MOUNT SINAI

THE MAGAZINE OF THE MOUNT SINAI HEALTH SYSTEM
![]()

THE MAGAZINE OF THE MOUNT SINAI HEALTH SYSTEM
VOLUME XV, NUMBER 1
VOLUME XIV, NUMBER 1
CHIEF EXECUTIVE OFFICER,
PROFESSOR AND KENNETH L. DAVIS, MD,
DISTINGUISHED CHAIR
MOUNT SINAI HEALTH SYSTEM
Brendan G. Carr, MD, MA, MS
PRESIDENT AND CHIEF OPERATING OFFICER
MOUNT SINAI HEALTH SYSTEM
Margaret A. Pastuszko, MBA
ANNE AND JOEL EHRENKRANZ DEAN
ICAHN SCHOOL OF MEDICINE AT MOUNT SINAI, PRESIDENT FOR ACADEMIC AFFAIRS
MOUNT SINAI HEALTH SYSTEM
Dennis S. Charney, MD
VICE PRESIDENT AND ASSOCIATE DEAN FOR COMMUNICATIONS
Dagnia Zeidlickis
EDITOR-IN-CHIEF OF CONTENT AND COMMUNICATIONS
Alan Flippen
DIRECTOR OF CONTENT MARKETING
Vanessa Gordon
EDITOR
David Schwab
GUEST ASSOCIATE EDITOR
Jean M. Smith
PHOTO EDITOR
Catherine E. Clarke
CONTRIBUTORS
Joni Aveni
Allan Chernoff
Julie Compton
Alison Dalton
Mark Gaige
Meeri Kim
Hallie Levine
DESIGN
Hannah Nelson Brittainy Newman
Claudia Paul
Brian Schutza
Shuan Sim
Randy Young



Mount Sinai has led the way in health care innovation for more than 130 years, from describing Crohn’s disease to creating a COVID-19 antibody test to implanting a wireless cardiac pacemaker. Many of these advances were considered impossible until independent minds at Mount Sinai decided they weren’t. That’s the kind of never-say-never spirit evident throughout our Health System.
We are a big organization with even bigger aspirations. Yet our remarkable accomplishments are made possible because of the creative and compassionate individuals who recommit themselves to our mission every single day.
Steve Habersang, Taylor Design
Mount Sinai Science & Medicine is published by the Mount Sinai Health System for an audience of alumni and colleagues across the nation. We welcome your comments; please email us at magazine@mountsinai.org.
If you wish to be removed from our mailing list for communications and solicitations, please email us at PhilanthropyOptOut@mountsinai.org or call (212) 659-8500.
We refuse to give up or bow to conventional thinking. Instead, our resourceful teams come together with open-minded curiosity and a shared desire to move both science and medicine in a positive direction. Motivated rather than intimidated, we bring our diverse perspectives, experiences, and interests to bear on seemingly insurmountable challenges. Because the most significant innovations come not in isolation but from collaboration.
Our patients and the communities we serve are counting on us to ask critical questions and seek crucial solutions. In this issue, we show how Mount Sinai is doing just that—and doing so with the assurance that we find a way forward, often charting a course that others can follow.




Today, we are reaching toward new heights of excellence that will see increased collaboration and coordination among our expert teams to accelerate advances in patient care.
Mount Sinai is among the most honored health systems in the nation, acclaimed for our outstanding clinical care, groundbreaking research, and superb medical education. Even so, we are determined to continue raising our game.
Today, we are reaching toward new heights of excellence that will see increased collaboration and coordination among our expert teams to accelerate advances in patient care. We have made major investments in artificial intelligence that are enabling our researchers to build the scientific knowledge needed to develop new and better cures and faster, more precise diagnoses.
The new interdisciplinary departments at the Icahn School of Medicine at Mount Sinai are bringing innovative thinking to the challenges of preventing and treating disease. Recognizing the importance of the immune system’s influence on the entire human body, we have established the Department of Immunology and Immunotherapy. In collaboration with the Icahn Genomics Institute, the Department’s researchers are developing advanced gene and cell engineering technologies to study immune function, with a particular focus on understanding how cancer impairs the body’s natural defenses.
Scientists and physicians at our Blavatnik Family Women’s Health Research Institute and its many collaborating departments across Mount Sinai are working to better understand the molecular, cellular, and biomechanical processes responsible for female-specific health disorders and translate the emerging scientific knowledge to develop new diagnostics and therapeutics for a wide range of diseases in females. As we gain new insights into the biological differences between women and men, we will develop sex-specific treatments for diseases—a fundamentally new approach to making medicine more personalized.
To address the growing impact that climate change and other environmental exposures are having on health, particularly on children in lower-income communities, the new Department of Public Health is bringing together Mount Sinai’s strengths in exposomics, genomic sciences, genetics, and big data analysis to identify disease patterns, hazards, and factors that impact resiliency.
Mount Sinai’s new research facilities will provide vast resources for our scientists. These include the Hamilton and Amabel James Center for Artificial Intelligence and Human Health, the Institute for Genomic Health, and the Division of Genomic Medicine, all on 101st Street. On Manhattan’s West Side, the new Mount Sinai Discovery and Innovation Center includes a Stem Cell Engineering Core, the Center for Advanced Genomics Technology, the Center for Therapeutic Antibody Development, and the Microscopy and Advanced Bioimaging Core.
Mount Sinai is also making smart investments in our physical plant to set new standards of clinical care. Notably, the Mount Sinai-Behavioral Health Center on the Lower East Side has been built to provide a full complement of mental health, substance use, and primary care services, a new model of care that can restore mental and physical health to patients who very often experience multiple comorbidities. In addition, our organization is making meaningful investments in projects including ambulatory surgical centers, large multispecialty practices throughout the region, and a transformational effort to build Mount Sinai South Nassau into a tertiary care destination facility to serve the community. Through initiatives like these, we are elevating our patient-centric care, increasing our scientific and medical knowledge, and promoting seamless integration and close, strategic alignment across the Mount Sinai Health System. In short, our strategic vision is to excel as One Mount Sinai—for our patients, for our people, for our world.
Brendan G. Carr, MD, MA, MS Chief Executive Officer Professor and Kenneth L. Davis, MD, Distinguished Chair
Mount Sinai Health System
Margaret A. Pastuszko, MBA President and Chief Operating Officer Mount Sinai Health System
Dennis S. Charney, MD
Anne and Joel Ehrenkranz Dean
Icahn School of Medicine at Mount Sinai,
President for Academic Affairs
Mount Sinai Health System

Brendan G. Carr, MD, MA, MS, Chief Executive Officer, and the Kenneth L. Davis, MD, Distinguished Chair, Mount Sinai Health System, is a nationally recognized leader in academic medicine and health policy. His leadership is grounded in driving innovation; developing the most cutting-edge cures, data-driven treatments, and compassionate support; and delivering them for all New Yorkers.
With the Boards of Trustees, Dr. Carr is advancing Mount Sinai’s capacity to conduct groundbreaking research, pioneer innovative care, and provide a world-leading education to future health care leaders. He guides the Health System’s strategy, operations, and business development, including the Icahn School of Medicine at Mount Sinai and its Graduate School of Biomedical Sciences, the Mount Sinai Phillips School of Nursing, Mount Sinai’s nationally and regionally ranked hospitals, and more than 400 ambulatory locations and physician practices.
Dr. Carr leads as a physician-scientist. He completed his residency in
“IT
After more than 17 years of leadership, Dennis S. Charney, MD, is stepping down as Dean of the Icahn School of Medicine at Mount Sinai as of June 30, 2025. Dr. Charney will continue his research and teaching.
“When I started in medicine as a researcher in 1981, I never anticipated I would become dean of a school; in fact, it was the furthest thing from my mind. However, being able to witness firsthand the growth and success of our school and our students has been life-changing for me. Together, we have built and transformed this institution into one of the finest medical and biomedical research schools in the nation, if not the world. We train the best and brightest medical and graduate students. Our accomplishments in science and medicine have improved the lives of millions of patients. And we will continue to do so. …
“In the past year, I have gotten to know Dr. Carr, his work, and where he wants to take us. Dr. Carr’s vision to truly align the school and the system will be transformative. I am confident that combining our clinical work with our research and our education will ignite a new era. Thank you for all of your hard work, your support, and for the opportunity to be your dean over these many years. It has been an honor.” — Dennis S. Charney, MD
emergency medicine, as well as fellowships in trauma and surgical critical care and in health policy research. With more than 20 years of emergency medicine experience, he is a renowned physician, care delivery system strategist, empathetic teacher, and health policy researcher. Today, in addition to his role as CEO, Dr. Carr remains clinically active in Mount Sinai’s Emergency Department.
Dr. Carr previously served in multiple policy roles within the U.S. Department of Health and Human Services, where he strengthened the U.S. health care system’s ability to respond to large-scale public health threats and improve health outcomes.
Dr. Carr has held faculty roles at the Icahn School of Medicine at Mount Sinai, the University of Pennsylvania’s Perelman School of Medicine, and Thomas Jefferson University’s Sidney Kimmel Medical College.
Read more about Dr. Carr’s vision for Mount Sinai on page 34.









1. Benjamin S. Abella, MD, MPhil
System Chair, Department of Emergency Medicine, and Mount Sinai Professor, Emergency Medicine; previously at the Perelman School of Medicine, University of Pennsylvania.
2. Brett Anderson, MD, MBA, MS
Director, Center for Child Health Services Research, The Mindich Child Health and Development Institute; Associate Professor, Pediatric Cardiology, and Population Health Sciences and Policy; previously at Columbia University Irving Medical Center.
3. Robert M. Arnold, MD
Vice Chair, Professional Development, Brookdale Department of Geriatrics and Palliative Medicine, and Professor, Geriatrics and Palliative Medicine; previously at the University of Pittsburgh.
4. Kimberly S. Glassman, PhD, RN, FAAN
Dean, Mount Sinai Phillips School of Nursing, and Vice President for Nursing Academic Affairs; previously at New York University Rory Meyers College of Nursing.
5. Jonathan Himmelfarb, MD
Co-Director, Center for Kidney Disease Innovation, and Professor of Medicine (Nephrology); previously at the University of Washington School of Medicine.
6. Mary Ott, MD, MA
Associate Director, Global Youth Health Programs, Arnhold Institute for Global Health; Professor, Global Health and Health System Design, and Pediatrics; previously at the Indiana University School of Medicine and Indiana University Indianapolis.
7. James O. Park, MD, FACS
System Chief, Surgical Oncology, Department of Surgery; Professor, Surgery; previously at the University of Washington School of Medicine, Fred Hutchinson Cancer Center.
8. Alexis Te, MD
Director, Advanced Center for Benign Prostatic Diseases; Co-Director, Men’s Health Program; and Professor, Urology; previously at Weill Cornell Medicine.
Dean and Vice President for Equity in Clinical Care
Chair, David B. Kriser Department of Emergency Medicine at Mount Sinai Downtown; Professor, Emergency Medicine, and Medical Education
As Dean and Vice President for Equity in Clinical Care, Yvette Calderon, MD, MS, leads and coordinates Mount Sinai’s efforts to ameliorate disparities in treatment and to improve health outcomes for all patients. She collaborates with a diverse group of clinical and academic partners who have been engaged in like-minded work across the School of Medicine and Mount Sinai Health System.
Dr. Calderon is renowned for her lifelong commitment to providing care to patients most affected by structural racism, finding solutions to address disparate medical care and outcomes, and advancing diversity and inclusion in the medical community. She has designed and implemented screening programs to identify patients with undiagnosed HIV and

hepatitis C virus and successfully connected these patients to care. As Chair of the David B. Kriser Department of Emergency Medicine at Mount Sinai Downtown, Dr. Calderon directed care for thousands of patients at Mount Sinai during the early days of the COVID-19 pandemic.
Dr. Calderon has also led efforts to increase diversity in medical education. She has overseen programs to recruit students and faculty from underrepresented backgrounds and serves as a board member for the Latino Commission on AIDS and the American Board of Emergency Medicine. She is also a member of the National Academy of Medicine and recipient of Mount Sinai’s highest honor, the Jacobi Medallion.

Dean, Scholarly and Research Technologies Deputy Chief Information Officer; Vice President of Information Technology, Mount Sinai Health System
Paul Lawrence, MFA, serves as the Dean of Scholarly and Research Technologies and as Vice President of Information Technology, Mount Sinai Health System. In this role, Mr. Lawrence is responsible for the innovative vision, strategy, leadership, execution, and performance across a broad spectrum of technology and academic support domains, including libraries and information sciences, educational technology, student systems, mobile applications, digital collections, distance education, research technologies, and learning environments. He also co-chairs the Committee on Artificial Intelligence for Teaching, Learning, and Discovery, leveraging the potential of artificial intelligence to improve the teaching and learning experience for the scholarly community. Since joining Mount Sinai in 2012,
Mr. Lawrence has led numerous academic and research technology initiatives, playing a key role in the development of libraries and information sciences, academic technology, research, and student systems. Prior to his tenure at Mount Sinai, he was the Director of the Yale Center for Media and Instructional Innovation, where he led the development of instructional media and managed Yale’s online learning environment. He also contributed to major university initiatives such as Yale iTunes U, Open Yale Courses, and Coursera, providing openly accessible academic content globally. At Mount Sinai, Mr. Lawrence continues to push the boundaries of scholarly and research technologies, aligning digital innovation with the institution’s mission of fostering discovery, education, and health care excellence.

Dean for Translational Research and Therapeutic Innovation
Chair, Department of Immunology and Immunotherapy; Director, Marc and Jennifer Lipschultz Precision Immunology Institute; Director, Human Immune Monitoring Center; Mount Sinai Professor, Cancer Immunology
In her new role as Dean for Translational Research and Therapeutic Innovation, Miriam Merad, MD, PhD, aims to elevate early clinical trials at Icahn Mount Sinai, streamline the clinical trial process, cultivate a culture of mechanistic clinical trials throughout the campus, and forge stronger partnerships with the pharmaceutical and biotech sectors.
A world-renowned immunologist, Dr. Merad has spent years investigating the potential for new therapies to treat cancer and inflammatory diseases, and her work has made Mount Sinai one of the most advanced centers in the world for immunological research.
In 2020, Dr. Merad was elected to the National Academy of Science for her transformational discoveries, establishing for the first time the tissue-resident macrophage lineage and revealing its key contribution to tissue health, repair, infection defense, and impact on tumor outcomes. Her research led to the identification of new therapeutic targets and was published in more than 300 highprofile papers and cited 1,000 times.
Recognized for her contributions to basic and tumor immunology, Dr. Merad has garnered numerous honors, including the William B. Coley Award and Mount Sinai’s Jacobi Medallion, and she was elected to the National Academy of Medicine in 2023.
Dean for Basic Science
Director, Institute for Regenerative Medicine; Director, Black Family Stem Cell Institute; Lillian and Henry M. Stratton Professor of Cell, Developmental and Regenerative Biology; Professor, Oncological Sciences, and Dermatology
As Dean for Basic Science, Sarah E. Millar, PhD, a distinguished scientist whose research has significantly advanced the understanding of skin and hair development, works to enhance Icahn Mount Sinai’s basic science research capabilities, including overseeing strategic planning and improvements to the School’s research administrative infrastructure.
Dr. Millar is a renowned researcher in epithelial development and stem cell biology. Her team has made seminal discoveries about the roles of cell–cell signaling pathways and epigenetic regulatory mechanisms in development and regeneration of the skin and its appendages. This knowledge is foundational to developing new therapies that will accelerate wound healing and treat hair-loss diseases and genetic skin disorders.
Dr. Millar is an editorial board member for Developmental Cell and Experimental Dermatology and a deputy editor for the Journal of Investigative Dermatology. She has also served on numerous national and international grant review committees and has received a number of awards, including an NIH MERIT Award and the William Montagna Lectureship Award of the Society for Investigative Dermatology.


Dean for Cancer Research
Director, The Tisch Cancer Institute and Mount Sinai Tisch Cancer Center; Ward-Coleman Chair in Cancer Research; Chair, Department of Oncological Sciences; Professor, Oncological Sciences; and Professor, Medicine (Hematology and Medical Oncology)
As the new Dean for Cancer Research, Ramon E. Parsons, MD, PhD, oversees Icahn Mount Sinai’s cancer research, maximizing interdepartmental collaboration to accelerate discoveries leading to new breakthroughs in cancer diagnosis and therapeutics. His efforts will further Mount Sinai’s reputation as a leading cancer center. In addition to overseeing all cancer research laboratories and research activities, he leads recruitment for basic and translational scientists in cancer research.
Dr. Parsons is renowned for his work in the origins of cancer and cancer genetics, which has significantly advanced the understanding of tumor biology, particularly through the discovery of the PTEN tumor suppressor gene. This gene is frequently mutated in various cancers, including breast, brain, prostate, and endometrial cancers, and has become a crucial therapeutic target.
Dr. Parsons’ breakthrough findings have resulted in numerous awards, including the 2011 Outstanding Investigator Award for Breast Cancer Research from the American Association for Cancer Research and a 2017 National Cancer Institute Outstanding Investigator Award. He is a member of the National Academy of Medicine, the American Society for Clinical Investigation, and the American College of Physicians.
Dr. Parsons is also a recipient of the Jacobi Medallion, Mount Sinai’s greatest honor.
Dean for Medical Education and Chair, Leni and Peter May Department of Medical Education Professor of Medicine, Medical Education, and Rehabilitation and Human Performance; Co-Founder, East Harlem Health Outreach Partnership (EHHOP)
David C. Thomas, MD, MS, MHPE, has long focused his research and professional efforts on advancing medical education, particularly teaching, mentorship, and collaboration. In his new role as Dean for Medical Education and Chair, Department of Medical Education, Dr. Thomas oversees all aspects of medical education at Icahn Mount Sinai, including the implementation of the new ASCEND curriculum.
For more than two decades, Dr. Thomas has served with distinction as an internal and rehabilitation medicine physician as well as Associate Dean for Continuing Medical Education since 2011 and System Vice Chair for Education within the
Department of Medicine since 2012.
As co-founder of EHHOP, a student-run, attending-directed clinic providing free health care to uninsured residents, Dr. Thomas also brings a dedication to community health and equity. For much of his career, he has worked to create an anti-racism health care environment that fosters health equity. Dr. Thomas has authored more than 50 peerreviewed articles and made more than 150 presentations nationally and internationally, and he has earned a number of honors, including the Solomon Berson Award for Excellence in Teaching, the Leonard Tow Humanism in Medicine Award, and Mount Sinai’s prestigious Jacobi Medallion.


Inaugural Dean for Public Health
Inaugural Chair, Department of Public Health
Principal Investigator and Director of Conduits, the Mount Sinai Health System Clinical and Translational Science Award (CTSA) Program; Co-Director, Institute for Climate Change, Environmental Health, and Exposomics; Horace W. Goldsmith Professor in Life Course Health Research; Professor of Medicine (Pulmonary, Critical Care, and Sleep Medicine), Pediatrics, Environmental Medicine and Climate Science, and Artificial Intelligence and Human Health
In her new roles as Dean for Public Health and Chair of the Department of Public Health, Rosalind J. Wright, MD, MPH, will advance public health innovation in education, research, and practice, which will include expanding public health-related master’s degree programs and establishing new doctoral programs in public health.
A renowned physician and researcher, Dr. Wright’s work is focused on the interplay between environmental exposures and psychosocial stressors in the development of chronic diseases, with a strong focus on early life programming starting during pregnancy and childhood.
Throughout her career, she has been a leader in the study of how air pollution, diet, stress, and other factors jointly influence health outcomes—such as asthma, obesity, and cognitive development across the life span—while advancing efforts to harmonize and integrate environmental medicine, data science, global health, and other disciplines. Dr. Wright has authored or co-authored more than 350 peer-reviewed journal articles, and her research has been recognized with several awards, including the J. Lester Gabrilove Award for Excellence in Clinical Translational Science and the Jacobi Medallion, bestowed by Mount Sinai. She has received uninterrupted National Institute of Health funding for more than 25 years.

Mount Sinai Health System’s Legacy
ount Sinai’s Office for Diversity and Inclusion celebrated its 10th anniversary in 2024. As one way to recognize this milestone, a landmark report delves into the Health System’s rich history and ongoing commitment to achieving true diversity, equity, and inclusion (DEI). “Being the Change” highlights Mount Sinai’s journey, one paved by the tireless collaborative efforts of thousands of staff members and leaders at every level.
Inspiration for the report came from Dennis S. Charney, MD, Dean of the Icahn School of Medicine at Mount Sinai and President for Academic Affairs for the Mount Sinai Health System. Dr. Charney reflected that Mount Sinai has long been a leader in the pursuit of equity—but these efforts had not been fully recognized.
This documentation serves as a testament to Mount Sinai’s DEI initiatives past and present. “Diversity, equity, and inclusion have always been important to Mount Sinai,” Dr. Charney says. “They are part of our DNA as a school and a health system.”

“ Delivering world-class medicine is critical to our identity, but delivering it in a way that is meaningful and feels safe to the communities that we serve is just as important. Mount Sinai is committed to diversity, equity, and inclusion, not only because it is the right thing to do but also because it is a differentiator for us. It makes us provide better care.”
– BRENDAN G. CARR, MD, MA, MS
Chief Executive Officer
Professor and Kenneth L. Davis, MD, Distinguished Chair
Mount Sinai Health System


Opposite page: Mount Sinai has created innovative programs to build a more inclusive future, such as the Center for Scientific Diversity, whose team members are shown here. Through the report, our efforts toward becoming an equitable and anti-racist organization are clear.
1. The report chapter titled “Defining Moment” reflects on Mount Sinai’s development of the Road Map for Action to Address Racism, which was inspired by the national trauma of George Floyd’s killing.
2. Initiatives designed to move the nation’s health care system toward a more equitable future are featured in “The Way Forward” chapter. And throughout the report, a wide range of Mount Sinai community members share brief first-person accounts that paint vivid portraits.
3. Mount Sinai can trace its DEI origins back to the Jews’ Hospital and The Mount Sinai Hospital, highlighting our commitment to serving people of all faiths and to our establishment of the school of medicine.

GARY C. BUTTS, MD
Executive Vice President, Diversity, Equity, and Inclusion
Chief Diversity and Inclusion Officer
Director, Office for Diversity and Inclusion
Mount Sinai Health System
Dean for Diversity Programs, Policy, and Community Affairs
Icahn School of Medicine at Mount Sinai

PAMELA ABNER, MPA, CPXP
Senior Vice President and Health Equity Officer
Mount Sinai Health System
Chief Diversity Operations Officer
Mount Sinai Hospital Groups
Office for Diversity and Inclusion

Mount Sinai visionaries lead brain-computer interface in dramatically new directions
BY MEERI KIM
Not so long ago, the concept of creating a system that enables direct communication between the human brain and a computer seemed like pure science fiction. The mere idea that a person might one day perform actions simply by thinking about them—for example, controlling a prosthetic limb or interacting with applications on a screen—was dismissed as a fantasy by most.
Today, Mount Sinai is turning that lofty vision into reality. Devices known as braincomputer interfaces, or BCIs, are providing new possibilities for patients formerly considered untreatable. In fact, Mount Sinai is home to two of the top five brain-computer interface companies in existence today.
The scientists driving this venture are overseen by a prescient neurosurgeon who embraces innovation. “I’m so excited by the team we’ve assembled,” says Joshua B. Bederson, MD, Leonard I. Malis, MD /
Corinne and Joseph Graber Professor of Neurosurgery at the Icahn School of Medicine at Mount Sinai; Chair of Neurosurgery, Mount Sinai Health System; and Executive Director of Mount Sinai BioDesign. “Mount Sinai is now home to some of the world’s leading experts in brain-computer interface.”
Together, they are bringing BCI innovations into the operating room as part of ongoing clinical trials as they search for ways to improve the lives of people disabled by paralysis—such as amyotrophic lateral sclerosis (ALS) and stroke—or by spinal cord injuries.
These BCIs, which are being implanted as part of clinical trials overseen by Mount Sinai’s Institutional Review Board, are carefully tailored to each user, since maps of brain function are highly variable from person to person. But the hope is that one day this life-changing technology will be
able to restore autonomy and agency to paralyzed people around the world.
The Mount Sinai Health System is pursuing that goal by pioneering novel research of the latest BCI devices. At the forefront of building next-generation BCI technologies are two companies, one co-founded by neuroendovascular surgeon Thomas J. Oxley, MD, PhD, Assistant Clinical Professor of Neurosurgery at Icahn Mount Sinai, and Director of Innovation Strategy for the Department of Neurosurgery at the Mount Sinai Health System, and the other by neurosurgeon and biomedical engineer Benjamin Rapoport, MD, PhD, Assistant Professor of Neurosurgery at Icahn Mount Sinai. While the two companies are independent of the Health System, Mount Sinai has been one of the leading sites for clinical trials that test the capabilities of their devices in patients.
“What I’ve realized is that paralysis takes away your freedom of expression. Freedom of expression is your ability to make choices

Mount Sinai is a leading site testing next-generation BCI devices, such as the electrode array illustrated here. Created by Synchron, the mesh stent lines the blood vessel wall and relays information about the patient’s neural impulses. This endovascular approach, in which the StentrodeTM is implanted using a catheter, delivers electronics without open brain surgery. Illustration by Nanobot Medical, courtesy of Synchron
in the world, and you can’t do that if you can’t move your body,” says Dr. Oxley, who launched one of the two companies, Synchron, in 2012. “A brain-computer interface preserves a fundamental element of what it is to be human that we all take for granted.”
Dr. Rapoport, who started the second company, Precision Neuroscience, in 2021—after co-founding Neuralink—also serves as the Scientific Director of Mount Sinai BioDesign, a medical device incubator within the Health System. “Dr. Oxley and I share this goal, to deliver a system that can be permanently implanted into the patient and enables them to have thought-based control of a digital ecosystem,” Dr. Rapoport says. “We want patients to be able to go back to work, hold a job, and earn a living again, or to control external devices like a robotic prosthetic arm.”
In November 2024, Mount Sinai BioDesign hosted the inaugural New York Brain Computer Interface (NY-BCI) Symposium at the New York Academy of Medicine. With a focus on surgical and clinical translation strategies, keynote speakers discussed the current state of clinical trials, integration of artificial intelligence, neuroethics of BCI, and other timely topics. By bringing together the world’s foremost scientific, surgical, industry, and regulatory experts
in the field of neural interfaces, Mount Sinai further established itself as a leading institution in this rapidly evolving field.
“Even though it’s been proven for a couple of decades that we can do this, the maturity of the technology to be able to go into the brain, stay there for a lifetime, be effective, that’s happening now. And it’s happening at Mount Sinai,” says Dr. Oxley. “Mount Sinai was the first site in the United States to implant Synchron’s StentrodeTM, and now we are preparing for the next stage of the clinical trial.”
In general, all BCI systems work by translating neural activity associated with a function, such as speech or movement, into commands that a computer can understand and execute. BCIs have three main components: an implantable sensor that integrates with the brain, electronics that process the signal and wirelessly transmit it outside of the body, and a software layer that decodes that electrical information.
“Everybody’s brain is electrical in nature, and it’s generating a chatter of electrical activity. But to translate that electrical activity, which is the brain’s intrinsic language, into a form that another human being can understand, or that can be an instruction sent to a computer—that takes a machine

translation,” Dr. Rapoport says. “That’s where the artificial intelligence layer comes in.”
Specialized algorithms embedded in BCI software learn how to turn a specific user’s brain activity into intentions, such as swiping a touchscreen or clicking a mouse. In this way, BCI falls under a larger umbrella of AI-powered initiatives at Mount Sinai, including the new Hamilton and Amabel James Center for Artificial Intelligence and Human Health—a 65,000-square-foot facility at 3 East 101st Street in Manhattan—where AI experts collaborate closely with those in data science and genomics, and the establishment of the Windreich Department of Artificial Intelligence and Human Health, the first department of its kind within a medical school in the United States.
Noninvasive BCIs may use electroencephalography (EEG) or near-infrared light to probe the brain. However, the signal is coarse and nonspecific due to attenuation from the scalp and skull. Invasive BCIs, directly placed on or implanted in the brain, have much higher signal fidelity but require opening the skull for access.
In 2007, Dr. Oxley conceived of a middleground device—a “minimally invasive” BCI that does not require open brain surgery but instead is implanted within the blood vessel of the brain. While at the University of Melbourne, his laboratory created the Stentrode, an endovascular electrode array designed to record


or stimulate the brain from inside the blood vessels. In a procedure much like that used for inserting a cardiac stent, neurointerventionalists implant the Stentrode using a guide catheter that goes through the jugular vein and into a large vessel near the primary motor cortex, a brain region involved in voluntary movement.
The first four implants were performed in Australia on patients with severe upper-limb paralysis. Although patients with paralysis cannot voluntarily move their affected limbs, they still generate brain signals in their motor cortex that can be translated into command functions. Similar to a pacemaker, the Stentrode relays that electrical activity through a wire to a small computing device implanted in the chest, just underneath the skin. The chest device is connected to an external receiver that converts the brain signals into commands and sends them to a computer or smartphone.
Electrical activity from the primary motor cortex captured during their attempted movements was transmitted from the Stentrode to control multiple mouse-click actions. After completing training on how to use the implant, paralyzed patients regained the ability to perform daily living tasks such as sending text messages, managing finances, and making online purchases.
After successfully demonstrating the device’s safety and feasibility, Synchron secured funding from the National Institutes of Health to conduct a national multicenter clinical trial
based in the United States. In 2021, Mount Sinai joined this ambitious research effort to further study the Stentrode technology and its effects on patients’ quality of life, daily function, and health outcomes. As of fall 2024, Dr. Oxley and his colleagues have implanted the BCI into a total of 10 patients, with the first procedure in the United States occurring at Mount Sinai in July 2022.
“Mount Sinai is already one of the world’s leaders in neurointervention therapy, and we’re now putting our energy into being a top clinical site,” says Dr. Oxley. “BCI in and of itself is not enough. It has to help someone, and you have to be able to measure how it has helped someone.”
Perhaps the most commonly recognized BCI company is Neuralink, Elon Musk’s venture that launched in 2016. Neuralink’s device, the N1 Implant, records neural activity through “threads”—highly flexible, ultra-thin polymer electrode arrays that are sewn into brain tissue with a surgical robot-controlled needle, similar to stitching with a sewing machine.
Dr. Rapoport, a co-founding member of Neuralink, left the company in 2017 to launch his own BCI venture alongside three colleagues—two of whom also spent time at Neuralink. Through Precision Neuroscience, his goal was to develop a high-bandwidth digital connection to the brain that avoids
the use of penetrating electrodes, which can damage brain tissue. Precision’s core product, the Layer 7 Cortical Interface, is a minimally invasive thin-film electrode array designed to lie on the surface of the brain.
In March 2024, an interdisciplinary team of neurosurgeons and neuroscientists became the first in New York to investigate the Layer 7 Cortical Interface in a feasibility study where the patients all consented to the trial. So far, 26 patients have been temporarily implanted with the device during already scheduled intracranial procedures, such as brain tumor resection, including eight at Mount Sinai. “We are proud to be one of the leading sites participating in the trials for the new array and eager to see what we learn from the detailed information we will collect and analyze,” Dr. Bederson says.
During such procedures, clinicians routinely use electrode arrays to map the surface of the brain in an effort to avoid damaging crucial areas such as the motor cortex. But standardof-care cortical surface arrays only capture data at low spatial and temporal resolution from, say, 10 electrodes at a time. Precision Neuroscience’s device packs 1,024 electrodes on a flexible film with an area smaller than a penny and one-fifth the thickness of a human hair. Its compact size means that a small incision in the brain and skull would be sufficient to implant the array.
In April 2024, Precision Neuroscience and Mount Sinai set a record for the most electrodes placed on the human brain in real time. Dr. Bederson placed four Layer 7 Cortical Interfaces—a total of 4,096 electrodes—on a single patient’s brain during a surgery to remove a benign brain tumor. For neurosurgeons, such an extremely detailed depiction of electrical activity in the brain is largely unprecedented.
“We’ve demonstrated the cortical signature of an individual finger’s stimulation. To my knowledge, this is the first time that’s ever been done, anywhere,” says Dr. Bederson. “This, to me, shows amazing promise, because if we can program the brain to feel the external environment by stimulating the cortex in its sensory area, we could potentially give life to inanimate objects such as a robotic arm.”
Like Synchron, Precision Neuroscience aims, first and foremost, to create a commercial
“Even though it’s been proven for a couple of decades that we can do this, the maturity of the technology to be able to go into the brain, stay there for a lifetime, be effective, that’s happening now. And it’s happening at Mount Sinai.”
– THOMAS J. OXLEY, MD, P h D

BCI that can restore functions such as speech and control of computers to severely paralyzed people. But interestingly, its initial studies have uncovered secondary applications that could benefit patients with brain injuries beyond those with paralysis.
“We’ve discovered that the technology we have begun to develop has ancillary benefits in medicine,” says Dr. Rapoport, who is also Dr. Bederson’s partner in skull-based surgery. “As we’ve begun to bring it into the operating room, we can use it with great specificity and sensitivity to find the borders of a tumor or define the borders of where movement and speech are located in the brain, because the brain doesn’t come with labels.”
Synchron and Precision Neuroscience— as well as their competitors in the BCI space—have their eyes on regulatory approval in the near future. The two companies received Breakthrough Device designation from the U.S. Food and Drug Administration (FDA)—the Stentrode in 2020 and the Layer 7 Cortical Interface in 2023. The Breakthrough Devices Program is intended to help patients have more timely access to medical devices by expediting their development, assessment, and review.
Precision Neuroscience plans to seek FDA approval for two products. The first will be
a wired version of the Layer 7 Cortical Interface, which is meant for recording, monitoring, and stimulation in a hospital setting for up to 30 days at a time. The second and more ambitious device will be the company’s wireless, permanent implant with BCI functionality, which is still in development.
In September 2023, Synchron announced the completion of patient enrollment in the COMMAND trial in the United States, which enrolled six patients and was conducted under the first investigational device exemption (IDE) awarded by the FDA to a company assessing a permanently implanted BCI. Mount Sinai was one of three clinical sites for the study, which is being funded by the National Institutes of Health’s Brain Research Through Advancing Innovative Neurotechnologies (BRAIN) initiative. David Putrino, PhD, PT, Director of Rehabilitation Innovation for the Mount Sinai Health System, is Principal Investigator of the COMMAND trial; neurovascular surgeon Shahram Majidi, MD, performed the first Stentrode implant in July 2022 on the study’s first participant.
Earlier this year, Synchron launched a registry to begin preparing to recruit patients for a large-scale clinical trial in its effort toward FDA approval for the Stentrode. The study will potentially include patients who are paralyzed due to ALS, stroke, and multiple sclerosis.
“The next 10 years are going to be about the first commercial approval, the first clinical translation to deal with the most impaired people. The second period is going to see the technology being used by more mildly to moderately impaired people—maybe it’s an injury, or it’s a mild stroke,” says Dr. Oxley. “And I think there’s going to be a third phase ... an uptake of a population of people who will use it to engage with technology in a way that our bodies can’t do.”
He believes that the human brain has evolved to be far more powerful than what our bodies can express, and BCI technology has the potential to fill that gap. Dr. Bederson also foresees a future with bidirectional BCIs, where a prosthesis will be able to send tactile information back to the brain, so that patients can feel the limb as their own.
“In the very near term, I see BCI able to control prosthetic devices like a robotic arm, but also for BCI to enable the patient to feel the movement of that arm and have a much more engaged sense of what they’re doing with the prosthesis,” Dr. Bederson says. “Beyond that, the applications go to speech, vision, hearing, disorders of movement, epilepsy, and the list continues.”
As a leading academic health system in this groundbreaking field, Mount Sinai aims to attract and empower the most intrepid explorers mapping this new territory. “All of this effort is dependent on an integrated enterprise of neurologists, neurosurgeons, neuroscientists, psychiatrists, physical therapists, geneticists, and pathologists,” Dr. Bederson says of the exceptional team Mount Sinai has assembled. “And we hope to scale up our efforts multifold to improve life for patients with the many, many types of brain injuries that might be addressed using BCI implants.”
Dr. Bederson is System Chair for the Department of Neurosurgery at the Mount Sinai Health System. Drs. Rapoport and Oxley are faculty members in the Department of Neurosurgery. Dr. Bederson serves in a supervisory role for them within the Health System. Dr. Rapoport is an equity owner in Precision Neuroscience, serves as their Chief Scientific Officer, and is a member of their board of directors. Neither Dr. Bederson nor Mount Sinai has a financial interest in Precision Neuroscience.
Dr. Oxley is an equity owner in Synchron, serves as their Chief Executive Officer, and is a member of their board of directors.
Dr. Bederson and other faculty members at Mount Sinai are equity owners in Synchron. All Precision Neuroscience and Synchron research at Mount Sinai is conducted by investigators without financial ties to either company.

BY HALLIE LEVINE
Renowned physician-scientists and their teams seek to identify critical pieces of a complicated puzzle
Helen S. Mayberg, MD, received the Barbara Fish Memorial Award from the American College of Neuropsychopharmacology in 2023, which honors a member who has made an outstanding contribution to basic, translational, or clinical neuroscience. The selection of the nominee is based on a mature body of work, notable for its impact, innovation, and depth.

fter decades with virtually no new treatment options available to patients with mood and anxiety disorders, Mount Sinai is taking steps to revolutionize the field with groundbreaking research and therapies. This intensive effort goes beyond developing new treatments. Mount Sinai is finding innovative ways to gauge how effective those treatments are— and when they may stop working.
Some of the biggest breakthroughs have occurred with medications and therapies for treatment-resistant depression (TRD). About 30 percent of people diagnosed with depression have treatment-resistant depression, which is typically defined as a lack of response to at least two antidepressant medications. Over the last several years, research at Mount Sinai has
uncovered and advanced promising avenues for addressing this condition—ranging from the use of ketamine to deep brain stimulation (DBS).
“When it comes to treatment-resistant depression, it’s important to develop a holistic approach to care,” says Helen S. Mayberg, MD, Founding Director, the Nash Family Center for Advanced Circuit Therapeutics (C-ACT) at the Icahn School of Medicine at Mount Sinai. She stresses that it is not just about finding the right medication or procedure to “tune” the brain and provide symptom relief. “These patients need rehabilitation to help retrain brain circuits and ensure depression won’t recur.”
Dr. Mayberg and colleague James Murrough, MD, PhD, Director of the Depression and Anxiety Center for Discovery and Treatment at Mount Sinai (DAC), are two renowned researchers and
Image on previous page: Mount Sinai is advancing deep brain stimulation as a therapy for treatment-resistant depression. New recording technology is paired with novel AI methods to show how brain activity changes with recovery, providing valuable objective data to optimize patient care. This illustration shows a patient's white matter structure as mapped using diffusion tensor imaging. The network targeted by the stimulator is highlighted, and the streaming data informing clinical care is illustrated. Illustration courtesy of artist Mike Halerz in collaboration with scientists Ki Sueng Choi, PhD, Christopher Rozell, PhD, and Helen S. Mayberg, MD
innovators using complementary strategies to solve depression. Their shared mission is to develop an understanding of the basic science and physiology behind this profoundly debilitating and pervasive brain disorder. Researchers believe this knowledge will lead to better, more precise medications and treatments and, ultimately, a way to repair the brain and begin to unravel some of the mysteries of what is considered the most complex organ in the human body.
In this quest, the two are investigating a number of novel approaches, working alongside large multidisciplinary teams. While the two physician-scientists sometimes collaborate, they take distinct approaches to the vexing problem of treatment-resistant depression. At C-ACT, Dr. Mayberg and her teams are advancing precision surgical treatments for neuropsychiatric disorders through the rapid translation of neuroscience and neuroengineering innovations that correct brain circuit abnormalities and restore mood, motor, and cognitive functioning. At DAC, physician-scientists and clinical researchers design and implement translational and therapeutic studies in humans using neuroimaging, molecular, genetic, and clinical trial approaches.
For decades, solving depression has often seemed unattainable. Now research advances are gaining momentum and creating greater opportunities to personalize each patient’s care. For example, scientists are analyzing brain data for patients undergoing deep brain stimulation to define signals from this implant that can track how the brain recovers and, further, to predict when a patient is at risk of slipping back into depression, even before the patient realizes it. Just as there is no one-size-fits-all approach to cancer treatment, the same is true when it comes to managing depression. “The goal is to develop personalized medicine for TRD as we have done for other chronic diseases,” says Dr. Mayberg, who is also Professor of Artificial Intelligence and Human Health, Neurosurgery, Neurology, Neuroscience, and Psychiatry at Icahn Mount Sinai.
Many clinicians view depression solely as a psychiatric disorder. Dr. Mayberg, however, studies depression through the lens of neurology. “I’m always surprised at how people still don’t understand that this is a brain disorder and not a weakness of character,” she says, “and that ignorance stigmatizes patients.”
Early in her career, Dr. Mayberg developed a “network” model of depression. She found that brain imaging was an important tool that could examine neurological changes in depressed patients. By mapping brain circuits—connections of brain neurons that communicate with one another—she was better able to understand how changes in these circuits could lead to depression.
For example, Dr. Mayberg began to see certain patterns over time. In depressed patients, parts of the frontal lobe were underactive, while other areas in the brain that drive emotions—limbic regions, most notably the cingulate cortex—were overactive. These two parts of the brain literally become engaged in a tug of war with each other, she says.
Dr. Mayberg theorized that if she could dial down the overactive part of the brain, it would “reset” depressed patients’ brain circuits so that they could return to a more “balanced” state. One way to do this
would be through deep brain stimulation, a procedure that involves implanting electrodes in the brain and turning them on at an amplitude and frequency that is thought to block the activity at the site of stimulation. DBS has been used with great success to treat other neurological conditions such as Parkinson’s disease and tremor. Dr. Mayberg suspected that in depressed patients, the high-frequency stimulation could also recalibrate the activity and communication among various connected regions throughout the brain.
Studies have proven Dr. Mayberg’s theory to be correct. Most recently, she and her team enrolled 10 adults with treatment-resistant depression, all of whom underwent DBS therapy for six months. At the end of the study, which was published in the September 2023 issue of the journal Nature, 9 of the 10 patients responded positively, with seven achieving full remission. This is the first half of an ongoing study that is continuing with another 10 patients at Mount Sinai and shows similar positive results. Patients continue with long-term DBS with the sustained response to treatment now exceeding five years.
Despite the demonstrated success of this treatment for those who had failed to respond to most other available
The Nash Center for Advanced Circuit Therapeutics (C-ACT) includes clinicians and researchers who are members of departments across Mount Sinai (Neurology, Neuroscience, Neurosurgery, Psychiatry, and Radiology) and who work closely with colleagues at the Center for Neuromodulation; The Friedman Brain Institute; the BioMedical Engineering and Imaging Institute (BMEII); the Bonnie and Tom Strauss Movement Disorders Center; the Depression and Anxiety Center for Discovery and Treatment; Mount Sinai’s Epilepsy Program; Mount Sinai Biodesign; and The Center for Engineering and Precision Medicine.
The Depression and Anxiety Center for Discovery and Treatment (DAC) includes physician-scientists and clinical researchers who work closely with colleagues conducting basic and molecular research within The Friedman Brain Institute, BMEII, and C-ACT. Clinical care is delivered through the Department of Psychiatry.
“ The goal is to develop personalized medicine for TRD as we have done for other chronic diseases.”
– HELEN S. MAYBERG, MD
treatments, patients with longstanding serious depression often have ongoing issues even when they are successfully treated. With DBS, as with all depression treatments, doctors currently have to rely on what patients say to determine when to make adjustments. That can make it hard to discern whether new symptoms are in response to a life stress or “if the depression is actually returning because the brain signal is becoming unstable,” says Dr. Mayberg. For that reason, Mount Sinai researchers decided to go a step farther and use artificial intelligence (AI) tools to analyze brain data from six patients undergoing DBS. All showed similar brain activity as they recovered. But in one patient, researchers were able to predict that they were at risk of falling back into a major depressive episode six weeks before the patient even showed any symptoms. “We were able to pick up on brain changes before the patient or the study psychiatrist realized it,” says Dr. Mayberg.
Another way physicians and scientists are able to evaluate DBS results is through the Center’s Quantitative Biometrics Lab (Q-Lab). This immersive, interactive, multimodal research environment at Mount Sinai West enables researchers to develop new metrics to help clinicians provide comprehensive assessment of DBS patients. The lab uses AI and machine learning to measure movement, motion, and cognition. While patients engage in a variety of interactive experiences, video and brain data are collected simultaneously. This approach picks up subtle changes in behavior that may improve quantitative measures of a patient’s progress, which Dr. Mayberg says is an important step toward
In 2023, James Murrough, MD, PhD, received the Joel Elkes Research Award from the American College of Neuropsychopharmacology, which recognizes an individual for an outstanding clinical contribution to neuropsychopharmacology within 15 years of earning the highest academic degree in their field. Dr. Murrough was lauded for his work in brain imaging and experimental therapeutics.

personalized care for patients receiving DBS for depression, as well as Parkinson’s disease and obsessive-compulsive disorder. Q-Lab researchers hope to develop these tools to the point where they can accurately track signals of a depression patient’s recovery without an implanted device.
The majority of people who end up in Dr. Mayberg’s studies have already tried many standard antidepressants, as well as ketamine and electroconvulsive therapy. Patients who respond to DBS tend to continue responding to chronic stimulation over many years. “We are seeing exciting new findings in our brain imaging studies and animal model experiments suggesting that DBS is not just tuning the function of the circuits but actually repairing the structure of the circuit connections,” she says. Once brain circuits are remodeled, patients may also respond to therapies that did not work for them before surgery—for example, medication to help with anxiety. “Once we repair the brain and make it stronger, we can also teach patients ways to better manage life’s stressors.”
Dr. Mayberg often partners with Dr. Murrough, who is also Professor of
Psychiatry and Neuroscience at Icahn Mount Sinai. Dr. Murrough’s DAC team runs a variety of clinical trials in TRD, but there remain patients who are appropriate for DBS.
Ultimately, Dr. Mayberg would like to achieve precision treatments. “There are no words to describe the feeling of watching a patient find relief from TRD after deep brain stimulation,” she says. While it may take weeks, or even months, for the effects of DBS to become stable and sustained, most patients report an improvement in mood and a lightening of “the weight” of their depression when the first stimulation is tested in the operating room or the day after surgery when the device is activated. “Seeing that first change never gets old.”
Mount Sinai has long pioneered research into treatment-resistant depression. Dennis S. Charney, MD, Anne and Joel Ehrenkranz Dean of Icahn Mount Sinai and President for Academic Affairs of the Mount Sinai Health System, is a co-inventor of a method of treatment for patients suffering from treatment-resistant depression, which is patented in US Patents 8,785,500 and 9,592,207 listed in the Orange Book for Janssen’s Spravato® (esketamine) CIII nasal spray. The U.S. Food and Drug Administration (FDA) approved Spravato in 2019.
A 2023 study, co-authored by Dr. Murrough and published in The New England Journal of Medicine, found that ketamine was at least as effective for treatment-resistant depression as electroconvulsive therapy, which has been used for decades. Unlike classic antidepressants, ketamine has minimal direct effect on brain chemicals such as serotonin, dopamine, and norepinephrine. Instead, it works via the glutamate pathway. Glutamate is a prominent brain neurotransmitter, but overactivation of glutamine receptors may contribute to treatment-resistant depression. Ketamine seems to block these glutamine receptors as well as reduce inflammation that may contribute to depression.
Dr. Murrough has focused much of his research on examining brain circuitry and function among patients with treatmentresistant depression, both before and after they received ketamine therapy. His team uses ultra-high field imaging, which is a very powerful magnet to measure the function of brain regions in detail.
They have zeroed in on the same region
“ In the last four years alone, we’ve developed a growing list of truly different novel interventions for depression. The hope is eventually we can find a treatment that works for everyone.”
– JAMES MURROUGH, MD, P h D
Dr. Mayberg has been studying—the subgenual cingulate region. “We know that it’s overactive in depression, and animal data suggests that ketamine reduces activity,” he says. “The patient can see a dramatic reversal of their symptoms within days. We can then do a brain scan to see exactly what changes occurred.”
While ketamine can help to improve symptoms of treatment-resistant depression, it is not a cure. That’s why Dr. Murrough’s team is studying several different potential drugs—exploring the molecular mechanisms involved in depression—to see if they can provide a more lasting treatment.
One medication is ixekizumab, a biologic drug already approved as an injection to treat inflammatory skin conditions such as psoriasis. “Research done at Mount Sinai suggests that stress itself may mobilize immune signaling in the body, including in the brain,” says Dr. Murrough. As of fall 2024, he was recruiting for a clinical trial comparing the effects of ixekizumab versus placebo among patients with treatmentresistant depression.
Another medication Dr. Murrough is studying is ezogabine, an anticonvulsant drug used to treat epilepsy that opens potassium channels in the brain. Animal studies show that when these channels are closed off, subjects exhibit signs of depression such as grooming less or isolating in a corner. But when those channels are opened, symptoms improve.
Dr. Murrough conducted a study of 45 patients in which those treated with ezogabine showed a significant reduction in depression symptoms, and he now has a National Institutes of Health grant to run a second, larger trial.
Dr. Murrough’s research goes beyond medication. He is also involved in the RECOVER trial, a double-blind, placebocontrolled clinical trial that assesses the safety and effectiveness of vagus nerve stimulation for treatment-resistant depression. During the procedure, a device stimulates the vagus nerve—a nerve that runs from the lower part of the brain

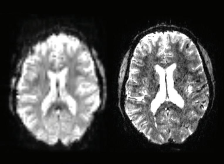
Dr. Murrough’s team uses ultra-high field 7-Tesla magnetic resonance imaging (MRI) to better understand how neural networks communicate and influence one another—as well as how these interactions underlie pathological brain states such as major depressive disorder. The scans at left demonstrate this dramatically enhanced resolution as compared to standard MRI imaging, an advance that provides clearer modeling of the brain’s functional and structural networks. Image courtesy of Yael Jacob, PhD, Director, the Brain Networks and Cognition (BNC) Lab at Mount Sinai
through the neck to the chest and stomach on either side of the body—with electrical impulses. The scientific field is currently awaiting the initial results from the RECOVER trial.
Dr. Murrough was also part of the team conducting the research that led to RejoynTM, a new digital therapeutic cleared by the FDA in March 2024. Designed to improve emotion regulation, Rejoyn is the first prescription smartphone app for the adjunctive treatment of major depressive disorder symptoms in adults 22 years and older. It is intended to be used alongside antidepressant medications.
Dr. Charney and Brian Iacoviello, PhD, Adjunct Assistant Professor of Psychiatry, co-created the Emotional Faces Memory Task (EFMT) technology that delivers cognitive-emotional treatment via Rejoyn. “Our goal is to see if we can develop a computerized interaction to activate or suppress brain regions involved in depression,” says Dr. Murrough. “This is
just one of several non-pharmaceutical approaches to depression we are exploring.”
While all these potential treatments may sound complex, so is the brain. “We still don’t fully understand what mental disorders such as treatment-resistant depression are and how best to treat them,” says Dr. Murrough. “We know that they are brain disorders, but they don’t follow the same traditional rules as other branches of medicine that deal with brain disorders, such as neurology.”
For people with treatment-resistant depression, the efforts of Mount Sinai’s researchers offer hope. “We think conditions like TRD are a collection of problems that aren’t the same in everyone,” Dr. Murrough says. “In the last four years alone, we’ve developed a growing list of truly different novel interventions for depression. The hope is eventually we can find a treatment that works for everyone.”
The Emotional Faces Memory Task in Rejoyn is based on technology invented by Mount Sinai faculty members (Dr. Dennis Charney and Dr. Brian Iacoviello) and licensed to Click Therapeutics. Click Therapeutics granted a sublicense to Otsuka America Inc. for the rights to develop and commercialize Rejoyn. Otsuka Precision Health, Inc., a subsidiary of Otsuka America, is commercializing Rejoyn in the U.S. As part of the licensing of its technology, Icahn School of Medicine at Mount Sinai will receive royalties and have a financial interest in Rejoyn. Pursuant to the Mount Sinai Intellectual Property Policy, a portion of the financial benefit will be shared with the Mount Sinai faculty inventors. Dr. Charney was not involved in the Rejoyn clinical trials program or in the regulatory activities that led to the FDA clearance of Rejoyn. In addition, Mount Sinai and Dr. Charney are named on patents related to the use of ketamine or esketamine for therapy of treatment-resistant depression. Mount Sinai receives payments from industry for licensing of these patents, and Dr. Charney (as a faculty inventor) has received and will continue to receive a portion of these payments pursuant to the Mount Sinai Intellectual Property Policy.
Dr. Helen Mayberg is a named co-inventor on a novel method for using deep brain stimulation (DBS) in a specific region of the brain (the subcallosal cingulate area) as therapy for treatment-resistant depression. This method has been licensed to Abbott Laboratories, and Dr. Mayberg has received and is entitled to receive future royalty payments from Functional Neuroscience related to this method. Dr. Mayberg receives financial compensation as a consultant for Abbott Laboratories on their ongoing and future multi-site clinical trials of DBS for depression. Dr. Mayberg is a co-inventor on a patent application that describes a method of determining the optimal electrode placement for deep brain stimulation for the treatment of depression. This technology is filed through Mount Sinai and currently unlicensed. Dr. Mayberg is also a co-inventor on technology describing novel brain biomarkers for depression. This technology is filed through Mount Sinai, and currently Medtronic holds a non-exclusive license for this technology. Dr. Murrough is named on a patent pending for use of KCNQ channel openers (such as ezogabine) to treat depression.

BY ALISON DALTON
Doctors who focus on women’s health see it all the time. A patient approaching 50 has sought out numerous physicians in the last year or so. Because she’s had heart palpitations, she has seen a cardiologist and has undergone countless tests and workups. She has been experiencing brain fog and has consulted a neurologist as she’s worried about dementia. She has gone to a sleep physician because she’s been waking up several times a night for the last two years. For her occasional urinary incontinence, she has seen a urologist. And she has been referred to a psychiatrist because she’s been told these symptoms might “just” be due to anxiety. Yet the patient is still in the dark about why her symptoms are occurring— and left wondering if there might be an underlying cause for all of them.
CHARTING A NEW PATH FORWARD
Mount Sinai is guiding the way out of this daunting health care maze by creating the Carolyn Rowan Center for Women’s Health and Wellness and cultivating a strong culture of collaboration. Leading this
venture: Joanne Stone, MD, MS, the Ellen and Howard C. Katz Chair of the Raquel and Jaime Gilinski Department of Obstetrics, Gynecology and Reproductive Science at the Icahn School of Medicine at Mount Sinai.
“Being at the forefront of transforming the way women’s health care is delivered is incredibly special,” she says of Mount Sinai’s pioneering initiative.
“The current landscape of women’s health is plagued by issues of fragmentation, lack of communication, lack of awareness, and lack of treatment for certain conditions,” says the Center’s newly appointed Chief Medical Strategy Officer, Anna Barbieri, MD. Taking a radically different approach to women’s health care, the Rowan Center is being designed to change all that.
“Mount Sinai’s leadership understands the challenges and has the courage to deal with them in an innovative way,” says Dr. Barbieri, who has dedicated her career to helping women navigate life and health transitions.
“Integrative health is defined by optimal function of mind, body, and spirit, which requires personalized and coordinated care.
• Less than 11 percent of NIH funding goes to women’s health conditions.
• Federal funding for endometriosis, a condition that affects 6.5 million U.S. women, was $16 million in 2022. Funding for Crohn’s disease, which affects about 690,000 people, was $90 million—65 times more per patient.
• Women are 50 percent more likely than men to die in the year after a heart attack.
• More than three-quarters of all people in the United States who suffer from autoimmune diseases are women.
• Of those with Alzheimer’s disease in the United States, 66 percent are women.
• Nearly 75 percent of women who report significant menopause symptoms to their doctors do not receive any treatment.


When specialists don’t communicate with each other—and they commonly don’t— overriding issues, commonalities, inflection points can be missed,” says Anuradha Lala-Trindade, MD, Associate Professor of Medicine (Cardiology), and Associate Professor of Population Health Science and Policy at Icahn Mount Sinai. Because cardiovascular disease is the single greatest cause of death for women, prevention and management will be a core priority of the Center. “Traditionally, medicine has been solely focused on the extension of our lifespan or survival,” Dr. Lala-Trindade says. “Integrative health offers a paradigm shift wherein the focus is on optimizing health.”
At the Rowan Center, specialists in all aspects of women’s health will be housed under one roof in the Icahn Medical Institute building on the Upper East Side of Manhattan, permitting seamless communication. All will practice integrated and integrative medicine: proactive, coordinated, whole-person-oriented active prevention and treatment that many feel is the future of health care.
The Center will have a comprehensive perspective, using traditional treatments along with the most well-researched, evidence-based integrative and functional approaches. “I’ve learned—and teach— that we have tools we can use in addition
to medications and surgery,” says Dr. Barbieri, a physician who is board certified in Obstetrics and Gynecology as well as Integrative Medicine, a credentialed Menopause Practitioner, and Assistant Clinical Professor of Obstetrics, Gynecology and Reproductive Science at Icahn Mount Sinai. “That makes us better doctors.”
Complementary methods of treatment will range from precision testing, lifestyle changes, and mind-body practices to the use of acupuncture and certain botanicals and supplements. Alongside the most advanced, state-of-the-art therapeutics, nutrition, exercise, sleep, stress, and relationship management will be considered foundational to health, not secondary.
To achieve appropriate care, personalized medical pathways for each patient will be developed by employing artificial intelligence. Every patient’s health will be carefully assessed and tracked throughout their lifetime. “We want to help women obtain the right care at the right time, right from the onset,” Dr. Barbieri says.
Patient education is an important part of integrative treatment. Even during the intake process, a new patient will obtain relevant information and support from the Center. For example, she might learn that her heart palpitations, disrupted sleep, and other symptoms could be related to perimenopause as the cause, rather than to several unrelated conditions.
From there, she’ll receive a thorough medical evaluation to determine if she needs an immediate referral to one or more specialists. In-house pelvic floor physical therapy—an effective therapy for pelvic floor dysfunction that is underutilized in the United States, according to Dr. Barbieri— might then be prescribed for her occasional incontinence. She’ll also learn how a change in diet and lifestyle could make a real difference during perimenopause. Of course, medical management and hormone therapy are also useful and sometimes appropriate tools as well.
Ultimately, the Rowan Center will seek to empower women with the means to optimally care for their bodies. “There’s really nothing like this anywhere else in the country,” says Dr. Stone.
“It’s not easy to talk about sexual dysfunction, or weight gain, or being stressed and anxious,” says Dr. Stone, who is also Director of the Mount Sinai-Rainbow Clinic, which focuses on reducing stillbirths and supporting women and families who have experienced pregnancy loss. “So we’re creating an environment where the people you speak to—clinicians, physician assistants, and nurse practitioners—are really listening to you.”
The Center itself will have a spa-like feel, with patient navigators to guide women in their health and wellness journey and manage the coordination of care for those following more complex treatment plans.
“We’re starting to recognize that women’s health is not just pregnancy health. It’s also heart health and brain health. It’s all of those things and more,” Dr. Barbieri says.
But stark disparities still exist in funding for research, allocation of resources for clinical care, and even reimbursements, for conditions that predominantly affect women:
• Nearly 45 percent of women age 20 and over are living with some form of cardiovascular disease (CVD). “It’s not just heart attacks— it’s a spectrum of a disease,” says Dr. LalaTrindade. “In cardiometabolic disease, for example, insulin resistance and obesity may be predominant to overt coronary artery disease.”
• Sexual health has been extensively researched in men but “incredibly ignored in women,” says Dr. Stone.
• Mental health disorders are much more frequently diagnosed in women than in men but often go unrecognized and untreated.
• Menopausal symptoms are seldom discussed or treated, and this neglect has both individual and broad economic and societal effects.
Even medications are skewed to males: Although drugs can act quite differently in women than in men, women have historically been excluded from treatment studies.
To address such disparities, specialists will include a cardiologist, sexual health specialist, psychiatrist, menopausal health expert, social workers, and others. Researchers will target female-specific biology and integrate their findings into clinical application, launching new, multidisciplinary studies as well as bench-to-bedside initiatives. With the ultimate goal of improving patient outcomes, the Rowan Center will actively recruit participants, house research coordinators, and provide the necessary infrastructure to conduct such high-level investigations.
Assessments will also be routinely performed at the Center to identify patients’ risk factors for physical and mental disorders. With risk factors identified, preventive measures can be taken and major medical issues avoided. “For example, if you’ve had preeclampsia, you’re at higher cardiovascular risk and metabolic risk later in life,” Dr. Stone says. “So we’ll set you up with a cardiologist and an endocrinologist to follow your care.”

Fifty percent of women age 45 and older seek out complementary treatments, such as acupuncture and herbal supplements, outside of a doctor’s office. But these women are often unsuccessful in resolving their issues. “They may have gone to a specialist and have simply been offered an antidepressant,” says Dr. Barbieri. “They might— often rightly—conclude that their practitioner places little value on non-mainstream treatments and doesn’t know much about them.”
However, the effectiveness of complementary treatments has largely gone untested, and some people may use options that are ineffective at best and harmful at worst. The Center plans to research and evaluate such treatments to identify those that are helpful, with the aim of achieving coverage and policy change.
The Rowan Center has the enthusiastic backing of Dennis S. Charney, MD, Anne and Joel Ehrenkranz Dean of Icahn Mount Sinai and President for Academic Affairs of the Mount Sinai Health System. “Dean Charney has been incredibly supportive,” says Dr. Lala-Trindade. “As the father of four daughters, and as a devoted husband, he’s acutely in touch with the need for comprehensive women’s health care.” He is also a fierce advocate for advancing equity and enhancing care for all patients at Mount Sinai and beyond.
As Dr. Barbieri says: “Women’s health does not exist separately from men’s health or total human health. I’m hopeful that the Rowan Center will serve as a model for how we can create a healthful environment for all.”

“Imagine a wellness center for women where you know you’re getting the best care, where all of the best doctors are focused on you, and every interaction comes from a place of caring,” says Carolyn Rowan, who recently made a transformational gift to establish the Carolyn Rowan Center for Women’s Health and Wellness. “I was born at Mount Sinai, my children were born at Mount Sinai, and I feel so fortunate to be able to do this with them.”
Ms. Rowan joined Mount Sinai’s Boards of Trustees in 2023, crediting the decision to her lifelong fascination with health care, medicine, and wellness. Her vision is to help future generations of women experience a lifetime of well-being in mind and body by enlisting providers who are at the top of their practice in every area of women’s health. A philosophy of prevention will be primary to the Rowan Center, together with personalized clinical care and cutting-edge research, foundational pillars on which Mount Sinai stands.
“Women’s health does not exist separately from men’s health or total human health. I’m hopeful that the Rowan Center will serve as a model for how we can create a healthful environment for all.”
– Anna Barbieri, MD
She strongly believes that offering women’s health services at a single location is central to ensuring women receive care and attention of the highest quality. Not only will the convenience of accessing multiple services at the same location lower barriers to care, but such proximity will naturally empower provider collaboration, improving health outcomes while giving every patient certainty that care is centered on them.
BY RANDY YOUNG
One day, genotyping individuals at birth will be as commonplace as an annual physical exam— providing patients and their physicians a detailed schematic for detecting future health risks as well as an entirely new platform for treating and, ideally, preventing disorders from ever occurring.
The Mount Sinai Million Health Discoveries Program is accelerating this revolution. In a commitment to building one of the largest and most culturally diverse biobanks in the world, Mount Sinai aspires to bring leadingedge genetics and scientific research into everyday patient care. In the two years since its launch, the program has enrolled more than 250,000 patients and sequenced the exomes of 80,000 of this cohort. Today, the project is on target to reach its critical mission goal of one million active participants within the next four years.
Numbers, though, tell only a partial story.

Behind the figures are the ongoing refinements undertaken by program leaders to ensure that an effort of this magnitude remains clinically, operationally, and economically optimal—creating a model for future initiatives that are expected to include large segments of the U.S. population.
“Our experience has been like a logistical Rubik’s Cube: figuring out how to build the research activities necessary to grow this program—then how they can enrich clinical practice. We aim to do this in a way that isn’t disruptive, but instead yields a scalable effort unlike anything we have ever done before at this institution,” says Alexander Charney, MD, PhD, founder and leader of the initiative and Director of the Charles Bronfman Institute for Personalized Medicine at the Icahn School of Medicine at Mount Sinai. “We’re meeting our milestones, but I know we can always do better. I want this study to meet our ambitious target in half the time. That’s the mindset by which I operate.”

Research Assistant Ricardo Johnson places blood samples into -80°C freezer storage at a facility established specifically for the Mount Sinai Million Health Discoveries Program.

The team behind Mount Sinai Million has responded earnestly to the challenge. On one major front, they have updated the patient enrollment process, creating a streamlined version of a prior Mount Sinai program for collecting DNA and plasma samples known as BioMe. In the process, they have boosted sign-ups to a once unimaginable 500 patients a day. Moreover, the Mount Sinai Million program recently became one of only a few biobanks to add pediatric patients to its population mix, with the goal of advancing genomic medicine to battle childhood disease. And it began putting in place a specialized clinical team along with the tools and processes needed to return actionable findings to patients. Patients will be informed about genetic variants found in sequencing their DNA that might be associated with conditions as common as diabetes and high cholesterol or as rare as Huntington’s disease and hereditary transthyretin amyloidosis.
“The most important part of our program is how we bring relevant and actionable information back to the clinic and providers in order to improve care and outcomes for our patients,” says Girish N. Nadkarni, MD, MPH,
who founded and leads the initiative alongside Dr. Charney and, along with Dr. Charney, is Director of the Charles Bronfman Institute for Personalized Medicine, and the Irene and Dr. Arthur M. Fishberg Professor of Medicine at Icahn Mount Sinai. “We are finally in an age where we can personalize treatment strategies to the genetic profiles of our patients for conditions like hypercholesterolemia or high blood pressure. But to do that at scale, we need genomic information from millions of individuals, a role that the Mount Sinai Million Health Discoveries Program is uniquely equipped to fulfill.”
The program is not alone in this pursuit.
The National Institutes of Health (NIH) has its own biobank, All of Us, also with an enrollment goal of a million people. “The difference is that NIH has the resources of the federal government to reach its goal,” says Dr. Charney. “We’re trying to accomplish this on a much more modest budget and in an even shorter timeframe.”
Creating a new “low touch” process for achieving informed consent of prospective participants is proving to be the most expedient route to that goal. This entails a significant departure from the cumbersome,
“We’re meeting our milestones, but I know we can always do better. I want this study to meet our ambitious target in half the time.”
– ALEXANDER CHARNEY, MD, P h D
hour-long enrollment regimen of the past that required people to sit down with a research staff member to comb through, discuss, and finally sign an extensive authorization document. By contrast, the new protocols essentially allow patients to negotiate this process on their own by building consent into the standard check-in process prior to an appointment with a Mount Sinai physician—a step unprecedented in the research space. This has already been operationalized for many patients through modifications to MyMountSinai, the app that allows digital interaction with the Mount Sinai Health System. One initial measure of success: About 40 percent of patients who encounter the Mount Sinai Million program on MyMountSinai actually enroll.
While pleased with those results, architects of the new format are working to make it even better by bringing into the fold those treated at Mount Sinai who don’t use MyMountSinai—about half of all patients. This required creating a consent process available during check-in at the desk of a provider office. At the same time, the team found this was a timely opportunity to bring enrollment into the electronic age by deploying artificial intelligence (AI) to process voluminous amounts of data residing in patient records in a more efficient and cost-effective way.
“We’ll be using an AI algorithm to scan all the clinical data we have gathered to identify who has consented to be part of our genomics program and who hasn’t,” says Dr. Nadkarni, who is also Chief of the Division of Data Driven and Digital Medicine. “For the latter group, we plan to do personal outreach, driven by software and AI pattern
recognition that tells us which patients might benefit most from being part of Mount Sinai Million based on their medical histories and risk for genetic disease.”
In another significant milestone, the Mount Sinai Million program began actively enrolling pediatric-age patients in 2024 with the intent of growing their number to 10 percent of the study’s total population. This determined effort to turn the spotlight on childhood disease is unusual for the field of biobanking, which typically courts adults who are in the 50-and-over age range and have amassed significant medical files. The nascent recruiting of children under 18 is initially focused on inpatients at Mount Sinai Kravis Children’s Hospital, with plans to soon include newborns.
For Bruce D. Gelb, MD, Gogel Family Chair and Director of The Mindich Child Health and Development Institute at Mount Sinai, the decision to bring children under the Mount Sinai Million umbrella was essential. “If you only look at adults, you miss the opportunity to explore problems that are sometimes lethal and can only be studied in children,” he says. “There are many disorders that affect adults—like diabetes, Crohn’s disease, and autism—that can be
more easily studied and linked to genetic mutations when they appear in early childhood.”
Studying children brings its own set of challenges. Because this population typically has sparse medical histories compared to adults, pediatric providers and their staffs must consistently engage and learn from parents and families about developments and changes in their children’s health. “We can’t take a passive approach and expect to learn from medical records,” Dr. Gelb says. One workaround lies in the fact that blood samples—the linchpin of the Mount Sinai Million program—can be extracted from the umbilical cords of newborns at Mount Sinai. And for those who continue to receive pediatric care within the Health System, the DNA necessary for genetic sequencing can be gleaned from the children’s saliva, easing the minds of parents who may be wary of collecting blood solely for research purposes.
“We remind parents of the important contribution they’re making,” says Dr. Gelb, who is also Dean for Child Health Research. “Even if our study isn’t benefiting their child now, they’re helping other families understand why some children thrive and others don’t. This is vital research that we hope will translate into treatments and strategies that could potentially save lives later on.”

In fact, genetic insights from the Mount Sinai Million initiative have already begun transforming patient care. The vast field of cardiovascular medicine is one example. Large datasets emerging from the program’s sequencing enable scientists to identify variants in the complex genetic code of patients. Some of these mutations can predispose carriers to a host of common disorders, like familial hypercholesterolemia, which is associated with very high cholesterol levels and, in turn, high risk of premature coronary artery disease, including heart attack.
“Knowing if someone carries the genotype for familial hypercholesterolemia can be extremely useful not just to them, but to family members who should also be genetically tested for the disease,” says Deepak L. Bhatt, MD, MPH, MBA, Director of the Mount Sinai Fuster Heart Hospital and the Dr. Valentín Fuster Professor of Cardiovascular Medicine at Icahn Mount Sinai. With this baseline knowledge, doctors can begin treating the patient’s cholesterol very aggressively with injectable and potent medicines like PCSK9 inhibitors. “Even if they don’t currently have the disease, just knowing they harbor the genotype can alert them and their physician to the sort of symptoms that can emerge later in life.”
Hypertrophic cardiomyopathy and aortic aneurysm are other widespread cardiovascular disorders known to have a strong genetic pedigree. “Cardiology has been somewhat behind the curve in embracing the value of genetics in diagnosing and treating disease,” says Dr. Bhatt. “But I believe we have a real opportunity over the next decade to completely transform cardiology in the same way oncology has used genetic science to successfully change its approach to cancer care.”
For Dr. Charney, the program leader widely known for his groundbreaking work with schizophrenia and bipolar illness, the fruits of the genomic revolution are already being harvested. His lab has identified a genetic variant from the data of one patient with a family history of schizophrenia that could provide a key biological clue to the etiology
of the disease in that family, and potentially many others. Dr. Charney—who is also Associate Professor of Genetics and Genomic Sciences, Psychiatry, Neuroscience, and Neurosurgery at Icahn Mount Sinai— worked with his team to create a research protocol around the patient. Based on further neurobiological testing and a comprehensive analysis of brain cells, they are developing a novel treatment for schizophrenia that has been submitted for the earliest stage of review by the FDA.
“Translating what we know about the genetics of schizophrenia into clinical practice is important to me at a personal level, and certainly a motivating factor for my work,” he says. “I want to cure schizophrenia, and I see the Mount Sinai Million Health Discoveries Program as a critical part of that mission.”
Helping to accelerate that translational groundwork is the Institute for Genomic Health, which oversees the effort within Mount Sinai to harness the power of genomic discovery to develop new ways to prevent and treat disease. Vital to that growing effort is Michael Murray, MD, named Clinical Director of the Institute in 2023 following his cutting-edge clinical integration work in genomic medicine at Harvard and Yale medical schools as well as Geisinger Health System. At Mount Sinai, he is creating the Genome First Committee whose members, each with genomic expertise, will develop a prioritized list of genes associated with significant risk for disease. This team will then proactively look for disease-associated changes in these genes for those participants who express interest in knowing. Reports of these changes will be delivered to the patients and their providers, along with recommendations for best proactive steps to take. Because a different surveillance and management strategy is required for each gene and its associated condition, Dr. Murray notes that the program’s success requires teams of disease specialists and geneticists to guide this clinical care and improve health.

MD,
Department of Medicine at Icahn Mount Sinai, frames the challenge this way: “Once we get to a million participants, we will have an enormous amount of data to manage and give back to patients who need to be informed. Genetic counseling may be needed if actionable genes are detected so that participants understand their ramifications. Test findings may be an issue not just for patients, but also for family members who will require screening. Clearly, a whole workflow must be created around these genes, and we’re coming together as a health system to ensure we have all the necessary tools, processes, and specialists in place to provide our patients with that information in a very helpful, efficient, and non-alarming way.”
The steps Mount Sinai is taking to help catapult the untold promise of genetics into the medical mainstream have not gone unnoticed outside the Health System.
“We are receiving inquiries from other


“We are creating a blueprint we believe could be applied to any U.S. health network that wants to sequence the genomes of its patients, build that information into its databases and gain insights into the nature of disease, and, ultimately, improve care.”
– DENNIS S. CHARNEY, MD
health centers around the country,” says Dr. Nadkarni, “and because of our commitment to open science, we are sharing useful information and lessons learned from our pioneering program.”
Dennis S. Charney, MD, the Anne and Joel Ehrenkranz Dean of Icahn Mount Sinai and President for Academic Affairs for the Mount Sinai Health System, endorses that philosophy. “We are creating a blueprint we believe could be applied to any U.S. health network that wants to sequence the genomes of its patients, build that information into its databases and gain insights into the nature of disease, and, ultimately, improve care.”
Dr. Charney adds that the technology to develop medicines personalized to a patient’s genetic information is here, as is the ability to sequence everyone’s genome. “I want Mount Sinai to become the place where the efficacy of this critical new chapter of medicine is being written,” he says. “We’re ready to lead the way.”


Mount Sinai pursues innovative, translational research in gene editing and immunology to develop new treatments
BY MARK GAIGE

t some point in their lives, nearly 40 percent of people alive today will be diagnosed with cancer. Facing down such formidable statistics, physicians and scientists at Mount Sinai are advancing on the disease with unwavering resolve. From AI-driven drug discovery to tailored, gene-based treatments, their ingenuity is creating optimism and offering second chances. These and other sophisticated technologies, such as data analytics and robotics, are raising much-needed hope for patients and clinicians alike.
“We are intent on developing potent therapy options through an expansive portfolio of clinical trials, while upholding equity in cancer care and addressing the distinctive needs of the patient populations we serve,” says Ramon E. Parsons, MD, PhD, Director of The Tisch Cancer Institute and Dean for Cancer Research at the Icahn School of Medicine at Mount Sinai. “Gene editing and immunology research allow us to put our finger on the causes of cancer and identify potential solutions with far more precision and power than at any time in history.”
A decisive biomedical advance, gene editing can add, remove, replace, or alter DNA, improving understanding of gene function, correcting damaged genetic code, and pinpointing new drug targets— widening the overall margin of scientific maneuvering.
Perturb-map is a potent spatial genomic technique developed by Brian Brown, PhD, Director of the Icahn Genomics Institute at Icahn Mount Sinai. Perturb-map goes beyond just giving researchers an ultradetailed view of tumors and their contextual microenvironment—the intricate ecosystem of cancer cells, immune cells, blood vessels, and other components within and surrounding the tumor. Perturb-map enables scientists to determine precisely which genes are the master regulators of the tumors and their environment or how cancer resists a drug. This in turn enables researchers to
identify a cancer’s vulnerabilities and target them for therapy. The Brown Lab has done just that, using Perturb-map to identify a potential new treatment for ovarian cancer.
A leading contemporary cancer paradigm emphasizes the importance of discovering the genes that allow cancer cells to develop, grow, and survive. This paradigm allows therapeutics personalized to a patient to target specific tumor cells and relevant sites—a branch called precision medicine—to make treatment more effective, while sparing healthy cells and tissues. But how do scientists know which genes cause or contribute to cancer? One way is via a gene knockout, a process that permanently erases genes from an organism or inactivates them through nonsense mutations. Scientists can then study the effects of shutting off or removing a specific gene—clarifying its function. One well-known technique for gene knockouts is CRISPR. Unfortunately, this process is relatively slow and labor intensive, given that there are 20,000 genes in the human genome that cancers may be using to aid their growth and hide from the immune system.

Dr. Brown, who is also Associate Director of the Marc and Jennifer Lipschultz Precision Immunology Institute at Icahn Mount Sinai and a member of The Tisch Cancer Institute, decided that the paradigm of how scientists search for genetic vulnerabilities in cancer needed to change. His goal: to supercharge the approach and bring it into the genomics era. This vision inspired Dr. Brown and his team to develop Perturb-map, which enables simultaneous high-resolution snapshots of hundreds of tumors that have certain genes knocked out. These images reveal how each gene contributes to the tumor’s growth, its architecture, its blood vessels, and even its ability to metastasize to different organs. This advance has far-reaching implications not only for understanding tumor biology, but also for discovering new drug targets.
The Brown Lab has been trying to determine why some cancers are resistant to immunotherapy. One example is ovarian cancer, which is the deadliest gynecological malignancy. More than 12,000 women in the United States die from ovarian cancer each year, making it essential to find new treatments. While immunotherapy has benefited many cancers, it has not yet worked for ovarian cancer. Dr. Brown and his team applied Perturb-map to help discover why—and what they found was unexpected.
Their studies revealed that ovarian tumors turned on a gene called IL4 that was making the tumors resistant to immunotherapy. IL4 is normally associated with inflammatory diseases like asthma and eczema, and a drug that blocks IL4 is widely used to treat these diseases. Dr. Brown’s team found that when they gave an IL4 blocking drug to animals with ovarian tumors, their cancer went from being resistant to immunotherapy to shrinking—greatly prolonging the animals’ lives. Given the excellent safety record of the IL4 blocking drug, the Brown Lab hopes to start clinical trials within the next year to see if their findings can help prolong the lives of patients with this deadly cancer.


Prostate cancer is the most frequently diagnosed cancer and the second leading cause of cancer-related death in men. If confined to the prostate and caught early, it is highly curable. The five-year relative survival rate is almost 100 percent.
But if it spreads to other parts of the body via circulating cells that detach from the site of an original tumor—the primary target is almost always the bones—the five-year survival rate plummets to 28 percent. The key, therefore, is preventing metastasis, which is responsible for about 90 percent of all cancer deaths.
While progress has been made in many areas of cancer medicine, metastasis is not one of them. The death rate has remained

static for decades. Juan Arriaga, PhD, Assistant Professor of Oncological Sciences and Urology, is determined to change this.
In the case of prostate cancer, Dr. Arriaga and colleagues have identified the CITED2 gene as a driver of prostate-to-bone metastasis. Using CRISPR, the team shut down or activated genes in a mouse model to identify those that could promote prostate-to-bone metastasis. If activating a gene led a nonmetastatic tumor to spread elsewhere, the team classified the gene as a metastatic driver. This was the case with the CITED2 gene.
Specifically, Dr. Arriaga found that when CITED2 sufficiently stimulates (“upregulates”) the E2F1 gene—which regulates cell division/replication—inactive tumors can turn metastatic. Paradoxically, in some tumors, CITED2 does exactly the opposite and “downregulates” E2F1. The takeaway is that it is not just the presence of CITED2 but rather its interface with E2F1 that pushes metastasis.
This finding means a drug aimed at the gene could prevent or slow down prostateto-bone metastasis. While CITED2 itself is not currently a “druggable” gene that can be targeted by a medication, selectively
inhibiting it from binding with other genes, such as E2F1, could be a viable indirect strategy. Another implication of Dr. Arriaga’s finding is that CITED2 might serve as a biomarker for monitoring prostate cancer progression and metastasis.
Lung cancer is the leading cause of cancerrelated mortality in the United States, comprising about 20 percent of all cancer deaths. There are two main types of lung cancer: small cell and non-small cell.
Small cell lung cancer is the most aggressive form of lung cancer—usually affecting people with a long history of smoking—and comprises about 15 percent of all lung cancers. This cancer lacks successful targeted therapies, and recently approved immunotherapy has modest benefits in a small percentage of patients.
Triparna Sen, PhD, Associate Professor of Oncological Sciences and Co-Director of the Lung Cancer PDX Platform at Icahn Mount Sinai, is using gene editing techniques like CRISPR to identify novel drug targets that modulate the immune system and augment the response of immunotherapy for small cell lung cancer.
Dr. Sen had established that DNA damage repair proteins like ATR, CHK1, PARP, and WEE1 are promising targets, as small cell lung cancer cells are killed by treatment with drugs that inhibit these proteins.

“ Because of innovative approaches like those being developed at Mount Sinai, putting cancer in remission looks increasingly possible.”
– RAMON E. PARSONS, MD, P h D

In recently published studies, Dr. Sen has further shown that targeting these DNA damage repair proteins can activate the immune system in small cell lung cancer. The combination of DNA damage repair inhibitors and immunotherapy resulted in complete tumor regression in the majority of treated mice. Dr. Sen is now investigating the role of other DNA damage repair proteins as therapies for lung cancer and biomarkers for patient selection.
Drugs targeting ATR, PARP, and WEE1 are already in clinical trials, so the preclinical findings from the Sen Lab can be rapidly translated into the clinic for patients with small cell lung cancer and potentially other cancers that also have high expression of these proteins. The hope is that targeting DNA damage repair proteins could be a crucial step in stymying immune evasion, a major obstacle in treating small cell lung cancer, a disease with a poor prognosis.
Immunology is the study of the immune system—the body’s internal fortress against germs, viruses, and other invaders. Components include white blood cells, lymph nodes, bone marrow, and the spleen. Immunotherapy consists of a set of treatments that intensify the body’s counteroffensive against cancer by targeting specific tumor sites, called antigens, and unleashing antibodies at them.
“Cancer treatment has unfolded in a distinctive pattern over time,” says Dr. Brown, whose research encompasses immunology as well as gene editing. “First was surgery, then radiation, chemotherapy, targeted therapy, and now immunotherapy. Each of these modalities has given us a powerful new weapon against cancer.”
With immunotherapy, one focus is on increasing the number of “druggable” targets
for anticancer medications. Dr. Brown is pioneering a promising immunotherapy aimed at treating solid organ cancer. This new therapy uses gene engineering to program T cells with a molecule called a chimeric antigen receptor (CAR).
CAR T-cell therapy is chiefly used against blood cancers, such as leukemia, multiple myeloma, and lymphoma. A patient’s T cells—white blood cells that are part of the immune system—are removed and genetically engineered to boost their anti-cancer capabilities. These modified T cells are then returned to the body, where they hunt down and kill cancer cells—channeling explosive power directly at the cancer while sparing healthy adjacent tissue.
While CAR T-cell therapy is effective for many patients with blood cancers, it has not proven successful in treating solid tumors, such as ovarian, pancreatic, lung, or breast cancers. A major reason for failure is that solid tumors are like walled gardens. The
cancer cells are surrounded by non-cancer cells, called macrophages, which keep the CAR T cells from getting near the cancer. Dr. Brown and his team came up with a Trojan Horse strategy, designing their CAR T cells not to target cancer cells, but to target the macrophages.
Macrophages are specialized white blood cells that detect and destroy bacteria and other harmful organisms. They also have another function: They can turn off the immune system to keep it from overreacting. Cancers exploit this property of macrophages to protect themselves from T cells.
In an ingenious twist, Dr. Brown and his team have manipulated CAR T cells to kill tumor macrophages rather than cancer cells themselves—circumventing a longstanding choke point. The reengineered T cells do their job by targeting protein molecules on the surface of tumor macrophages. Importantly, Dr. Brown’s reengineered T cells only strike at the macrophages in tumors—bypassing nearby healthy tissue. Once the CAR T cells find the tumor macrophages and kill them, the tumor walls come down and the rest of the immune system rushes in.
Preclinical results have far exceeded expectations. When the researchers treated animals with aggressive lung, pancreatic, or ovarian cancers, the CAR T cells trafficked straight to the tumors, killed the macrophages, and shrank or eliminated the tumors. Survival rates were extended by months, and, in some cases, the cancer never returned.
Two tasks are on the horizon for Dr. Brown. First is exploring ways to shut down the macrophage-targeting CAR T cells if there is either too much risk or potential toxicity—a crucial capability for the technique to be approved for use in human patients. Second is to create human versions of the tumor macrophage-specific CAR T-cell therapy. This could pave the way for clinical trials for solid tumors.
Yizhou Dong, PhD, Professor of Oncological Sciences, Immunology and Immunotherapy, and a member of the Icahn Genomics Institute, has developed a cancer immunotherapy approach that uses lipid nanoparticles (LNPs) and messenger RNA (mRNA)—a therapy that encapsulates cellular instructions in tiny fat particles, similar to that of some COVID-19 vaccines.
Dr. Dong’s approach, which he calls CATCH, activates dendritic cells that prime T cells to kill cancer cells. Melanoma has been a primary focus. Like most cancers, when caught early, the five-year survival rate is high: 99 percent. But stage IV melanoma survival rates after the cancer metastasizes are about 20 percent.
In the case of COVID-19, specially tailored mRNA molecules instruct cells to make a copy of the virus’s distinctive spike protein. This then triggers a normal immune response against the genuine spike protein if someone is exposed to the coronavirus. But getting the mRNA to cells is challenging, because it quickly decomposes in the body. Even if the mRNA survives, it can’t easily muscle its way into the cell.
LNPs can house and ferry messenger mRNA, safely delivering it to cell interiors. There it stimulates the cell’s innate machinery to produce a pseudo-spike protein. Scientists were quick to see the potential for using LNPs to deliver specifically programmed mRNA to treat other diseases as well, including cancer.
A big problem with cancer is that tumor cells can switch off various stages of the cancer-immunity cycle—the process by

which dendritic cells train T cells to kill cancer cells—allowing the disease to grow and spread. Dr. Dong is working to address this.
He and his team use new types of LNPs that he devised to escort two mRNA packages to the melanoma cells to reactivate dendritic cells and jumpstart the immune cycle. The researchers also showed that CATCH removed impediments to effectiveness at other stages. The result is a profound change in the tumor microenvironment, from one awash with cells that weaken the immune response to teeming with cells that bolster tumordestroying capacity.
The researchers found that CATCH’s prowess extended to mouse-model tumors of B cell lymphoma, breast cancer, and brain cancer, suggesting that the approach could be effective against tumors that spread to other parts of the body.
“Treating cancer is tough. There are no easy answers. Significant advances aren’t easy, and progress isn’t always smooth. But because of innovative approaches like those being developed at Mount Sinai, putting cancer in remission looks increasingly possible,” says Dr. Parsons, who is also Ward-Coleman Chair in Cancer Research, Director of the Mount Sinai Tisch Cancer Center, and Professor and Chair of Oncological Sciences.
“We may not be able to fully erase cancer,” Dr. Parsons says, “but we can help break its power.”


Chief Executive Officer
Distinguished Chair
A conversation with Mount Sinai’s Chief Executive Officer about his vision for the Health System
YOU ARE NEW TO MOUNT SINAI’S LEADING ROLE, STARTING IN 2024. WHAT ARE YOU MOST EXCITED ABOUT?
First off, I’m incredibly proud to be part of the Mount Sinai Health System.
When I began my career, working on a mobile crisis intervention team decades ago, I never expected to lead a health system of this size. At the time, I wasn’t even planning on going to medical school. My experiences caring for those in crisis who were interacting with the health care system showed me firsthand how much room there was to improve the way we deliver care, and my career has focused on that quest.
This is my North Star when I stand at my patient’s bedside, the central driver behind my research and policy career, and the reason I am committed to innovating in care delivery. It’s easy to be negative about medicine these days—it’s a tough business—but it is also the most exciting time to leverage technology and consumer product growth to make health care coordinated, equitable, and patient-centered.
And that’s exactly what I love about Mount Sinai. Since our founding in 1852, we’ve been dedicated to treating those who were refused treatment elsewhere. When poor Jewish immigrant families had nowhere to turn, Mount Sinai was a refuge for those who had none—a place to turn to for help. And though the needs and communities we serve have changed since then, we hold fast to the conviction that compassion, care, and healing should be accessible to everyone, everywhere.
WHAT IS THE MOST INNOVATIVE PROJECT OR INITIATIVE MOUNT SINAI IS EMBARKING ON RIGHT NOW?
I could never pick just one! There’s a spirit of invincibility at the core of Mount Sinai, and it has always been part of our story. Staying at the forefront of clinical excellence requires constant transformation, and Mount Sinai’s history is one of reinvention and innovation. Our creativity shines in our basic science research, where we are focused on understanding novel biologic and chemical pathways, and targeting therapeutics to
improve health and cure disease. Our clinical care is constantly evolving as we invent, test, and implement new devices and procedures. And now, more than ever, we are focused on harnessing our creativity to change the experience of care delivery. This work includes our digital-first strategy, which drives the patient experience; our use of artificial intelligence to identify patients at risk; our partnerships to leverage technology to optimize our operational efficiency; and more.
As the health care ecosystem changes, our nimbleness and creative ethos will allow us to meet the needs of our patients and reimagine the nature of care delivery. Our researchers, clinicians, and educators are breaking barriers around what is possible. And our leaders are listening and learning from those who depend on us for their care.
So, maybe my answer about the most innovative things we’re doing isn’t about a big technological discovery, but rather about meeting people where they are— in simple ways.




We’ve been conditioned to think that big hospitals mean better care. While that can be true for complex procedures, much of the future of health care is local— asynchronous, virtual, in your home, and in neighborhood-based practices that provide personalized care—but connected to a giant infrastructure behind the scenes. By centering everything that we do on the patient experience, we can balance the benefits of staying local with the benefits of our enormous, world-renowned health system.
The doctor’s office near you is familiar, comfortable, and also a portal to the greatest minds in health care. This is the future, and we are bringing it to more than 400 community locations. Our patients find the unrivaled experience, expertise, and dedication of Mount Sinai’s medical team around the corner from a subway stop, across from the local elementary school, or in the comfort of their homes.
As the leader of one of the nation’s preeminent health systems, my most important job is to provide our people
with the resources they need to run our business, educate the next generation, advance science, and deliver quality compassionate care. I’m focused on trusting our people and giving them the tools they need to innovate in ways that I can’t imagine, but that they can. It’s about empowering each team member to grow and be a leader in their own right, because we deliver far better results together than we ever could individually.
At the end of the day, our mission is pretty simple. We exist for our patients and our people. To meet that promise in the coming years, I’ve created a series of pillars that will help to ground the transformation across Mount Sinai: the five Ps.
The first P is for People, representing both our patients and our workforce. The patients’ experiences and outcomes are paramount, and we commit ourselves every day to ensuring that we exceed their expectations. The second component of people—our workforce—is critically important to me. We’ve got extraordinary talent at Mount Sinai. We’ve got deeply loyal faculty and staff who are committed to the values and the mission of the organization. And the last few years have
been unimaginably difficult. I’m very close to the front-line providers, so this is personal for me. We will work hard to make sure that our people are cared for and that we are committed to helping them develop their careers.
The second P is for Priorities. As an organization, our educational programs are world leading, we’ve invested heavily in some key research areas, and we’ve grown clinical programs across the region and beyond. In the years after our 2013 merger with Continuum Health Partners, we were innovating at an exciting pace, communicating effectively, sharing best practices, and aligning across our sites— but then COVID-19 hit. While the pandemic brought us together in many ways, it also fragmented our sense of shared priorities. We’ve got work to do to make sure we pull knowledge from all across the system, align it with our business strategy, and communicate clearly on our institutional priorities.
The third P is our focus on Productivity Medicine is an art, a calling for the people who commit themselves to it, and a very personal experience for the ill and the injured who trust us with their care.
“EVERYTHING WE DO AT MOUNT SINAI IS IN SERVICE OF OUR FOUNDING CHARGE: PUSHING THE FRONTIERS OF MODERN MEDICINE AND BUILDING A FUTURE WHERE EVERYONE, EVERYWHERE CAN GET THE BEST CARE AND LIVE LONGER, HEALTHIER LIVES.”
–
BRENDAN G. CARR, MD, MA, MS
And it is also a business with very thin margins. In order to stay committed to our mission of serving our communities and doing our part to reverse the inequities that exist in health care, we have to run a smart business. This means investing in financial and operational tools to zero in on efficiencies in both our clinical and our administrative domains. It means we’re using tools including artificial intelligence to support our business, from procurement and supply chains, to getting paid by insurance companies, to making sure our ambulatory and hospital-based practices are always there for our patients.
The fourth P is for Partnerships. We’re connected to the communities around us, and those communities include strategic clinical and business partners. Two of our longstanding partners are the NYC Health + Hospitals Corporation (H+H) and the Department of Veterans Affairs (VA). H+H is the city’s public hospital system, and we’ve been the clinical partner for two of their hospitals—Elmhurst Hospital Center and Queens Hospital Center—for more than half a century. Our histories and our missions are intertwined; many of their doctors are on our faculty, and many of our trainees spend time at these centers.

But these partnerships are just the beginning. The transformation that is happening in health care includes partnerships with private companies, startups, large technology companies, independent hospitals, and more. Health care is too big for us to transform it alone, and there is a lot of expertise that exists outside of our organization.
And finally, we will focus on Pioneering advances in education, research, and clinical care. For more than 150 years, Mount Sinai has not only been known as the “House of Noble Deeds,” but also as a destination for transformational education and groundbreaking research. Our medical school is internationally celebrated. And our educational and research portfolio includes the formidable Graduate School of Biomedical Sciences, a new Department of Public Health, and the Mount Sinai Phillips School of Nursing.
Every day at Mount Sinai, we improve health, cure disease, and provide comfort to our fellow humans. Our people uniquely understand New York’s communities because we come from the same neighborhoods we serve, and we’ve been serving those communities for generations. It’s not just something that makes us feel
good—it’s why we are good. Our future is bright because our mission is clear, and our people are amazing.
Everything we do at Mount Sinai is in service of our founding charge: pushing the frontiers of modern medicine and building a future where everyone, everywhere can get the best care and live longer, healthier lives. No matter how big the challenge, no matter how tricky the question, Mount Sinai has always found a way forward for our patients. And in the years to come, we will work to do so as a strategically aligned and coordinated health system—one in which our hospitals, ambulatory practices, and virtual and home-based care offerings are seamlessly integrated. We are now on the precipice of bridging our science, our clinical practice, and our operational expertise as a model to the world.
To best serve our community, we must unite as one Health System with an aligned mission and a culture of partnership. That’s why I’m excited about our shared vision to move into the future as “One Mount Sinai”—for our patients, for our people, and for our world.


Students at the Icahn School of Medicine at Mount Sinai arrive with diverse interests—and all graduate exceptionally well prepared to pursue careers in their chosen areas of focus. These dedicated alumni demonstrate the innovative spirit of Mount Sinai, wherever their varied paths of exploration and discovery may lead.
Written by Hannah Nelson
As Senior Partner at the consulting firm McKinsey & Company, Rupal Malani, MD ’05, leads the North American Health System practice and is based in the Cleveland office. A trained internist, she also holds a Master of Arts in Mathematical Finance and a Master of Science in Biostatistics from Columbia University. Combining these fields with her medical degree, Dr. Malani helps her clients better understand how to improve health system performance in a way that supports continued excellence in patient care and enhances the experience of clinicians and patients alike.
Dr. Malani designs and implements transformative programs with her clients. Several of these programs have included a portfolio of strategic recommendations that aim to drive growth while developing new revenue streams and reinforcing existing ones. She has also designed programs to holistically improve performance in clinical operations, access, and care continuity. Dr. Malani is particularly passionate about change management and engaging the organization—from leadership to the front line.
In addition, she has published on such topics as the financial sustainability of academic medical centers and steps being taken to enhance them. Most recently, Dr. Malani wrote about an expanding gap in the physician workforce—a dwindling number of providers coupled with escalating need. As a part of the project, her team conducted a physician survey to identify the root causes of the shortage. Their investigation revealed several factors that organizations can prioritize in their efforts to address the disparity between health care demand and physician supply.
Among her roles beyond those at McKinsey & Company, Dr. Malani serves on the advisory board for the Osler Medical Residency Program at The Johns Hopkins Hospital, where she trained in internal medicine. She also serves on the board of LAND Studio, which brings together the Cleveland community through public art installations, cultural programming, and civic space development projects.


When he started his residency, Justin E. Bird, MD ’04, MSH ’09, thought he would go into sports medicine. Then he began working with patients being treated for musculoskeletal cancers. Some of those challenging cases required coordination of care between an orthopedic oncologist and a spine surgeon, and he realized that by combining the two specialties, he could improve patients’ care and outcomes.
Dr. Bird earned his medical degree with distinction in research, conducting novel studies on age-related changes in bone and their effects on biomechanical properties. He was also elected president of the Mount Sinai chapter of the Student National Medical Association. Later in his orthopedic residency, an elective rotation in Malawi exposed him to spine surgery, which solidified his desire to combine specialties and create a meaningful clinical practice while also contributing to global health. After completing his orthopedic surgery residency at The Mount Sinai Hospital, where he was elected Chief Resident, Dr. Bird dedicated a year to a medical mission in Liberia, West Africa.
Now, patients refer to his care as “a true gift,” noting that he is kind, respectful, and knowledgeable. An Associate Professor in the Department of Orthopaedic Oncology at the University of Texas MD Anderson Cancer Center, Dr. Bird has become a leader in the field, specializing in the surgical treatment of complex spine and pelvic tumors. He also holds adjunct appointments in the Texas A&M Department of Multidisciplinary Engineering and Rice University’s Department of Bioengineering. In his clinical practice, Dr. Bird uses 3D and computerassisted technology for complex tumor resections to deliver the most advanced and precise care possible.
As founding Director of the Learning Cancer Outcomes Research Program for the Department of Orthopaedic Oncology, he rigorously evaluates health outcomes data to continuously improve standards of care. Additionally, Dr. Bird serves as the Division of Surgery Innovation Safety Officer at MD Anderson, where his passion for innovation led him to establish the IDEAS Lab @ MD Anderson, a groundbreaking medical device accelerator program that pairs visionaries with the intellectual, engineering, and other resources they need to turn their ideas into realities. A prolific inventor of surgical devices and implants, Dr. Bird demonstrates a resourceful spirit that has contributed significantly to the advancement of surgical techniques and improved outcomes.
While a rare disease or condition is one that affects less than one percent of the population, there are more than 7,000 such conditions that together affect more than 30 million people in the United States alone. Most of these conditions have no approved therapies, and there may be little ongoing research to support diagnosis or the development of new treatments.
Nicole Parker, PhD ’13, is committed to pursuing innovative therapies for rare disease patients with high unmet medical needs. An experienced regulatory strategist with more than a decade of U.S. and global regulatory experience in early- and late-stage drug development, Dr. Parker speaks highly of the Graduate School of Biomedical Sciences at the Icahn School of Medicine at Mount Sinai, where she focused her doctoral work on genetics. She says Mount Sinai was exceptionally well positioned to support her interests in translational medicine, allowing her to develop basic research questions while always keeping future medical applications and the needs of patients top of mind. For example, while studying a research model of mesenchymal stem cell-mediated gene therapy for liver fibrosis, or scarring, Dr. Parker also had opportunities to collaborate with physicians and physician-scientists at Mount Sinai to understand disease progression and how a future therapy could be most impactful for patients. This experience inspired her interest in clinical development as well as her collaborations with global regulators and policymakers—all in an effort to develop new medicines.
Following completion of her graduate degree at Icahn Mount Sinai, Dr. Parker developed her career in regulatory strategy in ophthalmology and immunology assets at Genentech. Then, at Pfizer, she further specialized in hematology and neuromuscular assets, pediatric rare diseases, and gene therapy programs. She is now a Senior Director of Global Regulatory Strategy, Neurology, for Ultragenyx, which advances medicines for rare and ultra-rare diseases. With a focus on gene therapy and pediatric clinical development, Dr. Parker has extensive experience in negotiating complex interactions with the U.S. Food and Drug Administration, working to expedite review and approval of treatments for rare diseases, and pursuing policy initiatives to tighten up drug development timelines and ensure patient access to transformative medicines.


At Mount Sinai, we see it every single day.
Here, we share but a few messages of gratitude from patients whose exceptional care was made possible by philanthropy. We join them in thanking our donors for inspiring and empowering our vital work.
Mark Kostegan, FAHP Chief Development Officer Senior Vice President for Development Mount Sinai Health System
The notes from Mount Sinai patients included here were previously published with permission and have been edited for length and clarity.
“I was able to move my legs and all my toes and stand up. In one day, I went from not being able to walk to walking again.”
“My skin is now free of pain and infection. I feel a million times better than I have in my entire life.”
“We hear and read about ‘patient-focused’ care, and it sounds like a platitude. But my doctor wanted to know what kind of treatment would suit me and my lifestyle—even my psychology and personality. We settled on a treatment, and it felt like a miracle had happened.”
“I suffered from partial seizures, and now I am living a seizurefree life.”
“I was diagnosed with Crohn’s disease, and I would not be here today if it weren’t for my care at Mount Sinai.”
“With two surgeries, my doctors restored my eyesight.”
“I
had forgotten what it was like to live 100 percent pain free. My doctor and his team saved me from the emotional and physical distress I was going through every day.”
“When I took that first breath, it felt like such a clean, new breath of life. When you’ve gotten a second chance, it puts a new light on everything that you do.”
“Mount
Sinai saved my life— at least three times!”
“My vertigo was debilitating; I was unable to go anywhere. I just want to thank you for giving me my life back.”
“My son’s neurologist has brought comfort and stability into his life.”
DONATE TODAY
Discover a giving opportunity that resonates with you, make a gift to honor a loved one, or learn how to include Mount Sinai as a beneficiary of your will, trust, or retirement plan. Visit https://giving.mountsinai.org or call 212-659-8500.

KENNETH L. DAVIS, MD
Across more than 50 years, Kenneth L. Davis, MD, created a lasting legacy at Mount Sinai as a student, physician, educator, scientist, and chief executive officer who oversaw one of the greatest financial turnarounds in the history of academic medicine. These are his words on the future of health care and Mount Sinai’s role as a leader in patient care, research, and medical education:
“Fifty-one years ago, I was a graduate of the Mount Sinai Class of 1973. Now, even as we increase the power of medicine to heal, the nation’s health care system is broken and must change. The Icahn School of Medicine at Mount Sinai is dedicated to driving that change. This institution is part of our graduates’ identity for the rest of their lives, and along with this prestige comes a presumption of knowledge. People expect, with good reason, that our physicians and scientists have insight, that we can contribute to a solution.
“We need to change the balance of power toward those whose top priority is delivering patient care. We need to raise our voices and speak out. Mount Sinai is playing an important role in rectifying the inequalities in health care. Our ideas are making health care more efficient, more affordable, and more patient-centered. We have been, and will continue to be, a force for change and for good.”