Patient von OA Dr. Franz Stoiber:
70-jähriger High-Volume mHSPC Patient mit CV-Komorbidität

Anamnese
· 70-jähriger, fitter Patient
· Leicht adipös
· Aktiver Landwirt
· Kardiovaskulär vorerkrankt, Carotisdesobliteration
· Insult aufgrund von Hypertonie
· Diabetes mellitus (DM)
· Gangschwierigkeiten
· Degenerative Veränderungen: Coxarthrose / Hüftoperation
· Aktiv und fit, hilft am Hof mit; körperlich insgesamt sehr fit
Vortherapien
Mai 2018
· High Risk: radikale Prostatekt.
> Samenblaseninfiltration
· GS 9
· PSA 6,7
· PSA-Persistenz
· PSMA-PET: Acetabulum-Met.
Sep 2018 bis Apr 2019
· Salvage RT auf Prostata, Lymphabflusswege & Acetabulum-Met.
· Androgenablation
Dez 2019
· Ossärer Progress (LWK 1)
· RT ohne Hormontherapie
· PSA > 24
· Metastasen: Femur & Oberarm
→ High-Volume mHSPC

Therapie mit ERLEADA®
Verträglichkeit (Ausgezeichnet):
· Keine Hautveränderungen
· Konstanter Blutdruck
· Keine auffälligen Laborwerte
· Stabiler DM
Wirksamkeit:
PSA: Ultra-Low ≤ 0,02 ng/ml

Lebensqualität (Sehr gut):
· Alle Verrichtungen am Hof
· Hilft dem Sohn
· Kräftige, fordernde Arbeiten

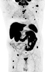
Radiologisch: Komplette Remission ossärer Metastasen


Fazit für ERLEADA®
· Rasches, prolongiertes PSA-Ansprechen
· Guter Verlauf über 58 Monate


· Ausgezeichnete Verträglichkeit
· Sehr gute Behandlung eines High-Volume Patients mit ERLEADA®