An intelligent approach for detection of covid by analysing Xray and CT scan images

Page 1

International Research Journal of Engineering and Technology (IRJET) e ISSN: 2395 0056

Volume: 09 Issue: 06 | June 2022 www.irjet.net p ISSN: 2395 0072

An intelligent approach for detection of covid by analysing Xray and CT scan images

Abstract – Coronavirus is a disease caused due to the coronavirus infection. This virus came into existence at end of 2019. It’s also called as COVID 19. COVID 19 stands for CO corona, VI Virus, D Disease & 19 2019.This virus is mainly transmitted by the infected person when he/she sneezes, coughs and exhales. The daily life of humans is affected by this coronavirus. Over the globe ,people’s daily lifestyle and their health as well as economy’s are affected. As Covid 19 is currently a disorder that is spreading in a completely everyday place, and until now there is no single shot effective vaccine against coronavirus . The coronavirus contamination is causing all over disruptions. The World Health Organization declared the coronavirus as global pandemic. More than 165 million people are affected by this infection and 3.5 million people lost their lives. This infection mostly affects the lungs. To overcome the Disease the testing should be increased in mass scale. In conventional system we cannot know whether is there is person affected by covid (coronavirus) until the RTPCR test or rapid antigen test is done. It may take several hours to get the report whether the person is positive or negative. In severe cases just because of delay the victim may get prone to severe health condition. The proposed system will overcome all the disadvantages and will make the covid detection efficient.

Key Words: RTPCR, COVID-19, Pandemic, Infection, antigen

1. INTRODUCTION

Since December 2019, the pandemic Coronavirus has taken over the whole world. This virus was firstly reported in Wuhan, china. Since then, it got spread worldwide. Large number of people are losing their lives. The increasing number corona virus infected people are because of the time taken by the traditional methods of detecting the coronavirus infection. The RTPCR test can take around 24 48 hours to generate the report. Till the timethepersongetsdiagnosedhecanaffectmorepeople, Thusheisnotonlyaffectinghimself,heisaffectingothers too.Thiscreatesachainreactionlikeprocess.

The symptoms of coronavirus are distress in breathing, fever,cough,stomachache,bodypain,weaknessetc.Ifthe infectionissevere,itcancausepneumonia.

This virus has spread very quickly in large context of the world. Many counties are facing the collapse of the

healthcaresystemduetoheavilyinfectedvictims.Thereis absolute shortage of the test kits of RTPCR and antigen kitsaswell.Manycountriesdon’tevenhavethekitswhich will last for a week. In such conditions this proposed system can play very important role. Due to the shortage ofthetestkits

thepricesofthekitsareskyhigh,notallthecountriescan afford to buy the kits. If the coronavirus infection is detectedinearlystagestheworkloadoffrontlineworkers (doctor,Nurses,Police,etc.) reducesa lotandthevictim’s chances of death gets reduced. Detecting the infection earlier makes it easier to track and isolate the suffering person.

X ray’s and CT Scans are the two very common medical imaging practices. These are used to diagnose and check the severity of an infection. Both of these have their advantagesandlimitations.

One of the methods to detect coronavirus infection is CT (Computed Tomography) scan. By taking the chest CT Scan of the lungs, It can detect whether the person has been infected with the coronavirus or not. This is one of the most accurate method but it’s not economically efficient.Itstendstobeoneofthemostexpensivemethod. However,chestx raysarecheaperthanachestComputed Tomographyscansandcangettheworkdone.

X rays is one of oldest technique to detect the fractures, bonesetc.Italsoallowstodiagnosethelungsthereforeit’s alsousefulfordetectionofcoronavirus.Sincetheyarefast as well as inexpensive in nature this method can be used bythecountrieswhicharefacingthetestkitshortages.

We can'tstopthecoronavirus tospreadyetwecanfinda waytoavoidit.Asindicatedbythestatistics,anenormous number of individuals lose their life since they don't get exposedtoquickdiagnosisontime.Thisprojectpresentsa method to diagnose the coronavirus infection in quick time just by providing the x ray’s or CT scans to the system. This is a python flask based system consisting of webapplication.Atthepointwhenthepersonuploadshis chest x ray image or CT scan image in the system, he will get the result in no time. Whether the person is having coronavirus infection or not is decided by the CNN module. The response time of the proposed system is too little,withina coupleof momentsthe reportisgenerated, hence it helps in saving the lives of a large number of

©
| Page693
2022, IRJET | Impact Factor value: 7.529 | ISO 9001:2008 Certified Journal
***

International Research Journal of Engineering and Technology (IRJET) e ISSN: 2395 0056

people. In this paper we propose a system which can detectandclassifybetweenthecoronavirusinfectedx ray andnormalx ray’saswellastheCTscans.

2. LITERATURE SURVEY

Research conducted by Boran Sekeroglu1 and Ilker Ozsahin2 proposes an CNN based architecture for ensuring corona virus detection. The technology allows patients to test and diagnosis the covid in real time, potentially saving time and effort for both patients and clinicians. This system uses chest Xray images to identify the covid infection. Further studies, based on the results obtained in this study, would provide more information abouttheuseofCNNarchitectureswithCOVID 19chestX rayimagesandimproveontheresultsofthisstudy.[1]

A review paper by Rubina Sarki, Khandakar Ahmed, YanchunZhang,andKateWangfocusedonamethodology onDLtoclassifyanddetecttheCOVID 19casesfromx ray imagesisintroduced.themodelisentirelyautomatedand iscapableofcategorizingbinaryclasswith100%accuracy using VGG16 and multi class with 93.75% using a new CNN. Accuracy obtained by existing models and models used in this study is shown. The proposed models can address a shortage of radiologists in rural areas and used to classify chest related diseases such as viral pneumonia andCOVID 19.Thesystemimplementedisfullyprepared fortestingwithaconsiderablylargerdirectory.Theadded benefit of CNN includes the automatic detection of most exclusionaryfeaturesamongtheclasses.Furthermore,the studyusedthelimitedsetsofdatafromdiversesourcesto analyze system robustness through its ability to respond toreal worldscenarios.[2]

A study by Arpan Mangal, Surya Kalia, Harish Rajagopal, Krithika Rangarajan, Vinay Namboodiri, Subhashis Banerjee,andChetanArora presentedsomeinitial results on detecting COVID 19 positive cases from chest X Rays using a deep learning model. they have demonstrated significant improvement in performance over other existing models. the only publicly maintained tool for classification of COVID 19 positive X rays, on the same chest xray pneumoniadataset.Theresultslookpromising, though the size of the publicly available dataset is small. they plans to further validate our approach using larger COVID 19X rayimagedatasetsandclinicaltrials.[3]

A paper Rachna Jain, Meenu Gupta , Soham Taneja and D. JudeHemanthhavehavefewcharacteristicfindingsinthe lungsofpatientswithCOVID 19canbeidentifiedbychest X rays.Inthisstudy,theSOM LWLmodelissuggestedfor diagnosisanddetectionoftheCOVID 19diseasebasedon chest X rays. The number of cases continues to rise exponentially as COVID 19 spreads across the world. To prevent crippling the healthcare system, the use of a tool that can help diagnose the disease in people by using an inexpensive and fast process is necessary. Within this

context, the literature suggests that the diagnosis may be assisted by the use of data mining methods to classify pneumonia disease in chest X rays. However, the issue is much more difficult when we look at chest images of patients suffering from pneumonia caused by multiple types of pathogens and attempt to forecast a particular form of pneumonia (COVID 19).We use resampling methodsintheproposedmethodtocountertheproblem’s inherent imbalance. In addition, the conceptual scheme includes 8 separate sets of features derived from the images that are evaluated separately and subsequently integrated in an early fusion design. In addition, exclusively and in a late fusion configuration, the prediction outputs are tested. The suggested schema also implements multi class, unsupervised learning (SOM clustering) and supervised learning (LWL). To apply the diagnosis model in this application field, we have considered a prediction model called SOM LWL. In future thequalityofpredicationmethodinCOVID 19diseasewill be combined with optimization techniques using classificationandregressionalgorithms.[4]

A paper by Elene Firmeza Ohata, Gabriel Maia Bezerra, Joao Victor Souza das Chagas recommends the early detection of patients with the new coronavirus is crucial for choosing the right treatment and for preventing the quick spread of the disease. the results show that the use ofCNNstoextractfeatures,applyingthetransferlearning concept, and then classifying these features with consolidatedmachinelearningmethodsisaneffectiveway to classify X ray images as in normal conditions or positive for COVID 19. For Dataset A, the MobileNet with SVM (Linear) combination had the best performance, achieving a meanAcc of98.462%and a mean F1 score of 98.461%.Inaddition,itwasabletoclassifyanewimagein only0.443±0.011ms,provingtonotonlybeaccuratebut fastaswell.itdoesnotreplaceamedicaldiagnosissincea more thorough investigation could be done with a larger dataset.[6]

A study proposed COVID 19 patient screening based on the results of Chest Computerized Tomography (CT) and Chest Radiographs (X ray) by the Manjurul Ahsan,1,* RedwanNazim,2ZahedSiddique,3andPedroHuebner1.In this they suggested and assessed six different deep learningmodelsonamixeddatasetofCTscanandchestX ray images for their ability to identify COVID 19 patients. Study revealed that a modified MobileNetV2 can achieve an accuracy of 95%.The findings of the proposed models should provide some insights to researchers and practitioners regarding the application for the screening of COVID 19 patients based on chest X ray and CT scan images. Next suggested steps are to build fully validated websites, applications to be used by end user on larger scale using MobileNetV2 models and generating many insights by taking paramers like (i.e., age, gender) and categorical(findings,healthconditions)data.[10]

Volume: 09 Issue: 06 | June 2022 www.irjet.net p ISSN: 2395 0072 © 2022, IRJET | Impact Factor value: 7.529 | ISO 9001:2008 Certified Journal |

Page694

International Research Journal of Engineering and Technology (IRJET) e ISSN: 2395 0056

Volume: 09 Issue: 06 | June 2022 www.irjet.net p ISSN: 2395 0072

3. MATERIALS & METHODS

Dataset

This system contains separate datasets for CT scans and

Xray’s. the dataset is categorized in both coronavirus infected persons and healthy noninfected persons. Their age group is ranging from 18 60. All the images in the dataset were of various dimensions so they are sized to 224×224. In the dataset the images were in both front view and side view of the chest. Only front view images areusedforclassification.

functioning of kernels, this layer is considered as a buildingblockofconvolutionalneuralnetworks.

2. Convolutional layer

The convolutional layer’s main aim is to extract the features from images and learn all the features of the imagewhichwouldhelpinobjectdetectiontechniques.

3. Pooling layer

The Pooling layer is accountable for reducing the size of the Convolved Feature. This is to decrease the computational power required to process the data. Furthermore, it is useful for extracting dominant features which are rotational and positional invariant, thus maintaining the process of effectively training of the model.

4. Fully connected layer

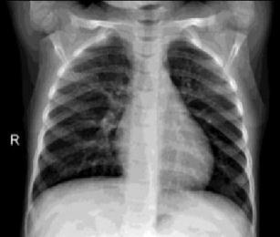
Fig.1:examplesoffrontviewchestX Rayimages.(a) NormalchestX rayimage,(b)Coronavirusinfectedchest image.

Fully Connected layers in neural networks are the layers which has all the inputs from one layer are connected to every activation unit of the next layer. In most popular machine learning models, the last few layers are full connected layers which compiles the data extracted by previous layers to form the final output. It is the second mosttimeconsuminglayer.

5. Output layer

The output layer in a CNN is a fully connected layer, wheretheinputfromtheotherlayersisflattenedandsent so as the transform the output into the number of classes asdesiredbythenetwork

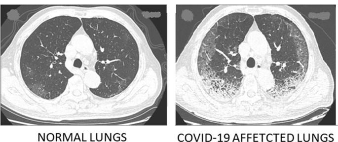
Fig.2:ViewofLungsCTScans

Thenoisepresentintheimageshavetoberemovedbythe filters, here in the proposed system 2d gaussian filter is used.

CNN

The CNN stands for Convolution Neural Network. It is a class of neural networks which are mostly used to do image recognition, image classification etc. they provide high accuracy for image classification and recognition. These are neural networks with some mathematical operationinbetweentheirlayerscalledconvolution.

Convolutionneuralnetwork(CNN)canbeclassifiedinto:

1. Input layer

Input layersare connected withconvolutional layersthat perform multiple tasks such as padding, striding, the

Fig.3:CNNmodelproposedforsystem. AmultiplelayeredCNNmodelarchitectureisdeployedfor the important feature extractions from the x ray images fortheclassificationofcoronavirusinfection.

Web Interface using flask

The model needs to be converted into HDF5 format to be used in web interface. a webapp developed with the simple UI to upload the x ray image. The pretrained CNN model isloadedinflask.themodelisthenusedtopredict

©
Certified Journal | Page695
2022, IRJET | Impact Factor value: 7.529 | ISO 9001:2008
a)Normalx ray b)Covid19x ray

International Research Journal of Engineering and Technology (IRJET) e ISSN: 2395 0056

Volume: 09 Issue: 06 | June 2022 www.irjet.net p ISSN: 2395 0072

if the victim is positive or negative using the x ray image provided. The report is also displayed onto the next screen. system

4. METHODOLOGY

CNNModels:

These are the pretrained models that are trained with a hugeamountofdatasetsforaspecifictask.Becauseofthe very rapid contamination and limited availability of resources training the CNN models from the very scratch is a hard task thus the pre trained models comes in picture. They are used in most of the COVID 19 detection use cases which saves time. The pretrained models are boundtodeliverhighlyaccuratepredictions.Inrealworld scenariosforthemedicalpurposesthere’salwaysadvised to take second opinion. Keeping this in mind In this proposedsystemtwomodelsareusedforpredictions.

VGG

This is the research delivered by Karen Simonyan and Andrew Zisserman from the University of Ox ford. VGGNet is a 16 layer CNN architecture having 95 millions parameters. VGG is trained on over one billion images (1000 classes). They increased the depth of the architecture by increasing the number of convolutional layers. The smaller kernels of size 3 Ă— 3 were also helped to improve the performance. VGG 16 and VGG 19 are the two versions of VGG architecture trained using the ImageNetdataset

InceptionNetV3

TheInceptionNeteliminatesmostofthedemeritsofother architectures. It has increased performance both in term of speed and efficiency. It is a 22 layered network with limited computational power. Also known as GoogleNet. InceptionV3isverymuchimprovedversionofGoogleNet. It is achieved by adding kernel factorization and batch normalizationwithrelativelylowcomputationalcost.This architecturedealsnocompromisewithquality.

Theproposedsystemconsistsoffollowingmodules.

Login page

Loginpageisdeployedfortheauthorisedaccess.Theuser willgettheaccessofthewebappwithhelpofcorrectlogin credentials. This eliminates the probability of unauthorizedaccess.

User index page

It’s the homepage of the system. It shows the appropriate information on the screen and directs for further actions. Itconsistsaninputfieldswherethex ray/CTscanneeds tobeuploadedinaccordingtotheavailability.

Result Page

Furtheraftertheuseruploadsthex rayortheCTscanthe CNNModelsprocessingisdoneandifit’smorelikelytobe uninfectedthenprobabilityinpercentageisshownonthe page by both VGG and Inception. it’s found infected then thepositiveresult isalsoshown.

5.TECHNOLOGY USED

All the various libraries and the technology used are as below.

Keras : it is a an open source software library that provides a Python interface for artificial neural networks. KerasactsasaninterfacefortheTensorFlowlibrary.

NumPy : NumPy is a library for the Python programming language, adding support for large, multi dimensional arrays and matrices, along with a large collection of high levelmathematicalfunctionstooperateonthesearrays

Pandas : pandas is a software library written for the Python programming language for the data manipulation and analysis. In particular, it offers data structures and operations for manipulating numerical tables and time series.

Flask : Flask is a python framework. It is used to deploy the web application. it does not need any particular tools orlibraries

6. . IMPLEMENTATION AND RESULT

The web application is developed using python, flask, HTML, CSS. The web applications front end is developed withCSS.

This is a login page. The user needs to enter the appropriatecredentialstomovefurther

Fig.4:LoginPage

The index page has information related to disease. Has twooptionseithertouploadaXrayorCTscan.

© 2022, IRJET | Impact Factor value: 7.529 | ISO 9001:2008 Certified Journal | Page696

International Research Journal of Engineering and Technology (IRJET) e ISSN: 2395 0056

Volume: 09 Issue: 06 | June 2022 www.irjet.net p ISSN: 2395 0072

supported in part by the MIT School of Engineering, MIT ADTUniversity,Pune,India.

REFERENCES

[1]DetectionofCOVID 19fromChestX RayImagesUsing Convolutional Neural Networks Boran Sekeroglu1 and IlkerOzsahin2

[2] Automated Detection of COVID 19 through Convolutional Neural Network using Chest x ray images Rubina Sarki, Khandakar Ahmed, Member, IEEE, Hua Wang, Member, IEEE, Yanchun Zhang, Member, IEEE, and KateWang.

Fig.5:IndexPage

According to the type selected the system will predict the probabilityinpercentageofhavingtheinfection

[3] R CovidAID: COVID 19 Detection Using Chest X Ray Arpan Mangal1, Surya Kalia1, Harish Rajagopal3, Krithika Rangarajan1, Vinay Namboodiri2,4, Subhashis Banerjee1, andChetanArora1

[4] DeeplearningbaseddetectionandanalysisofCOVID 19onchestX rayimagesRachnaJain1&MeenuGupta2& Soham Taneja1 & D. Jude Hemanth3 “PDCA12 70 data sheet,”OptoSpeedSA,Mezzovico,Switzerland.

[5]https://github.com/ieee8023/covid chestxray dataset.

Fig.6:ResultPage

7. CONCLUSION

Wehaveproposedanintelligentapproachfordetectionof CovidbyanalysingXrayImagesorCTscansystemthathas the ability to identify coronavirus infection using xray pictures or the CT scans of chest of the victims. We have presented some early stage outcomes on detecting coronavirus positive cases from the chest x rays or CT scans using convolution neural network models VGG16, Inception. The system has proved to be very time saving. Early detection of the coronavirus is very critical for opting out the correct treatment and for to stop the growth of the coronavirus infection. This an intelligent approach for detection of Covid by analysing Xray Images systemcanbelifesaveratcrucialtimes.Theconsequences are looking promising. If trained, the model with large amount of data the accuracy can be increased and can be rolledoutforpublicuseinmassscale.

8. ACKNOWLEDGMENT

Wewishtoextendourthankstoallanonymousreviewers for their feedback and their precious time. This work was

[6] Automatic Detection of COVID 1 Infection Using Chest X ay Images Through Transfer earning Elene Firmeza Ohata, Gabriel Maia ezerra, Joao Victor Souza das Chagas, Alosio Vieira ira Neto, Adriano essa Albuquerque, Victor Hugo C. de Albuquerque, Senior Member, IEEE, and Pedro Pedrosa ebou as Filho, Member, IEEEM. Shell. (2002) IEEEtran homepage on CTAN

[7] COVID 19detectionin CTandCXR imagesusingdeep learning models Ines Chouat . Amira Echtioui . Rafik Khemakhem . Wassim Zouch . Mohamed Ghorbel . Ahmed BenHamida

[8] https://www.kaggle.com/paultimothymooney/chest xray ct scan

[9] Prediction of COVID 19 Cases Using CNN with X rays Dr.D.Haritha N.Swaroop M.Mounika Dept. of Computer ScienceSRKInstituteofTechnologyVijayawada,India

[10] Detection of COVID 19 Patients from CT Scan and Chest X ray Data Using Modified MobileNetV2 and LIME MdManjurulAhsan,1,*RedwanNazim,2ZahedSiddique,3 andPedroHuebner1,*https://www.mohfw.gov.in/.

[11] Detection of COVID 19 from Chest CT Images Using CNNwithMLPHybridModelSakthiJayaSundarRajasekar 1,VasumathiNarayanan2,VaralakshmiPerumal2

©
Journal | Page697
2022, IRJET | Impact Factor value: 7.529 | ISO 9001:2008 Certified

Turn static files into dynamic content formats.

Create a flipbook