
Eastern Region



![]()







• SM is characterized by the abnormal expansion and accumulation of MCs in ≥1 ECO system1
• SM affects approximately 1 in 10,000 people1,2
• No apparent gender bias3
• Mean age at onset is 46-61 years with a peak in the mid-late 50s4
• Disproportionately higher among non-Hispanic White individuals5
Nonadvanced SM (~88%-95%)6-8
• Bone marrow mastocytosis (BMM)
• Indolent SM (ISM; ~88% of cases)6
• Smoldering SM (SSM)
Advanced SM (~5%-12%)6-8
• SM with associated hematologic neoplasm (SM-AHN)
• Aggressive SM (ASM)
• Mast cell leukemia (MCL)
ECO, extracutaneous organ; MC, mast cell.
1. Brockow K. Immunol Clin Allergy North Am. 2014;34(2):283-295; 2. Jørgensen MP, et al. Eur J Epidemiol. 2025;40(1):43-53; 3. Mohsin F, et al. J Clin Oncol. 2025;43(suppl 16):e22559; 4. Sizemore JA, et al. J Am Acad Dermatol. 2025. [Epub ahead of print]; 5. Nwaschukwu CE, et al. J Clin Oncol. 2025;43 (suppl 16):e18597; 6. Cohen SS, et al. Br J Haematol. 2014;166(4):521-528; 7. Ungerstedt J, et al. Cancers (Basel). 2022;14(16):3942; 8. Mesa RA, et al. Cancer. 2022;128(20):3700-3708.


Receptor










KIT D816V causes constitutive activation of the KIT receptor and downstream signaling

Infiltration of multiple organ systems
SCF binds KIT and activates signaling pathways that control MC differentiation, maturation, migration, proliferation, survival, and cytokine production.
~95% of patients with nonadvanced SM have a KIT D816V mutation.
from
JA, et al. Clin Pharmacol. 2019;11:77-92; Tracy George, MD, personal communication.



IgE

FcεR1

GPCR

Environmental stimuli

Preformed mediators (found in granules)






















• Histamine
• Tryptase
• Heparin

Lipid mediators (synthesized from arachidonic acid)
• Leukotrienes
• Prostaglandins

Chemokines/Cytokines
• IL-4
• IL-6
• TNF
FcεR1, high-affinity IgE receptor 1; GPCR, G protein-coupled receptor; IgE, immunoglobulin E; IL, interleukin; MRGPRX2, Mas-related G-protein coupled receptor member X2; TNF, tumor necrosis factor.
Giannetti MP. Ann Allergy Asthma Immunol. 2021;127(4):412-419; Moon TC, et al. Front Immunol. 2014;5:569; Theoharides TC, et al. Biochim Biophys Acta. 2012;1822(1):21-33.


Cardiovascular
• Hypotension
• Syncope or near syncope

• Lightheadedness
• Tachycardia

Cutaneous
• Flushing
• Pruritus
MC Activators
Allergens, bacteria, cytokines, drugs, fungi, peptides, toxins, viruses
CRH, chymase, histamine, IL-6, PAF, renin, TNF, tryptase

• Urticaria

• Angioedema
Respiratory
• Nasal congestion
• Shortness of breath

• Nasal pruritus
• Throat swelling
• Wheezing



CRH, histamine, IL-6, IL-8, IL-33, PAF, PGD2, TNF, tryptase
Histamine, IL-6, CysLTs, PAF, PGD2




CRH, histamine, IL-6, neurotensin, PAF, PGD2, TNF
• Anxiety
• Decreased concentration and memory
IL-6, PGD2, RANKL, TNF, tryptase
CRH, histamine, IL-6, neurotensin, PAF, PGD2, serotonin, TNF, tryptase, VIP CRH, histamine, IL-6, TNF
Digestive
• Abdominal cramps
• Diarrhea

• Esophageal reflux
• Nausea and vomiting


• Depression
• Insomnia
• Migraines

• Aches
• Bone pain

• Osteopenia
• Osteoporosis
• Pathologic fractures

Systemic
• Fatigue
• Weight loss

• Generalized malaise

ISM cases frequently experience mediator symptoms with longer duration before diagnosis than aggressive subtypes.1,2
CRH, corticotropin-releasing hormone; CysLT, cysteinyl leukotriene; PAF, platelet -activating factor; PGD2, prostaglandin D2, RANKL, receptor activator of nuclear factor-κB ligand; VIP, vasoactive intestinal peptide.
1. Theoharides TC, et al. N Engl J Med. 2015;373(2):163-172; 2. Sizemore JA, et al. J Am Acad Dermatol. 2025. [Epub ahead of print].


• Anaphylaxis is noted in up to 50% of patients with ISM1
– These life-threatening events are traumatic experiences for patients who experience them
• Anaphylaxis to fire ant venom is frequently misdiagnosed in SM and not treated appropriately with epinephrine2
• Be aware of the many triggers of MC activation in patients with SM
• Maintain a high index of suspicion for MC disorders when patients present with seemingly unrelated symptoms




Triggers Examples
Venoms
IgE Mediated
Food & Beveragesb
Allergens
MRGPRX2 Medications
Cyclooxygenase
Inhibition

Stressors
Medications
Acute infection
Pain
Environment
Fatigue
Physical triggers
Surgery
Bee, wasp,3,a mixed vespids, fire ants
Pollen, pet dander, dust mites
Opioids, some antibiotics (eg, vancomycin), contrast dyes
NSAIDs
Viral, bacterial, fungal
Emotional, physical
Heat, cold, sudden changes in temperature, natural and chemical odors, sun/sunlight
Lack of sleep/sleep deprivation
Mechanical irritation, friction, vibration, exercise
Anesthesia (eg, atracurium)
Proceduresc Colonoscopy, endoscopy, interventional radiology
Vaccinations
NSAID, nonsteroidal anti-inflammatory drug.
aHymenoptera venom was recently identified as the most common trigger in ISM; bAlcohol consumption can induce a reaction, but the reaction is not IgE-mediated;
cPerioperative management should be considered.
1. Adapted from National Comprehensive Cancer Network (NCCN). https://www.nccn.org/professionals/physician_gls/pdf/mastocytosis.pdf; 2. Rama TA, Castells M. Curr
Treat Options Allergy. 2023;10:442-457; 3. Niedoszytko M, et al. Allergy. 2024;79(9):2470-2481.





• Osteoporosis affects up to 30% of patients with SM1
– Young males who are not commonly affected by osteoporosis
– Spine osteoporosis and vertebral fractures are hallmarks of SM
• BMM does not differ from ISM in terms of bone presentation but does often lead to osteopenia2
• Other skeletal involvement in SM can include pathological fractures related to decreased bone mass, lytic abnormalities, sclerotic changes, increased bone mass (osteosclerosis)3
Bone involvement should be assessed regularly in patients with SM via bone metabolism markers (eg, serum calcium and phosphorus, 25(OH)D, AP) and/or radiological assessment of BMD (eg, DEXA, X-rays, CT scan, MRI).1

25(OH)D, 25-hydroxyvitamin D; AP, alkaline phosphatase; BMD, bone mineral density; CT, computed tomography; DEXA, dual -energy X-ray absorptiometry; MRI, magnetic resonance imaging.
1. Degboé Y, et al. Curr Osteoporos Rep. 2025;23(1):10; 2. Sizemore JA, et al. J Am Acad Dermatol. 2025. [Epub ahead of print]; 3. Moran CA, et al. J Acad Dermatol. 2025. [Epub ahead of print].

• Patients with ISM reported1,a
– Disruptions, limitations, and problems in social, leisure, and daily activities
– Making adjustments to their daily lives, including avoiding certain foods, sun exposure, alcohol, and odors
– Severity of difficulties increased with greater symptomatic burden (TSS ≥28)
– Non-White ISM patients reported more frequent and more severe symptoms following diagnosis, suggesting that disease burden may vary by race and/or ethnicity3

TSS, Total Symptom Score.
aN=237 patients aged ≥18 years with ISM; bN=56 patients with nonadvanced SM.
1. Hobart J, et al. Presented at European Academy of Allergy and Clinical Immunology (EAACI) 2025 Congress; June 13-16, 2025; Glasgow, United Kingdom. Poster 488; 2. Mesa RA, et al. Cancer. 2022;128(20):3691-3699; 3. Chen W, et





• Anaphylaxis to insect venom1
• History of hypotensive anaphylaxis, especially if associated with baseline or event-related tryptase increases2
• History of hypotensive episodes resulting in presyncope or syncope + absence of urticaria and angioedema + elevated BST level2
• History of flushing, itching, and abdominal pain2
• BST >8 ng/mL2


Bloodwork
• CBC/Diff
• CMP
• BST

Genetics


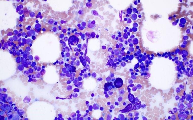
Morphology
• Blood smear
• BM aspirate smear
• BM biopsy


• High-sensitivity KIT D816V mutation analysis (ddPCR)
• Tryptase genotype (HαT)
• Myeloid gene panel (optional)
• Screen for FIP1L1-PDGFRA if eosinophilia is present and KIT D816V is negative







MC Immunophenotype
• Flow cytometry (CD2, CD25, CD34, CD117, CD30)
• Immunohistochemistry (tryptase, CD25, CD117, CD30)




NGS, next-generation sequencing; PB, peripheral blood. aN=39 patients enrolled in part 1 of PIONEER with a confirmed diagnosis of ISM and moderate to severe symptoms. George T, et al. Blood. 2020;136(suppl 1):7-8.




• Serum tryptase
• CBC/Diff
• High-sensitivity assay for KIT D816V mutational analysis on PB (if available)



Does the patient have skin lesions consistent with MPCM/UP?

Figure adapted from Zanotti R, et al. J Clin Med. 2021;10(7):1420. YES

Does the patient experience presyncope, syncope, signs of recurrent mediator-related symptoms, anaphylaxis, unexplained osteoporosis?






Perform high-sensitivity assay for KIT D816V mutational analysis on PB (if available) BM biopsy may be needed in the future; continue to








MPCM/UP, maculopapular cutaneous mastocytosis/urticaria pigmentosa.


1 major criterion + 1 minor criterion
≥3 minor criteria
minor criteria

Multifocal infiltrates of MCs (≥15 MCs/aggregate) in BM biopsy and/or ECOa



Serum tryptase level >20 ng/mL (in the case of known HαT, tryptase levels should be adjusted)
>25% of MC are immature or atypical in BM smears or spindle-shaped in MC infiltrates detected in sections of BM or ECO
ICC, International Consensus Classification; WHO, World Health Organization.

KIT D816V (or any other mutation causing ligand-independent activation of KIT)

CD2 and/or CD25 and/or CD30 detected on MCs in BM, blood, or other ECO

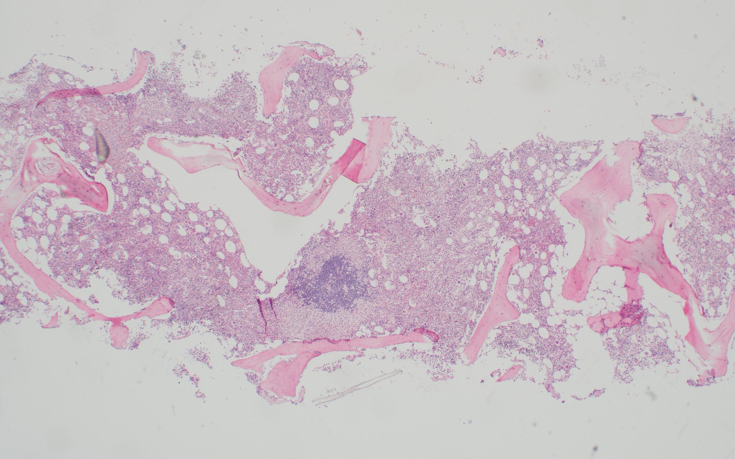
aThe ICC defines the major criterion as multifocal infiltrates of MCs that are tryptase+ and/or CD117+ . Arber DA, et al. Blood. 2022;140(11):1200-1228; Khoury JD, et al. Leukemia. 2022;36(7):1703-1719; NCCN. https://www.nccn.org/professionals/physician_gls/pdf/mastocytosis.pdf. Images courtesy of Tracy George, MD, and Anton R ets, MD, PhD.




No additional findings
• Absence of skin lesions
• BM involvement
• Serum tryptase <125 ng/mL





<2 B-findings
• Skin lesions may be present
≥2 B-findings, No C-findings


• MCs in BM ≥30% and/or serum tryptase ≥200 ng/mL and/or KIT D816V with VAF ≥10% in BM or PB leukocytes
• BM hypercellularity or dysplasia or myeloproliferation in a non-MC lineage
• Organomegaly (without organ impairments)
• Does not meet criteria for AHN


SM diagnostic criteria met
≥20% MCs on


≥1 C-finding
• Cytopenia(s) present (ANC <1.0 × 109/L, hemoglobin <10 g/dL, or platelets <100 × 109/L)
• Hepatomegaly with portal hypertension/ascites
• Splenomegaly with hypersplenism
• Osteolytic lesions (≥2 cm) or pathologic fractures
• Malabsorption with weight loss with hypoalbuminemia
• Does not meet criteria for AHN
BM aspirate smear


MCLa
• Classic MCL: ≥10% MCs in PB smear
• Aleukemic MCL: <10% MCs in PB smear




ANC, absolute neutrophil count; CMML, chronic myelomonocytic leukemia; VAF, variant allele frequency.
aB- and C-findings possible; in acute MCL, C-findings are detectable.
WHO criteria for AHN met (eg, dysplasia, monocytosis, eosinophilia)

SM-AHNa

• SM-acute myeloid leukemia (AML)
• SM-myelodysplastic syndrome (MDS)
• SM-myeloproliferative neoplasm (MPN)
• SM-MDS/MPN (eg, SM-CMML)
Adapted from Mannelli F. Ann Hematol. 2021;100(2):337-344; Khoury JD, et al. Leukemia. 2022;36(7):1703-1719; NCCN. 2025. https://www.nccn.org/professionals/physician_gls/pdf/mastocytosis.pdf; Zanotti R, et al. Leukemia. 2022;36(2):516-524.




Skin: pruritus, flushing, hives

GI: nausea, vomiting, diarrhea, abdominal cramps, heartburn


Cardiovascular: syncope, dizziness, palpitations
Anaphylaxis: (hypotension >> angioedema)
Hymenoptera stings, drugs, food


Neurologic: memory/cognitive difficulties, depression, headache, sleep disturbance



• Malabsorption or protein-losing enteropathy w/ weight loss çMast cell mediator/Skin symptoms prominent Pre-diagnostic




Bone: osteopenia, osteoporosis, back pain, bone pain
Ensure that organopathy is due to mast cell infiltration!
• Osteolysis w/ pathologic fractures


Constitutional: generalized weakness, fatigue, arthralgias, myalgias, sweats, chills
• Lymphadenopathy
• Splenomegaly/hypersplenism
• Hepatomegaly/ascites



• Cytopenia







• ~6% of general population, accounting for 90% of cases with elevated BST levels1
• Amplification at the TPSAB1 locus (encodes alpha tryptase) that increases BST levels (>8 ng/mL)2,3
– ~9- to 10-ng/mL increase in tryptase for every extra copy of TPSAB11
– Important to genotype when BST elevated4
• Affects ~12%-17% of patients with SM5
– HαT+ patients with SM have a higher rate of mediatorrelated symptoms and severe anaphyhlaxis6,7
Chromosome 163 TPSAB1, tryptase alpha/beta 1; TPSB2, tryptase beta 2; TPSD1, tryptase delta 1; TPSG1, tryptase gamma 1 . 1. Glover SC, et al. Ann Allergy Asthma Immunol. 2021;127(6):638-647; 2. Lyons JJ, et al. Nat Genet. 2016;48(12):1564-1569; 3. Lyons JJ. Immunol Allergy Clin North Am. 2018;38(3):483-495; 4. McMurray JC, et al. Front Allergy. 2025;6:1599358; 5. Polivka L, et al. J Allergy Clin Immunol. 2024;153(1):349-353.e4; 6. Lyons JJ, et al. J Allergy Clin Immunol. 2021;147(2):622-632; 7. Crupi F, et al. Front Allergy. 2025;6:1592001; 8. NCCN. 2025. https://www.nccn.org/professionals/physician_gls/pdf/mastocytosis.pdf.


• Cardiovascular: coronary hypersensitivity,a labile hypertension, orthostatic hypotension, paroxysmal arrhythmias
• Digestive: adverse food reaction,a celiac disease, GERD, gluten enteropathy, IBS
• Endocrinologic: carcinoid syndrome, insulinoma, parathyroid/thyroid carcinoma, pheochromocytoma, thyrotoxicosis
• Immunologic: autoinflammatory disorders,a vasculitisa
• Neurologic: anxiety, chronic fatigue syndrome, depression, fibromyalgia, headaches/migraines, hyperventilation, multiple sclerosis, panic attacks, postural orthostatic tachycardia syndrome, seizure disorder, somatization disorder, stroke
• Skina: angioedema, atopic dermatitis, chronic urticaria
• MMAS:
– KIT D816V present or CD25+
– Symptoms consistent with MC activation and evidence of clonal population
GERD, gastroesophageal reflux disease; MMAS, monoclonal mast cell activation syndrome.
aLocalized MC activation can occur.
Castells M, Butterfield J. J Allergy Clin Immunol Pract. 2019;7(4):1097-1106; Picard M, et al. Clin Ther. 2013;35(5):548-562; Scherber RM, Borate U. Br J Haematol. 2018;180(1):11-23; Theoharides TC, et al. N Engl J Med. 2015;373(2):163-172.


• BST variability1:
– HαT affects BST levels, so adjustments should be made
– Tryptase is not reliable when AHN is present
– Tryptase <20 ng/mL does not rule out SM
• Negative KIT D816V in PB does not rule out SM (often negative even by high sensitivity methods in low MC burden)
• Be aware of overlapping findings between MMAS and SM3




• Disease subtype1
• Age: >60 years1
• Hemoglobin: <10 g/dL1
• Platelets: <100/150 × 109/L1,a
• BST level2
• ≥6% VAF of KIT D816V in PB3
• Elevated serum AP (≥100 U/L)4
• Other genetic mutations2 (eg, ASXL1, RUNX1, SRSF2)
• Eosinophilia1
• Splenomegaly1
• High symptom burden5
• Lack of CD2 expression in MC6
Progression to more severe subtypes occurs in ~1-3% of cases.7
ASXL1, additional sex combs-like 1; OS, overall survivial; PGD2, prostaglandin D2; RUNX1, runt-related transcription factor 1; SRSF2, serine/arginine -rich splicing factor 2.
aDependent on whether Mutation-Adjusted Risk Score (MARS) for advanced SM or Mayo Alliance Prognostic System (MAPS) for mastocytosis is used. 1. NCCN. https://www.nccn.org/professionals/physician_gls/pdf/mastocytosis.pdf; 2. Valent P, et al. J Allergy Clin Immunol Pract. 2022;10(8):1999-2012; 3. Maurer M, et al. J Allergy Clin Immunol. 2024;153(2):AB238; 4. Mukherjee, et al. Blood. 2023;142(suppl 1):6406. 5. Reiter A, et al. Blood. 2020;135(16):1365-1376; 6. Rufer A, et al. Leukemia. 2025;39(3):675-683; 7. Sizemore JA et al. J Am Acad Dermatol. 2025. [Epub ahead of print].








• Symptom assessment:
– Direct questions about symptom response to treatment
– Validated tools used in clinical trials
• Mastocytosis Symptom Assessment Form (MSAF)1
• Mastocytosis Activity Score (MAS)2
• ISM Symptom Assessment Form (ISM-SAF©)3
• Mastocytosis Symptom Severity Daily Diary (MS2D2)4
• QoL:
– Mastocytosis Quality-of-Life Questionnaire (MQLQ)1
– Mastocytosis Quality of Life Questionnaire (MC-QoL)5
More than half of patients take ≥3 prescription medications and ≥3 OTC medications.6
Abdominal pain
Diarrheaa
Nausea
Spots
Itching
Flushing
Brain fog
Headache

Symptoms scored daily over a 24-hour recall period
0 = no symptom
10 = worst imaginable symptom

HRQoL, health-related quality of life; OTC, over the counter; QoL, quality of life.

aDiarrhea frequency is scored separately but contributes to total score.
Dizziness
Bone pain
Fatigue
TSS (0-110)
≥28 indicates moderate to severe symptoms
1. NCCN. 2025. https://www.nccn.org/professionals/physician_gls/pdf/mastocytosis.pdf; 2. Siebenhaar F, et al. Allergy. 2018;73(7):1489-1496; 3. Taylor F, et al. Orphanet J Rare Dis. 2021;16(1):414; 4. Marcus J, et al. Value Health. 2025;28(6 suppl 1):S342-S343; 5. Siebenhaar F, et al. Allergy. 2016;71(6):869-877; 6. Mesa RA, et al. Cancer. 2022;128(20):3691-3699.

Skin: pruritus, flushing, urticaria, angioedema dermatographisma

GI: abdominal pain, cramping, diarrhea, GERD/heartburn, nausea, vomiting
Neurologic: headache, cognitive impairment (eg, brain fog, poor concentration and memory), depression
Cardiovascular/Pulmonary: presyncope, tachycardia, wheezing, throat swelling
Hypotensive episodes/anaphylaxis
Osteopenia/Osteoporosis

1R antagonist and H2R antagonist
2R antagonist
H1R and H2R antagonist
H1R and H2R antagonist
Epinephrine IM (acutely), supine positioning
Supplemental calcium and vitamin D, bisphosphonate; bone mineral density assessment
2. Leukotriene receptor antagonist
3. Aspirin
4. Ketotifen
5. Cromolyn sodium, topical
2. Cromolyn sodium
3. Proton pump inhibitor
4. Leukotriene receptor antagonist
5. Ketotifen
2. Cromolyn sodium
3. Aspirin
4. Ketotifen
2. Corticosteroids
3. Omalizumab
Prevention: VIT, rush desensitization, omalizumab
Denosumab, interferon-α inhibitor, cytoreductive agent; vertebroplasty/kyphoplasty

• Usually target active site of the kinase receptor1
• Classified based on type of binding (eg, competitive, allosteric)1
• KIT inhibitors2,3:
– Imatinib: inhibits WT or non-D816V mutations
• Inhibits ABL1, FLT3, PDGFRA, PDGFRB, CSFR1; FIP1L1-PDGFRA
– Midostaurina: inhibits WT and D816V
– Avapritinibb , bezuclastinib, elenestinib: selectively inhibit D816V
• Potential for overlap in inhibition (eg, avapritinib inhibits KIT and PDGFRA mutants4)





binding domain



ABL, ABL proto-oncogene 1, non-receptor tyrosine kinase; ATP, adenosine triphosphate; FLT3, FMS -like tyrosine kinase 3; PDGFRB, platelet-derived growth factor receptor β; CSFR1, colony-stimulating factor 1 receptor; TKI, tyrosine kinase inhibitor; WT, wild-type.
aNot indicated for nonadvanced disease, and utility limited by GI toxicity; bAvapritinib is the only TKI currently FDA approved to treat ISM.
1. Pottier C, et al. Cancers. 2020;12(3):731; 2. Akin C. Immunol Allergy Clin North Am. 2023;43(4):743-750; 3. Akin C, et al. J Allergy Clin Immunol. 2022;149(6):1912-1918; 4. Trullas-Jimeno A, et al. ESMO Open. 2021;6(3):100159.



aP=0.003.
Avapritinib Targets the KIT
Receptor on the MC1






Avapritinib Significantly
Improved TSS Score2






1. Nicolosi M, et al. Medicina (Kaunas). 2021;57(11):1135; 2. Gotlib J, et al. NEJM Evid. 2023;2(6):EVIDoa2200339; 4. Drugs@FDA. https://www.accessdata.fda.gov/drugsatfda_docs/label/2023/212608s013lbl.pdf. ATP binding domain
BSC, best supportive care; C, complement; IgG, immunoglobulin G; OLE, open -label extension. N=212 adults with confirmed ISM with inadequately controlled symptoms (TSS ≥28) despite receiving BSC with ≥2 antimediator drugs were randomly assigned 2:1 to receive 25 mg avapritinib daily + BSC (n=141) or placebo + BSC (n=71) for 24 weeks. Patients could then continue to an OLE, in which they received 25 m g avapritinib daily for up to 5 years.

Avapritinib Significantly Improved Clinical Markers and Symptoms

Avapritinib Improved on a 30% Reduction in Symptoms vs Placebo

• With a median 2-year follow-up, 25 mg QD demonstrated sustained improvements in TSS and all 11 individual symptom scores, with the greatest improvements in spots, itching, flushing, and fatigue1
• Sustained improvements demonstrated in MC-QoL total score and all 4 health domain scores, with the greatest improvement in the social life/functioning domain1
• Increases in mean BMD were observed after 2 years of treatment (eg, lumbar spine, femoral neck)2
• TEAEs, regardless of causality, occurred in 99% of patients (Grade ≥3 events, 39%)1
• TRAEs were comparable to placebo and the rate of Grade ≥3 TRAEs remained low1
– 2% of TRAEs led to discontinuation (n=5)
– Most common: edema events, mainly Grade 1 and occurred most frequently the first 3-4 months of treatment
• Anaphylactic events decreased with avapritinib use3

QD, once daily; TEAE, treatment-emergent adverse events; TRAE, treatment-related adverse events.
1. Castells M, et al. J Allergy Clin Immunol Pract. 2025. [Epub ahead of print]; 2. Siebenhaar F, et al. J Allergy Clin Immunol Pract. 2025;155(2 suppl):AB168, Abstract 527; 3. Pongdee T, et al. J Ann Allergy Asthma Immunol. 2023;131(5 suppl 1):S121, Abstract M79.

• 25 mg orally QD on an empty stomach1
– (ASM: 200 mg orally QD)
– Not recommended for patients with platelet count <50 × 109/L or pregnant
• Avoid coadministration with strong and moderate CYP3A inhibitors and inducers1
• AEs: peripheral and periorbital edema, dizziness, flushing, photosensitivity
• Intracranial bleeding has not been reported in patients with ISM who are taking avapritinib1,a
– Ensure patient does not have a history of intracranial hemorrhage before prescribing
• Avapritinib was well tolerated in patients receiving concomitant omalizumab, similar to overall avapritinib-treated PIONEER part 2 population2
• Monitoring: lab monitoring (CMP, CBC with differential) and visit at 3 and 6 months after starting medication, then every 6 months
AE, adverse event; CYP, cytochrome P450.
aAs of September 5, 2025.
1. Drugs@FDA. https://www.accessdata.fda.gov/drugsatfda_docs/label/2023/212608s013lbl.pdf;




• Anti-IgE monoclonal antibody1
• FDA approved to treat CSU, CRSwNP, allergic asthma, and IgE-mediated food allergy1
• Effective on all vasomotor symptoms, including anaphylaxis and urinary symptoms2
• Safety and efficacy study of omalizumab in SM (2018)3,b
– Demonstrated significant reduction in symptoms and improvement in patient-reported QoL:
• 38.5% had complete symptom control
• 23% had major response, 23% had partial response
– Most effective for recurrent anaphylaxis and skin symptoms, less for GI, musculoskeletal, and neuropsychiatric symptoms
– No significant changes in tryptase levels or KIT VAF
– No SAEs

CRSwNP, chronic rhinosinusitis with nasal polyps; CSU, chronic spontaneous urticaria; SAE, serious adverse event.
aOmalizumab is not FDA approved for SM or recurrent anaphylaxis. Omalizumab is FDA approved to treat moderate to severe persistent allergic asthma, nasal polyps in adults, and chronic urticaria; bN=14 adult patients with SM who received omalizumab for a median duration of 17 months.
1. US Food and Drug Administration (FDA). https://www.accessdata.fda.gov/drugsatfda_docs/label/2024/103976s5245lbl.pdf; 2. Buonomo A, et al. Mediterr J Hematol Infect Dis. 2022;14(1):e2022040; 3. Broesby-Olsen S, et al. Allergy. 2018;73(1):230-238; 4. Valent P, et al. J Allergy Clin Immunol Pract. 2022;10(8):1999-2012.






































BTK, Bruton tyrosine kinase; C, complement.








2,3 Phase 2 (Summit)




2 Phase 2/3 (HARBOR)
2 Phase 3
4 Phase 2
1. Figure adapted from Castells M, Akin C. Nat Med. 2021;27(12):2081-2082; 2. Nicolosi M, et al. Medicina (Kaunas). 2021;57(11):1135; 3. Akin C, et al. Blood. 2022;140(suppl 1):6838-6839; 4. ClinicalTrials.gov. https://clinicaltrials.gov/study/NCT04655118.

• Minimal CNS penetration1
• High selectivity: does not inhibit PDGFRA, PDGFRB, FLT3, CSFR12
• Part 1a: primary endpoints: safety, PK, MC biomarkers, symptom improvement at 12 weeks1
– No treatment-related SAEs; majority of TEAEs at 100 to 200 mg QD were low grade and reversible
– No bleeding or cognitive impairment events reported
• Part 2: 24-week treatment3
• Enrollment closed4
CNS, central nervous system; NA, not available; PK, pharmacokinetics.

aN=54 adult patients with ISM or SSM per 2016 WHO criteria with moderate to severe symptoms (on ≥2 antimediator therapies), who were randomly assigned 1:1:1 to BSC + bezuclastinib or BSC + placebo for 12 weeks, followed by OLE: part 1a, N=20, 100 mg QD or 200 mg QD or placebo; part 1b, N=34, 100 mg QD (n =11), 150 mg QD (n=11), placebo (n=12); OLE: N=36; bP=0.046.
1. Bose P, et al. Blood. 2023;142(suppl 1):77; 2. Akin C. Immunol Allergy Clin North Am. 2023;43(4):743-750; 3. Modena B, et al. J Allergy Clin Immunol. 2024;153(suppl 2):AB224, Poster 694; 4. Cogent Biosciences. https://smpathways.com/; 5. Triggiani M, et al. EMJ Allergy Immunol. 2024;9(1):26-36; 6. Rein LAM, et al. Blood. 2024;144(suppl 1):4556.

• Favorable safety & tolerability:
– Majority of TEAEs were low grade and reversible
– No treatment-related bleeding or cognitive impairment AEs reported
• Sustained improvement in symptom severity and reduced requirement for BSC at 48 weeks
– MS2D2 TSS reduced from baseline by a mean 64.6% and 28.8 points
– 88% of patients reached at least 50% reduction in MS2D2 TSS
– 47% of patients had reductions or discontinuations of BSC medications

N=27 participants in OLE that participated in Summit Part 1 trial; all patients who were randomized to 100mg QD bezuclastinib (n=18) or to placebo then continued in OLE to receive open label bezuclastinib at the 100mg QD dose (n=9). Efficacy results include all patients who received bezuclastinib 100mg QD through 48 weeks of active treatment. Boggs NA, et al. J Allergy Clin Immunol. 2025;155(2 suppl):AB166, Poster 520.

• Limited CNS penetration1
• Selectively inhibits KIT D816V; does not inhibit WT KIT1
• Primary endpoints: safety, PK, PD1
– Well tolerated at all dose levels for 35 weeks (median)
– No treatment-related SAEs or AEs that led to drug discontinuation
• Part 2 actively enrolling2
PD, pharmacodynamics.

Significant Dose-Dependent Improvements After 12 Weeks of Elenestinib1,3
Secondary Endpoints
aN=39 adult patients with ISM per WHO criteria with moderate to severe symptoms (ISM-SAF TSS ≥28), who were randomly assigned to BSC + elenestinib
or BSC + placebo. N=83 additional open-label PK cohorts enrolled in parallel to further characterize PK and safety: n=21 at 50 mg, n=34 at 75 mg, and n=28 at 100 mg; bISM-SAF results are from the blinded portion of part 1. 1. Tashi T, et al. Blood. 2023;142(suppl 1):76; 2. ClinicalTrials.gov. https://clinicaltrials.gov/study/NCT04910685; 3. Chifotides HT, Bose P. Clin Lymphoma Myeloma Leuk. 2025;25(1):1-12.


• Patients with stable SSMa should be monitored every 6 months and those with stable ISMa every 12 months, for changes in:
– Serum tryptase level
– KIT D816V VAF
– CBC/Diff
– CMP
– Weight
– Physical examination, including skin/lesions
• Regression of MPCM lesions does not correlate with changes in underlying ISM
– Abdominal sonography
– QoL/Symptom burden: ability to participate in daily activities, ability to eat, respiratory symptoms under control, sleep
• Use MSAF or MQLQ
• DEXA scan every 1 to 3 years for patients with osteopenia/osteoporosisb If laboratory results or symptoms change, therapeutic adjustment should be considered.

aPatients with unstable SSM or ISM should be seen more frequently until stabilized; bPatients with BMM are at higher risk for osteopenia/osteoporosis. Brockow K, et al. Arch Dermatol. 2002;138(6):785-790; NCCN. 2025. https://www.nccn.org/professionals/physician_gls/pdf/mastocytosis.pdf; Siebenhaar F, et al. Allergo J
Int. 2025;34:57-68.





Compared with before diagnosis, after diagnosis, patients with SM had an increase in1:
• Specialty provider visits
– Greatest increases noted for hematologist/oncologist, allergist/immunologist, dermatologist, and gastroenterologist
• Urgent care visits
• ED visits
• Number of hospital admissions
Multidisciplinary

department.

Allergist/Immunologist General practitioner Hematologist/Oncologist Other
collaboration is critical for accurate diagnosis and comprehensive management of SM.

Perioperative Triggers Examples
• Tourniquet use

Mechanical
Pharmacologic
Temperature Changes
• Mild trauma of the skin
• Surgery
• Medications (eg, atracurium, mivacurium, nefopam)
• Hypothermia
• Hyperthermia
Main Corresponding Symptoms
Skin: pruritis, flushing, erythema, urticaria
Cardiovascular signs: tachycardia, hypotension
Risk factors include a prior history of anaphylaxis, major surgery, and lack of premedication.2
Consult with anesthesia and surgical team and review prior anesthesia records.3,4
1. Dewachter P, et al. Anesthesiology. 2014;20(3):753-759; 2. Rama TA, Castells M. Curr Treat Options Allergy. 2023;10:442-457; 3. Pardanani A. Am J Hematol. 2021;96(4):508-525; 4. The Mast Cell Disease Society (TMS). https://tmsforacure.org/wp-content/uploads/2023/03/TMS_Full-Patient-Guide_r6.pdf.

Medication Type
Avoid or Use With Caution

General Medications
Pain Medications
• Alcohol
• Amphotericin B
• Dextran
• Dextromethorphan
• Polymyxin B
• Opioid narcotics (may be tolerated by some individuals)
• Ketorolac
• Atracurium
General Anesthetics
Local Anesthetics
• Doxacurium
• Benzocaine
• Chloroprocaine
Intraoperative Induction Medications
Inhaled Anesthetics

• Quinine
• Vancomycin IV
• Alpha-adrenergic blockers
• Beta-adrenergic blockers
• NSAIDs (unless the patient is already taking a drug from this class)
• Rocuronium
• Mivacurium
• Procaine
• Tetracaine
Medications That Are Typically Tolerated
• Calcium channel blockers
• Centrally-acting alpha 2 adrenergic stimulants
• Aldosterone antagonists
• Fentanyl (may require adjunctive treatment with ondansetron)
• Tramadol
• Pancuronium
• Vecuronium
• Bupivacaine
• Lidocaine
• Levobupivacaine
• Ketamine
• Midazolam
• Propofol
• Sevoflurane
• Mepivacaine
• Prilocaine
• Ropivacaine

• Avoiding all potentially triggering medications is frequently unnecessary
• Premedication, use of safer alternatives, and drug challenges (especially for NSAIDs) are recommended when patients with SM are introduced to new drugs


– Risk factors for NSAID hypersensitivity include female sex, baseline symptoms of angioedema and pruritus, previous history of anaphylaxis, advanced disease, elevated BST levels, and multilineage KIT D816V mutation
• Vaccination: Premedication is recommended with H1 and H2 antihistamines and leukotriene RAs, but not steroids
– 30 min observation period postvaccination is essential



• Trigger avoidance
– Identification of potential triggers
– Unpredictability of response
• Periprocedural precautions
• Anaphylaxis action plan
• ED response plan
• Medication adherence
• The Mast Cell Disease Society (TMS)
– Patient education and resources (eg, support groups) TMS. https://tmsforacure.org/.













NCCN Guidelines for Patients®
Systemic Mastocytosis, 2025
TMS provides multifaceted support to patients, families, and medical professionals through education, advocacy, and collaboration.
GARD helps patients find information, services, experts, financial aid, and support groups.
NORD is a patient advocacy organization committed to the identification, treatment, and cure of rare disorders through programs of education, advocacy, research, and patient services.
AIM is a group dedicated to advancing the research, education, and treatment of mastocytosis and related mast cell diseases.
ECNM (European Competence Network on Mastocytosis) is a group dedicated to improving disease recognition, diagnosis, and therapy in patients with mastocytosis in Europe.



• Nonadvanced SM has a complex pathophysiology, resulting in a high and varied symptom burden
• High-sensitivity assays (ddPCR) are the most reliable for detection of KIT D816V, particularly in cases with a low VAF
• Symptom management centers primarily on avoiding triggers and controlling mediator-related symptoms
• Avapritinib is FDA-approved to target both the underlying disease mechanisms and symptom burden in ISM
– Other selective TKIs are under investigation and may expand the treatment options available in the near future
• Patient education (anaphylaxis preparedness, trigger avoidance) is essential to reduce the significant burdens associated with SM
• Optimal care requires a coordinated, multidisciplinary team approach to address the range of patient needs
