CHINESE LANGUAGE EDITION - International Aquafeed - issue 3 - 2022

Page 1

International Aquafeed第 25 卷第 5 期2022 年 5 月 www.aquafeed.co.uk www.fishfarmingtechnology.net 案例研究 抗海虱鲑鱼 - 第 13 版摩纳哥蓝色 倡议 - 基于昆虫的鱼饲料 - 提高罗非鱼性能: 用有机硒酵母预防 氧化应激 - 开放养殖、网箱变形& 鱼类 - 三文鱼养殖中的纳米 气泡技术:使用氧气 恢复厌氧条件并增加 养殖密度 在您的手机上 查看我们的档 案和语言 版本! 2022 年 5 月 无国界水产养殖 的骄傲支持者英 国首席信息官 鱼类养殖技术
欢迎 www.aquafeed.co.uk 截止发稿时,来自国际水产饲料杂志的团队刚 刚在苏格兰阿维莫尔的英国水产养殖展取得了 巨大成功。在那里,我们收获了信息和收入。 自从我们能够在清新的凯恩戈姆空气中开 展业务,已经有一段时间了。我们很高兴能 维持老朋友,并与一大堆潜在的客户建立新 联系。因此,在我们开始沿着A9回家的漫长 旅程之前,我要感谢组织者英国 Diversified Communications,并祝贺他们举办了一场非常 成功且秩序井然的展会。我们将在杂志 6 月版 中发布完整的展会报告。 今年的水产养殖贸易展体现了行业的复兴。我有幸亲自参加的一 系列活动,亲眼目睹了不断增长的信心,这在参观者和参展商中都 清晰可见。但我们都知道,Covid-19 并没有完全消失 在活动中 的人群中仍有一些戴口罩的面孔。但我们活动范围更大了,开始 有一点感觉又像以前的状态了。 另一个我们都希望很快结束但在发稿时仍未结束的情况是乌克兰 的冲突。自二月底以来,我们都通过我们的屏幕和报纸版面目睹了 持续不断的冲突在我们面前展开。为了应对其侵略行为,对俄罗斯 利益的制裁升级,该国的船只和卡车不再被允许进入挪威的港口和 道路,新措施将于2022年5月7日生效。根据欧盟的政策,挪威实施 的最新制裁包括限制更多的俄罗斯商品出口,以及其他被认为对俄 罗斯国民收入很重要的商品。然而,俄罗斯渔船不受禁令约束, 仍将被允许前往挪威造船厂。斯堪的纳维亚国家 希望保护巴伦支海合作的救援和研究船以及一项 历史性的搜救协议。 本月的国际水产饲料杂志看到了另一个历史性 合作伙伴关系的延续,蒂埃里肖邦博士为最近的 摩纳哥蓝色倡议提供了一份详细而简洁的报告。 这与我们的水产养殖案例研究形成鲜明对比。 罗斯林研究所的Inês Crespo和Diego Robledo 展 示了他们在开发抗海虱鲑鱼方面的研究结果, 以期结束一段不那么愉快但富有成效的历史关 系。我们的5月版还拥有内容丰富的鱼类养殖技术相关内容。例 如,Fiskaaling的一篇题为“开放养殖、网箱变形&鱼类”的文章和智 利公司 ChucaoTec的一篇相当新颖的文章详细介绍了纳米气泡技术 在鲑鱼养殖中的使用情况。本月的营养部分介绍了西班牙Tebrio的 昆虫鱼饲料报告以及巴西 Lesaffre和Phileo旨在提高罗非鱼性能的试 验结果。我想借此机会感谢我们所有的贡献者帮助我们整理了另一 个很棒的问题。 国际水产饲料杂志重视与投稿人、广告商、读者和业内朋友的联 系。这就是为什么我们总是会参加尽可能多的活动 因为有时电 子邮件或电话是不够的。 同样,我们一直在努力让我们的读者了解最新的创新,这些创新 要么增加价值,要么简单地减少饲养鱼类的难度。 山东大学 谷珉博士 翻译 Marel收购温吉尔Wenger制造公司 (马瑞奥)公司已经同意收购 (温吉尔制造公司),这家 冰岛公司表示,“这是作为对新的有吸引力 的增长市场的战略平台投资”。 是一家长期、专注于膨化的公 和Lou Wenger在美国堪 成立。 500名员工和一个全球 品牌,两家公司都因其在畜禽饲料生产方 面的创新而在世界各地受到高度认可和尊 重,特别是在水产饲料和宠物食品方面。 正式成立了一个专注于宠 物食品和植物蛋白的业务开发部门。 在过去的几十年里,Wenger制造在膨化 加工中引入了许多突破性的技术,并影响 了公司和工业部门的发展。Wenger将成为 独立的Marel业务部门,专注于宠物食品、 植物蛋白和水饲料。 Marel成立于在冰岛,它的渔业使命是成 为全球渔业的领导者。后来,随着时间的 推移,该公司将肉类行业活动纳入其中, 并在20世纪60年代改变了其使命宣言,成 为现在所称的“全球食品企业”。该公司对 此次收购进行了5.4亿美元的总投资,同时 估计Wenger出售的终端市场价值约为20亿 美元,年增长率在4%到6%之间。 Wenger制造将成为继Marel的家禽、肉类 和鱼类部门之后的一个新的增长支柱,使 该公司能够逐步扩大其竞争生存环境。 这意味着这两位技术领袖将携手改变食 品加工方式。收购的理由是Wenger强大的 终端市场,广泛提供膨化技术——这将配 合Marel的全球影响力和数字平台。 这些在线门户网站似乎将被用于新的有 吸引力的市场,如植物蛋白、水饲料和宠 物食品,这些市场需要进一步加工、包 装、标签、营销和分销。Wenger 制造与 广泛的产品供应(包括膨化、干燥和动力 加热设备)形成了强大的战略匹配,Marel 战略业务部门的首席战略官和执行副总裁 Arni Sigurdsson补充道。 这将支持Marel公司对新的有吸引力的终 端市场的第四个支柱重点,并使公司在融 入其全球覆盖和数字平台时成为一个更平 衡的商业模式。 一些财务安排仍有待敲定,但收购预计 将在2022年6月底前完成。 Roger Gilbert 出版商 – 国际水产饲料和鱼类养殖技术
我发现五月在英国是一个非常富有成效的时 间,因为它预示着夏天的开始,我们还观察 到大自然的更新、植物重获生命和鸟鸣。 而阳光明媚的更长的日子似乎刺激了我的工 作模式。 事实上,最近这些年来我一直是过度日晒的 受害者,我患上了表皮日光性角化病,这是 鳞状细胞癌的早期形式。当我写四月刊时, 我想到了所有真皮的东西,我说鱼是外胚层,真的吗?在教授鱼 类生物能量学30多年之后,我当然想说的是等温动物,它们是变 温动物。道歉!当我每月撰写本专栏并将鼠标悬停在键盘上直到 深夜时,这些都是错别字和错误。谁发现了我在全球传播的错 误?我很高兴我的杰出同事 Sachi Kaushik博士如此警觉并指出 了这一点!我们对此开了个玩笑,他对细节的敏锐洞察力值得称 赞。我很高兴地说,我的严重病变已得到控制,也许具有粘液层 的鱼皮对人类会更好。可悲的是,也许不是! 鱼也容易受到晒伤和相关的表皮损伤。虹鳟鱼的剥皮病会影响 鱼的背部区域。位于科罗拉多州和秘鲁山区以及库尔德斯坦等高 海拔地区的养鱼场过去曾报告过,由于地球臭氧层的消耗,日光 强度强且自然过滤能力较低的病变会更加严重。 Bullock于1984 年研究了紫外线对水生生态系统的影响以及对虹 鳟鱼等鱼类的影响,详细研究了鱼皮肤对紫外线照射的组织病理 学变化。这种影响与人类皮肤细胞的变化非常相似。 许多年前,作为爱达荷州的博士后研究员,我在国际水产养殖 研究中心工作,提出了如何保护鱼类免受过度晒伤的方法。我认 为应该引入更多的覆盖物来保护混凝土跑道上的鱼。然而,当它 们在浅滩觅食时,鳟鱼的背部不得不在水线下几厘米处,而强烈 的紫外线可以穿透数米水深。是否有可能通过了解营养如何影响 鱼类,尤其是鲑鱼的皮肤来减轻高紫外线的影响? 黑色素使鱼的背部呈黑色,鳟鱼和鲑鱼侧面的斑点在这方面具 有很好的保护作用,杯状细胞产生的粘液也是如此。黑皮质素系 统是一种复杂的神经内分泌信号机制,涉及脊椎动物的许多生理 过程,包括色素沉着、类固醇产生和代谢控制,尚有多方面待研 究。目前已经确定特定细胞受体 (Mc1r) 的控制功能。该受体在 鱼皮中高度表达,调控黑色素生成和黑色素体在鱼黑色素细胞中 的分散。由于压力和潜在环境因素(如强烈 的阳光)引起特定细胞受体的激活将是有趣 的探索。饲料因素有可能可以增强黑色素的 产生并增加杯状细胞分泌物和鱼类粘液的质 量,例如β-葡聚糖和 MOS(甘露寡糖)。 与哺乳动物不同,鱼类在肝脏中从色氨酸合 成烟酸的能力非常低,因此必须通过饮食摄 入来满足需求。其他维生素也被认为对鱼类 的皮肤健康很重要,例如维生素C(胶原蛋白合成)和微量元素 锌的补充。锌在与免疫系统和伤口愈合机制相关的关键调节酶中 起重要作用。硒也将是有意义的,尤其是有机复合形式,因为它 在抗氧化酶如谷胱甘肽过氧化物酶中的作用已得到充分证明,而 谷胱甘肽过氧化物酶是自由基(反应性氧化物质,ROS)的清除 剂。这些物质可以通过紫外线在鱼皮表皮等组织中的相互作用 产生。事实上,鱼皮中硒含量较高,这一事实值得考虑。考虑到 气候变化、温度升高以及更广泛和更强烈的紫外线,因此可能需 要对鱼类的皮肤和粘膜屏障进行更多的工作。鱼类营养可以提供 一种改善鱼类完整性和氧化防御能力的方法,通过更好的饲料配 方来保护生产过程中免受阳光引起的损害。 在相关问题上,我们知道温暖的条件可能会增加鱼类病原体的 风险,包括细菌感染威胁。益生元和益生菌的研究非常适合推进 我们的预防策略,我很高兴参与开发新产品的重大进展。我们在 爱尔兰戈尔韦国立大学的工作延伸到评估新产品的试验,例如细 菌细胞蛋白、功能性饲料添加剂和富含藻类生物质的鱼类脂肪 酸。这项工作是长期的,需要几个月的时间来进行全面的鱼类喂 养研究。实验室方法在分析方面一直在改进,并且在全球形势下 变得相当昂贵。该行业需要为科学发展、技术技能和商业敏锐度 提供持续的人才供应。我的同事Alex Wan博士和我热衷于调查水 产养殖和蓝色经济观点的需求,希望您能抽出宝贵时间完成以下 链接。仅需10分钟即可完成,对制定适合未来水产养殖的研究生 水平培训要求非常有帮助。 水产养殖中的人力资本和蓝色生物经济观点: https://aqfeed.info/e/1423 山东大学 谷珉博士 翻译 西蒙·戴维斯教授 国际水产饲料营养编辑 4 | 2022 年 5 月 - International Aquafeed

The Packaging Group GmbH Gerberstraße 50 · 51789 Lindlar, Germany · www.the-packaging-group.com

YOU CAN THINK IT
CAN PACK IT
IF
WE
Watch our sustainable packaging solutions at: www.the-packaging-group.com/videoportal

罗杰·吉尔伯特 rogerg@perendale.co.uk

总编辑

彼得·帕克 peterp@perendale.co.uk

国际编辑

麦康森博士(中文版) mai@perendale.com

安东尼奥·加尔萨教授(西班牙语版) antoniog@perendale.com

埃里克·亨佩尔(挪威语版) erikh@perendale.com

编辑顾问团

• 阿卜杜勒-法塔赫·赛义德教授

• 吴艾伦博士 • 安东尼奥·戈维亚教授

• 白志豪教授

• 丹尼尔·梅里菲尔德博士

• 多米尼克·比罗博士

• 伊丽莎白·斯威特曼博士

• 金·琼西博士

• 埃里克·德·穆伊尔德博士

• 佩德罗博士

• 穆罕默德·哈桑博士

编辑团队

西蒙·戴维斯教授 sjdaquafeed@gmail.com

安德鲁·威尔金森 andreww@perendale.co.uk

凯特琳·吉廷斯 caitling@perendale.co.uk

莱瓦纳·霍尔 levanah@perendale.co.uk

国际营销团队

Darren Parris 电话: +44 7854 436407 darrenp@perendale.co.uk

拉丁美洲营销团队

克拉丽莎·加尔萨·德·伊塔 Tel: +52 669 120 0140 clarissag@perendale.com

克里斯蒂娜·玛丽亚·罗尔丹·奥特罗 电话: +44 1242 267700 cristinaperendale@gmail.com

埃及营销团队

穆罕默德·巴罗姆

电话: +20 100 358 3839 mohamedb@perendale.com

印度营销团队

巴布博士 +91 9884114721 tdbabu@aquafeed.org

亚洲营销团队

冯但丁 Tel: +886 0227930286 dantef@perendale.com 尼日利亚营销团队 内森·恩沃苏 电话:+234 8132 478092 nathann@perendale.com

设计经理 詹姆斯·泰勒 jamest@perendale.co.uk

流通与活动经理 图蒂坦

本期内容 鱼类养殖技术 ©Copyright 2020 Perendale Publishers Ltd. All rights reserved. No part of this publication may be reproduced in any form or by any means without prior permission of the copyright owner. More information can be found at www.perendale.com ISSN 1464-0058 COLUMNS 常规项目 8 行业新闻 水产养殖案例研究 佩伦代尔出版社 7 圣乔治露台 圣詹姆斯广场,切尔滕纳姆,格洛 斯,GL503PT,英国 电话: +44
1242 267700 发行人
电话: +44 1242 267706 tutit@perendale.co.uk 开发经理 安托万·坦盖 antoinet@perendale.co.uk 3 罗杰·吉尔伯特 4 西蒙·戴维斯教授 62 行业面孔 60 水产饲料访谈 56 市场 12 布雷特·格伦克罗斯 2022 年 5 月 第 25 卷 第 5 期 56 行业活动 40 技术展示 42 抗虱三文鱼
大图 鱼类养殖技术 特点 第13届摩纳哥蓝色倡议:强调需要一个大胆的海洋养护和保 护愿景,同时鼓励金融部门向海洋友好型经济过渡 在第 20 页查看更多内容 34 暴露式养殖、笼子变形与鱼类 38 三文鱼养殖中的纳米气泡技术:利用氧 气恢复厌氧条件,提高养殖密度 20 第13届摩纳哥蓝色倡议 26 以昆虫为基础的鱼类饲料 28 提高罗非鱼性能 鱼类养殖技术
BAP孵化场最终确定标准版2.0 全 球水产联盟(Global Seafood Alliance,GSA)最近公布的最佳 水产养殖规范(Best Aquaculture Practices,BAP)孵化场标准第2.0期的最终草案, 包括一系列与食品安全、工人安全、水质、污水监测 和可追溯性相关的新要求。 2.0版取代了最初于2014年9月通过的1.0版,并将于 2023年4月4日生效。在此之前,所有寻求认证或重新 认证的孵化场都不需要根据问题2.0版进行审核,从而 使机构有时间就规范中新增的要求做好准备。 2.0版有60天的公众意见征询期,并于2021年11月8日 到期,共收到27条意见。它适用于生产卵和/或幼年水 生动物的有鳍鱼类、甲壳类动物和软体动物的所有水 产养殖孵化场和育苗设施,以便活体转移到其他水产 养殖设施以及任何BAP养殖场标准涵盖的所有种类。 该规范增加了一些新的要求,包括: 孵化场现在需要对其运营相关的潜在人类食品安全 风险进行评估。 工人安全和雇员关系要求已经更新,包括工资和福 利、工作时间(包括加班)、志愿劳动、童工和青年 工人、使用招聘机构的工作人员、歧视、纪律程序、 工人发言权以及工人健康和安全。 陆上系统的污水监测参数和限值已经更新,包括循 环水养殖系统(RAS)的特有参数和限值。 对淡水或微咸水中网箱或网拦的水质监测要求已经 修订,与
forage fish dependency ratio,FFDR)的要求。 增加了对孵化场生产的活饵的要求。 孵化场必须通过有效的内部审计流程控制其亲鱼/种 蛋的来源。 更新了限制逃逸事件的要求。 可追溯性要求,特别是与显示BAP星体状态相关的可 追溯性要求被更新,现在需要进行跟踪和回溯。 中国海洋大学 张文兵博士 翻译 Silo block for dosing, 2.900 m 3 in 36 bins www.tsc-silos.com STORE SMART STORE SQUARE SPECIALIST IN THE DESIGN AND CONSTRUCTION OF TAILOR MADE SQUARE SILO BUILDINGS Scan the QR-Code for more information VictamVisitusatInternational Booth1.432 8 | 2022 年 5 月 - International Aquafeed 新闻
BAP养殖场标准第3.0期采用的方法一致。 对每年使用50吨以上干饲料的孵化场的BAP的 FIFO(fish in fish out)指数限制进行了修订, 并增加了计算饲料鱼依赖比(
经 过许多的担心和漫长的等待,重新 安排的世界水产养殖大会 WA2021 将 于 2022 年 5 月 24 日至 27 日在梅里达举 行。我想我无法用语言来表达这次 活动对我个人的意义,我想这也可 以代表墨西哥。 就我个人而言,这是我在世界水产养殖协会 20 多年的旅 程的顶点,我在一个无与伦比的环境中,在我所爱的人的 簇拥下上任了世界水产养殖协会主席的职位,标志着一个
通过工作和努力,都是可能的。 墨西哥水产养殖协会( SOMEXACUA )的最终巩固 是另一个重大事件。最后,经过这么多年,我相信会 有一个有尊严地代表该部门的组织,成员们不会问自己 SOMEXACUA 能为他们做些什么,而是他们如何通过它 为这个行业做出贡献。 追求具有重大影响的目标 今天,在观点比科学事实更重要的时代,我们必须团结 起来,通过合作工作,捍卫这个部门,捍卫我们的工作, 捍卫我们对世界和生活的看法,并追求对这一代和未来几 代人有重大影响的目标。 我们还将庆祝墨西哥国家渔业协会( INAPESCA )成立 60 周年,我在上一期已经写过,但我觉得真的有必要强调 这一点,因为我们正生活在一个国家的时刻,这个国家最 重要的渔业和水产养殖机构正生活在将他们的生存置于危 险之中的时刻,无论它看起来多么不可能。 我再次强调,我们大家必须团结一致,以便我们共同避 免其消失,而且实现其重新焕发活力。 另一件大事是,在这次活动中,我们将祝贺许多在 墨西哥水产养殖业中起到支柱作用的人。将颁发 WASSOMEXACUA 奖,水产养殖部门将在历史上首次表彰那 些在墨西哥以汗水,努力,热情和毅力贡献水产养殖 的人。 将颁发四个奖项: Karl Heinz Holtschmit 学术生涯 奖, Eric Pedersen 创新和发展奖, Beatriz Eugenia Gómez Lepe 工业和生产部门奖,以及 Margarita Lizárraga 治理、 传播和外联奖。 对于这个独特的场合,将颁发多个奖项,因为我们还有很
已经讨论了数千次,总有一天我们会再次讨论。 安息吧,我的好朋友,无论你在哪里,请继续从事 渔业,我们都会想念你的。 中国海洋大学 张文兵博士 翻译 世界水产养殖大会终于 敲定在梅里达举行 Antonio Garza de Yta Antonio Garza de Yta,奥本大学水产养殖博士,水产养殖无国界组织主席,世界水产养殖协会主席和水产养 殖专业认证(Certification for Aquaculture Professional,CAP)计划的创建者。他还是《国际水产饲料》杂志 的西班牙语编辑和国际水产养殖战略研究中心的创始人。他目前是塔毛利帕斯州渔业和水产养殖部长。 我们的第30 期印刷版现 已发布! internationalmilling.com 新闻 International Aquafeed - 2022 年 5 月 | 9
周期的结束,但也是我将与你们分享的其他周期的开始。 但真正重要的是,这个事件对墨西哥来说可以代表什 么,我会基于四个主要方面。首先,墨西哥有能力继续从 大处着眼,尽管他们试图在很多方面向我们灌输我们无法 做到的,但墨西哥人知道是可能的,生活中提出的一切,
多年的时间,在这个伟大的活动中庆祝是很重要的。最重 要的是,如果这场新冠大流行病教会了我们什么,那就是 我们必须在今天告诉人们我们的爱,而不是等待以后的某 个机会。这次活动之后,每个类别每年只颁发一个奖项。 在本专栏的最后,我得到了一个不幸的消息,我们的朋 友 Pedro Ulloa , INAPESCA 千百次战斗的伙伴,在与癌症 的斗争中失败了。 Pedro 是一位热爱生活的人,是一位渔 业专家,但他一直知道,该部门的未来是水产养殖,我们

Ottevanger Milling Engineers is supplier of machines, installations and complete process lines for the compound feed industry and grain processing companies. Our expertise in project management, engineering and production ensures the successful realization of machines, process lines and complete installations

Specialist
grain-processing
in the design and build of installations for the
and compound feed industry
www.ottevanger.com Visit us at Victam International Utrecht - The Netherlands - BOOTH 1.432 Fane Valley, Ierland | 60tph Scan the QR-Code for more information BioMar收购智能饲喂技术公司 为了成功进入虾类饲料市场,BioMar董事会 批准收购AQ1 Systems,这是世界领先的虾 类养殖声学投饲技术生产商。通过这项投 资,该公司旨在加速该行业的可持续发展之旅。 在过去的几年里,公司加强了研究和咨询服务,以适 应饲料解决方案、环境和虾的性能之间复杂的相互联 系。然而,随着BioMar宣布收购AQ1,我们又迈出了 连接这些因素的一步。 通过创新的技术解决方案加强核心饲料业务,为公司 的发展历程翻开了新的篇章。其目的是在养殖技术和 饲料解决方案之间创造新的协同效应。 “我们坚信,我们可以将知识和技术创新结合在一 起,为我们的客户提供新的有利解决方案,提高饲养 效率和可持续性,”BioMar集团首席执行官Carlos Diaz 解释说。 “通过优化投饲技术,结合智能投喂系统、综合分 析、先进的饲料解决方案和有效的渔场管理,我们可 以朝着正确的方向迈出新的一步。 “在过去的几年中,我们已经看到,如果同时引入数 据驱动的渔场管理,在对虾养殖中使用智能投饲机可 以优化饲料效率、养殖产量和可持续性。将BioMar的 饲料解决方案和技术知识加入到这一智能方案中, 会带来新的机遇。”他继续说道。 AQ1将继续作为一个独立的公司,拥有自己的商业设 置、业务系统和分销渠道,为BioMar客户和其他饲料 供应商的客户提供服务。 现有的AQ1客户不会对其服务和与AQ1的协议产生任 何改变。 “我们非常期待与 BioMar 及其母公司Schouw&Co 的合作,他们在电子和机械工程方面进行了大量投 资,”AQ1董事总经理兼创始人Ross Dodd补充道。 “我们相信这将使我们能够开发新的市场,并从广泛 的综合知识基础和全球范围内创造价值。” “与此同时,我们在支持行业增长方面有着共同的 利益。我相信,新的联盟将为技术创新开辟许多可能 性,这将使世界各地的水产从业者受益。” Ross Dodd将在收购后继续领导AQ1。 中国海洋大学 张文兵博士 翻译 10 | 2022 年 5 月 - International Aquafeed 新闻

Reducing our reliance on marine resources

We
WE
Follow us on: www.dsm.com/anh
We’re focusing our passion and expertise on cultivating marine algae that naturally produce omega 3, EPA/DHA, so we can help reduce the reliance on wild fish stocks and enable the aquaculture industry to grow.
are transforming animal nutrition and health to build a sustainable future, responsibly. If not us, who? If not now, when?
MAKE IT POSSIBLE

参考文献

1. Halpern, B. S., Frazier, M., Afflerbach, J., Lowndes, J. S., Micheli, F., O’Hara, C., ... & Selkoe, K. A. (2019). Recent pace of change in human impact on the world’s ocean. Scientific reports, 9(1), 1-8. 2. https://www.bbc.co.uk/news/world-australia-60870239 3. Gephart, J. A., Henriksson, P. J., Parker, R. W., Shepon, A., Gorospe, K. D., Bergman, K., ... & Troell, M. (2021). Environmental performance of blue foods. Nature, 597(7876), 360-365.

我最近开展了一项非常有趣的研究,内容为人类活动 对海洋生态系统的累积效应,这项研究可以使人们对海 洋面临的各种威胁有更清晰的认识。 早在2019年,哈尔彭(Halpern)等人1便研究了14种不 同因素(如气候变化、渔业、陆地污染等)对海洋生态 系统的累积效应,以及这些因素如何在11年间(20032013年)对21种不同的海洋生态系统造成影响。 研究人员还在空间基础上模拟了这些影响,为这些威 胁提供了一些地理背景。这项研究的结果为审视人类对 海洋生态系统的影响打开了新的视角。研究表明,在世 界上60%面积的海洋中,人类活动对不同的海洋生态系 统影响日益加剧,造成的累积影响也随之增加。 令人惊讶的发现是渔业活动对不同生态系统的威胁有 限。这与许多媒体宣称的渔业和水产养殖对海洋环境造 成威胁相互矛盾。事实上是一种气候变化造成的热浪引 起了几乎所有的变化。 在哈尔彭(Halpern)等人研究的生态系统中,有三个 是最脆弱的;珊瑚礁、海草和红树林。在每种生态中, 六种不同形式的捕鱼活动造成的有关影响几乎为零。最 大的威胁来自海面温度的变化和海平面上升。 除科学模型结论之外,我最近注意到,澳大利亚的大 堡礁再次被大规模的珊瑚白化事件摧毁 六年来第四次观察到如此大规模的白化现象,而在 年之前,只报道过两次。因此,这些预测的威胁显然正 在世界各地真实发生。 那么,如果气候变化是生态系统稳定和未来粮食生产 的最大威胁,那么其对我们的“海洋食品 成什么影响?与陆地食物生产相比气候变化对海洋食物 生产影响如何? 格哈特(Gephart, 2021)等最近的一项研究表明 过对渔业和水产养殖业与各种压力源相关的一系列影响 进行比较,发现在大多数情况下,水产养殖业生产每吨 食品的温室气体排放低于鸡肉生产,而渔业的平均排放 量则稍高。 值得注意的是,捕捞中上层小型鱼类(如凤尾鱼捕 捞)的温室气体排放水平在所有生产活动中属于较低的 档次,仅比海藻、双壳动物和一些鲤鱼生产过程中温室 气体排放量高。 所以,如果中上层小型鱼类不仅是一种重要的营养资 源,而且是我们应对气候变化的更好选择之一,那么可 持续的继续利用它们是否既具有营养意义又具有气候 意义?
中国海洋大学 布雷特 格伦克罗斯 (Brett Glencross) 直面未来的挑战 气 候变化与过度捕捞 Brett Glencross博士是海洋原料机构IFFO的技术总监。在过去的25年里, 他曾在大洋洲、中东和欧洲的各种学术和产业机构任职。 图1, 气候变化对海洋生态系统的 威胁比捕捞造成的威胁要大得多, 图为因气候变化引起的珊瑚白化。 12 | 2022 年 5 月 - International Aquafeed
NOURISH PROTECT SUSTAIN PRODUCTIVITY PERFORMANCE NUTRITION PROTECTION
爱尔兰海产品经济正在 不断上升 在海产品年度商业报告 中,爱尔兰海产品委员 会(Bord Iascaigh Mhara, BIM)声称爱尔兰海产品经济在 2021年上升了15%,达到了12.6亿欧 元/13.2亿美元。 在面临英国脱欧和新冠病毒的双重 挑战下,行业从2020年的艰难贸易情 况中恢复过来,爱尔兰海产品经济对 欧盟和亚洲的强劲出口使GDP增长了 6.74亿欧元,占到了11个百分比,使 GDP同比增长了15.3%,这是自2016年以来年增长的最 高值。 爱尔兰餐饮类海产品的消费在2020年下降53%的情况 下,2021年增加了12%。国内消费达到了4.18亿欧元, 增长了3%;向国外的进出口贸易,尤其在欧洲市场, 增长了45%。综上,该行业在2021年的全部投资达到 了4.54亿欧元,增加了8%,市场信心重新恢复。 BIM总裁Jim O’Toole说这些充分证明了海产品行业具 有很强的适应能力和创新性,他说:“这份报告的核心 内容是说明了该行业能够成功的在不同市场中发现和 把握机遇,并在某些方面实现价值的增长。” O’Toole 先生补充道:“英国脱欧和欧盟与英国签订 的《贸易与合作协定》带来的额外影响减少了关键品 类的配额,但政府的纾困和个人投资帮助减轻一些影 响。” “这个行业一直在调整适应,例如,在海产品科技板 块,已经有50多家公司雇佣了超过700多人,他们的 专业包括工程、金融科技和营销等方面,使营业额在 过去几年翻了一倍多。尽管去年我们有增长较多,但 由于乌克兰冲突,我们也面临更大的挑战,包括燃料 费、能源和材料费用的增加等。毫无疑问我们需要更 多支持来帮助这个行业抵御这次经济冲击。” 缓解新冠疫情、英国脱欧和乌克兰的影响 国内酒店行业的复苏推动2021年海鲜消费增长了3%, 酒店行业由于新冠肺炎的限制,其运营在2021年的大 部分时间里受到严重阻碍,但随着夏天到来它也增长 了12%。到2022年预期会看到海鲜消费的强劲 复苏。 同时2021年爱尔兰有机三文鱼的生产保持平稳,但由 于竞争国家例如挪威和苏格兰的供应增加,产值下降 了14%。 国际餐饮服务业的重新开放导致了螃蟹、龙虾、虾和 蛏子等贝类的价格快速上涨,上涨幅度超过了20%。 根据《贸易与合作协定》,捕捞配额大量的从欧盟向 英国转移。这些转移对爱尔兰造成了显著影响,减少 了爱尔兰船只百分之七的捕捞量。尽管如此,爱尔兰 捕捞量的总价值在价格上涨的推动下增长了2%。 英国脱欧也带来了贸易模式的变化。此前,英国一直 是爱尔兰海产品的主要进口来源地。2021年期间情况
。来自欧洲海事和渔业基金
个人投资在2020年虽然有明显的下降,但在2021年 增加了2300万欧元(+5%),达到了2.21亿欧元,这个行 业从许多挑战中脱颖而出,反映出这个行业的广阔前 景。 到2021年,该行业尽管遇到了障碍,它的就业也保 持稳定,直接或间接雇佣人数达到约16650人,增加了 1%。其中8700人直接从事渔业、水产养殖和加工,另 有8000人在下游支撑产业就业。自乌克兰危机开始以 来,船用柴油的价格上涨了近150%,材料和设备的价 格也急剧增加。 刚刚经历了新冠肺炎的经济冲击以及英国脱欧,这个 行业的灵活性面临着未来更多的考验。为了能够承受 新的挑战和增加盈利,行业集体的努力、资金支持和 技术支持是必不可少的。 中国海洋大学 何艮博士 翻译 14 | 2022 年 5 月 - International Aquafeed 新闻
发生了变化,主要的进口国从英国变成了欧盟,相应 地来自英国的进口量下降了57%。 行业投资 2021年,政府在海产品行业的投资持续增长,达到 2.32亿欧元,增加了11%
(European Maritime and Fisheries Fund, EMFF)以及国家 研发项目涵盖了这个行业的所有部门。
PUMPS + GRADERS + COUNTERS FISH sINCE 1 9 58 100%quality SINCE 1958, TRUST IN OUR EXPERIENCE More than 10 complete grading packs, nursery packs, grow out packs, harvesting packs. WWW.FAIVRE.FR Fish farming equipment designer and manufacturer pixies-agency.fr
AQUAFEED GEPRO has developed into a constant and successful player in the aquafeed and the petfood industry for more than 50-year history and always meet challenges with innovative solutions. Our head office and production site is located in Diepholz, Lower Saxony - in the immediate vicinity of the largest poultry production and processing facilities in Germany. In addition to our headquarters in Diepholz, GEPRO has other locations around the world for your best possible service. Consistency and a high degree of reliability are essential. Already some years ago our logo appeared in a new design. This is now also incorporated in our product portfolio. Consistency, innovation and a high degree of reliability are essential. www.ge-pro.de Contact aqua@anpario.com Want An Extra US$1,000 Per Hectare? 77719601 Decades of Experience Worldwide. Experts in Cable & Disc Conveying Solutions. 50+ Years in Business 1,000+ 66+ Countries Served 32,000 The majority of our conveyors operate with drive units 5 Horsepower – or less! For energy-efficient operation our systems are hard to compete against. Cablevey Conveyors 8”Systems Gentle Clean Reliable Conveying System Capacity: 8” (203.2mm) tube diameter Moves up to 2,000 Ft³ (56.6 M³)/hr Moves up to 80,000 lbs/hr* (36,287 Kgs/hr) The Heart of the System CABLE & DISCS Cablevey® Conveyors is a registered trademark of Intraco, Inc. 05/2022 (641) 673-8451 www.cablevey.com Year Anniversary 16 | 2022 年 5 月 - International Aquafeed 新闻

BioSort实验室和Olso办公室的水池中进行,然后转移 到Olso外的海面上,最后在挪威北部Cermaq的海上站

点Vesterålen的围栏中安装和测试。 BioSort的总经理Geir Stang Hauge说:“据我所知, 以前没有人在围栏中对游动的鱼进行分类,所以这是 单鱼分类处理的一大进步。” 他补充道:“第一次测试的目的是为了在实际中证明 分类器能够在围栏中对游动的鱼进行分类,并且它正 如我们所希望的那样,所以这是一次成功的测试

aquafeed.co.uk 鱼类养殖技术 iFarm项目成功实现鱼类分类 Cermaq的iFarm项目旨在将人工智能和机器学习 结合起来,用以提供更加详细的关于养殖鱼类 健康和福利的概况,该项目在围栏中对鱼类进 行分类的测试取得了成功。 该项目最近通过与BioSort、Cermaq和ScaleAQ之间的 合作,测试了由BioSort开发的分类器,该分类器能够 根据特定特征对单个鱼类进行分类和分离。分类的目 的是分离出需要后续跟踪观察的鱼类,以确保围栏内 鱼类的整体健康状况更好。 分类器已经开发了两年,由水下电机控制。测试在
” 。 展望未来,分类器有望从手动控制转向自动控制, 通过结合iFarm中的传感器系统,分类器将能够做出自 己的决定。 Hauge先生总结道:“现在,我们已经证明了该项目可 以对游动的鱼类进行分类,并且这项工作将继续深入 开展。开发团队将从这次测试中吸取经验,并应用到 开发下一代分类机原型中,新一代的分类机原型将能 够在更复杂环境下工作。” 中国海洋大学 何艮博士 翻译 Pole Position! Leiber GmbH | Hafenstraße 24 | 49565 Bramsche Germany | info@leibergmbh.de Real brewers‘ yeast! Really effective! CeFi® pro | best values in bioavailability Biolex ® MB40 | prebiotic. gut health. MOS Leiber ® Beta-S | pure beta-glucans for strong immune defence Leiber ® Beta-S Plus | synergistic combo of pure beta-glucans and MOS Leiber NuTaste® | Natural. Pure. Delicious. For further information just get in touch with us! Visit our new website: leibergmbh.de International Aquafeed - 2022 年 5 月 | 17 新闻
全球认可水产养殖在线培训课程 如何足不出户获得水产饲料生产资格认证? 伴随着物价飞涨、欧洲东部边境战争以及长达3年的世 界新冠大流行—我们所有人的生活都面临着很大程度的 不确定性。 随着世界市场持续缩减和动物饲料生产行业竞争不断 加剧,现在是获得全球公认的行业资质丰富履历的最佳 时机。 2022年4月,期待已久的水产饲料生产在线课程2022年 春季版即将回归,该课程培训将新增、改进和更新在线 直播。 本课程由Progressus Agrischools开发,并与Perendale Publishers Limited合作推出,旨在帮助学员掌握水产饲 料和畜禽饲料生产厂的设计、开发和运营,涵盖本行业 的所有产品。 本次课程共12次,每次2小时在线教学,由行业专家讲 授营养学、饲料原料、饲料设备相关专业知识,并设置 有专门的问答环节,以便学员可以与讲授人进行实时 互动。 本次培训精心挑选了经验丰富的行业经营者与大家沟 通交流,如在Wenger制造公司担任高级职务几十年的 Joe Kearns。 知识与信用 2022 年春季版水产饲料在线课程将由 Kearns 先生担任 主讲人。 Kearns 先生以他的才智和信用在行业内赢得 了良好的声誉。毫无疑问,他也将以极高的专业水准 来担任这一角色。 水产饲料生产在线课程培训可使感兴趣的人了解饲料 生产过程,并随着了解的深入,如何实现和保持水产 饲料生产标准。 基本上,水产饲料生产涵盖四个重要领域:原料、生 产设备、操作过程及最终产品规格。由饲料配方师制 定饲料配方,销售或客户定义期望的最终产品,而生 产需要高效执行,因此所有方面都是互相影响的。 各环节的沟通和互动将大大增加效率,实现利益最大 化并生产优质水产饲料。 第一和第二场会议回顾 期盼已久的新系列第一场会议旨在为学员讲授“水产饲 料工艺概述”。由能力出众的Christodoulou先生和Gilbert 先生主讲,主要分为四个部分。 第一部分是美国德州农工大学Mian Ruiz先生讲授“不 同类型水产饲料”;第二部分是Joe Kearns讲授“水产 饲料生产中使用的典型设备和原料要求及影响”;随 后,Kearns先生又讲授了“有用的故障排除技巧”,重点 关注原材料问题 包括淀粉含量、储存转换时间和“后 熟化因素”等方面。 最后一部分是现场问答环节,除Riaz先生外主讲专家 一一回答了观众所提的所有问题。 第二场会议主题是“初始流程:原料接收,批量储存” 。Kearns先生首先讲授了“营养、配方、水产饲料生产 和原料接收的注意事项”,主要涉及原料来源和规格、 配方中的淀粉以及包被饲料之间的差异等。 接下来,Engormix公司饲料技术解决方案总裁 Giuseppe R Bigliani讲解了“原料处理概述” 。Bigliani先 生在农业企业相关项目的设计、安装、运营和管理方面 拥有近四十年的经验,专注于饲料和食品加工厂,他对 这一主题进行了非常全面的回顾。 现在报名还不晚 虽然本季课程已经开始,但所有课程在最后播出后的两 周内都可以进行回放 该服务将免费提供给所有学员。 水产饲料生产在线培训每周二开课(4月19日至7月12 日),曼谷时间下午2点,欧洲中部时间上午9点。对于 在美国和拉丁美洲的人,课程从4月21日持续至7月15日, 芝加哥时间上午9点。 本课程认证得到了行业认可,既表明了学员对该行业的 兴趣,又证明了他们通过该课程获得了知识。 要报名参加水产饲料生产在线课程,请务必登录https:// aqfeed.info/e/1393,了解更多信息。 广东海洋大学 邓君明博士 翻译 Aquaculture Training 18 | 2022 年 5 月 - International Aquafeed
THE INNOVATIVE SOLUTION TO CLEANER FISH MANAGEMENT & SEA LICE CONTROL www.vitaaquafeeds.uk info@worldfeeds.uk VITA AQUA FEEDS • UNIQUE STRATEGIC FEEDING SYSTEMS • IMPROVED HEALTH & WELFARE • REDUCED STORAGE & ENERGY COSTS • NO PREPARATION, NO REFRIGERATION • PRACTICAL & EFFICIENT TECHNOLOGY • HIGH QUALITY, SUSTAINABLY SOURCED INGREDIENTS COMPLETE, TAILORED FEED BLOCK DIETS FOR LUMPFISH & WRASSE International Aquafeed - 2022 年 5 月 | 19 新闻
2022年3月21日,在第13届摩纳哥蓝色倡 议(MBI)的欢迎致辞中,摩纳哥亲王 阿尔贝二世提醒约180名与会者 (140 名在摩纳哥海洋研究所现场出 席,40人以虚拟方式参加):“无论如 何看待我们的未来,海洋都发挥着关键 作用。海洋中充满着冲突和矛盾,它是 我们世界固有的角色,也是需要我们 解决的问题” 。 随后,约翰·克里(John Kerry)先生(美国气候问题特使) 发表了主题演讲,他提到,不解决海洋问题就无法解决气候 危机,同样,不解决气候危机就无法解决海洋问题。 下一位主题演讲嘉宾是黄润秋先生(中华人民共和国生态 环境部部长),他呼吁实施联合国可持续发展目标(SDGs) ,加强海洋治理,共同推动蓝色经济项目的发展。 开幕式的最后一位发言人Vincent Van Quicken borne先生 (比利时副首相兼司法和北海部长)表示,如果几次会议能 取得具体进展,尤其是在2030年前能通过海洋保护区网络和 其他的区域保护措施来实现30%的海洋保护目标的话,2022 年有可能成为“海洋年” 。 MBI智库由科学、非政府组织、工业、决策、影响力、 土著、地方、政府、慈善、企业、金融和民间社区的成员组 成,在当天后面的时间里,各行业成员在三场专题会议上积 极辩论,在第四场专题会议上提供了有关多边国际进程和会 议的最新情况。 所有会议均由Yalda Hakim女士(BBC世界新闻首席主持人 兼国际记者)主持。这与往届MBI不同,往届的主持人一般 与小组成员有相似的背景,有时很难区分主持人和小组成 员。但是本届主持人同时也懂新闻。 Hakim出生于阿富汗,在苏阿战争期间,她和家人逃离了阿 富汗,当时她只有六个月大。他们在巴基斯坦度过了两年, 然后定居在澳大利亚。 在乌克兰待了三周后来到摩纳哥,她表示她对海洋问题知 之甚少,但她快速的学习技能给所有人留下了深刻的印象。 她还非常善于在小组成员之间发起讨论,并将问题重新引向 他们。这一举动令人印象深刻。该会议可能会支持保留这一 形式。 第1分会场:急需对海洋保护有大胆的愿景:面对新出 现的挑战,提高雄心壮志 在听取小组成员的意见之前,主讲人Teresa Ribera Rodríguez女士(西班牙政府第三副总统兼生态转型和人口挑 战部长)强调加强《联合国海洋法公约》(UNCLOS), 在南极指定额外的海洋区域以及尽快落实微塑料条约。 在总结了海洋保护的成功和失败,分析了即将到来的重大 挑战基础上,专家们思考了在未来十年及更久的时间里, 第13届摩纳哥蓝色倡议 突出对海洋养护和保护提出大胆愿景,同时鼓励金融部门向对海洋有利的经济过渡 作者:Thierry Chopin 博士 第13届摩纳哥蓝色倡议与会者者在摩纳哥海洋研究所入口前 的合影(图片来源:摩纳哥蓝色倡议)。 20 | 2022 年 5 月 - International Aquafeed
需要采取什么措施来加强海洋保护的雄心。 Minna Epps女士(瑞士国际自然保护联盟全球海洋和极地 项目主任)强调,有必要建立务实的机制,为海洋保护区提 供资源,并在国际条约中制定具有法律约束力的文书。 Leticia Carvalho女士(联合国环境规划署海洋和淡水处首席 协调员)重申支持30×30目标(到2030年保护到30%), 告诫大家不要使用“纸公园”,并强调有必要让当地社区参与 决策和管理。 Helen Ågren女士(瑞典外交部海洋事务大使)说,事实 上,海洋应该受到100%的保护,海洋的潜在用户也需要证明 他们的活动不会对环境造成损害。 Tommy Melo先生(佛得角共和国自然保护Biosfera 联合创 始人)告诫说,如果不让当地社区参与进来建立海洋保护 区,社区就会失去生计,就可能导致负面结果。 第2分会场:海洋保护人人有责。以最佳实践和成功案 例为基础,扩大可持续蓝色经济 第2分会场会议以尊敬的Jean-François Ferrari部长先生 (塞舌尔共和国渔业和蓝色经济指定部长兼部长)最有趣 和鼓舞人心的主题演讲开始。Ferrari部长充满常识,非常务 实,他告诉听众,“我们不必等待其他地区,我们自己能 做到。 海平面上升威胁着我们国家的生存。我们需要继续发展, 我们要建设国家。难题仍然是如何协调海洋的可持续利用与 发展的需要。单靠保护不能养活我们的人民。但蓝色经济发 展可能是一个解决方案 我们需要在全球范围内讨论,但解 决方案需要具体化和本土化。 午休的时候我与Ferrari部长进行了很融洽的讨论(MBI非 常擅长促进这种方式)。我相信综合多营养层次水产养殖 (IMTA)是一种因地制宜的实践方法,这种方法完全符合 为塞舌尔(Seychelles)制定的计划。 专家小组探讨了如何保证每个公司的利益,即使它们与海 洋没有直接联系,也要为海洋资源的保护和可持续利用做出 贡献。要记住,到2030年,除了保护30%的海洋之外, 100%的海洋都需要得到可持续管理。 Chuck Fox先生(美国Oceans5执行董事)强调,总的来 说,必须减少捕捞,他对无管制的捕捞活动表示痛惜。减少 第3分会会场(从左到右)的小组 成员:Lucy Holmes, Karen Sack, Elsa Palanza, Bertrand Badré, Sylvie Goulard and Marisa Drew (通过视频会议), Yalda Hakim (图 片来源:Thierry Chopin). TAKE A CLOSER LOOK AT AQUALYSO IF YOU THINK ALL LYSOPHOSPHOLIPIDS ARE THE SAME... Dedicated production platform Superior product specifications Scientifically proven mode-of-actions Hands-on application expertise Effective feed cost reduction More sustainable production ADISSEO, LEADER IN LYSOPHOSPHOLIPID SOLUTIONS FOR AQUACULTURE www.adisseo.com International Aquafeed - 2022 年 5 月 | 21
捕捞必须要政府和地方领导人都在场。 Diva Amon博士(特立尼达和多巴哥SpeSeas总监)表示, 为了蓝色经济的可持续发展,她反对石油和天然气开采,同 时反对深海海底采矿。我们需要时间去倾听依赖海洋的人民 的意见,并把他们置于解决方案的主导地位。 Tiago Pitta e Cunha博士(Oceano Azul基金会首席执行官兼 葡萄牙海洋董事会成员)呼吁要在电池技术上创新,以避免 对锂的依赖。他赞同增加对海洋的投资,加强海洋治理,重 视生态系统服务。 Hervé Gastinel先生(法国Ponant首席执行官)做出了承 诺,他的邮轮公司会减少温室气体排放,消除一次性塑料 和回收废物。有趣的是,2022年5月的蓝色气候峰会将在社 会群岛(塔希提岛,茉莉亚岛和赖阿特岛)的庞落邮轮Paul Gauguin上举行。 我参加了随后的讨论,指出蓝色经济应该更环保,因此, 我们应该讨论绿松石经济(通常比蓝色更能反映海洋的颜 色)。在这一点上,会议提到了渔业、深海采矿和塑料,但 对水产养殖却只字未提。如果改变一些方式,水产养殖可以 是可持续的,还可以参与这个世界的脱碳,尤其是通过综合 多营养层次水产养殖(IMTA)的方式。 在生态系统服务,循环经济,营养信用额(不仅仅是碳 税)还未流行之前,我就已经谈论了相当长一段时间。但
比,着眼于多营养水平与单一养殖方法的对比。 此外我们还意识到,在Covid-19(2019新型冠状病毒)之后 出现了新常态,一切都不会像以前一样。好吧,不幸的是, 似乎我们正在寻找用灵丹妙药的快速解决办法。 让我们以密西西比河三角洲 的死区为例......有人建议我们 种海藻,多种海藻,问题就解 决了!尽管我喜欢种植海藻, 但我们仍需要正确地解决这个 问题:密西西比河的流域面积 占美国的一半以上。 所以,我们是考虑从源头上 处理问题(改变农业和其他部 门的做法),还是寻找绷带解 决方案,只是继续改变绷带( 收获海藻),而不解决其核心 问题能正确解决它们吗? 第3分会场:蓝色金融 如何加速向海洋正向经济 转型? 会议从Leila Chikhaoui女士( 突尼斯环境部长)和Andrea Meza Murillo女士(哥斯达黎加环境和能源部长)的两场 主题演讲开始。他们都强调了海洋对实现气候目标和保护 生物多样性的重要性,并称30×30目标能创造就业机会并 刺激经济。 与去年的第3分会场会议(“从蓝色经济到蓝色金融”)相比, 今年的第3分会场会议非常有趣,小组成员和观众进行了 发人深省的讨论。 Karen Sack女士(美国海洋风险和复原力行动联盟执行董 事)说,银行和保险公司应确保它们不会为损害海洋和沿 海人民的活动提供资金(例如底拖网和海底采矿)。她建 议私营部门承诺实现海洋零排放,并投资海洋。 Elsa Palanza女士(英国巴克莱银行可持续发展与环境、社会 和公司治理全球主管)表示,数万亿美元正在等待投资, 但资金应该妥善分配。银行应该承担起从管理向低碳经济 过渡的责任,她希望海洋可以纳入现有的气候风险工作 中。 Sylvie Goulard女士(法国法兰西银行第二副行长)补充说, 如果金融部门正朝着正确的方向发展,人们对自然和气候 风险的认识正在提高,那么要将气候纳入宏观经济建模和 分析,还有很多工作要做。 她敦促民间社会和科学家改变思维方式,推动金融部门把 与生物多样性有关的风险和气候变化和海洋行动纳入其 业务。 Bertrand Badré先生(法国“蓝色像橙色可持续资本”组织合伙 人兼创始人)提到,金融是一种工具,而不是解决方案。 他强调需要在现有体系内努力去改变,并需要激励金融部 门将资本转移到气候和海洋保护领域。 Lucy Homes女士(世界自然基金会海产品融资高级项目经 理)强调,还需要评估海洋经济中的风险。她强调了客户 造成的市场风险,这迫使零售商寻求更可持续的产品。 Marisa Drew女士(英国蓝色金融顾问)说,为有害活动定价 对于确保资本流向更可持续的活动至关重要。重要的是, 投资者要相信他们可以产生回报,以便让他们投资海洋 经济。 随后的讨论带来了一些有趣的观点和问题: - 金融和保险部门可以帮助制止不可持续的活动,消除有害 的补贴。透明披露对于实现这一目标至关重要。 - 生物多样性、生物敏感性和生物公平性可以成为盈利能力 的一部分。 - 既然我们有了更好的了解,我们就需要做得更好,包括降 低投资风险。 - 我们需要行动,不是因为它很好,而是因为它意味着 赚钱。 - 我们需要更快的资本重定向(但要小心不要被最新的、 炒作的言论和潜在的资本误导所征服)。 - 为渔民建立生计保险,以确保他们不会以破坏性方式 捕鱼。 摩纳哥阿尔贝二世亲王的欢迎致辞 (图片来源:Thierry Chopin)。 尊敬的部长Jean-François Ferrari先 生的主旨演讲(图片来源:Thierry Chopin)。 22 | 2022 年 5 月 - International Aquafeed
是,如果我们想实现解决所有的这些问题,我们将不得不着 眼于研究循环途径而不是线性过程,着眼于长期和短期的对

When maximum volume matters, the Wenger AQUAFLEX XT High Capacity Aquafeed Extruder is the choice, processing up to 12,000 kg/hour. Equipped with either our High Shear Conditioner (HSC) or High Intensity Preconditioner (HIP), the AQUAFLEX XT is ideal for aquatic feeds as small as 0.5 mm. Precise control of finished product density delivers either high capacity floating or sinking feeds.

Know more about the industry-changing designs and customized options of AQUAFLEX Email us at info@wenger.com today.

赋予价值,例如,它是否 是扰动沉积物生物的关键 物种?它是否将提供尚未 被充分理解和认识的重要 生态系统服务?

在了解盐沼、海草和红 树林的价值方面的工作正 在取得进展。要想正确评 估海藻(水产养殖或野生 资源)及其提供的生态系 统服务,仍有许多工作要 做。

- 人们开始意识到,一头活鲸或活鲨鱼比一头死鲸更有
供资金,特别是将地方沿海社区作为共同的海洋保管人。 将混合资金与公共、慈善和财政资金来源的正确结合起 来,似乎是一个值得发展的模式。有针对性的政府条例和 激励措施(信贷、税收和生态系统服务的估值)将是使回 报
我相信,因为还没有开发出为生物多样性、栖息地和生态 系统的丧失付出代价的方法,今年开始人们就能意识到, 所有的这些措施都不容易实施。科学知识仍然需要被叙述
同一个健康概念)。 人们开始建立情感或标志性物种的价值观,如鲸鱼,鲨鱼 和犀牛。然而,我们是否能够给一种鲜为人知的海洋蠕虫
价值。 - 给自然估价并不容易,试图这样做是危险的。 我的印象中,在去年的 MBI 上我很兴奋,因为金融部门终 于做出了回应,加入了保护海洋和解决气候问题的努力。 与会者还认识到,有必要从有针对性的短期慈善支助转向 为长期可持续性、公平的伙伴关系、盈利能力和恢复力提
- 风险比更令人信服的必要条件。
出来以供投资者参考。仍然缺乏科学数据来指导财务决 策、为基于自然的投资和金融创新提供有利条件。 此外还需要知道,我们是在谈论海洋对我们人类或对自然 的价值,因为我们认为我们是宇宙的中心,但其实我们只 是大自然的一个组成部分,海洋的未来也是人类的未来(
式,行为和生活方式的机会。 第13届摩纳哥蓝色倡 议所有会议的主持人 Yalda Hakim(图片来 源:Thierry Chopin)。 约翰·克里先生的主旨演 讲(图片来源:Thierry Chopin)。
此外,物种通常是根据其 代表的生物量来计算的, 而不是根据种群中的个体 数量来计算的。 最后环节:海洋更新 Ricardo Serrão Santos博士 (葡萄牙海事部长)在主题 演讲中强调了知识对公民的 重要性。他认为,大流行后期将是重新定义我们经济发展模
|
|
|
|
Maximize capacity, conditioning, and control. WENGER’S AQUAFLEX XT HIGH CAPACITY EXTRUDER International Aquafeed - 2022 年 5 月 | 23
PHONE: 785.284.2133 | EMAIL: INFO@WENGER.COM
WENGER.COM USA | BELGIUM
TAIWAN
BRASIL
CHINA

国际条约。 世界目前正在经历的危机可能危及所有这一切,当环境和 气候问题已经失去优先性和紧迫性时,就需要有意向的国家 之间达成共识来应对和解决。 不幸的是,尽管问题迫在眉睫,在世界局势恶化的时候, 这些问题的解决似乎都变成了奢侈。当坦克轰鸣着穿过世界

不幸的是,如上所述,我担心,追求不切实际的速效办法 会暴露出一种逃避机制,无法从根源上解决问题。虽然人们 不愿承认,但还是期望着能回到旧常态或者能使现状得到 缓解。 Joachim Claudet博士(法国国家科学研究中心研究主任) 报告了关于公海和《国家管辖范围以外生物多样性条约》 (BBNJ)的谈判,倡导将公海作为真正的保护区,将海洋 重新定义为全球共同的海洋。 Ashok Adicéam先生(法国极地和海事问题大使特别顾问) 报告了最近在法国布列斯特举行的“一个海洋”峰会。他提到 我们需要保护生物多样性,停止过度开发海洋资源,减少污 染,并通过更好的海洋治理来应对气候变化。 Sabine Jessen女士(加拿大渔业和海洋秘书处执行总监)报 告了第五届国际海洋保护区会议(IMPAC5)将于2022年秋 季在加拿大举行,该会议将为30×30目标指明方向。 Elizabeth Maruma Mrema女士(加拿大生物多样性公约执行 秘书)表示,全球生物多样性框架将包含许多与海洋有关的 要素,此举预计在第十五届缔约方大会(COP 15)上达成。 闭幕词和结束语 uld contribute to solving parts of the issues associated with cRobert Calcagno先生(摩纳哥阿尔贝一世亲王基金会海洋研 究所首席执行官)在闭幕词中承认,要有效保护海洋还有很 长的路要走,但也取得了一些进展。企业、投资者和银行家 可以在确定资源管理和实现可持续发展目标的方面发挥决定 性作用。 我很高兴听到Robert Calcagno先生在结束发言时称赞海藻行 业是一个能够为海洋问题提供可持续解决方案的行业。今年 是我参加的第七次MBI,我可以评估自2016年以来取得的各 项进展,当时我在巴西圣保罗举行的第七届MBI上发表了演 讲,演讲主题为海藻水产养殖及其与IMTA的整合从而优化 循环经济方法中的系统。 我们的确在进步,谈论生态系统服务和生物多样性的价值 货币化似乎不再那么奇怪(我谈论了营养交易信用额,不仅 是碳税和2016年的绿松石革命)。这太棒了!然而,重要的 是不仅要有海藻时刻,还要发展海藻势头。要做到这一点, 就必须减少关于海藻的言论和炒作,尤其是在社交媒体上能 看到的那些言论和炒作。 摩纳哥蓝色倡议的众多好处之一是,它提供了结识不同行 业人士的机会。从我与第3届六位小组成员中的四位的谈话 中,我发现人们对蓝色倡议的反应开始摇摆不定。所有这些 风险都可能误导投资,都可能减少对特定研究和技术开发的 需求,这些研究和技术开发需要增加我们对海藻对于粮食 系统,对于许多其他应用以及它们提供的生态系统服务的理 解,这些服务可能有助于解决与气候变化相关的部分问题。 Olivier Wenden先生(摩纳哥阿尔贝二世亲王基金会副总裁 兼首席执行官)强调,当天提到的新型伙伴关系和成功案例 证明,我们发现了一种从海洋资源中获益的方式,投资者将 是关键,因为可持续发展目标14(水下生物)仍然是可持续 发展目标中资金最少的目标之一。 另一种看待这个问题的方式是,考虑到许多与海洋有关 的活动对一个可持续发展目标的贡献不止一个。例如,在 IMTA系统中种植的海藻能提供多种生态系统服务,至少能 为17个可持续发展目标中的11个做出贡献(可持续发展目标 2、3、4、5、8、9、12、13、14、15和17)。 最后,鉴于乌克兰和俄罗斯目前的局势,以及Covid-19的长 期影响,人们不得不承认,围绕着原定于2022年实现的海洋
肥沃的粮仓时,乌克兰的小麦和向日葵生产以及它们复杂的 全球供应链受到的阻碍,似乎都被忽视了。 摩纳哥阿尔贝二世亲王告诫我们要勇往直前,以实现我们 建立健康海洋的宏伟目标。他说:“尽管面临挑战和担忧, 以目前的局势来看也决不能忽视海洋问题,恰恰相反,我们 必须相信未来,相信对话和进步:在海洋,气候和生物多样 性等世界重大问题上,我们必须重申基于集体价值观的共同 愿景的重要性,以造福今世后代。 黄海水产研究所 徐后国 博士 & 中国海洋大学 张彦娇 博士 翻译 Thierry Chopin博士是加拿大新布伦瑞克大学海洋生 物学教授,海藻和综合多营养层次水产养殖研究实验 室主任。他还是肖邦海岸健康解决方案公司(自2016 年起)和绿松石革命公司(自2022年起)的总裁。 Thierry Chopin参加了第2分会场会议的讨论(图片来 源:Monaco Blue Initiative)。 24 | 2022 年 5 月 - International Aquafeed
议程还存在很多问题:6月的联合国海洋会议,秋季的生物 多样性公约和第15次缔约方会议, 以及年底关于BBNJ的新
去年3月,Tebrio公司在西 班牙的圣地亚哥德孔波 斯特拉博览会上展示了 一种革命性的产品, 它从黄粉虫中提取,可 以增强鱼类发育时期的 免疫能力,且可消化率 超过90%,有效促进鱼类代谢活动。 目前,Tebrio公司正参与Acuiplus主持的科研项目 Acuisost中,并重点研究开发“:oProtein”产品,旨在水产饲 料中使用新原料和添加剂营养策略,促进水产养殖业的可持 续发展。 本项目以淡水养殖的虹鳟和海水养殖的海鲷作为研究对 象。研究结果表明,投喂昆虫蛋白的虹鳟和海鲷更健康, 胁迫应激少,具有较好的抵抗病原体能力,这就意味着可大 幅度减少抗生素的使用。 生理代谢影响 此外,水产饲料中的昆虫蛋白对研究对象的新陈代谢有显 著影响,可减少发育期合成氨基酸和蛋白质所需的能量消 耗,从而间接提高了免疫力。 由Tebrio公司研制的蛋白质原料“:oProtein”,其粗蛋白含量 超过72%,可消化蛋白达90%以上。实验结果还表明,该产 品粗脂肪小于7%,粗灰分小于5%。 “:oProtein”可促进鱼苗和幼鱼关键时期的发育,因为它除了 含有丰富的氨基酸外,还含有比其他鱼粉更丰富的脂肪酸。 可以说,“:oProtein”类似于婴幼儿奶粉。 提高免疫力 来自希腊海洋研究中心、都灵大学和那不勒斯大学的希腊 和意大利科学家进行的另一项研究也得到相似的结论:昆虫 蛋白显著影响鱼类生长性能和免疫功能。 研究人员进行了海鲈幼鱼6周黄粉虫蛋白饲料的投喂试验。 研究结果表明,“:oProtein”具有显著的抗炎作用,显著提高 了溶菌酶和胰蛋白酶活性。 这意味着昆虫蛋白具有免疫刺激作用,增强对寄生虫的抵 抗力。也就是说,增加了鱼类对某些疾病的抵抗力。 作为全世界水产养殖中商业化程度最高的品种之一,南美 白对虾也是如此。在人工养殖中,它的早期死亡率很高。 2019年,曼谷大学研究显示,黄粉虫粉促进了对虾生长, 昆虫蛋白鱼类饲料 ——应用新技术、新原料营 养策略,促进水产养殖可持续 发展 Sabas de Diego(西班牙Tebrio生物技术公司首席 技术官) Tebrio生物技术公司开发了一种富含氨基酸的蛋白质原 料,可以在幼鱼生长关键时期促进其发育。“:oProtein”是 一种100%纯天然产品,从黄粉虫中提取,可用在淡水和 海水养殖动物饲料中。 “:oProtein”一个突出的优点是它显著减少了鱼粉的使用 量,成为了一种可持续的替代品,有助于缓解渔业资源 过度捕捞。 长期以来,水产养殖业一直在寻找新型饲料蛋白源以减 少对鱼粉的依赖。在现有的替代方案中,昆虫蛋白正成 为可持续性最好和最有益的选择之一。 26 | 2022 年 5 月 - International Aquafeed
提高了饲料转化率。当替代饲料中50%鱼粉时,生长性能最优。 在免疫水平上,试验虾早期死亡率较高,免疫抑制率较低。 这一现象很可能是由昆虫甲壳素和其他活性物质抵抗病原体感 染引起的。 相似地,对鲶鱼幼鱼进行的另一项研究也得出了同样的结论。 每100克饲料分别添加0、9、18和27克黄粉虫粉,配制成4种饲 料。昆虫蛋白替代水平超过25%后显著提高了鲶鱼对爱德华氏菌 的抗感染能力。 可持续和天然的替代品 一般来说,水产养殖部门使用鱼粉作为其饲料的主要蛋白质来 源,但由于海洋环境的过度开发,这种替代方式将很快变得不 可持续。主要是因为要获取1公斤的养殖鱼,需要捕捞4公斤的 海洋渔获物去制作成饲料来进行投喂。 到目前为止,另一种选择是植物蛋白源,比加工过的鱼粉便宜 得多,也更丰富。然而,它们的氨基酸含量比昆虫蛋白低 得多。 水产养殖是具有广阔前景的活动,因为它仍然可以以可持续的 方式继续发展。然而,我们需要引进新原料来保证其长期可持 续性,因为我们不能只依赖近海捕捞。 根据联合国提供的数据,如果我们不在全球范围内改变我们的 生产模式,15年后,世界将出现严重的粮食问题,因为虽然人 口将翻一番,但我们所拥有的资源并不会比现有的资源更多。 因此,确定可持续的替代方案并尽快采取行动非常重要。 广东海洋大学 邓君明博士 翻译 Phileo’s probiotics and active yeast fractions are designed for hatcheries and growing farms to support health, feed efficiency and growth performance . Our sustainable solutions bring innovative responses to fishmeal reduction stakes and environmental challenges. Act with nature for animal care. Join the fish revolution Visit our new website www.phileo-lesaffre.com International Aquafeed - 2022 年 5 月 | 27
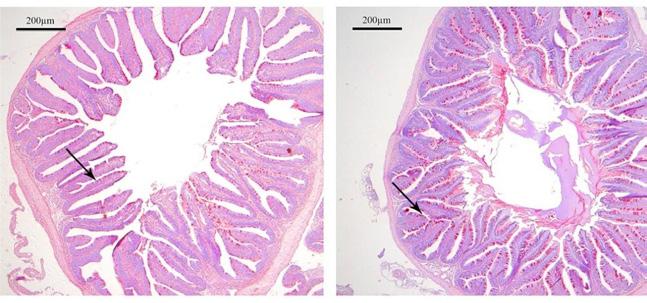
生理压力是罗非鱼疾病爆发和生 产性能下降的主要因素之一。 与陆地动物的生产相比,水产 养殖中实用且具有成本效益的 疾病治疗方法数 量有限。因此, 良好的压力管理措施是预防疾病爆发的重要 方法。 本文讨论了Phileo的有机富硒酵母Selsaf作为 一种有效的功能性饲料成分在减轻氧化应激、 增强抗氧化能力和最大限度地提高罗非鱼生产 性能方面的应用。 压力的影响 不利的养殖条件和由此产生的压力在尼罗罗 非鱼(Oreochromis niloticus)的生产中很 常见。水质等因素,包括高温、氨和低溶解氧 水平,以及与气候变化、藻类大量繁殖、高放 养密度、低质量饮食或污染相关的不稳定天气 事件,都可能导致急性或慢性鱼的压力。 压力条件往往会增加宿主对病原体和寄生虫 的易感性,从而促进氧化反应。这些反应的特 点是高水平的氧化分子不能被鱼在细胞中清 除。氧化剂(自由基和活性氧,ROS)含量升高会导致细胞 成分(如脂质、蛋白质和 DNA)氧化。反过来,这会通过减 少摄食活动、损害消化、生长以及削弱免疫和生殖系统来影 响动物的健康和性能。随后,压力对收获时的健康、生产性 提高罗非鱼生产性能 用有机硒酵母预防氧化应激 Otavio S Castro,新加坡Phileo by Lesaffre公司,全球综合水产养殖经理 Thiago FA Silva博士,巴西帕奈巴三角洲联邦大学,教授 Fabiana Pilarski博士,巴西圣保罗州立大学,教授 Gustavo Bozano博士,PartnerFish & Aqualagus 咨询公司,经理 图 1: 使用 Selsaf® 富硒酵母、Procreatin 7® 酵母益生菌、Safmannan® 酵母后生 元、Selsaf® + Procreatin 7® 和 Selsaf® + Safmannan® 60 天后的血清活性,在 8小时和24 小时接受嗜水气单胞菌攻毒。条形表示平均值,条形上方的不同字母表示相同采样时间处理之间 的显着差异(p<0.05)。 图 2: 饲喂酵母产品 90 天的尼罗罗非鱼前部肠道区域。对照组 (A),Selsaf® 富硒酵母 (B)。 箭头表示绒毛边缘的杯状细胞。高碘酸-席夫染色。 28 | 2022 年 5 月 - International Aquafeed
能和产品质量的影响最终会导致罗非鱼养殖 者遭受重大经济损失。 鱼可以自然地使用保护其生理稳定性的补 偿机制(即所谓的体内平衡)来应对氧化应 激。然而,在压力条件下维持体内平衡的能 力在不同个体、不同遗传背景、生理阶段和 健康状况之间存在很大差异。更重要的是, 这些机制还需要高水平的能量以及一些必 需的微量营养素,包括必须在饮食中提供 的硒。 硒的作用 硒是鱼类健康发育所必需的微量营养素, 可支持免疫系统的生长、发育和维持。它是谷胱甘肽过氧化 物酶 (GPX) 的关键成分,GPX 是一种针对 ROS 的活性抗氧 化剂。这意味着硒的最佳水平有助于赋予对环境压力源的耐 受性,因此体现了氧化应激相关的病理的保护作用。 补硒改善了免疫功能,最终提高了生产性能和鱼肉质量, 因为它已被证明可以促进罗非鱼的生长并提高饲料转化率 (FCR) 和比生长率 (SGR)。由于这些公认的好处,硒已被用 作水产养殖中的一种平衡微量营养素,以改善鱼类的健康和 性能。 氧化应激管理 Phileo开发了Selsaf来解决罗非鱼的氧化应激水平。这种从 专有酿酒酵母菌株中获得的有机硒来源包括硒代蛋氨酸和硒 代半胱氨酸。它是用高浓度硒代蛋氨酸生产的。虽然硒代蛋 氨酸作为主要的硒储存物被整合到身体蛋白质中并用作硒代 半胱氨酸的前体,但后者是 GPX 活性的关键元素,因此在 抗氧化应激方面发挥着重要作用。 硒代蛋氨酸和硒代半胱氨酸都通过肠壁吸收,因此可以最 大限度地被动物吸收并增强其免疫力。最终,该产品有助于 图 3: Safmannan®和 Selsaf®的联合补充可提高罗非鱼在热挑战和恢复期的存活率。 Engineering your feed solutions www.orffa.com - Follow us on EXCENTIAL SMART TRACE MINERALS • Excellent bioavailabililty • Highly sustainable source of minerals • Known to improve animal health & performance Find your Orffa specialist at www.orffa.com High bio-available hydroxy trace minerals for optimal health and performance Experts in Smart Industry Solutions for Feed Production Fully automated process control from order to product High quality product output with less operator actions Interaction with ERP, Formulation and warehouse software Track & Trace and Contamination module included Reporting services & KPI Dashboarding Turnkey projects including MCC cabinets, IT equipment and Fieldinstallation 24/7 remote support keeps you feedmill up & running Scan the QR-Code for more information www.inteqnion.com Visit us at Victam International, Utrecht - The Netherlands, Booth 1.432 International Aquafeed - 2022 年 5 月 | 29

8 小时表现出显着更高 的溶菌酶活性,并在 24 小时后保持更高的 反应,证明了对抗菌活性的协同作用 (图 1)。所有 Selsaf 补充剂组的皮质醇水 平显着降低。肠道平均绒毛结构显着改善, 营养吸收也得到提高(图 2)。Selsaf 和 Safmannan 的联合添加也被证明可有效提高 鱼类在环境压力下的抵抗力。当水温从 29.0 ºC 升高到 37.0 ºC (0.07 ºC/h) 时,联合 补充剂组在热挑战和随后的

增强动物的自然防御能力。将该产品添加到 水产饲料中,可通过刺激鱼的抗氧化防御能 力和增强它们对环境挑战的适应能力,在存
期间维持生长的能力来改善鱼的整体健康状 况。罗非鱼饲料中的产品补充剂还可以与益 生菌和免疫刺激剂(如甘露聚糖和 β-葡聚糖 来源)产生协同效应。 最大化回报的营养策略 一项为期 90 天的饲喂研究评估了Selsaf与酵 母益生菌和富含甘露寡糖和β-葡聚糖(分别 为 Procreatin 7 和Safmannan)的酵母益生菌 组合的协同作用。该研究得出的结论是,混 合添加剂可提高罗非鱼的生长性能和抗病潜 力当受到灭活嗜水气单胞菌的攻击时 (
补充
补充
+
8 天恢复期间提 高了鱼类的存活率(图 3)。 另一项现场试验测试了 Safmannan 和 Selsaf 对在高硫含量 和低溶解氧的火山水中以高鱼类密度饲养的罗非鱼的综合效 果。结果表明,联合补充剂将成活率从26% 提高到31%, 并将饲料转化率从 2.4 降低到 1.8,将每公斤生产鱼的饲料成 本降低 20%,并对毛利率产生积极影响 12%。 最后,在水温升高的关键阶段,在巴西商业罗非鱼养殖场 的生长阶段评估了这两种基于酵母的后生元的联合补充。 试验得出结论,使用Selsaf和 Safmannan 的功能性饲料策略 有助于将每日体重增加 17.6%,并维持更好的存活率。FCR 水平降低了 5.35%。最终,加工厂的鱼肉产量从30.7% 增加 到 32.9%,净利润增长 28.3%(图 4)。这是由于提高生产力 和降低饲养成本所产生的更高收入。 实用建议 随着罗非鱼生产的快速发展,生理压力以及与之相关的健 康和挑战也随之增加。在许多地区,水和土地限制迫使半开 放养殖系统的高密度化,例如淡水水库中的网箱和陆基土 池。在这些系统中,病原体、过度拥挤和不稳定天气事件 等压力源的出现频率很高。Selsaf管理罗非鱼的氧化应激, 保护鱼类免受这些应激源造成的有害影响。支持鱼类克服这 些挑战对于达到最佳的畜牧业和经济绩效以及改善养鱼业的 福利条件至关重要。 此外,将Selsaf与基于益生菌和后生元酵母的产品相结合 是一种经济高效且强大的解决方案,可增强尼罗罗非鱼的先 天免疫反应。根据在实验室和商业试验中获得的结果,乐斯 福的 Phileo 根据遇到的压力挑战和您自己的生产目标提供了 各种产品建议(表 1)。如需更多信息,请访问我们的网站 并咨询我们的 Aquasaf 罗非鱼计划: https://phileolesaffre.com/en/program-aquasaf-tilapia/ 山东大学 白楠博士 翻译 图 4: 在巴西商业化养殖条件下,添加 Safmannan® 和 Selsaf® 的尼罗罗非鱼 60 天的畜牧业性 能参数。(A) 体重增加(克/天); (B) 初始和最终体重; (C) 饲料转化率 (FCR);(D) 鱼肉产量。 条形表示平均值,条形上方的不同字母表示同一采样时间处理之间的显着差异。 表 1: 罗非鱼氧化应激管理和免疫增强剂的Selsaf®剂量建议。 30 | 2022 年 5 月 - International Aquafeed
在病原体时表达更好的免疫反应以及在压力
Silva 2019)。
Selsaf 的组在整个试验过程中表现出 改善的先天体液免疫反应并减轻压力反应。
Selsaf
Safmannan 和 Selsaf + Procreatin 7 的处理组在攻毒后
Our 30th print edition is OUT NOW! Download a searchable offline copy of the International Milling Directory direct to your device Take the International Milling Directory with you Even when you are offline! internationalmilling.com For where ever you are! International Aquafeed - 2022 年 5 月 | 31

The Art of Nutrition & Growth

Dibaq Solutions are specific programs designed to offer customers a range of services that only a leader in aquaculture can: nutrition for every need, continuous follow-up of fish quality not to mention technical and commercial assessment. All of this is the outcome of our international experience.

Dibaq AquaSafe® - an internal quality seal for high-value products

By only using the highest quality raw materials, micronutrients and functional components, Dibaq Aquaculture is a well respected company that specialises in the manufacture of specifically tailored products.

As a result, we have managed to go further and improve the quality of these products with this new seal, which will help our clients to achieve the maximum performance in their own production.

The AquaSafe concept also prioritises sustainability and the water safety of planet earth, as well as the health of the fish fed, stimulating their immune system, improving growth performance and protecting them against internal and external parasites.

Therefore, Dibaq AquaSafe is not only supporting and focusing on the safety of the planet - but on the health of its fish too.

Visit us: dibaqaquaculture.es
鱼类养殖技术 最新技术 新工船可提高地中海鲈鱼和鲷鱼的产量 AKVA集团Hellas公司在地中海交付了首艘饲料工船。购买方为Philosofish,型号为AM400 Classic。 这种尺寸的饲料工船在该地区是开创性的。 AM400 Classic饲料工船将把Philosofish在罗德岛工厂的鲈鱼和鲷鱼产量提高到2000 吨。它还配备 了10个筒仓、4条饲喂线、远程控制功能,并且可以通过4条饲喂线分配多达 40 种类型的饲料。 2020年,Philosofish收购了新场地,将其总产能从每年5千吨增加到2万吨,将自己定位为全球领先的 高品质地中海鲈鱼和鲷鱼供应商。 Philosofish已经在其四个站点使用 Akva Control CCS 饲料系统。 要继续阅读,请访问 https://aqfeed.info/e/1432 山东大学 白楠博士 翻译 33 | 2022 年 5 月 - International Aquafeed
AWAC SentinelV Study Cage Northbound Current Southbound Current 鲑鱼是一种具有不断增长的市场的高价值产品,这会在可能 的情况下提高产量,从而导致许多国家所有可用的养殖场所 都得到充分利用。 就本地环境而言,生产主要受到两个主要限制因素的限 制。首先,大量生物量影响当地环境,导致养 殖场所在区域受到污染,可能导致当地生态系 统恶化,其次,鲑鱼生物量高的地区海虱种群 呈指数增长。 将渔场搬到更开放的水域可以解决第一个问 题,因为来自渔场的污水更容易被稀释,因此 对当地环境的影响要小得多。 更开放的养殖水域也缓解了第二个问题,因 为传染性海虱的扩散和稀释度更高,渔场自我 感染的风险更小,这可能导致指数增长。由于 对鲑鱼的需求不断增加以及环境障碍阻碍了已 建立的地点的扩张,鲑鱼养殖者寻求将其生产转移或扩大到 更开放的水域。 在某些情况下,渔民使用相同的峡湾,但渔场已移至更靠 近水动力条件能有所保证的更好的水交换和混合的入口处, 另外在原来没有开展养殖得水域也已经建立了新的渔场。 更开放的养殖水域、变形的养殖网箱和鱼类 克服人类对鲑鱼的需求和在已建立地点增加养殖的环境障碍 作者:法罗群岛 Fiskaaling 研究员 Ása Johannesen 在南回声测深波束内鱼的全天垂直位置分布。深色代表鱼少,浅色代表鱼多。大约从早上 8 点到下午 3 点有一段时间,水面附近的鱼很少。 鱼类养殖技术 鱼类养殖技术 34 | 2022 年 5 月 - Fish Farming Technology 34 | 2022 年 5 月 - Fish Farming Technology
然而,更多暴露在海浪中的地点使鲑 鱼面临一个以前没有被彻底研究过的新 挑战。水流在短期内通常是单向且强度 均匀的,这使得鲑鱼可以朝向水流定向 并且仅消耗能量来维持它们在笼子内 的位置。 如果水流太强太久,鲑鱼就会筋疲力 尽或无法进食,但由于水流通常是潮 汐驱动的,水流的持续时间和强度是 可以预测的,因此可以选择适合鲑鱼 的地点。 鲑鱼面临的不同挑战 海浪对鲑鱼提出了不同的挑战。它们 引起多向运动,主要水平流随波浪周期 及时改变方向,此外鲑鱼还具有垂直运 动,这可能与网箱的运动一致,也可能 不一致。 出于这个原因,鲑鱼必须决定如何调 整它们的行为。随着波浪能在水柱中迅
弱水流条件下夜间南(左)北(右)回声测深仪检测的不同波高的鱼类垂直位置。在较大的波浪中,在两个回声测深 仪的表面附近看到的鱼较少。 在北向和南向(左和右)水流的两个回声测深仪(上图和下图)中,鱼在白天的垂直位置。空白区域表示在任何给 定水流强度下笼子底部以下的深度。笼子暴露在迎面而来的水流的一侧变形更明显(例如笼子的南侧在北向水流中变形 更大)。 鱼类养殖技术 www.kaeser.com/aquaculture M 50 AQUACULTURE built for OFFSHORE conditions Compressors and blowers made for aquaculture 35 | 2022 年 5 月 - Fish Farming Technology 35 | 2022 年 5 月 - Fish Farming Technology
速消散,鲑鱼可能会选择进一步向下移 动,以减少受到波浪的影响。鲑鱼也可 能会选择向内远离网,以避免碰撞。

到不同的位置,并确定它们是否更愿意避开笼子的侧面并在更 大的波浪中浮出水面。

三文鱼在笼子里的定位 为了对网箱内鲑鱼的位置进行更常规和连续的估计,两个回 声测深仪监测网箱内的两个不同位置,记录了鲑鱼在浅滩(如 果存在)的深度以及网箱底部的深度。这使我们能够确定在不 同波浪和潮流情况下鲑鱼可以使用多少空间,并了解鲑鱼如何 利用该空间。 一些主要发现与其他地方的发现一致。三文鱼在白天更喜欢 避开水面,并且在太阳升起时倾向于潜入水面以下 2 到 5 米, 而在夜间它们会散布得更多,并且不会避开水面到那种程度。 三文鱼还可以在“自由游泳”(鱼在笼子里似乎不受水流影 响)和“站在水流

另一种选择是在笼子内水平移动到较少暴露于海浪的区域。 这取决于渔场的布局,但通常情况下,笼子面向迎面而来的海 浪的一侧将比波浪离开笼子的一侧更暴露,因为笼子本身会减 弱波浪。 强水流和波浪的影响 我们和 Sfi EXPOSED (exposedaquaculture.no)、Hiddenfjord (hiddenfjord.com) 和 Fiskaaling (fiskaaling.fo) 合作在法罗群岛进 行的一项研究中,我们调查了强流和海浪对鲑鱼行为和他们如 何选择使用可用空间的影响。 观测是在潮汐强、水混合良好、冬季暴露于大浪(Hs 大于 4m)的可能性高的地点进行的。我们使用视频记录来监测鲑 鱼在整个潮汐周期以及不同波浪条件下的行为,这些记录还用 于监测游泳行为和与笼网的碰撞。 摄像机遍布整个笼子,以监测鱼是否在波浪状的条件下移动
”(鱼在更强的水流中游过移动的水流时,它 们会在视频帧内保持静止)之间切换。 尤其是在比其他研究中较弱的水流中鱼变成了这种模式,这 表明要么喜欢站在这个地点的水流上,要么可能期望水流很快 会变得更强。该地点的笼子在强水流中经历了一些变形,笼子 的锥形截面垂直位移特别大。 当水流最强时,这将水柱中的垂直空间从 15-20m 减少到仅 10m。由于鲑鱼在这期间站在靠近笼子一侧的水流中,它们只 有 10m 的垂直空间可供它们使用,而当这种情况发生在白天 时,由于鲑鱼仍然倾向于避开水面,空间就更小了 尽管受水流影响最严重的笼子部分空间不足,但鲑鱼并没有 选择移动到笼子更避风的区域。这很可能是因为水流完全在它 们的游泳能力范围内,并且水交换量足够高,以至于鲑鱼总体 上正在经历最佳的溶解氧和水条件。 在波浪方面,检测到了一些主要影响。以与它们对日光反应 类似的方式,鲑鱼远离大浪的水面。然而,在更大的波浪条 件下鲑鱼也会以移动到笼子内更隐蔽的区域,并远离笼子的 侧面。 Made in Britain, Trusted Worldwide. We are We can help you improve your pellet durability testing... Holmen NHP200 Series 2 Laboratory based, automatic pellet tester. Holmen NHP300 Inline, process based system. OLM N H ® Holmen NHP100 Portable, manual pellet tester.
水动力条件对鲑鱼的影响 在强水流中,当鱼更喜欢站在 水流上时,单独的海浪并不会导 致鲑鱼避开水面,这表明水流 可以超越鲑鱼避开海浪的偏好。 这种影响可能是由于水流减弱 了水平波运动,使得鲑鱼没有 经历方向变化,而是经历了水 流强度的变化。然而,这尚未 从记录的水流和波浪数据中得 到验证。 总之,水动力条件对鲑鱼的影 响是多方面的且相互作用的。 因此,重要的是要了解一个地 点的潮流范围,笼子会变形多 少,并对波浪状况做出适当的 预测。 在定期福利登记观察中,本研 究中的鲑鱼没有经历不良的福利,因此在该地点、水流、波 浪和笼子规格在整个监测期间都适合鲑鱼。 然而,像这样的笼子是边缘案例,随着行业将他们的养殖 场转移到更暴露的地点,必须更加小心以确保对鲑鱼福利的 负面影响最小化。 如需更多信息,请联系 Ása Johannesen (asajoh@fiskaaling. fo) 或阅读我们在 PLoS ONE 上的最新科学论文https://aqfeed.info/e/1419 华中农业大学 王庆超博士 译 鲑鱼笼内鱼的水平分布。浅色箱代表小波浪的条件,而深色箱代表大波浪的条件。上图是在笼内五个不同 位置的视频记录中看到许多鱼的时间比例。底部的数字是看到任何鱼的时间比例,无论其在网箱内的相同 位置很少或很多。东部和北部的摄像机最不受海浪的影响;而南部暴露在中等程度的海浪中,但最容易受 到海流的影响。 鱼类养殖技术 37 | 2022 年 5 月 - Fish Farming Technology

hucaoTec是一家位于智利三文 鱼产业之都智利蒙特港附近的

公司。ChucaoTec公司在2020 年初是当时第一家使用氧气纳 米气泡技术改善三文鱼网箱养 殖底泥厌氧状况的公司,该公 司的出现颠覆了智利的三文鱼 产业现状。自此以后,他们的 纳米气泡技术,即“Quetrox”

作。

网箱养殖纳米气泡技术最有趣的应用之一是用于三文鱼网 箱养殖中的增氧。显然这并不是氧气的一种新应用:增氧和 曝气已经广泛应用于改善缺氧水体的养殖,及增加水体养殖 密度。

在智利南部,三文鱼生产商每月可能会在养殖中的增 氧或曝气方面投入近10万美元的费用。ChucaoTec公司将 其“Quetrox”纳米气泡技术与一个成熟的多孔软管增氧系统进 行了对比测试,结果发现,纳米气泡技术的氧气使用量同比 降低了了57%。

“Quetrox”网箱养殖系统增氧气的耗电量低至0.4kWh/kg,而 通过PSA制氧机现场制氧的耗电量约为1.5kWh/kg。因此, 减少57%的氧气输入,相当于每千克氧气节省0.5千瓦时的电 量,或大约0.5升柴油。此外,考虑到一个设备的氧气容量可 能是400 kg/h,因此,这个数据还是非常可观的。 ChucaoTec公司将于2022年5月安装第一个配备完

C
,以投入和维护成本最低的口号进入市场,并扩展到其他行 业和应用领域。智利法规规定,三文鱼的生产必须要保证三 文鱼养殖场下的海床处于有氧环境中。 该法规旨在减少三文鱼养殖对底栖生物的影响,但是这也导 致养殖户们需要面临海上养殖场地不确定的重大风险。此外, 考虑到三文鱼养殖对底栖生物的影响,受损后补救要比维护困 难得多,因此对海床采取非常严格的管制措施。 ChucaoTec公司认为这是一个很好的机会,因此开发了一种利 用纳米气泡技术修复受损海床的海床修复系统,该系统已通过 智利环保部门的商业应用验证。 低成本 自2020年初以来,该公司已使用该系统成功改善了智利南 部20多个地区的厌氧状况。ChucaoTec公司的纳米气泡技术 被称为“Quetrox”,它有三个竞争优势:低水头损失(小于 0.5bar)、气压力要求低(接近加工压力)和成本低。 联合创始人兼首席执行官JoséPuga解释道:“我们开发的海 床修复技术要求必须用尽可能细的管道将水泵至数百米来减 少水流阻力,这就要求我们的注水器尽可能少使用泵头。” 然而,每个月都有关于纳米气泡在各种行业应用的新出版 物,最受欢迎的是水产养殖、农业和水处理。 2021年,ChucaoTec认为他们的技术足够成熟,可以直 接商业化,并开始将“Quetrox”作为一种产品推出。目 前,“Quetrox”已经在智利的十几家孵卵厂投入使用,并获 得了良好的反响。此外,装配了完整电子网的“Quetrox”的设 施将于今年5月投入使用,并在农业和采矿领域开展试点工
泡除了可以节省氧气,还能够提高产量。 稳定的生存环境 鲑鱼孵化场也开始热衷于采用纳米气泡技术。“Quetrox”系 统已用于水体充氧、金属氧化、抑制病原体的臭氧注入等 方面。当谈到育苗池的增氧时,文化总监Paulo Jorquera 表 示:“由于操作简单并且供氧水平稳定,“Quetrox”受到客户 的广泛追捧” 。 “Speece cone”和“Quetrox”在效率方面没有什么差别,但 是“Quetrox”操作简单且系统稳定。ChucaoTec公司将在5月份 用实验设备进行一项对照试验,并以此来揭示这些结果是如 何影响鱼类的生长和饲料转化率的。Mr Jorquera补充道,“我 们相信从实验结果中,我们可以发现在消耗等量或者更少氧 气的情况下,相对稳定的生存环境将会提高鱼类的食欲并促 进生长” 。 由于其地理位置和合作伙伴的背景原因,ChucaoTec的客户 鱼类养殖技术 纳米气泡技术在三文鱼养殖中的应用 通过充氧改善厌氧条件,增加养殖密度 ChucaoTec
by
鱼类养殖技术 38 | 2022 年 5 月 - Fish Farming Technology
整“Quetrox”系统的网箱养殖设备,并期望以此来证实纳米气
has up to 8 simultaneous operations of seabed remediation for the salmon industry. Nanobubbles are created using Quetrox injectors on the surface and then pumped to the seabed ChucaoTec, Llanquihue, Chile
大多是鲑鱼养殖户。然而,纳米气泡的应用远不止在水产养 殖行业。农业市场是这项技术发展最快的市场之一,在农业 生产中农民通过使用空气或氧气的纳米气泡技术监测植株的 生长、果实大小和健康等情况。 一些使用“Quetrox”纳米气泡的初步试验表明,仅通过纳米 气泡技术进行灌溉,土壤中的微生物含量可以在短短10天内 增加近400%。有充分的证据表明,氧气纳米气泡技术可以 增加根系吸收营养的能力。Puga先生解释说:“农业正成为最 大的受益者,随着垂直农业、水耕农场和鱼菜共生农场的出 现,农业系统越来越趋于科技化,纳米气泡技术正在慢慢成 为一种农业标准。由于低利润的行业非常担心增加额外的运
IngenuityWorx公司的邀约函。IngenuityWorx是一家 在土壤健康方面有着雄厚丰富的知识储备,并且运用科学的 方法进行应用开发和销售的小众公司。
鲁东大学 李明珠博士翻译 设备是在蒙特港以北约20英里的小镇Llanquihue内部制造和组装的。 Quetrox 水头损失非常小,可以使用可用的管头数倍,无需额外的泵。 在这张 照片中,氧气被注入孵化场的富水区以进行金属氧化。 Quetrox 喷油器非常容易安装或改装到现有安装件中。 鱼类养殖技术 Our award-winning range of in-water electric stunners are backed by the UK’s leading supermarkets and producers. • 100% stun efficacy • Less stress, gaping, and bruising • Suitable for salmon, trout, seabass, seabream, prawns, yellowtail, and smolt Driving innovation IN HUMANE FISH SLAUGHTER “This is the best solution in the market in terms of animal welfare standards and environmental impact.” Jarl van den Berg M.Sc GENERAL MANAGER, HG SALMON UK, HENDRIX GENETICS 39 | 2022 年 5 月 - Fish Farming Technology
营成本,所以ChucaoTec认为它们的报价对这个行业来说特 别有吸引力。 走向国际化是ChucaoTec公司的短期计划之一。他们已经收 到了北美
他们还将于2022年6月在挪威展示他们的“Quetrox”系统, 并将与从事厄瓜多尔虾类养殖和新加坡海底修复的潜在客户 合作。
科技展示 本月创新 2022 年 5 月 为期两天的“Aquafarm”活动将于今年5月25日至27日 在波代诺内展览中心举办,本次活动旨在从水中寻找可 持续生产的食物。基于这一点,我们从本次参展公司中 挑选了一些反映了当前水产养殖领域的一系列创新还有 水产养殖业的光明前景的展品。如果您希望您的产品 或服务出现在下一期的《国际水产饲料和鱼类养殖》 杂志的相关部分,请联系我们editorial@perendale. co.uk. Learn more – Learn onsite Enroll in the 12-week Course 布隆迪清洗定位器系列 清洗定位器由不锈钢制成的旋转洗涤滚筒组成。为了达到进一步保护产品 的目的,这种特定的产品还可根据需求提供一个废水箱。有几种不同的 型号仪器可供选择,包括Cleanet 7(约6500升),Cleanet 10(9500 升),Cleanet 20(19500升)和Cleanet 13 (设计可容纳39000升) 。Cleanet 7 和 Cleanet 10 型号专供需要移动式或可移动式清洗操作使用 的。 此产品的综合功能体现在具有坚固铰 链系统的横向进水口,以及加固锁定 系统的打开排水口。此外,机械锁定 系统是额外赠送给渔民的安全系统, 它直接是用即用型包装运输,不需要 现场组装。 www.badinotti.com 莫雷诺公司的降级协调控制模式系泊网 莫雷诺公司的降级协调控制模式系泊网由纤维制成,没有硬质组件,因 此几乎没有机械破损的风险,同时还防止了动物损伤和逃逸。该公司预 先制作好系泊网,然后将其装在集装箱中运送到海鲜市场。 自2012年推出以来,该系泊网已在包括挪威,加拿大和苏格兰的养鱼场 在内的养殖场安装了300多台。 由于其材质的特殊性,Flexilink在海上安装多年后仅显示出微小的损坏迹 象。这意味着检查间隔时间可以更长,约每24个月检查一次,并且设备 本身比传统的系泊系统更高效。 www.morenot.com YSI公司的ProSolo数字水质仪 秉承YSI公司长期以来开发专业、耐用的溶解氧(DO) 监测仪器的传统,ProSolo数字水质仪装配了该公司最 先进的光学溶氧(DO)测量技术,并简化了包装。 为了确保ProSolo便携式溶解氧检测系统的最佳性能, 它配备了坚固的仪表盘、智能传感器、优质电缆以及强 大的数据处理器。 ProSolo配备了该公司先进的集成探头和电缆组件,因 此它的调试迅速、简单。此外,该手持设备还能够自动 识别数字智能传感器,并存储自己的校准数据。 YSI手持式水质检测仪还以其耐用性而闻名,该设备坚固 的防水外壳可以确保设备免受恶劣条件的损害,其军用 型锁定电缆连接器确保电缆连接安全迅速。 www.ysi.com 鱼类养殖技术 fishfarmingtechnology.net Check out our website dedicated to fish farming technology
科技展示 www.onlinemillingschool.com Faivre公司的Pescamotion6 plus鱼泵 Favire的 Pescamotion鱼泵是历经八个月时间不断打磨 不断优化的产物。 该泵被研发用于运输活体重量在700克以下的大马哈鱼, 以及500克以下的鲈鱼和海鲷。Pescamotion 6+泵是提 供分级机的理想选择,用于从坦克或装载卡车转移,可 以适应所有情况。 它的主要优点是量很轻,只有202公斤,并且配备了新型自动停启系统。 此外,它的容量也很大,每小时能够运 输20吨鱼。316L不锈钢泵壳可以确保 其在海水中使用。 该鱼泵具有遥控功能,操作者使用200 米IP67遥控器,就可完全操控鱼泵、 鱼泵电机和运输速度。 www.faivre.fr aqfeed.info/e/1427 LP Stingray in Situ 洗网机 Lindgren-Pitman生产的两米长的洗网机采 用了创新型的渔网清洗技术来清洗被污染的 渔网。此外,由于它是全电动的,因此能够 以每秒40米的速度清洁渔网。 该洗网机能够在小型发电机或电力基础设施 上工作,并且用电效率更高,所需功率是类 似的高压清洗系统的十分之一。 它的浮头能够通过低速螺旋桨清洁两米宽的区域。这项科技能通过震动渔网从 而去除包括贻贝、大型海藻和水生生物在内的污物。 该洗网机的主要优势有:可以每小时清洁2300-4600平方米渔网,配备有四个 LED照明摄像机以及一个操作室视频监视器。 www.lindgren-pitman.com 2022年饲料创新奖 如果你知道或拥有一项新推出的包括 宠物食品在内的动物饲料生产创新产 品,那么请考虑将其列入今年的饲料 创新奖申报中,该奖项将于2022年5月 31日至6月2日在荷兰乌得勒支举行的 Victam国际博览会上颁布。 . For more information: https://mymag.info/e/1290 International Aquafeed - 2022 年 5 月 | 41

8 亿英

镑。这些寄生虫附着在鲑鱼的皮肤上,以组织、粘液和血

液为食,经常造成开放性损伤和应激。受感染的鱼表现出 生长受损,并增加继发感染的发生率。

比较高抗性和低抗性大西洋鲑鱼将有助于深入了解物种内 的抗性机制。科学家将比较皮肤和附着在皮肤上的活寄生 虫,以评估其抵抗力,并精确测量高抗性鱼类何时抵抗 海虱。

抵抗力的差异可能是由于特定细胞的作用,以及海虱附着

水产养殖案例研究 抗虱鲑鱼 本研究旨在确定大西洋鲑鱼对关 键寄生虫具有抵抗力的遗传机制 一组科学家正在调查银鲑的基因,投入 170 万英镑 (约
216 万美元),以了解其对海虱的抵抗力。他们希望 在受该疾病严重影响的大西洋鲑鱼上重现这种抵抗力。 海虱是全球鲑鱼养殖的一个长期存在的大问题,严重影响 鱼类健康和福利,并使全球水产养殖业每年损失约
些寄生虫产生遗传抗性的生物学过程。 然后,他们将应用获得的这些有关的抗性机制。特别是, 旨在确定可以使大西洋鲑鱼抵抗海虱的基因。 最终,研究人员将银鲑中发现的遗传抗性机制引入大西洋 鲑,改变它们的 DNA 。该项目由爱丁堡大学罗斯林研究所 和斯特林大学水产养殖研究所的研究人员领导,将获得生 物技术和生物科学研究委员会 (BBSRC) 和可持续水产养殖 创新中心 (SAIC) 提供的总计 170 万英镑的资金。这也是一 项与水产养殖公司 Benchmark Genetics 的商业合作项目。 入围基因 研究人员将利用之前从12000条受感染的大西洋鲑鱼中收集 的数据,确定与抗海虱相关的基因组区域。数据将使他们能 够测试大西洋鲑鱼对不同海虱物种的抗性差异是否存在共同 的潜在遗传基础,并改进对海虱抗性的预测。
虽然这些寄生虫最初能够附着在银鲑身上,但这种鱼会产 生先天免疫反应,导致海虱快速被排斥,从而影响有限。 研究人员将研究银鲑对海虱附着的反应,并试图揭示对这
应的关键机制、基因和蛋白质。 整个项目收集的信息将被整合,以识别和筛选潜在的海虱 抗性基因。基因编辑技术将用于验证这些基因,测试使用新 型体外模型沉默它们的效果。如果基因编辑导致对海虱的抗 性发生变化,则提供了该基因与抗性相关的额外证据。 将使用 CRISPR 基因编辑技术将五个入围候选基因引入鲑 鱼胚胎。然后将编辑过的鲑鱼与海虱接触,比较它们与未经 编辑的同胞的抵抗力差异。这一步将确定有效的编辑,并有 Inês Crespo,研究通信员;Diego Robledo,职业规划员,罗斯林研究所,爱丁 堡大学,英国 CS 如果一种鲑鱼具有天然抵抗海虱的能力,可能从其 身上能够找到防止这种寄生虫对其他鱼类造成破坏 性影响的答案。不同的鲑鱼对海虱表现出不同的抵抗 力 大西洋鲑鱼易感,而银鲑几乎完全抵抗。 42 | 2022 年 5 月 - International Aquafeed
在由多种类型细胞组成的鲑鱼皮肤上的位置。研究人员将在 单细胞水平下比较大西洋鲑和银鲑,以研究其对海虱不同反
CS World Leaders in Microwave Moisture Measurement Hydro-Probe XT Hoppers, chutes, belt conveyors Hydro-Mix XT Mixers, conveyors, Ducting System Hydro-Mix XT-EX Certified for use in ATEX, IECEx and NEC/CSA Hazardous Locations (Dust) Hydro-Mix HT Mixers, conveyors, Ducting System, High Temperature enquiries@hydronix.com www.hydronix.com Contact us for more details Hydronix-Aquafeed-Advert Jan 2022 215x140mm.indd 1 20/12/2021 19:02 International Aquafeed - 2022 年 5 月 | 43

EXTRUDER AND EXPANDER TECHNOLOGY YOU CAN TRUST

Extruder AL300

Almex offers a wide range of single screw extruders and expanders which are used for different applications.

The robust and simple design of the Almex machines guarantees years of economical and trouble free production.

Scan the QR-Code for more information www.almex.nl
www.almex.nl
Visit us at Victam International Utrecht - The Netherlands Booth 1.432

并减少对环境的影响。”

未来发展

基因技术可以将其他理想性状引入养殖物种,例如改善生 长,提高对疾病的抵抗力或在不同养殖环境中的稳定性。 大多数水产养殖物种可以产生许多后代,并且可以快速培 育大量遗传改良的种群以提高生产性能。监测养殖场种群的 基因组在个体之间的变化将有助于在个体发育过程中保持遗 传多样性。

罗斯林研究所最近开放了淡水水产养殖遗传学研究设施, 并开展了养殖鱼类对疾病的反应研究,该设施支持研究养殖 鱼类的抗病性和基因编辑,特别是鲑鱼、牡蛎和虾。

罗斯林的科学家们此前已经确定了与疾病相关的鱼类基因 组和区域,例如由传染性胰腺坏死病毒和罗非鱼湖病毒引起 的疾病。 “根据现行立法,基因编辑的鱼不能在英国养殖。如果想 得到监管机构和公众的批准,研究人员和水产养殖部门将

可能应用于商业生产,创造出抗虱鲑鱼。
改变基因
。 福利和可持续性 该合作的研究目标旨在改善鱼类健康,并增强鲑鱼养殖业 的可持续发展。Robledo 博士强调了解决这些寄生虫的好 处:“抗海虱鲑鱼将改善鱼类福利,减少去虱处理对环境的 影响,减少海虱对野生鱼类的潜在影响,并有助于确保该行 业的就业机会。” 斯特林大学水生动物健康教授James Bron补充说:“斯特林 大学水产养殖研究所将30多年来对海虱和大西洋鲑鱼相互作 用的研究成果引入了这一合作。大西洋鲑鱼养殖疾病控制方 面取得的进展也与其他关键物种的养殖相关,因此开发和应 用这些尖端技术有助于提高水产养殖的可持续性和全球粮食 安全。” 养殖对寄生虫具有更高抵抗力的鱼类将减少对抗生素和其 他药物的需求。环境中化学物质的减少和因疾病损失的鱼类 减少将随后减少水产养殖对环境的影响。 基因改良促使种群对传染病具有更强的抵抗力,需要更少 的饲料就能达到市场供应。这不仅改善动物福利,同时还可 以提高生产效率,并减少碳足迹。 可持续水产养殖创新中心 (SAIC)首席执行官Heather Jones 表示:“该项目是苏格兰为应对海虱的长期挑战而开展的多 样化创新工作的一个很好的例子。” 。 “鱼类的健康和福利对我们的水产养殖业至关重要,看到我 们的机构进行世界领先的研究,真的非常令人鼓舞。我们很
罗斯林研究所的科学家在之前的研究中已经使用了基因编 辑技术来识别鲑鱼的抗病基因,这种技术可以有针对性地、 精确地改变遗传密码。研究人员表示,如果得到监管机构和 公众的批准,这将是革命性的,具有巨大的经济、环境和动 物福利效益。 传统的控制策略,例如饲料添加剂、清理和定制网箱,仅 部分有效。控制海虱仍然经常需要用到昂贵且可能对环境造 成破坏的药物,其中许多海虱已对常见的除虫药物产生耐药 性。 选择性育种以增加鲑鱼对海虱的抵抗力是一个有效但相对 缓慢的过程,因为一代鲑鱼需要长达四年的时间才能成熟繁 殖。提高鲑鱼对海虱的先天遗传抗性是一种很有前途、对环 境影响较小但尚未得到充分利用的控制方法。 罗斯林研究所的水产养殖基因组学专家 Diego Robledo 博士 说:“虽然大西洋鲑鱼对海虱高度敏感,但银鲑几乎完全抵 抗。我们将比较这两个物种的基因组,以了解它们对这些寄 生虫的反应之间的联系,这样我们就可以确定银鲑抗性的关 键机制。然后,我们可以尝试通过基因编辑技术将这些抗性 基因从银鲑转移到大西洋鲑。” 合作公司Benchmark Genetics的遗传学负责人、罗斯林研究 所水产养殖遗传学原主席Ross Houston教授说:“通过多年来 对抗海虱的遗传和功能机制进行的研究,进行有针对性的改 变,基因编辑有可能加快抗病鲑鱼的繁殖。”
高兴为这项计划提供资助,有助于提高英国水产养殖效益,
必须评估以何种安全的方式将经基因编辑的鱼引入农场环 境。”Robledo 博士谈到在水产养殖中实施基因编辑时说。“ 例如,编辑过的鱼可能需要不育,以防止它们与野生种群杂 交。不育需要与以可育动物为中心的繁殖计划相兼容,这将 需要技术创新。” 鲑鱼作为第一个获批的转基因鱼,已在美国和加拿大上 市。AquAdvantage 鲑鱼的基因经过改良以过度表达生长激 素,可实现全年生长,在室内设施中生产,以防止与野生种 群杂交或影响它们。 对遗传学和健康的进一步研究将有助于使这些技术更加精 确,并有助于水产养殖的可持续性、粮食安全和动物福利。 青岛农业大学 陈京华博士 翻译 CS International Aquafeed - 2022 年 5 月 | 45
行业活动 在COVID-19的全球影响下,行业活动的状态更新 2022 2022 五月 3-5 英国水产养殖2022 苏格兰阿维莫尔 https://aquacultureuk.com 24-27 2021年世界水产养殖 墨西哥梅里达 www.was.org/meeting/code/AQ2022 25-26 水产养殖 2022 意大利波代诺内 www.aquafarm.show 25-27 2022 年亚洲农业技术展 泰国曼谷 www.agritechnica-asia.com 31-2 VIV 欧洲 荷兰乌得勒支 www.viveurope.nl 31-2 征服国际 2022 荷兰乌得勒支 www. victaminternational.com 2022 六月 29-30 欧盟海洋农业 2022 德国不来梅港 https://seagriculture.eu 七月 6-8 第十六印度畜牧业 雅加达,印度尼西亚 www.indolivestock.com 2022 八月 3-5 Ildex 越南 2022 越南胡志明市 www.ildex-vietnam.com 10-12 马来西亚畜牧业 2022 马来西亚马六甲 www.livestockmalaysia.com 15-18 加拿大水产养殖和 WAS 北 美 2022 圣约翰,纽芬兰,加 拿大 www.was.org/meeting/code/WANA2021 23-25 菲律宾水产养殖 2022 菲律宾马尼拉 www.livestockphilippines.com 2022 九月 1-3 台湾SMART农业周2022 台北,台湾 www.taiwanagriweek.com 6 水产养殖创新论坛 英国伦敦 aquacultureinnovationforum.com 4-6 鱼国际 2022 德国不来梅 https://fishinternational.de 7-8 美国海洋农业 2022 美国缅因州波特兰 https://seagriculture-usa.com 13-15 空间 2022 法国雷恩 http://uk.space.fr 22-23 2022 年新西兰水产养殖 会议 新西兰纳尔逊 www.aquaculture.org.nz 27-30 欧洲水产养殖 2022 意大利里米尼 www.aquaeas.org 2022 十月 12-14 越战2022 越南胡志明市 www.vietstock.org 2022 十一月 9-11 2022 年 AFIA 设备制造商 大会 美国佛罗里达州圣彼 得堡 www.afia.org 9-11 Ildex 印度尼西亚 2022 雅加达,印度尼西亚 www.ildex-indonesia.com 15-18 欧洲等级 2022 德国汉诺威 www.eurotier.com 29-2 2022 年新加坡世界水产 养殖展 新加坡 www.was.org ☑ See The International Aquafeed team at this event 诺贝尔奖获得者约瑟夫斯蒂 格利茨参加“水产视野2022” 约瑟夫斯蒂格利茨教授将于2022年6月 13日至15日在挪威斯塔万格举行的世界 顶级水产养殖商业会议“水产视野2022” 上发表主题演讲。 在一个全球业务前景正在迅速变化的 世界中,商界领袖正在寻找如何实 现可持续经济增长和增加海产品产量 的答案。 为此,“水产视野”组织者很高兴地宣 布,诺贝尔经济学奖获得者约瑟夫斯 蒂格利茨教授将在“水产视野2022”上发 表主题演讲。 随着经济政策和全球的增长或衰退在 艰难时期发挥重要作用,斯蒂格利茨 教授将强调 Covid-19对多方面的影响, 包括原材料成本增加、通货膨胀和利 息增加等问题。 2001 年,斯蒂格利茨教授因其对信息 不对称市场的分析而获得诺贝尔经 济学奖。他是1995 年政府间气候变化 专门委员会 (IPCC) 报告的主要作者,该 报告分享了 2007年诺贝尔和平奖。2011 年,《时代》杂志将斯蒂格利茨教 授评为全球100 位最具影响力的人物 之一。 斯蒂格利茨教授于1997-2000年担任世界 银行首席经济学家和高级副行长。 在过去的 15 年中,他撰写了一系列书 籍,这些书籍对塑造全球辩论产生了 巨大影响。他的奖项中有40 多个荣誉 博士学位,其中包括来自剑桥大学和 牛津大学的荣誉博士学位。 “我们很荣幸斯蒂格利茨教授能加入 我们,”斯特灵首席执行官 Therese Log Bergjord 在评论斯蒂格利茨教授参加“水 产视野2022”时说。 “他在宏观经济学和货币理论、发展 经济学和贸易理论、公共和公司金 融、产业组织和农村组织理论、福利 经济学和收入和财富分配理论等做 出了重要贡献,他为水产视野2022带 来的见解将使所有观众受益。我们等 不及了!” 46 | 2022 年 5 月 - International Aquafeed
Nov. 29 - Dec. 2, 2022 Conference Sponsors Temasek Polytechnic, Nanyang Technological University National University of Singapore, James Cook University Republic Polytechnic 3rd International Symposium on Perch and Bass Associate Sponsors Aquaculture Engineering Society International Association of Aquaculture Economics & Management WorldFish World Aquaculture Singapore 2022 WA2020 Partner @WASingapore WASAPC @WASAPC The Annual International Conference & Exposition of World Aquaculture Society Asian Pacific Aquaculture 2022 – Annual Meeting of Asian Pacific Chapter, WAS Hosted by Singapore Food Agency WAS Premier Sponsors Singapore EXPO Convention & Exhibition Centre and MAX Atria Sustainable Aquaculture for Two Oceans HOTEL RIU PLAZA Panama City, Panama April 18-21, 2023 The annual meeting of LATINAMER CAN&CARIBBEA N RETPAHC Get our meeting mobile app Hosted by Latin American & Caribbean Chapter/World Aquaculture Society -WAS LACC@laccWas LACC World Aquaculture Society Premier sponsors @LACC_WAS Conference sponsor Latin American & Caribbean Aquaculture 2023 February 23-26, 2023 New Orleans Marriott New Orleans, Louisiana Aquaculture America Associate Sponsors World Aquatic Veterinary Medical Association Aquacultural Engineering Society Aquaculture Association of Canada Global Seafood Alliance International Association of Aquaculture Economics and Management Latin American Chapter WAS • US Trout Farmers Association SPONSORED BY: Food For The Future 2023 WAS Premier Sponsors For details: aquacultureassociation.ca | was.org | naia.ca AUG. 15 - 18, 2022 ST. JOHN’S CONVENTION CENTRE ST. JOHN’S NEWFOUNDLAND AND LABRADOR, CANADA For More Information Contact: Conference Manager | P.O. Box 2302 | Valley Center, CA 92082 USA Tel: +1.760.751.5005 | Fax: +1.760.751.5003 | Email: worldaqua@aol.com | www.was.org Trade Show Contact: mario@marevent.com WA 4 show AD 26 x 33.6 cm.indd 1 4/5/22 12:56 PM

场,这是一场针对谷物、面粉和大米加 工行业量身定制的活动,因为它将展 示用于大米和面粉厂的专业系统和技 术,以及关于粮食储存、保鲜和运输 的展览。 为表彰对行业做出的贡献,国际水产

饲料和 Milling and Grain 杂志的母公 司Perendale Publishers Ltd也将在 VIV Europe 上颁发 Grapas 创新奖,以表彰 在面粉、大米和意大利面加工业上最具 创新性的解决方案。 此外,该公司还将颁发动物饲料技术 和营养奖,包括饲料技术和饲料营养两 个奖项,以表彰在饲料加工和营养技术 方面的创新。

VIV Europe 每四年举办一次,今年展 会的重点是饲料生产和家禽行业。VIV Europe关注的一个重要主题是“全球专 业知识 当地实践”,着眼于平衡全球 和本地供应链,以确保食品生产的持 续稳定,认识到粮食供应链如何容易

包括捕捞和养殖的, 2017 年进口量超 过 了 900 万吨。近年来,欧洲水产养 殖的表现一直在改善,但为了进一步 改善,需要应对关键挑战。 在国际水产饲料杂志 Roger Gilbert 的 主持下,与会专家从他们自己独特、 见多识广的角度介绍并讨论了该行业 面临的关键挑战。 与会专家包括挪威 Norfishing 和 AquaNor 的传播总监 Erik Hempel ; 帝斯曼营销主管 Benedict Standen 博 士; Dr Eckel Animal Nutrition 公司首 席技术官 Bernhard Eckel 博士; 赢创工业水产养殖研究负责人 Kartik Masagounder 博士。在介绍和演讲之 后是激烈且事实丰富的问答环节, 涵盖了广泛的主题。 从演讲中得出的最重要结论是,解

业界动态 欧洲饲料及粮食加工展(Victam International)和2022欧洲畜牧展 (VIV Europe International) 技术在提升欧洲水产养殖产量中的作用 Andrew Wilkinson,国际水产饲料杂志 Victam International 和 VIV Europe International作为两个受欢迎的商业展将 于 2022 年 5 月 31 日至 6 月 2 日在同一 地点举行。 在为期三天的时间里,Victam International 将举办一系列会议和技术 研讨会,适合包括决策者、营养师和管 理层的人来参观。 预计将有 300 多家参展商展示最新的 产品和服务,以及可用于动物、宠物和 水产养殖饲料的最新原料和添加剂。 与 Victam International 合作的 Milling
Grain 杂志将举办 Grapas
and
Europe专
被中断。 VIV Europe 饲料系列活动—— 第 1部分 为筹备在乌得勒支举行的主要活动, 我们都应邀参加了 2022 年 3 月 31 日( 星期四)举行的1小时的水产养殖网络 研讨会,题为:“全球专业知识 技术 在提升欧洲水产养殖潜力中的作用” 。 作为 VIV 在开展前举办的四场网络研 讨会之一,本次活动为我们提供了一个 机会,让我们了解欧洲水产养殖如何在 未来为消费者提供更广泛的高质量、可 持续水产养殖食品选择。 欧洲水产养殖的失败 2018 年,欧洲养殖鱼类产量为 310 万 吨,仅占世界水产养殖产量的 3% 多一 点,欧盟是世界主要海鲜消费市场 之一, 2017 年,欧盟 28 国人民消费的 海鲜总量为 1460 万吨,其中水产养殖 产品仅占 140 万吨。 欧盟依赖从世界其他地区进口海鲜,
题。尽管该行业拥有适合全球水产养 殖生产的正确的营养技术和设备开 发,但欧洲未能很好的发展其水产养 殖业,并推动该行业向前发展。 有你感兴趣的吗?您可以通过以下链 接完整观看网络研讨会: https: // aqfeed.info / e / 1424 青岛农业大学 陈京华博士 翻译 48 | 2022 年 5 月 - International Aquafeed
决欧洲水产养殖面临的挑战的关键在 于营养,因为正是营养推动了高效的 水产养殖生产,它可以着眼于可持续 性,可以着眼于我们正在做的事情对 环境的影响,以及我们养鱼的方式。 单凭这一点还是不够的。还需要关 注与欧洲水产养殖环境方面有关的问
Co-located with WORLD EXPO FROM FEED TO FOOD Organized by WWW.VIV.NET GLOBAL EXPERTISE LOCAL PRACTICE First LIVE event in Europe in 2022! REGISTER NOW The animal protein industry finally reunites! Join the Suppliers Top-ranked venue: Jaarbeurs Utrecht Only 30’ from Amsterdam WWW.VIVEUROPE.NL VIV EUROPE 2022 UTRECHT, THE NETHERLANDS 31 MAY – 2 JUNE

授、Fathi Othman教授、工程师Ahmed Al-Sheraki和Abdel Fattah Al-Sayed教授。 参与这一重大活动的最重要的全球组织包括非洲联盟发展 署、世界鱼类中心、世界水产养殖协会、美国大豆出口委 员会(USSEC)和粮食及水产养殖组织 (FAO)。赞助会 议的最重要的国际公司的代表出席了会议,如Aller Aqua公 司,以及鱼饲料制造的Grand Group、DSM、Zeigler、Blue Aqua、Animal Health MSD、大豆对人类健康的世界倡议

由于Covid-19的原因,AFRAQ 21从原定的2021年12月推迟 到2022年3月25-28日。这是自2019年受Covid-19影响在中东 和非洲举办的第一个水产养殖国际会议和博览会。

重要的全球参与者 这次会议是在一家专门与埃及方面合作组织会议的国际公 司的监督下组织的。亚历山大图书馆于2022年3月5日星期五 开始注册会议。 3月26日星期六上午,开幕式在大会堂举行,随后不久, 在八个大厅内开始了科学会议活动,整个会议大楼内座无虚 席。活动时间为上午9点至下午6点。 来自科学家和研究人员的2000多名组织者和参与者,以及 参展商和水产部门的许多工人,包括饲料生产商和生产要

南非、丹麦、肯尼亚、法国、黎巴嫩、俄罗斯、澳大利亚、 瑞士、荷兰、西班牙、赞比亚、荷兰、布基纳法索、突尼 斯、加纳、塞尔维亚、比利时、以色列、日本、中国、沙特 阿拉伯、利比亚、约旦、叙利亚、苏丹、厄瓜多尔、墨西 哥、巴西、土耳其、伊拉克、也门、摩洛哥、德国、孟加拉 国、印度、印度尼西亚、泰国和巴林。 30多名研究人员和讲师参加了会议的科学活动,他们分享 了世界各地关于水产养殖及其所有分支的各种研究成果,如 营养、种子生产、双壳类和海藻、鱼类健康管理、罗非鱼健 康管理、可持续水产养殖、环境水质、水生动物健康、国家 报告、鲻鱼、水产养殖发展、营养生理学和生态学。 共有140篇科学论文参加了会议。100多张科学海报遍布各 个会议厅,见证了60家公司的参展,也见证了超过2000人的 参展人数。

《国际水产饲料杂志》在我们的展位上扮演了明确的角 色。在这三天里,来自世界各地的埃及和外国游客纷纷来到 我们的6号展位,我们向所有出席者免费赠送了一份《国际 水产饲料杂志》

业界动态 根据联合国粮农组织(FAO)的统计数据,阿拉伯埃及共和 国是非洲和中东地区最大的水产养殖国,2020年是世界第七 大水产养殖国,你会发现亚历山大古城。 许多人认为这是地中海的骄傲,该定居点最初是由亚历山 大大帝在大约2500年前于公元前331年建造的。亚历山大图 书馆是最大、最古老和最伟大的图书馆,位于市内。 由托勒密二世于2300年前创建,目前藏书200多万册,是世 界第四大法语图书馆,是全球公认的教育中心,是现代举办 非洲水产养殖会议(AFRAQ 2021)的理想场所。
求、饲料添加剂制造商、维生素、生长刺激剂、抗毒素、疫 苗、血清、渔网、海洋网箱要求、专业饲料、卤虫、鱼类分 拣、计数、运输设备、遥感和监测设备。 以及埃及最重要的科学机构的代表,如隶属于科学研究和 高等教育部的国家海洋学和渔业研究所(NIOF)和农业部 渔业研究中心实验室,以及农业部渔业发展局、沙漠研究中 心、动物健康研究所、湖泊和海滩保护局和国际鱼类中心。 来自埃及大学和鱼类资源学院的多位讲师以及亚历山大大 学、开罗大学、艾因夏姆斯大学、扎加齐克大学、苏伊士大 学、爱资哈尔大学以及Kafr El和苏伊士鱼类资源学院的代表 出席了会议。 此次活动充满了许多埃及成功案例,他们在发展埃及鱼 类生产部门方面发挥了积极作用,例如Ismail Radwan教
(WISHH)和 Skretting Africa的代表参加了此次活动。 会议展览场地非常大,参展商种类繁多,由三个展厅组 成。一个主厅和两个副厅,展览包括60多个展位。 来自40多个国家的代表 来自世界各地40多个国家的游客和代表出席了AFRAQ 2021,这些国家包括美国、英国、意大利、阿联酋、越南、
3月刊。 出席者包括联合国粮农组织助理主任Abdul Hakim El Waer 博士、水产养殖发展部(GAFRD)总经理Ahmed Sany ElDin 博士、Aller Aqua公司区域销售总监Ole Haubro先生以及鱼 类饲料制造Grand Group所有人Nabel Hamed先生、水产养殖 和海洋渔业学院院长Ashraf ElDakar教授,阿里什大学和许 多养鱼户和渔业部门的研究人员,以及农业部长水产养殖 顾问。 这是一个充满了许多会议、科学讨论、经验交流和鱼类生 产和饲料行业发展成功案例的会议。 大连海洋大学 左然涛博士 翻译 AFRAQ 2021 通过更可持续的水产养殖变体养活 非洲 Mohamed Baromh博士,营养研究讲师,埃及NIOF 国家渔业研究所 50 | 2022 年 5 月 - International Aquafeed
ISFNF 2022 第20届科学界和水产饲料行业汇 聚一堂 国际鱼类营养与饲养研讨会(ISFNF)将于2022年6月5日 至9日在阳光明媚的意大利索伦托市举行。此次活动有望满 足科学界和水产养殖业对本次展览的高度期望,本次展览现 已推出第20届。 今年的ISFNF题为“迈向精确的鱼类营养和饲养”,将作为水 产饲料行业研究人员、学者和行业的首要国际论坛,介绍和 讨论最新的结果和发现。 预计来自世界各地的400多名代表将出席ISFNF,在为期五 天的活动期间,将有80场口头陈述和150张海报。主题包括 生理和营养需求、孵化场饲料(亲体和幼体)、替代脂质和 蛋白质来源、饲料添加剂和功能性饲料、营养和饲养策略、 营养和鱼类健康、饲料技术和产品质量。 每个演示文稿都是共享的 ISFNF一直是一次会议,每一次演讲都与所有会议参与者 共享,确保最大程度地传播和高质量的辩论和见解。 两个下午的会议也将专注于海报展览和与作者的讨论。 会议开始时还将有三场30分钟的特邀讲座,分别来自粮农 组织、欧盟委员会DG研究与创新部以及饲料行业的一位 代表。 该计划还包括非正式讨论、午餐和社交活动,以鼓励参与 者相互了解并扩大网络并寻找新的合作伙伴关系。 据组委会主席、来自博洛尼亚大学的Alessio Bonaldo教授 介绍,在经历了因大流行而造成的漫长困难时期后,本届大 会将允许再次见面,讨论研究人员和饲料行业在未来将面临 的新挑战。 Alessio Bonaldo教授补充道:“我们对收到的高质量的摘要 印象深刻,要选择口头介绍的80项研究并不容易。鱼类营养 和饲养研究是提高水产养殖可持续性、环境足迹、鱼类健康 和产品质量的关键。” “ISFNF将代表进一步了解鱼类生理学、使用新的循环成 分、精确饲养以及饲料和添加剂在改善鱼类性能、福利和健 康方面的作用。” 您可以在ISFNF网站上找到所有信息并进行注册: www.isfnf2022.org 大连海洋大学 左然涛博士 翻译 业界动态 52 | 2022 年 5 月 - International Aquafeed
Scan the QR code or visit www.victaminternational.com Register and visit VICTAM International 2022 for FREE TO VISIT FOR FREE REGISTER NOW ON-LINE MAY 31 - JUNE 2 2022 @ JAARBEURS UTRECHT, THE NETHERLANDS THE WORLD LARGEST DEDICATED EVENT FOR THE ANIMAL FEED AND FLOUR PROCESSING INDUSTRIES
鱼类养殖技术 ONLINE IN-PRINT MOBILE APP Join the mailing list at: Do you want more industry news? Get the industry news highlights, along with content from International Aquafeed magazine straight to your inbox every week! Get a trial subscription to our digital editions for FREE! bit.ly/pplenews Simply visit: https://store.magstand.com/Aquafeed and use the promo code: IAF2205
Industry Events 2021世界水产养殖年会 2022年世界水产养殖协会(WAS)全球活动将于2022年5 月24日至25日在墨西哥尤卡坦州梅里达尤卡坦国际会议中 心(CIC)举行,由尤卡坦可持续渔业和水产养殖秘书处 (SEPASY)支持。 需要记住的是,该活动的初始日期是2021年11月,但由 于不可抗力的原因,委员会决定将活动重新安排到2022年5 月。但是,保留了WA2021的名称。 世界水产养殖年会(WA)是全球公认的与知识、技术、创 新和专业人员网络交流最相关的年度会议。 在WA2021年期间,联合国粮食及农业组织(FAO)和其 他国际和国家组织将参与,包括国家渔业和水产养殖业协会 (CANAINPESCA)和墨西哥渔业和水产养殖业促进委员会 (COMEPESCA)。 将举办多场演讲、研讨会、工作会议、商业展览、艺术画 廊、对该地区农场和加工厂的技术访问,以及几场致力于世 界各地水产养殖专业人士交流想法和经验的活动。 在WA2021期间,将举办有关水产养殖健康、营养和食品、 遗传学、生产系统、创新等主题的学术和技术会议,以及侧 重于虾、罗非鱼和海洋鱼类等物种养殖的会议;在上午和下 午的会议中分发了整整三天。每个会议都有每个主题的专家 主持人。 该活动将设有一个投资论坛,预计将就未来的水产养殖项 目达成协议,以及为INAPESCA等政府实体提供一个机会, 为所有与会者提供有关藻类、甲壳类动物、双壳类和软体动 物以及海洋鱼类等主题的论坛空间。 值得注意的是,该活动也将是新成立的墨西哥水产养 殖协会SOMEXACUA的首次会议。在此期间,WASSOMEXACUA奖项将首次颁发给多年来在墨西哥建立水产养 殖业的人士。 LA WA2021将与国际知名嘉宾举行四场全体会议。全体会 议题为“我们对海藻养殖如此开放,以至于我们的大脑都崩 溃了吗?海藻幻想和事实以及如何最好地加速海藻养殖” 。 它将由生态水产养殖基金会总裁兼首席执行官Barry Antonio Costa-Pierce领导,他在美国(缅因州、夏威夷)和葡萄牙( 亚速尔群岛)设有办事处。 美国大豆出口委员会(USSEC)总干事Jim Sutter将在全体 会议上发表题为“可持续发展对负责任水产养殖,耕种土地 以保护海洋的影响。” 同一天,智利工业工程师兼水产养殖和渔业国际顾问Carlos Wurman将发表题为“展望未来:可持续水产养殖的挑战和机 遇”的演讲。 WAS主席Antonio Garza de Yta博士将于26日(星期四) 以题为“专业协会对水产养殖未来的重要性”的会议结束全体 会议。 届时将有一个贸易展览会,展台超过80个,用于展示和提 供产品和服务,来自拉丁美洲、美国、欧洲、非洲和亚洲的 公司将参加,预计将有2000多名参与者到访。 大连海洋大学 左然涛博士 翻译 世界水产养殖协会是一个由100多个国家的成员组成的国际组织,其宗旨是促进 水产养殖教育、科学和技术的发展和进步,并在全世界收集和传播有关水产养 殖的信息。 International Aquafeed - 2022 年 5 月 | 55

Bühler

Consergra s.l +34 938 772207 www.consergra.com FAMSUN +86 514 85828888 www.famsungroup.com

Ferraz Maquinas e Engenharia +55 16 3615 0055 www.ferrazmaquinas.com.br

FrigorTec GmbH +49 7520 91482-0 www.frigortec.com

IDAH +866 39 902701 www.idah.com

Wenger Manufacturing +1 785-284-2133 www.wenger.com

Yemmak

Ferraz Maquinas e Engenharia +55 16 3615 0055 www.ferrazmaquinas.com.br

IDAH +866 39 902701 www.idah.com

Ottevanger +31 79 593 22 21 www.ottevanger.com

Wenger Manufacturing +1 785-284-2133 www.wenger.com

Yemmak +90 266 733 83 63 www.yemmak.com

Zheng Chang +86 2164184200 www.zhengchang.com/eng Feed

Adisseo + 33 1 46 74 70 00 www.adisseo.com

Aller Aqua +45 70 22 19 10 www.aller-aqua.com

Alltech +44 1780 764512 w: www.alltech.com

Anpario +44 1909 537 380 www.anpario.com

Biorigin www.biorigin.net

GePro +49 54415 925252 www.ge-pro.de

Grupo Dibaq +34 921 574 286 www.dibaqacuicultura.es

Grand Fish Feed +202 20 650018 www.grand-aqua.com

Liptosa +34 902 15 77 11 www.liptoaqua.com Phileo

Aerators
Air products
Faivre + 33 3idah 81 84 01 32 www.faivre.fr
Additives
+34
4
1833
Analysis
141 945 2924 www.r-biopharm.com
Labs
Amino acids Evonik +49 618 1596785 www.evonik.com Bulk storage Silo Construction & Engineering +32 51723128 www.sce.be Silos Cordoba +34 957 325 165 www.siloscordoba.com Symaga +34 91 726 43 04 www.symaga.com TSC Silos +31 543 473979 www.tsc-silos.com Conveyors Vigan Enginnering +32 67 89 50 41 www.vigan.com Colour sorters Bühler AG +41 71 955 11 11 www.buhlergroup.com Satake +81 82 420 8560 www.satake-group.com Computer software Inteqnion +31 543 49 44 66 www.inteqnion.com
Kaeser Kompressoren +49 9561 6400 www.kaeser.com
Evonik +49 618 1596785 www.evonik.com Liptosa
902 157711 www.liptosa.com Phibro +972
629
www.phibro-aqua.com
R-Biopharm +44
Romer
+43 2272 6153310 www.romerlabs.com
Coolers & driers
AG +41 71 955 11 11 www.buhlergroup.com
Drum filters
Elevator buckets
Elevator & conveyor components
Braime
Enzymes
+49
Biomin +43 2782 803 0 www.biomin.net Equipment for sale ExtruTech Inc +1 785 284 2153 www.extru-techinc.com Extruders Almex +31 575 572666 www.almex.nl Andritz +45 72 160300 www.andritz.com Buhler AG +41 71 955 11 11 www.buhlergroup.com Clextral +1 813 854 4434 www.clextral.com
+90 266 733 83 63 www.yemmak.com
Faivre + 33 3 81 84 01 32 www.faivre.fr
Alapala +90 212 465 60 40 www.alapala.com Tapco Inc +1 314 739 9191 www.tapcoinc.com
4B
+44 113 246 1800 www.go4b.com
Evonik
618 1596785 www.evonik.com
and ingredients
animal
47
Feed Mill Clextral +1
4434
Van Aarsen International +31 475 579 444
Fish counters Faivre + 33 3 81 84 01 32
欢迎来到市场区,在我们朋友——国 际水产饲料目录(由Turret Group出 版)的帮助下,您可以在这里找到本 行业相关产品和服务的供应商。 56 | 2022 年 5 月 - International Aquafeed 市场
(Lesaffre
care) +33 3 20 81 61 00 www.lesaffre.fr Skretting +
51 88 00 10 www.skretting.com
813 854
www.clextral.com
www.aarsen.com
www.faivre.fr
市场 Fish Graders
33 3 81 84 01 32 www.faivre.fr Fish pumps
+ 33 3 81 84 01 32 www.faivre.fr Fish Stunning Ace Aquatec + 44 7808 930923 www. aceaquatec.com Grinders Grand Fish Feed +202 20 650018 www.grand-aqua.com Hammermills
BV +31 77 467 3555 www.dinnissen.nl Ferraz Maquinas e Engenharia +55 16 3615 0055
Yemmak +90 266 733 83 63 www.yemmak.com Yemtar +90 266 733 8550 www.yemtar.com Moisture analysers Hydronix +44 1483 468900 www.hydronix.com Nets & cages FISA +51 998128737 www.fisa.com.pe Packaging FAWEMA +49 22 63 716 0 www.fawema.com Paddle Mixer Anderson www.andersonfeedtech.com IDAH +866 39 902701 www.idah.com Pellet mill Clextral +1 813 854 4434 www.clextral.com IDAH +866 39 902701 www.idah.com PTN +31 73 54 984 72 www.ptn.nl Plants Andritz +45 72 160300 www.andritz.com
AG
www.yemtar.com Zheng Chang +86
www.zhengchang.com/eng Pulverisers IDAH +866 39 902701 www.idah.com Predator Defence Ace Aquatec + 44 7808 930923 www. aceaquatec.com Probiotics Biomin +43 2782 803 0 www.biomin.net RAS Equipment Fish Farm Feeder +34 886 317 600 www.fishfarmfeeder.com FISA +51 998128737 www.fisa.com.pe RAS system Aqua Ultraviolet +1 952 296 3480 www.aquauv.com Silos FAMSUN +86 514 85828888 www.famsungroup.com TSC Silos +31 543 473979 www.tsc-silos.com Vacuum Dinnissen BV +31 77 467 3555 www.dinnissen.nl Ferraz Maquinas e Engenharia +55 16 3615 0055 www.ferrazmaquinas.com.br Yemmak +90 266 733 83 63 www.yemmak.com Weighing equipment Ottevanger +31 79 593 22 21 www.ottevanger.com Yemmak +90 266 733 83 63 www.yemmak.com Yeast products ICC, Adding Value to Nutrition +55 11 3093 0753 www.iccbrazil.com Leiber GmbH +49 5461 93030 www.leibergmbh.de Phileo (Lesaffre animal care) +33 3 20 81 61 00 www.lesaffre.fr 要将贵公司列入印刷版的国际水产饲料市场,以及我 们网站上的公司页面,请联系 Tuti Tan +44 1242 267700 • tutit@perendale.co.uk 要访问在线市场,请访问: www.aqfeed.info/e/1130 International Aquafeed - 2022 年 5 月 | 57
Faivre +
Faivre
Dinnissen
www.ferrazmaquinas.com.br
Buhler
+41 71 955 11 11 www.buhlergroup.com Clextral +1 813 854 4434 www.clextral.com Dinnissen BV +31 77 467 3555 www.dinnissen.nl FAMSUN +86 514 87848880 www.muyang.com Ottevanger +31 79 593 22 21 www.ottevanger.com Yemmak +90 266 733 83 63 www.yemmak.com Yemtar +90 266 733 8550
2164184200

本期市场成员 市场

- Aquafeed

查看公司简介 查看广告页数

Company maglink

Page Number

Ace Aquatec aqfeed.info/e/1216 39

Adisseo aqfeed.info/e/1101 21

Aller Aqua aqfeed.info/e/1217 37

Alltech Coppens aqfeed.info/e/1111 13

Almex aqfeed.info/e/1270 44

Anpario aqfeed.info/e/1219 16

Aqua Ultraviolet aqfeed.info/e/1220 43

Cablevey Conveyors aqfeed.info/e/1304 16

Dibaq Aquaculture aqfeed.info/e/1440 32

Dinnissen aqfeed.info/e/1224 31

DSM aqfeed.info/e/1103 11

Faivre aqfeed.info/e/1225 15

Famsun aqfeed.info/e/1104 64

Fish Farm Feeder aqfeed.info/e/1265 25

GePro aqfeed.info/e/1228 16

Grand Fish Feed aqfeed.info/e/1395 2

Hydronix aqfeed.info/e/1305 43

Inteqnion aqfeed.info/e/1271 29

Kaeser Compressors aqfeed.info/e/1114 35

Leiber aqfeed.info/e/1231 17

Liptoaqua aqfeed.info/e/1267 40

Orffa aqfeed.info/e/1233 29

Ottevanger aqfeed.info/e/1235 10

Phileo aqfeed.info/e/1240 27

TekPro aqfeed.info/e/1306 36

The Packaging Group aqfeed.info/e/1272 5

TSC aqfeed.info/e/1269 8

Vita Aqua Feeds aqfeed.info/e/1350 19

VanAarsen aqfeed.info/e/1273 19

Wenger aqfeed.info/e/1274 23

二维码和myMAG链接到数字内容 国际水产饲料的 myMAG短链接是定制 链接,使读者能够 充分了解我们每月 在杂志上展示的产 品。 自定义二维码和短 链接可以放置在杂 志中的任何内容上, 并可链接到网络上 的任何内容。 鱼类养殖技术
MyMag
Zheng Chang aqfeed.info/e/1266 63 信息链接系统 myMAG链接和页面 myMAG

访谈埃及Grand Fish Feed首席执行官兼创始人Nabil Hamid 纳比勒·哈米德(Nabil Hamid)自述他的水产养殖“冒险”始于年轻时从埃及搬到美国并在当地参加就业。他最终在纽约开了一家豪华轿车公 司。哈米德早期抓住了旅游业变化的机会,为服务业以及美国政府部门提供国际机票和旅游业务,这使得他挖掘到了人生的第一桶金。 2015年,埃及总统Abdel Fattah el-Sisi邀请埃及后裔企业家参会商讨在埃及多个领域发展和投资的愿景。在研究过市场并一直希望回国后, 哈米德清算了在美国的业务,回到埃及投身水产养殖行业。随后,他在饲料设备领域建立广泛关系并于2018年1月筹建Grand Fish feed转型 成为埃及最新的水产饲料生产商。公司位于靠近地中海港口的

Wenger 双螺杆和 Aquaflex 系统,此外还 配有高质量支持设备如 PLP 、 Tietjen 和 Dinnissen 等,以满足高质量 饲料的生产需求。这个工厂将为国内外提供任何所需的饲料。生产 的饲料最小直径可达0.5毫米,产品可用于孵化场和小鱼苗的培育以 及虾的养殖。 该生产线还可以并将用于生产直径更大的饲料和特种水产饲料。 循环水养殖饲料的开发需要根据养殖系统中动物的数量使用特殊的

饲料。我的顾问认为水柱中运动的饲料可能用于吸引此前难以养殖 的鱼类,此外,悬浮饲料的生产也或许能够实现。 此外,含有益生菌的饲料研发还刚刚起步,可以通过控制温度控制 益生菌的生存。

专访
《国际水产饲料》最近访谈了哈米德先生,话题涉及了企业的发展、水产饲料行业职业生涯的关键因素、当前全球事件对埃及市场的影响并 分享了宝贵的人生智慧。 在过去的几年里,Grand Fish Feed一直是埃及增长最快的 水产饲料生产商,您认为取得成功的主要原因是什么? 结交业界朋友是成功的重要因素,他们在设备选择和顾问等方面都 提供了非常好的建议。同时我也感谢良好的工厂设计,一大批优秀 的员工开发了技术和工艺从而使我们生产出饲料转化率尽可能低的 世界一流的饲料。 就像其他工业生产一样,我们的工艺也历经精炼和调整以达到最大
正是以上几点的结合造就了我们的成功。我们公司在
超过
你们主要生产哪些水产动物饲料?如何为用户提供技术支持? 我们生产的饲料面对的主要养殖对象有罗非鱼、胭脂鱼、虾、鲈鱼 和海鲷,还有一些开口饵料。随着行业的发展,品种不局限于此。 此外,养殖模式和鱼体大小不同,饲料中的蛋白质水平、产品特性 和颗粒大小不同。我们还根据不同需求研发了池塘用浮式罗非鱼饲 料以及多养殖池塘系统用沉式罗非鱼和胭脂鱼饲料。通过控制饲料 的下沉速率使两种鱼类都具有充足的食物供应。 我们的技术专家会定期访问养殖户,检查饲料使用情况并提供投喂 量的建议。同时也会协助检查水质,帮助用户优化池塘管理以取得 最佳的饲料转化率。此外,我们还会对鱼类的品质和状况进行评 估,确保为社会提供健康高品质的水产品。 贵公司是否正在安装第二条饲料生产线?有什么好处?如何 扩大贵公司的市场? 是的,我们正在安装一条拥有业内最先进加工设备的新生产线。
New Damietta
“这个便利的地理位置方便原材料和产品的进出口”,哈米德 说。Grand Fish feed最初是一家当地饲料生产商,现在已成为一个成熟的国际化组织。
产能和最优质量。我们拥有先进的实验室检测原料和产品质量,确 保饲料品质。计算机的精准控制确保产品规格符合行业需求。此 外,通过利用国内外营养学家科研成果并随着新型原料的出现进行 配方调整,这使得饲料成本尽可能保持低位。
2021 年的产量
45000吨,预期在未来几年会持续增长。
该设备配备计算机控制的
行业正处于指数增长阶段,许多领域的发展都非常迅速。随着新原 料的开发和饲料需求的发展,我们期待迎接来自现在和未来饲料生 产的挑战。 展望未来,你希望解决哪些与营养和生产有关的问题, 为什么? 营养和生产是非常重要的。我们公司罗非鱼和胭脂鱼饲料的产量很 大,还需要一些时间对工厂进行相应的调整。关于水产养殖新品 种,鱼类营养需求和饲料规格的研究数据将对饲料是否具有良好的 转化率具有重要意义。 面对这个不断变化的世界,你有什么建议给那些开始进入这 个行业的新一代? 我的建议是努力工作,了解你的领域并跟上行业的进步。在我从事 水产养殖业的几年里,各级各部门都在进步。池塘管理、饲料原料 以及生产设备也都在不断改进。评估这些变化及其对当前情况的影 响将有助于整个产业链的进步。世界在变化,我们需要足够的智慧 来做出相应的调整。 60 | 2022 年 5 月 - International Aquafeed
鉴于乌克兰目前的局势,您认为这会对埃 及市场的未来会产生怎样的影响? 埃及正在受到影响,该影响会持续多久将取决 于时间的推移。埃及从俄罗斯和乌克兰进口的 主要商品小麦供应出现了问题。埃及人喜食面 包,于是我们饲料工业获得了小麦的副产品麦 麸作为饲料配方的主要原料。由于我国 75% 至 80% 的小麦来自俄罗斯和乌克兰,从其他地区 进口小麦的谈判正在进行中。我们希望能尽快 恢复供应,避免短缺情况的发生。 青海大学 马睿博士 翻译 International Aquafeed - 2022 年 5 月 | 61

Europêche任命金枪鱼集团董事 作为领先的渔业贸易组织,Europêche代表着欧洲的捕捞渔业。Anne-France Mattlet被任命为Europêche 主管意味着可持续的金枪鱼捕捞业将在欧盟和国际决策中获得更加坚强的后盾。

物产业脸谱 人 诺德大学任命水产养殖技术兼职教授 Bendik Fyhn Terjesen是Cermaq集团陆基创新与发展主管,他将在公司工作的同时担任位于挪威博德的诺 德大学生物科学与水产养殖学院的兼职教授。 他将开展本科生和硕士生课程的教授以及博士生的指导工作。其中还将涉及开发水产养殖技术中有关循环水系 统和幼鱼养殖方面的继续教育课程。这些课程将向当地的养殖企业和社会开放。其任职的长期目标还包括启动 各种合作研究项目。 诺德大学生物科学和水产养殖学院的院长 Mette Sørensen说:“我们很高兴Bendik Fyhn Terjesen加入我们团 队。Terjesen是一位非常有经验的水产养殖学家,在循环系统和银化后幼鱼养殖方面有着广泛的经验。” CyberAg任命前美国农业部代理首席信息官加入顾问委员会 CyberAg宣布任命前美国农业部代理首席信息官Joyce Hunter担任其顾问委员会新主席。Hunter女士将领 导CyberAg为美国农业部、农业信贷系统和行业合作伙伴提供咨询服务的战略发展。 Hunter女士此前曾被奥巴马总统任命为美国农业部副首席信息官和代理首席信息官,并被《安全杂志》评为 2020年安全领域最具影响力的人物之一。她拥有30年的工作经验,也曾担任非营利性网络安全智库 关键 基础设施技术研究所(ICIT)的执行董事。 “农民采用物联网技术发展迅速,农业网络安全也随之倍受关注,
”Hunter女士说。“我们必须考虑到这些举措 的执行速度,CyberAg已经为帮助美国农民构建网络安全做好了准备。”
Mattlet女士在法国政府内从事国际海洋治理和金枪鱼相关政策工作已有5年多的时间,她对渔业政策决策过程
鱼自主关税配额等方案。 “我们热烈欢迎Mattlet女士加入Europêche的团队。”Europêche总裁Javier Garat评论道。“她在金枪鱼渔 业事务方面的经验和专业知识无疑将成为我们公司在国际舞台上的宝贵资产。” 渔网涂料专家Steen-Hansen宣布更换领导班子 水产养殖防污染企业Steen-Hansen任命Ulrik Ulriksen为其新任首席执行官。在此前6年多的时 间里,Ulriksen先生担任该公司的首席运营官。 他曾在Aquasmart(即现在的AKVA集团)担任服务经理,也曾领导Arena和Ocea(即现在的ScaleAQ) 的开发工作以及在挪威和智利担任其他领导职务。这些履历为他积累了丰富的从业经验。 “我很感激能在这样一家具有远见的管理层及技术娴熟的员工的公司工作。领导Steen-Hansen就像和一支梦之 队一起工作。他们重承诺、具有创造力和坚定的意志力。”Ulriksen先生评论道。 “我们将共同努力,在现有的基础上再接再厉,努力将公司推向更高的目标。” 62 | 2022 年 5 月 - International Aquafeed
具有深入的了解。她将负责Europêche的金枪鱼战略,并将致力于修改欧盟渔业管制制度、容忍限度和金枪
Official Website Facebook ZhengChang Group : No.28 Zhengchang Road, Kunlun Development Zone, Liyang, Jiangsu, China : +86 21-6418 4200 Fax : +86 21-6416 3299 : International@zhengchang.com : www.zhengchang.com/eng Address Telephone E-mail Website Vertical Vacuum Spraying Machine SZPL Series Remark: Optional Powder Spray System Optional CIP (Clean In Place) Particle Diameter Model 1~30mm SZPL 2000,3000,5000 Liquid Addition Spray Uniformity Residual rate 1~36% Cv≤7% ≤0.5% Batch Working Time 5~7min Maximum Vacuum Vacuum Retention 40mbar ≤100mbar/5min

Turn static files into dynamic content formats.

Create a flipbook
Issuu converts static files into: digital portfolios, online yearbooks, online catalogs, digital photo albums and more. Sign up and create your flipbook.