treballs
de la Societat Catalana de Biologia







![]()







Catalana de Biologia, revista anual de la SCB
Societat Catalana de Biologia, filial de l’Institut d’Estudis Catalans Carme, 47. 08001 Barcelona scb@iec.cat

1)l’esperó de Bolós (Delphinium bolosii), de Maria Bosch (pàg. 53).
2)micrografia electrònica del bacterioma del pugó del cedre (Cinara cedri), d’Amparo Latorre i Vanesa Martínez. (pàg. 58).
3)desenvolupament del cervell, segons factors genètics i ambientals, de Marta de Castro (pàg. 68).
4)Francisco García del Cid (pàg. 75).
5)cèl·lules dendrítiques humanes (pàg. 18).
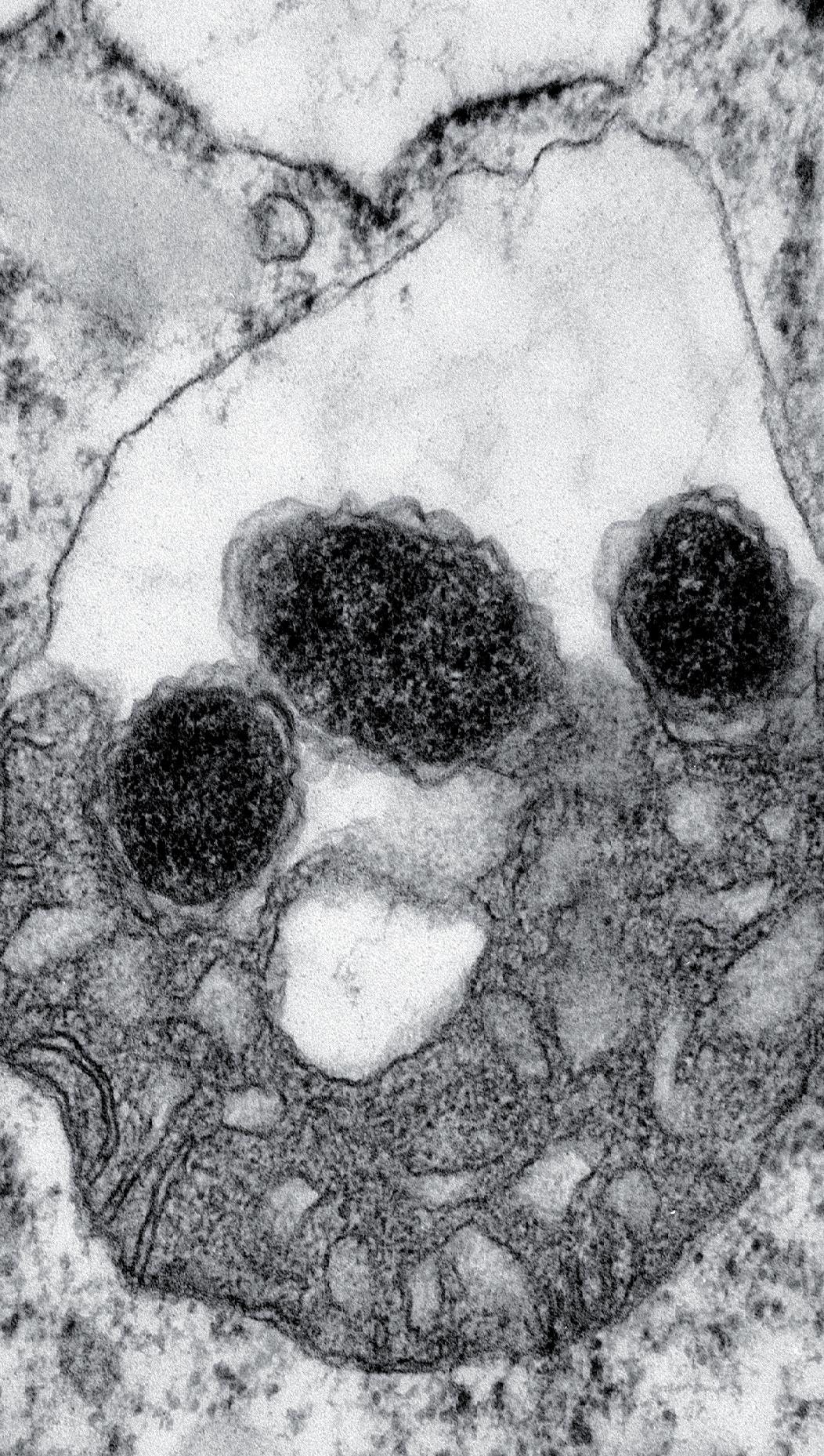
6) mitocondri de la paparra comuna (Ixodes ricinus) amb tres bacteris (Midichloria mitochondrii) a l’interior (pàg. 57).
Fotografies d’interior: quan no s’indica l’autor en el peu o en l’article, les fotografies són de domini públic o extretes de Wikimedia Commons o de Shutterstock. Tots els articles són propietat dels editors i dels autors respectius. Queda prohibida la reproducció total o parcial per qualsevol mitjà gràfic o electrònic del contingut de treballs de la societat catalana de biologia sense permís exprés.
Els editors no es responsabilitzen de l’opinió ni dels continguts dels articles signats.
© Societat Catalana de Biologia, Institut d’Estudis Catalans
Dipòsit Legal B.12164-1963 ISSN 0212-3037 (ed. impresa) ISSN: 2013-9802 (electrònic) Imprès per Gràfiques Llob3 Web de la versió electrònica: http://revistes.iec.cat/index.php.TSCB
Dolors Vaqué, Presidenta, ICN-CSIC
Ricard Roca, vocal, SCB
Rafel Abós-Herràndiz, vocal, ICS Josep Espelta, vocal, UAB Pere Ginés, vocal, Hospital Clínic
Cristina Junyent, cap editorial Ricard Roca, redacció editorial Gerard Sardà, disseny gràfic i maquetació
Servei Editorial, IEC, correcció d’originals
La Societat Catalana de Biologia (SCB) és una de les filials més antigues de l’Institut d’Estudis Catalans. Està regida per un Consell Directiu i organitzada en seccions especialitzades, que són les que organitzen les activitats principals que duu a terme la Societat.
President: Josep Clotet, Departament de Ciències Bàsiques, UIC
Vicepresidenta primera: Àurea Navarro, Servei de Radioisòtops, Campus Bellvitge, UB
Vicepresident segon: Jordi Barquinero, IRHUVH
Secretària general: Rosa Pérez, ensenyament secundari i batxillerat
Vicesecretària: Marina Rigau, Institut de Recerca Vall d’Hebron
Tresorer: Marc Martí-Renom, CNAG i CRG
Vocal d’Acció Territorial: Oriol Cabré, Departament de Genètica, UAB
Vocal de Comunicació: Joan Duran, UB
Vocal d’Ensenyament: Carles Giménez, ensenyament secundari i batxillerat
Vocal de Publicacions i Lexicografia: Dolors Vaqué, ICM
Vocal de Promocions: Eva Colàs, Institut de Recerca Vall d’Hebron
Vocal de Seccions: Albert Jordan, IBMB-CSIC
Vocal d’Estudiants: Oriol Iborra, estudiant de biologia de la UB
Delegat de l’IEC: Ricard Guerrero, IEC
SECCIONS
Aqüicultura: Josep Planas
Biofísica: Pere Garriga
Biologia Computacional: Roderic Guigó
Biologia del Desenvolupament: Jordi Garcia
Biologia Evolutiva: Josefa González
Biologia i Indústria: Ramon Roca
Biologia Molecular: Albert Jordan
Biologia Molecular del Càncer: Gabriel Capellà
Biologia de Sistemes: Albert Sorribas
Biologia i Societat: Cristina Junyent
Biologia de la Reproducció: Enric Ribes
Ecologia Aquàtica: Ramon Massana
Ecologia Terrestre: Josep Maria Espelta
Estudiants: Oriol Iborra
Ensenyament: Carles Giménez
Fisiologia Vegetal: Anna Caño
Genòmica i Proteòmica: Mario Cáceres
Microbiologia: Mercè Berlanga
Neurobiologia Experimental: Josep Saura
Senyalització Cel·lular i Metabolisme: Francesc Vinyals
Virologia: Rosa Pintó i Juana Diez
SCB a Alacant: Ivan Quesada
SCB a Lleida: Mª Angeles de la Torre
SCB a València: Lluís Pascual
SCB al Vallès: Jordi Barbé
SCB a Vic: Julita Oliveras
Editorial. Dolors Vaqué
El racó de la SCB. lluís TorT
investigaCió i avenços en immunologia
3
4
16
21
Pròleg. Manuel Juan i annabel F. ValleDor
Inflamació i macròfags
Jorge lloberas i anTonio CelaDa
Mecanismes de control negatiu de la inflamació vehiculats per receptors nuclears
JonaThan MaTalonga i annabel F. ValleDor
Present i futur de les cèl·lules dendrítiques
Daniel beníTez-ribas, FranCesC e. borràs i María MonToya
Modulació del canvi d’isotip de les immunoglobulines per senyals del sistema immunitari innat
irene Puga, anDrea CeruTTi i MonTserraT Cols 27
Malalties immunomediades (immunopatologia) en el moment actual
Manel Juan, azuCena gonzález i anna Mensa 33
Nous conceptes sobre la diabetis autoimmunitària
Joan VerDaguer i MarTa ViVes-Pi
39
Nous conceptes en HLA i trasplantament d’òrgans
JauMe MarTorell i eDuarD Palou 46
Immunoteràpia, un concepte clàssic amb novetats rellevants: els biològics i la immunoteràpia antitumoral com a exemples concrets
Manel Juan, Miguel Caballero baños, azuCena gonzález i JorDi yagüe
Flaixos de CiènCia
Ensumar el càncer sergi uDina
L’esperó de Bolòs, retrobat cent anys després
Cèsar blanChé
Gran o petit, llarg o curt...?Algunes reflexions sobre la manera com comprenem les magnituds
ViCTor grau i Torre-Marin
La vida impura.Algunes visions sobre la vida que ens ha
llegat Lynn Margulis
Juli PereTó
Una finestra al cervell. Mirant la ment mitjançant la ressonància magnètica
CarMe Junqué
Enzims essencials per a la vida
Maria Del Mar CenDra gasCón i eDuarD TorrenTs serra
premi d’estudiants de la sCB, 2013
Un viatge a la complexitat. La recerca de les bases genètiques de les psicosis
MarTa De CasTro-CaTalà
premi gemma rosell i romero 2013
Un procés reversible: la metilació del DNA en càncer elisabeT Figuerola bou
El biòleg «de via seca» luis ruiz-áVila
premi noBel
El transport cel·lular isMael Mingarro i FernanDo anienTo
Publicació de la Flora de Catalunya de Cadevall
JoseP M. CaMarasa
Francisco García del Cid
Carles bas
CiènCia en soCietat el personatge el Fet Carrera
Impressions sobre la construcció del documental Lluitant per la vida
FeliP solé
leCtura
El somni de Lucreci. Una història de la llibertat de pensament
Dolors Vaqué i CrisTina JunyenT
Benvolguts lectors, Després de la publicació de seixanta-quatre volums, el Consell Directiu i el Comitè de Publicacions us convida a encetar la quarta etapa de la revista treballs de la societat catalana de biologia, iniciada el 1914, que es tradueix en un canvi de format i de continguts. Aquesta «nova» revista que us presentem consta d’una primera part monogràfica dedicada a articles d’actualització de coneixements de la recerca científica —que en aquest número 65 està formada per vuit articles englobats sota el títol «Investigació i avenços en immunologia», editats per Annabel Valledor i Manuel Juan. I d’una segona part, i aquesta és la novetat en treballs, que comprèn un nombre de textos de contingut variat, des d’articles d’alta divulgació científica —entre els quals els «flaixos de ciència», fins a textos escrits per estudiants, la recerca dels quals ha estat guardonada bé amb el Premi d’Estudiants de la SCB, bé amb el Premi Gemma Rosell i Romero—, i també altres píndoles que recullen la història de la ciència a Catalunya, i d’altres visions de la recerca en biologia i de com es difon.
La decisió d’apostar per fer una revista d’aquestes característiques ha estat en part deguda a la crisi econòmica iniciada els darrers anys de la dècada passada, que ha arribat a la SCB després del centenari. Amb els recursos reduïts a la meitat no es podien publicar les dues revistes, treballs (actualització de coneixements) i Omnis Cellula (més divulgativa). La decisió va ser presa a contracor, atès que ambdues tenien molt bona acollida tant entre els científics com entre la població general amb cert coneixement de base.
El canvi de format que presentem és un gran repte, ja que, si ja és molt difícil trencar amb un model establert que ha funcionat força bé durant tots aquests anys, més ho és trencar amb dos. Tanmateix, esperem que l’oferta que us proposem us resulti atractiva. Volem advertir que aquesta proposta manté les característiques que validen la qualitat de la revista científica prèvia, que han assolit els successius vocals de publicacions, especialment Francesc Piferrer i Circuns, i gràcies al suport de la secretaria científica, ocupada per Ricard Guerrero i Moreno.
També vull afegir que tot això no hauria estat possible sense el suport del nostre president, Lluís Tort, dels altres membres del Consell Directiu i del Comitè de Publicacions i de l’equip editorial format per Cristina Junyent, Ricard Roca i Gerard Sardà.
Finalment, vull fer esment que, a part de l’edició en paper, tots els articles els trobareu penjats a la pàgina web de la SCB (http://blogs.iec.cat/scb/) en formats PDF i HTML perquè els pugueu llegir també a l’ordinador, tauleta o telèfon mòbil.
Bona lectura, Dolors Vaqué, vocal de Publicacions
El Consell Directiu actual de la Societat Catalana de Biologia (SCB) el conforma en bona part l’equip que ha viscut darrerament dos fets rellevants de la vida de la Societat. En primer lloc, i prou destacat, el centenari de la seva existència i els actes de la celebració; i, en segon lloc, una reflexió conjunta sobre l’esdevenidor de la Societat de Biologia i la seva missió per als propers anys.
Parlar dels reptes de la SCB per al seu segon centenari és alhora simple i complicat. Complicat perquè és difícil vaticinar quin serà el nostre entorn socioeconòmic, ambiental i àdhuc biològic del futur, i quin paper hi pot fer una societat de biologia catalana. Haurem pogut controlar el clima, i per tant les interaccions amb els ecosistemes? Haurem domesticat el microbioma i podrem regular els processos patogènics? Haurem après el càncer i l’Alzheimer, allargat la vida i sabrem com mantenir-ne la qualitat a edats avançades? Serem organismes amb òrgans artificials impresos a mida, amb múltiples dispositius incorporats d’interrelació i control? I també, serem llavors nació, estat, federació, confederació i mantindrem una o més llengües?
Per l’altra banda, és simple. En tots aquests escenaris i d’altres, els biòlegs, biometges o com se’n digui llavors, continuaran sent peces clau per proporcionar coneixement i eines per al benestar de les persones i del planeta. La missió essencial de la SCB fa cent anys i ara continuarà sent la mateixa: el progrés del coneixement de la vida i la difusió d’aquest coneixement a la societat dins la nostra comunitat. Aquesta era i és la nostra visió i aquesta és la missió que la SCB ha de perseguir.
Fora del llarg termini, quins són els reptes més immediats? Els membres del Consell Directiu han estat capaços durant cent anys d’anar fent relleus per difondre i compartir amb la societat els avenços en biologia i medicina; i més tard també emprendre activitats de formació i educació en biologia o de debat i difusió del coneixement. Mantenir aquestes tasques ja és un repte rellevant, però sobretot ho serà el fet d’aconseguir els dos objectius principals que es proposaven en la reflexió feta pel Consell Directiu el 2013: fer créixer la SCB i intentar ser referent social dels professionals de les ciències de la vida i de la societat catalana mateixa. A això hem d’aspirar, i construir al voltant de la SCB el lloc de trobada de la societat en aquests temes, tant per al que la SCB ofereixi en termes d’assessorament, formació o difusió, com per al que la societat pot necessitar d’expertesa, avaluació o opinió autoritzada.
Per tot això la SCB està enfocant les properes passes tenint en compte que ha d’orientar la seva metodologia de treball enfocant-la sobretot cap als nostres destinataris, tenint més eines per ser a les xarxes socials, per comunicar més i millor, per incrementar el nombre de persones que troba interessant el que fem i el que diem, i que vulgui saber més i més sovint de nosaltres. Per això els canvis en el format de la nostra revista o en la nostra estratègia de comunicació. Per això també el suport a les noves iniciatives de l’Olimpíada de Biologia o el Congrés Internacional de Biologia de Catalunya.
Encertar significaria progrés per a la SCB i també per a la societat que n’és destinatària, i aquest és el nostre desig. Tot això tenint present que els membres del Consell Directiu, els coordinadors de les seccions, els organitzadors de les activitats i tots els socis ho fem, a la fi, de manera desinteressada i voluntarista. A tots ells moltes gràcies i molta sort en endavant.
Lluís Tort, president de la SCB 2009-2014
investigaCió i avenços en immunologia
Dintre de les ciències de la salut, la immunologia és una de les àrees de coneixement que més desenvolupament han experimentat en la darrera dècada. Es tracta d’una disciplina productiva i d’elevat impacte essencial per entendre i combatre malalties d’alt risc per a la salut humana. Avui dia la immunologia segueix guanyant terreny en la comprensió dels mecanismes que permeten la defensa del cos humà contra els patògens, però també ha establert importants avenços en la comprensió de les bases moleculars i cel·lulars de les respostes autoimmunitàries, de les respostes al·lèrgiques i de tot un conjunt de malalties d’origen inflamatori. A més, el coneixement generat a través d’aquesta disciplina ha permès en els darrers anys el desenvolupament d’estratègies basades en l’explotació dels recursos del sistema immunitari amb la finalitat, per exemple, de fomentar tolerància davant de teixits propis o trasplantats, de controlar els processos d’inflamació crònica i de generar immunoteràpies dirigides contra el càncer.
En particular, el conjunt d’immunòlegs bàsics i clínics de Catalunya ha generat destacades contribucions científiques en els darrers anys, algunes de primer ordre internacional, fet que ha permès consolidar la recerca en immunologia com un important eix per a la generació de coneixement amb aplicabilitat translacional en el nostre país. Aquestes aportacions científiques contrasten, però, amb una considerable manca d’inversió en immunologia a Catalunya, finançaments substancialment inferiors als que rep aquesta àrea de coneixement en altres territoris veïns. L’objectiu d’aquest monogràfic és la revisió d’alguns dels avenços assolits en immunologia a escala internacional des de la percepció de grups de recerca instal·lats a Catalunya.
L’any 1993 es va publicar en la revista treballs de la societat catalana de biologia un primer recull de revisions de la situació del coneixement en immunologia, que contenia una desena de contribucions de primer nivell d’equips d’investigació catalans. La renovada situació de la Societat Catalana d’Immunologia, que s’ha constituït com una secció funcional de la Societat Catalana de Biologia, ha suscitat la idea de tornar a posar en comú algunes de les novetats en immunologia de la darrera dècada. El conjunt de revisions que aquí es recullen s’ha adaptat al nou format i continguts que la revista treballs de la societat catalana de biologia adopta a partir d’enguany. Des de l’equip que constitueix l’edició d’aquest monogràfic volem agrair les contribucions dels grups de recerca que hi han participat amb extrema dedicació.
Jorge Lloberas i Antonio Celada
Grup de Biologia del Macròfag, Departament de Fisiologia i Immunologia, Facultat de Biologia, Universitat de Barcelona
Adreça per a la correspondència: Jorge Lloberas, Antonio Celada. Parc Científic de Barcelona. C. de Baldiri i Reixac, 10. 08028 Barcelona. Adreça electrònica: jlloberas@ub.edu, acelada@ub.edu.
Resum
Els macròfags tenen un paper clau en la inflamació. Durant l’inici del procés inflamatori aquestes cèl·lules s’activen i mostren una potent funció fagocítica i microbicida que pot tenir efectes destructius en els teixits on actua. L’activació dels macròfags implica la inducció de més de quatre-cents gens, i dóna com a resultat més capacitat per eliminar els bacteris i per regular moltes altres cèl·lules a través de l’alliberament de citocines i quimiocines. L’activació excessiva d’aquestes cèl·lules té efectes perjudicials, com ara el xoc sèptic, que pot conduir a la síndrome de disfunció orgànica múltiple i a la mort. En altres situacions la persistència dels resultats de l’activitat proinflamatòria pot contribuir al desenvolupament de processos d’inflamació crònica, com l’artritis reumatoide, la psoriasi i la malaltia inflamatòria de l’intestí. Per evitar aquests efectes indesitjables els macròfags han desenvolupat diversos mecanismes per regular l’excés d’activació, de manera que es condueix a la desactivació dels macròfags i a la resolució de la inflamació.
Paraules clau: macròfag, interferó g, inflamació, activació dels macròfags, desactivació dels macròfags.
Introducció
Els monòcits/macròfags tenen funcions essencials en l’homeòstasi, la infecció, la reparació de teixits i la resolució de la inflamació (Celada i Nathan, 1994). Els macròfags participen en la resposta immunitària innata i adquirida. Aquestes cèl·lules tenen funcions pleiotròpiques al cos i no només tenen un paper clau en el sistema immunitari, sinó que també són crítiques per a l’homeòstasi de nombrosos sistemes metabòlics. Per exemple, els eritròcits vells presenten alteracions en la seva membrana que són reconegudes pels macròfags i les utilitzen per fagocitar i eliminar aquestes cèl·lules velles. En fer això, els macròfags obtenen ferro de l’hemoglobina i són capaços d’alliberar-lo en un lloc i moment posterior en funció de les necessitats del cos. Per tant, el metabolisme del ferro és principalment controlat pels macròfags. El macròfags intervenen en moltes altres funcions que es resumeixen en la figura 1.
Proliferació
Els monòcits s’originen a partir de les cèl·lules mare hematopoètiques del moll d’os en resposta a factors de creixement específics com ara el factor estimulant de colònies de macròfags (M-CSF), la interleucina-3 (IL-3) i del factor estimulant de colònies de granulòcits i macròfags (GM-CSF). Aquests factors regulen l’expressió d’una sèrie de factors de transcripció que indueixen o reprimeixen una sèrie de gens que a la vegada promouen la diferenciació dels macròfags (Valledor et al., 1998) en una sèrie d’etapes ben defi-
DOI: 10.2436/20.1501.02.143
ISSN (ed. impresa): 0212-3037
ISSN (electrònic): 2013-9802
http://revistes.iec.cat/index.php/TSCB
Rebut: 02/02/2014 Acceptat:15/03/2014
Macrophages play key roles in inflammation. During the onset of the inflammatory process, these phagocytic cells become activated and have destructive effects. Macrophage activation, which involves the induction of more than 400 genes, results in an increased capacity to eliminate bacteria and to regulate many other cells through the release of cytokines and chemokines. However, excessive activation has damaging effects, such as septic shock, which can lead to multiple organ dysfunction syndrome and death. In other situations, persistence of pro-inflammatory activity results in the development of chronic inflammation, such as rheumatoid arthritis, psoriasis and inflammatory bowel disease. To prevent undesirable effects, several mechanisms have evolved to control excess activation, thereby leading to macrophage deactivation and the resolution of inflammation. In this review we will discuss the molecular mechanisms of proliferation, activation and survival of macrophages.
Key words: macrophage, interferon gamma, inflammation, macrophage activation, macrophage deactivation.
nides (Celada et al., 2002). Entre aquests factors de transcripció, PU.1 té un paper crític (Lloberas et al., 1999a). PU.1 indueix l’expressió del receptor de M-CSF, i incrementa així la proliferació (Celada et al., 1996a). La proliferació està influïda positivament per factors com el factor de creixement transformant (transforming growth factor, TGF-α), que actua coordinadament sobre altres factors de creixement (Celada i Maki, 1992). Els glucocorticoides indueixen la producció autocrina de M-CSF dels macròfags i incrementa així la proliferació (Lloberas et al., 1998). L’adenosina té un efecte negatiu sobre la proliferació, després d’unir-se al receptor A2B genera AMPc i indueix l’expressió de p27kip-1, que és un inhibidor del cicle cel·lular (Xaus et al., 1999a). Hem explorat la via de senyalització dels factors de creixement i demostrat que la calcineurina no té cap paper en la proliferació (Comalada et al., 2003a). No obstant això, l’activitat isomerasa de les immunofilines té un efecte clau sobre la proliferació, i incrementa l’activació de la via Raf-1/ MEK/ERK (Sanchez-Tilló et al., 2006a). Els inhibidors de les immunofilines fan que les cèl·lules s’aturin en la fase G1 del cicle cel·lular a través de la inactivació de la ciclina dependent de la cinasa2 (Cdk2), sense afectar-ne la viabilitat. El receptor nuclear del fetge X (LXR) inhibeix la proliferació dels macròfags dependents de l’M-CSF, que s’acumulen en la interfase G0/ G1 del cicle cel·lular (Pascual-García et al., 2011). LXR indueix una inhibició de l’expressió de molècules necessàries per a la progressió del cicle cel·lular, com són les ciclines D1, B1 i les cinases dependents de les ciclines 2 i 4. Després de la maduració els monòcits arriben a tots els teixits del cos a

través del sistema circulatori. En resposta als factors de creixement i citocines (incloent-hi GM-CSF, IL-4 i TGF-α) amb els quals interaccionen, els monòcits poden proliferar i diferenciar-se a tipus cel·lulars específics depenent del teixit: en general a macròfags residents, en el cervell a micròglia, en l’os als osteoclasts, en el fetge a les cèl·lules de Kupffer, en la pell a les cèl·lules de Langerhans, en l’os a macròfags de la medul·la òssia i en l’intestí a macròfags de cripta, i activar-se i desenvolupar les seves funcions. A més, els macròfags poden convertir-se en cèl·lules escumoses, que tenen un paper crític en l’arteriosclerosi i el metabolisme del colesterol (Valledor et al., 2010a, 2010b).
Activació
Sota l’efecte d’una sèrie de citocines i molècules provinents de la paret bacteriana com el lipopolisacàrid (LPS) els macròfags pateixen una sèrie de modificacions morfològiques, bioquímiques i gèniques, que en conjunt anomenem activació i que suposen la capacitat de desenvolupar una sèrie d’activitats funcionals. Una de les activitats dels macròfags és el que anomenem presentació antigènica. Aquesta activitat consisteix a captar partícules estranyes (per exemple, gèrmens) i degradar-ne les proteïnes. Si la configuració dels fragments (pèptids) és l’adequada aquests es carreguen dins de la forquilla del complex principal d’histocompatibilitat de classe II (MHC II) i són exposats a la superfície de la cèl·lula. Si troben el limfòcit T amb el receptor adequat (TCR) s’activarà i produirà citocines, que provoquen que la resposta immunitària adaptativa s’expandeixi. Aquest fenomen és el que caracteritza els macròfags com a cèl·lula presentadora d’antigen professional. Un dels nostres objectius ha estat determinar el mecanisme d’expressió dels gens de l’MHC II provocada per l’IFN-γ (Celada, 1996; Lloberas et al., 1999b). La regulació d’aquests gens es fa a escala transcripcional, a escala traduccional i també de la vida mitjana de la proteïna (Cullell-Young et al., 2001). Mentre que l’RNA de l’MHC de classe II després de 24 h de tractament amb IFN-γ augmenta set cops, els nivells de transcripció ho fan 2,5 vegades, i això suggereix un bloqueig al nivell de la traducció. L’IFN-γ indueix un increment de la síntesi proteica de sis vegades en induir la traducció. La vida mitjana de les proteïnes està augmentada per l’efecte de l’IFN-γ. Per tant, aquesta citocina actua a tots els nivells per incrementar l’expressió de les molècules de l’MHC de classe II.
El promotor de tots els gens de l’MHC de classe II en totes les seves variants i en les diferents espècies conté unes seqüències conservades que s’anomenen X, Y i S, separades per vint parells de bases, cosa que fa que estiguin en la mateixa orientació. A aquestes caixes s’uneixen factors de transcripció que estan de manera ubiqua en totes les cèl·lules. El que dóna l’especificitat cel·lu-
lar és l’expressió del transactivador CIITA que indueix l’IFN-γ en macròfags i cèl·lules dendrítiques, mentre que en limfòcits B s’expressa constitutivament.
Hem determinat que el factor que s’uneix a la caixa Y és un dímer format pels factors NF-YA i NF-YB (Celada et al., 1996b). Tots dos factors són necessaris per a una unió eficaç al DNA. A més, hem identificat el factor que s’uneix a la caixa S i l’hem purificat parcialment (Celada et al., 1996c).
La regió més propera del promotor dels gens de l’MHC II, i en especial les tres caixes conservades (X, Y i S), són fonamentals per a la regulació de la transcripció. Un segon conjunt de seqüències conservades està present aproximadament 1.200-1.500 pb en direcció 3´ i en orientació oposada (caixes distals). La mutació de les caixes distals augmenta l’acció induïda per l’IFN-γ en els macròfags i en els limfòcits B tractats, cosa que suggereix un efecte repressiu sobre la transcripció (Serrat et al., 2010). In vitro, en experiments de tractament amb ligasa T4, els extrems proximal i distal del promotor del gen IA β es van lligar en presència d’extractes nuclears de macròfags no tractats, però no ho van fer quan es van tractar amb els extractes de macròfags estimulats amb IFN-γ. La mutació de caixes distals o proximals dóna una disminució en l’assaig de lligació. L’addició de CIITA recombinant a extractes nuclears provinents de macròfags no tractats amb IFN-γ va reduir la capacitat del promotor per ser lligat (vegeu la figura 2).
Finalment, es va observar un augment de la capacitat per lligació del promotor en els extractes provinents de limfòcits B que no tenen CIITA, però no a partir de limfòcits B que no tenen RFXANK. Aquests resultats ens permeten postular un model en què les proteïnes agrupades en les seqüències proximal i distal conservades interaccionen. Quan s’indueix CIITA, aquestes proteïnes creen un enhanceosome (amplificador), cosa que permet que la cromatina es descompacti i iniciï la transcripció.
Utilitzant gradients de polisomes hem vist que l’IFN-γ indueix un augment de la quantitat de RNA de l’MHC de classe II que s’uneix als ribosomes, i això indica que aquesta citocina no només indueix l’expressió de l’RNA a escala transcripcional, sinó que a més ho indueix pel que fa a la traducció, i augmenta així la taxa de síntesi de proteïnes (Goñalons et al., 1998).
En els limfòcits B, l’LPS indueix la transcripció de l’RNA de l’MHC de classe II, i a més incrementa la traducció (Barrachina et al., 1999). L’LPS incrementa l’expressió de l’mRNA en les cèl·lules dendrítiques i a escala transcripcional en els limfòcits B. Això no ho fa incrementant els nivells del transactivador CIITA, sinó directament induint un complex AP-1, que s’uneix a una seqüència situada a unes –1.700 pb en el promotor (Casals et al., 2007). El tractament amb IFN-γ fa que els macròfags aturin el cicle cel·lular en la interfase G1, i es bloca a escala transcripcional l’expressió dels gens de l’MHC de classe II sense modificar els nivells del transactivador CIITA (Xaus et al., 2000a).
També ens hem interessat pels mecanismes de repressió de la regulació de l’expressió dels gens de l’MHC de classe II (Lloberas et al., 1997). El factor de transcripció PU.1 inhibeix activament l’expressió d’IA β a través de la unió a una seqüència de DNA prop de la caixa Y, un element cis en el promotor necessari per a la transcripció. Aquesta interacció probablement interfereix amb el conjunt del complex de preiniciació (Borràs et al., 1995). NF-Y és un factor de transcripció que s’uneix a la caixa Y i té dos components: NF-YA (que s’uneix feblement al DNA) i NF-YB (que augmenta la unió de NF-YA al DNA). La proteïna dbpA reprimeix l’expressió d’IA β per un mecanisme de bloqueig, i forma un complex amb NF-YA i la proteïna dbpB per segrest de la proteïna NF-YB (Lloberas et al., 1995).
Un mecanisme similar s’observa amb el receptor de glucocorticoides que s’uneix a les proteïnes que formen part de la caixa X i n’inhibeix la interacció (Celada et al., 1993). Aquests resultats són exemples de la interacció entre les proteïnes, que poden ajudar a entendre la regulació de l’expressió del gen

Figura 2. Representació esquemàtica de la formació del llaç en absència de CIITA. Quan el transactivador és present, el bucle és obert, i d’aquesta manera permet la transcripció (Serrat et al., 2010).
IA β. En els macròfags hem descrit la presència dels receptors A2B d’adenosina. L’IFN-γ indueix l’expressió d’aquests receptors, que quan interaccionen amb el lligand indueixen una repressió de l’expressió dels gens de l’MHC de classe II, i es demostra com un mecanisme d’autoregulació per a la desactivació dels macròfags (Xaus et al., 1999b).
Altres gens induïts per l’IFN-γ, com el transportador associat al processament antigènic (Tap)-1 i el pèptid de baix pes molecular (LMP)-2, són crucials per a la funcionalitat de les proteïnes del complex de l’MHC de classe I i comparteixen un promotor bidireccional comú. La inducció promoguda per l’IFN-γ és independent de la síntesi gènica immediata i tant STAT1 com IRF-1 són necessaris per a la inducció per IFN-γ de TAP-1 i LMP-2 (Brucet et al., 2004).
Cal assenyalar que tant l’activació del macròfags per LPS o TNF-α indueix Tap1 i LMP2 i es requereix la participació de STAT1. Això s’explica per la producció autocrina de factors com els interferons de tipus I, que són els que actuen induint Tap1 i LMP2 (Marques et al., 2004).
IFN-γ és el principal activador de tipus Th1 endogen de macròfags. La via clàssica de senyalització induïda per l’IFN-γ implica l’activació de STAT-1. No obstant això, l’IFN-γ té també la capacitat d’activar els membres de la família MAPK. Hem observat una forta activació de p38 en els punts de temps inicials de l’estimulació per IFN-γ, mentre que l’activació feble de ERK-1/2 i JNK-1 es va detectar en una etapa més tardana (Valledor et al., 2008). p38 participa principalment en la regulació de l’expressió de gens necessaris per a la resposta immunitària innata, incloent-hi quimiocines com ara CCL5, CXCL9 i CXCL10; citocines com TNF-α, i la NO-sintasa induïble, mentre que JNK-1 actua sobre els gens involucrats en presentació antigènica, incloent-hi CIITA i els gens que codifiquen molècules de l’MHC de classe II.
Els macròfags tenen la capacitat de reconèixer nanopartícules d’or (NP) conjugades a pèptids com el pèptid amiloide inhibidor del creixement (AGIP) i el sweet arrow peptide (SAP), mentre que no reconeixen pèptids o NP sense conjugar (Bastús et al., 2009a, 2009b). El reconeixement d’aquests conjugats fet pels macròfags depèn d’un receptor de reconeixement de patrons moleculars, el TLR-4. Així doncs, quan els macròfags són exposats als pèptids conjugats a Au-NP s’indueixen les citocines proinflamatòries, com ara el TNF-α, IL-1β i IL-6, així com la sintasa d’òxid nítric, i s’atura la capacitat proliferativa dels macròfags. Aquests resultats obren un nou camí en el món dels adjuvants i il·lustren els requisits bàsics per al disseny de conjugats amb NP que arribin eficaçment al seu objectiu.
La proteïna decorina de la matriu extracel·lular, de manera similar a com ho fa el principal activador dels macròfags com és l’IFN-γ, amplifica l’expressió dels gens de l’MHC de classe II induïda per l’IFN-γ. A més, augmenta l’expressió induïda dels gens de la NO-sintasa, TNF-α, IL-1β i IL-6 promo-
guda per l’IFN-γ o l’LPS i la secreció d’aquestes citocines. La decorina suprimeix la unió de TGF-β als macròfags. L’augment en l’activació desfermada per la decorina demostra que els macròfags estan sota la regulació negativa, que pot ser revertida per les proteïnes de la matriu extracel·lular (Comalada et al., 2003a, 2003b).
L’activació bloqueja la proliferació: paper de la fosfatasa MKP-1
Una gran diferència entre les cèl·lules de la immunitat innata i l’adquirida és el seu comportament quan s’activen. Els limfòcits, quan reconeixen alguna cosa com a estranya a través del TCR o del BCR, el primer que fan és proliferar (expansió clonal) i després dur a terme les seves funcions, com la producció de citocines o immunoglobulines. Els macròfags quan proliferen si reben senyals d’activació, com l’IFN-γ o LPS, bloquegen la proliferació i s’activen (Xaus et al., 2001a, 2001b).
Curiosament, tant els senyals de proliferació induïts per M-CSF com els d’activació produïts per LPS requereixen la fosforilació de l’external regulated kinase (ERK) (Valledor et al., 2000a). La proliferació de macròfags requereix un curt període de fosforilació d’ERK, mentre que es requereix un període prolongat per a l’activació dels macròfags. La duració de la fosforilació és controlada per la MAPK-fosfatasa-1 (MKP-1), una fosfatasa de localització nuclear i d’especificitat dual que desfosforila les MAPK, ERK, p38 i c-Jun NH (2)-cinasa terminal (JNK). MKP-1 és induïda en macròfags per factors de creixement, així com pels activadors com ara LPS, però amb diferents cinètiques, per assolir els diferents resultats funcionals (en comparació amb l’activació de la proliferació) (Comalada et al., 2012). Aquesta fosfatasa és la clau que controla el pas entre la proliferació i l’activació dels macròfags.
També hem analitzat els mecanismes d’inducció de la MKP-1. Mentre que en altres tipus cel·lulars l’activació d’ERK indueix l’expressió de MKP1, en els macròfags són fets independents (Valledor et al., 1999; 2000a). La isoforma ε de la proteïna cinasa C (PKC) és necessària per a la inducció de MKP-1 tant per estímuls de proliferació (Valledor et al., 1999), com d’activació (Valledor et al., 2000b).
A més, l’expressió de mkp-1 en els macròfags requereix l’activació de Raf1 i aquesta activació segueix les diferents cinètiques d’inducció d’MKP-1 en resposta a l’M-CSF o l’LPS en aquestes cèl·lules (Sánchez-Tilló et al., 2006b). L’expressió de mkp-1 en macròfags també està intervinguda per l’activació de la isoforma JNK-1 (Sánchez-Tilló et al., 2007). Igual que molts altres gens d’expressió immediata, l’expressió de mkp-1 està regulada principalment a escala transcripcional. En els macròfags es requereix una seqüència amb una caixa per al reclutament de CREB/AP-1 a la regió promotora del gen de mkp1, per poder induir el gen per a l’estímul de l’M-CSF o de l’LPS (Casals et al., 2009). Però l’estimulació a través d’aquesta regió va ser induïda en diferents moments després de l’activació amb els dos estímuls: primer per CREB i després per c-Jun.
Aquests factors de transcripció són els responsables d’aquesta inducció de MKP-1 amb l’expressió de c-Jun per M-CSF o LPS amb correlació amb les diferents cinètiques de MKP-1 induïda per M-CSF i LPS. L’estimulació dels macròfags amb IFN-γ perllonga el patró d’activitat d’ERK induïda per M-CSF en els macròfags. Aquests efectes es correlacionen amb la inhibició provocada per IFN-γ, en activar l’expressió de diversos membres de la família MAPK-fosfatasa, a saber, MKP-1, 2, i 4. D’altra banda, la inhibició de l’expressió de MKP-1 utilitzant la tecnologia dels siRNA o inhibidors sintètics també va provocar l’allargament de l’activitat d’ERK i el bloqueig significatiu de la proliferació dependent de M-CSF. Per tant, els canvis subtils en el transcurs del
temps d’activitat dels membres de la família MAPK contribueixen als efectes antiproliferatius d’IFN-γ en els macròfags (Valledor et al., 2008).
Cal assenyalar que la proliferació i l’activació dels macròfags també depenen de diferents sistemes de transport de nucleòsids. Els nucleòsids necessaris per a la síntesi de DNA i RNA són reclutats des del medi extracel·lular. L’M-CSF indueix la proliferació dels macròfags i la síntesi de DNA i RNA, mentre que l’IFN-γ provoca l’activació, bloqueja la proliferació i només indueix la síntesi de RNA. Els macròfags expressen els sistemes concentratius N1 i N2 (corresponents als gens cnt1 i cnt2) i els sistemes equilibratius ES i EI (corresponents als gens ent1 i ent2). La incubació amb M-CSF només provoca la sobreexpressió del sistema equilibrador ES. La inhibició d’aquest sistema de transport bloqueja la proliferació dependent de M-CSF. D’altra banda, el tractament amb IFN-γ indueix només els sistemes de N1 i N2 i també reprimeix l’augment de l’expressió del sistema equilibrador ES induïda per l’M-CSF. Per tant, la proliferació i l’activació dels macròfags requereixen una regulació selectiva dels transportadors de nucleòsids i poden respondre als requisits específics per a la síntesi de DNA i RNA (Soler et al., 2001). Les dues vies STAT1, tant dependents com independents, estan involucrades en la regulació dels transportadors de nucleòsids de l’IFN-γ en els macròfags (Soler et al., 2003).
Activació clàssica (proinflamatòria o M1) i alternativa (antiinflamatòria o M2)
La inflamació és la resposta del sistema immunitari a tot tipus de lesions (infeccions, agents físics o químics, traumes, etc.). L’objectiu és eliminar tots els materials «no propis» i reparar el dany. Recentment, s’ha detectat un component inflamatori en un gran nombre de malalties cròniques com el càncer, la malaltia metabòlica, d’autoimmunitat, etc. Durant la primera etapa de la inflamació hi ha una vasodilatació local i exsudació. Les cèl·lules endotelials expressen la selectina E i els neutròfils arriben als locus inflamatoris. Després de 24 h la cèl·lula endotelial substitueix l’expressió de la selectina E per ICAM -1 i només passen els monòcits de la circulació als teixits. Finalment, depenent de la intensitat de la inflamació, l’endoteli expressa V-CAM1, que dóna peu a l’extravasació dels limfòcits T activats. En els teixits els monòcits es converteixen en macròfags. Durant els passos inicials aquestes cèl·lules mostren una activitat proinflamatòria (M1 o activació clàssica), destrueixen els microorganismes restants, que no han estat eliminats pels neutròfils, i fagociten els cossos apoptòtics de neutròfils i les cèl·lules danyades en els teixits (Valledor et al., 2010b). Després d’aquesta fase proinflamatòria el fenotip dels macròfags canvia i els teixits es reparen. Aquests macròfags antiinflamatoris, també anomenats M2 o activats alternativament, indueixen el procés de cicatrització del teixit malmès (Xaus et al., 2001a). En condicions fisiològiques hi ha un equilibri entre les fases proinflamatòria i antiinflamatòria, ja que un excés de proinflamació podria ser la base per a una inflamació crònica posterior, mentre que un excés d’antiinflamació pot produir un excés de fibrosi. L’excés tant d’una com de l’altra desenvoluparà processos patològics. Per tant, el paper dels macròfags en la inflamació és fonamental (vegeu la figura 3).
A més d’una sèrie de modificacions estructurals i funcionals, una diferència essencial entre els fenotips dels macròfags activats clàssicament o alternativament és la via bioquímica utilitzada per al processament de l’aminoàcid arginina. L’IFN-γ o l’LPS indueixen l’enzim NOS2, que produirà òxid nítric (NO) a partir de l’arginina, amb gran poder destructiu, que en les primeres fases de la inflamació serà capaç de matar els microorganismes. En els macròfags M2 s’indueix l’arginasa i produeix prolina i poliamines, que catalitzen la reconstitució de la matriu extracel·lular danyada, cosa que té lloc durant les últimes fases de la inflamació. L’entrada de l’arginina dins del macròfag es produeix a través de transportadors específics. Hem vist que l’activació clàssica i alternativa dels macròfags indueix l’expressió del sistema

Figura 3. La integració dels macròfags dins del procés inflamatori és essencial. El paper que desenvolupen l’activació clàssica i l’alternativa és un equilibri regulat de manera exquisida en el temps.
de transport CAT2 per millorar l’entrada d’arginina (Yeramian et al., 2006a; 2006b; Martín et al., 2006). Aquest sistema de transport limita l’activació dels macròfags. Hem trobat que la IL-4 bloqueja la proliferació dels macròfags en la fase G1/S i que està mitjançada per p21waf1 i depèn de STAT6 (Arpa et al., 2009) (vegeu la figura 3).
En col·laboració amb el grup de recerca d’Ingrid Muller (Imperial College de Londres) i Manuel Modolell (Max Planck de Friburg), hem vist que la susceptibilitat a Leishmania es correlaciona amb la producció de l’arginasa i de les poliamines, que són requerits pels paràsits per créixer (Kropf et al., 2005). Una mutació en el promotor CAT2 en una soca de ratolins produeix un transport deficient d’arginina en els macròfags que es correlaciona in vitro amb un deteriorament de l’activació dels macròfags i una disminució del creixement de la inflamació induïda per la Leishmania (Sans-Fons et al., 2013). Tots aquests resultats demostren que un dels factors que controlen la resposta immunitària és la disponibilitat per a la captació d’arginina a partir del medi. La quantitat d’arginina disponible en els locus inflamatoris és un factor limitant per al creixement de diverses cèl·lules del sistema immunitari. L’activació induïda per la IL-4 als macròfags provoca la síntesi de l’arginasa-1, que converteix l’arginina en ornitina, un precursor de poliamines i de prolina. La tricostatina A (TSA), un inhibidor de desacetilases d’histones (HDAC), inhibeix l’expressió de l’arginasa-1 induïda per la IL-4. La TSA provoca efectes directes en el promotor dels gens que responen a l’activació induïda per la IL-4. Mentre que la TSA inhibeix l’expressió de l’arginasa-1, fizz i mrc1, altres gens, com ara ym1, mgl1 i mgl2, no es van veure afectats. La inhibició de l’arginasa-1 es va produir en el nivell transcripcional amb la inhibició de la unió de la polimerasa II al promotor. IL-4 indueix la fosforilació de STAT6 i la unió al DNA. Aquestes activitats no es van veure afectades pel tractament de TSA. Malgrat això, la TSA inhibeix la unió al DNA de C/EBPβ. Aquest inhibidor indueix acetilació dels residus de lisina 215-216, que són crítics per a la unió al DNA. Aquests resultats demostren que l’equilibri d’acetilació/desacetilació influeix fortament en l’expressió de l’arginasa-1, un gen de l’activació alternativa dels macròfags (Serrat et al., 2012).
L’activació dels macròfags, que implica la inducció de més de quatre-cents gens, dóna com a resultat un augment de la capacitat per eliminar els bacteris i per regular moltes altres cèl·lules a través de l’alliberament de citocines i quimiocines. No obstant això, l’activació excessiva té efectes perjudicials, com ara xoc sèptic, que pot conduir a la síndrome de disfunció orgànica múltiple i la mort. En altres situacions la persistència de l’activitat proinflamatòria por-
ta al desenvolupament de la inflamació crònica, com l’artritis reumatoide, la psoriasi i la malaltia inflamatòria de l’intestí. Per evitar efectes indesitjables, diversos mecanismes han evolucionat per controlar l’excés d’activació, cosa que condueix a la desactivació dels macròfags i la resolució de la inflamació (Valledor et al., 2010b).
Activació proinflamatòria i supervivència
Durant l’activació proinflamatòria dels macròfags mitjançada per IFN-γ o LPS es produeix un augment en la capacitat d’eliminar bacteris i de regular altres cèl·lules a través de l’alliberament de citocines. També es produeixen molts productes que són tòxics per als microorganismes, com l’òxid nítric (NO), espècies reactives d’oxigen (ROS), TNF-α, etc., que a la vegada també són tòxics per als macròfags.
Els nostres treballs han aportat proves que l’LPS indueix l’apoptosi en els macròfags a través de la producció autocrina de TNF-α i en menys mesura a través de la producció d’òxid nítric (Xaus et al., 2000b). L’LPS activa el macròfag a través de PKC-ε per iniciar la inducció de la JNK per donar la síntesi de TNF-α (Comalada et al., 2003c). Els macròfags, per protegir-se, han desenvolupat mecanismes com la inducció per IFN-γ de l’inhibidor de CDK p21waf-1, que bloqueja la inducció de l’apoptosi (Xaus et al., 1999c). És important destacar que l’IFN-γ és capaç de bloquejar l’efecte apoptòtic de l’LPS malgrat la producció de TNF-α. En les biòpsies dels pacients amb sarcoïdosi, el nostre model de malaltia granulomatosa amb persistència de macròfags en les lesions, hem detectat un augment de l’expressió d’IFN-γ i de p21waf-1 però no d’altres gens antiapoptòtics (Xaus et al., 2003). L’M-CSF indueix la proliferació i la protecció contra l’apoptosi mitjançant dues vies diferents. Actua a través de la via ERK per a la proliferació, mentre que per a la protecció de l’apoptosi s’activa Akt i la PI-3-cinasa, que indueix p21waf-1 (Comalada et al., 2004). Aquest inhibidor de CDK també controla la producció excessiva de TNF-α (Lloberas i Celada, 2009).
Els esdeveniments de senyalització que segueixen a la interacció d’una cèl·lula amb la matriu extracel·lular en poden afectar el comportament. En presència de M-CSF i decorina, que és un proteoglicà de la matriu extracellular, els macròfags expressen p27kip, que bloqueja la proliferació i expressa p21waf-1, que els protegeix de la inducció de l’apoptosi (Xaus et al., 2001b). A més, la decorina bloqueja el receptor del TGF-β i augmenta l’activació (Comalada et al., 2003c). Per tant, quan els macròfags arriben al focus inflamatori hi ha una sèrie de mecanismes que els ajuden a sobreviure a escala local i els permeten activar-se i dur a terme les seves funcions. Finalment, p38α limita la inflamació aguda a través de l’activació de l’expressió de gens antiinflamatoris dependent de mitògens i cinases activades per estrès (Kim et al., 2008).
Un dels mecanismes utilitzats pels macròfags per sobreviure a l’activació induïda per IFN- γ és TREX1. Aquesta proteïna és una 3´ → 5´ exonucleasa del DNA, és la més abundant en mamífers que mostra especificitat per l’ssDNA. Hem demostrat que l’activitat exonucleasa de TREX1 té preferències d’unió a determinades seqüències de DNA (Brucet et al., 2007). Per esbrinar com es produeix la discriminació es va determinar l’estructura cristal·lina de TREX1. Quan s’activen els macròfags TREX1 es transposa al nucli, però primer ha de perdre un segment C-terminal per fer-ho. A través d’una regió
Arpa, L. [et al.] (2009). «IL-4 blocks M-CSF-dependent macrophage proliferation by inducing p21Waf1 in a Stat6-dependent way». Eur. J. Immunol., 39: 514-526.
Barrachina, M. [et al.] (1999). «LPS upregulates MHC class II I-A molecules expression in B lymphocytes at transcriptional and translational level». Tissue Antigens, 54: 461-470.
Bastús, N. G. [et al.] (2009a). «Peptide conjugated to gold nanoparticles induces macrophage activation». Mol. Immunol., 46: 743-748. (2009b). «Homogeneous conjugation of peptides onto gold nanoparticles enhances macrophage response». ACS Nano, 3: 1335-1344.
rica en prolina en la superfície TREX1 interactua amb proteïnes que contenen el domini WW2. Aquestes observacions suggereixen que TREX1 participa en més complexos funcionals del que es pensava. TREX1 pertany a la família DEDDh-exonucleases, els seus membres presenten baixos nivells d’identitat de seqüència però posseeixen una estructura i un centre actiu similars. Es demostra que el liti i el sodi inhibeixen l’activitat exonucleolítica de TREX1 mitjançant la inducció de reordenaments subtils en el centre actiu. La nostra anàlisi també va revelar que un residu d’histidina (His124), altament conservat en la família DEDDh, està implicat en l’activitat de TREX1 (Brucet et al., 2008). Finalment, hem determinat l’estructura i la regulació de l’expressió de TREX1 induïda per l’IFN-γ (Serra et al., 2011).
Desregulació de l’expressió gènica en l’envelliment
En diferents treballs hem mostrat els canvis moleculars que ocorren en el genoma dels macròfags durant l’envelliment (Herrero et al., 2002; Lloberas i Celada, 2002; Sebastián et al., 2005; 2009a). Atès que el nostre model experimental de macròfags (derivats de moll d’os) in vitro és en absència de qualsevol altre tipus cel·lular, podem afirmar que els efectes que observem associats a l’envelliment són propis de les cèl·lules que estudiem. En ratolins vells els nivells d’expressió dels gens de l’MHC de classe II estan disminuïts com a conseqüència d’un defecte en la transcripció (Herrero et al., 2001). A més, hem vist que es requereix l’activitat desacetilasa per a la resposta funcional dependent del factor estimulant de colònies de granulòcits i macròfags (GM-CSF) en la diferenciació de les cèl·lules dendrítiques i dels macròfags (Sebastián et al., 2008). Atès que l’activitat desacetilasa exerceix un paper important en l’envelliment en organismes inferiors, aquests resultats ens han portat a estudiar si està implicat en l’envelliment dels macròfags. La proliferació dependent de GM-CSF s’altera en els macròfags del model de ratolí de senescència accelerada (Espía et al., 2008). Hem demostrat que la pèrdua d’E2F1 i E2F2 en els macròfags porta a una replicació del DNA accelerada i indueix la resposta al dany del DNA, que condueix a la senescència cel·lular dependent de p21Cip1 (Iglesias-Ara et al., 2010).
Els progenitors de la medul·la òssia de ratolins vells tenen deteriorada la capacitat per diferenciar-se en cèl·lules dendrítiques. Això està associat amb una disminució en la proliferació induïda pel GM-CSF i la IL3, encara que la resposta proliferativa en M-CSF no s’altera. Això es correlaciona amb l’escurçament dels telòmers, com vam demostrar en comparar amb els macròfags dels ratolins KO per a la telomerasa. La fosforilació del factor de transcripció STAT5a es troba disminuïda en els macròfags de ratolins vells. Aquest defecte és degut a un augment en la quantitat de ROS, que és també la conseqüència de l’escurçament dels telòmers. Hem trobat una nova via per a la fosforilació de la proteïna, que requereix una oxidació prèvia de proteïnes (Sebastián et al., 2009b).
Agraïm el treball i l’esforç fet a tots el col·laboradors amb els quals hem treballat els últims vint anys, que queden recollits en la bibliografia d’aquest treball.
Borràs, F. [et al.] (1995). «Inhibition of I-Ab gene expression by the transcription factor PU.1». J. Biol. Chem., 270: 24385-24391.
Treballs de la Societat Catalana de Biologia
Brucet, M. [et al.] (2004). «Regulation of murine TAP1 and LMP2 genes in macrophages by interferon gamma is mediated by Stat1 and IRF-1». Genes & Immun., 5: 26-35. (2007). «The structure of dimeric exonuclease TREX1 shows a proline-rich segment that interacts with WW motifs». J. Biol. Chem., 282: 14547-14557. (2008). «Structural and biochemical studies of TREX1 inhibited by metals. Identification of a new active histidine conserved in DEDDh exonucleases». Prot. Scien., 17: , 65: 4-9
2059-2069.
Casals, C. [et al.] (2007). «LPS upregulates MHC Class II expression on dendritic cells through an AP-1 enhancer without affecting the levels of CIITA». J. Immunol., 178: 6307-6315.
(2009). «CREB and AP-1 activation regulates MKP-1 induction by LPS or M-CSF and their kinetics correlate with macrophage activation versus proliferation». Eur. J. Immunol., 39: 1902-1913.
Celada, A. (1996). «Respuesta inmunitaria. Función del MHC». Investigación y Ciencia, 235: 31-32.
Celada, A. [et al.] (1984). «Evidence for a gamma-interferon receptor that regulates macrophage tumoricidal activity». J. Exp. Med., 160: 55-74.
(1993). «Repression of MHC IAb expression by glucocorticoids: The glucocorticoid receptor inhibits the DNA binding of the X box DNA binding protein». J. Exp. Med., 177: 691-698.
(1996a). «The transcription factor PU.1 is involved in macrophage proliferation». J. Exp. Med., 184: 61-69.
(1996b). «Identification of the transcription factors NF-YA and NF-YB as factors A and B that bound to the promoter of the major histocompatibility complex class II gene IAb». Biochem. J., 317: 771-778.
(1996c). «Identification of a transcription factor that binds to the S box of the I-Ab gene of the MHC». Biochem. J., 313: 737-744.
(2002). «Macrophage differentiation». Trends Immunol. (pòster, març).
Celada, A.; Maki, R. A. (1992). «Transforming growth factor-b enhances the M-CSF and GM-CSF stimulated proliferation of macrophages». J. Immunol., 148: 1102-1105.
Celada, A.; Nathan, C. F. (1994). «Macrophage activation revisited». Immunol. Today, 15: 100-102.
Comalada, M. [et al.] (2003a). «M-CSF-dependent macrophage proliferation is mediated through a calcineurin-independent but immunophilin-dependent mechanism that mediates the activation of external regulated kinases». Eur. J. Immunol., 33: 3091-3100. (2003b). «Decorin reverses the repressive effect of the autocrine-produced TGF-b on mouse macrophage activation». J. Immunol., 170: 4450-4456. (2003c). «PKCe is involved in JNK activation that mediates LPS-induced TNF-α, which induces apoptosis in macrophages». Am. J. Physiol. Cell Physiol., 285: C1235-C1245. (2004). «Macrophage colony-stimulating factor-, granulocyte-macrophage colony-stimulating factor-, or IL-3-dependent survival of macrophages, but not proliferation, requires the expresion of p21waf1 through the phosphatidylinositoI 3-kinase/Akt pathway». Eur. J. Immunol., 34: 2257-2267. (2012). «MKP-1: A critical phosphatase in the biology of macrophages controlling the switch between proliferation and activation». Eur. J. Immunol., 42: 1938-1948.
Cullell-Young, M. [et al.] (2001). «The induction of MHC class II I-Aa by IFNg in macrophages is regulated at different levels». Immunogenetics, 53: 136-144.
Espía, M. [et al.] (2008). «Granulocyte macrophage-colony-stimulating factor-dependent proliferation is impaired in macrophages from senescence-accelerated mice». J. Gerontol. A Biol. Scien., 63: 1161-1167.
Goñalons, E. [et al.] (1998). «Translational control of MHC class II I-A molecules by IFN-γ». J. Immunol., 161: 1837-1843.
Herrero, C. [et al.] (2001). «IFNg-dependent transcription of MHC class II IAb is impaired in macrophages from aged mice». J. Clin. Invest., 107: 485-493. (2002). «Immunsenescescence of macrophages. Reduced MHC class II gene expression». Exp. Gerontol., 37: 389-394.
Iglesias-Ara, A. [et al.] (2010). «Loss of E2F1 and E2F2 in macrophages leads to accelerated DNA replication and induces DNA damage response leading to p21CIP1-dependent cellular senescence». Oncogene, 29: 5579-5590.
Kim, C. [et al.] (2008). «The kinase p38 a serves cell type-specific inflammatory functions in skin injury and coordinates pro- and anti-inflammatory gene expression». Nature Immunol., 9: 1019-1027.
Klemsz, M. J. [et al.] (1990). «The macrophage and B cell specific transcription factor PU.1 is related to the ets oncogene». Cell, 61: 113-124. (2008). «Pillars article: the macrophage and B cell-specific transcription factor PU.1 is related to the ets oncogene. Cell, 1990, 61: 113-124». J. Immunol., 181: 1597-1608.
Kropf, P. [et al.] (2005). «Arginase and polyamines synthesis are key factors in the regulation of experimental leishmaniasis in vivo». FASEB J., 19: 1000-1002.
Lloberas, J. [et al.] (1995). «Repression of major histocompatibility complex I-Ab gene expression by dbp A and dbp B (mYB-1) proteins». Mol. Cell Biol., 15: 5092-5099. (1997). «Repression mechanisms of the I-Ab gene of the major histocompatibility complex». Immunobiology, 198: 249-263. (1998). «Glucocorticoids enhances the M-CSF and GM-CSF stimulated proliferation of bone marrow derived macrophages». Inter. Immunol., 10: 593-599.
(1999a). «The key role of PU.1/Spi-1 in B cells, myeloid cells and macrophages». Immunol. Today, 20: 184-189.
(1999b). «Mechanism of the I-Ab gene expression». Microbes & Infection, 1: 935-941. Lloberas, J.; Celada, A. (2002). «Effect of aging on macrophage function». Exp. Gerontol., 37: 1323-1329.
(2009). «p21waf1/CIP1, a CDK inhibitor and a feedback system that controls macrophage activation». Eur. J. Immunol., 39: 691-694.
Marqués, L. [et al.] (2004). «STAT1 regulates lipopolysaccharide- and TNF-α-dependent expression of transporter associated with antigen processing 1 and low molecular mass
polypeptide 2 genes in macrophages by different mechanisms». J. Immunol., 173: 11031110.
Martín, L. [et al.] (2006). «Granulocyte-macrophage colony-stimulating factor increases CAT2 expression and activity in bone marrow-derived macrophages». Am. J. Physiology Cell. Physiol., 290: C1364-1372.
Pascual-García, M. [et al.] (2011). «Liver X receptors inhibit macrophage proliferation through downregulation of cyclins D1 and B1 and cyclin-dependent kinases 2 and 4». J. Immunol., 186: 4656-4667.
Sànchez-Tilló, E. [et al.] (2006a). «Cyclophilin A is required for M-CSF-dependent macrophage proliferation». Eur. J. Immunol., 36: 2515-2524.
(2006b). «Macrophage-colony-stimulating factor-induced proliferation and lipopolysaccharide-dependent activation of macrophages requires Raf-1 phosphorylation to induce mitogen kinase phosphatase-1 expression». J. Immunol., 176: 6594-6602.
(2007). «JNK1 is required for the induction of MKP1 expression in macrophages during proliferation and LPS-dependent activation». J. Biol. Chem., 282: 12566-12573.
Sans-Fons, G. [et al.] (2013). «Arginine transport is impaired in C57Bl/6 mouse macrophages as a result of a deletion in the promoter of Slc7a2 (CAT2), and susceptibility to Leishmania infection is reduced». J. Infect. Dis., 207: 1684-1693.
Sebastián, C. [et al.] (2005). «MacrophAging: a cellular and molecular review». Immunobiology, 210: 121-126.
(2008). «Deacetylase activity is required for STAT5-dependent GM-CSF functional activity in macrophages and differentiation to dendritic cells». J. Immunol., 180: 58985906.
(2009a). «Molecular and cellular aspects of macrophage aging». A: Fulop, T.; Franceschi, C.; Hirokawa, K.; Pawelec, G. (ed.). Handbook on immunosenescence: basic understanding and clinical applications. Springer, p. 919-945.
(2009b). «Telomere shortening and oxidative stress in aged macrophages results in impaired STAT5a phosphorylation». J. Immunol., 183: 2356-2364.
Serra, M. [et al.] (2011). «Characterization of Trex1 induction by IFN-γ in murine macrophages». J. Immunol., 186: 2299-2308.
Serrat, N. [et al.] (2010). «The locus control region of the MHC class II promoter acts as a repressor element, the activity of which is inhibited by CIITA». Mol. Immunol., 47: 825-832.
(2012). «Deacetylation of C/EBPβ is required for IL-4-induced arginase-1 expression in murine macrophages». Eur. J. Immunol., 42: 3028-3037.
Soler, C. [et al.] (2001). «Macrophage requires different nucleoside transport systems for proliferation and activation». FASEB J., 15: 1979-1988.
(2003). «IFN-γ regulates nucleoside transport systems in macrophages through STAT1-dependent and -independent signalling pathways». Biochem. J., 375: 777-783.
Valledor, A. F. [et al.] (1998). «Transcription factors that regulate monocyte-macrophage differentiation». J. Leuk. Biol., 63: 405-417.
(1999). «M-CSF induces the expression of the phosphatase MKP-1 in macrophages through a PKC-dependent pathway». J. Immunol., 163: 2452-2462.
(2000a). «The differential time-couse of extracellular-regulated kinase activity correlates with the macrophage responses towards proliferation or activation». J. Biol. Chem., 275: 7403-7409.
(2000b). «PKCe mediates the lipopolysaccharide-induced expression of the phosphatase MKP-1 in bone marrow-derived macrophages». J. Immunol., 164: 29-37.
(2008). «Selective roles of MAPKs during the macrophage response to IFN-γ». J. Immunol., 180: 4523-4529.
(2010a). «Macrophage foam cells». A: Encyclopedia of life sciences. Chichester: John Wiley & Sons, p. 1-10.
(2010b). «Macrophage pro-inflammatory activation and de-activation: a question of balance». Advances Immunol., 108: 1-20.
Xaus, J. [et al.] (1999a). «Adenosine inhibits M-CSF-dependent proliferation of macrophage through the induction of p27kip-1». J. Immunol., 163: 4140-4149.
(1999b). «IFNg up-regulates the A2B adenosine receptor expression in macrophages: a mechanism of macrophage deactivation». J. Immunol., 162: 3607-3614.
(1999c). «Interferon gamma induces the expression of p21waf-1 and arrests macrophage cell cycle, preventing induction of apoptosis». Immunity, 11: 103-113.
(2000a). «The expression of MHC class II genes in macrophages is cell cycle-dependent». J. Immunol., 165: 6364-6371.
— (2000b). «LPS induces apoptosis in murine macrophages mostly through the autocrine production of TNFα». Blood, 95: 3823-3831.
(2001a). «Molecular mechanisms involved in macrophage survival, proliferation, activation or apoptosis». Immunobiology, 204: 543-550.
(2001b). «Decorin inhibits macrophage colony-stimulating factor proliferation of macrophages and enhances cell survival through induction of p27kpi1 and p21waf1». Blood, 98: 2124-2133.
(2003). «High-expression of p21Waf1 in sarcoid granulomas: a putative role for long-lasting inflammation». J. Leuk. Biol., 74: 295-301.
Yeramian, A. [et al.] (2006a). «Arginine transport via cationic amino acid transporter 2 plays a critical regulatory role in classical or alternative activation of macrophages». J. Immunol., 176: 5918-5924.
(2006b). «Macrophages require distinct arginine catabolism and transport systems for proliferation and for activation». Eur. J. Immunol., 36: 1516-1526.
Jonathan Matalonga i Annabel F. Valledor
Grup de Receptors Nuclears, Departament de Fisiologia i Immunologia, Facultat de Biologia, Universitat de Barcelona
Adreça per a la correspondència: Annabel Valledor. Departament de Fisiologia i Immunologia, Facultat de Biologia, Universitat de Barcelona. Avda. Diagonal, 643, planta 3. 08028 Barcelona. Tel.: 934 039 385. Adreça electrònica: afernandezvalledor@ub.edu.
Resum
Els receptors nuclears són una família de factors de transcripció dependents de lligand que regulen la reproducció, el desenvolupament, el metabolisme i la resposta immunitària. Diversos membres de la família dels receptors nuclears tenen un paper important en el control negatiu de la inflamació. Centrarem aquesta revisió en alguns dels receptors nuclears que presenten una activitat repressora de la inflamació ben caracteritzada i revisarem els mecanismes moleculars involucrats en aquestes accions antiinflamatòries
Paraules clau: receptor nuclear, inflamació, transrepressió, expressió gènica.
Llista d’abreviatures traduïdes
DOI: 10.2436/20.1501.02.144
ISSN (ed. impresa): 0212-3037
ISSN (electrònic): 2013-9802
http://revistes.iec.cat/index.php/TSCB
Rebut: 02/02/2014 Acceptat: 15/03/2014
Inflammation negative control mechanisms mediated by nuclear receptors
Summary
Nuclear receptors are a superfamily of ligand-dependent transcription factors that regulate reproduction, development, metabolism and immune responses. Several nuclear receptors play an important role in the negative control of inflammation. In this review we will focus on those nuclear receptors with better characterised anti-inflammatory roles and the molecular mechanisms underlying their actions.
Key words: nuclear receptor, inflammation, transrepression, gene expression.
AP: proteïna activadora. ARE: elements rics en AU. ATF: factor activador de transcripció. CBP: proteïna d’unió a element de resposta a AMP cíclic. Ch25h: colesterol-25-hidroxilasa. CoREST: corepressor del factor de transcripció silenciador RE1. CORO2A: coronina 2A. DBD: domini d’unió al DNA. ER: receptor d’estrògens. ERK: cinasa regulada per senyals extracel·lulars. GPS2: supressor 2 de la via de proteïna G. GR: receptor de glucocorticoides. GRIP: proteïna d’interacció amb GR. GSK: cinasa de la glucogen-sintasa. HDAC: histona-desacetilasa. Hsp: proteïna de xoc tèrmic. IFN-γ: interferó-gamma. IL: interleucina. IRF: factor regulador d’interferó. JNK: cinasa de c-Jun N-terminal. LBD: domini d’unió amb lligand. LPS: lipopolisacàrid. LXR: receptor X de fetge. LXRE: element de resposta a LXR. MAPK: proteïna cinasa activada per mitògens. MKP-1: MAPK-fosfatasa-1. NCoR: corepressor de receptors nuclears. NF-κβ: factor nuclear kappa B. NOS2: òxid nítric-sintasa 2. Nurr: factor relacionat amb receptor nuclear. PIAS1: proteïna inhibidora de STAT1 activat. PPAR: receptor activat per proliferadors de peroxisoma. PPRE: element de resposta a PPAR. PUFA: àcid gras poliinsaturat. RAR: receptor d’àcid retinoic. RN: receptor nuclear. RXR: receptor de retinoide X. SMRT: mediador de silenciament de receptors d’àcid retinoic i d’hormones tiroïdals. STAT: transductor de senyal i activador de la transcripció. SUMO: modificador petit relacionat amb la ubiquitina. TLR: receptor de tipus Toll. TNF: factor de necrosi tumoral. TR: receptor d’hormones tiroïdals.
Introducció
Els receptors nuclears (RN) són una família de factors de transcripció dependents de lligand que regulen funcions relacionades amb la reproducció, el desenvolupament, el metabolisme i la resposta immunitària (revisat per McEwan, 2009). La família de receptors nuclears inclou a) receptors d’hormones esteroides, com ara el receptor d’estrògens (ER) o el de glucocorticoides (GR), b) receptors de lligands no esteroides, com ara el receptor d’hormones tiroïdals (TR) i el receptor d’àcid retinoic (RAR) i c) receptors que uneixen diferents productes del metabolisme lipídic, com és el cas dels receptors activats per proliferadors de peroxisoma (PPAR) i els receptors X de fetge (LXR).
Diversos membres de la família dels receptors nuclears tenen un paper important en el control negatiu de la inflamació. Centrarem aquesta revisió en alguns dels receptors nuclears que presenten una activitat repressora de la inflamació ben caracteritzada i revisarem els mecanismes moleculars involucrats en aquestes accions.
Característiques generals dels receptors nuclears
Els membres de la superfamília de receptors nuclears comparteixen una estructura comuna. Disposen d’una regió aminoterminal variable que conté un domini de transactivació independent de lligand (AF-1) i un domini altament conservat d’unió a DNA (DBD). El DBD conté dos motius de tipus dits de zinc que permeten la unió de la molècula amb seqüències de DNA específiques anomenades elements de resposta hormonal. Els receptors nuclears també disposen d’una regió carboxiterminal que conté el domini d’unió al lligand (LBD), una superfície de dimerització, i un domini d’activació dependent de lligand (AF-2) (revisat per Aranda i Pascual, 2001). La major part de receptors nuclears activen la transcripció en forma de dímers, ja sigui com a homodímers o bé com a heterodímers amb el receptor de retinoide X (RXR).
Gran part dels receptors nuclears poden exercir funcions reguladores negatives i positives de la transcripció gènica (revisat per Hsia et al., 2010). L’activitat prototípica dels receptors nuclears és l’activació de la transcrip-
ció dependent de lligand mitjançant la unió a elements de resposta específics que es troben en regions reguladores dels seus gens diana. En absència de lligand alguns receptors nuclears també són capaços de reprimir activament la transcripció dels seus gens diana (revisat per Stewart i Wong, 2009). Com a conseqüència de la unió del lligand, els receptors nuclears experimenten un canvi conformacional que els fa dissociar-se de molècules corepressores de la transcripció i passen a reclutar proteïnes coactivadores que promouen l’activació transcripcional (revisat per Glass i Rosenfeld, 2000; Wagner et al., 2003).
A més, un subgrup de receptors nuclears, de manera dependent de lligand, són capaços d’inhibir l’activitat transcripcional d’altres factors de transcripció. Aquests efectes són en part vehiculats per mecanismes que no requereixen la unió directa del receptor nuclear al DNA i col·lectivament s’anomenen transrepressió (revisat per Glass i Ogawa, 2006).
Receptor de glucocorticoides
El receptor de glucocorticoides (GR) forma part del subgrup clàssic de receptors nuclears d’hormones esteroïdals. Múltiples isoformes de GR es poden generar a partir d’un gen comú mitjançant tall i unió alternatiu (revisat per Lu i Cidlowski, 2004; Turner i Muller, 2005). Dues d’aquestes isoformes, GRα i β, són les més abundants i més estudiades. GRα s’expressa de manera ubiqua i és funcional quan l’activen glucocorticoides (revisat per Lu i Cidlowski, 2004). En canvi, GRβ s’expressa en teixits específics i no pot unir glucocorticoides per una alteració en l’LBD (Oakley et al., 1996; Yudt et al., 2003). Els nivells relatius de GRα i GRβ varien dependent del tipus cel·lular i GRβ reprimeix la capacitat de transactivació de GRα (Webster et al., 2001). En absència de lligand, GRα es localitza en el citoplasma de la cèl·lula formant complexos amb diverses proteïnes com ara les proteïnes de xoc tèrmic (Hsp) 90 (Hsp90) i Hsp70 o la proteïna FKBP52 (proteïna 52 d’unió a FK506) (revisat per Pratt i Toft, 1997).
Els glucocorticoides endògens, com ara el cortisol, es produeixen sota el control de l’eix hipotalamohipofisiariadrenal en resposta a diferents estímuls relacionats amb l’estrès (dolor, trauma, inanició, infecció, etc.) i són essencials per al manteniment de funcions homeostàtiques (Katzung, 2007). A més, els glucocorticoides sintètics (com ara la hidrocortisona, la prednisolona i la dexametasona) són àmpliament utilitzats farmacològicament per controlar una gran varietat de malalties d’origen inflamatori, incloent-hi dermatitis, artritis, lupus eritematós sistèmic, malalties inflamatòries cròniques de l’intestí, asma, etc. Aquestes molècules són capaces de difondre’s a través de la membrana plasmàtica, accedir al citoplasma i unir-se al GRα, i provocar la dissociació del GR de les proteïnes de xoc tèrmic. Aquesta nova forma activada del GRα unida a lligand experimenta translocació per transport actiu cap al nucli de la cèl·lula, on passarà a unir-se en forma d’homodímers a elements de resposta específics en els seus gens diana (revisat per Heitzer et al., 2007). A més, el GRα regula negativament la transcripció a través de mecanismes que poden o no implicar la unió directa del GR al DNA. El conjunt de mecanismes que permeten explicar la repressió de respostes inflamatòries per glucocorticoides es resumeix a continuació.
a) Repressió a partir d’elements de resposta negatius. El GRα pot inhibir l’expressió de determinats gens, com ara els que codifiquen la proopiomelanocortina o la prolactina, unint-se directament a elements de resposta negatius existents en regions reguladores d’aquests gens (Drouin et al., 1989a, 1989b; Sakai et al., 1988).
b) Transrepressió de la transcripció de gens proinflamatoris. Les regions promotores dels gens proinflamatoris contenen llocs d’unió d’altres factors de transcripció, incloent-hi el complex transcripcional de proteïna activadora (AP)-1 i el factor nuclear (NF)-κB. S’ha descrit que els glucocorticoides poden interferir sobre la capacitat d’unió al DNA dels complexos AP-1 i NF-κB
a determinats gens de resposta inflamatòria. Entre els efectes inhibitoris que els glucocorticoides exerceixen sobre NF-κB trobem mecanismes que impliquen una reducció de l’expressió de les subunitats p50 de NF-κB (NFκB1) o p65 (RelA) (Kurokouchi et al., 2000; Simpson i Morris, 1999) o la inducció de l’expressió de l’inhibidor de NF-κB IκBα (Auphan et al., 1995; Scheinman et al., 1995). A més, s’ha proposat la interacció directa entre GRα i AP-1 o NFκB, sense unió directa al DNA de GR, com a mecanisme que contribueix a la transrepressió de determinats gens inflamatoris, com, per exemple, els que codifiquen la molècula d’adhesió intercel·lular 1 o les interleucines IL-6 i IL-8 (Caldenhoven et al., 1995; Ray i Prefontaine, 1994; Scheinman et al., 1995a, 1995b). Aquest procés és independent de l’expressió de IκBα (Bosscher et al., 1997; Heck et al., 1997) i no interfereix en la capacitat d’unió al DNA de NF-κB (Nissen i Yamamoto, 2000).
Es proposa un mecanisme d’antagonisme mutu entre GRα i AP-1 o NFκB que resulta de la competició per molècules coactivadores, principalment la proteïna d’unió a elements de resposta a AMP cíclic (CBP) (Kamei et al., 1996; McKay i Cidlowski, 1998, 2000; Sheppard et al., 1998). No obstant això, altres estudis discrepen sobre aquest concepte i proposen en el seu lloc que la interferència amb la maquinària d’activació transcripcional explicaria la transrepressió (Bosscher et al., 2000, 2001), per exemple, a través del reclutament de la proteïna d’interacció amb GR (GRIP) (Rogatsky et al., 2001, 2002). De manera alternativa, la fosforilació del domini carboxiterminal de la RNA-polimerasa (Pol) II es veu inhibida pels glucocorticoides. Es proposa que la pèrdua d’un complex regulador amb activitat cinasa vehiculada per GR podria ser la base d’aquest fenomen i mitjançar, per tant, la inhibició selectiva de determinats promotors dependents de NF-κB (Luecke i Yamamoto, 2005; Nissen i Yamamoto, 2000). De manera similar, com que l’acetilació d’histones és necessària per a l’activació transcripcional (revisat per Adcock et al., 2004), els glucocorticoides poden també disminuir l’acetilació de determinats promotors mitjançant la reducció de l’activitat histona-acetiltransferasa associada a CBP i reclutar en el seu lloc la proteïna histona-desacetilasa (HDAC) 2 cap al complex NF-κB (p65)-CBP (Ito et al., 2000, 2001). D’altra banda, també s’ha descrit la capacitat de GR d’unir-se a la cinasa de c-Jun N-terminal (JNK) i promoure la dissociació de la cinasa MKK7, de manera que interfereix així sobre la capacitat d’activació de l’eix JNK-AP-1 (Bruna et al., 2003).
c) Expressió gènica dependent de GR i repressió posttraduccional. Una part dels efectes repressors de GRα tenen lloc a través de mecanismes que impliquen la desestabilització de determinats RNA missatgers (mRNA) De fet, els elements rics en AU (ARE) presents en les regions 3´ no traduïdes dels mRNA inestables poden mitjançar la desestabilització per glucocorticoides (revisat per Stellato, 2004).
D’altra banda, el GRα regula positivament l’expressió de la MAPK-fosfatasa-1 (MKP-1) (Kassel et al., 2001; Lasa et al., 2002). Aquesta fosfatasa desfosforila la forma activa de p38 MAPK, de manera que redueix l’activitat de p38 i l’estabilització conseqüent dependent de p38 dels mRNA de determinats gens proinflamatoris, com per exemple el de la ciclooxigenasa 2 (Chen et al., 2002; Clark et al., 2003; Lasa et al., 2000, 2001; Winzen et al., 1999; Zhao et al., 2005). A més, les accions de MKP-1 s’estenen a altres membres de la família de les MAPK, és a dir, les cinases regulades per senyals extracel·lulars (ERK) (Shapiro i Ahn, 1998) i les cinases de c-Jun N-terminal (JNK) (Liu et al., 1995), de manera que un augment de l’expressió de MKP-1 pot afectar negativament l’activació de factors transcripcionals activats per la senyalització a través d’ERK i JNK, com ara els factors activadors de transcripció (ATF)-1 i -2, i AP-1, respectivament, i contribuir a la repressió transcripcional de gens proinflamatoris regulats per aquests factors (Caelles et al., 2002; Fürst et al., 2007). D’altra banda, p38 és un regulador positiu de la transcripció dependent de NF-κB (revisat per Newton i Holden, 2003; Wesselborg et al., 1997), de ma-
nera que la inducció de MKP-1 per glucocorticoides podria contribuir a la inhibició de l’expressió de gens dependents de NF-κB a través de la regulació negativa de p38. De fet, en els macròfags derivats de ratolins deficients en MKP-1 no es produeix una repressió efectiva de nombrosos gens inflamatoris en resposta a dexametasona (Abraham et al., 2006).
La isoforma GRβ inhibeix la repressió vehiculada per GRα dels promotors de resposta a NF-κB i AP-1 (Lu i Cidlowski, 2004). La base molecular de l’activitat dominant negativa de GRβ s’explica a través del fet que GRα i GRβ poden formar heterodímers entre ells (Oakley et al., 1999), de manera que interfereixen sobre la capacitat de generació d’homodímers de GRα funcionalment actius.
Receptors activats per proliferadors de peroxisoma
Els receptors activats per proliferadors de peroxisoma (PPAR) funcionen com a receptors d’àcids grassos i dels seus metabòlits. Es coneixen tres isoformes de PPAR, que són PPARα, PPARβ/δ i PPARγ. Durant les respostes inflamatòries, els PPAR poden ser activats per eicosanoides, els quals es produeixen per metabolisme de l’àcid araquidònic i altres àcids grassos poliinsaturats (PUFA) de llarga cadena. Per exemple, el leucotriè B4 i el 8(S)-àcid hidroxieicosatetraenoic (HETE) funcionen com a agonistes de PPARα, mentre que la 15-desoxi-Δ12,14-prostaglandina J2 i els 15-HETE i 13-àcid hidroxioctadecadienoic (HODE) actuen com a activadors de PPARγ (revisat per Desvergne i Wahli, 1999). PPARγ també pot ser activat per fàrmacs de tipus tiazolidinediona, els quals actuen com a sensibilitzadors d’insulina i s’utilitzen en el tractament de la diabetis de tipus 2 (revisat per Cho i Momose, 2008).

Per tal de regular positivament els seus gens diana, els PPAR formen heterodímers amb RXR i activen la transcripció mitjançant la unió a elements de resposta a PPAR (PPRE) (Bardot et al., 1993; Gearing et al., 1993). La unió d’agonistes a l’LBD suposa un canvi conformacional amb el qual la unió a molècules coactivadores es veu estabilitzada. Per contra, la unió d’antagonistes resulta en una conformació que afavoreix la unió a molècules corepressores (Lee et al., 2002). Els heterodímers PPAR-RXR es poden unir a un PPRE en absència de lligand. En alguns gens diana els heterodímers PPAR-RXR no units a lligand recluten complexos corepressors i mantenen un estat de repressió activa d’aquells promotors (Krogsdam et al., 2002; Xu et al., 2002). En general, els diferents PPAR regulen positivament gens amb funcions clau en metabolisme i diferenciació cel·lular (revisat per Menendez-Gutierrez et al., 2012).
A més de les accions positives sobre l’expressió gènica, els agonistes de les tres isoformes de PPAR mostren activitat antiinflamatòria en diferents models d’inflamació crònica. No obstant això, la major part d’estudis per esbrinar el mecanisme d’acció d’aquest tipus de receptor nuclear estan centrats en PPARγ. PPARγ pot antagonitzar l’expressió de gens de resposta a NF-κB i AP-1 a través de transrepressió (Pascual et al., 2005). Els agonistes sintètics i endògens de PPARγ s’han utilitzat amb èxit com a molècules antiinflamatòries en models murins d’aterosclerosi, malalties inflamatòries intestinals, psoriari, encefalomielitis autoimmunitària experimental i d’altres (revisat per Menendez-Gutierrez et al., 2012; revisat per Széles et al., 2007). En general, els lligands de PPARγ inhibeixen la inducció de gens proinflamatoris induïts en resposta a lipopolisacàrid (LPS), interleucina (IL)-1β, o interferó (IFN)-γ.
Figura 1. Mecanismes de control negatiu de la inflamació vehiculats per receptors nuclears (RN) activats per lligand. a) Els RN són capaços d’inhibir la unió de factors de transcripció (FT) proinflamatoris als seus gens diana. b) A través de la sumoïlació, els RN bloquegen l’alliberament de complexos corepressors del promotor de gens proinflamatoris. c) Els RN promouen la transcripció de gens que codifiquen molècules amb activitat antiinflamatòria unint-se directament al promotor d’aquests gens i reclutant complexos coactivadors. d) Els RN s’uneixen a factors de transcripció proinflamatoris i recluten complexos corepressors que inhibeixen la transcripció del gen diana. e) Els RN s’uneixen a factors de transcripció proinflamatoris i bloquegen la unió de coactivadors sobre el gen diana. f) Els RN s’uneixen i segresten coactivadors, de manera que aquests últims no poden unir-se a factors de transcripció proinflamatoris.
Els estudis sobre el mecanisme de repressió transcripcional vehiculat per PPARγ proposen un model en el qual l’acció de PPARγ està lligada a la capacitat repressora de complexos corepressors de la transcripció gènica. En absència d’estímuls proinflamatoris, molècules no fosforilades de Jun poden promoure el reclutament de complexos que contenen el corepressor de receptors nuclears (NCoR) cap al promotor de gens de resposta inflamatòria. De la mateixa manera, TEL, un repressor de factors de transcripció ETS, i la subunitat p50 de NF-κB, poden reclutar complexos que contenen el corepressor vehiculador de silenciament de receptors d’àcid retinoic i d’hormones tiroïdals (SMRT) (Ghisletti et al., 2009). Senyals d’activació de respostes inflamatòries culminen en l’eliminació dels complexos corepressors dels gens proinflamatoris, un procés que requereix l’acció de la maquinària d’ubiquitinació i la subunitat 19S del proteosoma. El resultat final és l’alliberament de l’activitat repressora dels gens que mitjancen la resposta inflamatòria. Per la seva banda, la unió de PPARγ a un agonista indueix un canvi al·lostèric en la molècula de PPARγ que resulta en la conjugació covalent d’una molècula de tipus modificador petit relacionat amb la ubiquitina 1 (SUMO1) en l’LBD de PPARγ, gràcies a l’acció de la proteïna inhibidora de STAT1 activat (PIAS1) com a SUMO E3 ubiquitina-ligasa (Pascual et al., 2005). Com a conseqüència de la sumoïlació de PPARγ, aquest s’uneix a complexos que contenen NCoR, i evita el reclutament de la maquinària d’ubiquitinació necessària per eliminar
NCoR. Com a resultat, el complex corepressor es manté associat a les regions reguladores de determinats gens i segueix exercint una activitat repressora sobre la seva transcripció fins i tot en presència de senyals que culminen en l’activació de NF-κB .
Receptors X de fetge (LXR)
S’han identificat dues isoformes del receptor X de fetge (LXR), LXRα i LXRβ, codificades per gens diferents. LXRα s’expressa més abundantment en fetge, intestí, teixit adipós, ronyó, intestí, melsa i macròfags, mentre que LXRβ es troba distribuït de manera ubiqua (revisat per Pascual-García i Valledor, 2012). Aquests factors de transcripció són activats per determinades formes oxidades del colesterol (oxisterols) i per productes intermediaris de la biosíntesi del colesterol (Janowski et al., 1999; Yang et al., 2006). A més dels components naturals, s’han desenvolupat productes sintètics o semisintètics capaços d’activar els LXR, com ara els agonistes TO901317 i GW3965, extensament emprats en estudis in vitro i in vivo que han ajudat a entendre el paper dels LXR en la biologia cel·lular i la fisiologia (Collins et al., 2002; Schultz, 2000).
Igual com els PPAR, els LXR formen heterodímers amb RXR i, en aquest cas, passen a unir-se a elements de resposta a LXR (LXRE) que es troben en regions promotores o enhancers dels gens diana de LXR (revisat per Edwards et al., 2002). L’activació dels heterodímers LXR-RXR indueix l’expressió d’una varietat de gens diana, molts dels quals estan involucrats en l’homeòstasi de lípids i de glucosa i en la resposta immunitària (revisat a Pascual-García i Valledor, 2012).
En macròfags, els LXR són també capaços de reprimir vies de senyalització generades pel reconeixement de LPS, IL-1β, factor de necrosi tumoral (TNF)-α, o IFN-γ (Ghisletti et al., 2007; Joseph et al., 2003; Pascual-García et al., 2013). En paral·lel amb les observacions in vitro, s’han descrit efectes antiinflamatoris generats per lligands de LXR en diferents malalties inflamatòries en models murins (revisat per Pascual-Garcia i Valledor, 2012). De manera similar a l’escenari descrit per a PPARγ, el procés de transrepressió vehiculat pels LXR depèn de la sumoïlació d’aquests receptors nuclears. En macròfags murins l’activació dels LXR amb l’agonista GW3965 n’implica la sumoïlació i evita l’alliberament de complexos corepressors del promotor de determinats gens proinflamatoris, i fa que aquests promotors es mantinguin en un estat reprimit fins i tot en presència de senyals extracel·lulars activadors (Ghisletti et al., 2007). Les proteïnes implicades en la sumoïlació de LXR varien depenent del tipus cel·lular i potser l’ambient inflamatori. En macròfags estimulats amb LPS, el LXRβ activat per GW3965 experimenta sumoïlació vehiculada per SUMO-2/3 a través d’un procés en què la molècula HDAC4 actua com a E3-ligasa (Ghisletti et al., 2007). En astròcits estimulats amb IFN-γ, LXRα experimenta sumoïlació vehiculada per SUMO-2/3 utilitzant HDAC4 com a E3-ligasa, mentre que LXRβ és sumoïlat per SUMO1, amb PIAS1 actuant com a E3-ligasa (Lee et al., 2009).
A més, s’ha demostrat que, en macròfags, els LXR sumoïlats interaccionen amb coronina 2A (CORO2A), una proteïna d’unió a actina que conté motius conservats d’interacció amb SUMO-2/3 i que s’expressa principalment en el nucli. CORO2A es troba present en diversos promotors en absència de senyals estimuladors (Huang et al., 2011). Estudis desenvolupats sobre el promotor del gen que codifica l’òxid nítric-sintasa (Nos2) indiquen que, en resposta a l’estimulació de receptors de tipus Toll (TLR), CORO2A participa en la inducció d’un canvi conformacional de la molècula corepressora NCoR a través de la interacció amb actina nuclear oligomèrica i que aquesta modificació és necessària per alliberar la repressió vehiculada pel complex corepressor sobre el promotor en qüestió (Huang et al., 2011). Tot i que el paper exacte de l’actina en aquest procés és encara enigmàtic, s’hipotetitza que els LXR
sumoïlats s’uneixen a CORO2A per prevenir així el canvi conformacional de NCoR en el promotor de Nos2.
Durant la fase de resposta aguda en el fetge, la transrepressió de gens inflamatoris induïda per GW3965 està vehiculada específicament per LXRβ. Utilitzant com a model els promotors del gens que codifiquen la proteïna C reactiva i l’haptoglobina, s’ha vist que LXRβ també experimenta sumoïlació per SUMO2/3 en hepatòcits i, a continuació, reclutament cap a complexos corepressors mitjançant la interacció amb la molècula supressora 2 de la via de proteïna G (Gps2) (Venteclef et al., 2010).
És important esmentar que la fosforilació de residus de serina en els LXR a través de senyals que activen la proteïna-cinasa dependent de calci/ calmodulina-IIγ resulta en la pèrdua del potencial de transrepressió vehiculat per LXR. Aquest pas de fosforilació que té lloc en la serina 427 contribueix a la dessumoïlació de LXRβ feta per la proteasa 3 específica de sentrina, i en provoca la separació de CORO2A (Huang et al., 2011). Basant-se en aquestes observacions, es podria pensar que els senyals que indueixen la fosforilació en serina de LXR i, per tant, una regulació negativa de la seva capacitat de transrepressió, podrien contribuir a la generació de processos inflamatoris crònics.
Recentment el nostre grup ha demostrat que els LXR activats per lligand, a través d’un procés que també requereix la sumoïlació, són capaços d’inhibir la unió de la proteïna transductora de senyal i activadora de la transcripció (STAT)-1 a les regions promotores de determinats gens proinflamatoris de resposta a IFN-γ (Pascual-García et al., 2013). Curiosament, tant l’activació de macròfags per IFN-γ com per LPS indueix l’expressió de l’enzim colesterol-25-hidroxilasa (Ch25h) (Diczfalusy et al., 2009; Pascual-García et al., 2013), el qual genera un lligand endogen de LXR, el 25-hidroxicolesterol (Ma et al., 2008). És possible que la generació de lligands endògens per a LXR a través d’aquesta via suposi un mecanisme de retroalimentació negativa per mantenir la resposta inflamatòria sota control adequat.
De manera recíproca, els senyals inflamatoris condueixen a una inhibició de la capacitat dels LXR d’activar l’expressió de gens involucrats en la regulació del metabolisme lipídic. En el cas de la resposta a LPS, l’activació del factor de transcripció regulador de l’interferó (IRF)-3 comporta una inhibició general de la transcripció gènica dependent de LXR (Castrillo et al., 2003). Per la seva part, l’activació de STAT1 en resposta a IFN-γ inhibeix la inducció d’un subgrup de gens diana de LXR sense afectar la capacitat d’unió de LXR amb els elements de resposta d’aquests gens, la qual cosa suggereix que STAT-1 podria interferir sobre el reclutament de molècules coactivadores al promotor dels gens afectats (Pascual-García et al., 2013). En aquest sentit, la sobreexpressió del coactivador CBP/p300 és capaç de contrarestar els efectes inhibidors que els senyals de LPS i IFN-γ exerceixen sobre l’activació de gens diana de LXR.
Factor relacionat amb receptor nuclear 1 (NURR1)
El factor relacionat amb receptor nuclear 1 (NURR1) és un factor de transcripció pertanyent al subgrup de receptors nuclears orfes, per als quals no es coneixen els lligands que els activen. NURR1 té un paper clau en el manteniment del sistema dopaminèrgic del cervell (revisat per Jankovic et al., 2005). S’han identificat quatre variants transcripcionals d’aquest gen, que codifiquen isoformes diferents de la proteïna (revisat per Xu i Le, 2004).
En cèl·lules de micròglia i astròcits l’expressió de NURR1 s’indueix en resposta a la senyalització per TLR4 i és reclutat a continuació cap al component p65 de NF-κB en el promotor de gens inflamatoris (Saijo et al., 2009). L’associació de NURR1 amb p65 depèn de la fosforilació d’un lloc de regulació negativa en p65 vehiculada per l’enzim cinasa 3 de la glucogen-sintasa (GSK3). Després de la unió a p65, NURR1 recluta un complex repressor que conté la molècula corepressora del factor de transcripció silenciador RE1
(CoREST), el qual mitjança el reciclatge de p65 i manté el promotor del gen inflamatori en un estat reprimit. Aquest mecanisme sembla important per evitar una resposta inflamatòria exagerada en cèl·lules de micròglia i astròcits, ja que el silenciament de NURR1 en la substantia nigra resulta en una inflamació exacerbada en resposta a LPS, en la sobreexpressió de α-sinucleïna i una pèrdua ràpida de neurones dopaminèrgiques en aquest teixit (Saijo et al., 2009).
Conclusions i perspectives futures
Durant les dues darreres dècades s’han assolit importants avenços en la caracterització de múltiples vies moleculars que mitjancen la repressió de gens inflamatoris produïda pels receptors nuclears (vegeu la figura 1). En aquest escenari, un cop units als seus lligands específics, els receptors nuclears utilitzen dos grans mecanismes per regular negativament la transcripció gènica. Un es basa en la inhibició directa de l’activitat de complexos transcripcionals representats per NF-κB o AP-1. De fet, les accions combinatòries de diferents receptors nuclears poden ser utilitzades per optimitzar la intensitat de la transrepressió. En segon lloc, alguns receptors nuclears poden induir l’ex-
Bibliografia
Abraham, S. M. [et al.] (2006). «Antiinflammatory effects of dexamethasone are partly dependent on induction of dual specificity phosphatase 1». The Journal of Experimental Medicine, 203 (8): 1883-1889.
Adcock, I. M. [et al.] (2004). «Glucocorticoids: effects on gene transcription». Proceedings of the American Thoracic Society, 1 (3): 247-254.
Aranda, A.; Pascual, A. (2001). «Nuclear hormone receptors and gene expression». Physiol. Rev., 81 (3): 1269-1304.
Auphan, N. [et al.] (1995). «Immunosuppression by glucocorticoids: inhibition of NF-kappa B activity through induction of I kappa B synthesis». Science (New York, NY), 270 (5234): 286-290.
Bardot, O. [et al.] (1993). «PPAR-RXR heterodimer activates a peroxisome proliferator response element upstream of the bifunctional enzyme gene». Biochemical and Biophysical Research Communications, 192 (1): 37-45.
Bosscher, K. de [et al.] (1997). «Glucocorticoid-mediated repression of nuclear factor-kappaB-dependent transcription involves direct interference with transactivation. Proceedings of the National Academy of Sciences of the United States of America, 94 (25): 13504-13509.
(2000). «Glucocorticoids repress NF-kappaB-driven genes by disturbing the interaction of p65 with the basal transcription machinery, irrespective of coactivator levels in the cell». Proceedings of the National Academy of Sciences of the United States of America, 97 (8): 3919-3924.
(2001). «Glucocorticoid repression of AP-1 is not mediated by competition for nuclear coactivators». Molecular Endocrinology (Baltimore, Md.), 15 (2): 219-227.
Bruna, A. [et al.] (2003). «Glucocorticoid receptor-JNK interaction mediates inhibition of the JNK pathway by glucocorticoids». The EMBO Journal, 22 (22): 6035-6044.
Caelles, C. [et al.] (2002). «Glucocorticoid receptor antagonism of AP-1 activity by inhibition of MAPK family». Ernst Schering Research Foundation Workshop, (40): 131-152. Caldenhoven, E. [et al.] (1995). «Negative cross-talk between RelA and the glucocorticoid receptor: a possible mechanism for the antiinflammatory action of glucocorticoids». Molecular Endocrinology (Baltimore, Md.), 9 (4): 401-412.
Castrillo, A. [et al.] (2003). «Crosstalk between LXR and toll-like receptor signaling mediates bacterial and viral antagonism of cholesterol metabolism». Molecular Cell, 12 (4): 805-816.
Chen, P. [et al.] (2002). «Restraint of proinflammatory cytokine biosynthesis by mitogen-activated protein kinase phosphatase-1 in lipopolysaccharide-stimulated macrophages». Journal of Immunology (Baltimore, Md.), 169 (11): 6408-6416.
Cho, N.; Momose, Y. (2008). «Peroxisome proliferator-activated receptor gamma agonists as insulin sensitizers: from the discovery to recent progress». Current Topics in Medicinal Chemistry, 8 (17): 1483-1507.
Clark, A. R. [et al.] (2003). «Post-transcriptional regulation of gene expression by mitogen-activated protein kinase p38». FEBS Letters, 546 (1): 37-44.
Collins, J. L. [et al.] (2002). «Identification of a nonsteroidal liver X receptor agonist through parallel array synthesis of tertiary amines». Journal of Medicinal Chemistry, 45 (10): 1963-1966.
Desvergne, B.; Wahli, W. (1999). «Peroxisome proliferator-activated receptors: nuclear control of metabolism». Endocrine Reviews, 20 (5): 649-688.
Diczfalusy, U. [et al.] (2009). «Marked upregulation of cholesterol 25-hydroxylase expression by lipopolysaccharide». Journal of Lipid Research, 50 (11): 2258-2264.
Drouin, J. [et al.] (1989a). «Tissue-specific activity of the pro-opiomelanocortin (POMC) gene and repression by glucocorticoids». Genome / National Research Council Canada, 31 (2): 510-519.
(1989b). «Glucocorticoid receptor binding to a specific DNA sequence is required for hormone-dependent repression of pro-opiomelanocortin gene transcription». Molecular and Cellular Biology, 9 (12): 5305-5314.
pressió de gens que inhibeixen vies de senyalització inflamatòria. No obstant això, el conjunt de molècules que participen en cadascun d’aquests processos i la seva dinàmica d’acció encara no han estat del tot descoberts. De la mateixa manera, les vies de transrepressió mostren un cert grau d’especificitat en el teixit on es produeixen; per exemple, en cèl·lules del sistema immunitari s’observen diferents respostes en comparació amb altres cèl·lules. Com que els receptors nuclears tenen la capacitat de reclutar diferents molècules coreguladores o altres factors de transcripció cap a grups específics de gens, la identificació dels coreguladors i les modificacions específiques d’histones que es produeixen en cada teixit en resposta a un lligand de receptor nuclear determinat han d’ajudar a l’aplicació terapèutica d’aquests agonistes en la intervenció de la inflamació i en el disseny de noves teràpies amb menys potencial d’efectes secundaris. Finalment, atès que múltiples lípids i metabòlits de la dieta actuen com a lligands endògens de receptors nuclears, és interessant esbrinar com l’estat metabòlic de l’organisme impacta sobre la funció immunitària a través de la seva acció via receptors nuclears.
Edwards, P. A. [et al.] (2002). «BAREing it all: the adoption of LXR and FXR and their roles in lipid homeostasis». Journal of Lipid Research, 43 (1): 2-12.
Fürst, R. [et al.] (2007). «MAPK phosphatase-1 represents a novel anti-inflammatory target of glucocorticoids in the human endothelium». FASEB Journal, 21 (1): 74-80.
Gearing, K. L. [et al.] (1993). «Interaction of the peroxisome-proliferator-activated receptor and retinoid X receptor». Proceedings of the National Academy of Sciences of the United States of America, 90 (4): 1440-1444.
Ghisletti, S. [et al.] (2007). «Parallel SUMOylation-dependent pathways mediate geneand signal-specific transrepression by LXRs and PPARgamma». Molecular Cell, 25 (1): 57-70. (2009). «Cooperative NCoR/SMRT interactions establish a corepressor-based strategy for integration of inflammatory and anti-inflammatory signaling pathways». Genes & Development, 23 (6): 681-693.
Glass, C. K.; Ogawa, S. (2006). «Combinatorial roles of nuclear receptors in inflammation and immunity». Nature Reviews Immunology, 6 (1): 44-55.
Glass, C. K.; Rosenfeld, M. G. (2000). «The coregulator exchange in transcriptional functions of nuclear receptors». Genes & Development, 14 (2): 121-141.
Heck, S. [et al.] (1997). «I kappaB alpha-independent downregulation of NF-kappaB activity by glucocorticoid receptor». The EMBO Journal, 16 (15): 4698-4707.
Heitzer, M. D. [et al.] (2007). «Glucocorticoid receptor physiology». Reviews in Endocrine & Metabolic Disorders, 8 (4): 321-330.
Hsia, E. Y. [et al.] (2010). «Nuclear receptor coregulators as a new paradigm for therapeutic targeting». Advanced Drug Delivery Reviews, 62 (13): 1227-1237.
Huang, W. [et al.] (2011). «Coronin 2A mediates actin-dependent de-repression of inflammatory response genes». Nature, 470 (7334): 414-418.
Ito, K. [et al.] (2000). «Glucocorticoid receptor recruitment of histone deacetylase 2 inhibits interleukin-1beta-induced histone H4 acetylation on lysines 8 and 12». Molecular and Cellular Biology, 20 (18): 6891-6903. (2001). «p65-activated histone acetyltransferase activity is repressed by glucocorticoids: mifepristone fails to recruit HDAC2 to the p65-HAT complex». The Journal of Biological Chemistry, 276 (32): 30208-30215.
Jankovic, J. [et al.] (2005). «The role of Nurr1 in the development of dopaminergic neurons and Parkinson’s disease». Progress in Neurobiology, 77 (1-2): 128-138.
Janowski, B. A. [et al.] (1999). «Structural requirements of ligands for the oxysterol liver X receptors LXRalpha and LXRbeta». Proceedings of the National Academy of Sciences of the United States of America, 96 (1): 266-271.
Joseph, S. B. [et al.] (2003). «Reciprocal regulation of inflammation and lipid metabolism by liver X receptors». Nature Medicine, 9 (2): 213-219. (2004). «LXR-dependent gene expression is important for macrophage survival and the innate immune response». Cell, 119 (2): 299-309.
Kamei, Y. [et al.] (1996). «A CBP integrator complex mediates transcriptional activation and AP-1 inhibition by nuclear receptors». Cell, 85 (3): 403-414.
Kassel, O. [et al.] (2001). «Glucocorticoids inhibit MAP kinase via increased expression and decreased degradation of MKP-1. The EMBO Journal, 20 (24): 7108-7116.
Katzung, B. G. (2007). «Adrenocorticosteroids & adrenocortical antagonists». A: Basic & Clinical Pharmacology (9a ed.). McGraw-Hill.
Krogsdam, A.-M. [et al.] (2002). «Nuclear receptor corepressor-dependent repression of peroxisome-proliferator-activated receptor delta-mediated transactivation». The Biochemical Journal, 363 (Pt 1): 157-165.
Kurokouchi, K. [et al.] (2000). «Effects of glucocorticoids on tumor necrosis factor alpha-dependent activation of nuclear factor kappaB and expression of the intercellular adhesion molecule 1 gene in osteoblast-like ROS17/2.8 cells». Journal of Bone and Mineral Research, 15 (9): 1707-1715.
Lasa, M. [et al.] (2000). «Regulation of cyclooxygenase 2 mRNA stability by the mitogen-ac-
tivated protein kinase p38 signaling cascade». Molecular and Cellular Biology, 20 (12): 4265-4274. (2001). «Dexamethasone destabilizes cyclooxygenase 2 mRNA by inhibiting mitogen-activated protein kinase p38». Molecular and Cellular Biology, 21 (3): 771-780. (2002). «Dexamethasone causes sustained expression of mitogen-activated protein kinase (MAPK) phosphatase 1 and phosphatase-mediated inhibition of MAPK p38». Molecular and Cellular Biology, 22 (22): 7802-7811.
Lee, G. [et al.] (2002). «T0070907, a selective ligand for peroxisome proliferator-activated receptor gamma, functions as an antagonist of biochemical and cellular activities». The Journal of Biological Chemistry, 277 (22): 19649-19657.
Lee, J. H. (2009). «Differential SUMOylation of LXRalpha and LXRbeta mediates transrepression of STAT1 inflammatory signaling in IFN-gamma-stimulated brain astrocytes». Molecular Cell, 35 (6): 806-817.
Liu, Y. [et al.] (1995). «Role of mitogen-activated protein kinase phosphatase during the cellular response to genotoxic stress. Inhibition of c-Jun N-terminal kinase activity and AP-1-dependent gene activation». The Journal of Biological Chemistry, 270 (15): 83778380.
Lu, N. Z.; Cidlowski, J. A. (2004). «The origin and functions of multiple human glucocorticoid receptor isoforms». Annals of the New York Academy of Sciences, 1024: 102-123.
Luecke, H. F.; Yamamoto, K. R. (2005). «The glucocorticoid receptor blocks P-TEFb recruitment by NFkappaB to effect promoter-specific transcriptional repression». Genes & Development, 19 (9): 1116-1127.
Ma, Y. [et al.] (2008). «25-Hydroxycholesterol-3-sulfate regulates macrophage lipid metabolism via the LXR/SREBP-1 signaling pathway». American Journal of Physiology. Endocrinology and Metabolism, 295 (6): E1369-1379.
McEwan, I. J. (2009). «Nuclear receptors: one big family». Methods in Molecular Biology (Clifton, NJ), 505: 3-18.
McKay, L. I.; Cidlowski, J. A. (1998). «Cross-talk between nuclear factor-kappa B and the steroid hormone receptors: mechanisms of mutual antagonism». Molecular Endocrinology (Baltimore, Md.), 12 (1): 45-56. (2000). «CBP (CREB binding protein) integrates NF-kappaB (nuclear factor-kappaB) and glucocorticoid receptor physical interactions and antagonism». Molecular Endocrinology (Baltimore, Md.), 14 (8): 1222-1234.
Menendez-Gutierrez, M. P. [et al.] (2012). «Biology and therapeutic applications of peroxisome proliferator- activated receptors». Current Topics in Medicinal Chemistry, 12 (6): 548-584.
Newton, R.; Holden, N. (2003). «Inhibitors of p38 mitogen-activated protein kinase: potential as anti-inflammatory agents in asthma?». BioDrugs: Clinical Immunotherapeutics, Biopharmaceuticals and Gene Therapy, 17 (2): 113-129.
Nissen, R. M.; Yamamoto, K. R. (2000). «The glucocorticoid receptor inhibits NFkappaB by interfering with serine-2 phosphorylation of the RNA polymerase II carboxy-terminal domain». Genes & Development, 14 (18): 2314-2329.
Oakley, R. H. [et al.] (1996). «The human glucocorticoid receptor beta isoform. Expression, biochemical properties, and putative function». The Journal of Biological Chemistry, 271 (16): 9550-9559.
(1999). «The dominant negative activity of the human glucocorticoid receptor beta isoform. Specificity and mechanisms of action». The Journal of Biological Chemistry, 274 (39): 27857-27866.
Pascual, G. [et al.] (2005). «A SUMOylation-dependent pathway mediates transrepression of inflammatory response genes by PPAR-gamma». Nature, 437 (7059): 759-763.
Pascual-García, M. [et al.] (2013). «Reciprocal negative cross-talk between liver X receptors (LXRs) and STAT1: effects on IFN-γ-induced inflammatory responses and LXR-dependent gene expression». Journal of Immunology (Baltimore, Md.), 190 (12): 6520-6532.
Pascual-García, M.; Valledor, A. F. (2012). «Biological roles of liver X receptors in immune cells». Archivum Immunologiae et Therapiae Experimentalis, 60 (4): 235-249.
Pratt, W. B.; Toft, D. O. (1997). «Steroid receptor interactions with heat shock protein and immunophilin chaperones». Endocrine Reviews, 18 (3): 306-360.
Ray, A.; Prefontaine, K. E. (1994). «Physical association and functional antagonism between the p65 subunit of transcription factor NF-kappa B and the glucocorticoid receptor». Proceedings of the National Academy of Sciences of the United States of America, 91 (2): 752-756.
Rogatsky, I. [et al.] (2001). «Factor recruitment and TIF2/GRIP1 corepressor activity at a collagenase-3 response element that mediates regulation by phorbol esters and hormones». The EMBO Journal, 20 (21): 6071-6083.
(2002). «Alternate surfaces of transcriptional coregulator GRIP1 function in different glucocorticoid receptor activation and repression contexts». Proceedings of the National Academy of Sciences of the United States of America, 99 (26): 16701-16706.
Saijo, K. [et al.] (2009). «A Nurr1/CoREST pathway in microglia and astrocytes protects dopaminergic neurons from inflammation-induced death». Cell, 137 (1): 47-59.
Sakai, D. D. [et al.] (1988). «Hormone-mediated repression: a negative glucocorticoid response element from the bovine prolactin gene». Genes & Development, 2 (9): 11441154.
Scheinman, R. I. [et al.] (1995a). «Role of transcriptional activation of I kappa B alpha in mediation of immunosuppression by glucocorticoids». Science (New York, NY): 270 (5234): 283-286.
(1995b). «Characterization of mechanisms involved in transrepression of NF-kappa B by activated glucocorticoid receptors». Molecular and Cellular Biology, 15 (2): 943-953.
Schultz, J. R. (2000). «Role of LXRs in control of lipogenesis». Genes & Development, 14 (22): 2831-2838.
Shapiro, P. S.; Ahn, N. G. (1998). «Feedback regulation of Raf-1 and mitogen-activated protein kinase (MAP) kinase kinases 1 and 2 by MAP kinase phosphatase-1 (MKP-1)». The Journal of Biological Chemistry, 273 (3): 1788-1793.
Sheppard, K. A. [et al.] (1998). «Nuclear integration of glucocorticoid receptor and nuclear factor-kappaB signaling by CREB-binding protein and steroid receptor coactivator-1». The Journal of Biological Chemistry, 273 (45): 29291-29294.
Simpson, C. S.; Morris, B. J. (1999). «Activation of nuclear factor kappaB by nitric oxide in rat striatal neurones: differential inhibition of the p50 and p65 subunits by dexamethasone». Journal of Neurochemistry, 73 (1): 353-361.
Stellato, C. (2004). «Post-transcriptional and nongenomic effects of glucocorticoids». Proceedings of the American Thoracic Society, 1 (3): 255-263.
Stewart, M. D.; Wong, J. (2009). «Nuclear receptor repression: regulatory mechanisms and physiological implications». Progress in Molecular Biology and Translational Science, 87: 235-259.
Széles, L. [et al.] (2007). «PPARgamma in immunity and inflammation: cell types and diseases». Biochimica et Biophysica Acta, 1771 (8): 1014-1030.
Turner, J. D.; Muller, C. P. (2005). «Structure of the glucocorticoid receptor (NR3C1) gene 5´ untranslated region: identification, and tissue distribution of multiple new human exon 1». Journal of Molecular Endocrinology, 35 (2): 283-292.
Venteclef, N. [et al.] (2010). «GPS2-dependent corepressor/SUMO pathways govern anti-inflammatory actions of LRH-1 and LXRbeta in the hepatic acute phase response». Genes & Development, 24 (4): 381-395.
Wagner, B. L. [et al.] (2003). «Promoter-specific roles for liver X receptor/corepressor complexes in the regulation of ABCA1 and SREBP1 gene expression». Molecular and Cellular Biology, 23 (16): 5780-5789.
Webster, J. C. [et al.] (2001). «Proinflammatory cytokines regulate human glucocorticoid receptor gene expression and lead to the accumulation of the dominant negative beta isoform: a mechanism for the generation of glucocorticoid resistance». Proceedings of the National Academy of Sciences of the United States of America, 98 (12): 6865-6870. Wesselborg, S. [et al.] (1997). «Activation of transcription factor NF-kappaB and p38 mitogen-activated protein kinase is mediated by distinct and separate stress effector pathways». The Journal of Biological Chemistry, 272 (19): 12422-12429.
Winzen, R. [et al.] (1999). «The p38 MAP kinase pathway signals for cytokine-induced mRNA stabilization via MAP kinase-activated protein kinase 2 and an AU-rich region-targeted mechanism». The EMBO Journal, 18 (18): 4969-4980.
Xu, H. E. [et al.] (2002). «Structural basis for antagonist-mediated recruitment of nuclear co-repressors by PPARalpha». Nature, 415 (6873): 813-817.
Xu, P.; Le, W. (2004). «Novel splicing variant of the human orphan nuclear receptor Nurr1 gene». Chinese Medical Journal, 117 (6): 899-902.
Yang, C. [et al.] (2006). «Sterol intermediates from cholesterol biosynthetic pathway as liver X receptor ligands». The Journal of Biological Chemistry, 281 (38): 27816-27826.
Yudt, M. R. [et al.] (2003). «Molecular origins for the dominant negative function of human glucocorticoid receptor beta». Molecular and Cellular Biology, 23 (12): 4319-4930.
Zhao, Q. [et al.] (2005). «The role of mitogen-activated protein kinase phosphatase-1 in the response of alveolar macrophages to lipopolysaccharide: attenuation of proinflammatory cytokine biosynthesis via feedback control of p38». The Journal of Biological Chemistry, 280 (9): 8101-8108.
Daniel Benítez-Ribas,1 Francesc E. Borràs2 i María Montoya3, 4
1 CIBERehd, Department of Experimental Gastroenterology, Hospital Clínic de Barcelona
2 Institut d’Investigació Germans Trias i Pujol (IGTP), Badalona
3 Centre de Recerca en Sanitat Animal (CReSA), UAB-IRTA
4 Institut de Recerca i Tecnologia Agroalimentàries (IRTA), Barcelona
Adreça per a la correspondència: Daniel Benítez-Ribas. CIBERehd, Department of Experimental Gastroenterology, Hospital Clínic de Barcelona. C. del Rosselló, 149-153. 08036 Barcelona. Tel.: 932 275 400. Adreça electrònica: daniel. benitez@ciberehd.org
El sistema immunitari és una de les estructures més complexes del cos. Aquesta complexitat no és supèrflua, sinó que és totalment necessària per fer totes les tasques complicades a les quals fa front, com és el reconeixement i eliminació d’un ampli espectre de microorganismes i patògens, la detecció i destrucció de lesions oncològiques en un ampli rang de teixits i, mentre porta a terme aquestes tasques, el manteniment de la tolerància perifèrica per mitjà de la supressió de respostes perjudicials autoreactives dirigides contra teixits sans. Des del seu descobriment, fet per R. Steinman i col·laboradors fa uns quaranta anys, les cèl·lules dendrítiques (CD) s’han situat com uns elements clau en la direcció del sistema immunitari per portar a terme les seves tasques. En aquesta revisió mostrem una visió general sobre la biologia de les CD, els coneixements que se’n tenen fins al moment, les seves possibles aplicacions terapèutiques per al tractament de malalties i les incògnites que encara queden per respondre en investigacions futures.
Paraules clau: cèl·lula dendrítica, cèl·lula presentadora d’antigen.
Introducció
La comprensió del paper de les cèl·lules dendrítiques (CD) en la resposta immunitària ha estat un camí llarg que es va iniciar amb els treballs de Steinman i col·laboradors amb la descripció d’aquestes cèl·lules l’any 1972. Un treball exhaustiu de recerca durant gairebé quaranta anys sobre aquesta població cel·lular ha proporcionat un coneixement de la complexitat del sistema que formen les CD i el seu paper primordial en la immunitat. Aquesta revisió pretén proporcionar una visió general sobre alguns aspectes de la biologia de les CD, el que se’n coneix actualment i les preguntes que encara queden per respondre en investigacions futures.
Les CD són integrals en la iniciació i regulació de les respostes immunitàries. Les CD pertanyen al grup de les cèl·lules presentadores d’antigen professionals, que tenen un paper essencial per regular la inducció d’immunitat contra patògens invasors i també en la inducció de tolerància contra antígens propis o no patogènics. Aquestes funcions aparentment oposades les duen a terme les CD a causa de la seva plasticitat i adaptabilitat de resposta a diferents estímuls fisiològics i patogènics. Les CD estan distribuïdes al llarg del cos i formen una xarxa refinada i complexa que permet la comunicació amb diferents poblacions de limfòcits, i formen una interfase entre l’ambient exterior i la resposta adaptativa del sistema immunitari (vegeu la figura 1). Amb l’objectiu de proporcionar protecció contra la varietat de patògens han evolucionat diferents poblacions de CD, i aquestes poblacions diferents estan especialitzades en el reconeixement de diferents estructures associades als patògens, cosa que confereix una alta
DOI: 10.2436/20.1501.02.145
ISSN (ed. impresa): 0212-3037
ISSN (electrònic): 2013-9802
http://revistes.iec.cat/index.php/TSCB
Rebut: 02/02/2014 Acceptat: 15/03/2014
Present and future of dendritic cells
Summary
The immune system is probably one of the most complex cellular organisations in the body. Its complexity is not superfluous; rather, it is necessary to fulfil the complicated purpose of the immune system, namely: recognition of the diverse repertoire of microorganisms and pathogens; the detection of neoplastic lesions originating from a range of tissues; and, while executing these tasks, the maintenance of peripheral tolerance by suppressing detrimental responses against healthy tissues. Since they were discovered by R. Steinman and co. nearly forty years ago, dendritic cells (DCs) have emerged to be critical players in conducting the immune response to fulfil these roles. Here, we provide a general overview of DCs, what we currently know, their possible therapeutic applications and the questions that remain unanswered for future research.
Key words: dendritic cells, antigen-presenting cells.
especificitat de resposta. Aquesta classificació de les CD es va fer en funció de l’expressió diferencial de molècules presents en la membrana. Les quatre categories principals en què es divideixen les CD són: convencionals (cCD), plasmacitoides (pCD), CD derivades de monòcits i cèl·lules de Langerhans (vegeu la figura 1). Podeu trobar més informació sobre aquesta classificació a Vázquez et al. (2012).
CD convencionals
Les CD convencionals estan especialitzades en el processament i presentació d’antígens. Es poden agrupar en dues categories principals depenent de la seva localització en els teixits i de com recirculen en l’organisme utilitzant les diferents vies migratòries. La primera categoria de CD convencionals és refereix generalment a les CD amb capacitat migratòria. Les CD convencionals migren des del torrent sanguini cap als òrgans i teixits perifèrics, on controlaran l’ambient i la presència d’elements de perill, i posteriorment migraran des dels teixits utilitzant els vasos limfàtics aferents cap als ganglis limfàtics locals per fer eficient la presentació d’antígens capturats a la perifèria. Les CD amb capacitat migradora no es troben a la melsa, i la seva presència està restringida als ganglis limfàtics (Liu i Nussenzweig, 2010). Al contrari, les CD limfoides residents als teixits o als ganglis no provenen d’altres teixits o òrgans. Si no hi ha infecció, les CD es troben en un estat que es denomina immadur i que es caracteritza per una capacitat endocítica elevada i nivells baixos d’expressió de molècules d’histocompatibilitat (MHC II) quan es compara amb les CD activades o també denominades madures. La seva localització en els teixits limfoides les fa situades ideal-
ment per detectar l’entrada d’antígens o patògens que es transporten a la sang (Lundie et al., 2008).
CD plasmacitoides
Les CD plasmacitoides són el tipus cel·lular altament especialitzat en la producció d’interferó de tipus I (IFN-α/β), i produeixen aquests tipus d’interferons en resposta a infeccions víriques principalment (Siegal et al., 1999). Són cèl·lules que es troben en un estat quiescent immadur, amb una àmplia distribució en l’organisme, i són menys competents que les CD convencionals en la fagocitosi i incorporació d’antígens en forma soluble. Es troben presents en el timus i els ganglis limfoides secundaris, però rarament es localitzen en teixits no inflamats o en els limfàtics aferents. Malgrat tot, en condicions d’inflamació, les CD plasmacitoides migren i s’acumulen en els teixits danyats, i migren cap als ganglis limfoides locals, preferentment a través de les vènules de l’endoteli alt (Yoneyama et al., 2004).
CD derivades de monòcits
Aquest tipus de CD s’indueix durant la resposta inflamatòria quan els monòcits circulants són mobilitzats ràpidament als teixits i un cop allà poden diferenciar-se en cèl·lules que tenen moltes característiques prototípiques de CD (vegeu la figura 2) (Naik et al., 2006). En resposta a factors de creixement com el factor d’estimulador de granulòcits-macròfags (GM-CSF) in vitro o lligands dels receptors de tipus Toll (TLR) com LPS, o bacteris, es desenvolupa la generació de CD totalment diferenciades. A més, aquestes cèl·lules adquireixen la capacitat de presentar antigen, incloent-hi la capacitat de presentació creuada (Cheong et al., 2010). Per tant, es pensa que les CD derivades de monòcits constitueixen un reservori de cèl·lules presentadores d’antigen professionals que són reclutades durant el curs de les respostes immunitàries contra microorganismes i potencialment constitueixen un tipus cel·lular d’emergència en els casos d’inflamació aguda.
Cèl·lules de Langerhans
Les cèl·lules de Langerhans es troben a la pell i també tenen la capacitat de migrar cap als ganglis limfàtics on, com ja s’ha comentat prèviament, tindrà lloc la presentació antigènica. A diferència de les CD convencionals, que tenen la seva ontogènia a partir d’un precursor del moll d’os, les cèl·lules de Langerhans deriven de precursors mielomonocítics locals caracteritzats per l’expressió del marcador Ly6C+ present a la pell. Aquesta població precursora s’origina a partir dels macròfags que infiltren la pell en les etapes inicials del desenvolupament embrionari i que hi pateixen un procés proliferatiu en l’epidermis al pocs dies després del naixement (Chorro, 2009). A més de les quatre categories principals esmentades, és important també destacar les CD del timus, que tenen unes característiques particulars.
CD del timus
Les CD constitueixen una població que està en una proporció molt baixa en el compartiment hematopoètic del timus postnaixement en condicions d’homeòstasi. Les CD tímiques són capaces de presentar els antígens d’una manera tolerògena (Steinman et al., 2003) als timòcits doble positius per als marcadors CD4 i CD8 i que han sobreviscut la selecció positiva que té lloc al timus. Depenent de la quantitat o qualitat dels senyals transmesos a partir del receptor específic de les cèl·lules T (TCR) durant aquesta interacció, els timòcits autoreactius són eliminats per apoptosi (selecció negativa), o bé dirigeixen la seva diferenciació envers limfòcits T reguladors naturals (CD4+ CD25++ Foxp3+) o nTregs; els dos mecanismes descrits contribueixen a l’establiment de la tolerància central contra antígens propis (Brocker et al., 1997; Nossal, 1994; Meerwijk et al., 1997).


Figura 1. a) Funció i caracterització de les cèl·lules dendrítiques.
b) Subpoblacions de cèl·lules dendrítiques i les seves relacions ontogèniques.
Els darrers treballs publicats donen suport a la idea que almenys part de les CD plasmacitoides presents al timus i les CD convencional deriven in situ a partir de progenitors mieloides comuns. Com el microambient tímic específic en els diferents nínxols predisposa la diferenciació és una qüestió encara per resoldre.
CD tolerògenes
La implicació de les CD en el manteniment de la tolerància perifèrica va ser considerada com una de les funcions importants portades a terme per les CD. Es va demostrar que, en condicions no patogèniques, les CD immadures fagociten cossos apoptòtics derivats del procés natural de regeneració dels teixits i, després de migrar cap als ganglis limfàtics drenants, les CD presenten els antígens propis silenciant respostes autoreactives dels limfòcits T (Steinman et al., 2000). Està ben documentat el paper de les CD tímiques en la inducció de tolerància contra antígens propis i nombrosos estudis han revelat els mecanismes pels quals aquestes CD indueixen o mantenen la tolerància. Les CD tolerògenes poden ser immadures, resistents als estímuls maduratius o activades de manera alternativa expressant nivells baixos de molècules de presentació d’antígens (MHC), una relació baixa de molècules coestimuladores respecte als senyals inhibidors, i la manca de citocines que indueixen respostes inflamatòries de tipus Th1 o Th17 (com és la IL-12p70, IL-23 o TNF-α) comparades amb les CD madures. A més, l’expressió de molècules amb una activitat inhibidora de la resposta immunitària i la secreció de citocines an-
tiinflamatòries (IL-10 i TGF-β) contribueix a la inducció de tolerància. En general, els mecanismes moleculars pels quals les CD desenvolupen la funció tolerògena inclouen: presentació antigènica amb una coestimulació inadequada (inducció d’anergia), presentació de nivells baixos d’antigen en absència d’altres estímuls, producció de citocines de tipus IL-10, TGF-β, TNF-α, G-CSF i àcid retinoic, expressió de receptors inhibidors (ILT3), expressió de molècules que indueixen la mort dels limfòcits T (deleció) com és la indolamina-2,3-dioxigenasa (IDO), i també expressen molècules que poden induir l’eliminació dels limfòcits T, com és la interacció amb les molècules FAS o PDL1. Diverses evidències donen suport al fet que les CD, a través dels mecanismes esmentats, contribueixen a la tolerància perifèrica limitant l’expansió de cèl·lules T autoreactives i per l’activació de Tregs (Mellor i Munn, 2004; Munn et al., 2005). De manera remarcable, el paper de les CD en el manteniment de la tolerància és dependent del seu estat maduratiu, ja que les CD immadures, semimadures o madures tenen la capacitat d’expandir cèl·lules Tregs in vitro i in vivo (Albert et al., 2001; Lutz et al., 2000; Menges et al., 2002; Yamazaki et al., 2003). Per tal, és recomanable denominar les CD com a immunògenes o tolerògenes més en relació amb la seva funcionalitat.
Alguns dels mecanismes indicats prèviament han estat utilitzats per a la generació de CD tolerògenes amb objectius terapèutics. Per descomptat, el potencial clínic de les CD tolerògenes en processos d’autoimmunitat i trasplantaments es relaciona, en part, amb la capacitat de les CD d’induir i expandir limfòcits T reguladors que suprimeixen respostes immunitàries no desitjades. Un nombre d’estudis en ratolins demostra la generació de limfòcits T específics amb funcions reguladores per als antígens per mitjà de dirigir els antígens cap a les CD utilitzant receptors específics en condicions no estimuladores. En certes condicions les CD madures també són capaces d’expandir aquestes Tregs que retenen la seva activitat supressiva i inhibeixen el desenvolupament de diabetis en els ratolins NOD. Les propietats tolerògenes de les CD immadures han estat estudiades en voluntaris humans sans, i s’han aportat proves experimentals que la tolerància específica d’antigen es pot aconseguir en humans utilitzant aquesta aproximació (Dhodapkar et al., 2001). In vitro, diversos agents —dexametasona, vitamina D3, àcid retinoic o IL-10— s’han utilitzat per generar CD resistents a la maduració quan es deriven a partir de monòcits (vegeu la figura 1). Malgrat tot, només un estudi clínic ha aprofitat les propietats tolerògenes de les CD utilitzant seqüències antisentit per als receptors CD40, CD80 i CD86 per tractar pacients amb diabetis (Giannoukakis et al., 2001).
CD en les infeccions víriques
Un gran nombre de patògens vírics poden infectar les cèl·lules del sistema immunitari, particularment les CD i macròfags, i reduir o fins i tot comprometre la capacitat immunògena de l’hoste infectat. Les CD responen de manera molt ràpida i eficient als estímuls derivats d’infeccions microbianes, inflamatòries i danys tissulars, en provoquen la maduració funcional i n’afavoreixen la interacció amb limfòcits T (Reis e Sousa et al., 2001). La manera per la qual diferents virus interaccionen amb les CD i la seva funció depèn tant del tipus de virus com la subpoblació de CD involucrada (Diebold et al., 2003; Montoya et al., 2005). En contrast, el resultat final d’aquesta interacció és menys dependent de la capacitat del virus de replicar en la CD. Un aspecte important és com aquests antígens vírics són presentats als limfòcits T per les CD infectades.
Adreçament d’antígens cap a les CD
La identificació de les CD com a cèl·lules clau en la immunitat adaptativa mitjançada per limfòcits T i B en va promoure la possible utilització com a adjuvants en les estratègies de vacunació dirigides per induir respostes es-


pecífiques de timus enfront antígens tumorals i vírics. En general, aquestes estratègies consisteixen en l’aïllament de les CD dels pacients, que després són carregades amb els antígens tumorals/vírics d’interès, i posteriorment se n’indueix la maduració in vitro utilitzant diferents estímuls i de manera prèvia a la transferència en el pacient. Una estratègia més directa consisteix en la càrrega in vivo o adreçament dels antígens a les CD a través dels seus receptors de superfície. Ralph Steinman i col·laboradors identificaren i utilitzaren DEC205, un receptor de lectines de tipus C (CLR) que està altament expressat en les CD, per a l’adreçament d’antígens in vivo. El receptor DEC205 es recicla mitjançant compartiments endosòmics i lisosòmics, i permet una presentació d’antígens molt eficient (Jiang et al., 1995). Aquests autors van demostrar que les proteïnes podien ser dirigides cap a DEC205 i que això millorava en gran mesura la presentació d’antígens a les cèl·lules CD4+ i CD8+ in vivo
Aquesta estratègia es va provar en ratolins mitjançant la incorporació de la proteïna de l’ovoalbúmina (OVA) en un anticòs monoclonal contra DEC205, i es va avaluar la capacitat de dirigir in vivo els antígens a les CD per millorar la immunitat. Aquest adreçament d’anti-DEC-205:OVA a les CD induïa una resposta objectiva que significava de quatre a set cicles de divisió de les cèl·lules T en condicions basals. Amb tot, els investigadors van observar que els clons de limfòcits T generats eren eliminats i els ratolins no responien a les estimulacions posteriors amb OVA. En canvi, l’ús simultani d’un estímul maduratiu per a les CD, com és anti-CD40, juntament amb anti-DEC-205:OVA, induïa una forta immunitat que provocava l’activació de limfòcits T citolítics CD8+, que
2. Cèl·lules dendrítiques humanes derivades de monòcits, activades amb citocines exhibint les dendrites prominents (a) 10× i (b) 40×. , 65: 16-20
produeixen grans quantitats d’interleucina 2 i interferó γ. Així, van trobar que DEC-205 ofereix un mecanisme útil basat en un receptor expressat en les CD per processar proteïnes per presentar-les en MHC de classe I in vivo amb un doble vessant, que pot conduir a la inducció de tolerància en condicions basals o a una resposta immunitària potent després de la maduració de CD (Bonifaz et al., 2002). Steinman et al. van demostrar que mitjançant DEC205 es podia induir una resposta de limfòcits CD4+ forta i protectora, que pot millorar l’eficàcia de la vacunació en si mateixa o en combinació amb altres aproximacions terapèutiques (Trumpfheller et al., 2006). Per estendre la seva troballa als humans, els investigadors van acoblar la proteïna p24 gag del VIH als anticossos anti-DEC205 i van avaluar la presentació d’antígens als limfòcits T CD8+ humans. Van observar que les CD «carregades» d’antigen via DEC205 podien presentar als limfòcits T diversos pèptids diferents derivats d’una sola proteïna. Aquest fet orientava una futura prova de càrrega de CD amb antígens VIH fusionats amb DEC205 (Bozzacco, 2007; Trumpfheller et al., 2008). Quan s’administrà juntament amb adjuvants de tipus RNA sintètic de doble cadena, poli-IC o el seu anàleg poli-ICLC, la proteïna de fusió gag-p24-antiDEC205 es va mostrar com a altament immunògena en ratolins i macacos, i està en curs el seu ús com a teràpia en voluntaris sans (revisat en Trumpfheller et al., 2012).
Teràpies basades en CD per al tractament de les infeccions víriques
Les propietats de les CD com a cèl·lules professionals de la presentació d’antígens n’han potenciat l’ús en la vacunació en diferents contextos patològics. Tot i que la majoria d’aquestes aplicacions s’han relacionat amb la inducció de la immunitat antitumoral (Melief et al., 2008), les infeccions víriques cròniques també poden beneficiar-se dels avantatges de les CD com a inductores de la immunitat. S’ha descrit que, entre d’altres mecanismes, alguns virus —en especial els que promouen infeccions cròniques— poden impedir la immunitat antivírica mitjançant el bloqueig d’algunes propietats funcionals de les CD (Beckebaum et al., 2002; Engelmayer et al., 1999). Aquesta acció pot ser directa —infecció vírica de la CD mateixa— o bé per mecanismes indirectes, com ara la interacció dels productes vírics amb receptors o proteïnes produïdes per les CD. Els pacients afectats per infeccions cròniques sovint presenten respostes de limfòcits T insuficients, sobretot les del subtipus Th1, que són les responsables dels efectes antivírics més potents (Rehermann i Nascimbeni, 2005). La manca d’una funció correcta de les CD enfront d’una infecció vírica ha permès hipotetitzar que les estratègies basades en l’administració de CD totalment competents pot ser capaç d’activar les cèl·lules T amb activitat antivírica adequada. I així ho han demostrat els estudis duts a terme en models animals (Ludewig et al., 1998). De fet, s’ha demostrat que en alguns casos la vacunació amb CD és l’estratègia més adequada per trencar la tolerància (manca de resposta) contra els antígens vírics (Shimizu et al., 1998). Pel que fa als estudis en humans, tot i que les CD obtingudes directament de la sang de pacients amb infeccions cròniques causades per virus com el VIH, VHB o VHC poden presentar algun deteriorament fenotípic o funcional, s’han desenvolupat protocols que permeten diferenciar CD funcionals derivades de monòcits d’aquests pacients. Estudis in vitro utilitzant aquests tipus de CD han demostrat que poden activar respostes de cèl·lules T contra antígens vírics, i això suggereix que aquesta estratègia pot ser útil en aquests individus (Echeverria et al., 2011; Huang et al., 2009). D’acord amb aquesta observació,
s’han iniciat diversos assajos clínics que utilitzen les CD en vacunació enfront de les infeccions víriques. La infecció per VIH és el camp amb més assajos clínics de vacunació terapèutica antivírica basada en CD (revisat en Garcia i Routy, 2011). Aquests assajos es caracteritzen per la seva heterogeneïtat, tant en el disseny de l’assaig com en el procés de generació de les CD. Encara que la majoria utilitzen CD derivades de monòcits i diferenciades amb GM-CSF i IL-4 (vegeu la figura 1), mostren diferències importants com ara la inclusió de diversos tipus d’antígens (virus, proteïnes recombinants, pèptids), així com diferents estratègies de càrrega dels antígens i diferents estímuls de maduració. Amb tot, en conjunt aquests assajos clínics han demostrat que la vacunació amb CD és segura en aquests pacients, ja que només mostren efectes secundaris locals de manera ocasional, i això corrobora els resultats obtinguts en els tractaments de pacients amb càncer. Pel que fa a la immunogenicitat, la vacunació amb CD va induir cèl·lules T del perfil Th1 capaces de reconèixer antígens vírics en la majoria d’assajos. No obstant això, només en alguns casos es va observar un efecte clínic, amb algunes disminucions significatives però poc importants (un log) dels valors de càrrega vírica. Altres camps en què s’ha assajat la vacunació amb CD són les infeccions cròniques causades pel VHB, VHC, el VPH i EBV, encara que en aquests casos hi ha encara pocs estudis reportats (Akbar et al., 2011; Gowans et al., 2010; Lin et al., 2002; Santin et al., 2008). Pel que fa al cas específic de la teràpia del VIH, aquests protocols han demostrat ser segurs, ja que no s’han descrit efectes tòxics significatius. També en aquests casos es van induir o potenciar les respostes antivíriques de cèl·lules T després de la vacunació. Amb tot, els resultats clínics obtinguts són modestos, amb respostes clíniques detectables només en una minoria dels pacients vacunats. A causa del reduït nombre d’assajos clínics, i sobretot de les diferències en els procediments de disseny i experimentals, no podem obtenir conclusions sòlides respecte al seu efecte antivíric. No obstant això, els resultats actuals són prometedors i justifiquen el desenvolupament d’assajos addicionals per determinar l’eficàcia de les vacunes de CD com a teràpies antivíriques.
Avui sabem que una complexa xarxa de subtipus de CD (convencionals, plasmacitoides...) contribueix de manera diferent però coordinada a la inducció de respostes immunitàries i al manteniment de la tolerància. El repte de futur serà determinar la contribució de cada subtipus de CD a aquests processos, entendre els canvis que sofreixen aquests subtipus cel·lulars quan són induïts en condicions d’inflamació, i que garanteixen la mobilització i activació de cada un dels precursors de CD, i també desxifrar les interaccions d’aquestes CD amb altres cèl·lules del sistema immunitari.
Les CD han estat considerades com a candidats ideals per usar-les en protocols de vacunació específics, però després de més de dues dècades d’investigació aquest punt continua sent encara una promesa i no una realitat. No obstant això, la investigació ha permès arribar a un punt en què l’aplicació clínica s’ha convertit en una possibilitat real. El ritme frenètic de la investigació immunològica, junt amb el fet que un gran nombre de malalties humanes tenen un clar component immunitari o inflamatori, suggereix que les aplicacions previstes fins ara s’ampliaran molt probablement en el futur, i ens conduiran a nous horitzons que encara ens són desconeguts.
Akbar, S. M. [et al.] (2011). «Safety and immunogenicity of hepatitis B surface antigen-pulsed dendritic cells in patients with chronic hepatitis B». J. Viral. Hepat., 18: 408-414.
Albert, M. L. [et al.] (2001). «Dendritic cell maturation is required for the cross-tolerization of CD8+ T cells». Nat. Immunol., 2: 1010-1017.
Beckebaum, S. [et al.] (2002). «Reduction in the circulating pDC1/pDC2 ratio and impaired function of ex vivo-generated DC1 in chronic hepatitis B infection». Clin. Immunol., 104: 138-150.
Bonifaz, L. [et al.] (2002). «Efficient targeting of protein antigen to the dendritic cell receptor DEC-205 in the steady state leads to antigen presentation on major histocompatibility complex class I products and peripheral CD8+ T cell tolerance». J. Exp. Med., 196: 1627-1638.
Bozzacco, L. [et al.] (2007). «DEC-205 receptor on dendritic cells mediates presentation of HIV gag protein to CD8+ T cells in a spectrum of human MHC I haplotypes». Proc. Natl. Acad. Sci. USA, 104: 1289-1294.
Brocker, T. [et al.] (1997). «Targeted expression of major histocompatibility complex (MHC) class II molecules demonstrates that dendritic cells can induce negative but not positive selection of thymocytes in vivo». J. Exp. Med., 185: 541-550.
Cheong, C. [et al.] (2010). «Microbial stimulation fully differentiates monocytes to DCSIGN/CD209(+) dendritic cells for immune T cell areas». Cell, 143: 416-429.
Chorro, L. [et al.] (2009). «Langerhans cell (LC) proliferation mediates neonatal development, homeostasis, and inflammation-associated expansion of the epidermal LC network». J. Exp. Med., 206: 3089-3100.
Dhodapkar, M. V. [et al.] (2001). «Antigen-specific inhibition of effector T cell function in humans after injection of immature dendritic cells». J. Exp. Med., 193: 233-238.
Diebold, S. S. [et al.] (2003). «Viral infection switches non-plasmacytoid dendritic cells into high interferon producers». Nature, 424: 324-328.
Echeverria, I. [et al.] (2011). «Enhanced T cell responses against hepatitis C virus by ex vivo targeting of adenoviral particles to dendritic cells». Hepatology, 54: 28-37.
Engelmayer, J. [et al.] (1999). «Vaccinia virus inhibits the maturation of human dendritic cells: a novel mechanism of immune evasion». J. Immunol., 163: 6762-6768.
Garcia, F.; Routy, J. P. (2011). «Challenges in dendritic cells-based therapeutic vaccination in HIV-1 infection Workshop in dendritic cell-based vaccine clinical trials in HIV-1». Vaccine, 29: 6454-6463.
Giannoukakis, N. [et al.] (2011). «Phase I (safety) study of autologous tolerogenic dendritic cells in type 1 diabetic patients». Diabetes Care, 34: 2026-2032.
Gowans, E. J. [et al.] (2010). «A phase I clinical trial of dendritic cell immunotherapy in HCV-infected individuals». J. Hepatol., 53: 599-607.
Huang, X. L. [et al.] (2009). «Multiple T-cell responses to human immunodeficiency virus type 1 are enhanced by dendritic cells». Clin. Vaccine Immunol., 16: 1504-1516.
Jiang, W. [et al.] (1995). «The receptor DEC-205 expressed by dendritic cells and thymic epithelial cells is involved in antigen processing». Nature, 375: 151-155.
Lin, C. L. [et al.] (2002). «Immunization with Epstein-Barr Virus (EBV) peptide-pulsed dendritic cells induces functional CD8+ T-cell immunity and may lead to tumor regression in patients with EBV-positive nasopharyngeal carcinoma». Cancer Res., 62: 6952-6958.
Liu, K.; Nussenzweig, M. C. (2010). «Origin and development of dendritic cells». Immunol. Rev., 234: 45-54.
Ludewig, B. [et al.] (1998). «Dendritic cells efficiently induce protective antiviral immunity». J. Virol., 72: 3812-3818.
Lundie, R. J. [et al.] (2008). «Blood-stage Plasmodium infection induces CD8+ T lymphocytes to parasite-expressed antigens, largely regulated by CD8alpha+ dendritic cells». Proc. Natl. Acad. Sci. USA, 105: 14509-14514.
Lutz, M. B. [et al.] (2000). «Culture of bone marrow cells in GM-CSF plus high doses of lipopolysaccharide generates exclusively immature dendritic cells which induce alloantigen-specific CD4 T cell anergy in vitro». Eur. J. Immunol., 30: 1048-1052.
Majumder, B. [et al.] (2005). «Human immunodeficiency virus type 1 Vpr impairs dendritic cell maturation and T-cell activation: implications for viral immune escape». J. Virol., 79: 7990-8003.
Meerwijk, J. P. van [et al.] (1997). «Quantitative impact of thymic clonal deletion on the T cell repertoire». J. Exp. Med., 185: 377-383.
Melief, C. J. (2008). «Cancer immunotherapy by dendritic cells». Immunity, 29: 372-383.
Mellor, A. L.; Munn, D. H. (2004). «IDO expression by dendritic cells: tolerance and tryptophan catabolism». Nat. Rev. Immunol., 4: 762-774.
Menges, M. [et al.] (2002). «Repetitive injections of dendritic cells matured with tumor necrosis factor alpha induce antigen-specific protection of mice from autoimmunity». J. Exp. Med., 195: 15-21.
Montoya, M. [et al.] (2005). «Rapid activation of spleen dendritic cell subsets following lymphocytic choriomeningitis virus infection of mice: analysis of the involvement of type 1 IFN». J. Immunol., 174: 1851-1861.
Munn, D. H. [et al.] (2005). «Dendritic cells have the option to express IDO-mediated suppression or not». Blood, 105: 2618.
Naik, S. H. [et al.] (2006). «Intrasplenic steady-state dendritic cell precursors that are distinct from monocytes». Nat. Immunol., 7: 663-671.
Nossal, G. J. (1994). «Negative selection of lymphocytes». Cell, 76: 229-239.
Rehermann, B.; Nascimbeni, M. (2005). «Immunology of hepatitis B virus and hepatitis C virus infection». Nat. Rev. Immunol., 5: 215-229.
Reis e Sousa, C. (2001). «Dendritic cells as sensors of infection». Immunity, 14: 495-498.
Santin, A. D. [et al.] (2008). «Human papillomavirus type 16 and 18 E7-pulsed dendritic cell vaccination of stage IB or IIA cervical cancer patients: a phase I escalating-dose trial». J. Virol., 82: 1968-1979.
Sarobe, P. [et al.] (2003). «Hepatitis C virus structural proteins impair dendritic cell maturation and inhibit in vivo induction of cellular immune responses». J. Virol., 77: 1086210871.
Shimizu, Y. [et al.] (1998). «Dendritic cell immunization breaks cytotoxic T lymphocyte tolerance in hepatitis B virus transgenic mice». J. Immunol., 161: 4520-4529.
Siegal, F. P. [et al.] (1999). «The nature of the principal type 1 interferon-producing cells in human blood». Science, 284: 1835-1837.
Steinman, R. M. [et al.] (2000). «The induction of tolerance by dendritic cells that have captured apoptotic cells». J. Exp. Med., 191: 411-416. (2003). «Tolerogenic dendritic cells». Annu. Rev. Immunol., 21: 685-711.
Trumpfheller, C. [et al.] (2006). «Intensified and protective CD4+ T cell immunity in mice with anti-dendritic cell HIV gag fusion antibody vaccine». J. Exp. Med., 203: 607-617. (2008). «The microbial mimic poly IC induces durable and protective CD4+ T cell immunity together with a dendritic cell targeted vaccine». Proc. Natl. Acad. Sci. USA, 105: 2574-2579. (2012). «Dendritic cell-targeted protein vaccines: a novel approach to induce T-cell immunity». J. Intern. Med., 271: 183-192.
Vázquez, B. [et al.] (2012). «Células dendríticas I: aspectos básicos de su biología y funciones». Inmunología, 31: 21-30.
Yamazaki, S. [et al.] (2003). «Direct expansion of functional CD25+ CD4+ regulatory T cells by antigen-processing dendritic cells». J. Exp. Med., 198: 235-247.
Yoneyama, H. [et al.] (2004). «Evidence for recruitment of plasmacytoid dendritic cell precursors to inflamed lymph nodes through high endothelial venules». Int. Immunol., 16: 915-928.
Irene Puga,1 Andrea Cerutti1, 2, 3 i Montserrat Cols Vidal2
1 IMIM-Hospital del Mar, Parc de Recerca Biomèdica
2 Immunology Institute, Department of Medicine, Mount Sinai School of Medicine, EUA
3 Institut Català de Recerca i Estudis Avançats (ICREA)
Adreça per a la correspondència: Irene Puga. IMIM-Hospital del Mar, Parc de Recerca Biomèdica. Av. del Dr. Aiguader, 88. 08003 Barcelona. Tel.: 933 160 457. Adreça electrònica: irene.puga@gmail.com
Resum
Els limfòcits B madurs emergeixen del moll de l’os i continuen diversificant el seu repertori genètic d’immunoglobulines a través de dos processos que depenen de la presència d’antigen, la hipermutació somàtica (SHM, per les seves sigles en anglès) i el canvi d’isotip (CSR). Ambdós processos requereixen AID, un enzim capaç d’editar el DNA, i tenen lloc predominantment als centres germinals, on els limfòcits B interaccionen amb antígens peptídics presentats per limfòcits T (respostes dependents de limfòcits T, TD). Estudis recents demostren com els limfòcits B reben ajuda addicional de cèl·lules del sistema immunitari innat, com són cèl·lules NKT, cèl·lules dendrítiques, i granulòcits, com neutròfils, eosinòfils i basòfils. Aquestes cèl·lules del sistema immunitari innat milloren les respostes TD, ja que aporten senyalització que ajuda als limfòcits B en diferents compartiments, com el centre germinal, centres postgerminals o el moll de l’os. A més de complementar l’activitat dels limfòcits B en respostes TD, les cèl·lules del sistema immunitari innat poden iniciar respostes independents de T en zones específiques com la mucosa i la zona marginal de la melsa. En aquests casos els limfòcits B inicien respostes que donen lloc a una ràpida generació d’anticossos. En aquesta revisió discutirem els avenços recents en la modulació del canvi d’isotip en limfòcits B produïts per cèl·lules del sistema immunitari innat.
Paraules clau: limfòcits B, immunoglobulina, canvi d’isotip, sistema immunitari innat, TLR, BAFF, APRIL.
Introducció
El sistema immunitari de mamífers es compon de dues branques, conegudes com a sistema innat i adaptatiu. Aquest últim és capaç de construir respostes protectores integrades per fer front a patògens invasors. El sistema immunitari innat inclou cèl·lules dendrítiques (DC, de l’anglès), macròfags, granulòcits i cèl·lules NK (natural killer), les quals donen lloc a respostes ràpides en reconèixer estructures microbianes genèriques, a través de receptors de patrons de reconeixement, els quals inclouen els receptors de tipus Toll (TLR) (Medzhitov, 2001). El sistema immunitari adaptatiu inclou limfòcits T i B, els quals són capaços de donar lloc a respostes altament específiques, però temporalment retardades. Aquests limfòcits són capaços de reconèixer epítops antigènics a través de receptors altament diversificats gràcies a recombinacions somàtiques (Cooper i Alder, 2006).
Els limfòcits B confereixen protecció en produir anticossos, també coneguts com a immunoglobulines (Ig), les quals són capaces de reconèixer antígens a través de dominis d’unió, que poden ser de baixa o alta afinitat
DOI: 10.2436/20.1501.02.146
ISSN (ed. impresa): 0212-3037
ISSN (electrònic): 2013-9802
http://revistes.iec.cat/index.php/TSCB
Rebut: 02/02/2014 Acceptat: 15/03/2014
Modulation of immunoglobulin isotype change by innate immune system signals
Summary
Mature B cells emerging from bone marrow further diversify their Ig genes through two antigen-dependent processes known as somatic hypermutation (SHM) and class switch recombination (CSR). These processes require AID, a DNA-editing enzyme. B cells are engaged in a T-cell-dependent (TD) antibody response against protein antigens predominantly in germinal centres. Recent evidence shows that B cells receive additional help from invariant natural killer T cells, dendritic cells and various granulocytes, including neutrophils, eosinophils and basophils. These innate immune cells enhance T-cell-dependent antibody responses by delivering B-cell helper signals both in the germinal centre and at postgerminal centre lymphoid sites such as the bone marrow. In addition to enhancing and complementing the B-cell helper activity of canonical T cells, invariant natural killer T cells, dendritic cells and granulocytes can deliver T-cell-independent B-cell helper signals at the mucosal interface and in the marginal zone of the spleen to initiate rapid innate-like antibody responses. In this paper we discuss recent advances in the role of innate cells in B-cell helper signals and in antibody diversification and production.
Key words: B cells, immunoglobulin, class switch recombination, innate immune system, TLR, BAFF, APRIL.
(Batista et al., 2001; Lanzavecchia, 1985). Els precursors de limfòcits B al moll de l’os generen Ig altament diversificades per un procés de recombinació gènica dels fragments V(D)J. Aquest procés és independent d’antigen i el du a terme una endonucleasa anomenada RAG (recombination activating gene), la qual juxtaposa fragments no contigus de tipus variable (V), divers (D) i d’unió (J, de join en anglès), els quals conformen les regions variables de les immunoglobulines on s’unirà l’antigen (Bassing et al., 2002). Després de diversos processos de maduració, diferents subgrups de limfòcits B madurs, els quals coexpressen els isotips IgM i IgD a la seva superfície, emergeixen del moll de l’os i colonitzen diferents compartiments limfoides, on s’iniciarà la fase dependent d’antigen del desenvolupament dels limfòcits B.
Els limfòcits B residents als fol·licles limfoides, també anomenats limfòcits B-2, participen fonamentalment en respostes d’anticossos dependents del timus (TD), les quals s’associen a antígens altament específics, normalment vinculats a proteïnes microbianes (MacLennan, 1994). La reacció del centre germinal en fol·licles limfoides genera anticossos d’alta afinitat en
respostes TD i està estretament regulada per limfòcits T col·laboradors de follicle (TFH). Aquest subtipus de limfòcits T té com a característiques fonamentals l’expressió del receptor induïble i coestimulador de limfòcits T (ICOS), el receptor de quimiocina CXCR5, el receptor d’inhibició de resposta de mort cel·lular programada (PD-1), i el factor de transcripció Bcl-6 (Crotty, 2011; Leonardo et al., 2012). Els limfòcits TFH proveeixen de senyals d’ajuda als limfòcits B del fol·licle via CD40L (lligand de CD40), i les citocines IL-21, IL-4 i IL-10 (Crotty, 2011; Leonardo et al., 2012). Estudis recents han demostrat la participació d’altres subtipus molt especialitzats de limfòcits T en respostes d’anticòs fol·liculars. Aquests subtipus inclouen els limfòcits T reguladors de fol·licle (TFR) i les cèl·lules iNKT (Chang et al., 2012; Chung et al., 2011; King et al., 2012; Leonardo et al., 2012; Linterman et al., 2011).
En aquests últims anys s’ha posat de manifest l’existència de diversos subgrups de limfòcits B amb la característica fonamental de ser capaços de generar respostes d’anticossos ràpides i independents de cèl·lules T (TI). Aquests subtipus extrafol·liculars de limfòcits B es coneixen com a limfòcits B-1, limfòcits de la zona marginal de la melsa (o limfòcits IgM de memòria en humans) i limfòcits B perisinusoïdals del moll de l’os (Cariappa et al., 2005; Cerutti et al., 2013; Choi i Baumgarth, 2008; Martin i Kearney, 2002; Weill et al., 2009). Aquests es caracteritzen per respondre i generar anticossos contra antígens carbohidrats i glicolípids altament conservats associats a microbis. Es coneix que les respostes d’anticossos TI es donen generalment en interfases de mucosa o en la zona marginal de la melsa. Alhora, se sap que aquestes respostes generen anticossos poliespecífics i de baixa afinitat, i que estan mitjançades per la interacció de limfòcits B amb DC, macròfags i granulòcits (Balázs et al., 2002; Colino et al., 2002; Karlsson et al., 2003; Macpherson et al., 2000; Macpherson i Uhr, 2004; Puga et al., 2012). Aquestes cèl·lules del sistema immunitari innat aporten senyals d’activació per a la generació d’anticossos via citocines de la família del lligand de CD40 (CD40L), com per
Figura 1. Xarxes cel·lulars en les respostes IgA de mucosa. Les cèl·lules epitelials intestinals «condicionen» cèl·lules dendrítiques (DC) alliberant TSLP (de l’anglès thymic stromal lymphopoietin) i àcid retinoic en resposta a l’activació dels seus TLR feta per bacteris comensals. Diferents subgrups de DC intestinals, discutits en el text, alliberen TGF-β, IL-10, àcid retinoic i òxid nítric (NO), els quals promouen les respostes IgA en les plaques de Peyer i en els ganglis limfàtics mesentèrics (MLN). A la vegada, les diferents poblacions de DC poden induir limfòcits T reguladors (TREG) i T-helper (TH), fins i tot TFH, les quals deriven en si mateixes de TREG. Els limfòcits TFH activen al seu torn cèl·lules B fol·liculars via CD40L, TGF-β, IL-4, IL-10 i IL-21. Per la seva banda, les DC fol·liculars augmenten la producció d’IgA en alliberar factors activadors de cèl·lules B que pertanyen a la família dels TNF (BAFF i APRIL). D’altra banda, quan DC fol·liculars són activades per lligands TLR i àcid retinoic secreten TGF-β, que també promou l’augment de la producció d’IgA en fol·licles intestinals. Així mateix, hi ha subgrups de DC intestinals capaços d’induir la producció d’IgA de manera independent de timus, ja sigui en ganglis limfàtics mesentèrics o a la làmina pròpia, en alliberar BAFF, APRIL, àcid retinoic i òxid nítric en resposta a lligands TLR de bacteris comensals o TFN-β de cèl·lules estromàtiques. En humans aquests senyals independents de timus podrien induir canvi d’isotip d’IgM o d’IgA1 a IgA2. Els anticossos IgA sorgits de totes aquestes reaccions travessen les cèl·lules epitelials intestinals per un procés de transcitosi vehiculat pel receptor polimèric d’Ig.
exemple BAFF i APRIL (Balázs et al., 2002; He et al., 2010; He et al., 2007; Litinskiy et al., 2002; Puga et al., 2012; Scapini et al., 2003; Bulow et al., 2001). En aquesta revisió repassarem la literatura publicada recentment i duta a terme en part en terres catalanes, i també discutirem els nous avenços que han ampliat el nostre coneixement dels mecanismes pels quals el sistema immunitari innat aporta senyals d’ajuda als limfòcits B.
DC i cèl·lules epitelials aporten senyals de canvi d’isotip a limfòcits B
Les DC, després de rebre un estímul a través dels seus receptors de TLR, poden activar altres DC alliberant BAFF i APRIL, així com àcid retinoic (un metabòlit de la vitamina A) (Suzuki et al., 2010). Al mateix temps, aquestes citocines actuen en cèl·lules del sistema immunitari innat, com macròfags, granulòcits i cèl·lules epitelials de mucosa, les quals també alliberen BAFF i APRIL. Aquestes molècules pertanyents a la superfamília dels TNF cooperen amb lligands dels TLR per induir CSR en limfòcits B de mucosa de l’intestí. La mucosa intestinal és habitada per grans comunitats de bacteris comensals, els quals es mantenen separats de la resta del sistema a través de diverses estratègies, i generen protecció sense causar inflamació. Una de les estratègies principals per aconseguir un estat no inflamatori inclou la producció de manera TI d’anticossos IgA feta per limfòcits B residents en fol·licles en les denominades plaques de Peyer i zones extrafol·liculars (Dullaers et al., 2009). La IgA neutralitza toxines, bacteris patògens, així com molècules inflamatòries d’origen microbià, com pot ser el lipopolisacàrid (LPS) (Cerutti i Rescigno, 2008). Alhora, la IgA impedeix la unió de bacteris comensals a la superfície epitelial mitjançant l’impediment estèric, per inducció d’aglutinació bacteriana, per emmascarament d’epítops d’adhesió, i per interaccions amb la capa de mucus a través del component secretor de la IgA (Cerutti, 2008). Una altra de les funcions fonamentals de la IgA és la interacció amb receptors de DC per facilitar el mostreig d’antígens intestinals (Cerutti et al., 2011).
En ambients fol·liculars intestinals les cèl·lules dendrítiques residents alliberen altres citocines que indueixen els limfòcits B a produir grans quantitats d’IgA, com és el cas de TGF-β, mentre que els limfòcits T col·laboradors de fol·licle intestinal alliberen citocines com CD40L, IL-21 i TGF-β, que milloren la producció d’IgA no inflamatòria, i alhora disminueixen la producció d’IgG proinflamatòria (Dullaers et al., 2009). Els limfòcits B de les plaques de
Peyer i ganglis limfàtics mesentèrics poden ser induïts a CSR d’IgA d’una manera TI en resposta a senyals emergents de cèl·lules dendrítiques plasmacitoides (pDC), les quals són capaces d’alliberar grans quantitats de BAFF i APRIL en resposta a l’interferó de tipus I generat per cèl·lules estromàtiques de l’intestí (Tezuka et al., 2011). Una altra localització intestinal on es produeix el canvi d’isotip són els fol·licles limfoides aïllats. Aquests fol·licles contenen cèl·lules del tipus lymphoid tissue-inducer (LTi), les quals es caracteritzen per alliberar un altre membre de la família dels TNF, la limfotoxina-β, després de rebre senyals via TLR de bacteris comensals (Tsuji et al., 2008). La interacció de la limfotoxina-β amb el seu receptor a la membrana en les cèl·lules estromàtiques fa que aquestes LTi alliberin TNFα i quimiocines que atrauen les DC, com són la CCL19 i la CCL21 (Tsuji et al., 2008). La funció del TNF en cèl·lules dendrítiques fa que aquestes estimulin la producció de TGF-β, el qual és capaç d’induir CSR a IgA de manera TI, en cooperació amb BAFF i APRIL també alliberat per DC en ser activades per lligands específics de TLR (Tsuji et al., 2008).
Una altra zona intestinal, a més dels fol·licles limfoides aïllats, on hi ha producció d’IgA, és la làmina pròpia intestinal, on es poden trobar limfòcits B dispersos (Cerutti et al., 2011; Fagarasan et al., 2010). La producció d’IgA en aquesta zona específica rep el suport de múltiples subtipus de cèl·lules dendrítiques residents a la làmina pròpia mateixa, que aporten senyals activadors als limfòcits B de manera TI. Un subtipus de DC que participa en processos d’activació de CSR i residents tant al fol·licle com a la làmina pròpia es coneix com a TipDC (Tezuka et al., 2007). Aquest subtipus de DC produeixen iNOS (inducible nitric oxide synthase) després de rebre senyals a través de TNF, i ajuden a l’inici de la producció d’IgA incrementant l’expressió del receptor de TGF-β en limfòcits B via òxid nítric, de manera que els limfòcits B responen a senyals induïbles provinents de TGF-β per començar a produir IgA (Tezuka et al., 2007). Una altra manera que tenen les TipDC d’activar-se és després de rebre senyals microbians a través de TLR, cosa que provoca un augment de producció de BAFF i APRIL. Un altre subtipus de DC residents a la làmina pròpia expressen constitutivament el receptor de flagel·lina (TLR5) (Ueda et al., 2007). Aquests subtipus de DC tenen una expressió de TLR4 molt baixa o no detectable i s’ha demostrat que són capaces d’induir el canvi d’isotip a IgA de manera TI, a més d’alliberar àcid retinoic i IL-6 quan els bacteris comensals compostos de flagel·lina activen els TLR5 (Ueda et al., 2007).
Alhora, les cèl·lules epitelials poden alliberar senyals com BAFF i APRIL, que indueixen al canvi d’isotip a IgA, en reconèixer bacteris per a múltiples TLR (He et al., 2007; Xu et al., 2007). Aquesta via epitelial contribueix a la generació d’anticossos IgA2, els quals són més resistents a la degradació (He et al., 2007). Les cèl·lules epitelials poden, a més, ampliar les funcions d’activació de les cèl·lules dendrítiques veïnes alliberant la citocina TSLP (thymic stromal lymphopoietin) (He et al., 2007; Xu et al., 2007). TSLP és una citocina pertanyent a la família de la IL-7, i s’ha descrit que pot augmentar la producció de BAFF i APRIL en DC estimulades per TLR (He et al., 2007; Xu et al., 2007). Una altra manera que tenen d’actuar les cèl·lules dendrítiques, a més de proporcionar factors que ajuden els limfòcits B a fer canvi d’isotip, és presentant directament antígens TI intactes als limfòcits B mateixos (Macpherson i Uhr, 2004). S’ha demostrat l’existència d’un subtipus de DC dedicades a reconèixer bacteris directament en el lumen intestinal, ja que contenen projeccions dendrítiques que travessen les unions hermètiques o els porus transcel·lulars formats per cèl·lules epitelials especialitzades, les anomenades cèl·lules M (Chieppa et al., 2006; Lelouard et al., 2012; Niess et al., 2005). Altres tipus de DC de mucosa són capaces de capturar antígens de baix pes molecular, els quals travessen la barrera epitelial de mucosa a través de passatges formats per cèl lules caliciformes (McDole et al., 2012). Tots aquests tipus especialitzats de DC podrien reciclar antígens TI no pro-
Figura 2. Respostes dependents i independents de timus en els fol·licles i la zona marginal de la melsa en humans. En el fol·licle, els limfòcits B s’activen mitjançant l’acció dels limfòcits TFH i les cèl·lules dendrítiques fol·liculars (FDC). Després d’interaccionar amb els limfòcits B, els limfòcits iNKT es diferencien en limfòcits NKTFH. Mitjançant l’expressió de CD40L, IL -21 i altres factors activadors de limfòcits B, les TFH indueixen la formació del centre germinal, el canvi d’isotip d’IgM a IgG i la hipermutació somàtica. Aquestes reaccions generen limfòcits B de memòria i cèl·lules plasmàtiques d’alta afinitat. Els limfòcits NKTFH indueixen una reacció de centre germinal caracteritzada per la producció d’IgG sense pràcticament maduració de l’afinitat. A la zona marginal els neutròfils NBH indueixen la producció d’anticossos feta pels limfòcits B de la zona marginal, mitjançant la secreció de BAFF, APRIL i altres molècules estimuladores. Les estructures semblants als NET que formen poden ajudar a l’activació dels limfòcits B de la zona marginal. Macròfags i cèl·lules endotelials de les sinusoides de la melsa activades per senyals TLR poden ajudar a la formació de NBH. La interacció dels NBH i els limfòcits B de la zona marginal permet la formació d’un repertori innat d’IgM, IgG i IgA que pot actuar com a ràpida barrera protectora davant la invasió sistèmica de microbis.
cessats, i presentar-los directament a la superfície del limfòcits B (Bergtold et al., 2005). Si es té en compte que tant BAFF com APRIL són citocines que activen vies de supervivència en cèl·lules plasmàtiques, la combinació d’estímuls provinents de DC com de cèl·lules epitelials pot crear una via alternativa per a la producció contínua d’anticossos IgA, fonamentals per a una bona defensa contra els patògens i control de comensals en la mucosa de l’intestí. Recentment, la interacció entre el mucus intestinal i subtipus de cèl·lules dendrítiques s’ha explorat amb detall, i s’ha comprovat que la capa de moc intestinal és capaç d’enviar senyals tolerògens a les cèl·lules dendrítiques de la
mucosa, per tal de mantenir l’homeòstasi intestinal (Shan et al., 2013). Aquest estudi demostra una vegada més l’elevada complexitat i el fràgil equilibri que suposa l’ecosistema intestinal.
iNKT proporcionen senyals reguladors de limfòcits B Com s’ha esmentat anteriorment, la regulació de les respostes dels limfòcits B fol·liculars no es restringeix a cèl·lules TFH, però implica senyals addicionals que poden provenir d’altres subconjunts de limfòcits T, com ara les cèl·lules iNKT. Aquestes cèl·lules expressen un receptor de limfòcits T (TCR) invariant Vα24+ en humans i Vα14+ en ratolins que reconeix antígens glicolipídics presentats per la molècula no polimòrfica similar a MHC-I, el CD1d (Barral et al., 2010; Silk et al., 2004). Les cèl·lules iNKT s’activen després de reconèixer el glicolípid α-galactosilceramida en cèl lules dendrítiques o macròfags subcapsulars, la qual cosa provoca que les iNKT secretin CD40L i IFN- α Aquesta secreció fa que les cèl lules dendrítiques madurin a un estat òptim per convertir-se en cèl lules presentadores d’antigen (Barral et al., 2010; Silk et al., 2004). Posteriorment, l’expansió de cèl·lules TFH condueix a la formació d’una reacció de centre germinal que indueix la producció d’IgG moderada, la maduració d’afinitat a través de la SHM, i la memòria immunitària (Galli et al., 2007).
Estudis més recents han demostrat que les cèl·lules iNKT també ajuden de manera directa als limfòcits B. En efecte, una subpoblació de cèl·lules iNKT regula l’expressió de CXCR5 després d’interactuar amb glicolípids presentats pels limfòcits B que expressen CD1d (King et al., 2012). Posteriorment, l’entrada al fol·licle estimula les cèl·lules iNKT que activen el programa vehiculat per BCL6 i la diferenciació a cèl·lules NKTFH que expressen CD40L, IL-21 i altres molècules de coestimulació com són ICOS i PD-1 (Chang et al., 2012; King et al., 2012). La reacció posterior del centre germinal indueix una forta producció primària d’IgG, però no indueix maduració d’afinitat o memòria immunitària (Chang et al., 2012; King et al., 2012). En la zona extrafol·licular també es pot donar la interacció dependent de CD1d entre limfòcits B i les cèl·lules iNKT, però indueix predominantment IgM i certa producció d’IgG (Barral et al., 2008). Similar a les vies de TI, aquestes cèl·lules iNKT permeten muntar una onada ràpida d’anticossos IgG i IgM contra els patògens.
Activació dels limfòcits B mitjançant l’acció dels granulòcits
Els granulòcits són cèl·lules del sistema immunitari innat caracteritzades per la presència d’un nucli multilobulat i una varietat de grànuls citoplasmàtics que permeten la identificació de tres poblacions de granulòcits morfològicament i funcionalment diferents: neutròfils, eosinòfils i basòfils (Iwasaki i Akashi, 2007). Igual que d’altres cèl·lules immunitàries innates, els granulòcits detecten la presència de microbis mitjançant receptors de reconeixement de signatures moleculars microbianes altament conservades, incloent-hi els TLR. Aquests sensors microbians no específics proporcionen senyals d’activació que estimulen les funcions fagocítiques i citotòxiques dels granulòcits, i promouen així la contenció inicial i l’eliminació dels microbis invasors (Medzhitov, 2001). A més de contenir compostos citotòxics i inflamatoris, els granulòcits alliberen citocines, quimiocines i altres mediadors immunitaris que promouen el reclutament i l’activació de monòcits i DC (Karasuyama et al., 2011; Mantovani et al., 2011; Rothenberg i Hogan, 2006). Els granulòcits poden, a més, modular la resposta immunitària adaptativa mitjançant l’alliberament de citocines que promouen directament l’activació i diferenciació dels limfòcits T (Karasuyama et al., 2011; Rothenberg i Hogan, 2006). El paper dels granulòcits en les respostes de limfòcits B és menys conegut, però estudis recents han posat de manifest diferents mecanismes pels quals certs subtipus de granulòcits poden donar senyals a limfòcits B i cèl·lules plasmàtiques.
Els basòfils. Durant anys, els basòfils han estat unes cèl·lules enigmàtiques que representen menys de l’1 % de leucòcits en sang en condicions normals. Són la font principal d’histamina i altres compostos vasoactius alliberats durant els processos al·lèrgics, i són també clau en la defensa d’infeccions per paràsits (Karasuyama et al., 2011). Recentment s’ha demostrat la participació dels basòfils en les respostes d’anticossos de limfòcits B. A més de presentar complexos antigen-MHC-II en limfòcits T CD4+, els basòfils alliberen IL-4 i IL-6, que indueixen la formació de limfòcits Th2 amb capacitat d’activar limfòcits B (Denzel et al., 2008).
Els basòfils poden capturar eficientment antígens solubles mitjançant els anticossos IgE units als receptors de superfície FcεRI. El reconeixement d’antígens fet per la IgE de baixa afinitat no causa l’alliberament d’histamina, sinó més aviat la regulació positiva de l’expressió de CD40L i l’alliberament d’IL-4 i IL-6 feta pels basòfils. Aquests factors milloren les respostes d’anticossos mitjançant la inducció de limfòcits Th2 que secreten citocines activadores de limfòcits B com ara IL-4, IL-5, IL-6, IL-10 i IL-13 (Sullivan et al., 2011). Sorprenentment, els basòfils també poden activar els limfòcits B directament, com s’exemplifica per la seva capacitat de desencadenar el canvi d’isotip d’IgM a IgE i IgG4 en estimular els limfòcits B a través d’IL-4, IL-13 i CD40L (Gauchat et al., 1993).
A més de la IgE, els basòfils també uneixen a la seva superfície IgD, encara que el receptor d’IgD segueix sent desconegut. La IgD és un isotip enigmàtic que s’ha conservat al llarg de l’evolució des dels peixos fins als humans (Chen i Cerutti, 2011). Limfòcits B madurs i transicionals que surten del moll de l’os expressen receptors IgM i IgD en la seva superfície, però l’expressió d’IgD generalment disminueix en contacte amb l’antigen. No obstant això, alguns limfòcits B activats en la mucosa del tracte respiratori superior poden donar lloc a cèl·lules plasmàtiques secretores d’IgD mitjançant un procés no convencional de canvi d’isotip d’IgM a IgD (Arpin et al., 1998; Chen et al., 2009). Tot i estar fortament hipermutats, els anticossos IgD produïts per les cèl·lules plasmàtiques del tracte respiratori superior són en gran part polireactius i poden enllaçar múltiples determinants antigènics de comensals i patògens, i promouen així la protecció de la mucosa (Arpin et al., 1998; Chen et al., 2009; Koelsch et al., 2007; Liu et al., 1996). A més de travessar la barrera epitelial per arribar a la superfície de la mucosa, la IgD entra a la circulació per interactuar amb els basòfils, els monòcits i els neutròfils (Chen et al., 2009). En els basòfils la unió d’IgD indueix l’alliberament de pèptids antimicrobians (catelicidina), factors d’opsonització (pentraxina PTX3), citocines inflamatòries (TNF i IL1β), citocines que indueixen Th2 (IL-4 i IL-13), i factors estimulants de limfòcits B (BAFF i APRIL) (Chen et al., 2009). Consistent amb aquesta recerca, l’activació de basòfils de la IgD incrementa en els trastorns d’autoinflamació associats a TNF i IL-1β (Chen et al., 2009).
Els eosinòfils. Presents entre un 1-4 % del total de leucòcits en sang, els eosinòfils estan principalment implicats en respostes contra paràsits i respostes al·lèrgiques (Rothenberg i Hogan, 2006). Tanmateix, estudis recents han demostrat que també poden modular la resposta adaptativa mitjançant l’expressió de molècules MHC-II i la secreció de citocines, quimiocines, mediadors lipídics i factors de creixement (Lacy i Moqbel, 1997; Rothenberg i Hogan, 2006). Mitjançant l’expressió en superfície de receptors FcγRII els eosinòfils uneixen anticossos específics d’al·lergen IgG1 i IgG3 però no IgG4. També expressen FcαRI (o CD89), que uneix IgA (Rothenberg i Hogan, 2006), cosa que indica una resposta que podria modular l’homeòstasi intestinal, tot i que aquesta hipòtesi s’ha de comprovar.
Estudis recents mostren que els eosinòfils són clau en la producció d’anticossos al moll de l’os. En efecte, els eosinòfils alliberen APRIL, que promou la supervivència a llarg termini de les cèl·lules plasmàtiques en nínxols especí-
fics del moll de l’os (Chu i Berek, 2012; Chu et al., 2011). Atès que les cèl·lules plasmàtiques del moll de l’os en general sorgeixen de la reacció del centre germinal, l’activitat dels eosinòfils promovent la supervivència de les cèl·lules plasmàtiques és essencial per a l’alliberament continu d’anticossos d’alta afinitat a la circulació (Chu et al., 2011). Eosinòfils de la medul·la òssia també secreten IL-6, una altra citocina crítica en la diferenciació i la supervivència de cèl·lules plasmàtiques (Chu et al., 2011). En presència d’antigen, els eosinòfils de la medul·la òssia alliberen IL-4 i IL-10, que milloren l’estimulació de cèl·lules plasmàtiques i la seva supervivència (Chu i Berek, 2012; Chu et al., 2011). Els senyals de supervivència proporcionats pels eosinòfils són crítics per al manteniment de la població de cèl·lules plasmàtiques en el moll de l’os, atès que la depleció dels eosinòfils es tradueix en una ràpida apoptosi de cèl·lules plasmàtiques (Chu et al., 2011). Sorprenentment, els eosinòfils del moll de l’os estan en contacte amb les cèl·lules de l’estroma que alliberen CXCL12, una quimiocina que s’uneix al receptor CXCR4 present en cèl·lules plasmàtiques (Chu et al., 2011; Winter et al., 2010). Els eosinòfils expressen també CXCR4, fet que proporciona una explicació mecanicista de la colocalització dels eosinòfils i cèl·lules plasmàtiques (Chu et al., 2011; Winter et al., 2010). Atès el paper clau dels eosinòfils en la migració de cèl·lules plasmàtiques i la seva retenció en el moll de l’os, no és sorprenent que la depleció dels eosinòfils augmenti el nombre de cèl·lules plasmàtiques tant en la melsa com els ganglis limfàtics (Chu et al., 2011).
Els neutròfils. Són els granulòcits més abundants en sang i es mobilitzen ràpidament per eliminar patògens i cèl·lules necròtiques en àrees d’infecció o inflamació (Nathan, 2006). Després de migrar als teixits, els neutròfils activen programes de defensa que promouen la fagocitosi, la destrucció intracel·lular i la inflamació. Els neutròfils poden interaccionar amb cèl·lules del sistema innat i adaptatiu mitjançant l’alliberament de citocines, quimiocines i factors de creixement (Mantovani et al., 2011; Nathan, 2006).
En relació amb les respostes de limfòcits B, els neutròfils poden augmentar la producció d’anticossos TD mitjançant la recopilació i transport d’antigen en llocs d’infecció o inflamació, augmentar la funció presentadora d’antígens de les DC i promoure el reclutament, l’activació i la diferenciació de limfòcits T CD4+ (Tani et al., 2001). Els neutròfils també alliberen les molècules relacionades amb CD40L BAFF i APRIL, que faciliten la supervivència de les cèl·lules plasmàtiques que apareixen en respostes d’anticossos fol·liculars TD (Huard et al., 2008; Scapini et al., 2003). La producció de BAFF i APRIL dels neutròfils i altres tipus de cèl·lules innates com ara les cèl·lules epitelials també millora les respostes extrafol·liculars independents de cèl·lules T de limfòcits B situats a les mucoses i a la zona marginal de la melsa (MZ, per les seves sigles en anglès) (Huard et al., 2008; Scapini et al., 2003). Els neutròfils poden colonitzar la MZ de la melsa en resposta a infeccions en la sang (Balázs et al., 2002; Kesteman et al., 2008). No obstant això, els nostres estudis han demostrat que els neutròfils ocupen àrees perifol·liculars de la MZ de la melsa en absència d’infecció o inflamació, mitjançant una via no inflamatòria que comença durant la vida fetal i s’accelera després del naixement, un moment que coincideix amb la colonització de les superfícies mucoses feta per bacteris comensals (Puga et al., 2012). Aquests neutròfils esplènics, també presents en ratolins i primats, alliberen senyals inductors de les respostes d’anticossos dels limfòcits B de la MZ, i per tant s’han definit aquestes cèl·lules com a neutròfils B-helper o NBH (Puga et al., 2012). En comparació amb els neutròfils circulants, els NBH expressen un fenotip activat i secreten més factors estimulants de limfòcits B com BAFF, APRIL, CD40L i IL-21 (Puga et al., 2012). Aquestes característiques úniques probablement reflecteixen l’activació i la reprogramació de les cèl·lules NBH per senyals microambientals locals en la melsa. Lligands de TLR microbians també poden
estimular la reprogramació dels neutròfils convencionals a NBH mitjançant l’alliberament de citocines no inflamatòries, com ara IL-10, feta per les cèl·lules endotelials sinusoïdals esplèniques i possiblement d’altres cèl·lules com els macròfags (Puga et al., 2012).
Els NBH indueixen l’expressió d’AID, el canvi d’isotip a IgG i IgA, així com la formació de cèl·lules secretores d’anticossos (plasmoblasts), però també poden suprimir l’activació dels limfòcits T, si més no in vitro (Puga et al., 2012). En exercir aquesta doble funció, els NBH poden promoure respostes contra antígens extrafol·liculars TI i reduir al mínim les respostes de limfòcits B folliculars contra antígens TD. En conseqüència, els NBH entrarien als fol·licles esplènics només sota condicions inflamatòries, potser per activar limfòcits T (Puga et al., 2012). Consistent amb això, els pacients immunodeficients amb alteracions quantitatives o funcionals dels neutròfils (neutropènies) tenen un nombre menor de limfòcits B de la MZ i trobem reduïdes la presència d’IgG i IgA contra carbohidrats TI però no contra antígens de proteïnes TD en estat estacionari (Puga et al., 2012).
El mecanisme pel qual els NBH activen els limfòcits B de la MZ probablement implica la colonització de la mucosa efectuada pels bacteris (Puga et al., 2012). Discretes quantitats de productes microbians, com ara el lipopolisacàrid (LPS), es troben presents en la zona peri-MZ poc després del naixement (Puga et al., 2012). Els NBH es caracteritzen per la presència d’unes estructures similars a les trampes extracel·lulars de neutròfils (conegudes com a NET, per l’acrònim en anglès), que de fet apareixen per atrapar els productes microbians, com ara RNA bacterià, i estableixen extenses interaccions amb els limfòcits B de la MZ (Puga et al., 2012). En atrapar antígens comensals presents en la sang i possiblement procedents de les superfícies mucoses, o lligands de TLR, les estructures NET facilitarien l’activació o supervivència dels limfòcits B de la MZ en condicions d’homeòstasi (Garcia-Romo et al., 2011; Lande et al., 2011).
En general, la interacció entre els NBH i els limfòcits B de la MZ pot ser un instrument per generar una segona línia de defensa innata (o natural) basada en la producció d’anticossos per a la defensa contra la invasió sistèmica d’antígens comensals i de microbis que trenquen la primera línia de defensa proporcionada per la barrera de la mucosa.
Conclusions
En els últims anys s’ha posat de manifest la gran interconnectivitat entre el sistema immunitari innat i adaptatiu a diferents nivells, en què s’ha demostrat que la plasticitat és fonamental per promoure respostes perdurables per fer front a patògens invasors. Els granulòcits estan prenent un paper central en aquestes respostes, i amb aquesta revisió posem de manifest que tenen un paper fonamental per promoure aquesta interconnectivitat entre les diferents branques del sistema immunitari. L’estudi de les respostes fomentades per granulòcits en l’activació de cèl·lules B pot ser beneficiós per a un desenvolupament millor de noves vacunes, així com per a la promoció sustentada de respostes immunitàries.
Agraïments
Voldríem donar les gràcies al Ministeri de Ciència i Innovació per la subvenció SAF 2011-25241 i el Programa Juan de la Cierva (IP), el suport de la European Research Council 2011 Advanced Grant 2011-0310 (AC), a les ajudes de recerca dels Instituts Nacionals de Salut (NIH) AI61093, AI057653, AI95613, AI96187 i AI07437 (AC). Així mateix, agraïm el suport incondicional de l’Alfie, Kira i Ruby Magee.
Arpin, C. [et al.] (1998). «The normal counterpart of IgD myeloma cells in germinal center displays extensively mutated IgVH gene, Cmu-Cdelta switch, and lambda light chain expression». The Journal of Experimental Medicine, 187: 1169-1178.
Balázs, M. [et al.] (2002). «Blood dendritic cells interact with splenic marginal zone B cells to initiate T-independent immune responses». Immunity, 17: 341-352.
Barral, P. [et al.] (2008). «B cell receptor-mediated uptake of CD1d-restricted antigen augments antibody responses by recruiting invariant NKT cell help in vivo». Proceedings of the National Academy of Sciences of the United States of America, 105: 8345-8350. (2010). «CD169(+) macrophages present lipid antigens to mediate early activation of iNKT cells in lymph nodes». Nature Immunology, 11: 303-312.
Bassing, C. H. [et al.] (2002). «The mechanism and regulation of chromosomal V(D)J recombination». Cell, 109 (supl.): S45-55.
Batista, F. D. [et al.] (2001). «B cells acquire antigen from target cells after synapse formation». Nature, 411: 489-494.
Bergtold, A. [et al.] (2005). «Cell surface recycling of internalized antigen permits dendritic cell priming of B cells». Immunity, 23: 503-514.
Bulow, G. U. von [et al.] (2001). «Regulation of the T-independent humoral response by TACI». Immunity, 14: 573-582.
Cariappa, A. [et al.] (2005). «Perisinusoidal B cells in the bone marrow participate in T-independent responses to blood-borne microbes». Immunity, 23: 397-407.
Cerutti, A. (2008). «The regulation of IgA class switching». Nature Reviews Immunology, 8: 421-434.
Cerutti, A. [et al.] (2011). «Immunoglobulin responses at the mucosal interface». Annual Review of Immunology, 29: 273-293. (2013). «Marginal zone B cells: virtues of innate-like antibody-producing lymphocytes». Nature Reviews Immunology, 13: 118-132.
Cerutti, A.; Rescigno, M. (2008). «The biology of intestinal immunoglobulin A responses». Immunity, 28: 740-750.
Chang, P. P. [et al.] (2012). «Identification of Bcl-6-dependent follicular helper NKT cells that provide cognate help for B cell responses». Nature Immunology, 13: 35-43.
Chen, K.; Cerutti, A. (2011). «The function and regulation of immunoglobulin D». Current Opinion in Immunology, 23: 345-352.
Chen, K. [et al.] (2009). «Immunoglobulin D enhances immune surveillance by activating antimicrobial, proinflammatory and B cell-stimulating programs in basophils». Nature Immunology, 10: 889-898.
Chieppa, M. [et al.] (2006). «Dynamic imaging of dendritic cell extension into the small bowel lumen in response to epithelial cell TLR engagement». The Journal of Experimental Medicine, 203: 2841-2852.
Choi, Y. S.; Baumgarth, N. (2008). «Dual role for B-1a cells in immunity to influenza virus infection». The Journal of Experimental Medicine, 205: 3053-3064.
Chu, V. T. [et al.] (2011). «Eosinophils are required for the maintenance of plasma cells in the bone marrow». Nature Immunology, 12: 151-159.
Chu, V. T.; Berek, C. (2012). «Immunization induces activation of bone marrow eosinophils required for plasma cell survival». European Journal of Immunology, 42: 130-137.
Chung, Y. [et al.] (2011). «Follicular regulatory T cells expressing Foxp3 and Bcl-6 suppress germinal center reactions». Nature Medicine, 17: 983-988.
Colino, J. [et al.] (2002). «Dendritic cells pulsed with intact Streptococcus pneumoniae elicit both protein- and polysaccharide-specific immunoglobulin isotype responses in vivo through distinct mechanisms». The Journal of Experimental Medicine, 195: 1-13.
Cooper, M. D.; Alder, M. N. (2006). «The evolution of adaptive immune systems». Cell, 124: 815-822.
Crotty, S. (2011). «Follicular helper CD4 T cells (TFH)». Annual Review of Immunology, 29: 621-663.
Denzel, A. [et al.] (2008). «Basophils enhance immunological memory responses». Nature Immunology, 9: 733-742.
Dullaers, M. [et al.] (2009). «A T cell-dependent mechanism for the induction of human mucosal homing immunoglobulin A-secreting plasmablasts». Immunity, 30: 120-129.
Fagarasan, S. [et al.] (2010). «Adaptive immune regulation in the gut: T cell-dependent and T cell-independent IgA synthesis». Annual Review of Immunology, 28: 243-273.
Galli, G. [et al.] (2007). «Invariant NKT cells sustain specific B cell responses and memory». Proceedings of the National Academy of Sciences of the United States of America, 104: 3984-3989.
Garcia-Romo, G. S. [et al.] (2011). «Netting neutrophils are major inducers of type I IFN production in pediatric systemic lupus erythematosus». Science Translational Medicine, 3: 73ra20.
Gauchat, J.-F. [et al.] (1993). «Induction of human IgE synthesis in B cells by mast cells and basophils». Nature, 365: 340-343.
He, B. (2007). «Intestinal bacteria trigger T cell-independent Immunoglobulin A(2) class switching by inducing epithelial-cell secretion of the cytokine APRIL». Immunity, 26: 812-826.
[et al.] (2010). «The transmembrane activator TACI triggers immunoglobulin class switching by activating B cells through the adaptor MyD88». Nature Immunology, 11: 836-845.
Huard, B. [et al.] (2008). «APRIL secreted by neutrophils binds to heparan sulfate proteoglycans to create plasma cell niches in human mucosa». The Journal of Clinical Investigation, 118: 2887-2895.
Iwasaki, H.; Akashi, K. (2007). «Myeloid lineage commitment from the hematopoietic stem cell». Immunity, 26: 726-740.
Karasuyama, H. [et al.] (2011). «Nonredundant roles of basophils in immunity». Annual Review of Immunology, 29: 45-69.
Karlsson, M. C. [et al.] (2003). «Macrophages control the retention and trafficking of B
lymphocytes in the splenic marginal zone». The Journal of Experimental Medicine, 198: 333-340.
Kesteman, N. [et al.] (2008). «Injection of lipopolysaccharide induces the migration of splenic neutrophils to the T cell area of the white pulp: role of CD14 and CXC chemokines». Journal of Leukocyte Biology, 83: 640-647.
King, I. L. [et al.] (2012). «Invariant natural killer T cells direct B cell responses to cognate lipid antigen in an IL-21-dependent manner». Nature Immunology, 13: 44-50.
Koelsch, K. [et al.] (2007). «Mature B cells class switched to IgD are autoreactive in healthy individuals». The Journal of Clinical Investigation, 117: 1558-1565.
Lacy, P.; Moqbel, R. (1997). «Eokines: synthesis, storage and release from human eosinophils». Memorias do Instituto Oswaldo Cruz, 92 (supl. 2): 125-133.
Lande, R. [et al.] (2011). «Neutrophils activate plasmacytoid dendritic cells by releasing self-DNA-peptide complexes in systemic lupus erythematosus». Science Translational Medicine, 3: 73ra19.
Lanzavecchia, A. (1985). «Antigen-specific interaction between T and B cells». Nature, 314: 537-539.
Lelouard, H. [et al.] (2012). «Peyer’s patch dendritic cells sample antigens by extending dendrites through M cell-specific transcellular pores». Gastroenterology, 142: 592-601 e593.
Leonardo, S. M. [et al.] (2012). «Cutting edge: in the absence of regulatory T cells, a unique Th cell population expands and leads to a loss of B cell anergy». Journal of Immunology, 188: 5223-5226.
Linterman, M. A. [et al.] (2011). «Foxp3+ follicular regulatory T cells control the germinal center response». Nature medicine, 17: 975-982.
Litinskiy, M. B. [et al.] (2002). «DCs induce CD40-independent immunoglobulin class switching through BLyS and APRIL». Nature Immunology, 3: 822-829.
Liu, Y. J. [et al.] (1996). «Normal human IgD+IgM– germinal center B cells can express up to 80 mutations in the variable region of their IgD transcripts». Immunity, 4: 603-613.
McDole, J. R. [et al.] (2012). «Goblet cells deliver luminal antigen to CD103+ dendritic cells in the small intestine». Nature, 483: 345-349.
MacLennan, I. C. (1994). «Germinal centers». Annual Review of Immunology, 12: 117-139.
Macpherson, A. J. [et al.] (2000). «A primitive T cell-independent mechanism of intestinal mucosal IgA responses to commensal bacteria». Science, 288: 2222-2226.
Macpherson, A. J.; Uhr, T. (2004). «Induction of protective IgA by intestinal dendritic cells carrying commensal bacteria». Science, 303: 1662-1665.
Mantovani, A. [et al.] (2011). «Neutrophils in the activation and regulation of innate and adaptive immunity». Nature reviews Immunology, 11: 519-531.
Martin, F.; Kearney, J. F. (2002). «Marginal-zone B cells». Nature reviews Immunology, 2: 323-335.
Medzhitov, R. (2001). «Toll-like receptors and innate immunity». Nature Reviews Immunology, 1: 135-145.
Nathan, C. (2006). «Neutrophils and immunity: challenges and opportunities». Nature Reviews Immunology, 6: 173-182.
Niess, J. H. [et al.] (2005). «CX3CR1-mediated dendritic cell access to the intestinal lumen and bacterial clearance». Science, 307: 254-258.
Puga, I. [et al.] (2012). «B cell-helper neutrophils stimulate the diversification and production of immunoglobulin in the marginal zone of the spleen». Nature Immunology, 13: 170-180.
Rothenberg, M. E.; Hogan, S. P. (2006). «The eosinophil». Annual Review of Immunology, 24: 147-174.
Scapini, P. [et al.] (2003). «G-CSF-stimulated neutrophils are a prominent source of functional BLyS». The Journal of Experimental Medicine, 197: 297-302.
Shan, M. [et al.] (2013). «Mucus enhances gut homeostasis and oral tolerance by delivering immunoregulatory signals». Science, 342: 447-453.
Silk, J. D. [et al.] (2004). «Utilizing the adjuvant properties of CD1d-dependent NK T cells in T cell-mediated immunotherapy». The Journal of Clinical Investigation, 114: 18001811.
Sullivan, B. M. [et al.] (2011). «Genetic analysis of basophil function in vivo». Nature Immunology, 12: 527-535.
Suzuki, K. [et al.] (2010). «The sensing of environmental stimuli by follicular dendritic cells promotes immunoglobulin A generation in the gut». Immunity, 33: 71-83.
Tani, K. [et al.] (2001). «The neutrophil granule protein cathepsin G activates murine T lymphocytes and upregulates antigen-specific IG production in mice». Biochemical and Biophysical Research Communications, 282: 971-976.
Tezuka, H. [et al.] (2007). «Regulation of IgA production by naturally occurring TNF/iNOS-producing dendritic cells». Nature, 448: 929-933. (2011). «Prominent role for plasmacytoid dendritic cells in mucosal T cell-independent IgA induction». Immunity, 34: 247-257.
Tsuji, M. [et al.] (2008). «Requirement for lymphoid tissue-inducer cells in isolated follicle formation and T cell-independent immunoglobulin A generation in the gut». Immunity, 29: 261-271.
Ueda, Y. [et al.] (2007). «T-independent activation-induced cytidine deaminase expression, class-switch recombination, and antibody production by immature/transitional 1 B cells». Journal of Immunology, 178: 3593-3601.
Weill, J. C. [et al.] (2009). «Human marginal zone B cells». Annual review of immunology, 27: 267-285.
Winter, O. [et al.] (2010). «Megakaryocytes constitute a functional component of a plasma cell niche in the bone marrow». Blood, 116: 1867-1875.
Xu, W. [et al.] (2007). «Epithelial cells trigger frontline immunoglobulin class switching through a pathway regulated by the inhibitor SLPI». Nature Immunology, 8: 294-303.
Manel Juan, Azucena González i Anna Mensa
Servei d’Immunologia, Centre de Diagnòstic Biomèdic, Hospital Clínic. Institut d’Investigacions Biomèdiques
August Pi i Sunyer (IDIBAPS)
Adreça per a la correspondència: Manel Juan. Servei d’Immunologia, Hospital Clínic. C. de Villarroel, 170, escala 4, planta 0. 08036 Barcelona. Tel.: 932 275 463. Adreça electrònica: mjuan@clinic.cat.
DOI: 10.2436/20.1501.02.147
ISSN (ed. impresa): 0212-3037
ISSN (electrònic): 2013-9802
http://revistes.iec.cat/index.php/TSCB
Rebut: 02/02/2014 Acceptat: 15/03/2014
Resum
Sota el terme de malalties immunomediades (MIM) s’agrupen totes aquelles malalties que tenen la causa de la malaltia en el sistema immunitari més que no pas la solució, com tothom espera del sistema encarregat del manteniment de la integritat de l’individu front a les infeccions. Així, autoimmunitat, immunoquímica, al·lèrgia, immunoteràpia i immunodeficiències serien els cinc grans subgrups d’aquest ampli concepte de MIM. En relació amb el diagnòstic i tractament de les MIM s’encunya el terme immunopatologia per referir-se a l’àrea de suport al diagnòstic per a aquestes malalties. Els avenços en el coneixement, diagnòstic i fins i tot tractament de les MIM són (després dels relacionats amb el coneixement de la genètica i el càncer) l’àrea biomèdica en què més aportacions s’estan fent en les darreres dècades.
Paraules clau: al·lèrgia, autoimmunitat, immunodeficiència, immunopatologia, malaltia immunomediada.
Immune-mediated diseases (immunopathology) today
Summary
The term immune-mediated diseases (IMDs) groups together all the illnesses for which the cause is in the immune system rather than the solution as one would expect from the system in charge of upholding the integrity of individuals in the face of infections. Autoimmunity, immunochemistry, allergy, immunotherapy and immunodeficiencies are the 5 major subgroups of this broad concept of IMDs. When it comes to the diagnosis and treatment of IMDs, the term immunopathology has been coined to refer to the area for support in the diagnosis of such pathologies. Progress in the understanding, diagnosis and even treatment of IMDs (after knowledge of genetics and cancer) is the area in which most biomedical contributions have been made in recent decades.
Key words: allergy, autoimmunity, immunodeficiency, immunopathology, immune-mediated disease.
Introducció
Que el sistema immunitari té una gran funció en el manteniment de la integritat de l’individu a les infeccions («les defenses») ningú no ho posa en dubte, però el que no és tan evident és que el sistema immunitari sovint és causa de malalties. Autoimmunitat, immunoquímica, al·lèrgia, immunoteràpia i immunodeficiències serien els cinc grans grups en els quals es poden enquadrar les intervencions de la immunologia en aquestes malalties. Cal tenir present, però, que el principal motiu de problemes patogènics és una resposta immunitària no volguda en situacions molt diverses (des d’infeccions que poden ser innòcues en alguns casos, però que en d’altres no ho són gens, fins als fenòmens de rebuig posttrasplantament); tot plegat es coneix sota el terme de malalties immunomediades (MIM). D’aquesta circumstància surt la necessitat de valorar la resposta immunitària amb vista al diagnòstic d’aquestes malalties i els seus pacients i és quan s’encunya el terme immunopatologia per referir-se a l’àrea de suport al diagnòstic d’aquestes malalties i també alguns components immunoterapèutics associats (vegeu la figura 1). En aquesta revisió esquemàtica apuntarem els avenços dels darrers anys que els autors que la signen consideren més rellevants en el camp de les MIM i la immunopatologia.
Autoimmunitat
És ben conegut que la resposta immunitària es desenvolupa sota la premissa d’actuar enfront del que és estrany per eliminar-ho, però no fer-ho quan reconeix el que és propi en el procés actiu i fisiològic que es coneix com a tolerància. Però també és conegut que es pot produir una resposta immunitària lesional enfront de molècules, cèl·lules i teixits propis, i així apareix el que coneixem com a malalties autoimmunitàries. Algunes han estat descrites des de fa dècades (artritis reumatoide, diabetis mellitus de tipus I, tiroïditis autoimmunitàries, lupus eritematós sistèmic...) i la serologia per la qual a partir del sèrum de pacients es defineixen determinats anticossos contra molècules característiques (autoantígens) ha esdevingut un mètode diagnòstic inqüestionable (Shoenfeld et al., 2014). Aquests autoanticossos diagnòstics s’han anat descrivint de manera continuada al llarg dels anys i en alguns casos han permès definir mecanismes autoimmunitaris inicialment no imaginats en algunes malalties (per exemple, la presència d’antitransglutaminasa en la celiaquia, la «hipersensibilitat» al gluten en què aquesta proteïna «ingerida», i per tant «estranya», quan s’acompanya d’una resposta autoimmunitària genera la malaltia) i d’altres, han portat a definir noves especificitats que defineixen l’autoimmunitat com a element cabdal de mecanisme patogènic; per exemple, les encefalitis amb anticossos R-NMDA (receptor de N-metil-D-aspartat), R-AMPA (receptor de l’àcid alfa-amino-3-hidroxi-5-metil-4-isoxzole-propiònic), R-GABAB (subunitat B1 del receptor de l’àcid gamma-aminobutíric), mGluR5 (receptor metabotròpic de glutamat 5), canals de potassi i altres (Graus i Dalmau, 2012). La llista d’anticossos és, doncs, cada cop més gran i no és possible citar-los tots aquí, ni tan sols fer una taula recopiladora exhaustiva, ja que les proporcions excedeixen els límits d’aquesta revisió. Sí que presentem una taula dels grups més rellevants —basats en la tercera edició
del llibre de referència Autoantibodies (Schoenfeld et al., 2014)— amb alguns exemples d’especificitats concretes (que no pretén en cap cas ser una enumeració completa), junt amb les malalties per a les quals serveixen com a marcadors diagnòstics (vegeu la taula 1).
Malaltia immunomediada

Però potser els aspectes més nous dels estudis diagnòstics de l’autoimmunitat tenen a veure amb la valoració d’elements cel·lulars de la resposta immunitària: a) Hi ha dades clares que mostren la possibilitat de detectar de manera diagnòstica limfòcits T específics d’antigen (principalment CD4+, que reconeixen pèptids d’autoantígens en el context de les molècules HLA de classe II amb les quals des de fa temps ja es coneix associació HLA-malaltia). Així, emprant «tetràmers de HLA» (Nepom, 2012) (molècules solubles de HLA + pèptids) de HLA-DQ2 amb pèptids desaminats de la gliadina ha estat possible demostrar la presència de limfòcits T específics d’antigen en pacients celíacs (Brottveit et al., 2011). També en pacients diabètics s’ha definit la possibilitat de detectar anti-GAD65 (l’autoantigen descarboxilasa 65 de l’àcid glutàmic) (Danke et al., 2005) i en artritis reumatoide enfront a pèptids citrulinats (James et al., 2010). b) En el camp de la resposta de limfòcits B, també s’ha definit la possibilitat de detectar limfòcits B circulants productors d’autoanticossos (Kuwana et al., 2014), però tota aquesta metodologia cel·lular encara no arribat a la pràctica diagnòstica habitual, tot i que sembla el pas següent a fer, més enllà de la detecció d’autoanticossos en sèrum.
Immunoquímica
Tractament

Altres dades analítiques
Dades clíniques (història clínica)

Immunoquímica

Al·lèrgia
Autoimmunitat
IMMUNOPATOLOGIA
Immunoteràpia

Immunodeficiència

La part més clàssica de la immunopatologia ha estat la determinació dels components moleculars solubles que es poden definir en el sèrum dels pacients. Això és el que es coneix com a «immunoquímica». La quantificació d’immunoglobulines, citocines o factors del complement són els assajos diagnòstics més generals i senzills de totes les proves diagnòstiques en immunopatologia, però aquesta senzillesa no exclou que en alguns casos siguin determinacions imprescindibles. Junt a la «quantificació» (saber quant n’hi ha), la immunoquímica també desenvolupa la «tipificació» (saber si hi ha variants) dels components que siguin rellevants (per exemple, les immunoglobulines en tumors productors d’aquestes proteïnes, com els mielomes i altres síndromes limfoproliferatives B) i alguns «estudis funcionals». En tot cas la base d’aquests mètodes no ha variat gaire en la darrera dècada i els avenços en aquesta àrea s’han centrat principalment en l’automatització de processos en molts casos molt manuals i en un futur no gaire llunyà és previsible que les valoracions integrades de dades multiparamètriques (incloent-hi de vegades estimulacions de la sang del pacient) (Duffy, 2014) siguin elements d’ajuda diagnòstica rellevant per manejar correctament les malalties immunomediades.
Al·lèrgia
L’al·lèrgia és un dels grups de malalties immunomediades que més està incrementant el nombre de pacients en les darreres dècades. La immunologia diagnòstica aplicada a l’al·lèrgia (immunoal·lèrgia) ha estat i és un dels elements fonamentals per definir aquests quadres, que cal recordar que si es generalitzen (anafilaxi) poden comportar la mort del pacient. Centrant-nos en el camp del diagnòstic, les clàssiques determinacions d’IgE específiques enfront a al-
Diagnòstic

Figura 1. Esquema del procés de maneig de pacients amb malalties immunomediades a través de la immunopatologia entesa com una aproximació diagnòstica principal i secundàriament associada a la immunoteràpia corresponent.
lèrgens complets (extractes de substàncies complexes, multimoleculars, com els àcars de la pols, els pòl·lens de plantes o els productes que produeixen al·lèrgia alimentària), tot i mantenir-se encara en la pràctica diària, han donat pas a les determinacions del que es coneix com a al·lèrgia molecular. En aquests moments la determinació d’IgE amb components moleculars (les IgE que reconeixen molècules concretes, dianes principals de la resposta al·lèrgica) (Melioli et al., 2013) permet definir de manera més precisa la resposta dels pacients (Hage i Pauli, 2014). Aquesta precisió més gran és especialment rellevant davant polireactivitats, una situació freqüent en molts al·lèrgics. L’estudi molecular està permetent més dissecció de la resposta al·lèrgica, i defineix que en alguns casos la polisensibilització detectada en els estudis amb extractes complets es tracta en realitat de reactivitats creuades de components moleculars comuns. La transcendència d’aquest fet és molt rellevant, ja que alhora de permetre entendre com evoluciona la polisensibilització i la típica reactivitat creuada de molts pacients, els estudis amb components permeten definir la importància relativa de quins elements realment poden ser dianes per als tractaments de dessensibilització de les al·lèrgies. En aquest sentit és especialment rellevant la implantació de la metodologia de microxips, que, desenvolupada per a la identificació d’epítops, ha arribat a aplicar-se per a la valoració de resposta enfront de components en el que ja és una plataforma diagnòstica habitual per a l’estudi d’aquests polisensibilitzats (Passalacqua et al., 2013). Sembla lògic que aquesta metodologia semiquantitativa s’estengui fins a arribar a un panell ampli de determinacions, tot i que les diferències de sensibilització entre els països en què les respostes al·lèrgiques moleculars són clarament diferenciables (per exemple, hi ha sensibilitzacions clarament diferenciables entre la zona nord d’Europa i els països del sud) obligarà a una individualització d’aquests components per «regions al·lergèniques». Els cos-
tos i la preponderància del mercat dels països del centre i nord d’Europa fa que aquesta diferenciació no s’hagi produït encara.
Una altra eina diagnòstica que s’ha revalorat en poder aplicar eines de citometria més estandarditzables (abans suposava mesurar mediadors cel·lulars postestimulació combinant cultius amb ELISA o altres mètodes bioquímics) és el test d’activació de basòfils (TAB), en el qual els basòfils de la sang dels individus al·lèrgics són enfrontats als al·lèrgens, i es mesura la capacitat d’activació específica d’aquests basòfils. Aquesta metodologia, tot i reservant-se encara a laboratoris amb capacitació per a proves cel·lulars, ha arribat a ser l’estàndard principal en determinats estudis en què per peculiaritats dels al·lèrgens o de la resposta, la determinació d’IgE específica és poc útil. En aquest sentit, els TAB són útils per diagnosticar al·lèrgia a medicaments (Sanz et al., 2009) i poden ser un medi in vitro alternatiu al clàssic test de provocació que clínicament es pot arribar a fer sobre el pacient, tenint en compte que els riscos d’un test in vivo com el de provocació són clarament menors en el TAB, que és un test in vitro.
Resposta antiinfecciosa
Tot i que en general els estudis de la resposta antiinfecciosa es vehiculen en paral·lel a la valoració del microorganisme des dels laboratoris de microbiologia (com s’ha fet durant molts anys amb la serologia enfront a bacteris, virus o altres microorganismes que presenten dificultats de cultiu), en els darrers anys els laboratoris d’immunologia n’han introduït també a través d’assajos cel·lulars, molts relacionats amb l’estudi de les immunodeficiències (vegeu l’apartat que segueix sobre aquest grup de malalties immunitàries). En tot cas, la valoració de la resposta cel·lular del sistema immunitari s’ha consolidat en un petit grup de valoracions diagnòstiques, com és el cas de la resposta enfront als antígens de Mycobacterium tuberculosis a través de la tècnica d’ELISPOT que permet quantificar el nombre de limfòcits T efectors quant a la mesura de la producció d’interferó gamma enfront als antígens. Actualment l’ELISPOT de limfòcits T enfront d’aquests antígens de la tuberculosi (l’estudi es coneix amb l’acrònim de T-SPOT) permet detectar infeccions latents quan altres estudis no resulten prou esclaridors amb vista al diagnòstic (Redelman-Sidi, 2013).
Immunoteràpia
Sens dubte aquesta és una de les àrees més rellevants en el camp de la immunologia clínica i inclou tant els elements de monitoratge de les diverses immunoteràpies com el desenvolupament des del laboratori de noves eines terapèutiques. En aquest article no es comenta més extensament aquest punt, ja que mereix un desenvolupament propi en una de les revisions que apareixen en aquest mateix monogràfic. En tot cas sí que es vol deixar constància de l’habitual integració d’aquestes aproximacions, que sovint sobrepassen els àmbits diagnòstics, però que formen part ineludible de la tasca d’un laboratori d’immunologia assistencial.
Immunodeficiències
Possiblement els dèficits del sistema immunitari (entesos ja no solament com a dèficits funcionals, sinó també com a qualsevol defecte que canviï la funció d’una o diverses molècules o poblacions cel·lulars relacionades amb
Taula 1. Principals autoanticossos (AutoAcs) basats en la 3a edició de Autoantibodies (Shoenfeld et al., 2014) amb especificitats concretes i les malalties que s’hi troben associades. AR, artritis reumatoide; CBP, cirrosi biliar primària; DM-I, diabetis mellitus tipus I; ED, esclerodèrmia; ES, esclerosi sistèmica, GN, glomerulonefritis; LES, lupus eritematós sistèmic; SdS, síndrome de Sjögren; GW/P, glicina-triptòfan/processament.
el sistema immunitari) són el conjunt d’afeccions que més canvis han incorporat al procés diagnòstic de malalties immunitàries. Junt al boom de les immunodeficiències secundàries, abanderades per la infecció pel VIH (que
Agrupació d’AutoAcs
AutoAcs antinuclears (ANA)
AutoAcs antiestructures o antifactors biològics
Especificitat Malaltia
DNA de doble cadena (dsDNA)
Nucleosomes
Histones
Ribonucleoproteïna U1 (U1RNP)
Sm
Ro/SSA
La/SSB
Topoisomerasa I (SCL 70)
Centròmer
PM/Scl
Nuclis neuronals tipus 1 (Hu)
Cossos GW/P
Complex de Golgi p53
HLA-E
Actina
Fibril·larina (AFA)
IFI16
AutoAcs anticitoplasma de neutròfils (ANCA)
AutoAcs anticardíacs
AutoAcs relacionats amb al·lèrgia
AutoAcs anticomponents endocrins
Proteïnasa 3 Mieloperoxidasa
Heat shock proteins (HSP)
Antimiocardi (AMCA)
Anti-IgE
Anti-IgER
Antiadrenals Insulina
IA-2 (ICA512)
Descarboxilasa de l’àcid glutàmic (GAD65)
AutoAcs anticomponents hepàtics i gastrointestinals
AutoAcs anticomponents hematològics
Antigen hepàtic soluble (SLA)
LC-1 (liver cytosol type 1)
Mitocondrial M2
Transglutaminasa
Factors de coagulació Complex PF4/heparina
Plaquetes
AutoAcs anticomponents renals
AutoAcs anticomponents del sistema nerviós
AutoAcs relacionats amb malalties reumàtiques
AutoAcs anticomponents mucocutanis
Receptor de la fosfolipasa A2 Membrana basal glomerular
Receptor de l’acetilcolina
MuSK (muscle-specific kinase)
Glicoesfingolípids
Receptor de N-metil-D-aspartat (NMDA)
Receptor B de l’àcid gamma-aminobutíric (GABA)
Pèptids citrulinats IgG (factor reumatoide)
Fodrina
Fosfolípids
Desmogleïna (DSG) Plaquines (BPAG1) Fosfolípids
Col·lagen tipus VII
LES (AutoAcs d’alta afinitat)
LES (especialment quadres actius)
LES (formes induïdes per fàrmacs)
Quadres sistèmics més enllà del lupus
LES
LES i SdS
SdS i lupus neonatal ES difusa i cutània
ES i Raynaud
Polimiositis/ED
Síndrome paraneoplàstica neurològica
Atàxia/neuropaties, SdS, LES i CBP.
Diversos (AR, LES, Wegener...)
Tumors amb sobreexpressió de p53
Càncer i trasplantats al·logènics
Hepatitis autoimmunitària
ED difusa, LES i Raynaud primari ES, LES, SdS i sd antifosfolipídic primari
Granulomatosis amb poliangiïtis (Wegener)
Poliangiïtis microscòpica, GN idiopàtica
Diversitat de malalties (diverses lesions /inflamacions, aterosclerosis)
Lesions miocàrdiques (infart)
Urticària crònica i dermatitis atòpica
Urticària crònica
Fallida ovàrica prematura i Addison
DM-I en els primers mesos del diagnòstic
DM-I en els primers mesos del diagnòstic
DM-I en els primers mesos del diagnòstic
Hepatitis autoimmunitària
Hepatitis autoimmunitària
Cirrosi biliar primària
Malaltia celíaca
Coagulopaties sobrevingudes Trombocitopènia induïda per heparina
Púrpura trombocitopènica idiopàtica
Nefritis membranosa idiopàtica GN progressiva (Sd. Goodpasture)
Miastènia gravis
Miastènia gravis
Guillain-Barré
Encefalitis autoimmunitària
Encefalitis límbica
AR AR
Activitat inflamatòria, SdS
Síndrome fosfolipídic primari, lupus...
Pèmfig
Pemfigoides
Epidermòlisi ampul·losa o lupus
ampul·lós
per si sola mereix un monogràfic específic), en aquest apartat ens referim a les immunodeficiències primàries (IDP), defectes de base principalment genètica que s’han anat ampliant en els darrers anys, des d’unes poques desenes a més de dos-cents gens que, alterats, són responsables de dèficits moleculars en el sistema immunitari —(Al-Herz, 2011), en la taula 2 exposem els principals grups i alguns exemples basats en l’actualització presentada en aquest article. Els canvis en les IDP abasten des del concepte mateix d’IDP fins als mecanismes implicats en la generació de la malaltia (Parvaneh et al., 2013). Quant als canvis de conceptes, ja hem remarcat que qualsevol desviació funcional d’una molècula implicada en la funció immunitària, secundària a una alteració genètica, es considera una immunodeficiència, tot i que funcionalment puguin detectar-se increments de funció del sistema immunitari, més que no un dèficit funcional; així, junt al clàssic increment del nombre, gravetat i tipus de les infeccions (típicament es detecten microorganismes considerats oportunistes que en condicions habituals no donen malaltia) o en la susceptibilitat a desenvolupar amb més incidència tumors, en els darrers anys s’han definit immunodeficiències que no es caracteritzen per aquesta predisposició persistent al llarg de la vida a patir moltes infeccions. Així, hi ha IDP en què el defecte molecular condiciona quadres inflamatoris mantinguts. Per exemple, les síndromes autoinflamatòries, com la febre mediterrània familiar per mutació en el gen de la FMF o les síndromes autoinflamatòries associades a criopirina (CAPS, de l’anglès), en les quals les mutacions són en el gen NLRP3/CIAS1. En aquestes IDP els pacients pateixen les mateixes infeccions que un individu sa; també hi ha d’altres IDP en què la manca de regulació o control dels fenòmens supressors condiciona quadres autoimmunitaris o d’hipersensibilitat; per exemple, el dèficit del factor de transcripció FOXP3 ( forkhead box P3), que determina que no hi
Taula 2. Resum de la classificació (actualitzada el 2011) de les immunodeficiències primàries segons la classificació del grup d’experts de la IUIS (International Union of Immunological Societies) (basat en Al-Herz, 2011].
Grup d’IDP Principals subgrups
1. T i B (combinades) SCID T-B+ SCID T-BSíndrome d’Omen Altres combinades
2. Altres síndromes ben definides amb immunodeficiència
3. Predominantment d’anticossos
Síndrome de Wiskott-Aldrich i defectes de reparació de DNA
Defectes tímics i displàsies òssies.
Síndromes d’hiperIgE
VODI, DKC i IKAROS
Reducció de tots els isotips amb defecte en limfòcits B
Reducció d’almenys dos isotips i B normals o poc reduïdes (IDVC)
Síndromes d’hiperIgM
Isotips i altres
4. Desregulacions immunitàries IDP amb hipopigmentació FHL
Síndromes limfoproliferatives (amb autoimmunitat o sense)
Síndromes amb autoimmunitat
5. Disfunció fagocítica Defectes de la diferenciació neutrofílica
Defectes de motilitat i adhesió
Defectes de la capacitat oxidativa
MSMD
Altres defectes dels fagòcits
6. Altres defectes de la immunitat innata excepte complement Via TIR (TLR i receptor de IL1) Encefalitis per virus herpes simple Predisposició a infeccions fúngiques i candidiasi mucocutània crònica
7. Malalties autoinflamatòries
Altres (susceptibilitat a HPV i tripanosomiasi)
Defectes que involucren l’inflamosoma
Defectes que no involucren l’inflamosoma directament
hagi limfòcits T reguladors i per això no es controlin els fenòmens d’hiperresposta, de manera que apareix una immunodisregulació amb poliendocrinopatia i enteropatia (IPEX), més que no pas infeccions. Alhora, l’aparició de quadres infecciosos amb susceptibilitat restringida a un ventall limitat de microorganismes durant un temps limitat ha fet que s’hagi encunyat el terme noves immunodeficiències per referir-se a aquells quadres en què no hi ha persistència al llarg del temps de diverses infeccions oportunistes de repetició (les «IDP clàssiques»). Un exemple d’aquestes «noves immunodeficiències» són els dèficits genètics en la via del TLR3 que expliquen la gran majoria de les encefalitis per virus de l’herpes tipus I en l’infant, sense que hi hagi més incidència de patir altres infeccions, i a més habitualment restringida a un únic episodi en tota la vida del pacient. Tot i que la freqüència poblacional encara fa que una per una s’hagin de comptar com a malalties rares, les «noves immunodeficiències» han trencat el concepte clàssic d’IDP. Fins i tot algun investigador (Casanova i Abel, 2007) ha arribat a postular que no és inversemblant plantejar que les «rareses» són els veritables immunocompetents (els que no pateixen malalties per infeccions que a altres sí que fan emmalaltir), i que per tant la majoria de la població tenim determinats genèticament algun o alguns components del sistema immunitari que no funcionen del tot convenientment, i per tant «tots som d’alguna manera immunodeficients». Amb una quantitat estimada de més de tres mil gens involucrats en la resposta immunitària i la possibilitat de mutacions amb pèrdua o guany de funció, sembla lògic pensar que el nombre d’immunodeficiències seguirà creixent en els propers anys (Conley et al., 2011).
Les IDP han estat i segueixen sent elements centrals en el desenvolupament de noves eines de diagnòstic en immunopatologia. Ja hem comentat la importància de les proves funcionals cel·lulars per crivellar altres malalties, però és en el camp de les immunodeficiències on més assajos s’han desenvolupat. Així, la valoració de la capacitat de senyalització amb antagonistes dels TLR ha estat i és una eina imprescindible per avaluar determinats dèficits de la via innata, així com els assajos per detectar dèficits de la capacitat oxidativa
Exemples de gens afectats
CD132, CD127, JAK3, CD3... ADA, AK2, DNA-PKcs... RAG1, RAG2, Artemis... PNP, CD8, ZAP70, TAP1, CIITA...
WAS, ATM, NBS1, BLM, DNMT3B, PMS2, RNF168... TBX1, RMRP, SMARCAL1... STAT3, TYK2, DOCK8, STAT1... SP110m DKC1, NOLA2, NOLA3, TERC, TERT, TINF2, IKAROS
BTK, Cadena pesada µ, lambda5, CD79a, CD79b, BLNK... ICOS, CD19, CD81, CD20, TACI, BAFFR, LRBA... CD154, CD40, AICDA, UNG... Cadena κ, la majoria gens desconeguts
LYST, RAB27A, AP3B1... PRF1, UNC13D, STX11, STXBP2... SH2D1A, XIAP, FAS, FASL, CASP10, CASP8, NRAS... AIRE, FOXP3, CD25, ITCH...
ELANE, GFI1, HAX1, G6PC3, G6PT1, ROBLD3, TAZ, COH1... INTGB2, FUCT1, KINDLIN3, RAC2, ACTB, FPR1, CTSC, SBDS... CYBB, CYBA, NCF1, NCF2, NCF4... IL12RB1, IL12B, IFNGR1, IFNGR2, STAT1, CYBB... IRF8, GATA2, CSF2RA...
NEMO, IKBA, IRAK4, MYD88... TLR3, TRAF3, TRIF, UNC93B1... CARD9, IL-17RA, IL-17F, STAT1... CXCR4, EVER1, EVER2, APOL-I...
MEFV, MVK, CIAS1... TNFRSF1A, IL10, IL10RA, IL10RB, PSTPIP1, NOD2, LPIN2, IL1RN...
8. Deficiències del complement Factors del complement, reguladors del complement i receptors del complement C1 a C9, factor D, PFC, CFI, CFH, MASP1, CL-K1, MASP2, CD46, CD59, PIGA, FCN3...
limfohistiocitosis
IDVC, immunodeficiència variable comuna; MSMD, susceptibilitat mendeliana a micobacteris; SCID, immunodeficiència combinada greu.
o fagocítica dels neutròfils són ja eines habituals que ha de tenir un laboratori d’immunologia que vulgui diagnosticar immunodeficiències. En alguns casos, quan els quadres són «catastròfics» (com les limfohistiocitosis hemofagocítiques que necessiten assajos per valorar la capacitat citotòxica o de desgranulació), aquests assajos obliguen a una valoració ràpida que no pot acceptar retards diagnòstics. En tot cas hi ha propostes algorítmiques que permeten racionalitzar l’ordre d’abordatge dels estudis amb l’objectiu de permetre un diagnòstic acurat (Bousfiha et al., 2013).
Possiblement és en el camp de la genètica on els espectaculars avenços tècnics d’aquesta àrea més han repercutit en el desenvolupament del coneixement de les immunodeficiències. Les tècniques d’ultraseqüenciació (o seqüenciació de nova generació, NGS) han permès definir més fàcilment noves mutacions i nous gens mutats, així com la presència de mutacions somàtiques en la base molecular d’alguns defectes (especialment els autosòmics dominants) o fins i tot en la capacitat de transmissió dels progenitors a pacients que eren considerats «mutants de novo», quan en realitat una part de la línia germinal de l’antecessor ja tenia la mutació (mosaïcismes en els pares). Aquest aspecte, més enllà de l’interès acadèmic, té transcendència en el consell genètic dels progenitors, ja que si en una mutació de novo en un pacient el missatge envers els pares és que no hi ha més risc per a un futur fill, els quadres de transmissió vertical de mutacions amb mosaïcisme en línia germinal sí que impliquen cert risc de transmissió de la mutació a la descendència i, per tant, que es repeteixi la malaltia (Alsina et al., 2013). Estem, doncs, davant d’un fenomen transcendent per a unes malalties que es poden beneficiar de la capacitat de seqüenciació massiva de la NGS i que fan que la NGS s’hagi ja incorporat com a eina dels laboratoris de diagnòstic immunitari.
També cal remarcar que s’han produït avenços importants en el diagnòstic perinatal de les immunodeficiències, i ja són diversos els països que dins dels seus protocols de cribratge de malalties metabòliques i genètiques han introduït el cribratge de nivells d’ADA (adenosina-desaminasa) (Marca et al., 2014) o de TREC (cercles d’escissió del receptor de limfòcits T) (Puck, 2011) per detectar en els primers dies postpart els quadres d’immunodeficiència combinada greu (SCID) dels anomenats «nens bombolla », que tenen un bon tractament en el transplantament de progenitors hematopoètics amb millors resultats com més aviat es trasplantin.
Un últim aspecte que volem tractar en relació amb les IDP és que fa uns anys el concepte era que una mutació genètica condicionava un fenotip clínic molt concret, i per tant el compliment estricte del fenotip clínic era condició sine qua non per abordar un estudi d’un gen. Actualment es considera un fet patent que hi ha una diversitat en el fenotip clínic de gens afectats per mutacions (Al-Herz i Notarangelo, 2012). Així, hi ha mutacions hipofuncionants i hiperfuncionants d’un mateix gen que comporten quadres clarament oposats (per exemple, les mutacions clàssiques de STAT-1 estan en la base d’immunodeficiències amb susceptibilitat mendeliana a micobacteris, però quan la mutació comporta un canvi d’increment de la funció definim un quadre de
candidiasi mucocutània crònica). Però fins i tot la mateixa mutació mostra penetrància variable de la malaltia (per exemple, la mutació homozigòtica de E52del de MyD88 comporta que un determinat pacient pateixi greus infeccions per bacteris piògens que fins i tot en poden comprometre la vida, mentre que un germà amb la mateixa mutació també en homozigosi pràcticament cal considerar-lo sense malaltia). La variable càrrega genètica i l’experiència antigènica dels individus pot arribar a comportar comportaments clínics distints, i per tant actualment, si bé els fenotips clínics es consideren valuosos en l’avaluació d’un immunodeficient, no són ja excloents amb vista a precisar un diagnòstic concret.
De tot el que s’ha comentat en aquesta revisió fàcilment es desprèn que els avenços en el coneixement, diagnòstic i fins i tot tractament de les malalties immunomediades donen consistència a una de les àrees biomèdiques en què més aportacions s’estan fent en les darreres dècades. La immunopatologia entesa com l’àrea de suport al diagnòstic per a totes aquestes malalties és, doncs, una de les activitats analítiques més canviant i revolucionària que necessita un coneixement específic i integrat que només els especialistes en immunologia formats de manera reglada poden aportar. Altres especialistes poden ser molt valuosos (enginyers, tecnòlegs), però sempre des d’un punt de vista complementari al que només els especialistes en immunologia poden aportar de manera integral i sistemàtica. Com en la majoria d’àmbits, en què l’obtenció massiva d’informació està sent possible i es fa realitat, la integració d’aquesta infinitat de dades immunitàries esdevé un dels reptes que cal abordar (Duffy et al., 2014). Ja hi ha algunes lloables propostes en què la informatització per al maneig d’aquestes dades té un paper fonamental (Kidd et al., 2014). És possible que aquest nou abordatge canviï l’estat de moltes de les «certeses» que ara tenim i que a través del maneig massiu i organitzat de la informació s’aconsegueixi un nivell de precisió diagnòstica i terapèutica que ara només podem imaginar. El que sembla evident, doncs, és que cal entendre que en un futur immediat, sense una immunopatologia convenientment implantada en un sistema sanitari ben estructurat, serà difícil precisar diagnòstics de malalties immunomediades i que la qualitat assistencial del maneig de tots aquests pacients serà només òptima si es conjunta en un sistema diagnòstic integrat que avaluï la immunocompetència dels pacients.
Agraïments
A tot el Servei d’Immunologia del Centre de Diagnòstic Biomèdic de l’Hospital Clínic i a la Secció d’Immunoal·lèrgia de l’Hospital Sant Joan de Déu, que en darrer terme són els que han de permetre l’activitat que al voltant de la immunopatologia desenvolupem en un únic objectiu, els pacients. Aquesta activitat es basa en gran part en activitat diagnòstica i de recerca que està suportada també per l’Institut de Salut Carles III amb la col·laboració dels fons FEDER a través de beques com PI10/01404, PI13/00676, PI12/01990 o PEI13/00033.
Al-Herz, W. [et al.] (2011). «Primary immunodeficiency diseases: an update on the classification from the international union of immunological societies expert committee for primary immunodeficiency». Front. Immunol., 2: 54.
Al-Herz, W.; Notarangelo, L. D. (2012). «Classification of primary immunodeficiency disorders: one-fits-all does not help anymore». Clin. Immunol., 144 (1): 24-25.
Alsina, L. [et al.] (2013). «Massively parallel sequencing reveals maternal somatic IL2RG mosaicism in an X-linked severe combined immunodeficiency family». J. Allergy Clin. Immunol., 132 (3): 741-743.e2.
Bousfiha, A. A. [et al.] (2013). «A phenotypic approach for IUIS PID classification and diagnosis: guidelines for clinicians at the bedside». J. Clin. Immunol., 33 (6): 1078-1087.
Brottveit, M. [et al.] (2011). «Assessing possible celiac disease by an HLA-DQ2-gliadin tetramer test». Am. J. Gastroenterol., 106 (7): 1318-1324.
Casanova, J. L.; Abel, L. (2007). «Primary immunodeficiencies: a field in its infancy». Science, 317 (5838): 617-619.
Conley, M. E. [et al.] (2011). «Definition of primary immunodeficiency in 2011: a “trialogue” among friends». A: Casanova, I. [et al.] (ed.). «The year in human and medical genetics: inborn errors of immunity». Ann. NY Acad. Sci., 1238: 1-6.
Danke, N. A. [et al.] (2005). «Comparative study of GAD65-specific CD4+ T cells in healthy and type 1 diabetic subjects». J. Autoimmun., 25 (4): 303-311.
Duffy, D. [et al.] (2014). «Functional analysis via standardized whole-blood stimulation systems defines the boundaries of a healthy immune response to complex stimuli». Immunity, 40 (3): 436-450.
Graus, F.; Dalmau, J. (2012). «Paraneoplastic neurological sindromes». Curr. Opin. Neurol., 25 (6): 795-801.
Hage, M. van; Pauli, G. (2014). «New vaccines for mammalian allergy using molecular approaches». Front Immunol., 5: 81.
James, E. A. [et al.] (2010). «HLA-DR1001 presents “altered-self” peptides derived from joint-associated proteins by accepting citrulline in three of its binding pockets». Arthritis Rheum., 62 (10): 2909-2918.
Kidd, B. A. [et al.] (2014). «Unifying immunology with informatics and multiscale biology». Nat. Immunol., 15 (2): 118-127.
Kuwana, M. [et al.] (2014). «Detection of circulating B cells producing anti-GPIb autoantibodies in patients with immune thrombocytopenia». PLOS One, 9 (1): e86943.
Marca, G. la [et al.] (2014). «The inclusion of ADA-SCID in expanded newborn screening by tandem mass spectrometry». J. Pharm. Biomed. Anal., 25 (88): 201-206.
Melioli, G. [et al.] (2013). «Component-resolved diagnosis in pediatric allergic rhinoconjunctivitis and asthma». Curr. Opin. Allergy Clin. Immunol., 13 (4): 446-451.
Nepom, G. T. (2012). «MHC class II tetramers». J. Immunol., 188 (6): 2477-2482.
Parvaneh, N. [et al.] (2013). «Primary immunodeficiencies: a rapidly evolving story». J. Allergy Clin. Immunol., 131 (2): 314-323.
Passalacqua, G. [et al.] (2013). «The additional values of microarray allergen assay in the management of polysensitized patients with respiratory allergy». Allergy, 68 (8): 10291033.
Puck, J. M. (2011). «The case for newborn screening for severe combined immunodeficiency and related disorders». Ann. NY Acad. Sci., 1246: 108-117.
Redelman-Sidi, G.; Sepkowitz, K. A. (2013). «IFN-γ release assays in the diagnosis of latent tuberculosis infection among immunocompromised adults». Am. J. Respir. Crit. Care Med., 188 (4): 422-431.
Sanz, M. L. [et al.] (2009). «Basophil activation tests in the evaluation of immediate drug hypersensitivity». Curr. Opin. Allergy Clin. Immunol., 9 (4): 298-304.
Shoenfeld, Y. [et al.] (ed.) (2014). Autoantibodies 3rd edition. Oxford: Elsevier BV.
Joan Verdaguer1 i Marta Vives-Pi2
1 Unitat d’Immunologia, Departament de Ciències Mèdiques Bàsiques, Facultat de Medicina, Universitat de Lleida i IRBLleida
2 Servei d’Immunologia, Institut de Recerca Germans Trias i Pujol
Adreça per a la correspondència: Joan Verdaguer. Unitat d’Immunologia, Departament de Ciències Mèdiques Bàsiques, Facultat de Medicina, Universitat de Lleida. C. de Montserrat Roig, 2. 25008 Lleida. Tel.: 973 702 210. Adreça electrònica: joan.verdaguer@mex.udl.cat.
Marta Vives-Pi. Servei d’Immunologia, Institut de Recerca Germans Trias i Pujol. Ctra. Canyet s/n. 08916 Badalona. Tel.: 934 978 666. Adreça electrònica: mvives@igtp.cat.
Resum
La diabetis mellitus de tipus 1 (DT1) és una malaltia metabòlica provocada per la destrucció de les cèl·lules productores d’insulina, les cèl·lules β dels illots pancreàtics. De base autoimmunitària, no es coneix l’etiologia d’aquesta malaltia, tot i que s’han identificat factors genètics, ambientals i immunitaris de susceptibilitat. En aquest article fem un repàs dels mecanismes d’autoimmunitat i els nous conceptes en aquest camp. També destaquem els models experimentals utilitzats en l’estudi de la DT1 i les noves teràpies desenvolupades amb aquests. Per acabar, fem una ullada al present i al futur de la immunoteràpia preventiva i de tractament en aquesta malaltia, i insistim en la necessitat d’aturar el procés autoimmunitari, restaurar la tolerància immunitària, identificar nous biomarcadors de progressió i aplicar conjuntament estratègies de regeneració i neogènesi de les cèl·lules β.
Paraules clau: diabetis de tipus 1, autoimmunitat, cèl·lules β, tolerància, immunoteràpia.
Introducció
La diabetis mellitus de tipus 1 (DT1) és una malaltia metabòlica provocada per la destrucció de les cèl·lules productores d’insulina als illots pancreàtics, anomenades cèl·lules β. La diabetis mellitus de tipus 1 es classifica en DT1A, immunomediada, i DT1B, idiopàtica (Atkinson i Maclaren, 1994).
La DT1A, a la qual ens referirem en aquest capítol, té etiologia desconeguda però se sap que és la conseqüència d’un atac autoimmunitari. En canvi, la DT1B no mostra evidències d’autoimmunitat.
La diabetis autoimmunitària es diagnostica durant la infància o l’adolescència, però pot aparèixer en l’edat adulta. Abans de les manifestacions clíniques hi ha un període asimptomàtic —prediabetis—, en el qual s’inicia l’autoimmunitat contra els illots. En aquesta etapa apareixen en el sèrum els autoanticossos contra components de cèl·lules dels illots (ICA), antiglutamat-descarboxilasa o GAD (GADA), antiinsulina (IAA) i antiproteïna tirosina-fosfatasa IA-2 (IA-2A).
No es coneix l’etiologia d’aquesta malaltia i quan es diagnostica ja s’han destruït el 80-95 % de cèl·lules β (Atkinson i Maclaren, 1994). Els fenòmens autoimmunitaris inicials no es detecten en part per l’accés difícil al pàncrees. Els coneixements de les alteracions immunitàries que tenen lloc als illots de Langerhans es basen en estudis histopatològics, immunitaris i determinacions moleculars en els pàncrees de necròpsies i autòpsies de pacients diabètics que han mort en diferents etapes de la malaltia. Aquests estudis, que són la font actual de coneixement per comprendre els fenòmens que
DOI: 10.2436/20.1501.02.148
ISSN (ed. impresa): 0212-3037
ISSN (electrònic): 2013-9802
http://revistes.iec.cat/index.php/TSCB
Rebut: 02/02/2014 Acceptat: 15/03/2014
New concepts concerning autoimmune diabetes
Summary
Type 1 diabetes (DT1) is a metabolic disease caused by the selective destruction of the insulin producing β cells by the immune system. The etiology of the disease is still unknown, but several genetic, environmental and immunological factors of susceptibility have been identified. In this chapter we describe the autoimmune mechanisms involved in this disease, as well as the experimental models used for the study of DT1 and for the development of new strategies of immune intervention. Lastly, we explain the recent assays in immunotherapies aimed at preventing and curing the disease, based on breaking autoimmune response, restoring immunological tolerance and identifying new biomarkers of disease progression, as well as strategies for regenerating β cells.
Key words: type 1 diabetes, autoimmunity, β cells, tolerance, immunotherapy.
comporta la pèrdua de tolerància immunitària contra components propis in situ, es veuen reforçats amb els models experimentals. El més representatiu és sens dubte el model murí no obès diabètic (NOD), que desenvolupa diabetis autoimmunitària espontània semblant a la malaltia humana (Makino et al., 1980).
Si el sistema immunitari perd la capacitat de tolerar components propis es pot iniciar una resposta autoimmunitària. En el cas de la DT1 aquests autoantígens són principalment molècules dels illots pancreàtics. Aquesta resposta està mitjançada per limfòcits T i B i normalment es produeixen autoanticossos, que reflecteixen l’etiologia autoimmunitària i s’utilitzen com a biomarcadors. Una demostració del paper de l’autoimmunitat és la millora observada en pacients amb malalties autoimmunitàries quan són tractats amb immunosupressors, com la ciclosporina. Una altra demostració del factor immunitari és la transferència de la DT1 a través de limfòcits, que ha estat demostrada en models experimentals i en un cas clínic entre dos germans amb HLA idèntic després d’un transplantament de medul·la òssia (Lampeter et al., 1993). Un tercer factor és el fet que els pacients amb DT1 desenvolupen amb més freqüència altres malalties autoimmunitàries (Barker, 2006).
Contra quines molècules va dirigida la resposta autoimmunitària en la DT1? Alguns d’aquests autoantígens, com insulina o IGRP, són exclusius
de cèl·lules β, però d’altres no ho són, com els neuroendocrins (GAD, IA-2, S100β) o neuronals (GFAP) (Winer et al., 2003). Aquesta resposta es reflecteix en perifèria en forma d’autoanticossos, marcadors de la destrucció de les cèl·lules β i de susceptibilitat, més que un mecanisme efector. Els primers a aparèixer són els antiinsulina (IAA), i la seva prevalença és inversament proporcional a l’edat d’inici clínic. Els autoanticossos anti-GAD (GAD65A) són un bon marcador d’autoimmunitat contra els illots en adults, amb una prevalença del 84 %, mentre que els anti-IA-2 (IA-2A) tenen una prevalença del 70 % (Tsirogianni et al., 2009). Els autoanticossos contra el transportador de zinc ZnT8 en el 60-80 % de pacients amb DT1 també són biomarcadors de la DT1 (Wenzlau et al., 2007).
Immunopatologia de la DT1 en humans
La fase prediabètica de la DT1 és asimptomàtica però probablement és la més interessant des del punt de vista immunitari. Els autoanticossos contra molècules insulars són biomarcadors però no ofereixen cap informació sobre el procés de destrucció de cèl·lules β. Quan un individu és diagnosticat i tractat, la DT1 passa a ser una malaltia crònica. Per tant, hi ha poques dades obtingudes a partir de mostres de pàncrees de pacients, especialment en l’inici clínic de la malaltia. Alguns grups han fet estudis histològics i moleculars de pàncrees de pacients amb DT1 que han mort en diferents etapes de la malaltia, que han revelat importants aspectes de la resposta autoimmunitària als illots (Foulis, 1996; Richardson et al., 2011; Planas et al., 2010).
Una de les característiques que defineixen els illots dels pacients amb DT1 és la infiltració leucocitària —insulitis— d’intensitat lleugera i al voltant i a l’interior dels illots. Aquesta insulitis, en humans, està formada majoritàriament per limfòcits T citotòxics (CD8+) i macròfags (Bottazzo et al., 1985; Foulis, 1986; Hänninen et al., 1992; Somoza et al., 1994). També hi ha limfòcits T CD4+, limfòcits B i cèl·lules dendrítiques, tot i que aquestes sembla que dominen en etapes inicials de l’autoimmunitat. Els estudis immunohistològics i de biologia molecular en els pàncrees de pacients diabètics revelen també una disminució important d’expressió d’autoantígens a causa de la desaparició de la massa β. Les cèl·lules endocrines expressen nivells elevats de molècules de presentació antigènica com HLA de classe I, i ocasionalment HLA de classe II. En els illots pancreàtics i endotelis s’ha observat també hiperexpressió de molècules d’adhesió, citocines proinflamatòries i interferons, així com de Fas —en les cèl·lules endocrines— i de lligand de Fas —en els leucòcits infiltrants. El panorama que es dibuixa és el d’un atac força selectiu de cèl·lules de la resposta immunitària innata i adquirida, amb components proinflamatoris, citocines i quimiocines. Aquest tipus d’estudis s’amplien actualment gràcies a una iniciativa internacional de distribuir teixits de pacients i d’individus prediabètics (amb autoanticossos). D’aquesta manera s’han demostrat alguns mecanismes d’autoreactivitat postulats després d’observacions immunohistològiques (Coppieters et al., 2012; Penaranda et al., 2010; Spencer i Peakman, 2009).
Els estudis immunohistològics, de gran importància en la comprensió de l’autoimmunitat de la cèl·lula β, no ofereixen una visió global del desenvolupament del procés. Anàlisis moleculars amb la metodologia de microxips permeten identificar el transcriptoma de pàncrees de pacients diabètics (Planas et al., 2010). El transcriptoma dels pàncrees de pacients diabètics revela que el procés autoimmunitari és crònic i s’observa des de l’inici clínic de la malaltia fins a molts anys després. Això implica que els processos d’atac i de regeneració persisteixen en el temps i es retroalimenten. Les vies funcionals alterades confirmen la contribució de gens de les diverses categories de la resposta immunitària, prèviament identificats en els estudis immunohistològics, com són les vies de presentació antigènica, adhesió, quimiotaxi, inflamació, immunitat natural, resposta humoral, immunoregulació, repara-
ció i regeneració. La hiperexpressió de gens d’immunoregulació i regeneració probablement forma part del mecanisme d’intent de restaurar les cèl·lules β perdudes. La balança es decanta, però, envers la destrucció, tot i que es van produint noves cèl·lules β durant tot el procés (Meier et al., 2005). La neogènesi de cèl·lules β suposaria una nova font d’autoantígens que cronificaria l’autoimmunitat, en concordança amb la hipòtesi que descriu la DT1 com un procés remitent-recurrent (Herrath et al., 2007). Seria útil disposar de la mateixa informació en pàncrees d’individus prediabètics, en diferents moments crítics de la història natural de la malaltia, com ara l’inici de la pèrdua de tolerància immunitària envers la cèl·lula β i el moment d’aparició dels autoanticossos. Així se sabrien els factors determinants en cada moment i també si hi ha individus que superen l’autoimmunitat i la reverteixen mitjançant un restabliment natural de la tolerància perifèrica, evitant la malaltia.
Una altra línia d’investigació en pàncrees de pacients amb DT1 ha estat la recerca de virus o de l’empremta d’infeccions víriques com a desencadenant de la malaltia. Les infeccions víriques podrien ser un factor ambiental, juntament amb la susceptibilitat genètica, implicats en la malaltia. Podrien actuar mitjançant mimetisme molecular, i augmentar el processament i presentació d’autoantígens insulars durant la infecció, disseminant epítops o amb anticossos antiidiotípics. Estudis epidemiològics, serològics i experimentals suggereixen l’associació entre virus de la rubèola, enterovirus i citomegalovirus amb DT1. Les proves indirectes o empremtes víriques són molt difícils de detectar després de l’inici clínic de la DT1. Es va demostrar la presència de l’enterovirus Coxsackie B4 en el pàncrees de pacients amb DT1 (Dotta et al., 2007). El transcriptoma de pàncrees de pacients amb DT1 mostra alteracions compatibles amb una infecció vírica en illots: transcrits de citocines de resposta antivírica, de gens d’immunitat natural i de resposta a IFN. Hi ha molts estudis epidemiològics en marxa, però malgrat alguns resultats que relacionen virus amb DT1 (Stene i Rewers, 2012), els efectes causals directes són difícils de verificar i caldrien estudis més amplis (Christen et al., 2012). La identificació dels processos i dels gens implicats en l’inici, progressió i regeneració en la DT1 en el teixit diana podrien contribuir al disseny d’immunoteràpies per frenar l’autoimmunitat i facilitar l’èxit de la medicina regenerativa en la DT1.
Models experimentals en la DT1
Els models animals han estat importantíssims per al coneixement i tractament de la DT1. Així, a principis del segle xx, els canadencs Frederick Grant Banting, Charles Best, James Collip, i J. J. R. Macleod, de la Universitat de Toronto, van descobrir la funció de la insulina gràcies als treballs experimentals fets en gossos pancreatectomitzats (Banting et al., 1922), la qual cosa els va merèixer el premi Nobel de Medicina l’any 1923. Fins als anys cinquanta la utilització de models de diabetis «induïda quirúrgicament» en diferents models animals va ser clau per al coneixement anatòmic i fisiològic del pàncrees endocrí.
Més endavant (Junod et al., 1969) es van desenvolupar tècniques experimentals d’inducció d’hiperglucèmia amb toxines selectives com l’estreptozotocina. Així es va observar que, en ratolins, dosis altes d’estreptozotocina produïen la destrucció de les cèl·lules β a través d’un efecte tòxic massiu i directe, i d’aquesta manera es presentava una hiperglucèmia en pocs dies, mentre que l’administració de petites dosis consecutives induïa una infiltració leucocitària a escala insular, la qual va estar i ha estat objecte d’estudi de les possibles vies d’inducció de la mort cel·lular de les cèl·lules β pancreàtiques. Van ser, per tant, models fonamentals en l’estudi de la hiperglucèmia, les seves complicacions, i el desenvolupament de nous tractaments farmacològics. De fet, els models de diabetis induïda amb estreptozotocina en rata van ser la base del desenvolupament dels trasplantaments d’illots. Amb tot, no es considera
un bon model de DT1 perquè la malaltia no és espontània ni de cap manera produïda per una resposta immunitària, tal com succeeix en la DT1 humana.
A principis dels anys vuitanta diferents grups d’investigadors, amb l’objectiu d’obtenir millors models de diabetis autoimmunitària, van derivar línies de rosegadors consanguinis que desenvolupaven espontàniament diabetis. D’aquesta manera es va generar, d’una banda, la soca de ratolí NOD (non-obese diabetic) (Makino et al., 1980), i de l’altra la soca de rata BB (Nakhooda et al., 1977). Des de llavors aquests models, i en especial el ratolí NOD, han estat la base per a l’estudi de l’etiopatogènia de la DT1.
El ratolí NOD. Variants transgèniques i genoanul·lats Des de la descripció als anys vuitanta, la soca murina NOD ha estat àmpliament utilitzada en l’estudi de la DT1. Com en els humans, en aquests ratolins la malaltia es presenta espontàniament, amb presència de cèl·lules T autoreactives, i anticossos antiillot (Atkinson i Leiter, 1999). Aquest model desenvolupa també una resposta autoimmunitària contra altres òrgans com les glàndules salivals, tiroides, sistema nerviós i pròstata, i fa palès que, igual que en el cas d’alguns pacients amb DT1, hi ha un defecte en la tolerància del sistema immunitari. En aquests ratolins la infiltració leucocitària en els illots s’inicia a partir de les tres setmanes d’edat però no és fins a partir de les dotze setmanes que la malaltia es manifesta. Malgrat que és una soca congènita, en què tots els individus són genèticament idèntics, no tots pateixen DT1, encara que sí insulitis. Aproximadament el 80 % de les femelles i un 2040 % dels mascles presenten DT1, fet que denota la importància dels factors ambientals i estocàstics (Pozzilli et al., 1993). Aquest model experimental és fonamental en la investigació en DT1, tant per a la identificació dels gens de resistència/susceptibilitat a la malaltia, i dels factors endògens i ambientals que en modulen l’aparició, com també dels mecanismes immunitaris implicats i dels autoantígens contra els quals es dirigeix la resposta. D’altra banda, els ratolins NOD han estat objecte de nombrosos estudis sobre noves teràpies preventives o terapèutiques, especialment mitjançant la utilització d’agents immunomoduladors.
Els factors ambientals. Pel que fa als factors ambientals, s’ha determinat que són clau perquè la malaltia es desenvolupi. S’ha observat que en condicions ambientals controlades entre 18 i 20 °C de temperatura, lliures de patògens oportunistes SPF (specific pathogen free), i amb dietes riques amb fibres vegetals (riques en gluten), la incidència de la malaltia és molt alta. Al contrari, en estabulacions convencionals en què els animals entren en contacte amb diferents microorganismes, la incidència de la malaltia por arribar a ser zero (Pozzilli et al., 1993; Todd i Wicker, 2001; Forlenza i Rewers, 2011). Aquest fet donaria suport a la hipòtesi de la higiene, en la qual es considera que la manca de contacte amb patògens i paràsits, i la manca d’una flora microbiana «normal», induiria a una mala resposta del sistema immunitari.
Els factors genètics. La susceptibilitat genètica a la malaltia té moltes similituds entre humans i el model NOD (Rich et al., 2006; Wicker, 2005; Santamaria, 2010). S’han identificat múltiples locus implicats en la malaltia. El principal locus de susceptibilitat a la DT1 es troba en els gens que codifiquen les molècules de l’MHC: la presència d’un aminoàcid serina en la posició 57 de la cadena I-Aβ en el ratolí, i també en la cadena DQβ en humans, origina un al·lel que confereix susceptibilitat a la malaltia, mentre que un aminoàcid aspàrtic en aquesta posició confereix resistència. Aquesta homologia estructural entre els al·lels de susceptibilitat corresponents a les molècules de MHC de classe II, IDDM1 en humans (DQ8) i Idd1 en ratolí (I-Ag7) suggereix defectes en els processos de presentació antigènica en la DT1. La presència d’aquest al·lel és essencial però no suficient perquè es desenvolupi la malaltia. Així, tant en el ratolí NOD com en humans s’ha descrit la participació d’altres locus de susceptibilitat associats a gens d’homeòstasi de la resposta immunitària, de
tolerància o immunoregulació, o de la fisiologia de la cèl·lula β. S’han descrit una vintena de Idd i IDDM en el ratolí NOD i en humans, respectivament, encara que no tots han coincidit en ambdues espècies. Dins d’aquests locus s’ha observat una clara associació en humans del locus IDDM2 i IDDM12 amb el gen de la insulina i de la molècula CTLA-4, respectivament, mentre que en el ratolí NOD l’associació s’ha establert entre el locus Idd5.1 i el gen de CTLA4, i una possible associació entre els gens de NRAMP1 i de IL-2 o IL-21 amb els locus Idd5.2 i Idd3, respectivament. Tots aquests són gens implicats en la resposta immunitària. De fet, el ratolí NOD presenta diverses «peculiaritats» en el seu sistema immunitari: deficiències en la capacitat coestimuladora de les cèl·lules presentadores d’antigen, disminució del nombre i funció de les cèl·lules NKT i T CD4+CD25+ amb funció reguladora, limfopènia, i defectes en la senyalització a través del TCR. Aquest conjunt de factors, a més d’altres defectes pel que fa al timus, causen un defecte de la tolerància central i perifèrica en aquests animals.
Patogènia de la DT1. La patogènia de la DT1 en ratolins NOD ha estat àmpliament estudiada, i s’ha descobert que són els limfòcits T els responsables de la destrucció de les cèl·lules β, però també que altres cèl·lules del sistema immunitari com les cèl·lules dendrítiques, els macròfags i els limfòcits B hi tenen un paper rellevant com a cèl·lules presentadores d’antigen (APC) (Santamaria, 2010). Dintre de la població de limfòcits T s’ha descobert que ambdues poblacions, CD4+ i CD8+, són necessàries perquè es produeixi la malaltia (Bendelac et al., 1987; Miller et al., 1988; Yagi et al., 1992; Christianson et al., 1993; Haskins i McDuffie, 1990; Bradley et al., 1992). En la fase inicial de la malaltia serien els limfòcits T CD8+ els que iniciarien l’atac a les cèl·lules β, però aquests limfòcits T CD8+ necessiten la col·laboració de limfòcits T CD4+. Diferents estudis apunten que la captació més primerenca d’autoantígens procedents de cèl·lules β, d’APC dels illots, es faria a partir de les dues setmanes d’edat coincidint amb apoptosi massiva de cèl·lules β i cèl·lules del sistema nerviós perifèric implicades en la innervació de l’illot (Tsui et al., 2007; Saravia-Fernandez et al., 1996). Aquestes APC s’activarien i migrarien als ganglis, on presentarien els autoantígens a limfòcits T autoreactius. Els limfòcits T CD8+ citotòxics migrarien als illots i iniciarien la destrucció de les cèl·lules β. En una segona fase, els autoantígens alliberats en el primer atac serien captats, processats i presentats per APC a limfòcits T CD4+ col·laboradors i citolítics, que juntament amb els limfòcits T CD8+ infiltrarien els illots, i continuarien la destrucció de la massa β. Pel que fa als limfòcits B, també sembla que tenen un paper important en la resposta autoimmunitària. D’una banda, els ratolins NOD deficients en limfòcits B no desenvolupen DT1 (Serreze et al., 1996). D’altra banda, els limfòcits B autoreactius contra cèl·lula β es diferenciarien en cèl·lules productores d’autoanticossos contra autoantígens (Pietropaolo i Eisenbarth, 2001; Bonifacio et al., 2001). A més d’orientar el diagnòstic, la detecció d’aquests autoanticossos s’utilitza per a la detecció precoç de la malaltia en pacients d’alt risc, ja que apareixen en la fase preclínica. Se’n desconeix en bona part la implicació en la malaltia però se sospita que tenen activitat diabetogènica, ja que estudis en ratolins NOD han demostrat que la transferència d’autoanticossos a través de la placenta afavoreix el desenvolupament de la DT1 (Greeley et al., 2002).
Autoantígens en NOD. Un punt clau és la recerca dels autoantígens contra els quals es dirigeix aquest atac. Se sap que durant el procés subclínic es produeix una expansió en la diversitat de limfòcits T i B autoreactius (Lieberman i DiLorenzo, 2003), ja que amb la destrucció de les cèl·lules β s’alliberen nous autoantígens (antigenic spreading). S’han aïllat clons de limfòcits T autoreactius procedents d’insulitis incipients, i se n’ha estudiat l’especificitat i el comportament quan el seu TCR és àmpliament expressat de manera transgènica. Aquests estudis assenyalen la insulina i la IGRP com a autoantígens inicials
en la DT1 (Santamaria, 2010). A més, el comportament d’aquests limfòcits T autoreactius depèn en bona mesura de l’afinitat del TCR, i són més dependents de coestímuls aquells limfòcits en els quals el seu TCR té menys afinitat per l’autoantigen.
Models derivats del NOD. S’han generat models de ratolí NOD transgènics i genoanul·lats, i també d’estudis basats en el bloqueig selectiu d’alguna molècula mitjançant l’administració d’anticossos monoclonals, per analitzar en profunditat el paper de diverses molècules implicades en la coestimulació dels limfòcits T en la DT1 (Wong et al., 1998; Salomon et al., 2001; Stumpf et al., 2013; Meagher et al., 2008). La interpretació dels resultats obtinguts en aquests models no sempre és senzilla, ja que de vegades les mateixes vies d’activació dels limfòcits T efectors són també compartides per poblacions de limfòcits T reguladors. De la mateixa manera, aquestes tècniques s’han utilitzat també en l’estudi de citocines i quimiocines implicades en l’activació o supressió de la resposta autoimmunitària (Rabinovitch, 1998). Però sovint la informació obtinguda en aquests estudis no és concloent, i de vegades contradictòria, com per exemple que l’efecte observat en un animal deficient per a un determinat element no és contrari al que s’observa quan se sobreexpressa aquest mateix element transgènicament, com caldria esperar. Aquest efecte és degut al fet que, sovint, els mecanismes de la resposta immunitària són redundants, i algunes citocines poden tenir efectes diferents si són expressades sistèmicament o localment.
Paper de la cèl·lula β. La funcionalitat de les cèl·lules β és decisiva en la patogènesi de la DT1 (Pirot et al., 2008; Faideau et al., 2005; Rosmalen et al., 2002; Saravia i Homo-Delarche, 2003). Així, s’han assenyalat com a causes del procés autoimmunitari la disfunció i l’increment en la mort de cèl·lules β en el moment que finalitza l’etapa d’alletament. També s’ha relacionat un increment de l’activitat funcional de les cèl·lules β amb un augment de la incidència de la malaltia. Així, en ratolins NOD, el tractament preventiu amb insulina, que redueix l’activitat funcional β, disminueix la incidència de DT1. Aquests resultats suggereixen que un increment de l’activitat de la cèl·lula β pot portar-la a un procés d’estrès, i induir: 1) increment de la presentació antigènica; 2) producció de nous autoantígens, i 3) increment de la mort de les cèl·lules β i alliberament de senyals de perill. S’ha descrit que les cèl·lules β són constitutivament més sensibles a les citocines proinflamatòries. Tot això fa suposar que en ratolins NOD les possibilitats de presentació d’autoantígens insulars de cèl·lules APC a limfòcits T amb especificitat per cèl·lules β és més gran que en altres soques.
La rata BB
La rata BB (biobreeding diabetes-prone rat) es va originar el 1983 mitjançant la selecció de rates amb hiperglucèmia en una colònia de rates Wistar (Nakhooda et al., 1977; Mordes et al., 1987). A diferència del model NOD, la incidència de DT1 és semblant en mascles i femelles (igual que succeeix en els humans) i pot arribar a ser del 90 % si els animals són estabulats en condicions lliures de patògens. La DT1 es presenta a les 10-16 setmanes de vida, però la fase preclínica d’insulitis és de tan sols dues setmanes.
També en aquest model s’ha analitzat la susceptibilitat genètica a la DT1. Fins ara s’han descrit cinc locus de susceptibilitat (iddm) (Trucco, 2009; Wallis et al., 2009). Una vegada més, s’ha observat que la regió gènica on es troben els gens del MHC està estretament lligada amb la susceptibilitat a la malaltia (iddm1). No obstant això, una peculiaritat de la rata BB és el locus iddm2, on es troba el gen lyp, que és indispensable per al desenvolupament de la diabetis en aquest model. La soca BB és homozigota per a la mutació lyp, que origina una acusada limfopènia caracteritzada per una important reducció del nombre de limfòcits T CD4+ i per l’absència pràcticament total de limfòcits T CD8+ en sang perifèrica. No obstant això, la destrucció de les cè-
l·lules β en aquest model també la porten també a terme els limfòcits T CD4+ i CD8+. S’ha descrit que la mutació lyp provoca un important increment en la taxa d’apoptosi dels limfòcits T madurs tant abans de sortir del timus com després, una vegada són activats. Sembla que els pocs limfòcits T de memòria que queden circulant són rescatats de l’apoptosi si són estimulats via antigen; en conseqüència, el contacte amb autoantígens produiria una hiperexpansió clonal dels limfòcits T autoreactius. Paral·lelament, altres defectes a escala de timus, cèl·lules dendrítiques, cèl·lules T reguladores i cèl·lules NK contribueixen també als defectes de tolerància central i perifèrica en aquest model.
Altres models de DT1
L’any 1991 es va descriure el model de rata LETL (Long Evans Tokishima Lean) com a model animal de DT1 (Kawano et al., 1991). Aquest cas, com en els altres precedents, va ser el resultat de la selecció d’una línia d’animals diabètics. Aquests animals també desenvolupen espontàniament DT1, sense biaix de gènere, i sense limfopènia. També presenten un component genètic poligènic, amb una forta contribució de l’haplotip de MHC, que és el mateix que el de la rata BB.
També es va descriure el model de rata LEW.1AR1/Ztm-iddm (Lenzen et al., 2001). Encara que només un 20 % dels animals d’aquesta soca desenvolupen DT1, és remarcable que la resta d’animals ni tan sols desenvolupen insulitis. La infiltració d’aquests animals està predominantment formada per cèllules T CD8+. Aquests dos aspectes són interessants, ja que també s’observen en pacients de DT1. De fet, en humans no s’ha observat la insulitis «benigna» que s’ha descrit en les soques murines resistents (per exemple, la soca de ratolí NOR) o en la fracció d’individus resistents que trobem en la soca de ratolí NOD (per exemple, mascles) que desenvolupen una insulitis no destructiva.
Cal remarcar que també s’estudia la DT1 en animals domèstics, com gossos i gats; en aquest cas, però, no únicament com a models experimentals, sinó com a malaltia en el camp de la veterinària (Mattheeuws et al., 1984; Rand et al., 2004).
Estudis experimentals en prevenció i tractament Nombroses estratègies s’han aplicat com a immunoteràpies experimentals en DT1, entre d’altres l’administració de citocines, la immunització amb autoantígens, el tractament amb anticossos monoclonals i l’expansió de poblacions limfocitàries de tipus regulador. Molts d’aquests tractaments han aconseguit, en el model NOD, prevenir la malaltia, retardar-ne l’aparició, i fins i tot en alguns cassos han revertit la DT1 (Shoda et al., 2005). En humans, els assajos clínics derivats d’aquestes teràpies experimentals no han estat tan positius i de moment no s’ha aconseguit revertir la malaltia, tot i que alguns assajos aconsegueixen incrementar la producció d’insulina endògena, símptoma de recuperació de les cèl·lules β i de disminució de l’autoimmunitat (Herold et al., 2013). Destaquem a continuació tres immunoteràpies experimentals en el ratolí NOD.
Una és la teràpia amb anticossos monoclonals anti-CD3. L’administració d’anticossos anti-CD3 a ratolins NOD diabètics indueix una remissió completa de la malaltia i la restauració de la tolerància (Chatenoud et al., 1994). A principis de l’any 2000 es van iniciar dos assajos clínics amb anticossos contra CD3 humà. Es va demostrar la preservació de la massa β, i es mantenien nivells de secreció d’insulina endògena significativament elevats i menys requisits d’insulina endògena fins a divuit mesos després del tractament. Tot i l’aparició d’efectes secundaris, hi ha un efecte positiu remarcable (Keymeulen et al., 2010).
Una altra estratègia és la basada en l’administració de cèl·lules dendrítiques (CD). Les CD són les primeres cèl·lules que infiltren l’illot en el NOD (Morel et al., 1999) i activen els limfòcits T autoreactius a través de la presen-
tació d’autoantígens. La immunoteràpia amb les anomenades CD tolerogèniques, que fan una presentació no inductora de la resposta autoimmunitària, disminueix la incidència de la DT1 (Feili-Hariri et al., 1999). Altres protocols de vacunació experimental es basen en l’ús de cèl·lules dendrítiques amb deficiències moleculars per al procés de presentació antigènica, com CD40 (Machen et al., 2004) o bé polsades amb cèl·lules β apoptòtiques (Marin-Gallen et al., 2010; Pujol-Autonell et al., 2013). Aquestes estratègies redueixen la incidència si s’apliquen en la fase prediabètica. En els darrers anys s’han perfeccionat els protocols per obtenir CD humanes amb vista a una futura translacionalitat (Giannoukakis i Trucco, 2012).
Finalment, cal destacar l’anomenada nanovacuna, una estratègia basada en els mecanismes reguladors per evitar la destrucció de les cèl·lules β (Tsai et al., 2010). La vacuna consisteix en nanopartícules de ferro cobertes de molècules de MHC de classe I que presenten pèptids autoantigènics específics per a la DT1. La vacuna funciona a escala preventiva però també curativa en ratolins NOD diabètics.
Evidentment, la translació de la investigació en DT1 experimental a humans ha de tenir en compte les limitacions del model murí i les seves diferències a escala de sistema immunitari (Mestas i Hughes, 2004).
Present i futur de la immunoteràpia en diabetis de tipus 1
Nombroses immunointervencions han estat aplicades en assajos clínics per prevenir o revertir la DT1 (Peakman, 2010). Les estratègies han estat basades en molècules blocadores de la resposta immunitària (anticossos, majoritàriament) o bé específiques d’antigen (administració d’autoantígens), o basades en teràpies cel·lulars, o combinacions de dues o més estratègies.
Bibliografia
Atkinson, M. A.; Maclaren, N. K. (1994). «The pathogenesis of insulin dependent diabetes». N. Engl. J. Med., 331: 1428-1436.
Atkinson, M.; Leiter, E. H. (1999). «The NOD mouse model of insulin dependent diabetes: As good as it gets?». Nat. Med., 5: 601-604.
Banting, F. G. [et al.] (1922). «Pancreatic extracts in the treatment of diabetes mellitus: preliminary report». CMAJ, 12: 141-146.
Barker, J. M. (2006). «Type 1 diabetes associated autoimmunity: natural history, genetic associations, and screening». J. Clin. Endocrinol. Metab., 91: 1210-1217.
Bendelac, A. [et al.] (1987). «Syngeneic transfer of autoimmune diabetes from diabetic NOD mice to healthy neonates. Requirement for both L3T4+ and Lyt-2+ T cells». J. Exp. Med., 166: 823-832.
Bonifacio, E. [et al.] (2001). «International Workshop on Lessons From Animal Models for Human Type 1 Diabetes: identification of insulin but not glutamic acid decarboxylase or IA-2 as specific autoantigens of humoral autoimmunity in nonobese diabetic mice». Diabetes, 50: 2451-2458.
Bottazzo, G. F. [et al.] (1985). «In situ characterization of autoimmune phenomena and expression of HLA molecules in the pancreas in diabetic insulitis». N. Engl. J. Med., 313: 353-360.
Bradley, B. [et al.] (1992). «CD8 T cells are not required for islet destruction induced by a CD4+ islet-specific T-cell clone». Diabetes, 41: 1603-1608.
Chatenoud, L. [et al.] (1994). «Anti-CD3 antibody induces long-term remission of overt autoimmunity in nonobese diabetic mice». Proc. Natl. Acad. Sci. USA, 91: 123-127.
Christen, U. [et al.] (2012). «Infection as a cause of type 1 diabetes?». Curr. Opin. Rheumatol., 24: 417-423.
Christianson, S. [et al.] (1993). «Adoptive transfer of diabetes into immunodeficient NOD-scid/scid mice. Relative contributions of CD4+ and CD8+ T-cells from diabetic versus prediabetic NOD.NON-Thy-1a donors». Diabetes, 42: 44-55.
Coppieters, K. T. [et al.] (2012). «Demonstration of islet-autoreactive CD8 T cells in insulitic lesions from recent onset and long-term type 1 diabetes patients». J. Exp. Med., 209: 51-60.
Dotta, F. [et al.] (2007). «Coxsackie B4 virus infection of β cells and natural killer cell insulitis in recent-onset type 1 diabetic patients». Proc. Natl. Acad. Sci. USA, 104: 51155120.
Faideau, B. [et al.] (2005). «Role of β-cells in type 1 diabetes pathogenesis». Diabetes, 54 (supl. 2): S87-S96.
Feili-Hariri, M. [et al.] (1999). «Immunotherapy of NOD mice with bone marrow-derived dendritic cells». Diabetes, 48: 2300-2308.
Feutren, G.; Mihatsch, M. J. (1992). «Risk factors for cyclosporine-induced nephropathy in patients with autoimmune diseases. International kidney biopsy registry of cyclosporine in autoimmune diseases». N. Engl. J. Med., 326: 1693-1695.
Per tal de dissenyar una immunoteràpia translacional caldria disposar de la mateixa informació en pàncrees d’individus prediabètics, en diferents moments crítics de la història natural de la malaltia: 1) inici de la pèrdua de tolerància immunitària a la cèl·lula β; 2) aparició dels autoanticossos com a biomarcadors de destrucció; 3) davallada de la massa β, i 4) diagnòstic clínic. En cas de poder fer-se un seguiment d’aquest tipus, se sabrien els factors determinants a cada moment i també si hi ha individus que superen l’autoimmunitat i la reverteixen mitjançant un restabliment natural de la tolerància perifèrica, per evitar la malaltia.
Les immunoteràpies aplicades en assajos clínics havien estat testejades en models experimentals amb èxit en la prevenció o el tractament de la DT1. Malauradament, en humans els resultats no han estat tan positius i cap de les immunoteràpies no ha estat capaç de revertir o prevenir la malaltia (Herold et al., 2013). La notícia positiva és que moltes aconsegueixen augmentar la producció endògena d’insulina, la qual cosa és un símptoma de recuperació de massa β i probablement d’aturada o disminució de l’autoimmunitat. Malgrat que en aquests casos no s’assoleix la insulinoindependència, el resultat demostra la capacitat del tractament per restaurar la tolerància.
Els objectius per als propers anys amb vista a millorar les immunoteràpies han d’anar envers l’administració d’immunoteràpies específiques d’antigen, que no comprometin el funcionament de la resposta immunitària fisiològica i que tinguin en compte la ruta òptima d’administració. Conjuntament, s’ha de treballar per identificar biomarcadors millors de progressió del procés autoimmunitari contra els illots, sense oblidar les estratègies de millora en la regeneració i neogènesi de les cèl·lules β.
Forlenza, G. P.; Rewers, M. (2011). «The epidemic of type 1 diabetes: what is it telling us?». Curr. Opin. Endocrinol. Diabetes Obes., 18: 248-251.
Foulis, A. K. (1996). «The pathology of the endocrine pancreas in type 1 (insulin-dependent) diabetes mellitus». APMIS, 104: 161-167.
Foulis, A. K.; Farquharson, M. A. (1986). «Aberrant expression of HLA-DR antignes by insulin-containing β-cells in recent-onset type 1 diabetes mellitus». Diabetes, 35: 12151224.
Giannoukakis, N.; Trucco, M. (2012). «Dendritic cell therapy for Type 1 diabetes suppression». Immunotherapy, 4: 1063-1074.
Greeley, S. A. [et al.] (2002). «Elimination of maternally transmitted autoantibodies prevents diabetes in nonobese diabetic mice». Nat. Med., 8: 399-402.
Hänninen, A. [et al.] (1992). «Macrophages, T cell receptor usage, and endothelial cell activation in the pancreas at the onset of insulin-dependent diabetes mellitus». J. Clin. Invest., 90: 1901-1910.
Haskins, K.; McDuffie, M. (1990). «Acceleration of diabetes in young NOD mice with a CD4+ islet-specific T cell clone». Science, 249: 1433-1436.
Herold, K. C. [et al.] (2013). «Type 1 diabetes: translating mechanistic observations into effective clinical outcomes». Nat. Rev. Immunol., 13: 243-256.
Herrath, M. G. von [et al.] (2007). «Type 1 diabetes as a relapsing-remitting disease?». Nat. Rev. Immunol., 7: 988-994.
Junod, A. [et al.] (1969). «Diabetogenic action of streptozotocin: relationship of dose to metabolic response». J. Clin. Invest. 48: 2129-2139.
Kawano, K. [et al.] (1991). «New inbred strain of Long-Evans Tokushima lean rats with IDDM without lymphopenia». Diabetes, 40: 1375-1381.
Keymeulen, B. [et al.] (2010). «Four-year metabolic outcome of a randomised controlled CD3-antibody trial in recent-onset type 1 diabetic patients depends on their age and baseline residual β cell mass». Diabetologia, 53: 614-623.
Lampeter, E. F. [et al.] (1993). «Transfer of insulin-dependent diabetes between HLA-identical siblings by bone marrow transplantation». Lancet, 341: 1243-1244.
Lenzen, S. [et al.] (2001). «The LEW.1AR1/Ztm-iddm rat: a new model of spontaneous insulin-dependent diabetes mellitus». Diabetologia, 44: 1189-1196.
Lieberman, S. M.; DiLorenzo, T. P. (2003). «A comprehensive guide to antibody and T-cell responses in type 1 diabetes». Tissue Antigens, 62: 359-377.
Machen, J. [et al.] (2004). «Antisense oligonucleotides down-regulating costimulation confer diabetes-preventive properties to nonobese diabetic mouse dendritic cells». J. Immunol., 173: 4331-4341.
Makino, S. [et al.] (1980). «Breeding of a non-obese diabetic strain of mice». Exp Anim., 29: 1-13.
Marin-Gallen, S. [et al.] (2010). «Dendritic cells pulsed with antigen-specific apoptotic bodies prevent experimental type 1 diabetes». Clin. Exp. Immunol., 160: 207-214.
Mattheeuws, D. [et al.] (1984). «Diabetes mellitus in dogs: relationship of obesity to glucose tolerance and insulin response». Am. J. Vet. Res., 45: 98-103.
Meagher, C. [et al.] (2008). «Spontaneous development of a pancreatic exocrine disease in CD28-deficient NOD mice». J. Immunol., 180: 7793-7803.
Meier, J. J. [et al.] (2005). «Sustained β cell apoptosis in patients with long-standing type 1 diabetes: indirect evidence for islet regeneration?». Diabetologia, 48: 2221-2228.
Mestas, J.; Hughes, C. C. (2004). «Of mice and not men: differences between mouse and human immunology». J. Immunol. 172: 2731-2789.
Miller, B. J. [et al.] (1988). «Both the Lyt-2+ and L3T4+ T cell subsets are required for the transfer of diabetes in nonobese diabetic mice». J. Immunol., 140: 52-58.
Mordes, J. P. [et al.] (1987). «The BB rat». Diabetes Metab. Rev., 3: 725-750.
Morel, P. A. [et al.] (1999). «Immunobiology of DC in NOD mice». J. Leukoc. Biol., 66: 276-280.
Nakhooda, A. F. [et al.] (1977). «The spontaneously diabetic wistar rat. Metabolic and morphological studies». Diabetes, 26: 100-112.
Peakman, M. (2010). «Can we vaccinate against Tpe 1 diabetes?». F1000Reports Biology, 4: 19.
Penaranda, C. [et al.] (2010). «Prevention of diabetes by FTY720-mediated stabilization of peri-islet tertiary lymphoid organs». Diabetes, 59: 1461-1468.
Pietropaolo, M.; Eisenbarth, G. S. (2001). «Autoantibodies in human diabetes». A: Herrath, M. von (ed.). Current directions in autoimmunity (1a ed.). Basilea: Karger, vol. 4, p. 252-282.
Pirot, P. [et al.] (2008). «Mediators and mechanisms of pancreatic β-cell death in type 1 diabetes». Arq. Bras. Endocrinol. Metabol., 52: 156-165.
Planas, R. [et al.] (2010a). «Gene expression profiles for the human pancreas and purified islets in type 1 diabetes: new findings at clinical onset and in long-standing diabetes». Clin. Exp. Immunol., 159: 23-44. (2010b). «Global gene expression changes in type 1 diabetes: insights into autoimmune response in the target organ and in the periphery». Immunol. Lett., 133: 55-61.
Pozzilli, P. [et al.] (1993). «NOD mouse colonies around the world-recent facts and figures». Immunol. Today, 14: 193-196.
Pujol-Autonell, I. [et al.] ( 2013) «Efferocytosis promotes suppresive effects in dendritic cells through prostaglandin E2 production in the context of autoimmunity». PLOS ONE, 8: e63296.
Rabinovitch, A. (1998). «An update on cytokines in the pathogenesis of insulin-dependent diabetes mellitus». Diabetes Metab. Rev., 14: 129-151.
Rand, J. S. [et al.] (2004). «Canine and feline diabetes mellitus: nature or nurture?». J. Nutr., 134 (8, supl.): 2072S-2080S.
Rich, S. S. [et al.] (2006). «The Type 1 Diabetes Genetics Consortium». Ann. NY Acad. Sci., 1079: 1-8.
Richardson, S. J. [et al.] (2011). «Immunopathology of the human pancreas in type-I diabetes». Semin. Immunopathol., 33: 9-21
Rosmalen, J. G. [et al.] (2002). «Islet abnormalities in the pathogenesis of autoimmune diabetes». Trends Endocrinol. Metab., 13: 209-214.
Salomon, B. [et al.] (2001). «Development of spontaneous autoimmune peripheral polyneuropathy in B7-2-deficient NOD mice». J. Exp. Med. 194: 677-684.
Santamaria, P. (2010). «The long and winding road to understanding and conquering type 1 diabetes». Immunity, 32: 437-445.
Saravia, F.; Homo-Delarche, F. (2003). «Is innervation an early target in autoimmune diabetes?». Trends Immunol., 24: 574-579.
Saravia-Fernandez, F. [et al.] (1996). «Localization of gamma-aminobutyric acid and glutamic acid decarboxylase in the pancreas of the nonobese diabetic mouse». Endocrinology, 137: 3497-3506.
Serreze, D. V. [et al.] (1996). «B lymphocytes are essential for the initiation of T cell-mediated autoimmune diabetes: analysis of a new “speed congenic” stock of NOD.Ig mu null mice». J. Exp. Med., 184: 2049-2053.
Shoda, L. K. [et al.] (2005). «A comprehensive review of interventions in the NOD mouse and implications for translation». Immunity, 23: 115-126.
Somoza, N. [et al.] (1994). «Pancreas in recent onset IDDM: changes in HLA, adhesion molecules and autoantigens, restricted T cell receptor Vb usage and cytokine profile». J. Immunol., 153: 1360-1377.
Spencer, J.; Peakman, M. (2009). «Post-mortem analysis of islet pathology in type 1 diabetes illuminates the life and death of the β cell». Clin. Exp. Immunol., 155: 125-127.
Stene, L. C.; Rewers, M. (2012). «Immunology in the clinic review series; focus on type 1 diabetes and viruses: the enterovirus link to type 1 diabetes: critical review of human studies». Clin. Exp. Immunol., 168: 12-23.
Stumpf, M. [et al.] (2013). «The B7-independent isoform of CTLA-4 functions to regulate autoimmune diabetes». J. Immunol., 190: 961-969.
Todd, J. A.; Wicker, L. S. (2001). «Genetic protection from the inflammatory disease type 1 diabetes in humans and animal models». Immunity, 15: 387-395.
Trucco, M. (2009). «Gene-environment interaction in type 1 diabetes mellitus». Endocrinol. Nutr., 56 (supl. 4): 56-59.
Tsai, S. [et al.] (2010). «Reversal of autoimmunity by boosting memory-like autoregulatory T cells». Immunity, 32: 568-580.
Tsirogianni, A. [et al.] (2009). «Specificity of islet cell autoantibodies and coexistence with other organ specific autoantibodies in type 1 diabetes mellitus». Autoimm. Rev., 8: 687691.
Tsui, H. [et al.] (2007). «Sensing autoimmunity in type 1 diabetes». Trends. Mol. Med., 13: 405-413.
Wallis, R. H. [et al.] (2009). «Type 1 diabetes in the BB rat: a polygenic disease». Diabetes, 58: 1007-1017.
Wenzlau, J. M. [et al.] (2007). «The cation efflux transporter ZnT8 (Slc30A8) is a major autoantigen in human type 1 diabetes». Proc. Natl. Acad. Sci. USA, 104: 17040-17045.
Wicker, L. S. (2005). «Type 1 diabetes genes and pathways shared by humans and NOD mice». J. Autoimmun., 25 (supl.): 29-33.
Winer, S. [et al.] (2003). «Autoimmune islet destruction in spontaneous type 1 diabetes is not β-cell exclusive». Nat. Med., 9: 198-205.
Wong, F. S. [et al.] (1998). «The role of lymphocyte subsets in accelerated diabetes in nonobese diabetic-rat insulin promoter-B7-1 (NOD-RIP-B7-1) mice». J. Exp Med., 187: 1985-1993.
Yagi, H. [et al.] (1992). «Analysis of the roles of CD4+ and CD8+ T cells in autoimmune diabetes of NOD mice using transfer to NOD athymic nude mice». Eur. J. Immunol., 22: 2387-2393.
Jaume
Martorell
i Eduard Palou
Servei d’Immunologia, Hospital Clínic
Adreça per a la correspondència: Jaume Martorell i Eduard Palou. Servei d’Immunologia, Hospital Clínic. C. de Villarroel, 170. 08036 Barcelona. Adreça electrònica: jmarto@clinic.ub.es, epalou@clinic.ub.es.
Resum
En el trasplantament d’òrgans el rebuig immunitari segueix sent el principal obstacle a superar. L’al·loreconeixement que inicia aquesta resposta immunitària està determinat majoritàriament pel reconeixement com a estranyes de les molècules HLA o MHC (complex d’histocompatibilitat principal), en ser aquestes extremadament polimòrfiques. L’al·loresposta immunitària comporta l’activació inicial dels limfòcits T i la inducció posterior d’un ventall de mecanismes efectors. Aquests mecanismes que porten al rebuig poden tenir tant una base cel·lular com humoral, i el tractament amb immunosupressors és més efectiu en el cas del rebuig cel·lular. Tanmateix, el tractament crònic amb fàrmacs immunosupressors comporta uns efectes adversos importants i, per això, s’està estudiant la possibilitat d’induir tolerància específica d’antigen, que sembla un objectiu factible en un futur. Actualment, els estudis immunitaris que es fan al laboratori avaluen el grau de compatibilitat entre donant i receptor, mitjançant la tipificació HLA de tots dos, i analitzen l’al·loresposta específica, bàsicament mitjançant la detecció d’anticossos anti-HLA específics del donant.
Paraules clau: trasplantament, HLA, al·loreconeixement, rebuig.
Immunobiologia del trasplantament
Origen de l’al·loresposta: polimorfismes HLA i no-HLA
El sistema immunitari té la funció de defensar l’organisme enfront de l’agressió de virus, bacteris i paràsits. Per fer aquesta funció els limfòcits T necessiten reconèixer com a estranys els pèptids antigènics derivats dels microorganismes i desenvolupar una resposta específica. Aquesta identificació requereix que les cèl·lules expressin algun pèptid microbià a la membrana cel·lular. Les proteïnes que transporten aquests pèptids i els presenten a la membrana cel·lular són denominades molècules MHC (major histocompatibility complex, complex d’histocompatibilitat principal), pel seu paper crucial en el desenvolupament del rebuig de l’al·loempelt. En l’espècie humana les molècules MHC són anomenades molècules HLA (human leukocyte antigen, antigen leucocitari humà d’histocompatibilitat).
Aquestes molècules són altament polimòrfiques, és a dir, hi ha moltes variants diferents presents en els individus d’una espècie. Aquest polimorfisme confereix a l’espècie, molt possiblement, avantatges defensius enfront de les infeccions, en poder presentar de manera eficient més diversitat de pèptids antigènics. Ara bé, quan es planteja un trasplantament d’òrgans entre individus d’una mateixa espècie (al·lotrasplantament) aquest polimorfisme constitueix un problema, ja que les molècules HLA al·logèniques són reconegudes com a estranyes i les cèl·lules que les posseeixen són atacades de manera similar a com ho serien unes cèl·lules infectades. L’antigenicitat del
DOI: 10.2436/20.1501.02.149
ISSN (ed. impresa): 0212-3037
ISSN (electrònic): 2013-9802
http://revistes.iec.cat/index.php/TSCB
Rebut: 02/02/2014 Acceptat: 15/03/2014
Summary
In organ transplantation, immune rejection is still the biggest obstacle to overcome. The allorecognition that initiates the immune response is determined to a high degree by the recognition as foreign of HLA or MHC (major histocompatibility complex) molecules, the latter being highly polymorphic. The immune alloresponse entails initial T-cell activation and subsequent induction of a variety of effector mechanisms. These mechanisms, which lead to rejection, may have either a cellular or a humoral basis, where immunosuppressive treatment is more effective in the case of cellular rejection. However, chronic treatment with immunosuppressive drugs entails major adverse effects and, therefore, the possibility of inducing antigen-specific tolerance is under study and appears to be a feasible goal in the future. Currently, the immunological studies which are being carried out in the laboratory evaluate the degree of compatibility between donor and recipient through HLA typing of both, and analyse the specific alloresponse, in essence by detecting the presence of donor-specific antiHLA antibodies.
Key words: transplantation, HLA, allorecognition, rejection.
sistema principal d’histocompatibilitat (MHC) o, en humans, sistema HLA, està condicionada per diverses raons: 1) són molècules altament polimòrfiques; 2) s’expressen en membrana i, per tant, són accessibles als anticossos i als receptors limfocitaris en les cèl·lules vives, i 3) la seva funció fisiològica d’encaixar amb els receptors de limfòcits T (TCR) comporta que les diferències en les molècules HLA siguin fàcilment identificables pels TCR. Els gens i antígens HLA estan classificats en dos grups principals, segons la seva homologia estructural en el DNA i la proteïna. Les molècules de HLA de classe I es caracteritzen fonamentalment per tenir una sola cadena polipeptídica i estar codificades per tres locus (A, B, C). Aquestes s’expressen en la membrana de totes les cèl·lules i la seva funció fisiològica és presentar antígens (o pèptids) intracel·lulars (per exemple, virus) als limfòcits T CD8+ citotòxics. Les molècules de HLA de classe II codifiquen proteïnes heterodímeres i, a diferència de les molècules de HLA-I, estan ancorades a la superfície cel·lular per dues cadenes (α i β). Els gens que codifiquen les molècules HLA-II es troben en tres locus fonamentalment (locus DR, DP, DQ) i s’expressen en monòcits, endoteli, cèl·lules B i cèl·lules dendrítiques. La seva funció fisiològica és presentar antígens extracel·lulars (per exemple, bacteris) en els limfòcits T CD4+ col·laboradors. Els limfòcits T també poden expressar a la seva membrana molècules HLA-II després de ser activats. D’altra banda, en el DNA humà hi ha nombrosos polimorfismes d’un sol nucleòtid (SNP). La majoria es troben en zones que no codifiquen pro-
teïnes, però els pocs que sí que ho fan presenten en general el canvi d’un sol aminoàcid, que dóna lloc habitualment a dues formes d’una proteïna dins de l’espècie. Aquestes proteïnes polimòrfiques, que poden tenir o no capacitat al·loimmunogènica (HA-1, CD31, CD49b, entre d’altres), són els anomenats antígens d’histocompatibilitat menor. Alguns, com la GSTT1, són diana de la resposta al·logènica en el trasplantament d’òrgans.
Al·loreconeixement antigènic
Els limfòcits T són les cèl·lules que iniciaran i portaran a terme l’al·loresposta immunitària. L’al·loreconeixement antigènic de molècules HLA serà fet pel limfòcit T principalment mitjançant dues vies diferents de presentació (Ali et al., 2013): per via directa, els limfòcits T reconeixeran el complex HLA-pèptid exogen intacte directament en la superfície de les cèl·lules presentadores d’antigen (APC) del donant (vegeu la figura 1a). En canvi, per via indirecta, els limfòcits T reconeixeran al·lopèptids del donant mitjançant molècules pròpies HLA (fonamentalment HLA-II) una vegada processats i presentats per les APC del receptor (vegeu la figura 1b). En el cas dels antígens menors d’histocompatibilitat, els al·lopèptids derivats d’aquestes molècules només podran ser reconeguts per la via indirecta, en ser presentats per les APC del receptor mitjançant molècules HLA pròpies (Auchincloss i Sultan, 1996).
El tipus d’al·loreconeixement antigènic tindrà una implicació important en el tipus d’al·loresposta immunitària que es produirà seguidament. Característicament, l’al·loreconeixement antigènic per via directa és el responsable de desencadenar una al·loresposta (tant proliferativa com secretora de citocines efectores) de més vigor que la produïda per l’al·loreconeixement per via indirecta. Com que el reconeixement per via directa requereix la presència d’APC del donant, clàssicament s’ha postulat que aquesta via és la que predominaria durant el període inicial del trasplantament i seria també la responsable principal durant els episodis de rebuig agut de l’empelt. D’altra banda, com que la via indirecta depèn de les APC del receptor, aquesta estaria present durant tot el període posttrasplantament, i tindria especial rellevància a llarg termini, i és la responsable del rebuig crònic de l’empelt (Gökmen). No obstant això, treballs recents apunten que l’al·loreconeixement antigènic directe podria estar present també a llarg termini, i les cèl·lules endotelials de l’empelt, i fins i tot les APC pròpies del receptor, serien les que tindrien capacitat de presentar l’al·loantigen crònicament per via directa. Aquesta tercera via s’ha denominat via semidirecta d’al·loreconeixement antigènic (vegeu la figura 1c).
Activació limfocitària i mecanismes efectors
Per tal que es produeixi l’activació completa del limfòcit T i aquest iniciï l’alloresposta immunitària efectora, el limfòcit T ha de rebre una cascada de senyals i interaccions específiques amb les APC (Wood i Goto, 2012). El primer senyal és el produït mitjançant la interacció entre les molècules de HLA de les APC i el receptor de la cèl·lula T (TCR-CD3). Aquesta interacció induirà la diferenciació funcional de dos tipus de subpoblacions limfocitàries CD4+, segons el predomini de secreció de determinades interleucines: el subtipus Th1, que característicament secretaran IL-2 i IFN-γ, sota la influència directa d’IL-12 i, en menys mesura, el subtipus Th2, que secretaran IL-4 i IL10. El predomini d’una resposta Th1 portarà envers un mecanisme efector cel·lular i, en canvi, un predomini d’al·loresposta Th2 activaria un mecanisme efector humoral, encara que inicialment semblava que aquest tipus de resposta podia derivar potencialment en un estat d’hiporesposta cel·lular. Així, els limfòcits B activats per l’antigen i ajudats per la col·laboració dels T CD4+ activats, especialment per les interleucines que secreten els Th2 (IL-4), donen lloc a la producció d’anticossos a través de cèl·lules plasmàtiques productores d’immunoglobulines i produïdes principalment al moll d’os i àrees específiques en

Figura 1. Al·loreconeixement antigènic. a) Presentació directa. b) Presentació indirecta. c) Presentació semidirecta. En negre es representen els elements provinents del donant, mentre que en gris són els propis del receptor del trasplantament.
òrgans limfoides secundaris. Recentment, ha estat descrita una altra subpoblació limfocitària T CD4+ (Th17), que apareixeria en el context d’un ambient ric en IL-23, TGF-β i IL-6. Aquesta subpoblació limfocitària, productora de citocines proinflamatòries (IL-17, IL-22 i TNF-α) és responsable de produir diversos trastorns autoimmunitaris i podria tenir un paper important en el desenvolupament d’alguns episodis de rebuig agut en induir la granulopoesi i la seva migració cap a teixits inflamats especialment en situacions en què la resposta Th1-IFN-γ es trobaria inhibida. A més, aquesta via tindria un efecte contrari a la generació de cèl·lules T reguladores (Tregs) a causa de la presència d’IL-6.
En contraposició a aquestes al·lorespostes efectores, hi ha altres respostes immunitàries portades a terme per altres subtipus limfocitaris, la funció fonamental dels quals és la de contrarestar o suprimir aquestes respostes efectores. Entre les subpoblacions més reconegudes actualment es troben les Tregs, tant les provinents del timus (naturals) com les induïdes en la perifèria des de limfòcits Th0. Aquestes cèl·lules semblen crucials per induir i mantenir un estat d’hiporesposta específica de donant en determinades situacions biològiques (molt ben descrites en models animals amb rosegadors i primats no humans) i altres vegades apareixen simplement en contraposició a una resposta efectora/inflamatòria agressiva, sense tenir un paper protolerogen específic. Recentment, també s’ha descrit que els limfòcits B, sota un entorn citocínic molt específic (IL-10) i l’expressió de molècules coestimuladores com TIM-1, podrien exercir una funció supressora i, per tant, protolerògena
El fenomen de reconeixement antigènic i l’activació limfocitària envers una via o l’altra es porta a terme fonamentalment en òrgans limfoides secundaris, dins d’àrees especialitzades, encara que sembla que també podrien produir-se directament dins de l’al·loempelt.
L’activació específica d’antigen del receptor T (TCR-CD3) (primer senyal d’activació) no és suficient per induir l’activació, diferenciació i expansió del clon corresponent. Cal un segon senyal, que serà proporcionat per diverses interaccions moleculars específiques, fetes mitjançant les anomenades molècules de coestimulació. Depenent del tipus predominant d’interacció entre aquests senyals es produiran senyals d’activació o bé d’inactivació limfocitària. Entre els senyals de coestimulació activadors més coneguts destaquen la unió de CD28, CD154 (CD40L) i ICOS del limfòcit T a les molècules del complex B7 (CD80 i CD86), CD40 i ICOS-L de l’APC, respectivament. Entre els senyals coestimuladors inhibitoris destaquen CTLA-4 i PD-1 en el limfòcit T amb els seus lligands en l’APC CD80/86 i PDL-1, respectivament. Aquest segon senyal només el poden proporcionar algunes cèl·lules, les anomenades APC professionals, encara que hi ha altres cèl·lules que també podrien coestimular el limfòcit T, com són cèl·lules endotelials i fins i tot tubulars de l’empelt renal. L’absència d’aquest segon senyal d’activació, o un predomini dels senyals coestimuladors d’inhibició, convertirà el limfòcit T en anèrgic, és a dir, incapaç de respondre a futurs estímuls, i n’induirà la mort per apoptosi. La inducció de receptors específics per a determinades citocines i d’altres hormones a escala local, un cop rebut el senyal a través del seu TCR, provocarà l’expansió dels clons de limfòcits T, tant citotòxics com col·laboradors, específics per a l’al·loantigen. La citocina més coneguda que exerceix aquest paper és la IL-2, juntament amb el seu receptor (IL-2R). Aquest és el denominat tercer senyal d’activació limfocitària.
Memòria immunitària, immunitat heteròloga Després d’una exposició inicial antigènica, els limfòcits Th0 proliferen extensament i es diferencien en limfòcits T efectors capaços d’infiltrar teixits inflamats i així eliminar els antígens que han envaït l’organisme. Posteriorment, la majoria d’aquests limfòcits T efectors patiran una mort cel·lular per apoptosi, i sobreviurà, en canvi, una subpoblació limfocitària T de memòria específica d’antigen més resistent a patir apoptosi. Aquesta resistència més gran a l’apoptosi podria ser deguda a la presència d’IL-7. En cas que aquest individu torni a entrar en contacte amb el mateix estímul antigènic (fins i tot en quantitats menors), la presència d’aquests limfòcits T de memòria específics de donant farà que la resposta immunitària sigui significativament més robusta i ràpida que la produïda després de la primera exposició. Aquesta subpoblació limfocitària de memòria té, a més, la característica de no ser tan dependent dels senyals coestimuladors (CD28 i CD154) i de ser relativament més resistent als immunosupressors convencionals (anticalcineurínics, inhibidors de m-TOR i micofenolat mofetil), dissenyats específicament per bloquejar l’activació i diferenciació dels limfòcits Th0. Per tant, la presència d’aquesta subpoblació limfocitària T de memòria específica de donant en els receptors d’un trasplantament tindrà unes conseqüències deletèries per a la supervivència de l’empelt. Clàssicament, els pacients amb més risc de presentar aquesta subpoblació limfocitària abans del trasplantament són aquells que han estat politransfosos, dones multípares o aquells que han estat trasplantats prèviament. Tanmateix, un nombre no menyspreable de pacients sense aquests antecedents desenvolupen episodis de rebuig agut cel·lular amb presència de cèl·lules T de memòria al·loreactives específiques de donant, malgrat no haver estat a priori en contacte previ amb antígens del donant. El repertori de l’alloreactivitat limfocitària T en humans no exposats prèviament a al·loantígens conté tant fenotips Th0 com de memòria. La presència d’aquestes cèl·lules de memòria suggereix que aquests limfòcits T al·loreactius han estat activats
prèviament amb certs antígens ambientals (virus o vacunes, entre d’altres) amb característiques estructurals semblants a les molècules HLA (D’Orsogna et al., 2012). Aquest fenomen es coneix com a reacció encreuada, important mecanisme dins de la immunitat heteròloga. Per tant, l’activació de limfòcits T al·loreactius a través de la immunitat heteròloga serà una important barrera que caldrà tenir en compte en el trasplantament d’òrgans (Adams et al., 2003). Així doncs, aquells pacients que tinguin en el seu repertori immunitari abans del trasplantament clons amb memòria antigènica específica enfront d’al·loantígens estaran més exposats a desenvolupar rebuig que aquells que no en tinguin.
Immunobiologia del rebuig
De la interacció de cèl·lules presentadores i limfòcits T en el gangli limfàtic resulten cèl·lules efectores capaces d’atacar l’òrgan empeltat per mecanismes tant cel·lulars com humorals. Els mecanismes cel·lulars efectors són relativament més sensibles als immunosupressors clàssics. En canvi, els mecanismes humorals apareixen només en alguns pacients i són poc sensibles a aquests immunosupressors.
Rebuig cel·lular o produït por limfòcits T
Els limfòcits, principalment CD8+, eluïts d’òrgans rebutjats, presenten activitat citotòxica per a antígens HLA de l’empelt. Aquests limfòcits reconeixen les cèl·lules del donant mitjançant el seu TCR i les eliminen per citotoxicitat cel·lular directa (CTL) mitjançant dos mecanismes diferents: 1) la perforina, que permeabilitza la membrana cel·lular permetent l’entrada del granzim B, i 2) la interacció de FAS (CD95) amb FAS-lligand (CD178). Ambdós mecanismes activen l’apoptosi (o mort cel·lular programada) de la cèl·lula diana. Altres cèl·lules, amb receptors per a l’Fc de les immunoglobulines, també poden participar en aquesta destrucció, mitjançant l’activitat ADCC (antibody dependent cellular cytotoxicity, citotoxicitat cel·lular dependent d’anticossos) i possiblement també per l’activitat citotòxica natural o NK. Durant el procés de rebuig també es troben monòcits i limfòcits T secretors d’IL-2 i IFN-γ. L’activació i expansió clonal dels limfòcits CD8+ té lloc als ganglis limfàtics gràcies a aquestes dues citocines (IL-2 i IFN-γ) secretades majoritàriament per les cèl·lules Th1. Per tal que els limfòcits quedin retinguts a l’empelt i migrin a través de l’endoteli és necessari que aquest expressi molècules d’adhesió. Quan els limfòcits s’activen disminueix l’expressió de L-selectina, la qual cosa els permet escapar dels territoris limfàtics i recircular pels vasos sanguinis. Durant el rebuig, IFN-γ, TNF i IL-1 indueixen en l’endoteli molècules que faciliten l’adhesió, retenció i migració transendotelial dels limfòcits. Concretament ICAM-1 (CD54), lligand de LFA-1(CD11a-CD18), V-CAM (CD106) lligand de VLA-4 (CD49d-CD29), E-selectina (CD62E), lligand de sialil-Lewis-X i CD31 (PECAM1).
Un element essencial per tal que els leucòcits migrin al parènquima renal són les quimiocines, petits pèptids que controlen la quimiotaxi, és a dir, l’atracció de neutròfils, macròfags, limfòcits T i cèl·lules NK a determinats territoris. Les quimiocines participen en diferents processos relacionats amb el trasplantament: 1) en l’acumulació de neutròfils durant la reperfusió i durant les primeres 48 h posttrasplantament; 2) en la resposta específica d’antigen, permetent i facilitant la infiltració de l’empelt dels limfòcits T, macròfags i cèl·lules NK a partir del cinquè dia (MIP-1a/ CCL3, RANTES/CCL5, MIG/ CXCL9, IP-10/CXCL10, fraktalkina/CX3CL1) i 3), facilitant la infiltració de l’empelt per macròfags (RANTES/CCL5, MCP-1/CCL2). Les quimiocines no només atrauen sinó que també activen els leucòcits. En la inhibició del rebuig s’han utilitzat amb èxit diversos blocadors de les quimiocines o dels seus receptors. Així, histològicament s’observarà infiltració tubulointersticial per limfòcits T efectors, i es pot trobar a escala de l’endoteli vascular segons el
grau de rebuig que es presenti. No hi haurà d ipòsits d’anticossos ni elements derivats de l’activació en l’empelt, com molècules derivades de l’activació de la cascada del complement (C3 i C4d).
Rebuig humoral o produït per anticossos
El rebuig hiperagut produït per anticossos és actualment poc freqüent gràcies al fet que disposem de moltes estratègies diagnòstiques per poder prevenir-lo. La presència en el receptor d’anticossos específics de donant pretrasplantament condiciona una resposta immunitària amb activació del complement, destrucció de l’endoteli i trombosi generalitzada de l’empelt en les primeres 24 h, o fins i tot minuts després del trasplantament. Aquest rebuig hiperagut és pronosticable en el laboratori mitjançant la realització d’una prova encreuada o cross-match entre els limfòcits del donant i el sèrum del receptor.
Cada vegada és més evident que el rebuig humoral provocat per anticossos sobrevinguts, és a dir, apareguts després del trasplantament, és més freqüent del que anteriorment es creia. Potser el fet que els immunosupressors siguin cada vegada més eficaços en el control del rebuig cel·lular, i que es facin servir cada vegada més tècniques de detecció d’anticossos més sensibles, fa que el rebuig per anticossos tingui avui més incidència relativa, encara que no sempre en quedi clar el paper quan apareixen després del trasplantament, especialment en presència d’un empelt estructuralment preservat i quan els anticossos no són específics de donant. Aquest rebuig es caracteritza per la presència d’anticossos específics de donant circulants (DSA) i per la presència de polimorfonuclears i dipòsits de C4d en els capil·lars peritubulars renals (Singh et al., 2009). Els depòsits de C4d simplement constitueixen un testimoni que s’hi ha produït una activació del complement a causa de la unió antigen-anticòs. El rebuig vehiculat per anticossos específics de donant posttrasplantament és relativament insensible al tractament amb corticoides.
Tolerància específica de donant
Malgrat que les teràpies immunosupressores han contribuït a reduir dràsticament la incidència de rebuig agut dels empelts, els resultats a més llarg termini no han assolit les expectatives desitjades. L’aparició pràcticament universal de fibrosi de l’empelt i la mort del pacient per malaltia cardiovascular i neoplàsies són els principals responsables dels resultats obtinguts actualment i, paradoxalment, en tots aquests resultats els efectes adversos del tractament immunosupressor han estat un dels principals predisposants. Així doncs, es considera que la millor manera de perllongar la supervivència de l’empelt seria aconseguir eliminar de manera segura la immunosupressió, en adaptar d’alguna manera el sistema immunitari del receptor per tal d’evitar una al·loresposta enfront dels al·loantígens del donant, és a dir, induir un estat d’hiporesposta específica de donant o de tolerància (Sykes, 2007).
La demostració de tolerància d’un al·loempelt a escala experimental s’ha manifestat cada vegada amb més assiduïtat en la literatura en diferents models animals. En humans la definició clínica de tolerància està determinada pel manteniment de la funció de l’empelt sense requisit immunosupressor de manera permanent. Els índexs de rebuig i supervivència clínica de l’empelt suggereixen que el fetge té més susceptibilitat a ser tolerat que altres òrgans sòlids com el ronyó, cor o pàncrees. Aquest fet sembla que està determinat pels diferents graus d’immunogenicitat que generen, a causa de la diferent densitat d’expressió de molècules HLA i la diferent capacitat presentadora de les APC residents.
La tolerància operacional es manifesta a través d’una sèrie de processos immunitaris simultanis, entre els quals s’inclouen la modulació en la freqüència dels precursors cel·lulars efectors, l’eficiència presentadora antigènica, el nivell d’activació de les cèl·lules efectores i la regulació i l’alteració en el procés de migració cel·lular. És per això que, potencialment, l’estat de
tolerància es podria assolir a través de diversos mecanismes. Una de les principals barreres a superar està condicionada per la intrínseca naturalesa de la immunitat adaptativa. Així, el fenomen derivat de la immunitat heteròloga, és a dir, la reacció encreuada a antígens ambientals, en qualsevol moment tindrà capacitat d’evocar una resposta enfront d’al·loantígens i, per tant, avortar un estat d’hiporesposta específica de donant.
Recentment, diversos treballs col·laboratius han estudiat les característiques moleculars diferencials entre pacients trasplantats renals tolerants respecte a pacients en tractament immunosupressor crònic amb funció de l’empelt estable i pacients amb rebuig crònic immunitari, i han mostrat una sobreexpressió de gens específics associats al limfòcit B, així com un augment d’aquesta població, especialment de la subpoblació B naive, circulant en sang perifèrica (Kenneth et al., 2010). A més, en la pràctica majoria dels pacients tolerants es detecta en sang perifèrica un nivell d’hiporesposta específica cellular de donant. De manera interessant, aquesta particular signatura genètica en pacients trasplantats renals tolerants no sembla superposable a la dels pacients tolerants trasplantats de fetge, en els quals els gens associats a la subpoblació NK i al metabolisme del ferro sembla que tenen un paper diferenciador respecte a aquells pacients que rebutgen l’empelt després de la retirada de la immunosupressió. Actualment s’estan portant a terme estudis multicèntrics, col·laboratius, prospectius i aleatoritzats per intentar definir biomarcadors de tolerància operacional que permetin discriminar aquells pacients en tractament immunosupressor en els quals es pugui retirar o disminuir al màxim el tractament de manera electiva amb seguretat (Sawitzki, 2009).
Les estratègies per induir la tolerància es basen a desviar el balanç entre les cèl·lules immunitàries efectores i les cèl·lules immunitàries reguladores amb l’objectiu d’assolir un predomini de les segones. Això es pot aconseguir ja sigui eliminant o suprimint les cèl·lules efectores, o bé induint la generació o transferint directament les cèl·lules reguladores. Una manera efectiva d’eliminar les cèl·lules efectores al·loreactives és la depleció dels limfòcits T utilitzant fàrmacs immunosupressors, però si bé aquesta estratègia aconsegueix prevenir el rebuig agut, és necessària una teràpia de manteniment per evitar l’al·loresposta a partir dels limfòcits de memòria.
Algunes estratègies s’han centrat a intentar facilitar l’anergia cel·lular mitjançant el bloqueig del segon senyal d’activació limfocitària o de coestimulació. Tal com s’ha exposat anteriorment, després del contacte antigènic, i en absència de segon senyal coestimulatori, el limfòcit T pateix un procés d’anergia o apoptosi. El bloqueig de les molècules coestimuladores que comprenen el complex CD28/CTLA4-CD80/CD86 i el CD40-CD40 lligand ha estat provat en treballs experimentals.
Altres estratègies que van adquirint cada vegada més importància són les que es basen a intentar potenciar l’expansió de cèl·lules T reguladores (Jiang et al., 2006). Aquestes cèl·lules són limfòcits, essencialment CD4+ CD25+, que expressen el factor de transcripció Foxp3 i que tenen capacitat supressora de l’al·loresposta específica de donant. Rellevants treballs experimentals mostren como la transferència adoptiva d’aquesta subpoblació limfocitària pot prevenir el desenvolupament tant del rebuig agut com del rebuig crònic de l’empelt.
Finalment, l’estratègia per induir tolerància amb més èxit fins ara consisteix en la creació de quimeres mixtes al·logèniques mitjançant l’administració de progenitors hemopoètics (Kawai et al., 2008). Inicialment, els assaigs clínics pretenien assolir un quimerisme complet fent un trasplantament de progenitors hemopoètics amb condicionament mieloablatiu per aconseguir un reemplaçament total del sistema hemopoètic del receptor. Tanmateix, aquesta aproximació no és acceptable en la majoria de població candidata a trasplantament d’òrgan sòlid per la significativa comorbilitat associada. Estudis posteriors han observat que el quimerisme mixt que s’assoleix en fer un
condicionament d’intensitat reduïda, no mieloablatiu, és suficient per establir tolerància específica de donant en induir la deleció central de limfòcits T i B al·loreactius.
Estudis immunitaris del receptor i del donant en el trasplantament
Compatibilitat HLA entre donant i receptor
En els inicis del coneixement del sistema HLA es va creure que la identitat d’antígens HLA entre donant i receptor evitaria el rebuig dels empelts, de la mateixa manera que la identitat dels grups sanguinis ABO permetia la transfusió sanguínia. Tanmateix, el sistema HLA ha resultat tan extraordinàriament polimòrfic que la identitat total entre donant i receptor és molt difícil d’aconseguir. Ara bé, importants estudis de compatibilitat HLA entre donant i receptor i evolució dels empelts renals a llarg termini han derivat en una sèrie de conclusions. Primer, els receptors amb anticossos, especialment els hipersensibilitzats, es beneficien d’òrgans amb antígens HLA compatibles en cert grau, ja que la compatibilitat augmenta les possibilitats que no tinguin anticossos específics contra el donant. Això fa necessari programes d’intercanvi d’òrgans per a aquests pacients. Segon, els malalts trasplantats amb identitat en els antígens HLA-DR tenen una supervivència a cinc anys superior entre un 5-10 % a la dels trasplantats sense identitat DR. Les anàlisis multivariant indiquen que la probabilitat de perdre l’empelt és un 24 % superior en els trasplantaments fets sense cap compatibilitat DR respecte dels fets amb dues compatibilitats. Molts autors consideren que aquestes diferències no justifiquen grans organitzacions d’intercanvi d’òrgans però sí que són un factor per tenir en compte en la selecció dels receptors. En altres tipus de trasplantament, com el de cor o pulmons, també s’observen relacions semblants entre compatibilitat HLA i resultats del trasplantament al llarg dels anys. En canvi, en el trasplantament de fetge no s’observa aquest impacte de la compatibilitat en els seus resultats.
Actualment les tècniques de tipificació HLA es basen principalment en tècniques de biologia molecular (Dunn, 2011). Els polimorfismes de les molècules de l’HLA estan codificats i són també detectables en el DNA. Les tècniques més utilitzades actualment són: 1) la PCR-SSO reversa (sequence specific oligonucleotides) es basa en l’amplificació específica d’un locus HLA en presència d’un encebador marcat per un cromogen i la hibridació del producte d’aquesta amplificació amb un conjunt de microesferes (bead arrays), cadascuna de les quals té una sonda amb seqüències complementàries a seqüències específiques d’al·lel; a una temperatura determinada cada al·lel s’uneix a la seva sonda i només a aquella, i permet així la identificació de l’allel present en el DNA problema; 2) la PCR-SSP (sequence specific primers) es basa en la utilització d’encebadors complementaris a seqüències específiques d’un determinat al·lel; si la mostra posseeix aquesta seqüència es produirà una reacció de PCR, evidenciable per electroforesi en gel d’agarosa, i 3) la SBT (sequence based typing), que implica una seqüenciació dels exons on es troben preponderantment els polimorfismes. La detecció d’un doble pic en una posició nucleotídica indica que algun dels dos al·lels problema posseeix un polimorfisme en aquella posició. Un programa informàtic identifica les possibles combinacions d’al·lels que corresponen als nucleòtids identificats en cadascuna de les posicions. Algunes vegades se segueixen utilitzant les tècniques serològiques clàssiques de microlimfocitotoxicitat. En aquest cas s’enfronten anticossos que reconeixen un dels al·lels del sistema HLA en presència de complement de conill i els limfòcits problema i a continuació es detecta la mortalitat produïda mitjançant un colorant que només penetra en les cèl·lules la membrana de les quals ha estat permeabilitzada pel complement. Cal també destacar que l’arribada de noves tecnologies que permeten l’anàlisi
massiva d’informació genètica, com la ultraseqüenciació (o NGS, next generation sequencing), sens dubte canviarà en un futur proper les tècniques usades per a la tipificació HLA.
Estudi de l’al·loresposta immunitària mitjançada per anticossos Aproximadament una de cada quatre persones que entren en contacte amb cèl·lules al·logèniques per transfusió o embaràs desenvolupen anticossos contra antígens HLA. Aquests anticossos estan presents en 3/4 dels malalts trasplantats que han perdut el seu ronyó i retornen a la llista d’espera per a retrasplantament. Per detectar la presència d’anticossos anti-HLA en el sèrum dels candidats a receptor es poden utilitzar diverses tècniques (Fuggle i Martin, 2008): 1) citotoxicitat dependent de complement (CDC), en la qual s’enfronta el sèrum del pacient en llista d’espera amb un conjunt de cèl·lules vives de diferents individus amb HLA conegut mitjançant la tècnica de microlimfocitotoxicitat. Aquesta tècnica permet detectar anticossos activadors de complement (principalment IgM, IgG1, IgG3), i 2) tècniques de fase sòlida, que utilitzen antígens HLA purificats units a una superfície de plàstic. Històricament s’han utilitzat plaques d’ELISA, però actualment s’usen conjunts de microesferes de poliestirè (o bead arrays), més coneguts per la marca comercial de l’instrument que els llegeix, Luminex. Els al·loanticossos que s’uneixen a les molècules HLA s’evidencien habitualment amb una anti-IgG marcada, en el cas del Luminex un fluorocrom detectable en un citòmetre de flux adaptat. Les tècniques de fase sòlida habituals detecten al·loanticossos IgG tant si són activadores de complement (IgG1, IgG3) com si no l’activen (freqüentment IgG2, IgG4). Els bead arrays es comercialitzen en tres formats distints: un de cribratge (screening), en el qual cada microesfera conté molècules HLA I o II de múltiples individus. Permet identificar l’existència o no d’al·loanticossos anti-HLA-I o HLA-II però no en permet determinar l’especificitat. Un segon format utilitza microesferes unides a un sol al·lel HLA. És l’anomenat antigen aïllat (o single antigen), que permet identificar directament l’especificitat dels al·loanticossos i fa possible la identificació dels «antígens acceptables», és a dir, aquells al·lels contra els quals el receptor no té al·loanticossos, fins i tot en pacients hipersensibilitzats. Un tercer format menys utilitzat, per la seva capacitat de resolució menor, fa servir microesferes amb els dos al·lels HLA de cada locus d’un mateix individu. Hi ha variants de la tècnica estàndard que permeten identificar al·loanticossos IgM o únicament aquells anticossos activadors de complement.
Les tècniques de citotoxicitat i fase sòlida difereixen en la seva sensibilitat però també en el ventall d’anticossos detectats, IgM, IgG1 i IgG3 en el cas de la citotoxicitat o IgG1, IgG3, IgG2 i IgG4 en el cas de la fase sòlida. Més sensibilitat no implica necessàriament més valor de pronòstic per a un mateix esdeveniment. La fase sòlida ofereix un valor semiquantitatiu, MFI (mean fluorescence intensity), encara que les línies de tall quantitatives i qualitatives (tipus d’anticòs) que pronostiquen cada esdeveniment estan en fase de definició. La combinació d’ambdues tècniques, citotoxicitat i fase sòlida, és molt útil per a: 1) diferenciar els al·loanticossos anti-HLA dels autoanticossos limfocitotòxics; 2) pronosticar els donants amb possible cross-match negatiu en pacients hipersensibilitzats, i 3) detectar nivells baixos d’al·loanticossos que no necessàriament pronostiquen un rebuig hiperagut, però sí més incidència d’episodis de rebuig (agut o crònic) en el posttrasplantament (Gebel et al., 2003; Tait et al., 2013).
Cada vegada hi ha més evidència que els anticossos anti-HLA tenen més especificitat pels epítops que constitueixen la molècula concreta de HLA que no pas per l’antigen en si, per la qual cosa el reconeixement d’aquests epítops serà de gran ajuda per establir «mismatchs acceptables», especialment en pacients sensibilitzats. Així, anticossos dirigits contra epítops molt freqüents
són generalment els responsables de l’ampli repertori al·loreactiu en pacients hipersensibilitzats. D’aquesta manera, la interpretació dels patrons d’al·loreactivitat dels anticossos possiblement hauria d’estar basada en la relació estructural molecular establerta entre l’antigen i l’anticòs específic concret. Derivat d’aquest concepte, ha sorgit el denominat HLAMatchmaker, un algoritme teòric que considera que cada antigen HLA representa una col·lecció de grups d’aminoàcids amb capacitat funcional immunogènica per produir anticossos anti-HLA específics. El refinament i la posada a punt podria ser de gran utilitat per a la pràctica clínica habitual.
Anticossos contra antígens no-HLA Malgrat que el trasplantament entre pacients HLA-idèntics (per als locus A, B i DR) és el que millor resultats presenta, i aquests requereixen ineludiblement una certa immunosupressió per evitar l’aparició de rebuig de l’empelt, l’aparició més tardana de disfunció progressiva i irreversible de l’empelt en aquest grup de pacients suggereix que l’al·loreactivitat immunitària que pateixen és deguda a una altra font al·loantigènica distinta de la del sistema HLA pròpiament dita (Sigdel i Sarwal, 2013). De fet, han estat descrits altres antígens diana responsables de generar al·loanticossos: els antígens MICA (major-histocompatibility-complex class I-related chain A) codificats en la mateixa regió cromosòmica que l’HLA, són antígens glicoproteics polimòrfics de superfície amb funcions relacionades amb la immunitat innata. Aquests antígens estan expressats en cèl·lules endotelials activades, fibroblasts, dendrítiques i epitelials en determinades condicions d’activació, però no en limfòcits de sang perifèrica. La presència d’anticossos contra aquests antígens s’ha associat a més risc de rebuig i pitjor supervivència de l’empelt, si bé el fet que apareguin molt freqüentment associats a al·loanticossos anti-HLA fa difícil d’avaluar-ne el valor pronòstic real, especialment en pacients amb bona compatibilitat HLA. S’han descrit també anticossos dirigits contra altres antígens diferents a l’HLA, expressats en cèl·lules precursores endotelials. Aquests antígens amb capacitat immunogènica no han estat encara caracteritzats molecularment, i per tant són un tema de debat, ja que aquestes cèl·lules també coexpressen molècules de HLA (tant de classe I com II). La presència d’aquests anticossos pretrasplantament en absència de sensibilització anti-HLA s’ha associat tant a un increment del risc de rebuig agut com de pitjor evolució funcional de l’empelt després del trasplantament. De manera interessant, els patrons histològics segons la classificació de Banff del 2007 del rebuig en aquests pacients són tant humorals (C4d+) com cel·lulars, i això suggereix potser un paper concomitant de la resposta cel·lular en aquest context.
Finalment, en el curs del rebuig s’ha observat la producció d’autoanticossos contra diferents autoantígens no polimòrfics (com α-tubulina, col·lagen, receptor de l’angiotensina, vimentina...) i cada cop hi ha més evidències que aquests autoanticossos podrien tenir un paper en el procés de rebuig. Resta encara per aclarir si aquests autoanticossos poden causar directament dany tissular i ser així causa de la pèrdua de l’empelt.
Prova encreuada o cross-match
La prova encreuada o cross-match permet detectar la presència, en el sèrum del receptor, d’anticossos dirigits contra les cèl·lules d’un determinat donant. Es pot fer mitjançant tècniques de citotoxicitat dependent de complement (CDC) o per citometria de flux. Actualment la determinació d’al·loanticossos mitjançant «antigen aïllat» permet identificar a priori les incompatibilitats acceptables, i coneixent la tipificació del donant es pot fer una predicció de reactivitat o cross-match virtual.
En les tècniques de microlimfocitotoxicitat, si el receptor té anticossos preformats contra antígens del donant es produeix una reacció antigen-anticòs amb activació del complement i una lesió de la membrana cel·lular que
permet l’entrada a la cèl·lula de colorants vitals. En aquest cas es diu que el cross-match és positiu. La diferenciació entre anticossos IgG i IgM es pot fer destruint els anticossos IgM amb tractament amb ditiotreitol (DTT).
La tècnica de citometria de flux permet detectar també anticossos no fixadors de complement i diferenciar si l’anticòs és IgG o IgM. En la citometria de flux es fa una primera incubació de les cèl·lules del donant amb el sèrum del receptor i una segona amb un anticòs anti-IgG o anti-IgM marcat amb una substància fluorescent. És important fer un doble marcatge amb CD3 i CD19 (o CD20) per diferenciar els limfòcits T (que expressen HLA-I) dels B (que expressen HLA-I + HLA-II) i així identificar contra quina classe d’antigen HLA està dirigit l’anticòs. Els al·loanticossos específics de donant que només són detectables per citometria de flux, però no per citotoxicitat, no sempre estan associats a rebuig hiperagut en els primers trasplantaments, tot i que indiquen un risc addicional de pèrdua de l’empelt en el primer any del 10 % respecte dels totalment negatius. En els retrasplantaments aquest risc addicional de pèrdua de l’empelt és del 30 %. Per aquest motiu és molt important establir uns llindars clars de positivitat per a les proves de citometria. Habitualment s’utilitza el canvi en el canal mitjà de fluorescència (SMCF, shift mean channel fluorescence) entre un control negatiu i el sèrum problema.
Como ja s’ha dit, el «cross-match virtual» implica la determinació d’alloanticossos per tècniques d’antigen aïllat, que permeten identificar contra quins al·lels HLA té anticossos un receptor i contra quins no. Coneixent els al·lels presents en el donant és possible inferir la reactivitat sense fer un test real (vegeu la figura 2). Aquesta anàlisi és extraordinàriament útil per seleccionar aquells pacients amb alta probabilitat de donar cross-match per citotoxicitat negatiu entre un grup de pacients amb al·loanticossos, és a dir, té un alt valor predictiu negatiu. Tanmateix, en ser les tècniques de fase sòlida més sensibles, el seu valor predictiu positiu és menor. En trasplantament de donant viu és possible trobar una parella donant-receptor amb cross-match: citotoxicitat negativa, citometria negativa, virtual positiva. Aquests casos han de valorar-se individualment, tenint molt present els antecedents immunitaris i el grau d’urgència per rebre el trasplantament, atès que és difícil establir realment l’increment de risc de rebutjar l’empelt, potser no de manera immediata, però sí a mitjà/llarg termini.
El cross-match, a més de fer-lo amb el sèrum actual, es fa també amb els sèrums històrics amb la intenció de fer un seguiment de possibles cèl·lules B de memòria, que en el seu dia van ser productores d’anticossos i que actualment no en produeixen, però que es podrien reestimular de nou per la presència de l’antigen. El significat pronòstic d’un cross-match previ positiu i actual negatiu ha estat motiu de controvèrsia. En la nostra experiència, si l’antiguitat del darrer sèrum positiu és superior als dos anys i el PRA (panel reacting antibody) màxim és inferior al 75 %, la supervivència de l’empelt no es veu compromesa. En el cas que el PRA màxim superi el 75 %, la supervivència a dos anys dels empelts fets amb cross-match previ positiu i actual negatiu és un 15-20 % inferior als fets amb cross-match previ negatiu i actual negatiu. En algunes malalties autoimmunitàries hi ha autoanticossos limfocitotòxics que no pronostiquen un rebuig hiperagut. Aquests autoanticossos no van dirigits contra antígens HLA. Són majoritàriament IgM (encara que no sempre) i poden eliminar-se incubant el sèrum amb DTT. Avui dia són fàcilment identificables, ja que els autoanticossos resulten negatius per a tècniques de fase sòlida. Més complicat resulta definir la coexistència d’ambdós, al·loanticossos i autoanticossos, simultàniament. En aquest cas la valoració conjunta de totes les tècniques, incloent-hi el cross-match per citometria, és fonamental. Tractaments previs amb anticossos antilimfocitaris o amb anticossos anti-CD3 poden donar falsos positius en la prova de cross-match. En aquests casos caldrà utilitzar el sèrum previ al tractament o bé fer la prova encreuada per citometria de flux. L’ús de microesferes recobertes d’antígens HLA

Figura 2. Prova encreuada (cross-match) virtual. A partir de l’estudi de l’especificitat d’anticossos anti-HLA presents en el receptor, mitjançant l’anàlisi d’antigen aïllat en fase sòlida, i de la tipificació HLA del donant, es pot predir el resultat de la prova encreuada. A la figura es pot observar la llista dels antígens analitzats en la prova d’antigen aïllat en fase sòlida amb el seu resultat (N, negatiu; P, positiu) i el valor de fluorescència (MFI, mean fluorescence intensity). També es mostra la tipificació HLA del donant i, d’acord amb aquesta, es marquen amb una fletxa i un requadre aquells antígens que, en aquesta parella donant-receptor, donen informació de la possible presència d’anticossos específics de donant.
purificats per confirmar la presència d’anticossos específics contra l’HLA del donant pot ser d’ajuda en aquests casos.
Adams, A. B. [et al.] (2003). «Heterologous immunity provides a potent barrier to transplantation tolerance». J. Clin. Invest., 111: 1887.
Ali, J. M. [et al.] (2013). «Allorecognition pathways in transplant rejection and tolerance». Transplantation, 96 (8): 681-688.
Auchincloss, H. Jr.; Sultan, H. (1996). «Antigen processing and presentation in transplantation». Curr. Opin. Immunol., 8 (5): 681-687.
D’Orsogna, L. J. [et al.] (2012). «TCR cross-reactivity and allorecognition: new insights into the immunogenetics of allorecognition». Immunogenetics, 64: 77-85.
Dunn, P. P. J. (2011). «Human leucocyte antigen typing: techniques and technology, a critical appraisal». Intern. J. Immunogenetics, 38: 463-473.
Fuggle, S. V.; Martin, S. (2008). «Tools for human leukocyte antigen antibody detection and their application to transplanting sensitized patients». Transplantation, 86 (3): 384390.
Gebel, H. M. [et al.] (2003). «Pre-transplant assessment of donor-reactive, HLA-specific antibodies in renal transplantation: contraindication vs. Risk». Am. J. Transplant., 3: 1488-1500.
Gökmen, M. R. [et al.] (2008). «The importance of the indirect pathway of allorecognition in clinical transplantation». Curr. Opin. Immunol., 20 (5): 568-574.
Jiang, S. [et al.] (2006). «Regulatory T cells and transplantation tolerance». Hum. Immunol., 67: 765-776.
Estudi de l’al·loresposta immunitària cel·lular Actualment, en la pràctica clínica habitual, l’estudi del risc immunitari d’un pacient està basat principalment en el monitoratge del mecanisme efector humoral, sense valorar-se la resposta efectora cel·lular o mitjançada pel limfòcit T efector. No obstant això, són cada vegada més les proves en la literatura que mostren com la presència de limfòcits T de memòria/efectors específics de donant circulants en sang perifèrica pretrasplantament són un bon marcador biològic per establir el risc d’un pacient per desenvolupar episodis de rebuig agut cel·lular posttrasplantament. A més, el monitoratge d’aquesta subpoblació cel·lular, tant en el període inicial com tardà després del trasplantament, ha mostrat una bona correlació amb una pitjor evolució de la funció de l’empelt i més incidència de rebuig crònic de l’empelt. Són diverses les tècniques utilitzades per monitorar la presència de cèl·lules T al·loreactives circulants. Entre les que més sensibilitat i reproductibilitat han mostrat es troba la tècnica d’ELISPOT IFN-γ. Es tracta d’una tècnica que permet no només identificar la presència de cèl·lules T de memòria/efectores específiques de donant circulants, sinó que, a més, permet conèixer el grau d’al·loreactivitat específica de donant mitjançant la freqüència de secreció d’aquesta citocina per cada cèl·lula de memòria/efectora estimulada en el cultiu mixt de curta duració. Actualment hi ha en marxa estudis multicèntrics, prospectius i aleatoritzats per valorar l’ús d’aquesta tècnica com a guia per individualitzar el tractament immunosupressor en pacients trasplantats renals. Un altre test diagnòstic que també s’ha postulat útil per valorar el grau d’al·loreactivitat cel·lular és l’ImmuKnow, que es basa en l’avaluació de la resposta limfocitària T mitjançant la quantificació del grau de secreció d’ATP del limfòcit T en ser estimulat policlonalment. Si bé hi ha diferents treballs que han associat el seu resultat amb un increment del risc de rebuig cel·lular o amb l’aparició d’infeccions oportunistes, no sembla que tinguin una bona reproductibilitat ni validesa general.
Kawai, T. [et al.] (2008). «HLA-mismatched renal transplantation without maintenance immunosuppression». N. Engl. J. Med., 358: 353-361.
Kenneth, A. [et al.] (2010). «Identification of a B cell signature associated with renal transplant tolerance in humans for the Immune Tolerance Network ST507 Study Group». J. Clin. Invest., 120 (6): 1836-1847.
Sawitzki, B. [et al.] (2009). «Can we use biomarkers and functional assays to implement personalized therapies in transplantation?». Transplantation, 87 (11): 1595-1601.
Sigdel, T. K.; Sarwal, M. M. (2013). «Moving beyond HLA: A review of nHLA antibodies in organ transplantation». Human Immunology, 74: 1486-1490.
Singh, N. [et al.] (2009). «Antibody-mediated rejection: treatment alternatives and outcomes». Transplant. Rev. (Orlando), 23 (1): 34-46.
Sykes, M. (2007). «Immune tolerance: mechanisms and application in clinical transplantation». J. Intern. Med., 262: 288-310.
Tait, B. D. [et al.] (2013). «Consensus guidelines on the testing and clinical management issues associated with HLA and Non-HLA antibodies in transplantation». Transplantation, 95 (1): 19-47.
Wood, K. J.; Goto, R. (2012). «Mechanisms of rejection: current perspectives». Transplantation, 93: 1-10.
Manel Juan, Miguel Caballero Baños, E. Azucena González i Jordi Yagüe
Servei d’Immunologia, Centre de Diagnòstic Biomèdic, Hospital Clínic. Institut d’Investigacions Biomèdiques August Pi i Sunyer (IDIBAPS)
Adreça per a la correspondència: Manel Juan. Servei d’Immunologia, Hospital Clínic. C. de Villarroel, 170, escala 4, planta 0. 08036 Barcelona. Tel.: 932 275 463. Adreça electrònica: mjuan@clinic.cat.
Resum
De la inducció de memòria immunitària de les vacunes antiinfeccioses, a la immunoteràpia cel·lular i genètica per al tractament de tumors, el ventall de teràpies potencials a través de la modulació del sistema immunitari és una de les aproximacions més prometedores que el coneixement basat en la immunologia ha fet, fa i farà realitat. Els avenços són constants i els resultats obtinguts en aquests primers anys del segle xxi situen la immunoteràpia entre les àrees mèdiques amb més potencialitat de tractament. En aquesta revisió ens centrarem en alguns dels avenços més rellevants dels tractaments basats en fàrmacs biològics (principalment anticossos), així com en els canvis introduïts en el tractament del càncer a través de la manipulació de la resposta immunitària.
Paraules clau: immunoteràpia, biològics, teràpia cel·lular, antitumoral.
Introducció
Que el sistema immunitari té un potencial terapèutic és un fet ben conegut des dels temps de l’empirisme d’Edward Jenner; de fet, sovint se situa el naixement de la immunologia científica amb Jenner i la seva vacuna contra la verola (finals del segle xviii), i per tant situa la immunoteràpia en el bressol de la immunologia científica (Greenberg, 2013). En tot cas el que és segur és que la «bona reputació» com a disciplina biomèdica de la immunologia té a veure amb el fet que l’única malaltia eradicada per la medicina és aquesta, la infecció pel Variola virus, i ho és mercès a la inducció deliberada de la resposta immunitària, el que coneixem com a vacunació. Parlar d’aquestes vacunacions clàssiques (antiinfeccioses) mereixeria sens dubte una revisió particular, però en aquest article ens centrarem a definir els conceptes generals més importants de la immunoteràpia i, dins d’aquesta, remarcarem els avenços i conceptes més especials que l’ús de fàrmacs biològics ha comportat en la farmacologia actual, i discutirem finalment algunes de les aportacions més «espectaculars» de la immunoteràpia antitumoral. En tot cas convé almenys esmentar aquí que també les vacunes antiinfeccioses, la immunosupressió en els transplantaments i les malalties autoimmunitàries o la modulació de la resposta al·lèrgica són aspectes d’immunoteràpia rellevants que estan «madurant» a passes gegants, i han convertit les opcions d’immunoteràpia en un element essencial en la medicina actual i futura.
DOI: 10.2436/20.1501.02.150
ISSN (ed. impresa): 0212-3037
ISSN (electrònic): 2013-9802
http://revistes.iec.cat/index.php/TSCB
Rebut: 02/02/2014 Acceptat: 15/03/2014
Immunotherapy: a classic concept with many new developments. Two specific examples: biologics and antitumour immunotherapy
Summary
From the induction of immunological memory with anti-infectious vaccines through cell and gene immunotherapy to tumour treatments, the range of potential therapies stemming from modulation of the immune system is one of the most promising areas of immunology-based knowledge. Developments are constant and the results obtained during the early 21st century have placed immunotherapy among the areas with the greatest potential for clinical treatment. In this review, we focus on some of the biggest developments in treatment based on biological drugs (mainly antibodies) and, particularly, the progress made in the treatment of cancer by manipulating immune responses against tumour.
Key words: immunotherapy, biologics, cell therapy, antitumor.
Conceptes generals a revalorar
El coneixement de la immunologia és, com la majoria de la biomedicina, un coneixement canviant, i la modulació terapèutica del sistema immunitari ha anat evolucionant amb aquests canvis. En tot cas hi ha nous condicionants que defineixen uns quants conceptes clàssics.
Immunopotenciació. La idea d’incrementar la resposta immunitària ha estat en la base de les vacunacions. El sistema immunitari és un sistema de reconeixement que ha evolucionat sobreposant «capes de més eficiència» en la seva funció de manteniment de la integritat de l’organisme enfront d’agents lesius per a l’individu, especialment els microbiològics. Si bé la immunitat adaptativa (sobretot la producció d’anticossos) amb les seves característiques d’altíssima especificitat i memòria immunitària, ha estat l’objectiu perseguit per les immunopotenciacions clàssiques, en les darreres dècades la immunitat innata ha viscut una revaloració evident, com demostra que el darrer premi Nobel en el camp de la immunologia (2011) s’hagi atorgat a investigadors en aquesta branca de la resposta immunitària, en concret els receptors de tipus Toll (TLR; Jules A. Hoffmann i Bruce A. Beutler) i les cèl·lules dendrítiques (DC; Ralph M. Steinman) (Juan i Otero, 2012). Així, ara és impossible plantejar opcions d’immunopotenciació sense involucrar els TLR, les DC i en general elements definitoris de la resposta innata. En tot cas, segueixen apareixent elements fonamentals
per a la immunopotenciació centrats encara en la immunitat adaptativa, com el bloqueig d’elements inhibidors com les cèl·lules T reguladores (Treg) o les vies de senyalització de «l’esgotament» (exhaustion) (Werry, 2011), com el bloqueig del reconeixement entre les molècules PD-1 / PD-L1 en el càncer (vegeu el tercer apartat d’aquest mateix article).
Immunosupressió i tolerització. Quan el sistema immunitari, fent la seva funció «s’excedeix» i genera malaltia, l’eliminació/disminució de la funció immunitària ha estat el principi terapèutic a aplicar. Així, l’aplicació d’immunosupressors farmacològics ha estat l’element definitiu del rotund èxit dels transplantaments en què és clar que reemplaçant l’òrgan es recupera la funció perduda causant de la malaltia, però en què l’al·loreconeixement del sistema immunitari que determina el rebuig havia estat una barrera que només aquests immunosupressors han permès superar. Tot i que aquests immunodepressors (de fet, no podem parlar de procediments supressors «totals», ja que afortunadament no generen immunodeficiències completes) generals també han esdevingut una opció terapèutica eficient per al maneig de malalties autoimmunitàries (de l’artritis reumatoide a la psoriasi, passant per quadres com el lupus eritematós sistèmic o l’esclerosi múltiple), l’objectiu de les immunoteràpies és la tolerització, la inducció en el sistema immunitari d’una no-resposta activa (Pujol-Borell, 2012). De fet, el concepte de tolerància és ben diferent al d’immunodeficiència, ja que mentre que en el segon no hi ha capacitat de resposta per manca d’un o diversos components, en el primer hi ha una «reprogramació» activa (i habitualment específica) del sistema que aprèn a no respondre malgrat reconèixer. En aquest sentit han aparegut immunoteràpies altament prometedores que busquen aquesta tolerització, i la inducció (Saadoun et al., 2011) o infusió (Tang i Bluestone, 2013) de limfòcits Treg (limfòcits T amb capacitat anomenada reguladora, però que a escala pràctica és principalment bloquejant d’una resposta immunitària) és la diana terapèutica més buscada.
Immunomodulació. Aquest és el concepte més habitual en la immunoteràpia, ja que quan potenciem o suprimim en general no ho fem de manera absoluta (ni ho volem) i molt sovint hi intervenen components d’una opció en l’altra; per exemple, en induir Treg amb IL-2, si bé busquem una reducció d’una resposta no volguda, ho aconseguim potenciant també altres components com els limfòcits activats, les cèl·lules NK, i fins i tot els limfòcits B que responen participant en el modulació global de la immunitat, i s’aconsegueix (o no) l’efecte desitjat. Quan parlem de moltes aproximacions immunoterapèutiques més actuals, la modulació de la resposta és el que deliberadament es pretén obtenir; per exemple, en les aproximacions actuals d’immunoteràpia contra l’al·lèrgia mitjançada per IgE s’intenta que la resposta canviï envers la no-producció d’IgE a través de modificar la resposta Th2 necessària per a aquesta producció (Smaar et al., 2013), moltes vegades fins i tot fent modificacions (introducció simultània d’immunomoduladors innats) a la clàssica injecció dessensibilitzant de la immunoteràpia amb els al·lèrgens. Cal remarcar aquí que la introducció de fàrmacs biològics (vegeu el segon apartat d’aquest mateix article) en l’armament immunoteràpic ja s’està produint sota aquest concepte d’immunomoduladors, ja que l’administració de citocines o la infusió de monoclonals el que pretén és reequilibrar la complexa xarxa d’interaccions moleculars i cel·lulars que componen la resposta immunitària.
Conceptes i novetats en l’ús de fàrmacs biològics
Citocines, altres molècules solubles (per exemple, factors de complement recombinant) o solubilitzades (com receptors de membrana fets solubles), més o menys modificades molecularment i anticossos (generalment monoclonals)
Biològics (monoclonals) i immunogenicitat

Símptomes clínics
a b c

Tractament





















Respos t a immunitàri a pos t trac t ament
Anticossos Anti fàrmac (anti biològic)








El biològic bloqueja l’acció patogenètica de l’antigen (efecte terapèutic)















Fàrmac (biològic)



La immunogenicitat bloqueja la funció del biològic Es produeix pèrdua de l’activitat del tractament










Figura 1. Esquema de la immunogenicitat dels biològics. Es presenta un diagrama en tres fases consecutives: a) la diana del biològic (l’antigen que volem tractar amb l’anticòs) com a responsable de part del quadre clínic del pacient, i que és la diana terapèutica; b) la infusió del fàrmac «biològic» monoclonal que bloquejant la seva diana terapèutica (l’antigen) aconsegueix l’efecte terapèutic desitjat; i conseqüentment en alguns casos c) la resposta immunitària desenvolupa anticossos antifàrmac que bloquegen el tractament i reapareixen els símptomes, fins i tot malgrat que la dosi de fàrmac s’incrementi.
estan «inundant» la farmacopea actual sota el terme genèric de fàrmacs biològics, o més freqüentment biològics (un terme que per als autors d’aquesta revisió no és gaire afortunat, tot i que és l’habitual, ja que biològic és un adjectiu segurament massa genèric, tot i que és l’habitual per a aquest grup de fàrmacs). El paper modulador de les citocines (bàsicament interferons, interleucines i factors de creixement) és part important de la immunoteràpia des de fa anys, i tot i que s’està incrementant en els darrers anys especialment d’acord amb modificacions bioquímiques, es pot pensar que té un llindar d’opcions amb un esperable ventall limitat de possibilitats. En canvi, el que està clar és que els anticossos monoclonals tenen unes possibilitats d’expansió que fan difícil veure’n els límits: l’altíssima especificitat i la variable afinitat en el reconeixement enfront de les seves dianes moleculars, la possibilitat de produir accions blocadores (les més) o inhibidores (les menys), amb regions (epítops) diverses en la molècula diana amb la qual s’uneixen, capacitats efectores diverses per a zones constants, opcions d’unió a altres molècules directament efectores (per exemple, toxines o enzims), estructures moleculars múltiples, modificables i combinables (per exemple, regions variables en cadena senzilla o scFv, tàndems de scFv, estructures bi/tri o multiespecífiques com els dia/ tri/multi-bodies...) fan que els possibles biològics que empren les característiques dels anticossos siguin una aposta de llarg recorregut per a les empreses farmacèutiques, que han trobat actualment un cert topall en el desenvolupament o descobriment de nous fàrmacs convencionals (Grabenstein, 2012). En els món dels biològics la nomenclatura ja és per si una font de complexitat. Més enllà dels noms comercials que posen les empreses (com sempre han fet en tots els productes), el nom genèric dels biològics s’ha intentat estandarditzar amb codificació a través de prefixos, infixos i sufixos sobre una arrel identificadora; així, en el cas dels anticossos monoclonals, la nomenclatura es concreta en el sufix –mab, que va precedit per infixos segons l’origen (u = humà, e = hàmster, o = ratolí, i = primat, xi = quimera i zu = humanitzat; així, per exemple infliximab és un anti-TNF quimèric, mentre que eculizumab
és un anti-C5 humanitzat o canakinumab és un anti-IL1β humà). Aquesta estandardització és un element important davant de la irrupció gairebé exponencial del nombre d’aquests fàrmacs (vegeu la taula 1), que sent fàrmacs molt cars (el 2012, dels onze productes farmacèutics més cars, nou eren biològics, i de fet el més car era l’eculizumab!), ara està tot just entrant en l’època del final de la protecció per patents. D’aquesta manera apareix el concepte de biosimilars, en produir-se biològics que, reproduint la funció dels inicialment introduïts en la farmacopea, poden ser inclosos com a biològics (per exemple, BI-695500, biosimilar de rituximab; BI-695501, biosimilar d’adalimumab); en aquests casos no es parla de fàrmacs genèrics, ja que els biològics, per les seves característiques (producció recombinant de proteïnes llargues, fins i tot amb seqüències proteiques diferents) no es considera que puguin ser idèntics a un altre, si la font o qualsevol element de la producció els fa diferents. En tot cas la introducció de biosimilars s’espera que serà un canvi important en l’àrea, especialment per la davallada de costos en la farmàcia, i l’abaratiment esperable per la competència entre productors.
Un altre dels aspectes a tenir en compte és que si bé fins ara l’ús de biològics s’ha centrat en la monoteràpia (ús de només un determinat biològic), en la qual un biològic substitueix l’anterior només si el primer no és eficaç (ús seqüencial), sembla ja prou madura la idea que en gran part de malalties es necessitaran diverses dianes d’actuació per ser efectives, per la qual cosa la politeràpia amb biològics es pot considerar a punt d’irrompre en la pràctica assistencial (per ara només és una proposta experimental). Sens dubte haurà d’imperar la cautela enfront d’aquestes situacions complexes, tot i que l’esperable reducció de costos comentada ajudarà a tirar endavant la lògica que si hi ha diferents alteracions simultànies en la majoria de les malalties immunomediades, l’acció sobre diverses d’aquestes disfuncions serà l’única via per aconseguir un tractament efectiu. Cal tenir en compte, però, que si bé la monoteràpia en biològics ja ha demostrat fenòmens indesitjables associats, molts, amb la immunodepressió que produeixen (amb mecanismes similar en molts casos al que podem veure en pacients amb immunodeficiències) (Marodi, 2011), la situació pot ser més crítica si en fer politeràpia amb biològics actuem sobre diversos punts d’una determinada via fisiopatogènica; la redundància biològica natural pot explicar que els tractaments fins ara no siguin causants d’immunodeficiències greus, però la combinació de productes pot canviar radicalment l’escenari dels efectes no desitjats. De nou, la immunoteràpia antitumoral, amb la seva relació amb la transcendència vital dels pacients, possiblement serà «la punta de llança» en aquesta politeràpia amb biològics (Wolchok et al., 2013).
L’àmplia utilització de biològics ha condicionat també l’aparició d’un concepte que per als immunòlegs era esperable, però que no s’havia tingut gaire en compte fins al moment: la immunogenicitat dels biològics (Vincent et al., 2013; Chamberlain, 2013). Si bé els esforços per a la humanització d’aquests anticossos (o fins i tot partir d’anticossos provinents de gens humans) han estat la base de gran part de l’èxit d’aquestes teràpies, la infusió de seqüències estranyes per a l’organisme (encara que siguin només la zona de reconeixement o idiotip) fa que el sistema immunitari del pacient pugi acabar desenvolupant una resposta immunitària contra el biològic (vegeu la figura 1). La constatació que poden aparèixer anticossos contra els biològics (anticossos «antianticossos», tot i que tothom els anomena anticossos antifàrmac), i que aquests poden provocar la pèrdua d’eficàcia del tractament, ha portat al
Taula 1. Selecció de «biològics» (anticossos monoclonals, AcMo).
Es mostren els biològics que es troben en fase III d’ús o desenvolupament, i s’exclouen aquells antitumorals directes que no afecten de manera evident el sistema immunitari; a partir de dades de PhRMA (Pharmaceutical Research and Manufacturers of America).
adalimumab TNFα AbbVie Artritis reumatoide / malaltia de Crohn / uveïtis / espondiloartritis / hidradenitis supurativa / cistitis intersticial
belimumab BAFF
BI-695500 (biosimilar rituximab)
CD20
GlaxoSmithKline Lupus eritematós sistèmic / Esclerodèrmia sistèmica / Rebuig
BoehringerIngelheim Artritis reumatoide
canakinumab IL-1β Novartis Artritis idiopàtica juvenil sistèmica / prevenció d’efectes cardiovasculars secundaris
certolizumab TNFα UCB Espondilitis anquilosant, artritis reumatoide juvenil
daclizumab CD25 AbbVie / Biogen Idec Esclerosi múltiple
eculizumab C5 Alexion Pharmaceuticals Hemoglobinúria paroxística nocturna / síndrome hemolítica urèmica / (rebuig, fase II)
elotuzumab SLAMF7 (CD319)
Bristol-Myers Squibb / AbbVie Mieloma múltiple
epratuzumab CD22 Immunomedics / UCB Lupus eritematós sistèmic
gevokizumab IL-1β XOMA Uveïtis golimumab TNFα Janssen Biotech Artritis reumatoide juvenil
ibritumomab CD20 Spectrum Pharmaceuticals Limfoma difús de cèl·lules B grans
infliximab TNFα Janssen Biotech Artritis reumatoide / malaltia de Crohn
ipilimumab CTLA-4
ixekizumab Il-17
Bristol-Myers Squibb Melanoma, carcinoma renal i carcinoma microcític de pulmó, i altres
Eli Lilly Psoriasi / artritis psoriàtica
lebrikizumab IL-13 Genentech Asma
mepolizumab IL-5
natalizumab VLA-4 (CD49d)
nivolumab PD-1 (CD279)
GlaxoSmithKline Asma
Biogen Idec Esclerosi múltiple
Bristol-Myers Squibb Melanoma, carcinoma renal i carcinoma microcític de pulmó. ocrelizumab CD20 Biogen Idec / Roche / Genentech Esclerosi múltiple
ofatumumab CD20
GlaxoSmithKline Síndrome limfoproliferativa B omalizumab IgE Genentech Asma / urticària crònica idiopàtica
reslizumab IL-5
Cephalon Asma / esofagitis eosinofílica. rituximab CD20 Genentech Síndrome limfoproliferativa B i immunomodulació de resposta
sarilumab IL-6R Regeneron Pharm / Sanofi Artritis reumatoide
secukinumab IL-17A Novartis Espondilitis anquilosant / uveïtis / artritis reumatoide / artritis psoriàtica / psoriasi / (polimiàlgia reumàtica / esclerosi múltiple, fase II)
sirukumab IL-6
Janssen Biotech Artritis reumatoide
tabalumab BAFF Eli Lilly Lupus eritematós sistèmic / mieloma múltiple
tildrakizumab IL-23 Merck Psoriasi
tocilizumab IL-6R Genentech Artritis reumatoide (esclerosi sistèmica, fase II)
ustekinumab IL-12 /IL-23
Janssen Biotech Malaltia de Crohn / artritis psoriàtica vedolizumab a4/b7 integrina (CD49d+/ CD103)
Takeda Pharmaceuticals Malaltia de Crohn
fet que en els darrers anys s’hagi fet evident que cal monitorar el tractament immunoteràpic, tant pel que fa a la immunogenicitat com a l’element primari de l’efectivitat, els nivells del biològic mateix. Així, la mesura dels nivells sèrics del fàrmac, juntament amb la mesura dels nivells d’anticossos antifàrmac, està portant a la racionalització d’aquestes teràpies a la cerca de nivells d’eficàcia terapèutica suficients que evitin la sobredosificació i es garanteixi un bon tractament al mínim cost. Nivells de fàrmac i nivells d’anticossos en sèrum (un tipus de mostra de fàcil accés) són la base d’aquest monitoratge, que està arribant als laboratoris assistencials, tot i que el coneixement complet dels mecanismes implicats només s’assoleix quan es pot mesurar la diana del biològic (la citocina o la cèl·lula). En alguns casos és perfectament possible (per exemple, nivells de limfòcits B amb biològics anti-CD20), però en molts aquest punt és el més complex, ja que la mesura de la diana només té sentit terapèutic si es fa sobre el lloc d’acció del factor bloquejat, i això en molts casos no és possible i la mesura a escala sèrica no reflecteix la realitat del que passa en el teixit afectat; per exemple, en aquest sentit, els nivells de TNF-α en el sèrum no serveixen per mesurar l’eficàcia dels tractaments amb anti-TNF de malalties com l’artritis reumatoide o la malaltia inflamatòria intestinal.
Així doncs, en parlar de biològics estem davant d’un present immunoterapèutic que encara està en plena evolució envers un futur que pot permetre obtenir resultats impensables amb altres eines com els fàrmacs de síntesi química clàssics; l’especificitat i diversitat funcional dels anticossos són la base de l’èxit d’aquest futur; saber gestionar els problemes potencials que hi pot haver és sens dubte la clau d’aquest èxit.
Avenços en immunoteràpia antitumoral
La capacitat terapèutica de la resposta immunitària antitumoral és coneguda des de fa més d’un segle: des del cirurgià William B. Coley (1862-1936) a Nova York (que va arribar a desenvolupar un producte derivat de bacteris per injectar en els tumors que obtenia uns resultats respectables però que no va tenir l’esperable continuïtat) fins als treballs dirigits del doctor Steven A. Rosenberg (un altre cirurgià cap de departament en el National Cancer Institute a Bethesda; 1940-), que, basats en teràpia cel·lular, han demostrat resultats terapèutics ressenyables, les diferents aproximacions basades a estimular el sistema immunitari han mostrat percentatges de resposta que majoritàriament els oncòlegs consideraven inferiors als que s’assolien amb les teràpies més «convencionals» (cirurgia, quimioteràpia i radioteràpia). Però podem dir que és en els darrers cinc anys quan la immunoteràpia antitumoral ha arribat a destacar com a eina efectiva, fins al punt que el passat desembre del 2013 la prestigiosa revista Science va considerar oportú considerar la immunoteràpia l’avenç revelació del 2013 (Couzin-Frankel, 2013), alhora que Nature també ho remarcava editant un suplement (NatureOutlook, Cancer Immunotherapy, 2013) que a la pàgina web disposa fins i tot d’un atractiu vídeo sobre el tema. Si bé la immunoteràpia antitumoral és un concepte que engloba metodologies molt diverses (vegeu la taula 2), des de les «vacunes» amb extractes de tumors (autòlegs o heteròlegs), fins a mètodes que combinen modificació gènica del sistema immunitari o del tumor, dues són les propostes que més han destacat en el darrer any: el trencament de la inhibició de la tolerància induïda pel tumor mitjançant anticossos monoclonals i la introducció dels CART (limfòcits T amb receptors antigènics quimèrics).
Tot i que la repercussió en els medis de comunicació d’aquestes dues aproximacions ha estat per sobre d’altres propostes, convé esmentar com a mínim alguna d’aquestes opcions que fa molt més anys que s’intenten implantar com a immunoteràpies antitumorals:
La vacunació genèrica (injecció en l’individu de cèl·lules tumorals pròpies inactivades o de bateries de línies tumorals inactivades) o peptídica demostren una eficàcia reduïda per si soles, tot i que també són eficaces en de-
terminats pacients (entre el 5 i el 25 % de respostes segons els treballs i sempre en els tumors més immunogènics, principalment melanoma). Les possibilitats de produir aquests productes per injectar-los està afavorint que moltes empreses estiguin ja oferint aquesta alternativa amb finalitat comercial, tot i que queda per veure’n l’eficàcia amb assajos ben dissenyats.
La vacunació amb cèl·lules dendrítiques polsades amb antígens o pèptids ha estat i continua sent una estratègia força estesa en les aproximacions antitumorals (Vacchelli et al., 2013) de molts centres, en especial als Estats Units, tot i que s’han desenvolupats assajos a l’Hospital Clínic (Barcelona) i al CIMA (Pamplona). De nou, els resultats són modestos i dependents dels centres i el tipus de tumor (les respostes en tumors també van del 10 al 30 % dels pacients tractats).
A mig camí d’ambdues aproximacions hi ha induir la presentació de cèl·lules dendrítiques amb l’antigen tumoral, i en aquesta via cal destacar Provenge, de Dendreon, que és la primera immunoteràpia cel·lular autòloga a rebre l’aprovació de la FDA i l’EMA (agències del medicament dels Estats Units i Europea, respectivament) per al tractament de càncer metastàtic de pròstata resistent a tractaments hormonals. Provenge (nom comercial del producte sipuleucel-T) és un protocol de tractament en què a partir de cèl·lules autòlogues extretes del pacient enfrontades in vitro a una proteïna de fusió que combina el factor estimulant de colònies per a granulòcits i macròfags, o GM-CSF, amb l’antigen tumoral fosfatasa àcida prostàtica o PAP (anomenat en conjunt PAP/GM-CSF), s’indueix una maduració a cèl·lules dendrítiques que, carregant l’antigen tumoral PAP, permet en reinfondre’l induir una resposta T antitumoral in vivo. Els resultats, tot i ser força limitats per als pacients, obren la via a un sistema d’immunoteràpia cel·lular acceptat com a medicament de manera oficial (Sheikh et al., 2013).
La infusió de limfòcits T infiltrants de tumor (TIL) amb diferents variants d’estimulació d’aquestes cèl·lules és una opció clàssica que per a alguns grups segueix tenint un potencial antitumoral clar (Jiang et al., 2013), tot i que són pocs els centres que segueixen apostant per aquesta opció, que en general té uns resultats considerats també modestos.
Figura 2. Esquema d’un receptor antigènic quimèric (CAR). S’esquematitza el reconeixement de l’antigen tumoral dels limfòcits T citotòxics transduïts amb un lentivirus portador de la seqüència codificant del CAR que junt a la regió de reconeixement (scFv) combina una regió transmembrana i almenys dues de senyalització, una definida pel domini de senyalització de CD137 (41BB) que ajuda que els limfòcits proliferin, segregant citocines, i especialment sobrevisquin, i l’altra per al domini de senyalització de CD3ζ que activa el limfòcit T per a la funció citolítica efectora.
Cèl·lula tumoral (leucèmia/limfoma) o limfòcit B




Antigen tumoral (CD19)



















Proliferació / citocina
Supervivència
Totes aquestes aproximacions molt sovint reben la crítica d’aconseguir efectes transitoris, parcials i en general modestos, però també moltes vegades s’oblida que aquestes teràpies s’han estudiat en casos de càncer molt avançats en els quals no hi ha més opcions terapèutiques i en què habitualment la quimioteràpia i la radioteràpia no només han eliminat cèl·lules tumorals sinó que també han lesionat el sistema immunitari, un dels sistemes fisiològics més sensibles als tractaments anticancerosos. Per contra, la majoria d’aproximacions d’immunoteràpia antitumoral són pràcticament innòcues, amb molt pocs efectes secundaris i ben tolerats, fet que contrasta amb la important afectació que sol produir en els pacients tant la radioteràpia com sobretot la quimioteràpia. En l’horitzó tots els que treballen en immunoteràpia veuen que pot arribar a ser una gran opció terapèutica en els estadis menys evolucionats del càncer, tot i que és difícil renunciar a tractaments protocollitzats (amb la cirurgia, quimioteràpia o radioteràpia habituals), que en situacions normals tenen també una eficàcia alta i contrastada. Tampoc no ajuden els criteris oncològics de resposta associats a la quimioteràpia, ja que el que també és clar és que la majoria d’immunoteràpies necessiten un procés de desenvolupament in vivo que es dóna en paral·lel a una relativa progressió del tumor fins que la resposta immunitària fa el seu efecte. Només aquesta convenció per mesurar la resposta en la teràpia oncològica ja ha estat un limitant per avaluar correctament la immunoteràpia; afortunadament en els darrers anys aquests conceptes bàsics de com es desenvolupa la immunoteràpia s’han anat imposant, i ja s’apliquen altres mesures de l’efectivitat del tractament.
De tot el coneixement disponible al voltant de la immunoteràpia antitumoral, si bé se sap que diversos elements del sistema immunitari (des dels macròfags als anticossos) tenen el seu paper, és clar que la capacitat antitumoral principal prové de la funció citotòxica (Kerdiles et al., 2013), i si cal «escollir» entre la citotoxicitat de les cèl·lules NK i la dels limfòcits T, és la d’aquests darrers la que de moment té més eficàcia en l’eliminació de les cèl·lules tumorals. Si bé d’entrada tothom pensa en limfòcits T CD8+, altres subpoblacions sembla que tenen un paper rellevant.
Com ja s’ha comentat, el reconeixement de la importància de la immunoteràpia en els darrers temps ha arribat de la mà de dues aproximacions ben diferents al voltant dels limfòcits T citotòxics: el trencament de la inhibició de la tolerància induïda pel tumor mitjançant biològics i la introducció dels CART, sigles derivades de limfòcits T amb receptors antigènics quimèrics, en anglès.
Trencament de la inhibició de la tolerància induïda pel tumor amb biològics
Entre els mecanismes de pèrdua de la resposta immunitària T sobresurten dos fenòmens: la inhibició de l’activació dels limfòcits a través de la via CTLA-4 (CD152) / B7.1 (CD80) i B7.2 (CD86) (bàsicament en la interacció entre limfòcit T i la cèl·lula presentadora d’antigen, APC) i el bloqueig de la resposta per la interacció de PD-1 (CD279) i els seus lligands PD-L1 (CD274) i PD-L2 (CD273). La sortida al mercat com a fàrmac biològic de blocadors de CTLA-4 (CD152) (ipilimumab) (Hodi et al., 2010) va ser la primera aproximació aprovada com a terapèutica efectiva en melanoma metastàtic; com en casos anteriors ja comentats, els resultats poden ser considerats moderats (10 % dels pacients), però mostren que una resposta antitumoral de limfòcits T podia ser eficaç. Més recentment han entrat com a nou arsenal terapèutic biològics contra PD-1 (nivolumab o lambrolizumab) (Topalian et al., 2012) i contra PD-L1 (MDX-1105, aquest últim està avançant ràpidament en les seves fases d’estudi pels bons resultats obtinguts en la fase I; no es considera encara en fase III, per la qual cosa no apareix en la taula 1) (Brahmer et al., 2012). Amb algunes diferències quant a eficàcia i efectes secundaris, el «bloqueig del bloqueig», tant amb els anti-PD-1 com els anti-PD-L1, apareix com una de les estratègies terapèutiques més prometedores actualment per al tracta-
Grup
1. Immunoteràpia amb biològics («AcMoteràpia» antitumoral)
Exemples d’aplicacions
Antiantígens tumorals (HERK 2, CD30…)
Anti-CD20
Anti-CTLA-4
Anti-PD1, anti-PD-L1
2. Ús de citocines i adjuvants Infusió in vivo de citocines: IL-2, interferons.
3. Infusió de limfòcits citotòxics intratumorals postexpansió.
4. Transplantament de progenitors hematopoètics (SCT) a la cerca d’efecte «empelt contra leucèmia» (GVL)
5. «Vacunacions» directes amb cèl·lules dendrítiques (DC).
BCG carcinoma de bufeta urinària
Cèl·lules LAK (lymphokine-activated killer)
TIL (tumor-infiltrating lymphocytes)
Leucèmia Limfoma (altres propostes en el camp experimental)
Opcions maduratives diverses. Antígens diversos combinats amb elements maduratius: Sipuleucel-T
6. Teràpia gènica «pura» Ús de vectors vírics, oligonucleòtids i fins i tot DNA nu per induir respostes antitumorals.
7. Adreçament de la resposta de limfòcits T: receptors antigènics quimèrics (CAR).
TcR transgènic CART19 CARTmeso
antitumorals
ment de diversos tumors en què es desenvolupa una resposta antitumoral que no arriba a ser efectiva per raó d’aquest mecanisme d’escapament del tumor (l’expressió de PD-L1 en la superfície de les cèl·lules tumorals). El nivell d’eficàcia final d’aquestes aproximacions encara està pendent d’avaluar, però les dades apunten a un nivell d’èxit remarcable (fins a un 40 % de respostes objectives en alguns dels càncers estudiats per a PD-1, i fins a gairebé un 70 % en els primers estudis de tumors que són PD-L1+). De fet, ha estat la consolidació d’aquestes opcions terapèutiques la que ha portat a variar els mètodes d’avaluació de la resposta, i a més de permetre veure l’eficàcia d’aquests tractaments, suposa poder començar a valorar moltes de les respostes que la immunoteràpia indueix i que sota els criteris clàssics de resposta de la teràpia oncològica (per exemple, reducció de la massa tumoral als 1-3 mesos), deixava com a ineficaç aquestes aproximacions.
Teràpia cel·lular amb limfòcits T manipulats genèticament amb receptors antigènics quimèrics (CART de limfòcits T amb chimeric antigen receptors) Sorprenentment una de les propostes més complexes metodològicament parlant (ja que combina teràpia cel·lular amb teràpia gènica) ha arribat a ser una de les aproximacions més eficaces de la immunoteràpia antitumoral (Kochenderfer i Rosenberg, 2012): mitjançant la infusió de limfòcits T (immunoteràpia cel·lular) dirigits contra un determinat tumor mercès a presentar un receptor contra un antigen tumoral que s’ha introduït en el genoma limfocitari mitjançant un vector víric (teràpia gènica), s’aconsegueix una resposta antitumoral ràpida i eficaç. El receptor antigènic s’anomena quimèric (CAR) perquè és una construcció molecular que combina extracel·lularment els dominis de reconeixement derivats d’un anticòs específic contra un antigen tumoral (de fet, una modificació de cadena única de les regions variables de l’anticòs, scFv, que combinant-les permeten el reconeixement), amb dominis de senyalització de les molècules que aporten el primer (CD3) i segon senyal (CD28 o CD137/4-1BB) necessaris per induir la funció citotòxica, la proliferació limfocitària acompanyada de síntesi de citocines i la supervivència cel·lular, tres característiques que semblen imprescindibles perquè l’efecte citotòxic antitumoral dels limfòcits T sigui eficient (vegeu la figura 2). El DNA codificant d’aquest CAR s’introdueix gràcies al vector víric (lentivirus o re-
trovirus, segons el protocol) en els limfòcits T extrets principalment de l’individu a tractar i un cop les cèl·lules T transduïdes expressen el CAR (CART) s’expandeixen in vivo i s’infonen en el pacient amb càncer tot esperant que in vivo produeixin un fenomen de citotoxicitat antitumoral ràpid i eficient, alhora que es mantenen els limfòcits T al llarg del temps (Kalos et al., 2011). Si bé hi ha un ampli grup d’assajos clínics en marxa amb diferents CAR contra distints antígens tumorals de diferents tumors, de moment el que amb més rotunditat ha demostrat la seva eficàcia és el que es coneix com a CART19, ja que els CART van dirigits contra CD19, una molècula dels limfòcits B que es considera antigen tumoral de diverses malalties limfoproliferatives de l’estirp B. En aquesta aproximació per tractar leucèmies i limfomes B que s’han demostrat quimioresistents i en què no hi ha més opcions terapèutiques, es van afegint amb petites variants cada cop més centres arreu del món: als Estats Units hi ha almenys sis centres amb programes CART19 en desenvolupament; però sens dubte són els resultats del grup dirigit pel doctor Carl H. June, de la Universitat de Pennsilvània a Filadèlfia, els que han situat els CART com a opció antitumoral de primera línia (Kalos et al., 2011): al voltant del 50 % de respostes (la meitat respostes completes, és a dir, que els pacients no tenen «tumor detectable») en leucèmia limfàtica crònica (Porter et al., 2011), en què ja s’han tractat més de cinquanta pacients, i un 90 % de respostes completes en leucèmia limfoblàstica aguda en adults i nens (Grupp et al., 2013) (tot i que el volum de pacients tractats en aquests grups és clarament menor) (comunicació personal). Aquest tipus de teràpia presenta alguns efectes no desitjables, i els més rellevants són un quadre agut i greu d’alliberament de citocines que cal tractar amb anti-IL6R, i el fenomen de desaparició a llarg termini dels limfòcits B normals i la generació d’un dèficit immunitari que es controla amb immunoglobulines substitutives. Malgrat això la teràpia amb CART19
Bibliografia
Brahmer, J. R. [et al.] (2012). «Safety and activity of anti-PD-L1 antibody in patients with advanced cancer». N. Engl. J. Med., 366 (26): 2455-2465.
Chamberlain, P. (2013) «Assessing immunogenicity of biosimilar therapeutic monoclonal antibodies: regulatory and bioanalytical considerations». Bioanalysis, 5 (5): 561-574. Couzin-Frankel, J. (2013). «Breakthrough of the year 2013. Cancer immunotherapy». Science, 342 (6165): 1432-1433.
Grabenstein, J. D. (2012). ImmunoFacts 2013: Vaccines and Immunologic Drugs. St. Louis: Wolters Kluwer Health.
Gravitz, L. (2013). «Cancer Immunotherapy». Nature Outlook, 504 (7480, supl.): S1-S. <http://www.nature.com/nature/outlook/cancer-immunotherapy>.
Greenberg, S. (2013). «History of Immunology». A: Paul, W. E. (ed.). Fundamental Immunology 7th edition. Filadèlfia: Lippincott Williams & Wilkins, p. 22-45.
Grupp, S. A. [et al.] (2013). «Chimeric antigen receptor-modified T cells for acute lymphoid leukemia». N. Engl. J. Med., 368 (16): 1509-1518.
Hodi, F. S. [et al.] (2010). «Improved survival with ipilimumab in patients with metastatic melanoma». N. Engl. J. Med., 363 (8): 711-723.
Jiang, J. [et al.] (2013). «Cytokine-induced killer cells promote antitumor immunity». J. Transl. Med., 11: 83.
Juan i Otero, M. (2012). «Dendritic cells (DC) and their Toll-like receptors (TLR): Vital elements at the core of all individual immune responses. On the Nobel Prize in Physiology or Medicine 2011 awarded to Bruce A. Beutler, Jules A. Hoffmann, and Ralph M. Steinman». Contributions to Science, 8 (1): 61-68
Kalos, M. [et al.] (2011). «T cells with chimeric antigen receptors have potent antitumor effects and can establish memory in patients with advanced leukemia». Sci. Transl. Med., 3 (95): 95ra73.
Kerdiles, Y. [et al.] (2013). «T cell regulation of natural killer cells». J. Exp. Med., 210 (6): 1065-1068.
Kochenderfer, J. N.; Rosenberg, S. A. (2013). «Treating B-cell cancer with T cells expressing anti-CD19 chimeric antigen receptors». Nat. Rev. Clin. Oncol., 10 (5): 267276.
ha de ser ja considerada una opció terapèutica de primer ordre en el tractament d’uns quadres que d’altra manera condueixen a la mort del pacient en un breu període de temps. El proper repte principal dels CART és estendre aquesta proposta a altres càncers, especialment tumors sòlids, en els quals, si bé hi ha condicionants clarament diferenciadors que fan més complexes les opcions d’èxit, cada cop s’acumulen més dades experimentals que fan que estigui més a prop com a via de tractament específic i eficaç.
Els límits d’aquesta revisió fan que s’hagin deixat de costat un gran ventall d’immunoteràpies que són aplicades amb èxit, des del tractament d’infeccions persistents o en pacients amb immunodeficiències, a les regulacions de les respostes autoimmunitàries, passant per tractaments en les al·lèrgies o fins i tot en desequilibris metabòlics. Així, les diferents aproximacions immunoterapèutiques es posen en el centre de les opcions de tractament de moltes malalties mitjançades pel sistema immunitari. En tot cas, si bé moltes d’aquestes opcions són ja un present molt rellevant, les opcions de futur semblen més que engrescadores, i els seus límits només depenen del nostre coneixement i capacitat per modular i utilitzar un sistema de reconeixement i acció tan complex i eficient com és el sistema immunitari.
Agraïments
A tot el Servei d’Immunologia i el Centre de Diagnòstic Biomèdic de l’Hospital Clínic, que en darrer terme permet l’activitat que al voltant de la immunoteràpia desenvolupem amb un únic objectiu: els pacients. Aquesta activitat es basa en gran part en activitat de recerca que està suportada per l’Institut de Salut Carles III amb la col·laboració dels fons FEDER a través de les beques PI10/01404, PI13/00676 i PIE13/00033.
Marodi, L.; Casanova, J. L. (2011). «Primary immunodeficiencies may reveal potential infectious diseases associated with immune-targeting mAb treatments». J. Allergy Clin. Immunol., 126: 910-917.
Porter, D. L. [et al.] (2011). «Chimeric antigen receptor-modified T cells in chronic lymphoid leukemia». N. Engl. J. Med., 365(8): 725-733.
Pujol-Borrell, R. (2012). «Tolerancia inmunológica y sus mecanismos». A: Rozman, C.; Cardellach, F. (ed.). Farreras-Rozman. Medicina Interna. XVII edición. Barcelona: Elsevier.
Saadoun, D. [et al.] (2011). «Regulatory T-cell responses to low-dose interleukin-2 in HCVinduced vasculitis». N. Engl. J. Med., 365 (22): 2067-2077.
Sheikh, N. A. [et al.] (2013). «Sipuleucel-T immune parameters correlate with survival: an analysis of the randomized phase 3 clinical trials in men with castration-resistant prostate cancer». Cancer Immunol. Immunother., 62(1): 137-144.
Smaar, C. B. [et al.] (2013). «Antigen-specific tolerance in immunotherapy of Th2associated allergic diseases». Crit. Rev. Immunol., 33 (5): 389-414.
Tang, Q.; Bluestone, J. A. (2013). «Regulatory T-cell therapy in transplantation: moving to the clinic». Cold Spring Harb. Perspect. Med., 3 (11): 1-15.
Topalian, S. L. [et al.] (2012). «Safety, activity, and immune correlates of anti-PD-1 antibody in cancer». N. Engl. J. Med., 366 (26): 2443-2454.
Vacchelli, E. [et al.] (2013). «Trial watch: Dendritic cell-based interventions for cancer therapy». Oncoimmunology, 2 (10): e25771.
Vincent, F. B. [et al.] (2013) «Antidrug antibodies (ADAb) to tumour necrosis factor (TNF)-specific neutralising agents in chronic inflammatory diseases: a real issue, a clinical perspective». Ann Rheum. Dis., 72 (2): 165-178.
Werry, E. J. (2011). «T-cell exhaustion». Nature Immunol., 12 (6): 492-499.
Wolchok, J. D. [et al.] (2013). «Nivolumab plus ipilimumab in advanced melanoma». N. Engl. J. Med., 369 (2): 122-133.

La recerca en la diagnosi clínica a partir de l’anàlisi de l’alè es troba en un moment interessant. La publicació de resultats prometedors en el camp de la diagnosi del càncer de pulmó a partir de l’alè exhalat dels pacients ha catapultat les expectatives de poder millorar enormement les tècniques de diagnosi emprant sistemes d’olfacció artificial, o «nassos electrònics». La recerca en el camp dels nanosensors i nanomaterials, les tècniques avançades de processament de senyal associades, i una extensiva obtenció de dades experimentals, apunten ara a salvar en part les limitacions que sovint han previngut l’èxit dels sistemes d’olfacció artificial en moltes aplicacions reals.
Els gossos poden ensumar les malalties. Aquesta afirmació sorprenent és en bona part certa. L’olfacte caní és un dels instruments d’anàlisi química més sensibles coneguts i emprats per l’home. Estudis recents aporten noves evidències que efectivament podrien ser capaços d’ensumar el càncer de pulmó. Part d’aquest extraordinari sentit de l’olfacte és per la sensibilitat de l’olfacte caní, que pot arribar a detectar compostos presents en l’aire en l’ordre de parts per trilió, en alguns casos.
Aquestes espectaculars capacitats olfactives han estat un model a imitar, des de l’inici de la recerca en el camp de l’olfacció artificial l’any 1982. La intensa recerca en el camp dels sensors i del processament de senyal, íntimament associat al procés olfactiu, no han aconseguit en conjunt encara acostar-se a les remarcables capacitats de l’olfacte caní, de fet ni tant sols a l’humà. La recerca en materials sensors, i en particular els materials nanoestructurats, ha obert noves perspectives respecte a la sensibilitat dels sensors per a la detecció de gasos. L’alta relació superfície/volum dels materials nanoestructurats permet la detecció de canvis infinitesimals a la superfície; i, en casos particulars, s’han reportat sensibilitats properes a una part per trilió. Tanmateix, l’obtenció de sensors amb alta sensibilitat no és més que una petita pedra en la resolució d’una aplicació pràctica mitjançant l’olfacció artificial. En l’olfacte biològic els milions de receptors presents en l’epiteli olfactiu (fins a tres-cents milions en alguns gossos o cinc en els humans), són processats, filtrats i analitzats per una unitat
de procés gens menyspreable: el cervell. En aquest sentit, els avenços en la comprensió del processament de senyals en l’olfacte biològic han estat considerables, encara que el processament de senyal bioinspirat podem dir que encara es troba a les beceroles.
Els estudis actuals impliquen sovint l’aplicació d’algorismes més arrelats en la química analítica i en reconeixement de patrons no bioinspirats, que sovint resulten més adients per a les matrius de sensors relativament petites (comparades amb els epitelis olfactius) que se solen emprar actualment. Concretament, classificadors com les support vector machines (SVM), o regressors com el partial least squares (PLS), són algunes de les tècniques més emprades dins el camp del reconeixement de patrons per al sensor químic. Malgrat la qualitat evident de les eines disponibles sovint les limitacions més importants són degudes a conjunts de dades incomplets, inadequats (esbiaixats) o, simplement, escassos. Aquest és sovint el taló d’Aquil·les dels models estadístics. Tot i les limitacions que encara es troben en els sistemes d’olfacció artificial, treballs recents ofereixen resultats prometedors en la diagnosi de malalties a partir de l’alè exhalat. Diversos estudis han proporcionat distribucions de compostos volàtils orgànics a l’alè de la presència o absència de cèl·lules canceroses de manera estadísticament significativa, cosa que insinua, fins i tot, diferències entre els diferents tipus de càncer de pulmó. Aquests resultats han estat emprats per afinar la recerca de nanosensors, per detectar aquests compostos marcadors. El grup de Hossam Haick, a Israel, ha descrit recent-
ment avenços prometedors en la detecció, classificació de la histologia i seguiment del càncer de pulmó mitjançant la mesura de compostos volàtils amb sensors basats en nanopartícules d’or. Aquestes mesures representen un gran repte des del punt de mesura químic per l’elevada sensibilitat que requereixen; i, cas de ser confirmats, tal vegada podrien representar l’èxit més important en el camp de l’olfacció artificial.
En aquests treballs la tecnologia es complementa amb ambicioses campanyes d’adquisició de dades amb pacients reals, a partir de col·laboracions amb hospitals, fonamentals per a l’entrenament del nas electrònic. I també per a la validació dels resultats. Actualment, dins el projecte LCAOS, els diferents col·laboradors treballem per aconseguir traslladar tots aquests prometedors resultats a un instrument funcional d’utilitat pràctica per utilitzar-lo de manera rutinària en la diagnosi i seguiment d’aquesta greu malaltia. •
Imatge. Nanopartícules d’or emprades en sensors de gasos de nova generació.Imatge: Cedida per Technion, Israel Institute of Technology

Per saber-ne més
Peng, G. [et al.] (2009). «Diagnosing lung cancer in exhaled breath using gold nanoparticles». Nature Nanotechnology, 4: 669-673.
Ehman, R. [et al.] (2011). «Canine scent detection in the diagnosis of lung cancer: Revisiting a puzzling phenomenon». The European Respiratory Journal, 39 (3): 669-676.
Brash, O. [et al.] (2012). «Classification of lung cancer histology by gold nanoparticle sensors». Nanomedicine, 8 (5): 580-589.
Cèsar Blanché i Maria Bosch. BioC - Universitat de Barcelona
L’esperó de Bolòs (Delphinium bolosii, C. Blanché & Molero) és una ranunculàcia endèmica de Catalunya, amenaçada i coneguda tan sols a dues zones: el congost del Segre (prop d’Artesa de Segre, al Prepirineu) i les rodalies d’Ulldemolins (Priorat). En una tercera localitat (al massís de Sant Llorenç del Munt) havia estat documentat fa exactament un segle amb un plec d’herbari i ara acaba de ser-hi redescobert.
Ara fa un segle, Joan Cadevall (de qui acabem de celebrar el centenari de l’inici de la Flora de Catalunya) premsava i etiquetava el plec d’herbari d’un esperó recol·lectat al massís de Sant Llorenç del Munt («Cultivado en el jardín, procedente de la Font d’Estenalles, 1912»). Unes dècades més tard, Julià Molero descobria a Ulldemolins (Priorat) una població d’esperons molt similar, desconeguts per a la ciència fins aleshores; l’any 1983, aquesta troballa motivà la descripció d’una nova espècie, Delphinium bolosii C. Blanché & Molero, dedicada al professor Oriol de Bolòs i pertanyent a una estirp d’afinitats orientals (el grup de D. fissum s. l.), amb la qual presentava diferències en les formacions epidèrmiques

(l’indument), els marges de les fulles (lacínies foliars) més amples i flors més grosses i amb una dotació cromosòmica original. Aquesta nova espècie ha estat estudiada, des d’aleshores i de manera ininterrompuda, pels membres de l’equip de biologia de la conservació de plantes (BioC), de la Universitat de Barcelona.
D. bolosii és una planta herbàcia, perenne, rizomatosa, que pot assolir fins a més d’un metre i mig d’alçada, i formadora de rosetes. Pot arribar a fer fins a quaranta flors blau-violades, clarament esperonades, entre 22 i 26 mm, que fan tres fol·licles sense pèls (glabres) amb llavors petites i negres.
Actualment se’n coneixen només dos nuclis molt propers, a l’entorn d’Ulldemolins; i tres nuclis al congost del Segre, aigües avall d’Artesa de Segre, entre Rubió de Baix i Camarasa). Al massís de Sant Llorenç i l’Obac, tot i haver estat recercat amb una certa periodicitat, s’havia considerat extingida, ja que havia transcorregut la moratòria de cinquanta anys que indiquen els criteris de la UICN de 2001. Ara, hi ha estat retrobada.
El grup de recerca BioC ha estudiat a fons la biologia de l’espècie, començant pels sistemes reproductius, a través d’encreuaments experimentals; i de la pol·linització, en treballs de camp, a partir dels quals s’ha pogut comprovar que els canvis en l’ús del territori comporten canvis en la quantitat i qualitat dels serveis dels pol·linitzadors, ja que els individus de la població del Priorat manifesten incipients disminucions en la producció de llavors. També s’ha abordat l’estudi de la diversitat genètica, que és relativament baixa, incloent-hi la distribució de genotips en diversos locus en l’espai i la correlació entre nivells d’heterozigosi i eficàcia biològica, a través de dades isoenzimàtiques i de DNA cloroplàstic. La demografia a mitjà termini (seguiment des de fa dotze anys) assenyala fluctuacions notables, en part per la disponibilitat de recursos hídrics.
L’esperó de Bolòs està qualificat com a EN («en perill») al Llibre Vermell de flora ame-
naçada i és una espècie legalment protegida (Decret de flora amenaçada de Catalunya i Catálogo estatal de especies amenazadas) amb la màxima categoria, que obliga a establir un pla de recuperació específic que no ha estat encara aprovat, però que és del tot necessari per guiar les activitats de conservació.
A finals de 2012, Joaquim Pérez, membre del Centre Excursionista de Terrassa, i Àngel Hernández Cardona, botànic expert en la flora de Sant Llorenç del Munt, donaven a conèixer la troballa d’un únic individu de l’esperó de Bolòs al massís, prop de Mura. La Diputació de Barcelona, organisme gestor del Parc Natural de Sant Llorenç i la serra de l’Obac on es troba la localitat retrobada, ha encarregat al BioC un estudi sobre la troballa. Durant el primer any s’ha confirmat la identitat del tàxon, s’ha establert un cens que ateny uns 250 individus (recompte directe) i s’ha trobat una nova organització dels cromosomes, noves combinacions genètiques desconegudes a les altres poblacions i nivells més elevats de diversitat genètica, que fan d’aquesta població una baula estratègica per conservar el potencial evolutiu de l’espècie, mereixedora de mesures de conservació. Durant el 2014, la segona part de l’estudi (en curs) verifica l’estabilitat cromosòmica en els diversos rodals com també la funcionalitat reproductiva, que assegurin un futur autosostenible de la població, i la proposta de les mesures de gestió que es puguin integrar en el recentment aprovat Programa de Seguiment de la Flora Amenaçada (SEFA) de la Xarxa de Parcs de la Diputació de Barcelona.
Aquest retrobament es pot inscriure en el context de la troballa de poblacions d’altres espècies de flora que es creien extingides del tot a Catalunya (com ara Spirodela polyrrhiza, retrobada enguany a les terres de l’Ebre i a Collserola) o en la descripció, encara, de noves espècies de plantes per a la ciència (com ara Primula subpyrenaica, descrita a la primavera de 2014 del Berguedà per P. Aymerich, J. López i L. Sàez). Tot plegat ens confirma que cal continuar l’exploració florística del país per mantenir un coneixement actualitzat de la biodiversitat vegetal catalana.•
Per saber-ne més
Bosch, M. (2009). «Planta del Mes núm. 6: Esperó de Bolòs» [en línia]. Portal de biologia de la conservació de plantes. Laboratori de Botànica, Facultat de Farmàcia, Universitat de Barcelona. <http://hdl. handle.net/2445/20045>
Víctor Grau i Torre-Marin. Escola Politècnica Superior, Universitat de Vic
Comprenem millor aquelles magnituds de les quals tenim una experiència directa i que són properes a les dimensions implicades en la nostra vida quotidiana. Si depassen en molt, per excés o defecte, les escales habituals, aleshores necessitem referències. En general som capaços d’avaluar amb força precisió com de llarg és un metre, però se’ns fa més difícil si pensem en altres magnituds: volums, temps, rotacions... i fàcilment en perdem la perspectiva de les dimensions. La mesura ens dóna uns valors, però en copsem la «grandària»? Com comprenem les magnituds?
«Com puc, al mateix temps, estar en el present i disposar de prou perspectiva per adonar-me que el temps passa?» Sant Agustí, Confessions
Comprar 250 g de pernil o un litre de llet, tallar un metre de cordill o esperar el tren mitja hora són fets habituals. Intuïtivament sabem quin volum de llet tindrem, la longitud del cordill o com de llarga serà l’espera a l’estació. Concebre la magnitud de fets com aquests no suposa cap mena d’esforç, ja que ens hi ajuda la nostra experiència quotidiana.

Ara bé, si ens diuen que un disc gira a trenta-tres revolucions per minut segurament haurem de fer una petita divisió i observar el ritme al qual gira el disc per fer-nos-en una idea. Tampoc no ens farem una idea immediata del volum d’un dipòsit de 1.600 litres o dels 4 × 1011 estels de la nostra galàxia. I és que fàcilment les magnituds depassen la nostra comprensió... Tot sovint mesurar és un problema resolt, però això no garanteix la comprensió de les magnituds mesurades.
Mesurar
Comencem per posar algun exemple del que és o del que no és una magnitud. Ho són, per exemple la força, la velocitat o el volum. No ho són l’amor, el dolor, la valentia. Siguin o no magnituds, de totes podem fer-nos una idea del «valor» a través de mesures, de la nostra percepció directa o de les nostres emocions. La velocitat, per exemple, la podem mesurar amb un regle i un cronòmetre. Una operació matemàtica ens en donarà el valor i serà més precís com més ho siguin les nostres mesures.
I si volem mesurar el dolor? El dolor es defineix com ‘una experiència sensorial i emocional desagradable’. Un dolor que és tolerable per a unes persones pot ser insuportable per a altres. El dolor és sempre subjectiu; però es busquen maneres de mesurar-lo, com ara és donant als pacients una línia d’uns 10 cm sobre la qual han de situar la intensitat del seu dolor. Però un cop mesurades les magnituds, com les comprenem?
L’experiència
Per a un infant de sis anys una setmana és
llarguíssima, el curs escolar és enorme i pensar a dos anys vista és el futur llunyà. La seva experiència vital ha estat de només sis anys, i dos en són una eternitat. A mesura que ens anem fent grans, la nostra percepció del temps canvia, aviat una setmana serà un temps curt, i el curs escolar esdevé un període raonable. A vint anys mirem deu anys enrere i ens sembla molt de temps, i cap a cinquanta descobrim que certs records, que crèiem propers, ja tenen trenta anys. La nostra percepció del temps va canviant amb la nostra experiència vital.
La distància de Vic a Sant Cugat és d’uns 60 km i la major part de nosaltres ens fem una idea clara de què significa això; però fixem-nos com. Potser pensem en el viatge en cotxe, els revolts que passarem, el temps que trigarem i els pobles que passarem, i tot això ens dóna una imatge dels 60 km. També podem imaginar el plànol i veure les ciutats i la carretera. Però si un metre de cordill el copsem directament d’una ullada, ara necessitem l’ajut de referències temporals o espacials.
Observem, doncs, que copsar magnituds implica referir-se a alguna experiència personal, fet que ens remet a la coneguda frase de Protàgores «l’home és la mesura de totes les coses». Aristòtil ho explica dient:
«[...] i no deia altrament que allò que sembla a cadascú, allò és sens dubte. Essent així, resulta que la mateixa cosa és i no és, que és bona i dolenta, i igualment en relació amb el que es pot dir amb proposicions contradictòries, ja que una cosa apareix a uns bella, i a d’altres al contrari: mesura és allò que apareix a cadascú.»
L’experiència ens dóna recursos, així l’astrònom s’habitua a treballar en anys llum i es fa una idea clara de les dimensions a l’espai, el biòleg copsa les mides relatives dels microorganismes i el geòleg la durada dels períodes geològics, però potser no amb la immediatesa del litre de llet esmentat al principi.

Pensem millor «en pla» I si els objectes es corben o giren? Aquí la nostra comprensió es posa a prova. Estem habituats a un entorn «pla», en el qual tenim les nostres experiències, treballar amb girs o superfícies corbes demana un esforç suplementari. Respecte a les rotacions sorprèn força la proposta de Lévy-Leblond en què compensa la doble torsió d’una cinta aplicant només translacions paral·leles de l’extrem d’aquesta, i ens fa veure la propietat geomètrica del nostre espai on l’absència de rotació equival a dues voltes completes. Aquesta estranya propietat desfigura l’oposició entre les categories recte i corbat, ja que mostra que es pot cargolar la cinta sense ferla girar.
D’una altra banda, és més fàcil imaginar 1 m 2 sobre un pla que sobre una esfera. I per
Bibliografia
Carandell, M. (2012). «Entrevista a John Wearden: Provo d’entendre per què a la gent gran els dies se’ls fan llargs i els mesos curts» [en línia]. UAB Divulga (juny). <http://www.uab.es/ servlet/e?cid=1096481464166&pagen ame=UABDivulga%2FPage%2FTem platePageDetallArticleInvestigar&par am1=1340173438747>
això el problema dels cartògrafs: traslladar al pla la superfície de la Terra. De fet, és un problema insoluble, ja que és impossible projectar fidelment una esfera sobre un pla; però sobre el pla sabem treballar: marcar rutes o mesurar distàncies. Els primers mapes dibuixaven un món molt petit, fruit de la gran quantitat de terres inexplorades; un altre cop, la mesura del món estava determinada pel coneixement que en teníem.
El temps
El temps és desconcertant. Com que no en tenim cap imatge directa, per copsar-lo imaginem processos de durada similar, comparables. Podem agafar un rellotge, però què ens marca el rellotge? Observem el moviment de les busques, i diem que dóna l’hora, però el rellotge passa les hores sense fer res més que girar: disfressa el temps de movi-
Huang, C. The Scale of the Universe 2. Aplicació informàtica <http://htwins. net/scale2/index.html>
Klein, É. (2003). Las tácticas de cronos. Siruela («Biblioteca de Ensayo», núm. 41).
Lévy-Leblond, J. M. (1996). Conceptos contrarios o el oficio de científico Tusquets («Metatemas», núm. 70).
Gran o petit, llarg o curt... ?

ment i no ens en diu res. El llenguatge quotidià li atribueix «rapidesa», però justament la velocitat és una derivada respecte... al temps!
Per afegir-hi més dificultat, la durada mai no es fa present in extenso, està formada per instants que no coexisteixen. La podem recórrer, però no la podem mostrar, només en podem percebre els efectes, i és així com en copsem la magnitud.
I doncs?
Som capaços de mesurar el temps, l’espai o les masses amb una precisió extraordinària, però sembla que sense alguna experiència més vital i directa d’aquestes segueixen lluny de la nostra comprensió. Potser ja tenia raó Protàgores:
«Les coses són, amb relació a mi, tal com a mi em semblen, i amb relació a tu, tal com a tu et semblen». •

Víctor Grau i Torre-Marin (Santa Coloma de Gramenet, 1962) és llicenciat en ciències físiques per la Universitat de Barcelona i doctor en ciències físiques per la Universitat Politècnica de Catalunya. Ha estat professor a la UPC des del 1992 i, des del 2006, a la Universitat de Vic. Va iniciar la seva carrera investigadora treballant en matèria condensada i actualment centra la seva recerca en la didàctica de la ciència i les matemàtiques dins del Departament de Didàctica de les Arts i les Ciències de la UVIC. És també creador i director de la iniciativa PhysicS! (www.physics.cat) per apropar la física als centres d’ensenyament de Catalunya.
Juli Peretó. Universitat de València i Institut d’Estudis Catalans
Més enllà del caràcter patogènic dels microorganismes i de l’aparent conflicte amb postulats bàsics del darwinisme, Lynn Margulis va contribuir decisivament al reconeixement de la immensa força evolutiva de la simbiosi.
El planeta Terra batega de vida des de fa quasi 4.000 milions d’anys. La vida primigènia degué ser, amb tota probabilitat, de tipus procariòtic. És a dir, els primers organismes serien microscòpics i amb una estructura cel·lular senzilla. Però la vida degué també diversificar-se ràpidament en termes de la seua capacitat d’assimilació i transformació de l’entorn. La incorporació dels elements químics necessaris per a la construcció de les seues pròpies estructures (l’autopoesi) és un tret característic de la vida i, en cas de no haver-se establert aviat, la biosfera s’hauria extingit per exhauriment de matèries primeres.
Els cicles biogeoquímics, per tant, també han de ser força antics. Aquests cicles, tanmateix, s’estableixen per la col·laboració de capacitats transformadores diverses, de metabolismes d’organismes diferents que teixeixen xarxes d’intercanvis: el que és un producte d’excreció o una substància tòxica per a uns, és aliment i combustible vital per a altres. Llavors, la vida és un fenomen químic planetari ben curiós. L’intercanvi de substàncies en solució aquosa i en fase gasosa és inherent a la vida terrestre i la vida mateixa no existiria sense aquestes xarxes d’integració i col·laboració química que mouen tots els bioelements. Aquesta integració interespecífica pot arribar a ser tan íntima que unes espècies es fusionen amb altres per generar noves formes de vida.
La idea de biosfera de Vladímir Ivanòvitx Vernadski es fa ací present. La biòloga Lynn Margulis i el químic atmosfèric James Lovelock estengueren aquesta visió planetària de la vida: és impossible entendre l’origen i l’evolució de la vida sense considerar els factors químics i geològics. És la noció de la vida com una «exuberància planetària», en paraules de Margulis i Sagan (1997), com l’única «organització en expansió connectada a través del temps darwinià amb el primer bacteri i, a través de l’espai vernadskià, amb tots els ciutadans de la biosfera».

La fusió de branques de l’arbre de la vida
La idea de simbiogènesi per a l’origen de la complexitat eucariòtica no és nova: el paper de la simbiosi en l’evolució fou introduït per biòlegs russos de principis del segle xx, tot i que assolí una acceptació generalitzada molts anys després,
sobretot gràcies a l’impuls científic i intellectual de Lynn Margulis. Andrei Sergeivitx Famintsin aïllà i intentà cultivar cloroplasts. Konstantin Sergeivitx Merezhkovki proposà un origen cianobacterià dels cloroplasts i introduí el terme simbiogènesi el 1909 per referir-se a la innovació evolutiva per associació. Borís Mikhailovitx Kozo-Polianski connectà la simbiogènesi amb el principi darwinista de la selecció natural en la seua obra de 1924, publicada en rus, ignorada per la comunitat científica internacional i traduïda fa pocs anys a instàncies de Margulis. En una comunicació al congrés de botànics russos de 1921, Kozo-Polianski corregia la idea de Linné, natura non facit saltum, i feia la proposta explícita que l’origen de noves formes de vida es podia deure no sols a la divergència de branques evolutives sinó a la seua fusió. Una extensió del principi de divergència darwinista que permetia explicar novetats evolutives com a resultat de l’associació d’espècies diferents.
Tot i això, aquestes propostes no deixaven de ser marginals i mancades d’un suport empíric sòlid. Altres autors, com Ian Wallin als EUA o Paul Portier a França, també feren propostes en favor de la simbiosi en el procés de la formació de la cèl·lula eucariòtica, per bé que foren ridiculitzats pels seus collegues contemporanis. Margulis conegué a fons eixes propostes pioneres i sempre en reconegué els precedents. Però només a ella li devem l’articulació moderna de la noció de la simbiosi com un mecanisme de generació d’innovacions evolutives, basada en dades cel·lulars, bioquímiques, genètiques, paleontològiques i geològiques. La solidesa d’aquesta proposta arribà a convèncer fins els oponents més crítics.
L’origen de la cèl·lula eucariòtica Tot i que considerem que el nucli cel·lular és una característica definitòria de la complexitat eucariòtica, el seu origen és encara un enigma. Al contrari, tenim bones explicacions per a l’origen de mitocondris i plastidis:
són els descendents de bacteris endosimbionts. El mitocondri es va originar potser fa uns 2.000 milions d’anys a partir d’un avantpassat dels actuals proteobacteris α . Els plastidis tenen uns 1.200 milions d’anys, quan un eucariota heterotròfic adquirí la fotosíntesi fagocitant un avantpassat dels cianobacteris. Aquesta noció és totalment compatible amb les dades aportades per la biologia cel·lular, la bioquímica i la filogenètica.
Podem considerar que els models més explicatius per a l’origen de la cèl·lula eucariòtica són els anomenats quimèrics, que proposen la fusió o simbiosi de dues cèl·lules procariòtiques (un arqueu i un bacteri) com a desencadenant dels trets específics dels eucariotes. Les diverses propostes tenen en comú un motor inicial de l’associació: una simbiosi metabòlica (sintròfia) mutualista, basada en el metabolisme del sofre (Margulis, Guerrero i col·legues seus) o de l’hidrogen i el metà (en els models de Martin i Müller i de Moreira i López-García; per a una revisió d’aquestes idees consulteu Moya i Peretó, 2011). El debat sobre quins foren els protagonistes d’aquesta associació fundadora de la cèl·lula eucariòtica continua obert.
L’evolució dels mitocondris i dels plastidis
Si llegim els nostres llibres de text de biologia, el cànon estableix que els mitocondris són el paradigma de la respiració d’oxigen. No obstant això, l’exploració de la biodiversitat eucariòtica apunta en una altra direcció: hi ha un extens ventall d’orgànuls relacionats filogenèticament que permeten l’existència d’organismes, unicel·lulars o pluricel·lulars, en nínxols ecològics que van des dels completament oxigenats fins als estrictament anòxics. Protists, fongs, fins i tot animals, amb estils de vida anaeròbics, ens parlen de l’extraordinària capacitat adaptativa dels eucariotes i del mitocondri. Margulis reconeixia en alguns eucariotes que a la dècada de 1980 es considerava que semblaven no tenir mitocondris (com són els diplo-
monadins o els tricomonadins) els descendents d’antics eucariotes primitius anteriors a la simbiogènesi que originà el mitocondri. Avui sabem que aquests llinatges són exemples d’adaptacions del mitocondri a la manca d’oxigen. En aquestes cèl·lules queden restes estructurals, genètiques i bioquímiques d’un passat de plenitud metabòlica mitocondrial: són, per exemple, els mitosomes de Giardia o els hidrogenosomes responsables del metabolisme fermentatiu de Trichomonas. De moment no sabem de cap llinatge eucariòtic que no tinga o haja tingut mitocondris. Van existir realment i s’extingiren del tot? O segueixen esperant-nos en algun racó anaeròbic del planeta com Margulis sempre va suposar?
Posteriorment, l’endosimbiosi inicial que originà els plastidis implicà la incorporació d’un cianobacteri a una cèl·lula eucariòtica dotada de nucli, citosquelet i mitocondris. D’ací sorgirien el llinatges de glaucòfits, rodòfits i cloròfits, del qual derivarien les plantes terrestres. Però, més tard, els plastidis primaris s’expandiren cap a altres branques de l’arbre eucariòtic, mitjançant endosimbiosis secundàries i terciàries, i això fa de la fotosíntesi un dels trets metabòlics més promiscus entre els eucariotes, que ha arribat a ser aprofitat fins i tot pels animals, com el mol·lusc Elysia chlorotica. Tot això és una mostra de l’oportunisme evolutiu d’éssers transparents que es beneficien dels cloroplasts d’organismes fotosintètics ingerits però no digerits.
La natura és curulla de sorpreses per a aquells que en sàpiguen trobar. El cromatòfor de l’ameba filamentosa Paulinella chromatophora té una connexió filogenètica amb els cianobacteris, però no amb el mateix grup que semblen parents dels cloroplasts. El cromatòfor de Paulinella pot representar un segon origen independent d’orgànuls fotosintètics per simbiogènesi. L’exploració de la biosfera i dels protists, en particular, encara amaga moltes novetats. La saviesa que atresorava Margulis sobre aquest univers in-

Figura 2 La foto mostra un mitocondri de la paparra comuna (Ixodes ricinus) amb tres bacteris (B, Midichloria mitochondrii) al seu interior, localitzats en l’espai intermembranós de l’orgànul. La micrografia electrònica de transmissió és gentilesa de Luciano Sacchi, Universitat de Pavia.
creïble de diversitat és un bé molt escàs en el nostre món acadèmic actual, una saviesa en risc sota la pressió del foment d’una recerca aplicada i utilitarista.
Simbiosis recents
La relació metabòlica i genètica entre procariotes i eucariotes no s’acaba amb l’origen dels orgànuls. Quan els eucariotes emergiren i es diversificaren a la Terra, els procariotes ja duien ací més de mil milions d’anys d’adaptacions evolutives. Quan organismes

com els animals o les plantes començaren a conquerir el planeta no podien de cap manera evitar la interacció, la infecció, la compenetració, per dins i per fora, amb els procariotes. Hi ha molts exemples d’associacions estables, emergides per simbiogènesi, entre procariotes i plantes, animals, fongs o protists. Els bacteris endosimbionts d’eucariotes poden ser un model de l’origen dels orgànuls eucariòtics, fotogrames d’una pellícula evolutiva recent que ens poden inspirar hipòtesis i explicacions sobre l’evolució eucariòtica. Una generalització òbvia és que els eucariotes són mosaics genètics i metabòlics, que reuneixen l’herència d’avantpassats associats, en aliances més o menys amistoses, i que resultaren en una nova combinació genòmica i funcional sotmesa a l’acció de la selecció natural. Tenim el cas dels bacteris residents permanents dins de cèl·lules eucariotes, com els endosimbionts dels insectes. O les microbiotes complexes que habiten els intestins animals. Els estilets de les tècniques òmiques ens permeten endinsar-nos en un món extraordinari de promiscuïtat amb microorganismes que es resisteixen a l’aïllament i el cultiu pur.
Hi ha molts casos d’endosimbiosis recents evocadores d’una història evolutiva antiga, la de l’origen dels orgànuls. Per exemple, la paparra Ixodes ricinus, el principal vector de la malaltia de Lyme a Europa, conté po-
blacions de Midichloria mitochondrii, proteobacteris α endosimbionts allotjats tant en el citoplasma de les seues cèl·lules com en l’espai intermembranós del mitocondri. És el primer exemple descrit d’un endosimbiont instal·lat al mitocondri, com dos parents llunyans que s’han retrobat. La posició filogenètica dins del grup al qual pertanyien els avantpassats mitocondrials suggereix que M. mitochondrii podria ser un bon model de l’establiment d’aquest orgànul. És remarcable que el genoma d’aquest bacteri continga tots els gens d’un flagel i d’una maquinària respiratòria que podria funcionar amb concentracions d’oxigen molt baixes. Podem suposar que l’avantpassat bacterià del mitocondri tingué flagel i que, per tant, més que el resultat d’una fagocitosi i indigestió (com sembla que són els cloroplasts i tots els seus descendents), el mitocondri seria el resultat d’una infecció, superada i explotada per l’hoste. Alhora, una capacitat àmplia de relacionar-se amb l’oxigen podria explicar que l’evolució reductiva de diversos llinatges eucariòtics adaptats a ambients amb poc oxigen originaria tot l’espectre d’orgànuls d’origen mitocondrial que avui veiem disminuïts i simplificats, com els hidrogenosomes o els mitosomes.
Altres endosimbiosis bacterianes poden explicar com un animal pot proveir-se de nutrients essencials des de dins, sense de-
Figura 3 Micrografia electrònica del bacterioma del pugó del cedre (Cinara cedri). Buchnera aphidicola (B) i Serratia symbiotica (S) formen un consorci bacterià intracel·lular. N, nucli del bacteriòcit. Cortesia d’Amparo Latorre i Vanesa Martínez (Universitat de València).
pendre de la dieta, com és el cas del subministrament d’aminoàcids aromàtics del bacteri Buchnera aphidicola als pugons. O com les panderoles poden haver convertit l’àcid úric —una forma d’excreció del nitrogen en animals terrestres— en una reserva de nitrogen per a èpoques d’escassetat, amb l’ajut de Blattabacterium cuenoti, un bacteri instal·lat al seu cos gras. O com els tèrmits poden haver adquirit la capacitat de digestió de la fusta associant-se amb protists i bacteris intestinals dotats de la bateria enzimàtica necessària per degradar la cel·lulosa (aquests i molts altres exemples es recullen a Moya i Peretó, 2011). A propòsit d’observacions com aquestes, Margulis ens va abocar a fernos la pregunta, gens trivial, d’on comença i on acaba l’individu (diversos capítols a Margulis, 2002, tracten aquesta qüestió).
Conclusió
Fa més de vuitanta anys Kozo-Polianski suggeria que la simbiogènesi era d’aquelles idees noves i potents que obren les portes a noves àrees d’investigació i faciliten la innovació. I afegia: «la teoria de la simbiogènesi, sense dubte, representa un programa de la biologia nou i ampli [...]. Trobar, per a cada organisme complex, els components que el constitueixen; estudiar l’estructura, mode de vida, sistemàtica, distribució de cada component per separat, aïllat dels consorcis i dins del sistema; fer l’anàlisi i la síntesi dels sistemes consorciats: aquestes són les tasques actuals de la biologia derivades de la teoria de la simbiogènesi». La vida científica i intel·lectual de Lynn Margulis, dotada d’un coneixement robust i ampli de la biosfera, fou un exercici permanent d’imaginació, d’originalitat en la cerca, de reflexió i observació, una pràctica incansable i fructífera d’aquesta noció de la simbiogènesi com a font de novetat evolutiva, d’aquesta visió de l’evolució impulsada per la promiscuïtat de la vida i allunyada d’un món d’espècies pures i ideals, sense cap interacció entre elles. Una visió tan atrevida com carregada de futur. •

Figura 4 Tres hipòtesis sobre l’origen de la cèl·lula eucariòtica. L’esquema resumeix els postulats de la teoria endosimbiòtica seriada de Margulis (esquerra), la hipòtesi de la sintròfia de Moreira i López-García (centre) i la hipòtesi de l’hidrogen de Martin i Müller (dreta). L’interrogant indica que encara no s’ha trobat cap eucariont que no tingui o haja tingut mitocondris. Les línies discontínues indiquen una via alternativa per a l’origen del mitocondri en la hipòtesi de la sintròfia.
Bibliografia
Kozo-Polyansky, B. M. (1924). Symbiogenesis. A new principle of evolution V. Fet (trad.); V. Fet i L. Margulis (ed.). Cambridge: Harvard University Press, 2010.
Margulis, L. (2002). Una revolución en la evolución. Selecció de textos editats per J. Peretó. València: Publicacions de la Universitat de València («Honoris causa», 20).
Margulis, L.; Sagan, D. (1997). Què és la vida? Barcelona: Proa.
Moya, A. [et al.] (2008). «Learning how to live together: genomic insights into prokaryote-animal symbioses». Nature Reviews Genetics, 9: 218-229.
Moya, A.; Peretó, J. (2011). Simbiosis: seres que evolucionan juntos. Madrid: Síntesis.
Sassera, D. [et al.] (2011). «Phylogenomic evidence for the presence of a flagellum and cbb3 oxidase in the free-living mitochondrial ancestor». Molecular Biology and Evolution, 28: 3285-3296.

Juli Peretó és professor de bioquímica de la Universitat de València, investigador de l’Institut Cavanilles de Biodiversitat i Biologia Evolutiva, i membre numerari de l’Institut d’Estudis Catalans. Fou vicepresident de la International Society for the Study of the Origin of Life. El seu llibre més recent és Simbiosis: seres que evolucionan juntos (editorial Síntesis, 2011), escrit amb Andrés Moya.
Hi ha persones que, després d’haver entrat en un estat de coma profund durant setmanes, obren els ulls per primera vegada. A diferència de quan estaven en coma, respiren de manera espontània; però no poden fer cap moviment voluntari i, per tant, no es poden comunicar. La seva mirada és erràtica, no poden fixar-la durant gaires segons en un objecte o persona. A vegades ploren. Se’ls diagnostica d’estat vegetatiu pel fet que no hi ha cap evidència que malgrat que estiguin desperts siguin conscients d’ells mateixos o del que els envolta. Les qüestions que sovint plantegen els familiars són del tipus: sap qui sóc?, em reconeix la cara?, reconeix la meva veu?, entén el que li dic?, li he de parlar?, pateix?
L’estat vegetatiu va ser descrit per Bryan Jennet i Fred Plum l’any 1972 com una dissociació entre l’alerta (estar despert) i la consciència d’un mateix o del medi. Els criteris establerts pel Royal College of Physicians de Londres per definir l’estat vegetatiu i diferenciar-lo d’altres alteracions de la consciència com el coma, l’estat de deseferentació (locked-in) o l’estat de mínima consciència daten del 2003. Es fonamenten en l’exploració clínica que posa en evidència la manca de respostes voluntàries i en conseqüència la manca de consciència, tot i la presència de cicles de son-vigília preservats i la respiració espontània. Malgrat els notables avenços de la neuroimatge, que permeten veure directament les respostes cerebrals a l’estimulació ambiental, aquests criteris no han estat encara revisats.
A Catalunya, la incidència de nous casos d’estat vegetatiu anuals s’estima que està
al voltant de vint persones per cada milió. Les causes més comunes són el traumatisme cranioencefàlic produït per accidents de trànsit i el dany cerebral vascular degut a la manca d’oxigen, produït per parades cardiorespiratòries o per situacions d’asfíxia. L’estat vegetatiu es pot considerar persistent si dura més d’un mes després de la instauració; i es considera permanent o irreversible després de sis mesos en el cas de ser d’origen vascular, i de dotze mesos en el cas de ser d’origen traumàtic. Els pacients en estat vegetatiu poden evolucionar a un estat anomenat de mínima consciència en què es poden observar llacunes de funcions cognitives, com ara l’emissió de paraules aïllades, la resposta a alguna ordre o la prensió voluntària d’un objecte. La diferenciació entre estat vegetatiu i mínima consciència té repercussions ètiques i legals, especialment en països on està legalitzada l’eutanàsia. D’altra banda, i en funció del grau de consciència, es pot

plantejar un tractament específic (estimulació ambiental) o es poden prendre decisions sobre la institucionalització del pacient.
Hi ha opinions contradictòries sobre el grau de reconeixement que les persones amb estat vegetatiu o mínima consciència tenen dels seus familiars. Malgrat que no mostren cap evidència de conducta intel·ligent i que és impossible obtenir-ne cap resposta voluntària, els seus familiars i cuidadors poden observar sovint que hi ha algunes respostes diferents segons la persona que els visita. Així, es poden observar canvis en el color de la pell (poden enrogir), canvis en el ritme cardíac; i, fins i tot, canvis en la durada de la fixació visual davant d’una persona coneguda. Algunes d’aquestes respostes fisiològiques poden enregistrar-se de manera objectiva mitjançant uns aparells anomenats polígrafs que són capaços d’objectivar canvis fisiològics relacionats amb estímuls amb càrrega emocional. Tot i això, el fet d’haver-hi respostes emocionals no pot garantir que hi hagi activitat neocortical que permeti percebre estímuls, raonar o evocar records. En els últims deu anys els avenços de les tècniques de neuroimatge han esdevingut unes eines sorprenents per respondre preguntes sobre com funciona el cervell de les persones diagnosticades com a estat vegetatiu o de mínima consciència. Just fa molt poc que comencem a disposar d’aquestes eines per saber com aquestes persones, que tenen un pronòstic de vida de molts anys, processen la informació i si són o no capaces de pensar. Els primers estudis de neuroimatge que es van fer en persones en estat vegetatiu plantejaven si tenien capacitat de percebre estímuls externs. Atès que les tècniques de neuroimatge poden posar en evidència la resposta cerebral en funció del tipus d’estímul, es poden fer dissenys que permeten
Figura 1 Il·lustració del disseny de la tasca de llenguatge que es presenta als pacients en estat vegetatiu mentre s’estan adquirint imatges del ser cervell mitjançant la tècnica de ressonància magnètica funcional. Fernández Espejo et al., Brain Injury, 2008
veure si s’activen regions cerebrals diferenciades segons el tipus d’estímul que se’ls presenta. Actualment es coneixen bé les xarxes cerebrals que processen estímuls auditius, visuals, tàctils o olfactoris. Més encara, el cervell respon de manera diferent si els estímuls visuals presentats són cares, cotxes, colors, lletres, o edificis. Així, d’acord amb els coneixements de les regions cerebrals que s’activen com a conseqüència de l’estimulació externa, ens podem plantejar si les persones en estat vegetatiu processen o no la informació sensorial simple i complexa i si ho fan en les mateixes regions que les persones sense lesions cerebrals.
El primer experiment adreçat a estudiar les respostes cerebrals en pacients en estat vegetatiu es dugué a terme l’any 1997 amb la tècnica de tomografia per emissió de positrons (PET). Es va descriure que un jove en estat vegetatiu activava diferents regions cerebrals segons si sentia sons o la veu de la seva mare que li explicava una història. En els anys següents es van anar publicant casos aïllats en els quals es podia detectar activació cerebral en resposta a cares de familiars, colors, paraules i estímuls dolorosos. A partir de l’any 2004 es van publicar els primers
experiments amb ressonància magnètica funcional (RMf), que té l’avantatge sobre el PET de més resolució espacial; així es va poder identificar millor l’activació de regions especifiques i l’avantatge que no implica l’ús de cap contrast radioactiu. Des de l’any 2004 fins avui els resultats dels estudis amb RMf han millorat de manera molt notable pels avenços en els aparells de RMf que permeten adquisicions d’imatges millors, els avenços dels sistemes d’anàlisi de la informació dels senyals cerebrals i també dels dissenys emprats pels investigadors.
La capacitat de processament i comprensió del llenguatge ha estat el tema de més interès en els pacients amb estat vegetatiu o mínima consciència, ja que una pregunta que es fan sovint els familiars és si val la pena que se’ls parli i se’ls llegeixi, i si realment entenen alguna cosa. En el nostre laboratori l’any 2006 vam dissenyar una tasca lingüística per usar-la en la ressonància magnètica per analitzar el grau d’integració de les respostes cerebrals davant del so i davant del llenguatge. En concret, vam gravar vuit narracions de vint segons de durada. Aquestes mateixes narracions es van processar digitalment invertint-les de manera que els estímuls conservaven les mateixes característiques acústiques físiques però sense la possibilitat d’identificar-ne cap significat. Amb aquest disseny vam poder detectar que dels tres pacients que havien estat diagnosticats d’estat vegetatiu, un responia activant les àrees auditives primàries davant el so, un altre activava les àrees del so i també les àrees associatives del llenguatge i un tercer no activava cap regió. De la mostra total de setze pacients que vam podem analitzar, vuit tenien un processament auditiu


Figura 2 Regions del cervell que s’activen més quan se senten narracions respecte al silenci. La barra de colors indica el nivell de significació estadística. A la part superior hi ha la mitjana de 20 subjectes control, a la renglera següent el subjecte control que mostrava més activacions. I a sota dos pacients en estat vegetatiu (EV) i dos pacients amb mínima consciència (MCS). Fernández Espejo et al., Brain Injury, 2008
que activava àrees primàries que permeten identificar sons, i en sis hi havia un processament que implicava regions cerebrals complexes implicades en la comprensió del llenguatge. Per tant, vam poder afirmar que, en un nombre no menyspreable de pacients amb suposats problemes de consciència, la informació lingüística arriba a les zones del cervell que processen el llenguatge. El que no podíem assegurar amb aquest disseny era si realment comprenien allò que el seu cervell processava. El grup de recerca diri-
Figura 3 Contrast entre les narracions amb significat i les narracions invertides (inintel·ligibles). La barra de colors indica el nivell de significació estadística. A la part superior hi ha la mitjana de vint subjectes control, a la renglera següent el subjecte control que mostrava menys activacions. I a sota un pacient en estat vegetatiu (EV) i un pacient amb mínima consciència (MCS). Fernández Espejo et al., Brain Injury, 2008

git pel professor Adrian Owen va anar més enllà i va posar una altra condició més complexa en els seus experiments. Als pacients els presentaven quatre tipus de condicions: silenci, soroll, frases amb significats i frases ambigües amb alta complexitat. Amb aquest disseny van trobar que en setze de quaranta-un pacients no hi havia resposta, però que sis responien al so, dinou al so i al llenguatge i quatre tenien evidències d’alt processament del significat, ja que activaven regions complexes en resposta a les frases ambigües. El 2006 es va publicar a la prestigiosa revista Science un cas que va tenir un gran ressò en la comunitat científica, perquè demostrava la capacitat d’activar regions cerebrals mitjançant la imaginació. En concret, es va descriure el cas d’una noia de 23 anys que estava en estat vegetatiu, si li demanaven que jugués al tenis activava la regió del còrtex frontal relacionada amb la programació dels moviments, i si li demanaven que s’imaginés que passejava per casa seva se li activava la regió relacionada amb l’espai. La qüestió que es va plantejar la comunitat científica en resposta a aquesta comunicació científica era que si una persona pot processar informació complexa i el seu cervell pot donar respostes voluntàries, no és possible mantenir el diagnòstic d’estat vegetatiu.
Més endavant, el mateix grup va dur a terme un altre experiment de gran rellevància i els resultats es van publicar a la revista The
New England Journal of Medicine amb el títol de «Willful modulation of brain activity in disorders of consciousness». En primer lloc, es va voler demostrar que efectivament es podien activar regions cerebrals donant una simple ordre. Seguint amb les troballes del cas anterior, es va procedir a demanar a un conjunt de subjectes sans que fessin les tasques que els demanaven: si en el rètol de la pantalla en la ressonància magnètica apareixia la paraula tenis havien d’imaginar-se que estaven jugant a tenis, si el que veien era la paraula navegació havien d’imaginar-se que estaven passejant per casa seva visualitzant el trajecte i el que anaven veient a les habitacions. El total del subjectes normals activaven les regions cerebrals del còrtex premotor responent a tenis i les regions parahipocàmpiques responent a navegació En el cas dels pacients, cinc eren capaços de modular l’activació cerebral seguint les ordres visuals de tenis o navegar de manera similar als subjectes normals, dos d’ells havien estat diagnosticats de vegetatius i tres de mínima consciència.
Un darrer experiment va consistir a demanar a un subjecte de l’estudi que respongués a una sèrie de preguntes concretes. Se li demanava si el nom del seu
Figura 4 Evolució d’un pacient que va sortir de l’estat vegetatiu. A la figura superior hi ha representada l’activació cerebral que tenia mentre estava en estat vegetatiu trenta-tres dies després d’un traumatisme cranioencefàlic. El verd correspon a les regions cerebrals que tenia més activades quan sentia narracions respecte al silenci. I en vermell hi ha les regions que estaven més activades en la condició de frases amb significat respecte a frases sense significat. A la part inferior s’observa la milloria del patró d’activació cerebral quan havia recuperat la consciència un any després de l’accident. Les activacions de les regions del lòbul temporal s’incrementen i s’hi afegeix una activació del lòbul frontal probablement relacionada amb la consciència. Fernández Espejo et al., BCM Neurology, 2010
pare era x. En cas positiu havia d’activar el cervell com si jugués a tenis i en el cas negatiu havia d’imaginar-se que passejava per casa. De manera sorprenent, el pacient va ser capaç de contestar de manera correcta cinc de les sis preguntes que se li van fer, respecte a dades de la seva vida tot emprant com a eina les activacions cerebrals de regions diferents. Aquests experiments van demostrar, doncs, que hi ha pacients diagnosticats com a vegetatius que són capaços d’activar
Figura 5 Representació de la degeneració del tàlem en pacients amb estats vegetatiu (EV) i de mínima consciencia (MCS) respecte a subjectes control de la mateixa edat. La barra de colors representa el nivell de significació de la comparació de grups (proves t). Les regions més significatives són les blaves. Fernández-Espejo et al., J. of Neurotrauma, 2010.

Figura 6 Alteracions en la connectivitat cerebral en pacients amb trastorns de la consciència (estat vegetatiu i estat de mínima consciència). Les esferes verdes indiquen l’origen i final dels tractes cerebrals que s’han extret usant l’anàlisi de tractografia. B il·lustra els plots de valors d’anisotropia fraccional que estan representats a A, per als pacients en color lila i per als controls en color taronja. Les línies centrals representen les mitjanes, el eixos superiors i inferiors representen els percentils 25 i 75, respectivament, les barres d’errors representen els percentils 10 i 90, respectivament, i els cercles tancats representen els percentils 5 i 95. *p < 0,05; **p < 0,01. DOC (trastorns de consciència) HC (controls sans). Font: Fernández Espejo et al., Annals of Neurology
el cervell a voluntat i que tenen conservada la informació sobre el món que els envolta. Més encara, aquests resultats van obrir una porta a la possibilitat d’establir una mínima comunicació amb aquests pacients que només poden respondre amb l’activació voluntària del seu cervell.
A banda de les possibilitats de saber com les persones en estat vegetatiu processen cerebralment la informació externa, la ressonància magnètica també ens obre una apassionant finestra per observar quines són les lesions responsables del seu estat i com s’altera la complexa xarxa de comunicacions cerebrals estructurals i funcionals, després de lesions tan severes que poden produir una aparent desconnexió del món. L’estudi de la connectivitat estructural mitjançant tècni-
Bibliografia
Coleman, M. R. [et al.] (2009). «Towards the routine use of brain imaging to aid the clinical diagnosis of disorders of consciousness». Brain, 132: 2541-2552.
Fernández-Espejo, D. [et al.] (2008). «Cerebral response to speech in vegetative and minimally conscious states after traumatic brain injury». Brain Injury, 22: 882-890.
(2010). «Combination of diffusion tensor and functional magnetic resonance imaging during recovery from the vegetative state». BMC Neurol., 3 (10): 77.
(2010). «Reductions of thalamic volume and regional shape changes in the vegetative and the minimally conscious States». J. Neurotrauma, 27: 1187-1193.
(2011). «Diffusion weighted imaging distinguishes the vegetative state from the minimally conscious state». Neuroimage, 54: 103-112.
(2012). «A role for the default mode network in the bases of disorders of consciousness». Ann. Neurol, 72: 335-343.
Giacino, J. T. [et al.] (2002). «The minimally conscious state: definition and diagnostic criteria». Neurology, 58: 349-353.
ques de tensor de difusió i l’estudi de la connectivitat de les xarxes funcionals en repòs són eines que ara mateix tenim a l’abast per poder anar entenent cada dia més la complexitat de la reorganització del cervell danyat.
Ens resta un llarg camí per poder fer un «mapa» de cada cas particular de pacients en estat vegetatiu i mínima consciència que dibuixi com aquesta persona en particular integra cada una de les modalitats sensorials (vista, tacte, oïda, olfacte i gust), com elabora els estímuls més complexos (percepció de cares, emocions, música...) i de com se sent. I tenim encara un llarg camí per estudiar com les seves xarxes cerebrals es van reorganitzant al llarg del temps tal com els oferim estímuls ambientals adequats a la seva capacitat de processament. •

DOC: disorders of consciousness, trastorns de la consciència
MPF: medial prefrontal cortex, escorça prefrontal medial
PCC/PCu: posterior cingulate cortex/precuneus, escorça cingulada posterior/precúneus
TPJ: temporoparietal junctions, unions temporoparietals
Haxby, J. B. (2006). «Fine structure in representations of faces and objects». Nature Neuroscience, 9: 1084-1086.
Jennett, B.; Plum, F. (1972). «Persistent vegetative state after brain damage: A syndrome in search of a name». Lancet, 1: 734-737.
Jong, B. M. [et al.] (1997). «Regional cerebral blood flow changes related to affective speech presentation in persistent vegetative state». Clinical Neurology and Neurosurgery, 99: 213216.
Monti, M. M. [et al.] (2010). «Willful modulation of brain activity in disorders of consciousness». The New England Journal of Medicine, 362: 579-589.
Owen, A. M. [et al.] (2006). «Detecting awareness in the vegetative state». Science, 313: 1402. (2008). «Functional neuroimaging of the vegetative state». Nature Reviews Neuroscience, 9: 235-243
Royal College of Physicians (2003). «The vegetative state: guidance on diagnosis and management». Clinical Medicine, 3: 249-254

Carme Junqué (Torroella de Montgrí, 1955) es va doctorar en psicologia l’any 1983 a la Universitat Autònoma de Barcelona. L’any 1987 va obtenir una plaça de professora titular a la Universitat de Barcelona (UB) i des del 1997 és catedràtica de Psicobiologia. Actualment coordina l’activitat de recerca del grup consolidat de neuropsicologia de la UB (www.ub.edu/ neuropsychology) i el grup del mateix nom a l’Institut d’Investigacions Biomèdiques August Pi i Sunyer (IDIBAPS) (www.idibaps.org/recerca/707/ neuropsicologia). La seva recerca està centrada en l’estudi de les conseqüències de lesions i disfuncions del sistema nerviós central en la conducta amb l’ús de tècniques de ressonància magnètica.
Les ribonucleòtid-reductases (RNR) són enzims essencials per a tota cèllula, perquè fan la transformació dels ribonucleòtids a desoxiribonucleòtids, els quals són necessaris per a la síntesi de l’àcid desoxiribonucleic (DNA). És evident que les RNR són enzims ancestrals i clau en l’evolució del material genètic que hi ha actualment, i són essencials per a l’evolució de tots els organismes que hi ha sobre la Terra. A causa de l’essencialitat de la reacció que fan aquests enzims, es poden considerar una diana ideal per al disseny de compostos que inhibeixen la replicació cel·lular, ja sigui en cèl·lules eucariòtiques (incloent-hi cèl·lules cancerígenes), com agents bacterians infecciosos.
L’autoreplicació del material genètic i el metabolisme cel·lular són dues de les característiques principals de la vida. Són tres macromolècules les involucrades en aquests processos bioquímics: l’àcid desoxiribonucleic (DNA), l’àcid ribonucleic (RNA) i les proteïnes. El DNA és la molècula que conté la informació genètica per codificar les proteïnes i la seva regulació, es replica i es transmet a la generació següent. La informació del DNA és copiada a RNA, la molècula missatgera que actua com a motlle per a la síntesi de proteïnes. Les proteïnes constitueixen els enzims que estan implicats en els processos metabòlics i en el marc estructural de totes les cèl·lules. El flux de la informació des del DNA cap a les proteïnes és unidireccional i aquest és el dogma central de la biologia molecular, tal com ho va descriure James Watson en els anys cinquanta.
Un primer requisit per a la síntesi del DNA és el subministrament equilibrat de desoxiribonucleòtids trifosfat (dNTP). L’única via per a la síntesi de novo de dNTP és la reacció catalitzada per l’enzim ribonucleòtid-reductasa (RNR), que converteix els ribonucleòtids (NTP) en els seus corresponents desoxi-

ribonucleòtids trifosfat (dNTP), eliminant el grup 2´-hidroxil i substituint-lo per un hidrogen (vegeu la figura 1).
Estructura i mecanismes
Per reduir cada ribonucleòtid la ribonucleòtid-reductasa (RNR) genera un radical proteic encarregat de donar el poder reductor necessari per catalitzar la reacció. La manera com l’enzim genera aquest radical, el tipus de cofactor, el metall requerit, l’estructura tridimensional i la dependència de l’oxigen, són peculiaritats que es tenen en compte a l’hora de classificar les RNR. Fins al moment s’han descrit tres classes de RNR: classe I (subdividida en Ia , Ib i Ic), II i III (vegeu la taula 1). Totes tres classes conserven una estructura proteica tridimensional en forma de barril α/β amb una alta homologia on es localitzen el centre catalític de l’enzim i els centres de regulació al·lostèrica.
Un únic centre actiu ha de reduir els quatre ribonucleòtids; per tant, els nivells dels quatre desoxiribonucleòtids han d’estar fortament regulats perquè no s’introdueixin mutacions durant la replicació o reparació del DNA. Per això una de les característiques més particulars de les RNR és la seva regulació al·lostèrica. Aquesta regulació es du a terme a dos nivells diferents: un a escala d’especificitat de substrat, en què la unió de diferents nucleòtids donarà lloc a la reducció específica de cadascun dels ribonucleò-
Figura 1 Esquema de la reducció dels ribonucleòtids a desoxiribonucleòtids.
tids en el centre actiu; i, un segon, que regula l’activitat general de l’enzim on la unió de dATP o ATP l’activarà o l’inhibirà, respectivament (vegeu la figura 2).
Classe I
La ribonucleòtid-reductasa (RNR) de classe I és la més coneguda i estudiada. L’enzim el componen dues subunitats homodimèriques anomenades α i β. La subunitat α és la subunitat catalítica, conté el centre actiu on es du a terme la catàlisi i també dos llocs de regulació al·lostèrica, el d’especificitat de substrat i el d’activitat.
Per la seva part, la subunitat β conté el centre metàl·lic on s’origina el radical proteic necessari per dur a terme la catàlisi. El tipus de centre metàl·lic que posseeix l’enzim és una de les característiques que es tenen en compte a l’hora de subdividir la classe I en Ia , Ib i, més recentment, Ic (vegeu les característiques en la taula 1).
Classe II
La RNR de classe II consta únicament d’una cadena α-polipeptídica codificada en el genoma pel gen nrdJ. En aquesta proteïna NrdJ és on es troba el centre actiu de l’enzim i també els llocs al·lostèrics. A diferència de la classe I, l’enzim no requereix oxigen sinó S-adenosilcobalamina (AdoCob), cosa que
fa que sigui una classe completament independent a l’oxigen.
Classe III
La RNR de classe III la componen dues proteïnes dimèriques codificades en el genoma per l’operó nrdDG. NrdD és la subunitat gran i catalítica de l’enzim, on hi ha el centre actiu i també els dos llocs de regulació allostèrica. Per altra banda, la proteïna NrdG (coneguda com a activasa) és necessària per dur a terme l’activitat enzimàtica. Aquesta classe de RNR és extremadament sensible a l’oxigen i sols es troba confinada en organismes que poden créixer en condicions d’anaerobiosi.
Regulació genètica
Una alteració en les concentracions dels diferents desoxiribonucleòtids donaria lloc a un increment de la freqüència de mutació durant la replicació del DNA, conseqüència fatal per a la viabilitat d’un organisme. És per això que l’activitat de les ribonucleòtid-reductases ha d’estar fortament regulada, ja sigui amb la regulació al·lostèrica de la proteïna, descrita anteriorment, o regulant-ne la transcripció.
La transcripció de la majoria de les ribonucleòtid-reductases, tant de bacteris com de cèl·lules eucariòtiques, està regulada pel cicle cel·lular, ja que és principalment durant la divisió cel·lular quan es dóna la replicació del DNA i on es requereixen elevades concentracions de desoxiribonucleòtids.
La transcripció es complica en organismes que codifiquen més d’una classe de RNR en el seu genoma, principalment microorganismes, ja que esdevé essencial assolir una bona coordinació en la regulació de l’expressió dels diferents gens per garantir una concentració adient de cada enzim i proporcionar així uns nivells equilibrats dels dNTP. Per exemple, Escherichia coli utilitza la RNR de classe Ia per al creixement en condicions de laboratori, la classe III quan creix en anaerobiosi, i recentment s’ha observat que la classe Ib és important quan aquesta forma
biofilms. Per altra banda, Pseudomonas aeruginosa també utilitza la RNR de classe Ia per al creixement en condicions de laboratori i les RNR de classe II i III sota condicions de creixement en biofilm o durant el procés d’infecció. Diferents factors transcripcionals estan involucrats a expressar i a inhibir cada classe segons la condició ambiental de creixement en la qual es troba el bacteri (vegeu la bibliografia per ampliar detalls).
Evolució
El manteniment de la vida sobre la Terra depèn de la capacitat que té aquesta per reproduir-se a si mateixa. Per a això cal un emmagatzematge estable i acurat de tota la informació genètica d’un organisme. Ara com ara, hi ha forts arguments a favor de considerar l’RNA com a molècula primordial amb activitat autoreplicativa. Tant les molècules de DNA com de RNA contenen la informació per duplicar-se a si mateixes, a partir de l’aparellament de bases complementàries; i ambdues molècules necessiten una maquinària proteica (DNA i RNA-polimerases) per dur a terme aquesta duplicació. La concepció d’un món de RNA, però, tot i estar àmpliament acceptada, també té els seus detractors, i els arguments en contra no s’han de menystenir.
La transició des d’un món de RNA a un de
proteïna-DNA implicaria l’existència d’una traducció basada en ribosomes, la qual cosa suposaria l’establiment d’un codi genètic i la substitució de l’RNA pel DNA com a material genètic. L’estudi de les RNR actuals junt amb el coneixement de l’evolució dels organismes sobre la Terra ens pot ajudar a determinar el tipus d’enzim més semblant a la RNR ancestral i això comportaria una millor comprensió de la transició del món de RNA al de DNA.
Actualment coneixem tres classes de ribonucleòtid-reductases diferents, aparentment amb poca similitud entre si a escala d’estructura primària, per la qual cosa podríem pensar que cada una ha aparegut independentment de les altres. Però, sorprenentment, hi ha una gran similitud quant al seu mecanisme de reacció, regulació al·lostèrica
Figura 2 Regulació al·lostèrica de les ribonucleòtid-reductases. Model de regulació al·lostèrica de la RNR de classe Ia. La unió de l’ATP en el lloc d’especificitat de substrat indueix l’activitat general de l’enzim i promou la reducció del CDP i de l’UDP a dCDP i dUDP, respectivament. Una vegada format el dTTP promou la reducció del GDP a dGDP que, al mateix temps, indueix la reducció de l’ATP a dATP. L’elevada concentració de dATP format inhibeix l’activitat general de l’enzim unint-se al lloc al·lostèric d’activitat.


i, sobretot, semblança en la seva estructura terciària, que certifiquen un possible origen comú per a totes.
Hem de considerar que les primeres etapes de la vida sobre la Terra es van donar en un ambient anaeròbic estricte; per tant, i resumint el procés evolutiu que hi ha hagut en l’evolució de les RNR que trobem actualment, es creu que la RNR ancestral (uracil-reductasa) s’assemblaria més a la RNR de classe III que trobem actualment i que, per divergència evolutiva, va donar lloc a la classe II. La classe II també va evolucionar per donar lloc a les tres classes I existents. Certament, l’aparició de l’oxigen sobre la Terra va ser el punt clau que va impulsar aquest pro-
Taula 1 Resum de les característiques diferencials de les tres classes de ribonucleòtidreductases
cés evolutiu, que va culminar amb l’aparició de les diferents classes de RNR que trobem actualment.
Distribució
Un fet sorprenent en aquesta família d’enzims és la distribució que presenten les diferents classes de RNR. Per una banda, la distribució de RNR que presenten els microorganismes és molt complexa, ja que podem trobar qualsevol combinació de les diferents RNR en un mateix genoma. La seqüenciació d’un gran nombre de microorganismes ha posat de manifest que, sorprenentment, diverses classes, en principi totalment redundants de RNR, estan codificades en un mateix microorganisme i fins i tot els tres tipus, i això confereix així un gran avantatge per sobreviure en diferents condicions ambientals. Per altra banda, els organismes eucariòtics, aparentment més complexos, només
codifiquen la RNR de classe Ia , i això limita el nostre rang ambiental de supervivència i ens restringeix a l’ambient aeròbic.
En la taula 2 es pot veure un exemple de la distribució que presenten els eucariotes, arqueus i bacteris. Així, trobem bacteris que codifiquen una sola RNR, com és el cas de Bacillus subtillis; o bé un grau de complexitat elevada com en Pseudomonas aeruginosa, que codifica les tres classes diferents de RNR (classe Ia , II i III).
Hem participat en el desenvolupament d’una pàgina web on hi ha tota la informació de la distribució de les RNR en tots els organismes que es pot consultar lliurement (http://rnrdb.molbio.su.se).
Les ribonucleòtid-reductases com a dianes biomèdiques
Les ribonucleòtid-reductases són enzims essencials per a tots els organismes, ja que proporcionen els desoxiribonucleòtids necessaris per a la replicació dels cromosomes de totes les cèl·lules eucariòtiques i procariòtiques, com també la reparació d’aquests després de produir-se danys en el DNA. Aquesta essencialitat fa que aquest enzims siguin una diana perfecta per al disseny de compostos que inhibeixen el creixement cel·lular, ja sigui en cèl·lules amb alteracions del cicle cel·lular (cèl·lules cancerígenes) o bé durant la infecció causada per un virus, bacteri o protozou.
Estructura
Gens nrdAB nrdHIEF nrdAB nrdJ nrdDG
Radical Tyr…Cys Tyr…Cys Phe...Cys AdB12...Cys AdoMet…Gly…Cys?
Centre metàl·lic
Substrat
Reductant Tioredoxina Glutaredoxina NrdH-redoxina Glutaredoxina Tioredoxina Glutaredoxina Tioredoxina Format
Llocs al·lostèrics 2 1 2 1/2 2
Inhibició ATP Sí No Sí No/Sí Sí
Distribució Eucariotes, eubacteris Bacteriòfags Virus Eubacteris Arqueobacteris Eubacteris
Eubacteris Bacteriòfags Arqueobacteris Eubacteris Bacteriòfags
Eucariotes
Homo sapiens (home)
Sacharomyces cerevisiae (llevat)
Arabidopsis thaliana (planta)
Arqueobacteris
Pyrococcus furiosus
Sulfolobus islandicus
Natromonas pharaonis
Eubacteris
Bacillus subtilis
Bacillus anthracis
Listeria monocytogenes
Clostridium tetani
Lactobacillus casei
Staphylococcus aureus
Mycoplasma mobile II
Actinomyces urogenitalis
Mycobacterium tuberculosis
Porphyromonas gingivalis
Nostoc azollae II
Escherichia coli
Pseudomonas aeruginosa
Vibrio cholerae
Salmonella enterica
Aeromonas hydrophila
Burkholderia cenocepacea
Chamydia trachomatis
Tropheryma whipplei
Informació extreta de http://rnrdb.molbio.su.se
Bibliografia
Cendra, M. M. [et al.] (2012). «Biofilm modifies expression of ribonucleotide reductase genes in Escherichia coli». PLoS ONE, 7 (9): e46350.
Hofer, A. [et al.] (2010). «DNA Building blocks: keeping control of manufacture». Crit. Rev. Biochem. Mol. Biol., 47: 50-63.
Lundin, D. [et al.] (2010). «Ribonucleotide reduction - horizontal transfer of a required function spans all three domains». BMC Evolutionary Biology, 10: 383.
Reichard, P. (1997). «The evolution of ribonucleotide reduction». Tibs, 22: 8185.
Sjöberg, B. M. (2010). «A never-ending story». Science, 329: 1475-1476.
— (2011). «Shift in ribonucleotide reductase gene expression in Pseudomonas
aeruginosa during infection». Infection and Immunity, 79: 2663-2669.
Torrents, E. [et al.] (2002). «Ribonucleotide reductases: divergent evolution of an ancient enzyme». J. Mol. Evol, 54: 138152.
(2005). «Efficient growth inhibition of Bacillus anthracis by know out the ribonucleotide reductase tyrosil radical». Proc. Natl. Acad. Sci. USA, 102: 17946-17951.
(2007). «NrdR controls differential expression of the Escherichia coli ribonucleotide reductase genes». Journal Bacteriology, 189: 5012-5021.
(2008). «The Ribonucleotide Reductase Family- Genetics and Genomics». A: Ribonucleotide Reductases. Molecular Anatomy and Physiology of Proteins Nova Science Publishers, Inc.
Ja que aquests enzims són molt complexos, avui dia s’han descrit diferents inhibidors d’aquest enzim que es poden classificar segons el seu model d’acció (vegeu la figura 3). El primer grup d’inhibidors interactuen directament en la subunitat catalítica (α), on alteren la seva activitat enzimàtica, ja sigui per la unió irreversible al centre actiu de l’enzim (anàlegs de substrat o inactivadors del grup tiol) o bé per la unió al centres allostèrics d’aquests. En el segon grup trobem els que interaccionen amb la subunitat activadora (β) de les RNR de classe I, ja sigui per agents quelants del ferro del centre dinuclear o bé com a segrestadors del radical tirosil necessari per a la reducció dels NTP. El tercer grup comprèn els inhibidors antisentit, que són RNA antisentit que s’uneixen a l’mRNA que codifica els components d’aquest enzim. S’estan obtenint resultats prometedors per al tractament d’alguns càncers. Finalment tenim els inhibidors que eviten la dimerització dels components d’aquest enzim, que bàsicament són pèptids que mimetitzen la interacció entre la subunitat catalítica (α) i la subunitat activadora (β). •

Eduard Torrents (Tarragona, 1972) és llicenciat en ciències biològiques per la Universitat Autònoma de Barcelona (1996) i va obtenir el grau de doctor el 2001. Després de cinc anys a la Universitat d’Estocolm, s’incorpora a l’Institut de Bioenginyeria de Catalunya - IBEC (2007), on lidera des de 2012 el grup d’infeccions bacterianes: teràpies antimicrobianes. Concretament el seu camp d’interès són els mecanismes de replicació bacteriana, la seva relació en patogènia i el desenvolupament de noves eines antimicrobianes basades en la inhibició dels enzims responsables de la síntesi del DNA bacterià.

Maria del Mar Cendra (Vilanova i la Geltrú, 1985) és llicenciada en biologia per la Universitat de Barcelona (2008) i posseeix el títol de màster en microbiologia avançada de la Universitat de Barcelona (2009). Actualment es troba elaborant la tesi doctoral a l’Institut de Bioenginyeria de Catalunya (IBEC) en el grup d’infeccions bacterianes: teràpies antimicrobianes, dirigit per Eduard Torrents.
La vulnerabilitat de l’ésser humà davant la malaltia mental recau en la complexitat mateixa de la naturalesa humana, vinculada a la seva arquitectura cerebral; i és fruit d’un procés evolutiu que ha donat lloc a una espècie amb un cervell essencialment preparat per a la relació complexa amb la realitat. En aquest context cal destacar que els trastorns psicòtics, especialment l’esquizofrènia, són trastorns característics que afecten les persones a l’inici de la seva vida adulta. És pràcticament un axioma que l’esquizofrènia és un trastorn heterogeni tant des del punt de vista etiològic —del seu origen— com fisiopatològic —canvis en el funcionament de l’organisme deguts a la malaltia— i clínic; i, probablement, aquesta heterogeneïtat és la responsable de la dificultat de l’estudi del seu origen.
Esquizofrènia és una paraula que estigmatitza els malalts, angoixa els familiars i confon juristes, experts en ciències socials i la nostra societat en general. Es tracta d’una malaltia mental devastadora i molt greu,
Figura 1 L’arquitectura i funcionalitat finals del cervell humà són definides durant el desenvolupament gràcies a múltiples factors genètics i pot veure’s modificada a causa de diversos factors ambientals, com per exemple el maltracte infantil, el consum de cànnabis, entre d’altres. Autor: Anna de Castro.
present a totes les cultures i societats humanes. En la nostra població una de cada cent persones presentarà la malaltia i, cada any, trobarem entre tres i quatre casos nous per cada deu mil habitants. Constitueix un concepte enigmàtic que engloba una de les malalties humanes menys compreses i també més paoroses, ja que produeix un gran patiment personal i nombroses incapacitats, greus i prolongades, en els individus que la pateixen, i arruïna en molts casos la seva vida i la dels familiars i éssers estimats que pateixen al seu costat.
En l’àmbit clínic, l’esquizofrènia pot semblar bastant confusa, ja que afecta funcions cerebrals molt diverses. Els símptomes inclouen trastorns de la percepció (al·lucinacions), alteracions del pensament (deliris), alteracions motores i afectivitat anormal (afebliment afectiu), entre d’altres. En l’àmbit cognitiu la majoria d’aquests pacients presenten alteracions, i les més destacables són els dèficits d’atenció, memòria i funcions executives (planificació i flexibilitat cognitiva). Paradoxalment, no tots els pacients presenten els mateixos símptomes i al llarg de la història vital d’un pacient poden coexistir diversos símptomes.
Pel que fa a la fisiopatologia, molts estudis han recolzat que alteracions en diversos sistemes de senyalització entre neurones (neurotransmissió) serien compatibles amb els símptomes de la malaltia, concretament la neurotransmissió dopaminèrgica (implicada en funcions motores, afectives, de comportament o cognitives), la glutamatèrgica (relacionada amb processos d’aprenentatge i memòria) i la serotoninèrgica (vinculada a funcions emocionals i cognitives). La discussió sobre l’etiologia de la malaltia és tan antiga com la definició mateixa i segueix sent un enigma. Enmig d’importants dificultats, els estudis epidemiològics han aconseguit detectar diversos factors de risc d’origen ambiental (les infeccions víriques pre i perinatals, el consum de cànnabis i l’estrès, entre d’altres), així com l’existència de variants genètiques de risc en gens candidats, és a dir, gens que codifiquen proteïnes que poden estar implicades en la fisiopatologia del trastorn.

El nostre gra de sorra
Les noves tecnologies que permeten determinar el genotip i la se-

Figura 2 Les famílies nuclears incloses en aquest estudi estan formades pel pare, la mare, un fill malalt i, en alguns casos, també un fill sa. Gentilesa de la família de la Cruz.
Bibliografia
Brzustowicz, L. [et al.] (2000). «Location of a major susceptibility locus for familial schizophrenia on chromosome 1q21-22». Science, 288: 678-682.
Os, J. van [et al.] (2010). «The environment and schizophrenia». Nature, 468 (7321): 203-212.
qüència de DNA de manera massiva han modificat el curs de la investigació en esquizofrènia. Diverses regions cromosòmiques han estat estudiades en relació amb la malaltia —i malalties relacionades—, i una de les freqüentment estudiades es troba al cromosoma 1 (1q21-22). Diversos estudis, en mostres independents, han mostrat que aquesta regió genòmica podria contenir algun dels gens que confereix risc per a la malaltia.
L’objectiu del nostre estudi va ser explorar d’una manera exhaustiva la regió 1q21-23, per confirmar el que havia estat publicat prèviament. De manera concreta, vam analitzar vint-i-cinc marcadors genètics en una mostra de cent trenta-quatre famílies nuclears formades per pare, mare, un fill malalt i un fill sa. El que ens proposàvem era veure si algun dels marcadors genètics analitzats s’associava amb la malaltia. L’anàlisi exhaustiva de les dades va posar de manifest que en la regió analitzada hi havia dos punts «calents» situats en dos gens que s’expressen en diferents zones del nostre cervell. Els resultats del nostre estudi confirmen les dades obtingudes en
Rosa, A. [et al.] (2002). «1q21-22 Locus is associated with susceptibility to the reality-distortion syndrome of schizophrenia spectrum disorders». Americal Journal of Medical Genetics, 114: 516-518.
Wright, J. (2014). «Genetics: Unravelling complexity». Nature, 508 (7494): S6-7.
treballs previs i posen de manifest l’interès d’aprofundir en l’estudi d’aquesta regió i els gens que conté.
Les dades procedents d’estudis genètics com el nostre o a gran escala, per anàlisi completa del genoma , posen de relleu com, al llarg del nostre genoma, existeixen regions i gens candidats que contenen variants genètiques comunes que confereixen riscs petits per a la malaltia i que, molt probablement, interaccionen entre ells. Aquest és el cas de la implicació de la regió 1q21-23.
L’acumulació de diferents variants de risc fa que hi hagi persones amb més risc a patir la malaltia, atès el seu perfil genètic. En aquest context de vulnerabilitat no hem d’oblidar la importància que té l’ambient (biològic prenatal i postnatal), cultural i psicològic en el desenvolupament de la malaltia. Per aquesta raó la recerca en psicosi i en les malalties complexes en general constitueix un camí difícil i s’ha d’orientar envers l’anàlisi amb més profunditat dels mecanismes genètics implicats, com també la de la interacció entre factors genètics i factors ambientals. •

Marta de Castro-Català (Badalona, 1990) es va graduar el 2012 en biologia per la Universitat de Barcelona (UB) i va cursar el màster en genètica i genòmica de la UB (2013). Des del 2011 col·labora a la Unitat d’Antropologia (Facultat de Biologia, UB) amb Araceli Rosa. Actualment és estudiant de doctorat del programa de doctorat de biomedicina de la Universitat de Barcelona. El seu camp d’interès és l’estudi de factors genètics i ambientals i la seva interacció en l’etiologia de les psicosis.
La metilació del DNA és un mecanisme epigenètic que afegeix grups metil a les citosines del genoma i, en conseqüència, modifica l’estructura del DNA i del que s’està expressant. S’ha observat que la metilació estaria implicada en el fet que uns gens s’expressin més que altres si es compara el teixit sa del tumoral. Així, la troballa de marques químiques que desmetilarien el DNA fa que es plantegi com a eina diagnòstica preclínica.
Darrerament l’epigenètica ha assolit un gran interès. Tal com el nom indica, epi, significa que està ‘per sobre’ de la genètica, i fa referència a tota modificació en l’estructura tridimensional del genoma, la cromatina, que genera un canvi en l’expressió dels gens sense alterar-ne la seqüència genòmica fonamental. Per tant, es genera un nou concepte revolucionari dins el món de la genètica: l’expressió dels gens ja no només pot ser alterada per mutacions (canvis en la seqüència), sinó que també hi ha un factor extra, anomenat epigenètica.
El terme epigenètica, malgrat que havia estat ja citat anteriorment, va adquirir un significat amb la metàfora de Conrad H. Waddington, el 1940. En aquell moment encara no havien descobert la seqüència fonamental del DNA Watson i Crick, que va tenir lloc anys més tard, ni es coneixia la naturalesa dels gens ni la seva heretabilitat; no obstant això, Waddington va formular un model anomenat epigenetic landscape o de l’entorn epigenètic, per explicar com a partir d’una cèl·lula es poden acabar originant tots els tipus cellulars presents a l’organisme. La metàfora de Waddington diu que si es llança una bola des de dalt d’un cim aquesta pot caure per diferents camins fins al fons d’una vall; cada camí que escull implica un compromís cap a una destinació que és definitiva, ja que la bola no pot ascendir el pendent. Compara, doncs, una cèl·lula mare amb un nivell màxim de pluripotencialitat, que va perdent a mesura que va diferenciant-se. Per tant, cada decisió, condicionada per l’entorn, en determina parcialment el destí.
La metilació del DNA, un mecanisme epigenètic
La metilació del DNA és un dels mecanismes epigenètics que regulen l’estructura del
DNA i és un procés vital per a la cèl·lula. Així es regula com s’expressen determinats gens i com es transmeten regions del genoma que han d’estar metilades a les cèl·lules filles (empremta genòmica); té a veure amb la inactivació del cromosoma X en les femelles i, finalment, amb el silenciament de transposons (també coneguts com a paràsits gènics). Les proteïnes encarregades de metilar el DNA són les DNA-metiltransferases (DNMT), que, per una modificació química en les citosines del genoma en regions CpG (C seguida de G), formaran el nucleòtid 5-metilcitosina (5-mC). I la metilació de les citosines no ocorre a l’atzar, sinó que es dóna en locus rics en CpG, o illes CpG, que es troben distribuïts sobretot en regions promotores (reguladores) de determinats gens i en les regions altament repetitives del DNA. El mecanisme molecular responsable de la regulació de l’expressió dels gens feta per la 5-mC encara no es coneix amb exactitud, però se sap que factors modificadors d’histones i remodeladors de la cromatina reconeixerien la 5-mC i impedirien espacialment que la maquinària de transcripció tingui accés al gen.
Alteracions en el patró de metilació en el càncer
En els darrers anys s’ha descobert la relació de diverses malalties amb una alteració en el patró de metilació del DNA, una d’aquestes el càncer. En concret, hi ha alteracions en la metilació de gens que regulen el funcionament correcte de la cèl·lula (per exemple, gens reguladors del cicle cel·lular), anomenats gens supressors de tumors, que presenten un grau més alt de metilació a la regió promotora, i, per tant, no s’expressen com en condicions normals. També, com s’ha comentat anteriorment, la metilació també es troba en regions no codificants, com ara seqüències repetitives o transposons. I, en
el context del càncer, s’ha vist que el nivell de metilació del genoma és més baix, s’ha hipometilat. Per tant, aquestes dues alteracions explicarien com la cèl·lula tumoral pot adquirir avantatges a escala proliferativa o d’invasió, i també presentar la seva característica inestabilitat cromosòmica.
Recentment diversos estudis han indicat l’existència d’activitats enzimàtiques, fins al moment desconegudes, que desmetilarien el DNA i, també, de nucleòtids derivats de la 5-mC, com la 5-hidroximetilcitosina (5hmC). L’existència d’una possible via desmetiladora del DNA seria de gran interès per a la recerca de marcadors de la malaltia.
Un model cel·lular per estudiar la metilació en el càncer
Per estudiar la metilació en el càncer es van utilitzar dos models cel·lulars. El primer és un model humà molt utilitzat de càncer de còlon, HCT116 i el seu doble genoanul·lat (DKO) per a dos tipus de DNA-metiltransferases. Així poden comparar-se quins gens es troben hipermetilats en la línia HCT116, ja que amb el doble genoanul·lat només difereix en la seva activitat DNA-metiltrans-
Figura 1 Immunodetecció de 5-mC (a) al nucli de les cèl·lules HCT116 (1) i DKO (2) obtingudes amb el microscopi confocal. El nucli està marcat amb el 4´-6-diamino-2-fenilindiol o DAPI (b). A la dreta (c) es mostra el merge o el solapament de les dues imatges b i c per estudiar la colocalització de 5-mC al nucli. Les fletxes indiquen la morfologia de «dònut» del nucli de les cèl·lules DKO, per una manca de regulació de l’arquitectura nuclear a causa de la genoanul·lació de les DNMT, i per tant pel dèficit global de 5-mC.


ferasa. En segon lloc, s’utilitza un model de transició tumoral de ratolí que inclou diferents línies de queratinòcits immortalitzats que representen la transició d’una cèl·lula no tumorígena fins a una cèl·lula altament tumoral i invasiva (línies MCAD3, PAM212 i CARB). Aquest model ofereix informació més àmplia sobre quines alteracions epigenètiques evolucionen en un procés tumorigen.
S’ha trobat que la immunodetecció de la marca 5-metilcitosina en la línia del doble genoanul·lat de càncer de còlon és menor en HCT116 (vegeu la figura 1); és a dir, que presenta una hipometilació respecte a la línia HCT116. D’altra banda, en la mateixa línia s’observa amb claredat una alteració en la morfologia nuclear, molt característica per la seva forma de «dònut», que remarca com la
Bibliografia
Ballestar, E.; Esteller, M. (2002). «The impact of chromatin in human cancer: linking DNA methylation to gene silencing». Carcinogenesis, 23 (7): 1103-1109.
Ehrlich, M. (2002). «DNA methylation in cancer: too much, but also too little». Oncogene, 21: 54005413.
Espada, J.; Esteller, M. (2010). «DNA methylation and the functional organization of the nuclear compartment». Seminars in Cell & Developmental Biology, 21: 238- 246.
metilació manté l’arquitectura nuclear. Per estudiar la hipermetilació s’han analitzat gens importants en càncer, com el gen del desenvolupament HOXD1 i el gen d’adhesió cel·lular CDH1. Mitjançant seqüenciació per bisulfit s’ha pogut identificar que la regió promotora del gen HOXD1 es troba hipermetilada en la línia HCT116 respecte a la línia del doble genoanul·lat (vegeu la figura 2a). També, s’ha comprovat que el gen CDH1, important en alguns tipus de càncers, en el càncer de còlon no està hipermetilat, i per tant, almenys la metilació, no tindria implicacions en la seva activitat (vegeu la figura 2b).
En les línies de ratolí es va observar que la disminució de 5-metilcitosina a mesura que el model es va fent més tumorigen està acompanyada d’un increment de 5-hidroximetil-
Esteller, M. [et al.] (2004). «A mouse skin multistage carcinogenesis model reflects the aberrant DNA methylation patterns of human tumors». Cancer Research, 64: 5527- 5534.
Niveleau, A. [et al.] (2012). «Evaluation of global DNA hypomethylation in human colon cancer tissues by immunohistochemistry and image analysis». Gut, 47: 689693.
Figura 2 Mapa de metilació de l’illa CpG de la regió promotora dels gens HOXD1 (a) i CDH1 (b). Cada ratlla de la seqüència de 5´ a 3´ és una citosina susceptible a la metilació, representada en columnes; també cada fila de quadrats és un tipus de mostra seqüenciada que provenia de la línia HCT116 o de la línia DKO. Els quadrats negres signifiquen que la citosina està metilada, i en blanc tenim l’absència de metilació. Cal destacar el 91,6 % de metilació de la línia HCT116 en el promotor de HOXD1, en comparació amb el 4,5 % de metilació en el seu model comparatiu DNAmetiltransferasa deficient (a). I també el baix grau de metilació del promotor de CDH1 en els dos models, que és equiparable (b).
citosina. I per tant, s’evidencia una estreta relació entre la pèrdua de metilació i el guany d’un nucleòtid descrit recentment, com la 5-hidroximetilcitosina.
Ja per concloure, s’ha pogut estudiar com la metilació altera l’expressió de gens com HOXD1 en el càncer i com la disminució en el contingut global de metilació té implicacions en l’arquitectura nuclear; i a més, la disminució de 5-metilcitosina al nucli està acompanyada d’un increment de 5-hidroximetilcitosina, fet que aporta més evidències de la via desmetiladora del DNA anunciada recentment. •

Elisabet Figuerola Bou (Girona, 1990) és graduada en ciències biomèdiques per la Universitat de Barcelona (2013). El seu camp d’interès és el paper de l’epigenètica en la regulació de gens implicats en tumorigènesi. El maig de 2013 va guanyar el Premi de Recerca per a Estudiants Gemma Rossell i Romero pel seu treball de fi de grau sobre el paper de la metilació del DNA en càncer. Actualment cursa el màster de genètica i genòmica impartit per la Universitat de Barcelona, i fa les pràctiques del màster al Parc de Recerca Biomèdica de Barcelona (PRBB) al grup de mecanismes epigenètics de regulació transcripcional implicats en la diferenciació i transformació cel·lulars, en el grup d’Immaculada Hernández-Muñoz, de l’Institut Municipal d’Investigacions Mèdiques (IMIM).
En el número d’octubre-novembre de 2003 de la revista Omnis Cellula, el tercer número de la revista, vaig escriure un article sobre les alternatives professionals «de via seca», en què parlava de la gestió d’investigació i desenvolupament. En aquell article deia coses com aquesta: «[...] en definitiva, us proposo canviar una mica el discurs del biòleg, tradicionalment victimista i amb un cert complex d’inferioritat: els biòlegs no només podem ser professors universitaris o investigadors del CSIC, o tècnics de laboratoris d’anàlisi o visitadors mèdics. Podem també ser socis de fons de capital de risc, estar a la frontera de la innovació de les empreses, ser peces clau per a la gestió dels recursos intel·lectuals de les universitats o esdevenir imprescindibles per a l’entramat de noves empreses biotecs que s’estan creant contínuament».

L’octubre de 2003 ens trobàvem en plena efervescència creadora d’escissions, i estàvem posant les bases d’un nou sector, el sector biotec. Deu anys després han passat moltes coses. S’han creat més de cent empreses biotec, s’ha creat i consolidat Biocat com a agència pública, i ASEBIO i CataloniaBio com a patronals; s’han creat fons de capital risc especialitzats en biomedicina, pràcticament totes les universitats, centres de recerca i hospitals han creat oficines de transferència de tecnologia, s’han consolidat uns quants màsters i postgraus en gestió de la R+D, amb una demanda creixent, i fins i tot una doctora en biologia molecular formada al Centre de Biologia Molecular, Cristina Garmendia, va ser ministra de Ciència i Tecnologia.
Així escrit sona molt bé, però la crisi que oficialment començà al 2009, i qui sap quan pararà, i la manca de capital i massa crítica per desenvolupar projectes d’alt risc en fases avançades de manera competitiva, ens han passat factura: si bé podem parlar amb cert orgull d’haver creat un «sector », el biotec, no podem encara parlar d’un «mercat » biotec,
en el sentit que encara no podem esmentar un sol exemple d’empresa biotec creada a partir de finals dels noranta que hagi suposat una alegria per als seus inversors i fundadors. Tenim empreses que molt dignament van sobrevivint i avançant els seus projectes en fases clíniques, algunes ja han sortit a borsa i van creixent, d’altres han fet operacions milionàries, molt significatives i pròpies d’entorns madurs (entre desembre de 2013 i març de 2014 hem vist l’acord entre Oryzon amb Roche per avançar els primers fàrmacs epigenètics en fases clíniques, i el de Janus amb Ferrer per consolidar Spherium, un accelerador de projectes originats en la recerca acadèmica). Però tot i que anem progressant, encara no hem vist cap exemple «explosiu» de creació de valor, com ara Cubist, a Boston, una empresa líder en antiinfectius que l’any 2000 eren tres en un despatx i ara ocupen un solar de més de 100.000 m 2 amb tres mil persones i més de dos mil milions d’euros de facturació. Hem de tenir paciència, als llocs ara madurs el procés de consolidació del «mercat » biotec va portar, també, més de deu anys.
Al 2014, molt més experimentat i «baquetejat » que al 2003, la meva perspectiva no només no ha canviat, sinó que s’ha reforçat amb escreix. He viscut de molt de prop la transició d’uns quants científics bàsics a gestors (més enllà de la meva personal) i he tingut el privilegi de veure tesis doctorals transformar-se en productes administrats a pacients de càncer, psoriasi, esclerosi múltiple, lesions medul·lars, tuberculosi... I en tots els casos he vist un biòleg absolutament realitzat professionalment, primer perquè la seva ciència estava sent transformada en una oportunitat terapèutica per a algú amb necessitat, i segon, perquè aquest mateix biòleg o biòloga havia estat responsable directe d’aquesta transformació, no ja com a experimentador, sinó com a gestor del seu propi projecte una vegada finalitzada la recerca bàsica.
Ho vaig dir fa deu anys, ho dic al 2014 amb més coneixement de causa: investigar en biomedicina és un enorme privilegi; per un costat ens obre la porta del coneixement, d’entendre els mecanismes bàsics de la salut i la malaltia, i per l’altre ens dóna unes eines analítiques, una base intel·lectual, que ens habilita i ens qualifica, fins a un punt que moltes vegades no en som conscients, per portar aquest coneixement fins a un servei o un producte capaç de millorar la qualitat de vida de la gent i generar riquesa. •

Luis Ruiz-Ávila és doctor en biologia per la Universitat de Barcelona. Ha fet recerca i docència a la universitat, al CSIC i a centres dels Estats Units, i des de 1998 es dedica a la «via seca», impulsant projectes biomèdics a la indústria farmacèutica i biotecnològica. Es soci director de Spherium (abans Janus Developments). Va ser cofundador de la Secció de Biologia i Indústria de la Societat Catalana de Biologia, i de l’Associació d’Empreses de Biotecnologia de Catalunya, CataloniaBio.
El 2013, l’Acadèmia Nobel va guardonar amb el Premi Nobel de Fisiologia o Medicina tres científics que han esbrinat com les cèl lules organitzen els sistemes de transport. Cada cèl·lula es comporta com una fàbrica que produeix i exporta una gran varietat de molècules, que són transportades per l’interior cellular dins petites estructures lipídiques que anomenem vesícules. Els guardonats, Randy W. Schekman, James E. Rothman i Tomas C. Südhof, han descobert els principis moleculars que governen el transport i l’alliberament de les molècules transportades en el moment adequat i en la ubicació cel lular precisa.
Com en un port de mercaderies on hi ha mecanismes que s’encarreguen d’embarcar els diferents productes a destinació i temps correctes, la cèl lula, amb els seus distints compartiments (orgànuls), s’enfronta a un problema semblant: lliurar les distintes molècules que produeix a l’orgànul adequat, o exportar-les a l’exterior cel lular en el moment just. Les molècules són transportades mitjançant vesícules de membrana d’uns orgànuls a altres, o bé es fusionen amb la membrana externa de la cèl lula per lliurar el seu contingut a l’exterior. Però, com saben les vesícules on i quan han de lliurar la seua càrrega?
El procés de transport inclou tres etapes: la formació de vesícules a partir d’un compartiment membranós (donador o d’origen), que inclou les molècules que cal transportar, el transport pel citoplasma, fins arribar al compartiment apropiat (acceptor o diana), i la fusió de les vesícules amb la membrana en arribar, per completar el procés. El transport de vesícules genera un problema conceptual: els orgànuls d’origen i diana tenen una composició molecular característica, que en determina les funcions. Per tant, si el trànsit de membranes es fera de manera incontrolada es produiria un reordenament de les molècules dels compartiments implicats, cosa que comportaria una pèrdua de la identitat i, per tant, de les funcions; en definitiva, la mort de la cèl lula. Per evitar-ho, hi ha dos principis fonamentals que regeixen el trànsit intracellular de membranes. D’una banda, la classificació molecular (sorting), quan les vesícules
trien la «càrrega» correcta i exclouen les molècules pròpies de l’orgànul d’origen. D’una altra, l’adreçament de les vesícules (targeting), quan les vesícules es fusionen amb el compartiment diana correcte. Gràcies a aquests dos principis és possible mantenir la identitat diferencial dels orgànuls cel lulars tot i el flux constant de components de membrana.
La història dels premiats comença el 1974. Tant Schekman com Rothman tenien clar que en el trànsit vesicular eren essencials les propietats de les membranes. Schekman va començar al seu laboratori de la Universitat de Califòrnia, a Berkeley, estudiant la secreció de proteïnes en Saccharomyces cerevisiae, el llevat del pa. Una decisió arriscada, perquè, tot i que hui els llevats constitueixen un sistema experimental molt popular, aleshores no estava clar que tingueren una via secretora i si, en cas de posseir-ne, podria reflectir el transport en cèl·lules humanes. Però es va adonar que els llevats secreten glicoproteïnes i que són molt manejables des del punt de vista genètic. Va identificar fins a vint-i-cinc gens diferents implicats en el procés de secreció, les mutacions dels quals produïen l’acumulació de proteïnes dins de les cèl lules. I, amb l’agrupació fenotípica dels gens, va concloure que la maquinària encarregada del transport vesicular en la cèl lula està regulada amb una elevada precisió.
Rothman va abordar el problema utilitzant aproximacions bioquímiques, assajos lliures de cèl lules, però amb components de cèl lules de mamífer. Amb aquestes aproximacions va descobrir el complex de proteïnes que possibilita la unió i la fusió de les vesícules amb les seues membranes diana. El fet que hi haja moltes d’aquestes proteïnes i que s’unisquen solament en unes combinacions específiques assegura que les molècules transportades siguen lliurades al lloc adequat. Curiosament, va resultar que el gens descoberts per Schekman en el llevat codifiquen les proteïnes homologues que va identificar Rothman en les cèl lules de mamífers, cosa que suggereix un origen evolutiu evident per als sistemes de transport. Podem dir que Rothman i Schekman conjuntament havien elucidat la maqui-
nària fonamental per a l’adreçament i la fusió de vesícules, però faltava conèixer la regulació temporal del procés. Ja se sabia que la fusió de vesícules ha d’executar-se amb gran precisió en resposta a estímuls específics. Com ara en l’alliberament de neurotransmissors en el cervell o la secreció d’insulina en les cèl lules β del pàncrees. En principi, la biofísica de la fusió de membranes és relativament simple; però, com aconsegueixen les cèl·lules lliurar la seua càrrega en el moment apropiat? I això és el que va tractar de resoldre Südhof.
Südhof estava interessat especialment en la connexió entre les neurones en el sistema nerviós, o entre les neurones i les cèl lules musculars que han de respondre a un estímul. Aquesta comunicació ocorre per mitjà de neurotransmissors, que se sintetitzen en les neurones i s’emmagatzemen a l’interior de milers de vesícules, les vesícules sinàptiques. Quan arriba el potencial d’acció, entra calci i es desencadena la fusió de les vesícules sinàptiques amb la membrana plasmàtica de l’axó de la cèl·lula presinàptica. El neurotransmissor s’allibera a la sinapsi i interacciona amb receptors en la membrana plasmàtica de la cèl lula postsinàptica, que en aquest cas és la dendrita d’una altra neurona. El mateix passa quan la neurona ha de connectar amb una cèl lula muscular. El laboratori de Südhof va buscar les proteïnes que detecten el calci en cèl lules nervioses. Van identificar la maquinària molecular que respon a l’entrada d’ions calci i dirigeix ràpidament les proteïnes veïnes a unir vesícules a la membrana externa de les cèl lules nervioses. Seguidament, les membranes es fusionen i s’alliberen els neurotransmissors.
Els descobriments fets pels guardonats han contribuït de manera decisiva a entendre de quina manera les molècules són transportades fins a localitzacions precises dins de la cèl lula. Com hem vist, els processos de trànsit vesicular són essencials en nombrosos processos fisiològics, incloent-hi la comunicació entre les neurones en el cervell, la resposta immunitària o la producció i els efectes de les hormones. No és cap sorpresa que defectes en qualsevol d’aquests processos de trànsit vesicular estiguen associats amb malalties com ara la diabetis, el Parkinson o l’Alzheimer. Sense aquesta exquisida organització, la cèllula cauria en el caos més absolut. •
Entre 2011 i 2013 s’han succeït les efemèrides referents a la Flora de Catalunya de Joan Cadevall. El maig de 2011 el centenari de l’acord de la Secció de Ciències de l’IEC d’emprendre’n l’edició; el juliol de 2012 el setanta-cinquè aniversari de la publicació del darrer volum; el juliol de 2013, el centenari de l’aparició del primer fascicle. Vint-i-cinc anys per publicar sis volums poden semblar molts. Però potser no són tants si anem seguint les vicissituds per les quals va haver de passar aquesta publicació.
El dia 15 de maig de 1911, la Secció de Ciències de l’IEC acordava publicar «el treball que sobre flora catalana va acomplint d’alguns anys el distingit botànic Sr. Cadevall». En efecte, Joan Cadevall (Castellgalí, Bages, 1846 - Terrassa, 1921), feia uns quants anys que estava treballant en una Flora de Catalunya i la tenia ja força avançada.
Cadevall acceptà de seguida. Tanmateix, a causa de la manca de precedents recents de publicació d’obres científiques en català, Cadevall havia anat redactant la seva obra en castellà i calia traduir-la. Per això Cadevall va buscar la col·laboració d’Àngel Sallent, que s’havia d’encarregar principalment, entre altres coses, de la traducció al català dels originals de Cadevall.
La Secció de Ciències va voler prendre per model la Flore descriptive et illustrée de la

France, de la Corse, et des contrées limitrophes d’Hyppolite Coste, de recent aparició, una de les millors que s’editaven en aquells anys. Fins i tot es va demanar i obtenir l’autorització de l’editor d’aquesta obra per reproduir-ne els dibuixos de les espècies comunes a França i Catalunya, per sort força nombroses. La resta de dibuixos, com també algunes làmines en color que havien d’acompanyar els successius volums de la flora havien d’anar a càrrec de l’artista terrassenc Pere Viver (1872-1917).
Cadevall i Sallent lliuraven els seus primers originals el novembre de 1911. La impressió del primer fascicle quedava enllestida el març de 1913, a manca només de les cobertes i les làmines en color, però una vaga de tipògrafs en va retardar fins al juliol la desitjada aparició. El segon fascicle no va aparèixer fins a la primavera de 1914 i, quan ja semblava que el tercer era a punt d’enllestir-se, va esclatar la Primera Guerra Mundial (estiu de 1914).
El 7 d’octubre de 1914, a la vista de les circumstàncies de guerra a Europa (i de la difícil situació econòmica que travessava l’IEC) s’acordà suspendre la publicació de la Flora de Catalunya tret dels fascicles que mancaven per completar el primer volum, que va quedar enllestit al llarg de 1915. Cadevall donava per acabada la redacció de la Flora el gener de 1918 i, finalment, acabada la guerra, el segon volum quedava completat el 1919. Va ser el darrer que va aparèixer en vida de Cadevall, que va morir el 19 de novembre de 1921.
Ja força abans de morir, Cadevall es trobava pràcticament impossibilitat i era Sallent qui anava lliurant els textos traduïts al català, que Cadevall es limitava a revisar i aprovar. La mort de Cadevall obria un nou període d’in-

Il·lustració.
certeses. Una part dels originals eren en mans de Sallent però la resta romanien en les de la vídua de Cadevall, qui, tanmateix, va renunciar als drets que li poguessin correspondre com a hereva del seu difunt marit a partir de l’abril de 1921. El tercer volum quedava completat el juny de 1923.
Però el 13 de setembre d’aquell any, un cop d’estat encapçalat pel general Miguel Primo de Rivera implantava una dictadura que va durar fins al gener de 1930. La Mancomunitat va ser liquidada i la Diputació Provincial de Barcelona posada en mans de personatges gens afins a l’IEC, que es trobà privat de recursos econòmics i hagué de recórrer al mecenatge privat. Novament la publicació de la Flora quedava interrompuda, fins que el 1927 Rafael Patxot es va comprometre a finançar les despeses corresponents al volum IV i es va confiar a Pius Font i Quer l’edició dels originals de Cadevall. Però, destinat al Marroc com a farmacèutic major, Font i Quer no se’n va poder ocupar de manera efectiva fins al seu retorn a primers d’agost de 1930.
L’empenta de Pius Font i Quer va ser decisiva. El maig de 1932 apareixia el volum IV, finançat per Rafael Patxot, i el 1934 el V. El juny de 1936 ja hi havia sis plecs impresos del volum sisè i darrer però l’esclat de la guerra civil comportà un nou retard. Finalment, el 8 d’octubre de 1937, la Secció de Ciències de l’IEC podia presentar la Flora de Catalunya completa al president de la Generalitat Lluís Companys. •
El professor Francisco García del Cid Arias va néixer a Màlaga el 2 de setembre de 1897. La família es va traslladar molt aviat a Tarragona, pel treball del pare. Acabats els estudis de secundària, l’any 1918 es va graduar en ciències naturals a la Universitat de Barcelona, on ben aviat passà a ser nomenat assistent del professor Miquel Fusté, catedràtic de Zoologia i Biologia. Mentre feia el doctorat va fer diferents cursos, entre els quals en destaca un sobre psicologia a la Universitat de Madrid. La seva tesi doctoral Contribución al estudio de la fauna ictiológica de las costas de Cataluña y Baleares, on dedicava atenció especial al grups dels làbrids, va ser presentada a la Universitat de Madrid l’any 1922, i sembla que fou dirigida pel professor Fusté. D’aquest treball cal destacar la utilització dels raigs X per a l’estudi de l’anatomia dels peixos, una tècnica innovadora en aquells anys. Entre tant, també impartia cursos a l’Escola Superior d’Agricultura de Barcelona. L’any 1930 es va graduar a la Facultat de Medicina de la Universitat de Barcelona, cosa que li va permetre participar com a assistent en el laboratori de medicina forense. Així, en la seva activitat com a metge, va compartir diferents tasques amb l’especialitat de medicina nutricional. L’any 1942 va obtenir la càtedra d’artròpodes, i es va encarregar de les assignatures de zoologia d’invertebrats i de vertebrats.
L’any 1943 el CSIC va crear l’Institut de Biologia Aplicada, del qual el professor García del Cid va ser nomenat director. Tot seguit va iniciar la revista Publicaciones de Biología Aplicada , en què s’editaven estudis sobre artròpodes, amb especial atenció als insectes xilòfags. El nomenament com a membre del Patronat Alonso de Herrera (CSIC), de ciències naturals i agrícoles, va afavorir una activitat d’àmbit internacional. Possiblement els contactes amb la Stazione Zoologica di Napoli i el record de les investigacions de la seva tesi doctoral, junt amb l’interès del govern espanyol, van fer que García del Cid s’interessés per les ciències marines. També ho va afavorir la difícil situació política de l’Institut Espanyol d’Oceanografia. Alhora,
J. Roig i Bonaventura Andreu establien a Vinaròs un laboratori per a l’estudi dels recursos marins. El resultat va ser la creació de la Secció de Ciències Marines a l’Institut de Biologia Aplicada l’any 1949, que ja tenia una forta activitat tant en la recerca com en el nombre de publicacions en la revista Publicaciones del Instituto de Biología Aplicada. Com a resultat d’aquesta recerca, el CSIC va crear l’any 1951 l’Institut de Investigacions Pesqueres, del qual el professor García del Cid va ser nomenat director. A partir d’aquell moment, els treballs van aparèixer en una nova publicació intitulada Investigaciones Pesqueras. García del Cid en va ser el director fins a la seva mort ocorreguda per accident el dia 21 d’octubre de l’any 1965, a l’edat de 68 anys.
A partir de la creació de l’Institut d’Investigacions Pesqueres la seva activitat es va enfocar directament al camp de la gestió, tot i que també va dirigir diverses tesis doctorals, entre elles la de l’autor de l’article. La bona marxa del nou institut, que es va desenvolupar ràpidament, va fer que el guardonessin amb la Gran Creu de l’Ordre d’Alfons X el Savi. En la bona marxa de l’Institut va tenir a veure una iniciativa important: l’organització de reunions periòdiques dels científics dels diferents laboratoris situats a Barcelona, Blanes, Vinaròs, el Grau de Castelló, Vigo i Cadis; les anomenades, reunions de «productivitat i pesqueries». Aquestes reunions permetien mantenir el contacte entre els diferents centres i coordinar les seves activitats.
El laboratori de Vinaròs finalment va ser absorbit pel del Grau de Castelló, que treballava intensament sota la direcció de Gómez-Larrañeta i Suau. És en aquest centre on es va posar en marxa un experiment important: «El Plan Experimental de la Pesca de Arrastre de Castellón, 1961-66». L’objectiu era demostrar la validesa dels models teòrics per a la recuperació de les poblacions excessivament explotades. El resultat tingué molt d’èxit. Anys després, aquest grup de treball s’interessà particularment per l’aqüi-

cultura, i va traslladar les seves activitats al nou centre de Torre de la Sal (Castelló). Finalment, l’any 1962 es va inaugurar el nou centre principal de l’Institut d’Investigacions Pesqueres a Barcelona. A l’acte se li va donar una gran rellevància: va tenir l’assistència del cap de l’Estat espanyol.
El 1952 va ingressar com a membre de la Reial Acadèmia de Ciències i Arts de Barcelona, amb el treball sobre una varietat de tèrmits La amenaza de los comegenes. Malgrat la diversitat de camps que va tractar, la seva principal preocupació científica va trobar-se en el camp de la ictiologia i la zoologia aplicades. Com a persona, el professor Francisco García del Cid era amable i preocupat pel personal de l’Institut d’Investigacions Pesqueres. Va dirigir les activitats del centre al més alt nivell internacional. En aquesta tasca cal destacar l’excel·lent aportació d’alguns dels seus membres i, en particular, de Ramon Margalef. •
«El documental és el llevat de la nostra història.»
Serguéi Eisenstein
Aquesta afirmació d’Eisenstein puc subscriure-la des d’una doble vessant. D’una banda hi ha els nombrosos documentals sobre la nostra història que en el decurs del meu recorregut professional he fet. Treballs que m’han permès de copsar la importància de posar a l’abast de la societat, i a través de la narrativa documental, fets que han marcat el nostre passat amb les consegüents conseqüències sobre l’ara i el demà.
D’una altra banda hi ha el fet documental que es manifesta en cada nou treball. El fet d’haver de dir-se a un mateix: «Cal fer-lo!» I també: «Cal trobar com fer-lo». Es tracta d’aquesta mirada nova que cada vegada cal crear i desenvolupar per poder arribar-hi. Mirada que, sense prendre partit, és partidària subjectivament parlant. Tan subjectiva com sigui possible, de manera que reflecteixi el drama humà que s’amaga rere cada personatge o cada aventura personal. Ja que del que es tracta és de poder fer reviure a cadascun dels futurs espectadors la història d’altres persones en connexió amb la seva pròpia història.
Quan un dia els responsables de TVC em van dir: «Voldries fer un documental sobre ciència ja que enguany se celebra el cente-

nari de la SCB?» Vaig respondre: «Hi ha un projecte?» I així vaig començar Lluitant per la vida. Un documental de 65 minuts amb un càsting excepcional de científics amb renom internacional, acompanyats de molts d’altres de no menys vàlua i esperit científic. El que volia era mostrar l’estat actual de les ciències de la vida a Catalunya i l’alt nivell aconseguit en els grans temes que preocupen més la societat. Però, per arribar-hi, em calia l’assessorament de la SCB mateixa, que era qui havia trucat a la porta de TV3 amb motiu del seu centenari.
En la primera reunió amb els assessors vaig demanar-los quines disciplines havíem de tocar, de quins científics parlar per resumir cent anys de ciència així com la seva transcendència social. Ben avi-

at, i, mitjançant les diferents trobades amb en Josep Maria Camarasa, Jordi Barquinero i Cristina Junyent, vaig copsar que em transmetien una experiència humana col·lectiva, tenaç en la lluita pel coneixement, i potser el més important des del punt de vista històric: la configuració d’un pensament col·lectiu acompanyant la història científica catalana.
La dada del centenari del naixement de la SCB em va fer ballar molt el cap. Era judiciós partir de l’actualitat de la recerca i anar cent anys enrere? Com descriure aquell moment en què un grapat de científics, conscients tant dels seus deures col·lectius com del destí del país, van proclamar que la veritable glòria de Catalunya només s’assoliria quan es fes ciència com es feia en altres països? En tot cas, el documental havia d’interrogar-los sobre aquest repte però posant l’accent en els homes que avui fan ciència i sense oblidar de recórrer el llarg camí cap als orígens.
En aquest punt de la reflexió vaig copsar que el documental, en aquest sentit, era la chance de magnificar les diverses generacions de
científics que en tant que homes van haver d’enfrontar moltes dificultats i sovint —en el cas català— també persecucions degudes tant a la ignorància com als prejudicis, i, quan no, als successius nefastos règims polítics de l’Estat espanyol.
Un dels moments clau era la Guerra Civil. En aquest bloc teníem encara la sort de poder disposar d’un testimoni directe, en Moisès Broggi, per endinsar-nos en la medicina de guerra republicana, l’exili dels científics amb més prestigi o la postguerra mateixa. Tres grans figures sobresortien: ell mateix, que implantà l’avenç dels quiròfans mòbils als fronts i ho aplicà treballant en els equips mèdics de les Brigades Internacionals. Broggi resumia així les seves experiències: «La cirurgia de guerra és traumatologia. El primer centre traumatològic important d’Espanya va ser a Barcelona, fundat l’any 29. De manera que els metges d’aquí sortien preparats. També que, al començament de la guerra, havent-hi morts pel carrer, els hospitals plens de ferits, i molta gent morint perquè perdien sang, en Duran i Jordà trobà un mètode per conservar la sang emmagatzemada». Això va permetre de crear el primer servei de transfusió del món, generalitzat durant la Segona Guerra Mundial. I, sobretot, el geni científic de Trueta, salvador de vides de soldats i civils ferits.
En la nostra recerca d’imatges d’arxiu vam trobar una entrevista a l’arxiu de TVE que illustra sobre el seu treball a l’exili, a Anglaterra concretament: «Tenia publicat un llibre, La cirurgia de guerra, en anglès, m’ho van publicar als Estats Units; un llibre que representa l’ampliació i la maduresa d’un petit llibret publicat a Barcelona l’any 37, durant la Guerra Civil, en el qual exposava la tècnica nova de curar les ferides sense necessitat de canviament de bandatges, posant el guix immobilitzador. Estalviava molt sofriment i moltes sèpsies, i particularment amputacions. Els resultats que s’han obtingut des d’aleshores, quant a la caiguda del nombre d’amputacions, són realment impressionants». Dins l’anecdotari podria afegir que em vaig quedar amb les ganes de fer una recerca més acurada i saber si hi havia hagut una raó de fons desconeguda que li va impedir haver pogut obtenir el Premi Nobel per al qual va ser nominat. En tot cas era el moment en què la narració es tensava configurant el caràcter quixotesc d’aquests herois de la ciència. Pot semblar estrany que parli d’herois en una revista de ciència, però és el llenguatge que professionalment utilitzem per crear o recrear un

personatge. Així doncs, cada personatge té una importància vital en si mateix i alhora forma part del conjunt de científics que han participat en la consolidació de l’estructura social catalana.
Un altre aspecte per no oblidar durant la construcció del documental era la societat civil, la mateixa d’on sorgeixen els científics i la receptora dels seus avenços. Les tecnologies desenvolupades, quin efecte tenen i tindran en les nostres vides? O com s’analitza la constant degradació de l’entorn que ens permet l’existència?
Preguntes segurament sense resposta però que eren una clau per explicar com els científics es transmeten d’una generació a l’altra els coneixements que poden aportar respostes a les inquietuds socials.
En cap moment vaig dubtar que havíem d’explicar-nos en clau humana i èpica fugint, però, de la mitificació. Tot científic havia de ser un heroi fundador, amb unes adversitats i un esforç per arribar al triomf de la voluntat. Aquí em va caldre resoldre o confrontar amb els assessors mateixos, que pensaven que calia acostar-se a la història dels orígens de la Societat Catalana de Biologia. Convèncer-los que no parlaríem de la SCB com a protagonista sinó amb una mirada més distanciada, que, en el documental, representaria la massa crítica que reunia la comunitat científica des dels seus orígens fins avui. Creia que no hi havia diferències fonamentals entre la biologia d’avui en relació amb la dels fundadors de la Societat des del punt de vista del nostre treball endegat. Per al meu equip era evident que hi ha coses comunes a tots,
d’una banda retornar els avenços científics a la societat, participant i donant relleu a la vida cultural del país. De l’altra, aconseguir competir amb les acadèmies científiques internacionals i fundar una ciència d’excellència a Catalunya.
A mesura que les setmanes transcorrien vaig arribar al darrer punt important en la meva percepció sobre els científics. La meva mirada volia copsar molt més, ja que sentia la necessitat d’explicar el fet col·lectiu. Per això vaig ampliar la lògica del protagonista únic introduint molts més protagonistes, fins a trenta-tres. L’horitzó es va eixamplar de cop amb la història de les històries dels nous protagonistes i va derivar envers una forma narrativa molt més àgil. Ara en podria treballar còmodament la dimensió èpica. D’altra banda vam decidir incorporar, aquesta vegada sota la forma de dibuix animat, un protagonista civil, una persona des del naixement fins a la seva mort. Aquest nou camí va ser llarg però ple d’experiències noves i enriquidores que van acabar de donar forma definitiva al documental. I potser el que més em va sorprendre va ser veure que el somni de guarir de les malalties era alhora tan real com utòpic. •


Fitxa tècnica
El somni de Lucreci
Una història de la llibertat de pensament
Martí Domínguez
XXXIV Premi Carles Rahola d’assaig 2013 Col·lecció: «La mirada». Editorial: Proa (Barcelona, 2014, 2a edició) 356 pàgines
El llibre que presentem ens descriu un viatge a través del pensament de «savis» de tots els temps, amb constatacions que, a voltes, són rigorosament basades en l’observació i el mètode científic; i, d’altres vegades, veiem com la mitologia, la superstició i la seva pròpia creativitat els portava a raonaments grotescos que passaven per davant del raciocini. Marti Domínguez pren com a punt de partida el poema enciclopèdic De rerum natura de Titus Lucretius Carus, nascut l’any 99 aC, el qual descriu una sèrie d’observacions naturalístiques totalment objectives i desvinculades de qualsevol idea relacionada amb el mon dels déus i la religió. En part, és aquest caràcter objectiu de veure les coses el que fa que «científics» i pensadors de segles
posteriors el qüestionin, sobretot aquells que busquen l’aprovació de la religió. El principal contrapunt de De rerum natura es troba en la Història Natural de Plini el Vell, escrita l’any 70 dC. Plini, més que descriure les seves pròpies troballes, escrivia sobre textos d’altri, barrejant fets anecdòtics amb altres de més objectius. Aquest tipus de literatura, però, podem dir que tenia una gran acceptació entre el públic, que ho veia com un divertimento
Per què va tenir més èxit, doncs, Plini que Lucreci? Escriu Martí: Jorge Luis Borges deia que «hi hagué èpoques en les quals es llegien les pàgines de Plini en busca de precisions, avui les llegim en busca de meravelles i aquest canvi no ha vulnerat la fortuna de Plini.» Potser perquè continua dient: «Lucreci és suggeridor, és ric, és dens; a vessar d’idees però melancòlic. Plini és fàcil, alegre, desinhibit: pura literatura d’entreteniment avant la lettre »
De rerum natura va ser silenciat durant molts segles per l’Església i no es va redescobrir fins a principis del segle xv, gràcies a una còpia trobada en un vell monestir alemany. El text va impressionar els pensadors del Renaixement i la il·lustració i va influir en l’evolucionisme darwinià, començant per Erasmus Darwin, avi de Charles. De fet, sembla increïble que Charles Darwin mateix no esmenti ni reconegui la possible influència dels pensaments del seu avi.
En El somni de Lucreci el lector queda totalment absorbit per la quantitat d’informació que es destil·la al llarg del llibre. I no ha de tenir por de sentir-se sobrepassat pel gran nombre de científics, erudits i pensadors que hi deambulen; la riquesa de personatges no fa perdre l’interès de veure com són tractats i interpretats temes cabdals per entendre la «natura» des de l’objectivitat o la subjectivitat.
Martí Domínguez, doctor en biologia, té altres textos sobre història i filosofia de la
història natural. Té publicats destacats textos d’il lustrats, com ara Les confidències del comte Buffon (1997, premis Andròmina, Creixells i de la crítica de la Universitat de València); El secret de Goethe (1999, Premi Prudenci Bertrana i de la crítica de la Universitat de València) i El retorn de Voltaire (2007, Premi Josep Pla). Té també altres llibres publicats, com ara El fracassat (2013), sobre la vida de Cézanne, i els articles setmanals publicats a El Temps recollits en Peiximinuti (1993).


I no podem deixar d’esmentar que és director de la revista Mètode, que també es pot trobar en l’hemeroteca de l’IEC1, tan ben editada, i que ja ha complert els vint anys, gràcies al suport de la Universitat de València. Amb tota aquesta trajectòria, els seus alumnes de periodisme de la mateixa universitat tenen una gran sort de poder assistir a les seves classes, que de ben segur han de ser molt engrescadores. Us animem a llegir El somni de Lucreci, de Martí Domínguez, un cant al pensament lliure i a la ciència, en contra del dogmatisme, el fanatisme religiós i la intolerància. •
1 http://revistes.iec.cat/index.php/Metode/index










NORMES DE PRESENTACIÓ D’ARTICLES PER ALS AUTORS DE TREBALLS DE LA SOCIETAT CATALANA DE BIOLOGIA RULES FOR SUBMISSION OF ARTICLES BY AUTHORS TO TREBALLS DE LA SOCIETAT CATALANA DE BIOLOGIA
Abast
La revista Treballs de la Societat Catalana de Biologia (Treb. Soc. Cat. Biol.), editada per la Societat Catalana de Biologia (SCB), filial de l’Institut d’Estudis Catalans (IEC), publica articles de l’àmbit de les ciències de la vida en llengua catalana (i ocasionalment en altres llengües). Aquesta revista consta de dues seccions:
— «Destacats de recerca». Conjunt d’articles de recerca o de revisió sobre un tema monogràfic que tracta d’alguna qüestió científica concreta. Un coordinador, expert en el tema, encarrega els articles a un equip d’autors i en supervisa la redacció. Si voleu fer de coordinador d’un tema del vostre interès per als «Destacats de recerca», poseu-vos en contacte amb la secretaria de la SCB (scb@iec.cat).
— «Destacats de ciència». Conjunt d’articles de divulgació, actualitat i opinió científica sobre temes diversos. Si voleu proposar un article per als «Destacats de ciència», poseu-vos en contacte amb la secretaria de la SCB (scb@iec.cat). Els autors que també siguin socis de la SCB tenen preferència en el procés d’acceptació dels articles.
Procés editorial
Els articles, un cop rebuts, se sotmeten a un procés de revisió de forma i contingut. En acabat, poden ser: a) acceptats sense canvis, b) rebutjats o c) acceptats amb esmenes proposades als autors. En aquest darrer cas, és un requisit indispensable per a publicar-los que l’autor accepti introduir les esmenes proposades.
Els autors rebran unes galerades perquè les revisin. En aquest procés només poden introduir-hi esmenes de caràcter lingüístic i tècnic, però no de contingut. En casos especials, la SCB podrà demanar als autors revisions addicionals.
Els autors rebran sense càrrec un exemplar de la revista un cop publicada.
Criteris generals de presentació d’articles
El material presentat ha de ser original i no ha d’haver estat publicat abans. Els articles han de tenir l’extensió demanada (vegeu els dos apartats següents, tenint en compte que cal incloure els espais en blanc en el comptatge de caràcters) i el nombre de taules i figures ha de ser el mínim imprescindible per a facilitar la comprensió del text. En cas que la llargària no s’adeqüi als criteris especificats o que el nombre de taules o figures es consideri excessiu, la SCB podrà proposar canvis pel que fa a aquests aspectes abans d’acceptar l’article.
Els articles s’han d’enviar en un arxiu en format Microsoft Office o OpenDocument. Aquest arxiu ha de contenir només text (article, bibliografia, taules, peus, etc.). Les figures s’han d’enviar en arxius a part i, si contenen text (a part dels peus), ha d’estar en un format que permeti editar-lo. Si la taula o figura té copyright, cal indicar-ho.
La bibliografia s’ha de compondre tal com s’exemplifica tot seguit, per bé que, posteriorment, els editors adequaran tipogràficament aquestes referències a l’estil de la publicació: Codina, C. [et al.] (1989). “Potencial biotecnològic del cultiu de cèl·lules vegetals per a l’obtenció de productes farmacèutics”. Treb. Soc. Cat. Biol., 40: 47-70. Mellado, R. P. (1987). “Vectores utilizados para la manipulación y expresión de genes”. A: Vicente, M.; Renart, J. (ed.). Ingeniería genética. Madrid: CSIC, 21-30. Wolffe, A. (1995). Chromatin structure and function. Londres: AcademicPress.
Les referències bibliogràfiques completes han d’aparèixer ordenades alfabèticament al final dels articles i, si contenen més de dos autors, cal escriure només el primer, seguit de la indicació et al. entre claudàtors. Les remissions a la bibliografia dins el text han de seguir el sistema de cognom i any, no pas un sistema numèric, i, si contenen més de dos autors, cal escriure només el primer, seguit de la indicació et al., en aquest cas sense claudàtors.
Criteris específics per als articles de «Destacats de recerca»
Els articles de la secció «Destacats de recerca» han de tenir una extensió de 25.00035.000 caràcters i han d’incloure els apartats següents: títol; noms i cognoms dels autors; filiació de tots els autors; autor per a la correspondència (cal indicar-ne les adreces postal i electrònica i el telèfon); resum en català (màxim de 1.000 caràcters); paraules clau en català (màxim de cinc); títol, resum i paraules clau en anglès (que han de ser fidels, en extensió i contingut, als corresponents en català); text de l’article (amb un màxim de dos nivells d’apartats); bibliografia; taules, i peus de figura
Criteris específics per als articles de «Destacats de ciència»
Els articles de la secció «Destacats de ciència» han d’incloure els apartats següents: títol (no acadèmic), subtítol (opcional, i aquest pot ser més acadèmic), noms i cognoms dels autors i filiació de tots els autors. A més, si n’hi ha, bibliografia, taules i peus de figura
Els articles d’aquesta secció poden ser: — Articles llargs (6.000-8.000 caràcters; inclouen una entradeta de 500-700 caràcters i una nota curricular de 500-600 caràcters). Tipologia: «Exposició» (desenvolupament d’una idea de ciència en sentit ampli) i «Jove investigador» (escrit pel guanyador del premi per a estudiants de la SCB).
— Articles curts (4.000 caràcters). Tipologia: «Flaix» (desenvolupament d’una idea de ciència en sentit ampli); «Carrera» (descripció de la carrera d’un biòleg no investigador); «Fòrum» (descripció d’un centre o instal·lació de recerca); «Ciència en societat» (descripció d’activitats de transmissió de coneixement); «Del laboratori a l’aula» (propostes de la Secció d’Ensenyament); «Racons» (propostes, preferentment, de les seccions transversals d’Estudiants i de Biologia i Indústria); «Lectura» (llibre de ciència editat en català), o «Un lloc per visitar» (proposta de turisme científic).
Scope
The journal Treballs de la Societat Catalana de Biologia (Treb. Soc. Cat. Biol.), published by the Societat Catalana de Biologia (SCB), a subsidiary of the Institut d'Estudis Catalans (IEC), releases articles in the field of life sciences in the Catalan language (and occasionally in other languages). The journal comprises two sections:
— “Destacats de recerca”: articles in the field of research or a monographic review of a topic in a specific scientific field. A coordinator expert in the field commissions the articles to a team of authors and supervises the drafting process. If you would like to take part as a coordinator for a topic of your interest for the “Destacats de recerca” section you can contact the SCB secretary at scb@iec.cat.
— “Destacats de ciència”: articles about popular science, current affairs and scientific opinion on a range of topics. If you would like to propose an article for the “Destacats de ciència” section you can contact the SCB secretary at scb@iec.cat. Authors who are also SCB members have preference in the article admission process.
Publishing process
Upon receipt, articles undergo a review of form and content. Once this process is complete, the articles may: i) be accepted without changes; ii) be rejected; or, iii) be accepted, albeit with the author being advised to make amendments. In the latter case, authors must agree to make the changes proposed in order for the articles to be published.
Authors will be given galley proofs in order to review them. At this stage of the process they will only be able to make technical or linguistic amendments and not changes related to content. In specific circumstances, the SCB may ask authors to carry out additional reviews.
Authors will receive a copy of the journal free of charge once it has been published.
General criteria for submitting articles
Material submitted must be original and cannot have been published elsewhere previously. Articles must be of the required length (see sections below – character counts must include spaces) and the number of tables and figures should be kept to a minimum in order to simplify understanding of the text. If the length is unsuitable for the specified criteria or if there are too many tables or figures, the SCB may propose changes concerning these areas before accepting the article.
Articles must be submitted in Microsoft Office or Open Document format. The file should contain text only (the main article, references, tables, figure captions, etc.). Figures must be sent in separate files and if they incorporate text (aside from captions) the file format must allow for them to be edited. If a table or figure is copyrighted, this circumstance must be specified.
References must be set out as shown below, although the editors may subsequently adapt them according to the definitive publishing style:
Codina, C. [et al.] (1989). “Potencial biotecnològic del cultiu de cèl·lules vegetals per a l’obtenció de productes farmacèutics”. Treb. Soc. Cat. Biol., 40: 47-70. Mellado, R. P. (1987). “Vectores utilizados para la manipulación y expresión de genes”. In: Vicente, M.; Renart, J. (ed.). Ingeniería genética. Madrid: CSIC, 21-30. Wolffe, A. (1995). Chromatin structure and function. London: AcademicPress.
Full bibliographic references must be set out in alphabetical order at the end of articles and, if they contain more than two authors, only the first author should be specified followed by the indication et al. in square brackets. References to the bibliography within the text must follow the author-year system rather than being in numerical order of appearance and, if they contain more than two authors, only the first author should be specified followed by the indication et al. without square brackets.
Specific criteria for articles in the “Destacats de recerca” section
Articles in the “Destacats de recerca” section should be between 25,000 and 35,000 characters long and include the following information: title; authors’ names and surname; personal particulars of all authors; contact author (email, address and telephone number required); abstract in Catalan (1,000 characters maximum); keywords in Catalan (maximum of 5); title, abstract and keywords in English (which must be true to the Catalan versions in terms of length and content); main text of the article (with two sections of levels at the most); references; tables and figure captions
Specific criteria for articles in the “Destacats de ciència” section
Articles in the “Destacats de ciència” section must include the following information: title (non-academic), subtitle (optional and may be more academic), authors’ names and surname and personal particulars of all authors. In addition, if applicable, references, tables and figure captions. Articles in this section can be either of the following: — Long articles (6,000-8,000 characters; including an introduction of about 500-700 characters and a biographical note of about 500-600 characters). The latter may be of the following types: “Exposició” (broad development in a field of science) and “Jove investigador” (written by the SCB student prize winner).
— Short articles (4,000 characters). Types: “Flaix” (broad development in a field of science); “Carrera” (description of the career of a non-research biologist); “Fòrum” (description of a research centre); “Ciència en societat” (description of knowledge transfer activities); “Del laboratori a l’aula” (SCB education section proposals); “Racons” (proposals preferably made by the cross-disciplinary sections for students and biology and industry); “Lectura” (science book published in Catalan) or “Un lloc per visitar” (proposal about scientific tourism).
Volum 65, 2014 - Índex
2 Editorial. Dolors Vaqué
2 El racó de l’SCB: Lluís Tort Recerca
3 Pròleg. Manuel Juan i Annabel F. Valledor
4 Inflamació i macròfags. Jorge Lloberas i Antonio Celada
10 Mecanismes de control negatiu de la inflamació vehiculats per receptors nuclears. Jonathan Matalonga i Annabel F. Valledor
16 Present i futur de les cèl·lules dendrítiques. Daniel Benítez-Ribas, Francesc E. Borràs i Maria Montoya
21 Modulació del canvi d’isotip de les immunoglobulines per senyals del sistema immunitari innat. Irene Puga, Andrea Cerutti i Montserrat Cols
27 Malalties immunomediades (immunopatologia) en el moment actual. Manel Juan, Azucena González i Anna Mensa
33 Nous conceptes sobre la diabetis autoimmunitària. Joan Verdaguer i Marta Vives-Pi
39 Nous conceptes en HLA i trasplantament d’òrgans. Jaume Martorell i Eduard Palou
46 Immunoteràpia, un concepte clàssic amb novetats rellevants: els biològics i la immunoteràpia antitumoral com exemples concrets. Manel Juan, Miguel Caballero Baños, Azucena González i Jordi Yagüe
Flaixos de Ciència
52 Ensumar el càncer. Sergi Udina
53 L’esperó de Bolòs, retrobat cent anys després. Cèsar Blanché
54 Gran o petit, llarg o curt... ? Algunes reflexions sobre la manera com comprenem les magnituds. Victor Grau i Torre-Marin
56 La vida impura. Algunes visions sobre la vida que ens ha llegat Lynn Margulis. Juli Peretó
60 Una finestra al cervell. Mirant la ment mitjançant la ressonància magnètica. Carme Junqué
64 Enzims essencials per a la vida. Maria del Mar Cendra Gascón i Eduard Torrents Serra
68 Un viatge a la complexitat. La recerca de les bases genètiques de les psicosis. Marta de Castro-Català, Premi d’estudiants de la Societat Catalana de Biologia, 2013
70 Un procés reversible: la metilació del DNA en càncer. Elisabet Figuerola Bou, Premi Gemma Rosell i Romero, 2013 Carrera
72 El biòleg «de via seca». Lluís Ruíz-Ávila
Premi Nobel
73 El transport cel·lular. Ismael Mingarro i Fernando Aniento
El fet
74 La Flora de Catalunya de Cadevall. Josep M. Camarasa
El personatge
75 Francisco García del Cid. Carles Bas Ciència en Societat
76 Impressions sobre la construcció del documental «Lluitant per la vida». Felip Solé
Lectura
78 El somni de Lucreci. Una història de la llibertat de pensament. Dolors Vaqué i Cristina Junyent

Si t’interessa la biologia i vols… ...conèixer els darrers avenços ...participar en l’organització de seminaris ...rebre la revista ...gaudir de descomptes en llibres, cursos i jornades... ...per què no t’hi associes?
