
เปดมมมองสาขา Oral Diagnostic Sciences 16-17
DENT MFU INDEED
18 DENT TO KNOW
19 STILL DENT MFU

DENT UP2DATE
CAR)
ของเสนทางวชาชพเตมไปดวยความสาเรจ ความสข

บรรณาธการ วารสาร “DENT TALK”
ทปรกษา
อาจารย
https://dentistry mfu ac th/
















![]()

เปดมมมองสาขา Oral Diagnostic Sciences 16-17
DENT MFU INDEED
18 DENT TO KNOW
19 STILL DENT MFU

DENT UP2DATE
CAR)
ของเสนทางวชาชพเตมไปดวยความสาเรจ ความสข

บรรณาธการ วารสาร “DENT TALK”
ทปรกษา
อาจารย
https://dentistry mfu ac th/


















2564 - 2567
ปจจบน พ.ศ. 2567 - 2569 อาจารย ดร.ทนตแพทยณรงค
มหาวทยาลยแมฟาหลวง










เพออปเดตความร

สํานกวชาทนตแพทยศาสตร ตระหนกถงความสําคญของการสราง


“เสนทางทเตบโตไปพรอมกน

ประสบการณทแมฟาหลวง ไมไดทําใหผมเตบโต
สงตอโอกาส และสนบสนนใหนกศกษารนใหมเตบโตเปนบณฑต

(Oral Diagnostic Sciences)


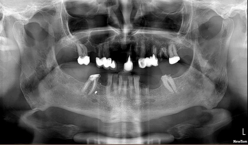
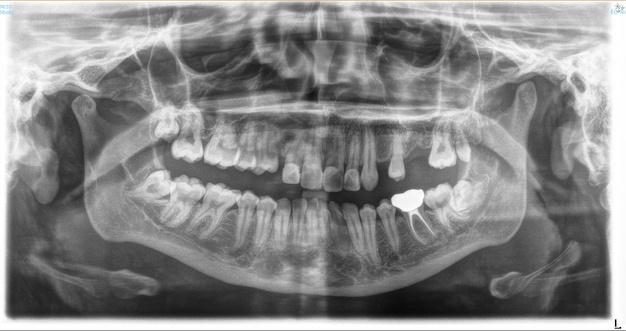
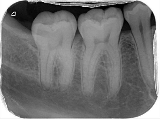
ฟนและกระดกขากรรไกรมหลายสวนทซอนอยใตเหงอก และเมอ เกดความผดปกตขนอาจจะไมสามารถมองเหนไดเพยงจากการ


การสงถายภาพรงส เพอการวนจฉยโรคในชองปากมความสาคญอยางยง
โดยเฉพาะในการประเมนรอยผของฟน ในผปวยทไมเคย ตรวจสขภาพชองปากมากอนหรอผทมาพบทนตแพทย เป นครงแรก
นอกเหนอจากการตรวจรอยผในชองปากจากการตรวจด
โดยตรงแลว ทนตแพทยจะพจารณาการถายภาพรงสใน
ชองปาก เพอชวยตรวจหาบรเวณรอยผดานประชดฟน (proximal caries)







ผใชสทธประกนสขภาพ (สทธบตรทอง)















