9788076842908

Page 1

Seznam autorů

Editoři:

Prof. MUDr. Antonín Sosna, DrSc.

1. ortopedická klinika 1. LF UK a FN Motol, Praha

Doc. MUDr. Petr Fulín, Ph.D., MBA

1. ortopedická klinika 1. LF UK a FN Motol, Praha

Prof. MUDr. David Pokorný, CSc.

1. ortopedická klinika 1. LF UK a FN Motol, Praha

Prof. MUDr. Martin Krbec, CSc.

Ortopedicko-traumatologická klinika 3. LF UK a FN Královské Vinohrady, Praha

As. MUDr. Martin Vlček, Ph.D.

1. ortopedická klinika 1. LF UK a FN Motol, Praha

Spoluautoři:

Prof. MUDr. Pavel Dungl, DrSc.

Ortopedická klinika 1. LF UK a FN Bulovka, IPVZ Praha

Prof. MUDr. Petr Havránek, CSc., FEBPS

Klinika dětské chirurgie a traumatologie 3. LF UK a Fakultní Thomayerovy nemocnice, Praha

Prof. MUDr. Stanislav Popelka, CSc.

1. ortopedická klinika 1. LF UK a FN Motol, Praha

Prof. MUDr. Jan Štulík, CSc.

Klinika spondylochirurgie 1. LF UK a FN Motol, Praha

Prof. MUDr. Michal Tomčík, Ph.D.

Revmatologický ústav, Revmatologická klinika 1. LF UK, Praha

Prof. MUDr. Ivan Landor, CSc.

1. ortopedická klinika 1. LF UK a FN Motol, Praha

Prof. MUDr. Pavel Vavřík, CSc. †

1. ortopedická klinika 1. LF UK a FN Motol, Praha

Prof. MUDr. David Jahoda, CSc.

1. ortopedická klinika 1. LF UK a FN Motol, Praha

Prof. MUDr. Vratislav Rybka, DrSc.

1. ortopedická klinika 1. LF UK a FN Motol, Praha

Doc. MUDr. Rastislav Hromádka, Ph.D.

1. ortopedická klinika 1. LF UK a FN Motol, Praha

Doc. MUDr. Vladislav Barták, Ph.D.

1. ortopedická klinika 1. LF UK a FN Motol, Praha

VII

Seznam autorů

Doc. MUDr. Jan Pech, CSc.

1. ortopedická klinika 1. LF UK a FN Motol, Praha

Doc. MUDr. Jiří Kozák, Ph.D.

Centrum pro léčení a výzkum bolestivých stavů FN Motol, Praha

As. MUDr. Michal Barna

Klinika spondylochirurgie 1. LF UK a FN Motol, Praha

Michal Beneš

Anatomický ústav 2. LF UK, Praha

Mgr. Lucie Benešová

Klinika rehabilitačního lékařství 1. LF UK a Všeobecné fakultní nemocnice, Praha

As. MUDr. Evžen Beitl, Ph.D.

1. ortopedická klinika 1. LF UK a FN Motol, Praha

Ing. Pavel Černý, Ph.D.

Fakulta zdravotnických studií, Západočeská univerzita Plzeň

As. MUDr. Jan Dobiáš

1. ortopedická klinika 1. LF UK a FN Motol, Praha

PharmDr. Dagmar Dolinská

Oddělení klinické farmacie FN Motol, Praha

MUDr. Otakar Dosoudil

1. ortopedická klinika 1. LF UK a FN Motol, Praha

As. MUDr. Pavel Dupal, MBA

1. ortopedická klinika 1. LF UK a FN Motol, Praha

As. MUDr. Jan Heřt

1. ortopedická klinika 1. LF UK a FN Motol, Praha

MUDr. Adam Jindra

Klinika rehabilitace a tělovýchovného lékařství 2. LF UK a FN Motol, Praha

MUDr. Tobiáš Judl

1. ortopedická klinika 1. LF UK a FN Motol, Praha

As. MUDr. Miroslav Netval, CSc.

1. ortopedická klinika 1. LF UK a FN Motol, Praha

As. MUDr. Stanislav Popelka ml., Ph.D.

1. ortopedická klinika 1. LF UK a FN Motol, Praha

As. MUDr. Milan Richtr, CSc.

1. ortopedická klinika 1. LF UK a FN Motol, Praha

MUDr. Miroslav Streck

1. ortopedická klinika 1. LF UK a FN Motol, Praha

MUDr. Stanislav Štefanisko

1. ortopedická klinika 1. LF UK a FN Motol, Praha

As. MUDr. Jan Valenta, CSc.

1. ortopedická klinika 1. LF UK a FN Motol, Praha

VIII

As. MUDr. David Veigl, Ph.D.

1. ortopedická klinika 1. LF UK a FN Motol, Praha

MUDr. Bohuslav Vrbický, CSc. †

MUDr. Jiří Walder

1. ortopedická klinika 1. LF UK a FN Motol, Praha

As. MUDr. Tomáš Zatrapa

1. ortopedická klinika 1. LF UK a FN Motol, Praha

Recenzent:

Doc. MUDr. Pavel Douša, CSc.

Klinika úrazové chirurgie a ortopedie Fakultní nemocnice Ostrava a Lékařské fakulty Ostravské univerzity

Autoři děkují

Doc. MUDr. Pavlu Doušovi, CSc., za cenné připomínky a recenzi tohoto učebního textu

Prof. MUDr. Miloslavu Ročkovi, CSc., MBA, z Kliniky zobrazovacích metod 2. LF UK a FN Motol, Prof. MUDr. Ctiboru Povýšilovi, DrSc., z Ústavu patologie 1. LFUK a VFN, Doc. MUDr. Ondřeji Naňkovi, Ph.D., z Anatomického ústavu 1. LF UK a společnostem DePuy Synthes, Medartis, Prospon s.r.o., Medin a.s. a Zimmer Biomet za poskytnutí obrazové dokumentace

Jiřímu Hlaváčkovi a Daně Tiché za ilustrace

společnostem Beznoska, s.r.o., Johnson & Johnson, s.r.o., Lima CZ, s.r.o., a Mediservis s.r.o., za poskytnutí finančního příspěvku k vydání

IX Seznam autorů
X
Úvod . . . . . . . . . . . . . . . . . . . . . . . . . . . . . . . . . . . . . . . . . . . . . . . . . . . . . . . . . . . . . . . . . . . . 1 1. Historie ortopedie (A. Sosna) 2 2. Základy struktury, růstu a remodelace kostí (J. Heřt, A. Sosna) . . . . . . . . . . . . . . . . . . . . . . . . . . . 5 2.1 Růst kosti . . . . . . . . . . . . . . . . . . . . . . . . . . . . . . . . . . . . . . . . . . . . . . . . . . . . . . . . . . . . 6 2.2 Remodelace kosti . . . . . . . . . . . . . . . . . . . . . . . . . . . . . . . . . . . . . . . . . . . . . . . . . . . . . . . 7 3. Ortopedické vyšetření (A. Sosna, D. Pokorný, P. Fulín) . . . . . . . . . . . . . . . . . . . . . . . . . . . . . . . . . 10 3.1 Anamnéza . . . . . . . . . . . . . . . . . . . . . . . . . . . . . . . . . . . . . . . . . . . . . . . . . . . . . . . . . . . 10 3.2 Klinické vyšetření . . . . . . . . . . . . . . . . . . . . . . . . . . . . . . . . . . . . . . . . . . . . . . . . . . . . . . 11 3.3 Zobrazovací metody . . . . . . . . . . . . . . . . . . . . . . . . . . . . . . . . . . . . . . . . . . . . . . . . . . . . . 14 3.4 Laboratorní vyšetření a speciální vyšetřovací metody . . . . . . . . . . . . . . . . . . . . . . . . . . . . . . . . 15 3.5 Klinické vyšetření kolenního kloubu . . . . . . . . . . . . . . . . . . . . . . . . . . . . . . . . . . . . . . . . . . . 15 3.6 Klinické vyšetření ramenního kloubu . . . . . . . . . . . . . . . . . . . . . . . . . . . . . . . . . . . . . . . . . . 22 4. Artroskopie (J. Valenta, D. Veigl) . . . . . . . . . . . . . . . . . . . . . . . . . . . . . . . . . . . . . . . . . . . . . . 29 4.1 Artroskopie kolenního kloubu . . . . . . . . . . . . . . . . . . . . . . . . . . . . . . . . . . . . . . . . . . . . . . 29 4.2 Artroskopie ramenního kloubu . . . . . . . . . . . . . . . . . . . . . . . . . . . . . . . . . . . . . . . . . . . . . . 34 4.3 Artroskopie hlezna . . . . . . . . . . . . . . . . . . . . . . . . . . . . . . . . . . . . . . . . . . . . . . . . . . . . . . 36 4.4 Artroskopie kyčelního kloubu . . . . . . . . . . . . . . . . . . . . . . . . . . . . . . . . . . . . . . . . . . . . . . . 37 4.5 Artroskopie loketního kloubu . . . . . . . . . . . . . . . . . . . . . . . . . . . . . . . . . . . . . . . . . . . . . . . 37 4.6 Artroskopie zápěstí . . . . . . . . . . . . . . . . . . . . . . . . . . . . . . . . . . . . . . . . . . . . . . . . . . . . . 38 5. Typy ran, sutur a obvazová technika (T. Zatrapa, P. Fulín, P. Vavřík) . . . . . . . . . . . . . . . . . . . . . . . . 40 5.1 Typy ran a jejich ošetření . . . . . . . . . . . . . . . . . . . . . . . . . . . . . . . . . . . . . . . . . . . . . . . . . . 40 5.2 Typy sutur . . . . . . . . . . . . . . . . . . . . . . . . . . . . . . . . . . . . . . . . . . . . . . . . . . . . . . . . . . . 41 5.3 Obvazová technika v ortopedii . . . . . . . . . . . . . . . . . . . . . . . . . . . . . . . . . . . . . . . . . . . . . . 43 6. Závislost výskytu některých onemocnění na věku (A. Sosna) . . . . . . . . . . . . . . . . . . . . . . . . . . . . 49 7. Systémová onemocnění skeletu (A. Sosna, P. Fulín, J. Walder, V. Rybka) . . . . . . . . . . . . . . . . . . . . . 50 7.1 Vrozená systémová onemocnění pohybového aparátu . . . . . . . . . . . . . . . . . . . . . . . . . . . . . . . 50 7.2 Získaná systémová onemocnění pohybového aparátu. . . . . . . . . . . . . . . . . . . . . . . . . . . . . . . . 56 8. Artropatie (A. Sosna, P. Vavřík, D. Pokorný, P. Fulín) . . . . . . . . . . . . . . . . . . . . . . . . . . . . . . . . . . 59 8.1 Obecná charakteristika a etiologie . . . . . . . . . . . . . . . . . . . . . . . . . . . . . . . . . . . . . . . . . . . . 59 8.2 Neuroartropatie . . . . . . . . . . . . . . . . . . . . . . . . . . . . . . . . . . . . . . . . . . . . . . . . . . . . . . . 59 8.3 Diabetická artropatie . . . . . . . . . . . . . . . . . . . . . . . . . . . . . . . . . . . . . . . . . . . . . . . . . . . . 60 8.4 Hemofilická artropatie . . . . . . . . . . . . . . . . . . . . . . . . . . . . . . . . . . . . . . . . . . . . . . . . . . . 61 8.5 Krystalové artropatie . . . . . . . . . . . . . . . . . . . . . . . . . . . . . . . . . . . . . . . . . . . . . . . . . . . . 61 8.6 Psoriatická artropatie . . . . . . . . . . . . . . . . . . . . . . . . . . . . . . . . . . . . . . . . . . . . . . . . . . . . 62 9. Vrozené vady končetin (A. Sosna, P. Fulín, B. Vrbický, D. Pokorný) 64 9.1 Obecná charakteristika a etiologie 64 9.2 Nomenklatura vrozených vad 64 9.3 Některé typické vrozené vady 66
Obsah
XI Obsah 10. Vrozená (vývojová) dysplazie kyčelního kloubu (A. Sosna, S. Popelka) . . . . . . . . . . . . . . . . . . . . . . 70 11. Dětská mozková obrna (DMO, morbus Little) (T. Zatrapa, P. Vavřík) . . . . . . . . . . . . . . . . . . . . . . 83 12. Deformity dolních končetin (R. Hromádka, S. Popelka, A. Sosna) 86 12.1 Deformity kolenního kloubu . . . . . . . . . . . . . . . . . . . . . . . . . . . . . . . . . . . . . . . . . . . . . . . 86 12.2 Deformity nohou . . . . . . . . . . . . . . . . . . . . . . . . . . . . . . . . . . . . . . . . . . . . . . . . . . . . . . 88 12.3 Onemocnění v oblasti paty . . . . . . . . . . . . . . . . . . . . . . . . . . . . . . . . . . . . . . . . . . . . . . . 101 13. Coxa vara adolescentium (epifyseolysis capitis femoris) (S. Popelka, A. Sosna) . . . . . . . . . . . . . . . 103 14. Aseptické kostní nekrózy (A. Sosna, D. Pokorný, S. Popelka, D. Veigl) 105 14.1 M. Osgood-Schlatter . . . . . . . . . . . . . . . . . . . . . . . . . . . . . . . . . . . . . . . . . . . . . . . . . . 109 14.2 M. Haglund-Sever, Apophysitis calcanei . . . . . . . . . . . . . . . . . . . . . . . . . . . . . . . . . . . . . . 110 14.3 M. Freiberg-Köhler (M. Köhler II) . . . . . . . . . . . . . . . . . . . . . . . . . . . . . . . . . . . . . . . . . . 110 14.4 M. Köhler I . . . . . . . . . . . . . . . . . . . . . . . . . . . . . . . . . . . . . . . . . . . . . . . . . . . . . . . . . 111 14.5 M. Kienböck . . . . . . . . . . . . . . . . . . . . . . . . . . . . . . . . . . . . . . . . . . . . . . . . . . . . . . . . 111 15. Morbus Calvé-Legg-Perthes: Aseptická nekróza hlavice femuru dětského věku (P. Dungl) 113 16. Revmatochirurgie (P. Fulín, J. Pech, M. Tomčík, J. Dobiáš, P. Vavřík) . . . . . . . . . . . . . . . . . . . . . . . 120 16.1 Obecná charakteristika . . . . . . . . . . . . . . . . . . . . . . . . . . . . . . . . . . . . . . . . . . . . . . . . . 120 16.2 Dělení revmatochirurgických výkonů . . . . . . . . . . . . . . . . . . . . . . . . . . . . . . . . . . . . . . . . 120 16.2.1 Profylaktické výkony . . . . . . . . . . . . . . . . . . . . . . . . . . . . . . . . . . . . . . . . . . . . . . 120 16.2.2 Rekonstrukční výkony . . . . . . . . . . . . . . . . . . . . . . . . . . . . . . . . . . . . . . . . . . . . . 122 17. Osteoartróza (P. Fulín, A. Sosna, I. Landor) . . . . . . . . . . . . . . . . . . . . . . . . . . . . . . . . . . . . . . . 128 18. Osteoartróza kyčelního kloubu (P. Fulín, A. Sosna, I. Landor) . . . . . . . . . . . . . . . . . . . . . . . . . . . 135 19. Osteoartróza kolenního kloubu (P. Fulín, A. Sosna, D. Pokorný) . . . . . . . . . . . . . . . . . . . . . . . . . 147 20. Osteoartróza ramenního kloubu (D. Pokorný, P. Fulín, A. Sosna) . . . . . . . . . . . . . . . . . . . . . . . . . 157 21. Osteoartróza loketního kloubu (A. Sosna, I. Landor, P. Fulín) . . . . . . . . . . . . . . . . . . . . . . . . . . . 164 22. Osteoartróza hlezenního kloubu (S. Popelka, P. Fulín) 170 23. Osteoartróza drobných kloubů ruky a nohy (D. Veigl, P. Fulín) . . . . . . . . . . . . . . . . . . . . . . . . . . 174 23.1 Artróza zápěstí a kloubů ruky . . . . . . . . . . . . . . . . . . . . . . . . . . . . . . . . . . . . . . . . . . . . . 174 23.2 Artróza drobných kloubů nohy . . . . . . . . . . . . . . . . . . . . . . . . . . . . . . . . . . . . . . . . . . . . 177 24. Infekční záněty kostí a kloubů (S. Popelka ml., V. Barták, M. Netval, D. Jahoda) 182 24.1 Nespecifické záněty kostí . . . . . . . . . . . . . . . . . . . . . . . . . . . . . . . . . . . . . . . . . . . . . . . . 182 24.2 Infekce kloubních náhrad . . . . . . . . . . . . . . . . . . . . . . . . . . . . . . . . . . . . . . . . . . . . . . . 192 24.3 Specifické záněty . . . . . . . . . . . . . . . . . . . . . . . . . . . . . . . . . . . . . . . . . . . . . . . . . . . . . 199 25. Choroby svalů a šlach z přetížení (P. Fulín, A. Sosna, D. Pokorný) . . . . . . . . . . . . . . . . . . . . . . . . 203 25.1 Obecná charakteristika . . . . . . . . . . . . . . . . . . . . . . . . . . . . . . . . . . . . . . . . . . . . . . . . . 203 25.2 Tenzopatie v oblasti horní končetiny . . . . . . . . . . . . . . . . . . . . . . . . . . . . . . . . . . . . . . . . . 204 25.3 Tenzopatie v oblasti dolní končetiny 208 26. Dupuytrenova kontraktura (J. Pech, P. Fulín, D. Veigl) . . . . . . . . . . . . . . . . . . . . . . . . . . . . . . . . 211 27. Úžinové syndromy (D. Pokorný, P. Fulín, A. Sosna, M. Beneš, D. Veigl) . . . . . . . . . . . . . . . . . . . . . . 214 27.1 Úžinové syndromy na horní končetině . . . . . . . . . . . . . . . . . . . . . . . . . . . . . . . . . . . . . . . 214 27.2 Úžinové syndromy dolní končetiny 217
XII Obsah 28. Onemocnění páteře (M. Krbec) . . . . . . . . . . . . . . . . . . . . . . . . . . . . . . . . . . . . . . . . . . . . . . 220 28.1 Úvod . . . . . . . . . . . . . . . . . . . . . . . . . . . . . . . . . . . . . . . . . . . . . . . . . . . . . . . . . . . . 220 28.2 Vyšetření páteře . . . . . . . . . . . . . . . . . . . . . . . . . . . . . . . . . . . . . . . . . . . . . . . . . . . . . . 220 28.3 Symptomatologie . . . . . . . . . . . . . . . . . . . . . . . . . . . . . . . . . . . . . . . . . . . . . . . . . . . . 221 28.4 Vrozené a vývojové vady 222 28.5 Onemocnění přidružené k vývojovým poruchám páteře . . . . . . . . . . . . . . . . . . . . . . . . . . . . 225 28.6 Skoliózy. . . . . . . . . . . . . . . . . . . . . . . . . . . . . . . . . . . . . . . . . . . . . . . . . . . . . . . . . . . 225 28.7 Scheuermannova choroba (Kyphosis dorsalis juvenilis, adolescentní nebo juvenilní kyfóza) . . . . . 233 28.8 Vadné držení těla . . . . . . . . . . . . . . . . . . . . . . . . . . . . . . . . . . . . . . . . . . . . . . . . . . . . . 234 28.9 Degenerativní onemocnění páteře . . . . . . . . . . . . . . . . . . . . . . . . . . . . . . . . . . . . . . . . . . 235 28.10 Zánětlivá onemocnění páteře . . . . . . . . . . . . . . . . . . . . . . . . . . . . . . . . . . . . . . . . . . . . 240 28.11 Nádorová onemocnění . . . . . . . . . . . . . . . . . . . . . . . . . . . . . . . . . . . . . . . . . . . . . . . . 241 28.12 Chronický algický vertebrogenní syndrom . . . . . . . . . . . . . . . . . . . . . . . . . . . . . . . . . . . . 243 29. Nádory pohybového aparátu (R. Hromádka, P. Dupal) 245 29.1 Etiopatogeneze . . . . . . . . . . . . . . . . . . . . . . . . . . . . . . . . . . . . . . . . . . . . . . . . . . . . . . 245 29.2 Klasifikace . . . . . . . . . . . . . . . . . . . . . . . . . . . . . . . . . . . . . . . . . . . . . . . . . . . . . . . . . 245 29.3 Diagnostika . . . . . . . . . . . . . . . . . . . . . . . . . . . . . . . . . . . . . . . . . . . . . . . . . . . . . . . . 245 29.4 Léčba . . . . . . . . . . . . . . . . . . . . . . . . . . . . . . . . . . . . . . . . . . . . . . . . . . . . . . . . . . . . 250 29.5 Maligní nádory skeletu . . . . . . . . . . . . . . . . . . . . . . . . . . . . . . . . . . . . . . . . . . . . . . . . . 252 29.6 Benigní nádory skeletu . . . . . . . . . . . . . . . . . . . . . . . . . . . . . . . . . . . . . . . . . . . . . . . . . 255 29.7 Nádorům podobné afekce 258 29.8 Metastatické postižení skeletu. . . . . . . . . . . . . . . . . . . . . . . . . . . . . . . . . . . . . . . . . . . . . 260 30. Amputace (T. Judl, A. Jindra, D. Jahoda) . . . . . . . . . . . . . . . . . . . . . . . . . . . . . . . . . . . . . . . . . 262 31. Ortotika-protetika (A. Jindra, P. Černý) . . . . . . . . . . . . . . . . . . . . . . . . . . . . . . . . . . . . . . . . . 269 31.1 Protetika . . . . . . . . . . . . . . . . . . . . . . . . . . . . . . . . . . . . . . . . . . . . . . . . . . . . . . . . . . 270 31.2 Ortotika. . . . . . . . . . . . . . . . . . . . . . . . . . . . . . . . . . . . . . . . . . . . . . . . . . . . . . . . . . . 275 32. Rehabilitace v ortopedii (L. Benešová, P. Fulín) . . . . . . . . . . . . . . . . . . . . . . . . . . . . . . . . . . . . 281 32.1 Léčebná tělesná výchova 281 32.2 Fyzikální terapie . . . . . . . . . . . . . . . . . . . . . . . . . . . . . . . . . . . . . . . . . . . . . . . . . . . . . 281 32.3 Rehabilitace u vybraných klinických diagnóz . . . . . . . . . . . . . . . . . . . . . . . . . . . . . . . . . . . 283 33. Diagnostika poranění pohybového aparátu (M. Vlček, M. Streck, S. Štefanisko) . . . . . . . . . . . . . . . 287 33.1 Anamnéza . . . . . . . . . . . . . . . . . . . . . . . . . . . . . . . . . . . . . . . . . . . . . . . . . . . . . . . . . 287 33.2 Vyšetření . . . . . . . . . . . . . . . . . . . . . . . . . . . . . . . . . . . . . . . . . . . . . . . . . . . . . . . . . . 287 33.3 Zobrazovací metody 287 34. Kloubní poranění (P. Fulín, A. Sosna) . . . . . . . . . . . . . . . . . . . . . . . . . . . . . . . . . . . . . . . . . . 290 34.1 Poranění artikulujících kostí . . . . . . . . . . . . . . . . . . . . . . . . . . . . . . . . . . . . . . . . . . . . . . 290 34.2 Poranění kloubní chrupavky . . . . . . . . . . . . . . . . . . . . . . . . . . . . . . . . . . . . . . . . . . . . . . 291 34.3 Poranění kloubního pouzdra . . . . . . . . . . . . . . . . . . . . . . . . . . . . . . . . . . . . . . . . . . . . . . 292 34.4 Poranění kloubních vazů . . . . . . . . . . . . . . . . . . . . . . . . . . . . . . . . . . . . . . . . . . . . . . . . 293 34.5 Poranění šlach a svalů . . . . . . . . . . . . . . . . . . . . . . . . . . . . . . . . . . . . . . . . . . . . . . . . . . 293 34.6 Poranění specifických měkkých tkání . . . . . . . . . . . . . . . . . . . . . . . . . . . . . . . . . . . . . . . . 293 34.7 Poranění kolemkloubních burz . . . . . . . . . . . . . . . . . . . . . . . . . . . . . . . . . . . . . . . . . . . . 293 34.8 Poranění kloubu 294 35. Poranění svalů a šlach (P. Fulín, D. Veigl) . . . . . . . . . . . . . . . . . . . . . . . . . . . . . . . . . . . . . . . . 296 35.1 Typy poškození . . . . . . . . . . . . . . . . . . . . . . . . . . . . . . . . . . . . . . . . . . . . . . . . . . . . . . 296 35.2 Poranění m. biceps brachii . . . . . . . . . . . . . . . . . . . . . . . . . . . . . . . . . . . . . . . . . . . . . . . 297

Osteosyntéza a její principy (A. Sosna, M. Vlček,

XIII Obsah 35.3 Poranění rotátorové manžety . . . . . . . . . . . . . . . . . . . . . . . . . . . . . . . . . . . . . . . . . . . . . 299 35.4 Poranění m. quadriceps femoris . . . . . . . . . . . . . . . . . . . . . . . . . . . . . . . . . . . . . . . . . . . 299 35.5 Poranění Achillovy šlachy . . . . . . . . . . . . . . . . . . . . . . . . . . . . . . . . . . . . . . . . . . . . . . . 300 35.6 Poranění šlach ruky . . . . . . . . . . . . . . . . . . . . . . . . . . . . . . . . . . . . . . . . . . . . . . . . . . . 301 36. Kompartment syndrom (J. Heřt, A. Sosna) . . . . . . . . . . . . . . . . . . . . . . . . . . . . . . . . . . . . . . . 304 36.1 Volkmannova ischemická kontraktura . . . . . . . . . . . . . . . . . . . . . . . . . . . . . . . . . . . . . . . 304 37. Zlomeniny (M. Vlček, S. Štefanisko, M. Streck, O. Dosoudil, P. Fulín) . . . . . . . . . . . . . . . . . . . . . . . 306 37.1 Úrazové zlomeniny . . . . . . . . . . . . . . . . . . . . . . . . . . . . . . . . . . . . . . . . . . . . . . . . . . . 306 37.2 Otevřené zlomeniny . . . . . . . . . . . . . . . . . . . . . . . . . . . . . . . . . . . . . . . . . . . . . . . . . . . 308 37.3 Únavové zlomeniny . . . . . . . . . . . . . . . . . . . . . . . . . . . . . . . . . . . . . . . . . . . . . . . . . . . 311 37.4 Patologické zlomeniny . . . . . . . . . . . . . . . . . . . . . . . . . . . . . . . . . . . . . . . . . . . . . . . . . 311 37.5 Principy léčby zlomenin . . . . . . . . . . . . . . . . . . . . . . . . . . . . . . . . . . . . . . . . . . . . . . . . . 311 38.
M. Richtr, P. Fulín) . . . . . . . . . . . . . . . . . . . . . . . 314 38.1 Typy osteosyntézy . . . . . . . . . . . . . . . . . . . . . . . . . . . . . . . . . . . . . . . . . . . . . . . . . . . . 314 38.2 Extrakce implantátů pro osteosyntézu . . . . . . . . . . . . . . . . . . . . . . . . . . . . . . . . . . . . . . . 326 39. Hojení kostí a jeho poruchy (P. Fulín, A. Sosna, D. Pokorný) . . . . . . . . . . . . . . . . . . . . . . . . . . . . 328 39.1 Hojení zlomenin . . . . . . . . . . . . . . . . . . . . . . . . . . . . . . . . . . . . . . . . . . . . . . . . . . . . . 328 39.2 Poruchy hojení . . . . . . . . . . . . . . . . . . . . . . . . . . . . . . . . . . . . . . . . . . . . . . . . . . . . . . 331 40. Polytrauma (E. Beitl, M. Streck) . . . . . . . . . . . . . . . . . . . . . . . . . . . . . . . . . . . . . . . . . . . . . . 333 41. Zlomeniny a luxace v oblasti lopatky a klíční kosti (P. Fulín, D. Pokorný) . . . . . . . . . . . . . . . . . . . . 337 41.1 Zlomeniny klíční kosti . . . . . . . . . . . . . . . . . . . . . . . . . . . . . . . . . . . . . . . . . . . . . . . . . . 337 41.2 Zlomeniny lopatky . . . . . . . . . . . . . . . . . . . . . . . . . . . . . . . . . . . . . . . . . . . . . . . . . . . . 338 41.3 Sternoklavikulární luxace . . . . . . . . . . . . . . . . . . . . . . . . . . . . . . . . . . . . . . . . . . . . . . . 340 41.4 Akromioklavikulární luxace . . . . . . . . . . . . . . . . . . . . . . . . . . . . . . . . . . . . . . . . . . . . . . 341 42. Luxace ramenního kloubu (P. Fulín, A. Sosna). . . . . . . . . . . . . . . . . . . . . . . . . . . . . . . . . . . . . 343 43. Zlomeniny proximálního konce a diafýzy humeru (P. Fulín, M. Streck, M. Vlček, D. Pokorný, A. Sosna) . 348 43.1 Zlomeniny proximálního konce humeru . . . . . . . . . . . . . . . . . . . . . . . . . . . . . . . . . . . . . . 348 43.2 Zlomeniny diafýzy humeru . . . . . . . . . . . . . . . . . . . . . . . . . . . . . . . . . . . . . . . . . . . . . . . 353 44. Zlomeniny a luxace v oblasti loketního kloubu (M. Vlček, M. Streck, P. Fulín) 357 44.1 Zlomeniny distální části humeru 357 44.2 Luxace loketního kloubu 359 44.3 Zlomeniny proximální části radia. . . . . . . . . . . . . . . . . . . . . . . . . . . . . . . . . . . . . . . . . . . 361 44.4 Zlomeniny proximální části ulny . . . . . . . . . . . . . . . . . . . . . . . . . . . . . . . . . . . . . . . . . . . 364 45. Zlomeniny předloktí (M. Vlček, M. Streck, A. Sosna) . . . . . . . . . . . . . . . . . . . . . . . . . . . . . . . . . 367 45.1 Zlomeniny diafýzy radia a ulny 367 45.2 Zlomeniny distálního radia 370 45.3 Zlomeniny distální ulny 374 46. Zlomeniny a luxace v oblasti zápěstí a ruky (D. Veigl, M. Vlček, A. Sosna) . . . . . . . . . . . . . . . . . . . 376 46.1 Zlomeniny karpálních kostí . . . . . . . . . . . . . . . . . . . . . . . . . . . . . . . . . . . . . . . . . . . . . . 376 46.2 Zlomeniny metakarpů . . . . . . . . . . . . . . . . . . . . . . . . . . . . . . . . . . . . . . . . . . . . . . . . . . 377 46.3 Zlomeniny falang 379 46.4 Perilunátní luxace a zlomeniny 379 46.5 Luxace prstů 380

poranění

53.5 Epidemiologie dětských zlomenin

53.6 Diagnostika dětských zlomenin

53.7 Léčba dětských zlomenin

53.8 Následky dětských zlomenin

54. Sudeckův algodystrofický syndrom (komplexní regionální bolestivý syndrom – KRBS) (P. Fulín, J. Kozák, D. Dolinská)

55. Rehabilitace v traumatologii (P. Fulín, L. Benešová)

XIV Obsah 47. Zlomeniny v oblasti páteře (J. Štulík, M. Barna) . . . . . . . . . . . . . . . . . . . . . . . . . . . . . . . . . . . 381 48. Zlomeniny pánve, acetabula a luxace kyčelního kloubu (E. Beitl, M. Streck, M. Vlček) . . . . . . . . . . 388 48.1 Zlomeniny pánve . . . . . . . . . . . . . . . . . . . . . . . . . . . . . . . . . . . . . . . . . . . . . . . . . . . . . 388 48.2 Zlomeniny acetabula . . . . . . . . . . . . . . . . . . . . . . . . . . . . . . . . . . . . . . . . . . . . . . . . . . 392 48.3 Luxace kyčelního kloubu . . . . . . . . . . . . . . . . . . . . . . . . . . . . . . . . . . . . . . . . . . . . . . . . 395 49. Zlomeniny proximálního konce a diafýzy femuru (J. Heřt, A. Sosna, M. Vlček) . . . . . . . . . . . . . . . 398 49.1 Zlomeniny proximálního femuru 398 49.2 Zlomeniny diafýzy femuru . . . . . . . . . . . . . . . . . . . . . . . . . . . . . . . . . . . . . . . . . . . . . . . 404 50. Zlomeniny a luxace v oblasti kolenního kloubu (M. Vlček, S. Štefanisko, P. Fulín) . . . . . . . . . . . . . . 408 50.1 Zlomeniny distálního femuru . . . . . . . . . . . . . . . . . . . . . . . . . . . . . . . . . . . . . . . . . . . . . 408 51.2 Zlomeniny proximální tibie 411 50.3 Zlomeniny pately . . . . . . . . . . . . . . . . . . . . . . . . . . . . . . . . . . . . . . . . . . . . . . . . . . . . . 413 50.4 Luxace v oblasti kolenního kloubu . . . . . . . . . . . . . . . . . . . . . . . . . . . . . . . . . . . . . . . . . . 415 51. Zlomeniny bérce a hlezna (M. Vlček, S. Štefanisko, A. Sosna, P. Fulín) . . . . . . . . . . . . . . . . . . . . . . 418 51.1 Zlomeniny diafýzy tibie a fibuly . . . . . . . . . . . . . . . . . . . . . . . . . . . . . . . . . . . . . . . . . . . . 418 51.2 Zlomeniny distální části tibie . . . . . . . . . . . . . . . . . . . . . . . . . . . . . . . . . . . . . . . . . . . . . 421 51.3 Zlomeniny hlezna . . . . . . . . . . . . . . . . . . . . . . . . . . . . . . . . . . . . . . . . . . . . . . . . . . . . 424 52. Zlomeniny a luxace v oblasti nohy (M. Vlček, S. Štefanisko) . . . . . . . . . . . . . . . . . . . . . . . . . . . . 430 52.1 Zlomeniny talu . . . . . . . . . . . . . . . . . . . . . . . . . . . . . . . . . . . . . . . . . . . . . . . . . . . . . . 430 52.2 Zlomeniny kalkanea . . . . . . . . . . . . . . . . . . . . . . . . . . . . . . . . . . . . . . . . . . . . . . . . . . . 432 52.3 Poranění v oblasti os naviculare, os cuboideum a ossa cuneiformia I–III . . . . . . . . . . . . . . . . . . 433 52.4 Luxace tarzu . . . . . . . . . . . . . . . . . . . . . . . . . . . . . . . . . . . . . . . . . . . . . . . . . . . . . . . . 434 52.5 Zlomeniny a luxace v oblasti Lisfrankova kloubu (tarzometatarzální) 434 52.6 Zlomeniny metatarzů . . . . . . . . . . . . . . . . . . . . . . . . . . . . . . . . . . . . . . . . . . . . . . . . . . 435 52.7 Zlomeniny prstů nohy . . . . . . . . . . . . . . . . . . . . . . . . . . . . . . . . . . . . . . . . . . . . . . . . . 436 52.8 Luxace prstů nohy 436 53. Specifika léčby zlomenin v dětském věku (P. Havránek) 437 53.1 Vymezení dětského věku . . . . . . . . . . . . . . . . . . . . . . . . . . . . . . . . . . . . . . . . . . . . . . . . 437 53.2 Odlišnosti dětského skeletu od kostí dospělých . . . . . . . . . . . . . . . . . . . . . . . . . . . . . . . . . . 438 53.3 Typy dětských zlomenin . . . . . . . . . . . . . . . . . . . . . . . . . . . . . . . . . . . . . . . . . . . . . . . . . 439 53.4 Poranění růstové chrupavky – fyzární
. . . . . . . . . . . . . . . . . . . . . . . . . . . . . . . . . .
442
. . . . . . . . . . . . . . . . . . . . . . . . . . . . . . . . . . . . . . . . . . 445
. . . . . . . . . . . . . . . . . . . . . . . . . . . . . . . . . . . . . . . . . . . . 446
. . . . . . . . . . . . . . . . . . . . . . . . . . . . . . . . . . . . . . . . . . . . . . . .
447
. . . . . . . . . . . . . . . . . . . . . . . . . . . . . . . . . . . . . . . . . . . . . . 451
. . . . . . . . . . . . . . . . . . . . . . . . . . . . . . . . . . . . . . . . . . . . . . . 453
. . . . . . . . . . . . . . . . . . . . . . . . . . . . . . . . . 456
Rehabilitace
456
. . . . . . . . . . . . . . . . . . . . . . . . . . . . . . . . . . . . . . . . . . . . . . . . . 459
. . . . . . . . . . . . . . . . . . . . . . . . . . . . . . . . . . . . . . . . . . . . . . . . . . . . . . . . . . . . . . . . 461
55.1
u vybraných klinických diagnóz
Použitá a doporučená literatura
Rejstřík

Úvod

V posledních 60 letech došlo v celé medicíně k velkým změnám a značnému pokroku v oblasti poznání příčin a diagnostiky chorob i jejich léčbě. Tyto změny se přirozeně nevyhnuly ani oboru ortopedie a traumatologie. Předchozí vydání této učebnice neobsahovalo důležitou součást našeho oboru – traumatologii pohybového aparátu. Proto předkládáme našim studentům a možná i praktickým lékařům učebnici obsahující základy ortopedie a traumatologie pohybového aparátu.

Náš přístup k ortopedii a traumatologii vychází z tradice a ducha školy prof. MUDr. Jana Zahradníčka, DrSc., a z názorů našich učitelů, kterým tímto chci vyjádřit úctu a poděkování. Jsou to především

prof. MUDr. František Stryhal, DrSc., kterému nikdy nebylo dopřáno – ke škodě našeho oboru – vést 1. ortopedickou kliniku, ale který svým pronikavým intelektem, nadšením a mimořádnými operačními schopnostmi ovlivnil nás, kteří jsme měli to štěstí s ním pracovat a od něj se učit. Dále patří náš hlavní dík prof. MUDr. Oldřichu Čechovi, DrSc., který se jako představitel nejmladší generace přímých Zahradníčkových žáků o rozvoj moderní operační ortopedie rovněž nesmírně přičinil.

Jménem autorského kolektivu prof. MUDr. Antonín Sosna, DrSc.

Prof. MUDr. Jan Zahradníček, DrSc. Prof. MUDr. František Stryhal, DrSc. Prof. MUDr. Oldřich Čech, DrSc.

1

19. Osteoartróza kolenního kloubu

P. Fulín, A. Sosna, D. Pokorný

Gonartróza je termínem pro osteoartrózu kolenního kloubu. Postihuje jeden nebo více kompartmentů (tibiofemorální kloub, celý nebo jen mediální či laterální část, případně patelofemorální kloub, obr.19.1).

Etiopatogeneze

Podle příčiny vzniku dělíme gonartrózu na primární a sekundární. V etiopatogenezi primární gonartrózy se uplatňují faktory dědičnosti, systémové faktory, lokální mechanické faktory a chronické přetížení. Příčinou sekundární gonartrózy jsou často potraumatické stavy (zejména stavy po intraartikulárních zlomeninách a poranění menisků) a zánětlivé systémové choroby (např. revmatoidní artritida, psoriáza, morbus Bechtěrev, dna apod.). Vzácněji jde o stavy po septických artritidách nebo u neurologických poruch.

Klinický obraz

Gonartróza se projevuje námahovou bolestí kolenního kloubu, která je lokalizována v místě postižení. V časném stadiu se projevuje jako bolest po větší zátěži

Obr. 19.1: Peroperační nález pokročilé gonartrózy. Patela evertována. Modré šipky označují defekty chrupavky se spodinou sklerotické subchondrální kosti. Typické osteofyty na okrajích kloubních ploch (červené šipky). Reaktivní synovialitida kolenního kloubu (zelená šipka)

kloubu nebo jako startovací bolest na začátku pohybu. Později se přidává i bolest klidová a noční. Původní krátká ranní ztuhlost přechází ve zhoršování funkce a dochází k postupnému omezení rozsahu hybnosti v kloubu. Objektivně nacházíme defiguraci kloubu na podkladě tvorby artrotických osteofytů. Objevuje se typická deformita ve smyslu varozity nebo valgozity (genu varum, genu valgum, obr. 19.2, obr. 19.3), v těžších případech doprovázená různým stupněm flekční kontraktury (genu flectum). Typicky jsou přítomné drásoty (krepitus) při pohybu kloubu, palpační bolestivost, v období dekompenzace i známky reaktivní synovialitidy či výpotku. Dochází k laxitě –insuficienci vazivového aparátu na konvexitě deformity, a naopak jeho retrakci na konkavitě. Zjišťujeme omezení rozsahu pohybu různého stupně, v pozdním stadiu může přejít až v semiankylózu, nebo dokonce ankylózu, prakticky vždy ve funkčně nevýhodném postavení.

Diagnostika

Základem diagnózy je klinické vyšetření doplněné o rentgenový snímek obvykle ve dvou projekcích

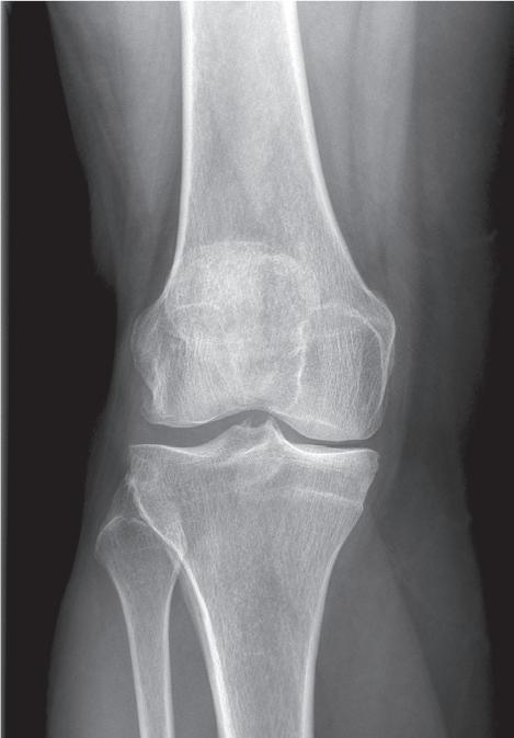
Obr. 19.2: Varózní deformita pravého kolenního kloubu (levé koleno již po korekci osy v rámci implantace náhrady kolenního kloubu) – (a) a rentgenový nález úhlové deformity s nálezem pokročilých artrotických změn (b)

147 kapitola 19 kapitola 19
a)
b)

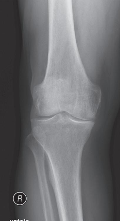
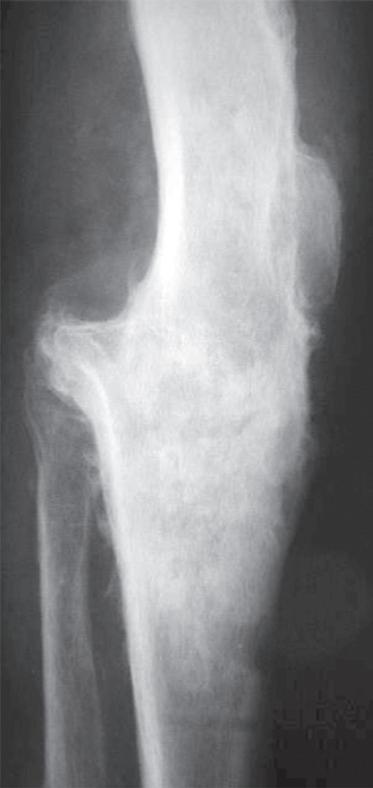
Obr. 19.3: Valgózní deformita kolenního kloubu (a) a rentgenový  nález úhlové deformity s nálezem pokročilých artrotických  změn (b)

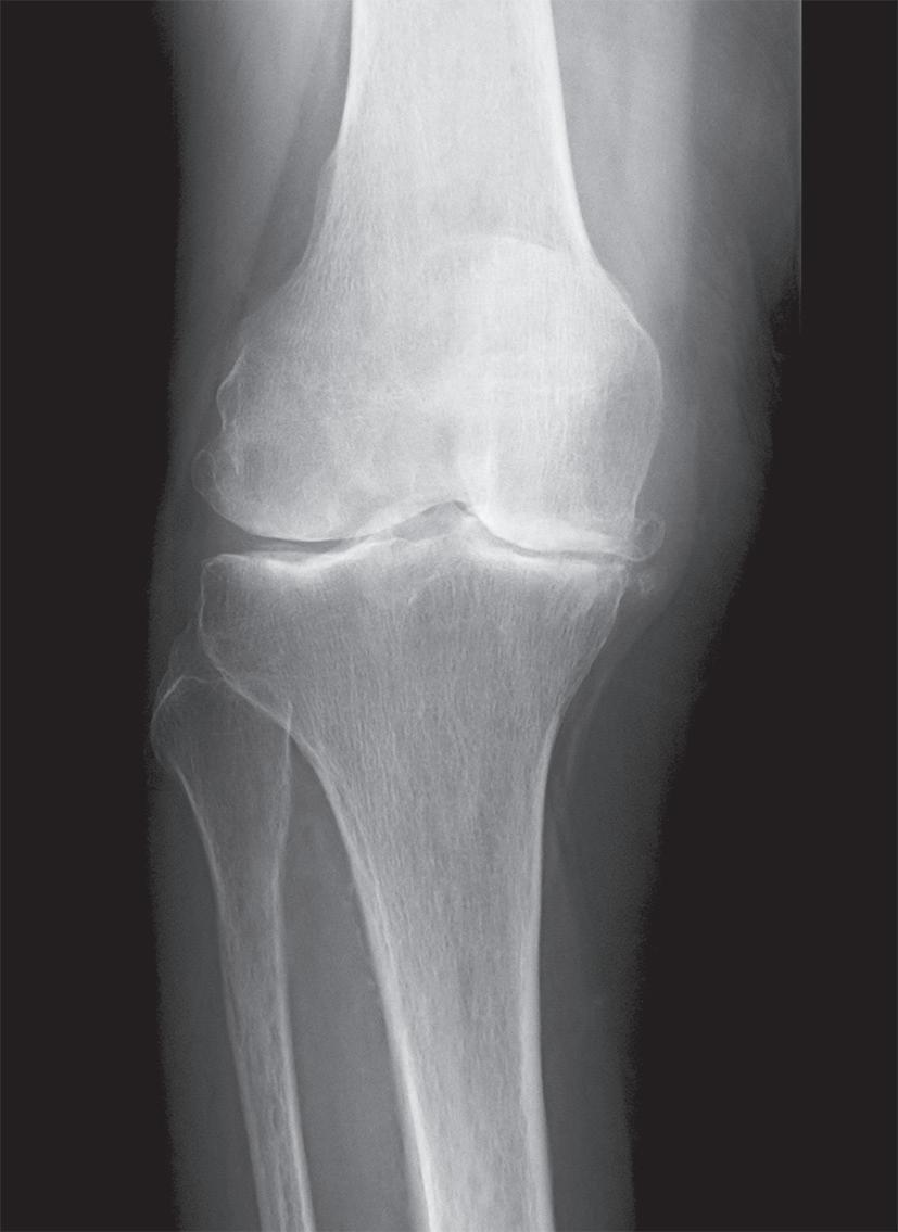
(předozadní a bočná). Na rentgenovém snímku se gonartróza zpočátku projevuje přihrocením interkondylické eminence a subchondrální sklerózou v místě přetížení, později zúžením, případně až zánikem kloubní štěrbiny, vznikem osteofytů, pseudocyst a případnou úhlovou deformitou. Dle nálezu rovněž klasifikujeme stupeň gonartrózy podle Kellgrena-Lawrence (viz kap. 17, obr. 19.4), což má praktický význam v indikaci farmakoterapie i balneoterapie.

Ostatní zobrazovací metody (CT, MR, UZ apod.) nejsou pro diagnózu a stanovení terapie obvykle potřebné a používáme je pouze v případě diagnostických pochyb. UZ a MR jsou indikovány v případě potřeby

posouzení měkkých tkání kolenního kloubu. CT vyšetření může být indikováno pro zobrazení detailní struktury kostního substrátu (např. u potraumatických deformit skeletu). Laboratorní vyšetření krevního obrazu i biochemie je v mezích normy. Při vyšetření kloubního punktátu je synoviální výpotek čirý, žlutavý, cytologie prokazuje obvykle méně než 2 000 buněk.

Léčba konzervativní

Konzervativní terapie kombinuje prostředky nefarmakologické (režimová opatření, redukce váhy, rehabilitace, fyzikální léčba, chůze s oporou, ortotické pomůcky apod.) s prostředky farmakologickými (analgetika, nesteroidní antirevmatika (NSA), v malých dávkách intraartikulárně aplikované kortikosteroidy a tzv. symptomaticky pomalu působící léky (SYSADOA)). Tato farmaka se většinou podávají v sériích 2–3 měsíců, dvakrát do roka. Jejich výhodou je velmi malý výskyt nežádoucích účinků. V pokročilých fázích choroby jsou však již bez efektu. Intraartikulárně aplikovaným chondroprotektivem je kyselina hyaluronová. Aplikuje se obvykle dvakrát ročně.

Léčba operační

Operační léčbu můžeme dělit do dvou skupin – na výkony časné a terapeutické.

Mezi časné výkony patří řešení následků traumat (např. obnovení kongruence kloubních ploch nebo korekční osteotomie při poruše osy). Druhou skupinou patřící mezi časné výkony je terapie vrozených vad (korekční osteotomie). Mezi terapeutické výkony

Obr. 19.4: Stupně gonartrózy dle Kellgrena-Lawrence na rtg snímku, I.–IV. stupeň (a–d)

148 19. Osteoartróza kolenního kloubu
a) b) a) b) c) d)

a) b)

Obr. 19.5: Osteotomie valgizační – zavřená. Provádí se vytětím klínu proximální tibie a sesazením kostí s následnou fixací osteosyntézou. Součástí výkonu je abreviační osteotomie fibuly. Schéma (a), pooperační rentgenový snímek (b)

patří zejména aloplastika, débridement a synovektomie, osteotomie, artrodéza a resekční plastika.

Débridement a synovektomie slouží k odstranění volných částic chrupavky, kloubních myšek, fragmentů degenerovaných menisků a k ošetření osteochondrálních defektů. Často se provádí i odstranění hypertrofické kloubní výstelky (stratum synoviale). Samotná synovektomie pro svůj krátkodobý efekt je indikována spíše výjimečně. Výkon se provádí artroskopicky a přináší většinou úlevu od akutních bolestí. Je ale nutné zmínit, že operace neřeší samotnou podstatu artrózy a její účinek může být krátkodobý.

Obr. 19.6: Osteotomie valgizační – otevřená. Provádí se osteotomií z mediální strany proximální tibie a s následným rozevřením fragmentů do tvaru klínu, který koriguje deformitu s následnou fixací osteosyntézou. Předoperační (a) a pooperační rentgenový snímek (b)

Osteotomie má za cíl korekci kloubní osy se změnou zátěžových oblastí kloubu. Operace obnoví osu končetiny a odlehčí tlak na poškozenou oblast kloubu a zmírní tak subjektivní obtíže nemocného. Příznivý výsledek obvykle přetrvává několik let. Dle poruchy osy rozlišujeme osteomie valgizační (korekce genu varum) a varizační (korekce genu valgum). V praxi se provádí klínovitá osteotomie s vytětím kostního klínu, sesazením obou fragmentů a fixací osteosyntézou (tzv. closed wedge osteotomie, obr. 19.5). Druhou možností je provedení jednoduché osteotomie s rozevřením obou fragmentů v klínovitém tvaru a fixace osteosyntézou (tzv. open wedge osteotomie, obr. 19.6). Dále podle anatomické lokality osteotomie rozlišujeme osteotomie distálního femuru (obr. 19.7) nebo proximální tibie. Artrodéza (ztužení kloubu) se primárně používá ve výjimečných případech (obr. 19.8). Je však možným řešením zejména po selhání aloplastiky, pokud není možná implantace nové náhrady. Vzhledem k faktu, že ztužení kloubu probíhá obvykle v terénu rozsáhlých kostních ztrát, používá se v poslední době ztužení kloubu pomocí implantátů – tzv. fúze kolenního kloubu (obr. 19.9). Nejde tedy v pravém slova smyslu o klasickou artrodézu – tedy kompletní primární kostní srůst femuru a tibie.

Obr. 19.7: Příklad varizační osteotomie distálního femuru pro valgózní deformitu kolenního kloubu. Provádí se vytětím kostního klínu na mediální straně femuru, korekcí osy a fixací pomocí osteosyntézy. Snímek pacientky po osteotomii v dětství s postupným rozvojem artrotických změn.

149 kapitola 19
a) b)

19. Osteoartróza kolenního kloubu

Resekční plastika je založena na resekcích kloubních ploch s náhradou původního kloubu vazivovou tkání. U kolenního kloubu se používá velmi vzácně.

Aloplastika (náhrada kloubních ploch implantátem, tzv. endoprotéza) je v současné době suverénní metodou léčby a jednoznačně dominuje v indikaci

operačního řešení. Jejím principem je náhrada poškozených artikulačních ploch.

a) b)

Obr. 19.8: Artrodéza kolenního kloubu – patrný srůst resekovaných kloubních ploch femuru a tibie v AP (a) a bočné (b) projekci

Při poškození pouze mediálního kompartmentu kloubu bez větší osové odchylky je metodou volby hemiartroplastika za použití speciálního implantátu (obr. 19.10, obr. 19.11). Tento výkon pacienta poměrně málo zatěžuje a rehabilitace je jednodušší než u osteotomie nebo totální endoprotézy. Podmínkou je nepoškozený přední zkřížený vaz a dobrý stav patelofemorálního kloubu. U mladších nemocných si obvykle po přibližně 15 až 20 letech vyžádá výměnu za totální endoprotézu.

a) b)

a) b)

Obr. 19.9: Rentgenový snímek fúze kolenního kloubu pomocí implantátu v AP (a) a bočné (b) projekci

Obr. 19.10: Hemiartroplastika kolenního kloubu – implantát Physica ZUK firmy LimaCorporate© na modelu kolenního kloubu (a), samotný implantát (b)

Při pokročilé destrukci povrchů více částí kloubu je indikována implantace totální endoprotézy (obr. 19.12). U standardní náhrady kolenního kloubu se provádí resekce kloubních ploch femuru i tibie. Součástí výkonu je i odstranění předního zkříženého vazu (obr. 19.13) a obou menisků. Zásadní pro stabilitu náhrady je zachování zadního zkříženého vazu (pro předozadní stabilitu) a obou postranních vazů (pro stranovou stabilitu).

Femorální i tibiální komponenta endoprotézy jsou fixovány v drtivé většině kostním cementem (polymetylmetakrylátem). Necementová fixace se používá v současné době velmi zřídka.

150

Obr. 19.11: Hemiartroplastika – předoperační (a, b) a pooperační rentgenový snímek (c, d)

Obr. 19.12: Náhrada kolenního kloubu SVL firmy Beznoska na modelu kolenního kloubu

Obr. 19.13: Peroperační odstranění předního zkříženého vazu při implantaci totální náhrady kolenního kloubu

Obr. 19.14: Model (a) a peroperační fotografie (b) endoprotézy kolenního kloubu SVL firmy Beznoska

Femorální komponenta bývá vyrobena z kovových slitin (většinou slitiny CoCrMo), v případě alergie na kovy pak buď z keramiky, nebo je na kovové komponentě povlak nitridu titanu. Zcela výjimečně lze použít i keramickou femorální komponentu. Tibiální komponenta je obvykle složena z kovové fixační komponenty (většinou z titanu) a artikulační vložky z vysokomolekulárního polyetylenu (UHMWPE – ultra high molecular weight polyethylene, obr. 19.14, obr. 19.15).

V menšině případů pak může být celá komponenta vyrobena z vysokomolekulárního polyetylenu. Z hlediska artikulačních povrchů se tedy může kombinovat kov (event. keramika) na femuru s vysokomolekulárním polyetylenem na tibii.

Široká škála implantátů dovoluje ošetřit nejen povrchy tibie a femuru, ale i pately (obr. 19.16, obr. 19.17).

V České republice standardně náhradu pately neprovádíme. Primárně provádíme plastiku poškozených kloubních ploch pately pomocí resekce osteofytů

151 kapitola 19
c) b) d)
a)
b)
a)

19. Osteoartróza kolenního kloubu

a) b)

Obr. 19.15: Rentgenový snímek v AP (a) a bočné (b) projekci endoprotézy kolenního kloubu

a)

b)

a) b)

Obr. 19.16: Předoperační rtg náhrady kolenního kloubu (a). Pooperační rentgenový snímek po implantaci náhrady pately (polyetylenový implantát je opatřen drátkem pro lokalizaci na rtg – b).

Obr. 19.18: Artrotické změny na patele – chondropatie

s mohutnými okrajovými osteofyty (a), stav po plastice pately v rámci náhrady kolenního kloubu – resekce osteofytů a úprava tvaru pately (b)

a) b)

a) b)

Obr. 19.17: Příprava lůžka (a) pro implantaci polyetylenové náhrady pately (b)

Obr. 19.19: Systém náhrady kolenního kloubu Microport Evolution Medial Pivot©, který je charakteristický anatomickým tvarem kondylů femuru umožňující rotaci femuru kolem osy mediálního kondylu, čímž se přibližuje normální biomechanice kolenního kloubu. Peroperační pohled (a), samostatný implantát (b)

152

Turn static files into dynamic content formats.

Create a flipbook
Issuu converts static files into: digital portfolios, online yearbooks, online catalogs, digital photo albums and more. Sign up and create your flipbook.