Detection of Kidney Stone using Neural Network Classifier

Page 1

International Research Journal of Engineering and Technology (IRJET) e ISSN:2395 0056

Volume: 09 Issue: 06 | June 2022 www.irjet.net p ISSN:2395 0072

Kidneystoneisasolidpieceofmaterialformedduetomineralsinurine.Thesestonesareformedbycombinationof genetic and environmental factors. It is also caused due to overweight, certain foods, some medication and not drinking enoughofwater.Kidneystoneaffectsracial,culturalandgeographicalgroup.Manymethodsareusedfordiagnosingthis kidneystonesuchasbloodtest,urinetest,scanning.

Scanning also differs in CT scan, Ultrasound scan and Doppler scan. Now days a field of automation came into existence which also being used in medical field. Rather many common problems rose due to automatic diagnosis such as use of accurateandcorrectresultandalsouseofproperalgorithms.Medicaldiagnosisprocessiscomplexandfuzzybynature.

Amongallmethodssoftcomputingmethodcalledasneuralnetworkprovesadvantagesasitwilldiagnosisthediseaseby first learning and then detecting on partial basis In this paper two neural network algorithms i.e. Feature extraction and watershedareusedfordetectingakidneystone.Firstly,twoalgorithmsareusedfortrainingthedata.Thedataintheform ofbloodreportsofvariouspersonshavingkidneystoneisobtainedforvarioushospitals,labo

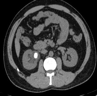
Fig2:

(a) Normal kidney (b) Damaged kidney

EFFECT OF KIDNEY STONE

Kidney can be effected by the chocolate, spinach, rhubarb, tea, and most nuts are rich in oxalate, poor diet, less exercise,decreasedsleepquality,anincreaseincaffeineintake,andunhealthybehavioralsoeffected.Stones thatare4 6 mmaremorelikelytorequiresomesortoftreatment,butaround60percentpassnaturally.

This takes a normal of 45 days.So, we want know whether kidney is affected or not. For that process take kidney detection. If it is affected then calculate the percent of effected area and what is the stage of the effected area. for that processtakeneuralnetworkthenwecandetectthesimilaroutputs.

SCOPE OF THE PROJECT

The main scope of the project is to predict the kidney stone from the person who is affected. And with help of convolutionalneuralnetworktechnique.

Inthisweuseddiscretewavelettransformtoidentifythekidneystone.

Fig.3.Diseasedetection

© 2022, IRJET | Impact Factor value: 7.529 | ISO 9001:2008 Certified Journal | Page2416

International Research Journal of Engineering and Technology (IRJET) e ISSN:2395 0056

Volume: 09 Issue: 06 | June 2022 www.irjet.net p ISSN:2395 0072

EXISTING SYSTEM:

In existing system the threshold segmentation, cosine transformation and there used SVM algorithm and k means clusteringmethod.Inexistingsystem,themajor problemsareactual prosthesisare mostlylimitedtointrinsicvisual and acousticfeedback,availablebyobservationoftheprosthesisandsoundsofthemotors,asitisthecaseforvibrotactorsor pressure.Themostconcerningissuesisthatmost

Models have been tested extensively in controlled environments but the prove for robustness under the non stationary conditions of daily life is often missing. This needs to be reflected in the evaluation procedures. Furthermore, to achieve real timeusability,appropriatedesignoftheprostheticdevice,

featureextractionandclassificationtechniquesshouldbeproperlyinvestigatedandimplemented.Theprocessshouldnot beinmanualanalysis,Continuouswaveletanalysisandthedistanceofthewaveletsisbasedonsignalclassification.

DISADVANTAGES OF EXISTING SYSTEM

Accurateresultwasdifficulttoget 

Inasmalltimemultipleimagesarecannotbedetected 

Inaccuracies classification are done because the image contains a noise by operator performance in medical resonanceimages.

PROPOSED SYSTEM:

Fig.4. Abnormalities Detection image

InproposedsystemweusingDWT,preprocessing imagesand graylevelco occurancemarticisusedforaccuracy.

Inproposedsystem,theproblemsinexistenceare overcomeby,sometechniques.Itbecomesapreprocessingsystem andthesystemhasadvancedtouseDiscrete waveletanalysisinstead ofContinuouswaveletanalysisafterinvestigation. GrayscaleCo occurrencematrixisintroducedso,theaccuracyofthesignalsorwaveletcan beefficient.Thesoundofthe machinesisreducedbecauseofusingEMGports.Theycanbeusedtogiveaaccuratewaveletsignalinadiscreteform.

ADVANTAGES OF PROPOSED SYSTEM

Itiseasilyidentifythekidneystoneusingneuralnetworkandhighaccuracyrateisproposedinthisproject. 

ThealgorithmProvestobesimpleandeffective  GrayscaleCo occurrencematrixextractsthefeaturesaccurately

Page
© 2022, IRJET | Impact Factor value: 7.529 | ISO 9001:2008 Certified Journal |
2417

International Research Journal of Engineering and Technology (IRJET) e ISSN:2395 0056

Volume: 09 Issue: 06 | June 2022 www.irjet.net p ISSN:2395 0072

Fig.5proposedsystemdiagram

RELATED SEARCH

DEEP LEARNING

Profoundlearning(otherwisecalledprofoundorganizedlearning)isimportantforamoreextensivegroupofAIstrategies inviewofcounterfeitbrainnetworkswithportrayallearning.

Learning can be managed, semi directed or unaided. Profound learning structures, for example, profound brain organizations, profound conviction organizations, repetitive brain organizations and convolutional brain networks have beenappliedtofieldsincludingPCvision,discourseacknowledgment,normallanguagehandling,soundacknowledgment, informalorganizationseparating,machineinterpretation,bioinformatics,drugplan,clinicalpictureexamination,material assessment and prepackaged game projects, where they have delivered results practically identical to and at times astounding human master execution. The adjective "deep" in deep learning comes from the use of multiple layers in the network. Early work showed that a linearperceptroncannot be a universal classifier, and then that a network with a nonpolynomialactivationfunctionwithonehiddenlayerofunboundedwidth.

Fig6:CNNclassifier

| Page2418
© 2022, IRJET | Impact Factor value: 7.529 | ISO 9001:2008 Certified Journal

International Research Journal of Engineering and Technology (IRJET) e ISSN:2395 0056

Volume: 09 Issue: 06 | June 2022 www.irjet.net p ISSN:2395 0072

EXPERIMENT PLATFORM

Thefirststepinestablishingapredictivemodelfordecodingmulti DOFactivities(involvingeithermotionorforce)isto collect a sufficient number of training samples. Thus, supervised wrist activities are detected simultaneously along with the raw EMG signals. In previous work, we developed a platform for collecting these signals contains a wrist force to movementmappingdevice(FMM)ofourowndesign.

The springs on the FMM make it possible to map the force and position of the wrist joint. The subjects must exert sufficientforcetoperformvariouswristmovementsinasemi constraintmanner.

Inthisway,themovementsmimiccloselythenaturalsituationduringreach and graspactivities,andtheelicitedmulti DOFwristforcecanbequantifiedaccuratelythroughtherelevantones.Alaseronthedevicemakesitpossibletointerpret theextension flexion(E F),ulnar radialdeviation(U R),andsupination pronation(S P)movementsofthewristinterms of the horizontal (x axis), vertical (y axis), and rotational (z axis) motions of a cross shaped cursor projected onto a screen.

DIGITAL IMAGE PROCESSING

Theidentificationofobjectsinanimageandthisprocesswouldprobablystartwithimageprocessing techniques such as noise removal, followed by (low level) feature extraction to locate lines, regions and possibly areas with certain textures.

IMAGE

A picture is a two layered picture, which has a comparable appearance to some subject normally an actualitemoranindividual.

IMAGE TYPES

RGB: these are red, green and blue. A (computerized) variety picture is an advanced picture that incorporates varietydataforeverypixel.Everypixelhasaspecificworthwhichdecidesitsseemingtone.

This worth is qualified by three numbers giving the decay of the variety in the three essential tones Red, Green andBlue.Anycolorvisibletohumaneyecanberepresentedthisway.Thedecompositionofacolorinthethreeprimary colorsisquantifiedbyanumberbetween0and255.Forexample,whitewillbecodedasR=255,G=255,B=255;black willbeknownas(R,G,B)=(0,0,0);andsay,brightpinkwillbe:(255,0,255).

MODULE 1: PROCESSING INPUT

DESCRIPTION:

Fig6 CTexaminedpictures

Bringinginthepicturethroughpicturesecuringapparatuses;Breakingdownandcontrollingthepicture;Outputin whichresultcanbeadjustedpicture.

| Page2419
© 2022, IRJET | Impact Factor value: 7.529 | ISO 9001:2008 Certified Journal

International Research Journal of Engineering and Technology (IRJET) e ISSN:2395 0056

Volume: 09 Issue: 06 | June 2022 www.irjet.net p ISSN:2395 0072

ImagePre processingisacommonnameforoperationswithimagesatthelowestlevelofabstraction.Itsinputand outputareintensityimages.

The point of pre handling is an improvement of the picture information that stifles undesirable contortions or upgrades somepicturehighlightssignificantforfurtherprocessing.

MODULE 2: BPNN

Fig7 BPNN

DESCRIPTION:

Back propagation is the essence of neural net training. It is the method of fine tuning the weights of a neural net basedontheerrorrateobtainedintheprevious epoch(i.e.,iteration).Propertuningoftheweightsallowsyoutoreduce errorratesandtomakethemodelreliablebyincreasingitsgeneralization.Backpropagationisashortformfor"backward propagationoferrors."Itisastandardmethodoftrainingartificialneuralnetworks.

Thismethodhelpstocalculatethegradientofalossfunctionwithrespectstoalltheweightsinthenetwork.Simplifies thenetworkstructurebyelementsweightedlinksthathavetheleasteffectonthetrainednetwork.

You needtostudya group ofinputandactivationvaluestodeveloptherelationshipbetweentheinputandhiddenunit layers.Ithelpstoassesstheimpactthatagiveninputvariablehasonanetworkoutput.

The knowledge gained from this analysis should be represented in rules. Backpropagation is particularly helpful for profound brain networks chipping away at mistake inclined projects, like picture or discourse acknowledgment. Backpropagationexploitsthechainandpowerrulespermitsbackpropagationtoworkwithquiteafewresults.

MODULE 3: GLCM FEATUES

Fig8: Bitgrayscaleimage&graylevels

© 2022,
Certified Journal | Page2420
IRJET | Impact Factor value: 7.529 | ISO 9001:2008

International Research Journal of Engineering and Technology (IRJET) e ISSN:2395 0056

Volume: 09 Issue: 06 | June 2022 www.irjet.net p ISSN:2395 0072

DESCRIPTION:

Tomakea GLCM,utilize the graycomatrixcapability.The graycomatrixcapabilitymakesa dimlevel co eventframework (GLCM) by working out how frequently a pixel with the force (dim level) esteem I happens in a particular spatial relationshiptoapixelwiththeworthj.

Of course, the spatial relationship is characterized as the pixel of interest and the pixel to its nearby correct (on a level planecontiguous),yetyoucandetermineotherspatialconnectionsbetweenthetwopixels. Everycomponent(i,j)intheresultantGLCMisessentiallytheamountofthetimesthatthepixelwithesteemIhappenedin thepredefinedspatialrelationshiptoapixelwithesteemjintheinformationpicture.Sincethehandlingexpectedtowork outaGLCMforthefullpowerfulscopeofapictureisrestrictive,graycomatrixscales

the input image. By default,graycomatrixuses scaling to reduce the number of intensity values in gray scale image from 256toeight.ThenumberofgraylevelsdeterminesthesizeoftheGLCM.

TocontrolthenumberofgraylevelsintheGLCMandthescalingofintensityvalues,usingtheNumLevelsandtheGray Limitsparametersofthegraycomatrixfunction.Seethegraycomatrixreferencepageformoreinformation.

MODULE 4: DWT

DESCRIPTION:

Fig9: DWT

The DWT and the discrete wavelet transforms differ in how they discretize the scale parameter. The CWT typically uses exponential scales with a base smaller than 2, for example21/12. The discrete wavelet transform always usesexponentialscaleswiththebaseequalto2.

Thescalesinthediscretewavelettransformarepowersof2.Keepinmindthatthephysicalintrepretationofscales forboththeCWTanddiscretewavelettransformsrequirestheinclusionofthesignal’ssamplingintervalifitisnotequal toone.Forexample,assumeyouareusingtheCWTandyousetyourbaseto s0=21/12.

Toattachphysicalsignificancetothatscale,youmustmultiplybythesamplingintervalΔt,soascalevectorcovering approximately four octaves with the sampling interval taken into account is sj0Δt j=1,2, 48. Note that the sampling intervalmultipliesthescales,itisnotintheexponent.Fordiscretewavelettransformsthebasescaleisalways2.

Thedecimatedandnondecimateddiscretewavelettransformsdifferinhowtheydiscretizethetranslationparameter. The decimated discrete wavelet transform (DWT), always translates by an integer multiple of the scale,2jm. The nondecimateddiscretewavelettransformtranslatesbyintegershifts.

The scales in the discrete wavelet transform are powers of 2. Keep in mind that the physical intrepretation of scalesforboththeCWTanddiscretewavelettransformsrequirestheinclusionofthesignal’ssamplingintervalifitisnot equaltoone.Forexample,assumeyouareusingtheCWTandyousetyourbaseto s0=21/12.

Page
© 2022, IRJET | Impact Factor value: 7.529 | ISO 9001:2008 Certified Journal |
2421

International Research Journal of Engineering and Technology (IRJET) e ISSN:2395 0056

DESCRIPTION:

The assurance of the name "cerebrum association" was one of the exceptional PR accomplishments of the Twentieth Century.Itirrefutablysoundsmorestimulatingthanaspecificdepiction,forinstance,"Anassociationofweighted,added substancevalueswithnonlineartradecapacities".Regardless,nomatterwhatthename,cerebrum networksarequitefar from "thinking machines" or "phony personalities". An ordinary phony mind association could have 100 neurons. In relationship,thehumantactileframework isacknowledged tohave around3x1010 neurons. Wearestill lightseemingly foreverfrom"Data".

Thefirst"Perceptron"modelwascreatedbyFrankRosenblattin1958.Rosenblatt'smodelcomprisedofthreelayers,(1)a "retina" thatcirculatedcontributionstothesubsequentlayer,(2)"affiliationunits" thatjointhecontributionswithloads andtriggeralimitstepcapabilitywhichfeedstotheresult

layer,(3)theresultlayerwhichjoinsthequalities.Tragically,theutilizationofastagecapabilityintheneuronsmadethe discernments troublesome or difficult to prepare. A basic examination of perceptrons distributed in 1969 by Marvin MinskyandSeymorePaperbroughtupvariousbasicshortcomingsofperceptrons,and,forawhile,interestinperceptrons disappeared.

CONCLUSION:

The conclusion is drawn as the solution we got from the previous project to now the changes we made it shows the differenceinaccuracyandthenumberofimages canbecheckedinasingletiming

AndweusedBPNNinsteadofSVM.Infutureweweretriedtoincreasedtheperformanceofthisprocessand abletoget more accuracy. The proposed work is advantageous for recognizing kidney stones from CT scan pictures with less processinginstantandachievesgreataccuracy.

REFERENCES:

[1] W. Y. Chung, R. F. Ramezani, C. H. Li, V. F. Tsai and M. Mayeni, "Development of Low voltage Urine Sample ConductivityMeasurement System for KidneyStoneRisk Assessment," 2021IEEE3rdEurasia Conference onBiomedical Engineering,HealthcareandSustainability(ECBIOS),2021,pp.13 15,doi:10.1109/ECBIOS51820.2021.9510254.

[2] A. Soni and A. Rai, "Kidney Stone Recognition and Extraction using Directional Emboss & SVM from Computed Tomography Images," 2020 Third International Conference on Multimedia Processing, Communication & Information Technology(MPCIT),2020,pp.57 62,doi:10.1109/MPCIT51588.2020.9350388.

[3]N.Thein,H.A.Nugroho,T.B.AdjiandK.Hamamoto,"Animagepreprocessingmethodforkidneystonesegmentationin CTscanimages,"2018InternationalConferenceonComputerEngineering,Network andIntelligentMultimedia (CENIM), 2018,pp.147 150,doi:10.1109/CENIM.2018.8710933.

Page2422
Volume: 09 Issue: 06 | June 2022 www.irjet.net p ISSN:2395 0072 © 2022, IRJET | Impact Factor value: 7.529 | ISO 9001:2008 Certified Journal |
MODULE 5 : NEURAL NETWORK Fig10:NN

International Research Journal of Engineering and Technology (IRJET) e ISSN:2395 0056

Volume: 09 Issue: 06 | June 2022 www.irjet.net p ISSN:2395 0072

[4]N.Thein,H.A.Nugroho,T.B.AdjiandK.Hamamoto,"Animagepreprocessingmethodforkidneystonesegmentationin

CTscanimages,"2018InternationalConferenceonComputerEngineering,Network andIntelligentMultimedia (CENIM), 2018,pp.147 150,doi:10.1109/CENIM.2018.8710933.

[5]N.Thein,H.A.Nugroho,T.B.AdjiandK.Hamamoto,"Animagepreprocessingmethodforkidneystonesegmentationin CTscanimages,"2018InternationalConferenceonComputerEngineering,Network andIntelligentMultimedia (CENIM), 2018,pp.147 150,doi:10.1109/CENIM.2018.8710933.

© 2022, IRJET | Impact Factor value: 7.529 | ISO 9001:2008 Certified Journal | Page2423

Turn static files into dynamic content formats.

Create a flipbook