患者 手册

Page 1

新诊断 患者 手册

出版

国际骨髓瘤基金会
多发性骨髓瘤 | 骨髓癌
2023年2月版 由Brian G.M. Durie 医学博士编写

International Myeloma Foundation ( IMF ,国际骨髓瘤基金会)成立于 1990 年,是第一家、也是规模最大的专业骨髓瘤组织。 IMF 的业务范围

覆盖 140 个国家的 525,000 多名成员。 IMF 致力于改善骨髓瘤患者的生活 质量,同时通过我们的四项基本原则(研究、教育、支持和宣传)努力 实现预防和治愈。

研究 IMF 致力于寻找骨髓瘤的治疗方法,并通过一系列举措来实现这一目标。国 际骨髓瘤工作组成立于1995年,由IMF的科学顾问委员会组建,极负盛名,拥有近

300名骨髓瘤研究人员,开展合作研究以改善患者的预后,同时提供世界各地遵循 的经过严格评估的共识指南。我们的 Black Swan Research Initiative® 正在缩小长期 缓解与治愈之间的差距。我们的年度Brian D. Novis研究资助计划正在为初级和高级 研究人员进行的最有前途的项目提供支持。我们的护士领导委员会由来自先进骨 髓瘤治疗中心的护士组成,为骨髓瘤病人的护理制定建议。

教育 IMF 的网络研讨会、讨论会和讲习班直接为患者及其家属提供来自顶尖骨髓 瘤专家和临床医生的最新信息。我们拥有一个图书馆,包含100多种面向患者、护

理伙伴和医疗保健专业人员的出版物。IMF的出版物始终免费,有英文版和部分其 他语言版本。

支持IMF InfoLine通过电话和电子邮件回复您与骨髓瘤相关的问题和顾虑,抱着关 怀和同情的态度提供最准确的信息。我们还维持着一个骨髓瘤支持团体网络,培 训数百名热心的患者、护理伙伴和护士,他们自愿在自己的社区领导这些团体。

宣传 我们每年为数以千计的人提供支持,帮助他们在有关骨髓瘤群体的关键议 题上发挥积极作用。在美国,我们领导联盟在联邦和州层面代表骨髓瘤群体的利 益。在美国以外,IMF的全球骨髓瘤行动网络致力于帮助患者获得治疗。

如想了解IMF如何帮助改善骨髓瘤患者生活质量并致力

于预防及治愈骨髓瘤的工作,请致电1.818.487.7455

或联系我们,或访问myeloma.org。

目录 您不是孤身一人 4 您将从这本手册中学到什么 4 骨髓瘤是一种非常容易治疗的疾病 4 骨髓瘤的前兆 5 骨髓瘤的一些统计数据 5 骨髓瘤的原因或诱因 6 获得正确诊断 7 骨髓瘤的诊断标准 9 骨髓瘤分期 11 您真正需要的检查 13 基线检查 14 诊断时可能出现的紧急问题 16 骨髓瘤的类型 17 骨髓瘤对骨髓的影响 19 骨髓瘤对髓外的影响 20 新诊断骨髓瘤的治疗 20 自体干细胞移植 23 选择治疗方案 24 是否维持治疗 25 临床试验 25 支持性护理 25 您的医疗团队 28 骨髓瘤患者和COVID-19 28 结语 29 术语和定义 29

您不是孤身一人

国际骨髓瘤基金会随时为您提供帮助。 IMF 致力于为 多发性骨髓瘤 (简

称为“骨髓瘤”)患者及其护理伙伴、朋友和家人提供信息和支持。我

们通过我们的网站myeloma.org、IMF InfoLine、研讨会、网络研讨会、 讲习班以及其他项目和服务提供的广泛资源来实现这一目标。

骨髓瘤是一种 癌症 ,大多数患者在诊断时并不知情。尽可能多地了解骨 髓瘤及其治疗方案非常重要,它可以帮助于您在自己的医疗护理中发挥 积极作用,并与您的医生一起就您的护理做出正确决定。本手册中的信 息将有助于您与您的医疗保健团队进行讨论。

您将从这本手册中学到什么

IMF 的新诊断患者手册将帮助你更好地了解骨髓瘤。本手册末尾的“术 语和定义”章节中对 粗体 + 蓝色 字体的单词进行了解释。更完整的骨髓 瘤相关汇编,即IMF骨髓瘤术语和定义词汇表见glossary.myeloma.org。

如果您正在阅读本手册的电子版,请点击 浅蓝色的超链接 访问相应资

源。 IMF 的所有出版物都是免费的,可以在 publications.myeloma.org 下 载或索取印刷版。

骨髓瘤是一种非常容易治疗的疾病

健康的 浆细胞 是 免疫系统

的重要组成部分。浆细胞是 骨髓 中的一种 白细

胞 (WBC),负责制造名为免疫球蛋白 (Ig) 的抗体。骨髓瘤细胞是恶性浆

细胞,不产生功能性抗体,而是产生异常的单克隆蛋白 (骨髓瘤蛋白,

M蛋白)

骨髓瘤之所以被称为“多发性”,因为它经常累及身体的多个部位。唯

骨髓瘤通常在脊柱、颅骨、骨盆、胸腔、肩部和臀部的骨骼中生长。通 常,手、足、手臂和腿下段的骨骼不会受累。多发性骨髓瘤可表现为 肿瘤和/或一定范围的骨质缺损。这两种情况均称为病变。骨髓中骨髓瘤

细胞的存在会导致骨髓微环境内外的其他医学问题。

4 1.818.487.7455 • 1.800.452.CURE
一不是“多发性”的骨髓瘤是罕见的孤立性浆细胞瘤。

美国食品药品监督管理局 (FDA)、

欧洲药品管理局 (EMA) 和其他监

管机构批准了用于治疗骨髓瘤的

多种高效疗法。目前世界各地正

在进行多项临床试验,在不断充

实的治疗选择列表中增加了更多

有前途的疗法。

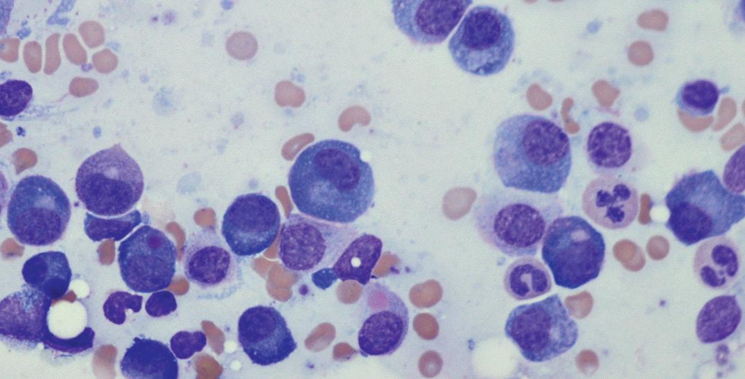
图1.骨髓中的骨髓瘤细胞

许多骨髓瘤患者在诊断后仍然能正常工作生活数年,甚至数十年。骨 髓瘤患者的存活率和生活质量正在稳步提高。了解骨髓瘤并理解其治 疗方法可以帮助患者及其亲人减少焦虑,获得控制感,并使其更容易 接受诊断。

骨髓瘤的前兆

骨髓瘤的最早阶段是一种 良性 疾病,称为 意义未明的单克隆丙种 球蛋白病 (MGUS) 。必须对 MGUS 患者进行严密监测,以防其病情发 生变化。如果 M 蛋白水平保持稳定且没有其他健康变化,则可以延长 血液科医生和/或肿瘤科医生的就诊时间间隔。

所有骨髓瘤患者在进展为骨髓瘤之前都会有 MGUS ,但是只有 20% 诊断 MGUS的患者最终发展为骨髓瘤。MGUS进展为骨髓瘤的风险为每年1%。

MGUS和活动性骨髓瘤之间的阶段称为冒烟型多发性骨髓瘤 (SMM)。其特

点是M蛋白水平高于MGUS,但没有活动性骨髓瘤的指标。在标危SMM患

者中,前五年进展为活动性骨髓瘤的风险为每年 10% ,此后五年为每年

3% ,此后十年为每年 1%-2% 。欲了解更多信息,请阅读 IMF 出版物《了

解MGUS和冒烟型多发性骨髓瘤》。

骨髓瘤的一些统计数据

在美国,根据国家癌症研究所 SEER (监测、流行病学和最终结果)计划

的数据, 2022 年约有 34,470 例新发骨髓瘤病例,占所有新发癌症病例的 1.8% 。另外,根据最新 SEER 数据, 2019 年美国估计有 159,787 名骨髓瘤 患者。

5 myeloma.org

2020 年Oncologist杂志发表的结果表明,骨髓瘤的全球发病率存在显著 差异,表明世界许多地区对其认识不足、治疗效果不佳。该文章强调了

经济资源、医疗保健的可及性和质量以及患者教育对于改善全球骨髓瘤 患者诊断和生存的重要性。

骨髓瘤最常见于 65-74 岁人群,但也有患者在 50 岁之前诊断。 40 岁以前

发病患者仅占5-10%。儿童骨髓瘤极为罕见。

男性比女性更容易患骨髓瘤。非洲裔人群中该病的发病率是普通人的 两倍。目前在世界某些地区骨髓瘤的发病率似乎正在增加,特别是在 亚洲。

大约 5%-7% 的骨髓瘤患者近亲被诊断为 MGUS 、 SMM 或骨髓瘤。如果您 的近亲诊断此类疾病,请告诉您的初级保健医生将此信息记入您的病

历。相反,如果您患有 MGUS 、 SMM 或骨髓瘤,请告诉您的亲戚通知他 们的医生,将您的诊断记入他们的病史中。

骨髓瘤的原因或诱因

接触任何干扰或抑制免疫系统的物品,或感染致癌病毒,都被认为是骨 髓瘤的原因或诱因。已确定的有毒化学品包括:

¡ 苯。

¡ 二恶英(例如橙剂中发现的二恶英)。

¡ 农用化学品(如脱叶剂和杀虫剂)。

¡ 溶剂。

¡ 燃料。

¡ 发动机废气。

¡ 清洁产品。

被认为可能引发骨髓瘤的病毒包括 HIV (艾滋病病毒)、肝炎、某些疱 疹病毒和猿猴病毒 40 ( SV40 , 1955 年至 1963 年间使用的 Sabin 脊髓灰质 炎疫苗制剂中的污染物)。

6 1.818.487.7455 • 1.800.452.CURE

获得正确诊断

多发性骨髓瘤是一种非常个体化的疾病。它通常进展缓慢。有时可能进 展非常迅速。擅长骨髓瘤和其他浆细胞疾病的熟练血液学肿瘤科医生可 以做出正确的诊断,并根据您的个人情况量身定制最适合的治疗方法。

当地的肿瘤科医生可能会见过几名骨髓瘤患者,或者根本没见过此类患 者。大型“高容量”治疗中心和大型学术机构的骨髓瘤专家诊治数以百 计的骨髓瘤患者,使用新药和新的联合疗法进行临床试验,并掌握做出 适当决策所需的专业知识。经验丰富的骨髓瘤专家能够预见与治疗相关 的问题,并预防或减轻这些问题。

表1.IMWG诊断标准

疾病 定义 MGUS 必须满足所有标准

1.血清M蛋白<3 g/dL,

2.骨髓中单克隆浆细胞<10%,并且

3.不符合 CRAB 标准 – 钙 ( C alcium) 水平升高、肾 ( R enal) 损害、贫血 (Anemia) 或骨 (Bone) 病变。

轻链MGUS 必须满足所有标准

1.异常FLC比率<0.26或>1.65,

2.受累轻链水平(比率>1.65的患者κ FLC升高,比率<0.26的患者λ FLC 升高),

3.免疫固定检测显示无Ig重链表达,

4.不符合CRAB标准:

5.骨髓中单克隆浆细胞<10%,并且

6.24小时尿M蛋白<500 mg。

SMM 必须同时满足两条标准

1.血清中M蛋白(IgG或IgA)≥3 g/dL,或24小时尿M蛋白≥500 mg,和/ 或骨髓中可见10%-60%的单克隆浆细胞,以及

2.无骨髓瘤定义事件 (MDE) 或淀粉样变性。

1.骨髓中单克隆浆细胞≥10%,或活检证实骨或髓外浆细胞瘤,以及

2.以下任何一种或多种骨髓瘤定义事件 (MDE):

¡ 存在CRAB标准:

¡ 骨髓中单克隆浆细胞≥60%,

¡ 受累与未受累血清 FLC 之比 ≥100 (受累 FLC 水平必须 ≥100 mg/L ,

UPEP显示24小时尿M蛋白水平必须至少为200 mg),

¡ MRI检查可见一个或多个局灶性病变(大小至少为5 mm),

¡ 骨骼x线、CT或PET-CT显示一个或多个溶骨性病变。

改编自:Rajkumar SV, Dimopoulos MA, Palumbo A, et al.InternationalMyelomaWorking Groupupdatedcriteriaforthediagnosisofmultiplemyeloma. Lancet Oncology 2014.

7 myeloma.org
必须同时满足两条标准
骨髓瘤

骨髓中骨髓瘤细胞 增多的影响 CRAB标准

表2.骨髓瘤相关的医学问题

原因 对患者的影响

C – 血液中钙水平 升高 钙从受损的骨骼中释放到 血液中。

• 精神混乱

• 脱水

• 便秘

• 疲乏

• 虚弱

• 肾损害

R – 肾脏问题 –肾损害

骨髓瘤细胞产生的异常 M 蛋白释放入血,并可能进 入尿液,导致肾损害。高 血钙、感染和其他因素也 会导致或加重肾损害的严 重程度。

A – 贫血 骨髓生成红细胞的细胞数 量和活性减少。

B – 骨损害

• 变薄(骨质疏 松症)

• 更严重的损害 区域(称为溶 骨性病变)、

骨折或椎骨 塌陷

其他类型的 器官功能障碍

骨髓瘤细胞激活破骨细胞 (破坏骨骼)并阻止成 骨细胞(修复受损的骨 骼)。

• 循环不畅

• 疲乏

• 精神混乱

除 CRAB 特征外,骨髓瘤的 局部或全身影响。

• 疲乏

• 虚弱

• 骨痛

• 骨骼断裂或塌陷

• 骨骼肿胀

• 神经或脊髓损伤

免疫功能异常 骨髓瘤细胞使产生抗感染 抗体的正常浆细胞的数量 和活性减少。

• 神经病变

• 反复感染

• 出血问题

• 其他个人问题

• 易感染

• 感染恢复延迟

8 1.818.487.7455 • 1.800.452.CURE

即使您附近没有骨髓瘤专家,我们也鼓励您亲自或远程从专家那里获得 第二意见。此外,您当地的医生可以安排请骨髓瘤专家会诊,讨论您的 病例,然后与专家合作对您进行护理。

2016 年发表的一项大型研究表明,在“高容量”中心接受护理的患者的 总生存率 (OS) 优于较小的医疗机构。这就是我们建议您咨询骨髓瘤专家 的原因。

骨髓瘤的诊断标准

“CRAB标准”是骨髓瘤引起的最常见的医疗问题:

¡ 血液中钙 (Calcium) 含量升高。

¡ 肾脏损害(或者用医学术语来说,肾 (Renal) 损害)。

¡ 血细胞计数降低(尤其是红细胞 (RBC) 计数降低,即贫血 (Anemia))。

¡ 骨 (Bone) 损害。

多年来, CRAB 标准是诊断

活动性骨髓瘤的唯一依据。

如果没有任何迹象表明骨髓

瘤已经导致“终末器官损 伤”,医生会对患者进行监 测,但不会进行治疗。

近年来,出现了更有效的骨髓 瘤治疗方法以及更好的早期疾 病评估方法,骨髓瘤的治疗模 式随之发生了重大变化。

IMF研究机构成员International Myeloma Working Group

( IMWG ,国际骨髓瘤工作

者,以寻找可以预测 18 个月

至两年内发生终末器官损伤

9 myeloma.org
组) 研究了 无症状 SMM 患
- + 骨髓瘤 细胞 溶骨性 损害 健康骨骼 多发性骨髓瘤 图2.健康的骨骼与骨髓瘤骨相比 © 2017 Slaybaugh Studios

图3.骨髓瘤和早期骨髓瘤的定义

CRAB标准

骨髓瘤定义事件 (MDE)

 骨髓浆细胞≥60%

 单克隆与正常轻链之比≥100

 MRI显示1个以上病灶

西班牙标准 梅奥标准

MM 多发性骨髓瘤

早期活动性骨髓瘤超高危冒烟型性骨髓瘤

HR SMM 高危冒烟型性多发性骨髓瘤

LR SMM 低危冒烟型性多发性骨髓瘤 MGUS 意义未明的单克隆丙种球蛋白病

表3.Durie-Salmon分期系统 (DSS)

满足以下所有条件:

• 血红蛋白值>10 g/dL

• 血清钙值正常或<10.5 mg/dL

• 骨 X 线检查,骨结构正常( 0 级) 或仅孤立性骨浆细胞瘤

• M 蛋白生成率低, IgG 值 <5 g/dL ;

IgA值<3 g/dL

• 电泳尿液轻链M蛋白<4 g/24 h

0.6×1012/m2

分期 标准 测量骨髓瘤细胞数 (全身骨髓瘤细胞) I期 (细胞数低)

II期

(细胞数中等)

I期和III期 0.6-1.2×1012/m2

III期

(细胞数高)

满足以下一个或多个条件:

• 血红蛋白值<8.5 g/dL

• 血清钙值>12 mg/dL

• 晚期溶骨性病变(3级)

• M 蛋白生成率高, IgG 值 >7 g/dL ; IgA值>5 g/dL

• 尿液轻链M蛋白>12 g/24 h

• A:肾功能相对正常(血清肌酐值)<2.0 mg/dL

>1.2×1012/m2 亚类 (A或B)

• B:肾功能异常(血清肌酐值)>2.0 mg/dL

10 1.818.487.7455 • 1.800.452.CURE
MM HR SMM LR SMM
活动性 骨髓瘤 MGUS
早期
不符合

的生物标志物。该研究完成并发表后, IMWG 撰写了新的骨髓瘤诊断指 南,纳入了三种骨髓瘤定义事件 (MDE)。以下MDE独立表明需要治疗:

1. 骨髓中浆细胞≥60%。

2.受累游离轻链与未受累游离轻链之比≥100。(未受累轻链指不由骨 髓瘤细胞产生的轻链。)

3.磁共振成像 (MRI) 扫描发现存在多个局灶性病变。

这三种 MDE 可以通过检查来判断,这些检查应该成为新诊断患者骨髓 瘤检查的一部分:

¡ 骨髓活检。

¡ Freelite®检测(血清游离轻链分析)。

¡ MRI扫描。

骨髓瘤分期

骨髓瘤诊断时的疾病分期因患者而异。

1975 年引入了 Durie-Salmon 分期系统 (DSS) 对骨髓瘤患者进行分类。

DSS 证明了骨髓瘤的数量和其所致损害之间的相关性。有些患者 M 蛋白 量很高,而骨髓瘤细胞的数量却很低。相反,有些 M 蛋白比较低的患 者,骨髓瘤细胞的数量却很高。

IMWG于2005年基于预后因素和预期生存期开发了国际分期系统 (ISS)。

ISS 对最能预测侵袭性骨髓瘤的疾病行为进行评估。 ISS 基于侵袭性疾病 的四个高度预测标志物:

1.血清β-2微球蛋白 (S β2M),

2.血清白蛋白 (S ALB),

3.C-反应蛋白 (CRP),以及

4.血清乳酸脱氢酶 (LDH)。

IMWG于2015年公布了修订的国际分期系统 (R-ISS),将ISS与两种染色体

异常检测相结合。我们强烈建议对诊断时采集的骨髓样本进行这两项

染色体检查:

¡ 细胞遗传学(核型分析),

¡ 荧光原位杂交 (FISH)。

11 myeloma.org
12 1.818.487.7455 • 1.800.452.CURE
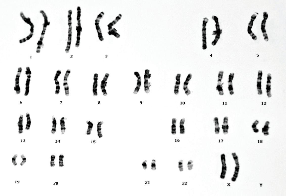
图5.骨髓瘤细胞的荧光原位杂交 (FISH) 图4.人染色体核型分析 图6.高危骨髓瘤的染色体异常 缺失 易位

您真正需要的检查

实验室血液检查可以评估血源性蛋白质S β2M、S ALB、CRP、和LDH。

细胞遗传学是一种实验室检查,它对正在分裂的骨髓瘤细胞中的染色 体进行评估。骨髓瘤细胞的活跃生长率通常很低。不足 3% (通常低于 1%)的细胞正在增殖。即使存在任何染色体异常,这种评估是也不完整 的。尽管如此,一旦发现异常则有重要意义,因为这些异常出现在少数 实际生长的细胞中。

FISH 是对骨髓标本中所有骨髓瘤细胞的染色体进行分析。 FISH 检测可以 检出染色体易位、缺失片段、多余片段及染色体丢失。无论骨髓瘤细 胞是否正在生长, FISH 都能检出异常。在骨髓样本中加入发出荧光(发 光)的特殊基因探针。这些探针追踪细胞分裂后的遗传物质,并发出信 号表明是否存在已知骨髓瘤中会发生的染色体异常。

不同的染色体标注不同颜色的探针。例如,如果 4 号染色体的遗传物质 错误地与 14 号染色体连接,那么标注这些染色体遗传物质的不同颜色 的点将出现在一起,提示高危异常 t(4;14) ,它代表“ 4 号和 14 号染色体 之间的遗传物质易位”。其他被视为高危的异常有 t(14;16) 和 t(14;20) 、

表4.骨髓瘤的危险因素和R-ISS

β2-微球蛋白<3.5 mg/L,血清白蛋白≥3.5 g/dL

ISS I期或III期

β2-微球蛋白≥5.5 mg/L

FISH检测 发现CA 高危 存在以下一项或多项:del(17p)、t(4;14)、t(14;16)

标危

13 myeloma.org
预后因素 标准 ISS
I 血清
II 非
III 血清
LDH
血清
升高 血清LDH>正常值上限 多发性骨髓瘤危险度分层的新模型 R-ISS期 I ISS I期,FISH示标危CA,LDH正常 II 非R-ISS I期或III期 III ISS III期,FISH示高危CA,LDH升高 CA,染色体异常;FISH,荧光原位杂交;ISS,国际分期系统;LDH,乳酸脱氢酶; R-ISS,修订的国际分期系统。
非高危CA
正常
LDH<正常值上限

del(17p) ,代表“ 17 号染色体短臂(上段)缺失”,以及 +1q ,代表 “1号染色体长臂(下段)长度增加”。

异常染色体的存在通常表明预后不良,但这只是一种趋势,而不是肯定 会发生。在具有任何高危特征的患者中,大约三分之一可以通过目前的 标准治疗方案(包括诱导治疗后自体干细胞移植 (ASCT))获得成功并达 到正常预后。

基线检查 骨髓活检:

这是确定骨髓中骨髓瘤细胞的存

在与否和百分比以及评估预后的 最重要的检查。 I 期骨髓瘤或孤

立性浆细胞瘤可能需要对肿瘤块

进行直接活检。细胞遗传学分析 可以提示良好或不良的染色体特

征,但此类检查需要新鲜的骨髓 样本。

血液检测:

¡ 全血细胞计数 (CBC) 用于评估

图7.骨髓活检

活检部位

皮肤

骨 © 2015 Slaybaugh Studios

是否存在贫血、白细胞计数降低和血小板计数降低及其严重程度。

¡ 生化全套用于评估肾功能(肌酐和BUN)、肝功能、白蛋白、钙水平 和LDH。

表5.预后因素

检查 意义

血清β2微球蛋白 (S β2M)

血清白蛋白 (S ALB)

C反应蛋白 (CRP)

血清乳酸脱氢酶 (LDH)

骨髓细胞遗传学异常染色体和

荧光原位杂交 (FISH)

其水平越高,表明越晚期。

其水平越低,表明越晚期。

随着疾病的活跃而升高。

随着疾病的活跃而升高。

有几种染色体缺失或易位被视为高 危;可能与缓解期缩短有关。

14 1.818.487.7455 • 1.800.452.CURE
骨髓

¡ 血清蛋白电泳 (SPEP) 评估骨髓

瘤重链蛋白的量,并显示是否存

在M峰。

¡ 免疫固定电泳 (IFE) 显示骨髓瘤蛋

白的重链(G、A、D、E和M)和

轻链(kappa [κ]、lambda [λ]) 类型。

albumin

¡ 如果未发现 SPEP 或 UPEP 异常,

Freelite检测可测定游离κ或λ轻 链的量以及κ与λ之比。

图8.SPEP检测结果

albumin

alpha-1 alpha-2 beta-1 beta-2 gamma

SPEP检测结果正常

albumin

beta-2

¡ Hevylite® 检测可测量完整免疫球 蛋白的正常和异常水平。

alpha-1 alpha-2 beta-1 beta-2 gamma

尿蛋白电泳 (UPEP) 显示尿液中 M 蛋 白的含量。免疫固定显示 M 蛋白的 类型。

骨骼检查:

采用以下方法,对是否存在骨损

害、其严重程度及部位进行评估:

alpha-1 alpha-2 beta-1 gamma

结果异常,骨髓瘤细胞产生M蛋白,β-2区产 生M峰

alpha-2 beta-1 beta-2

结果异常,骨髓瘤细胞产生M蛋白,γ区产生 M峰

¡ X 线显示大多数患者的特征性骨髓瘤骨病,但大约 25% 的活动期骨

髓瘤患者 X 线可能呈阴性。需要使用全身 MRI 、全身低剂量 轴向计

进一步成像,以排除可能的骨骼受累。需要使用系列 X 线片对骨髓

瘤进行全面的骨骼检查,以显示由骨髓瘤骨质破坏、溶骨性病变 或任何骨质骨折或塌陷引起的骨丢失(骨质疏松)或变薄(骨质 减少)。

15 myeloma.org
尿液检查:
算机断层扫描( CAT 或 CT ) 或 正电子发射断层扫描 (PET) -CT 进行
alpha-1
beta-2 albumin alpha-1
gamma
albumin
alpha-2 beta-1 gamma

¡ X 线显示无骨损害时, MRI 可以揭示骨髓中是否存在病变及其分布。

MRI 可显示特定区域(如脊柱和大脑)的更多细节。 MRI 还可以显示

可能压迫神经和/或脊髓的髓外疾病。

¡ CT 扫描可创建体内结构的三维图像。对于骨髓瘤,在 X 线呈阴性或

需要对特定区域进行更详细的成像时,使用 CT 扫描。 CT 扫描对于检 测或详细评估小面积的骨损害或神经压力特别有用。

¡ PET扫描是一种更为灵敏的全身扫描技术。使用氟脱氧葡萄糖 (FDG)PET 或 PET-CT 有助于监测骨髓瘤,尤其是 非分泌型骨髓瘤 。 CT 用于

评估PET阳性疾病的部位。

¡ 骨密度检查有助于评估骨髓瘤弥漫性骨丢失的严重程度并衡量 双磷酸盐治疗的连续改善情况。

¡ 核素扫描对骨髓瘤没有用,除非为了排除其他诊断,否则不应进行 核素扫描。

有关骨髓瘤检查的更多信息,请阅读 IMF 出版物

果》。

诊断时可能出现的紧急问题

《了解您的检查结

由于骨髓瘤经常累及 椎骨 ,且脊髓在椎骨中穿过,因此疼痛性椎骨骨

折进而导致神经压迫并不少见。运动神经丧失会导致瘫痪。生长在椎 骨中的骨髓瘤也会压迫脊神经。骨骼中钙的分解会导致 高钙血症 ,即

血液中钙含量过高。高钙血症和血液中M蛋白水平升高都会严重影响肾 脏,导致肾衰竭。

椎骨压缩性骨折、脊髓神经损伤、感染和肾衰竭都是紧急医疗问题, 在开始骨髓瘤全身治疗之前需要注意。我们鼓励立即咨询骨髓瘤专 家,以确保对紧急问题的任何处理都不会影响将来的所有治疗选择。

例如,必须仔细权衡 放疗 (目的在于使压迫神经组织的浆细胞瘤缩

小)与手术选择,因为放疗可能会损害骨髓并限制后续治疗的选择。

16 1.818.487.7455 • 1.800.452.CURE

骨髓瘤的类型

根据骨髓瘤细胞产生的免疫球蛋白类型,将骨髓瘤分为不同的类型和 亚型。体内有五种正常重链免疫球蛋白,分别为 IgG 、 IgA 、 IgD 、 IgE 和 IgM ,它们执行不同的功能。每个患者的骨髓瘤细胞仅产生这五种免疫 球蛋白中的一种。

每个免疫球蛋白由两条轻链与两条重链相结合组成。轻链有两种: kappa (κ) 和lambda (λ)。通过免疫固定电泳 (IFE) 对骨髓瘤进行分型。

大约 65% 的骨髓瘤患者为含κ或λ轻链的 IgG 骨髓瘤。第二常见类型为 IgA骨髓瘤,也含κ或λ轻链。IgD、IgE和IgM型骨髓瘤非常罕见。

除了产生轻链与重链结合的完整分子组合之外,大约三分之一的骨髓瘤 患者还产生游离轻链。在大约 15%-20% 的患者中,骨髓瘤细胞仅产生轻 链而不产生重链。这称为 本周氏骨髓瘤 ,以 1848 年首先发现、鉴定轻链 并发表结果的英国医生命名。轻链单克隆蛋白比重链小、重量轻,因此 能够通过将血液输送到肾脏的微小毛细血管。轻链通过血液到达肾脏后

可能会积聚并堵塞肾小管,导致肾功能下降。

在极少数情况下,仅有约 1%-2% 的患者骨髓瘤细胞产生极少量、甚至 不产生任何一种单克隆蛋白。这就是所谓的非分泌型骨髓瘤。 Freelite

检测可以检出约 70% 的极低分泌型患者血液中的微量轻链。 2015 年,梅

奥诊所发表了一项针对 124 名非分泌型骨髓瘤患者的研究,得出结论, 非分泌型骨髓瘤患者的生存率似乎优于分泌型骨髓瘤患者。

图9.免疫球蛋白的结构

17 myeloma.org
IgM IgA IgG、IgE、IgD

仅轻链或本周氏 骨髓瘤: κ或λ型

非分泌型骨髓瘤: κ或λ型

表6.骨髓瘤类型和相关疾病

• 典型骨髓瘤 – 大多数患者

通过SPEP (IgG)和 /或定量免疫球蛋白 (QIG)测量 (IgA/ IgD/IgE) 追踪血清中的单克隆蛋白进行监测。对 于IgA骨髓瘤来说,QIG测量通常更可靠。

• 本周氏骨髓瘤 – 约15%-20%的患者

通过使用 UPEP 追踪尿液中的单克隆轻链和 / 或使 用血清中的血清游离轻链测量 (Freelite) 进行监 测。

• 不常见的骨髓瘤 – 1%-2%的患者

通过血清游离轻链分析 (Freelite) 或骨髓活检和 / 或PET-CT扫描进行监测。

IgM

• IgM骨髓瘤 – 一种非常罕见的亚型

通常,IgM的产生发生在华氏巨球蛋白血症中, 这种疾病更像是淋巴瘤,而不是骨髓瘤(一种 骨髓癌)。

淀粉样变性:

AL或免疫球蛋白 轻链型

κ或λ亚型

轻链沉积病 (LCDD):

κ或λ亚型

POEMS综合征:

通常为IgG或IgA λ (很少有κ亚型)

• 淀粉样变性

轻链以线性方式( β - 折叠)沉积在组织中,而 不是在尿液中分解和/或排泄。淀粉样变性有多 种类型,涉及不同类型蛋白质的沉积。例如, 阿尔茨海默病涉及大脑中的蛋白质沉积。

• 骨髓瘤相关淀粉样蛋白

轻链可以沉积在许多组织中,包括皮肤、舌、 心脏、肾脏、神经、肺、肝和肠。 组织“刚果

红”染色试验阳性,这具有诊断意义。使用质 谱和/或电子显微镜进行更详细的测试可能是合 适的和必要的。

• LCDD

轻链以无序的交联方式沉积。组织直接κ或λ 免疫染色呈阳性。刚果红染色通常呈阴性。组 织沉积有不同的模式,通常涉及肾脏、肺内层 (胸膜)或腹膜(肠道周围)或眼睛内。

• POEMS综合征

一种复杂疾病,涉及多发性神经病、器官肿 大、内分泌障碍、单克隆丙种球蛋白病和皮肤 变化。其诊断和治疗与骨髓瘤不同。

18 1.818.487.7455 • 1.800.452.CURE
疾病类型 描述 骨髓瘤: IgG κ或λ IgA κ或λ 更罕见的亚型: IgD、E或M
骨髓瘤: κ或λ亚型

了解您的骨髓瘤类型的重要性

了解您的骨髓瘤类型将有助您在治疗过程中理解并跟踪您的检查结 果。 Freelite 检测与 SPEP 一起用于监测骨髓瘤细胞产生的轻链和重链 M

蛋白水平。测定骨髓瘤细胞的产量是一种间接但有效的评估癌症数量 和活性的方法。骨髓活检是直接观察骨髓瘤细胞的唯一方法。

我们将定期进行检查(监测您的M蛋白水平),并进行多项其他检查,

以评估您对治疗的反应,跟踪您在缓解期的状态。我们强烈建议您持 续记录这些检查结果,并熟悉用于骨髓瘤的检查。我们再次建议您阅

读IMF的出版物《了解您的检查结果》

不同类型骨髓瘤的行为

¡ IgG骨髓瘤是最常见的类型,其行为符合通常的CRAB特征。

¡ IgA骨髓瘤有时以骨外肿瘤为特征。

¡ IgD骨髓瘤可伴有浆细胞白血病 (PCL),其特征是血液中循环的骨髓瘤 细胞水平很高。众所周知,IgD骨髓瘤也会导致肾损害。

¡ 轻链骨髓瘤 最容易引起肾损害和 / 或导致轻链在肾脏和 / 或神经或其它

器官里沉积。基于轻链沉积物的特征,这种情况称作淀粉样蛋白轻链 淀粉样变性(AL淀粉样变性)或轻链沉积病 (LCDD)。

浆细胞的其他相关疾病包括 华氏巨球蛋白血症 (WM) (与 IgM 相关)和

POEMS 综合征(一种与神经病变、器官肿大、内分泌紊乱、单克隆蛋 白和皮肤变化相关的罕见疾病)。

骨髓瘤对骨髓的影响

骨髓瘤细胞将许多蛋白质和其他化学物质释放到局部骨髓微环境中, 并直接进入血液。所有的血细胞,包括白细胞、红细胞和血小板, 都是在骨髓中产生的。当骨髓瘤在骨髓中生长时,其影响包括血细胞 生成减少。贫血(红细胞或血红蛋白水平降低)是骨髓瘤的早期常见 症状。

19 myeloma.org

健康骨髓中,细胞处于骨分解

和骨生成的动态平衡过程,以

维持我们的骨骼。骨髓中骨髓瘤

细胞的存在会刺激分解骨的细胞

(破骨细胞)并抑制形成新骨的

细胞(成骨细胞)。这会扰乱它

们的平衡,导致骨痛、骨折以及

钙释放入血。

骨髓瘤对髓外的影响

随着骨髓瘤细胞在骨髓中的繁

殖和蓄积, M 蛋白被释放入循环

血液。 M 蛋白可引起远处组织损

图10.骨骼构造解剖学

含有红髓的 松质骨 密质骨 黄髓

破骨细胞 (分解骨)

骨细胞

成骨细胞 (生成新骨)

伤。例如,肾损害很常见。M蛋白还会干扰血液凝固和/或循环,可能导

致其他器官或组织损伤,例如神经组织损伤(周围神经病变,PN)。

新诊断骨髓瘤的治疗

及时有效的治疗对于任何骨髓瘤患者都至关重要,特别是具有 高危骨髓瘤特征的患者。基线检测、分期和预后分类是必不可少的。最 重要的初步决定是何时开始治疗骨髓瘤。

骨髓瘤的治疗可控制骨质破坏和肿瘤生长以及 M 蛋白和其刺激的 细胞因子所致的各种效应。

建议对有症状的活动期骨髓瘤和无症状的 MDE SMM 进行治疗。治疗的

紧迫性取决于个体患者实际面临的问题。这就是骨髓瘤专家的经验和专 业知识如此重要的原因。

近年来,多项重要临床试验在新诊断骨髓瘤的治疗方面取得了重大进 展,并极大地丰富了患者的选择。在 IMF 免费提供的药物特异性《了

解》系列出版物中,更详细地讨论了骨髓瘤的治疗药物。

20 1.818.487.7455 • 1.800.452.CURE
© 2017 Slaybaugh Studios

图11.何时开始治疗SMM或新诊断的骨髓瘤

可能的新诊断的SMM或骨髓瘤

骨髓瘤(有MDE):

• 一个或多个CRAB特征

• 浆细胞≥60%

• FLC比≥100

• MRI>1个病灶

12.适合ASCT患者的诱导治疗算法

VRd或DRd治疗3-4个周期

采集干细胞并 冷冻保存

VRd诱导:

继续 VRd治疗6个周期,

然后Revlimid维持治疗 或者

DRd诱导:继续DRd治疗, 复发时延迟 ASCT治疗

D-VRd治疗3-4个周期

早期ASCT

图13.针对不适合ASCT患者的诱导治疗算法

标危骨髓瘤

VRd治疗8-9个周期 DRd治疗直至 进展

Revlimid

高危骨髓瘤

VRd治疗8-9个周期

VR维持治疗

DRd治疗直至 进展

©2022,

21 myeloma.org
早期使用
或低危SMM 作为骨髓瘤 治疗 临床试验 观察
SMM(无MDE) ©2022,
SV Rajkumar
Revlimid 或Rd治疗2
高危SMM 中危
©2022, SV Rajkumar
标危骨髓瘤 高危骨髓瘤
©2022, SV Rajkumar
早期ASCT Revlimid 维持治疗 VR维持治疗
©2022, SV Rajkumar SV Rajkumar
维持治疗
©2022, SV Rajkumar

以下为截至 2023 年 1 月 FDA 批准用于新诊断骨髓瘤的药物,按字母顺序 排列:

¡ Darzalex® (达雷妥尤单抗) 是一种单克隆抗体,通过静脉输注给 药,已获准用于以下组合:

• 联合 Velcade® (硼替佐米) + 沙利度胺 + 地塞米松 (D-VTd) 用于适

合行ASCT的患者,

• 联合Revlimid®(来那度胺)+ 地塞米松 (DRd) 用于不适合行ASCT的 患者,

• 联合万珂 + 美法仑 + 泼尼松 (D-VMP) 用于不适合行ASCT的患者, 以及

• 联合万珂 + Revlimid + 地塞米松 (D-VRd)——参见以下关于VRd方案 的注释。

¡ Darzalex Faspro®(达雷妥尤单抗和透明质酸酶- hj)是一种单克隆 抗体,通过皮下注射给药,并获准用于以下组合:

• D-VTd用于适合行ASCT的患者,

• DRd用于不适合行ASCT的患者,以及

• D-VMP用于不适合行ASCT的患者。

¡ 地塞米松和其他类固醇通常与一种或多种其他药物联合给药,并且 可以口服或静脉内给药。

¡ Revlimid®(来那度胺)是一种口服免疫调节剂,是获准用于诱导治 疗的几种联合治疗方案(包括VRd)的成份之一(见下文)。

¡ 沙利度胺 于 2006 年获准用于治疗骨髓瘤,是首个获得 FDA 批准的免 疫调节剂。

¡ Velcade® (硼替佐米) 是一种 蛋白酶体抑制剂 ,是获准用于诱导治 疗的几种联合治疗方案(包括VRd)的成份之一(见下文)。

¡ VRd联合治疗方案包括万珂 + 来那度胺 + 地塞米松,目前被认为是 新诊断骨髓瘤患者的标准治疗。

• Darzalex + VRd (D-VRd) 联合治疗方案尚未获得 FDA 正式批准,但

已被National Comprehensive Cancer Network(NCCN,美国国家

综合癌症网络)

纳入其骨髓瘤治疗指南。在 2021 年 12 月 American

22 1.818.487.7455 • 1.800.452.CURE

Society of Hematology ( ASH ,美国血液学会)年会上, GRIFFIN

临床试验的最新分析表明,对于符合 ASCT 条件的新诊断骨髓瘤患 者, D-VRd 比单独使用 VRd 更安全、更有效,且无更多安全性问 题,对干细胞动员也没有负面影响。

FDA批准用于诱导治疗的其他主要药物类别包括烷化剂(如美法仑、环 磷酰胺)和蒽环类药物(如阿霉素、脂质体阿霉素),但这些药物很 少使用,因为有更多活性药物可用。

如果特定的诱导治疗不起作用,除了本入门手册范围之外,还有许多 治疗可供选择。然而,不建议在未尝试所有可用选择的情况下从一种 治疗方案快速转换为另一种治疗方案。

自体干细胞移植

ASCT 用于治疗骨髓瘤已有二十多余年历史。移植医生试图在收集干细

胞和实施大剂量治疗 (HDT) 之前减轻肿瘤负担(杀死尽可能多的骨髓瘤 细胞)。因此,患者在开始干细胞抢救HDT过程之前接受诱导治疗。即

使一线治疗没有显著反应,患者仍可以继续进行采集、 HDT 和 ASCT ,

并且仍然能得到良好结果。只要疾病没有继续进展,HDT之后的反应远 比之前的反应重要。

2021 年 3 月, NCCN 更新了骨髓瘤治疗指南。 NCCN 指出, ASCT 仍然是 符合条件的新诊断骨髓瘤患者一线治疗的关键组成部分。 IFM 2009 临 床试验随访数据的最新发现证实了 ASCT 对新诊断骨髓瘤的益处。中 位随访 93 个月时, VRd 诱导后联合 ASCT 的中位 无进展生存期 (PFS) 为 47.3个月,而单独使用VRd为35.0个月。

在美国,对于 Durie-Salmon II 期或 III 期骨髓瘤且为新诊断或仍对治疗 有反应的患者, Medicare 保险将为符合条件的任何年龄患者承保单次

ASCT 。患者还必须有足够的心脏、肝脏、肺和肾功能。 Medicare 不承

保“串联”(两次背靠背)自体移植,但如果患者进行了Medicare承保

的一次移植,然后在缓解两年或更长时间后复发,Medicare可能会承保

当时的另一次移植。

欲了解更多信息,请阅读IMF的《了解骨髓瘤干细胞移植》。

23 myeloma.org

选择治疗方案

必须考虑几个重要问题。

¡ 日常生活:治疗将影响日常活动能力吗?

¡ 工作:需要改变或者中断吗?

¡ 年龄:年龄对治疗方案的选择及预期效果是否是一个影响因素?

¡ 治疗副作用:这些会有多重要?

¡ 其他医疗问题:它们会影响治疗选择和治疗耐受性吗?

¡ 移植:是否选择大剂量化疗联合ASCT?

¡ 缓解速度:治疗起效的速度有多快?如何评估缓解?

¡ 最初和后来的决定:有多少事情需要立即决定?

¡ 经济考虑:我的保险涵盖治疗的哪一部分?我的经济责任是什么?

是否有资源可以帮助支付我的治疗费用?

表7.治疗目标和及时决策

目的 对抗对身体化学和免疫系统 的致命破坏

示例

• 血浆置换术可稀释血液并避 免卒中

• 肾功能受损时进行血液透析

• 降低高钙血症的药物(可能 包括化疗)

至做出决定的 时间间隔

治疗类型

减轻不适并增加患者的功能 能力

• 放疗阻止骨质破坏

• 红细胞输注缓解贫血

• 骨科手术以修复和 / 或强化

骨骼

数小时到数天 数天到数月

目的 改善症状,减缓或阻止病程 永久缓解*

示例

• 杀死全身恶性细胞的疗法

• 放疗杀死肿瘤部位的恶性 细胞

至做出决定的 时间间隔

• 干细胞移植作为大剂量化疗 的一种手段

*治愈意味着永久根除疾病。术语“功能性治愈”用于描述对治疗反应 良好,即患者在诊断后多年处于稳定和缓解状态,但骨髓瘤尚未完全 根除。

24 1.818.487.7455 • 1.800.452.CURE
治疗类型 稳定 姑息治疗
诱导缓解 治愈性
数周到数月 数周到数月

14.

选择治疗方案时应考虑什么

是否维持治疗

在达到最大治疗反应后,您的医生可能会推荐维持方案。维持治疗直 至疾病进展的益处已得到充分证明,它可以提高生存率,但并非每个 患者都必须或适合进行持续治疗。必须考虑维持治疗对经济、身体和 情感的影响以及每个患者骨髓瘤的特征。

临床试验

诱导治疗的临床试验可能是接受新的联合治疗或其他方法无法获得的 新疗法的绝佳方式。随机临床试验中,患者有平等的机会接受标准护 理或新疗法,即便如此,临床试验也会对治疗和监测进行严格记录。 如果您选择参加临床试验,全面了解治疗 方案 对您来说至关重要。有 关临床试验的全面讨论,请阅读IMF出版物《了解临床试验》。

支持性护理

尽早采取支持性护理措施以减轻骨髓瘤对身体和情感的影响与开始诱 导治疗同样重要。

IMF 手册《了解骨髓瘤骨病的治疗》中讨论了骨修饰剂,如双膦酸盐

Aredia® (帕米膦酸)和 Zometa® (唑来膦酸)以及单克隆抗体 Xgeva®

(狄诺塞麦)。

25 myeloma.org
治疗注意事项 日常生活 工作 年龄 治疗副作用 其他医疗 问题 移植 缓解速度 最初和后来 的决定 经济

表8.支持性护理

症状 治疗 注释

贫血引起的疲 乏和虚弱

• 重度贫血时输血(浓缩红细胞: 去白细胞、病毒筛查)

• 治疗所致的轻度至中度贫血时予 促红细胞生成素

骨痛 • 双膦酸盐

Aredia(90 mg静滴2-4小时, 每月给药一次),

Zometa(4 mg静滴15-45分钟, 每月给药一次)。

• 单克隆抗体 Xgeva®(狄诺塞麦)皮下注射 给药。

• 止痛剂 根据需要,请您的医生开具处方 药或非处方药 (OTC)。

这些治疗很简单,通常非 常有益,并且可以改善幸 福感。

• 缓解骨痛本身很重要,可 以改善身体活动,从而促 进骨骼强度和愈合,并改 善情绪健康。

• 双磷酸盐长期治疗可能会 对肾脏和颌骨造成潜在损 害,但很少见。

• 认识是预防的关键。

/ 或感染 的证据

发热和

• 适当的抗生素

• 必要时使用Neupogen®提升白细胞

• 严重感染时使用静脉注射免疫球 蛋白 (IVIG)

• 进行必要的检查以诊断确切的感 染类型(有风险的活检 / 培养除 外)

胃肠道副作用

• 治疗恶心、呕吐、便秘或腹泻的 适当药物

• 保持充足的液体摄入量和营养

血栓和血栓栓 塞事件

• 凝血事件属于医疗紧急情况;基 于事件和患者危险因素进行治疗

• 可能会给予阿司匹林或抗凝血 药物

周围神经病

• 止痛剂

• 剂量、时间表和 / 或给药途径的 调整

• 理疗、维生素和其他补充剂

类固醇副作用

• 遵医嘱服用

• 注意感染的体征和症状、血糖变化

• 预防带状疱疹和酵母菌感染的 药物

• 尽管应谨慎选择和使用抗 生素,但迅速控制感染也 极为重要。

• 建议常备抗生素以供紧急 情况下使用(尤其是旅行 时)。

与医疗保健提供者讨论症 状;严重症状可能需要住 院治疗。

锻炼、减肥和戒烟可以降 低风险。

• 与医疗保健提供者讨论 症状。

• 早期干预可以防止永久性 损伤,并得以继续治疗。

• 请勿自行调整剂量。

• 未经与医生讨论,请勿服 用补充剂。

• 向医疗保健提供者报告副 作用和症状。

• 请勿自行停药或调整 剂量。

26 1.818.487.7455 • 1.800.452.CURE

IMF 手册《了解疲乏》中讨论了与癌症及其治疗相关的疲乏, NCCN 将 其定义为“一种令人痛苦的、持续的、主观的疲乏或疲惫感,与最近 的活动不成比例,并干扰正常功能”。

IMF手册《了解骨髓瘤的周围神经病变》旨在帮助已经发生PN的骨髓瘤

患者,并帮助未发生的患者避免出现这一问题。最好是在问题发生前 预防,并在问题发生时及早治疗。对于PN来说尤其如此。

除针对具体症状的治疗外,其他支持治疗至为重要:

¡ 锻炼:请咨询您的医生,以确定是否可以进行全面锻炼,或者是否 因为骨病或骨损害而必须进行调整。通常情况下,可以安排一些锻 炼,如散步、游泳、灵活性和肌力锻炼和/或个性化的瑜伽课程。

¡ 饮食:尽管研究已经清楚证明了肥胖与骨髓瘤之间的联系,但尚未 为骨髓瘤患者制定特定的饮食。我们推荐健康的地中海饮食,强调 水果、蔬菜、鱼类、其他瘦肉动物蛋白、全谷物和未加工的“真

正”食物。避免摄入含有加工糖和人造反式脂肪的食物。以下两个 方面应谨慎:

 草药和维生素补充剂:骨髓瘤治疗期间,在服用补充剂之前, 请先咨询您的医生或药剂师。药物和 /或补充剂之间的一些相互 作用可能会妨碍骨髓瘤治疗的有效进行,有些相互作用可能会 造成严重医疗问题。药房可以提供有助于识别潜在相互作用的 参考资料。

 维生素C:剂量超过每天 1000 mg 可能会对骨髓瘤产生反作用, 并增加肾损害的风险。

¡ 心理健康:您的心理健康对于您按计划治疗是很重要的。确保您对 治疗计划感觉满意。如果您自己感觉焦虑或抑郁或者他人感觉到 您可能焦虑或抑郁,请向专业的心理医师预约就诊。这是对癌症 诊断的正常反应,大多数癌症患者有时会需要一些帮助。此时,同 伴之间的支持至关重要,骨髓瘤支持小组在这种情况下会有所帮

27 myeloma.org

助。如需转介骨髓瘤支持团体,请访问

¡ 规律的睡眠:规律的睡眠对您的免疫系统非常重要。

¡ 进行调整 :如果可能,减轻工作、家庭或社交场合的压力,避免 人群和与学龄儿童的密切接触。经常洗手。疾病和治疗都使您的 免疫系统受损。在达到缓解和 / 或病情稳定之前,骨髓瘤治疗是第 一位的。

您的医疗团队

在血液肿瘤科医生计划和实施治疗时,您的医疗团队还可能包括以下重 要成员:

¡ 初级保健医生或家庭医生,

¡ 护士或执业护士,

¡ 骨科医生(骨科专家),

¡ 药剂师,

¡ 肾脏科医生(肾病专家),

¡ 牙医和/或口腔外科医生。

您的医疗团队成员与您或您指定的照护伙伴之间进行有效沟通,才能达 到最佳护理效果。

骨髓瘤患者和

COVID-19

有关骨髓瘤患者的最新信息,请访问 IMF 网站 covid19.myeloma.org 的

COVID-19 页面。 COVID-19 的新变种不断出现,建议骨髓瘤患者谨慎行

事,如在室内和暴露风险增加的情况下戴口罩。

IMF 建议骨髓瘤、 SMM 或 MGUS 患者接种 Pfizer-BioNTech COVID-19

苗或 Moderna COVID-19 疫苗(以您可以获得的为准)。这些疫苗益 处极大,目前,它们的功效远远超过任何毒性问题。在您计划接种

COVID-19 疫苗之前,与治疗您骨髓瘤的医生商量,以解决您可能存在 的任何问题或顾虑。如果您已经接种了疫苗,请询问您的医生是否需

要额外加强接种。

28 1.818.487.7455 • 1.800.452.CURE
support.myeloma.org
InfoLine@myeloma.org或1.818.487.7455联系IMF InfoLine。
并通过

结语

本手册并不意味着可以取代您的医生和护士的建议,他们最有资格回 答您特定医疗保健管理计划的相关问题。IMF 仅为您提供指导您与您的 医疗保健团队讨论的信息。为了确保有效的治疗和良好的生活质量, 您必须在自己的医疗护理中发挥积极作用。

我们鼓励您访问myeloma.org以了解有关骨髓瘤的更多信息,并就骨髓 瘤相关问题和疑虑联系IMF InfoLine。 IMF InfoLine始终抱着关怀和同情 的态度提供关于骨髓瘤的最新和最准确的信息。请致电 1.818.487.7455 与IMF InfoLine联系或访问InfoLine@myeloma.org。

术语和定义

本手册中使用了以下选定术语,更完整的骨髓瘤相关词汇概要见 IMF骨 髓瘤术语和定义词汇表,网址为glossary.myeloma.org。

白蛋白 (ALB):血清中的一种简单水溶性蛋白质。骨髓瘤非常活跃时, 白蛋白生成会受到白细胞介素6的抑制。

淀粉样蛋白轻链淀粉样变性( AL 淀粉样变性): 一种浆细胞疾病,该

病中轻链蛋白不通过肾脏排泄。相反,蛋白质彼此交联,然后这些淀 粉样原纤维在组织和器官中沉积,最常见沉积于肾脏、心脏、胃肠道 (GI) 、周围神经、皮肤和软组织。 AL 淀粉样变性也称为原发性淀粉样变 性。参见“淀粉样变性”。

贫血: 红细胞含有血红蛋白,后者是一种将氧气输送到身体组织和器 官的蛋白质。贫血通常定义为血红蛋白降低<10 g/dL或较个体正常水平

降低≥2 g/dL。13-14 g/dL以上被视为正常。体内氧含量低可能会导致呼 吸急促和倦怠。许多新诊断的骨髓瘤患者存在贫血。

抗体: 浆细胞对进入体内的抗原发生反应而产生的一种蛋白质。参见 “抗原”和“免疫球蛋白 (Ig)”。

抗原:

任何导致免疫系统产生天然抗体的外来物质。抗原的例子包括 细菌、病毒、寄生虫、真菌和毒素。

29 myeloma.org

无症状:不产生任何体征或症状。

本周氏骨髓瘤: 该骨髓瘤的特征是存在本周氏蛋白,后者是一种尿液

中的异常蛋白,由游离的κ或λ轻链组成。参见“本周氏蛋白”。

本周氏蛋白: 骨髓瘤单克隆蛋白。该蛋白质由游离κ或游离λ轻链组

成。本周氏轻链体积较小,因此可以通过肾脏过滤并进入尿液。尿液 中本周氏蛋白的量以每 24 小时尿中的克数来表示。正常情况下尿中可 以有极少量蛋白(<0.1 g/24 h),但这是白蛋白而不是本周氏蛋白。尿 液中出现任何本周氏蛋白都是异常的。骨髓瘤蛋白重链太大,无法通 过肾脏过滤。参见“本周氏骨髓瘤”。

良性病变:不会癌变;不侵犯邻近组织或扩散到身体的其他部位。

Beta-2 微球蛋白( β2- 微球蛋白、 β2M 或 β2M ): 血液中发现的一种小

蛋白质。活动性骨髓瘤患者的水平较高。早期骨髓瘤和 / 或非活动性疾

病患者中水平较低或正常。大约10%的骨髓瘤患者并不产生 β2M。骨髓

瘤复发时β2M在骨髓瘤蛋白出现变化以前就升高。如病毒感染等因素有 时可使血清中β2M的水平升高。

活检:取出一点组织作为样本,用于显微镜下诊断。

双膦酸盐: 一种阻止破骨细胞活性(骨质破坏),并且结合到被再吸 收和破坏的骨表面的药物。

骨髓: 骨骼中心软的、海绵样的组织,产生白细胞、红细胞和血小 板。骨髓瘤生长时,异常浆细胞会在骨髓中蓄积。

骨髓穿刺术:用针从骨髓中取出一些液体和细胞,在显微镜下检查。

C- 反应蛋白 (CRP) :肝脏中产生的一种蛋白质,全身出现炎症时,其含 量会增加。

钙: 主要存在于骨基质坚硬部分(即羟基磷灰石)中的矿物质。如果

产生或释放过量,钙会在血液中蓄积。参见“高钙血症”。

30 1.818.487.7455 • 1.800.452.CURE

癌症: 恶性细胞的分裂失去控制的一种疾病。癌细胞可侵犯邻近组织和

通过血流及淋巴系统扩散到身体的其它部分。

染色体: 细胞核里的一股 DNA 和蛋白质。染色体携带基因,具有传递遗 传信息的功能。正常人体每个细胞有46条(23对)染色体。

• 染色体缺失 – 一种基因突变, DNA 复制过程中部分或全部染色体丢 失。骨髓瘤中发生的染色体缺失包括 13 号染色体长臂缺失(写作 13q-)的或17号染色体短臂缺失(写作17p-)。

• 染色体易位 – 一种基因突变,不同染色体部分重新排列。写作小写 “ t ”,后跟携带易位遗传物质的染色体编号。骨髓瘤中发生的易位 包括t(4;14)、t(11;14)、t(14;16)和t(14;20)。

临床试验: 在患者身上进行一种新治疗的研究试验。每项研究的目的是 寻找更好的预防、检测、诊断或治疗癌症的方法并解决科学问题。

• 应计 – 将患者纳入临床试验的过程,或已纳入或预计纳入临床试验的 患者人数。

• 臂 – 随机研究中的一个治疗组,其中有双臂或更多臂。

• 队列 – 同一研究中接受相同治疗或安慰剂(无治疗)的一组患者。

• 对照组 - 随机分组临床试验中采用“标准治疗”或安慰剂的一组 病例。

• 双盲 – 患者和研究者都不知道患者被随机分配到哪个试验组。其目的 是消除结果报告中的任何偏倚。

• 终点 – 研究的目标。临床试验终点可能是测量毒性、缓解率或生 存率。

• 实验组 – 随机分组临床试验中采用“新治疗方案”的一组病例。

• 随机分组临床试验 – 一种把受试者随机分组去接受某种特定治疗的 研究。

31 myeloma.org

• I期临床试验 – 旨在确定新的药物或药物新组合的最大耐受剂量 (MTD) 的研究。这可能是新疗法在人类中的首次测试。请注意,联合治疗中 的各药物可能已经在人体中进行了充分测试。

• II期临床试验 – 旨在确定已在 I 期试验中测试的新疗法的疗效和安全性 的研究。通常要求患者患有任何标准治疗都难以治愈的可测量疾病。

如果II期研究的结果明显优于标准治疗,则可以不经过III期研究而批准 该治疗。如果II期研究的结果很乐观,则进入III期研究。

• III期临床试验 – 比较两种或两种以上治疗方法的研究。 III 期研究的终 点可能是生存期或无进展生存期 (PFS) 。 III 期研究一般是随机的,患 者对治疗不作选择。一些 III 期试验将 II 期研究中取得良好结果的新疗

法和标准治疗进行比较;其他 III 期研究对已经普遍使用的治疗方法进 行比较。

• IV期临床试验 – 即使药物已获得 FDA 批准用于特定适应症,仍可能需 要进行额外的研究。例如,安全性监测旨在比I-III期临床试验更大的患

者群体和更长时间内检测任何罕见或长期副作用。

计算机轴向断层扫描( CAT 或 CT ): 创建身体内部结构的三维图像。在 骨髓瘤中,用于X线阴性或对特定区域进行更详细的扫描。尤其适用于小 面积骨损害或神经压迫的检查或详细评估。

CRAB 标准: 血液中钙 ( Calcium ) 水平升高、肾 ( Renal ) 损害、贫血

( Anemia ) 或红细胞计数降低和骨 ( Bone ) 损害是诊断骨髓瘤的标准以及

骨髓瘤定义事件 (MDE)”。

细胞因子: 细胞因子是一种在血液中循环的蛋白质,通常是对感染的反 应。细胞因子可以刺激或抑制其他细胞的生长或活性。

电泳: 一种用于诊断和监测的实验室检测,根据患者的血清(血液) 或尿液蛋白质的大小和电荷对其进行分离。血清或尿液电泳( SPEP 或 UPEP)可以计算每位患者的骨髓瘤蛋白的量并鉴定M峰类型。

髓外浆细胞瘤: 一种存在于骨髓外软组织中并与骨分离的单克隆浆细胞 肿瘤。

32 1.818.487.7455 • 1.800.452.CURE

荧光原位杂交 (FISH):骨髓瘤专家定位染色体上特定DNA序列位置的一 种程序。

游离轻链 (FLC) : 免疫球蛋白轻链是构成抗体两个单位中较小的一个。 轻链有两种:κ和λ。轻链可以与重链结合,也可以是未结合的(游 离)。游离轻链在血液中循环,并且小到足以进入肾脏,可在肾脏中被 过滤进入尿液,或者可能粘在一起并阻塞肾小管。

一线治疗:一个通用术语,指对新诊断的骨髓瘤患者旨在达到缓解而进 行的初始治疗。参见“诱导治疗”和“缓解”。

血液科医生:专门研究血液和骨髓疾病的医生。

高危骨髓瘤: 根据细胞遗传学(染色体)异常 t(4;14) 、 t(14;16) 、 t(14;20) 、 del 17p 和 1q 增加,以及修订的国际分期系统 (R-ISS) III 期疾病

和/或高危基因表达谱 (GEP) 特征定义,治疗后更可能快速复发或难治性 骨髓瘤。

高钙血症:血液中的钙高于正常值。在骨髓瘤患者中,通常是由于骨骼 破裂导致钙从骨骼释放入血液所致。可引起下列症状:食欲不振、恶 心、口干、疲乏、肌无力、不安和神志不清。参见“钙”。

免疫系统:人体的防御系统,破坏受感染的细胞和恶性细胞,并清除细 胞碎片。免疫系统包括白细胞以及淋巴系统的器官和组织。

免疫固定电泳 (IFE) : 用于鉴定血清或尿液中蛋白质的免疫学检查。对 于骨髓瘤患者,医生用它辨认 M 蛋白的类型(如 IgG 、 IgA 、κ或λ)。

这是最敏感的常规免疫染色技术,可以精确地测出 M 蛋白的重链及轻链 的类型。

免疫球蛋白 (Ig) 浆细胞产生的一种蛋白质,是人体免疫系统的一个基本 的组成部分。免疫球蛋白附着在异物(抗原)上,有助于破坏它们。免 疫球蛋白有 IgG 、 IgA 、 IgD 、 IgE 和 IgM 五类(同种型)。参见“ 抗体 ” 和“抗原”。

• IgG、IgA – 最常见的骨髓瘤类型。 G和 A 指骨髓瘤细胞产生的免疫球 蛋白重链。

33 myeloma.org

• IgD、IgEA – 发生率较低的骨髓瘤类型。

• IgMA – 一种罕见的骨髓瘤。IgM骨髓瘤与华氏巨球蛋白血症不同。

免疫调节剂: 影响、增强或抑制免疫系统的药物。免疫调节药物有时称 为IMiD®化合物。

诱导治疗:为准备自体干细胞移植 (ASCT) 而给予患者的初始治疗。参见

“诱导治疗”和“治疗疗程”。

乳酸脱氢酶 (LDH) : 一种几乎存在于身体所有组织中的产生能量的酶。

血液中的LDH水平随着细胞损伤而升高。LDH可用于监测骨髓瘤活动性。

病变: 异常组织区域;损伤或疾病(如癌症)引起的肿块或脓肿。对于 骨髓瘤来说,“病变”指浆细胞瘤或者骨质破坏。

• 弥漫性病变 – 骨髓瘤骨髓累及骨区域的扩散模式。

• 局灶性病变 – MRI 和 PET-CT 检查中所见骨髓内不规则细胞的确定区 域。必须在 MRI 上可见至少 2 个大小至少为 5 mm 的局灶性病变方可考 虑诊断骨髓瘤。

• 溶骨性病变 – 任一区域至少 30% 的健康骨骼被侵蚀时,骨质受损区域

在 X 射线下呈现为一个暗点。溶骨性病变在骨上形成洞,是骨质变得 薄弱的证据。见“溶解”。

轻链沉积病 (LCDD):一种罕见的单克隆免疫球蛋白沉积病 (MIDD),以器 官内全部或部分单克隆轻链沉积为特征。 LCDD 通常累及肾脏,但也可以 累及其他器官。LCDD的治疗目标是减缓器官损伤。

治疗疗程: 用于计算患者接受的治疗次数的术语。一个疗程是一种方案 的一个或多个完整周期,可以由单一药物、几种药物联合或多种方案的 有计划序贯治疗组成。另请参见“诱导治疗”。

M 峰: 蛋白质电泳检测中出现的单克隆尖峰,是骨髓瘤细胞活性的标 志。参见“单克隆”和“单克隆蛋白”。

磁共振成像 (MRI) : 一种诊断成像,使用磁场和无线电波(而非电离辐

射)生成体内结构的详细2D或3D图像。MRI可以在X线显示无骨损害时揭

34 1.818.487.7455 • 1.800.452.CURE

示骨髓中是否存在骨髓瘤及其分布情况。也能揭示骨外疾病。 MRI 对软 组织具有极高的分辨率,特别对于观察侵犯脊髓的病变尤为有利。但对 可能压迫神经和/或脊髓的骨质病变显示不佳。

恶性病变:癌性;能侵犯邻近组织并向身体其它部位扩散。

微小残留病 (MRD) : 治疗完成并达到完全缓解 (CR) 后存在残留肿瘤细 胞。甚至已经达到严格完全 CR (sCR) 的患者也可能存在 MRD 。现在已有 非常敏感的新检测方法,能够在血液或骨髓的 1,000,000 个采样细胞中检 出1个骨髓瘤细胞。参见“MRD阴性”。

单克隆: 克隆或复制品。骨髓瘤细胞源自“单克隆”,即骨髓中的单个 恶性浆细胞。所产生的骨髓瘤蛋白也是单克隆的,即一种形式而不是多 种(多克隆)。单克隆蛋白的一个重要的实际意义是在蛋白电泳中出现

意义未明的单克隆丙种球蛋白病 (MGUS) : 一类浆细胞疾病,其特征

是血液和 / 或尿液中单克隆蛋白水平相对较低。骨髓中浆细胞水平较低 (<10%)。无CRAB特征。参见“CRAB标准”。

单克隆蛋白(骨髓瘤蛋白、 M 蛋白): 骨髓瘤细胞产生的一种异常蛋白 质,在骨骼和骨髓中蓄积并造成损害。在骨髓瘤患者的血液和/或尿液中 发现其含量异常高。参见“单克隆”和“M峰”。

多发性骨髓瘤: 骨髓浆细胞(即产生抗体的白细胞)癌。癌性浆细胞称 为骨髓瘤细胞。

清髓: 一种严重的骨髓抑制,大剂量化疗或放疗导致骨髓产生血细胞的 能力完全或接近完全破坏。参见“骨髓抑制”。

骨髓瘤定义事件 (MDE) : 骨髓瘤的诊断需要一种或多种 MDE 的证据,例

如 CRAB 标准、骨髓中克隆性浆细胞等于或大于 60% 、血清受累 / 未受累

游离轻链 (FLC) 之比等于或大于 100 ,或磁共振成像显示 1 个以上局灶性

病变。另请参见“CRAB 标准”。

35 myeloma.org
一个尖峰(M峰)。参见“M峰”。

骨髓抑制:红细胞、血小板和部分白细胞的生成减少。

非分泌型骨髓瘤: 大约 1% 的骨髓瘤患者血液(血清)和尿液中检测不

到M蛋白。其中一些患者可以通过血清游离轻链测定成功监测;其他患

者可通过骨髓活检和 / 或 PET-CT 扫描进行监测。非分泌型骨髓瘤患者的 治疗方式与M蛋白分泌型疾病患者相同。

肿瘤科医生:专门治疗肿瘤的专科医生。有些肿瘤科医生专门从事某个 类型的肿瘤治疗。

成骨细胞: 产生骨样组织的细胞。骨样组织经钙沉着以后,形成新的 硬骨。

破骨细胞:骨髓骨骼连接处的细胞。它负责分解或重塑旧骨组织。骨髓 瘤患者的破骨细胞受到过度刺激,而成骨细胞的活动被阻断。骨吸收加 速和新骨形成受阻导致溶骨性病变。

总生存期 (OS) :特定时间段后,一个群体中存活人数的中位数。在临

床试验中, OS 经常被用作治疗效果的衡量标准。骨髓瘤试验中 OS 持续 时间逐渐延长,使其不适合作为终点,因此需要努力验证微小残留病 (MRD) 状态作为新的终点。

周围神经病 (PN) :周围神经病是一种影响手、足、小腿和 / 或手臂神经

的严重疾病。患者可能会因骨髓瘤本身和 / 或骨髓瘤治疗的影响而发生 PN。症状可能包括麻木、刺痛、灼烧感和/或疼痛。

血浆:血液的液体部分。红细胞、白细胞及血小板都悬浮在血浆中。

浆细胞:产生抗体的白细胞。骨髓瘤细胞是癌性浆细胞,其产生单克隆 蛋白(M 蛋白),可导致器官和组织损伤(贫血、肾损害、骨病和神经 损伤)。

浆细胞瘤:参见“髓外浆细胞瘤”和“骨孤立性浆细胞瘤 (SPB)”。

血浆置换: 从血液中除去某种蛋白的过程。血浆置换可用于骨髓瘤患 者,以除去其血液中高浓度的M蛋白。

36 1.818.487.7455 • 1.800.452.CURE

血小板:血细胞的三种主要类型之一,另外两种是红细胞和白细胞。血 小板堵塞血管壁的破裂处并释放刺激血液凝块的形成的物质。血小板是 防止出血的主要防御机制。也称作“thrombocytes”(血小板,血栓细 胞)。

正电子发射断层扫描 (PET) : 一种运用复杂的照相机和电脑而获得体内 影像的诊断方法。 PET 扫描根据活性癌细胞对放射性标记糖的摄取情况 显示健康组织和功能异常组织之间的差异。

无进展生存期 (PFS) : 骨髓瘤治疗期间和治疗后患者仍患有疾病但骨髓 瘤无恶化的时间长度。在临床试验中, PFS 是衡量治疗效果的一种方

法。参见“疾病进展”。

疾病进展:检查证明骨髓瘤正在恶化或复发。定义为骨髓瘤蛋白水平的

最低确认反应数值增加≥25%和/或发现疾病新证据。

蛋白酶体:酶(“蛋白酶”)的联合组(“复合物”),可将正常细胞 和癌细胞中受损或不需要的蛋白质分解成更小的成分。蛋白酶体还对细 胞中未受损的蛋白质进行受调节的分解,这是控制许多关键细胞功能所 必需的过程。然后,这些较小的蛋白质成分用于生成细胞所需的新蛋白 质。这对于维持细胞内的平衡和调节细胞生长很重要。

蛋白酶体抑制剂: 任何干扰蛋白酶体正常功能的药物。参见“ 蛋白 酶体”。

蛋白质:由氨基酸组成的物质。蛋白质是所有生物体的重要组成部分, 特别是作为肌肉、毛发、胶原蛋白等身体组织的结构成分,也可以是酶 和抗体。

方案: 一个详细的治疗计划,包括所使用的全部药物的剂量和给药时 间表。

放射治疗: 利用 X 射线、γ射线或电子束破坏或杀灭恶性细胞的治疗。

辐射可能来自体外,也可能来自直接植入肿瘤的放射性物质。

37 myeloma.org

红细胞 (RBC):也称为红细胞,血液中的这些细胞含有血红蛋白,将氧

气输送到身体的各个部位,并带走二氧化碳。红细胞的产生受肾脏产 生的激素(促红细胞生成素)的刺激。肾脏损害的骨髓瘤患者不能产 生足够量的促红细胞生成素而导致贫血。骨髓瘤患者也会因为骨髓瘤 细胞影响骨髓生成新红细胞的能力而贫血。

缓解或有效:描述肿瘤的症状和体征完全或部分消失的可互换术语。

• 严格完全缓解 (sCR) – sCR是CR(定义如下)的同时FLC比率正常,且 免疫组织化学或免疫荧光检测显示骨髓中不存在克隆细胞。

• 完全缓解 (CR) – 对于骨髓瘤,CR是指血清(血液)和尿液免疫固定 呈阴性,任何软组织浆细胞瘤消失,且骨髓中浆细胞 ≤5% 。 CR 不等 于治愈。

• 非常好的部分缓解 (VGPR) – VGPR 逊于 CR 。VGPR 是指可通过免疫固 定但不能通过电泳检出血清血清M蛋白和尿M蛋白,或血清M蛋白减 少90%或以上,同时尿M蛋白低于100 mg/24 h。

• 部分缓解 (PR) – PR 是一种缓解水平,指 M 蛋白减少至少 50% ,并且 24小时尿M蛋白减少至少90%(或减少至低于200 mg/24 h)。

血清:血液中的无色液体部分,血细胞悬浮其中。

冒烟型多发性骨髓瘤 (SMM) : SMM 是比 MGUS 更高水平的疾病,但是

SMM 仍然不是具有表明器官损伤的 CRAB 标准特征的活动性骨髓瘤。标

危 SMM 患者无需治疗,但应由血液科医生 / 肿瘤科医生定期观察。高危

SMM患者可以选择参加临床试验。参见“CRAB标准”。

骨孤立性浆细胞瘤 (SPB) : 骨中一团离散的单克隆浆细胞。诊断 SPB 需

具有孤立的骨病变,活检显示浆细胞浸润;其他骨病变的影像学结果

呈阴性;随机骨髓样本中无克隆性浆细胞;无贫血、高钙血症或肾脏 受累的证据提示系统性骨髓瘤。

38 1.818.487.7455 • 1.800.452.CURE

移植:移植有几种类型。

• 自体干细胞移植 (ASCT) – 骨髓瘤最常用的移植类型。进行ASCT时,

医生从患者循环血液中采集健康外周血干细胞 (PBSC) 。然后将收集 的干细胞冷冻并储存,以备数天、数周或数年后使用。准备为患者

进行ASCT时,会进行清髓大剂量治疗 (HDT) 以破坏骨髓中的骨髓瘤 细胞,但健康的血细胞也会被破坏。然后,将患者的冷冻干细胞解 冻并回输患者体内,这些细胞可以产生新的血细胞来取代 HDT 破坏 的细胞。ASCT可以达到长期和深度的缓解。

• 同种异体移植 – 这种类型的移植使用从另一个人(供体)身体采集 的干细胞或骨髓,已通过人类白细胞抗原 (HLA) 匹配确定该供体与 患者(受体)相容。清髓性 HDT 后,将供体细胞输入患者体内。供 体的免疫系统细胞将受体的骨髓瘤细胞识别为外来细胞并进行攻 击。不幸的是,供体细胞还会攻击受体体内的其他组织,引起移植 物抗宿主病 (GVHD),这可能会导致并发症,甚至可能的致命。

• 减低强度预处理 (RIC) 同种异体移植 – 同种异体移植的一种,有时简 称为“迷你异体移植”。RIC移植是一种更新的技术,它是非清髓性 的,因此对于骨髓瘤来说比“完全”同种异体移植更安全。RIC移植

通常在标准ASCT后180天内进行。

• 骨髓移植 – 自体移植的一种,从患者的骨髓(而非循环外周血)中 采集干细胞。目前,骨髓瘤首选ASCT,很少进行骨髓移植。但如果 无法从外周血中采集干细胞,可以考虑骨髓移植。

• 串联移植 – 该术语用于表示连续进行的两次自体移植。串联移植通 常的计划移植间隔为 3 至 6 个月。在有效的新疗法时代,美国已不再 常用串联移植。

• 同基因移植 – 同种异体移植的一种,将来自一个同卵双胞胎(供 体)的骨髓或干细胞注入另一个同卵双胞胎(受体)体内。

• 匹配的无关供体 (MUD) 移植 – 同种异体移植的一种,其中干细胞与 患者基因匹配,但并非来自家庭成员的供体。在骨髓瘤中,这种类 型的移植GVHD率很高,因此很少使用。

39 myeloma.org

• 脐血干细胞移植 – 同种异体移植的一种,从多名新生儿的脐带中采 集干细胞,以获得足够的干细胞用于成人移植。在骨髓瘤中,这种 类型的移植GVHD率很高,因此很少使用。

肿瘤: 细胞过度分裂而形成的异常组织肿块。在骨髓瘤中,肿瘤被称 为浆细胞瘤。

椎骨:脊柱的33个骨节中的任何一个。复数名词是“vertebrae”。

病毒: 一种微小的活颗粒,可感染细胞和改变细胞的功能。病毒感染 所引起的疾病和症状取决于病毒的类型及所感染的细胞的类型。

华氏巨球蛋白血症 (WM) : 一种罕见的影响浆细胞的非霍奇金淋巴瘤 (NHL)。产生过量IgM蛋白。WM不属于骨髓瘤。

白细胞 (WBC) : 与入侵的病菌、感染和过敏原对抗的各种白细胞的总 称。这些细胞都在骨髓中产生和发育,然后分布到全身各处。特殊的 白细胞包括中性粒细胞、嗜碱性粒细胞、嗜酸性粒细胞、淋巴细胞和 单核细胞。

40 1.818.487.7455 • 1.800.452.CURE
41 myeloma.org 笔记
42 1.818.487.7455 • 1.800.452.CURE 笔记

使用本出版物中包含的超链接和网址可以快速访问IMF的资源。

infoline.myeloma.org

如果您有与骨髓 瘤相关的问题和 疑虑,请联系 IMF InfoLine

medications.myeloma.org

了解 FDA 批准的 骨髓瘤疗法

videos.myeloma.org

有关骨髓瘤研究和临床 实践的最新信息,以及 IMF 网络研讨会和其他 活动

support.myeloma.org

Robin Tuohy rtuohy@myeloma.org 将帮助您寻找多发性骨 髓瘤支持团体

diversity.myeloma.org

多样性和包容性 是骨髓瘤社区不 可或缺的方面

publications.myeloma.org

IMF 手册、提示卡、 指南和期刊—订阅即 可了解最新信息!

在subscribe.myeloma.org注册,订阅我们的季刊MyelomaToday 和每周电子通讯MyelomaMinute,以及有关IMF新闻、事件和活动提醒。

并在社交媒体上与我们互动!

@IMFMyeloma

/myeloma
连接。获得信息。 负责。 互动资源一览
© 2023, International Myeloma Foundation. All rights reserved (版权所有) . 。 4400 Coldwater Canyon Avenue, Suite 300 Studio City, CA 91604 USA 电话: 1.818.487.7455 (全球) 传真:1.818.487.7454 TheIMF@myeloma.org myeloma.org PHB_ZH_2023_r1_05

Turn static files into dynamic content formats.

Create a flipbook
Issuu converts static files into: digital portfolios, online yearbooks, online catalogs, digital photo albums and more. Sign up and create your flipbook.
患者 手册 by International Myeloma Foundation - Issuu