Medical Magazine 02 2023

Page 1

ПРИ КАКЪВ ОБРИВ ДА МИСЛИМ ЗА ИНФЕКЦИОЗНА МОНОНУКЛЕОЗА

СТР. 22

СПЕЦИАЛИЗИРАНО ИЗДАНИЕ ЗА ЛЕКАРИ

ПЕДИАТРИЯ

ПОДГОТОВКА И ПРОФИЛАКТИКА ПРЕДИ И ПО ВРЕМЕ НА БРЕМЕННОСТ

СТР. 28

КИСТИ НА ПАНКРЕАСАЗНАЧЕНИЕ, ДИАГНОСТИЧНИ ДИЛЕМИ И ИНДИКАЦИИ ЗА ХИРУРГИЯ

СТР. 48

БРОЙ 109 / 02.2023

ГАСТРОЕНТЕРОЛОГИЯ УРОЛОГИЯ

WWW.MEDMAG.BG БРОЙ 109| 02.2023
АКУШЕРСТВО И ГИНЕКОЛОГИЯ ЕНДОКРИНОЛОГИЯ
БЪБРЕЧНО-КАМЕННА БОЛЕСТ - ЕТИОЛОГИЯ, ЧЕСТОТА, ЛЕЧЕНИЕ И ПРОФИЛАКТИКА

редакционен

екип

Изпълнителен директор Главен редактор Отговорен редактор

Редакционна колегия

Изисквания за авторите, желаещи да публикуват

в сп. MEDICAl Magazine

Кристиан Лечев

Проф. д-р Георги Христов

Нели Христова 0894 39 99 50

Проф. д-р Анастас Баталов

Проф. д-р Ваня Юрукова

Проф. д-р Диана Попова

Проф. д-р Диляна Вичева

Проф. д-р Димитър Масларов

Проф. д-р Иван Стайков

Проф. д-р Лъчезар Трайков

Проф. д-р Мери Ганчева

Проф. д-р Милена Станева

Проф. д-р Пенка Илиева

Проф. д-р Петър Петров

Проф. д-р Соня Марина

Проф. д-р Цветомир Димитров

Проф. д-р Цеца Дойчинова

Доц д-р Асен Куцаров

Доц. д-р Аспарух Николов

Доц. д-р Борис Тилов

Доц. д-р Валентин Вълчев

Доц. д-р Весела Карамишева

Доц. д-р Гриша Матеев

Доц. д-р Десислава Тодорова

Доц. д-р Желязко Арабаджиев

Реклама

Разпространение

Предпечат и дизайн

Коректор Фотограф Печат

Доц. д-р Иван Цинликов

Доц д-р Ирена Велчева

Доц. д-р Любомир Дурмишев

Доц д-р Мария Атанасова

Доц. д-р Петко Карагьозов

Доц д-р Пламен Павлов

Доц д-р Стоянка Динева

Доц д-р Тодор Попов

Доц. д-р Цветелина Михайлова

Доц. д-р Христина Видинова

Доц. д-р Цветелина Тотомирова

Д-р Александър Алексиев

Д-р Александър Носиков

Д-р Анелия Гоцева

Д-р Борислав Дангъров

Д-р Диана Димитрова

Д-р Екатерина Куртева

Д-р Иво Димитров

Д-р Ина Генева

Д-р Мария Калинкова

Д-р Силвия Скелина

Петя Дулева adv@medmag bg

0894 399 948

Ивомир Коларов

Даниела Петрова

Ива Лалова

Мартин Минев IFO DESIGN

ФЕВРУАРИ 2023

ISSN: 1314-9709

Адрес на редакцията : София 1407, п. к.177, телефон: 02) 868 82 95

Списание Medical Magazine

е запазена марка на фирма „Ел Креатив“

ООД. Никаква част от това издание не може да бъде възпроизвеждана и/или публикувана без изричното писмено съгласие на издателя.

e-mail:

Списанието се обработва в БД „Българска медицинска литература " Мненията и изявленията, изложени в материалите, принадлежат на авторите на съответните публикации и не са задължително споделяни от редакционния екип и издателите на списанието. Редакцията на списанието не се обвързва с рекламираните в него продукти, както и не дава гаранция за достоверността на информацията, изложена в съответните реклами, като не носи отговорност по предявени по този повод искания. „Ел Креатив” ООД е собственост

1. Оригиналните авторски статии да са оформени по следния начин: под заглавието се изписват имената на автора

или авторския колектив с инициали за първо име и пълно -

то фамилно име, с пореден брой цифри Статиите да имат обем до 8 страници, включващи таблиците и илюстрациите, литературните източници и резюметата.

2. Обзорите трябва да имат обем до 8 страници и литературни източници до 20 заглавия

3. Казуистика - клинични случаи трябва да имат обем до

4 страници, без резюме, литерат урни източници до 10 заглавия

4. Резюметата да съдържат текст на български език - до 200-250 думи и до 6 ключови думи, подредени по азбучен ред

5. Онагледеният материал - таблици, фигури и диаграми да

се упоменава в скоби, непосредствено след параграфа, за

който се отнася. Снимковият материал трябва да се представи в оригинал, не по-голям от формат А4 или като файлове с разширение. tif или. jpg, с не по-малка разделителна

способност от 150 dpi

Списанието не носи отговорност за автентичността на онагледения материал.

6. В края на статията могат да се изказват благодарности

към съвета, разгледал и подпомогнал оформянето на статията, към научния ръководител, сътрудници, лаборатории и др

7. Книгописът се дава на отделна страница

8. След книгописа се посочва адресът за кореспонденция

- на български език Той трябва да включва пълния пощ ен-

ски адрес и по възможност телефон за контакт на отговорния автор

Редакционната колегия си запазва правото: да публикува само материали, които счита за подходящи  да публикува мнения, становища и въпроси към публикуваните материали

Материалите се рецензират от членовете на редколегията и Редакционния съвет, а при необходимост и от поканени рецензенти

Всички материали се изпращат на адрес: office@medmag.bg или

сп Medical Magazine, 1164 София , ул „Плачковица“ 11

www.medmag bg
на Кристиан Лечев и Петя Лечева. БРОЙ 109 ПУБЛИКУВАНЕ ПЕДИАТРИЯ АКУШЕРСТВО И ГИНЕКОЛОГИЯ УРОЛОГИЯ БЪБРЕЧНО-КАМЕННА БОЛЕСТ ЕТИОЛОГИЯ, ЧЕСТОТА, ЛЕЧЕНИЕ И ПРОФИЛАКТИКА

СЪДЪРЖАНИЕ

ПЕДИАТРИЯ

04 КЪРМЕНЕ И СМЕСЕНО ХРАНЕНЕ М. Русинова, Ц. Борисова

12 АТОПИЧЕН ДЕРМАТИТ М. Ганчева

16 ИДИОПАТИЧНА СКОЛИОЗА.

ЛЕЧЕНИЕ ПО МЕТОДА

НА КАТЕРИНА ШРОТ М. Попова

22 ПРИ КАКЪВ ОБРИВ ДА МИСЛИМ ЗА ИНФЕКЦИОЗНА МОНОНУКЛЕОЗА Д. Хасанова, Ю. Димитрова, И. Цочева

АКУШЕРСТВО И ГИНЕКОЛОГИЯ

28 ПОДГОТОВКА И ПРОФИЛАКТИКА ПРЕДИ И ПО ВРЕМЕ НА БРЕМЕННОСТ В. Карамишева, В. Спасова, Д. Христова, Г. Хаджидеков, Б. Трифонова, А. Kолев, Л. Колева 34 ВИТАМИНИ И БРЕМЕННОСТ Д. Димитрова, Ж. Павловска

ЕНДОКРИНОЛОГИЯ

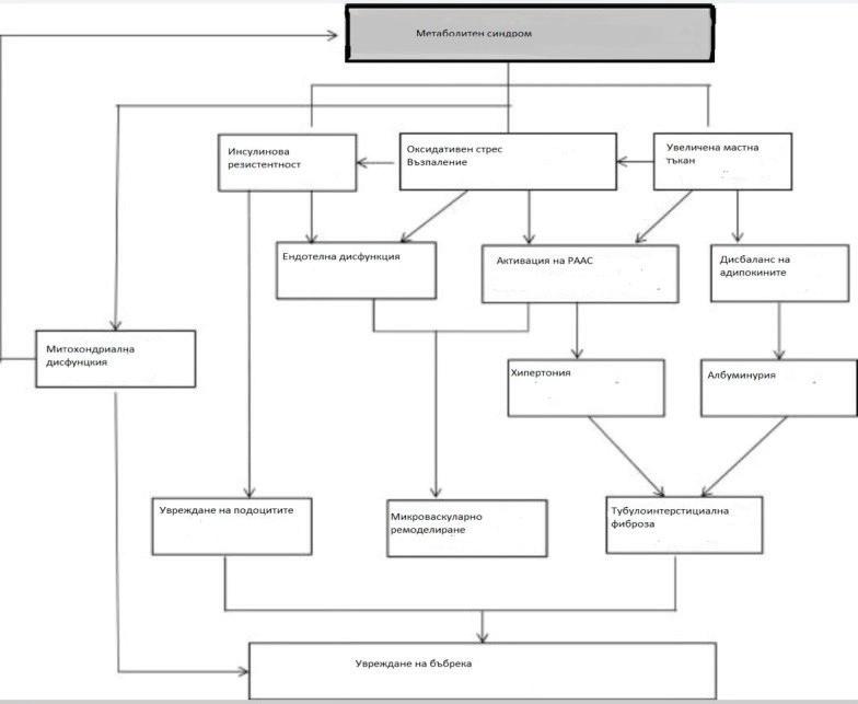
40 ВРЪЗКА МЕЖДУ МЕТАБОЛИТНИЯ СИНДРОМ И ХРОНИЧНО БЪБРЕЧНО

ЗАБОЛЯВАНЕ

И. Калинкова, М. Калинкова

44 МЕТАБОЛИТЕН СИНДРОМ

И АСОЦИИРАНИТЕ С НЕГО РЕПРОДУКТИВНИ НАРУШЕНИЯ

К. Терзиева, М. Калинкова

ГАСТРОЕНТЕРОЛОГИЯ

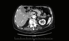
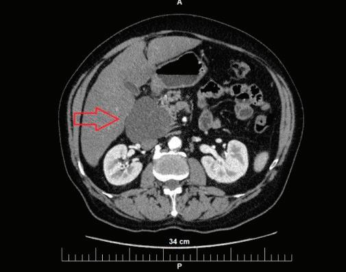
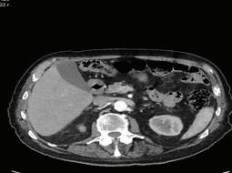
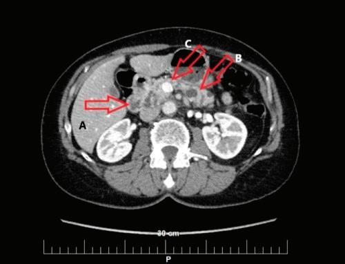
48 КИСТИ НА ПАНКРЕАСАЗНАЧЕНИЕ, ДИАГНОСТИЧНИ ДИЛЕМИ И ИНДИКАЦИИ ЗА ХИРУРГИЯ Н. Шумка, П. Карагьозов

56 СИНДРОМ НА BUDD-CHIARI Й. Ценовски

60 РАДИОФРЕКВЕНТНА АБЛАЦИЯ НА ПАНКРЕАСНИ ТУМОРИ ПОД ЕНДОСОНОГРАФСКИ КОНТРОЛ Й. Петкова, П. Карагьозов, И. Тишков УРОЛОГИЯ

66 БЪБРЕЧНО-КАМЕННА БОЛЕСТЕТИОЛОГИЯ, ЧЕСТОТА, ЛЕЧЕНИЕ И ПРОФИЛАКТИКА В. Василев, Н. Димитров

72 ЕПИДИДИМИТ ПРИ ВЪЗРАСТНИ ПАЦИЕНТИ Н. Пасков, М. Дойков

74 БОЛЕСТ НА ПЕЙРОНИ – КЛИНИКОЕПИДЕМИОЛОГИЧНИ АСПЕКТИ Н. Пасков, М. Дойков

76 ВАРИКОЦЕЛЕ – СЪЩНОСТ И ЛЕЧЕНИЕ Н. Пасков, М. Дойков

2 І Medical Magazine | февруари 2023 СЪДЪРЖАНИЕ

1

М. Русинова1 , Ц. Борисова2

Специалност хранене и диететика, директор на

Комплекс за детско хранене

с Банка за майчина кърма 2Педиатър, завеждащ Сектор по събиране, съхранение и пласмент на

майчина кърма към Банка

за майчина кърма

ПЕДИАТРИЯ

Кърмене и смесено хранене

В продължение на

хилядолетия, откакто на Земята се е появил човекът, единствената храна за малкото бебе си остава майчината кърма. Правилното хранене е жизнено необходимо за всяка възраст, но то е особено важно за детето, защото доставената чрез храната енергия се използва не само за поддържане на жизнените процеси, но и за растеж. Поради това хранителните потребности на детето са толкова по-големи, колкото по-малко е то.

Естествено е храненето, при кое -

то детето получава майчино мляко

или дарителска кърма. Новородено -

то дете от биологична гледна точка

е част от организма на майката. Раж-

дането променя само естеството на

връзката – тя се осъществява чрез

майчиното мляко. Колкото по-бър -

зо нараства новороденото на един

животински вид, толкова по-високо

е съдържанието на пластични веще -

ства в неговото мляко. По тази причина различията в състава на женското и кравето мляко са значителни (Табл. 1 и Табл. 2).

Съставът на майчиното мляко варира

в отделните периоди на лактацията, в

различните часове на деня и в проце -

са на едно кърмене. Така например в

началните порции концентрацията на

лактоза е по-висока, а в последните

порции (крайно мляко), както и в сут-

решните часове се увеличава съдържанието на мастите.

В отделните периоди на лактацията се различават: коластра - секретира се

в първите дни след раждането; тя е в малко количество, но с високо съдържание на протеини, специално секреторен IgA (sIgA), вит. А и цинк. Калоричността й варира от 1500 kcal/l през първия ден до 700 kcal/l на шестия ден. С увеличаване количеството на кърмата започва да се отделя преходно мляко, а след 10-ия ден зрялото мляко, което съдържа всички хранителни съставки и в такова съотношение, че задоволява напълно всички хранителни нужди на бебето през първите 6 месеца от живота, осигурявайки му оптимално физическо и нервно-психическо развитие.

Белтък. Белтъкът в майчината кърма наподобява този в кръвта и се състои от белтъци на суроватката и казеин, като преобладават суроватъчните белтъци - аблумини и глобулини, а казеинът е с по-ниско съдържание. Кър -

мата доставя и всички необходими за кърмачето есенциални аминокиселини.

Съставките на белтъка на майчината кърма са специфични само за млякото на човека и към тях се отнасят алфа-лакталбумин, казеин, лактоферин, лизозим, витамин В12-свързващ протеин. Освен тях в кърмата се откриват още серумни албумини и имуноглобулини – IgA, IgG, IgM.

Масти. Те са основен енергетичен източник за кърмачето и източник на мастноразтворими витамини и есенциални мастни киселини. Мастите в майчината кърма съдържат значителни количества есенциални ненаситени мастни киселини – особено линоленова и арахидонова киселина, които са градивен материал за мозъка и ретината на окото. Голямо биологично значение има съдържанието на фосфатиди в кърмата. Те предизвик

-

4 І Medical Magazine | февруари 2023

Съставка Майчина кърма Краве мляко Козе мляко Овче мляко

Табл. 1

Количествен състав на

някои животински мле -

ка в сравнение със състава на майчината кърма в грам/литър мляко

ват затваряне на пилора при преминаването им в дванадесетопръстника и по този начин се създават условия за по-равномерна евакуация на стомашното съдържимо; ограничават отлагането на масти в различните органи и специално в черния дроб, участват в изграждането на биологичните мембрани.

Въглехидрати. Въглехидратите в кърмата са представени главно от лактоза. Майчината кърма съдържа най-много лактоза измежду всички животински млека и това съответства на бурния растеж и развитие на главния мозък през първите месеци след раждането. Тя стимулира размножаването на млечните бактерии в храносмилателния тракт и допринася за поддържането на киселата реакция на чревно -

то съдържимо, потискайки по този начин размножаването на Escherichia coli. Лактозата стимулира и резорбцията на калция в червата и играе роля за предотвратяване на рахита.

Минерални вещества. Кърмата е източник на всички макроелементи, необходими за бързо растящото бебе. Солите в кърмата са относително малко (2 г/л, срещу 7 г/л в кравето мляко), тъй като незрелите бъбреци на бебето не могат да се справят с голямо количество соли (Табл. 3). Кърмата доставя на детето и всички необходими микроелементи с изключение на желязо.

Кърмата съдържа още лактопероксидаза, интерферон, антивирусни липиди, бифидус-фак-

Табл. 2

Различия в химичния състав на майчината кърма и кравето мляко

Табл. 3

Биохимични показатели на майчината кърма. Референтни стойности, изработени в биохимичната лаборатория на Банка за майчина кърма и сравнени с някои международни

[www.medmag.bg ] 5
Вода 870 870 860 810 Сухо вещество 130 130 140 190 от него: Белтъчини 11 34 41 57 Въглехидрати 78 48 44 43 Соли 2 7 8 9 Енергия 660 kcal 660 kcal 640 kcal 1050 kcal Съставка Майчина кърма Краве мляко Вода Сухо вещество Белтък Съотношение белтък на суроватката към казеин Масти от тях линоленова киселина Въглехидрати от тях олигозахариди 870 130 11 60:40 34 4 78 0.4 870 130 34 20:80 33 0=9 48 Следи Специфично тегло 1024-1030 Киселинност в градус по Тьорнер 2.8-6.8 рН 7.08-7.56 Масти 2.4-5.2 g/100 ml Белтък 0.8-2.0 g/100 ml Лактоза 7.0-7.8 g/100 ml Сухо вещество 10.4-13.8 g/100 ml

Табл. 4 Антиинфекциозни свойства на кърмата

Вид фактор

Специфичен фактор

Начин на защита срещу инфекции Клетъчен Макрофаги и неутрофили Лимфоцити

Хуморален Секреторен IgA

Лактоферин и други свързващи компоненти Бифидус фактор, ниско съдържание на соли и високо съдържание на лактоза Интерферон, комплемент, лизозим

тор, клетъчни антиинфекциозни фактори, факт поради който някои народи наричат кърмата “бяла кръв” (Табл. 4).

ПРОТИВОПОКАЗАНИЯ ЗА КЪРМЕНЕ В редки случаи актът на кърмене или съставът на майчината кърма могат да увредят здравето на бебето или на майката. Такива състояния са тежки заболявания на новороденото, затрудняващи дишането и сърдечната му дейност, мозъчни увреждания, галактоземия. Трансмисията на някои инфекции от майката на детето чрез кърмата също е сериозно противопоказание за кърмене.

СМЕСЕНО ХРАНЕНЕ Смесено е храненето на кърмачето, когато недостигът на майчината кърма се допълва от специално произвежданите млека за кърмачета (познати като „формули”, „адаптирани млека”), които са единствената препоръчителна алтернатива на кърмата за кърмачетата до 1-годишна възраст.

Най-честата причина за преминаване на смесено хранене е хипогалактията. При анализа на причините за намаляването на естественото хранене на бебето се изтъкват различни мнения. Преди всичко хипогалактията се свързва със заетостта на майката в работата, нежеланието да се кърми и повишаващите се възможности за тази цел да се използват голям асортимент от адаптирани формули.

Трябва да се знае, че липсата на кърма в първите дни след раждането не трябва да тревожи майката и това да е причина бебето да се дохранва. През този период трябва да се прояви търпение, да се кърми по-често, включително и през нощта и да се изцеждат гърдите

Почистват гастроинтестиналния тракт на бебето от патогенни бактерии. Синтезират sIgA.

Прикрепват се към чревната мукоза, предпазвайки я от действието на патогенни микроорганизми.

Улесняват абсорбцията на микроелементите. Всички те способстват за поддържането на ниско рН в дебелото черво, стимулират размножаването на lactobacilli и Bifidobacteria и потискат развитието на патогенни микроорганизми. Улесняват имунологичното унищожение на болестотворните бактерии.

след кърмене.

Един от въпросите, които най-често се задават от майките на естествено хранените деца, е дали имат достатъчно кърма, която да задоволи нуждите на детето им. Проблемът става по-тревожен, ако детето е неспокойно и плачливо, което погрешно се обяснява с гладуване. В този случай пред майката има две възможности:

Първата е да се започне дохранване с адаптирана формула и да се отчете ефектът от това. Тази възможност е по-достъпна, но е неправилна, тъй като невинаги безпокойството и

плачът се дължат на глад. Освен това, след започване на дохранването, с което се засища гладът и се утолява жаждата, бебето започва да суче вяло, лактацията намалява, количеството на добавената адаптирана формула се увеличава и след кратко време детето се отбива. Преминава се на изкуствено хранене с всички неблагоприятни последици.

Втората възможност е майката да сподели опасенията си с педиатъра на детето, който трябва да реши дали наистина то гладува. Обикновено отговор на този въпрос се търси в т.нар. „пробно кърмене“ - метод, лесен както за приложение, така и за интерпретация, но за съжаление неточен. За целта най-добре е да се проследява тегловният прираст на бебето: ако през първото тримесечие от живота му прирастът е над 25 г/дневно, а през второто тримесечие над 20 г/дневно няма основания за безпокойство, че детето гладува и кърменето трябва да продължи по същия начин. Ако тегловният прираст е недостатъчен, трябва да се приеме, че детето гладува. Тогава трябва да се прецени защо гладува. Възможностите са две: 1) майката няма достатъчно кърма

6 І Medical Magazine | февруари 2023 ПЕДИАТРИЯ

или 2) има кърма, но детето не може да я изсуче. Отговор на този въпрос

може да се даде, като след кърмене

гърдата се изцеди. Ако се окаже, че

в гърдата има още мляко, причината

трябва да се търси в детето. Причини-

те могат да бъдат понижен апетит при

заболяване; затруднено сукане при

смутено дишане през носа при хре -

ма; недобре оформени гръдни зърна;

претопляне; обилно оводняване; нео -

бичайна за бебето миризма на кърма-

та, ако майката е консумирала храни, съдържащи етерични масла (чесън, лук, силен ментов чай и др.). В тези

случаи се вземат мерки за отпушва-

не на носа преди кърмене. При лоши

гръдни зърна може да се използват

специални приспособления или кър -

мата да се изцежда и поднася с лъ-

жичка; избягване на храни, променя-

щи миризмата на кърмата.

По-често обаче се открива, че май-

ката няма достатъчно кърма и детето наистина гладува. И в този случай

прибързаният съвет за дохранване с

адаптирана формула не е най-правилният. Необходимо е да се приложат

всички възможни средства за стиму-

лиране на лактацията и увеличаване

на количеството кърма на майката. За

целта:

• Майката се успокоява, тъй като безпокойството, тревогата, страхът, че детето гладува потискат т. нар. „рефлекс на изхвърляне на

кърмата“ и сукането се затруднява, кърмата се застоява в млечните канали и лактацията намалява. Положителна роля оказва и емоционалната подкрепа от страна на съпруга

и близките;

• На кърмачката се осигурява почивка през деня и достатъчно сън нощем. Налага се майката да бъде подпомогната в грижите за детето

и домакинството от съпруга и дру-

ги близки;

• Кърмачката трябва да приема освен обичайната си храна и допълнително 700-800 kcal и 1 литър течности дневно. Това се постига с допълнителна консумация на 1-2

филии хляб намазани с масло, 250 мл мляко, 1 яйце и 1 л течности

(вода, плодов сок, чай, билкови отвари, айран). Тази добавка е достатъчна за образуването на 1 л кърма;

• Бебето се кърми по-често, през 2-2.5 часа, включително и нощем, ако се събужда, като се поставя последователно на двете гърди;

• Избягва се даването на течности

извън кърмата, защото бебето суче енергично както поради глад, така и поради жажда. Обилното оводняване утолява жаждата на бебето, то започва да суче вяло и не поема достатъчно кърма, която е източник на енергия; • Прилагат се медикаменти, които увеличават лактацията чрез стимулиране отделянето на пролактин от хипофизата. Подходящ е метоклопрамид (церукал) в доза 10 мг 2-3 пъти дневно. Медикаментът се излъчва слабо през кърмата и в посочената доза не представлява

опасност за кърмачето;

• Използват се билки и чайове с доказан лактогонен ефект: анасон, кориандър, резене, копър, листа от мащерка и коприва под формата

на запарка;

• Полезни са физиотерапевтичните процедури като ултравиолетово облъчване на гърдите и особено лазерна акупунктура.

Ефектите от опитите за стимулиране на лактацията се преценяват след около седмица въз основа на тегловния прираст и усещането на майката за по-голяма напрегнатост в млечните жлези.

Стимулирането на лактацията не е лесно, но е напълно възможно. То изисква правилни съвети от лекаря и медицинската сестра, съобразени с физиологията на лактацията, доверие на майката в лекаря, стриктно спазване на съветите, морална и емоционална подкрепа от съпруга и близките. Често майките се стъписват пред сложността на този подход и прибягват до по-лесното – добавка от адаптирана формула. Това обаче не е от полза за детето.

При неуспех от тези усилия, се преми-

нава към смесено хранене, като целта е да се съхрани възможно най-дълго време кърменето.

КАК ДА СЕ ПРОВЕЖДА СМЕСЕНОТО ХРАНЕНЕ?

Смесеното хранене се провежда по 2 начина: при единия към всяко кърмене се дава добавка от адаптирана

формула, а при втория едно или повече кърмения изцяло се заместват с формула. Вторият начин не е за препоръчване по няколко причини. Към смесено хранене се прибягва обикновено при недостиг на майчина кърма, а ежедневното пропускане на 1, 2 или повече кърмения и заместването им с адаптирана формула още повече намалява млечната секреция на майката. От друга страна, майчиното мляко улеснява смилането и усвояването на добавката от краве мляко. Въпреки това обаче, понякога се прилага втория начин на смесено хранене. Това става при известни заболявания

на майката (например сърдечни), които налагат по-дълга нощна почивка и избягване на всяка преумора. В такива случаи едно или повече кърмения се заменят с изкуствена храна.

КОЛИЧЕСТВОТО МЛЯКО ЗА КЪРМАЧЕ ЗА ДЕН СЕ ОПРЕДЕЛЯ НА КГ ОТ НАСТОЯЩОТО ТЕГЛО

За децата, родени с нормално тегло (≥2500 г) необходимото количество мляко е 150 мл/кг/ден, разпределено в средно 6, 7 или 8 хранения (хранителни приема), в зависимост от възрастта на детето в месеци.

Пример: 3 месечно кърмаче с тегло 5 кг (5000 г) се нуждае от 150 мл х 5 кг = 750 мл мляко за кърмаче на ден.

750 мл мляко/24 часа или 750 мл: 6 приема ≈ 130 мл мляко на прием.

Препоръчваните количества млека за кърмачета са ориентировъчни и трябва да бъдат съобразени с апетита, здравословното състояние и физическото развитие на детето.

Поради факта, че лактацията не е еднаква в отделните часове на деноно -

8 І Medical Magazine | февруари 2023 ПЕДИАТРИЯ

Табл. 5 Препоръки за необхо -

димото среднодневно

количество предлагано мляко за кърмачета

и режим на хранене за

деца на възраст от 0 до 6 месеца (СЗО, 2006).

Възраст на кърмачето (месеци) Брой хранения/ден

Количество мляко за

кърмаче (мл) за един хранителен прием

6 6 150

ПЕДИАТРИЯ

Необходимо количество мляко за кърмаче мл/ден*

*Количеството мляко за кърмачета се отнася за готов за консумация продукт в мл, приготвен съобразно изискванията на фирмата производител, посочени на етикета на съответното мляко за кърмаче.

щието и зависи от много психологи-

чески фактори, количеството мляко

за дохранване трябва да се опреде -

ля и от апетита на детето и от начи-

на, по който то реагира при хранене -

то – дали плаче за повече храна, дали

повръща или оригва, дали наддава

добре на тегло, и с оглед на това да

увеличим или съответно намалим ко -

личеството на добавката. Възможно

е в сутрешните часове детето да не се

дохранва, поради факта, че тогава ко -

личеството майчина кърма е по-голя-

мо. В този случай детето не трябва да

се насилва да приеме цялото количе -

ство адаптирано мляко, тъй като на-

силственото хранене води до създа-

ване на отрицателно отношение към

кърменето и храненето.

Във всеки случай в първите 2-3 дни

даваме не повече от 20 мл (4-5 кафени лъжички) добавка след кърме -

не, следващите дни 30-40 мл, докато в продължение на една седмица се достигне необходимото количество

добавка.

Важно правило при смесеното хранене е добавката да се дава след

кърмене от двете гърди и винаги с

лъжичка, а не с биберон.

ИЗПОЛЗВАНА ЛИТЕРАТУРА:

1. Никола Мумджиев, Майчина кърма и кърмене, Изд. Медицина и физкултура, 1984, стр. 9-18

2. Никола Мумджиев, Хранене на кърмачето, 2003, стр. 65-66.

3. Н. Мумджиев, Основи на педиатрията, Медицинско издателство Райков, 1998, стр. 58-61

4. Н. Мумджиев, Ръководство по детски болести за ОПЛ, педиатри, специализанти и студенти, 2006, стр. 21-24

5. Н. Мумджиев, Майчина кърма и кърмене,

Приемането на храната от биберон става много по-лесно, с по-малко усилия от страна на детето, отколкото при сученето. Кърмачето постепенно привиква към този по-лесен начин на хранене и започва да отказва да суче.

За разлика от детето, което се храни изключително с майчина кърма, смесено храненото кърмаче от рано привиква към адаптираните формули. Това позволява по-рано да се захрани. Така например пюрето може да се дава още през 5-ия месец, кашата –през 6-ия, попарата – през 7-ия.

При смесеното хранене се налага още една корекция в хранителния режим на децата. Предвид по-трудната смилаемост на изкуствените млечни смеси, които се дават като добавка към кърмата, а именно - интервалът между храненията се удължава на 3 ½ часа още от втория месец. Така че до 5-месечна възраст, когато децата са все още на 6 хранения, има едно нощно хранене в 23.30 ч.

Както и при естественото хранене, след петия месец се преминава на 5 хранения, на обяд се дава зеленчуко -

Изд. Медицина и физкултура, 1984, стр. 50.

6. Др. Бобев, Е. Генев, Педиатрия, Медицинско издателство Арсо, 2010, стр. 78 и 81.

7. Л. Рачев, О. Каменова, Ж. Желев, Л. Бойдашева, М. Чернева, Отглеждане на кърмачето и малкото дете, Изд. Медицина и физкултура, 1978, стр. 72-75.

8. Елена Николова и сътр., Проучване върху свойствата на майчиното мляко, Институт по ескпериментална морфология и антропология при БАН.

9. Стефка Петрова, Лалка Рангелова, Препоръки за здравословно хранене на кърмачетата, стр. 3-7;10-16.

10. С. Петрова, В. Дулева, Л. Рангелова, Основи на здравословното хранене при деца от 0 до 3-годишна възраст, 2013, стр.36-38.

11. С. Ташкова, Д. Димитрова, Р. Александрова, Е. Николова, Имунни свойства на майчината кърма, Сп. Акушерство и Гинекология, 5`2003, стр. 31.

12. Лиляна Трифонова, Хранене на детето

во пюре, като между храненията се запазва интервалът от 3 ½ часа.

Кравето мляко не е подходящо да замести кърмата. То съдържа много повече белтък, натрий и калий, както и недостатъчно желязо, витамин Е и незаменими мастни киселини, необходими за развитието на мозъка. Белтъкът и мазнините в кравето мляко много трудно се смилат и усвояват от храносмилателната система на кърмачето. Алергията към белтъка на кравето мляко е най-често срещаната алергия през първата година от развитието на детето.

Козето и овчето мляко също не са подходящи за заместител на кърмата. Проучванията в тази насока показват, че не се наблюдава по-ниска честотата на хранителни алергии при кърмачета, когато те са хранени с козе мляко, в сравнение с тези хранени с краве мляко. Около 90% от състава на белтъка на кравето, козето и овчето мляко е еднакъв и когато има алергия към кравето мляко, най-често има изразена алергия и към козето и овчето мляко (кръстосана реакция).

в кърмаческа възраст, Изд. Медицина и физкултура, 1986, стр.104-105, 109, 112113, 142-150, 154.

13. М. Я. Студеникин, К. С. Ладоло, Питание детей раннего возраста, Изд. Медицина, 1978, стр. 74-94.

14. Maria Staikova, Elena Nikolova, Anatoliy Neronov, Hristo Neychev, Cryoprotection of human milk cells, Cryo-Letters 12, 1991, p. 59-64.

15. Richard E. Behrman, Robert M. Kliegman, Hal B.Jenson,W. B. Saunders, Nelson Textbook of Pediatrics, 2003, p. 247-248.

16. Catherine A. Geissler, Hilary J. Powers, Human Nutrition 2005, p. 281-288

17. Tricia Lacy Gomella, M. Douglas Cunningham, Fabien G. Eyal, Karin E. Zenk 2004, p. 680-685.

18. Eleanor Bimla Schwarz, Roberta M. Ray, Alison M. Stuebe; Matthew A. Allison, Roberta B. Ness, Matthew S. Freiberg, Jane

A. Cauley, Duration of Lactation and Risk

Factors for Maternal Cardiovascular Disease, Journal of Obstetrics & Gynecology 2009, Issue 5 - pp 974-982.

10 І Medical Magazine | февруари 2023
от 0 до 1 8 60 480 от 1 до 2 7 90 630 от 2 до 4 6 120 720 от 4 до
900

АЛЕРГОЛОГИЯ И ИМУНОЛОГИЯ БРОЙ 78 07.2020

КОСВЕНИ ЖЕРТВИ ПО ВРЕМЕ НА COVID-19 ПАНДЕМИЯ СТР. 20

ХРОНИЧЕН ПАНКРЕАТИТ СЪВРЕМЕННИ ВЪЗМОЖНОСТИ ЗА ДИАГНОСТИКА И ЛЕЧЕНИЕ СТР. 42

БРОЙ 80 09.2020

БОЛЕСТ НА КАВАЗАКИ СТР. 22

РОТАВИРУСНА ИНФЕКЦИЯ СТР. 30

КАРЦИНОМ НА ПРОСТАТНАТА ЖЛЕЗА СТР. 52

НА ФОКУС – СОVID-19 КАРДИОЛОГИЯ ЕНДОКРИНОЛОГИЯ АНГИОЛОГИЯ ХИРУРГИЯ УРОЛОГИЯ ГАСТРОЕНТЕРОЛОГИЯ

ПОВЪРХНОСТНА ВЕНОЗНА ТРОМБОЗА ДИАГНОСТИКА И ЛЕЧЕНИЕ СТР. 54 Пробиотици срещу вируси? Може ли пробиотиците и техните активни метаболити да помогнат при COVID-19?

НА

БРОЙ 80 09.2020 СПЕЦИАЛИЗИРАНО ИЗДАНИЕ ЗА ЛЕКАРИ WWW.MEDMAG.BG

ФОКУС: ЕВРОПЕЙСКАТА КОМИСИЯ ОДОБРИ УПОТРЕБАТА НА NINTEDANIB ЗА ЛЕЧЕНИЕ НА ИНТЕРСТИЦИАЛНА БЕЛОДРОБНА БОЛЕСТ, СВЪРЗАНА СЪС СИСТЕМНА СКЛЕРОЗА (SSC-ILD) ПЕДИАТРИЯ И НЕОНАТОЛОГИЯ УРОЛОГИЯ ОФТАЛМОЛОГИЯ АКУШЕРСТВО И ГИНЕКОЛОГИЯ ГАСТРОЕНТЕРОЛОГИЯ

2023 БРОЙ 74 03.2020 СПЕЦИАЛИЗИРАНО ИЗДАНИЕ ЗА ЛЕКАРИ WWW.MEDMAG.BG БРОЙ 74 03.2020 БРОНХОДИЛАТАТОРИТЕ С ДЪЛГО ДЕЙСТВИЕ ПРИ ЛЕЧЕНИЕ НА СТАБИЛНА ХОББ СТР. 4 ХРОНИЧЕН РИНОСИНУИТ С НАЗАЛНА ПОЛИПОЗА И ЕОЗИНОФИЛНО ВЪЗПАЛЕНИЕ СТР. 24 КИСТИЧНИ ПАНКРЕАСНИ НЕОПЛАЗМИ СТР. 62
ПУЛМОЛОГИЯ ДЕРМАТОЛОГИЯ ГАСТРОЕНТЕРОЛОГИЯ КАРДИОЛОГИЯ И ЕНДОКРИНОЛОГИЯ БРОЙ 78 07.2020 СПЕЦИАЛИЗИРАНО ИЗДАНИЕ ЗА ЛЕКАРИ WWW.MEDMAG.BG

М. Ганчева УМБАЛ "Аджибадем Сити Клиник" - София

ПЕДИАТРИЯ

Атопичен дерматит

Атопичният дерматит (АД) е една от най-често срещаните дерматози, която е постоянно дискутирана и непрекъснато обновявяна и обогатявана в терапевтичен план, съобразно съвремените научни изследвания.

Честотата на заболяването в световен мащаб достига до 20-30 % при децата и до 10% при възрастните. Тя все повече нараства в последните години, приоритетно в развитите държави, с по-голямо разпространение сред европеидната и монголоидната раса. Освен кожната симптоматика на суха кожа, сърбеж и обриви болните могат да имат оплаквания от алергични ринити, астма, хранителни алергии или алергични конюнктивити.

Впатогенезата на AД се намесват генетични фактори, имунологични и фармакологични разстройства, както и индивидуални особености на организма.

Основна роля играе променената епидермалната кожна бариера, при която липсва или е намален синтезът на специфичен белтък - филагрин. Той участва в изграждането на най-повърхностния слой на кожата – str. corneum и е съставна част на естествения овлажняващ фактор. Увредената водно-липидна мантия на кожата при болните с АД е податлива на увреждания от околната среда и проникване на алергени. Кожната хидратация също е нарушена, като трансепидермалната загуба на вода

е увеличена четирикратно в сравнение със здравата кожа.

Липсват и антимикробни пептиди, които участват в защитата срещу бактерии, вируси и гъби. По-голямата

част от пациентите с AД са колонизирани със Staphylococcus aureus, като

повече от половината от тези случаи

изработват имуноглобулини Е, насочени срещу токсини, които се произвеждат от S. аureus, известни като

суперантигени. Тези суперантигени

водят до дисрегулация на нормалния имунен отговор при пациентите с АД. Освен това, суперантигените се обвиняват и за индуцирането на резистентност към кортикостероидите, което затруднява лечението.

В имунологично отношение е налице първичен Т-клетъчен имунодефицит, повишаващ концентрацията на серумното ниво на IgE, медииращо алергичните реакции. Това поставя въпроса защо атопията - прототип на имунен отговор от бърз тип е хронична дерматоза.

Броят на цитокините и имунните медиатори на възпалението постоянно нараства, като освен добре познатите ни IL-1, Il-4 и IL-5 основна роля има и новооткрития IL-35, което обяснява защо АД не се повлиява достатъчно добре от лечение с антихистамини.

В кожата на болните с АД се установяват качествени и количествени аномалии при синтеза на липиди и церамиди, както и намалени нива на витамин D. Тяхното намалено съдържание, както и липсата на δ-6-десатураза

води до нарушаване на епидермалната бариерна функция. Проблемът не е

само механичен дефект на кожния защитен филм. Според една от теориите дефектите в липидния синтез водят до променен синтез на простагландини, тромбоксани и левкотриени, както и до други имунологични промени. Някои пациенти се повлияват добре от γ-линоленовата киселина, която модулира метаболизма на ω-6-мастните киселини, което подкрепя тази хипотеза.

В клиничен аспект АД протича в три фази, които се определят според възрастта на пациента и локализацията на кожните лезии: при бебета, при деца и при възрастни.

Бебешкият стадий на заболяването започва в кърмаческа възраст през третия до шестия месец и се характеризира с развитие на червени, сухи и десквамирани участъци по кожата на лицето с предилекция бузи и брадичка (Фиг. 1).

Кожата под пелените обикновено не е засегната. При екзацербация се развиват ексудативни лезии по цялата кожа.

Детската фаза на AД започва между три- и десетгодишна възраст и

12 І Medical Magazine | февруари 2023

може да бъде пряко продължение на кърмаческата. При нея са характерни обривите във флексорните повърхности на крайниците с

последваща депигментация и поява на първи белези на лихенификация (Фиг. 2). Деца -

та имат силен сърбеж, ксероза и екскориации

по тялото, неспокойни са и могат да развият

атопична характеропатия.

Третият стадий се развива след пубертета

и при възрастни. Кожата на тези болни е суха, има тенденция за ограничаване на обривите

или формиране на единични лихенифицирани

плаки. Този стадий може да бъде естествено

продължение на предходните, но е възможно

и да възникне за първи път, т.нар. adult-onset atopic dermatitis или “АД с късно начало”.

Съществуват редица клинични белези и симп-

томи на АД, които имат специфична локали-

зация по устни, капилициум, клепачи, ушна

мида, тилна част на врата, пръсти, ареоли, вул-

ва и са с по-особено протичане. Това затрудня-

ва диагностичния и терапевтичен процес като много често се касае за т.нар. особени форми на атопичен дерматит.

В допълнение атопичния дерматит може да протече с редица усложнения, като еритродермия със засягане на обширни участъци от кожата, инфектиране с ваксинални или херпетични вируси или вторични стафилококови инфекции.

Най-често използваният клиничен метод за определяне на тежестта на заболяването е SCORAD (от SCORing Atopic Dermatitis). Той се изчислява по формулата SCORAD = A/5 + 7.B/2 + C, където А е разпространението на кожните лезии, B – тяхната тежест, а C - субективната симптоматика. AД със SCORAD >40 се счита за тежка форма на болестта, а АД със SCORAD <20 – за лека.

Лечението на АД зависи от възрастта на пациента и типа кожни прояви. Комплекса от мероприятия включва: хигиенни грижи, режим, диета и битови навици. Трябва да бъдат елиминирани т. нар. тригер-фактори: аероалергени, хранителни алергени, иританти и стрес. Към аероалергените спадат домашен прах, микрокърлежи, полени, плесени и козината от домашни животни. Хранителни алергени, влошаващи състоянието на болното дете са: мляко, ядки, яйчен белтък, соя, риба, жито. Иританти, влияещи негативно на лечебния процес

са: вълна, сапуни, парфюми, повишена температура, влажност. Според Националния консенсус за диагноза и лечение на АД, разработени през 2012 г. от Българското Дерматологично Дружество, алгоритъмът за лечение на АД включва четири етапа:

• Етап 1 се отнася до пациентите с ксероза. Те имат нужда само от основни грижи, които включват мерки за овлажняване на кожата с цел възстановяване на защитната бариерна функция, както и избягване на контакт с провокиращи фактори - инхалаторни, хранителни или локални иритантни.

• Етап 2 засяга пациентите с лек АД, а етап 3 болните с умерен АД. Тук трябва да се прилага лечение с емолиенти и с локални кортикостероиди (КС) или инхибитори на калциневрина при случаи над двегодишна възраст.

• Етап 4 е за болни с рецидивиращ или тежък АД. Те се нуждаят от системна терапия с антибиотици за намаляване на бактериалната колонизация, кратки курсове със системни КС и дори имунна супресия с cyclosporinе или с azathioprine.

Постоянното използване на емолиенти е абсолютно задължително във всеки един от етапите на АД както за профилактика на рецидиви, така и за фазите на ремисия. Това се опреде -

Фиг. 1

АД - бебешки стадий

Фиг. 2

АД – детски стадий

[www.medmag.bg ] 13

ля от характерната за заболяването

ксероза, която се дължи на наруше -

ния във водно-липидния баланс на

кожата. Емолиентите образуват во -

донепроницаем филм върху кожната

повърхност, предотвратяват загубата

на вода през кожата, като позволяват

задържането й в стратум корнеум.

Средство на избор в терапията на АД

са локалните кортикостероиди, кои-

то обаче трябва да бъдат съобразени

с потентността на препарата, продъл-

жителността на прилагане и множе -

ството нежелани ефекти, до които те

могат да доведат. Уместна е терапия-

та с комбинирани локални препарати,

съдържащи кортикостероид с антиби-

отик дори при болни без клинична из-

ява на инфекция на лезиите. Това се

определя от факта, че кожата на бо -

лните с АД е с повишена колонизация

на Staphylococcus aureus.

Пациенти с АД чиито лезии засягат

областта на главата, шията и горна-

та половина на гръдния кош, често са

с позитивен patch-тест за Malassezia

sympodialis, което налага включване -

то и на локални антимикотици.

Локалните калциневринови инхиби-

тори се използват успешно в терапи-

ята на АД, но не и при инфектирани

лезии. Те блокират фосфатазната ак-

тивност на ензима калциневрин, като по този начин възпрепятстват дефосфорилацията и транслокацията на

нуклеарен фактор за активиране на Т-лимфоцитите. Калциневринът също така определя транскрипцията на ге -

ните за лимфокини участващи в алергичното възпаление.

Според съвременните терапевтични подходи освен активното лечение на АД се налага и т.нар. проактивно локално лечение. Препоръчва се при пациенти с повече от 4 рецидива годишно, при които видимо здравата кожа в близост до лезиите е с т.нар. субклинично възпаление. Проактивното лечение представлява приложение на локална противовъзпалителна терапия (локални стероиди или локални калциневринови инхибитори) дори и в периодите на ремисия, но в намален дозов режим - 2 или 3 пъти седмично върху кожните зони, които са били ангажирани от обриви преди излекуването.

Системната терапия се прилага при остро протичащия АД и се състои от антихистамини (АХ), антибиотици, кортикостероиди и циклоспорин А. Включването на АХ е необходимо главно за овладяване на съпътстващите прояви на астма, риноконюнктивит, дермографизъм и уртикария.

Те повлияват сравнително слабо сърбежа при АД поради различния му механизъм на развитие с продукция на интерлевкин 31 и 35, а не на хистамин. Седиращите АХ трябва да се избягват при деца.

Средство на избор сред системните антибиотици, при доказана и клинично проявена суперпонирана инфекция, са бета-лактамите. Вътрешното

кортикостероидно лечение повлиява изключително добре АД, но трябва да се избягва когато е възможно.

С недоказана ефективност са изпробваните системни медикаменти аzathioprine, mycophenolate mofetil, metothrexate, IFN-gamma, интравенозен gamma-глобулин, биологични агенти. Десенсибилизацията, провеждаща се със стандартизирано-дозирани имуногенни препарати е с противоречиви резултати.

Фототерапията е друг метод на лечение на АД. Използват се широкоспектърна UVA и UVB, тесноспектърна UVB, UVA1 и PUVA, като bath-PUVA е по-подходящият метод, поради избягване на усложненията от системната PUVA. Алтернативната терапия, която напоследък придобива популярност, включва есенциални мастни киселини, които се съдържат в маслото от иглика и рибеното масло, локален гамаглобулин, антиоксиданти, витамини, пробиотици.

Проучвания доказаха, че въвеждането на добавка, съдържаща пробиотика 16109 Lactobacillus fermentum при деца със средна и тежка форма на АД води до значително подобряване на болестния процес.

Приоритет на българската школа е високопланинското климатолечение с надморска височина над 1500 m, където болните подобряват своето състояние и достигат до дълги ремисии.

1. Ганчева М. Терапия на атопичен дерматит при деца. Medical Digest 2011,

3: 7-8.

2. Казанджиева Ж, Дърленски Р, Янкова Р, Ганчева М, Попова Л, Матеев Г, Василева С, Цанков Н. Атопичен дерматит – Национален Консенсус на БДД. Дерматология и Венерология 2012, 1, 68-82.

3. Simon D, Kernland Lang K: Atopic dermatitis: From new pathogenic insights toward a barrier-restoring and anti-

inflammatory therapy. Curr Opin Pediatr 2011;23:647-652.

4. Frieri M, Valluri A: Vitamin d deficiency as a risk factor for allergic disorders and immune mechanisms. Allergy Asthma Proc 2011;32:438-444.

5. Schram ME, Spuls PI, Leeflang MM, Lindeboom R, Bos JD, Schmitt J: Easi, (objective) scorad and poem for atopic eczema: Responsiveness and minimal clinically important difference. Allergy

2012;67:99-106.

6. Lewis J., Mugglestone M. Management of atopic eczema in children aged up to 12 years: summary of NICE guidance. BMJ. 2007; 335: 1263-1264

7. Simpson E., Berry T., Brown P. et al. A pilot study of emollient therapy for the primary prevention of atopic dermatitis. J Am Acad Dermatol 2010, 63: 58-593

8. O'Regan G., Irvine A. The role of filaggrin in the atopic diathesis. Clin Exp Allergy

2010;40:965-972

9. Ricci G, Dondi A, Patrizi A. Useful tools for the management of atopic dermatitis. Am J Clin Dermatol. 2009;10:287-300

10. Saeki H., Furue M., Furukawa F. et al. Guidelines for management of atopic dermatitis. J Dermatol 2009;36:563-577

11. Thaci D, Salgo R: Malignancy concerns of topical calcineurin inhibitors for atopic dermatitis: Facts and controversies. Clin Dermatol 2010;28:52-56.

12. Heller M, Shin HT, Orlow SJ, Schaffer JV: Mycophenolate mofetil for severe childhood atopic dermatitis: Experience in 14 patients. Br J Dermatol 2007;157:127-132.

13. Flohr C, Nagel G, Weinmayr G, Kleiner A, Strachan DP, Williams HC: Lack of evidence for a protective effect of prolonged breastfeeding on childhood eczema: Lessons from the international study of asthma and allergies in childhood (isaac) phase two. Br J Dermatol 2011;165:1280-1289.

14 І Medical Magazine | февруари 2023
ЛИТЕРАТУРА:
ИЗПОЛЗВАНА
ПЕДИАТРИЯ

М. Попова УМБАЛ "Аджибадем Сити Клиник Токуда"София

Идиопатична сколиоза.

Лечение по метода на

Катерина Шрот

Ключови думи: Гръбначен стълб, деформация, метод на Шрот, идиопатична сколиоза.

Идиопатичната сколиоза е заболяване на опорно-двигателния апарат, започващо в детска възраст и прогресиращо във времето, особено агресивно по време на активния растеж. Представлява странично изкривяване на гръбначния стълб, комбинирано с ротация и деформация на прешлените, гръдния кош, таза и раменния пояс. Характерна е задълбочаваща се асиметрична мускулна дисфункция. Несиметричното натоварване на гръбнака и промененият баланс на тялото в изправено положение са един от факторите за бързата прогресия на изкривяването. Това впоследствие води до нарушена сърдечна и дихателна функция, намалена обща активност и променя начина на живот на пациентите. Голяма част от тях достигат до хирургично лечение след прогресиране на заболяването. Целта на статията е представяне и популяризиране на физиотерапевтичния метод на Катерина Шрот като основен подход при консервативното лечение на деца с идиопатична сколиоза и кифоза и представяне на нашия опит и резултати от прилагането му. Методът на Катерина Шрот е световно утвърдена система от специфични 3D упражнения и дихателни техники, свързани с принципите на съзнателната позиция на тялото, които противодействат на патокинезиологията на изкривяването. Тя дава възможност на пациентите да изпълняват индивидуална програма от упражнения и в домашни условия, за да постигнат трайни промени в позицията на тялото, стойката, походката и навиците от ежедневието. Консервативното лечение за постигане на корекция или забавяне на бързата прогресия е основополагащо за лечението на гръбначните изкривявания в детската възраст. Методът на Катерина Шрот е добре известен в световната практика и се прилага с успех в много страни.

Идиопатичната сколиоза е обществено значимо заболяване и актуален проблем в световен мащаб. В своята същност представлява постепенно развиваща се в детската въз -

раст и трайно установима триизмерна деформация на гръбначния

стълб. В еволюцията на това забо -

ляване се получават статични и ди -

намични промени в ОДА. Те се из -

разяват в странично изкривяване на

гръбначния стълб, комбинирано с ротация и деформация на прешлените, последвано от деформация и

на гръдната клетка, оформяне на ребрена „гърбица“ и променен раменен баланс, наклон на таза и разлика

в дължината на краката (Снимка 1). Характерна е задълбочаваща се аси -

метрична мускулна дисфункция. Несиметричното натоварване на гръбнака и промененият баланс на тялото в изправено положение са един от факторите за бързата прогресия на изкривяването. Впоследствие се стига до намаляване и липса на движения в гръбначния стълб, както и до тежка деформация на цялото тяло. Напредналите форми на заболяването могат да доведат до нарушения във функцията на органите, разположени в деформирания гръден кош – сърце, бял дроб и магистрални съдове, което впоследствие води до нарушения в сърдечната и дихателна функция, намалена обща активност и

променя начина на живот на пациентите. Голяма част от тях достигат до

хирургично лечение след прогресиране на заболяването.

Етиологията на идиопатичната сколиозата е неизвестна и все още недоказана, въпреки многото теории. Според остеопатичната теория, причината е мускулно-лигаментарната слабост и асиметрия в работата на мускулите и връзките от двете страни на гръбначния стълб. Според неврогенната теория за произхода на сколиозната болест, тя се проявява вследствие нарушенията в нервната трофика и нервно-дистрофичните процеси в дисковете на прешлените. Голяма част от изследователите обясняват генезата на сколиотичната деформация не с изменения в ОДА,

16 І Medical Magazine | февруари 2023 ПЕДИАТРИЯ

а с нарушения в обмяната на веществата и по-точно в минералната обмяна. Други намират връзка с нарушения в стойностите на мелатонина. Една от най-застъпените теории е за генетичната експозиция, поради корелацията между различните генетични фактри и риска от развитие на сколиоза, свързана е с това, че при семейства с история за сколиоза вероятността за поява в поколенията е по-голяма[7,19].

В патогенезата на всички форми на сколиозна болест, независимо от етиологията се откриват няколко взаимносвързани закономерности. Началният етап на формиране започва с изместване на пулпозното ядро на дискове -

те в посока на конвекса. Това облекчава наклона към вдлъбнатата страна, но затруднява заемането на симетричното вертикално положение на гръбначния стълб и създава стабилност на деформацията още в началото на възникването й. Създават се условия за асиметричното действие на масата на тялото и неравномерно напрежение на паравертебралните мускули. Вторичните промени са

с характер на контрактура на активните и пасивните стабилизатори в конкавната страна

и смущения и промени в растежа на прешлените[19].

Според SRS (Общество за изучаване на сколиоза) и SOSORT (международно общество за ортопедично и рехабилитационно лечение на сколиоза), най-често срещаният вид е идиопатичната сколиоза (с неизяснена етиология). Тя засяга 80% от всички пациенти със сколиоза и кифоза. Останалите 20% са с ясна етиология и причинно-следствена връзка. Такива са вродени, невропатични, невромускулни и други системни или синдромни заболявания[18].

В зависимост от възрастта, в която са се проявили първите симптоми (според SRS и SOSORT), идиопатичните сколиози биват:

• инфантилна (детска) – 0-3 г. – 1%.

• ювенилна (младежи) – 4-9 г. – 19%.

• адолесцентна (подрастващи) – над 9 г. –80% – свързана е и прогресира по време на растежа.

• възрастова – възниква или прогресира след скелетна зрялост.

РАЗВИТИЕ НА БОЛЕСТТА В

ПАТОБИОМЕХАНИЧЕН ПЛАН

Функционални сколиози - под това наименование се разбират и понятията неправил -

на позиция на тялото, пре-сколиоза, лоша стойка. При функционалната сколиоза не се откриват морфологични органноструктурни промени в костната, мускулната, нервната и съединителната тъкан. Латералните изкривявания остават във фронталната равнина и се запазва подвижността на гръбначния стълб. Тези сколиози са обратими и се коригират при заемане на различни позиции – наклон напред, тилен лег, нивелиране на таза чрез изравняване на дължината на долните крайници или при волево заемане на правилна позиция и изпълняване на специфични активни и пасивни упражнения.

Структурни сколиози – постепенно задълбочаващите се функционални изменения водят и до структурни промени. Структурната сколиоза е необратимо латерално и сагитално изкривяване с фиксирана ротация на прешлените (торзио). Те се деформират клиновидно, а ротацията им увлича гръдния кош и таза. Промените са изразени най-силно на върха на дъгата. Торзиото на вертебралните тела е в посока на конвекситета на изкривяването и в торакалния дял увлича и ребрата, пред-

Снимка. 1

Идиопатична сколиоза –рентгенова снимка

[www.medmag.bg ] 17

извиквайки дорзалното им проминиране от страната на конвекситета на изкривяването и вентрално проминиране от страната на конкавитета. Затова при структурни сколиози се установява дорзална ребрена гърбица (гибус). Главата се накланя към изпъкналата част на изкривяването. Характерен е мускулен дисбаланс със скъсени инертни и контрактилни структури от конкавната страна на изкривяването и противоположно разположени разтегнати, вяли, инертни и контрактилни структури от конвексната страна. При изразената деформация и торзио на прешлените, мускулите инсерирани за напречните и бодилковите израстъци променят посоката си на теглене. При изместването им мускулите, които нормално изправят гръбначния стълб, започват да го навеждат странично поради промененото съотношение между залавните им места. Настъпилите изменения в един отдел на гръбначния стълб се разпространяват и в другите, като първичните криви водят до оформянето на компенсаторни такива. Едната тазобедрена става е във флексо-аддукторна контрактура, като флексорите и аддукторите от тази страна са скъсени, а абдукторите и екстензорите са разтегнати и вяли, в контралатералния крайник е налице обратната ситуация. Това води до повдигане и завъртане на таза и скъсяване на единия крак. Всичко това това трябва да се има предвид при патокинезиологичния анализ. Потенциални източници на болка могат да бъдат мускулната умора и напрежение по хода на мускулите и на залавните места на сухожилията, стресиране на лигаментите от страната на конвекситета, компремиране на нервни коренчета от страната на конкавитета[5]

За пациентите, развиващи леките форми на заболяването, клиничният мониторинг, физиотерапевтичните упражнения и корсетолечението могат да бъдат необходимите и достатъчни варианти на консервативно лечение. Но при неразбиране и неглижиране на същността и развитието на този здравен проблем от страна на лекарите, родителите и децата, при неадекватен или забавен терапевтичен подход, деформацията може да прогресира до много тежки форми. И да доведе до трайни последици, изразяващи се във влошаване на здравословното състояние и сериозен козметичен проблем. При хирургичното лечение на развилите се тежки форми на болестта се осъществява частична корекция на гръбначното изкривяване и стабил -

но костно срастване (фузия) на обхванатите в инструментацията прешлени. По този начин се спира прогресиращото развитие на деформацията и се установява балансирана позиция на гръбначния стълб и цялото тяло[1] Необходимостта от корекция на гръбначните деформации в трите равнини налагат в съвремието все повече използването на транспедикуларни винтове. Нивата на напрежения в зоната на максимална деформация, както и необходимостта от инструментации с достатъчна стабилност в по-къси зони постепенно налагат тяхното приложение. Ротацията на прешлените и наличните понякога диспластични изменения в структурата на педикулите поставят много предизвикателства и трудности в позиционирането на педикуларните винтове. Изпълнението на оперативната техника за въвеждане на педикуларния винт води до опасност от неврологични и висцерални увреди. Използването на придружаващ интраоперативен невромониторинг се счита за златен стандарт[2]. Интраоперативният неврофизиологичен мониторинг осигурява непрекъснато наблюдение на функцията на нервните структури, изложени на риск. Ранното откриване на нарушенията позволява бърза интраоперативна промяна в хирургичните действия и предотвратява появата на необратими увреждания. За да се осигури максимална защита на нервните структури по време на гръбначномозъчна хирургия са необходими усилията на интердисциплинарен екип – хирурзи, анестезиолози и екип, осигуряващ невромониторинга[3,4]

Консервативното лечение е основополагащо за корекцията в ранните фази на изкривяването и като съпътстващ метод на лечение в късния етап на заболяването. Целта на статията е представяне и популяризиране на физиотерапевтичния метод на Катерина Шрот като основен подход при консервативното

лечение на деца с идиопатична сколиоза и кифоза и представяне на нашия опит и резултати от прилагането му.

МЕТОД НА КАТЕРИНА ШРОТ

Методът на Катерина Шрот е световно утвърдена система от специфични 3D упражнения и дихателни техники, свързани с принципите на съзнателната позиция на тялото, които противодействат на патокинезиологията на изкривяването. Тя дава възможност на пациентите да изпълняват индивидуална програма от упражнения и в домашни условия, за

18 І Medical Magazine | февруари 2023 ПЕДИАТРИЯ

да постигнат промени в позицията на тялото, стойката, походката и движенията и навиците в ежедневието си[11]

Методът на Катерина Шрот има дългогодишна традиция. Той е създаден през 1921 г. от Катерина Шрот в Майсен – Германия, където за първи път е въведен различен подход във физикалната терапия при консервативното лечение на пациенти със сколиоза. В по -

следствие заедно с дъщеря си Криста Ленард Шрот през 1983 г. създават собствена клиника – "Katharina Schroth Klinik", където продължили да развиват и популяризират принципите на триизмерното въздействие и корекция на тялото за лечение на сколиоза[20]. Методът се основава на теоретичната етиология на сколиозата, в която като причина за деформацията се счита асиметричния мускулен дисбаланс и натоварване на тялото. Той

[www.medmag.bg ] 19

Снимка. 2

Специфични позиции и

упражнения по метода

на Катерина Шрот

Снимка. 3

Постигнати резултати

след лечение по метода

на Катерина Шрот – клинични (фото) и рентгенови снимки

представлява триизмерна (в трите равнини) активна терапия за противодействие и корекция на гръбначните изкривявания и последиците им. Шрот създават и развиват система от дихателни упражнения за интензивно мускулно засилване и разтягане, деротация на прешлените и гръдния кош и издължаване на гръбнака. Програмата включва ежедневни упражнения и постоянен контрол над стойката, походката и позицията на тялото по време на действията от ежедневието, като целта е противодействие на прогресиращия мускулния дисбаланс и асиметричното натоварване на гръначния стълб, причинени от изкривяването[13,14].

Благодарение на отличните резултати, които постига, методът на Катерина Шрот се е превърнал в най-популярния консервативен метод за лечение на сколиоза в Германия и бързо се разпространил извън границите й. Днес е широко застъпен не само в цяла Европа, но и в много страни по света, като САЩ, Русия, Израел, Турция, Саудитска Арабия, Южна Корея, Тайланд, Китай и много други. От 6 години методът ефективно се прилага и в България в "Аджибадем Сити Клиник УМБАЛ Токуда" - София, като за период от 01.08.2016 г. до 01.09.2022 г. в център за ле -

чение на сколиоза са преминали курс на лечение 196 пациенти с идиопатична сколиоза за консервативно лечение и 35 след оперативна корекция на изкривяването (иновативно приложение на метода в България с обнадеждаващи резултати от лечението).

Методът на Катерина Шрот е подходящ за лечение на деца с идиопатична сколиоза и кифоза над 8 г. в ранния етап на заболяването до 45 градуса. Прилага се и при пациенти с прикючил растеж и настъпили деформации и усложнения на изкривяването за намаляване на болката и връщане комфорта на живот. Методиката е индивидуална за всеки пациент като вид и продължителност в зависимост от вида и степента на изкривяването, възраст, общо състояние и възможностите му (Снимка 2).

ОСНОВНИ ЦЕЛИ НА ТЕРАПИЯТА СА

• Откриване на типичните белези на сколиозата и на индивидуалните за пациента особености на изкривяването.

• Забавяне и предотвратяване прогресията на сколиозата.

ОСНОВНИ ЗАДАЧИ НА ТЕРАПИЯТА

• Изграждане на индивидуална програма

20 І Medical Magazine | февруари 2023
ПЕДИАТРИЯ

от ежедневни упражнения и коригиращи позиции за постоянно

противодействие на мускулния

дисбаланс и асиметричното нато -

варване на гръначния стълб, при -

чинени от изкривяването.

• Корекция и възвръщане на пра -

вилната позицията на тялото, стойката, походката и постигане

на стабилност по време на действията от ежедневието.

При първичния преглед и впослед-

ствие отчитаме пол и възраст на па -

циентите, Rȍ степен на изкривява -

не - ъгъл на Коб, антропометрични и

сколиометрични показатели, клинич -

ни белези – асиметрия и визуални промени на тялото.

Лечението може да бъде индивиду-

ално или в група, постоянно или пе -

риодично с контролни прегледи и

корекции на програмата. Това поз -

волява усвояването на индивидуал -

на програма от упражнения, която

да се изпълнява в домашни условия

за постигане на промяна в стойката

и движенията от ежедневието за по -

стоянно противодействие на мускулния дисбаланс и асиметричното натоварване на гръначния стълб. При пациентите, които системно и правилно провеждат терапията, се наблюдава спиране прогресията на сколиозата или кифозата и е отчетено клинично подобрение и на проследяваните показатели. При някои от децата е постигната и корекция - редукция на водещата кривина (Снимка 3).

Методът е ефективен и при пациенти с приключил растеж, както и в по-късна възраст, като повлиява позитивно проследяваните клинични белези и подобрява стойката, походката, позицията на тялото, издържливостта и мускулната активност. Много важно е и въздействието върху негативната симптоматика, като облекчава болката и дискомфорта, причинена от деформацията. Методът на Катерина Шрот е подходящ за лечение и на пациенти с тежки гръбначни деформации, които не могат да бъдат лекувани оперативно, като намалява болката и подобрява сър -

дечната и дихателна функция на пациентите, общото им състояние и активност, а от там и качеството им на живот.

ЗАКЛЮЧЕНИЕ Консервативното лечение е основополагащо за лечението на гръбначните изкривявания в детската възраст, не само като самостоятелно лечение в по-леките степени на развитие на заболяването чрез корекция и забавянето на бързата прогресия, но и като съпътстващ метод в комбинация с оперативното лечение. Методът на Катерина Шрот е добре известен в световната практика и се прилага с успех в много страни. В България той все още е слабо популярен. Нашият опит показва клинично подобрение при всички пациенти провеждали редовно терапията и рентгенологично подобрение в началните етапи на заболяването. Това ни дава основание да продължим да прилагаме, развиваме и популяризираме този метод на лечение, който се възприема отлично от пациентите.

ИЗПОЛЗВАНА ЛИТЕРАТУРА:

1. Влаев Е, Хирургично лечение на

сколиоза в детската възраст – методи

за оценка и анализ на постигнатите

резултати. Medical Magazine 2022,5, 35-38

2. Иванов А, Предимства на

вертебродеза с педикуларни винтове

при оперативното лечение на

идиопатична сколиоза в детска възраст.

Medical Magazine, 2021,5, 20-25

3. Каменова Б, Яблански В., Стефанов В., Влаев Е., Иванов А, Симеонов Г, Използване на неврофизиологичен

мониторинг при операции на сколиоза. Неврология и психиатрия, 2016, 47(1), 3-14.

4. Каменова Б, Съвременни виждания за неврофизиологичен мониторинг и

анестезия при хирургични корекци на

сколиоза.Medical Magazine,2020,7,66-71.

5. Попов Н, Кинезиология и

патокинезиология на опорно-

двигателния апарат, НСАПРЕС;2009,85-133

6. Яблански В. Идиопатична сколиоза – клиничен подход, Medical Magazine, 2021,85(2),16-20

7. Яблански В., Предизвикателства пред хирургичното лечение на сколиоза в детската възраст, Монография, ИК „Авлига“, 2021 ISBN 978-619-7245-25-7

8. Asher MA, Burton DC. Adolescent idiopathic scoliosis: natural history and long term treatment effects. Scoliosis. 2006, Mar

1;31(5):593–7

9. Dubousset J. Three-dimensional analysis of the scoliotic deformity. In:Weinstein SL (ed) The pediatric spine: principles and practice. Raven Press Ltd., New York, 1994; 479–496.

10. Guidelines on rehabilitation treatment of adolescents with scoliosis or other spinal deformities. Eura Medicophys. 2005; 41(2): 183–201.

11. Konieczny M.R., Senyurt H., Krauspe

R. Epidemiology of adolescent idiopathic scoliosis. J. Child. Orthop. 2013;7:3–9.

12. Lehnert-Schroth Christa, Threedimensional treatment for scoliosis: A physiotherapeutic method for deformities

of the spine,2007, ISBN 978-0-914959-02-1

13. Lehnert-Schroth Christa,www. scoliosistreatment-schroth.com

14. Moreau A, Wang DS, Forget S, et al. Melatonin signaling dysfunction in adolescent idiopathic scoliosis. Spine. 2004. 29(16): 1772–1781.

15. Negrini S, Donzelli S, Aulisa AG et al. 2016 SOSORT guidelines: orthopaedic and rehabilitation treatment of idiopathic scoliosis during growth. Scoliosis Spinal Disord. 2018;13:3.

16. Rigo M, Quera-Salvá G, Villagrasa M, Ferrer M, Casas A, Corbella C, et al.Scoliosis intensive out-patient rehabilitation based on Schroth method. Stud Health Technol

Inform. 2008; 135:208–27.

17. SOSORT consensus paper 2005. Scoliosis. 2006; 1:6, 226-238

18. Wang WJ, Yeung HY, Chu WC, Tang NL, Lee KM, Qiu Y, Burwell RG,Cheng JC. J

Top theories for the etiopathogenesis of adolescent idiopathic scoliosis. Pediatr Orthop. 2011 Jan-Feb;31(1 Suppl): S14-27.

19. Weiss HR, Werkmann M. Retraction: Soft braces in the treatment of Adolescent Idiopathic Scoliosis (AIS) - Review of the literature and description of a new approach., Scoliosis. 2013 May 3;8(1):7, 24-32

20. Weiss HR. The method of Katharina Schroth - history, principles and current development. Scoliosis. 2011; 6:17, 88–93.

[www.medmag.bg ] 21

Д. Хасанова, Ю. Димитрова, И. Цочева Отделение по педиатрия, УМБАЛСМ

"Н. И. Пирогов" - София

При какъв обрив да мислим за инфекциозна

мононуклеоза

Ключови думи: Ебщайн-Бар вирус, инфекциозна

мононуклеоза, уртикария, фарингит.

Инфекциозната мононуклеоза (IM), характеризираща се с класическата триада от треска, фарингит и лимфаденопатия, предимно причинена от Ебщайн-Бар вирус, се проявява най-често във възрастта 10-30 г. Проявите, свързани с вируса, могат да варират и понякога протичат атипично, което затруднява диагностиката и следователно предизвиква редица ненужни тестове и изследвания, което от своя страна забавя своевременното започване на адекватна терапия.

Вирусът на Epstein-Barr (EBV), двуверижен ДНК вирус, е член на семейството на

херпесните вируси. Репликира се предимно в В-лим -

фоцитите, но може да бъде открит

и в епителните клетки на фаринкса,

както и в паротидните канали. EBV се

предава чрез слюнка с латентен пе -

риод от 4 до 8 седмици след експо -

зицията. По време на инкубационния

период от приблизително 6 седми -

ци, вирусната репликация първо е в

орофаринкса, последвана от вире -

мия още 2 седмици преди началото

на симптомите[1].

Острото заболява -

не се характеризира с високи вирус -

ни натоварвания както в устната ку-

хина, така и в кръвта, придружени от

производството на имуноглобулин М

антитела срещу EBV вирусен капси -

ден антиген и извънредно увелича -

ване на CD8T лимфоцитите, насоче -

ни срещу EBV-инфектирани В-клетки.

По време на възстановяването CD8T

клетките се връщат към нормални

нива и се развиват антитела срещу EBV ядрен антиген-1[1,2]

Повече от 90% от възрастните имат серологично доказателство за преболедуване от EBV. Установено е, че

има зависимост между възрастта на пациента и тежестта на боледуване, в ранна детска възраст боледуването е предимно асимптоматично, но все още причините за това остават неясни[5]. EBV е първият човешки раков вирус, признат като причина за ендемичния лимфом на Бъркит през 60-те години. В допълнение към лимфома на Бъркит, EBV е замесен в патогенезата на лимфом на Ходжкин, назофарингеален карцином, рак на стомаха и други злокачествени заболявания при индивиди с наследствен или придобит имунен дефицит. Въпреки огромното бреме от заболяването, приписвано на инфекцията с EBV, все още нямаме лицензирана ваксина за предотвратяването му, както и специфично одобрено лечение[1].

Инфекциозна мононуклеоза е името, използвано от Sprunt and Evans, за да се опише синдром, който прилича на остро инфекциозно заболяване, придружено от атипични големи лимфоцити от периферна кръв. Тези атипични лимфоцити, известни също като клетки на Дауни, всъщност са активирани CD8 T лимфоцити, повечето от които реагират на инфектирани с EBV клетки[3].

Има две типични клинични прояви. Едната е внезапната поява на възпалено гърло и лимфаденит. Друга типична проява е бавното развитие на неразположение, миалгия и умора. Най-честите признаци и симптоми са: възпалено гърло (95%), цервикална лимфаденопатия (80%), умора (70%), главоболие (50%), намален апетит (50%), треска (47%) и миалгия (45%). Повечето симптоми продължават 10 дни или по-малко, но умората и цервикалната лимфаденопатия често са за поне 3 седмици. Други, по-редки клинични симптоми, включват коремна болка, хепатомегалия, спленомегалия, гадене, повръщане, петехии по мекото небце, периорбитален и клепачен оток. Хепатитът се среща при 75% от пациентите, но обикновено е субклиничен (повишаване на нивата на аланин аминотрансферазата без жълтеница или коремна болка). Обрив обикновено не се наблюдава, освен при пациенти, на които са давани пеницилинови производни. В такива случаи, той е резултат от преходна свръхчувствителност към пеницилин[4]

Сериозните усложнения по време на острата фаза на първичната

22 І Medical Magazine | февруари 2023
ПЕДИАТРИЯ

EBV инфекция са редки. Усложненията, които се появяват при поне 1% от пациентите, са: обструкция на дихателните пътища поради орофарингеално възпаление, перитонзиларен абсцес, стрептококов фарингит, менингоенцефалит, намалена чернодробна функция, хемолитична анемия и тромбоцитопения.

Руптура на слезката се среща при <1% при пациентите, но е най-тежкото остро усложнение[4].

Критериите за инфекциозна мононуклеоза

са следните:

1. Наличие на поне три от следните клинични

прояви: треска, фарингит, цервикална лимфаденопатия, спленомегалия, оток на клепачите и хепатомегалия;

2. IgM антитела към EBV вирусен капсиден антиген (VCA-IgM) и IgG антитела към EBV капсиден антиген (VCA-IgG) положителен, с отсъствие на антитяло към EB ядрен антиген (EBNA); и

3. Изключване на други вирусни инфекции като човешки имунодефицитен вирус, цитомегаловирус, хепатотропен вирус и вирус на херпес симплекс. Критериите за включване

на контролната група са отрицателни резултати от теста за EBV-специфични антитела и плазмени EBV-ДНК полимеразни верижни ре -

акции (PCR), начало на заболяването <5 дни

преди това и липса на анамнеза за хронични инфекциозни заболявания, заболявания на имунната система и употреба на имуномодулатори през последните 14 дни[3]

Представяме случай от нашата практика в Отделение по педиатрия на УМБАЛСМ “Н. И. Пирогов”.

Пациентка на 14-годишна възраст, родена от нормално протекла бременост, неусложнен неонатален период. Изказано съмнение за алергия към Нурофен. В ранна детска възраст с алергичен ринит, боледувала с остри бронхиолити, двукратно преболедувала COVID-19. Фамилно обременена с ревматоиден артрит (майка). Постъпва в спешния кабинет с оплаквания, датиращи 4 дни преди хоспитализация, започнали с болки по мускулите и ставите, отпадналост и температура до 39 0 С за един ден. След два дни светъл период се появяват обриви по торса и крайниците. В дома е приемала парацетамол и аналгин.

Постъпва в увредено общо състояние, афебрилна. Леко изразен периорбитален оток. Генералициран макуло-папулозен обрив по

торса, на места конфлуиращ, силно сърбящ. Двустранно везикуларно дишане, без хрипове. Ритмична сърдечна дейност, ясни тонове. Без изменения в останалия статус. При хоспитализацията детето се консултира с токсиколог, който даде насоки за провеждане на противоалергична терапия. От лабораторни изследвания - без сериозна възпалителна активност – CRP - 1.08 mg/dL, лимфоцитоза 52.8%, без еозинофилия и моноцитоза. Останалите показатели в норма.

Започна се лечение с Метилпреднизолон в доза 1.5 мг/кг за 24 часа, вливания с калциев глюконат, витамин C и перорален антихистамин. Въпреки своевременно започнатото лечение, няколко часа по-късно се наблюдава незначително подобрение в клиничното състояние. В следващите два дни от престоя детето остана без нова симптоматика, афебрилно с постепенно избледняващи обривни единици през деня и нови уртики появяващи се през следобедните часове и вечерта.

На третия ден от престоя детето повиши температура до 38.50 С и обривът се засили. На повторна консултация с токсиколог се обсъди възможността за инфекциозен екзантем и възможна вирусна генеза поради неповлияването на обрива от проведената противоалергична терапия.

Проведоха се разширени лабораторни изследвания и се установи незначителна промяна във възпалителната активност, но завишени стойности на АСАТ 108 U/L (15-60 U/L), ALAT 238 U/L (до 36 U/L), Гама ГТ - 179 U/L (5-31 U/L), нормални общ белтък и албумин, общ и директен билирубин. Без изменения от пълната кръвна картина. От проведена ехография на коремни органи не се установиха отклонения. Направи се серологично изследване за Ебщайн-Бар вирус, който потвърди диагнозата с повишени EBV VCA - IgM и се започна противовирусна терапия с Изопринозин (инозин ацедобен димепранол) в доза 50 мг/кг/дневно.

Фебрилитетът при пациентката се задържа още един ден и се появиха лакунарни налепи по тонзилите, без лимфаденопатия. Два дни след започване на противовирустана терапия температурата се нормализира, обривът избледня и при контролни изследвания на чернодробните ензими се отчете степенно намаляване на стойностите АСАТ - 34 U/L

[www.medmag.bg ] 23

(15-60), ALAT - 136 U/L, гама ГТ - 138 U/L.

Детето се изписа в дома афебрилно с избледнели обривни единици, като противовирусната терапия продължи общо 10 дни.

ОБСЪЖДАНЕ

При около 10% от случаите на инфекциозна мононуклеоза се развива кожен обрив. Той е макулопапулозен,

ИЗПОЛЗВАНА ЛИТЕРАТУРА:

1. Dunmire SK, Hogquist KA, Balfour

HH. Infectious mononucleosis. Curr Top Microbiol Immunol. 2015;390(Pt 1):211-40.

DOI: 10.1007/978-3-319-22822-8_9. PMID: 26424648; PMCID: PMC4670567.

2. Balfour HH Jr, Dunmire SK, Hogquist

обикновено несърбящ екзантем, за който се смята, че е пряко свързан с вируса. Появява се първо по торса, горната част на ръцете и по-късно се разпространява по лицето. Този обрив е различен от обрива, който възниква при употребата на бета-лактамни и други антибиотицисърбящ, морбилиформен обрив[5].

ЗАКЛЮЧЕНИЕ Понякога клиничната картина при ин-

KA. Infectious mononucleosis. Clin Transl Immunology. 2015 Feb 27;4(2):e33. doi: 10.1038/cti.2015.1. PMID: 25774295; PMCID: PMC4346501.

3. Shi T, Li J, Miao Y, Huang L, Tian J. Adenosine deaminase as a marker for

фекциозната мононуклеоза е атипична и през първите дни от боледуването не се наблюдават характерните изменения - фебрилитет, придружен с фарингит и цервикална лимфаденопатия, както и промените в кръвната картина. При деца, които постъпват с екзантем и фебрилитет, най-вече неповлияващи се от кортикостероидна терапия е необходимо да се мисли за възможен инфекциозен екзантем, причинен от EBV инфекция.

the severity of infectious mononucleosis secondary to EBV in children. BMC Infect Dis. 2022 Feb 21;22(1):164. doi: 10.1186/s12879022-07150-7. PMID: 35189820; PMCID: PMC8862226.

4. Wu Y, Ma S, Zhang L, Zu D, Gu F, Ding

X, Zhang L. Clinical manifestations and laboratory results of 61 children with infectious mononucleosis. J Int Med Res. 2020 Oct;48(10):300060520924550. doi: 10.1177/0300060520924550. PMID: 33045888; PMCID: PMC7563853.

5. Kien C, Ganta K. An Atypical Presentation of Epstein-Barr Virus Associated Infectious Mononucleosis Mistaken for Pyelonephritis. Cureus. 2020;12(4):e7583. Published 2020 Apr 7. doi:10.7759/ cureus.7583

24 І Medical Magazine | февруари 2023
ПЕДИАТРИЯ
1. Първи ден на хоспитализация 2. Трети ден при повишаване на температура

сила сила

имуномодулираща
допълнителна
Eвофарма ЕООД 1618 София, ул. „Пирински проход“ 24, Tел.: (02) 962 12 00, Факс: (02) 868 39 68 info@ewopharma.bg, www.ewopharma.bg Лекарствен продукт по лекарско предписание. За възрастни и деца на 1 год. KХП 51290/06.08.2020; 56264/08.10.2021; 51288/06.08.2020 ИАЛ 41545/25.09.2019 Информация, относно това как Евофарма събира, обработва и съхранява лични данни може да получите тук: https://www.ewopharma.bg/politika-za-poveritelnost/ Двойната
срещу респираторните инфекции ISO_Add-HCPs-BG-Ver.2_24.01.2022
антивирусна За
информация:

Роля на фитотерапията при лечение и профилактика на нефролитиаза в детска възраст.

Резултати от българско клинично наблюдение при лечение на деца с

лекарствения препарат

Доц. М. Гайдарова, д-р Е. Захариева, д-р Г. Михнева Клиника по нефрология и хемодиализа, СБАЛДБ „Проф. Иван Митев“- София

Цел: Изследване на eфективността, безопасността и поносимостта на препарата Солидагорен при лечението на нефролитиаза в детска възраст.

Методи:

Дизайн: моноцентрово клинично наблюдение Пациенти: 47 пациенти от детската популация - 18 момчета (38%) и 29 момичета (62% ) на възраст от 6 до 17 г., средна възраст - 11 години. Патология: Нефролитиаза/микролитиаза (НЛ/МЛ) в детска възраст, включително съчетана и с рецидивиращи ИПП. Лечение: Започнато е лечение с препарата Солидагорен в дозировка, съответна на възрастта на детето, в ежедневен прием.

Период на проследяване – 12 месеца. Пациените се проследяват на 3-ти, 6-ти и 12-ти месец след началото на лечението със Солидагорен. Проследяват се и децата със съпътстващи уроинфекции (НЛ/МЛ и асимптомна бакте-

Резултати

1 Биохимични показатели при деца с нефролитиза и/ или микролитиаза. При всички деца има подобрение в показателите за бъбречна функция, без промяна в калциево-фосфорна обмяна, което доказва ефикасността и безопасността на препарата при деца над 6 годишна възраст.

Показатели Преди започване на лечение Проследяване 3-ти месец Проследяване

риурия – 3 деца, НЛ/МЛ и рецидивиращи цистити – 5 деца, НЛ/МЛ и с рецидивиращи пиелонефрити – 5 деца).

Показатели:

 Биохимични изследвания:

 показатели за уроинфекция - ПКК, СУЕ, С-реактивен протеин, обикновена урина и урокултура

 бъбречна функция - креатинин, урея, пикочна киселина

 показатели за калциево-фосфорна обмяна

 отношение Са/Cr в първа сутрешна урина и във втора порция урина (след обременяване).

 Проследява се ехографски състоянието на бъбреците и размерите на наличните конкременти.

 Проследява се честотата на рецидивите на уроинфекции и влиянието на лекарството върху бактериурията.

 Проследява се ефикасността и поносимостта на Солидагорен в съответната за възрастта на детето дозировка.

 Наблюдава се намаляване честотата на рецидивиращите уроинфекции

 Наблюдава се по-бързо овладяване на последващи уроинфекции на фона на лечението, което доказва антибактериалното действие.

 Имуномодулиращото действие допълнително подпомага борбата с уроинфекцията, която би била и фактор за по-чести рецидиви на калкулозата. 4 През целия период на прилагане на препарата пациентите не съобщават за нежелани реакции

ИЗВОДИ

левкоцитурия Без левкоцитурия

от

урина позитивна позитивна отрицателна отрицателна

>

Без растеж K.pneumoniae > 10/5 Без растеж

2 При ехографско проследяване се установява драстично намаляване до пълно изчезване на микролитиаза под 0.5 см.

3 Честота на рецидивите на уроинфекции и влиянието на лекарството върху бактериурията:

 При децата с асимптомна бактериурия се наблюдава изчистване на урокултурата в рамките на 6 месечно проследяване.

 Предвид резултатите, отчетени при прилагането и проследяването на пациентите, приемали в детската популация над 6 годишна възраст, смятаме, че той може да бъде част от комплексното консервативно лечение на нефролитиаза.

 Приемът на има по-добър ефект по отношение на повлияването на микролитиазата в детска възраст, водещ до пълното  изчезване при ехографско проследяване.

 Приемът на повлиява благоприятно инфекциите на пикочните пътища, като при асимптомна бактериурия може да доведе до пълно негативиране на урокултурата.

 Лечението на деца над 6 годишна възраст със има добър терапевтичен ефект, безопасен е за приложение и е с добра поносимост в тази възрастова група.

6-ти
12-ти месец Са/Cr I 0.38 0.30 0.30 0.29 Ca/Cr II 0.77 0.48 0.43 0.40 Урея (mmol/l) 4.01 3.80 3.40 3.00 Креатинин (µmol/l) 49.24 47.53 43.20 40.00 Пикочна к-на (µmol/l) 281.78 272.30 266.40 260.00 Левкоцитурия от обикновена урина 10 левкоцита на поле 7 левкоцита на поле Без
Бактериурия
обикновена
Урокултура E.Coli
CRP (mg/l) 20.2 5.34 5.56 2.67 СУЕ (mm/h) 22 30 15 12 Leuc (x 109/L) 9.31 6.67 5.34 5.67 Hgb (g/l) 113.11 114.67 119.74 114.31 GFR (ml/in/1.73 m2) 150 152 147 132
месец Проследяване
10/5
DGK.2022.10 -06

СПАЗМОЛИТИЧНО

Отпуска гладката

мускулатура и улеснява преминаването на конкрементите през уретера

ДИУРЕТИЧНО

Подпомага отмиването на

камъни и песъчинки, без да нарушава електролитния

баланс. Лубрикиращ ефектпо-лесна евакуация

ПРОФИЛАКТИКА НА

УРОЛИТИАЗА

Намалява образуването

на камъни в бъбреците -

благодарение на диуретично

и антисептично действие

Забавя процеса на кристализация - съдържа сапо-

нини, които разрушават мукопротеиновите суспензии Регулира рН на урината и способства разтварянето на бъбречни конкременти

ОСОБЕНОСТИ НА ТЕРАПЕВТИЧНИЯ ПРИЕМ

Солидагорен може да се използва като монотерапия при леки и като част от

комплeксната терапия при по-тежки случаи.

Дозировка:

деца 6-12 г. – 3х1 капка на година възраст

деца над 12 години и възрастни – 3х20-30

капки, разтворени в 100-200 ml топла вода.

Профилактика: 3x10 капки – разтворени в

шише вода, приемана през целия ден, за 2-3

месеца два пъти в годината.

АНТИБАКТЕРИАЛНО

Проявява умерена до висока активност по отношение на широк спектър уропатогени: G+ бактерии, G- бактерии и гъбички

БОЛКОУСПОКОЯВАЩО

Повлиява възпалението

и спазъма, но

притежава и собствен

обезболяващ ефект

ПРОТИВОВЪЗПАЛИТЕЛНО и АДСТРИНГЕНТНО Намалява условията за кристализиране на минерални соли и киселини. Намалява хеморагията, възстановява лигавицата

ИМУНОМОДУЛИРАЩО

ДЕЙСТВИЕ

Активира макрофагите и NK клетките

ТРОЙНО ДЕЙСТВИЕ при уролитиаза

Овладява възпалението Ускорява и улеснява евакуацията на камъни Предпазва от рецидиви и последващо образуване на камъни

подобряване на резултатите от комплексното лечение на НЕФРОЛИТИАЗА в ДЕТСКА ВЪЗРАСТ

В. Карамишева1,2 , В. Спасова3 ,

Д. Христова 4 ,

Г. Хаджидеков5,6 ,

Б. Трифонова7 ,

А. Kолев 8 ,

Л. Колева9,10

1Втора гинекологична

клиника, СБАЛАГ "Май-

чин дом" - София

2Катедра по Акушер -

ство и гинекология, МФ, МУ - София

3Катедра по Медицинска

генетика, МФ, МУ – София

4НЦЗПБ Отдел Имуно -

логия - София

5Отделение по образна

диагностика, Универси-

тетска болница "Лозенец"

6Катедра Физика, био -

физика и рентгенология, МФ, СУ "Св. Климент Охридски"

7Отделение по Ендокри-

нология, УМБАЛ "Софиямед"

8Медицински факултет, МУ - София, 9Клиника по оперативна

гинекология, УМБАЛСМ

"Пирогов" - София

10Отделение по Акушерство и Гинекология, УМБАЛ "Софиямед"

Бременността е изключително важен период в живота на жената, който би могъл да даде отражение върху по-нататъшния ѝ живот и върху нормалното развитие и здравословното състояние на нейното поколение. Добрата подготовка, навременната профилактика и адекватното проследяване на всяка бременност стоят в основата на безпроблемното износване и раждане на здраво и доносено бебе. Всичко това е строго индивидуално за всяка жена в зависимост от нейното физическо състояние, наличието на съпътстващи заболявания, възрастта и развитието на бременността. Погрешно е мнението, че проследяването на бременността започва след ултразвуково установяване и доказване на плоден сак. Все повече се говори за т.нар. предконцепционно планиране. Обичайно се препоръчва това да стане 3-4 месеца преди началото на опитите за забременяване. В някои страни дори има разделяне на мероприятията за планиране и подготовка. В тази връзка е направено голямо проучване от датски колектив за оценка на мотивацията на пациентките да променят начина си на живот (хранителен режим, двигателна активност, елиминиране на вредни субстанции). Оказва се, че 85.5% от жените са с планирана бременност. Независимо от това само 69.5% са имали адекватна промяна на начина на живот. Този процент ще е още по-нисък при пациентки без планирана бременност[1]. Подобно проучване е направено от същия колектив, като допълнително са включени и партньорите на жените[2]. Резултатите показват по-добър изход на бременността при приложение на съответните мерки. Настоящата статия има за цел да обедини основните препоръки при подготовка за бременност и в нейните начални етапи.

ВРЕДНИ НАВИЦИ И ФАКТОРИ НА

ОКОЛНАТА СРЕДА

Алкохол - приемът на алкохол, и особено приемът в по-големи количества, е световен проблем. Този навик

може да повлияе фертилната функ-

ция и на дваматa партньори. В днеш -

но време се разработват биомаркери

за детекция на увреждането от алкохолния прием с цел оценка влияние -

то му върху физиологията на органи -

зма[3]. Алкохолният прием е свързан с

повишен риск от фетални аномалии, изоставане в интелектуалното развитие изоставане в интраутеринното развитие (IUGR), екстремно недоносени деца[4]. Ефектът от прием на алкохол по време на бременност зависи от много фактори – гестационна възраст, доза, продължителност

на консумацията, специфики на метаболизма на майката и плода. Поради трудностите за предвиждане на ефектите и тежките възможни последици, се приема, че няма безопасно количество приет алкохол по време на бременност.

Тютюнопушене - в цигарения дим има повече от 3000 химични вещества като биологичният ефект на повечето от тях е неясен. Знае се, че никотинът и въглеродният диоксид са мощни вазоконстриктори, предизвикват плацентарно увреждане и намален утероплацентарен кръвоток, по-голяма честота на спонатанни аборти и предтерминно раждане.

Пасивното и активно тютюнопушене на бременните жени е свързано с по -

вишен риск от предтерминно раждане и е доза-зависимо от броя на пушачите и броя на цигарите[5]

Към тази група спада и пушенето на марихуана. В България все още малко се говори за това, но поради нарастващата честота на хората със зависимост към нея, проблемът придобива все по-голямо медицинско значение. Пушенето както на стандартни цигари, така и на марихуана се свързва с нарушение на гаметогенезата, ранна загуба на плода и усложнения в неонаталния период и детството[6]

Медикаменти и наркотични вещества - свободният прием на лекарствени препарати от пациентките също е огромен проблем. В нашата

28 І Medical Magazine | февруари 2023
Подготовка и профилактика преди и по време на бременност
АГ

страна поради липсата на здравна политика за продажба на медика -

менти, достъпът до закупуването им е много лесен. Това е причината често жените да приемат лекарства без

предварителна консултация с лекуващия лекар и на техен фон да забременяват. Повечето медикаменти преминават през плацентата и достигат до плода. Изключително внимание трябва да се отдели на приема на таблетки, свързани с хронични и онкологични заболявания (обезболяващи, антибиотици, антиревматични, противоалергични). Да се изключат вредни субстанции. В тази връзка един от въпросите, който се разисква, е приложението на всякакъв вид етерични, билкови и хомеопатични препарати. Немалка част от

тях не са с достатъчно ясен състав

и влияние върху плода и бременността.

Метаболитен

синдром - в послед-

ните години все по-често се споменава понятието „метаболитен синдром”. Изучаването и употребата му

в клиничната практика се наложи

от факта, че в редица държави все

по-голяма част от населението е с наднормено телесно тегло и води заседнал начин на живот. Голямата е честота му сред хората в млада възраст, съответно в детеродна. Изучаването му е обект на много съвременни проучвания, имайки предвид, че е проблем на развитите страни и влиянието му ще се задълбочава.

Открита е асоциация между затлъстяването и инфертилитета. Механизмите все още не са напълно изяснени. Независимо, че механизмът на влияние не е още ясен, отдава се значение на хиперинсулинемията, хроничния възпалителен процес и оксидативния стрес[7]. Най-често

те повлияват правилното протичане на процесите на овулация, имплантация, формиране на плацентата[8]

В тази връзка се предлагат реди -

ца програми за оптимизиране на хигиенно-диетичния режим, в които място заемат и двамата партньори. Важно е придържането към принципите на здравословното хранене - да

не се надвишават дневните калорийни нужди, да се ограничи приемът на наситени мазнини и прости захари, както и да се осигурява ежедневна физическа активност. След консултация със специалист и при нужда приемът на пробиотик спомага на бъдещите майки да поддържат адекватна концентрация на чревна или орална микрофлора, което е особено важно по време на цялата бременност.

ПЕРСОНАЛНА МЕДИЦИНСКА ИСТОРИЯ Генетична консултация – въпреки, че по-голямата част от бебетата се раждат здрави, при всяка бременност съществува известен риск за генетично заболяване на плода. Преди забременяване или при регистриране на бременността е важно снемането на щателна анамнеза, включваща информация за минали и настоящи заболявания, протичане на предишни бременности, фамилна история на двамата партньори. Най-значително внимание се обръща на случаи на изо ставане в интелектуалното развитие, вродени аномалии, необичайно

ранно начало на заболявания, множество засегнати родственици.

С цел профилактика на част от генетичните заболявания се препоръчват

две основни категории изследвания

– такива, които се извършват преди настъпване на бременност и такива, които се провеждат по време на бременността.

Към първата категория спадат тестовете за носителство на наследствени генетични заболявания. При тях се изследва ДНК материал от двамата партньори, за да се установи евентуално носителство на един или няколко дефектни гена. Резултатите дават възможност за изчисляване на риск за поколението и показват евентуална нужда от извършване на инвазивна пренатална диагностика по време на бъдеща бременност. Тестовете могат да обхващат широк набор от генетични болести или да включват по-честите за определена популация. В България най-висок е

процентът на носителство на бета-таласемия, муковисцидоза и спинална мускулна атрофия.

По отношение на тестовете, които се извършват по време на бременността, има няколко скринингови изследвания, препоръчващи се на всяка бременна:

• Фетална морфология – високорезолютивно ехографско изследване, позволяващо детектиране на структурни аномалии при плода.

• Ранен биохимичен скрининг –комбинира три показателя (майчина възраст, ехографски преглед на плода и серумни маркери на бременната). Дава информация

относно риска за раждане на дете с хромозомни аномалии (синдром

на Даун, Едуардс, Патау, Търнър)

и риска за някои усложнения на бременността (прееклампсия).

• Късен биохимичен скрининг – той дава информация за риска за раждане на дете с хромозомни аномалии и отворени дефекти на невралната тръба и предна коремна стена. Поради ниската си чувствителност и специфичност има ограничено използване. • Неинвазивен пренатален тест (НИПТ) – анализ на свободно циркулираща фетална ДНК (cffDNA) в кръвта на майката. Тестът представлява скрининг за широк спектър от генетични болести, включително хромозомни болести, засягащи автозомите и половите хромозоми, микроделеции, моногенни заболявания, но е с най-висока чувствителност и специфичност по отношение на риска за синдромите на Даун, Едуардс и Патау.

Задължително е подробното изясняване на придружаващите заболявания и състояния, които могат да окажат влияние върху бременността.

Гинекологичен онкопрофилактичен преглед - влиза задължително в алгоритъма за профилактика. Позволява откриването на заболявания, пряко свързани със забременяване и

[www.medmag.bg ] 29

износване на бременността. Част от

пациентките забременяват на фона

на възпалителни и предракови изме -

нения. Това води до редица пробле -

ми след това.

Преглед при специалист по образ -

на диагностика/мамолог - по време

на бременността и кърменето могат

да възникнат широк спектър лезии

на млечните жлези, от доброкачест-

вени и възпалителни заболявания до

злокачествени тумори. Хормонал -

но зависимите физиологични про -

мени на гърдата в този етап правят

оценката на находките на гърдата

предизвикателство за клиницисти и

диагностици. Познаването на образ -

ните характеристики на нормалните

физиологични промени и обичайни -

те лезии на гърдата през този период

помага на рентгенолозите да диагно -

стицират точно и правилно да интер -

претират състоянията.

Ултразвукът почти винаги е първа -

та стъпка в образната диагности -

ка при кърмещи жени, за да потвър -

ди и охарактеризира наличието на

уплътнение в гърдата и да разграни -

чи между кистозна и солидна форма -

ция. Повечето от лезиите на гърдата, открити по време на кърмене, са доброкачествени. Ехографията е първи

метод на избор за оценка на лезиите на гърдите по време на бременност и кърмене, поради високата чувствителност и специфичност и липсата на йонизираща радиация. При ултразвуково изследване по време на бременност се наблюдава дифузна хипоехогенност с уголемяване на фиброгландуларната компонента на паренхима на млечната жлеза и белези на повишена васкуларизация. При кърмещи жени гърдата показва дифузна хиперехогенност с проминира -

ща дуктална система и по-изразена

васкуларизация. Ролята на мамогра -

фията е силно ограничена поради лъ -

чевото натоварване, а от втория три -

местър на бременността и в периода

на лактация е допустимо провежда -

не на магнитнорезонансно изслед-

ване на млечните жлези за доуточняване на

находки. Най-често срещаните бенигнени находки с висока достоверност на ехографската диагностика са фиброаденоми и лактиращи аденоми, галактоцеле, мастити и абсцеси на млечната жлеза. Честотата на асоциирания с бремеността инвазивен карцином на млечната жлеза варира от 1-3,000 до 1-10,000 и при него също са налице типични образни находки[9].

Оценката на образните изследвания на гърдите по време на бременност и кърмене е предизвикателство поради физиологични и структурни промени в гърдите. Необходимостта от балансиране на благосъстоянието на майката и плода е от съществено

значение през тази период.

Ендокринология - хипергликемията и тиреоидната дисфункция, в частност хипотиреоидизмът са най-честите ендокринни нарушения по време на бременността. Българското Дружество по Ендокринология (БДЕ) е изработило ясни Препоръки за поведение за скрининг и медицинска грижа за тези ендокринни нарушения по време на бременност, което улеснява работата на ендокринолозите[10,11]

Критериите за насочване към Ендокринолог за скрининг за захарен диабет (ЗД) още при установяване на бременност: Наднормено тегло/ затлъстяване преди бременността (ИТМ ≥25 kg/m²); първа степен роднини със ЗД; синдром на яйчникова поликистоза; многоплодна бременност; гестационен захарен диабет (ГЗД) или раждане на плод с тегло над 4 кг. при предходна бременност; известен преди бременността предиабет; артериална хипертония (АН) ≥140/90 mmHg; анамнеза за сърдечно-съдово заболяване; дислипидемия HDL-холестерол <0.9 mmol/l, триглицериди >2.82 mmol/l; възраст ≥30 години. Скринингът се състои в провеждане на орален глюкозо-толерантен тест (ОГТТ) със 75 г глюкоза. Резултатите се интерпретират от ендокринолога и жените се разделят на две групи: 1. Жени с новоот-

крит ЗД (ЗД тип 2 най-често), като лечението и наблюдението на диабета се поема от ендокринолога заедно с акушер-гинеколога, който проследява развитието на бременността и 2. Жени с нормални разултати. При тях се препоръчва провеждане на втори ОГТТ в периода 24-28-ма г.с. - скрининг за ГЗД, като резултатите се интерпретират по специфични за бременността критерии.

Тиреоидните хормони са важни за развитието, съзряването и нормалната функция на мозъка на плода, което се случва през първия триместър. Феталната щитовидна жлеза започва да функционира около 12-16

г.с. Следователно през първия и втория триместър плодът изцяло зависи от майчините тиреоидни хормони. Критерии за насочване към ендокринолог за скрининг за тиреоидна дисфункция при първата пренатална визита: анамнестични данни за тиреоидно заболяване, операция или лъчелечение в областта на шията; позитивни тиреоидни антитела или установена гуша; възраст ≥30 години; известен ЗД тип 1 или друго автоимунно заболяване; репродуктивни проблеми (спонтанен аборт, преждевременно или мъртвораждане, инфертилитет); многоплодна бременност; фамилна анамнеза за тиреоидно заболяване; високостепенно затлъстяване - BMI ≥40 kg/m²; приложение на амиодарон, литиев препарат, йод-съдържащи контрастни вещества; жени, приемащи левотироксин, тиреостатик; жени от региони с йоден дефицит.

Универсален скрининг за тиреоидна дисфункция с изследване на TSH при всички здрави жени, желаещи бременност не се препоръчва. При жените, желаещи бременност се препоръчва изследване на TSH в следните случаи: имат известна тиреоидна дисфункция; приемат левотироксин или имат повишени тиреоидни антитела.

Алергични заболявания - в последните три-четири десетилетия

30 І Medical Magazine | февруари 2023
суспектни ехографски
АГ

„Щастливо“ коремче от самото начало

Защо първите 1000 дни са толкова важни?

Периодът

от зачеването, бременността и до края на втората година на детето e изключително важен за неговото развитие и по-нататъшно здраве Този период има огромно влияние върху здравето и благосъстоянието на детето Поради това грижата за бременната и кърмеща майка е много важна, тъй като по-нататък ще даде отражение върху бебето и детето

BioGaia® може да допринесе за развитие на по-здравословна микрофлора на майката, което да има положително влияние върху плода. Приемът на пробиотик спомага на бъдещите майки да поддържат адекватна концентрация на чревна или орална микрофлора, което е особено важно по време на цялата бременност.

Пробиотикът

BioGaia® се препоръчва при:

• запек по време на бременност

• модулиране на микрофлората след раждане чрез цезарово сечение

• чревен дискомфорт при новородени и деца - колики, регургитации, констипация

• поддържане на здрава и ефективна имунна система на цялото семейство

Само 5 капки или 1 капсула BioGaia®

веднъж дневно осигуряват препоръчваната

дневна доза от 100 милиона живи бактерии Lactobacillus reuteri Protectis

Biogaia-PR-article-EWO-BG-000139

* Продукт на годината за 2022 г на Български фармацевтичен съюз в категория хранителни добавки

Информация относно това как Евофарма събира обработва и съхранява лични данни може да получите тук: https://www.ewopharma.bg/politika-za-poveritelnost/“

За допълнителна информация:

Eвофарма ЕООД 1618 София, ул. „Пирински проход“ 24, T.: (02) 962 12 00, Ф.: (02) 868 39 68 www.ewopharma.bg

www.biogaia.bg

Единственият пробиотик на българския пазар който съдържа щама L. reuteri Protectis DSM 17938, изолиран oт майчина кърма, с документирна и доказана ефективност и безопасност в 224 завършени клинични проучвания при 18 000 пациенти – новородени, деца и възрастни

алергичните заболявания показват

драматично увеличение на разпространение, както в развитите, така и

в бързо развиващите се страни. Раз -

пространението на заболявания като

астма, полиноза и хранителна алер -

гия продължава в световен мащаб и

се е превърнало в глобален проблем.

Степента на сенсибилизация към

алергените в възлиза на 40 до 50%

сред подрастващите като при 33% от

алергичните деца се забелязва тен -

денцията за развитие на множество

алергии[12]

Разглеждайки епидемиологията на

този тип заболявания прави впечат-

ление, че подобно на метаболитния синдром, алергичните заболя -

вания имат прогресивна тенденция

към увеличаване. Особено важно е

високата им честота в репродуктив -

на възраст. При новородените реак-

цията към различните хранителни

алергени възниква още при първата среща с тях. Предполага се, че се

получава сенсибилизация още въ -

треутробно или чрез майчината кър -

ма. Консултацията с алерголог не е задължителна по време на бременността, но е силно препоръчителна. Подробното анкетиране и съветване на бременните пациентки по отношение, хранене, използване на козметични продукти и начин на живот би могло да послужи за превенция[13,14]. Астмата и сезонните ринити могат да се влошат, да се подобрят или да останат непроменени по време на бременността. Не би

могло да се предвиди как ще реагира имунната система. Много често бременността предизвиква оток и възпаление на назалната лигавица, състояния в резултат на хормонални

промени и това от своя страна може да влоши симптомите на алергичен ринит. Внимание трябва да се отдели на приложението на противоалергични медикаменти, особено в първо тримесечие.

ПСИХИЧНИ СЪСТОЯНИЯ И ЗАБОЛЯВАНИЯ

Жените имат 2-3 пъти по-голяма вероятност от мъжете да раз -

вият депресивна симптоматика, а най-голям риск има в репродуктивна възраст. Промяната в настроението, чувството на умора, раздразнителност е типично за бременните пациентки, като това е по-силно изразено в ранните срокове. Понякога това може да прикрие тежки депресивни синдроми, започнали преди бременността. Установено е, че тяхната честота е по-висока при пациентки с непланирана бременност [15] . Обучение и скрининг за откриване на дискретни изяви в такава насока би довело до намаляване на следродилните изяви и негативно влияние върху бременността.

Представеното изложение показва необходимостта от интердисциплинарен подход в подготовката и проследяването на бременността. В тази връзка настоящият екип работи върху изграждане на подробен алгоритъм, който би могъл да се приложи и да осигури добър изход от бременността и раждането!

PMID: 20395425

1. Maas VYF, Poels M, de Kievit MH, Hartog AP, Franx A, Koster MPH. Planning is not equivalent to preparing, how Dutch women perceive their pregnancy planning in relation to preconceptional lifestyle behaviour change - a cross-sectional study. BMC Pregnancy Childbirth. 2022 Jul 19;22(1):577. doi: 10.1186/s12884-02204843-4. PMID: 35854217

2. Maas VYF, Poels M, Ista E, Menge LF, Vanden Auweele KLHE, de Bie RWA, de Smit DJ, van Vliet-Lachotzki EH, Franx A, Koster MPH. The effect of a locally tailored intervention on the uptake of preconception care in the Netherlands: a stepped-wedge cluster randomized trial (APROPOSII study). BMC Public Health. 2022 Nov 1;22(1):1997. doi: 10.1186/s12889-02214343-x. PMID: 36319990

3. Woźniak MK, Wiergowski M, Namieśnik J, Biziuk M. Biomarkers of Alcohol

Consumption in Body Fluids - Possibilities and Limitations of Application in Toxicological Analysis. Curr Med Chem. 2019;26(1):177-196. doi: 10.2174/09298673 24666171005111911. PMID: 28982313

4. Sebastiani G, Borrás-Novell C, Casanova MA, Pascual Tutusaus M, Ferrero Martínez S, Gómez Roig MD, García-Algar O. The Effects of Alcohol and Drugs of Abuse on Maternal Nutritional Profile during Pregnancy. Nutrients. 2018 Aug 2;10(8):1008. doi: 10.3390/nu10081008. PMID: 30072661

5. Banderali G, Martelli A, Landi M, Moretti F, Betti F, Radaelli G, Lassandro C, Verduci E. Short and long term health effects of parental tobacco smoking during pregnancy

and lactation: a descriptive review. J Transl Med. 2015 Oct 15;13:327. doi: 10.1186/ s12967-015-0690-y. PMID: 26472248

6. Bortoletto P, Prabhu M. Impact of Tobacco and Marijuana on Infertility and Early Reproductive Wastage. Clin Obstet Gynecol. 2022 Jun 1;65(2):360-375. doi: 10.1097/GRF.0000000000000689. Epub 2022 Feb 4. PMID: 35125388)

7. Leisegang K, Sengupta P, Agarwal A, Henkel R. Obesity and male infertility: Mechanisms and management. Andrologia. 2021 Feb;53(1):e13617. doi: 10.1111/ and.13617. Epub 2020 May 12. PMID: 32399992

8. Brewer CJ, Balen AH. The adverse effects of obesity on conception and implantation. Reproduction. 2010 Sep;140(3):347-64. doi: 10.1530/REP-09-0568. Epub 2010 Apr 15.

9. Abramson L, Massaro L, Alberty-Oller

JJ, Melsaether A. Breast Imaging During Pregnancy and Lactation. Journal of Breast Imaging. 2019 1; 4: 342-351. https://doi. org/10.1093/jbi/wbz065

10. Българско дружество по ендокринология. Препоръки за добре клинична практика при ЗД. МЗ. 2019

11. Българско дружество по ендокринология. Препоръки за добра практика при заболявания на щитовидната жлеза. МЗ. 2019

12. Fujimura T, Lum SZC, Nagata Y, Kawamoto S and Oyoshi MK (2019) Influences of Maternal Factors Over Offspring Allergies and the Application for Food Allergy. Front. Immunol. 10:1933. doi: 10.3389/fimmu.2019.01933

13. Khan TK, Palmer DJ, Prescott SL. In-utero exposures and the evolving epidemiology of pediatric allergy. Curr Opin Allergy Clin) Immunol. (2015) 15:402–8. doi: 10.1097/ACI.0000000000000209

14. Grieger JA, Clifton VL, Tuck AR, Wooldridge AL, Robertson SA, Gatford KL. In utero programming of allergic susceptibility. Int Arch Allergy Immunol. (2016) 169:80–92. doi: 10.1159/000443961)

15. Gariepy AM, Lundsberg LS, Miller D, Stanwood NL, Yonkers KA. Are pregnancy planning and pregnancy timing associated with maternal psychiatric illness, psychological distress and support during pregnancy? J Affect Disord.

2016 Nov 15;205:87-94. doi: 10.1016/j. jad.2016.06.058. Epub 2016 Jun 27. PMID: 27423065

32 І Medical Magazine | февруари 2023 ИЗПОЛЗВАНА ЛИТЕРАТУРА:
АГ

Професионализъм, доверие, грижа към

пациента

Високоспециализирани медицински услуги Партньор в здравето на всяка жена, бъдеща майка и нейното бебе Квалифицирани специалисти

Модерно оборудване

Комфортна среда

Персонализирана медицинска грижа

Медицински център Гея Мед осигурява високоспециализирана извънболнична медицинска дейност - прегледи и консултации със специалисти в различни области. Всички кабинети са оборудвани с нова и съвременна медицинска апаратура за диагностика и лечение.

В Медицински център Гея Мед ще намерите уважение и грижа към всеки пациент, медицински услуги с отлично качество и екип от лекари специалисти:

• Акушерство и гинекология

• Урология

• Неврохирургия

• Медицинска рехабилитация

• Генетична консултация

• Алергология

• Дерматология

• Ехографско изследване на млечни жлези

• Ендокринология

• Образна диагностика

• Кардиология

• Хирургия

• Детска хирургия

• Гастроентерология

www.geyamed.eu гр. София, ул. Богдановец №6 тел.: 0883 72 76 76

Д. Димитрова, Ж. Павловска Медицински университет

Витамини и бременност

Бременността се характеризира с повишени потребности от енергия, макронутриенти и микронутриенти. През I-ви триместър енергийните потребности се увеличават незначително, с около 70-100 ккал/дневно спрямо тези преди бременността. През II-ия триместър енергийният внос се повишава с около 250 ккал/дневно, а през III-ия – до 500 ккал/дневно. Трябва да се има предвид, че жените във фертилна възраст при умерена физическа активност имат оптимални енергийни потребности в диапазона на 2250-2313 ккал/дневно. Към тях се прибавят необходимите калории според триместъра на бременността. Съществуват убедителни доказателства за връзка между храненето през първите 1000 дни от живота на човек (от зачеването) и риска от затлъстяване, диабет и сърдечно-съдови болести в по-късна възраст. Особено важен аспект на здравословното протичане на бременността е витаминният прием. Витамините са необходими в по-големи количества, предвид усилената белтъчна синтеза и интензивните процеси на растеж на плода. Значение има не само количеството им, но и съотношението между тях.

Още през 1880 г. руският

учен Николай Лунин до -

казва изключителната

им важност за функционирането на човешкия

организъм, а наименованието „витамин“ се появява през 1912 г., след като американският биохимик от

полски произход Казимир Функ изо -

лира от оризовите люспи съдържащо

аминна група вещество (витамин В1),

което лекува болестта бери-бери и

го нарича „витамин“. Днес са известни около 30 витамина.

Днес вече се знае, че дефицитът на

витамини C и B3 по време на бременност може да доведе до изразени метаболитни ефекти при майките

и нарушен растеж на плода[5]. Приемът на тези два витамина от майката влияе върху увеличаването на теглото при раждане[11]. Основните хранителни източници на витамини C и B3 са пресни храни, като плодове, зеленчуци и месо, които имат висока бионаличност. За целия период на бременността трябва да се приема с 15 мг/дневно повече витамин С. Препоръчва се да се увеличи приемът на естествените хранителни източници на витамин С – зеленчуци и плодове, шипки, с което се подобрява и усвояването на желязото. Добри източници на витамин C са: портокали и портокалов сок, зелени и червени чушки, ягоди, броколи, брюкселско зеле, картофи. Нуждите от витамин В6 се

увеличават паралелно с тези от белтъци. За набавяне на другите витамини от група В се препоръчва консумация на пълнозърнест хляб, овесени ядки, варива.

Недостатъчният прием (ниски серумни нива) на витамин D при бременни жени повишава риска от рахит при новороденото и кърмачето и остеомалация при майките. Дефицитът му при майката е доказано свързан с по-висок риск от спешно цезарово сечение и усложнения по време на бременност и раждане[2]. Съществуват доказателства от обсервационни проучвания, че ниските нива на този витамин са свързани с предразположение към хронични заболява -

34 І Medical Magazine | февруари 2023
АГ

ния. Има хипотеза, че приемът на витамин D по време на бременност може да предотврати диабет тип 2 и сърдечно-съдови заболявания при детето[10]. Той е основен мастноразтворим витамин и ключов модулатор на калциевия метаболизъм при деца и възрастни. Двете най-важни форми на витамин D са:холекалциферол (витамин D3) и ергокалциферол (витамин D2). Холекалциферолът (вит. D3) се синтезира в кожата от 7-дехидрохолестерол под въздействието на UV лъчите. За разлика от него, ергокалциферолът (вит. D2)

не се образува в организма, а постъпва с хра -

ната (яйчен жълтък, рибено масло и др.) или

под формата на хранителни добавки. Сами -

ят витамин D не е биологично активен и след

две последователни хидроксилирания в чер -

ния дроб и бъбреците се превръща в биоло -

гично активната форма 1,25 дихидроксивита -

мин D.

Тъй като нуждите от калций се увеличават

през третия триместър на бременността, ни -

вото на витамин D става решаващо за здравето на майката, растежа на скелета на плода

и оптималните резултати за майката и плода. Дефицитът на витамин D е често срещан при бременни жени (5-50%) и при кърмачета (10-56%), въпреки широкото използване на пренатални витамини, тъй като те не са достатъчни за поддържане на нормални нива на витамин D (≥32 ng/mL). Неблагоприятни

последици за здравето като прееклампсия, ниско тегло при раждане, неонатална хипокалцемия, слаб постнатален растеж, чупливост на костите и повишена честота на автоимунни заболявания са свързани с ниски нива на витамин D по време на бременност и ранна детска възраст. Препоръките за дневен прием на витамин D (200 IU) са недостатъчни за поддържане на серумните нива на 25(OH) D в нормалните граници по време на бременност и кърмене. Въпреки това, тъй като добавянето на витамин D е просто и рентабилно, с ниска вероятност от токсичност, препоръката е за увеличаване на добавките при всички бременни жени, за да се поддържат серумните нива на 25(OH)D в нормалните граници за възрастни (>32 ng/mL)[6]. Добавянето на витамин D от 4000 IU/ден е безопасен и най-ефективен метод за постигане на достатъчно ниво на витамин D по време на бременност[4]

По време на бременност нуждата от витамин D е 10 μg/дневно и е добре това количество да се приема като хранителна добавка в

периода септември - март. Витамин D се съдържа в някои храни като: мазни риби (сьомга, скумрия, херинга, сардини); яйца; червено месо. Тялото само синтезира витамин D, когато се излага на слънце през пролетните и летните месеци (от края на март до края на септември). Витамин D регулира количеството калций и фосфат в организма. Те, от своя страна, са отговорни за здравината на костите, зъбите и мускулите. Особено рисков контингент са бременните, живеещи и работещи в помещения с дефицит на ултравиолетови лъчи.

Правилата, които трябва да се спазват при суплементиране с витамин D включват: • Допълнителна суплементация с витамин D не е необходима за бременни, кърмещи жени и кърмачета при достатъчно излагане на слънце. Препоръчва се 2-3 пъти седмично да се излагат на слънце ръцете и лицето в продължение на поне 20-30 min;

• Суплементирането на бременни и кърмещи жени с витамин D трябва да се провежда само след консултация с общопрактикуващ лекар, акушер-гинеколог или педиатър;

• Свръхприемът на витамин D по време на бременност е токсичен и може да увреди фетуса; • Суплементиране с витамин D по 5 μg / дневно се препоръчва през зимния период на бременни жени на веганска диета и на живеещи в северни страни.

Трябва да се има предвид, че съдържащият се в кърмата витамин D е недостатъчен да задоволи нуждите на кърмачето.

Витамин В12, който се набавя изключително от животински продукти е необходим в по-големи количества, тъй като подпомага фолацина в изграждането на еритроцитите и желязото, като предпазва от появата на анемии при бременните. От друга страна, дефицитът му е свързан с неврокогнитивни симптоми при бременната жена, с антенатална или след родилна депресия, както и с други неврокогнитивни симптоми, включително синдром на неспокойните крака[8]

Изследване на екип от учени от университета в Хайделберг сред 285 862 новородени деца (в периода 2016-2019 г.) намира дефицит на витамин B12 с честота 26 на 100 000 новородени[7]. Дефицитът на витамин B12 при новородени, според учените, може да бъде из -

[www.medmag.bg ] 35

следван и така да се предотврати проявата на необратими неврологични симптоми и повторната поява на дефицит на витамин B12 при бъдещи бременности чрез адекватно лечение на засегнатите новородени и техните майки.

Витамин А е изключително важен микроелемент за бременните жени и техните фетуси. Освен че е от съществено значение за морфологичното и функционално развитие и за очната цялост, витамин А упражнява системни ефекти върху някои фетални органи и върху феталния скелет. Следователно нуждите от витамин А по време на бременност са по-големи. Дефицитът на витамин А остава водещата причина за предотвратима слепота в света и е проблем на общественото здраве в повечето развиващи се страни. Обратно, в някои развити страни прекомерният прием на витамин А по време на бременност може да бъде проблем, тъй като, когато е в излишък, този микроелемент може да прояви тератогенни ефекти през първите 60 дни след зачеването. Затова не се препоръчва рутинна пренатална добавка на витамин А за превенция на заболеваемостта и смъртността при майките и децата[3].

Нуждите от витамин Е също са повишени и трябва да се набавят основно от естествени хранителни източници. Витамин E е мастноразтворим витамин, съдържащ се в много храни, като зехтин и броколи. Има антиоксидантни свойства и участва в генната експресия (процесът, при който се унаследява информация от даден ген). Препоръчителният дневен прием на витамина по време на бременност е 3 mg. Лесно може да се набави с добре балансирана диета. Освен в зехтина и други растителни масла, той се съдържа и в бадемите, яйцата, боровинките, чери доматите. В 80 г броколи има 1.4 mg витамин E, докато в една шепа орехи – 1.9 mg. Не се препоръчва да се приемат допълнителни добавки, съдържащи го, извън пренаталните витамини. Витамин E, също както витамин A, може да се натрупа в тялото, ако се приема в твърде големи количества. Това може да доведе до проблеми както в майката, така и в плода. Фолиевата киселина (фолацин) изпълнява важна роля в биосинтезата на белтъци, нуклеинови киселини, пурини, пирамидини. Участва в синтезата и метаболизма на аминокиселини, на витамините В12, РР, има ли -

потропен и хепатопротективен ефект. Тя е активен антианемичен фактор (синергист на витамин В12), необходим за синтезата на хемоглобина и регенерацията на еритроцитите в костния мозък. Дефицитът на фолиева киселина по време на бременността създава риск от отлепване на плацентата и спонтанен аборт, забавено развитие на плода, преждевременно раждане, прееклампсия, раждане на дете с поднормена телесна маса. Освен това е доказано, че недостигът на фолиева киселина повишава нивото на серумния хомоцистеин, който е независим рисков фактор за атерогенеза, особено за коронарните съдове. Фолиевата киселина има съществено значение за формиране на невралната тръба на плода през първия месец на бременността. Това е костния канал, в който се разпола -

гат главния и гръбначния мозък, формира се

от 21-ия до 28-ия ден на бременността. Дефицитът на фолиева киселина е рисков фактор за непълното затваряне на костния канал и появата на spina bifida (вроден дефект

водещ до инвалидизация на новороденото

или смърт). В тази връзка се препоръчва 3 месеца преди забременяване да се приема по 400 μg/дневно фолиева киселина като хранителна добавка. Необходимо е жените да консумират храни, богати на натурални фолати независимо от приема на фолиева киселина като хранителна добавка. Естествените източници на фолиева киселина са листните зеленчуци (лат. folium – лист), цветно зеле, червено цвекло, спанак, лапад, коприва, варива, моркови, телешки и свински черен дроб, пилешки дреболии, пълнозърнест хляб, кафяв ориз. За целия период на бременността е необходимо с храната да се внася 600 μg/дневно фолацин, при норма за небременни жени 400 μg/дневно. Центърът за контрол и превенция на заболяванията препоръчва на всички жени в детеродна възраст да приемат най-малко 400 mcg фолат или фолиева киселина на ден. Причината за това е, че много бременности не са планирани. Бременните жени, особено тези, които имат проблеми с усвояването на фолиевата киселина, породени от генна мутация, трябва да приемат добавка, която съдържа L-метилфолат, за да осигурят максимално усвояване на витамина.

Минералните вещества са изключително важни по време на бременност и кърмене. Те са необходими за изграждане на костния скелет, нормалното развитие и кръвотворене на плода. Това е особено важно по отношение

36 І Medical Magazine | февруари 2023 АГ

на микронутриентите, участващи в изграждането на костния скелет – калций, фосфор, магнезий. Бедната на калций храна създава риск за намаляване плътността на костите на новороденото. Бременните жени се нуждаят от повишени количества калций. Те трябва да консумират храни богати на калций. Киселото мляко, прясното мляко и сиренето са най-добрите източници на високоусвоим калций. Подходящи са обезмаслените и нискомаслените млечни продукти, които са нискоенергийни и доставят същите количества калций, както високомаслените млечни продукти. Калцият се депонира в костите и зъбите. В периода на изграждането на зъбите дефицитът на калций в хранителния прием може сериозно да наруши процесите на минерализация. Бременността е фактор, влияещ върху абсорбцията на калция. Установено

е, че през втората половина на бременността калциевата абсорбция се увеличава. Препоръчителният и адекватен хранителен прием на калций е 1000 mg/дневно.

Организмът на бременната се нуждае от повишени количества желязо. Препоръчва се желязото в диетата да се увеличи с 9 μg, т.е. ежедневно с храната да се приемат 27 μg желязо. По-добре се усвоява хемовото желязо, което се съдържа основно в червените меса, черния дроб, рибата и птичето месо. Нехемовото желязо се абсорбира с 2 до 7% по-слабо и се влияе от другите съставки на хранителната дажба. Абсорбцията се подобрява

при наличие в храната на витамин С, фруктоза, лимонена киселина и животински белтък. Инхибитори на нехемовото желязо са оксалати, фитати, фосфати, полифеноли, танини. Те образуват с желязото неразтворими съединения и потискат абсорбцията му. От източниците на нехемово желязо каквито са листните зеленчуци (поради наличие на оксалати), зърнените храни (поради наличие на фитати), чаят (поради наличие на танин), кафето (поради наличие на полифеноли) желязото се усвоява в по-малка степен. От копривата се усвоява 5-7% от желязото. Абсорбцията се подобрява с витамин С, лимонов сок и месо. Растителни източници на желязо са варива, пълнозърнест хляб, пшенични зародиши. За повишаване на биоусвояемостта се препоръчва варивата да се консумират със зеленчукови салати, богати на витамин С. Необходимо е да се ограничи приемът на кафе, черен чай и шоколад. Кафе и чай не трябва да се пият по време на хранене. Установено е,

че в някои страни от Европа и Азия, където се консумира много черен чай и кафе при 60% от бременните се регистрира железен дефицит. Кофеинът редуцира усвояването на витамин В1 и се свързва с ниско тегло на детето при раждане. СЗО препоръчва прием на желязо по време на бременност при хемоглобин под 10.5 g/dl.[1].

Увеличаването на основната обмяна по време на бременност, успоредно с увеличаването на активността на щитовидната жлеза и секрецията на тиреоидни хормони, води до повишаване на нуждите от йод през бременността със 70 микрограма/дневно (спрямо физиологичната норма за небременни жени от 150 μg). Основни източници на йод са йодираната сол и морските храни. Друг микронутриент, жизнено необходим през бременността е цинкът, който участва в метаболизма на нуклеиновите киселини. Най-много цинк се съдържа в месото и черния дроб, миди, раци, мляко и млечни продукти, варива. Ежедневно с храната бременната жена трябва да приема 12 милиграма цинк.

Калциевият дефицит причинява хипокалциемия и хипоплазия на зъбния емайл на плода. Калциевите потребности при кърмещи жени са повишени. По време на бременност калциевата абсорбция се повишава два пъти. При нисък калциев прием хормоналният отговор на организма е свързан с повишена ефективност на калциевата абсорбция. По-ниски нива на калций са установени при бременни жени на веганска диета (вегетализъм). Не са установени различия в концентрацията на калций в майчиното мляко при жени на веганска диета и тези, които не са, но при жените на веганска диета се наблюдава костна и зъбна деминерализация. Съществуват Международни насоки за вегетарианска и веганска диета (International Guidelines for Vegetarian and Vegan Diets), в които се подчертава, че бременността изисква повишен прием на макрои микроелементи и балансирана диета[9] За предотвратяване на калциевия дефицит се препоръчва дневното меню да включва 4 порции богати на калций храни (тофу, боб, китайско зеле), разпределени в четири приема. Съдържанието на калций в определени хранителни продукти е представено в Табл. 1

Храни с високо съдържание на хранителни влакнини влошават усвояемостта на калций.

[www.medmag.bg ] 37

Табл. 1

Съдържание на калций в

някои хранителни продукти

Хранителен продукт

Суплементиране с калциеви препарати се препоръчва при веганска диета през бременността 250-300 mg/дневно, през периода на кърмене – 600 mg/дневно.

В заключение можем да кажем, че по време на бременността женският организъм се нагажда така, че да осигури максимален комфорт и износване на плода. Анатомичните, функционални и психични промени са плод на хиляди години човешка еволюция, довела до налагане на най-адаптивните модели за оцеляване на човешкия вид.

Въпреки това съвременният начин на живот, околната среда, професионалните вредности, социалната среда и личният жизнен стил оказват влияние върху протичането на бременността и наред с демографските особености трябва да се вземат предвид при нейното проследяване.

1. Димитрова, Д., Христиана Маджова, Силвия Михайлова, Тодорка Боева, Жана Павловска, Радина Денкова. Здравословен начин на живот по време на бременност. Хигиена на бременността. Изд. Медицински университет – Варна. 2022

2. Alanazi Mona, Reda M. Nabil. Clinical Nutrition ESPEN. Association between different levels of maternal vitamin-D status during pregnancy and maternal outcomes. Volume 50, August 2022,

Pages 307-313

3. Bastos Maia S. Rolland Souza AS. Costa Caminha MF. Vitamin A and Pregnancy: A Narrative Review. Nutrients. 2019 Mar 22;11(3):681. doi: 10.3390/nu11030681

4. Hollis B.W., D. Johnson, T.C. Hulsey, M. Ebeling, C.L. Wagner. Vitamin D supplementation during pregnancy: double-blind, randomized clinical trial of safety and effectiveness. J Bone Miner Res, 26 (10) (2011), pp. 2341-2357

5. Mousa A, A Naqash, S. Lim

Macronutrient and micronutrient intake during pregnancy: an overview of recent evidence. Nutrients, 11 (2019), p. 443

6. Mulligan Megan L., Shaili K. Felton, Shaili K. Felton. Implications of vitamin D deficiency in pregnancy and lactation. American Journal of Obstetrics and Gynecology. Volume 202, Issue 5, May 2010, Pages 429.e1-429.e9

7. Mütze Ulrike et coll. Health Outcomes of Infants with Vitamin B12 Deficiency Identified by Newborn Screening and

Early Treated. The Journal of Pediatrics.

Volume 235, August 2021, Pages 42-48

8. Ramadan Eman Fauzi, Mackenzie Grisdale, MichelleMorais. Maternal Vitamin B12 Levels During Pregnancy and Their Effects on Maternal Neurocognitive Symptoms: A Systematic Review. Journal of Obstetrics and Gynaecology Canada. Volume 44, Issue 4, April 2022, Pages 390-394.e3

9. Sebastiani G et coll. The Effects of Vegetarian and Vegan Diet during

Pregnancy on the Health of Mothers and Offspring. Nutrients. 2019 Mar; 11(3): 557

10. Song Y., L. Wang, A.G. Pittas, et al. Blood 25-hydroxy vitamin D levels and incident type 2 diabetes: a meta-analysis of prospective studies. Diabetes Care, 36 (2013), pp. 1422-1428, 10.2337/dc12-0962

11. Vieira e Souza Rafaela Cristina, Luana Carolinedos Santos. Maternal vitamin B3 and C intake in pregnancy influence birth weight at term. Nutrition. Volumes 91–92, November–December 2021, 111444

38 І Medical Magazine | февруари 2023
ИЗПОЛЗВАНА ЛИТЕРАТУРА:
АГ
Порция
Съдържание на калций (mg) Мляко 240 300 Зрял боб 86 44 Спанак 85 61 Картофи 164 44 Китайско зеле 85 239
(g)
Britain`s leading supplements for specific life stages

ЕНДОКРИНОЛОГИЯ

И. Калинкова1 , М. Калинкова2

1УМБАЛ "Св. Иван Рилски"

- София

2УМБАЛ "Аджибадем

Сити Клиник Токуда Болница" - София

Ключови думи: Метаболитен синдром (МС), хронично бъбречно заболяване (ХБЗ), ренална физиология.

синдром и хронично бъбречно

заболяване

Метаболитният синдром и неговите компоненти са основен рисков фактор за сърдечно-съдови заболявания. Въпреки това, не е до край изяснена връзката на метаболитния синдром и хроничното бъбречно заболяване, изразяващо се в намалена гломерулна филтрация, протеинурия и/или микроалбуминурия и хистологична картина на тубулна атрофия и интерстициална фиброза. Патофизиологичните механизми на взаимодействие са двустранни и комплексни. Редица метаболитни фактори водят бъбречна увреда, като инсулиновата резистентност, оксидативния стрес, нискостепенното хронично възпаление, микроваскуларна увреда и ренална исхемия. В настоящия обзор са представени тесните механизми на повлияване на метаболитния синдром и хроничната бъбречна увреда.

Метаболитният синдром (Синдром Х) включва висцерално затлъстяване, отклонение в обмяната на въглехидратите, дислипидемия и артериална хипертония. Хроничното бъбречно заболяване (ХБЗ) от своя страна представлява понижение на гломерулната филтация (ГФ) под 60 мл/мин./1.73 м2, калкулирано с MDRD

(Modification of Diet in Renal Disease)

формула. Метаболитният синдром има ефекти върху реналната физиология, в това число хиперфилтрация, активиране на ренин-ангиотензин-алдостерон (РААС) системата, микроалбуминурия, увреждане на подоцитите, профибротични фактори. Връзката

между Синдром Х и ХБЗ включва инсулинова резистентност, обезитет, дислипидемия, възпаление, оксидати-

вен стрес и ендотелна дисфункция.

Според даденото от СЗО през 1998 г.

точно определение за МС, това състояние включва следните компоненти: наличието на повишена кръвна

захар на гладно, нарушен глюкозен

толеранс или ЗД и/или инсулинова

резистентност, заедно с два или повече компоненти:

1. Повишено АН >160/90 mm Hg;

2. Повишени плазмени триглицериди (>1.7 ммол/л) и/или понижени нива на добрия холестерол (ХДЛ) <1.0 ммол/л;

3. Центрипетално затлъстяване - за мъже обиколка на талията над 90 см, за жени >85 см или индекс на телесна маса (ИТМ) >30 кг/м2[1].

Въпреки че съществува много информация относно метаболитния синдром, АХ и захарния диабет (ЗД), 50% от засегнатите над 60-годишна възраст и 35% под 60 години остават недиагностицирани[2]

Индивидите с МС са с повишен сърдечно-съдов риск. Това се дължи на факта, че МС влошава контрола на захарния диабет, а от своя страна ЗДТ2 води до висок сърдечно-съдов риск. Проучванията показват, че индивидите с МС са с повишен риск от развитие на ХБЗ, отразено чрез микроалбуминурия и ренална дисфункция[3,4]. Патогенетичните механизми на възникването на ХБЗ като последствие от метаболитния синдром не са напълно изяснени. При МС е налице инсулинова резистентност и хронично нискостепенно възпаление. Тези два патогенетични механизма, заедно и поотделно, правят връзката между МС и ХБЗ. И двата процеса водят до микроваскуларно ремоделиране. Освен това, дислипидемията и ексцесивното количество приета храна могат да индуцират митохондриална дисфункция: адипокини, РААС, оксидативен стрес.

ПАТОГЕНЕТИЧНИ СХОДСТВА И ВЗАИМОВРЪЗКИ Индивидите с ХБЗ имат по-висока честота на компонентите на МС в сравнение с индивиди без ХБЗ. Пациентите с ХБЗ имат по-високи нива на традиционните и нетрадиционните кардиоваскуларни фактори, в това число инсулинова резистентност и повишени инфламаторни маркери[6,7]. Високо специфичният Ц-реактивен протеин, който обикновено се счита за маркер за нискостепенно възпаление, се свързва с централно затлъстяване, атеросклероза, хипертония и други симптоми на МС. Инфламацията може да инициира развитието на ренална фиброза и гломерулосклероза при МС[8-10] Нискостепенното хронично инфламаторно състояние е отличителната черта на МС[11]. За метаболитно-индуцираното възпаление е предложен терминът „метинфламация“[12]. Проучвания върху животни показват, че основният таргет на хроничното възпаление е бъбрекът. Бъбрекът е инфилтриран с про-инфламаторни макрофаги. Съществува хипотеза, че поради ексцесивен калориен прием се активират инфламаторни и оксидативни механизми, в резултат на което се блокират големи анаболни сигнални пътища като инсулин/инсулин-растежен фактор (ИРФ). Увеличаването

на мастната тъкан е източник на голямо количество на инфламаторни ци-

40 І Medical Magazine | февруари 2023
Връзка между метаболитния

токини. Проучвания показват, че при хората размерът на адипоцитите корелира с нивата на Тумор-некротизиращ фактор алфа (ТНФ-А), Интерлевкин-6 и Ц-реактивен протеин[13]. Понижаването на телесното тегло подобрява както инфламаторните (Ц-реактивен, ТНФ-А, ИЛ-6, лептин), така и анти-ифламаторните (адипонектин) маркери при хора[14,15]. Съществуват доказателства, че инсулиновата резистентност (ИР) е често асоциирана с ХБЗ[16,17]. В 9-годишно проучване тежестта на ИР е директно свързана с риск от развитие на ХБЗ. Хиперинсулинемията може да индуцира гломерулна хиперфилтрация, ендотелна дисфункция, повишен съдов пермеабилитет, което води до албуминурия. При недиабетици дори и краткотрайно приложение на инсулин може да увеличи уринната албуминова екскреция[18]. Връзката между ИР и бъбрека е, че има рецептори по повърхността на подоцитите, които са компонент от гломерулната филтрационна бариера. Инсулинът може да контролира подоцитния контрактилитет и с това - гломерулния пермеабилитет.

МС може да доведе до бъбречни паренхимни увреждания като тубулна атрофия, интерстициална фиброза. Микроваскуларното ремоделиране се манифестира чрез засягане на артериите и на артериолите. Чрез ултразвуково

изследване се установява повишение на резистентността на интрареналните и интерлобарните артерии[2], което е доказателство за вазоконстрикция и микроваскуларно ремоделиране. Акумулирането на висцерална мастна тъкан и мастна инфилтрация на бъбрека може да предизвика неоваскуларизация чрез множество цитокини, на които е богата мастната тъкан, а именно ТНФ-алфа и Интерлевкин-6. В допълнение, лептинът и резистинът са молекули, които повлияват бъбречната функция и активността на симпатикусовата нервна система[19]. Лептинът е увеличен 5-10 пъти при хора със затлъстяване. Той е един от хормоните, отговорен за регулация на цикъла глад-засищане. Във високи концентрации предизвиква мезангиална клетъчна хипертрофия и активиране на фактори, които водят до образуване на фиброзна тъкан[20]. Резистинът е самостоятелно свързан с албуминурия[19]

ЗАТЛЪСТЯВАНЕ И СВЪРЗАНАТА С НЕГО ГЛОМЕРУЛОПАТИЯ Съществуват много доказателства, че затлъстяването води до промени в реналната хемодинамика и структура. Едномесечна консумация на храни, богати на мазнини, води до

повишаване на екстрацелуларната течност и промяна в натриевия баланс[21]. Повишените нива на алдостерона в резултат от активация на РААС, както и повишената активност на симпатикусовата нервна система при затлъстели индивиди води до задръжка на Натрий[22,23]. В проксималния тубул се реабсорбира 70% от Натрия. По сложни патогенетични механизми, включващи тубуло-гломеруларната обратна връзка се повишава гломерулната филтрация (ГФ). Затлъстяване-свързаната гломерулопатия (ЗСГП) не е предизвикана само от хемодинамични фактори, но и от структурни такива. При повишено телесното тегло, всеки подоцит преминава през механично разтягане, за да може да се адаптира към повишеното гломерулно налягане. След време уголемяването на подоцитите не е пропорционално на гломерулната хипертрофия, в резултат на което подоцитите се отлепват и се уврежда структурата на гломерулната базална мембрана, образуват се адхезии на Баумановата капсула, развива се сегментна склероза, а клиничната изява на тези промени е протеинурия[24-26]. При 12% от индивидите ЗСГП прогресира до фокална сегментна гломерулна склероза (ФСГС), която обикновено засяга хипертрофиралите гломерули[27].

ДРУГИ АСОЦИИРАНИ ФАКТОРИ При мултицентрично кръстосано проучване в Китай, проведено от април 2017 г. до април 2018 г., се установява връзка между повишените нива на триглицериди (ТГ) при пациенти с хипертония като независим фактор за развитието на ХБЗ. Участниците са 2484, от които 56% са мъже. При анализ на данните повишените нива на ТГ са свързани с ХБЗ, като 22% от всички пациенти са развили ХБЗ. Ключовият механизъм най-вероятно е директното стимулиране на гломерулосклерозата[5]. Необходи-

Фиг. 1

Вероятни патогенетични механизми, чрез които МС води до увреждане на бъбрека[5]

ми са още проучвания в тази област, за да се установи причинно-следствената

връзка между повишените нива на триглицериди и увреждането на бъбречна функция.

Оксидативен стрес и митохондриална дисфункция

Оксидативният стрес

(ОС), който се характеризира с повишение на свободните

кислородни радикали (СКР), води до увреждане както на ДНК, така и на липиди и протеини. Доказано е, че ОС играе основна роля в МС. Основен източник на СКР е надфосфатоксидазата (НФО) - семейство ензими, част от които са експресирани в бъбрека. НФО води до гломерулна сръхпродукция на СКР от подоцитите, ендотелните клетки и мезангеалните клетки, което води до прогресия на ХБЗ. Проучвания върху животни показват, че високата кръвна захар води до апоптоза на подоцитите[23]. В

[www.medmag.bg ] 41

резултат се увеличава продукцията на СКР. НФО води до ангиотензин-2 ме -

зангеалната клетъчна активация, активиране на РААС, повишено АН, албуминурия, сливане на крачетата на

подоцитите и периартериоларна фиброза[28,29].

АТ2 не само повишава ми-

тохондриалната продукция на СР, но

също може да доведе до митохондриална деградация чрез АТ-1 рецептора и да супресира тяхната биогенеза

чрез АТ2 рецептора[28].

Митохондриите са интраклетъчен ор-

ганел, който отговаря за енергийната

клетъчна продукция. При увреждане-

то на митоходриите от СР, се нарушава

тяхната функция. Тъй като бъбреците

имат високи енергийни потребности и

са богати на митохондрии, митохонд-

риалната дисфункция играе основна

роля в патогенезата на бъбречното за-

боляване. Засягат се почти всички ви-

дове ренални клетки. Епително-ме-

зенхимната клетъчна трансформация

води до загуба на бъбречен функциониращ паренхим[30]. Инсулиновата

резистентност може да бъде влошена при митохондриална дисфункция.

При над 35% спад в митохондриалната

ДНК (мДНК), изследвана от периферна кръв, се отключва тип 2 захарен диабет (Т2ЗД)[9]

Артериална хипертония Артериалната хипертония е компо-

нент на метаболитния синдром и честа причина за ХБЗ. Има множество механизми, които свързват МС и АХ, един от които е затлъстяването. Има директна връзка между артериалното налягане (АН) и дислипидемия-асоциираното затлъстяване, което е показано при проучвания с плъхове. При хранене с диета, богата на мазнини, АН се повишава с 6% за една седмица и се понижава, ако този диетичен режим се прекъсне[31]. Адипоцитите са богати на прекурсор на ангиотензин 2, алдостерон-синтетаза и ангиотензиноген. Освен това, алдостеронът самостоятелно е асоцииран с диабет[32]. При 5% понижение на теглото при жени намалява РААС активността както в мастната тъкан, така и в плазмата[32]. Друг механизъм е компресионният, при който мастна тъкан се натрупва около бъбреците. Ексцесивното количество на мастна тъкан периренално се асоциира с повишено интраренално налягане, АХ и увредена пресорна натриуреза[33]. При пациенти със затлъстяване интраабдоминалното налягане е два пъти по-високо, сравнено с нормални индивиди[33,34]

Освен това, високите нива на инсулина са асоциирани с високи нива на вазоконстриктора Ендотелин-1 (ЕТ1). Хиперинсулинемията има антинатриуретичен ефект[35]

Хиперурикемия

Високите нива на пикочната киселина са строго асоциирани с МС. Хиперурикемията корелира с повишените нива на инсулина на гладно[36] Скорошен обзор от 13 проучвания, включващ близо 2 милиона участници, показва, че повишените нива на пикочна киселина водят до повишен риск от развитието на бъбречна дисфункция[37]. Пикочната киселина води и до ИР, вероятно чрез проинфламаторния ефект върху адипоцитите[38]

ЗАКЛЮЧЕНИЕ Патогенетичните взаимовръзки между метаболитния синдром и хроничното бъбречно заболяване са сложни. Съвременният начин на живот - липсата на физическа активност и калорийният свръхприем водят до увеличаване на честотата на метаболитния синдром. МС-асоциираното бъбречно увреждане може да наподобява на ранен стадий на диабетната нефропатия. Освен скрининг, за превенция развитието на МС и неговите последствия върху бъбречната функция, пациентите трябва да се обучават за промяна начина на живот. Това включва насърчаване към повишена физическата активност, ограничена консумация на „вредни храни“ и големи количества сол.

1. Takamiya T, Zaky WR, Edmundowics D, Kadowaki T, Ueshima H, Kuller LH, et al. World Health Organization-defined metabolic syndrome is a better predictor of coronary calcium than the adult treatment panel III criteria in American men aged 40-49 years. Diabetes Care. 2004;27(12):2977-9.

2. Aguilar M, Bhuket T, Torres S, Liu B, Wong RJ. Prevalence of the metabolic syndrome in the United States, 2003-2012. JAMA. 2015;313(19):1973-4.

3. Hoehner CM, Greenlund KJ, Rith-Najarian S, Casper ML, McClellan WM. Association of the insulin resistance syndrome and microalbuminuria among nondiabetic native Americans. The Inter-Tribal Heart Project. J Am Soc Nephrol. 2002;13(6):1626-34.

4. Locatelli F, Pozzoni P, Del Vecchio L. Renal manifestations in the metabolic syndrome. J Am Soc Nephrol. 2006;17(4 Suppl 2):S81-5.

5. Zhang X, Lerman LO. The metabolic syndrome and chronic kidney disease. Transl Res. 2017;183:14-25.

6. Whittaker N, Bunting S, Salmon J, Moncada S, Vane JR, Johnson RA, et al. The chemical structure of prostaglandin X (prostacyclin). Prostaglandins. 1976;12(6):915-28.

7. Muntner P, Hamm LL, Kusek JW, Chen J, Whelton PK, He J. The prevalence of nontraditional risk factors for coronary heart disease in patients with chronic kidney disease. Ann Intern Med. 2004;140(1):9-17.

8. Chen J, Muntner P, Hamm LL, Jones DW,

Batuman V, Fonseca V, et al. The metabolic syndrome and chronic kidney disease in U.S. adults. Ann Intern Med. 2004;140(3):167-74.

9. Lee JE, Choi SY, Huh W, Kim YG, Kim DJ, Oh HY. Metabolic syndrome, C-reactive protein, and chronic kidney disease in nondiabetic, nonhypertensive adults. Am J Hypertens. 2007;20(11):1189-94.

10. Ming J, Xu S, Yang C, Gao B, Wan Y, Xing Y, et al. Metabolic syndrome and chronic kidney disease in general Chinese adults: results from the 2007-08 China National Diabetes and Metabolic Disorders Study. Clin Chim Acta. 2014;430:115-20.

11. Wellen KE, Hotamisligil GS. Inflammation, stress, and diabetes. J Clin Invest. 2005;115(5):1111-

12. Hotamisligil GS. Inflammation and metabolic disorders. Nature. 2006;444(7121):860-7.

13. Al-Shanti N, Stewart CE. Inhibitory effects of IL-6 on IGF-1 activity in skeletal myoblasts could be mediated by the activation of SOCS-3. J Cell Biochem. 2012;113(3):923-33.

14. Forsythe LK, Wallace JM, Livingstone MB. Obesity and inflammation: the effects of weight loss. Nutr Res Rev. 2008;21(2):117-33.

15. Friedman JE, Dohm GL, Elton CW, Rovira A, Chen JJ, Leggett-Frazier N, et al. Muscle insulin resistance in uremic humans: glucose transport, glucose transporters, and insulin receptors. Am J Physiol. 1991;261(1 Pt 1):E87-94.

16. De Cosmo S, Menzaghi C, Prudente S, Trischitta

V. Role of insulin resistance in kidney dysfunction:

insights into the mechanism and epidemiological evidence. Nephrol Dial Transplant. 2013;28(1):29-36.

17. Kurella M, Lo JC, Chertow GM. Metabolic syndrome and the risk for chronic kidney disease among nondiabetic adults. J Am Soc Nephrol. 2005;16(7):2134-40.

18. Nestler JE, Barlascini CO, Tetrault GA, Fratkin MJ, Clore JN, Blackard WG. Increased transcapillary escape rate of albumin in nondiabetic men in response to hyperinsulinemia. Diabetes. 1990;39(10):1212-7.

19. Menzaghi C, Salvemini L, Fini G, Thompson R, Mangiacotti D, Di Paola R, et al. Serum resistin and kidney function: a family-based study in non-diabetic, untreated individuals. PLoS One. 2012;7(6):e38414.

20. Lee MP, Orlov D, Sweeney G. Leptin induces rat glomerular mesangial cell hypertrophy, but does not regulate hyperplasia or apoptosis. Int J Obes (Lond). 2005;29(12):1395-401.

21. Hall JE, Brands MW, Dixon WN, Smith MJ, Jr. Obesity-induced hypertension. Renal function and systemic hemodynamics. Hypertension. 1993;22(3):292-9.

22. Briones AM, Nguyen Dinh Cat A, Callera GE, Yogi A, Burger D, He Y, et al. Adipocytes produce aldosterone through calcineurin-dependent signaling pathways: implications in diabetes mellitus-associated obesity and vascular dysfunction. Hypertension. 2012;59(5):1069-78.

23. Fujita T. Aldosterone in salt-sensitive hypertension and metabolic syndrome. J Mol Med

(Berl). 2008;86(6):729-34.

24. Kriz W, Elger M, Mundel P, Lemley KV. Structure-stabilizing forces in the glomerular tuft. J Am Soc Nephrol. 1995;5(10):1731-9.

25. Saager L, Wiesner E, Rothhammer A, Pestel G. Atrial electrocardiogram for verification of correct central venous catheter placement. Anesth Analg. 2007;105(5):1511; author reply

26. Kriz W, Hosser H, Hahnel B, Gretz N, Provoost AP. From segmental glomerulosclerosis to total nephron degeneration and interstitial fibrosis: a histopathological study in rat models and human glomerulopathies. Nephrol Dial Transplant. 1998;13(11):2781-98.

27. Kambham N, Markowitz GS, Valeri AM, Lin J, D'Agati VD. Obesity-related glomerulopathy: an emerging epidemic. Kidney Int. 2001;59(4):1498-509.

28. Abadir PM, Foster DB, Crow M, Cooke CA, Rucker JJ, Jain A, et al. Identification and characterization of a functional mitochondrial angiotensin system. Proc Natl Acad Sci U S A. 2011;108(36):14849-54.

29. Dikalov SI, Nazarewicz RR. Angiotensin IIinduced production of mitochondrial reactive oxygen species: potential mechanisms and relevance for cardiovascular disease. Antioxid Redox Signal. 2013;19(10):1085-94.

30. Granata S, Dalla Gassa A, Tomei P, Lupo A, Zaza

G. Mitochondria: a new therapeutic target in chronic kidney disease. Nutr Metab (Lond). 2015;12:49.

31. Armitage JA, Burke SL, Prior LJ, Barzel B, Eikelis N, Lim K, et al. Rapid onset of renal sympathetic

nerve activation in rabbits fed a high-fat diet. Hypertension. 2012;60(1):163-71.

32. Buglioni A, Cannone V, Cataliotti A, Sangaralingham SJ, Heublein DM, Scott CG, et al. Circulating aldosterone and natriuretic peptides in the general community: relationship to cardiorenal and metabolic disease. Hypertension. 2015;65(1):45-53.

33. Hall ME, do Carmo JM, da Silva AA, Juncos LA, Wang Z, Hall JE. Obesity, hypertension, and chronic kidney disease. Int J Nephrol Renovasc Dis. 2014;7:75-88.

34. Cobb WS, Burns JM, Kercher KW, Matthews BD, James Norton H, Todd Heniford B. Normal intraabdominal pressure in healthy adults. J Surg Res. 2005;129(2):231-5.

35. Brands MW, Manhiani MM. Sodium-retaining effect of insulin in diabetes. Am J Physiol Regul Integr Comp Physiol. 2012;303(11):R1101-9.

36. Yoo TW, Sung KC, Shin HS, Kim BJ, Kim BS, Kang JH, et al. Relationship between serum uric acid concentration and insulin resistance and metabolic syndrome. Circ J. 2005;69(8):928-33.

37. Li L, Yang C, Zhao Y, Zeng X, Liu F, Fu P. Is hyperuricemia an independent risk factor for new-onset chronic kidney disease?: A systematic review and meta-analysis based on observational cohort studies. BMC Nephrol. 2014;15:122.

38. Nakagawa T, Hu H, Zharikov S, Tuttle KR, Short RA, Glushakova O, et al. A causal role for uric acid in fructose-induced metabolic syndrome. Am J Physiol Renal Physiol. 2006;290(3):F625-31.

42 І Medical Magazine | февруари 2023 ИЗПОЛЗВАНА ЛИТЕРАТУРА:
ЕНДОКРИНОЛОГИЯ

Метаболитен синдром и асоциираните

с него репродуктивни нарушения

Ключови думи: Затлъстяване, метаболитен синдром, репродукция, стерилитет, хипогонадизъм.

К. Терзиева, М. Калинкова "Аджибадем Сити Клиник УМБАЛ Токуда" - София Метаболитният синдром и репродуктивните нарушения са две заболявания с голяма разпространеност сред общата популация. Метаболитният синдром е нарастващ глобален проблем, докато безплодието засяга около 12% от мъжете. Въпреки високата честота, едва през последното десетилетие се дискутират усилено взаимовръзките между метаболитния синдром и репродуктивните нарушения. Механизмите на взаимодействие между двете заболявания са обект на редица клинични проучвания. Метаболитният синдром има негативно влияние върху мъжките репродуктивни възможности, като има отношение към развитието на хипогонадизъм (повлиява нивата на тестостерон, фоликуло-стимулиращ хормон (ФСХ), лутеинизиращ хормон (ЛХ) и довежда до влошаване качеството на еякулата. При жени, метаболитният синдром се свързва със синдрома на поликистозните яйчници (СПКЯ). И при двата пола отношение имат инсулиновата резистентност, дислипидемията и затлъстяването и редица други последствия от тях. В този литературен обзор са представени патологичните взаимовръзки между метаболитния синдром и последващите го репродуктивни нарушения при мъже и жени.

Метаболитният синдром (МетС) и безплодието са два здравно и социално значими проблема.

Честотата на МетС нараства в световен мащаб, а инфертилитетът се

среща до 12% от мъжката и до 10% от женската популация[1]. Възмож-

ният ефект на МетС върху стерилитета при мъжете и жените е обект на все по-интензивно изследване през последното десетилетие. МетС е общоприет рисков фактор за сърдечно-съдови заболявания и захарен диабет тип 2[2,3]. Съществуват и други не по-малко сериозни състояния, асоциирани с МетС - неалкохолна чернодробна стеатоза, обструктивна сънна апнея, липодистрофия, и повишен риск от онкологични заболявания[1]. Наблюдават се и за -

болявания, свързани с МетС, кои -

то са полово специфични. Най-често

срещани при жените са синдромът

на поликистозните яйчници (СПКЯ),

а при мъжете - хипогонадизмът и

еректилната дисфункция[1]

ОПРЕДЕЛЕНИЕ ЗА МЕТАБОЛИТЕН

СИНДРОМ

МетС се характеризира с комби -

нация от патологични изменения, включващи висцерално затлъстяване, нарушен въглехидратен метаболизъм, дислипидемия и артериална хипертония. Те повишават риска от развитие на сърдечно-съдови заболявания и захарен диабет тип 2[1] Разпространението на МетС в света варира значително със засягане между 8% и 67% от населението в различните държави. Причината за голямата разлика се дължи както на комбинацията от генетични, биологични (възраст, пол, етнос) и социални фактори (урбанизация, ниво на образование, социално-икономически статус), така и на липсата на глобално приети критерии, които да дефинират МетС[1]. През 1998 г. за първи път СЗО формулира точното определение за МетС: наличие на повишена кръвна захар на гладно, нарушен глюкозен толеранс или захарен диабет, и/или инсулинова резистентност, заедно с два или повече компоненти: повишено артериално налягане над 160/90 mmHg; повишени плазмени триглицериди (>1.7 ммол/л) и/или понижени нива на добрия холестерол (ХДЛ) <1.0 ммол/л; центрипетално затлъс -

тяване - за мъже обиколка на талията над 90 см, за жени >85 см или индекс на телесна маса (ИТМ) >30 кг/ м 2[6]. На таблицата (Табл. 1) са изобразени критериите, включени в дефинициите за МетС на различните здравни организации[2-9]

Литературните данни подкрепят връзката между МетС, еректилна дисфункция и хипогонадизъм, но пряка причинно-следствена връзка все още не е известна[10]. Има няколко проведени проучвания, които оценят разпространението на сексуалната дисфункция сред пациенти с МетС. В проучване от 236 пациента от мъжки пол с МетС, 96.5% са с еректилна дисфункция, 39.6% са с понижено либидо, 22.7% страдат от преждевременна еякулация и 4.8% от забавена еякулация[10]

МЕТАБОЛИТЕН СИНДРОМ И ТЕСТИКУЛАРНА ДИСФУКЦИЯ Тестикуларната дисфункция е общ термин, използван за описание на патологична функция на тестисите[13,14,17]. За да бъде по-екзактно екзокринната недостатъчност на тестиса се класифицира като нарушение в сперматогенезата, докато ендо -

44 І Medical Magazine | февруари 2023
ЕНДОКРИНОЛОГИЯ

кринната недостатъчност - като хипогонадизъм[17]. Самият хипогонадизъм може да се дължи както на първична тестикуларна недостатъчност (т.нар. първичен или хипергонадотропен хипогонадизъм), така и на нарушения в оста на хипоталамус - хипофиза - тестис (т.нар. вторичен или хипогонадотропен хипогонадизъм)[17]

Мъжкият хипогонадизъм се характеризира

с понижени нива на общия тестостерон под 319 ng/dL (11 ммол/л)[9]. Симптомите включват сексуална дисфункция, умора, депресия, повижена ажитираност, горещи вълни, понижена костна плътност, анемия, понижена мускулна маса и повишена мастна тъкан[10,11]

МетС се свързва с хипогонадизма и нарастващите доказателства за това насочват вниманието към няколко възможни патогенетични механизма (Табл. 2)[9,17] .

Хипогонадизмът може да доведе до вторична еректилна дисфункция чрез нарушено съотношение на нивата на тестостерон към естроген[11]. Тестостеронът (Т) влияе върху ерекцията като помага за експресията на азотен-оксид синтаза и по този начин повишава наличността на азотен оксид в кавернозното тяло[11,12]. Той има вазодилататорно действие върху кръвоносните съдове в пениса. Логично, понижените тестостеронови нива при пациентите с хипогонадизъм водят до понижена концентрация на азотен оксид, съответно

до еректилна дисфункция. Има доказателства, че добавяне на терапия с Т при мъже с хипогонадизъм има добър ефект върху част от компонентите на МетС[12,19]. Екзогенният Т показва позитивен ефект върху ИТМ, секрецията и чувствителността към собствения инсулин, липидния профил и артериалното налягане[11,19]

Атеросклеротичната болест като резултат от дислипидемията и хипертонията, които участват в оформянето на МетС, също може да доведе до еректилна дисфункция, оказвайки ефект върху съдовете, кръвоснабдяващи пениса. В този смисъл еректилната дисфункция може да бъде разглеждана като маркер за окултна коронарно-съдова болест при иначе асимптоматични мъже[12,13].

Термините аспермия (липсата на сперма), азооспермия (липса на сперматозоиди в спермата), олигоспермия (понижена концентрация на сперматозоиди в спермата), астеноспермия (понижен мотилитет на сперматозоидите) и тератоспермия (намалена пропорция на сперматозоиди с нормална морфология) се отнасят към параметрите на спермата[17]. Освен върху хипоталамо-хипофизо-тестикуларната ос, затлъстяването оказва влияние и върху спермограмата. Проучване, включващо 274 мъже на възраст между 26-30 години, с ИТМ от 17 до 39 кг/м2 и нормални параметри от спермограмата, има

Табл. 1

Сравнение между определенията за Мет С: Национална обучителна

програма за нивата на

холестерол - трети терапевтичен консенсус [NCEP-ATPIII], Интернационална Диабетна Федерация [IDF], Световна здравна организация [WHO], Американски колеж по Ендокринология [ACE], Американска Кардиологична Асоциация и Национален институт по Кардиология, Пулмология и Хематология [AHA/ NHLBI] и обща дефиниция между IDF и AHA/ NHLBI[4-9]

[www.medmag.bg ] 45

Табл. 2 Предложен модел на взаимодействие между МетС и тестикуларната дисфункция[17]

Фиг. 1 Ефектът на метаболитния

за цел да оцени връзката на МетС и параметрите на спермата[18]. Участниците са разделени на 4 групи в зависимост от ИТМ - група 1 (29 участника): 17-20 кг/м2; група 2 (96 участника) - 20.1-25 кг/м2; група 3 (91 участника) –25.1-30 кг/м2; група 4 (58 участника) - 30.1-39 кг/м2. Резултатите от проучването са установили, че концентрацията на спермата е значително по-ниска при индивидите от група 4 спрямо останалите групи[17,18]. Освен това, е изказано мнение за прогресиращо намаляване на концентрацията при група 4 с напредване на възрастта. В заключение, МетС оказва негативен ефект върху качеството на спермата и показателите на спермограмата[17,18].

Лептинът е протеин, който е продукт на obгена[20]. Синтезира се основно от мастната тъкан и в по-малка степен от плацентата, стомаха и скелетните мускули[20]. Веднага след синтеза му се секретира в циркулацията и се транспортира до таргетните тъкани като свободна молекула или свързан с разтворимата част на рецептора си (Ob-R)[20-22]. Количеството на леп тина в периферната кръв е правопропорционално на количеството на адипозната тъкан[22]. При затлъстяването, като

ри на много високи нива на лептин, който потиска продукцията на Т от Лайдиговите клетки[23]. При плъхове, хроничната хиперлептинемия може да доведе до хипоталамичен хипогонадизъм[24]. Причината е нарушена експресия на лепптиновите рецептори в хипоталамуса, който е отговорен за регулацията на секрецията на гонадотропин-рилизинг хормона[24]

МЕТАБОЛИТЕН

СИНДРОМ И СИНДРОМ НА ПОЛИКИСТОЗНИТЕ ЯЙЧНИЦИ

компонент от МетС, се наблюдава повишаване на лептиновите нива в серума[17]. Това се дължи

на повишеното коли -

чество на мастна тъ -

кан, както и на нару-

шен циркаден ритъм

на секреция на лептина[22].

Транспортната система на лептина през хемато-енцефалната

бариера се насища

за хормона, предпазвайки централната нервна система от хиперлептинемия[17]

Това от своя страна води до експозиция на периферните

лептинови рецепто -

Синдромът на поликистозните яйчници (СПКЯ) е все по-често срещан ендокринен проблем, обхващащ 4 до 18% от жените в репродуктивна възраст[24]

Първоначално СПКЯ се дефинира като съчетание от хирзутизъм, олигоменорея, затлъстяване и хистологични данни за кистозни яйчници[25]. Днес вече е известно, че едва една трета от жените със СПКЯ покриват класическите критерии, а останалите попадат в единия или другия край на широкия спектър от клинични изяви[24,25]. За поставяне на диагнозата СПКЯ, се използват Ротердамските критерии, като са нужни поне два от гореспоменатите

46 І Medical Magazine | февруари 2023
синдром върху СПКЯ[32] ЕНДОКРИНОЛОГИЯ

клинични критерии[26]. Независимо, че СПКЯ е относително хетерогенен, три са основните клинични белези, които го характеризират - излишък

на андрогени, овулаторна дисфункция и поликистозни яйчници[24,25,26]. В

този смисъл СПКЯ се асоциира с репродуктивни (менструални нарушения, безплодие, усложнения по време на бременност), метаболитни (метаболитен синдром, захарен ди -

абет тип 2 и сърдечно-съдови заболявания) и психологични (тревожност и депресия) коморбиности[26,27]

Според мета-анализи, СПКЯ увеличава двукратно риска от исхемична болест на сърцето (ИБС) и инфаркт и четирикратно риска от захарен диабет, в сравнение с жени със същи -

те метаболитни нарушения, но без СПКЯ[25,26,27]. Тази взаимна свързаност е от сигнификантно значение и от икономическа гледна точка, защото захарният диабет при жени със СПКЯ е отговорен за 40% от здравния бюджет за СПКЯ[27].

Основен елемент в патофизиологията на СПКЯ е инсулиновата резистентност. 75% от жените с нормално тегло и 95% от тези с обезитет са с

ИЗПОЛЗВАНА ЛИТЕРАТУРА:

1. Lotti F, Marchiani S, Corona G, Maggi M. Metabolic Syndrome and Reproduction. Int J Mol Sci. 2021 Feb 17;22(4):1988. doi: 10.3390/ ijms22041988. PMID: 33671459; PMCID: PMC7922007.

2. Eckel, R.H.; Alberti, K.G.M.M.; Grundy, S.M.; Zimmet, P.Z. The metabolic syndrome. Lancet 2010, 375, 181–183.

3. Corona, G.; Mannucci, E.; Forti, G.; Maggi, M. Hypogonadism, ED, metabolic syndrome, and obesity: A pathological link supporting cardiovascular diseases. Int. J. Androl. 2009, 32, 587–598

4. Cleeman, J.I. Executive summary of the third report of the National Cholesterol Education Program (NCEP) expert panel on detection, evaluation, and treatment of high blood cholesterol in adults (adult treatment panel III). J. Am. Med. Assoc. 2001, 285, 2486–2497.

5. Alberti, K.G.M.M.; Zimmet, P.; Shaw, J. The metabolic syndrome–A new worldwide definition. Lancet 2005, 366, 1059–1062.

6. Tomoko Takamiya, Wahid R. Zaky, Daniel Edmundowics, et al. World Health Organization-Defined Metabolic Syndrome Is a Better Predictor of Coronary Calcium Than the Adult Treatment Panel III.

7. Einhorn, D.; Reaven, G.M.; Cobin, R.H.; Ford, E.; Ganda, O.P.; Handelsman, Y.; Hellman, R.; Jellinger, P.S.; Kendall, D.; Krauss, R.M.; et al. American College of Endocrinology Position Statement on the Insulin Resistance Syndrome. Endocr. Pract. 2003, 9, 237–252. Grundy, S.M.

инсулинова резистентност[25]. Инсулиновата резистентност и компенсаторната хиперинсулинемия допринасят за хиперандрогенемията[24,25,27,29]

Те влияят на хипофиза, яйчници и черния дроб - стимулират андрогенната продукция, потискат развитието на яйчниковите фоликули и блокират секс-хормон-свързващия глобулин (СХСП)[29]. Понижаването на инсулиновата резистентност чрез добавяне на инсулинови очувствители към терапията и промяна в начина на живот водят до подобрение в клиничната картина[29,30,31]. Обратно, ексцесивното тегло влошава инсулиновата резистентност и клиниката на СПКЯ, което е от значение, защото жените с това заболяване са с повишен риск от наднормено тегло и затлъстяване[28]. Затлъстяването и инсулиновата резистентност влошават метаболитния риск при жени със СПКЯ (Фиг. 1)[28,30,31] .

При жени със затлъстяване в рамките на МетС са налице по-високи нива на лептин в яйчниците [33] . В резултат на това продукцията на естрадиол от гранулоза клетките се потиска. Допълнително, продук -

8. Cleeman, J.I.; Daniels, S.R.; Donato, K.A.; Eckel, R.H.; Franklin, B.A.; Gordon, D.J.; Krauss, R.M.; Savage, P.J.; Smith, S.C.; et al. Diagnosis and management of the metabolic syndrome: An American Heart Association/National Heart, Lung, and Blood Institute scientific statement. Circulation 2005, 112, 2735–2752.

9. Alberti, K.G.M.M.; Eckel, R.H.; Grundy, S.M.; Zimmet, P.Z.; Cleeman, J.I.; Donato, K.A.; Fruchart, J.C.; James, W.P.T.; Loria, C.M.; Smith, S.C. Harmonizing the metabolic syndrome: A joint interim statement of the international diabetes federation task force on epidemiology and prevention; National heart, lung, and blood institute; American heart association; World heart federation; International atherosclerosis society; And international association for the study of obesity. Circulation 2009, 120, 1640–1645

10. Chughtai B, Lee RK, Te AE, Kaplan SA. Metabolic syndrome and sexual dysfunction. Curr Opin Urol. 2011 Nov;21(6):514-8. doi:

10.1097/MOU.0b013e32834b8681. PMID: 21897258.

11. Petak SM, Nankin HR, Spark RF, et al. American Association of Clinical Endocrinologists Medical Guidelines for clinical practice for the evaluation and treatment of hypogonadism in adult male patients: 2002 update. Endocr Pract 2002; 8:440.

12. Kelleher S, Conway AJ, Handelsman DJ. Blood testosterone threshold for androgen deficiency symptoms. J Clin Endocrinol Metab 2004; 89:3813

цията на андрогени от тека-клетките, стимулирани от ЛХ, също се потиска. Всичко това води като до нарушаване в узряването на Граафовия фоликул и ановулаторни цикли [33]

ЗАКЛЮЧЕНИЕ Тесните взаимовръзки между МетС и репродуктивните нарушения, както и голямата честота на тези две заболявания, ги правят обект на множество нови проучвания. Поради широкообхватността

на темата, се изисква мултидисциплинарност при определяне диагностичния и терапевтичен подход на лечение. Промяна в начина на живот с повишен двигателен режим, подобрен хранителен режим и хигиена на съня е колосална важност. Пациентите с МетС и СПКЯ са с по-висок риск от развитие на сърдечно-съдови усложнения (ИБС, инфаркт) и захарен диабет тип 2. Третирането на хипогонадизма с хормонална терапия има позитивен ефект и върху компонентите на метаболитния синдром, както и повлияването на МетС, подобрява репродуктивните възможности.

13. Corona, G.; Rastrelli, G.; Vignozzi, L.; Mannucci, E.; Maggi, M. Testosterone, cardiovascular disease, and the metabolic syndrome. Best Pract. Res. Clin. Endocrinol. Metab. 2011, 25, 337–353. [CrossRef]

14. Corona, G.; Monami, M.; Rastrelli, G.; Aversa, A.; Tishova, Y.; Saad, F.; Lenzi, A.; Forti, G.; Mannucci, E.; Maggi, M. Testosterone and Metabolic Syndrome: A Meta-Analysis Study.

J. Sex. Med. 2011, 8, 272–283. [CrossRef]

15. Dimopoulou, C.; Goulis, D.G.; Corona, G.; Maggi, M. The complex association between metabolic syndrome and male hypogonadism. Metabolism 2018, 86, 61–68. [CrossRef] [PubMed]

16. Rastrelli, G.; Filippi, S.; Sforza, A.; Maggi, M.; Corona, G. Metabolic Syndrome in Male Hypogonadism. Front. Horm. Res. 2018, 49, 131–155. 39. Liu, L.H.; Zhang, T.; Zhang, Y.R.; Liu, T.S.; Zhang, H.B.; Chen, F.Z.; He, S.H

17. Goulis DG, Tarlatzis BC. Metabolic syndrome and reproduction: I. testicular function. Gynecol Endocrinol. 2008 Jan;24(1):33-9. doi: 10.1080/09513590701582273. PMID: 18224542.

18. Koloszar S, Fejes I, Zavaczki Z, Daru J, Szollosi J, Pal A. Effect of body weight on sperm concentration in normozoospermic males. Arch Androl 2005; 51:299–304.

19. Makhsida N, Shah J, Yan G, Fisch H, Shabsigh R. Hypogonadism, and metabolic syndrome: implications for testosterone therapy. J Urol 2005; 174:827–834.

20. Ahima RS, Flier JS. Adipose tissue as an

endocrine organ. Trends Endocrinol Metab 2000; 11:327–332.

21. Ahima RS, Flier JS. Leptin. Annu Rev Physiol 2000; 62:413– 437. 33. Yu WH, Kimura M, Walczewska A. Role of leptin in hypothalamicpituitary function.

22. Caprio M, Fabbrini E, Isidori AM, Aversa A, Fabbri A. Leptin in reproduction. Trends Endocrinol Metab 2001; 12:65–72.

23. Isidori AM, Caprio M, Strollo F, Moretti C, Frajese G, Isidori A, Fabbri A. Leptin and androgens in male obesity: evidence for leptin contribution to reduced androgen levels. J Clin Endocrinol Metab 1999; 84:3673–3680.

24. Lim SS, Kakoly NS, Tan JWJ, Fitzgerald G, Bahri Khomami M, Joham AE, Cooray SD, Misso ML, Norman RJ, Harrison CL, Ranasinha S, Teede HJ, Moran LJ. Metabolic syndrome in polycystic ovary syndrome: a systematic review, meta-analysis, and meta-regression. Obes Rev. 2019 Feb;20(2):339-352. doi: 10.1111/obr.12762. Epub 2018 Oct 19. PMID: 30339316.

25. Каменов К, Орбецова М, Гатева Г, Синдром на поликистозните яйчници, 2010г

26. Rotterdam ESHRE/ASRM-Sponsored PCOS consensus workshop group. Revised 2003 consensus on diagnostic criteria and long-term health risks related to polycystic ovary syndrome (PCOS). Hum Reprod. 2004 Jan;19(1):41-7. doi: 10.1093/humrep/deh098.

PMID: 14688154.

27. Azziz R, Marin C, Hoq L, Badamgarav E, Song P. Health carerelated economic burden

of the polycystic ovary syndrome during the reproductive life span. J Clin Endocrinol Metab. 2005; 90: 4650–4658.

28. Lim SS, Davies MJ, Norman RJ, Moran

LJ. Overweight, obesity and central obesity in women with polycystic ovary syndrome: a systematic review and meta-analysis. Hum Reprod Update. 2012 Nov-Dec;18(6):618-37. doi: 10.1093/humupd/dms030. Epub 2012 Jul

4. PMID: 22767467.

29. Legro RS, Castracane VD, Kauffman RP. Detecting insulin resistance in polycystic ovary syndrome: purposes and pitfalls. Obstet Gynecol Surv. 2004 Feb;59(2):141-54. doi:

10.1097/01.OGX.0000109523. 25076.E2. PMID: 14752302.

30. Marshall, J.C., Dunaif, A., 2012. Should all women with PCOS be treated for insulin resistance? Fertility and Sterility 97(1):18e22. 31. Bednarska, S., Siejka, A., 2017. The pathogenesis and treatment of polycystic ovary syndrome: what’s new? Advances in Clinical and Experimental Medicine 26(2):359e367.

32. Caserta D, Adducchio G, Picchia S, Ralli E, Matteucci E, Moscarini M. Metabolic syndrome, and polycystic ovary syndrome: an intriguing overlapping. Gynecol Endocrinol. 2014 Jun;30(6):397-402. doi: 10.3109/09513590.2014.887673. Epub 2014 Feb 19. PMID: 24552422.

33. Monish K, Lu R, Chehab FF. Leptin treatment rescues the sterility of genetically obese ob/ob males. Endocrinology 1997; 138:1190–1193.

[www.medmag.bg ] 47

Н. Шумка, П. Карагьозов

Клиника по Гастроен -

терология, "Аджибадем

Сити Клиник УМБАЛ

Токуда" - София

диагностични дилеми и

индикации за хирургия

Ключови думи: Кисти на панкреаса, муцинозни кистични неоплазми, серозни кистични неоплазми, IPMN.

Панкреасните кисти се диагностицират все по-често, и въпреки че повечето са доброкачествени, някои имат малигнен потенциал и могат да еволюират в малигнени тумори. Правилната диагностика и менажиране са от изключителна важност, но и доста предизвикателни. В 95% от случаите спектърът на кистозните неоплазии включва: интрадуктална папиларна муцинозна неоплазия (IPMN), муцинозна кистична неоплазма (MCN), серозна кистична неоплазма и солиден псевдопапиларен тумор (SPN)[4]. Диагностичните процедури имат за цел да разграничат неопластичните кистозни от не-неопластични кистозни лезии, както и серозните от муцинозни лезии поради техния различен злокачествен потенциал, и съответно различно последващо поведение.

Кистозните лезии на пан -

креаса обхващат широк

спектър от формации, кои -

то представляват сериозно

диагностично предизви -

кателство, тъй като поведението им

може да бъде както доброкачестве -

но, така и силно злокачествено. Бла -

годарение на подобрените методи

за образна диагностика, кистите на

панкреаса се откриват все по-често, в много случаи като случайна на -

ходка, но правилното последващо

менажиране е важно за предотвра -

тяване на тяхното злокачествено

развитие, като и минимизиране на

доживотния скрининг и свързаните с него разходи.

Случаите на грешна предоперативна

диагноза и ненужно рефериране към

хирургия са много са чести[5] и предвид значителните проценти на заболеваемост и смъртност, с които се

свързва панкреатичната хирургия, е

от решаващо значение точното предоперативно характеризиране с цел избягване на ненужните операции.

ВИДОВЕ

Не-неопластични кисти на панкреаса Псевдокистa Псевдокистите са най-често срещаните не-неопластични кистозни лезии на панкреаса. Те се появяват при пациенти с анамнеза за прекаран остър или хроничен панкреатит, нямат злокачествен потенциал и не са показани за лечение когато са асимптоматични[3]. При наличие на симптоматика, лечение на избор е ендоскопският дренаж, който има редица предимства пред хирургията. По тази причина, от решаващо значение е да се разпознае истинската природа на кистата, за да се избегне погрешна диагноза и неправилно лечение. В случаите когато клиничните и образните данни са нeубедителни, EUS-FNA и биохимичен (Табл. 3)

и цитологичен анализ на кистозната течност, както и хистологичното из -

следване на стената на кистата също

могат да помогнат за диференцира -

не между псевдокисти и муцинозни неопластични кисти[2,7]. Псевдо -

кистите, в допълнение към изобилие от възпалителни клетки и хистиоцити, съдържат и жълт пигмент и кристали, а капсулата им се състои от фиброзна тъкан, без епителни елементи[14]

Ретенционна киста Ретенционните кисти са свързани с обструкция или прогресиращо стесняване на проксималния панкреатичен канал. Те са малки по размер (0.5-1.0 cm), нямат злокачествен потенциал, т.е. повечето не изискват проследяване и обикновено се свързват с хроничен панкреатит, камъни, слузна тапа или проксимална неоплазма[14]. Важно е да се изключат други неопластични процеси, причиняващи обструкцията и водещи до образуването на ретенционна киста.

Лимфоепителна киста Доброкачествени кисти, които представляват 0.5% от кистите на панкреаса и се срещат предимно при мъже на средна възраст (съотношение

48 І Medical Magazine | февруари 2023
Кисти
на панкреаса - значение,
ГАСТРОЕНТЕРОЛОГИЯ

мъже към жени: 4:1). При цитологичния ана -

лиз на аспирата често се откриват холестеролни кристали[15,14]

По-рядко срещан тип панкреатични не-неопластични кисти са: Кистозен лимфангиом на панкреаса, дермоидни/епидермоидни кисти; дупликационни кисти и други[7].

НЕОПЛАСТИЧНИ КИСТИ НА ПАНКРЕАСА Муцинозни кистозни лезии Интрадуктална папиларна муцинозна неоплазма - IPMN.

Представляват папиларни пролиферации в панкреатичния канал или страничните му клонове, които водят до дилатация на панкреатичния канал и образуването на откриваема маса. Срещат се най-често в главата на панкреаса, характеризират се с производството на гъст муцин и са с размери по-големи от 1.0 cm[14,13]

IPMN се разделят на „Main-duct IPMN“, които възникват от главния канал на панкреаса (Фиг. 1), и „Branch-duct IPMN“, които възникват в един от клоновете на главния канал на панкреаса и се считат за най-честите панкреатични кисти. Трети тип е “Mixed type IPMN“SB IPMN (Фиг. 2) с >5 мм дилатация на главния панкреасен канал. Рискът от злокачествена

трансформация при MD- IPMN и SB-IPMN са съответно приблизително до 68% и 22%[16]

Ехоендоскопски насочената тънкоиглена аспирация (EUS-FNA) се използва широко за диагностициране на IPMN. Въпреки това, цитологичните характеристики трябва да се тълкуват в контекста на биохимичните, клиничните и радиологичните находки[1,2,3,4].

Муцинозна кистична неоплазма Муцинозните кистични неоплазми са отличителни единици на панкреатичните кисти с уникални характеристики (Фиг. 3). Муцинозните кистични неоплазми се срещат най-често при при жени на средна възраст (средна възраст 48 години) и са локализирани в опашката и тялото на панкреаса (90-95%). За разлика от IPMN, муцинозните неоплазми не комуникират с дукталната система на панкреаса. Смята се, че муцинозните кистозни неоплазми имат 7% до 12% риск от развитие на инвазивен карцином[6].

Фиг. 1

MD-IPMN [Компютърно-томографски образ (вляво); ехоендоскопски образ (вдясно) - дилатация на главния панкреасен канал (червено) и кистозната формация (синьо)]

Фиг. 2

Mножествен SB-IPMN

Фиг. 3 Maкрокистична муцинозна неоплазма

[www.medmag.bg ] 49

Фиг. 4

Серозна кистозна неоплазма

Фиг. 5

Кистозна дегенерация

на дуктален аденокарци -

ном на панкреаса - ехо -

ендоскопски образ - ди -

агнозата бе потвърдена

след хирургична резекция

Не-муцинозни кистозни лезии Серозна кистозна неоплазма Серозните кистични неоплазми представляват по-малко от 1% от всички първични панкреатични лезии и около 30% от всички кистозни неоплазми на панкреаса (Фиг. 4)[4]. Те обикновено се появяват през петото до седмото десетилетие от живота с по-висока честота при жените. Като се има предвид неактивното биологично поведение на серозните кистични неоплазми, повечето от тези тумори се представят като случайни рентгенографски находки при асимптоматични пациенти, обикновено в областта на тялото или опашката на панкреаса. Те се делят на доброкачествен серозен кистаденом без метастатичен потенциал и злокачествен серозен кистаденокарцином, който е изключително рядък. Последният може да бъде диагностициран само при наличие на метастази[17]

Солидна псевдопапиларна неоплазма Солидните псевдопапиларни неоплазми са солитарни единични тумори с нисък злокачествен потенциал. Те представляват по-малко от 3% от всички първични неоплазми на панкреаса [17] . Те обикновено се появяват при жени през второто и третото десетилетие от живота. Имат отлична про -

гноза, но предвид потенциала за инвазивен растеж, винаги са показани за резекция [3]

Кистичен панкреатичен невроендокринен

тумор Кистозните невроендокринни тумори представляват приблизително 8% от всички първични кистозни неоплазми на панкреаса и около 10% до 17% от всички невроендокринни тумори[14]. Те обикновено се появяват при жени през второто и третото десетилетие от живота. Ехоендоскопски насочената биопсия се счита за най-точния метод за диагностициране на cNETs в сравнение с образната диагностика и биохимичния анализ на съдържимото[3]

Панкреатичния дуктален аденокарцином и ацинарноклетъчният аденокарцином също могат да се появат с кистична дегенарация (Фиг. 5).

KЛИНИЧНА КАРТИНА

Често кистозните тумори на панкреаса се откриват случайно при образни изследвания с различни показания[12]. По-голямата част са малки и асимптомни. Въпреки че много пациенти имат неспецифични оплаквания, трябва да се обърне внимание на симптоми като коремна болка, консумативен синдром, иктер, стеаторея и новодиагностициран захарен диабет[9,10] (Табл. 1).

Oбструкцията на панкреатичния канал поради производството на слуз и/или интрадуктален растеж на IPMN може да причини остър панкреатит[11]. По тази причина острият панкреатит без установена етиология се нуждае от допълнително изясняване, включващо образни методи, като най-чувствителният е ендоскопският ултразвук[2,3].

ДИАГНОСТИКА В по-голямата част от случаите, образните методи като компютърна томография (КТ) и магнитнорезонансна томография (ЯМР) предоставят достатъчно информация за вида на кистозната лезия, стадия и съдовата анатомия (Табл. 2).

Лезии с диамтър под 2 см, без обезпокоителни белези, не изискват допълнително диагностично уточняване[2,3]. Под обезпокоителни белези се разбира: солидна компонента на кистата, дилатация на главния панкреатичен

50 І Medical Magazine | февруари 2023 ГАСТРОЕНТЕРОЛОГИЯ

Солидна

псевдопапи-

ларна неоплазма

IPMN

Клинична картина

Симптоми

Белези

Симптоми и

белези

Други характеристики

Симптоми

• Коремна болка, гадене, повръщане и консумативен синдром

• Стомашна обструкция, анемия, панкреатит, иктер

• Палпируема маса

• Предимно асимптомни

• Някои пациенти имат симптоми, свързани с хроничен панкреатит

• Симптоми като болки в кръста, иктер, загуба на тегло, анорексия, стеаторея и диабет са предиктори на малигненост

• Някои пациенти имат анамнеза за рекурентни панкреатити

• Предимно асимптомни

• Коремна болка, болки в кръста

МCN

Белези

Други характеристики

Симптоми

• Може да бъде налична палпируема маса

• Рекурентни панкреатити, стомашна обструкция

• Иктер и загуба на тегло са признаци за малигенна трансформация

• Предимно асимптомни

• Кистите с големи размери водят до коремен дискомфорт

Табл. 1

Видове кисти и потенци -

ална клинична картина

SCN

Белези

Други характеристики

• Големите кисти - палпируема маса

• Големите кисти - стомашна обструкция, билиарна обструкция

• Рядко се манифестират като кисти

НЕТ

• Повечето пъти за асимптомни, но е възможно да има поява на симптоми, вследствие на производство на хормони

Локализация КТ ЯМР ЕUS

Табл. 2 Образни характеристики

Лимфоепи-

телна киста

Дермоидна

киста

Епидермо -

идна киста

Във всяка част на

панкреаса

Контрастно усилване

на стената и септите.

Хиподенсни кистич-

ни лезии без усилване

По-висок интензитет

от молекулите на во -

дата в Т1W1 (зависи-

мост от кератина)

По-нисък интензитет

от молекулите на во -

дата в Т2W1 (зависимост от кератина)

По-висок интензитет

от молекулите на водата в DWI (зависимост от кератина)

Мозаичен рисунък (зависимост от кератина)

на панкреасните кистозни тумори

IPMN Всяка

Мултилокуларни

Констрастно усилващ се нодул

МCN Tяло

Опашка

SCN Всяка

Констрастно усилва -

ща се капсула

Киста в киста

Мурална киста

Констрастно усилващ

се нодул Калцификати в муралния нодул

Клъстери от мико -

кисти Усилване в ар -

териалната фаза (со -

лиден тип)

Добре отграничени Лобуларни Мултилокуларни Множество кисти Диаметър на панкреасния канал >5 мм Комуникация с панкреасен канал

Нисък интензитет в Т1W1 (кървене: висок интензитет)

Висок интензитет в Т2W1

Нисък интензитет в Т1W1 (кървене: висок интензитет)

Висок интензитет в Т2W1 (септа с нисък интензитет)

Гладки унилокуларни Периферни калцификати Плътна стена

Лобуларни Мултилокуларни Добре отграничени Акустично усилване

[www.medmag.bg ] 51

Табл. 3

Видовете кисти и биохи -

мичната констелация на

съдържимото им

CEA Ензими Глюкоза Цитология Псевдокиста ↓ ↑ Хистиоцити

Табл. 4

Рискови белези за малигнена прогресия[9,11]

Обезпокоителни белези за малигненост

Завишени тойноcти на Ca 19-9 Дилатация на главния панкреасен канал 5-9 мм Необясним остър панкреатит при пациенти >50 г.

Поява на иктер Наличие на мурални нодули ≥5 мм

Високо-рискови белези за малигненост Диаметър над 3 см Силно контрастираща се стена Констрастиран мурален нодул Лимфаденопатия

Дилатация на главния панкреасен канал ≥10 мм

канал >5 mm, бързо нарастване на кистата (>2 мм/година).

От образните методи ЯМР на панкреаса е метод на избор за диагностика и проследяване на кистозни тумори на панкреаса [21,2,3] . Неговата чувствителност за идентификация на възможна комуникация на кистата с дукталната система на панкреаса е по-висока от тази на компютърната томография, както и лъчевата експозиция е по-малка [18] . Последното е много важно за пациентите, подлежащи на по-често проследяване.

Компютърната томография обаче има следните предимства:

• По-добра детекция на паренхимни, мурални или централни калцификати - особено в случаите когато трябва да се диференцира псевдокиста при хроничен панкреатит с друг вид киста.

• При наличие на синхронен панкреасен тумор, за детекция на съдова инвазия или

наличие на перитонелани или далечни метастази.

• При съмнение за постоперативен рецидив на панкреасен карцином.

Роля на ендоскопската ехография

Ендоскопската ехография може да се използва като метод за проследяване на кистозните тумори на панкреаса[2]. Ролята й става важна поради възможността за ехоендоскопски насочена аспирация и биопсия в случаите, когато диагнозата е неясна, морфологията на кистата се променя или пациентът развива симптоми.

Ехоендоскопски насочена тънкоиглена аспирация Поради различния терапевтичен подход, разграничаването на серозни от муцинозни кисти на панкреаса е изключително важно. Това става възможно чрез биохимично изследване на кистозното съдържимо (Табл. 3). Изследването на нивото на карциноембри -

52 І Medical Magazine | февруари 2023 ГАСТРОЕНТЕРОЛОГИЯ
МCN ↑ ↓ ↓ Муцин SCN ↓ ↓ ↑ Гликоген IPMN ↑ ↑ Муцин

оналния антиген (СЕА) в кистозната течност има много висока чувствителност (73-100%) и специфичност (84-86%) за различаване на серозна (СЕА <5 ng/ml) oт муцинозна (>192 ng/ ml) неоплазия[7]

В допълнение към CEA, изследването на амилазата и липазата в кистозното съдържимо предоставя информация относно комуникацията на кистата с дукталната система на панкреаса. Те могат да бъдат повишени както при псевдокисти, така и при IPMN. Разликата между тях обаче е, че съдържанието на IPMN е муцинозно (CEA >192 ng/ml).

Нов надежден показател е изследването

на глюкозата в кистичната течност. При муцинозните кисти съдържанието на глюкоза е по-ниско отколкото при немуцинозните кисти (<50 mg/dl (<2.7 mmol/l)). Изследване -

то на глюкоза в кистозната течност е метод с 92% чувствителност, 87% специфичност и 90%

точност при диагностицирането на муциноз -

ни кисти на панкреаса[19]

Цитологията на съдържимото и цитологията на стената на кистата имат диагностична стойност за детекция на малигненост при муцинозните кисти[8] . Роля на пероралната панкреатоскопия при диагностицирането на IPMN Пероралната панкреатоскопия (POP) се използва по-често при диагностицирането на панкреато-билиарни заболявания. Има добавена стойност при диагностицирането на IPMN и при определяне на интрадукталната екстензия на лезията. Систематичен и мета-анализ от 2022 г.[21] оценява метода като технически успешен при по-голямата част от пациентите с (подозиран) IPMN, с висока диагностична точност, но са необходими бъдещи проучвания, за да се дефинира по-добре ролята на POP в диагностичния алгоритъм на IPMN.

Фиг. 6

Панкреатоскопски образ на IPMN - панкреатоскопските характеристики на IPMN са интрадуктални папиларни или вилозни проекции и наличието на слуз. Други характеристики

включват: интрадуктални лезии, подобни на рибено яйце

[www.medmag.bg ] 53
Фиг. 7 Ендосонографски образ на мурален нодул (зелено).

Фиг. 8 Препоръчано поведение при кистозните тумори на панкреаса[1]

ПОВЕДЕНИЕ Наблюдение Серозните кистаденоми са бенигнени и при наличие на убедителни диагностични данни не се препоръчва проследяване[1,2,3]. Муцинозните лезии, от друга страна, се считат за премалигнени и за лезии, по-големи от 3 cm в диаметър, се препоръчва хирургично лечение[6].

Препоръчва се редовно наблюдение (веднъж на 6 месеца през първите 2 години и след това по веднъж годишно) при серозните кистаденоми (при недефинитивна диагноза, до 1 година), муцинозните кистаденоми, които не са показани за хирургична резекция (диаметър под 3 см), и пациенти с IPMN, които са кандидати за операция, когато резекцията не е показана[1,2,3]. Проследяването може да се извърши с КТ, ЯМР или ендоскопска ехография. Ендосонографско проследяване също се препоръчва при муцинозни кисти с обезпокоителни, но не високорискови признаци на злокачествено заболяване (Табл. 4).

При резецирани муцинозни кистични неоплазми, поради риск от рецидив, проследяването трябва да продължи до петата година след операцията[3]. При пациентите с резектиран IPMN, обаче, се препоръчва доживотно проследяване на всеки две години[2] Общоприето е, че проследяването трябва да продължи до 75-годишна възраст. Между 76 и 85-годишна възраст решението за проследяване се взема въз основа на общото състояние на пациента, съпътстващите заболявания и дали пациентът е потенциален кандидат за операция[3]

ИНДИКАЦИИ ЗА ХИРУРГИЯ Всички симптоматични кистозни тумори на панкреаса, с изключение на псевдокисти, са показани за хирургична резекция (Фиг. 8). При последните, при наличие на симптоми, ендоскопският транслуменен (трансгастрален/трансдуоденален) дренаж се счита за по-добра алтернатива от хирургичната резекция[3] Всички муцинозни кистозни тумори, при наличие на позитивна или суспектна цитология за малигненост, или с диаметър над 3 см подлежат на хирургична резекция[1,2,3,6]

При пациенти с интрадуктална папиларна муцинозна неоплазма индикациите за операция са абсолютни и относителни[2]

54 І Medical Magazine | февруари 2023 ГАСТРОЕНТЕРОЛОГИЯ

Абсолютните индикации са:

• Позитивна или суспектна цитоло -

гия за малигненост

• Иктер вследствие на тумора

• Наличие на мурални нодули с диа -

метър ≥5 мм

• Дилатация на главния панкреасен

канал ≥10 мм

Относителните индикации са след -

ните:

• Увеличаване на рамзерите на кистата с ≥5 мм/година

• Завишени стойности на Са 19-9

• Дилатация на главния панкреасен

канал 5-9 мм

• Диаметър на кистата ≥40 мм

• Новодиагнсотициран захарен диа -

бет

• Остър панкреатит вследствие нa

IPMN

• Наличие на мурален нодули <5 мм (Фиг. 7 )

▪ При наличие на относителни

индикации за хирургична резекция, пациентът подлежи на клинично и ендосонографско

образно проследяване на всеки 6 месеца.

▪ При пациентите с абсолютни индикации се извършва парциална панкреатектомия, с последващо следоперативно проследяване.

При пациенти, които не са добри кандидати за операция, е възможно да се извърши радиофреквентна аблация. Техниката е безопасна и ефективна, но все още не се прилага широко в клиничната практика[20]

ДИСКУСИЯ

Кистозните тумори на панкреаса представляват разнобразна патология с критично клинично значение. Както техният възможен злокачествен потенциал, така и заболеваемостта и смъртността, свързани с тяхното хирургично лечение, пра -

вят тези образувания показани за внимателно проучване, за да се установи тяхната основна природа. При всякаква несигурност в диагнозата и вземането на решение, свързано с тази патология, се препоръчва насочване към специализиран център. Използвани съкращения:

IPMN - интрадуктална папиларна муцинозна неоплазма

MCN - муцинозна кистична неоплазма

SCN - серозна кистична неоплазма

КТ - компютерна томография

ЯМР - ядрено-магнитен резонанс

ЕUS-FNA - Ендоскопски насочена тънкоиглена аспирация

НЕТ - невроендокринен тумор

СЕА - карциноембрионален антиген

POP - перорална панкреатоскопия

1. World Gastroenterology Organisation Global Guidelines Pancreatic cystic lesions March 2019

2. European Study Group on Cystic Tumours of the Pancreas. European evidence-based guidelines on pancreatic cystic neoplasms. Gut. 2018 May;67(5):789-804. doi: 10.1136/ gutjnl-2018-316027. Epub 2018 Mar 24.

PMID: 29574408; PMCID: PMC5890653.

3. Elta GH, Enestvedt BK, Sauer BG, Lennon AM. ACG Clinical Guideline: Diagnosis and Management of Pancreatic Cysts. Am J Gastroenterol. 2018 Apr;113(4):464-479. doi: 10.1038/ajg.2018.14. Epub 2018 Feb 27.

PMID: 29485131.

4. Schmid, R.M., Siveke, J. Approach to cystic lesions of the pancreas. Wien Med Wochenschr 164, 44–50 (2014).

5. de Pretis N, Mukewar S, Aryal-Khanal A, Bi Y, Takahashi N, Chari S. Pancreatic cysts: diagnostic accuracy and risk of inappropriate resections. Pancreatol Off J Int Assoc Pancreatol IAP Al. 2017 Apr;17(2):267–72.

6. Nilsson LN, Keane MG, Shamali A,

Millastre Bocos J, Marijinissen van Zanten M, Antila A, et al. Nature and management of pancreatic mucinous cystic neoplasm (MCN): A systematic review of the literature. Pancreatology. 2016 Dec;16(6):1028–36

7. Lévy P, Rebours V. Differential diagnosis of cystic pancreatic lesions including the usefulness of biomarkers. Viszeralmedizin. 2015 Feb;31(1):7–13

8. Hong S-KS, Loren DE, Rogart JN, Siddiqui AA, Sendecki JA, Bibbo M, et al. Targeted cyst wall puncture and aspiration during EUS-FNA increases the diagnostic yield of premalignant and malignant pancreatic cysts. Gastrointest Endosc. 2012 Apr;75(4):775–82.

9. Capurso G, Boccia S, Salvia R, Del Chiaro M, Frulloni L, Arcidiacono PG, et al. Risk factors for intraductal papillary mucinous neoplasm (IPMN) of the pancreas: a multicentre casecontrol study. Am J Gastroenterol. 2013 Jun;108(6):1003–9.

10. Sahani DV, Kambadakone A, Macari M, Takahashi N, Chari S, Fernandez-del Castillo

C. Diagnosis and management of cystic

pancreatic lesions. AJR Am J Roentgenol. 2013 Feb;200(2):343–54

11. Anand N, Sampath K, Wu BU. Cyst features and risk of malignancy in intraductal papillary mucinous neoplasms of the pancreas: a meta-analysis. Clin Gastroenterol Hepatol. 2013 Aug;11(8):913–21; quiz e59-60

12. de Jong K, Nio CY, Hermans JJ et al. High prevalence of pancreatic cysts detected by screening magnetic resonance imaging examinations. Clini Gastroenterol Hepatol 2010;8:806-11.

13. Leung KK, Ross WA, Evans D, Fleming J, Lin E, Tamm EP, et al. Pancreatic cystic neoplasm: the role of cyst morphology, cyst fluid analysis, and expectant management. Ann Surg Oncol. 2009 Oct;16(10):2818–24.

14. Cystic Lesions of the Pancreas Differential Diagnosis and CytologicHistologic Correlation Amrou Abdelkader, MD; Bryan Hunt, MD; Christopher P. Hartley, MD; Nicole C. Panarelli, MD; Tamara Giorgadze, MD, Ph; Arch Pathol Lab Med—Vol 144, January 2020

15. Yosuke Namba, Akihiko Oshita, Takashi Nishisaka, Maiko Namba, Tamito Sasaki, Yasuhiro Matsugu, Toshiyuki Itamoto,Lymphoepithelial cyst of the pancreas: A case report and summary of imaging features of pancreatic cysts,International Journal of Surgery Case Reports,Volume 55,2019,

16. Stark A, Donahue TR, Reber HA HinesOJ. Pancreatic cyst disease: a review. JAMA. 2016; 315(17):1882–1893

17. Sakorafas GH, Smyrniotis V, ReidLombardo KM, Sarr MG. Primary pancreatic cystic neoplasms revisited Surg Oncol. 2011 Jun;20(2):e84-92. doi: 10.1016/j. suronc.2010.12.002. Epub 2011 Jan 14. PMID: 21237638.

18. Jones MJ, Buchanan AS, Neal CP et al. Imaging of indeterminate pancreatic cystic lesions: a systematic review. Pancreatology 2013;13:436-42.

19. Faias S, Pereira L, Roque R, Chaves P, Torres J, Cravo M, Pereira AD. Excellent Accuracy of Glucose Level in Cystic Fluid for Diagnosis of Pancreatic Mucinous Cysts.

Dig Dis Sci. 2020 Jul;65(7):2071-2078. doi: 10.1007/s10620-019-05936-5. Epub 2019 Nov 9. PMID: 31705344.

20. Pai M, Habib N, Senturk H, Lakhtakia S, Reddy N, Cicinnati VR, Kaba I, Beckebaum S, Drymousis P, Kahaleh M, Brugge W. Endoscopic ultrasound guided radiofrequency ablation, for pancreatic cystic neoplasms and neuroendocrine tumors. World J Gastrointest Surg. 2015 Apr 27;7(4):52-9. doi: 10.4240/ wjgs.v7.i4.52. PMID: 25914783; PMCID: PMC4390891.

21. de Jong DM, Stassen PMC, Groot Koerkamp B, Ellrichmann M, Karagyozov P I, Anderloni A, Kylänpää L, Webster GJM, van Driel LMJW, Bruno MJ, de Jonge PJF; European Cholangioscopy study group. The role of pancreatoscopy in the diagnostic work-up of intraductal papillary mucinous neoplasms: a systematic review and meta-analysis. Endoscopy. 2023 Jan;55(1):25-35. doi: 10.1055/a-18690180. Epub 2022 Jun 3. PMID: 35668651; PMCID: PMC9767751.

[www.medmag.bg ] 55
ИЗПОЛЗВАНА ЛИТЕРАТУРА:

Й. Ценовски

I-ва хирургическа клиника, УМБАЛСМ

Синдром на Budd-Chiari

"Н. И. Пирогов" - София Синдромът на Budd-Chiari се причинява от тромботична или нетромботична обструкция на чернодробните вени и се характеризира с хепатомегалия, асцит и коремна болка. Прогнозата при пациенти, които остават нелекувани, е смърт, произтичаща от прогресираща чернодробна недостатъчност от 3 месеца до 3 години от времето на поставяне на диагнозата[1]. При лекуваните пациенти 5-годишната преживяемост е 38-87%. Преживяемостта след чернодробна трансплантация е 70%[2]. Физикалното изследване разкрива жълтеница, асцит, хепатомегалия, увеличение на далака, оток на глезена, стазисни улцерации, изпъкналост на съпътстващите вени. Изследването на асцитната течност диагностицира високи протеинови концентрации (>2 g/dL); (това може да не е налице при лица с остра форма на заболяването), броят на белите кръвни клетки (WBC) обикновено е по-малък от 500/μL, серумният асцит-албуминнов градиент обикновено е по-малък от 1.1 (с изключение на острите форми на синдрома на BuddChiari). Образните изследвания, които използваме са ултразвуково изследване на бъбреците и черния дроб, сканиране с компютърна томография (CT), магнитен резонанс (MRI), венография и биопсия. Патологичните находки в чернодробната биопсия са (1) венозна тромбоза на централните вени и атрофия на центро-лобуларните чернодробни клетки и евентуално (2) тромби в терминалните чернодробни вени. Фармакологична терапия включва антикоагуланти, тромболитици, диуретици. Хирургичните процедури, влизащи в арсенала на лечение, са балонна ангиопластика, локализирана тромболиза, поставянето на стент или трансхепатален порто-системен шънт (TIPS), парацентеза, чернодробна трансплантация.

Синдромът на Budd-Chiari се

причинява от тромботична

или нетромботична обструк-

ция на чернодробните вени

и се характеризира с хепатомегалия, асцит и коремна болка.

Най-често се среща при пациенти с тромботична диатеза, бременни или

имат тумор, хронично възпалително

заболяване, нарушение на кръвосъсирването, инфекция или миелопролиферативно заболяване, като полици-

темия вера или пароксизмална нощна хемоглобинурия.

ЕПИДЕМИОЛОГИЯ

Синдромът на Budd-Chiari е изключително рядък и честотата не е добре съобщена в литературата. Вродените мембранни форми са най-честата причина за болестта по света, особено в Азия[7]. Съотношението жени/мъже е

1.8/1, средната възраст е 51 години, а

годишният процент смъртни случаи е

2.8%[8]. Наблюдава се предимно при жените и е свързано с хематологични

нарушения. Възрастта при представянето обикновено е в третото или четвъртото десетилетие от живота, въпреки че може да възникне и при деца или възрастни хора.

ЕТИОЛОГИЯ Повечето пациенти със синдрома на Budd-Chiari имат тромботична диатеза, въпреки че при приблизително една трета от пациентите състоянието е идиопатично. Причините включват хематологични нарушения (Polycythemia rubra vera, пароксизмална нощна хемоглобинурия, неспецифично миелопролиферативно разстройство), наследствена тромботична диатеза или коагулопатия (дефицит на протеин С, дефицит на протеин S, дефицит на антитромбин III, дефицит на фактор V Leiden), бременност и след раждане[11], перорални контрацептиви, хронични инфекции (хидатидни кисти, аспергилоза, амебен абсцес, сифилис туберкулоза), автоимунни заболявания (болест на Behçet, саркоидоза, сис-

темен лупус еритематозус, синдром на Sjogren), тумори (хепатоцелуларен карцином (HCC)[12], лейомисарком), вродена мембранна обструкция, хипоплазия на супехепатичните вени, постоперативна или посттравматична обструкция.

ПАТОГЕНЕЗА Запушването на вени с голям или малък калибър причинява чернодробно страдание, тъй като кръвта се влива в черния дроб, но не може да премине през него във вена кава. Микроваскуларната исхемия, дължаща се на тромбозата, причинява увреждане на хепатоцитите с портална хипертония и чернодробна недостатъчност[3]

Оклузията на единична чернодробна вена обикновено клинично не е изявена. Синдром на Budd-Chiari обикновено изисква оклузия на най-малко 2 чернодробни вени[4]. Венозното запушване на черния дроб води до хепатомегалия, която може да разтегне чернодробната капсула и да има силна

56 І Medical Magazine | февруари 2023
ГАСТРОЕНТЕРОЛОГИЯ

болка. Разширяването на каудалния лоб е чес-

то срещано, тъй като кръвта се придвижва през

него директно в долната вена кава. Чернодробната функция е в зависимост от количество-

то на стазите и произтичащата от тях хипоксия.

Повишеното синусоидално налягане може

само да причини хепатоцелуларна некроза.

КЛИНИЧНИ ВАРИАНТИ

Клиничните варианти на синдрома на BuddChiari са описани по следния начин[3]:

• Остри и подостри форми - характеризират се

с бързото развитие на коремна болка, асцит, хепатомегалия, жълтеница и бъбречна недостатъчност.

• Хронична форма - най-често срещано представяне. Пациентите са с прогресивен асцит, жълтеницата отсъства, приблизително 50% от пациентите имат бъбречно увреждане.

• Фулминантна форма - нечесто представяне. Развива се фулминантна чернодробна недостатъчност, с бързо развитие на асцит, хепатомегалия, жълтеница и бъбречна недостатъчност.

КЛИНИКА

Класическата триада на коремна болка, асцит и хепатомегалия се наблюдава при по-голямата част от пациентите[9], но тя е неспецифична. Ако черният дроб има време да компресира, пациентите могат да бъдат асимптомни (≤20%[9]) или да са с малко симптоми. Тъй като синдромът прогресира той може да доведе до чернодробна недостатъчност и портална хипертония със съответни симптоми (напр. енцефалопатия, хематемезис).

ФИЗИКАЛНО ИЗСЛЕДВАНЕ Физикалното изследване констатира жълтеница, асцит, хепатомегалия, увеличение на далака, оток на глезена, стазисни улцерации, изпъкналост на съпътстващите вени.

ИНСТРУМЕНТАЛНИ ИЗСЛЕДВАНИЯ Лабораторни иследвания Изследването на асцитната течност диагностицира високи протеинови концентрации (>2 g/ dL), броят на белите кръвни клетки (WBC) обикновено е по-малък от 500/μL, серумният асцит-албуминнов градиент обикновено е по-малък от 1.1 (с изключение на острите форми на синдрома на Budd-Chiari). Рутинните резултати от биохимичните тестове обикновено са неспецифични, въпреки че леко повишение на нивата на серумната аминотрансфераза и алкалната фосфатаза е налице при 25-50% от пациентите.

Ултразвуково изследване на черния дроб Тромбите може да се визуализират с Доплерова сонография (Фиг. 1). Този метод има чувствителност и специфичност от 85-90%[11].

Сканиране с компютърна томография (CT) Необходими са подробни изображения, за да се определи точното ниво и степента на препятствие. CT сканирането може рядко да осигури такива подробности, освен ако не се подозира механична обструкция, като локално нахлуващ тумор[11]

Магнитен резонанс (MRI) Магнитно резонансната диагностика, която има чувствителност и специфичност от 90% става

Фиг. 1

Сонограма, показваща тромб на чернодробната вена

[www.medmag.bg ] 57

все по-полезна при предоставянето на

по-малко инвазивни данни от веногра-

фията, ангиографията и холангиогра-

фията[12]. ЯМР може да подпомогне

разграничаването на острия от хронич-

ния синдром на Budd-Chiari, тъй като е

в състояние да осигури по-голям образ

на съдовата система, както и да опре-

дели дали е налице оток на паренхима

(остра форма).

Венография

Катетеризацията и венерографията

ясно очертават естеството и тежестта

на препятствията. Понякога могат да

се предприемат и терапевтични интер-

венции, включително балонна ангиоп-

ластика, локализирана тромболиза и

поставяне на стент или трансхепатален

порто-системен шънт (TIPS)[13]

Чернодробна биопсия и хистология

Перкутанната чернодробна биопсия

може да даде прогностична помощ, особено ако се обмисля чернодроб-

на трансплантация, за да се устано-

ви степента на хепатоцелуларното ув-

реждане и наличието и степента на

фиброза[14]. Патологичните находки в

чернодробната биопсия са (1) веноз-

на тромбоза на централните вени и ат-

рофия на центро-лобуларните чернод-

робни клетки и евентуално (2) тромби

в терминалните чернодробни вени.

Степента на фиброзата може да бъде определена на базата на биопсични

находки. Най-тежкото откритие е фулминантна чернодробна недостатъчност с масивна центро-лобуларна некроза.

ДИФЕРЕНЦИАЛНА ДИАГНОЗА

Дясна сърдечна недостатъчност, метастатично чернодробно заболяване, алкохолно чернодробно заболяване, цироза, неонатална хемохроматоза, инфекциозен хепатит, новообразувание, вродена чернодробна фиброза, кистозна фиброза, цитомегаловирусна инфекция.

ЛЕЧEНИЕ[22]

Американската асоциация за изследване на чернодробните заболявания

публикува насоки за лечение на острата чернодробна недостатъчност[10].

При пациенти със синдром на BuddChiari агресивно се търси специфична терапия, насочена към коригиране или облекчаване на препятствието[15]

Въпреки че терапията може да има краткосрочна, симптоматична полза[16], използването на такова лечение самостоятелно е свързано с висока 2-годишна смъртност (80-85%). Медикаментите, които обикновено се използват при пациенти със синдром на Budd-Chiari, включват диуретици, антикоагуланти и тромболитици. Използваните терапевтични интервенции трябва да бъдат съобразени със състоянието на всеки пациент.

Антикоагулантна терапия Антикоагулацията е необходима при пациенти с хематологични нарушения като причина за синдрома на BuddChiari. Варфаринът пречи на чернодробния синтез на зависими от витамин К коагулационни фактори. Използва се за профилактика и лечение на венозна тромбоза, белодробна емболия и тромбоемболични нарушения. Протромбиновото време и активираното парциално тромбопластиново време трябва да се наблюдават, след като се започне антикоагулацията и трябва да се поддържат в рамките на терапевтичния диапазон.

Тромболитична терапия Фибринолитичните лекарства се използват за разтваряне на патологичен интралуминален тромб или ембол, който не е разтворен от ендогенната фибринолитична система. Те се използват също и за предотвратяване на повтарящи се форми на тромби и за бързо възстановяване на хемодинамичните смущения. Средствата включват стрептокиназа, урокиназа, рекомбинантен тъканен тип плазминогенен активатор (rt-PA). Системната тромболиза може да бъде високорискова. Локалната тромболиза, извършена от интервенционен рентгенолог е за предпочитане. Урокиназата е директен плазминогенен активатор, който действа върху ендогенната фибринолитична система и превръща плазминогена в ензим (плазмин), който на свой ред разгражда фибринови съси-

реци, фибриноген и други плазмени протеини. Предимство на този агент е, че той е неантигенен. Когато се използва за локална фибринолиза, урокиназата се прилага като местна инфузия директно в областта на тромба, без да се дава болус. Дозата трябва да се коригира, за да се постигне лизис на съсирек или проходимост на засегнатия съд. Алтеплазата е тъканен плазминогенен активатор, използван за лечение на остър инфаркт на миокарда, остър исхемичен инсулт и белодробен емболизъм. Неговата безопасност и ефикасност при съпътстващо приложение на хепарин или аспирин през първите 24 часа след началото на симптомите не са изследвани.

Диуретична терапия

Диуретиците могат да бъдат полезни, за да се намали количеството на асцита, като се осигури облекчаване на симптомите и намаляване на нуждата от парацентеза. Пациентите с чернодробна недостатъчност и асцит имат общо натоварване с натрий върху организма, въпреки типичните ниски серумни концентрации на натрий. Индуцирането на отрицателен натриев баланс може да намали количеството асцит. При употребата на диуретици може да се индуцира хепаторенален синдром или да се създададат електролитни и флуидни смущения чрез прекалено агресивна диуреза. Нивата на електролитите трябва да се следят внимателно. Вторичният хипералдостеронизъм е част от тази клинична картина, което прави спиронолактона обикновено диуретик от първа линия. Спиронолактона се конкурира с алдостерона за рецепторните места в дисталните бъбречни тубули, като увеличава екскрецията на вода и запазва калиевите и водородни йони.Този агент често се предпочита поради неговите калий-спестяващи ефекти, особено в клинична обстановка, която включва вторичен хипералдостеронизъм. Често се добавя фуроземид, който увеличава отделянето на вода чрез намеса в хлориращата котранспортна система, която от своя страна инхибира натриевата и хлорната реабсорбция в бримките на Henle и дисталните

58 І Medical Magazine | февруари 2023 ГАСТРОЕНТЕРОЛОГИЯ

бъбречни тубули. Хидрохлоротиазидът действа върху дисталния нефрон, за да се намали натриевата реабсорбция, като се подобри екскрецията на натрий.

Лечение на вариците на хранопровода Езофагогастроскопия трябва да се извърши, за да се диагностицират вариациите на хранопровода и стомаха. Ако

са налице се предприема склеротерапия. Неселективните бета-блокери (напр. Пропранолол) могат да се прилагат за първична профилактика срещу кървенето.

Диета

За контролирането на асцита се препоръчва диета с ниско съдържание на натрий.

Парацентеза

Симптоматичното лечение на синдрома на Budd-Chiari включва диурети-

ци и терапевтична парацентеза, когато е необходимо, въпреки че парацен-

тезата може да бъде свързана с катастрофални усложнения като бактериален перитонит. Следователно ползата трябва внимателно да бъдат преценена спрямо рисковете.

Инвазивно лечение с цел декомпресия на порталната система Трябва да се предлага декомпресия на чернодробната съдова система, ако порталната хипертония е причина за симптомите. Може да се извърши хи-

рургична интервенция или трансхепатален порто-системен шънт(TIPS)[19].

Изследованията са посочили, че при симптоматични пациенти, при които пропускливостта на чернодробната вена не може да бъде възстановена, TIPSS трябва да се счита за първа линия на лечение[18]. Други налични интервенции включват балонна ангиопластика, както и поставяне на стент[17]. Ангиопластиката може да помогне за облекчаване на запушването, причинено от мембрана.

Чернодробна трансплантация Чернодробна трансплантация трябва да се предлага, ако е налице декомпенсирана чернодробна цироза. Предотвратяването на повтаряща се тромбоза зависи от щателна хирургична техника, широки анатомози и стриктен антикоагулационен протокол и използването на синтетична (PTFE) присадка[20].

Постхоспитализациионно наблюдение Пациентите с лезии, подлежащи на дилатация с балони или стентове, изискват последващи катетеризации и често повтарящи се дилатации или заместване на стента. Освен това, пациентите трябва рутинно да се наблюдават за хепатоцелуларен карцином (НСС)[21]

ПРОГНОЗА Следните фактори са свързани с добра

прогноза - по-млада възраст при диагностицирането,

нисък резултат при класифициранета

по Child-Pugh (клас А), липса на асцит или лесно контролиран асцит, ниско ниво на серумния креатинин. Петгодишната честота на преживяемост при пациентите със синдрома е 38-87%.

След чернодробна трансплантация е 70%[2]. Дългосрочното проследяване при възрастни демонстрира 10-годишно ниво на преживяемост до 55%. Прогнозата обаче е лоша при пациенти които остават нелекувани, като смъртта е резултат от прогресираща чернодробна недостатъчност за 3 месеца до 3 години от времето на диагнозата[1]. Заболеваемостта и смъртността обикновено са свързани с усложненията на чернодробната недостатъчност и асцит, но могат да бъдат повлияни и от вида на съпътстващото заболяване, ако има такова. Усложненията включват чернодробна енцефалопатия, варикозен кръвоизлив, хепатореналният синдром, портална хипертония, усложнения вследствие на чернодробна декомпенсация. Трябва да се обмислят усложнения и по отношение на използваните терапии (напр. Тромболитици). Степента на смъртност може да бъде висока при пациенти, които развиват фулминантна чернодробна недостатъчност. Синдромът на BuddChiari може също да доведе до HCC (или обратно, в някои случаи, да се развива вторично от него).

1.Khuroo MS, Al-Suhabani H, Al-Sebayel M, et al. Budd-Chiari syndrome: long-term effect on outcome with transjugular intrahepatic portosystemic shunt. J Gastroenterol Hepatol. 2005 Oct. 20(10):1494-502.

2.Valla DC. Primary Budd-Chiari syndrome. J Hepatol. 2009 Jan. 50(1):195-203.

3.Aydinli M, Bayraktar Y. Budd-Chiari syndrome: etiology, pathogenesis and diagnosis. World J Gastroenterol. 2007 May 21. 13(19):2693-6.

4.Chaudhuri M, Jayaranganath M, Chandra VS. Percutaneous recanalization of an occluded hepatic vein in a difficult subset of pediatric Budd-Chiari syndrome. Pediatr Cardiol. 2012 Jun. 33(5):806-10.

5.Rautou PE, Angermayr B, Garcia-Pagan JC, et al. Pregnancy in women with known and treated Budd-Chiari syndrome: maternal and fetal outcomes. J Hepatol. 2009 Jul. 51(1):47-54.

6.Moucari R, Rautou PE, Cazals-Hatem D, et al. Hepatocellular carcinoma in Budd-Chiari syndrome: characteristics and risk factors. Gut. 2008 Jun. 57(6):828-35.

7.Rajani R, Melin T, Bjornsson E, et al. BuddChiari syndrome in Sweden: epidemiology, clinical characteristics and survival - an 18-year experience. Liver Int. 2009 Feb. 29(2):253-9.

8.Ki M, Choi HY, Kim KA, Kim BH, Jang ES, Jeong SH. Incidence, prevalence and complications of Budd-Chiari syndrome in South Korea: a nationwide, populationbased study. Liver Int. 2016 Jul. 36(7):106773.

9.Goel RM, Johnston EL, Patel KV, Wong

T. Budd-Chiari syndrome: investigation, treatment and outcomes.Postgrad Med J. 2015 Dec. 91(1082):692-7.

10.[Guideline] Lee WM, Larson AM, Stravitz

T. AASLD position paper: the management

of acute liver failure: update 2011. National Guideline Clearinghouse. September 2011. Accessed: Nov 3, 2014.

11.Hwang HJ, Kim KW, Jeong WK, et al. Hepatic outflow obstruction at middle hepatic vein tributaries or inferior right hepatic veins after living donor liver transplantation with modified right lobe graft: comparison of CT and Doppler ultrasound. AJR Am J Roentgenol. 2009 Sep. 193(3):745-51.

12.Cheng D, Xu H, Hua R, et al. Comparative study of MRI manifestations of acute and chronic Budd-Chiari syndrome.Abdom Imaging. 2015 Jan. 40(1):76-84.

13.Hasija RP, Nagral A, Marar S, Bavdekar AR. Transjugular intrahepatic portosystemic shunt (TIPSS) for Budd Chiari syndrome. Indian Pediatr. 2010 Jun. 47(6):527-8.

14.Van Brusselen D, Janssen CE, Scott C, et al. Budd-Chiari syndrome as presenting

symptom of hepatic sarcoidosis in a child, with recurrence after liver transplantation. Pediatr Transplant. 2012 Mar. 16(2):E58-62.

15.Sun YL, Fu Y, Zhou L, Ma XX, Wang ZW, Wu Y. Staged management of Budd-Chiari syndrome caused by co-obstruction of the inferior vena cava and main hepatic veins. Hepatobiliary Pancreat Dis Int. 2013 Jun. 12(3):278-85.

16.Horton JD, San Miguel FL, Ortiz JA. BuddChiari syndrome: illustrated review of current management. Liver Int. 2008 Apr. 28(4):455-

66.

17.Copelan A, Remer EM, Sands M, Nghiem H, Kapoor B. Diagnosis and management of Budd Chiari syndrome: an update. Cardiovasc Intervent Radiol. 2015 Feb. 38(1):1-12.

18.Tripathi D, Macnicholas R, Kothari C, et al. Good clinical outcomes following transjugular intrahepatic portosystemic

stent-shunts in Budd-Chiari syndrome. Aliment Pharmacol Ther. 2014 Apr. 39(8):864-72.

19.Panagiotou I, Kelekis DA, Karatza C, et al. Treatment of Budd-Chiari syndrome by transjugular intrahepatic portosystemic shunt. Hepatogastroenterology. 2007 Sep. 54(78):1813-6.

20.Pahari H, Chaudhary RJ, Thiagarajan S, et al. Hepatic venous and inferior vena cava morphology no longer a barrier to living donor liver transplantation for Budd-Chiari syndrome: surgical techniques and outcomes. Transplant Proc. 2016 Oct. 48(8):2732-7.

21.Ren W, Qi X, Yang Z, Han G, Fan D. Prevalence and risk factors of hepatocellular carcinoma in Budd-Chiari syndrome: a systematic review. Eur J Gastroenterol Hepatol. 2013 Jul. 25(7):830-41.

22.Roy K, Anand BS -Budd-Chiari sundrome-E Medscape

[www.medmag.bg ] 59 ИЗПОЛЗВАНА ЛИТЕРАТУРА:

Й. Петкова, П. Карагьозов, И. Тишков Клиника по Гастроентерология, "Аджибадем Сити Клиник УМБАЛ Токуда"София

Радиофреквентна аблация на панкреасни тумори под

ендосонографски контрол

Ключови думи: Ендосонографски навигирана радиофреквентна аблация, невроендокринен тумор на панкреаса, панкреасни метастази, ендоскопски ултразвук.

Карциномът на панкреаса, с честота за България 31.2:100000, е диагноза с лоша прогноза и висока смърност - 4.7% от леталитета, свързан с онкологични заболявания, с единствена дефинитивна терапевтична опция – хирургично лечение. Причините за това са авансиралият локорегионален стадий на заболяването при диагностициране, като под 20% от случаите са първично резектабилни при дебюта на болестта. Неоадювантната лъче-химиотерапия (ЛХТ) и палиативната химиотерапия (ХТ) често са със субоптимален терапевтичен ефект, поради хиповаскуларитета на лезиите и силната дезмопластична реакция и често са свързани с множество нежелани реакции, трудно поносими за пациентите, често редуциращи качеството на живот. Това налага разработване на нови алтернативни методи за лечение, част от които са и локалните аблативни техники. Благодарение на постоянното развитие на терапевтичната ендоскопия в последните десетилетия, нарастват данните за приложението на ендосонографски навигираната радиофреквентна аблация (EUS RFA) на първични и метастатични тумори на панкреаса. Методиката се основава на използването на електомагнитна енергия с индукция на термална увреда и последваща коагулационна некроза на патологичната тъкан. В настоящата статия ще презентираме нашият инициален клиничен опит – първи и за страната, основните принципи и стъпки на методиката, индикациите за приложение и публикуваните литературни данни.

Развитието на ендоскопската сонография (EUS) предоставя възможността за преминаването й от диагностична методика, в терапевтична такава. Възможността

за прилагане на локорегионални те -

рапии се основава на предимството

на real time визуален контрол и въ -

веждането на нови техники и консумативи. EUS RFA е една от т.нар. директните техники за EUS – насочена антитуморна терапия – заед -

но с инжектирането на етанол, фо -

тодинамичната аблация, лазерната

аблация и брахитерапията. Към ин -

директните техники спадат ендосконограски навигираното тънкоиглено (EUS FNA) инжектиране на

антитуморни агенти и поставянето

на маркери за последващо екстракорпорално стереотактично лъче -

лечение[1]. Настоящите индикации за провеждането на EUS RFA включват солидни тумори на панкреаса – невроендокринни - PNET, метастататични (напр. от бъбречноклетъчен карцином), кистични панкреасни неоплазми (PCN) - муцинозна кистична неоплазма (MCN) и интрадуктална папиларна муцинозна неоплазма (IPMN). Нарастват данните за успешно приложение на методиката и при PDAC. Техниката предоставя възможността за редукция на размера на тумора и намаляване на общият туморен товар чрез тъканна увреда и последваща коагулационна некроза, индуцирана чрез локална хипертермия, която води до промяна и последващо разрушаване на мембраните на туморните клетки и необратими субклетъчни нарушения. Достигат се локални тем -

ператури между 60-100 градуса по Целзий, които се генерират от високочестотен алтерниращ ток, като йоните на тъканите следват променящата се посока на алтерниращият ток. В аблираните лезии се установяват 3 постпроцедурни зони – централна зона на коагулационна некроза,транзиторна зона на сублетална хипертермия и околна незасегната тъкан[2]. Установен е и допълнителен имунологичен системен ефект след процедурата -стимулиране на отслабения имунен отговор към тумора чрез индукция на системен Т-клетъчен отговор и повишена локална инфилтрация на дендритни клетки, с което се и повишава антитуморният отговор[3]

Системата за аблация биват монополарни и биполарни, като включ -

60 І Medical Magazine | февруари 2023
ГАСТРОЕНТЕРОЛОГИЯ

ват в себе си: РФА генератор – Фиг.

1, игла електрод, а

при монополарни -

те системи – пла -

ка за пациента. При

биполарните систе -

ми токът осцилира

между два електро -

да и липсва необхо -

димост от плака за пациента. Налични -

те електроди за монополарна аблация

на пазара са: 19 G

EUS-FNA игла електрод (Radionics, Inc., Burlington, MA, USA);

HabibTM EUS-RFA

катетър (EMcision Ltd., London, UK);

EUSRA RF електрод (STARMED, Koyang, Korea) – Фиг. 2 и би -

поларната хибридна

криотермична аблация - Hybrid-Therm (ERBE, Tubingen, Germany).

Иглата се въвежда през работния канал на ендоскопа. В края

си има остър връх, чрез който се доставя енергията в тъканта и е свързана

с вътрешна охлаждаща система чрез

помпа към външен

охлаждащ източник, зареден с физилогичен разтвор – това редуцира риска от овъгляване и подобрява точността на аблация. Наличните

размери на върха са

5 мм, 7 мм, 10 мм, с различна зона на некроза, в зависимост от размера (Фиг. 3),

като зоната на некроза зависи от използвания волтаж, размера на върха и

продължителността

на аблацията.

Иглата – електрод

се въвежда в зона -

та на интерес под

директен визуален

ендосонографски

и Доплер контрол,

с което се редуци -

рани рискът от кър -

вене и увреждания

на околните струк-

тури. Последва ак-

тивиране на гене -

ратора с определен

волтаж и за опреде -

лен предварително

зададен период от

време – различен за

различните генера -

тори. След известен

период на забавяне

около иглата започ -

ват да се наблюда -

ват балончета, което

индицира аблация -

та в зоната (Фиг. 4).

Може да последва репозициониране и допълнителни ходове на иглата чрез fanning техника и да се аблират други зони в лезията в зависимост нейния размер. Най-често докладваните нежелани събития, свързани

Фиг. 1

VIVA Combo RF Generator System Starmed –Taewoong Medical USA

Фиг. 2

EUSRA™ EUS-Guided

RFA – 19 G игла за ра -

диофреквентна аблация Taewoong Medical USA

Фиг. 3

Зони на некроза в зависимост от размера на

върха

Фиг. 4

Аблиране на зоната с поява на облак от мехурчета индициращи аблация – собствен случай

[www.medmag.bg ] 61

Фиг. 5 Компютър-томографско изследване на корем преди лечение

Фиг. 6

ЕUS Doppler навигиране

на електрода

Фиг. 7 Аблация на зоната с поява на хиперехогенен облак

Фиг. 8

КАТ на втори постпроцедурен ден – без данни за ранни усложнения

с манипулацията, са постпродедурна абдоминална болка, панкреатит; перфорация на кух коремен орган; кървене; инфекциозни усложнения. Докладвани са и случаи на късни нежелани събития – стеноза на панкреасния канал, която във всички случаи е лекувана ендоскопски.

За периода август 2022 – ноември 2022 извършихме радиофреквентна аблация при трима пациенти с панкреасни тумори - при двама с невроендокринни и при един с панкреасна метастаза от светлоклетъчен бъбречен карцином. И тримата пациенти са оценени като противопоказани за панкреасна хирургия. При всички е проведена профилактика за постпроцедурен панкреатит с приложение на НСПВС – Индометацин ректално и опримална хидарация с Рингер –Лактат, следвайки препоръките за профилактиката за пост-ендоскопска ретроградна холангиопанкреатография (ЕРХПГ) панкреатит (РЕР)[7]. При всички пациенти е проведена антибиотична профилактика. Заболяването е доказано и потвърдено хистологично с предхождаща ендосонографска тънкоиглена биопсия - EUS FNB. Процедурите са извършени с линеарен ехоендоскоп Fujifilm EG 58O UT под обща анестезия. Използваният генератор за радиофреквантна аблация е STARMED (Taewoong Medical) с охлаждаща система с физиологичен разтвор, с волтаж 50 вата в контролиращ температурата режим. Процедурите са извършени с игла електрод EUSRA 19 G 10 mm (Taewoong Medical). Стъпките по време на манипулацията включват: 1. Провеждане на ендоскопски ултразвук с визуализация на лезията и избиране на безопасен за околните структури достъп. 2. Въвеждане на иглата електрод в зоната на интерес под EUS Doppler контрол на безопасно разстояние от околните структури и далеч от интервениращи съдове. 3. Аблиране на зоната. 4. Допълнителни ходове на иглата за аблиране на останалите витални зони от лезията (не повече от 4). 5. Провеждане на контрастно-усилена ендоскопска ехография за оценка на наличието на витални зони.

КЛИНИЧЕН СЛУЧАЙ 1

Р.С.Д – жена на 59 г. с установен тумор на глава на панкреас – размери 43/27 мм от проведен КАТ, хистологично верифициран като невроендокринен тумор – провдени 12 курса терапия със соматостатинов аналог, преценена като неподлежаща на хирургично лечение (Фиг. 5).

При пациентката е извършена EUS с контрастно усилване, което обективизира хиперваскуларност на лезията. Извъшена е термоаблация с 4 хода на иглата предвид големия размер на формацията (Фиг. 6, 7 ).

| февруари 2023

62 І Medical Magazine

Постпроцедурно не наблюдавахме усложнения, липсваше повишение в стойностите на амилаза, липаза и острофазови белтъци, които бяха контролирани двукратно

през 12 часа след интервенцията. На втория постпроцедурен ден проведохме контрастно-усилена КАТ, която също не детектира усложнения (Фиг. 8).

На втори месец след проведената аблация при пациентката се проведе контролна КАТ с данни за частичен отговор - установиха се хиподенсни зони, с характеристика на некротични (Фиг. 9).

Пациентката подлежи на регулярно проследяване и по преценка следващи сесии на EUS-RFA.

КЛИНИЧЕН СЛУЧАЙ 2

Л.К.П – мъж на 86 г. Придружаващ карцином

на пикочен мехур, проведена радикална цистопростатовезикулектомия с лимфна дисекция и адювантна химиотерапия. При проследяване установена хиподенсна лезия в главата на панкреаса с д. 11 мм – проведена EUS FNB с хистологична верификация невроендокринен тумор (Фиг. 10).

При контрастно-усилена EUS се потвърди хиперконтрастирана формация, извършена EUS RFA с общо 2 хода на иглата, като се постигна пълен отовор, потвърден с контрастно-усилена EUS в края на процедурата. КАТ на втори постпроцедурен ден потвърди хиподензитет и липса на контрастиране (Фиг. 11).

Пациентът бе дехоспитализиран на 4-ти постпроцедурен ден, като отново не са наблюдавани компликации.

КЛИНИЧЕН СЛУЧАЙ 3

И.Р.К – мъж на 71 г. Състояние след десностранна хемиколектомия по повод карцином на цекума, състояние след радикална простатектомия по повод карцином на простата с последващо лъчелечение. Състояние след аортно клапно протезиране и аорто-коронарен байпас; състояние след десностранна нефректомия по повод светолоклетъчен карцином. При проследяване установена формация в тялото на панкреаса с размери 18 мм – хистологично верифицирана (EUS-FNB) като метастаза от светлоклетъчен бъбречен карцином (Фиг. 12-14).

Фиг. 9

КАТ на втори месец след процедурата

Фиг. 10

КАТ

Фиг. 11

КАТ на втори постпроцедурен ден.

Фиг. 12 Контрастно-усилена EUS – хиперконтрастиране в артериална фаза

Фиг. 13 ЕUS еластография на лезията

[www.medmag.bg ] 63

Фиг.

Проведе се EUS RFA с три хода на иглата. Пациентът бе изписан на 3-ти постпроцедурен ден, без постпроцедурни усложнения. Планиран за контролна КАТ на трети постпроцедурен месец (Фиг. 15).

ДИСКУСИЯ Радиофреквентната аблация е добре позната методика с доказана ефективност при първични и метастатични чернодробни тумори. Макар и все още нестандартизирана, нарастват литературните данни за високата й ефективност и безопасност при някои панкреасни тумори. След проведени опити на животински модели, оценява -

ГАСТРОЕНТЕРОЛОГИЯ

щи безопасността на методиката[9] започва приложението й в клиничната практика при селектирани пациенти. В мета-анализ, публикуван през 2020 от Dhaliwal А. and al., обхващащ 13 проучвания с общо 134 пациенти и проведени 165 процедури, докладваният технически успех е 100%, а клиничният - 91.5%. Техническият успех е дефиниран като успешно въвеждане на иглата в таргетната лезия, а клиничният успех - редукция в размерите на зоната при проследяващ КАТ и наличие на хиподенсни зони (зони на некроза), а при пациентите с PNET като клиничен успех се дефинира и редукцията на симптомите. В мета-анализа са включени както пациенти с NET и панкреасни метастази,

64 І Medical Magazine | февруари 2023
14 EUS FNB на зоната Фиг. 15 ЕUS RFA на метастатичната панкреасна лезия

така и пациенти с PDAC. Пациенти -

те са проследени за нежелани реак-

ции, които съответно са разделени

на ранни - до 7 ми ден и късни – от 7

ми ден до 3 ти месец постпроцеду -

рно. Нежелани събития са доклад -

вани в 14.87% с най-голяма честота

– абдоминална болка – 9.82%; пост-

процедурен панкреатит при двама и

един пациент с перфорация.

При един от пациентите е установен

късна нежелана реакция - стеноза

на панкреасният канал – с последва -

що ендоскопско лечение[4]. Прило -

жението на РФА при кистични нео -

плазми и PNET е оценено през 2019

от Barthet and al. в мултицентрично

проучване с период на проследява -

не една година. Кохортите включ -

ват 12 пациента с 14 PNET (среден

размер на лезиите 13.1 мм) и 17 па -

циента с кистични неоплазми (16

пациенти с IPMN; 1 с муцинозен кис -

тичен аденом - MCA; със среден

размер на лезиите 28 мм). Нежела -

ни реакции са докладвани при 10%

(n=3) - един пациент с остър панкре -

атит, една интестинална перфорация и една стеноза на панкреасния канал. Пълно изчезване на тумора е наблюдавано при 86% от случаите с NET и 71% от случаите с кистични неоплазми[5]. Получените от нас ранни резултати са в подкрепа на публикуваните литературни данни, като при двама от трима пациенти постигнахме пълна деструкция на тумора. Частичният отговор, наблюдаван при първата пациентка, счетохме, че е свързан с големите размери на лезията. В такива случаи може би е уместно обсъждането на втора процедура с аблиране на остатъка от виталната тъкан. Недостатъците на методиката са липсата на стандартизирани протоколи поради факта, че черният дроб и панкреасът са хистологично много различни органи и протоколите, прилагани при чернодробна аблация, не могат да бъдат използвани при панкреаса[10].

ЗАКЛЮЧЕНИЕ Ехоендоскопската радиофреквентна аблация е нов и обещаващ метод,

1. Sundeep Lakhtakia and Dong-Wan Seo. Endoscopic ultrasonography-guided tumor ablation. Digestive Endoscopy 2017; 29: 486–494

2. Lakshmi Asritha Gollapudi, Amy Tyberg. EUS-RFA of the pancreas: where are we and future directions . Transl Gastroenterol Hepatol 2022;7:18

3. Dromi SA, Walsh MP, Herby S, et al. Radiofrequency ablation induces antigen-

presenting cell infiltration and amplification of weak tumor-induced immunity. Radiology 2009;251:58-66.

4. Amaninder Dhaliwal and al . Efficacy of EUS-RFA in pancreatic tumors: Is it ready for prime time? A systematic review and meta-analysis. Endosc Int Open. 2020 Oct;

8(10): E1243–E1251.

5. Barthet M, Giovannini M, Lesavre N et al. Endoscopic ultrasoundguided

radiofrequency ablation for pancreatic neuroendocrine tumors and pancreatic cystic neoplasms: a prospective multicenter study. Endoscopy 2019; 51: 836–842

6. Chiou SY, Liu JB, Needleman L (2007) Current status of sonographically guided radiofrequency ablation techniques. J Ultrasound Med 26: 487–499

7. Jean-Marc Dumonceau, Christine

предлагащ лечебна алтернатива

при някои панкреасни тумори. Натрупаните данни до момента доказват висока ефективност и безопасност при лечение на невроендокринни тумори, някои метастатични лезии и кистични неоплазми. Необходими са допълнителни проучвания за оценка на ползите от методиката в дългосрочен план и прецизиране на индикациите.

Използвани съкращения:

EUS RFA – ехоендоскопска радиофреквентна аблация

EUS – ендоскопска ехография PDAC – панкреасен дуктален аденокарцином CT – компютърна томография

MRI – магнитнорезонансна томография

PNET – панкреасен невроендокринен тумор

Kapral, Lars Aabakken and al. ERCPrelated adverse events:European Society of Gastrointestinal Endoscopy (ESGE) Guideline. Endoscopy 2020; 52: 127–149

8. Song TJ, Seo DW, Lakhtakia S et al. Initial experience of EUS-guided radiofrequency ablation of unresectable pancreatic cancer. Gastrointest Endosc 2016; 83: 440–443

9. Gaidhane M, Smith I, Ellen K, Gatesman J, Habib N, Foley P, Moskaluk C, Kahaleh

M. Endoscopic Ultrasound-Guided

Radiofrequency Ablation (EUS-RFA) of the Pancreas in a Porcine Model. Gastroenterol Res Pract. 2012;2012:431451

10. Changela K, Patil R, Duddempudi S, Gaduputi V. Endoscopic Ultrasound-Guided

Radiofrequency Ablation of the Pancreatic Tumors: A Promising Tool in Management of Pancreatic Tumors. Can J Gastroenterol Hepatol. 2016;2016:4189358.

[www.medmag.bg ] 65
ИЗПОЛЗВАНА ЛИТЕРАТУРА:

болестетиология, честота, лечение

и профилактика

В. Василев, Н. Димитров Клиника по урология, УМБАЛ "Александровска" - София Бъбречно-каменната болест, наричана още нефролитиаза, уролитиаза или бъбречна калкулоза, e едно от най-честите заболявания в урологията и е резултат от кристализирането на минерални соли в урината. Етиологията е мултифакторна и честотата зависи от генетични, географски, диетични, етнически и климатични фактори. България е ендемична зона и нефролитиазата засяга 10-15% от населението, което е два пъти по-често от страните в Западна Европа. Засегнати са всички възрасти, пол и раса. По-често се среща при мъжете на възраст 20-49 години, отколкото при жените на същата възраст. Един от всеки пет души в тази възрастова група е застрашен от образуване на бъбречни конкременти[1]. При липсата на метафилаксия, честотата на рецидивите на вторично образуване на камъни се оценява на 10-23% годишно, 50% за 5-10 години и 75% за 20 години[2]

ЕТИЛОГИЯ

Бъбречните камъни представляват

компактна твърда маса, съставена от

кристализирали соли и органичен ма-

трикс.

Образуването на конкрементите

може да се сравни с утаяването на

сол във вода. Когато се повиши кон-

центрацията на разтворените соли и

се достигне тяхната концентрация на

насищане, солите започват да се утаяват. Човешката урина се различава от

водата по това, че е подвижна и често представлява метастабилен разтвор. Кристалообразуващите соли в нея -

някои винаги (напр. калциев оксалат), други в част от времето (напр.урати, калциев фосфат), са в повишена кон-

центрация, но при нормално функ-

циониране на отделителната ситема, те не се утаяват дори и да надвишават концентрацията си на насищане. Това означава, че за образуването на

бъбречен конкремент са необходи-

ми и допълнители фактори като за-

стой на урината, органично ядро от

бактерии или мъртви епителни клет-

ки, промяна в Ph на урината, чуждо

тяло (DJ stent), остатъчен фрагмент от

друг камък, намаление на инхибиторните за кристалообразуването фактори и др.[3].

Един път образувани, ако не бъдат

елиминирани с урината докато още са малки, върху кристалите постепенно

се утаяват нови и нови соли и започва формирането на конкремента и нарастване на размерите му[4]

Това не може да обясни защо при някои хора конкременти се образуват

въпреки липсата на предразполагащи фактори, а при други с множество предразполагащи фактори камъни не се образуват.

ВИДОВЕ КОНКРЕМЕНТИ Камъните могат да се класифицират по различни критерии - състав, големина, локализация и др.

• Калциеви: калциево-оксалатни и калциево-фосфатни конкременти Това са най-често срещаните бъбречни камъни, съставляващи 80% от конкрементите[5]. Калциевите конкременти могат да бъдат калциево-оксалатни, по-рядко калциево-фосфатни или комбинация от двете. Те се дължат на излишък на калций и оксалати в урината - т.нар. хиперкалциурия и хипероксалурия, но от значение са и повишената концентрация на урати и намалената концентрация на магнезий и цитрати в урината.

Причини за образуването им, водещи до повишена концентрация на калций и оксалати в урината, са намаленият прием на течности и дехидратацията, хроничната диария, продължителното изпотяване, хиперпаратиреоидизмът, хранителеният режим, богат на оксалати (спанак, кафе, шоколад, чай), повишеният прием на вит. Д, вродените дефекти в калциевата тубулна екскреция, вродените дефекти в калциевата абсорбция, остеолитичните лезии и др.

На външен вид калциевите конкременти са сиви или тъмни на цвят, често с назъбена повърхност и са добре видими на рентгеново изследване.

• Уратни конкременти

Те представляват около 5-10% от бъбречните камъни[5]. Повишено отделяне на пикочна киселина в урината се среща при подагра, миелопролиферативни заболявания, повишен клетъчен разпад при циторедуктивна терапия или лъчелечение, бърза загуба на тегло, повишен прием на пурини, дехидратация, хора с улцерозен колит или илеостомия.

Пикочната киселина e слаба киселина и при pH под 5.75 (pKa на пикочната киселина е 5.75) е в полуйонизирана

66 І Medical Magazine | февруари 2023
Бъбречно-каменна
УРОЛОГИЯ

Табл.1

Камъни според етиологията:

Неинфекциозни камъни

• Калциево-оксалатни

Инфекциозни камъни

• Калциево-фосфатни

• Уратни

• Магнезиево- амониево фосфатни

•Цистинови

Лекарствено индуцирани

• Карбонат-апатитни

• Амониево-уратни Генетични причини

•Ксантинови

неразтворима форма, докато при покачване

на pH много по-голяма част се превръща в йонизирана разтворима форма. Излишъкът на

пикочна киселина и поддържането на кисело

Ph <5.7 на урината значително повишава риска

от образуване на уратни конкременти.

Лечението и профилактиката на уратната ли-

тиаза се състои в увеличен прием на течности

в комбинация с алкализиране на урината (пе -

рорален прием на натриев цитрат, калиев цитрат) и терапия с алопуринол, който да намали метаболитното образуване на пикочна кисе-

лина. Правилно провежданата терапия води

до разграждане на камъните, като темпът зависи от повърхността на конкрементите. Уратните конкременти са жълто-червеника-

ви на външен вид и са рентгенонегативни.

По-често се срещат при мъжете.

• Струвитни или магнезиево-амониево-фосфатни конкременти

Този вид камъни се срещат в около 10-15% от случаите[5]. Образуват се при хронични или често повтарящи се бактериални уроинфекции с микроорганизми, продуциращи уреаза.

Това са най-често Proteus mirabilis, по-рядкоKlebsiella pneumonia, Pseudomonas aeruginosa, Staphylococcus и Enterobacter. Причината е, че уреазата разцепва уреята на амониеви йони и CO2 като по този начин урината се алкализира (pH>7), което улеснява преципитацията на фосфатите. От друга страна, наличието на голямо количество бактерии и мъртви клетки служи за органично ядро, което улеснява отлагането на солите върху него. Тези камъни се срещат по-често при жените поради по-високата честота на уроинфекции. Характеризират се с бавен и безсимптомен растеж и достигнат много големи размери, които изпълват чашките и легенчето на бъбрека – т.

нар. отливъчни или кораловидни камъни.

• Цистинови конкременти

Те съставляват 1-3% от бъбречниите конкре -

•2,8 - дихидрокси-аденининови

Фиг. 1. Калциево-оксалатен конкремент

Фиг. 2. Уратен конкремент

Фиг. 3. Магнезиево-амониево фосфат

Фиг. 4. Цистинов конкремент

[www.medmag.bg ] 67

Фиг. 5. Mиграция на бъбречен конкремент в

уретера, водещ до ди -

латация на кухинната

система и преразтягане

на бъбречната капсула

Фиг. 6. Локализация на

болката при бъбречна

криза

менти[5]. Дължат се на автозомно-рецесивно предаван генетичен дефект в механизъма на реабсорбцията на аминокиселините Цистин, Орнитин, Лизин и Аргинин в бъбреците, което от своя страна води до повишаване на тяхната концентрация в урината и благоприятства образуването на цистиновите камъни. Киселата урина намалява разтворимостта на цистина. Бъбречните камъни са единствената проява на цистинурията[6]. Профилактиката и лечението се състоят в повишем прием на течности, алкализиране на урината (pH >7.5), прием на вит. C и хелатори като пенициламин.

• Ксантинови конкременти

Те се дължат на генетичен дефект, водещ до дефицит на ензима ксантин-дехидрогеназа.

Те са рентгенопозитивни. Имат жълт цвят и профилактиката се състои в повишен прием на течности и алкализиране на урината.

Фиг. 7. Ехография при хидронефроза

Фиг. 8. Рентгенография

на БУМ с конкремент в

ляв уретер

• Лекарствено-индуцирани конкременти Лекарства като triamterene, glafenine, antrafenine и протеазните инхибитори (напр. indinavir, atazanavir) могат да доведат до образуване на бъбречни конкременти.

КЛИНИЧНА КАРТИНА

• Бъбречна колика Бъбречната колика се характеризира с внезапна силна болка в лумбалната област с ирадиация по хода на уретера към слабинната област, често съпроводена от гадене и повръщане, втрисане. Причината е конкремент, мигрирал в уретера и предизвикващ запушването на бъбрека. Това води до рязко повишаване на налягането и дилатация на кухинната система на бъбрека (пиелон и чашки), нарастване на неговите размери и преразтягане на бъбречната капсула. Рефлекторно се дразнят нервните окончания в богато инервираната капсула и това е причината болката да се усеща в хълбока, въпреки че камъкът може да e достигнал до малкотазовия сегмент на уретера. Коликообразният характер на болката и ирадиацията ѝ отпред към слабините се дължи на контракциите на мускулатурата в стената на уретера, перисталтиращ в опит да “избута” камъка в пикочния мехур.

• Тежест и тъпа болка в хълбока Големите камъни най-често не болят. Безсимптомното им протичане води до прогресивното им нарастване. Те могат да причинят интермитентна поява на тежест, дискомфорт

68 І Medical Magazine | февруари 2023
УРОЛОГИЯ

и тъпа болка в съответната лумбална област. Причината за тези болки са частичното запушване на пиелона или леки субхронични инфекции, което е улеснено от наличието на камъка, който бактериите често колонизират.

• Хематурия Появата на микроскопска или макроскопска хематурия често съпътства наличето на уролитиаза. Обичайно е интермитентна и се провокира от физическа активност.

• Уроинфекции Уролитиазата е предпоставка за инфекции на пикочните пътища, като конкрементите често биват колонизирани от различни бактериални щамове. Струвитните камъни са резултат от хронични или рецидивиращи инфекции с уреаза-продуциращи микроорганизми. Обструктивната литиаза с насложена инфекция може да доведе до пионефроза и дори уросепсис.

ДИАГНОСТИКА

В основата на диагностиката на уролитиазата

седи образната диагностика, която следва да даде информация относно локализацията и

размера на конкрементите, както и наличието

или липсата на обструкция.

• Ехография

Това е най-достъпният, евтин, бърз и безвреден метод. С него могат да се визуализират конкременти в бъбречните чашки, бъбречното легенче, пиелоуретералния и уретеровезикал-

ния сегмент, както и наличието или липсата на хидронефроза. Това са причините това да е първо средство на избор при оценка на пациенти с болка в лумбалната област. Недостатък е невъзможността да се визуализира по-голямата част от уретера, разположен ретроперитонеално. Това налага често комбинирането ѝ с рентгенови образни изследвания.

• Рентегенография на БУМ (бъбреци, уретер, пикочен мехур)

Рентгенографията дава инфромация за всички рентгенопозитивни конкременти, тяхната локализация и размер. Недостатък е липсата на информативност относно рентгенонегативните конкременти като напр. уратната литиаза.

• Компютърна томография Нативната компютърна томография е стандарт в диагностиката на остра болка в хълбочната област. Скенерът се характеризира с голяма чувствителност и специфичност[7]. Приложението на контраст дава детайлна информация

Фиг. 9. Схема на литотиптер и положението на пациента

Фиг. 10. ЕКЛТ - ударните вълни дезинтегрират конкремента

Фиг. 11. Лазерна литотрипсия на конкремент

Фиг. 12. Схема на PCNL

[www.medmag.bg ] 69

Табл.2

Общи превантивни мерки

Прием на течности

Прием на течности: 2.5-3.0 л/ден

Циркадианен прием на течности

Напитки с неутрално Ph

Диуреза: 2.0-2.5 л/ден

Специфично тегло на урината < 1.010 г/ден

Балансирана диета

Храна богата на зеленчуци и фибри

Хранителни съвети

Нормално съдържание на калций - 1-1.2 г/ден

Ограничено съдържание на NaCl - 4-5 г/ден

Ограничено съдържание на животински протеин - 0.8-1.0 г/ден

Поддържане на нормален BMI

Съвети за начина за живот

Адекватна физическа активност Предотвратяне и компенсиране на прекомерната загуба на течности

за функцията на отделителната система. Скенерът обективизира локализацията, размера на конкремента, както и неговата плътност (Hounsfield unit), което може да предскаже вида камък и неговата твърдост. Той е много полезен както в диагностичен, така и в диференциално-диагностичен план (вродени аномалии, тумор на уретера, съсирек, тумор на бъбрека или пикочния мехур), тъй като дава детайлна информация за цялата пикочо-отделителна система и околните органи и структури.

• Венозна урография Тя дава сведения относно наличието на уролитиаза и функцията на отделителната система, но е почти изцяло заместена от по-информативната компютърна томография[7]

• Химичен анализ Елиминираните конкременти могат да бъдат изследвани с цел определяне на точният им химичен състав, което е с голямо значение относно последващата профилактика.

• Лабораторни изследвания В съображение влизат лабораторните изследвания (серумен креатинин, урея, електролити), които дават информация относно бъбречната функция. От значение са микробиологичното изследване на стерилна урина, химичният анализ на урината и микроскопският анализ на седимента.

ТЕРАПИЯ Поведението при уролитиаза е комплексно.

Изборът на конкретен метод на лечение се оп-

ределя от вида на конкремента, неговата локализация, размер, наличието на усложнения - инфекция, хидронефроза, пионефроза, бъбречна недостатъчност, както и от състоянието на пациента.

• Консервативно поведение Уратните конкременти са единствените, които подлежат на химическа литолиза. Това е уместно, когато конкрементите са необструктивни и при добра бъбречна функция на пациента. Терапията посредством увеличен прием на течности (>2 л) и перорален прием на алкализиращи урината вещества (калиев цитрат, натриев цитрат) води до разтваряне на кристалите пикочна киселина[9]

Голяма част от конкрементите, предизвикващи уретерна обструкция, преминават спонтанно. Това се определя от техния размер, местоположение, форма и съпътстващия оток на уретералната лигавица. Уретерални конкременти с размер под 4-5 мм имат 40-50% вероятност от спонтанно елиминиране, докато при тези над 6 мм вероятността е под 15%.

Поведението при бъбречна колика цели облекчаване на болковата симптоматика и улесняване пасажа на конкремента - т.нар. Медикаментозна експулсивна терапия. Тя включва употребата на нестероидни противовъзпалителни средства (НСПВС)[10], които имат по-добър аналгетичен ефект от опиоидните медикаменти[10,11]. Освен обезболяващ ефект, НСПВС намаляват отока на уретералната лигавица. Уместно е използването и на алфа-блокери[12], които отпускат гладката мускулатура на дис-

70 І Medical Magazine | февруари 2023
УРОЛОГИЯ

талния уретер, както и на спазмолитици и антиеметици. Антибиотично лечение е необходимо при съпътстваща уроинфекция.

Когато медикаментозната експулсивна терапия е неефикасна или не е

уместно да се приложи поради размера, местоположението на камъ-

ка или наличието на усложнения, се пристъпва към ЕКЛТ, RIRS, PCNL, дезобструкция чрез DJ stent и др.

• Екстракорпорална литотрипсия

Това е метод, при който конкрементите се фрагментират посредством

вълни, произведени извън тяло -

то на пациента от специална маши-

на, наречена литотриптер. Методът

е бърз - процедурата е с продължи-

телност около 30 минути, извършва

се в амбулаторни условия и не изис-

ква специална подготовка от страна

на пациента. Подходящ е за бъбреч-

ни конкременти под 2 см и уретерни - под 1 см. Използват се т.нар. Shock waves, които се фокусират върху конкремента под рентгенов или ехографски контрол.

Достигайки до камъка, чието акустично съпротивление е различно от това

на водата, част от енергията на вълните се отдава. Това предизвиква пови-

шение на повърхностното напрежение и раздробяване на конкремента.

Ефективността на ЕКЛТ зависи от размера, локализацията, твърдостта на камъка и хабитуса на пациента. Твърдите конкременти са по-издръжливи и се фрагментират на по-едри части-

ци. Фрагментите се отделят спонтанно чрез урината.

• Ендоскопски методи Уретеролитотрипсията и ретроградната интраренална хирургия (RIRS) са минимално инвазивни методи, които позволяват достъп до конкремените през естествените отвори на тялото.

Използват се инструменти уретерореноскопи, които са снабдени с оптична система и работен канал. Те могат да бъдат ригидни, полуригидни и флексибилни. Най-често се използва лазерно влакно за дезинтеграция на конкрементите, като с най-добър ефект е Холмиум лазерът. Целта е камъните да бъдат литотрипсирани до фрагметни под 2 мм, които да излязат спонтанно с урината. Често процедурата завършва с поставяне на DJ - стент спомагащ елиминирането на фрагментите. За екстракцията им могат да бъдат използвани и различни видове кошнички и бримки. Бурното развитие на технологиите и апаратурата позволява лазерната литотрипсия на все по-големи конкременти, които до неотдавна се премахваха оперативно[13]

• Перкутанна нефролитотомия (PCNL)

Този метод се различава от гореописаните по това, че при него не се използват естествените отвори на тялото. Както подсказва името, в този случай до бъбрека се достига чрез малък разрез на кожата в областта на хълбока. Предимство е, че позволява директен достъп до бъбрека и из-

ползване на инструменти с по-голям работен канал, наречени нефроскопи. По този начин може едновременно

да се разбива конкремента и да се аспирират фрагментите.

Методът е подходящ при големи камъни (над 3 см) и особено отливъчни бъбречни конкременти. Недостатък

е по-голямата инвазивност спрямо ретроградната ендоскопска хирургия.

• Отворена и лапароскопска хирургия

Те намират все по-малко място в лечението на уролитиазата. Използването им е уместно, когато перкутанният достъп е невъзможен (анатомични

аномалии или вариации, тежки усложнения като пионефроза, възпалителни сраствания др.) или вече са били извършени неуспешни ендоурологични процедури.

Профилактика на уролитиазата Всички пациенти с уролитиаза, независимо от техния индивидуален риск и вида на камъка следва да спазват следните препоръки:

Основната профилактика се състои в адекватен прием на течности и осигуряване на добра диуреза, балансирано хранене и нормализиране на рисковете свързани с начина на живот. Пациентите с висок риск се нуждаят от специфична профилактика, която е свързана с химичния състав на камъните и подлежащата причина водеща до уролитиаза. Това включва различни режими на фармакологична терапия и специфичен хранителен режим.

1. Trinchieri A CG, et al., Epidemiology, in Stone Disease, K.S. C.P. Segura JW, Pak CY, Preminger GM, Tolley D., Eds. 2003, Health Publications: Paris.

2. Moe O. W. Kidney stones: pathophysiology and medical management. The Lancet. 2006;367(9507):333–344. doi: 10.1016/ s0140-6736(06)68071-9

3. Ratkalkar VN, Kleinman JG. Mechanisms of Stone Formation. Clin Rev Bone Miner Metab. 2011 Dec;9(3-4):187-197. doi: 10.1007/s12018-011-9104-8. PMID: 22229020; PMCID: PMC3252394.

4. Strohmaier, W.L. Course of calcium

stone disease without treatment. What can we expect? Eur Urol, 2000. 37: 339.

5. Coe F. L., Evan A., Worcester E. Kidney stone disease. Journal of Clinical Investigation. 2005;115(10):2598–2608. doi: 10.1172/jci26662.

6. Ahmed K., Dasgupta P., Khan M. S. Cystine calculi: challenging group of stones. Postgraduate Medical Journal. 2006;82(974):799–801. doi: 10.1136/ pgmj.2005.044156.

7. Xiang, H., et al. Systematic review and meta-analysis of the diagnostic accuracy of low-dose computed tomography of the

kidneys, ureters and bladder for urolithiasis. J Med Imaging Radiat Oncol, 2017. 61: 582.

8. Worster, A., et al. The accuracy of noncontrast helical computed tomography versus intravenous pyelography in the diagnosis of suspected acute urolithiasis: a meta-analysis. Ann Emerg Med, 2002. 40: 280.

9. Rodman, J.S., et al. Dissolution of uric acid calculi. J Urol, 1984. 131: 1039 https:// www.ncbi.nlm.nih.gov/pubmed/6726897

10. Pathan, S.A., et al. Delivering safe and effective analgesia for management of renal colic in the emergency department:

a double-blind, multigroup, randomised controlled trial. Lancet, 2016. 387: 1999.

11. Brandt, B., et al. Painful caliceal calculi. The treatment of small nonobstructing caliceal calculi in patients with symptoms. Scand J Urol Nephrol, 1993. 27: 75. https:// www.ncbi.nlm.nih.gov/pubmed/8493473

12. Lipkin M, Shah O. The use of alpha-blockers for the treatment of nephrolithiasis. Rev Urol. 2006;8 Suppl 4(Suppl 4):S35-42. PMID: 17216000; PMCID: PMC1765041.

13. Kumar, A., et al. A prospective, randomized comparison of shock wave

lithotripsy, retrograde intrarenal surgery and miniperc for treatment of 1 to 2 cm radiolucent lower calyceal renal calculi: a single center experience. J Urol, 2015. 193: 160. https://www.ncbi.nlm.nih.gov/ pubmed/25177768

14. Приложени таблици - A. Skolarikos (Chair), A. Neisius, A. Petřík, B. Somani, K. Thomas, G. Gambaro (Consultant nephrologist) Guidelines Associates: N.F. Davis, R. Geraghty, R. Lombardo, L. Tzelves Guidelines Office: R. Shepherd, European Association of Urology Guidlines 2022 edition, Urolithiasis

[www.medmag.bg ] 71
ИЗПОЛЗВАНА ЛИТЕРАТУРА:

Н. Пасков1 , М. Дойков, д.м.1,2

1Клиника по Урология, УМБАЛ "Каспела" – Пловдив

2Катедра по Урология и Обща

Медицина, Медицински Университет – Пловдив

Епидидимит при възрастни пациенти

Епидидимисът (надсеменник) е структура с форма на полулуние, разположена върху задния ръб на тестиса. Той има глава, тяло и опашка. Неговата функция е да провежда сперматозоидите от тестиса (където се произвеждат) към семепровода - мускулна тръба, която се отваря в простатата. Надсеменникът е най-уязвимата на инфекция част в скротума, като инфектирането му се нарича епидидимит. Епидидимитът бива остър и хроничен. Острият епидидимит се характеризира с остро настъпила болка, подуване, възпаление на епидидима обща отпадналост и фебрилитет. Хроничният епидидимит обикновено се характеризира с по-слабо изразени симптоми, като понякога дори могат напълно да липсват. Проявява се като болезненост на тестиса при ходене, като при палпация се чувства увеличен и втвърден, плътно прилепнал към семенника. За хроничен епидидимит може да се говори, когато инфекцията е с продължителност над 6 седмици. Поради близостта му до тестиса, всеки инфекциозен или възпалителен процес, засягащ епидидима, може да се разпространи в самия тестис, състояние, известно като епидидимоорхит[1,2,3]

ЕТИЛОГИЯ

По-голямата част от случаите на епидидимит възникват в резултат на бактериална инфекция. Видовете бактериална инфекция включ-

ват обикновени уринарни патогени,

както и патогени, за които е известно, че причиняват полово-предавани болести. В повечето случаи на епи-

дидимит инфекцията възниква или

в резултат на ретрограден поток на

урината, най-често наблюдаван при

възрастни мъже, или в резултат на полово-предавана болест, най-чес-

то срещана при мъже на възраст от 20 до 40 години. При мъже преди полова зрялост, най-честата причина за епидидимит е възпаление, което възниква в резултат на травма или повтарящи се дейности като спорт. Други възможни причини за епидидимит включват химически, лекарствени и вирусни инфекции[2,4,5]

ЕПИДЕМИОЛОГИЯ

Епидидимитът може да засегне мъже

във всяка възрастова група, като най-често се среща при мъже на въз-

раст от 20 до 40 години и в повечето случаи се свързва с полово-предавана болест. Chlamydia trachomatis и Neisseria gonorrhea представляват приблизително 50% от случаите на епидидимит при мъже на възраст под 40 години. След тази възраст най-честият етиологичен агент отговорен за епидидимит е Escherichia coli и други колиформни бактерии, открити в стомашно-чревния тракт. Макар и много рядко, химическият епидидимит може да възникне в резултат на полов акт с пълен пикочен мехур, което води до ретрограден поток на урина. Вирусни инфекции, като вируса на паротит, също могат да доведат до епидидимит или епидидимоорхит. Също така, епидидимит може да възникне в резултат на някои лекарства, като амиодарон, използван при лечението на сърдечна аритмия.

ПАТОФИЗИОЛОГИЯ Епидидимитът най-често възниква в резултат на бактериална инфекция. При наличие на полово-предавана болест, бактериите се въвеждат по време на полов акт и мигрират през пикочо-половия тракт към епидидима. В случаи на инфекция, дължаща

се на инфекция на пикочните пъти-

72 І Medical Magazine | февруари 2023
УРОЛОГИЯ

ща, ретроградното течение на урина-

та или стагнацията на урина по пико -

чо-половия тракт води до инфекция

на епидидима. Когато епидидимитът

е причинен от повтарящи се движе -

ния, подвижността на скротума може

да доведе до възпаление на семенни-

ка и надсеменника.

КЛИНИЧНА КАРТИНА

Клиничната картина при епидидимит е

различна в зависимост от това дали се

касае за остър или хроничен епидидимит. Симптомите на остър епидидимит

биват остра болка в скротума, влошена

при движение, отначало не локализи-

рана, след това концентрирана в тести-

са от едната страна. Скротумът е подут

и увеличен от страната на възпаление-

то. Острият епидидимит е придружен

от повишаване на температурата до

38-39°C, гадене и повръщане, влоша-

ване на общото състояние, главоболие

и мускулно-ставни болки. Симптомът

на Prehn е положителен: облекчава-

не на болката при повдигане на скро-

тума като това е главният отличителен

белег на острия епидидимит от торзия на тестисите, при който симптомът на

Prehn е отрицателен.

При хроничния епидидимит болката и дискомфортът са значително по-леки, като персистират в продължение на период от над 6 седмици. При него симптоматиката може да варира в широки граници – може да бъде едностранна или двустранна; умерена до силна болка; може да се обостря

от определени дейности, включително еякулация; при палпиране епидидимисът може да бъде уголемен или да бъде с нормални размери. ДИАГНОЗА Диагностицирането на епидидимита понякога може да бъде трудно и трябва задължително да се извършва само от специалист уролог. За поставянето на диагнозата епидидимит обикновено се започва с уринен анализ, както и микробиологично изследване на урина и еякулат. Макар и неспецифично, наличието на червени и бели кръвни клетки в урината може да показва остро инфекциозно или възпалително състояние. Уретрален тампон е показан в случаите, когато полово-предаваната болест се счита за вероятна предвид сексуалната анамнеза на пациента. Рентгенографската оценка включва ултразвуково изследване, като се обръща внимание на анатомичната структура на тестиса и се прави оценка на съдовия поток към него, т.нар. доплер ехография[6,7,8].

ДИФЕРЕНЦИАЛНА ДИАГНОЗА Съществуват три сериозни заболявания, които трябва да се отдиференцират от епидидимит:

- Торзио на тестиса – представлява усукване на тестиса около спермалната връв и хранещите артерии. Това настъпва рязко, неочаквано, с много силна болка, която може да предизвика повръщане и дори припадък, до -

като при епидидимита болката се развива по-плавно, макар да е възможно също да е много силна. При наличие на торзио е необходимо веднага да се потърси лекарка помощ, защото ако тестиса не се оперира и върне в изходно положение до 6 часа, може да се стигне до атрофия, некроза и загуба на органа.

- Тумор на тестиса – туморите на тестиса са най-често безболкови, като се напипват случайно от самия пациент. Нерядко, обаче, при по-бързо нарастване на формацията, може да се разтегне обвивката на тестиса. Това е възможно да причини различно изразена болка и тежест. - Ингвинална херния – нерядко при начална ингвинална херния е възможно някои от нервите към тестиса да се притискат и това да доведе до преходна болка в тестиса.

ЛЕЧЕНИЕ

Лечението на епидидимит се основава на идентифициране на причинителя, въпреки че често се наблюдава емперично приложение на широкоспектърни антибиотици въз основа на най-типичните агенти (C. trachomatis, N. gonorrhea, E. coli). За намаляване на болката и едема на скротума се препоръчват постелен режим и компреси с риванол[10,11,12]. Епидидимитът, причинен от повтарящи се дейности, се лекува симптоматично с почивка, противовъзпалителни лекарства и внимателно проследяване от личния лекар или специалист уролог.

1.Liu W, Li YY, Shang XJ. [Mycoplasma genitalium and male urogenital diseases: An update]. Zhonghua Nan Ke Xue. 2018 Jul;24(7):645-650. [PubMed]

2.Louette A, Krahn J, Caine V, Ha S, Lau TTY, Singh AE. Treatment of Acute Epididymitis: A Systematic Review and Discussion of the Implications for Treatment Based on Etiology. Sex Transm Dis. 2018 Dec;45(12):e104-e108. [PubMed]

3.Shigemura K, Kitagawa K, Nomi M, Yanagiuchi A, Sengoku A, Fujisawa M. Risk factors for febrile genito-urinary infection in the catheterized patients by with spinal cord injury-associated chronic neurogenic lower urinary tract dysfunction evaluated by urodynamic study and cystography:

a retrospective study. World J Urol. 2020 Mar;38(3):733-740. [PubMed]

4.Agrawal V, Ranjan R. Scrotal abscess consequent on syphilitic epididymoorchitis. Trop Doct. 2019 Jan;49(1):45-47.

[PubMed]

5.Agrawal V, Jha AK, Dahiya D. Clinical, radiological, cytological, and microbiological assessment of painful extratesticular lesions. Urol Ann. 2018 Apr-Jun;10(2):181-184. [PMC free article]

[PubMed]

6.Bandarkar AN, Blask AR. Testicular torsion with preserved flow: key sonographic features and value-added approach to diagnosis. Pediatr Radiol. 2018 May;48(5):735-744. [PMC free article]

[PubMed]

7.Ryan L, Daly P, Cullen I, Doyle M. Epididymo-orchitis caused by enteric organisms in men > 35 years old: beyond fluoroquinolones. Eur J Clin Microbiol Infect Dis. 2018 Jun;37(6):1001-1008.

[PubMed]

8.Tan WP, Levine LA. What Can We Do for Chronic Scrotal Content Pain? World J Mens Health. 2017 Dec;35(3):146-155. [PMC free article] [PubMed]

9.Fonseca EKUN, Tomazoni D, Enge Júnior DJ, do Amaral E Castro A. Inferno sign in epididymo-orchitis. Abdom Radiol (NY). 2017 Dec;42(12):2955-2956. [PubMed]

10.Bodie M, Gale-Rowe M, Alexandre S, Auguste U, Tomas K, Martin I. Addressing

the rising rates of gonorrhea and drugresistant gonorrhea: There is no time like the present. Can Commun Dis Rep. 2019 Feb 07;45(2-3):54-62. [PMC free article]

[PubMed]

11.Yamamichi F, Shigemura K, Arakawa S, Fujisawa M. What are the differences between older and younger patients with epididymitis? Investig Clin Urol. 2017 May;58(3):205-209. [PMC free article]

[PubMed]

12.Janier M, Dupin N, Derancourt C, Caumes E, Timsit FJ, Méria P., la section MST de la SFD. [Epididymo-orchitis]. Ann Dermatol Venereol. 2016 Nov;143(11):765766. [PubMed]

13.Hongo H, Kikuchi E, Matsumoto K,

Yazawa S, Kanao K, Kosaka T, Mizuno R, Miyajima A, Saito S, Oya M. Novel algorithm for management of acute epididymitis. Int J Urol. 2017 Jan;24(1):8287. [PubMed]

14.Nusbaum MR, Wallace RR, Slatt LM, Kondrad EC. Sexually transmitted infections and increased risk of coinfection with human immunodeficiency virus. J Am Osteopath Assoc. 2004 Dec;104(12):527-35. [PubMed]

15.Lampejo T, Abdulcadir M, Day S. Retrospective review of the management of epididymo-orchitis in a London-based level 3 sexual health clinic: an audit of clinical practice. Int J STD AIDS. 2017 Sep;28(10):1038-1040. [PubMed].

[www.medmag.bg ] 73
ИЗПОЛЗВАНА
ЛИТЕРАТУРА:

Н. Пасков1 , М. Дойков, д.м.1,2

1Клиника по Урология, УМБАЛ "Каспела" – Пловдив

2Катедра по Урология и Обща

Медицина, Медицински Университет – Пловдив

Болест на Пейрони –клинико-епидемиологични

аспекти

Болестта на Пейрони се характеризира с плътно фиброзиране в хлабавата ареоларна съединителна тъкан, между tunica albuginea и еректилната тъкан на corpora cavernosa penis. Касае се за съединителнотъканно ограничено уплътнение в едно от кавернозните тела на половия член, възпрепястващо тяхното кръвонапълнване. Пещеристото тяло на уретрата не се засяга от индуративния процес. Induratio penis plastica е страдание, което се явява при мъже в по-късна възраст – обикновено между 40 и 60 години.

ЕТИОЛОГИЯ И ПАТОГЕНЕЗА До този момент етиологията и патогенезата на Induratio penis plastica не са напълно изяснени. Обособени са три фактора, които изглежда играят определена роля за появата на заболяването:

• Настъпва тенденция към абнормна продукция на фиброзна тъкан, която се явява като индивидуална диатеза, сума от системни фактори, още не напълно определени.

• Механични дразнения и микротравми дирижират локални напластявания на фиброзна тъкан. Също така при травма руптурират малки кръвоносни съдчета, причиняващи микро хематоми, които впоследствие се заместват от фиброзна тъкан.

• Възплалителни изменения с периваскуларна локализация[1,2,3].

ПАТОЛОГОАНАТОМИЯ Патоморфологията на заболяването в ранния стадий се манифестира с ограничено възпаление в кръвоносните съдове на съединителната тъкан между кавернозните тела и обвивката им. Интимата на кръвоносните съдове е оточна, като се наблюдават и тромбози. В по-късните стадии на заболяването се оформя плътно съединителнотъканно образувание, бедно на ядра и кръвоносни съдове. Понякога в уплътненията се

74 І Medical Magazine | февруари 2023
УРОЛОГИЯ

открива отлагане на хрущялна и кост-

на тъкан[4,5]

КЛИНИЧНА КАРТИНА

Клиничната картина на Induratio

penis plastica е твърде характерна.

Основните симптоми на заболява -

нето са: болка при ерекцията, изкри -

вяване на половия член в дорзално -

латерална посока, едно или повече

уплътнения, разположени на различни места по двете кавернозни тела. Изкривяването на члена особе -

но много смущава болните, тъй като се явява механично препятствие за

правилното извършване на полов

акт. Постепенно пациентите разви -

ват нервнопсихично разстройство,

което от своя страна допринася още

повече за сексуалните смущения[6,7]

Уплътненията могат да имат различна локализация, като най-често те

се установяват в основата на члена, като плътни топчести образувания, наподобяващи царевични зърна. В други случаи подобни уплътнения

се опипват в областта над венечната бразда. Заболяването започва посте -

пенно, като по време на протичането му се формират два периода: пе -

риод на болков синдром и период на така наречения функционален синдром[8,9,10,11]

При болковия синдром се появяват болки в половия член, предимно по време на ерекция и полов контакт. Болезнената ерекция се наблюдава при над 50% от болните.

При функционалния синдром е налице изкривяване на половия член при близо 80% от пациентите, което води до невъзможност да се извърши полов акт[12,13]

ДИАГНОЗА

За поставяне на своевременна диагноза се използват конвенционалните диагностични методи и специализирани неинвазивни и инвазивни техники. От анамнезата се оформя характерна за заболяването клинична триада:

• Втвърдяване на tunica albugineaпри палпация се опипват уплътнения по dorsum penis

• Болки в пениса по време на ерекция

• Изкривяване на половия член В диференциалнодиагностично отношение трябва да се имат предвид следните заболявания на пениса:

• Кавернит

• Абсцес на кавернозните тела

• Екстравазация на урината в кавернозите тела

• Венерическа лимфогранулома

• Посттравматичен организиран хематом

ЛЕЧЕНИЕ Полиетиологичните нокси затрудняват изключително много терапевтичните методи. Лечението на Induratio penis plastica трябва да се проведе строго индивидуално. Резултатите от консервативното лечение са по-до -

бри и ефективни, когато заболяването е открито рано и лечението започне своевременно.

Консервативно медикаментозните и радиологичните методи за лечение на Induratio penis plastica могат да се групират както следва:

• Лечение с химиотерапевтици

• Хормонално лечение

• Лечение с витамин Е

• Лечение с хиалуронидаза

• Лечение с ензими

• Лечение с кортикостероиди

• Лечение с цитостатици

Когато консервативната терапия не дава задоволителни резултати, се прибягва към хирургично лечение.

При малки увреди операцията на Несбит обикновено води до приемлива корекция на изкривяването, но масивното отлагане на фиброзна тъкан налага ексцизия на плаката и заместване на дефекта с автогенен трансплантат от кожа.

Описаните методи имат един основен недостатък – необходимост от взимане на материал от друга част на тялото – предна коремна стена, супраилиачната област при кожния придатък, съответно скротална експлорация при вземането на tunica vaginalis. Това налага извършването на допълнителна операция, която изисква време за възстановяване и крие всички рискове на оперативната намеса[14,15,16]

1.Dibenedetti DB, Nguyen D, Zografos L, Ziemiecki R, Zhou X. A Population-Based Study of Peyronie's Disease: Prevalence and Treatment Patterns in the United States. Adv Urol. 2011;2011:282503. [PMC free article] [PubMed]

2.Nam HJ, Park HJ, Park NC. Does testosterone deficiency exaggerate the clinical symptoms of Peyronie's disease? Int J Urol. 2011 Nov;18(11):796-800. [PubMed]

3.Nyberg LM, Bias WB, Hochberg MC, Walsh PC. Identification of an inherited form of Peyronie's disease with autosomal dominant inheritance and association with Dupuytren's contracture and

histocompatibility B7 cross-reacting antigens. J Urol. 1982 Jul;128(1):48-51. [PubMed]

4.Patel DP, Christensen MB, Hotaling JM, Pastuszak AW. A review of inflammation and fibrosis: implications for the pathogenesis of Peyronie's disease. World J Urol. 2020 Feb;38(2):253-261. [PMC free article] [PubMed]

5.Gonzalez-Cadavid NF, Rajfer J. Mechanisms of Disease: new insights into the cellular and molecular pathology of Peyronie's disease. Nat Clin Pract Urol. 2005 Jun;2(6):291-7. [PubMed]

6.Willscher MK, Cwazka WF, Novicki DE. The association of histocompatibility

antigens of the B7 cross-reacting group with Peyronie's disease. J Urol. 1979 Jul;122(1):34-5. [PubMed]

7.Bjekic MD, Vlajinac HD, Sipetic SB, Marinkovic JM. Risk factors for Peyronie's disease: a case-control study. BJU Int. 2006 Mar;97(3):570-4. [PubMed]

8.Carrieri MP, Serraino D, Palmiotto F, Nucci G, Sasso F. A case-control study on risk factors for Peyronie's disease. J Clin Epidemiol. 1998 Jun;51(6):511-5. [PubMed]

9.Tal R, Heck M, Teloken P, Siegrist T, Nelson CJ, Mulhall JP. Peyronie's disease following radical prostatectomy: incidence and predictors. J Sex Med. 2010 Mar;7(3):1254-61. [PubMed]

10.Meyers AL, Marquart MJ. StatPearls [Internet]. StatPearls Publishing; Treasure Island (FL): Jun 27, 2022. Plantar Fibromatosis. [PubMed]

11.Nugteren HM, Nijman JM, de Jong IJ, van Driel MF. The association between Peyronie's and Dupuytren's disease. Int J Impot Res. 2011 Jul-Aug;23(4):142-5. [PubMed]

12.Dibenedetti DB, Nguyen D, Zografos L, Ziemiecki R, Zhou X. Prevalence, incidence, and treatments of Dupuytren's disease in the United States: results from a populationbased study. Hand (N Y). 2011 Jun;6(2):14958. [PMC free article] [PubMed]

13.Martínez MA, Ferrando D, Cordero

PJ. [Idiopathic pulmonary fibrosis and Peyronie's disease]. Arch Bronconeumol. 1997 Nov;33(10):549-50. [PubMed]

14.Lyles KW, Gold DT, Newton RA, Parekh S, Shipp KM, Pieper CF, Krishan R, Carson CC. Peyronie's disease is associated with Paget's disease of bone. J Bone Miner Res. 1997 Jun;12(6):929-34. [PubMed]

15.Akbal C, Tanidir Y, Ozgen MB, Simşek F. Erectile dysfunction and Peyronie's disease in patient with retroperitoenal fibrosis. Int Urol Nephrol. 2008;40(4):9715. [PubMed]

16.Chen TY, Zahran AR, Carrier S. Penile curvature associated with scleroderma. Urology. 2001 Aug;58(2):282. [PubMed]

[www.medmag.bg ] 75
ИЗПОЛЗВАНА ЛИТЕРАТУРА:

Н. Пасков1 , М. Дойков, д.м.1,2

1Клиника по Урология, УМБАЛ "Каспела" – Пловдив

2Катедра по Урология и Обща

Медицина, Медицински Университет – Пловдив Варикоцеле е често срещан проблем в репродуктивната медицина. Установява се при 15% от здравите мъже, до 35% от мъжете с първичен и до 80% от мъжете с вторичен инфертилитет. Варикоцеле се дефинира като абнормна венозна дилатация, като може да се съчертае с изкривяване на пампиниформения плексус в скротума. Варикоцеле почти винаги е по-голямо и по-често от лявата страна, докато десностранна или двустранна локализация в клиничната практика се среща значително по-рядко[1,2,3,4].

Варикоцеле –същност и лечение

ЕТИОЛОГИЯ

Етиологията на варикоцелето е мно-

гофакторна. Има три основни теории

за анатомичната причина: първата е

свързана с геометрията на вените, при

която тестикуларната вената от лява-

та страна се свързва с по-голямата из-

ходяща вена реналис под прав ъгъл;

втората е, че клапният механизъм на

вените, които трябва да предотвра-

тят обратния поток е компроментиран;

третата се дължи на прекомерно налягане в артериите - т.нар. синдром на „лешникотрошачката“[5,6].

Физическото натоварване по време на пубертета може да доведе до развитие на варикоцеле, докато физическото натоварване в по-късна възраст може да задълбочи симптомите

на вече придобито заболяване[7,8]

ПАТОФИЗИОЛОГИЯ

Скроталната хипертермия вероятно представлява основния механи -

зъм, чрез който варикоцелето засяга ендокринната функция и спермато -

генезата, като и двете са чувствителни към повишаване на температура -

та[9,10,11,12]. Рефлуксът на надбъбречни и бъбречни метаболити е друг потенциален механизъм[13,14,15,16]. Повишеното хидростатично налягане в тестикуларната вена от рефлукс на бъбречната вена също играе роля в развитието на варикоцеле. Тютюнопушенето и мутациите в гена, експресиращ човешкия глутатион S-трансфераза (GSTM1), излагат мъжете на риск от инфертилитет[17]

КЛИНИЧНА КАРТИНА Клиничното протичане на заболяването може да се раздели на следните три стадия:

• Първоначално болните нямат никакви оплаквания, освен известен дискомфорт в лявата скротална половина, засилващ се при физически натоварвания. При огледа няма асиметрия в скроталната област, а разширените вени се установяват само чрез палпация, под формата на „пакет“.

• Във втория стадий болката става с постоянен характер и с тенденция да ирадиира и към долната половина на корема. Обективно

скротумът от страната на варикоцелето е отпуснат, а под кожата се виждат разширените вени. При хоризонтално положение на тялото напълването на вените намалява. • В последния стадий на заболяването субективните оплаквания са изразени дори и в покой. Кожата на скротума е отпусната и изтънена. При палпация се установява и промяна в размера и консистенцията на левия тестис.

ДИАГНОЗА Клиничните (палпируеми) варикоцелета се откриват и класифицират въз основа на физикален преглед: Клинично варикоцеле от първа степен е такова, което се палпира само по време на манипулацията на Валсалва.

Варикоцеле от втора степен се палпира лесно със или без Валсалва, но не се вижда при оглед.

Трета степен се отнася до голямо варикоцеле, което лесно се установява чрез оглед и палпация[18,19].

76 І Medical Magazine | февруари 2023
УРОЛОГИЯ
[www.medmag.bg ] 77

Ултразвуковата доплер ехография на

тестисите е широко използван метод за диагностика на варикоцеле. Признаци на варикоцеле при ултразвук са вени, по-широки от 3 милиметра в диаметър.

ЛЕЧЕНИЕ

Лечение се налага, когато варикоцелето предизвиква проблеми в оплодителната способност на мъжете или при силни болки и дискомфорт. Основният принцип на хирургиното ле -

ИЗПОЛЗВАНА ЛИТЕРАТУРА:

1. Abdulmaaboud MR, Shokeir AA, Farage Y, Abd El-Rahman A, El-Rakhawy MM, et al. Treatment of varicocele: a comparative study of conventional open surgery, percutaneous retrograde sclerotherapy, and laparoscopy. Urology. 1998;52:294–300. [PubMed] [Google Scholar]

2. Clarke BG. Incidence of varicocele in normal men and among men of different ages. JAMA. 1966;198:1121–2. [PubMed] [Google Scholar]

3. Gorelick JI, Goldstein M. Loss of fertility in men with varicocele. Fertil Steril. 1993;59:613–6. [PubMed] [Google Scholar]

4. Witt MA, Lipshultz LI. Varicocele: a progressive or static lesion? Urology. 1993;42:541–3. [PubMed] [Google Scholar]

чение е прекъсването на тестикуларните вени, което може да се направи на различно ниво по хода им – или на нивото на кордона, или в корема, където вената става единична.

Варикоцелектомията може да бъде извършена както с класическа „отворена“ операция, така и чрез минимално инвазивна такава – лапароскопска или микрохирургична. Най-разпространеният начин е ингвиналният достъп, който включва

5. Buschi AJ, Harrison RB, Norman A, Brenbridge AG, Williamson BR, et al. Distended left renal vein: CT/sonographic normal variant. AJR Am J Roentgenol. 1980;135:339–

42. [PubMed] [Google Scholar]

6. Braedel HU, Steffens J, Ziegler M, Polsky MS, Platt ML. A possible ontogenic etiology for idiopathic left varicocele. J Uro. 1994;151:62–6. [PubMed] [Google Scholar]

7. Rigano E, Santoro G, Impellizzeri P, Antonuccio P, Fugazzotto D, et al. Varicocele and sport in the adolescent age. Preliminary report on the effects of physical training. J Endocrinol Invest. 2004;27:130–2. [PubMed] [Google Scholar]

8. Scaramuzza A, Tavana R, Marchi A. Varicoceles in young soccer players. Lancet.

1996;348:1180–1. [PubMed] [Google Scholar]

9. Zorgniotti AW, Macleod J. Studies in temperature, human semen quality, and varicocele. Fertil Steril. 1973;24:854–63. [PubMed] [Google Scholar]

10. Goldstein M, Eid JF. Elevation of intratesticular and scrotal skin surface temperature in men with varicocele. J Uro. 1989;142:743–5. [PubMed] [Google Scholar]

11. Saypol DC, Howards SS, Turne TT, Miller ED. Influence of surgically induced varicocele on testicular blood flow, temperature, and histology in adult rats and dogs. J Clin Invest. 1981;68:39–45. [PMC free article] [PubMed] [Google Scholar]

12. Ali JI, Weaver DJ, Weinstein SH, Grimes

малък разрез около 2-3 см над ингвиналната гънка.

Друг метод за лечение е селективна емболизация на тестикуларната вена. Емболизацията представлява запушване на тестикуларната вена отвътре под рентгенов контрол. Вкарва се сонда чрез трансфеморален достъп (техника на Seldinger), чрез който се достига до венозния плексус и се вкарват специални спирали, които запушват вените.

EM. Scrotal temperature and semen quality in men with and without varicocele. Arch Androl. 1990;24:215–9. [PubMed] [Google Scholar]

13. Comhaire F, Vermeulen A. Varicocele sterility: cortisol and catecholamines. Fertil Steril. 1974;25:88–95. [PubMed] [Google Scholar]

14. Cohen MS, Plaine L, Brown JS. The role of internal spermatic vein plasma catecholamine determinations in subfertile men with varicoceles. Fertil Steril. 1975;26:1243–9. [PubMed] [Google Scholar]

15. Ito H, Fuse H, Minagawa H, Kawamura K, Murakami M, et al. Internal spermatic vein prostaglandins in varicocele patients. Fertil Steril. 1982;37:218–22. [PubMed] [Goo -

gle Scholar]

16. Abbatiello ER, Kaminsky M, Weisbroth S. The effect of prostaglandins and prostaglandin inhibitors on spermatogenesis. Int J Fertil. 1975;20:177–82. [PubMed] [Google Scholar]

17. Shafik A, Bedeir GA. Venous tension patterns in cord veins. I. In normal and varicocele individuals. J Uro. 1980;123:383–5. [PubMed] [Google Scholar]

18. Zini A, Boman JM. Varicocele: red flag or red herring? Semin Reprod Med. 2009;27:171–8. [PubMed] [Google Scholar]

19. Dubin L, Amelar RD. Varicocele size and results of varicocelectomy in selected subfertile men with varicocele. Fertil Steril. 1970;21:606–9. [PubMed] [Google Scholar]

78 І Medical Magazine | февруари 2023
УРОЛОГИЯ
Център за медицина на съня тел. 0878 67 98 98 www.inspiro.bg Полисомнография, Полиграфия, Актиграфия, СРАР титрация

Turn static files into dynamic content formats.

Create a flipbook
Issuu converts static files into: digital portfolios, online yearbooks, online catalogs, digital photo albums and more. Sign up and create your flipbook.