10 Most Advanced Medical Imaging Solution Providers 2022

Page 1

July Issue 05 2022

Facilitating Early Detection through Disruptive Technology

Dr. Randall W. Jones, Founder and CEO

Beer Health and a better way of life.

Editor’s Note

Re- imaging Care!

When ailing with a malfuncon of the Bio-

physiological system, the best site one wish to stay around is under the supervision of a medico. But is it just the medico that can get you back with restored health?

The queson menoned above might sound negave, but if one rides on a journey to know the important areas that affect a paent's health, the queson might prove itself to be a miracle. This is not merely about the assistance required in a medical ecosystem but also the key deciding factor affecng a paent's health. One might argue that the doctor is equipped with advanced knowledge, holisc health wisdom and high-tech devices that help one restore his/her health back to normal. But a well-researched report might defy. As one moves through the hospital, doctors' consultaon is the primary objecve, but as the treatment progresses and the root cause predicon comes into the forefront, the spotlight is on the diagnosc aid that steals the crown.

To know the science and understand its intricacies is a part but what is essenal is to have a confirmatory test. In a few cases, pathology can help with the need, but as the ailment turns into cardiovascular, orthopedics and dental, and

many other complex systems, the medical imaging segment proves to be a vital elixir.

Hence, it is the might of Health Corporate who are turning the de in favor of paents and the hospital system and emerging an ecosystem that reduced paents' illness in less me and helps with precise diagnosis.

Acknowledging the same contribuon made by Medical Imaging Soluons, we at Insights Care came with the latest edion highlighng outstanding organizaons who are trailblazing healthcare and exemplifying technology leadership.

While you flip through the pages, ensure to read the editorial arcles opined by our In-house editorial team.

I hope you have a happy read!

08 Facilitating Early Detection through Disruptive Technology Cover Story Articles e Future of AI in Medical Imaging solutions Impact of CRM in Medical Imaging 30 22
C O N T E N T CONTENT
Stringing a Powerful Cord of Futuristic Data-centric Computer Vision Flourishing Healthcare with Exquisite Solutions 18 26 An Anecdote of Health, Hope, and Healing! 32 Junctioning Healthcare and Technology 36 Imaging Solutions to Effective Patient Care 40
Co-designer Paul Belin Art & Picture Editor Mrunalinee Deshmukh Art & Design Head Editor-in-Chief Pooja Bansal Managing Editor Shrutika Khedekar Senior Editor Anish Miller Visualiser David King Circulation Manager Tanaji Fartade Research Analyst Eric Smith Sarah Wilson, John Smith, Alex Vincent Business Development Executives Amy Jones Business Development Manager Sales Executives Kelli, Bill, Anna SME-SMO Executives Gemson Digital Marketing Manager Alina Sege Technical Consultants David, Robert Technical Head Jacob Smile Marketing Manager John Smith Assistant Technical Head Amar Sawant Assistant Digital Marketing Manager Renuka Kulkarni Copyright © 2022 Insights Success Media and Technology Pvt. Ltd., All rights reserved. The content and images used in this magazine should not be reproduced or transmitted in any form or by any means, electronic, mechanical, photocopying, recording or otherwise, without prior permission from Insights success. Reprint rights remain solely with Insights Success Media and Technology Pvt. Ltd. Insights Care is powered by Insights Success Media and Technology Pvt. Ltd. July, 2022 Follow us on : www.facebook.com/InsightsCare/ https://twitter.com/Insightscare Insights Success Media Tech LLC 555 Metro Place North, Suite 100, Dublin, OH 43017, United States Phone - 302-319-9947 Email: info@insightscare.com For Subscription: www.insightscare.com Insights Success Media and Technology Pvt. Ltd. Office No. 22, Rainbow Plaza, Shivar Chowk, Pimple Saudagar, Pune, Maharashtra 411017 Phone - India: 7410033802, 74100058552 Email: info@insightscare.com For Subscription: www.insightscare.com Assisting Editors Saloni, Drishti sales@insightscare.com Contact Us: Sonia Raizada

Brief Featuring Company

Bot Image Inc botimageai.com

Covera Health coverahealth.com

Encord encord.com

Medical Imaging Consultancy medicalimagingconsultancy.com

Mirada Medical Limited mirada-medical.com

Positrigo AG positrigo.com

Randall Jones CEO and Founder

Luciano D'Elia CEO

Eric Landau Co-founder and CEO

Bot Image™, Inc is a medical imaging software company that utilizes artificial intelligence technology for magnetic resonance imaging interpretation.

Covera Health uses clinically-validated science-based tools to help doctors enhance their care, ensuring patients get the right diagnosis, and enabling the healthcare system to support quality improvement at scale.

Encord enables every company to harness the power of AI by building applications that support training and validation of models.

Deepak Behera MD

Jon DeVries CEO

Dr. Jannis Fischer (Co-founder and CEO) Dr. Max Ahnen (Co-founder and COO)

Medical Imaging Consultancy work alongside early to midstage start-up teams, to bring clarity to the development roadmap of imaging technologies and radiopharmaceuticals.

Mirada Medical develops medical imaging and AI powered automation software applications that provide simple and accessible solutions to complex image analysis problems in the diagnosis and treatment of cancer and other diseases.

Posotrigo AG offers precision medicine and makes functional imaging accessible for people worldwide.

QMENTA qmenta.com

Vesna Prchkovska Co-founder

QMENTA is an all-in-one platform that provides AIpowered cloud solutions for imaging-based clinical trials, from data management to AI analysis.

Quibim quibim.com

Ángel Alberich Bayarri Founder

Sirona Medical, Inc sironamedical.com

Cameron Andrews CEO

Vital Radiology Services vitalrad.co.uk

Dr. Arun Chauhan Founder

Quibim develops quantitative biomarkers, companion diagnostics and other imaging tools for systems biology applications, from immuno-oncology to neurology.

Sirona Medical Inc. is addressing the needs of today’s radiology practices with a novel cloud-native platform that unifies radiology IT applications – worklist, viewer, reporter, and AI – onto a single, streamlined Workspace.

Vital Healthcare Group is partnering with I-Med Radiology Network, one the world's largest medical imaging providers, to deliver expert reporting services to the UK

Cover Story

Bot Image Inc

In undetermined and unsettled times, one must be open to spontaneous changes. If one can utilize these challenges to climb uphill and reach the next level, one can bring a disruptive change with an innovative and openminded approach.

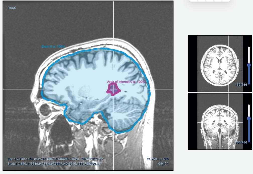
Having such a solution-oriented approach in the healthcare niche and bringing about highly accurate MRI interpretation software to the physicians describes Bot Image . Its software interprets multi-parametric and biparametric MRI using random forest with instance weighting and MR segmentation by deep learning with holistically nested networks.

Having a zeal to bring about a positive change and save lives is Bot Image, Inc's CEO and Founder, Dr. Randall W. Jones . He harnesses the power of blending AI with other diagnostic mediums in order to bring a substantial improvement in clinical outcomes. His dedicated effort and focused engagement have brought about a disruptive change in the healthcare niche.

Dive into their exhilarating story to know more about Bot Image, Inc., and Dr Randall's journey so far in the healthcare sector.

The Inception Tale Dr. Randall W. Jones (PhD, MBA) formed Bot Image LLC in late 2018 after competing for and winning a competition to license unique Artificial Intelligence (AI) software for interpreting Prostate MRI, recently developed and published by the National Institutes of Health. This wasn't the first company Dr. Jones formed that involved Prostate MRI. He founded Resonance Innovations which later became ScanMed LLC in 2015, whose main product became, and still is, a dedicated prostate/pelvic wearable MRI antenna.

The purpose of this device is to significantly improve the diagnostic resolution of the MR images with the end goal of enhancing radiologists' diagnostic accuracy, or "reader performance," as it is called. However, as Jones travelled about the US and Europe demonstrating this new antenna or "coil," he learned that very few radiologists were highly experienced at interpreting prostate MRI and detecting cancer. In fact, their statistical accuracy presented in peerreviewed literature was quite shockingly low.

That brings Jones to a full circle as he was contemplating starting an AI company to address this concerning issue of

poor radiological accuracy when he was invited to compete for the commercialization and marketing of the NIH invention. "Wonderful timing," he thought, as "this could save me a year or two of development time at least." After winning the license, Jones then turned to contacts he had made while touring with his prostate antenna and found willing contributors of prostate MRI data for the further development of the software.

With additional data and seed monies in hand, Dr. Jones changed the organization to Bot Image, Inc., co-founding it with Dr. John F. Feller, MD, and their associated companies, ScanMed LLC (Omaha, NE) and Desert Medical Imaging, Inc. (Now part of Halo Dx, Indian Wells, CA). The journey of Bot Image, Inc. became yet another new chapter in Jones' life.

Twirling Around Improving Healthcare

Bot Image's core values are Dr. Jones 'core values. They are there to improve healthcare outcomes while making a good honest living practicing it. Jones asserts, "It is truly an emotionally rewarding experience witnessing one's invention bring about positive change in a fellow human's life and occasionally saving that life." Bot Image's mission is to blend artificial intelligence (AI) with other diagnostic mediums and bring about substantial improvements in clinical outcomes that matter most: Improved Cancer Screening, Detection, Classification, and Grading using non-invasive imaging technologies such as MRI and CT.

Integrating AI into Healthcare

Bot Image's services today are AI-assisted interpretation of Prostate MRI delivered via SaaS using secure and HIPPA compliant VPN communication and/or software installed behind the medical facilities firewall on their secure server. Many software providers facilitate radiological workflow by automatically organizing and displaying various series of patient studies. However, they are not detecting and classifying cancerous lesions such as are Bot Images's

TM TM

products, ProstatID and QT Prostate MRI. The former is for real-time concurrent MRI interpretation by a licensed physician. Similarly, the latter is a Quality and Training algorithm to assist radiologists in reviewing cases and educating themselves with the aid of the AI output.

Non-invasive Diagnosis

Bot Images' Prostate Cancer detection and training products are available today; however, its algorithm is fully

adaptable to train for the detection of other cancers such as liver, brain, and pancreatic cancer. Its sites are set on these to become its next products. In addition to this, Dr. Jones states, "our goal is not merely to detect and diagnose, but also to differentiate killer cancers from those less virulent–the true holy grail of non-invasive diagnostics."

Advocating Evolution and Furtherance

When Jones was asked his opinion on aligning newer technological developments with their offerings, he stated,

"statements like above really get the conversation started with healthcare professionals, especially those specialists that are always advancing and promoting new ways of thinking and problem-solving."

He further talks about the setbacks in the healthcare niche, wherein it is unfortunate that the healthcare industry, in general, is extremely stodgy and slow to adopt new ideas, technologies, and methods. He has lived this for the last 29 years fighting the system, pushing against resistance to change, and persistently demonstrating better methods or improved devices. With changing times, more frequently now, one finds those believers or early adopters, and significant breakthroughs can happen.

Enlightening Budding Entrepreneurs

Jones' advice to the budding entrepreneurs who wish to venture into the medical imaging niche is to deep dive into understanding all of the obstacles because the problem solution is just one of many.

Jones further states, "Seriously, there are significant obstacles or barriers to entry if you plan on starting your own business, but great inventions/ideas backed by adequate funding can overcome those obstacles! It isn't for the faint of heart, and you'd better be ready to put up your own assets (house, land, and car) as collateral if you seek loans to do it."

• FDA 510(k) prosecuon completed 11.6

• FDA Clearance expected Q3’22

• MRI Lung AI feasibility expected conclusion Q3’22

• Invivo cancer grading feasibility complete and gathering addional data for compleon of development

• Correlave studies expected Q4’22

• Exclusive license patent-pending

• Begin AI feasibility Q4’22

He also recommends having some real experiences working in the medical imaging industry and seeing the product creation process and the hurdles of regulatory approval and distribution challenges, which are very important. He asserts, "this theme is one of the primary reasons for writing my book, so I would encourage one to get a copy when it is formally announced by Forbes Books in August."

Upscaling Bot Image

While talking about scaling Bot Image, Jones states, "it is currently expanding its marketing and will soon initiate a robust PR campaign to inform and educate the medical community of its first products and those works-inprogress." Additionally, the company is expanding its business relationships with those who wish to collaborate

Dr. Randall Jones, PhD Founder & CTO (Board Director) Melanie Jones Execuve Sponsor, (Board Director) Dr. Patrick Browning, MD Chief Medical Officer Natalie Hussey, MDY Clinical Project Director Dr. Ethan Ulrich, PhD Lead Soware Engineer Carlee Seeba DevOps QA Manager Hans Johnson, PhD Cognive Soluons Architect
Focus Development FeasibilityFDA ClearanceKey
Prostate Lung Invivo cancer grading Brain aMRI Biomarker
Jasser Dhaouadi, MS Soware Engineer
AI
Milestones

and integrate its technologies into their platforms, either through strategic partnerships, alliances, or simple contracts.

Bot Image already has a number of high-profile academic supporters who have tried the software and are planning to submit several scientific articles resulting from ProstatID's clinical studies to peer-reviewed journals. The first was recently presented at the annual ISMRM meeting in London, and three others are to follow this year.

The company has conducted two successful clinical studies on ProstatID and has recently positively concluded discussions with the FDA on the latest study and its claims; therefore, it expects approval in Q3 of this year. This will literally open doors to many new clients who have been waiting for this formal approval as well as to the investment community who have also expressed keen interest.

Both will support the addition of more highly skilled coders, software writers, managers, physician advisors, data collection, creation of additional disease detecting software, more clinical studies, and more product diversity. Dr. Jones believes, "2022 will be the beginning of a very sharp ramp-up in growth overall as the foundations are all laid, and products are ready for distribution. We are projecting exponential growth over the next five years as we bring these additional products online."

Essential Endorsements

"The problem with most translational science is that you seldom get good feedback between the scientist and the end-user. By being relentless, actively working on both ends of the process without the middlemen, and learning from

failures, he has achieved what no one else can. Physicians are trained to understand a complex system and work within it. Randy [Dr. Jones] reimagines the system itself. The Elon Musk of modern MRI development." An early user of ProstatID – Dr. Benjamin B. McDaniel

"It's rare to meet such a driven and talented inventor and entrepreneur like Randy Jones. I've had the great pleasure of working with him in my role as CMO of BOT Image. His ability to balance the competing demands of scientific development and running a successful business is unlike any I have seen before. And to top it off, he is as engaging as any of the visionaries in Silicon Valley - a true renaissance man! I have zero doubt that everyone will enjoy and benefit from this book." Another early user of ProstatID and also CMO of Bot Image, Inc. – Dr. Patrick D. Browning

Stay in touch. Subscribe to Insightscare Get Insightssuccess Magazine in print, & digital on www.insightscare.com Check should be drawn in favor of : INSIGHTS SUCCESS MEDIA TECH LLC

Soluon Providers

Stringing a Powerful Cord of

Futurisc Data-centric Computer Vision

Innovations do not have to be always solving huge

problems. Rather powerful innovations are those which solve everyday issues for those who are the most important social contributors like healthcare givers. This is the story of such an innovative company which is stringing a powerful cord between technology and healthcare professionals by using futuristic data-centric computer vision

Doctors in the Division of Nephrology, at Stanford Medicine, were facing a complex problem. They had to use three different kinds of software to identify, annotate, and count podocytes and glomeruli in microscopy images. Similarly , King's College London had been using clinicians to annotate pre-cancerous polyp videos had prohibitively high costs to produce large datasets. Likewise , Memorial Sloan Kettering Cancer Center staff were finding detecting and classifying vena cava filters in complex label structures (ontologies) rendered existing and open-source tools unusable.

Simply, in the words of King's College's Director for Gastroenterology and Endoscopy, this has been like mental torture to them . As the director and many more heads of such institutions were living in the agony thinking they had to endure it lifelong, came along Encord and using the power of advanced technologies like AI and ML, first its Co-founder and CEO , Eric Landau convinced Stanford to use Encord 's annotation tools and SDK to automate segmentations, count, and calculate sizes of segments. The result was astonishing, as with Encord , Stanford researchers reduced experiment duration from an average of 21 to 4 days (80%) while processing 3X the number of images.

Eric also convinced Dr Bu Hayee, the Director from King's College to deploy Encord 's micro-model module to increase clinician labelling efficiency and automate 97% of produced

labels. Again the result was outstanding with the highest expense clinician seeing 16X labelling efficiency improvement, cutting down the model development time from one year to two months and a 6.4X average increase in labelling efficiency for GI videos.

Furthermore, MSK adopted Encord to build custom label structures for pulmonary thrombosis projects, thus making them entirely feasible for the company. Today, Machine learning and data operations teams of all sizes use Encord's collaborative applications, automation features, and APIs to build models and annotate, manage, and evaluate their datasets.

In Eric's words, " We work with some of the world's leading AI companies, enterprises, hospitals, and research institutions ."

Elaborating on his own journey Erics shares that during his undergrad, he studied physics. He began a PhD but left to take a job in finance. After almost a decade of working in finance, Eric was ready for a new challenge. He joined an entrepreneur network here in London, which is where he met Ulrik. Ulrik told Eric about his seed idea for Encord, stressing the need to solve the data bottleneck by automating data annotation in medical AI and beyond

Erics reveals, " I thought it was the best startup idea I had heard, and it was a lot better than the ones I had had, so we founded the company and began solving the problems associated with putting together and managing high-quality training data for machine learning models ."

10 Most Advanced Medical Imaging
In an interview with Insights Care, Eric spoke at length about the inception, the journey and their future plans for Encord. Herein are the highlights of that exclusive interview . 2022 July| 2022 18 www.Insightscare.com

Encord's Hall of Fame

Encord was named by CB Insights as one of the 100 most promising private AI companies of 2022. In this interview, King's College Hospital's Director for Gastroenterology and Endoscopy Dr Bu Hayee discusses how Encord's tool eliminated the "mental torture" of manual data labelling

In this NVIDIA post, Fareedc Iqbal, the CEO of SurgEase, a company that offers telepresence technology for gastroenterology, said, " Encord's software has been instrumental in aiding us in solving some of the hardest problems in endoscopic disease assessment .”

Encord's technology has been used by Stanford University, King's College London, and Memorial Sloan Kettering. Case studies with links to academic papers are available on Encord's website https://encord.com/

July| 2022 19 www.Insightscare.com

Eric, please brief our audience about Encord and kindly tell us the source of inspiration for venturing into the medical imaging niche.

We are an early-stage startup that provides a computervision-first platform for annotating and managing training data. When my co-founder Ulrik was studying at Imperial College London, he worked on a project where he was visualizing scale image datasets for medical AI. Through this work, he realized the difficulties that doctors face when labelling these images. Hand labelling medical images take an enormous amount of time, so Encord started off working in the medical imaging field because he understood how suboptimal the data annotation process was, and how it could be done a lot more efficiently if doctors had a technological solution for it.

Can you elaborate upon the core values on which Encord is built, what is its vision and mission?

At Encord, we value curiosity and a growth mentality. Our team prioritizes humility– being willing to learn from mistakes– and resourcefulness–being scrappy and creative when solving new problems– which enables them to develop great products and deliver high-quality customer support.

Encord's mission is to accelerate the pace of data-centric AI in medicine so that healthcare institutions and medical professionals can reap the benefits of this technology . AI has the potential to make healthcare and medical treatments increasingly proactive rather than reactive.

Encord’s mission is to accelerate the pace of data-centric AI in medicine so that healthcare institutions and medical professionals can reap the benets of this technology.

However, until recently, the AI world has been very modelcentric, so healthcare professionals haven't been able to use AI to its full potential. By taking a data-centric approach to AI and focusing on improving the quality and quantity of the training data used to train medical AI models, we can eliminate potential demographic biases and make model predictions as realistic as possible to what happens in a clinical setting. Because we want medical professionals to be able to use AI in practice in a way that's consistent with the values of the medical profession, Encord has focused on delivering an efficient, user-friendly platform that allows for all the security, privacy, and integrity expected when handling patient data

Kindly elaborate upon the services that make Encord stand out as one of the most advanced medical imaging solution providers in the modern healthcare industry.

We are technologically focused . We knew this problem needed a more sustainable, long-term solution than the current solutions which were built upon improving manual labelling processes or increasing the amount of manual labellers. Rather than continue to throw a lot of doctors at the problem, we wanted to create a technological solution that used doctors' time as efficiently as possible . The micromodel technology we developed enables doctors to automate data labelling with just a handful of manually labelled images. We are the only company that provides an automated solution to the problem of annotating training data

We are also very hands-on from a company-to-consumer perspective. We don't throw one-size-fits-all solutions at a problem; instead, we really try to understand each individual customer's needs to make sure they get the solution most likely to work for their existing issues

What is your opinion on healthcare providers' aligning their offerings with newer technological developments, especially when it comes to catering to the dynamic needs of the healthcare space?

We are technologically forward-thinking, so we encourage healthcare providers to align their offerings with newer technological developments . That said, those technological solutions also have to work and deliver real-world value, so the technology shouldn't just be used because of the hype surrounding it. When it comes to machine learning, this is where the power of data-centric AI really comes into play .

July| 2022 20 www.Insightscare.com

A healthcare provider could use a very sophisticated model, but if the model hasn't been trained on a vast amount of data that is reflective of the patient population, then the technology and its outputs will be fundamentally flawed.

Healthcare providers need to put processes in place that validate the technology and make sure it delivers valuable, real-world patient care. Conditional upon that, they shouldn't be shy about or afraid of using technology because it can be immensely useful in delivering patient care.

What advice would you like to give to the budding entrepreneurs and enthusiasts aspiring to venture into the medical imaging niche that you are catering to?

Don't assume you know the answer to the problem or even the problem itself. You need to talk to a lot of people to understand the problem and its solution. Don't be shy about talking to people

Talk to doctors, nurses, AI professionals, and as many other stakeholders as you can. Really listen to them to understand their experience and the challenges they're encountering. A lot of entrepreneurs will speak first and say, "This is what I think the problem is," but that's not the right approach .

First, you listen, then you synthesize the information you've learned in all of these conversations to understand the problem, and finally, you begin to formulate a solution from that starting point.

How do you envision scaling Encord's services and operations in 2022 and beyond?

We're going to continue the growth of the team and expand geographically, with a particular focus on the U.S. market where we are working to establish a stronger presence. We also have exciting new healthcare-focused partnerships in the works, with some of the world's best academic institutions and industrial AI partners

July| 2022 21 www.Insightscare.com

Impact of CRM in Imaging Medical

"Change is the only constant " ikewise, the advancement of humans is inevitable.

LThey keep on changing ways to enhance their lifestyles, and for that, they keep on developing new habits and practices. These practices have proved to be effective in the betterment of the human species and its health.

These effective measures have helped the healthcare sector to grow and provide a safe and comfortable environment to the patients. This has been possible with the revolution that technology has brought.

Technology has lent itself to the healthcare sector for the upliftment of a healthy and secure environment. The hospitals have adopted the use of the latest technologies which has been effective in providing error-free results and quick service to the customers.

The Customer Relationship Manager (CRM) has been a remedy to ensure this vision in every aspect of the healthcare industry. The sector has also seen massive growth after being introduced to Medical Imaging. CRM has impacted the process of Medical Imaging and keeps on advancing.

Below are some given points to see the impacts of CRM on Medical Imaging .

Better Understanding of Patients

Such advancements in the technology sector have brought people closer to each other by diminishing the issue of distance. Likewise, the distance between the doctor and the

July| 2022 22 www.Insightscare.com

Advancing with Tech

July| 2022 23 www.Insightscare.com

patient has been narrowed out with the use of a Customer Relationship Manager (CRM).

CRM helps doctors in accessing the patient's information from various data sources. Moreover, it allows gathering important details like demographics, social behavior, medical appointment history, and conversation tracking.

It ensures the need of having conversations with the patients via texts, calls, video calls, etc.

Cost-efficient

These conversations with the patients have proved to be efficient in understanding the situation by the use of Medical Imaging. Moreover, once the doctor is aware of the condition, it becomes easy to take the most fitting decisions according to the current situation.

Also, after the use of Medical Imaging, the need for invasive diagnostic procedures such as exploratory surgery or angiography becomes rare. This ensures the patient the reduction of treatment costs and opens the door to healing effectively.

Post-treatment Care

Effective healing is only possible when proper communication from both sides takes place. The necessity of this communication is eased up by CRM. The software facilitates the hospital in running all the processes and models. CRM automatically sends emails and texts to the patients to remind them about planned visits, consumption of medicines, provide valuable information, etc.

These messages are not as personal as phone calls but the process of following up with the patients has become crucial.

Outbound and Inbound Communication

Apart from sending messages about the consumption of medicines, planned visits, etc, CRM allows the patients to provide information about their present condition, fix an appointment if necessary, and ask to change the way of treatment via chat.

These chats and appointments can be connected to the dashboard. This ensures access to the total information about the patient, their doctor, history, behavior, and prescription too.

This access to the information is also used by the doctors to interact with the previous doctor of the patient. CRM software also gives access to medical tests, diagnoses, and previous treatments for a better understanding of the situation and to ensure the patient's trust.

Easy Sharing and Privacy

For creating a trustworthy environment for the patients, keeping the information secure is one tough task. The rise of the file-sharing ecosystem after medical imaging technology has completely diminished the concerns raised for upholding patient data privacy and security.

The security of this data has become easy with the use of cloud-based platforms and networks. Through such platforms, the ability to access the images has become easy and the risk of duplication of images has been reduced empowering the safety of the data.

Safer Diagnosis

The well-being and safety of the patient are crucial goals for the healthcare industry. To ensure these goals medical imaging comes as an aid in understanding the problem in the patient's body and helps them in taking better decisions. The process of medical imaging is non-spreading, totally painless and no special preparation is needed in most cases. Technologies such as ultrasound allow a medical examiner to study the internal body structures like joints, internal organs, vessels, etc. This process is also known as a Sonogram. This is mostly used for pregnant women in their second trimester at 18 to 20 weeks of pregnancy. These tests are very efficient to keep a check on the health and development of the baby in the uterus.

Final Judgement

Development has been the ultimate goal of the healthcare industry. From providing better service to the availability of a solution in emergencies, the healthcare sector has continuously been developing itself to its potential strength. Technology has helped the sector to strengthen its roots even more. Technological marvels like CRM and medical imaging are advancing each day to ensure the goal of the healthcare sector. Moreover, the relationship between the doctor and patient has improved and it aids in the knowledge of the problem easily!

July| 2022 24 www.Insightscare.com

Consultancy

Bringing new products and technologies to market in the healthcare field can be a challenging feat to manage, given the complexities of today’s global market trends, cultural considerations, and need for value driven solutions.

A business’s need and vision, the impact on stakeholders, and marketplace forces, may need careful balancing. A symbiotic relationship among various stakeholders sought and nurtured in a business venture allows not just coexistence, but also the synergistic possibility of untapped growth potential.

In recent years, we have seen a paradigm shift in healthcare and new-gen technologies. This includes the rapidly advancing area of radiopharmaceuticals and medical imaging technologies. There is a high need and demand for partners with relevant expertise to support the incoming growth in this extremely specialized and niche area.

Deepak Behera, MD at Medical Imaging Consultancy, has set out to support this need by bringing together distinctive proficiencies towards development and commercialization of products and technologies in medical imaging.

We discussed with Deepak Behera on his journey towards founding Medical Imaging Consultancy, his core principles, and his views on the changing landscape of healthcare space in general.

Here are some of the highlights of the discussion:

Please brief our readers about Medical Imaging Consultancy and kindly tell us the source of your inspiration for venturing into the medical imaging niche.

I think clinical development, regulatory approval, and market adoption of medical imaging products, especially using radiopharmaceuticals, is a complex and niche environment. There are numerous and significant differences to be considered between this type of medicine and other pharma and device industries, including regulatory pathways, clinical study designs, business needs assessment, logistics, and scale of manufacturing and supply chain, as well as eventual clinical market positioning.

10 Most Advanced Medical Imaging Soluon Providers 2022
July| 2022 26 www.Insightscare.com
The Versatile Leader Deepak Behera MD Medical Imaging Consultancy

This can be daunting to understand and navigate, and new entrants into this field often struggle to manage these complexities.

At the same time, medical imaging and radiopharmaceuticals are a rapidly growing field, and new products addressing a multitude of clinical needs are constantly entering the market. There is a mismatch between innovators and people with relevant experience and understanding of the multiple aspects in this field necessary to take such products to market.

This was the inspiration for establishing Medical Imaging Consultancy, or MiC in short.

My team and I set out to solve this need by using our existing and growing knowledge of this industry and partnering with early to mid-stage pharma, biotech, and device companies to provide strategic and operational advice related to radiopharmaceutical and medical imaging products.

In addition to having an in-house knowledge base, MiC also leverages a network of adjacent service providers in marketing, payer engagement, regulatory operations, clinical operations, chemistry, physics, statistics, medical writing, dosimetry, CROs, clinical trial sites, etc. to fill gaps and needs for our partners.

Over the years, MiC has built fundamental relationships with major manufacturers and suppliers of radiopharmaceuticals and imaging products, most major universities and academic centers in the US, as well as a vast number of community radiologists and nuclear medicine physicians. We are able to strategically utilize this

network to prepare for launching products onto the market. We offer our clients a variety of services such as clinical development strategy and planning, a customized strategy plan, product-market analysis, commercialization, and product launch activities.

Can you elaborate upon the core values on which Medical Imaging Consultancy is built and its mission?

The goal of Medical Imaging Consultancy is to nudge healthcare towards a better patient outcome while generating value along the way for all stakeholders.

My team and I aim to be the support information system companies need to launch them towards future growth and success. We are vested in our client’s success, and our mission is to guide them to a place where they have the tools and knowledge to operate self-sufficiently.

MiC’s goal is to become an extension of our client’s team, get in their shoes, and endeavor toward our mutual success.

Given the nature of industry needs, this is much better appreciated by our partners and clients as opposed to a transactional model, where service providers are recruited and paid for specific deliverables without a solid attachment to the client’s problems and overall vision and strategy.

Our belief is that if we do good, good will come to us.

Kindly elaborate upon the services that make Medical Imaging Consultancy stand out from the competition.

What makes us stand out is our ability to bring synergy from various fields and interest in the success of our clients as opposed to simply completing a project or getting further business.

Our organization comprises experts in research development, medical affairs, clinical trial design and support, and regulatory strategy. We are committed to helping businesses design thoughtful and successful development & marketing plans to minimize time and cost.

At the same time, maximize efforts for product positioning for marketing, development, and investment potential.

MiC offers a wide range of services, including:

•Clinical development strategy and planning.

•Regulatory support in clinical questions and decisions, including FDA interactions.

•Clinical trial design, including image analysis

July| 2022 28 www.Insightscare.com
If we do good, good will come to us.

strategies.

•Clinical/Medical executive representative for sponsor. (e.g., fractional CMO roles)

•Medical/clinical support for clinical operations –drafting and reviewing of clinical trial protocols and other study documents, reviewing the interpretation of clinical trial data, site visits for training and education.

•US representative for non-US companies.

•Medical advice, strategy, and management for investigator-sponsored studies

•Medical monitoring and consulting for pharmacovigilance, including being client’s medical safety officer.

•Clinical/scientific support for business development activities and strategic collaborations.

•Product launch and post-marketing medical affairs, including development reader training programs, training, and educational materials for field personnel.

•Technology evaluation for investment and business decisions.

•Clinical support for intellectual property creation.

What is your opinion on healthcare providers’ aligning their offerings with newer technological developments, especially when it comes to catering to the dynamic needs of the healthcare space?

Healthcare is in a major evolutionary re-vamp right now. We have seen a dynamic shift in the practice and management of healthcare over the last few years due to COVID-19. This has created the need for a more fluid healthcare space, which requires integrated and patientfocused technology to be developed.

Healthcare is currently undergoing the transformation that transportation went from a ‘taxi only’ to a co-existing ‘taxi & Uber’ or vacationing went from a ‘hotel only’ to a coexisting ‘hotel & AirBnB’ stage.

Healthcare is rapidly adopting a hybrid old-school clinic plus telemedicine scenario.

In addition, the traditionally closed and siloed healthcare environment is opening up to myriads of possibilities by beginning to allow data from various silos to interact with each other. The potential for data science, machine learning, and even artificial intelligence to impact healthcare is enormous at both individual and population levels.

We are re-training ourselves on what the healthcare model should look like, and this is a great place to be for the growth and development of new ideas and tools which will improve the practice of medicine.

Need drives change, which is often the most challenging roadblock regarding new product design and integration. The need is here, and we are committed to helping to bring the change.

What advice would you like to give to the budding entrepreneurs and enthusiasts aspiring to venture into the medical imaging niche you are catering to?

There is a significant need in the medical imaging and radiopharmaceutical development area. We wholeheartedly welcome more interest in this area. This is a multi-specialty, multi-dimensional area in need of very many skill-sets.

My advice to entrepreneurs venturing into this will be twofold: one, identify and understand what they want to achieve; two, realize that it takes a village to accomplish anything related to medical imaging. Engaging the people with the right skill-set to achieve their goals will be the key to success.

We always encourage new ideas because those will ultimately be the future. Big things always start small, and we aim to help turn those ideas into reality.

How do you envision scaling Medical Imaging Consultancy in 2022 and beyond?

Our offering is our personnel and subject matter expertise. We plan to expand by bringing on more expert consultants as well as our footprint on social media and continue our participation in networking events, thus allowing us to expand our community of partners and product placement experts.

We are committed to continuous learning so that we can bring new ideas to the table for our clients. Individuals interested in learning more and becoming a part of Medical Imaging Consultancy are always welcome for a chat over a cup of coffee.

July| 2022 29 www.Insightscare.com

The Future of AI in Medical Imaging Solutions

In the modern world, the concept of being limited has

been in the bin. In every aspect of society, the sky is the limit !

The idea of being limitless with the use of limited resources has been lightened up by the advancing technologies which ensure everything is possible. The curiosity to achieve everything has massively boosted the process of development. This boost has been carried out in every industry these days. Companies compete with each other to secure their position at the top along with the goal of the development of the human species.

This goal is crucially shared by the healthcare industry. Moreover, the sector has seen exponential growth in a short

span. One such marvel that the healthcare industry has been using is medical imaging. But, technology seeks no limits. The introduction of Artificial Intelligence (AI) has changed the way of this process.

How is AI changing the medical sector?

Let us peek into it

Identifying Fractures

The healthcare industry utilizes technology to its optimum strength. The use of AI tools has been efficient in detecting soft tissue injuries and fractures that are not visible to the human eye. This ensures the doctors in understanding the exact problem and makes a confident decision about their diagnosis.

July| 2022 30 www.Insightscare.com

Nurturing Future

Human diagnosticians usually notice trauma-related imaging and start treating it. In this process, sometimes, the fractures are left unattended.

But, a patient that is suffering from neck and head trauma can be assessed accurately by using AI tools.

Accurate Diagnosis

AI tools are often used to identify pneumothorax and pneumonia through medical imaging. When the process is done manually and if the patient has already existing lung conditions, the spotting may face difficulties.

Anyway, the usage of AI can accurately identify them and also reduces the time of diagnosis. Moreover, AI can efficiently identify high-risk patients that are suspected of pneumothorax. It is the introduction of air pockets between the chest wall and lungs that can be the result of invasive interventions. This condition can be deadly, if not provided with the correct medication. AI can identify the degree of severity easily.

Perfect Identification

Medical imaging is often used for the diagnosis of breast cancer. In such cases, the microcalcification of tissue can be invisible or rigid to be found harmful. If it is wrongly identified, it can be the reason for unwanted tests and treatments. If it is missed, the risk of advancement of cancer might increase.

Situations as such can be avoided with the use of AI, it aids to enhance the accuracy and use of the components of quantitative imaging to specify the microcalcification. It would reduce the rate of unnecessary biopsies.

Second Opinion through AI

Many results contain problematic images, which sometimes end up making the radiologists puzzled. This can be sorted by running AI in the background and gaining a second opinion. AI enables the option of finding the exact problem, which creates an easy situation for radiologists to come up with the correct solution within a short span.

Accurate Medicine

A short span does not mean the work done to be in a haste. From finding the exact problem to finding a perfect solution, AI ensures the process is error-free. For example,

researchers from Standford University found that machine learning tools have the potential to differentiate between two types of lung cancer.

Moreover, in the study, the survival rate of the patients was better predicted by machine learning tools than the pathologists classifying tumors grade by grade.

With the use of machine learning tools, it has become a comfortable task to identify the type of cancer and decide the best treatment for the patient and provide the correct type of medicine. This enables the doctors to provide personalized medication to specifically target the disease.

Determination of the Risk

Apart from providing personalized medication, AI also has the ability to specify the potential risks for future illnesses.

Researchers found in a study that with the combination of clinical data and AI imaging techniques, doctors can enhance the predictive model in the determination of risk for a patient to have a heart attack.

Moreover, researchers located in an analysis that coronary 18F-NaF uptake on PET and quantitative coronary plaque characteristics on CT angiography have been complementary and sturdy predictors of coronary heart attack risk in sufferers of traditional coronary artery ailment.

Also, with the help of artificial intelligence, machine learning methods can enhance the accuracy of medicine, and medical screenings, determine a patient's risk factors and unburden the load of the doctors.

Concluding

With this disburden, doctors have found the need for technology in their practice as a key factor for better results. AI has proven to be effective and accurate in pinpointing the exact disease, which gives doctors an advantage to treat the patient in a corrective manner within minimal time.

Looking at the current technological advancements, AI can potentially have more to offer in the foreseeable future.

July| 2022 31 www.Insightscare.com

An Anecdote of Health, Hope, and Healing!

Science and society have always been working in tandem. Be it the ever-evolving technological transformation, rediscovering algorithms, or transgressing software advantages for diagnostics segments of healthcare, the scientific inventions have been transforming society for the better.

Understanding this bridging role of technology that integrates science with society, it is important to scout, learn and acknowledge the hustles of healthcare disruptors who are paving the way for the next generational innovations in the diagnostics segment, specifically in the radiology niche.

And, if one scouts around the modern trends of diagnostics marvel, it is hardly possible to be inconsiderate towards medical imaging solution providers. Instigated with such mindboggling thought, we at Insights Care investigated around the globe and dropped by one of the leading imaging and radiotherapy companies. Known for its agile development and trustworthy approach is Mirada Medical

As a leading platform for the powerful image registration, visualization, and contour editing software, Mirada exemplifies the true meaning of technology leadership while twirling the wind and ensuring that every cancer patient finds hope in the healthcare community.

Standing at the helm of this transformation is its Chief Executive Officer, Jon DeVries , an influential leader for the Miradaites. He is an expert in world-leading medical software systems, and since he joined Mirada, he has been dedicated to delivering transformative innovation in the cancer care segment.

To know more about the Mirada and its executive leaderJon DeVries, explore the below excerpts from the interview.

We are at a key stage in Mirada's evolution with some new solutions and partnerships in development that will once again see Mirada break ground in a new category.

Jon, please enlighten us about Mirada Medical and kindly tell us about your source of inspiration for venturing into the medical imaging niche.

Mirada is a world leader in software for quantitative image analysis and disease characterization used to diagnose cancer and guide the delivery of radiation-based treatments. Mirada's software is currently used in over 2,000 hospitals globally and sold directly to hospitals as well as through strategic partnerships with the world's leading imaging and radiotherapy companies, including GE, Boston Scientific, Canon, Philips, Varian, and Change Healthcare.

10 Most Advanced Medical Imaging Solution Providers 2022 July| 2022 32 www.Insightscare.com

An Adept Leadership

Seasoned business leader Jon DeVries joined Mirada Medical as CEO in September 2021. DeVries is a renowned tech visionary known for advancing articial intelligence (AI) adoption in healthcare and commercializing medical imaging solutions.

Since joining Mirada Medical, Jon has sort to comprehended the world-leading scientic, software, and medical capabilities of the organization and focused them on clear areas of cancer care where it can deliver the most value. Having already established the AI-Autocontouring category in cancer care, Jon's work paves the way for Mirada to deliver transformational innovation in exciting new areas of cancer care.

Can you elaborate upon the core values on which Mirada Medical is built, what is its mission and vision for the modern healthcare industry?

Our purpose is to accelerate cancer care. We believe that by making cancer care universally available, free of delays, and equipped to use the latest techniques, we can improve patient outcomes and experience. Medical imaging sits at the heart of this, and through our scientific advancement, technical innovation, and clinical expertise we deliver solutions that personalize image-guided cancer treatment and help clinicians achieve this goal.

Kindly elaborate upon the services that positioned Mirada Medical as one of the advanced medical imaging solution providers in the healthcare industry.

Mirada's leadership and innovation are founded on its scientific credentials and proactive willingness to work with industry partners. Solutions, such as RTx, Mirada's powerful image registration, visualization, and contour editing software, are so well respected that when GE Healthcare sort of enhancing their own cancer visualization and diagnostic capabilities, they integrate it fully into their solutions. Equally, this 'Mirada Inside' approach sees its

Jon DeVries CEO Mirada Medical
July| 2022 33 www.Insightscare.com

technologies integrated into solutions offered by industry heavyweights such as Canon, Reflexion, SORNA, and Boston Scientific.

What is your opinion on healthcare providers' aligning their offerings with newer technological developments, especially when it comes to catering to the ever-evolving needs of the healthcare sector?

Healthcare providers have always had to innovate their offerings and stay in touch with developments, in order to improve patient outcomes. The challenge today is the phenomenal pace of change that clinics have to contend with and the sophisticating demands of the patient.

Healthcare providers need to be agile and equipped to move quickly to evaluate and adopt the latest technologies. At the same time, vendors like Mirada need to bring to market solutions that can be seamlessly integrated into workflows with zero to minimal impact on the operations of the clinic.

What advice would you like to give to the budding entrepreneurs and enthusiasts aspiring to venture into the medical imaging niche?

Have a focus and purpose that puts the patient at the heart of everything that you do. You may never engage directly with a patient, but through your service or your partner's, patient outcomes should drive everything that you do.

How do you envision scaling Mirada Medical's services and operations in 2022 and beyond?

We are at a key stage in Mirada's evolution with some new solutions and partnerships in development that will once again see Mirada break ground in a new category. We're tremendously excited, but I'm afraid that launch announcements will come later in the year. So, watch this space.

Please give us a few testimonials from your clients and awards or recognition that accurately highlight your organization's position in the market.

“Mirada RTx has become an indispensable part of the treatment preparation workflow in our clinic. The software provides us with a ton of options for image registration and contouring in a user-friendly environment that enables you to generate your own layouts and macros. Mirada employees are very communicative and helpful, offering support via online meetings when necessary. During live visits, they dive into our clinical workflows to be able to adapt the software to our specific needs.”

Ÿ Ellen Brunenberg, Medical Physicist, Department of Radiation Oncology, Radboudumc, Nijmegen, The Netherland

“The Mirada application has exceeded my expectations. XD is so much better than anything I've read on before.”

Ÿ Phillip Kuo, MD, PhD, Professor, Medical Imaging, University Medical Center Tucson, AZ

July| 2022 34 www.Insightscare.com

Positrigo AG

Junctioning Healthcare and Technology

Meticulous health and tailor-made medications are the holy grails of the healthcare sector. While the two terms may sound familiar, they are idiosyncratic in their own way. Here the real question lies in asking what bridges personalized medication to ideal health?

Scientists and healthcare experts have been a tower of strength in defusing this gap by providing accurate and precision testing through advanced diagnosis and imaging. And not to forget, this has been the most preferred road to standard health.

Building up and structuring the road of healthcare via advancing technologies is Positrigo AG - a medical imaging organization. The organization has created a clinical route to make functioning imaging accessible for people worldwide and thus create a long-lasting social impact.

Pioneering the path to accurate and precision health is Prositrigo's Co-founder and CEO , Dr. Jannis Fischer , alongside Dr. Max Ahnen , Co-founder and COO . They believe in the technological walkway and offer solutions that meet the current imaging standards at a fraction of today's cost in order to make healthcare accessible and affordable.

We at Insights Care got an opportunity to interview Dr. Fischer and Dr. Ahnen. They shared valuable facts about Positrigo AG and how the company is walking on the dedicated path of 'imaging everyone.’

Below are the excerpts from the interview: Please brief our audience about Positrigo AG and kindly tell us the source of inspiration for venturing into the medical imaging niche.

We are a Swiss-based medical technology company that was founded in 2018 as a spin-off from ETH Zurich. The

inspiration for venturing into the medical imaging niche was the feedback from clinicians who experienced the need for a dedicated brain Positron Emission Tomography (PET) system. Today only full-body PET scanners exist, making this diagnostic modality expensive and preventing its broad availability. The technology we developed will help clinicians, and patients access precision medicine on a larger scale.

Can you elaborate upon the core values on which Positrigo AG is built, what is its mission and vision in the healthcare industry?

Positrigo´s mission is to make functional imaging accessible for people worldwide and create a lasting social impact. We advance clinical routine and enable research in diagnostics, treatment monitoring, and the development of new therapies. Positrigo makes functional imaging scalable. Positrigo´s strengths are a customer-centric design together with outstanding product quality and excellent customer support.

Kindly elaborate upon the services that positioned Positrigo AG to stand out as an advanced medical imaging solution provider in the modern healthcare sector.

10 Most Advanced Medical Imaging Solution Providers 2022 July| 2022 36 www.Insightscare.com
The technology we developed will help clinicians and patients access precision medicine on a larger scale.

We develop, manufacture, and commercialize a dedicated brain Positron Emission Tomography (PET) system – called NeuroLF. NeuroLF is unique as it is much smaller and less expensive compared to conventional full-body PET scanners. In addition, the system offers high patient comfort and satisfaction and is intuitive and easy to use. Clinicians will use the images from our advanced imaging and highquality hardware offering, to diagnose patients with brain disorders and likely apply for precision medicine.

What is your opinion on healthcare providers' aligning their offerings with newer technological developments, especially when it comes to catering to the ever-evolving needs of the healthcare industry?

Healthcare providers are under constant cost pressure while having the aspiration to offer high-quality care. In addition, new research findings are published on a regular basis which makes it necessary for healthcare providers to stay up to date with the latest research and technological developments and advancements. With our technology, we

Two Pillars of Positrigo AG

Dr. Fischer studied physics at FU and HU Berlin with exchanges to ETH Zurich, University of California Los Angeles, and CERN. During his Ph.D. at ETH Zurich, he worked on the development of SAFIR, a small animal PET system with unprecedented temporal resolution. BPET (a SAFIR spin-off) started in 2017 with the grant of an ETH Pioneer Fellowship, which was the foundation for him and his business partner Dr. Max Ahnen to start Positrigo.

Dr. Max Ahnen became a Ph.D. student on gamma-ray Cherenkov telescopes at the ETH Zurich Institute for Particle Physics after studying physics at the TU Munich, the Max Planck Institute for Physics, and Durham University. In 2018 both were named as Forbes Europe 30 under 30 in the Science and Healthcare sector.

Dr. Jannis Fischer Co-founder and CEO
July| 2022 37 www.Insightscare.com
Dr. Max Ahnen Co-founder and COO

want to offer a solution that meets current imaging standards at a fraction of today's cost.

What advice would you like to give to the budding entrepreneurs and enthusiasts aspiring to venture into the medical imaging niche?

We encourage other entrepreneurs to consider the functional imaging space as it offers great potential for groundbreaking future developments. The focus on precision medicine and a more personalized approach to healthcare provision strengthens the need for dedicated diagnostic tools. If you plan to develop a medical device, we strongly suggest that you listen to your customers.

It is essential to talk to them early on to guide their development. At the same time, making a medical device is entirely different from prototyping at a university. It is essential to be diligent and thorough in documenting and testing the device before applying for market approval.

How do you envision scaling Positrigo AG's services and operations in 2022 and beyond?

After having obtained regulatory approval in Europe and in the US next year, the focus will be on the commercial expansion and the establishment of our dedicated brain PET technology as a state-of-the-art modality that every imaging center with a focus on neurological patients needs to have. In addition, we plan to build on our initial product offering and offer additional services.

Please give us a few testimonials from your clients and awards or recognition that accurately highlight your organization's position in the market.

"NeuroLF being a dedicated brain scanner will lower the cost of brain scans making this diagnostic tool more broadly available.”

Ÿ Prof. em. Alfred Buck, former Head of NeuroPET, University Hospital in Zurich

July| 2022 38 www.Insightscare.com

a l

Imaging Soluons to Effecve Paent Care

Patients today have become active agents of their own health. Their changing attitudes and behavior towards how they perceive and address their wellbeing or illnesses have changed since the year 2020. Taking an active role, they prefer to track their own health and use the data gathered to make informed decisions before visiting a doctor.

To serve the objective of preventive care, the measures of early detection and diagnosis have sought greater attention from the healthcare sector today. It has managed to alter healthcare by lowering costs, improving the quality of care, and delivering timely treatment.

However, despite its benefits, there are still existing pitfalls that require attention. When researchers investigated the concern, they found an existing gap within the medical imaging reports that did not align with the patient’s needs satisfactorily. As a result, it often leads to medical errors and poor clinical decision-making.

Addressing the matter, Vital Radiology has evolved as one of the medical imaging solution providers with an existing global position in the market. Having been founded in

2016, the company is led by a team of qualified medical professionals who work together to deliver high-quality reporting services in order to support clinical radiology. Until today, it has performed over 500,000 scans worldwide annually.

Dr Arun Chauhan, the Founder of Vital Radiology, had a keen eye for the patient’s needs, based on which he runs the company. He ensures optimum transparency in the company’s clinical governance and leads the operations base while keeping a patient-centric view in mind.

Below are the details of the Interview:

Arun, please brief our audience about Vital Radiology and kindly tell us the source of inspiration for venturing into the medical imaging niche.

Vital Radiology is a leading provider of teleradiology services. We work across the globe and provide highquality definitive reports around the clock. My source of inspiration recognized the problems that exist within medical imaging and how they impact health outcomes globally. There is a huge backlog and bottleneck as pictures are continuously taken, but there are very few people who can actually read and report. Even when the scan is done, the report doesn’t come for a long time, which causes a delay in treatment.

By background, I am a clinician, and so I am keenly aware of the importance and value of diagnostics and early diagnosis especially. This is a global problem, not just a UK problem, and if we want to improve the quality of care across the globe, it is hugely important that we diagnose diseases as early as possible.

It was my recognition of this problem and my desire to provide a solution that could accelerate the diagnostics and

July| 2022 40 www.Insightscare.com
I think for those working in medical imaging, it’s important to remember that the images we are looking at are not just an image, they are an image of an individual, a human being.
V

diagnosis process and therefore provide better care to the public which acted as my inspiration to venture into the medical imaging niche.

Brief us about yourself and shed some light on your journey in the organization.

I qualified as a GP and then I moved to technologies, so my profile is a combination of healthcare and IT.

When I began working in teleradiology, I saw that there was a lot of inefficiency in the system, and I could see that this was due to technology not being used optimally. I started on a small scale and have increasingly worked towards a global view of the market and its problems, and then began to think about a solution that could influence global issues.

I started Vital Radiology and got together a very good team in the UK and India, and in the last year, we partnered with I-MED Radiology, which is one of the largest radiology companies in the world. Since then, we have been in heavy expansion mode.

Being the founder of Vital Radiology, I’ve gained a lot of insight into the market, and it’s been a very interesting journey. It gives me a lot of satisfaction, especially knowing that the work we do helps people.

Can you elaborate upon the core values on which Vital Radiology is built and its mission?

We have four core values on which our organization is built; these are as follows:

Ÿ

Transparency: We aim to be transparent in everything we do, providing clear information and feedback to stakeholders and customers.

healthcare service positively impacting patient care and pathways.

Kindly elaborate upon the services that make Vital Radiology stand out from the competition.

Vital Radiology stands out in three main ways.

Firstly, our platform integrates into NHS systems, which means they provide the full context of patients’ history and prior images; therefore, we give the full picture of the patient.

Secondly, our technology is unique: we have a unique dashboard that is designed specifically for the needs of NHS trusts and provides full visibility on cases. We also have an automated workflow management technology that reduces manual input and administrative tasks.

Finally, we recruit only the best radiologists, and because we have teams in Australia and India, we are able to provide reports around the clock.

Ÿ

Efficiency: Delivering efficient solutions to the medical sector through improved workflows and dashboard analytics.

Ÿ Quality: Improving and sustaining a quality reporting platform through regulated checks and balances is paramount.

Ÿ

Reliability: Creating and sustaining reliable integrations provides reporting inside time parameters and visibility and presence when we are needed.

Our mission is to bring together the best people dedicated to providing and developing a world-class innovative digital

V
10
2022 July| 2022 41 www.Insightscare.com
Dr. Arun Chauhan Founder Vital Radiology
Most Advanced Medical Imaging Soluon Providers

FULL VISIBILITY VIA OUR UNIQUE DASHBOARD

What is your opinion on healthcare providers’ aligning their offerings with newer technological developments, especially when it comes to catering to the dynamic needs of the healthcare space?

Healthcare and technology work hand in hand, so I value healthcare providers’ aligning their offerings with newer technological developments very highly. Technology brings a lot of quality into healthcare. This is the key focus that we have at Vital Radiology. All the technology we use improves efficiency, outcomes, and quality.

However, it is not there to replace doctors or radiologists it is there to improve efficiency, quality, and outcomes. Nor is artificial intelligence there to replace human intelligence but to complement it.

“ My idea of using AI in diagnostics is not to replace consultants but to improve efficiency in operations .”

Organizations that are at the forefront of using technology in their service provisions are going to be leading the healthcare space going forward.

What advice would you like to give to the budding entrepreneurs and enthusiasts aspiring to venture into the medical imaging niche that you are catering to?

We should all chase our dreams, whatever sector we are working in.

“ I think for those working in medical imaging, it’s important to remember that the images we are looking at are not just an image, they are an image of an individual, a human being. ”

This perspective is important because it reminds you that you are the person responsible for improving someone’s health outcomes, and when you start thinking at this level, then you see that you are helping to build a healthier society and a healthier world essentially. Also, when we talk about imaging, it is always going to be a technology-driven business, so the mindset needs to be, “How best can I use technology to deliver imaging services?”

How do you envision scaling ’s services Vital Radiology and operations in 2022 and beyond?

We have the intention of expanding geographically beyond the 7 countries that we currently cater to. We plan to expand to new continents such Africa, Europe and Asia. We also have the intention of developing different types of services, for example, specialist services, such as lung and heart screening programs, specialist cancer reporting services, and nuclear medicine. This will involve bringing in lots of new specialist radiologists, and we are building a team to meet these needs.

July| 2022 42 www.Insightscare.com

Turn static files into dynamic content formats.

Create a flipbook
Issuu converts static files into: digital portfolios, online yearbooks, online catalogs, digital photo albums and more. Sign up and create your flipbook.
10 Most Advanced Medical Imaging Solution Providers 2022 by insightscare - Issuu