Country Magazine, June/July 2023

Page 1

BARRINGTON STYLE & SUBSTANCE JUNE/JULY 2023 BARRINGTON HILLS NATIVE MEGHAN SMITHE CLARKE BARRINGTON HILLS’S DR. STACIE STEPHENSON’S NEWEST BOOK Glow
© All designs and photography are a copyright of Airoom LLC, Use without written consent is strictly prohibited Call for consultation: 630-415-0154 LOCATIONS: Downtown Hinsdale Design Studio Lincolnwood Design & Build Showroom HQ LOVE MY ADDITION! Project Location: Lake Forest, IL Designed and built by Airoom Architects, Builders and Remodelers.
Creating uniquely designed & built luxury homes for discerning clients. Site Location: East Lake Forest home on 2 acres Unique Design: 11,000 sq ft Modern Tudor © 2022 Michael Bennett Homes LLC Lincolnwood & Hinsdale Showroom Locations Call for consultation (847) 416-8698 • MBLuxe22.com © All designs and photography are a copyright of Airoom LLC. Use without written consent is strictly prohibited.

AskConnie

Will Spring Cleaning REALLY help sell my home?

It absolutely will! Not only will it help

to “de-clutter”

your home but it’ll make you feel better! Most of my clients tell me they cannot believe how much they have accumulated in the 5, 10, 15+ years they have owned their home. I defer to Marie Condo, author of The Life-Changing Magic of Tidying Up, creator of the KonMari method, which basically says to only keep things that “spark joy”. Once a home is decluttered, is an opportune time to deep clean from top to bottom. Buyers are going to go into the rooms a seller rarely visits, such as the furnace room. A deep cleaning helps a seller achieve their goal of maximizing on their investment.

How do you build rapport with a new buyer?

When I first meet with a new buyer, I encourage them to lead the discussion. I ask questions to

understand how I can help them, what they’relooking for, and their absolute must-haves. By listening to the client, I’m able to build rapport and trust because I now understand what they want. I reassure them by explaining what I bring to the table and how I put their family’s priorities first, above all else.

I believe my home is worth about $450,000, can you still sell it for me?

Absolutely! I have a small team of agents to assist so we have all hands on deck and can make sure our clients are always covered. We will do our very best for you whether your home is worth $450,000 or 4.5 million! We believe that luxury is not a price point-but a level of service. We strive to give each of our clients a concierge level of service, beginning with offering staging and a prelisting inspection, to prepping the house with lights on, music, candles, fires roaring in the fireplace (in season of course!) prior to every showing.

303 E Main Street, Suite 102 | Barrington, IL 60010 56 Hillburn, North Barrington IL Call Connie at +1 847.508.7775 for more information. Jameson Sotheby's International Realty has offices in Barrington | Chicago - Lincoln Park | Evanston | Gold Coast | Hinsdale | Winnetka Source: All data from MRED. Data deemed reliable but not guaranteed. InfoSparks © ShowingTime. © 2022 Jameson Sotheby’s International Realty. All rights reserved. Sotheby’s International Realty® and the Sotheby’s International Realty Logo are service marks licensed to Sotheby’s International Realty Affiliates LLC and used with permission. Jameson Sotheby’s International Realty fully supports the principles of the Fair Housing Act and the Equal Opportunity Act. Each office is independently owned and operated. Any services or products provided by independently owned and operated franchisees are not provided by, affiliated with or related to Sotheby’s International Realty Affiliates LLC nor any of its affiliated companies. Connie
all of your real estate questions, please email me at questionsforconnie@gmail.com
Antoniou answers
If you would like to discuss your unique real estate needs confidentially, you may call or text me at +1 847.508.7775 or email connie.antoniou@sothebysrealty.com. Affiliated with Mahler Sotheby’s in Lake Geneva, WI.
Michael A. Lovda, D.D.S. and Michael A. Lovda Jr., M.S., D.D.S 1564 West Algonquin Road | Hoffman Estates, IL 60192 847-991-0790 | www.drlovda.com Smile Smile
©2023 Closet Factory. All rights reserved. Call 847-327-0896 , visit us online at closetfactory.com or scan this code to schedule your free in-home or virtual design consultation. the art of organization Promote True Entertainment AND MUFFLE ALL EL SE You possess a home-yacht of an entertainment room in the home you already own. And Closet Factory, can see thru walls to find it, offering your family a room …fit to entertain the royal you.
Design your dream FEATURING ON-SITE CUSTOM JEWELRY DESIGN 123 West Main Street, Barrington, IL 60010 • 847.381.7900 • www.millerjewels.com • info@mjmillerjewelers.com

Market Share

List $ Sell $
Warner MKT 24.6% Coldwell Banker Realty Compass Jameson Sotheby’s Intl Realty 11.3% 10% 7.5% 7.2%
Baird &
Barrington, Lake Barrington, North Barrington, South Barrington and Barrington Hills
Source: #1 market share in Barrington, Lake Barrington, North Barrington, South Barrington and Barrington Hills based on closed sales volume data from MRED, 01-01-2023 to 05-12-2023.

We are proud to be the #1 brokerage firm in Barrington, Lake Barrington, North Barrington, South Barrington and Barrington Hills.

can’t stop. won’t stop.
Experience Transcendent Immerse yourself in the ultimate living experience, overlooking the soothing blue waters of Lake Michigan. The Residences at The St. Regis Chicago surround you with an array of bespoke amenities and exquisite pleasures. Located at Chicago’s best address in the Lakeshore East neighborhood, live high above it all, right in the middle of it all. To schedule your personal tour, please contact Leila Zammatta with the Magellan Marketing Group at +1 312 467 7569. Ultra-luxurious lakefront residences, from 1,097 SF pieds-à-terre to full floor, 6,800 SF, 360°-view penthouses. One-to-five-bedroom homes from $840,000 to $18,500,000. 363 E. Wacker Drive, Chicago, IL 60601 | srresidenceschicago.com The St. Regis logos are the trademarks of Marriott International, Inc., or its affiliates. The Residences at The St. Regis Chicago are not owned, developed, or sold by Marriott International, Inc., or its affiliates (“Marriott”). The developer of the residential project, Parcel C LLC, Dev. License #2418452, uses the St. Regis marks under a license from Marriott, which has not confirmed the accuracy of any of the statements or representations made about the project. If this license is terminated or expires without renewal, the residential project will no longer be associated with, or have any right to use, the St. Regis tradenames or trademarks. Sales by Magellan Marketing Group.

Rosemont is the Ultimate Destination for Unique Dining & Entertainment, Exclusive Luxury Outlet

Shopping and Endless Fun!

Shop Aritzia, Gucci, lululemon, & 130+ outlet stores at Fashion Outlets of Chicago, enjoy FREE outdoor fitness classes, concerts & fireworks, savor 40+ dining options, and experience endless entertainment all summer long!

140 WEATHERSTONE ROAD, BARRINGTON / $899,000 48 BRINKER ROAD, BARRINGTON HILLS / $5,500,000 434 NORTH AVENUE, BARRINGTON / $1,499,000
Source: BrokerMetrics LLC, Closed Sales Volume, Residential Properties, Barrington, 01/01/2022 – 12/31/2022.
26349 W ROBERTS LANE, BARRINGTON / $1,499,000

number

one

luxury BARRIN G TON

245 W LINCOLN AVENUE, BARRINGTON / $899,000
Chicagoland’s
#1 brokerage firm is now the world’s leading luxury real estate brand, connecting affluent buyers and sellers across the globe through Christie’s International Real Estate.
JWC | COUNTRY 16 CONTENTS JUNE//JULY 2023 GET GLOWING Barrington Hills’s Dr. Stacie Stephenson taps into her own daily practices to pen her newest book—Glow. ‘BLOOMIN’ BEAUTIES The South Barrington Garden Club celebrates its 30th anniversary of brightening the South Barrington community. WORK IT! Todd and Natalee Zehrer welcome fitness fans to go for it at The Den. 54 60 62 FEATURES DEPARTMENTS EDITOR’S NOTE UP FRONT THE BUZZ COUNTRY LOVES BEAUTY LIVING & GIVING COUNTRY VS TOWN FASHION FOOD & TRAVEL RECIPE FIRST CLASS HOUSE & HOME LUXURY OFFERINGS HOME STYLE ONE LAST THING 20 23 24 26 28 32 42 44 65 66 68 73 74 80 86 ON THE COVER Barrington Hills’s Dr.
ON THIS PAGE
Stacie Stephenson stuns. Photography by Bob and Dawn Davis Country vs. Town’s Helen Kalantzis staying chic in an Oscar de la Renta dress, neimanmarcus.com., ARCH by Laura White jewelry, archglow.com.

Invitation to sell at auction

We are accepting fine art consignments for auction. Contact us to receive an estimate on a single item or an entire collection.

Miranda Luce Maxfield | 312.334.4208 consignmentdays@hindmanauctions.com HINDMANAUCTIONS.COM

Founder & Publisher

Editor-in-Chief

Contributing Editors

Style Director

Contributing Writers

Copy Editor

Production Manager/ Graphic Designer

Advertising Coordinator/ Graphic Designer

Graphic Designer

Contributing Photographers

Illustrator Advertising Sales

Assistant to the Publisher

J.W. CONATSER

MEGAN WEISBERG

MICHELLE CROWE, DUSTIN O’REGAN, KEMMIE RYAN

THERESA DEMARIA

THOMAS CONNORS, TRICIA DESPRES, ROCHELLE NEWMAN RUBINOFF, ANN MARIE SCHEIDLER

MORGAN HOGERTY

LINDA LEWIS

CHRIS GEIMER

SAM SUAREZ

MARIA PONCE BERRE, JAMES GUSTIN, IAN MCLEOD, MONICA KASS ROGERS, ROBIN SUBAR, KATRINA WITTKAMP

ROBERT RISKO

GRETCHEN BARNARD, JENNIFER STURGEON

CHEYANNE LENCIONI

JWC Media accepts freelance contributions; however, there is no guarantee that unsolicited manuscripts, photographs, or graphics will be returned. All rights to the contents of this magazine are owned in full by JWC Media. COUNTRY Magazine may not be reproduced in whole or in part, including but not limited to advertisements and articles, without written permission from the publisher. COUNTRY Magazine assumes no responsibility for statements made or opinions expressed by contributing writers, editors, or advertisers. However, comments or corrections or differing opinions are welcomed. The publisher reserves the right to edit and place all editorials and ads. © 2023 JWC Media

• Concrete coatings systems ideal for garages, basements, restaurants, warehouses, manufacturing facilities, auto body shops, and more.

• Experts with over 35 years in business, 20+ million sq. ft. installed

• UV, slip, chemical & impact resistant. Durable, industrial-grade, easy-to-clean, with a beautiful, unique finish.

How to reach COUNTRY Magazine ADVERTISING INQUIRIES: ADVERTISING@JWCMEDIA.COM / 847.926.0957
INQUIRIES: MEGAN.WEISBERG@JWCMEDIA.COM / 847.370.5840
Headquarters 671 ACADEMY DRIVE, NORTHBROOK, ILLINOIS 60062 JWCMEDIA.COM COUNTRY Magazine is published 10 times annually by JWC Media. Transforming your home or business has never been easier with Floorguard! 630.896.7040 | FLOORGUARD.COM
EDITORIAL
Corporate
Call 630.896.7040 or go to floorguard.com for a FREE in-person estimate for your new, upgraded floor! 20% OFF Summer Sale ENDS AUGUST 1, 2023 View our concrete transformations @floorguardinc
Licensed in Illinois and Michigan and now licensed in Florida 847-274-4983 Judy@JudyGibbonsGroup.com Judy-Gibbons.com Luxury is not just a price point, it’s a level of service. JG
JUDY GIBBONS

EDITOR’S NOTE

Summer! At last. In this double issue, we embrace all this beautiful season brings—from outdoor entertaining at its finest, to fashion and beauty for the warm days and nights. To make sure we’re feeling our best inside and out, Barrington Hills’s Dr. Stacie Stephenson has written a new book, Glow: 90 Days to Create Your Vibrant Life from Within, and summer is the perfect season to start this journey. As the mother of twin oneyear-old boys, Dr. Stephenson suggests embracing the flow of the day and not stressing over finding balance.

Todd and Natalee Zehrer open The Den. Natalee wearing model’s own, Todd wearing J. Crew jacket, pant, and shirt, jcrew.com

Parents to young children themselves, with another on the way, entrepreneurs Todd and Natalee Zehrer have opened The Den, a new fitness center in Barrington. Here they prioritize creating a sense of community alongside rigorous training offerings.

Meghan Smithe Clarke shines in Country Loves sharing her Barrington roots and what inspires her now. In Country vs. Town, we learn top tips from Helen Kalantzis whose parents built a home in South Barrington when she was young and who returned to Inverness to raise her family 16 years ago.

With party season at its fullest, our Living & Giving section highlights philanthropic efforts within our community. This issue’s Luxury Offerings showcases a beautiful Barrington Hills estate alongside a Paris apartment and a villa overlooking Italy’s Lake Maggiore. And be sure to read our First Class piece on Napa, which now has so much more to offer than fabulous wineries.

Enjoy!

MY WISH LIST

Feeling summery and joyful when wearing Lanvin’s cape-effect, belted charmeuse minidress, net-a-porter.com

Keeping time with Jacquie Aiche’s vintage Rolex Day-Date 36mm diamond and gold watch, matchesfashion.com.us

Carrying sunglasses, wallet, and phone in SAINT LAURENT’s Calypso leather-trimmed organza shoulder bag, net-a-porter.com

JWC | COUNTRY 20
First Class travels to Napa’s famous vineyards. Country Loves’ Meghan Smithe Clarke, one the four sisters seen in the advertisements for Walter E. Smithe Furniture & Design, wearing Giorgio Armani dress, neimanmarcus.com

HOW MUCH WILL A

The cost of a divorce in Illinois can substantially vary depending on factors such as the complexity of the case, the level of conflict between the parties, the need for expert witnesses, and whether both parties have access to all the relevant financial information.

While the divorce process can become expensive, it is not always the case. If both parties can agree upon the terms, the process can be completed for just a few thousand dollars. In fact, many divorces are completed with only one filing and one court appearance, sometimes in a matter of weeks.

Most divorce attorneys will require an upfront retainer fee to commence representation, and thereafter will charge an hourly rate for work done on the case. A typical retainer is around $5,000. The attorney’s hourly rate will be based on various factors including years of experience. It is important to discuss fees and payment arrangements with your attorney beforehand and to review the billing statements each month. The billing statements should detail the work that was done, who did it, how long it took, and the corresponding charge. Any questions or concerns regarding the bill should be directed to your attorney immediately.

In some cases, expert witnesses may be needed to provide opinions on matters such as property valuation, business valuation or parenting decisions. The Court may also appoint an attorney to represent the best interest of the children in

SHANA L.

VITEK

DIVORCE AND FAMILY LAW EQUITY PARTNER

DIVORCE COST?

parenting disputes. This attorney will also require a retainer and bill both parties hourly. There may be other costs involved, such as document preparation, process serving, court reporters, and other miscellaneous expenses that may arise during the divorce process.

To reduce the costs, many people will consider alternative dispute resolution methods like mediation or collaborative divorce, which can be more cost-effective compared to traditional litigation. These processes often require fewer court appearances and typically save money on legal fees. Also, assisting your attorneys with the workload can save you time and money, so before meeting, gather all necessary documents and information related to your finances and assets.

It’s important to discuss the issue of attorney fees at the start of the case so there are no surprises. An experienced divorce attorney can help you navigate the process in a way that is both cost-effective and in your best interests.

Shana Vitek is an Equity Partner at Beermann LLP, the largest family law firm in Illinois. For the past 20 years she has been practicing 100% family law, representing athletes, entertainers and other high-profile clients. She has been successful in reaching confidential settlements whenever possible, and litigating, when necessary, with excellent results.

WWW.BEERMANNLAW.COM
312-621-1263 | SLVITEK@BEERMANNLAW.COM
#1 TEAM 2022 Coldwell Banker Barrington CLOSED, PENDING & CONTINGENT VOLUME & NUMBER OF HOMES SOLD* *per MRED 1/1/2022 - 12/31/2022 Your home is exceptional. Why would you work with a real estate team that is anything less? The Dean Tubekis Team is the #1 real estate team at Coldwell Banker Barrington, year after year. Find out what makes us the exceptional choice. Contact us today to arrange a confidential meeting to discuss your real estate needs. BARRINGTON’S EXCEPTIONAL CHOICE FOR REAL ESTATE THE DEAN TUBEKIS TEAM Coldwell Banker Barrington 847-809-8070 dtubekis@gmail.com deantubekis.com ©2023 Coldwell Banker Residential Real Estate LLC. All Rights Reserved. Coldwell Banker Residential Brokerage fully supports the principles of the Fair Housing Act and the Equal Opportunity Act. Operated by a subsidiary of NRTLLC. Coldwell Banker and the Coldwell Banker Logo are registered service marks owned by Coldwell Banker Real Estate LLC. Real estate agents affiliated with Coldwell Banker Residential Brokerage are independent contractor sales associates and are not employees of Coldwell Banker Residential Brokerage. TOP 2% OF ALL COLDWELL BANKER AGENTS WORLDWIDE Based on 2022 sales

Tiffany & Co. Unveils Its Newly Redesigned New York City Landmark

The newly transformed flagship on 57th Street and Fifth Avenue, now known as “The Landmark,” reintroduces the world to a new Tiffany & Co. through custom artwork, never-before-seen jewels, and immersive displays. The Landmark, one of Manhattan’s largest stores, marks the luxury retail institution’s first holistic renovation of the store since it first opened its doors in 1940 and is home to the largest collection of Tiffany High Jewelry in the world. To commemorate the reopening of the store, Tiffany & Co. is also set to debut a range of exclusive designs and one-of-a-kind creations, including a new design for the legendary 128.54-carat Tiffany Diamond. Ten floors of magnificence offer fine jewelry and design enthusiasts everything from extraordinary diamond watches and limited-edition home objects to eyewear inspired by the Tiffany® Setting engagement ring. For more information, visit tiffany.com.

JWC | COUNTRY 23
Daniel Arsham’s Bronze Eroded Venus of Arles 2022 Julian Schnabel table setting The Landmark interior
CULTURE, MURMURS & STYLE
UP FRONT
The Audrey Experience

J.D. STARON RUGS

J.D. Staron has created the world’s most eco-friendly collection of rugs. The Pure Collection created by founder Jakub Staron is made without chemicals or external power sources of any kind. The yarn used for this collection is hand-clipped from free-grazing sheep then hand-washed and hand-spun. The yarn is woven using traditional weaving techniques dating back to ancient civilizations and hand knotted to perfection. To finish the process and soften the pile, the rugs are rewashed in pure water and organic oil produced from neem plants. This sustainable process results in beautiful rugs that are not only aesthetically pleasing but also ethically made and environmentally responsible. To learn more, visit jdstaron.com.

INNOVATIONS IN WELLNESS

Grand Geneva Resort & Spa in Lake Geneva, Wisconsin is launching a new Innovations in Wellness retreat this October 19 - 20, 2023. In collaboration with Milwaukee’s Golden Rey Integrative Medical Center, this new retreat is designed to activate and reconnect the mind, body, and spirit while focusing on key wellness elements including nutrition, exercise, sleep, and stress management. All this, while also supplying guests with a personalized wellness experience and their very own wellness concierge. With its WELL Spa + Salon, fitness center, and a plethora of outdoor and indoor activities on the 1,300-acre campus, Grand Geneva is a one-stop destination for relaxation, active lifestyle, and wellness year-round. Innovations in Wellness will incorporate several of the resort’s facilities in this new fall retreat—CBD massages, sports activities, and nutrition-focused culinary demonstrations led by the resort’s chefs. The event will also offer select therapies from Golden Rey Integrative Medical Center including hyperbaric oxygen therapy and IV nutrient therapies. To book your spot, visit grandgeneva.com/wellness/innovations-in-wellness.

NET-A-PORTER LAUNCHES EXCLUSIVE SUNGLASS SHOP

Just in time for summer, Net-A-Porter has launched their first ever sunglasses shop, which includes over 20 exclusive styles from Dior, Gucci, and Chloé. net-a-porter.com

JWC | COUNTRY 24
UP FRONT |THE BUZZ
Estate Planning | Estate & Trust Administration | Business Law Asset Protection | Litigation | Employment Law | Real Estate PROVIDING PERSONALIZED LEGAL SOLUTIONS LET’S WORK TOGETHER Call to schedule a consultation 201 S. Grove Avenue | 4th Floor | Barrington, IL | BuckleyFineLaw.com 847.381.0011

MEGHAN LOVES

Gadget: Lately, it’s the Apple Pay function on my iPhone as I love the freedom of not having to carry a wallet. Scent: Fresh lilacs Barrington Spot: It’s a tie between Tensile Strength Pilates Studio and Ahavah Organic Salon & Spa Hostess gift to

receive: A nice bottle of Champagne or a white orchid Gift to Give: An accessory from Walter E. Smithe Furniture & Design. Our accessory shops are on-trend and feature many items under $100.

UP FRONT |COUNTRY LOVES JWC | COUNTRY 26
EDITED BY MORGAN HOGERTY PHOTOGRAPHY BY JAMES GUSTIN HAIR AND MAKEUP BY CATHLEEN HEALY STYLING BY THERESA DEMARIA Clarke in Lela Rose dress, neimanmarcus.com

Smithe Clarke, Barrington High School alum and current Barrington Hills resident, is part of the fourth generation of Smithe family leadership at family-owned Walter E. Smithe Furniture & Design. Clarke works closely with her family to lead the business as it enters its 79th year.

Meghan

What actress would play you in a movie? Kristen Stewart— strangers stop me all the time to tell me I look like the girl from Twilight.

Who from history would you want to travel with? I’d love to visit Washington DC with one of my idols, Sandra Day O’Connor, to learn about her early days as our first female Supreme Court justice. Where do you look for inspiration? Nature is my biggest source of inspiration—there’s something magical about every season here in Barrington. I am grateful to live in a place where I am surrounded by beautiful native trees and can have my own vegetable garden. Favorite book? English was my college major, so I appreciate so many of the classic 20th-century novels. Recently, I read Educated by Tara Westover and couldn’t put it down.

Most beloved cookbook? When I moved out on my own, my mom gifted me a copy of The Joy of Cooking and it’s been my go-to ever since. At this point, my copy is well loved (i.e., torn up and stained) and just as useful as ever.

Best dinner party hack? My husband, JC, and I have an unspoken dynamic when it comes to preparing for a party. He usually sets up the bar and cleans up outside, while I prep the food and clean up inside. Our goal is to get as much done as possible before our guests arrive. Also, a pre-party cocktail is a must as it helps shift my mindset from prep chef to hostess.

What’s in your bag right now? Everything you’d expect, plus several (maybe five!) pairs of goodr Sunglasses. I’m completely sold on this brand—the approachable price point means I can have one in every color and not stress when I lose a pair.

COUNTRY LOVES| UP FRONT JWC | COUNTRY 27
Clarke in red dress by Oscar de la Renta, neimanmarcus.com

Look

EDITED BY MEGAN WEISBERG

1 NuFACE, Firming + Radiant Super Peptide Booster Serum, net-a-porter.com 2 Gucci Beauty, Poudre De Beauté Éclat Soleil, net-a-porter.com 3 U BEAUTY, The RETURN Eye Concentrate, net-a-porter.com 4 U BEAUTY, Resurfacing Compound, net-a-porter.com 5 Dior, Show Brow Styler Ultrafine Precision Brow Pencil, nordstrom.com

6 DR. BARBARA STURM, Super Anti-Aging Cleansing Cream, nordstrom.com

7 ILIA, Limitless Lash Mascara, nordstrom.com

8 ARMANI beauty, Luminous Silk Perfect Glow Flawless Oil-Free Foundation, nordstrom.com 9 Clarins, Double Serum Eye Firming & Hydrating Anti-Aging Concentrate, nordstrom.com 10 Charlotte Tilbury, Matte Revolution Lipstick, nordstrom.com 11 Dr. Barbara Sturm, Super Anti-Aging Body Serum, net-a-porter. com 12 MAC Cosmetics, Matte Lipstick, nordstrom.com

13 Dr. Dennis Gross Ultimate Defense SPF 50, drdennisgross.com

14 La Mer, The Lifting Eye Serum, net-a-porter.com 15 Supergoop!, (Re)Setting Refreshing Face Mist, nordstrom.com

16 Futurna Skin, Micellar Cleansing Essence, nordstrom.com 17 Hermès, Rose Hermès - Silky blush powder, nordstrom.com

18 Westman Atelier, Vital Skin Care Complexion Foundation, nordstrom.com

19 Clé de Peau Beauté, Concealer SPF 27, nordstrom.com

UP FRONT |BEAUTY JWC | COUNTRY 28
towards the sunshine with these powerful anti-aging products and fresh-faced makeup. 1
BrightLights
2 5 4 6 16
18 19
17
BEAUTY| UP FRONT JWC | COUNTRY 29 9 11 12 7 8 10 13 14 15

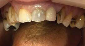
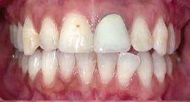
DENTAL TECHNOLOGY UPDATE

New technologies help shape our future. Dentistry’s future is no exception. With advances in electronics, software and 3D printing, dentistry is on track to bring these technologies to patients and make a visit to the dentist more comprehensive than ever.

3D printing does not need any introduction. Its incorporation into healthcare has been newsworthy with the technology’s potential to print medicines, prosthetics, and even organ replicas. Its importance was further highlighted during the COVID-19 crisis to bypass supply chains to meet hospitals’ demands. As the technology is set to become an integral part of healthcare practice, it will also become incorporated in dental labs.

Computer-assisted design (CAD) and computer-assisted manufacture (CAM), including 3D printing, are already changing the way dental lab technicians do their work. Traditionally, when a patient

needs a crown, a dentist must make an impression of the tooth, ship it to the dental laboratory and then wait for them to make a permanent crown.

With CAD/CAM technology, the tooth is drilled to prepare it for the crown and a three-dimensional scan is taken of all the patient’s teeth. This image is then emailed to a laboratory that CAD designs the new tooth and begins the process of creating an oven fired glass-like crown. With a 3D printer doing the hard work, dental labs eliminate the bottleneck of manual modeling and can get the final product back to dental offices faster than ever before.

3D printers are also able to produce orthodontic models, surgical guides, aligners, retainers and more dental equipment faster and precisely; tasks that would take longer with traditional methods. This helps in improving workflows and reducing errors.

While there is currently CAM, that allows a dentist to have a crown milled right in the office, the materials in the final product do not have the same glass-like finish as the materials that are created in a dental lab. But as 3D printing materials improve, the dental office may be able to completely bypass the dental laboratory all together.

The dental profession is always looking for ways to improve the care of its patients. Technology is paving the way for making a visit to the dentist more comprehensive than ever. CAD/CAM will certainly play one of the biggest roles in this improvement.

Dr. James T. Gavrilos is located at 129 Park Avenue in Barrington. For more information, call 847-381-4040 or visit barringtondentist.com.

Vein Specialists of Illinois, a locally owned, independent medical practice is a leader in non-surgical, personalized treatment of venous disorders.

Trusted professionals Dr. Sorenson and Dr. Lutz are double Board Certified and Diplomates of the American Board of Venous and Lymphatic Medicine with a combined 35+ years of experience. Call today to hear how you can maximize your insurance benefits.

© 2023 Vein Specialists of Illinois 847.957.1091 • VSIveins.com Specialized Treatment of: Varicose Veins • Spider Veins • Venous Ulcers Lymphedema • Cosmetic Facial & Hand Veins Stephen Sorenson, MD RVT RPVI Thomas Lutz, MD RVT RPVI Love
Affiliated Hospitals: AdvocateAurora Good Shepherd Hospital AdvocateAurora Sherman Hospital St. Alexius Hospital Northwest Community Healthcare Alexian Brothers Medical Center St. Joseph Hospital-Elgin 1670 Capital St., Suite 500 | Elgin, IL 60124 | 847.468.9900 795 Ela Rd., Suite 115 | Lake Zurich, IL 60047 | 847.550.4984
Your Legs!
UP FRONT |WELLNESS
K+H Litigation Group Our full-service firm with 55+ teammates provides a comprehensive platform of legal solutions for you, your family and your business. Medical Malpractice Personal Injury Business Disputes Breach of Contract Criminal Defense Employment Contested Trusts + Estates Real Estate Conflicts Arbitration Divorce Nursing Home Abuse Elder Abuse Taxation Issues Eminent Domain Trade Secrets Land Use, Zoning + Entitlement Suffering due to an accident? Point your smartphone camera at this code to learn how we can help 847-382-9195 kelleherholland.com

UNDER THE BIG TOP

On April 22, over 200 generous community members adorned in circus-themed attire assembled under the “Big Top” to support Barrington Youth & Family Services’ (BYFS) mission to improve the mental health and well being of the Barrington community through a wide range of counseling, preventative programming, and education. The Auxiliary Committee chaired by Betsy Thalheimer, Katie Wilson, and Nicole Jankowski planned a fabulous evening complete with circus decor and performers to entertain. The night raised $433,000 and will help BYFS meet the increased demand for services while also ensuring no one is ever turned away due to their inability to pay. barringtonbyfs.org

UP FRONT |LIVING & GIVING JWC | COUNTRY 32
Katie Wilson, Nicole Jankowski, Betsy Thalheimer Steve Raseman, Chad Thelheimer, Charlie Thalheimer Darren & Debra Dickson Kate & Ken Marker Wendy Farley, Rachel Schiewe, Anne Baumfeld, Carla Janess PHOTOGRAPHY BY IAN MCLEOD Melissa & Mark Cornwell
LIVING & GIVING| UP FRONT JWC | COUNTRY 33
Beth Coulter, Marge Wolff, Gina Thompson Julie Koob, Jess Hudson, Katie Stetson, Stephanie Chambers Courtney Breault, Betsy Wintringer, Michelle Solberg Betsy & Harry Wintringer Tom & Kelly Prentiss Eleanor, Perry, Sunny, Myla Colin & Tiffany Batko Phil & Mary Fijal

HOPE’S IN STYLE

PHOTOGRAPHY BY IAN MCLEOD

HOPE’S IN hosted its 11th annual Hope’s in Style event, a studentlead fundraiser at the Barrington Campus Life Center. The event showcased the talents of local students with proceeds going towards their mission to empower families living in Guatemala and help to develop the next generation of humanitarian leaders. hopesin.org

UP FRONT |LIVING & GIVING JWC | COUNTRY 34
Ashley Quigley, Courtney McGovern (Founders) Members of Mammoth Band Singer Abby Neton Colin Ryan, Riley Mahoney, Kirsten Karlblom Anabelle Otto Simran Uddin

TUNES WITH TIM

Since 2013, critically acclaimed Chicago-based children’s musician Tunes With Tim has been using his wide repertoire of original music and classic songs—from nursery rhymes to Beatles tunes—to inspire families to sing, play and dance together while teaching the basics of music. This past April, Tunes With Tim performed a children’s concert to benefit Hope’s In. tuneswithtim.com, hopesin.org

LIVING & GIVING| UP FRONT JWC | COUNTRY 35
Mitch Stathakis, Erin Shechtman, Lydia Shechtman, Ashley Quigley, John Steiner Baby June, Linda Bricker The Repeta Family Lydia Shechtman, Tim Bredrup, Erin Shechtman The Bredrup Family The Daker Family The McSweeney Family The Barrett & Chambers Families The Rosencrans Family The Smith & Koeber Families The Sloma Family

JUNIOR’S PROM

The Barrington Junior Women’s Club hosted their annual spring fundraiser on April 29 at The Club at Wynstone. This year’s theme was “Junior’s Prom” so attendees had a fun time wearing everything from modern prom dresses to looks inspired by the ‘80s and beyond. It was certainly a night to remember filled with dancing and fundraising. bjwc.org

UP FRONT |LIVING & GIVING JWC | COUNTRY 36
Angela Carbonara, Tiffany Batko, Natalia Piotrowski Paulina Pieniazek & Miodrag Savic, Aleksandra & Edin Sabanagic Brian & Meghan Van Daele Mark & Natalia Piotrowski Cristina Willard, Dana Foley Tiffany & Colin Batko Jason Krueger & Hsin-Yi Chang PHOTOGRAPHY BY IAN MCLEOD
LIVING & GIVING| UP FRONT JWC | COUNTRY 37
Adam & Jacqui Pieroni, Ashley & Tim Scheetz Jennifer & Diego Ferreira Medbh & Frank Huschitt Jenny Miller, Jacqui Pieroni Meghan Van Daele, Chris & Keri Ricci, Medbh Huschitt Joe & Angela Carbonara

PALM RAT GOLF LAUNCHES IN BARRINGTON

PHOTOGRAPHY BY IAN MCLEOD

Barrington locals Chad Bright and Evan Hoobchaak, along with their co-founders, celebrated the launch of their new golf apparel brand, Palm Rat Golf. The launch, held at DIBI Menswear store, showcased the brand's clothing which can be worn from the office to the golf course to a night on the town. Hence, the brand's logo—“Work. Play. Live.” palmratgolf.com.

UP FRONT |LIVING & GIVING JWC | COUNTRY 38
Alison Pinchot, Amber Wirkus Ryan Bradley with Palm Rat Golf cofounders Evan Hoobchaak and Chad Bright Bill O’Donnell Terry Sanders, Zach Witt Michael Beightol, Amber Wirkus Chad Bright, Dan Hutchison Brian Holl, Nick Ruggio, Chad Bright Chad Bright, Evan Hoobchaak, Ryan Bradley with DIBI Menswear owner Daniel Wimer

THE WOMAN’S BOARD OF RUSH UNIVERSITY MEDICAL CENTER’S 28TH ANNUAL SPRING LUNCHEON

PHOTOGRAPHY BY ROBIN SUBAR

The Woman’s Board of Rush University Medical Center hosted its 28th Annual Spring Luncheon on May 1 at the Ritz-Carlton Chicago featuring keynote speaker Geena Davis, a two-time Academy Award-winning actor, author, and founder of the Geena Davis Institute on Gender in Media. Wendy Herb, current president of the Woman’s Board, greeted guests and shared information about how the Spring Luncheon would benefit RUSH’s next investment campaign, the goal of which is to make concentrated investments in the areas that are most likely to improve the health of the region, including innovations in care and patient experience, medical research, health equity initiatives, and even education and career pathways.

thewomansboard.org

LIVING & GIVING| UP FRONT JWC | COUNTRY 39
Geena Davis Melissa Ruth, Julie Unruh Woman’s Board president Wendy Herb Cindi Brankin, Mary Ann Seagrist, Katy Althoff, Heather Lasusa Karen Thomson, Wendy Sowders, Cathy Aschbacher Dr. Omar Shareef (RUSH CEO), Gillian Stoettner, Katie Lawler, Mary Anne Martin Sharon Hayes, Steffie Madigan, co-chairs of the 2023 Spring Luncheon

COCKTAILS FOR CANINES GALA

Second City Canine Rescue (SCCR), a nonprofit organization dedicated to serving the homeless dogs of Chicagoland, held its “Cocktails for Canines” Gala this past spring at the Grove Country Club in Long Grove. With 172 adoptions in 2023 and 5,332 since 2011, SCCR continues to impact animal lives. The gala raised more than $280,000 in support of SCCR’s mission.

sccrescue.org

JWC | COUNTRY 40
Bryna Capshew, James Burgwald, Josh Preiss, Samantha Capshew Jim Muszynski, SCCR Board member Henry Cicchetti SCCR founder Dr. Jacquie Cobb, board treasurer Judy Anglada, event co-chair Nikki Heath SCCR Board member Josh Brown, Jennifer Trombatore SCCR Board of Directors
UP FRONT|LIVING & GIVING
SCCR Board member Rich Wulforst & Erin Wulforst
BROKER YOUR CHEERS TO FIFTEEN YEARS! 847.826.2178 TARAKELLEHER.COM TARA@TARAKELLEHER.COM TARA KELLEHER TEAM
UP FRONT |COUNTRY VS. TOWN
JWC | COUNTRY 42
Kalantzis stuns in a Cinq à Sept dress, Gucci shoes, Chanel necklace, neimanmarcus.com.

Helen Kalantzis

grew up in both the city of Chicago and Madison, WI with her family eventually building a home in South Barrington where her parents still reside. For the last 16 years, Kalantzis has lived in her hometown of Inverness with her husband, their three beautiful children, and their sweet Yorkshire Terrier.

Kalantzis found her calling in philanthropy while attending De Paul University. Since then, she has been a member or chair of countless event committees helping to raise funds for various nonprofit and philanthropic organizations. With all the time she spends on her family and community, it’s hard to believe that Kalantzis is also a very successful realtor with @properties and The Home Connective team. She loves her chosen career because it allows her to develop even greater connections with her community.

Mantra? If you don’t ask, you will never receive Best grooming tip? Chanel Le Rouge Duo Ultra Tenue in multiple colors. They are usually sold out so I buy a color whenever I find it Guilty pleasure? Hostess powdered sugar donettes. Pretty much any donut Favorite foods? Cheeseburgers and fries, always with a side of mayo Music you love? My true love will always be any ‘80s genre music. And I always love some Tay Tay Best advice ever given to you? From my father: Just always do the best you can. That’s all you can ever

do Best advice you’ve given? Everything happens for a reason. Trust that, even when it may not seem like it at the time. Earliest memory? Traveling to Greece in the summer with my family. Before bed, you? Catch up on my Real Housewives episodes while relaxing in bed What’s on your bookshelf? Interior design and decor books You can’t live without? Blue shampoo. Just kidding … my beautiful family and can’t forget my sweet little Yorkie, Coco Chanel Love to escape to? Aruba in the winter and Greece in the summer. Advice you would give to your younger self? Be true to yourself. Don’t change for anyone

WHEN IN TOWN WHEN IN THE COUNTRY

Your style is? Denim jeans with ballet flats and a comfy blouse. I never know when I’ll have to run to a last-minute showing Can’t leave the house without? My Diet Coke, my phone, and my laptop Transportation? My giant Infiniti “bus” to trek kids around to various sports activities in between appointments Driving music?

I love anything upbeat and fun Place to eat? Bistro Wasabi, Perry’s Steakhouse & Grille, The Capital Grille, Neoteca, and can’t forget Culver’s Shop? I love to shop and support local in downtown Barrington whenever I can. Especially G&G Women’s Boutique. The rest of the time I live in Nordstrom

Best thing about country? All the amazing families we have met and have become close to through the years. Worst thing about country? Being so far from the city The perfect day is? Lunching and poolside drinks with my girlfriends on a summer day at the Inverness Golf Club

Your style is? Either business casual since I also work in the city or a gown because my husband and I are constantly attending fundraising events Can’t leave the house without? My entire makeup pouch. If I’m leaving all day for the city, my makeup comes with me. I have learned the hard way with this one Transportation? Usually, Uber or a driver because I hate to deal with parking. Or sometimes even convincing my husband, George, to drive me to where I need to go Driving music? Anything on the radio makes me happy Place to eat?

Love all of Chef Fabio’s restaurants, especially LYRA Shop? Chanel, Gucci, and Louis Vuitton Best thing about town? All the great shopping! And great shows and dining Worst thing about town? Don’t get me started. I guess I’ll stick with the traffic. The perfect day is? Walking around the city on a summer day, enjoying the great shopping and restaurants

COUNTRY VS. TOWN| UP FRONT
JWC | COUNTRY 43
UP FRONT |FASHION JWC | COUNTRY 44
prints to bring joy to every
Playful
moment.
Play 1 2 3 4 5 6 9 11 12 7 8 10
EDITED BY MEGAN WEISBERG

1 Roksanda, Dupion abstract-print tie-waist silk dress, matchesfashion.com.us 2 LOEWE Eyewear, round rimless acetate sunglasses, matchesfashion.com.us 3 16Arlington, Poppy feather-trim crepe cropped top, matchesfashion.com. us 4 AGOLDE, ‘70s organic denim vest, net-a-porter.com 5 Irene Neuwirth, Candy turquoise & 18kt gold necklace, matchesfashion.com.us 6 Chloé, Pilar twisted knit shoulder bag, matchesfashion.com.us 7 Sergio Rossi, x AREA marquise crystal-embellished satin sandals, net-a-porter.com 8 Tom Ford, crystal-embellished logo satin slides, matchesfashion.com. us 9 Nadine Merabi, Karla rose gold shorts, nadinemerabi.com 10 Nadine Merabi, Karla rose gold blazer, nadinemerabi.com

11 Bottega Veneta, Knot intrecciato-leather clutch bag, matchesfashion.com.us 12 Isabel Marant, Erol tasseled rope sandals, net-a-porter.com

13 Bottega Veneta, cotton-twill shorts, net-a-porter.com 14 Stylest, swim belt in pageant blue, stylest.com

15 Valentino, pussy-bow organza blouse, matchesfashion.com.us 16 Oscar de la Renta, belted printed cotton-blend poplin playsuit, net-a-porter.com

17 Monique Lhuillier, cutout floral-print broderie anglaise halterneck maxi dress, theoutnet. com 18 The Attico, Piper leather sandals, net-a-porter.com 19 Missoni, striped crochet-knit halterneck playsuit, net-aporter.com 20 Stylest, one shoulder swimsuit in rainbow print, stylest.com 21 Stylest, one shoulder swimsuit in pageant blue, stylest.com 22 Bottega Veneta, glossed-leather slides, net-a-porter.com 23 Stylest, lace wrap in rainbow, stylest.com

FASHION| UP FRONT JWC | COUNTRY 45
17 16 18 19 21 23 22 20 13 15 14

LUXURY ON THE LAKE

There’s no place like home—especially when it’s one of Chicago’s most coveted addresses.

Rising 101-stories, The Residences at The St. Regis Chicago is an architectural wonder, expertly shaped by Studio Gang. Located in the heart of Chicago’s Lakeshore East neighborhood, these one-, two-, three-, and four-bedroom homes offer spacious layouts with 360-degree views of Chicago and Lake Michigan—the perfect setting for an unmatched lifestyle of comfort and ease.

The St. Regis Chicago—that houses The Residences at the St. Regis—is a visionary concept by Magellan Development Group, designed by Jeanne Gang. Its crystalline form is inspired by nature, unlike anything on the Chicago skyline. Composed of three interconnected towers of increasing heights and exterior glass walls that move in and out from floor to floor, it is the third tallest building in Chicago—forever changing the city’s landscape.

The Residences at The St. Regis Chicago have exquisitely designed interiors by Hirsch Bedner Associates. The residences combine elegant spaces, exceptional finishes, and breathtaking views to create an ultra-luxury living experience. Each of the residential spaces is expertly crafted with the finest hardwoods, natural stone, and wallcoverings—complementing modern conveniences from luxury brands like Snaidero, Gaggenau, Thermador, and Kallista. Rich in detail, the Residences offer endless style.

“Our residences truly offer the best of everything,” says Rob

Pontarelli, Senior Vice President of Marketing at Magellan Development Group. “Gracious, private living space with all of the amenities of a five-star hotel and none of the worries that typically come with home ownership.”

Nearly every amenity imaginable is located on the 47th floor of the St. Regis Chicago, overlooking the crystal blue waters of Lake Michigan.

“We’ve tried to think of everything,” Pontarelli says. “Our residents have access to a state-of-the-art fitness center and spa, golf simulator, cinema, indoor and outdoor pools, children’s club, indoor dog park, large party rooms—you name it. The 47th floor also is staffed with two full-time ‘butlers’ who assist with many of the residents’ needs. The St. Regis is quite impressive in the level of service it delivers, the importance it places on knowing the residents, and its ability to offer unmatched hospitality.”

One additional amenity that mustn’t go unspoken is the option for on-demand Tesla Model Y and Model S vehicles located onsite. Residents can instantly reserve for minutes, hours, or days.

While residents share a building with the St. Regis Hotel, their space will always feel like home.

“Privacy, comfort, and security are top of mind for our residents,” Pontarelli says. “This is what The St. Regis is known for. It’s what it does best.”

To learn more about The Residences at The St. Regis Chicago, visit srresidenceschicago.com.

PHOTOGRAPHY BY ANGIE MCMONIGAL
The Residences at The St. Regis offer opulent living in one of Chicago’s architectural masterpieces.
JWC | COUNTRY 46 LUXE LIVING
BY ANN PHOTOGRAPHY PROVIDED BY THE RESIDENCES AT THE ST. REGIS CHICAGO
Maria Devins | 847.840.2520 | maria.devins@bairdwarner.com FOUNDER’S CLUB & TOP 10 OFFICE PRODUCER SINCE 2012 Information provided is not guaranteed and subject to change and withdrawal without notice. BUY, SELL, RELOCATE - LOCAL & GLOBAL 5 beds | 5.2 baths | 8,200+ sq. ft. Magnificent custom estate home by Harris Builders situated on 5+ acres in prime setting. Uncompromising quality, rich architectural details and superior craftsmanship throughout. Luxury living at its finest! 21 PERAINO CIRCLE BARRINGTON HILLS AS SEEN ON
DR. PETER TROYAN DR. AGNES KUCHARSKA DR. EWELINA SZYLKOWSKA
DR.
YOUSEF DR.
EUN All dental services under one roof! • COSMETIC DENTISTRY • SEDATION • SURGICAL EXTRACTIONS • IMPLANTS • BRACES/INVISALIGN • BIOCLEAR • ROOT CANALS • DENTURES • WISDOM TEETH EXTRACTIONS You wear your smile every day of the year... make it stand out. SCHAUMBURG 847.885.7645 | 1224 N. Roselle Rd., Suite A , Schaumburg, IL 60195 NORRIDGE 773.589.1062 | 7601 W. Montrose Ave. Suite 2, Norridge, IL 60706 royaldentalcare.com | facebook.com/Royaldentalcaree royaldentalcaree
DR. LUIS GRANADOS PAUCAR DR. ANETA KACZOWKA
AL-YAZEED
SUNG
No dieting, no exercise, no drugs, no surgery, no pain, no discomfort, no downtime! Instant fat loss with a 2 inch loss guarantee on the first session. ASK ABOUT OUR $199 INTRODUCTORY VISIT. 455 W Northwest Hwy Ste 10, Barrington, IL 60010 barringtonbackandbody.com • 847.857.8011 Discover a Noninvasive Fat Reduction Solution WITH THE VERY BEST IN THE BARRINGTON AREA Barrington Back & Body has over three years of UltraSlim® experience with amazing results and five star reviews! You deserve to look and feel great while being treated by our top-rated experts! ® Experience the most powerful red light for instant fat loss

THE BRIGHTEST GEM OF THE MIDWEST

It’s always a good idea to keep your eyes wide open when in Rosemont, as you just never know who you might see walking right next to you.

“Especially on the weekends, I often will get a message from our security team saying that some big superstar performing at the Allstate Arena or at Joe’s Live that night was here shopping at Burberry during the day,” laughs Katie Walsh, Senior Marketing Manager at Fashion Outlets of Chicago. “I love it, but we never know in advance. You just never know.”

Certainly, the bustling entertainment and shopping district is a must visit for those from all walks of life, providing a walkable adventure of sorts where one can enjoy everything from a delectable meal to a baseball game to a death-defying skydive.

“There just always seems to be an electricity in the air here in Rosemont,” explains Walsh, who also serves as VP of the Rosemont Chamber of Commerce. “It’s hard to explain, but you really can feel it.”

Long serving as the centerpiece of Rosemont’s bustling entertainment district is the world class shopping opportunities at Fashion Outlets of Chicago.

“It once was this amazing anomaly that didn’t exist,” remembers Walsh of the early days of Fashion Outlets of Chicago. “It was an indoor outlet mall. It was located near an airport and only 15 miles from Chicago. And at that time, typical outlet malls were usually more in a cornfield.”

But not Fashion Outlets of Chicago.

Today, located smack dab in the middle of Rosemont, Fashion Outlets of Chicago is home to over 130 designer outlet retailers, many of which are the brand’s only Midwest outlet locations. Popular retailers include lululemon, Aritzia, Burberry, Gucci, Prada, Nike, and Polo Ralph Lauren.

“It’s these luxury brands that differentiate us from any of our other competitors in the market,” explains Walsh. “We recently opened a SAINT LAURENT and a Versace store, and our Brunello Cucinelli store expanded. These are luxury brands that you can’t find the outlet version of anywhere else in the Midwest.”

And while discriminating bargain hunters come from all over the country to stroll the luxurious wares of Fashion Outlets of Chicago while also partaking in a bite at the new French street food graband-go concept called Mari Pari, so do local shoppers who have realized that they have a goldmine right here in their own backyard.

“Brands like lululemon and Nike and Under Armour continue to attract the more local resident who’s looking for those brands

at a steal of a deal,” explains Walsh, who has worked with Fashion Outlets of Chicago for the past eight years. “There’s really something for everyone.”

Specifically, Rosemont serves as an easy, drivable destination for Barrington residents, providing the most discerning of shoppers a way to enjoy incredible shopping, dining, and entertainment offerings all in one place. It’s also quickly becoming a nighttime destination for all those who would rather not drive into the city of Chicago once the sun goes down.

“There is a wide variety of options here as we are home to more than 40 restaurants, including two new additions: Saltwater Coastal Grill and Land & Lake,” Walsh continues. “If you are looking for a fun, BBQ sort of energy, you can go to Bub City. If you want something special for the kids, you can go to Sugar Factory. And if you want a high-end, upscale dinner, you can go anywhere from Gibson’s to Morton’s to Carmine’s.”

And there is no doubt that summer is the perfect time to give Rosemont a visit. Rosemont’s Parkway Bank Park entertainment district will host a variety of free summer events including free summer concerts by classic cover bands (followed by post-show fireworks on Thursdays and Monday, July 3) and free yoga, Zumba, and powHerhouse classes.

There are also several upcoming shows and conventions at the Allstate Arena Rosemont Theatre and Donald E. Stephens Convention Center, including Bryan Adams at the Allstate Arena on July 2, the Illinois Bridal & Wedding Expo at the Donald E. Stephens Convention Center on June 11, the Anime Midwest at the Donald E. Stephens Convention Center on July 7-9, and the Midwest Classic Car Super Show at the Donald E. Stephens Convention Center on July 16.

And yes, even Walsh finds herself drawn to spend as much time as she can in Rosemont. “Over the past eight years, I have really figured out just how amazing Rosemont is as a village,” she gushes. I live in Villa Park, so I’m right by Oak Brook Center, but if I’m being honest, we end up in Rosemont all the time for different activities. There’s just so many unique things you can do here. You really can fill a whole day.”

For more information, visit fashionoutletsofchicago.com.

JWC | COUNTRY 50
Rosemont serves up an upscale alternative to downtown Chicago.
Rockin’ in the Park Concert Series. Photography courtesy of Village of Rosemont
LIFESTYLE
Fashion Outlets of Chicago. Photography courtesy of Fashion Outlets of Chicago

ONCE IN A LIFETIME

This quintessential classic estate sits beautifully on the south shoreline of Geneva Lake. Built by the Drake family in 1900, this home has been painstakingly restored to the highest level of quality and perfection. Sweeping views of Lake Geneva Country Club to the west and downtown Lake Geneva to the east. This property is comprised of the main home, Captain’s House and Train Station as well as five boat slips. Come spend quality time away from the hustle and bustle of life and create memories that will last a lifetime. A very special opportunity. Price available upon request.

Over 20,000 SF of living space · 12+ acres · 368 linear ft of lake frontage

773.968.4550 // brandie@atproperties.com

LUXURY CAR LEGACY

Business partnerships that became friendships were the underlying foundation for the success of Barrington’s Motor Werks.

JWC | COUNTRY 52
WORDS BY MITCH HURST

You might call them the four horsemen of Motor Werks. There’s Paul Tamraz, the visionary; Al Borah, the mentor; Tom Hayward, the counselor; and Richard Pepper, the builder. The Motor Werks you see today at Barrington and Dundee roads is the collaborative result of these four men’s dedication, friendship, and tenacity.

Tamraz was born into an automobile family, the son of a factory line worker at a GM plant in Flint, Michigan. He attended nearby Michigan State University with his middle-school sweetheart, Nancy (whom he would eventually marry), and after graduation landed in Chicago selling ads for the Chicago Tribune to local automobile dealers.

While working at the Chicago Tribune and using his connections to the industry, Tamraz purchased a few smaller Chicago-area dealerships, what’s known in today’s vernacular as a “side hustle.” After some time running his own ad agency, he purchased a Mercedes-Benz and BMW dealer, Motor Werks, on Cook Street in Barrington.

Initially, Motor Werks was selling seven cars a month—five Benzes and two Beamers. But Tamraz bought the dealership with a vision in mind. He wanted to expand the facility and add other car brands to sell. But he couldn’t go it alone.

First came Al Borah, a well-known developer at the time in Barrington who was Tamraz’s landlord for the initial Motor Werks property. Borah advised Tamraz on his expansion plans. Next, there was Tom Hayward, a land-use attorney whose legal expertise was required to carry out Tamraz’s expansion vision. Then, there was Richard Pepper of Pepper Construction, who owned the property the current Motor Werks sits on and who built the initial Motor Werks mall.

When the Village of Barrington refused to approve the expansion of the store on Cook Street—Hayward says the village didn’t want any more development on the east side of Cook Street—the search began for a larger property close by. He settled on the current property at Barrington and Dundee Roads, and the partnership with Pepper commenced. The idea of a car mall began to take shape.

“There had been some car parks built out in California and the

Behind the business strategy of the mall was consumers’ increasing appetite at the time for imported cars. Domestic cars had fallen out of favor and consumers were looking for cars imported from Europe and Asia. Over time, Motor Werks would add such brands as Saab, Infiniti, Honda, and Porsche in addition to Mercedes-Benz and BMW. One of the big challenges with the mall was that some of the factories didn’t necessarily want their brands housed in the same shop as competitors.

“The brands I was collecting were imports, done by design. The automotive world was changing, and imports were becoming a thing, and I wanted to bring them into the community,” Tamraz says. “Al, Tom, and Richard took several years breaking franchise boundaries. It took a lot of pushing boundaries and willpower because franchises had to approve.”

All of that boundary pushing and facing and meeting challenges together formed a bond between the four men. They weren’t just business associates; they formed lifelong friendships. While Borah passed away in 1990 and Pepper in 2021, Tamraz and Hayward remain close to this day.

“We worked off of handshake deals. We trusted each other. Al was my mentor, and we all were like-minded about achieving our vision for the business,” Tamraz says.

Motor Werks didn’t just contribute to the Barrington community from a business standpoint—it’s the largest private employer in Barrington and has won awards for being a great place to work— Tamraz has maintained a significant charitable commitment to the Barrington community.

Tamraz has supported local services like the police department, fire department, and schools, as well as charities such as Good Shepard Hospital.

“His mindset was about what it takes to build a community. His business grew as the community grew,” says Tamraz’s daughter, Megan Austin. “Money was never the end of it. It was about what was best for the community.”

Alas, all good things must come to an end.

Earlier this year, Tamraz and his business partner and son-in-law, Mick Austin, sold Motor Werks to Murgado Automotive Group.

It was time, Austin says. It’s a complex and challenging business to operate.

one car mall that was tried had failed,” Tamraz says. “I went about purchasing other dealerships with the idea of eventually bringing them all under one roof. Ours was really the first successful onestop shop for cars under the same roof.”

“We had just come off three of our best years. and we had finished everything in our plans,” Austin says. “We added Wash Werks, which is a $9-million car wash facility for Motor Werks customers and were finishing up construction to move the Cadillac franchise from its downtown location. It really was just a logical time.”

JWC | COUNTRY 53

Get Glowing

Barrington Hills’s Dr. Stacie Stephenson taps into her own daily practices to pen her newest book—Glow

.

Necessity is the mother of invention and Barrington Hills’s Dr. Stacie Stephenson knows this better than most. As the mother of twin oneyear-old boys, Dr. Stephenson has learned that peace of mind comes from taking 30 minutes for herself every morning and evening.

“I have two pieces of advice for moms,” Dr. Stephenson says. “First, don’t stress over finding balance. Know that it’s an unrealistic expectation, and instead, embrace the flow. When you’re up, know that it’s temporary, but also know it’s temporary when you feel down. Balance is a dynamic process, not a static state. If you know that, then it’s easier to ride the waves.”

“Second, don’t put yourself last. It may feel selfish, especially when your children are young, but filling your own cup is essential. It’s the only way you’ll have the calm, the patience, and the ability to give to others. I try to take at

JWC | COUNTRY 54
JWC | COUNTRY 55
The Stephenson Family

least 30 minutes for myself at the beginning and ending of every day to meditate, do some yoga, read, journal, or just dream and plan.”

Dr. Stephenson is a business owner, philanthropist, public speaker, bestselling author, and has trained and practiced in the areas of nutrition, functional medicine, and anti-aging and regenerative medicine. The recipient of countless awards for her philanthropic efforts in the areas of health research, patient advocacy, and child welfare, Dr. Stephenson currently serves as vice chair of Gateway for Cancer Research. She also is a member of the American Nutrition Association Board of Directors.

After practicing functional and lifestyle medicine for 15 years, Dr. Stephenson chose to try to influence the healthcare system at a higher level by assuming directorial positions with various organizations and by supporting research and integrative medicine initiatives. Her desire to both broaden the perspective of mainstream medicine and to support patient empowerment led Dr. Stephenson to write for media and to pen her own books. Through her whole-person approach to creating health and preventing chronic disease, Dr. Stephenson has armed thousands of people with the knowledge and insights necessary to design their own wellness plans.

“I experienced many struggles to get to where I am today, and I

feel it is my obligation—as well as my privilege—to share what I’ve learned and support causes that are important to me. Since health is my area of expertise, that’s where I focus most of my energy—disseminating healthcare guidance through my company, VibrantDoc, and supporting organizations that seek to solve health problems and help people, such as Gateway for Cancer Research and Childhelp,” Dr. Stephenson observes.

Dr. Stephenson’s first book, Vibrant: A Groundbreaking Program to Get Energized, Own Your Health, and Glow was an instant national bestseller. Her second book—Glow: 90 Days to Create Your Vibrant Life from Within—will be published by Harper Celebrate this July. Glow consists of short inspirational passages and active strategies for managing stress and fostering self-care, self-confidence, creativity, and connection; strategies that will lead to better physical and mental health.

In Glow, each day of the week focuses on one area of Dr. Stephenson’s VIBRANT strategy:

• Voice: consciously considering how you talk to and express yourself

• Intuition: learning how you listen to your inner voice

• Balance: strategies for juggling self-care, work, and care of others

• Rejuvenation: slowing down, aging better, and restoring energy

• Abundance: filling your life with the things you value most

• Nurturing: loving others well

• Thoughtfulness: improving how you express gratitude, kindness, and joy

Additionally, readers will find weekly themes to help develop a clear mindset and renewed sense of well-being in core areas of life, including self-care, relationships, rest, communication, creativity, and nature.

Married to Richard J. (Dick) Stephenson, founder of Cancer Treatment Centers of America (CTCA) and Gateway for Cancer Research, Dr. Stephenson has found a partner in life, business, and charitable work.

“I admire my husband so much for his tireless devotion to ser-

JWC | COUNTRY 56
Dr. Stephenson at home with her precious one-year-old twin boys. Dr. Stephenson taking in the beauty of her natural surroundings.

vice, and I like to think we complement each other well. Gateway’s support of cutting-edge cancer research, for instance, has saved many lives and will save many more. They give hope to thousands of families. Because cancer has impacted our lives personally, this is a cause near and dear to our hearts. When you’re a team, I believe you can accomplish much more than two people could do on their own.”

The Stephensons winter in Arizona, but the equestrian life always brings them back to Barrington Hills when the temperatures warm.

“Whenever it’s time to go home, my first thought is of the

horses,” Dr. Stephenson says. “I love that the equestrian community values and protects the horse trail system. Horses are in the DNA of Barrington. Not only do we keep horses, but we are devotees of carriages and coaching. In Barrington, you can still take a four-inhand coach to dinner. That’s pretty rare and wonderful.”

Dr. Stephenson’s book Glow will be available in July 2023 wherever books are sold. You can learn more about Dr. Stephenson, her work, and her books at drstaciestephenson.com.

JWC | COUNTRY 57
Dr. Stephenson is a passionate equestrian herself
FAMILY LAW SOLUTIONS Empowered by integrity. Resolved with confidence. FAMILYLAWSOLUTIONSCHICAGO.COM (312) 332-1344 DIVORCE ISSUES INVOLVING CHILDREN PROPERTY DIVISION FAMILY SUPPORT CHILD SUPPORT MAINTENANCE PRENUPTIAL AGREEMENTS Be Heard. Be Informed. Be Guided. “Experienced, knowledgeable, caring and willing to fight for what is right. A premier law firm in the city of Chicago that will protect and defend your rights under the law and in the courts. Their services are second to none.” - Family Law Solutions client1005000.1 **Based on A.M. Best written premium. State Farm Mutual Automobile Insurance Company, State Farm Indemnity Company – Bloomington, IL Find your way to savings. Save an average of Stop here for great rates with America’s #1 car insurance company**. Give me a call today. statefarm.com® Zach Hasselbring, Agent 130 S Northwest Highway Barrington, IL 60010 Bus: 847-381-0047 www.zachismyagent.com $500* *Average annual per household savings based on a national 2012 survey of new policyholders who reported savings by switching to State Farm. 1005000.1 **Based on A.M. Best written premium. State Farm Mutual Automobile Insurance Company, State Farm Indemnity Company – Bloomington, IL Find your way to savings. Save an average of Stop here for great rates with America’s #1 car insurance company**. Give me a call today. statefarm.com® Zach Hasselbring, Agent 130 S Northwest Highway Barrington, IL 60010 Bus: 847-381-0047 www.zachismyagent.com $500* *Average annual per household savings based on a national 2012 survey of new policyholders who reported savings by switching to State Farm. 1005000.1 **Based on A.M. Best written premium. State Farm Mutual Automobile Insurance Company, State Farm Indemnity Company – Bloomington, IL Find your way to savings. Save an average of Stop here for great rates with America’s #1 car insurance company**. Give me a call today. statefarm.com® Zach Hasselbring, Agent 130 S Northwest Highway Barrington, IL 60010 Bus: 847-381-0047 www.zachismyagent.com $500* *Average annual per household savings based on a national 2012 survey of new policyholders who reported savings by switching to State Farm. 1005000.1 **Based on A.M. Best written premium. State Farm Mutual Automobile Insurance Company, State Farm Indemnity Company – Bloomington, IL Find your way to savings. Save an average of Stop here for great rates with America’s #1 car insurance company**. Give me a call today. statefarm.com® Zach Hasselbring, Agent 130 S Northwest Highway Barrington, IL 60010 Bus: 847-381-0047 www.zachismyagent.com $500* *Average annual per household savings based on a national 2012 survey of new policyholders who reported savings by switching to State Farm. 1005000.1 **Based on A.M. Best written premium. State Farm Mutual Automobile Insurance Company, State Farm Indemnity Company – Bloomington, IL Find your way to savings. Save an average of Stop here for great rates with America’s #1 car insurance company**. Give me a call today. statefarm.com® Zach Hasselbring, Agent 130 S Northwest Highway Barrington, IL 60010 Bus: 847-381-0047 www.zachismyagent.com $500* *Average annual per household savings based on a national 2012 survey of new policyholders who reported savings by switching to State Farm. 1005000.1 **Based on A.M. Best written premium. State Farm Mutual Automobile Insurance Company, State Farm Indemnity Company – Bloomington, IL Find your way to savings. Save an average of Stop here for great rates with America’s #1 car insurance company**. Give me a call today. statefarm.com® Zach Hasselbring, Agent 130 S Northwest Highway Barrington, IL 60010 Bus: 847-381-0047 www.zachismyagent.com $500* *Average annual per household savings based on a national 2012 survey of new policyholders who reported savings by switching to State Farm. 1005000.1 **Based on A.M. Best written premium. State Farm Mutual Automobile Insurance Company, State Farm Indemnity Company – Bloomington, IL Find your way to savings. Save an average of Stop here for great rates with America’s #1 car insurance company**. Give me a call today. statefarm.com® Zach Hasselbring, Agent 130 S Northwest Highway Barrington, IL 60010 Bus: 847-381-0047 www.zachismyagent.com $500* *Average annual per household savings based on a national 2012 survey of new policyholders who reported savings by switching to State Farm. 1005000.1 **Based on A.M. Best written premium. State Farm Mutual Automobile Insurance Company, State Farm Indemnity Company – Bloomington, IL Find your way to savings. Save an average of Stop here for great rates with America’s #1 car insurance company**. Give me a call today. statefarm.com® Zach Hasselbring, Agent 130 S Northwest Highway Barrington, IL 60010 Bus: 847-381-0047 www.zachismyagent.com $500* *Average annual per household savings based on a national 2012 survey of new policyholders who reported savings by switching to State Farm. 1005000.1 **Based on A.M. Best written premium. State Farm Mutual Automobile Insurance Company, State Farm Indemnity Company – Bloomington, IL Find your way to savings. Save an average of Stop here for great rates with America’s #1 car insurance company**. Give me a call today. statefarm.com® Zach Hasselbring, Agent 130 S Northwest Highway Barrington, IL 60010 Bus: 847-381-0047 www.zachismyagent.com $500* *Average annual per household savings based on a national 2012 survey of policyholders who reported savings by switching to State Farm. 1005000.1 **Based on A.M. Best written premium. State Farm Mutual Automobile Insurance Company, State Farm Indemnity Company – Bloomington, IL Find your way to savings. Save an average of Stop here for great rates with America’s #1 car insurance company**. Give me a call today. statefarm.com® Zach Hasselbring, Agent 130 S Northwest Highway Barrington, IL 60010 Bus: 847-381-0047 www.zachismyagent.com $500* *Average annual per household savings based on a national 2012 survey of new policyholders who reported savings by switching to State Farm. 1005000.1 **Based on A.M. Best written premium. State Farm Mutual Automobile Insurance Company, State Farm Indemnity Company – Bloomington, IL Find your way to savings. Save an average of Stop here for great rates with America’s #1 car insurance company**. Give me a call today. statefarm.com® Zach Hasselbring, Agent 130 S Northwest Highway Barrington, IL 60010 Bus: 847-381-0047 www.zachismyagent.com $500* *Average annual per household savings based on a national 2012 survey of new policyholders who reported savings by switching to State Farm. 1005000.1 **Based on A.M. Best written premium. State Farm Mutual Automobile Insurance Company, State Farm Indemnity Company – Bloomington, IL Find your way to savings. Save an average of Stop here for great rates with America’s #1 car insurance company**. Give me a call today. statefarm.com® Zach Hasselbring, Agent 130 S Northwest Highway Barrington, IL 60010 Bus: 847-381-0047 www.zachismyagent.com $500* *Average annual per household savings based on a national 2012 survey of new policyholders who reported savings by switching to State Farm. 1005000.1 **Based on A.M. Best written premium. State Farm Mutual Automobile Insurance Company, State Farm Indemnity Company – Bloomington, IL Find your way to savings. Save an average of Stop here for great rates with America’s #1 car insurance company**. Give me a call today. statefarm.com® Zach Hasselbring, Agent 130 S Northwest Highway Barrington, IL 60010 Bus: 847-381-0047 www.zachismyagent.com $500* *Average annual per household savings based on a national 2012 survey of new policyholders who reported savings by switching to State Farm. 1005000.1 **Based on A.M. Best written premium. State Farm Mutual Automobile Insurance Company, State Farm Indemnity Company – Bloomington, IL Find your way to savings. Save an average of Stop here for great rates with America’s #1 car insurance company**. Give me a call today. statefarm.com® Zach Hasselbring, Agent 130 S Northwest Highway Barrington, IL 60010 Bus: 847-381-0047 www.zachismyagent.com $500* *Average annual per household savings based on a national 2012 survey of new policyholders who reported savings by switching to State Farm. 1005000.1 **Based on A.M. Best written premium. State Farm Mutual Automobile Insurance Company, State Farm Indemnity Company – Bloomington, IL Find your way to savings. Save an average of Stop here for great rates with America’s #1 car insurance company**. Give me a call today. statefarm.com® Zach Hasselbring, Agent 130 S Northwest Highway Barrington, IL 60010 Bus: 847-381-0047 www.zachismyagent.com $500* *Average annual per household savings based on a national 2012 survey of new policyholders who reported savings by switching to State Farm. 1005000.1 **Based on A.M. Best written premium. State Farm Mutual Automobile Insurance Company, State Farm Indemnity Company – Bloomington, IL Find your way to savings. Save an average of Stop here for great rates with America’s #1 car insurance company**. Give me a call today. statefarm.com® Zach Hasselbring, Agent 130 S Northwest Highway Barrington, IL 60010 Bus: 847-381-0047 www.zachismyagent.com $500* *Average annual per household savings based on a national 2012 survey of new policyholders who reported savings by switching to State Farm. JWCMEDIA.COM
A trusted name in the community for 45 years. ANY ASPHALT PAVE JOB EXPIRES MAY 30, 2023 Not to be combined with any other offer or discount. Good for any Pave Job above $2600. Offer must be mentioned at time of confirmed scheduling. $200 OFF Barrington, IL Licensed, Bonded & Insured www.parisipaving.com 847-382-1077 PARISI PAV I N G & SEA L C O AT I NG A+ Rating ECO Friendly materials today for our customers of tomorrow. ASPHALT PAVING | ASPHALT SEALING Residential l Commercial BRICK PAVER SERVICES | CONCRETE SERVICES Driveways, Walkways, Ribbons & Patios We design, build & maintain all your pavement projects. EXPIRES JULY ANY ASPHALT PAVE JOB EXPIRES JULY 31, 2023 Not to be combined with any other offer or discount. Good for any Pave Job above $2900. Offer must be mentioned at time of confirmed scheduling. $300 OFF

BLOOMIN’ BEAUTIES

The South Barrington Garden Club celebrates its 30th anniversary of brightening the South Barrington community.

Gina Scola simply can’t wait for summer to arrive.

“I have a raised planter bed, and every year I grow my own tomatoes and make homemade spaghetti sauce from all my tomatoes,” the South Barrington resident exclaims. “I’m Italian. I love to cook.”

Scola not only loves to tend to the garden in which those treasured tomatoes and so much more are planted, but also loves to learn more and more about the art of gardening. Indeed, there was a time not so long ago when she would never dare refer to herself as a gardener, per se.

That is, until she joined the South Barrington Garden Club.

“The year after I joined, I planted an herb garden and I had never really done that before,” remembers Scola, who joined the club in 2019 at the urging of one of her neighbors. “I might have bought a pot of rosemary or something at Goebberts, but I never really planted my own fruit, vegetable, or herb garden. But when I did and everybody was admiring what I did, I was shocked. I learned it all through the (South Barrington) Garden Club.”

Celebrating their 30th anniversary this year, the South Barrington Garden Club has long taken the often timid hands of countless community members and taught them the countless ways in which tending a garden can ultimately help them better tend to their entire lives.

“I didn’t know what to expect at all though when I first joined,” admits Scola. “I wasn’t sure in the beginning if it was just a bunch of ladies sitting around and showing you how to plant seeds and how often to water your plants. I had no idea.”

However, Scola quickly learned that the club does so much more. From hands-on projects to floral demonstrations and from field trips to educational opportunities, the South Barrington Garden Club finds itself as one of the area’s most thriving organizations, while also allowing for its members to create lifelong friendships with one another.

“There are people in the (South Barrington) Garden Club who are master gardeners, and others who will probably never have a green thumb, but what’s important is the friendships we have with one another ” reflects Scola, who has lived in South Barrington for the past 10 years. “After every meeting, we always go for lunch

to one of the local restaurants and a lot of us have really become friends outside of the club and go on girls’ getaways.”

But just as important is the work that the South Barrington Garden Club collectively does for others, in the form of the group’s various philanthropic efforts.

“It’s really nice helping the community beautify the community, donating projects to nursing homes and giving kids scholarships and such,” Scola explains of the philanthropic efforts of the group, whose members come from not only the South Barrington area, but also from towns such as Hoffman Estates, Algonquin, and Park Ridge. “It’s just great because when we do our events, which is once a year for fundraising, every penny goes back into the community.”

And that will certainly be the case come July 13 when the South Barrington Garden Club will hold their annual fundraiser “Jingle & Mingle” at Pinstripes in the Arboretum. The event will include shopping, a fashion show, door prizes, raffles, and a silent auction. And it’s Scola’s favorite event of the year.

“I love the fundraiser,” she explains. “I love meeting with local businesses and through the fundraiser, showing them how we can bring exposure to their business while they in turn help us give back to the community. I really think that since COVID, that’s even more important. Many places have suffered business wise. But I really love getting to know everyone in the community and surrounding communities on a more personal level and all of us working to achieve a goal of helping the community out.”

Events such as “Jingle & Mingle” also help to expose the South Barrington Garden Club to a younger generation of women eager to not only expand their social circle and help their community, but also learn some of the basic lessons of life.

“A couple of months back, we did a program about how to cook with different herbs,” remembers Scola. “Anybody can relate to that and expand their horizons in that way. You don’t necessarily have to be digging in the dirt, which is nice.”

JWC | COUNTRY 60
The South Barrington Garden Club meets on the first Thursday of the month at 9:30 a.m. at the South Barrington Park District. For more information, visit sbgclub.org.
860 S Northwest Hwy | Barrington, IL 60010 | 847-387-3042 | equilibriumfit.com Become Who You Were Born To Be Equilibrium Fitness from the inside out. Personal Training Studio

WORK IT!

JWC | COUNTRY 62
Ready to get fit. Todd Zehrer wearing lululemon shirt, Theory pants, neimanmarcus.com, Natalee Zehrer wearing model’s own.

Todd and Natalee Zehrer welcome fitness fans to go for it at The Den .

For every Mark Zukerberg or Elon Musk out to reshape the world, there’s a small business owner simply chasing a dream. That dream may grow into an empire, but chances are, nothing compares to that day when you first open the doors and say, “We’re ready for business.” As owners of The Den, a new fitness center in Barrington, Todd and Natalee Zehrer are right there, thrilled to see their vision come to fruition and working hard to make a success of it.

“This is very much a passion project,” says Todd, who’s been working in the fitness industry for a decade, first in New York and then in Chicago, at Shred415 and Flywheel. “I found that I really enjoyed helping people through fitness, and I just loved the energy of a group class.” Natalee, a nurse, admits that she is no “fitness junkie,” but she saw Todd’s commitment and as the idea of opening a studio developed, she threw herself into the project. “I’m blessed,” admits Todd, “to have an amazing wife who, when I suggested moving back to the suburbs and opening our own boutique fitness studio, was supportive from the get-go.”

As aspiring first-time business owners, the couple—who are high school sweethearts from Crystal Lake—had a lot to learn. They had never written a business plan, for example. Luckily, a family member with a Harvard MBA helped there. In fact, making The Den a reality became something of a family affair. “My sister, my mom, and my mother-in-law help in our Kids’ Camp, my sister-in-law helps weekly with cleaning the studio, and my brother-in-law is our accountant and financial advisor,” shares Todd. As the business kicked into gear, Natalee—who was working at Illinois Masonic Hospital in Chicago—made a change. “I knew we needed all hands on deck, so I started looking for a different position closer to home and am now working for a primary care provider in Barrington.”

Creating a sense of community was central to the Zehrers’ business plan. Sensitive to the isolation and disruption wreaked by the pandemic—and the fact that many folks were leery to return to in-person fitness— the couple wanted to create a place that felt safe, that felt familiar. That included offering Kids’ Camp, a dedicated space where

children aged six through 12 can play while their parents work out. “When we lived in New York, I took Todd’s class every day,” says Natalee. “Once we had kids, that became harder to do. So, with our business we were determined to have a place where people can drop off their kids and be able to enjoy their workout, knowing that their children are well cared for.”

The studio, located at 55 W. Northwest Highway, was raw space when the Zehrers signed the lease. Like so much of their journey, getting it into shape was a lesson in itself. “We worked with an architect, so we got to build the studio of our dreams,” says Todd, “but it was challenging. Construction took longer than we thought and was more expensive than we anticipated, but in the end we are left with a studio we are proud of.”

The Den menu features two different 50-minute classes. Build & Tone is structured on 70 percent strength training and 30 percent cardio. Burn & Boost flips the formula, with 70 percent cardio and 30 percent strength training. When they begin their program, members can access an InBody Scan, which measures weight, skeletal muscle mass, body fat, and more. Membership for unlimited classes is priced at $159 a month for three months, $149 a month for six months, and $139 a month for a year. Todd and Natalee offer a free, three-day trial, with a discounted first month of membership if you sign up during the trial period.

Six months in, the Zehrers are feeling good about what they’ve accomplished. Yet, as Natalee is quick to note, the real work has just begun. “Because of Todd’s experience, so much of the business is second nature—programming a class, how to welcome a client—but we spend nights and weekends brainstorming how to increase traffic, how to keep our members happy and excited.”

As with any business, that job never ends. But already, folks are letting the couple know they’re on to something. “We’re getting wonderful feedback,” says Todd. “The other day, a woman came to up to me, crying, and said that for the first time since becoming a mother, she felt like herself again. It’s moments like that that make you say, ‘Yes, this is why we are doing this.’”

For more information, visit thedentraining.com.

JWC | COUNTRY 63
“We’re ready for business.”
RMorrisonTeam.com Rob Morrison Team Lead & Real Estate Broker Robbie.Morrison@cbexchange.com 847.212.0966 Production data listed is taken from MRED, LLC (Multiple Listing Service) from January 1, 2021 through March 15, 2023. Real estate agents affiliated with Coldwell Banker Realty are independent contractor sales associates, not employees. ©2023 Coldwell Banker Realty. All Rights Reserved. Coldwell Banker Realty fully supports the principles of the Fair Housing Act and the Equal Opportunity Act. Owned by a subsidiary of NRT LLC. Coldwell Banker and the Coldwell Banker Logo are registered service marks owned by Coldwell Banker Real Estate LLC. 2021/2022 187 UNITS SOLD of 500+ Barrington Agents TOP 1% for 2022 sales 102% LIST TO SELL PRICE RATIO in the NW Suburbs for Coldwell Banker in 2022 TOP 1% IN LISTINGS TAKEN & CLOSED VOLUME 2021/2022 team sales $105 MILLION+ team career sales $550+ MILLION

FOOD & TRAVEL

FIRST-CLASS DINING AND TRAVEL EXPERIENCES

JWC | COUNTRY 65 Take a trip to the sun soaked hills of Napa Valley and learn why this famous travel destination is reinventing itself. And try your hand at this delicious recipe for a summer dinner party.

BRITISH PICNIC HAM PIES

Sunny June Saturdays just beg for excursions. Whether hiking, biking, or boating through the woodlands, it’s the right time for a good long wander followed by a celebratory picnic! These British-style picnic pies put me in mind of a storied Wind in the Willows repast with loyal Mole, adventurous Ratty, and the intractable Toad. Both elegant and transportable, these pies are the perfect fare to tuck in your hamper. Filled with minced ham, veal, (or pork tenderloin), sage, and parsley, they are both sturdy and filling. Add some zingy whole grain mustard, pickles, and a sharp aged cheddar, plus a basket of fruit, and you’re all set.

The pies do take some time to make, but keep well, so I prepare them ahead of time. You can space things out to fit your schedule, preparing the filling and stock for the jellied aspic one day, and then

baking them the next. If you’re not familiar with a traditional hot water crust with its early medieval roots, know that it’s easier to make (and more forgiving) than a pie crust. But while sixth-century hot water crusts were made with lard and were intended to be discarded in favor of the tender meat inside, my crusts are made with butter and bacon fat, and while sturdy, are deliciously edible. This recipe makes six individual 3 ½-inch pies. (Or, you can make 3 of the little pies and one small rectangular loaf as I have done in the photo.)

As each pie bakes, the meat pulls away a bit from the sides of the crust, leaving a little air pocket. To seal this, you’ll pour the hot stock you’ve made into the vent hole at the top. As the stock chills, it will firm up into a sparkling jellied aspic that adds flavor and helps the pie keep longer.

FOOD ^ TRAVEL |RECIPE JWC | COUNTRY 66
WORDS, RECIPE, AND PHOTOGRAPHY BY MONICA KASS ROGERS

Makes 6, 3 1/2-inch 8-ounce pies

INGREDIENTS

For the jellied stock:

• 2 pounds meaty uncured pork bones or one large ham bone

• 1 large onion

• 1 large carrot

• 2 bay leaves

• 5 peppercorns

• 8 cups water (or enough to cover the bones and vegetables)

• Salt to taste

• 1 envelope of unflavored gelatin powder (8 grams)

For the hot water pastry crust:

• 4 1/2 cups flour, sifted

• 1 1/2 teaspoon salt

• 6 tablespoons white rendered bacon fat, chilled to solidity

• 4 tablespoons unsalted butter

• 6 ounces milk

• 4 1/2 ounces water

• 3 large egg yolks to brush on the pastry

For the filling:

• 3 cups diced baked ham

• 2 cups minced veal or pork tenderloin

• 3 or 4 slices uncured bacon, minced to make 1 cup

• Fresh parsley leaves, minced to make 1/2 cup

• Fresh sage leaves, minced to make 2 tablespoons

• 2 teaspoons freshly cracked black pepper

INSTRUCTIONS

MAKE THE JELLIED STOCK: Place all ingredients in a heavy-bottomed stock pot over medium heat. Heat to boiling; reduce heat to a simmer. Skim off and discard any foam. Partially cover pot and simmer for five hours. Remove from heat and strain stock through a colander into a fresh pot, discarding solids from the colander. Cool stock. Once solid, skim off and discard any fat that has collected on the surface. Heat stock again; once it begins to warm, stir in powdered gelatin and heat until melted. Season finished stock with salt to taste. Refrigerate until you are ready to make the filling and crust.

MAKE THE FILLING: On a clean work surface using a very sharp knife, mince ham, veal (or pork tenderloin), and uncured bacon. In a large bowl, using your hands, thoroughly knead and mix meat with herbs and pepper. Cover lightly with a clean kitchen towel and let rest while you make the crust.

MAKE THE HOT WATER CRUST: In a large cooking pot over medium-low heat, add butter, solid rendered bacon fat, milk, and water. Heat gently until the fat has melted, without allowing the mixture to boil. Place sifted flour mixed with salt in a large bowl and create a well in the middle. Using a wooden spoon, stir the warm liquid into the flour until the mass comes together into a soft dough ball, then knead slightly. Cut dough in half and roll half of the dough out to about ⅛ to ¼-inch thickness. Coat the insides of six, 8-ounce straight-sided baking crocks with vegetable shortening. Cut parch-

ment paper strips and circles and press into the sides and bottoms of the ramekins. Cut 3 circles of the dough about two inches larger than the ramekins; ease and fit dough into the first three ramekins, pressing firmly to mold the dough to the sides of each one, leaving no air pockets. Leave about ½ inch of dough sticking up above the edges. Repeat with the second half of the dough, cut and press into remaining three ramekins. Preheat oven to 400 degrees.

FILL AND BAKE PIES: Fill each pastry-lined crock with the meat mixture. Press together and then roll out remaining dough. Cut pastry “lids” for each crock, making each circle about 1 inch larger than the circumference of the crock. Cut a ½ inch circle in the center of the top of each pastry. Place each pastry lid over each crock. Tuck and fold the edge of each pastry lid over the bottom pastry extensions, pinching and tucking to seal. Decoratively flute the edge of each pastry, pressing with thumb and forefingers. Cut six, 6 x 2-inch strips of aluminum foil. Wrap strips around your forefinger to create little metal tubes. Poke each tube into the hole in the top of each pastry to create a vent. Place filled crocks on a baking sheet. Beat egg yolks and coat the top of each pie crust with egg yolk. Bake at 400 degrees for 15 minutes. Reduce heat to 350 degrees and continue baking for 45 to 50 minutes until liquid is bubbling through the vents and crusts are a very deep golden brown. Remove from oven. Cool.

ADD JELLIED STOCK: When pies are cooled, the meat filling will have pulled away from the inside of the crusts. To fill this gap, slightly warm 1 cup of the reserved jellied stock, just until it is pourable. Pour a small amount of stock into each pie through the metal vent. Remove and discard vents. Refrigerate pies for several hours to solidify the jellied stock. Tip pies out of the crocks; peel off and discard the parchment paper. Serve pies cold, or at room temperature. Or, place a pie on a plate and warm slightly (the jellied stock will spill out when you cut warmed pies.).

RECIPE| FOOD & TRAVEL JWC | COUNTRY 67

Beyond the Cork

The Vine Trail, a new 47-mile walking and biking trail system connecting the entire Napa Valley—from Vallejo to Calistoga—is just one sign of Napa’s exciting evolution.

FOOD ^ TRAVEL |FIRST CLASS JWC | COUNTRY 68
Try new wines in an idyllic California setting at Elizabeth Spencer Winery.

Napa Valley needs no introduction. For wine enthusiasts, its name alone conjures up the image of relaxing days spent visiting sun-dappled vineyards. Yet, recent additions to the Napa scene are sure to entice enthusiasts of all sorts from bikers and hikers to culinary adventurers, even teetotalers.

My sister and I recently met in Napa to explore all the newest happenings. Our heavenly weekend started with an early morning stop at the serene Meadowood Spa. As I followed the attendant to my private spa suite, the calming sound of water from the low waterfalls lining the hallway was just a hint of the immense relaxation to come. I opted for the Essential Journey Massage, which started with a pretreatment aromatherapy steam. After the steam, my masseuse began the treatment by using a tuning fork to produce vibrations that my body aligned to. What a novel way to heal any aches resulting from the daily grind or a cross-country flight! In a state of total relaxation after our incredible treatments, my sister and I sipped organic cold-pressed juices while relaxing in the mineral soaking pool in the Garden Lounge, enjoying the blue skies above.

Later that day, we met with the Napa Valley Wine Trail Coalition who enlightened us about an amazing community effort—The Vine

Trail. This 47-mile walking and biking trail system will connect the entire Napa Valley with some vintners donating parts of their land to allow for the trail to form. Truly, remarkable. On the trail, which starts in historic Vallejo and passes through the world-renowned vineyards and towns of Napa Valley, visitors will be able to stop for wine tastings at various wineries—an utter delight to combine views of the mountains on either side of the Valley with wine along the way. The trail culminates in Calistoga’s train depot where antique rail cars have been re-purposed ever so chicly. The individual rail cars now house alluring restaurants and shops including a champagne and oyster bar, Mexican restaurant, chocolate shop, and retail boutique. Next door is Calistoga Depot Provisions—a modern mercantile and wine shop with an outdoor wood-fired pizza oven, delicious coffees, prepared foods, and more. Just the spot to end a day after exploring The Vine Trail.

A few blocks away from downtown Calistoga lies The Francis House—our luxury boutique home for the weekend. Built in 1886, this French Second Empire-style home is surrounded by lush grounds full of vibrant citrus trees and a lovely pool. As the day was a bit chilly, we decided to enjoy a wine apéritif by the fire. The proprietors, she an interior designer/he a developer, stumbled upon the dilapidated property in 2015 and spent years restoring it. Now, each room is

JWC | COUNTRY 69
FIRST CLASS| FOOD & TRAVEL
Dining at the Forum at Meadowood Exploring the Napa Valley Vine Trail.

infused with old-world Parisian elegance updated with modern-day touches like heated floors and built-in bedside USB chargers. Guests can rejuvenate in the infrared sauna and the salt room when not being regaled by hilarious stories by the proprietors who truly make you feel like a guest in their home.

That evening, we headed back to Meadowood to dine at Forum. This light, airy restaurant with an adjoining outdoor lounge has a more casual feel than the property’s former three-Michelin-star restaurant that was tragically destroyed in a 2020 wildfire. We began with the refreshing Meadowood Greens (burrata, citrus, and crispy sunchoke drizzled with a pistachio vinaigrette) and a lobster bisque made with a vadouvan spice blend and coconut milk—a balance of exquisite flavors. The black bass with mustard greens was cooked to perfection and an absolute treat. A rich chocolate dessert signaled the delicious end to a memorable meal. Retreating to our deluxe accommodations at The Francis House, we were thrilled to end the day in such a cozy and luxurious space.

The next morning we decided to veer from the expected by tasting not wine but olive oil at the just-opened tasting room of Grove 45. Entirely female-owned and operated by a mother and daughter, Grove 45 is a small, premium brand of extra virgin olive oil. The art of producing extra virgin olive oil dates to Greek and Roman times, and the Grove 45 team remains dedicated to preserving this ancient craft. We learned the fine art of tasting olive oil (much like Stanley Tucci in Searching for Italy we too swirled the olive oil in small, blue-colored glasses) and savored their homemade olive oil ice cream—unreal in its amazingness.

After a brief shopping stint (we loved Alchemy Works) and an espresso break in famed Yountville, we returned to traditional Napa pursuits with a signature tasting at Elizabeth Spencer Winery. Their tasting room at the historic 1872 brick Post Office building is decorated with kitschy items from the past (walls lined with copper pots, antique sifters hanging from the ceiling), and our sommelier educated us in the nuanced differences of each vintage we tried.

Dinner that evening was at Sam’s Social Club, a lively and fun spot with a Nantucket meets California vibe. Our first course consisted of baby lettuces and radishes with a refreshing and delicious fine herb vinaigrette. Next, was an Ora King salmon prepared with whipped roasted garlic potatoes, blistered cherry tomatoes, and a divine lemon beurre blanc sauce. Not only was every item cooked to perfection, but the ingredients were as fresh as could be.

Our last morning before departing involved a stop at Clif Family Farms to try their newest offering—a Farm Elixir Mocktail Flight. Held in their Refugio Tasting Room which boasts an impressive view of the mountains across the valley, the Farm Elixir Mocktail Flight is a non-alcoholic experience expertly paired with small bites. The offerings include a pluot lavender limonata, a pear ginger with chocolate, and a blackberry crumble with cinnamon and honey.

While its beautiful vineyards and exquisite vintages are not to be missed, Napa’s newest offerings from bike trails to mocktails signal there’s so much more to this beloved destination than wine alone.

For more information, visit visitnapavalley.com, thevintetrail.org, and thefrancishouse.com.

FOOD ^ TRAVEL |FIRST CLASS JWC | COUNTRY 70
Elegant rooms at The Francis House Inn Tulip beds at Elizabeth Spencer Winery.
FIRST CLASS| FOOD ^ TRAVEL JWC | COUNTRY 71
A gorgeous spot for a tasting at Elizabeth Spencer Winery in Napa.

AN INSIDE LOOK AT CHICAGO’S MOST EXCLUSIVE ADDRESS—THE BARRINGTONS

Buhera Baskets made in the Buhera District of Zimbabwe using sustainably harvested and sourced cane, these baskets are completely unique to Zimbabwe, find yours at rdhshop. com.

ReDesignHome Shop

RDH curates limited-edition collections of homewares, including vintage and antique goods from around the world, rdhshop.com.

JWC | COUNTRY 73
HOUSE & HOME
Whimsy by Wyeth’s dreamy ceramic creations for your kitchen. Find them at rdhshop.com.
JWC | COUNTRY 74
LUXURY OFFERINGS: WHAT YOU GET FOR $5.5 MILLION An exclusive waterfront estate in Barrington Hills, an Italian villa with views of Lake Maggiore, and an apartment in Paris’ 7ème … all for nearly $5.5 million. HOUSE & HOME |LUXURY OFFERINGS

48 BRINKER ROAD

$5.5 million

BARRINGTON HILLS

An exclusive waterfront setting is the perfect backdrop for this impressive and elegant home offering a lifestyle of world-class refinement and sophistication in the heart of Barrington Hills. Custom built by HammerKraft Homes, with architecture by Moment Design, this one-of-a-kind residence is a masterpiece of design, offering exquisite finishes, luxurious appointments, exceptional attention to detail and a thoughtful floor plan capturing

The Details: 7 Bedrooms, 7.3 Baths • 13,000+ square feet, $423 per square foot

• Waterfront with private dock, 22+ rooms, Indoor basketball court, sits on approximately 5.433 waterfront acres Contact: John Morrison, @properties Barrington, 847-409-0297

water and nature views throughout the home. Blending incredible entertainment spaces with comfortable living areas, this home is ideal for large-scale entertaining and relaxed family fun, boasting 22-plus rooms including seven bedrooms, seven full and three half baths, seven fireplaces and four staircases. The perfectly manicured landscape offers privacy and tranquility, with multiple hardscapes, screened porch with fireplace, terraced lawn, raised garden beds and postcard-worthy views.

JWC | COUNTRY 75 LUXURY OFFERINGS| HOUSE & HOME

LAKE MAGGIORE $5.4

million ITALY

Situated on the hills of Stresa, this villa boasts terraces from the 1920s, ancient trees, and an impressive view of Lake Maggiore. The main property dates to 1927 and was renovated in 2008. The living room has a Candog-

The Details: 6 Bedrooms, 6 Baths • 7, 674 square feet, $703 per square foot • 86,000 square foot English garden Contact: Engel & Völkers Laveno, +39 0332 18 118 18

lia marble central fireplace. The three bedrooms on the second floor all have exposed wooden beams and beautiful lake views. From Stresa, boats can be taken to visit the beautiful Borromean Islands.

JWC | COUNTRY 76
HOUSE & HOME |LUXURY OFFERINGS
JWC | COUNTRY 77 LUXURY OFFERINGS| HOUSE & HOME

PARIS, 7ÈME $5.48 million FRANCE

In one of the most sought after streets in the heart of the 7th arrondissement, this apartment is perfect for entertaining with Parisian style. Located on the first floor of a beautiful corner building dating from 1910, this apartment’s floorplan includes an entrance gallery, a spacious triple corner reception

The Details: 4 Bedrooms, 3 Baths • 2,723 square feet, $2,012 per square foot • Live-in caretaker in the building, elevator building, a cellar is included with the sale Contact: Engel & Völkers Market Center Paris, +33 1 456430 30

room, a dining room, and a kitchen. A 2018 renovation kept the original 10 and a half foot high ceilings and other original features including parquet floor, stunning moldings, and fireplaces. Le Bon Marché and La Grande Épicerie, the most exclusive Parisian department stores, are an eight minute walk.

JWC | COUNTRY 78 HOUSE & HOME |LUXURY OFFERINGS
JWC | COUNTRY 79 LUXURY OFFERINGS| HOUSE & HOME

PATIO

JWC | COUNTRY 80
HOUSE & HOME |HOME STYLE 1 2 3 4 13 14 15 16

1 La DoubleJ, 18kt-gilded porcelain dessert plates, matchesfashion.com.us 2 Johanna Ortiz, Marimba beaded wood salt and pepper shaker set, matchesfashion.com.us 3 Reflections Copenhagen, Somerset crystal glasses, matchesfashion.com. us 4 Moroccan candelstick, rdhshop.com 5 Vintage pottery, rdhshop.com 6 Sika Basket, jaysonhome.com 7 Cutipol, Goa resin two-piece chopstick set, modaoperandi.com 8 Les-Ottomans, striped Murano-glass coasters, matchesfashion. com.us 9 Reflections Copenhagen, ponta porcelain dessert plates, matchesfashion.com.us 10 Thisbe Sculpture, jaysonhome.com 11 THEMIS Z, Anthos Symi porcelain dessert plate, matchesfashion.com.us 12 Gergei Erdei, Bamboo Oriente cotton placemats, matchesfashion.com.us 13 Summerill & Bishop, Azulejos tile-print linen tablecloth, matchesfashion.com.us 14 Tom Dixon, Elements Water large scented candle, matchesfashion.com.us 15 Jade Paton, 02 glazed stoneware vase, matchesfashion.com.us 16 Lisa Corti, Knight eacock cotton placemats, matchesfashion.com.us

HOME STYLE| HOUSE & HOME JWC | COUNTRY 81
Outdoor entertaining at its finest. PLAY 12 6 8 5 9 10 11

A WISCONSIN ALOHA

In 1898, Tracey Drake, the developer of The Drake and Blackstone Hotels, was looking for a summer family getaway property that was easily reachable from Chicago, so he decided to purchase a 12-acre parcel of land on the south shore of Lake Geneva in Wisconsin with 368 feet of lakefront. The original purchase price was $10,500.

Drake employed the services of renowned architect Howard Van Doren Shaw to design a southern-country-style estate with construction begining in 1900 and the family moving into the home in 1901. Shaw was the architect for the Fountain of Time installation in Washington Park in Chicago, a sculpture with a reflecting pond designed by Lorado Taft, and he designed the Lake Geneva house with a similar reflecting pond, Geneva Lake, in the back.

Uniquely enough, Drake called the estate Aloha Lodge, a name inspired by time he had spent with his wife, Anne Daughaday Drake, in Hawai’i. The Drakes lived on the property during summers for 35 years until the Great Depression took its toll on Drake’s

finances and they were forced to give up the estate. Drake passed away in 1939.

Aloha Lodge has undergone renovations over the years. James

JWC | COUNTRY 82 LAKE GENEVA
Aloha Lodge, a historic estate in Lake Geneva, Wisconsin that was meticulously restored in 2011, is up for sale.

Long bought the property in the late 1970s and tracked down Drake’s sons in Ohio and Portugal to garner memories and insights as well as photos of the property. Long was especially interested in restoring the original verandas in the main house.

But nothing came close to the full restoration and additions that were started in 2007 and completed in 2011 by the home’s current owners. The estate now features over 20,000 square feet of living space. The main house has eight bedrooms with 10 full and five half baths. The estate has two separate attached garages each with two spaces-one on the east side of the home and one on the west.

The other living areas include a top-of-the-line kitchen, dining room, china room, office, bar area, library as well as a pool house that has two bedrooms and two full baths. There is also a home theatre, game room, and a third-floor children’s retreat. There are lake views from every room.

Besides the main structure and pool house on the property, there is the Captain’s House with three bedrooms and two and a half baths along with a detached four-car garage, a train house, and a greenhouse. There are also five boat slips for those who enjoy water recreation.

Safe to say Tracey Drake, the original owner, would be impressed.

“Beautiful, historic estates like Aloha Lodge that have been fully renovated to perfection do not come on the market very often,” says Brandie Malay Siavelis, the exclusive listing broker with @properties Christie’s International Real Estate. “This is truly a special

JWC | COUNTRY 83 LAKE GENEVA
opportunity for the right buyer to purchase this gorgeous property and be a part of its iconic history.” Brandie Malay Siavelis is with @properties Christie’s International Real Estate, 773-968-4550, atproperties.com/site/BrandieMalay.

James T. Gavrilos DDS

Information provided is not guaranteed and subject to change and withdrawal without notice.
DENTISTRY The only accredited cosmetic dentist in Barrington, Dr. James Gavrilos also has advanced training in complex restorative dentistry. Call to schedule a complementary cosmetic consultation today with the ONLY accredited cosmetic dentist in the area! 129 Park Ave Barrington, IL 60010 847-381-4040 www.barringtondentist.com BC_1221_Master_Ads.indd 45 11/22/21 9:56 AM MEDIA INFORMATION 2023 847.926.0911 THE PREMIER MAGAZINE ABOUT THE BARRINGTONS
ESTHETIC AND RESTORATIVE

IT’S ABOUT YOU

SUMMER IN 60010

Residential real estate is changing by the minute, but one thing stays constant: While springtime is the busiest time for home sales, summer brings an opportunity to make a move on your dream home with a little less competition. That being said, for sellers, inventory remains incredibly low here in the Barrington Area, so if you’ve been thinking about testing the market, you’re still holding the cards.

REAL ESTATE IS HYPERLOCAL

Do yourself a favor and ignore the negativity you might be seeing in the media. Real estate is hyperlocal so what’s happening elsewhere around the country, in Chicago or in other parts of the suburbs isn’t necessarily true here in our market. Even within 60010, there are countless micro-markets, each with its own unique dynamics and fundamentals. Fairhaven and Carriage Trail, for example, are entirely different from Westwood and Barrington Hills and Jewel Park and Tall Oaks. Working with a professional who dedicates their time to this area and brings a deep understanding of these nuances can help you effectively navigate the everchanging waters

SUPPORTING YOUR GOALS

With inventory at an all-time low, you need a broker who gets creative … someone who thinks outside the box and collaborates with other like-minded professionals to guide you along the way. Some would have you believe that a broker’s transaction volume is all that matters when making a choice. While that information is worth considering (experience is important, after all), don’t let it distract you from what really matters. You deserve a broker who’s focused on your specific needs and goals. After all, it’s about YOU!

3 THINGS YOU SHOULD KNOW THIS MONTH IN 60010 KATE FANSELOW kate@jamesonsir.com | (773) 621-4597 | katefanselow.com 303 E. Main Street, Suite 102 | Barrington, IL 60010 ©2022 Sotheby’s International Realty Affiliates LLC. All rights reserved. Sotheby’s International Realty® and the Sotheby’s International Realty Logo are service marks licensed to Sotheby’s International Realty Affiliates LLC and used with permission. Sotheby’s International Realty Affiliates LLC fully supports the principles of the Fair Housing Act and the Equal Opportunity Act. Each office is independently owned and operated.

Focusing On What’s Important Saving vision, changing lives

When Barrington residents’ eyes are opened to the problems of the world, they step up with solutions. This is literally true for the members of FOCUS, a nonprofit, 100 percent volunteer-based organization that seeks to address worldwide challenges in eye care.

“FOCUS, The Foundation for Ophthalmological Care, has been changing people’s lives and preserving their vision, since the 1960s,” says Fiona Cotter, an active volunteer with the organization.

Dr. Daniel Alter, a retinal specialist who lives in Barrington Hills, is the current president of FOCUS and has been with the organization for almost 10 years. Since 2014, Dr. Alter has made more than 25 mission trips to Haiti to equip, supply, and teach local Haitian doctors modern vitrectomy surgery.

“On my first trip to Haiti, I went with my oldest son to perform retinal surgery in Haiti. I had been thinking of going there for a long time before that, right after the earthquake, but they weren’t ready for us. On my first trip, I traveled there thinking that I would maybe just do one or two trips,” Dr. Alter says. “And then I fell in love with the work and started recruiting other people to get involved with training the residents of the ophthalmology program down there.”

In addition to Haiti, Dr. Alter has traveled to Rwanda, Burundi, and Jamaica to perform surgeries and train other ophthalmologists. On many of those trips, he was accompanied by his two sons and his daughter, who are all now physicians. Currently, traveling to Haiti has become too dangerous but Dr. Alter and the other members of FOCUS are still connected with the doctors there and consult with

them on a regular basis.

Dr. Greg Nelson, a Barrington Hills neighbor of Dr. Alter and ophthalmologist specializing in glaucoma and cataracts, joined FOCUS several years ago. His interest in FOCUS was inspired by earlier philanthropic efforts. “In 2005, we opened a charity clinic in India to provide eye care to those in need. The work is extremely fulfilling. I realize when I go there that I have no problems,” reflects Dr. Nelson. “We have a lovely head nun and then probably six or seven nuns who help lead the clinic. And there are two local doctors who do surgery, performing about 1,000 surgeries a year. In May, we’re going to Jamaica to help teach surgery.”

Operating in countries like Haiti, Rwanda, Burundi, Jamaica, and India presents challenges that doctors simply do not face here in the United States. Running these programs and purchasing the equipment and supplies can be quite expensive. “Resources are sorely needed to create and maintain retina programs in the developing world, but it can be done,” observes Dr. Alter.

This past December, FOCUS’ inaugural “Global Fight for Sight” gala at Barrington’s White House raised over $170,000. “We were fortunate to have a great interest in the event and sold out the venue quickly with many Barrington families in attendance,” says Cotter. This year’s gala will be at the Sanfilippo Estate in early November and will provide a wonderful opportunity to “see” and support the work of this life-changing organization.

To find out more information about FOCUS and their upcoming gala, please visit 1focus.org.

ONE LAST THING
JWC |
86
COUNTRY
*#1 stat based on closed sales volume for all team members from 1/1/10 - 5/1/23, Broker Metrics, LLC & MRED. **Broker Metrics, LLC & MRED, career sales from 7/21/2003 - Present. †MRED closed sales for all team members, all property types from 1/1/23 - 5/1/23. 847.409.0297 | MorrisonHomeTeam.com Call John Morrison TODAY! Our Numbers Speak Volumes, Our Service Speaks Louder $1.563B+ CAREER VOLUME** $31.4M+ CLOSED YTD 2023† 2,621 HOMES SOLD** #1 IN THE BARRINGTON AREA SINCE 2010 *

Turn static files into dynamic content formats.

Create a flipbook
Issuu converts static files into: digital portfolios, online yearbooks, online catalogs, digital photo albums and more. Sign up and create your flipbook.