https://shkola.in.ua/3349-hdz-biolohiia-8-klas-kulinich-2025-robochyi-zoshyt.html




























































Сторінка 1
1.
https://shkola.in.ua/3349-hdz-biolohiia-8-klas-kulinich-2025-robochyi-zoshyt.html
2.

Ряд
https://shkola.in.ua/3349-hdz-biolohiia-8-klas-kulinich-2025-robochyi-zoshyt.html
1.

2.


https://shkola.in.ua/3349-hdz-biolohiia-8-klas-kulinich-2025-robochyi-zoshyt.html

https://shkola.in.ua/3349-hdz-biolohiia-8-klas-kulinich-2025-robochyi-zoshyt.html

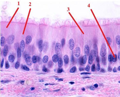
1. Дайте визначення.
2.

1 - клітина, 2 – цитоплазма(знаходиться у клітині),
3 - міжклітинна речовина(знаходиться поміж клітин), 4 - ядро.
3. Розгляньте під мікроскопом мікропрепарат м’язової тканини (на вибір учителя / учительки). Зверніть увагу на розміщення клітин, особливості будови.
Намалюйте один із видів м’язової тканини, який ви розглядали під мікроскопом.
Підпишіть малюнок (клітини, міжклітинну речовину, ядро, цитоплазму).

4. Розгляньте під мікроскопом

https://shkola.in.ua/3349-hdz-biolohiia-8-klas-kulinich-2025-robochyi-zoshyt.html
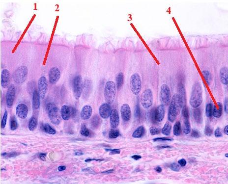
1 - клітина, 2 – цитоплазма(знаходиться у клітині), 3 - міжклітинна речовина(знаходиться поміж клітин),
4 - ядро.
https://shkola.in.ua/3349-hdz-biolohiia-8-klas-kulinich-2025-robochyi-zoshyt.html

1 - клітина, 2 –цитоплазма(знаходиться у клітині),
3
https://shkola.in.ua/3349-hdz-biolohiia-8-klas-kulinich-2025-robochyi-zoshyt.html
складу руки (зображені
Епітеліальні тканини, м'язова тканина, нервова тканина, тканини внутрішнього середовища(пухка сполучна, кісткова, хрящова, кров)
Взаємозв’язки:
• Кістки утворюють основу руки, до них прикріплюються м’язи.
• М’язи скорочуються під контролем нервової тканини й рухають кістки.
• Хрящі з’єднують кістки у суглобах, забезпечуючи рухливість.
• Кров живить усі тканини, а епітелій захищає руку

систему
https://shkola.in.ua/3349-hdz-biolohiia-8-klas-kulinich-2025-robochyi-zoshyt.html
Опорнорухова, нервова, дихальна, серцевосудинна, м’язова
Опорнорухова, дихальна, серцевосудинна, нервова
Опорнорухова, нервова, дихальна, серцевосудинна
Опорнорухова, нервова, сенсорні системи (слух, рівновага),
серцевосудинна
Нервова (регуляція сну), дихальна, серцевосудинна, ендокринна
https://shkola.in.ua/3349-hdz-biolohiia-8-klas-kulinich-2025-robochyi-zoshyt.html

1.
2.
1.
https://shkola.in.ua/3349-hdz-biolohiia-8-klas-kulinich-2025-robochyi-zoshyt.html

4.

1. Дайте
https://shkola.in.ua/3349-hdz-biolohiia-8-klas-kulinich-2025-robochyi-zoshyt.html
2. Виконайте
Тема:
МОДЕЛЯМИ
Мета: дослідити
Хід роботи:
І. Дослідження головного
1. Розгляньте
2.


3.
1.
2.
3.
4.
https://shkola.in.ua/3349-hdz-biolohiia-8-klas-kulinich-2025-robochyi-zoshyt.html


https://shkola.in.ua/3349-hdz-biolohiia-8-klas-kulinich-2025-robochyi-zoshyt.html
Розташування: між проміжним мозком і довгастим мозком.
Будова: середній мозок має чотиригорбикове тіло; міст лежить попереду довгастого
мозку.
Сіра й біла речовина: сіра — ядра, біла — провідні шляхи.
Функції: орієнтовні зорові й слухові рефлекси, проведення імпульсів, участь у
рухів.
Розташування: між середнім і кінцевим мозком.
Будова: складається з таламуса (зорові горби) і
шляхи (біла). Функції: центр обробки сенсорної інформації, регуляція
Розташування: найбільша частина, півкулі
Будова: складається з двох півкуль, з’єднаних
мозку.
життєво
важливі функції:
дихання, серцеву
діяльність,
травлення;
здійснює
рефлекси
(ковтання,
кашель, чхання).
https://shkola.in.ua/3349-hdz-biolohiia-8-klas-kulinich-2025-robochyi-zoshyt.html

https://shkola.in.ua/3349-hdz-biolohiia-8-klas-kulinich-2025-robochyi-zoshyt.html

https://shkola.in.ua/3349-hdz-biolohiia-8-klas-kulinich-2025-robochyi-zoshyt.html

Індивідуальний чи видовий Видовий (спільний для всіх

https://shkola.in.ua/3349-hdz-biolohiia-8-klas-kulinich-2025-robochyi-zoshyt.html
Менінгіт Бактерії (менінгокок, пневмокок), віруси, рідше – грибки; може бути ускладненням інших інфекцій
Полінейропатія
Хронічні
захворювання (цукровий діабет),
отруєння токсинами, дефіцит вітамінів, травми
Висока температура, сильний головний біль, ригідність
потиличних м’язів, світлобоязнь, блювання, висип
Слабкість і біль у кінцівках, оніміння, втрата чутливості, порушення координації
Вакцинація, лікування інфекцій, зміцнення імунітету, уникати контактів із хворими
Контроль основних захворювань, правильне харчування, уникання алкоголю та токсинів, фізична активність
Неврози
Когнітивний
дисонанс
Тривалі стреси, психічне перенапруження, виснаження нервової
системи
Внутрішній конфлікт
між переконаннями,
знаннями та поведінкою
Дратівливість, тривожність, безсоння, втома, головний біль, зниження працездатності
Тривога, дискомфорт, роздратованість, відчуття
суперечності у власних діях
Галюцинації, марення, порушення мислення, втрата зв’язку з реальністю
Здоровий спосіб життя, відпочинок, психологічна підтримка, уникання стресів
Розвиток критичного мислення, усвідомлене прийняття рішень, гармонізація цінностей та дій Психоз Порушення роботи мозку (генетичні фактори, травми, сильні стреси, вживання наркотиків, психічні хвороби, якот шизофренія)
Своєчасне звернення до лікаря, психологічна підтримка, уникання наркотиків та алкоголю, здоровий спосіб життя
https://shkola.in.ua/3349-hdz-biolohiia-8-klas-kulinich-2025-robochyi-zoshyt.html
1. Дайте визначення.
Гуморальна регуляція
клітинами, тканинами, органами та фізіологічними
Гормони — це органічні речовини, здатні включатись у цикл біохімічних реакцій
Нейрогуморальна

https://shkola.in.ua/3349-hdz-biolohiia-8-klas-kulinich-2025-robochyi-zoshyt.html

Гормони,
що
синтезує
залоза
https://shkola.in.ua/3349-hdz-biolohiia-8-klas-kulinich-2025-robochyi-zoshyt.html
Вплив
гормонів
на процеси
в організмі
Соматотро
пний, тиреотропн
ий,
гонадотроп
ні,
пролактин,
вазопресин,
окситоцин
Ріст, розвиток, регуляція
інших залоз, водносольовий
баланс
Порушення
функціонув
ання залози
в організмі
людини
Гігантизм,
карликовіст ь,
акромегалія, безпліддя
Мелатон ін, серотоні н
Біоритм
и, сон, статеве дозріван
Тироксин, трийодтир
онін, кальцитоні
ої
кальцієвофосфорного
обміну
Судоми, ламкість кісток, проблеми серця
Формува ння імуніте ту, розвито к Тлімфоци тів Стресові
Знижен
імуніте ту, затримк
реакції, тиск, обмін речовин
https://shkola.in.ua/3349-hdz-biolohiia-8-klas-kulinich-2025-robochyi-zoshyt.html
(стресори), які потребують
пристосування. Основні стресори:
• Навчальні перевантаження, контрольні роботи, іспити.
• Конфлікти в сім’ї або школі.
• Хвороби чи фізичні травми.
• Різкі зміни умов життя (переїзд, зміна колективу).
• Шум, нестача сну, неправильне харчування. Адаптація до стресу: Організм реагує через надниркові залози – виділяється
• Прискорюється серцебиття.
• Підвищується тиск.
• Зростає рівень глюкози
тривалий стрес шкодить здоров’ю. Як подолати стрес?
• Достатньо спати (7–9 годин).
• Робити фізичні вправи, прогулянки
• Слухати музику, займатися улюбленою справою.
• Спілкуватися з друзями, ділитися емоціями.
• Використовувати
• Планувати

https://shkola.in.ua/3349-hdz-biolohiia-8-klas-kulinich-2025-robochyi-zoshyt.html

Сторінка

https://shkola.in.ua/3349-hdz-biolohiia-8-klas-kulinich-2025-robochyi-zoshyt.html
3.



Хрящова
https://shkola.in.ua/3349-hdz-biolohiia-8-klas-kulinich-2025-robochyi-zoshyt.html
М’язова (посмугована скелетна)
хондроцити
остеони
Округлі або овальні клітини, розташовані у лакунах; немають кровоносних судин
міоцити (м’язові волокна) Довгі, циліндричні,
Мало, але щільна, мінералізована (містить солі кальцію та фосфору)
Багато, пружна, еластична
Опора тіла, захист внутрішніх
органів, участь у рухах, запас мінералів
Забезпечує гнучкість, пружність, з’єднання кісток, формування скелета у

https://shkola.in.ua/3349-hdz-biolohiia-8-klas-kulinich-2025-robochyi-zoshyt.html

4. Ознайомтесь з будовою колінного суглоба. З підручних матеріалів (паперу, картону, дроту, тканини тощо) змоделюйте суглоб (на вибір). Дослідіть особливості руху обраного вами суглоба. Особливості руху колінного суглоба:
• Основний тип руху — згинання та розгинання ноги (навколо однієї осі).
• Можливі невеликі обертальні рухи при зігнутій
• Суглоб одновісний — подібний

https://shkola.in.ua/3349-hdz-biolohiia-8-klas-kulinich-2025-robochyi-zoshyt.html
3. Заповніть логікон
Грудна клітка
грудина, ребра
напіврухоме з’єднання
Верхня вільна кінцівка (рука)
плечова, ліктьова, променева, фаланги пальців
Плечовий пояс
лопатка, ключиця
рухоме з’єднання рухоме (суглоб) та
нерухоме з’єднання
Нижня вільна кінцівка (нога)
стегнова, надколінок, великогомілкова, малогомілкова, кістки стопи
рухоме з’єднання
клубові, лобкові, сідничні, які зрослися у тазову кістку
напіврухоме з’єднання
4. Підпишіть малюнок

https://shkola.in.ua/3349-hdz-biolohiia-8-klas-kulinich-2025-robochyi-zoshyt.html


https://shkola.in.ua/3349-hdz-biolohiia-8-klas-kulinich-2025-robochyi-zoshyt.html
забезпечують
дихання, рухи
плечового
здійснюють рухи руки (згинання,

https://shkola.in.ua/3349-hdz-biolohiia-8-klas-kulinich-2025-robochyi-zoshyt.html

4. Виконайте

https://shkola.in.ua/3349-hdz-biolohiia-8-klas-kulinich-2025-robochyi-zoshyt.html
• Заспокоїти
• Оцінити стан — є кровотеча чи
• Зупинити кровотечу (якщо є)
• Знерухомити кінцівку
3.
https://shkola.in.ua/3349-hdz-biolohiia-8-klas-kulinich-2025-robochyi-zoshyt.html
https://shkola.in.ua/3349-hdz-biolohiia-8-klas-kulinich-2025-robochyi-zoshyt.html



https://shkola.in.ua/3349-hdz-biolohiia-8-klas-kulinich-2025-robochyi-zoshyt.html
2.
Тема: Зовнішня будова
Мета: дослідити зовнішню
Обладнання:
Хід

5.
6.
7.
8.
10.
https://shkola.in.ua/3349-hdz-biolohiia-8-klas-kulinich-2025-robochyi-zoshyt.html


4.

https://shkola.in.ua/3349-hdz-biolohiia-8-klas-kulinich-2025-robochyi-zoshyt.html

Дванадцятипала, порожня, клубова; має
велику кількість
кишкових ворсинок Сліпа, ободова, пряма
Травлення і
всмоктування
поживних речовин
Формування та виведення калу
Вигнута, має головку, тіло, хвостик; клітини
панкреатоцити
Виділення травних ферментів
Частки, жовчні протоки, кровоносні судини
Синтез жовчі, знешкодження
https://shkola.in.ua/3349-hdz-biolohiia-8-klas-kulinich-2025-robochyi-zoshyt.html
B₁ (тіамін) 1–2 мг Втома, дратівливість,
B₂ (рибофлавін) 1,5–2 мг Лущення шкіри, тріщини в куточках губ
C (аскорбінова кислота) 70–100 мг
часті застуди, повільне загоєння ран
Хвороба берібері (ураження нервової системи, серця)
Затримка росту, запалення слизових оболонок
Цинга (кровоточивість ясен, випадіння зубів)
Зернові, бобові, свинина
Молоко, яйця, печінка
Цитрусові, шипшина, капуста
https://shkola.in.ua/3349-hdz-biolohiia-8-klas-kulinich-2025-robochyi-zoshyt.html
1. Дайте визначення.
Енергетичний
потребам організму.
2. Виконайте дослідницький практикум.
Тема: Самоспостереження за співвідношенням маси тіла і зросту.
Мета: дослідити та навчитися визначати зрісто-масовий та масо-зрістовий індекси.
Проаналізувати показники власного організму, відповідність маси до зросту.
Обладнання: сантиметрова стрічка, ростомір, медичні ваги.
Хід роботи:
1. Виміряйте свій зріст та масу тіла.
Зріст 168 см.
Маса тіла 55000 г.
2. Визначте свій масо-зрістовий індекс Кетле.
Маса у грамах розділіть на
55000 / 168 = 327
3. Визначте свій зросто-
Отримане число 168 – 105 = 63 кг
https://shkola.in.ua/3349-hdz-biolohiia-8-klas-kulinich-2025-robochyi-zoshyt.html

https://shkola.in.ua/3349-hdz-biolohiia-8-klas-kulinich-2025-robochyi-zoshyt.html

2.
3.
• Дотримуйся режиму харчування
у той самий час, не поспіхом.
• Уникай переїдання, особливо жирної, гострої та смаженої їжі.
• Не зловживай газованими напоями, фастфудом, кавою.
• Не їж “на ходу” — добре пережовуй їжу.
• Уникай стресів, висипайся, роби перерви в навчанні. Інфекційні хвороби (дизентерія, сальмонельоз, холера, черевний тиф) Пам’ятка: Як запобігти
•
•
•
•
•
•
•
https://shkola.in.ua/3349-hdz-biolohiia-8-klas-kulinich-2025-robochyi-zoshyt.html

https://shkola.in.ua/3349-hdz-biolohiia-8-klas-kulinich-2025-robochyi-zoshyt.html

https://shkola.in.ua/3349-hdz-biolohiia-8-klas-kulinich-2025-robochyi-zoshyt.html
Кров яких груп можна йому перелити?
Ні, недостатньо. Обов’язково потрібно також:
• визначити резус-фактор;
• провести пробу на індивідуальну
https://shkola.in.ua/3349-hdz-biolohiia-8-klas-kulinich-2025-robochyi-zoshyt.html
1. Дайте визначення.
плазматичною мембраною. Зсідання крові
цілісності

https://shkola.in.ua/3349-hdz-biolohiia-8-klas-kulinich-2025-robochyi-zoshyt.html

https://shkola.in.ua/3349-hdz-biolohiia-8-klas-kulinich-2025-robochyi-zoshyt.html

https://shkola.in.ua/3349-hdz-biolohiia-8-klas-kulinich-2025-robochyi-zoshyt.html
зменшується.
Сторінка 52
3. Виконайте лабораторне
Тема:
Мета: виміряти частоту
та інших людей.
Обладнання: секундомір.
1. Знайдіть

•
https://shkola.in.ua/3349-hdz-biolohiia-8-klas-kulinich-2025-robochyi-zoshyt.html
кровопостачання через коронарні (вінцеві) артерії, тому постійно отримує кисень і поживні речовини.
• Серце використовує аеробний обмін (за участю кисню), який є енергоефективним
• У клітинах серцевого м’яза багато мітохондрій,
Сторінка 53
1. Дайте визначення.
того, чи артеріальна вона (надходить
https://shkola.in.ua/3349-hdz-biolohiia-8-klas-kulinich-2025-robochyi-zoshyt.html
(лівий
• Мале коло кровообігу
• Венозна кров перетворюється
5. (легеневі капіляри)
• Найбільша судина людського організму, у яку кров надходить із серця — 6. (аорта)
• Судини, якими артеріальна кров надходить до серця — 2. (легеневі вени)
• Порожнисті вени позначено цифрою 9.
Сторінка 54
Обговоріть із сусідом / сусідкою
навантаження, спокій, стрес, хвилювання,


https://shkola.in.ua/3349-hdz-biolohiia-8-klas-kulinich-2025-robochyi-zoshyt.html
уникання стресів. Група 2 — Інсульт
Симптоми: раптова слабкість або параліч кінцівок, порушення мовлення, асиметрія
обличчя, втрата зору, сильний головний біль.
Наслідки: параліч, порушення мовлення й пам’яті, інвалідність, смерть.
Профілактика: контроль артеріального тиску, лікування серцевих хвороб, активний спосіб життя, правильне харчування, відмова від шкідливих звичок. Група 3 — Вади серця
Симптоми: задишка, швидка втомлюваність, синюшність губ і шкіри, прискорене серцебиття, набряки.
Наслідки: серцева недостатність, затримка фізичного розвитку (у дітей), порушення
кровообігу.
Профілактика: профілактика інфекцій під час вагітності, регулярні медичні огляди, своєчасне лікування серцевих захворювань. Група 4 — Атеросклероз
Симптоми: часто тривалий час безсимптомний;
органів.
Профілактика: обмеження
• Дотримуватися
•
• Не палити та не зловживати алкоголем.
• Контролювати артеріальний тиск, рівень холестерину
•
Прочитайте
https://shkola.in.ua/3349-hdz-biolohiia-8-klas-kulinich-2025-robochyi-zoshyt.html



https://shkola.in.ua/3349-hdz-biolohiia-8-klas-kulinich-2025-robochyi-zoshyt.html
Сильний, захисний Розпізнає, захищає, знищує
Сторінка 57
https://shkola.in.ua/3349-hdz-biolohiia-8-klas-kulinich-2025-robochyi-zoshyt.html
на певну тему, презентуйте її: група 1 «Історія
теорію «бічних ланцюгів», яка пояснювала механізм
група 3 «Історія відкриття вакцинації (Дженнер)»; Едвард Дженнер у 1796 році вперше застосував
https://shkola.in.ua/3349-hdz-biolohiia-8-klas-kulinich-2025-robochyi-zoshyt.html
1. Дайте визначення.
1, 2, 6, 8, 9 3, 4, 5, 7,
https://shkola.in.ua/3349-hdz-biolohiia-8-klas-kulinich-2025-robochyi-zoshyt.html
1.
виділення вуглекислого газу.
Повітроносні шляхи — це система з’єднаних

3.

Вистелена
слизовою
https://shkola.in.ua/3349-hdz-biolohiia-8-klas-kulinich-2025-robochyi-zoshyt.html
оболонкою, має
війки та густу
мережу капілярів
газообмін,
знезараження,
зволоження,
охолодження та
зігрівання
повітря
Лійкоподібний орган, утворений
орган, утворений
хрящовими
хрящами, містить голосові зв’язки Трубчастий
Проведення
повітря, утворення
голосу, захист
дихальних шляхів
Дихальні рухи.
напівкільцями
орган, що
пропускає
повітря
парні
органи, утворені з
хрящових півкілець
Проведення
складаються з альвеол
https://shkola.in.ua/3349-hdz-biolohiia-8-klas-kulinich-2025-robochyi-zoshyt.html

Сторінка 62
3.
https://shkola.in.ua/3349-hdz-biolohiia-8-klas-kulinich-2025-robochyi-zoshyt.html

https://shkola.in.ua/3349-hdz-biolohiia-8-klas-kulinich-2025-robochyi-zoshyt.html
Бронхіт Віруси або бактерії; переохолодження, куріння
Пневмонія Бактерії або віруси (ускладнення після ГРВІ)
Туберкульоз Бактерія туберкульозна паличка
Алергічний риніт
Алергени (пилок, пил, шерсть тварин)
Кашель, виділення мокротиння, підвищена температура, задишка
Висока температура, кашель, біль у грудях, задишка, слабкість
Тривалий кашель, схуднення, нічна пітливість, слабкість
Загартування, уникання переохолодження, відмова від куріння, лікування ГРВІ
Вакцинація, своєчасне лікування застуд, зміцнення імунітету
Вакцинація БЦЖ, регулярні медогляди, здоровий спосіб
Нежить, чхання, свербіж у носі, сльозотеча
Уникання
Виділення
https://shkola.in.ua/3349-hdz-biolohiia-8-klas-kulinich-2025-robochyi-zoshyt.html
солей, органічних сполук.
Нирки — парні органи,

3.

4
https://shkola.in.ua/3349-hdz-biolohiia-8-klas-kulinich-2025-robochyi-zoshyt.html
2.

https://shkola.in.ua/3349-hdz-biolohiia-8-klas-kulinich-2025-robochyi-zoshyt.html


2.
https://shkola.in.ua/3349-hdz-biolohiia-8-klas-kulinich-2025-robochyi-zoshyt.html
Причини: порушення обміну солей; недостатнє пиття; надлишок солоної/білкової їжі;
спадковість; інфекції сечових шляхів; малорухливість.
Симптоми: різкий біль у попереку/боці (ниркова коліка), біль при сечовипусканні, часті
позиви, кров у сечі, нудота.
Профілактика: достатньо пити води; менше солі; збалансоване харчування; рухова
активність; лікування інфекцій; не терпіти позиви до сечовипускання.
Група 2 — Ниркова недостатність (гостра/хронічна)
Причини: ураження нирок (нефрити), цукровий діабет, гіпертонія; отруєння/деякі ліки; зневоднення; закупорка сечових шляхів (камінь).
Симптоми: зменшення кількості сечі або набряки, слабкість, нудота, підвищений тиск, блідість, свербіж шкіри; при тяжкому стані — задишка, сонливість.
Профілактика: контроль тиску й цукру; достатній
ліки “наосліп” (особливо знеболювальні/антибіотики); лікувати інфекції; регулярні
при хронічних хворобах.
3 — Цистит
Причини: бактеріальна інфекція (частіше кишкова паличка), переохолодження, недостатня гігієна, рідкісне спорожнення міхура, зниження імунітету.
Симптоми: часте й болісне сечовипускання, печіння, біль унизу живота, мутна/різко пахне сеча, інколи кров, невисока температура.
Профілактика: не переохолоджуватися;
“терпіти”; своєчасно лікувати інфекції.
Причини: інфекції (у т.ч. ІПСШ), порушення гігієни, травмування слизової,
переохолодження.
Симптоми: печіння/біль при сечовипусканні, свербіж, виділення з сечівника, почервоніння, часті позиви.
Профілактика: гігієна; уникати переохолодження; безпечна поведінка (щоб не заразитися ІПСШ); звертатися до лікаря при перших симптомах. Група 5 — Пієлонефрит Причини: бактеріальна інфекція нирки (часто
https://shkola.in.ua/3349-hdz-biolohiia-8-klas-kulinich-2025-robochyi-zoshyt.html
потреби).
3. Складіть пам’ятку «Профілактика хвороб сечовидільної системи».
достатньо води протягом дня.
Не переохолоджуйся (особливо поперек і ноги).
Дотримуйся інтимної гігієни.
Не “терпи” позиви до сечовипускання.
Харчуйся збалансовано: менше солі, фастфуду, надлишку білка; більше овочів.
Лікуй застуди та інфекції вчасно (особливо ангіну й інфекції сечових шляхів). Не приймай ліки без потреби та без поради
1.
https://shkola.in.ua/3349-hdz-biolohiia-8-klas-kulinich-2025-robochyi-zoshyt.html

https://shkola.in.ua/3349-hdz-biolohiia-8-klas-kulinich-2025-robochyi-zoshyt.html

4.
жирова клітковина
містить кровоносні судини, нервові закінчення, потові

https://shkola.in.ua/3349-hdz-biolohiia-8-klas-kulinich-2025-robochyi-zoshyt.html

https://shkola.in.ua/3349-hdz-biolohiia-8-klas-kulinich-2025-robochyi-zoshyt.html
3. Опрацюйте інформацію з різних джерел про опіки
послідовність надання першої допомоги в разі: група 1 обмороження вух та обличчя;
• Перенести постраждалого в тепле приміщення.
• Зняти холодний/вологий одяг.
• Обережно зігрівати теплими долонями або сухим теплом.
• Дати тепле солодке пиття.
• Не розтирати снігом, не гріти гарячою водою.
• Звернутися до лікаря при болю, пухирях, зміні
шкіри. група 2 обмороження кистей рук;
• Перенести в тепло, зняти рукавиці.
• Повільно зігрівати в теплій (не гарячій) воді
• Накласти суху стерильну пов’язку.
• Дати тепле пиття.
• За важких ознак — медична допомога.
група 3 загального переохолодження;
• Перенести в тепле місце.
• Укрити ковдрою, зняти вологий одяг.
• Дати тепле солодке пиття (якщо при свідомості).
• Поступово зігрівати тулуб.
• Викликати 103 при сонливості, сплутаності свідомості.
група 4 опіку передпліччя парою;
• Усунути дію пари.
• Охолоджувати уражене місце
• Накласти суху стерильну пов’язку.
• Не змащувати жиром, не проколювати пухирі.
• За потреби
•
•
https://shkola.in.ua/3349-hdz-biolohiia-8-klas-kulinich-2025-robochyi-zoshyt.html
• Усунути дію холоду
•
• Дати тепле пиття при переохолодженні, воду при перегріванні.
• Не використовувати різкі температурні впливи.
• Накласти стерильну пов’язку при опіках.
• За тяжкого стану — викликати швидку допомогу (103).
Сторінка 72
Сенсорні
1. Дайте визначення.
Сенсорні
https://shkola.in.ua/3349-hdz-biolohiia-8-klas-kulinich-2025-robochyi-zoshyt.html

Розгляньте
• доповнює відсутню інформацію;
• порівнює з попереднім досвідом;
•

https://shkola.in.ua/3349-hdz-biolohiia-8-klas-kulinich-2025-robochyi-zoshyt.html
2.
3. Повторіть дослід, прикривши
4.
4.
медичних наук України
Які відкриття в офтальмології
номінал монети?
2 гривні.
Вартість монети на сьогодні.
760 грн
https://shkola.in.ua/3349-hdz-biolohiia-8-klas-kulinich-2025-robochyi-zoshyt.html
3. Виконайте лабораторне дослідження. Тема:
на різних відстанях.
Обладнання:
1.
2.
Розмитими (нечіткими)
3. Переведіть
Розмитим (нечітким)
4. Проаналізуйте,
•
•
•
•
•
https://shkola.in.ua/3349-hdz-biolohiia-8-klas-kulinich-2025-robochyi-zoshyt.html


0,1 мм
сприймає коливання повітря, спричинені
коваделко, стремінце

https://shkola.in.ua/3349-hdz-biolohiia-8-klas-kulinich-2025-robochyi-zoshyt.html

Мета: дослідити здатність
Обладнання:
6.
https://shkola.in.ua/3349-hdz-biolohiia-8-klas-kulinich-2025-robochyi-zoshyt.html
Відкриття тканинної терапії
Який номінал монети? 5
1.
https://shkola.in.ua/3349-hdz-biolohiia-8-klas-kulinich-2025-robochyi-zoshyt.html



https://shkola.in.ua/3349-hdz-biolohiia-8-klas-kulinich-2025-robochyi-zoshyt.html


https://shkola.in.ua/3349-hdz-biolohiia-8-klas-kulinich-2025-robochyi-zoshyt.html
1.
2.
3.
сподобається? Так
4. Якщо вам запропонують
5.
6.
7.
Так
8. Вам запропонували
9.
12.
https://shkola.in.ua/3349-hdz-biolohiia-8-klas-kulinich-2025-robochyi-zoshyt.html
речовини чи продукти, що
група 1 адреналін, норадреналін;
група 2 дофамін;
група 3 серотонін;
група 4 ГАМК;
група 5 ацетилхолін, глутамат;
група 6 ендорфіни.
Дані занесіть у таблицю.
Нейромедіатор
Адреналін Підвищує частоту
позитивні емоції
ГАМК (γаміномасляна
кислота) Гальмує
Ацетилхолін
1.
https://shkola.in.ua/3349-hdz-biolohiia-8-klas-kulinich-2025-robochyi-zoshyt.html
2. Відтворіть
3.
4, 17, 29, 6, 83, 41, 12, 67, 90,
https://shkola.in.ua/3349-hdz-biolohiia-8-klas-kulinich-2025-robochyi-zoshyt.html
4.
4, 17, 29, 6, 83, 41.
Кількість
6 + 7 = 13 / 2 = 6.5.
ІІ.

https://shkola.in.ua/3349-hdz-biolohiia-8-klas-kulinich-2025-robochyi-zoshyt.html
відбуваються на всіх рівнях життя – молекулярному, клітинному,
Сон – це періодичний стан нервової системи, який супроводжується складними фізіологічними реакціями: тимчасовим вимкненням свідомості,

https://shkola.in.ua/3349-hdz-biolohiia-8-klas-kulinich-2025-robochyi-zoshyt.html
Визначте свій хронотип. Аргументуйте, чому ви так вирішили. Обговоріть із сусідом /
сусідкою по парті.
Наприклад, мій хронотип — сова.
Я активніший та продуктивніший у другій половині дня та ввечері. Вранці

2.
https://shkola.in.ua/3349-hdz-biolohiia-8-klas-kulinich-2025-robochyi-zoshyt.html
3. Емоційні
4. Приклад: розлука
1. Коли виникає: при
2. Значення в житті: захищає людину, допомагає уникнути загрози.
3. Емоційні реакції та стани: тривога, напруження, прискорене серцебиття.
4. Приклад: гучний звук, темрява, небезпечна ситуація. Група 4 — Огида
1. Коли виникає: при контакті з чимось шкідливим або неприємним.
2. Значення в житті: захищає організм від небезпеки та хвороб.
3. Емоційні реакції та стани: відраза, нудота, бажання уникнути.
4. Приклад: зіпсована їжа, неприємний запах. Група 5 — Гнів
1. Коли виникає: у разі несправедливості, образи, перешкоди.
2. Значення в житті: сигналізує про проблему, мобілізує сили.
3. Емоційні реакції та стани: напруження, агресія, почервоніння обличчя.
4. Приклад: несправедливе покарання, обман. Група 6 — Здивування
1. Коли виникає: при несподіваній
інформації.
2. Значення в житті: допомагає швидко реагувати та навчатися.
3. Емоційні реакції та стани: короткочасна зупинка, зосередженість.
4. Приклад: неочікуваний подарунок, раптова
4. Досліджуємо увагу. Знайдіть

2.
https://shkola.in.ua/3349-hdz-biolohiia-8-klas-kulinich-2025-robochyi-zoshyt.html
3.

https://shkola.in.ua/3349-hdz-biolohiia-8-klas-kulinich-2025-robochyi-zoshyt.html
Сторінка 91
Розмноження
1.
2.
https://shkola.in.ua/3349-hdz-biolohiia-8-klas-kulinich-2025-robochyi-zoshyt.html

https://shkola.in.ua/3349-hdz-biolohiia-8-klas-kulinich-2025-robochyi-zoshyt.html
2. Установіть відповідність між поняттям

https://shkola.in.ua/3349-hdz-biolohiia-8-klas-kulinich-2025-robochyi-zoshyt.html

https://shkola.in.ua/3349-hdz-biolohiia-8-klas-kulinich-2025-robochyi-zoshyt.html


https://shkola.in.ua/3349-hdz-biolohiia-8-klas-kulinich-2025-robochyi-zoshyt.html


https://shkola.in.ua/3349-hdz-biolohiia-8-klas-kulinich-2025-robochyi-zoshyt.html
трубки плода
Де міститься: зелені овочі, бобові, печінка, цільнозернові I триместр
Потрібні: фолієва кислота, вітаміни D, B₂, B₃, E, B₆, B₁₂, магній, йод, цинк
Навіщо: формування нервової системи, мозку, внутрішніх органів
Де містяться:
• йод — морська риба, морська капуста
• магній — горіхи, крупи
• вітаміни групи B — злаки, м’ясо, яйця II триместр
Потрібні: вітаміни C, D, E, A, вітаміни групи B
Навіщо: ріст кісток, м’язів, імунної системи плода Де містяться:
• вітамін C — цитрусові, ягоди
• вітамін D — риба, яйця, сонячне світло
• вітамін A — морква, гарбуз (у помірній
триместр
Потрібні: вітаміни групи B, E, селен, лютеїн, ферум, холін, цистеїн
Перше
дитинство
https://shkola.in.ua/3349-hdz-biolohiia-8-klas-kulinich-2025-robochyi-zoshyt.html
Друге
дитинство
4–7
8–12 років Рівномірний ріст, розвиток м’язів
Підлітковий вік у дівчат триває з 12го по 15-й роки, у хлопців –з 13–го по 16–й
Юнацький
вік у хлопців він триває впродовж 17–21-го років життя, у дівчат –16–20-го
Статеве дозрівання, гормональні зміни
Уява, емоційність , соціальні
навички
Розвиток
мислення, уваги
Емоційна нестійкість, самосвідомі сть
Завершення
Формуванн я світогляду
Змішане, поступовий
Повноцінне різноманітн е
Збалансова не харчування
Підвищена потреба в поживних речовинах
Раціональн
Сюжетнорольова гра
Навчання, спілкування
https://shkola.in.ua/3349-hdz-biolohiia-8-klas-kulinich-2025-robochyi-zoshyt.html
група 1 – «Особливості якості життя (стан здоров’я, освіта, соціальні зв’язки)»; Суть добробуту: людина почувається фізично здоровою, розвивається та має підтримку. Практична реалізація:
• регулярна фізична активність і сон
• доступ до освіти, навчання впродовж життя
• спілкування з родиною, друзями, однокласниками Приклад: Я почуваюся добре,
Практична реалізація:
• чисте повітря, вода, зелена
• відчуття безпеки вдома
• емоційний комфорт
Приклад: Я почуваюся
група 3 – «Матеріальні умови (дохід, робота, житло)»;
Практична реалізація:
• стабільний дохід родини • можливість працювати
Мій
зростає, коли є дім, їжа, одяг і можливість навчатися
https://shkola.in.ua/3349-hdz-biolohiia-8-klas-kulinich-2025-robochyi-zoshyt.html
