of the pathomechanism in sarcopenic obesity remains an ongoing pursuit, necessitating intensified research efforts to unravel the molecular and physiological basis. Such endeavours promise to afford valuable insights into prospective therapeutic targets.

2. There is a necessity for intensive screening for sarcopenic obesity in different cohorts of patients to characterize the prevalence of this entity.

3. It is crucial to formulate nutritional protocols specific to sarcopenic obesity, entailing the definition of exact macro and micronutrient constituents in dietary plans. Additionally, guidelines should be formulated for recommended physical activity, distinguishing between aerobic and resistance training, and specifying the intensity and frequency of such activities.

4. A group of special interest should be immobile patients for whom it is not possible to implement exercise training and rehabilitation.

5. The use of novel pharmaceutical interventions in sarcopenic obesity remains understudied. Further randomized controlled trials should conducted to investigate the efficacy of these drugs in addressing the multifaceted challenges associated with sarcopenic obesity.

References

1. Roubenoff R.: Sarcopenic Obesity: The Confluence of Two Epidemics. Obes Res 2004; 12: 887–888.

2. Gao Q., Mei F., Shang Y. et al.: Global prevalence of sarcopenic obesity in older adults: A systematic review and meta-analysis. Clinical Nutrition 2021; 40: 4633–4641.

3. Cauley J.A.: An Overview of Sarcopenic Obesity. Journal of Clinical Densitometry 2015; 18: 499–505.

4. Donini L.M., Busetto L., Bischoff S.C. et al : Definition and Diagnostic Criteria for Sarcopenic Obesity: ESPEN and EASO Consensus Statement. Obes Facts 2022; 15: 321–335.

5. Mourtzakis M., Prado C.M.M., Lieffers J.R., Reiman T., McCargar L.J., Baracos V.E.: A practical and precise approach to quantification of body composition in cancer patients using computed tomography images acquired during routine care. Applied Physiology, Nutrition, and Metabolism 2008; 33: 997–1006.

6. Dahlmans D., Houzelle A., Schrauwen P., Hoeks J.: Mitochondrial dynamics, quality control and miRNA regulation in skeletal muscle: implications for obesity and related metabolic disease. Clin Sci 2016; 130: 843–852.

7. Biolo G., Agostini F., Simunic B. et al.: Positive energy balance is associated with accelerated muscle atrophy and increased erythrocyte glutathione turnover during 5 wk of bed rest. Am J Clin Nutr 2008; 88: 950–958.

8. Manoy P., Anomasiri W., Yuktanandana P. et al.: Elevated serum leptin levels are associated with low vitamin D, sarcopenic obesity, poor muscle strength, and physical performance in knee osteoarthritis. Biomarkers 2017; 22: 723–730.

9. Furukawa S., Fujita T., Shimabukuro M. et al.: Increased oxidative stress in obesity and its impact on metabolic syndrome. Journal of Clinical Investigation 2004; 114: 1752–1761.

10. Schenk S., Saberi M., Olefsky J.M.: Insulin sensitivity: modulation by nutrients and inflammation. Journal of Clinical Investigation 2008; 118: 2992–3002.

11. Powers S.K., Morton A.B., Ahn B., Smuder A.J.: Redox control of skeletal muscle atrophy. Free Radic Biol Med 2016; 98: 208–217.

Review of Medical Practice, 2023; Vol. XXIX, No. 3 70

12. Guillet C., Delcourt I., Rance M. et al.: Changes in Basal and Insulin and Amino Acid Response of Whole Body and Skeletal Muscle Proteins in Obese Men. J Clin Endocrinol Metab 2009; 94: 3044–3050.

13. Dahlmans D., Houzelle A., Schrauwen P., Hoeks J.: Mitochondrial dynamics, quality control and miRNA regulation in skeletal muscle: implications for obesity and related metabolic disease. Clin Sci 2016; 130: 843–852.

14. Barazzoni R., Zanetti M., Cappellari G.G. et al.: Fatty acids acutely enhance insulin-induced oxidative stress and cause insulin resistance by increasing mitochondrial reactive oxygen species (ROS) generation and nuclear factor-κB inhibitor (IκB)–nuclear factor-κB (NFκB) activation in rat muscle, in the absence of mitochondrial dysfunction. Diabetologia 2012; 55: 773–782.

15. Lipina C., Hundal H.S.: Lipid modulation of skeletal muscle mass and function. J Cachexia Sarcopenia Muscle 2017; 8: 190–201.

16. Keller K., Engelhardt M.: Strength and muscle mass loss with the ageing process. Age and strength loss. Muscles Ligaments Tendons J 2013; 3: 346–350.

17. Jones C.J., Rikli R.E., Beam W.C.: A 30-s Chair-Stand Test as a Measure of Lower Body Strength in Community-Residing Older Adults. Res Q Exerc Sport 1999; 70: 113–119.

18. Batsis J.A., Barre L.K., Mackenzie T.A., Pratt S.I., Lopez-Jimenez F., Bartels S.J.: Variation in the Prevalence of Sarcopenia and Sarcopenic Obesity in Older Adults Associated with Different Research Definitions: Dual-Energy <scp>X</ scp> -Ray Absorptiometry Data from the <scp>N</scp> ational <scp>H</scp> ealth and <scp>N</scp> utrition <scp>E</scp> xamination <scp>S</scp> urvey 1999–2004. J Am Geriatr Soc 2013; 61: 974–980.

19. Sizoo D., de Heide L.J.M., Emous M., van Zutphen T., Navis G., van Beek A.P.: Measuring Muscle Mass and Strength in Obesity: a Review of Various Methods. Obes Surg 2021; 31: 384–393.

20. Baumgartner R.N., Wayne S.J., Waters D.L., Janssen I., Gallagher D., Morley J.E.: Sarcopenic Obesity Predicts Instrumental Activities of Daily Living Disability in the Elderly. Obes Res 2004; 12: 1995–2004.

21. Honda H., Qureshi A.R., Axelsson J. et al.: Obese sarcopenia in patients with end-stage renal disease is associated with inflammation and increased mortality. Am J Clin Nutr 2007; 86: 633–638.

22. Montano-Loza A.J., Angulo P., Meza-Junco J. et al.: Sarcopenic obesity and myosteatosis are associated with higher mortality in patients with cirrhosis. J Cachexia Sarcopenia Muscle 2016; 7: 126–135.

23. Polyzos S.A., Margioris A.N.: Sarcopenic obesity. Hormones 2018; 17: 321–331.

24. Weinheimer E.M., Sands L.P., Campbell W.W.: A systematic review of the separate and combined effects of energy re-

striction and exercise on fat-free mass in middle-aged and older adults: implications for sarcopenic obesity. Nutr Rev 2010; 68: 375–388.

25. Kemmler W., Grimm A., Bebenek M., Kohl M., von Stengel S.: Effects of Combined Whole-Body Electromyostimulation and Protein Supplementation on Local and Overall Muscle/Fat Distribution in Older Men with Sarcopenic Obesity: The Randomized Controlled Franconia Sarcopenic Obesity (FranSO) Study. Calcif Tissue Int 2018; 103: 266–277.

26. Kemmler W., Teschler M., Weissenfels A. et al.: Whole-body electromyostimulation to fight sarcopenic obesity in community-dwelling older women at risk. Resultsof the randomized controlled FORMOsA-sarcopenic obesity study. Osteoporos Int 2016; 27: 3261–3270.

27. Espinoza S.E., Lee J.L., Wang C.-P. et al.: Intranasal Oxytocin Improves Lean Muscle Mass and Lowers LDL Cholesterol in Older Adults with Sarcopenic Obesity: A Pilot Randomized Controlled Trial. J Am Med Dir Assoc 2021; 22: 1877–1882. e2.

28. Molino S., Dossena M., Buonocore D., Verri M.: Sarcopenic obesity: An appraisal of the current status of knowledge and management in elderly people. J Nutr Health Aging 2016; 20: 780–788.

29. Bassatne A., Chakhtoura M., Saad R., Fuleihan G.E.-H.: Vitamin D supplementation in obesity and during weight loss: A review of randomized controlled trials. Metabolism 2019; 92: 193–205.

30. Wieczorek S., Wieczorek Ł.: Otyłość sarkopeniczna. Problemy Geriatryczne w POZ. Lekarz POZ 2023; 1: 55–59.

31. Mastino D., Robert M., Betry C., Laville M., Gouillat C., Disse E.: Bariatric Surgery Outcomes in Sarcopenic Obesity. Obes Surg 2016; 26: 2355–2362.

32. Zembura M., Matusik P.: Sarcopenic Obesity in Children and Adolescents: A Systematic Review. Front Endocrinol (Lausanne) 2022; 13: 914740.

33. Gao Q., Hu K., Gao J. et al.: Prevalence and prognostic value of sarcopenic obesity in patients with cancer: A systematic review and meta-analysis. Nutrition 2022; 101: 111704.

No potential conflict of interest was reported by the authors.

Address for correspondence:

Jan Jurgiel

Stępińska 19/25 00-739 Warszawa tel: +48 22 31 86 328 e-mail: jan.jurgiel@szpitalczerniakowski.waw.pl

J. Jurgiel,
Obesity as
of Overweight... 71
P. Karabin, A. Graniak, K. Jóźwik, P. Opyd, M. Lis, Sarcopenic
a Complication

Knowledge Management in Hospitals. Review of Literature

Marcin Bobruk1,A,B,C,D,E,F Zbigniew Wiśniewski2,A,B,E,F Andrzej Kot1,B,E

ORCID: 0000-0001-6960-3270

ORCID: 0000-0003-0066-9321

ORCID: 0000-0003-2283-4199

1 Department of Management and Logistics in Health Care, Medical University of Lodz, Poland; 2 Lodz University of Technology, Faculty of Organization and Management, Lodz, Poland

A – research concept and design, B – collection andassembly of data, C – data analysis and interpre-tation, D – writing the article, E – critical revision of the article, F – final approval of article

DOI: 10.26399/rmp.v29.3.2023.17/m.bobruk/z.wisniewski/a.kot

ABSTRACT

Knowledge Management in Hospitals. Review of Literature

Bobruk M.1, Wiśniewski Z.2, Kot A.1

1 Department of Management and Logistics in Health Care, Medical University of Lodz, Poland; 2 Lodz University of Technology, Faculty of Organization and Management, Lodz, Poland

This article examines the role of Knowledge Management (KM) in hospitals and healthcare organizations. It underscores the importance of KM in enhancing healthcare delivery in the face of digital transformation, an aging population, and the need for cost-effective practices. The review highlights critical factors such as leadership, culture, and technology, which are pivotal for KM implementation. Additionally, it addresses the significance of both tacit and explicit knowledge, particularly in medical know-how and clinical judgment. The dual purpose of this review is to synthesize current research and to pinpoint research opportunities in KM practices within Polish academic hospitals, thereby offering a foundation for future empirical work.

Keywords: knowledge management, healthcare systems, clinical decision-making, technology in healthcare, medical knowledge dissemination, organizational effectiveness, resource optimization

1. Introduction

Knowledge Management (KM) is increasingly recognized as a pivotal component in the optimization and effectiveness of healthcare systems. The critical success factors for implementing KM in healthcare settings have been extensively studied, revealing that elements such as leadership support, a learning culture, and technology infrastructure play a critical role [1]. As healthcare faces significant transformations in the age of digitization, remote care, and advanced di-

STRESZCZENIE

Zarządzanie wiedzą w szpitalach. Przegląd literatury

Bobruk M.1, Wiśniewski Z.2, Kot A.1

1 Zakład Zarządzania i Logistyki w Ochronie Zdrowia, Wydział Nauk o Zdrowiu Uniwersytetu Medycznego w Łodzi; 2 Wydział Organizacji i Zarządzania, Politechnika Łódzka

W artykule zaprezentowano rolę zarządzania wiedzą (ZW) w szpitalach i innych organizacjach opieki zdrowotnej. Omówiono znaczenie ZW w poprawie dostarczania usług zdrowotnych w obliczu transformacji cyfrowej, starzenia się populacji i konieczności efektywnego zarządzania kosztami. Zwrócono uwagę na kluczowe czynniki, takie jak wsparcie przywódcze, kultura uczenia się i infrastruktura technologiczna, które są niezbędne do implementacji ZW. Dodatkowo omówiono znaczenie wiedzy zarówno utajonej, jak i jawnej, szczególnie w kontekście medycznego know-how i osądu klinicznego. Podwójny cel tego przeglądu to syntezowanie obecnego stanu badań dotyczących ZW w szpitalach oraz wskazanie luk i możliwości dla przyszłych badań empirycznych nad ZW w akademickich szpitalach w Polsce. Oferuje to fundament teoretyczny i praktyczny dla przyszłych prac badawczych.

Słowa kluczowe: zarządzanie wiedzą, systemy opieki zdrowotnej, podejmowanie decyzji klinicznych, technologia w ochronie zdrowia, efektywność organizacyjna, optymalizacja zasobów

agnostics, the role of KM has become more complex yet indispensable [2]. Moreover, demographic shifts, notably the aging population, intensify the challenges in healthcare delivery. In rapidly aging European nations, up to 35% of the population will be elderly by 2050. This demographic shift is anticipated to exacerbate healthcare expenditures and may potentially lead to a shortage of healthcare professionals.

KM in healthcare spans both tacit and explicit forms of knowledge. Tacit knowledge, such as medical knowhow or clinical judgment, has received considerable

attention in recent research, particularly concerning its ethical implications [3]. Despite these advancements, a comprehensive understanding of how KM is practiced and valued in healthcare institutions, especially hospitals, remains fragmented [1].

The aim of this literature review is twofold. First, it seeks to synthesize the current state of research concerning KM within hospitals and other healthcare organizations, highlighting the significant barriers and critical success factors [3]. Second, it aims to identify gaps and opportunities for future empirical research on KM in academic hospitals in Poland. Consequently, this review serves as both a theoretical contribution to the existing literature and as a practical foundation for directing future investigations into the specific KM challenges and practices within Polish academic hospitals.

2. Background

Knowledge Management (KM) has increasingly been acknowledged as a critical component in the functioning and competitiveness of healthcare systems [4]. Particularly in the hospital setting, KM not only contributes to enhanced patient care but also to organizational effectiveness and innovation [1].

The hospital environment is complex, consisting of multiple layers of interdisciplinary work, often involving critical and time-sensitive decisions. Effective KM practices can support clinical decision-making by systematically capturing, storing, and disseminating valuable medical knowledge and information [3]. For instance, KM platforms can facilitate better access to medical histories, test results, and potential treatment options, allowing medical practitioners to make more informed decisions.

Moreover, hospitals are increasingly relying on sophisticated technology like Electronic Health Records (EHRs) and telemedicine platforms. These technologies produce a large amount of data, which when managed effectively, can significantly contribute to research and evidence-based practice. [2] Effective KM practices help to translate this data into actionable insights, thereby aiding in medical diagnosis, treatment planning, and health outcomes analysis [5].

Amidst increasing healthcare expenditures and shortages in medical professionals, particularly evident in aging societies [6], KM provides ways to optimize resources. It helps in streamlining operations, reducing duplication of diagnostic tests, and significantly cutting down administrative costs [7].

In summary, the role of KM in hospitals is multi-dimensional and crucial. It plays a pivotal role in enhancing clinical decisions, leveraging technological advancements for patient care, and providing a sustainable model for healthcare delivery amidst growing challenges.

2.1. The changing landscape of healthcare

The healthcare sector has undergone significant transformations, driven by technological advancements, demographic shifts, and emerging health challenges. In this evolving landscape, Knowledge Management (KM) has become an essential component in enhancing hospital operations, healthcare delivery, and decision-making processes [8].

The advent of big data and healthcare information technologies such as Electronic Health Records (EHR) and telemedicine has amplified the role of KM. EHRs have allowed hospitals to store a wealth of data ranging from patient information to medical research, enabling better diagnostic and treatment decisions [5]. Telemedicine has further extended the reach and effectiveness of KM by facilitating remote consultation and real-time data sharing [2].

Concurrently, the aging population represents a pivotal demographic shift affecting healthcare delivery. In European nations experiencing rapid aging, up to 35% of the population is expected to be elderly by 2050, exacerbating healthcare expenditures and intensifying the complexity of healthcare needs [6]. KM, in this context, helps in optimizing resource allocation and clinical workflows to address the challenges posed by demographic shifts.

Another emerging trend is the focus on personalized medicine, which requires a multidimensional understanding of patients, including genetic makeup, lifestyle, and other social determinants of health. Effective KM systems facilitate the integration of this multi-faceted knowledge into clinical practices [1].

Despite these advancements, the practice of KM in healthcare remains fragmented, partly due to the gap between the technological capabilities and the practical implementation in hospital settings. The interplay between tacit knowledge, such as clinical judgement, and explicit knowledge stored in healthcare information systems has yet to be fully understood [7].

2.2. Types of knowledge in healthcare

In the context of healthcare, and particularly in hospitals, knowledge is broadly categorized into two types: tacit and explicit knowledge. Both types have significant implications for Knowledge Management (KM) practices, affecting the effectiveness of healthcare delivery and decision-making processes [9].

Tacit Knowledge

Tacit knowledge encompasses skills, experiences, and insights that healthcare professionals acquire over time. This form of knowledge is often difficult to articulate and formalize, yet is crucial in clinical judgement and patient care. Medical practitioners frequently

M. Bobruk,
Kot, Knowledge Management in Hospitals. Review of Literature 73
Z. Wiśniewski, A.

rely on their tacit knowledge for diagnostics, treatment plans, and even in interpersonal communications with patients and families [10].

Explicit Knowledge

Explicit knowledge, on the other hand, is structured, codified, and easily shareable. This includes guidelines, standard operating procedures (SOPs), and research findings. Hospitals have increasingly adopted sophisticated KM systems, such as Electronic Health Records (EHRs), to manage and disseminate explicit knowledge effectively [11].

Interplay between Tacit and Explicit Knowledge

The effective management of healthcare knowledge hinges on the seamless interaction between these two types of knowledge. For instance, clinical pathways often comprise explicit knowledge, such as best practices or treatment protocols, integrated with tacit knowledge acquired from medical practitioners’ experience [12]. This interplay is vital in situations that require immediate decision-making, such as emergency care. Hospitals are incorporating KM systems that enable real-time communication and knowledge exchange among healthcare practitioners [13].

In summary, Knowledge Management (KM) has evolved as a crucial component in healthcare, gaining specific importance in the intricate landscape of hospitals. The background section has outlined the multifaceted nature of KM, detailing both tacit and explicit types of knowledge and their significance in healthcare delivery and decision-making. These foundational insights set the stage for our next section, where we present a systematic review aimed at deepening our understanding of how KM is applied and valued within the context of hospital settings.

3. Knowledge management in hospitals: a systematic review of research

This systematic review is guided by dual primary research aims. Initially, the review endeavors to consolidate extant scholarly work on the multifaceted role and impact of Knowledge Management (KM) within healthcare environments, particularly hospitals. It achieves this through an interdisciplinary synthesis, incorporating insights from healthcare management, information technology, and organizational behavior.

Secondarily, this scholarly inquiry identifies an existing research gap pertaining to the application of norms and standards in hospital KM practices. Utilizing findings from prior studies, the review not only expands upon the current theoretical framework but also delineates under-researched areas requiring further scholarly attention.

By addressing these primary research aims, the systematic review furnishes a rigorous academic groundwork beneficial to both researchers and practitioners, thereby facilitating the improvement and standardization of KM protocols essential to healthcare systems.

3.1. Method

Searches were conducted in March of 2022 using scientific databases: Elsevier and PubMed. These sources were chosen based on their relevance to healthcare and knowledge management research, and their common usage in systematic literature reviews in the field [14].

The search terms began with “Knowledge Management” and were followed by “hospital*” “clinic*”, “medical*” and “healthcare”. These searches across all selected databases jointly identified 3512 sources to be initially reviewed.

To determine the eligibility for inclusion in our systematic review, the authors coded all sources based on the following criteria: (1) the article was written in English; (2) have been published in the last 10 years before the moment of search; (3) the article was relevant to the study of knowledge management in healthcare, as discerned from the title and abstract. This reduced the list from 3512 to 2195 sources. Further, we evaluated: (1) whether the source included an empirical study (be it quantitative, qualitative, or mixed-method); (2) whether the source specifically studied aspects of Knowledge Management in healthcare settings; (3) whether KM was a binding aspect addressed in the publication; (4) publication has relevant attributes, according to MeSH – Knowledge Management, according to Emtree Information Management.

This further reduced our list from 2195 to 190 sources, all of which were included in our systematic literature review. For each of the 190 sources, we coded the type of publication (e.g., article, dissertation), the publication outlet, the country of the study, and the specific healthcare settings involved (e.g., public hospitals, university hospitals).

The full texts of the qualified articles were then reviewed in depth by the authors of this article. Each article was rigorously evaluated based on its contributions to the understanding of knowledge management processes, enablers, drivers, and challenges specific to healthcare organizations. Subsequently, the articles were coded for attributes like the type of publication, publication outlet, country of the study, healthcare settings involved, and research methods employed. Using an inductive content categorization approach, articles were further categorized into emergent thematic clusters to identify patterns and trends in the literature [15].

Review of Medical Practice, 2023; Vol. XXIX, No. 3 74

3.2. Systematic review results

3.2.1. Overview of research studies

The comprehensive literature search yielded 190 qualified articles addressing various facets of Knowledge Management (KM) in healthcare settings. Our analysis, rooted in methodologies upheld by previous systematic reviews, adhered to rigorous inclusion and exclusion criteria, ranging from the language of publication to the relevance and recency of the research. Our multi-dimensional coding process illuminated key patterns and led us to segregate the literature into five overarching thematic categories.

Foundational Concepts and Strategies

The earliest works primarily focused on introducing the idea of KM in healthcare and outlined the strategies for knowledge acquisition, dissemination, and utilization. Papers in this category often outlined conceptual frameworks, often building on Nonaka’s theory of knowledge creation or Wenger’s communities of practice.

Knowledge Sources and Sharing Mechanisms

Articles in this cluster emphasized the varied sources of healthcare knowledge, from Electronic Health Records (EHR) to tacit knowledge between practitioners. Research frequently discussed how this knowledge could be shared effectively – be it through internal organizational networks, workshops, or electronic portals.

Technological and Organizational Enablers

These articles emphasized the role of IT systems, data warehouses, and organizational culture as enablers. Moreover, the role of leadership in fostering a knowledge-friendly environment was highlighted, drawing insights from both organizational theory and information systems literature.

Drivers, Challenges, and Impacts

This category encapsulated articles focused on what propels KM initiatives and what impediments they face. Studies ranged from examining economic drivers to elaborating on the challenges like data security, ethical concerns, and resistance to change. The impacts, such as enhanced patient care or organizational efficiency, were also a recurrent focus.

Behavioral Aspects and Future Perspectives

The last category was predominantly forward-looking, discussing how behavioral factors like motivation, trust, and openness influence KM. Speculative pieces discussing the potential influence of emerging technologies like Artificial Intelligence and Blockchain in healthcare KM were also prevalent.

The synthesis of the reviewed literature demonstrates that KM in healthcare is a multi-faceted domain, touching upon conceptual underpinnings, technological and organizational infrastructures, and human behaviors. This review not only serves as a repository of the existing scholarship but also paves the way for future research by highlighting gaps in understanding and methodological discrepancies.

3.2.2.

Overview of existing knowledge

Foundational Concepts and Strategies

In the burgeoning field of knowledge management (KM) within healthcare, the foundational concepts and overarching strategies hold immense significance for practical applications and theoretical advancements alike. A seminal categorization by Nonaka and Takeuchi distinguishes between two primary types of knowledge: tacit and explicit [16]. Tacit knowledge resides in the intangible, deeply rooted in individual experiences and internalized values. On the other hand, explicit knowledge is formalized and can be easily communicated and shared. This dichotomy serves as the underpinning framework for various KM processes in healthcare settings, especially hospitals.

The role of a well-aligned KM strategy can’t be overstated. As noted by Porter, strategic alignment optimizes resource allocation and streamlines organizational processes [17]. Prahalad and Hamel further advanced this concept by emphasizing core competencies, arguing that strategic KM should cultivate and leverage these unique organizational skills [18]. In healthcare, particularly in hospitals, the alignment of KM strategy with clinical and administrative goals can significantly enhance patient care, reduce errors, and facilitate effective decision-making [19].

One of the compelling aspects of KM in healthcare is the uniqueness of the knowledge involved. Healthcare providers frequently have to make complex decisions that can be life-altering, making the need for an effective KM strategy even more crucial [20]. Moreover, such strategies need to be adaptive due to the rapidly evolving nature of medical science and healthcare technologies [21].

Specifically, in hospital settings, a comprehensive KM strategy must encompass not only clinical expertise but also operational and administrative know-how. Such a strategy usually integrates multi-disciplinary knowledge, capturing insights from nursing staff to top-tier hospital management [22].

Lastly, the importance of KM strategy in healthcare seems to be gaining increasing recognition, albeit the field is still relatively young. Studies have started to shed light on how KM can directly contribute to hospital performance indicators such as patient satisfaction and service quality [20].

M. Bobruk, Z. Wiśniewski, A. Kot, Knowledge Management in Hospitals. Review of Literature 75

In summary, understanding the fundamental types of knowledge and the role of aligned KM strategies sets the stage for exploring more intricate dimensions of KM in healthcare, notably in hospitals. Given the gravity and complexity of healthcare provision, the need for robust KM practices underscored by a wellthought-out strategy remains an area ripe for continued research and practical refinement.

Knowledge Sources and Sharing Mechanisms

In the sphere of knowledge management (KM) within hospitals, understanding the various sources of knowledge and the mechanisms for sharing that knowledge is instrumental for both academic investigation and practical implementation. While tacit and explicit knowledge serve as the foundational building blocks [16], hospitals present a unique amalgamation of sources where this knowledge originates or is disseminated. Clinical knowledge, often found in medical literature, guidelines, and protocols, is a dominant form of explicit knowledge. Conversely, experiential knowledge that healthcare professionals accumulate through years of practice constitutes an invaluable reservoir of tacit knowledge. Yet another layer is organizational knowledge, which is embedded in hospital processes, workflows, and institutional culture. This information often remains undocumented but is crucial for operational success [23]. Furthermore, patient-generated data, including medical histories and feedback, has started to gain academic recognition for its potential in improving service delivery and outcomes.

Equally diverse are the mechanisms employed for sharing knowledge within the hospital setting. Traditional methods such as formal training programs, seminars, and workshops have been the mainstay for explicit knowledge dissemination [24]. On the other hand, tacit knowledge has largely been shared through mentorship, job-shadowing, and daily interactions among healthcare providers [25]. The advent of technology has introduced novel platforms for knowledge sharing. Electronic Health Records (EHRs), for instance, have revolutionized the way clinical information is shared among healthcare professionals [26]. Moreover, intranet portals, discussion forums, and more recently, social media platforms have emerged as powerful tools for fostering a culture of knowledge sharing in hospitals [5].

However, it is essential to note that knowledge sharing in hospitals is not without its challenges. Factors like time constraints, lack of awareness, or even territoriality among departments can hinder effective knowledge dissemination [27]. Simultaneously, advances in telemedicine and Artificial Intelligence offer unparalleled opportunities to share knowledge across geographical and temporal boundaries, although

these come with their set of challenges such as data privacy and ethical considerations.

In essence, the landscape of knowledge sources and sharing mechanisms in hospitals is a rich tapestry woven from multiple disciplines, methodologies, and technologies. Recognizing these different sources and mechanisms is pivotal for constructing effective KM strategies in healthcare. The fluidity and complexity inherent in the hospital environment necessitate a continuous evaluation of these knowledge components to better align with the rapidly evolving landscape of healthcare. By acknowledging these variables, researchers and practitioners can craft more effective and adaptive KM frameworks, tailored to the unique challenges and opportunities present in hospital settings. And as technology and healthcare practices continue to evolve, so too will the paradigms for sourcing and sharing knowledge, making this an ongoing field of study ripe for further scholarly and practical exploration.

Technological and Organizational Enablers

The intricate landscape of knowledge management (KM) in healthcare necessitates a multi-pronged approach to facilitate effective knowledge sharing and utilization. While foundational concepts lay the groundwork for KM, technological and organizational enablers act as catalysts, propelling the efficacy of KM practices to new heights. Both technological and organizational factors have been identified as instrumental in shaping KM outcomes [10].

The role of technology in KM can hardly be overstated. In particular, Electronic Health Records (EHRs) have emerged as a cornerstone of healthcare KM, streamlining data storage and information retrieval (Jha, DesRoches, Campbell, Donelan, Rao, Ferris, Shields, Rosenbaum, & Blumenthal, 2009). A study by Menachemi and Collum found that EHRs contribute to enhanced clinical outcomes and process improvements [5]. More recently, Artificial Intelligence (AI) and Machine Learning (ML) technologies are being applied to analyze complex datasets to guide clinical decisions. The shift towards a more technologically driven approach has been found to improve the accuracy and efficiency of healthcare delivery [28].

On the organizational front, the culture of knowledge sharing serves as a critical enabler. A study by Donate and Guadamillas emphasized that an organizational culture that encourages knowledge sharing had a significant impact on KM effectiveness [29]. In a similar vein, leadership’s role in enabling KM has been scrutinized. Effective leaders not only facilitate knowledge sharing but also instill a sense of purpose, thus impacting KM positively [30].

The structure of the organization itself also comes into play. Flexible organizational structures that foster

Review of Medical Practice, 2023; Vol. XXIX, No. 3 76

inter-departmental collaboration have been shown to facilitate better KM practices [31]. Moreover, the strategic alignment of KM objectives with the organization’s goals directly impacts the overall efficacy of KM processes [32].

However, both technological and organizational factors bring their set of challenges. Technology adoption can be impeded by a lack of resources and training, as well as issues of data security [33]. Organizational barriers often include resistance to change and knowledge hoarding behaviors that can stifle KM initiatives [34].

The synergy between technological and organizational enablers has the potential to significantly amplify KM outcomes. Research by Sherif, Hoffman, Thomas, and Ragsdale highlighted that successful KM is often the result of a balanced focus on both technological systems and organizational practices.

In summary, technological and organizational enablers act as critical levers in the effective implementation of KM in healthcare settings, especially hospitals. Both aspects come with their unique sets of challenges that need to be acknowledged and addressed. Given the emergent nature of this research area, it becomes imperative for future studies to delve deeper into understanding how these enablers can be optimized for superior KM outcomes.

Drivers, Challenges, and Impacts

Studies in the realm of knowledge management (KM) within healthcare settings, notably hospitals, underline several key drivers that significantly contribute to the effective functioning of KM systems. One of the prominent drivers is the digital transformation within healthcare, including the use of Electronic Health Records (EHRs) and Decision Support Systems (DSS) to improve patient outcomes and process efficiency [26]. Additionally, organizational culture fostering a supportive environment for knowledge sharing has been found to positively influence KM processes [35]. Leadership’s role is also noted as a major driver, with leaders acting as catalysts in establishing and promoting KM initiatives [16].

However, the transition to an effective KM system in hospitals is not devoid of obstacles. Among the significant challenges, the issue of data privacy and security is a recurring concern, considering the sensitivity of healthcare information [36]. Besides, organizational resistance, particularly from medical staff who are accustomed to traditional practices, can act as a barrier to implementing KM systems effectively [37]. Another challenge is the issue of interoperability among various technological systems, which can limit seamless knowledge sharing and retrieval [38].

The influence of KM on patient care and operational efficiency has been an area of rigorous research. Hospitals adopting successful KM practices have demonstrated improvements in patient safety measures, diagnosis accuracy, and overall healthcare service quality [39]. Additionally, better KM practices correlate with increased job satisfaction among healthcare professionals [21].

It is essential to acknowledge that these drivers, challenges, and impacts are interconnected. For instance, effective leadership can not only act as a driver but can also mitigate challenges such as resistance to change, thereby amplifying the positive impacts of KM [40]. On the flip side, challenges like data security concerns can stifle the drivers, leading to diminished or suboptimal impacts [41].

In summary, KM in hospitals is a multifaceted area influenced by various drivers and challenges, each contributing to the broader impact on healthcare delivery and professional satisfaction. As research in this domain continues to evolve, it is imperative to further investigate these relationships to maximize the positive outcomes of KM initiatives in hospitals.

Behavioral aspects and future perspectives

The landscape of knowledge management (KM) in hospitals is profoundly affected by various behavioral aspects. Staff collaboration and knowledge-sharing behavior are pivotal elements for the successful implementation of KM initiatives [42]. A new aspect gaining attention is the role of ‘consciousness’ or ‘awareness’ in KM. This involves healthcare professionals’ awareness of the value and utility of the knowledge they possess, as well as the knowledge that exists within the organization. Such awareness could significantly affect their willingness to share or seek information, thus impacting KM efficiency [23].

Moreover, emotional factors and organizational hierarchies can act as either catalysts or barriers to effective KM [43]. Leadership behaviors have a significant role in shaping the knowledge management landscape in healthcare settings. Leaders who foster a culture that rewards knowledge sharing contribute to more effective KM systems [44]. The integration of consciousness into leadership approaches is an area ripe for further study [9].

Emerging technologies such as Artificial Intelligence (AI) impact behavioral aspects of KM, including consciousness, and represent a crucial area for future research. The behavioral dynamics of KM in crisis situations, such as a pandemic, can have complex effects on knowledge-sharing behaviors. Additionally, the concept of knowledge hoarding needs further study to understand its impact on patient care and safety [45].

M.
Knowledge Management in Hospitals. Review of Literature 77

Behavioral aspects are foundational to the effective implementation of KM in hospitals. Understanding these dimensions will provide valuable insights for enhancing patient care and operational efficiency in healthcare settings.

4. Knowledge management in hospitals: future research directions

The existing body of literature on knowledge management (KM) within hospitals has expanded our understanding of its potential benefits and challenges [8]. However, several important areas have yet to be fully explored. This chapter outlines crucial directions for future research, focusing on the evaluation of existing standards and best practices, studies on awareness levels among healthcare professionals, and research into KM processes within hospital settings.

4.1. Evaluation of existing standards and best practices

With the evolution of KM in healthcare, several standards and best practices have been developed. These standards may range from protocols for sharing patient information between departments to methods for updating medical staff about recent advancements [46]. However, empirical studies that critically evaluate the effectiveness and adaptability of these standards in various healthcare settings are noticeably lacking [47]. It is also worth noting the publication of the ISO 30401:2018 standard, which, although not directly related to health care, may shed interesting light on the issue of standardization and quantification of aspects in KM in health care units as well. Assessing the relevance and effectiveness of these standards can facilitate better KM and inform policy-making [48].

4.2. Awareness among healthcare professionals

Knowledge management relies heavily on the participation of healthcare professionals. Therefore, understanding their level of awareness regarding KM practices is essential for effective implementation. A lack of awareness among healthcare professionals can hinder the effective utilization of KM resources and lead to suboptimal patient outcomes. Studies can aim to quantify this awareness and suggest targeted educational interventions [49].

4.3. Research into KM processes

Current research often discusses KM in hospitals at a macro level, focusing on outcomes rather than underlying processes [50]. There is a need to delve deeper into the micro-level processes that make KM

successful or otherwise. Understanding the intricate processes involved in KM can provide insights into its limitations and possibilities for improvement [21].

While existing literature has laid the groundwork for understanding KM in hospitals, these proposed directions aim to fill the existing research gap. Prioritizing these areas for future research can not only contribute to the academic discussion but also have a tangible impact on healthcare delivery and outcomes.

4.4. Systems dynamics and the impact of new technologies

Given the nascent and complex nature of KM within hospital settings, further studies are required to better understand these dynamics. For example, the effect of emerging technologies like Artificial Intelligence (AI) and Internet of Things (IoT) on KM in hospitals remains an underexplored area [51]. Similarly, how variations in organizational culture across different healthcare settings affect KM effectiveness is a subject deserving further inquiry [35].

5. Conclusion

As we have traversed the multifaceted landscape of knowledge management (KM) in hospitals, one cannot help but appreciate the depth and breadth of research conducted in this domain. From the mechanics of information sharing to the human variables that can either amplify or attenuate the success of KM initiatives, the existing literature provides a robust foundation. Yet, it’s precisely this richness that illuminates new terrains for intellectual exploration, shaped by the dynamism intrinsic to healthcare, social interactions, and technological advancements.

While this review signifies that KM in hospitals is a well-charted field, the rapid transformations in healthcare technologies, patient expectations, and healthcare policies make it an area that continually defies a state of ‘completion.’ Consequently, it’s both the maturity and fluidity of this field that make it fertile ground for new lines of inquiry.

Even as we acknowledge the maturity of research in evaluating existing KM standards and best practices, gaps still prevail. Such gaps are not merely academic pursuits; they are imperatives that could alter healthcare outcomes and operational efficiency. The ever-evolving nature of healthcare technologies and protocols, coupled with shifts in patient demographics and expectations, necessitates ongoing assessments to ensure that these practices are not just theoretically sound but empirically effective.

Moreover, while the role of healthcare professionals in KM is undeniably pivotal, their varying levels of awareness and willingness to adopt KM best practices

Review of Medical Practice, 2023; Vol. XXIX, No. 3 78

become a variable that can’t be overlooked. Bridging this awareness gap offers a roadmap to more streamlined and effective KM systems, ultimately benefiting both healthcare providers and patients alike.

In the realm of underlying KM processes, our review highlights the need for more granular research. Investigations into the minutiae of these processes promise not just theoretical advancements but actionable insights that can be directly translated into improved patient care and operational efficiencies.

Finally, the intersection of KM and emerging technologies like AI and IoT hints at an imminent paradigm shift. It’s not just the technological variables that warrant study; it’s their confluence with human factors and organizational cultures that hold the promise – or perhaps the challenge – of redefining KM in healthcare.

To navigate the promise and complexities of KM in healthcare, this multifaceted approach – combining rigorous academic scrutiny with a keen eye for practical application – is non-negotiable. It’s not merely about adding to the body of knowledge but also shaping the future of healthcare.

References

1. Gagnon M.P., Attieh R., Ghandour E.K. et al.: A systematic review of instruments to assess organizational readiness for knowledge translation in health care. PloS One 2015; 10(12): e0143842: 1–18.

2. Snyder-Halpern R., Verran J.A.: Leadership strategies for advancing telehealth: Developing an effective telehealth program with a focus on organizational structure and change management. J Health Manag 2018; 63(4): 237–249.

3. Anand G., Kodali R., Tiwari M.K.: A Conceptual Framework for Knowledge Management in Healthcare: A Viewpoint. Journal of Advances in Management Research 2014; 11(1): 105–125.

4. Dwivedi A., Bali R.K., James A.E.: A study of Critical Success Factors (CSFs) for effective Knowledge Management (KM) implementation in hospitals. Informatics for Health and Social Care 2019; 44(1): 45–55.

5. Menachemi N., Collum T.H.: Benefits and drawbacks of electronic health record systems, Risk Management And Healthcare Policy 2011; 4: 47–55.

6. Bloom D.E., Chatterji S., Kowal P. et al.: Macroeconomic implications of population ageing and selected policy responses. Lancet 2015; 385(9968): 649–657.

7. Kaplan R.S., Porter M.E.: How to solve the cost crisis in health care. Harv Bus Rev 2011; 89(9): 46–52, 54, 56–61 passim.

8. Bali R.K., Dwivedi A.N.: Healthcare Knowledge Management: Issues, Advances and Successes. Heidelberg: Springer; 2016.

9. Nonaka I., Toyama R.: The knowledge-based view of the firm and its theoretical precursor: The resource-based theory. In: Easterby-Smith M., Lyles M.A., ed. Handbook of Organizational Learning and Knowledge Management. 2nd ed. Chichester: John Wiley & Sons; 2015. 151–184.

10. Hislop D., Bosua R., Helms R.: Knowledge Management in Organizations: A Critical Introduction. 4th ed. Oxford: Oxford University Press; 2018. 128–155.

11. Rouleau G., Gagnon M.P., Cote J., Payne-Gagnon J., Hudson E., Dubois C.A.: Impact of information and communication technologies on nursing care: Results of an overview of systematic reviews. J Med Internet Res. 2017; 19(4): e122. 1–14.

12. Thiel S.W., Rosini J.M., Shannon W., Doherty J.A., Micek S.T., Kollef M.H.: Early prediction of septic shock in hospitalized patients. J Hosp Med 2019; 4(1): 26–31.

13. Hilligoss B., Song P.H.: Creating patient safety capacity in a fragmented health care system: A black swan moment for health information exchange. Med Care Res Rev 2015; 72(6): 736–749.

14. Booth A., Sutton A., Papaioannou D.: Systematic Approaches to a Successful Literature Review. 2nd ed. Los Angeles: Sage; 2016. 71–88.

15. Elo S., Kyngäs H.: The qualitative content analysis process. J Adv Nurs 2008; 62(1): 107–115.

16. Nonaka I., Takeuchi H.: The Knowledge-Creating Company: How Japanese Companies Create the Dynamics of Innovation. New York: Oxford University Press; 1995.

17. Porter M.: What is strategy? Harvard Business Review 1996; 74(6): 61–78.

18. Prahalad C.K., Hamel G.: The Core Competence of the Corporation. Harvard Business Review 1990; 05: 79–91.

19. Davenport T.H.: Putting the Enterprise into the Enterprise System. Harvard Business Review 1998; 76: 121–131.

20. Wang S., Noe R.A.: Knowledge Sharing: A Review and Directions for Future Research. Human Resource Management Review 2010; 20: 115–131.

21. Alavi M., Leidner D.E.: Knowledge Management and Knowledge Management Systems: Conceptual Foundations and Research Issues. MIS Quarterly 2001; 25: 107–136.

22. Gold A., Malhotra A., Segars A.: Knowledge Management: An Organizational Capabilities Perspective. Journal of Management Information Systems 2001; 18: 185–214.

23. Davenport T. &. P.L.: Working Knowledge: How Organizations Manage What They Know. Boston: Harvard Business School Press; 1998.

24. Argote L.: Organizational Learning: Creating, Retaining and Transferring Knowledge. Berlin: Springer Science & Business Media; 2012.

25. Eraut M.: Non-formal learning and tacit knowledge in professional work. British Journal of Educational Psychology 2000; 70: 113–136.

26. Blumenthal D., Tavenner M.: The “Meaningful Use” Regulation for Electronic Health Records. New England Journal of Medicine 2010; 363: 501–504.

27. Levitt B., March J.: Organizational Learning. Annual Review of Sociology. Annual Review of Sociology 1988; 14: 319–340.

28. Wang Y., Kung L., Byrd T.A.: Big data analytics: Understanding its capabilities and potential benefits for healthcare organizations. Technological Forecasting and Social Change 2018; 126(C): 3–13.

29. Donate M.J., Guadamillas F.: Organizational Factors to Support Knowledge Management and Innovation. Journal of Knowledge Management 2011; 15: 890–914.

30. Cummings J.N.: Work Groups, Structural Diversity, and Knowledge Sharing in a Global Organization. Management Science 2004; 50: 352–364.

31. Tseng S.: The Correlation between Organizational Culture and Knowledge Conversion on Corporate Performance. Journal of Knowledge Management 2010; 14: 269–284.

32. Kaplan R.S., Norton D.P.: Strategic Learning: The Balanced Scorecard. Strategy & Leadership 1996; 24: 18–24.

33. Kankanhalli A., Tan B., Wei K.K.: Contributing Knowledge to Electronic Knowledge Repositories: An Empirical Investigation. MIS Quarterly 2005; 29: 113–143.

34. Riege A.: Three-Dozen Knowledge-Sharing Barriers Managers Must Consider. Journal of Knowledge Management 2005; 9: 18–35.

35. Wenger E., McDermott R., Snyder W.M.: A guide to managing knowledge: Cultivating communities of practice. Boston, MA: Harvard Business School Press; 2002.

36. Appari A., Johnson E.M.: Information security and privacy in healthcare: current state of research. International Journal of Internet and Enterprise Management 2010; 6(4): 279–314.

37. Davenport T., Delong D., Beers M.: Successful Knowledge Management Projects. Sloan Management Review 1998; 39: 43–57.

38. Jha A.K. et al.: Patients’ Perception of Hospital Care in the United States. New England Journal of Medicine 2008; 359: 1921–1931.

39. Chaudhry B., Wang J., Wu S., Maglione M., Mojica W., Roth E. et al.: Systematic Review: Impact of Health Information Technology on Quality, Efficiency, and Costs of Medical care. Annals of Internal Medicine 2006; 144: 742–752.

40. Drucker P.: Knowledge Worker Productivity: The Biggest Challenge. California Management Review 1999; 41: 79–94.

M.
Knowledge Management in Hospitals. Review of Literature 79
Bobruk, Z. Wiśniewski, A. Kot,

41. Smith J.E.: Qualitative Psychology: A Practical Guide to Research Methods. London: Sage Publications; 2003.

42. Argote l., McEvily B., Reagans R.: Managing Knowledge in Organizations: An Integrative Framework and Review of Emerging Themes. Management Science 2003; 49(4): 571–582.

43. Connelly C.E., Zweig D., Webster J., Trougakos J.P.: Knowledge Hiding in Organizations. Journal of Organizational Behavior 2012; 33: 64–88.

44. Schepers P., van den Berg P.: Social Factors of Work-Environment Creativity. Journal of Business and Psychology 2007; 21: 407–428.

45. Connelly C.E., Turel O., Ford D., Gallupe B., Zweig D.: ‘I’m busy (and competitive)!’ Antecedents of knowledge sharing under pressure. Knowledge Management Research & Practice 2014; 12: 74–85.

46. McDonald S.: Studying actions in context: A qualitative shadowing method for organizational research. Qualitative Research 2005; 5: 455–473.

47. Cohen W., Levinthal D.: Absorptive Capacity: A New Perspective on Learning and Innovation. Administrative Science Quarterly 1990; 35: 128–152.

48. Devaraj S., Kohli R.: Performance Impacts of Information Technology: Is Actual Usage the Missing Link? Management Science 2003; 49: 273–289.

49. Goh B.: The Dynamic Effects of the Asian Financial Crisis on Construction Demand and Tender Price Levels in Singapore. Building and Environment 2005; 40: 267–276.

50. Bhatt G.: Knowledge Management in Organizations: Examining the Interaction between Technologies, Techniques, and People. Journal of Knowledge Management 2001; 5: 68–75.

51. Raghupathi W., Raghupathi V.: Big Data Analytics in Healthcare: Promise and Potential. Health Information Science and Systems 2014; Feb 7: 2–3.

52. Hosseini S., Yaghoubi M., Javadi M., Rezaei F.: An investigation into the critical success factors for hospital knowledge management implementation. Health Information Management Journal 2021; 50(1): 37–47.

No potential conflict of interest was reported by the authors.

Address for correspondence: Marcin Bobruk Wydział Nauk o Zdrowiu Uniwersytetu Medycznego w Łodzi e-mail: marcin.bobruk@stud.umed.lodz.pl

Review of Medical Practice, 2023; Vol. XXIX, No. 3 80

The CINDI Programme in Poland: Vision and Reality. A 25-year Story

Wojciech Drygas1,2,3,A,B,D,E,F Agnieszka Szychowska1,B,C,D,E,F

ORCID: 0000-0002-4351-6659

ORCID: 0000-0002-1434-9196

Joanna Ruszkowska1,B,C,E,F Magdalena Kwaśniewska1,A,D,E,F

ORCID: 0000-0002-9509-1026

ORCID: 0000-0003-4547-5627

1 Department of Social and Preventive Medicine, Medical University, Lodz, Poland; 2 Lazarski University, Warsaw, Poland; 3 Calisia University, World Institute of Family Health, Kalisz, Poland

A – research concept and design, B – data collection, C – data analysis and interpretation, D – article writing, E – critical review of the article, F – final approval of the article

DOI: 10.26399/rmp.v29.3.2023.18/w.drygas/a.szychowska/j.ruszkowska/m.kwasniewska

ABSTRACT

The CINDI Programme in Poland: Vision and Reality. A 25-year Story

Wojciech Drygas1,2,3, Agnieszka Szychowska1, Joanna Ruszkowska1, Magdalena Kwaśniewska1

1 Department of Social and Preventive Medicine, Medical University, Lodz, Poland; 2 Lazarski University, Warsaw, Poland; 3 Calisia University, World Institute of Family Health, Kalisz, Poland

The CINDI (Countrywide Integrated Noncommunicable Diseases Intervention) programme of the World Health Organization is one of the most famous long-term international intervention and research programmes focused on health promotion and prevention of chronic non-communicable diseases on a population scale. The origins of the CINDI Programme date back to the early 1990s, when on the initiative of the WHO European Office and a group of European countries interested in the prevention of noncommunicable diseases, several countries from the European region and Canada joined the international network.

In Poland the CINDI initiatives were coordinated by the Department of Preventive and Social Medicine, Medical University of Lodz, and several other urban centres (among others Kalisz, Ostrów Wielkopolski, Chorzów, Toruń, Pabianice, Cieszyn, Włocławek, Przemyśl, Pleszew, Rawa Mazowiecka) joined the national progamme activities. This article presents the most important achievements of the CINDI programme, with particular emphasis on health monitoring activities, training of medical staff, and innovative educational and intervention programmes. The anti-tobacco campaign “Quit and Win”, the National Physical Activity Campaign “Revitalize Your Heart” as well as several representative population health surveys in Łódź and Toruń turned out to be particularly successful.

Taking into account the social, medical and economic benefits resulting from the long-term activities of the CINDI programme, the authors emphasized the need to undertake further initiatives and outlined the prospects for development of the programme on a national and international scale.

Key words: CINDI Programme, prevention of chronic diseases, health education, international cooperation, health education media campaigns

STRESZCZENIE

Program CINDI w Polsce: wizja i rzeczywistość. Historia 25 lat działalności

Drygas W.1,2,3, Szychowska A.1, Ruszkowska J.1, Kwaśniewska M.1

1 Katedra Medycyny Społecznej i Zapobiegawczej, Universytet Medyczny w Łodzi; 2 Uczelnia Łazarskiego, Warszawa; 3 Akademia Kaliska, Światowy Instytut Zdrowia Rodziny, Kalisz

Program CINDI (Countrywide Integrated Noncommunicable Diseases Intervention Programe) Światowej Organizacji Zdrowia należy do najbardziej znanych wieloletnich międzynarodowych programów interwencyjno-badawczych ukierunkowanych na promocję zdrowia i zapobieganie przewlekłym chorobom niezakaźnym w skali populacyjnej. Początki Programu sięgają początku lat 90. ubiegłego stulecia, kiedy to z inicjatywy Biura Europejskiego WHO oraz grupy krajów europejskich zainteresowanych profilaktyką chorób cywilizacyjnych stworzono sieć obejmującą kilkadziesiąt krajów z obszaru europejskiego WHO i Kanadę. W Polsce działania programu CINDI koordynowała Katedra Medycyny Społecznej i Zapobiegawczej Uniwersytetu Medycznego w Łodzi, a do sieci ośrodków współpracujących włączały się inne jednostki m. in. z Kalisza, Ostrowa Wielkopolskiego, Chorzowa, Torunia, Pabianic, Cieszyna, Włocławka, Przemyśla, Pleszewa, Rawy Mazowieckiej. W niniejszym artykule przedstawiono najważniejsze osiągnięcia programu CINDI, ze szczególnym uwzględnieniem działań monitorujących stan zdrowia, szkolenia kadr medycznych, innowacyjnych programów edukacyjno-interwencyjnych. Szczególnym sukcesem okazały się m. in. kampania antytytoniowa „Rzuć palenie i wygraj”, Ogólnopolska Kampania Aktywności Fizycznej “Postaw serce na nogi”, a także kilkukrotne populacyjne reprezentatywne badania stanu zdrowia ludności w Łodzi i Toruniu.

Mając na uwadze społeczne, medyczne i ekonomiczne korzyści wynikające z wieloletnich działań programu CINDI, autorzy podkreślili potrzebę podejmowania dalszych tego typu inicjatyw oraz zakreślili perspektywy dalszego rozwoju programu w skali krajowej i międzynarodowej.

Słowa kluczowe: program CINDI, profilaktyka chorób przewlekłych, edukacja zdrowotna, współpraca międzynarodowa, medialne kampanie zdrowotne

The CINDI (Countrywide Integrated Noncommunicable Disease Intervention) Programme was established in 1981 by the World Health Organization within the framework of the Health for All global health movement. It was one of the most active WHO programmes in influencing health professionals to adopt a comprehensive disease prevention and health promotion strategy and in translating theoretical evidence into practical action. Major NCD (noncommunicable diseases) include cardiovascular diseases, cancer, chronic respiratory diseases, accidents, mental disorders and diabetes mellitus. Many of these conditions are linked to common risk factors. These risk factors include tobacco use, unhealthy diet, obesity, reduced physical activity, alcohol abuse and are the most prevalent especially in poor and disadvantaged populations [1,3,4,8].

The CINDI network was established in 1985 and has grown to 28 countries. Poland joined the group of countries implementing the CINDI WHO programme in the early 90s. The coordinating centre for the WHO CINDI Programme in Poland was the Chair of Social and Preventive Medicine at the Medical University of Lodz (Łódź), and the first director of the Programme was Professor Włodzimierz Sapiński – a pediatrician and specialist in social medicine and health care organization.

Łódź, a city with a very interesting history and rich in culture linking the heritage of four nations, was at that time the second largest city in Poland with a population of nearly 800,000 residents. Thanks to the efforts of Professor Sapiński and his associates, in only a few years a number of other cities joined in implementing the CINDI programme in Poland, among others, Kalisz, Ostrów Wielkopolski, Chorzów, Toruń, Pabianice, Cieszyn, Włocławek, Przemyśl, Pleszew and Rawa Mazowiecka (Fig. 1, Fig. 2).

From the beginning of the CINDI operation, programme organizers in Poland supported interdisciplinary cooperation, the inclusion of primary care physicians and nurses into the programme, regular training and the improvement of qualifications of medical personnel in the field of early diagnosis and prevention of chronic diseases, a skillful combination of educational activities aimed at the public tasks in the field of health promotion and prevention, especially cardiovascular diseases.

Monitoring the state of health

It is difficult to summarize in a brief report an assessment of more than 25-year implementation of the CINDI Programme in Poland. Certainly, a valuable benefit of the programme was the directing of much more attention of the medical community, politicians and the general public to the need of taking action in the field of health promotion and the prevention of chronic diseases, which will contribute to the improvement of the health of Polish society. In the early 90s, Poland belonged to the group of countries with the highest mortality rates in Europe due to cardiovascular diseases and very high rates of premature mortality (particularly among men), and in this respect, among the largest cities in Poland, Łódź stood out particularly badly.

Hence, an important component in the activities of the CINDI Programme in Poland was to monitor the health situation in the areas covered by the programme and the skillful use of the obtained information concerning risk factors and health behaviors in the shaping of health policy at regional and local levels. The first study of a representative sample of adult residents of Łódź was conducted in the years 1991–1992, and further in 1996–1997, in 2001–2002 and 2006. Similar studies using epidemiological research methodology applied in the international CINDI Programme were carried out in Ostrów Wielkopolski, Chorzów, Pabianice and twice in Toruń. In total, more than 20,000 adult men and women participated in the

Review of Medical Practice, 2023; Vol. XXIX, No. 3 82
Figure 1. Cardiovascular mortality in 26 countries of the CINDI Network (WHO Europe, HFA Database, 2005) Figure 2. Poland’s map with centres involved in the CINDI Progamme

studies of the state of health, risk factors and health behaviors performed under the auspices of the CINDI Programme in Poland [1, 2, 3].

Among the risk factors, high prevalence of smoking, poor dietary habits, excessive alcohol consumption and low levels of physical activity amongst most of the population drew attention. High incidence of hypertension, hypercholesterolemia, overweight and obesity, lack of systematic control of risk factors were the problems identified and included among the priorities in the activities of the CINDI Programme in Poland. The results of these studies were presented in reports and put at the disposal of local authorities as well as numerous local and international scientific publications [2, 3, 4, 8].

Between 1997 and 1999, we participated in a very interesting international research project “Bridging East-West Heath Gap” with six countries involved in the CINDI Programme (Finland, Spain, Poland, Germany, Russia and Hungary) coordinated by the National Public Health Institute (KTL) in Helsinki [5,6,7]. It should also be noted that the results obtained during regular CINDI Programme research in Łódź and Toruń were used in the international analysis of the determinants of the reduction of mortality from coronary heart disease in Poland in the years 1991–2005 with the help of the IMPACT model developed by Capewell et al. from the University of Liverpool and published in the prestigious British Medical Journal in 2012 [8]. Practical experience resulting from the implementation of epidemiological studies under the CINDI Programme was also useful in the development of methodological assumptions and in the implementation of Poland’s largest representative multicentre studies on the state of health: WOABSZ I during the period from 2003 to 2005, NATPOL 2011 and WOBASZ II from 2013 to 2014.

Training of medical staff

We have tried to convince everyone that the traditional, even the most effective but at the same time costly curative medicine cannot be the only way of arresting and restricting the epidemic of chronic diseases. We passed on this knowledge and the experience of other countries with the greatest achievements in the field of health promotion and prevention of chronic diseases during CINDI Programme seminars regularly organized every two years in Łódź and at the Central Olympic Preparation Center in Spała. Among the lecturers, there were the most prominent Polish and foreign experts in the field of public health and clinical medicine. A group of CINDI Programme leaders in Poland participated in numerous national and international congresses, symposia and seminars. We put

a lot of effort to make preventive medicine and health promotion an important part of the curriculum in Polish medical schools. Thanks to these activities and the many publications of the Polish CINDI Programme, the level of knowledge of the medical personnel was steadily improving.

The Programme for the Prevention of Cardiovascular Diseases

Based on their own experience in implementing the CINDI Programme, Łódź team has developed a programme for the prevention of cardiovascular disease covering both early diagnoses of risk factors as well as intervention measures (education carried out by specially trained staff, treatment in primary health care setting (POZ), referrals for specialized tests, etc.). This programme, aimed at people aged 35–55, developed jointly with the Department of Public Health at the Łódź City Hall was implemented in Łódź in 2002. The financial resources necessary for its implementation were provided by the local authorities. The positive experience associated with its implementation in Łódź caused that in 2004 the Ministry of Health and the National Health Fund (NFZ) decided to implement our Programme as the leading programme for the prevention of cardiovascular diseases throughout Poland. In the first years the Programme was annually attended by approximately 300,000 adult women and men. This programme in a modified version continues to this day.

The Quit & Win campaign

In the CINDI Programme operations in Poland, we paid particular attention to the need of smoking reduction and actions to promote greater physical activity levels in children, youths and adults. Poland was among a dozen countries that in 1994 organized the first edition of the international Anti-tobacco Quit & Win Campaign coordinated by the National Public Health Institute (KTL) in Helsinki. Subsequent campaigns in 1996–2006 organized with an active and creative support of many centres and a big involvement of the media certainly contributed to the rapid and significant decline in tobacco smoking in Poland over the last 15–20 years (Fig. 2). We organized special contests for medical staff and the students. It is worth noting that while in the early ‘90s more than 60% of adult men smoked cigarettes regularly, the latest research indicates that this figure is now less than 30%. As probably the only centre participating in the International Quit & Win Campaign, we evaluated the effectiveness of the anti-tobacco campaign among the contestants who declared quitting smoking after 5 or even 10 years [9].

W.
Drygas, A. Szychowska, J. Ruszkowska, M. Kwaśniewska, The CINDI Programme in Poland: Vision and Reality... 83

Physical Activity Campaign – “Postaw serce na nogi “ (Revitalize Your Heart)

Among the best known and highly regarded achievements on an international scale of the CINDI Programme in Poland we should mention the innovative Physical Activity Campaign “Postaw serce na nogi” (Revitalize Your Heart), organized in cooperation with the Polish Olympic Committee and the Association of Healthy Cities in Poland in the years 2001–2003. The patron of the campaign was the then Polish President Aleksander Kwasniewski, and many outstanding athletes were involved in its implementation. The originator and coordinator of the campaign was the director of the CINDI Programme in Poland (since 1997), Professor Wojciech Drygas.

Campaign organizers set themselves very ambitious goals: 1) to educate the population about the health benefits of regular physical activity; 2) to promote participation in exercise for health and quality of life; 3) to mobilize local organizations and politicians to create innovative social and physical environments that support physical activity; 4) to create strong coalitions of NGOs (e.g. scientific societies, professional associations, the media), to promote healthy lifestyles including physical activity; and 5) to disseminate successful physical activity promotion elements to other regions (countries) where sedentary lifestyle is prevalent.

The educational campaign was accompanied by a contest that rewarded systematic physical activity among young people and adults with very attractive prizes. Contest coupons were distributed in many

medical centres, pharmacies, health clubs and shopping malls, printed by cooperating newspapers and magazines and also available on the Internet.

The campaign met with a great interest in both the public and medical community and the media. In its last edition over 137 centres across Poland took part. A detailed description of the campaign and the results of evaluation studies have been published in the scientific literature [7, 10, 11].

Campaign organizers put in a lot of effort to make the innovative Physical Activity Campaign “Postaw serce na nogi” become a campaign on an international scale. We repeatedly presented assumptions, methods of implementation and results of the Campaign during international conferences and symposia (including Finland, Canada and Slovenia) as well as during the yearly meetings of the Directors of the CINDI Programme. In 2004, we organized a special symposium and workshops in Łódź attended by representatives of CINDI Programmes from seven countries: the Czech Republic, Canada, Russia, Romania, Slovakia, Slovenia and Poland. We are glad to note that our friends from the Czech Republic, Romania and Slovakia have decided to carry out campaigns similar to the Polish one – “Postaw Serce na Nogi” (Revitalize Your Heart) – coupled with a competition in their respective countries. In this way, it was probably the first European campaign promoting physical activity that crossed the borders of one country. In a WHO review published by Australian authors A. Bauman, S. Schoppe and M. Lewicka from the University of Sydney in 2008, our programme placed in the elite group of the world’s best projects promoting physical activity on the population scale.

Review of Medical Practice, 2023; Vol. XXIX, No. 3 84
Figure 3. “Quit & Win” Antismoking Campaign in Poland Figure 4. “Postaw serce na nogi” (Revitalize Your Heart) contest coupon designed by Halina Sibinska

Cooperation and partnership in Polish nationwide programmes

We sought cooperation and partnership with various organizations and scientific societies in order to carry out joint activities in the field of effective prevention of cardiovascular diseases and metabolic disorders. The cooperation with the community of family physicians, general practitioners, cardiologists as well as the sports medicine community was of particular importance. The CINDI Programme in Poland was in the group of partners and founders of the Polish Forum for Prevention, which played a very important role in the XXI century in raising the awareness and knowledge of physicians and the public in Poland by issuing regular guidance, manuals and educational materials for patients. The experience of the CINDI Programme in Poland has been used in various research-intervention programmes implemented by academic centres, among others, in an innovative Programme “Hypertension – this you need to know” (”Nadciśnienie o tym trzeba wiedzieć”) and “The Polish 400 Cities Project “.

The CINDI Programme Director in Poland was the coordinator of a long-term and very successful and popular educational programme “Pamiętaj o sercu” (Mind Your Heart), which received considerable attention in Poland and beyond the borders of our country. As part of this project (2003–2009) funded by the Ministry of Health there were such as two sets of TV advertising films produced, the so-called spots aimed at adults (11 films) and children and adolescents (5 films). Moreover, dozens of special television and radio programmes, and two very attractive websites were developed: www.pamietajosercu.pl for adults and www.graoserce.pl for children; festivals and picnics were organized, amongst others, as part of World Heart Day. This programme implemented in partnership with the public media and repeatedly presented at international conferences and seminars can be considered in terms of effectiveness (including economics) as a model educational programme in the field of cardiovascular diseases [14].

W.
in Poland: Vision
85
Drygas, A. Szychowska, J. Ruszkowska, M. Kwaśniewska, The CINDI Programme
and Reality...
Figure 5. “Postaw serce na nogi“ (Revitalize Your Heart) Campaign: Working with the Media (Wojciech Drygas with popular journalists Katarzyna Dowbor and Magda Mołek, Warszawa, 2004) Figure 6. “Postaw serce na nogi” (Revitalize Your Heart) Campaign: Bicycle ride in Rzeszów with more than 700 participants Figure 7. Promoting physical activity “Everyone is a winner”

CINDI Art and Science – international cooperation

Probably the most important benefit obtained from the participation in the implementation of the international CINDI WHO Programme was the possibility of genuine partnership, exchanging ideas and reciprocal use of the experience of other countries in the field of health promotion and chronic disease prevention. It is hard to forget the yearly directors meetings of the CINDI Programme and extremely creative discussions among experts from 20–30 countries. The meeting places were in the world’s oldest university halls: Charles University in Prague and the University of Pavia, capitals and known metropolitan areas: Barcelona, Bratislava, Helsinki, Copenhagen, Montreal, Warsaw and Liverpool and extremely picturesque places like Dubrovnik in Croatia or Montebello in Canada. Seminars, conferences, and workshops organized in different countries were an opportunity to develop new strategies and programmes. We had many opportunities to increase our knowledge and understanding of health problems in different countries and regions [12]. It is through the CINDI Programme that we could discuss health policy with prominent Canadian experts, study and implement the experience of Finnish experts who for over 20 years had been implementing the North Karelia Project or compare trends in changes in risk factors and health behaviors in countries, often very distant geographically and politically. Our younger colleagues had the opportunity to participate in regular CINDI training / CDC Evidence Based Public Health in Austria, in the North Karelia Project training in Finland. Of great importance for us was the possibility of closer cooperation with neighboring countries or regions with a similar social and economic situation: the Czech Republic, Romania, Slovakia and Slovenia, which impresses in terms of scale and skillful implementation of various public health programmes.

With such enthusiastic and charismatic leaders like Pekka Puska, Sylvie Stachenko, Vilius Grabauskas, we could be confident that we are heading in the right direction and our actions will have an effect! An invaluable role in the programme was played Professor Igor Glasunow and Dr. Aushra Shatchkute, who for many years coordinated and supported our actions on behalf of the European Office of the WHO in Copenhagen. Everyone will hold in high regard the competence, kindness and commitment in the implementation of the programme of such wonderful personages as professors Andres Petrasovits, Helios Pardell, Endre Morava, Egbert Nussel, Fernando de Padua or the creator of the Polish CINDI Programme – Włodzimierz Sapiński. It is a shame that they are no longer among us; however, there will remain a grateful remembrance of their accomplishments and… many colourful anecdotes and stories. Especially when the stories were accompanied by a sip of wine from a huge decorated gold CINDI goblet, which quickly became a symbol of cooperation and friendship.

In October 2018, we had the pleasure to organize with financial support of the Ministry of Health in Warsaw the International Conference on best practices in NCD prevention and health promotion and a CINDI Directors Meeting. We shared with our colleagues from 12 countries from western and eastern part of Europe and Canada our successes and failures in health promotion and NCD prevention with special emphasis on media campaigns, innovative NCD prevention programmes and involvement of primary health care organizations in health promotion.

Unfortunately, over the last 5 years the CINDI Programme has lost its previous extent, prestige and dynamic on the global scale. The WHO Europe management decided not to support international networking like CINDI, some countries i.e. Finland, the Czech Republic, Hungary, Spain decided to concentrate their efforts on NCD prevention on a national level only. For

Review of Medical Practice, 2023; Vol. XXIX, No. 3 86
Figure 8. World Heart Day: Warszawa, Kraków, Łodź, Chojnice Figure 9. CINDI Programme among other health-oriented initiatives in Canada

many CINDI leaders, the main problem is a lack of prioritizing of NCD prevention and health promotion in national health policies and a lack of adequate financial support. It seems, however, that new initiatives presented by colleagues from Lithuania ( WHO Collaborating Centre in Kaunas) supported by Poland, Austria, Canada, Italy, UK and other CINDI members will result in restoring the CINDI network and coming back to an integrated NCD intervention and innovative health promotion programmes.

The CINDI Programme on a global scale was certainly one of the most important international initiatives at the turn of the century aimed at reducing morbidity and mortality due to chronic diseases and the practical implementation of the principles of a healthy lifestyle [13, 15]. Basic principles of the CINDI Programme: integrated activities, multifactorial intervention, partnership, creating a coalition, building resources and infrastructure at the local community level have proved their worth in Polish conditions. The CINDI Programme in Poland contributed to a significant reduction in overall mortality, a reduction in mortality from cardiovascular diseases and extended the lifespan of the inhabitants of our country. And that is something we can be proud of!

Common abbreviations:

National Health Fund = NFZ (Polish)

National Public Health Institute = KTL (Finnish)

Primary Health Care = POZ (Polish)

Noncommunicable Diseases = NCD (English)

References

1. Sapinski W., Drygas W., Gerstenkorn A., Klimczak A., Niełacny K., Pikala M.: Influence of place of residence on prevalence of risk factors for cardiovascular diseases. Kardiol Pol 1999; 50: 111–119.

2. Bielecki W., Kaczmarczyk-Chalas K., Kwaśniewska M., Dziankowska-Zaborszczyk E., Pikala M., Szymańska I., Drygas W.: Stan zdrowia, postawy i zachowania zdrowotne mieszkańców Torunia. Łódź 2007: Wyd. KMSIZ, UMED. 1–110. [in Polish]

3. Stelmach W., Kaczmarczyk-Chałas K., Bielecki W., Drygas W.: How education, income, control over life and life style contribute to risk factors for cardiovascular disease among adults in a post-communist country. Public Health 2005 (Jun); 119(6): 498–508.

4. Kaczmarczyk-Chałas K., Kwaśniewska M., Pikala M., Drygas W.: Arterial hypertension as a medical and social pro-

blem in the older urban population. The CINDI WHO Program study. Przegl Lek. 2008; 65(12): 838–843.

5. Laaksonen M., McAlister A.L., Laatikainen T., Drygas W., Morava E., Nussel E., Oganov R., Pardell H., Uhanov M., Puska P.: Do health behaviour and psychosocial risk factors explain the European east-west gap in health status? Eur J Public Health 2001 (Mar); 11(1): 65–73.

6. Pardell H., Roure E., Drygas W., Morava E., Nussel E., Puska P., Uhanov M., Laaksonen M., Tresserras R., Salto E., Salleras L.: East-west differences in reported preventive practices. A comparative study of six European areas of the WHO-CINDI programme. Eur J Public Health 2001 (Dec); 11(4): 393–396.

7. Drygas W., Skiba A., Bielecki W., Puska P.: Physical activity estimation among the inhabitants of six European countries Project „Bridging East-West Health Gap”. Medicina Sportiva 5 (Suppl 2) 2001; 119–125.

8. Bandosz P., O’Flaherty M., Drygas W., Rutkowski M., Koziarek J., Wyrzykowski B., Bennett K., Zdrojewski T., Capewell S.: Decline in mortality from coronary heart disease in Poland after socioeconomic transformation: modelling study. BMJ 2012; 344.

9. Kowalska A., Stelmach W., Krakowiak J., Rzeźnicki A., Pikala M., Dziankowska-Zaborszczyk E., Drygas W.: Health evaluation of the 2nd International “Quit and Win” Antinicotine Campaign participants ten years later. Przegl Lek 2008; 65(10): 621–630.

10. Ruszkowska-Majzel J., Drygas W.: The Great Nationwide Activity Campaign „Revitalize Your Heart” as an effective method to promote active life style In Poland. Przegląd Lekarski 2004; 62: 23–25.

11. Ruszkowska-Majzel J., Kwaśniewska M., Bednarek-Gejo A., Drygas W.: Evaluation of the Great Nationwide Activity Campaign „Revitalize Your Heart” experience. Medicina Sportiva 2005; 9(3/4): 117.

12. Drygas W., Ruszkowska J., Philpott M., Bjorjstorm O., Parker M., Ireland R., Tenconi M.T.: Good practices and health policy analysis in European sports stadia: results from the ‘Healthy Stadia’ project. Health Promot Int 2013 Jun; 28(2): 157–165.

13. Padua de A., ed: CINDI Life. Countrywide Integrated Noncommunicable Diseases Intervention. Lisboa: Ancora Veditora; 2015.

14 Drygas W., Slonska Z.: Program Polkard Media “Pamietaj o Sercu”. In: Kopec G., Pajak A., Drygas W., ed. Epidemiologia i prewencja chorób układu krążenia. Medycyna praktyczna. Krakow; 2015. [in Polish]

14. Grabauskas V.: CINDI concepts and their contribution to the current development of NCD Police. In: Padua de A., ed. CINDI Life. Countrywide Integrated Noncommunicable Diseases Intervention. Lisboa: Ancora Veditora; 2015. 291–298.

15 Drygas W., Słońska Z.: Jak poprawić stan zdrowia I wpływać na redukowanie nierówności społecznych w zdrowiu w społecznościach lokalnych? Warszawa: NIZP PZH; 2017.

No potential conflict of interest was reported by the authors.

Address for correspondence: Wojciech Drygas email: drygas123@gmail.com

W.
in Poland: Vision and Reality... 87
Drygas, A. Szychowska, J. Ruszkowska, M. Kwaśniewska, The CINDI Programme

Turn static files into dynamic content formats.

Create a flipbook
Issuu converts static files into: digital portfolios, online yearbooks, online catalogs, digital photo albums and more. Sign up and create your flipbook.