

![]()



• Explain the pathophysiology of nonadvanced SM, including driver mutations, MC hyperactivation, and the scientific rationale for targeted therapy
• Apply updated diagnostic criteria (WHO/ICC) and integrate clinical cues, biomarkers, and genetic testing to improve timely and accurate diagnosis
• Summarize current and emerging therapies for nonadvanced SM, including trial evidence and FDA-approved targeted treatments
• Develop personalized treatment strategies that balance efficacy, safety, patient-reported outcomes, shared decision-making, and patient education, including trigger avoidance, anaphylaxis preparedness, and access to advocacy/resources

Dr. Maitland




• Bone marrow mastocytosis (BMM)
• Indolent SM (ISM; ≈88% of cases)2
• Smoldering SM (SSM) SM

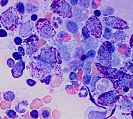
BM aspirate
• SM with associated hematologic neoplasm (SM-AHN)
• Aggressive SM (ASM)
• Mast cell leukemia (MCL)
• SM affects approximately 1 in 10,000 people4,5
• No apparent sex bias with SM overall6
• Mean age at onset is 46 to 61 years, with a peak in the mid to late 50s7
BM, bone marrow; ECO, extracutaneous organ.
1. Cohen SS, et al. Br J Haematol. 2014;166(4):521-528; 2. Ungerstedt J, et al. Cancers (Basel). 2022;14(16):3942; 3. Mesa RA, et al. Cancer. 2022;128(20):3700-3708; 4. Brockow K. Immunol Clin Allergy North Am. 2014;34(2):283-295; 5. Jørgensen MP, et al. Eur J Epidemiol. 2025;40(1):43-53; 6. Mohsin F, et al. J Clin Oncol. 2025;43(suppl 16):e22559; 7. Sizemore JA, et al. J Am Acad Dermatol. 2025. [Epub ahead of print]; 8. Li JY, et al. Cancers. 2023;15(23):5626.













SCF binds KIT and activates signaling pathways that control differentiation, maturation, migration, proliferation, survival, and cytokine production.
Approximately 90% to 95% of patients with nonadvanced SM have a KIT D816V mutation, the most common driver mutation of SM.3



Preformed mediators (found in granules)







































• Histamine


• Tryptase
• Heparin
Lipid mediators (synthesized from arachidonic acid)
















• Leukotrienes
• Prostaglandins
Chemokines/Cytokines
• IL-4
• IL-6
• TNF 15-90 sec 20-30 min 2-5 hours
C, complement; FcεR1, high-affinity IgE receptor 1; GPCR, G protein–coupled receptor; IgE, immunoglobulin E; IL, interleukin; MRGPRX2, Mas-related G–protein coupled receptor member X2; TNF, tumor necrosis factor.
Figure adapted from 1. Castells M, Akin C. Nat Med. 2021;27(12):2081-2082; 2. Giannetti MP. Ann Allergy Asthma Immunol. 2021;127(4):412-419; 3. Moon TC, et al. Front Immunol. 2014;5:569; 4. Theoharides TC, et al. Biochim Biophys Acta. 2012;1822(1):21-33; 4. Xu H, et al. J Neuroinflammation. 2020;17(1):356.

Venomsa
IgE Mediated
Food & beveragesc
Allergens
MRGPRX2 Medications
Cyclooxygenase
Inhibition

Stressors
Medications
Infection
Pain & itch4
Environment
Fatigue
Physical triggers
Surgery
Bee, wasp,3,b mixed vespids, fire ants
Pollen, pet dander, dust mites
Opioids, some antibiotics (eg, vancomycin), contrast dyes
NSAIDs
Viral, bacterial, fungal
Emotional, physical
Heat, cold, sudden changes in temperature, natural and chemical odors, sun/sunlight
Lack of sleep/Sleep deprivation
Mechanical irritation, friction, vibration, exercise
Anesthesia (eg, atracurium)
Proceduresc Colonoscopy, endoscopy, interventional radiology
Vaccinations
NSAID, nonsteroidal anti-inflammatory drug.
aVenoms can trigger activation through IgE- and non-IgE–mediated pathways; venom-triggered, non-atopic anaphylaxis is nearly pathognomonic for SM4; bHymenoptera venom was recently identified as the most common trigger in ISM3; cAlcohol consumption can induce a reaction but the reaction is not IgE mediated5; cPerioperative management should be considered.6
1. Adapted from National Comprehensive Cancer Network (NCCN). https://www.nccn.org/professionals/physician_gls/pdf/mastocytosis.pdf; 2. Rama TA, Castells M. Curr Treat Options Allergy. 2023;10:442-457; 3. Niedoszytko M, et al. Allergy. 2024;79(9):2470-2481; 4. Anne Maitland, MD, PhD, personal communication; 5. Akin C, et al. Nat Rev Dis Primers. 2025;11(1):30; 6. Matthew Giannetti, MD, personal communication.

GI tract

Bone Skin
Constitutional symptoms and hypersensitivity

• Brain fog
• Depression
• Tachycardia
• Hypotension
• Diarrhea
• Nausea
• Vomiting
• Osteopenia
• Osteoporosis
• Osteosclerosis
• Flushing
• Fatigue
• Night sweats
MC activators
Allergens, bacteria, cytokines, , fungi, peptides, toxins, viruses


• Headache

MC mediators
Granule-derived
• Histamine
• Syncope
• Heparin Lipid-derived
• PGD2
• Cramping
• Ulceration
• GERD
• Musculoskeletal pain

MC infiltration
• Lymphadenopathy
• Hepatomegaly
• Ascites
• CysLTs Proteases
• Tryptases
• Chymase
• CPA
• PAF
• Itching
• Anaphylaxis
• tPA Cytokines
• TNF
• VEGF
• IL-6
• RANKL
• Liver cirrhosis
• Hypersplenism
• Splenomegaly
• Malabsorption
• Osteolysis
• Pathologic fracture
• Anemia
• Leukopenia
• Thrombocytopenia
• Leukocytosis
• Thrombocytosis

AdvSM, advanced SM; CM, cutaneous mastocytosis; CPA, carboxypeptidase A; CV, cardiovascular; CysLT, cysteinyl leukotriene; GERD, gastroesophageal reflux disease; GI, gastrointestinal; PAF, platelet activating factor; PGD2, prostaglandin D2; RANKL, receptor activator of nuclear factor-κβ ligand; tPA, tissue plasminogen activator; VEGF, vascular endothelial growth factor.
1. Akin C, et al. Nat Rev Dis Primers. 2025;11(1):30; 2. Mesa RA, et al. Cancer. 2022;128(20):3691-3699. Patients with SM experience an average of 14 SM-related symptoms over the course of their disease.2

ü Osteoporosis affects up to 30% of patients with SM – Especially young men, who are not commonly affected by osteoporosis
ü Spine osteoporosis and vertebral fractures are hallmarks of SM
ü Bone involvement should be assessed regularly in patients with SM via bone metabolism markers (eg, serum calcium and phosphorus, 25(OH)D, ALP) and/or radiologic assessment of BMD (eg, DEXA, X-rays, CT scan, MRI)
25(OH)D, 25-hydroxyvitamin D; ALP, alkaline phosphatase; BMD, bone mineral density; CT, computed tomography; MRI, magnetic resonance imaging. Degboé Y, et al. Curr Osteoporos Rep. 2025;23(1):10.







5-6 Years 6
Median time from symptom onset to SM diagnosis1,2

Average number of HCPs patients see before an SM diagnosis3
• Diagnostic delays put patients at risk of life-threatening anaphylaxis, organ dysfunction, and severe osteoporosis3,4 – Patients with ISM frequently experience mediator symptoms of longer duration before diagnosis than is seen in patients with aggressive subtypes5 HCP, health care professional.
Maintain a high index of suspicion for MC disorders when patients present with seemingly unrelated symptoms.
1. Mesa RA, et al. Cancer. 2022;128(20):3691-3699; 2; Tse KY, et al. J Allergy Clin Immunol. 2024;3(4):100316; 3. Mikkelsen CS, et al. Dermatol Reports. 2014;6(1):5199; 4. Ungerstedt J, et al. Cancers (Basel). 2022;14(16)3942; 5. Sizemore JA, et al. J Am Acad Dermatol. 2025. [Epub ahead of print].



Dr. Giannetti


ü Anaphylaxis to insect venom1
ü History of hypotensive anaphylaxis, especially if associated with baseline or event-related tryptase increases2
ü History of hypotensive episodes resulting in presyncope or syncope + absence of urticaria and angioedema + elevated BST level2 ü History of flushing, itching, and abdominal pain2




1 major criterion + 1 minor



Serum tryptase level >20 ng/mL (in the case of known HαT, tryptase levels should be adjusted)

KIT D816V (or any other mutation causing ligand-independent activation of KIT)

>25% of MCs are immature or atypical in BM smears or spindle-shaped in MC infiltrates detected in sections of BM or ECO
aThe ICC defines the major criterion as multifocal infiltrates of MCs that are tryptase+ and/or CD117+ . HαT, hereditary alpha tryptasemia.
CD2 and/or CD25 and/or CD30 detected on MCs in BM, blood, or other ECO
Arber DA, et al. Blood. 2022;140(11):1200-1228; Khoury JD, et al. Leukemia. 2022;36(7):1703-1719; NCCN. https://www.nccn.org/professionals/physician_gls/pdf/mastocytosis.pdf.
Images courtesy of Tracy George, MD, and Anton Rets, MD, PhD.


SM diagnostic criteria met
B findings
• Absence of skin lesions
• BM involvement
• Serum tryptase <125 ng/mL
0-1 B findings
• Skin lesions may be present ISM
≥2 B findings, no C findings
• Does not meet criteria for AHN SSM
≥1 C finding
• Does not meet criteria for AHN ASM
WHO criteria for AHN met (eg, dysplasia, monocytosis, eosinophilia)
• AML, CMML, MDS, MPN, lymphoma, other SM-AHNa
≥20% MCs on BM aspirate smear
• Aleukemic MCL: <10% MCs in PB smear MCLa
• Classic MCL: ≥10% MCs in PB smear
• MCs in BM ≥30% and/or serum tryptase ≥200 ng/mL and/or KIT D816V with VAF ≥10% in BM or PB leukocytes
• BM hypercellularity or dysplasia or myeloproliferation in a non-MC lineage
• Organomegaly (without organ impairments)
• Cytopenia(s) present (ANC <1.0×109 /L, hemoglobin <10 g/dL, or platelets <100×109 /L)
• Hepatomegaly with portal hypertension/ascites
• Splenomegaly with hypersplenism
• Osteolytic lesions (≥2 cm) or pathologic fractures
• Malabsorption with weight loss and hypoalbuminemia
• Any other life-threatening end-organ damage
AML, acute myeloid leukemia; ANC, absolute neutrophil count; CMML, chronic myelomonocytic leukemia; MDS, myelodysplastic syndromes; MPN, myeloproliferative neoplasm; PB, peripheral blood; VAF, variant allele frequency.
aB and C findings possible; in acute MCL, C findings are detectable. Adapted from Ustun C, et al. Blood Adv. 2025;9(9):2048-2062; Khoury JD, et al. Leukemia. 2022;36(7):1703-1719; NCCN. https://www.nccn.org/professionals/physician_gls/pdf/mastocytosis.pdf; Zanotti R, et al. Leukemia. 2022;36(2):516-524.


Blood Work
• CBC/Diff
• CMP

Genetics


• BST Morphology
• Blood smear
• BM aspirate smear
• BM biopsy


• High-sensitivity KIT D816V mutation analysis (ddPCR)
• Tryptase genotype (HαT)
• Myeloid gene panel (highly recommended)
• Screen for PDGFRA/PDGFRB rearrangements if eosinophilia is present and KIT D816V is negative







MC Immunophenotype
• Flow cytometry (CD2, CD25, CD34, CD117, CD30)
• IHC (tryptase, CD25, CD117, CD30) Note any prior history of anaphylaxis and other symptoms of MC activation.


CBC/Diff, complete blood count with differential; CMP, comprehensive metabolic panel; ddPCR, droplet digital polymerase chain reaction; IHC, immunohistochemistry; PDGFRA/B, plateletderived growth factor receptor alpha/beta.
NCCN. https://www.nccn.org/professionals/physician_gls/pdf/mastocytosis.pdf.


aN=39 patients enrolled in part 1 of PIONEER with a confirmed diagnosis of ISM and moderate to severe symptoms. NGS, next-generation sequencing. George T, et al. Blood. 2020;136(suppl 1):7-8.


• ≥2 is considered to be associated with high probability of SM1 • Can be used to predict clonality and SM in patients suffering systemic activation symptoms without MIS1

• ≈6% of general population, accounting for 90% of cases with elevated BST levels1
• Affects ≈12% to 17% of patients with SM2
– Patients with HαT+ who have SM have a higher rate of mediator-related symptoms and severe anaphyhlaxis3-5
– Important to genotype when BST elevated6
– ≈9- to 10-ng/mL increase in tryptase for every extra copy of TPSAB11
• Expected level of tryptase can be calculated via p13.3 α-Tryptase Triplication
HαT8

1 + extra copy numbers of TPSAB1
TPSAB1, tryptase alpha/beta 1; TPSB2, tryptase beta 2; TPSD1, tryptase delta 1; TPSG1, tryptase gamma 1. 1. Glover SC, et al. Ann Allergy Asthma Immunol. 2021;127(6):638-647; 2. Polivka L, et al. J Allergy Clin Immunol. 2024;153(1):349-353.e4; 3. Lyons JJ, et al. J Allergy Clin Immunol. 2021;147(2):622-632; 4. Crupi F, et al. Front Allergy. 2025;6:1592001; 5. Koch D, et al. Blood. 2025;146(suppl 1):4768; 6. McMurray JC, et al. Front Allergy. 2025;6:1599358; 7. Figure adapted from Lyons JJ. Immunol Allergy Clin North Am. 2018;38(3):483-495; 8. NCCN. https://www.nccn.org/professionals/physician_gls/pdf/mastocytosis.pdf.

• Idiopathic MCAS1,2
• Chronic idiopathic urticaria1,3,a
• Neuroendocrine tumors, carcinoids (eg, pheochromocytoma)2,3,5
• Atypical infections—delayed immune dysregulation (eg, long COVID)6
• Cardiovascular (eg, coronary hypersensitivity,3,a postural orthostatic tachycardia syndrome,3 syncope7)
• Digestive (eg, adverse food reaction,3,a celiac disease,8 GERD,3 gluten enteropathy,8 IBS3)
• Neurologic (eg, anxiety,3 chronic fatigue syndrome,3 depression,8 fibromyalgia,8 headaches3)

hEDS, hypermobile Ehlers-Danlos syndrome; MCAS, mast cell activation syndrome.
aLocalized MC activation can occur.
1. Leru PM, et al. Exp Ther Med. 2020;20(3):2348-2351; 2. Rare Disease Advisor. https://www.rarediseaseadvisor.com/disease-info-pages/systemic-mastocytosis-differential-diagnosis/; 3. Theoharides TC, et al. N Engl J Med. 2015;373(2):163-172; 4. Monaco A, et al. Immunol Res. 2022;70(4):419-431; 5. Picard M, et al. Clin Ther. 2013;35(5):548-562; 6. Matthew Giannetti, MD, and Tsewang Tashi, MD, personal communication; 7. Theoharides TC, et al. Expert Rev Clin Immunol. 2019;15(6):639-656; 8. Scherber RM, Borate U. Br J Haematol. 2018;180(1):11-23.


• BST variability:
– HαT1
– Tryptase is not reliable when AHN is present: neoplastic myeloid cells may also express and release tryptase2
– Tryptase <20 ng/mL does not rule out SM1
• Negative KIT D816V in PB does not rule out SM3

– Often negative even by high-sensitivity methods when MC burden is low
• Be aware of overlapping findings between MMAS and SM4
MMAS, monoclonal mast cell activation syndrome.
1. Boggs NA, et al. Blood Adv. 2023;7(13):3150-3154; 2. Akin C, et al. Nat Rev Dis Primers. 2025;11(1):30; 3. Arock M, et al. Leukemia. 2015;29(6)1223-1232; 4. Jackson CW, et al. Int J Mol Sci. 2021;22(20):11270.



Dr. Maitland


• Symptom assessment:
– Direct questions about symptom response to treatment
– Validated tools used in clinical trials:
• Mastocytosis Symptom Assessment Form (MSAF)1
• Mastocytosis Activity Score (MAS)2
• ISM Symptom Assessment Form (ISM-SAF©)3
• Mastocytosis Symptom Severity Daily Diary (MS2D2)4
• QOL:
– Mastocytosis Quality-of-Life Questionnaire (MQLQ)1
– Mastocytosis Quality of Life Questionnaire (MC-QoL)5

3
Abdominal pain
Diarrheaa
Nausea
Spots
Itching
Flushing
Brain fog
Headache
Dizziness
Bone pain
Symptoms scored daily over a 24-hour recall period
0 = no symptom 10 = worst imaginable symptom
Fatigue TSS (0-110)
≥28 indicates moderate to severe symptoms
QOL, quality of life; TSS, total symptom score.
aDiarrhea frequency is scored separately but contributes to total score.
1. NCCN. https://www.nccn.org/professionals/physician_gls/pdf/mastocytosis.pdf; 2. Siebenhaar F, et al. Allergy. 2018;73(7):1489-1496; 3. Taylor F, et al. Orphanet J Rare Dis. 2021;16(1):414; 4. Marcus J, et al. Value Health. 2025;28(6 suppl 1):S342-S343; 5. Siebenhaar F, et al. Allergy. 2016;71(6):869-877.

Organ Involvement/Symptom
Skin: pruritus, flushing, urticaria, angioedema, dermatographisma
H1R and H2R antagonists

GI: abdominal pain, cramping, diarrhea, GERD/heartburn, nausea, vomiting
Hypotensive episodes/Anaphylaxis
Cardiovascular/Pulmonary: presyncope, tachycardia, wheezing, throat swelling
Osteopenia/Osteoporosis
Neurologic: headache, cognitive impairment (eg, brain fog, poor concentration and memory), depression
H2R antagonists
Epinephrine IM (acutely), supine positioning
H1R and H2R antagonists
Supplemental calcium and vitamin D, bisphosphonate; bone mineral density assessment
H1R and H2R antagonists
2. Leukotriene receptor antagonist
3. Aspirinb
4. Ketotifen
5. Cromolyn sodium, topical
2. Cromolyn sodium
3. PPI
4. Leukotriene receptor antagonist
5. Ketotifen
Prevention: VIT, Rush desensitization, omalizumabc
2. Corticosteroids
3. Omalizumab
Denosumab, interferon-α inhibitor, cytoreductive agent; vertebroplasty/kyphoplasty
2. Cromolyn sodium
3. Aspirinb
4. Ketotifen
CRSwNP, chronic rhinosinusitis with nasal polyps; CSU, chronic spontaneous urticaria; IM, intramuscular; VIT, venom immunotherapy.
aPsoralen and ultraviolet A (PUVA) therapy can improve cutaneous manifestations of SM, in some cases resulting in disappearance of skin lesions; however, lesions recur with cessation of treatment; bSome patients with SM will have an anaphylactic reaction to aspirin; its use should be closely supervised, with a graded dosing schedule
2; cOmalizumab is not FDA approved for SM or recurrent anaphylaxis. Omalizumab is FDA approved to treat moderate to severe persistent allergic asthma (age ≥6 months), IgE-mediated food allergy (age ≥1 year), CRSwNP (age ≥18 years), and CSU (age ≥18 years).
1. NCCN. https://www.nccn.org/professionals/physician_gls/pdf/mastocytosis.pdf; 2. Brian Chernak, MD, personal communication.


• Anti-IgE monoclonal antibody1
• FDA approved to treat CSU, CRSwNP, allergic asthma, and IgE-mediated food allergy1
• Effective on all vasomotor symptoms, including anaphylaxis and urinary symptoms2
• Safety and efficacy study of omalizumab in SM (2018)3,b
– Demonstrated significant reduction in symptoms and improvement in patient-reported QOL:
• 38.5% had complete symptom control
• 23% had major response, 23% had partial response
– Most effective for recurrent anaphylaxis and skin symptoms, less for GI, musculoskeletal, and neuropsychiatric symptoms
– No significant changes in tryptase levels or KIT VAF
– No SAEs SAE, serious adverse event.
aOmalizumab is not FDA approved for SM or recurrent anaphylaxis; bN=14 adult patients with SM who received omalizumab for a median duration of 17 months.
1. US Food and Drug Administration (FDA). https://www.accessdata.fda.gov/atfda_docs/label/2024/103976s5245lbl.pdf; 2. Buonomo A, et al. Mediterr J Hematol Infect Dis. 2022;14(1):e2022040; 3. Broesby-Olsen S, et al. Allergy. 2018;73(1):230-238; 4. Valent P, et al. J Allergy Clin Immunol Pract. 2022;10(8):1999-2012.

Dr. Chernak



• Usually target active site of the kinase receptor1
• Classified based on type of binding (eg, competitive, allosteric)
• KIT inhibitors:
– Imatinib: inhibits KIT WT or non-D816V mutations2
• Inhibits ABL1, FLT3, CSF1R, PDGFRA/B2
• WDSM may respond to it3
– Morphologic variant across all subtypes of SM, usually characterized by round MCs that are CD30+ and KIT mutation negative
– Midostaurin: inhibits KIT WT and D816V2
– Avapritinib,a bezuclastinib, elenestinib: selectively inhibit KIT D816V2
• Potential for overlap in inhibition (eg, avapritinib inhibits KIT and PDGFRA mutants4)





aAs of February 2026, avapritinib is the only TKI currently approved by the FDA to treat ISM.5
1. Pottier C, et al. Cancers. 2020;12(3):731; 2. Akin C. Immunol Allergy Clin North Am. 2023;43(4):743-750; 3. Álvarez-Twose, et al. Allergy Clin Immunol. 2016;137(1):168-178.e1; 4. Trullas-Jimeno A, et al. ESMO Open. 2021;6(3):100159; 5. @FDA. https://www.accessdata.fda.gov/scripts/cder/daf/. ATP binding domain




ABL1, ABL proto-oncogene 1, non-receptor tyrosine kinase; ATP, adenosine triphosphate; CSF1R, colony-stimulating factor 1 receptor; FLT3, FMS-like tyrosine kinase 3; TKI, tyrosine kinase inhibitor; WDSM, well-differentiated SM.







• With a median 2-year follow-up, avapritinib 25 mg QD demonstrated sustained improvements in: – TSS and all 11 individual symptom scores, with the greatest improvements in spots, itching, flushing, and fatigue
– MC-QoL total score and all 4 health domain scores, with the greatest improvement in the social life/functioning domain
QD, once daily.
Castells M, et al. J Allergy Clin Immunol Pract. 2025;13(8):2194-2196.e1.



• 25 mg orally QD on an empty stomach1
– NOT RECOMMENDED for patients with platelet count <50×109/L and contraindicated in pregnancy
• Avoid coadministration with strong and moderate CYP3A inhibitors and inducers1
• AEs: peripheral and periorbital edema, dizziness, flushing, photosensitivity1
– Intracranial bleeding has not been reported in patients with ISM who are taking avapritinib1,a
• Ensure patient does not have a history of intracranial hemorrhage before prescribing
• Avapritinib was well tolerated in patients receiving concomitant omalizumab, similar to the overall avapritinibtreated PIONEER part 2 population2
AE, adverse event; CYP, cytochrome P450.
aAs of January 21, 2026.
1. @FDA. https://www.accessdata.fda.gov/atfda_docs/label/2023/212608s013lbl.pdf; 2. Akin C, et al. Ann Allergy Asthma Immunol. 2024;133(suppl 6):S83.




• Patients with ISMa (annually1) and stable SSMa (every 6-12 months1) should be monitored for changes in:
• DEXA scan every 1 to 3 years for patients with osteopenia/osteoporosis1,b
• Monitoring with avapritinib use in ISM: lab monitoring (CMP, CBC/Diff) and visits at 3 and 6 months after starting medication, then every 6 months

aPatients with unstable SSM or ISM should be seen more frequently until stabilized; Patients with BMM are at higher risk for osteopenia/osteoporosis. 1. NCCN. https://www.nccn.org/professionals/physician_gls/pdf/mastocytosis.pdf; 2. Siebenhaar F, et al. Allergo J Int. 2025;34:57-68; 3. Anne Maitland, MD, PhD, personal communication. If laboratory results or symptoms change, therapeutic adjustment should be considered.







































BTK, Bruton tyrosine kinase; IgG, immunoglobulin G.



Bezuclastinib2,3 Phase 2 (Summit)



KIT





Elenestinib2 Phase 2/3 (HARBOR)
BTK TL-8954 Phase 2
1. Figure adapted from Castells M, Akin C. Nat Med. 2021;27(12):2081-2082; 2. Nicolosi M, et al. Medicina (Kaunas). 2021;57(11):1135; 3. Akin C, et al. Blood. 2022;140(suppl 1):6838-6839; 4. ClinicalTrials.gov. https://clinicaltrials.gov/study/NCT04655118.

• Minimal CNS penetration1
• High selectivity: does not inhibit PDGFRA/B, FLT3, CSFR12
• No treatment-related SAEs; majority of TEAEs at 100 mg QD were low grade and reversible1,3,4
– Transaminitis, no hospitalizations resulted
– No bleeding or cognitive impairment events reported
– Hair color change
• Part 2: 24-week treatment5
• Enrollment closed3

CNS, central nervous system; SAE, serious AE; TEAE, treatment-emergent AE.
1. Bose P, et al. Blood. 2023;142(suppl 1):77; 2. Akin C. Immunol Allergy Clin North Am. 2023;43(4):743-750; 3. Rein LAM, et al. Blood. 2024;144(suppl 1):4556; 4. Rein LAM, et al. 2025;146(suppl 1):80;
5. Modena B, et al. J Allergy Clin Immunol. 2024;153(suppl 2):AB224.

Primary Endpoint: MS2D2 TSS Score

Secondary Endpoints: Mean Change From Baselinec
Bezuclastinib received FDA Breakthrough Therapy designation in October 2025, and an NDA was submitted in December 2025.2,3
NDA, new drug application.
N=179 adult patients with ISM, BMM, or SSM based on 2022 WHO criteria with moderate to severe symptoms (on ≥2 antimediator therapies), who were randomly assigned 2:1 to BSC + bezuclastinib (100 mg QD, n=119) or BSC + placebo for 24 weeks (n=60); bP<0.001; cPatients with data at 24 weeks; dP<0.0001.
1. Rein LAM, et al. Blood. 2025;146(suppl 1):80; 2. Cogent Biosciences. October 20, 2025. https://investors.cogentbio.com/news-releases/news-release-details/cogent-biosciences-announces-fdabreakthrough-therapy; 3. Cogent Biosciences. December 30, 2025. https://investors.cogentbio.com/news-releases/news-release-details/cogent-biosciences-announces-submission-new-drugapplication.

• Limited CNS penetration1
• Selectively inhibits KIT D816V; does not inhibit WT KIT1
• Primary endpoints: safety, PK, PD1
– Well tolerated at all dose levels for 35 weeks (median)
– No treatment-related SAEs or AEs that led to drug discontinuation
• Part 2 actively enrolling2

Significant Dose-Dependent Improvements After 12 Weeks of Elenestinib1,3
Secondary Endpoints
Mean Percentage Change From Baselinea


Dr. Giannetti


• Disease subtype1
• Age: >60 years1
• Hemoglobin: <10 g/dL1
• Platelets: <100/150×109/L1,a
• BST level2
• ≥6% VAF of KIT D816V in PB3
• Elevated serum ALP (≥100 U/L)4

Nonadvanced SM Subtype2 Risk of Progression
• Other genetic mutations2 (eg, ASXL1, RUNX1, TET2)
• High symptom burden5
Progression to more severe subtypes occurs in ≈1% to 3% of cases.6 Different prognostic scoring systems can be used to predict prognosis. 1
ASXL1, additional sex combs-like 1; RUNX1, RUNX family transcription factor 1; TET2, tet methylcytosine dioxygenase 2.
aDependent on whether Mutation-Adjusted Risk Score for advanced SM or Mayo Alliance Prognostic System for mastocytosis is used. 1. NCCN. https://www.nccn.org/professionals/physician_gls/pdf/mastocytosis.pdf; 2. Valent P, et al. J Allergy Clin Immunol Pract. 2022;10(8):1999-2012; 3. Maurer M, et al. J Allergy Clin Immunol. 2024;153(2):AB238; 4. Mukherjee, et al. Blood. 2023;142(suppl 1):6406; 5. Reiter A, et al. Blood. 2020;135(16):1365-1376; 6. Sizemore JA, et al. J Am Acad Dermatol. 2025. [Epub ahead of print].



Medication Type

General medications
• Alcohol
• Amphotericin B
• Dextran
• Dextromethorphan
• Polymyxin B
Pain medications
General anesthetics
Local anesthetics
Avoid or Use With Caution
• Quinine
• Vancomycin IV
• Alpha-adrenergic blockers
• Beta-adrenergic blockers
• Opioid narcotics (may be tolerated by some individuals)
• Ketorolac
• Atracurium
• Doxacurium
• Benzocaine
• Chloroprocaine
Intraoperative induction medications
Inhaled anesthetics
• NSAIDs (unless the patient is already taking a drug from this class)
• Rocuronium
• Mivacurium
• Procaine
• Tetracaine
Medications That Are Typically Tolerated
• Calcium channel blockers
• Centrally-acting alpha 2 adrenergic stimulants
• Aldosterone antagonists
• Fentanyl (may require adjunctive treatment with ondansetron)
• Tramadol
• Pancuronium
• Vecuronium
• Bupivacaine
• Lidocaine
• Levobupivacaine
• Ketamine
• Midazolam
• Propofol
• Sevoflurane
• Mepivacaine
• Prilocaine
• Ropivacaine
IV, intravenous.
The Mast Cell Disease Society (TMS). https://tmsforacure.org/wp-content/uploads/2023/03/TMS_Full-Patient-Guide_r6.pdf.

Compared with before diagnosis, after diagnosis, patients with SM had an increase in1:
• Specialty provider visits
– Greatest increases noted for hematologist/oncologist, allergist/immunologist, dermatologist, and gastroenterologist
• Urgent care visits
• ED visits
• Number of hospital admissions

Primary Disease Manager2,a

Allergist/Immunologist General practitioner
Hematologist/Oncologist Other
Multidisciplinary collaboration is critical for accurate diagnosis and comprehensive management of SM.
ED, emergency department.
aN=56 patients with nonadvanced SM.
1. Tse KY, et al. J Allergy Clin Immunol Glob. 2024;3(4):100316; 2. Mesa RA, et al. Cancer. 2022;128(20):3691-3699.

• Trigger avoidance1
– Identification of potential triggers
– Unpredictability of response
• Periprocedural precautions1,2
– Consult with anesthesia and surgical teams
– Review prior anesthesia records
• Anaphylaxis action plan1
• ED response plan1
• Medication adherence1
• The Mast Cell Disease Society (TMS)1
– Patient education and resources (eg, reference guides on treatment, ED plan, support groups)
1. TMS. https://tmsforacure.org/; 2. Pardanani A. AmJHematol . 2021;96(4):508-525.










NCCN Guidelines for Patients®
Systemic Mastocytosis, 2025
TMS provides multifaceted support to patients, families, and medical professionals through education, advocacy, and collaboration.
GARD helps patients find information, services, experts, financial aid, and support groups.
NORD is a patient advocacy organization committed to the identification, treatment, and cure of rare disorders through programs of education, advocacy, research, and patient services.


AIM is a group dedicated to advancing the research, education, and treatment of mastocytosis and related mast cell diseases.
ECNM (European Competence Network on Mastocytosis) is a group dedicated to improving disease recognition, diagnosis, and therapy in patients with mastocytosis in Europe.









• KIT D816V drives most cases of nonadvanced SM and underlies a broad, often severe spectrum of mediator-related symptoms
• Accurate diagnosis depends on high-sensitivity molecular testing (eg, ddPCR) to detect KIT D816V, particularly at low allele burden
• Management begins with trigger avoidance and antimediator therapy, with escalation guided by persistent symptom burden
• Avapritinib, the first FDA-approved therapy for ISM, targets underlying disease biology while delivering meaningful symptom and QOL improvement
– Other late-stage agents have the potential to broaden the therapeutic spectrum for patients with nonadvanced SM
• Optimal outcomes rely on patient education, anaphylaxis preparedness, and coordinated multidisciplinary care
