NORWEGIAN LANGUAGE EDITION - International Aquafeed - issue 3 - 2022

Page 1

International AquafeedÅrgang 25NUmmer 5Mai 2022 www.aquafeed.co.uk www.fishfarmingtechnology.net CASE-STUDIE Luse-resistent laks - Den 13. Monaco Blue Initiative konferansen - Insektbasert fiskefôr - Bedre tilapia-ytelse: Forebygger oksidativt stress med organisk selengjær - Oppdrett på eksponerte lokaliteter, merd-deformasjon og fisk - Nanobobleteknologi i lakseoppdrett: Bruk av oksygen for å endre anerobe forhold og øke tettheten Se vårt arkiv og språkutgaver på mobilen din MAI 2022 Proud supporter of Aquaculture without Frontiers UK CIO FISH FARMING TECHNOLOGY

VELKOMMEN

Når dette går i trykken samler teamet fra International Aquafeed våre tanker og eiendeler etter et meget vellykket besøk på Aquaculture UK i Aviemore, Skottland.

Det er en stund siden sist vi var istand til å gjøre forretninger i den skarpe Cairngorms-luften, og det var virkelig en glede å treffe igjen noen av publikasjonens eldste allierte, i tillegg til å få kontakt med en hel haug med nye også.

Så før vi begynner på den lange reisen hjem nedover A9, vil jeg takke arrangørene Diversified Communications UK, og gratulere dem med et meget vellykket og godt gjennomført show. Vi vil publisere hele showrapporten vår i juniutgave av magasinet vårt.

I år ser det ut til å bli noe av en renessanse for akvakulturmesser, og Aquaculture UK representerer bare det siste i en rekke arrangementer som jeg har hatt gleden av å delta på personlig. Jeg har selv sett det økende antallet deltagere og selvtilliten, noe som er tydelig synlig hos både besøkende og utstillere.

Vi vet alle at Covid-19 ikke er helt over – de mange maskerte ansikter blant publikum på arrangementer står fortsatt som et bevis på dette, men vi begynner å strekke litt mer på beina i det som begynner å føles litt som den gamle normalen igjen.

En annen situasjon som vi alle håpet ville være over snart, men som når vi går i trykken fortsatt ikke er det, er konflikten i Ukraina. Siden slutten av februar har vi alle vært vitne til den pågående konflikten utspille seg foran våre øyne på TV-skjermer og avissider.

Som et svar på russernes aggresjon vil en opptrapping av sanksjoner mot russiske interesser føre til at skip og lastebiler fra landet ikke lenger får lov til å gå inn i norske havner og veier, med de nye tiltakene som trer i kraft 7. mai 2022.

I tråd med EUs politikk inkluderer de siste sanksjonene Norge har innført at mer russisk eksport blir underlagt restriksjoner.

Russiske fiskefartøy er imidlertid unntatt fra forbudet og vil fortsatt ha lov til å gå til norske verft, det samme vil rednings- og forskningsfartøy,

Marel kjøper Wenger Manufacturing

Islandske Marel har avtalt å kjøpe Wenger Manufacturing i USA «som en strategisk plattforminvestering i nye og attraktive vekstmarkeder», sier det islandske selskapet.

Wenger Manufacturing har vært et veletablert ekstruderingsfokusert selskap som først ble etablert i Sabetha, Kansas i USA i 1935 av Joe og Lou Wenger.

I dag har bedriften 500 ansatte og en global merkevare som er høyt anerkjent og respektert for sine innovasjoner innen husdyrfôrproduksjon over hele verden, med et spesielt fokus på akvatisk fôr og kjæledyrfôr.

I 2021 etablerte Marel formelt en forretningsutviklingsavdeling med fokus på kjæledyrfôr og plantebaserte proteiner.

Gjennom flere tiår har Wenger Manufacturing introdusert mange banebrytende teknologier innen ekstruderingsprosessering og har påvirket utviklingen av selskaper og industrisektorer. Wenger skal bli en uavhengig Marel Business

da Norge ønsker å beskytte samarbeidet i Barentshavet, samt en historisk søk- og redningsavtale som de to nabolandene er del av. Denne månedens utgave av International Aquafeed har en fortsettelse av nok et historisk partnerskap, med en karakteristisk detaljert og konsis rapport fra Dr. Thierry Chopin, fra det nylig gjennomførte Monaco Blue Initiative. Dette står i kontrast til vår akvakultur-casestudie, hvor Inês Crespo og Diego Robledo fra Roslin Institute presenterer funnene fra sin studie om utvikling av luseresistent laks i et forsøk på å avslutte et ikke så hyggelig og produktivt historisk forhold.

Mai-utgaven vår har også en sterk seksjon om fiskeoppdrettsteknologi, med en artikkel om «Oppdrett på eksponerte lokaliteter, deformasjon av merder, og fisk» av Fiskaaling, og en ganske ny artikkel som beskriver bruken av nanobobleteknologi i lakseoppdrett av det chilenske selskapet ChucaoTec.

Denne månedens ernæringsseksjon inneholder en rapport om insektbasert fiskefôr fra Tebrio, Spania, samt resultater fra et forsøk som søker å bedre tilapia-ytelsen av Phileo av Lesaffre i Brasil. Jeg vil benytte anledningen til å takke alle våre bidragsytere for at de hjelper oss med å sette sammen nok et fantastisk nummer.

Hos International Aquafeed verdsetter vi kontakten vår med våre bidragsytere, annonsører, lesere og bransjevenner. Derfor vil vi fortsette å delta på så mange arrangementer som mulig – noen ganger er en e-post eller en telefonsamtale bare ikke nok.

På samme måte er vi alltid ute etter å holde leserne våre oppdatert med de siste innovasjonene som enten vil tilføre verdi til eller rett og slett gjøre fôring og oppdrett av fisk enklere.

Med dette i tankene håper jeg du vil ta kontakt hvis du representerer et selskap eller hvis du er en student som ønsker å dele den nyeste forskningen din med vårt store og voksende internasjonale lesertall, så ta gjerne kontakt.

Vi håper du liker mai-utgaven vår!

Unit med fokus på kjæledyrfôr, plantebaserte proteiner og akvafôr.

Marel startet sin virksomhet på Island med et fiskeindustrioppdrag for å bli en global leder innen fisk. Med tiden begynte selskapet å inkludere kjøttindustriaktiviteter og endret på 1960-tallet sin overordnede målsetning til å bli det selskapet nå kaller en "global mataktør." Selskapet gjorde en total investering på USD 540 millioner i oppkjøpet mens de estimerte at sluttmarkedet Wenger selger har en verdi på omtrent 2 milliarder dollar med årlig vekst på mellom fire til seks prosent.

Wenger Manufacturing vil bli en ny vekstpilar ved siden av Marels fjærfe-, kjøttog fiskesektorer og derved la selskapet utvide virksomheten gradvis.

Dette betyr at de to selskapene vil slå seg sammen for å transformere måten mat behandles på. Begrunnelsen for oppkjøpet er basert på Wengers sterke sluttmarkeder og omfattende tilbud

www.aquafeed.co.uk

rundt ekstruderingsteknologi som vil komplimentere Marels globale rekkevidde og digitale plattformer.

Disse nettportalene ser ut til å bli brukt for nye og attraktive markeder som plantebaserte proteiner, akvafôr og kjæledyrfôr, som krever videre prosessering, pakking, merking, markedsføring og distribusjon. Wenger Manufacturing har en sterk strategisk stilling med et omfattende produkttilbud som inkluderer utstyr for ekstrudering, tørking og kraftvarme, legger Arni Sigurdsson, Chief Strategy Officer og EVP for Marels Strategic Business Units, til.

Investeringen vil støtte det fjerde forretningsområdet Marel-selskapet har for nye attraktive sluttmarkeder og gjøre selskapet til en mer balansert forretningsmodell når den integreres i sin globale dekning og digitale plattform.

Noen økonomiske detaljer må fortsatt på plass, men avslutningen av oppkjøpet forventes å være fullført før slutten av juni 2022.

ERNÆRING OG HELSE

Jeg synes mai er en veldig produktiv tid i Storbritannia, da den varsler begynnelsen av sommeren, og de solfylte lange dagene ser ut til å stimulere arbeidslysten min, når vi også observerer fornyelsen av naturen med fuglesang og planter som springer til liv.

Faktisk har jeg nylig vært offer for altfor mye sol gjennom årene med utviklingen av en epidermal solar keratose som er en tidlig form for plateepitelkarsinom. Jeg tenkte på alt hudrelatert da jeg skrev forrige måneds kommentar og påsto at fisk var ektodermer. Virkelig?

Etter å ha undervist i bioenergi for fisk i over 30 år, mente jeg selvfølgelig å si ektotermer og at de er poikioloterme dyr. Beklager! Slike skrivefeil skjer når jeg skriver denne spalten månedlig og henger over tastaturet inn i de sene timer. Hvem oppdaget min globalt spredte feil?

Min eminente kollega Dr. Sachi Kaushik var våken og påpekte det!

Vi spøkte med det, og hans ørneøynes skarphet mht detaljer skal berømmes. Jeg er glad for å kunne si at min ekle lesjon er under kontroll, og kanskje et slimbelagt fiskeskinn ville være bedre for mennesker. Dessverre, kanskje ikke!

Fisk er også utsatt for solbrenthet og tilhørende epidermale lesjoner. Dette er spesielt rapportert for regnbueørret (peel back disease), som selvfølgelig påvirker ryggområdet til fisken. Oppdrettsanlegg som ligger i store høyder som i Colorado og fjellene i Peru og Kurdistan har for eksempel tidligere rapportert om lesjoner der sollysintensiteten er sterk og det er mindre kapasitet for naturlig filtrering som tidligere ble fremhevet med utarming av jordens ozonlag.

Skader på ørrets sarte epidermis fører til erosjon, nekrose og sekundære bakterielle såvel som tertiære soppinfeksjoner som fremstår som en grå glans. Alvorlige tilfeller er plagsomme for fisken og kan føre til dødelighet. Arrdannelse og vevserosjon hos overlevende regnbueørret gir lavere markedsverdi hvis den selges rund, slik det ofte gjøres ved høsting.

Effekten av UV på akvatiske økosystemer og effekten på fisk som regnbueørret ble undersøkt av Bullock i 1984, da de histopatologiske endringene i fiskeskinn forårsaket av UV-bestråling ble studert i detalj. Effekten var svært lik endringer i menneskelige hudceller.

For mange år siden, da jeg var postdoktor i Idaho, var jeg basert ved International Aquaculture Research Center, og spørsmålet om hvordan fisken kunne beskyttes mot overdreven solbrenthet ble reist. Det bør åpenbart introduseres mer solskjerming over betongtanker og raceways for å skjerme fisken.

Imidlertid bruker ørreten betydelig tid under stiming og hektisk fôring med ryggen over vannet eller konsentrerer seg med høy tetthet bare noen få centimeter under vannlinjen. Intensiv UV kan penetrere vannet til en viss dybde. Er det mulig å dempe effekten av høy UV ved å forstå hvordan ernæring kan påvirke huden hos fisk og spesielt laksefisk?

Melaninpigmentet som gir fisken dens mørke ryggutseende og flekkene på flanken til ørret og laks er ganske beskyttende i denne forbindelse, og det samme er slimet som produseres av begercellene. Melanokortinsystemet er en kompleks nevroendokrin signalmekanisme involvert i en rekke fysiologiske prosesser hos virveldyr, inkludert pigmentering, steroidproduksjon og metabolsk kontroll.

Hos fisk er dette ikke fullt ut forstått og vi har mer å lære. Funksjonell kontroll av en spesifikk cellereseptor (Mc1r) som er sterkt uttrykt i fiskeskinn og hvis aktivering stimulerer melaninproduksjon og melanosomdispersjon i fiskemelanoforer, er bestemt. Aktiveringen på grunn av stress og potensielle miljøfaktorer som intenst sollys vil være interessant å undersøke. Det er mulige kostholdsfaktorer som kan øke produksjonen av melanin og øke begercellesekresjonen og kvaliteten på slimet i fisk som β-glukaner og MOS (Mannan Oligosaccharides).

Fisk har i motsetning til pattedyr en svært dårlig evne til å syntetisere niacin fra tryptofan i leveren, og derfor må behovet dekkes ved inntak i kosten. Andre vitaminer anses også som viktige for hudhelsen hos fisk, som vitamin C (kollagensyntese) og tilskudd av sporstoffet sink.

Sink spiller en viktig rolle i sentrale regulatoriske enzymer assosiert med immunsystemet og sårhelingsmekanismer. Selen vil også være uvurderlig, spesielt i den organiske komplekse formen på grunn av dets veldokumenterte rolle i antioksidantenzymer som glutationperoksidase som renser for frie radikaler (reaktive oksidative arter, ROS).

Disse kan genereres ved UV-interaksjon i vev som fiskeskinnepidermis. Faktisk er selen ganske konsentrert i fiskeskinn, og dette faktum er verdt å vurdere.

Gitt klimaendringer, høye temperaturer og mer langvarig og intensiv UV-bestråling, kan det derfor være aktuelt å gjøre flere studier av huden og slimhinnebarrieren hos fisk. Fiske-ernæring kan gi et middel til å forbedre integriteten og det oksidative forsvaret hos fisk, med bedre formulerte dietter for å beskytte mot solindusert skade under produksjon.

Når det gjelder relaterte forhold, vet vi at varmere omgivelser sannsynligvis vil øke risikoen for fiskepatogener generelt, inkludert større fare for bakterielle infeksjoner. Arbeid med både prebiotika og probiotika er svært viktig for å fremme våre profylaktiske strategier, og jeg er glad for å være involvert i mye fremgang for å utvikle nye produkter. Vårt arbeid ved National University of Ireland Galway inkluderer forsøk for å vurdere nye produkter som bakteriecelleproteiner, funksjonelle fôrtilsetningsstoffer og fettsyreanrikning av fisk med algebiomasser. Dette arbeidet er langsiktig, og det tar måneder å utføre omfattende fiskefôringsstudier Laboratoriemetodene blir stadig forbedret for analyse og er blitt ganske dyre, gitt den globale situasjonen.

Denne industrien må ha en kontinuerlig tilførsel av talentfullt personell for den vitenskapelige utviklingen, tekniske ferdigheter og forretningssans. Min kollega Dr. Alex Wan og jeg er opptatt av å kartlegge behovene til akvakulturøkonomien og den blå økonomiens perspektiver, og vi setter pris på om du tar deg tid til å fylle ut lenken nedenfor.

Det vil ta bare 10 minutter å fullføre og være svært nyttig for å utvikle opplæringskravene på videregående nivå som passer for akvakultur i fremtiden.

Menneskelig kapital i akvakultur og blå bioøkonomi perspektiver: https://aqfeed.info/e/1423 Takk!

4 | Mai 2022 - International Aquafeed

The Packaging Group GmbH Gerberstraße 50 · 51789 Lindlar, Germany · www.the-packaging-group.com

YOU CAN THINK IT
CAN PACK IT
IF
WE
Watch our sustainable packaging solutions at: www.the-packaging-group.com/videoportal

Perendale Publishers Ltd

7 St George’s Terrace

St James’ Square, Cheltenham, Glos, GL50 3PT, United Kingdom

Tel: +44 1242 267700

Publisher Roger Gilbert rogerg@perendale.co.uk

Managing Editor

Peter Parker peterp@perendale.co.uk

International Editors

Dr Kangsen Mai (Chinese edition) mai@perendale.com

Prof Antonio Garza (Spanish edition) antoniog@perendale.com

Erik Hempel (Norwegian edition) erikh@perendale.com

Editorial Advisory Panel

• Prof Dr Abdel-Fattah M. El-Sayed

• Dr Allen Wu

• Prof António Gouveia

• Prof Charles Bai

• Dr Daniel Merrifield

• Dr Dominique Bureau

• Dr Elizabeth Sweetman

• Dr Kim Jauncey

• Dr Eric De Muylder

• Dr Pedro Encarnação

• Dr Mohammad R Hasan

Editorial team

Prof Simon Davies sjdaquafeed@gmail.com

Andrew Wilkinson andreww@perendale.co.uk Caitlin Gittins caitling@perendale.co.uk Levana Hall levanah@perendale.co.uk

International Marketing Team

Darren Parris Tel: +44 7854 436407 darrenp@perendale.co.uk

Latin America Marketing Team

Clarissa Garza de Yta

Tel: +52 669 120 0140 clarissag@perendale.com

Cristina María Roldán Otero Tel: +44 1242 267700 cristinaperendale@gmail.com

Egyptian Marketing Team

Mohamed Baromh

Tel: +20 100 358 3839 mohamedb@perendale.com

India Marketing Team

Dr T.D. Babu +91 9884114721 tdbabu@aquafeed.org

Asia Marketing Team

Dante Feng Tel: +886 0227930286 dantef@perendale.com

Nigeria Marketing Team

Nathan Nwosu

Tel: +234 8132 478092 nathann@perendale.com

Design Manager

James Taylor jamest@perendale.co.uk

Circulation & Events Manager

Tuti Tan Tel: +44 1242 267706 tutit@perendale.co.uk

Development Manager

Antoine Tanguy antoinet@perendale.co.uk

©Copyright 2020 Perendale Publishers Ltd. All rights reserved. No part of this publication may be reproduced in any form or by any means without prior permission of the copyright owner. More information can be found at www.perendale.com

FISH FARMING TECHNOLOGY I DETTE NUMMER

FASTE SPALTER

SPALTER

ISSN 1464-0058
8
Nytt i næringen Case-studien
3 Roger Gilbert 4 Professor Simon Davies 62 Nytt om navn 60 Aquafeed-intervjuet 56 Markedsplassen 12 Brett Glencross Mai 2022 Årgang 25 Nummer 5 56 Kalender 40 Teknologi 42 Luse-resistent laks
FISH FARMING TECHNOLOGY DET STORE BILDET ARTIKLER Den 13. Monaco Blue Initiative konferansen: Behov for en dristig visjon for bevaring og beskyttelse av havet, samtidig som finanssektoren oppmuntres til å gå over til en hav-positiv økonomi Les mer på side 20 34 Oppdrett på eksponerte lokaliteter, merd-deformasjon, og fisk 38 Nanobobleteknologi i lakseoppdrett: Bruk av oksygen for å endre anerobe forhold og øke tettheten 20 Den 13. Monaco Blue Initiative konferansen 26 Insektbasert fiskefôr 28 Bedring av tilapia-ytelsen OPPDRETTSTEKNOLOGI

BAP Hatchery fullfører Standard Issue 2.0

Det endelige utkastet til Best Aquaculture Practices (BAP) Hatchery Standard Issue 2.0, som nylig ble publisert av Global Seafood Alliance (GSA), inkluderer en rekke nye krav knyttet til matvaresikkerhet, arbeidersikkerhet, vannkvalitet, avløpsovervåking og sporbarhet.

Versjon 2.0 erstatter versjon 1.0, som opprinnelig ble vedtatt i september 2014. Versjon 2.0 trer i kraft 4. april 2023, og settefiskanlegg som søker om sertifisering eller re-sertifisering vil ikke være pålagt å bli revidert mot versjon 2.0 før da, noe som gir klekkeriene tid til å forberede seg på de nye kravene som er lagt til standarden.

Den ble gjenstand for 60 dagers offentlig høring som utløp 8. november 2021. Totalt ble det mottatt 27 kommentarer. Standarden gjelder for alle akvakulturklekkerier og matfiskanlegg for fisk, krepsdyr og bløtdyr som produserer egg og/eller unge akvatiske dyr for levende overføring til andre akvakulturanlegg og for alle arter som omfattes av eventuelle BAPfarmstandarder.

En rekke nye krav ble lagt til standarden, inkludert: Klekkerier er nå pålagt å foreta en risikovurdering av potensielle risikoer knyttet til matsikkerhet knyttet til deres operasjoner.

Kravene til arbeidersikkerhet og ansattes forhold

er oppdatert, inkludert krav til lønn og goder, arbeidstid inkludert overtid, frivillig arbeid, barnearbeid og unge arbeidere, bruk av arbeidere fra rekrutteringsbyråer, diskriminering, disiplinære prosedyrer, arbeidernes medbestemmelse, og arbeidernes helse og sikkerhet.

Avløpsovervåkingsparametrene og grensene for landbaserte systemer er oppdatert og inkluderer unike parametere og grenser for resirkulerende akvakultursystemer (RAS).

Kravene til overvåking av vannkvaliteten i merder i ferskvann eller brakkvann har blitt revidert i samsvar med tilnærmingen som er tatt i bruk i BAP Farm Standard Issue 3.0.

Grensene for BAP fish-in/fish-out (FIFO) for settefiskanlegg som bruker mer enn 50 tonn tørrfôr pr. år er revidert, og det er lagt til et krav om å beregne grovfôravhengighetsforholdet (FFDR).

Det er lagt inn krav til levende fôr produsert i settefiskvirksomhet.

Klekkerier er pålagt å kontrollere kildene til stamfisk/ egg via en effektiv intern revisjonsprosess.

Krav for å begrense rømningshendelser ble oppdatert. Sporbarhetskrav, spesielt de som er knyttet til å demonstrere BAP-stjernestatus, ble oppdatert, og øvelser for sporing fremover og bakover er nå påkrevet.

Silo block for dosing, 2.900 m 3 in 36 bins www.tsc-silos.com STORE SMART STORE SQUARE SPECIALIST IN THE DESIGN AND CONSTRUCTION OF TAILOR MADE SQUARE SILO BUILDINGS Scan the QR-Code for more information VictamVisitusatInternational Booth1.432 8 | Mai 2022 - International Aquafeed News

Antonio Garza de Yta

Endelig kommer WAS til Mérida!

Etter lang ventetid, omlegging og mange vanskeligheter, vil endelig World Aquaculture Conference WA2021 bli holdt i Mérida fra 24. til 27. mai 2022. Jeg tror ikke jeg kan uttrykke med ord hva denne begivenheten betyr for meg personlig, og jeg tror at det er representativt for Mexico.

For meg personlig er det kulminasjonen av en reise på mer enn 20 år i World Aquaculture Society, hvor jeg nå overlater presidentskapet i Mexico, i en uslåelig setting, omgitt av menneskene jeg elsker, og derved markerer slutten på en periode, men begynnelsen på andre ting som jeg allerede vil dele med dere.

Men det som virkelig er viktig, og hva denne begivenheten kan bety for Mexico, vil jeg basere på fire hovedting. Det første er at Mexico har kapasitet til å fortsette å tenke stort, og til tross for at man på mange måter prøver å innpode oss at vi ikke kan det, vet meksikaneren at, joda, alt som foreslås i livet, det er mulig gjennom arbeid og innsats.

Den endelige konsolideringen av Mexican Aquaculture Society (SOMEXACUA) er en annen stor begivenhet. Endelig, etter så mange år, tror jeg at det vil bli en organisasjon som representerer sektoren med verdighet, og hvor medlemmene ikke spør seg selv hva SOMEXACUA kan gjøre for dem, men hvordan de kan bidra til sektoren gjennom det.

Mål som har betydelige konsekvenser

I dag, mer enn noen gang, i en tid da meninger er viktigere enn vitenskapelige fakta, må vi stå sammen og forsvare sektoren, det vi gjør og vår visjon om verden og livet gjennom samarbeid – og forfølge mål som har betydelige konsekvenser for denne og fremtidige generasjoner.

Vi skal også feire 60-årsjubileet for INAPESCA, som jeg allerede skrev om i forrige nummer, men jeg synes det er veldig viktig å fremheve dette punktet, siden vi lever i en tid da den viktigste institusjonen for fiske og akvakultur i Mexico gjennomlever øyeblikk som setter dens eksistens i fare, uansett hvor usannsynlig det kan virke.

Nok en gang understreker jeg viktigheten av at vi alle er forent, slik at vi sammen ikke bare unngår at institusjonen forsvinner, men også oppnår at den gjenopplives.

En annen stor begivenhet er at vi innenfor rammen av dette arrangementet vil kunne feire mange av dem som har vært bærebjelker for havbruk i Mexico. WASSOMEXACUA-prisene skal deles ut, og for første gang i historien vil akvakultursektoren anerkjenne dem som har bygget akvakultur i Mexico med svette, innsats, lidenskap og utholdenhet.

Det vil bli delt ut priser i fire kategorier: Karl Heinz Holtschmit-prisen for akademisk karriere, Eric Pedersenprisen for innovasjon og utvikling, Beatriz Eugenia Gómez Lepe-prisen for industri og den produktive sektor, og Margarita Lizárraga-prisen for styring, diffusjon og oppsøking.

Ved denne anledningen vil det deles ut flere priser i hver kategori. Siden vi har flere år å ta igjen, er det viktig å feir e denne store begivenheten og fremfor alt fordi hvis denne pandemien har lært oss noe, er det at vi må fortelle folk hva vi elsker i dag, og ikke vente til en senere anledning. Etter dette arrangementet vil det kun deles ut én pris årlig pr. kategori.

Jeg avslutter denne spalten med triste nyheter. I skrivende stund fikk jeg vite at vår venn Pedro Ulloa, følgesvenn gjennom mange år i INAPESCA, tapte kampen mot kreft. Pedro, en livsnyter, var ekspert på fiske, men han visste alltid at fremtiden til sektoren lå innen akvakultur; vi hadde den diskusjonen tusenvis av ganger, og vi vil ha den igjen en dag. Hvil i fred min gode venn, fortsett å fiske hvor enn du er, vi kommer til å savne deg.

Vår 30. trykte utgave er UTE NÅ!

Antonio Garza de Yta, har en PhD i akvakultur fra Auburn University, er president for Aquaculture without Borders, president for WAS og skaper av Certification for Aquaculture Professional (CAP)-programmet. Han er også den spanske redaktøren av International Aquafeed og grunnlegger av International Centre for Strategic Studies for Aquaculture. Han er for tiden sekretær for fiskeri og akvakultur i staten Tamaulipas.
internationalmilling.com News International Aquafeed - Mai 2022 | 9

BioMar kjøper intelligent fôringsteknologiselskap

Etter den vellykkede inntreden på rekefôrmarkedet, godkjenner styret i BioMar oppkjøpet av AQ1 Systems, verdens ledende produsent av akustisk fôringsteknologi for rekeoppdrettsindustrien. Med denne investeringen har selskapet som mål å akselerere bærekraftsfokuseringen til bransjen.

I løpet av de siste årene har selskapet intensivert forsknings- og rådgivningstjenesten, og omfavnet den komplekse sammenkoblingen mellom fôrløsninger, miljø og rekers ytelse. Nok et skritt tas for å koordinere virksomheten når BioMar nå har annonsert oppkjøpet av AQ1.

Å styrke kjernefôrvirksomheten med innovative teknologiske løsninger lanserer et nytt kapittel i selskapets utvikling. Målet er å skape nye synergier mellom oppdrettsteknologi og fôrløsninger.

"Vi har en sterk tro på at vi kan bringe kunnskap og teknologisk innovasjon sammen og tilby nye fordelaktige løsninger til våre kunder, løsninger som forbedrer fôringseffektivitet og bærekraft," forklarer Carlos Diaz, administrerende direktør i BioMar Group.

«Ved å optimalisere fôringspraksis, kombinere intelligente fôringssystemer, omfattende analyser, avanserte fôrløsninger og effektiv drift, kan vi ta enda et skritt i riktig retning.

"I løpet av de siste årene har vi sett at bruk av intelligente fôringssystemer i rekeoppdrett kan optimalisere

fôreffektiviteten, produksjonsutbyttet og bærekraft, når de introduseres sammen med datadrevet drift av anlegget. Å legge til BioMar fôrløsninger og teknisk kunnskap til ligningen åpner nye muligheter, fortsetter han.

AQ1 vil fortsette som et uavhengig selskap med sitt eget kommersielle oppsett, forretningssystemer og distribusjonskanaler, og betjener både BioMar-kunder og kunder med andre fôrleverandører.

Eksisterende AQ1-kunder vil ikke oppleve noen endringer i de tjenester og avtaler de har med AQ1.

"Vi ser veldig frem til samarbeidet med BioMar og morselskapet Schouw & Co, som har betydelige investeringer innen elektronikk og maskinteknikk," legger Ross Dodd, administrerende direktør og grunnlegger av AQ1, til.

"Vi tror dette vil gjøre oss i stand til å utvikle nye markeder og skape verdier fra en omfattende kombinert kunnskapsbase og global orientering.

«Samtidig har vi en felles interesse i å støtte veksten i bransjen. Jeg er sikker på at den nye alliansen vil åpne mange muligheter for teknologisk innovasjon som vil komme oppdrettere over hele verden til gode.»

Ross Dodd vil fortsette å lede AQ1 etter oppkjøpet.

Ottevanger Milling Engineers is supplier of machines, installations and complete process lines for the compound feed industry and grain processing companies.

Our expertise in project management, engineering and production ensures the successful realization of machines, process lines and complete installations

Specialist in the design and build of installations for the grain-processing and compound feed industry
www.ottevanger.com Visit us at
- The Netherlands - BOOTH 1.432
60tph Scan the QR-Code for more information
Victam International Utrecht
Fane Valley, Ierland |
10 | Mai 2022 - International Aquafeed News

Reducing our reliance on marine resources

We
WE
Follow us on: www.dsm.com/anh
We’re focusing our passion and expertise on cultivating marine algae that naturally produce omega 3, EPA/DHA, so we can help reduce the reliance on wild fish stocks and enable the aquaculture industry to grow.
are transforming animal nutrition and health to build a sustainable future, responsibly. If not us, who? If not now, when?
MAKE IT POSSIBLE

Klimaendringer eller overfiske –erkjennelse av fremtidige trusler

Irecently came across an interesting study examining the cumulative impacts of human activity on marine ecosystems which provided some striking clarity on the various threats to our oceans.

Jeg kom nylig over en interessant studie som undersøkte de kumulative virkningene av menneskelig aktivitet på marine økosystemer, og som ga en slående innsikt i de ulike truslene mot havene våre.

I denne studien av Halpern et al. (2019) undersøkte forfatterne den kumulative påvirkningen relatert til 14 forskjellige stressfaktorer (f.eks. klimaendringer, fiske, terrestrisk forurensning, etc.) og hvordan disse påvirket 21 forskjellige marine økosystemtyper over en 11-års periode (2003-2013).

Forfatterne modellerte også disse påvirkningene på romlig basis for å gi en viss geografisk kontekst til truslene. Resultatene av studien gir et klart og nøkternt perspektiv på realitetene av menneskelig påvirkning på våre marine økosystemer. Forfatterne fant, forutsigbart nok, at nesten 60 prosent av verdenshavene står overfor økende (og kumulative) menneskelige påvirkninger på hvert av de forskjellige økosystemene.

Det som kanskje var overraskende, var at fiskerier i begrenset grad ble oppfattet som en trussel mot disse økosystemene. Dette står i kontrast til mye av mediedialogen om "Seaspiracy"-truslene knyttet til fiske og akvakultur, når det i virkeligheten ser ut til å være mer en hetebølge indusert av klimaendringer som driver nesten hele endringen.

Av økosystemene som ble undersøkt i Halpern et al.-studien, er de tre mest sårbare korallrev, sjøgress og mangrover. Alle disse rapporterte nesten null påvirkning assosiert med noen av de seks forskjellige former for fiskeaktivitet. Den STORE trusselen er havoverflatetemperaturen og endringer i havnivået. Etter å ha notert meg dette, i tillegg til de vitenskapelige modellene, leste jeg nylig videre at Australias Great Barrier Reef igjen har blitt ødelagt av en annen massekorallbleking (2). Det ble rapportert at dette var fjerde gang på seks år at en så utbredt bleking ble observert, mens det før 2016 bare var blitt rapportert to ganger. Så de subjektivt oppfattede truslene blir tydeligvis ikke bare oppfattet, men faktisk virkelige hendelser som finner sted rundt om i verden akkurat nå.

Så hvis klimaendringer er vår største trussel for økosystemstabilitet og fremtidig matproduksjon, hvilken innvirkning er det fra våre "blåmat"-systemer, og hvordan er dette sammenlignet med de bredere stressfaktorene til klimaendringene fra landbasert matproduksjon?

En fersk studie av Gephart et al. (2021) publiserte en serie sammenligninger av fiskeri- og akvakulturpåvirkninger knyttet til ulike stressfaktorer, og observerte at for det meste var utslippene av klimagasser (GHG) pr. tonn spiselig mat fra akvakultur mindre enn for kylling-produksjon, mens fiske i gjennomsnitt bare var litt høyere.

Men klimagassutslipp fra små pelagiske fiskerier (f.eks. ansjos) var blant de laveste av alle aktiviteter, bare tang, muslinger og produksjon av noen karpearter hadde lavere utslipp.

Så hvis små pelagiske fisker ikke bare representerer en viktig næringsrik ressurs, men også er ett av våre bedre alternativer for å redusere klimaendringer, er det sikkert både ernæringsmessig og klimamessig fornuftig å opprettholde bruken av dem?

Referanser

1. Halpern, B. S., Frazier, M., Afflerbach, J., Lowndes, J. S., Micheli, F., O’Hara, C., ... & Selkoe, K. A. (2019). Recent pace of change in human impact on the world’s ocean. Scientific reports, 9(1), 1-8.

2. https://www.bbc.co.uk/news/world-australia-60870239

3. Gephart, J. A., Henriksson, P. J., Parker, R. W., Shepon, A., Gorospe, K. D., Bergman, K., ... & Troell, M. (2021). Environmental performance of blue foods. Nature, 597(7876), 360-365.

fra klimaendringer

Dr. Brett Glencross er teknisk direktør for IFFO - The Marine Ingredients Organisation. I løpet av de siste 25 årene har han jobbet i ulike akademiske, institusjonelle og industrielle roller over hele Australasia, Midtøsten og Europa. Figur 1: Skader som korallbleking er en langt større trussel mot marine økosystemer enn fiske Brett
12 | Mai 2022 - International Aquafeed
NOURISH PROTECT SUSTAIN PRODUCTIVITY PERFORMANCE NUTRITION PROTECTION

Rekordvekst i irsk

sjømatindustri

Isin årlige Business of Seafood Report, kunngjør Bord Iascaigh Mhara (BIM) at den irske sjømatøkonomien vokste med 15 % i 2021, til EUR 1,26 mrd/USD 1,32 mrd (EUR 1 ~USD 1,05).

Til tross for de doble utfordringene med Brexit og Covid-19, kom industrien seg etter vanskelighetene man opplevde i 2020, med en vekst i BNP på 15,3 % fra år til år – den høyeste verdien siden 2016. Denne veksten ble drevet av sterk eksport til EU og Asia, og den totale verdien økte med 11 prosent - til EUR 674 millioner.

Innkjøp av sjømat i Irland økte med 12 % i 2021, etter en nedgang på 53 % i 2020. Innenlandsk forbruk økte med 3 % til EUR 418 millioner, mens handelsbalansen for sjømat (eksport – import) også vokste med 45 %, drevet av den sterke eksportveksten, spesielt i EU-markedet. Samlet investering i sektoren økte i løpet av 2021 til EUR 454 millioner (+8%), noe som viser fornyet tillit.

BIM-sjef Jim O'Toole sier at sektoren har vist seg å være svært motstandsdyktig og innovativ, "Nøkkelkonklusjonen fra denne rapporten er sektorens suksess med å identifisere og utnytte muligheter i forskjellige markeder, sammen med en økning i verdi for noen kategorier.”

"Mens Brexit, og virkningene av handels- og samarbeidsavtalen [mellom EU og Storbritannia] reduserte kvotene for noen nøkkelarter, bidro statlig støtte sammen med private investeringer til å dempe noen av disse konsekvensene," legger O'Toole til.

"Næringen fortsetter å tilpasse seg, for eksempel innen sjømatteknologi er det nå over femti selskaper som sysselsetter mer enn 700 personer fra fagområder som ingeniørfag, fintech og markedsføring, og vi har sett omsetningen bli mer enn doblet de siste årene.

"Selv om vi så betydelig vekst i fjor, er det ytterligere utfordringer som vi nå står overfor, med kostnadsøkninger på drivstoff, energi og materialer som følge av konflikten i Ukraina. Støtte til industrien for å hjelpe motstå dette økonomiske sjokket vil utvilsomt være nødvendig. "

Reduksjon av virkningen av Covid-19, Brexit og Ukraina

Sjømatkonsumet økte med tre prosent i 2021, drevet av en delvis oppgang i den innenlandske HORECA-sektoren. I store deler av 2021 var restaurant- og catering-sektoren alvorlig hemmet i sin virksomhet på grunn av Covid-19helserestriksjoner, men den vokste med 12 % etterhvert som disse avtok utover sommeren. Normale driftsforhold bør se sterk vekst og bedring i 2022.

Mens produksjonsvolument av irsk økologisk laks holdt seg stabilt i 2021, falt verdien med 14 %. Dette skyldtes økt internasjonal tilførsel av økologisk laks fra konkurrentland som Norge og Skottland.

Gjenåpningen av foodservice-sektorene internasjonalt førte til sterk prisvekst på skalldyrarter som krabbe,

hummer, reker og muslinger – med en prisøkning på over 20 %.

Under handels- og samarbeidsavtalen var det betydelige overføringer av fiskekvoter fra EU til Storbritannia. Irland ble sterkt påvirket av disse kvoteoverføringene, noe som resulterte i en reduksjon på syv prosent av ilandført volum landet av irske fartøyer. Til tross for dette vokste den totale verdien av irske landinger med 2 % drevet av høyere priser.

Brexit introduserte også en endring i handelsmønstre. Tidligere hadde Storbritannia vært hovedleverandøren av sjømatimport til Irland. I løpet av 2021 har det vært et skifte bort fra innkjøp fra Storbritannia. EU er nå hovedleverandør for irsk import for første gang, mens verdien av importen fra Storbritannia falt med 57 %.

Investeringer i sektoren

I 2021 fortsatte offentlige investeringer i sjømatsektoren å vokse, og beløp seg til EUR 232 millioner, en økning på 11 %. Støtte fra European Maritime and Fisheries Fund (EMFF), sammen med nasjonale investeringsprogrammer bidro til et bredt spekter av prosjekter på tvers av alle deler av næringen.

Etter å ha falt ganske betydelig i 2020, økte private investeringer med EUR 23 millioner (+5 %), til totalt EUR 221 millioner, noe som gjenspeiler sektorens ambisjoner etter hvert som den kom seg gjennom de mange utfordringene.

Sysselsettingen i sektoren holdt seg også stabil i 2021 til tross for problemene. Totalt var 16 650 personer sysselsatt direkte og indirekte, en økning i samlet sysselsetting på én prosent.

Dette omfattet 8 700 sysselsatte direkte i fiskeri, akvakultur og foredling, med ytterligere 8 000 i nedstrøms sysselsetting i hjelpe- og støttesektorer.

Prisen på marin diesel har økt med nesten 150 % siden starten av krisen i Ukraina, mens prisen på materialer og utstyr også har økt kraftig.

Så kort tid etter de økonomiske sjokkene fra Covid-19 og Brexit vil motstandskraften til sektoren bli testet til fulle i løpet av 2022 og i årene fremover. Det vil kreve en kollektiv innsats fra industrien, med økonomisk og teknisk støtte, for å tåle denne nye utfordringen og forbli lønnsom.

14 | Mai 2022 - International Aquafeed News
PUMPS + GRADERS + COUNTERS FISH sINCE 1 9 58 100%quality SINCE 1958, TRUST IN OUR EXPERIENCE More than 10 complete grading packs, nursery packs, grow out packs, harvesting packs. WWW.FAIVRE.FR Fish farming equipment designer and manufacturer pixies-agency.fr
AQUAFEED GEPRO has developed into a constant and successful player in the aquafeed and the petfood industry for more than 50-year history and always meet challenges with innovative solutions. Our head office and production site is located in Diepholz, Lower Saxony - in the immediate vicinity of the largest poultry production and processing facilities in Germany. In addition to our headquarters in Diepholz, GEPRO has other locations around the world for your best possible service. Consistency and a high degree of reliability are essential. Already some years ago our logo appeared in a new design. This is now also incorporated in our product portfolio. Consistency, innovation and a high degree of reliability are essential. www.ge-pro.de Contact aqua@anpario.com Want An Extra US$1,000 Per Hectare? 77719601 Decades of Experience Worldwide. Experts in Cable & Disc Conveying Solutions. 50+ Years in Business 1,000+ 66+ Countries Served 32,000 The majority of our conveyors operate with drive units 5 Horsepower – or less! For energy-efficient operation our systems are hard to compete against. Cablevey Conveyors 8”Systems Gentle Clean Reliable Conveying System Capacity: 8” (203.2mm) tube diameter Moves up to 2,000 Ft³ (56.6 M³)/hr Moves up to 80,000 lbs/hr* (36,287 Kgs/hr) The Heart of the System CABLE & DISCS Cablevey® Conveyors is a registered trademark of Intraco, Inc. 05/2022 (641) 673-8451 www.cablevey.com Year Anniversary 16 | Mai 2022 - International Aquafeed News

iFarm-prosjekt skaper vellykket sortering av fisk

Cermaq’s iFarm-prosjekt, som søker å inkorporere kunstig intelligens og maskinlæring for å gi en mer detaljert oversikt over oppdrettsfiskens helse og velferd, har overvåket suksessen med å teste en mekanisme for å sortere fisk i en merd.

Prosjektet, som er et samarbeid mellom BioSort, Cermaq og ScaleAQ, testet nylig en sorterer, utviklet av BioSort, som har kapasitet til å sortere og separere individuell fisk basert på spesifikke egenskaper. Målet med sorteringen er å kunne fjerne fisk som trenger oppfølging for å sikre at den generelle helsen til fisken i merden er bedre.

Sortereren har vært under utvikling i to år og styres av elektriske undervannsmotorer. Testingen fant sted ved BioSorts laboratorium og i et basseng ved deres kontorer i Oslo, før de flyttet den ut på sjøen utenfor Oslo, og til slutt ble den installert og testet i merder på Cermaqs sjøanlegg i Vesterålen i Nord-Norge.

"Såvidt jeg vet har ingen tidligere sortert svømmende fisk i garnmerd før, så dette er et stort skritt mot individbasert håndtering av fisk, sier Geir Stang Hauge, administrerende direktør i BioSort.

"Hensikten med denne første testen var å vise at sortereren faktisk klarer å sortere svømmende fisk i en garnmerd, og det fungerte som vi håpet, så det ble en vellykket test, legger han til.

I fremtiden er det håp om at sortereren vil gå fra manuell styring til autonom, slik at den kombinert med sensorsystemet i iFarm vil kunne ta sine egne beslutninger.

"Nå som vi har vist at det er mulig å sortere ut svømmende fisk, vil arbeidet intensiveres. Utviklingsteamet tar med seg erfaringene fra denne testen til utviklingen av neste generasjons prototyp av sortereren, som vil kunne fungere under bl.a. flere forhold, avslutter Hauge.

aquafeed.co.uk
FISH FARMING TECHNOLOGY
Pole Position! Leiber GmbH | Hafenstraße 24 | 49565 Bramsche Germany | info@leibergmbh.de Real brewers‘ yeast! Really effective! CeFi® pro | best values in bioavailability Biolex ® MB40 | prebiotic. gut health. MOS Leiber ® Beta-S | pure beta-glucans for strong immune defence Leiber ® Beta-S Plus | synergistic combo of pure beta-glucans and MOS Leiber NuTaste® | Natural. Pure. Delicious. For further information just get in touch with us! Visit our new website: leibergmbh.de International Aquafeed - Mai 2022 | 17 News

Aquaculture Training

Live, online og globalt anerkjent

Hvordan bli kvalifisert for produksjon av akvafôr uten å forlate ditt eget hjem eller kontors trygge komfort

Med skyhøye priser, krigen ved Europas østlige grense, sammen med den langsomme slutten av en tre år lang verdensomspennende pandemi – står vi alle overfor en stor usikkerhet i våre liv.

Etter hvert som verdensmarkedene fortsetter å stramme seg til, øker også konkurransen om jobber i dyrefôrproduksjonsindustrien, noe som gjør dette til den beste tiden for å oppdatere CV-en din ved å legge til en globalt anerkjent bransjespesifikk kvalifikasjon.

I april 2022 får vi den etterlengtede fortsettelsen av både Online Aquafeed Production School-kurset for vårprogrammet i 2022, som omfatter en nye, forbedrede og oppdaterte sendinger på nettet.

Utviklet av Progressus Agrischools og presentert i samarbeid med Perendale Publishers Limited, er dette kurset skreddersydd for å hjelpe deltakerne til å bygge en forståelse for design, utvikling og drift av et akvafôr- og husdyrfôrproduksjonsanlegg som dekker hele spekteret av produkter som brukes i denne industrien.

Dette målet oppnås gjennom tolv to timer lange ukentlige økter med bransjeeksperter som deler sin omfattende kunnskap om fôringredienser, utstyret som brukes, samt en generell ernæringsgjennomgang. Dette etterfølges av en dedikert spørsmål-og-svar-økt, som lar deltakerne samtale live med programlederne.

Disse nøye utvalgte, erfarne industrioperatørene, som til sammen har hundrevis av år med frontlinjetjeneste, inkluderer Joe Kearns, som alene har tilbrakt flere tiår i seniorstillinger hos Wenger Manufacturing.

Kunnskap og pålitelighet Vårprogrammet for 2022 for Online Aquafeed Production School omfatter at Kearns overtar rollen som hovedinstruktør, en rolle som han uten tvil vil utføre med den samme profesjonalitet som har gjort at han har fått et solid rykte for kunnskap og pålitelighet gjennom hele sin karriere.

Online Aquafeed Production School vil gjøre det mulig for interesserte å forstå mulighetene og utviklingen over tid med hensyn til hva som kan produseres, samt undersøke hvordan alle aspekter av prosessen samhandler for å oppnå og opprettholde en vellykket standard for akvafôrproduksjon.

I utgangspunktet er det fire områder av betydning for akvafôrproduksjon; ingredienser, utstyr som brukes, hvordan det betjenes, og ønskede sluttproduktspesifikasjoner. Alle aspekter samhandler ettersom hver påvirker den neste etter hvert som ernæringsfysiologen får formelen, salget eller kundene til å definere det ønskede sluttproduktet mens produksjonen må fungere effektivt.

Kommunikasjon mellom disse feltene og samspillet mellom dem vil i stor grad øke sjansene for å produsere

positive resultater, inkludert utmerket akvafôr produsert med akseptable marginer.

Oppsummering av økt 1 og 2

Den første utgaven av denne etterlengtede nye serien søker å gi deltakerne en "Oversikt over akvafôr-prosessen". Dette ble introdusert av den dyktige duoen Messieurs Christodoulou og Gilbert, og det er delt inn i fire hoveddeler.

I det første av disse segmentene vil Mian Ruiz Texas A&M University ta opp temaet "Ulike typer akvafôr". Riazs undervisning blir deretter fulgt av det første av Joe Kearns' bidrag med tittelen "Typical Equipment used in Aquafeed Production and Raw Material Requirements and Effects".

Kearns returnerer deretter for å være vert for en ny seksjon "Nyttige feilsøkingstips", som denne uken fokuserer på råvarer - inkludert aspekter som stivelseinnhold, overgangstid i lagring og "ettermodningsfaktoren".

I det fjerde og siste segmentet av denne økten kommer alle bortsett fra Riaz tilbake for å delta i den ukentlige live Q&A-økten, der alle spørsmålene som blir stilt av publikum blir besvart i sin helhet.

Under tittelen «Start av prosessen: Mottak av ingredienser og bulklagring», som er det første foredraget i den andre økten, tar Kearns opp temaet «Ernæring, oppskrifter, hensyn til akvafôrproduksjon og ingrediensmottak». Listen over relaterte emner som dekkes inkluderer ingredienskilder og spesifikasjoner, stivelse i formulering og forskjellene mellom belagte fôr.

I den andre delen av den andre økten gir Giuseppe R Bigliani, president for fôrteknologiløsninger i Engormix en 'Detaljert gjennomgang av ingredienshåndtering - del 1'. Med nesten fire tiårs erfaring i design, installasjon, drift og administrasjon av prosjekter relatert til Agri-business, og med fokus på fôr- og matforedlingsanlegg, gir Bigliani en svært omfattende oversikt over dette emnet.

Det er ikke for sent å melde seg på Selv om denne sesongen allerede har startet, er alle økter tilgjengelige på forespørsel i to uker etter siste sending – og dette alternativet er tilgjengelig for alle deltakere uten ekstra kostnad.

Aquafeed Production School holdes hver tirsdag, fra 19. april til 12. juli, kl. 14.00 Bangkok-tid og kl. 09.00 CET. For dem som er basert i USA og Latin-Amerika, begynner øktene 21. april og avsluttes 15. juli kl. 09.00 Chicago-tid. Kurssertifiseringen er veldig viktig, da den både signaliserer en deltakers interesse for bransjen og demonstrerer tilegnelse av kunnskap mens de deltok i programmet.

For å melde deg på Aquafeed Production School-kurset, sørg for å besøke https://aqfeed.info/e/1393 for mer informasjon.

18 | Mai 2022 - International Aquafeed
THE INNOVATIVE SOLUTION TO CLEANER FISH MANAGEMENT & SEA LICE CONTROL www.vitaaquafeeds.uk info@worldfeeds.uk VITA AQUA FEEDS • UNIQUE STRATEGIC FEEDING SYSTEMS • IMPROVED HEALTH & WELFARE • REDUCED STORAGE & ENERGY COSTS • NO PREPARATION, NO REFRIGERATION • PRACTICAL & EFFICIENT TECHNOLOGY • HIGH QUALITY, SUSTAINABLY SOURCED INGREDIENTS COMPLETE, TAILORED FEED BLOCK DIETS FOR LUMPFISH & WRASSE International Aquafeed - Mai 2022 | 19 News

DEN 13 MONACO BLUE INITIATIVE KONFERANSEN

Behov for en dristig visjon for bevaring og beskyttelse av havet, samtidig som finanssektoren oppmuntres til å gå over til en hav-positiv økonomi

Isin velkomsttale til den 13. konferansen til Monaco Blue Initiative (MBI), den 21. mars 2022, minnet HSH Prins Albert II av Monaco de omtrent 180 deltakere (140 ved personlig fremmøte på Oceanographic Institute i Monaco, og 40 tilstedeværende virtuelt) at "Uansett hvordan vi ser på fremtiden vår, spiller havet en nøkkelrolle. En rolle som består av spenninger og motsetninger som er iboende i vår verden og som vi må ta tak i."

Dette ble fulgt av en hovedtale av HE John Kerry (Special Presidential Envoy for Climate, USA), som nevnte at "Du kan ikke løse klimakrisen uten å ta opp problemene i havet, og du kan ikke løse problemene i havet uten å løse klimakrisen."

Den neste hovedtaleren, Huang Runqiu (Minister for Ecology and Environment, Folkerepublikken Kina) ba om implementering av FNs bærekraftsmål (SDGs) for å styrke samarbeidet for å fremme blå økonomisektorer.

Den siste foredragsholderen på åpningssesjonen, Vincent Van Quickenborne (Vice Prime Minister i Belgia og Minister of Justice and the North Sea) indikerte at 2022 har potensial til å bli "havets år" hvis flere konferanser i løpet av året fører til konkrete fremskritt, særlig når det gjelder målet om 30 % beskyttelse av havet gjennom et nettverk av marine beskyttede områder (MPA) og andre effektive områdebaserte bevaringstiltak innen 2030.

MBI-tenketanken – bestående av medlemmer fra vitenskapelige, ikke-statlige organisasjoner, industri, beslutningstagere, opinionsledere, urfolk, lokale, statlige, filantropiske, bedrifts-, finans- og sivilsamfunnssamfunn – brukte resten av dagen på å debattere proaktivt i løpet av tre tematiske økter og en fjerde som ga oppdateringer om multilaterale internasjonale prosesser og konferanser.

Alle øktene ble ledet av Yalda Hakim (Chief Presenter og International Correspondent, BBC World News). Dette var et avvik fra tidligere MBI-konferanser, da debattlederne generelt har hatt en lignende bakgrunn som paneldeltakerne, noe som noen ganger gjorde det utfordrende å skille mellom debattleder og paneldeltakere. Denne gangen hadde debattlederen også journalistisk bakgrunn.

Hun ble født i Afghanistan, men familien flyktet fra landet under den sovjet-afghanske krigen, da hun var seks måneder gammel. Familien tilbrakte to år i Pakistan før de slo seg ned i Australia.

Da hun kom til Monaco, rett fra et tre-ukers besøk i Ukraina, sa hun at hun visste veldig lite om havspørsmål, men hun imponerte alle med sin raske læring. Hun var også veldig flink til å sette i gang diskusjonen blant paneldeltakerne og til å omdirigere spørsmål til dem. Dette var imponerende og kan gi grunnlag for at man velger en slik løsning også ved senere anledninger.

Økt 1: Behovet for en ny, dristig visjon for bevaring av havet: heve ambisjonene i møte med nye utfordringer Før hun hørte fra paneldeltakerne, la hovedtaleren Teresa Ribera Rodríguez (Third Vice President i Spanias regjering og Minister for Ecological Transition and Demographic Challenge) vekt på å styrke FNs havrettskonvensjon (UNCLOS), utpeke ytterligere maritime områder i Antarktis, og få på plass en mikroplastavtale så snart som mulig.

Med utgangspunkt i suksesser og fiaskoer innen hav-bevaring, og de store utfordringer som kommer, reflekterte paneldeltakerne over hva som trengs for å trappe opp ambisjonene om hav-vern i det neste tiåret og årene deretter.

Minna Epps (direktør, Global Marine and Polar Programme,

20 | Mai 2022 - International Aquafeed
Gruppebilde av deltakerne i det 13. Monaco Blue Initiative foran inngangen til Oceanographic Institute i Monaco (foto: Monaco Blue Initiative).

International Union for Conservation of Nature, Sveits) understreket behovet for pragmatiske mekanismer, ressurser for MPA og behovet for juridisk bindende instrumenter i internasjonale traktater.

Leticia Carvalho (Principal Coordinator, Marine and Freshwater Branch, FNs miljøprogram UNEP, Kenya) gjentok støtten til 30x30-målet (30 % beskyttelse innen 2030), og advarte mot "papirparker" og fremhevet behovet for å inkludere lokalsamfunn i beslutningstaking og ledelse.

H.E. Helen Ågren (Ambassador-at-Large, Ocean Affairs, ved Utenriksdepartementet, Sverige) sa at havet faktisk burde være 100 % beskyttet, og at potensielle brukere burde kreves for å bevise at deres aktiviteter ikke vil forårsake miljøskade.

Tommy Melo (medgründer Biosfera for the Conservation of Nature, Republikken Cabo Verde) advarte om at opprettelsen av en MPA uten inkludering av lokalsamfunn kan føre til negative utfall hvis lokalsamfunnene mister levebrødet.

Økt 2: Hav-beskyttelse – alles sak. Må bygge på beste praksis og suksesshistorier for å skalere opp den bærekraftige blå økonomien

Sesjon 2 startet med en meget interessant og inspirerende hovedtale av Jean-François Ferrari (Designated Minister og Minister for Fisheries and the Blue Economy, Seychellene). Full av sunn fornuft og veldig pragmatisk sa minister Ferrari til publikum at «Vi trenger ikke å vente på resten av verden; vi kan gjøre det nå.

«Det stigende havnivået truer hele landet vårt. Vi må fortsette å utvikle oss, vi har en nasjon å bygge. Dilemmaet er fortsatt hvordan man kan forene bærekraftig bruk av havet og behovet for utvikling. Bevaring alene kan ikke brødfø mitt folk. Men

utvikling av en blå økonomi kan være én løsning. Vi trenger globale diskusjoner, men løsningene må være konkrete og lokale.»

Jeg hadde en flott diskusjon med Minister Ferrari i lunsjpausen (en ting som MBI er flinke til å tilrettelegge). Jeg tror integrert multitrofisk akvakultur (IMTA) er den typen praksis som vil være helt forenlig med det de planlegger på Seychellene.

Paneldeltakerne diskuterte hvordan det er i ethvert selskaps interesse, selv om de ikke er direkte knyttet til havet, å bidra til beskyttelse og bærekraftig bruk av havets ressurser, med tanke på at utover beskyttelsen av 30 % av havet innen 2030, må 100 % av havet forvaltes bærekraftig.

Chuck Fox (Executive Director, Oceans5, USA) understreket behovet for å redusere fiske generelt, og at han beklaget uregulert fiske. Både politisk og lokal ledelse må være til stede.

Dr. Diva Amon (direktør, SpeSeas, Trinidad og Tobago) ga uttrykk for sin motstand mot olje- og gassutvinning og gruvedrift på dyp havbunn, for at den blå økonomien skal være bærekraftig. Det må settes av tid til å lytte til mennesker som er avhengige av

TAKE A CLOSER LOOK AT AQUALYSO IF YOU THINK ALL LYSOPHOSPHOLIPIDS ARE THE SAME... Dedicated production platform Superior product specifications Scientifically proven mode-of-actions Hands-on application expertise Effective feed cost reduction More sustainable production ADISSEO, LEADER IN LYSOPHOSPHOLIPID SOLUTIONS FOR AQUACULTURE www.adisseo.com International Aquafeed - Mai 2022 | 21
Panelists of Session 3 (L-R): Lucy Holmes, Karen Sack, Elsa Palanza, Bertrand Badré, Sylvie Goulard and Marisa Drew (by video conference) with moderator Yalda Hakim (photo credit: Thierry Chopin).

havet og plassere dem i førersetet for løsningene.

Dr. Tiago Pitta e Cunha (administrerende direktør, Oceano Azul Foundation og styremedlem i Oceanario de Lisboa, Portugal) etterlyste innovasjoner innen batteriteknologi for å unngå avhengighet av litium. Han støttet flere investeringer i havet, sterkere forvaltning av havet og behovet for å verdsette økosystemtjenester.

Hervé Gastinel (administrerende direktør, Ponant, Frankrike) fremhevet forpliktelsene til cruiseselskapet sitt for å redusere klimagassutslipp, eliminere engangsplast og resirkulere avfall. Interessant nok vil Blue Climate Summit i mai 2022 finne sted ombord på et av Ponant-skipene, Paul Gauguin, på Society Islands (Tahiti, Moorea og Raiatea).

Jeg deltok i den påfølgende diskusjonen ved å påpeke at den blå økonomien burde være grønnere, og derfor burde vi snakke om den turkise økonomien (som er en mer korrekt beskrivelse av fargen på havet enn blå, uansett!). I diskusjonen av dette punktet hadde konferansen nevnt fiskeri, dyphavsgruvedrift og plast, men var stum om akvakultur. Hvis noe av dagens akvakulturpraksis endres, kan akvakultur være bærekraftig og delta i avkarboniseringen av denne verden, spesielt gjennom Integrated Multi-Trophic Aquaculture (IMTA).

Jeg har snakket om økosystemtjenester, sirkulær økonomi, og næringskreditter (for å gå utover bare karbonavgifter) en god stund, og begynte før de var på moten. Men hvis vi ønsker å implementere alt dette, må vi se på sirkulære løsninger i stedet for lineære prosesser, på lang sikt versus kort sikt, og på multitrofiske nivåer kontra monokulturelle tilnærminger.

Dessuten er vi blitt fortalt at etter Covid-19 vil det være en “ny normal” og ingenting blir som før. Vel, dessverre ser det ut til at vi ser på raske løsninger med magiske aspekter.

La oss ta eksemplet med den døde sonen utenfor deltaet til Mississippi-elven, der noen mennesker foreslår at vi bør dyrke tang og mer tang, og så vil problemet bli løst! Selv om jeg liker

å dyrke tang, må vi løse problemet riktig: Dreneringsbassenget i Mississippi er mer enn halvparten av USAs areal.

Så vurderer vi å ta problemene ved roten (modifisere landbruket og andre sektorers praksis) eller lete etter kriseløsninger og bare fortsette å endre kortsiktige tiltak (høste tang), uten å ta opp problemene i kjernen for å løse dem på riktig måte?

Økt 3: Blå finans – hvordan akselerere overgangen til en hav-positiv økonomi?

Sesjonen startet med to hovedinnlegg fra Leila Chikhaoui (Environment Minister, Tunisia) og Andrea Meza Murillo (Minister of Environment and Energy, Costa-Rica). De fremhevet begge viktigheten av havet for å nå våre klimamål og beskytte biologisk mangfold, og at 30x30-målet skaper arbeidsplasser og stimulerer økonomien.

I likhet med fjorårets økt 3 ("Fra blå økonomi til blå finans"), var årets økt 3 veldig interessant, med en tankevekkende diskusjon blant paneldeltakerne og med publikum.

Karen Sack (Executive Director, Ocean Risk and Resilience Action Alliance, USA) sa at banker og forsikringsselskaper bør sørge for at de finansierer aktiviteter som ikke skader havet eller kystfolket (f.eks. ved bunntråling og gruvedrift på havbunnen). Hun inviterte privat sektor til å forplikte seg til å investere i havet.

Elsa Palanza (global leder for Sustainability and Environmental, Social and Corporate Governance, Barclays, Storbritannia) indikerte at billioner av dollar venter på å bli investert, men at de bør kanaliseres riktig. Bankene endrer seg, tar ansvar for å forvalte overgangen til en lavkarbonøkonomi, og hun håpet at havet kan integreres i eksisterende arbeid med klimarisiko.

Sylvie Goulard (Second Deputy Governor, Banque de France, Frankrike) la til en realitetssjekk ved å erkjenne at hvis finanssektoren går i riktig retning, og bevisstheten om natur og klimarisiko øker, gjenstår det mye arbeid for å få klimaet inn i makroøkonomisk modellering og analyser.

Hun oppfordret sivilsamfunnet og forskere til å endre sin tenkemåte for å presse finanssektoren til å integrere biologisk mangfold og relaterte risikoer og tiltak mot klimaendringer og havet i sin virksomhet.

Bertrand Badré (Managing Partner og grunnlegger, Blue like an Orange Sustainable Capital, Frankrike) nevnte at finans er et verktøy, ikke løsningen. Han fremhevet behovet for å jobbe innenfor det eksisterende systemet for å endre det, og behovet for å gi insentiver til finanssektoren for å flytte kapital til klima- og hav-beskyttelse.

Lucy Holmes (Senior Programme Manager, Seafood Finance WWF, USA og Storbritannia) fremhevet behovet for også å verdsette risiko i havøkonomien. Hun understreket markedsrisikoen skapt av kunder som presser forhandlere til å oppsøke mer bærekraftige produkter.

Marisa Drew (rådgiver i Blue Finance, Storbritannia) sa at det å sette en pris på skadelige aktiviteter vil være avgjørende for å sikre at kapital flyter til mer bærekraftige aktiviteter. Det er viktig at investorer er overbevist om at de kan generere avkastning for å få dem til å investere i havøkonomien.

Den påfølgende diskusjonen brakte noen interessante poenger og problemstillinger:

– Finans- og forsikringssektoren kan bidra til å stoppe ikkebærekraftige aktiviteter og eliminere skadelige subsidier. Åpenhet vil være avgjørende for at det skal skje.

– Biologisk mangfold, biosensitivitet og bioequity kan være en del av lønnsomheten.

Nå som vi vet bedre, må vi gjøre det bedre, inkludert å redusere risikoen i investeringene.

Welcome address of HSH Prince Albert II of Monaco (photo credit: Thierry Chopin).
22 | Mai 2022 - International Aquafeed
Keynote speech of The Hon. Minister Mr. Jean-François Ferrari (photo credit: Thierry Chopin).

Vi trenger handling, ikke fordi det er hyggelig, men fordi det betyr å tjene penger.

– Vi trenger en raskere omdirigering av kapital (men la oss være forsiktige med å bli underkuet av de siste, hypede slagord og potensiell feilretning av kapitalen).

- Lage en livsgrunnlagsforsikring for fiskerne for å sikre at de ikke fisker på en destruktiv måte.

– Folk begynner å skjønne at en levende hval, eller en levende hai, er mer verdt enn en død.

– Det er ikke lett å sette en verdi på naturen. Det kan også være farlig å forsøke å gjøre det.

Jeg har inntrykk av at ved fjorårets utgave av MBI var det en slags spenning fordi finanssektoren endelig hadde svart og ble med i arbeidet med å beskytte havet og ta tak i klimaspørsmål. Det var også en forståelse av behovet for å skifte fra målrettet, kortsiktig filantropisk støtte til finansiering for langsiktig bærekraft, rettferdige partnerskap, lønnsomhet og motstandskraft, spesielt for lokale kystsamfunn som felles havforvaltere.

Blandede midler med riktig kombinasjon av offentlige, filantropiske og økonomiske finansieringskilder så ut til å være en modell det var verdt å utvikle. Målrettede offentlige reguleringer og insentiver (kreditter, skatter og verdivurdering av økosystemtjenester) vil være nødvendig for å gjøre forholdet mellom belønning og risiko mer overbevisende.

Jeg tror at folk i år innså at alt dette ikke er lett å implementere, og at metodikken for å sette en pris på tap av biologisk mangfold, natur og økosystemer ennå ikke er utviklet. Vitenskapen må fortsatt oversettes til en fortelling for investorene. Vitenskapelige data for å veilede økonomiske beslutninger og gi betingelser for naturbaserte investeringer og økonomiske innovasjoner mangler

fortsatt.

Dessuten må vi avklare om vi snakker om verdi for oss mennesker, fordi vi tror at vi er universets sentrum, eller for naturen, fordi vi erkjenner at vi bare er en del av den, men fremtiden til havet er også menneskehetens fremtid (One Health-konseptet).

Verdier begynner å bli etablert for emosjonelle/ ikoniske arter, som hval, hai og neshorn. Men er vi i stand til å sette en verdi på en lite kjent havorm, for eksempel, som ville være en nøkkelart for bioturbasjon av sedimenter og ville gi betydelige økosystemtjenester som ennå ikke er godt forstått og anerkjent?

Det gjøres fremskritt med å forstå verdiene til saltmyrer, sjøgress og mangrover; mye gjenstår å gjøre for å verdsette tang (dyrket eller fra ville ressurser) og økosystemtjenestene den gir. Dessuten blir arter ofte regnskapsført i form av biomassen de representerer, men ikke for eksempel i form av antall individer i

When maximum volume matters, the Wenger AQUAFLEX XT High Capacity Aquafeed Extruder is the choice, processing up to 12,000 kg/hour. Equipped with either our High Shear Conditioner (HSC) or High Intensity Preconditioner (HIP), the AQUAFLEX XT is ideal for aquatic feeds as small as 0.5 mm. Precise control of finished product density delivers either high capacity floating or sinking feeds.

Know more about the industry-changing designs and customized options of AQUAFLEX Email us at info@wenger.com today.

785.284.2133

The moderator for all the sessions of the 13th Monaco Blue Initiative, Yalda Hakim (photo credit: Thierry Chopin). Keynote speech of HE Mr. John Kerry (photo credit: Thierry Chopin).
PHONE:
| EMAIL:
| WENGER.COM USA |
| TAIWAN | BRASIL | CHINA Maximize capacity, conditioning, and control. WENGER’S AQUAFLEX XT HIGH CAPACITY EXTRUDER International Aquafeed - Mai 2022 | 23
INFO@WENGER.COM
BELGIUM

en populasjon.

Siste økt: Havoppdateringer

I sitt hovedinnlegg understreket Dr. Ricardo Serrão Santos (Maritime Affairs, Portugal) viktigheten av kunnskap for å informere innbyggerne. Han mener at perioden etter pandemien vil representere en mulighet til å redefinere våre modeller for økonomisk utvikling, vår atferd og vår livsstil.

Som nevnt ovenfor, er jeg dessverre redd for at jakten på urealistiske hurtigløsninger faktisk kan avsløre en fluktmekanisme for å unngå å løse problemer ved roten og et ønske om å gå tilbake til den gamle normalen og den tilsynelatende komforten av status quo .

Dr. Joachim Claudet (forskningsdirektør, French National Centre for Scientific Research, Frankrike) rapporterte om forhandlinger om åpent hav og traktaten om biologisk mangfold utenfor nasjonal jurisdiksjon (BBNJ), og tok til orde for at åpent hav skulle bli et de facto beskyttet område, og rekonseptualisere havet som en global felles.

Mr. Ashok Adicéam (Special Advisor to the French Ambassador for the Poles and Maritime Issues, Frankrike) rapporterte om One Ocean Summit, som nylig hadde funnet sted i Brest, Frankrike. Han nevnte behovet for å bevare biologisk mangfold, stoppe overutnyttelsen av marine ressurser, redusere forurensning og bekjempe klimaendringer med bedre forvaltning av havet.

Sabine Jessen (Secretariat Executive Director, Fisheries and Oceans Canada) rapporterte om den femte International Marine Protected Areas Conference (IMPAC5), som skal arrangeres i Canada høsten 2022, og som vil kartlegge kursen mot 30x30målet.

Elizabeth Maruma Mrema (Executive Secretary, Convention on Biological Diversity (CBD), Canada) indikerte at det globale rammeverket for biologisk mangfold, som forventes å bli vedtatt på den 15. Conference of the Parties (COP 15), vil inneholde mange hav-relaterte elementer.

Avslutningstaler og oppsummerende bemerkninger

I sin avsluttende tale erkjente Robert Calcagno (administrerende direktør, Oceanographic Institute, Prince Albert I of Monaco Foundation, Monaco) at det fortsatt er en lang vei å gå for å effektivt beskytte havet, men at fremskritt gjøres. Selskaper, investorer og bankfolk kan ha en avgjørende rolle å spille for å orientere ressursforvaltningen og for å nå SDGs mål.

Jeg var glad for å høre Calcagno berømme tangsektoren som en industri som kan tilby bærekraftige løsninger på havbaserte problemer, på slutten av hans avsluttende bemerkning. Dette året var den syvende MBI jeg har deltatt på, og jeg kan måle fremgangen siden 2016, da jeg holdt en presentasjon om tangoppdrett og dets integrering i IMTA for å optimere systemer innenfor en sirkulær økonomitilnærming, ved den 7. MBI i São Paulo, Brasil.

Vi er faktisk i fremgang, og snakker om å tjene penger på verdien av økosystemtjenester, og biologisk mangfold virker ikke lenger så eksentrisk (jeg snakket allerede om handelskreditter for næringsstoffer, dvs. utover karbonskatt, og den turkise revolusjonen i 2016). Flott! Det vil imidlertid være viktig å ikke bare ha et tangøyeblikk, men å utvikle et tangmomentum. For å gjøre det, vil det være nødvendig å redusere retorikken og hypen vi leser om tang, spesielt på sosiale medier.

En av de mange fordelene med Monaco Blue Initiative er mulighetene konferansen gir for å møte mennesker fra svært forskjellige sektorer. Fra samtalene mine med fire av de seks paneldeltakerne i økt 3, begynner en vaklende reaksjon på de nye newbies, bluebies, å utvikle seg. Alle disse risikerer å

feildirigere investeringer og redusere etterspørselen etter spesifikk forskning og teknologisk utvikling som er nødvendig for å øke vår forståelse av tangens bidrag til matsystemer, mange andre applikasjoner og økosystemtjenestene de leverer som kan bidra til å løse deler av problemene knyttet til klimaendring.

Olivier Wenden (visepresident og administrerende direktør, Prince Albert II av Monaco Foundation, Monaco) understreket at nye partnerskap og suksesshistorier nevnt i løpet av dagen er bevis på at en annen måte å dra nytte av havressursene dukker opp. Finansielle aktører vil være nøkkelen, ettersom SDG 14 (livet under vann) fortsatt er en av de minst finansierte av SDGene.

En annen måte å se det på er å vurdere at mange havrelaterte aktiviteter bidrar til mer enn ett SDG. For eksempel gir tang, dyrket i IMTA-systemer, en rekke økosystemtjenester og bidrar til minst 11 av de 17 SDGene (SDG 2, 3, 4, 5, 8, 9, 12, 13, 14, 15 og 17).

Til slutt, med dagens situasjon i Ukraina og Russland, og med de langvarige effektene av Covid-19, må man innrømme at det er mange spørsmål rundt å oppnå det som var planlagt som en travel agenda for havet i 2022: FN Ocean Conference i juni, CBD og COP 15 på høsten, og en ny internasjonal traktat om BBNJ på slutten av året.

Alt dette kan settes i fare av krisene verden nå opplever, når miljø- og klimaspørsmål ser ut til å ha blitt noe nedprioritert og behovet for å bli tatt opp og løst ved en konsensus blant villige nasjoner synes å ha blitt redusert.

I tider da den verdensomspennende situasjonen forverres, ser disse prioriteringene dessverre ut til å være luksusproblemer, til tross for at det haster. De forventede innvirkningene på hvete- og solsikkeproduksjonen i Ukraina, sammen med deres komplekse verdensomspennende forsyningskjeder, ser ut til å bli oversett når tanksene brøler gjennom verdens fruktbare brødkurv.

HSH Prins Albert II av Monaco oppfordret oss til å fortsatt vise mot for å nå våre ambisiøse mål om et sunt hav. "Til tross for utfordringen og bekymringene, må den nåværende situasjonen ikke føre til at vi neglisjerer havspørsmål, snarere tvert imot. Vi må tro på fremtiden, på dialog og fremskritt: i forhold til havene og verdens store spørsmål som klima og biologisk mangfold må vi bekrefte viktigheten av felles visjoner basert på kollektive verdier for felles beste for både nåværende og fremtidige generasjoner.»

Dr. Thierry Chopin is Professor of Marine Biology, and Director of the Seaweed and Integrated Multi-Trophic Aquaculture Research Laboratory, at the University of New Brunswick in Canada. He is also the President of Chopin Coastal Health Solutions Inc. (since 2016) and of Turquoise Revolution Inc. (since 2022).

24 | Mai 2022 - International Aquafeed
Thierry Chopin participating in the discussion period of Session 2 (photo credit: Monaco Blue Initiative).

Insekt-basert fiskefôr

Havbruksnæringen har lenge vært på jakt etter nye fôrressurser for å redusere avhengigheten av bearbeidet fiskemel. Og blant alternativene som vurderes, dukker insekter opp som ett av de mest bærekraftige og fordelaktige alternativene som finnes.

I mars i fjor på Aquafuturemessen i Santiago de Compostela (Spania) presenterte Tebrio et revolusjonerende produkt, utvunnet fra melormen, som styrker immunforsvaret til fisk i vekststadiet. Det forbedrer også fiskens metabolske aktivitet ettersom den er mer enn 90 prosent fordøyelig.

Dette produktet, som Tebrio markedsfører under navnet :oProtein, analyseres i det vitenskapelige forskningsprogrammet Acuisost, et initiativ fra Acuiplus-klyngen som Tebrio deltar i. Målet med denne forskningen er å fremme bærekraften til akvakultur gjennom implementering av ernæringsstrategier basert på nye ingredienser og teknologiske tilsetningsstoffer til fiskefôr.

Acuisost har tatt referanseprøve av regnbueørret for ferskvannsoppdrett og brasmer i saltvann. Og i begge tilfeller peker resultatene på at fisk fôret med insekter utvikler seg mer robust, viser lavere grad av stress og er mer motstandsdyktig mot patogener i vannet, noe som betyr at de trenger mindre antibiotika.

Påvirkning på stoffskiftet

Det er også konkludert med at insektmel i akvakulturfôr har en betydelig innvirkning på den metabolske aktiviteten til arten som er undersøkt. I praksis reduserer det forbruket av energi som dyrene trenger for å syntetisere aminosyrer og proteiner i

Biotech Tebrio har utviklet en proteiningrediens rik på aminosyrer som øker utviklingen av unge dyr på et kritisk tidspunkt i deres vekst. :oProtein er et 100 prosent naturlig produkt hentet fra tenebrio molitor-insektet og brukt i produksjon av akvakulturfôr til ferskvanns- og marine arter. Blant mange andre fordeler reduserer det bruken av bearbeidet fiskemel betydelig, noe som gjør det til et bærekraftig alternativ som bidrar til å redusere overfiske.

vekststadiet, noe som indirekte forbedrer immunsystemet.

Proteiningrediensen utviklet av Tebrio har en råproteinkonsentrasjon på over 72 %. Og forholdet mellom fordøyelig protein og råprotein ved pepsisk fordøyelse er over 90%. Laboratorieresultater viser også at dette produktet har mindre enn 7 % fett og mindre enn 5 % aske.

:oProtein er designet for å fremme utviklingen av yngel og ungfisk på et kritisk tidspunkt i deres vekst, fordi det i tillegg til å være rikt på aminosyrer har en mye bedre oljesyreprofil enn noe annet alternativ til fiskemel. Vi kan si at i akvakultursektoren er det en komponent som tilsvarer det vi bruker i morsmelkerstatningen som mennesker gir til nyfødte.

Forsterkning av immunitet

En annen studie utført av greske og italienske forskere fra Hellenic Center for Marine Research og universitetene i Torino og Napoli peker i samme retning: Insektdietten påvirker fiskens vekst og også dens immunsystem.

I dette tilfellet ble forskningen utført på ung havabbor fôret i seks uker med melormprotein. Stort sett konkluderer studien med at denne ingrediensen tilsatt fôret hadde betydelige antiinflammatoriske effekter i den analyserte populasjonen, der både den antibakterielle aktiviteten til lysozym og hemmingen av trypsin var betydelig høyere.

Dette innebærer at disse insektene har en immunstimulerende effekt og fremmer antiparasittisk aktivitet. De øker med andre ord fiskens motstand mot visse sykdommer.

ernæringsstrategier basert på
ingredienser
Promotering av bærekraftig akvakultur gjennom
nye teknologier og
av Sabas de Diego, CTO, Tebrio, Spania
26 | Mai 2022 - International Aquafeed

Det samme gjelder for hvite stillehavsreker (Penaeus vannamei). Denne arten er en av de mest kommersialiserte i akvakultur i verden. I fangenskap har den en høy grad av tidlig dødelighet.

Studien utført i 2019 av Bangkok University avslørte at tenebrio molitormel forbedret vekst og fôrkonvertering hos reker. Den optimale ytelsen ble oppnådd ved å erstatte 50 prosent av fiskemelet som inngår i fôret.

På et immunologisk nivå hadde populasjonen som ble undersøkt en høyere overlevelsesrate og en lavere grad av immunsuppresjon, mest sannsynlig på grunn av insektkitin og annet biodrivstoff som motvirker sykdomsfremkallende infeksjoner.

Til slutt nevner vi forskning utført på ung steinbit med samme konklusjon. Fire dietter ble formulert med 9, 18 og 27 gram tenebrio molitormel pr. 100 gram fôr. De individene som ble fôret med minst 25 prosent insektmel utviklet en betydelig høyere resistens mot bakterien Edwardsiella ictaluri, som er ansvarlig for enterisk septikemi.

Et bærekraftig og naturlig alternativ

Tradisjonelt har havbrukssektoren brukt fiskemel som hovedkilde til protein for å produsere fôr, men på grunn av overutnyttelsen av villfisk vil dette alternativet alene snart bli uholdbart, hovedsakelig fordi for å produsere ett kilo fisk i oppdrett kreves det fire kilo marin fisk, som så omdannes til fôr.

Det andre eksisterende alternativet til nå har vært vegetabilske fôr, som er mye billigere og lettere tilgjengelig i store volumer enn bearbeidet fiskemel. Disse har imidlertid en svært lavere aminosyreprofil enn proteinet som er basert på insekter.

Akvakultur er én av aktivitetene som har en lys fremtid fordi den kan fortsette å vokse på en bærekraftig måte. Likevel må vi introdusere nye produkter som garanterer sektorens langsiktige bærekraft, siden vi ikke bare kan stole på villfanget fisk som råvarer til fiskefôr.

Ifølge data fra FN vil det om 15 år være et alvorlig matproblem i verden hvis vi ikke endrer produksjonsmodellen vår på globalt nivå, siden befolkningen vil ha doblet seg, og vi vil ikke ha mer ressurser enn de som allerede eksisterer.

Derfor er det viktig å identifisere bærekraftige alternativer og handle så raskt som mulig.

Phileo’s probiotics and active yeast fractions are designed for hatcheries and growing farms to support health, feed efficiency and growth performance . Our sustainable solutions bring innovative responses to fishmeal reduction stakes and environmental challenges. Act with nature for animal care. Join the fish revolution Visit our new website www.phileo-lesaffre.com International Aquafeed - Mai 2022 | 27

BEDRING AV TILAPIA-YTELSEN

Forebygging av oksidativt stress med organisk selen-gjær

Fysiologisk stress er en av de viktigste medvirkende årsakene til sykdomsutbrudd og redusert ytelse i produksjonen av tilapia. Sammenlignet med produksjon av landdyr finnes det kun et begrenset antall praktiske og kostnadseffektive sykdomsbehandlingsmetoder for oppdrettsfisk.

Derfor er god stressmestring en integrert del av å forebygge sykdomsutbrudd tidlig, samtidig som det begrenser sjansene for å ty til helbredende behandlinger.

Denne artikkelen diskuterer bruken av Selsaf, Phileos organiske selen-anrikede gjær, som en effektiv funksjonell fôringrediens for å dempe oksidativt stress, øke antioksidantforsvaret og maksimere produksjonsytelsen til tilapia.

Effektene av stress

Ugunstige oppdrettsforhold og stresset som følger av det er vanlig i produksjonen av Nil-tilapia (Oreochromis niloticus). Faktorer som vannkvalitet, inkludert høy temperatur, ammoniakk og lave nivåer av oppløst oksygen, samt uregelmessige værforhold knyttet til klimaendringer, algeoppblomstring, høy besetningstetthet, lavkvalitetsdietter eller forurensning, kan alle føre til akutt eller kronisk stress hos fisk.

Stressende forhold har en tendens til å øke

sårbarheten for patogener og parasitter, og fremmer dermed fysiologiske pro-oksidative responser. Disse responsene er preget av høye nivåer av oksidative molekyler som ikke kan motvirkes i cellene hos fisken. Forhøyede mengder oksidanter (frie radikaler og reaktive oksygenarter, ROS) resulterer i oksidasjon av cellulære komponenter som lipider, proteiner og DNA. Dette påvirker i sin tur dyrehelsen og ytelsen ved å redusere

av Otavio S Castro, Global Species Manager Aquaculture, Phileo by Lesaffre, Singapore. Dr. Thiago FA Silva, Professor, Federal University of Parnaíba Delta – UFDPar, Parnaíba PI, Brasil. Dr. Fabiana Pilarski, Professor and Researcher, São Paulo State University (UNESP), Jaboticabal SP, Brasil. Dr. Gustavo Bozano, Director, PartnerFish & Aqualagus consulting, Ribeirão Preto SP, Brasil. Figur 1: Serumaktivitet av Nil-tilapia lysozym etter 60 dager med Selsaf® selen-anriket gjær, Procreatin 7® gjær probiotika, Safmannan® gjær postbiotisk, Selsaf® + Procreatin 7®, og Selsaf® + Safmannan®, før og etter 8 og 24 timers utfordring med Aeromonas hydrophila. Søylene indikerer gjennomsnitt og ulike bokstaver over søylene indikerer signifikante forskjeller mellom behandlinger ved samme prøvetakingstid (p < 0,05).
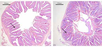
28 | Mai 2022 - International
Figur 2: Fremre region av tarmen til Nil-tilapia fôret med gjærprodukter i 90 dager. Kontrollgruppe (A), Selsaf® selenanriket gjær (B). Pilene indikerer begerceller ved kanten av villi. Periodic acid–Schiff-farging. Kilde: Silva 2019. Aquafeed

fôrinntaket, svekke fordøyelsen, veksten og immun- og reproduktive systemer. Deretter kan effekten av stress på helse, ytelse og produktkvalitet til slutt føre til betydelige økonomiske tap for tilapia-oppdrettere.

Fisk kan naturlig takle oksidativt stress ved å bruke kompenserende mekanismer som beskytter dens fysiologiske stabilitet –såkalt homeostase. Imidlertid er evnen til å opprettholde homeostase under stressforhold svært varierende fra individ til individ og deres genetiske belastning, biologiske stadium og helsestatus.

Enda viktigere er at disse mekanismene også krever høye nivåer av energi samt noen essensielle mikronæringsstoffer, inkludert selen, som må tilføres i kosten.

Rollen til selen

Selen er et essensielt mikronæringsstoff for sunn utvikling av fisk som bidrar til vekst, utvikling og vedlikehold av immunsystemet.

Det er en nøkkelkomponent i enzymet glutationperoksidase (GPX), en aktiv antioksidant mot ROS. Dette betyr at optimale nivåer av selen bidrar til å gi toleranse for miljøbelastninger og som sådan legemliggjør en beskyttende rolle mot patologier assosiert med oksidativt stress.

Forbedringen av immunfunksjonen som resultat av selentilskudd forbedrer til syvende og sist ytelse og filetkvalitet, ettersom det har vist seg å øke veksten og forbedre fôrfaktoren (FCR) og spesifikk veksthastighet (SGR) i tilapia.

På grunn av disse veletablerte fordelene har selen blitt brukt i akvakultur som et balanserende mikronæringsstoff for å forbedre fiskens helse og ytelse.

Oksidativ stresshåndtering

Phileo utviklet Selsaf for å håndtere oksidative stressnivåer i tilapia. Denne organiske selenkilden er hentet fra en proprietær gjærstamme av Saccharomyces cerevisiae som består av selenometionin og selenocystein. Den er produsert med høye og garanterte konsentrasjoner av selenometionin.

Mens selenometionin er inkorporert i kroppsproteiner som den viktigste selenlagringen og brukes som en forløper til selenocystein, er sistnevnte et nøkkelelement for GPXs aktivitet, og spiller dermed en viktig rolle i kampen mot oksidativt stress.

Engineering your feed solutions www.orffa.com - Follow us on EXCENTIAL SMART TRACE MINERALS • Excellent bioavailabililty • Highly sustainable source of minerals • Known to improve animal health & performance Find your Orffa specialist at www.orffa.com High bio-available hydroxy trace minerals for optimal health and performance Experts in Smart Industry Solutions for Feed Production Fully automated process control from order to product High quality product output with less operator actions Interaction with ERP, Formulation and warehouse software Track & Trace and Contamination module included Reporting services & KPI Dashboarding Turnkey projects including MCC cabinets, IT equipment and Fieldinstallation 24/7 remote support keeps you feedmill up & running Scan the QR-Code for more information www.inteqnion.com Visit us at Victam International, Utrecht - The Netherlands, Booth 1.432 International Aquafeed - Mai 2022 | 29
Figur 3: Kombinert tilskudd av Safmannan® og Selsaf® forbedrer overlevelsen for tilapia under en termisk utfordring og dens restitusjonsperiode.

Både selenometionin og selenocystein absorberes gjennom tarmveggen, og tillater derfor maksimal assimilering hos fisken og forbedrer dens immunitet. Til syvende og sist hjelper produktet til med å øke fiskens naturlige forsvar.

Tilsetning av produktet i akvafôr forbedrer den generelle helsestatusen til fisken ved å stimulere dens antioksidantforsvar og dens evne til å være mer motstandsdyktig mot miljøutfordringer, uttrykke bedre immunrespons i nærvær av patogener og opprettholde veksten i perioder med stress.

Produkttilskuddet i tilapia-fôr kan også generere synergistiske effekter med probiotika og immunstimulerende midler som mannaner og betaglukankilder.

Ernæringsmessige allierte som maksimerer avkastningen

En 90-dagers fôringsstudie som vurderte potensialet ved å kombinere Selsaf med gjærprobiotika og gjærpostbiotika rikt på mannanoligosakkarider og beta-glukaner (henholdsvis Procreatin 7® og Safmannan) konkluderte med at blandingen forbedret vekstytelse og sykdomsresistenspotensial i tilapia når den ble utsatt for inaktivert Aeromonas hydrophila (Silva 2019).

Gruppene som ble tilført Selsaf viste forbedret medfødt humoral immunrespons og redusert stressrespons gjennom hele forsøket. Gruppene som ble tilført Selsaf + Safmannan og Selsaf + Procreatin 7 viste signifikant høyere lysozymaktivitet 8 timer etter inntaket og vedvarende høyere respons etter 24 timer, noe som viste en synergistisk effekt på den antibakterielle aktiviteten (figur 1).

Kortisolnivåene var signifikant lavere i alle Selsaf-tilførte grupper. Betydelig forbedring i gjennomsnittlig villi-struktur i tarmen og høyere næringsopptak ble også observert (Figur 2).

Figur 4: Zootekniske ytelsesparametre for Nil-tilapia supplert med Safmannan® og Selsaf® i 60 dager under kommersielle oppdrettsforhold i Brasil. (A) Vektøkning (g/ dag); (B) Innledende og endelig kroppsvekt; (C) Fôrkonverteringsforhold (FCR); (D) Filetutbytte. Søylene indikerer gjennomsnitt og ulike bokstaver over søylene indikerer signifikante forskjeller mellom behandlinger på samme prøvetakingstidspunkt. Kilde: Intern prøverapport.

Tabell 1: Selsaf® doseringsanbefalinger for oksidativt stresshåndtering og immunitetsforsterking i tilapia.

Kombinert tilskudd av Selsaf og Safmannan viser seg også å være effektivt for å forbedre motstanden hos fisk under miljøstress. Når du står overfor en 14-dagers stressutfordring med vanntemperatur som øker fra 29,0ºC til 37,0ºC (0,07ºC/t), forbedret det kombinerte tilskuddet fiskens overlevelse under den termiske utfordringen og påfølgende 8-dagers restitusjonsperioder (Figur 3).

Et annet feltforsøk testet den kombinerte effekten av Safmannan og Selsaf i tilapia som var oppdrettet i høye fisketettheter i vulkansk vann med høyt svovelinnhold og lavt oppløst oksygen. Resultatene viste at det kombinerte tilskuddet forbedret overlevelsen fra 26 % til 31 % og reduserte fôrfaktoren fra 2,4 til 1,8, reduserte fôrkostnaden pr. kg produsert fisk med 20 % og påvirket bruttomarginen positivt med 12 %.

Til slutt ble det kombinerte tilskuddet av disse to gjærbaserte postbiotika evaluert i utvekstfasen på en kommersiell tilapia-operasjon i Brasil, under en kritisk fase med vanntemperaturøkning. Forsøket konkluderte med at den funksjonelle fôrstrategien med Selsaf og Safmannan bidro til å øke den daglige vektøkningen med 17,6 % samt opprettholde bedre overlevelsesrater. FCR-nivået ble redusert med 5,35 %.

Til syvende og sist økte filetutbyttet i prosessanlegget fra 30,7 % til 32,9 %, og genererte netto margingevinster på 28,3 % (Figur 4). Dette var et resultat av høyere inntekter generert av økt produktivitet og reduserte fôringskostnader.

Praktiske anbefalinger

Med den raske utviklingen i tilapiaproduksjon har det vært en samtidig økning av eksponering for fysiologisk stress, og av helse- og produksjonsutfordringene som er forbundet med det.

I mange regioner har vann- og landbegrensninger fremtvunget en intensivering i halvåpne systemer som flytende merder i ferskvannsreservoarer og landbaserte jorddammer, der eksponeringen for stressfaktorer som patogener, overbefolkning og uregelmessige værhendelser er høy.

Selsaf håndterer oksidativt stress i tilapia, og beskytter fisken mot skadelige effekter forårsaket av disse stressfaktorene. Å legge forholdene til rette for at fisken kan overvinne disse utfordringene er avgjørende for å oppnå optimal zooteknisk og økonomisk ytelse og forbedre velferdsforholdene i fiskeoppdrett.

I tillegg representerer det å kombinere Selsaf med probiotiske og postbiotiske gjærbaserte produkter en kostnadseffektiv og effektiv løsning for å øke medfødt immunrespons i Nile tilapia. Basert på resultatene oppnådd i laboratorie- og kommersielle forsøk, gir Phileo av Lesaffre en rekke produktanbefalinger i henhold til stressutfordringene du møter og dine egne produksjonsmål (tabell 1).

For ytterligere informasjon, besøk vår nettside og se vårt Aquasaf tilapia-program: https://phileo-lesaffre.com/en/programaquasaf-tilapia/

30 | Mai 2022 - International Aquafeed
Our 30th print edition is OUT NOW! Download a searchable offline copy of the International Milling Directory direct to your device Take the International Milling Directory with you Even when you are offline! internationalmilling.com For where ever you are! International Aquafeed - Mai 2022 | 31

The Art of Nutrition & Growth

Dibaq Solutions are specific programs designed to offer customers a range of services that only a leader in aquaculture can: nutrition for every need, continuous follow-up of fish quality not to mention technical and commercial assessment. All of this is the outcome of our international experience.

Dibaq AquaSafe® - an internal quality seal for high-value products

By only using the highest quality raw materials, micronutrients and functional components, Dibaq Aquaculture is a well respected company that specialises in the manufacture of specifically tailored products.

As a result, we have managed to go further and improve the quality of these products with this new seal, which will help our clients to achieve the maximum performance in their own production.

The AquaSafe concept also prioritises sustainability and the water safety of planet earth, as well as the health of the fish fed, stimulating their immune system, improving growth performance and protecting them against internal and external parasites.

Therefore, Dibaq AquaSafe is not only supporting and focusing on the safety of the planet - but on the health of its fish too.

Visit us: dibaqaquaculture.es

FISH FARMING TECHNOLOGY

Teknologinytt

Ny lekter søke å øke produksjonen av bass og bream AKVA group Hellas har levert en fôrflåte som er den første i sitt slag i Middelhavet da Philosofish valgte AKVA group som leverandør av en AM400 Classic fôrflåte. En fôrflåte av denne størrelsen er banebrytende i regionen.

AM400 Classic fôrflåten vil øke Philosofishs produksjon av bass og bream på Rhodes Island-anlegget til 2000 tonn. Den er også utstyrt med ti siloer, fire fôringslinjer, fjernkontroll og den kan distribuere fôr til opptil 40 merder med fire fôringslinjer.

I 2020 kjøpte Philosofish nye lokaliteter og økte sin totale produksjonskapasitet fra 5 000 til 20 000 tonn årlig, og posisjonerte seg som en ledende global leverandør av høykvalitets bass og bream. Philosofish bruker allerede AKVA Control CCS Feed Systems på fire av sine anlegg. For ytterligere informasjon, gå til https://aqfeed.info/e/1432

33 | Mai 2022 - International Aquafeed

Oppdrett

Laks er et høyverdiprodukt med et stadig voksende marked. Dette driver opp produksjonen der det er mulig, noe som fører til at alle tilgjengelige oppdrettslokaliteter i mange land utnyttes fullt ut.

Produksjonen er først og fremst begrenset av to viktige faktorer når det gjelder lokalmiljø. For det første forurensning av skjermede oppdrettslokaliteter der en stor biomasse påvirker lokalmiljøet som potensielt kan forårsake forringelse av de lokale økosystemene, og for det andre eksponentiell vekst av lakselusbestanden i områder med høy laksebiomasse.

Flytting av anlegg til mer eksponerte lokaliteter løser ett av disse problemene, da avløp fra anlegget lettere vil bli fortynnet og derfor ha en mye mindre påvirkning på lokalmiljøet.

Oppdrett på eksponerte lokaliteter løser også delvis det andre problemet ettersom det er mindre risiko for at anlegget selvsmitter, med større spredning og fortynning av smittsomme lus, noe som kan resultere i eksponentiell vekst. På grunn av økende etterspørsel etter laks og miljøbarrierer som hindrer utvidelse på etablerte lokaliteter,

søker lakseoppdrettere å flytte eller utvide produksjonen til mer utsatte lokaliteter.

I noen tilfeller bruker oppdretterne samme fjord, men anleggene er flyttet nærmere innløpet der hydrodynamiske forhold sørger for bedre vannutskifting, og i andre tilfeller er det etablert nye lokaliteter hvor det tidligere ikke har vært drevet oppdrett.

Lokaliteter som er utsatt for bølger utsetter imidlertid laksen

Vertikal posisjonering av fisk innenfor den sørlige ekkoloddet gjennom hele dagen. En mørk farge representerer færre fisk, mens en lys farge representerer mange fisk. Det er en periode fra ca. 08.00 til 15.00 hvor det er svært lite fisk nær overflaten.

AWAC SentinelV Study Cage Northbound Current Southbound Current
å tilfredsstille
på eksponerte lokaliteter, deformasjon av merder, og fisk Om
etterspørselen etter laks og de miljømessige barrierene som hindrer utvidelse på etablerte lokaliteter. av Ása Johannesen, Researcher, Fiskaaling, Færøyene
FISH FARMING TECHNOLOGY 34 | Mai 2022 - Fish Farming Technology

Vertikal posisjonering av fisk ved forskjellige bølgehøyder i sør (venstre) og nord (høyre) ekkolodd om natten under svake strømforhold. I større bølger ble færre fisk sett nær overflaten i begge ekkoloddet.

for en ny utfordring som ikke er grundig studert tidligere. Strømmer er generelt ensrettede og jevne i styrke på kort sikt, noe som gjør at laksen kan orientere seg mot strømmen og kun bruke energi på å opprettholde sin posisjon i merden.

Hvis strømmen er for sterk for lenge, blir laksen utmattet eller ute av stand til å ta til seg tilstrekkelig med fôr, men siden strømmene vanligvis er tidevannsdrevne, er varigheten og styrken til strømmene forutsigbar, slik at lokaliteter kan velges som passer laksen.

Ulike utfordringer for laks

Bølger byr på ulike utfordringer for laksen. De forårsaker bevegelse i flere retninger, med den store horisontale strømmen som endrer retning i takt med bølgeperioden, i tillegg til å presentere laksen for vertikal bevegelse, som kan eller ikke faller sammen med bevegelsen til merden.

Vertikal posisjonering av fisk i løpet av dagen innenfor både ekkolodd (øvre og nedre panel) i nordgående og sørgående (venstre og høyre) strøm. Tomme områder representerer dybder under bunnen av merden ved en gitt strømstyrke. Deformasjonen er mer uttalt på den siden av merden som er utsatt for motgående strøm (f.eks. deformeres sørsiden av merden mer i nordgående strøm).

Av denne grunn må laksen bestemme hvordan den skal justere atferden. Ettersom bølgeenergien raskt forsvinner i vannsøylen, kan laksen velge å bevege seg lenger ned for å bli mindre påvirket av bølgene. Laksen kan også velge å bevege seg innover, vekk fra notveggen for å unngå kollisjoner.

FISH FARMING TECHNOLOGY www.kaeser.com/aquaculture M 50 AQUACULTURE built for OFFSHORE conditions Compressors and blowers made for aquaculture 35 | Mai 2022 - Fish Farming Technology 35 | Mai 2022 - Fish Farming Technology

Holmen NHP100 Portable, manual pellet tester.

Holmen NHP200 Series 2 Laboratory based, automatic pellet tester.

Holmen NHP300 Inline, process based system.

Et annet alternativ er å bevege seg horisontalt i merden til et område som er mindre utsatt for bølgene. Dette avhenger av utformingen av anlegget, men typisk vil den siden av merden som vender mot de motgående bølgene vil vanligvis være mer utsatt enn den siden der bølgene kommer ut av merden, da merden i seg selv demper bølgene.

Effekten av sterke strømmer og bølger

I en studie utført på Færøyene i samarbeid mellom Sfi EXPOSED (exposedaquaculture.no), Hiddenfjord (hiddenfjord.com), og Fiskaaling (fiskaaling.fo), har vi undersøkt effekten av sterke strømmer og bølger på oppførselen til laks og hvordan den velger å bruke den plassen som er tilgjengelig.

Observasjoner ble utført på et sted med sterke tidevannsstrømmer og godt blandet vann med stor sjanse for eksponering for store bølger (Hs større enn 4m) om vinteren. Vi brukte videoopptak for å overvåke atferden til laksen gjennom tidevannssyklusen så vel som under forskjellige bølgeforhold, og disse opptakene ble også brukt til å overvåke svømmeanstrengelse og kollisjoner med notveggen. Kameraene ble plassert i hele merden for å overvåke om fisken beveget seg til forskjellige steder under forhold med store bølger, samt for å finne ut om de foretrakk å unngå sidene av merden og overflaten i større bølger.

Laksens posisjonering i merden

For å få et mer generelt og kontinuerlig estimat av laksens posisjonering i merden, har to ekkolodd som overvåker to forskjellige steder i merden registrert dybden av laksestimen (hvis til stede) samt dybden til bunnen av merden. Dette gjorde det mulig for oss å finne ut hvor mye plass som var tilgjengelig for laksen i ulike bølge- og strømsituasjoner og se hvordan laksen utnyttet denne plassen.

Noen av hovedfunnene stemmer overens med det man finner andre steder. Laksen foretrekker å unngå overflaten på dagtid og har en tendens til å dykke to-fem meter under overflaten mens solen er oppe, mens den sprer seg mer og ikke unngår overflaten i den grad om natten.

Laksen veksler også mellom «frisvømming» der fisken beveger seg rundt i merden tilsynelatende upåvirket av strømmen, og å «stå i strømmen» der den holder seg stille innenfor videorammen mens den svømmer gjennom det bevegelige vannet i sterkere strømmer.

Fisken foretrakk denne modusen ved svakere strømmer enn det som er sett i andre studier, noe som indikerer enten en preferanse for å stå i strømmen på dette stedet, eller kanskje en forventning om at strømmen snart ville bli sterkere. Merden på dette stedet opplevde noe deformasjon i sterk strøm, med en spesielt stor vertikal forskyvning av kjegledelen av merden.

Dette reduserte det vertikale rommet i vannsøylen fra 15-20m til bare 10m når strømmen var på det sterkeste. Siden laksen sto i strømmen nær siden av merden i disse periodene, hadde de kun 10m vertikal plass tilgjengelig, og når dette skjedde på dagtid var det enda mindre plass, da laksen fortsatt hadde en tendens til å unngå overflaten.

Til tross for denne plassmangelen i den delen av merden som var mest strømpåvirket, valgte ikke laksen å flytte til et mer skjermet område av merden. Dette var mest sannsynlig fordi strømmen var godt innenfor svømmekapasiteten deres, og vannutskiftningen var høy nok til at laksen opplevde optimal oksygenering og vannforhold generelt.

Når det gjelder bølger, ble det oppdaget noen store effekter. Laksen beveget seg bort fra overflaten i store bølger på en lignende måte som den reagerte på dagslys. Imidlertid ville laksen også flytte til det mer skjermede området i merden og vekk fra sidene av merden i større bølger.

Made in Britain, Trusted Worldwide. We are We can help you improve your pellet durability testing...
OLM N H ®

Effektene av hydrodynamiske forhold på laks

I sterk strøm, når fisken foretrakk å stå i strømmen, førte ikke bølgene alene til at laksen unngikk overflaten, noe som indikerer at strømmen kunne overstyre laksens preferanse for å unngå bølgene. Denne effekten kan være forårsaket av at strømmen demper den horisontale bølgebevegelsen på en slik måte at laksen i stedet for å oppleve retningsendringer, opplevde endringer i strømstyrken. Dette er imidlertid ikke verifisert av de registrerte strøm- og bølgedataene.

Konklusjonen er at effekten av hydrodynamiske forhold på laks er mangfoldig og vekselvirkende. Derfor er det viktig å forstå rekkevidden av tidevannsstrømmer på en lokalitet, hvor mye merden vil bli deformert, og også å gjøre passende forutsigelser for bølgeforhold.

Horisontal fordeling av fisk i merden. Lyse bokser representerer forhold med små bølger, og mørke bokser med store bølger. Det øverste tallet er andelen av tid da mange fisk ble sett i et videoopptak på fem forskjellige steder i merden. Den nederste figuren er andelen av tid hvor noen fisk er sett, få eller mange på samme sted i merden. Øst- og Nord-kameraene var mest skjermet for bølger, Feed var mest utsatt mens Sør og In var utsatt for bølger i middels grad, men mest utsatt for strøm.

Laksen i denne studien opplevde ikke dårlig velferd som observert av vanlige velferdsregistreringer, så på denne lokaliteten var strøm-, bølge- og merdspesifikasjoner egnet for laksen gjennom hele overvåkingsperioden.

Merder som dette er imidlertid grensetilfeller, og etter hvert som industrien flytter oppdrettsanleggene sine til enda mer eksponerte

lokaliteter, må det utvises stadig mer forsiktighet for å sikre en minimal negativ effekt på laksens velferd.

For mer informasjon, kontakt Ása Johannesen (asajoh@ fiskaaling.fo) eller les vår siste vitenskapelige artikkel i PLoS ONE - https://aqfeed.info/e/1419

FISH FARMING TECHNOLOGY 37 | Mai 2022 - Fish Farming Technology

Nanobobleteknologi i lakseoppdrett Bruk av oksygen for å endre anerobe forhold og øke tettheten i merdene

ChucaoTec er et chilensk selskap som ligger nær Puerto Montt, hovedstaden i den chilenske lakseindustrien. De gjorde seg bemerket i den chilenske lakseindustrien tidlig i 2020, da de ble det første selskapet som endret anaerobe forhold i sedimentet under en laksemerde ved bruk av oksygen-nanobobler. Deres nanobobleteknologi, kalt Quetrox, har siden utvidet seg til andre applikasjoner og til bruk i andre bransjer, med de laveste kapitalog driftskostnadene i markedet.

Chilenske forskrifter krever at havbunnen under lakseoppdrettsanlegg må holdes under aerobe forhold for at produksjon skal tillates. Denne forskriften, som tar sikte på å redusere virkningen av lakseoppdrett på bunndyrene, utgjør en stor produksjonsrisiko for oppdrettere, som står overfor usikkerhet om deres evne til å bruke sine lokaliteter til sjøs.

I tillegg er forskriften svært streng med hensyn til hvilke tiltak som kan iverksettes på havbunnen, med tanke på at løsningen på dette problemet kan være verre enn sykdommen. ChucaoTec så dette problemet som en stor mulighet og utviklet et system for å sanere den berørte havbunnen ved hjelp av nanobobler, et system som ble validert av chilenske miljømyndigheter for kommersiell bruk.

Lav kapitalkostnad

Siden tidlig i 2020 har selskapet brukt dette systemet for å lykkes med å gjenopprette anaerobe forhold under mer enn 20 lokaliteter i det sørlige Chile. ChucaoTecs nanobobler, som de kalte Quetrox, har tre komparative fordeler: lavt tap (mindre enn 0,5 bar), lave krav til gasstrykk (nær prosesstrykk) og lave kapitalkostnader.

«Vi utviklet vår teknologi for sanering av havbunnen, hvor du må pumpe vann hundrevis av meter gjennom et så tynt rør som mulig for å redusere strømmotstanden. Vi ønsket at injektorene våre skulle forbruke så lite tilgjengelig pumpehøyde som mulig,” kommenterer José Puga, medgründer og administrerende direktør.

Hver måned kommer det imidlertid nye publikasjoner om bruk av nanobobler til bruk i en rekke bransjer; de mest populære er akvakultur, landbruk og vannbehandling.

I 2021 anså ChucaoTec teknologien sin som moden nok for

direkte kommersialisering, og begynte å introdusere Quetrox som et produkt. Mottakelsen har vært god, og Quetrox er allerede er til stede i mer enn et dusin settefiskanlegg i Chile, et komplett merdeanlegg blir implementert med Quetrox i mai, og pilotenheter som jobber innen landbruk og gruvedrift.

Ett av de mest interessante bruksområdene for nanobobler er oksygenering av laksemerder. Dette er ikke noen ny applikasjon for oksygen: oksygenering eller lufting har vært mye brukt for å kunne oppdrette fisk i områder med mindre enn optimal oksygen tilgjengelig i vannet, eller for å øke tettheten i merden.

I det sørlige Chile kan lakseprodusenter budsjettere med nærmere USD 100 000 pr. måned for oksygenering eller lufting. ChucaoTec testet sine Quetrox-nanobobler mot et veletablert oksygeneringssystem med porøse slanger, og oppnådde opptil 57 prosent reduksjon i oksygenbruken.

Quetrox-merdsystemet bruker så lite som 0,4 kWh pr. kg injisert oksygen, mens produksjon av oksygen på lokaliteter med en PSA oksygenkonsentrator krever omtrent 1,5 kWh pr. kg produsert oksygen. Å injisere 57 prosent mindre oksygen tilsvarer dermed å spare 0,5 kWh, eller omtrent 0,5 liter diesel pr. kg oksygen. Ikke verst, tatt i betraktning at den installerte kapasiteten for ett anlegg kan være 400 kg oksygen pr. time.

ChucaoTec vil installere sitt første komplette anlegg med Quetrox merdsystem i mai 2022, og forventer å bekrefte at nanobobler, i tillegg til oksygenbesparelsene, kan forbedre produksjonsresultatene.

Et mer stabilt miljø

Lakseklekkerier er også i ferd med å bli ivrige brukere av nanobobleteknologi. Quetrox-systemer er installert for oksygenering, metalloksidering, og ozoninjeksjon for patogenkontroll, blant annet. Når han snakker om oksygeninjeksjon for fiskeoppdrettstanker, beskriver Paulo Jorquera, CCO, at "kundene er veldig entusiastiske over nivået av oppløst oksygen-stabilitet som Quetrox gir, uten noen driftsproblemer i det hele tatt.

"Spece-kjeglen har ingenting imot Quetrox når det gjelder effektivitet, men lover Quetrox sin enkle betjening og stabile resultater." ChucaoTec vil gjennomføre et kontrollert forsøk med et anlegg i mai for å finne ut hvordan disse resultatene påvirker veksten og fôrfaktoren for fisken. - Vi tror vi vil finne at et mer stabilt miljø vil gi økt appetitt og vekst, med likt eller mindre

ChucaoTec has up to 8 simultaneous operations of seabed remediation for the salmon industry. Nanobubbles are created using Quetrox injectors on the surface and then pumped to the seabed
38 | Mai 2022 - Fish Farming Technology

oksygenbruk, legger Jorquera til.

På grunn av deres geografiske plassering og partnernes bakgrunn, er ChucaoTecs kunder for det meste lakseoppdrettere. Imidlertid går nanobobleapplikasjoner langt utover akvakultur. Et av de raskest voksende markedene for denne teknologien er landbruk, der bøndene ser økt vekst og forbedret plantehelse gjennom bruk av luft eller oksygen-nanobobler.

Noen innledende forsøk med Quetrox nanobobler viser at mikrobiell biomasse i jord kan øke nesten 400 prosent i løpet av en kort periode på bare 10 dager, alene gjennom vanning med nanobobler. «Det er godt dokumentert at oksygen-nanobobler øker røttenes kapasitet til å absorbere næringsstoffer.

"Landbruk er raskt i ferd med å bli en bruker, ettersom

landbrukssystemer blir mer og mer teknologibaserte, med vertikale gårder, hydroponiske og akvaponiske gårder, og nanobobleteknologien er i ferd med å bli en standard," kommenterer Puga. ChucaoTec mener tilbudet deres til denne industrien er spesielt attraktivt, da en industri med lave marginer er svært engstelige for å øke driftskostnadene.

Internasjonalisering ligger i ChucaoTecs kortsiktige planer. De har allerede et tilbud i Nord-Amerika gjennom IngenuityWorx, et nisjeselskap med betydelig kunnskap innen jordhelse og en vitenskapsbasert tilnærming til applikasjonsutvikling og salg. De vil også vise frem sine Quetrox-systemer i Norge i juni 2022 og jobber med prospekter i Ecuador for rekeoppdrett, og i Singapore for sanering av havbunnen.

Equipment is manufactured and assembled in-house in the small town of Llanquihue, some 20 miles north of Puerto Montt Quetrox head loss is so small, that may times the available pipe head can be used, with no need for additional pumps. In this picture, oxygen is injected to a hatchery affluent for metal oxidation.
FISH FARMING TECHNOLOGY Our award-winning range of in-water electric stunners are backed by the UK’s leading supermarkets and producers. • 100% stun efficacy • Less stress, gaping, and bruising • Suitable for salmon, trout, seabass, seabream, prawns, yellowtail, and smolt Driving innovation IN HUMANE FISH SLAUGHTER “This is the best solution in the market in terms of animal welfare standards and environmental impact.”
Quetrox injectors are extremely easy to install or retrofit into current installations.
van den Berg
HG SALMON UK, HENDRIX GENETICS 39 | Mai 2022 - Fish Farming Technology
Jarl
M.Sc GENERAL MANAGER,

TEKNOLOGI UTSTILLING

Nyheter denne måneden

Mai 2022

Aquafarm, et to-dagers arrangement dedikert til bærekraftig produksjon av mat fra havet, vil i år holdes fra 25. til 27. mai på Pordenone Exhibition Centre.

Med det i tankene har vi tatt med produkter fra selskaper som stiller ut på denne messen som reflekterer pågående innovasjon i havbrukssektoren og en lys fremtid for fiskeoppdrett. Hvis du vil at produktet eller tjenesten din skal omtales i denne delen i en fremtidig utgave av International Aquafeed and Fish Farming Technology, så kontakt oss på editorial@perendale. co.uk.

Badinottis Netwasher Cleanet-serie

Den automatiske Netwasher Cleanet består av en roterende vasketrommel, som er laget av rustfritt stål. Dette bestemte produktet kan også på forespørsel leveres med en avløpsvannstank for ytterligere beskyttelse.

Det er flere forskjellige modeller tilgjengelig, inkludert Cleanet 7 (som er ca. 6 500 liter), Cleanet 10 (9 500 liter), Cleanet 20 (19 500 liter) og Cleanet 13 – som er designet for å romme 39 000 liter. Modellene Cleanet 7 og Cleanet 10 er designet for operasjoner som krever mobile eller transportable vaskesystemer. Et omfattende utvalg av funksjoner inkluderer et vanninntak på siden, med et robust system av hengsler, samt muligheten til å ha et åpningsvindu med et forsterket låsesystem. Det mekaniske låsesystemet gir oppdretterne et ekstra sikkerhetssystem, mens det ikke kreves montering på stedet og det kan transporteres direkte i bruksklar emballasje. www.badinotti.com

Lær mer - Lær på stedet Meld deg på 12-ukers kurs

ProSolo digital vannkvalitetsmåler fra YSI

ProSolo Digital Water Quality Meter er i tråd med YSIs lange historie med på å tilby pålitelig og slitesterk instrumentering for overvåking av oppløst oksygen (DO), og har selskapets mest avanserte teknologi for optiske DO-målinger i en strømlinjeformet pakke.

ProSolo er et bærbart DO-system med et robust instrument, smarte sensorer, pålitelige kabler og kraftig databehandling for å sikre optimal ytelse. Instrumentoppsettet er raskt og enkelt med selskapets avanserte, integrerte sonde- og kabelenheter. Digitale smarte sensorer gjenkjennes automatisk av den håndholdte enheten, som er i stand til å lagre sine egne kalibreringsdata.

YSIs håndholdte vannkvalitetsmålere er også kjent for sin holdbarhet; enheten har et robust og vanntett kabinett som gir beskyttelse mot de tøffeste feltforholdene. Låsekabelkontaktene i militær stil sikrer en rask og sikker kabeltilkobling. www.ysi.com

Mørenots Flexilink fortøyningsgitter

Mørenots Flexilink fortøyningsgitter er laget av fiber uten maskinvarekomponenter, noe som på det nærmeste eliminerer risikoen for mekanisk brudd, samt forhindrer skader og rømming. Selskapet prefabrikkerer fortøyningsnettet, før det deretter leveres i containere til det kjøpende oppdrettsanlegget.

Det er installert mer enn 300 av dette fortøyningsnettet siden lanseringen i 2012, til et spekter av lokaliteter som omfatter oppdrettsanlegg i Norge, Canada og Skottland.

På grunn av materialet viser Flexilink minimale tegn til skade flere år etter installasjon i sjøen. Dette betyr at inspeksjoner kan foregå med lengre tids mellomrom, ca. 24 måneder i noen tilfeller, og selve installasjonen er mye mer effektiv enn med tradisjonelle fortøyningssystemer.

www.morenot.com

FISH FARMING TECHNOLOGY fishfarmingtechnology.net Sjekk vår nettside dedikert til fiskeoppdrettsteknologi

UTSTILLING

Pescamotion 6 Plus fiskepumpe fra Faivre Faivres Pescamotion fiskepumpe er resultatet av åtte måneder med optimalisering av designet. Pumpen er utviklet for transport av levende fisk opp til 700g for laksefisk, og opptil 500g for havabbor og brasmer. Pescamotion 6+-pumpen er ideell for å forsyne en sorterer med overføring fra en tank eller lastebil, og kan tilpasses alle situasjoner.

Hovedfordelene er dens lave vekt – 202 kilo – nye autostoppfyllingssystem, og den høye kapasiteten; den er i stand til å behandle 20 tonn i timen. I tillegg er pumpehuset laget av rustfritt stål 316L, noe som betyr at det er klart for bruk i sjøvann.

Fiskepumpen har en fjernkontrollfunksjon; ved bruk av 200m IP67-fjernkontrollen har operatøren full kontroll over pumpen, pumpemotoren og hastighetskontrollen.

www.faivre.fr aqfeed.info/e/1427

www.onlinemillingschool.com

LP Stingray in Situ Net Washer

Den to meter lange notvaskeren fra Lindgren-Pitman bruker ny og innovativ notvasketeknologi for å vaske tilgrisede garn, da den er helt elektrisk med kapasitet til å vaske garn med en hastighet på 40 meter pr. sekund.

Den er i stand til å operere på små generatorer eller det offentlige strømnettet og er mer effektiv mht kraftbehov, og krever 1/10 av kraften som lignende høytrykksrensesystemer krever. Det flytende hodet har evnen til å vaske et to meter bredt område med lavhastighetspropeller. Teknologien vibrerer nettet og fjerner dermed begroing, inkludert blåskjell, tare og hydroider. Nøkkelen til fordelene ved å velge denne nettvaskeren inkluderer dens kapasitet til å rengjøre 2 300-4 600 kvadratmeter i timen, det inneholder fire videokameraer med LED-belysning og en videomonitor i styrehuset. www.lindgren-pitman.com

Feed Innovation Award 2022

Hvis du kjenner til eller har en nylig introdusert innovasjon for produksjon av dyrefôr, inkludert kjæledyrfôr, kan du vurdere å foreslå denne for inkludering i årets Feed Innovations Award som arrangeres på Victam International 2022-utstillingen, som finner sted i Utrecht, Nederland fra kl. 31. mai – 2. juni 2022.

For more information: https://mymag.info/e/1290

International Aquafeed - Mai 2022 | 41

Luse-resistent laks

Studien tar sikte på å identifisere genetiske mekanismer for å gjøre atlantisk laks motstandsdyktig mot denne nøkkelparasitten

I et britisk prosjektforslag på GBP 1,7 millioner/USD 2,16 millioner vil et team av forskere undersøke coho-laksens gener for å forstå dens motstand mot lakselus. De håper å gjenskape effektene i atlantisk laks, som er hardt rammet av denne parasitten.

Lakselus er et stort og varig problem for lakseoppdrett globalt, og påvirker fiskens helse og velferd alvorlig, og koster den globale akvakultursektoren rundt GBP 800 millioner pr. år. Disse parasittene fester seg til huden på laksefisk og lever av vev, slim og blod, og forårsaker ofte åpne sår og stress. Infisert fisk viser nedsatt vekst og økt forekomst av sekundære infeksjoner.

Mens parasittene i utgangspunktet er i stand til å feste seg på coho-laks, har denne fisken en medfødt immunrespons som resulterer i rask avvisning av lakselus og begrenset sykdom. Forskere vil studere responsen på lusefesting hos coho-laks og forsøke å avsløre de biologiske prosessene som ligger til grunn for genetisk resistens mot disse parasittene.

De vil deretter anvende kunnskapen om disse resistensmekanismene på atlantisk laks, spesielt med sikte på å identifisere gener som kan gjøre atlantisk laks motstandsdyktig mot lakselus.

Endelig vil forskerne ta sikte på å introdusere mekanismene for genetisk resistens som finnes i coho-laks til akvakulturpopulasjoner av atlantisk laks, ved å gjøre endringer i deres DNA. Prosjektet ledes av forskere fra University of Edinburghs Roslin Institute og University of Stirlings Institute of Aquaculture og vil motta totalt GBP 1,7 millioner fra Biotechnology and Biological Sciences Research Council

En laksarts evne til å motstå lakselus kan være svaret på å forhindre skadedyrets ødeleggende effekter på andre fisker. Ulike arter viser varierende motstand mot lakselus – mens atlantisk laks er mottakelig, er coho-laks nesten helt motstandsdyktig.

Shortlisting av gener

Forskerne vil bruke data som tidligere er samlet inn fra 12 000 infiserte atlanterhavslaks for å identifisere tilfeller der genomet assosiert med resistens mot lakselus. Data vil gjøre dem i stand til å teste om det er et felles underliggende genetisk grunnlag for variasjon i resistens hos atlantisk laks mot ulike lakselusarter, kartlegge individuelle resistensgener og forbedre prediksjon av luseresistens.

Sammenligning av høy- og lavresistens i atlantisk laks vil gi innsikt i resistensmekanismer innen arten. Forskerne vil sammenligne huden og de levende parasittene knyttet til den for å vurdere resistens og for å måle nøyaktig når lus blir avvist av resistent fisk.

Forskjeller i motstand kan skyldes handlinger fra spesifikke celler, og stedet der lus fester seg til laksehuden som består av flere celletyper. Forskerne vil sammenligne atlantisk laks med coho-laks ved enkeltcelleoppløsning for å undersøke nøkkelmekanismene, genene og proteinene som er involvert i deres ulike responser på lus.

Informasjon samlet gjennom prosjektet vil bli integrert for å identifisere og shortliste potensielle resistensgener for lakselus. Genredigering vil bli brukt til å validere disse genene, gjennom tester som undersøker effekten av å dempe dem ved hjelp av nye in vitro-modeller. Hvis redigeringen forårsaker endringer i

Aquaculture
case study
(BBSRC) og Sustainable Aquaculture Innovation Centre (SAIC)). Det er et industrielt partnerskap med oppdrettsselskapet Benchmark Genetics.
CS
42 | Mai 2022 - International Aquafeed
CS World Leaders in Microwave Moisture Measurement Hydro-Probe XT Hoppers, chutes, belt conveyors Hydro-Mix XT Mixers, conveyors, Ducting System Hydro-Mix XT-EX Certified for use in ATEX, IECEx and NEC/CSA Hazardous Locations (Dust) Hydro-Mix HT Mixers, conveyors, Ducting System, High Temperature enquiries@hydronix.com www.hydronix.com Contact us for more details Hydronix-Aquafeed-Advert Jan 2022 215x140mm.indd 1 20/12/2021 19:02 International Aquafeed - Mai 2022 | 43

EXTRUDER AND EXPANDER TECHNOLOGY YOU CAN TRUST

Extruder AL300

Almex offers a wide range of single screw extruders and expanders which are used for different applications.

The robust and simple design of the Almex machines guarantees years of economical and trouble free production.

Scan the QR-Code for more information www.almex.nl
www.almex.nl
Visit us at Victam International Utrecht - The Netherlands Booth 1.432

resistens mot lus, gir det ytterligere bevis på at genet er assosiert med resistens.

Fem shortlistede kandidat-genredigeringer vil bli introdusert i lakseembryoer ved å bruke CRISPR-genredigeringsmetoden. Genredigert laks vil da bli eksponert for lakselus for å vurdere deres motstand sammenlignet med sine uredigerte søsken. Dette trinnet vil identifisere effektive redigeringer, med potensial for kommersiell bruk for å lage luse-resistent laks.

Introduksjon av DNA-endringer

Genredigering, som muliggjør målrettede, presise endringer i den genetiske koden, har blitt brukt i tidligere studier av forskere fra Roslin Institute for å identifisere sykdomsresistensgener hos laks. Med forbehold om regulatorisk og offentlig godkjenning, vil dette være transformativt, med enorme økonomiske, miljømessige og dyrevelferdsfordeler, sier forskerne.

Alternative konvensjonelle kontrollstrategier, som fôrtilskudd, rensefisk og skreddersydd merddesign, er bare delvis effektive. Medisiner, som er dyre og potensielt miljøskadelige, er fortsatt ofte nødvendig for å kontrollere lakselus, men mange har utviklet resistens mot vanlige avlusningsmedisiner.

Selektiv avl for å øke motstanden mot lus hos laks er en effektiv, men relativt langsom prosess fordi en generasjon laks tar opptil fire år å nå modenhet for reproduksjon. Å forbedre den medfødte genetiske motstanden til laks mot lus er en lovende, men likevel underutnyttet tilnærming til lusekontroll, med miljømessig lav innvirkning.

Dr. Diego Robledo, akvakulturgenomikkekspert ved Roslin Institute, sa: "Mens atlantisk laks er svært mottakelig for lakselus, er coho-laks praktisk talt fullstendig motstandsdyktig. Vi skal sammenligne genomene til de to artene for å forstå hvordan de er knyttet til deres respons på disse parasittene, slik at vi kan identifisere nøkkelmekanismene som ligger til grunn for resistens hos coho-laks. Vi kan deretter forsøke å overføre disse motstandsmekanismene fra coho-laks til atlantisk laks via genredigering.»

"Genredigering har potensial til å fremskynde oppdrett av sykdomsresistent laks ved å gjøre målrettede endringer basert på mange års forskning på genetiske og funksjonelle mekanismer for resistens mot lakselus," sier professor Ross Houston, leder for genetikk i partnerselskapet Benchmark Genetics og tidligere styreleder for akvakulturgenetikk ved Roslin Institute.

Velferd og bærekraft

Arbeidet i konsortiet har som mål å forbedre fiskehelsen og øke bærekraften i laksesektoren. Dr. Robledo fremhever fordelene ved å takle disse parasittene: «Luse-resistent laks vil forbedre fiskevelferden, redusere miljøpåvirkningen av avlusingsbehandlinger, redusere den potensielle effekten av lakselus på villfisk og bidra til å sikre arbeidsplasser i sektoren.»

James Bron, professor i akvatisk dyrehelse ved University of Stirling, legger til: "University of Stirlings Institute of Aquaculture bringer mer enn 30 års forskning på samspillet mellom lakselus og atlantisk laks til dette samarbeidet. Fremskritt gjort innen sykdomskontroll for atlantisk lakseoppdrett er relevante for oppdrett av andre nøkkelarter, så utvikling og bruk av disse banebrytende teknologiene bidrar til å øke akvakulturens bærekraft og global matsikkerhet."

Oppdrett av fisk med forbedret resistens mot sykdom vil redusere behovet for antibiotika og andre legemidler for å forhindre påvirkning av parasitter. Denne reduksjonen av kjemikalier i miljøet og tapet av færre fisk til sykdom vil i ettertid redusere miljøpåvirkningen fra akvakultur.

Genetisk forbedring resulterer i bestander som er mer

motstandsdyktige mot problematiske infeksjonssykdommer, og som også krever mindre fôr for å vokse til markedsstørrelse. Dette kan forbedre dyrevelferden samtidig som det forbedrer produksjonseffektiviteten og reduserer karbonavtrykket.

"Dette prosjektet er et godt eksempel på det mangfoldige og innovative arbeidet som blir utført i Skottland for å takle den vedvarende utfordringen med lakselus," sier Heather Jones, administrerende direktør i SAIC.

«Fiskens helse og velferd er av største betydning for vår havbrukssektor, og det er veldig oppmuntrende å se verdensledende forskning finne sted i våre institusjoner. Vi er glade for å hjelpe til med å finansiere dette initiativet, som støtter økt økonomisk innvirkning med redusert miljøfotavtrykk i britisk akvakultur.»

Fremtidige forbedringer

Genetiske teknologier kan brukes til å introdusere andre ønskelige egenskaper i oppdrettsarter, for eksempel forbedret vekst, motstand mot andre sykdommer eller robusthet i forskjellige oppdrettsmiljøer.

De fleste akvakulturarter kan produsere mange avkom, og store populasjoner med forbedret genetikk kan avles raskt for forbedret produksjonsytelse. Å overvåke hvordan en populasjons genom varierer mellom individer vil bidra til å opprettholde genetisk mangfold etter hvert som de utvikler seg.

Forskning på oppdrettsfisk, deriblant på deres respons på sykdommer, utføres ved det nylig åpnede anlegget for ferskvannsforskning ved Roslin Institute. Anlegget støtter forskning på sykdomsresistens og genredigering av oppdrettsfisk, spesielt laks, østers og reker.

Roslin-forskere har tidligere identifisert gener og områder i genomet til fisk knyttet til sykdommer som de som er forårsaket av Infeksiøs Pankreatisk Nekrose Virus og Tilapia Lake Virus.

«Innenfor gjeldende lovgivning kan genredigert fisk ikke oppdrettes i Storbritannia. Hvis dette skulle bli godkjent av beslutningstakere og offentligheten, ville forskere og akvakultursektoren måttet vurdere hvordan man introduserer genredigert fisk i oppdrettsmiljøer, sier Dr. Robledo, med hensyn til implementering av genredigering i akvakultur. «For eksempel kan det hende at genredigert fisk må være steril for å hindre dem i å blande seg med ville bestander. Sterilitet må være forenlig med et avlsprogram med fruktbare dyr i sentrum, og dette vil kreve teknologisk innovasjon."

Laks var den første godkjente genmodifiserte maten og har blitt gjort tilgjengelig i USA og Canada. Produksjonen av AquAdvantage-fisken, som er modifisert for å overuttrykke veksthormon, som muliggjør vekst hele året, produseres i innendørsanlegg for å hindre fisken i å blande seg med eller påvirke ville populasjoner.

Ytterligere forskning på genetikk og helse kan bidra til å gjøre disse teknologiene enda mer presise og bidra til bærekraftig akvakultur, matsikkerhet og dyrevelferd.

CS International Aquafeed - Mai 2022 | 45

Kalender

Status-oppdatering av næringsarrangementer i lys av globale effekter av Covid-19

2022

2022 May

3-5

Aquaculture UK 2022 Aviemore, Scotland https://aquacultureuk.com

24-27

World Aquaculture 2021 Mérida, Mexico www.was.org/meeting/code/AQ2022

25-26

Aquafarm 2022 Pordenone, Italy www.aquafarm.show

25-27

Agritechnica Asia 2022 Bangkok, Thailand www.agritechnica-asia.com

31-2

VIV Europe Utrecht, The Netherlands www.viveurope.nl

31-2

Victam International 2022 Utrecht, The Netherlands www. victaminternational.com

2022 June

29-30

Seagriculture EU 2022 Bremerhaven, Germany https://seagriculture.eu

July 6-8

16th Indo Livestock Jakarta, Indonesia www.indolivestock.com

2022 August

3-5

Ildex Vietnam 2022 Ho Chi Minh City, Vietnam www.ildex-vietnam.com

10-12

Livestock Malaysia 2022 Malacca, Malaysia www.livestockmalaysia.com

Nobelprisvinner Joseph Stiglitz kommer til AquaVision 2022

Professor Joseph Stiglitz vil være hovedtaler på verdens fremste akvakulturkonferanse, AquaVision, i Stavanger, fra 13. til 15. juni 2022.

I en verden hvor premissene for global virksomhet er i rask endring, søker bedriftsledere etter svarene på hvordan bærekraftig økonomisk vekst og økt sjømatproduksjon kan oppnås.

For dette formål er AquaVision-arrangørene glade for å kunngjøre at professor Joseph Stiglitz, den nobelprisvinnende økonomen, vil være hovedtaler på AquaVision 2022.

15-18

Aquaculture Canada and WAS North America 2022 St John’s, Newfoundland, Canada www.was.org/meeting/code/WANA2021

23-25

Aquaculture Philippines 2022 Manila, Philippines www.livestockphilippines.com 2022 September 1-3

Taiwan SMART Agriweek 2022 Taipei, Taiwan www.taiwanagriweek.com 6

Aquaculture Innovation Forum London, UK aquacultureinnovationforum.com 4-6

Fish International 2022 Bremen, Germany https://fishinternational.de 7-8

Seagriculture USA 2022 Portland, Maine, USA https://seagriculture-usa.com 13-15

SPACE 2022 Rennes, France http://uk.space.fr

I en situasjon der økonomisk politikk og global vekst eller nedgang som spiller en viktig rolle i krevende tider, vil professor Stiglitz ta opp virkningen av Covid-19, problemer med økte råvarekostnader, inflasjon og økt interesse.

Professor Stiglitz ble i 2001 tildelt Nobelprisen i økonomi for sine analyser av markeder med asymmetrisk informasjon. Han var hovedforfatter av rapporten fra 1995 fra Intergovernmental Panel on Climate Change (IPCC), som delte Nobels fredspris i 2007. I 2011 kåret TIME professor Stiglitz til en av de 100 mest innflytelsesrike personene i verden.

Professor Stiglitz var sjeføkonom og Senior Vice President i Verdensbanken fra 1997-2000. De siste 15 årene har han skrevet en serie bøker som har hatt enorm innflytelse i utformingen av globale debatter. Blant prisene han har mottatt er mer enn 40 æresdoktorgrader, inkludert fra Cambridge og Oxford universitetene.

"Vi er beæret over at professor Stiglitz vil bli med oss, sier Skretting-sjef Therese Log Bergjord, i en kommentar til professor Stiglitz sin deltakelse på AquaVision 2022.

"De viktigste bidragene han har gitt - til makroøkonomi og monetær teori, til utviklingsøkonomi og handelsteori, til offentlig og bedriftsfinansiering, til teoriene om industriell organisasjon og bygdeorganisasjon, og til teoriene om velferdsøkonomi og om inntekts- og formuesfordeling – og innsikten han vil bringe til AquaVision vil komme hele publikum til gode. Vi gleder oss!"

2022 October 12-14

Vietstock 2022 Ho Chi Minh City, Vietnam www.vietstock.org 2022 November 9-11

AFIA Equipment Manufacturers Conference 2022 St. Petersburg, Florida, USA www.afia.org 9-11

22-23

Aquaculture New Zealand Conference 2022 Nelson, New Zealand www.aquaculture.org.nz 27-30

Aquaculture Europe 2022 Rimini, Italy www.aquaeas.org

Ildex Indonesia 2022 Jakarta, Indonesia www.ildex-indonesia.com 15-18

EuroTier 2022 Hannover, Germany www.eurotier.com 29-2

World Aquaculture Singapore 2022 Singapore www.was.org

See
The International Aquafeed team at this event
46 | Mai 2022 - International Aquafeed
Nov. 29 - Dec. 2, 2022 Conference Sponsors Temasek Polytechnic, Nanyang Technological University National University of Singapore, James Cook University Republic Polytechnic 3rd International Symposium on Perch and Bass Associate Sponsors Aquaculture Engineering Society International Association of Aquaculture Economics & Management WorldFish World Aquaculture Singapore 2022 WA2020 Partner @WASingapore WASAPC @WASAPC The Annual International Conference & Exposition of World Aquaculture Society Asian Pacific Aquaculture 2022 – Annual Meeting of Asian Pacific Chapter, WAS Hosted by Singapore Food Agency WAS Premier Sponsors Singapore EXPO Convention & Exhibition Centre and MAX Atria Sustainable Aquaculture for Two Oceans HOTEL RIU PLAZA Panama City, Panama April 18-21, 2023 The annual meeting of LATINAMER CAN&CARIBBEA N RETPAHC Get our meeting mobile app Hosted by Latin American & Caribbean Chapter/World Aquaculture Society -WAS LACC@laccWas LACC World Aquaculture Society Premier sponsors @LACC_WAS Conference sponsor Latin American & Caribbean Aquaculture 2023 February 23-26, 2023 New Orleans Marriott New Orleans, Louisiana Aquaculture America Associate Sponsors World Aquatic Veterinary Medical Association Aquacultural Engineering Society Aquaculture Association of Canada Global Seafood Alliance International Association of Aquaculture Economics and Management Latin American Chapter WAS • US Trout Farmers Association SPONSORED BY: Food For The Future 2023 WAS Premier Sponsors For details: aquacultureassociation.ca | was.org | naia.ca AUG. 15 - 18, 2022 ST. JOHN’S CONVENTION CENTRE ST. JOHN’S NEWFOUNDLAND AND LABRADOR, CANADA For More Information Contact: Conference Manager | P.O. Box 2302 | Valley Center, CA 92082 USA Tel: +1.760.751.5005 | Fax: +1.760.751.5003 | Email: worldaqua@aol.com | www.was.org Trade Show Contact: mario@marevent.com WA 4 show AD 26 x 33.6 cm.indd 1 4/5/22 12:56 PM

Industri-arrangementer

Victam International & VIV Europe 2022

Teknologiens rolle i å løfte europeisk akvakulturproduksjon av Andrew

International Aquafeed

To populære næringsarrangementer, Victam International og VIV Europe International, er samlokalisert i år og vil finne sted fra 31. mai til 2. juni 2022. Victam International, som finner sted over en tredagers periode, vil tilby en rekke konferanser og tekniske seminarer som er skreddersydd for deltagerne, som inkluderer direktører, ernæringsfysiologer og ledere.

Over 300 utstillere forventes å vise de nyeste produktene og tjenestene sine, sammen med de nyeste ingrediensene og tilsetningsstoffene tilgjengelig for fôr til

dyr, kjæledyr og akvakultur.

I samorganisasjon med Victam International vil magasinet Milling and Grain holde Grapas Europe, som er et arrangement skreddersydd for korn-, mel- og risforedlingsindustrien, som viser spesialsystemer og teknologi som brukes i ris- og melmøller samt utstillinger om lagring, konservering og transport av korn. Som en anerkjennelse for bidragene som er gitt til vår bransje, vil Perendale Publishers Ltd, morselskapet til International Aquafeed og Milling and Grain, også tildele Grapas Innovations Award på VIV Europe, i anerkjennelse for de mest innovative løsningene for mel, ris og pasta prosessindustrien.

I tillegg vil selskapet være vertskap for The Animal Feed Technology and Nutrition Award, som består av to priser for fôrteknologi og fôrernæring, som vil anerkjenne innovasjoner innen fôrbehandling og ernæringsteknologi.

VIV Europe arrangeres hvert fjerde år og vil i år tilby sine besøkende et tydelig fokus på fôrproduksjon og fjørfesektoren. Et viktig tema som VIV Europe fokuserer på, med tittelen 'Global Expertise Local Practice', ser på å balansere globale og lokale forsyningskjeder for å sikre fortsatt stabilitet innen matproduksjon i en erkjennelse av hvordan matforsyningskjeder lett kan forstyrres.

VIV Europe Feed Series – økt 1

Som forberedelse til hovedarrangementet i Utrecht ble vi alle invitert til et én-times webinar om akvakultur med tittelen: ‘Global Expertise – Technology’s role in lifting European Aquaculture Potential’ –torsdag 31. mars 2022.

Som ett av fire webinarer som VIV var vertskap for før utstillingen, ga det oss en mulighet til å se på hvordan europeisk akvakultur kan gi forbrukere et bredere utvalg av høykvalitets og bærekraftige akvakulturprodukter i fremtiden.

Europeisk havbruk svikter

I 2018 produserte Europa 3,1 millioner tonn oppdrettsfisk, eller litt over tre prosent av verdens akvakulturproduksjon. Samtidig er EU ett av verdens største sjømatmarkeder. I 2017 var tilgangen

på sjømat til konsum i EU 28 på 14,6 millioner tonn, hvorav akvakultur kun sto for 1,4 millioner tonn.

EU er avhengig av å importere sjømat fra andre deler av verden, både villfanget og oppdrettet fisk, og i 2017 importerte EU over 9 millioner tonn. Ytelsen til europeisk akvakultur har blitt bedre de siste årene, men for at dette skal forbedres ytterligere, må nøkkelutfordringer håndteres.

Paneldebatten ble ledet av International Aquafeed-utgiveren Roger Gilbert, og panelet, som var sammensatt av eksperter, diskuterte problemene industrien står overfor fra sine egne unike og velinformerte perspektiver på disse nøkkelutfordringene.

Dette panelet inkluderte Erik Hempel, kommunikasjonsdirektør ved NorFishing og Aqua Nor i Norge; Dr. Benedict Standen, markedssjef, DSM; Dr. Bernhard Eckel, Chief Technology Officer, Dr. Eckel Animal Nutrition, og Dr. Kartik Masagounder, leder for akvakulturforskning for Evonik Operations. Introduksjonen og presentasjonene ble deretter fulgt av en intens og faktafylt spørsmål-og-svar-økt som dekket et bredt spekter av emner. Den viktigste konklusjonen fra presentasjonene er at nøkkelen til å løse utfordringene europeisk akvakultur står overfor er ernæring, ettersom det er ernæring som driver effektiv akvakulturproduksjon, den kan se på bærekraft, den kan se på miljøpåvirkningen av hva vi gjør og måten vi dyrker fisk på.

Dette alene vil ikke være nok. Det må også ivaretas spørsmål knyttet til miljøaspektene ved den europeiske akvakulturindustrien. Selv om industrien har de riktige ernæringsteknologiene og den riktige utstyrsutviklingen på gang for hele verdens akvakulturproduksjon, klarer ikke Europa å utvikle sin akvakulturindustri og drive industrien fremover.

Interessert? Vel, du kan se webinaret i sin helhet ved å følge denne lenken: https://aqfeed.info/e/1424

48 | Mai 2022 - International Aquafeed
Co-located with WORLD EXPO FROM FEED TO FOOD Organized by WWW.VIV.NET GLOBAL EXPERTISE LOCAL PRACTICE First LIVE event in Europe in 2022! REGISTER NOW The animal protein industry finally reunites! Join the Suppliers Top-ranked venue: Jaarbeurs Utrecht Only 30’ from Amsterdam WWW.VIVEUROPE.NL VIV EUROPE 2022 UTRECHT, THE NETHERLANDS 31 MAY – 2 JUNE

Industri-arrangementer

AFRAQ 2021

Mate Afrika gjennom en mer bærekraftig akvakulturvariant

I den arabiske republikken Egypt, den største produsenten av oppdrettsfisk i Afrika og Midtøsten, og den syvende største i verden i 2020, ifølge statistikken til Food and Agriculture Organization (FAO), vil du finne den gamle byen Alexandria.

Alexandria er ansett av mange for å være Middelhavets stolthet. Bosetningen ble opprinnelig bygget opp av Alexander den store for rundt 2500 år siden tilbake i 331 f.Kr. Det største, eldste og viktigste biblioteket, Bibliotheca Alexandria, finnes i byen.

Biblioteket ble grunnlagt av Ptolemaios II for 2300 år siden, og inneholder for tiden mer enn to millioner bøker og er det fjerde største frankofonbiblioteket i verden, noe som gir stedet en status som et globalt anerkjent utdanningssete, hvilket gjør det til det ideelle stedet å holde Aquaculture Africa konferansen (AFRAQ2021) i moderne tid.

Konferansen var utsatt på grunn av Covid-19 fra den opprinnelige datoen i desember 2021, og ble holdt 25.–28. mars 2022. Det er den første internasjonale konferansen og utstillingen i Midtøsten og Afrika om akvakultur siden 2019 på grunn av Covid-19.

Viktige globale deltakere

Konferansen ble arrangert av et av de internasjonale selskapene som spesialiserer seg på å organisere konferanser, i samarbeid med egyptiske partnere. Registreringen til konferansen i Bibliotheca Alexandrina begynte fredag 5. mars 2022.

Arrangementet fylte hele konferansebygningen – med åpningsseremonien i den store salen på morgenen lørdag 26. mars, og med de vitenskapelige konferanseaktivitetene i mer enn åtte saler som startet kort tid etter. Arrangementsaktivitetene varte fra kl. 9:00 til 18:00.

Konferansen ble besøkt av mer enn 2000 arrangører og deltakere fra forskning og vitenskap, samt utstillere og en rekke arbeidere i akvatisk sektor, inkludert fôrprodusenter og produsenter av fôrtilsetningsstoffer, vitaminer, vekststimulerende midler, antitoksiner, vaksiner, serum, fiskegarn, marine merder, spesialfôr, artemia, utstyr for sortering, telling, transport av fisk, fjernmåling og overvåkingsutstyr.

I tillegg kom representanter for de viktigste egyptiske vitenskapelige institusjonene, som National Institute of Oceanography and Fisheries, tilknyttet departementet for vitenskapelig forskning og høyere utdanning (NIOF) og Sentrallaboratoriet for fiskeriforskning i Landbruksdepartementet, samt Fiskeriutviklingsmyndighetene i Landbruksdepartementet, Desert Research Center, Animal Health Research Institute, Lakes and Beaches Protection Authority og International Fish Senter.

Mange forelesere fra egyptiske universiteter og fakulteter for fiskeressurser og representanter for universiteter som Alexandria University, Cairo University, Ain Shams University, Zagazig University, Suez University, Al-Azhar

University og fakultetene for fiskeressurser i Kafr El. -Sheikh og Suez deltok også.

Arrangementet var fylt med mange egyptiske suksesshistorier som hadde en aktiv rolle i utviklingen av den egyptiske fiskeoppdrettssektoren, presentert av Prof. Ismail Radwan, prof. Fathi Othman, ingeniør Ahmed AlSheraki og prof. Abdel Fattah Al-Sayed.

Blant de viktigste globale organisasjonene som deltok i denne store begivenheten var den afrikanske fagforeningens utviklingsbyrå, verdens fiskesenter, World Aquaculture Society, US Soybean Export Council (USSEC) og FNs Food and Aquaculture Organization (FAO). Representanter for de viktigste internasjonale selskapene som sponser konferansen, som Aller Aqua Company, deltok på konferansen, dessuten representanter for Grand Group for fiskefôrproduksjon, DSM, Zeigler, Blue Aqua, Animal Health MSD, World Initiative for Soy in Human Health (WISHH), og Skretting Africa hadde deltatt på arrangementet.

Konferanseutstillingen ble holdt på et meget stort område, og inneholdt et bredt utvalg av utstillere, fordelt over tre saler, en storhall og to underhaller, og utstillingen omfattet mer enn 60 stands.

Representanter fra mer enn 40 land

AFRAQ 2021 hadde deltagelse fra besøkende og representanter fra mer enn 40 land rundt om i verden, som USA, Storbritannia, Italia, UAE, Vietnam, Sør-Afrika, Danmark, Kenya, Frankrike, Libanon, Russland, Australia, Sveits, Nederland, Spania, Zambia, Holland, Burkina Faso, Tunisia, Ghana, Serbia, Belgia, Israel, Japan, Kina, Saudi-Arabia, Libya, Jordan, Syria, Sudan, Ecuador, Mexico, Brasil, Türkiye, Irak, Yemen, Marokko, Tyskland, Bangladesh, India, Indonesia, Thailand og Bahrain.

Mer enn 30 forskere og forelesere deltok i de vitenskapelige begivenhetene på konferansen og presenterte resultatene fra ulike undersøkelser rundt om i verden, alt om akvakultur, med alle dens grener, som ernæring, yngelproduksjon, muslinger og tang, fiskehelseforvaltning, tilapia, bærekraftig akvakultur, miljømessig vannkvalitet, akvatisk dyrehelse, landrapporter, grå multe, akvakulturutvikling, ernæringsfysiologi og økologi.

Totalt 140 vitenskapelige artikler ble presentert på konferansen. Over 100 vitenskapelige plakater, spredt over konferansesalene.

International Aquafeed hadde en aktiv rolle på vår stand. Ettersom de tre dagene var fulle av mange egyptiske og utenlandske besøkende fra hele verden som kom til vår stand, ble et gratis eksemplar av marsutgaven av International Aquafeed gitt til alle besøkende.

Blant de fremmøtte var Dr. Abdul Hakim El Waer (Assistant Director-General i FAO) og Dr. Ahmed Sany ElDin (daglig leder for akvakulturutvikling (GAFRD)), Ole Haubro (regional salgsdirektør for Aller Aqua Company), Nabel Hamed (eier av Grand Group for fiskefôrproduksjon), Prof. Ashraf ElDakar (Dekanus ved fakultetet for akvakultur og havfiskeri, Arish University) og mange oppdrettere og forskere i fiskesektoren, samt en rådgiver for landbruksministeren for akvakultur.

Det ble en konferanse full av mange møter, vitenskapelige diskusjoner, erfaringsutveksling og suksesshistorier om utvikling i fiskeproduksjon og fôrindustri.

50 | Mai 2022 - International Aquafeed

ISFNF 2022

Samler det vitenskaplige miljøet og akvafôrindustrien for 20. gang

International Symposium of Fish Nutrition and Feeding (ISFNF) arrangeres 5. – 9. juni 2022 i den fantastiske og solfylte byen Sorrento i Italia. Arrangementet lover å møte de høye forventningene som det vitenskapelige miljøet og akvafôrindustrien har til dette showet, nå i sin 20. utgave. Årets ISFNF med tittelen "Mot presis ernæring og fôring av fisk", vil presentere og diskutere de siste funn og innovasjoner på det fremste internasjonale forumet for forskere, akademikere og industri involvert i akvafôrsektoren.

Mer enn 400 delegater fra hele verden forventes å delta på ISFNF, hvor 80 muntlige presentasjoner og 150 plakater blir presentert i løpet av det fem dager lange arrangementet. Temaene inkluderer fysiologi og ernæringskrav, settefiskfôr (stamme og larver), alternative lipid- og proteinkilder, fôrtilsetningsstoffer og funksjonelle fôr, ernærings- og fôringsstrategier, ernæring og fiskehelse, fôrteknologi og produktkvalitet.

Hver enkelt presentasjon deles

ISFNF har alltid vært en én-sesjonskonferanse, hvor hver enkelt presentasjon deles med alle konferansedeltakerne, noe som sikrer maksimal spredning og høy kvalitet på debatt og innsikt.

To ettermiddagsøkter vil også bli dedikert til plakatutstillingen og diskusjon med forfatterne.

Det vil også være tre 30-minutters forelesninger i begynnelsen av øktene, ved inviterte forelesere fra FAO, DG Research & Innovation i EU-kommisjonen og fra en representant for fôrindustrien.

Uformelle diskusjoner, lunsjer og sosiale aktiviteter er også inkludert i programmet for å oppmuntre deltakerne til å bli kjent med hverandre og utvide sine nettverk og finne nye samarbeidspartnere.

Ifølge professor Alessio Bonaldo fra Universitetet i Bologna, leder av organisasjonskomiteen, vil årets konferanse etter en så lang vanskelig periode på grunn av pandemien tillate at man møtes igjen personlig og kan diskutere de nye utfordringene som forskere og fôrindustrien står overfor i nærmeste fremtid.

«Vi ble imponert over den gode kvaliteten på de mottatte abstraktene, og det var ikke lett å velge ut de 80 studiene som skal presenteres muntlig. Forskning på ernæring og fôring av fisk er nøkkelen til å forbedre bærekraft, miljømessig fotavtrykk, fiskehelse og produktkvalitet i akvakultur, legger professor Alessio Bonaldo til.

"ISFNF vil representere et skritt videre mot økt kunnskap om fiskefysiologi, bruk av nye og sirkulære ingredienser, presisjonsfôring og rollen til fôr og tilsetningsstoffer for å forbedre fiskens ytelse, velferd og helse."

Du kan finne all informasjon og registrere deg på ISFNFnettstedet: www.isfnf2022.org

Industri-arrangementer 52 | Mai 2022 - International Aquafeed
Scan the QR code or visit www.victaminternational.com Register and visit VICTAM International 2022 for FREE TO VISIT FOR FREE REGISTER NOW ON-LINE MAY 31 - JUNE 2 2022 @ JAARBEURS UTRECHT, THE NETHERLANDS THE WORLD LARGEST DEDICATED EVENT FOR THE ANIMAL FEED AND FLOUR PROCESSING INDUSTRIES
FISH FARMING TECHNOLOGY ONLINE IN-PRINT MOBILE APP Join the mailing list at: Do you want more industry news? Get the industry news highlights, along with content from International Aquafeed magazine straight to your inbox every week! Get a trial subscription to our digital editions for FREE! bit.ly/pplenews Simply visit: https://store.magstand.com/Aquafeed and use the promo code: IAF2205

World Aquaculture 2021

Den globale konferansen til World Aquaculture Society (WAS) i 2022 vil bli holdt i Merida, Yucatan, Mexico fra 24. til 25. mai 2022 på Yucatan International Congress Center (CIC) med støtte fra Secretariat of Sustainable Fisheries and Aquaculture of Yucatan (SEPASY).

Den opprinnelige datoen for arrangementet var i november 2021, men på grunn av force majeure bestemte komitéen seg for å flytte arrangementet til mai 2022. Navnet WA2021 ble imidlertid beholdt.

World Aquaculture (WA) er en årlig konferanse, globalt anerkjent som den mest relevante for utveksling av kunnskap, teknologi, innovasjon og nettverksbygging blant fagfolk.

Under WA2021 vil FNs matvareorganisasjon (FAO) og andre internasjonale og nasjonale organisasjoner delta, inkludert National Chamber of the Fishing and Aquaculture Industry (CANAINPESCA) og det meksikanske rådet for fremme av fiskeri- og akvakulturprodukter (COMEPESCA).

Det vil være flere presentasjoner, workshops, arbeidsmøter, en kommersiell utstilling, et kunstgalleri, tekniske besøk på oppdrettsanlegg og prosessanlegg i regionen, og flere arrangementer dedikert til utveksling av idéer og erfaringer blant fagfolk innen havbruk fra hele verden.

Under WA2021 vil det bli holdt akademiske og tekniske sesjoner over temaer som akvakulturhelse, ernæring og fôr, genetikk, produksjonssystemer, innovasjon og økter med fokus på oppdrett av arter som reker, tilapia og marin fisk, fordelt på tre hele dager i økter både formiddag og ettermiddag. Hver økt har ekspertmoderatorer for hvert av emnene.

Arrangementet vil inneholde et investeringsforum der avtaler forventes å bli inngått for fremtidige akvakulturprosjekter, samt en mulighet for offentlige enheter som INAPESCA til å tilby et forum som er åpent for alle deltakere om temaer som alger, krepsdyr, muslinger og bløtdyr og marin fisk.

Det skal bemerkes at arrangementet også vil være stedet hvor

det første møtet til det nyopprettede Meksikanske Aquaculture Society SOMEXACUA vil finne sted. I løpet av dette møtet vil WAS-SOMEXACUA-prisene deles ut for første gang til personligheter som har bygget opp akvakultur i Mexico gjennom årene.

LA WA2021 vil ha fire plenumskonferanser med anerkjente internasjonale gjester. Ett av plenumsforedragene med tittelen «Er vi så åpne for tangoppdrett at hjernen vår faller ut? Tangfantasier og fakta og hvordan man best kan få fart på tangoppdrett”.

Det vil bli ledet av Barry Antonio Costa-Pierce, som er president/administrerende direktør i Ecological Aquaculture Foundation med kontorer i USA (Maine, Hawaii) og Portugal (Azorene).

Generaldirektøren for United States Soybean Export Council (USSEC), Jim Sutter, vil i plenum presentere "Impact of sustainability on Responsible Aquaculture, cultivating the land to protect the ocean".

Samme dag vil den chilenske industriingeniøren og internasjonale konsulenten innen akvakultur og fiskeri, Carlos Wurman, holde sin presentasjon med tittelen «Looking ahead: Challenges and Opportunities for a Sustainable Aquaculture».

Presidenten for WAS, Dr. Antonio Garza de Yta, avslutter plenumssesjonene torsdag 26. med en presentasjon med tittelen "Betydningen av fagforeningene for fremtiden for akvakultur".

I tillegg til konferansene vil det være en messe med mer enn 80 stands for visning av produkter og tjenester, der selskaper fra Latin-Amerika, USA, Europa, Afrika og Asia vil delta. Det forventes besøk av mer enn 2000 deltakere.

World Aquaculture Society er en internasjonal organisasjon som består av medlemmer fra mer enn 100 land som har som formål å fremme utvikling og akvakulturutdanning, vitenskap og teknologi, i tillegg til å samle inn og formidle informasjon om akvakultur over hele verden.

Industri-arrangementer
International Aquafeed - Mai 2022 | 55

Bühler

Welcome to the market place, where you

find suppliers of

services to the industrywith help from our friends at The International Aquafeed Directory (published by Turret Group)

Ferraz Maquinas e Engenharia +55 16 3615 0055 www.ferrazmaquinas.com.br

FrigorTec GmbH +49 7520 91482-0 www.frigortec.com

IDAH +866 39 902701 www.idah.com

Ferraz Maquinas e Engenharia +55 16 3615 0055 www.ferrazmaquinas.com.br

IDAH +866 39 902701 www.idah.com

Ottevanger +31 79 593 22 21 www.ottevanger.com

Wenger Manufacturing +1 785-284-2133 www.wenger.com

Yemmak +90 266 733 83 63 www.yemmak.com

Zheng Chang +86 2164184200 www.zhengchang.com/eng

Feed and ingredients

Adisseo + 33 1 46 74 70 00 www.adisseo.com

Aller Aqua +45 70 22 19 10 www.aller-aqua.com

Alltech +44 1780 764512 w: www.alltech.com

Anpario +44 1909 537 380 www.anpario.com

Biorigin www.biorigin.net

GePro +49 54415 925252 www.ge-pro.de

Grupo Dibaq +34 921 574 286 www.dibaqacuicultura.es

Grand Fish Feed +202 20 650018 www.grand-aqua.com

Liptosa +34 902 15 77 11 www.liptoaqua.com

Phileo (Lesaffre animal care) +33 3 20 81 61 00 www.lesaffre.fr

Skretting + 47 51 88 00 10 www.skretting.com

Feed

Clextral

+1 813 854 4434 www.clextral.com

Van Aarsen International +31 475 579 444 www.aarsen.com

Faivre

+ 33 3 81 84 01 32 www.faivre.fr

Aerators
Air products
6400 www.kaeser.com Additives
+49 618 1596785 www.evonik.com Liptosa +34 902 157711
Phibro +972 4 629 1833 www.phibro-aqua.com Analysis R-Biopharm +44 141 945 2924 www.r-biopharm.com Romer Labs +43 2272 6153310 www.romerlabs.com Amino acids Evonik +49 618 1596785 www.evonik.com Bulk storage Silo Construction & Engineering +32 51723128 www.sce.be Silos Cordoba +34 957 325 165 www.siloscordoba.com Symaga +34 91 726 43 04 www.symaga.com TSC Silos +31 543 473979 www.tsc-silos.com Conveyors Vigan Enginnering +32 67 89 50 41 www.vigan.com Colour sorters Bühler AG +41 71 955 11 11 www.buhlergroup.com Satake +81 82 420 8560 www.satake-group.com Computer software Inteqnion +31 543 49 44 66 www.inteqnion.com
Faivre + 33 3idah 81 84 01 32 www.faivre.fr
Kaeser Kompressoren +49 9561
Evonik
www.liptosa.com
Coolers & driers
AG +41 71 955 11 11 www.buhlergroup.com Consergra s.l +34 938 772207 www.consergra.com FAMSUN +86 514 85828888 www.famsungroup.com
Wenger Manufacturing +1 785-284-2133 www.wenger.com
Drum filters
Elevator buckets
+90 212 465 60 40 www.alapala.com Tapco Inc
314
9191
Elevator & conveyor components 4B Braime +44 113 246 1800 www.go4b.com Enzymes Evonik +49 618 1596785 www.evonik.com Biomin +43 2782 803 0 www.biomin.net Equipment for sale ExtruTech Inc +1 785 284 2153 www.extru-techinc.com Extruders Almex +31 575 572666 www.almex.nl Andritz +45 72 160300 www.andritz.com Buhler AG +41 71 955 11 11 www.buhlergroup.com Clextral +1 813 854 4434 www.clextral.com
Yemmak +90 266 733 83 63 www.yemmak.com
Faivre + 33 3 81 84 01 32 www.faivre.fr
Alapala
+1
739
www.tapcoinc.com
Mill
Fish counters
56 | Mai 2022 - International Aquafeed
will
products and
Fish Graders Faivre + 33 3 81 84 01 32 www.faivre.fr Fish pumps Faivre + 33 3 81 84 01 32 www.faivre.fr Fish Stunning Ace Aquatec + 44 7808 930923 www. aceaquatec.com Grinders Grand Fish Feed +202 20 650018 www.grand-aqua.com Hammermills Dinnissen BV +31 77 467 3555 www.dinnissen.nl Ferraz Maquinas e Engenharia +55 16 3615 0055 www.ferrazmaquinas.com.br Yemmak +90 266 733 83 63 www.yemmak.com Yemtar +90 266 733 8550 www.yemtar.com Moisture analysers Hydronix +44 1483 468900 www.hydronix.com Nets & cages FISA +51 998128737 www.fisa.com.pe Packaging FAWEMA +49 22 63 716 0 www.fawema.com Paddle Mixer Anderson www.andersonfeedtech.com IDAH +866 39 902701 www.idah.com Pellet mill Clextral +1 813 854 4434 www.clextral.com IDAH +866 39 902701 www.idah.com PTN +31 73 54 984 72 www.ptn.nl Plants Andritz +45 72 160300 www.andritz.com Buhler AG
Zheng Chang +86 2164184200 www.zhengchang.com/eng Pulverisers IDAH +866 39 902701 www.idah.com Predator Defence Ace Aquatec + 44 7808 930923 www. aceaquatec.com Probiotics Biomin +43 2782 803 0 www.biomin.net RAS Equipment Fish Farm Feeder +34 886 317 600 www.fishfarmfeeder.com FISA +51 998128737 www.fisa.com.pe RAS system Aqua Ultraviolet +1 952 296 3480 www.aquauv.com Silos FAMSUN +86 514 85828888 www.famsungroup.com TSC Silos +31 543 473979 www.tsc-silos.com Vacuum Dinnissen BV +31 77 467 3555 www.dinnissen.nl Ferraz Maquinas e Engenharia +55 16 3615 0055 www.ferrazmaquinas.com.br Yemmak +90 266 733 83 63 www.yemmak.com Weighing equipment Ottevanger +31 79 593 22 21 www.ottevanger.com Yemmak +90 266 733 83 63 www.yemmak.com Yeast products ICC, Adding Value to Nutrition +55 11 3093 0753 www.iccbrazil.com Leiber GmbH +49 5461 93030 www.leibergmbh.de Phileo (Lesaffre animal care) +33 3 20 81 61 00 www.lesaffre.fr To include your company in the International Aquafeed market place in print, and a company page on our website contact Tuti Tan +44 1242 267700 • tutit@perendale.co.uk To visit the online market place visit: www.aqfeed.info/e/1130 International Aquafeed - Mai 2022 | 57
+41 71 955 11 11 www.buhlergroup.com Clextral +1 813 854 4434 www.clextral.com Dinnissen BV +31 77 467 3555 www.dinnissen.nl FAMSUN +86 514 87848880 www.muyang.com Ottevanger +31 79 593 22 21 www.ottevanger.com Yemmak +90 266 733 83 63 www.yemmak.com Yemtar +90 266 733 8550 www.yemtar.com

MyMag - the Aquafeed info links system

Company maglink Page Number

Ace Aquatec aqfeed.info/e/1216 39

Adisseo aqfeed.info/e/1101 21

Aller Aqua aqfeed.info/e/1217 37

Alltech Coppens aqfeed.info/e/1111 13

Almex aqfeed.info/e/1270 44

Anpario aqfeed.info/e/1219 16

Aqua Ultraviolet aqfeed.info/e/1220 43

Cablevey Conveyors aqfeed.info/e/1304 16

Dibaq Aquaculture aqfeed.info/e/1440 32

Dinnissen aqfeed.info/e/1224 31

DSM aqfeed.info/e/1103 11

Faivre aqfeed.info/e/1225 15

Famsun aqfeed.info/e/1104 64

Fish Farm Feeder aqfeed.info/e/1265 25

GePro aqfeed.info/e/1228 16

Grand Fish Feed aqfeed.info/e/1395 2

Hydronix aqfeed.info/e/1305 43

Inteqnion aqfeed.info/e/1271 29

Kaeser Compressors aqfeed.info/e/1114 35

Leiber aqfeed.info/e/1231 17

Liptoaqua aqfeed.info/e/1267 40

Orffa aqfeed.info/e/1233 29

Ottevanger aqfeed.info/e/1235 10

Phileo aqfeed.info/e/1240 27

TekPro aqfeed.info/e/1306 36

The Packaging Group aqfeed.info/e/1272 5

TSC aqfeed.info/e/1269 8

Vita Aqua Feeds aqfeed.info/e/1350 19

VanAarsen aqfeed.info/e/1273 19

Wenger aqfeed.info/e/1274 23

Zheng Chang aqfeed.info/e/1266 63

International Aquafeed's myMAG shortlinks are custom links that enable readers to get the most out of the products we showcase in the magazine each month.

QR CODES & myMAG LINKS to digital content

Custom QR codes and short links can be placed against any content in the magazine and linked to any content on the web.

FISH FARMING TECHNOLOGY Market place members in this issue See company profile See advert on page
myMAG LINKS AND PAGE myMAG

intervjuet

Nabil Hamid,

&

Grand Fish Feed, Egypt

Nabil Hamids "eventyr" innen akvakultur startet med at han flyttet fra Egypt til USA da han var en yngre mann som nettopp var på vei inn i arbeidslivet. Han skulle etter hvert starte en limousinvirksomhet i New York. Endringer i reisebransjen åpnet deretter muligheter for å betjene bedrifter så vel som amerikanske myndigheter med internasjonale flybilletter og turer. Denne virksomheten vokste og utviklet seg bra for Hamid.

Så i 2015 inviterte Egypts president Abdel Fattah el-Sisi gründere av egyptisk opprinnelse til et møte angående sitt ønske om utvikling og investeringer i Egypt, på tvers av en rekke fronter.

Etter å ha studert markedene og alltid ønsket å reise hjem, slo Hamid seg på akvakultursektoren og avviklet sin amerikanske virksomhet og returnerte til Egypt. Deretter utviklet han både lokale og internasjonale kontakter innen fôrutstyrsarenaen, et grep som resulterte i at Grand Fish Feed ble Egypts nyeste akvafôrprodusent i januar 2018.

Selskapet er lokalisert i New Damietta nær Middelhavet og Port Said, et sted som ifølge Hamid «tillater import av nødvendige råvarer og også eksport». Det som begynte som en lokal fôrprodusent er nå en etablert internasjonal organisasjon.

International Aquafeed møtte nylig Hamid for å diskutere veksten til selskapet hans, nøkkelfaktorene som har formet hans egen karriere i bransjen, innflytelsen fra aktuelle globale hendelser på de egyptiske markedene, samt visomsord han måtte ha ønske om å dele med alle som vil starte sin egen karriere i akvafôrindustrien.

I løpet av de siste årene har Grand Fish Feed vært den raskest voksende akvatiske fôrprodusenten i Egypt.

Hva skyldes denne suksessen?

Det skyldes blant annet å ha venner i bransjen som ga gode råd om det utvalgte utstyret, og konsulentene som ga råd om viktige sider ved fôrproduksjon i starten av denne prosessen har også vært svært viktig. Jeg takker også for godt anleggsdesign, en stor stab av ansatte og utvikling av teknologien og prosesser for å lage fôr i verdensklasse med lavest mulig FCR.

Som i alle industrielle prosesser ble vår foredlet og justert for å oppnå maksimal kapasitet og kvalitet. Vårt avanserte laboratorium som tester kvaliteten på innkommende ingredienser så vel som sluttprodukter sikrer avansert suksess i fôrkvalitet. Datakontroll av prosessen tillater sluttproduktspesifikasjoner ønsket av industrien. Bruk av internasjonale høyt kvalifiserte ernæringsfysiologer støtter vår innsats med justeringer etter hvert som nye ingredienser dukker opp og ingredienskostnadene rettferdiggjør modifikasjoner slik at vi kan holde kostnadene så lave som mulig.

Det er kombinasjonen av alt det ovennevnte som har skapt vår suksess. Over 45 000 tonn ble produsert av selskapet vårt i 2021, og vi ser frem til fortsatt vekst i årene som kommer.

Hva er hovedartene du produserer fôr til, og hvordan støtter du oppdretterne i deres bestrebelser?

Tilapia, multe, reker, havabbor, brasme og settefiskfôr er de viktigste artene, men vi er ikke begrenset til disse etter hvert som industrien utvikler seg. Oppdrettssystemene varierer, og vi streber etter å støtte dem med de nødvendige proteinnivåene samt produktegenskaper og pelletstørrelser som kreves for hver enkelt art og størrelse på fisken.

Flytende tilapia-fôr for dammer etter behov, samt synkende tilapia- og multe-fôr for polykulturdamsystemer er utviklet og foredlet. Kontroll av synkehastigheten gir begge artene tilstrekkelige fôrvolumer for både topp- og bunnfôring. Våre eksperter på lokalt fôrbruk bistår og besøker oppdretternes lokaliteter og kontrollerer regelmessig fôrbruk og gir råd om fôrmengder pr. dag. Vannkvaliteten blir også undersøkt for å hjelpe til med å oppnå best mulig fôrfaktor for dammene deres. Vurdering av fiskekvalitet og tilstand sikrer sunne sluttprodukter av høy kvalitet for markedet.

Installerer du nå en linje nummer to for avansert akvatisk fôrproduksjon, og i så fall, hva er fordelene og hvordan vil dette utvide markedet ditt?

Ja, vi installerer en ny linje med det mest avanserte prosessutstyret i bransjen. Et Wenger Twin Screw Aquaflexsystem fullstendig datastyrt støttet med høykvalitets utstyr fra hele verden som PLP, Tietjen, Dinnissen og andre som sikrer høykvalitets fôr. Dette anlegget vil støtte vår eksport så vel som innenlands salg med alle fôr som er nødvendig. Minst mulig fôrdiameter, som 0,5 mm diameter, vil fremme settefisk

og små yngelfisk samt rekefôr og deres vekstutvikling. Større diametre og akvatiske spesialfôr kan og vil bli produsert. RAS, resirkulerende akvakultursystem, krever spesialfôr basert på antall fisk i disse systemene. Mulighetene finnes hvis vi mottar interesse for fôr med bevegelse i vannsøylen, som brukes til å tiltrekke fiskearter som er vanskelige å fôre, samt at det som omtales som nøytralt flytende fôr er mulig, eller så er jeg blitt fortalt av våre konsulenter. Interessen for fôr med probiotika er også på horisonten, der temperaturen kontrolleres i prosessen for å sikre overlevelse. Denne industrien er i et dynamisk eksponentielt vekststadie og utviklingen på mange områder skjer raskt. Vi ser frem til utfordringen med å produsere det fôret som kreves nå og for fremtiden, med alle de nye spennende ingrediensene og fôrkravene i utvikling.

Hvilke problemstillinger knyttet til ernæring og produksjon vil du se adressert i tiden fremover og hvorfor?

Ernæring og produksjon er viktig, men på dette tidspunktet er det ikke mange spørsmål å diskutere med hensyn til tilapia og multe. Vi oppnår et stort produksjonsvolum og det tok litt tid å tilpasse anlegget til det.

Når det gjelder nye akvatiske arter, vil de mer tilgjengelige dataene om ernæringsbehov til disse fiskene og fôrspesifikasjonene være viktige for fôrdesign for gode konverteringsrater etter hvert som akvakulturen utvikler seg. Hvilke råd vil du gi til nye generasjoner som begynner å våge seg inn i bransjen, stilt overfor en verden som er i konstant endring?

Mitt råd vil være å jobbe hardt, forstå feltet ditt og følge med på fremskritt i bransjen. I løpet av mine få år i akvakultur er det åpenbart at det er en enorm innsats på alle nivåer og sektorer for å forbedre seg. Dam-håndtering, fremskritt i fôringredienser, og utstyrsforbedringer skjer hele tiden.

Evaluering av disse endringene og hvordan de påvirker din nåværende situasjon vil føre til forbedringer gjennom hele kjeden. Verden er i endring, og vi må være flinke nok til å justere deretter.

Med

den nåværende situasjonen i Ukraina, hvordan ser du for deg at dette vil påvirke det egyptiske markedet i tiden fremover?

Egypt blir påvirket, og hvor lenge det vil vare vil bli bestemt med tiden. Egypt importerer varer fra Russland og Ukraina som nå er usikre, hovedsakelig hvete. Hvete er til konsum ettersom egypterne elsker brød, men vi får biproduktene, hovedsakelig hvetekli som i noen tilfeller utgjør en stor del av fôrblandingene. Diskusjoner pågår for å sikre hvete fra andre steder, da omtrent 75 til 80 prosent av hveten vår kommer fra Russland og Ukraina. Det er håp om at vi snart kommer tilbake til normalen for å unngå disse problemene.

60 | Mai 2022 - International Aquafeed
International Aquafeed - Mai 2022 | 61

NYTT OM NAVN

Nord universitet ansetter ny professor II i havbruksteknologi

B

endik Fyhn Terjesen, som er leder for landbasert innovasjon og utvikling i Cermaq Group, vil kombinere sitt arbeid i selskapet med en professor II-stilling ved Fakultet for biovitenskap og akvakultur ved Nord universitet i Bodø.

Han skal undervise bachelor- og mastergradsstudenter og etter hvert også veilede doktorgradsstudenter. Dette vil også innebære å utvikle kurs til etterutdanning innen akvakulturteknologi, spesielt med fokus på RAS/postsmolt. Kursene vil være åpne for alle oppdrettsbedrifter og andre i regionen. Det langsiktige målet er også å sette i gang ulike forskningssamarbeid med eksterne aktører.

"Vi er veldig glade for å ha Bendik Fyhn Terjesen med på laget i en professor II-stilling, sier dekanus Mette Sørensen ved Fakultet for biovitenskap og akvakultur ved Nord universitet i Bodø. "Terjesen er en meget erfaren akvakulturforsker med bred erfaring innen resirkulering og postsmoltproduksjon."

CyberAg utnevner tidligere fungerende CIO i USDA til sitt rådgivende styre

CyberAg kunngjør utnevnelsen av tidligere fungerende CIO i USDA Joyce Hunter som leder av det nye rådgivende styret. Hunter skal lede strategiutvikling for CyberAgs rådgivningstjenester for USDA, Farm Credit System og industripartnere.

Hunter ble tidligere utnevnt av president Barack Obama til vise-CIO, deretter fungerende CIO for USDA og har blitt utnevnt av Security Magazine til en av de mest innflytelsesrike personene innen sikkerhet i 2020.

Hun tar med seg tre tiårs erfaring til rollen og fungerer også som administrerende direktør for Institute for Critical Infrastructure Technology (ICIT), en ideell tenketank for cybersikkerhet.

"Landbrukets cybersikkerhet er gjenstand for økende bekymring ettersom bøndene tar i bruk IoTteknologier raskere," bemerker Hunter. "Vi må vurdere hastigheten på gjennomføringen av disse initiativene, og CyberAg er posisjonert for å gi de nødvendige ressursene for å hjelpe amerikanske bønder umiddelbart."

Europêche utnevner ny tunfiskgruppedirektør

Med utnevnelsen av Anne-France Mattlet som direktør for Europêche, det ledende handelsorganet som representerer fiskeindustrien i Europa, styrker man teamet sitt for å øke organisasjonens støtte til bærekraftig tunfiske i bredere EU og internasjonale beslutningsprosesser. Med over 5 års erfaring med internasjonal hav-forvaltning og tunfiskrelatert politikk i den franske administrasjonen, har Mattlet utviklet en dyp forståelse av beslutningsprosessen for fiskeripolitikk. Hun vil ha ansvaret for Europêches tunfiskstrategi og hun vil fokusere på initiativer som revisjon av EUs fiskerikontrollsystem, toleransemarginen og de autonome tollkvotene for tunfiskloins.

"Vi er glade for å ha fru Mattlet på laget til Europêche og ønsker henne hjertelig velkommen om bord," kommenterer Javier Garat, president i Europêche. "Hennes erfaring og ekspertise på tunfisksaker vil utvilsomt være en verdifull ressurs for våre selskaper på den internasjonale arena."

Nettlakkspesialist Steen-Hansen varsler lederskifte

B

unnstoffbedriften Steen-Hansen har ansatt Ulrik Ulriksen som ny administrerende direktør. Ulriksen kommer fra stillingen som Chief Operating Officer i samme selskap, hvor han har jobbet med forretningsutvikling og vekst i over seks år.

Hans omfattende erfaring i havbruksnæringen har også gjort at han har fungert som serviceleder i Aquasmart (nå AKVA Group), leder for utviklingsarbeidet for både Arena og Ocea (nå ScaleAQ) samt andre lederroller i både Norge og Chile.

«Jeg er veldig takknemlig for få å jobbe for et selskap med så dyktige medarbeidere og fremtidsrettede eiere. Å lede Steen-Hansen er som å jobbe med et drømmeteam; kollegaer med engasjement, kreativitet og stå-på-vilje som er helt unik, sier Ulriksen.

"Sammen skal vi bygge videre på det gode arbeidet som er gjort og løfte selskapet til enda høyere mål."

62 | Mai 2022 - International Aquafeed
Official Website Facebook ZhengChang Group : No.28 Zhengchang Road, Kunlun Development Zone, Liyang, Jiangsu, China : +86 21-6418 4200 Fax : +86 21-6416 3299 : International@zhengchang.com : www.zhengchang.com/eng Address Telephone E-mail Website Vertical Vacuum Spraying Machine SZPL Series Remark: Optional Powder Spray System Optional CIP (Clean In Place) Particle Diameter Model 1~30mm SZPL 2000,3000,5000 Liquid Addition Spray Uniformity Residual rate 1~36% Cv≤7% ≤0.5% Batch Working Time 5~7min Maximum Vacuum Vacuum Retention 40mbar ≤100mbar/5min

Turn static files into dynamic content formats.

Create a flipbook
Issuu converts static files into: digital portfolios, online yearbooks, online catalogs, digital photo albums and more. Sign up and create your flipbook.