RCMIC, 38

Page 1


REVISTA CATALANA DE MICOLOGIA - R.C.M.

Coordinador

Jordi FERRER

Consell de redacció

Jordi FERNÀNDEZ, Xavier LLIMONA

Jordi RIUS, Sergi SANTAMARIA

Adreça postal: Apt. de Correus 35034, 08080 BARCELONA, ESPANYA. E-mail: revista@micocat.org, scm73@micocat.org

SOCIETAT CATALANA DE MICOLOGIA - S.C.M.

Presidenta

Laia RIBAS

Vice-president

Jordi RIUS

Secretari

Antoni DURAN

Tresorer

Celso GARCÍA

Vice-tresorer

Miquel BOLEA

Vocals

Jordi FERNÀNDEZ, Jordi FERRER, Josep GIRBAL, Xavier LLIMONA, Sergi SANTAMARIA, Andrés VALVERDE

Adreça postal: C/ de la Marina, 94, 1er, 4a. 08018 BARCELONA, ESPANYA. www.micocat.org / e-mail: scm73@micocat.org / Tel. 93-309-72-31.

La Revista Catalana de Micologia i la sèrie anual de làmines 'Bolets de Catalunya', es trameten gratuïtament als socis de la Societat Catalana de Micologia. Quota de soci: 59 € / any. Preu per volum 26 € . La Societat Catalana de Micologia és societat adherida a la Institució Catalana d’Història Natural, de l’Institut d’Estudis Catalans.

ISSN 1135-1225, D.L B. 28772-1995

CONTRIBUCIÓ AL CONEIXEMENT MICOLÒGIC DE LES ILLES BALEARS (ESPANYA). XXIII. MALLORCA.

J.L. SIQUIER1, J.C. SALOM2, J. PLANAS3 i J. LLISTOSELLA4

1.- Carrer Major, nº 19. E-07300-Inca (Illes Balears). E-mail: pepemycete@hotmail.com

2.- Conselleria de Medi Ambient, Agricultura i Pesca. Carrer Gremi Corredors, 10. E-07009-Palma de Mallorca (Illes Balears).- E-mail: joancarles.salom@gmail.com

3.- Carrer Can Socies, nº 12. E-07010-Palma de Mallorca (Illes Balears).- E-mail: jplanas@ascomicet.es

4.- Institut de Recerca de Biodiversitat (IRBIO). Grup de Micologia. Departament de Biologia Evolutiva, Ecologia i Ciències Ambientals. Universitat de Barcelona. Av. Diagonal, 645. E-08028-Barcelona. E-mail: jllistosella@ub.edu

RESUM: Contribució al coneixement micològic de les Illes Balears (Espanya). XXIII. Mallorca Se citen 42 tàxons de fongs, dels quals 12 són primera citació a les Illes Balears: Hypoxylon petriniae M. Stadler & J. Fourn, Trichoderma pulvinatum (Fuckel) Jaklitsch & Voglmayr, Tuber oligospermum (Tul. & C. Tul.) Trappe, T. rufum f. apiculatum E. Fisch., Volutella ciliata (Alb. & Schwein.) Fr., Agrocybe ochracea Nauta, Coprinellus impatiens (Fr.) J.E. Lange, Hygrocybe colemanniana (A. Bloxam) P.D. Orton & Watling, H. insipida (J.E. Lange) M.M. Moser, Hypholoma polytrichi (Fr.: Fr.) Ricken, Gastropila fragilis (Lév.) Homrich & J.E. Wright, Ceriporiopsis mucida (Pers.) Gilb. & Ryvarden. A més n’hi ha 3 que són primera citació per a Mallorca: Clitopilus cystidiatus Hauskn. & Noordeel., Peniophora tamaricicola Boidin & Malençon i Russula turci Bres. També s’aporten notes sobre llur taxonomia, ecologia i corologia.

PARAULES CLAU: Ascomycota, Basidiomycota, Illes Balears. Espanya.

ABSTRACT: Contribution to the knowledge of the funga of the Balearic Islands (Spain). XXIII Mallorca. Forty two taxa of fungi found in the Balearic Islands are commented. After the information avalaible to us, twelve of them seems to be new records for the Balearic Islands: Hypoxylon petriniae M. Stadler & J. Fourn, Trichoderma pulvinatum (Fuckel) Jaklitsch & Voglmayr, Tuber oligospermum (Tul. & C. Tul.) Trappe, T. rufum f. apiculatum E. Fisch., Volutella ciliata (Alb. & Schwein.) Fr., Agrocybe ochracea Nauta, Coprinellus impatiens (Fr.) J.E. Lange, Hygrocybe colemanniana (A. Bloxam) P.D. Orton & Watling, H. insipida (J.E. Lange) M.M. Moser, Hypholoma polytrichi (Fr.: Fr.) Ricken, Gastropila fragilis (Lév.) Homrich & J.E. Wright, Ceriporiopsis mucida (Pers.) Gilb. & Ryvarden Also three of the taxa are a new records to the Mallorca island: Clitopilus cystidiatus Hauskn. & Noordeel., Peniophora tamaricicola Boidin & Malençon and Russula turci Bres. Remarks on their ecology, taxonomy and chorology are also included.

KEY WORDS: Ascomycota, Basidiomycota, Balearic Islands, Spain.

INTRODUCCIÓ

Amb aquest treball es vol continuar contribuint al coneixement i catalogació de la funga de les Illes Balears. Aquesta vint-i-tresena contribució se centra en l’illa de Mallorca, i complementa anteriors treballs micològics referits a aquesta illa (tots recollits als catàlegs de SIQUIER & SALOM, 2013 i LADO & SIQUIER, 2014) i en altres treballs posteriors. En aquests darrers s’hi descriuen espècies inèdites: a ESTEVE-RAVENTÓS (2014) hi ha la descripció d’ Inocybe aureocitrina Esteve-Rav., i a MUÑOZ et al. (2015) s’hi descriu Leucoagaricus viridariorum G. Muñoz, A. Caball., Salom & Vizzini. D’altres confirmen la validesa d’una espècie dubtosa, com MARTIN et al. (2016) per a Chroogomphus mediterraneus (Finschow) Vila, Pérez-de-Greg. & G. Mir. En un tercer grup, es recullen noves citacions sobre coproambients, com a SALOM et al. (2016) o d’un gènere en concret, com és el cas de Cortinarius, a SALOM & MAHIQUES (2014) i SALOM et al. (2015), o, fins i tot, es recullen citacions d’aquesta illa, però en treballs que abracen tot l’àmbit de les Balears,

Catalana de Micologia, vol. 38: 1-19; 2017. 2

com a SIQUIER et al. (2015). En el present article, principalment, es cataloguen els tàxons recol·lectats pels autors, bé sols, o amb la resta d’integrants de FCB, a l’illa en el marc de les campanyes de tardor de 2014 i 2015. També s’hi inclouen altres tàxons que estaven pendents d’estudi als herbaris dels autors, que varen ser recol·lectats tant a campanyes anteriors de FCB com a diverses sortides de camp. A més de les noves citacions per a les Illes o per a Mallorca, també s’assenyalen aquells tàxons que són novetat pels catàlegs dels Espais Naturals Protegits següents: reserva natural de s’Albufereta (Alcúdia i Pollença), parc natural de Mondragó (Santanyí) i monument natural de les Fonts Ufanes (Campanet). Així mateix, a propòsit d’alguns tàxons interessants, prèviament citats a l’illa, s’assenyalen noves localitats, amb el propòsit de donar a conèixer millor la seva distribució. Per acabar, volem esmentar que si sumam els tàxons que citam com a novetats en aquest article amb el ja citats anteriorment, el total de tàxons de fongs i mixomicets actualment catalogats a Mallorca és de 1.662.

MATERIAL I METODOLOGIA

Les espècies estan ordenades per ordre alfabètic, dins els ordres inclosos a cada classe, i duen menció de la localitat, quadrícula UTM, altitud, hàbitat on han estat recol·lectades, data de recol·lecció i núm. d’herbari. A l’apartat d’observacions, basant-nos en la bibliografía abans esmentada, es comenta si són novetat per a les Illes Balears, per a Mallorca o si són, tan sols, noves localitzacions a l’illa. Si no es fa menció de qui ha recol·lectat o identificat les mostres, s’ha de considerar que han estat els autors o, al menys, un d’ells. Tot el material descrit es troba dipositat en els herbaris particulars JLS (J.L. Siquier) i JCS (J.C. Salom) amb el número de referència que s’indica en cada cas. Per fer les descripcions microscòpiques s’han utilizat microscopis Olympus BX40 i BX51 i els reactius adients; per fer les fotografies al camp, càmeres Nikon D700 i DS300 i per les microfotografies, càmeres Olympus C-70170, Panasonic Lumix DMC-TZ 40 i Amscope MU-900. Per actualitzar la nomenclatura dels tàxons s’ha seguit, en general, l’Index Fungorum i MycoBank.

ESPÈCIES ESTUDIADES

ASCOMYCOTINA

HYPOCREALS

Trichoderma pulvinatum (Fuckel) Jaklitsch & Voglmayr [fig. 1] = Hypocrea pulvinata Fuckel

MATERIAL ESTUDIAT. Escorca, Menut, UTM: 31SED9111, alt. 600-650 m, sobre Fomitopsis pinicola en descomposició, 3-I-2015, leg. T. Salom i J.C. Salom, JCS-176A.

OBSERVACIONS. Segons la bibliografia consultada (JAKLITSCH, 2011), el teleomorf d’aquesta hipocreal fructifica sobre bolets de soca de les espècies Fomitopsis betulina (Bull.) B.K. Cui, M.L. Han & Y.C. Dai (= Piptoporus betulinus (Bull.) P Karst.) i Fomitopsis pinicola (Sw.) P. Karst. Sobre aquesta darrera espècie de poliporal també hi fructifica el teleomorf de Trichoderma protopulvinatum (Yoshim Doi) Jaklitsch & Voglmayr. No obstant, T. pulvinatum es diferencia d’aquesta darrera espècie per presentar les cèl·lules marginals de l’ostíol lanceolades (veure fig. 1, G). Primera citació a les Illes Balears.

Volutella ciliata (Alb. & Schwein.) Fr. [fig. 2]

MATERIAL ESTUDIAT. Escorca, Menut, UTM: 31SED9111, alt. 600-650 m, sobre Fomitopsis pinicola en descomposició, 3-I-2015, leg. T. Salom i J.C. Salom, JCS-176A bis.

A-B) Estromes sobre l’himeni de Fomitopsis pinicola. C) Estroma i peritecis. D) Reacció dels peritecis amb KOH. E-F) Ascs i ascòspores hialines. G) Cèl·lules marginals lanceolades de l’ostíol. Escala = 10 µm.

Fig. 1: Trichoderma pulvinatum (Fuckel) Jaklitsch & Voglmayr, JCS 176A:
Fig. 2: Volutella ciliata (Alb. & Schwein.) Fr., JCS 176Abis: A) Esporodoquis. B) Conidis. C-D) Pèls i conidis. Escala = B: 10 µm, C-D: 50 µm.

Catalana de Micologia, vol. 38: 1-19; 2017. 4

OBSERVACIONS. Aquesta espècie fructificava sobre el mateix exemplar de Fomitopsis pinicola en descomposició on també vàrem trobar el Trichoderma pulvinatum esmentat. Primera citació a les Illes Balears.

PEZIZALS

Peziza limnaea Maas Geest.

MATERIAL ESTUDIAT. Escorca, Menut, UTM: 31SDE9111, alt. 600-650 m, terrícola a l’alzinar de Quercus ilex amb presència de Pinus halepensis, vora un petit curs d’aigua, 21-XI-2015, JLS 3913.

OBSERVACIONS. És la segona citació d’aquest espècie a Mallorca i a les Illes Balears, i ha estat retrobada després de molts d’anys, al 1987, i publicada per ARROYO et al. (1990). Nova localització a Mallorca.

Peziza lobulata (Velen.) Svrček

MATERIAL ESTUDIAT. Santanyí, parc natural de Mondragó, camí des Mirador, UTM: 31SED1656, alt. 10-50 m, vora el camí a la pineda de Pinus halepensis, 13-XII-2014, JLS 3864.

OBSERVACIONS. Es confirma aquesta espècie en el parc natural de Mondragó, en una nova localitat, ja que es tenia constància de la seva existència per una citació puntual, sense dades de recollida, però iconografiada a CONSTANTINO & SIQUIER (1996, 2006 i 2011).

Tuber borchii Vittad.

MATERIAL ESTUDIAT. Costitx, Can Verdor, UTM: 31SDD9690, alt. 150-200 m, hipogeu a l’alzinar de Quercus ilex, 11IV-2015, JLS 3887, JCS-185A

OBSERVACIONS. Nova localitat a Mallorca.

Tuber excavatum Vittad.

MATERIAL ESTUDIAT. Escorca, predi Escorca, UTM: 31SDE8708, alt. 600-650 m, hipogeu a l’alzinar de Quercus ilex, 22-IV-2015, leg. J. Rosselló, JLS 3889.

OBSERVACIONS. Nova localitat a Mallorca.

Tuber oligospermum (Tul. & C. Tul.) Trappe [fig. 3 i 4]

DESCRIPCIÓ. Apotecis tuberiformes, irregularment gibosos, de fins a 23 × 16 mm. Peridi llis, de color blanc cremós a bru rogenc, ferruginós, de fins a 0,4 mm de gruixa i blanquinós al tall. Gleba consistent, inicialment blanquinosa, de bruna a bruna grisenca i amb venes blanquinoses molt primes quan ja és madura; olor molt intensa, de llevat de forner, en els exemplars més immadurs, i al·liàcia, més o menys marcada fins, amb l’edat, a a quasi de gas acetilè, però no desagradable; de sabor suau al tast. Ascs amb forma de sac, amb pedicels curts i parets gruixudes, que contenen d’1 a 5 ascòspores, des de subglobuloses a més esfèriques amb la maduració, algunes més ovoides, ornamentades amb un reticle que forma una xarxa poligonal (de pentagonal o hexagonal a diferent), amb cel·les grans, generalment > 10 µm; les mides de les espores són diferents segons el número d’espores per asc: 23-27 µm (5 ascospores per asc), 23,63-28,16 µm (3 ascòspores per asc), 30,80-33,09 µm (2 ascòspores per asc) i de fins a 37,55 µm (1 ascòspores per asc). Peridi d’estructura prosenquimàtica, format per hifes entrellaçades; presència de pèls, mai no massa abundants, però més nombrosos als individus joves, septats i amb els àpexs aguts.

MATERIAL ESTUDIAT. Campos, platja de Sa Ràpita, UTM: 31SDD5796, alt. 0-10 m, a la rereduna, amb Pinus halepensis i Pistacia lentiscus (1 exemplar desenterrat), 23-III-2013, JCS-163A. Palma de Mallorca, Campus de la UIB, UTM:

Revista Catalana de Micologia, vol. 38: 1-19, 2017. 5

31SDD6987, alt. 50-100 m, hipogeus baix un exemplar de Quercus ilex ssp. rotundifolia, 15-II-2015, leg. T. Salom, J. Salom i J.C Salom, JCS-177A. Ibid., 15-III-2015, JCS-178A. Sencelles, camí de na Graciana vora sa Garriga, UTM: 31SDD9085, alt. 150-200 m, hipogeu sota Olea europaea, 4-V-2015, JCS-184A, JLS 3886. Costitx, Can Verdor, UTM: 31SDD9690, alt. 150-200 m, 6 exemplars hipogeus, a l’alzinar de Quercus ilex, 11-IV-2015, JCS-186A, JLS 3888.

OBSERVACIONS. El peridi d’estructura prosenquimàtica i les ascòspores, de subgloboses a esfèriques i amb reticles de cel·les grans, distingeixen perfectament T. oligospermum d’altres espècies afins macroscòpicament i de distribució mediterrània, com T. puberulum Berkeley & Broome i T. borchii Vitadd. Aquesta darrera espècie també la trobam al mateixos indrets. L’olor esmentada també podria portar-nos a T. foetidum Vittad. però aquesta espècie té les ascòspores i el peridi diferents (espores poligonals en lloc d’esfèriques i peridi de color de bru a rogenc, amb estructura pseudoparenquimàtica i elements poligonals). Nova citació a les Illes Balears.

Tuber panniferum Tul. & C. Tul.

MATERIAL ESTUDIAT. Búger, Ses Planes (prop de Binissetí), UTM: 31SDE0097, alt.75-150 m, hipogeu a l’alzinar de Quercus ilex, 21-III-2015, leg. M. Gomila R. Mas, X. Manzano i J.C. Salom, JCS 181A. Escorca, predi Escorca, UTM: 31SDE8708, alt. 600-650 m, hipogeu a l’alzinar de Quercus ilex, 22-IV-2015, leg. J. Rosselló, JLS 3890.

OBSERVACIONS. Noves localitats a Mallorca.

Tuber rufum f. apiculatum E. Fisch.

MATERIAL ESTUDIAT. Búger, Ses Planes (prop de Binissetí), UTM: 31SDE0097, alt.75-150 m, hipogeu a l’alzinar de Quercus ilex, 21-III-2015, leg. M. Gomila, R. Mas, X. Manzano i J.C. Salom JLS 3884, JCS 180A.

OBSERVACIONS. D’acord amb el que comenten MONTECCHI & SARASINI (2000), a la mostra estudiada no tots els ascs presentaven ascòspores apiculades i, fins i tot, només ho eren algunes dins el mateix asc. Però aquests tipus d’espores que es diferencien respecte de les altres, es presentaven constants i de manera significativa. Nova citació a les Illes Balears.

XYLARIALS

Hypoxylon petriniae M. Stadler & J. Fourn

MATERIAL ESTUDIAT. Campos, Son Catlar de Dalt, UTM: 31SDD9588, alt. 0-20 m, sobre restes de fusta indeterminades en descomposició, 20-X-2012, JCS-161A.

OBSERVACIONS. Aquesta espècie es caracteritza per formar estromes efusos, de color bru-vinós obscur, amb marges negrosos i pigments que viren al taronja en contacte amb el KOH. Primera citació a les Illes Balears.

BASIDIOMYCOTINA

AGARICALS

Agaricus bresadolanus Bohus

MATERIAL ESTUDIAT. Palma de Mallorca, Parc Bit, UTM: 31SDD6986, alt. 50-100 m, a terreny incult, 30-XI-2014, JLS 3742. Ibid., 20-III-2016, JCS-1417B.

OBSERVACIONS. Nova localitat a Mallorca.

Agaricus iodosmus Heinem.

MATERIAL ESTUDIAT. Selva, Son Bonafè, UTM: 31SDD9199, alt. 50-100 m, nombrosos exemplars al jardí de la propietat, 4-X-2014, JLS 3699. Palma de Mallorca, Establiments (Sa Coma Freda), UTM: 31SDD8665, alt. 100-200 m,

Catalana de Micologia, vol. 38: 1-19; 2017.

Fig. 3: Tuber oligospermum (Tul. & C. Tul.) Trappe. A) Mostra JCS 184A i JLS 3886. B) Mostra JCS 163A. C) Mostra JCS 177A. D) Mostra JCS-186A, JLS 3888.
Fig 4: Tuber oligospermum (Tul. & C. Tul.) Trappe. A-B-C) Ascs amb ascòspores. D) Pèls i peridi d’estructura prosenquimàtica. E) Detall dels pèls. Escala = A-B-C: 10 µm, D-E: 20 µm.

en una jardinera amb restes d’escorça de pi (mulch), plantes nitròfiles i un exemplar d’alzina (Quercus ilex), 17-X-2015, JCS-1361B.

OBSERVACIONS. Noves localitats a Mallorca.

Agrocybe ochracea Nauta [fig. 5]

DESCRIPCIÓ. Píleu de 7-35 mm de diàmetre, hemisfèric inicialment, més convex amb el temps, fins a plano-convex; marge força involut a l’inici, que s’expandeix finalment als individus desenvolupats, sencer i amb minses restes de vel parcial blanquinoses en algun exemplar (generalment desapareixen ràpidament); cutícula llisa, viscosa (no força) amb partícules de terra adherides, glabre, de color groc-palla a més beix-ocraci, a ocraci amb la manipulació, l’envelliment i la deshidratació. Làmines més o menys denses, adnato-escotades (decurrents per una dent), de color gris-tabac, més tabac quan maduren les espores; aresta sencera, inicialment blanquinosa, sempre més clara que la resta, presència de lamèl·lules. Estípit de 31-65 × 3-5 mm, cilíndric, rígid, des de ple a fistulós, en alguns exemplars sinuós o recorbat (alguns individus creixen junts per les bases dels estípits), s’aplana vers l’àpex en envellir, a la base s’eixampla arribant a formar un petit bulb (que a vegades pot ser atenuat), de fins a 8 mm de diàmetre; de color groc-palla, més ocraci per manipulació i envelliment; vers a la base més pàl·lid i blanquinós, força pruïnós vers l’àpex, més glabre (subpruïnós) a la resta (amb el temps), amb presència d’estries més marcades amb la sequedat; presència, en alguns exemplars, d’una minsa línia (que desapareix ràpidament), formada per restes de vel tacats de bru per la caiguda de les espores. Miceli blanquinós. Carn minsa, blanquinosa a l’estípit (medul·la), més groc-palla al còrtex, més ocraci-brunenca amb el temps, només al còrtex i també a la base, blanc-groguenca al píleu; olor, al tall, forta, farinosa inicialment, que finalment passa a olor de cogombre o del blanc de la síndria.

Hypoxylon petriniae M. Stadler & J. Fourn, JCS 161A: Estroma.

Revista Catalana de Micologia, vol. 38: 1-19; 2017.

Espores 11-14 × 7,5-9 m (Xm = 12,35 × 8,22 m; Q = 1,50) el·líptiques, més ovoïdes vistes frontalment, parets gruixudes (fins a 1 m), apicle petit i porus germinatius de fins a 2 m. Basidis 24-30 × 9-11 m claviformes, sovint constrictes al mig, tetraspòrics però també alguns bispòrics, amb fíbula a la base, amb esterigmes de fins a 5 m. Pleurocistidis 23-42 × 8-15 m, no massa abundants, la majoria des de subutriformes a utriformes, algun tendent a sublageniforme, tots amb parets primes i subcongòfils; altres, més aïllats, de sublecitiformes a lecitiformes o capitulats (amb caps de fins a 6 m) amb parets més gruixudes de fins 1 m i amb fíbula a la base. Queilocistidis 17-38 × 7-14 m, nombrosos, lageniformes, de parets primes, amb els colls més o menys estirats o sinuosos, altres amb l’àpex mucronat, a vegades amb la base molt estirada i sinuosa o molt curta, alguns sublecitiformes.

MATERIAL ESTUDIAT. MALLORCA: Palma de Mallorca, Son Sardina, UTM: 31SDD8570, alt. 50-100 m, en un jardí de casa particular, sobre gespa (agram), 24-VIII-2014. Ibid., 28-IX-2014, leg. J. Mas, J. Rosselló i R. Mas, JCS-1279 B.

OBSERVACIONS. Aquesta espècie es caracteritza per presentar pleurocistidis distribuïts per tota la pleura de la làmina, majoritàriament de morfologia i mides diferents als queilocistidis. Aquests caràcters la diferencien d’espècies afins com A. pediades (Fr.) Fayod i A. fimicola (Speg.) Singer que poden tenir també pleurocistidis, però sempre vora l’aresta de la làmina i de la mateixa mida i forma que els queilocistidis. A més, A. fimicola també es diferencia de la que es descriu aquí pel fet d’esser copròfila (pròpia d’ambients amb femta o molt rics en matèria orgànica). Primera citació a les Illes Balears.

Atractosporocybe inornata (Sowerby) P. Alvarado, G. Moreno & Vizzini

MATERIAL ESTUDIAT. Escorca, L’Ofre, UTM: 31SDE8002, alt. 900-1100 m, sota de Pinus halepensis, 30-XI-2015, leg. P. Ripoll i J. Llistosella, JCS 1407B.

OBSERVACIONS. Citada com a Clitocybe inornata f. ianthinophylla Heykoop a SIQUIER et al. (2005). Nova localitat a Mallorca.

Baeospora myosura (Fr.) Singer

MATERIAL ESTUDIAT. Escorca, L’Ofre, UTM: 31SDE8002, alt. 900-1100 m, sobre estròbils de Pinus halepensis, 30-XI2015, JLS 3946.

OBSERVACIONS. Nova localitat a Mallorca.

Clitopilus cystidiatus Hauskn. & Noordel.

MATERIAL ESTUDIAT. Escorca, Son Massip, UTM: 31SDE8808, alt. 650-700 m, a l’alzinar de Quercus ilex, 15-XI2014, JLS 3725.

OBSERVACIONS. Les mostres estudiades presentaven cistidis, que en canvi són absents a les descripcions de C. prunulus (Scop.) P. Kumm. Pensam que les cites d’aquesta darrera espècie a Mallorca i a Menorca, segurament corresponen a C. cystidiatus com recentment es recull a MELIS et al. (2017) on se cita per a Menorca, per tant, cal revisar-les. Nova citació a Mallorca.

Coprinellus impatiens (Fr.) J.E. Lange

MATERIAL ESTUDIAT. Pollença, reserva natural de s’Albufereta, Can Cuarassa, (a les cases velles) UTM: 31SEE0714, alt. 0-5 m, sobre una escuma sintètica molt humida que s’emprava com a base d’un ram de flors, 5-I-2016, JLS 3951.

OBSERVACIONS. Consideram sorprenent per aquesta espècie el substrat on es va recol·lectar la mostra. Nova citació a les Illes Balears i nou pel catàleg de la reserva natural de s’Albufereta.

Coprinellus saccharinus (Romagn.) P. Roux, Guy Garcia & Dumas

MATERIAL ESTUDIAT. Pollença, reserva natural de s’Albufereta, Can Cuarassa (a les cases velles), UTM: 31SEE0714, alt. 0-5 m creixent molt fasciculat a dos llocs del jardí 20-XI-2014, JLS 3894. Palma de Mallorca, Parc Bit, llera del torrent de Na Bárbara, UTM: 31SDD6986, alt. 50-100 m, vora socó d’arbust no determinat i en descomposició, 3-X2015, leg. I. Vidal i J.C. Salom, JCS-1357B.

OBSERVACIONS. Noves localitats y primera citació a la reserva natural de s’Albufereta.

Coprinopsis marcescibilis (Britzelm.) Örstadius & E. Larss. var. marcescibilis = Psathyrella marcescibilis (Britzelm.) Singer var. marcescibilis

MATERIAL ESTUDIAT. Pollença, reserva natural de s’Albufereta, Can Cuarassa, UTM: 31SEE0714, alt. 0-5 m, a la vorera d’un camí, entre l’herba i sota Tamarix sp., 20-XI-2014, JLS 3731. Pollença, La Sort de na Junaina, UTM: 31SEE015, alt. 50-100 m, al jardí de la propietat, 3-III-2015, JLS 3879.

OBSERVACIONS. Els carpòfors dels individus recol·lectats a la primera localitat eren de mides inferiors a les normals per aquest tàxon i amb les làmines completament blanques, malgrat fossin madurs. No obstant això, les espores que s’observaren al microscopi varen ser molt fosques, com és habitual a les psatirel·làcies. Pareix a ser que aquesta espècie es pot presentar molt variable (MUÑOZ & CABALLERO, 2013), i alguns autors, com SURAULT et al. (2004), han acabat donant el rang de varietat als exemplars blancs, amb el nom de Psathyrella marcescibilis var. virginea J.E. Lange ex Surault, Tassi & Coué. També, hem observat a la iconografia de PHILLIPS (1981) una forma blanca de Psathyrella marcescibilis. Nova citació a la reserva natural de s’Albufereta.

Cortinomyces niveus (Vittad.) Bougher & Castellano = Protoglossum niveum (Vittad.) T.W. May

MATERIAL ESTUDIAT. Costitx, Can Verdor, UTM: 31SDD9690, alt. 150-200 m, a l’alzinar de Quercus ilex, 20-XII2014, JLS 3869.

OBSERVACIONS. Citada com a Protoglossum niveum a SIQUIER & SALOM (2010). Nova localitat a Mallorca.

Deconica merdaria (Fr.: Fr.) Noordel.

MATERIAL ESTUDIAT. Pollença, Can Martorellet, UTM: 31SEE0317, alt. 50-150 m, sobre excrement d’ase, 11-XI-2014, JLS 3710, 3711, 3712, 3713, 3714 i 3715.

OBSERVACIONS. Nova localitat a Mallorca.

Gastropila

fragilis (Lév.) Homrich & J.E. Wright [fig. 6]

MATERIAL ESTUDIAT. Palma de Mallorca, plaça Berenguer Palou, UTM: 31SDD7080, alt. 50-100 m, semihipogeu en un escocell, a garangola a terreny erm, sota Platanus × hispanica, 11-III-1998, JCS 200B, JLS 1012. Palma de Mallorca, carrer Cardenal Despuig, UTM: 31SDD7080, alt. 50-100 m, semihipogeu, en un escocell a garangola, a terreny erm, sota Ulmus sp., X-2007, JCS-706B. Palma de Mallorca, Polígon de Son Rossinyol, UTM: 31SDD7083, alt. 50-100 m, semihipogeu, en un escocell a garangola, a terreny erm, sota Ulmus pumila, 18-IX-2015, leg. M. Far i J.C. Salom, JCS1359B.

OBSERVACIONS. A les dues primeres localitats assenyalades a SIQUIER et al. (2000) i a SIQUIER & SALOM (2013), es va citar erròniament com a Disciseda candida (Schwein.) Lloyd, un tàxon que cal doncs descatalogar de les Illes Balears. Cal esmentar que sempre s’ha trobat als mateixos biòtops, i això indica que és una espècie força xèròfila i alhora nitròfila, adaptada a fructificar a terrenys alterats i amb marcada influència antròpica. Nova citació a les Illes Balears.

Revista Catalana de Micologia, vol. 38: 1-19; 2017.

Fig 5: Agrocybe ochracea Nauta, JCS 1279B, amb Roig Congo amoniacal. A) Espores B) Basidi tetraspòric. C) Basidi bispòric. D-E) Pleurocistidis. F-G) Queilocistidis. Escala =10 µm.
Fig. 6: Gastropila fragilis (Lév.) Homrich & J.E. Wright, JCS 1359B: A-B) Carpòfors. C) Espores, septe fràgil, capil·lici porat i amb fissures. D) Espores i capil·lici amb forma de “Y” i ondulat. Escala =10 µm.

Catalana de Micologia, vol. 38: 1-19, 2017.

Agrocybe ochracea Nauta, JCS 1279B: carpòfors.
Coprinopsis marcescibilis (Britzelm.) Örstadius & E. Larss. var. marcescibilis, JLS 3731. Carpòfors amb làmines blanques.

Catalana de Micologia, vol. 38: 1-19; 2017.

Hebeloma mesophaeum (Pers.) Quél.

MATERIAL ESTUDIAT. Escorca, Son Massip, UTM: 31SDE8808, alt. 650-700 m, a l’alzinar de Quercus ilex, 15-XI2014, JLS 3727. Escorca, Menut, UTM: 31SDE9110, alt. 600-650 m, a l’alzinar de Quercus ilex, 28-XI-2015, JLS 3929.

OBSERVACIONS. Nova localitat a Mallorca.

Hemimycena cephalotricha (Joss. ex Redhead) Singer

MATERIAL ESTUDIAT. Costitx, Can Verdor, UTM: 31SDD9690, alt. 150-200 m, sobre restes de Quercus ilex, 18-XII2014, JLS 3871.

OBSERVACIONS. Nova localitat a Mallorca.

Hygrocybe colemanniana (A. Bloxam) P.D. Orton & Watling

= Cuphophyllus colemannianus (A. Bloxam) Bon

MATERIAL ESTUDIAT. Escorca, Menut, UTM: 31SDE9111, alt. 600-650 m, sota Cistus monspeliensis en una zona esclarissada de la pineda de Pinus halepensis amb Quercus ilex, 28-XI-2015, leg. C. Constantino, JLS 3927.

OBSERVACIONS. Els exemplars trobats concorden bé amb la descripció d’ aquesta espècie que trobam a BOERTMANN (2010). De la mostra recol·lectada, cal esmentar que un exemplar de la mateixa era de mides molt més grans que les que consten en aquesta monografia i presentava un color més pàl·lid (el píleu de bru a bru grisenc, amb el marge més clar, bru-crema). Nova citació a les Illes Balears.

Hygrocybe insipida (J.E. Lange) M.M. Moser

MATERIAL ESTUDIAT. Escorca, Menut, UTM: 31SDE9111, alt. 600-650 m, entre molses a l’alzinar de Quercus. ilex amb presència de Pinus halepenesis, 19-XI-2014, JLS 3730.

OBSERVACIONS. El material estudiat concorda amb la descripció d'aquest tàxon de BOERTMANN (2010), que el caracteritza per presentar el píleu i l’estípit d'humits a lubrificats i amb coloracions de groguenques a ataronjades, que es poden mesclar. Nova citació a les Illes Balears.

Hymenogaster populetorum Tul. & C. Tul.

MATERIAL ESTUDIAT. Búger, Ses Planes (prop de Binissetí), UTM: 31SDE0097, alt.75-150 m, hipogeu a l’alzinar de Quercus ilex, 21-III-2015, leg. M. Gomila, R. Mas, X. Manzano i J.C. Salom, JLS 3884, JCS 1342B.

OBSERVACIONS. Nova localitat a Mallorca.

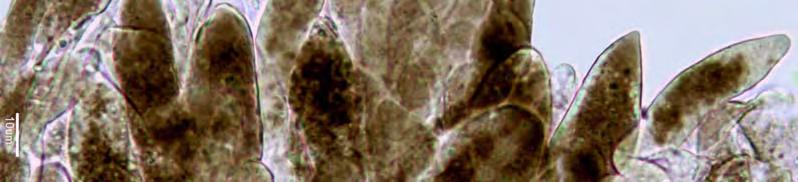
Hypholoma polytrichi (Fr.: Fr.) Ricken [fig. 7]

DESCRIPCIÓ Píleu 3-4 mm de diàmetre, hemisfèric, llis, glabre, un xic viscós en ambient humit, taronja-rogenc argila, més clar i groguenc vers el marge, on presenta restes de vel. Làmines adnatoescotades, ocre-groguenques. Estípit molt més llarg que el píleu, rígid, més fibrós amb l’edat, tomentós, recobert per una pruïna densa blanquinosa, de color crema-groguenc a l’àpex, més brurogenc vers a la base, més intens amb l’edat; restes de vel parcial inicialment groguenques, que formen un esbós de zona anular blanc-groguenca. Carn molt minsa, taronja-rogenca al píleu, de color crema a l’estípit i del mateix color de la cutícula; olor de fusta en descomposició.

Espores 7,5-8,5 × 5-5,5 m, d’el·líptiques a més oblongues, de subovoides a ovoides vistes frontalment, llises, amb l’apicle petit, el porus germinatius de fins 1 m, i les parets mitjanament gruixades (0,5 m); en aigua, de color ambarí, amb les parets brunes. Basidis de 20-34 × 6-8 m, tetraspòrics, cilíndrico-claviformes, fibulífers a la base; esterigmes de fins a 6m. Presència de nombrosos

1-19, 2017.

pleurocrisocistidis de 23-51 × 5-8 m, intercalats entre els basidis i els basidíols, de parets primes, amb contingut granular groguenc, fusiforme-ventricosos, acuminats a l’àpex, mucronats o amb colls més estirats (tendència a lageniformes), alguns d’entre ells diformes, fibulífers a la base. Queilocistidis 26-46 × 3-4 m, molt abundants a l’aresta laminar estèril, hialins, de cilíndrics a cilindríco-clavats, sovint sinuosos o amb els àpexs més arrodonits; presència de queilocrisocistidis intercalats, de formes i mides iguals als pleurocrisocistidis descrits. Pileipel·lis formada per una pel·lícula prima d’hifes cilíndriques un xic gelificades, septades, fibulíferes i congófobes, disposades de manera paral·lela a més intricada i amb els àpexs arrodonits, que sobresurten de la trama hifal. Pileocistidis no observats.

MATERIAL ESTUDIAT. Palma de Mallorca, Secar de la Reial (viver Centre de Jardineria Edén), UTM: 31SDD6884, alt. 50-100 m, dins un cossiol amb substrat vegetal, vora Guzmania lingulata (Bromeliàcies), 6-I-2013, JCS 1235B.

OBSERVACIONS. Els dos exemplars estudiats estaven molt poc desenvolupats i creixien units per la base de l’estípit. Aquesta espècie és pròpia de sòls àcids i pobres (incloses les torberes). És sapròfita i es troba associada amb molses dels gèneres Polytrichum, Pleurozium, Dicranum i Hypnum. Això explica que hagi fructificat en un cossiol, ja que el substrat vegetal d’on la vàrem recol·lectar era ric en torba. Es diferencia d’altres espècies d’Hypholoma que presenten coloracions afins i/o que creixen als mateixos ambients, per presentar el vel groc, l’aresta groguenca, recoberta de crisocistidis i per la mida de les espores, més petites (NOORDELOOS, 2011: 152). Nova citació a les Illes Balears.

Inocybe aureocitrina Esteve-Rav.

OBSERVACIONS. Es presenta una nova iconografia d’aquesta espècie, recentment publicada com a espècie nova per ESTEVE-RAVENTÓS (2014) i que correspon a la mostra JLS 750B, que es menciona a l’article esmentat.

Lepista nuda (Bull.) Cooke

MATERIAL ESTUDIAT. Pollença, reserva natural de s’Albufereta, Can Cuarassa, al jardí de les cases velles, UTM: 31SEE0714, alt. 0-5 m, sota Pinus halepensis, 28-II-2015, JLS 3878.

OBSERVACIONS. Nova citació a la reserva natural de s’Albufereta.

Marasmius anomalus var. microsporus (Maire) Antonin

MATERIAL ESTUDIAT. Pollença, reserva natural de s’Albufereta, Can Cuarassa, UTM: 31SEE0714, alt. 0-5 m, a la vorera d’un camí, sobre arrels de Plantago coronopus, 20-XI-2014, JLS 3733.

OBSERVACIONS. Nova citació a la reserva natural de s’Albufereta.

Mycena alba (Bres.) Kühner

MATERIAL ESTUDIAT. Escorca, Son Massip, UTM: 31SDE8808, alt. 650-700 m, sobre branques caigudes de Quercus ilex, 15-XI-2014, JLS 3721.

OBSERVACIONS. Nova localitat a Mallorca.

Panaeolus acuminatus (Schaeff.) Quél.

MATERIAL ESTUDIAT. Calvià, finca pública des Galatzó, UTM: 31SDD5484, alt. 200-300 m, vora buines d’ase, enmig d’un camí, 14-XI-2014, JCS-1286B. Escorca. L’Ofre, UTM: 31SDE8002, alt. 900-1100 m, gregari sobre excrements de vaca, 30-XI-2015, JLS 3943.

Revista Catalana de Micologia, vol. 38: 1-19; 2017.

Coprinellus impatiens (Fr.) J.E. Lange, JLS 3951: Carpòfors creixent sobre escuma sintètica.

Fr.)

JCS 1235B: A) Carpòfors. B) Espores. C) Basidis i pleurocrisocistidis. D) Pileipel·lis semigelificada. E) Queilocistidis amb queilocrisocistidis intercalats. F) Basidis i pleurocrisocistidis. B, C, D, E amb Roig Congo amoniacal i F amb aigua. Escala =10 µm.

Fig. 7: Hypholoma polytrichi (Fr.:
Ricken,
Fig. 8: Ceriporiopsis mucida (Pers.) Gilb. & Ryvarden, JCS 1257B: A-B) Himeni. C-D) Espores. E) Detall de l’himeni. F) Trama monomítica (hifes generatives). Escala =5 µm.

Catalana de Micologia, vol. 38: 1-19; 2017.

OBSERVACIONS. Malgrat la seva freqüència sobre l’hàbitat esmentat, es tracta d’un tàxon poc citat a les Illes Balears. Noves localitats a Mallorca.

Pleurotus opuntiae (Durieu & Lév.) Sacc.

MATERIAL ESTUDIAT. Palma de Mallorca, Secar de la Reial (monestir de Sant Bernat), UTM: 31SDD8469, alt. 50-100 m, sobre socó de Phoenix canariensis, tallada per estar afectada per becut vermell (Rynchophorus ferrugineus), 20-V2014, JCS-1277B. Palma de Mallorca, Establiments (Son Vent), UTM: 31SDD8667, alt. 50-100 m, sobre Phoenix canariensis, afectada per becut vermell (Rynchophorus ferrugineus), 8-III-2015, leg. P. Niell i J.C. Salom. JCS 1339B.

OBSERVACIONS. És una espècie de Pleurotus que, tal com especifíca el seu epítet, a Mallorca sempre s’havia citat sobre figuera de moro (Opuntia ficus-indica). No obstant a Menorca hi ha una citació d’aquesta espècie sobre Phoenix dactylifera a MIR et al. (2008). Noves localitats a Mallorca.

Tricholoma acerbum (Bull.) Vent.

MATERIAL ESTUDIAT. Campanet, Gabellí Petit-Fonts Ufanes, UTM: 31SDE0706, alt. 150-200 m, a l’alzinar de Quercus ilex, 29-XI-2015, JCS-1404B.

OBSERVACIONS. Nova localitat a Mallorca, i nou pel catàleg micològic del monument natural de les Fonts Ufanes.

BOLETALS

Aureoboletus gentilis (Quél.)

Pouzar

MATERIAL ESTUDIAT. Campanet, Gabellí Petit-Fonts Ufanes, UTM: 31SDE0706, alt. 150-200 m, a l’alzinar de Quercus ilex, 29-XI-2015, JLS 3936.

OBSERVACIONS. Nova localitat a Mallorca, i nou pel catàleg micològic del monument natural de les Fonts Ufanes.

Pulchroboletus roseoalbidus (Alessio & Littini) Gelardi, Vizzini & Simonini = Xerocomus roseoalbidus Alessio & Littini

MATERIAL ESTUDIAT. Calvià, finca pública des Galatzó, UTM: 31SDD5484, alt. 200-300 m, a la pineda de Pinus halepensis, 6-XI-2015, JCS-1381B. Pollença, Can Sucrer- La Viña, UTM: 31SEE0012, alt. 100-150 m, a l’alzinar de Quercus ilex, 29-XI-2014, leg. G. March, JLS 3746.

OBSERVACIONS. És una spècie que els darrers anys trobam amb certa freqüència. Noves localitats a Mallorca.

POLIPORALS

Ceriporiopsis mucida (Pers.) Gilb. & Ryvarden [fig. 8]

DESCRIPCIÓ Basidiomes de fins a 4 mm d’altura, resupinats, cotonosos, blanquinosos, de color crema i fins a ocraci en envellir i per la manipulació. Himeni format per tubs monoestratificats; superfície amb porus (4-5 per mm) de rodons a més irregulars, allargats o sinuoso-angulosos, amb els marges fimbriats (lupa). Subicle prim, que penetra dins la fusta on hi trobam rizomorfes que s’hi endinsen més; produeix una podridura blanca o fibril·lósa. Espores 3-4 × 2-2,5 m, subgloboses (de perfil, més el·líptiques), llises i hialines. Basidis 11-14 × 4-5 m, tetraspòrics, claviformes. Cistidis absents, Sistema hifal monomític, amb hifes generatives de parets 3-4 m de gruix, hialines, ramificades, fibulíferes i recobertes de cristalls.

Revista Catalana de Micologia, vol. 38: 1-19, 2017. 17

MATERIAL ESTUDIAT. Escorca, Son Massip, UTM: 31SDE8808, alt. 650-700 m, sobre Pistacia lentiscus a l’alzinar de Quercus ilex, 15-XI-2014, JLS 3729. Palma, Establiments (Poliesportiu- camp de futbet), UTM: 31SDD8667, alt. 50100 m, dins una fissura d’un tronc de Pistacia lentiscus ornamental, 29-V-2014, leg. J. Salom i S. Niell, JCS 1257B.

OBSERVACIONS. La presència de rizomorfes que s’endinsen en el substrat, les espores subglobuloses i l’absència de cistidis caracteritzen bé aquesta espècie dins del gènere Ceriporiopsis Domanski. Nova citació a les Illes Balears.

RUSSULALS

Lactarius zugazae G. Moreno, Montoya, Bandala & Heykoop

MATERIAL ESTUDIAT. Pollença, Can Pontico, UTM: 31SDE9613, alt. 100-200 m, a l’alzinar de Quercus ilex, 28-XI2014, JLS 3741.

OBSERVACIONS. Nova localitat a Mallorca.

Peniophora tamaricicola Boidin & Malençon

MATERIAL ESTUDIAT. Pollença, Can Cuarassa, UTM: 31SEE0714, alt. 0-5 m, sobre restes de Tamarix sp al jardí, 22-II2009, JLS 2756.

OBSERVACIONS. Nova citació a Mallorca i a la reserva natural de s’Albufereta; citat a Menorca (TELLERIA et al., 1997: 365).

Russula messapica Sarnari

MATERIAL ESTUDIAT. Pollença, Can Sucrer- La Viña, UTM: 31SEE0012, alt. 100-150 m, a l’alzinar de Quercus ilex, 29-XI-2014, leg. G. March, JLS 3747. Costitx, Can Verdor, UTM: 31SDD9690, alt. 150-200 m, a l’alzinar de Quercus ilex, 18-XII-2014, JLS 3873.

OBSERVACIONS. Tàxon que els darrers anys estam trobant en diferents localittats de l’illa. Vegeu descripció i iconografia a SIQUIER et al. (2015: 84). Nova localitat a Mallorca.

Russula turci Bres.

MATERIAL ESTUDIAT. Campanet, Gabellí Petit-Fonts Ufanes, UTM: 31SDE0706, alt. 150-200 m, a l’alzinar de Quercus ilex, amb Pinus halepensis, 29-XI-2015, JLS 3931.

OBSERVACIONS. Citada recentment a Menorca a Melis et al. (2017), ara se cita com a nova per a Mallorca i pel catàleg micològic del monument natural de les Fonts Ufanes.

Stereum sanguinolentum (Alb. & Schwein.) Fr.

MATERIAL ESTUDIAT. Santanyí, parc natural de Mondragó, camí des Mirador, UTM: 31SED1656, alt. 10-50 m, sobre fusta de Pinus halepensis en descomposició, 13-XII-2014, JCS-1322B.

OBSERVACIONS. Nova localitat a l’Illa, i nou pel catàleg micològic del parc natural de Mondragó.

AGRAÏMENTS

Als companys de FCB, L. Llorens, Carles i Carol Constantino, T. Martínez, T. Serra, J. Güell i X. Lillo, per a l’ajuda en la recol·leció de mostres i les jornades compartides. A la propietat dels predis de L’Ofre i Can Pontico. A R. Horrach per deixar-nos prospectar repetidament dins la seva propietat de Can Verdor i les jornades compartides. A les famílies Riera Siquier i Riera Miró per les facilitats a l’hora de visitar les seves finques de Can Martorellet i Son Bonafè. A G. March de Can Sucrer i a J. Rosselló per a l’aportació de mostres. A J. Salom, T. Salom, I. Vidal, P. Ripoll,

Revista Catalana de Micologia, vol. 38: 1-19; 2017.

P. Niell, S. Niell, M. Far, J. Mas, R. Mas, J. Rosselló, M. Gomila i X. Manzano per a l’ajuda en la recol·lecció i/o per dur-nos mostres interessants que una vegada estudiades han estat primeres citacions a les Illes o a Mallorca. Finalment, als vigilants i encarregats del manteniment del monument natural de les Fonts Ufanes, especialment a M. Català per les facilitats i les atencions rebudes durant les repetides visites.

BIBLIOGRAFIA

ARROYO, I, CALONGE, F.D., SIQUIER, J.L. & CONSTANTINO, C. (1990). Contribución al conocimiento micológico de las Islas Baleares. II. Ascomycotina. Bol. Soc. Micol. Madrid 14: 49-60.

BOERTMANN, D. (2010). The genus Hygrocybe (2nd revised Edition). Fungi of Northen Europe, 1. Ed. J. Verterholt et al. Denmark. 200 pp.

CONSTANTINO, C. & SIQUIER, J.L. (1996/2006/2011). Els Bolets de les Balears. Ed. Micobalear, C.B. Sóller. 479 pp.

ESTEVE-RAVENTÓS, F. (2014). Inocybe aureocitrina (Inocybaceae), a new species of section Rimosae from Mediterranean evergreen oak forest. Plant Biosystems, 2014: 1-7.

JAKLITSH, W.M. (2011)-European species of Hypocrea part II: species with hyaline ascospores. Fungal diversity, 48: 1-250.

LADO, C. & SIQUIER, J.L. (2014). Myxomycetes de las Islas Baleares. Catálogo de especies. Ed. C. Lado & J.L. Siquier. 66 pp.

MARTÍN, M.P., SIQUIER, J.LL., SALOM, J.C., TELLERÍA, M.T. & FINSCHOW, G. (2016). Barcoding sequences clearly separate Chroogomphus mediterraneus (Gomphidiaceae, Boletales) from C. rutilus, and allied species. Mycoscience XXX: 1-9.

MELIS, J.LL., MIR, G. & PRATS, M.C. (2007). Aportación al Catálogo Micológico de las Illes Balears. Menorca. II. Micobotanica-Jaen, Año XII, Nº 1. http: //www.micobotanicajaen.com/Revista/Inicio.html.

MIR, G., PÉREZ-DE-GREGORIO, M.À. & MELIS, J.LL. (2008). Pleurotus opuntiae (Durieu & Léville) Sacc., una especie poco conocida. Errotari, 5: 87-91.

MUÑOZ, G. & A. CABALLERO (2013). Contribución al conocimiento del género Psathyrella (incluidos taxones ahora tranferidos a los géneros Coprinopsis and Parasola) en la Península Ibérica (II). Bol. Micol. FAMCAL 8: 17-46.

Inocybe aureocitrina Esteve-Rav. JLS 750B.

1-19, 2017. 19

NOORDELOOS, M.E. (2011). Strophariacaeae s.l. Fungi europaei nº 13. Ed. Candusso. Alassio. Italia. 648 pp.

MONTECCHI, A. & SARASINI, M. (2000). Funghi ipogei d’Europa. A.M.B. Fondazione, Centro Studi Micologici. Trento. 714 pp.

MUÑOZ, G., CABALLERO, A., SALOM, J.C., ERCOLE, E. & VIZZINI, A. (2015). Leucoagaricus viridariorum (Agaricaceae, Agaricales), a new species from Spain. Phytotaxa 236 (3): 226-236.

PHILLIPS, R. (1981). Mushrooms and another fungi of Great Britain & Europe. Pan Books. London. 288 pp.

SALOM, J.C. & MAHIQUES, R. (2014). Cortinarius epipurrus Chevassut & Rob. Henry. In: Fungi non delineati, pars LXXI-LXXII. Cortinarius ibero-insulares, IV. Ed. Candusso. Alassio. 247 pp.

SALOM, J.C., SIQUIER, J.L. & MAHIQUES, R. (2015). El gènere Cortinarius a les Illes Balears (Espanya). I. Rev. Catalana Micol., 36: 11-27.

SALOM, J.C., MAS, R. & SIQUIER, J.L. (2016). Contribució al coneixement micològic a les Illes Balears. XXII. Fongs copròfils. I. Rev. Catalana Micol., 37: 1-21.

SIQUIER, J.L. & SALOM, J.C. (2003). Contribució al coneixement micològic de les Illes Balears. XI. Rev. Catalana Micol., 25: 1-13.

SIQUIER, J.L. & SALOM, J.C. (2010). Contribución al conocimiento micológico de las Islas Baleares (España). XVII. Bol. Soc. Micol. Madrid 34: 213-222.

SIQUIER, J.L. & SALOM, J.C. (2013). Catálogo de Hongos y Mixomicetos de las Islas Baleares. Ed. Micobalear. Sóller. 527 pp.

SIQUIER, J.L., SALOM, J.C. & CONSTANTINO, C. (2000). Contribución al conocimiento micológico de las Islas Baleares (España). IX. Bol. Soc. Micol. Madrid 25: 93-104.

SIQUIER, J.L., SALOM, J.C., ESPINOSA, J., ESTEVE-RAVENTÓS, F., LLISTOSELLA, J. & GOMES, S. (2015). Contribució al coneixement micològic de les Illes Balears (Espanya). XXI. Rev. Catalana Micol., 36: 59-88.

SURAULT, J.L., TASSI, G. & B. COUÉ. B. (2004). Redécouverte et validation de Psathyrella lactea var. virginea J.E. Lange. Doc. Mycol. 132: 7-14.

TELLERÍA, M.T., MELO, I. & DUEÑAS, M. (1997). An annotated list of Aphyllophorales of the Balearic Islands. Mycotaxon, LVX: 353-377.

ADDICIONS AL CATÀLEG MICOLÒGIC D’ANDORRA. I

M. NIELL1, A. VALVERDE2 i J. GIRBAL2

1- CENMA (Centre d’Estudis de la Neu i de la Muntanya d’Andorra) de l’IEA (Institut d’Estudis Andorrans)-Av. Rocafort, 21-23. Edifici Molí, 3er pis Sant Julià de Lòria AD600- Andorra. Mail: mniell.cenma@iea.ad

2- Societat Catalana de Micologia - c. Marina 94, 1r 4ª -08018 Barcelona.

RESUM Addicions al catàleg micològic d’Andorra I. En el marc de les jornades de Micologia 2015 “Els bolets d’Andorra”, organitzades pel CENMA (Centre d’Estudis de la Neu i de la Muntanya d’Andorra) que es van celebrar a Andorra la Vella i a Sant Julià de Lòria els dies 9-11 d’octubre, es van realitzar una sèrie de prospeccions de camp per tal de completar el coneixement micològic del país. La majoria dels mostreigs es van realitzar a l’ecoparc Naturlandia, a la cota 2000 de la Rabassa. També es van mostrejar altres zones, com l’àrea recreativa de la Font dels Bullidors, vora del santuari de Canòlich; prop del poble de Pal (La Massana) i a la Vall del Serrat (Ordino). La present llista ve a complementar la informació que prèviament ha estat publicada a NIELL et al. (2008). Es citen 6 espècies noves per la micoflora andorrana: Amanita submembranacea, Cortinarius mucosus, Gyroporus cyanescens, Hygrocybe conica var. chloroides, Leucopaxillus gentianeus i Tricholoma sejunctum.

PARAULES CLAU: Andorra, fongs, llistat, noves cites

ABSTRACT Additions to the mycological catalogue of Andorra I. In the context of the workshop "Mushrooms of Andorra" that took place in 2015 and were organized by CENMA (Centre of the Study of the Snow and the Mountain of Andorra), which were held in Andorra la Vella and Sant Julià de Lòria, the 9 to11th October, a series of field surveys was carried to complete the mycological knowledge of the country. Most of the samplings were performed in la Rabassa (Sant Julià de Lòria) in the Ecopark of Naturlandia, at 2000 m altitude. Other places were also sampled such the recreational area of Font dels Bullidors, close to the sanctuary of Canòlich; near the town of Pal (La Massana) and the Vall del Serrat (Ordino). This list will complement the information that has been previously published in NIELL et al. (2008). Also 6 citations of new species for the Andorran mycoflora are added: Amanita submembranacea, Cortinarius mucosus, Gyroporus cyanescens, Hygrocybe conica var. chloroides, Leucopaxillus gentianeus and Tricholoma sejunctum.

KEY WORDS: Andorra, fungi, check-list, new citations

INTRODUCCIÓ

L’any 2000 es va iniciar la recerca micològica d’Andorra i, fruit de 8 anys de treball, es va publicar la monografia del CENMA “Els fongs d’Andorra” (NIELL et al., 2008), on es feia un llistat de les espècies pertanyents al regne dels fongs (sensu lato). El nombre total d’espècies inventariades (tàxons) va ser de 743. El present treball ve a ser un complement d’aquell primer estudi, i pretén ampliar la llista de les espècies conegudes, així com augmentar el nombre de les localitats on aquestes han estat detectades. S’aporten 6 espècies noves (tàxons) per al catàleg micològic d’Andorra, que no havien estat citades anteriorment: Amanita submembranacea, Cortinarius mucosus, Gyroporus cyanescens, Hygrocybe conica var. chloroides, Leucopaxillus gentianeus i Tricholoma sejunctum. Amb aquesta nova contribució, el nombre d’espècies de fongs conegudes a Andorra s’eleva fins a les 749. Tots els tàxons que representen nova localitat a Andorra es presenten precedits per un asterisc separat del nom per un espai, i totes les espècies que són noves al catàleg s’indicaran amb dos asteriscs.

MATERIAL I MÈTODES

Es van realitzar diverses sortides micològiques: a la Vall del Serrat, a Ordino; a la Font dels Bullidors, vora el santuari de Canòlich, a la parròquia de Sant Julià de Lòria; i a les vores del riu de Cardameller, a Pal (La Massana). A la Vall del Serrat hi trobem una vegetació on domina el pi negre (Pinus uncinata) i el bosc de ribera amb bedoll (Betula pendula), trèmol (Populus tremula) i avellaner (Corylus avellana). A la Font dels Bullidors, prop de Canòlich, la vegetació és una avetosa (Abies alba) amb clapes de pi roig (Pinus sylvestris) i pi negre (Pinus uncinata), i Betula pendula. A les vores del riu de Cardameller de Pal (La Massana), hi trobem una vegetació de ribera, amb trèmol, bedoll i envoltada de bosc d’avet i de pi roig. La resta de material va ser recollit a l’àrea de Naturlandia, a la Rabassa, cota 2000. El centre es troba flanquejat per un bosc de pi negre, tot i que presenta un espai de prats amb animals de granja i ambients altament humanitzats on circulen els visitants i on hi tenen lloc diverses activitats lúdiques. Els noms de les diferents espècies han estat sempre els que hi ha acceptats a la pàgina web de http: //www.indexfungorum.org/. Per identificar les espècies s’han consultat a BREITENBACH & KRÄNZLIN (1984-1991), BON (1988), COURTECUISSE & DUHEM (2005), GERHARDT (2009), GERHARDT, et al. (2000), MOSER (2000), PALAZÓN (2001), EYSSARTIER & ROUX (2011). Per a grups més específics s’ha consultat a CANDUSSO (1997), MONEDERO (2012) i ROBICH (2003).

RELACIÓ DE LES ESPÈCIES

TROBADES

ASCOMICOTS

* Aleuria aurantia (Pers.) Fuckel

MATERIAL ESTUDIAT. La Rabassa, Sant Julià de Lòria, UTM: 37802; 466903, altitud: 2040-2060 m; prat vora bosc de Pinus uncinata; 11/10/2015, leg. J. Girbal, M. Niell i A. Valverde.

Gyromitra infula (Schaeff.) Quél.

MATERIAL ESTUDIAT. Pal, riu del Cardameller, La Massana, UTM: 37434; 471049, altitud: 1700-1900 m; bosc d’Abies alba i Pinus sylvestris amb Betula pendula; 24/09/2015, leg. M. Niell.

BASIDIOMICOTS

Amanita muscaria (L.) Lam.

MATERIAL ESTUDIAT. La Rabassa, Sant Julià de Lòria, UTM: 37802; 466903, altitud: 2.040-2.060 m; bosc de Pinus uncinata; 10-11/10/2015, leg. J. Girbal, M. Niell i A. Valverde. Font dels Bullidors, àrea d’esbarjo, prop de Canòlich, Sant Julià de Lòria, UTM: 37265; 470245, altitud: 1775 m; bosc d’Abies alba, Pinus sylvestris i P. uncinata amb Betula pendula; 19/09/2015, leg. M. Niell. Vall del Serrat, Ordino, UTM: 37985; 471921, altitud: 1530-1560 m; boscos de ribera de Populus tremula i Betula pendula, i boscos de Pinus uncinata; 10/09/2015, leg. M. Niell.

* Amanita rubescens Pers.

MATERIAL ESTUDIAT. La Rabassa, Sant Julià de Lòria, UTM: 37802; 466903, altitud: 2040-2060 m; bosc de Pinus uncinata; 10-11/10/2015, leg. J. Girbal, M. Niell i A. Valverde. (Localitat nova). Vall del Serrat, Ordino, UTM: 37985; 471921, altitud: 1530-1560 m; bosc de Populus tremula i Betula pendula, i bosc de Pinus uncinata; 10/09/2015, leg. M. Niell. Riu del Cardameller, Pal, La Massana, UTM: 37434; 471049, altitud: 1700-1900 m; bosc d’Abies alba i Pinus sylvestris amb Betula pendula; 24/09/2015, leg. M. Niell. (Localitat nova).

** Amanita submembranacea (Bon) Gröger

MATERIAL ESTUDIAT. Font dels Bullidors, àrea d’esbarjo, prop de Canòlich, Sant Julià de Lòria, UTM: 37265; 470245, altitud: 1775 m; bosc d’Abies alba, Pinus sylvestris i P. uncinata amb Betula pendula; 19/09/2015, leg. M. Niell. Vall del Serrat, Ordino, UTM: 37985; 471921, altitud: 1530-1560; bosc de Populus tremula i Betula pendula, i bosc de Pinus uncinata; 10/09/2015, leg. M. Niell. (Cita nova per Andorra; recollida en altres ocasions, aquests són els primers registres publicats).

* Amanita vaginata (Bull.) Lam.

MATERIAL ESTUDIAT. La Rabassa, Sant Julià de Lòria, UTM: 37802; 466903, altitud: 2040-2060 m; bosc de Pinus uncinata, 10-11/10/2015, leg. J. Girbal, M. Niell i A. Valverde.

* Boletopsis leucomelaena (Pers.) Fayod

MATERIAL ESTUDIAT. La Rabassa, Sant Julià de Lòria, UTM: 37802; 466903, altitud: 2040-2060 m; bosc de Pinus uncinata; 10-11/10/2015, leg. J. Girbal, M. Niell i A. Valverde. Riu del Cardameller, Pal, La Massana, UTM: 37434; 471049, altitud: 1700-1900 m; bosc d’Abies alba i Pinus sylvestris amb Betula pendula, 24/09/2015, leg. M. Niell.

Boletus edulis Bull.

MATERIAL ESTUDIAT. La Rabassa, Sant Julià de Lòria, UTM: 37802; 466903, altitud: 2040-2060 m; bosc de Pinus uncinata; 10-11/10/2015, leg. J. Girbal, M. Niell i A. Valverde. Vall del Serrat, Ordino, UTM: 37985; 471921, altitud: 1530-1560 m; bosc de Pinus uncinata; 10/09/2015, leg. M. Niell.

* Boletus erythropus Pers.

MATERIAL ESTUDIAT. La Rabassa, Sant Julià de Lòria, UTM: 37802; 466903, altitud: 2040-2060 m; bosc de Pinus uncinata; 10-11/10/2015, leg. J. Girbal, M. Niell i A. Valverde.

* Cantharellus cibarius Fr.

MATERIAL ESTUDIAT. La Rabassa, Sant Julià de Lòria, UTM: 37802; 466903, altitud: 2040-2060 m; bosc de Pinus uncinata; 10-11/10/2015, leg. J. Girbal, M. Niell i A. Valverde. Font dels Bullidors, àrea d’esbarjo, prop de Canòlich, Sant Julià de Lòria, UTM: 37265; 470245, altitud: 1775 m; bosc d’Abies alba, Pinus sylvestris i P. uncinata amb Betula pendula; 19/09/2015, leg. M. Niell. (Localitat nova).

* Chroogomphus helveticus (Singer)

M.M. Moser

MATERIAL ESTUDIAT. La Rabassa, Sant Julià de Lòria, UTM: 37802; 466903, altitud: 2040-2060 m; bosc de Pinus uncinata; 10-11/10/2015, leg. J. Girbal, M. Niell i A. Valverde. Font dels Bullidors, àrea d’esbarjo, prop de Canòlich, Sant Julià de Lòria, UTM: 37265; 470245, altitud: 1775 m; bosc d’Abies alba, Pinus sylvestris i P. uncinata amb Betula pendula; 19/09/2015, leg. M. Niell.

Chroogomphus rutilus (Schaeff.) O.K. Mill.

MATERIAL ESTUDIAT. La Rabassa, Sant Julià de Lòria, UTM: 37802; 466903, altitud: 2.040-2.060 m; bosc de Pinus uncinata; 10-11/10/2015, leg. J. Girbal, M. Niell i A. Valverde. Riu del Cardameller, Pal, La Massana, UTM: 37434; 471049, altitud: 1.700-1.900 m; bosc d’Abies alba i Pinus sylvestris amb Betula pendula; 24/09/2015, leg. M. Niell.

* Clavariadelphus truncatus Donk

MATERIAL ESTUDIAT. La Rabassa, Sant Julià de Lòria, UTM: 37802; 466903, altitud: 2040-2060 m; bosc de Pinus uncinata; 10-11/10/2015, leg. J. Girbal, M. Niell i A. Valverde.

* Clavulina coralloides (L.) J. Schröt.

= Clavulina cristata (Holmsk.) J. Schröt.

MATERIAL ESTUDIAT. La Rabassa, Sant Julià de Lòria, UTM: 37802; 466903, altitud: 2040-2060 m; bosc de Pinus uncinata; 10-11/10/2015, leg. J. Girbal, M. Niell i A. Valverde. Espècie citada anteriorment com a Clavulina cristata (Holmsk.) J. Schröt a NIELL et al. (2008).

* Clitocybe odora (Bull.) P. Kumm.

MATERIAL ESTUDIAT. La Rabassa, Sant Julià de Lòria, UTM: 37802; 466903, altitud: 2040-2060 m; bosc de Pinus uncinata; 10-11/10/2015, leg. J. Girbal, M. Niell i A. Valverde. Font dels Bullidors, àrea d’esbarjo, prop de Canòlich, Sant Julià de Lòria, UTM: 37265; 470245, altitud: 1775 m; bosc d’Abies alba, Pinus sylvestris i P. uncinata amb Betula pendula; 19/09/2015, leg. M. Niell. (Localitat nova).

** Cortinarius mucosus (Bull.) J. Kickx

MATERIAL ESTUDIAT. La Rabassa, Sant Julià de Lòria, UTM: 37802; 466903, altitud: 2040-2060 m; bosc de Pinus uncinata; 10/10/2015, leg. J. Girbal i A. Valverde.

* Crucibulum laeve (Huds.) Kambly

MATERIAL ESTUDIAT. La Rabassa, Sant Julià de Lòria, UTM: 37802; 466903, altitud: 2.040-2.060 m; bosc de Pinus uncinata; 10-11/10/2015, leg. J. Girbal, M. Niell i A. Valverde.

Cystoderma amianthinum (Scop.) Fayod

MATERIAL ESTUDIAT. La Rabassa, Sant Julià de Lòria, UTM: 37802; 466903, altitud: 2040-2060 m; bosc de Pinus uncinata; 10-11/10/2015, leg. J. Girbal, M. Niell i A. Valverde.

Cystoderma carcharias (Pers.) Fayod

MATERIAL ESTUDIAT. La Rabassa, Sant Julià de Lòria, UTM: 37802; 466903, altitud: 2040-2060 m; bosc de Pinus uncinata; 10-11/10/2015, leg. J. Girbal, M. Niell i A. Valverde.

* Flammula pinicola (Jacobsson) Noordel. = Pholiota pinicola Jacobsson

MATERIAL ESTUDIAT. La Rabassa, Sant Julià de Lòria, UTM: 37802; 466903, altitud: 2040-2060 m; bosc de Pinus uncinata; 10-11/10/2015, leg. J. Girbal, M. Niell i A. Valverde. Hi ha una citació en una altra localitat a NIELL et al. (2008), com a Pholiota pinicola.

* Galerina marginata (Batsch) Kühner

MATERIAL ESTUDIAT. La Rabassa, Sant Julià de Lòria, UTM: 37802; 466903, altitud: 2040-2060 m; bosc de Pinus uncinata; 10-11/10/2015, leg. J. Girbal, M. Niell i A. Valverde.

* Gymnopilus penetrans (Fr.) Murrill

MATERIAL ESTUDIAT. La Rabassa, Sant Julià de Lòria, UTM: 37802; 466903, altitud: 2040-2060 m; bosc de Pinus uncinata; 10-11/10/2015, leg. J. Girbal, M. Niell i A. Valverde.

**

Gyroporus

cyanescens (Bull.) Quél.

MATERIAL ESTUDIAT. Vall del Serrat, Ordino, UTM: 37985; 471921, altitud: 1530-1560 m; marge d’un camí prop d’un rec, al costat d’un bosc de Populus tremula i Betula pendula, prop de boscos de Pinus uncinata; 10/09/2015, leg. M. Niell. IEA-Myco-001.

* Hygrocybe coccinea (Schaeff.) P. Kumm.

MATERIAL ESTUDIAT. La Rabassa, Sant Julià de Lòria, UTM: 37802; 466903, altitud: 2.040-2.060 m; bosc de Pinus uncinata; 10-11/10/2015, leg. J. Girbal, M. Niell i A. Valverde.

** Hygrocybe conica var. chloroides (Malençon) Bon

MATERIAL ESTUDIAT. La Rabassa, Sant Julià de Lòria, UTM: 37802; 466903, altitud: 2040-2060 m; bosc de Pinus uncinata; 10-11/10/2015, leg. J. Girbal, M. Niell i A. Valverde.

Hygrophoropsis aurantiaca (Wulfen) Maire

MATERIAL ESTUDIAT. La Rabassa, Sant Julià de Lòria, UTM: 37802; 466903, altitud: 2040-2060 m; bosc de Pinus uncinata; 10-11/10/2015, leg. J. Girbal, M. Niell i A. Valverde.

* Hygrophorus chrysodon (Batsch) Fr.

MATERIAL ESTUDIAT. La Rabassa, Sant Julià de Lòria, UTM: 37802; 466903, altitud: 2040-2060 m; bosc de Pinus uncinata; 10-11/10/2015, leg. J. Girbal, M. Niell i A. Valverde.

Hygrophorus hypothejus (Fr.) Fr.

MATERIAL ESTUDIAT. La Rabassa, Sant Julià de Lòria, UTM: 37802; 466903, altitud: 2040-2060 m; bosc de Pinus uncinata; 10-11/10/2015, leg. J. Girbal, M. Niell i A. Valverde.

* Hygrophorus pudorinus (Fr.) Fr.

MATERIAL ESTUDIAT. Font dels Bullidors, àrea d’esbarjo, prop de Canòlich, Sant Julià de Lòria, UTM: 37265; 470245, altitud: 1.775 m; bosc d’Abies alba, Pinus sylvestris i P. uncinata amb Betula pendula; 19/09/2015, leg. M. Niell.

Hypholoma capnoides (Fr.) P. Kumm.

MATERIAL ESTUDIAT. La Rabassa, Sant Julià de Lòria, UTM: 37802; 466903, altitud: 2040-2060 m; bosc de Pinus uncinata; 10-11/10/2015, leg. J. Girbal, M. Niell i A. Valverde.

Inocybe geophylla (Bull.) P. Kumm.

MATERIAL ESTUDIAT. Vall del Serrat, Ordino, UTM: 37985; 471921, altitud: 1530-1560 m; bosc de Populus tremula i Betula pendula, i bosc de Pinus uncinata; 10/09/2015, leg. M. Niell.

Lactarius deliciosus (L.) Gray

MATERIAL ESTUDIAT. La Rabassa, Sant Julià de Lòria, UTM: 37802; 466903, altitud: 2040-2060 m; bosc de Pinus uncinata; 10-11/10/2015, leg. J. Girbal, M. Niell i A. Valverde. Vall del Serrat, Ordino, UTM: 37985; 471921, 15301560 m; bosc de Pinus uncinata; 10/09/2015, leg. M. Niell.

* Lactarius glyciosmus (Fr.) Fr.

MATERIAL ESTUDIAT. Vall del Serrat, Ordino, UTM: 37985; 471921, altitud: 1530-1560 m; bosc de Populus tremula i Betula pendula, i bosc de Pinus uncinata; 10/09/2015, leg. M. Niell.

* Lactarius pubescens Fr.

MATERIAL ESTUDIAT. Pal, riu del Cardameller, La Massana, UTM: 37434; 471049, altitud: 1700-1900 m; bosc d’Abies alba i Pinus sylvestris amb Betula pendula; 24/09/2015, leg. M. Niell.

* Lactarius pyrogalus (Bull.) Fr.

MATERIAL ESTUDIAT. Vall del Serrat, Ordino, UTM: 37985; 471921, altitud: 1530-1560 m; bosc de Populus tremula i Betula pendula, i bosc de Pinus uncinata; 10/09/2015, leg. M. Niell.

* Lactarius quieticolor Romagn.

MATERIAL ESTUDIAT. Font dels Bullidors, àrea d’esbarjo, prop de Canòlic, Sant Julià de Lòria, UTM: 37265; 470245, altitud: 1775 m; bosc de Pinus sylvestris i P. uncinata amb Betula pendula; 19/09/2015, leg. M. Niell.

* Lactarius rufus (Scop.) Fr.

MATERIAL ESTUDIAT. La Rabassa, Sant Julià de Lòria, UTM: 37802; 466903, altitud: 2040-2060 m; bosc de Pinus uncinata; 10-11/10/2015, leg. J. Girbal, M. Niell i A. Valverde.

Lactarius torminosus (Schaeff.) Gray

MATERIAL ESTUDIAT. Pal, riu del Cardameller, La Massana, UTM: 37434; 471049, altitud: 1700-1900 m; bosc d’Abies alba i Pinus sylvestris amb Betula pendula; 24/09/2015, leg. M. Niell. Vall del Serrat, Ordino, UTM: 37985; 471921, altitud: 1530-1560 m; bosc de Populus tremula i Betula pendula, i bosc de Pinus uncinata; 10/09/2015, leg. M. Niell.

Lactarius turpis (Weinm.) Fr.

MATERIAL ESTUDIAT. Vall del Serrat, Ordino, UTM: 37985; 471921, altitud: 1.530-1.560; bosc de Populus tremula i Betula pendula, i bosc de Pinus uncinata; 10/09/2015, leg. M. Niell. Citada com L. plumbeus (Bull.) Fr. a NIELL et al. (2008).

* Leccinum aurantiacum (Bull.) Gray

MATERIAL ESTUDIAT. Vall del Serrat, Ordino, UTM: 37985; 471921, altitud: 1530-1560 m; bosc de Populus tremula i Betula pendula, prop de boscos de Pinus uncinata; 10/09/2015, leg. M. Niell.

* Leccinum scabrum (Bull.)

Gray

MATERIAL ESTUDIAT. Vall del Serrat, Ordino, UTM: 37985; 471921, altitud: 1530-1560 m; bosc de Populus tremula i Betula pendula, prop de boscos de Pinus uncinata; 10/09/2015, leg. M. Niell.

Lepista nuda (Bull.) Cooke

MATERIAL ESTUDIAT. La Rabassa, Sant Julià de Lòria, UTM: 37802; 466903, altitud: 2040-2060 m; prats nitròfils vora bosc de Pinus uncinata; 10-11/10/2015, leg. J. Girbal, M. Niell i A. Valverde.

** Leucopaxillus gentianeus (Quél.) Kotl.

MATERIAL ESTUDIAT. La Rabassa, Sant Julià de Lòria, UTM: 37802; 466903, altitud: 2040-2060 m; bosc de Pinus uncinata; 10-11/10/2015, leg. J. Girbal, M. Niell i A. Valverde.

* Mycena aurantiomarginata (Fr.) Quél.

Material estudiat. La Rabassa, Sant Julià de Lòria, UTM: 37802; 466903, altitud: 2040-2060 m; bosc de Pinus uncinata; 10-11/10/2015, leg. J. Girbal, M. Niell i A. Valverde.

* Mycena epipterygia (Scop.) Gray

MATERIAL ESTUDIAT. La Rabassa, Sant Julià de Lòria, UTM: 37802; 466903, altitud: 2040-2060 m; bosc de Pinus uncinata; 10-11/10/2015, leg. J. Girbal, M. Niell i A. Valverde.

* Paxillus involutus (Batsch) Fr.

MATERIAL ESTUDIAT. La Rabassa, Sant Julià de Lòria, UTM: 37802; 466903, altitud: 2040-2060 m; bosc de Pinus uncinata; 10-11/10/2015, leg. J. Girbal, M. Niell i A. Valverde.

Pholiota lenta (Pers.) Singer

MATERIAL ESTUDIAT. La Rabassa, Sant Julià de Lòria, UTM: 37802; 466903, altitud: 2040-2060 m; bosc de Pinus uncinata; 10-11/10/2015, leg. J. Girbal, M. Niell i A. Valverde.

Piptoporus betulinus (Bull.) P. Karst.

MATERIAL ESTUDIAT. Vall del Serrat, Ordino, UTM: 37985; 471921, altitud: 1530-1560 m; sobre Betula pendula; 10/09/2015, leg. M. Niell.

Rhodocollybia butyracea (Bull.) Lennox

MATERIAL ESTUDIAT. La Rabassa, Sant Julià de Lòria, UTM: 37802; 466903, altitud: 2040-2060 m; bosc de Pinus uncinata; 10-11/10/2015, leg. J. Girbal, M. Niell i A. Valverde. Citada prèviament a NIELL et al. (2008) com a Collybia butyracea (Bull.) P. Kumm.

* Russula chloroides (Krombh.) Bres.

MATERIAL ESTUDIAT. La Rabassa, Sant Julià de Lòria, UTM: 37802; 466903, altitud: 2040-2060 m; bosc de Pinus uncinata; 10-11/10/2015, leg. J. Girbal, M. Niell i A. Valverde. Font dels Bullidors, àrea d’esbarjo, prop de Canòlich, Sant Julià de Lòria, UTM: 37265; 470245, altitud: 1775 m; bosc d’Abies alba, Pinus sylvestris i P. uncinata amb Betula pendula; 19/09/2015, leg. M. Niell. (Nova localitat). Riu del Cardameller, Pal, La Massana, UTM: 37434; 471049,

Cortinarius mucosus (Bull.) J. Kickx. (fot. A. Valverde).

altitud: 1700-1900 m; bosc d’Abies alba i Pinus sylvestris amb Betula pendula; 24/09/2015, leg. M. Niell. (Nova localitat).

* Russula cyanoxantha (Schaeff.) Fr.

MATERIAL ESTUDIAT. La Rabassa, Sant Julià de Lòria, UTM: 37802; 466903, altitud: 2040-2060 m; bosc de Pinus uncinata; 10-11/10/2015, leg. J. Girbal, M. Niell i A. Valverde.

Russula xerampelina (Schaeff.) Fr.

MATERIAL ESTUDIAT. La Rabassa, Sant Julià de Lòria, UTM: 37802; 466903, altitud: 2040-2060 m; bosc de Pinus uncinata; 10-11/10/2015, leg. J. Girbal, M. Niell i A. Valverde.

* Stropharia aeruginosa (Curtis) Quél.

MATERIAL ESTUDIAT. La Rabassa, Sant Julià de Lòria, UTM: 37802; 466903, altitud: 2040-2060 m; bosc de Pinus uncinata; 10-11/10/2015, leg. J. Girbal, M. Niell i A. Valverde. Font dels Bullidors, àrea d’esbarjo, prop de Canòlich, Sant Julià de Lòria, UTM: 37265; 470245, altitud: 1775 m; bosc d’Abies alba, Pinus sylvestris i P. uncinata amb Betula pendula; 19/09/2015, leg. M. Niell.

Suillus bovinus (L.) Roussel

MATERIAL ESTUDIAT. Vall del Serrat, Ordino, UTM: 37985; 471921, altitud: 1530-1560 m; boscos de ribera de Populus tremula i Betula pendula, i boscos de Pinus uncinata; 10/09/2015, leg. M. Niell.

Suillus luteus (L.) Roussel

MATERIAL ESTUDIAT. La Rabassa, Sant Julià de Lòria, UTM: 37802; 466903, altitud: 2040-2060 m; bosc de Pinus uncinata; 10-11/10/2015, leg. J. Girbal, M. Niell i A. Valverde.

Suillus variegatus (Sw.) Richon & Roze

MATERIAL ESTUDIAT. La Rabassa, Sant Julià de Lòria, UTM: 37802; 466903, altitud: 2040-2060 m; bosc de Pinus uncinata; 10-11/10/2015, leg. J. Girbal, M. Niell i A. Valverde. Riu del Cardameller, Pal, La Massana, UTM: 37434; 471049, altitud: 1700-1900 m; bosc d’Abies alba i Pinus sylvestris amb Betula pendula; 24/09/2015, leg. M. Niell.

* Tricholoma bufonium (Pers.) Gillet

MATERIAL ESTUDIAT. La Rabassa, Sant Julià de Lòria, UTM: 37802; 466903, altitud: 2040-2060 m; bosc de Pinus uncinata; 10-11/10/2015, leg. J. Girbal, M. Niell i A. Valverde. Font dels Bullidors, àrea d’esbarjo, prop de Canòlich, Sant Julià de Lòria, UTM: 37265; 470245, altitud: 1775 m; bosc d’Abies alba, Pinus sylvestris i P. uncinata amb Betula pendula; 19/09/2015, leg. M. Niell.

* Tricholoma equestre (L.) P. Kumm.

MATERIAL ESTUDIAT. La Rabassa, Sant Julià de Lòria, UTM: 37802; 466903, altitud: 2040-2060 m; bosc de Pinus uncinata; 10-11/10/2015, leg. J. Girbal, M. Niell i A. Valverde. Riu del Cardameller, Pal, La Massana, UTM: 37434; 471049, altitud: 1700-1900 m; bosc d’Abies alba i Pinus sylvestris amb Betula pendula; 24/09/2015, leg. M. Niell. Font dels Bullidors, àrea d’esbarjo, prop de Canòlich, Sant Julià de Lòria, UTM: 37265; 470245, altitud: 1775 m; bosc d’Abies alba, Pinus sylvestris i P. uncinata amb Betula pendula; 19/09/2015, leg. M. Niell. (Nova localitat).

* Tricholoma focale (Fr.) Ricken

MATERIAL ESTUDIAT. La Rabassa, Sant Julià de Lòria, UTM: 37802; 466903, altitud: 2040-2060 m; bosc de Pinus uncinata; 10-11/10/2015, leg. J. Girbal, M. Niell i A. Valverde.

Tricholoma imbricatum (Fr.) P. Kumm.

MATERIAL ESTUDIAT. La Rabassa, Sant Julià de Lòria, UTM: 37802; 466903, altitud: 2040-2060 m; bosc de Pinus uncinata; 10-11/10/2015, leg. J. Girbal, M. Niell i A. Valverde.

* Tricholoma portentosum (Fr.) Quél.

MATERIAL ESTUDIAT. La Rabassa, Sant Julià de Lòria, UTM: 37802; 466903, altitud: 2040-2060 m; bosc de Pinus uncinata; 10-11/10/2015, leg. J. Girbal, M. Niell i A. Valverde. Font dels Bullidors, àrea d’esbarjo, prop de Canòlich, Sant Julià de Lòria, UTM: 37265; 470245, altitud: 1775 m; bosc d’Abies alba Pinus sylvestris i P. uncinata amb Betula pendula; 19/09/2015, leg. M. Niell. (Nova localitat). Riu del Cardameller, Pal, La Massana, UTM: 37434; 471049, altitud: 1700-1900 m; bosc d’Abies alba i Pinus sylvestris amb Betula pendula; 24/09/2015, leg. M. Niell.

Tricholoma saponaceum (Fr.) P. Kumm.

MATERIAL ESTUDIAT. La Rabassa, Sant Julià de Lòria, UTM: 37802; 466903, altitud: 2040-2060 m; bosc de Pinus uncinata; 10-11/10/2015, leg. J. Girbal, M. Niell i A. Valverde. Font dels Bullidors, àrea d’esbarjo, vora Canòlich, Sant Julià de Lòria, UTM: 37265; 470245, altitud: 1775 m; bosc d’Abies alba, Pinus sylvestris i P. uncinata amb Betula pendula; 19/09/2015, leg. M. Niell. (Nova localitat).

** Tricholoma sejunctum (Sowerby) Quél.

MATERIAL ESTUDIAT. La Rabassa, Sant Julià de Lòria, UTM: 37802; 466903, altitud: 2040-2060 m; bosc de Pinus uncinata; 10-11/10/2015, leg. J. Girbal, M. Niell i A. Valverde.

Tricholoma terreum (Schaeff.) P. Kumm.

MATERIAL ESTUDIAT. La Rabassa, Sant Julià de Lòria, UTM: 37802; 466903, altitud: 2040-2060 m; bosc de Pinus uncinata; 10-11/10/2015, leg. J. Girbal, M. Niell i A. Valverde.

* Tricholoma virgatum (Fr.) P. Kumm.

MATERIAL ESTUDIAT. La Rabassa, Sant Julià de Lòria, UTM: 37802; 466903, altitud: 2040-2060 m; bosc de Pinus uncinata; 10-11/10/2015, leg. J. Girbal, M. Niell i A. Valverde. Font dels Bullidors, àrea d’esbarjo, prop de Canòlich, Sant Julià de Lòria, UTM: 37265; 470245, altitud: 1775 m; bosc d’Abies alba i Pinus sylvestris i P. uncinata amb Betula pendula 19/09/2015, leg. M. Niell.

* Tylopilus porphyrosporus (Fr. & Hök) A.H. Sm. & Thiers = Porphyrellus porphyrosporus

MATERIAL ESTUDIAT. La Rabassa, Sant Julià de Lòria, UTM: 37802; 466903, altitud: 2040-2060 m; bosc de Pinus uncinata; 10-11/10/2015, leg. J. Girbal, M. Niell i A. Valverde. Font dels Bullidors, àrea d’esbarjo, prop de Canòlich, Sant Julià de Lòria, UTM: 37265; 470245, altitud: 1775 m; bosc de Pinus sylvestris i P. uncinata; 19/09/2015, leg. M. Niell.

AGRAÏMENTS

Agraïm a Naturlandia haver-nos cedit les instal·lacions per poder fer les Jornades de Micologia de 2015, així com a totes aquelles persones que ens han acompanyat a la sortida i han ajudat en l’elaboració d’aquest llistat.

BIBLIOGRAFIA

BON, M. (1988).- Guia de Campo de los Hongos de España y Europa. Ediciones Omega, S.A. Barcelona. 352 pp. BREITENBACH, J. & KRÄNZLIN, F. (1984-1991).- Champignons de Suisse. Tome I, II, III, IV i V. Edit. Mykologia. Lucerna.

Revista Catalana de Micologia, vol. 38: 21-30; 2017.

CANDUSSO, M. (1997).- Hygrophorus s.l. Fungi Europaei. Libreria Basso. Alassio (Savona). 784 pp.

COURTECUISSE, R. & B. DUHEM (2005).- Guia de los hongos de la Península Ibérica, Europa y Norte de África Ediciones Omega. Barcelona. 486 pp.

EYSSARTIER, G & P. ROUX (2011).- Le guide des champignons. France et Europe. Éditions Belin. France. 1119 pp.

GERHARDT, E. (2009).- Guia de los hongos de España y Europa. Omega. Barcelona. 718 pp.

GERHARDT, E., J. VILA & X. LLIMONA (2000).- Bolets dels Països Catalans i d’Europa. Edicions Omega. Barcelona. 956 pp.

MOSER. M. (2000).- Guida alla determazione dei funghi. Polyporales, Boletales, Agaricales, Russulales. Vol. 1. Saturnia. Trento. 565 pp.

MONEDERO, L.C. (2012).- El género Rússula en la península Ibérica. Centro de Estudios Micológicos de Euskadi, Cáritas. Bizkaia. 436 pp.

NIELL, M., G. RADUAN & J. GIRBAL (2008).- Els fongs d’Andorra. Monografies del CENMA. Centre d’Estudis de la Neu i de la Muntanya d’Andorra. Andorra. 216 pp.

PALAZÓN, F. (2001).- Setas para todos. Guia práctica de identificación. Editorial Pirineo. Huesca. 654 pp.

ROBICH, G. (2003).- Mycena d’Europa. Associazione Micologica Bresadola. Trento. 728 pp.

PRIMERA APROXIMACIÓ AL COMPONENT FÚNGIC DELS VOLTANTS DE L’ESTANY DE BANYOLES

A. VALVERDE-VALERA

c/ Girona, 3 Bis. E-08820 El Prat de Llobregat (Barcelona). E-mail: galeropsis1@telefonica.net

RESUM. Es presenta una llista dels fongs identificats durant una sortida guiada en què es van visitar la riba de ponent de l’Estany de Banyoles i els camps propers (terme municipal de Porqueres), en el marc de les IV Jornades de Conservació de Flora i Funga 2016 d’Olot (Garrotxa), juntament amb els identificats després d’una breu sortida de camp posterior. Incloem la primera citació a Catalunya i la península Ibèrica d’Immotthia atrograna i la primera citació a Catalunya de Sirosporium celtidis. En conjunt, es recopilen 28 citacions de 21 espècies, 4 ascomicots i 17 basidiomicots, no citades anteriorment a la quadrícula UTM prospectada, la DG76, de les quals 19 són novetat per a aquest Espai d’Interès Natural. Són sobretot espècies relacionades amb l’hàbitat predominant, el bosc de ribera, com Auricularia auricula-judae, Daedaleopsis confragosa, Inonotus hispidus o Mycena haematopus

PARAULES CLAU: fongs, Ascomycota, Basidiomycota, corologia, Girona, Catalunya.

ABSTRACT. A first contribution to the fungi found near the Banyoles lake (NE Catalonia). A checklist of the fungi identified during a field survey focused in the west shore of l’Estany de Banyoles and fields around, in the municipality of Porqueres, in the context of the IV Workshop of Conservation of Flora and Funga, held in 2016 in Olot (Garrotxa), and the fungi identified after a posterior brief field survey is reported. The first citation for Catalonia and the Iberian peninsula of Immotthia atrograna and the first citation for Catalonia of Sirosporium celtidis are included. Overall, we afford 28 citations of 21 species, 4 ascomycota and 17 basidiomycota, not cited previously from the UTM grid square DG76 surveyed, 19 of which are new for this Space of Natural Interest. They are basically species related with the predominant habitat, the river forest, like Auricularia auricula-judae, Daedaleopsis confragosa, Inonotus hispidus or Mycena haematopus

KEY WORDS: fungi, Ascomycota, Basidiomycota, chorology, Girona, Catalonia.

RESUMEN. Se presenta una lista de los hongos identificados durante una salida guiada en la que se visitaron la ribera de poniente del Estanque de Banyoles y los campos cercanos (término municipal de Porqueres), en el marco de las IV Jornadas de Conservación de Flora y Funga 2016 de Olot (Garrotxa), junto con los identificados después de una breve salida de campo posterior. Incluimos la primera cita para Cataluña y la península Ibérica de Immotthia atrograna y la primera cita para Cataluña de Sirosporium celtidis. En conjunto, se recopilan 28 citas de 21 especies, 4 ascomicotes y 17 basidiomicotes, no citadas anteriormente para la cuadrícula UTM prospectada, la DG76, de las cuales 19 también son nuevas para este Espacio de Interés Natural. Se trata sobre todo de especies relacionadas con el hábitat predominante, el bosque de ribera, como Auricularia auricula-judae, Daedaleopsis confragosa, Inonotus hispidus o Mycena haematopus PALABRAS CLAVE: hongos, Ascomycota, Basidiomycota, corología, Girona, Cataluña.

INTRODUCCIÓ

Els fongs de Banyoles, i més concretament dels voltants del seu Estany, han estat poc estudiats, i no hi ha treballs específics que s’hagin centrat en aquesta zona. No obstant, com a estudis previs, trobem els articles de MORET & NADAL (1982, 1984), de NADAL et al. (1984), de NADAL & MORET (1991) i d’ALMARAZ (2002), en què se citen 7 espècies de micromicets paràsits de plantes recol·lectats a “Banyoles”. Per la seva banda, GUARRO et al. (1985) publiquen un article sobre Myceliophthora vellerea, anamorf de Ctenomyces serratus, que havien aïllat d’una mostra de

Catalana de Micologia, vol. 38: 31-39; 2017.

sòl cultivable de Banyoles. Més tard, SANTAMARIA (1996 i 1998) aporta les citacions més concretes per a la nostra àrea d’estudi, ja que cita de la Font del Rector 6 espècies del gènere Stigmatomyces, de la classe dels Laboulbeniomicets, fongs ascomicots paràsits de dípters i coleòpters. Per últim, hem de destacar els estudis fets per GIRBAL (2000, 2011) sobre esporocarps de bolets trobats en un sector del jaciment del neolític antic de la Draga. Malgrat estar força alterats degut a tenir una edat aproximada de 7000 anys, va poder determinar 5 espècies, totes elles bolets de soca: Coriolopsis gallica, Daedalea quercina, Daldinia concentrica, Ganoderma adspersum i Lenzites warnieri, a part de detectar-ne una altra que podria correspondre a Skeletocutis nivea. Aquí presentem una llista dels fongs identificats en el decurs de la sortida guiada per M. Campos, tècnic-coordinador del Consorci de l’Estany (Consorci per a l’Espai d’Interès Natural de l’Estany de Banyoles i de Porqueres), i per I. Camós i C. Feo, tècnics del mateix Consorci, el matí del dimecres 30 de novembre de 2016, en què es van visitar la riba de ponent de l’Estany de Banyoles i els camps propers, en el terme municipal de Porqueres, en el marc de les IV Jornades de Conservació de Flora i Funga 2016, que es van celebrar a Olot (Garrotxa) del 28 al 30 de novembre. S’hi van afegir els identificats després d’una breu sortida de camp, la tarda del dilluns 5 de desembre de 2016.

L’àrea d’estudi comprèn els boscos de ribera i els prats distribuïts seguint l’itinerari realitzat el dia 30 de novembre, i el petit recorregut fet el dia 5 de desembre. Es tracta d’una part de la riba de ponent de l’Estany de Banyoles, que es troba dins del terme municipal de Porqueres, a ambdós marges de la carretera GIV-5248 i a prop de l’església de Santa Maria de Porqueres. Correspon al quadrat UTM de 10 × 10 km DG76. Com a paratges més destacats hem de mencionar les Artigues, el Pla de Can Morgat amb les llacunes que porten el mateix nom, el complex dels tres estanyols: Estanyol de Can Cisó, Estanyol de la Ribera del Castellar i Estanyol Nou, la Cuaranya i el Passeig de la Coromina, on es troba la font del Rector.

En aquests boscos de ribera hi predominen els pollancres (Populus × canadensis), acompanyats de verns (Alnus glutinosa), lledoners (Celtis australis) i plàtans (Platanus orientalis var. acerifolia) que provenen de plantacions. Vora els recs i riberes també es poden trobar salzes blancs (Salix alba) i gatells (Salix atrocinerea), entre d’altres arbres. Pel que fa al sotabosc, predominen els herbassars amb molt d’esbarzer (Rubus ulmifolius) i en els indrets més humits també cua de cavall (Equisetum arvense) i càrex pèndul (Carex pendula). A la vora de l’estany, la vegetació dóna pas als mansegars de la ciperàcia Cladium mariscus, barrejada amb el canyís (Phragmites australis).

MATERIALS I MÈTODES

Les espècies que configuren la següent llista es van trobar en les dues sortides de camp realitzades als voltants de l’Estany de Banyoles. Es guarden fotografies de totes elles, que es van fer in-situ amb càmeres Olympus E-M10, Olympus E-M1 i també amb la càmera del mòbil Samsung Galaxy Core GT-18260, com en el cas de la fotografia macroscòpica que aportem de Sirosporium celtidis (figura 1A). També s’ha utilitzat una LUMIX DMC-LX1 per a les fotografies a través de l’ocular del microscopi de la mateixa espècie (figura 1B). La fotografia macroscòpica de detall d’Immotthia atrograna s’ha fet acoblant a la càmera Olympus E-M1 un objectiu de 60 mm, mentre que les microscòpiques es van capturar amb la càmera MOTICAM 2500. La majoria de fongs es van recol·lectar per la seva posterior identificació i es conserven alguns d’ells en l’herbari personal de l’autor (AVV).

Pel que fa a la determinació de les espècies, s’han consultat guies especialitzades com EYSSARTIER & ROUX (2013), GARCÍA & SÁNCHEZ (2009), GERHARDT et al. (2000), BREITENBACH & KRÄNZLIN (1986 i 1995), BERNICCHIA (2005) i BERNICCHIA & PÉREZ (2010), entre d’altres. Els caràcters microscòpics de moltes de les espècies s’han estudiat amb un microscopi ZEISS model Axioskop. També s’han fet proves amb reactius macroquímics, que s’indiquen en el text de les espècies en qüestió. La sistemàtica que seguim és la que donen a la

31-39; 2017.

pàgina web d’Index Fungorum (http: //www.indexfungorum.org/). Els noms científics que hi figuren són els acceptats a la mateixa web, tret de Sirosporium celtidis, que és nom acceptat a la web de MycoBank (http: //www.mycobank.org/) i no a Index Fungorum, a gener de 2017.

ESPÈCIES ESTUDIADES

ASCOMYCOTA

Ordre Capnodiales

Sirosporium celtidis (Biv.) M.B. Ellis = Helicoceras celtidis (Biv.) Linder

Forma taques irregulars vellutades, de color negrós al revers de les fulles, que després es tornen de color bru grisenc a l’anvers, i gris platejat quan s’assequen. Les taques del revers estan recobertes de miceli, conidiòfors i conidis. Els conidis són de paret gruixuda, de color bru fosc; la majoria són corbats o lleument enrotllats, de cilíndrics a obclavats, llisos, arrugats o verrucosos, pluricel·lulars, amb 2-40 septes tranversals i ocasionalment amb 1-3 septes longitudinals o oblics, constrictes. Poden arribar a mesurar 96 m de llargada, per bé que la mitjana són uns 45 m, i de 6 a 9 m d’amplada (ELLIS, 1963; BERBEGAL et al., 2012). La forma de les taques i els caràcters microscòpics concorden amb la il·lustració d’ELLIS (1963: 5) i amb la il·lustració que acompanya la fitxa de l’espècie a la web de Mycobank (http: //www.mycobank.org/name/Sirosporium %20celtidis). Vegeu l’aspecte macroscòpic a la figura 1A i els conidis vistos al microscopi, a la figura 1B.

MATERIAL ESTUDIAT. Sobre fulles caigudes de lledoner (Celtis australis), a la riba de llevant del Rec d’en Morgat, a prop de les Llacunes de Can Morgat, Pla de Can Morgat. UTM 31N 479302, 4664285. 180 m s.m., 30/11/2016. Lledoners al voltant de l’esplanada de terra de davant de l’església de Porqueres. UTM 31N 479175, 4663302. 180 m s.m. 05/12/2016. Leg. A. Valverde-Valera, det. A. Valverde-Valera, J. Girbal, M. Berbegal i M.A. Moret.

OBSERVACIONS. Primera citació d’aquesta espècie de micromicet a Catalunya, segons el Banc de Dades de Biodiversitat de Catalunya i que nosaltres en tinguem constància. Segons J. Girbal (com. pers.), ell ja l’havia observat i estudiat anteriorment, però no s’havia arribat a publicar. Creiem que no ha de ser una espècie excessivament rara al nostre territori, ja que els lledoners, els seus hostes, es troben distribuïts per bona part del país. A Espanya, només s’havia citat d’Alzira (València), a BERBEGAL et al. (2012). El publiquem com Sirosporium celtidis (Biv.) M.B. Ellis, nom acceptat a MycoBank i no a Index Fungorum, perquè considerem que és vàlida la combinació que va fer M.B. Ellis a aquest gènere, malgrat ésser posterior al nom Helicoceras celtidis (Biv.) Linder.

Ordre Helotiales

Monostichella salicis (Westend.) Arx

MATERIAL ESTUDIAT. Sobre fulles caigudes d’un exemplar vell de salze blanc (Salix alba), a la riba de llevant del Rec d’en Morgat, a prop de les Llacunes de Can Morgat, Pla de Can Morgat. UTM 31N 479302, 4664285. 177,1 m s.m. 30/11/2016. Leg. i det. A. Valverde-Valera.

OBSERVACIONS. MORET & NADAL (1982: 591) havien citat aquesta espècie (sub. Gloesporium salicis West.) de Banyoles, sense precisar més la localitat.

Ordre Hypocreales

Stilbella fimetaria (Pers.) Lindau

MATERIAL ESTUDIAT. Sobre excrement fresc al damunt d’una de les baranes de fusta del pont que travessa la Ribera del Castellar, en el camí de les Artigues al Pla de Can Morgat. UTM 31N 479341, 4663924. 175 m s.m. 30/11/2016. Leg. A. Valverde-Martínez, det. A. Valverde-Valera.

Ordre Pleosporales

Immotthia atrograna (Cooke & Ellis) M.E. Barr

Forma ascomes globosos, obpiriformes, de gregaris a densament agregats, negres i carbonacis, molt petits, d’uns 160 m, que creixerien paràsits a la perifèria de cossos fructífers d’un altre fong que no s’ha pogut identificar en aquest treball (figura 3). Té ascs bitunicats (figura 3A i 3B), i ascòspores de 14,4 × 4,8 m, constrictes a la part central i de meitats desiguals (figures 4A i 4C). També s’han pogut trobar conidis, no constrictes, de 8 × 4 m (figura 4D). Els caràcters coincideixen amb els descrits a JAKLITSCH et al. (2002) i a AKULOV & HAYOVA (2016).

MATERIAL ESTUDIAT. Fructificant al llarg d’una branca decorticada de gatell (Salix atrocinerea). Prop de la riera dels Tenyers. UTM 31N 479159, 4663251. 175 m s.m. 05/12/2016. Leg. A. Valverde-Valera, det. A. Valverde-Valera, G. Friebes i A. Gardiennet.

OBSERVACIONS. Primera citació d’aquesta espècie a Catalunya i la península Ibèrica (Espanya i Portugal). A Europa, es coneixia d’Àustria, Bèlgica, França, Lituània, Noruega, Polònia, Rússia, Suècia, Suïssa i Ucraïna (AKULOV & HAYOVA, 2016: 86). La consulta realitzada al fòrum d’ASCOfrance el 19/12/2016 i les respostes dels experts són accessibles a: http: //www.ascofrance. fr/forum?id = 46218.

BASIDIOMYCOTA

Ordre Agaricales

Armillaria mellea (Vahl) P. Kumm.

MATERIAL ESTUDIAT. Dos exemplars en una zona herbosa al marge del camí que travessa el Pla de Can Morgat i un canal, entre camps de conreu. UTM 31N 479300, 4664224. 180 m s.m. Leg. i det. A. Valverde-Valera. Una flota que creixia al peu del salze blanc (Salix alba), a la riba de llevant del Rec d’en Morgat, a prop de les Llacunes de Can Morgat, Pla de Can Morgat. UTM 31N 479302, 4664285. 180 m s.m. Leg. i det. A. Valverde-Valera. Nombroses flotes sobre restes de fusta d’una tanca viva de troanella (Ligustrum ovalifolium) que havia estat talada pel personal del Consorci de l’Estany (com. pers. M. Campos). UTM 31N 479358, 4663334. 175 m s.m. 30/11/2016. Leg. M. Campos, det. A. Valverde-Valera.

Conocybe subovalis Kühner & Watling

Basidiòspores el·líptiques, llises, amb un porus germinatiu net, de 12 × 6 m. Amb cistidis lecitiformes a l’aresta de les làmines, sobre el barret i sobre el peu, amb un cap de 4-10 m d’amplada (BREITENBACH & KRÄNZLIN, 1995: 310; EYSSARTIER & ROUX, 2013: 660).

MATERIAL ESTUDIAT. Un exemplar que creixia entre la fullaraca i les restes vegetals de l’exemplar vell de salze blanc (Salix alba), a la riba de llevant del Rec d’en Morgat, a prop de les Llacunes de Can Morgat, Pla de Can Morgat. UTM 31N 479302, 4664285. 180 m s.m. 30/11/2016. Leg. i det. A. Valverde-Valera.

Coprinus comatus (O.F. Müll.) Pers.

MATERIAL ESTUDIAT. Un exemplar en una zona herbosa en el marge del camí que travessa el Pla de Can Morgat. UTM 31N 479318, 4664151. 180 m s.m. Leg. J.M. Seguí, det. A. Valverde-Valera. Dos exemplars en un prat amb abundants restes de fullaraca, vora de l’exemplar vell de salze blanc (Salix alba), a la riba de llevant del Rec d’en Morgat, a prop de les Llacunes de Can Morgat, Pla de Can Morgat. UTM 31N 479302, 4664285. 180 m s.m. 30/11/2016. Leg. i det. A. Valverde-Valera.

Lepista sordida (Schumach.) Singer

MATERIAL ESTUDIAT. Sota l’exemplar vell de salze blanc (Salix alba), a la riba de llevant del Rec d’en Morgat, vora de les Llacunes de Can Morgat, Pla de Can Morgat. UTM 31T 479302, 4664285. 180 m s.m. 30/11/2016. Leg. i det. A. Valverde-Valera.

Fig. 1: Sirosporium celtidis A) fulles de lledoner (Celtis australis) parasitades; a la fulla de la dreta es veuen les taques vellutades on es formen els conidis. B) conidis (escala = 10 m).

Lyophyllum decastes (Fr.) Singer

MATERIAL ESTUDIAT. Enmig d’una pollancreda, al sòl i entre restes herbàcies. A la vora de llevant de la carretera GIV5248. UTM 31N 479565, 4663796. 175 m s.m. 30/11/2016. Leg. A. Valverde-Martínez, det. A. Valverde-Martínez i A. Valverde-Valera.

Mycena haematopus (Pers.) P. Kumm.

MATERIAL ESTUDIAT. Diversos exemplars formant flotes al llarg de dos troncs caiguts i en descomposició de pollancre (Populus × canadensis) en la pollancreda a prop de la Punta Freixenet. UTM 31N 479538, 4663438. 175 m s.m. 30/11/2016. Leg. i det. A. Valverde-Valera.

Mycena meliigena (Berk. & Cooke) Sacc.

MATERIAL ESTUDIAT. Diversos exemplars creixent entre les escletxes de l’escorça amb molses d’un pollancre viu. A la vora del camí que va de la carretera GIV-5248 a l’Estanyol Nou, a prop de la zona entarimada per observar l’estany. UTM 31N 479554, 4663913. 175 m s.m. 30/11/2016. Leg. i det. A. Valverde-Valera.

Schizophyllum commune Fr.

MATERIAL ESTUDIAT. Multitud de carpòfors al llarg d’un tronc de pollancre (Populus sp.) en descomposició, suspès en l’aire. Prop de la riera dels Tenyers. UTM 31N 479159, 4663251. 175 m s.m. 05/12/2016. Leg. A. Valverde-Martínez i A. Valverde-Valera, det. A. Valverde-Valera.

Catalana de Micologia, vol. 38: 31-39; 2017.

Volvopluteus gloiocephalus (DC.) Vizzini, Contu & Justo = Volvariella gloiocephala (DC.) Boekhout & Enderle

MATERIAL ESTUDIAT. Zona herbosa i ruderalitzada en el marge del camí que travessa el Pla de Can Morgat. 31N 479316, 4664131. 180 m s.m. 30/11/2016. Leg. J.M. Seguí i A. Valverde-Valera, det. A. Valverde-Valera.

Ordre Auriculariales

Auricularia auricula-judae (Bull.) Quél.

MATERIAL ESTUDIAT. Dos o tres exemplars, en una branca en descomposició, suspesa, de gatell (Salix atrocinerea). Prop de la riera dels Tenyers. UTM 31N 479159, 4663251. 175 m s.m. 05/12/2016. Leg. A. Valverde-Martínez, det. A. Valverde-Martínez i A. Valverde-Valera.

Auricularia mesenterica (Dicks.) Pers.

MATERIAL ESTUDIAT. Diversos exemplars entre les escletxes del tronc d’un vell salze blanc (Salix alba), a la riba de llevant del Rec d’en Morgat, vora de les Llacunes de Can Morgat, Pla de Can Morgat. UTM 31N 479302, 4664285. 180 m s.m. 30/11/2016. Leg. i det. A. Valverde Valera.

Ordre Hymenochaetales

Inonotus hispidus (Bull.) P. Karst.

MATERIAL ESTUDIAT. Un exemplar sobre un tronc mort, encara en peu, de planifoli. A la vora del camí que va del carrer a l’Estanyol Nou, prop de la zona entarimada per observar l’estany. UTM 31N 479554, 4663913. 175 m s.m. 30/11/2016. Leg. María José Larios Nevado, det. A. Valverde-Valera.

Ordre Polyporales

Coriolopsis gallica (Fr.) Ryvarden = Funalia extenuata (Durieu & Mont.) Dománski

La carn s’ennegreix en contacte amb solució de potassa (BERNICCHIA, 2005: 188; GERHARDT et al., 2000: 297).

MATERIAL ESTUDIAT. Diversos exemplars que creixien al llarg d’un tronc mort de planifoli encara en peu. Vora un dels ancoratges dels fils del camp de regates, al ponent de l’Estany, i a llevant de la carretera GIV-5248. UTM 31N 479565, 4663796. 175 m s.m. 30/11/2016. Leg. i det. A. Valverde-Valera. Diversos exemplars sobre un tronc mig caigut i en descomposició de pollancre (Populus sp.). Prop de la riera dels Tenyers. UTM 31N 479159, 4663251. 175 m s.m. 05/12/2016. Leg. i det. A. Valverde-Valera.

Daedaleopsis confragosa (Bolton) J. Schröt.

MATERIAL ESTUDIAT. Diversos exemplars creixent sobre un tronc en descomposició de gatell (Salix atrocinerea). Prop de la riera dels Tenyers. UTM 31N 479159, 4663251. 175 m s.m. 05/12/2016. Leg. i det. A. Valverde-Valera.

Fomes fomentarius (L.) Fr.

MATERIAL ESTUDIAT. Almenys dos exemplars sobre el tronc d’un pollancre mort. Pollancreda de la riba de ponent de l’Estany de Banyoles, a prop de la masia de Can Morgat. UTM 31N 479543, 4664238. 170 m s.m. 30/11/2016. Leg. J.M. Seguí, det. A. Valverde-Valera. Alguns exemplars sobre troncs de pollancre morts, als voltants de la Font del Rector. UTM 31N 479383, 4663346. 175 m s.m. 05/12/2016. Leg. i det. A. Valverde-Valera. Dos exemplars sobre un tronc viu d’un gran salze blanc (Salix alba), vora el passeig de la Coromina. UTM 31N 479452, 4663376. 175 m s.m. 05/12/2016. Leg. i det. A. Valverde-Valera.

Revista Catalana de Micologia, vol. 38: 31-39; 2017. 37

Ganoderma adspersum (Schulz.) Donk

Es distingeix de Ganoderma applanatum per l’escorça del barret més gruixuda, fins a 2 mm, i l’himenòfor amb porus més amples, en nombre de 4 per mm, amb reacció verda a l’amoníac i amb espores més grans, de 9,6 × 8 µm (BREITENBACH & KRÄNZLIN, 1986: 332; EYSSARTIER & ROUX, 2013: 1026).

MATERIAL ESTUDIAT. Tres exemplars que creixien sobre l’escorça d’un vell salze blanc (Salix alba) encara viu, vora el passeig de la Coromina. UTM 31N 479452, 4663376. 175 m s.m. 05/12/2016. Leg. i det. A. Valverde-Valera.

Ordre Russulales

Peniophora quercina (Pers.) Cooke

Basidiòspores al·lantoides, de 8-12 × 3-4 µm (BERNICCHIA & PÉREZ, 2010: 476).

MATERIAL ESTUDIAT. Crosta recobrint un branquilló de gatell (Salix atrocinerea). Prop de la riera dels Tenyers. UTM 31N 479159, 4663251. 175 m s.m. 05/12/2016. Leg. A. Valverde-Martínez i A. Valverde-Valera, det. A. ValverdeValera.

AGRAÏMENTS

A M. Campos, tècnic-coordinador del Consorci de l’Estany, per la sortida guiada i també per haver-nos facilitat una de les localitzacions de Coriolopsis gallica. A la Dra. M.A. Moret, fitopatòloga de la Unitat de Fisiologia Vegetal de la Universitat de Barcelona, al Dr. J. Girbal, micòleg i membre de la nostra Societat, i a la Dra. M. Berbegal, del Grupo de Investigación en Hongos Fitopatógenos del Instituto Agroforestal Mediterráneo, Universidad Politécnica de Valencia, per ajudar-me en la determinació de Sirosporium celtidis. Pel que fa a la determinació d’Immotthia atrograna, agraeixo la col·laboració de G. Friebes, A. Gardiennet, E. Rubio i W. Jaklitsch, membres del lloc web ASCOfrance, i del Dr. P. Navarro-Rosinés del Departament de Biologia Vegetal de la Universitat de Barcelona.

BIBLIOGRAFIA

AKULOV, O.Yu. & V.P. HAYOVA (2016).- Immotthia atrograna (Dacampiaceae, Ascomycota), a new for Ukraine fungicolous fungus from the Carpathians. Ukrainian Botanical Journal, 73 (1): 84-89.

ALMARAZ, T. (2002).- Bases corológicas de Flora Micológica Ibérica. Números 1766-1932. Cuadernos de Trabajo de Flora Micológica Ibérica, vol. 17. Real Jardín Botánico.

BERBEGAL, M., A. PÉREZ-SIERRA & J. ARMENGOL (2012).- First report of Sirosporium celtidis causing a foliar disease of European hackberry in Spain. Plant Disease, 96 (12): 1826. Accessible a: http: //apsjournals.apsnet.org/doi/abs/10.1094/PDIS-08-12-0714-PDN.

BERNICCHIA, A. (2005).- POLYPORACEAE s.l. Fungi Europaei, 10. Edizioni Candusso. Alassio. 806 pp.

BERNICCHIA, A. & S. PÉREZ (2010).- CORTICIACEAE s.l. Fungi Europaei, 12. Edizioni Candusso. Alassio. 1008 pp.

BREITENBACH, J. & F. KRÄNZLIN (ed.) (1986).- Champignons de Suisse. Tome 2: Champignons sans lames. Edition Mykologia. Lucerne. 411 pp.

BREITENBACH, J. & F. KRÄNZLIN (ed.) (1995).- Champignons de Suisse. Tome 4: Champignons à lames, 2ème partie. Edition Mykologia. Lucerne. 371 pp.

ELLIS, M.B. (1963).- Dematiaceous Hyphomycetes. IV. Mycological Papers, 87: 1-42, 26 figs. Commonwealth Mycological Institute. Kew, England.

EYSSARTIER, G. & P. ROUX (2013).- Le guide des champignons. France et Europe. Éditions Belin. París. 1120 pp.

GARCÍA, A. & J.A. SÁNCHEZ (2009).- Setas de la Península Ibérica y de Europa. Editorial Everest, S.A. León. 840 pp.

GERHARDT, E., J. VILA & X. LLIMONA (2000).- Bolets dels Països Catalans i d’Europa. Ediciones Omega, S.A. Barcelona. 957 pp.

GIRBAL, J. (2000).- Les fulles i els bolets de soca in BOSCH, A et al. (coord.), El Poblat lacustre neolític de la Draga: excavacions de 1990 a 1998. Monografies del Centre d'Arqueologia Subaquàtica de Catalunya, 2: 53-54.

Revista Catalana de Micologia, vol. 38: 31-39; 2017.

GIRBAL, J. (2011).- Els bolets de soca in BOSCH, A., CHINCHILLA, J. & J. TARRÚS (coord.), El Poblat lacustre neolític de la Draga: excavacions de 2000 a 2005. Monografies del Centre d'Arqueologia Subaquàtica de Catalunya, 9: 175-176.

GUARRO, J., L. PUNSOLA & J. CANO (1985).- Myceliophthora vellerea (Chrysosporium asperatum) anamorph of Ctenomyces serratus Mycotaxon, 23: 419-427.

Fig. 2: Immotthia atrograna. A) fructificacions sobre una branca decorticada. B) ascomes. (Fotografies: A. Valverde Martínez).

Fig. 3: Immotthia atrograna. A) ascs, ascòspores i paràfisis. B) aparell apical d’un asc bitunicat. C) ascòspores. D) Conidis. (Escala: A = 15 m; B,C i D = 5 m).

JAKLITSCH, W., Ch. SCHEUER & H. VOGLMAYR (2002).- Notes on the genus Immotthia (Pleosporales, Ascomycetes), including some type studies. Österreichische Zeitschrift für Pilzkunde, 11 (14): 93-106.

MORET, A. & M. NADAL (1982).- Deuteromicets de la família Melanconiàcies paràsits de les plantes de Catalunya. Collectanea Botanica, 13 (2): 587-596.

MORET, A. & M. NADAL (1984).- Contribución al conocimiento de los hongos fitoparásitos de la clase Ascomycotina en Cataluña. Anales de Biología, vol. 1 (Sec. especial, 1): 85-94.

NADAL, M., A. MORET & C. MONTÓN (1984).- Contribució al coneixement dels Dematiaceae de Catalunya. Butlletí Institució Catalana d’Història Natural, 51 (Sec. Bot., 5): 55-65.

NADAL, M. & A. MORET (1991).- Algunas citas recientes del género Phoma Sacc. en Catalunya. Acta Botánica Malacitana, 16 (1): 97-104.

SANTAMARIA, S. (1996).- Bases corológicas de Flora Micológica Ibérica. Números 895-1113. Cuadernos de Trabajo de Flora Micológica Ibérica, vol. 10. Real Jardín Botánico. 126 pp.

SANTAMARIA, S. (1998).- Laboulbeniales (Fungi, Ascomycota) parasitic on Iberian Diptera. Nova Hedwigia, 66 (1-2): 267-278.

Inonotus hispidus (Bull.) P. Karst..

TRES INTERESSANTS MYCENA TROBADES A CATALUNYA

M. À. PÉREZ-DE-GREGORIO1 i L. SÁNCHEZ2

1- c/ Pau Casals, 6, 1er., 1ª. E-17001 Girona. E-mail: mycena@telefonica.net

2- Av. Turó, 3, 7è 3a. E-08390 Montgat (Barcelona). E-mail: leasan59@hotmail.com

ABSTRACT. Three interesting taxa of Mycenaceae, recorded in Catalonia, are described, commented and illustrated: Mycena polyadelpha (Lasch) Kühner, Mycena latifolia (Peck) A.H. Sm., and Mycena cinerella (P. Karst.) P. Karst.

Key words: Basidiomycetes, Mycena, taxonomy, Catalunya, Iberian Peninsula.

RESUM. Es descriuen, comenten i il·lustren tres interessants tàxons de les Mycenaceae, trobats a Catalunya: Mycena polyadelpha (Lasch) Kühner, Mycena latifolia (Peck) A.H. Sm., i Mycena cinerella (P. Karst.) P. Karst.

RESUMEN. Se describen, comentan e ilustran tres interesantes taxones de las Mycenaceae, hallados en Cataluña Mycena polyadelpha (Lasch) Kühner, Mycena latifolia (Peck) A.H. Sm., y Mycena cinerella (P. Karst.) P. Karst.

INTRODUCCIÓ

Continuant amb la col·laboració en l'estudi del gènere Mycena (Pers.) Roussel, iniciat amb els articles de PÉREZ-DE-GREGORIO & SÁNCHEZ (2013 i 2016), presentem de nou uns interessants tàxons trobats a Catalunya.

MATERIAL I MÈTODE

Els exemplars varen ser fotografiats in situ amb una càmera digital Canon G-12. L'estudi i les descripcions macro i microscòpiques es varen realitzar a partir de material fresc, amb un microscopi Optika B-353-PL. Les fotografies microscòpiques es varen realitzar amb una càmera Optikam/B5 acoblada al microscopi, i per a les preparacions s'ha utilitzat aigua, vermell Congo i reactiu de Melzer. El material deshidratat està dipositat a l'herbari personal del segon autor (LSS). Totes les fotografies d'aquest article han estat realitzades per L. Sánchez. En quant a la sistemàtica d'aquesta espècie dintre del gènere Mycena, hem seguit a MAAS GEESTERANUS (1992), ROBICH (2003 i 2016) i ARONSEN & LAESSOE (2016).

DESCRIPCIONS

Mycena polyadelpha (Lasch) Kühner, Encyclopédie Mycologique 10: 262 (1938)

Píleus molt petits, d’ 1 a 3 mm de diàmetre, primer hemisfèric, després cònic- campanulat, fràgil, amb el marge estriat per transparència en alguns exemplars. La cutícula és pruïnosa, de color blanc. Estípit esvelt, de fins a 30 mm de longitud, i uns 0,3 mm d'ample, pruïnós, sobretot vers la base, cilíndric, flexuós, de color blanc, aquós, fràgil i trencadís. Làmines espaiades (5-7/l.), lleugerament arquejades a decurrents, amb lamèl·lules, de color blanc, amb l'aresta del mateix color. Carn escassa, aquosa, de color blanquinós, sense olor ni sabor destacables. Esporada de color blanc.

Fig. 1.- Mycena polyadelpha (Lasch) Kühner; A) espores, B) queilocistidis, C) hifes epicutis, D) hifes estípit i caulocistidis (Foto: L. Sánchez).

Espores de subcilíndriques a el·lipsoïdals, llises, hialines, amiloides de 8,15-9,10 × 3,65-4,20 m; ME = 8,55 × 3,95 m; Q = 2,05-2,30 m; QM = 2,15 m. Basidis bispòrics, alguns tetraspòrics, claviformes. Queilocistidis abundants, de claviformes a subpiriformes, de 15-25 × 11-18 m, amb excrescències digitades a l'àpex. Pleurocistidis no observats. Hifes de la epicutis paral·leles,

Mycena polyadelpha (Lasch) Kühner, (Foto: L. Sánchez)

cilíndriques, de 6 a 11 µm d'ample, recobertes de fines excrescències digitades. Hifes de l’estípit paral·leles, cilíndriques, de 4-8 µm d'ample, amb subtils excrescències. Hifes fibulíferas no observades.

MATERIAL ESTUDIAT: BARCELONA, el Maresme, Canyamars, Riera de Can Rimbles, 2016-02-17, UTM 31T 4531N 4604E, 237 msnm, uns 20 exemplars creixent sobre fulles d'alzina (Quercus ilex), en un marge humit, leg. L. Sánchez i X. Reyes, LSS20160217-2.

OBSERVACIONS La nostra recol·lecció coincideix perfectament amb la descripció de KÜHNER (1938: 262), o la més recent de ROBICH (2003: 552). Tan sols destacar que les espores de la nostra recol·lecció són una mica més curtes que les assenyalades per les formes bispòriques (10-11 µm), però s'ha de tenir en compte que la nostra recol·lecció també presentava alguns basidis tetraspòrics.

Segons la bibliografia consultada, la primera cita a Espanya d'aquesta espècie la vàrem fer nosaltres (PÉREZ-DE-GREGORIO, 1995: 14), també sobre fulles d'alzina i de material procedent de l'illa de Mallorca. Dintre de la secció Polyadelphia Sing. ex Maas G., a la que pertany M. polyadelpha, l'espècie més semblant és M. quercus-ilicis Kühn. Molt més comuna, és potser més exclusiva de fulles d'alzina, mentre que M. polyadelpha es troba habitualment en tot tipus de fulles de Quercus. En l'aspecte microscòpic, M. quercus-ilicis presenta espores més amples, de 5-7 µm, hifes de la cutícula més estretes, de fins a 5 µm, amb presència de pileocistidis. M. capillaris (Schumach.) P. Kumm., que creix sobre fulles de faig (Fagus sylvatica), presenta uns espores inequívocament cilíndriques.

Segons la bibliografía consultada, tot i ser l'espècie més citada a Espanya de la secció Polyadelphia Sing. ex Maas G., només havia estat citada un cop anteriorment a Catalunya (ROCABRUNA & TABARÉS, 2000), concretament a la comarca del Vallès Oriental.

Mycena latifolia (Peck) A.H. Sm.

Mycena latifolia (Peck) A.H. Sm., Mycologia 27: 599 (1935)

= M. pinetorum J.E. Lange, Dansk botanisk Arkiv 1 (5): 30 (1914)

Píleus petit, de 8 a 16 mm de diàmetre, primer hemisfèric, després campanulat, fràgil, amb el marge estriat per transparència. La cutícula és higròfana, de color gris, bru grisenc, bru fosc, amb el disc més fosc i el marge més clar. Estípit esvelt, de 48-64 × 0,8-12 mm, pruïnós a l'àpex, cilíndric, llis, brillant, de color blanquinós a l'àpex, gris o brunenc, sobretot ver la base, buit. Làmines una mica espaiades, d'adnates a decurrents per una dent, amb lamèl·lules, de color blanc o gris pàl·lid, amb l'aresta del mateix color. Carn escassa, aquosa, de color grisenc pàl·lid, sense olor ni sabor destacables. Esporada de color blanc. Espores de subcilíndriques a el·lipsoïdals llises, hialines, lleugerament amiloides de 6,85-8,05 × 3,85-4,45 m; ME = 7,40 × 4,05 m; Q = 1,65-2,05 m; QM = 1,80 m. Basidis tetraspòrics, subclaviformes. Queilocistidis de claviformes a fusiformes, de 54-99 × 9-13 m, típicament amb excrescències a la part central. Pleurocistidis similars. Hifes de l’ epicutis cilíndriques, de 5 a 9 µm d'ample, recobertes de fines excrescències digitades, flexuoses, formant denses masses coral·loides i immerses en matèria gelatinosa. Hifes de l’estípit paral·leles, cilíndriques, flexuoses, recobertes d'excrescències simples o ramificades. Hifes fibulíferes.

MATERIAL ESTUDIAT: GIRONA, el Ripollès, Serrat, Serrat de l’Erola, 2016-10-23, 1250 m snm, uns 20 exemplars que creixient entre acícules de pi roig (Pinus sylvestris), leg. C. Magrasó i L. Sánchez. Herbari: LSS20161023-8.

OBSERVACIONS La nostra recol·lecció coincideix perfectament amb la descripcions clàssiques de KÜHNER (1938: 378) i de SMITH (1947: 263-265), o amb les més recents de MAAS GEESTERANUS (1992: 284) i ROBICH (2003: 425). Per la seva banda, ARONSEN & LAESSOE (2016: 236-237), assenyalen espores de fins a 10 µm, mentre que la resta d'autors citats, donen mesures de fins a 8,8,5 o 9 m, més d’ acord amb el que nosaltres hem observat. La secció Intermediae Künher. ex Maas G., a la que pertany M. latifolia, compta amb cinc espècies, totes elles força rares. La més semblant, sobretot des d'un punt de vista microscòpic, i també present a casa nostra, és M. font-queri Maire, que és més comuna, robusta, típica de final de tardor o començaments de l'hivern, en ambient mediterrani, i que té espores més llargues, de fins a 13,5 m. Podeu veure més informació sobre aquesta espècie a PÉREZ-DE-GREGORIO (2000) i PÉREZDE-GREGORIO & MELIS (2011). M. latifolia prefereix ambients més alpins, associats a coníferes de muntanya, mostrant certa preferència per zones herboses o clarianes. Segons la bibliografía consultada, anteriorment només havia estat citada un cop t a Catalunya, per SINGER (1947: 226, sub nomen M. pinetorum), concretament a la Vall d'Aran, sota Pinus uncinata. No ens consta cap citació més a Espanya, per la qual cosa hem de considerar-la una espècie molt rara.

Mycena cinerella (P. Karst.) P. Karst., Bidrag till Kännedom av Finlands Natur och Folk 32: 113 (1879)

Píleus petit, de 8 a 16 mm de diàmetre, cònico-campanulat, amb el marge estriat per transparència. La cutícula és pruïnosa, higròfana, de color gris més o menys pàl·lid, amb el marge sempre més clar. Estípit esvelt, de 27-51 × 1-2 mm, pruïnós a l'àpex, cilíndric, flexuós, de color blanquinós, grisenc, més bru vers la base, aquós, buit i trencadís (fràgil). Làmines espaiades (16-18/l.), típicament decurrents per una dent, amb lamèl·lules, de color blanc o grisenc, amb l'aresta del mateix color. Carn escassa, aquosa, de color grisenc, sense olor ni sabor destacables. Esporada de color blanc. Espores el·lipsoïdals, llises, hialines, amiloides de 7-9 × 4,5-5 m; Q = 1,55-1,8 m (basidis × 4) o de 8,75-11,05 × 5,35-6,9 m (basidis × 2); ME = 10,2 × 6,1 m; Q = 1,4-1,95 m; QM = 1,67 m. Basidis bispòrics o tetraspòrics, claviformes. Queilocistidis claviformes, de 23-29 × 7-9 m, amb excrescències digitades a l'àpex. Pleurocistidis no observats. Hifes de l’epicutis paral·leles, cilíndriques, de 3 a 6 µm d'ample, recobertes de fines excrescències digitades, formant alguns grups de masses coral·loides, immerses en matèria gelatinosa. Hifes de l’estípit cilíndriques, recobertes d'excrescències, amb terminacions en caulocistidis claviformes, plens de denses excrescències digitades, flexuoses. Hifes fibulíferes presents.

MATERIAL ESTUDIAT: GIRONA, el Ripollès, Campelles, Baga de Campelles, 1995-10-14, 1600 m snm, 7 exemplars que creixien sota Abies alba i Pinus sylvetris, leg. i det. M.À. Pérez-De-Gregorio. Herbari: PG141095; el Baix Empordà, Calonge, 1998-12-13, 150 m snm, 3 exemplars sota Pinus pinea i Quercus cerrioides, leg. F. Rodríguez, det. M.À. Pérez-De-Gregorio. Herbari: PG131298; BARCELONA, l'Alt Penedès, Olesa de Bonesvalls, Clos de Puig Bertran, 2016-11-02, 250 m snm, 8 exemplars que creixien sota Pinus halepensis i Quercus coccifera, leg. F. Montero i L. Sánchez. Herbari: LSS20161102-3.

OBSERVACIONS. Les nostres recol·leccions coincideixen amb les descripcions de ROBICH (2016: 789-793), i d'ARONSEN & LAESSOE (2016: 218-219). Les formes bispòriques havien rebut el nom de M. cinereoides Hintikka, però aquesta entitat fa temps que es va considerar un mer sinònim de M. cinerella. No cal oblidar que la descripció original de M. cinerella la presenta com una espècie amb basidis bispòrics, precisament com en la nostra recol·lecció d'Olesa de Bonesvalls, però també hem trobat recol·leccions tetraspòriques, com la de Calonge. Per tant, d'acord amb a bibliografia citada, aquesta espècie tant pot presentar formes bispòriques com tetraspòriques, fet que, per altra banda, és força freqüent en aquest gènere. Pel que fa a l'hàbitat, sembla tenir preferència per les agulles de coníferes, això sí, tant a la terra baixa, en ambient mediterrani, com als Pirineus. En les nostres recol·leccions, tan sols en la pirinenca, la de Campelles, hi vàrem apreciar una clara olor farinosa. Dintre de la secció Cinerellae Sing. ex Maas G., a la que pertany M. cinerella, l'espècie més semblant és M. clavicularis (Fr.: Fr.) Gillet, molt més comuna, que podem trobar en pinedes d'ambient mediterrani, creixent de forma abundant després de les pluges. Les seves tonalitats, però, són clarament brunes, no grisenques. A banda, presenta un peu lubrificat, que la podria fer confondre amb M. vulgaris (Pers.: Fr.) P. Kumm., aquesta sí, grisenca, però que té uns caràcters microscòpics microscopia molt diferents, i pertany a la secció Fuliginellae (A. H. Smith ex Singer) Maas Geest. Més difícil és la confusió amb l'altre representant de les Cinerellae, M. pseudopicta (J.E. Lange) Kühner, una espècie xeròfila, que creix en ambients mediterranis i presenta caràcters microscòpics diferents. Segons la bibliografia consultada, aquesta espècie no ha estat citada fins ara a Catalunya, per la qual cosa hem de considerar-la poc freqüent. Pel que fa a la resta de la Península Ibèrica, ha estat citada a Galícia per CASTRO (1985), a Madrid per ILLANA et al. (1989: 109), a Andalusia per ZEA & ORTEGA (1991: 127), a Astúries per RUBIO et al. (2006: 210) i a Guadalajara per HEYKOOP & MORENO (2007: 60). Aquests articles no van acompanyats d'imatges macro ni microscòpiques, però les descripcions semblen correspondre amb aquesta espècie. Tan sols ens sembla sorprenent que, a les recol·leccions andaluses, es descriu l'espècie com a lignícola, i això ens fa pensar en un possible error d’identificació.

AGRAÏMENTS

Volem agrair als companys de l'Associació Micològica Joaquim Codina, X. Reyes, que ens va acompanyar en la recol·lecció de M. polyadelpha, i F. Rodríguez, per lliurar-nos la seva recol·lecció de M. cinerella. Tanmateix als companys C. Magrasó i F. Montero, que ens acompanyaren en les recol·leccions de M. latifolia i M. cinerella, respectivament. Finalment, al company L. Rubio per l'ajut en la localització d'algunes referències bibliogràfiques.

BIBLIOGRAFIA

ARONSEN, A. & T. LAESSOE (2016). The genus Mycena s.l. Fungi of nothern Europe. Vol. 5. 373 pp. CASTRO CERCEDA, M.L. (1985). Macromicetes de pinares gallegos. Universidad de Santiago de Compostela. Facultat de Biología. Tesis doctoral. ILLANA, C., M. HEYKOOP, F. ESTEVE-RAVENTÓS & G. MORENO (1989). Aportación al estudio de los Agaricales s.l. de Alcalá de Henares Bol. Soc. Micol. Madrid, vol. 13: 100-115. KÜNHER, R. (1938). Le genre Mycena. Encyclopédie Mycologique. 10: 1-710.

Catalana de Micologia, vol. 38: 41-47; 2017.

Fig. 2.- Mycena latifolia (Peck) A.H. Sm.; A) espores, B) pleurocistidis, C) hifes epicutis (Foto: L. Sánchez).
Fig. 3.- Mycena cinerella (P. Karst.) P. Kars.; A) espores, B) queilocistidis, C) hifes epicutis (Foto L. Sánchez).

MAAS GEESTERANUS, R.A. (1992). Mycenas of the Northern Hemisphere. II. Conspectus of the Mycenas of the Northern Hemisphere. Proc. K. Ned. Akad. Wet. 493 pp.

PÉREZ-DE-GREGORIO, M.À. (1995). Aportació al coneixement dels macromicets de l'Illa de Mallorca. II. Revista Catalana de Micologia, 18: 9-18.

PÉREZ-DE-GREGORIO, M.À. (2000). Mycena font-queri Maire. Bolets de Catalunya. IX col·lecció. Làmina 939. Ed. Soc. Catalana de Micol.

PÉREZ-DE-GREGORIO, M.À. & J. LL. MELIS (2011). Mycena font-queri en las islas Baleares. Parliamo di funghi. 2011: 71-75.

PÉREZ-DE-GREGORIO, M.À. & L. SÁNCHEZ (2013). Una Mycena interesante hallada en Catalunya. Lactarius, vol. 22: 100-105.

PÉREZ-DE-GREGORIO, M.À. & L. SÁNCHEZ (2016). Mycena albida ROBICH, en la Península Ibérica. Revista Catalana de Micologia, vol. 37: 61-64.

ROBICH, G. (2003). Mycena d’Europa. Fondazione Centro Studi Micologici A.M. B. Trento (I). 728 pp.

ROBICH, G. (2016). Mycena d’Europa. Vol. 2. Fondazione Centro Studi Micologici A.M. B. Trento (I). 795 pp.

ROCABRUNA, A. & M. TABARÉS (2000). Aportació a la flora micològica del Maresme, III. Noves dades per a la flora de la serralada litoral catalana. Revista Catalana de Micologia, 23: 103.

SINGER, R. (1947). Champignons de la Catalogne. Espèces observées en 1934. Coll. Bot. 1 (3): 199-332.

SMITH, A.H. (1947). North american species of Mycena. Bibliotheca Mycologia. Band 31. Verlag von J. Cramer. New York. 521 pp.

Mycena cinerella (P. Karst.) P. Karst. (Foto L. Sánchez).

NOTES COROLÒGIQUES SOBRE LA FUNGA D’EIVISSA (ILLES BALEARS, ESPANYA). IV.

J.L. SIQUIER1, J.C. SALOM2, J. PLANAS3, J. ESPINOSA4, J. LLISTOSELLA5 i A. SERRA6

1.- Carrer Major, nº 19. E-07300-Inca (Illes Balears). E-mail: pepemycete@hotmail.com

2.- Conselleria de Medi Ambient, Agricultura i Pesca. Carrer Gremi Corredors, 10. E-07009-Palma de Mallorca (Illes Balears).- E-mail: joancarles.salom@gmail.com

3.- Carrer Can Socies, nº 12. E-07010-Palma de Mallorca (Illes Balears). E-mail: jplanas@ascomicet.es

4.- Sant Jaume, 96. 07840-Santa Eulària des Riu (Illes Balears). E-mail: je.nogera@gmail.com

5.- Institut de Recerca de Biodiversitat (IRBIO). Grup de Micologia. Departament de Biologia Vegetal. Universitat de Barcelona. Av. Diagonal, 645. E-08028-Barcelona. E-mail: jllistosella@ub.edu

6.- Ap. 31. 07814 (Can Miquelet)-Santa Gertrudis de Fruitera (Illes Balears). E-mail: afelicor@gmail.com

RESUM: Notes Corològiques sobre la Funga d’Eivissa (Illes Balears, Espanya). IV. Se citen 28 tàxons, dels quals tres són primera citació a les Illes Balears: Neurospora sitophila Sear & B.O. Dodge, Camarophyllopsis foetens (W. Phillips) Arnolds i Psathyrella dunensis Kits van Wav. A més n’hi ha 11 que són primeres citacions per a Eivissa: Agaricus bresadolanus Bohus, Chamaemyces fracidus (Fr.) Donk, Crepidotus mollis (Schaeff.) Staude. Dermoloma josserandii Dennis & P.D. Orton, Gymnopus androsaceus Della Maggiora & Trassinelli, G. quercophilus (Pouzar) Antonin & Noordel., Lepiota castanea Quél., Lycoperdon lividum Pers., Mycena pura var. rosea Gillet, Hemileccinum impolitum (Fr.) Šutara, Rheubarbariboletus persicolor (H. Engel, Klofac, H. Grünert & R. Grünert) Vizzini, Simonini & Gelardi. També s’aporten notes sobre llur taxonomia, ecologia i corologia.

PARAULES CLAU: Ascomycota, Basidiomycota, Illes Balears. Espanya.

ABSTRACT: Chorologic notes about the Funga of the Ibiza island (Balearic Islands, Spain). IV Twenty eight taxa of fungi found in Eivissa (Ibiza) island are commented. After the information available to us, 3 of them seems to be new record for the funga of Balearic Islands: Neurospora sitophila Sear & B.O. Dodge, Camarophyllopsis foetens (W. Phillips) Arnolds i Psathyrella dunensis Kits van Wav. Also 11 taxa are new records for the funga of Eivissa (Ibiza) island: Agaricus bresadolanus Bohus, Chamaemyces fracidus (Fr.) Donk, Crepidotus mollis (Schaeff.) Staude Dermoloma josserandii Dennis & P.D. Orton, Gymnopus androsaceus Della Maggiora & Trassinelli, G. quercophilus (Pouzar) Antonin & Noordel., Lepiota castanea Quél., Lycoperdon lividum Pers., Mycena pura var. rosea Gillet, Hemileccinum impolitum (Fr.) Šutara, Rheubarbariboletus persicolor (H. Engel, Klofac, H. Grünert & R. Grünert) Vizzini, Simonini & Gelardi. Remarks on their ecology, taxonomy and chorology are also included.

KEY WORDS: Ascomycota, Basidiomycota, Balearic Islands, Spain.

INTRODUCCIÓ

L’objectiu d’aquest treball és continuar amb el coneixement i catalogació de la funga de l’illa d’Eivissa, aportant noves citacions i dades que complementen els anteriors articles publicats específics per al coneixement micològic d’aquesta illa (SIQUIER et al., 2006, 2011a i 2011b) tots recollits a SIQUIER & SALOM (2013). Desprès de la publicació d’aquest darrer catàleg micològic balear, hem trobat també altres citacions de tàxons recol·lectats a l’illa, les quals han estat incloses en articles que abracen tot l’àmbit de les Balears, com SALOM et al. (2015) pel que fa al gènere

Catalana de Micologia, vol. 38: 49-57; 2017.

Cortinarius, i a SIQUIER et al. (2015). L’article que ara es publica recull els tàxons recol·lectats pels autors, amb l’ajuda de la resta d’integrants de FCMB a l’illa durant la campanya de tardor de 2014, així com altres recol·lectats posteriorment o que estaven pendents d’estudi d’altres campanyes precedents realitzades. Volem remarcar que, actualment, el nombre total de tàxons de fongs i mixomicets dels quals tenim coneixement i que integren el catàleg actual d’Eivissa és de 419.

MATERIAL I METODOLOGIA

El tàxons estan ordenats per ordre alfabètic, dins els ordres inclosos a cada classe, i duen menció de la localitat, la quadrícula UTM, l’altitud, l’hàbitat on han estat recol·lectats, la data de recol·lecció i el número d’herbari. A l’apartat d’observacions, basant-nos amb la bibliografia abans esmentada, es comenta si són novetat per a les Illes Balears, per a Eivissa o són, tan sols, noves localitzacions a l’illa. Si no es fa menció de qui ha recol·lectat o identificat les mostres, s’ha de considerar que han estat els autors o, al menys, un d’ells. Tot el material descrit es troba dipositat en els herbaris particulars JLS (J.L. Siquier), JCS (J.C. Salom) i duplicats d’alguna mostra en el FMR (Facultat de Medecina de Reus) i JEN (J. Espinosa), amb el número de referència que s’indica en cada cas. Per fer les fotografies s’han utilitzat càmeres digitals Nikon D7000 i Nikon 300S. Per fer les descripcions microscòpiques s’han utilitzat microscopis Olympus BX40 i BX51 i els reactius adients. Per tal d’actualitzar la nomenclatura dels tàxons s’han seguit, en general, l’Index Fungorum i MycoBank.

ESPÈCIES ESTUDIADES

ASCOMYCOTA

PEZIZALS

Helvella juniperi M. Filippa & Baiano

MATERIAL ESTUDIAT. Sant Josep de sa Talaia, platja des Cavallet, UTM: 31SCD6101, alt. 0-10 m, dunes amb Pinus halepensis, 8-XII-2014, JLS 3854.

OBSERVACIONS. Nova localitat a Eivissa.

SORDARIALS

Neurospora sitophila Sear & B.O. Dodge = Chrysonilia sitophila (Mont.) Arx; = Penicillium sitophilum Mont.

MATERIAL ESTUDIAT. Sant Joan de Labritja, torrent del Port de Sant Miquel, UTM: 31SCD6425, alt. 30 m, nombrosos individus sobre soques i restes mig cremades de Nerium oleander, Arundo donax, Ficus carica, Dyospyros caki, Opuntia maxima i Capparis spinosa, dues setmanes desprès d’un incendi forestal a la zona, 02-VIII-2015, det. J. Gené, JLS 3898, FMR H14642, JEN 309.

OBSERVACIONS. Després d’un incendi l’anomorf d’aquest fong conegut com Chrysonilia sitophila (Mont.) Arx pot experimentar un creixement explosiu, a causa de l’estimulació física i/o química que li produeix aquest fenomen. La calor despresa activa la capacitat germinativa dels conidis i, acte seguit, es produeix una colonització ràpida de les restes cremades. En el camp, s’observen com una mena de masses hifals, inicialment ataronjades que, finalment, esdevenen negroses; microscòpicament, presenten conidis plurinucleats o microconidis uninucleats. El teleomorf s’anomena Neurospora sitophila Sear & B.O. Dodge i actualment és el nom adoptat per a aquest fong pleomorf. Nova citació a les Illes Balears.

BASIDIOMYCOTA

AGARICALS

Agaricus bresadolanus Bohus

MATERIAL ESTUDIAT. Sant Josep de sa Talaia, es Codolà, UTM: 31SCD5602, alt. 0-5 m, on creixia quasi fasciculat, en una zona arenosa bastant molt alterada per factors antròpics propera a la mar, 10-XII-2014, JLS 3858.

OBSERVACIONS. Nova citació a Eivissa i l’onzena espècie d’Agaricus citada a l’illa.

Agaricus gennadii (Chatin & Boud.) P.D. Orton

MATERIAL ESTUDIAT. Sant Josep de sa Talaia, Cala Bassa, sobre sòl arenós, en una clariana vora una pineda (Pinus halepensis), UTM: 31SCD4714, alt. 0-10 m, 9-XII-2014, JLS 3848.

OBSERVACIONS. Nova localitat a Eivissa.

Camarophyllopsis foetens (W. Phillips) Arnolds

DESCRIPCIÓ. Es varen recol·lectar 3 exemplars amb creixement fasciculat (units per la base de l’estípit). Píleu 6-10 mm de diàmetre, d’hemisfèric a troncocònic invertit (obcònic), llis, subvellutat, un poc untuós al tacte, de color bru a bru fosc, higròfan, que es decolora amb la sequedat fins a tons beix-grisosos, restant el centre més fosc; marge sencer, que s’excoria un xic en envellir. Làmines arquejades inicialment, més ascendents-triangulars quan es desenvolupen, decurrents, però ben delimitades finalment per una línia blanquinosa, beix- grisós, amb aresta més

Fig. 1.- Neurospora sitophila Sear & B.O. Dodge (JEN 309). A-B: Ascomes. C-D: Conidiòfors i conidis.

clara i presència de lamèl·lules. Estípit 26 × 2 mm, cilíndric, més pla i ample vers l'àpex i més atenuat vers a la base, llarg, elàstic, fistulós, subtomentós (recobert d’un toment gruixat i bru, que a la lupa li dóna un aspecte granellut); d’igual color que el píleu, també és un xic higròfan, i empal·lideix suaument per deshidratació, presentant reflexes brillants, de color beix-grisós; a la base adopta coloracions bru-negroses amb la manipulació. Carn minsa, higròfana, de blanquinosa a beix-grisosa al píleu, més bruna grisosa a bruna a l’estípit; olor molt forta, que recorda la del Tricholoma sulphureum.

MATERIAL ESTUDIAT. Santa Eulària des Riu, Can Mayol UTM 31SCD6518, alt. 110-120 m, entre fullaraca de pi i herbes nitròfiles, 8-XII-2014, JCS 1311B.

OBSERVACIONS. Aquesta espècie de Camarophyllopsis s’identifica fàcilment pel color bru dels seus carpòfors i, sobretot, per la forta olor a gas de cuina que desprèn, la qual es percep a l’instant quan es recol·lecta. Nova citació a les Illes Balears.

Chamaemyces fracidus (Fr.) Donk

MATERIAL ESTUDIAT. Santa Eulària des Riu, Can Miquelet, UTM: 31SCD6118, alt. 150-175 m, sota Quercus ilex a la pineda de Pinus halepensis, 3-XII-2014, JLS 3757.

OBSERVACIONS. Nova citació a Eivissa.

Collybia cirrhata (Schumach.) Quél.

MATERIAL ESTUDIAT. Santa Eulària des Riu, Can Mayol, UTM 31SCD6518, alt. 110-120 m, sobre restes de fusta indeterminada, 8-XII-2014, JCS-1315B.

OBSERVACIONS. Nova localitat a Eivissa.

Crepidotus mollis (Schaeff.) Staude

MATERIAL ESTUDIAT. Sant Josep de sa Talaia, platja des Cavallet, UTM: 31SCD6101, alt. 0-10 m, a les reredunes consolidades amb Pinus halepensis i Juniperus phoenicea, sobre fusta no determinada en descomposició, 8-XII-2014, JCS-1310B.

OBSERVACIONS. Es varen recol·lectar dos carpòfors poc desenvolupats de 3-4 mm de diàmetre, però amb els caràcters microscòpics propis d’ aquesta espècie. Nova citació a Eivissa.

Dermoloma josserandii Dennis & P.D. Orton

MATERIAL ESTUDIAT. Sant Antoni de Portmany, ses Planes d’en Frencolí, UTM: 31SCD5820, alt. 100-200, a la pineda de Pinus halepensis amb presència de Juniperus phoenicea, J. oxycedrus i Pistacia lentiscus, 7-XII-2014, JLS 3822.

OBSERVACIONS. Nova citació a Eivissa.

Gymnopus androsaceus Della Maggiora & Trassinelli

MATERIAL ESTUDIAT. Sant Antoni de Portmany, ses Planes d’en Frencolí, UTM: 31SCD5820, alt. 100-200, a la pineda de Pinus halepensis amb presència de Juniperus phoenicea, J. oxycedrus i Pistacia lentiscus, 7-XII-2014, JLS 3830.

OBSERVACIONS. Nova citació a Eivissa.

Gymnopus quercophilus (Pouzar) Antonin & Noordel.

MATERIAL ESTUDIAT. Santa Eulària des Riu, Can Miquelet, UTM: 31SCD6118, alt. 150-175 m, sobre fulles de Quercus ilex caigudes, 3-XII-2014, JLS 3750.

OBSERVACIONS. Nova citació a Eivissa.

Hemimycena lactea var. tetraspora (Kühner & Valla) f. tetraspora

MATERIAL ESTUDIAT. Santa Eulària des Riu, Can Miquelet, UTM: 31SCD6118, alt. 150-175 m, entre fulles de Cistus monspeliensis, baix Quercus ilex, 3-XII-2014, JLS 3752.

OBSERVACIONS. Nova localitat a Eivissa.

Hydnangium aurantiacum R. Heim & Malençon

MATERIAL ESTUDIAT. Sant Josep de sa Talaia, Puig d’en Serra, UTM: 31SCD4905, alt. 300 m, semihipogeu a la pineda de Pinus halepensis amb presència de Juniperus phoenicea, 9-XII-2014, JLS 3851, JCS 1318B bis.

OBSERVACIONS. Nova localitat a Eivissa.

Lepiota castanea Quél.

MATERIAL ESTUDIAT. Sant Josep de sa Talaia, Puig d’en Serra, UTM: 31SCD4905, alt. 300 m, a una pineda de Pinus halepensis amb presència de Juniperus phoenicea, però sota Quercus coccifera, 9-XII-2014, JCS 356L.

OBSERVACIONS. Nova citació a Eivissa.

Lepiota griseovirens Maire

MATERIAL ESTUDIAT. Sant Antoni de Portmany, ses Planes d’en Frencolí, UTM: 31SCD5820, alt. 100-200, a la pineda de Pinus halepensis amb presència de Juniperus phoenicea, J. oxycedrus i Pistacia lentiscus, 7-XII-2014, JCS 353 L.

OBSERVACIONS. Nova localitat a Eivissa.

Lycoperdon lividum Pers.

MATERIAL ESTUDIAT. Santa Eulària des Riu, Can Miquelet, UTM: 31SCD6118, alt. 150-175 m, sota Quercus ilex a la pineda de Pinus halepensis, 11-XII-2014, JLS 3860.

OBSERVACIONS. Nova citació a Eivissa.

Mycena capillaripes Peck

MATERIAL ESTUDIAT. Santa Eulària des Riu, Can Miquelet, UTM: 31SCD6118, alt. 150-175 m, entre fullaraca de pi a la pineda de Pinus halepensis, JLS 3-XII-2014, JLS3755.

OBSERVACIONS. Nova localitat a Eivissa.

Mycena pura var. rosea Guillet

MATERIAL ESTUDIAT. Sant Antoni de Portmany, ses Planes d’en Frencolí, UTM: 31SCD5820, alt. 100-200, a la pineda de Pinus halepensis amb presència de Juniperus phoenicea, J. oxycedrus i Pistacia lentiscus, 7-XII-2014, JLS 3818.

OBSERVACIONS. Aquesta varietat no és acceptada per Index Fungorum però si per MycoBank. Nova citació a Eivissa.

Parasola auricoma (Pat.) Redhead, Vilgalys & Hopple = Coprinus auricomus Pat.

MATERIAL ESTUDIAT. Sant Antoni de Portmany, ses Planes d’en Frencolí, UTM: 31SCD5820, alt. 100-200, entre molses a la pineda de Pinus halepensis amb presència de Juniperus phoenicea, J. oxycedrus i Pistacia lentiscus, 7-XII2014, JLS 3831.

OBSERVACIONS. Nova localitat a Eivissa.

Revista Catalana de Micologia, vol. 38: 49-57; 2017.

Pholiota

brunnescens A.H. Sm. & Hesler

MATERIAL ESTUDIAT. Sant Josep de sa Talaia, Puig d’en Serra, UTM: 31SCD4905, alt. 300 m, a la pineda de Pinus halepensis amb presència de Juniperus phoenicea, 9-XII-2014, JCS 1314B.

OBSERVACIONS. Es pot trobar una descripció acurada d’aquesta interessant espècie a SIQUIER et al. (2011b). Nova localitat a Eivissa.

Psathyrella candolleana (Fr.) Maire

MATERIAL ESTUDIAT. Sant Antoni de Portmany, ses Planes d’en Frencolí, UTM: 31SCD5820, alt. 100-200, a la pineda de Pinus halepensis amb presència de Juniperus phoenicea, J. oxycedrus i Pistacia lentiscus, 7-XII-2014, JLS 3833.

OBSERVACIONS. Nova localitat a Eivissa.

Psathyrella dunensis Kits van Wav.

MATERIAL ESTUDIAT. Sant Josep de sa Talaia, platja des Cavallet, UTM: 31SCD6101, alt. 0-10 m, dunes amb Pinus halepensis, en clarianes arenoses dins les reredunes o entre molses del grup de les Pottials, 8-XII-2014, JLS 3839 i 3840.

OBSERVACIONS. Pot compartir hàbitat amb P. ammophila (Durieu & Lév.) P.D. Orton, però se’n diferencia perquè aquesta presenta espores de mides més grans, (10) 11-13,5 × 6,5-7,5 (8) µm, amb porus germinatiu de subtruncat a truncat, i diàmetre 1,5-2 µm, i cistidis molt versiformes. En canvi les nostres mostres presentaven les espores de 7,9-9,4 (10,3) × 4,6-6 µm, amb porus germinatiu més petit, 0,9 µm i cistidis més aviat lageniformes, caràcters compatibles amb P. dunensis; sospitam que algunes citacions realitzades a les Illes Balears de P. ammophila puguin ser en realitat P. dunensis. Nova citació a les Illes Balears.

Psathyrella dunensis Kits van Wav. (JLS 3839).

Catalana de Micologia, vol. 38: 49-57; 2017.

Camarophyllopsis foetens (W. Phillips) Arnolds (JCS 1311B).

Catalana de Micologia, vol. 38: 49-57; 2017.

Simocybe

centunculus var. maritima (Bon) Senn-Irlet

MATERIAL ESTUDIAT. Sant Josep de sa Talaia, platja des Cavallet, UTM: 31SCD6101, alt. 0-10 m, dunes amb Pinus halepensis, entre restes de Juncus sp. i Sarcocornia alpini, 8-XII-2014, JLS 3842.

OBSERVACIONS. Tornam a retrobar aquest interessant tàxon a la mateixa localitat, fidel a l’hàbitat on fructifica.

Tulostoma xerophilum Long

MATERIAL ESTUDIAT. Sant Josep de sa Talaia, Puig d’en Serra, UTM: 31SCD4905, alt. 300 m, enmig d’un camí, entre restes de fusta triturades, 9-XII-2014, JCS 1320B.

OBSERVACIONS. Nova localitat a Eivissa.

Volvariella murinella (Quél.) M.M. Moser

MATERIAL ESTUDIAT. Sant Antoni de Portmany, ses Planes d’en Frencolí, UTM: 31SCD5820, alt. 100-200, a la pineda de Pinus halepensis amb presència de Juniperus phoenicea, J. oxycedrus i Pistacia lentiscus, 7-XII-2014, JCS-1306B.

OBSERVACIONS. Citada prèviament per FINSCHOW (1984). Nova localitat a Eivissa.

BOLETALS

Hemileccinum impolitum (Fr.) Šutara

= Boletus impolitus (Fr.)

MATERIAL ESTUDIAT. Santa Eulària des Riu, Can Miquelet, UTM: 31SCD6118, alt. 150-175 m, sota exemplars de Quercus ilex vora la pineda de Pinus halepensis, 3-XII-2014, JLS 3749.

OBSERVACIONS. Nova citació a Eivissa.

Rheubarbariboletus persicolor (H. Engel, Klofac, H. Grünert & R. Grünert) Vizzini, Simonini & Gelardi

= Xerocomus persicolor H. Engel, Klofac, H. Grünert & R. Grünert

MATERIAL ESTUDIAT. Sant Antoni de Portmany, Font Judista de Buscastell, UTM: 31SCD5819, alt. 125 m, en un camí de substrat mig margós i argilós, dins un bosc de Quercus coccifera, Pinus halepensis, Pistacia lentiscus, Juniperus phoenica i J. oxycedrus, 17-X-2015, JEN 311.

OBSERVACIONS. Nova citació a Eivissa.

GOMFALS

Phaeoclavulina abietina (Pers.) Giachini

= Ramaria abietina (Pers.) Quèl.

MATERIAL ESTUDIAT. Sant Antoni de Portmany, ses Planes d’en Frencolí, UTM: 31SCD5820, alt. 100-200, a la pineda de Pinus halepensis amb presència de Juniperus phoenicea, J. oxycedrus i Pistacia lentiscus, 7-XII-2014, JLS 3821, JCS 1309B.

OBSERVACIONS. Nova localitat a Eivissa.

AGRAÏMENTS

Els autors volem agrair als companys de FCMB: C. Constantino, J. Güell, F. Lillo, L. Llorens i A. Martínez, l’ajuda en la recol·lecció de mostres, la seva companyia i els moments agradables viscuts

durant la campanya del 2014 a les Pitiüses. També a Pep Ferrer (“Piset”) per la seva proverbial amabilitat i deixar-nos prospectar a la seva finca de Can Mayol.

BIBLIOGRAFIA

FINSCHOW, G. (1984). Contributions to the higher fungal flora of Eivissa. In: Kuhbier, H. et al. (eds.). Biogeography of the Pityusic Islands: 137-154. The Haage.

SALOM, J.C., J.L. SIQUIER & R. MAHIQUES (2015). El gènere Cortinarius a les Illes Balears (Espanya). I. Rev. Catalana Micol., 36: 13-29.

SIQUIER, J.L. & J.C. SALOM (2013). Catálogo de Hongos y Mixomicetos de las Islas Baleares. Ed. Micobalear. Sóller. 527 pp.

SIQUIER, J.L., J.C. SALOM, M. VERICAD, J. ESPINOSA & A. SERRA (2006). Notas corológicas sobre la flora micológica de Ibiza (Islas Baleares, España). I. Bol. Soc. Micol. Madrid 30: 281-290.

SIQUIER, J.L., J.C. SALOM, J. ESPINOSA & A. SERRA (2011a). Notes corològiques sobre la flora micològica d’Eivissa (Illes Balears). II. Rev. Catalana Micol., 33: 1-14.

SIQUIER, J.L., J.C. SALOM, J. ESPINOSA & A. SERRA (2011b). Notes corològiques sobre la flora micològica d’Eivissa (Illes Balears). III. Rev. Catalana Micol., 33: 51-87.

SIQUIER, J.L., J.C. SALOM, J. ESPINOSA, F. ESTEVE-RAVENTÓS, J. LLISTOSELLA & S. GOMES (2015). Contribució al coneixement micològic de les Illes Balears (Espanya). XXI. Rev. Catalana Micol., 36: 59-88.

LOS HONGOS Y LOS ESPIRITUS ELEMENTALES

M. NIELL

Centro de Estudios de la Nieve y de la Montaña de Andorra (CENMA) del Instituto de Estudios Andorranos (IEA) - Av. Rocafort, 21-23. Edifici Molí, 3er pis Sant Julià de Lòria AD600- Andorra. Mail: mniell.cenma@iea.ad

RESUMEN. La creencia según la cual los efectos tóxicos de Amanita muscaria (L.) Lam. explican el origen de algunas leyendas referentes a espíritus elementales de la naturaleza. Por desgracia, muchos de estos estudios parten de generalizaciones poco demostradas y se basan más en suposiciones que en hechos. A ello hay que añadir que su consumo está muy pobremente documentado en Europa. El hongo yesquero, Fomes fomentarius (L.) Fr., con una historia de uso largamente documentada, ofrece cualidades para relacionarlo con las leyendas referentes al fuego, al origen del fuego y a los seres mitológicos a él asociados.

PALABRAS CLAVE: etnomicología, leyendas, hadas, menairons, Amanita muscaria, Fomes fomentarius

SUMMARY. The fungi and the spirits of the Nature The toxic effects of the fly agaric, Amanita muscaria (L.) Lam. had been proposed for some authors as the origin of some legends concerning the elemental spirits of Nature. Unfortunately, many of these studies are reflecting generalizations not demonstrated, and are based more on assumptions than on facts. Also, the consumption of the fly agaric is very poorly documented in Europe. On the other hand, the tinder fungus, Fomes fomentarius (L.) Fr., with a long-documented history of use, offers qualities to be related with the legends concerning fire, the origin of fire and some of the mythological spirits.

KEY WORDS: ethnomycology, legends, fairy, goblin, Amanita muscaria, Fomes fomentarius

INTRODUCCIÓN

Después del punto de partida para los estudios etnomicológicos que supuso la publicación del libro de WASSON & WASSON (1957), se multiplicaron un buen número de trabajos que, hasta la fecha, sugieren que Amanita muscaria (L.) Lam. se sitúa en el origen de las creencias religiosas y mitológicas de numerosos pueblos europeos y asiáticos. Estos estudios han influido en autores como GINZBURG (2003) o LEVI-STRAUSS (1977), entre otros, que a menudo han adoptado estas tesis o las han readaptado. Entre otras aportaciones está la idea de que los gnomos o duendes son una derivación del consumo de setas. Por ejemplo, FERICGLA (1998) señala que algunos de los espíritus elementales de Cataluña, como son los follets, se habrían ideado como producto de los delirios provocados por la ingestión de la Amanita muscaria. Paralelamente, se ha producido y popularizado un gran número de libros y artículos. Estas ideas también se han propagado ampliamente por Internet, en numerosas páginas web. Basta con teclear en un buscador “Amanita” y “gnomos”. Estas aportaciones han gozado de mucha popularidad, a pesar de su escaso rigor científico, y han creado un imaginario de apariencia real sobre unos datos que no han sido suficientemente contrastados.

OBJETIVOS

En este trabajo se pretende aportar un nuevo punto de vista sobre la conexión entre los espíritus elementales y los hongos, que podría ayudar a completar las interpretaciones sobre el origen de estos seres en la línea de las aportadas por VIOLANT (1947) y CASANOVA & CREUS (2000). A su vez, se quiere revisar críticamente algunas de las hipótesis que los relacionan a la capacidad

intoxicante de las setas. Se propone una nueva aportación, que relaciona algunos de estos espíritus ligados al fuego y las chispas de luz con el uso de las setas de yesca para encender el fuego.

LOS ESPÍRITUS ELEMENTALES

El mundo de la mitología es muy complejo y depende de numerosos factores: la historia, la evolución de las ideas, las influencias de diversas culturas y tradiciones.. De esta manera, el discurso mítico se reescribe en cada generación, adecuándose a las nuevas épocas y tomando diferentes funciones. Adoptamos el nombre de espíritus elementales empleado para VIOLANT (1947) para designar aquellos seres que están en una catalogación incierta, no siendo fantasmas, ni divinidades ni demonios propiamente dichos. Hay varios espíritus elementales que han sido considerados como espíritus de la naturaleza, de los hogares, de las minas, de las fuentes.. El número de estos seres es muy elevado y tienen una infinidad de nombres en todas las lenguas europeas. Por ejemplo, en catalán son, entre otros: fada, follet o menairó; en castellano: hada, duende, trasgo; en francés: gobelin, fée, lutin; en inglés: fairy, elf, pixies, goblins, kobold, en la tradición germánica: elfs o trolls; en la eslava, rusalka, domovoi, entre otros. VIOLANT (1947) divide los espíritus elementales en las siguientes categorías:

Duendes. Incluye los espíritus relacionados con el hogar, de hábito doméstico y que tienen la capacidad de ayudar en las tareas del hogar o de provocar altercados. Son los trasgus asturianos o los follets catalanes (el mismo término, follet en el Pallars o Andorra, se emplea para designar un viento).

Familiares. Este grupo contiene los espíritus ligados a la persona. Suelen aportar ventajas económicas a quien los poseen, pero también pueden generar problemas si el propietario no los puede manejar bien. Se relacionan con las brujas y el diablo. En castellano son los familiares y en catalán los familiars, en la zona de los Pallars reciben el nombre de minairons o menairons y a menudo están dentro de un pequeño tubo de estrecho grosor. Según CASANOVA & CREUS (2000), también han sido descritos como chispas de luz.

Lamias / encantadas / dones d’aigua. Son espiritus elementales de los ríos y los lagos, con apariencia de mujer y, en el caso de las lamias vascas, con pies de pato. Tienen la costumbre de peinarse sus largos cabellos rubios, de lavar tejidos..

Seres silvestres de los bosques. Sus representantes más típicos son Basajaun, un personaje vasco, y su mujer, Basandere. Viven en los bosques y suelen ser peludos. A menudo son gigantes.

También describe otros seres, algunos de los cuales están entre el mundo de los espíritus y la realidad, como las brujas. Otros comparten algunas de las características de los espíritus elementales señalados más arriba, como las almas en pena entre otros.

ORIGEN DE LAS LEYENDAS

El origen de este conjunto de espíritus elementales ha sido estudiado por numerosos autores y tiene varias interpretaciones. Diversos autores han interpretado a los elementales como los espíritus de los bosques, fuentes, cuevas, ríos, culto a los muertos o espíritus protectores de clanes o familias, etcétera, de las antiguas creencias europeas. De esta opinión es LECOUTEUX (2001), que indica que muchos de los espíritus elementales son en realidad genios de lugar (genius loci) cuyo culto ha pervivido hasta tiempos relativamente recientes, más o menos cristianizados, convirtiéndose en algunas veces en las Vírgenes u otros Santos patrones de cuevas, fuentes, etcétera. Para otros son una reinterpretación, en tiempos más o menos recientes, de antiguos cultos (MICHELET, 2004). De forma similar a lo que establece esta tesis, también puede tratarse de antiguas pervivencias de divinidades greco-latinas (Pan y Silvano) o espíritus del hogar ligados al culto de los antepasados (Lares, Manes, Penates, Lemures..) (CASANOVA & CREUS. 2000). VIOLANT (1947) indica que el origen de los duendes del hogar está en el fuego y el culto al fuego, donde están

representados los espíritus de los antepasados y de los familiares difuntos. Viene a defender esta idea el hecho de que en el Pallars son las almas en pena las que se comportan como los duendes del resto de Cataluña. CASANOVA & CREUS (2000) ofrecen dos hipótesis para el origen de los duendes, una de ellas apunta a la misma idea que la de Violant; después de analizar las características de algunos espíritus elementales del folclore catalán, llegan a la conclusión de que el origen de estos seres está en los espíritus de los antepasados que se encuentran ligados al fuego del hogar, por lo tanto, estos seres serían una antropomorfización del fuego y el fuego del hogar el punto de reunión del panteón familiar. PUCHE et al (2010) indican que el origen de los minairons está en las minas y hacen derivar el nombre minairó de minero (miner, en catalán), ya que se han encontrado documentos de los siglos XVI y XVII que utilizan este nombre para los mineros. El nombre sería un diminutivo de minero. Sin embargo, tal y como señalan CASANOVA & CREUS (2000), es probable que el personaje mitológico poco tenga que ver con los mineros, ya que en las leyendas en las que aparecen nunca se relacionan con las minas y su carácter es más similar al de los familiares. Como hemos señalado, también hay quien relaciona algunos de estos seres mitológicos, en especial los minairons, con el consumo de sustancias enteógenas, como son FERICGLA (1998) y también, como hipótesis alternativa, CASANOVA & CREUS (2000).

RELACIÓN ENTRE ELEMENTALES Y HONGOS

La relación entre algunos de los espíritus elementales y las setas ha sido señalada por diversos autores (FERICGLA, 1998; CASANOVA & CREUS, 2000; GINZBURG, 2003, entre otros). Un ejemplo son las representaciones pictóricas de los gnomos de postales y cartas alemanas o anglosajonas del siglo XIX o principios del XX (o las de Apel·les Mestres en el caso de Cataluña) donde algunos elementales a menudo aparecen relacionados con setas, especialmente con Amanita muscaria. Según DUGAN (2008) y CALLEJO (1996) en las lenguas francesas e inglesas se designan las setas con nombres que apuntan al mundo mitológico, por ejemplo el scarlet elf cap (gorra roja de elfo) para Sarcoscypha coccinea (Gray) Boud. Esta relación es más patente en el caso de los corros de brujas. Los corros de brujas, producidos por el crecimiento concéntrico del micelio, muy evidentes en los prados, han tenido varios nombres en las lenguas europeas, relacionados con el mundo mágico y / o de los espíritus, aunque no queda demostrada una relación directa con las setas que constituyen el corro. Se les conoce como fairy rings en inglés, ("anillos de hadas"); en francés los ronds de sorcière ("anillos de hechiceras"); en alemán son los Hexenringe ("anillos de brujas"); en polaco son los Czarcie ko³o (anillos del diablo). Los corros de brujas son considerados como lugares mágicos, formados allí donde determinados espíritus elementales, como hadas, elfos u otros, bailan en círculos (ver CALLEJO, 1996; BRIGGS, 2003). Pero también son lugares donde las condiciones de tiempo y espacio se vuelven más fluctuantes, como en el cuento Rip van Winkle (1819), de W. Irving. La relación de los corros de brujas con el mundo de la magia y / o de los espíritus queda demostrada en los procesos contra las mujeres acusadas de brujería en las Islas Británicas; en algunas de las declaraciones encontramos comentarios como los siguientes: del año 1655: “Seria razonable preguntarse por la naturaleza de esos anillos oscuros que hay en los prados, a los que llaman Círculos de las Hadas. Si se trata de lugares de cita de las brujas, o de los espacios que esos espíritus llamados elfos o duendes se reservan para danzar.” Citado por MURRAY (1978). Los círculos de hadas no serían otra cosa que los corros de brujas. En Inglaterra, la tradición que relaciona los corros de brujas y los seres fantásticos se mantuvo viva hasta tiempos relativamente recientes. En el siglo XIX, en el imaginario victoriano, se pintaron cuadros de hadas bailando en círculos alrededor de setas o sentadas sobre setas (ver figura 1 y 2). AMADES (1952), recoge una tradición referente a la noche que de San Juan, donde indica que allí donde danzan las brujas crecen setas venenosas. Aunque él habla de mataparents (nombre popular genérico para las especies de Boletus que azulean al corte o al tacto). Para una mayor documentación sobre el tema de los corros de brujas y su relación con la literatura, especialmente la inglesa, véase DUGAN (2008). El mismo autor también señala como en algunos relatos ingleses,

las setas han sido descritas como el lugar donde las hadas u otros seres elementales cortan o preparan su comida.

SUPUESTOS USOS DE AMANITA MUSCARIA COMO ENTEÓGENOS EN EUROPA

La conexión entre las setas y algunos seres mitológicos ha sido explicada como el efecto embriagante y las alucinaciones producidas por el consumo de ciertos hongos (Amanita muscaria o Psilocybe sp.) (ver FERICGLA, 1998, entre otros). Una aportación a esta hipótesis la proporciona AMADES (1952) cuando indica que los martinets (uno de los nombres dados a los minairons en la Cerdanya), crecen a partir de la semilla de las setas. FERICGLA (1998) indica que estos seres mitológicos están relacionados con el consumo de Amanita muscaria basándose en dos hipótesis: las chispas de luz (que él designa como fosfenos) que supuestamente se ven durante la intoxicación con Amanita muscaria; i la representación pictórica de los gnomos (sombrero rojo y cuerpo cubierto por una barba blanca).

En cuanto a las chispas de luz, FERICGLA (1998) nos indica que consumió Amanita muscaria en un par de ocasiones durante una reunión con amigos. La primera vez tuvo vómitos y una gran somnolencia. La segunda tuvo más experiencias. Durante esta segunda intoxicación sufrió de fenómenos de macropsia y micropsia, sintió una gran actividad y vio fosfenos (que, según comenta, no está seguro de haber interpretado correctamente) en forma de destellos de luz. Posteriormente, relacionará estas chispas con los seres mitológicos y luego nos indica que estas chispas serán interpretadas por las diversas culturas como espíritus que guían a las personas durante la intoxicación por setas. Luego nos cuenta que algunos de los espíritus elementales han sido descritos como chispas de luz. Desde un punto de vista científico, no son aceptables los datos del experimento que realizaron para probar el efecto del consumo de A. muscaria. Para averiguar los efectos reales de su potencial como enteógeno, el experimento debería haber sido diseñado sobre una muestra más amplia de la población, con grupos control que no tomaran la droga y con concentraciones conocidas de los compuestos embriagantes (muscimol o àcido iboténico). Un experimento realizado con un grupo de amigos en un lugar donde no existe un grupo control no puede ser aceptado.

La representación artística de determinados espíritus elementales con un sombrero rojo se ha considerado como una prueba de la genealogía entre las setas y elementales (FERICGLA, 1998, CALVETTI, 1986). Sustenta esta teoría CALVETTI (1986), cuando indica que la primera cita de un espíritu elemental con sombrero rojo se encuentra en el Satyricon, escrito en el siglo I d.C. FERICGLA (1998), nos muestra representaciones del siglo XIX. Pero mostrar estas imágenes tampoco es aceptable científicamente para sustentar su hipótesis, ya que, si queremos establecer una relación entre la representación y la descripción de estos seres, sería necesario un estudio en profundidad que nos mostrara como estos seres han variado dependiendo de las modas culturales y las corrientes artísticas. Por ejemplo: la reelaboración de los espíritus elementales hecha por Paracelso desde la perspectiva ocultista-científica del Renacimiento (este autor redefine los conceptos de gnomo: criaturas de la tierra; sílfide: criaturas del aire; salamandra: del fuego y ninfas: del agua, relacionados con los cuatro elementos alquímicos) o durante el romanticismo alemán, cuando Friedrich de la Motte Fouqué (1777-1843) escribió la novela Ondina publicada en alemán en 1811, donde se reescriben las características de los espíritus elementales con influencia de Paracelso, el folclore germánico y el romanticismo. En resumen, si no tenemos un seguimiento de las representaciones y descripciones de estos seres a lo largo del tiempo, junto a cómo son reinterpretados por el folclore, establecer estas conexiones no deja de ser un ejercicio de suposiciones.

Otros ejemplos de mala praxis en la búsqueda etnomicológica, son, por ejemplo, el supuesto uso como enteógeno de Amanita muscaria en Europa, ya que en algunos frescos de capillas románicas aparecen unas imágenes que recuerdan setas, como la de Plaincoureault, en Francia, donde se ve Adán y Eva flanqueando el árbol del conocimiento que tiene un vago aspecto de Amanita

muscaria. Una rápida visión del árbol lleva a pensar en la seta (ignorando las ramificaciones, altamente infrecuentes o inexistentes en Amanita muscaria). Ya WASSON (1957) no apoyaba esta idea. Es curioso, si nos fijamos en las pinturas, como todo tiene un color rojo, tal vez antes de dar interpretaciones esotéricas, deberíamos preguntarnos si los pigmentos han perdido coloración o si bien el pintor decidió, voluntaria o involuntariamente, usar el rojo para pintar los vegetales. Para ver algunas de las fotografías consultar http: //merigny.pagesperso-orange.fr/lieux/chapelle.html. El mismo WASSON (1957) indica que se trata de la estilización de un árbol que tuvo lugar en el arte románico y bizantino. También señala que sería necesario que los micólogos consultaran a los historiadores del arte a la hora de difundir sus investigaciones, sugerencia que, por desgracia, a menudo no ha sido escuchada. De hecho, si nos fijamos en muchos de los árboles que supuestamente son setas, aparecen ramificados (GIL, 2014). Otra supuesta prueba del consumo de Amanita muscaria está en FERICGLA (1998) cuando analiza la expresión catalana "estar tocat del bolet" (estar tocado de la seta) para indicar que alguien está chiflado, expresión que hace derivar de "estar tocat pel bolet" (estar tocado por la seta), sin ninguna explicación etimológica. Por la misma regla de tres, expresiones catalanas con el mismo significado, como "estar tocat de l’ala" (estar tocado del ala) o "estar tocat del terrat" (estar tocado de la azotea) derivarían de "estar tocado por el ala" o "estar tocado por la azotea", expresiones que carecen de significado. A todas luces, parece que habría que explicar mucho mejor sus tesis, aportando bibliografía y estudios filológicos que justifiquen sus opiniones si no se quiere caer en una afirmación gratuita.

Más problemas en la interpretación de los usos de Amanita muscaria en Europa como embriagante los encontramos, por ejemplo, en el famoso libro de Alicia en el País de las Maravillas de Lewis Carroll (1832-1898). Es sabido que Alicia muerde una seta para cambiar de tamaño. Y de ahí se ha extraído la conclusión de que el autor conocía el uso de las setas como enteógenos. Quizás es una casualidad, o quizás sí lo conocía. Pero saberlo tampoco era tan extraño en la época, ya que los viajes de determinados exploradores en Siberia habían sido publicados y eran accesibles a la sociedad (DUGAN, 2008). Por ejemplo, entre otras fuentes tenemos:

“The Kamtschatdales are in the daily habit of intoxicating themselves with the fly agaric (..). It is the curious effects of this fungus, when taken into the stomach, that we proceed to give in Dr Greville's own words. “(..) This variety of Amanita muscaria is used by the inhabitants of the north, eastern parts of Asia, in the same manner as wine, brandy, arrack, opium, (..).The usual mode of taking the fungus is to roll it up like a bolus, and swallow it without chewing, which the Kamtschatdales say would disorder the stomach. It is sometimes eaten fresh in soup and sauces, and then loses much of its intoxicating property.” ( ANÓNIMO (1826-1827; recogido en el The Edinburgh journal of medical science).

“The fly agaric, the most poisonous of all the genus, which is generally found in birch woods. It is highly narcotic, producing, in small doses, intoxication and delirium, for which purpose it is used in Kamtschatka; and, in larger doses, death” (LOUDON, 1838).

“Amanita muscaria, so called from its power of killing flies when steeped in milk. Even this is eaten in Kamchatka, with no other than intoxicating effects, according to the following account by Langsdorf, as translated by Greville, from whom I borrow it: is used by the inhabitants of the north-eastern parts of Asia in the same manner as wine, brandy, arrack, opium..)” LINDLEY (1853).

Con las críticas expresadas no se quiere decir que no haya existido un consumo de Amanita muscaria por parte de algunos de los pueblos europeos, pero se quiere remarcar el hecho de que es una suposición y que, tal y como está la investigación en estos momentos, se trata de hipótesis no demostrables si no se tienen registros arqueológicos, ni textos que nos lo indiquen claramente, ni una detallada evolución filológica o de representaciones literarias y pictóricas para luego compararlas con los registros folklóricos. En el estado actual de los conocimientos, es mejor adoptar una postura escéptica que no aceptar este uso enteogénico de la Amanita muscaria como una realidad. La falta de citas directas de su consumo en rituales en la prehistoria y la historia de los

Catalana de Micologia, vol. 38: 59-69; 2017.

pueblos europeos del tronco indoeuropeo se ha querido explicar de diversas maneras. Se indica que su consumo, al tratarse de creencias paganas, podría haber sido suprimido durante el cristianismo (WASSON, 1957). Si fuera así, ¿por qué no existe ninguna referencia escrita de antes del cristianismo? Una respuesta es la prohibición ceremonial de esta seta que hicieron los sacerdotes (FERICGLA, 1998). Otra vez, sin embargo, nos encontramos ante la falta de referencias de la época. Ningún texto de la sociedad romana o griega, redactados por escritores sobre los que no pesaba la prohibición, indicó el consumo de setas embriagantes, al menos de los que nos han llegado.

POSIBLE NUEVA APORTACIÓN. LAS SETAS DE YESCA Y LOS SERES ELEMENTALES

USOS DE LOS POLIPORALES

Los poliporales han tenido numerosos usos como medicinales, en el hogar y textiles, entre otros, tal y como nos muestra GRIENKE et al. (2014). Los poliporales en los que nos centraremos en este trabajo son aquellos que se han empleado para encender el fuego, en especial Fomes fomentarius (L.) Fr. (GRIENKE et al., 2014), aunque también ha sido empleado Fomitopsis pinicola (Sw.) P. Karst., que también ha tenido unos usos muy similares como hemostático y antiinflamatorio (LEES, 1987 recogido en el artículo de GRIENKE et al., 2014). En el año 1991 se encontró en el Tirol los restos de un hombre que pronto fue conocido como el Hombre del Glacial o Ötzi. Su edad se calcula en unos 5000 años y su utillaje ha servido para poder tener una imagen de cómo era la vida en Europa durante la Edad del Bronce. Entre los materiales que se le encontró había una bolsa con dos especies de setas que han sido identificadas como Fomitopsis betulina (Bull.) B.K. Cui, M.L. Han & Y.C. Dai y Fomes fomentarius. La primera podría haber sido utilizada como antiséptico, aunque no se sabe su función exacta (PÖDER, 2005) y la segunda ha sido interpretada como yesca para encender el fuego, al ser encontrada junto con restos de pirita (PEINTNER & PÖDER, 2000). Otros restos de Fomes fomentarius han sido encontrados en los yacimientos arqueológicos de Endingen, Nordvorpommern, en el noroeste de Alemania, fechados de hace 11555 años (PEINTNER, et al., 1998; PEINTNER & PÖDER, 2000), en los yacimientos Mesolítico de Star Carr, en Yorkshire y en la isla de Seeland y en varias turberas de Dinamarca, restos fechados alrededor del 6000 a. de C. (BECERRA, 2004). Esta cantidad de hallazgos, indica que este hongo probablemente tuviera un uso como yesca bastante conocido en la Europa Neolítica.

Las referencias de su uso como yesca, básicamente en el territorio español, han sido recogidas por PEREO (1984), según podemos resumir de su trabajo, que recoge datos de autores como Brehm, 1883; Dioscòrides (versión renacentista de 1555); Coelius Aurelianus (siglo II d.C.); Joseph Quer (1762), Covarrubias (siglo XVIII, edición de 1943). Este hongo solía ser empleado, una vez hervido con lejía u orín, dejado secar y golpeado. En tiempos más modernos, se mezclaba con pólvora para, hacerlo más inflamable. Según ROUSSEL et al. (2002a), el yesquero se puede emplear para encender el fuego directamente, utilizando una pequeña parte para adjuntarla con una piedra de sílex o cuarzo, que será golpeada por una piedra de pirita (en concordancia con el material encontrado en Ötzi) o, más modernamente, por un eslabón de acero. La técnica se ha ido mejorando, separando la parte más esponjosa de la seta e hirviéndola en una solución alcalina, por ejemplo con nitrato de Chile (también conocido como salitre: mezcla de nitrato potásico y sódico). Ver el vídeo: https: //www.youtube.com/watch?v = V_YTac6_bsI. ROUSSEL et al. (2002a y b) también indican que Fomes fomentarius no sólo se limitaba a ayudar a encender el fuego sino que también servía para transportarlo. Otros usos que ha tenido Fomes fomentarius han sido los de cauterizador y hemostático (PEINTNER & PÖDER, 2000; PEINTNER et al., 1998). Según ROUSSEL et al. (2002b) y SINISCALCO et al. (2013) aparece citado con este uso en textos hipocráticos. Estos usos están documentados en la farmacopea francesa de los siglos XVIII y XIX

(ROUSSEL et al. (2002a y b), así como en la zona de habla alemana de los Alpes (GRIENKE et al, 2014). Su uso como calorífero (para hacer compresas para mantener el calor) es citado en ROUSSEL et al. (2002a). También se ha empleado como tabaco, para aspirar o masticar, para hacer sombreros y para decoración (ROUSSEL et al., 2002a).

LOS POLIPORALES Y LOS ESPÍRITUS ELEMENTALES

KEIGHTLEY (1833), en su libro The Fairy Mythology indica que “The Kobold of Finland is called Para (from the Swedish Bjara). He steals the milk from other people's cows, carries and coagulates it in his stomach, and then disgorges it into the churn of his mistress. There is a species of mushroom, which if it be fried with tar, salt and sulphur, and then beaten with rod, the woman who owns the Kobold will quickly appear, and entreat to spare him.” El texto, a pesar de ser bastante confuso, nos habla de un ser mitológico llamado para en la mitología finlandesa, que tiene dos características, la primera, que roba la leche del ganado y la convierte en mantequilla para su ama el regurgitarla de su estómago; y la segunda, que este ser es propiedad de una mujer (esto nos recuerda a los familiares de las brujas). Este comportamiento lo situaría en el grupo de los familiares de VIOLANT (1947), grupo al que pertenecen también los minairons. Siguiendo a KEIGHTLEY (1833), este autor nos indica que hay una seta que, frita con algún tipo de brea, sal o sulfuros, y luego golpeada con una vara, provocará que la mujer dueña del para, aparezca y esta rogará para no escatimarlo o para compartirlo (el significado no queda muy claro en el texto original).

La manera de procesar la seta es casi idéntica a los procesos de preparación del yesquero, aunque en caso del yesquero no es frito, sino hervido y también se diferencia en que se mezcla con alquitrán, sal o sulfuro y el yesquero se prepara hirviéndolo con nitratos o algún tipo de álcali (como hemos señalado más arriba, podría ser lejía, nitratos e, incluso, orines). La descripción del procesado de la seta citada por KEIGHTLEY (1833) puede tratarse de alguna interpretación del autor o de sus informantes sobre cómo se procesaban las setas para obtener la yesca. Desgraciadamente, no ha sido posible recoger más datos al respecto, con lo que no queda clara la conexión de las setas con estos seres mitológicos. Por otro lado, también podría ser que KEIGHTLEY (1833) se refiera a otras especies de hongos. DUGAN (2008) indica que se trata de algún hongo gelatinoso. Este mismo autor indica que algunas especies de Tremella o Exidia se conocen como mantequilla de bruja en las Islas Británicas o mantequilla de troll en Suecia, o que algunas especies de hongos gelatinosos son interpretados como la mantequilla regurgitada por varios seres, entre ellos el bjära (nombre del para sueco) y un diferente ser con aspecto de liebre. Estos bjära, a diferencia de los para finlandeses recogidos por KEIGHTLEY (1883), están formados según NILDIN -WALL & WALL (1993) por cordeles y trozos de madera o de escobas o por los arbustos con los que se hacen escobas y la sangre de las brujas que los elaboran. Invocando al diablo, el objeto cobra vida. Esta relación entre fuego y elementales también queda de manifiesto en las descripciones de algunos de estos seres, por ejemplo los minairons, que son descritos como chispas de luz CASANOVA & CREUS (2000) i FERICGLA (1998).

Otra relación del yesquero con los espíritus se encuentra en el cuento de Hans Christian Andersen, versión de un cuento tradicional nórdico, conocido como "el yesquero" en castellano o, en inglés, "The Tinderbox". En este cuento, el protagonista, un soldado, consigue una bolsa de yesca que, al encenderse, hace aparecer unos perros que obedecen sus peticiones. Estos datos nos indican que podría existir una conexión entre la yesca y los espíritus elementales que entran dentro de la categoría de familiares, seres que ayudan a su propietario, derivados probablemente de creencias relacionadas con el fuego, tal y como indica VIOLANT (1947) y CASANOVA & CREUS (2000) para los duendes relacionados con el hogar y el fuego del hogar. Podría ser un tema de investigación buscar la posible conexión entre las setas de yesca, la obtención de yesca, el encender el fuego y el mundo de criaturas mitológicas relacionadas con los destellos, la luz y el fuego, sin necesidad de unas supuestas (y poco demostradas) alucinaciones producidas por el consumo de

setas. La conexión entre los Poliporales y el mundo mágico y religioso ha sido citada en otros lugares fuera de Europa. A pesar de caer en una de las trampas de la comparación acrítica, puede ser significativo exponerlas en el presente trabajo, aunque debemos tener presente que estamos comparando culturas diferentes, descontextualizándolas. Los pueblos indígenas del noroeste de América, junto el Pacífico, emplean Fomitopsis officinalis con el nombre de "pan de los Dioses" y lo utilizan para marcar las tumbas de los chamanes. Estos pueblos usan los esporocarpos esculpidos para ampliar sus poderes sobrenaturales y para curar enfermedades causadas por fuerzas sobrenaturales. También se marcan las tumbas de los chamanes con estas figuras indicando que son lugares donde hay espíritus y nadie debe acercarse a ellos (BLANCHETTE et al. 1992). También son interesantes las siguientes citas recogidas por ROUSSEL et al. (2002a), donde se indica que los Khanty de Siberia y los Ainus de Hokkaido quemaban los esporocarpos para ahuyentar a los demonios que provocaban las enfermedades, para poder así curarlas. Esto se puede relacionar con las observaciones de SAAR (1991); según este autor, en algunos lugares de Siberia, las poblaciones rusas queman esporocarpos de Fomes fomentarius cuando alguien ha muerto y no los apagan hasta que el cadáver ha salido de la casa, hasta el punto que las visitas son forzadas a pasar a través del humo. WASSON (1957) también evoca un mito de los Uigures, explicado por Marco Polo, donde dice que el primer jefe de la tribu no fue de origen humano, sino que era una excrecencia de un árbol que Marco Polo designó con el nombre de yesquero, según WASSON (1957) se trataría de Fomes fomentarius.

Otro uso que puede relacionar las setas de yesca con lo sagrado es el que detalla PEREO (1984) sobre la sacristía de la iglesia del colegio de Lecároz, donde se conservaba un juego completo de pedernal, fogón y yesca para producir fuego a principios del siglo XX. Este autor también indica que se utilizaba este equipo en muchos templos para encender el fuego y que el Papa Benedicto XIV, que fue papa en los años 1740-1758, decía que se trataba de un vestigio de la antigüedad, ya que se extraía diariamente el fuego del pedernal para encender las luces de la iglesia, y hacer la primera bendición del fuego. Con el uso de los hongos poliporales como yesca entraríamos dentro del simbolismo y la mitología de las leyendas relacionadas con el fuego, el fuego en el hogar y la creencia de los antepasados que velan por el orden del hogar y la economía familiar (CASANOVA & CREUS, 2000). Los mismos autores señalan la relación que existe entre las técnicas de encender el fuego y algunas de las leyendas referentes a las setas, citando a Violant, explican las maneras de encender el fuego a partir de las setas de yesca: hervir la seta para reblandecerla y luego dejarla secar; en Menorca, la yesca es convertida en polvo y conservada en cuernos de buey; en Santa Coloma de Queralt, en una forma más moderna, la yesca se colocaba en un tubo pequeño y estrecho donde se recogían las chispas del fuego producidas al picar el pedernal con el fogón. Recordemos que en un tubo parecido vivían los minairons, al igual que otros espíritus del grupo de los familiares (CASANOVA & CREUS, 2000, CALLEJO, 1994) y, si recordamos los cuentos del grupo The Tinderbox antes mencionados, queda patente la relación entre el recipiente o el objeto para encender el fuego y la presencia de seres mágicos. De momento, los datos son tan débiles que no permiten ir más allá de ciertas aproximaciones, pero a diferencia del uso de la Amanita muscaria como embriagante, descrito sólo en algunos pueblos de la familia uralo-altaica y en algunos grupos americanos y del que no se tiene ninguna referencia en la Europa de los grupos de lenguas indoeuropeas (exceptuando determinadas deducciones a partir de la interpretación de datos dispersos), las setas de yesca fueron empleadas hasta tiempos recientes y su uso está profusamente documentado en toda Europa, Eurasia y América, (ver, por ejemplo GRIENKE, 2014).

CONCLUSIONES

La elaboración de afirmaciones basándose en datos insuficientes, en especial en las interpretaciones de imágenes, relieves, pinturas o esculturas y considerar seta todo lo que tiene un pie y una cabeza globosa ha sido la tónica en los estudios de etnomicología; casos

Revista Catalana de Micologia, vol. 38: 59-69; 2017.

Fig. 1: Fairy Rings and Toadstools, por Richard "Dicky" Doyle, 1824-83. 1870. Litografia en papel, 27.5 × 38 cm. De la página web: http: //www.victorianweb.org/painting/doyle/wc/1.html.

Fig. 2: A Fairy Ring per Walter Jenks Morgan, 1847-1924. Acuarela en papel, 15.5 × 23 cm. De la página web: http: //www.victorianweb.org/painting/fairy/morgan1.html.

particulares de dudosa interpretación se han generalizado y comparado de manera acrítica, lo que ha llevado a elucubraciones de carácter pseudocientífico, que luego han sido incorporadas dentro del corpus de conocimientos de algunos etnomicólogos, al ser propagadas en docenas de páginas de Internet que les han dado carta de validez a base de repetir siempre lo mismo. La popularización de la creencia del uso de enteógenos se ha propagado en determinados sectores gracias a los sistemas de comunicación de masas. Más problemático es si queremos extraer conclusiones relacionando los espíritus elementales con los enteógenos. Los elementales tienen varios rostros y, tal y como decía LECOUTEUX (2001), durante el proceso de formación del folclore europeo, las primitivas creencias se han ido amalgamando y mezclando hasta dar los actuales relatos folklóricos. Según BONNEFOY (1998) sólo sobrevive lo que cumple una función en una sociedad, por lo tanto, todas las tradiciones, leyendas, creencias primitivas se han fusionado, separado o mezclado hasta originar las actuales leyendas, que han perdido el significado antiguo para adoptar uno nuevo. Con todo, queremos indicar que indagar en las leyendas para averiguar su origen puede ser una tarea difícil y que el método a emplear debe ser lo más objetivo posible. Se ha querido aportar una nueva conexión entre las setas y los seres mitológicos a partir de la interpretación del fuego y el hogar como representación del alma de los antepasados, las leyendas de los espíritus elementales y la importancia de la yesca para encender el fuego. Aún quedaría mucho por investigar, ya que sería necesario conocer las técnicas de encender el fuego y cómo han ido variando a lo largo de la historia; así como el origen del uso de las setas de yesca para encender el fuego y el uso de otros vegetales con la misma función. No se quiere negar que en algún momento, antiguas poblaciones europeas hayan podido utilizar Amanita muscaria, pero la investigación debería basarse más en datos tangibles que en posibles interpretaciones de textos o representaciones iconográficas relativamente modernas. Sólo un estudio comparado con un extenso conocimiento de etnografía, historia del arte y filología podría aportar unos datos claros que mostraran la evolución de las creencias relativas a las setas.

BIBLIOGRAFIA

ANÒNIMO. (1826-1827).- Notices of Botanical Works. The Edinburgh Journal of Medical Science. Vol. II. 243-244.

AMADES, J. (1952).- Costumari català. El curs de l'any. 4 Vol. Salvat Editores i Edicions 62. Edición Facsímil de 1983, Barcelona. 1091 pp.

BECERRA, D (2004).- Micología Norteafricana. De la Prehistoria al Mundo Antiguo. Vegueta 8: 19-33.

BLANCHETTE, R.A., B. COMPTON, N.J. TURNER & R.L. GILBERTSON (1992).- Nineteenth Century shaman grave guardians are carved Fomitopsis officinalis sporophores. Mycologia, 84(1), 1992, pp. 119-124.

BONNEFOY, Y. (dir.) (1998).- Diccionario de las mitologías, vol. IV Las mitologías de Europa: los "indoeuropeos" y los otros. El chamanismo asiático. Barcelona. Destino. 714 pp.

BRIGGS, K. (2003).- Diccionario de las Hadas. Ed. Olañeta. Madrid. 376 pp.

CALLEJO, J. (1994).- Duendes. Guía de los seres mágicos de España. EDAF. Madrid. 249 pp.

CALLEJO, J. (1996).- Gnomos y otros espíritus masculinos de la naturaleza. EDAF. Madrid. 289 pp.

CALVETTI, A. (1986).- Fungo agarico moscario e Capuccio Rosso. Lares 52 (4): 555-565.

CASANOVA, J. & J. CREUS (2000).- Més ràpids que el llamp, més vius que el foc. Publicacions de l'Abadia de Montserrat. Biblioteca de cultura popular Valeri Serra i Boldú, nº 11. 360 pp.

DUGAN, F.M. (2008).- Fungi, Folkways and Fairy Tales: Mushrooms & Mildews in Stories, Stories, Remedies and Rituals, from Oberon to the Internet. Pacific Northwest Fungi Vol 3 (7) 23-72.

FERICGLA, J.M. (1998).- El Bolet i la Gènesi de les Cultures. Gnoms i follets: àmbits culturals forjats per l'Amanita muscaria. Altafulla. Barcelona. 224 pp.

GIL, R. (2014).- Amanita muscaria, un bolet de conte de fades. Rev. Cat. Micol. 35: 3-41.

GINZBURG, C. (2003).- Historia nocturna. Las raíces antropológicas del relato. Ed. Península. 635 pp.

GRIENKE, U., M. ZÖLL, U. PEINTNER & J.M. ROLLINGER (2014).- European medicinal polypores - A modern view on traditional uses. Journal of Ethnopharmacology 154: 564-583.

IRVING, W. (1819).- Rip van Winkle. En Antologia del cuento Norteamericano. 1580 pp.

KEIGHTLEY, T. (1833).- The Fairy Mythology: Illustrative of the Romance and Superstition of various Countries, Vol. 1 & 2, Whittaker, Treacher, and Co. 358 pp.

Catalana

Micologia, vol. 38: 59-69; 2017.

LECOUTEUX, C. (2001).- Demonios y genios comarcales en la Edad Media. Olaeta. Madrid. 202 pp.

LEVI-STRAUSS, C. (1977).- Antropología estructural. Siglo XXI. Coyoacán. México. 353 pp.

LINDLEY, J. (1853).- The Vegetable Kingdom. Or the structure, classification and uses of plants. Third ed. London 908 pp.

LOUDON, J.C. (1838).- Arboretum et Fruticetum Britannicum or the Trees and Shrubs of Britain. VOL. III. London. Imprès per l’autor. 2030 pp.

MICHELET, J. (2004).- La bruja, un estudio de las supersticiones en la Edad Media. Akal. Bàsica de Bolsillo. 384 pp.

MURRAY, M. (1978).- El culto a la brujería en la Europa Occidental. Labor. 182 pp.

NILDIN-WALL, B & J. WALL (1993).- The Witch as Hare or the Witch's Hare: Popular Legends and Beliefs in Nordic Tradition. Folklore, 104, 1-2: 67-76.

PEINTNER, U., R. PÖDER, & T. PÜMPEL (1998).- The iceman's fungi. Mycological Research 102 (10): 1153-1162.

PEINTNER, U. & R. PÖDER (2000).- Ethnomycological remaks on the Iceman’s fungi. En Bortenschlager, S. y Oeggl, K. (Eds.) The iceman and his natural enviroment. The man in the ice IV. New York: 143-150.

PEREO, C. (1984).- El monopolio de un baztanés: la yesca, el fuego y la luz. Etnografía Baztanesa Retazos. Gobierno de Navarra. Institución Príncipe de Viana, Pamplona: 153-192.

PÖDER, R. (2005).- The Ice Man’s Fungi: Facts and Mysteries. Int. Journ. Med. Mushrooms, 7: 357-359.

PUCHE, O., L.F. MAZADIEGO, J.M. MATA & L. OBIOLS (2010).- Los minairons (los mineritos). Enanos de mina en la cultura española. En el Libro de actas. VIII Congreso Internacional sobre patrimonio geológico y minero. Oviedo. 405 pp.

ROUSSEL, B., S. RAPIOR, C.L. MASSON & P. BOUTIÉ (2002)a.- Fomes fomentarius (L.: Fr.) Fr.: un champignon aux multiples usages. Cryptogamie Mycol. 23 (4): 349-366.

ROUSSEL, B., S. RAPIOR, C. CHARLOT, C.L. MASSON & P. BOUTIÉ (2002)b.- Histoire des utilisations thérapeutiques de l’amadouvier Fomes fomentarius (L: Fr.) Fr. Rev. Hist. Pharm. 366 (4), 599-614.

SAAR, M. (1991).- Fungi in khanty folk medicine. J. Ethnopharmacol, 31: 175-179.

SINISCALCO, C., F. DOVERI, G. BELLATO, L. CAMPANA, F. FLOCCIA, C. JACOMINI, C. LUPERI, C. MARCIASINI & G. VISENTIN (2013).- History of Italian mycology and first contribution to the correct nomenclature of fungi. ISPRA, Handbooks and Guidelines no. 104 bis/2013: 505 pp.

VIOLANT, R (1947).- El Pirineo Español: vida, usos, costumbres, creencias y tradiciones de una cultura milenaria que desaparece. Altafulla. Edición Facsímil de 1997. 672pp.

WASSON, V.P. & R.G. WASSON (1957).- Mushrooms, Russia and History. Vol 1. Pantheon Books, New York. 433 pp.

CONTRIBUCIÓN AL CONOCIMIENTO DE LA MICOFLORA DEL PARC DE LA SERRALADA LITORAL

F. CABALLERO1, P. ALVARADO2 i S. FERNÁNDEZ-BRIME3

1. Avda. Catalunya, 113, E. 08195 St. Fost de Campsentelles, Barcelona E-mail caballermartinez@hotmail.com

2. c/ La Rochela, 47. E.39012 Santander, Cantabria

3. Department of Botany, Swedish Museum of Natural History, P.O. Box 50007, SE-104 05 Stockholm, Sweden

RESUMEN: Contribución al conocimiento de la micoflora del Parc de la Serralada Litoral Aportamos el examen de 6 especies correspondientes a 3 géneros distintos de basidiomicetes, Entoloma, Leucoagaricus, y Trichocybe, mediante la descripción de sus caracteres morfológicos, y en algún caso incluyendo análisis filogenéticos. También se incluye en este estudio una aportación a la iconografía de las especies en su hábitat natural, con imágenes de los caracteres microscópicos más relevantes. Se describen las siguientes especies: Entoloma dysthales f. acystidiosum Noordel., E. scabiosum (Fr) Quél., E. speculum (Fr) Quél. Leucoagaricus crystallifer Vellinga, L. ionidicolor Bellù & Lanzoni, y Trichocybe puberula (Kuyper) Vizzini.

PALABRAS CLAVE: Basidiomicetes, Serralada Litoral, Martorelles, Barcelona, Cataluña, España

ABSTRACT: Contribution to the knowledge of the micoflora of the Serralada Litoral Park (N of Barcelona, Catalonia). We provide the examination of 6 species corresponding to 3 different genera of basidiomycetes, Entoloma, Leucoagaricus, and Trichocybe, describing their morphological characters, and, in some instances, including phylogenetic analysis. Also included in this study is a contribution to the iconography of the species in their natural habitat, with images of the most relevant microscopic characters. The following species are described: Entoloma dysthales f. acystidiosum Noordel., E. scabiosum (Fr) Quél., E. speculum (Fr) Quél. Leucoagaricus crystallifer Vellinga, L. ionidicolor Bellù & Lanzoni, and Trichocybe puberula (Kuyper) Vizzini.

KEY WORDS: Basidiomycetes, Serralada Litoral, Martorelles, Barcelona, Catalonia, Spain

RESUM: Contribució al coneixement de la micoflora del Parc de la Serralada Litoral. Aportem l'examen de 6 espècies, corresponents a 3 gèneres diferents de basidiomicets, Entoloma, Leucoagaricus, i Trichocybe, mitjançant la descripció dels seus caràcters morfològics, i en algun cas, també amb anàlisis filogenètiques. També hi afegim una contribució a la iconografia de les espècies en el seu hàbitat natural, amb imatges dels caràcters microscòpics més rellevants. Es descriuen les següents espècies: Entoloma dysthales f. acystidiosum, Entoloma scabiosum, Entoloma speculum, Leucoagaricus crystallifer, Leucoagaricus ionidicolor, i Trichocybe puberula.

PARAULES CLAU: Basidiomicets, Serralada Litoral, Martorelles, Barcelona, Catalunya, Espanya

INTRODUCCIÓN

Ha pasado algo más de una década desde que iniciamos los primeros estudios micológicos en el parque de la Serralada Litoral y, transcurrido todo este tiempo, nos sigue sorprendiendo la riqueza fúngica que este pequeño enclave de tan solo 4.042 ha (Pla especial) nos continúa ofreciendo. Este espacio natural está situado en la franja prelitoral del Maresme catalán a escasos 10 km al NE de Barcelona, ubicado en la región biogeográfica mediterránea. La geomorfología del parque está a condicionada por la prolongada erosión de la superficie meteorizada del batolito granítico sobre el que se asienta el suelo. Esta erosión continuada ha producido multitud de torrentes estrechos y profundos, que constituyen una importante red de conectores biológicos entre las diferentes zonas del parque, especialmente en su parte umbría. En sus márgenes encontramos pequeñas comunidades de ribera donde destaca la presencia de

Catalana de Micologia, vol. 38: 71-94; 2017.

alisos (Alnus glutinosa), avellanos (Corylus avellana) y chopos (Populus alba, P. nigra). El sotobosque lo componen mayoritariamente musgos, hepáticas, helechos, y una gran variedad de pequeñas y medianas plantas como la vidalba (Clematis vitalba), el arrayán (Myrtus communi), la hiedra (Hedera helix), la zarzamora (Rubus ulmifolius), el rusco (Ruscus aculeatus,), y algunas interesantes por su rareza en esta zona como el arce de Montpellier (Acer monspessulanum), y el acebo (Ilex aquifolium). El resto del parque está constituido por una densa y extensa masa forestal compuesta, especialmente, por encinas, robles, madroños, brezos y pinos (Quercus ilex, Q. pubescens, Arbutus unedo, E. scoparia, Pinus pinea, P. halepensis). La riqueza arbórea y arbustiva de estos lugares permite la acumulación de abundante cantidad de materia orgánica y la presencia de un número importante de hongos saprófitos, algunos de ellos de gran interés por su rareza. La importancia de estos enclaves lo confirma el hecho de que en los últimos años se han descrito nuevas especies del género Clitopilus, Rhodocybe y Entoloma, entre los que destacan, Clitopilus marinaensis Vila, Contu & Caballero, C. griseonigrellus Vila, Contu, Caballero & Ribes, Rhodocybe formosa Vila, Contu, Caballero & Ortega, R. catalonica Vila, Contu, Caballero & Ortega, Entoloma squamosipes Caballero & Vila, E. graphitipes f. cystidiatum Caballero, Vila & Català, o E. phaeodiscum Vila & Caballero (VILA & CABALLERO, 2007; VILA et al., 2007, 2008, 2009, 2013 y 2014). Estos hallazgos demuestran la importancia que reviste la conservación y protección de este espacio natural, ya que estas pequeñas localidades están sometidas a un equilibrio ecológico muy frágil que podría verse alterado por la acción humana imprudente.

MATERIAL Y MÉTODOS

ESTUDIO MORFOLÓGICO. Todos los caracteres macroscópicos de las especies citadas se han descrito a partir de material fresco. En la mayoría de los casos la descripción macroscópica y organoléptica se realizó con basidiomas en diferentes estadios de madurez. Los diferentes caracteres microscópicos generalmente se analizaron a partir de material fresco, y en algún caso de ejemplares deshidratados de herbario. También se obtuvieron masas esporales a partir de material fresco con el fin de disponer de un número adecuado de esporas maduras que permitiera obtener mediciones fiables. El material seco fue rehidratado en KOH al 3%. Para la observación de los caracteres microscópicos mediante reacciones colorimétricas hemos utilizado Rojo Congo amoniacal, Azul algodón (reacción cianófila), y Melzer (reacciones amiloide o dextrinoide). Para los diferentes tipos de pigmentos se ha utilizado agua corriente. En la observación y fotografía de los diferentes elementos microscópicos se ha utilizado un microscopio Motic BA 300 y una cámara digital acoplada Motican 2300.

ESTUDIO FILOGENÉTICO. Extracción de ADN, amplificación PCR y secuenciación. El ADN total de muestras de Leucoagaricus ionidicolor y Trichocybe puberula fue extraído a partir de especímenes secos de herbario empleando una modificación del protocolo de MURRAY & THOMPSON (1980). La amplificación de la región ITS por PCR fue llevada a cabo con los primers ITS1F e ITS4 (WHITE et al., 1990). El programa de amplificación consistió en un hot start a 95ºC 5’, seguido de 35 ciclos de 94ºC 45’’, 54ºC 30’’ y 72ºC 45’’, y una fase final a 72ºC durante 10’. Los resultados fueron chequeados en un gel de agarosa al 1%, y las reacciones positivas fueron purificadas y secuenciadas con el primer ITS4. Las secuencias obtenidas fueron comparadas con los cromatogramas originales para detectar y corregir posibles errores de lectura. Realizamos análisis filogenéticos a partir de las secuencias del ITS con el fin de confirmar la identificación de las especies secuenciadas, comparándolas con las secuencias de los holotipos que figuran en GenBank. El material utilizado y citado para este estudio se encuentra depositado en los herbarios SCM (material de préstamo), y el herbario particular del primer autor (indicado SFC al citar la recolección). Las secuencias fueron alineadas manualmente con Aliview (LARSSON, 2014) y las regiones alineadas ambiguamente fueron delimitadas con GBlocks (CASTRESANA, 2000). Estas regiones no

pueden incluirse directamente en los análisis, pero para recuperar la información filogenética que contienen, fueron recodificadas con el programa PICS-Ord (LÜCKING et al., 2011). Todos los alineamientos fueron sujetos a análisis de máxima verosimilitud, siguiendo el programa RAxML (STAMATAKIS, 2014), utilizando 1000 pseudoréplicas de bootstrap para calcular el soporte estadístico de los internodos.

Entoloma dysthales f. acystidiosum Noordel., Persoonia 10 (2): 219. (1979) ≡ Pouzarella dysthales var. acystidiosa (Noordel.) Karstedt & Capelari

Píleo de hasta 9 mm de diámetro, de cónico-convexo a convexo, después más aplanado, conservando ocasionalmente una discreta papila central; de color pardo-grisáceo, e intensamente más oscuro en la zona central. Superficie fibrillosa-escamosa, hirta, no higrófana, sí algo estriada por transparencia hasta la mitad del radio en ejemplares bien hidratados, con el margen recto o algo crenado. Láminas de adnatas a uncinadas por un pequeño diente decurrente, espaciadas, gruesas, anchas, tendiendo a ventrudas, de color crema a beige cuando los ejemplares son jóvenes, y de color pardo oscuro (pardo sombra natural) con matices rosáceos en los ejemplares maduros. Lamélulas y lamelas presentes. Estípite de 50 × 1-3 mm, central, cilíndrico, recto o sinuoso de color pardo-grisáceo, de igual color que el píleo. Superficie fibrillosa, y salpicada de pequeñas escamas. Carne muy delgada, escasa, de color gris-parduzco. Olor desagradable, rancio, detectable al frote. Sabor amargo. Esporas heterodiamétricas, alargadas y con apículo marcado, de 15.5-21.2 × 7.6-10.2 µm, Xm = 18.2 × 9.2 µm, Q = 1.68-2.23, Qm = 1.99, multiangulosas (6-9), con ángulos nodulosos, pared gruesa y gútula lipídica evidente en la mayoría de los casos. Basidios de gran tamaño, mayoritariamente tetraspóricos, ocasionalmente bispóricos, de sub-claviformes a claviformes, en ocasiones subglobosos, de 40-66 × 12-15.4 µm (sin esterigmas), no fibulíferos. Con frecuencia muestran un contenido intracelular de color pardo oscuro, el mismo contenido observado en la subpelis. Queilocistidios ausentes. Pileipelis formada por una estructura de hifas que evoluciona hacia una tricodermis con células superficiales de hasta 26 µm. Se observa pigmento incrustante grueso y fino, prácticamente en todos los tejidos analizados. La presencia de pigmento intracelular fluido o denso de color verde oliváceo a pardo oscuro (Fig. 1 a,b), está concentrado especialmente entre la trama himenial y la subpelis. Ausencia de fíbulas.

MATERIAL ESTUDIADO. BARCELONA: 1ª recolección, Parc de la Serralada Litoral, Font de la Sunyera, Martorelles (Vallès Oriental), alt. 350 m. En un bosque mixto de coníferas y planifolios, Quercus ilex, Q. sp, Pinus pinea, Arbutus unedo), en los márgenes y centro de un camino forestal, entre hiedra (Hedera helix) y zarzas (Rubus ulmifolius), y otras plantas de mediana y pequeña altura, sobre suelo arenoso ácido, 08-06-2008. 2ª recolección, leg. F. Caballero, SFC 080608-01. En la misma zona que la 1ª, a unos 30 m, en el fondo de un torrente, alrededor de un Populus nigra muerto, cerca de Corylus avellana, entre restos vegetales, 08-12-2015, leg. F. Caballero SFC 151208-02.

Observaciones. Entoloma dysthales f. acystidiosum es una especie muy rara y poco conocida. La especie tipo se diferencia por la presencia de queilocistidios, y puede presentar la arista heterogénea con queilocistidios disgregados de forma irregular entre los basidios, o puede presentarla completamente estéril (NOORDELOOS, 1979). Nuestro material encaja bien con la descripción general de E. dysthales f. acystidiosum, ya que no hemos observado queilocistidios, carácter determinante de esta forma. El resto de caracteres son idénticos a la especie tipo, con una pequeña diferencia en el tamaño de las esporas. La medida otorgada para E. dysthales f. acystidiosum es de 13.9-17.4-(18.0) × (7.6) 8.1-9.3-(10) µm, Q pm 1.6-1.9 (NOORDELOOS, 1979). Sin embargo, en el material de nuestra primera recolección, obtuvimos una medida de 15.5-21.2 × 7.6-10.2 µm, Xm = 18.2 × 9.2 µm, Q = 1.68-2.23, Qm = 1.99, y una medida para la segunda recolección de 14.0-20.9 × 8.3-11.4 µm, Xm = 17.4 × 9.5 µm, Q = 1.54-2.21, Qm = 1.84. Ambas mediciones están más cerca de la medida otorgada para

Catalana de Micologia, vol. 38: 71-94; 2017.

Fig. 1.- Entoloma dysthales f. acystidiosum (SFC 080608-01); a) pigmento intracelular; b) pigmento incrustante.
Fig. 2.- Entoloma scabiosum (SFC 160410-01); pigmento intracelular.

E. dysthales (Peck) Sacc. (13.5)-14-19.5-(21.5) × (7.4)-7.9-10.3-(11) µm, Q = (1.5)-1.6-1.8-2.1. (NOORDELOOS, 1992 ; MOSER, 1973 y 1980).

Entoloma scabiosum (Fr.) Quél., Comptes Rendus de l’Association Française pour l’Avancement des Sciences 14 (2): 445 (1886)

≡ Rhodophyllus scabiosus (Fr.) Quél.; ≡ Trichopilus scabiosus (Fr) P.D. Orton

Píleo de hasta 45 mm de diámetro, ligeramente cónico cuando es joven, con tendencia a aplanarse en la madurez, conservando algún ejemplar un suave umbón central; de color grisáceo oscuro con una sutil veladura violácea y abundantes escamas que, en la mayoría de ejemplares, forman un disco central compacto y oscuro, de color pardo o negruzco. Superficie ni higrófana ni estriada por transparencia, con el margen algo involuto en los ejemplares jóvenes, más aplanado en la madurez. Láminas escotadas, espaciadas de joven, y algo más densas en la madurez, gruesas, anchas, sin llegar a ser ventrudas, ocasionalmente bifurcadas o discretamente anastomosadas, de color blanco en los ejemplares poco desarrollados, tendiendo a rosa pálido asalmonado al madurar las esporas. Arista entera, concolor y ligeramente erosionada. Lamélulas y lamelas abundantes. Estípite hasta 40 × 3-6 mm, macizo, central, recto, curvado o sinuoso, en ocasiones algo engrosado en la base; de color gris-parduzco, o gris-violáceo, con abundante tomento blanquecino en la base. Superficie muy fibrillosa de color parduzco. Carne delgada, escasa, compacta y fibrosa, de color pardogrisáceo claro. Olor muy suave, más bien agradable, perceptible al frote. Sabor no destacable. Esporas heterodiamétricas, multiangulosas, con 5-6-(7) ángulos, de 7.2-8.6 × 6.1-7.3 µm, Xm = 8.0 × 6.7 µm, Q = 1,03-1.34, Qm = 1.18. Basidios de cilíndricos a estrechamente claviformes, tetraspóricos, de 30.4-38.8 × 9.7-11 µm, no fibulíferos. Arista laminar heterogénea, con queilocistidios lecitiformes, tibiiformes, generalmente capitados y ocasionalmente mucronados, con el cuello cilíndrico, recto u ondulado, de 25-50 × 7-11.2 (base) × 1.8-2.4 (cuello) × 3.9-6.4 (capítulo) µm; en su mayoría hialinos, y ocasionalmente con pigmento vacuolar granular. Pileipelis formada por una estructura de hifas cilíndricas de hasta 70 × 11-15 µm, de ápice claramente atenuado, evolucionando hacia una tricodermis con pigmento intracelular abundante, de color pardo oscuro (Fig. 2). Fíbulas ausentes.

MATERIAL ESTUDIADO. BARCELONA: Santa Maria de Matorelles (Vallès Oriental), alt. 350 m; sobre restos vegetales en descomposición, en un bosque de Alnus glutinosa, Corylus avellana y Platanus hispanica, Quercus pubescens, bajo zarzas, Rubus ulmifolius, entre abundante hojarasca y pequeñas ramas muertas, 10-04-2016, leg. F. Caballero, SFC 160410-01.

OBSERVACIONES. Aunque Entoloma scabiosum es considerada una especie rara, su presencia en el centro y norte de Europa está bien documentada, especialmente en Alemania, Suiza, Suecia y Holanda, donde en alguna localidad puede ser abundante (NOORDELOOS, 1992). Sólo nos consta una primera cita documentada para la Península Ibérica, de VILA & CABALLERO (2009). Sin embargo, es posible que su presencia haya sido pasada por alto en otras localidades de nuestro territorio. Nuestras recolecciones fueron encontradas en zonas de difícil acceso, bajo zarzas (Rubus ulmifolius), y los colores oscuros del píleo, que se confunden con la hojarasca negruzca en descomposición, hace que esta especie sea difícil de detectar. El hábitat, típicamente de ribera, está formado por pequeños grupos de arboledas mixtas de planifolios, generalmente de Alnus glutinosa, Corylus avellana, Populus alba, P. nigra, y Platanus hispanica, mezclados en las zonas más periféricas con Arbutus unedo, Pinus pinea, Quercus pubescens, y Q. ilex. La presencia de Quercus en torno a E. scabiosum es comentada por NOORDELOOS (1992). Es probable que E. scabiosum tenga una mayor difusión en la Península Ibérica de la conocida actualmente, ya que este tipo de hábitat suele ser frecuente en muchos territorios de nuestro país, especialmente en el área boreomediterránea. Sin embargo, ello no significa que su presencia esté supeditada a las mismas características ecológicas y de temporada que hemos descrito para nuestras recolecciones, ya que según NOORDELOOS (1992), E. scabiosum es una especie que fructifica desde finales de agosto

Catalana de Micologia, vol. 38: 71-94; 2017.

hasta finales otoño; en cambio, en nuestro caso siempre la hemos hallado en primavera (VILA & CABALLERO, 2009). La especie se caracteriza por su píleo hirsuto, muy escamoso y oscuro, los tonos violáceos del estípite, y por la presencia de queilocistidios polimórficos. Los queilocistidios son muy similares a los de Entoloma porphyrophaeum (Fr.) P. Karst., una especie que, junto a E. scabiosum se incluye en el subgénero Trichopilus. E. porphyrophaeum se diferencia por tener la superficie pileica más clara, sin las escamas de color negro que presenta E. scabiosum, por tener esporas de mayor tamaño, y por presentar fíbulas.

Entoloma speculum (Fr.) Quél. Mémoires de la Société d’Émulation de Montbéliard 5: 119 (1872)

≡ Rhodophyllus speculum (Fr.) Quél.

Píleo de hasta 30 mm de diámetro, inicialmente convexo con tendencia a ir aplanándose en la madurez, manteniendo un discreto umbón central; de color blanco puro al principio, con veladuras amarillentas que aparecen al rato de la recolección. Superficie de aspecto satinado, discretamente estriada por transparencia, y con el margen algo irregular. Láminas adnatas, espaciadas, finas, anchas, y algo ventrudas, de color blanco con tonos rosáceos al madurar las esporas. Estípite de 60×5 mm, central, cilíndrico, compacto y algo sinuoso, con suave engrosamiento apical o basal según ejemplar; de color blanco puro con tenues veladuras amarillentas al ser manipulado. Superficie ligeramente fibrillosa, de aspecto satinado, similar al píleo. Carne delgada, de color blanco, y olor indefinido, tal vez algo afrutado. Sabor no probado. Esporas heterodiamétricas, de 7.7-12.5 × 6.8-10.4 µm, Xm = 9.3 × 7.9 µm, Q = 1.03-1.34, Qm = 1.18, con 5-7 ángulos poco marcados en general. Basidios tetraspóricos, de subclaviformes a claviformes, ocasionalmente subcilíndricos, o algo ventrudos, de hasta 30.4-41 × 9.7-11 µm. (sin esterigmas), fibulíferos. Se observa una gran cantidad de basidios curvados en su base. Cistidios ausentes. Pileipelis en cutis, formada por una estructura de hifas delgadas, de pared gruesa hialina, de 2-7.5 µm, dispuestas en paralelo, con una subcutis (suprapelis) diferenciada, formada por hifas de hasta 31 µm, septadas y constrictas, en muchos casos, al nivel del septo. Pigmento ausente, dado que las células se observan con un contenido citoplasmático hialino. Fíbulas presentes.

MATERIAL ESTUDIADO. BARCELONA: Parc de la Serralada Litoral, cerca de la Font de la Sunyera, Martorelles (Vallès Oriental), alt. 250 m. en un bosque mixto de coníferas, arbustos y planifolios (Quercus ilex, Quercus sp, Pinus pinea, Arbutus unedo, Erica scoparia), en el margen de una camino forestal, sobre un talud de 1,50 m de altitud, entre restos vegetales en descomposición, sobre todo de hojas de madroño, brezo y jaras, en suelo arenoso (sablón), ácido, 21-122002, leg. F. Caballero SFC 021221-01.

OBSERVACIONES Entoloma speculum es una especie rara en nuestras latitudes, con una difusión amplia en el norte de Europa donde está bien documentada. No tenemos constancia de ningún hallazgo publicado de esta especie en la Península Ibérica, salvo la cita con motivo de una exposición micológica celebrada en Barcelona en el año 1961, por parte el micólogo francés A. BERTAUX (1964). En el catálogo de todas las especies registradas cita dos especies del género Entoloma, E. lividum y E. speculum. Es interesante el hecho de que la localidad de la recolección de E. speculum citada por Bertaux, La Roca del Vallès, esté a escasos 13.5 km del lugar de nuestra recolección. Nuestro material encaja bien con los caracteres generales que describen E. speculum. Llama la atención sobre todo, su aspecto grácil, y el color blanco satinado y uniforme de los basidiomas (NOORDELOOS, icon. 2004), que la diferencia del resto de especies que conforman la estirpe Rhodopolium, cuyas especies suelen tener un aspecto más robusto y presentan tonos grises y pardos, raramente blanco (KOKKONEN, 2015). Ya en la diagnosis original de Agaricus especulum se destaca el aspecto delicado de esta especie (FRIES, 1836). Es probable que la rareza de su presencia en nuestros hábitats sea debida a que las condiciones climáticas que se requieren para su desarrollo en nuestras latitudes son irregulares y esporádicas en el tiempo. En relación a la pluviometría, el 2002, año de nuestro hallazgo, se contabilizaron un total de 818.9 mm, algo más del doble que los acumulados en años anteriores, con 84 días alternos con lluvia desde agosto hasta

diciembre (fecha de la recolección), lo que significa una frecuencia y volumen de precipitaciones anormalmente alto para esa zona. El agua caída con regularidad permitió que el período de aparición de especies se alargara hasta bien entrado el año 2003; las temperaturas durante esa época rondaron los 14.4 ºC de media. En este sentido es interesante anotar que, aunque el hallazgo de E. speculum de octubre de 1961 por Bertaux corresponde a un año escaso en pluviometría, en los 2 meses previos a su recolección se recogieron cerca de 180 mm en esa zona, cantidad significativa y muy parecida a la que precedió a nuestra recolección. Aunque estos datos no son concluyentes para interpretar la presencia de E. speculum en nuestras latitudes, pueden ayudar a explicar el por qué en épocas de escasas precipitaciones y altas temperaturas algunas especies que acostumbramos a recolectar en esta zona, casi desaparezcan por completo (fases de eclipse). La recolección que forma parte de nuestro estudio es la única que hemos podido obtener a lo largo de este tiempo. Dentro del género Entoloma hay varias especies que también pueden presentar basidiomas uniformemente blancos, por lo que podrían ser confundidos con E. speculum. Destacan en este sentido, E. niphoides (Romagn.) Noordel., E. leucocarpum Noordel., E. sericellum (Fr.) P. Kumm., y E. albogranulosum Noordel. & Hauskn. Sin embargo, E. niphoides se diferencia, por ser una especie primaveral (ROMAGNÈSI, 1951), probablemente micorrizógena, asociada a diferentes tipos de rosáceas a Prunus o Crataegus (NOORDELOOS, 1992), de aspecto más robusto y mayor tamaño, y con esporas algo más pequeñas; E. leucocarpum se distingue por presentar queilocistidios bien diferenciados, y por tener la base del estípite bulbosa, un carácter raro en Entoloma, quedando por confirmar si esta especie podría corresponder a una variedad con cistidios de E. speculum, según NOORDELOOS (1992); E. sericellum se diferencia por tener queilocistidios, y puede presentar la pileipelis en tricodermis; E. albogranulosum se diferencia por ser de menor tamaño, tener queilocistidios, y no presentar fíbulas.

Leucoagaricus crystallifer Vellinga, Persoonia 17 (3): 475 (2000)

≡ Sericeomyces crystallifer (Vellinga) Bon Píleo de hasta 30 mm de diámetro, variando de convexo cuando es joven, a plano con un suave umbón central en los ejemplares más maduros; de color blanco puro, y el disco central teñido de un color crema-ocráceo muy suave. Superficie lisa, de aspecto satinado, ni higrófana ni estriada por transparencia, cubierta por fibrillas muy finas que cubren longitudinalmente la totalidad del píleo. En los ejemplares más maduros se observan (sólo con lupa) alrededor del margen pequeñas escamas repartidas de forma uniforme. Margen incurvado, excedente, formado por los restos blanquecinos del velo parcial. Láminas muy densas, libres, finas, anchas y suavemente curvadas, sin llegar a ser ventrudas; de color blanco con la arista del mismo color y finamente erosionada. Lamélulas y lamelas abundantes. Estípite hasta 75 mm de largo × 3-5 mm, de color blanco puro, central, cilíndrico, con un suave engrosamiento que va desde el ápice hasta la base, donde destaca un bulbo de hasta 0.9 mm de diámetro. Cerca del ápice (1/4 del estípite) se observa un anillo ascendente membranoso de color blanco puro; Superficie lisa y de aspecto satinado, similar al píleo. Carne de color blanco, tanto en el píleo como en el estípite. Olor y sabor no destacables. Esporas amigdaliformes, subcilíndricas, o citriformes, de 6.1-9.9 × 3.9-5.2 µm, Xm = 7.5 × 4.4 µm, Q = 1.47-2.14, Qm = 1.69, apiculadas, metacromáticas, dextrinoides, poro germinativo no observado. Basidios tetraspóricos, de subclaviformes a claviformes, de hasta 22.4 × 7.7 µm (sin esterigmas). Arista laminar estéril, queilocistidios abundantes, mayoritariamente claviformes, menos abundantes subclaviformes y subcilíndricos, de hasta 47.5 × 0.7-12.3 µm, con abundantes incrustaciones cristaloides en el ápice. No se observan pleurocistidios. Pileipelis en cutis, con elementos esporádicos a modo de tricodermis, formada por una estructura de hifas cilíndricas, septadas, ocasionalmente bifurcadas, de 85 × 2-9 µm, subclaviformes o con el ápice agudo, con contenido citoplasmático hialino, salvo en la zona central, donde se aprecian hifas con pigmento parietal de color ocráceo claro. Fíbulas ausentes en todos los tejidos analizados.

Catalana de Micologia, vol. 38: 71-94; 2017.

Fig. 3.- Entoloma dysthales f. acystidiosum; a) basidio; b) esporas; c) pileipelis. Entoloma scabiosum; d) basidios; e) esporas; f) queilocistidios; g) pileipelis. Entoloma speculum; h) basididos; i) esporas.

71-94; 2017.

MATERIAL ESTUDIADO. BARCELONA: Parc de la Serralada Litoral, cerca de Can Romagosa, Martorelles (Vallès Oriental, Barcelona), alt. 140 m, en un pequeño torrente, sobre restos vegetales en descomposición, en un bosque mixto; por un lado arboleda típica de bosque de ribera, Alnus glutinosa, Corylus avellana, y por otro, compuesto por Pinus pinea, Quercus ilex, Arbutus unedo, Erica sp, en suelo ácido, granito meteorizado, 3-10-2010, leg. F. Caballero, SFC101003-02.

OBSERVACIONES. Leucoagaricus crystallifer forma parte de un grupo de especies con caracteres morfológicos muy homogéneos, por lo que resulta difícil su identificación a simple vista en el campo. Destacan por su aspecto grácil, generalmente de color blanco puro y satinado, pudiendo presentar matices o veladuras ocráceas, crema, o gris-ocráceo en el centro del píleo en ejemplares ya maduros. Los caracteres microscópicos también son muy similares dentro del grupo. Entre las especie más afines está L. serenus (Fr.) Bon & Boifard, que se diferencia por carecer de cristales en el ápice de los cistidios (MALENÇON & BERTAULT, 1970; VELLINGA, 2000), con queilocistidios claviformes, y algo más largos y gruesos (20-65 × 8.5-16 µm) que los de L. crystallifer, que suelen ser cilíndrico-fusiformes, raramente claviformes, o ligeramente utriformes, y algo más cortos y estrechos (23-51 × 5.5-13 µm). En cuanto a la morfología y tamaño de los queilocistidios hemos observado alguna pequeña diferencia, ya que en su mayoría tienden a ser claviformes o subclaviformes con tendencia a utriformes, mientras que, la presencia de queilocistidios subcilíndricos es irregular. Salvo esta pequeña diferencia, nuestro material encaja bien con la descripción de la especie. También hemos observado que la disposición de la pileipelis puede presentar en la zona periférica del píleo células apicales disociadas y erectas, a modo de tricodermis. La mención ocasional de esta disposición de la pileipelis como fibrilloso-escamosa, con fibrillas disociadas, o como células apicales libres no es rara y también es comentada por diferentes autores (VELLINGA, 2000; CANDUSSO & LANZONI, 1990; BON, 1993). La presencia de incrustaciones cristaloides en los ápices de los queilocistidios se da también en otras especies afines, como L. viscidulus (Heinem) Consiglio & Contu, L. menieri (Sacc.) Singer, L. subvolvatus (Malençon & Bertault) Bon, y L. volvatus Bon & Caballero, especies similares con las que podría confundirse. Sin embargo, L. viscidulus se caracteriza y diferencia por tener la superficie del píleo algo viscosa, queilocistidios de diferente morfología, en algunos casos subfusiformes algo mucronados, o apendiculados, y por presentar la pileipelis en ixotricodermis. L. menieri se diferencia por presentar la base del estípite con bulbo más robusto y restos de la volva frecuentemente presentes, anillo generalmente fugaz (en el caso de nuestros ejemplares, todos los basidiomas presentaban un anillo membranoso evidente), los colores del píleo pueden presentar colores ocráceos, incluso algo rosados, y por tener esporas de mayor tamaño. L. subvolvatus se diferencia por presentar un porte general más robusto, con un bulbo en la base del estípite de hasta 1.5 cm de diámetro, por presentar un color diferente en el disco central del píleo, generalmente grisáceo, queilocistidios de morfología diferente, y esporas más ovoideas, en ocasiones trapezoidales, y de mayor tamaño (BON, 1993). L. volvatus también tiene un porte más robusto, con un bulbo basal más prominente, de hasta 1,8 cm, con la zona central del píleo gelificada, presentando la suprapelis en ixotricodermis (BON & CABALLERO, 1995; CABALLERO, 2006). Aunque la presencia de incrustaciones en nuestro material fresco era muy regular, hacemos constar que en las preparaciones que se efectuaron sobre el mismo material seco de herbario años más tarde, se pudo observar como una gran parte de las incrustaciones antes observadas en el ápice de los queilocistidios habían desaparecido o quedaban disgregadas a modo de residuos.

Leucoagaricus ionidicolor Bellù & Lanzoni, Rivista de Micologia, 31 (3-4): 107 (1988). = Leucocoprinus caeruleoviolaceus D.A. Reid (1989)

Píleo de hasta 45 mm de diámetro, inicialmente convexo o cónico-convexo, aplanándose al madurar pero manteniendo ocasionalmente un discreto umbón central. Destacan unas pequeñas escamas de color violeta, sobre todo en la zona central, donde las escamas están más densas y toman un tono purpúreo más oscuro, que contrastan sobre un fondo violáceo claro, lila o blanquecino. Superficie mate, ni higrófana ni estriada por transparencia, con el margen

recto, algo estriado y ligeramente excedente a causa de los restos del velo parcial. Láminas de anexas a libres, densas, abundantes, finas, estrechas y suavemente curvadas, de color blanco a crema pálido con la arista del mismo color y finamente erosionada. Lamélulas y lamelas presentes. Estípite de hasta 85 × 3-8 mm, recto, curvado o algo sinuoso, con un suave y gradual engrosamiento desde el ápice hasta la base, de color de fondo similar al píleo, violeta claro o lila, aclarándose en la zona central y tomando un tono crema sobre el que destacan fibrillas y pequeñas escamas de color púrpura o violeta, con abundante pruina blanquecina en la zona apical y zona media del estípite, sobre todo en los ejemplares más maduros. Anillo membranoso, ascendente, de color violáceo, con tonos púrpura en el margen superior. Carne escasa, delgada, de color blanquecino en la parte interna, algo más oscura en el córtex, tanto del píleo como del estípite. Olor y sabor suaves, no destacables. Esporas de elípticas a amigdaliformes, de 5.8-7.6-(8.4) × 3.7-4.9(5.4) µm, Xm = 6.6 × 4.3 µm, Q = 1.26-1.70, Qm = 1.55, congófilas, dextrinoides y metacromáticas. Basidios de subclaviformes a claviformes, tetraspóricos, de hasta 20-25 × 0.8-11 µm (sin esterigmas), no fibulíferos. Trama laminar compuesta de células gruesas, de hasta 10-22 µm. Arista laminar estéril, con abundantes queilocistidios, mayoritariamente claviformes, de hasta 30-40 × 8-13 µm. Pileipelis tipo tricodemis, formada por una estructura de células largas con ápices en ocasiones alargados y mayoritariamente agudos, más raramente con terminación apical redondeada, de hasta 160 × 13.9-19.7 µm, con pigmento intracelular vacuolar dominante, o difuso, de color púrpura a pardo-púrpura. Fíbulas ausentes en todos los tejidos analizados.

MATERIAL ESTUDIADO. BARCELONA: Parc de la Serralada Litoral, Font de la Dinamita, y Torrent Font de la Sunyera, Martorelles (Vallès Oriental), alt. 140 m, en un bosque mixto de coníferas y planifolios (Quercus sp, Q. ilex, Pinus pinea, Arbutus unedo, Erica scoparia), sobre restos vegetales en descomposición, especialmente de hojas de roble y brezo, en suelo arenoso (sablón), ácido, 19-11-2008, leg. F. Caballero SFC 081119-01. Ibid., 05-11-2016, leg. F. Caballero SFC 161105-01. Ibid., 06-11-2016, leg. F. Caballero SFC 161106-01. GIRONA: Masjoan, Espinelves, alt. 740 m, en una plantación de Sequoiadendrum giganteum, Sequoia sempervirens y Picea sp., 11-10-1996, leg. M. Tabarés, SCM 3200B. (Topotypus).

RESULTADOS FILOGENÉTICOS. Utilizamos la herramienta BLAST-N (https: //blast.ncbi.nlm.nih. gov/) para comparar las secuencias de ITS de nuestro material de Martorelles, ALV1502 (nº herbario SFC.081120-01), el material del topotipo asignado de Sant Hilari Sacalm, ALV7147 (nº herbario SCM 3200B), y la muestra de L. ionidicolor de Stokhem, Limburg (Paises Bajos) AY176415 depositada en GenBank por Vellinga. En ambo casos obtuvimos unos valores del 99% de similitud con la secuencia AY176415 (645/650 y 662/667 bases para ALV1502 y ALV7147V respectivamente) y un E value igual a 0. Los resultados del BLAST sugieren la identidad de nuestro material como L. ionidicolor.

ECOLOGÍA Y DISTRIBUCIÓN. El topotipo estudiado fue recolectado exactamente en el mismo lugar del holotipo, en el arboreto de Masjoan, en el término municipal de Espinelves, Girona. Este arboretum está compuesto por diversas especies de coníferas, en su mayoría de origen foráneo y entre las que destacan por su interés, Sequoiadendrum giganteum, Sequoia sempervirens, Pseudotsuga menziesii, o Abies pinsapo, especie bajo la que se recolectó el holotipo, y posteriormente el topotipo (ROCABRUNA & TABARÉS, 2004). Debido al hábitat artificial del arboretum, inicialmente se creyó que L. ionidicolor podría corresponder con alguna especie exótica (comunicación personal). Sin embargo, citas posteriores sugieren que la especie, aunque es poco común, está ampliamente distribuida en el continente europeo. Aparentemente prefiere climas templados, como los que se dan en el arco mediterráneo (España, Sur de Francia e Italia), pero también ha sido recolectada en zonas templadas de Bélgica, Holanda, Suecia, Austria, Gran Bretaña, Hungría, o la República Checa, país donde es probable que la mayor difusión de la especie se deba a los cambios climáticos producidos en los últimos 15 años, con temperaturas más templadas (HOLEC, 2009). Tampoco muestra una predilección por ningún tipo de substrato y se ha recolectado en hábitats diversos, bajo diferentes tipos de arboleda: Fagus, Fraxinus, Quercus, Picea, Pinus, Ulmus. En nuestro caso se desarrollaban entre materia orgánica y la abundante hojarasca procedente de robles, brezos, y madroños, con la cercanía de pinos y encinas, vegetación

Catalana de Micologia, vol. 38: 71-94; 2017.

Fig. 4.- Leucoagaricus crystallifer; a) esporas; b) basidios; c) queilocistidios; d) pileipelis; Leucoagaricus ionidicolor; e) esporas ; f) basidios; g) queilocistidios; h) pileipelis.

típicamente mediterránea. La época de fructificación, el mes de noviembre, es muy similar a la descrita para el holotipo y el topotipo, (BELLÙ & LANZONI, 1988, VILA et al., 1997).

TAXONOMÍA. Leucoagaricus ionidicolor presenta una notable variabilidad intraespecífica en el tamaño de las esporas y de las células de la suprapelis, como demuestran las distintas medidas publicadas por diversos autores, recogidas en la Tabla 1. Dada la diversidad de ecosistemas en los que ha sido recolectada, creemos que las pequeñas diferencias morfológicas comentadas podrían deberse exclusivamente a la adaptación a dichos ecosistemas y formarían parte de la plasticidad fenotípica que la especie puede presentar. Descartamos, pues, la sugerencia hecha en VILA et al. (1997) de interpretar este material (topotipo) como correspondiente a una probable forma de L. ionidicolor con esporas de mayor tamaño. Nuestro análisis muestra, que si bien se observan esporas que en algún caso superan las 8 µm, el promedio final está muy cerca de la media dada por BELLÙ & LANZONI (1988), lo que no justificaría la descripción de una forma independiente, sobre todo si se tiene en cuenta que esta recolección se realizó exactamente en el mismo lugar que el holotipo.

Autores Esporas

Células de la suprapelis

BELLÙ & LANZONI (1988) 5.5-6,5 × 3.3-3.7 µm 11-16 µm

BON (1993) 6-7-(7.5) × 3.5-4 (4.5) µm 6-12-(15) µm

CABALLERO (material topotipo)

5.8-7.1-(8.1) × 3.7-4.5 9) µm, Xm = 6.4 ×4.1 µm 11,5-18,3-(22) µm

CABALLERO (Martorelles 2008) 5.8-7.6 × 3.7-4.9 µm, Xm = 6,6 × 4,3 µm 13.9-19.7 µm

HOLEC (2009) (5.2)-5.5-6.0-(6.5) × 3.2-3.5-(4.0) µm 15-20 µm

VELLINGA (2001) 6.0-7.0 × 4.0-4.5 µm 8-12 µm

VILA et al (1997) 6-7 (9) × 4-4.5 µm

No consta

Tabla 1.- Medidas de las esporas y de las células apicales de la suprapelis, de acuerdo con diversos autores.

Entre las especies afines con las que podría ser confundida, destacamos L. ianthinosquamulosus

Guinb., L. marriagei (Reid) Bon, y L. ianthinophaeus Locq. Sin embargo, L. ianthinosquamulosus se diferencia por presentar esporas de mayor tamaño (6.5-10-(12.5 µm), y por la presencia de pigmento incrustante en las células de la pileipelis (VELLINGA, 2001; BON, 1993); L. marriagei se diferencia por presentar basidiomas de menor tamaño, esporas que pueden presentar una morfología diferente, y pigmento mixto, intracelular e incrustante, (HOLEC, 2009; VELLINGA, 2001; BON, 1993); L. ianthinophaeus se diferencia por presentar esporas de menor tamaño (VELLINGA, 2001), ausencia de anillo, pigmento incrustante, y células apicales de pileipelis más cortas (HOLEC, 2009, BON 1993).

Trichocybe puberula (Kuyper) Vizzini, Fungal Diversity 42: 97-105 (2010)

≡ Clitocybe puberula Kuyper

Píleo de hasta 40 mm de diámetro, de cónico-convexo a convexo al principio, adquiriendo forma plana, umbilicada, o profundamente embudada, infundibuliforme, al madurar. Superficie inicialmente pruinoso-pubescente, con presencia de multitud de fibrillas que, compactadas, forman pequeñas escamas esparcidas por toda la superficie de forma regular o irregular. Estas escamas en algún caso pueden permanecer, o desaparecer casi por completo a medida que los basidiomas maduran. También se observan ejemplares bien hidratados con la superficie del píleo completamente lisa, higrófana y algo estriada por transparencia. De color variable, crema claro, crema-rosáceo, violáceo, o pardo-rojizo con los márgenes algo más claros. Láminas adnatas, uncinadas, o muy decurrentes, algo densas y gruesas, de color blanco, crema, o gris muy pálido,

Revista Catalana de Micologia, vol. 38: 71-94; 2017. 83

difuminado con tonos violáceos al principio, y mezclados con tonos parduzcos al madurar. Lamélulas y lamelas abundantes. Arista generalmente entera, aunque en algún ejemplar se observa algo erosionada, del mismo color, o algo más oscura al madurar. Estípite de hasta 20-30-(35) × 2-35 mm, macizo o hueco, central o excéntrico, recto o sinuoso, en ocasiones curvado y vertical debido a que en algún caso los grupos más numerosos crecían de forma cespitosa y se desarrollaban lateralmente sobre un tronco caído. Se observan ejemplares con un engrosamiento gradual suave, que va desde la base del estípite al ápice del mismo. Al principio de color blancogrisáceo pálido, crema, o crema-amarillento, aunque algunos ejemplares maduros también pueden presentar el estípite parcial o totalmente de color pardo, generalmente más claros que el píleo. Superficie inicialmente de aspecto pubescente, similar al píleo, con fibrillas blanquecinas que cubren gran parte de la superficie, y forman pequeñas escamas que, por lo general, se torna lisa al madurar. Carne sutil, muy delgada, de color crema, ocre, u ocre-parduzco según la hidratación. Olor a harina intenso, subespermático al frotar. Sabor amargo evidente. Esporas de 4.7-7.5 × 2.64.9, µm, Xm = 6.0 × 4.0 µm, Q = 1.23-1.86, Qm = 1.52, (151 mediciones), elípticas, ocasionalmente subglobosas, con apículo corto, no amiloides, reacción cianófila dudosa. Basidios tetraspóricos, cortos y con esterigmas pequeños, de sub-claviformes a claviformes, de hasta 17.5-20 × 5.5-6.2 µm, (sin esterigmas), fibulíferos. Tanto en el interior de los basidios, basidiolos y cistidios, se observa un contenido intracelular granular muy fino, de color amarillo verdoso. Arista laminar heterogénea, con queiloscitidios (gloeocistidios) rectos o sinuosos, en muchos casos bifurcados (recuerdan en algún caso a alguna especie del género Alnicola), esparcidos en grupos de forma irregular por la arista laminar, ocasionalmente abundantes, de hasta 25-30-55.8 × 2.5-3.9 µm, con contenido citoplasmático granular muy fino, de color pardo-amarillento (Rojo Congo), a verdeoliváceo claro (en agua). Pleurocistidios (gloeocistidios) idénticos en forma y medidas a los queilocistidios, pero más abundantes en algunos ejemplares y con una disposición más regular en ambas caras de la lámina. También se observan con regularidad pequeñas secreciones esféricas adheridas a la superficie de los cistidios (queilocistidios y pleurocistidios) con contenido de aspecto oleoso, o resinoso. Trama laminar irregular formada por un entramado de hifas delgadas de entre 12-4 µm, junto a otras más gruesas de hasta 5.4-14.5 µm, entremezcladas con abundantes hifas oleíferas de 3-15.8 µm. Pileipelis en cutis, con agrupaciones de hifas en transición a una tricodermis, distribuidas de forma irregular por la superficie pileica; por un lado se observan grupos de hifas aisladas, en posición oblicua o vertical, o bien formando agrupaciones de hifas multiseptadas y muy compactadas que adquieren una forma piramidal. También se observan basidiomas, especialmente ejemplares maduros y bien hidratados, con la superficie pileica completamente en cutis, compuesta por una estructura de hifas cilíndricas y delgadas de 130 × 4-7 µm, a veces con hifas multi-septadas y diverticuladas, de 113 × 6-8.8 µm, con excrecencias laterales de hasta 3.6-5.3-12.9 µm, con pigmento parietal, de color amarillo a verde-oliváceo, y contenido intracelular generalmente hialino, en ocasiones granular vacuolar muy fino de color verdoso (observado en agua). La subpelis está formada por una estructura de células subesféricas, esféricas, claviformes o esferopedunculadas, con contenido intracelular de color verde-oliváceo claro, con gránulos de pequeño tamaño (observado en agua). En medio de estos tejidos también se observan multitud de hifas oleíferas con contenido intracelular uniforme de color verde oliváceo pálido. Estipitipelis generalmente en cutis, formada por un entramado de hifas de hasta 2-3 µm, junto a otras de mayor diámetro, de hasta13.8-16-(-24) µm. Trama del tejido interno no diferenciada, compuesto de hifas generativas delgadas, e hifas gruesas constrictas al nivel de septo. Aunque esporádicas, también se observan hifas diverticuladas con excrecencias laterales, parecidas a las observadas en la pileipelis. Fíbulas presentes en todos los tejidos observados.

MATERIAL ESTUDIADO. BARCELONA: Parc de la Serralada Litoral, Torrent Font de la Sunyera, Martorelles (Vallès Oriental), alt. 350 m. En un bosque mixto de planifólios, Alnus glutinosa, Corylus y Populus nigra sobre un tronco caído en descomposición de P. nigra, cubierto parcialmente de musgo. Suelo del lugar arenoso, ácido, 15-04-2007, leg. F. Caballero, SFC 070415-25._Ibid., 13-04-2009, leg. F. Caballero, SFC 090413-01._Ibid., 25-03-2016, leg. A. Caballero. SFC 16032501._Ibid., 28-03-2016, leg. F. Caballero, SFC 160328-01._Ibid., 02-04-2016, leg. P. Caballero, SFC 160402-01._Ibid.,

Fig. 5.- Árbol filogenético de mayor verosimilitud obtenido con RAxML basado en secuencias de ITS. Sobre los internodos se encuentran los valores de soporte estadístico obtenidos con 1000 pseudoréplicas de bootsatrap. Valores significativos (= 70%) se indican con los internodos engrosados.

Catalana de Micologia, vol. 38: 71-94; 2017. 85

10-04-2016, leg. F. Caballero, SFC 160410-01. GIRONA: Márgenes de la riera de Breda, Riells de Montseny, alt. 755 m, sobre un tronco muy descompuesto de Populus sp., 16-03-1996, leg. A. Rocabruna, J. Vila y M. Tabarés, SCM 3181B._Ibid., 23-03-1996, ejemplares maduros, leg. A. Rocabruna, SCM 3183B.

RESULTADOS FILOGENÉTICOS

Los resultados del análisis BLAST-N sugieren una identidad total (100%) de las secuencias ITS de las muestras SFC 160325-01 (idéntica a SFC 160410-01) y SCM 3183B con las de Trichocybe puberula almacenadas en GenBank (FM877682 y KY350218, respectivamente). En los resultados filogenéticos (Fig. 5), todas nuestras recolecciones de T. puberula se agrupan en el mismo clado con el resto de secuencias de T. puberula depositadas en GenBank, con un valor estadístico de bootstrap significativo (96%). Este clado incluye también un especimen de Clitocybe brumalis (MCVE 9552), que interpretamos como un error de identificación del mismo, ya que su ITS es prácticamente idéntico al del resto de muestras de T puberula. Sin embargo, no hemos podido revisar este ejemplar para confirmarlo. La posición filogenética de T puberula dentro del clado tricolomatoide permanece aún sin resolver debido a la falta de un análisis multigénico apropiado, aunque los datos preliminares (ALVARADO, no publicado), indican un parentesco significativo con la familia Lyophyllaceae.

ECOLOGÍA Y DISTRIBUCIÓN

Se han examinado y descrito varios caracteres morfológicos en base a ocho recolecciones de dos localidades de Cataluña. Las dos primeras se hallaron en la localidad de Riells (Girona) en la primavera de 1996, ambas fueron recolectadas sobre el mismo tronco en descomposición de Populus sp. Las seis restantes pertenecen a la localidad de Martorelles (Barcelona). La primera fue hallada en la primavera de 2007 sobre un tronco en descomposición de P. nigra, la segunda fue recolectada en la primavera de 2009 sobre el mismo tronco, y las cuatro últimas se hallaron en la primavera de 2016, en el mismo lugar, pero sobre otro tronco en descomposición de P. nigra. Las dos localidades comentadas distan 44 km la una de la otra, compartiendo ambas un hábitat similar, con una ecología marcadamente mediterránea, muy diferente al hábitat descrito para Trichocybe puberula (VIZZINI et al., 2010) donde se citan muestras procedentes de Suiza, Francia, Alemania y Noruega (POULAIN, 1990; CHEYPE, 2005; LOHMEYER et al., 1993; BON, 1997).

TAXONOMÍA

De la comparación de nuestras recolecciones con la descripción de Trichocybe puberula (sensu VIZZINI et al., 2010), destacamos algunas diferencias fenotípicas que tienen que ver, especialmente, con la estructura macroscópica de la superficie del píleo, la medida de las esporas, la presencia de abundantes pleurocistidios, la tipología de la pileipelis, la presencia de abundantes hifas oleíferas, y las secreciones de tipo oleoso-resinoso que hemos observado en las paredes y ápices de un gran número de cistidios. Con ello pretendemos añadir a la descripción original nuevos datos que podrían describir mejor la variabilidad intraespecífica de esta especie. Con el fin de describir las diferencias que hemos observado entre algunos caracteres de T. puberula sensu VIZZINI et al., 2010 y nuestro material, exponemos por orden alfabético las más destacables. Píleo. Superficie pruinoso-pubescente, con presencia de pequeñas escamas repartidas por toda la superficie pileica, persistentes sobre todo en los primeros estadios de su desarrollo, manteniéndose en cualquier caso esa pubescencia en los márgenes del píleo (VIZZINI et al., 2010). Las diferencias observadas en las recolecciones de Riells (Girona) se refieren a que la mayoría de ejemplares analizados presentaban una pubescencia abundante, similar a la descrita por Vizzini. Sin embargo, las recolecciones de Martorelles presentaban escasa pubescencia. En la primera recolección de 2007 las escamas eran muy poco abundantes, y estaban esparcidas y dispuestas de forma muy irregular, especialmente en los márgenes del píleo. En la recolección de 2009, la mayoría de los basidiomas, primordios y ejemplares maduros, presentaban una superficie pileica casi lisa en todos los casos, tan solo con alguna reminiscencia apenas destacable de pubescencia. En las cuatro recolecciones restantes de 2016, sólo algún primordio

Catalana de Micologia, vol. 38: 71-94; 2017.

Entoloma dysthales f. acystidiosum (SFC 080608-01); Fotos F. Caballero.
Entoloma scabiosum (SFC 160410-01); Foto F. Caballero.
Entoloma speculum (SFC 021221-01); Foto M. Tabarés.
Leucoagaricus crystallifer (SFC 101003-02); Foto F. Caballero.
Fig. 6.- Trichocybe puberula; a) esporas, b) basidios; c) pleurocistidios; d) queilocistidios; e) grupo de hifas con forma piramidal (tricodermis).

aislado y muy incipiente, de no más 5-12 mm de diámetro, presentaba una pubescencia destacable, el resto de basidiomas presentaban la superficie pileica prácticamente lisa. Esas diferencias son importantes, dado que el tipo de superficie del píleo es un carácter morfológico que define el género Trichocybe Esporas. La medida está en torno a (5.0) 6.5-8.5-(9.0) × (3.0) 3.5-4.8-(5.5) µm, Xm = 7.5 × 4.2 µm, Q = (1.3) 1.6-1.9-(2,0), Qm = 1.75 (VIZZINI et al., 2010). En nuestras recolecciones de Martorelles se mantiene de manera constante el mismo promedio en todas las mediciones efectuadas: esporas de 4.7-7.5 × 2.6-4.9, µm, Xm = 6.0 × 4.0 µm, Q = 1.23-1.86, Qm = 1.52, claramente inferiores a las mediciones de VIZZINI et al. (2010), pero cercanas a las mediciones para Clitocybe puberula por LOHMEYER et al (1993). En las recolecciones de Riells se da una medida de 6.0-8.0 × 4.0-5.4 µm, Xm = 6.8 × 4.5 µm, Q = 1.29-1.76, Qm = 1.53, también algo inferior a las mediciones de VIZZINI et al. (2010). Ello significaría que la especie se mueve dentro de un rango con una tolerancia de entre 1-1.5 µm para el largo, y apenas con diferencias en cuanto al ancho.

Cistidios. La presencia de queilocistidios es irregular y dispersa. Sin embargo, la presencia de pleurocistidios es muy rara (VIZZINI et al., 2010). Incluso en la descripción de Clitocybe puberula por KUYPER (1983) no se mencionan. Por lo que se refiere a los cistidios (gleocistidios), en las recolecciones de Riells y Martorelles la presencia de queilocistidios también es irregular, y un mismo basidioma pueden presentar láminas sin apenas presencia de queilocistidios, o de forma ocasional puede presentarlos diseminados, formando grupos densos. Sin embargo, la presencia de pleurocistidios es más abundante y más regular que la presencia de los queilocistidios, especialmente en el material de Martorelles (Fig. 7: a, b, c). Este hecho contrasta con la descripción dada para T. puberula, donde se destaca que la presencia de pleurocistidios es muy rara (VIZZINI et al., 2010).

Pileipelis. La disposición de la suprapelis es una cutis en transición a tricodermis, con agrupaciones celulares a modo de racimos oblicuos, o de aspecto piramidal, que irrumpen verticalmente entre la cutis a modo de tricodermis (VIZZINI et al., 2010). En nuestras muestras, la disposición de la suprapelis puede variar: (i) una cutis con agrupaciones de hifas aisladas en forma de racimos oblicuos, o de aspecto piramidal a modo de tricodermis. (ii) Grupos de hifas individuales más o menos densos que irrumpen de forma vertical a modo de tricodermis en medio de la cutis. Esta disposición de la pileipelis está bien representada en la iconografía de la descripción de Clitocybe puberula dada por KUYPER (1983). (iii) En algunos casos, también se observa una cutis típica formada por hifas acostadas en paralelo, sin evidencias de hifas en tricodermis en toda la superficie pileica (Fig. 7: d, f, g).

OTRAS OBSERVACIONES

Hifas oleíferas. Se observan gran cantidad de este tipo de hifas gleopleurogenas, con contenido intracelular homogéneo en la mayoría de recolecciones (Fig. 7: h, i). Aunque la presencia de hifas oleíferas es un carácter habitual en otros géneros, por ejemplo Entoloma, en el caso de Trichocybe merece ser destacado por su evidente abundancia, observadas en la mayoría de preparaciones microscópicas. En la descripción del holotipo de Clitocybe puberula no se mencionan (KUYPER, 1983), ni tampoco en la descripción de T. puberula (VIZZINI et al., 2010). Probablemente la presencia de este tipo de hifas esté directamente relacionada con el tipo de substrato donde fructifican. En nuestro caso fructificaban sobre Populus nigra, en suelo arenoso meteorizado acido, mientras que las recolecciones suizas fructificaban sobre restos de madera de coníferas (Abies alba, Picea abies) en suelo calcáreo básico (VIZZINI et al., 2010). En el caso del holotipo de C. puberula, tan solo se comenta el serrín como substrato (KUYPER, 1983). La abundante presencia de este tipo de hifas podría explicar el sabor claramente amargo que pudimos experimentar en las recolecciones de Martorelles, diferente

Catalana de Micologia, vol. 38: 71-94; 2017.

Fig. 7.- Trichocybe puberula; (SFC 090413-01); a) células de la pileipelis de aspecto piramidal; b) pileipelis en tricodermis; c) pileipelis en cutis; d) corte trasversal de la lámina; e) cistidios con secreciones; f) pleurocistidios; g) queilocistidios; h, i) hifas oleíferas.

Revista Catalana de Micologia, vol. 38: 71-94; 2017.

Trichocybe puberula (SCM3181B); Foto M. Tabarés. (SFC 160410-01); (SFC 160325-01); (SFC 160325-01); (SFC070415-25) Fotos F. Caballero.

a la descripción organoléptica de T. puberula, descrita como suave o algo rancio por VIZZINI et al., (2010), o rancio para Clitocybe puberula (KUYPER, 1983). En el caso de las dos recolecciones de Riells solo se describe con sabor nulo (VILA et al., 1997).

Secreciones abundantes de contenido oleoso o resinoso adherido a las paredes y ápices de los cistidios (gleocistidios) en forma de pequeñas esferas. La gran cantidad de hifas oleíferas antes comentadas podrían explicar la presencia de abundantes cistidios con secreciones, probablemente, al actuar éstos como células secretoras (Fig. 7: e). Estas secreciones tampoco son comentadas en la descripción de T. puberula (VIZZINI et al., 2010), ni en la descripción de Clitocybe puberula por KUYPER (1983).

Contenido intracelular citoplasmático hialino en un gran número de hifas de los diferentes tejidos analizados; (iv) pigmento intracelular denso de color amarillo-verdoso, en ocasiones junto a pigmento granular muy fino de color verde oscuro, formado por gránulos compactados y dispuestos de forma irregular en todos los tejidos (suprapelis, subpelis, basidios, cistidios y esporas); y (v) pigmento parietal de color verde, observado en un gran número de hifas de paredes gruesas. No hemos observado en ninguna de las diferentes preparaciones microscópicas el pigmento incrustante citado por VIZZINI et al. (2010).

CONCLUSIONES

Entre los factores medioambientales que pueden haber influido en estas diferencias, proponemos los siguientes: (i) diferencia en el tipo de substrato; en nuestro caso, madera de Populus (planifolio), y coníferas en el caso de las recolecciones suizas (VIZZINI et al., 2010), (ii) suelo ácido tipo sablón (procedente de granito meteorizado) en nuestro caso, diferente al tipo de suelo calcáreo básico descrito por Vizzini, (iii) una pluviometría media anual muy por debajo de las que se suelen recoger en los países del centro y norte de Europa, y (iv) una temperatura y exposición lumínica media, también superior a la de esos países. El tipo de hábitat donde nosotros hemos hallado T. puberula es un hábitat común en muchos lugares de la Península Ibérica, especialmente en arco mediterráneo. Es probable que la especie tenga una difusión más amplia que la representada por las localidades comentadas. Incluso es posible que haya sido confundida en más de una ocasión con otras especies. Destacamos en este sentido que las dos recolecciones de Riells que hemos adoptado como topotipo, fueron determinadas erróneamente como Gerronema incarnatum Clémençon, en base a un análisis y descripción muy superficial de los caracteres macroscópicos y microscópicos (VILA et al., 1997), cuando el carácter fundamental para la identificación de especies del género Gerronema Singer es la presencia de tejido estructural sarcodimítico (NORVELL, 1994). Trichocybe puberula = Clitocybe puberula no lo presenta (KUYPER, 1983). Además, en el protólogo de Clitocybe incarnata se la describe como una especie sin cistidios, recolectada entre musgos en el margen de un camino (MÉTROD, 1951). Teniendo en cuenta que T. puberula es una especie típicamente lignícola, estaríamos ante una diferencia importante en el tipo de hábitat y substrato que ambas especies necesitan para su desarrollo, además de una diferencia microscópica importante como es la presencia de cistidios en esta especie. Quedaría por confirmar si G. incarnatum corresponde realmente al género Gerronema Singer, teniendo en cuenta, sobre todo, que la combinación dada por Clemençon se basa únicamente en una trascripción literal de la descripción de Métrod sin un análisis microscópico previo del material del holotipo, debido a lo cual, no se describe la presencia de tejido sarcodimítico para esta especie CLÉMENÇON (1982).

AGRADECIMIENTOS

Agradecemos al Dr. X. Llimona (Dpto. Biología Vegetal, Univ. de Barcelona) la revisión del presente artículoy su intermediación para la obtención de recursos económicos a través de los “Fons de Recerca Salvador Llimona”. Nuestro agradecimiento al Dr. J. Llistosella (Dpto. Biología Vegetal, Univ. de Barcelona) por poner a nuestra disposición material del herbario BCN-SCM. Al

Dr. J. Girbal (Dpto. Biología Vegetal, Univ. Autónoma de Barcelona) el tiempo dedicado en la identificación de algunas de las especies vegetales que conforman algunas comunidades de ribera, localidades de interés para nuestro estudio. Agradecemos a M. Tabarés su amabilidad en la cesión de imágenes de Entoloma speculum, Leucoagaricus ionidicolor, y Trichocybe puberula. Al amigo J. Rius por su paciencia ante cualquiera de las consultas en la elaboración de este artículo. Al amigo G. Muñoz sus consejos y sugerencias. Y al compañero J. Fernández por el tiempo dedicado a la búsqueda y préstamo de la bibliografía que se ha consultado.

BIBLIOGRAFÍA

BELLÙ, F. & G. LANZONI (1988).- Leucoagaricus ionidicolor sp. nov. Rivista de Micologia. Boll. Gruppo Micol. G. Bresadola. 31 (3-4): 107-110.

BERTAUX, A. (1964).- Collectanea Botánica. Vol. IV. Fasc. III, nº 16

BON, M. (1993).- Flore Micologique d’Europe, 3- Les Lépiotes, 96-99. Doc. Mycol. Mémoirs hors série nº 3. Lepiotaceae Roze. BON, M. (1997).- Flore Micologique d’Europe, 4- Les Clitocybes, Omphales et ressemblants, 46,47-142,143

BON, M. & CABALLERO (1995) .- Une nouvelle espèce amanitoïde de Lepiotaceae Leucoagaricus volvatus Doc. Mycol XXIV, 96: 9-10.

CABALLERO, A. (2006).- Flora micológica de la Rioja: dos raras e interesantes especies. Kalakorikos, 11. 2006, pp.: 247-256.

CASTRESANA, J. (2000). Selection of conserved blocks from multiple alignments for their use in phylogenetic analysis. Molecular biology and evolution, 17(4), 540-552.

CANDUSSO, M. & G. LANZONI(1990).- Lepiota s.1. Fungi Europaei 4. G. Biella, Saronno, 743 pp.

CHEYPE J. L. (2005).- Contributión à la connaissance del champigons de la haute vallée de L’arve (Haute-Savoie). Bulletin Mycologique et Botanique Dauphiné-Savoie, 177: 33-44.

CLÉMENÇON, H. (1982).- Kompendium der Blätterpilze Europäische omphalinoide Tricholomataceae. (Zeitschrift für Mykologie 48 (2):223.

FRIES, E. M. (1836).- Spicilegium Plantarum neglectarum: 4. Upsaliae.

HOLEC, J. (2009). Remarks on taxonomy and ecology of leucoagaricus ionidicolor based on a find from Central Bohemia (Czech Republic). Mycotaxon 109: 329-336

KOKKONEN, K. (2015).- A survey of boreal Entoloma with emphasis on the subgenus Rhodopolia Mycol Progress, 14:116.

KUYPER, T.W. (1983).- A new species of Clitocybe. Sydowia 36: 173-175.

LARSSON, A. (2014).- AliView: a fast and lightweight alignment viewer and editor for large datasets. Bioinformatics, 30: 32763278.

LOHMEYER, T. R.,J. CHRISTAN & O. GRUBER (1993).- Clitocybe puberula Kuyper, Lentaria albovinacea Pilat und andere Pilze auf Sägemehlablagerungen bei Burghausen/ Oberbayern. Z. Mykol. 59:193-214.

LÜCKING, R., B. P. HODKINSON, A. ASTAMATAKIS & R. A. CARTWRIGHT (2011).- PICS-Ord: unlimited coding of ambiguous regions by pairwise identity and cost scores ordination. BMC Bioinformatics, 12: 1.

MALENÇON, G. & R. BERTAULT, R. (1970).- Flore des Champignons Superieurs du Maroc I Rabat.

METROD, G. (1951).- Rêvision des Clitocybes, Bull. Soc. Mycol. Fr. 67:398,399.

MOSER, M.M. (1973).- Die arten um Rhodophyllus dysthales (Peck) Romagn. Persoonia 7 (2):281-288.

MOSER, M.M. (1980).- Guida alla determinazione dei funghi. Poluporales, Boletales, Agaricales, Russulales. Vol. 1: 222. Saturnia. Trento, 565pp.

NOORDELOOS, M. E. (1979).- Entoloma subg. Pouzaromyces emend in Europe. Persoonia 10(2):207-243.

NOORDELOOS, M .E. (1992).- Entoloma s.l. Fungi Europaei 5, Librería editrice G. Biella, Saronno. 760 pp.

NORVELL, L.L., S .A. REDHEAD & J. F. AMMIRATI (1994).- Omphalina sensu lato in North America 1–2. 1: Omphalina wynniae and the genus Chrysomphalina, 2 : Omphalina sensu Bigelow. Mycotaxon 50:379–407.

POULAIN, M. (1990).- Clitocybe puberula Kuyper.Bull. Soc. Mycol. Fr. 106: 1-3, pl.258.

ROCABRUNA, A. & M. TABARÉS (2004).- Leucoagaricus ionidicolor Bellú & Lanzoni. Bolets de Catalunya XXIII: pl. 1132 [sub « 1032 »].

ROMAGNÈSI, H. (1951).- Les entolomes printaniers du groupe Clypeatum Bull. Soc. Mycol. Fr. 67: 214-215.

STAMATAKIS, A. (2014).- RAxML Version 8: A tool for Phylogenetic Analysis and Post-Analysis of Large Phylogenies. Bioinformatics 30 (9): 1312-1313.

VELLINGA, E.C. (2000).- Leucoagaricus subgenus Sericeomyces, Persoonia 17: 475

VELLINGA, E.C. (2001).- 6. Leucoagaricus (Locq. ex) Sing. In: ME Noordeloos, TW Kuyper, EC Vellinga (eds.), Flora agaricina neerlandica, vol. 5, p. 85–108. Lisse etc., A.A. Balkema.

Leucoagaricus ionidicolor (topotipus) (SCM 3200B); Foto M. Tabarés.

VILA, J. & F.CABALLERO (2007).- Entoloma nuevos o interesantes de la Península Ibérica. II. Fungi non Delineati XXXVIII. 64 pp. Ed. Candusso, Alassio.

VILA, J. &F. CABALLERO (2009).- Entoloma nuevos o interesantes de la Península Ibérica. II. Fungi non Delineati XLV. 100 pp. Ed. Candusso, Alassio.

VILA, J., F. CABALLERO, F. J.CARBÓ., P. ALVARADOS. CATALÀ, M. A. HIGELMO & X.LLIMONA (2014).Preliminary morphologic and molecular study of the Entoloma rusticoides group. Revista catalana Micol. 35: 65-99.

VILA, J., J. CARBÓ, F. S. CABALLERO, S. CATALÀ X. LLIMONA & M. E. NOORDELOOS (2013).- A first approach to the study of the genus Entoloma subgenus Nolanea s.l. using molecular and morphological data. Fungi non Delineati LXVI (Studies on Entoloma): 3-62, 93-135 (iconography).- Edizione Candusso, Alassio.

VILA, J., M. CONTU, CABALLERO, & A. ORTEGA (2007).- Sinopsis del género Rhodocybe (secc. Rhodocybe) en Europa y descripción de Rhodocybe formosa sp. nov. Bol. Soc. Micol. Madrid 31: 77-84.

VILA, J., M. CONTU, F. CABALLERO & A. ORTEGA (2008).- A new species of Rhodocybe (Agaricales, Entolomataceae) from Catalonia (Iberian Peninsula). Osterr. Z. Pilzk. 17: 75-79.

VILA, J., M. CONTU, F. CABALLERO & M. A. RIBES (2009) Nuevos datos sobre el género Clitopilus (incl. Rhodocybe) en la península Ibérica e Islas Canarias. Boll. Assoc. Micol. Ecol. Romana 25:3-14.

VILA J., A. ROCABRUNA, M. TABARÉS & X. LLIMONA (1997).- Algunos hongos nuevos o interesantes de la Península Ibérica. Revista catalana Micol. 20: 169-176.

VIZZINI, A., E. MUSUMECI & C. MURAT (2010)-. Trichocybe a new genus for Clitocybe puberula (Agaricomycetes, Agaricales), Fungal Diversity: 42:97-105

WHITE, T. J., T. S. J T BRUNS S. LEE & J. W. TAYLOR (1990).- Amplification and direct sequencing of fungal ribosomal RNA genes for phylogenetics. PCR protocols: a guide to methods and applications, 18: 315-322.

NORMES DE PUBLICACIÓ DE LA REVISTA CATALANA DE MICOLOGIA

La Revista Catalana de Micologia (d'ara endavant RCM) accepta treballs escrits preferentment en català, castellà i anglès, però també en francès o italià. Els treballs no tindran límit d'extensió, però restarà a criteri del consell de redacció l'acceptació de treballs que excedeixin les 20 pàgines impreses. Per tal de facilitar la feina dels autors, a continuació mostrem en una llista tabulada, els criteris que han de seguir per elaborar el seu treball. S'aconsella als autors que marquin les caselles a mesura que les van complint i que ho adjuntin amb la seva tramesa.

Els originals, més aquest full amb les caselles marcades, s'enviaran en format electrònic a: Revista@micocat.org.

En el cas de que els arxius siguin massa pesants (sobretot fotografies) i superin la quota es podrà optar per usar sistemes alternatius (tipus "Dropbox"). L'ús del correu ordinari, CDs, DVDs, etc, no s’accepta.

El text s'haurà de redactar en format *.doc o *.docx de Microsoft Word.

El tipus de lletra de tot el text serà Times New Roman mida 11. S'haurà d'utilitzar un interlineat de 1,5.

El format de pàgina serà DINA4, amb marges superior i inferior de 2,5 cm, esquerra i dreta de 3 cm.

En el text s'evitaran en tot moment els subratllats, els tabuladors, els marges entrats i el tipus de lletra negreta.

Només (vegeu excepció en l'apartat de Bibliografia!) es posaran en cursiva els noms de les espècies i dels gèneres. Les categories taxonòmiques superiors a les de gènere portaran la primera lletra en majúscula, sempre que el tàxon estigui escrit en llatí; si el tàxon es vulgaritza anirà sempre en minúscules (exemple: Tricholomataceae, tricolomatàcies).

Els títols dels diferents apartats aniran en majúscules (INTRODUCCIÓ, MATERIAL I MÈTODES, BIBLIOGRAFIA, etc).

La primera pàgina del treball haurà de contenir i per aquest ordre:

Títol del treball en majúscules.

Nom/s del/s autor/s i les seves adreces. El "corresponding author" ha d'indicar una adreça de correu electrònic.

Resum en l’idioma de l'article, que no excedeixi les 15 línies. Acabat per un màxim de 6 paraules clau (que no estiguin incloses en el títol del treball).

Un segon resum ("Abstract") en anglès, encapçalat pel títol del treball i acabat per 6 paraules clau ("key words") en anglès, amb els mateixos criteris que el resum en l’ idioma original.

Resum, Abstract, Paraules clau i Key Words aniran encapçalats pels corresponents títols, en majúscules (RESUM, ABSTRACT, etc).

Bibliografia

L'apartat de la bibliografia anirà encapçalat pel títol: BIBLIOGRAFIA.

Cal seguir els següents models:

KÜHNER, R. & H. ROMAGNESI (1978).- Flore analytique des champignons supérieurs. Ed. Masson, Paris. 557 pp. ORTON, P.D. (1960).- New check-list of British agarics and boleti. III. Trans. Brit. Mycol. Soc., 43(2): 159-439. Les citacions d'autors dins del text, han de seguir els criteris que recullen els exemples següents: 'segons FRIES (1837)', 'BON & BELLU (1996)', '(MALENÇON et al., 1975)', o bé: '(PEGLER, 1974: 234)'.

Totes les referències bibliogràfiques hauran d’estar esmentades dins del text.

Descripció de nous tàxons i combinacions noves

És condició prèvia a l'acceptació de la novetat per part de la revista que el autor registri el seu nou tàxon o nova combinació a Mycobank i que aporti el nombre del seu registre per tal d'incloure'l en la publicació. Sense aquest requeriment la "novetat" seria invàlida segons s'indica en el nou Codi.

Recordeu de seguir estrictament les normatives que estableix el nou Codi (exemple: per un nou tàxon ja no cal una diagnosi llatina però si una en anglès, sigui quin sigui l'idioma original del treball).

Il·lustracions, fotografies, figures, taules

Les fotografies (en blanc i negre o color) hauran d'enviar-se en format electrònic (jpg, tiff), preparades per ser reproduïdes directament i sempre en fitxers separats del text original.

La resolució emprada ha de ser de 350 dpi.

Els dibuixos en blanc i negre hauran de ser enviats en format electrònic, seguint els mateixos criteris que les fotografies. Utilitzeu sempre l'opció 'Escala de grisos', mai 'Duotono'.

Prepareu i composeu les fotografies o dibuixos d'acord amb la mida de la caixa de la RCM, que és de 13,5 x 18 cm (pàgina sencera) o 13,5 x 9 cm (mitja pàgina). Quedarà a criteri de l'edició de la revista la modificació final de les mides dels originals per adaptar-los a la caixa.

No barregeu en la mateixa làmina fotos en blanc i negre, en color i dibuixos.

Els números i signes de les figures (fletxes, escales, etc) s'incorporaran directament en elles mitjançant l'ús de programes d'edició d'imatges (es recomana el Photoshop).

Les escales han d'incorporar-se sobre la figura en forma d'una barra. En el peu de figura s'haurà de fer esment de la magnitud de la barra. No s'accepten indicacions d'escala del tipus: 400x.

Les fotografies macroscòpiques dels diferents tàxons no han d’anar nurerades en cap cas.

Totes les altres figures i taules han de tenir referència en el text de l’article i s'incorporaran dins d'ell segons aquests criteris: 'vegeu Fig. 1', 'taula 2', 'Figs. 2-5', etc.

Les Taules es presentaran en el mateix document del text, però en pàgina a part.

Figures i taules hauran d'incorporar els corresponents peus en un apartat titulat 'PEUS DE FIGURES' o 'PEUS DE TAULA' en el document del text de l'article, i després de la Bibliografia.

Un cop els treballs siguin rebuts s'enviaran per revisió al o als especialistes que el Consell de Redacció cregui oportuns. Les correccions així com els comentaris dels revisors seran retornades als autors perquè en facin les consideracions oportunes. El seguiment estricte d'aquestes normes de publicació de la RCM és condició prèvia per tal d'iniciar el procés de revisió del treball.

NORMAS DE PUBLICACIÓN DE LA REVISTA CATALANA DE MICOLOGIA

La Revista Catalana de Micología (en adelante RCM) acepta trabajos preferentemente escritos en catalán, castellano e inglés, pero también en francés o italiano. Los trabajos no tendrán límite de extensión, pero queda a criterio del consejo de redacción la aceptación de trabajos que excedan las 20 páginas impresas. Para facilitar la labor de los autores, a continuación se muestran en una lista tabulada, los criterios que deben seguir para elaborar su trabajo. Se aconseja a los autores que vayan marcando las casillas del margen a medida que se cumplan y que lo adjunten todo junto a su envío.

Los originales, más esta hoja con las casillas marcadas, se enviarán en formato electrónico a: Revista@micocat.org. Suponiendo que los archivos sean demasiado pesados (en especial las fotografías) y superen la cuota se podrá optar por el uso de sistemas alternativos (tipo “Dropbox”). El uso del correo ordinario, CDs, DVDs, etc., no se acepta.

El texto deberá redactarse en formato *.doc o *.docx de Microsoft Word.

El tipo de letra de todo el formato será Times New Roman tamaño 11. Se deberá utilizar un interlineado de 1,5.

El formato de página será DIN A4, con margen superior e inferior de 2,5 cm, izquierda y derecha de 3 cm.

En el texto se evitarán en todo momento los subrayados, los tabuladores, los sangrados y el tipo de letra negrita.

Solo (ver excepción en el apartado de Bibliografía) se pondrán en cursiva los nombres de las especies y de los géneros. Las categorías taxonómicas superiores a las de género llevarán la primera letra en mayúscula, siempre que el taxón esté escrito en latín; si el taxón se vulgariza irá siempre en minúsculas (ejemplo: Tricholomataceae, tricolomatáceas).

Los títulos de los distintos apartados irán en mayúsculas (INTRODUCCIÓN, MATERIAL Y MÉTODOS, BIBLIOGRAFÍA, etc.).

La primera página del trabajo deberá contener y por este orden:

Título del trabajo en mayúsculas.

Nombre/s del/de los autor/es y sus direcciones. El "corresponding author" debe indicar una dirección de correo electrónico.

Resumen en el idioma del artículo, que no exceda las 15 líneas. Acabado con un máximo de 6 palabras clave (que no estén incluidas en el título del trabajo).

Un segundo resumen ("Abstract") en inglés, encabezado por el título del trabajo y acabado por 6 palabras clave ("key words") en inglés, con los mismos criterios que el resumen en el idioma original.

Resumen, Abstract, Palabras clave y Key Words irán encabezados por los correspondientes títulos, en mayúsculas (RESUMEN, ABSTRACT, etc.).

Bibliografía

El apartado de la bibliografía irá encabezado por el título: BIBLIOGRAFÍA. Se seguirán los siguientes modelos: KÜHNER, R. & H. ROMAGNESI (1978).- Flore analytique des champignons supérieurs. Ed. Masson, Paris. 557 pp. ORTON, P.D. (1960).- New check-list of British agarics and boleti. III. Trans. Brit. Mycol. Soc., 43(2): 159-439. Las citas de autores dentro del texto, seguirán los criterios que recogen los siguientes ejemplos: 'según FRIES (1837)', 'BON & BELLU (1996)', '(MALENÇON et al., 1975)', o bien: '(PEGLER, 1974: 234)'.

Todas las referencias bibliográficas deberán estar mencionadas en el texto.

Descripción de nuevos taxones y combinaciones nuevas

Es condición previa a la aceptación de la novedad por parte de la revista que el autor registre su nuevo taxón o la nueva combinación en Mycobank y que aporte el número de su registro para incluirlo en la publicación. Sin este requerimiento la “novedad” seria inválida según se indica en el nuevo Código.

Recuerden seguir estrictamente las normativas que establecen el nuevo Código (ejemplo: para un nuevo taxón ya no es necesaria una diagnosis latina pero sí una en inglés, sea cual sea el idioma original del trabajo).

Ilustraciones, fotografías, figuras, tablas:

Las fotografías (en blanco y negro o en color) se enviarán en formato electrónico (jpg, tiff), preparadas para ser reproducidas directamente y siempre en ficheros separados del texto original.

La resolución utilizada será de 350 dpi.

Los dibujos en blanco y negro se enviarán en formato electrónico, siguiendo los mismo criterios que las fotografías. Se utilizará siempre la opción ‘Escala de grises’, nunca ‘Duotono’.

Se prepararán y compondrán las fotografías o dibujos de acuerdo con el tamaño de la caja de la RCM, que es de 13,5 x 18 cm (página entera) o 13,5 x 9 cm (media página). Quedará a criterio de la edición de la revista la modificación final de las medidas de los originales para adaptarlos a la mencionada caja.

No mezclar en la misma lámina fotos en blanco y negro, en color y dibujos.

Los números y signos de las figuras (flechas, escalas, etc.) se incorporarán en ellas mediante el uso de programas de edición de imágenes (se recomienda Photoshop).

Las escalas se incorporarán sobre la figura en forma de una barra. En el pie de figura se deberá hacer mención de la magnitud de dicha barra. No se aceptan indicaciones de escala del tipo: 400x.

Las fotografías macroscópicas de les distintos taxones no tienen que ir numeradas en ningún caso.

Todas las otras figuras y tablas deben tener referencia en el texto del artículo y se incorporarán dentro de él según los criterios: 'ver Fig. 1', 'tabla 2', 'Figs. 2-5', etc.

Las Tablas se presentarán en el mismo documento de texto, pero en una página aparte.

Las figuras y tablas incorporarán los correspondientes pies en un apartado titulado ‘PIES DE FIGURA’ o ‘PIES DE TABLA’ en el documento de texto del artículo, y después en la Bibliografía.

Un vez los trabajos se hayan recibido se enviarán para revisión al o a los especialistas que el Consejo de Redacción considere oportunos. Las correcciones así como los comentarios de los revisores serán devueltos a los autores para que hagan las consideraciones oportunas. El seguimiento estricto de estas normas de publicación de la RCM es condición previa para iniciar el proceso de revisión del trabajo.

INSTRUCTIONS TO AUTHORS

The Revista Catalana de Micologia (RCM) accepts articles preferably written in Catalan, Castilian or English although French and Italian are also accepted. Although there is no limit to the size of the paper, articles longer than 20 pages are subject to approval by the Publication Committee. Below is a tabulated list of the requirements for the preparation of the manuscript. We advise authors to tick the boxes on completion of the recommendations/ requirements and send them on a separate sheet as an attachment to the manuscript.

The originals and the check sheet should be sent electronically to: Revista@micocat.org. If the work is too heavy (especially photographs) for normal electronic mail, alternative systems (e.g. Dropbox) could be used. Post office mail, CD’s, DVD’s, etc. will not be accepted

The text should be written in *.doc or *.docx formats of Microsoft Word

Articles should be written in “Time New Roman” characters, body 11 and space 1,5

Page size DIN A4, with margins of 2,5 cm. (upper and lower) and 3 cm. (right and left)

Underlining, tabulations, bold letters and indentations should be avoided

Only (see exceptions in the “Bibliography”) genus and species names should be in italics. For supra generic categories, only the first letter is in upper case if the taxon is written in Latin. Otherwise it should it be in lower case (e.g. Tricholomataceae, tricolomataceas).

The titles of the different sections will be in capitals (INTRODUCTION, MATERIALS AND METHODS, BIBLIOGRAPHY, etc.).

The first page of the article should mention in the following order:

The title of the article in capital letters

The author(s) with a complete postal address, email and telephone number

A SUMMARY in the original Language of the article not to exceed 15 lines with a maximum of 6 KEY WORDS (in capitals) which should not be in the article’s title.

A second ABSTRACT in English with the title of the article and 6 key words with the same criteria as for the original language.

Bibliography:

This section should be capitalized: BIBLIOGRAPHY. The following models should be followed:

KÜHNER, R. & ROMAGNESI, H (1978).- Flore analytique des champignons supérieurs.Ed. Masson, Paris. 557 pp. ORTON, P. D. (1960). - New check-list of British agarics and boleti. III. Trans. Brit. Mycol. Soc., 43(2): 159-439

Citations in the text should be as follows: “according to FRIES (1937)”, “BON & BELLU (1966)”, “MALENÇON et al., 1975)”, or: (PEGLER, 1974: 234)”

Only the papers mentioned in the text should be referred to. The final bibliographic list should be arranged alphabetically by the authors name and their papers listed chronologically.

New taxons and combination descriptions:

All new descriptions of taxons or combinations proposed in the article should be previously registered at Mycobank and the author(s) should provide the registration number to the editors of the RCM. Otherwise the new name is not valid according to the new Nomenclatural Code.

The new regulations of the Nomenclatural Code, should be followed strictly (e.g. for a new taxon an English description should be provided, not a Latin one as it was before).

Illustrations, photographs, figures, tables

Photos either in black and white or in colour will be sent electronically (jpg, tiff), ready to be reproduced directly. They should be sent separately from the text with a minimum resolution of 350 dpi.

Drawings should also be sent electronically but with a minimum of 600 dpi resolution. They should be in “Scale of Grays”, never in “Duotono”.

Composition of the plates should conform to the RCM format 13,5 x 18 cm (whole page) or 13,5 x 9 cm (half page). The Publication Committee will adapt other sizes in case these instructions are not followed.

A mixture of black + white photos, colour photos + drawings should not appear in the same sheet.

Numbers and signs on the figures (arrows, scales, etc.) should be incorporated using imaging editing techniques. We recommend Photoshop.

The scales should be in the form of a bar and the magnitude of it indicated in the figure explanation. Indications such 400x will not be accepted.

The macroscopic photographs of different taxa must not be numbered in any case

All figures and tables should be referenced in the text and will be referred to as “see Fig. 1, Table 2, Figs. 2-5” etc.

The tables should be presented with the text but on a separate sheet.

The figures and tables explanations should be presented in separate sections as “FIGURE CAPTIONS or TABLE CAPTIONS” together with the text as well as at the end of BIBLIOGRAPHY.

Upon receiving the articles, they will be submitted to the Publication Committee specialists for revision. Corrections and comments made by the specialists will be returned to the author(s) for their consideration. The acceptance of this condition is unavoidable to start the revision of the article.

CONTENTS

Contribution to the knowledge of the funga of the Balearic Islands (Spain). XXIII. Mallorca. 1

J.L. SIQUIER, J.C. SALOM, J. PLANAS & J. LLISTOSELLA

Additions to the mycological catalogue of Andorra. I. 21

M. NIELL, A. VALVERDE & J. GIRBAL

A first contribution to the fungi found near the Banyoles lake (NE Catalonia). 31

A. VALVERDE-VALERA

Three interesting Mycena found in Catalonia. 41

M. À. PÉREZ-DE-GREGORIO & L. SÁNCHEZ

Chorologic notes about the funga of the Ibiza island (Balearic Islands, Spain). IV. 49

J.L. SIQUIER, J.C. SALOM, J. PLANAS, J. ESPINOSA, J. LLISTOSELLA & A. SERRA

The fungi and the spirits of the Nature. 59

M. NIELL

Contribution to the knowledge of the micoflora of the Serralada Litoral Park (Catalonia). 71

F. CABALLERO, P. ALVARADO & S. FERNÁNDEZ-BRIME Instructions

Contribució al coneixement micològic de les Illes Balears (Espanya). XXIII. Mallorca. 1

J.L. SIQUIER, J.C. SALOM, J. PLANAS i J. LLISTOSELLA

Addicions al catàleg micològic d’Andorra. I. 21

M. NIELL, A. VALVERDE i J. GIRBAL

Primera aproximació al component fúngic dels voltants de l’Estany de Banyoles.

A. VALVERDE-VALERA

Tres interessants Mycena trobades a Catalunya.

M. À. PÉREZ-DE-GREGORIO i L. SÁNCHEZ

31

41

Notes corològiques sobre la funga d’Eivissa (Illes Balears, Espanya). IV. 49

J.L. SIQUIER, J.C. SALOM, J. PLANAS, J. ESPINOSA, J. LLISTOSELLA i A. SERRA

Los hongos y los espiritus elementales.

M. NIELL

Contribución al conocimiento de la micoflora del parc de la Serralada Litoral.

F. CABALLERO, P. ALVARADO i S. FERNÁNDEZ-BRIME

59

71

Turn static files into dynamic content formats.

Create a flipbook
Issuu converts static files into: digital portfolios, online yearbooks, online catalogs, digital photo albums and more. Sign up and create your flipbook.