IMF Virtual Regional Community Workshop (RCW) - West Region

Page 1

Welcome!

Thank you for joining us today for the September 13, 2023, International Myeloma Foundation’s Regional Community Webinar

1

Thank you to our sponsors!

2

September 13, 2023, Agenda

5:30 – 5:35 PM Welcome and Announcements

Kelly Cox, Director of Support Groups - Senior Director Regional Community Workshops

5:35 – 5:55 PM Myeloma 101

Joseph Mikhael, MD - Chief Medical Officer, International Myeloma Foundation

5:55 – 6:15 PM Life is a Canvas, You are the Artist

Rebecca Lu, MS, FNP-C - MD Anderson Cancer Center; IMF Nurse Leadership Board

6:15 – 6:45 PM Frontline Therapy

Al-Ola Abdallah, MD - University of Kansas Medical Center

6:45 – 7:05 PM Q&A with Panel 7:05 – 7:15 PM BREAK

IMF REGIONAL COMMUNITY WEBINAR
3

7:15 – 7:25 PM Maintenance Therapy

September 13, 2023, Agenda

Al-Ola Abdallah, MD – University of Kansas Medical Center

7:25 – 7:55 PM Relapsed Therapies & Clinical Trials

Joseph Mikhael, MD - Chief Medical Officer, International Myeloma Foundation

7:55 – 8:25 PM Q&A

8:25 – 8:30 PM Closing Remarks

IMF REGIONAL COMMUNITY WEBINAR
4

Multiple Myeloma affects patients and families

. The IMF provides FREE resources to help both patients and families.

Established in 1990, the IMF’s InfoLine assists over 4600 callers annually and answers questions across a wide variety of topics including:

Frequent topics:

• Treatment questions along the spectrum of care

• Clinical Trial access and understanding

• Side effect management and health issues

• Financial resources for myeloma-related expenses

• Myeloma Specialist Referral contact information

• Support group information

• Caregiver Support

Paul

5
the InfoLine: 800 -452 -CURE (2873) InfoLine@myeloma.org
Contact
Hewitt, Missy Klepetar, & Teresa Miceli

Educational Publications

A core mission of the IMF is to provide thorough and cutting- edge education to the myeloma community.

Link to Pubs New publications

Myeloma 101 Joseph Mikhael, MD

Chief Medical Officer – International Myeloma Foundation

7

Objectives

• Review the basics of blood and cancer

Define multiple myeloma and its key features

Discuss the staging and classification of myeloma

Outline the approach to therapy of myeloma

Appreciate the importance of health disparities in myeloma

The Basics of Blood

• The blood is an “organ” made up of both cells and liquid “plasma”

• Think of wine (red/white/rose)

1. Red Cells – carry Oxygen…trucks

2. White Cells – immune system…army

3. Platelets – help with clotting…ambulance

All produced in the blood factory = Bone Marrow

What is Multiple Myeloma?

Multiple Myeloma* is a blood cancer that starts in plasma cells from the center of bones (bone marrow).

– This is where stem cells mature into red blood cells, white blood cells, and platelets – Myeloma cells are abnormal plasma cells that make an abnormal antibody called “M protein” – M = monoclonal (“identical” or cancerous)

* Myeloma is NOT a bone cancer or skin cancer (melanoma), it is a type of blood cancer.

The “Microenvironment” is Key To Myeloma Cell Survival

Myeloma Cell JAK–STAT

Increase in cytokine production and adhesion molecules

MAPK

NFkB AKT SHP2 MEK MEK/MAPK

NFkB–IkB

cFLIP/FADD IL-6 TNF

complex Protein kinases LFA1 FADD cFLIP Cell organelles Fibronectin

Angiogenesis Migration Growth

NFkB Binding Site

BM Stromal Cells

Natural-Killer Cells TNFα

Dendritic Cells

Monocytes

Inhibition of Anti-Myeloma Immunity

Bruno B et al. Lancet Oncol. 2004;5:430-442.
VEGF SDF1 IGF1
Block of programmed cell death FAS (CD95)
VLA4 VCAM1 NFkB NFkB–IkB
Pro-caspase B FAS ligand Collagen fibers
T Cells
α
complex
Myeloma Cell

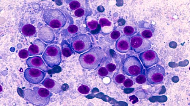
Myeloma Is a Cancer of Plasma Cells

• Cancer of plasma cells

• Healthy plasma cells produce immunoglobulins G, A, M, D, and E

• Myeloma cells produce abnormal immunoglobulin “paraprotein” or monoclonal protein (=M protein)

Bone marrow of patient with multiple myeloma

Image courtesy of American Society of Hematology

Kyle et al. Mayo Clin Proc. 2003;78:21-33;

FAST STATS

1.8% of all cancers;

17% of hematologic malignancies in the United States

Most frequently diagnosed in ages 65 to 74 years (median, 69 years)

The average age of diagnosis of 4-5 years younger in African American and Hispanic patients

Multiple Myeloma Snapshot

National MM Statistics

Approx 35,000 Estimated New Cases in 2023

Approx 13,000 Estimated Deaths in 2023

The Average Survival of patients with myeloma is IMPROVING!

Trends in MM Natural History by Race

MM Incidence  Higher incidence in AA vs White patients:

• 15.9 vs 7.5 cases per 100,000 per year

MM Mortality  Higher mortality in AA vs White patients:

• 5.6 vs 2.4 MM deaths per 100,000

 5-year relative survival evolution from 1973 to 2005

The expected survival is nearly 10 years for all patients, but still less than 5 years in patients with high risk disease

MM Survival

• Survival for White patients increased significantly from 26.3% to 35%

• Survival for AA patients increased from 31% to 34.1%

Types of Monoclonal Protein (M Protein) in Multiple Myeloma

• IgG+kappa

• IgG+lambda

• IgA+kappa

• IgA+lambda

• etc…

• 80% of myeloma cases

Jones protein

• 18% of all myeloma cases

• Renal failure more common in light chain multiple myeloma; creatinine >2 mg/dL in 1/3 of cases

protein present

• Less than 3% of cases of multiple myeloma

Multiple Myeloma - Types

• Subtypes of MM are determined based on the kind of abnormal protein IgG – 55% IgA – 25% IgD – 1-2% IgM – 1% Light Chain Disease only – 20% Non Secretors 1-2 %

M spike in gamma region

Diagnosis of multiple myeloma: Monoclonal immunoglobulin

- both “heavy” and ”light” chains

Multiple Myeloma Typically Preceded by

Premalignant Conditions

* In clinical trial (preferred) or offer treatment for those likely to progress within 2 years

1. Kyle RA, et al. N Engl J Med. 2007;356:2582-90.

2. International Myeloma Working Group. Br J Haematol. 2003;121:749-57.

3. Jagannath S, et al. Clin Lymphoma Myeloma Leuk. 2010;10(1):28-43.

4. Kyle RA, et al. Curr Hematol Malig Rep. 2010;5(2):62-69.

5. Mateos M-V, et al. Blood. 2009;114:Abstract 614.

6. Durie BG, Salmon SE. Cancer. 1975;36:842-854.

7. Durie BG, et al. Leukemia. 2006;20(9):1467-1473.

8. Rajkumar SV, et al. Lancet Oncology 2014; 15:e538e548.

Condition MGUS1-4 (Monoclonal Gammopathy of Undetermined Significance) SMM1-5,8 (Smoldering Multiple Myeloma) Active Multiple Myeloma6-8 Clonal plasma cells in bone marrow <10% 10%-60% >10% Presence of Myeloma Defining Events None None Yes Likelihood of progression ~1% per year ~10% per year Not Applicable Treatment No; observation Yes for high risk*; No for others Yes
Premalignant Malignant

Multiple Myeloma Diagnosis Can Be

Challenging

Fatigue

Kyle RA. Mayo Clin Proc. 2003;78:21-33.

Anemia

Bone Pain

2014 IMWG Active Myeloma Criteria: Myeloma-Defining Events

Clonal bone marrow ≥10% or bony/extramedullary plasmacytoma

AND any one or more Myeloma-Defining Events

Now SLiM CRAB

C

R A B

alcium elevation

• S (60% Plasmacytosis)

enal complications

nemia one disease

Clonal bone marrow ≥60% BM FLC MRI

sFLC ratio >100 >1 focal lesion by MRI

• Li (Light chains I/U >100)

• M (MRI 1 or more focal lesion)

• C (calcium elevation)

• R (renal insufficiency)

• A (anemia)

• B (bone disease)

BM, bone marrow; FLC, free light chain; MRI, magnetic resonance imaging; sFLC, serum free light chain. Rajkumar et al. Lancet Oncol. 2014;15:e538-e548. Kyle et al. Leukemia 2010;24:1121-1127.

More About the Common “CRAB” Symptoms

Low Blood Counts

• May lead to anemia and infection

• Anemia is present in 60% at diagnosis

Weakness

Fatigue

Infection

Decreased Kidney Function

• Occurs in over half of myeloma patients

Weakness

Bone Damage

• Affects 85% of patients

• Leads to fractures

Bone pain

Bone Turnover

• Leads to high levels of calcium in blood (hypercalcemia)

Loss of Appetite & Weight loss

About 10% to 20% of patients with newly diagnosed myeloma will not have any symptoms.

Staging Myeloma: The Importance of Genomic Testing

Conventional cytogenetic analysis (karyotyping)

FISH

(fluorescence in situ hybridization)

DNA

Advances

• Genetic expression profiling [GEP]

• Whole-genome/ whole-exome sequencing

• Plasma cell next generation sequencing

Staging Myeloma: FISH helps to Assign Risk in Myeloma

Risk Category

Findings on Chromosome (FISH) Analysis Results in the Bone marrow

FISH:

High Risk

• Deletion 17th chromosome

Standard Risk

• Gain of chromosome 1q

• Translocation 4 and 14

FISH:

• Hyperdiploid: More than 1 pair of chromosomes (Trisomies)

• Translocation 11 and 14

• Translocation 6 and 14

• Translocation 14 and 16

• Translocation 14 and 20

• Others

• Normal

NGS: p53 mutation (on chrom 17)

• Double Hit Myeloma: 2 high risk

genetic abnormalities

• Triple Hit Myeloma: 3 or more high risk genetic abnormalities

*Based on the Updated Mayo Stratification of Myeloma and Risk-Adapted Therapy (mSMART) Consensus Guidelines 2013 Mikhael JR et al. Mayo Clin Proc. 2013;88:360.

Myeloma Stage:

Staging refers to the degree to which the cancer has progressed. Most important at time of diagnosis.

Stage 1

β2-microglobulin under 3.6 mg/L

Stage 2

β2-microglobulin Between 3.5 & 5.4mg/L

Stage 3

β2-microglobulin over 5.5 mg/L

Normal Lactate Dehydrogenase (LDH)

AND

NO High Risk Cytogenetics (FISH)

NO High Risk Cytogenetics (FISH)

HIGH Lactate Dehydrogenase (LDH)

AND/OR

High Risk Cytogenetics (FISH)

Deletion 17 chromosome

Translocation 4 and 14

Translocation 14 and 16th

Translocation 14 and 20th

Learn Your Labs

CBC Counts the number of red blood cells, white blood cells, and platelets

CoMP

Measures levels of albumin, calcium, and creatinine to assess kidney and liver functions, bone status ,and the extent of disease

Beta2 MicroG

Determines the level of a protein linked to MM and kidney function: USED FOR STAGE

LDH Lactate Dehydrogenase

Determines the level of myeloma cell production and extent of MM : USED FOR STAGE

Serum Protein EP Detects the presence & level of M protein = how much myeloma. No Heavy Chain = No M-Spike

Immuno Fixation

Identifies the type of abnormal antibody proteins: IgG, IgA, IgM

Serum Free Light Chain Measures myeloma free light chains (kappa or lambda) in blood = how much myeloma

Urine Protein EP Detects Bence-Jones proteins (otherwise known as myeloma light chains) in urine (to determine if it’s present or not present)

24 hr Urine Analysis

24 hours of urine collected to test the presence and levels of Bence Jones protein in the urine = how much myeloma

Treatment Planning

Treatment Planning is the process of thinking about the treatment steps you can take with your doctor, based on your goals and preferences. Treatment decisions are based on:

The results of biomarker tests, cytogenetic (FISH) test, and the stage of multiple myeloma

Your values, goals, and preferences

Your age

Your health and symptoms (if you have kidney disease, heart disease, anemia, or other issues)

Your medical history and past treatments for multiple myeloma

How to Choosing a Treatment Plan

Lifestyle Goals of Therapy

Age

Patient Preference

Myeloma Symptoms

Second/Expert Opinion

• You have the right to get a second opinion. Insurance providers may require second opinions.

• A second opinion can help you:

Confirm your diagnosis

Give you more information about options

Talk to other experts

Introduce you to clinical trials

Help you learn which health care team you’d like to work with, and which facility

Relapsing Nature of Multiple Myeloma: Clones Change over Time

10

5

SYMPTOMATIC REFRACTORY RELAPSE ACTIVE MYELOMA MProtein g/L 2

ASYMPTOMATIC PLATEAU REMISSION Therapy Time

MGUS = monoclonal gammopathy of undetermined significance

Clone 1.1

Clone 1.2

Clone 2.1 Clone 2.2

Misc

Adapted from Dr. Brian Durie and Keats JJ, et al. Blood. 2012;120:1067-1076. RELAPSE MGUS or SMOLDERING MYELOMA

Tools of the Trade Standard Drug Overview

Class

IMiD immunomodulatory drug

Drug Name

Abbreviation Administration

Pomalyst (pomalidomide) P or Pom Oral Revlimid (lenalidomide)

or Rev

Proteasome inhibitor

Thalomid (thalidomide)

Chemotherapy

Steroids

Monoclonal Antibodies

XPO1 Inhibitors

Kyprolis (carfilzomib) C or K or Car

Velcade (bortezomib) V or Vel or B Intravenous (IV) or subcutaneous injectionSC (under the skin)

Ninlaro (ixazomib) N or I

Cytoxan (cyclophosphamide)

Alkeran or Evomela (melphalan) M or Mel

Decadron (dexamethasone) Dex or D or d

Prednisone P or Pred

Darzalex (daratumumab)

Sarclisa (isatuximab)

Empliciti (elotuzumab)

Xpovio (selinexor)

Dara Isa Elo

Oral or intravenous

Oral or intravenous

Intravenous (IV or SC)

R
T or Thal
Oral
C
X or Sel Oral

Class

Tools of the Trade

Novel Immunotherapy Drug Overview

Drug Name

Abbreviation Administration

Peptide Drug Conjugate* Pepaxto (Melphalan Flufenamide) Melflufen Intravenous

BCMA Targeted Antibody Drug Conjugate (ADC)*

Blenrep (belantamab mafodotin) Bela, Belamaf, or B Intravenous

CAR T Cell therapy

Bispecific Antibodies

Abecma (idecabtagene vicleucel)

Carvycti (ciltacabtagene vicleucelel) Cilta-cel

Ide-cel Intravenous (IV) or subcutaneous injectionSC (under the skin)

Tecvayli (teclistimab)

Talvey (Talquetamab)

Elrexfio (Elranatamab)

Tec Talq Elra SC or IV ??? MORE TO COME!!

* these agents are currently off the market but available through special programs

ADCC

Monoclonal Antibody-Based Therapeutic Targeting of Myeloma

Antibody-dependent Cellular cytotoxicity (ADCC)

Effector cells: MM

Complement-dependent Cytotoxicity (CDC) CDC MM

C1q C1q

Apoptosis/growth arrest via targeting signaling pathways MM

FcR

• Lucatumumab or Dacetuzumab (CD40)

• Elotuzumab (CS1; SLAMF7)

• Daratumumab, SAR650984/Isatuximab (CD38)

• XmAb 5592 (HM1.24)

• Daratumumab

• SAR650984/Isatuximab (CD38) Adapted from Tai & Anderson Bone Marrow Research 2011

• huN901-DM1 (CD56)

• nBT062-maytansinoid (CD138)

• Siltuximab (1339) (IL-6)

• BHQ880 (DKK1)

• RAP-011 (activin A)

• Daratumumab, SAR650984/Isatuximab (CD38)

Antibody-Drug Conjugates

Effector cell

The Process of CAR T Cell Therapy

Hucks G, Rheingold SR. Blood Cancer J. 2019;doi:10.1038/s41408-018-0164-6.
of CAR T Cells
Manufacture

Bispecific Antibodies

Mechanism of Action

• Incorporates 2 antibody fragments to target and bind both tumor cells and T cells

• Brings target-expressing MM cells and T cells into close proximity, enabling T cells to induce tumor-cell death

Bispecific Molecule Targets Vary

“Off the Shelf” Advantage

• No manufacturing process, unlike CAR T-cell therapy (but like ADC/belantamab therapy)

• Thus, no delay between decision to treat and administration of drug

ADC = Antibody-Drug Conjugate; BCMA = B-Cell Maturation Antigen; CD3 = Cluster of Differentiation 3; FcRH5 = Fc receptor-homolog 5; GPRC5D = G-protein coupled receptor family C group 5 member D

Image Source: Shah N, et al. Leukemia. 2020;34:985–1005. Creative Commons License: CC BY 4.0.

al. Pharmaceuticals (Basel). 2021;14(1):40.

36
Barilà
et
Agent Tumor Cell Target T-Cell Target Teclistamab BCMA CD3 Talquetamab GPRC5d CD3 Cevostamab FcRH5 CD3
G,

Targets on the Myeloma Cell Surface and Therapeutic Antibodies

Bi-Specific Antibodies

Talquetamab

CAR-T

CD38 GPRC5D SLAMF7 FcRH5

Bi-Specific Antibodies

CAR-T

Antibody Drug

Elotuzumab

Bi-Specific Antibodies

BCMA

Antibody Drug

Daratumumab and Darzalex Faspro

Isatuximab

TAK-079

MOR202

Immune Therapies

Ide cel CAR T

Cilta cel CAR T

Teclistamab

Other Bi-Specific Antibodies

Other CAR-Ts

Treatment Sequence and Regimens for Myeloma

Frontline treatment Maintenance Relapsed

Induction

• Velcade/Revlimid/Dex:(VRD)

• Velcade/Thalomid/Dex:(VTD)

• Velcade/Cytoxan/Dex:(CyBorD)

• Darzalex/Revlimid/Dex:(DRD)

• Darzalex/Velcade/Melphalan/Dex

• Darzalex/Velcade/Thalidomide/Dex

• Kyprolis/Revimid/Dex(KRD)

• Darzalex/Velcade/Revlimid/Dex: Dara-RVD

• Ninlaro/Revimid/Dex(IRD)

• Clinical trials

Consolidation

Maintenance

• Stem Cell Transplant

• Continue Induction

• Clinical trial

• Revlimid

• Velcade

• Ninlaro

• Observation

• Thalidomide

• Revlimid/Dara

• Clinical trial

Rescue

Dara+Pomalyst+Dex

Kyprolis+Pomalyst+Dex

Cytoxan+Pomalyst+Dex

Ninlaro+Pomalyst+Dex

Elo+Pomalyst+Dex

Elo+Thaliomide+Dex

Dara+Kyprolis+Dex

Kyprolis+Revlimid+Dex

Elo+Revlimid+Dex

Dara+Revlimid+Dex

Dara+Velcade+Dex

Elo+Velcade+Dex

Cytoxan+Kyprolis+Thalidomide+dex

4 drug therapies of novel agents

Ninlaro+Cytoxan+Dex

Velcade+ Cytoxan+Dex

Velcade+ Pomalyst+Dex

Chemotherapy

Selinexor+Dex

Selinexor+Velcade

Selinexor+ Dara

Isatuximab(Sarclisa)+ Pomalyst+Dex

Darzalex Faspro (under skin)

Ide-cel CAR-T (FDA approved 3/26/2021)

Cilta-cel CAR-T (FDA approved 2/28/2022)

Teclistamab (FDA approved 10/25/2022)

CLINICAL TRIALS!

National Comprehensive Cancer Network. The NCCN Clinical Practice Guidelines in Oncology Multiple Myeloma (Version 1.2023). http://www.nccn.org/.

The Evolution of Myeloma Therapy

Induction Consolidation Front line treatment Post consolidation Maintenance Rescue Relapsed New Isa-VRD D-KRD CAR T or Bispecifics? Daratumumab? Novel CAR T Cell Therapies Bispecific/Trispecific Antibodies CelMod Agents Venetoclax? Modakafusp Multiple small molecules ++++++++ Now VTD VRD KRD D-VMP DRD D-VRD SCT +/- More induction Lenalidomide Bortezomib Ixazomib Lenalidomide + PI Carfilzomib Combinations Bortezomib Lenalidomide Carfilzomib Pomalidomide Selinexor Panobinostat Daratumumab Ixazomib Elotuzumab Isatuximab Idecabtagene autoleucel Ciltacabtagene autoleucel Teclistamab Talquetamab Elranatamab
ASCT,
autologous stem cell transplant; CAR, chimeric antigen receptor; Cy, cyclophosphamide; d- daratumumab; D/dex, dexamethasone; isa, isatuximab; K, carfilzomib; M, melphalan; PD-L1, programmed death ligand-1; PI, proteasome inhibitor; Rev, lenalidomide; V, bortezomib. Speaker’s own opinions.

A Call to Action – Facts About African Americans and Myeloma

1. There is a longer time from symptoms to diagnosis among African Americans

2. African Americans are younger by about 5 years on average at diagnosis

3. MM and MGUS are more than 2x as common in African Americans

4. African Americans are less likely to receive the four T’s: Transplant, Triplets, Trials and CAR T

5. African Americans have biologic differences with more t(11;14) and less high-risk cytogenetics with deletion 17p

6. Survival outcomes in African Americans are HALF of what is seen in White Americans

7. African Americans can achieve equal or better outcomes when they receive therapy

M-Power = Myeloma Power

The core vision of this initiative is to improve the short- and longterm outcomes of African American patients with myeloma.

ENGAGE

Engage the community to increase awareness and provide support

We want to empower patients and communities to change the course of myeloma…

empower

ENHANCE EDUCATE

Enhance access to optimal care by educating myeloma providers about the disparity and how to reduce it

Shorten the time to diagnosis by educating primary care providers to recognize the disease and order the right tests

You can learn more about this at m-power.myeloma.org

41

How to Manage Myeloma Symptoms

and Side Effects

Rebecca Lu, MSN, FNP-C, MD Anderson Cancer Center, IMF

Nurse Leadership Board

42

September 13, 2023

LIFE IS A CANVAS, YOU ARE THE ARTIST

Rebecca Lu, MSN, FNP-C
Patient Education Slides 2022
MD Anderson Cancer Center, Houston, TX

OBJECTIVES

COLOR WHEEL OF TREATMENT

Myeloma treatment

HEALTHY LIVING

Infection and Side Effect Management

FRAMING YOUR CARE

Know your care team, Telehealth & Meeting Prep, & Shared Decision Making

44

GALLERY OF GOALS

MYELOMA TREATMENT SUPPORTIVE THERAPIES

• Rapid and effective disease control

• Durable disease control

• Minimize side effects

• Allow for good quality of life

• Improved overall survival

• Prevent disease- and treatmentrelated side effects

• Optimize symptom management

• Allow for good quality of life

DISCUSS GOALS AND PRIORITIES WITH YOUR HEALTHCARE TEAM

45

MANAGING MYELOMA: THE COMPONENTS

Transplant

Eligible Patients

Transplant

Ineligible patients

Initial Therapy

Transplant

Consolidation

Maintenance

Treatment of Relapsed disease

Everyone

Consolidation/ Maintenance/ Continued therapy

Supportive Care

SHADES OF “AUTO” STEM CELL TRANSPLANT (ASCT)

• There are no black and white answers to deciding to undergo a transplant

• Undergoing transplant is a commitment for both you and your care partner

• Understanding the process will help bring to focus elements needed to decide if/when to undergo transplant

Clinical Experience Data from Research

Patient Preference

Adapted from Philippe Moreau, ASH 2015

DECISION

A meta-analysis identified the most common patient-reported symptoms and impact on QOL, and were present at all stages of the disease. Symptoms resulted from both myeloma disease and treatment, including transplant, and were in these categories:

Physical

• Fatigue

• Constipation

• Pain

• Neuropathy

• Impaired Physical Functioning

• Sexual Dysfunction

Psychological

• Depression

• Anxiety

• Sleep Disturbance

• Decreased Cognitive Function

• Decreased Role & Social Function

Financial

• Financial burden (80%)

• Financial toxicity (43%)

PATIENT-REPORTED SYMPTOMS
Ramsenthaler, et al. 2016. https://doi.org/10.1111/ejh.12790. 48

FATIGUE, ANXIETY & DEPRESSION

All can affect quality of life and relationships

• Fatigue is the most common reported symptom (98.8%)

Sources include anemia, pain, reduced activity, insomnia, treatment toxicity, bone marrow suppression

• Anxiety reported in >35%

• Depression nearly 25% Financial concerns, disease progression, end-of-life, and change in social and sexual function were highlighted sources

Often, people do not share these symptoms with their provider. Talk to your provider about symptoms that are not well controlled or thoughts of self harm. Help is available.

Ramsenthaler, et al. 2016. https://doi.org/10.1111/ejh.12790. Catamero D et al. CJON. 2017; 21(5)suppl:7-18.
Physical Psychological 49

THE BRIGHT DARK SIDE TO STEROIDS

&

Steroid Synergy

Steroids are a backbone and work in combination to enhance myeloma therapy

Managing Steroid Side Effects

• Consistent schedule (AM vs. PM)

• Take with food

• Stomach discomfort: Over-the-counter or prescription medications

• Medications to prevent shingles, thrush, or other infections

Steroid Side Effects

• Irritability, mood swings, depression

• Difficulty sleeping (insomnia), fatigue

• Increased risk of infections, heart disease

• Muscle weakness, cramping

• Increase in blood pressure, water retention

Rajkumar

• Blurred vision, cataracts

• Flushing/sweating

• Stomach bloating, hiccups, heartburn, ulcers, or gas

• Weight gain, hair thinning/loss, skin rashes

• Increase in blood sugar levels, diabetes

Multiple Myeloma
Clin J Oncol Nurs.
Apr 1;21(2):240-249. doi: 10.1188/17.CJON.240-
SV, Jacobus S, Callander NS, Fonseca R, Vesole DH, Williams ME, Abonour R, Siegel DS, Katz M, Greipp PR, Eastern Cooperative Oncology Group (2010) Lenalidomide plus highdose dexamethasone versus lenalidomide plus low-dose dexamethasone as initial therapy for newly diagnosed multiple myeloma: an open-label randomised controlled trial. Lancet Oncol 11(1):29–37.
King
T, Faiman B. Steroid-Associated Side Effects: A Symptom Management
Update on
Treatment
 .
2017
249. PMID: 28315528.
Do not stop or adjust steroid doses without discussing it with your health care provider 50

CAR T AND BI-SPECIFIC ANTIBODIES: UNIQUE SIDE EFFECTS

Shortness of Breath

CRS is a common but usually mild side effect

CRS = cytokine release syndrome. Oluwole OO, Davila ML. J Leukoc Biol. 2016;100:1265-1272. June CH, et al. Science. 2018;359:1361-1365. Brudno JN, Kochenderfer JN. Blood. 2016;127(26):3321-3330. Brudno JN, Kochenderfer JN. Blood Rev. 2019:34:45-55. Shimabukuro-Vornhagen, et al. J Immunother Cancer. 2018;6:56. Lee DW, et al. Biol Blood Marrow Transplant. 2019;25:625-638.
CRS Fever Fatigue Headache
Nausea / vomiting
Weakness Confusion
Diarrhea

CAR T AND BI-SPECIFIC ANTIBODIES: UNIQUE SIDE EFFECTS

Headache

Encephalopathy

Confusion

Seizures

Tremors

NEUROTOXICITY

Altered wakefulness

Neurotoxicity is a rare but serious side effect

Hallucinations

Facial nerve palsy

Ataxia Apraxia

CRS = cytokine release syndrome; ICANS = immune effector cell–associated neurotoxicity syndrome; ICE = Immune Effector Cell Encephalopathy screening tool; MRI = magnetic resonance imaging.

Brudno JN, Kochenderfer JN. Blood. 2016;127(26):3321-3330. Lee DW, et al. Biol Blood Marrow Transplant. 2019;25:625-638.

7-10 fold increased risk of bacterial and viral infections for people with myeloma

INFECTION CAN BE SERIOUS FOR PEOPLE WITH MYELOMA

• Report fever of more than 100.4°F, shaking chills even without fever, dizziness, shortness of breath, low blood pressure to HCP as directed.

• Compromised immune function comes from multiple myeloma and from treatment.

• Infection is serious for myeloma patients!

Multiple myeloma

Immune dysfunction

53 Brigle K, et al. Clin J Oncol Nurs. 2017;21(5)suppl:60-76. Faiman B, et al; IMF Nurse Leadership Board. 2011;15(Suppl):66-76. Miceli TS, et al. Clin J Oncol Nursing. 2011;15(4):9-23. ASH Website. COVID-19 Resources. Accessed January 30, 2022. https://www.hematology.org/covid-19/covid-19-and-multiple-myeloma

INFECTION AWARENESS & PREVENTION

Infection Prevention Tips

Good personal hygiene (skin, oral)

Environmental control (wash hands, avoid crowds and sick people, etc)

Growth factor (Neupogen [filgrastim])

Immunizations (NO live vaccines)

Medications (antibacterial, antiviral)

As recommended by your health care team

COVID: The Best Way to Prevent Illness Is to Avoid Being Exposed to the Virus

Spread mainly through respiratory droplets that are produced by cough, sneezing and talking. More droplets with louder talking, yelling, singing

• Get COVID Vaccine + Booster: Excellent protection against severe disease, but vaccine effectiveness may be lower in people with compromised immune systems

• Wear a High-quality Mask: Respiratory droplets can spread disease; a high-quality mask can prevent exposure to airborne viral particles

• Avoid Crowds & Sick People

• Physical Distance & Outdoors: Close contact and indoor locations increases risk of spread

• Wash Your Hands: Less common to get from a hard surface

CDC website. How to Protect Yourself & Others. Accessed June 17, 2021.

GI SYMPTOMS: PREVENTION & MANAGEMENT

Diarrhea may be caused by medications and supplements

• Laxatives, antacids with magnesium

• Antibiotics, antidepressants, others

• Milk thistle, aloe, cayenne, saw palmetto, ginseng

• Sugar substitutes in sugar free gum

Avoid caffeinated, carbonated, or heavily sugared beverages

Take anti-diarrheal medication

• Imodium®, Lomotil ®, or Colestid if recommended

• Fiber binding agents – Metamucil®, Citrucel®, Benefiber®

• Welchol ® if recommended

Constipation may be caused by

• Opioid pain relievers, antidepressants, heart or blood pressure medications, others

• Supplements: Calcium, Iron, vitamin D (rarely), vitamin B-12 deficiency

Increase fiber

• Fruits, vegetables, high fiber whole grain foods

• Fiber binding agents – Metamucil®, Citrucel®, Benefiber®

Fluid intake can help with both diarrhea and constipation, and good for kidneys. Discuss GI issues with health care providers to identify causes and make adjustments to medications and supplements.

Smith LC, et al. CJON.2008;12(3)suppl:37-52. Faiman B. CJON. 2016;20(4):E100-E105.
Physical
55

PAIN PREVENTION AND MANAGEMENT

Pain can significantly compromise quality of life

Sources of pain include bone disease, neuropathy and medical procedures

Management

• Prevent pain when possible

• Bone strengtheners to decrease fracture risk; anti viral to prevent shingles; sedation before procedures

• Interventions depends on source of pain

• Monitor serum calcium levels

• Imaging may be needed depending on type and location of pain (eg, MRI, PET-CT)

• May include medications (eg bone modifying agents), activity, surgical intervention, radiation therapy, etc

• Complementary therapies (Mind-body, medication, yoga, supplements, acupuncture, etc)

Tell your health care provider about any new bone pain or chronic pain that is not adequately controlled

Physical
Faiman B, et al. CJON.
2017;21(5)suppl:19-36.
56

PERIPHERAL NEUROPATHY MANAGEMENT

Peripheral neuropathy: damage to nerves in extremities (hands, feet, or limbs)

• Numbness

• Tingling

• Prickling sensations

• Sensitivity to touch

• Burning and/or cold sensation

• Muscle weakness

Prevention / management:

• Bortezomib once-weekly or subcutaneous administration

• Massage area with cocoa butter regularly

• Supplements:

• B-complex vitamins (B1, B6, B12)

• Folic acid, and/or amino acids but do not take on day of Velcade® (bortezomib) infusion

• Safe environment: rugs, furnishings, shoes

If PN worsens, your HCP may:

• Change your treatment

• Prescribe oral or topical pain medication

• Suggest physical therapy

57 Faiman B, et al. CJON. 2017;21(5)suppl:19-36. Tariman, et al. CJON.2008;12(3)suppl:29-36.
Physical
Report symptoms of peripheral neuropathy early to your health care provider; nerve damage from PN can be permanent if unaddressed

Financial burden comes from

• Medical costs

• Premiums

• Co-payments

• Travel expenses

• Medical supplies

• Prescription costs

• Loss of income

• Time off work or loss of employment

• Caregiver time off work

FINANCIAL BURDEN

Contact the Social Services department at your hospital or clinic to talk to a social worker for assistance.

Funding and assistance may be available

• Federal programs

• Pharmaceutical support

• Non-profit organizations

• Websites:

• Medicare.gov

• SSA.gov

• LLS.org

• Rxassist.org

• NeedyMeds.com

• HealthWellFoundation.org

• Company-specific website

Financial
58

HEALTHFUL LIVING STRATEGIES: PREVENTION

Manage stress

• Rest, relaxation, sleep hygiene

• Mental health / social engagement

• Complementary therapy

Maintain a healthy weight

• Nutrition

• Activity / exercise

Preventative health care

• Health screenings, vaccinations

• Prevent falls, injury, infection

• Stop smoking

• Dental care

Maintain renal health

• Myeloma management

• Hydration

• Avoid renally-toxic medications

– Dose adjust to renal function

• Diabetes management

Protect your bones

• Nutrition, Calcium + D supplement

• Weight-bearing activity / walking

• Bone strengthening agents

Faiman B, et al. CJON. 2017;21(5)suppl:19-36. Dimopoulous M, et al. Leukemia. 2009;23(9):1545-56. Brigle K, et al. CJON. 2017;21(5)suppl:60-76. Faiman B, et al. CJON. 2017;21(5)suppl:19-36. Faiman B, et al. CJON. 2011;15suppl:66-76. Miceli TS, et al. CJON. 2011;15(4)suppl:9-23.

59
“An ounce of prevention is worth a pound of cure.” Benjamin Franklin

CARE PARTNER SUPPORT

Care partner support is essential for the entire transplant and CAR T processes particularly

• Sedated procedures; Education sessions

• Assistance with daily activities, managing medications and alerting the medical team of changes

• Continued support and assistance is often needed in the early days after returning home. Less assistance will be needed as time goes on.

Care partner can be one person or a rotation of many people.

You are central to the care team

CARE TEAM COLLAGE

Be empowered

• Ask questions, learn more

• Participate in decisions

Communicate with your team

• Understand the roles of each team member and who to contact for your needs

• Participate in support network

Allied Health Staff
You and Your Caregiver(s) Support Network Subspecialists Myeloma Specialist General Hem/Onc
Pharmacis t
Provider (PCP)
61

PREPARE FOR VISITS & CONSIDER TELEMEDICINE

Come prepared:

• Bring a list of current medications, prescribed and over the counter

• Write down your questions and concerns. Prioritize them including financial issues

• Have there been any medical or life changes since your last visit?

• Current symptoms - how have they changed (improved, worsened, stable)? Keep a symptom diary. Bring it along

• Communicate effectively: your health care team can’t help if they don’t know

• Know the “next steps”, future appointments, medication changes, refills, etc

Check with your healthcare team –Is telemedicine an option?

Similar planning for “in-person” appointment PLUS:

• What is the process and what technology is needed?

• Plan your labs: are they needed in advance? Do you need an order?

• Plan your location: quiet, well-lit location with strong wi-fi is best

• Plan yourself: consider if you may need to show a body part and wear accessible clothing

• Collect recent vital signs (blood pressure, temp, heart rate) self-serve blood pressure cuff is available at many pharmacies and for purchase

IMF Telemedicine Tip Sheet. In development.
KNOWLEDGE IS POWER USE REPUTABLE SOURCES Download or order at myeloma.org Website http://myeloma.org IMF InfoLine 1 800-452-CURE 9am to 4pm PST eNewsletter: Myeloma Minute Videos 64

YOU ARE NOT ALONE

Frontline Therapy Al-Ola Abdallah, MD

University of Kansas Medical Center

66

Frontline Therapy in Newly diagnosed Myeloma

Chair, US Myeloma Innovations Research Collaborative (USMIRC)

Director, Plasma Cell Disorder Clinic

Division of Hematologic Malignancies and Cellular Therapeutics

Department of Internal Medicine

The University of Kansas Cancer Center

67

I

Disclosure Information

have NO financial relationships to disclose

• “A controlled trial of urethane treatment in multiple myeloma.”

Holland JR, Hosley H, Scharlau C, Carbone PP, Frei E 3rd, Brindley CO, Hall TC, Shnider BI, Gold GL, Lasagna L, Owens AH Jr, Miller SP

• Randomized 83 patients with treated or untreated multiple myeloma to receive urethane or a placebo consisting of a cherry- and cola flavoured syrup.

• No difference was seen in objective improvement or in survival in the two treatment groups. In fact, the urethane-treated patients died earlier.

Blood 1966; 27: 328-342

First Randomized Trial in MM

Goals of Therapy

• Achieve disease response

• Reduce Active symptoms

• Prevent any additional morbidity

• Prolong the patient’s overall survival

• Minimize toxicity of therapy

• Use agents with predictable and manageable side effects

• Maximize Quality of life

• Administer medically & cost- effective therapies

• Cure?

71

Stages of Myeloma Treatment/ The Iceberg Model

72 Induction Induction followed by continuous therapy Consolidation Maintenance SCT eligible SCT ineligible Diagnosis & Risk Stratification Tumor Burden Factors to be considered for ASCT Age, performance status (PS), comorbidities (R-MCI score, HCT-Cl) and organ function
73

Induction therapy?

74
75

ENDURANCE: VRD vs KRD as induction therapy in NDMM

76
K vs V
77

ENDURANCE trial

78

ENDURANCE trial

79

ENDURANCE trial

80

Induction therapy: Dara based regimen 4 vs 3 drugs?

81

GRIFFIN TRIAL

82

GRIFFIN: Responses Deepened Over Time

sCR,

• Rates of ≥CR improved over time and the deepest responses occurred at the end of study maintenance

• At all timepoints, response rates for D-RVd were consistently higher versus RVd

83 8 8 8 8 35 19 14 14 43 31 18 17 6 10 13 12 7 32 46 48 End of inductionb End of consolidationb At 1 year of maintenancec End of studyc 2 1 2 1 26 8 4 3 53 39 13 13 7 9 17 16 12 42 64 67 0 20 40 60 80 100 Patients, % ≥CR: 13% ≥CR: 42% ≥CR: 59% ≥CR: 60% End of inductionb End of consolidationb At 1 year of maintenancec End of studyc ≥CR: 19% ≥CR: 52% ≥CR: 81% ≥CR: 83%
D-
sCR CR VGPR PR SD/PD/NE sCR CR VGPR PR SD/PD/NE
RVd
RVd
P= 0.0079a ≥CR, P= 0.0005a

GRIFFIN: PFS in the ITT Population

– Median follow-up: 49.6 months

– Median PFS was not reached in either group

– PFS was longer for D-RVd/D-R versus RVd/R, with a clinically meaningful 55% reduction in the risk of disease progression or

of
0 10 20 30 40 50 60 70 80 90 100 0 3 6 9 12 15 18 21 24 27 30 33 36 39 42 45 48 51 54 57 60 % surviving without progression Time, months No. at risk: RVd 103 93 77 72 70 68 63 61 59 53 51 46 42 39 35 33 25 12 3 3 0 D-RVd 104 98 94 90 90 89 86 85 81 81 79 68 59 58 56 54 45 23 12 3 0 HR, 0.45 (95% CI, 0.21-0.95) P = 0.0324 D-RVd RVd 4-year PFS rate 3-year PFS rate 89.0% 80.7% 87.2% 70.0%
death – The separation of the PFS curves occurred beyond 1 year
maintenance

Role of HDCT/ASCT in NDMM in the era of Novel agents

86

High Dose Chemotherapy Nuke the Backyard

What criteria are used to assess eligibility for autologous stem cell transplant (SCT)?

Recommendation

Patients should be referred to a transplant center to determine transplant eligibility

Evidence Rating

Type: Evidence based

Evidence quality: Intermediate, benefit outweighs harm

Strength of recommendation: Moderate

Chronologic age and renal function should not be the sole criteria used to determine eligibility for SCT.

Type: Evidence based

Evidence quality: Intermediate, benefit outweighs harm

Strength of recommendation: Moderate

Mikhael J, et al. J Clin Oncol. April 1, 2019. DOI:10.1200/JCO.18.02096.

RVD x 3

CY (3 g/m2)

MOBILIZATION

Goal: 5 x 106 cells/kg

Stratification ISS, FISH

RVD x 3

CY (3 g/m2)

MOBILIZATION

RGoal: 5 x 106 cells/kg

Melphalan

200 mg/m2 + ASCT

Systemic GEP, CGH  risk-adapted strategy

RVD x 5

RVD x 2

Lenalidomide 12 mo

Cy = cyclophosphamide; SCT = stem cell transplantation

Lenalidomide 12 mo

SCT at relapse

MEL 200 mg/m2 if <65 y, ≥65 y 140 mg/m2

Phase III IFM/DFCI 2009 Trial Design
Corre J et al. Proc ASH 2014;Abstract 180 (Abstract only).

Early vs Late Autologous Stem Cell Transplant in Newly Diagnosed Multiple

Myeloma: Long Term Follow up Analysis of the IFM 2009 Trial

90

Design of DETERMINATION study

91

Response Rate

92
93 Efficacy: PFS/OS

Post ASCT and RVD therapy

94

FORTE Trial

95

FORTE Trial

96

Is ASCT still SOC for TE NDMM?

Treatment of Newly Diagnosed, TransplantIneligible Multiple Myeloma: Induction Therapy

99
SWOG s0777 (VRd vs Rd)

MAIA: Study Design

Randomized phase III trial

Stratified by ISS (I vs II vs III), region (N America vs other), age (< 75 vs ≥ 75 yrs)

Daratumumab 16 mg/kg IV

(QW cycles 1-2, Q2W cycles 3-6, Q4W cycle 7+) +

Patients with ASCTineligible NDMM, ECOG PS 0-2, CrCl ≥ 30 mL/min

(N = 737)

Lenalidomide 25 mg/day PO on Days 1-21 +

Dexamethasone 40 mg/wk* PO or IV

(n = 368)

Lenalidomide 25 mg/day PO on Days 1-21 +

Dexamethasone 40 mg/wk* PO or IV

(n = 369)

*Reduced to 20 mg/wk if > 75 yrs of age or BMI < 18.5.

Primary endpoint: PFS

28-day cycles until progression

Secondary endpoints : ≥ CR rate, ≥ VGPR rate, MRD negativity, ORR, OS, safety

Facon. ASH 2018. Abstr LBA-2.

MAIA: Survival results

101
102

-

General Principles of Initial Therapy

ASCT is still a vital treatment in Newly diagnosed myeloma

-

Recommend to consider ASCT upfront (Unlikely to receive it later in RW)

-

Combination therapy is considered an optimal therapy as induction therapy

-

Trials are needed to focus on patients for High-risk Myeloma

-

How I treat Standard Risk Myeloma who are ineligible for transplant? DRd

-

How I treat High Risk Myeloma Ineligible for transplant? VRd

Audience Q&A with Panel

• Open the Q&A window, allowing you to ask questions to the host and panelists. They can either reply to you via text in the Q&A window or answer your question live.

• If the host answers live, you may see a notification in the Q&A window.

• If the host replies via the Q&A box – you will see a reply in the Q&A window.

104

BREAK

105

7:15 – 7:25 PM Maintenance Therapy

September 13, 2023, Agenda

Al-Ola Abdallah, MD – University of Kansas Medical Center

7:25 – 7:55 PM Relapsed Therapies & Clinical Trials

Joseph Mikhael, MD, Chief Medical Officer, International Myeloma Foundation

7:55 – 8:25 PM Q&A

8:25 – 8:30 PM Closing Remarks

IMF REGIONAL COMMUNITY WEBINAR
106

Maintenance Therapy Al-Ola Abdallah, MD

University of Kansas Medical Center

107

Maintenance Therapy

Chair, US Myeloma Innovations Research Collaborative (USMIRC)

Director, Plasma Cell Disorder Clinic

Division of Hematologic Malignancies and Cellular Therapeutics

Department of Internal Medicine

The University of Kansas Cancer Center

108

I

Disclosure Information

have NO financial relationships to disclose
110

Objectives

• Discuss maintenance therapy and its application in myeloma

• Outline the major options for maintenance therapy

• Introduce the newer trend for the use of dual maintenance

What is Maintenance:

Less intense longer-term therapy with goal of better PFS and OS

What does the Ideal Maintenance therapy look like?

- Deepen remission

- Prolong remission

- Easy to administer (Oral is preferable)

- Minimal toxicity

112
Introduction

Lenalidomide

113

CALGB 100104 Schema

McCarthy PL, et al. N Engl J Med. 2012;366:1770-1781. Mos Since ASCT 0 20 40 60 80 100 0 20 30 55 60 70 OS (%) 40 10 2-sided P = .03 Placebo Lenalidomide OS 3-yr OS: 88% 3-yr OS: 80% 0 20 40 60 80 100 0 10 30 45 50 60 70 PFS (%) Mos Since ASCT 20 2-sided P < .001 Lenalidomide Placebo PFS 3-yr PFS: 39% 3-yr PFS: 66%
CALGB 100104: Lenalidomide vs Placebo as Maintenance Therapy After ASCT

IFM 2005-02: Lenalidomide vs Placebo as Maintenance Therapy After ASCT

Attal M, et al. N Engl J Med. 2012;366:1782-1791.
PFS HR: 0.50; P < .001 100 75 50 25 0 PFS (%) 0 6 12 18 24 30 36 42 48 Follow -up (Mos) 23% 41% Lenalidomide Placebo OS P = .29 100 75 50 25 0 OS (%) 0 6 12 18 24 30 36 42 48 Follow -up (Mos) Lenalidomide Placebo

Induction

NDMM

Treated on Myeloma XI induction protocols

Maintenance

Lenalidomide

10 mg/day, days 1‒21/28

R 1:1

Observation

N=1551 (TE=828; TNE=723)

Median follow-up: 27 months (IQR 13‒43)

Exclusion criteria

• Failure to respond to lenalidomide as induction IMiD, or development of PD

• Previous or concurrent active malignancies

IQR, interquartile range; NDMM, newly diagnosed multiple myeloma; PD, progressive disease

Jackson et al., Lancet 20:57-73, 2019

Myeloma XI

Overall PFS

Significant improvement in PFS from 18 to 36 months, HR=0.45

(n=857) 36 [31, 39]

(n=694) 18 [16, 20]

No. of patients at risk: Lenalidomide Observation 857 694 771 584 675 504 611 413 512 353 444 293 369 247 330 202 265 167 228 132 204 108 169 86 143 64 118 48 90 40 67 25 43 20 27 10 17 3 11 2 4 2 1 1 0 0 Time since randomization (months) 100 0 Patients alive and progressionfree (%) 80 60 40 20 0 18 33 51 66 3 6 9 12 15 21 24 27 30 36 39 42 45 48 54 57 60 63 CI,
HR, hazard ratio Median
CI] Lenalidomide
Observation
HR=0.45;
Log-rank
Jackson et al., Lancet 20:57-73, 2019
confidence interval;
PFS, months [95%
95% CI 0.39, 0.52
p<0.0001

Overall Survival: Median Follow Up of 80 Months

There is a 26% reduction in risk of death, representing an estimated 2.5-year increase in median survival

119 0.0 0 10 20 30 40 50 60 70 80 90 100 110 120 0.2 0.4 0.6 0.8 1.0
605 578 555 509 474 431 385 282 200 95 20 1 0 604 569 542 505 458 425 350 271 174 71 10 0 Overall Survival, mos Survival Probability Patients at risk 7-yr OS 62% 50% N = 1209 LENALIDOMIDE CONTROL Median OS (95% CI), mos NE (NE-NE) 86.0 (79.8-96.0) HR (95% CI) P value 0.74 (0.62-0.89) .001

Impact of Second cancer on lenalidomide

Cumulative incidence of developing a second cancer and cumulative probability of death because of competing causes, after multiple myeloma.

Anish Thomas et al. Blood 2012;119:2731-2737

Bortezomib

121

Bortezomib Maintenance: Survival From Randomization

 Subgroup analysis: bortezomib + double cycle HDM before ASCT improved OS vs single cycle of HDM before ASCT

– No significant difference in PFS between subgroups

50
– 96-mo OS: 55% vs 42%; HR: 0.071 (95% CI: 0.54-0.94; P = .018)
Sonneveld P, et al. ASH 2015. Abstract 27. 96-Mo PFS, % PAD/bort (n = 413) 17 VAD/thal (n = 414) 10 PFS OS HR: 0.77 (95% CI: 0.65-0.90) P = .001 100 75 25 0 0 24 48 72 96 Mos Cumulative Percentage 50 100 75 25 0 0 24 48 72 96 Mos Cumulative Percentage 96-Mo OS, % PAD/bort (n = 413) 48 VAD/thal (n = 414) 45 HR: 0.87 (95% CI: 0.71-1.04) P = .22

Daratumumab

123
CASSIOPEIA TRIAL 126

Role of doublet therapies in maintenance for High risk cytogenetics myeloma

127
128

SWOG 1211 (Maintenance in HR myeloma)

129

Commonly asked maintenance questions

• Should post-transplant maintenance therapy be recommended for all patients?

– Yes

• Which agent should be used?

– Lenalidomide remains the standard of care

• What is the optimal duration?

– Treatment until progression remains the standard of care

• What should patients with high-risk cytogenetics receive?

– Consider lenalidomide + proteasome inhibitor; clinical trial

• Should MRD status dictate maintenance therapy?

– Not outside of a clinical trial

• What about Second Primary Malignancies?

– They are real, require a discussion and monitoring, but are outweighed by benefit

Conclusions

Recommend to consider maintenance therapy in post-transplant (even if pts achieve MRD negative)

• Lenalidomide is the drug of choice for all myeloma patients

• Benefits of Lenalidomide outweighs its risk as maintenance therapy (SPC)

• Duration of treatment (continuous vs fixed) needs more studies and to utilize use of MRD status when to stop treatment

• Other options for maintenance: Velcade, daratumumab (strong data), less preferable is use of Carfilzomib (not convenient)

• High risk myeloma maintenance: No strong evidence what to use, though many institutions are using doublet (PI+IMiDs)

131
132

Clinical Trials & Relapsed Therapies Joseph

Chief Medical Officer – International

Myeloma Foundation

133

Objectives

• Provide the rationale for clinical trials

• Outline the phases of clinical trials

• Discuss the risks and benefits of clinical trials

• Preview important clinical trials in myeloma

Clinical Trials - Overview

Remember some of the important principles of clinical trials:

• The drive of research has brought us to where we are

• No one is expected to be a “guinea pig” with no potential benefit to them

• Research is under very tight supervision and standards

• Open, clear communication between the physician and the patient is fundamental

Clinical Trials – Why Me??

• Every patient is unique and must be viewed that way

• Benefits of trials are numerous and include:

• Early access to “new” therapy

• Delay use of standard therapy

• Contribution to myeloma world – present and future

• Financial access to certain agents

• Must be balanced with potential risks

• “toxicity” of side effects

• Possibility of lack of efficacy

Why Are Cancer Clinical Trials Important?

• Clinical trials translate results of basic scientific research into better ways to prevent, diagnose, or treat cancer

• The more people that take part, the faster we can:

• Answer critical research questions

• Find better treatments and ways to prevent cancer

137

Overview of New Drug Development

Identify a target for therapy in the laboratory

Confirm the anticancer activity in laboratory and animal studies

Clinical trials (human studies) to determine safety, dosing and effectiveness

The whole process costs millions of dollars and years of effort!

Even Before Phase I

• Most agents are tested in lab models

• Various “myeloma cell lines” = in vitro

• Next step is animal model

• We are more like mice than you think!!

• Earliest study in phase I is called “First in Human”

• Often uses extremely low dose of drug to ensure safety

Clinical Trials - Phases

Phase I Phase II Phase III

Tests safety Tests how well treatment works Compares new treatment to standard treatment

Phase 1 Clinical Trials

• All patients receive the experimental therapy

• Phase 1 trials find the optimal dose of a new drug or drug combination

• Patients get higher doses as the study continues

• Determine side effects of new drugs or combinations

• Explore how the drug is metabolized by the body

• Important for all stages of myeloma

Phase 2 Clinical Trials

• Determine if a new drug or combination is effective against the cancer

• May be added to a phase 1 study once the ideal dose is found

• Patients usually receive the experimental therapy • In some cases, the study may include two “arms” comparing either two different doses or a different treatment (another combination of drugs)

Phase 3 Clinical Trials

• Highest form of clinical evidence. Typically a large number of patients are required…usually required for full FDA approval

• Patients receive either an experimental therapy (one or more drugs) or the current standard treatment

• The patient is randomly assigned to a treatment—a process called randomization

• Neither the physician or the patient can determine which treatment is given

• May be placebo controlled, if no standard treatments are available

• Very closely monitored for effectiveness and side effects

Other Types of Clinical Trials

Longitudinal Studies

• Long-term studies with a large number of patients

• Usually to track outcomes of a large “cohort” of patients

Registry Studies

• Patients are treated using available therapies

• Efficacy and safety are analyzed following treatment

• Typically involve a large number of patients

Expanded Access Programs

• Allow early access to experimental therapies when no alternatives are available

• Often precedes formal approval of a drug

Clinical trial study design or protocol

Each cancer clinical trial has a written detailed study design called a protocol that includes:

• Why the clinical trial is needed

• Purpose of the clinical trial

• What drug or drug(s) are being tested, with a treatment and follow-up schedule

• Safety measures throughout the clinical trial program

• How outcomes will be measured

• Who is eligible for the clinical trial

• How the clinical trial will be organized, one site or multiple sites

• If the clinical trial is a multi-site trial, all participating physicians must follow the same protocol

Benefits of Participation

Possible benefits:

•Patients will receive, at a minimum, the best standard treatment

•If the new treatment or intervention is proven to work, patients may be among the first to benefit

•Patients have a chance to help others and improve cancer care

146

Risks of Participation

Possible risks:

• New treatments or interventions under study are not always better than, or even as good as, standard care

• Even if a new treatment has benefits, it may not work for every patient • Health insurance and managed care providers do not always cover clinical trials

147

Why Do So Few Cancer Patients Participate in Trials?

Patients may: • Be unaware of clinical trials

Lack access to trials

Fear, distrust, or be suspicious of research

Have practical or personal obstacles

Face insurance or cost problems

Be unwilling to go against their physicians’ wishes

Not have physicians who offer them trials

Have a disconnect with their healthcare team

148

Diversity in Clinical Trials

• There has been a lack of diverse representation in clinical trials in myeloma. In the U.S., approximately 20% of all myeloma patients are of African descent, but only 5%–8% of patients in myeloma clinical trials are of African descent.

• This is significant for the following reasons: All patients of all races and ethnicities should be able to benefit from clinical trials.

Diverse patient representation in clinical trials is required to ensure that the outcomes are applicable to all patients.

• Reasons for underrepresentation in clinical trials are complex and include systemic racism, accessibility of clinical trials, sensitivity to diversity by medical professionals, misconduct in medicine in the past, the lack of trust in the system, and more.

Why Do So Few Cancer Patients Participate in Clinical Trials?

Doctors might:

• Lack awareness of appropriate clinical trials

• Be unwilling to “lose control” of a person’s care

• Believe that standard therapy is best

• Be concerned that clinical trials add administrative burdens

150

Commonly Asked Questions

How does the study work? How often will I need to see my doctor or visit the cancer center?

Will I need to undergo additional tests?

What is currently known about the new drug or combination?

What benefits can I expect?

What side effects should I expect? Who should I notify if I have side effects?

Can I take my vitamins or other medications?

Can I get the treatment with my local doctor?

Will my insurance pay for my participation in the clinical trial?

Misconceptions About Cancer Clinical Trials

Misconceptions

I may get a sugar pill (placebo) instead of real therapy.

Facts

No placebos are given alone every patient receives treatment.

I’ll be treated like a guinea pig.

Clinical studies are for people with no other options.

Most patients receive care that exceeds expectations.

Many involve an adjustment to a standard of care that may improve outcome or quality of life

The more people who participate, helps to speed drug development.

Available at http://health.clevelandclinic.org/2014/04/10-biggest-cancer-clinical-trial-myths-busted/.

Considering Entering a Clinical Trial?

• Discuss whether or not you are eligible for a clinical trial with your physician

• Work with your physician to determine the best trial for you

• Meet with the clinical research nurse or trials coordinator to discuss the trial

• Carefully review the provided “Informed Consent”

• Describes the study and any potential safety concerns related to the experimental medication

Ongoing Trials in Myeloma

• SO many areas being studied right now including…

• CAR T Cell therapy (used earlier in myeloma, new targets, faster manufacturing, even allo CAR T!)

• Novel Bispecific Therapies (with new targets)

• New molecules – CelMods, Modakafusp…

And MANY more!

Relapsed Therapy

156

Objectives

• Discuss an approach to treating relapsed myeloma based on patient, disease and treatment characteristics

• Review the important trend of using an aggressive approach in early treatment of myeloma

• Outline the key results from recent trials in early relapse

• Discuss the approach to late relapse and the use of novel therapies such as CAR T and bispecific antibodies

Early lines treatment are important!

Fewer patient are eligible for therapy in each subsequent line of therapy (LOT)

Figure adapted from: Yong, K et al. Br J Haematol 2016;175(2):252-264.
1st Relapse 2nd 3rd 4th 5th and beyond

An Approach to Relapsed MM

It is not a simple algorithm of treatment #1 then 2 then 3…

• Leverage the benefit of multiple mechanisms of action in combination therapy

Categories:

1-3 prior lines • Later Relapse

Refractory to PI, IMiD and MoAb = Triple Class Refractory

Principles

1. Depth of Response matters…likely incorporate MRD soon

2. High risk vs standard risk…more aggressive Rx in high risk

3. Balance efficacy and toxicity…initially and constantly assess

4. Overcome drug resistance…change mechanism of action when possible

Definitions: What is relapsed/refractory disease and a line of therapy?

• Relapsed: recurrence (reappearance of disease) after a response to therapy

• Refractory: progression despite ongoing therapy

• Progression: change in M protein/light chain values

• Line of therapy: change in treatment due to either progression of disease or unmanageable side effects

• Note: initial (or induction) therapy + stem cell transplant + consolidation/ maintenance therapy = 1 line of therapy

NCCN Guidelines – Early Relapse

NCCN Guidelines – Early Relapse contd.

Therapy Selection Considerations

Disease-Related

• Nature of the relapse

– Biochemical vs symptomatic

• Risk stratification

– High-risk chromosomal abnormalities: del(17p), t(4;14), t(14;16)

• Disease burden

Therapy-Related

• Previous therapies

• Prior treatmentrelated adverse event

• Regimen-related toxicity

• Depth and duration of previous response

• Cost to patient

Patient-Related

• Renal insufficiency

• Hepatic impairment

• Comorbidities

• Preferences

• Social factors

– Support system

Accessibility to treatment center

– Insurance coverage

Multiple Myeloma is Not One Disease!

Time: Years!

RVD+ASCT+Lenalidomide Maintenance Relapse 1 Relapse 2 Relapse 3
Disease Activity Relapse 1 Relapse 1 Relapse 2

Myeloma: first relapse – IMWG Guidelines

First Relapse

Preferred options: DRd (or KRd)

Not Refractory to Lenalidomide

Refractory to Lenalidomide

Alternatives: DVD, Kd, DaraKd, IsaKd, IRd, Erd

When Dara, Isa, K not available: Rd, Vd, VTD, VCD, VMP

Preferred options: PVd DaraKd IsaKd

Consider salvage auto transplant in eligible patients

Second options

DaraVd;Kd

Other options: KPd; DaraPd; Ipd

When Dara, isa, K or P not available: VCD, Vd, VMP

Moreau P, et al. IMWG Recommendations for RRMM. Lancet Oncol. 2021;22(3):e105-e118.

DKd,daratumumab/carfilzomib/dexamethasone; DPd, daratumumab/pomalidomide/dexamethasone; DRd, daratumumab/lenalidomide/ dexamethasone; DVd, daratumumab/bortezomib/dexamethasone; Elo–Rd, elotuzumab/lenalidomide/dexamethasone; Ipd, ixazomib/pomalidomide/dexamethasone; Ird, ixazomib/lenalidomide/dexamethasone; Isa–Kd, isatuximab/carfilzomib/dexamethasone; Kd, carfilzomib/dexamethasone; KPd, carfilzomib/pomalidomide/dexamethasone; KRd, carfilzomib/lenalidomide/ dexamethasone; PVd, pomalidomide/bortezomib/dexamethasone; Rd, lenalidomide/dexamethasone; SVd, selinexor/bortezomib/dexamethasone; VCd, bortezomib/cyclophosphamide/dexamethasone; Vd, bortezomib/dexamethasone; VMP, bortezomib/melphalan /prednisone; VTd, bortezomib/thalidomide/dexamethasone.

Early Relapse

General Principles

Use mechanisms of action not previously used

Do not continue to use lenalidomide if progressing on len maintenance

Triplets are preferred over doublets

In real practice - most patients receiving VRD (Bortezomib-Lenalidomide-Dex) like regimens, 1st relapse is typically

Daratumumab + Pomalidomide + Dex (APOLLO)

Isatuximab + Pomalidomide + Dex (ICARIA)

Daratumumab + Carfilzomib + Dex (CANDOR)

Isatuximab + Carfilzomib + Dex. (IKEMA)

Selinexor + Bortezomib + Dex (BOSTON)

First Relapse

Not Refractory to Lenalidomide* Refractory to Lenalidomide*

Not refractory to CD38 moAB

Dara-refractory or Relapse while on CD38 moAB

Not refractory to CD38 moAB

Dara-refractory or Relapse while on CD38 moAB

DRd

KRd (preferred)

ERd, IRd

(Alternatives)

DKd or Isa-Kd Or

DPd or Isa-Pd

KCd or KPd

(preferred)

VCd or EPd

(Alternatives)

*Consider salvage ASCT in patients eligible for ASCT who have not had transplant before; Consider 2nd auto SCT if eligible and had >36 months response duration with maintenance to first ASCT

Rajkumar SV. 2022

Currently Available Agents for One to Three Prior Lines of Therapy

Drug Formulation Approval

Velcade (bortezomib)

Kyprolis (carfilzomib)

Ninlaro (ixazomib)

Revlimid (lenalidomide)*

Pomalyst (pomalidomide)*

XPOVIO (selinexor)

• IV infusion

• SC injection

• IV infusion

• Weekly dosing

• For relapsed/refractory myeloma

• For relapsed/refractory myeloma as a single agent, as a doublet with dexamethasone, and as a triplet with Revlimid or Darzalex plus dexamethasone

Once-weekly pill

• For relapsed/refractory myeloma as a triplet with Revlimid and dexamethasone

Once-daily pill

• For relapsed/refractory myeloma in combination with dexamethasone

Once-daily pill

• For relapsed/refractory myeloma in combination with dexamethasone

Once-weekly pill

• For relapsed/refractory myeloma as a triplet with Velcade and dexamethasone

*Black box warnings: embryo-fetal toxicity; hematologic toxicity (Revlimid); venous and arterial thromboembolism

IV, intravenous; SC, subcutaneous

Proteasome Inhibitor– and Immunomodulatory Drug–Based Regimens for Early Relapse

OPTIMISMM

• Velcade-Pomalystdex (VPd) vs Vd Regimens compared

ASPIRE TOURMALINE-MM1 BOSTON

• Kyprolis-Revlimiddex (KRd) vs Rd

• Ninlaro-Rd (IRd) vs Rd

• XPOVIO-Velcade-dex (XPO-Vd) vs Vd

Median progression-free survival favored

• VPd: 11 vs 7 months

• KRd: 26 vs 17 months

• IRd: 21 vs 15 months

• XPO-Vd: 14 vs 9 months

Clinical considerations

• Consider for relapse on Revlimid

• VPd associated with more low blood counts, infections, and neuropathy than Pd

• KRd associated with more upper respiratory infections and high blood pressure than Rd

• IRd an oral regimen

• Gastrointestinal toxicities and rashes

• Lower incidence of peripheral neuropathy

• XPO-Vd associated with low platelet counts and fatigue with triplet, but less neuropathy than the Vd

Currently Available Naked Monoclonal Antibodies for One to Three Prior Lines of Therapy

Drug Formulation

Approval

Darzalex (daratumumab)

SC once a week for first 8 weeks, then every 2 weeks for 4 months, then monthly

• For relapsed/refractory myeloma as a single agent and as a triplet with Revlimid or Velcade or Kyprolis or Pomalyst plus dexamethasone

Empliciti (elotuzumab)

IV once a week for first 8 weeks, then every 2 weeks (or every 4 weeks with pom)

• For relapsed/refractory myeloma as a triplet with Revlimid or Pomalyst and dexamethasone

Sarclisa (isatuximab)

IV once a week for first 4 weeks, then every 2 weeks

• For relapsed/refractory myeloma as a triplet with Pomalyst or Kyprolis and dexamethasone

IV, intravenous; SC, subcutaneous

Monoclonal Antibody–Based Regimens for Early Relapse: Darzalex

POLLUX

Regimens compared

• Darzalex-Revlimiddex (DRd) vs Rd

CASTOR CANDOR APOLLO

• Darzalex-Velcade-dex (DVd) vs Vd

• Darzalex-Kyprolis-dex (DKd) vs Kd

• Darzalex-Pomalystdex (DPd) vs Pd

Median progressionfree survival favored

• DRd: 45 vs 18 months

• DVd: 17 vs 7 months

• DKd: 29 vs 15 months

• DPd: 12 vs 7 months

• Consider for relapses from Revlimid or Velcade maintenance

Clinical consider-ations

• DRd associated with more upper respiratory infections, low blood white blood cell counts, and diarrhea

• Consider for patients who are Revlimid-refractory without significant neuropathy

• DVd associated with more low blood cell counts

• Consider for younger, fit patients who are doublerefractory to Revlimid and Velcade

• DKd associated with more respiratory infections

• Sever side effects (possibly fatal) in intermediate fit patients 65 and older

• Consider in patients who are double-refractory to Revlimid and a proteasome inhibitor (Velcade, Kyprolis, Ninlaro)

• Severe low white blood cell counts

Monoclonal Antibody–Based Regimens for Early Relapse: Sarclisa and Empliciti

ELOQUENT-2

ELOQUENT-3

Regimens compared

• Empliciti-Revlimiddex vs Rd

ICARIA-MM IKEMA

• EmplicitiPomalyst-dex vs Pd

• Sarclisa-Pomalyst-dex vs Pd

• Sarclisa-Kyprolis-dex vs Kd

Median progressionfree survival favored

• Empliciti-Rd: 19 vs 15 months

• Empliciti-Pd: 10 vs 5 mos

• Sarclisa-Pd: 12 vs 7 mos

• Sarclisa-Kd: 41 vs 19 mos

Clinical considerations

• Consider for non-Revlimid refractory, frailer patients

• Overall survival benefit with Empliciti-Rd

• Empliciti-Rd associated with more infections

• Consider for patients refractory to Revlimid and a proteasome inhibitor (Velcade, Kyprolis, Ninlaro)

• Consider for patients refractory to Revlimid and a proteasome inhibitor (Velcade, Kyprolis, Ninlaro)

• Sarclisa-Pd associated with severe low white blood cell counts, more dose reductions, upper respiratory infections, and diarrhea

• Consider for patients refractory to Revlimid and Velcade

• Sarclisa-Kd associated with higher MRD negativity rates

• Sarclisa-Kd associated with severe respiratory infections

Myeloma: Second or higher relapse

Refractory to IMiD, PI, Anti-CD38

Second or higher relapse

Refractory to IMiD, PI, Anti-CD38, Alkylators, and Anti-BCMA

Existing drugs:

Combinations with Cyclophosphamide

that do not have IMiD, PI, Anti CD38 (e.g., KCd)

Anti BCMA strategy

Anti-BCMA

Bispecific

BCMA CAR-Ts

Elotuzumab

Selinexor

Venetoclax

Bendamustine

VDT PACE

New Drugs: Iberdomide, Mezigdomide

New bispecifics (Cevostamab, Talquetamab)

New CAR-Ts

New Monoclonals

New ADCs

Rajkumar SV. 2022

NCCN Guidelines – Late Relpse

Currently Available Drugs for Triple-Class

Class

Refractory

Drug

Myeloma

Formulation

Approval

Nuclear export inhibitor

XPOVIO (selinexor)

Twice-weekly pill

• For relapsed/refractory myeloma in combination with dexamethasone (after at least 4 prior therapies and whose disease is refractory to at least 2 PIs, at least 2 IMiDs, and an anti-CD38 mAb

Antibody-drug conjugate

Blenrep (belantamab mafodotin)*

2.5 mg/kg IV over approximately 30 minutes once every 3 weeks

• For relapsed/refractory myeloma (after at least 4 prior therapies including an anti-CD38 mAb, a PI, and an IMiD

Chimeric antigen receptor (CAR)

T cell

Abecma (idecabtagene vicleucel)

300 to 460 × 106 genetically modified autologous CAR T cells in one or more infusion bags

• For relapsed/refractory myeloma (after 4 or more prior lines of therapy, including an IMiD, a PI, and an anti-CD38 mAb

CAR T cell

Bispecific antibody

Carvykti (ciltacabtagene autoleucel)

0.5 to 1.0 × 106 genetically modified autologous CAR T cells/kg of body weight

Tecvayli (Teclistamab) Step up dosing then weekly SQ

• For relapsed/refractory myeloma (after 4 or more prior lines of therapy, including a PI, an IMiD, and an anti-CD38 mAb

For relapsed/refractory myeloma (after 4 or more prior Talquetamab lines of therapy, (PI, an IMiD, and an anti-CD38 mAb

Elranatamab

IMiD,
immunomodulatory agent; PI, proteasome inhibitor; mAb, monoclonal antibody

Emerging Therapies for Relapsed/Refractory Multiple Myeloma

Bispecific antibodies

• Cevostamab, Alnuctamab, ABBV383, and others

• Target BCMA, GPRC5D, or FcRH5 on myeloma cells and CD3 on T cells

• Redirects T cells to myeloma cells

Cereblon E3 ligase modulators (CELMoDs)

• Iberdomide

• Targets cereblon

• Enhances tumoricidal and immune-stimulatory effects compared with immunomodulatory agents

Small molecule inhibitors

• Venetoclax

• Targets Bcl-2

• Induces multiple myeloma cell apoptosis

CAR T-Cell Therapy and Bispecific Antibodies

Autologous CAR T-Cell Therapy: Underlying Principles

Leukapheresis Manufacturing Infusion

Collect patient’s white blood cells

Isolate and activate T cells Engineer T cells with CAR gene

Tumor cell

Activity

Targeting element (eg, CD19, BCMA, CD20)

Spacer

Transmembrane domain

Expand CAR T cells Infuse same patient with CAR T cells

CD19

Viral vector with CAR DNA

CARengineered T cell

Costimulatory domain (eg, CD28 or 4-1BB)

CD3���� (essential signaling domain)

Median manufacturing time: 17-28 days

Patients undergo lymphodepleting (and possibly salvage/bridging) therapy

EHA 2018. Abstr PS1156. Lim. Cell. 2017;168:724. Sadelain.
Brentjens. Nat Med. 2003;9:279. Park. ASH 2015. Abstr 682. Axicabtagene ciloleucel PI. Tisagenlecleucel PI. Slide credit: clinicaloptions.com
Majors.
Nat Rev Cancer. 2003;3:35.

CAR T-Cell Therapy Patient Journey

1 day

4–

Standard of care therapy is permitted until CAR T cells are ready for infusion

3 days

Fludarabine and Cytoxan are used to create “immunologic space” to CAR T cells to expand

3 Lymphodepletion (chemotherapy) 4 Infusion
Apheresis
(Manufacturing) Patients return home
1
2
Immune cells from the patient are collected
6 weeks
2 weeks
Follow up
2 weeks Within
5

Abecma and Carvykti in Relapsed and Refractory Multiple Myeloma

CR or sCR and MRD NE CR or sCR and MRD-

ORR, overall response rate; PR, partial response; VGPR, very good partial response; CR, complete response; sCR, stringent complete response; MRD, minimal residual disease; PFS, progression-free survival

KarMMa Trial. Munshi NC et al. N Engl J Med. 2021;384:705.

CARTITUDE-1 Trial. Berdeja JG et al. Lancet. 2021;398:314; Martin T et al. J Clin Oncol. June 4, 2022 [Epub ahead of print].

Abecma Carvykti 21 20 7 26 0 10 20 30 40 50 60 70 80 90 100 Ide-cel (n=128) Patients (%) PR
ORR 73% Average PFS 9 months
VGPR
3 12.4 82.5 0 10 20 30 40 50 60 70 80 90 100 Cilta-cel (n=97) Patients (%) PR VGPR sCR ORR 97.9% 27-month PFS 55%

CAR T: Expected Toxicities

CRS ICANS

Onset 1−9 days after CAR T-cell infusion

2−9 days after CAR T-cell infusion

Duration 5 11 days 3 17 days

Cytokine release syndrome (CRS) Neurotoxicity (ICANS)

Symptoms

• Fever

• Difficulty breathing

• Dizziness

• Nausea

• Headache

• Rapid heartbeat

• Low blood pressure

Cytopenias Infections

Management

• Actemra (tocilizumab)

• Corticosteroids

• Supportive care

• Headache

• Confusion

• Language disturbance

• Seizures

• Delirium

• Cerebral edema

• Antiseizure medications

• Corticosteroids

*Based on the ASTCT consensus; †Based on vasopressor; ‡For adults and children >12 years;

§For children ≤12 years; ‖Only when concurrent with CRS

Xiao X et al. J Exp Clin Cancer Res. 2021;40(1):367. Lee DW et al. Biol Blood Marrow Transplant. 2019;25:625; Shah N et al. J Immunother Cancer. 2020;8:e000734.

CAR-T access remain an issue

Survey of 20 centers. Responses from 17 centers.

Median (range) MM CAR-T infusion volume in 2021 10-50 (<5,50-100) Number of FDA approved CAR-T slots given per month 1 (0-4) Patients on wait list (FDA approved CAR-T) 20 (5-100) Duration a patient is on waiting list 6 (2-8) months Outcomes of patients on wait list FDA approved CAR-T CAR-T trial non-CAR-T trial hospice or death 25% (0%-64%) 25% (0-50%) 25% (0-50%) 25% (0%-75%) Kourelis T et al. ASCO 2022.

Transplant vs CAR T Cells

Cellular therapies CAR T-cell therapy

Patient’s cells collected

Types

Patient given chemotherapy before cells are infused back into patient Yes,

When in the course of myeloma is this usually done?

After multiple relapses As part of initial treatment

Side effects of treatment

Cytokine release syndrome; confusion

*An immune cell that is the “business end” of the system, in charge of maintaining order and removing cells. †Precursor cells that give rise to many types of blood cells. We actually collect CD34+ve cells.

Fatigue, nausea, diarrhea

Autologous stem cell transplantation
Yes
Yes
of cells collected T cells* Stem cells†
Collected cells are genetically engineered in a lab Yes No
melphalan
lymphodepleting therapy Yes,

Bispecific and Trispecific Antibodies

There are currently 3 approved bispecific antibodies:

Teclistamab (Tecvayli)

Talquetamab (Talvey)

Elranatamab (Elrexfio)

Bispecific Antibodies

Bispecific antibodies are also referred to as dual specific antibodies, bifunctional antibodies, or T-cell engaging antibodies

Bispecific antibodies can target two cell surface molecules at the same time (one on the myeloma cell and one on a T cell)

Many different bispecific antibodies are in clinical development; none are approved for use in myeloma

Availability is off-the-shelf, allowing for immediate treatment

Cohen A et al. Clin Cancer Res. 2020;26:1541.

Examples:

• Elranatamab

• Teclistamab

• TNB-303B (ABBV-383)

• REGN5458

• Cevostamab

• Talquetamab

BCMA, GPRC5D, or FcRH5

Now Approved: Tecvayli, the First Bispecific Antibody

Drug Formulation

Approval

Tecvayli (teclistamab)*

Step-up dosing† the first week then once weekly thereafter by subcutaneous injection

• For relapsed/ refractory myeloma (after 4 or more prior lines of therapy, including an IMiD, a PI, and an anti-CD38 mAb)

IMiD, immunomodulatory agent; PI, proteasome inhibitor; mAb, monoclonal antibody

*Black box warning: cytokine release syndrome; neurologic toxicities

†Patients are hospitalized for 48 hours after administration of all step-up doses.

Tecvayli is available only through a restricted distribution program.

Median duration of response 18.4 months

4.2% 19.4% 6.7% 32.7% sCR CR VGPR PR ≥VGPR: 58.8% ≥CR: 39.4% 63.0% (104/165) Patients (%) Moreau P et al. N Engl J Med. 2022;387:495.

MajesTEC-1: Duration of Response

CR or better median DOR not reached (95% CI: 16.2–NE)

• Overall median DOR of 18.4 months (95% CI: 14.9–NE), and was not yet mature with data from 71 patients (68.3%) censored

• 12-month event-free rate:

• Overall:

Overall median DOR 18.4 months (95% CI: 14.9–NE)

• Patients with CR or better:

68.5% (95% CI: 57.7–77.1)

80.1% (95% CI: 67.6–88.2)

187
104 101 35 17 0 Months 0 0 3 6 9 12 15 18 21 24 20 40 60 Patients (%) 80 100 0 27 65 65 89 60 74 55 28 16 7 6 2 2 0 0 CR or better DOR Patients at risk Overall

MajesTEC-1: Overall Safety Profile; watch for infections

Teclistamab was well tolerated; discontinuations and dose reductions were infrequent

• 2 patients (1.2%) discontinued due to AEs (grade 3 adenoviral pneumonia; grade 4 PML)

• 1 patient had dose reduction at cycle 21

• The most common AEs were CRS and cytopenias

• Infections occurred in 126 (76.4%) patients (grade 3/4: 44.8%)

• 123 patients (74.5%) had evidence of hypogammaglobulinemiaa

• There were 19 deaths due to AEs, including 12 COVID-19 deaths

• 5 deaths due to teclistamab-related AEs:

• COVID-19 (n=2)

• Pneumonia (n=1)

• Hepatic failure (n=1)

• PML (n=1)

188
AEs ≥20%, n (%) Any Grade Grade 3/4 Hematologic Neutropenia 117 (70.9) 106 (64.2) Anemia 86 (52.1) 61 (37.0) Thrombocytopenia 66 (40.0) 35 (21.2) Lymphopenia 57 (34.5) 54 (32.7) Nonhematologic CRS 119 (72.1) 1 (0.6) Diarrhea 47 (28.5) 6 (3.6) Fatigue 46 (27.9) 4 (2.4) Nausea 45 (27.3) 1 (0.6) Pyrexia 45 (27.3) 1 (0.6) Injection site erythema 43 (26.1) 0 (0) Headache 39 (23.6) 1 (0.6) Arthralgia 36 (21.8) 1 (0.6) Constipation 34 (20.6) 0 (0) Cough 33 (20.0) 0 (0)

Elranatamab : Duration of Treatment and Best Overall Response

• Median duration of followup was 12.0 mos (range 0.3–32.3)

• ORR = 64% (95% CI, 50–75); CR/sCR rate = 38% (21/55)

• 54% (7/13) of patients with prior BCMA-directed therapy achieved response

• For responders (n = 35), median TTR = 36 days (range 7–262)

Data cutoff 9/30/2022

Swimmer plot depicts disease assessments relevant to first response, confirmation of response, deepening of response, and best response. Mutational analysis was filtered on functional mutations annotated in OncoKB and normal allele frequency <5% in paired peripheral blood mononuclear cell samples. * Prior anti-BCMA ADC. * Prior BCMA-targeted CAR-T.

MR = minimal response; NE = not evaluable; PD = progressive disease; Q2W = every 2 weeks; REL = relapse; SD = stable disease; TTR = time to response.

Raje N, et al. ASH. 2022: abstract 158.
TP53 KRAS NRAS

MonumenTAL-1: ORR With Talquetamab⍭

ORR was similar for QW and Q2W schedules

• Triple-class refractory: 72.6% and 71.0%

• Penta-drug refractory: 71.4% and 70.6%

• ORR was consistent across subgroups including baseline ISS stage III disease, baseline cytogenetic risk, number of prior therapies, and belantamab exposure, except among patients with baseline plasmacytomas

*Calculated from n =106 responders in each group.

Chari A, et al. Blood. 2022;140 (suppl 1): 384-387.
QW = weekly. Timing, mos 405 μg/kg SC QW n = 143 800 μg/kg SC Q2W n = 15 Median follow -up, mos (range) 14.9 (0.5–29.0). 8.6 (0.2–22.5) Median time to first response*, mos (range) 1.2 (0.2–10.9) 1.3 (0.2–9.2) Median time to best response*, mos (range) 2.2 (0.8–12.7) 2.7 (0.3–12.5) ORR 14.7 15.9 25.9 24.8 9.8 12.4 23.8 20.0 0 20 40 60 80 100 PR VGPR CR sCR 74.1% (106/143) 73.1% (106/145) ≥VGPR: 59.4% 405 μg/kg SC QW 800 μg/kg SC Q2W Patients (%) ≥VGPR: 57.2% 100% 80% 60% 40% 20% 0% Data cut-off 9/12/2022 ⍭Investigational, not FDA-approved

MonumenTAL-1 Talquetamab⍭: Safety*

CRS events

CRS

• Most CRS events were grade 1/2 and largely confined to step-up doses and first full dose

Non-hematologic AEs

• Low rates of grade 3/4 nonhematologic AEs

• Low discontinuation rates due to AEs Most common AEs were CRS, skin-related events, nail-related events, and dysgeusia

Hematologic AEs

• Most high-grade AEs were cytopenias

• Cytopenias were generally limited to first few cycles

*AEs were graded by CTCAE v4.03 with 2–3 step-up doses.

Chari A, et al. Blood. 2022;140
1): 384-387.
(suppl
1 9 Grade 1 89 (62.2%) Grade 1 79 (54.5%) Grade 2: 21 (14.7%) Grade 2: 25 (17.2%) 0% 20% 40% 60% 80% 100% Patients, n (%) Grade 3: 1 (0.7%) Grade 3: 3 (2.1%) 405 μg/kg SC QW 800 μg/kg SC Q2W (n = 143) (n = 145) 79.0 % 72.4%

Bispecific Antibodies: >20% Activity

*Based on a recent sampling

Myeloma cell target Bispecific agent Patients responding* BCMA Teclistamab 63% BCMA REGN5458 73% BCMA Elranatamab 73% BCMA TNB383B 60% BCMA CC93269 89% BCMA AMG701 83% GPRC5D Talquetamab 70% FCRH5 Cevostamab 55%

Bispecific Antibodies: Expected Toxicities

• Cytokine release syndrome (CRS)

• Neurotoxicity (ICANS)

• Usually occurs within first 1–2 weeks

• Frequency (all grade and grade 3–5) higher with CAR T

• Cytopenias

• Target unique

• For example, rash, taste disturbance seen with GPRC5D, but not with BCMA

• Infections

• Incidence for bispecifics at RP2D not yet known

• Viruses: CMV, EBV

• PCP/PJP

• Ongoing discussions regarding prophylactic measures  IVIG

 Anti-infectives

Similarities and Differences Between CAR T-Cell Therapy and Bispecific Antibodies

CAR T-cell therapy Bispecific antibody Approved product Abecma, Carvykti Tecvayli Efficacy ++++ +++ How given One-and-done IV or SC, weekly to every 3 weeks until progression Where given Academic medical centers Academic medical centers Notable adverse events CRS and neurotoxicity CRS and neurotoxicity Cytokine release syndrome +++ ++ Neurotoxicity ++ + Availability Wait time for manufacturing Off-the-shelf, close monitoring for CRS and neurotoxicity

Key Points – CAR T and Bispecifics

CAR T and bispecific antibodies are very active even in heavily pretreated patients.

Side effects of CAR T cells and bispecific antibodies include cytokine release syndrome, confusion, and low blood counts, all of which are treatable.

Abecma and Carvykti are only the first-generation CAR T cells and target the same protein. Different CAR Ts and different targets are on the way.

Bispecific antibodies represent an “off-the-shelf” immunotherapy; Tecvayli was approved in October 2022, and now Talvey and Elrexfio in August 2023

Several additional bispecific antibodies are under clinical evaluation.

The Evolution of Myeloma Therapy

Induction Consolidation Front line treatment Post consolidation Maintenance Rescue Relapsed New Isa-VRD D-KRD CAR T or Bispecifics? Daratumumab? Novel CAR T Cell Therapies Bispecific/Trispecific Antibodies CelMod Agents Venetoclax? Modakafusp Multiple small molecules ++++++++ Now VTD VRD KRD D-VMP DRD D-VRD SCT +/- More induction Lenalidomide Bortezomib Ixazomib Lenalidomide + PI Carfilzomib Combinations Bortezomib Lenalidomide Carfilzomib Pomalidomide Selinexor Panobinostat Daratumumab Ixazomib Elotuzumab Isatuximab Idecabtagene autoleucel Ciltacabtagene autoleucel Teclistamab Talquetamab Elranatamab
ASCT,
autologous stem cell transplant; CAR, chimeric antigen receptor; Cy, cyclophosphamide; d- daratumumab; D/dex, dexamethasone; isa, isatuximab; K, carfilzomib; M, melphalan; PD-L1, programmed death ligand-1; PI, proteasome inhibitor; Rev, lenalidomide; V, bortezomib. Speaker’s own opinions.

Audience Q&A with Panel

• Open the Q&A window, allowing you to ask questions to the host and panelists. They can either reply to you via text in the Q&A window or answer your question live.

• If the host answers live, you may see a notification in the Q&A window.

• If the host replies via the Q&A box – you will see a reply in the Q&A window.

197

Thank you to our sponsors!

198

Upcoming IMF Events

M-Power Tampa – September 23, 2023 in Tampa, FL

M-Power Detroit – November 4th, 2023 in Detroit, MI

You can find all details for upcoming events on our website!

199

Thank you for attending today's program!

September 13, 2023, International Myeloma Foundation’s Regional Community Webinar

Workshop

Video Replay & Slides

As follow up to today's workshop, we will have the speaker slides and a video replay available.

These will be provided to you shortly after the workshop concludes.

We want to hear from you!

Feedback Survey

At the close of the meeting a feedback survey will pop up.

This will also be emailed to you shortly after the workshop.

Please take a moment to complete this survey.

Turn static files into dynamic content formats.

Create a flipbook
Issuu converts static files into: digital portfolios, online yearbooks, online catalogs, digital photo albums and more. Sign up and create your flipbook.