Living Well with Myeloma: Ways to improve your bone health as a myeloma patient

Page 1

Thank You to Our Sponsors!

Today’s Speakers:

Beth Faiman, PhD, RN, MSN, APRN-BC, AOCN, BMTCN, FAAN, FAPO Taussig Cancer Institute, Cleveland Clinic, Cleveland, OH Jens Hillengass, MD, PhD Roswell Park Comprehensive Cancer Center, Buffalo, New York
Topics We hope to answer all of your bone-related questions! Including…. • Review, why bone health is so important in myeloma • Guidelines for diagnosis and treatment • Provide tips on living well with myeloma bone disease

Background

Multiple Myeloma

Proc
Kyle 2003 Mayo Clin

Multiple Myeloma

Rajkumar 2014. Lancet Oncol. Bridoux 2015 Kidney Int,. Terpos 2021 Lancet Oncol, Hillengass2019 Lancet Oncol

Myeloma Bone Disease

Myeloma Bone Disease

Osteoclasts: • Increased Number of osteoclasts and -activity especially in proximity of myeloma cells Osteoblasts: • Reduced osteoblast activity in proximity of myeloma cells • Normal to increased osteoblast activity in other regions => bone destruction by myeloma leads to formation of a „scar“

Myeloma Bone Disease

adapted from Roodman Leukemia 2009

Myeloma Bone Disease

Comm
Merz 2022 Nature

Myeloma Bone Disease

Merz 2022 Nature Comm

Myeloma Bone Disease

Saad 2007 Cancer, Melton 2005 J Miner Res

Guidelines for Diagnosis

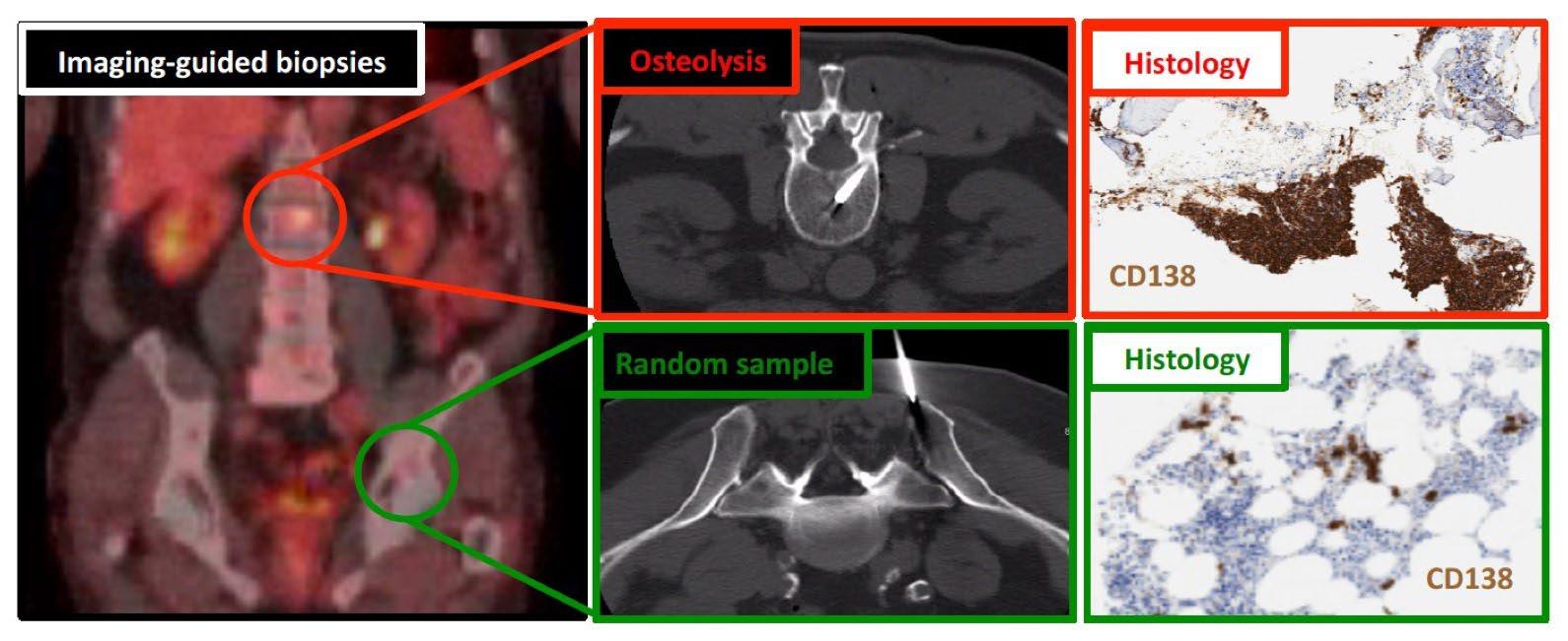
Imaging

Hillengass 2019 Lancet Oncol, Rome 2017 Clin J Oncol, Faiman 2014 Clin Lymphoma Myeloma Leuk, Dimopoulous 2009 Leukemia
Imaging
Edelstyn 1967 Clin Radiol, Hillengass 2017 BCJ

Guidelines for Treatment

Mechanism of Action – Anti-Bone Resorptive Agents

Terpos 2021 Lancet Oncol

Mechanism of Action - Bisphosphonates

adapted from Green The Oncologist 2004

Mechanism of Action - Bisphosphonates

adapted from Green The Oncologist 2004

Mechanism of Action - Bisphosphonates

adapted from Green The Oncologist 2004

Mechanism of Action - Bisphosphonates

adapted from Green The Oncologist 2004

Outcomes - Bisphosphonates

n = 1960

- Improvement of Overall Survival by Zoledronate versus Clodronate

Morgan 2010 Lancet

Mechanism of Action – RANKL - Inhibitors

adapted from Green The Oncologist 2004

Outcomes - Denosumab

Raje 2018 Lancet Oncol

Side Effects - Denosumab

Raje 2017 IMW

Outcomes - Bisphosphonates

Raje 2017 IMW

Side Effects

2012 Ann Oncol
Saad

Side Effects

Adapted from Yamashita 2012 J Evid Base Dent Pract
Duration of Treatment ASCO IMWG EMN ESMO NCCN Initial duration 2 years 1 year continuous 1-2 years in CR/VGPR 2 years Long term Resume at relapse Decrease frequency Continue if <PR According to clinical judgement adapted from Hussain 2022 Blood Rev

Outcomes

Local Therapy

Local Therapy

Kasperk 2012 J Surg Oncol

Summary

Emergency Situations

Guidelines for Physical Activity

General recommendations

2013 JBMR
Orwoll

General recommendations

Huang 2003 J Appl Physiol

CAVEAT: Bone Stability

General recommendations

Resources

Thank You to Our Sponsors!

Turn static files into dynamic content formats.

Create a flipbook
Issuu converts static files into: digital portfolios, online yearbooks, online catalogs, digital photo albums and more. Sign up and create your flipbook.