

Ôèòîòåðàïèÿ ïðè âúçïàëåíèÿ â óñòíàòà êóõèíà è ãúðëîòî

Áèëêîâè òàáëåòêè
çà çäðàâî ãúðëî








Áëèçàëêè ñ âêóñ ìàíäàðèíà

www.medmag bg
Редакционна
ISSN: 1314-9709
![]()


Ôèòîòåðàïèÿ ïðè âúçïàëåíèÿ â óñòíàòà êóõèíà è ãúðëîòî

Áèëêîâè òàáëåòêè
çà çäðàâî ãúðëî








Áëèçàëêè ñ âêóñ ìàíäàðèíà

www.medmag bg
Редакционна
ISSN: 1314-9709
УНГ
46 HERPES ZOSTER OTICUS Д. Попова, С. Върбанова, Сп. Тодоров, Ор. Стоянов, Т. Попов
48 ПОДХОД ПРИ ДИАГНОСТИКАТА НА ВЕСТИБУЛАРНИТЕ СИНДРОМИ В КЛИНИЧНАТА ПРАКТИКА С. Вълчева, Ор. Стоянов, Ю. Хаджиев, В. Добриянова
52 РЕЦИДИВИРАЩА РЕСПИРАТОРНА ПАПИЛОМАТОЗА С. Василева, Г. Неофитов, С. Стоянов, Н. Петров, П. Колев АНГИОЛОГИЯ


Ginkgo Diterpene Lactone Meglumine
Ginkgo biloba,
отговор, който в крайна сметка води до смърт на невронни
клетки. Следователно, когнитивното увреждане е често срещано при паци -
енти с инсулт и може значително да
повлияе на качеството на живот и независимостта. Въпреки че са налични лекарства за забавяне на прогреси -
на такова увреждане, те може
Професор Xianghong Liu от Xi'an High Tech Hospital, Китай и колегите му набират 126 пациенти с инсулт за своето проучване. Половината пациенти са били лекувани с 25 mg GDLM на ден
на 14 дни, както
са
стандартни грижи, докато другата половина са действали
Journal reference: Zhang, M., et al. (2024) Effectiveness of ginkgo diterpene lactone meglumine on cognitive function in patients with acute ischemic stroke. Open Medicine. doi. org/10.1515/med-2024-0908.



















Ключови думи: Selenogin Super, конгнитивен дефицит, Mini-Mental State Examination (MMSE), цитиколин, Гинко
Selenogin Super представлява хра -
нителна добавка, която подпомага
умствената дейност, паметта и концентрацията. Всичко това е възмож-
но благодарение на способността на
Selenogin Super да подобри микроциркулацията на кръвта в мозъка. Продуктът е приложим за подобря -
ване на паметта при възрастни хора, при когнитивни и поведенчески нарушения вследствие на различни заболявания като деменция, Алцхаймер, след увреждане от травма и
мозъчно-съдови инциденти.
В състава на една капсула Selenogin Supеr се съдържат цитиколин (150 mg), стандартизиран екстракт от Гинко билоба (120 mg), пантотенова киселина (1.2 mg), селен (50 мкг) и биотин (10 мкг). Selenogin Super се предла-
га в опаковка от 28 капсули, като препоръчителна дневна доза е 1-2 капсули на ден, сутрин. Продължителността
ни мембрани и микрозомални фосфолипиди). Освен това, цитиколинът осигурява холин за синтеза на ацетилхолин и участва в окисление до бетаин, който е донор на метил. Основните компоненти на цитиколин, холин и цитидин, се абсорбират лесно в червата и преминават през кръвно-мозъчната бариера[5]. При проучвания върху животни е доказано, че цитиколинът е биологично активен, подобрява възстановяването при исхемично увреждане на невроните и повишава нивата на ацетилхолин и допамин[6]. При възрастни животни
за деменция и когнитивни увреждания[16,17,18,19,20]. От 2000 г., според настоящата ATC-класификация, специалният екстракт от Гинко билоба е включен в групата на лекарствата против деменция, заедно с холинестеразните инхибитори и мемантин.
Пантотеновата киселина (витамин B5) е съществено хранително вещество, необходимо за синтеза на коензим А (CoA), който играе роля в много основни метаболитни пътища. В мозъка ацетил-КоА е задължителният
предшественик на невротрансмитера
ацетилхолин и сложните мастно-ацилни групи[21,22]. Селенът (Se) е един от факторите, които могат да повлияят на риска от когнитивен спад. Той е важен
елемент за намаляване на оксидативния стрес. Реактивните радикали се ге-
нерират по време на нормалния ход на метаболизма в тялото. Всяка аеробна клетка
уязвима
атака от реактивни радикали, което води до оксидативен стрес. Мозъкът е особено податлив на
оксидативен стрес поради своя състав и физиология. Оксидативният стрес за
мозъка е свързан с когнитивни дефицити, разстройства на настроението и
поведенчески проблеми. Доказателствата от проучвания върху животни и хора показват важността на селена за когнитивните функции, настроението и поведението чрез защита срещу
окислително увреждане на субстрати, включително липопротеини с ниска плътност, хидропероксид, водороден пероксид, пероксинитрит и терт-бутил хидроксипероксид[23,24]. Биотинът е известен още като витамин Н. Изследвания показват, че някои форми на тежка невродегенерация, като фронтотемпоралната деменция, наблюдавана при Алцхаймер и Паркинсон, могат да бъ-
преживяване на мозъчно-съдовия инцидент. Пациентите приемаха по 1 капсула Selenogin Super на ден в рамките на 90 дни. След тримесечния курс е проведен контролен преглед, при който отново се
тежки
тивни нарушения (3
и 2
3 пациенти (2 мъже и 1 жена) са с умерено тежки когнитивни нарушения, а други 10 – с леки когнитивни нарушения (9 жени и 1 мъж). Останалите 15 пациенти (8 жени и 7 мъже) са с нарушения в някоя конгнитивна сфера, без маркантен дефицит. Най-висок процент отклонения да -
доха пациентите при
изследване на концентрация на вниманието, памет (припомняне) и повтаряне.
След 3-месечен прием на Selenogin Super проведохме контролно MMSE
изследване при 43 от пациентите. Останалите не се явиха на контролен преглед. При обработката на резултатите направи впечатление, че с най-добро подобрение са резултатите
за тази хипотеза[25,26]. Изследвания на цитиколин при пациенти с леко когнитивно увреждане потвърждават неговата ефикасност и възможността да бъде използван като средство за забавяне на когнитивния спад при евентуална деменция[27] До този момент са налични четири проучвания, включващи 474 пациенти, от които 300 са били лекувани с цитиколин, използвайки MMSE за оценка на когнитивната функция[28, 29]. В две от клиничните проучвания ефикасността на цитиколин е тествана при пациенти със съдова деменция, давайки противоречиви резултати. Chandra и колектив съобщават за значително
памет. Резултатите от нашето проуч-
са отчасти в съответствие с из-
водите, направени от системния пре -
глед на Cochrane[31]. Той разглежда 14
проучвания върху възрастни индиви-
ди със симптоми, вариращи от нару-
шения на паметта до леко когнитивно увреждане и сенилна деменция.
Продължителност та на проучвания-
та варира между 20 и 30 дни, 1 проуч-
ване продължава 6 седмици, 4 про -
учвания продължават 2 и 3 месеца и
1 проучване продължава 12 месеца.
Общите резултати (884 пациенти) по -
казват доказателства за полза от ци-
тиколин върху паметта и поведението, но не и върху вниманието. Други
броя на неправилните отговори при теста Toulouse-Pieron[33]. По подобен начин, Alvarez-Sabin, на 6 и 12 месеца лечение, доказва по-малко влошаване на съдовото когнитивно увреждане след инсулт при изпълнение на вниманието (тест за интерференция на цветни думи на Stroop, TMT A и B и SDMT)[34].
Два систематични прегледа[35,36] показват, че екстрактът от Гинко билоба може да подобри когнитивната функция на пациенти с деменция. Освен това
1. Hill, N. L., Mogle, J. M., Munoz, E., et al. Assessment of subjective cognitive impairment among older adults. J. Gerontol. Nurs. 2015. 41, 28–35; quiz 36–37. doi: 10.3928/00989134-20150309-01
2. Budson, A. E., and Solomon, P. R. New criteria for Alzheimer disease and mild cognitive impairment: implications for the practicing clinician. Neurologist 18. 2012. 356–363. doi: 10.1097/NRL.0b013e31826a998d
3. Rasquin SM, Verhey FR, Lousberg R, et al. Vascular cognitive disorders: memory, mental speed and cognitive flexibility after stroke. J Neurol Sci. 2002; 203–204:115–119.
4. Savva GM, Stephan BC. Alzheimer's Society Vascular Dementia Systematic Review Group. Epidemiological studies of the effect of stroke on incident dementia: a systematic review. Stroke. 2010; 41:e41–e46.
5. Conant R, Schauss AG. Therapeutic applications of citicoline for stroke and cognitive dysfunction in the elderly: a review of the literature. Altern Med Rev. 2004; 9:17–31
6. Ulus IH, Wurtman RJ, Mauron C, Blusztajn JK. Choline increases acetylcholine release and protects against the stimulation-induced decrease in phosphatide levels within membranes of rat corpus striatum. Brain Res. 1989; 484:217–227.
7. Alvarez XA, Sampedro C, Lozano R, Cacabelos R. Citicoline protects hippocampal neurons against apoptosis induced by brain beta-amyloid deposits plus cerebral hypoperfusion in rats. Methods Find Exp Clin Pharmacol. 1999; 21:535–540.
8. Lee HJ, Kang JS, Kim YI. Citicoline protects against cognitive impairment in a rat model of chronic cerebral hypoperfusion. J Clin Neurol. 2009; 5:33–38.
9. Hurtado O, Cárdenas A, Pradillo JM, Morales JR, Ortego F, Sobrino T, Castillo J, Moro MA, Lizasoain I. A chronic treatment with CDP-choline improves functional recovery and increases neuronal plasticity after experimental stroke. Neurobiol Dis. 2007; 26:105–111.
10. Silveri MM, Dikan J, Ross AJ, Jensen JE, Kamiya T, Kawada Y, Renshaw PF, YurgelunTodd DA. Citicoline enhances frontal lobe bioenergetics as measured by phosphorus magnetic resonance spectroscopy. NMR Biomed. 2008; 21:1066–1075.
11. Cavum S, Savci V. CDP.choline increases plasma ACTH and potentiates the stimulated release of GH, TSH, and LH: the cholinergic involvement. Fundam Clin Pharmacol. 2004;18:513–23.
12. Blount PJ, Nguyen CD, McDeavitt JT. Clinical use of cholinomimetic agents: a review. J Head Trauma Rehabil. 2002;17:314–21
13. Zweifler RM. Membrane stabilizer: citicoline. Curr Med Res Opin. 2002;18(Suppl 2):14–17.
14. Oken, B. S., Storzbach, D. M., and Kaye, J. A. (1998). The efficacy of Ginkgo biloba on cognitive function in Alzheimer disease. Arch. Neurol. 55, 1409–1415. doi: 10.1001/ archneur.55.11.1409
15. DeKosky, S. T., Williamson, J. D., Fitzpatrick, A. L., Kronmal, R. A., Ives, D. G., Saxton, J. A., et al. (2008). Ginkgo evaluation of memory
(GEM) study investigators. Ginkgo biloba for prevention of dementia: a randomized controlled trial. JAMA 300, 2253–2262. doi: 10.1001/jama.2008.683
16. Koltai MHosford DGuinot PEsanu ABraquet P Platelet-activating factor (PAF): a review of its effects, antagonists and future clinical implications. Drugs. 1991;429- 29174- 204
17. Wieraszko ALi GKornecki EHogan MVEhrlich YH Long-term potentiation in the hippocampus induced by platelet-activating factor. Neuron. 1993;10553- 557
18. Oyama YFuchs PAKatayama NNoda K Myricetin and quercetin, the flavonoid constituents of Ginkgo biloba extract, greatly reduce oxidative metabolism in both resting and Ca2+ loaded brain neurons. Brain Res. 1994;635125- 129
19. Oyama Y, Chikahisa L, Ueha T, et al. Ginkgo biloba extract protects brain neurons against oxidative stress induced by hydrogen peroxide. Brain Res. 1996; 712349- 352
20. Bolanos-Jimenez F, de Castro R, Sarhan H, et al. Stress-induced 5-HT1A receptor desensitization: protective effects of ginkgo biloba extract (EGb 761). Fundam Clin Pharmacol. 1995;9169- 174
21. Ismail, Kureishy, Church, et al. Vitamin B5 (D-pantothenic acid) localizes in myelinated structures of the rat brain: potential role for cerebral vitamin B5 stores in local myelin homeostasis. Biochem. Biophys. Res. Commun., 552 (2020), pp. 220-225
22. Uchida, Ito, Ohtsuki, et al. Major involvement of Na(+)-dependent
multivitamin transporter (SLC5A6/SMVT) in uptake of biotin and pantothenic acid by human brain capillary endothelial cells. J. Neurochem., 134 (2015), pp. 97-112
23. Claudine Berr, Josiane Arnaud, Tasnime N. Akbara. Selenium and cognitive impairment: A brief-review based on results from the EVA study. BioFactors. 15 March 2012. https://doi. org/10.1002/biof.1003
24. Kelly M. Lohr, Bess Frost, Clemens Scherzer, and Mel B. Feany Biotin rescues mitochondrial dysfunction and neurotoxicity in a tauopathy model. PNAS. December 14, 2020. 117 (52) 33608-33618
25. McDaniel MA, Maier SF, Einstein GO. “Brainspecific” nutrients: a memory cure? Nutrition. 2003;19:957–75.
26. Agnoli A, Bruno G, Fioravanti M. Therapeutic approach to senile memory impairment: a double-blind clinical trial with CDP-choline.
In: Wurtman RJ, Corkin S, Growdon JH, et al., editors. Alzheimer’s disease: proceedings of the fifth meeting of the International Study Group in the Pharmacology of Memory Disorders Associated with Aging. Boston: Birkhauser; 1986. pp. 649–54.
27. Abad-Santos F, Novalbos-Reina J, GallegoSandin S, et al. Tratamiento del deterioro cognitivo lieve: utilidad de la citicolina. Rev Neurol. 2002;35:675–82.
28. Chandra B. Treatment of multiinfarct dementia with citicholine. J Stroke Cerebrovasc Dis 1992;2:232-233.
30. Clark WM, Warach SJ, Pettigrew LC, et al. A randomized dose-response trial of citicoline in acute ischemic stroke patients. Citicoline Stroke Study Group. Neurology 1997;49:671678.
31. Fioravanti M, Yanagi M. Cytidinediphosphocholine (CDP-choline) for cognitive and behavioural disturbances associated with chronic cerebral disorders in the elderly. Cochrane Database Syst Rev2005; 18:CD000269.
32. Cotroneo AM, Castagna A, Putignano S, et al. Effectiveness and safety of citicoline in mild vascular cognitive impairment: the IDEALE study. Clinical Interv Aging, 2013, 8: 131–137.
33. Piccoli F, Battistini N, Carbonin P, et al. CDP-choline in the treatment of chronic cerebrovasculopathies. Arch Gerontol Geriatr 1994;18:161-168.
34. Alvarez-Sabin J, Ortega G, Jacas C, et al. Long-term treatment with citicoline may improve poststroke vascular cognitive impairment. Cerebrovasc Dis 2013;35:146-154.
35. Weinmann, S., Roll, S., Schwarzbach, C., et al. Effects of Ginkgo biloba in dementia: systematic review and meta-analysis. BMC Geriatr. 2010. 10:14. doi: 10.1186/1471-2318-10-14
36. Jiang, L., Su, L., Cui, et al. Ginkgo biloba extract for dementia: a systematic review. Shanghai Arch. Psychiatry 25, 10–21. 2015. doi: 10.3969/j.issn.1002-0829.2013.01.005
29. Cohen RA, Browndyke JN, Moser DJ, Paul RH, et al. Long-term citicoline (cytidine diphosphate choline) use in patients with vascular dementia: neuroimaging and neuropsychological outcomes. Cerebrovasc Dis 2003;16:199-204

Ч. Михайлова, П. Карагьозов
Клиника по Гастроентерология, „Аджибадем
думи: Гастроезофагеална рефлуксна болест, неерозивна рефлуксна болест, хранопровод на Barrett, киселинносупресивна терапия, ендоскопска диагностика
ЕПИДЕМИОЛОГИЯ
ГЕРБ е едно от най-честите стомаш -
но-чревни разстройства, с разпространение от приблизително 20% от
възрастните в западната култура. Ис -
тинското разпространение може да
бъде и по-високо, тъй като повече
хора имат достъп до антиацидни лекарства и не биват диагностицирани[6]. NERD е най-разпространеният фенотип, наблюдаван при 60-70%
от пациентите, последван от ерозивен езофагит и BE, наблюдавани съ -
ответно при 30% и 6-12% от пациентите с ГЕРБ[1,6]. Разпространението на
ГЕРБ е малко по-високо при мъжете в сравнение с жените[7]. Жените със симптоми, характерни за ГЕРБ, са
да имат неерозивна рефлуксна болест,
в етиопатогенезата
Понастоящем няма известна причина, която да обясни развитието на ГЕРБ. През годините няколко рискови фактора са идентифицирани в патогенезата на ГЕРБ. Езофагеалният дисмотилитет, увреждането на тонуса на долния езофагеален сфинктер (LES), преходна релаксация на LES и забавено изпразване на стомаха, са приети като основни фактори за поява на болестта[7]. Анатомични фактори като наличие на хиатална
– типични и атипични. ТИПИЧНИ СИМПТОМИ НА РЕФЛУКС Основните симптоми на ГЕРБ са киселините и регургитация. Киселините (т.нар. Heartburn) се характеризират с дискомфорт, или усещане за парене зад гръдната кост, което възниква от епигастриума и може да излъчва към шията. Те са периодичен симптом, най-често изпитан в рамките на 60 мин. след хранене, по време на тренировка и в легнало положение.
Дис комфортът се облекчава с пиене на вода
или антиацид, но може да се появи често и да попречи на нормалните дейности.
Въпреки че съществува известна зависимост между честотата на киселини, степента на екс-
позиция на киселина в хранопровода и наличието или степента на увреждане на лигавицата, тази корелация е далеч от абсолютна[13]. Някои пациенти с тежък езофагит, или Барет-ова метаплазия не съобщават за киселини.
В контекста на ГЕРБ, регургитацията е връщане без усилие на съдържанието на хранопровода, или стомаха, без гадене или повръщане. Пациентите могат да забележат кисел
вкус в гърлото или устата, което да съдържа несмляни хранителни частици. Навеждане, оригване или действия, които увеличават интраабдоминалното налягане може да провокира регургитация[1].
Известна степен на дисфагия се съобщава от повече от 30% от лица с ГЕРБ[14]. Може да бъде причинено от пептична
на подобни оплаквания.
Кашлица Смята се, че патогенезата на кашлицата, свързана с ГЕРБ, е вторична, получава се вагусно медииран езофаго трахеобронхиален рефлекс, активиран чрез киселинна стимулация на лигавица на хранопровода. Това е потвърдено с импеданс-pH-метрия[15].
Астма Връзката между астмата и ГЕРБ е предложена за първи път по наблюдението на Ослер през 1892 г. Впоследствие епидемиологич -
ните проучвания са потвърдили тази връзка. Има няколко потенциални предразполагащи фактора, при които астмата може провокира рефлукс. Затлъстяването и хиаталната херния са рискови фактори както за ГЕРБ, така и астма.
УНГ симптоми
Срещат се различни УНГ симптоми като дисфония, усещане за глобус (усещане за буца в гърлото), възпалено гърло и ларингос -
пазъм[15].
Зъбни ерозии
Може да се наблюдава увеличаване на зъб -
ните ерозии. Това е потвърдено и в класификацията на ГЕРБ от Монреал.
ДИАГНОЗА Диагнозата ГЕРБ се поставя въз основа на присъствието на симптоми, или в комбинация с други фактори, като чувствителност към антисекреторна терапия, езофагогастродуоденоскопия, езофагеална манометрия и други. Ако симптомите персистират въпре -
ки емпиричната терапия и ендоскопското изследване не разкрие данни за ГЕРБ (езофагит, пептична стриктура на хранопровода, Баретов хранопровод), се извършват функционални тестове, включително



с висока разделителна способност (HRM) може да помогне по отношение



ция. Освен ако няма свързани алармиращи симптоми, които включват дисфагия, одинофагия, анемия, за -
губа на тегло и хематемеза, повечето пациенти могат да започнат
емпирична медицинска терапия с инхибитори на протонната помпа (PPI)
без допълнителни изследвания с от-
говор на лечението, потвърждаващ
диагнозата ГЕРБ[16]. Средно 69% от пациентите с езофагит, 49% от пациентите с неерозивна рефлуксна болест (NERD) и 35% от пациентите с нор -
мална ендоскопия и рН-метрия получават облекчение на симптомите от
изпитване с PPI.
Хирургична терапия
Пациенти, които имат или рефрактерен от медицинска гледна точ -
ка ГЕРБ, изпитват странични ефекти
от медикаментозната терапия, имат
подлежаща голяма хиатална херния,
или лица, които желаят да преуста -
новят дългосрочното медикаментоз -
но
лечение, могат да бъдат обмисле -
ни
за хирургично лечение. Наличните
хирургични възможности за ГЕРБ са
лапароскопска фундопликация по Nissen, лапароскопска предна 180° фундопликация, или бариатрична хирургия при пациенти със затлъстяване[21]. Лапароскопската фундопли -
1. Fass R, Frazier R. The role of dexlansoprazole modified-release in the management of gastroesophageal reflux disease. Therap Adv Gastroenterol. 2017 Feb;10(2):243-251
2. El-Serag HB, Sweet S, Winchester CC, Dent J. Update on the epidemiology of gastrooesophageal reflux disease: a systematic review. Gut. 2014 Jun;63(6):871-80
3. Hom C, Vaezi MF. Extraesophageal manifestations of gastroesophageal reflux disease. Gastroenterol Clin North Am. 2013 Mar;42(1):71-91.
4. Vakil N, van Zanten SV, Kahrilas P, Dent J, Jones R., Global Consensus Group. The Montreal definition and classification of gastroesophageal reflux disease: a global evidence-based consensus. Am J Gastroenterol. 2006 Aug;101(8):1900-20; quiz 1943.
5. Fass R, Ofman JJ. Gastroesophageal reflux disease--should we adopt a new conceptual framework? Am J Gastroenterol. 2002 Aug;97(8):1901-9.
кация по Nissen е златен стандарт за хирургично лечение при пациенти с ГЕРБ. Въпреки това, пациентите, подложени на фундопликация, са изложени на риск от развитие на следоперативни нежелани реакции, които включват подуване на корема, дисфагия и оригване. Най-честите извършвани бариатрични операции са стомашен байпас по Roux-en-Y (RYGB) и лапароскопска регулируема стомашна лентова пликация (LAGP). Проучванията показват, че получената загуба на тегло от хирургично лечение
ендостаплер Medigus (MUSE); ендоскопко приложение на радиочестотна енергия на LES, както и антирефлуксна мукозектомия (ARMS) и ендоскоп
без разрез (TIF).
TIF е оценен в няколко рандомизирани контролирани проучвания. Обективното измерване на рефлукса показва ограничено намаляване на експозицията на езофагеална киселина при пациенти, лекувани с TIF, подобно на това, наблюдавано при пациенти, приемащи PPl.
Други ендоскопки методи за лечение са ултразвуковият хирургически
6. Fass R. Erosive esophagitis and nonerosive reflux disease (NERD): comparison of epidemiologic, physiologic, and therapeutic characteristics. J Clin Gastroenterol. 2007 Feb;41(2):131-7.
7. Nilsson M, Johnsen R, Ye W, Hveem K, Lagergren J. Prevalence of gastrooesophageal reflux symptoms and the influence of age and sex. Scand J Gastroenterol. 2004 Nov;39(11):1040-5
8. Kim SY, Jung HK, Lim J, Kim TO, Choe AR, Tae CH, Shim KN, Moon CM, Kim SE, Jung SA. Gender Specific Differences in Prevalence and Risk Factors for Gastro-Esophageal Reflux Disease. J Korean Med Sci. 2019 Jun 02;34(21):e158
9. Eusebi LH, Ratnakumaran R, Yuan Y, Solaymani-Dodaran M, Bazzoli F, Ford AC. Global prevalence of, and risk factors for, gastro-oesophageal reflux symptoms: a meta-analysis. Gut. 2018 Mar;67(3):430-440
10. Kandulski A, Weigt J, Caro C, Jechorek D, Wex T, Malfertheiner P. Esophageal intraluminal baseline impedance
differentiates gastroesophageal reflux disease from functional heartburn. Clin Gastroenterol Hepatol. 2015 Jun;13(6):107581.
11. IsolauriJ, LuostarinenM, IsolauriE, et al.Natural course of gastroesophageal reflux disease: 17–22 year follow‐up of 60 patients. Am J Gastroenterol1997;92:37.
12. CorderAP, JonesRH, SadlerGH, et al.Heartburn, oesophagitis and Barrett's oesophagus in self‐medicating patients in general practice. Br J Clin Pract1996;50:245.].26- Allende DS, Yerian LM. Diagnosing gastroesophageal reflux disease: the pathologist's perspective. Adv Anat Pathol. 2009 May;16(3):161-5.
13. ЕrstadA, HatlebakkJG. The predictive value of symptoms in gastro‐oesophageal reflux disease. Scand J Gastroenterol Suppl1995; 14. SifrimD, DupontL, BlondeauK, et al.Weakly acidic reflux in patients with chronic unexplained cough during 24 hour pressure, pH, and impedance monitoring.
Gut2005;54:449.
15. PearsonJP, ParikhS, OrlandoRC, et al.Review article: reflux and its consequences – the laryngeal, pulmonary and oesophageal manifestations. Conference held in conjunction with the 9th International Symposium on Human Pepsin (ISHP) Kingston‐upon‐Hull, UK, 21–23
16. Katz PO, Gerson LB, Vela MF. Guidelines for the diagnosis and management of gastroesophageal reflux disease. Am J Gastroenterol. 2013 Mar;108(3):308-28
17. Roman S , Gyawali CP , Savarino E et al Ambulatory reflux monitoring for diagnosis of gastro-esophageal reflux disease: update of the Porto consensus and recommendations from an international consensus group. Neurogastroenterol Motil 2017;29:1–15
18. Vela MF Camacho-Lobato L Srinivasan R et al Simultaneous intraesophageal impedance and pH measurement of acid and nonacid gastroesophageal reflux: effect of omeprazole. Gastroenterology 2001;120:1599–606.doi:10.1053/
gast.2001.24840
19. 180-PandolfinoJE, VelaMF. Esophageal‐reflux monitoring. Gastrointest Endosc2009;69:917e1
20. PandolfinoJE, KahrilasPJ. AGA technical review on the clinical use of esophageal manometry. Gastroenterology2005;128:209. 21. Katz PO, Gerson LB, Vela MF. Guidelines for the diagnosis and management of gastroesophageal reflux disease. Am J Gastroenterol. 2013 Mar;108(3):308-28; quiz 329. 22. Kellerman R, Kintanar T. Gastroesophageal Reflux Disease. Prim Care. 2017 Dec;44(4):561-573
23. Jacobson BC, Somers SC, Fuchs CS, Kelly CP, Camargo CA. Body-mass index and symptoms of gastroesophageal reflux in women. N Engl J Med. 2006 Jun 01;354(22):2340-8.
24. Fujiwara Y, Arakawa T, Fass R. Gastroesophageal reflux disease and sleep disturbances. J Gastroenterol. 2012 Jul;47(7):760-9.

иарията е третата водеща причина за смърт при децата до 59-мес. възраст. Според различни източници всяка година от остра диария загиват между 443 832 деца под 5-год. възраст (и
още 50 851 от 5-9 години)[1] до 2.5
млн. в световен мащаб[2,3]. В страните с ниски доходи всяко дете до на -
вършване на 3-год. възраст има три
епизода на диария годишно[1]. В Съ -
единените американски щати острите гастроентерити ежегодно са причина за 1.5 млн. посещения в лекарските кабинети, 200 000 хоспитализации и 300 смъртни случая[3].
Най-честите причини за остра диария са[2]:
1. Инфекциозен гастроентерит.
2. Използване на антибиотици (антибиотик-асоциирана диария).
3. Алиментарни алергии.
4. Хранителни интоксикации.
се установяват Escherichia coli, Salmonella spp., Shigella spp. и Campylobacter spp. Ротавирусите и Е. coli са най-честите патогени във всички възрастови групи, като след 6 до 10-год. възраст често се срещат Е. coli, Salmonella и Shigella[1] Най-често заразяването става чрез замърсена с фекалии питейна вода или храна, или от човек на човек при лоша
нарушения в кръвообращението, до шоково състояние[2,3,21]
Основен рисков фактор за живота на детето е дехидратацията. С изпражненията, повърнатите материи, потта, урината и дишането се губят вода и електролити. Когато тези загуби не се компенсират се стига до дехидратация[1]. Познаването на белезите на дехидратация е важно за клиничната оценка и терапевтичното поведение[1,2,3].
При тежка дехидратация се установяват поне два от следните симптоми:
1. Летаргия/безсъзнание.
2. Халонирани очи.
3. Детето не може да пие или пие трудно.
4. Бавно изглаждане на кожна гънка, над 2 секунди.
Средната степен на дехидратация се характеризира с наличието на поне два от
описаните симптоми:
1. Детето е неспокойно/раздразнително.
2. Халонирани очи.
3. Търси вода, пие жадно.
Отсъствието на описаните симптоми говори за лека или липсваща дехидратация.
Основна цел на лечението е предотвратяване на дехидратацията, лечението ѝ, когато се появи и намаляване на тежестта и продължителността на симптомите [3]
В допълнение някои автори препоръчват
перорален прием на цинк, като отчитат с 25% скъсяване на клиничната симптоматика и с 30% редукция на обема на изпражненията [1]
Препоръките са рехидратацията да се провежда през устата с разтвори на орални рехидратиращи соли (ОРС), съдържащи вода, захар и сол. Интравенозната рехидратация е показана при невъзможност за перора -
прием (напр. упорито повръщане), шок[1]
заболяването. Веднага след хидратацията децата преминават
им храна, като млечните продукти не са противопоказани[2,3]
Средства, повлияващи перисталтиката са противопоказани при кърмачета и малки деца[2].
Пробиотиците могат да имат благоприятни ефекти по отношение на профилактиката, продължителността и тежестта на диарията, както и да намалят честотата на рецидивите. Ще разгледаме приложението им при най-честите причинители на остра диария, като акцентът ще е върху Lactobacillus acidophilus, LA-5 (LA-5) и Bifidobacterium anifmalis subsp. lactis, BB-12 (BB-12).
ROTAVIRUS И ПРОБИОТИЦИ Steyer и сътр. доказват, че приемът на ВВ-12 предпазва децата от ротавирусна инфекция. Те установяват статистически значими по-ниски концентрации на специфични ротавирусни IgA антитела при деца, получаващи ВВ-12 в сравнение с контролната група[4]. ВВ-12 е с документирана способност да свързва ротавирусни частици[5]. Рандомизирани, плацебо-контролирани проучвания доказват намаляване на тежестта на диарията, продължителността ѝ с 1-1.5 дни[5] , както и по-ниска фекална екскреция на ротавирусите, което намалява епидемиологичния риск[7]
LA-5 щам намалява воднистите изхождания при ротавирусна диария[6]
БАКТЕРИАЛНИ ДИАРИИ И ПРОБИОТИЦИ LА-5 намалява адхезията на E. сoli чрез изключване, конкуренция и изместване. Проучвания in vitro установяват, че адхезията на E. сoli намалява с над 93%[8]. Синтезът на лактат и ацетат от ВВ-12 инхибира размножаването и развитието на множество микрорганизми: Campylobacter jejuni, E. сoli, C. difficile, B. vulgatus, E. aerogenes, L. Monocytogenes[9]
тогенните E. coli[11]
Според цитирано в друго in vitro проучване,

Фиг. 1
РЕЗУЛТАТИ
• ВВ-12 инхибира повечето патогенни щамове in vitro.
• ВВ-12 произвежда антагонистично вещество срещу 8 от 12 патогена, за ралика от L. casei, който е активен срещу 50% от по -
казателите.
• Средният диаметър на зоните на задържане на растежа, образувани от ВВ-12 (28.6+6.57 mm) е по-голям (p=0.0103) от този, отчетен при L. casei (18.5+5.52 mm), с изключение на S. flexneri[20]
ДИАРИЯ НА ПЪТЕШЕСТВЕНИКА Диарията на пътешественика най-често е свързана с прием на храна или вода, контаминирани с патогенни микроорганизми като: E. coli, Salmonella, Shigella или Campylobacter. Приемът на пробиотици, съ -
тичен, инхибиращ ефект и върху други патогени - C. difficile, B. vulgatus, E. aerogenes, L. monocytogenes и в по - малка степен върху C. histolyticum, S. enterica и S.[14]
C. DIFFICILE И ПРОБИОТИЦИ C. difficile инфекцията е животозастрашаващо заболяване. Най-честа е при хоспитализирани пациенти и може да протече като инфекциозна диария или псевдомембранозен колит. Независимо, че са налични антимикробни препарати като ванкомицин и метронидазол, използването на неантибиотични терапевтични възможности, като пробиотици, са все по-проучвани [15,16] . In vitro изследвания установяват, че LA-5 намалява прикрепването към човешкия епител на C. Difficile,
Shigella sonnei,
Shigella sonnei
Shigella sonnei
добряване на прогнозата [16] . Предварителното третиране на клетъчни линии с LA-5 ефективно ги защитава от цитотоксичност и адхезия, което означава, че той може да има и профилактичен ефект [16]
ЛИНФОРТЕ е първият лекарствен продукт в България, съдържащ пробиотични бактерии, и не е със статут на хранителна добавка. Всяка капсула съдържа описаните в статията пробиотични бактерии, в количество не по-малко от 1 x 10 9 CFU от Lactobacillus acidophilus, LA-5 като лиофилизат и не по-малко от 1 x 10 9 CFU от Bifidobacterium anifmalis subsp. lactis, BB-12 като лиофилизат, които са нормални обитатели на стомашно-чревния тракт. Терапевтичните му показания включват про -
филактика и поддържащо лечение на диария, метеоризъм и други храносмилателни нарушения, причинени от: вирусни и бактериални стомашно-чревни инфекции (напр. ротавирусни инфекции, „диария при пътуване“), лечение с
средства (антибиотици и синтетични антимикробни средства), облъчване на коремни и тазови органи.
Дневната доза зависи от възрастта и тежестта на заболяването. При възрастни и деца над 12-годишна възраст: една капсула веднъж до три пъти дневно (в зависимост от тежестта на симптомите).

В заключение е
се отбележи, че проведените проучвания установяват, че пробиотиците са част от комплексното лечение на острите диарии, като намаляват те -
жестта на симптомите и продължителността на заболяването.
Материалът е подготвен с подкрепата на „Сандоз България“ КЧТ с адрес: п.к. 1784 бул. „Цариградско шосе”, №115М, Европейски търговски център - сграда Д, ет. 1, тел.: 02/9704747, факс: 02/9704757. BG2405150682/15-MAY-2024
чревна бариера (напр. синдром на късото черво). ♦ съдържа
(adverse.event.bulgaria@sandoz.com).
1. https://www.who.int/news-room/factsheets/detail/diarrhoeal-disease.
2. Consolini D. Diarrhea in Children. Nov 2022. https://www.msdmanuals.com/ professional/pediatrics/symptoms-ininfants-and-children/diarrhea-in-children
3. Hartman S., E. Brown, E. Loomis et al. Gastroenteritis in Children. Am Fam Physician. 2019;99 (3):159-165.
4. Steyer, A. Miˇceti´c-Turk, D., Fijan, S. The Efficacy of Probiotics as Antiviral Agents for the Treatment of Rotavirus Gastrointestinal Infections in Children: An Updated Overview of Literature. Microorganisms 2022, 10, 2392. https://doi.org/10.3390/ microorganisms10122392.
5. Rodríguez-Díaz J., V. Monedero. Probiotics against Digestive Tract Viral Infections.
Bioactive Food as Dietary Interventions for Liver and Gastrointestinal Disease. 271 –284. http://dx.doi.org/10.1016/B978-0-12397154-8.00031-2.
6. Al Kassaa I. Antiviral Probiotics: A New Concept in Medical Sciences. New Insights on Antiviral Probiotics. 2016;1-46. Published 2016 Dec 2. doi:10.1007/978-3-319-49688-7_1
7. Brunser O. Role of bifidobacteria in the function of the human body. Rev Chil Nutr Vol. 40, Nº3, septiembre 2013.
8. Pin-Wen Wang. Comparison of Microbial Quality of Commercial Probiotic Dietary Supplements. Purdue e- pubs. https://docs. lib.purdue.edu/dissertations/AAI30502655/ 9. Hansen Chr. GRAS Notice (GRN) No. 856 https://www.fda.gov/food/generallyrecognized-safe-gras/gras-notice-inventory
10. Fijan S., D. Šulc, A. Steyer. Int. J. Environ. Res. Public Health 2018, 15, 1539; doi:10.3390/ijerph15071539.
11. Griffiths M., M. Medellin-Pena, V. Delcenserie. Probiotic bacterial molecules and their use in methods to treat/prevent infection by harmful bacteria and to provide nutritional health. Publication of US10687543B2, 2020-06-23.
12. https://www.optibacprobiotics.com/ professionals/probiotics-database/ lactobacillus/lactobacillus-acidophilus/ lactobacillus-acidophilus-la-05
13. Chaalel et al., Antagonistic activity of Lactobacillus rhamnosus LbRE-LSAS and some Bifidobacterium sp against Shigella sonnei. South Asian J Exp Biol; 7 (2): 92-99; 2017.
14. Jungersen M., A. Wind, E. Johansen et al. The Science behind the Probiotic Strain Bifidobacterium animalis subsp. lactis BB-12®. Microorganisms 2014, 2, 92-110; doi:10.3390/microorganisms2020092.
15. Pal R., A. Athamneh, R. Deshpande et al. Probiotics: insights and new opportunities for Clostridioides difficile intervention. Crit Rev Microbiol. 2023 May;49(3):414-434. doi: 10.1080/1040841X.2022.2072705. Epub 2022 May 15. PMID: 35574602; PMCID: PMC9743071.
16. Najarian А. Impact of bioactive molecules secreted by Lactobacillus acidophilus LA-5 on Clostridium difficile virulence factors. https://api.semanticscholar.org/ CorpusID:91062980, 2017.
17. Najarian A., S. Sharif M. Griffiths.
Evaluation of protective effect of Lactobacillus acidophilus La-5 on toxicity and colonization of Clostridium difficile in human epithelial cells invitro. Anaerobe, Volume 55, February 2019, Pages 142-151.
18. M. Fredua-Agyeman et al. In vitro inhibition of Clostridium difficile by commercial probiotics: A microcalorimetric study. International Journal of Pharmaceutics 517 (2017) 96–103.
19. КХП Линфорте 20. S. Martins Arch Microbiol (2009) 191623_63; 21. Florez, I.D., Niño-Serna, L.F. BeltránArroyave, C.P. Acute Infectious Diarrhea and Gastroenteritis in Children. Curr Infect Dis Rep 22, 4 (2020).







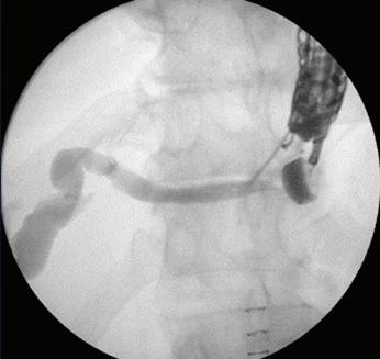
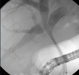
Традиционно EUS-BD е втора линия интер -
венция при неуспешна или невъзможна ЕР-
ХПГ. Докато предимствата пред перкутанен дренаж се приемат за доказани, все още е
под въпрос, дали EUS-BD има предимства
пред ЕРХПГ и е с потенциал за първа линия при малигнена дистална билиарна обструкция (МДБО). Рандомизирани проучвания от
последните години доказват високия технически успех при същевременно приемлив профил на безопасност на EUS-BD, приложен без предварителен опит за ЕРХПГ при МДБО[7,8,9]. Същевременно обсервационни
проучвания доказват успеваемост над 90%
на EUS-BD, извършен след неуспешен опит
за ЕРХПГ [10,11]. Все по-логично звучат следните въпроси: EUS-BD или ЕРХПГ като пър -
ва линия терапевтична стратегия при МДБО?
Все повече набира популярност тезата, че
най-честото и опасно усложнение на ЕРХПГ,
пост-ЕРХПГ панкреатитът, може да бъде ре -
дуциран до минимум или напълно избегнат.
От друга страна най-честото и опасно услож-
нение на EUS-BD е изтичането на жлъчка в коремната кухина (билиарен лиик). Готови
ли сме да заменим едно тежко усложнение с друго? При положение, че не повече от 5% от ЕРХПГ процедурите са неуспешни във високообемни експертни центрове, как бихме осигурили условия за оптимално обучение на EUS-BD, ако се прилага само като втора линия? Голяма част от консумативите, които се използват при EUS-BD са „взети назаем“ от ЕРХПГ. Нараства нуждата от усъвършенстване и създаване на специфични
консумативи и стентове, които да направят процедурата по-лесна, достъпна, с по-малко етапи и съответно по-безопасна. Във връзка с казаното по-горе, възниква въпросът и за стандартизиране на процедурата. Настоящият обзор цели да потърси отговор на част от въпросите.
ЕНДОСКОПСКА РЕТРОГРАДНА ХОЛАНГИОПАНКРЕАТОГРАФИЯ Основна терапевтична стратегия при малигнена дистална билиарна
Фатери, дуоденална непроходимост или стеноза, затрудняваща маневреността на дуоденоскопа. Оказва се, че при малигнена дистална билиарна обструкция е налична туморна инфилтрация на дуоденума в 2545% от случаите[13].
Промените в зоната на на Папила Фатери, свързани с туморна инфилтрация, често налагат използване на напреднали техники на канюлация - „прекът“ сфинктеротомия, които от своя страна корелират с висок риск от усложнения като хеморагия, пост-ЕРХПГ панкреатит или перфорация на дуоденума или екстрахепаталните жлъчни пътища[14] Доказана е директната корелация между комплексността/сложност на процедурата и появата на усложнения. Честотата на постпроцедурен остър панкреатит варира значително
за канюлация. Честотата
центрове е под 3%, ако канюлацията се осъществява в рамките на 5 минути и надминава 10% ако времето за канюлация е над 10 мин., или ако опитите за канюлация надминат 10 [15,16]. Друг важен факт е, че ако папилата е ендоскопски достъпна и процедурата се извършва в експертен център, успешна канюлация се постига в 99.4% от случаите[1]. Това от своя страна предопределя трудностите при овладяване на EUS-BD и ограничената експертиза.
Съществен проблем, свързан с методиката, е дисфункция на стентовете, свързана с оклузия от тумора ("overgrowth/ ingrowth") или миграция на стентовете. Това са сериоз -
ни късни усложнения и могат да доведат до животозастрашаващ септичен холангит [17-18] . Въвеждането и използването на покрити стентове само частично решава проблема с проходимостта и туморното
билиарна обструкция, EUS-BD се препоръчва в няколко клинични ситуации - неуспешна ЕРХПГ, трудна билиарна канюлация и хирургично променена анатомия, но само при налична адекватна експертиза[12]. Перкутанните интервенции в тези ситуации се прилагат отдавна, натрупан е голям опит и са пуб -
ликувани много данни, потвърждаващи ефективността на процедурата (перкутанна трансхепатална холангиография с дренаж). От последни публикации става ясно, че EUS-BD има редица предимства пред перкутанната техника. Според скорошно рандомизирано проучване разликата в честотата на усложненията е значима - 8.8% за EUS-BD срещу 31.2% за перкутанния билиарен дренаж (p=0.022). Съществува и съществeна
разлика в необходимостта от непланирани ре-интервенции (0.34 срещу 0.93, P=0.02)[20].
Тези данни се потвърждават и в мета-ана -
лиз, обобщаващ резултатите от 16 проучвания, 528 пациента[21]
Ехоендоскопският билиарен дренаж обединява в себе си няколко техники и две въз -
можности за достъп - трансхепатален и екстрахепатален. В зависимост от наличието
или не на дилатация на интрахепаталните жлъчни пътища може да се извърши хепатикогастростомия, холедоходуоденостомия или антеградно стентиране.
Възможна е и „рандеву“ процедура, при
която с интра- или екстрахепатален достъп се въвежда


прилага като втора линия след неуспешна
ЕРХПГ, все по-актуален е въпросът за приложението й като първа лечебна стратегия при
МДБО. Няколко систематични и мета-анализа третират въпроса, дали EUS-BD е подходяща за първа линия палиативна дренажна техника при МБО. В мета-анализ от 2020 г. Kakked et al. обобщават резултатите от пет проучвания - 3 рандомизирани и 2 обсервационни, вклюващи 361 пациенти.
И двете процедури демонстрират сходен технически успех (OR: 1.20 [0.44-3.24], I2 = 0%) и клиничен успех (OR: 1.44, confidence interval [CI]: 0.63-3.29, I2 = 0%). Нежеланите реакции (OR: 1.59 [0.89-2.84]) не се различават в двете групи. В ЕРХПГ групата 9.5%
с EUS-BD (risk difference = 0.08%, P = 0.02).


венции също е сходна в двете групи (OR1.68 [0.76-3.73], I2 = 42%). В групата с ЕРХПГ притискане на стента от тумора и туморно прорастване са били чести причини за реинтервенция (ОR 5.35 [1.64-17.50], I2 = 0%). EUS-BD е със сравним технически и клиничен успех с ЕРХПГ и потенциално би могъл да бъде използван като първа линия за палиативен дренаж
при достъпна Папила Фатери ехоендоскопската холедоходуо деностомия (EUS-CDS) демон -
стрира сходни технически и клиничен успех с ЕРХПГ. Усложненията също са сравними (15.5% [24/155] за EUS-CDS и 18.6% [45/242] за ЕРХПГ). Необходими са по-големи рандомизирани проучвания, сравняващи EUSCDS и ЕРХПГ при ендоскопски достъпна папила[26]
Още един мета-анализ, обобщаващ 4 проучвания, общо 302 пациента не открива разлика в техническия и клиничен успех между двете техники.
експертиза EUS-BD би могла да демонстрира сходна ефективност и безопасност с ЕРХПГ за първичен билиарен дренаж

забравя,
е техника с над 50-годишна история. Процедурата е сравнително добре стандартизирана, ясно дефинирани са усложненията и мерките за тяхната превенция. В този дух едва ли е настъпил моментът, ендоскопската ехография да замени напълно ЕРХПГ при МДБО. Съществува необходимост от стандартизиране на EUS-BD и допълнително осъвършенстване на инструментариума и стентовете. Изработката и употребата на специфични стентове като този за хепатикогастростомия и т.нар. LAMS (стентове с форма на дъмбел, осигуряващи плътна апозиция на два лумена) са конкретни стъпки в тази посока и те безспорно генерално променят процедурата, правейки я технически по-лесна и безопасна. Въвеждането на специфични консумативи за EUS-BD е бавен процес, също съпътстван от несъвършенства. Пример за това е холедоходуоденоанастомозата с LAMS. Избягвайки преминаването през тумора, което се наблюдава при транспапиларно стентиране, се
дилатация, електрически ток, катетри?). Съществува и необхо
жлъчни пътища. До решаването на тези, а и на други въпроси, ЕРХПГ остава техника на първи избор. Не на последно място е
1. Holt BA, Hawes R, Hasan M et al. Biliary drainage: Role of EUS guidance. Gastrointest Endosc 2016; 83: 160–5.
2. Peng C, Nietert PJ, Cotton PB et al. Predicting native papilla biliary cannulation success using a multinational endoscopic retrograde cholangiopancreatography (ERCP) quality network. BMC Gastroenterol 2013; 13: 147–55.
3. Williams EJ, Ogollah R, Thomas P et al. What predicts failed cannulation and therapy at ERCP? Results of a large-scale multicenter analysis. Endoscopy 2012; 44: 674–83
4. Glomsaker T, Hoff G, Kvaløy JT et al. Patterns and predictive factors of complications after endoscopic retrograde cholan- giopancreatography. Br J Surg 2013; 100: 373–80.
5. Masci E, Mariani A, Curioni S et al. Risk factors for pancreatitis following endoscopic retrograde cholangiopancreatography: A meta-analysis. Endoscopy 2003; 35: 830–4.
6. Freeman ML, Guda NM. Prevention of post-ERCP pancreatitis: A comprehensive review. Gastrointest Endosc 2004; 59: 845–64.
7. Bang JY, Navaneethan U, Hasan M et al. Stent placement by EUS or ERCP for primary biliary decompression in pancreatic cancer: A randomized trial (with videos). Gastrointest Endosc 2018; 88: 9–17.
8. Park JK, Woo YS, Noh DH et al. Efficacy of EUS-guided and ERCP-guided biliary drainage for malignant biliary obstruction:
Prospective randomized controlled study. Gastrointest Endosc 2018; 88: 277–82.
9. Paik WH, Lee TH, Park DH et al. EUSguided biliary drainage versus ERCP for the primary palliation of malignant biliary obstruction: A multicenter randomized clinical trial. Am J Gastroenterol 2018; 113: 987–97.
10. Dhir V, Itoi T, Khashab MA et al. Multicenter comparative evaluation of endoscopic placement of expandable metal stents for malignant distal common bile duct obstruction by ERCP or EUS-guided approach. Gastrointest Endosc 2015; 81: 913–23.
11. Khashab MA, Van der Merwe S, Kunda R et al. Prospective international multicenter study on endoscopic ultrasoundguided biliary drainage for patients with malignant distal biliary obstruction after failed endoscopic retrograde cholangiopancreatography. Endosc Int Open 2016; 4: E487–96.
12. Nakai Y, Isayama H, Wang H-P et al. International consensus statements for endoscopic management of distal biliarystricture. J Gastroenterol Hepatol 2020; 35: 967–79.
13. Kakked G, Salameh H, Cheesman AR et al. Primary EUS- guided biliary drainage versus ERCP drainage for the management of malignant biliary obstruction: A systematic review and 13meta-analysis. Endosc Ultrasound 2020; 9: 298–307.
14. Andriulli A, Loperfido S, Napolitano G et al. Incidence rates of post-ERCP
complications: A systematic survey ofprospective studies. Am J Gastroenterol 2007; 102: 1781–8.
15. Bailey AA, Bourke MJ, Williams SJ et al. A prospective randomized trial of cannulation technique in ERCP: Effects on technical success and post-ERCP pancreatitis. Endoscopy 2008; 40: 296–301.
16. Halttunen J, Meisner S, Aabakken L et al. Difficult cannulation as defined by a prospective study of the Scandinavian Association for Digestive Endoscopy (SADE) in 907 ERCPs. Scand J Gastroenterol 2014; 49: 752–8
17. Tringali A, Hassan C, Rota M et al. Covered vs. uncovered self-expandable metal stents for malignant distal biliary stric- tures: A systematic review and metaanalysis. Endoscopy 2018; 50: 631–41.
18. 18 Almadi MA, Barkun AN, Martel M. No benefit of covered vs. uncovered selfexpandable metal stents in patients with malig- nant distal biliary obstruction: A meta-analysis. Clin Gastroen- terol Hepatol 2013; 11: 27–37.
19. Wani S, Keswani R, Hall M et al. A prospective multicenter study evaluating learning curves and competence in endoscopic ultrasound and endoscopic retrograde cholangiopancreatogra- phy among advanced endoscopy trainees: Therapid assessment of trainee endoscopy skills study. Clin Gastroenterol Hepatol 2017; 15: 1758–67.
20. Lee TH, Choi J-H, Park DH et al. Similar efficacies of endoscopic ultrasound-guided
резултати би демонстрирало симултанното и интегрирано овладяване
ники. ЗАКЛЮЧЕНИЕ Ехоендоскопският билиарен дренаж не отстъпва на ендоскопската ретроградна холангиопанкреатография по отношение на ефективност и безопасност, дори демонстрира някои клинични предимства. Необдходимо е обаче стандартизиране на методиката, технологично подобрение и адекватно практическо обучение преди да стане първа линия терапевтична стратегия при малигнена дистална билиарна обструкция.
transmural and percutaneous drainage for malignant distal biliary obstruction. Clin Gas- troenterol Hepatol 2016; 14: 1011–9. 21. Moole H, Bechtold ML, Forcione D, Puli SR. A meta-analysis and systematic review: Success of endoscopic ultrasound guided biliary stenting in patients with inoperable malignant biliary strictures and a failed ERCP. Medicine (Baltimore)2017; 96: e5154.
22. Inamdar S, Slattery E, Sejpal DV et al. Systematic review and meta-analysis of single-balloon enteroscopy-assisted ERCP inpatients with surgically altered GI anatomy. Gastrointest Endosc 2015; 82: 9–19.
23. Wang K, Zhu J, Xing L et al. Assessment of efficacy and safety of EUS-guided biliary drainage: A systematic review. Gas-trointest Endosc 2016; 83: 1218–27.
24. Kakked G, Salameh H, Cheesman AR, Kumta NA, Nagula S, DiMaio CJ. Primary EUS-guided biliary drainage versus ERCP drainage for the management of malignant biliary obstruction: A systematic review and meta-analysis. Endosc Ultrasound. 2020 Sep-Oct;9(5):298-307. doi: 10.4103/ eus.eus_10_20. PMID: 32655080; PMCID: PMC7811719.
25. Li DF, Zhou CH, Wang LS, Yao J, Zou DW. Is ERCP-BD or EUS-BD the preferred decompression modality for malignant distal biliary obstruction? A meta-analysis of randomized controlled trials. Rev Esp Enferm Dig. 2019 Dec;111(12):953-960. doi: 10.17235/reed.2019.6125/2018. PMID: 31729233.
26. Han SY, Kim SO, So H, Shin E, Kim DU, Park DH. EUS-guided biliary drainage versus ERCP for first-line palliation of malignant distal biliary obstruction: A systematic review and meta-analysis. Sci Rep. 2019 Nov 12;9(1):16551. doi: 10.1038/s41598019-52993-x. PMID: 31719562; PMCID: PMC6851119.
27. Jin Z, Wei Y, Lin H, Yang J, Jin H, Shen S, Zhang X. Endoscopic ultrasoundguided versus endoscopic retrograde cholangiopancreatography-guided biliary drainage for primary treatment of distal malignant biliary obstruction: A systematic review and meta-analysis. Dig Endosc. 2020 Jan;32(1):16-26. doi: 10.1111/den.13456. Epub 2019 Jul 6. PMID: 31165527.
28. Khashab MA, El Zein MH, Sharzehi K et al. EUS-guided biliary drainage or enteroscopy-assisted ERCP in patients with surgical anatomy and biliary obstruction: An international comparative study. Endosc Int Open 2016; 4: E1322–7.
29. Khashab MA, Messallam AA, Penas I et al. International multicenter comparative trial of transluminal EUS-guidedbiliary drainage via hepatogastrostomy vs. choledochoduo- denostomy approaches. Endosc Int Open 2016; 4: E175–81.
30. Artifon EL, Marson FP, Gaidhane M et al. Hepaticogastros- tomy or choledochoduodenostomy for distal malignant biliary obstruction after failed ERCP: Is there any difference? Gastrointest Endosc 2015; 81: 950–9.
EПИДЕМИОЛОГИЯ
Това е често срещано заболяване
сред младите хора. Наблюдава се
най-често при хора на възраст 15-30
години, с 3:1 съотношение на мъжки
към женски пол. При деца обаче съотношението е обратното. Появява се след пубертета, когато половите хормони са активни, за да се отрази на мастните жлези и промените в окосмяването по тялото. Началото на пилонидалното заболяване се среща рядко при хора на възраст над 40 години[1,3,12]
Рискови фактори за пилонидална болест включват мъжки
затлъстяване и местна травма, която обяснява защо тази болест е често срещана в армията. Семейна предиспозиция се отчита в 38% от пациентите с пилонидална болест. Затлъстяването е рисков фактор за рецидивиращо заболяване.
ПАТОГЕНЕЗА Косата прониква в подкожната тъкан чрез разширени
лестни състояния и може да бъде
асимптоматична, но най-честата форма е
болезнена подутина
или лезия (фистула)
в сакрококцигеалния район около 4-5 см
над аналния отвор. Спонтанен дренаж
може да възникне с гнойна, слузна, или кървава течност от района[10]. От анамнезата се научава за травма. Пациентът

нетоксичен. Локалното изследване може да покаже сравнително незабележими синуси в
сакрококцигеалния регион, но обикновено при прегледа пациентът има типични признаци на абсцес, включително зачервяване, затопляне, болезненост, флуктуация със или без уплътнение. Коса
може да се види, стърчаща


фистула.
ход,
• Супуративен хидраденит е възпалител
но заболяване на апокринните потни жлези, в които фоликулитът също играе роля, при пациенти на възраст 30 години или по-възрастни, по-специално със съпътстващи заболявания, като диабет и затлъстяване. Това заболяване често се наблюдава и в слабините, аксиларно, анално, перинеално.
• Вродени аномалии (дермоид/тератом)диференциацията е интраоперативно. Лечението на сакрококцигеалния тератом е ан блок ексцизия.
• Периатнален абсцес - местоположението на абсцеса е най-доброто средство
диференцира.
• Гангренозна пиодерма - язвена лезия и обикновено се наблюдава
щи заболявания.
• Фурункул или карбункул, сифилитичнен гранулом, туберкулозен гранулом.
Лабораторни изследвания - не са необходи -
ми специфични лабораторни
или тестове за диагностициране на пило -
нидалната болест и нейните последствиятова е клинична диагноза на базата на анамнеза и физикален статус [10]
Образни изследвания - не се прилагат ру -
тинно за пилонидалната болест. Има съоб -
щения за сложно заболяване, което напред -
ва към остеомиелит, некротизиращ фасциит, синдром на токсичен шок и менингит [27]
ЛЕЧЕНИЕ
терапия, която намалява рецидиви[16,17,18].
Европа за лечение на пилонидалните
три категории - остър пилонидален абсцес, хронична пилонидална болест и рецидивираща пилонидална болест.
Ексцизия на пилонидалната киста или синус е дефинитивното лечение. Тя може да
варира от проста процедура, която включва изрязване на малко количество тъкан до много сложна процедура, която може да включва образувания дефект да се лекува с
пластика на тъкани по съседство[19] .
При клинични признаци на пилонидален
абсцес се прави първична инцизия и дре -
наж[2,13,14]. Използвайки стерилна техника и
апаратура, регионът се подготвя за разрез с повидон-йод (бетадин) или друг подхо -
дящ за почистване на кожата агент. Местната упойка трябва да се инфилтрира. Разрезът е надлъжен и се отваря абсцесната кухи -
на. Изтопи ексудата, ексцизирай некрозите
и дренирай. Може да се направи и кюртаж, за да се отстранят гнезда на коса и кожен детрит [34]. Може да се назначи неопиоидна аналгезия след процедурата[8]. Пациентът трябва да бъде информиран, че това не е дефинитивна лечебна процедура - за окончателно излекуване се предлага по-късно дефинитивно отстраняване на кистата или синуса[19]. Някои проучвания показват, че най-много 85% от пациентите се нуждаят от допълнително хирургично лечение. Изрязване на пилонидална яма по време на абсцес с дренаж намалява честотата на рецидивите до 15%. Трудността при този начин е, че пи -
лонидалната яма първоначално не може да бъде идентифицирана по време на първата процедура на дренаж на абсцеса от острия възпалителен отговор заобикалящ абсцеса. Приблизително 5 дни по-късно, когато отока е намален, ямата може да бъде идентифициран. Антибиотиците, които прилагат някои трябва да покриват флората на кожата - препоръчава се анаеробно покритие с метронидазол. След преминаване на инфекцията за
ултразвук може да се използва за идентифициране. Практиката на пункция
аспирация е на заден план. При случайна констатация, при която заболяването не причинява никакви оплаквания хирургията може да бъде отложена в тези случаи.
Аноскоп трябва да бъде на разположение за
оглед на ануса и ректума в случаите, когато кисти или синусните пътища са в близост до аноректалния канал. Със сонда и кюрета също може да се изследва каналът. За мно -
малки
анестезия,
1% лидокаин, смесен с 0.25%
и епинефрин. На пациента може да се предложи спинална анестезия. Целта на хирургично лечение на това заболяване е да се премахне цялата кистозна тъкан и да заздравее
тъкан -
на раните с
риск
рецидив и усложнения, кратка хоспитализация,максимален комфорт за пациента. В допълнение, лечението трябва да даде възможност на пациента да възобнови нормалните си ежедневни дейности възможно най-бързо.
ОТВОРЕНА ТЕХНИКА Раната остава отворена, покрита с марля, и се оставя да заздравее вторично - тази техника следоперативно довежда до продължителни превръзки, дава 10% рецидив. Тази техника е предназначена да осигури адекватен дренаж за кухината[35] , предотвратява инфекции на рани, които могат да се видят след глухия шев. Тази техника може да бъде или опцията за първична обработ-
или вторична опция с
на рецидив. Заради лошото качество на живот, който е резултат от отворена ексцизия и превръзки в хирургичното лечение на пилонидална бо -
лест, Spyridakis др оценява дали тромбоцитен растежен фактор (PDGFs) биха могли да ускорят лечебния процес на зарастването
фузия на растежни фактори ускорява възстановяването. ИНЦИЗИЯ
рани
дехисценция след първичното затваряне, както и честите превръзки
отворената рана. След ексцизия на пилонидалния синус, кухина, и страничните пътища, кухината
е почистена и кюретирана за отстранява -
не на косми и гранулационна тъкан. Раната
се зашива отворена - краищата на кожата на раната се зашиват към постсакралната фасция[23,37]. Марсупиелизацията предоставя на
пациента по-малка рана в сравнение с рани, които са оставени отворени за гранулиране. Инфекция на раната е възпрепятства -
на и подкожната тъкан е покрита, в резултат
на което намалява времето на заздравяване. Оздравяването обикновено е пълно за
пластика - тази пластика е предназначена за големи раневи дефекти със значително напрежение на кожата. Отстранява се патологичната тъкан с елипсовиден разрез. След това V-образен разрез е странично към тъканта, започвайки от върховете на елипсата. Подкожната тъкан се разрязва, за да позволи на здравата тъкан да се транспонира[20]
Миофасциокутанеална техникаприлага се при много големи рани, за които предишните методи са се
провалили. Тя обикновено се извършва от много опитни хирурзи или пластични хирурзи. Има някол -
ко варианта на процедурата, които включват изолиране част на седалищните мускули с доставката на кръв от глутеалната артерия. Тази
процедура има продължително време на работа и е свързана с по-висок процент усложнение от други техники[20].
сравнение с
те са по-малко податливи на инфекция поради факта, че имат хранещ съд. Те са са технически трудни. Резултати те са добри (рецидив - 6-20%).
Следоперативно - хирургично проследяване се препоръчва за около 1-2 седмици. Това позволява на хирурга да огледа раната. Добрата местна хигиена и бръснене са показали ефект за предотвратяване на рецидив[1]
УСЛОЖНЕНИЯ • Повторната поява на абсцес е най-честото усложнение - инфекция на рана след първична инцизия
• Дехисценция на ранатанай-честото усложнение включва дехисценция на раната. В случаите, когато раната е затворена конците могат да бъдат премахнати, за да се позволи оттичане на излишната течност. Забавено заздравяване
1. Hull TL, Wu J. Pilonidal disease. Surg Clin North Am. 2002 Dec. 82(6):1169-85.
2. Gul VO, Destek S, Ozer S, Etkin E, Ahioglu S, Ince M, et al. Minimally Invasive Surgical Approach to Complicated Recurrent Pilonidal Sinus. Case Rep Surg. 2015. 2015:759316.
3. da Silva JH. Pilonidal cyst: cause and treatment. Dis Colon Rectum. 2000 Aug. 43(8):1146-56.
4. Miller D, Harding K. Pilonidal Sinus Disease. Dec 2003. World Wide Wounds. Available athttp://www.worldwidewounds. com/2003/december/Miller/PilonidalSinus.html.
5. Khanna A, Rombeau JL. Pilonidal disease. Clin Colon Rectal Surg. 2011 Mar. 24 (1):46-53.
6. Ghnnam WM, Hafez DM. Laser hair removal as adjunct to surgery for pilonidal sinus: our initial experience. J Cutan Aesthet Surg. 2011 Sep. 4(3):192-5.
7. Caestecker J, Mann BD, Castellanos AE, Straus J. Pilonidal Disease. Medscape Reference from WebMD. Last updated Jan 22, 2009.
8. Burnstein M. Managing anorectal emergencies. Can Fam Physician. 1993 Aug. 39:1782-5.
9. von Laffert M, Stadie V, Ulrich J, Marsch WC, Wohlrab J. Morphology of pilonidal
sinus disease: some evidence of its being a unilocalized type of hidradenitis suppurativa. Dermatology. 2011. 223(4):34955. 10. Alex Koyfman, Gil Z Shlamovitz- Pilonidal Cyst and Sinus-E Medscape 11. Hodges RM. Pilonidal sinus. Boston Med Surg J. 1880. 103:485-586.
12. Doll D, Friederichs J, Dettmann H, et al. Time and rate of sinus formation in pilonidal sinus disease. Int J Colorectal Dis. 2008 Apr. 23(4):359-64.
13. Nguyen AL, Pronk AA, Furnée EJ, Pronk A, Davids PH, Smakman N. Local administration of gentamicin collagen sponge in surgical excision of sacrococcygeal pilonidal sinus disease: a systematic review and meta-analysis of the literature. Tech Coloproctol. 2015 Nov 6.
14. Sevinç B, Karahan Ö, Okuş A, Ay S, Aksoy N, Şimşek G. Randomized prospective comparison of midline and off-midline closure techniques in pilonidal sinus surgery. Surgery. 2015 Oct 31.
15. McCallum I, King PM, Bruce J. Healing by primary versus secondary intention after surgical treatment for pilonidal sinus. Cochrane Database Syst Rev. 2007 Oct 17. CD006213.
16. Odili J, Gault D. Laser depilation of the
natal cleft--an aid to healing the pilonidal sinus. Ann R Coll Surg Engl. 2002 Jan. 84(1):29-32. [Medline].
17. Jain V, Jain A. Use of lasers for the management of refractory cases of hidradenitis suppurativa and pilonidal sinus. J Cutan Aesthet Surg. 2012 Jul. 5(3):190-2. 18. Benedetto AV, Lewis AT. Pilonidal sinus disease treated by depilation using an 800 nm diode laser and review of the literature. Dermatol Surg. 2005 May. 31(5):587-91.
19.Ramon A Riojas, Erik D Schraga-Pilonidal Cystectomy-E Medscape
20. Humphries AE, Duncan JE. Evaluation and management of pilonidal disease. Surg Clin North Am. 2010 Feb. 90(1):113-24.
21. Bascom J, Bascom T. Failed pilonidal surgery: new paradigm and new operation leading to cures. Arch Surg. 2002 Oct. 137(10):1146-50; discussion 1151.
22. Bascom J, Bascom T. Utility of the cleft lift procedure in refractory pilonidal disease. Am J Surg. 2007 May. 193(5):6069; discussion 609.
23. Spivak H, Brooks VL, Nussbaum M, et al. Treatment of chronic pilonidal disease. Dis Colon Rectum. 1996 Oct. 39(10):1136-9.
24. Akinci OF, Kurt M, Terzi A, Atak I, Subasi IE, Akbilgic O. Natal cleft deeper in patients with pilonidal sinus: implications for choice
of surgical procedure. Dis Colon Rectum. 2009 May. 52(5):1000-2.[Medline].
25. Clothier PR, Haywood IR. The natural history of the post anal (pilonidal) sinus. Ann R Coll Surg Engl. 1984 May. 66(3):201-3.
26. Kulaylat MN, Gong M, Doerr RJ. Multimodality treatment of squamous cell carcinoma complicating pilonidal disease. Am Surg. 1996 Nov. 62(11):922-9.
27. Velitchkov N, Djedjev M, Kirov G, Losanoff J, Kjossev K, Losanoff H. Toxic shock syndrome and necrotizing fasciitis complicating neglected sacrococcygeal pilonidal sinus disease: report of a case. Dis Colon Rectum. 1997 Nov. 40(11):1386-90.
28. Fischer JE, Jones DB, Pompeselli FB, Upchurch GR. Fischer's Mastery of Surgery. 6th ed. Philadelphia: Lippincott Williams & Wilkins; 2012. 1811-4.
29. Keighley MRB, Williams NS. Surgery of the Anus, Rectum, and Colon. 3rd ed. Philadelphia: WB Saunders; 2008.
30. Stansby G, Greatorex R. Phenol treatment of pilonidal sinuses of the natal cleft. Br J Surg. 1989 Jul. 76(7):729-30.
31. Dag A, Colak T, Turkmenoglu O, Sozutek A, Gundogdu R. Phenol procedure for pilonidal sinus disease and risk factors for treatment failure. Surgery. 2012 Jan. 151(1):113-7.
32. Lund JN, Leveson SH. Fibrin glue in the treatment of pilonidal sinus: results of a pilot study. Dis Colon Rectum. 2005 May. 48(5):1094-6.
33. Gupta PJ. Radiofrequency sinus excision: better alternative to marsupialization technique in sacrococcygeal pilonidal sinus disease. J Natl Med Assoc. 2005 Jul. 97(7):998-1002.
34. Zimmerman CE. Outpatient excision and primary closure of pilonidal cysts and sinuses. Am J Surg. 1978 Nov. 136(5):640-2.
35. Sondenaa K, Nesvik I, Andersen E, et al. Recurrent pilonidal sinus after excision with closed or open treatment: final result of a randomised trial. Eur J Surg. 1996 Mar. 162(3):237-40.
36. Spyridakis M, Christodoulidis G, Chatzitheofilou C, et al. The role of the platelet-rich plasma in accelerating the wound-healing process and recovery in patients being operated for pilonidal sinus disease: preliminary results. World J Surg. 2009 Aug. 33(8):1764-9.
37. Solla JA, Rothenberger DA. Chronic pilonidal disease. An assessment of 150 cases. Dis Colon Rectum. 1990 Sep. 33(9):758-61
38. M Chance Spalding,John GeibelPilonidal Disease-Е Medscape
вят клинични признаци на ранен шок. Признаците включват тахикардия, понижено артериално налягане и безпокойство. С увеличаване на загубата на кръв в коремната кухина може да се наблюдава раздуване на корема, признаци на перитонеално дразнене и явен шок. Хипотонията при пациент с подозирано увреждане на далака, особено ако е млад и преди това здрав, е показание за хирургична спешност. Трябва незабавно да направи диагностична инструментална параклинична оценка, ако може да се поддържа състояние на компенсиран шок. Нестабилните хемодинамично пациенти биха били по-добре диагностицирани и лекувани в операционната зала.

ЛАБОРАТОРНИ ИЗСЛЕДВАНИЯ Въпреки че се назначава пълна кръвна картина при първоначалната обработка това изследване е полезно за осигуряване на изходни стойности и
се извършва се
рийно, се диагностицира текущата загуба на кръв при продължаващо кървене или хемодилуция поради обемната реанимация.
ОБРАЗНИ ИЗСЛЕДВАНИЯ Фокусирана коремна сонография (FAST) - визуализацията на течност в десния горен квадрант, левия горен квадрант и таза предполага тъпа травма на паренхимен коремен орган (или мезентериално нараняване) и възможността за нараняване на слезката. FAST в опитни ръце е полезна за документиране на наличието или отсъствието на кръв в перитонеалната кухина, което силно предполага възможността за нараняване на далака при наличието на кръв. Въпреки това, FAST при леглото на болния не показва действително нараняване на слезката достатъчно добре, за
да се използва като диагностична модалност. FAST е отличен за документиране на наличието или отсъствието на вътреабдоминална течност, но не трябва да се разглежда

паренхим може да се пропусне с неконтрастна СТ.
Мултидетекторните СТ скенери имат подобрени възможности за диагностика, но все още могат да пропуснат някои съдови наранявания [2] . При пациент със стабилна травма, обикновено определян като пациент със систолно кръвно налягане над 90 mmHg
и със сърдечна честота под 120 удара в минута, СТ сканиране осигурява най-идеалното неинвазивно средство за оценка на далака. Спиралните скенери могат да предоставят още повече информация и могат
АНГИОГРАФИЯ
Ангиографията рядко е първият из -
бор за оценка на пациента с увреж-
дане на далака, но тя се използва
по-често за първично терапевтично лечение на нараняванията на
слезката. Ангиографията обикновено се извършва след получаване на CT сканиращи изображения, показ -
ващи артериална травма или активна екстравазация. Ангиографията е
по-малко диагностична модалност и
повече за терапевтична ангиоембо -
лизация на активните места на кър -
вене. Наличието на интервенцио -
нални ангиографски услуги също
влияе върху решението на хирурга
за или против оперативна намеса.
MRI (ЯДРЕНО-МАГНИТЕН
РЕЗОНАНС)
Използването на ЯМР е докладвано
в литературата като опция при па -
циент с повишено ниво на креатинин (бъбречна недостатъчност) или
алергия към контраста[3].
DPL (ДИАГНОСТИЧНА
ПЕРИТОНЕАЛНА ПРОМИВКА/
ЛАВАЖ)
DPL е метод за бързо определяне на
наличието на свободна интраперитонеална кръв. Този тест е особено
полезен при хипотоничен пациент. DPL е бърз и евтин. Той има нисък
процент на усложнения в опитни ръце. FAST замести DPL в много институции, тъй като тя е неинвазивен
метод, но все още не е доказано, че е по-чувствителна или специфична от DPL в повечето публикувани проучвания. DPL може да бъде ценна добавка в диагностичния арсенал, ако времето позволява и има множество други наранявания.
логични отклонения (напр. наследствена сфероцитоза), инфекциозни заболявания (напр. малария) и чернодробни заболявания (напр. портална и спленна хипертония).
ЛЕЧЕНИЕ[11]
Хирургична тактика Нестабилните хемодинамично пациенти, заподозрени в нараняване на слезката и вътреабдоминални кръвоизливи, трябва да се подложат на диагностична лапаротомия с възстановяване или отстраняване на далака. Пациент с тъпа травма с данни за хемодинамична нестабилност, неотговаряща на ресусцитация с течности, без други признаци на външен кръвоизлив, трябва да се счита за наличие на животозастрашаващо увреждане на паренхимен орган (далак), докато не бъде доказано друго. Тези пациенти, които реагират на първоначален болус с течност, след което се влошават отново със спад на кръвното налягане и засилваща се тахикардия, също има вероятност да са получили животозастрашаващо увреждане на паренхимен орган с продължаващ кръвоизлив. Пациентите с компенсиран шок могат да бъдат лекувани чрез ангиоемболизация, но само ако може това да се извърши своевременно, еквивалентно на тази оперативна намеса. Основните определящи фактори при оперативната интервенция при стабилния пациент с увреждане на да
минимални изисквания за трансфузия (2 U или по-малко), 1 или 2 степен на увреждане при сканиране с компютърна томография и пациенти по-млади от 55 години. За случаите, в които пациентите имат значителни наранявания на други системи, може да се обмисли хирургическа намеса дори при наличие
статации. Пациентите на антикоагуланти, като варфарин (Coumadin или Sintrom) и антитромбоцитни
между хирурга и интер -
венционния рентгенолог. Не всички болници разпола -
гат с подходящи ус -
ловия за подобно
лечение и всеки хирург, който обмисля съдова ангиоембо -
лизация на далака, трябва първо да се увери, че болничният интервенционен рентгенологичен комплект

на далака при па -
със стабилни жизнени показате -
и динамично СТ сканиране, без оперативна намеса, но
повечето пациенти с
тези наранявания ще
бъдат подложени на
диагностична лапа -
ротомия за по-пре -
цизно визуално
изследване и съот-
ветно възстановява -
не или отстраняване на далака (Фиг.
3). Хирурзите могат
да оперират по-чес -
то при случаи на на -
раняване на далака
на възрастни, откол -
кото при децата[6].
Спешната лапаротомия на хемоперито -
неума
лис за лигиране. Медиалното въртене също прави по-лесно огледа на върха на далака и позволява възможно идентифициране на бифуркацията на далачната артерия. След като артерия и вена лиеналис се идентифицират и контролират чрез лигиране, късите стомашни съдове се идентифицират и лигират по подобен начин.
Първо лигирането на далачната артерия, последвано от вената, има теоретичното предимство да позволи известно запазване на интраспленичната кръв. В спешна ситуация с опасност за живота количеството на запазената
Фиг. 5 Физикална находка


вите 24-48 часа. Практиката е да се поддържа назогастралната тръба с аспирация в продължение на 48 часа, за да се сведе до минимум рискът от неуспех на лигатурата на артерии гастрици бревес от раздутия стомах. Пациентите също трябва
да бъдат оценявани за имунизации срещу различни видове пневмококи като рутина на следоперативното лечение. Някои автори и някои центрове също ваксинират рутинно срещу видове хемофилус и менинго -
кок. Различни автори предполагат, че имунизацията трябва да се при -
лага навсякъде от 24 часа след нара -
няване до 2 седмици, позовавайки се на проучвания за подобрения фи -
зиологичен отговор от ваксинацията след непосредствения следоперативен период. Удачно е да се имунизират всички пациенти преди изписването.
ПОСЛЕДВАЩИ ДЕЙСТВИЯ
Препоръчва се реваксинация с пнев -
мококова ваксина след 4-5 години един път. Последваща реваксинация не се препоръчва, тъй като няма доказателства, че подобрява защи -
тата от постспленектомичен сепсис,
но има доказателство, че може да причини сериозни неблагоприятни ефекти. Пациентите трябва да бъдат предупредени за повишения риск от постспленектомичен сепсис и трябва да обмислят доживотна антибиотична профилактика за инвазивни
медицински и стоматологични процедури. Въпреки че през целия период честотата на постспленектомичен сепсис е изчислена на 0.03-0.8%, смъртността на тези, които развиват усложнението, се приближава до 70% (Фиг. 5). Трябва да се подчертае адекватното образование на признаците и симптомите на пневмококова инфекция.
УСЛОЖНЕНИЯ Усложненията при неоперативното лечение включват забавено кървене, образуване на киста на далака и некроза на слезката. Усложненията от спленорафията включват повторно кървене и тромбоза на
Усложненията от спленектомията включват кървене
но най-рядкото усложнение, инфекция от пневмокок.
Материалът, използван за компресивно обвиване на далака при спленорафия, често е изтъкан и може да имитира мехурчета в абсцес при следоперативни компютърни изследвания. Гел пяната, използвана за ангиоемболизация, може също така да имитира фалшив абсцес при компютърна томография.Аксесоар
псевдокисти на слезката се съобщават по-често сега, когато неоперативното лечение се е увеличило[9]. Оптималното лечение все още не е известно, но вероятно изисква частична или пълна спленектомия, за да се сведе до минимум заболеваемостта и смъртността. Спленични абсцеси и панкреатит със стерилни абсцеси се съобщават по-често при емболизация на Gelfoam[10]. Съобщава се също за увреждане на панкреаса, панкреатит, субфреничен абсцес, стомашна дистензия и фокална стомашна некроза, както след ангиоемболизация, така и след спленектомия за травма.
1. Rozycki GS, Knudson MM, Shackford SR. Surgeon-performed bedside organ assessment with sonography after trauma (BOAST): a pilot study from the WTA Multicenter Group. J Trauma. 2005 Dec. 59(6):1356-64.
2. Marmery H, Shanmuganathan K, Mirvis SE, Richard H 3rd, Sliker C, Miller LA, et al. Correlation of multidetector CT findings with splenic arteriography and surgery: prospective study in 392 patients. J Am Coll Surg. 2008 Apr. 206(4):685-93.
3. Hedrick TL, Sawyer RG, Young JS. MRI for the diagnosis of blunt abdominal trauma: a case report. Emerg Radiol. 2005 Jul. 11(5):309-11.
4. Lin WC, Chen YF, Lin CH, Tzeng YH, Chiang HJ, Ho YJ. Emergent transcatheter arterial embolization in hemodynamically unstable patients with blunt splenic injury. Acad Radiol. 2008 Feb. 15(2):201-8.
5. Vick LR, Islam S. Recombinant factor VIIa as an adjunct in nonoperative management of solid organ injuries in children. J Pediatr Surg. 2008 Jan. 43(1):195-8; discussion 198-9.
6. Sims CA, Wiebe DJ, Nance ML. Blunt solid organ injury: do adult and pediatric surgeons treat children differently?. J Trauma. 2008 Sep. 65(3):698-703.
7. Shatz DV, Romero-Steiner S, Elie CM, Holder PF, Carlone GM. Antibody responses in postsplenectomy trauma patients receiving the 23-valent pneumococcal polysaccharide vaccine at 14 versus 28 days postoperatively. J Trauma. 2002 Dec. 53(6):1037-42.
8. Killeen KL, Shanmuganathan K, Boyd-Kranis R. CT findings after embolization for blunt splenic trauma. J Vasc Interv Radiol. 2001 Feb. 12(2):209-14.
9. Wu HM, Kortbeek JB. Management of splenic pseudocysts following trauma: a retrospective case series. Am J Surg. 2006 May. 191(5):631-4.
10. Runyan BL, Smith RS, Osland JS. Progressive splenomegaly following splenic artery embolization. Am Surg. 2008 May. 74(5):437-9. John Geibel, MD ,H Scott Bjerke, MD. Ruptura lienis- E med escape

задължително трябва да вземе участие рентгенолог с
, УМБАЛ „Александровска“, разгледа темата „Новите хоризонти за пациентите с прогресивна фиброза и техния път.“ Тя представи резултатите от клиничното проучване
терапия“, отбеляза лекторът. В заключение проф. Пенчева разгледа
с последващо наблюдение, което дава шанс на пациентите, лекувани с плацебо, да получат лечение. „Дългосрочните
Лекарствен продукт по лекарско предписание. Преди да предпишете Ofev®,
boehringer-ingelheim.com).
Протича с тежка оталгия, с кожни
12%
протича и със засягане на лицевия нерв, под името на Ramsay Hunt syndrome.
Характерните симптоми за Ramsay Hunt синдрома са:
• Болка в ухото.
• Невросензорна загуба на слуха.
• Субективен шум в ушите.
• Трудно до невъзможно затваряне на окото от засегната страна.
• Вестибуларни оплаквания.
• Промяна или загуба на вкуса.
Описани са три различни неврологични Ramsay Hunt синдроми:
1. Ramsay Hunt синдром при herpes zoster oticus или аурикуларен herpes zoster.
2. Ramsay Hunt малкомозъчен синдром, протичащ с различни неврологични симптоми.
3. Ramsay Hunt синдром, протичащ с
Т-клетки, развитието на алфа-интерверон, специфичните имуноглобулини.
От прегледа се установява наличие на везикуларна еритема обикновено около ушната мида, външния слухов проход, конха. Обривът може да е разположен ретроаурикуларно по кожата, латералната назална страна и преднолатералната страна на езика.

House-Brackmann предлага следната скала
Повечето от пациентите са с анамнеза за варицела, а около 10%
стер.
Клиничната проява на herpes zoster oticus може да се раздели на три фази:
1. Прееруптивна фаза ( прехерпетична невралгия).
2. Остра еруптивна фаза 3. Хронична фаза.
Прееруптивната фаза




Острата еруптивна фаза протича със:
Пахиеритема, съпроводена с уплътняване в засегнатите дерматоми, с регионална лимфоаденопатия. Групирани херпетиформени везикули, развити върху еритематозна основа, едностранно, лимитирани от края на засегнатите сензорните нерви. Вначалото везикулите са с бистро съдържимо, което впоследствие потъмнява, разкъсва се с последващи крусти. Може да се развие допълнителна вторична инфекция.Теси
фаза се характеризира със: Персистираща или повтаряще се
болка след 30 дни от началото на заболяването, както и крусти, останали от везикулите. Болката е по хода на
засегнатите дерматоми, много слилна в някои случаи - инвалидизираща, и може да продължи с месеци и години.
УСЛОЖНЕНИЯ
• Постерапевтична невралгия.
• Остатъчна лицева парализа.
• Звукоприемно намаление на слуха.
• Рядко - Herpes zoster енцефалит.
ДИАГНОЗА Herpes zoster (HZ) oticus се причинява от реактивацията varicella-zoster virus (VZV). От лабораторни изследвания за Herpes zoster oticus (HZ oticus) са IgM
and IgA,
това заболяване.
Затова се
пъти дневно, а valacyclovir и famciclovir – три пъти дневно. При посттерапевтичната
1.Uscategui T Doree C, Chamberlain IJ et al.; Corticosteroids as adjuvant to antiviral treatment in Ramsay Hunt syndrome (herpes zoster oticus with facial palsy) in adults. Cochrane Database of Systematic Reviews 2008, Issue 3. Art. No.: CD006852. DOI: 10.1002/14651858.CD006852.pub2.
2.Gershon AA Gershon MD; Pathogenesis and current approaches to control of varicella-zoster virus infections. Clin Microbiol Rev. 2013 Oct;26(4):728-43. doi: 10.1128/CMR.00052-13.
3.Worme M Chada R, Lavallee L; An unexpected case of Ramsay Hunt syndrome: case report and literature review. BMC Res Notes. 2013 Aug 28;6:337. doi: 10.1186/1756-0500-6-337.
4.Gershon AA; The history and mystery of VZV in saliva. J Infect Dis. 2011 Sep 15;204(6):815-6. doi: 10.1093/infdis/jir417.
5.Uscategui T, Dorée C, Chamberlain IJ et al.; Antiviral therapy for Ramsay Hunt syndrome (herpes zoster oticus with facial palsy) in adults. Cochrane Database of Systematic Reviews 2008, Issue 4. Art. No.: CD006851. DOI: 10.1002/14651858. CD006851.pub2.
6.Yeo SW, Lee DH, Jun BC, et al; Analysis of prognostic factors in Bell's palsy and Ramsay Hunt syndrome. Auris Nasus Larynx. 2006 Oct 18;.
С. Вълчева, Ор. Стоянов, Ю. Хаджиев, В. Добриянова
УМБАЛ "Царица Йоанна - ИСУЛ"
Късната критична фаза настъпва след 180 ден и при
нея се ангажират пневматизацията на pars pyramidis, респективно тази на тем -
поралната кост, когато се осъщестяват и активират резорбционните
възможности на ембрионалния мезенхим. В темпоралната кост изцяло се поместват периферните структури
на средното и вътрешното ухо, а централните части - нервните пътища с коровите представителства на слуха и равновесието се намират в суб -
рат maculae uticuli et sacculi, над които лежат statoconi.
Utriculus et sacculus – в тях се разполагат maculae staticae, представляващи крайните окончания за възприемане на линеарните ускорения. Те са съставени от опорни и ресничести с въси клетки - ciliae, подредени в една желатинозна маса. На тяхната повърхност се намират otolithe, които химически са съставени от кристали калцев карбонат. Линеарните ускорения, породени от промяната в позицията на главата, водят до промяна силата на натиска, оказван от отолитите върху ресничките на рецепторните клетки, което променя
потенциала на покой.
Най-съществено за клиничната практика заболяване, изразяващо се с периферна вестибуларна функционална недостатъчност е лабиринтитът. Това е възпаление на вътрешното ухо, възникнало след стопяване на лабиринтната костна капсула и нахлуване на бактериалните причинители към мембранозния лабиринт.
Заболяването представлява остро или хронично възпаление на ципестите мембранозни структури на лабиринта, възникнали след кариозна деструкция на костната стена от холестеатом или гранулиращ остеит. Възможно е и възникване на лабиринтит след ятрогенна или битова травма при фрактури на базата на черепа.
Заболяванато започва със световъртеж, съпроводен с гадене и повръщане, шум в ушите, постепенно или внезапно намаление на слуха от приемен тип понякога достигащ до пълна глухота, без температура и болки.
При острия отит настъпва или дифузия на токсините
отпадане на функцията на вътрешното ухо. Подходът при тези болни е с антибиотици във високи дози, дрениране на средното ухо, тимпаностомия при острите отити, при необходимост мастоидектомия. При холестеатом, радикална трепанация, а при фрактури - хирургическа ревизия на отоликвореята, лезията на лицевия нерв или при менингит.
Патоанатомично са възможни различни форми според причините:
• Серозен лабиринтит - посттравматични или вирусни инфекции.
• Гноен лабиринтит - бактериална инвазия в перилимфатичното пространство.
• Циркумскриптен лабиринтит - според дифузията на възпалителния процес, ограничен само около лабиринтна фистула при холестеатом.
• Генерализиран, дифузен лабиринтит - обхващане
септична инфекция.
• Фудроаянтен лабиринтит по начин на протичане с тотална
На второ място в клиничната практика са острите вестибулопатии. Това е частично или пълно отпадане на една или няколко вестибуларни структури на ухото или на аферентните влакна на n.vestibularis, остро, едностранно отпадане функцията на вестибуларния апарат с прояви на тежък световъртеж, гадене и повръщане, без кохлеарна симптоматика.
Започва с внезапен пристъп на силен световъртеж, гадене, повръщане,
влакна, които обгръщат адвентицията на a.vertebralis особено при стесненията от разрастналите се остеофити на foramen intervertebralia на шийните прешлени. Симптоматиката се доминира от пристъпен световъртеж при прогресивна ригидност с болезненост на шията, понякога едностранен тинитус и приемно намален слух. Пациентите са несигурни, изживяват страх от падане на земята.
Подходът при тези пациенти е консервативна физикална терапия на цервикалната част на гръбначния стълб, релаксиращи масажи на шията и раменния пояс, физиотерапия и мануална терапия. Тук е мястото и на посттравматичен цервикален синдром. Този синдром се манифестира късно - седмици или месеци
пациентите с пароксизмален “доброкачествен” позиционен световъртеж. Позиционеният доброкачествен нистагъм възниква при определена позиция на главата поради патологични калциеви отлагания върху рецепторните клетки на куполата ”Cupololithiasis”
отолитите - canalolithiasis.
удар" на шийната част на гръбначния стълб.
Освен възпалително дегенеративните изменения на шийната част
на гръбначния стълб и посттравматични смущения съществуват и патологично циркулаторни причини т.нар. вертебробазиларна инсуфициенция. Тази циркулаторна недостатъчност предизвиква централни вестибуларни симптоми, спонтанен нистагъм, позиционен нистагъм, координационни нарушения на очната моторика, зрителни смущения, късо-временни смущения на съзнанието. Последните са най-важният отграничителен симптом от цервикалния синдром. В тази група се отнасят и “Subclavia steal syndrom” като ефект от проксимална
движения
или компримират рецепторния епител на куполата и това се дължи на дегенерация на отолитовата мембра -
на или откъсването на отделни отолити или части от тях при contusio labyrinthi,операция на средното ухо и др. като свободни тела.
Симптомите са повтарящи се световъртежни кризи с продължителност около 30 сек., възникващи при определена позиция на главата с доминация при легнало положение или при изправяне от хоризонтално положение, съпроводено
терапия е безсмислена. Не на последно място има голяма група от пациенти, които имат болест на пътуването, но те са свикнали с това заболяване и рядко търсят ме
отключващи се от прекомерното дразнене на няколко от сензорни
предмети.
Симптоматиката се провокира от дразнене на
многобройните ускорения
ните равнини на главата. Различават се различни кинетози – автомобилни, морски, въздушни, влакови, скиор ски и др. Жените са по-често засегнати от кинетозите. Симптомите се манифестират с умора, напрежение в корема, изпотяване, бледност, гадене, повръщане и др. Подходът при тях е превенция, избягване на пътуване с определено превозно средство. Медикаментозната терапия се състои в предписване 4-6 часа преди пътуване на антиеметичнии средства,
Предлаганото към днешна дата лечение, включва пе -
риодично отстраняване на папиломите, самостоятелно или съчетано с ин-
тралезионално приложение на цидо -
фовир при пациенти с умерено или
тежко протичане. По литературни
данни, злокачествена дегенерация в
плоскоклетъчен карцином се наблю -
дава при 3-5% от пациентите. Прогнозата при пациенти с такъв вид карцином е много лоша.
Рецидивиращата респираторна папиломатоза (РРП) е потенциално животозастрашаващо заболяване, характеризиращо се с развитие на наподобяващи брадавици формации (папиломи) в дихателните пътища. При-
чинител на заболяването е човешкият папиломен вирус (HPV). HPV е икосаедрален вирус с циркулярен, свръхспирализиран, двойноверижен ДНК геном, заобиколен от външен протеинов капсид. Принадлежи
цата, контаминирани с HPV-11 се достига до трахеостомия, в сравнение с по-малко от 20% от тези, заразени с HPV-6. Значително по-рядко, причинител на РРП са HPV-16 и HPV-18, но те се асоциират в значително по-висок процент с малигнена трансформация. Като причина за ЮРРП широко се приема перипарталната трансмисия на вируса от заразена майка. Вагиналното раждане е рисков фактор, но се смята, че цезаровото сечение не осигурява пълна протекция. Като класическа за повишен риск от ЮРРП се приема триадата: първородно дете, вагинално раждане и майка по-млада от 20 години. Механизмите за предаване на инфекцията при възрастни
ДИАГНОСТИКА И
ЛЕЧЕНИЕ
Анамнеза и статус
РРП е относително рядко заболява-
не, поради което не
се мисли насочено
за него. Пациентите често имат симптоми
месеци, дори години, преди заболяването
да бъде разпознато.
Ларинксът е най-честата локализация, във връзка с което в
клиничната картина преобладават симптоми на обструкция на горните дихателни пътища (ГДП).
Най-честият начален симптом е дрезгав глас. Типични за заболяването са:
• Промяна на гласа
• Епизоди на задух
• Чувство за чуждо тяло в гърлото
• Кашлица
• Диспнея
• Инспираторно хриптене
• Стридор
Тежката обструкция на горните дихател-
ни пътища, макар и рядко, също може за
бъде начален, при
това животозастрашаващ симптом.
Локален статус
се наблюдават характерните брадавицовидни формации (Фиг. 1. и Фиг. 2.). Засягане на трахеята без ларингеални лезии се среща ряд-

на матери
хистоло-
потвърждение на диагнозата. Биопсията е необходи-
ма както за типизация
на вируса, така и за да
се потвърди или из-
ключи злокачествена трансформация.
Задължително е да
бъде извършена ти-
пизация на вируса, с цел прогнозиране те -
жестта на заболява-
нето и предприемане
на адекватно тера-
певтично поведение.
Образни изследвания
Рентгенографиите на
гръдния кош не са достатъчно информативни, но на профил-

на съотношението поток/обем с хоризонтиране на инспираторното рамо предполага вариабилна екстраторакална обструкция на ГДП, а хоризонтиране на инспираторното и експираторното рамене се наблюдава при фиксирана обструкция на ГДП. ДИФЕРЕНЦИАЛНА ДИАГНОЗА ● Тумори на ларинкса или трахеята
кродебридер, лазер или криотера-
пия (Фиг. 3. и Фиг. 4). При значителна
обструкция на дихателните пътища единствено възможно решение е трахеостомията.
РРП е относително рядко заболяване,
във връзка с което не са налични мащабни проучвания за ефективността на медикаментозните терапии. Съществуват доклади за постигнати добри резултати (увеличаване на интервалите между хирургичните намеси), чрез интралезионално инжектиране на цидофовир, перорален индол-3-карбинол, интерферон и фо -
тодинамична терапия. Ацикловирът и
ретиноевата киселина се разглеждат
като препарати с променлива ефект.
Хирургично лечение От дълги години СО2 лазерът е пред-
почитан метод за редукция на папи-
ломи, защото осигурява добра хемо -
стаза и минимизира потенциалното термично увреждане на околни-
те здрави тъкани. Към днешна дата,
все-повече авторски колективи пре -
поръчват използването на микродебридер с ангулирани осцилиращи режещи части или pulsed-dye лазер. Като предимства на тези методи се
изтъкват: по-кратко оперативно време, възможност за амбулаторна хирургия, намален риск за персонала и избягване на риска от изгаряния на
дихателните пътища. Има данни, че
при използване на последните два
метода и рецидивите са по-редки.
Относително нов метод за лечение на РРП е фотодинамичната терапия. Проучванията показват, че тя забавя ско -
ростта на растеж папиломите. Два до
три дни преди операцията се прилага
Дихематопорфирин етер (DHE), който се натрупва
е в състояние да излекува РРП. Съществуват доказателства обаче, че някои медикаменти забавят растежа
папиломите и увеличават интервала между необходимите редукционни хирургически процедури.
АНТИВИРУСНИ ПРЕПАРАТИ Cidofovir (Forvade, Vistide) Цидофовирът е първият представител
излекуване. Налични са обнадеждаващи резултати от относително малки проучвания с използване на интралезионално приложение на цидофовир. През 2013 г. Derkay et al. представят резултати от проведено проспективно проучване при 16 пациенти с РРП. Те докладват ремисия на болестта при 77% от 13 проследени пациенти след средно 3,5 инжекции. Проблеми при използването на интралезионален цидофовир са подборът на оптимална доза и фактът, че
към днешна дата не са известни дългосрочните ефекти от неговото приложение.
(Zovirax)
при животни и наблюдателни проучвания при хора
кръстоцветни (зеле, карфиол, броколи, брюкселско зеле) е от полза при лечението на папиломатоза, поради съдържането
рядко заболяване, въпреки високата честота на гениталната HPV инфекция. Въпреки това, при млади жени с видими кондиломи, при
първо раждане е разумно да се предпочете цезарово сечение.
УСЛОЖНЕНИЯ
Животозастрашаващи усложнения при
РРП са обструкцията
1. Тодоров
на дихателните пътища и злокачествената трансформация.
При заплашваща
обструкция на дихателните пътища решението е трахеостомия. За дълъг период от време се приемаше, че трахеостоми


отдели. Приема се, че трахеостомията
разумен избор при значителна обструкция на дишането. Малигнена дегенера
карцином се среща при 3-5% от пациентите с РРП. Разпространение
пациенти, контаминирани с HPV-11 и HPV-16. Статистиките сочат, че пушенето, терапията с блеомицин и лъчелечението на засегнатите области, увеличават риска от злокачествено израждане при пациенти с РРП.
ПРОГНОЗА Децата с РРП често навлизат в ремисия след няколко години. Приема се, че значение има
Oto Rhino Laryngology, International bulletin, 2009, 2, 31-32 3.
Laryngology,
2009, 2, 12-14.
4.
Oto Rhino Laryngology, International bulletin, 2008, 3, 52-55
5. Mounts P, Shah KV, Kashima H. Viral
etiology of juvenileand adult-onset squamous papilloma of the larynx. Proceedings of the National Academy of Sciences of the United States of America. 1982; 79: 5425-7. Bonagura VR, 6. Kosko JR, Derkay CS. Role of cesarean section in prevention of recurrent respiratory papillomatosis--is there one?. Int J Pediatr Otorhinolaryngol. Mar 1996; 35 (1):31-8. [Medline].
7. Derkay CS, Hester RP, Burke B, Carron J, Lawson L. Analysis of a staging assessment system for prediction of surgical interval in recurrent respiratory papillomatosis. Int J Pediatr Otorhinolaryngol. Dec 2004;68(12):1493-8. [Medline].
8. Shehab N, Sweet BV, Hogikyan ND. Cidofovir for the treatment of recurrent respiratory papillomatosis: a review of the literature. Pharmacotherapy. Jul 2005;25(7):977-89. [Medline].
9. Rosen CA, Bryson PC. Indole-3-carbinol for recurrent respiratory papillomatosis: long term results. J of Voice. 2003;18:248-53.
10. Gerein V, Rastorguev E, Gerein J, Jecker P, Pfister H. Use of interferon-alpha in recurrent respiratory papillomatosis: 20-year follow-up. Ann Otol Rhinol Laryngol. Jun 2005;114(6):463-71. [Medline].
11. Shikowitz MJ, Abramson AL, Freeman K, Steinberg BM, Nouri M. Efficacy of DHE photodynamic therapy for respiratory papillomatosis: immediate and long-term results. Laryngoscope. Jul 1998;108(7):9627. [Medline].
12. Endres DR, Bauman NM, Burke D, Smith RJ. Acyclovir in the treatment of recurrent respiratory papillomatosis. A pilot study. Ann Otol Rhinol Laryngol. Apr 1994;103(4 Pt 1):301-5. [Medline].
13. Lippman SM, Donovan DT, Frankenthaler RA, Weber RS, Earley CL, Hong WK, et al.
13-Cis-retinoic acid plus interferon-alpha 2a in recurrent respiratory papillomatosis. J Natl Cancer Inst. Jun 1 1994;86(11):859-61. [Medline].
14. Derkay CS, Volsky PG, Rosen CA, Pransky SM, McMurray JS, Chadha NK. Current use of intralesional cidofovir for recurrent respiratory papillomatosis. Laryngoscope. Mar 2013;123(3):705-12. [Medline].
15. Freed GL, Derkay CS. Prevention of recurrent respiratory papillomatosis: role of HPV vaccination. Int J Pediatr Otorhinolaryngol. Oct 2006;70(10):1799-803. [Medline].
16. Shapiro AM, Rimell FL, Shoemaker D, Pou A, Stool SE. Tracheotomy in children with juvenile-onset recurrent respiratory papillomatosis: the Children's Hospital of Pittsburgh experience. Ann Otol Rhinol Laryngol. Jan 1996;105(1):1-5. [Medline].
17. Mouadeb DA, Belafsky PC. In-office
laryngeal surgery with the 585nm pulsed dye laser (PDL). Otolaryngol Head Neck Surg. Sep 2007;137(3):477-81. [Medline].
18. Pasquale K, Wiatrak B, Woolley A, Lewis L. Microdebrider versus CO2 laser removal of recurrent respiratory papillomas: a prospective analysis. Laryngoscope. Jan 2003;113(1):139-43. [Medline].
19. Preuss SF, Klussmann JP, Jungehulsing M, Eckel HE, Guntinas-Lichius O, Damm M. Long-term results of surgical treatment for recurrent respiratory papillomatosis. Acta Otolaryngol. Nov 2007;127(11):1196-201. [Medline].
20. Rady PL, Schnadig VJ, Weiss RL, Hughes TK, Tyring SK. Malignant transformation of recurrent respiratory papillomatosis associated with integrated human papillomavirus type 11 DNA and mutation of p53. Laryngoscope. May 1998;108(5):735-40. [Medline].
Хроничната венозна болест (ХВБ) е
често срещано и понякога инвалиди-
зиращо състояние, характеризиращо се с незадоволително функциониране на венозната система, което води
до нарушен кръвоток и венозна хипертензия. Тази патология включва всяка морфологична и функционална анома-
лия на венозната система, проявяваща се чрез симптоми, показващи необ-
ходимостта от диагностика и лечение - варикозни вени, посттромботичен
синдром, вродени венозни малформации и придобити венозни малформации. Тя протича с венозен клапен ре-
флукс, с или без наличие на венозна
обструкция и повишено венозно налягане в повърхностни, дълбоки и/или
перфорантни вени на долни крайници. Хронична венозна недостатъчност (ХВН) е термин, запазен за напредналa
ХВБ поради венозни функционални аномалии, предизвикващи оток, промени в кожата или венозна язва. ЕПИДЕМИОЛОГИЯ
ЕТИОЛОГИЯ Етиологията на ХВБ е мултифакторна, включваща комбинация от генетични фактори, фактори на околната среда и начина на живот. Фамилната анамнеза за венозни заболявания значително увеличава риска, което предполага наследствен компонент. Генетична обусловеност се среща в 50% от случаите и е по-силно изразена в случаите, когато страдат и двамата родители. Факторите на околната среда и начина на живот също играят решаваща роля. Продължителното стоене прав или
КЛАСИФИКАЦИЯ През 1994 г. от Американски венозен форум е приета и препоръчана за прилагане от флебологичната общност Класификацията CEAP (C - клинична тежест; Е - етиология; А - анатомия; P - патофизиология), с която прецизно се определя степента, произхода, локализацията и причината за заболяването. Класификацията
CEAP (1994 г.):

Клинична класификация – C
C0 – никакви видими или палпируеми белези на венозно заболяване, тежест
C1 – телеангиектазии, ретикуларни вени
C2 – варикозни вени
C3 – едем, без кожни промени
C4 – кожни промени, дължащи се на венозното заболяване – пигментация, венозна екзема, липодерматосклероза, бяла атрофия
C5 – кожни промени и излекувана язва
C6 – кожни промени и активна язва
Етиологична класификация - Е
• Ec – Конгенитални
• Ep – Първични
• Es – Вторични (post-thrombotic)
• En – Не може да се идентифицира венозната етиология
Анатомична класификация - А
• As – Суперфициални вени
• Ap – Перфорантни вени
• Ad – Дълбоки вени
• An – Не може да се идентифицира веноз -
Патофизиологична класификация Р
•
• Po
•
• Pn
•
• 2 V.saphena magna (VSM) бедрен сегмент
• 3 V.saphena magna (VSM) подбедрен сегмент
• 4 V.saphena parva (VSP)
• 5 Не сафенни вени
Дълбоки вени
• 6 Vena cava inferior
• 7 V.iliaca communis
• 8 V.iliaca interna
• 9 V.iliaca externa
• 10 Малък таз: gonadal, broad ligament veins, др.
• 11 V. femoralis communis
• 12 V. femoralis profunda
• 13 V. femoralis
• 14 V. poplitea
• 15 Подбедрични вени: anterior tibial, posterior tibial, peroneal veins
• 16 Мускулни вени: gastrocnemius, soleal, други
• 17 Бедрени перфорантни вени
• 18 Подбедрени перфорантни вени
През 2004 г. Класификацията е ревизирана и се приема т.нар. "основен" CEAP, като се при -
•
вени) - представляват перманент-
но дилатирани интрадермални ве -
нули с диаметър до 1 mm.
Ретикуларни вени - перманентно
дилатирани интрадермални вени
между 1-3 mm диаметър.
• Варикозни вени - подкожно дила -
тирани вени с размер над 3 mm в
изправено положение.
• Корона флебектатика - ветрило -
образни интрадермални теле -
ангиектазии по вътрешната или
външната страна на глезена.
• Оток - видимо увеличение в обе -
ма на подкожната тъкан. Като ото -
кът при ХВБ е хипостатичен - меко -
тестоват, намаляващ постепенно
при елевация. Важно е да се отли -
чава от субфасциалния оток при
ДВТ, който е с твърдоеластична
консистенция.
• Пигментация - кафяво пигментно
потъмняване на кожата, най-често
започващо в областта над вътрешната част на глезена.
• Екзема - зачервяване, мехури, сълзяща или лющеща се ерупция на кожата на долните крайници.
• Липодерматосклероза - хронично
уплътняване на кожата.
• Хиподермит - остра форма на ли -
подерматосклероза, протичащо с остро възпаление, зачервяване и
болезненост на кожата и подкожението.
• Бяла атрофия - ограничена белезникава и атрофична кожа.
• Венозна язва - хронична, труднозарастваща рана на кожата, причинена от ХВБ.
Между първите функционални про -
яви и появата на основния симптом
на ХВБ – конгломерати от разширени вени могат да минат години. Симптомите могат
на ХВБ. Въпреки това, той остава полезен за измерване на налягането в глезена и глезенно-брахиалния индекс при съмнение за атеросклеротично заболяване на долните крайници. • Цветно кодираната дуплекс сонография (ЦКДС) на долни крайници и компресионен ултразвук (КУС)основният диагностичен инструмент за ХВБ, предлагащ подробна информация за венозната анатомия, проходимостта, състоянието на колатералния кръвоток на проксималните и дистални сегменти, състоянието на клапния апарат, наличие на патологичен клапен рефлукс, вида на патологичния процес (частична или пълна обтурация на съда, степен на реканализация). Изследване за рефлукс се извършва с пациент в изправено положение, като се използват техники като проба на Валсалва или проксимална компресия. Пра -
говете за продължителност на рефлукса са 1 секунда за дълбоки
вени и 0.5 секунди за повърхност-
ни вени. При рекурентни вени изследваме за реканализация, неоваскуларизация или нов рефлукс в
нелекувани преди това вени, за да идентифицирате източника на ре -
консервираните или пържени храни, да не се злоупотребява с тютюнопушене, алкохол или сол, приемане на повече фибри с храната.
Елевация на долни крайници: периодично повдигане за намаляване на венозното налягане и отока, избяване кръстосването на краката при седене.
Облекло: избягване носенето на много стегнати чорапи, които биха попречили на циркулацията на кръвта в бедрата и прасците, както и на обувки с много високи токчета; при спаднал свод и болки в стъпалата – носене на ортопедични подложки и обувки с ток между 3 и 5 сm.
• Компресионна терапия
Показания: Първа линия на лече -
ние за всички стадии на ХВБ, от С0 -
С6 (вкл. венозни язви), както и след склеротерапия, оперативно (стрипинг и реконструктивна венозна съ -
дова хирургия), ендоваскуларно ле -
чение (лазерна, механохимична или радиофреквентна аблация), Видове: Компресионни чорапи с раз-
лична степен на компресия (според стадия на ХВБ), компресионни пре-
връзки и друг компресионен трикотаж. Механизъм на действие: Чрез гради-
ентна компресия (по-високо при глезена, намаляваща проксимално) се намалява венозното налягане, подобрява се
венозното връщане, което води до намаляване на отока и симптомите. Указания: Видът и степента на компресия на ластичните чорапи или бинтове се определя от съдов специалист (ангиолог или съдов хирург).
Европейската комисия по стандартите определя пет степени на компресия: - клас А – 10
по-бързото зарастване на раната. Противопоказания: Противопоказани за компресионна терапия са пациенти с периферна артериална болест (стъпално-брахиален индекс <0.7), с тежки кожни промени от възпалителна реакция, алергия към тестилни материали.
• Фармакотерапия Медикаментозното лечение включва различни групи медикаменти - венотоници, противовъзпалителни, антибиотик, локална терапия и други, според състоянието на пациента и съпътстващите заболявания. Веноактивни медикаменти: като флавоноиди, диосмин и хесперидин, които подобряват венозния тонус, микроциркулацията, намаляват възпалението, подобряват лимфния отток, като по този начин се редуцира отокът на подбедриците и се облекчават субективните оплаквания на пациентите. Най-често прилаганите медикаменти са: Диосмини – микронизиран - Detralex – 2x1 tabl/d; Диосмини – немикронизиран Phlebodia – 1 t/d; Dioket – 1 l/d; екстракти от жълт кантарион, залист, жълта комунига - Cyclo-3 fort 2-3 x1 tabl; екстракт от семена на грозде – Endotelon 2x150 mg; Троксерутин - Troxevazin, Venorutin 2x300 mg; Калциев добезилат - Doxium 2x1 tabl; Varixinal – 1 tabl/d (Черна боровинка, див кестен, див чемшир
(NatAspin
– 33 – 48 mmHg – много тежка варикоза, посттромбозен синдром (ПТС), начален лимфедем, венозен улкус - клас ІV – над 49 mmHg – тежък ПТС с незаздравяващ улкус, лимфедем. При наличие на варикозна язва, приложението на компресивна, тръбовидна ортеза без пета, с отворени пръсти, изработена от плетен двупосочно еластичен текстил (Tubulcus®) подпомага
пациентите с ХВБ.
Б. Интервенционални процедури Препоръките на Europеan Venous Forum за лечение на варикозни вени са: Пациенти с варикозни вени с рефлуксна ВСМ
- Лигатура и стрипинг: GRADE 1A; - Миниинвазивни техники: ра -
диофреквентна аблация или ендо -
венозен лазер или механо-химична аблация: GRADE 1A;
- Химична аблация (включително склеротерапия): GRADE 1B; Пациенти с варикозни вени без рефлуксна ВСМ
- Флебектомия и склеротерапия с
пяна: GRADE 1B; Пациенти с рецидивни варикозни
вени:
- Флебектомия или склеротерапия: GRADE 1B; - Хирургия при рецидиви: GRADE 2C
• Склеротерапия
Показания: Малки до средни варикозни вени и телеангиектазии. Процедура: Инжектиране на склерозиращ разтвор (напр. полидоканол, натриев тетрадецил сулфат), причиняващ увреждане на ендотела и облитерация на вена.
• Ендовенозна аблация Показания за ендовенозна аблация: Некомпетентни стволови вени, включително вена сафена магна (ВСМ) и
вена сафена парва (ВСП).
След процедурата се прилага ластичен чорап за определен период от време (по преценка на опертора).
• Ендовенозна лазерна терапия (EVLT)
Механизъм: Използва лазерна енергия, доставена чрез катетър, за загряване и
затваряне на некомпетентните вени.
Процедура: Извършва се под ултраз-
вуков контрол с локална тумисцентна
анестезия. Лазерното влакно се пози-
ционира във варикозната вена и при
изваждането му се прилага енергия,
причиняваща затваряне на вената.
Ефикасност: Висок процент на ус -
пех с нисък процент на усложнения и
бързо възстановяване.
• Радиочестотна аблация (RFA)
Механизъм: Използва радиочестотна
енергия за нагряване на стената на
вената, което води до затваряне на
вената чрез термично увреждане.
Процедура: Подобна на EVLT, извърш -
ва се под ултразвуков контрол с ло -
кална тумисцентна анестезия.
Предимства: Ефективен с висока сте -
пен на удовлетвореност на пациентите, минимален дискомфорт и бър -
зо връщане към ежедневие.
• Механохимична аблация (MOCA) Процедура: Комбинира механично разрушаване на венозния ендотел с инфузия
склерозиращ разтвор, което води до затваряне на вената. Механизъм: Въртящ се катетър във вената механично разрушава ендотела, като същевременно влива склерозант, подобрявайки дисперсията и ефикасността на склерозанта. Предимства: Висок процент на успех, намалено време за процедура в сравнение с конвенционалните техники и минимален дискомфорт след процедурата.
• Ултразвукова пяносклеротерапия Показания: Големи варикозни вени и венозна недостатъчност на в. сафена. Процедура: Инжектиране на пянообразуващ склерозант под ултразвуков контрол,
Показания: Големи, симптоматични разширени вени, които не се повлияват от консервативно и не са подходящи за ендоваскуларно лечение или склеротерапия.
Процедура: Хирургично отстраняване
на засегнатия сегмент на вената след проксималното му лигиране. Съображения: По-инвазивен с по-дълго време за възстановяване, но ефективен при тежки случаи на варикоза.
4. Beebe-Dimmer J. L., The epidemiology of chronic venous insufficiency and varicose veins., Ann. Epidemiol., 2005
5. Bergan J., The Vein Book. New York, 2007., ISBN-13: 978-0-12-369515-4
6. Cavezzi A. Labropoulos N., Partsch H., Ricci S., Caggiati A., Myers K., Nicolaides A.,Smith P.C., Duplex Ultrasound Investigation of the Veins in Chronic Venous Disease of the Lower Limbs—UIP Consensus Document. Part II. Anatomy. Eur J Vasc Endovasc Surg 2006: 31: 288–299
7. Coleridge- Smith PD. Deleterious effects of white cells in the course of skin damage in CVI. Int Angiol 2002;21(2 (Suppl 1)):S2632
8. Coleridge- Smith Ph., Labropoulos N., Partsch H., Myers K., Nicolaides A., Cavezzi A., Duplex Ultrasound Investigation of the
Veins in Chronic Venous Disease of the Lower Limbs—UIP Consensus Document. Part I. Basic Principles Eur J Vasc Endovasc Surg 2006; 31: 83–92
9. Eberhardt R., Raffetto J,. Chronic Venous Insufficiency. Circulation, 2014. Jul 22; 130(4):333-46.
10. Ekloff B, Rutherford R.B., Bergan J.J., Carpentier P.H., Gloviczki P., Kistner R.L., et al. American venous forum international ad hoc committee for revision of the CEAP classification. Revision of the CEAP classification for chronic venous disorders: consensus statement. J Vasc Surg 2004 Dec;40(6): 1248e52
11. European Society for Vascular Surgery (ESVS) 2022 Clinical Practice Guidelines on the Management of Chronic Venous Disease of the Lower Limbs
12. Gloviczki P., MD,a Anthony J. Comerota, MD,b Michael C. Dalsing, MD, Bo G. Eklof, MD, David L. Gillespie, MD,e Monika L. Gloviczki, MD, et all. The 8990 care of patients with varicose veins and associated chronic venous diseases: Clinical practice guidelines of the Society for Vascular Surgery and the American Venous Forum. J Vasc Surg. 2011;53:2S-48S
13. Pellerito J., Polak J., Introduction to Vascular Ultrasound 6th Edition, Philadelphia, 2012. Isbn 978-1-43771417-3
14. Lattimer C.R., Azzam M., Kalodiki E., Makris G.C., Geroulakos G. Saphenous pulsation on duplex may be a marker of severe chronic superficial venous insufficiency. J Vasc Surg 2012;56:1338-
43.
15. Neumann H..A, Partsch H., Mosti G., Flour M. Classification of compression stockings: report of the meeting of the International Compression Club, Copenhagen. Int Angiol 2016;35:122-8
16. Nicolaides A, et al. Management of chronic venous disorders of the lower limbs. Guidelines according to scientific evidence. Int Angiol. 2018;37(3):232-254
17. Nicolaides A., Clark H., Labropoulos N., Geroulakos G., Lugli M., Maleti O. Quantitation of reflux and outflow obstruction in patients with CVD and correlation with clinical severity. Int Angiol 2014;33:275-81.
18. Partsch H. Compression for the management of venous leg ulcers: which material do we have? Phlebology 2014 (1 suppl):140-5






ВЪВЕДЕНИЕ
Редовната профилактика е част от
превантивната медицина и определя
ефективността на здравната система.
Нейните цели са промотивни, профилактични, медико-диагностични
и консултативни. Насочена е първо
към отделния индивид и след това
към рисковите групи от населението. Здравното възпитание на индивида има значение за поведението, свързано с неговата здравна защита. То е активен, целенасочен процес, оказващ влияние при изграждането на здравната култура на отделната личност. Спомага за формирането на
здравни знания и поведения, водещи до повишаване и поддържане на
нивото на индивидуалното и общественото здраве. Промоцията и превенцията
ните
те фактори, които влияят върху него. Тя заема основен дял от съвременната медицина и е комплексна дейност, осъществявана от здравните работници, здравните институции и правителството. Част е от здравната политика на държавата. Видовете профилактика са посочени на Табл. 1 Първичната профилактика контролира взаимодействието между рисковите фактори и склонността на индивидите за
филактичната дейност важна роля има комуникацията на медицинския специалист с пациента. Двустранното разбирателство спомага за постигане на поставените цели. Обменът на правилната медицинска информация и възможността за достъп до нея от всички, е най-краткият път до профилактиката, превенцията и промоцията
Рехабилитация
за повишен контрол над рисковите фактори, които влияят върху общественото здраве.
Целите са:
• промяна в здравното поведение на индивида
• повишаване на личната отговорност към индивидуалното и общественото здраве
• предотвратяване на заболяванията и заболеваемостта
• подобряване на здравето
• увеличаване продължителността на живота на човека в здраве
Превенция на здравето е система от мероприятия,
предпазването на населението може да бъ -
дат организирани за отделния индивид или специфични рискови групи - деца, бременни, хора с различни социално-значими заболявания - хипертония, диабет, сърдечно-съдови, онкологични.
Методите, които се използват за постигането им са: • партньорство между страните, предлагащи и търсещи здравна помощ
• работа с отделния индивид или обществото
• промяна в поведението на човека, чрез различни подходи - медии, консултации, беседи
• формиране на групи с еднакъв рисков фактор и тяхното обучение за неговото преодоляване
• прилагане на ваксини, съобразени със заболяването и възрастта на пациента
• скрининг програми сред различни групи от населението, насочени към ранно диагностициране и прогнозиране на здравословен проблем Местата за осъществяване на профилактиката могат да бъдат:
• предразполагащи фактори към
повишен риск от заболяване - тютюнопушене
• поведенчески фактори - нездравословно хранене, обездвижване
• фактори на външната среда - замърсен въздух
Оценката на здравния риск се формира въз основа на рисковите фактори, на които е изложен отделният ин -
дивид и има значение за качеството
на неговия живот и здраве. От нея за -
виси организацията на здравните мероприятия, вида на здравната помощ
и профилактиката. В здравната сис -
тема се различат три нива на здравна
помощ, свързани с профилактиката:
• първична - индивидът е в контакт със здравната служба за първи
път; насочена е към най-често разпространените заболявания
• вторична - специализирана; осъществява се в медицински и диагностично-консултативни центрове
• третична - високоспециализирана; провежда се в националните здравни заведения
Необходимо е да се повиши нивото на профилактичната дейност сред учащите, чрез приложение на съвременните интерактивни методи на комуникация, беседи, нагледни материали - постери, флаери, брошури.
Ранната информираност, ваксинациите, задължителните годишни про -
филактични прегледи и изследвания водят до снижаване на заболеваемостта сред младото население. Разясняването на хранителната профилактика сред подрастващите като част от здравната е насочено към осигуряване на балансирано хранене, повлияващо и намаляващо процента на риска от социално-значими заболявания в млада възраст - сърдечно-съдови, затлъстяване, диабет. Хранителният режим акцентира върху храни с нисък гликемичен индекс, богати на фибри. Свързан е с диетотерапията и добрата физическа активност. Скрининг програмите, които се прилагат сред различните групи от населението, целят ранно диагностициране на
прицелна група.
ЗАКЛЮЧЕНИЕ Основните задачи, свързани със здравната профилактика, са опазване на здравето, създаване на възможности за повишаване степента на здравното образование и възпитание на населението, водещи към саморегулация на здравното поведение и здравословния



























































































































