
International Research Journal of Engineering and Technology (IRJET) e-ISSN: 2395-0056
Volume: 11 Issue: 03 | Mar 2024 www.irjet.net p-ISSN: 2395-0072
![]()

International Research Journal of Engineering and Technology (IRJET) e-ISSN: 2395-0056
Volume: 11 Issue: 03 | Mar 2024 www.irjet.net p-ISSN: 2395-0072
K.SRIHARI RAO1 , CH.RAMBABU2,P.SRI LAKSHMI PRASANNA3, T.SIVA4 , P.SHOYAB KHAN5 , Sk.Nagulu5 , UG Students
1 Associate professor, Department of Electronics and Communication Engineering, Nri institute of technology, Perechala, Andhra Pradesh,India
2 Associate professor, Department of Electronics and Communication Engineering, Nri institute of technology, Perechala, Andhra Pradesh,India
3 UGStudents,Department of Electronics and Communication Engineering, Nri institute of technology, Perechala, Andhra Pradesh,India ***
Abstract - Multimodal medical image fusion is a process of extracting information from different medical images to obtain a single image calledfused image. Fusedimageanalysis is extensively used by clinical professionals for quickdiagnosis and treatment of critical diseases. This project is developed using mamdani and sugeno fuzzy inference system for integrated multimodal medical images. Mamdani and sugeno based fusion helps in preservation as well as effective transfer of detailed information present in input images into a fused image. Image Fusion not only provides better information but also minimize the storage cost by minimizing the memory requirement for storage of multiple images. The proposed work is effective and generates better fused images compared to existing techniques such as discrete wavelet transform (DWT) and non-subsampledcounterlet transform(NSCT). The fused image is also compared with quality metrics such as Entropy (E), Mutual Information (MI) and Edge based quality metric (QAB/F). The superiority of the proposed method is presented and is justified using subjective and objective analysis.
Key Words: Fuzzy logic, Medical images, Segmentation , Matlab, Image processing.
The technique of combining all the relevant information from several photos into one or fewer, generally single, imagesisknownasimagefusion.Bykeepingallthedataina singleinputimageratherthanusingnumerousinputphotos, image fusion reduces storage costs. The primary goal of ImageFusionistocreateimagesthataremoresuitableand intelligible for both human and machine perception, in additiontominimizingthequantityofdata.Imagefusionis employed in numerous medical applications, including radiation therapy, neurology, cardiology, and oncology, becauseofitsbetteranduniqueinformationrepresentation. Theprimarygoalofpicturefusionistoremoveanyartifacts while maintaining all relevant and accurate information from the original photos. Various performance measures, suchasentropy,correlationcoefficient,peaksignaltonoise
ratio,rootmeansquareerror,standarddeviation,structure similarity index, high pass correlation, edge detection, averagegradientetcetera,areusedforobjectiveevaluation, whichverifiestheimagequality.Theinformationcontentof images can be measured by entropy, the registered and fused images can be compared using the correlation coefficient,thefusedimage'sclaritycanbeassessedusing the average gradient, the cumulative error between the originalandfusedimagescanbecalculatedusingtheroot meansquareerror,andimageerrorcanbequantifiedusing thepeaksignaltonoiseratio.Pixel-level,feature-level,and decision-levelimagefusionalgorithmsareamongthemany that have been developed and published in the literature. Basedonthebrightnessofeachpixel,pixellevelalgorithms directlyfusetherawinputimages.Usingtheirdistinguishing characteristics, such as edges and line segments, featurelevelalgorithmscombinetheinputimages.Tocreatehigherqualityimages,decisionlevelalgorithmsdirectlyintegrate image descriptions, either as relational graphs or as probabilisticvariables.Pixellevelimagefusionmethodsare moreinformation-efficientthanfeature-levelanddecisionlevel algorithms. These pixel-level techniques are more computationallyefficientwhilealsobeingsimpletouse.For multimodalImageFusion,pixel-levelmethodsaretherefore recommended.
UtilizingMamdaniandSugenoFuzzytomergethe medicalimages
1.2 Objectives
ο Toimprovediagnosis,combinenumerousimages intoonetogetessentialinformation.
ο Toincreasetheprecisionofthediagnosis.
ο Toimprovetheeffectivenessofitem identification.
ThefuzzyinferencesystemsofMAMDANIandSUGENOare two well-liked techniques in fuzzy logic for inference and

International Research Journal of Engineering and Technology (IRJET) e-ISSN: 2395-0056
Volume: 11 Issue: 03 | Mar 2024 www.irjet.net p-ISSN: 2395-0072
judgment. They have been widely used in many other disciplines,suchasmedicalimagefusion,whichprovidesa more thorough and accurate picture of the underlying anatomical structures or clinical states by combining complimentaryinformationfromnumerousmedicalimaging modalities.
Inordertoimprovethepresentationandunderstandingof medicaldata,multimodalmedicalimagefusionattemptsto combine data from several imaging modalities, including positronemissiontomography(PET),computedtomography (CT), and magnetic resonance imaging (MRI). Treatment planning,surgicalguiding,anddiagnosticaccuracycanallbe enhancedbythefusionprocess.
1. MamdaniFuzzyInferenceSysteminMedicalImage Fusion
2. Sugeno Fuzzy Inference System in Medical Image Fusion
3. HybridandAdaptiveApproaches
4. PerformanceEvaluationandComparison. The research on fuzzy inference systems Sugeno and Mamdani in medical image fusion emphasizes how well these systems can combine complimentary data from various imaging modalities to enhance visualization and diagnostic precision. Still up for debate, however, are the best fuzzy inference system to use and how to create efficientfuzzyrules.Thereisconstantworktocreatemore reliable and flexible approaches that are suited to certain clinicalscenarios.
Numerous systemshave been created and documented in the literature, including the Mamdani and Sugeno Fuzzy InferenceSystems,whicharecommonlyusedinmultimodal medicalpicturefusion.Hereareafewinstancesofcurrent systemsbuiltusingthesefuzzyinferencetechniques:
a. A technique for combining brain MRI and PET imagesthatwassuggestedbyMahurtetal.(2016). ThesystemmakesuseofaMamdanifuzzyinference system,whoserulesarecreatedusinginformation onpixelintensityfromtheinputphotosandexpert knowledge. Comparing the fused pictures to previousfusionapproaches,theperformancewas betterwhenassessedusingmutualinformationand edge-basedcriteria.
b. AtechniqueforcombiningbrainCTandMRIimages that was created by Umar et al. (2019). To define the fuzzy rules, the proposed Mamdani fuzzy inferencesystemmakesuseofspectralandspatial information from the input pictures. A range of criteria, including mutual information, edge preservation, and the structural similarity index (SSIM),were used to assessthe systemand show
howwellitpreservedsignificantdetailsfromboth modalities.
c. A method for merging MRI and functional MRI (fMRI) images was developed by Siddique et al. (2020). Rules based on pixel intensity and contextual information from the input photos are included by the Mamdani fuzzy inference system. Tested on many brain datasets, the system demonstratedbetterperformancethanalternative fusion techniques when the fused pictures were assessedusingcriterialikemutualinformationand SSIM.
Thetoolboxforthefuzzyinferencesystem(FIS)isusedto change the membershipvalues. There are several kinds of fuzzyinferencesystems.Mamdani-styleFISSugenotypeFIS is a set of MATLAB tools that includes rule viewers, membership function editors, surface viewer rule editors, andFISeditors.FISiscomprisedofmembershipfunctions that are constructed for both input and output variables. determiningthemembershipvaluefortheimage'sgraylevel, which includes the variation between the gray levels, maximumgraylevel,andminimumgraylevel.Thepixelsare giventheirnewmembershipvaluesaccordingtochangesin intensitylevel.
3.1. The fuzzy inference system of Mamdani
WhenMamdanifuzzyinferencewasinitiallypresented,itwas a technique for building control systems by combining a collectionoflinguisticcontrolrulesthatwereacquiredfrom knowledgeablehumanoperators.Afuzzysetistheresultof every rule in a Mamdani system. Ebrahim Mamdani first introduced this technique in 1975. Fuzzy logic makes it possibletotranslateaninputtoanoutput,whichservesas the fundamental building block for making judgmentsand identifyingpatterns.TheparametersoftheMamdanifuzzy inferencesystemareasfollows:
ο Fuzzifyingtheinputvariables.
ο Ruleevaluation.
ο Aggregatingtheruleoutputs.
ο Defuzzifying.
3.1.1. Fuzzifying the input variables
Itistheprocessoftranslatingsharpvaluesintothedegreeof membershipmeantforfuzzysetlinguisticvariables.Fuzzy Inference System Tool Box is used to create membership functionsanddeterminethedegreeofmembershipvalues foreachpixel'sintensityfluctuation.Thefollowingequations determinethemembershipfunction.

International Research Journal of Engineering and Technology (IRJET) e-ISSN: 2395-0056
Volume: 11 Issue: 03 | Mar 2024 www.irjet.net p-ISSN: 2395-0072

3.1.2.
TheFISeditor'sruleeditorisusedtochangethefuzzyrules. Thefuzzyinferencesystemisusedtocheckandchangethe appliedrules.Alloftheinputandoutputvariablescanhave rulesaddedtothemusingtheruleeditor.Thistoolboxallows for the creation, modification, and deletion of fuzzy rules. Thefollowingfuzzyprinciplesapplyforboostingthecontrast ofagrayscaleimage:
ο IF a pixel is gray, then set it to that color. Make a pixel brighter if it is already bright. Make a pixel darker if it is already dark.
ο Thefuzzyrules'antecedentsgettheprocessedfuzzy inputs. Fuzzy operators (AND or OR) are used to createasinglenumberthatrepresentstheoutcome following the evaluation of the antecedent if the fuzzyrulethatwasderivedhasseveralantecedents.
3.1.3.
Theactofunifyingallruleoutputsiscalledaggregation.We takethemembershipfunctionsofallruleconsequentsthat havepreviouslybeenscaledorclippedandmergethemintoa singlefuzzyset.Onefuzzysetforeachoutputvariableisthe outcome of the aggregation procedure, which takes as its inputalistofsubsequentmembershipfunctionsthathave beenscaledorclipped.
3.1.4.
It is the last phase of the fuzzy inference system of the Mamdanitype.Whenevaluatingrules,fuzzynessisemployed; the fuzzy system's output is always a crisp number. Fuzzy collection is aggregated throughout the defuzzification process, and the result is a single, sharp number. DefuzzificationofCentroidsThefuzzyset'scenterofgravity, ormethodpoint,islocated.Thecenterofgravityisexpressed mathematicallyasfollows:

TheSugenoFuzzyinferenceapproachisusedinthisworkto fuse images. Since T. Takagi, M. Sugeno, and K. T. Kang employedtheSugenofuzzymodelforthefirsttimein1984,it isalsoknownastheTSKfuzzymodel.BecauseMamdani-type FISrequiresasignificantamountofcomputing,SugenoFIS whichhasa fasterprocessingtimeandalsofunctionswell withoptimizationandadaptivetechniques isemployedto getaroundthisproblem.Theoutputmembershipfunctionof the Sugeno inference method is either constant or linear, whichisthemaindistinctionbetween thetwotechniques. Additionally,theSugenotechniqueoffersmoreflexibilityand makesiteasiertointegratewithMATLAB'sAdaptiveNeuroFuzzyInferenceSystem(ANFIS)tool.
TheSugenotypefuzzymodel'sformatisZisf(x,y)ifxisA and y is B. where A and B are fuzzy sets, x, y, and z are linguisticvariables,andf(x,y)isamathematicalfunction.The followingfuzzyrulesareappliedbytheZeroOrderSugeno fuzzymodel,whichisemployedhere:ZiskifxisAandyisB. where the constant is k. In this scenario, every fuzzy rule producesaconstantoutput,andeverymembershipfunction isrepresentedbyasingletonspike.
3.1.4.1. Fuzzification of inputs and membership function computation:
Pixelvaluesintheincominggrayscalephotosrangefrom0255(256grayvalues).Thesegrayvaluesareseparatedinto thefollowingfivemembershipfunctions'fuzzyset(B,C,G,I, andW):Cstandsforcharcoal,Gforgrey,Iforivory,andW for white. The generated image has 256 gray levels and makes use of the same fuzzy set. Because it has less computing cost than other membership functions like Gaussian,Trapezoidal,etc.,thetrianglemembershipfunction isusedinthecreationoftheFIS.
3.1.4.2. Uncertain rules:
The'if-then'rulesoftheSugenotypefuzzymodelhaveW1as theinputpicture,W2astheinputimage,andOastheoutput. Consequently,thereare25rulesinall.

International Research Journal of Engineering and Technology (IRJET) e-ISSN: 2395-0056
Volume: 11 Issue: 03 | Mar 2024 www.irjet.net p-ISSN: 2395-0072

3.1.4.3.
Theprocessofconvertingtruthvaluesintooutputiscalled defuzzification.Fordefuzzification,weemploytheweighted average, or "water." The FIS file output is a single column matrixthatneedstobetransformedintoanimagematrixin ordertoproducethefusedoutputpicture.

Table-1: Matrix-based fuzzy rules.
Thissectionprovidesinsightsonhowsimulationsutilizing methodslikeMamdaniandSugenoareperformedonwhole different sets of medical pictures. Two distinct modality pictures are used during the experiments. There are six distinctinputsets,withtwodistinctbrainpicturesineach set. Fusion is carried out on every set using Sugeno rules, Sugenoextension,Mamdanirules,andMamdanirules.Three distinctsetsofCTandMRIpictures,anMRandMRAset,a PETandMRAset,andanXRAYandVAsetareamongthesix setsofinputimages.Whenthetwophotosarecombinedinto one, a wealth of informationis provided thataids in more accurate diagnosis. Every image has the same 256 by 256
pixel dimensions and 256 grayscale levels. A presentation of the suggested algorithms' overall performanceismade.Theabovefiguresandtablespresent the complete results expressed in terms of subjective and objectivestandards.Thealgorithmsdevelopedinthisstudy are tested on a personal computer running MATLAB 8.1, equippedwithanIntel(R),Core(TM),i7CPUoperatingat2.6 GHz,eightgigabytesofRAM,and64-bitdeviceconfiguration.
SubjectiveAnalysis:
Theoutputpictures,whichdisplaythefusedimagesthatare theresultofapplyingtheMamdanirules,Mamdaniextension, Sugeno rules, and Sugeno extension, may be visually analyzed.
ObjectiveAnalysis:
Quantitative analysis of the fused pictures utilizing wellknown metrics, such as Entropy,, Edge-based quality measure, and Mutual Information ,is utilized in objective comparisontobetteranalyzethenecessaryinformationfrom images.
Entropy(EN):
Entropy measures how much information there is. Better fusionisimpliedbyhigherentropy[13,14].Theformulafor calculatingentropyis EN=-β_(t=0)^(L-1)β(P_f(i)log2P_f(i)), whereP_fisthefusedimage'snormalizedhistogramandLis the greatest gray level for a pixel. MutualInformation(MI):
This type of information reveals how dependent two variablesareononeanother.AssumingthatAandBare

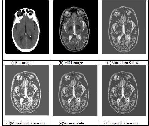
Fig-3: Fusion CT and MRI-set 1 picture
The set 1 CT and MRI image fusion findings. The CT input pictureispicture(a),whiletheMRIinputimageisImage(b). The fused pictures from the Mamdani rules are shown in Image(c), while the fused images from the Mamdani extension method are shown in Image(d). It is clear from

International Research Journal of Engineering and Technology (IRJET) e-ISSN: 2395-0056
Volume: 11 Issue: 03 | Mar 2024 www.irjet.net p-ISSN: 2395-0072
pictures (c) and (d) that the fused image produced by MamdanirulesisinferiortotheimagegeneratedbyMamdani extension. The fused image obtained from the Sugeno extensionmethodisImage(f),whilethefusedimageobtained fromtheSugenorulesisImage(e).Ithasbeendemonstrated bythephotos(e)and(f)thatthefusedimageproducedby theSugenoextensionissignificantlysuperiortotheoutput imageproducedbytheSugenorules.Fouroutputphotosare compared, and it is evident that the fused images from Sugeno FIS have higher quality and resolution than those fromMamdaniFIS.

Table2aboveliststheobjectivemeasuresfortheset1CT and MRI images. Here, calculations are made for entropy, mutual information, and edge-based quality metrics. The entropyvaluesforMamdaniandSugenoaresame.Incontrast toMamdaniFIS,SugenoFISimprovisesMutualInformation values.MamdaniandSugenorulesbothhavethesameEdge Based Quality Metric values, yet Mamdani has higher (QAB/F)valuesthanSugeno.

The fusion results of set two CT and MRI images are displayed in Figure 4. The CT input picture is picture (a), whiletheMRIinputimageisImage(b).Thefusedpictures from the Mamdani rules are shown in Image(c), while the fusedimagesfromtheMamdaniextensionmethodareshown inImage(d).Itisobviousfrompictures(c)and(d)thatthe fusedimageproducedbyMamdanirulesissubstantiallyless
clear than the one generated by Mamdani extension. The fusedimageobtainedfromtheSugenoextensionmethodis Image(f),whilethefusedimageobtainedfromtheSugeno rulesisImage(e).Ithasbeendemonstratedbythephotos(e) and (f) that the fused image produced by the Sugeno extension is significantly superior to the output image producedbytheSugenorules.

Table1aboveliststheobjectivemetricsforthesecondbatch of CT and MRI images. Here, calculations are made for entropy,mutualinformation,andedge-basedqualitymetrics. The entropy values for Mamdani and Sugeno are same. In contrast to Mamdani FIS, Sugeno FIS improvises Mutual Informationvalues.MamdaniandSugenorulesbothhavethe same Edge Based Quality Metric values, yet Mamdani has higher(QAB/F)valuesthanSugeno.

ThefusionfindingsofMRandMRAimagesaredisplayedin Figure4.TheMRinputpictureispicture(a),whiletheMRA input image is Image (b). The fused pictures from the MamdanirulesareshowninImage(c),whilethefusedimages fromtheMamdaniextensionmethodareshowninImage(d). Itisobviousfrompictures(c)and(d)thatthefusedimage producedbyMamdanirulesissubstantiallylessclearthan theonegeneratedbyMamdaniextension.Thefusedimage obtained from the Sugeno extension method is Image (f), while the fused image obtained from the Sugeno rules is

International Research Journal of Engineering and Technology (IRJET) e-ISSN: 2395-0056
Volume: 11 Issue: 03 | Mar 2024 www.irjet.net p-ISSN: 2395-0072
Image(e).Ithasbeendemonstratedbythephotos(e)and(f) that the fused image produced by the Sugeno extension is significantlysuperiortotheoutputimageproducedbythe Sugenorules.

Thetable4aboveliststheobjectivecriteriaforMRandMRA pictures.Here,thequalitymeasurebasedonedges,mutual information,andentropyarecomputed.BothMamdaniand Sugenohavethesameentropyvalues.SugenoFISimprovises Mutual Information values in contrast to Mamdani FIS. MamdaniandSugenorulesbothhavethesameEdgeBased Quality Metric values, yet Mamdani's (QAB/F) values are higherthanSugeno's.

ThefusionfindingsofPETandMRAimagesaredisplayedin Figure6.ThePETinputpictureispicture(a),whiletheMRA input image is Image (b). The fused pictures from the MamdanirulesareshowninImage(c),whilethefusedimages fromtheMamdaniextensionmethodareshowninImage(d). Itisobviousfrompictures(c)and(d)thatthefusedimage producedbyMamdanirulesissubstantiallylessclearthan theonegeneratedbyMamdaniextension.Thefusedimage obtained from the Sugeno extension method is Image (f), while the fused image obtained from the Sugeno rules is Image(e).Ithasbeendemonstratedbythephotos(e)and(f) that the fused image produced by the Sugeno extension is significantlysuperiortotheoutputimageproducedbythe Sugenorules.


ThecombinedXRAYandVAimagefindingsaredisplayedin Figure7 TheinputimageforXRAYisImage(a),whilethe inputimageforVAisImage(b).Thefusedpicturesfromthe MamdanirulesareshowninImage(c),whilethefusedimages fromtheMamdaniextensionmethodareshowninImage(d). Itisobviousfrompictures(c)and(d)thatthefusedimage producedbyMamdanirulesissubstantiallylessclearthan theonegeneratedbyMamdaniextension.Thefusedimage obtained from the Sugeno extension method is Image (f), while the fused image obtained from the Sugeno rules is Image(e).Ithasbeendemonstratedbythephotos(e)and(f) that the fused image produced by the Sugeno extension is significantlysuperiortotheoutputimageproducedbythe Sugenorules.

Thetable4aboveliststheobjectivemetricsforbothVAand XRAY pictures. Here, the quality measure based on edges, mutual information, and entropy are computed. Both MamdaniandSugenohavethesameentropyvalues.Sugeno FIS improvises Mutual Information values in contrast to Mamdani FIS. The Edge Based Quality Metric values for SugenoandMamdanirulesarethesame,whileMamdani's (QAB/F)valuesarehigherthanSugeno's.
Thereisrealvalueinthesekindsofapplications,andmedical picturefusionisaveryimportantmethod.Thereareseveral

International Research Journal of Engineering and Technology (IRJET) e-ISSN: 2395-0056
Volume: 11 Issue: 03 | Mar 2024 www.irjet.net p-ISSN: 2395-0072
waystodothis,andinordertochoosethebestapproachfor adedicatedarea,theymustbecomputed.Fordoctorswho needtofusemulti-modalitypicturesforongoinganalysis,our objectiveisexpectedtobecrucial.
The fusion approach will be included into a distributed application. If the doctors had access to the Internet, they mightcommunicateinthismannerfromdistantplaces,anda report would be generated specifically for this purpose. Therefore,doctorscandoimagefusionfromhomeorfrom their place of medical practice. We hope to incorporate further fusion techniques in the near future and test it on manysupplementarymedicalpicturetypes.Additionally,we wishtobroadenthetechniquesforpictureregistrationfrom manymedicalmodalities.Thisstudysuggestsapproachesfor picture fusion based on Mamdani and Sugeno fuzzy logic. Mamdanirule,MamdaniExtension,Sugenorules,andSugeno Extension are some of these techniques. The suggested techniquesaresignificantlylesscomputationallydemanding thanMamdaniFISandarealsomorestraightforwardthan exhaustivewavelet-basedimagefusiontechniqueslikeDWT, RDWT, and DTCWT. The suggested technique has been appliedtomergeseveral pairingsof brainscans,including MRandMRA,PETandMRA,XRAYandVA,andCTandMRI pictures.
[1] Stathaki, Tania. Image fusion: algorithms and applications.
[2] Wang, Z., Ziou, D., Armenakis, C., Li, D., & Li, Q.,A comparative analysis of image fusion methods. IEEE TransactionsonGeoscienceandRemoteSensing,2005, 43:1391-1402.
[3] Sun,J.,Jiang,Y.,&Zeng,S.,AstudyofPCAimagefusion techniquesonremotesensing,InternationalConference on Space information Technology, 2005, 59853X59853X
BIOGRAPHIES
K.SRIHARIRAO
DESIGNATION:PROFESSOR. QUALIFICATION:pH.D EXPERIENCE:34yrs.
CH.RAMBABU. DESIGNATION:ASSISTANT PROFESSOR
QUALIFICATION:M.TECH EXPERIENCE:13yrs.