

Mount Sinai SCiEnCE & MEDiCinE
Mount Sinai SCiEnCE & MEDiCinE
President and Chief e xe C utive Offi C er,
t he M O unt s inai Medi C al Center
Kenneth L. Davis, MD
a nne and J O el e hrenkranz d ean,
M O unt s inai sC h OO l Of Medi C ine
e xe C utive v i C e President fO r aC ade M i C
a ffairs, t he M O unt s inai Medi C al Center
Dennis S. Charney, MD
s eni O r v i C e President, d evelOPM ent,
t he M O unt s inai Medi C al Center
Mark Kostegan, FAHP
e ditO r
Celia M. Regan
a ss OC iate e ditO r s
Sara A. Daniels
Catherine Reilly
e ditO rial a ssistant
Rachel Constantine
C O ntributO rs
Philip Berroll
Norman Goldberg
Don Hamerman
Andrew Lichtenstein
Mark McGinnis
M C Ki B i LLo
Sima Rabinowitz
Matthew Septimus
Katie Quackenbush Spiegel
d esign
Taylor Design
Mount Sinai Science & Medicine is published twice annually by the office of Development, The Mount Sinai Medical Center, for an audience of friends and alumni. We welcome your comments; please contact us at magazine@mountsinai.org, or call us at (212) 659-8500. Visit us on the Web at philanthropy.mountsinai.org
About our cover Healthy Tissue this image was obtained by laser scanning confocal microscopy of normal human mammary epithelial cell colonies cultured in three-dimensional in vitro conditions. Provided by the tisch Cancer institute laboratory of eduardo f farias, Phd, assistant Professor, Mount sinai school of Medicine.


“ Cancer isn’t one disease—it’s hundreds, even thousands,” says Steven J. Burakoff, MD, director of the Tisch Cancer institute at The Mount Sinai Medical Center.
So look at it this way: Mount Sinai is part of a legion of bellicose medical institutions, waging thousands of battles against a formidable foe. in the past two years, we’ve brought in fighters whose brilliance and expertise makes them natural leaders of a vast army—the top brass, as well as those conducting the in-the-trench warfare that is integral to victory. Their dedication is already bringing new hope to us civilians.
or we can look at it another way: The extraordinary scientists and physicians who comprise the Tisch Cancer institute are working together to transform how we understand and treat—and prevent—cancer. They bring their new vision and offer us new hope, and we are proud to present their work in this issue.
Either way, we welcome your ideas and feedback. Air your views at magazine@mountsinai.org.
MILESTONES
This issue takes a look at Mount Sinai’s distinguished history of oncological research and medicine. Find highlights placed throughout the features. Science & Medicine is grateful to Mount Sinai's Archivist, Barbara J. Niss, who compiled these milestones.

Message
02 The Tisch Cancer Institute: Offering Promise
VIeW
03 Rising: The Center for Science and Medicine
NeWs
04 Helmsley Trust Awards $25 Million to Mount Sinai Heart + Jumping Up in the Rankings—Again + Clinton at Commencement + New Gene Therapy for Heart Failure + Cath Lab is New York’s Busiest and Safest + Breast Cancer Leaders Gather Round the Table
Faculty
09 Six Receive Honors and Recognition + 16 New Recruits Come On Board + Research Yields New Insights Into Addiction, Food Allergies, Gene Expression, Influenza, and Beethoven
gIVINg
41 The Dubins Partner and Build + Honoring the Klingensteins + Neustein Fellowship Winners + Adolescent Health Center Receives Its Largest Gift to Date + Spring Celebrations Include the Crystal Party, the FBI, the Glickenhaus Family, and an Evening With Deepak Chopra + Remembering Carol Pforzheimer + Honoring Your Doctors
aluMNI
50 A Closer Look at Alumna Dr. Janice Gabrilove + Dr. Goldstein Sends a Message + Mount Sinai Alumni Expand Your Networks + An Invitation to Alumni Weekend 2011
13 Cancer: New Vision. New Hope. 14 Help Wanted
Dr. Steven J. Burakoff
16 Centered: A Dialogue
Dr. George Raptis and Dr. Elisa Port
21 The Leadership to Cure
Dr. Sundar Jagannath 24 Viral
Dr. Marshall Posner 28 New Hope for Millions of Men
Dr. William Oh 32 Five a Day? It Can’t Hurt
Dr. Paolo Boffetta 34 Child’s Play?
Dr. James M. Gallo, Dr. E. Premkumar Reddy, and Dr. Michael H. J. Ohlmeyer
38 Quantum Leap
Dr. Kenneth Rosenzweig
MESSAGE
from ThE PRESidEnT


One in three Americans will face a cancer diagnosis during their lifetime. A daunting statistic, to be sure. But there is promise. Message
Biomedical science is advancing at a rate unimaginable just a few years ago, revealing the underpinnings of cancer and novel pathways for the development of new drugs that fight it. Doctors are delivering increasingly customized therapies for each patient—and patients are surviving to lead long, healthy lives.
And this is happening here, at Mount Sinai.
We began when the field was young—in 1885, a Mount Sinai doctor was the first to suggest that surgery spreads cancer. our voluntary physicians advanced and refined the field, differentiating between disease types (and naming many forms), harnessing the power of emerging technologies to develop novel therapies, and setting the bar with influential clinical guidelines for the most effective management of the disease. We are deeply indebted to all those who took on this fight voluntarily.
our hope for the future is built upon this past. over the past several years, Mount Sinai has invested in the recruitment of world-renowned experts who are waging a coordinated and highly collaborative war against cancer right here, within our walls. Mount Sinai is known for its multidisciplinary approach to research, and treatments are moving from the laboratory bench to the patient’s bedside—and back to the bench for further refinement—faster than ever before.
in this issue, we present Mount Sinai’s cancer leaders at the helm of the Dubin Breast Center; recently recruited scientists who are working to develop new drugs and examining the role of diet; extraordinary new work in head/neck cancers and multiple myeloma; the future in radiation oncology; and our newest prostate cancer expert, who uses genetic profiles to match patients with personalized treatment plans.
With your help and support, our pursuit of this goal has been relentless since the beginning. We look forward to that not-so-distant future when every cancer can be readily and permanently cured.
Kenneth L. Davis, MD
Dennis S. Charney, MD President and chief executive officer, anne and Joel ehrenkranz dean, the Mount Sinai Medical center
Mount Sinai School of
Medicine
executive Vice President for academic affairs, the Mount Sinai Medical center
For more photographs of this work-in-progress, please visit philanthropy.mountsinai.org

a birds-eye view of Mount sinai’s newest building-in-the-making: the Center for science and Medicine, located on Madison avenue, between 101st and 102nd streets. Quite literally the cornerstone of our strategic plan, the building will include six full floors of laboratories, four floors for the tisch Cancer institute, and nearly a half-million square feet of space.
Photo by Don Hamerman


The Leona M. and Harry B. Helmsley Charitable Trust Awards $25 Million to Mount Sinai Heart
“The breakthroughs— both scientific and clinical—that the Helmsley Center will foster will truly usher in a new era for Mount Sinai Heart.”
The Leona M. and Harry B. Helmsley Charitable Trust has awarded a $25 million grant to The Mount Sinai Medical Center to establish The Leona M. and Harry B. Helmsley Cardiovascular Translational Research Center. The Helmsley Center, which will comprise The Helmsley Molecular Research Center and The Helmsley Clinical Investigation Center, will put Mount Sinai at the forefront of prevention, diagnosis, and treatment of cardiovascular disease.
Kenneth L. Davis, MD, President and CEO of The Mount Sinai Medical Center, praised the foresight of the Helmsley Trust’s Trustees. “With the support of the Helmsley Trust, we are truly in a position to excel in research and to have a direct impact on patient care. The breakthroughs—both scientific and clinical— that the Helmsley Center will foster will truly usher in a new era for Mount Sinai Heart.”
The Helmsley Center will be a locus of exploration for novel methods including: using sophisticated gene therapy to repair damaged heart muscle; employing genetic tests to screen patients for risk assessment; and performing clinical trials to provide innovative patient therapies. The Center will accelerate the development of new drugs, devices, and protocols, and clinical trials that will allow promising interventions to move more quickly to the market and to the patient bedside.
This major grant follows earlier gifts totaling $37.25 million from the Helmsley Trust in 2009 to support Mount Sinai Heart and inflammatory bowel disease. The Leona M. and Harry B. Helmsley Trust supports a diverse range of organizations with a major focus on health and medical research. To date, the Trust has made more than $320 million in grant commitments to charitable organizations across the United States and abroad.
Pictured below left: Dr. Valentin Fuster (right), Director of Mount Sinai Heart, with Sandor Frankel (left) and Alvin Rosenthal, Trustees of the Leona M. and Harry B. Helmsley Charitable Trust.
The Helmsley commitment will support two critical areas:
The Helmsley Molecular Research Center, under the direction of Roger Hajjar, MD, will seek to understand congestive heart failure at the molecular level, target faulty genes, and use gene therapy to repair damaged muscle. The Center will also be working with Jean-Sebastian Hulot, MD, PhD, a world leader in pharmacogenomics.
The Helmsley Clinical Investigation Center, directed by Valentin Fuster, MD, PhD, Director of Mount Sinai Heart, the Zena and Michael A. Wiener Cardiovascular Institute, the Marie-Josée and Henry R. Kravis Center for Cardiovascular Health, and Richard Gorlin, MD/Heart Research Foundation Professor of Cardiology, and fueled by the basic science discoveries of Dr. Hajjar’s laboratory, will launch many clinical trials. One such trial, called the Freedom Trial, examines new approaches for diabetic diseases. Eighty-five percent of diabetics suffer from heart disease, and diabetic patients have both vascular differences and chemical differences in their blood when compared to other patients. The Freedom Trial, whose completion will be funded by the Helmsley Trust’s grant, compares intervention with drug-eluting stents to the traditional coronary artery bypass surgery to determine what works best specifically for patients with diabetes. The Center will also work with Rajesh Vedanthan, MD, PhD, an epidemiologist who focuses on global health, and Paolo Boffetta, MD, who focuses on clinical trials development, to pursue many clinical translational investigations to improve the care of patients with cardiovascular disease.
“It’s really remarkable when a foundation commits its resources with such depth. The faith placed in Mount Sinai Heart by the Helmsley Trust is inspiring—and will inspire great things,” says Dr. Fuster. “By integrating basic science research and clinical trials, the Helmsley Center will ensure that patients have access to the most innovative translational care.”
Mount Sinai Jumps in U.S.News & World Report Rankings
U.S.News & World Report recently ranked Mount Sinai School of Medicine 18th out of 146 medical schools nationwide—a jump of four positions in just one year, from 22nd in 2009. Since 2005, MSSM has risen 14 places, up from 32nd. No other medical school in the country has demonstrated such extraordinary improvement in the same span of time.
GERIATRICS
Mount Sinai Medical Center ranked first in geriatrics among 5000 hospitals nationwide.
“This achievement is the result of the talented physicians, researchers, and educators we attract and who in turn provide our students with extraordinary opportunities for mentorship in science and medicine,” says Dennis S. Charney, MD, Anne and Joel Ehrenkranz Dean of Mount Sinai School of Medicine and Executive Vice President for Academic Affairs at The Mount Sinai Medical Center.
No other medical school in the country has demonstrated such extraordinary improvement in the same span of time.
MEDICAL SCHOOLS
Mount Sinai School of Medicine is ranked 18th among 146 top medical schools nationwide.
The new rankings, which appeared in the 2010 edition of “America’s Best Graduate Schools” in April, are based on statistical indicators that measure the quality of a school’s faculty, research, and students. Criteria used in the rankings include peer assessment surveys, research activity, grade point averages, MCAT scores, and NIH funding.
The Mount Sinai Hospital has also improved in the 2010 edition of U.S.News & World Report, ranking in 13 of the 16 specialties listed, up from 11 in 2009, and ranking first in Geriatrics out of over 5,000 hospitals nationwide.
President Clinton honored at MSSM’s 41st Commencement
“What we have in common is more important than our differences,” former President Bill Clinton told Mount Sinai School of Medicine’s nearly 200 graduates at the 41st Commencement ceremonies held on May 13 at Avery Fisher Hall at Lincoln Center.


Citing the mapping of the human genome—an achievement accomplished during his presidency— Mr. Clinton addressed an audience of nearly 2,500 people, reminding them that every noticeable difference among them was “the result of something less than one-tenth and a half percent of our genome makeup. But otherwise we are the same.”
Mr. Clinton received an honorary degree for his contributions to the developing world and to the medically disenfranchised communities in the United States, including those served by Mount Sinai. Through the William J. Clinton Foundation, Mr. Clinton focuses on health issues ranging from HIV/AIDS in the developing world to childhood obesity in the United States. Mr. Clinton’s message reflected the concerns of a graduating class—of whom 116 earned MDs, 33 PhDs, 18 MPHs, and 31 MS degrees—committed to genetics research, providing patient care across international borders, and ensuring medical advocacy for underserved populations.
Honorary degrees were also given to Carol W. Greider, PhD, the 2010 Nobel prize-winning biochemist; Jim Yong Kim, MD, PhD, President of Dartmouth College; philanthropists Merryl H. Tisch, EdD, Chancellor of the New York State Board of Regents, and Trustee James S. Tisch, President and CEO of Loews Corp.; J. Craig Venter, PhD, the biochemist responsible for mapping the first human genome; and Shinya Yamanaka, MD, PhD, a surgeon who has had an outstanding research career in the field of pluripotent stem cells.
Kenneth L. Davis, MD, Mount Sinai’s President, said, “The future of health care, and your role in redefining it, is being shaped right now. Leave here with the same values that attracted you to Mount Sinai, which Mount Sinai practices every day, and that will hopefully guide you in the turbulent times that lie ahead.”
Dennis S. Charney, MD, Dean of the School of Medicine, credited President Clinton with laying the foundation for this future by investing in the research that would ultimately map the human genome and described how rapid advances in the field of human genetics would likely lead graduates to “participate in the most profound biomedical revolution in history.”
“You will stand on the shoulders of giants, of those who came before,” said Dr. Charney. “You will witness and participate in advances that many of us who trained you will never see and your generation will improve human health to a degree that most of us could only dream about. We envy you. And we know that the future is in good hands.”

Avery Fisher Hall (top) was the site of Commencement 2010, where former President Bill Clinton (right) received an honorary degree (above) from Drs. Davis and Charney, and Board Chairman Peter May.
MSSM Researchers Develop New Gene Therapy For Heart Failure
a team of researchers at Mount Sinai School of Medicine, led by Roger J. Hajjar, Md, Research director of Mount Sinai’s Wiener Family cardiovascular Research Laboratories, director of the Helmsley Molecular Research center, and the arthur & Janet Ross Professor of cardiology, Medicine, and Gene and cell Medicine, has developed a new gene therapy that is safe and effective in reversing advanced heart failure— a condition affecting nearly 6 million people in the united States.
the new therapy, SeRca2a (produced as MYdicaR®), is designed to stimulate production of an enzyme that enables the failing heart to pump more effectively.
“SeRca2a appears to be safe and effective in people with advanced heart failure,” said trial investigator
Jill Kalman, Md, associate Professor, Medicine and cardiology, director of the cardiomyopathy Program at Mount Sinai. “ there is a significant unmet need for treatments in this patient population, and these data indicate that SeRca2a is a promising option for them.” thirty-nine patients with advanced heart failure were enrolled in the cuPid (calcium up-regulation by Percutaneous administration of gene therapy in cardiac disease) trial—a randomized, double-blind, placebocontrolled study conducted over a six-month period. Patients who received the SeRca2a treatment demonstrated improvement or stabilization in symptoms, heart function, and severity of heart failure, as well as an increase in time between, and decrease in frequency of, cardiovascular events.
Mount Sinai’s Catheterization Lab Safest in New York State
The New York State Department of Health, in a report titled “Percutaneous Coronary Interventions,” recognized The Mount Sinai Hospital Cardiac Catheterization Laboratory for earning the state’s lowest 30-day risk-adjusted mortality rate and highest patient volume for a percutaneous coronary intervention (PCI), a minimally invasive technique used to treat diseased or blocked coronary arteries.

Mount Sinai was the only hospital in New York State to have two physicians individually recognized with a two-star rating for significantly below-average mortality ratings: Samin K. Sharma, MD, Director of the Cardiac Catheterization Laboratory, and Annapoorna Kini, MD, Associate Director of the Cardiac Catheterization Laboratory. Dr. Sharma was also one of only three physicians to receive a second double star for lowest overall mortality for non-emergency cases, a recognition he has earned multiple times.
The report compared outcomes of all 53 non-federal hospitals in the state from 2005 through 2007. During this period, Mount Sinai performed 13,030 angioplasties, the highest number of procedures in New York—and roughly 24 percent more than the hospital with the second-highest volume.


“Dr. Sharma is an exemplary physician and leader,” says Kenneth L. Davis, MD, President and Chief Executive Officer of The Mount Sinai Medical Center. “Under his direction, Mount Sinai’s cath lab team has earned distinctions that exceed those of any other institution.”
Dr. Samin Sharma (above, right)
Dr. Roger Hajjar (above, left)
Breast Cancer Roundtable
Breast cancer leaders and philanthropists throughout New York City attended a Breast Cancer Roundtable hosted by Dr. Kenneth L. Davis (right) at Mount Sinai on May 27, 2010. The event previewed the new Dubin Breast Center; the participants discussed the elements that constitute excellence in breast cancer programs and services.



Support t he Fund For Mount Sinai
Recognition &Awards






louis m. Aledort, mD
Jia Chen, ScD
Stanley mirsky, mD
Carol Porter, DNP, rN
William h redd, PhD
Stuart C. Sealfon, mD
Louis M. Aledort, MD, Given Lifetime Achievement Award
Louis M. Aledort, MD, Mary Weinfeld Professor of Clinical Research in Hemophilia, has received the prestigious Lifetime Achievement Award from the Hemophilia and Thrombosis Research Society (HTRS). Dr. Aledort, who created the concept—now adopted by centers around the world—of providing lifetime care for hemophilia patients, was honored for his distinguished career and outstanding contributions in the field of blood disorders.
Jia Chen, ScD, Receives IARC Award
Jia Chen, ScD, Associate Professor in the Departments of Preventive Medicine, Pediatrics, and Oncological Sciences, has received a Visiting Scientist Award from the International Agency for Research on Cancer (IARC).
Dr. Chen will spend the 2010/2011 academic year working with collaborators at IARC in Lyon, France, to study how diet influences gene expression in relationship to breast and lung cancer risk and survival, and will also undertake research at IARC within the International Childhood Cancer Cohort Consortium.
Joslin Diabetes Center Honors
Stanley Mirsky, MD
Stanley Mirsky, MD, Associate Clinical Professor in the Department of Medicine, Endocrinology, Diabetes and Bone Disease, was presented with a Lifetime Achievement Award by the Joslin Diabetes Center of Boston. Dr. Mirsky, who began his residency under the mentorship of the renowned Elliot P. Joslin, MD, was honored for his pioneering research, dedication to patient care, and the success of his series of books aimed at teaching diabetic care to a lay audience.
Carol Porter, DNP, RN, Named Associate Dean of Nursing Research and Education
Dr. Porter is Chief Nursing Officer and Senior Vice President of Nursing for The Mount Medical Center, as well as Director for the Center for Nursing Research and Education (CNRE) at Mount Sinai School of Medicine. As Associate Dean, Dr. Porter will provide leadership for the CNRE, which was established in 2009 to further “bench to bedside” research efforts through multidisciplinary research teams. Dr. Porter will also be involved in Global Health initiatives and will collaborate on and support translational research.
William H. Redd, PhD, Honored By SBM
In April, William H. Redd, PhD, Professor and Vice Chair of the Department of Oncological Sciences and Director of the Cancer Prevention and Control Program of Mount Sinai’s Tisch Cancer Institute, received the Distinguished Research Mentor Award from the Society of Behavioral Medicine (SBM). The award recognized Dr. Redd for his groundbreaking research that created the field of behavioral oncology, and his role in mentoring many of the leading researchers in the field.
Stuart C. Sealfon, MD, Receives NARSAD Distinguished Investigator Award
Stuart C. Sealfon, MD, Glickenhaus Professor and Chair of the Department of Neurology at Mount Sinai School of Medicine, recently received the prestigious Distinguished Investigator Grant Award from the Brain and Behavior Research Fund, known as NARSAD. The grant, awarded to 15 researchers annually, will support Dr. Sealfon’s research on the mechanism of action behind antipsychotic medications.
From leFt to right:
New ReCRUITS

Paolo Boffetta, MD, MPH has joined mount Sinai as Deputy Director of the tisch Cancer institute and Associate Director of Population Science. Dr. Boffetta came to mount Sinai from the international Agency for research on Cancer/World health organization in lyon, France, where he worked for two decades, most recently serving as Coordinator of the genetics and epidemiology Cluster and Director of the training Program. he is the Principal investigator for numerous global epidemiological studies and a member of the editorial boards of ten scientific journals in the field of cancer. For more information about Dr. Boffetta’s work at Mount Sinai, please see page 32

Ajai Chari, MD has joined mount Sinai as Assistant Professor of hematology and medical oncology. A colleague of Dr. Sundar Jagganath (see following page) at St. Vincent’s hospital in New York City, Dr. Chari will provide clinical services and conduct research with a specific focus on multiple myeloma and other hematologic malignancies.

Neuroscientist Graham Ellis-Davies, PhD is joining the Friedman Brain institute at mount Sinai. Dr. ellis-Davis is world-renowned for his role in synthesizing “caged” compounds, which release neurotransmitters upon exposure to light, and for then using these compounds to study the function of neurotransmitters at particular synapses in the brain utilizing advanced multi-photon laser microscopy systems.

Marcelo Facciuto, MD, one of the country’s most accomplished liver transplant surgeons, has returned to mount Sinai as Surgical Director of the living Donor liver transplantation program. A surgeon at mount Sinai from 1997 to 2000, Dr. Facciuto most recently served as a transplantation surgeon with the living donor program at the Westchester medical Center in Valhalla, New York. Dr. Facciuto has been involved in research on hepatocellular carcinoma with a particular interest in cholangiocarcinoma, a rare and aggressive form of bile duct cancer.

Andrew R. Gilbert, MD is Assistant Professor of Psychiatry in the mount Sinai School of medicine and the medical Director of the mount Sinai Center of excellence for oCD and related Disorders. Dr. gilbert is board certified in adult and child/adolescent psychiatry and has expertise in the treatment and study of pediatric oCD. Dr. gilbert joined mount Sinai from the University of Pittsburgh medical Center, where he founded and was medical Director of the oCD intensive outpatient Program for Children and Adolescents. the program won the 2008 SAmhSA Science and Service Award from the Department of health and human Services.

Michael Goldstein, MD, FACS, a renowned transplant surgeon, is joining mount Sinai as Director of the Kidney and Pancreas transplant programs in the recanati/miller transplantation institute. his nationally recognized, innovative work in organ procurement and preservation has advanced the utilization of available organs for transplantation. Dr. goldstein, who comes to mount Sinai from New York-Presbyterian hospital/Columbia University medical Center, will continue to serve as the medical Director of the New York organ Donor Network, the federally designated organization that oversees all organ and tissue donations in New York City and its surrounding counties and educates the public and health care professionals alike about organ donation and transplantation.

Randall Holcombe, MD has joined the tisch Cancer institute as the new Director of Clinical Cancer Affairs and medical Director of the Derald h ruttenberg treatment Center. he will also serve as Director of gastrointestinal medical oncology for the Division of hematology and medical oncology. Dr. holcombe has been involved in the development and execution of hypothesis-driven, investigatorinitiated trials for over 18 years, mostly related to colon cancer, cancer immunology and translational studies. As Associate Director for Clinical research for the NCi-designated Chao Family Comprehensive Cancer Center at UC irvine, he has been involved in the promotion and facilitation of translational and clinical research in broad areas of oncology.

Matilde Inglese, MD, PhD, Associate Professor in Neurology and radiology research, is an internationally-known expert in Neuroimaging of multiple sclerosis with a special interest in quantitative mri techniques, and she comes to mount Sinai from NYU. her current research aims to identify the mechanisms of degeneration which lead to the accumulation of irreversible clinical disability, and to provide surrogate markers able to monitor the efficacy of neuroprotective treatments in vivo. Dr inglese is author and co-author of more than 90 original contributions published in the neurological and radiological scientific literature and several book chapters on clinical and basic research aspects of multiple sclerosis.

Dan Iosifescu, MD is the Director of the mood and Anxiety Disorders Program and Associate Professor of Psychiatry and Neuroscience at mount Sinai medical School, leading an outstanding clinical and research program in mood and anxiety disorders. Dr. iosifescu, who joins mount Sinai from harvard medical School and massachusetts
general hospital, has authored more than 50 papers in peer-reviewed medical journals, nine book chapters and more than 50 abstracts. his prestigious prizes include: the NArSAD Young investigator Award (which he received twice), the Kaplen Award and the livingston Award from harvard medical School. Dr. iosifescu was listed among the “Best Doctors in America” in all editions of “Best Doctors” since 2005.

Sundar Jagannath, MD has recently joined mount Sinai as Director for the multiple myeloma Program and Professor of hematology and medical oncology. Dr. Jagannath comes from Saint Vincent’s hospital in New York City, where he served as Chief of the multiple myeloma Service and Bone marrow transplant Program at Saint Vincent’s Comprehensive Cancer Center. he is editor-in-Chief of Clinical Lymphoma & Myeloma, and his many honors include several humanitarian Awards from the multiple myeloma research Foundation and the Spirit of hope Award. For more information about Dr. Jagannath’s work, please see page 21

Prominent heptalogist Hyung Leona Kim-Schluger, MD has been named Associate Director of mount Sinai’s recanati/miller transplantation institute. Dr. Kim-Schluger specializes in the care and treatment of patients with end-stage liver diseases. She is a perennial award-winner for her expertise, dedicated patient care and for her teaching abilities. Dr. Kim-Schluger was most recently Director of transplant hepatology at Westchester medical Center.

Dianne LaPointe Rudow, DNP, an expert in living organ donation, has joined the recanati/miller transplantation institute as Director of the new Center for living Donation. the Center is the first of its kind in the US, bringing together living donation issues for both liver and kidney donors; Dr. laPointe rudow, who holds a doctorate of nursing practice degree, will lead the Center’s efforts to ensure that living donors receive unparalleled care before, during, and for years after their donation. She was previously Director of Clinical operations and Clinical Director of the living Donor liver transplantation Program at New York–Presbyterian hospital/Columbia University medical Center.

Chenjian Li, PhD is Associate Professor of Neurology and Neuroscience in the Department of Neurology. his work is focused on the understanding of neurodegenerative diseases such as Parkinson’s and huntington’s at molecular, genetic, cellular and organismal levels, and in elucidating the mechanisms of pathogenesis in Parkinson’s disease and huntington’s disease, actively attempting to
translate findings to potential therapies. Winner of numerous honors and awards, Dr. li serves on the Nih study sections, is council member of the international Biological investigator Society, and received a National Book Award in China for his translation of a book by Dr. richard Feynman, the Nobel laureate in physics. he comes to mount Sinai from Weill medical College of Cornell University

Alex Neumeister, MD has been appointed mount Sinai’s Director for translational research of the mood and Anxiety Disorders Program and also has a faculty appointment in the Department of Psychiatry at mount Sinai School of medicine. Dr. Neumeister studies brain mechanisms which contribute in an important manner to the function of brain regions which play a critical role in the development of alcohol dependence, PtSD and depression. his studies aim to provide a new understanding of the impact of stress on brain function, with the ultimate goal to stimulate a better means of prevention and treatment. his research has been published in the leading scientific journals of the field, and Dr. Neumeister was awarded national and international awards for his work.

Marshall R. Posner, MD has been appointed medical Director of the head and Neck medical oncology Program and of the Cancer Clinical trials office at mount Sinai. Prior to joining mount Sinai, Dr. Posner served as medical Director of the head and Neck oncology Program at the Dana-Farber Cancer institute in Boston and as Director of the human monoclonal Antibody laboratory at Beth israel Deaconess medical Center in Boston. he has received substantial grants from Nih, NCi, and NiAiD, among others, and his awards and honors include the tisch Award for Clinical research at Dana-Farber Cancer institute. For more information about Dr. Posner’s work, please see page 24

Daniela Schiller, PhD has been recruited to establish a laboratory in Cognitive & Affective Neuroscience within the Department of Psychiatry. Dr. Schiller received her PhD from tel Aviv University, developing a model for negative symptoms in chronic schizophrenia and screening models for antipsychotic drugs. She has published and lectured extensively around the world, and was recently named one of five finalists for the New York Academy of Sciences Blavatnik Award for young scientists, which recognizes highly innovative, impactful, and interdisciplinary accomplishments in the life sciences, physical sciences, and engineering.
Research Roundup
Understanding the Neural Mechanisms of Drug Addiction
“Drug addiction,” says Dr. Eric Nestler, Nash Family Professor of Neuroscience and Director of the Friedman Brain Institute, “can be viewed as a stable form of drug-induced neural plasticity—meaning the brain absorbs changes and abnormalities caused by long-term, chronic drug abuse.” Dr. Nestler’s team is currently studying the molecular and cellular changes that occur in regions of the brain important for reward and motivation in response to chronic drug abuse. His laboratory has already demonstrated drug regulation of some of the enzymes that catalyze chromatin remodeling—that is, changes in the acetylation or methylation of histones that bind to certain drug-regulated gene promoters, or changes in methylation of the promoters themselves. These advances in understanding the neural mechanisms at work in addiction will ultimately be mined to develop improved diagnostic tests and treatments for addictive disorders.
Developing Innovative Therapies to Treat Food Allergy
A national survey recently revealed that 1.4 percent of children in the United States are affected by allergy—up from 0.8 percent in 1997—and emergency departments treat 15,000 cases of anaphylaxis each year. “It takes a big toll on the quality of life for families of children with food allergies because it’s hard to predict which child will have a fatal reaction,” says Dr. Hugh Sampson, Director of the Jaffe Food Allergy Institute and Chief of the Division of Allergy & Immunology in the Department of Pediatrics. His team is working to develop innovative therapies that suppress or eliminate anaphylaxis altogether. Among the most promising therapies currently in clinical trials are a recombinant peanut protein vaccine and longer-term sublingual and oral immunotherapies. Dr. Sampson is also working with Dr. Xiu-Min Li to investigate “FAH-2,” which he notes “has eliminated anaphylaxis reaction in animal models” and is nearing Phase II clinical trials to determine its effectiveness for humans.
Chemical Biology, and his team have discovered a new fundamental mechanism for the control of gene transcription through a protein called DPF3b, which plays a critical role in copying genes for muscle growth and heart development. “This discovery opens new doors in genome biology research, and has broad implications in the field of epigenetics of human biology of health and disease,” says Dr. Zhou. “Knowing that there is another way our genome is regulated will allow us to understand the molecular basis of certain human disorders that result from dysregulation of gene expression.”

Forging Partnerships to Develop Influenza Vaccines
1.4% of children in the United States are affected by allergy—up from 0.8% in 1997.

New Insights into How Cells Direct Gene Expression
Gene expression in the human genome, which houses our genetic makeup, is dictated by chemical signals marked on the DNA and the histones, the proteins responsible for packaging the DNA. Dr. MingMing Zhou, Professor and Chair of the Department of Structural and
Mount Sinai has joined forces with Alnylam Pharmaceuticals, Inc. to share intellectual property related to RNAi applications in vaccine development. Alnylam is collaborating with the laboratory of Dr. Benjamin tenOever, Assistant Professor of Microbiology, on the development of microRNA-based attenuated influenza viruses, which offer the potential for use as improved live attenuated influenza vaccines. “Mount Sinai believes that its microRNA technology has the potential to transform vaccine development,” says Dr. Dennis S. Charney, Anne and Joel Ehrenkranz Dean of Mount Sinai School of Medicine and Executive Vice President for Academic Affairs of The Mount Sinai Medical Center. The partnership with Alynlam will allow Dr. tenOever’s team to translate research breakthroughs into new treatments for patients.
Analyzing Beethoven’s Bones
Legend has it that Ludwig van Beethoven died of lead poisoning, but that myth was laid to rest this spring by one of the world’s leading authorities on measuring lead levels in human bones, Dr. Andrew C. Todd, Associate Professor of Preventive Medicine. Dr. Todd examined bone fragments from Beethoven’s skull over a two-day period, running 53 measurements of the fragments using K-shell X-Ray Fluorescence, an apparatus with a fluorescing source that stimulates the emission of x-rays that are characteristic of lead. His conclusion? “Our findings do not support the notion that Beethoven suffered long and intense lead exposure,” says Dr. Todd. Experts know Beethoven died of liver and kidney failure, but there has never been a consensus as to the precise cause. With Dr. Todd’s findings, the mystery persists.

new Vision CANCER new hope

Under the direction of Dr. Steven J. Burakoff, the Tisch Cancer Institute is rapidly expanding and deepening its advances against cancer—a Mount Sinai battle that began more than a century ago. We report on the latest—and the earliest—news from the front.





help wanted










The DirecTor of The Tisch cancer insTiTuTe reporTs on The remarkable success of mounT sinai’s recruiTmenT efforTs— efforTs ThaT are yielDing a bumper crop of Top physicians anD scienTisTs.

by kaTie Quackenbush spiegel
Photos by Andrew Lichtenstein
“I divide the world into three parts: one-third of people who would never live in New York for any reason. The second third will come here if the opportunity is interesting. Then there is the third who would live only here,” said Steven J. Burakoff, MD. “I am looking for people who have trained at the top institutions and have done very well—but who are mid-career, and who have the courage and self-confidence to say, ‘I’ve done well partly because of what I’ve brought to the table.’ They have to have the fire in the belly.”
Dr. Burakoff, Director of Mount Sinai’s Tisch Cancer Institute and himself one of the most distinguished cancer immunologists in the world, gestured toward the sweeping birds-eye view of Central Park outside his office windows.
“And they have to say, ‘New York really works for me.’”
c ommi T men T
It’s clear that Dr. Burakoff knows exactly whom to look for. Since his December 2007 arrival to head the Tisch Cancer Institute, he has recruited a striking list of international experts that speaks for itself. With the help of a transformational $40 million gift from trustee James S. Tisch and his wife, Merryl H. Tisch, EdD, the Institute is well on its way to becoming a National Cancer Institute-designated cancer center that is focused equally on translational research and patient care.
“When Jim and Merryl Tisch made their gift, it told the world that cancer is really going to be a priority here—we’re real about our commitment,” said Dr. Burakoff. “You can’t underestimate the symbolic importance of a gift like that. The Tisches and their philanthropy have been a major part of our success so far. I have been so impressed with their commitment to our vision.”
Vision
The power—and allure—of Dr. Burakoff’s vision is clear to the donors as well. “Over the past three years, Steven Burakoff has been a true Pied Piper, attracting the absolute best and brightest in researchers and clinicians,” said Mr. Tisch. “It is an incredibly exciting time, and we look forward to the day when cancer is treated as a manageable chronic disease. We know that the discoveries coming out of the Tisch Cancer Institute will play an important role in getting us there.”
“ When Jim anD merryl Tisch maDe Their gifT, iT TolD The WorlD ThaT cancer is really going To be a prioriTy here—We’re real abouT our commiTmenT.”
Next up: the recruitment of about 20 cancer biologists—experts in promising areas such as cancer stem cells, epigenetics (the study of how non-genetic factors, like the environment, can affect genes), model systems, cancer vaccines, and cellular therapies—and the move of many cancer programs, including the Ruttenberg Treatment Center, into the new Center for Science and Medicine in the fall of 2012.
In fact, fifty percent of this new building—which is now on the rise above Madison Avenue (see page 3)—will be occupied by cancer programs, and the Ruttenberg Treatment Center will expand into a space five times larger than its current one. A new medical director for the center, Randall Holcombe, MD, was also recently recruited to build multidisciplinary care, facilitate clinical trials, and help the Institute grow into the NCI cancer center model.
f u T ure
“Cancer is a very difficult disease,” said Dr. Burakoff. “The more efficiently you deliver care and decrease wait times so that patients can get in, have their procedures, and leave, the better patient satisfaction is. When the new Ruttenberg Treatment Center opens, you won’t have to travel to each of your specialists; they will all be here for you.”
Dr. Burakoff said he is excited about the next phase for the Tisch Cancer Institute. To excite such a seasoned veteran—former Chair of the Department of Pediatric Oncology at Dana-Farber Cancer Institute, Professor of Pediatrics at Harvard Medical School, and Director of the New York University Cancer Institute—who has helped to build several other cancer centers from the ground up, is no small accomplishment. But Dr. Burakoff has never before had the opportunity to lead the creation of a cancer center that is fully integrated into a larger medical center, as the Tisch Cancer Institute is.
“Some people think I’m nuts, but this center is going to be different. I don’t want to make the comparisons, but building a cancer center in a medical center like this is the right model. And we are in a great place: This is a great city, we’re in a great location, this is a great medical center, and we have great leadership,”
Dr. Burakoff said as he nodded and smiled knowingly. “We’re going to be quite different.”
CanCer
Milestones
at Mount Sinai
The Mount Sinai Medical Center has made significant breakthroughs in understanding and treating cancers for more than a century. Beginning with surgeon Arpad G. Gerster, MD in the 19th century, and continuing decade after decade through the work of our physicians and scientists, Mount Sinai has been the site of critically important contributions to the field, including: identifying asbestos as a carcinogen; proving the effectiveness of differentiation therapy for hematological cancers; using a sequential combination regimen of chemotherapy for adjuvant treatment of ovarian and breast cancers; developing an ultrasound-guided technique to insert radioactive seeds into the prostate to treat prostate cancer; and pioneering computer-assisted stereotactic techniques that help pinpoint operable brain tumors. “Mount Sinai’s reputation was founded on the work of these legendary clinician-researchers,” says Dr. Kenneth L. Davis, “the ‘voluntary faculty’ whose scholarly achievements were indelible then, and those who continue to bring leadership to us today.”

CENTERED

We recently sat down with Dubin Breast Center Co-Directors George Raptis, MD, MBA and Elisa Port, MD, FACS to learn about their vision for the Dubin Breast Center. Dr. Raptis is a clinician and Dr. Port is a surgeon: Each brings a unique perspective to the Center. With the support of Eva Andersson-Dubin, MD, a physician and breast cancer survivor who, with her husband, Glenn, has provided the lead gift to the name the Dubin Breast Center, they are shaping a program that will address every aspect of breast health.
Science & Medicine: We hear a lot about patient-centered care. What does that really mean to you both?
dr . raptis : We both feel that the patient is at the center of everything we do, be it clinical care, clinical research, even translational research. I’ve been to places where everybody has their own approaches— they research breast cancer, or do clinical trials, or provide clinical care—but they don’t think of this as a whole that emanates from the patient. So philosophically I think we’re both very much akin: The work starts with the patient and radiates outward. That’s an important alignment between the two of us and how we approach patient care, research, teaching, and, consequently, how we design the Dubin Center.
dr . port : I couldn’t agree more. We share the idea that we walk into a patient’s life when they’re going through the diagnosis of breast cancer, and it’s a very privileged position to be able to walk into somebody’s life at so critical a point, maybe one of the most critical junctures of their lives. We participate in that experience and it’s really very much up to us how that plays out for a patient—whether it’s a hopeful experience or a disappointing one, something from which they can move on, something that terrifies them. It’s probably the single most important thing that we need to achieve.

dr . raptis : Whenever you speak to me about a patient, and whenever I speak to you about a patient, the first thing we do is introduce that patient. We don’t jump into their breast cancer; instead we talk about who they are, who their family is, what kind of work they do, what their role is in society, because this is who they are. We place that person as a whole in a life system, rather than as a patient with medical problems. It’s a very humanizing way of considering the whole person and their family unit, who they’re with, and who they know. When we see a patient as an individual rather than a person with a disease, that defines how we approach that patient. I think both you and I do that and that’s the tone we’re setting for the Dubin Center.
dr . port : You have to want to be around people to do what we do because we spend so much time interacting with them, whether it’s on phone or in person with other physicians—and it’s all for the betterment of patients. One of the most interesting things about our job is that we are trained to gather as much information as we can about our patients’ lives, not only about their medical issues but also, as you said, about their background and what makes them tick and what their fears are. And we really use that information that we absorb and soak up.


I typically say, “I may be the expert in breast cancer, but you are the expert in you.” – dr . port




Science & Medicine: What do each of you bring to patient care?
dr . port : People forget that one of the unique aspects of breast cancer is the fact that most women do have a choice. They have a choice between lumpectomy and mastectomy, and oftentimes those choices are very equal. So it’s really one of the few disease processes where a surgeon has to talk to a patient and help her make a choice. You don’t hear the lung cancer surgeon saying, “I can take out this much of your lung, or that much of your lung.” You don’t hear the colon cancer surgeon saying, “I can take out fifteen centimeters of your colon or twenty centimeters of your colon.”
But with breast cancer, it really is a very substantial choice that has serious implications down the line— cosmetically, socially, sexually, etc. For me, equally important as what happens in the operating room, and all that I’ve been trained to do there, is what happens before the operating room, and the decisionmaking that goes into that. It’s been important for me to develop communication skills so I can give patients the knowledge base that they need to make the best decisions for themselves. I typically say, “I may be the expert in breast cancer, but you are the expert in you.”
dr . raptis : Translational research starts when a clinician faces a patient: You look at that patient to see something that you haven’t seen before. Instead of passing it by, you question it. By taking the time and effort to think about the process and what is out of the ordinary about that patient, we gain insight. You have to make medicine an intimate experience, a personal one.
Through my clinical research I’ve learned that you can have an impact on many people beyond that patient only in front of you.
– dr raptis
Patients have so much to teach us. The second patient I ever had—back when I was an attending in 1993—asked me this: “How do you know that that therapy will benefit me? Are all patients with breast cancer the same? Do you make the same recommendation to all patients? And how do I know I’m one of those patients who will benefit, as opposed to a person who doesn’t need chemotherapy? Are you giving it to me because you know it’ll help me,
Arpad G. Gerster, a revolutionary promoter of aseptic methods, is first to suggest that surgery spreads cancer.


or people like me? ” At that time, my comment was, “Well, we just can’t know that, of course.” Years later I realized that she was talking about personalized medicine. Now it’s critical, but seventeen years ago, it was rarely discussed, and yet she raised a question that would lead to important answers.
Science & Medicine: What energizes you as physicians and what interferes with that energy?
dr . raptis : I have a penchant to try to change things. I cannot accept the status quo. I became interested in clinical research, and through my clinical research I’ve learned that you can have an impact on many people beyond that patient only in front of you. As a fellow at Memorial Sloan-Kettering, I treated the second person in the world with Herceptin® , and watched that patient go into remission with a drug that had only been given to one other individual. Since then, I’ve watch Herceptin® become a curative therapy for many patients, and that is exciting. At Mount Sinai I get to interact with people who raise questions, I get to discuss the dilemmas that we see in
Dubin Breast Center: A Patient-Centered Space
A warm and attractive space, it will put the needs of the patient— of today and tomorrow— at the forefront of all its operations.
Providing state of the art detection and treatment— and supporting research for the medical therapies of tomorrow—the Dubin Breast Center will boast more than 15,000 square feet of space when it opens on the first floor of the Klingenstein Pavilion in early 2011. By combining care and research in a single setting, the Dubin Breast Center will foster critical access between clinical investigators and patients. This connection to translational research will ultimately yield patients access to clinical trials and other breakthrough treatments.

The Dubin Breast Center will house a range of multidisciplinary services, from prevention to aftercare, in one centralized location. Features include a diagnostic and risk evaluation center for radiology and diagnostic procedures, an evaluation and treatment center for breast cancer, and an infusion center for chemotherapy. Hallmarks of the program that are already underway include weekly meetings on translational medicine, monthly lectures on translational research where physician scientists present their advanced findings and discuss how to incorporate them into treatment, and biweekly meetings about ongoing clinical trials.
“The Dubin Breast Center’s opening puts the final piece in place for this model of integrative and comprehensive care,” says Eva Andersson-Dubin, MD. “A warm and attractive space, it will put the needs of the patient—of today and tomorrow—at the forefront of all its operations. I am proud to have played a role in its development.”
the clinic every day, and those that we see in the lab—that’s translational research, and it’s an intellectual process that we really do here. It can change lives, and we do it again and again: it’s very enriching, very motivating.
dr . port : I have a job that’s both intellectual and physical. It’s incredibly exciting to me and I almost feel that it’s like no other specialty. If I couldn’t operate, I’m not sure I’d even want to be a doctor. I love taking care of people—but I especially love taking care of people in this way, using my hands to fix something. It’s so basic, yet incredibly gratifying.
dr . raptis : Yes. What frustrates me, simply put, is that medicine has become more and more regulated, so that we spend more and more of our day trying to grapple with paper, committee work, etc. These are essential and in many ways they lead to better outcomes, but the level of time and effort spent in dealing with these mundane experiences day to day, drag on me. Outside of that I’ve actually become more excited about medicine and what I do twenty-three years after graduating medical school, to be honest with you. How about you?
MSSM CANCER MILESTONES 1910

Edwin Beer: Publishes first report on a new method of destroying benign tumors of the urinary bladder by electric current (fulguration).
Israel
Globus
tumor they
“spongioblastoma.” They suggest brain tumors should by classified by histogenic factors and spongioblasts may form basis for tumors.

dr . port : I think part of what frustrates me is along the same lines. You and I are the same beast, in that respect. We try so hard to accomplish our work—and things get in our way. I don’t think we do things frivolously, but when I am trying to operate on someone or get a test, and an insurance company tells me I can’t do this or I can’t do that, it’s frustrating. There’s no question that health care reform is going to play a huge role in our practices in the future and that to some degree they are going to dictate what treatments we can give, and what treatments we can’t give.
dr . raptis : We’ve experienced that recently together. On other hand, regulation has also led to greater patient protection and to our being more critical of how we work. Even though it takes a lot more effort to conduct research, it actually has become safer and I think that’s the upside of all that: It actually has become more ethical. All of this paperwork, all of this regulatory work, has both improved things and made it more cumbersome. It’s here to stay and I think it’s how we interact. You and I work quite well in terms of being reasonable, Elisa, and making sure that the work doesn’t suffer for it.
Science & Medicine: Why did you both come to help create the Dubin Center?

dr . raptis : For my part, I left Mount Sinai in 2004 because there wasn’t a breast center. So why did I come back? Plain and simple, I sincerely believe that Mount Sinai has revisited their commitment and interest in developing a comprehensive cancer center and within that, a breast program. I’ve said before, what drives me is the ability to work together with like-minded individuals who really care about patient care, research, teaching, community service all wrapped around the concept of an individual who is at risk or has breast cancer. It is a natural model for the development of a

There’s no question that health care reform is going to play a huge role in our practices in the future. – dr. port
comprehensive cancer center. And it was because of the Dubins, especially Eva, who clearly brought something special to the table: She’s a physician, a patient, a donor, and a partner who was sincerely interested in helping this process, and this cemented it for me. I’ve never regretted my return.
dr . port : I thought of this as a unique opportunity to build a center with excellent partners who had the same ideas about how things could be done differently, done better in a really special way. I’m excited about the opportunity to develop something from the ground up: all the programs and services that we want, with the patient and her or his experience at the center. As with you, Eva and Glenn were really instrumental in my coming on board because they convinced me that we all shared the same vision.
dr . raptis : Dr. [Kenneth] Davis points this out that Mount Sinai is a hospital that gave birth to a medical school. It’s in our genes: to look at things from bench to bedside—and the culture is to do so. What’s so interesting about this institution compared to others that I’ve been at is that the distance between lab investigators and clinicians is much shorter. People are very willing to work together here, the buildings seem closer together, the committee work brings people together. This institution is right-sized and I think it’s prime for becoming an exceptional cancer center. I look forward to that.
dr . port : And so do I.


Straus and Joseph
: Present description of a brain
call
Nathan Brill (above), George Baehr and Nathan Rosenthal publish first description of a new lymphatic system disease (later expanded by Douglas Symmers’ work), known then as Brill-Symmers Disease and later as nodular lymphoma.
Sadao Otani (above) and John Ehrlich: Publish first description of eosinophilic granuloma of bone as a distinct entity.

the leadership to cure
BY SIMA RABINOWITZ
Sundar Jagannath, MD did not arrive unaccompanied at his new office at Mount Sinai. His entourage: a compassionate and hard-working staff, several hundred patients—and 300 sets of stem cells.

Cecile Leuchtenberger, Richard Lewisohn (above), Daniel Laszlo and Rudolph Leuchtenberger: Inhibition of tumor growth by a folic acid concentrate; the same authors also researched and published on xanthopterin.
Sadao Otani: Working in Mount Sinai’s Pathology Lab, first draws attention to glomus jugulare tumor, later referred to as “Otani’s Tumor.”
Committee on Ward Admissions recommends that no cancer patient having received treatment at MS would be turned away if re-admission were desired.

and
jagannath , who assumed his responsibilities as director for the Multiple Myeloma Program and Professor of Hematology and Medical Oncology at The Tisch Cancer Institute this past June, had been Chief of the Multiple Myeloma Service and Bone Marrow Transplantation Program at St. Vincent Hospital’s Comprehensive Cancer Care Center in New York City for more than a decade. When that hospital closed earlier this year, he chose Mount Sinai as the best place to continue his groundbreaking work.
“I am honored that my patients have entrusted their treatment and care to me. I came to the Tisch Cancer Institute because I am confident that I can offer my current—and future patients—the highest standard of care here while I also make advances in the research that will bring the most benefit to patients,” said Dr. Jagannath. “Mount Sinai is committed to excellence in clinical care, basic research, and translational research, and this integrated approach is the most promising for discovering a cure for multiple myeloma.”
O N e-S TO p Sh O pp IN g
In fact, Dr. Jagannath believes a cure is within reach, possibly within the next five to ten years—and he has good reason to be optimistic. Clinical trials of drugs (Revlimid™ and Velcade™) he conducted while at St. Vincent’s have shown that these therapies are highly effective and have fast come to represent the standard of treatment. Two other drug therapies are on the verge of receiving FDA approval. And Dr. Jagannath is the principal investigator for a major international research trial, as well as the senior author of a large national research study, with great potential to result in effective new treatments.
According to Dr. Jagannath, there are few institutions engaged in experimental research exploring new therapies to treat multiple myeloma, a cancer of the bone marrow. With his recent move, Mount Sinai has now become one of only a handful of biomedical facilities where such research is taking place.
“We have the opportunity at Mount Sinai to become a one-stop shop and a true international leader in multiple myeloma,” says Dr. Jagannath. “We can collaborate with colleagues conducting important research across the institution; discover and test new molecules; run clinical trials; and treat patients with both proven and experimental approaches, all in one place. Patients will not have to undergo a transplant in one hospital and transfer to another center for chemotherapy, for example. This is much better for the patient.”

with some of his
Ne W C O lle A gue S —Ne W pRO g R e SS
To advance new projects exploring antibody therapies for the treatment of multiple myeloma, Dr. Jagannath looks forward to collaborating with Ronald Hoffman, MD, Professor of Gene and Cell Medicine; Karen Osman, MD, Assistant Professor of Medicine, Hematology and Medical Oncology; and other colleagues at Mount Sinai whose successful research on treatments for a variety of cancers may prove useful for advancing antibody therapy research.
“Antibody therapies look feasible and promising,” says Dr. Jagannath. “These therapies have the potential to make dramatic improvements in survival and cure rates for multiple myeloma.”
Malignant myeloma cells are antibody or protein producing cells—plasma cells—that destroy bone. Designed to assist the immune system in protecting healthy cells, antibody-based drugs would be delivered after bone marrow stem cell transplantation to prevent the recurrence of cancerous cells and promote the growth of normal ones. Both past and ongoing stem cell research and clinical trials at Mount Sinai may prove helpful as Dr. Jagannath progresses with his search to discover effective antibody therapies.
“This is a very promising area of research. Myeloma is one disease for which we don’t yet have antibodies to treat the cancer cells, but antibody therapy has been very successful in treating other cancers, such as lymphoma, so we are very excited about participating in some of the new antibody trials for myeloma,” he explains.
Dr. Jagganath (center)
compassionate team: (Left to right) Lauren Ditrio, Gladys Rosa, Yolanda Gonzalez, Ajai Chari, Lauren Schulman, Darlenys Tiburcio-Cruz, and Olivier Maisonet
Ezra Greenspan (above)
M. Fieber: First use of a sequential combination regimen of chemotherapy for adjuvant treatment of ovarian cancer.

Dr. Jagannath sees more than 200 N e W p ATI e NTS A Y e AR and carries over another 500–600 patients. Recognizing that many of them are dealing with considerable stress, Mount Sinai has
R e CR u IT ed h IS e NTIR e S upp ORT STA ff —a move that, the hospital feels, will help ensure a smooth transition.
The hundreds of patient stem cells Dr. Jagannath brought with him to Mount Sinai will play a pivotal role in treatment (many of these patients will undergo bone marrow transplantation), and some may be used for the antibody research.
AWAR d- WINNIN g h u MANITY
For those several hundred patients who will make the transition from St. Vincent’s to Mount Sinai for their care, and to minimize the disruption to research already underway, the medical center is in the process of creating a flexible schedule of patient service and has provided the facilities for a massive store of patient stem cells.
Dr. Jagannath sees more than 200 new patients a year and carries over another 500-600 patients. Recognizing that many of them are dealing with considerable stress, Mount Sinai has recruited his entire support staff—a move that, the hospital feels, will help ensure a smooth transition.
Dr. Jagannath’s attentiveness and concern for his patients is nationally recognized. He has twice received the Humanitarian Award from the Multiple Myeloma Research Foundation (in 2003 and 2006), and was recognized with the Foundation’s Spirit of Hope Award in 2005.
“If I consult with a patient who lives some distance from my office and feels more comfortable being treated closer to home, I’ll provide whatever assistance I can to the doctor the patient chooses, wherever that may be,” says Dr. Jagannath, “Treating this disease is about providing every patient with personalized and appropriate care.”
Dr. Jagannath’s goals are ambitious. Given his remarkable track record, and Mount Sinai’s commitment to the powerful mission of The Tisch Cancer Institute, they’re also realistic. “If I can one day say that we created a vibrant program where patient care and finding a cure are our focus, and where young investigators are mentored toward the same goals—and Mount Sinai becomes the leading cancer center—I will have accomplished my mission.”



BY SIMA RABINOWITZ
Renowned oncologist Marshall Posner is leading the battle against a two-headed foe: A virus that is targeting a new enemy—and thriving.
“we can prepare for the epidemic with the creativity and the resources to do the right kinds of research— the type of science that represents bold, out-of-the box thinking,” says Marshall Posner, MD, new Director of the Head and Neck Medical Oncology program and Medical Director of the Cancer Clinical Trials Office at The Mount Sinai Medical Center.
The potential epidemic to which Posner refers may be caused by the HPV-16 virus (Human Papilloma virus), now responsible for 25 percent of head and neck (or oropharynx) cancers—cancers that were once caused almost exclusively by tobacco and alcohol use. This is troubling: The HPV-16 virus has been known for decades to the cause of cervical, vulvar, and some anal cancers, but it has only recently begun to cause oral cancers. More troubling still, a majority of patients tested for HPV-16 were infected, even those without any signs of disease.
Dr. Posner believes the presence of HPV-16 oropharynx infection has the potential for devastating long-term consequences.
The “right kind of research,” he says, is Mount Sinai’s translational approach—interdisciplinary, collaborative work designed to move from the lab to patients’ lives quickly in an integrated way. In August, the former Medical Director of the Head and Neck Oncology Program at Dana-Farber Cancer Institute in Boston came to NYC, to join a “great team” at Mount Sinai School of Medicine to participate in precisely this type of collaborative endeavor.
“Mount Sinai was definitely the best place for me to advance my research on virally related cancers and to link that research directly to creating the best outcomes for patients,” Dr. Posner says. “To cure disease, we need to integrate excellent science and excellent clinical care.”

Illustration by Mark McGinnis
Marshall Posner, MD
“to
cure disease , we need to integrate excellent
Dramatic Improvement

A recognized leader in the field of head and neck cancer, Dr. Posner led clinical research at DanaFarber that resulted in new therapies for head and neck cancers, creating a dramatic improvement in survival rates and a new standard of care. At Mount Sinai, he will continue the laboratory-based research in immunology he began in Boston, exploring potential new antibody treatments for the head and neck cancers caused by HPV-16, as well as work underway on molecular targeting, therapeutic vaccines, and an epidemiological study to help identify who is at risk for HPV-related oropharyngeal cancers.
“We need to find out who gets these cancers and why,” says Dr. Posner. “We know that any type of sexual behavior can result in HPV infection, but we don’t know which individuals may be affected. Is it the number of sexual partners or the type of behaviors, for example, which put an individual at risk? What we do know is these cancers are curable, but that the treatments are very aggressive and toxic.”
Good Cure Rate—Tough Side Effects
When the cause of head and neck cancers is viral, the patient cure rate (those survive for five years or longer after treatment) is an astronomical 80 percent, according to Dr. Posner (as opposed to 35-50 percent for oral cancers caused by tobacco use). Ten percent of those not cured will die from other causes (typically secondary cancers), not from cancer of the head or neck.


But the treatment requires high doses of chemotherapy and radiotherapy with serious side effects. Dr. Posner’s current research is focused, in part, on the discovery of less toxic therapies with fewer side effects and diminished potential for long-term consequences. Because patients who develop head and neck cancers caused by the HPV-16 virus tend to be younger—generally in their forties and fifties—than patients with tobacco-related head and neck cancers, survivors will likely live longer, and long range studies are needed to track the later developments and medical needs of these patients.
Along with the treatment challenges for HPV-caused head and neck cancers, Dr. Posner is greatly concerned with prevention. “At the rate things are going,” he says, “by the year 2015, we could see 15,000-25,000 new cases of HPV-caused oral cancers in the US alone. The number of people already infected with HPV-16 is surprising and significant.”
Nonetheless, Dr. Posner is optimistic, and he predicts that within five years, if studies now underway at Mount Sinai progress as he hopes they will, we may have both an effective prevention plan and superior treatments. Thirty years, ago, he notes, when he started out in the field, there were virtually no viable treatments for head and neck cancers.
Today, in large measure as a result of Dr. Posner’s research, as many half as of patients with tobaccorelated oral cancers are cured.
“We have already seen a tremendous survival rate for HPV-related head and neck cancers,” says

Ezra Greenspan et al.: First use of a sequential combination regimen of chemotherapy for adjuvant treatment of breast cancer.
Irving Selikoff (above), Jacob Churg, and E. Cuyler Hammond: Publish paper showing link between asbestos exposure and the formation of neoplasms, especially in the lungs.


excellent science and excellent clinical care.”
Dr. Posner, “so now we must take what we have learned from our past successes and discover the treatments that can cure patients less aggressively and prevent infection and disease in the first place.”
Customizing Therapies

Dr. Posner is optimistic, and he predicts that within five years, if studies now underway at Mount Sinai progress as he hopes they will, we may have both an effective prevention plan and superior treatments.
These lessons learned will not come solely from the basic science, clinical, and translational research devoted to potential chemotherapies, but also from the work done with surgical and radiological therapies. Dr. Posner stresses the importance of Mount Sinai’s approach to “multidisciplinary care,” which takes advantage of innovations across numerous disciplines (biology, immunology, biochemistry) and treatment modalities (surgery, radiology, chemotherapy). He emphasizes, too, the improvements made possible by individualizing or personalizing therapies. Today, patients can be treated with customized therapies targeting their specific medical needs and conditions, with a much higher potential for success than a traditional one-size-fits-all solution.
“There is a lot of upside to our current interdisciplinary research in a broad sense,” says Dr. Posner. “Antibody treatments for HPV-related head and
neck cancers can have important implications for the treatment of other virally related cancers, for example.”
The Mount Sinai Medical Center, says Dr. Posner, is precisely the place for him to continue this innovative work. “I have always wanted to have a big impact,” he says. “But it’s not about one person. It’s about a team working together with insight and open minds and creativity. It’s about collaboration. We can’t be constrained by the past. We can’t just do things the way they’ve always been done. It requires the willingness to take risks, generous donors who understand the importance and urgency of our work, and leadership committed to building a world-class institution, and that’s what we have at Mount Sinai.”
And, above all, it takes a commitment to patients and improving lives. “I want to be able to say that I was part of a team that cured one horrible disease,” he concludes. With the best technologies, commitment to the integration of research and patient care, and access to the necessary resources—scientific and financial— he may well have the chance to realize that dream.


Louis R. Wasserman helps organize the Polycythemia Vera Study Group, a multiinstitutional group of scientists based at Mount Sinai that ultimately defined the criteria for diagnosis of this disease and gathered treatment data. Chairman of this group for many years, Dr. Wasserman also established Mount Sinai’s Hematology training program.
Irving Selikoff, E. Cuyler Hammond, Jacob Churg: First confirmation in human beings of multiple factor causation of human cancer; work done on increased incidence of cancer among asbestos workers who smoked.


Dr. William Oh has identified genes that could greatly improve both the uncertainty over prostate cancer testing—and the accuracy of diagnosing the disease.





new hope for millions of men
by Phili P b erroll
every year, across the united states , millions of men go into their doctors’ offices for a blood screening—the Prostate-Specific Antigen (PSA) test—to see if they are at risk for prostate cancer. The need for the test is clear: Prostate cancer is the secondleading cause of cancer death in men the US; close to 200,000 men each year are found to have the disease, and more than 27,000 will die from it. One man in six will get prostate cancer during his lifetime, and for one man in 35 it will be fatal. But the test’s reliability has increasingly been in dispute. A finding of high levels of PSA in the blood is often followed by a biopsy—a painful, invasive procedure with some risk of complications—to detect cancerous cells; yet in nearly two-thirds of biopsies, no such cells are found. This high rate of “false positive” test results underscores the need for a more accurate method for detecting prostate cancer.
Enter William Oh, MD. ➔
Norman Simon develops a successful afterloader for brachytherapy, internal radiation therapy with an implanted source of radioactivity.
The American Cancer Society and Mount Sinai announce the Environmental Cancer Research Project, a ten-year, $10 million program in which over 1 million people will be studied.

“Cancer is like battling terrorists—you can’t always see them, they’re all over the place, and they may use different techniques to fight you.” William Oh

breaking New Ground
Dr. Oh, who came to Mount Sinai last year after 14 years at Boston’s Dana-Farber Cancer Institute and Brigham and Women’s Hospital, is continuing a groundbreaking project that he began at Dana-Farber: the development of a new blood test which, in combination with the PSA screening, could sharply increase the accuracy of prostate cancer diagnoses—and eliminate tens of thousands of unnecessary biopsies.
“If you are biopsying one hundred men and only finding cancer in a third of them, that’s a pretty poor accuracy rate,” he points out. “And when you multiply one hundred times thousands—because there are two hundred thousand cases a year, which means that there are at least six hundred thousand biopsies a year, in the U.S. alone—we’re talking about a substantial cost to society and to individuals. So if you could reduce the number of unnecessary biopsies, it would improve quality of life, decrease health care costs, and make many people happier.”
The upbeat, energetic Dr. Oh has a wide range of responsibilities at Mount Sinai: He is Chief of the Division of Hematology and Medical Oncology in the Department of Medicine, Co-Director of the Prostate Cancer Program, Associate Director for Clinical Research for the Tisch Cancer Institute, Ezra M. Greenspan, MD Professor in Clinical Cancer Therapeutics and Professor of Medicine and Urology. Originally from New York, he came to Mount Sinai for “the opportunity to build a program that could lead the world in developing new and better treatments for cancer patients.”
Dilemma: False Positives
As Dr. Oh explains it, the problem with the current test lies in its focus on PSA levels rather than cancer. “It’s not a prostate cancer-specific antigen test, it’s a prostate-specific antigen test,” he notes. “So other things like infection or inflammation or enlargement of your prostate can make your PSA rise. And that decreases what we call the specificity of the test. Basically, it’s less specific for prostate cancer alone, and this leads to false positives.” one in six men will be diagnosed with the disease within his lifetime.
Charlotte Friend: Discovers that dimethyl sulfoxide (DMSO) could induce cancer cells to progress or differentiate to a normal pattern of development, opening the way to new, less toxic forms of cancer therapy.

Background: Immunofluorescent photomicrograph of prostate cancer cells




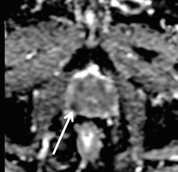
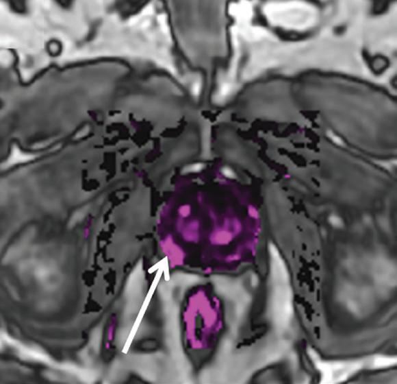
above: A 63-year-old man with right-side prostate cancer (shown by arrows) detected on 3T MRI of the prostate. Image D shows curves for average and worse pixels in the tumor. All images provided by Mount Sinai’s Department of Radiology and Translational and Molecular Imaging Institute.
When combined with PSA, studies suggest a 90 percent accuracy rate. Earlier studies had found that the PSA test by itself is 60 to 70 percent accurate.
Prostate sPeciFic aNtiGeN test
accurate DiaGNosis

In addition, he says, the test fails to distinguish between “aggressive cancers that will prematurely end someone’s life” and slow-growing cancers that may pose no threat during a patient’s natural lifespan.
“We’re finding cancers in older men who are being over-treated because the cancers grow so slowly,” he says. “Let’s say a healthy man in his eighties is diagnosed with prostate cancer. If left alone with nothing done about it, it is quite possible that the cancer would not be potentially lethal for another thirty years, when the patient would be one hundred ten years old.
“The problem is our tests right now don’t help us make those distinctions.”
Dr. Oh’s original study measured the accuracy of a blood test developed together with Source MDx, a biotechnology company in Boulder, Colorado, which isolated six genes that, as a group, were highly sensitive in predicting which patients had prostate cancer and which were disease-free. Dr. Oh and his team found that the new test produced a dramatic jump in accuracy—especially when PSA measurements were added.
and treatment of certain types of cancer; in
With the arrival of Jim Holland, MD (standing), the National Cancer Institute designates Mount Sinai as one of seven centers in the country to train physicians in community hospitals in the latest diagnostic techniques
1974, clinical center opens.

But it may not Be the magic cancer preventative you seek, according to a recent study By dr. paolo Boffetta.
when an article by paolo boffetta md, mph, “Fruit and Vegetable Intake and Overall Cancer Risk,” appeared in the April 2010 issue of the Journal of the National Cancer Institute, it generated enormous interest. Media outlets from Toronto to Tehran reported the results of the study: Despite the widespread belief that a diet rich in fruits and vegetables significantly reduces the risk of cancer, the association between fruit and vegetable consumption and diminished cancer risk is modest, at best.
“I have no idea why our study received so much attention,” says Dr. Boffetta, who is Deputy Director of The Tisch Cancer Institute and Associate Director of Population Science at The Mount Sinai Medical Center. “There have been numerous studies with similar findings, although ours is the largest and one of the best conducted. And by no means are we saying that eating fruits and vegetables is without benefits. These foods should certainly be part of a healthy diet.”
a day? it can’t hurt
By sima raBinoWitZ

modest reduction
Dr. Boffetta is the principal author of the study, which was conducted by an international team of more than 50 epidemiologists and analyzed eight years of dietary data gathered by the European Prospective Investigation into Cancer and Nutrition (EPIC) from 400,000 people in 10 Western European countries. Only a small proportion of these subjects consumed four to five servings of fruit and vegetables daily, the quantity recommended by the World Health Organization (WHO) since 1990.
Allowing for variances in actual fruit and vegetable consumption (some subjects may have eaten less) and a variety of health and lifestyle factors (alcohol consumption, smoking, and other variables) Dr. Boffetta and his colleagues concluded that “five-a-day” may reduce the risk of cancer by about 3–4 percent.
Dr. Boffetta is quick to point out that these figures are not insignificant and do, in fact, support what doctors have known for some time about the consumption of fruits and vegetables, which have been proven to lower the risk of cardiovascular and related medical conditions.
“People who eat a lot of fruits and vegetables tend to be healthier than those who do not,” he says. “They typically consume fewer calories and fat, and engage in a higher level of physical activity, and they are, consequently, at lower risk for obesity and other health problems.”
no magic solution
Reports in the popular media have missed what’s most important, according to Dr. Boffetta. The finding of a 3–4 percent reduction in cancer risk with a “five-aday” regimen of fruits and vegetables—as opposed to a much greater impact—is consistent with what we continue to discover about cancer. Aside from tobacco, there is no single risk factor with a substantial or major effect.
“Cancer is not one disease, but many,” says Dr. Boffetta. “Cancers are complex diseases affected
helping china
by multiple factors. What the study confirms is that, with the exception of tobacco, there is no single cause or preventive measure for a large proportion of all cancers. There is no magic solution.”
The drive to advance his research on the many diverse factors that contribute to cancer risk and prevention motivated Dr. Boffetta’s move from Lyon, France, where he served as Coordinator of the Genetics and Epidemiology Cluster and Director of the Training Program at the International Agency for Research on Cancer, to The Mount Sinai Medical Center. He was eager, as well, to work in a leading hospital with strong research programs, an emphasis on collaboration, and a commitment to global health.
“I will have extremely interesting and challenging work at Mount Sinai,” says Dr. Boffetta. Two major projects are already underway: a Global Chronic Disease Epidemiological Program with both Mount Sinai colleagues and international partners to study the causes of disease in developing countries (Iran, India, and others) where health patterns are rapidly changing and cancer and heart disease are on the rise; and clinical epidemiological trials in New York with colleagues at the Tisch Cancer Institute at Mount Sinai to study cancer prevention in head and neck, liver, and lung cancers.
“I am very pleased to participate in the development of a major cancer center,” says Dr. Boffetta, “and I appreciate very much the opportunity to work with colleagues in other disciplines, such as geriatrics, as well. It’s tremendously important for those of us in research to continue to grow and take on new challenges.”
And those fruits and vegetables? Dr. Boffetta says plenty of challenges and questions remain for researchers to sink their teeth into. We don’t yet know if certain fruits and vegetables may provide more protection than others, or if consumption of more fruits and vegetables early in life results in reduced cancer risk.
Headlines aside, Dr. Boffetta does not think the study results should dissuade people from a five-a-day approach. “Eating fruit and vegetables is still beneficial for health in general,” he insists.

the association BetWeen fruit and vegetaBle consumption and diminished cancer risk is modest at Best.
The Samuel Waxman Cancer Research Foundation to support work in differentiation was established; Samuel Waxman, MD—also known for his research on folic acid in both normal and malignant cells—continues as Scientific Director.
MSSM CANCER MILESTONES 1975 1977
The Environmental Sciences Laboratory and the Department of Neoplastic Diseases establish the Mesothelioma Therapy Research Program, the first organized effort to control and cure an environmental cancer.
Dr. Paolo Boffetta, a member of numerous international consortia, is currently a consultant for a large demonstration project in Daqing—in northeastern China—where 300,000 men and women ages 40–60 will be screened for eight types of cancer. Cancer is on the rise in China and identifying high-risk individuals and working toward prevention is urgent, as the disease is often not diagnosed until late stages. In June, Dr. Ping Zhao, the Director of China’s National Cancer Institute and Hospital in Beijing, and a delegation of his colleagues visited Mount Sinai to meet with Dr. Boffetta and epidemiologists from Yale University. Their visit has paved the way for even more opportunities for collaboration, including training opportunities and additional cancer studies.
Daqing, China

BY Katie QuacKenBush spiegel
How three Mount Sinai scientists are finding cures for cancer—and having fun while doing it.
“ when i was in my 30s, we made really important discoveries— we sequenced many of the oncogenes associated with cancer. My work was so exciting that I could hardly sleep—I used to get up in the middle of the night and go to work.”
Dr. Reddy smiled and rocked back in his chair as he spoke. The city blocks of the Upper East Side stretched out behind him through the large windows of his new office in the Icahn Medical Building at Mount Sinai.
“My oldest son was about 10 years old at the time, and he was addicted to Nintendo. He used to ask me, ‘Dad, why do you work so hard?’ I told him, ‘It’s like playing Nintendo for me, only someone is paying me to do it, and I’m playing to cure cancer.’”
Dr. Reddy chuckled and leaned forward, crossing his hands. “Science is a lot of fun. I told my son, ‘You’d do it all day and all night, too.’”
Mount Sinai has launched a new, carefully-planned attack in the war against cancer.
mount sinai has launched a new, carefully-planned attack in the war against cancer. Through the generosity of trustee Steven Einhorn and his family, who made a $5 million gift in 2007 to advance experimental cancer therapeutics, the Medical Center was able to recruit three world-renowned cancer fighters: E. Premkumar Reddy, PhD, a cancer biochemist, Michael H.J. Ohlmeyer, PhD, a synthetic medicinal chemist, and James M. Gallo, PharmD, PhD, a pharmacologist and pharmacokineticist.
The talented trio is now working together at Mount Sinai to tackle this complicated class of diseases from the ground up, by figuring out the mutations responsible for cancer on their most basic, chemical level, developing novel drug candidates that treat each unique form of the disease, and then testing the efficacy and pharmacological potential of each new compound.
The three doctors are experts in distinctly different areas, but each of their areas of expertise complements the other—and their collaborations will advance experimental therapeutic cancer research, generate targets for therapeutic development, and create a pipeline for cancer drug development at Mount Sinai.
“It’s early on in the scheme of things,” said Dr. Gallo. “But this is a place with a growth curve, a dynamic place. We want to implement new approaches that improve the treatments of the day and expedite the development process, and come up with novel drug regimens that are more effective than previous ones.”
in “dr. mario,” a nintendo video game from the early 1990s, the player steers little multicolored pill shapes across the television screen, flipping them end over end until they are lined up properly—the goal is to stack three pills of the same color on top of little twitching monsters that are scattered across the screen. A pile of three pills of the same color explodes the cavorting monster underneath. The monsters represent a disease. The player has to find the right puzzle pieces to interfere with the disease until, monster by monster, it is entirely destroyed.
Kind of like how scientists are battling cancer.
“ we want to target ways proteins within a cell might associate with each other,” said Dr. Ohlmeyer. His shirt sleeves were rolled up and he leaned forward,
gesticulating, as he described his research into small molecule ligands of protein domains. Protein domains are sections of a protein sequence with defined function, often recognizing other proteins within the larger protein chain.
“The concept is that we can get small molecules to bind into these protein domains, and we can interrupt, or block, the formation of proteins and protein complexes that play a role in the development of cancer,” Dr. Ohlmeyer explained.
Or, in other words, stop cancer from ever developing by finding drug candidates that destroy the process that generates cancer cells—its little twitching monsters.
Dr. Ohlmeyer and Dr. Reddy both work to develop molecules, which eventually become chemical drug compounds, that interfere with the abnormal cellular process that causes cancer. Although their goal is the same, the two researchers work on different “targets,” or aspects of that abnormal process: Dr. Ohlmeyer works to find molecules that interfere with protein domains, and Dr. Reddy works to find molecules that interfere with the interactions of kinases, or enzymes, within the body’s cells.
“We’re working to improve molecules to interrupt the interactions—these could be a novel way of targeting disease,” said Dr. Ohlmeyer. “Where we think we have promising molecules, we can try those out in different disease models and different experimental therapeutic models.”
This is where Dr. Gallo comes in. Once Drs. Reddy and Ohlmeyer and their research teams find novel small molecular compounds and prove that the compounds stop the biological process that causes cancer, they bring the drug candidates to Dr. Gallo. Dr. Gallo is a pharmacologist with expertise in pharmacokinetics, or what the body does to the drug (the rate at which the drug action begins to work, duration of the effect of the drug, chemical changes of the substance in the body, etc.); and pharmacodynamics, or what the drug does to the body (the physiological effects, drug-receptor interactions, whether the drug inhibits the desired processes, etc.).
Dr. Gallo is primarily interested in brain tumors, and his team focuses on finding compounds that cross the blood-brain barrier to reach tumor cells in the brain. However, he offers his expertise in collaborations with other researchers to determine the efficacy and action of the novel drug candidates they are working with.



Dream team: (from left)
James M. Gallo, PharmD, PhD, E. Premkumar Reddy, PhD, and Michael H. J. Ohlmeyer, PhD

“We’ll discuss what Prem and Mike know about their compounds, and then we’ll start to screen them—we implement various screening methodologies: in silico screens, in vitro studies, and cassette dosing protocols. And then we work into more directed studies in disease models to determine pharmacological action,” said Dr. Gallo. “We’re trying to build a foundation on the pharmacokinetic and pharmacodynamic properties of the compounds as the criteria for how to move compounds forward—to say these are worthy of developing, and these are not worthy of developing.”
The pharmaceutical industry is increasingly looking to academia as its virtual research and development lab.
Couple the prospect of costly failures with the expiration of drug patents, and pharmaceutical companies are facing a daunting revenue forecast for the coming decades. As a result, the industry has become conservative, and tends to invest in research into diseases and drugs for which there are already targets and existing drug candidates. If things don’t change for the biomedical industry, the new drug pipeline will run dry—despite the acceleration in the pace of groundbreaking discoveries in research around the globe.
In the end, all three researchers are ultimately working toward the same goal: to come up with new molecules that can be turned into drugs that combat cancer more effectively than those that exist today. They want to create pills to destroy the little cavorting monsters.
the timing for the launch of this coordinated attack on cancer couldn’t be better. The pharmaceutical industry is starting to pay closer attention to academic medical centers that house robust translational research collaborations, like this one at Mount Sinai, to generate new molecules that can be developed into cancer drugs. Dr. Ohlmeyer, who worked in the industry until he came to Mount Sinai earlier this year, knows why.
“The basic concept of finding novel chemical entities, new small molecules, and moving those forward to show safety and efficacy is what drug discovery is all about,” said Ohlmeyer. “The problems in the pharmaceutical industry at the moment have to do with economics of scale—so often, big pharma can’t work on certain targets because they don’t perceive a large enough market. And their failures in the clinic can be very, very expensive, so it’s a high-stakes game.”
THE DRUG DISCOVERY PROCESS
In academia, however, researchers are not hampered by commercial pressures, and are free to explore fresh concepts and novel approaches to tackling disease. The most exciting paradigms and concepts today are being generated in the labs of academic medical centers, Dr. Ohlmeyer explained. The pharmaceutical industry is increasingly looking to academia as its virtual research and development lab.
And Mount Sinai is now poised to become a leader in this type of investigation—a veritable engine for cancer drug discovery. And the engine is already revving.
“conceptually, it ’s very simple : take the protein and understand what it does in cancer, and block its activity,” said Dr. Reddy. “We do this by creating a new molecule, like this one.” Dr. Reddy touched a red and white plastic object sitting on his desk. It looks more like a children’s puzzle game designed to pass the time than a patented cancer-fighting pearl.
But it is a model of 1910, the deceivingly simple molecule that Dr. Reddy and his colleagues discovered several years ago after pursuing the molecular basis for ayurvedic medicine—plant-based treatments that have been used since ancient times in India, Dr. Reddy’s native country.
The scientist discovers a genetic mutation or change that causes cancer or is associated with the disease process.
The scientist studies how the change affects a normal cellular process. In the case of most cancers (except those that are caused by viruses), the majority of these changes are genetic and lead to the production of mutant proteins in the cancer cell.
The scientist develops tests, or assays, for the mutant protein.
First use of platinum in US for treatment of ovarian cancer described in paper by Howard Bruckner (above right), et al.
Samuel Waxman organizes the first international conference on Differentiation Therapy in Cancer.
Derald H. Ruttenberg Cancer Center opens.
The molecule 1910, Dr. Reddy explained, works by interfering with cancer cell division. All cells in the body divide perfectly in two, millions of times throughout the day. This is a normal, healthy process; it’s what keeps us alive. And when cells divide imperfectly, they die—which is also normal and healthy. Cancer is, essentially, uncontrolled cell division: Sometimes, cells in the body get mixed up—mutated— and begin to divide too rapidly into perfect copies of themselves.
Dr. Reddy and his team found that 1910 inhibits a particular kinase, or enzyme, that processes the cell’s signal to divide uncontrollably. By interfering with the enzyme, 1910 mucks up the perfect process of cell division. The new, imperfect cells—the cancer cells—die. Dr. Reddy also found that 1910 leaves healthy cells alone to go about their business and continue to divide perfectly, keeping us alive and well.
Better yet, Dr. Reddy and his team found that in addition to being completely non-toxic, 1910 has no side effects. Patients do not experience the typical nausea, vomiting, hair loss, and immune system suppression that chemotherapy causes.
And the 1910 can be swallowed in a tiny, multicolored pill.
The 1910 molecule is now in clinical trial, being given in combination with another drug to a number of patients with leukemia and lymphoma. Dr. Reddy and his team have already conducted several trials with small numbers of cancer patients, and the results have been dramatic. He listed several success stories: a patient in Connecticut, whose ovarian cancer is in complete remission and who was able to realize her lifelong dream of traveling to Italy.
A college student in Colorado whose body, once riddled with tumors, is now cancer-free. A retired Mount Sinai nurse who asked, when she was told that the tumors in her lungs were shrinking, how she could buy stock in the new drug.
“I told her, ‘first you get better and then we’ll give you free stock,’” said Dr. Reddy, giggling. “I laugh too much—but can you imagine when you find out this woman is cured of cancer? My work is very exciting.”
“ there are sparks that occur —and you know, that’s great,” said Dr. Gallo. Dr. Gallo’s office is located within the laboratory where his team conducts screening assays on models of cancer, and the constant thrum of equipment provides a backdrop of white noise while he works at his computer. “But at the end of the day, it’s usually grinding and a much longer path to actually realize important advances.”
The goal for Drs Reddy, Ohlmeyer, and Gallo is to continue to develop Mount Sinai’s cancer therapy program and generate more molecules like 1910. All three researchers agree that Mount Sinai is known for its outstanding research infrastructure, and that the Medical Center boasts one of the best gene sequencing facilities in the world.
But the main reason these renowned scientists decided to come to Mount Sinai to continue their work is that Mount Sinai is known for a seamless bench-to-bedside translational research culture: The clinicians who work with the compounds these talented scientists discover are right here. And so are the patients.
“Cancer is a very complicated disease, but one step at a time—one cancer after the other—we can figure it out,” said Dr. Reddy. He fiddled with the plastic molecule on his desk—a molecule that is now being commercially developed by a biotechnology firm—as he spoke. “My son is now in his 30s, and he recently said to me, ‘I can see you are still playing your Nintendo.’”

: First demonstration of how asbestos causes cancerous changes in cellular DNA.
Realizing the need to expand efforts to meet the changing needs of women as they faced all aspects of a breast cancer diagnosis, Mount Sinai began offering psychosocial services to breast cancer patients as a post-surgical, in-hospital support program. The Mount Sinai Breast Health Resource Program opened its doors officially in 1995. MSSM CANCER MILESTONES 1988 1990
The scientist develops a compound or biological agent (such as a vaccine or antibody) that inhibits the activity of the mutant protein.
The scientist tests whether the compound reverses the effects of the mutant protein in a cancer cell, and makes sure that the compound does not have any undesirable toxicity associated with its action.
The scientist translates the research findings and the molecule into a drug for patients with cancer.
Johnson

Tackling the challenges of lung cancer, Dr. Kenneth Rosenzweig is at the forefront of the radiation oncology field.
BY SIMA RABINOWITZ
quantum leap
“the survival rate for some patients with lung cancer was measured in weeks or months when I first started out in this field. Now, we measure survival rates in years,” says Kenneth Rosenzweig, MD, new Chairman of the Department of Radiation Oncology at Mount Sinai School of Medicine.
In fact, just two decades ago, the chance of controlling a tumor with radiation therapy alone in patients with early-stage lung cancer was only one in four. Today, nine of every 10 patients diagnosed at an early stage can have their tumor eliminated with just radiation.
There remains tremendous room for improvement, especially in lung cancers diagnosed at later stages in the disease. Such challenges—and the opportunity to play an important role in developing the technologies that will increase cure rates and enhance quality of life for patients—are what’s most fascinating about lung cancer research, and what motivated his move to Mount Sinai this past June, Dr. Rosenzweig says.
“Mount Sinai’s enormous decision to invest in becoming a world-class cancer center, and the opportunity to contribute to building such an institution for cancer research and treatment, inspired my choice.”
At Mount Sinai’s Tisch Cancer Institute, Dr. Rosenzweig will continue the innovative research in radiation oncology that engaged him—and for which he is known—at Memorial Sloan-Kettering Cancer Center (MSKCC) where he worked from 1997–2010. The tools and techniques he developed in radiation oncology at MSKCC allow doctors to obtain much clearer images of tumors, target them more accurately in sync with the body’s respiration cycle, and, consequently, deliver higher doses of radiation more precisely.
Not Just a Smoker’s Disease
Dr. Rosenzweig’s work has contributed to the dramatic changes in outcomes for patients with early-stage lung cancer. Lung cancer is the leading cause of all cancer deaths: More than 200,000 people are diagnosed
annually with cancer of the lung or lung lining. While many of us think of lung cancer as a smoker’s disease, in fact more than half of patients diagnosed with lung cancer are not current smokers, and tens of thousands have never smoked at all. “Lung cancer is a disease of all people,” says Dr. Rosenzweig. Classically, lung cancer was treated with surgery. But many patients cannot tolerate surgical intervention; their heart or lung function is simply not adequately robust. For these patients radiation or chemotherapy may be other viable options. While in its infancy, Dr. Rosenweig explains, radiation
Today, 9 out of every 20 lung cancer patients diagnosed at an early stage can have their tumor eliminated with just radiation.
treatment for lung cancer was not terribly effective— survival rates were poor and radiation caused severe side effects. But today—as a result, in large measure, of Dr. Rosenweig’s work—patients with lung cancer can benefit enormously from radiation treatment.
Targeting with Technology
Every type of cancer poses distinct challenges for effective treatment, and different technological solutions are appropriate for different cancers. One of the key challenges in treating lung cancer with radiation is the body’s natural respiratory cycle. Because the body continues to breathe (which causes movement), during treatment, it extremely difficult to deliver the right dose to the right target without affecting the adjacent normal tissue.
Richard Stock (Radiation Oncology) working with Urology staff, develops an ultrasound-guided technique to insert radioactive seeds into the prostate to treat prostate cancer; eliminates time consuming pre-planning and allows for optimal seed placement.

The development of a novel approach called stereotactic body radiation therapy, a method that “brings together all of the lessons we have learned over the last fifty years,” Dr. Rosenzweig explains, has enabled dramatic improvements in radiation treatment. Using CAT (computerized axial tomography) and PET (positron emission tomography) scans, doctors obtain precise views of tumors. “We can see clearly what is cancer and what is not,” Dr Rosenwzeig says. The patient is kept as still (while as comfortable) as possible, and adjustments are made to account for the breathing cycle. A high dose of radiation is delivered precisely to the tumor so that there is little or no effect to the surrounding healthy tissue and there are few, if any, side effects. Ninety percent of patients with early-stage lung cancer who are treated with this therapy have their tumor eliminated.
“Many advances have converged to solve the problem,” says Dr. Rosenwzeig. “There are always multiple paths to the goal of improving survival rates for patients. Stereotactic body radiation therapy is one approach that has allowed us to achieve amazing results.”
New Base, New Challenges
At Mount Sinai, Dr. Rosenzweig will focus on solving another set of problems, applying what he has learned from his work on early-stage lung cancer to later stage lung cancer (when the cancer has spread) and to mesothelioma, cancer of the lining of the lung.
“As a native New Yorker, I am greatly concerned about mesothelioma, because victims and first responders involved in the World Trade Center tragedy may have been exposed to asbestos,” says Dr. Rosenzweig. “It’s another reason why I’m pleased to join the team at Mount Sinai, which has exhibited leadership in providing care to people whose health may have been affected by the events of 9/11.”
Since 2002, Mount Sinai’s federally-funded World Trade Center Medical Monitoring and Treatment Program has offered free health evaluation, monitoring, and treatment for eligible 9/11 rescue, recovery, and clean-up workers and volunteers. The program has medically screened more than 26,000 WTC rescue and recovery workers and volunteers and provided more than 40,000 medical monitoring exams.
Mesothelioma is an aggressive cancer that poses a set of challenges nearly opposite to those of lung cancer. With cancer of the lining of the lung, a high dose of radiation must be delivered to a large area of the body without affecting the surrounding healthy tissue—tissue that is nearly inseparable from the lining.
“It’s like trying to hit the skin of an apple with a BB-gun without touching the flesh of the apple,” explains Dr. Rosenzweig. Preliminary efforts to create such a technology are promising, and Dr. Rosenzweig is optimistic about the potential to see improvements in this disease.
World-Class
He continues his pioneering work, as well, on latestage lung cancer, which poses similar challenges. Currently, these cancers are treated primarily with a combination of radiation and chemotherapy, but the drugs are often not well tolerated and the side effects of the radiation can be severe. The next phase of research will focus on delivering treatment in the safest and least toxic way possible through radiation.
“We hope to make the same quantum leap forward with late-stage lung cancer that we made in early-stage lung cancer and to get the same superior results with newer radiation technology,” says Dr. Rosenzweig. “The field of radiation oncology is really just beginning its contribution to the total care of the cancer patient. Radiation departments around the world are actively changing to incorporate these new treatment philosophies to take better care of patients in all disease sites. The same advances that I have contributed to in lung cancer are taking place for every type of tumor: gastrointestinal tumors, prostate cancer, breast cancer—and the list goes on and on.
“I hope we can play a leading role at Mount Sinai in determining the best way to incorporate new technologies into integrated approaches and into creating a world-class cancer center in a worldclass hospital.”
– Dr. Rosenzweig “
Radiation Oncology is just beginning its contributions to the total care of the cancer patient.”
Mount Sinai is chosen as the major northern Manhattan recruitment site for the NY Cancer Project, a populationbased study that will run for 20 years to determine causes of cancer.
Ze’ev Ronai, working with researchers at the University of California at Riverside, identifies a mechanism that makes melanomas resistant to therapy, blocking FAS receptor mechanism.
Glenn Dubin and Eva Andersson-Dubin, MD Partner with Mount Sinai to Fight Breast Cancer

“ Donors like Eva and Glenn Dubin bring an unparalleled set of insights to their giving.”
When Glenn Dubin joined The Mount Sinai Boards of Trustees in 2004, Mount Sinai was just setting its ambitious Campaign for Mount Sinai in motion.
Inspired by the vision proposed by Mount Sinai’s leadership, Glenn and his wife, Eva Andersson-Dubin, MD, quickly became involved with Mount Sinai’s plans to build a comprehensive breast cancer center.
A clinician and breast cancer survivor, Eva took a personal interest, and a key leadership role, in the project. Her unique perspective on breast cancer—a disease to be confronted by one in eight women—has been integral to shaping the vision that led to the creation of the Dubin Breast Center at The Mount Sinai Medical Center.
Eva’s professional and personal experiences enable her to think innovatively about the best ways to deliver comprehensive clinical care to patients diagnosed with breast cancer. Eva says, “Being a physician and a woman who was diagnosed with breast cancer gives me a valuable perspective on what’s important from a patient’s point of view, and as a physician, how clinical care can be improved.
“My medical background helps me communicate with the physicians as a peer—which can be very helpful in discussing treatment options,” Eva adds. “I also appreciate their professional needs and understand how important it is that the different departments work seamlessly with one another.”
The result: an innovative and individualized way to treat breast cancer in a comprehensive setting, while exploring research options for the future.
Early in the planning process, Eva found herself wellmatched in George Raptis, MD, MBA, who was recruited by Mount Sinai to direct the Dubin Breast Center and who clearly shared Eva’s overriding concern for patient care. Dr. Raptis found that “Her vision is for patientcentered care and is very much in line with my own.”
“And I can’t imagine a better partner in this project,” Eva says. “Dr. Raptis is a superb clinician and he has an incredible vision for the future of the center.”
The arrival in May of renowned breast surgeon Elisa Port, MD, FACS, as Co-Director of the Center completes the leadership.
The Dubins and Drs. Port and Raptis are working to develop a multidisciplinary program that prioritizes space for diagnostic evaluation in radiology, surgery and reconstruction, medical treatment in the form of trained breast oncologists, and infusion for chemotherapy and other therapeutics.

“The Dubin Breast Center is a comprehensive, highly integrated program,” notes Mount Sinai’s President and CEO, Kenneth L. Davis, MD. “Donors like Eva and Glenn Dubin bring an unparalleled set of insights to their giving.”
For more about the Dubin Breast Center, see pages 16–20.
Breaking ground: Eva Andersson-Dubin, MD (center) joined President Davis and Dubin Breast Center Co-Director Raptis last year.
Fred Klingenstein: A Trustee’s Perspective
Mount Sinai will honor Trustee Fred Klingenstein and his wife, Sharon, at the first annual Noble Deeds Society Dinner, held at the New York Public Library on October 12, 2010. Following in the footsteps of his father Joseph, Mr. Klingenstein has been an active member of the Mount Sinai Boards of Trustees since 1971. Over the years, he has seen, and overseen, remarkable change in the institution. Recently, he shared his reflections on his family’s legacy at Mount Sinai and his observations and experiences as a Trustee.
QYour father, Joseph Klingenstein, served as a Trustee for over 35 years, as Chairman of the Board for part of that tenure, and was vital in the creation of the Department of Psychiatry. What was it like growing up in such a philanthropic family, and what sorts of habits and expectations did that set for you personally?
mr klingenstein: My father’s interest in philanthropy—not only at Mount Sinai but at various other institutions—set an understanding growing up that not only trying to make money but also giving a reasonable portion of that back was an appropriate thing to do.
QYour Uncle Percy is also something of a legend here. He received his training at the hospital in 1919, served as Chief of Surgery at the Mount Sinai-affiliated Hospital for Joint Diseases, and mentored Mount Sinai surgeons for decades. How did his expertise as a physician and a surgeon inform your decision-making as a Trustee?
mr klingenstein: Actually I had two uncles who were very involved with Mount Sinai—the other was Milton Steinbach, who was the first President of Mount Sinai School of Medicine. But Percy … over the years, we couldn’t help but be impressed by his devotion and his longevity. He used to come to Mount Sinai well into his 90s to attend grand rounds. So it was just one more factor in a family that, over the years, in many different ways, was involved in and devoted to the institution. When someone asked me to become a Trustee, it was a natural thing to say yes. And it’s been a wonderful experience.
QYou have served on the Mount Sinai Boards of Trustees since 1971. How would you say that Mount Sinai has changed, and who has impressed you during that time?
mr. klingenstein: Well it has changed, to my knowledge, 180 degrees. It has changed in that present management and leadership at the board level is focused on running the institution as an expanding business,

and it’s been inspiring to watch. They have focused on recruiting outstanding scientists or physicians from the finest institutions in the country. The credit, in my mind, goes straight to its leadership—Peter May, Dr. Davis, and Dr. Charney. I think that feeling is shared by a number of my fellow trustees.
QWhat advice would you give to new trustees about how to lead Mount Sinai and best represent its interests?
mr. klingenstein: To become involved and to become interested. Get to know the institution from the perspective of the individuals who are leading it and what they’re trying to achieve, and see where your background might be helpful in working towards achieving whatever those goals institutionally might be.
QOn a more personal level, why do you feel people should support Mount Sinai?
mr klingenstein: Well I feel they should support it for numerous reasons. One is that, clearly, being human, we all are subject at various times in life to health problems, be it our own or within our families. There really is nothing more important in life than one’s health. So here’s an institution which is able to provide the kind of services that we all need—or will need. And then there’s the fact that it has been turned around to where it is in fine shape when many of the competitive institutions are failing almost daily. It seems to me that it’s a very rewarding type of involvement.
Fred and Sharon Klingenstein
Neustein Fellowships Recognize Post-Docs
Mount Sinai recently introduced a new annual award, the Robin Chemers Neustein Postdoctoral Fellowship, to encourage and support female research scientists at Mount Sinai School of Medicine. The fellowship was created and funded by a longtime Mount Sinai supporter and Trustee, Robin Chemers Neustein (center), with the inaugural recipients, Molly A. Ingersoll, PhD, and Ruth I. Johnson, PhD. Each of these enterprising researchers—selected from a pool of more than 40 applicants—was awarded $25,000.
Dr. Ingersoll’s work focuses on understanding the pathogenesis of urinary tract infection and host response, and Dr. Johnson hopes to gain an understanding of how cells integrated within a complex tissue layer are capable of reorganizing to generate a functional organ.

Adolescent Health Center Receives $1.5 Million Gift
Mount Sinai’s innovative Adolescent Health Center (AHC) recently received its largest gift to date—$1.5 million—from philanthropists John and Judith Hannan.
The AHC, an integrated model of physical, mental, sexual, and reproductive health services for young people in East Harlem, currently serves 10,000 young people between the ages of 10 and 22 every year.
The Hannans’ gift supports a $4 million expansion— adding 5,000 square feet of space—that will allow the AHC to reach an additional 5,000 young adults each year. The new space will include six new exam rooms, new mental health suites, an exercise and dance suite, and several counseling offices. Thanks to the gift, the AHC will also be able to offer dental and optical services for patients.
Mr. Hannan, chairman of private-equity firm Apollo Investment Corp., and his wife first became involved with child- and adolescent-health issues a decade ago when one of their daughters was diagnosed with cancer at age 8. Since then, the Hannans have been active supporters of child health.
Mrs. Hannan, a writer, is also an active member of the AHC’s advisory board, and teaches a weekly writing workshop at the center each spring.
“There’s nothing fuzzy about it,” says Mrs. Hannan. “The center is on the forefront of adolescent health care and research, producing tangible results in things like lowered rates of teen pregnancy and substance abuse.”
Angela Diaz, MD, MPH, the center’s director, says that getting young adults to take responsibility for their own health care means giving them what they need: free, confidential care, flexible hours, and respect.
“It’s not just about providing them with services but empowering them to have the knowledge and skills to make decisions that are right for them,” Dr. Diaz says. Beyond keeping the center’s patients healthy, the programs influence their choices and lifestyles—both in the short and long term. “Through exercise, afterschool programs and writing workshops, the center reaches deeply into set patterns and teaches kids how to value themselves,” says Mrs. Hannan. “I see our family’s involvement with the Adolescent Health Center as a natural continuation of our interests in child health and development.”
“ It’s not just about providing them with services but empowering them to have the knowledge and skills to make decisions that are right for them.”


Crystal Party
Celebrating 25 Years
Mount Sinai’s Crystal Party—formerly the Crystal Ball—welcomed about 1,250 guests for its 25th anniversary on May 6, 2010. Hosted by Peter W. May, Chairman of The Mount Sinai Boards of Trustees, and his wife, Leni, the event offered dinner and dancing under a tent in the Central Park Conservatory Gardens and raised almost $3 million for the institution.
“We are proud to be part of Mount Sinai,” Mr. May said. “And we’re excited to contemplate what lies ahead for our patients, our children, and a world in need of breakthroughs.”




Pictured: 1. (left to right) Jonathan Right, Elizabeth Right, Teddy Schwarzman, and Zibby and Andrew Right. 2. (left to right) Magic Johnson joins Bonnie M. Davis, MD, Kenneth L. Davis, MD, and the entire Davis family. 3. Crystal Party chairs Peter and Leni May. 4. The Young Friends of Mount Sinai. 5. Herb Gretz, MD, (right) and guest. 6. (from left) Burton Drayer, MD and Michaele Drayer, this year’s Doctors Chairmen, with Andrea Charney and Dennis S. Charney, MD. 7. Leni and Peter May (center) with Susan and Richard Friedman. 8. Howard Katz and trustee Ellen Katz. 9. Madeleine Lebwohl and Mark G. Lebwohl, MD, Sol and Clara Kest Professor and Chair, Department of Dermatology.









An Evening with Deepak Chopra
Dr. Samin Sharma, Zena and Michael A. Wiener Professor of Medicine, Co-Director, Zena and Michael A. Wiener Cardiovascular Institute, and Director, Cardiac Catheterization Laboratory & Intervention hosted an intimate evening at the restaurant Daniel on May 12th to support the research efforts underway at The Cardiac Catheterization Laboratories. Deepak Chopra, MD, founder of the Chopra Center for Wellbeing and best-selling author, delivered the evening’s keynote address.
Pictured: 1. Dr. Sharma and Sant Chatwal. 2. Dr. Sharma. 3. Valentin Fuster, MD, PhD and Wayne Keathley, COO of Mount Sinai Hospital, with the evening’s guest speaker, Dr. Deepak Chopra. 4. Dr. Ajey Jain, Kailash Rawat, Dr. Sharma, Rajni Rawat, Manju Sharma, and Renu Jain. 5. Deepak Chopra.





A Family Celebration
The Glickenhaus Neuroscience Laboratories
On June 29th, Mount Sinai celebrated the naming of the Glickenhaus Neuroscience Laboratories at the Friedman Brain Institute with a gathering in the Annenberg Building to honor Seth and Sarah Glickenhaus.
: 1.







Celebrating the FBI
Friedman Brain Institute
On May 4th, Mount Sinai faculty and Trustees, along with friends and family of Trustee Richard Friedman and his wife, Susan, gathered in the Gustave L. and Janet W. Levy Library in the Annenberg building to celebrate the naming of the Friedman Brain Institute and to honor the Friedmans’ generous commitment to The Campaign for Mount Sinai.
Pictured: 1. (left to right) Peter May, Chairman of the Boards of Trustees; Dennis S. Charney, MD, Anne and Joel Ehrenkranz Dean, Mount Sinai School of Medicine; and Trustee Richard Friedman.
2. Richard Friedman (left) addressed the gathering. 3. Katherine and Clifford Goldsmith with Samuel Gandy, MD, PhD, Professor of Alzheimer’s Disease Research, Professor of Neurology and Psychiatry, and Associate Director of the Mount Sinai Alzheimer’s Disease Research Center. 4. Susan Friedman (center) with Trustee James S. Tisch and Merryl H. Tisch, EdD. 5. Kenneth L. Davis, MD, President and CEO; Yasmin L. Hurd, PhD, Director of the MD/PhD program at Mount Sinai School of Medicine; and Joseph D. Buxbaum, PhD, Director of Mount Sinai’s Seaver Autism Center.
Pictured
The Glickenhaus family with Eric Nestler, MD, PhD (right), Director of the Friedman Brain Institute, Chair of Neuroscience, and Nash Family Professor. 2. (left to right) Mr. and Mrs. Glickenhaus, and Dr. Nestler.
“
Patients Say Thanks
We feel honored to make a gift in honor of our doctor, Andrei Rebarber. When I told my husband about the opportunity to “honor our doctor,” his eyes literally teared up. Next month we will be celebrating the first birthday of our son, who would certainly not be here if not for the care given to us by Dr. Rebarber.
We were referred to him on December 22nd, 2008, and he and his partners quickly diagnosed the effects that the parvovirus was having on our 20-week-old fetus. We were told that we had approximately 12 hours in which to have a fetal blood transfusion to save our son’s life. Because the hospital was full and we needed special ultrasound equipment, Dr. Rebarber met us at 5 a.m. on Christmas Eve to perform the procedure. Two days later, we knew that the chances were favorable that we would have a healthy child.
Now I am tearing up, because I can’t even articulate how grateful we are for the grace, skillfulness, and humbleness with which Dr. Rebarber performed this highly technical and difficult procedure. We were thrilled when he delivered our son 18 weeks later.
Not a Christmas Eve will pass when we will not feel immeasurable gratitude to Dr. Rebarber and the gift he has given us.
This was just one of dozens of testimonials from patients and their families who responded to “Honor Your Doctor,” Mount Sinai’s first observation of National Doctors Day, held in March. National Doctors Day is an opportunity to celebrate the vital roles doctors play in caring for the sick, advancing medical research, and promoting healing and wellness. The “Honor Your Doctor” campaign was designed to allow grateful patients to make a contribution and/or submit a testimonial, recounting their own stories and expressing appreciation for their physicians.
“The outpouring of gratitude has truly been remarkable,” said Mark Kostegan, Mount Sinai’s Senior Vice President for Development. “More than three hundred Mount Sinai doctors were honored, and

”patient after patient spoke of physicians whose concern for their well-being resulted in extraordinary care.”
The level of support—for physicians in just about every specialty—means that observing National Doctor’s Day will become an ongoing tradition at Mount Sinai. Gifts and testimonials continue to be received at philanthropy.mountsinai.org/honor.
“These testimonials are a powerful reminder of a physician’s ability to transform lives and improve outcomes for their patients,” said Al Seminsky, Director of Annual Leadership Giving.
To honor your Mount Sinai doctor’s extraordinary commitment, please contact Al Seminsky at (212) 659-9554 or albert.seminsky@mountsinai.org, or visit philanthropy.mountsinai.org/honor.
IN MEMORIAM




carol K. Pforzheimer, wife of the late Carl H. Pforzhemier, Jr., died on July 25, 2010. A member of the Board of Trustees of Mount Sinai’s School of Nursing from 1936 until its closing in1971, Mrs. Pforzheimer also served as a member of the Mount Sinai Auxiliary Board and in a volunteer capacity at The Mount Sinai Medical Center. Her late husband was a longtime member of the Mount Sinai Boards of Trustees. Through the Carol and Lily Pforzheimer Foundation, Mrs. Pforzheimer’s generosity touched many lives at Mount Sinai. Her support provided crucial funding for the Adolescent Health Center, the Employee Assistance Program, the Humanities in Medicine Program of Mount Sinai School of Medicine, and a host of other priorities. We extend our deepest sympathies to her family.
how can you change the future of science and medicine?
By giving a gift for scholarships at the Mount
Sinai School of
Medicine


There is a desperate shortage of primary care physicians in this country— the physicians who are frequently on the front lines of medical care.
Student debt is the greatest obstacle standing in the way of addressing our healthcare workforce crisis. Medical students may take on nearly $200,000 in debt to fund their education, and many must make career choices based on harsh economic realities.
Your gift to the Mount Sinai Scholarships Initiative helps us offer a Mount Sinai education to students who are:
• committed to caring for the underserved
• trained to think creatively about science and medicine
• passionate about global health
And those students are the future of science and medicine.

“ Scholarships at Mount Sinai are not a luxury—they are essential and allow us to attract diverse students who will commit themselves to careers where there is greatest need without having to worry about being encumbered by staggering debt.”
— David Muller, MD, Dean for Medical Education, Mount Sinai School of Medicine
To make a gift to scholarships, please contact Elizabeth McMahon
ALUMNI
A Second-Generation Success Story
Mount Sinai School of Medicine alumna Dr. Janice Gabrilove, daughter of a Mount Sinai legend, has forged a distinguished career of her own.

As a child, Janice Gabrilove did not dream of a career in medicine—“I was thinking of going into the performing arts,” she recalls. This is surprising, considering her father is Dr. J. Lester Gabrilove, a pioneering endocrinologist and a longtime leader of Mount Sinai’s Division of Endocrinology, Diabetes, and Bone Disease, which is named for him and his late wife Hilda.
But Janice later changed her mind—and has forged a distinguished medical career in her own right as a researcher, educator and clinician.
Dr. Gabrilove is James F. Holland Professor of Medicine, Hematology and Medical Oncology and Professor of Oncological Sciences at Mount Sinai School of Medicine, from which she earned her medical degree. She also directs the school’s Clinical Research Training, MS and PhD in Clinical Research programs, where trainees learn how to apply the observations gained from clinical practice to medical research. The programs, now renamed the Center for Patient-Oriented Research, Education, Training and Development, recently received a major boost through a Clinical and Translational Science Award (CTSA)— a $34.6 million, five-year grant—from the National Institutes of Health (NIH). The award is the culmination of years of work by Dr. Gabrilove to establish Mount Sinai as a world-renowned leader in clinical research. She hopes to make Mount Sinai’s clinical
research training “the centerpiece of the CTSA.”
Created by the NIH in 1998, the Clinical Research Curriculum Awards were intended to help medical institutions train a greater number of researchers; the Institute was concerned, Dr. Gabrilove says, “that clinical investigation was becoming a dying art and a dying science… something that was kind of learned on the sly” due to a lack of funding.
The newly hired Dr. Gabrilove was assigned by then-Dean of MSSM Dr. Arthur Rubinstein and then-Department of Medicine Chair Dr. Barry Coller to apply for an award. The application was successful, enabling Mount Sinai to establish a certificate program which was later expanded to include Master’s and PhD degrees. “We recruited our first PhD cohort last fall,” she says proudly. “Seven students were accepted.”
From o ne Sm A ll Cell, Dr A m Ati C Bre A kthrou G h S Dr. Gabrilove describes herself as “passionate about clinical research,” and it was such research that produced her crowning achievement to date: the development of human granulocyte colony stimulating factor (G-CSF), a major breakthrough in both chemotherapy and bone marrow transplantation.
Dr. Gabrilove and her research team studied the neutrophil granulocyte, a white

blood cell that plays a crucial role in preventing bacterial infection. In chemotherapy, these rapidly growing cells are injured or killed, resulting in a condition known as febrile neutropenia where the body’s defenses against infection are greatly reduced— “a significant cause of mortality,” she notes.
But her team was able to discover the normal growth factor for neutrophil granulocytes, which they tested and then cloned in collaboration with the biotech company Amgen to produce G-CSF— which has been shown to reduce the incidence of febrile neutropenia by as much as 50 percent. Other researchers have subsequently used G-CSF to achieve greatly improved survival rates in diseases such as breast cancer and lymphoma.
Gabrilove and her team made another important discovery: G-CSF drives stem cells from the bone marrow out into the bloodstream, allowing doctors
to collect the cells and use them in bone marrow transplants. Previously, the cells had to be surgically removed; with a dosage of G-CSF, they can be obtained through a simple blood extraction. “It’s much less invasive,” says Dr. Gabrilove, “and you get a better quality stem cell.”
In talking about her Mount Sinai experience as a medical student and staff member, Dr. Gabrilove notes that her father—whom she calls “just an unbelievable role model in the kind of person he was”—has been a particularly inspiring influence. And she continues to benefit from his insights: Lester Gabrilove currently serves as Baumritter Professor of Medicine, Emeritus at Mount Sinai—while continuing his clinical practice—as he approaches his 93rd birthday.
Dr. Gabrilove describes herself as “passionate about clinical research,” and it was such research that produced her crowning achievement to date.
“My father drops in now and again for a visit,” she says. “He’s a great guy.”
– Philip Berroll
Message from the Alumni President Martin Goldstein, MD ’73

as President of the Mount Sinai alumni, it is my honor to welcome the class of 2010 to the Mount Sinai School of Medicine, where we are dedicated to ensuring these superb students are among the next generation of the finest physicians, researchers, educators, and leaders of 21st century science and medicine. alumni play important roles in Mount Sinai’s promise to transform each student’s education into a unique learning experience that cannot be matched by any medical center in the world. and our hope is to build a cohesive bond among them, and between them and Mount Sinai. the best and most motivated candidates come to Mount Sinai, and we build lifelong relationships with them by celebrating the natural link that all alumni have with Mount Sinai. We support the student experience by contributing to MSSM signature events, such the White coat ceremony, Match day, and career day, and with support programs like the Mosaic student literary magazine, access to the Levy Library, and Student council. We solidify the alumni experience with alumni Weekend—with its tradition of honoring five-year graduating classes—and through the
continued organization of regional alumni clubs, promoting collegiality among peers and serving as a place for graduates to network with fellow alumni.
But we compete for these great minds with schools who have established scholarship endowments, and long-standing traditions of contributions for student scholarships. it is imperative that Mount Sinai build its own tradition of providing scholarship assistance to our students—and we have seen great strides the last few years. alumni have begun to step forward and demonstrate their commitment to strong scholarship programming in MSSM: For example, 34 percent of the graduating class of 1985 gave to the alumni endowed scholarship fund in the name of their class. at a time when the average medical student graduates with a debt approaching $200,000, we cannot afford to do less.
So here’s an invitation for all our alumni and friends: take an active role in our association. Visit our Web site—www.mountsinaiconnections.com Learn more about what we do—and more about the many resources, programs, and opportunities available for alumni of Mount Sinai. come find friends, and be part of the Mount Sinai alumni association.
Bridging the Gap
Over the past year, The Mount Sinai Alumni Association has been working to raise its profile on campus and expand the existing social and professional networks connecting current students with Mount Sinai alumni.
■ As part of our Match Day Mentor program, The Mount Sinai Alumni provides exiting fourth-year students with a list of all the alumni at other medical institutions.
■ Working with the GME office during Core Curriculum Week in June, we’ve launched a new program with the current house staff to sponsor social nights for young alumni throughout the city.
■ During Clinical Skills Week in July, The Mount Sinai Alumni Association works with the Medical Education Office to sponsor receptions for students entering their third-year internships and to put students in touch with alumni in fields that interest them.
■ The Mount Sinai Alumni Association continues to build an on-campus presence to attract current
students. In the past year, we’ve helped pay for the Student Yearbook and the Yearbook Signing Party, helped host “The Vagina Monologues,” and finance the biannual publication of The Mosaic, the student literary magazine.
Beginning this fall, according to Stephen DeSalvo, Director of Alumni Relations at Mount Sinai, the Alumni Association will be an integral component of incoming student life. “As part of Mount Sinai’s orientation program,” he says, “the Association will meet with incoming students individually to advise them of how the Alumni Association can help them during and after their education at Mount Sinai.”
For more information about these—and all—Alumni Association programs, please contact Stephen DeSalvo at stephen.desalvo@mssm.edu or (212) 241-4694.



Alumni Weekend
Mark your calendars for Alumni Weekend, April 1–3, 2011. Our Anniversary Class Dinner will honor MSSM classes ending in 1 and 6, while the Old Guard reception will pay tribute to alumni who completed their training prior to 1980. The Jacobi Medallion will be presented at the Alumni Dinner Dance held at The Pierre on April 2.
For more information, please contact Stephen DeSalvo, Director of Alumni Relations, at (212) 241-4694 or stephen.desalvo@mssm.edu

if you are a member of the President’s Leadership circle, you will be taking a seat on november 1 when President and chief executive officer Kenneth L. davis, Md, delivers a message on health care at this year’s inaugural President’s Leadership circle Lecture.
if you are not, there is still time to join the President’s Leadership circle and be a part of this event.
Members of the President’s Leadership circle advance Mount Sinai’s mission: patient care, research, and medical education. circle members receive invitations to exclusive events during the year—such as the lecture series—and are honored in the development Report. For more information on The President’s Leadership Circle, please contact Al Seminsky at (212) 659-9554 or albert.seminsky@mountsinai.org.
