Medical Magazine 12 2022

Page 1

БРОЙ 107 / 12.2022 СПЕЦИАЛИЗИРАНО ИЗДАНИЕ ЗА ЛЕКАРИ WWW.MEDMAG.BG БРОЙ 107| 12.2022 „СКРИТА“ ПНЕВМОНИЯ –РОЛЯТА НА КОМПЮТЪРНАТА ТОМОГРАФИЯ НА ГРЪДЕН КОШ СТР. 10 МИНИАТЮРИЗИРАНИ ПЕРКУТАННИ ТЕХНИКИ ЗА ЛЕЧЕНИЕ НА БЪБРЕЧНОКАМЕННА БОЛЕСТ СТР. 36 ПРАВИЛА ЗА ТОНЗИЛЕКТОМИЯ В ДЕТСКАТА ВЪЗРАСТ СТР. 20 ГАСТРОЕНТЕРОЛОГИЯ БАКТЕРИАЛНИ И ВИРУСНИ ИНФЕКЦИИ УРОЛОГИЯ ДЕРМАТОЛОГИЯ ВЕСЕЛИ ПРАЗНИЦИ! ВЕСЕЛИ ПРАЗНИЦИ!

д-р Ваня Юрукова

Проф. д-р Диана Попова

Проф. д-р Диляна Вичева Проф. д-р Димитър Масларов

Проф. д-р Иван Стайков Проф. д-р Лъчезар Трайков

Проф. д-р Мери Ганчева

Проф. д-р Милена Станева Проф. д-р Пенка Илиева Проф. д-р Петър Петров

Проф. д-р Соня Марина

Проф. д-р Цветомир Димитров

Проф. д-р Цеца Дойчинова

Доц д-р Асен Куцаров

Доц. д-р Аспарух Николов

Доц д-р Борис Тилов

Доц. д-р Валентин Вълчев Доц д-р Гриша Матеев

Доц. д-р Десислава Тодорова Доц д-р Желязко Арабаджиев

Доц. д-р Иван Цинликов

Доц д-р Ирена Велчева

Доц. д-р Любомир Дурмишев

Доц д-р Мария Атанасова

Доц. д-р Петко Карагьозов

Доц д-р Пламен Павлов

Доц д-р Стоянка Динева

Доц д-р Тодор Попов

Доц. д-р Цветелина Михайлова

Доц. д-р Христина Видинова

Доц. д-р Цветелина Тотомирова

Д-р Александър Алексиев

Д-р Александър Носиков

Д-р Анелия Гоцева

Д-р Борислав Дангъров

Д-р Диана Димитрова

Д-р Екатерина Куртева

Д-р Иво Димитров

Д-р Ина Генева

Д-р Силвия Скелина

материал трябва да се представи в оригинал, не по-голям от формат А4 или като файлове с разширение. tif или. jpg, с не по-малка разделителна способност от 150 dpi Списанието не носи отговорност за автентичността на онагледения материал. 6. В края на статията могат да се изказват благодарности към съвета, разгледал и подпомогнал оформянето на статията, към научния ръководител, сътрудници, лаборатории

Редакционната колегия си запазва правото: да публикува само материали, които счита за подходящи  да публикува мнения, становища и въпроси към публикуваните материали Материалите се рецензират от членовете на редколегията и Редакционния съвет, а при необходимост и от поканени рецензенти Изисквания за авторите, желаещи да публикуват в сп. MEDICAl Magazine 1. Оригиналните авторски статии да са оформени по следния начин:
или
Статиите да имат обем до 8
и
и резюметата. 2. Обзорите трябва да имат обем до 8 страници и литературни източници до 20 заглавия 3. Казуистика - клинични случаи трябва да имат обем до 4 страници, без резюме, литерат урни източници до 10 заглавия 4. Резюметата да съдържат текст на български език - до 200-250 думи и до 6 ключови думи, подредени по азбучен ред 5. Онагледеният материал - таблици, фигури и диаграми да се упоменава в скоби, непосредствено след параграфа, за който се отнася. Снимковият
адресът за кореспонденция - на български език Той трябва да включва пълния пощ енски адрес и по възможност телефон за контакт на отговорния автор Всички материали се изпращат на адрес: office@medmag.bg или сп Medical Magazine, 1164 София , ул „Плачковица“ 11 редакционен екип Кристиан Лечев Проф. д-р Георги Христов Нели Христова 0894 39 99 50 Изпълнителен директор Главен редактор Отговорен редактор Реклама Разпространение Предпечат и дизайн Коректор Фотограф Печат Петя Дулева adv@medmag bg
Ивомир Коларов Даниела
Ива Лалова Мартин Минев IFO DESIGN www.medmag bg Редакционна колегия
под заглавието се изписват имената на автора
авторския колектив с инициали за първо име и пълното фамилно име, с пореден брой цифри
страници, включващи таблиците
илюстрациите, литературните източници
и др 7. Книгописът се дава на отделна страница 8. След книгописа се посочва
0894 399 948
Петрова
Проф. д-р Анастас Баталов Проф.
БРОЙ 107 ДЕКЕМВРИ 2022 ISSN: 1314-9709 Адрес на редакцията : София 1407, п. к.177, телефон: 02) 868 82 95 Списание Medical Magazine е запазена марка на фирма „Ел Креатив“ ООД. Никаква част от това издание не може да бъде възпроизвеждана и/или публикувана без изричното писмено съгласие на издателя. e-mail: Списанието се обработва в БД „Българска меди цинска лите ратура " Мненията и изявленията, изложени в материалите, принадлежат на авторите на съответните публикации и не са задължително споделяни от редакционния екип и издателите на списанието. Редакцията на списанието не се обвързва с рекламираните в него продукти, както и не дава гаранция за достоверността на информацията, изложена в съответните реклами, като не носи отговорност по предявени по този повод искания. „Ел Креатив” ООД е собственост на Кристиан Лечев и Петя Лечева. ПУБЛИКУВАНЕ ГАСТРОЕНТЕРОЛОГИЯ БАКТЕРИАЛНИ И ВИРУСНИ ИНФЕКЦИИ УРОЛОГИЯ ДЕРМАТОЛОГИЯ ВЕСЕЛИ ПРАЗНИЦИ! ВЕСЕЛИ ПРАЗНИЦИ!

СЪДЪРЖАНИЕ ГАСТРОЕНТЕРОЛОГИЯ 04 ИЗКУСТВЕНОТО ХРАНЕНЕ В НЕОНАТАЛНИЯ И РАННИЯ КЪРМАЧЕСКИ ПЕРИОД – ПРИНЦИПИ, ОСОБЕНОСТИ И ВИДОВЕ ХРАНИТЕЛНИ ФОРМУЛИ Б. Дангъров, В. Карамишева БАКТЕРИАЛНИ И ВИРУСНИ ИНФЕКЦИИ 10 „СКРИТА“ ПНЕВМОНИЯ – РОЛЯТА НА КОМПЮТЪРНАТА

32 ЕРЕКТИЛНА ДИСФУНКЦИЯ В. Василев 36 МИНИАТЮРИЗИРАНИ ПЕРКУТАННИ ТЕХНИКИ ЗА ЛЕЧЕНИЕ НА БЪБРЕЧНО-КАМЕННА БОЛЕСТ М. Дойков

40 ПРИЛОЖЕНИЕ НА МИНИМАЛНО ИНВАЗИВНА ПЕРКУТАННА НЕФРОЛИТОТОМИЯ ЗА ЛЕЧЕНИЕ НА БЪБРЕЧНА ЛИТИАЗА С РАЗЛИЧНИ РАЗМЕРИ И ЛОКАЛИЗАЦИИ М. Дойков

44 ТЕРАПЕВТИЧЕН ЕНДОСКОПСКИ УЛТРАЗВУК Д. Дойков, М. Дойков

НА ФОКУС

48 ЕКСТРАКОРПОРАЛНА ЦИРКУЛАЦИЯ С ДВА ПАРАЛЕЛНО СВЪРЗАНИ ОКСИГЕНАТОРА И БИФЕМОРАЛНА АРТЕРИАЛНА КАНЮЛАЦИЯ ПРИ ПАЦИЕНТ С ЕКСТРЕМНО ЗАТЛЪСТЯВАНЕ И ДИСЕКАЦИЯ НА АОРТАТА I ТИП ПО ДЕ БЕЙКИ

2 І Medical Magazine | декември 2022 СЪДЪРЖАНИЕ
ТОМОГРАФИЯ НА ГРЪДЕН КОШ КЛИНИЧЕН СЛУЧАЙ Т. Александрова, М. Минчева, И. Цочева 16 АДЕНОВИРУСНИ ИНФЕКЦИИ –КЛИНИЧНО ЗНАЧЕНИЕ А. Гоцева 20 ПРАВИЛА ЗА ТОНЗИЛЕКТОМИЯ В ДЕТСКАТА ВЪЗРАСТ, БАЗИРАНИ НА СВЕТОВНИ УНГ ПРЕПОРЪКИ Д. Вичева 24 НЕОБИЧАЙНО ЕПИДЕМИЧНО РАЗПРОСТРАНЕНИЕ НА МАЙМУНСКА ВАРИОЛА ПРЕЗ 2022 Г. В НЕЕНДЕМИЧНИ ОБЛАСТИ НА ЗАПАДНА ЕВРОПА Н. Владимирова УРОЛОГИЯ
52
Юнгарева, С. Марина 58 ИСТОРИЯ НА ДОПИНГА В СПОРТА И. Митева, В. Вълчев 64 ДЕРМАТОЛОГИЧНИ ОСОБЕНОСТИ И ЗАБОЛЯВАНИЯ НА ЖЕНСКИТЕ ГЕНИТАЛИИ Й. Велевска, И. Юнгарева, П. Вътов, С. Марина
И. Тодоров Д. Николов ДЕРМАТОЛОГИЯ
ДЕРМАТОЛОГИЧНА ПРОКТОЛОГИЯ Й. Велевска, П. Вътов, И.

според която след дългогодишно изучаване на генетиката и епигенетиката на храната върху организма, се установява корелация между храненето и развитието на социално-значими заболявания, като затлъстяване, диабет, артериална хипертензия и техните усложнения. Доказано е, че храненето на фетуса, нороденото, кърмачето и детето в ранна детска възраст е от изключителна важност за тези заболявания или това е т.нар. „теория на храненето в първите 1000 дни” - от концепцията до навършването на 2-годишна възраст. Прекомерното хранене на бременната и детето до 2 години повишава риска от развитие на сърдечно-съдови и метаболитни заболявания. Недоимъчното хранене в този период от 1000 дни води до забавено физическо и НПР на детето, нарушена имунна функция, повишена възприемчивост към инфекции и разбира се, намалена продължителност на живота.

потребности при новородените зависят от различни

хранителни вещества. те (около 40-50%) и само до около 10-15% - от белтъците, които са основен анаболен източник за добър растеж на организма. В зависимост от храната и начина й на доставяне, храненето се дели на: Естествено хранене: добре известно е, че кърмата е най-добрата храна за новороденото и кърмачето. Тя има уникален състав от макро- и микронутриенти, изключително добре балансирани помежду си, което осигурява необходимата за детето енергийна обезпеченост за нормалното функциониране на организма, правилното физическо и НПР. Кърмата съдържа биоактивни фактори, като: секреторен IgA, лактоферин, лизозим, цитокини, олигозахариди, епидермален и неврален растежен фактор, глутамин, витамини А, Е, С, нуклеотиди, липиди - всички тези фактори оказват своето имуномодулиращо действие и защита на новороденото и кърмачето от инфекции в първете 6 месеца от живота. Именно поради тази причина се стимулира изключителното естественото хранене през първите 4-5 месеца от живота, до момента на захранване на кърмачето с храни, различни от кърмата. При хипогалактия е необходимо дохранването с подходяща адаптирана формула (мляко) за осигуряване на нормално развитие на детето. Недохранването предразполага към лошо наддаване на тегло, повишена честота на инфекции и „напрягане на метаболизма”,

Естествено Смесено Изкуствено Кърмене Кърмене + АМ Само АМ

4 І Medical Magazine | декември 2022 ГАСТРОЕНТЕРОЛОГИЯ Изкуственото хранене в неонаталния и ранния кърмачески период – принципи, особености и видове хранителни формули Б. Дангъров, САГБАЛ „Д-р Щерев” В. Карамишева, СБАЛАГ ”Майчин дом” Небезизвестна е и т.нар.
за хранително
„теория
програмиране”,
дневни енергийни нужди около 150-200 ксал/кг. Основното количество енергия се набавя чрез въглехидратите (около 30-40%) и мазниниХраненето е един от основните жизнени процеси, чрез които „организмът си набавя” основните макро- и микронутриенти за осигуряване на нормалното функциониране на органите. След раждането новороденото дете попада в нова среда - започва адаптацията в извънутробния живот. Чрез адекватния внос на макро- и микронутриенти се осигурява правилното фукционирана на отделните органи и системи, както и адекватното физическо и НПР на детето. Осигуряването на енергия за правилното функциониране на организма се получава именно при катаболитните процеси от постъпилите в организма
Енергийните
фактори: гестационна възраст, тегло, терморегулация, придружаваща патология (изискваща интензивно лечение), хранене. Дневните нужди при доносените деца са около 100-150 ксал/кг, които са достатъчни за обезпечаването на основните жизнени процеси. Недоносените деца и особено тези с хронична патология, при които темпът на растеж е по-ускорен, имат

което в динамика оказва неблагоприятен ефект върху развитието, когнитивните функции и интелекта на индивида.

Невинаги обаче, кърмата е най-добрата храна за новороденото и кърмачето. Противопоказани за кърмене са следните групи деца: • На майки с активна форма на туберкулоза, нелекувана;

• HIV I-ви и II-ри тип позитивните майки, при които е доказан висок вирусен товар в кърмата;

• CMV-инфекция - също поради висок вирусен товар в кърмата;

• Лезии по зърното и ареолата - херпетични и от варицела - до тяхното заздравяване;

• Наркотична зависимост при майката;

• Майки, подложени на лъче- и/или химиотерапия;

• Приложение на цитостатици;

• Вродени ензимопатии: галактоземия;

• Липса на желание от страна на майката да кърми.

Изкуствено хранене: начин на хранене с адаптирани формули, качествено доближаващи се до състава на майчината кърма. Повечето адаптирани млека се разработват на базата на кравето мляко, което минава през сложен процес на обработка, за да може крайният продукт да е максимално близък до майчината храна, лесно смилаем и усвояем, което гарантира оптималното задоволяване нуждите на новороденото и кърмачето, както е неговото оптимално физическо и НПР. Характерно за състава на АМ е това, че преобладават албумините и протеиновите хидролизати, вместо казеина, съдържащ се в кравето мляко; застъпени са СВМК и минимално ДВПНМК. Откъм въглехидратния състав са застъпени полизахаридите и пребиотичните олигозахариди, в сравнение с кравето мляко, където основен въглехидрат е лактозата. Също така АМ са деминерализирани до степен, която задоволява дневните нужди на новороденото и кърмачето. ВИДОВЕ ХРАНИТЕЛНИ ФОРМУЛИ Адаптирани млека за

по-горе, енергийните потребности при тези деца

достигат до 160 ксал/кг, а при тези с хронични заболявания в резултат от недоносеността им - 180-200 ксал/кг. Адаптираните млека за недоносени съдържат по-голямо количество белтъци, които са основен анаболен елемент; повече калций, фосфор и желязо. И тук ще отворим скоба, че кърмата на собствената майка е най-добрата храна за недоносеното новородено дете. Често обаче тя не е достатъчно „хранителна”, за да задоволи нуждите на недоносеното дете, особено на тези които се раждат преди 32 г.с. и тегло под 1500 гр. Разполагаме с обогатители за кърма, благодарение на които тя става по-високо калорична, за да задоволи високите енергийни потребности на тази група деца. Ползването на тези АМ се препоръчва до 2 мес. корегирана възраст, а при екстремно недоносените под 1000 гр. - до 5-6 мес. корегирана възраст. Антирефлуксни формули (AR). Касае се за физиологичен процес на връщане на приета храна от стомаха към хранопровода и пасивното й изтичане през устата. Процесът е пасивен, не изисква енергия и мускулна работа. Дължи се на физиологичен хипотонус на ДЕС (долен езофагеален сфинктер). Състоянието най-често продължава до 4-5 месечна възраст, когато се подобрява тонуса на ДЕС и рефлуксът спира. През цялото време детето е в добро състояние и с адекватно наддаване на тегло. При определени случаи на по-силно изразен рефлукс и лошо наддаване се налага включването на антирефлуксни млека, сиропи и антирефлуксна поза. Антирефлуксните формули съдържат сгъстител. Може да бъде картофено нишесте, клей от Рошкови или друг с доказани ползи за предотвратяване на регургитациите. Необходима е консултация с педиатър/неонатолог преди започване приема на тази формула. Хипоалергенни формули (Н.А.): Хипоалергенните формули са частично хидролизирани формули, които се използват за превенция на алергиите, както и при деца с атопичен терен (напр. атопичен дерматит), или със семейна предиспозиция, където единият или и двамата родители са с алергия. Формулите могат да се приемат и от деца, които нямат семейна предразположеност, като превенция. Приложението им е показано при: повръщане, диария, кръв в изпражненията, кожни обриви, лош тегловен прираст.

[www.medmag.bg ] 5
недоносени и/или деца
ИУХ:
родени с ниско
с
децата
тегло при раждане имат по-високи енергийни нужди, което е свързано с по-бързия темп на растеж в първите месеци, като компенсация на вътреутробното изоставане. Както стана ясно

Екстензивно хидролизираните формули са предназначени за деца с доказана алергия (хранителна или АБКМ). Тези формули са подходящи за продължителна употреба до 7-8 мес. възраст, осигуряват всички необходими макро и микронутриенти за добро развитие на детето с АБКМ. Адаптирани млека за деца със запек: Когато говорим за обстипация е важно да се уточни, че не броят на изпражненията е от водещо значение, а техният вид и общото състояние на детето - то става неспокойно, плачливо, движи нервно крачетата, често дори отказва да се кърми. В тези случаи изпражненията са твърди и сухи, с честота на изхождане по-малко от едно за три денонощия. Показано е приложението на микроклизми, храненето със специални адаптирани формули, както и промяна режима на хранене. Храносмилателната система на кърмачетата, особено през първите месеци от живота им е чувствителна, поради продължаващо съзряване на храносмилателните функции. Това може да се прояви като колики (спазми), плач, запек или други прояви на дискомфорт. Млеката за кърмачета с по-гъста консистенция, специално създадено за комфорт на храносмилането и добро здраве на бебето, съдържат комбинация от съставки: Бета-палмитат, GOS/FOS и частично хидролизиран суроватъчен белтък. Този продукт е храна за специални медицински цели. Безлактозни адаптирани формули: Създадени са специално за кърмачета

кърменето е преустановено. Стандартните млека за кърмачета съдържат лактоза –млечна захар, която е натурална съставка на кърмата. Когато детето има прояви на непоносимост към лактозата, тя се отстранява от млякото и се заменя с малтодекстрин. Безлактозните АМ съдържат всички хранителни вещества, необходими за

здравословен растеж и развитие на бебето. Лактозният интолеранс често е в резултат на диария и приемът на безлактозно мляко за кърмачета осигурява бързото им възстановяване.

Важно е да се подчертае, че ентералното хранене трябва да се започне възможно най-рано. При доносените деца, това трябва да се осъществи още в родилната зала, при желание от страна на майката и добра организация от страна на екипа. Тук трябва да подчертаем и ползата от контакта “кожа в кожа“, при която многобройни изследвания доказаха ползите за по-добрата кардиопулмонална адаптация на новороденото, по-добра терморегулация и по-добър ентерален толеранс в динамика. Ранният контакт „майка-бебе“ повлиява по-добре пуерпералния период на родилката, както и по-ниската честота на следродилните депресии.

При захранване с изкуствена храна, детето се захранва на 3-4 часова възраст: доказано е, че ранното ентерално захранване намалява честотата на неонаталните хипогликемии и хипербилирубинемии, изискващи провеждането на фототерапия. Захранвато започна с 10 мл АМ, през 3-часов интервал (т.е. 7 х 10 мл), като количеството се повишава с 10 мл на хранене с всеки следващ ден. Пример: 2 ден 7 х 20 мл 3 ден 7 х 30 мл и т.н.

щие. Захранването е най-добре да е с майчина кърма, но тъй като това често е невъзможно, се използва адаптирана формула за недоносени. Следи се количеството ОСС от предходното хранене и бавно се покачва количеството на храната. Много често при децата с тегло под 1500 гр, и особено тези с тегло под 1000 гр, поради съпътстваща патология, която не позволява адекватно захранване, се прилага т.нар. „минимално хранене“ или „трофично хранене“: през сонда се вкарват минимални количества храна, през по-чести интервали: идеята е не „да нахраним“ недоносеното, а да стимулираме чревния имунитет и чревната перисталтика, за да не допускаме развитие на атрофия на чревните бримки. Така осигуряваме по-добър терен за последващо ентерално хранене и значително по-добър имунитет на недоносеното новородено дете. При тази група деца най-често храненето е 8-10 кратно. ИЗПОЛЗВАНИ СЪКРАЩЕНИЯ: НПР - нервно-психическо развитие АМ - адаптирано мляко HIV - вируса на СПИН CMV - цитомегаловирус

езофагеален сфинктер АБКМ - алергия към белтъка на кравето мляко ОСС - остатъчно стомашно съдържимо

6 І Medical Magazine | декември 2022
СВМК
ДВПНМК
ДЕС
- средноверижни мастни киселини
- дълговерижни полиненаситени мастни киселини
- долен
и деца с непоносимост към лактоза и предразположени към диария. Подходящи са от деня на раждане или в случаите, когато
на
е
Кърменето
осъществява
искване“ и няма строго определен интервал между храненията. По възможност, нощното хранене се пропуска. Недоносените деца, също трябва да се захранят максимално рано, когато позволява състоянието им: найдобре в рамките на първото деноноГАСТРОЕНТЕРОЛОГИЯ
до достигане
количество 7 х 90-100 мл, което
полагаемото количество до края на месеца.
се
„на по
С НОВА УСЪВЪРШЕНСТВАНА ФОРМУЛА със съдържание на HMO 2’-FL Frisolac 1 и 2 млека за кърмачета www.friso.bg

питализации годишно2. Заболяването често се свързва с наличието на други сърдечно-съдови, бъбречни и метаболитни състояния като захарен диабет тип 2 (ЗДТ2) и бъбречно заболяване. Това комплексно за медицината заболяване много често има пагубно въздействие върху качеството на живот – физически, емоционално и дори финансово за пациентите, които са в напреднала фаза на заболяването и вече не могат да работят. Сърдечната недостатъчност с намалена фракция на изтласкване (СНнФИ) възниква, когато сърдечният мускул не контрахира ефективно и сърцето не може да изтласква адекватно количество кръв. Сърдечната недостатъчност със запазена фракция на изтласкване (СНзФИ)

със запазена фракция на изтласкване (СНзФИ)5, която се определя като едно от най-големите предизвикателства в сърдечно-съдовата медицина. Причините за това са различни – от широкото разпространението на заболяването, до лошите клинични резултати и липсата на реални възможности за лечение до сега6,7

Boehringer Ingelheim е компания с дългогодишни традиции в създаването на иновативни терапии, които целят да помагат на хората с хронични заболявания да водят нормален начин на живот. В своята научно-изследователска дейност фармацевтичната компания поставя фокус върху задълбоченото изследване на връзката между различните заболявания. Един от най-ярките примери за това е създаването на еmpagliflozin. Фармацевтичната компания разработва програмата EMPOWER, която е най-мащабната и всеобхватна програма, която изследва SGLT2 инхибиторите и влиянието на empagliflozin върху живота на пациентите в целия спектър на кардио-реналните метаболитни заболявания. Първоначално empagliflozin е одобрен за лечение на захарен диабет тип 2 (ЗДТ2). Инвестициите в продължителни и по-задълбочени научни изследвания на взаимосвързаността между сър-

дечната, бъбречната и метаболитната системи, дават възможност за разширяване на употребата на терапията от диабет до сърдечна недостатъчност. Днес еmpagliflozin е първата и единствена одобрена терапия за възрастни пациенти със симптоматична хронична сърдечна недостатъчност в Европейския съюз1

Одобрението за употреба на empagliflozin се основава на резултатите от основополагащото проучване EMPEROR-Preserved Фаза III, част от клиничната програма EMPOWER и е от изключително значение за цялата медицинска общност. Проучването, в което участват 5 988 възрастни пациенти със сърдечна недостатъчност с левокамерна фракция на изтласкване (LVEF) над 40%8, изследва ефекта на empagliflozin 10 mg в сравнение с плацебо веднъж дневно, добавени към обичайното лечение. До този момент не е имало клинично проучване, което да е постигнало първичната си крайна цел, както се наблюдава в основополагащото проучване EMPEROR-Preserved. Изследването оценява профила на ефикасност и безопасност на empagliflozin спрямо плацебо при стандартна терапия на пациенти със сърдечна недостатъчност със запазена фракция на изтласкване (СНзФИ) със или без диабет. Резултатите показ-

Empagliflozin – първата иновативна терапия, която променя качеството на живот на пациентите с хронична сърдечна недостатъчност (ХСН) Сърдечната недостатъчност засяга над 60 милиона души по света, като повече от 15 милиона от тях живеят в Европа. Хроничното заболяване е и причина за близо 2 милиона хос
Симптомите, свързани със СН, като задух и умора, могат да повлияят значително на качеството на живот3,4. Приблизително половината от диагностицираните пациенти със СН имат сърВ България има одобрена иновативна терапия с empagliflozin – първата и единствена с одобрена индикация в Европа терапия за лечение на възрастни пациенти със симптоматична сърдечна недостатъчност, независимо от фракцията на изтласкване1. Иновативното лечение дава надежда и спокойствие на хората със сърдечна недостатъчност и има редица предимства – еднократен и улеснен прием, доказано намалява хоспитализациите и подобрява качеството на живот на пациентите. Ползите от приема се появяват бързо, добре поносим и безопасен е, няма неблагоприятен ренален ефект, запазва бъбречната функция и предотвратява диализата. дечна недостатъчност
възниква, когато сърцето се изпълва с по-малко количество кръв в сравнение с нормалното функциониране на сърцето.
8 І Medical Magazine | декември 2022

ват, че empagliflozin демонстрира сигнификантно намаляване на относителния риск с 21% (вкл. 3,3% намаляване на абсолютния риск, 0,79 HR, 0,69-0,90 95% CI) в комбинираната първична крайна цел на сърдечносъдова смърт или хоспитализация поради сърдечна недостатъчност (СН). Данните показват, че ползите не зависят от фракцията на изтласкване или диабетния статус8

По-рано, въз основа на резултатите от клиничното изпитване EMPERORReduced, empagliflozin беше одобрен за лечение на възрастни пациенти със симптоматична хронична сърдечна недостатъчност с намалена фракция на изтласкване (СНрФИ). В клиничното изпитване empagliflozin показва 25% сигнификантно намаление на комбинирания относителен риск от сърдечно-съдова смърт или хоспитализация поради сърдечна недостатъчност спрямо пацебо9 Данните от първичната крайна цел са консистентни при подгрупите пациенти със и без захарен диабет тип 2 (ЗДТ2). Анализите на вторичните крайни цели от проучването сочат, че empagliflozin намалява с 30% относителния риск от първа и повторна хоспитализация поради СH и сигнификантно забавя влошаването на бъбречната функция9 ЗА ПРОУЧВАНИЯТА ЗА СЪРДЕЧНА НЕДОСТАТЪЧНОСТ EMPEROR10,11 Двете проучвания EMPEROR (EMPagliflozin outcomE tRial in patients with chrOnic heaRt failure) Фаза III за хронична сърдечна недостатъчност са рандомизирани, двойно слепи изпитвания, които изследват ефекта на empagliflozin,

приеман веднъж дневно в сравнение с плацебо при възрастни пациенти със СН със запазена или намалена фракция на изтласкване при пациенти с и без захарен диабет тип 2, които са на лечение с обичайна терапия:

• EMPEROR-Reduced [NCT03057977] изследва профила на безопасност и ефикасност на empagliflozin при пациенти с хронична сърдечна недостатъчност с намалена фракция на изтласкване (HFrEF).

o Първична крайна цел – съвкупност от анализирани поотделно: време до настъпване на сърдечно-съдова смърт или хоспитализация, поради сърдечна недостатъчност

o Брой на пациентите: 3 730

o Финализиране на проучването: 2020 г.

o Link to lay summary • EMPEROR-Preserved [NCT03057951] изследва безопасността и ефикасността на empagliflozin при пациенти с хронична сърдечна недостатъчност със запазена фракция на изтласкване (HFpEF).

o Първична крайна цел – съвкупност от анализирани поотделно: време до първа проява на сърдечно-съдова смърт или хоспитализация поради сърдечна недостатъчност

o Брой пациенти: 5 988 o Финализиране на проучването: 2021 г. ЗА ПРОГРАМАТА EMPOWER Програмата EMPOWER е създадена от Boehringer Ingelheim, за да изследва въздействието на empagliflozin върху основните клинични сърдечносъдови и бъбречни резултати в спектъра от

сърдечно-съдовите, бъбречните и метаболитните състояния. Тези състояния са водещата причина за смъртност в световен мащаб и съставляват до 20 милиона смъртни случая на година12 Чрез програмата EMPOWER Boehringer Ingelheim работи за подобряване научните познания за тези взаимосвързани системи и в посока създаване на терапевтична грижа, която предлага интегрирани ползи за част от органите в човешкото тяло. Програмата EMPOWER се състои от осем клинични проучвания и две проучвания от реалната клинична практика. EMPOWER потвърждава дългосрочния ангажимент на Boehringer Ingelheim за подобряване на резултатите при пациенти със сърдечно-съдови, бъбречни и метаболитни състояния. Програмата EMPOWER е най-всеобхватната и най-обширна клинична програма за SGLT2 инхибитор, провеждана до този момент, с участието на повече от 400 000 възрастни пациенти.

ЗА EMPAGLIFLOZIN

Empagliflozin е перорален, приеман веднъж дневно, високо-селективен инхибитор на натриево-глюкозния котранспортер 2 (SGLT-2) и първият одобрен за употреба медикамент за лечение на ЗДТ2, в чиято продуктова информация има включени данни за понижаване на риска от сърдечно-съдова смърт13 На 21 юни 2021 г. Европейската комисия издава разрешение за употреба на empagliflozin за лечение на възрастни пациенти със симптоматична хронична сърдечна недостатъчност (ХСН) с намалена фракция на изтласкване (систолна сърдечна недостатъчност)14.

4. Calvert MJ, Freemantle N, Cleland JGF. The impact of chronic heart failure on health‐related quality of life data acquired in the baseline phase of the CARE‐HF study. Eur J Heart Fail. 2005;7(2):243–51.

5. Andersen MJ, Borlaug BA. Heart failure with preserved ejection fraction: current understandings and challenges. Curr Cardiol Rep. 2014 Jul;16(7):501.

6. Butler J, Fonarow G, Zile M, et al. Developing therapies for heart failure with preserved ejection fraction: Current State and Future Directions. JACC Heart Fail. 2014 Apr;2(2):97–112.

7. Shah SJ, Borlaug B, Kitzman D, et al. Research priorities for heart failure with preserved ejection fraction. Circulation. 2020;141:1001–26.

8. Anker S, Butler J, Filippatos G, et al. Empagliflozin in Heart Failure with a Preserved Ejection Fraction. N Engl J Med. 2021;10.1056/NEJMoa2107038.

9. Packer M, Anker SD, Butler J, et al. Cardiac and Renal Outcomes With Empagliflozin in Heart Failure With a Reduced Ejection Fraction. N Engl J Med. 2020;383:1413–24.

10. ClinicalTrials.gov. EMPagliflozin outcomE tRial in Patients With chrOnic heaRt Failure With Preserved Ejection Fraction (EMPEROR-Preserved). Available at: https://clinicaltrials.gov/ct2/show/NCT03057951. Accessed June 2021.

11. ClinicalTrials.gov. EMPagliflozin outcomE tRial in Patients With chrOnic heaRt Failure With Reduced Ejection Fraction (EMPEROR-Reduced). Available at: https://clinicaltrials.gov/ct2/show/NCT03057977. Accessed June 2021.

12. GBD 2015 Mortality and Causes of Death Collaborators. Global, regional, and national life expectancy, all-cause mortality, and cause-specific mortality for 249 causes of death, 1980–2015: A systematic analysis for the Global Burden of Disease Study 2015. The Lancet. 2016; 388(10053):1459–544.

13. Jardiance® (empagliflozin) EU SPC 2022.

14. Marketing authorisation. Accessed: June 2021

ИЗПОЛЗВАНА ЛИТЕРАТУРА:
Union
medicinal products for human use.
1. European Commission.
Register of
Available at: https://ec.europa.eu/health/documents/community-register/html/h930.htm. Last accessed: March 2022. 2. Health Policy Partnership. Heart failure policy and practice in Europe. Available at: https://www.healthpolicypartnership.com/app/uploads/Heart-failure-policy-and-practice-in-Europe.pdf. Last accessed: March 2022.
3. American Heart Association. Warning Signs of Heart Failure. Available at: https://www.heart.org/en/health-topics/heart-failure/warning-signs-of-heart-failure. Accessed June 2021.
SC-BG-01388 [www.medmag.bg ] 9

излив. то на САР, включително и клиничните класификации на CAP и етиологични причинители са базирани именно на

-

метод,

фнинсово изгоден, рентгено -

на бял дроб остава най-широко използваното образно изследване от педиатри при съмнение за инфекция на долните дихателни

условия има множество страни с висок доход, както и насоките на СЗО за страни с нисък и среден доход, които препоръчват рентгенографията на гръдния кош да не се извършва рутинно при деца с пневмония, лекувани в амбулаторни условия. Индикациите за рентгенография на гръдния кош включват хоспитализация, тежка хипоксемия или респираторен дистрес, неуспешна първоначална антибиотична терапия или подозрение за други заболявания (туберкулоза, вдишано чуждо тяло) или усложнения. На този фон, ултразвукът на белите дробове на място се очертава като обещаващ начин за диагностициране на детска пневмония[4] Белодробият

10 І Medical Magazine | декември 2022 БАКТЕРИАЛНИ И ВИРУСНИ ИНФЕКЦИИ "Скрита" пневмония – ролята на компютърната томография на гръден кош Клиничен случай Т. Александрова, М.
по
ултразвук има много потенциални предимства в педиатричната среда пред рентгенограПневмонията, придобита в обществото (CAP), остава една от най-честите причини за хоспитализация в детска възраст. Рентгенологичните промени в гръдния кош все още се считат за златен стандарт за откриване на пневмония, тъй като клиничните находки са субективни, а клиничните дефиниции на пневмония могат да бъдат неспецифични[1]. Пример за това е определението на СЗО за клиничните симтпоми на пневмония – наличието на кашлица и тахипнея[2] Образните изследвания играят важна роля, както в диагностиката, така и в лечението на усложненията на пневмония при деца. Исторически, рентгенографията на бял дроб, се е утвърдила като метод на първи избор при диагностициранеОбразните изследвания играят важна роля както в диагностиката, така и в лечението на пневмонията при деца. Рентгенологичните промени в гръдния кош все още се считат за златен стандарт за откриване на пневмония. В контекста на диагностицирането на некротизираща пневмония или други усложнения, КТ е доказано най-чувствителният и точен метод, който демонстрира патологията, преди да стане очевидна на рентгенографията на гръден кош. Като по-детайлен метод от рентгенографията на гръдния кош при сравнително ниските теоретични радиационни рискове, КТ предоставя много предимства на клинициста за бърза и точна диагностика. Ролята на КТ на гръден кош остава ключова за проследяването на усложнени пневмонии, както и при „скрити в пространството“ и зад анатомични структури белодробни паренхимни процеси. Представяме случай на дете с нормална находка от рентгенография
диагностика на бял дроб като метод за бърза оценка при съмнение за пневмония или наличен парапневмоничен плеврален
пътища при децата. Компютърната томография (КT), от своя страна, макар и вече много по-широко използвана, до голяма степен е запазена за случаи, със съмнение за усложнения на пневмония или при трудности за отдиференцирането на пневмония от друга белодробна патология[3] По отношение на леките и неусложнени пневмонии, лекувани в амбуКлючови думи: Компютърна томография, пневмония, придобита в обществото, рентгенография на бял дроб, усложенена пневмония.
Минчева, И. Цочева Отделение
педиатрия, УМБАЛСМ „Н. И. Пирогов“ - София латорни
на бял дроб, но налични КТ данни за пневмония в ляв белодробен дял. Не бива да се подценяват и възможностите на ултразвуковата
различните рентгенологичния об
рази. Широкодостъпен като
бърз и
графията

фията и КT сканиране, включително ниска цена и простота, както и факта, че ултразвукът не носи риск от радиационно увреждане. Следователно, в много клинични условия, където бързата диагностика може да улесни подобрените клинични резултати и потенциално да намали употребата на антибиотици, интересът към използването на УЗД за диагностициране на пневмония при деца нараства [6] . Към момента, обаче остават недостатъчни доказателства за валидиранотоно използване на УЗД като инструмент за диагностика и лечение на неусложнена пневмония при деца, въпреки че играе важна роля като подход от втора линия за потвърждаване на диагнозата емпием. Децата с пневмония, които не реагират правилно на лечението, трябва да бъдат изследвани за всякакви гнойни паренхимни усложнения, които може да са се развили. Според насоките на Британското торакално общество, ако детето остане с температура или не се чувства добре 48 часа след началото на лечението, то трябва да бъде преоценено чрез образни изследвания за възможно усложнение. Очаквано, проучвания при възрастни показват, че КT е значително по-чувствителен метод от рентгенографията при диагностицирането на пневмония, но ролята на КT при деца с пневмония все още се развива. Използването на компютърна томография при диагностицирането на пневмония при деца обикновено е ограничено до висши учебни заведения, предимно в развитите страни, като се имат предвид ресурсите, необходими за извършване на сканиране, и експертизата, необходима за интерпретиране на изображенията. Дори в тези условия ролята на КТ обикновено се ограничава до усложнени пневмонии, особено когато има съмнение за парапневмоничен излив и емпием[7], при деца, които са имунокомпрометирани[8] и за идентифициране на скритата причина за пневмония като чуждо тяло или секвестрация. КТ може също да се използва за насочване на белодробна биопсия в случаите, когато е

та на гръдния кош е отрицателна за наличие на пневмония въпреки силното клинично подозрение. Общите индикации за КТ за CAP включват тежка или усложнена пневмония, пневмония при имунокомпрометирани пациенти, пневмония, която не може да се лекува с антибиотици, рецидивираща или неразрешена пневмония, както и пациенти с клинично съмнение за пневмония, но нормални или съмнителни рентгенографски находки на гръдния кош и пневмония със съмнение на основните заболявания[9]. Рентгенолозите са категорични, че КТ дава по-подробна информация относно анатомията и патологията на гръдния кош, отколкото рентгенографията на гръдния кош. В контекста на диагностицирането на некротизираща пневмония или други усложнения на пневмония, придобита в обществото при деца, КТ е доказано, че е най-чувствителният и точен метод, който демонстрира патологията, преди да стане очевидна на рентгенографията на гръдния кош[10]. Опитът на отделение по педиатрия на УМБАЛСМ „Н. И. Пирогов“ е подобен. Следвайки японските препоръки, се наложи провеждане на КТ на гръден кош, поради несъответствие в клиничното състояние на пациента и данните от проведената рентгенография на бял дроб. ПРЕДСТАВЯНЕ НА КЛИНИЧЕН СЛУЧАЙ Касае се за момиче на 5-годишна възраст с неусложнена преморбидна анамнеза, без алергии, без придружаващи заболявания, без травми. С данни за двукратно пролежаване в медицинско заведение преди 2 години, по повод на пневмония с приложено антибиотично лечение и съмнение за невроинфекция, която е отхвърлена.

Детето заболява три дни, преди постъпването в болница УМБАЛСМ „Н. И. Пирогов“, с хрема, кашлица и субфебрилна температура, като се приложени симптоматични средства. На третия ден от болестта е докарано с екип на СМП от друго лечебно заведение, където по време на преглед

на CT само в ситуация, когато рентгенография -

CAP

[www.medmag.bg ] 11
необходима специфична етиологична диагноза. Японските насоки за образна диагностика на
дават препоръка за използването
е наблюдавана гърчова симптоматика.
ди анамнестични данни за
„колабирало“, без да
Пора -
дихателна недостатъчност и гръдна болка, и измерена ниска сатурация 85% е насочено за преоценка и лечение.

Leu (10*9/L) 16.93 7.2 Neu (%) 82.9 70.7 Lym (%) 8.0 23.3 Mon (%) 7.1 6 RBC (10*12/L) 4.53 4.61 HGB (g/L) 128 136 HCT (%) 38 39

PLT (10*9/L) 251 272 Биохимия

CRP (mg/dl) 0.61PCT (ng/ml) 0.24Глюкоза (mmol/l) 5.71КАС

pH 7.44 pO2 (mmHg) 70.84 pCO2 (mmHg) 29.57 HCO3 (mmol/l) -19.4 BEb (mmol/l) -3.3 tCO2 (mmol/l) 20.1 pO2 (%) 95

В Детска противошокова зала детето е поставено под мониторен контрол и кислородотерапия с добър отговор. От обективния статус, детето е в увредено общо състояние, интоксикирано, подкръжени очи, субфебрилитет. Сомнолентно, реагира при повикване брадипсихично, следи с очи, pGCS-15 т. Установена е лицева асиметрия в дясно – птоза на десен клепач, отпуснат устен ъгъл, по повод на което е проведен КТ на глава. Дишане – везикуларно вдясно, отслабено до липсващо в лява основа, бронховезикуларно вляво скапуларно, удължен експириум, без хрипове. СатО2 98% под кислородна маска. ДЧ 35/мин.; СЧ 153/мин., АН 112/71 mmHg. Останалият статус без патологични

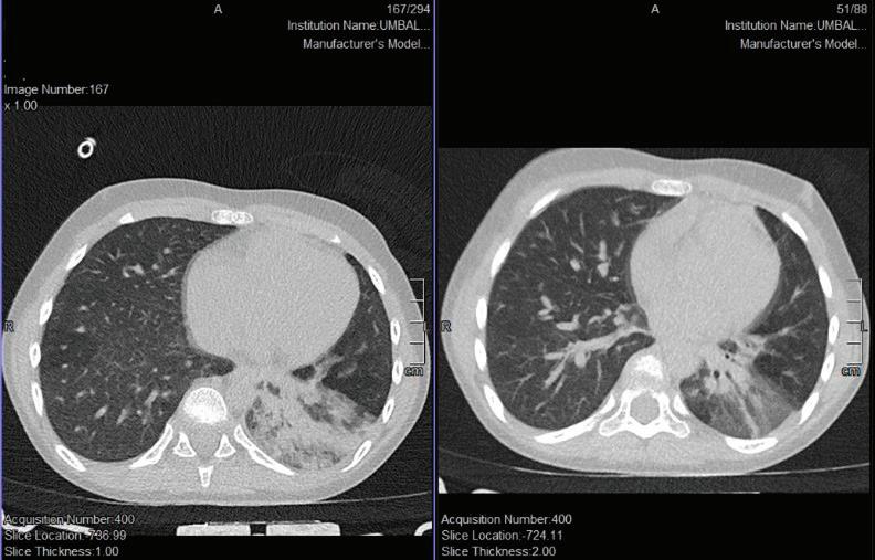
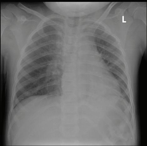
паренхим и КАТ на глава – без данни за патологични отклонения. Предвид липсата на корелация между тежкото клинично състояние и несигнификантно изменените параклиникнични показатели – рентгенография без патологични отклонения - се проведе КАТ на бял дроб. От КАТ на бял дроб се установява образ, който на рентгенографията не се визуализира: възпалителен инфилтрат в 10 сегмент вляво с тенденция към консолидация и дилатирани съдове, вероятна хиперемия. Единични медиастинални лимфни възли, Фиг. 1 и Фиг. 2

След поставената диагноза: бронхопневмония и предвид тежестта на общото състояние се започна лечение с кислород за 3 дни, кортикостероид, пеницилинов антибиотик, инфузия с глюкозо-солеви разтвори, инхалаторно дезобструктивно лечение със салбутамол и инхалаторен кортикостероид. Детето пролежава в болнични условия около 5 дни, на втория ден е с прояви на кашличен пристъп, налагащ започване на инхалаторно лечение с Пулмикорт и провеждане на УЗД на плевра и бял дроб с цел изключване на парапневмонични усложнения. На третия ден от терапията, кислородолечението се преустанови, след овладяване на симптомите на дихателна недостатъчност, на фона на задържаща се белдробна аускутаторна находка от влажни хрипове. На 5-ти ден се проведоха контролни изследвания при пациентката с данни за нормализиране маркерите на възпалението и с намаляла интензивност на сегментните възпалителни промени в ляво. Това позволи продължаване на антибиотично и инхалаторно лечение в дома. Детето се проследи в амбулаторни условия до пълното му възстановяване.

12 І Medical Magazine | декември 2022
Предвид
тира с
рург,
и педиатър. От параклиничните изследвания се установява левкоцитоза с гранулоцитоза, но без сигнификатни промени в биохимичните и други показатели
Табл.
). От проведената рентгенография на бял дроб с кугел се описват само усилен рисунък на
отклонения.
тежкото общо състояние се консул -
детски анестезиолог, хирург, неврохи -
невролог
(
1
белодробния
при приемливи дози радиация при деца и е с предимство пред рентгенографията на гръден кош при: • диагностициране и проследяване на парапневмонични усложнения • пациенти, неотговарящи на лечението • рентгенографиите на гръдния кош не корелират с клиничното състояние на пациента • проследяване на ехографски открит плеврален излив • съмнение за
ЗАКЛЮЧЕНИЕ КТ може да се извършва
чуждо тяло при рецидивиращи пневмонии Табл. 1 Показатели\Дни 1-ви ден 5-ти ден ПКК
БАКТЕРИАЛНИ И ВИРУСНИ ИНФЕКЦИИ

КТ е по-детайлен метод от рентгенографията на гръдния кош и сравнително ниските теоретични радиационни рискове трябва да се вземат предвид спрямо многото предимства, които предоставя на клинициста, за да не се лишат децата от предимствата на бързата и точна диагностика.

Ролята на изобразяването на гръдния кош, особено на компютърната томография (КT), се разви по време на пандемията, успоредно с натрупването на научни доказателства. КТ на гръден кош е златен стандарт за образна диагностика при пневмония COVID-19; в някои ситуации рентгеновото изследване на гръдния кош или ултразвукът може да бъде ефективна алтернатива[11]

Въпреки това, голямо проучване от 2021 г. показва, че КТ на гръдния кош открива белодробни

аномалии, включително промени тип „матово стъкло“ и/ или консолидация, които не са наблюдавани при рентгенография на гръдния кош при повече от половината симптоматични педиатрични пациенти с пневмония на COVID-19. Въпреки това, тези допълнителни на -

Фиг. 1 Рентгенография бял дроб

Фиг. 2 КТ гръден кош

[www.medmag.bg ] 13
Следователно КТ не е клинично показан за първоначална оценка на леки до умерено симптоматични педиатрични пациенти с пневмония на COVID-19[12] Въпреки че КТ е по-чувствителен при откриване на паренхимни аномалии от рентгенографията, има ограничени доказателства, които показват, че тестът променя управлението или че може да предвиди клинични резултати, както при описания по-горе пациент. Има също така ограничени доказателства в подкрепа на ролята на КТ за надеждно разграничаване между вирусни и бактериални инфекции, предвид появата на припокриващи се характеристики[13] КТ също има редица недостатъци в педиатрията. Изисква седация или анестезия при
ходки от КТ не са повлияли на управлението на пациента.

несътрудничещо дете и необходимата доза йонизиращо лъчение е много по-висока от тази на рентгенографията. При обсъждане темата за образна диагностика, трябва да се има предвид и радиационното натоварване за пациента, особено в детска възраст. Съгласно италианско проучване, КТ на гръдния кош може да се извърши при деца до юношеска възраст с ефективна доза от 1.0 mSv и следователно съответства на около 100 AP рентгенографии на гръдния кош. До -

зата за латерална графия е приблизително два пъти дозата на предно-задна рентгенография на гръдния кош, което би означавало, че комбинация от AP и латерална би била 0.03 mSv[14]

на ултразвуковото изследване на бял дроб за откриване и проследяване на пневмония и наличен парапневмоничен излив, следва да се разгръщат и използват с оглед – ниска цена на изследването, достъпна апаратура, липсва на йонизиращо лъчение, бърза и лесна оценка – особено при изградени протоколи „point of care”. Ролята на КТ на гръден кош остава ключова за проследяването на усложнени пневмонии, както и зад анатомични стуктури (скрити в пространството) белодробни паренхимни процеси.

ЛИТЕРАТУРА:

2. World Health Organization. IMCI Handbook: Integrated Management of Childhood Illness. Geneva: World Health Organisation; 2005. )

3. Andronikou, S., Goussard, P. & Sorantin, E. Computed tomography in children with community-acquired pneumonia. Pediatr Radiol 47, 1431–1440 (2017). https://doi. org/10.1007/s00247-017-3891-0

4. Ramirez P, Torres A. Should ultrasound be included in the initial assessment of respiratory patients? Lancet Respir Med. 2014;2:599–600. doi: 10.1016/S22132600(14)70142-0.)

6. Riccabona M. Ultrasound of the chest in children (mediastnum excluded). Eur Radiol 2008;18(2):390–9. PMID:17952440 https:// doi.org/www.dx.doi.org/10.1007/s00330007-0754-3)

7. Calder A, Owens CM (2009) Imaging of parapneumonic pleural effusions and empyema in children. Pediatr Radiol 39:527–537 )

8.Goussard P, Gie RP (2016) The need for bronchoscopic services for children in low and middle-income countries. Expert Rev Respir Med 10:477–479]

9. Müller NL, Franquet T, Lee KS. In: McAllister L, editor. Imaging of pulmonary infections. Philadelphia, Pa: Wolters Kluwer/Lipponcott Williams Wilkins; 2007.)

10. Hayden GE, Wrenn KW. Chest radiograph vs. computed tomography scan in the evaluaton for pneumonia. J Emerg Med 2009;36(3):266–70. PMID:18571356 https://doi.org/www. dx.doi.org/10.1016/j.jemermed.2007.11.042)

11. Inui, S., Gonoi, W., Kurokawa, R. et al. The role of chest imaging in the diagnosis, management, and monitoring of coronavirus disease 2019 (COVID-19). Insights Imaging 12, 155 (2021). https://doi.org/10.1186/ s13244-021-01096-1)

12. Das, KM, Alkoteesh, JA, Al Kaabi, J, et al. Comparison of chest radiography and chest CT for evaluation of pediatric COVID-19 pneumonia: Does CT add diagnostic value? Pediatric Pulmonology. 2021; 56: 1409–1418. https://doi.org/10.1002/ppul.25313 )

13. Islam S, Calkins CM, Goldin AB, Chen C,

Downard CD, Huang EY et al.; APSA Outcomes and Clinical Trials Commitee, 2011–2012. The diagnosis and management of empyema in children: a comprehensive review from the APSA Outcomes and Clinical Trials Commitee. J Pediatr Surg 2012;47(11):2101–10. PMID:23164006 https://doi.org/www.dx.doi. org/10.1016/j.jpedsurg.2012.07.047

14. Granata C, Origgi D, Palorini F et al (2015) Radiation dose from multidetector CT studies in children: results from the first Italian nationwide survey. Pediatr Radiol 45:695–705 )

14 І Medical Magazine | декември 2022
Въпреки по-голямата информативна стойност, която предоставя КТ на гръден кош, рентгенографията на бял дроб остава основен метод за първоначална оценка и диагностика на деца с клинични белези на пневмония придобита в обществото. От друга страна възможностите БАКТЕРИАЛНИ И ВИРУСНИ ИНФЕКЦИИ
ИЗПОЛЗВАНА
1. Lynch T, Bialy L, Kellner JD, et al. A systematic review on the diagnosis of pediatric bacterial pneumonia: when gold is bronze. PLoS One. 2010;5:e11989. doi: 10.1371/journal.pone.0011989. )

Ч

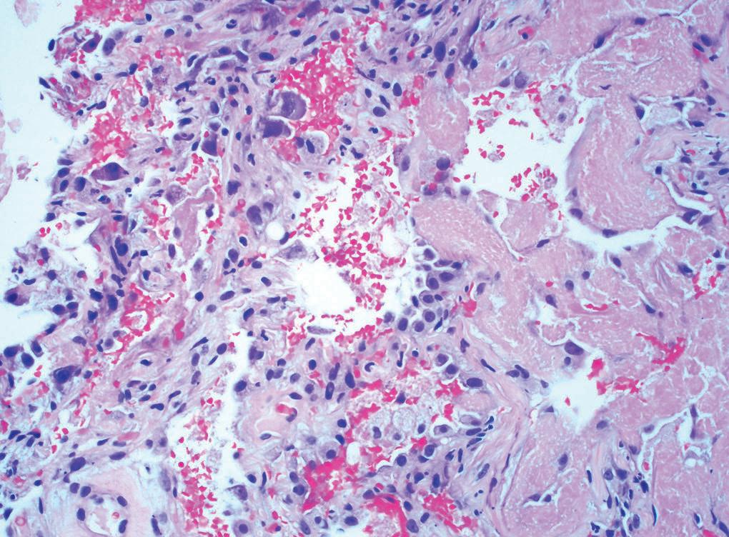
овешките аденовируси (Human adenoviruses, HAdVs) са изолирани за първи път като респираторни патогени през 1953 г. от Rowe и сътр. Наименованието им е предложено през 1956 г. от H. Grinsberg. Представляват голяма група вируси с двуверижен ДНК геном (dsDNA), принадлежащи към сем. Adenoviridae. Познати са повече от 50 серотипа, класифицирани в седем групи (А-G) според техните биологични, имунологични и онкогенни свойства. HAdVs групи A, B, C, D, E и F циркулират в световен мащаб и предизвикват инфекции при хората[1] Размножават се в клетъчното ядро, при което настъпват характерни морфологични промени в заразените клетки (цитопатичен ефект), изразяващи се в кръглоклетъчна дегенерация и вакуолизация (Фиг. 1). Репликативният им цикъл е 16-18 часа. Различните типове HАdVs имат специфичен тъканен тропизъм (епитело-, лимфо- и органотропност), който определя клиничния полиморфизъм. След първична инфекция, най-често в ранното детство, HAdVs остават да персистират в латентно състояние в различни чувствителни клетки. Изолирането им от човешки лимфоидни тъкани предостави първото доказателство за ролята им като причинители на персистиращи инфекции

Клинично значимите HAdVs принадлежат кам групи B, C, E (респираторни инфекции), D (очно засягане) и F (гастроентерит)[2]. Чести са асимптомните инфекции, възможни са и реинфекции. Най-често е засягането на горните (ГДП) и долните дихателни пътища (ДДП), стомашно-чревния тракт и конюнктивата. По-редките прояви на инфекция включват остър мезаденит, хепатит, миокардит, хеморагичен цистит, нефрит и менингоенцефалит. Тежки системни аденовирусни инфекции са описани при рискови групи - новородени, имунокомпрометирани пациенти (трансплантирани, онкологично болни, ХИВ позитивни), както и при такива с хронични пулмо- и кардиопатии. Повечето инфекции при имунокомпетентни индивиди са самоограничаващи се. РЕСПИРАТОРНИ АДЕНОВИРУСНИ ИНФЕКЦИИ Клиничните прояви на аденовирус-

респираторни заболявания (ОРЗ)[5] Проуванията сочат, че приблизително 5-10% от инфекциите на дихателните пътища в детска възраст и 1-7% от тези при възрастните са свързани с HAdVs[6]. В САЩ през 2006 г. HAdV-14 е идентифициран при тежки инфекции на ДДП, включително пневмония[7]. HAdVs са отговорни за приблизително 5-11% от бронхитите и 5-18% от бронхиолитите при кърмачета[8]. Аденовирусният бронхиолит е спорадичен и е възможно да прогресира до пневмония. HAdVs се посочват като важен етиологичен агент на пневмония, придобита в обществото (CAP), както при имунокомпетентни, така и при имунокомпрометирани индивиди. Аденовирусната пневмония (ADVP) съставлявa 4-10% от всички случаи на пневмония сред педиатричната популация[9]. Тежко протичаща ADVP се среща по-често при новородени и кърмачета. Клиничните прояви включват упорита кашлица, висока температура и тахидиспнея, а рентгенологичните промени показват наличие на двустранни дифузни инфилтрати. Описани са периодични епидемии от пневмония сред млади хора и особено военнослужещи с причинител HAdV-4[10] HAdV-3 и HАdV-7 са основните типове, отговорни за заболявания на ДДП при деца под 5-годишна възраст в световен мащаб[11]. Смъртността при нелекувана тежка ADVP или дисеминирано заболяване може да надхвърли 50%. Повечето респираторни огнища, свързани с HAdVs, се наблю -

16 І Medical Magazine | декември 2022 БАКТЕРИАЛНИ И ВИРУСНИ ИНФЕКЦИИ
клинично
Аденовирусни инфекции –
значение А. Гоцева Лаборатория Вирусология, МБАЛ „Уни Хоспитал“ - Панагюрище
при хората. Разпространението им е спорадично или под формата на епидемии. Човешките аденовируси (HAdVs) традиционно се асоциират с широк спектър от заболявания при хора от всички възрасти, по-честo при деца. HAdVs поради своята генетична хетерогенност показват различен тъканен тропизъм и могат да инфектират няколко типа клетки. Аденовирусите обикновено причиняват самоограничаващи се инфекции, но през последните години все повече се разпознават като значими
с
и смъртност сред
вирусни патогени
висока заболеваемост
имунокомпрометирани пациенти. Аденовирудните инфекции се срещат
целогодишно.
та
вируси, което понякога затруднява диагнозата, особено при отсъствие на лабораторно потвърждение. Серологичните изследва
ния
от
ния
етиология и се свързват основно с HAdV-B, HAdV-C или HAdV-E[3,4] HAdVs (типове 3, 4, 7 и 14) са доказани при възникнали огнища от остри Ключови думи: Човешки аденовируси (HAdVs), клинични характеристики.
ните (AdV) инфекции на дихателна -
система в много случаи са сходни с тези, причинени от други респираторни
-
показват, че приблизително 10%
всички респираторни заболява -
в детска възраст са с аденовирусна

дават в затворени популационни групи. Установено е, че HАdVs са водещ етиологичен агент на ОРЗ сред новобранци в базови тренировъчни лагери[12]

ОЧНИ АДЕНОВИРУСНИ ИНФЕКЦИИ Аденовирусните инфекции, засягащи очите, са най-честата причина за инфекциозен конюнктивит в световен мащаб и обхващат до 75% от всички случаи на конюнктивит при възрастни и деца[13]. Повечето очни инфекции са субклинични. Три основни очни синдрома се асоциират с HAdVs: фарингоконюнктивална треска (PCF), фоликуларен конюнктивит и епидемичен кератоконюнктивит (EKC). През 1954 г. J. Bell описва епидемия от PCF в околностите на Вашингтон. Множество подтипове могат да бъдат причина за PCF, но водещо значение имат HАdV-3, HАdV-4 и HАdV-7[14]. Клиничните прояви включват фебрилитет, фарингит, остър фоликуларен едностранен или двустранен конюнктивит, ринит и шиен лимфаденит. PCF обичайно протича под формата на малки епидемични взривове в детски летни лагери. През 1955 г. HAdV-14 за първи път е идентифициран като причинител на PCF сред новобранци в Холандия. Острият фоликуларен конюнктивит е най-честата форма на очно засягане асоциирано с HAdVs. Инфекцията обикновено е ограничена до едното око и се характеризира с фоликуларни лезии върху палпебралната конюнктивална повърхност. Болните съобщават за сърбеж, парене и усещане за чуждо тяло в окото. Симптомите обикновено отзвучават за около 10 дни до 3 седмици с пълно възстановяване. Етиологията на EKC е изяснена през 1957 г., след като E. Jawetz изолира HАdV-8. Среща се по-често при възрастни, отколкото при деца. Основен причинител на EKC са HАdV-D (серотипове 8, 37, 53, 54, 56, 64 и 85)[15]. HAdV-8 е отговорен за най-голямия брой случаи на EKC в световен мащаб, докладван е и като причинител на нозокомиални инфекции[16]. Проучване върху серологичното разпространение на HAdV-

8 показа, че инфекцията с този тип е често срещана в Китай, Япония и Тайван[17]. През 2016 г. в Китай са регистрирани две последователно възникнали огнища на EKC в начални и средни училища, като установения етиологичен агент е бил HAdV-8[18]. В България първата епидемия от ЕКС е регистрирана през втората поло¬вина на 1972 г., като обхваща пристанищните градове Варна, Бургас и Русе. EKC първоначално започва като едностранен фоликуларен конюнктивит с усещане за чуждо тяло, фотофобия, сълзене на окото, налице са хиперемия и оток на конюнктивата, преаурикуларна аденопатия и епителен кератит. В тежките случаи зрението може да остане замъглено за дълъг период от време. В 70% от случаите се засяга и контралатералното око. EKC е най-сериозната форма на очна аденовирусна инфекция, водеща до потенциално увреждане на зрението, поради въвличане на роговицата. При приблизително 30-50% от пациентите с EKC се откриват субепителни корнеални инфилтрати, които се считат за отличителен белег. Рядко срещана форма на очна аденовирусна инфекция е хроничния кератоконюнктивит. Характеризира се с периодични периоди на сълзене, зачервяване и фотофобия, понякога с продължителност до 18 месеца. Пациентите почти винаги предоставят анамнестични данни за скорошен епизод на остър конюнктивит няколко месеца преди началото. EKC е силно заразен и обикновено се проявява под формата на огнища в училища,

Фиг. 1 Човешки аденовируси - цитопатичен ефект (pathologyoutlines.com)

военни лагери, болници, домове за стари хора, детски и здравни рехабилитационни центрове. Предаването на инфекцията често се осъществява посредством замърсени офталмологични разтвори или инстументи, както и при плуване в басейни. ЧРЕВНИ АДЕНОВИРУСНИ ИНФЕКЦИИ През 1958 г. M. Ramos-Alvarez и A. Sabin изолират аденовируси от фекални проби на деца с гастроентерит. Ентералните аденовируси (гр. F) типове 40 и 41 проявяват подчертан афинитет към стомашно-чревния тракт и са чести причинители на остър гастроентерит (ОГЕ) главно при деца до 3-годишна възраст. Имат спорадично разпространение и се доказват в 2-20% от случаите на диариен синдром при деца. В развитите страни на тях се дължат от 5-20% от хоспитализациите на деца с остра инфекциозна диария. В САЩ честотата на детекция на чревни аденовируси при хоспитализирани деца под 6-годишна възраст е 0.8%[19]. В Германия при 14% от хоспитализираните деца с диагноза ОГЕ като етиологичния агент е установен аденовирус[20] Данните за Венецуела отразяват 11.5% положителни фекални проби за HAdVs при деца под 5 години[21] Клиничното протичане на AdV ОГЕ е със субфебрилитет, водниста диария и повръщане. Описани са нозокомиални инфекции. ДРУГИ РЕДКИ ФОРМИ НА АДЕНОВИРУСНА ИНФЕКЦИЯ Сред рядко срещаните клинични

[www.medmag.bg ] 17

прояви на аденовирусните инфекции са мезентериален лимфаденит, хепатит, миокардит, хеморагичен цистит, нефрит и менингоенцефалит. Протичането на мезентериалния лимфаденит се манифестира с коремни болки, имитиращи остър апендицит (псевдоапендикуларен синдром). Документирани са случаи на AdV хепатит при имунокомпетентни педиатрични пациенти. В края на 2021 г. и началото на 2022 г. беше съобщено за случаи на остър хепатит с неуточнена етиология при здрави деца. При голям процент от тях като причинител е доказан човешки аденовирус. Степента на некроза на хепатоцитите варира от незначителна до тежка. Появата на иктер е предшествано от симптоми на гастроентерит[22]. Най-много регистрирани случаи са докладвани от Обединеното кралство[23]. В САЩ при деца на възраст от 1-6 години е наблюдавано развитие на остра чернодоробна недостатъчност, като в част от случаите като етиологичен агент е установен HАdV-F41. По данни на СЗО някои деца са се нуждаели от спешна чернодробна трансплантация. AdV инфекция при деца с вроден имунен дефицит може да бъде свързана с развитието на хепатит с висок процент на смъртност. Установено е, че 17% от педиатричните и 3% от случаите на миокардит при възрастни се дължат на инфекция с аденовирус[24]. Клиничните прояви на миокардита са неспецифични и включват различни симптоми, ва -

риращи от лек дискомфорт в областта на гръдния кош до развитието на кардиогенен шок. Вирусният миокардит е рядко срещана причина за внезапна сърдечна смърт в детска възраст. Като причинители на фатален миокардит и други кардиомиопатиити при деца са докладвани HAdV-3 и HadV-5. В обширно проучване сред пациенти с миокардит в 23% от случаите в биопсична миокардна тъкан с PCR е доказана AdVDNA[25]. Остър хеморагичен цистит е наблюдаван при имунокомпетентни деца, по-често при момчета. Свързва се предимно с НAdV-11 и се характеризира с внезапна поява на дизурия, последвана от хематурия. HAdVs серотипове 11, 34 и 35 при имунокомпрометирани пациенти причиняват освен хеморагичния цистит и тубулоинтерстициален нефрит. Менингоенцефалитът (МЕ) е рядко усложнение на HAdV инфекция обикновено при имунокомпрометирани пациенти, по - специално при тези с първичен имунен Т-клетъчен дефицит и трансплантирани пациенти. Аденовирусният МЕ е свързан с високи нива на смъртност. За първи път AdV невроинфекция е описана от Le Long и сътр. през 1956 г. Представени са пет клинични случая на деца с енцефалит, причинен от НAdV-7. След това през 1958 г. Chaney и сътр. доказват същия серотип в ликвор (CSF) и мозъчна тъкан на пациент с пневмония и енцефалит. Няколко доклада потвърждават вирусната детекция в CSF[26].

АДЕНОВИРУСНИ ИНФЕКЦИИ ПРИ ИМУНОКОМПРОМЕТИРАНИ ПАЦИЕНТИ Системните аденовирусни инфекции протичат по-тежко и често могат да бъдат животозастрашаващи. Счита се, че реактивацията на персистираща аденовирусна инфекция е свързана с дисеминирано заболяване при имуносупресирани пациенти[27]. HAdV се посочват като важна причина за заболеваемост и смъртност след трансплантация на хематопоетични стволови клетки (HSCT). В популацията на имунокомпрометираните пациентите за развитието на дисеминирани AdV инфекции роля имат различни рискови фактори, включващи трансплантация на HSCT и солидни органи, ХИВ инфекция и химиотерапия. Преди ерата на антиретровирусната терапия са докладвани фатални случаи на аденовирусни инфекции при пациенти с ХИВ/СПИН. ЗАКЛЮЧЕНИЕ Аденовивирусите предизвикват остри и персистиращи инфекции при хората. Способността им да заразяват различни типове клетки определя тъканния им тропизъм, който корелира с разнообразния спектър на клинични прояви. При имунокомпетентни индивиди преобладават изолираните органни локализации, докато при пациентите с имунен дефицит съществува висок риск от развитие на дисеминирано заболяване с мултиорганно увреждане. Аденовирусните инфекции са често срещани сред педиатричната популация.

1. Lynch JP 3rd, Fishbein M, Echavarria M. Adenovirus. Semin Respir Crit Care Med. 2011 Aug; 32 (4):494-511.

2. Lynch JP, Kajon AE. Adenovirus: epidemiology, global spread of novel serotypes, and advances in treatment and prevention. Semin Respir Crit Care Med. 2016;37:586-602.

3. Baum S. Adenoviruses. In: Mandell G, Bennett J, Dolin R, eds. Principles and Practice of Infectious Diseases. 5th ed. Philadelphia, PA: Churchill Livingstone; 2000:1624-1630.

4. Liu, C., Xiao, Y., Zhang, J. et al. Adenovirus infection in children with acute lower respiratory tract infections in Beijing, China, 2007 to 2012. BMC Infect Dis 15, 408 (2015).

5. Prusinkiewicz MA, Mymryk JS. Metabolic reprogramming of the host cell by human adenovirus infection. Viruses. 2019;11(2):141–62.

6. Sandkovsky U, Vargas L, Florescu DF. Adenovirus: current epidemiology and emerging approaches to prevention and treatment. Curr Infect Dis Rep. 2014;16(8):416.

7. Centers for Disease Control and Prevention Acute respiratory disease associated with adenovirus serotype 14-four states, 2006–2007, MMWR Morb Mortal Wkly Rep, 2007, vol.56 (pg. 1181-1184).

8. Lu Z., Zheng, Y. Plastic bronchitis associated with adenovirus infection. Lancet Infect Dis, 18 (2018), p. 474.

9. Fu FX, Tang Z, Ye Z, et al. Human adenovirus type 7 infection causes a more severe disease than type 3. BMC Infect Dis. (2019) 19:36.

10. Sanchez J.L., Binn L.N., Innis B.L., et al. Epidemic of adenovirus-induced respiratory illness among US military recruits:

epidemiologic and immunologic rick factors in healthy, young adults J Med Virol, 65 (2001), pp.710-718.

11. Lai C-Y, Lee C-J, Lu C-Y, et al. (2013) Adenovirus Serotype 3 and 7 Infection with Acute Respiratory Failure in Children in Taiwan, 2010–2011. PLoS ONE 8(1): e53614.

12. Russell KL, Hawksworth AW, Ryan MA, et al. Vaccine-preventable adenoviral respiratory illness in US military recruits, 1999–2004. Vaccine. 2006;24:2835–42. 10.1016/j. vaccine.2005.12.062.

13. Jhanji V.,Chan T.C.,Li E.Y.,Agarwal K.,Vajpayee R.B. Adenoviral keratoconjunctivitis Surv Ophthalmol, 60 (2015), pp. 435-443.

14. Harley D, Harrower B, Lyon M, Dick A. A primary school outbreak of

pharyngoconjunctival fever caused by adenovirus type 3. Commun Dis Intell 2001; 25(1):9–12.

15. Jonas, R.A.; Ung, L.; Rajaiya, J.; Chodosh, J. Mystery eye: Human adenovirus and the enigma of epidemic keratoconjunctivitis. Prog. Retin. Eye Res. 2020, 76, 100826.

16. Chaberny IE, Schnitzler P, Geiss HK, Wendt C. An outbreak of epidemic keratoconjunctivtis in a pediatric unit due to adenovirus type 8. Infect Control Hosp Epidemiol. 2003;24:514–519.

17. Adhikary AK, Banik U. Human adenovirus type 8: the major agent of epidemic keratoconjunctivitis (EKC). J Clin Virol. 2014;61(4):477–86. pmid:25464969.

18. Lei Z, Zhu Z, wang Bmc, mei H, Li H, ga Dzg, et al. (2017) Outbreaks of epidemic

keratoconjunctivitis caused by human adenovirus type 8 in the Tibet Autonomous Region of China in 2016. PLoS ONE 12(9): e0185048.

19. Rodriguez-Baez N, O’Brien R, Qiu S-Q, Bass DM. Astrovirus, Adenovirus, and Rotavirus in Hospitalized Childr. Journal of Pediatric Gastroenterology and Nutrition. J Pediatr Gastroenterol Nutr 2002;35(1):64–68.

20. Oh, D.Y.; Gaedicke, G.; Schreier, E. Viral agents of acute gastroenteritis in German children: Prevalence and molecular diversity. J.Med. Virol. 2003, 71, 82–93.

18 І Medical Magazine | декември 2022
БАКТЕРИАЛНИ И ВИРУСНИ ИНФЕКЦИИ
ИЗПОЛЗВАНА ЛИТЕРАТУРА:
Пълната библиографска справка съдържа 27 пункта и е на разположение в редакцията при поискване.

Д. Вичева Катедра по УНГ болести, Медицински Факултет, Медицински Университет - Пловдив Клиника по УНГ болести, УМБАЛ „Каспела“Пловдив Катедра по Медицински и Клинико-диагностични дейности, ФОЗЗГ, РУ „Ангел Кънчев“ - Русе

сновната цел на множеството световни УНГ препоръки, касаещи „за“ и „против“ тонзилектомията е да предостави на клиницистите доказателствено идентифициране на децата, които са най-подходящи кандидати за тонзилектомия. Необходимо е да се оптимизира преоперативното лечение у децата, подложени на тонзилектомия; да се подчертае необходимост

до тонзилотомия (частично премахване на тонзиларната тъкан), за да се съхрани имунитета у децата. венозен дексаметазон на деца по време на тонзилектомия. Те правят силна препоръка и предупреждение на клиничните специалисти, които редовно дават или предписват преоперативни антибиотици на деца, подложени на тонзилектомия. Основните препоръки са: (1) внимателно изчакване за повтарящи се ангини, ако през изминалата година е имало по-малко от 7 епизода, или по-малко от 5 епизода на

шаване на температурата и треска, афтозен стоматит, фарингит и аденоидит, или анамнеза за перитонзиларен абсцес; (3) разговор с полагащите грижи за деца с нарушаване на дишането по време на сън и сънни нарушения (сънна апнея), и хипертрофия на сливиците за съпътстващи състояния, които могат да се подобрят след тонзилектомията, в т.ч. забавяне на растежа, лошо представяне в училище, енуреза и поведенчески проблеми; (4) консултиране с родителите по отношение на тонзилектомията като средство за подобряване на здравето при деца с абнормна полисомнография, които също имат хипертрофия на тонзилите и затруднено дишане по време сън; (5) консултиране на грижещите се за децата за това, че дишането, нарушено по

-

20 І Medical Magazine | декември 2022 БАКТЕРИАЛНИ И ВИРУСНИ ИНФЕКЦИИ
Правила за тонзилектомия в детската възраст, базирани на световни УНГ препоръки
време на сън,
да продължи или да се повтори след
и може да изисква по-нататъшно проследяване на със
О
та от оценка и интервенция при специални рискови детски групи; да се подобри консултирането и образоването на семействата с деца, които обмислят тонзилектомията като терапевтичен метод за детето си и др.[1,2] ПРАВИЛА, ДОКАЗАНИ ОТ ДОБРИТЕ КЛИНИЧНИ ПРАКТИКИ Водещите УНГ клиницисти дават основна препоръка да се прилага еднократно интраоперативно - интраПрез последните години се наблюдава значителна тенденция към редукция и внимателно поставяне на индикации за тонзилектомия в детската възраст, предвид все по-нарастващата значимост на тонзилите за имунитета на подрастващите деца. Внимателната клинични преценка на оториноларинголозите, проследяването на болестта и крайното взимане на решение за тонзилектомия е дилема, която винаги е била с трудно решение. В този аспект редица световни научни сдружения са изработили алгоритми с леки вариации на условностите, касаещи индикациите за оперативно лечение, а Българската УНГ общност е запозната с тези правила, които следва стриктно. В някои случаи се прибягва
ка на детето с рецидивираща инфекция на орофаринкса, която не отговаря на критериите в точка 2 за модифициране на
могат да
томията,
ват,
може
тонзилектомията
година през последните 2 години, или по-малко от 3 епизода годишно през последните 3 години; (2) оцен
фактори, които
благоприятстват тонзилек-
които могат да включ -
но не се ограничават до: множествена антибиотична алергия/ непоносимост, периодично повиКлючови думи: Тонзилектомия, имунитет, деца.

тоянието; (6) правилен подход и лечение на болката след тонзилектомия и обучение на полагащите грижи за децата за важността на управлението и преоценката на болката; (7) лекарите, които извършват тонзилектомия, трябва да определят риска от първичен и вторичен пост-тонзилектомичен кръвоизлив поне веднъж годишно[4,10] .

Препоръчва се тонзилектомия при повтарящи се инфекции на гърлото, потвърдени в медицинската документация в здравния катрон на детето за всеки епизод на болки в гърлото и 1 или повече от следните условия: температура >38.3°С, шийна и цервикална лимаденопатия, тонзиларен ексудат или положителен тест за ß-хемолитичен стрептокок от група А[1,2,3]

Често срещано усложнение на тонзилектомията е кървенето по време на операцията или след нея. В литературните справки датира, че честотата на първичния кръвоизлив (в рамките на 24 часа от операцията) варира от 0.2% до 2.2%, а степента на вторичен кръвоизлив (повече от 24 часа след операцията) от 0.1% до 3%. Кръвоизлив след тонзилектомия може да доведе до рехоспитализация за наблюдение или по-нататъшна операция за контрол на кървенето. Това сериозно усложнение, което иска спешна ревизия на състоянието на детето[5,6]

Други оперативни усложнения включват травма на зъбите, ларинкса, стената на фаринкса или мекото небце; трудна интубация; ларингоспазъм; оток на ларинкса; аспирация; засягане на хиоидна кост; изгаряне на ендотрахеална тръба и спиране на сърцето. Постоперативните усложнения включват гадене, повръщане, болка, дехидратация, свързана с интервенцията - оталгия, постобструктивен белодробен оток, велофарингеална недостатъчност и назофарингеална стеноза. Усложненията са по-чести при деца с краниофациални аномалии, синдром на Даун, церебрална парализа, сериозно сърдечно заболяване или диатеза и при деца под 3 години с полисомнография, която доказва OСA[10]

На Табл. 1 се виждат научни твърдения за поведението, касаещо тонзилектомията на Американската Академия по Оториноларингология, хирургия на глава и шия (2019)[4]

Макар и този анализ да е направен преди десетилетие, и днес се счита за актуален и работещ. Няма нищо по-различно в принципите на лечение и от Европейско естество. Целта е да се съхрани имунологичната активност на тонзилите във възрастта между 3 и 10 години. Епителът е тънък и мрежест и съдържа система от специализирани канали, покрити с "М" клетки. Тези клетки поемат антигените и ги транспортират в екстрафоликуларна-

Табл. 1 Обобщение на твърденията, основани на доказателства

грижа Препоръка Постоперативен ибупрофен , асетамидофен Строга препоръка Постоперативен кодеин Силна препоръка против Кръвоизлив след тонзилектомия (ранен и късен) Силна препоръка

[www.medmag.bg ] 21
Твърдение, основано на доказателства Сила на
Хирургични показания и планиране Внимателно изчакване Препоръка Повтаряща се инфекция на гърлото с документация Опция Тонзилектомия при рецидивираща инфекция с модифициращи фактори Препоръка Тонзилектомия за нарушено дишане по време на сън Препоръка Тонзилектомия и полисомнография Препоръка Оценка на резултата за дишането, нарушено по време на сън, ОСА Препоръка Периоперативна болка Силна препоръка Периоперативни антибиотици Силна препоръка против Интраоперативни стероиди Силна препоръка Следоперативна
научното твърдение

област или в лимфоидните фоликули. В екстрафоликуларната област интердигиращите дендритни клетки и макрофаги обработват антигените и ги предоставят на Т-хелперните лимфоцити. Тези лимфоцити стимулират пролиферацията на фоликуларни В-лимфоцити и тяхното развитие в клетки на паметта, експресиращи антитяло, способни да мигрират към назофаринкса и други места или плазмени клетки, които произвеждат антитела и ги освобождават в лумена на покритието. Докато всичките 5 изотипа на имуноглобулина (Ig) се про -

извеждат в палатиналните тонзили, IgA е може би най-важният продукт на имунната система на тонзилите. В своята димерна форма IgA може да се прикрепи към трансмембранния секреторен компонент, за да образува секреторния IgA, критичен компонент на имунната система на горната част на дихателните пътища. В това се крие тайната и така се обяснява значимостта на запазването и съхраненито на тонзилите, а индикациите за тонзилотомия или тонзилектомия трябва да бъдат аргументирани обосновано при всяко едно дете[8,9]

Правилата за тонзилектомия в детската възраст, базирани на световни УНГ препоръки са значими за всеки оториноларинголог. Целта на настоящата статия е да покаже с кратко описание същността и принципите на избор за оперативно лечение на тонзилите у българските деца, но не само на оториноларинголози, а и на педиатри и общопрактикуващи лекари, тъй като се търси интердисциплинарният подход, водещ до повишение на качеството на живот на децата[7]

ISBN 978619-189-065-1.

4. Ron B. Mitchell, Sanford M. Archer, Stacey L. Ishman, Richard M. Rosenfeld, Sarah Coles, Sandra A. Finestone, Norman R. Friedman, Terri Giordano, Douglas M. Hildrew, Tae W. Kim, Robin M. Lloyd, Sanjay R. Parikh, Stanford T. Shulman, David L. Walner, Sandra A. Walsh Lorraine C. Nnacheta. Clinical Practice Guideline:

Tonsillectomy in Children (Update). Otolaryngology–Head and Neck Surgery Volume 160, Issue 1_suppl, February 2019, Pages S1-S42. American Academy of Otolaryngology–Head and Neck Surgery Foundation 2018, Article Reuse Guidelines

5. McClelland L, Jones NS. Tonsillectomy: haemorrhaging ideas. J Laryngol Otol. 2005;119:753-758.

6. Windfuhr JP, Chen YS, Remmert S.

Hemorrhage following tonsillectomy and adenoidectomy in 15,218 patients. Otolaryngol Head Neck Surg. 2006;132:281-286.

7. Stewart MG, Friedman EM, Sulek M, et al. Quality of life and health status in pediatric tonsil and adenoid disease. Arch Otolaryngol Head Neck Surg. 2000;126:4548. PubMed.

8. Brandtzaeg P. Immunology of tonsils and adenoids: everything the ENT

surgeon needs to know. Int J Pediatr Otorhinolaryngol. 2003;67:S69-S76.

9. Friday GA, Paradise JL, Rabin BS, et al. Serum immunoglobulin changes in relation to tonsil and adenoid surgery. Ann Allergy. 1992;69:225-230.

10. Baugh RF, Archer SM, Mitchell RB, et al. Clinical practice guideline: tonsillectomy in children. Otolaryngol Head Neck Surg. 2011;144(1):S1-S30.

22 І Medical Magazine | декември 2022 БАКТЕРИАЛНИ И ВИРУСНИ ИНФЕКЦИИ ИЗПОЛЗВАНА ЛИТЕРАТУРА: 1. ВИЧЕВА, Д. Как да овладеем острия тонзилит и неговите усложнения? Медикъл Магазин 2014; 11:20-22. 2. Клинична пулмология в детската възраст, изд. „Райков, 2013г. глава 28, Някои оториноларингологични проблеми у децата. 3. Регионална антибактериална, антивирусна и антимикотична терапия в педиатрията под редакцията на Проф. Тоньо Шмилев, изд. „Лакс Бук”,
та

Ключови думи: Маймунска вариола, мъже, които правят секс с мъже (МСМ).

аймунската вариола (маймунската едра шарка) не е нова и не е непозната болест, но стана много популярна през лятото на 2022 г., когато доби епидемично разпространение извън границите на ендемичните области, в които е установявана от 60те години на миналия век насам. Инфекцията е открита за първи път през 1958 г. при маймуна, откъдето идва и името ѝ, но при човек е установена за първи път през 1970 г. в Демократична република Конго. От откриването на заболяването насам, броят на случаите се увеличава, видимо през последните 5-10 години, предимно сред население, живеещо в Западна Африка, или като единични случаи, при пътници от Западна Африка. След провеждането на

на 2022 г., в резултат на заразявания случили се между участници в събитието, възникна огнище на маймунска вариола. Необичайното в този случай е разпространението на инфекцията в други държави, в които обикновено няма маймунска едра шарка. От средата на месец април до 8 ноември 2022 г., са установени 25 375 случая на маймунска едра шарка от 45 държави и области в целия Европейски регион. Най-сериозно засегнати, с най-голям брой заразени са Испания, Франция, Германия, Португалия, Италия, Белгия, Нидерландия. Лабораторно потвърдени са 25 077 случая. В България са регистрирани и съобщени 6 случая (Фиг. 1). Епидемичното разпространение е с пик през летните месеци( юни- юли), постепенно затихване от края на лятото и към момента (есента на 2022 г. септември, октомври, ноември, бро -

ят на засегнатите лица се връща към стойностите отразени в началото на епидемичния взрив (пролетта на 2022 г.) (Фиг. 2).

По-голямата част от случаите са на възраст между 31 и 40 години (39%) и са мъже (98%). От 10 933 случая при мъжете с известна сексуална ориентация 96% са се самоопределили като мъже, които правят секс с мъже (МСМ). Сред случаите с известен ХИВ статус 38% са ХИВ-позитивни.

По-голямата част от случаите са с обрив (96%) и системни симптоми като треска, умора, мускулни болки, втрисане или главоболие (68%). Хоспитализирани са 6% от случаите. Смъртен изход е съобщен за четири случая на маймунска едра шарка. До момента има информация за пет случая на професионална експозиция, в четири от които, здравните работници са носили препоръчаните лични пред-

24 І Medical Magazine | декември 2022 БАКТЕРИАЛНИ И ВИРУСНИ ИНФЕКЦИИ Необичайно епидемично разпространение на маймунска вариола през 2022 г. в неендемични области на Западна Европа Н.
Национален
по за-
и
Владимирова
център
разни
паразитни болести, отдел Епидемиология
София
М
масово
Европа през
След провеждането на масово събитие в западна Европа през пролетта на 2022 г., в резултат на заразявания, случили се между участници в събитието, възникна огнище на маймунска вариола. Необичайното в този случай е разпространението на инфекцията в други държави, в които обикновено няма маймунска едра шарка. С най-голям брой заразени лица са Испания, Франция, Германия, Португалия, Италия, Белгия, Нидерландия. По-голямата част от случаите са на възраст между 31 и 40 години (39%) и са мъже (98%), като при мъжете с известна сексуална ориентация, 96% са се самоопределили като мъже, които правят секс с мъже (МСМ). Към момента общият риск от заразяване с маймунска вариола
да се оцени като
МСМ и нисък за населението извън
събитие в западна
пролетта
може
умерен за
рисковите групи.

Фиг. 1

Географско разпространение на потвърдени случаи на маймунска вариола в ЕС/ЕИО, Западни Балкани и Турция, към 08 ноември 2022 г.

Източник: European Centre for Disease Prevention and Control/WHO Regional Office for Europe. Monkeypox, Joint Epidemiological overview, 09 November 2022. © World Health Organization 2022. © European Centre for Disease Prevention and Control 2022.

ПРЕДСТАВЯНЕ НА ЗАБОЛЯВАНЕТО. ПРИЗНАЦИ, СИМПТОМИ Инкубационният период при маймунската вариола обикновено е между 6 и 13 дни след експозиция, но може да бъде и между 5 и 21 дни. Повечето заболели се възстановяват за няколко седмици. Съобщават се и случаи с тежко протичащо заболяване (предимно сред неваксинирани срещу вариола в сравнение с ваксинирани заболели). Някои проучвания установяват, че ваксиналният имунитет срещу вариола е ефективен в около 85% и срещу маймунска вариола, но не е ясно този ваксиналени имунитет с каква продължител -

ност е и дали не се губи с времето). Към момента повечето съобщени смъртни случаи се установяват при малки деца и имунокомпрометирани лица, като например лица с недобре контролирана HIV инфекция. Заболяването се представя с разнообразни клинични признаци и симптоматика. Началната фаза обикновено е с продължителност между 1 и 5 дни, през което време болният има температура, главоболие, болки в гърба и мускулите, липса на жизнен тонус, лимфаденопатия. Типична клинична проява при маймунската едра шарка е обривът, който може да бъде неприятен, сърбящ и болезнен. Обривът се появява през втората фаза, продължаваща между 1 и 3 дни след спадане на температурата и се развива през няколко стадия- ма -

Фиг. 2

Брой случаи на маймунска вариола, по дата на съобщаване в Европейския регион, TESSy, 2022 Източник: European Centre for Disease Prevention and Control/WHO Regional Office for Europe. Monkeypox, Joint Epidemiological overview, 09 November 2022. © World Health Organization 2022. © European Centre for Disease Prevention and Control 2022.

[www.medmag.bg ] 25
пазни средства, но експозицията се е случила при събирането на клинични проби. В петия случай не са използвани лични предпазни средства. ЕСТЕСТВЕНО РАЗВИТИЕ И КЛИНИЧНО
БАКТЕРИАЛНИ И ВИРУСНИ ИНФЕКЦИИ 26 І Medical Magazine | декември 2022

кулозен, папулозен, везикулозен, с пустулизация и умбиликация преди образуването на коричка на обривната единица, с последваща десквамация в продължение на 2-3 седмици. Лезиите са с размери между 0.5 и 1 см в диаметър и наброяват от единични до стотици. Ерупциите са центробежни, започват от лицето и се разпространяват към дланите и ходилата на горните и долните крайници, съответно, може да обхванат устната лигавица, конюнктивата, роговицата на окото и/или гениталиите.

Наблюденията от епидемичния взрив в Европа и Северна Америка през тази година показват предимно обриви в областта на гениталиите, както и на оралната лигавица с разязвяване.

Въпреки че не се случва често, болните може да развият усложнения, понякога тежки, дори застрашаващи живота (тежки бактериални инфекции на кожата и подкожната тъкан, целулите, абсцеси, некрози и др.; пневмонии; инфекции на окото със загуба на зрението; електролитен дисбаланс и шок; сепсис; енцефалит; смърт).

Случаите в този взрив са с относително леки симптоми, въпреки че някои пациенти описват значителен дискомфорт, болка и усложнения. От общия брой случаи, докладвани в ЕС/ ЕИП, много малка част са изисквали хоспитализация за клинични или интензивни грижи.

ПРЕДАВАНЕ И РАЗПРОСТРАНЕНИЕ НА

ВИРУСИТЕ Данните за предаване и разространение на вируса на маймунската вариола са ограничени, но са в подкрепа на разпространението от животно към човек, от човек към човек и от замърсена среда към човек. Заразяването от животно към човек става при индиректен или при директен контакт, при ухапване, одраскване; при дейности като лов вкл. с капани, дране на животински кожи, готвене и др.

Предаването от човек на човек се реализира при директен телесен контакт с инфектирана кожа или лигавични лезии (лице - ице, кожа - кожа, уста - уста, уста - кожа или с респираторни капки). Вирусът попада през наранена кожа, лигавици (орална, фарингеална, очна, генитална) или през дихателните пътища. Периодът на възможно заразяване варира, но обикновено болните са заразни до образуването на корички и тяхната десквамация. Предаване се осъществява и при контакт със замърсени предмети от обкръжаващата човека среда, най-често контаминирани със заразени частици кожа, бельо, облекло, спално постелъчно бельо. Контаминираните частици може да се инхалират или да попаднат върху наранена кожа, лигавици, по този начин пренасяйки вируса да предизвикат инфекция (документирани са случаи на заразяване на здравни работници при контакт с контаминирано постелъчно болнично бельо). В зависимост от стайната температура и

влажността на въздуха вирусът може да персистира върху повърхности между няколко дни до 2 месеца. В „европейския“ епидемичен взрив разпространението е основно при близък физически контакт вкл. сексуален (орален, вагинален, анален). Установени са и заразявания при татуиране и пиърсинг. Прие се, че масовите събирания през лятото и специфичните сексуални практики са улеснявали предаването на вируса на маймунската вариола сред групите на мъже, практикуващи секс с мъже, но се съобщава и за спорадични случаи при жени и деца, заразени при близък контакт в семейството. В заключение трябва да споделим, че за намаляването на епидемичния взрив са допринесли множество фактори, като: ранното диагностициране, изолирането и ефективното проследяване на контактите, които са ключови за ефективния контрол на това огнище, както и активните информационни кампании за риска, ангажирането на общността, избора на подходящи стратегии за ваксинация за повишаването на имунитета на най-засегнатото население, но и препоръките за ограничаване провеждането на големи културни и социални събития, посещавани от основните рискови групи за тази епидемия. Оценката, направена от Европейския център по превенция и контрол на болестите, е че общият риск от заразяване с маймунска вариола може да се определи като умерен за МСМ и нисък за населението извън рисковите групи.

1. Moschese Davide, Pozza Giacomo, Mileto Davide, Giacomelli Andrea, Cutrera Miriam, Cossu Maria Vittoria, Matone Maddalena, Beltrami Martina, Salari Federica, Antinori Spinello, Lombardi Alessandra, Rizzardini Giuliano. Isolation of viable monkeypox virus from anal and urethral swabs, Italy, May to July 2022.

Euro Surveill. 2022;27(36):pii=2200675. https://doi.org/10.2807/1560-7917.

ES.2022.27.36.2200675

2. Tutu van Furth A Marceline, van der Kuip Martijn, van Els Anne L, Fievez Lydia CR, van Rijckevorsel Gini GC, van den Ouden Anton, Jonges Marcel, Welkers

Matthijs RA. Paediatric monkeypox patient with unknown source of infection, the Netherlands, June 2022.

Euro Surveill. 2022;27(29):pii=2200552. https://doi.org/10.2807/1560-7917. ES.2022.27.29.2200552

3. Iñigo Martínez Jesús, Gil Montalbán Elisa, Jiménez Bueno Susana, Martín Martínez Fernando, Nieto Juliá Alba, Sánchez Díaz Jesús, García Marín Natividad, Córdoba Deorador Esther, Nunziata Forte Antonio, Alonso García Marcos, Humanes Navarro Ana María, Montero Morales Laura, Domínguez Rodríguez María José, Carbajo Ariza Manuel, Díaz García Luis Miguel, Mata

Pariente Nelva, Rumayor Zarzuelo Mercedes, Velasco Rodríguez Manuel José, Aragón Peña Andrés, Rodríguez Baena Elena, Miguel Benito Ángel, Pérez Meixeira Ana, Ordobás Gavín María, Lopaz Pérez María Ángeles, Arce Arnáez Araceli. Monkeypox outbreak predominantly affecting men who have sex with men, Madrid, Spain, 26 April to 16 June 2022. Euro Surveill. 2022;27(27):pii=2200471. https://doi.org/10.2807/1560-7917. ES.2022.27.27.2200471

4. Nörz Dominik, Pfefferle Susanne, Brehm Thomas T., Franke Gefion, Grewe Ilka, Knobling Birte, Aepfelbacher Martin, Huber Samuel, Klupp Eva M., Jordan Sabine,

Addo Marylyn M., Schulze zur Wiesch Julian, Schmiedel Stefan, Lütgehetmann Marc, Knobloch Johannes K.. Evidence of surface contamination in hospital rooms occupied by patients infected with monkeypox, Germany, June 2022. Euro Surveill. 2022;27(26):pii=2200477. https://doi.org/10.2807/1560-7917. ES.2022.27.26.2200477

5. Miura Fuminari, van Ewijk Catharina Else, Backer Jantien A., Xiridou Maria, Franz Eelco, Op de Coul Eline, Brandwagt Diederik, van Cleef Brigitte, van Rijckevorsel Gini, Swaan Corien, van den Hof Susan, Wallinga Jacco. Estimated incubation period for monkeypox

cases confirmed in the Netherlands, May 2022. Euro Surveill. 2022;27(24):pii=2200448. https://doi.org/10.2807/1560-7917. ES.2022.27.24.2200448

6. Monkeypox outbreak in a piercing and tattoo establishment in Spain, Valme del Río García, Jesús García Palacios, Ana Monroy Morcillo, Enric Duran-Pla, Berta Suárez Rodríguez, Nicola Lorusso, The Lancet Infectious DiseasesVolume 22, November 2022 Pages 1526-1528

7. Clinical management and infection prevention and control for monkeypox Interim rapid response guidance 10 June 2022, www.who.int

[www.medmag.bg ] 27
ИЗПОЛЗВАНА ЛИТЕРАТУРА:

К

линичното проучване от фаза III - EMPA-KIDNEY, постига първичната си крайна цел, като демонстрира значителни бъбречни и сърдечно-съдови ползи при възрастни пациенти с хронично бъбречно заболяване (ХБЗ)1,2. При терапия с empagliflozin рискът от прогресия на бъбречното заболяване или сърдечно-съдовата смърт е значително намален с 28% спрямо плацебо (HR; 0.72; 95% CI 0.64 to 0.82; P<0.000001)1,2. Данните бяха представени по време на годишната среща на Американското дружество по нефрология (ASN), 1-6.11.2022 г. Резултатите бяха обявени от Съвета за медицински изследвания към Отдела за изследване на здравето на населението на Университета в Оксфорд, където, в сътрудничество с Boehringer Ingelheim, е създадено, проведено и анализирано клиничното проучване EMPA-KIDNEY. Същевременно, данните от проучването бяха публикувани в медицинското списание „The New England Journal of Medicine“2 EMPA-KIDNEY е първото клинично изпитване с SGLT2 инхибитор при хронично бъбречно заболяване, което демонстрира значително намаляване на хоспитализациите по всякакви причини (14%) (HR; 0.86; 95% CI 0.78 до 0.95; p=0.0025) спрямо плацебо, една от предварително поставените ключови вторични потвърждаващи крайни цели1,2. ХБЗ удвоява риска от хоспитализация при пациентите и е сред водещите причини за смърт в световен

мащаб 4,5. Хоспитализациите представляват между 3555% от общите разходи за здравеопазване за пациенти с хронично бъбречно заболяване в САЩ6

Общите данни за безопасност като цяло съответстват на предходни резултати и потвърждават добре установения профил на безопасност на empagliflozin. „Знаем, че има спешна нужда от нови терапии, забавящи прогресията на ХБЗ, заболяване, което може да доведе до необходимост от хемодиализа или трансплантация. Днешните резултати от проучването EMPA-KIDNEY показват, че empagliflozin може да окаже положителен ефект при възрастни пациенти с риск от прогресия на ХБЗ, включително тези със или без захарен диабет, както и в целия спектър на бъбречната функция” отбеляза доц. д-р Уилям Херингтън, клиничен изследовател в Отдела за изследване на здравето на населението в Университета в Оксфорд, почетен консултант по нефрология и един от главните изследователи в EMPA-KIDNEY. „Чрез намаляване

28 І Medical Magazine | декември 2022
да
тивно влияние върху здравните системи в световен мащаб“ добави той. „Клиничното проучване EMPA-KIDNEY включва много Забележителното клинично проучване EMPA-KIDNEY показва значителна полза на еmpagliflozin за намаляване на прогресията на бъбречното заболяване или сърдечно-съдовата смърт с 28% спрямо плацебо при пациенти с хронично бъбречно заболяване - EMPA-KIDNEY, най-голямото и широкообхватно проучване с SGLT2 инхибитор при хронично бъбречно заболяване, дава нови доказателства за пациенти, които често се срещат в клиничната практика1,2 - Проучването от фаза III демонстрира също и статистически значимо намаляване (с 14%) на хоспитализациите по всякакви причини1,2, което е в полза на пациентите и намалява тежестта върху здравните системи3
на риска от прогресия на бъбречното заболяване или сърдечно-съдовата смърт, empagliflozin има потенциала
окаже пози

по-широк спектър пациенти, в сравнение с изследванията до сега“, отбеляза професор д-р Ричард Хейнс, един от главните изследователи в клиничното изпитване. „Предходните клинични проучвания с SGLT2 инхибитори се фокусираха върху определени групи пациенти с ХБЗ, при които е налице захарен диабет или високи нива на протеин в урината. Положителните резултати от клиничното проучване EMPA-KIDNEY сред широка популация от хора с ХБЗ дават възможност за подобряване на лечението на това заболяване и превенция на нуждата от хемодиализа за пациентите“.

EMPA-KIDNEY е най-голямото и широкообхватно клинично проучване с SGLT2 инхибитор, при пациенти с ХБЗ, до момента7. Включва 6,609 участници с широк спектър от стадиите на бъбречното заболяване, много от които имат придружаващи заболявания в областта на сърдечно-съдови, бъбречни или метаболитни състояния. Клиничното проучване оценява както бъбречните, така и сърдечно-съдовите резултати при пациенти с различна степен на ХБЗ 8 „Ние в Boehringer Ingelheim сме изключително горди, че EMPA-KIDNEY донесе поредния забележителен успех за empagliflozin“, сподели Карин Бруйон – член на Борда на директорите и ръководител на отдел „Фармацевтични продукти за хуманната медицина” в Boehringer Ingelheim. „Резултатите допълват доказателствата от нашата клинична програма с empagliflozin, която включва повече от 700 000 възрастни пациенти със сърдечно-съдови, бъбречни и метаболитни заболявания. EMPA-KIDNEY укрепва потенциалната роля на empagliflozin в промяната на подхода за контрол при тези взаимосвързани състояния.“ Намаляването на риска в други от основните вторични крайни цели като хоспитализация поради сърдечна недостатъчност или сърдечно-съдова смърт, или обща смъртност, не са статистически значими в проучването, като може да се отбележи, че статистическата сила за оценка на тези рискове е ограничена от недостатъчния брой на наблюдаваните събития. Намаляването на риска за тези крайни цели е в съответствие

от смъртните случаи сред пациентите с ХБЗ настъпват в резултат на сърдечно-съдови усложнения, които често предхождат прогресията до крайната степен на бъбречното заболяване11,12. Достигайки до крайния стадий на ХБЗ, пациентите се нуждаят от бъбречно-заместителна терапия като редовна хемодиализа или бъбречна трансплантация13

ЗА EMPA-KIDNEY: КЛИНИЧНО ИЗПИТВАНЕ, КОЕТО ИЗСЛЕДВА EMPAGLIFLOZIN ЗА СЪРДЕЧНО-СЪДОВА И БЪБРЕЧЕНА ПРОТЕКЦИЯ ПРИ ПАЦИЕНТИ С ХБЗ12,14

EMPA-KIDNEY (NCT03594110) е международно, рандомизирано, двойно-сляпо, плацебо-контролирано клинично изпитване. То е предназначено да оцени ефекта на empagliflozin по отношение на прогресията на бъбречното заболяване и риска от сърдечно-съдова смърт. Първичната крайна цел на проучването е съставна от времето до първия случай на сърдечно-съдова смърт или прогресия на нефропатията, определена като настъпване на крайна степен на хроничното бъбречно заболяване (необходимост от бъбречно-заместителна терапия - хемодиализа или бъбречна трансплантация), трайно понижение на eGFR до <10 ml/min/1,73/m2, смърт поради бъбречно заболяване или продължителен спад от ≥40% на eGFR, в сравнение с изходната стойност при рандомизацията. В клиничното изпитване EMPA-KIDNEY участват 6,609 възрастни пациенти с установено ХБЗ, със или без захарен диабет, както и със или без албуминурия, които приемат 10 mg empagliflozin веднъж дневно или плацебо, в допълнение към стандартна терапия. СЪВЕТА ЗА МЕДИЦИНСКИ ИЗСЛЕДВАНИЯ КЪМ ОТДЕЛА ЗА ИЗСЛЕДВАНЕ НА ЗДРАВЕТО НА НАСЕЛЕНИЕТО НА УНИВЕРСИТЕТА В ОКСФОРД Съвета за медицински изследвания (MRC) към Отдела за изследване на здравето на населението (PHRU) в Университета в Оксфорд подобрява лечението и профилактиката на хроничните заболявания, най-вече сърдечно-съдови и метаболитни (напр. захарен диабет и хронично бъбречно заболяване), които общо причиняват голяма част от преждевременната смърт и инвалидизирането при възрастните в световен мащаб. Звеното се ръководи от проф. д-р Колин Байент, съпредседател на Управителната комисия на EMPA-KIDNEY. Ролята му е, да координира провеждането на иновативни клинични проучвания и метаанализи, които оказват значително влияние върху здравето на хората. ЗА ПРОГРАМАТА EMPOWER Програмата EMPOWER е създадена от Boehringer Ingelheim, за да изследва въздействието на empagliflozin върху основните

разпространено и засяга над 10% от населението в световен мащаб10,11 Важно е да се отбележи, че ХБЗ е свързано с последващи усложнения и повишена смъртност. По-голямата част

с доказателствата от други клинични изпитвания, които показват статистическа значимост на тези резултати. ЗА ХРОНИЧНОТО БЪБРЕЧНО ЗАБОЛЯВАНЕ Около две трети от случаите на хронично бъбречно заболяване (ХБЗ) се дължат на метаболитни увреждания като захарен диабет, затлъстяване и артериална хипертония9,10 ХБЗ е широко
[www.medmag.bg ] 29
клинични сърдечно-съдови и ренални резултати в спектъра от сърдечно-съдовите, бъбречните и метаболитните състояния. Тези увреждания са водещата причина за смъртност в световен мащаб и съставляват около 20 милиона смърт-

ни случая на година15. Чрез програмата EMPOWER

Boehringer Ingelheim работи за подобряване научните познания за тези взаимосвързани системи и в посока създаване на терапевтична грижа, която предлага интегрирани ползи за част от органите в човешкото тяло. Програмата EMPOWER се състои от осем клинични проучвания и две проучвания от реалната клинична практика. EMPOWER потвърждава дългосрочния ангажимент на Boehringer Ingelheim за подобряване на резултатите при пациенти със сърдечно-съдови, бъбречни и метаболитни състояния. Програмата EMPOWER е най-обширната клинична програма с SGLT2 инхибитор, провеждана до този момент, с участието на повече от 700 000 възрастни пациенти.

ЗА СЪРДЕЧНО-СЪДОВИТЕ, БЪБРЕЧНИТЕ И МЕТАБОЛИТНИТЕ ЗАБОЛЯВАНИЯ

Boehringer Ingelheim се стреми да развива терапевтичната грижа за пациентите със сърдечно-съдови, бъбречни и метаболитни нарушения - група взаимосвързани заболявания, които засягат повече от един милиард души по целия свят и са водеща причина за смърт16. Сърдечно-съдовата, бъбречната и метаболитна системи са взаимосвързани и споделят много от сходните рискови фактори и патологични пътища при развитие на дадено заболяване. Дисфункцията в една от тези системи може

да ускори появата на нарушения в другите, което води до прогресиране на взаимосвързани заболявания като ЗДТ2, сърдечно-съдови заболявания, сърдечна недостатъчност и бъбречни заболявания. Това от своя страна води до повишен риск от сърдечно-съдова смърт. И обратното, подобряването на една система може да доведе до положителни ефекти в останалите16,17,18

Boehringer Ingelheim цели подобряване на здравето на хората, като инициира проучвания, изследващи терапии, насочени към възстановяване на баланса между взаимосвързаните сърдечно-съдови, бъбречни и метаболитни системи и редуциране на риска от сериозни усложнения. Като част от ангажимента на компанията към пациентите, застрашени от сърдечно-съдови, бъбречни и метаболитни заболявания, Boehringer Ingelheim ще продължи да насочва ресурси за преодоляване на непосрещнати медицински нужди в тяхното лечение.

ЗА EMPAGLIFLOZIN Empagliflozin е перорален, приеман веднъж дневно, високо-селективен инхибитор на натриево-глюкозния котранспортер 2 (SGLT-2) и първият медикамент за лечение на ЗДТ2, в чиято продуктова информация бяха включени данни за понижаване на риска от сърдечно-съдова смърт19.

1. EMPA-KIDNEY full data presentation, presented on 4 November 2022 at the American Society of Nephrology (ASN) Congress 2022 - Kidney Week. 2. Herrington, W.G. et al. Empagliflozin in Patients with Chronic Kidney Disease, N Engl J Med, online publication on November 4, 2022, at NEJM.org. DOI: 10.1056/NEJMoa2204233.

Iwagami M, Caplin B, Smeet L, et al. Chronic kidney disease and cause-specific hospitalisation: a matched cohort study using primary and secondary care patient data. British Journal of General Practice. 2018; 68(673): e512-e523.

4. USRDS. 2021 Annual Report. [online] Last accessed: November 2022.

5. GBD Chronic Kidney Disease Collaboration. Global, regional, and national burden of chronic kidney disease, 1990–2017: a systematic analysis for the Global Burden of Disease Study 2017. The Lancet. 2020; 395:709-23.

6. Nichols GA, Ustyugova A, Déruaz-Luyet A, et al. Health Care Costs by Type of Expenditure across eGFR Stages among Patients with and without Diabetes, Cardiovascular Disease, and Heart Failure. JASN. 2020; 31 (7):1594-1601.

7. The EMPA-KIDNEY Collaborative Group. [Published online ahead of print March 3, 2022]. Nephrol Dial Transplant. 2022. DOI:10.1093/ndt/gfac040.

8. Clinical Trials. EMPA-KIDNEY (The Study of Heart and Kidney Protection With Empagliflozin). Available at: https://clinicaltrials.gov/ct2/show/NCT03594110 Last accessed: November 2022.

9. Yim HE, Yoo KH. Obesity and chronic kidney disease: prevalence, mechanism, and management. Clin Exp Pediatr. 2021;64(10):511-518.

10. Levin A, Tonelli M, Bonventre J, et al. Global kidney health 2017 and beyond: a roadmap for closing gaps in care, research, and policy. Lancet. 2017;390:1888-917.Coresh J. Update on the Burden of CKD. J Am Soc Nephrol. 2017;28(4):1020–1022.

11. 1Coresh J. Update on the Burden of CKD. J Am Soc Nephrol. 2017;28(4):1020–1022.

12. Clinical Trials. EMPA-KIDNEY (The Study of Heart and Kidney Protection With Empagliflozin). Available at: https://clinicaltrials.gov/ct2/show/NCT03594110 Last accessed: March 2022.

13. Bello K, Levin A, Lunney M, et al. Status of care for end stage kidney disease in countries and regions worldwide: international cross-sectional survey. BMJ. 2019;367:l5873.

14. The EMPA-KIDNEY Collaborative Group. [Published online ahead of print March 3 2022]. Nephrol Dial Transplant. 2022. DOI:10.1093/ndt/gfac040.

15. GBD 2015 Mortality and Causes of Death Collaborators. Global, regional, and national life expectancy, all-cause mortality, and cause-specific mortality for 249 causes of death, 1980–2015: A systematic analysis for the Global Burden of Disease Study 2015. Lancet. 2016;388(10053):1459–544.

16. Leon BM, Maddox TM. Diabetes and cardiovascular disease: Epidemiology, biological mechanisms, treatment recommendations and future research. World J Diabetes. 2015;6(13):1246–58.

17. Thomas MC, Cooper ME, Zimmet P. Changing epidemiology of type 2 diabetes mellitus and associated chronic kidney disease. Nat Rev Nephrol. 2016;12(2):73-81. Leon BM, Maddox TM. Diabetes and cardiovascular disease: Epidemiology, biological mechanisms, treatment recommendations and future research. World J Diabetes. 2015;6(13):1246–58.

18. García-Donaire JA, Ruilope LM. Cardiovascular and Renal Links along the Cardiorenal Continuum. Int J Nephrol. 2011;2011:975782.

19. Кратка характеристика на продукта empagliflozin.

30 І
Medical Magazine | декември 2022
ЛИТЕРАТУРА:
ИЗПОЛЗВАНА
3.
SC-BG-01395

Н

ай-често се наблюдава при мъже над 40 години, като разбира се честотата и нараства с увеличаване на възрастта. Според някои проучвания, 52% от мъжете между 40 и 70 години страдат от лека към средна степен на еректилна дисфункция[2]. Много често хората прикриват този проблем, подтикнати от чувство

на
към медицинските
налното здраве на мъжа, влияе на неговия социален статус и нарушава качеството на жъвот както на самия него, така и на половия партньор. Понастоящем, с повишаване на информираността на пациента и достъпа до лекарска помощ, все повече хора търсят решение на проблема си. Консултацията със специалист цели получаване на подробна информация по отношение на оплакванията на пациента и извършване на пълен медицински преглед с цел откриване на придружаващи заболявание. Еректилна дисфункция В. Василев Клиника по урология, УМБАЛ „Александровска“ - София Урологичен кабинет "Доц. Василев" - София УРОЛОГИЯ РИСКОВИ ФАКТОРИ Най-честите рискови фактори, които влошават сексуалното здраве на мъжа са свързани със съдови заболявания, като артериална хипертония, нарушения в липидния статус. Също така негативно влияние оказват заседналият начин на живот, намалената физическа активност, затлъстя32 І Medical Magazine | декември 2022 Еректилната дисфункция се дефинира като периодична или трайна невъзможност за постигане и поддържане на ерекция, и осъществяване на задоволителен полов акт (NIH Consensus Conference 1993). Тя е силно свързана с възрастта, здравния статус и емоционалното състояние на мъжа[1].
срам, страх или недоверие
специалисти. Още повече тя се отразява негативно върху психоемоцио

нателен страх при мъжа. Запазена е спонтанната нощна или сутрешна ерекция, както и ерекцията при маструбация. На второ място се нарежда т.нар. органична ЕД. Това е голяма група от заболявания, които повлияват негативно върху постигането и поддържането на ерекция. Такива могат да бъдат различни съдови заболявания (артериална хипертония,

та. Някои оперативни интервенции в малкия таз,

и радикалното от

на простатата

еректилна

Един

function - IIEF), според който симпто

захарен диабет), неврологични заболявания със засягане на централната или периферна нервна система, хормонални проблеми (понижено ниво на тестостерон), както и различни дисфункция, но същевремено с това е и най-малко изучена. Характерно за този тип еректилна дисфункция е, че тя се проявява най-често в момента на половия контакт, поради чувство на несигурност или подсъзотклонения от нормалната анатомия, като болест на Пейрони например. В тази група попадат голям брой заболявания, като в някои случаи е трудно да се определи до каква степен дадено заболяване е причина за наличните проблеми с ерекция
ването, тютюнопушенето, алкохолна зависимост и захареният диабет. От друга страна приемът на някои медикаменти за лечение на артериална хипертония, антидепресанти и други, могат да се окажат основна причина за появата на еректилна дисфункция. В тази връзка причините за еректилна дисфункция могат да се обособят в две основни групи. На първо място – т.нар. психогенна еректилна дисфункция (не-органична, симпатиково-медиирана ЕД), която е свързана с психоемоционалното състояние на мъжа, наличието на депресия, тревожност или други стресови фактори, както в професионален, така и в личен план. Тя заема основен дял сред пациентите с еректилнамите на пациентите се разпределят в 4 групи - тежки, умерени, умерени към леки и леки. Този въпросник представлява лесен начин, за да се добие представа за състоянието на [www.medmag.bg ] 33
както
страняване
при рак на простатата могат да доведат до нарушаване на инервацията и поява на
дисфункция.
от основните проблеми при поставянето на диагнозата – еректилна дисфункция е начинът на определяне на тежестта на състоянието и степента на увреждане. В поврчето случаи се разчита на информацията, получена при разговора с пациента – т.нар анамнеза, към която се причислява задължително и снемането на сексуална анамнеза. За обективизиране на симптомите могат да се използват и различни въпросници, които дават по-ясна представа за тежестта на проблема. Един от най-често използваните въпросници е т.нар. Международен индекс за еректилна функция (International index of erectile

пациента и да се вземе решение за вида на лечението. ЛЕЧЕНИЕ Лечението на еректилната дисфункция трябва да бъде комплексно – насочено към основната причина, но също така трябва да се вземат мерки за подобряване на емоционалното състояние на пациента, като и общи препоръки по отношение на начина на живот. Цели се подобряване в качеството на живот – подходящ хранителен режим, повишаване на физическата активност, спиране на тютюнопушенето и алкохола, както и отделяне на достатъчно време за почивка и сън. На този етап могат да се приемат различни билкови препарати, които оказват влияние върху ерекцията и повишават собствения тестостерон. Трябва да се има предвид, че при билковите препарати е необходим продължителен курс на лечение и ефектът се отчита месеци след началото на лечението. В зависимост от тежестта на оплакванията може да се премине и към медикаментозно лечение.

Лекарствата, използвани като първа линия на лечение са т.нар. инхибитори на фосфодиастеразата (PDE5). Тези медикаменти блокират ензима фосфодиастераза 5, което води до отпускане на гладката мускулатура, разширение на съдовете, увеличаване на кръвотока и постигане на ерекция. Лекарствата от тази група са широко използвани и добре изучени. Отчита се висока ефективност от лечението, като се споменава и ролята на сексуалната стимулация и наличието сексуално желание за постигане на добър отговор при провеждане на лечение. Най-честите странични реакции са свързани с главоболие, зачервяване, запушване на носа(назална конгестия), замаяност. Опасността от възникване на сърдечносъдови инциденти в голям брой от случаите е силно преувеличена. Към групара на PDE5 инхибитори спадат sildenafil, tadalafil, vardenafil, avanafil, които са познати с различни търговски имена.

При тежка еректилна дисфункция и неуспех с медикаментозната терапия от първа линия, могат да се обсъдят методи за постигане на ерекция като: вакуумни помпи, интракавер -

нозни инжекции или поставяне на пенис протези. В последните години набира популярност провеждането на физиотерапевтични процедури, т.нар. Shock wave терапия за трайно подобряване на ерекцията. Все повече млади хора се притесняват от страничните ефекти на лекарствената терапия, а средствата, използвани като втора линия на лечение често биват отхвърлени поради неестествения характер при приложението им. Всички тези недостатъци показват необходимостта от друг вид лечебен метод. Съществуват редица публикации в световната литература, които акцентират върху ефекта на Shock wave терапията, като алтернатива за лечение на еректилната дисфункция (нашата статия). Извънтелесната ударно вълнова терапия се прилага като метод за повилияване на проблемите с ерекцията, тъй като тя индуцира неоваскуларизацията и подобрява кръвния ток в кавернозната тъкан[4,5,6]. В повечето случаи тя се представя като метод за лечение на пациенти с лека до средна еректилна дисфункция[6,7]

1. Feldman HA, Goldstein I, Hatzichristou DG, Kradne RJ, McKinlay JB. Impotence and its medical and psychosocial correlates; results of the Massachusetts Male Aging Study. J Urol. 1994; 151:54 – 61

2. Corona G, et al. Age-related changes in general and sexual health in middle-aged

and older man: results from the European Male Ageing Study (EMAS) J Sex Med. 2010;7:1362 – 1380.

3. Нашата статия

4. Chung E, Cartmill R. (2015). Evaluation of clinical efficacy, safty and patient satisfaction rate after low intensity extracorporeal shockwave therapy for

the treatmen of male erectile dysfunction: An Australian first open – label single – arm prospective clinical trial. BJU International, 115(5), 46-49.

5. Vardi Y., Appel B., Jacob J., Massarwi O., Gruenwald I. (2010) Can low – intensity extracorporeal shockwave therapy improve erectile dysfunction? A 6 – month

follow – up pilot study in patients with organic erectile dysfunction. Europian Urology, 58(2), 243 – 248.

6. Vardi Y., Appel B., Kilchevsky A., Gruenwald I., (2012). Does low intensity shock wave therapy have physiological effect on erectile function? Short term results of a randomized, doble-blind,

sham controlled study. Jurnal of Urology, 187(5), 1769 – 1775.

7. Srini V.S., Reddy R.K., Shulz T., Denes B., (2015). Low intensity extracorporeal shock wave therapy for erectile dysfunction: A study in an Indian population. The Canadian Journal of Urology, 22(1), 7614-7622.

34 І Medical Magazine | декември 2022 УРОЛОГИЯ ИЗПОЛЗВАНА ЛИТЕРАТУРА:

сепсис М. Дойков, д.м. Катедра по „Урология и обща медицина“, МУ – Пловдив Клиника по урология, УМБАЛ "Каспела" – Пловдив Уролитиазата е най-често срещаното бъбречно заболяване. България се счита за ендемичен регион и броят на хората, нуждаещи се от лечение, се увеличава с всяка изминала година. Медикаментозно лечение на това заболяване е в пряка зависимост от химичния състав на камъка и много рядко се постига пълно елиминиаране на конкрементите. От друга страна, оперативното лечение е ефективно в почти 100% от случаите, независимо от химичния състав на камъните. „Отворените“ хирургични техники претърпяха драматични промени през последните 50 години. Представени хронологично варират от перкутанен достъп до бъбрека през напълно неинвазивната екстракорпорална литотрипсия до ригидна и флексибилна уретероскопия. Тази статия представя систематично всички минимално инвазивни перкутанни техники, водещи до отстраняване на камъни в бъбреците.

Б

(2%), постоперативен фебрилитет (10-16%) и перфорация на съседни органи (0.4%) (Agrawal, 2016; Eur Med J, 2015). Към тези усложнения може да се добавят нужда от хемотрансфузия (3%-6%) и значително кървене по време на манипулацията (8%). За да се намали травмата върху бъбречният паренхим и рискът от интраоперативно кървене през последните години успешно се въведе използването на по-малки инструменти за ПНЛ. През 1998 година Jackman и сътр. (Jackman, 1998) първи разработват специално проектирано, минимално инвазивно ПНЛ (мини-ПНЛ) устройство за деца. През 2001 г. в Германия за първи път е използван от Lahme, миниатюризиран нефроскоп за мини-ПНЛ при възрастни (Lahme, 2001). Оттогава тази техника се развива бързо и става все по-популярна в целия свят. МИНИАТЮРИЗИРАНИ Ключови думи: Минимално инвазивна перкутанна нефролитотомия, мини-пнл, супер-мини пнл, ултра-мини пнл, микро пнл, мини-микро пнл.

последУРОЛОГИЯ

ните

обобщени

в Табл. 1

ПНЛ техника е

с натрупан опит в продължение на няколко десетилетия. В последните години се появи тен -

за достъп между 11 и 20 Fr (Hu, 2015; Li, 2009, Nagele, 2007). Тази техника се изпълнява като през желаната чашка на бъбрека

36 І Medical Magazine | декември 2022
за избрани пациенти. ПНЛ е описана за първи път от Fernström и Johansson през 1976 г. (Fernstrom, 1976) и оттогава е метод на избор за лечение на бъбречни камъни, които са по-големи от 2 см (Xue, 2012). Главното предимство на тази техниката е, че постига високо ниво на пълна елиминация на конкрементите в сравнение с другите методи на лечение (Zhu, 2015). От друга страна обаче, ПНЛ е инвазивен метод и крие своите рискове, като най-значими от тях са: постоперативен
ПЕРКУТАННИ ТЕХНИКИ ЗА ЛЕЧЕНИЕ НА БКБ Целта, обединяваща всички техники за миниатюризирана ПНЛ, е използването на по-малки инструменти и шафтове. Терминологиите, въведени в световната литература през
се въвежда
ъбречно-каменната болест (БКБ) е едно от най-често срещаните урологични заболявания. България се счита за ендемичен район и броят на хората, нуждаещи се от лечение нараства с всяка изминала година. Целта на всички видове методи, прилагани за лечение на бъбречно-каменна болест, е да се постигне пълна елиминация на фрагментите в кратък оперативен период, с кратък болничен престой и с минимален риск от усложнения. Използваните минимално инвазивни подходи за лечение на уролитиаза включват: екстракорпорална литотрипсия на пикочни камъни (ЕЛПК), семиригидна и/или флексибилна уретерореноскопия, и перкутанна нефролитотомия (ПНЛ). Отворената и лапароскопската хирургия са други възможности за лечение, но приложими само Миниатюризирани перкутанни техники за лечение на бъбречнокаменна болест
години, са
Конвенционалната
свързана
денция за намаляване размерите на инструментите използвани при ПНЛ. Мини-ПНЛ се използва успешно за лечение на камъни в долен полюс на бъбрека с размери под 20 мм (Kirac, 2013; Nagele, 2008). Тази техника може да бъде напълно успешна и при справяне с отливъчни камъни и такива, разположени в пиело-уретералния сегмент (Long, 2013; Yang, 2012; Zeng, 2013; Zhong, 2011). Мини-ПНЛ е мотод на избор при вторичен достъп за остатъчни фрагменти след лечение със стандартна ПНЛ или в случаи на трудни анатомични вариации - като дълги или тесни инфундибулуми (Chan, 2000; Monga, 2000). Важно е да се отбележи, че значително по-малкият диаметър на шафта изисква използването на специализирани инструменти. Основната концепция на миниатюризирания ПНЛ остава същата, но техническите трудности, свързани с по-малкия размер на използваната ендоскопска апаратура, могат да доведат до значителни трудности за оператора. МИНИ-ПНЛ Мини-пнл се появява в световната литературата с различни размери на шафт
игла

за достъп, а през работния ù канал се поставя водач. След дилатация по метода на „Селдингер“ работният шафт се прокарва по водача под непрекъснат рентгенов контрол до оптималната работна

Термин Шафт за достъп (Fr) Позоваване в литературата

Mini-pcnl ≤22 Jackman et al. (Jackman, 1998)

Minimally invasive pcnl 9.5-26.0 Nagele et al. (Nagele, 2008)

Super-mini pcnl 12-14 Zeng et al. (Zeng, 2016)

Ultra-mini pcnl 11-13 Desai et al. (Desai, 2013)

Мicro-pcnl 4.8 Desai and Mishra (Desai, 2012)

Mini-micro pcnl 8 Sabnis et al. (Sabnis,2013)

дължина. Използват се нефроскопи с различни размери, като главната отправна точка е големината на шафта За дезинтегрирането на камъните се препоръчва използването на холмиум:йаг лазер. Фрагментите се отстраняват чрез иригация и засмукване, или чрез специално пригодени инструменти за екстракция. Проучване с голям брой пациенти показва, че тази техника е в състояние да постигне високо ниво на пълна елиминация на фрагментите, използвайки шафт за достъп 16 Fr (Hu, 2015). В сравнение със стандартната ПНЛ, усложненията от масивно кървене са доста по-рядко срещани (1.4%). Друго значимо проучване показва, че мини-ПНЛ е в състояние да осигури доста по-високо ниво на пълна елиминация на фрагментите спрямо ретроградната интраренална хирургия (Jiang, 2017).

МИНИМАЛНО ИНВАЗИВНА НЕФРОЛИТОТОМИЯ (МИП) Този вид техника за перкутанна хирургия е описанa за първи път през 2007 г. от Nagele (Nagele, 2007). Системата МИП използва нефроскоп 12 Fr с централен канал 6.7 Fr, едноетапни дилататори и операционни шафтове, достъпни в няколко размера. В лумена на нефроскопа има иригационен канал, както и работен канал. Литотрипсията се осъществява с холмиум:йаг лазер. Остатъчните фрагменти се евакуират чрез комбиниране на иригационната система с ниско налягане и ретракторното движение на нефроскопа в шафта. Това явление е описано като „вакуум ефект“ (Mager, 2016) и се осъществява благодарение на разликата в интрареналното налягане и налягането извън апарата. В съвременната урологична практика този метод служи като алтернатива на уретерореноскопията за малки и за големи бъбречни камъни, както и за лечение на конкременти в пиело-уретералния сегмент. Тази техника е еднакво ефективна както при пациенти с множествени камъни, така и при такива с отливъчни конкременти. Сравнение между този вид техника и ретроградната интраренална хирургия показва, че МИП има по-висока

ефикасност, свързана е с по-висок успех на лечението и по-ниска честота на остатъчни фрагменти (Kruck, 2013). Дизайнът е така пригоден, че дилатацията изисква по-малко и по-прости стъпки спрямо конвенционалната ПНЛ. Това от своя страна води до по-малка травма върху паренхима на бъбрека, съответно и по-малко кървене (Hennessey, 2017). СУПЕР-МИНИ-ПНЛ (СМП) В литература се срещат две техники на супер-мини пнл – СМП от първо поколение и СМП от ново поколение. Първото поколение се състои от иригационна система, която преминава през един и същи канал заедно с работните инструменти. След като се постави лазерно влакно за извършване на литотрипсия, тази конструкция ограничава потока на иригация, което от своя страна не води до оптимална визуализация на конкремента и бъбречните кухини. За да се преодолее това ограничение успешно е въведена новата техника на супер-мини-пнл. Тя използва съвсем нов шафт с възможност за аспирация, който позволява подобряване на иригацията и по-добра степен на пълна елиминация на фрагментите (Zeng, 2017). Основните компо -

тюрен нефроскоп 8,0Fr, заедно със специално разработен шафт за иригация със засмукване. Шафтът се състои от двупластова метална конструкция, налична в два размера - 12 или 14 Fr (Zeng, 2017). Пространството между двата слоя на шафта образува независим иригационен канал, а неговия централен лумен работи като средство за непрекъснато изсмукване. За да се реализира тази система, шафтът съдържа както порт за иригация, така и порт за засмукване (Zeng, 2017). УЛТРА-МИНИ-PCNL (УМП) При този вид миниатюризирана техника се използва оптика 3Fr със специално разработен нефроскоп 7.5 Fr. Достъпни за избор при УМП са шафтове с размери от 11 до 13Fr. Размерът на отвора е почти 1/8 от размера използван при

Табл. 1 Обобщение на терминологията при мини-ПНЛ

[www.medmag.bg ] 37
на
иновативна
ненти
тази
системата са миниа

конвенционална ПНЛ (30 Fr). Това значително намалява рисковете от кървене и травми върху тъканите. Специалната конструкция на работния шафт има предимството да извлича частици от камъни, без да се използват инструменти за екстракция. Тази методика се свързва с минимална степен на усложнения и висока степен на елиминация на камъните (Agrawal. 2016; Desai, 2013). В сравнение с екстракорпоралната литотрипсия на пикочни камъни, тази техника е по-подходяща при лечение на камъни в дълги и тесни чашки, където фрагментите не преминават лесно (Eur Med J, 2015). Wilhelm и сътр. извършват сравнителен анализ между ултра-мини пнл и ретроградна интраренална хирургия за лечение на бъбречни камъни с различни размери. Те установяват, че и двете техники постигат съпоставими нива на пълна елиминация на конкрементите и наличие на постоперативни усложнения (Wilhelm, 2015). МИКРО-ПНЛ При този вид миниатюризирана техника се използва специално пригодена „всевиждаща игла” с размер 4.85 Fr (Desai, 2012). Бъбречният достъп и операцията се провеждат в една

единствена стъпка при директна визуализация. Към иглата се прикрепва съединител, през който преминават иригацията и лазерното влакно. Литотрипсията се осъществява чрез холмиум:йаг лазер. Микрооптиката на иглата помага да се визуализира правилната чашка на бъбрека, като уролога лесно може да изтегли иглата и да влезе в правилната равнина и ъгъл, ако достъпът не е задоволителен за него. Това предимство на "всевиждащата игла" е особено полезно при работа върху ектопични бъбреци, защото дава възможност на оператора да се увери, че не е засегнал съседни органи и тъкани. Друго основно предимство на този метод е значително намаленият риск от загуба на кръв по време на операцията. При работа с този вид техника пълната елиминация на конкрементите зависи от адекватно им разпрашаване, тъй като инструменти за екстракция не могат да бъдат използвани.

МИНИ-МИКРО-ПНЛ Тази процедура е модификация на микро-микро (Wright, 2016). Промените са наложени главно поради една причина - инструментите имат склонност да се огъват по време на манипулацията. Затова при мини-ми-

кро-пнл се въвежда метален шафт с размер 8 Fr. През него успешно преминава литокласт-сонда, която има и възможност за аспирация. При този вид перкутанна техника някои уролози предпочитат предварително да поставят 5 Fr уретерален катетър, чиято цел е да намали интрареналното налягане по време на манипулацията.

ЗАКЛЮЧЕНИЕ Въпреки че са описани за първи път преди близо две десетилетия, миниатюризираните ПНЛ техники все още нямат всеобщо приложение във всички урологични центрове. Въпреки това тяхната безопасност, ефикасност и сигурност са добре установени както при възрастни, така и при деца. Мини-ПНЛ се възприема като разумна алтернатива при конкременти с различни размери и локализации. Необходими са обаче още добре прецизирани и разработени рандомизирани проучвания, като тяхната главна цел е да осветлят спецификата при използването на различните миниатюризирани ПНЛ техники, преди да бъдат въведени като стандартни, а не като алтернативни процедури при лечението на уролитиаза.

1.Agrawal MS, Agarwal K, Jindal T, Sharma M. Ultra-minipercutaneous nephrolithotomy: a minimally-invasive option for percutaneous stone removal. Indian J Urol IJU J Urol Soc India 2016;32:132e6.

2.An overview of percutaneous nephrolithotomy. Eur Med J 2015. http:// emjreviews.com/therapeutic-area/urology/ overviewpercutaneous-nephrolithotomy/. [Accessed 11 October 2017].

3.Chan DY, Jarrett TW (2000) Mini-percutaneous nephrolithotomy. J Endourolo Endourol Soc 14(3):269–272

4.Desai J, Zeng G, Zhao Z, Zhong W, Chen W, Wu W. A novel technique of ultra-mini-percutaneous nephrolithotomy: introduction and an initial experience for treatment of upper urinary calculi less than 2 cm. BioMed Res Int 2013;2013. https://doi. org/10.1155/2013/490793.

5.Desai M, Mishra S. “Microperc” micro percutaneous nephrolithotomy: evidence to practice. Curr Opin Urol 2012;22:134e8.

6.Fernstrom I, Johansson B. Percutaneous pyelolithotomy. A new extraction technique. Scand J Urol Nephrol 1976;10:257e9.

7.Hennessey DB, Kinnear NK, Troy A, Angus D, Bolton DM, Webb DR. Mini PCNL for renal calculi: does size matter? BJU Int 2017;119:39e46.

8.Hu G, Guo Z, Liu H, Luo M, Liu M, Lai P, et al. A novel minimally invasive percutaneous

nephrolithotomy technique: safety and efficacy report. Scand J Urol 2015;49:174e80.

9.Jackman SV, Docimo SG, Cadeddu JA, Bishoff JT, Kavoussi LR, Jarrett TW. The “miniperc” technique: a less invasive alternative to percutaneous nephrolithotomy. World J Urol 1998;16:371e4.

10.Jackman SV, Hedican SP, Peters CA, Docimo SG. Percutaneous nephrolithotomy in infants and preschool age children: experience with a new technique. Urology 1998;52:697e701.

11.Jiang H, Yu Z, Chen L, Wang T, Liu Z, Liu J, et al. Minimally invasive percutaneous nephrolithotomy versus retrograde intrarenal surgery for upper urinary stones: a systematicreview and meta-analysis. BioMed Res Int 2017;2017:2035851. https://doi. org/10.1155/2017/2035851.

12.Kirac M, Bozkurt OF, Tunc L, Guneri C, Unsal A, Biri H (2013) Comparison of retrograde intrarenal surgery and mini-percutaneous nephrolithotomy in management of lower-pole renal stones with a diameter of smaller than 15 mm. Urolithiasis 41(3):241–246. doi:10.1007/s00240-013-0552-0

13.Kruck S, Anastasiadis AG, Herrmann TRW, Walcher U, Abdelhafez MF, Nicklas AP, et al. Minimally invasive percutaneous nephrolithotomy: an alternative to retrograde intrarenal surgery and shockwave lithotripsy. World J Urol 2013;31: 1555e61.

14.Lahme S, Bichler KH, Strohmaier WL, Go¨tz

T. Minimally invasive PCNL in patients with renal pelvic and calyceal stones. Eur Urol 2001;40:619e24.

15.Li X, He Z, Wu K, Li SK, Zeng G, Yuan J, et al. Chinese minimally invasive percutaneous nephrolithotomy: the Guangzhou experience. J Endourol 2009;23:1693e7.

16.Long Q, Guo J, Xu Z, Yang Y, Wang H, Zhu Y, Zhang Y, Wang G (2013) Experience of minipercutaneous nephrolithotomy in the treatment of large impacted proximal ureteral stones. Urol Int 90(4):384–388. doi:10.1159/000343668

17.Mager R, Balzereit C, Gust K, Hu¨sch T, Herrmann T, Nagele U, et al. The hydrodynamic basis of the vacuum cleaner effect in continuousflow PCNL instruments: an empiric approach and mathematical model. World J Urol 2016;34:717e24.

18.Monga M, Oglevie S (2000) Minipercutaneous nephrolithotomy. J Endourol Endourol Soc 14(5):419–421

19.Nagele U, Horstmann M, Sievert K-D, Kuczyk MA, Walcher U, Hennenlotter J, et al. A newly designed amplatz sheath decreases intrapelvic irrigation pressure during minipercutaneous nephrolitholapaxy: an in-vitro pressuremeasurement and microscopic study. J Endourol 2007;21:1113e6.

20.Nagele U, Schilling D, Sievert KD, Stenzl A, Kuczyk M (2008) Management of lower-pole stones of 0.8 to 1.5 cm maximal diameter by

the minimally invasive percutaneous approach. J Endourol Endourol Soc 22(9):1851–1853. doi:10.1089/end.2008.9791

21.Sabnis RB, Ganesamoni R, Ganpule AP, Mishra S, Vyas J, Jagtap J, et al. Current role of microperc in the management of small renal calculi. Indian J Urol IJU J Urol Soc India 2013;29:214e8.

22.Wilhelm K, Hein S, Adams F, Schlager D, Miernik A, Schoenthaler M. Ultra-mini PCNL versus flexible ureteroscopy: a matched analysis of analgesic consumption and treatmentrelated patient satisfaction in patients with renal stones 10-35 mm. World J Urol 2015;33:2131e6.

23.Wright A, Rukin N, Smith D, De la Rosette J, Somani BK. “Mini, ultra, micro” e nomenclature and cost of these new minimally invasive percutaneous nephrolithotomy (PCNL) techniques. Ther Adv Urol 2016;8:142e6.

24.Xue W, Pacik D, Boellaard W, Breda A, Botoca M, Rassweiler J, et al. Management of single large nonstaghorn renal stones in the CROES PCNL global study. J Urol 2012;187:1293e7.

25.Yang Z, Song L, Xie D, Hu M, Peng Z, Liu T, Du C, Zhong J, Qing W, Guo S, Zhu L, Yao L, Huang J, Fan D, Ye Z (2012) Comparative study of outcome in treating upper ureteral impacted stones using minimally invasive percutaneous nephrolithotomy with aid of patented system or transurethral ureteroscopy. Urology 80(6):1192–1197. doi:10.1016/j. urology.2012.08.045

26.Zeng G, Wan S, Zhao Z, Zhu J, Tuerxun A, Song C, et al. Supermini percutaneous nephrolithotomy (SMP): a new concept in technique and instrumentation. BJU Int 2016;117:655e61.

27.Zeng G, Zhao Z, Wan S, Mai Z, Wu W, Zhong W, Yuan J (2013) Minimally invasive percutaneous nephrolithotomy for simple and complex renal caliceal stones: a comparative analysis of more than 10,000 cases. J Endourol Endourol Soc 27(10):1203–1208. doi:10.1089/end.2013.0061

28.Zeng G, Zhu W, Liu Y, Fan J, Lam W, Lan Y, et al. Prospective comparative study of the efficacy and safety of newgeneration versus firstgeneration system for super-minipercutaneous nephrolithotomy: a revolutionary approach to improve endoscopic vision and stone removal. J Endourol 2017;31:1157e63.

29.Zeng G, Zhu W, Liu Y, Fan J, Zhao Z, Cai C. The new generation super-mini percutaneous nephrolithotomy (SMP) system: a step-by-step guide. BJU Int 2017;120:735e8.

30.Zhong W, Zeng G, Wu W, Chen W, Wu K (2011) Minimally invasive percutaneous nephrolithotomy with multiple mini tracts in a single session in treating staghorn calculi. Urol Res 39(2):117–122. doi:10.1007/s00240-010-0308-z

31.Zhu W, Liu Y, Liu L, Lei M, Yuan J, Wan SP, et al. Minimally invasive versus standard percutaneous nephrolithotomy: а meta-analysis. Urolithiasis 2015;43:563e70.

38 І Medical Magazine | декември 2022 УРОЛОГИЯ
ИЗПОЛЗВАНА ЛИТЕРАТУРА:

съвместно с Дружеството на кардиолозите в България стартират информационна кампания „Сърцето говори“ за повишаване осведомеността за сърдечната недостатъчност (СН). Кампанията има за цел да даде по-широка представа за същността, симптомите и превенцията на хроничното заболяване, както и да помогне на пациенти с тази диагноза да водят пълноценен живот. В помощ на пациентите със сърдечна недостатъчност и техните близки е създаден и специален сайт

Сърцето Говори Информационна кампания за сърдечната недостатъчност Инициатива на Дружеството на кардиолозите в България и Boehringer Ingelheim Boehringer Ingelheim България и Дружеството на кардиолозите в България организират информационна кампания за пациенти със сърдечната недостатъчност Кампанията „Сърцето говори“ ще предоставя информация, изготвена с помощта на лекари и на пациенти със сърдечна недостатъчност Boehringer Ingelheim България
Повече информация може да намерите на сайта на Дружеството
и на официалната страница
SC-BG-01387
https://www.organs-talk.com/bg, изготвен с помощта на лекари и пациенти.
на кардиолозите в България, както
на ДКБ във Фейсбук и на https://www.facebook.com/BoehringerBG.

12 Fr (Karl Storz, Germany) и еднократен аспирационен шафт за достъп 16 Fr (WellLead, China), а литотрипсията бе извършвана посредством Холмиум:Яг лазер (Quanta Systems, Litho:Evo 35 W). Средната възраст на пациентите беше – 50.8 (±14.5) години. Критерий за ефективността на лечението бе пълната елиминация на фрагментите или наличието на такива до 4 мм. При 9 от пациентите (14.28%) установихме остатъчни

(с големина до 4 мм), пръснати в бъбречните чашки. При 54 (85.72%) имаше пълно отстраняване

губа; постоперативен фебрилитет (обострен пиелонефрит); интраоперативни усложнения (лезии на бъбречният паренхим или кухинната система). МАТЕРИАЛ И МЕТОД Проведе се рестроспективен анализ на 63 пациенти, лекувани чрез мини-ПНЛ техника, със средно големи конкременти в клиниката по урология при УМБАЛ „Каспела“ град Пловдив. При 27 от лекуваните (група I), конкрементите бяха локализирани в бъбречното легенче, а при 36 – в долна група чашки (група II). Демографията

40 І Medical Magazine | декември 2022 За лечението на камъни в долни чашки съвременните насоки препоръчват минимално инвазивни методи като – ЕЛПК или флексибилна уретерореноскопия, въпреки че няма предпочитан начин на лечение (Turk, 2015). От края на 1970-те години перкутанната нефролитотомия играе съществена роля при лечението на
бъде предпочитан избор на лечение (Stoller, 1994). Освен това, ПНЛ изисква по-сериозно обезболяване и може да доведе до по-продължител
извършват мини-ПНЛ при възрастни пациенти, използвайки значително по-малки шафтове и инструменти. В настоящето проучване си поставихме за цел да сравним резултатите от лечението с мини-PNL на бъбречни конктементи с локализации в долни чашки от една страна и легенче от друга с приблизително еднакви размери. Критерий за сравнение
на отстраняване;
на
на пациентите, включително възраст, пол, индекс на телесна маса Приложение на минимално инвазивна перкутанна нефролитотомия за лечение на бъбречна литиаза с различни размери и локализации М. Дойков, д.м. Катедра по „Урология и Обща медицина“, МУ - Пловдив Клиника по Урология, УМБАЛ „Каспела“ - Пловдив Минималноинвазивната перкутанна нефролитолапаксия първоначално е описана като алтернативен перкутанен подход за лечение на бъбречни конкременти при деца. Тя придобива нарастваща популярност и се използва за преодоляване на лечебната празнина между конвенционалната ПНЛ и други минималноинвазивни методи, като ЕЛПК или флексибилна уретерореноскопия. Мини-ПНЛ е предпочитан избор на лечение на бъбречни конкременти, разположени в долни чашки и с по-големи размери, включително и комплексни камъни (>20 мм). Проведе се ретроспективно моноцентрично проучване на 63 пациенти в периода от месец май 2020 до месец декември 2020, лекувани с минимално инвазивна перкутанна нефролитотмия по повод конкременти в колекторната система на бъбрека. При всички пациенти бе използван нефроскоп
фрагменти
от фрагментите.
уролитиазата. Въпреки това, усложения като кървене и необходимост от кръвопреливане са пречка тя да всички пациенти маниипулацията завършваше чрез поставяне на нефростомен катетър за 24-36 часа. Ключови думи: Минимално инвазивната перкутанна нефролитолапаксия, Холмиум:Яг лазер, бъбречна литиаза, перкутанна нефростома, долна група чашки, бъбречно легенче. УРОЛОГИЯ
на хоспитализация. От друга страна, лечението с ЕЛПК на долночашкови конкременти води до значително затруднена елиминация на фрагментите и висок процент на остатъчни камъни (Banchev, 1990). През 1998 г. Джакман и сътр. първи
са: степен
продължителност
лечението; степен на кръвоза
-
При

Показатели

Група I Група II

Брой пациенти 27 36

Мъже 15 21

Жени 12 15

Години 52.1 (±14,2) 47.9 (±15.1)

BMI (кг/м2) 29.1 (±3,9) 27.7 (±4.1)

Размери на камъка (мм) 28 (±21) 14.1 (±3.5)

Ляв бъбрек 11 15

Десен бъбрек 16 21

Показатели

Група I – 27 болни Група II – 36 болни

Времетраене на интервенцията в минути 57 (±39) 38 (±22) Време на Rö:scopia 6.4 (±4.2) 2.9 (±2.9) Време на хоспитализация след манипулацията (h) 63.8 (±32.1) 22.4 (±18.2)

Спад на Hb (в единици) 6.7 (±1.2) 2.9 (±0.98)

Усложнения (Бр) % 6 (25.8%) 5 (13.8%)

Clavien (I ст.) 0 3

Clavien (II ст.) 2 1

Clavien (III A ст.) 4 1

Stone-free rate (%) 20 (74ц7%) 34 (94.4%)

Остатъчни к (бр) % 7 (25.8%) 2 (5.5%)

Табл. 1 Демографски показатели Табл. 2

Интра- и постоперативни резултати

(БМИ), размер на конкремента и оперативни параметри(оперативно и флуороскопско време), както и резултатите (степен на отстраняване, честота на усложненията и време на хоспитализация) са оценени статистически. РЕЗУЛТАТИ Всички пациенти бяха базисно диагностицирани предоперативно чрез ехография и КАТ (нативен и с контраст), ПКК, биохимични параметри, както и тези на коагулация. Също така на всички пациенти предоперативно се извърши микробиологично изследвания на урината. При трима от тях се установи наличие на сигнификантана уринарна инфекция. При двама от тях се изолира Е. Coli, а при един – E.faecalis. Проведе се съответната антибиотична терапия. На останалите пациенти периоперативно се проведе антибиотична профилактика, независимо от резултата на микробиологичното изследване. Под висока епидурална анестезия (Т8-Т9) с епидурален катетър се поставяше уретерален катетър 6 Fr, който се фиксира към 16 Fr уретрален катетър в пикочния мехур. Легенчевите кухини се визуализираха с контрастна

материя, инстилирана през уретералния катетър, в легнало положение по корем. Достъпът до бъбрека се осъществяваше с помощта на 18G игла за перкутанен достъп под комбиниран (ехографски и рентгенов) контрол. С помощта на твърд нитинолов водач се поставяше чрез едностъпков достъп еднократен аспирационен шафт за достъп. След визиуализирането на конкремента с помощта на нефроскоп 12 Fr се реализираше литотрипсията чрез Холмиум:Яг лазер с големина на лазерното влакно от 550 микрона. Иригацията се осъществяваше с физиологичен разтвор с хидростатично налчгане от 60 см. Елиминирането на останалите фрагменти се осъществяваше с помощта на аспирация през шафта за достъп. След завършване на интервенцията на всички пациенти се поставяше нефростомна тръба за 24-36 часа. От общо 63 пациенти, третирани с мини-PNL, при 27 от тях конкрементите бяха локализирани в бъбречното легенче (I група), а при 36 – в долни чашки (II група). Периоперативните и следоперативните показатели на двете групи са показани в Табл. 2 Средните стойности на времето на интервен -

[www.medmag.bg ] 41

цията при пациентите с конкременти в бъбречното легенче (група I) и тези в долна група чашки (група II) са съответно 57 мин. (±39) и 38 мин. (±22). Средното флуороскопско време беше значително по-дълго при болните от първата група. В следоперативния период спадът на хемоглобин бе чувствително по-висок при пациентите с конкременти в бъбречното легенче (6.7 единици спрямо 2.9 единици), а средното време за хоспитализа

ция след манипулацията в групата с долночашкови конкременти е по-кратко. Според класификацията на Clavien-Dindo се установи значима разлика в усложненията при пациентите в двете групи. Двама от пациентите от първа група имаха нужда от допълнително антибиотично лечение заради уринарна инфекция (Clavien – клас 2). Окончателните нива на успех при първата група бяха 74.7%, докато при втора група – 94.4%, при първото месечно проследяване. Остатъчните фрагменти при групата с легенчеви конкременти бяха в 25.8% от случаите, докато тези – с долночашУРОЛОГИЯ 42 І Medical Magazine | декември 2022

с размери >1.5 см – монотерапия с перкутанна нефролитолапаксия, поради ограничената ефективност на ЕЛПК. Прилагането на Мини-ПНЛ изисква преоценка на взаимозависимостта между характеристиката на бъбречната литиаза и избор на най-добрата тактика за лечение – оптимален достъп до бъбречните кухини (в зависимост от локализацията на камъка) и избор на вида лазерна техника – разпрашаване или фрагментация. В проучването установихме, че индексът на телесна маса (БМИ) не оказва никакво влиание върху ефективността на метода, но води до значителна разлика в продължителността на операцията. ЗАКЛЮЧЕНИЕ Определящи фактор за успешно лечение чрез мини-PNL на конкременти в бъбречните кухини е тяхната локализация. Групата пациенти с долночашкови конкременти са с чувствително по-добри пери-, интра- и следоперативни показатели: по-късо времетраене на интервенцията, по-кратко флуороскопско време, по-краткотрайна хоспитализация, значимо по-малко усложниения и не на последно място по-добра успеваемост (Stone-free rate около 94%). Подобренията в лазерната технология от една страна и използването на по-малки инструменти от друга, водят до високата клинична ефективност на този метод. Мини-ПНЛ е съвременен метод за лечение на уролитиаза, който може да се приложи с успех при над 90% от болните.

ИЗПОЛЗВАНА ЛИТЕРАТУРА: 1. Banchev A., Dissertation, Chances and efficiency of SWL for KSD treatment, Sofia, 1990г., 103-110 2. Turk C., Knoll T., Petrik A., et al. Guidelines on urolithiasis, Amsterdam, Netherlands: European Association of Urology; 2015, 1-71 3. Stoller ML., Wolf J.S. Jr., St Lezin M.A.; Estimated blood loss and transfusion rates associated with percutaneous
nephrolithotomy. J. Urol. 1994; 152: 1977-1981
кова локализация бяха 5.5%. Основните трудности от лечението на конкременти с легенчева локализация (група I), считаме че се дължат на попадането на големи фрафменти от дезинтегрирания камък в бъбречните чашки, което налагаше разбиване на тези конкременти и допълнителен оглед на колекторната система. От друга страна литотрипсията на камъни в долна група чашки (група II) се реализара на място(кухина), където фрагментите не могат да мигрират. ОБСЪЖДАНЕ Макар ЕЛПК да се препоръчва за лечение на бъбречни конкременти с размери до 2 см нейното предимство спрямо перкутанна нефролитолапаксия остава спорно. Описаната през 1976 г. техника за ПНЛ е била използвана за лечение на големи бъбречни камъни, самостоятелно или в комбинация с ЕЛПК. Европейската асоциация по урология (ЕАУ) отправя препоръки при бъбречни конкременти по-големи от 2 см – комбинация ПНЛ + ЕЛПК, а при конкременти [www.medmag.bg ] 43

Д. Дойков, д.м.1 , М. Дойков, д.м. 2 1Втора катедра по вътрешни болести, МУ - Пловдив Клиника по Гастроентерология, УМБАЛ „Каспела“Пловдив

Терапевтичен

ендоскопски

Дренажни процедури. EUS е подходящ метод за безопасно дрениране на различни видове течни колекции в зони, достъпни от стомаха, дванадесетопръстника или ректума. Най-често се използва за дрениране на псевдокисти на панкреаса, но в редица клинични случаи са описани дренажни процедури на чернодробни абсцеси[1], субфренични абсцеси[2], пелвични абсцеси[3,4], биломи[5] и възпалителни заболявания на жлъчния мехур[6] Псевдокисти. Традиционният ендоскопски подход за трансмурален дренаж на псевдокисти

контрол, започва с локализиране на псевдокистата с EUS. След това псевдокистата се пунктира с игла обикновено с калибър 19 Gа, като се избягват кръвоносните съдове. Под постоянен рентгенов кон -

трол в кухината се въвежда водач с последваща балонна дилатация на фистулния тракт. Често е трудно да се позиционира балон дилататор през стомашната стена. В този случай, използването на катетър дилататор, иглен нож или кистотом може да помогне. След разширяване на фистулния ход, един или повече пластмасови стентове (тип двоен „pigtail“) се позиционират в кухината на псевдокистата за осъществяването на дренажната процура. Ендоскопската кист-дуоденостомия, може да представлява техническо предизвикателство, тъй като образа от линеарния ехоендоскоп прави ендоскопската визуализация по-трудна в сравнение със стандартен ендоскоп с челна оптика. Като цяло, с оглед по-ниското анатомично разположение на дванадесетопръстника, дуоденалния достъп е за предпочитане, тъй като осигурява по-ефективен дренаж. Субфренични абсцеси. Описани са случаи на дренаж на субфренични абсцеси при пациенти под ехоендоскопски контрол[2]. Използва се лине -

ултразвук

арен ехоендоскоп, като под ЕUS контрол течната колекция се пунктира и се въвежда 0.035″ или 0.025″ водач, който се нагъва вътре в абсцесната кухина. По водача се поставя 7 fr назобилиарен дренажен катетър и/или 10 fr „pigtail“ стент. Катетрите се промиват с физиологичен разтвор. Стентовете се екстрахират на втори етап, след повторен EUS, около 4 седмици по-късно, след пълното обратно развитие на абсцеса.

Чернодробен абсцес. Подобна техника се използва и при чернодробни абсцеси. Кухината се промива неколкократно на ден през назобилиарен катетър[1].

Биломи. Клинични случаи описват успешно дрениране на билом под ехоендоскопски контрол[5]. Най-големият доклад включва четирима пациенти с билиарен ликидж и биломи в ложето на жлъчния мехур, дренирани чрез поставяне на двоен пигтейл стент под EUS контрол[5] Първоначално се извършва ендоскопска ретроградна холангиопанкреатография (ERCР) с цел извърш -

44 І Medical Magazine | декември 2022
основава на
на избутване към
на
вид образна
жението на псевдокистата и определя разстоянието между нея и стомашната стена. Техниката за дренаж под ехоендос
копски
се
наличието
лумена или
друг
методика, която точно локализира местополо -
-
Ендоскопскaта ехография (EUS) е разработена като диагностичен метод, но бързо се утвърждава и като терапевтична манипулация. EUS се използва все по-често за дренаж на псевдокисти и други пери-/панкреасни течни колекции, ехоендоскопски навигиран билиарен дренаж, за локална терапия на панкреасни тумори и лечение на субепителни лезии и стомашни варици. УРОЛОГИЯ
2Катедра по „Урология и обща медицина“, МУ - Пловдив Клиника по Урология, УМБАЛ „Каспела“ - Пловдив

ване на билиарна деривация. Впоследствие се използва игла с калибър 19Gа за достъп до билома през стомаха или проксималния дуоденум, след което се позиционира 0.035 инчов водач, а за дилатиране на фистулата - 6 до 8 милиметров балон дилататор. Продължителността на дренажа е от един до три месеца. Жлъчен мехур. Холецистектомията обикновено е предпочитан метод за лечение при остър холецистит, но не винаги е подходяща опция при пациенти със значим коморбидитет. Множество клинични случаи демонстрират приложимостта на ехоендоскопският дренаж на жлъчния мехур при такива пациенти. Ендоскопската холецистостомия е проучена при пациенти с малигнена дистална обструкция на общия жлъчен проток. В изследване върху 14 пациенти с остър холецистит в следствие на злокачествена обструкция на дуктус холедохус, е извършен трансгастрален или трансдуоденален дренаж посредством поставяне на покрит метален стент[7]. Техническата и клинична успеваемост на ехоендоскопския дренаж на жлъчния мехур са съответно 86% и 92%. Тазови абсцеси. Описани са случаи на дрениране на тазови и периректални абсцеси посредством EUS[3,4]. Една от сериите включва 25 пациенти с абсцеси, които са предимно постхирургични или посттравматични[4]. При пациенти с колекции по-малки от 8 cм са поставени два 7 fr трансректални стента. Ако абсцесът е с размер над 8 cм е използван и 10 fr катетър. Дренажният катетър се премахва, след като абсцесът намали размера си с поне 50%, а стентовете се екстрахират след две седмици. Техническия успех на процедурата е 100%, без да са докладвани усложнения.

Тънкоиглено инжектиране. EUS осигурява прецизно насочване и инжектиране на различни вещества директно в панкреас, черен дроб или субепителни лезии. Инжектирането на 96% етанол под EUS контрол за невролиза на плексус целиакус се е извършвало в продължение

контрол за лечение на гастроинтестинални стромални тумори[9], инсулиноми[10], чернодробни метастази[11], карцином на хранопровода[12], панкреасни кистични неоплазми[13] и аденокарцином на панкреаса[14].

Гастроинтестинални стромални тумори (ГИСТ). За инжектиране на концентриран етанол с цел аблация на субепителни лезии на стомаха се съобщава преди повече от 30 години при пациенти, които са лоши хирургични кандидати[15]. В по-нов доклад EUS-FNI на 95% етанол директно в лезията е използван за лечение на стомашен ГИСТ при пациент, контраиндициран за оперативно лечение[9]. Интервенцията води до пълно обратно развитие на тумора. Чернодробни метастази. Стандартно се провежда перкутанна аблация на чернодробни метастази с инжектиране на етанол. В някои случаи лезиите не са подходящи за перкутанен достъп поради съдова интерпозиция. В такива случаи се използва етанол в концентрация от 95%, инжектиран чрез EUS-FNI. Панкреасен дуктален аденокарцином. При локално авансирал ПДА са прилагани различни анти-туморни агенти чрез FNI под ехоендоскопски контрол. Въпреки че дългосрочните резултати не са добре проучени, предварителните данни предполагат, че тези подходи обикновено са безопасни и могат да бъдат алтернатива или да действат синергично с традиционните химио- и лъчетерапия. Брахитерапия. Интерстициална брахитерапия се използва за лечение на различни неопластични заболявания, включително тумори в областта на главата и шията, карцином на гърдата, белия дроб, простатата и гастроинтестиналния тракт. След поставянето на радиоактивния източник, таргетната тъкан е изложена на гама-радиация, причиняваща локално тъканно увреждане и туморна аблация. Потенциално предимство на брахитерапията пред традиционната радиотерапия е ограниченото лъчево натоварване върху околните нормални тъкани. Радиоактивните източници обикновено се имплантират под CT контрол или по време на

[www.medmag.bg ] 45
на повече от десетилетие[8]. Има съобщения за тънкоиглено инжектиране
на различни вещества под ехоендоскопски
(FNI)
шията и аденокарцином на панкреаса. Гастроинтестинално кървене. Приложението на EUS при гастроинтестинално кървене е изследвано в случаи на рефрактерна на стандартно ендоскопско лечение хеморагия от лезии[16] , езофагеални[17] и стомашни варици[18].
лапаротомия. Брахитерапията под ЕUS контрол се използва за тумори в областта на главата и

Рефрактерни на лечение кървящи лезии. EUS-FNI се използва за лечение на лезии, при които има поне два неуспешни опита за едноскопска хемостаза [16] . В проучването са включени са лезия на Dieulafoy и панкреасна псевдоаневризма, третирани успешно с 99% етанол, както и язва на дванадесетопръстника и ГИСТ, третирани с н-бутил-2-цианоакрилат. Не е наблюдавано повторно кървене. Варици на хранопровода. Има доклади за склеротерапия на езофагеални варици под EUS контрол или чрез стандартна ендоскопия с етаноламин като склерозант[17]. Не се наблюдава разлика в степента на повторна поява на варици. Варици на стомаха. Най-често се използват комбинация от н-бутил-2-цианоакрилат и липиодол[18], които се инжектират под EUS контрол. Успешна облитерация се постига при 80% от пациентите при двукратно приложение в рамките на 5 седмици.

Ботулинов токсин за ахалазия. Възможно е приложение директно в долния езофагеален сфинктер, като EUS контрола помага за прецизното инжектиране[19]

Холангиопанкреатография под EUS контрол. Ехоендоскопските дренажни интервенции на жлъчното дърво включват техники за достъп до жлъчните канали при пациенти, при които конвенционалната ERCP е неуспешна или е технически неизпълнима поради променена анатомия, след хирургична интервенция. Поради близостта си до стомаха и дуоденума, левите интрахепатални жлъчни пътища, общият жлъчен проток и панкреасния канал се визуализират добре чрез ЕUS и могат да бъдат достигнати посредством трансгастрален или трансдуоденален достъп. Съществуват четири техники за ехоендоскопска билиарна деривация. • Създаване на холедоходуоденална фистула с поставяне на стент (Ендоскопска холедоходуоденостомия) • Създаване на холангиогастрална фистула с поставяне на стент (Ендоскопска хепатикогастростомия)

• EUS - „Рандеву“ - въвеждане на водач през левите интрахепатални жлъчни пътища или дуктус холедохус и придвижването му

транспапиларно с последваща конверзия към конвенционална ERCP

• EUS - навигирано антеградно стентираневъвеждане на стент трансгастрално през интрахепаталните жлъчни пътища ляв лоб и транспапиларно в дуоденума

Тънкоиглено маркиране (татуиране) под EUS контрол за предоперативна локализация на малки тумори на панкреаса. Малките тумори на панкреаса могат да бъдат трудни за локализиране по време на миниинвазивни интервенции като лапароскопска енуклеация и лапароскопска дистална панкреатектомия. За първи път, тънкоигленото маркиране под EUS контрол (EUS-FNT) е описано за предоперативната локализация на панкреасен инсулином[20]. Оттогава няколко клинични случаи показват ефикасността и безопасността на тази техника както за ендокринни панкреасни тумори, така и за аденокарцином на панкреаса[21]. След като туморът се локализира с EUS, се извършва тънкоиглено инжектиране с различни багрила (напр. Индийско мастило, пречистени въглеродни частици [SPOT], метиленово синьо или индоцианиново зелено), за да се маркира лезията. EUS-FNT може да осигури по-добро локализиране на малки тумори, като по този начин ограничава обема на резецирания панреасен паренхим, което е важна цел на миниинвазивната хирургия. Гастроентеростомия под EUS контрол. Rouxen-Y стомашният байпас силно затруднява извършването на интервенционални процедури върху билиопанкреасната система, за които се налага или хирургичен достъп през изключения стомах или папиларен достъп осигурен чрез ентероскопия. И двете интервенции са свързани с технически затруднения и обуславят ниска успеваемост на процедурата. В наши дни са разработени са лумен-опозиращи метални стентове (LAMS) (АxiosTM, Hot AxiosTM; Boston Scientific, Marlborough, MA или SpaxusTM, Hot SpaxusTM; TaeWoong medical), а EUS може да се използва за поставянето им и създаване на гастро-гастрални фистули. В някои случаи това позволява достъп до дуоденалната папила и провеждане на ERCP в една сесия. Все по-актуално става поставянето на LAMS под EUS контрол за извършване на ендоскопска гастройеюностомия в случаи на малигнена стомашна или дуоденална обструкция[22].

46 І Medical Magazine | декември 2022
УРОЛОГИЯ

Дисекцията на тазовите лимфни възли е възприета като „златен стандарт“ за оценка на лимфаденопатия при злокачествени новообразувание на простатата или пикочния мехур. Тази техника по категоричен начин е показала своето превъзходство пред образните методи като КАТ, ЯМР и ПЕТ/КТ при стадиране на заболяването.

Ендоскопският ултразвук (EUS) представлява алтернативен, по-малко инвазивен, метод за получаване на цито- и хистологичен материал, но ефективността му при тазови операции по повод неоплазии на пикочо-отделителната система все още остава спорна.

Най-често с помощта на EUS се установяват рак на пикочния мехур с или без локален рецидив, рак на простатата с или без локален рецидив, далечни метастази при рак на проста -

тата или тестисите. Вземане на проби под EUS констрол от чревната стена, лимфните възли или периректалното пространство дава подходящ хистологичен материал за установяване на наличие на локални или далечни метастази.

Оценката на регионалните лимфни възли е важна за прогнозата на заболяването и за определяне на най-подходящото лечение при пациенти с урологични неоплазии. Златният стандарт за оценка на лимфните възли при рак на простатата или пикочния мехур е тазовата дисекция. Скорошен мета-анализ оценява диагностичната точност на КТ и ЯМР за стадиране на тазовите лимфни възли при пациенти с рак на простатата и установява, че специфичността е само 82% както за КТ, така и за ЯМР, докато чувствителността е съответно 42% и 39%[23]. По подобен на -

чин, проучване, оценяващо EUS за локорегионално стадиране на рак на простатата, разкрива чувствителност и специфичност съответно от 58.3% и 52.5%, като се използва единствено критерий за размер от 10 mm[24] Други проучвания показват, че EUS успешно може да се използва за установяване на рецидив на рак на простатата или пикочния мехур[25,26]. EUS може също така може да има и терапевтична роля като служи за насочване на лъчевата терапия при рецидив на рак на простатата[27].

ЗАКЛЮЧЕНИЕ Ефективността и безопасността на терапевтичния ендоскопски ултразвук се развива. С по-широката достъпност на EUS множество терапевтични процедури в гастроентерологията и урологията се извършват с по-голяма прецизност и по-висок успех.

1.Seewald S, Imazu H, Omar S, et al. EUSguided drainage of hepatic abscess. Gastrointest Endosc 2005; 61:495.

2.Seewald S, Brand B, Omar S, et al. EUSguided drainage of subphrenic abscess. Gastrointest Endosc 2004; 59:578.

3.Giovannini M, Bories E, Moutardier V, et al. Drainage of deep pelvic abscesses using therapeutic echoendoscopy. Endoscopy 2003; 35:511.

4.Varadarajulu S, Drelichman ER. Effectiveness of EUS in drainage of pelvic abscesses in 25 consecutive patients (with video). Gastrointest Endosc 2009; 70:1121.

5.Shami VM, Talreja JP, Mahajan A, et al. EUSguided drainage of bilomas: a new alternative? Gastrointest Endosc 2008; 67:136.

6.Lee SS, Park DH, Hwang CY, et al. EUSguided transmural cholecystostomy as rescue management for acute cholecystitis in elderly or high-risk patients: a prospective feasibility study. Gastrointest Endosc 2007; 66:1008.

7. Choi JH, Kim HW, Lee JC, et al. Percutaneous transhepatic versus EUS-guided gallbladder drainage for malignant cystic duct obstruction. Gastrointest Endosc 2017; 85:357.

8.Wiersema MJ, Wiersema LM. Endosonography-guided celiac plexus neurolysis. Gastrointest Endosc 1996; 44:656.

9.Günter E, Lingenfelser T, Eitelbach F, et al. EUS-guided ethanol injection for treatment of a GI stromal tumor. Gastrointest Endosc 2003; 57:113.

10.Jürgensen C, Schuppan D, Neser F, et al. EUS-guided alcohol ablation of an insulinoma. Gastrointest Endosc 2006; 63:1059.

11.Barclay RL, Perez-Miranda M, Giovannini M. EUS-guided treatment of a solid hepatic metastasis. Gastrointest Endosc 2002; 55:266.

12.Lah JJ, Kuo JV, Chang KJ, Nguyen PT. EUSguided brachytherapy. Gastrointest Endosc 2005; 62:805.

13.Gan SI, Thompson CC, Lauwers GY, et al. Ethanol lavage of pancreatic cystic lesions:

initial pilot study. Gastrointest Endosc 2005; 61:746.

14.Chang KJ, Nguyen PT, Thompson JA, et al. Phase I clinical trial of allogeneic mixed lymphocyte culture (cytoimplant) delivered by endoscopic ultrasound-guided fine-needle injection in patients with advanced pancreatic carcinoma. Cancer 2000; 88:1325.

15.Otani T, Tatsuka T, Kanamaru K, Okuda S. Intramural injection of ethanol under direct vision for the treatment of protuberant lesions of the stomach. Gastroenterology 1975; 69:123.

16.Levy MJ, Wong Kee Song LM, Farnell MB, et al. Endoscopic ultrasound (EUS)-guided angiotherapy of refractory gastrointestinal bleeding. Am J Gastroenterol 2008; 103:352.

17.De Paulo GA, Ardengh JC, Nakao FS, Ferrari AP. Treatment of esophageal varices: a randomized controlled trial comparing endoscopic sclerotherapy and EUS-guided sclerotherapy of esophageal collateral veins. Gastrointest Endosc 2006; 63:396.

18.Lee YT, Chan FK, Ng EK, et al. EUS-guided injection of cyanoacrylate for bleeding gastric varices. Gastrointest Endosc 2000; 52:168.

19.Hoffman BJ, Knapple WL, Bhutani MS, et al. Treatment of achalasia by injection of botulinum toxin under endoscopic ultrasound guidance. Gastrointest Endosc 1997; 45:77.

20.Gress FG, Barawi M, Kim D, Grendell JH. Preoperative localization of a neuroendocrine tumor of the pancreas with EUS-guided fine needle tattooing. Gastrointest Endosc 2002; 55:594.

21.Ashida R, Yamao K, Okubo K, et al. Indocyanine green is an ideal dye for endoscopic ultrasoundguided fine-needle tattooing of pancreatic tumors. Endoscopy 2006; 38:190.

22.Khashab MA, Tieu AH, Azola A, et al. EUSguided gastrojejunostomy for management of complete gastric outlet obstruction. Gastrointest Endosc 2015; 82:745.

23.Hövels AM, Heesakkers RAM, Adang EM, et al. The diagnostic accuracy of CT and MRI in

the staging of pelvic lymph nodes in patients with prostate cancer: a meta-analysis. Clinical Radiology. 2008;63(4):387–395.

24.Artifon ELA, Sakai P, Ishioka S, et al. EUS for locoregional staging of prostate cancer-a pilot study. Gastrointestinal Endoscopy. 2007;65(3):440–447.

25.Bhutani MS. EUS and EUS-guided fineneedle aspiration for the diagnosis of rectal linitis plastica secondary to prostate carcinoma. Gastrointestinal Endoscopy. 1999;50(1):117–119.

26.Eloubeidi MA, Varadarajulu S, El-Galley R, Bueschen AJ, Eltoum I. EUS-guided FNA for the diagnosis of recurrent bladder cancer through the ileal conduit: a novel approach. Gastrointestinal Endoscopy. 2006;64(3):450–453.

27.Varadarajulu S, Lee YT. EUS 2008 Working Group document: evaluation of EUSguided drainage of pelvic-fluid collections (with video) Gastrointestinal Endoscopy. 2009;69(2):S32–S36.

[www.medmag.bg ] 47
ИЗПОЛЗВАНА ЛИТЕРАТУРА:

ВЪВЕДЕНИЕ Малко на брой са докладваните случаи, описващи екстракорпоралната циркулация и перфузия при пациенти с екстремно наднормено тегло[2,3,4,5]. В практиката ни сме се сблъсквали със сравнително едри пациенти с различни сърдечни заболявания, оперирани в нашата клиника през последните 15 години, но не бяхме срещали толкова голям пациент – телесна повърхност (ТП) 3.03 m2 – по време на нашата практика. Имаше няколко неизвестни, на които трябваше да отговорим, преди да подготвим системата за екстракорпорална

подобно свръхтегло. Авторите описват „по-малки“ пациенти (ТП – 2.88 m2 и ТП – 2.76 m2), перфузирани успешно при нормотермия с два паралелно включени оксигенатора. На базата на посочените специфики, предвидихме потенциалните затруднения с перфузията и оксигенацията, и решихме да използваме два мембранни оксигенатора, свързани паралелно за перфузия в този конкретен случай. ИСТОРИЯ НА СЛУЧАЯ Касае се за мъж на 36-годишна възраст, който постъпва в клиниката по повод епизод на гръдна болка в покой, продължила 3 часа преди една седмица. Съобщава за задух

I тип по Де Бейки (Stanford A). След стандартна обработка на пациента по протокол на клиниката, той беше преведен в операционната зала. Изчисленият дебит при сърдечен индекс 2.5 l/min/m2 беше 7.3 l/ min. Антропометричните данни за пациента са представени в Табл. 1

След щателно почистване и покриване на оперативното поле по протокол на клиниката се отпрепарираха и подготвиха за канюлация лявата и дясната а.феморалис комунис. След системна хепаринизация с 55000 UI хепарин (Activated Clotting Time - ACT >500 sec.) по метода на Селдингер се пласираха две 22 Fr. артериални канюли в двете феморални артерии, които се свързаха посредством У-конектор към артериалната линия на ЕКК. Последва надлъжна стернотомия и перикардиотомия. Дясно предсърдие се канюлира посредством една Two Stage 34/46 Fr венозна канюла. Влизане в ЕКК. Постави се вент 20 Fr в лява

на аортата

48 І Medical Magazine | декември 2022
притеснение беше способността на един единствен оксигенатор да оксигенира адекватно такъв голям пациент, второто беше трансмембранният градиент на налягането в оксигенатора и третото беше дебитът на топлообменника на оксигенатора при
циркулация според телесната повърхност и изчислението на необходимия сърдечен дебит (6.57.5 l/min). Първото
толкова високи изчислени скорости на перфузионния поток. Оскъдни са научните доклади относно перфузия на пациенти с
при ми
нимални физически усилия от един месец насам, като преди 4 дни е при
ет в клиника по кардиология на дру
го лечебно
с
картина на белодробен оток.
е
високостепенна аортна инсуфициенция при
ходяща
Преди
рал
СТ
-
-
-
заведение
клинична
Тогава
установена
дилатирана въз -
аорта.
месец е прека -
Ковид 19 инфекция. Проведе се
аортография с контраст, доказваща диагнозата дисекация
през горна дясна пулмонална вена Екстракорпорална циркулация с два паралелно свързани оксигенатора и бифеморална артериална канюлация при пациент с екстремно затлъстяване и дисекация на аортата I тип по Де Бейки И. Тодоров д. м., Д. Николов д. м. Клинина по кардиохирургия, „Аджибадем Сити Клиник УМБАЛ Токуда“ - София Дисекацията на аортата е спешно животозастрашаващо състояние с висока смъртност. Представяме клиничен случай на пациент на 36 год. с екстремно наднормено тегло (тегло 176 kg, височина 180 cm, телесна повърхност 3.03 m2), който е насочен за спешна операция по повод дисекация на аортата I тип по Де Бейки. Изчисленият сърдечен дебит бе 7.3 l/min. За да се избегнат потенциални усложнения, свързани с перфузията и оксигенацията на кръвта, бяха включени два паралелно свързани оксигенатора в системата за екстракорпорална оксигенация. Извършена бе операция на Bentall de Bono (AVR SJM Master No27, resectio aorta ascendens, interposition prosthesis Intergard Woven No30, et reimplantatio LMCA et RCA). Перфузията беше безпроблемна. Времето на екстракорпорална циркулация беше 153 минути, клампаж на аортата - 98 минути, хиотермичен циркулаторен арест - 2 минути. Най-високият газов поток през оксигенаторите беше 5.1 l/min с максимален FiO2 – 0.50. Използването на два паралелно свързани оксигенатора е ефективен, лесен и безопасен метод при такива екстремни перфузии, предоставяйки на хирургичния екип достатъчен оксигенаторен „резерв“, за осъществяването на оптимална и безопасна хирургична интервенция. НА ФОКУС Ключови думи: Кардиопулмонален байпас, екстремна перфуция, наднормено тегло, два оксигенатора.
камера

Табл. 1 Данни за пациента

Снимка 1 Пациентът се въведе в анестезия

Неусложнено протекъл следоперативен период. Екстубиран на 2-ри следоперативен ден при задоволителен кръвно-газов анализ и добра механика на дишането. Катехоламиновата поддръжка преустановена на 2-ри следоперативен ден при стабилна хемодинамика и задоволителна диуреза. Изведен от реанимация на 3-ти следоперативен ден раздвижен край леглото. Дехоспитализиран на 7-ми следоперативен ден, афебрилен, хемодинамично стабилен с

първично зарастващи оперативни рани, раздвижен до степен на самообслужване.

ПЕРФУЗИОННО ОБОРУДВАНЕ И ДАННИ ЗА ПЕРФУЗИЯТА

Възраст (години) 36 Височина (cm) 180 Тегло (kg) 176 Телесна повърхност по формулата на Haycock (m2) 3.03 Изчислен сърдечен дебит по формулата на Adolf E. Fick, (l/min) 7.3 (ГДПВ). Последва кардиоплегичен сърдечен арест посредством кръвна кардиоплегия. Осъществи се операция на Bentall de Bono (AVR SJM Master No27, resectio aorta ascendens, interposition prosthesis Intergard Woven No30, et reimplantatio LMCA et RCA). Продължителност на ЕКК - 153 мин., клампаж на аортата - 98 мин., хиотермичен циркулаторен арест - 2 минути. След съответното време за реперфузия гладко излизане от ЕКК.

Използвахме машина за екстракорпорална цикулация Stöckert S5 Roller pump 150, и допълнително отделна центрогугална помпа с конзола MEDOS Medizintechnik AG, Stolberg, Germany. Използвахме затворена система с два паралелно свързани оксигенатора MEDOS HILITE 7000, един венозен резервоар от 800 ml, един кардиотомен резервоар 4000 ml свързани към венозната линия за перфузионната верига. Кръвната кардиоплегия се въвеждаше по протокол на клиниката ретро- и антеградно, като иницииращата доза се пласира за 4-5 min, а на всеки 20 min се правеха нови 2 min плегия. Студеният кръвен плегичен разтвор в съотношение 1:4 с дебит 220-260 ml/ min при въвеждането ѝ в аортния корен или 140-180 ml/min, когато се въвеждаше селективно в коронарните остиуми или ретроградно през венозния коронарен синус. На нивото на изхода на центрофугалната помпа беше монтиран Y конектор и

свързан с двата оксигенатора. От изходите на оксигенаторите отново посредством У-конектор се образуваше една артериална линия, която доставяше оксигенираната кръв към пациента (Снимка 3 и 4) Линията за подаване на кислород от смесителя беше свързана с Y конектор към двата оксигенатора. С използването на два оксигенатора получихме общо 3.8 m2 площ на газообменната мембрана, 2x0.45 m2 повърхност на топлообменника и приблизителна 3.65 l/min кръвен поток през един оксигенатор при общ

Снимка 2 Стернотомия

[www.medmag.bg ] 49
дебит от 7.3 l/min, (Табл. 2) Системата се зареди (праймира с) Mannitol 10% - 250 ml.; Ringer Lactat - 750 ml.; Sterofundin - 1000 ml; Gelofusine - 500 ml. и 5000 UI Heparin – общо 2500 мл. Така осъществихме перфузия с два оксигенатора. Пълните данни за перфузията обобщихме в Табл. 3. Перфузията беше безпро -

Артериална

Оксигенатор 1 Оксигенатор 2

НА ФОКУС

Центрофугална помпа Венозен резервоар

блемна по време на цялата операция. Налягането в артериалната линия не надвиши 350 mmHg дори и в моентите с най-висок дебит. Не сме иали проблеми с венозното връщане, както и с охлаждането и затоплянето на пациента. Продължителността на ЕКК беше 153 мин., клампаж на аортата - 98 мин. хиотермичен циркулаторен арест - 2 мин. Най-високата скорост на кислородния поток към оксигенаторите бе 5.2 l/min с максимален FiO2 50%.

кръв (SaO2), сърдечният дебит (CO), консумация на кислород в тъканите (vO2) и афинитета на хемоглобина за кислород. От изключително значение са и физическите характеристики на оборудването за перфузия. Мембранните оксигенатори имат фиксирани възможности за трансфер на кислород, и могат да пренасят определено количество от него към кръвта на всяко преминаване през оксигенатора, независимо от венозната сатурация. Тези скорости за газов трансфер са определени и обозначени от фирмите производители за всеки оксигенатор и са измерени при „нормален“ за дадения оксигенатор кръвен дебит. Новите и модерни оксигенатори позволяват трансфер на кислород до около 350-450 ml/min. Друга информация давана от фирмите производители за

Htc Дебит

ЕКК 10

70

50 І Medical Magazine | декември 2022 Схема. 1 Схематично представяне на кръга за ЕКК с двата оксигенатора Табл. 2 Характеристика на оксигенаторите Табл. 3 Перфузионни и лабораторни данни Производител MEDOS Medizintechnik AG Obere Steinfurt 8-10 D-52222 Stolberg • Germany Площ на газообменната мембрана
1,9 Обем разтвор в оксигенатора (ml) 275 Материал на газообменната
Microporous
Материал на топлообменника Polyester Maximum recommended blood
O2 и CO2 трансфер
40 Минути от ЕКК Поток на O2 през оксигенаторите
(m2)
мембрана
polypropylen линия
flow (l/min) 6,8
(ml/min)
FiO2 Темп.°С Ph
pO2 mmHg pCO2 mmHg
на
5,2 l. 50% 36,9 7,46 450 36 32,9 7,3
4 l. 44% 35,9 7,38 160 34,8 33,1 7,1 144 4,2 l. 40% 36,8 7,44 128 32,8 34,8 7,2
кардиоплегия
ДИСКУСИЯ Способността за адекватно перфузиране и оксигениране на пациент по време на кардиопулмонален байпас (CPB) зависи от различни фактори – стойността на хемоглобина в кръвта, кислородната сатурация на артериалната

всеки оксигенатора са: спадът на налягането през мембраната, максимален дебита на кръвният поток преминаващ през него, повърхността на мембраната и ефективността на топлообменника. Въз основа на формулите за измерване на стойностите на O2 в кръвта[1], можем да определим дали даден оксигенатор може да покрие нуждите на конкретен пациент. При изключително затлъстели пациенти кислороден дефицит може да се появи по всяко на перфузията, особено след стартиране на ЕКК, по време на първоначалното охлаждане и по време на затоплянето на пациента. Проблеми могат да се очакват и при нормотермична перфузия. При използване на дебит на перфузия над 6 l/min е необходимо да се вземе предвид и размерът на артериалната канюла (това наложи бифеморалната канюлация в конкретния случай), венозното връщане на кръв към оксигенатора, възможността за свръхвисоко налягане в артериалната линия, както и мощността на топлообменника.

Кислородните нужди при този свръх-едър пациент могат да бъдат изчислени на базата на формулата за средна кислородна консумация от 130 ml/min/m2 Кислородните нужди могат да бъдат намалени посредством анестезия или хипотермия[4]. Наложително е също така да се оцени мембранният капацитет за пренос на кислород, който се изчислява на базата на артериално-венозната кислородна разлика , като се използва следната формула[4,6]:

O2 трансфер = (SaO2 – SvO2) . (1.34 . Hb) . (10) . (сърд. дебит l/min) Тази формула може да се използва за определяне на скоростта на кръвният поток, необходима за доставяне на адекватно количество кислород към тъканите, ако е известна кислородната консумация на пациента, или за изчисляване възможността на оксигенатора да трансферира необходимото количество кислород. SaO2 ни дава информация за възможностите за газов трансфер на оксигенатора, докато SvO2 разкрива данни за извличането и усвояването на кислорода от тъканите на пациента. Смятаме, че е нужно хирургичният екип да познава възможностите и ограниченията на оксигенаторите използвани в ежедневната ни практика, за да може адекватно да посрещне нуждите на всеки отделен пациент, дори и в условията на екстремни перфузии като описаната.

Снимки 3 и 4 Перфузионният кръг с два оксигенатора

1. Brodie JE, Johnson RB. The manual of clinical perfusion. 2nd ed. Atlanta, GA: Glendale Medical Corporation, 1997:45–54.

2. Cleland A, Mac Donald J, Mayer R. Normothermic cardiopulmonary bypass in the larger patient. J Extra Corpor Technol 1989;21(1):21–3.

3. Gydax E, Schüpbach P, Carrel TP. Thoracoabdominal Aortic Repair in a 190–kg Patient: Optimized Perfusion With Two Oxygenators. Ann Thorac Surg 2001;71:347–9.

4. Hamilton C. Case study: Use of Two Parallel Oxygenators in a 159 Kilogram Patient During Normothermic Cardiopulmonary Bypass. J Extra Corpor Technol 1993;25(3): 101–4. 5. Hill AG, Lefrak EA. Cardiopulomonary bypass in the massive patient. Proc Amer Acad Cardiovasc Perf 1984;(5):173–6.

6. Lonský V Manďák J, Kubíček J et al. Use of two parallel oxygenators in a very large patient (2.76 m2) for an acute “A” dissecting aortic aneurysm. Acta Medica 2005;48(2):95–98

[www.medmag.bg ] 51 ИЗПОЛЗВАНА ЛИТЕРАТУРА:
Използването на два паралелно свързани оксигенатора е ефективен, лесен и сравнително безопасен метод при такива екстремни перфузии, предлагащ на хирургичният екип допълнителен оксигенаторен резерв и предопределящ добрият изход при тези изключително сложни и хирургични интервенции.
ЗАКЛЮЧЕНИЕ

Й. Велевска1 , П. Вътов2 , И. Юнгарева3 , С. Марина3 1Катедра по инфекциозни болести, паразитология и дерматовенерология, Медицински университет - Варна 2Катедра по хирургични болести, УС Урология, Медицински университет - Варна 3Медицински институт на Министерството на вътрешните работи - София

Дерматологична проктология

ДИАГНОСТИЧЕН ПОДХОД Анамнеза Внимателната анамнеза е от първостепенно значение. Тя включва: наличие на сърбеж, парене, болка, спазми, неприятен мириз, поява на ярко червена кръв или тъмни изпражнения върху дефекацията; какво е изхождането – нормално, запек, диария, инконтиненция; ползване на лаксатив; стомашно-чревни проблеми, чернодробно заболяване, метаболитни нарушения и необяснима загуба на тегло; фамилна анамнеза както за хемороиди и варици, така и за колоректални полипи и карциноми; предишни проктологични данни - диагностични процедури, перорални медикаменти и хирургични лечения.

поза, легна -

оглед се провежда при традиционна

настрани в sims позиция или

литотомно положение на краката, като най-добра се счита позицията коляно-лакът с задните части във въздуха. Статусът се описва по часовниковата стрелка, като перинеума е на 12 часа. • Оглед. При огледа може да се установи мацерация при интертриго, периферни пустули при кандидоза, лихенификация при хроничен дерматит, хемороиди, фисури, фистули, кондиломата акумината, кондиломата лата, анален пролапс, тагове и карциноми. • Дигитално изследване. Анусът може да се палпира на разстояние около 10 см с омазнен пръст. Проверява се както сфинктера и повърхността на ректалната лигавица (нодуси, улкуси, кръв, гной), така и простатата и влагалището. При болезнена анална фисура се прибягва до локална анестезия. • Прокто- и ректоскопия. Проктоскопите и ректоскопите позволяват осветен оглед на ануса и ректума до 15 см. При по-високи/

дълбоки лезии се провеждат сигмоидоскопия, колоноскопия или образни прегледи.

HEMORRHOIDS (ХЕМОРОИДИ) Етиология и патогенеза Хемороидите възникват от разширяване на корпора каверноза ректи. Те са разположени в краниалната трета на ректалния канал. Етиологично значение имат генетичната предиспозиция, хроничните констипация или диария, злоупотреба с лаксативи и алкохол, храна с високо съдържание на мазнини, продължително седене и напрежение и бременност [1]. При хемороидите може да се появи възпалителна реакция[2] и съдова хиперплазия[3,4] Хемороидите могат да бъдат разгледани и като вътрешни

52 І Medical Magazine | декември 2022
Физикален преглед • Позицията на пациента и
ватното осветление са от зна
за физикалния
адек-
чение
преглед. Външният
военна
ли
Представят се дерматологичните аспекти на заболяванията в аналната и перианалната области. Обсъжда се тяхната етиопатогенеза, клиника и терапия.
линия и са покрити от лигавица, докато външните са разширени венули на този плексус, разположени са под Ключови думи: Аногенитални заболявания, етиопатогенеза, клиника, терапия. ДЕРМАТОЛОГИЯ
и външни. Вътрешните хемороиди произхождат от долния хемороидален венозен плексус над дентатната/зъбчатата

дентатната/зъбчатата линия и са покрити с плосък епител. Смесените (вътрешно-външни) хемороиди възникват както над, така и под дентатната/зъбчатата линия.

Клинична картина Хемороидите се класифицират в четири стадия.

• Стадий I. Един или повече нодули се развиват около дентатната/зъбчатата линия. Не се палпират. Откриват се при проктоскопия. Най-честият симптом е яркочервена кръв върху изпражненията или тоалетната хартия. Рядко има болка. • Стадий II. Нодуларните васкуларни пролиферации се разширяват, като се простират надолу по аналния канал. Могат да екструдират/излезат навън при напрежение на пациента, но веднага се прибират. Те по-лесно се палпират, тъй като са тромбозирали или фиброзирали. Движенията на червата често са болезнени и могат да се появят спазми.

• Стадий III. Лезиите са по-големи и забележими в аналния канал. Те остават навън при пролапс и се налага мануално репониране. Болката може да се съпроводи от излизане на изпражнения.

• Стадий IV. Налице е постоянен анален пролапс с еритемна или ливидна, анална лигавица и фиброзни хемороиди извън ректума. Аналната архитектура е променена с дисфункция на сфинктера. Най-честата проява на хемороидите е безболезненото ректално кървене, описвано от пациентите като капки кръв в тоалетната чиния. Кръвта обикновено е яркочервена, тъй като при хемороидите има директна артериовенозна комуникация[3]. Пролабиращите хемороиди могат да причинят анален сърбеж или иритиране на перинеума поради секреция на лигавиците или фекални замърсявания. Пациентите с големи хемороиди съобщават за усещане от непълна евакуация на изпражненията или пълнота в ректума. Болката обикновено не е от хемороидите, освен ако няма тромбоза, особено при външен хемороид, или ако не странгулира вътрешен хемороид от четвърта степен. По-чести причини за нея са анална фисура и перианален абсцес.

Усложнения Излизането на изпражнения и богатата на ензими слуз могат да причинят интертриго

или инфекция с Candida albicans. Мацерацията води до иритативен контактен дерматит, а употребата на много кремове и унгвенти до алергичен контактен дерматит. Продължителното използване на локални кортикостероиди се последва от атрофия и предразполага към инфекции. Увредената кожа е терен за човешкия папилома вирус. Диференциална диагноза Кондиломата акумината, анален или ректален карцином, улкус дурум или кондиломата лата върху аналната лигавица, гонорея с анално възпаление, възпалително заболяване на червата, акне инверза и периорифициална туберкулоза. Терапия Терапията на хемороидите варира от диета и промяна начина на живот до радикална операция, в зависимост от степента и тежестта на симптомите[5,6]. Диетата да е богата на фибри, плодове и зеленчуци, като се комбинира с добавяне на трици. Необходим е прием на повече течности и намаляване консумацията на мазнини. Трябва да се промени и начина на живот – редовни упражнения, подобряване на аналната хигиена, въздържане както от напрежение, така и от прекомерно седене в тоалетната и избягване на лекарства причиняващи запек или диария. Венотонични медикаменти Орални флавоноиди. Повишават съдовия тонус, намаляват венозния капацитет, намаляват пропускливостта на капилярите[7] , улесняват лимфния дренаж[8] и имат противовъзпалителни ефекти[9] Орален калциев добезилат. Прилага се при остри симптоми на хемороиди[10]. Намалява пропускливостта на капилярите, инхибира тромбоцитната агрегация и подобрява вискозитета на кръвта с последващо намаляване на тъканния оток[11] Локални медикаменти Локалните медикаменти могат да съдържат различни съставки като локални анестетици, кортикостероиди, антибиотици и други противовъзпалителни[12]. Супозиториите и унгвентите временно облекчават болката в по-леките случаи, но при продължителна употреба причиняват усложнения (виж по-горе).

[www.medmag.bg ] 53

Склерозираща терапия Склерозиращата терапия е полезна при стадий I и II на заболяването. Използваните разтвори са 5% фенол в масло, растително масло, урея или 25% хинин дихидрохлорид и хипертоничен солеви разтвор[13]. Инжектира се в субмукозния слой под хемороидите.

Инфрачервена коагулация Инфрачервеният лазер действа на лигавицата, коагулира и свива хемороидалната маса[14]. Процедурата е почти безболезнена, с леко кървене.

Криотерапия Криотерапията премахва хемороидалната тъкан със замразяваща криосонда[15]. Процедурата е болезнена и често има следоперативното кървене поради изразената некроза. Лигиране с гумена лента Лигирането на хемороида с гумена лента се прави с инструмент, специално предназначен за тази цел. Третират се предимно хемороиди в I и II стадии, но понякога и в III[14,16]. Получава се повърхностен улкус, преминаващ с фиброза.

Дилатация Дилатацията е стар метод, който все още се използва при болезнени хемороиди и повишен тонус на сфинктера[5] Хирургическо лечение При III и IV стадий на хемороиди се провежда хемороидектомия. Последната често се комбинира с латерална подкожна сфинктеротомия. Хемороидалните възли се отстраняват, а захранващите съдове се лигират [5,15] ANAL DERMATITIS (АНАЛЕН

Перианалната област е влажна и кожните повърхности са в близък контакт. Увеличаване на влагата от секреция поради проблеми с аналния сфинктер (както при хемороиди), от повишено изпотяване или от намалена хигиена, води до мацерация и намалена бариерна функция на кожата. В болестния процес участват още много протеолитични ензими от изпражненията и ректални мукоидни секрети. Влияние оказват и затлъстяването, захарния диабет, прекомерното окосмяване и особеностите в аналната анатомия (дълбоки или прекомерни кожни гънки, анални тагове, фисури или фистули).

Клинична картина Най-характерният симптом е интензивния сърбеж. Първоначално е налице еритем и ексудация, по-късно – крусти и сквами, а при хронифициране - лихенификация. Основните вторични усложнения са алергичен контактен дерматит, инфекция с Candida albicans и condylomata acuminata (виж по-горе).

Диференциална диагноза: псориазис, лихен планус, лихен склерозус, екстрамамарна болест на Пейджет и болестта на Боуен.

Терапия Първата стъпка е да се лекува наличното анално заболяване. Следващата е аналната хигиена. Пациентът трябва да бъде насърчаван да измива перианалната област след всяка дефекация [17] . Специфичната локална терапия трябва да бъде съобразена със стадия на дерматита. Някои пациенти поставят марлена подложка или памучна вата в аналната гънка, за да абсорбират влагата. При ексудиращи лезии са полезни охлаждащи компреси, бани и водни багрила. Локалните кортикостероиди, под формата на лосион или крем, водят до бързо облекчение, но при хроничен перианален дерматит, е желателно да се избягват [18] . Може да се използват и локални калциневринови

инхибитори [19, 20] . При кандидоза са достатъчни локалните имидазоли и нистатина. При бактериални кожни инфекции се прилагат бактериостатични или бактерицидни локални антибиотици като неомицин, мупироцин, бацитрацин, еритромицин, клиндамицин или фузидова киселина [21] .

PRURITUS ANI (АНАЛЕН СЪРБЕЖ) Определение: Перианален сърбеж, понякога при липса на идентифицирано заболяване.

Етиология и патогенеза Причините за аналния сърбеж са изброени в таблица 1, но могат и да не се открият. Дерматозите, причиняващи анален сърбеж, обикновено не са ограничени само в перианалната област. Морфологията им може да бъде нетипична за заболяването. Диагностичен проблем е пациент с анален пруритус без придружаващи физикални находки. Много от болните са атопици със сърбеж породен от изпражненията и повишените хигиенни мерки. Контактният дерматит протича със сърбеж, еритем, везикули и сквами. Възниква при сенсибилизация към химикалите в почистващите и терапевтичните препарати, включително кремове, сапуни, мокри кърпички, глицерил тринитрат, анестетици, боя за тоалетна хартия и други [23,24] . Сенсибилизиращи агенти има и в локалните кортикостероиди, от които след първоначалното подобрение настъпва влошаване на състоянието [25] . Псориазис се открива при 5-55% от пациентите с анален сърбеж, като плаките и хистологията са атипични поради разчесването и локалното лечение [22,23,24,25] . 15% от аналния сърбеж се причинява от микози [22,23,25,26] При хронифициране и терапевтично неповлияване на лихен склерозус е необходимо хистологично изследване, тъй като има 5% честота на спиноцелуларен карцином. Половината от пациентите с перианална болест на Пейджет или на Боуен имат придружаващ сърбеж,

54 І Medical Magazine |
2022
декември
в САЩ термина интертриго. Етиология и патогенеза
ДЕРМАТИТ/АНАЛНА ЕКЗЕМА) Определение В Германия се използва терминът анална екзема, а
ДЕРМАТОЛОГИЯ

но хистологичното изследване е определящо.

Клинична картина Промените варират

от липса на симптоми до наличие на обрив характерен за основното заболяване (Табл. 1).

Усложнения и прогноза. Аналният пруритус може да протече с усложнения подобни на тези при хемороиди и перианален дерматит. За разлика от скроталния и вулварния пруритус има по-големи шансове за подобрение.

Лечение Основното заболяване трябва да се лекува. Ако не се установят клинични промени, се препоръчва хигиена и локален антипруригинозен/емолиентен или кортикостероиден крем. Продължителна употреба на локални кортикостероиди се избягва.

В Европа често се прилага полидоканол, а в САЩ прамоксин, които се комбинират с ниско потентен кортикостероид. При суперпонирана бактериална или микотична инфекция се добавят локални антибактериални или антимикотични средства. Системните антихистамини намаляват нощния сърбеж[27,28].

Първичен иритативен дерматит от изпражнения

Хемороиди

Анални тагове Анална фистула Анална фисура

Възпалително заболяване на червата Диария Злоупотреба със слабителни

Алергичен контактен дерматит

Анални медикаменти Съдържание на супозитории Почистващи продукти Дерматози

Атопичен дерматит Псориазис Лихен планус Лихен склерозус

Болест на Боуен Екстрамамарна болест на Пейджет Лангерхансова клетъчна хистиоцитоза

Локални инфекции Кандидоза Тинеа глутеалис Оксиуриаза Кондиломата акумината Боуенова папулоза Кондиломата лата Доброкачествени и злокачествени анални тумори Генерализиран пруритус Болест на Ходжкин Захарен диабет Хронично бъбречно и чернодробно заболяване Много други Психогенни или идиопатични

ционалните стомашно-чревни разстройства. Засяга млади хора. Протича с внезапни спазми и болки в ануса или долната част на ректума в ранните сутрешни часове. Те продължават няколко минути до половин час и персистират седмици. Между епизодите няма болка[29]. Рецидивите са нерегулярни, през няколко месеца. Причината е неизвестна, предполага се че оказват влияние спазми на съдовете или на тазовата мускулатура и външния сфинктер. Открива се по-често след склеротерапия на хемороиди, вагинал -

Табл. 1 Причини за анален сърбеж

[www.medmag.bg ] 55
PROCTALGIA
(ПРОКТАЛГИЯ ФУГАКС) Синоними: Аноре
ктална
Прокталгия Фугакс или функционална повтаряща
ректална
спектъра
FUGAX
-
невралгия, proctalgia nocturna.
се ано -
болка е в
на функ-

на хистеректомия и при функционални патологии, като синдром на раздразнените черва и тревожност [30]

Диагноза Диагнозата се поставя след изключване на други причини за аноректална болка (напр. хемороиди, исхемия, абсцес, фисура, ректоцеле и злокачествено заболяване)[31]. Болката при аноректалната невралгия е специфична, краткотрайна и в ранните сутрешни часове.

Терапия Повечето пациенти изпитват облекчение от затопляне (напр. бутилка с топла вода), промяна позицията на тялото и опити за изхождане. В някои случаи нитроглицеринът е полезен, което подкрепя възможната съдова етиология[32]

PERIANAL ERGOTISMUS (ПЕРИАНАЛЕН ЕРГОТИЗЪМ) Определение: Перианални улкуси след продължителна употреба на ерготаминови супозитории. Епидемиология Засяга предимно жени страдащи от мигрена и провеждащи лечение с ерготаминови супозитории. Етиология и патогенеза Локално ерготамина причинява контракция на съдовете, относителна хипоксия, а по-късно кожна некроза[33]

Клинична картина Перианални улкуси, които могат да бъдат както в непосредствената перианална област, така и в дисталната част на ануса. Те са болезнени, дълбоки, често с мукопурулентна повърхност и често изглеждат перфорирани[34].

Диференциална диагноза: сифилис, ингвинален гранулом, туберкулоза, херпес симплекс, карциноми, хистиоцитозата на Лангерхансовите клетки и др. протичащи с с перианални улцерации.

Терапия Спиране на супозиториите. Стандартна грижа за улкусите.

ANAL FISSURE (АНАЛНА ФИСУРА)

Определение: Радиално разкъсване на аналния канал.

Етиология и патогенеза Точната причина е неизвестна. Основен фактор е разкъсване на аналната лигавица от твърди или голями изпражнения, но оказват влияние и локалната иритация от диария, аноректални хирургични процедури, анален полов акт и елипсовидното разположение на външния сфинктер, което води до по-слаба опора за аналния канал[35, 36]. Фисурите може да са следствие на хемороиди, тромбофлебит и възпалително заболяване на червата. Най-често са по задната срединна линия. Фисурата може да достигне вътрешния сфинктер, да причини свиването му и да влоши проблема. Клинична картина Повечето фисури се откриват на 6 часа, но някои и на 12 часа. Дефектът обикновено е около 1 см дълъг и до 0,5 см широк, като се простира от зъбчатата/дентатната линия до кожата, която не е засегната. Основният симптом е силна болка при дефекация. Често има и кървене[37]. Спазмите може да са толкова интензивни, че пациентът се страхува от изхождане, последва констипация и влошаване на състоянието. Аналният пръстен е плътно затворен и често прегледът е възможен само с локална анестезия.

Терапия Ранните фисури се повлияват от диета богата на фибри и от облекчаване на запека и напрежението. Необходими са още избягване на други причини за анална травма, седящи бани след дефекация и меки супозитории [38] . При по-напреднали случаи и хронични фисури се прави или дилатация за отпускане на вътрешния сфинктер, което подобрява притока на кръв и помага за заздравяването или сфинктеротомия. Прилагат се още инжекции под фисурата или на склерозираща течност или на триамцинолон ацетонид (2.5-5.0 мг/мл в анестетичен разтвор), криотерапия и ексцизия на фисурата. Инжекциите с ботулинов токсин действат добре като отпускат сфинктера [39]

PERIANAL THROMBOSIS (ПЕРИАНАЛНА ТРОМБОЗА)

Синоним: Остра анална венозна тромбоза. Определение: Остро развитие на тромбозирала, болезнена перианална вена. Етиология и патогенеза Обикновено възниква при пациенти със за -

56 І Medical Magazine | декември
ДЕРМАТОЛОГИЯ
2022

пек или хемороиди. Дължи се на обширно или силно притискане при дефекация, което води до разкъсване на перианалната вена с образуване на хематом с последваща тромбоза[25]

Клинична картина Пациентът отбелязва болезнен оток от външната страна на аналния пръстен.

Налице е нодул с диаметър няколко сантиметра и синьо-червен до черен цвят, в зависимост от времето на поява на лезията.

Терапия Възелът се инцизира и се отстранява кръвният съсирек/тромба след локална анестезия. Следоперативния период включва седящи вани и емолиенти.

ANAL TAGS (АНАЛНИ ТАГОВЕ/ ВИСУЛКИ) Аналните кожни тагове/висулки са по-големи кожни гънки, обикновено в резултат от перианална тромбоза. Те дават лош естетичен вид, влошават локалната хигиена и понякога причиняват перианален дерматит. Отстраняват се с електрокаутер или с лазер[36].

ANAL FISTULA AND ABSCESS (АНАЛНА ФИСТУЛА И АБСЦЕС) Непълната или сляпа фистула се оттича от аналния канал в меките тъкани, но не достига кожата. Може да се развие перианален абсцес. Пълната фистула свързва аналния канал и кожата. Последва отделяне на слуз, изпражнения и дори кръв на повърхността на кожата. Секретът може да причини

перианален дерматит и перианален сърбеж. В някои случаи пълната фистула е доста болезнена.

Повечето периректални абсцеси произхождат от инфектирана анална жлеза. Тези жлези са в основата на аналните крипти и са разположени на нивото на зъбчатата/дентатната линия. Запушването им води до застой, бактериален свръхрастеж и абсцеси в интерсфинктерния жлеб[40]

При хирургично или спонтанно дрениране може да настъпи персистиране на септичните огнища, епителизиране на дрениращия тракт и образуване на хронична фистула. Подходът и към двата проблема е хирургичен.

1. Loder PB, Kamm MA, Nicholls RJ, et al. Haemorrhoids: pathology, pathophysiology and aetiology. Br J Surg. 1994; 81: 946–954.

2. Morgado PJ, Suárez JA, Gómez LG, et al. Histoclinical basis for a new classification of hemorrhoidal disease. Dis Colon Rectum. 1988; 31: 474–480.

3. Aigner F, Gruber H, Conrad F, et al. Revised morphology and hemodynamics of the anorectal vascular plexus: impact on the course of hemorrhoidal disease. Int J Colorectal Dis. 2009; 24: 105–113.

4. Chung YC, Hou YC, Pan AC. Endoglin (CD105) expression in the development of haemorrhoids. Eur J Clin Invest. 2004; 34: 107–112.

5. Acheson AG, Scholefield JH. Management of haemorrhoids. BMJ. 2008; 336: 380–383.

6. Kaidar-Person O, Person B, Wexner SD. Hemorrhoidal disease: A comprehensive review. J Am Coll Surg. 2007; 204: 102–117.

7. Labrid C. Pharmacologic properties of Daflon 500 mg. Angiology. 1994; 45: 524–

530.

8. Labrid C. A lymphatic function of Daflon 500 mg. Int Angiol. 1995; 14: 36–38.

9. Struckmann JR, Nicolaides AN. Flavonoids. A review of the pharmacology and therapeutic efficacy of Daflon 500

mg in patients with chronic venous insufficiency and related disorders. Angiology. 1994; 45: 419–428.

10. Misra MC. Drug treatment of haemorrhoids. Drugs. 2005; 65: 1481–1491.

11. Tejerina T, Ruiz E. Calcium dobesilate: pharmacology and future approaches. Gen Pharmacol. 1998; 31: 357–360.

12. Johanson JF. Nonsurgical treatment of hemorrhoids. J Gastrointest Surg. 2002; 6: 290–294.

13. Kaidar-Person O, Person B, Wexner SD. Hemorrhoidal disease: A comprehensive review. J Am Coll Surg. 2007 Jan; 204(1): 102-17. doi: 10.1016/j. jamcollsurg.2006.08.022. Epub 2006 Oct 25. PMID: 17189119.

14. Ricci MP, Matos D, Saad SS. Rubber band ligation and infrared photocoagulation for the outpatient treatment of hemorrhoidal disease. Acta Cir Bras. 2008; 23: 102–106.

15. Smith LE, Goodreau JJ, Fouty WJ. Operative hemorrhoidectomy versus cryodestruction. Dis Colon Rectum. 1979; 22: 10–16.

16. Chaleoykitti B. Comparative study between multiple and single rubber band ligation in one session for bleeding internal, hemorrhoids: a prospective study. J Med Assoc Thai. 2002; 85: 345–350.

17. Alexander-Williams J. Causes and

management of anal irritation. Br Med J (Clin Res Ed) 1983; 287: 1528.

18. Wienert V, Heusinger JH. Local treatment of hemorrhoidal disease and perianal eczema. Meta-analysis of the efficacy and safety of an Escherichia coli culture suspension alone or in combination with hydrocortisone. Arzneimittelforschung 2002; 52: 515– 523.

19. Kreuter A, Hochdorfer B, Altmeyer P, et al. Pimecrolimus 1 % cream for perianal atopic dermatitis. Br J Dermatol 2005; 152: 186–187.

20. Schauber J, Weisenseel P, Ruzicka T. Topical treatment of perianal eczema with tacrolimus 0.1 %. Br J Dermatol 2009; 161: 1384–1386.

21. de Wet PM, Rode H, van Dyk A, et al. Perianal Candidosis – a comparative study with mupirocin and nystatin. Int J Dermatol 1999; 38: 618–622.

22. Smith LE, Henrichs D, McCullah RD. Prospective studies on the etiology and treatment of pruritus ani. Dis Colon Rectum. 1982; 25: 358–363.

23. Bowyer A, McColl I. A study of 200 patients with pruritus ani. Proc R Soc Med. 1970; 63(Suppl): 96–98.

24. Dasan S, Neill SM, Donaldson DR, et al. Treatment of persistent pruritus ani in a combined colorectal and dermatological

clinic. Br J Surg. 1999; 86: 1337–1340.

25. Alexander S. Dermatological aspects of anorectal disease. Clin Gastroenterol. 1975; 4: 651–657.

26. Dodi G, Pirone E, Bettin A, et al. The mycotic flora in proctological patients with and without pruritus ani. Br J Surg. 1985; 72: 967–969.

27. Chaudhry V, Bastawrous A. Idiopathic pruritus ani. Semin Colon Rectal Surg. 2003; 14: 196–202.

28. Hanno R, Murphy P. Pruritus ani. Classification and management. Dermatol Clin. 1987; 5: 811–816.

29. Bharucha AE, Wald A, Enck P, et al. Functional anorectal disorders. Gastroenterology. 2006; 130: 1510–1518.

30. Jeyarajah S, Chow A, Ziprin P, et al. Proctalgia fugax, an evidence-based management pathway. Int J Colorectal Dis. 2010; 25: 1037–1046.

31. Wesselmann U, Burnett AL, Heinberg LJ. The urogenital and rectal pain syndromes. Pain. 1997; 73: 269–294.

32. Lowenstein B, Cataldo PA. Treatment of proctalgia fugax with topical nitroglycerin: report of a case. Dis Colon Rectum. 1998; 41: 667-668.

33. Wienert V, Grussendorf E-J. Anokutaner Ergotismus gangraenosus. Hautarzt. 1980; 31: 668-670.

34. Brandt O, Abeck D, Breitbart E, et al. Perianaler Ergotismus gangraenosus [Perianal ergotismus gangraenosus]. Hautarzt. 1997 Mar; 48(3): 199-202. German. doi: 10.1007/s001050050571. PMID: 9182093.

35. Beaty JS, Shashidharan M. Anal Fissure. Clin Colon Rectal Surg. Mar 2016; 29(1): 3037. doi: 10.1055/s-0035-1570390. PMID: 26929749; PMCID: PMC4755763.

36. Gordon P H, Nivatvongs S. St. Louis, MO: Quality Medical Publishing, Inc.; 1999. Principles and Practice of Surgery for the Colon, Rectum and Anus, 2nd ed; p. 218.

37. Hananel N, Gordon P H. Re-examination of clinical manifestations and response to therapy of fissure-in-ano. Dis Colon Rectum. 1997; 40(2): 229–233.

38. Perry W B, Dykes S L, Buie W D, et al. Standards Practice Task Force of the American Society of Colon and Rectal Surgeons. Practice parameters for the management of anal fissures (3rd revision) Dis Colon Rectum. Mar 2011; 24(1): 22–30.

39. Jost W H, Schimrigk K. Use of botulinum toxin in anal fissure. Dis Colon Rectum. 1993; 36(10): 974.

40. Parks A G. Pathogenesis and treatment of fistula-in-ano. Br Med J. 1961; 1: 463–469.

[www.medmag.bg ] 57
ИЗПОЛЗВАНА ЛИТЕРАТУРА:

спортна индустрия. Договорите за милиони долари, таксите за участие, международното одобрение и спортната реклама представляват индустрия за милиарди, която предлага на съвременните спортисти, спонсорите и антуража им нечувани в миналото финансови облаги. В анкета с участието на елитни олимпийски спортисти списанието Sports Illustrated задава следния въпрос: „Ако ви дадат вещество за подобряване на постиженията, което не може да бъде засечено и гарантира победа, ще го вземете ли?“ 98% от анкетираните отговарят утвърдително. Друг, доста по-смущаващ въпрос е: „Ако ви дадат вещество за подобряване на постиженията, което не може да бъде засечено и ще ви гарантира победи във всички състезания през следващите пет години, но после ще умрете, ще го вземете ли?“ Повече от половината анкетирани отговарят с „Да“[1]

от професионални спортисти по целия свят. Този обзор представя обобщен преглед на историята на допинга в спорта и се съсредоточава върху най-често използваните незаконни вещества: анаболни андрогенни стероиди, човешки

58 І Medical Magazine | декември 2022 П одобряването на спортните постижения може да бъде постигнато с различни хранителни режими, програми за тренировка и усилен труд. От друга страна, то може да се реализира и с разнообразни физиологични, механични и фармакологични техники за допинг, като тази практика дати
на техники за подобряване на представянето, както и злоупотребата с тях. Не е останал
ка на измамата с незаконни допингови средства. Мотивирани от милионите долари, които вече се дават рутинно на победителите
ни
ни
ли,
програми,
оптимизират представянето, често с риск за здравето на спортистите. Сега същите тези програми излизат извън
Съществуват няколкостотин форми на познати, а вероятно и редица непознати, средства и техники за допинг, употребявани
История
допинга в спорта И. Митева1 , В. Вълчев2 1Катедра по трудова медицина,ФОЗ, Медицински Университет - София 2Катедра “Физиология и биохимия” Национална спортна академия “Васил Левски" Кредото на Олимпийските игри гласи: „Най-важното нещо на Олимпийските игри е не да спечелиш, а да вземеш участие. Важното е не да си победил, а да си се борил добре.” Каузата е благородна, но е далеч от реалността в съвременния спортен свят. Спортистите се награждават за победи в почти всички етапи от състезанията. Второто място се приема като „първото губещо“. Сигурността на работата на треньорите е пряко свързана с успеха на отборите им, а не с „добрата им борба“. В тази реалност не е изненадващо, че спортистите и треньорите са готови да правят жертви и да поемат големи рискове, за да получат предимство в състезанията и да подобрят представянето си на всяка цена. Употребата на допинг в олимпийските и професионалните спортове се е превърнала в медицински, етичен и законов проблем за съвременните спортисти и спортни организации. Това се дължи предимно на паричните суми, свързани с победата в съвременната
ДЕРМАТОЛОГИЯ
ра още от древността. Редом с нарастването на наградните фондове и финансирането от спонсори напредва и разработването
спорт, непомрачен от обла
в спорт-
събития, неетични фармацевтич -
компании, медицински служите -
треньори и спортни организации работят подмолно, понякога без съгласието на самите спортисти, по създаването на сложни допингови
които
пазара на професионалните спортове и настъпват с тревожни темпове към младежите и други уязвими групи от населението.
хормон на растежа (hGH) и еритропоетин (ЕРО).
на

ИСТОРИЧЕСКИ ПРЕГЛЕД НА ДОПИНГА Средствата за подобряване на постиженията не се свързват единствено със съвременните спортни състезания. Гъби, растения и смеси от вино и билки са били използвани от олимпийците в Древна Гърция и римските гладиатори, състезавали се на Циркус Максимус още през 776 г. пр. н. е. Редица растения са били приемани заради стимулиращите им ефекти в състезания

вал

Спортната медицинска служба на Източна Германия, донесли безчет златни медали (спечелени предимно от млади жени, защото те реагирали по-рязко на мъжките хормони). Тези спортисти страдали от редица здравословни проблеми, а някои били покосени от преждевременна смърт[5].

[www.medmag.bg ] 59
за скорост и издръжли -
както и за притъпяване на болката, за да позволяват на ранени спортисти да продъл
напред в
игри
пил
от
не умрял. Смесите със стрихнин и кофеин били широко използвани от спортистите и всеки треньор или отбор разработ
вителство за подобряване на постиженията чрез старателно планирани
на
вещества
Добре документираните и контроли
рани експерименти с хормонален допинг при подрастващи спортисти,
от
вост,
жават
състезанието[2-4] На Олимпийските
през 1904 г. маратонецът Томас Хикс
смес
бренди и стрихнин и едва
свои уникални тайни формули. През 30-те години амфетамините заместили стрихнина като предпочитан от спортистите стимулант. През 50-те години олимпийският отбор на Съветския съюз пръв използвал мъжки хормони за увеличаване на силата и мощта си. След падането на Берлинската стена била разкрита програмата на източногерманското пра -
схеми за прием
стероиди и други
от млади спортисти.
-
извършвани

Светът осъзнава мащаба и ползите от допинга в спорта, когато златният медал на Бен Джонсън от Олимпийските игри в Сеул през 1988 г. е отнет заради употреба на стероида станозолол. През 1967 г. медицинската комисия към Международния олимпийски комитет (МОК) съставя списък на забранените вещества и въвежда анти-допинг тест за участниците в Олимпийските игри в Мюнхен през 1973 г. Тогава вече е ясно, че допингът работи и печели златни медали, ако остане незасечен. Източногерманските учени от държавните допингови програми в Крайша и Лайпциг, заклеймени в родната си страна, вече са търсени в Азия, страните от бившия Съветски блок и спортни организации по цял свят, стремящи се към по-висок статут. Допингът става толкова често срещан в олимпийския спорт, че според някои рекордите трябва да бъдат отменени или оставени „на изчакване“, докато не се установят и спрат всички форми на допинг. През 80-те и 90-те години незаконните допингови програми се разпространяват от спорт към спорт, насочвани от напредничави, макар и неетични, фармацевтични компании и специалисти по спортна медицина. През 1999 г. МОК организира Световна конференция за допинга в спорта в отговор на шокиращо откритие на огромни количества допингови средства и принадлежности от френската полиция на Тур дьо Франс 1998 г. На този форум се учредява независимата Световна антидопингова агенция (САДА). Мисията ѝ е да действа независимо от МОК, спортните организации и правителствата в борбата срещу допинга в спорта[6] Въпреки годините на интензивни допинг тестове, провеждани от международни спортни федерации, като тези по колоездене, атлетика и футбол, скандалите с употреба на

антидопингови програми с ограничен

тъй като спортните организации осъзнават потенциала на допинга да вреди на състезателите и тения спорт. През 1998 г., когато американският бейзболист Марк Макгуайър подобрява рекорда на Роджър Марис за хоумрън, става ясно, че той е приемал хра -

нителна добавка, съдържаща предшественик на стероида нандролон. По онова време Висшата бейзболна лига няма действаща забрана за стероиди и не смята, че те представляват проблем в редиците ѝ. По-късно държавни разследвания и показания на бивши играчи разкриват, че злоупотребата със стероиди наистина е проблем в лигата и се въвежда програма с ограничен обхват за изследване на играчите. През 2003 г. настъпва друго събитие, важно за разбирането на институционалната природа на допинга. Лаборатория в Лос Анджелис, акредитирана от САДА, получава анонимно изпратена спринцовка, съдържаща тетрахидрогестринон (ТХГ) - „дизайнерски“ стероид, който по-онова време не е познат и не присъства в забранителния списък на САДА. Той е разработен така, че да не може да бъде установен със съвременните антидопингови технологии. Това води до поредица от разследвания, обвинения и осъдителни присъди за лица, ръководили програма за подобряване на постиженията на професионални спортисти на фармацевтичната компания BALCO в Сан Франциско. През май 2006 г. испанската полиция арестува петима души и конфискува редица забранени средства за подобряване на постиженията и принадлежности за кръвен допинг в мадридска клиника. Там професионални спортисти получавали хормонални инжекции и следвали предписания за прием на други допингови средства. Полицейският доклад с обем 40 страници включва ясна документална следа за допинговите процедури на поне 50 професионални колоездача. Докладът е предоставен на Международния колоездачен съюз, което води до дисквалифицирането на 23 професионални колоездача – почти всички топ претенденти от Тур дьо Франс 2006. Финалът на обиколката през 2006 г. също е помрачен, тъй като шампионът Флойд Ландис се оказва с положителен антидопингов тест за стероиди. Ландис губи шампионската титла и е освободен от екипа си. По времето на публикуване на настоящата статия Ландис и неговите юристи и медицински специалисти оспорват резултата, като твърдят, че тестът е невалиден заради допуснати грешки при вземането на пробата, анализа и докладването на резултатите. При друго разследване в Париж през 2006 г.

60 І Medical Magazine | декември
2022
да
Професионалните
в Съединените щати не са обект на широкообхватни антидопингови програми, тъй като сдруженията на спортистите и колективните трудови договори не позволяват въвеждането на толкова интензивни изследвания. Въпреки това са въведени
стероиди от елитни спортисти продължават
бъдат във водещите новини по целия свят.
спортове
обхват,
ДЕРМАТОЛОГИЯ

23 лица са осъдени на 4 години затвор за трафик на смес от амфетамини и други допингови средства, позната като „белгийска смес“ сред професионалните колоездачи. Проблемът се усложнява от факта, че според статия в Журнала по приложна физиология от юни 2006 г. виаграта може да се използва за подобряване с приблизително 45% на представянето на колоездачи на голяма надморска височина. Това предполага, съществуването на цял нов клас допингови вещества, чието приложение не е ограничено до колоезденето[7]. През октомври същата година светът на крикета е разтърсен от новината, че двама пакистански състезатели – Шоайб Ахтар и Мохамед Асиф – са дали положителни проби за стероида нандролон. Този кратък преглед разкрива както историческата и институционална -

та природа на приема на допинг от спортистите, така и международното развитие на сложна нелегална мрежа за разпространение на допингови програми на черния пазар в крак със съвременната спортна индустрия. Днес програмите и средствата за подобряване на постиженията не са запазена марка на елитните спортисти, а са се разпространили във фитнес клубове, гимназии и други групи от населението, изложени на риск. Възникнала е индустрия за повече от 1.4 милиарда долара, която продължава да се разраства със синтеза и продажбата на нови съединения[8]

Анаболните стероиди увеличават синтеза на протеини от аминокиселини, повишават апетита, спомагат за растеж, стимулират костния мозък, което увеличава производството на еритроцити. Анаболните стероиди стимулират образуването на мус -

кулни клетки и по този начин предизвикат увеличаване на размера на скелетните мускули, което води до повишаване на силата. Анаболните стероиди стимулират развитието и силата на мускулите, особено ако се съчетават с физическа активност[9] Основният симптом при злоупотребата е рязко нарастване на мускулната маса за относително кратко време. Други типични симптоми са акне, промяна във вторичните полови белези, аменорея при жените, загрубяване на гласа, отоци на крайниците. При хронична употреба на анаболни стероиди се наблюдава еуфория. При опити да се спрат са наблюдавани плавно покачване на толеранса и неспецифични неприятни усещания, така че от гледна точка на критериите за диагностика на зависимост може да се приеме, че зависимостта от тези препарати е клиничен факт[9].

Performance enhancing substances in sport and exercise. Champaign: Human Kinetics; 2002. pp. 1–20. 4. Landry GL. Kokotaio PK. Drug screening in athletic settings. Curr Probl Pediatr. 1994;24:344–359.

5. Franke WW. Berendonk B. Hormonal doping and androgenization of athletes: a secret program of the German Democratic Republic. Clin Chem. 1997;43:1262–1279. 6. World Anti-Doping Agency. 2006 prohibited substances list. www.wada-ama.org.

7. Hsu AR. Barnholt KE. Grundmann NK, et al. Sildenafil improves cardiac output and exercise performance during acute hypoxia, but not normoxia. Appl Physiol. 2006;100:2031–2040. 8. Healthy NJ. Performance enhancing

drugs. www.healthynj.org. 9. Вълчев В., Чумпалова П., Анаболни стероиди – физиология, патофизиология и промяна в поведението, Medical magazine, 2014, 4:54-55

ИЗПОЛЗВАНА ЛИТЕРАТУРА:
[www.medmag.bg ] 61
1. Bamberger M. Yaeger D. Over the edge. Sports Illustrated. 1997;14:62–70. 2. Wadler GI. Hainline B. Philadelphia: David; 1989. Drugs and the athlete. 3. Yesalis CE. History of doping in sport. In: Bahrke MS, Yesalis CE, editors.

Pierre Fabre е втората по големина дермо-козметична лаборатория в света, втората по големина частна френска фармацевтична група и пазарен лидер във Франция за лекарствени продукти, отпускани без рецепта. Кои са ключовите фактори свързани с успеха на компанията? Има поне няколко ключови фактора, които извеждат компанията до нейната водеща позиция на пазара. На първо място, визията на основателя, създал компанията си, за да обслужва пациентите, а не да трупа приходи. Той затвърждава своята позиция през целия си живот, живеейки скромно, посвещавайки се изцяло на управлението на компанията си, инвестирайки всички печалби в нейното развитие и на последно, но не по важност, място, предоставяйки почти всички акции на компанията на Фондацията, кръстена на него. Второ, ценностите управляващи нашата дейност - уважение към природата, силна подкрепа към региона на произход на компанията (Тарн – южна Франция, където се намират всичките ни съоръжения и офиси – предоставяне на работа и възможности на местното население), уважение към всички заинтересовани страни – изпълнители, доставчици, клиенти, пациенти и преди всичко служителите. И също така, един визионер. Г-н Пиер Фабр е този, който въвежда концепцията: От здравето към красотата, предоставяйки в аптеката висококачествена, клинично ефективна дер -

мо-козметика. И това е, което отличава продуктите на Pierre Fabre през всичките тези 60 години – винаги най-доброто качество, потвърдено от науката. Ефективността на първо място, и само след това печалбата... И накрая, тези 60 години са натрупан опит от хиляди талантливи, отдадени служители, които допринасят за растежа и развитието на компанията. Знаем, че в компанията работят почти 10 000 служители в повече от 115 държави. Кои са ценностите, които се стремите да насърчите във Вашите служители? Разгръщането на дейност в световен мащаб изисква от една страна да се зачита многообразието и спецификата на различните региони и население. От друга, да приобщава всички служители и заинтересовани страни около общи ценности. От 60 години основ -

ният, ключов актив остава непроменен – това е пациентът. Ето защо, нашата основна цел е да предоставим на всеки пациент възможно най-добрите терапевтични решения, висококачествени лекарства и продукти, винаги потвърдени с клинични проучвания. Всичко това, с уважение към околната среда. Демонстрирано не само чрез постоянен стремеж за намаляване на въглеродния отпечатък, но преди всичко чрез устойчиво използване на природните ресурси и активно рекултивиране на застрашени екосистеми. Давам само един пример с местна инициатива –където Pierre Fabre и неговата Ботаническа фондация Klorane ръководят възстановяването на терена на незаконното сметище в Самоков. Етичният кодекс

на
зна-
възприетите стандарти и се прилага от нашите служители. През месец септември една от най-известните и обичани в цял свят лаборатории за дермокозметични продукти - PIERRE FABRE отпразнува своя 60-годишен юбилей. За нас беше удоволствие да се срещнем с Томас Процайло, изпълнителен директор на Пиер Фабр България с когото поговорихме за вдъхновението, упорития труд в името на здравето и красотата и тайната на успеха на компанията. PIERRE FABRE ПРАЗНУВА 60 ГОДИНИ ГРИЖА "Всеки път, когато се грижим за един човек, ние правим целия свят по-добър." Томаш Процайло, генерален мениджър Пиер Фабр България Първата аптека на г-н Pierre Fabre Томаш Процайло, генерален мениджър Пиер Фабр България
Pierre Fabre надхвърля
чително

През тази година, Групата Пиер Фабр отбелязва своята 60-та годишнина, споделете ключови моменти от историята на компанията. Бихме могли да говорим с часове за ключови моменти от историята на Pierre Fabre. Започвайки от регистрацията на 1-вото лекарство – (Cyclo3Fort през 1958 г.), което дори изпреварва основаването на компанията, следва представянето на Klorane (възприемана като първа дермо козметична марка), създаването на Avеne – ползваща термални изворни води с уникалния Aquaphilus dolomiae complex, изобретяването на Navelbine и след създаването на пероралната му форма, подписване на партньорство с Array, свързано с разработване и продажба на таргетната терапия (Braftovi и Mektovi). Моето мнение, обаче, е, че ключовият крайъгълен камък в 60-те години развитие на компанията е промяната на статута на собствеността, преместването на над 80% от акциите от частна собственост към Фондация Pierre Fabre – призната от

френските власти като организация с нестопанска благотворителна цел. От този момент нататък, цялата печалба на компанията е предназначена за финансиране на проекти, управлявани от Фондацията.

Какво означава това за потребителите на заинтересованите страни, пациентите и здравните специалисти? Това означава, че използвайки, купувайки или предписвайки Avеne, A-Derma, Ducray, Dexeryl или друг препарат на Pierre Fabre, ние подкрепяме един от над 30 различни благотворителни проекта. Пример за това е партньорството на Фондацията в Централноафриканската република с носителя на Нобелова награда за мир д-р Муквеге за подпомагане на жени, жертви на сексуално и основано на пола насилие. В отговор на кризата в Ливан, Фондацията подкрепя 11-те здравни центъра и 6-те мобилни медицински звена на Ордена на Малта за сирийски бежанци и ливански граждани в нужда. В Субсахарска Африка, Фондацията създава програми за борба с рака на кожата за хора страдащи от албинизъм. Предоставя, по незаинтересован и подкрепящ начин, адаптирана фотопротективна формула, предлагаща високо ниво на слънцезащита и използвана за местното производство на слънцезащитни кремове, разпространявани безплатно. Пиер Фабр е лидер на дермокозметичния пазар, безспорно. С какво се отличава компанията на тази сцена? На първо място, силни фармацевтични основи. Pierre Fabre е фармацевтична компания и нашата дермо-козметика отговаря на същите критерии като лекарствата, които произвеждаме. Клиничните проучвания потвърждават ефикасност, си -

гурност, най-високи производствени стандарти с произход от фармацевтични изследователски центрове. На второ място – постоянни иновации. Тук е достатъчно да спомена развитието на стерилна козметика. След това – подход ориентиран към пациента, където всичко започва от нуждите и очакванията на пациентите. И накрая, участие в профилактика в тясно сътрудничество със здравни специалисти и пациентски организации. Тук бих искал да спомена проектите Euromelanoma или Dermopatrol. В последните години Пиер Фабр навлезе също в иновативната онкология, със сериозна заявка за ефикасна таргетна терапия при пациенти с малигнен меланом. Разкажете ни малко повече за тази голяма стъпка. Моята лична амбиция беше да се предостави достъп до най-доброто лечение в областта при метастатичен меланом и колоректален карцином за българските пациенти следвайки държави като САЩ, Германия, Франция. И съм много горд, че в Годината на 60тата годишнина на Pierre Fabre успяхме да го направим. Нашата експертизата в дерматологията, наградена с познанията ни в иновативната онкология, ни дават възможност за прилагане на комплексен подход в грижата за пациента с рак на кожата. Нашите цели са да осигурим подобрено качество на живот и по-дълъг живот на пациентите, нещо повече, работейки непрестанно върху нови клинични разработки Pierre Fabre се стреми да предложи специфична таргетна терапия за солидни тумори като колоректалния карцином. За щастие, като част от Европа, тук в България, също можем да предложим иновативната терапия на българските пациенти.

г-н Pierre Fabre Онкопол

Велевска1 ,

Юнгарева2 , П. Вътов3 , С. Марина2 1Катедра по инфекциозни болести, паразитология и дерматовенерология, Медицински университет - Варна 2Медицински институт на Министерството на вътрешните работи - София 3Катедра по хирургични болести, УС Урология, Медицински университет - Варна

ВРОДЕНИ ДЕРМАТОЛОГИЧНИ АНОМАЛИИ Хетеротопни мастни жлези (Heterotopic Sebaceous Glands) Представляват хетеротопни мастни жлези. Локализират се на малките срамни устни и вътрешната повърхност на големите срамни устни. Представят се с множество жълтеникави папули с диаметър до няколко милиметра[6]. Те са безобидни и аналогични на жлезите на Fordyce на устните или на същите жлези на препуциума, но се бъркат с кондиломи и се предприемат неадекватни манипулации. „Космени“ папиломи на вулвата (Hirsuties Papillaris Vulvae) Синоними: Vestibular papillae, pseudocondyloma of the vulva. Подобни са на перлените папули на пениса. Локализират се дистално от хименалния пръстен и могат да образуват фибрирани удължени ресни,

имитиращи малки косъмчета, откъдето идва и името hirsuties. Може да са единични или множествени, с телесен цвят, с червеникав оттенък или да изглеждат телеангиектатични[7,8]. Не е необходимо лечение, но често се бъркат с кондиломи. ЗАБОЛЯВАНИЯ НА ВЪНШНИТЕ ЖЕНСКИ ГЕНИТАЛИИ Vulvovaginitis (Вулвовагинит) Възпаление на вагината и вулвата, обикновено поради вагинално течение или вторично външно иритиране. Вулвовагинитът

хроничните предполагат предразполагащи фактори или преувеличен физиологичен отговор. Всички често срещани форми на дерматит - атопичен, алергичен контактен и иритативен контактен - могат да ангажират кожата на вулвата. Често има взаимодействие на два или повече фактора[9,10,11,12].

Клинична картина обикновено се представя с вагинално течение. Интроитусът и вулвата са еритемни и едемни. Видът на течението (на сирене, пенливо или рибено) често насочва към диагнозата (Табл. 2). Могат да се добавят ерозии, пус, сквами и крусти по съседната интертригинозна кожа. При улкуси се предполага или тежка инфекция, или имунодефицит на пациента. Външното кожно дразнене

кон -

64 І Medical Magazine | декември 2022
е често срещан. Причините за него са отразени в Табл. 1. Много болести, предавани по полов път могат да се проявят като
вулвовагинит, и обратно, почти всички инфекциозни форми на вулвовагинит могат да се предават по полов път. Острите оплаквания най-често са инфекциозни, докато
да
от
течение или да е налице само кожно заболяване, като алергичен
Диагнозата и лечението на заболяванията на външните женски гениталии са предизвикателство за дерматовенеролога и акушер-гинеколога. Те могат да са първични, да са проява на дерматози като псориазис, лихен планус, себореен дерматит, педикулоза, скабиес и др. или да са следствие на заболявания на вагината[1,2]. Честа е връзката между вагиналното течение и вторичното възпаление на външните полови органи[3,4]. Първите лезии на венерическите заболявания са предимно
ДЕРМАТОЛОГИЯ Ключови
може
е по-силно
вагиналното
Дерматологични особености и заболявания на женските гениталии Й.
И.
с тази локализация, а системни заболявания могат да имат вулварни прояви[5].
думи: Вулварни дерматози, вулвовагинит и вагинит, вулварна атрофия и дистрофия, вулварен едем, дерматит и карцином, вулварни сърбеж и болка, ендометриоза.

тактен дерматит или инвертен псориазис. Субективно е налице сърбеж и диспареуния, а при улкуси - болка.

Инфекциозен вулвовагинит

Чести

Бактериална вагиноза (Gardnerella vaginalis)

Candida albicans Trichomonas vaginalis

По-редки

Табл. 1 Причини за вулвовагинит

Escherichia coli (при деца)

Neisseria gonorrhoeae (с цервицит)

Хламидия (с цервицит, уретрит)

Стафилококи и стрептококи

Грам-отрицателни бактерии

Фузоспирохетни организми

Вирус на херпес симплекс

Други вируси

Острици (Enterobius vermicularis)

Други видове вулвовагинити

Физиологични

Атрофичен вагинит

Вулвовагинитът може да асцендира, причинявайки цервицит, ендометрит и салпингит, т.е. тазова възпалителна болест (ТВБ) със сериозни последствия (хронична ТВБ, хронична тазова болка, безплодие, тубарна бременност). Основните причинители са Neisseria gonorrhoeae, Chlamydia trachomatis и смесени аеробно-анаеробни инфекции. Системната терапия се определя от изолирания причинител[15,16]. При тежко възпаление, дори Заболяване Течение Най-честа локализация Диагностика

Захарен диабет (предразполага към Candida albicans) Имунодефицитни състояния (предразполагат към Candida albicans) Прекомерна или неадекватна хигиена Контактна алергия Чуждо тяло Тумори на шийката на матката или вагината Цервикална или вагинална аденоза вторично в резултат на диетилстилбестрол Психосоматични

Бактериална вагиноза Бяло, бистро, воднисто Вагинална стена рН > 5.5 Миризма на риба, засилваща се при добавяне на KOH Директно изследване на clue cells Кандидоза Бяло, млечно, сиренисто Вагинална стена Директно или културелно изследване Трихомониаза Бяло, пенливо, тънко Заден свод, цервикс Директно изследване на Trichomonas vaginalis Хламидия Жълто-бяло, мукопурулентно Уретра, шийка на матка, ректум Директна изследване или културелно

Табл. 2 Чести инфекциозни причини за вагинално течение

иритиращи и сенсибилизиращи продукти. Охлаждане и почистване се по -

стига с физиологичен разтвор. При ерозии се препоръчва 0.1-0.3% воден разтвор на генциан виолет. Често ефективно, успокояващо и несенсибилизиращо е цинковото масло. При външни лезии може да се приложи слабо потентен кортикостероиден крем или лосион, с добавен 0.5% клиоквинол. Препо -

[www.medmag.bg ] 65
изследване Гонорея Жълто, гнойно Уретра, Бартолинови жлези, шийка на матка, ректум, кръв Метиленово синьо или оцветяване по Грам, културелно изследване инфекциозно, се препоръчват и кратки курсове на системни кортикостероиди заедно с консервативни локални мерки. Много от инфекциозните агенти могат да се лекуват локално. Пациентът трябва да избягва всички

ръчителни са седящите вани или душове с повидон-йод.

INFECTIOUS VULVOVAGINITIS (ИНФЕКЦИОЗЕН ВУЛВОВАГИНИТ)

Bacterial Vaginosis (Бактериална вагиноза) Синоним: Nonspecific vaginitis. Най-честата причина за вагинално течение[17,18]. Асоциира се с различни микроорганизми и променен отговор на гостоприемника. Причинява се от Gardnerella vaginalis, Bacteroides spp. и Mobiluncus spp.

Клинична картина се представя от минимално, рядко, хомогенно вагинално сивкаво течение с много малки мехурчета и с остра миризма на риба. Последната се засилва при добавяне на 10% КОН. Подкрепя се от pH >4.5. Върху мокро предметно стъкло се откриват clue cells, които са нормални вагинални епителни клетки, осеяни с бактерии, придаващи на клетките гранулиран вид. Чести са смесените инфекции, като при засягане на маточната шийка се предполага наличие на втори патоген. При бременни има повишен риск от преждевременно раждане, като антибиотичната терапия го намалява.

Лечението се провежда с метронидазол 500 mg перорално за 7 дни, при бременни - 250 mg. Вагинално се използва клиндамицин крем 2%, 5 g за 7 вечери или метронидазол крем или гел 0.75%, 5 g за 5 вечери[19]. Други алтернативи са супозитории или вагинален гел, предназначен за понижаване на pH.

Candidiasis (Кандидоза) Кандидозният вагинит или по-често вулвовагинит се среща най-често по време на бременност, при пациенти със захарен диабет и при продължителна антибиотична, кортикостероидна терапия или използване на орални контрацептиви[12]. Течението е бяло, млечно, сиренисто, подобно на извара, придружено от еритем и парене. Обикновено Candida се предава от жени на мъже. Диагнозата се подкрепя от директното и културелно изследване. Над 90% от културите откриват C. albicans, но изолирана е и Candida glabrata. Терапевтично се използват имидазоловите кремове или супозитории веднъж или два пъти дневно за 1 седмица. Ефективна е и пероралната терапия с флуконазол 150 mg в единична доза, както и лече -

ние с кратки курсове на итраконазол или кетоконазол[14]

Trichomoniasis (Трихомониаза) Характерно е пенестото течение свързано с Trichomonas vaginalis. Субективно е налице силен сърбеж, а физикалния преглед открива малки петехии по вагиналната стена, наречени „ягодови петна“[14]. Може да се добави уретрит. Директното изследване на мокро предметно стъкло открива подвижните флагелатни протозои и много неутрофили. Стандартната терапия е метронидазол 250 mg до 500 mg за 1 седмица или 2.0 g в единична доза. Перорално се прилагат още тинидазол или ниморазол. Използвани са различни антибиотични и противогъбични комбинирани кремове, но без да са толкова ефективни.

Gonorrhea (Гонорея) Жените често имат асимптоматична гонорея. При проксимално разпространение се развива салпингит и дори интраабдоминално заболяване. По време на бременност и менструация има риск от дисеминация. При наличие на течение, то е жълто, гнойно и плътно, подобно на уретралното течение при мъжете[11]. При малки деца гонореята е особено вероятно да причини вагинит, тъй като незрелите вагинални клетки са по-податливи.

При неусложнена гонококция се прилага спектиномицин 2 g или цефтриаксон 250 mg мускулно, като еднократна перорална доза цефиксим 400 mg, ципрофлоксацин 500 mg, офлоксацин 400 mg или азитромицин 1 g. При усложнена и/или дисеминирана гонококция се прилага 7 дневно лечение с цефтриаксон 1-2 g i.m. или i.v. еднократно дневно или цефотаксим 1.2 g i.v. три пъти дневно. При β-лактамна алергия – спектиномицин или еритромицин[11,12]

Chlamydial Vaginitis (Хламидиален вагинит) Chlamydia trachomatis е честа причина за цервикални инфекции, която рядко еволюира във вулвовагинит. Представя се с пурулентно или воднисто вагинално течение и ерозии по цервикса[11]. Често се засягат уретрата и Бартолиновите жлези. Възходящата инфекция при жените представлява около половината от всички случаи на тазово-въз -

66 І Medical Magazine |
декември 2022
ДЕРМАТОЛОГИЯ

палителните заболявания и може да причини безплодие. Директното имунофлуоресцентно изследване на намазки с моноклонални антитела осигурява бърза идентификация, която е почти толкова точна, колкото културата. Стандартното лечение е с тетрациклин 250 mg или еритромицин 250 mg за 10 дни.

Vulvovaginitis in HIV/AIDS (Вулвовагинит при ХИВ/ СПИН) Трихомониазата, бактериалната вагиноза и кандидозата са по-чести при ХИВ/СПИН[14]. Необходимо е повишено внимание при лечение на кандидозата с имидазоли, тъй като те взаимодействат с много от антиретровирусните средства. Големите генитални язви, подобни на тежките орални афти, също са маркер за ХИВ/СПИН. Те също се повлияват от талидомид. ДРУГИ ИНФЕКЦИИ Вагинит може да се причини от разнообразни други микроорганизми. Рядко първичните бактериални инфекции са от един микроорганизъм. При жени в перименопауза (преди менопаузата) се съобщава за десквамативен възпалителен вагинит [9]. Последният протича с изразена десквамация на вагинални клетки и пурулентно течение, богато на грам-положителни коки. Повлиява се от локален клиндамицин. При деца може да се открие ешерихия коли, а при възрастни стрептококи,

стафилококи и понякога микоплазми[13,20]

NONINFECTIOUS VULVOVAGINITIS (НЕИНФЕКЦИОЗЕН ВУЛВОВАГИНИТ)

Chronic Vulvovaginitis (Хроничен вулвовагинит) Хроничният вулвовагинит не е първична инфекция и обикновено е от взаимодействие на много фактори[12]. Много възрастни пациентки с наднормено тегло и захарен диабет имат хроничен генитален сърбеж. Роля оказват инконтиненцията и/или неправилната хигиена. Най-важният кофактор често е C. Albicans [10] Добавят се малки пустули и сквами обхващащи пубиса и/или вътрешните повърхности на бедрата. Сърбежът и последващата екскориация могат да доведат до вторичен бактериален фоликулит. Локалната антикандидозна терапия включва или имидазолов лосион или 0.1-0.3% воден разтвор на генциан виолет. В резистентни случаи за профилактика се използват ежеседмично перорални имидазоли. Типичен режим е флуконазол 150 mg (дифлукан, микомакс, фунголон) веднъж седмично. Важни са още контролът на захарния диабет и хигиената.

Vulvovaginitis in Infants (Вулвовагинит при кърмачета) Най-чести причини при децата са чужди предмети и N. gonorrhoeae. Други причини са Escherichia

НОВИНА

Повече от 120 години Eucerin се грижи за женската кожа, като предоставя решения за всички етапи на процеса на стареене. Брандът с множество иновации в сферата на дермокозментиката, помага на жените да приемат себе си и промените на времето по-лесно. В тази връзка през м. декември 2022 г. Eucerin стартира кампанията #generationEucerin. Нейната цел е да акцентира върху приемствеността между поколенията в грижата за кожата. В поредица от видео материали майки и дъщери обменят помежду си опит и си оказват подкрепа една на друга благодарение на специалната връзка между тях. „Ние в Eucerin разработваме антиейдж решения, информираме и образоваме жените как да се грижат за кожата си, за да забавят признаците на стареене и да я запазят гладка и сияйна по-дълго време. Връзката между майка и дъщеря е много специална и чрез тази кампания демонстрираме нейната сила и значение за грижата за кожата на жените от различните поколения.“ – коментира г-жа Вяра Караджова, Мениджър Фармацевтичен канал в Beiersdorf България. Eucerin Hyaluron-Filler включва дневни и нощни кремове, околоочен крем и серуми, които са предназначени за фини линии и първи признаци на стареене. Формулите съдържат високо- и нискомолекулярна хиалуронова киселина за хидратация и запълване, антиоксиданта сапонин, който активира собственото производство на хиалуронова киселина в кожата с до 256%, и еноксолон, който забавя скоростта на разграждане на хиалуроновата киселина с над 50%. Кремовете от серията са снабдени със слънчева защита с фактор 15 или 30. Eucerin Hyaluron-Filler + Elasticity включва дневни и нощни кремове, околоочен крем, крем за ръце и серум. Продуктите* са снабдени и с иновативната съставка Thiamidol против пигментни петна, които са един от основните признаци на стареене при зряла кожа. Останалите съставки са хиалуронова киселина с високо и ниско молекулярно тегло, нов колаген-еластин комплекс – мощна комбинация от арктиин и креатин за стимулиране произвоството на колаген и увеличаване еластичността на кожата. Кремовете от серията са снабдени със слънчева защита с фактор 15 или 30. *с изключение на околоочния крем

[www.medmag.bg ] 67
Eucerin стартира кампания #generationEucerin за грижата за кожата и женската сила през поколенията

coli, Enterobius vermicularis, иритиращи вани и сексуално насилие. Острото възпаление в тази възрастова група може да доведе до сраствания на срамните устни[10] Лечението е както при възрастни. Atrophic Vaginitis (Атрофичен вагинит) Eпителът на вагината става по-тънък и рН се повишава след менопауза. Повечето пациентки са асимптоматични, но някои имат воднисто течение, с рН 5.0 -7.0 и диспареуния. Намазките показват неутрофили. Често има асоциирана атрофия на вулва -

та[9,21]. Прилагат се локални естрогенни кремове с вагинален апликатор 14 вечери. При рецидиви са необходими системни естрогени.

Irritant Vulvovaginitis (Иритативен вулвовагинит) Вагинално течение с парене, болка и иритация на вулвата може да има дори без инфекция. При деца може да бъдат чужди предмети, при възрастни песар, но често и тумор[1,2,10]. Потенциално иритиращи са продукти за вагинална употреба, като повидон-йод, локални медикаменти, спермициди, локални антимикоти -

ци, сапуни, парфюми, тампони, дамски превръзки, латексови презервативи и други.

Psychosomatic Vaginitis (Психосоматичен вагинит) Някои пациенти, които се оплакват от хронично вагинално течение, са с прекомерна физиологична секреция или с нормална секреция, но с необичайна реакция към нея[9,11]. И в двата случая физикалният преглед и лабораторните изследвания са нормални. Оплакванията са както от вулварният сърбеж, така и от вулводинията.

Следва продължение.

1. Lynch PJ, Moyal-Barracco M, Scurry J, et al. 2011 ISSVD terminology and classification of vulvar dermatological disorders: an approach to clinical diagnosis. J Low Genit Tract Dis. 2012; 16(4): 339–344.

2. Burrows LJ, Shaw HA, Goldstein AT. The vulvar dermatoses. J Sex Med. 2008; 5(2): 276-283.

3. Drummond C. Common vulval dermatoses. Aust Fam Physician. 2011; 40(7): 490496.

4. Moyal-Barracco M, Wendling J. Vulvar dermatosis. Best Pract Res Clin Obstet Gynaecol. 2014; 28(7): 946-958.

5. Turner ML. Vulvar manifestations of systemic diseases. Dermatol Clin. 1992; 10: 445-458.

6. Hyman AB, Guiducci AA. Ectopic sebaceous glands. In: Montagna W, Ellis RA, Silver AF (eds) Advances in biology of the skin, vol 4. Pergamon, London, 1963, 78-93.

7. Khoda H, Hinoy, Fukuda H. Hirsutoid papillomas of vulva. J Dermatol. 1986; 13: 154156.

8. Moyal-Barraco M, Leibowitch M, Orth G. Vestibular papillae of the vulva. Arch Dermatol. 1990; 126: 1594-1598.

9. Marnach ML, Torgerson RR. Vulvovaginal Issues in Mature Women. Mayo Clin Proc. 2017; 92(3): 449-454.

10. McKay M. Vulvitis and vulvovaginitis: cutaneous considerations. Am J Obstet Gynecol. 1989; 165: 1176-1182.

11. Sobel JD. Vaginitis. N Engl J Med. 1997; 337: 1896-1903.

12. Sobel JD. Vulvovaginitis. When Candida becomes a problem. Dermatol Clin. 1998; 16: 763-768.

13. Taylor-Robinson D, Furr PM. Update on sexually transmitted mycoplasmas. Lancet. 1998; 351 [SUPpI3]: 12-15.

14. van Schalkwyk J, Yudin MH. Vulvovaginitis: screening for and management of trichomoniasis, vulvovaginal candidiasis,

and bacterial vaginosis. J Obstet Gynaecol Can. 2015; 37(3): 266-272.

15. Stockdale CK, Boardman L. Diagnosis and Treatment of Vulvar Dermatoses. Obstet Gynecol. 2018; 131(2): 371-386.

16. Elmer GW, Surawicz CM, McFarland LV. Biotherapeutic agents. A neglected modality for the treatment and prevention of selected intestinal and vaginal infections. JAMA. 1996; 275: 870-876.

17. Easmon CS, Hay PE, Ison CA. Bacterial vaginosis: a diagnostic approach. Genitourin Med. 1992; 68: 134 -138.

18. Hay PE, Taylor-Robinson D. Defining bacterial vaginosis: to BV or not to BV, that is the question. Int J STD AIDS. 1996; 7: 233-235.

19. Hay PE. Therapy of bacterial vaginosis. J Antimicrob Chemother. 1998; 41: 6-9.

20. Elsner P, Maibach HI. Microbiology of specialized skin: the vulva. Semin Dermatol. 1989; 8: 300-304.

21. Samsioe G. Urogenital aging - a hidden problem. Am J Obstet Gynecol. 1998; 178: S245-S249.

22. Lampert A, Assier-Bonnet H, Chevailler B, et al. Lipschütz's genital ulceration: a manifestation of Epstein-Barr virus primary infection. Br J Dermatol. 1996; 135: 663-665.

23. Lipschutz B. Ulcus vulvae acutum. Wien Klin Wochenschr. 1918; 31: 461-464.

24. Kamarashev JA, Vassilleva SG. Dermatologic diseases of the vulva. Clin Dermatol. 1997; 15: 53-65.

25. Lewis FM. Vulval lichen planus. Br J Dermatol. 1998; 138: 569-575.

26. Amankwah Y, Haefner H. Vulvar edema. Dermatol Clin 2010; 28(4): 765–777.

27. Vettraino 1M, Merritt DF. Crohn's disease of the vulva. Am J Dermatopathol. 1995; 17: 410-413.

28. Shields BE, Richardson C, Arkin L, et al. Vulvar Crohn disease: Diagnostic challenges and approach to therapy. Int J Womens Der-

matol. 2020; 6(5): 390-394.

29. Voet RL. Classification of vulvar dystrophies and premalignant squamous lesions. J Cutan Pathol. 1994; 21: 86-90.

30. Ambros RA, Malfetano JH, Carlson JA, et al. Nonneoplastic epithelial alterations of the vulva: recognition, assessment and comparisons of terminologies used among the various specialties. Mod Pathol. 1997; 10: 401-408.

31. Ayhan A, Tuncer ZS, Kaya H. Vulvar dystrophy: an evaluation of 285 cases. Eur J Gynaecol Oncol. 1997; 18: 139-140.

32. Bornstein J, Bogliatto F, Haefner HK, et al. The 2015 International Society for the Study of Vulvovaginal Disease (ISSVD) Terminology of Vulvar Squamous Intraepithelial Lesions. J Low Genit Tract Dis. 2016; 20(1): 11-14.

33. Bert-Jones, Graham-Brown RA, Barns DA. Lichen sclerosus et atrophicans - a review of 15 cases in young girls. Clin Exp Dermatol. 1991; 16: 14-17.

34. Marren P, Walkden V, Mallon E, et al. Vulval cicatricial pemphigoid may mimic lichen sclerosus. Br J Dermatol. 1996; 134: 522–524.

35. Thomas RH, Ridley CM, McGibbon DH, et al. Anogenital lichen sclerosus in women. J R Soc Med. 1996; 89: 694-698.

36. Wakelin SH, Marren P. Lichen sclerosus in women. Clin Dermatol. 1997; 15: 155-169.

37. Hallel-Halevy D, Grunwald MH, Yerushalmi J et al. Bullous lichen sclerosus et atrophicus. J Am Acad Dermatol. 1998; 39: 500501.

38. Fischer G, Rogers M. Treatment of childhood vulvar lichen sclerosus with potent topical corticosteroid. Pediatr Dermatol. 1997; 14: 235-238.

39. Thorstensen KA, Birenbaum DL. Recognition and management of vulvar dermatologic conditions: lichen sclerosus, lichen planus, and lichen simplex chronicus.

J Midwifery Womens Health. 2012; 57(3): 260-275.

40. Kartamaa M, Reitamo S. Treatment of lichen sclerosus with carbon dioxide laser vaporization. Br J Dermatol. 1997; 136: 356-359.

41. Pincus SH. Vulvar dermatoses and pruritus vulvae. Dermatol Clin. 1992; 10: 297-308.

42. Kint B, Degreef H, Dooms-Goossens A. Combined allergy to human seminal plasma and latex: case report and review of the literature. Contact Dermatitis. 1994; 30: 7-11.

43. Marren P, Wojnarowska F. Dermatitis of the vulva. Semin DermatoI. 1996; 15: 36-41.

44. Lewis FM, Shah M, Gawkrodger DJ. Contact sensitivity in pruritus vulvae: patch test results and clinical outcome. Am J Contact Dermat. 1997; 8: 137-14.

45. Wilkinson EJ. Normal histology and nomenclature of the vulva, and malignant neoplasms, including VIN. Dermatol Clin. 1992; 10: 283-296.

46. Lewis FM, Harrington C. Squamous cell carcinoma arising in vulval lichen planus. Br J Dermatol. 1994; 131: 703-705.

47. Zaki I, Dalziel KL, Solomonsz FA, et al. The underreporting of skin disease in association with squamous cell carcinoma of the vulva. Clin Exp Dermatol. 1996; 21: 334-337.

48. Crum CP, McLachlin CM, Tate JE, et al. Pathobiology of vulvar squamous neoplasia. Curr Opin Obstet Gynecol. 1997; 9: 6369.

49. Wagner W, Prott FJ, Weissmann J, et al. Vulvar carcinoma: a retrospective analysis of 80 patients. Arch Gynecol Obstet. 1999; 262: 99-104.

50. Rakislova N, Saco A, Sierra A, et al. Role of Human Papillomavirus in Vulvar Cancer. Adv Anat Pathol. 2017; 24(4): 201-205.

51. Kavanagh GM, Burton PA, Kennedy CT. Vulvitis chronica plasmacellularis (Zoon's vulvitis). Br J DermatoI. 1993; 129: 92-93.

52. Salopek TG, Siminoski K. Vulvitis cir-

cumscripta plasmacellularis (Zoon's vulvitis) associated with autoimmune polyglandular endocrine failure. Br J Dermatol. 1996; 135: 991-994.

53. Tsikouras P, Anthoulaki X, Deftereou Th, et al. Depigmentationʼs Disorders of the Vulva, Clinical Management. In Depigmentation. Ed. Tae-Heung Kum, 2019: DOI: 10.5772/intechopen.83595

54. Fischer G, Spurrett B, Fischer A. The chronically symptomatic vulva: aetiology and management. Br J Obstet Gynaecol. 1995; l02: 773-779.

55. Woelber L, Prieske K, Mendling W, et al. Vulvar pruritus - Causes, Diagnosis and Therapeutic Approach. Dtsch Arztebl Int. 2020; 116(8): 126-133.

56. McKay M. Vulvodynia. Diagnostic patterns. Dermatol Clin. 1992; 10: 423-433.

57. Baggish MS, Miklos JR. Vulvar pain syndrome: a review. Obstet Gynecol Surg. 1995; 50: 618-627.

58. Paavonen J. Vulvodynia - a complex syndrome of vulvar pain. Acta Obstet Gynecol Scand. 1995; 74: 243-247.

59. Mroczkowski TF. Vulvodynia - a dermatovenereologist's perspective. Int J Dermatol. 1998; 37: 567-569.

60. Ridley CM. Vulvodynia. Theory and management. Dermatol Clin. 1998; 16: 775-778.

61. Metts JF. Vulvodynia and vulvar vestibulitis: challenges in diagnosis and management. Am Fam Physician. 1999; 59: 15471556, 1561-1562.

62. Schenken RS. Modern concepts of endometriosis. Classification and its consequences for therapy. J Reprod Med. 1998; 43: 269-275.

63. Brosens IA. Endometriosis. Current issues in diagnosis and medical management. J Reprod Med. 1998; 43: 281-286.

64. Reddy S, Rock JA. Treatment of endometriosis. Clin Obstet Gyneco1. 1998; 41:387-392.

68 І Medical
Magazine | декември 2022
ИЗПОЛЗВАНА ЛИТЕРАТУРА:
ДЕРМАТОЛОГИЯ
Център за медицина на съня тел. 0878 67 98 98 www.inspiro.bg Полисомнография, Полиграфия, Актиграфия, СРАР титрация

Turn static files into dynamic content formats.

Create a flipbook
Issuu converts static files into: digital portfolios, online yearbooks, online catalogs, digital photo albums and more. Sign up and create your flipbook.
Medical Magazine 12 2022 by Списание Кенгуру - Issuu