IMF In-Person Regional Community Workshop (RCW) - Atlanta

Page 1

Welcome!

Thank you for joining us today for the June 24th, 2023, International Myeloma Foundation’s Regional Community Workshop –Atlanta.

1

Thank you to our sponsors!

2

IMF REGIONAL COMMUNITY WORKSHOP

June 24, 2023, Agenda

9:00 – 9:15 AM Welcome and Announcements

Kelly Cox, Director of Support Groups, Senior Director Regional Community Workshops

9:15 – 9:45 AM Myeloma 101

Craig Hofmeister, MD, MPH – Winship Cancer Institute of Emory University

9:45 – 9:55 AM Q&A

9:55 – 10:40 AM Life is a Canvas, You are the Artist

Charise Gleason, MSN, NP-C, AOCNP – Winship Cancer Institute of Emory University; IMF Nurse Leadership Board

10:40 – 10:50 AM Q&A 10:50 – 11:00 AM COFFEE BREAK 11:00 – 11:45 AM Frontline Therapy

Ajay Nooka,MD, MPH – Winship Cancer Institute of Emory University

11:45 – 11:55 AM Q&A

3

11:55 AM – 12:40 PM LUNCH BREAK

June 24, 2023, Agenda

12:40 – 1:00 PM Local Patient & Care Partner Panel

Bob Cain, Patient & Molly Lay, Care Partner; Ted Price, Patient & MattiePrice, Care Partner

1:00 – 1:10 PM Q&A

1:10 – 1:30 PM Maintenance Therapy

Ajay Nooka,MD, MPH – Winship Cancer Institute of Emory University

1:30 – 1:40 PM Q&A

1:40 – 2:25 PM RelapsedTherapies & Clinical Trials

Craig Hofmeister, MD, MPH – Winship Cancer Institute of Emory University

2:25 – 2:35 PM Q&A

2:35 – 2:45 PM Closing Remarks

2:45 – 3:00 PM Coffee / Network

IMF REGIONAL COMMUNITY WORKSHOP
4

Multiple Myeloma affects patients and families

. The IMF provides FREE resources to help both patients and families.

Established in 1990, the IMF’s InfoLine assists over 4600 callers annually and answers questions across a wide variety of topics including:

Frequenttopics:

✓ Newly Diagnosed MM/Myeloma101

✓ TreatmentOptions

✓ Transplant

✓ Maintenance

✓ Side Effects

✓ Relapsed/RefractoryMM

✓ ClinicalTrials

✓ Resources for Drug Access/FinancialSupport/Local Support

✓ Referralsto MyelomaSpecialistsWithin/Outsidethe US

✓ Health Issues Related to Myeloma

✓ CaregiverSupport

Paul Hewitt, Missy Klepetar,and Deb Verla

5
the InfoLine:
(2873)
Contact
800-452-CURE
InfoLine@myeloma.org

Educational Publications

A core missionof the IMF is to providethoroughand cutting-edgeeducationto the myeloma community.

Link to Pubs New publications

Myeloma 101

Craig Hofmeister, MD, MPH

Winship Cancer Institute of Emory University

7
Myeloma 101 & Frontline treatment
Craig
Hofmeister MD MPH AssociateProfessor Winship Cancer Institute of Emory University Emory University School of Medicine

Myeloma cells

The Termites

The skeleton of a house

Chemotherapy 2 treatment regimens

Myeloma Stem Cell, the Queen

We don’t cure the vast majority of patients with myeloma because we don’t kill the myeloma initiating cells.

Bone Marrow

How is myeloma different than leukemia

Lymphoid progenitor

Myeloid progenitor

Leukemia

Left: courtesy of National Cancer Institute

Middle: courtesy of My Life Stages

Right: courtesy of UF Health

Lymphocyte

Plasma cells Lymphoma

Multiple Myeloma

Stem Cells

Clogs the kidneys

causing kidney

failure

Monoclonal protein

Fractures

Hypercalcemia

Infections

Anemia

Marrow growth

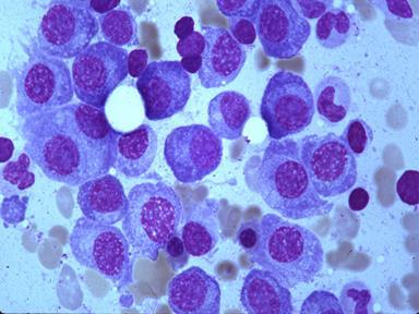
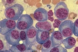
Diagnosis requires showing plasma cells trying to kill the patient

Obtain a bone biopsy at this vertebra showing the cells shown on the right panel Patient presents with worsening back pain

Pathologist reviews slides and documents clonal plasma cells

The most commonsigns are fractures, anemia,and kidney failure

3 1
2

Precancerous state to cancer: A slippery slope

CRAB CRITERIA

Calcium → High calcium

Renal → Kidney failure

Anemia → Fewer red blood cells

Bone → Holes in bones causing spontaneous fractures

MGUS

Monoclonal

Gammopathy

Undetermined

Significance

Smoldering Myeloma

Pre-cancer Multiple Myeloma

Likelihood of multiple myeloma

avoiding fractures

S-LI-M CRAB criteria

95% in 2 years

Sixty percent plasma cells on bone marrow biopsy

70% in 2 years LIght chain ratio ≥ 100

75% in 2 years

MRI abnormalities (≥ 5 mm) in 2+ sites

These patients have not yet proven they have cancer, so avoid or embrace treatment at your own risk

100%

CRAB

Calcium elevation

Renal damage

Anemia

Bone holes

SLiM -
CRAB criteria -

Revised IMWG DiagnosticCriteria

MGUS

▪ Small monoclonalor abnormal serumfree light chain ratio

▪ Clonalplasma cells in marrow < 10%

▪ No SLiM-CRAB criteria

Smoldering Myeloma

▪ M protein≥ 3 g/dL(serum) or ≥ 500 mg/24 hrs (urine)

▪ Clonal plasma cells in marrow 10-60%

▪ No SLiM-CRAB criteria

Multiple Myeloma

▪ Clonal marrow plasma cells

≥ 10% or ≥ 1 biopsy-proven plasmacytoma

▪ 1+ SLiM-CRAB criteria

AL Amyloidosis

▪ Amyloid-related systemic syndrome (renal, liver, heart, GI, PNS)

▪ Congo red in any tissue established to be light-chain related

▪ Circulating monoclonal protein or clonal marrow plasma cells

Pre-cancerous Needs cancer treatment

Who develops myeloma

1 in 125 over a lifetime

1.8% of all new cancer cases in the U.S.

32,110 new cases in the U.S. in 2019

https://www.cancer.org/cancer/multiple-myeloma/about/key-statistics.html

What is the risk of developing multiple myeloma?

More than one first degree relative of a myeloma patient

Gaucher’s disease 02

● Twofirst degreerelatives>100x therisk

● One first degreerelativeis4x aslikely to developmyeloma

Increasedrisk of myelomaor lymphoma 30-fold

Averageageofmyelomapatientis 70 y.o.

Black Americans 04

Black patientsare twiceaslikely to developmyelomaaswhiteones, who aretwice aslikely as pacific islanders

17
Age 03
01

What the doctor says What is meant by the word “risk”

“You have high risk monoclonal gammopathy of undetermined significance (MGUS), so please come back in 3 months for a blood test.”

Risk means the odds of developing multiple myeloma.

Because of your high risk disease, we will always need to treat you with 3- or even 4drug cocktails.

High risk means less likely to respond to drugs and for a shorter time is more treatment resistant. Low risk is easier to treat and patients on average live longer.

“Your only lytic lesion is in your skull, so your myeloma bone disease is low risk.”

If you only have a few bones known to be affected by myeloma, and they are not weight-bearing, you have a lower risk for fracture.

18
The meaning of “risk” depends on the context.

Risk in the setting of multiple myeloma describeshow quicklythe disease will become resistant to treatment

LOW RISK (easier to control)

8-12 year average overall survival

High Risk (difficult to control)

2-5 year average overall survival

Know the risk of your multiple myeloma

Stage Criteria Survival (yrs) when published 1 ß2-M < 3.5 mg/L and serum albumin ≥ 3.5 g/dL 5 2 Not stage I or III 3.5 3 ß2-M ≥ 5.5 mg/L 2 GreippPR, et al. J Clin Oncol. 2005;23:3412-3420.
ß
blood
Introducing the SECOND staging system - International Staging System (ISS)
2-M = Beta 2 microglobulin. It and albumin are both standard
tests.

Know the risk of your multiple myeloma

Introducing the THIRD staging system - Revised Intl Staging System (R-ISS)

21 Winship Cancer Institute | Emory University Stage Criteria Genetics Survival (yrs) 1 ß2-M < 3.5 mg/L and serum albumin ≥ 3.5 g/dL No del(17p) Normal LDH No t(4;14) No t(14;16) 8-12 2 Not stage 1 or 3 7 3 ß2-M ≥ 5.5 mg/L t(4;14) or t(14;16) or Del(17p) or High LDH 2-5 Palumbo A, et al. J Clin Oncol. 2015;33(26):2863-2869.

The meaning of “stage” depends on the context.

When a patient with lung, colon, breast, or prostate cancer hears Then that means

“You have early stage cancer.”

You likely have stage 1 or 2 cancer, it is isolated to a small part of the affected organ, and there is a better than 50% chance of cure.

“Your cancer is metastatic.”

Your cancer is spread throughout your body, and curative surgery is not an option. We found this cancer late in its course after it spread. Your survival is shorter than if we had found this cancer significantly earlier.

In most cancers, stage is a synonym for control.

22 Winship Cancer Institute | Emory University

The meaning of “stage” depends on the context. ��

When I say ‘stage’ to a myeloma patient What does that mean “We expect you to have easier to treat myeloma” You have stage 1 myeloma

“Just like 60% of my myeloma patients, I don’t know whether you have easier or harder to treat myeloma.”

You have stage 2 myeloma

“We expect you to have harder to treat myeloma.” You have stage 3 myeloma.

In myeloma, stage is a synonym for risk.

23 Winship Cancer Institute | Emory University

How are ‘stage’and ‘risk’different than ‘control’?

Kidney output, bone marrow health, and bone disease as good as it’s going to get

Kidneys may worsen and hemoglobin may drop. New holes in the bones are unlikely to develop. Calcium is may slowly rise

Expect new fractures, anemia, and kidney failure

No New
Some New Cells More New
Many New
OF
Cells
Cells
Cells IN CONTROL OUT
CONTROL
And control is usually measured by monoclonal protein and light chains

Antibodies normally prevent infections

Antibody = Immunoglobulin. These are proteins produced by normal plasma cells to fight infection and by myeloma cells. They are used by doctors to assess how many myeloma cells are in the patient.

A complete antibody

Heavy chain plus light chain

LIGHT CHAINS

kappa and lambda

HEAVY CHAINS IgA, IgG, IgM, IgD

Normal plasma cells make normal antibodies

Myeloma plasma cells generallymake one antibody

What is your monoclonal spike?

Total Antibody #

Monoclonal immunoglobulin amt (M-spike or M-protein or paraprotein)

Monoclonal: all the same antibody

M-protein is the amount of antibodies made by your myeloma cells

Three ways to measure myeloma proteins

Test Names

2.

Units
Electrophoresis
mg/dL or g/dL
1. Serum Protein
(SPEP) Measures monoclonalprotein
mg/L
mg/L
Serum Free Light Chain Serum kappa light chain
Serum lambda light chain
Electrophoresis
24
g/day
mg/day
3. Urine Protein
(UPEP)
hour urine sample measuring kappa and lambda light chains
or

If you have an IgG-κ or IgG-λ myeloma

Test Names

What is the Test Measuring IgG Measures level of Immunoglobulin G.

Serum Protein Electrophoresis (SPEP)

Monoclonalimmunoglobulin (M-spike,M-protein)

Test measures the monoclonal protein, made by the myeloma cells, and this is a subset of the total IgG.

Serum Free Light Chain Measures involved light chain, kappa or lambda, in the blood

If you have an IgA-κ or IgA-λ myeloma

Test Names

IgA (Immunoglobulin A)

What is the Test Measuring

Measures level of Immunoglobulin A

Serum Free Light Chain

Measuresinvolved light chain, kappa or lambda, in the blood

In most patients with an IgA myeloma, I don’t depend on the SPEP because it is often inaccurate - this is not the case with IgG myeloma.

If you have an kappa (κ) light chain myeloma

Test Names

Serum Free Light Chain

What is the Test Measuring

Measures involved kappa light chainsin the blood

If you have an lambda (λ) light chain myeloma

Test Names

Serum Free Light Chain

What is the Test Measuring

Measures involved lambda light chainsin the blood

Can we enumerate ‘control’? Yes! Numbers rule.

Patient is asymptomatic Symptoms

IgG or IgA or Kappa or lambda light chains or SPEP (aka Mspike)

3
Years
2 1

Do you relapse differently if you are low risk?

0 Your best myeloma indicator
Asymptomatic Symptoms
3 2 1
patients, this
can
Great time for a clinical trial
In low risk
period
last for years

Do you relapse differently if you are high risk?

In these patients, a clinical trial is often ideal whenever they are eligible

0 Asymptomatic
1
Symptomatic
In high risk patients, this period is short
Your best myeloma indicator
for your time and attention Craig.Hofmeister@emory.edu
Thank you

Audience Q&A

37

How to Manage Myeloma Symptoms

and Side Effects

Charise Gleason, MSN, NP-C,

AOCNP

IMF Nurse Leadership Board, Winship

Cancer Institute of Emory University

38

LIFE IS A CANVAS, YOU ARE THE ARTIST

Charise Gleason, MSN, NP-C, AOCNP

Winship Cancer Institute of Emory University

Patient Education Slides2023
June 24, 2023

OBJECTIVES

COLOR WHEEL OF TREATMENT

Myeloma treatment

HEALTHY LIVING

Infection and Side Effect Management

FRAMING YOUR CARE

Know your care team, Telehealth & Meeting Prep, & Shared Decision Making

40

GALLERY OF GOALS

MYELOMA TREATMENT SUPPORTIVE THERAPIES

• Rapid and effective disease control

• Durable disease control

• Minimize side effects

• Allow for good quality of life

• Improved overall survival

• Prevent disease- and treatmentrelated side effects

• Optimize symptom management

• Allow for good quality of life

DISCUSS GOALS AND PRIORITIES WITH YOUR HEALTHCARE TEAM

41

MANAGING MYELOMA: THE COMPONENTS

Transplant

Eligible Patients

Transplant

Ineligible patients

Initial Therapy

Transplant

Consolidation

Maintenance

Treatment of Relapsed disease

Everyone

Consolidation/ Maintenance/ Continued therapy

Supportive Care

SHADES OF “AUTO” STEM CELL TRANSPLANT (ASCT)

• There are no black and white answers to deciding to undergo a transplant

• Undergoing transplant is a commitment for both you and your care partner

• Understanding the process will help bring to focus elements needed to decide if/when to undergo transplant

Clinical Experience Data from Research

Patient Preference

Adapted from Philippe Moreau, ASH 2015

DECISION

A meta-analysis identified the most common patient-reported symptoms and impact on QOL, and were present at all stages of the disease. Symptoms resulted from both myeloma disease and treatment, including transplant, and were in these categories:

Physical

• Fatigue

• Constipation

• Pain

• Neuropathy

• Impaired Physical Functioning

• Sexual Dysfunction

Psychological

• Depression

• Anxiety

• Sleep Disturbance

• Decreased Cognitive Function

• Decreased Role & Social Function

Financial

• Financial burden (80%)

• Financial toxicity (43%)

PATIENT-REPORTED SYMPTOMS
Ramsenthaler, et al. 2016. https://doi.org/10.1111/ejh.12790. 44

FATIGUE, ANXIETY & DEPRESSION

All can affect quality of life and relationships

Fatigue is the most common reported symptom (98.8%)

Sources include anemia, pain, reduced activity, insomnia, treatment toxicity, bone marrow suppression

• Anxiety reported in >35%

• Depression nearly 25% Financial concerns, disease progression, end-of-life, and change in social and sexual function were highlighted sources

Often, people do not share these symptoms with their provider. Talk to your provider about symptoms that are not well controlled or thoughts of self harm. Help is available.

Ramsenthaler, et al. 2016. https://doi.org/10.1111/ejh.12790. Catamero D et al. CJON. 2017; 21(5)suppl:7-18.
Physical Psychological 45

THE BRIGHT DARK SIDE TO STEROIDS

&

Steroid Synergy

Steroids are a backbone and work in combination to enhance myeloma therapy

Managing Steroid Side Effects

• Consistent schedule (AM vs. PM)

• Take with food

• Stomach discomfort: Over-the-counter or prescription medications

• Medications to prevent shingles, thrush, or other infections

Steroid Side Effects

• Irritability, mood swings, depression

• Difficulty sleeping (insomnia), fatigue

• Increased risk of infections, heart disease

• Muscle weakness, cramping

• Increase in blood pressure, water retention

• Blurred vision, cataracts

• Flushing/sweating

• Stomach bloating, hiccups, heartburn, ulcers, or gas

• Weight gain, hair thinning/loss, skin rashes

• Increase in blood sugar levels, diabetes

King
Update on Multiple Myeloma Treatment
Clin J Oncol Nurs. 2017 Apr 1;21(2):240-249. doi: 10.1188/17.CJON.240-
PMID:
Rajkumar SV, Jacobus S, Callander NS, Fonseca R, Vesole DH, Williams ME, Abonour R, Siegel DS, Katz M, Greipp PR, Eastern Cooperative Oncology Group (2010) Lenalidomide plus highdose dexamethasone versus lenalidomide plus low-dose dexamethasone as initial therapy for newly diagnosed multiple myeloma: an open-label randomised controlled trial. Lancet Oncol 11(1):29–37.
T, Faiman B. Steroid-Associated Side Effects: A Symptom Management
.
249.
28315528.
Do not stop or adjust steroid doses without discussing it with your health care provider 46

CAR T AND BI-SPECIFIC ANTIBODIES: UNIQUE SIDE EFFECTS

Shortness of Breath

CRS is a common but usually mild side effect

CRS = cytokine release syndrome. Oluwole OO, Davila ML. J Leukoc Biol. 2016;100:1265-1272. June CH, et al. Science. 2018;359:1361-1365. Brudno JN, Kochenderfer JN. Blood. 2016;127(26):3321-3330. Brudno JN, Kochenderfer JN. Blood Rev. 2019:34:45-55. Shimabukuro-Vornhagen, et al. J Immunother Cancer. 2018;6:56. Lee DW, et al. Biol Blood Marrow Transplant. 2019;25:625-638.
CRS Fever Fatigue Headache
Nausea / vomiting
Weakness Confusion
Diarrhea

CAR T AND BI-SPECIFIC ANTIBODIES: UNIQUE SIDE EFFECTS

Headache

Encephalopathy

Confusion

Seizures

Altered wakefulness

NEUROTOXICITY

Neurotoxicity is a rare but serious side effect

Tremors

Hallucinations

Facial nerve palsy

Ataxia Apraxia

ICANS
ICE
CRS = cytokine release syndrome;
= immune effector cell–associated neurotoxicity syndrome;
= Immune Effector Cell Encephalopathy screening tool; MRI = magnetic resonance imaging.
Brudno JN, Kochenderfer JN. Blood. 2016;127(26):3321-3330. Lee DW, et al. Biol Blood Marrow Transplant. 2019;25:625-638.

7-10 fold increased risk of bacterial and viral infections for people with myeloma

INFECTION CAN BE SERIOUS FOR PEOPLE WITH MYELOMA

• Report fever of more than 100.4°F, shaking chills even without fever, dizziness, shortness of breath, low blood pressure to HCP as directed.

• Compromised immune function comes from multiple myeloma and from treatment.

• Infection is serious for myeloma patients!

Multiple myeloma

Immune dysfunction

49 Brigle K, et al. Clin J Oncol Nurs. 2017;21(5)suppl:60-76. Faiman B, et al; IMFNurse Leadership Board. 2011;15(Suppl):66-76. Miceli TS, et al. Clin J Oncol Nursing.2011;15(4):9-23. ASHWebsite. COVID-19 Resources.AccessedJanuary 30,2022. https://www.hematology.org/covid-19/covid-19-and-multiple-myeloma

INFECTION AWARENESS & PREVENTION

Infection Prevention Tips

Good personal hygiene (skin, oral)

Environmental control (wash hands, avoid crowds and sick people, etc)

COVID: The Best Way to Prevent Illness Is to Avoid Being Exposed to the Virus

Spread mainly through respiratory droplets that are produced by cough, sneezing and talking. More droplets with louder talking, yelling, singing

Growth factor (Neupogen [filgrastim])

Immunizations (NO live vaccines)

Medications (antibacterial, antiviral)

As recommended by your health care team

• Get COVID Vaccine + Booster: Excellent protection against severe disease, but vaccine effectiveness may be lower in people with compromised immune systems

• Wear a High-quality Mask: Respiratory droplets can spread disease; a high-quality mask can prevent exposure to airborne viral particles

• Avoid Crowds & Sick People

• Physical Distance & Outdoors: Close contact and indoor locations increases risk of spread

• Wash Your Hands: Less common to get from a hard surface

CDC website. How to Protect Yourself & Others. Accessed June 17, 2021.

Physical

GI SYMPTOMS: PREVENTION & MANAGEMENT

Diarrhea may be caused by medications and supplements

• Laxatives, antacids with magnesium

• Antibiotics, antidepressants, others

• Milk thistle, aloe, cayenne, saw palmetto, ginseng

• Sugar substitutes in sugar free gum

Avoid caffeinated, carbonated, or heavily sugared beverages

Take anti-diarrheal medication

• Imodium®, Lomotil®, or Colestid if recommended

• Fiber binding agents – Metamucil®, Citrucel®, Benefiber®

• Welchol® if recommended

Constipation may be caused by

• Opioid pain relievers, antidepressants, heart or blood pressure medications, others

• Supplements: Calcium, Iron, vitamin D (rarely), vitamin B-12 deficiency

Increase fiber

• Fruits, vegetables, high fiber whole grain foods

• Fiber binding agents – Metamucil®, Citrucel®, Benefiber®

Fluid intake can help with both diarrhea and constipation, and good for kidneys. Discuss GI issues with health care providers to identify causes and make adjustments to medications and supplements.

Smith LC, et al. CJON.2008;12(3)suppl:37-52. Faiman B. CJON. 2016;20(4):E100-E105.
51

PAIN PREVENTION AND MANAGEMENT

Pain can significantly compromise quality of life

Sources of pain include bone disease, neuropathy and medical procedures

Management

• Prevent pain when possible

• Bone strengtheners to decrease fracture risk; anti viral to prevent shingles; sedation before procedures

• Interventions depends on source of pain

• Monitor serum calcium levels

• Imaging may be needed depending on type and location of pain (eg, MRI, PET-CT)

• May include medications (eg bone modifying agents), activity, surgical intervention, radiation therapy, etc

• Complementary therapies (Mind-body, medication, yoga, supplements, acupuncture, etc)

Tell your health care provider about any new bone pain or chronic pain that is not adequately controlled

Physical
Faiman B, et al. CJON. 2017;21(5)suppl:19-36.
52

PERIPHERAL NEUROPATHY MANAGEMENT

Peripheral neuropathy: damage to nerves in extremities (hands, feet, or limbs)

• Numbness

• Tingling

• Prickling sensations

• Sensitivity to touch

• Burning and/or cold sensation

• Muscle weakness

Prevention / management:

• Bortezomib once-weekly or subcutaneous administration

• Massage area with cocoa butter regularly

• Supplements:

• B-complex vitamins (B1, B6, B12)

• Folic acid, and/or amino acids but do not take on day of Velcade® (bortezomib) infusion

• Safe environment: rugs, furnishings, shoes

If PN worsens, your HCP may:

• Change your treatment

• Prescribe oral or topical pain medication

• Suggest physical therapy

53 Faiman B, et al. CJON. 2017;21(5)suppl:19-36. Tariman, et al. CJON.2008;12(3)suppl:29-36.
Physical
Report symptoms of peripheral neuropathy early to your health care provider; nerve damage from PN can be permanent if unaddressed

Financial burden comes from

• Medical costs

• Premiums

• Co-payments

• Travel expenses

• Medical supplies

• Prescription costs

• Loss of income

• Time off work or loss of employment

• Caregiver time off work

FINANCIAL BURDEN

Contact the Social Services department at your hospital or clinic to talk to a social worker for assistance.

Funding and assistance may be available

• Federal programs

• Pharmaceutical support

• Non-profit organizations

• Websites:

• Medicare.gov

• SSA.gov

• LLS.org

• Rxassist.org

• NeedyMeds.com

• HealthWellFoundation.org

• Company-specific website

Financial
54

HEALTHFUL LIVING STRATEGIES: PREVENTION

Manage stress

• Rest, relaxation, sleep hygiene

• Mental health / social engagement

• Complementary therapy

Maintain a healthy weight

• Nutrition

• Activity / exercise

Preventative health care

• Health screenings, vaccinations

• Prevent falls, injury, infection

• Stop smoking

• Dental care

Maintain renal health

• Myeloma management

• Hydration

• Avoid renally-toxic medications

– Dose adjust to renal function

• Diabetes management

Protect your bones

• Nutrition, Calcium + D supplement

• Weight-bearing activity / walking

• Bone strengthening agents

Faiman B, et al. CJON. 2017;21(5)suppl:19-36. Dimopoulous M, et al. Leukemia. 2009;23(9):1545-56. Brigle K, et al. CJON. 2017;21(5)suppl:60-76. Faiman B, et al. CJON. 2017;21(5)suppl:19-36. Faiman B, et al. CJON. 2011;15suppl:66-76. Miceli TS, et al. CJON. 2011;15(4)suppl:9-23.

55
“An ounce of prevention is worth a pound of cure.” Benjamin Franklin

CARE PARTNER SUPPORT

Care partner support is essential for the entire transplant and CAR T processes particularly

• Sedated procedures; Education sessions

• Assistance with daily activities, managing medications and alerting the medical team of changes

• Continued support and assistance is often needed in the early days after returning home. Less assistance will be needed as time goes on.

Care partner can be one person or a rotation of many people.

You are central to the care team

CARE TEAM COLLAGE

Be empowered

• Ask questions, learn more

• Participate in decisions

Communicate with your team

• Understand the roles of each team member and who to contact for your needs

• Participate in support network

Allied Health Staff
You and Your Caregiver(s) Support Network
Subspecialists Myeloma Specialist General Hem/Onc
Pharmacis t
Provider (PCP)
57

PREPARE FOR VISITS & CONSIDER TELEMEDICINE

Come prepared:

• Bring a list of current medications, prescribed and over the counter

• Write down your questions and concerns. Prioritize them including financial issues

• Have there been any medical or life changes since your last visit?

• Current symptoms - how have they changed (improved, worsened, stable)? Keep a symptom diary. Bring it along

• Communicate effectively: your health care team can’t help if they don’t know

• Know the “next steps”, future appointments, medication changes, refills, etc

Check with your healthcare team –Is telemedicine an option?

Similar planning for “in-person” appointment PLUS:

• What is the process and what technology is needed?

• Plan your labs: are they needed in advance? Do you need an order?

• Plan your location: quiet, well-lit location with strong wi-fi is best

• Plan yourself: consider if you may need to show a body part and wear accessible clothing

• Collect recent vital signs (blood pressure, temp, heart rate) self-serve blood pressure cuff is available at many pharmacies and for purchase

IMF TelemedicineTipSheet.In development.

SHARED DECISION-MAKING

Be empowered to be part of the treatment decision-making

• Ask for time to consider options (if needed/appropriate)

• Understand options; consider priorities

• Use reliable sources of information

• Use caution considering stories of personal experiences

• Consider your goals/values/preferences

• Express your goals/values/preferences; create a dialog

• My top priority is [goal/value]; additional [preferences] are also important.

• I think [treatment] may be a good choice given my priorities… What do you think?

• Arrive at a treatment decision together

Clinical Experience Data From
HCP
Research Your Preference TREATMENT DECISION
59
Philippe Moreau. ASH 2015.
KNOWLEDGE IS POWER USE REPUTABLE SOURCES Download or order at myeloma.org Website myeloma.org IMF InfoLine 1-800-452-CURE 9am to 4pm PST eNewsletter:Myeloma Minute Videos & Podcasts 60 M-PowerAtlanta.myeloma.org Understanding Booklets & TipCards

YOU ARE NOT ALONE

Audience Q&A

62

Local Support Groups: You Are Not Alone!

❖ The Atlanta Area Multiple Myeloma Support Group

❖ Meets virtually on the First Saturday of each month at 11AM Eastern

❖The Southside

Atlanta Multiple Myeloma Support Group

❖Meets virtually on the Fourth Saturday of each month at 10AM Eastern

63

A local and national movement to improve the short- and long-term outcomes of African Americans with myeloma

Publications

Mentorship of Medical Students

https://m-poweratlanta.myeloma.org/

Facebook Live

Free Courses for Drs and Nurses

Collaborate with local people

November 2021, M-Power Community Workshop

Social Media

Community Workshops

Educational Postcards

Community Events

Myeloma Button at Grady

Local Websites M-Power = Myeloma Power
Powered
MOST common blood
can Change the Course of Myeloma in Your Community Speak to your doctor about your risk Talk to friends & family about what you’ve learned about Multiple Myeloma Ask if you should be screened
the symptoms @#$ % #!? %^
Be M -
Myeloma is the
cancer in the African American Community YOU
Know

COFFEE BREAK

66

Thank you to our sponsors!

67

Frontline Therapy

Winship Cancer Institute of Emory University

68

Objectives

• Review the importance of DEPTH of response in early treatment of myeloma and the increasing use of MRD testing

• Discuss emerging approaches in transplant eligible patients, including quadruplet therapy and stem cell transplantation

• Outline the approach to a patient not going to transplant and how to optimize continuous therapy

Goals of Therapy: The Iceberg Model of Myeloma

Partial response

50% reduction in M protein

Very good partial response

90% reduction in M protein

immunofixation positive only

Complete remission

No M-protein

immunofixation negative

Minimal Residual Dis

Minimal Residual Dis

Next Generation Molecular testing

Cytometry At diagnosis
Disease Burden (# of myeloma cells) Symptomatic Myeloma
Flow
>1 Trillion
>1 Billion >10 Million 1 myelomacell in 100Kto 1 million normal cells

Depth of response matters!

MRD refers to the persistence of residual tumor cells after treatment and is responsible for relapse1

Current techniques can detect MRD with a sensitivity of 10-6 for MM cells2

MR, minimal response; neg, negative; pos, positive; R, relapse

1. Adapted from Hauwel M, Matthes T. Swiss Med Wkly 2014:144:w13907

2. Biran N, et al. Curr Hematol Malig Rep 2014;9:368–78

MR→PR→ VGPR→CR →sCR R0 R1 R2 R3 MRDpos MRDneg MRDlow MRDhigh MINIMALRESIDUAL
DETECTION TIME TUMOR LOAD 10–2 10–6 Induction Consolidation Maintenance Preemptive
DISEASE

MRD is Prognostic – Both for PFS and OS

Lahuerta JJ, Paiva B, et al. J Clin Oncol. 2017; 35(25): 2900–2910

Personalized Approach to Frontline Therapy

Newly Diagnosed MM and Risk Stratified

Factors to be considered for ASCT

Age, performance status (PS), comorbidities (R-MCI score, HCT-Cl) and organ function

ASCT Eligible

ASCT Ineligible

General Principles of Initial Therapy

1. Most patients will be given a combination of drugs to control the disease quickly

2. We don’t “save the best for last” because early therapies have a long term effect on survival

3. We seek a DEEP and DURABLE response

4. We mix and match from the 3 major classes of drugs and add steroids:

Proteasome Inhibitors – most often botezomib (Velcade)

Immunomodulatory Drugs – lenalidomide (Revlimid)

Monoclonal Antibodies – daratumumab (Darzalex)

5. We decide early on whether or not someone will have a stem cell transplant

Treatment Sequence and Regimens for Myeloma

Frontline treatment Maintenance Relapsed

Induction

• Velcade/Revlimid/Dex:(VRD)

• Velcade/Thalomid/Dex:(VTD)

• Velcade/Cytoxan/Dex:(CyBorD)

• Darzalex/Revlimid/Dex:(DRD)

• Darzalex/Velcade/Melphalan/Dex

• Darzalex/Velcade/Thalidomide/Dex

• Kyprolis/Revimid/Dex(KRD)

• Darzalex/Velcade/Revlimid/Dex: Dara-RVD

• Ninlaro/Revimid/Dex(IRD)

• Clinicaltrials

Consolidation

Maintenance

• Stem Cell Transplant

• Continue Induction

• Clinicaltrial

• Revlimid

• Velcade

• Ninlaro

• Observation

• Thalidomide

• Revlimid/Dara

• Clinicaltrial

Rescue

Dara+Pomalyst+Dex

Kyprolis+Pomalyst+Dex

Cytoxan+Pomalyst+Dex

Ninlaro+Pomalyst+Dex

Elo+Pomalyst+Dex

Elo+Thaliomide+Dex

Dara+Kyprolis+Dex

Kyprolis+Revlimid+Dex

Elo+Revlimid+Dex

Dara+Revlimid+Dex

Dara+Velcade+Dex

Elo+Velcade+Dex

Cytoxan+Kyprolis+Thalidomide+dex

4 drug therapies of novel agents

Ninlaro+Cytoxan+Dex

Velcade+ Cytoxan+Dex

Velcade+ Pomalyst+Dex

Chemotherapy

Selinexor+Dex

Selinexor+Velcade

Selinexor+ Dara

Isatuximab(Sarclisa)+

Pomalyst+Dex

Darzalex Faspro (under skin)

Ide-cel CAR-T (FDA approved 3/26/2021)

Cilta-cel CAR-T (FDA approved 2/28/2022)

Teclistamab (FDA approved 10/25/2022)

CLINICAL TRIALS!

National Comprehensive Cancer Network. The NCCN Clinical Practice Guidelines in Oncology Multiple Myeloma (Version 1.2023). http://www.nccn.org/.

IFM 2009 Study design: VRD vs VRD + Transplant

maintenance 13 cycles (10-15 mg/d)

RVd 21d cycles . Lenalidomide 25 mg/d:D1-D14 . Bortezomib1.3 mg/m2 D1, D4, D8, D11 . Dexamethasone 20 mg/d:D1, D2, D4, D5, D8, D9, D11, D12 700 patients randomized stratifiedon ISS and FISH PBSC collection (cyclophosphamide 3g/m2 and GCSF 10 μg/kg/d) Arm A – RVD alone Arm B - Transplantation Lenalidomide
HD Melphalan 200 mg/m2 + ASCT 2 RVD 3 RVD 3 RVD 5 RVD M Attal et al, N Engl J Med 2017 Primary endpoint= PFS Secondaryendpoints . ORR, MRD . TTP . OS . Toxicity

Median follow up 89.8 months

HR (95CI) 0.70 [0.59;0.83]

Median PFS 47.3 months (Transplantation, arm B)

Median PFS 35 months (RVD alone, arm A)

30% reduction in the risk of progression or death in patients receiving transplant

Updated PFS (primary endpoint)

Overall Survival

Median follow up 89.8 months

HR (95CI) 1.03 [0.8;1.32]

8y-OS 62.2% (Transplantation, arm B)

8y-OS 60.2% (RVD alone, arm A)

More than 60% of the patients in the two arms are alive after 8 years of follow-up

RVD +Stem Cell Transplant vs. RVD without Transplant DETERMINATION Trial of Newly Diagnosed MM: DESIGN

-Patients aged 18-65 yrs with symptomatic newly diagnosed MM following 1 cycle of RVD

-56 sites within the United States from 2010 to 2018

End Points of Study and Follow-up

• Primary end point: progression-freesurvival (time to next relapse)

• Secondary end points included:

• Response rates, overall survival, quality of life, and adverse events

• Follow-up on participantstatus: median of 6 years

N Engl J Med. 2022 Jul 14;387(2):132-147. doi: 10.1056/NEJMoa2204925
Stem cell collection Induction Consolidation Maintenance Until Progression RVD cycles 2-3 (n = 357) RVD cycles 2-3 (n = 365) RVD cycles 4-8 RVD cycles 4-5 R (n = 291) R (n = 289) ASCT: Melphalan 200 mg/m2 + Stem Cell Support (n = 310)

Primary endpoint: Progression-free survival (PFS)

CI, confidence interval;HR,hazardratio; Data cut off: 12/12/21

80 Paul G. Richardson, MD
Events –no. (%) Median PFS, months (95% CI) 5-year PFS, % (95% CI) RVd-alone 189 (52.9%) 46.2 (38.1–53.7) 41.5 (35.7–47.2) RVd+ASCT 139 (38.1%) 67.5 (58.6–NR) 55.6 (49.4–61.3) HR 1.53 (1.23–1.91), p<0.0001

Key secondary endpoint: Overall survival (OS)

Data cut off:12/12/21

*p-value adjusted using Bonferroni’s correction to control overall family-wise error rate for secondary outcomes

81 Paul G. Richardson, MD Events – no. (%) 5-year OS, % HR (95% CI) RVd-alone 90 (25.2%) 79.2 1.10 (0.73 – 1.65) p=0.99* RVd+ASCT 88 (24.1%) 80.7
Median follow-up 76 months

RVD +Stem Cell Transplant vs. RVD without Transplant DETERMINATION

Trial of Newly Diagnosed MM Quality of Life

Global Health Status/QoL, Physical Functioning

N Engl J Med. 2022 Jul 14;387(2):132-147. doi: 10.1056/NEJMoa2204925

DETERMINATION Discussion

• ASCT remains very relevant and important in prolonging PFS in younger and eligible patients

• BUT it may not be mandatory in all eligible patients upfront

• As with other agents, we INDIVIDUALIZE the sequencingpatterns

• ASCT does carry genuine toxicity, short term and long term

• We may become callous to these toxicities

• Maintenance therapy remains an important part of myeloma therapy

83
Joseph Mikhael – Discussant DETERMINATION

But can we do better than triplets?

Daratumumab (DARA) + Lenalidomide, Bortezomib, and Dexamethasone (RVd) in Patients With Transplant-eligibleNewly Diagnosed Multiple Myeloma (NDMM): Final Analysis of GRIFFIN

DouglasW. Sborov,1 JacobLaubach,2 JonathanL.Kaufman,3 BrandiReeves,4 CesarRodriguez,5

Ajai Chari,5 RebeccaSilbermann,6 LucianoJ.Costa,7 Larry D.AndersonJr.,8 Nitya Nathwani,9

Nina Shah,10 NareshBumma,11 SarahA.Holstein,12 Caitlin Costello,13 AndrzejJakubowiak,14

RobertZ. Orlowski,15 KennethH. Shain,16 AndrewJ.Cowan,17 HuilingPei,18 Annelore Cortoos,19

SharmilaPatel,19 ThomasS.Lin,19 PaulRichardson,2 SaadZ. Usmani,20 PeterM.Voorhees21

1HuntsmanCancerInstitute,Universityof Utah Schoolof Medicine, Salt LakeCity, UT, USA; 2Dana-FarberCancerInstitute,Harvard Medical School,Boston,MA, USA; 3WinshipCancerInstitute,EmoryUniversity, Atlanta, GA, USA; 4Universityof NorthCarolina –ChapelHill,ChapelHill,NC, USA; 5Icahn Schoolof Medicine at Mount Sinai, NewYork, NY, USA; 6Knight CancerInstitute, OregonHealth& ScienceUniversity, Portland,OR, USA; 7University of Alabamaat Birmingham,Birmingham,AL, USA;

8Departmentof InternalMedicine, DivisionofHematology/Oncology,UT SouthwesternMedicalCenter,Dallas,TX, USA; 9Judy andBernard BriskinCenterfor Multiple Myeloma Research,Cityof HopeComprehensiveCancerCenter,Duarte,CA, USA; 10Departmentof Medicine, Universityof CaliforniaSanFrancisco,SanFrancisco,CA, USA; 11Division of Hematology,The OhioState UniversityComprehensiveCancerCenter,Columbus,OH,USA; 12University of NebraskaMedicalCenter,Divisionof OncologyandHematologyDepartmentofInternalMedicine, Omaha,NE, USA; 13Moores CancerCenter, Universityof CaliforniaSanDiego,LaJolla, CA, USA; 14University of ChicagoMedicalCenter, Chicago,IL, USA; 15Departmentof Lymphoma/Myeloma,TheUniversityof Texas MD AndersonCancerCenter, Houston,TX, USA; 16Department of Malignant Hematology,H. LeeMoffitt CancerCenter, Tampa,FL, USA; 17Divisionof Medical Oncology, Universityof Washington,Seattle,WA, USA; 18JanssenResearch & Development,LLC,Titusville, NJ, USA; 19JanssenScientificAffairs, LLC, Horsham,PA, USA; 20Memorial SloanKetteringCancerCenter, NewYork, NY, USA; 21Levine CancerInstitute, Atrium Health,Charlotte,NC, USA

Scan the QR code.

https://www.congresshub.com/Oncology/IMS20 22/Daratumumab/Sborov

The QR code is intended to provide scientific information for individual reference, and the information should not be altered or reproduced in any way.

Presented at the 19th International Myeloma Society (IMS) Annual Meeting; August 25-27, 2022; Los Angeles, CA, USA.

GRIFFIN: Responses Deepened Over Time

sCR, P= 0.0079a ≥CR, P= 0.0005a

• Rates of ≥CR improved over time and the deepest responses occurred at the end of study maintenance

• At all timepoints, response rates for D-RVd were consistently higher versus RVd

PR, partial response; SD/PD/NE, stable disease/progressive disease/not evaluable. a P value was calculated usingthe Cochran–Mantel–Haenszelchi-squre test. bResponse rates are from the primary analysis cutoff (median follow-up: 13.5 months), and the response-evaluable population included 196 patients (D-RVd, n = 99; RVd, n = 97). cResponse rates for the maintenance phase were evaluated at the time of final analysis (median follow-up: 49.6 months), and the response-evaluable population included 198 patients (D-RVd, n = 100; RVd, n = 98).

86 8 8 8 8 35 19 14 14 43 31 18 17 6 10 13 12 7 32 46 48 End of inductionb End of consolidationb At 1 year of maintenancec End of studyc 2 1 2 1 26 8 4 3 53 39 13 13 7 9 17 16 12 42 64 67 0 20 40 60 80 100 Patients, % ≥CR: 13% ≥CR: 42% ≥CR: 59% ≥CR: 60% End of inductionb End of consolidationb At 1 year of maintenancec End of studyc ≥CR: 19% ≥CR: 52% ≥CR: 81% ≥CR: 83%
sCR CR VGPR PR SD/PD/NE sCR CR VGPR PR SD/PD/NE
RVd D-RVd

GRIFFIN: PFS in the ITT Population

• Median follow-up: 49.6 months

• Median PFS was not reached in either group

• PFS was longer for D-RVd/DR versus RVd/R, with a clinically meaningful55% reduction in the risk of disease progression or death

• The separation of the PFS curves occurred beyond 1 year of maintenance

aHR and 95% CI from a Cox proportionalhazards model withtreatment as the sole explanatory variable and stratified with ISS staging (I, II, III) and baseline creatinine clearance (CrCl [30-50 mL/min or >50 mL/min]) at randomization. A hazard ratio <1 indicates an advantage for D-RVd. P-value is based on the log-ranktest stratified with ISS staging and baseline creatinine clearance at randomization.

87
0 10 20 30 40 50 60 70 80 90 100 0 3 6 9 12 15 18 21 24 27 30 33 36 39 42 45 48 51 54 57 60 % surviving without progression Time, months No. at risk: RVd 103 93 77 72 70 68 63 61 59 53 51 46 42 39 35 33 25 12 3 3 0 D-RVd 104 98 94 90 90 89 86 85 81 81 79 68 59 58 56 54 45 23 12 3 0
D-RVd RVd 4-year PFS rate 3-year PFS rate 89.0% 80.7% 87.2% 70.0%
HR, 0.45 (95% CI, 0.21-0.95) P = 0.0324

The first phase 3 study evaluating Isa + RVd for induction and maintenance in Te NDMM patients

a to evaluate PAd vs VCD induction prior to HDT followed by tenance – final analysis on induction therapy

Mathias Haenel2 , Igor W Blau2 , Dirk Hose1 , Anna Jauch1 , Baerbel Schurich1 , Kai Neben2 , An a Seckinger1 , Barbara eis2 , Christian Gerecke2 , Ingo G. H. Schmidt-Wolf2 , Katja Weise 2 , Christof Scheid2 , Hans Salwender2 ermany, 2GMMG, Germany, 3Division of Biostat stics, German Cancer Research Center He delberg, Germany

Induction phase (3 x 6-weekcycles)

zed (n = 504

s were excluded rom ITT due to rmed d agnosis of mu t p e mye oma requ ring systemic herapy ) cated

Results

Pat en s no rece ving a oca

Maintenancephase (4-weekcycles)

In the PAd group 91 2% and n the VCD group 96 0% o he pa ients comp eted hree p anned nduct on cycles. Appl ed total bortezomib dose over al hree cycles was comparable n both, PAd and VCD arms. Response rates were simi ar n both induction reg mens (PAd vs. VCD) w th 34 3% vs. 37 0% of pat en s ach eving VGPR or be ter Non-inferiority o VCD compared to PAd was shown (one-sided p=0 0013). Similar resul s were obtained in he PP analysis. CR rates were 4 4% and 8 4% (PAd vs. VCD) and 21 1% and 22 3% (PAd vs. VCD) or near complete response (nCR) or bet er Part a response (PR) or better was reached n 72 1% vs. 78 1% o the pat en s (PAd vs. VCD) (f gure 3).

equa y d stributed for SS and Durie-Salmon d sease stage, enet c abnormal t es de et on (17p), ranslocat on t(4;14) and ni icant di ferences n pat ent age and d stribu ion o WHO

cs

Isa (IV) 10 mg/kg Cycle 1 Cycle 2–3 Bor (SC) 1.3 mg/m² Len (PO) 25 mg Dex (PO) 20 mg

F gure 3: Response rates after induction PAd or VCD induction therapy.

The proport on of pat ents w th any adverse event was comparab e in PAd vs. VCD (61 3% vs. 64 0%, p=0 58), but more serious adverse even s (SAEs) were observed during PAd nduct on (32 7% vs. 24 0%, p=0 04). VCD led o a sign f can ly higher proport on o eukocytopen a and neutropenia CTCAE grade 3 and 4 (PAd 11 3% vs. VCD 35 2% p=<0 001). The number of nfect ons (≥ CTCAE grade 2) and infect on-re a ed SAE was simi ar (PAd 24 6% vs. VCD 22 4% or AE, p=0 60 and PAd 12 9% vs. VCD 10 8% for SAE, p=0 49). Compared to he infect on rate (AE ≥ CTCAE grade 2) of 49% during PAD (dexamethasone 40 mg on days 1-4 9-12 17-20) in he HOVON65/GMMG-HD4trial a reduct on n MM5 during induction was observed Pre iminary data (412 pat en s) o numbers of col ected CD34+ stem cel s were comparab e (PAd median 9 8x106 vs. VCD med an 9 4x106 kg bodywe gh , p=0.15). n the PAd arm more deaths were observed compared to he VCD arm (5 vs 1).

Tab e 2 Tox c ty during nduction

Isa (IV) 10 mg/kg: Cycle 1 Cycle 2–3 Cycle 4+ Len (PO) 10 mg increased to 15 mg after 3 months

Dex (PO) 20 mg: first cycle

ASCT, autologous stemcell transplant;D, day;d/Dex, dexamethasone; HDT, high-dosetherapy;Isa, isatuximab; IV, intravenous; NDMM, newly diagnosedmultiple myeloma; PD, progressivedisease;PO, oral; R/Len, lenalidomide; SC, subcutaneous;Te, transplant eligible; V/Bor,bortezomib; RVd is off labeluse in some countries accordingtothe lenalidomide summary of productcharacteristics. 1. ClinicalTrials.gov: NCT03617731

GMMG and Heidelberg University Hospital | ASH 2021
ed n erven
due to: - non-comp ance (n = 1) - w hdrawa of consen (n = 2 One pa ent excluded rom ITT (due o uncon rmed d agnosis of mu t p e mye oma requ ring systemic herapy) rece ved VCD therapy and was ncluded n safe y ana ysis Excluded from PP ana ysis - ncomp e e nduct on therapy (n = 5) - missing response assessmen (n = 3 - one pa en no TT not PP but Sa ety (see above)
Ad and (n = 1 VCD
nterven
n = 234 n = 10 n = 5 3 cycles
244 2 cycles n = 4 1 cycle n = 1 n = 251 n = 233 n = 249 ITT n = 251 Per-Protoco n = 240 Sa ety n = 249 ne characteristics CR nCR PR MR SD PD PAd VCD P e r c e n t ( % ) 0 10 20 30 40 Response rates (ITT) VGPR missing PAd VCD P value ts % in PAd arm no of patients % n VCD arm 58.6 / 41.4 153 98 61.0 / 39.0 0.65 4 (37 - 70) 58 7 (33 - 70) 0.04 10.8 / 88.2 30 / 221 12.0 / 88.0 0.78 39.4 / 31.9 / 28.7 94 / 82 75 37.5 / 32.7 / 29.9 0.91 85.7 / 11.9 / 2.4 230 / 21 / 0 91.6 / 8.4 / 0.0 0.01 18.4 44 17.5 0.82 Characteristic PAd VCD P value No o patients % in PAd arm No o patients % in VCD arm AE ≥ 3º (or ≥ 2º for nfect ons, card ac disorders, PNP and thromboembol c even s) 152 61.3 160 64.0 0.58 Any SAE 81 32.7 60 24.0 0.04 Leukocyto-/Neutropenia ≥ 3º 28 11 3 88 35.2 <0 01 HD7
on
andom
n
= 248)
(n = 251) Rece ved a oca ed
on (n = 249)
n =
Week 1 Week 2 Week 3 Week 4  D1  D15
 D8  D22
Days 1–28
 D1  D15  D8  D22 Week 1 Week 2 Week 3 Week 4 Week 5 Week 6  29  30  25  22  11  8  15  33  26  23  9  D1  D8  D15  D22  D29  D1  D8  D22  D29  D4  D11  D25  D32 Days 1–14 Days 22–35  D1  2  4  5  12  32  D1  D15  D29  D1  D15  D1
RVd Randomization 1:1 Isa + R R
Isa + RVd
Randomization
NDMM N=662 Key eligibility criteria1: ✓ Age 18–70years ✓ NDMM and eligible for HDT and ASCT 3 yearsor PD 88
HDT + ASCT

a to evaluate PAd vs VCD induction prior to HDT followed by tenance – final analysis on induction therapy

Patients withMRD negativity at the end of induction therapy

Mathias Haenel2 , Igor W Blau2 , Dirk Hose1 , Anna Jauch1 , Baerbel Schurich1 , Kai Neben2 , An a Seckinger1 , Barbara eis2 , Christian Gerecke2 , Ingo G. H. Schmidt-Wolf2 , Katja Weise 2 , Christof Scheid2 , Hans Salwender2 ermany, 2GMMG, Germany, 3Division of Biostat stics, German Cancer Research Center He delberg, Germany

OR

andom zed (n = 504

Results

VCD (n = 251)

n s were excluded rom ITT due to rmed d agnosis of mu t p e mye oma requ ring systemic herapy ) cated = 248) Ad and (n = 1

Rece ved a oca ed nterven on (n = 249) n = 234 n =

Pat en s no rece ving

a oca ed n erven on due to:

- non-comp ance (n = 1)

- w hdrawa of consen (n = 2

One pa ent excluded rom ITT (due o uncon rmed d agnosis of mu t p e mye oma requ ring systemic herapy) rece ved VCD therapy and was ncluded n safe y ana ysis

= 249

ne characteristics

Excluded from PP ana ysis

- ncomp e e nduct on therapy (n = 5)

- missing response

assessmen (n = 3

- one pa en no TT not PP but Sa ety (see above)

In the PAd group 91 2% and n the VCD group 96 0% o he pa ients comp eted hree p anned nduct on cycles. Appl ed total bortezomib dose over al hree cycles was comparable n both, PAd and VCD arms. Response rates were simi ar n both induction reg mens (PAd vs. VCD) w th 34 3% vs. 37 0% of pat en s ach eving VGPR or be ter Non-inferiority o VCD compared to PAd was shown (one-sided p=0 0013). Similar resul s were obtained in he PP analysis. CR rates were 4 4% and 8 4% (PAd vs. VCD) and 21 1% and 22 3% (PAd vs. VCD) or near complete response (nCR) or bet er Part a response (PR) or better was reached n 72 1% vs. 78 1% o the pat en s (PAd vs. VCD) (f gure 3).

F gure 3: Response rates after induction PAd or VCD induction therapy.

Low number of not assessable/missing† MRD status: Isa-RVd (10.6%) and RVd (15.2%)

equa y d stributed for SS and Durie-Salmon d sease stage, enet c abnormal t es de et on (17p), ranslocat on t(4;14) and ni icant di ferences n pat ent age and d stribu ion o WHO

The proport on of pat ents w th any adverse event was comparab e in PAd vs. VCD (61 3% vs. 64 0%, p=0 58), but more serious adverse even s (SAEs) were observed during PAd nduct on (32 7% vs. 24 0%, p=0 04). VCD led o a sign f can ly higher proport on o eukocytopen a and neutropenia CTCAE grade 3 and 4 (PAd 11 3% vs. VCD 35 2% p=<0 001). The number of nfect ons (≥ CTCAE grade 2) and infect on-re a ed SAE was simi ar (PAd 24 6% vs. VCD 22 4% or AE, p=0 60 and PAd 12 9% vs. VCD 10 8% for SAE, p=0 49). Compared to he infect on rate (AE ≥ CTCAE grade 2) of 49% during PAD (dexamethasone 40 mg on days 1-4 9-12 17-20) in he HOVON65/GMMG-HD4trial a reduct on n MM5 during induction was observed Pre iminary data (412 pat en s) o numbers of col ected CD34+ stem cel s were comparab e (PAd median 9 8x106 vs. VCD med an 9 4x106 kg bodywe gh , p=0.15). n the PAd arm more deaths were observed compared to he VCD arm (5 vs 1).

Tab e 2 Tox c ty during nduction

Isa-RVd is the first regimen to demonstrate a rapid and statistically significant benefit from treatment by reaching a MRD negativity of 50.1% at the end of induction and to show superiority vs. RVd in a Phase 3 trial

*P value derivedfromstratifiedconditional logistic regressionanalysis

†Missing NGF-MRD values wereduetoeither patients’ loss to follow -upduringinductiontherapy or to missing bone marrow samples or technical failures in measurement countedas non-responders,i.e.NGF-MRD positive

CI, confidenceinterval;d,dexamethasone; Isa, isatuximab; ITT, intent-to-treat;MRD, minimal residualdisease;NGF, next-generationflow; OR, odds ratio; R, lenalidomide; V,bortezomib

GMMG and Heidelberg University Hospital | ASH 2021
First primary endpoint, end of induction MRD negativity by NGF (10-5), was met in ITT analysis
50.1% 35.6% 0% 10% 20% 30% 40% 50% 60% Isa-RVd RVd P<0.001*
cs
2
1
1 n = 251
= 233 n = 249 ITT
240 Sa
10 n = 5 3 cycles n = 244
cycles n = 4
cycle n =
n
n = 251 Per-Protoco n =
ety n
CR nCR PR MR SD PD PAd VCD P e r c e n t ( % ) 0 10 20 30 40 Response rates (ITT) VGPR missing PAd VCD P value ts % in PAd arm no of patients % n VCD arm 58.6 / 41.4 153 98 61.0 / 39.0 0.65 4 (37 - 70) 58 7 (33 - 70) 0.04 10.8 / 88.2 30 / 221 12.0 / 88.0 0.78 39.4 / 31.9 / 28.7 94 / 82 75 37.5 / 32.7 / 29.9 0.91 85.7 / 11.9 / 2.4 230 / 21 / 0 91.6 / 8.4 / 0.0 0.01 18.4 44 17.5 0.82 Characteristic PAd VCD P value No o patients % in PAd arm No o patients % in VCD arm AE ≥ 3º (or ≥ 2º for nfect ons, card ac disorders, PNP and thromboembol c even s) 152 61.3 160 64.0 0.58 Any SAE 81 32.7 60 24.0 0.04 Leukocyto-/Neutropenia ≥ 3º 28 11 3 88 35.2 <0 01 HD7 89
1.83 (95% CI 1.34–2.51)

Will MRD guide us to stop therapy?

MASTER Trial - Treatment

Dara-KRd

• Daratumumab 16 mg/m2 days 1,8,15,22(days 1,15 C 3-6; day 1 C >6)

• Carfilzomib (20) 56 mg/m2 Days 1,8,15

• Lenalidomide 25 mg Days 1-21

• Dexamethasone40mg PO Days 1,8,15,22

MRD assessmentby NGS

Dara-KRd x 4 Induction MRD → Lenalidomide Maintenance AHCT Dara-KRd x 4 Consolidation Dara-KRd x 4 Consolidation MRD → MRD → MRD →
2nd MRD (-) (<10-5) 2nd MRD (-) (<10-5) 2nd MRD (-) (<10-5) MASTER trial *24 and 72 weeks after completion of therapy
”MRD-SURE” -Treatment-free observationand MRD surveillance*

Progression-Free and Overall Survival

MASTER trial 0 HRCA 91% 2-year PFS 1 HRCA 97% 2+ HRCA 58% 0 HRCA 96% 2-year OS 1 HRCA 100% 2+ HRCA 76% HRCA = gain/amp 1q, t(4;14), t(14;16), t(14;20) or del(17p)

Frontline Therapy and Transplant - Conclusions

• We are transitioning to quadruplets in frontline eligible patients

• BUT the optimal lengthof a quadrupletis still to be determined!

• Transplant still has a role in MM even with long term use of novel agents

• Consolidation therapy may deepen responses and should be considered in patients who have not achieved VGPR

• MRD guided discontinuation may be possible in lower risk groups but not high risk patients

How do we decide who is eligible for transplant?

ASCO: What criteria are used to assess eligibility for autologous stem cell transplant (SCT)?

Recommendation

Patients should be referred to a transplant center to determine transplant eligibility

Evidence Rating

Type: Evidence based

Evidence quality: Intermediate, benefit outweighs harm

Strength of recommendation: Moderate

Chronologic age and renal function should not be the sole criteria used to determine eligibility for SCT.

Type: Evidence based

Evidence quality: Intermediate, benefit outweighs harm

Strength of recommendation: Moderate

Mikhael J, et al. J Clin Oncol.April1,2019.DOI:10.1200/JCO.18.02096.

Several Indices for Myeloma ‘Frailty’ assessment

IMWG score of 1 = Intermediate-Fit

3-year OS was 76% (HR=1.61; 95% CI 1.02-2.56; p=.042)

Toxicities 16.7% (HR 1.23, 95% CI 0.89-1.71; p=.217) and

Discontinuation 20.8% (HR=1.41; 95% CI 1.00-2.01; p=.052).

2016
2020
2015
Palumbo A Blood Engelhardt M. Haematologica
Facon et al. Leukemia
Bonanad et al. JGO

Upfront Therapy for Myeloma: Patients Ineligible for Transplant NCCN Guidelines

MAIA Study Design –

DRD vs RD

‒ Patients were enrolled in MAIA from March 2015 through January2017

D: 16 mg/kg IV

Key eligibility criteria

• TIE NDMM

• ECOG PS score 0-2

• CrCl

≥30 mL/min

TIE,

aOn

QW Cycles 1-2, Q2W Cycles 3-6, then Q4W thereafter until PD

R: 25 mg PO Days 1-21 until PD

da: 40 mgb PO or IV Days 1, 8, 15, 22 until PD

Primary endpoint

• PFS

Rd

R: 25 mg PO Days 1-21 until PD

d: 40 mg PO Days 1, 8, 15, 22 until PD

D-Rd Cycles: 28 days

End-oftreatment visit (30days afterlast dose)

Longterm follow-up

Key secondary endpoints

• OS

• PFS2

• ORR

• CR/sCR rate

• MRD (NGS; 10–5) 1:1 randomisation

MAIA is a multicentre,randomised, open-label, active-controlled, phase3 studyof D-Rd versusRd alonein patientswith NDMM who are transplantineligible

transplant-ineligible; ECOG PS,EasternCooperative Oncology Group performance status; CrCl,creatinine clearance;IV, intravenous; QW, once weekly; Q2W, once every 2weeks; Q4W, once every 4 weeks; PD, progressive disease; PO, oral; ORR, overall response rate; CR,complete response;sCR, stringentcomplete response; MRD, minimal residual disease; NGS, next-generation sequencing; BMI, body mass index.
days when DARA is administered,dexamethasone willbe administeredto patients inthe D-Rd armandwill serve as the treatmentdose of steroid for that day, as well as therequired pre-infusion medication. bFor patients >75 years of age orwith BMI <18.5 kg/m2,dexamethasone was administered at a dose of 20mg QW.

Demographics and Baseline Characteristics

Demographics and baseline characteristics were well balanced between arms

ISS, International Staging System; MM, multiple myeloma. a2 patients hadanECOG PS score >2 (1patienteach with an ECOG PSscore of 3 and 4). bIncludes IgD, IgE, IgM,andbiclonal. Note: percentages may not add upto 100% due torounding.
D-Rd (n = 368) Rd (n = 369) Age, years Median (range) 73.0 (50-90) 74.0 (45-89) Distribution, n (%) <65 4 (1) 4 (1) 65-<70 74 (20) 73 (20) 70-<75 130 (35) 131 (36) ≥75 160 (43) 161 (44) ECOG PS score, n (%) 0 127 (35) 123 (33) 1 178 (48) 187 (51) 2a 63 (17) 59 (16) ISS stage, n (%) I 98 (27) 103 (28) II 163 (44) 156 (42) III 107 (29) 110 (30) D-Rd (n = 368) Rd (n = 369) Type of measurable disease, n (%) IgG 225 (61) 231 (63) IgA 65 (18) 66 (18) Otherb 9 (2) 10 (3) Detected in urine only 40 (11) 34 (9) Detected as serumfree light chain only 29 (8) 28 (8) Cytogenetic profile, n/total n (%) Standard risk 271/319 (85) 279/323 (86) High risk 48/319 (15) 44/323 (14) Median time since initial diagnosis of MM (range), months 0.95 (0.1-13.3) 0.89 (0-14.5)

ORRa

• D-Rd induced deeper responses with significantly higher rates of ≥CR and ≥VGPR, compared with Rd

• With >28 months of additional follow-up,responses deepened with continued DARA therapy

VGPR, very
aITT population. 1. Facon T, etal. N Engl J Med 2019;380(22):2104-2115. Note: percentages may not add upto the total due to rounding.
good partial response; PR, partial response.
14% 28% 12% 25% 32% 28% 30% 27% 17% 13% 16% 15% 30% 13% 35% 15% 0 20 40 60 80 100 ORR, % 93% 81% D-Rd n = 368 Rd n = 369 Median follow-up
months1 D-Rd n = 368 Rd n = 369 93% 82%
follow-up D-Rd Rd PR VGPR CR sCR
Primary: 28.0
Update: 56.2 months Median

Updated PFS

0.53; 95% CI, 0.43-0.66;

• D-Rd continued to demonstrate a significant PFS benefit, with median PFS not reached with D-Rd

• These data provide a new PFS benchmark in patients with NDMM who are transplant ineligible

NR, not reached; CI,confidence interval. D-Rd: median, NR Rd: median,
months 52.5% 28.7% 60-month PFS rate Months HR,
P <0.0001 % surviving without progression 20 40 60 80 100 0 0 3 6 9 12 15 18 42 21 27 24 30 33 36 39 51 45 48 54 57 60 63 66 69 No. at risk Rd D-Rd 369 368 333 347 307 335 280 320 255 309 237 300 220 290 123 210 205 276 179 256 196 266 172 246 155 237 146 232 133 222 94 170 113 199 105 195 63 123 36 87 12 51 4 17 2 5 0 0
34.4

HR, 0.68; 95% CI, 0.53-0.86;

D-Rd demonstrated a significant benefit in OS, with a 32% reduction in the risk of death, in patients with NDMM who are transplant ineligible

OS D-Rd: median, NR Rd: median, NR 66.3% 53.1% 60-month OS rate Months
P = 0.0013 % surviving 20 40 60 80 100 0 0 3 6 9 12 15 18 42 21 27 24 30 33 36 39 51 45 48 54 57 60 63 66 69 72 No. at risk Rd D-Rd 369 368 351 350 343 346 336 344 324 338 317 334 308 328 232 266 300 316 281 302 294 305 270 297 258 286 251 280 241 273 183 228 223 255 213 249 134 170 85 118 42 63 14 22 5 6 1 1 0 0

Conclusions in Transplant Ineligible Patients

• Although ASCT remains the standard of care, use is likely to decline in patients who are 65-75 or with significant comorbidities

• Continuous therapy has resulted in better outcomes

• The balance of toxicity and efficacy is particularly important in this population

• ESPECIALLY with dexamethasone

• Most common approach is to select 2 agents from the 3 Novel Classes (PIs, IMiDs and MoAbs)

• Most will use DRD in standard risk patients

• Some may favor VRD in certain high risk patients

• DRD is more easily delivered and feasible

• D-VRD may well be a future standard of care even in these patients

The Evolution of Myeloma Therapy

Idecabtagene

Ciltacabtagene

Induction Consolidation Frontline treatment Post consolidation Maintenance Rescue Relapsed New D-VRD Isa-VRD D-KRD Isa-VRD “more”induction? Daratumumab? Carfilzomib? Lenalidomide+ PI CAR T CellTherapy
Antibodies CellModifyingAgents Venetoclax? PD/PDL-1Inhibition? Multiplesmallmolecules ++++++++ Now VD Rev/Dex CyBorD VTD VRD KRD D-VMP DRD SCT TandemASCT(?) Nothing Thalidomide? Bortezomib Ixazomib Lenalidomide Combinations Bortezomib Lenalidomide Carfilzomib Pomalidomide
mafodotin
flufenamide
Bispecific/Trispecific
Selinexor Belantamab
Melphalan
Panobinostat Daratumumab Ixazomib Elotuzumab Isatuximab
autoleucel
autoleucel Teclistamab ASCT, autologous stem cell transplant; CAR, chimeric antigen receptor; Cy, cyclophosphamide; d- daratumumab; D/dex, dexamethasone; isa, isatuximab; K, carfilzomib; M, melphalan; PD-L1, programmed death ligand-1; PI, proteasome inhibitor; Rev, lenalidomide; V, bortezomib. Speaker’s own opinions.

Audience Q&A

105

LUNCH BREAK

106

11:55 AM – 12:40 PM LUNCH BREAK

12:40 – 1:00 PM Local Patient & Care Partner Panel

Bob Cain, Patient & Molly Lay, Care Partner; Ted Price, Patient & MattiePrice, Care Partner

1:00 – 1:10 PM Q&A

1:10 – 1:30 PM Maintenance Therapy

Ajay Nooka,MD, MPH – Winship Cancer Institute of Emory University 1:30 –

PM Q&A 1:40 – 2:25 PM RelapsedTherapies & Clinical Trials

Craig Hofmeister, MD, MPH – Winship Cancer Institute of Emory University 2:25 –

– 2:45 PM Closing Remarks 2:45 – 3:00 PM Coffee / Network

107
Agenda for After the Break
1:40
2:35 PM Q&A 2:35

Thank you to our sponsors!

108

Local Patient and Care Partner Panel

Bob Cain & Molly Lay

Ted & Mattie Price

109
San Antonio TX - 2017

High Museum 2022

Valentine’s Day 2023
Chattahoochee Possum Trot 10 K June 2023

Bob Fly Fishing on Flint River

Catch and Release

Molly Showing Nordic Walking

At Parkinson’s Move Day

Maintenance Therapy

Winship Cancer Institute of Emory University

114

Objectives

• Discuss the principle of consolidation therapy and its application in myeloma

• Outline the major options for maintenance therapy

• Introduce the newer trend for the use of dual maintenance

• Provide an algorithm for maintenance based on risk status

Understanding the Terms

• Induction: Intense and short term therapy with goal to achieve rapid remission

• Consolidation: Intense and shorter term therapy with goal of deep remission

• Maintenance: Less intense longer term therapy with goal of better PFS and OS

What does the Ideal Maintenance therapy look like?

• Deepen remission

• Prolong remission

• Easy to administer

• Minimal toxicity

Meta-Analysis of Lenalidomide Maintenance after ASCT

CALGB 100104

(accrual8/2005 – 11/2009)

INDUCTION

ASCT

1:1 RANDOMIZATION

“NO EVIDENCE OF PD”

Primary Endpoint: PFS

LEN MNTCa (n = 231) PLACEBO (n = 229)

INTERIM AN Dec 2009

IFM 2005-02

(accrual6/2006 – 8/2008)

INDUCTION

ASCT

1:1 RANDOMIZATION

“NO EVIDENCE OF PD”

Primary Endpoint: PFS

LEN: 2 COURSES

GIMEMA (RV-MM-PI-209)

(accrual11/2007–7/2009)

2 × 2 DESIGN

LEN + DEX × 4 INDUCTION

Primary Endpoint: PFS

ASCT

MPR: 6 COURSES

LEN MNTCa (n = 307) PLACEBO (n = 307)

INTERIM ANALYSIS AND UNBLINDING

CROSSOVER BEFORE PD ALLOWED CONTINUED TREATMENT

LEN MNTCb (n = 67) NO TREATMENT (n = 68)

Jan 2010

CONTINUED

TREATMENT NO CROSSOVER BEFORE PD ALLOWED

ALL TREATMENT DISCONTINUED

Jan 2011

LEN MNTCb NO TREATMENT

PRIMARY ANALYSIS

CONTINUED TREATMENT CONTINUED TREATMENT

Targetpopulation of patientswithNDMM whoreceivedLENmaintenanceor placebo/no maintenanceafterASCT

a Starting dose of 10 mg/day on days 1-28/28wasincreasedto 15 mg/day if tolerated and continued until PD.

b Patients received 10 mg/day on days 1-21/28until PD.

ASCT, autologous stem cell transplant; LEN, lenalidomide; NDMM, newly diagnosed multiple myeloma; MNTC, maintenance; MPR, melphalan, prednisone, and Len; PD, progressive disease.

Attal et al ASCO 2016;McCarthyet al EHA 2016

Meta-analysis of lenalidomide maintenance postASCT: overall survival

McCarthy et al. J Clin Oncol. 2017, 35:3279-3289.

Lenalidomide maintenance and second primary malignancy risk

McCarthy et al. J Clin Oncol. 2017, 35:3279-3289.

Key Results of Initial Meta-Analysis

3 randomized trials: 1,209 patients:

• Median follow up 6.6 years

• PFS 52.8 months for lenalidomide vs 23.5 in placebo

• PFS2 also prolonged 73.3 months vs 56.7 (ie not creating more aggressive clone)

• Median overall survival: 86 months v. not reached: P = 0.001

• Benefit for ≤ PR as well as VGPR/CR patients

• 29% discontinuation rate with lenalidomide

• Second primary malignancy rate higher at 6.1% vs 2.8% in placebo after PD

120 McCarthy P, et al; JCO 2017, 35, 3279-3289.

Myeloma XI

Induction

NDMM

Maintenance

Lenalidomide

10 mg/day,days 1‒21/28

N=1551 (TE=828; TNE=723)

Medianfollow-up: 27 months (IQR 13‒43)

Exclusion criteria

R 1:1

Observation

• Failure to respond to lenalidomideas induction IMiD, or development of PD

• Previous or concurrent active malignancies

Treated on Myeloma XI inductionprotocols IQR, interquartile range; NDMM, newly diagnosed multiple myeloma; PD, progressive disease

Jackson et al., Lancet 20:57-73, 2019

Overall PFS

Significant improvement in PFS from 18 to 36 months, HR=0.45

No. of patients at risk: Lenalidomide Observation 857 694 771 584 675 504 611 413 512 353 444 293 369 247 330 202 265 167 228 132 204 108 169 86 143 64 118 48 90 40 67 25 43 20 27 10 17 3 11 2 4 2 1 1 0 0 Timesince randomisation(months) 100 0 Patients alive and progressionfree (%) 80 60 40 20 0 18 33 51 66 3 6 9 12 15 21 24 27 30 36 39 42 45 48 54 57 60 63 CI, confidence interval; HR, hazard ratio Median PFS, months [95% CI] Lenalidomide (n=857) 36 [31, 39] Observation (n=694) 18 [16, 20] HR=0.45; 95% CI 0.39, 0.52 Log-rank p<0.0001 Jackson et al., Lancet 20:57-73, 2019

Meta-analysis of all four randomized studies evaluating lenalidomide maintenance

Jackson et al., Lancet 20:57-73, 2019
OS
PFS
HR 0.47 HR 0.72

But can we do better than lenalidomide alone?

FORTE Trial design

474 NDMM patients, transplant-eligible and younger than 65 years

4x KCd

K: 36^ mg/m2 d 1-2,8-9,15-16

C: 300 mg/m2 d 1,8,15

d: 20 mg. d 1-2,8-9,15-16,22-23

4x KRd

K: 36^ mg/m2 d 1-2,8-9,15-16

R: 25 mg d 1-21

d: 20 mg. d 1-2,8-9,15-16,22-23

Single ASCT

Intensification with high-dose melphalan followed by autologous stem-cell reinfusion MOBILIZATION

4x KRd

K: 36^ mg/m2 d 1-2,8-9,15-16

R: 25 mg d 1-21

d: 20 mg. d 1-2,8-9,15-16,22-23

4x KRd

K: 36 mg/m2 d 1-2,8-9,15-16

R: 25 mg d 1-21

d: 20 mg. d 1-2,8-9,15-16,22-23

4x KCd

K: 36 mg/m2 d 1-2,8-9,15-16

C: 300 mg/m2 d 1,8,15

d: 20 mg. d 1-2,8-9,15-16,22-23

4x KRd

K: 36 mg/m2 d 1-2,8-9,15-16

R: 25 mg d 1-21

d: 20 mg. d 1-2,8-9,15-16,22-23

R:10 mg days 1-21, until progressionor intolerance

K: 36 mg/m2 d 1, 2, 15, 16 up to2 years*

R:10 mg days 1-21, until progressionor intolerance

K: 36 mg/m2 d 1-2,8-9,15-16

R: 25 mg d 1-21

d: 20 mg. d 1-2,8-9,15-16,22-23

^20 mg/m2 on days 1-2, cycle 1 only. *Carfilzomib 70 mg/m2 days 1, 15 every 28 days up to 2 years for patients that have started the maintenance treatment from 6 months before the approval of Amendment 5.0 onwards.

NDMM, newlydiagnosedmultiplemyeloma,R1,firstrandomization(induction/consolidationtreatment);R2,second randomization (maintenancetreatment);ASCT, autologous stem-celltransplantation;K, carfilzomib;R, lenalidomide;C,cyclophosphamide;d,dexamethasone;KCd_ASCT, KCdinduction-ASCT-KCdconsolidation;KRd_ASCT,KRd induction-ASCT-KRdconsolidation;KRd12,12 cycles of KRd.

125
R KR
4x KRd
R1 1:1:1 R2 1:1
Presented by Francesca Gay in 2021 ASCO Annual meeting

Progression-free survival

KRd_ASCT vs. KRd12 vs. KCd_ASCT KR vs. R

Medianfollow-upfromRandom1:51 months(IQR46‒55)

Medianfollow-upfromRandom2:37 months(IQR33‒42)

KRd_ASCT vs. KCd_ASCT: HR 0.54, 95% CI 0.38-0.78, p<0.001

KRd_ASCT vs. KRd12: HR 0.61, 95% CI 0.43-0.88, p=0.0084

KRd12vs. KCd_ASCT: HR 0.88, 95% CI 0.64-1.22, p=0.45

KR vs. R: HR 0.64, 95% CI 0.44-0.94, p=0.02294

3-year PFS reported in the figure. Random 1, first randomization (induction/consolidation treatment); ASCT, autologous stem-cell trasplantation; K, carfilzomib; R, lenalidomide; C, cyclophosphamide; d, dexamethasone; KCd_ASCT, KCd induction-ASCT-KCdconsolidation;KRd_ASCT, KRdinduction-ASCT-KRdconsolidation;KRd12,12cycles of KRd; Random 2,second randomization (maintenance treatment);p,p-value; HR, hazard ratio; CI, confidence interval.

126 0.00 0.25 0.50 0.75 1.00 0 10 20 30 40 50 60 Months 0.51 0.56 0.69 Progressionfree survival Months 0.00 0.25 0.50 0.75 1.00 0 10 20 30 40 0.65 0.75 Progressionfree survival Presented
Francesca Gay in 2021 ASCO Annual meeting
by

Progression-free survival: Random 2

KR vs. R

Standard risk (N=120) High risk (N=172) Double hit (N=105) KR vs.R: HR 0.4, p=0.05 Random 2,second randomization (maintenance treatment);IQR, interquartile range;K, carfilzomib;R, lenalidomide;HR,hazard ratio; CI, confidence interval; p, p-value. 0.00 0.25 0.50 0.75 1.00 0 10 20 30 40 Progressionfree survival Months 0.73 0.9 0.00 0.25 0.50 0.75 1.00 0 10 20 30 40 Progressionfree survival Months 0.56 0.69 KR vs. R: HR 0.6, p=0.04 0.00 0.25 0.50 0.75 1.00 0 10 20 30 40 Progressionfree survival Months 0.42 0.67 41.8 23.4 KR vs. R: HR 0.53, p=0.1
survival Median follow-up from Random 2: 37 months (IQR 33-42)
3-year progression-free
Presented by Francesca Gay in 2021 ASCO Annual meeting

Conclusions about FORTE

• It appears that dual maintenance therapy prolongs PFS

• This occurs in both standard risk AND high risk patients

• It further opens the door to other dual maintenance strategies currently being used and explored:

• Lenalidomide + Bortezomib

• Lenalidomide + Ixazomib

• Lenalidomide + Daratumumab

• Others??

What about Daratumumab?

• Recall that GRIFFIN gave Dara for 2 years with lenalidomide in maintenance

• Responses continuedto deepen with Dara

• CASSIOPEIArandomized pts to no maintenance vs dara q 8 weeks

• Overall there was a benefit to having dara maintenance vs placebo

• However, if dara had been given at induction, that benefit did not seem to continue(ie If you had dara upfront, it didn’t add more to maintenance)

• We just don’t know what benefit it may add to lenalidomide

• Futurestudies with dara and Isatuximab will guideus

• Until then it is not generally used in this context

How long should maintenance last?

, Gareth Morgan

, Graham Jackson

On behalf of the Myeloma XI Trial Management Group and NCRI Haem-Onc Clinical Studies Group

3
4
5
3
3,6
1,2
9
3
10
Defining the optimum duration of lenalidomide maintenance after autologous stem cell transplant – data from the Myeloma XI trial.
Charlotte Pawlyn1,2, Tom Menzies
, Faith Davies
, Ruth de Tute
, Rowena Henderson
, Gordon Cook
, Matthew Jenner7, John Jones8, Martin Kaiser
, Mark Drayson
, Roger Owen8, David Cairns
4
1) The Institute of Cancer Research,London, UK; 2) The Royal Marsden Hospital, London, UK; 3) Clinical Trials ResearchUnit, Leeds Institute of Clinical Trials Research,University of Leeds,Leeds, UK; 4) Perlmutter Cancer Center, NYU Langone Health, New York,US; 5) HMDS, Leeds Cancer Centre, Leeds Teaching Hospitals NHS Trust,Leeds, United Kingdom; 6) Leeds Cancer Centre, Leeds Teaching Hospitals NHS Trust, Leeds,UK; 7) University Hospital Southampton NHS Foundation Trust, Southampton, UK; 8) Kings College Hospital NHS Foundation Trust,London, UK; 9) Institute of Immunology and Immunotherapy, University of Birmingham, Birmingham, UK; 10) Department of Haematology, University of Newcastle,Newcastle-upon-Tyne,UK

Multiple landmark analyses

Induction

N=1248

Median follow up: 44.7 months (IQR 32.4-62.7)

Median duration of lenalidomide therapy 28 cycles (range 1-96)

• Patients still on therapy 330/730 (45%)

132
Lenalidomide
days 1-21/28 Observation Maintenance R 1:1 NDMM Myeloma XI induction protocols and ASCT
10mg/day,
2 years 3 years 5 years 4 years Randomisation PFS • Overall • By risk • By MRD status To PD

Conclusions

• These data suggest an ongoing PFS benefit associatedwith continuinglenalidomide maintenancebeyond at least 4-5 years in the overall patientpopulation

• Even in patients with sustainedMRD negativity, thereis evidence of benefit from continuing lenalidomide maintenancefor at least 3 years in total

• Randomisedtrials to address the impact of stoppinglenalidomide maintenancein patients with sustainedMRD negativity could be considered, at no earlier than 3 years

• In patients who are MRD +ve these data support continuinglenalidomide untildisease progression

• No evidence of cumulative haematologicaltoxicity was identified

• These findings emphasisethe need for long term follow up of maintenancestudies to enable the exploration of suchquestions

• There is a planned powered OS updateof MyelomaXI in 2023

133

Commonly asked maintenance questions

• Should post-transplant maintenance therapy be recommended for all patients?

• Yes

• Whichagent should be used?

• Lenalidomide remains the standard of care

• What is the optimal duration?

• Treatment until progression remains the standard of care

• What should patients with high-risk cytogenetics receive?

• Consider lenalidomide+ proteasome inhibitor; clinical trial

• Should MRD status dictate maintenance therapy?

• Not outside of a clinical trial

• What about Second Primary Malignancies?

• They are real, require a discussion and monitoring, but are outweighed by benefit

Audience Q&A with Panel

135

Relapsed Therapies & Clinical Trials

Winship Cancer Institute of Emory University

Hofmeister, MD, MPH
136
Relapsed Myeloma & ClinicalTrials in Myeloma Craig Hofmeister MD Professor Winship Cancer Institute of Emory University Emory University School of Medicine

Dexamethasone

Solumedrol

Inhibitors

Velcade

Kyprolis

Ixazomib

7. Bispecific T-cell engagers

Teclistamab (Tecvayli)

Talquetamab

Revlimid

Pomalyst

Iberdomide

cc-92480

Darzalex Sarclisa

Selinexor (Xpovio)

6. Chimeric antigen

Receptor T-cells (CAR-T)

ABECMA (Ide-cel)

Carvykti (Cilta-cel)

NCI Designated ComprehensiveCancer Center WINSHIP CANCER INSTITUTE OFEMORY UNIVERSITY 138
1. Steroids 2. Proteasome 3. IMiDs/ CelMods 4. CD38 Ab 5. Nuclear export inhibitor

Refractory to Lenalidomide

Not refractory to Dara (Darzalex)

Dara-refractory

t(11;14) Venetoclax 800 Dex ± statin

Kyprolis Pom Dex (KPd) RajkumarSV. 2022

NCI Designated ComprehensiveCancer Center WINSHIP CANCER INSTITUTE OFEMORY UNIVERSITY
Dara Pom Dex (Dara-Pd)
*Consider salvage transplant if no transplant before; Consider a second autologous transplant if the first auto was so long ago that both you and the patient forgot.
First relapse after induction

Second Relapse

• Is the patient t(11;14) and Venetoclaxnaïve? Do that.

• Next option is Selinexor-based, with a partner you can stomach

Third Relapse

• Is the patient t(11;14 and Venetoclaxnaïve? Do that.

• You are trying to figure out how to move to effective treatment:

Teclistamab(Tecvayli)

- Disease is poorly controlled

- They can handle weekly injections

ABECMA(Ide-Cel) or CARVYKTI (Cilta-Cel)

- Disease responsive

- Patient lives far away

Always be on the watch for a clinicaltrial – http://www.sparkcures.com

NCI Designated ComprehensiveCancer Center WINSHIP CANCER INSTITUTE OFEMORY UNIVERSITY RajkumarSV. 2022

Immune-modulating drugs (IMiDs): Revlimid & Pomalyst

Rash This is not an allergy, it’s how the drug works. Can be managed by 1) Nonsedating anti-histamine (claritin); 2) Dose reduction; 3) Decrease dose frequency. Short-term steroid exposure (medrol dose pak) is OK.

Diarrhea Might be responsive to Imodium, but the diarrhea thought to be partly due to bile acid malabsorption. Second line is Welchol [1-6 tabs per day] or Colestid [2g twice daily]

Sedation Take at night in 95% of patients. Dose reduce for fatigue.

Chemo brain Dose reduce

Cramping Hydration

Blood clots Blood thinners.

There is no dose-response relationship for Revlimid > 10 mg or Pom > 2 mg, so don’t be afraid to dose reduce. There is almost no patient that can’t tolerate some useful dose of Revlimid.

Immune-modulating drugs (IMiDs): Revlimid & kidney failure

Kidney failure category

How do we measure this accurately (look for eGFR or CrCl on your labs)

Prescribing insert recommendations

PRO TIP: Don’t even look at your creatinine. Follow your estimated glomerular filtration rate (eGFR) or your creatinine clearance (CrCl) to get a sense for your kidney function.

What
I
Moderate CrCl 30-60 mL/min 10 mg daily 15 mg daily Severe CrCl <30 mL/min 15 mg every other day 10 mg daily End-stage On dialysis 5 mg daily after dialysis 5 mg daily
do
do?

Proteasome inhibitors: Velcade & Kyprolis

Shingles Be sure to take Valacyclovir (Valtrex) or Acyclovir (Zovirax) if you are taking these medications, whether you’ve had Shingles vaccines or not.

Diarrhea or constipation

Imodium for diarrhea, generic miralax or lactulose for constipation.

Tingling & numbness (peripheral nerves)

30% with Velcade, 5% with Ninlaro. Dose reduce! Most effective treatments are meds which decrease sensitivity (cymbalta > gabapentin & lyrica) and/or decrease transmission (opioids)

Low blood pressure (autonomic nerves)

30% with Velcade. Take a BP medication holiday as needed

High BP & heart failure

8-10% high BP with carfilzomib, 3% heart failure with carfilzomib.

Drug interactions Go ahead and drink green tea and take vitamin C if you really think extra vitamin C is helpful (it isn’t). The hype was overblown.

Miscellaneous drugs & side effects

Darzalex and Sarclisa (CD38 antibodies)

● With dexamethasone 40+ mg per week, PJP prophylaxis is strongly recommended.

● If you have had some exposure to hepatitis B in the past, be sure to suppress it with entacavir or similar.

● Never, ever forget about Shingles prevention.

ABECMA & CARVYKTI (BCMA CARTs)

● Intravenous immuneglobulin (aka IVIG) for 6 months after infusion

Teclistamab (Tecvayli)

● Intravenous immuneglobulin (aka IVIG) for 6 months after infusion

● After the first cycle, don’t feel bad about skipping a dose as needed.

Xpovio (Selinexor)

● Start low – 40 mg weekly can be a therapeutic dose

● Olanzapine 5-10 mg at bedtime. Every night.

● Ondansetron 8 mg every 8 hrs as needed for nausea

Whatis a chimericantigen receptor T-cell (CART)

Virus containing instructions in its DNA to create a target on the cell surface to myeloma cells

Chimeric antigen receptor enabled cell targeting the patient’s myeloma cell

T Cells (Immune cells) from the myeloma patient

Myeloma cell

NCI Designated ComprehensiveCancer Center WINSHIP CANCER INSTITUTE OFEMORY UNIVERSITY
145

Patient Journey: In the Trenches—

Clearance, LD Chemotherapy, and Admission

Clearance

LD Chemotherapy

▪ Clinical assessment

▪ Preinfusion disease staging

▪ Labs, education

▪ Notify manufacturer to deliver cells

▪ Washout guidance

▪ Schedule depends on product

▪ Largely outpatient

▪ Confirm cells on site before LD chemo

Admission If Inpatient

Beaupierre. J Adv Pract Oncol. 2019;10(suppl 3):29.

▪ Communication to inpatient

▪ TLC on admission request

▪ 7-10 day inpatientor outpatienttreatment

Patient Journey: In the Trenches—

Infusion and PostinfusionMonitoring

Infusion

▪ Usually <30 min

▪ Anticlimacticfor patient

▪ Vital signs

▪ Documentation

Postinfusion Monitoring

Beaupierre. J Adv Pract Oncol. 2019;10(suppl 3):29.

▪ Watch for side effects

▪ Evaluatefor myeloma response

▪ Referral back to primary oncologist depends on patientstatus, logistics (proximityof primary vs treating center), establishingeffective communication

▪ REMS requirement for patientto stay within 2 hr of treating center for 4 wk

Salvage and Bridging Therapy

§ Goalsof salvagetherapy:to stabilize disease

‒ Requires 1-2 week washout period before apheresis

Salvage therapy may be recommended during time between referral / consult and apheresis*

§ Goalsof bridgingtherapy:reducetumor burden, palliate symptoms,stabilizedisease and QoL, and to maintain functional reserveduringmanufacturing period

‒ Limit CRS/ICANSseverity by debulking

‒ Potential impact on CAR T-cell efficacy

§ Chooseleast toxic therapy, if possible, and allow hematologic recovery prior to LDC

For patients with difficult to control myeloma, bridging therapy may be recommended during time between apheresis and lymphodepleting chemotherapy

Jain. Biol Blood Marrow Transpl. 2019;25:2305. Kansagra. Bone Marrow Transplant. 2019;54:1868.

‒ Real-life time from pheresis to infusion is >30 days

Cytokine-ReleaseSyndrome

§ Most common toxicity of CAR T-cell therapy

§ Syndrome resulting from immune activation correlating with CAR T-cell expansion and elevations of inflammatory chemicals in the blood

‒ C-reactiveprotein and ferritin are cheap blood tests that rise with CRS

§ May present as noninfectious flulike syndrome

‒ Fever, malaise, myalgias

§ Can progress to life-threatening low blood pleasure, fluid filling up the lungs, and multiorgan failure

Hay.
Tumor cell Myeloid cell CAR T cell Quiescent Endothelial cell Activated Endothelial cell CD19 CAR IFN-γ TNF-α IFN-γ TNF-α IL-6 ANG2 VWF GM-CSF/IL-8 MCP-1/IL-2 MIP-1α/sIL-6R/sgp130 Myeloid cell recruitment NO NO NO NO NO NO NO NO NO NO iNOS CD40 CD40L
Frey. Biol Blood Marrow Transplant. 2019;25:e123. Teachey. Cancer Discov. 2016;6:664.
Blood. 2017;130:2295. Cobb. Cancer J. 2021;27:119.

Cytokine-ReleaseSyndrome: Monitoring

§ Onset usuallywithin first week after CAR T-cell therapy

§ Risk factors for severe CRS ≈ bad disease

‒ High disease burden

‒ Higher infused CAR T-cell dose

Frey. Biol Blood Marrow Transplant. 2019;25:e123. Teachey. Cancer Discov. 2016;6:664. Hay. Blood. 2017;130:2295. Cilta-cel
4 d Idecel MM 7 d Day 0 Day 1 Day 2 Day 3 Day 4 Day 5 Day 6 Day 7 Day 8 Day 9 Day 10 Day 11 Day 12 Day 13
MM

CAR T: Expected Toxicities

Cytokine release syndrome (CRS) Neurotoxicity (ICANS)

Onset 1 day with Ide-Cel (Abecma) 7 days with Cilta-Cel (Carvykti)

Duration 5 11 days

Symptoms

Cytopenias Infections

• Fever

• Shortness of breath

• Low blood pressure

• Rapid heartbeat

Management Tocilizumab

2 9 days after CAR Tcell infusion

3 17 days

• Headache

• Confusion

• Language disturbance

• Seizures

Steroids

NCI Designated ComprehensiveCancer Center WINSHIP CANCER INSTITUTE
EMORY UNIVERSITY
OF
CRS ICANS

after CART infusion

NCI Designated ComprehensiveCancer Center WINSHIP CANCER INSTITUTE OFEMORY UNIVERSITY 15 2

Whatis a bispecificantibody?

A bispecific antibody is a drug that has been designed to simultaneouslytarget two different proteins, often on two different cells.

Bispecific T-cell Engager (BiTe)

Bispecific Killer Engager (BiKE)

Trispecific Killer Engager (TriKE)

• BiTEs are fusion proteins consisting of two single-chain variable fragments (scFvs) of different antibodies

• One of the scFvs binds to T cells via the CD3 receptor, and the other to a tumor cell via a tumor specific molecule, leading the T-cell to secrete cellularpoisons that kill the tumor cell.

BiTE is a registered trademark of Amgen, so other companies avoid using the word and say bispecifics

NCI Designated ComprehensiveCancer Center WINSHIP CANCER INSTITUTE OFEMORY UNIVERSITY
153

Teclistamab(Tecvayli)

Cytokine Release Syndrome (CRS)

Fever ± low blood pressure ± lungs filling up with fluid.

Treatment: Tocilizumab

Immune Effector

Cell-Associated Neurotoxicity Syndrome (ICANS)

Confusion → stupor → seizures

Treatment: Dexamethasone

NCI Designated ComprehensiveCancer Center WINSHIP CANCER INSTITUTE OFEMORY UNIVERSITY
15 4 Mon Tues Wed Thurs Fri Sat Sun Admit Dose #1 (0.06 mg/kg) Dose #2 (0.3 mg/kg) Dose #3 (1.5 mg/kg) Discharge!

Key Points – CAR T and Bispecifics

CAR T and bispecific antibodies are very active even in heavily pretreated patients.

Side effects of CAR T cells and bispecific antibodies include cytokine release syndrome, confusion, and low blood counts, all of which are treatable.

Abecma and Carvykti are only the first-generation CAR T cells and target the same protein. Different CAR Ts and different targets are on the way. Bispecific antibodies represent an “off-the-shelf” immunotherapy; Tecvayli was approved in October 2022.

Several additional bispecific antibodies are under clinical evaluation.

NCI Designated ComprehensiveCancer Center WINSHIP CANCER INSTITUTE OFEMORY UNIVERSITY

Wehave system issuesthat make clinicaltrial access inequitable.

Racial Composition in Trials Supporting US Approval

of Cancer

Drugs 2011-2016

Source: FDA-AACR Workshop to Examine Underrepresentation of African Americans in Multiple Myeloma Clinical Trials. Washington D.C., Feb 2020

Ex-US (N = 17,104) US (N = 6,319)

People of Color in Myeloma Trials (2000-2016)

● New drug applications (2003-2017):low rate of AA patient enrollment in pivotal (4.5%) and international (1.8%) trials

● People of color with myeloma have had a smaller increase in population-level survival in the early 21st century than white patients

● Data from clinical trials show that mortality is similar for people of color, suggesting the population-level difference is due to utilization

Duma N et al. Oncologist. 2018;23(9):1076-1078. Race/Ethnicity % Non-Hispanic White 84 Non-Hispanic African-American 8.4 Non-Hispanic Asian/Pacific Islander 2.8 Hispanic 1.8 Trial Sponsor Non-Hispanic Blacks Industry 5% NCI 10% University or Cooperative Group 8.6%

People of Color in Myeloma Trials (2000-2016)

Loree JM, et al. JAMA Oncol 2019;5(10):e191870.

A Call to Action – Facts About African Americans and Myeloma

1. There is a longer time from symptoms to diagnosis among African Americans

2. African Americans are younger by about 5 years on average at diagnosis

3. MM and MGUS are more than 2x as common in African Americans

4. African Americans are less likely to receive the four T’s: Transplant, Triplets, Trials and CAR T

5. African Americans have biologic differenceswith more t(11;14) and less high-risk cytogenetics with deletion 17p

6. Survival outcomes in African Americans are HALF of what is seen in White Americans

7. African Americans can achieve equal or better outcomes when they receive therapy

So what can we do about this?

It is a complex problem and requires a complex solution

Key themes of Success:

Awareness, Education, Advocacy and Empowerment in the lay community

Education, Cultural Competence, Access in the medical community

Policy, Expectations, Commitment in the regulatory and corporate community

This is impossible without genuine collaboration between ALL stakeholders

We believe the IMF is uniquely poised to address this issue and bring many of these key stakeholders together…

M-Power = Myeloma Power

The core vision of this initiative is to improve the short- and longterm outcomes of African American patients with myeloma.

ENGAGE

Engage the community to increase awareness and provide support

We want to empower patients and communities to change the course of myeloma…

empower

ENHANCE EDUCATE

Enhance access optimal care by educating myeloma providers about the disparity and how to reduce it

Shorten the time to diagnosis by educating primary care providers to recognize the disease and order the right tests

162

1931 : Decided to follow untreated men (study didn’t have funds for treatment) in order to show the need for syphilis treatment.

1932 : The men would be given periodic physical assessments and told they were being treated. Enrolled 399 African-Americans with syphilis to observe the natural history of syphilis.

1945 : Penicillin accepted as treatment of choice for syphilis.

1969 : CDC & AMA officiallysupport continuation of the study. OMG.

1972 : Washington Star broke the story.

1974 : Class action lawsuit settled - only $37K per patient.

1997 : Formal apology from President Clinton

2009 : The last widow receiving benefits from Tuskegee Health Benefit Program (THBP) dies

Each time they visited the doctors, the men thoughttheir condition was being treated and cured. Instead the “medicine” provided to them was fake. To ensure that the men would show up for a spinal tap, the doctors misled them with a letter fullof hype, “Last Chance for Special Free Treatment.”

https://en.wikipedia.org/wiki/Unethical_human_experimentation_in_the_United_States

AL) - A racist study start to finish
US Preventive Health Services Syphilis Study (Tuskegee,

Ethical Principles and Guidelines for the Protection of Human Subjects of Research

National Research Act 1974

1. All persons, no matter how weakened, deserve protection

2. All research should maximize benefits, minimize harms

3. Research must not exploit those readily available or malleable Research on the fetus (1975)

No inducements will be offered to terminate a pregnancy. Individuals engaged in the research will have no part in any decisions as to the timing, method, or procedures used to terminate a pregnancy.

Research involving prisoners (1976)

From 1962 to 1966, for example, 33 pharmaceutical companies tested 153 experimental drugs at Holmesburg Prison (Philadelphia, PA). This stopped in 1976, and was modified in 1997 such that research on prisoners must present no more than minimalrisk

Research involving children (1977)

Defines children as vulnerable

Institutional review boards (1978)

Requires the establishment of committees to review each research project

The Belmont Report 1979 and preceding ethical reports

Despite all the appropriate oversight, mistakes still occur

TeGenero TGN1412 (2006) BIA 10-2474 (2016)

• Healthy volunteers paid $2,060 to participatein first-in-humanstudy of a fatty acid amide hydrolaseinhibitor in hopes of treating anxiety and pain

• 90 people received lower doses without many side effects.

• The 6 participants thatbecame ill received repeat higher doses over the course of several days – the first was hospitalizedand later died, the trial was stopped the next day, but the other 5 all went to the hospitalover the next week.

● First in human phase I clinicalstudy was conductedfor a CD28superagonist antibody TGN1412 in six human volunteers.

● After the very first infusion,all 6 volunteers faced life-threateningconditions involving multiorgan failure for which theywere moved to the ICU.

● Moreover, when the last volunteer was to be infused, the first volunteer had already started showing adverse effects. Despitethis, the 6th volunteer was still infused in a private unit leased by the clinicalresearchorganization (CRO).

Don’t
enroll groups of patients in a first in human trial - stagger it.

How do we increase access to clinical trials?

Set concrete targets for trial enrollment based on demographics, race, and disease biology. Expansion cohorts after primary accrual target(s) are met

Providegrant funding for studying subpopulations

SpecificPK/PD and efficacy/safetydata in people of color

Incentivize clinicaltrials in center where people of color are the majority

Increase representationof POC in facultyand clinicaltrial staff

Adjust hiring processesto limit implicitbias

Adjust accrual target(s) system-wide, protocol nonspecific

Wehave patient-level myths that persist that influence patients to make poor choices.

Each timeyou need treatment, see if a trial is appealing

Myeloma patient needing treatment

Try something new if it fits, aka a clinical trial

Get standard treatment

In a diseasewith 100% risk of recurrence, would you be willing to try somethingdifferentif we knew that it wasn’t going to be worse (and might be better) than standard treatment?

This is the definitionof a clinical trial

Partner with your doctor for you & the future
3%

Misconception Correction

Clinical trials are riskier than FDA-approved drugs

Scientific evidence shows that treatment on a clinicaltrial has as good a chance for success as standard treatment. The IRB and FDArequire this.

170
Clinicaltrials: Facts & Fiction

I

Misconception Correction

Current treatments = 100% risk of relapse.

Using new drugs or old drugs in a new way may improve results, inching you (and us) closer to a cure.

want the “gold standard” or “I don’t want to be a guinea pig”
trials: Facts & Fiction
Clinical

Misconception Correction

Clinical trials should only be for people with no other options

All patients should consider trialsat all stages, e.g. newly diagnosed, maintenance, and for when they relapse.

Clinicaltrials: Facts & Fiction

Consult

If my doctor doesn’t mention clinical trials, it must not be right for me.
Correction Clinicaltrials: Facts & Fiction
with a doctor that treats only myeloma, aka a myeloma specialist.
Misconception
All oncologistsknow how to treat myeloma
Clinicaltrials: Facts & Fiction
A general oncologist could use a specialist’s help in dealing with this rare cancer.
Misconception Correction
The trial is more important than the patient.
Clinicaltrials: Facts & Fiction
Never. You can stop your participation on a clinical trial at ANY TIME and for ANY reason.
Misconception Correction

Misconception

Any clinical trial is a good trial. Some clinical trialsare sponsored to expand indications of approved drugs to increase profit.

Some clinical trials require too many trips, too many biopsies –ask what is required and what is optional?

Correction Clinicaltrials: Facts & Fiction
Clinicaltrials: Facts & Fiction
I don’t want to get the placebo. Practically no myeloma trials have a placebo arm, but there are still control and experimental ‘arms’.
Misconception Correction

Bottom line about clinical trials in myeloma

1. Use the best available clinical trial search engine (www.sparkcures.com), but if you really want to know what trials are available, you have to physically show up.

2. The most common reason to not participate in a clinical trial is transportation.

a) How many extra trips? Is there money to decrease transportation and lodging costs?

b) How many extra procedures, like bone marrow biopsies?

3. What are the standard of care alternatives? The clinical trial may be the only good option, but it’s rarely the only option.

4. Is the principal investigator of the trial also your doctor? Let’s all be honest.

5. For therapeutic trials, don’t ask “What are the side effects?”, ask instead “What is the main side effect”? Most consents are >20 pages and time is short.

Craig.Hofmeister@emory.edu

Audience Q&A

180

Thank you to our sponsors!

181

Upcoming IMF Events

Patient and Family Webinars: Los Angeles – August 18 & 19, 2023 – details to be announced,this event will havean international myeloma expert presenting!

182

Thank you for attending today's program!

June 24, 2023, International Myeloma Foundation’s Regional Community Workshop –Atlanta.

Turn static files into dynamic content formats.

Create a flipbook
Issuu converts static files into: digital portfolios, online yearbooks, online catalogs, digital photo albums and more. Sign up and create your flipbook.